时间:2025-03-25 01:36:45


1、判断题 逆行尿路造影检查时,如发现有狭窄段,应考虑为病理所致。
2、单项选择题 下列有关乳腺癌的描述,哪项是错误的()
A.乳腺外上象限发生率最高,接近50%
B.骨转移的主要部位是肋骨
C.“橘皮征”是皮内和皮下淋巴管被癌细胞堵塞所致
D.Paget病的原发灶在乳头区的大乳管内
E.治疗方针应是尽早手术,辅以放、化疗等综合疗法
3、单项选择题 某患者腹痛、腹胀、呕吐,肛门停止排气、排便3天。应首选检查方法是()
A.钡灌肠
B.B超
C.立位腹部平片
D.钡餐检查
E.CT
4、判断题 皮质旁骨肉瘤CT可清楚显示骨旁的骨性包块,一般不见软组织肿胀。
5、单项选择题
男,28岁,右上臂肿胀、疼痛,结合图像,最可能的诊断是()
A.骨肉瘤
B.成骨性骨转移瘤
C.化脓性骨髓炎
D.滑膜肉瘤
E.骨巨细胞瘤
6、单项选择题 关于阳性对比剂的叙述,错误的是()
A.与周围组织相比X线衰减系数大
B.与阴性对比剂相比X线衰减系数大
C.阳性对比剂易被X线透过
D.碘剂和钡剂均为阳性对比剂
E.非离子型对比剂毒性较小
7、填空题 中央型肺癌根据肿瘤的生长方式分为________、________和___________。
8、单项选择题 下列哪种疾病不出现主动脉根部不扩张表现()
A.法洛四联征
B.Marfan综合征
C.梅毒性心脏病
D.主动脉瓣狭窄
E.心内膜纤维弹性组织增生症
9、单项选择题 酸性磷酸酶升高常见于()
A.成骨性转移瘤
B.前列腺癌骨转移
C.骨肉瘤肺转移
D.多发性骨髓瘤
E.以上都是
10、填空题 肺隔离症分为两型,__________和__________。
11、多项选择题 肾盂逆流包括()
A.肾乳头管逆流
B.肾小管逆流
C.肾窦逆流
D.肾盂淋巴管逆流
E.肾盂静脉逆流
12、判断题 寰椎前结节后缘与枢椎齿状突前缘的距离成人大于4mm,儿童大于2mm则说明有横韧带的撕裂。
13、单项选择题 易引起肺脓肿的疾病是()
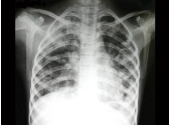
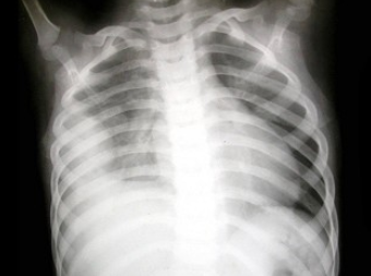
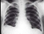
A.肺结核
B.大叶肺炎
C.放射性损伤
D.肺肿瘤
E.肺霉菌感染
14、单项选择题 下列选项中哪项是结肠息肉最主要的临床表现()
A.便血
B.呕吐
C.腹胀
D.便秘
E.腹泻
15、多项选择题 中耳继发性胆脂瘤的并发症为()
A.脑脓肿
B.乳突皮下脓肿
C.水平半规管瘘
D.乙状窦周围脓肿
E.乙状窦栓塞
16、单项选择题 X线机机房墙壁主防护厚度应达到的铅当量是()
A.1mmpb
B.2mmpb
C.3mmpb
D.4mmpb
E.5mmpb
17、单项选择题 下列颅骨缝隙,呈锯齿状的是()
A.成人颅缝
B.骨折线
C.幼儿颅缝
D.血管压迹
E.蛛网膜颗粒压迹
18、判断题 Kerley线的出现可作为诊断间质性肺水肿的依据。
19、判断题 逆行尿路造影时,前尿道显示较排泄性造影为宽。
20、判断题 肺-肾综合征血清学检查抗基底膜抗体常为阴性。
21、名词解释 心胸比例
22、单项选择题 骨皮质内2/3的供血主要来源于()
A.滋养动脉
B.骨骺动脉
C.干骺动脉
D.骨膜动脉
E.骨内小动脉
23、判断题 低张力胃、十二指肠气钡双重造影可显示胃小区、胃小沟。
24、多项选择题 用呼气相X线片诊断有重要价值的疾病是()
A.支气管异物
B.肺气肿
C.肺炎
D.细支气管炎
E.胸膜炎
25、单项选择题 四肢长管状骨摄片时至少应包括()
A.长骨的两端
B.邻近两个关节
C.长骨的上端或下端
D.长骨的软组织
E.邻近一个关节
26、单项选择题 以下对CR特点的描述,哪项不正确()
A.与原有X线设备不匹配
B.X线用量明显减少
C.放射技师不需专门培训
D.多种后处理功能
E.数字化存储、可网络管理
27、单项选择题 跖骨头骨骺缺血坏死好发部位是()
A.第一跖骨头
B.第二跖骨头
C.第三跖骨头
D.第四跖骨头
E.第五跖骨头
28、单项选择题 右前斜位片上心脏后缘自上而下依次为()
A.左心房、左心室
B.左心房、右心房
C.右心房、左心室
D.右心房、左心房
E.右心房、右心室
29、单项选择题 正常毛细血管内的静水压为()
A.2.53kPa
B.3.33kPa
C.1.07kPa
D.2.67kPa
E.2.07kPa
30、名词解释 干性骨疡
31、单项选择题 依发生部位,股骨近端骨折分型不包括()
A.粗隆间骨折
B.股骨颈骨折
C.股骨髁上骨折
D.大粗隆骨折
E.小粗隆骨折
32、单项选择题 增殖型肠结核的X线表现主要为()
A.跳跃征
B.肠腔扩张
C.肠管收缩
D.肠壁增厚
E.以上都是
33、问答题 儿童骨折有哪些X线特点?
