时间:2025-03-25 02:56:46


1、多项选择题 脂肪瘤多见于下述哪些部位()
A.颈部
B.肩部
C.背部
D.臀部
E.肾周
2、单项选择题 炎性假瘤影像学表现为()
A.肺内孤立结节,无分叶,边缘有毛刺,发病前有发热史
B.肺内孤立结节,内有爆米花样钙化
C.右上叶后段结节,边缘光整,周围有卫星灶,增强扫描结节无强化
D.肺内孤立结节,有分叶和毛刺,远端有胸膜凹陷征
E.左下叶后基底段肿块,CT增强扫描示胸主动脉分支进入肿块
3、名词解释 Holt-Oram综合征
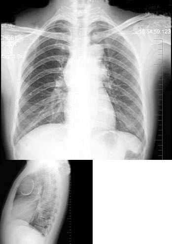
4、单项选择题
女,47岁,偶感胸闷,体检胸片如图,最可能的诊断是()

A.右肺肿瘤
B.胸腺瘤
C.畸胎瘤
D.淋巴瘤
E.胸内甲状腺肿
5、单项选择题
男,49岁,心前区阵发性绞痛10天。贫血面容,有胃病史。结合图像,最可能的诊断为()

A.胃癌
B.胃小弯溃疡
C.胃炎
D.胃下垂
E.胃窦癌
6、判断题 胆管内见到充盈缺损,首先应考虑为肿瘤、阴性结石,蛔虫病也会引起。
7、单项选择题 关于胸部正位摄影与心脏正位摄片的不同点,下列描述哪项是错误的()
A.心脏正位摄片距离是2m
B.心脏正位摄片应在平静呼吸下屏息曝光
C.心脏正位摄片应测量身高、体重
D.曝光的时间应控制在1/10秒以下
E.心脏正位摄片用高电压,大毫安,短时间
8、多项选择题 关于头颅侧位投照,正确的体位是()
A.矢状面与台面平行
B.听眦线与台面平行
C.听眦线与台面垂直
D.瞳间线与台面垂直
E.听眶线与台面平行
9、单项选择题 下列关于“骨瘤”的描述中,哪项错误()
A.多见于颅骨外板
B.菜花状,顶端可有不规则钙化
C.可发生于鼻窦内
D.均匀一致高密度
E.多数肿瘤体积不大
10、名词解释 反向搏动点
11、配伍题 肺囊肿继发感染时可出现()肺包虫囊肿病典型征象是()
A.半月征
B.双弓征
C.水上浮莲征
D.轨征
E.兔耳征
12、单项选择题 摄肩关节盂前后位应在常规肩关节前后位基础上()
A.身体向检测后斜25°~30°
B.身体向检侧后斜10°~20°
C.身体向检侧后斜45°
D.身体向检侧前斜45°
E.身体向检侧前斜10°~20°
13、多项选择题 病理性骨折常见于哪些病变()
A.骨质软化
B.骨肿瘤样病变
C.骨感染性病变
D.骨质疏松
E.骨肿瘤
14、单项选择题
男,55岁,左侧舌下肿胀不适2个月余,体检发现左侧舌下肿胀,舌下阜处可见脓苔黏附,触痛,按之可见淡黄色脓液从舌下阜溢出,摄片如图所示,最可能诊断()
A.左侧颌下腺涎石
B.左侧舌下腺涎石
C.左侧腮腺涎石
D.正常影像
E.左侧下颌骨含牙囊肿
15、单项选择题
男,38岁,感胸闷气逼2周余,近来加剧,不发热,X线检查如图,最可能的诊断是()

A.右侧肺不张
B.右侧胸膜肥厚
C.右侧大量胸腔积液
D.右侧中量胸腔积液
E.右侧气胸
16、判断题 排泄性和逆行性尿路造影的作用是不相同的。
17、单项选择题 慢性支气管炎后期的肺部X线表现,错误的是()
A.病人胸片正常
B.膈肌低平
C.肺野透光度增高
D.肋间隙增宽
E.两肺纹理增粗紊乱
18、多项选择题 X线诊断时应考虑到患者的()
A.年龄
B.性别
C.职业史
D.生长和居住地区
E.接触史
19、单项选择题 下列转移性骨肿瘤特点中,哪项是错的()
A.脊柱转移最常见
B.同一原发灶,可兼有溶骨性、成骨性转移
C.可有软组织肿块或肿胀
D.膀胱癌多为成骨性转移
E.甲状腺癌转移者,局部骨可膨胀
20、单项选择题 关于CR系统的影像板,以下说法不正确的是()
A.影像板上的信息可永久保存
B.影像板上的信息为模拟信号
C.自影像板上读出的信息为数字信息
D.影像板可反复使用
E.影像板代替胶片保存X线影像
21、单项选择题 X线束的最短波长取决于()
A.毫安
B.时间
C.千伏
D.毫安秒
E.靶物质
22、单项选择题 中纵隔最常见的肿瘤是()
A.胸内甲状腺肿
B.神经源性肿瘤
C.胸腺瘤
D.淋巴瘤
E.畸胎瘤
23、多项选择题 属于脊椎移行的有哪些()
A.第7颈椎出现颈肋
B.胸12椎体楔形改变
C.骶椎融合成一块
D.腰5横突与骶椎形成假关节
E.第12肋缺如
24、名词解释 结核性干性胸膜炎
25、单项选择题 右下叶肺不张的最佳投照体位是()
A.右侧位
B.前弓位
C.右前斜位
D.左侧位
E.标准后前位
26、名词解释 内骨痂
27、单项选择题 引起回盲瓣肥厚的最常见原因是()
A.Crohn病
B.回盲瓣粘膜脱垂
C.单纯性回盲瓣肥厚
D.回盲瓣结核
E.回盲瓣肿瘤侵犯
28、单项选择题 下述二尖瓣关闭不全的诊断要点,错误的是()
A.心尖区闻及收缩期杂音
B.肺充血
C.支气管分叉角扩大
D.间隔线
E.心后间隙缩小
29、单项选择题 膈上肋骨摄片,采用的呼吸方式为()
A.浅呼吸屏气
B.深呼气屏气
C.深吸气屏气
D.平静呼吸屏气
E.腹式呼吸屏气
30、单项选择题 原发性骨肿瘤最常见的是()
A.软骨瘤
B.骨瘤
C.骨软骨瘤
D.骨肿瘤
E.骨巨细胞瘤
31、名词解释 环堤
32、多项选择题 先天性巨结肠在钡剂灌肠以前应注意的有关事宜有()
A.不用泻药
B.重复灌肠
C.肛管不宜放置过高
D.钡剂注入速度不宜过快
E.调节钡剂用等渗盐水
33、多项选择题 小肠Crohn病的X线征象包括()
A.鹅卵石征
B.纵行及横行溃疡
C.口疮样溃疡
D.病变呈节段性
E.病变呈连续性
34、单项选择题 较少分布于肺野中外带的病变为()
A.肺梗死
B.尿毒症
C.细支气管肺泡癌
D.肺挫伤
E.过敏性肺炎
35、单项选择题 以下“病变-投照体位选择”组合中,哪项不正确()
A.颅底骨折:颅底位
B.下颌骨髁状突骨折:汤氏位
C.眼眶肿瘤:柯氏位
D.颞骨骨折:常规正侧位片
E.上颌窦病变:瓦氏位
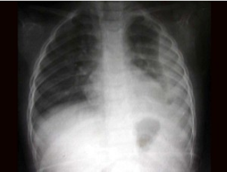
36、单项选择题
男2岁,左侧胸痛、气促,如图所示,最可能的诊断为()