34、多项选择题 软组织肿瘤钙化常见于()
A.软组织软骨瘤
B.皮样囊肿
C.畸胎瘤
D.软组织错构瘤
E.软骨肉瘤
35、单项选择题 下列除哪项外均为中央型肺癌转移的表现()
A.膈肌矛盾运动
B.膈膨升
C.肺内结节
D.胸腔积液
E.肋骨破坏
36、问答题 胃粘膜脱垂的X线征象有哪些?
37、问答题 骨结核的X线表现有哪些?
38、单项选择题 需稀释造影剂进行造影检查的是()
A.口服胆囊造影
B.静脉胆道造影
C.静脉肾盂造影
D.CTA
E.膀胱造影
39、单项选择题
女,40岁,下颌颏部隆起,结合图像最可能诊断()
A.造釉细胞瘤
B.骨软骨瘤
C.含牙囊肿
D.骨巨细胞瘤
E.动脉瘤样骨囊肿
40、判断题 阑尾类癌瘤体一般较小,百分之九十以上直径小于1cm。
41、多项选择题 下述哪些疾病与椎体骺板缺血坏死为同一种疾病()
A.椎骺骨软骨病
B.青年性脊椎后突畸形
C.青年驼背症
D.Scheurmann病
E.椎体骨软骨炎
42、单项选择题 下列组合中,不在第2腰椎高度水平的组织是()
A.肝
B.肾
C.腹主动脉
D.腔静脉
E.食管
43、判断题 对诊断早期肾结核,USG、CT和MRI检查优于尿路造影。
44、多项选择题 肾阳性结石应与下列哪些病变相鉴别()
A.腹部淋巴结钙化
B.肋软骨钙化
C.胆囊结石
D.肾囊肿
E.以上都是
45、问答题 试述巨人症与肢端肥大症的CT表现?
46、单项选择题 肝海绵状血管瘤的X线征中,哪项是错误的()
A.灯泡征
B.树上挂果征
C.早出晚归征
D.抱球征
E.星状瘢痕征
47、单项选择题 足前后位摄片,中心线应向足跟侧倾斜()
A.5°
B.15°
C.20°
D.25°
E.30°
48、单项选择题 心脏最大径是指()
A.心影左侧最突出点至中线的垂直距离
B.心影右侧最突出点至中线的垂直距离
C.心影左右两侧最突出点间距离
D.右心缘上下部交界点至心尖部之间距离
E.心影左侧最突出点至中线的距离与右心缘最突出点至中线距离之和
49、单项选择题 骨皮质外1/3的血供主要来源于()
A.骨膜动脉
B.滋养动脉升支
C.滋养动脉降支
D.干骺动脉
E.骨骺动脉
50、单项选择题 患儿,1.5岁,高热20天,食欲减退,轻咳,消瘦,青霉素治疗无效,一个半月前患过麻疹。查体:体温39.6℃,营养差,消瘦,重病容,气促,心脏(-),双肺呼吸音粗,肝肋下3cm,胸肋下1.5cm,OT试验(-),胸片示:双肺可见散在点状阴影,最可能的诊断是()
A.败血症性肺炎
B.腺病毒肺炎
C.支气管肺炎
D.粟粒型肺结核
E.支原体肺炎
51、填空题 脂肪肉瘤按肿瘤所含主要细胞成分不同,可分为________、__________、____________、____________及___________。
52、名词解释 胃小区
53、判断题 中央型肺癌阻塞性肺炎与支气管扩张往往同时存在,并合并肺膨胀不全。
54、多项选择题 黏多糖贮积症中哪几型所致的骨病变最重()
A.Ⅰ型
B.Ⅳ型
C.Ⅵ型
D.Ⅱ型
E.Ⅲ型
55、单项选择题
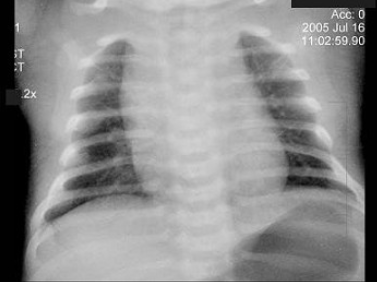
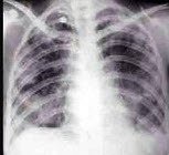
男,5岁,高热、畏寒、咳嗽、胸痛1周,如图所示,最可能的诊断为()

A.先天性肺囊肿
B.继发型肺结核
C.支原体肺炎
D.过敏性肺炎
E.金葡菌肺炎
56、单项选择题 幼儿胸部正位摄片,中心线经()
A.第5胸椎
B.第6胸椎
C.第7胸椎
D.胸骨角水平
E.腋中线前5cm水平
57、单项选择题 呼吸系统X线检查的正确顺序是()
A.CT-血管造影-胸片
B.血管造影-胸片-CT
C.胸片-CT-血管造影
D.CT-胸片-血管造影
E.胸片-血管造影-CT
58、单项选择题 关于“单纯性骨囊肿”CT表现错误的是()
A.囊内偶有间隔
B.囊内容物CT值近似水
C.位于肱骨骨干者可有硬化缘
D.位于长骨骨干者骨皮质变薄
E.合并病理骨折时,可出现"碎片陷落征"
59、单项选择题 不属于脊柱退行性改变的征象是()
A.椎间隙陕窄
B.椎小关节骨质增生
C.韧带增厚
D.椎旁软组织肿胀
E.椎间盘脱出
60、单项选择题 下列关于“霍奇金病”骨质改变,哪项错误()
A.可有椎旁软组织肿块
B.可由硬化型向溶骨型转变
C.放疗后,可由溶骨型向硬化型转变
D.椎体可呈硬化、膨大改变
E.肋骨溶骨型者不伴骨膨胀
61、名词解释 Klipple-Feil综合征
62、单项选择题 绞窄性肠梗阻的可靠征象是()
A.假肿瘤征
B.足球征
C.空肠换位征
D.肠管双壁征
E.肠曲截断征
63、单项选择题 下列“脊柱结核”发病特点中,哪项正确()
A.溶骨性破坏为主
B.中心型,是最常见类型,腰椎多见
C.边缘型,胸椎多见
D.韧带下型,始于后纵韧带
E.附件型少见
64、单项选择题 以下哪项不是滤线栅的特点()
A.图像失真度加大
B.曝光量加大
C.图像清晰度降低
D.要求X线中心线与滤线栅垂直
E.图像对比度下降
65、填空题 成人股骨头缺血坏死关节囊腔异常出现于部分股骨头塌陷后的患者,主要包括_____________、______________、______________和____________。
66、单项选择题 下述哪组肋骨联合最常见()
A.第1、2肋骨间联合
B.第3、4肋骨间联合
C.第5、6肋骨间联合
D.第7、8肋骨间联合
E.第9、10肋骨间联合
67、单项选择题 以下对感光效应有影响的因素中,哪项不对()
A.管电压小于60时,增感效应受电压影响较大
B.与曝光时间成正比
C.与管电压的n次方成正比
D.与焦片距成反比
E.与管电流成正比
68、单项选择题 颈椎张口位摄片,中心线经()
A.上颌切牙咬合面中点
B.下颌切牙咬合面中点
C.上颌磨牙咬合面中点
D.下颌磨牙咬合面中点
E.上颌尖牙咬合面中点
69、判断题 进行DSA、CT检查时,不必考虑放射防护。
70、单项选择题 摄胸椎侧位片时,中心线应对准以下哪项()
A.胸骨角水平
B.胸廓入口水平
C.剑突水平
D.肩胛骨下角水平
E.剑突下2cm
71、单项选择题 关于右肺中叶不张的X线表现,下列错误的是()
A.后前位胸片上右下野中内带呈底向右心缘之三角形阴影
B.右心缘模糊
C.斜裂向上向前移位
D.水平裂下移
E.前弓位置显示该叶不明显
72、单项选择题 下列眶内病变诊断要点,哪项不对()
A.甲状腺突眼:可以单侧或双侧
B.眶内血管瘤:偶可见到静脉石
C.眶内静脉曲张:间歇性突眼
D.眶内炎性假瘤:平片无异常发现
E.横纹肌肉瘤:眶骨破坏
73、多项选择题 典型的二尖瓣关闭不全患者的X线表现有()
A.左心房和左心室增大为主
B.伴有右心室增大
C.左心房呈中度到重度增大
D.肺淤血
E.病变晚期可见明显的肺循环高压
74、单项选择题 乳突双15°侧位,亦称为()
A.劳氏位(LaW位)
B.许氏位(Schuller位)
C.伦氏位(Runstrom位)
D.梅氏位(Mayer位)
E.斯氏位(Stenever位)
75、单项选择题 下列哪项不是心包积液典型X线表现()
A.部分病例可伴有不同程度的上腔静脉扩张
B.心缘搏动普遍显著减弱以致消失,主动脉搏动可正常
C.“心包层”增厚
D.短期内心影无变化
E.心影向两侧增大,呈“普大型”或球型
76、单项选择题
患儿,男,1天,生后呼吸困难,有窒息史,如图,最可能的诊断为()

A.新生儿肺炎
B.新生儿湿肺
C.新生儿肺出血
D.新生儿呼吸窘迫综合症
E.胎粪吸入综合征
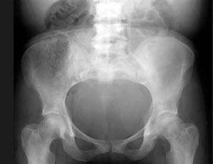
77、单项选择题
男,根据其正常骨盆影像图像,判断其最可能的年龄()
A.6岁左右
B.30岁左右
C.12岁左右
D.18岁左右
E.24岁左右
78、单项选择题 孕妇需避免X线检查,是因为X线的()
A.穿透作用
B.荧光作用
C.生物作用
D.电离作用
E.光化学作用
79、单项选择题 下述"鼻窦癌"的诊断要点中,错误的是()
A.多位于筛窦和额窦
B.软组织肿块
C.骨质破坏无硬化缘
D.常伴鼻窦炎
E.蝶窦癌罕见
80、配伍题 进行X线摄片检查是利用什么作用()测试辐射量的闪烁晶体是利用什么作用制成的()
A.穿透作用
B.荧光作用
C.电离作用
D.感光作用
E.着色作用
81、单项选择题 下列有关“三期梅毒”影像征象中,正确的是()
A.对髓腔内改变,MRI可确诊
B.长骨骨干广泛骨膜反应、骨质破坏
C.常有细小死骨
D.梅毒中发生在长骨
E.额骨、枕骨变薄
82、单项选择题 “双侧肺血减少”见于()
A.异物吸入
B.肺隔离症
C.中央性肺癌
D.Ebstein畸形
E.Macleod综合征
83、判断题 骨的生理过程,主要体现为成骨和破骨作用以及钙和磷的代谢过程。
84、单项选择题 “麻风病”骨改变特点为是()
A.早期即出现骨质改变
B.主要累及脊柱
C.末节指、趾骨骨质吸收
D.广泛性骨质增生硬化
E.骨气鼓
85、多项选择题 优良的消化道双重对比造影钡剂,应具备的条件为()
A.弥散性好
B.流动性高
C.浓度高
D.黏稠度高
E.抗凝聚性好
86、多项选择题 属于腹膜间位器官的有哪些()
A.盲肠
B.升结肠
C.降结肠
D.横结肠
E.乙状结肠
87、单项选择题 心脏左前斜位投照的旋转角度一般为()
A.30~40
B.40~50
C.50~60
D.60~70
E.45~55
88、单项选择题 2/3胃次全切除术后,不常见的并发症是()
A.空肠消化性溃疡
B.吻合口溃疡
C.残端胃炎
D.胆石症
E.倾倒综合征
89、单项选择题
男,根据其正常盆腔影像图像,判断其最可能的年龄()
A.10岁左右
B.30岁左右
C.20岁左右
D.80岁左右
E.60岁左右
90、判断题 婴幼儿葡萄球菌肺炎在病变后期才出现肺气囊。
91、单项选择题 充血性心肌病的典型X线表现是()
A.右心房和右心室增大
B.右心室增大
C.左心室、右心室增大
D.左心室增大
E.左心房和右心室增大
92、单项选择题 关于"鼻窦炎",下述说法哪项错误()
A.浆液囊肿好发于上颌窦
B.黏液囊肿多位于额窦和筛窦
C.蝶窦的囊肿发生率最低
D.急性鼻窦炎有"液平面"、慢性鼻窦炎无"液平面"
E.慢性鼻窦炎,窦腔变小、密度增高
93、问答题 对骨肿瘤影像诊断有何要求?