A.左肺肺不张
B.左侧胸腔积液
C.左侧胸膜肥厚
D.右肺肺气肿
E.以上都不正确
37、单项选择题 下列通过内听道的神经是哪项()
A.动眼神经
B.三叉神经
C.颜面神经
D.迷走神经
E.舌下神经
38、单项选择题 颅骨骨折的直接征象是()
A.乳突气房消失
B.颅内积气
C.软组织肿胀
D.骨折线
E.蝶窦积气-液平面
39、判断题 缺血坏死性结肠炎表现为偏心性狭窄,而结肠癌表现为向心性狭窄。
40、配伍题 男尿道管最狭窄的部分是()中央有精阜的是()尿道球腺开口于()
A.前列腺上部
B.膜部
C.海绵体部
D.尿道球部
E.射精管
41、单项选择题 风湿性心脏病左房室瓣(二尖瓣)关闭不全的主要X线表现是()
A.左心房、右心室增大
B.左心房,左心室增大
C.右心房增大
D.左心室增大
E.右心室肥大
42、问答题 叙述静脉尿路造影和逆行肾盂造影的优点和缺点?
43、单项选择题 青枝骨折以下列哪种X线检查最佳()
A.平片检查
B.透视
C.关节造影
D.血管造影
E.椎管造影
44、单项选择题 胸部高千伏摄片是指()
A.≥90kV
B.≥100kV
C.≥110kV
D.≥120kV
E.≥130kV
45、单项选择题 关于“肾盂积水”的影像,下列说法错误的是()
A.肾影增大
B.均可找到梗阻原因
C.IVP示肾盂显影延迟
D.IVP示肾盂显影浅淡
E.CT示肾实质变薄
46、单项选择题 下列关于肺部霉菌病的影像特点,正确的是()
A.常侵犯胸膜、胸壁,形成瘘道
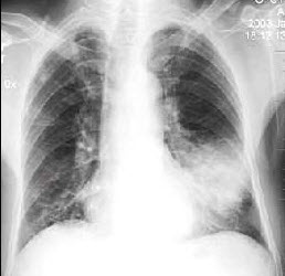
B.中下肺斑点状、云雾状影
C.两肺粟粒样病灶
D.空洞内有“霉菌球”
E.双肺磨玻璃样改变
47、单项选择题
男,36岁,从高处摔下,足部受伤,结合图像,最可能的诊断是()
A.距骨骨折
B.跟骨骨折
C.骰骨骨折
D.舟状骨骨折
E.楔骨骨折
48、单项选择题 下列胰腺病变,哪种不发生钙化()
A.慢性胰腺炎
B.胰腺癌
C.胰岛细胞瘤
D.单纯性急性胰腺炎
E.胰腺囊肿
49、单项选择题 关于散射线及其影响因素的叙述,错误的是()
A.散射线是指离开原射线线束方向的射线
B.管电压越高,散射线越多
C.增感屏感度越高,散射线越少
D.在一定厚度内,被照物体越厚,散射线越多
E.照射野与散射线有密切关系
50、单项选择题 影响空间分辨率因素中,受人为因素制约的是()
A.X射线扇形束的角度
B.空间采样频率
C.探测器孔径的大小
D.图像重建算法
E.采样间距
51、单项选择题 下列表现,哪项与主动脉瘤无关()
A.可有钙化
B.主动脉搏动可减弱
C.邻近骨骼无异常发现
D.主动脉瘤状、梭状扩张
E.可压迫支气管,造成肺不张
52、多项选择题 以下关于乳腺癌内分泌治疗的说法哪些是不正确的()
A.术后三苯氧胺应用3~5年
B.卵巢切除是内分泌治疗的手段之一
C.绝经后雌激素受体阳性患者不宜内分泌治疗
D.内分泌治疗是乳腺癌综合治疗的重要部分
E.所有的乳腺癌患者内分泌治疗都有效
53、单项选择题 男性乳头的位置,相当于下列哪项()
A.第10胸椎水平
B.第6胸椎水平
C.第8胸椎水平
D.第4胸椎水平
E.第2胸椎水平
54、单项选择题 下列关于皮革状胃的X线征象,错误的是()
A.胃粘膜皱襞形态不变
B.胃腔缩小
C.幽门管多呈关闭状态
D.胃壁蠕动消失
E.食管可继发扩张
55、单项选择题
男,16岁,长期的骨骼肌肉畸形,听力障碍,结合图像,最可能的诊断是()
A.马方综合征
B.成骨不全
C.肾性骨病
D.甲状旁腺功能亢进
E.维生素D缺乏症
56、填空题 后天性食管裂孔疝的发病因素主要有_____________、_______________、______________、___________、_____________。
57、单项选择题 下列“单发性软骨瘤”影像特点中,哪项错误()
A.单房或多房
B.膨胀性生长
C.骨皮质变薄、表面凹凸不平
D.瘤内无钙化
E.多为内生性
58、单项选择题 皮革胃是属于下列哪种类型胃癌()
A.蕈伞型胃癌
B.溃疡型胃癌
C.浸润型胃癌
D.混合型胃癌
E.平坦型胃癌
59、填空题 胆管囊状扩张分为______________、_________________、___________________、_____________________和___________________五种类型。
60、单项选择题
男,68岁,患“胃炎”20余年,因突然出现全腹剧烈疼痛,病人被动屈曲位,初体温正常,后出现最高体温38.5℃,脉搏110次/分,查体:腹式呼吸减弱,腹肌紧张不明显,全腹压痛、反跳痛,以上腹部为重;X线立位平片示小肠普遍胀气,并见小液气平面,膈下见游离气体。
病人需手术绝对指征是()
A.肠胀气明显
B.膈下见游离气体
C.发热高达38.5℃
D.全腹压痛及反跳痛
E.以上都不是
61、填空题 室间隔缺损根据临床结合病理分为___________、___________、_________。
62、判断题 造釉细胞瘤主要来源于残余的牙板和造釉器。
63、判断题 胆囊缩小、变形和胆囊壁内大小不等的憩室样征象,是诊断胆囊腺肌增生症的主要依据。
64、单项选择题
如图,在正常胸部X线影像图像上,该英文字母所代表的肺段为()