94、多项选择题 压力整复脱套成功的标准中,哪些是正确的()
A.钡剂或空气进入小肠里
B.盲肠充盈良好
C.疼痛消失,患者安稳有时可渐入睡
D.腹胀减低,腹部包块消失
E.血便消失
95、单项选择题 “心脏局部出现矛盾运动”是下列哪种疾病的特点()
A.心肌炎
B.心包积液
C.室壁瘤
D.克山病
E.缩窄性心包炎
96、填空题 根据作用力的方式和骨本身的情况,骨折可分_________、_________和_________。
97、多项选择题 有关解剖学方位的叙述,正确的是()
A.近身体腹侧为前面
B.近身体腹侧为后面
C.近皮肤为浅层
D.近头侧为下
E.近心脏侧为近端
98、单项选择题 下列哪种药物,不会诱发“Barrett食管”()
A.四环素
B.强力霉素
C.奎尼丁
D.氨苄青霉素
E.阿斯匹林
99、单项选择题
女,35岁,摔伤后左髋部剧痛,活动受限6小时,结合影像学检查,最可能的诊断是()
A.股骨颈骨折
B.股骨头骨折
C.骨盆骨折
D.加莱阿奇骨折
E.肱骨骨折
100、单项选择题 下列关于关节滑膜结核的X线表现,错误的是()
A.持续性关节软组织肿胀
B.骨质稀疏
C.关节面非持重面部分骨破坏
D.晚期关节间隙变窄
E.早期关节间隙变窄
101、单项选择题 可复性食管裂孔疝的定性征象是()
A.胃、食管返流
B.膈上出现胃粘膜
C.食管胃环出现在膈上
D.胃、食管前庭段增宽
E.以上都不是
102、单项选择题 下列选择中,张口位不能显示是哪项()
A.齿状突
B.茎突
C.寰椎
D.寰枢关节
E.枢椎
103、问答题 二尖瓣关闭不全的X线表现有哪些?
104、多项选择题 口腔颌面部包括哪些器官和组织()
A.口腔
B.面部软组织
C.颌面骨
D.颞颌关节
E.鼻腔
105、单项选择题 透视检查的缺点是()
A.多角度进行观察
B.价格低廉
C.可进行动态观察
D.可观察细微结构
E.可立即获取检查结果
106、单项选择题 下列“慢性骨脓肿”影像特点描述不正确的是()
A.骨质破坏常位于干骺端中央
B.局部软组织无肿胀
C.圆形、分叶状密度减低区
D.没有或仅有轻度骨膜反应
E.病灶内常有死骨
107、单项选择题 关于肺脓肿,下列描述哪项不对()
A.葡萄球菌、肺炎双球菌为常见致病菌
B.常有高热、寒战、大量脓痰
C.多数急性空洞壁薄,内壁光整
D.邻近胸膜增厚,甚至脓胸形成
E.急性空洞常有液平面
108、单项选择题 下列属生理排泄法造影检查是()
A.钡灌肠造影
B.逆行肾盂造影
C.口服胆囊造影
D.子宫输卵管造影
E.冠状动脉造影
109、多项选择题 下列可引起肾盏肾盂受压变形的疾病为()
A.肾囊肿
B.肾肿瘤
C.肾血肿
D.肾脓肿
E.肾结石
110、单项选择题 怀疑豌豆骨骨折,最佳投照体位是()
A.手腕外展位
B.手腕内收位
C.手腕侧位片
D.手掌向上斜位
E.以上都不对
111、单项选择题 直径为多少的眶内铁质异物平片可显示()
A.1mm以上
B.0.5mm以上
C.0.8mm以上
D.1.2mm以上
E.0.3mm以上
112、单项选择题 部分性肺静脉畸形引流,常合并下列哪种病变()
A.法洛四联征
B.动脉导管未闭
C.室间隔缺损
D.房间隔缺损
E.肺动脉瓣狭窄并房间隔缺损
113、多项选择题 诊断学综合评价标准中要求有()
A.成像技术标准
B.影像显示标准
C.重要的影像细节
D.体位显示标准
E.受检者剂量标准
114、单项选择题
胸部正位摄片的叙述,哪个是正确的()
a.后前位与前后位相比,心脏放大率较小
b.RAO即是第2斜位(左前斜位)
c.主动脉弓投影于左上肺野
d.吸气时,膈肌上升
e.胸锁关节在后前位时,与第4后肋相重
A.a,b
B.a,e
C.b,c
D.a,c,e
E.d,e
115、单项选择题
男,63岁,进行性吞咽困难1月。食管钡餐示:食管下段粘膜不规则充盈缺损,管腔狭窄,贲门扩张欠佳。
病变侵及食管的()
A.粘膜层
B.粘膜下层
C.肌层
D.外膜
E.粘膜肌层
116、单项选择题 肩关节正位摄片,中心线正确射入点是()
A.锁骨的中点
B.关节盂
C.肩峰
D.肩胛骨喙突
E.肱骨头
117、单项选择题 “Maffucci综合征”基本病理改变为()
A.骨纤维异常增生症
B.多发性软骨瘤
C.骨骼血管瘤
D.多发性骨瘤
E.肺类癌
118、单项选择题 关于X线机空间电荷抵偿原理的正确推论是()
A.kV↑→管电流↑
B.kV↓→灯丝电压↓
C.kV↑→管电流↓
D.kV↑→灯丝电压↑
E.kV↑→灯丝电流↑
119、问答题 肾癌的X线表现有哪些?
120、单项选择题 关于对比剂的叙述,错误的是()
A.用以形成人工对比
B.能显示组织器官的形态
C.有阴性及阳性两类对比剂
D.非离子型对比剂毒性较大
E.与周围组织器官能形成密度差别
121、单项选择题
女,17岁,有支气管炎,蛋白尿(++++),结合图片,最可能的诊断()

A.特发性含铁血黄素沉着
B.韦格肉芽肿
C.肺梗死
D.特发性肺间质纤维化
E.肺-肾综合征
122、多项选择题 黏多糖在体内主要分布于哪些组织器官()
A.角膜
B.神经
C.心脏
D.肝脾
E.骨骼
123、单项选择题 KerleyA线主要分布于()
A.上肺外周
B.下肺内侧
C.上肺内侧
D.中肺野
E.下肺外周
124、单项选择题 乳腺癌出现“酒窝征”的原因是()
A.癌肿压迫乳管
B.合并感染
C.周围组织粘连
D.淋巴管癌栓阻塞
E.癌肿侵犯Cooper韧带
125、单项选择题 儿童短管骨结核最具特征性的X线表现是()
A.单纯骨皮质破坏
B.骨质增生硬化
C.骨气鼓
D.死骨及窦道形成
E.以上都不是
126、单项选择题 减少与抑制散射线的方法中,错误的是()
A.降低管电压
B.减小焦-片距离
C.缩小照射野
D.使用后盖贴有金属膜的暗盒
E.正确使用遮线器
127、单项选择题 典型急性肺水肿X线征象()
A.是肺纹理模糊
B.出现间隔线
C.胸膜少量积液
D.肺门旁蝶翼状影
E.含气支气管征
128、单项选择题 胸膜斑最好发于()
A.肺尖部胸膜
B.后胸壁胸膜
C.纵隔胸膜
D.侧胸壁和膈肌胸膜部分
E.前胸壁胸膜
129、单项选择题 关于腰椎前后位摄片的叙述,下列哪项是错误()
A.常规位置
B.必须使用滤线器
C.常与侧位片一同摄取
D.X线管阴极端必须对上部腰椎
E.取深呼气后屏气曝光
130、单项选择题
男,根据其正常骨盆影像图像,判断其最可能的年龄()
A.1岁左右
B.4岁左右
C.7岁左右
D.10岁左右
E.13岁左右
131、单项选择题 关于肺内空洞性球形病灶最常见于()
A.肺癌
B.转移性肿瘤
C.良性肿瘤
D.结核球
E.炎性假瘤
132、单项选择题 大剂量静脉肾盂造影的禁忌证下列哪项应除外()
A.严重的心血管疾患
B.甲状腺功能亢进者
C.腹部有巨大肿块者
D.骨髓瘤合并肾衰竭
E.碘过敏试验阳性者
133、单项选择题 腹部平片对显示哪种肾先天性发育异常没有价值()
A.单纯异位肾
B.肾缺如
C.分叶肾
D.马蹄肾
E.侏儒肾
134、单项选择题 胆脂瘤最多见于下列哪种类型乳突()
A.气化型乳突
B.混合型孔突
C.板障型乳突
D.与乳突类型无关
E.以上都不是
135、单项选择题 符号“W”表示()。
A、无烟煤;
B、烟煤;
C、贫煤;
D、石煤。
136、多项选择题 关于肺放射损伤,下述观点哪些不对()
A.放疗后1月内损伤最重
B.主要累及肺叶及支气管
C.晚期形成肺纤维化
D.损伤程度与照射剂量成直线形正比关系
E.肺血灌注无改变
137、名词解释 Calve线
138、单项选择题 对瓦特(Water位)影像标准的判断,哪一项是正确的()
A.岩骨应投影于上颌窦的下缘
B.岩骨上缘影于眼眶中
C.岩骨上缘投影于上颌窦下缘
D.岩骨上缘投影于上颌窦下缘下1cm
E.岩骨上缘投于上齿槽
139、多项选择题 对比剂对人体组织刺激性的(反应)比较,正确的是()
A.氧气>空气
B.无机碘>有机碘
C.离子型>非离子型
D.口服>静脉
E.以上都是
140、单项选择题 “胸部前弓位”的突出优势是()
A.观察前心膈角病变
B.观察胸骨病变
C.观察后肋膈角病变
D.观察肺尖病变
E.观察右斜裂病变
141、名词解释 肺栓塞
142、名词解释 第3心室
143、单项选择题 眼眶壁一致性骨质疏松常见于()
A.邻近眶窝的颅内病变
B.生长较久的眶内占位病变
C.眶周病变
D.眶转移瘤
E.泪腺肿瘤
144、单项选择题 不适合做静脉肾盂造影的疾病是()
A.肾盂积水
B.尿道先天性畸形
C.肾功能衰竭
D.膀胱肿瘤或结核
E.肾血管性高血压
145、多项选择题 肝内胆管积气的常见原因为()
A.肝肠吻合术
B.奥迪括约肌切开术
C.消化道溃疡
D.恶性肿瘤侵蚀
E.肾结石
146、单项选择题
男,5岁。发热、胸痛、胸闷、气促。X线检查如图,最可能的诊断为()

A.右侧胸膜间皮瘤
B.右侧肺脓肿
C.右侧包裹性积液
D.右侧肺不张
E.右侧气胸
147、判断题 骨膜增生和Codman三角是骨肉瘤特异性X线征象。
148、单项选择题 目前公众个人全身受照射的年剂量应低于()
A.0.5mSv
B.1mSv
C.2mSv
D.5mSv
E.10mSv
149、名词解释 Jones-Thompson方程
150、单项选择题
男,59岁,进行性吞咽困难半年,结合图像,最可能的诊断为()

A.正常食管
B.食管静脉曲张
C.食管平滑肌瘤
D.食管癌
E.贲门癌侵及胃底、食管下段
151、单项选择题 高血压性心脏病最先出现病理改变的结构是()
A.左心室
B.左心房
C.主动脉
D.左、右心室
E.整个心脏
152、单项选择题 下列哪一种韧带是横跨过环椎弓的宽阔的韧带束,确保齿状突与环椎前弓相贴()
A.覆膜
B.翼状韧带
C.齿状突韧带
D.横韧带
E.前面的环枕膜
153、多项选择题 X线胶片的结构主要包括()
A.乳剂膜
B.保护膜
C.结合膜
D.片基
E.荧光体层
154、单项选择题 金黄色葡萄球菌肺炎特征性X线征象是()
A.两肺多发团片影
B.肺脓肿形成
C.肺气囊形成
D.肺不张
E.脓气胸
155、多项选择题 两侧肺门增大多见于()
A.结节病
B.淋巴瘤
C.两侧动脉瘤
D.肺动脉高压
E.中央型肺癌
156、单项选择题 男,57岁,上腹痛3个月,大便潜血(+)。钡餐显示胃窦向心性狭窄,蠕动消失,未见龛影,粘膜皱襞紊乱、破坏,低张造影局部胃壁无扩张。最可能的X线诊断是()