A.尖段
B.后段
C.尖后段
D.舌叶上段
E.舌叶下段
65、多项选择题 胸片上,空洞可见于下列哪些疾病()
A.转移性肺癌
B.原发性肺癌
C.韦格肉芽肿
D.原发性肺结核
E.嗜酸性肉芽肿
66、单项选择题 深吸气后屏气曝光的部位是()
A.躯干
B.头颅
C.肺部
D.心脏
E.手臂
67、单项选择题 硬膜外非脊柱恶性肿瘤发病率最高的是()
A.转移瘤
B.恶性纤维组织细胞瘤
C.畸胎瘤
D.脊膜瘤
E.脂肪瘤
68、单项选择题 关于游走脾的说法,不正确的是()
A.血管造影可明确脾的位置
B.左上腹、脾影消失,脾窝内见肠管影占据
C.肾盂造影,可见左肾向上移位
D.位于正常位置以外的腹腔内其他部位
E.一种常见的先天异常
69、填空题 根据骨化性肌炎的发病机制可分为________________和________________两类。
70、单项选择题 关于冠状动脉解剖的描述哪项不正确()
A.心脏正位片上左冠窦向左膨出,右冠窦向右膨出,无冠窦位于两窦之间的前壁
B.左冠状动脉主干走行于肺动脉干和左心耳之间,至左房室沟处分为两支
C.左前降支阻塞时,由斜角支建立侧支循环由右冠状动脉供血给左室
D.右冠状动脉窦房结支通常为第2分支,走向后上方,供血给心脏系统的重要部位
E.约18%的人右冠状动脉远侧段缺如
71、单项选择题 垂柳征最常见于()
A.肺炎
B.慢性纤维空洞型肺结核
C.肺癌
D.肺脓肿
E.结节病
72、判断题 在吞钡之后,有钡剂残留在会厌谿及梨状隐窝处,把这种现象称为会厌征。
73、单项选择题 关于对比剂的叙述,错误的是()
A.分阴性和阳性对比剂两类
B.可显示组织器官的形态
C.非离子型对比剂属于盐类物质
D.非离子型对比剂毒性较小
E.与周围器官能形成密度差别
74、多项选择题 下列对X线属高感受性组织器官的是()
A.生殖腺
B.淋巴组织
C.骨
D.脂肪
E.造血组织
75、单项选择题
男,60岁,左股骨痛1年余,结合图像,最可能的诊断是()
A.骨纤维异常增殖症
B.Paget病
C.髋关节结核
D.股骨头缺血坏死
E.化脓性骨髓炎
76、单项选择题 “骨巨细胞瘤”典型影像为()
A.好发于长骨干骺端
B.新骨生成和骨膜反应
C.“皂泡样”改变
D.病变与邻近正常组织分界不清
E.溶骨性或成骨性改变
77、单项选择题
男,17岁,下肢畸形,有皮肤色素沉着,性早熟等,结合图像,最可能的诊断是()
A.非骨化性纤维瘤
B.骨巨细胞瘤
C.骨纤维结构不良
D.内生软骨瘤
E.畸形性骨炎
78、单项选择题 慢性化脓性中耳乳突炎单纯型X线表现中,下列说法哪项错误()
A.乳突窦及其周围骨质硬化增生
B.锤骨或砧骨骨质破坏
C.乳突气房透光度减低
D.气房间隔骨质增厚、结构模糊
E.乳突气房外围骨质有明显增生
79、单项选择题 关节结核的关节面破坏首先发生在()
A.骨骺
B.骨骺板
C.干骺端
D.关节持重部位
E.关节非持重部位,滑膜附着处
80、单项选择题 下列关于“霍奇金病”骨质改变,哪项错误()
A.可有椎旁软组织肿块
B.可由硬化型向溶骨型转变
C.放疗后,可由溶骨型向硬化型转变
D.椎体可呈硬化、膨大改变
E.肋骨溶骨型者不伴骨膨胀
81、单项选择题 肾结核肾内广泛播散的病理学基础为()
A.肾乳头坏死形成空洞
B.血行播散
C.病变位于肾皮质
D.病变位于肾髓质
E.经淋巴管蔓延
82、单项选择题 中央型肺癌早期的间接X线征象是()
A.阻塞性肺不张
B.支气管扩张
C.局限性肺气肿
D.阻塞性肺炎
E.纵隔及肺门淋巴结增大
83、名词解释 肺发育不全
84、填空题 成年女性的乳腺位于_______,内界为_______,外界可达_______。
85、配伍题 完全性肺静脉畸形引流可见于()大动脉炎可见于()动脉导管未闭可见于()
A.漏斗征
B.主动脉球征
C.主动脉球缩征
D.降主动脉内收征
E.“8”字形心脏
86、单项选择题
男,62岁,咳嗽发热2天,痰中带血,胸片检查如图,最可能的诊断是()

A.左下肺炎症
B.左肺癌伴阻塞性肺炎
C.左肺结核
D.左侧胸膜炎
E.左侧错构瘤
87、单项选择题 肺部炎症导致肺组织发生坏死出血、钙盐沉着,最终导致结果是()
A.渗出
B.增殖
C.钙化
D.纤维化
E.空洞
88、单项选择题 下列哪种心脏病不引起两肺门影增大()
A.房间隔缺损
B.室间隔缺损
C.肺动脉狭窄
D.肺源性心脏病
E.动脉导管未闭
89、单项选择题 通常照片铅字标记应置于暗盒边缘内()
A.0.5cm处
B.1.0cm处
C.1.5cm处
D.3cm处
E.5cm处
90、判断题 胰腺癌绝大多数起源于腺泡细胞,少部分起源于胰管上皮细胞。
91、单项选择题 腹水患者卧位腹部平片能显示的是()
A.腹内结构不清,密度增高
B.小肠被压向腹部周边部位
C.结肠与腹脂线间距加大
D.狗耳征
E.腰大肌影欠清晰
92、单项选择题 摄胸椎侧位片时,中心线应对准以下哪项()
A.胸骨角水平
B.胸廓入口水平
C.剑突水平
D.肩胛骨下角水平
E.剑突下2cm
93、单项选择题 下列哪项检查不属于X线特殊检查()
A.透视
B.高千伏摄影
C.记波摄影
D.荧光缩影
E.体层摄影
94、单项选择题 下列关于左侧上腔静脉的错误描述是()
A.位于主动脉弓外侧
B.下行于肺动脉主干的外侧
C.经左肺门前方进入左房与左室之间的冠状窦
D.增强扫描有助于与淋巴结鉴别
E.右上肢静脉注射造影剂并快速动脉早期扫描可清楚显示
95、名词解释 颞下颌关节紊乱综合征
96、单项选择题 下列有关摄影体位命名原则的描述,错误的是()
A.依被照体的摄影部位
B.依被照体摄影时的体位
C.依X线入射被照体时的方向
D.依被照体与摄影床的位置关系
E.依被照体与胶片所处的位置关系
97、单项选择题 28岁,男性,咳嗽,胸闷1月余,持续2周,胸片示右下肺浅淡片状影,肺纹理增多,最可能的诊断是()
A.慢性纤维空洞型肺结核
B.慢性肺脓肿
C.自发性气胸
D.大叶性肺炎
E.支原体肺炎
98、单项选择题 输尿管结核患者,静脉肾盂造影的典型表现为()
A.输尿管不规则狭窄和扩大,呈串珠状,边缘呈虫蚀状
B.输尿管囊样扩张
C.输尿管内见圆形致密影
D.输尿管扭曲
E.输尿管内见不规则透光影
99、多项选择题 关于DR成像的叙述,正确的是()
A.X线数字摄片——Digital radiography
B.硒鼓技术利用硒接受X线照射后直接转换为电信号
C.直接放射成像是直接读取感应介质记录的X线信息
D.直接放射成像以数字化图像方式重放和记录
E.以上都正确
100、单项选择题 眼球内细小玻璃碎片属于()
A.不透性异物
B.半透性异物
C.透光性异物
D.金属性异物
E.磁性异物
101、填空题 急性大肠梗阻可分为_________________和__________________两种。
102、单项选择题
女,37岁,误吞鱼刺3小时。结合图像,最可能的诊断为()