A.胃痉挛
B.慢性胃窦炎性挛缩
C.胃窦癌
D.胃外肿瘤压迫
E.慢性胃窦溃疡所致挛缩
157、单项选择题 关于肝局灶性结节增生的病理改变,下列描述哪项是错的()
A.以星状纤维瘢痕组织为核心
B.纤维组织分隔呈辐射状、形成分房状结构
C.纤维分隔内有血管腔及增生的胆管
D.肿块与周围组织分界较清
E.有包膜
158、单项选择题 儿童时期病理性骨折最常见的原因是()
A.骨囊肿
B.转移性骨瘤
C.废用性骨萎缩
D.佝偻病
E.成骨不全
159、单项选择题 腹部仰卧前后位摄片的叙述错误的是()
A.患者仰卧于摄片床上
B.腹部正中矢状面与床面垂直
C.剑突末端向上2~3cm处平胶片上缘
D.耻骨联合下2~3cm处平胶片下缘
E.中心线入射点为脐上3cm
160、填空题 耳腭指综合征手 X线表现是:____________________、___________、_________________、______________、______________、_______________、_________________和__________________。
161、单项选择题 下列哪个因素与自动冲洗照片干燥不良无关()
A.干燥温度设置过低
B.干燥室内湿度过大
C.定影液疲劳
D.风量不足
E.水洗温度低于常温
162、单项选择题 下列哪种疾病,无“龛影”表现()
A.肠结核
B.食管癌
C.胃溃疡
D.食管憩室
E.胃癌
163、单项选择题 最常用的X线骨盆测量方法是以下哪种()
A.放大尺直接测量法
B.记号法
C.立体观察法
D.几何法
E.以上都不是
164、单项选择题 下述“尤文肉瘤”知识,哪项正确()
A.成年人多见
B.常有骨、肺转移
C.常有特征性骨膜反应
D.好发于长骨干骺端
E.髓腔内可有成骨性改变
165、单项选择题 空回肠良性肿瘤中以哪些常见()
A.腺癌
B.畸胎瘤
C.纤维瘤
D.平滑肌瘤
E.神经源性肿瘤
166、多项选择题 输尿管结石X线平片可见()
A.呈卵圆形致密阴影
B.结石边缘多毛糙不整齐
C.其长轴与输尿管走行一致
D.结石常见于输尿管三个生理狭窄处
E.梗阻上方输尿管及肾盂肾盏不同程度扩张积水
167、名词解释 病理性关节脱位
168、单项选择题 哪个部位的化脓性骨髓炎最易形成的脓肿()
A.手指骨
B.髂骨
C.股骨干骺端
D.胫骨下端
E.脊柱
169、判断题 来自细支气管Clara细胞和Ⅱ型肺泡细胞癌称小细胞癌。
170、单项选择题 下列与左心室扩大不符的征象是()
A.可呈"靴形心"
B.心尖圆钝、上抬
C.心尖向左下方延长
D.左前斜位,心后间隙变小、消失
E.右前斜位示心前间隙缩小
171、问答题 多囊肾有何X线特征?与单纯性肾囊肿有何不同?
172、单项选择题
男,35岁,左侧腹痛半年,阵发性。结合图像,最可能的诊断为()

A.正常肠圈
B.十二指肠炎
C.球部溃疡
D.降段憩室
E.水平段憩室
173、单项选择题 关于腹部摄片注意事项的叙述,错误的是()
A.摄片前均须清洁肠道
B.除新生儿外,均应采用滤线器摄片
C.胶片应包括整个腹部
D.采用呼气后屏气状态曝光
E.FFD为100cm
174、单项选择题 软组织摄片中X线管阳极的靶面材料是下列哪项()
A.钨
B.铅
C.铜
D.铝
E.建筑材料
175、单项选择题
男,15岁,畏寒,高热2周,摄片如图所示,下列描述正确的是()
A.骨质广泛性溶骨性破坏
B.少许骨质增生硬化
C.大量层状骨膜增生
D.以上描述均正确
E.以上描述均不正确
176、单项选择题 有关乳腺摄影的叙述,错误的是()
A.需要加压
B.使用单乳剂胶片
C.使用高速增感屏
D.常规摄取轴位和侧斜位
E.依发育期确定曝光条件
177、名词解释 支气管扩张
178、判断题 椎间小关节面的异常改变在影像学上具特征时,一般不需与其他病变鉴别。
179、单项选择题 支气管扩张的X线平片表现,下列哪项对诊断价值大()
A.肺纹理改变
B.肺内炎症
C.肺不张
D.囊状或蜂窝状影
E.局限性胸膜增厚粘连
180、判断题 肺发育异常常合并其他发育障碍。
181、单项选择题 正常骨膜内一般不含有()
A.成骨细胞
B.破骨细胞
C.神经
D.淋巴管
E.血管
182、单项选择题 骨巨细胞瘤的典型征象是()
A.位于干骺端的膨胀性偏心性囊状破坏,内有肥皂泡样骨间隔
B.远离干骺端的偏心性囊性骨破坏,边缘硬化
C.骨端的囊性破坏区,其透光区模糊,皮质变薄
D.近离干骺端的中心性囊性骨质破坏,常伴有病理性骨折
E.位于骨骺多发性骨质破坏,内有钙化
183、单项选择题
男,22岁,高热3天伴咳嗽,胸片如图,最可能的诊断是()

A.肺结核
B.支气管肺炎
C.金葡菌肺炎
D.大叶性肺炎
E.干酪性肺炎
184、单项选择题 X线检查的选择原则,下述哪项是错误的()
A.从病人的实际情况出发
B.以临床检查要求为依据
C.考虑检查部位的特点
D.采用先简后繁的原则
E.各类检查方法联合应用
185、单项选择题 下列关于“骨瘤”的描述中,哪项错误()
A.多见于颅骨外板
B.菜花状,顶端可有不规则钙化
C.可发生于鼻窦内
D.均匀一致高密度
E.多数肿瘤体积不大
186、单项选择题 膈肌的矛盾运动以哪种体位观察最佳()
A.站立性
B.侧卧位
C.仰卧位
D.俯卧位
E.半坐位
187、单项选择题 男,36岁,右下腹痛、低热3月钡餐检查示回肠末端狭窄、管壁较僵硬,粘膜皱襞紊乱,回盲瓣破坏,盲肠袋挛缩,结肠显示不良,根据临床及X线表现,最可能的诊断是()
A.肠结核
B.肠癌
C.肠淋巴瘤
D.结肠息肉恶变
E.肠平滑肌瘤
188、单项选择题 下列不属于关节运动是()
A.屈伸运动
B.内收运动
C.心脏搏动
D.旋转运动
E.外展运动
189、问答题 肺水肿的X线表现有哪些?