A.挂钡征阳性
B.挂钡阴性
C.食管癌
D.食管憩室
E.食管炎
103、填空题 乳腺脓肿切开引流,为避免损伤乳管而形成乳瘘,应作_______切开,乳晕下脓肿应沿乳晕边缘作_______切口。急性乳腺炎的预防,关键于_______、_______、_______、_______、_______。
104、单项选择题 常规胸片,对哪种结构显示最差()
A.肋骨
B.肋软骨
C.锁骨
D.横膈
E.胸椎
105、单项选择题 下述疾病与心脏增大描述不相符的是()
A.Budd-Chiari综合征——右心房扩大
B.房间隔缺损——左心房增大
C.二尖瓣关闭不全——左心室增大
D.肺动脉狭窄——肺动脉段膨隆
E.动脉导管未闭——“漏斗”征
106、单项选择题 管电压超过下述哪个值时,需使用滤线栅()
A.55kV
B.60kV
C.65kV
D.70kV
E.75kV
107、单项选择题 关于矽肺的影像描述,下列哪项不对()
A.病变早期,间隔线
B.病变晚期,肺纹理增多、网状
C.肺门淋巴结蛋壳样钙化
D.病变晚期,八字形或长条状大阴影
E.病变早期,类圆形小阴影,边缘锐利、可钙化
108、单项选择题 下列慢性肺炎胸片所见,哪项不对()
A.肺纹理增多、紊乱
B.蜂窝状、杵状阴影
C.肿块规则圆形,边缘光整
D.局限性或弥漫性肺气肿
E.肺门影增大,模糊
109、单项选择题 关于“正常胃粘膜皱襞”,错误的描述是哪项()
A.胃大弯粘膜皱襞比小弯侧粗
B.胃底粘膜皱襞走向不规则
C.胃体粘膜皱襞呈纵行走向
D.胃粘膜皱襞有纵、横两种
E.胃窦部胃小区显示率最高
110、单项选择题 关于“骨与骨化中心”,下列描述哪项错误()
A.左右两侧骨化中心出现的时间、数目、顺序一致
B.女性骨化中心出现、愈合时间比男性早1~3年
C.骨龄受内分泌、代谢和发育方面疾病影响
D.仅靠腕骨骨龄估计小儿发育,可靠性有限
E.1岁内儿童,足部、膝部骨龄准确性最高
111、单项选择题 下述二尖瓣狭窄的影像表现,错误的是()
A.间质性肺水肿
B.肺门影缩小
C.梨形心
D.双房影
E.主动脉结缩小
112、单项选择题 下列“脊柱结核”发病特点中,哪项正确()
A.溶骨性破坏为主
B.中心型,是最常见类型,腰椎多见
C.边缘型,胸椎多见
D.韧带下型,始于后纵韧带
E.附件型少见
113、单项选择题 斯氏位投照时,要求()
A.听眦线与胶片垂直
B.听鼻线与胶片垂直
C.瞳间线与胶片垂直
D.听眶线与胶片垂直
E.以上都不对
114、单项选择题 继发性胆脂瘤多发生于()
A.鼓窦入口
B.外耳道
C.上鼓室
D.中鼓室
E.下鼓室
115、多项选择题 肺充血的X线表现为()
A.两侧肺门阴影缩小
B.右下肺动脉干扩张>1.5cm
C.肺动脉段凸出,搏动增强
D.肺野透明度减低
E.肺纹理增粗增重,边缘清楚
116、单项选择题 男,3岁,腹痛、腹胀伴呕吐1天。透视见腹部有多个气液平。首先考虑的诊断是()
A.结肠息肉
B.息肉恶变
C.结肠癌
D.肠梗阻
E.结肠炎
117、填空题 胆管癌多数为_______,少数为_________。肿瘤的生长方式可分为_________、_________和___________。
118、单项选择题 关于肺癌的国际分期,错误的是()
A.国际按TNM分期
B.T是指原发肿瘤
C.N是指区域淋巴结的情况
D.M是指远处转移
E.T2表示肿瘤最长径<3cm,肿瘤边界距隆突2cm以内
119、单项选择题 55岁,男,上腹隐痛1年余,进食后缓解,3小时前突发上腹剧痛,剑突下压痛、反跳痛,最可能的诊断是()
A.胃溃疡恶变
B.胃扭转
C.消化道穿孔
D.消化道出血
E.胃平滑肌肉瘤
120、单项选择题 外伤间接暴力是指()
A.外力传导
B.坠落
C.砸伤
D.锐器伤
E.撞击
121、多项选择题 成软骨细胞瘤应与下述哪些疾病变相鉴别()
A.骨巨细胞瘤
B.内生软骨瘤
C.软骨粘液样纤维瘤
D.多发性骨软骨瘤
E.骨骺、干骺结核
122、单项选择题 关节囊内骨折最多见于()
A.膝关节
B.踝关节
C.肘关节
D.肩关节
E.髋关节
123、单项选择题 中央型肺癌的X线表现中,胸片不易发现的征象是()
A.阻塞性肺炎
B.肺不张
C.黏液嵌塞征
D.肺门区及纵隔肿块
E.肺气肿
124、单项选择题 在减少与抑制散射线的方法中,错误的是()
A.使用滤线器
B.空气间隙法
C.增加附加滤过
D.扩大照射野
E.使用准直(遮线)器
125、单项选择题 Ⅱ型肺结核是指()
A.原发性肺结核
B.血行播散型肺结核
C.慢性纤维空洞型肺结核
D.结核性胸膜炎
E.浸润型肺结核
126、多项选择题 全自动准直器可进行的操作方式有()
A.手动
B.自动
C.无线遥控
D.红外遥控
E.以上都是
127、问答题 肾盂肿瘤在X线上需要与哪些病相鉴别?
128、单项选择题 在胸部平片上,可见圆形或类圆形的孤立性结节影的是()
A.结节病
B.结核球
C.慢性支气管炎
D.肺泡蛋白沉积症
E.肺不张
129、单项选择题 观察小儿发育情况,需摄取()
A.腕关节正位
B.腕关节侧位
C.双腕关节斜位
D.双腕关节正位
E.双腕关节侧位
130、单项选择题 对骨代谢影响最大的维生素是()
A.维生素A
B.维生素B
C.维生素C
D.维生素D
E.维生素E
131、单项选择题 下列支原体肺炎的描述,错误的是()
A.小儿及成人均可患病
B.病变早期可仅有肺纹理增多,边缘模糊
C.血清冷凝集试验在2~3周值较低
D.肺炎支原体肺炎与浸润型肺结核X线表现相似
E.占据一个大叶的支原体肺炎较少见
132、单项选择题 脾脏最常见的原发恶性肿瘤是()
A.转移性肿瘤
B.恶性淋巴瘤
C.网织细胞肉瘤
D.纤维肉瘤
E.血管肉瘤
133、名词解释 骨骺损伤
134、配伍题
以下病变适合的介入技术
肝外伤休克()肝癌()肝血管瘤()胆道梗阻()门脉高压()
A.TIPSS
B.肝动脉栓塞术
C.PTCD
D.肝动脉造影
E.肝动脉化疗栓塞
135、单项选择题 关于“小肠Crohn病”影像的描述,错误的是()
A.环肠壁对称性侵犯
B.鹅卵石征
C.小肠多发狭窄
D.肠壁增厚
E.口疮样小溃疡
136、判断题 浅表食管癌是指癌仅浸润至食管粘膜、粘膜下层,而无淋巴结转移者。
137、单项选择题 胸骨后前位摄影条件正确的选择是()
A.低千伏高毫安长曝光时间
B.高千伏高毫安长曝光时间
C.低千伏低毫安短曝光时间
D.高千伏高毫安短曝光时间
E.低千伏低毫安长曝光时间
138、单项选择题 脂肪肉瘤中哪一类型恶性程度最高()
A.圆细胞型
B.黏液型
C.分化良好型
D.多形性型
E.混合型
139、单项选择题 造影时发生碘油栓塞,患者应取的位置是()
A.头高足低右侧卧位
B.头低足高左侧卧位
C.头高足低左侧卧位
D.头低足高右侧卧位
E.平卧位
140、单项选择题 关于KerleyB线,下述观点哪项正确()
A.常见于二尖瓣狭窄
B.病理为肺叶间裂积液所致
C.多分布于中肺野
D.病理基础为盘状肺不张
E.常见于慢性支气管炎
141、单项选择题 肝脏增大不会引起下列哪种胸部改变()
A.龟背征
B.胸腔积液
C.胸膜增厚、钙化
D.节段性肺不张
E.下叶肺炎
142、单项选择题 关于下列X线解剖的描述,哪项是错误的()
A.一般情况下,左肺门比右肺门位置高
B.心胸比例为0.5
C.上腔静脉通过右肺动脉背侧
D.左主支气管比右主支气管长
E.气管分叉部在右肺动脉背侧
143、多项选择题 主动脉瘤的X线表现有()
A.可压迫侵蚀脊柱、后肋或胸骨
B.有时可见到线形或弧形钙化
C.主动脉瘤为局限性囊状或梭形扩张
D.对气管、食管粘连压迫可引起移位
E.可造成主动脉瓣关闭不全、左心室增大
144、单项选择题 中心型肺癌早期的间接征象为()
A.阻塞性肺气肿
B.阻塞性肺不张
C.阻塞性肺炎
D.肺脓肿
E.支气管扩张
145、单项选择题 下列有关“椎弓崩裂”描述中,哪项错误()
A.90%位于第三腰椎
B.多为双侧性
C.常有脊椎滑脱
D.斜位片价值最高
E.椎弓峡部骨质缺损
146、名词解释 Mikulicz综合征
147、单项选择题
头颅部位的摄片中,正中矢状面垂直于台面的位置有哪些()
a.Mayer位
b.Schuller位
c.stenver位
d.Water位
e.ToWne位
A.a,b
B.a,e
C.b,c
D.c,d
E.d,e
148、填空题 室间隔缺损根据血流动力学可分为__________、__________、__________、_____________。
149、单项选择题 最常用的X线骨盆测量方法是以下哪种()
A.放大尺直接测量法
B.记号法
C.立体观察法
D.几何法
E.以上都不是
150、判断题 先天性巨结肠患儿清洁灌肠及钡剂调制,可以同其他胃肠检查患者一样。
151、名词解释 空回肠换位征
152、单项选择题 所谓二级放射事故,对公众人员而言,是指受到大于几倍年限值的照射()
A.2倍
B.5倍
C.10倍
D.15倍
E.20倍
153、填空题 食管裂孔疝依其形态可分为四型,分别为__________________、__________________、___________________,___________________。
154、单项选择题 室间隔缺损的X线平片表现为()
A.肺血增多,右心房、室增大,主动脉结小
B.肺血增多,左、右心室增大,主动脉结正常
C.肺血减少,右心房、室增大,主动脉结小
D.肺淤血,左心房、右心室增大,主动脉结小
E.肺淤血,右心房、左心室增大,主动脉结正常
155、单项选择题 成人食管全长约()
A.1~40cm
B.5~20cm
C.15~30cm
D.20~30cm
E.40~50cm
156、名词解释 浮齿征
157、单项选择题
男,32岁,中上腹空腹痛,进食后缓解,剑突下轻度压痛,钡餐检查如图,最可能的诊断是()

A.十二指肠癌
B.十二指肠憩室
C.十二指肠球部溃疡
D.十二指肠节段性肠炎
E.十二指肠结核
158、单项选择题 关于髌骨侧位摄片的叙述,错误的是()
A.体位与膝关节侧位相同
B.可用于检查周围软组织病变
C.中心线经髌骨后缘垂直入射
D.髌骨与股骨下端应略有重叠
E.为常规投照体位
159、单项选择题
男,15岁,右肩疼痛1月余,结合图像,最可能的诊断是()
A.嗜酸性肉芽肿
B.动脉瘤样骨性囊肿
C.骨样骨瘤
D.血管瘤
E.以上都不是
160、单项选择题 下列关于畸胎类肿瘤描述,错误的是()
A.多位于前纵隔中部
B.分囊性和实质性两种
C.含有骨骼、牙齿是其特征
D.短期内增大示其恶性变
E.不能见到气液平面
161、单项选择题
男,17岁,来右前臂疼痛,肿胀近2年,2周前疼痛加剧,查体右前臂压痛明显,皮肤稍显红肿,结合图像,最可能诊断是()
A.骨囊肿
B.骨巨细胞瘤
C.动脉瘤样骨囊肿
D.软骨瘤
E.骨血管球瘤
162、判断题 肺包虫囊肿病若外囊破裂并与支气管相通,即形成“水上浮莲”征。
163、单项选择题 正位胸片上,动脉导管未闭的特征表现为()
A.双房影
B.漏斗征
C.靴形心
D.梨形心
E.平腰征
164、单项选择题 胸片示肺动脉段凹陷,可除外下述哪种疾病()
A.主动脉缩窄
B.Ebstein畸形
C.法洛四联征
D.三尖瓣闭锁
E.肺动脉漏斗部狭窄
165、单项选择题 急性化脓性骨髓炎的X线摄片,主要表现为()
A.骨质增生硬化
B.新生骨
C.骨质破坏
D.死骨形成
E.以上都不是
166、填空题 美国风湿病学会修订的类风湿关节炎的诊断标准共7项_________________、___________________、___________________________、________________、____________、_____________和____________________。
167、单项选择题 腰椎斜位摄片身体冠状面与床面呈()
A.5°
B.10°
C.30°
D.45°
E.60°
168、单项选择题 关于肘关节结核的表现中,下列哪项不正确()
A.肘关节结核较为多见,在上肢结核中占首位
B.结核病灶多在鹰嘴突和肱骨内外髁骨组织开始,桡骨小头少见
C.易形成脓肿,穿破皮肤而产生窦道,合并继发感染
D.邻近关节的骨骼可有骨质疏松
E.病灶周围无骨膜反应
169、多项选择题 哪些是肝癌肝动脉造影时的表现()
A.肿瘤供血的肝动脉扩张
B.肿瘤湖征
C.肝血管受压拉直、移位或被肿瘤包绕
D.肿瘤内显示异常瘤血管
E.动静脉瘤
170、单项选择题
女,根据其正常足的影像图像,判断其最可能的年龄()
A.52岁左右
B.42岁左右
C.12岁左右
D.22岁左右
E.32岁左右
171、单项选择题
男,56岁,痰中带血1月余,X线检查如图,最可能的诊断是()

A.两肺炎症
B.肺转移瘤
C.血行播散型肺结核
D.细支气管肺泡癌
E.矽肺
172、问答题 泌尿系统X线检查有哪些方法?各有何优势与限度?
173、单项选择题 关于“Apert综合征”,下列描述错误的是()
A.两眼间距过宽
B.第3、4指并指畸形
C.颅内压增高相应表现
D.长骨对称性扩张呈"烧瓶状
E.冠状缝、矢状缝早闭
174、名词解释 艾滋病
175、单项选择题 一般不用于检查心脏的体位是()
A.后前位
B.左侧位
C.右侧位
D.右前斜位
E.左前斜位
176、单项选择题
男,63岁,进行性吞咽困难1月。食管钡餐示:食管下段粘膜不规则充盈缺损,管腔狭窄,贲门扩张欠佳。
病变侵及食管的()
A.粘膜层
B.粘膜下层
C.肌层
D.外膜
E.粘膜肌层
177、问答题 先天性巨结肠典型的X线征象有哪些?
178、判断题 氟骨症骨质软化经常合并骨质疏松,并与硬化混和。
179、单项选择题
男,14岁。左大腿下段疼痛,伴高热,体温达39℃。查体:左股骨下段深压痛。
为明确诊断,首先应进行的辅助检查为()
A.B超检查
B.X线检查
C.核素骨显像
D.血管造影
E.MRI检查
180、单项选择题 下列哪一项不是骨囊肿的特点()
A.好发股骨、肱骨的骨干或干骺端
B.横径大于骨骺板宽度
C.男多于女,11~20岁好发
D.常合并病理性骨折
E.长轴与骨干纵轴一致
181、单项选择题
女,根据其正常骨盆影像图像,判断其最可能的年龄()
A.1岁左右
B.5岁左右
C.3岁左右
D.7岁左右
E.9岁左右
182、填空题 局限性骨化性肌炎病理改变在镜下具有特征性分带现象:中央带为___________________________、中间带为_____________、外围带为_______________。
183、单项选择题 好发于40岁以上的“恶性骨肿瘤”是()
A.骨脂肪肉瘤
B.扁骨的纤维肉瘤
C.原发性软骨肉瘤
D.尤文肉瘤
E.骨肉瘤
184、单项选择题
女,58岁,吞咽困难半年,结合图像,最可能的诊断为()