190、单项选择题 关于“骨囊肿”的描述,不包括哪项()
A.不跨越骺板
B.股骨、肱骨、跟骨好发
C.可为单房或多房囊肿
D.局部骨皮质变薄,但不向外膨隆
E.易发生病理性骨折
191、单项选择题 慢性化脓性骨髓炎的主要X线表现为()
A.骨质增生硬化
B.骨干增粗
C.骨膜增生
D.骨皮质增厚
E.以上都不是
192、判断题 kerley线的出现可作为诊断间质性肺水肿的依据。
193、多项选择题 关节外伤脱位常发生在()
A.肘关节
B.肩关节
C.踝关节
D.腕关节
E.胸椎
194、多项选择题 激光照相机的主要组成部分有()
A.信号处理部分
B.激光打印部分
C.胶片传送部分
D.A/D转换器
E.网络接口
195、填空题 先天性肢体骨骼缺损是___________________,Frantz和O’Rahilly的先天性肢体骨骼缺损分类法是按骨骼缺损的部位和方向将肢体骨骼缺损分为___________、__________、____________和___________4大类。
196、问答题 恶性骨肿瘤的X线表现有哪些?
197、单项选择题 关于寰枢关节叙述正确的是()
A.可使头部做前俯、后仰和侧屈运动
B.两侧关节间隙常不对称
C.可使头部做旋转运动
D.属于联合关节
E.由寰椎两侧的下关节面与枢椎的上关节面构成
198、单项选择题
女,3岁,身体发育异常,如图所示,最可能的诊断为()
A.成骨不全
B.粘多糖病
C.软骨发育不全
D.佝偻病
E.侏儒症
199、单项选择题 矢状面与胶片平行的摄影体位有()
A.胸部正位
B.RAO位
C.乳突轴位
D.腕关节正位
E.心脏左侧位
200、判断题 木屑、竹刺和玻璃屑等部分吸收X线,形成密度较淡阴影。
201、单项选择题
男,5岁,髋部疼痛乏力伴跛行5个月,结合图像,最可能的诊断是()
A.髋关节结核
B.骨肉瘤
C.股骨头骨骺缺血坏死
D.骨囊肿
E.软骨肉瘤
202、单项选择题 肝脓肿X线平片检查主要的征象为()
A.肝区含气或液平的脓腔影
B.右膈肌膨隆
C.右下肺盘状肺不张
D.右胸膜肥厚
E.胸腔少量积液
203、单项选择题 良性骨肿瘤的主要X线表现是()
A.骨质破坏,边缘清楚
B.骨质破坏,边缘模糊
C.明显骨膜反应
D.空腔形成
E.多处虫蛀状破坏
204、单项选择题 男性,34岁。反复咳脓痰,伴痰中带血,双下肺呼吸音增粗。下列诊断最可能是()
A.慢性支气管炎
B.气胸
C.支气管扩张
D.肺水肿
E.支气管哮喘
205、单项选择题 下列组合中哪个是不正确的()
A.听鼻线——外耳孔与鼻尖联线
B.听眶线——外耳孔与眶下缘联线
C.听眦线——外耳孔与眼外眦联线
D.眶间线——两眼眶正中联线
E.翟可白线——两髂骨嵴联线,相当第4腰椎棘突水平
206、单项选择题 过敏性肺炎的X线特征是()
A.密度较低的云雾状影
B.病变可见与其重叠的肺纹理
C.病变不按肺段分布
D.病灶具有散在性和游走性
E.呈结节状和粟粒状
207、单项选择题 下列哪种肿瘤转移至椎管内,表现为弥漫性浸润蛛网膜下腔及其邻近神经根()
A.淋巴瘤
B.前列腺癌
C.黑色素瘤
D.髓母细胞瘤
E.室管膜瘤
208、判断题 溃疡型肠结核常有龛影与激惹征表现。
209、单项选择题 IVP检查腹部压迫点的位置是()
A.第1腰椎水平两侧
B.第3腰椎水平
C.两侧髂前上棘连线水平
D.脐上两侧
E.耻骨联合上方3cm
210、单项选择题 下列哪种体位不利于观察肺门()
A.正位
B.右侧位
C.右前斜位
D.左前斜位
E.左侧位
211、判断题 急腹症患者常合并胸腔积液和脓胸。
212、单项选择题 胸片上,肺静脉高压最早出现的影像为()
A.下肺静脉收缩
B.间质性肺水肿
C.上肺静脉扩张
D.下肺静脉收缩
E.上、下肺静脉均收缩
213、单项选择题 下述肺部病变X线描述,哪项不对()
A.癌性空洞,常有液平面
B.大叶性肺炎,渗出性改变
C.肺大量纤维化,纵隔常向患侧移位
D.肺内浅淡模糊影,渗出性病变
E.初染肺结核易经淋巴管播散,空洞少见
214、单项选择题 在胸片上不显示蜂窝状影的是()
A.硬皮病
B.肺结节病
C.血行转移瘤
D.组织细胞增生症X
E.弥漫性肺纤维化
215、单项选择题 下列有关骨巨细胞瘤说法正确的是()
A.可出现“蛋壳陷落征”
B.骨膜反应
C.可借助动脉造影区分骨巨细胞瘤和骨囊肿
D.椎体巨细胞瘤不累及邻近椎体
E.病灶周围有明显的硬化缘
216、判断题 对于肾实质内肿瘤的显示和定性及对泌尿系统恶性肿瘤的分期,常规X线检查常有重要价值。
217、判断题 腹水型结核性腹膜炎常表现为肠曲间距增宽,小肠呈漂浮状。
218、单项选择题 下列关于结肠息肉的描述,错误的是()
A.多见于儿童
B.好发于直肠和乙状结肠
C.息肉病有明显的家族遗传性,恶变机会多
D.病理上是炎性增生性病变
E.双重造影时呈环形阴影,轮廓光整,密度均匀
219、判断题 大脑后动脉为基底动脉的终支,向后分出颞支和顶支。
220、单项选择题 关于优质X线图像质量标准的叙述,下列说法错误的是()