A.正常食管
B.食管静脉曲张
C.食管癌
D.食管憩室
E.食管平滑肌瘤
185、单项选择题 可产生重症肌无力和上腔静脉阻塞症状的纵隔内肿瘤是()
A.淋巴瘤
B.胸内甲状腺肿
C.胸腺瘤
D.神经源性肿瘤
E.畸胎瘤
186、单项选择题 肘关节脱位中哪种脱位较少见()
A.后方脱位
B.侧方脱位
C.后外方脱位
D.后内方脱位
E.以上都是
187、单项选择题 霉菌球是哪种疾病的影像特征()
A.曲菌病
B.隐球菌病
C.组织胞浆菌病
D.奴卡菌病
E.放线菌病
188、多项选择题 关于下段胸椎压缩骨折,正确的摄片体位是()
A.胸椎正位
B.胸椎侧位
C.胸椎斜位
D.胸腰段正位
E.胸腰段侧位
189、单项选择题 立位胸片上肺底积液最特征表现为()
A.横膈抬高,最高点内移
B.横膈抬高,最高点外移
C.纵隔心影向健侧移位
D.纵隔心影向患侧移位
E.气液平
190、单项选择题 伦琴发现X线的日期是()
A.1895年11月8日
B.1895年8月11日
C.1901年11月8日
D.1901年8月11日
E.1985年11月8日
191、单项选择题 急性乳腺炎患者,下列哪项是必定有的临床表现()
A.皮肤红
B.局部皮温明显升高
C.局部有波动
D.疼痛并有明显压痛
E.以上都不对
192、单项选择题 膀胱造影的术前准备,不包括()
A.排尿
B.清洁肠道
C.备好导尿管
D.将对比剂加热至体温
E.检查前12小时禁水
193、单项选择题 下列有关骨折基本X线征象中,哪项错误()
A.密度增高骨折线
B.骨小梁扭曲/中断
C.密度减低骨折线
D.碎骨片
E.骨骺移位
194、单项选择题 下述左心房增大的影像特点,错误的是()
A.后前位,右心缘"双房影"
B.侧位示心后缘上部突出
C.后前位,支气管分叉角度增大
D.右前斜位,食管受压、后移
E.左前斜位,心前间隙缩小甚至消失
195、单项选择题 胎儿出生后卵圆孔完全闭合的时间是()
A.出生后2~4周内
B.1年以内
C.1.5年以内
D.2年以内
E.2.5年以内
196、多项选择题 骨肉瘤的基本X线表现为()
A.肿瘤钙化
B.骨质破坏
C.骨膜反应
D.软组织肿块
E.肿瘤新生骨
197、名词解释 铅线
198、多项选择题 下列引起局限性颅骨增生的疾病有()
A.脑膜瘤
B.慢性骨髓炎
C.陈旧性骨折
D.石骨症
E.骨瘤
199、判断题 在颏顶位可以较好地显示颅中窝底内的三孔等结构。
200、名词解释 Von Hippel-Lindau综合征
201、填空题 肺结核的不常见X线表现包括______________、__________________、_____________________、_______________________、____________和__________________。
202、单项选择题 以下对于胸片诊断的描述,哪项不正确()
A.有被CT、MRI取代的可能
B.良好的天然对比是胸片检查的有利条件
C.不能检出某些早期或微小病变
D.正位胸片难以显示心后间隙、后肋膈角区病变
E.可诊断大多数胸内病变
203、单项选择题 关于心腰的描述,下列观点哪项不对()
A.指心脏左缘第二弓
B.指心脏右缘第二弓
C.正常心腰应略内凹
D.正常心腰由肺动脉段构成
E.肺动脉扩大时,心腰可隆起
204、判断题 外耳和内耳均由第1、2鳃弓发育而来。
205、问答题 肺泡癌的X线表现有哪些?
206、单项选择题 有关静脉滴注肾盂造影的禁忌证,错误的是()
A.严重的心血管疾患
B.甲状腺功能亢进
C.严重肝病者
D.碘过敏者
E.腹部有巨大肿块者
207、多项选择题 下列属于X线管的固有滤过部分的是()
A.靶面
B.灯丝
C.玻璃壳
D.绝缘油
E.X线窗口
208、多项选择题 以被照体姿势命名的位置有()
A.经眶位
B.前弓位
C.蛙式位
D.谢氏位
E.切线位
209、判断题 正位胸片上可见到胸骨柄、胸骨体和剑突3部分。
210、填空题 淋巴管瘤在镜下可分3型,即_______________、____________________和________________。
211、单项选择题 下列关于“Sprengel畸形”,哪项错误()
A.偶可双侧发病
B.可伴短颈畸形
C.常伴颈椎、胸廓畸形
D.肩胛骨抬高,下角向脊柱侧旋转
E.锁骨正常
212、单项选择题
男,35岁,上腹部反复疼痛伴进行性黄疸,加重1周,呕血1次。体检:巩膜及全身皮肤中度黄染,肝区及脾区有轻压痛,叩击痛,结合图像,最可能的诊断为()

A.正常食管
B.食管静脉曲张
C.食管胃底静脉曲张
D.贲门失弛缓
E.食管贲门癌
213、判断题 肺动静脉瘘基本病理改变是扩张的动脉经过菲薄囊壁的动脉瘤囊直接通入扩张的静脉。
214、单项选择题
男,66岁,近1月来感胸闷,有时低热,胸片如图,最可能的诊断为()

A.化脓性胸膜炎
B.结核性胸膜炎
C.右下肺炎症
D.右下肺不张
E.右侧胸腔积液
215、填空题 成人股骨头缺血坏死关节囊腔异常出现于部分股骨头塌陷后的患者,主要包括_____________、______________、______________和____________。
216、问答题 《围城》的艺术风格分析
217、单项选择题 男,13岁,右髋疼痛2年,右耻、坐骨部疼痛1年。X线表现:右额骨见地图样缺损区,边缘锐利清楚,右坐骨及髋臼下部呈溶骨破坏,坐骨部分消失,最可能的诊断是()
A.黄色瘤病
B.骨纤维异常增殖症
C.骨嗜酸性肉芽肿
D.棕色瘤
E.骨巨细胞瘤
218、问答题 儿童大骨节病干骺型的主要X线表现有哪些?
219、单项选择题 多发性骨髓瘤的X线表现中,下列哪项不正确()
A.约10%~15%的病人,X线表现正常
B.多发、“穿凿样”骨质破坏以颅骨最常见最典型
C.常合并广泛骨质疏松
D.常合并骨质硬化
E.四肢短管状骨少见
220、单项选择题 关于头颅应用解剖的叙述,错误的是()
A.头颅骨可分为脑颅骨和面颅骨
B.大多数头颅骨借骨缝连接
C.前后径为眉间至枕骨最远点的距离
D.横径是两侧颞鳞缝上缘间的距离
E.鼻窦位于脑颅中部
221、单项选择题
患者上腹胀满、厌食,查体脾大,腹水征阳性。腹部超声,肝硬化,脾大,腹水。
介入治疗方法()
A.脾动脉化疗
B.TIPSS
C.食管支架
D.肝动脉栓塞
E.PTCD
222、单项选择题 下列关于股骨头骨骺骨缺血坏死的X线表现中,下列哪项错误()
A.股骨头骨骺较小且扁
B.股骨头骨骺密度增高
C.股骨头骨骺节裂
D.关节间隙正常或增宽
E.髋臼边缘骨性破坏
223、单项选择题 关于遮线器的作用,错误的是()
A.显示照射野
B.显示中心线
C.屏蔽多余原射线
D.吸收二次射线
E.让病人尽可能少接受辐射
224、名词解释 幼年性结肠息肉综合征
225、判断题 慢性化脓性骨髓炎一般无或仅有轻微的不规则骨质破坏,一般无死骨形成。
226、填空题 支气管肺炎在小叶内可经________及________蔓延,也可通过分隔不全的___________蔓延至邻近小叶,还可经_________蔓延至邻近或远隔小叶。
227、单项选择题 成人正常视神经孔直径约为()
A.0.3cm
B.0.5cm
C.0.7cm
D.0.6cm
E.0.2cm
228、填空题 马德隆(Madelung)畸形是由于桡骨远端内侧骨骺发育异常引起的_________和________的畸形。
229、单项选择题 平片一侧肾区有多发囊状钙化,内有絮状密度增高影及斑点状钙化,静脉肾盂造影该侧不显影,而对侧肾有积水表现,应考虑为()
A.肾自截
B.肾结石
C.肾错构瘤
D.肾肿瘤
E.多囊肾
230、名词解释 结核球
231、单项选择题 左心房增大的X线表现,下列哪项应除外()
A.左心缘出现4个弓,第3弓特别突出
B.降主动脉左移
C.双心房或双心缘阴影
D.心尖明显下移
E.左主支气管受压抬高
232、单项选择题 先天性肩胛骨高位症,正确的摄片体位是()
A.双侧腕关节正位
B.双侧踝关节正位
C.双侧肩关节正位
D.双侧肩胛骨正位
E.双肩锁关节正位
233、单项选择题
女,41岁,慢性肾功能不全,结合图像,最可能的诊断是()
A.白血病
B.甲状旁腺功能亢进
C.地中海贫血
D.镰状细胞贫血
E.骨关节结核
234、单项选择题
男,67岁,咳嗽、胸痛2月余,痰中带血,不发热,X线检查如图,最可能的诊断是()

A.右侧胸膜肥厚
B.右上肺不张
C.右肺癌并右上肺不张
D.右侧包裹性积液
E.肺上沟瘤
235、判断题 颅底位平片,颅底骨性结构,两侧对称。
236、填空题 1966年于纽约制定的诊断将骶髂关节炎分为5级,即____________、_________________、___________________________________________、_______________________________________________和___________________。
237、单项选择题 以下哪项不是肺气肿的分型()
A.全小叶型
B.部分小叶型
C.小叶中心型
D.小叶间隔旁型
E.瘢痕旁型
238、单项选择题
女,63岁,痰中带血2天,不咳嗽、发热,X线检查如图,最可能的诊断是()

A.右上肺结核
B.右上肺炎症
C.右上肺不张
D.右上肺癌
E.右上肺错构瘤
239、单项选择题 关于腰椎正位标准片的说法,下列哪项不妥()
A.第1~5腰椎,腰骶关节、两侧骶髂关节对称显示
B.第3腰椎位于照片正中,棘突序列位于椎体正中
C.除第3腰椎各缘呈切线显示外,其余椎体均呈双边显示
D.除腰椎结核外,腰椎正位照片可不包括两侧腰大肌
E.各椎体及其附件结构易于分辨,骨纹理清晰显示
240、单项选择题 在结缔组织疾病中,哪种较易侵犯肺部和胸膜()
A.系统性红斑狼疮
B.干燥综合征
C.类风湿关节炎
D.结节性多动脉炎
E.硬皮病
241、多项选择题 特发性骨质溶解症主要发生在下述哪些部位()
A.腕掌
B.跗跖
C.肘部
D.跖趾
E.掌指
242、单项选择题 X线表现为粗大树枝样阴影,尖端指向肺门,应考虑()
A.肺气肿
B.肺不张
C.黏液嵌塞征
D.阻塞性肺炎
E.肺门区及纵隔肿块
243、判断题 血管造影仍是诊断腹膜后病变的唯一准确方法。
244、单项选择题 在风湿性的心脏瓣膜损害中,哪项最多见()
A.主动脉瓣
B.二尖瓣
C.三尖瓣
D.肺动脉瓣
E.联合瓣膜
245、单项选择题 下列哪项不属于骨折后遗症的表现()
A.废用性骨质疏松
B.骨折不愈合
C.骨缺血坏死
D.创伤性骨关节炎
E.骨痂形成
246、多项选择题 有关运动模糊的叙述,正确的是()
A.设备移动与被照体移动
B.暗盒移动
C.屏-片密着不良
D.除呼吸外,生理性移动不受控制
E.意外性移动如肢体移动
247、单项选择题 下列胸部疾病不随深呼吸而变形的应是()
A.先天性肺囊肿
B.囊性畸胎瘤
C.肺包虫囊肿病
D.心包囊肿
E.神经纤维瘤
248、单项选择题 从颈椎开口位照片中,判断摄片体位正确的依据是()
A.上门齿与枕骨边缘投影重叠
B.上门齿与枕骨边缘稍分离
C.上门齿投影在枕骨边缘的下方
D.上门齿投影在枕骨边缘的上方
E.上门齿与枕骨边缘分离约0.5cm
249、名词解释 骨折
250、单项选择题 下列X线防护物质中,最理想的防护物是()
A.铁
B.铅
C.铜
D.铝
E.建筑材料
251、单项选择题
男,24岁,双手疼痛,结合图像,最可能的诊断是()
A.肢端肥大症
B.骨质疏松症
C.类风湿关节炎
D.痛风
E.维生素D缺乏症
252、判断题 食管前庭段是一低压区,有防止胃内容物反流的重要作用。
253、多项选择题 引起“小肠梗阻”病因有()
A.腹腔手术后
B.肠结核
C.回肠类癌
D.小肠蛔虫症
E.卵巢癌腹腔种植转移
254、单项选择题 关于气管支气管断裂,下列描述错误的是()
A.气胸、纵隔气肿同时出现
B.伤后数小时至数天,出现肺不张
C.肺不张位于横膈上
D.多处肋骨骨折
E.常有大量胸腔积液
255、单项选择题 曝光时间大于0.5s,测量管电流的最佳仪表是()
A.V表
B.A表
C.kV表
D.mV表
E.mA表
256、多项选择题 下列“无紫绀型先天性心脏病”中,哪些疾病的“肺血正常”()
A.肺动脉狭窄
B.主动脉瓣狭窄
C.主动脉缩窄
D.三尖瓣下移
E.以上均为“肺血正常”的“无紫绀型先天性心脏病”
257、单项选择题 农民肺的X线表现中,错误的是()
A.临床症状出现后相当长的时间才出现X线表现
B.早期肉芽肿病变显示为肺内弥散的颗粒状或小结节状影
C.患者脱离接触有害灰尘后肺部改变继续加重
D.农民肺患者的肺门阴影一般不增大
E.慢性期肺部主要表现为弥散性间质性纤维改变
258、单项选择题
女,1岁,反复呕吐伴中度营养不良,结合影像,最可能的诊断为()

A.肺脓疡
B.膈疝
C.食道裂孔疝
D.包裹性液气胸
E.胃扭转
259、问答题 行钡餐检查前如何准备胃肠道?
260、填空题 1998年8月中华结核病学会制定的结核病分类法将结核病分为________________、________________、______________、________________和_______________。
261、填空题 引起纵隔血肿的原因主要为_______、____________________、_________________________和______________________________。
262、单项选择题 膈下肋骨摄片,采用的呼吸方式为()
A.浅呼吸屏气
B.深呼气后屏气
C.深吸气后屏气
D.平静呼吸屏气
E.深吸深呼后屏气
263、名词解释 泪腺多形性腺瘤
264、单项选择题 有关前列腺肥大的描述,正确的是()
A.CT检查价值不大
B.多发生在侧叶及中叶
C.X线平片检查有较大价值
D.主要症状为发热、尿频
E.青少年发病率较高
265、单项选择题 下列哪种疾病,没有患侧横膈抬高现象()
A.肺不张
B.膈神经麻痹
C.胸膜粘连
D.张力性气胸
E.膈下脓肿
266、单项选择题 食管异物最易发生的部位()
A.食管中段
B.食管生理狭窄处,以食管入口处最多见
C.食管下端壶腹部
D.易存留于主动脉弓压迹之下方
E.以上都不正确
267、单项选择题 钡灌肠检查见病变远端呈杯口状充盈缺损,周围有多个弹簧状环形阴影的是下述哪种疾病()
A.单纯性肠梗阻
B.绞窄性小肠梗阻
C.单纯性结肠梗阻
D.肠套叠
E.结肠扭转
268、名词解释 Bennet骨折
269、单项选择题 关于肺部孤立性结节或肿块,其短细毛刺征象最常见于()
A.周围型肺癌
B.转移性肿瘤
C.良性肿瘤
D.结核球
E.肺囊肿
270、单项选择题 下列哪种骨转移的临床症状相对较轻()
A.乳腺癌骨转移
B.鼻咽癌骨转移
C.甲状腺癌骨转移
D.胃癌骨转移
E.前列腺癌骨转移
271、单项选择题 后前位胸片于右主支气管角部可见小椭圆形致密影,这是()
A.气管旁淋巴结
B.无名静脉
C.奇静脉
D.钙化灶
E.半奇静脉
272、多项选择题 硬化型骨髓炎的X线表现不包括()
A.骨质硬化增生
B.骨内膜增生
C.骨外膜增生
D.骨脓肿
E.死骨形成
273、单项选择题 骨样骨瘤典型X线征象是()
A.瘤巢及伴有周围硬化
B.好发于胫股骨
C.发生于松质骨很少,出现钙化
D.骨膜下者为紧贴骨质的软组织肿块
E.好发于尺桡骨
274、单项选择题 下列哪项是胆管癌的直接征象()
A.扩张胆总管的远端显示肿块
B.肝脏弥漫性肿大
C.阻塞近端胆管明显扩张
D.肝门区显示肿大淋巴结
E.肝内见多发转移灶
275、多项选择题 酒精性慢性胰腺炎的特点有()
A.大导管扩张,小导管正常
B.管腔内有蛋白类物质或栓子
C.胰管结石和胰体钙化
D.小导管和主导管均扩张
E.管腔内无堵塞物且很少钙化
276、单项选择题 胸片示双肺门周围融合影,则可除外()
A.肺泡性肺水肿
B.霍奇金病
C.合胞病毒肺炎
D.卡氏肺囊虫肺炎
E.肺泡蛋白沉积症
277、单项选择题 关于散射线及其影响因素的叙述,错误的是()
A.散射线是离开原射线线束的折射光子
B.管电压越高,散射线越多
C.增感屏感度越高,散射线越少
D.在一定厚度内,被照体越厚散射线越多
E.照射野是产生散射线的重要因素之一
278、多项选择题 肾区内高密度钙化影常见于()
A.肾积水
B.肾盂肾盏结石
C.肾脏钙质沉着病
D.肾癌
E.肾动脉瘤
279、判断题 Turcot综合征是结肠腺瘤性息肉伴发脑部恶性肿瘤。
280、单项选择题 肺纤维化X线表现中错误的是()
A.一般不伴有肺气肿
B.一般为整个肺野受累,且为两侧
C.可见异常线状、网状、小颗粒状阴影
D.肺血管内径及轮廓不整
E.有时伴发肺气囊和气胸
281、单项选择题 摄股骨头正位片时,投照中心应定在()
A.股动脉搏动点下5cm
B.股动脉搏动点上5cm
C.双侧髂前上嵴连线中点
D.双侧髂嵴连线中心
E.股动脉搏动点
282、单项选择题
女,38岁,慢性疾病史,结合图像,最可能的诊断是()
A.Legg-Perthes病
B.骨梅毒
C.关节结核
D.镰状细胞贫血
E.强直性脊柱炎
283、填空题 纵隔炎症分为4种类型,即_____________、_____________、__________和________________。
284、单项选择题 先天性髋内翻的X线表现中,不包括()
A.干颈角增大
B.股骨颈短
C.股骨头向下移位
D.骺软骨板增宽
E.股骨大粗隆向上移位
285、单项选择题 婴幼儿镇静药用量通常为()
A.10%水合氯醛0.1ml/kg
B.10%水合氯醛0.5ml/kg
C.10%水合氯醛1.5ml/kg
D.10%水合氯醛2.0ml/kg
E.10%水合氯醛2.5ml/kg
286、单项选择题 关于足正位摄片,下列哪项错误()
A.为常规投照体位
B.可清晰显示距骨及跟骨
C.足底平踏暗盒
D.足趾应包括在胶片内
E.中心线可对准舟骰关节入射
287、单项选择题 骨巨细胞瘤好发年龄为()
A.60岁以上
B.20~40岁
C.50~60岁
D.1~10岁
E.任何年龄
288、单项选择题 下颌关节间隙正常值为()
A.1.5mm
B.1.8mm
C.2.0mm
D.2.5mm
E.3.0mm
289、单项选择题 气管隆突是指气管()
A.分叉处下方
B.分叉部左壁
C.分叉部上壁
D.分叉部右壁
E.分叉部下壁
290、单项选择题 颈椎左前斜位摄片,观察的是()
A.右侧椎间孔
B.左侧椎间孔
C.近片侧椎弓峡部
D.远片侧椎弓峡部
E.以上都能观察
291、单项选择题 X线表现的严重程度与临床症状不相称,为下述哪种肿瘤骨转移的特征()
A.乳癌骨转移
B.肾癌骨转移
C.前列腺癌骨转移
D.鼻咽癌骨转移
E.甲状腺癌骨转移
292、填空题 化脓性关节炎的感染途径有___________、______________________和______________________。
293、单项选择题 乳腺钼靶常规摄影位置为()
A.轴位+斜位
B.轴位+侧位
C.侧位+斜位
D.轴位+放大摄影
E.侧位+放大摄影
294、判断题 胸椎旁线是一条与胸椎平行的中等密度线样影,以左侧的较常见。
295、单项选择题 下列组合,哪项错误()
A.胸腔游离积液——正位,加照患侧侧卧水平正位或斜位
B.包裹性积液——正位,加照切线位
C.肺下积液——卧位
D.胸膜间皮瘤——取呼气吸气位对照
E.纵隔气肿——除常规正位外,必须照侧位
296、单项选择题 骨膜增生的X线表现中,无以下哪种形状()
A.垂直状
B.放射状
C.花边状
D.斑点状
E.平行状
297、单项选择题 X线管阴极的作用是()
A.发射电子并聚焦
B.只发射电子
C.只聚焦
D.散热
E.产生X线
298、判断题 脾破裂的原因多为暴力或钝器伤所致。
299、判断题 kerley线的出现可作为诊断间质性肺水肿的依据。
300、单项选择题 十二指肠溃疡直径多为()
A.5~10mm
B.11~15mm
C.4~12mm
D.16~20mm
E.21~25mm