A.尽量多的图像斑点
B.适当的密度
C.良好的对比度
D.较高的分辨率
E.微小的失真度
221、单项选择题
女,52岁,足跟痛,手指运动僵硬,结合图像,最可能的诊断是()
A.骨质疏松症
B.骨脓肿
C.骨囊肿
D.骨折
E.类风湿关节炎
222、多项选择题 以下哪项对脂肪肝的描述是正确的()
A.肝脏的脂肪肝含量>5%
B.过量的脂肪蓄积于肝细胞内
C.过多的脂肪浸润在肝细胞间隙
D.过多的脂肪主要是甘油三酯
E.轻度脂肪肝多无自觉症状
223、单项选择题 下述哪项为胰岛D细胞瘤()
A.生长抑素瘤
B.胰岛素瘤
C.舒血管肠肽瘤
D.胃泌素瘤
E.胰高血糖素瘤
224、单项选择题
女,38岁,慢性疾病史,结合图像,最可能的诊断是()
A.Legg-Perthes病
B.骨梅毒
C.关节结核
D.镰状细胞贫血
E.强直性脊柱炎
225、单项选择题 肩关节脱位多见于()
A.儿童
B.向下、外脱位
C.后脱位
D.前脱位
E.以上都是
226、单项选择题 小腿前后位摄片时,足的位置应为()
A.足尖垂直向上
B.足尖向上并内旋10°
C.足尖向上并内旋15°
D.足尖向上并外旋10°
E.足尖向上并外旋15°
227、名词解释 结核性指骨炎
228、单项选择题 X线由德国科学家伦琴发现于()
A.1800年
B.1840年
C.1890年
D.1895年
E.1900年
229、单项选择题 心脏右前斜位摄片,服钡的目的是观察()
A.右心房压迫食管情况
B.右心室压迫食管情况
C.左心房压迫食管情况
D.左心室压迫食管情况
E.全心压迫食管情况
230、单项选择题 经肝排泄的静脉注射对比剂有()
A.胆影葡胺
B.碘酞葡胺
C.碘葡酰胺
D.碘番酸
E.碘卡酸
231、单项选择题 X线机的分类下列哪项不正确()
A.用于透视、摄影和特殊检查的X线机属诊断用X线机
B.按机械结构和运输方式可分为携带式、移动式和固定式
C.用于疾病治疗的属于治疗用X线机
D.按机器的体积分为大、中、小型
E.按机器应用特点分为综合用X线机和专用X线机
232、单项选择题 不能用碘化油造影的是()
A.唾液腺造影
B.泪道造影
C.支气管造影
D.子宫输卵管造影
E.椎管造影
233、判断题 特发性肥大性骨关节病和继发性肥大性骨关节病的X线表现相同,主要为管状骨对称性骨膜新生骨。
234、单项选择题 肾癌X线血管造影中,错误的是()
A.大多数的肿瘤血管丰富
B.有明显的动静脉瘘
C.肾静脉内有充盈缺损
D.可见静脉池
E.肾动脉闭塞
235、填空题 骨软骨瘤由___________、__________和_________3部分组成。
236、单项选择题 胃穿透性溃疡系指溃疡侵及()
A.粘膜层
B.浆膜层
C.肌层
D.粘膜下层
E.粘膜下层和肌层
237、单项选择题 下述肺动脉狭窄(瓣膜型)的X线表现,错误的是()
A.二尖瓣型心
B.肺动脉段突出
C.右心室增大
D.肺动脉段凹陷
E.肺血管纹理纤细
238、多项选择题 淋巴瘤纵隔肿大淋巴结的分布以哪组最常见()
A.前纵隔
B.支气管旁组
C.气管与支气管组
D.隆突下组
E.中纵隔组
239、单项选择题 下列关于结核性冷脓肿的描述,正确的是()
A.脓肿的弧度越大,密度越高,常提示具有活动性
B.脊柱周围的梭形软组织影
C.冷脓肿常见于脊椎结核
D.脓肿内为干酪样坏死
E.以上都是
240、单项选择题 下列组合,无关的是()
A.颅前窝——筛骨板
B.颅前窝——嗅神经
C.颅前窝——前筛骨神经
D.颅前窝——前筛骨动静脉
E.颅前窝——视神经管
241、多项选择题 CR的空间频率处理,减影处理的叙述,正确的是()
A.空间频率处理是系统对空间频率响应的调节
B.频率处理三个参数:RNRTRE
C.可完成血管造影与非造影影像的减影职能
D.时间减影是作对比剂注射前后的影像减影
E.能量减影是两幅以不同能量曝光的影像
242、问答题 正位胸片上哪些正常软组织影易被误认为病变?
243、单项选择题 额窦透光度以下列哪项为标准()
A.柯氏位为标准
B.汤氏位为标准
C.头颅正位为标准
D.华氏位为标准
E.以上都不对
244、单项选择题 下述肺纹理异常表现,哪项不对()
A.肺纹理纤细
B.肺纹理增粗
C.下肺野纹理比上肺野纹理多
D.肺纹理结构模糊
E.肺纹理结构紊乱
245、单项选择题 硅酸盐肺中较常见者为()
A.矽肺
B.煤工尘肺
C.棉尘肺
D.铝尘肺
E.石棉肺
246、多项选择题 下列摄片组合,中心线选用错误的是()
A.骶椎-向头侧倾斜15°~20°
B.尾椎-向足侧倾斜15°
C.骶椎-向足侧倾斜5°~15°
D.腰骶关节-向头侧倾斜15°~20°
E.骶髂关节-向头侧倾斜5°~10°
247、填空题 脾增大明显时可引起____________、___________和_____________。
248、单项选择题 下列关于肺部组织胞浆菌病影像特点,正确的是()
A.常侵犯胸膜、胸壁,形成瘘道
B.中下肺斑点状、云雾状影
C.两肺粟粒样病灶
D.空洞内有“霉菌球”
E.双肺磨砂玻璃样改变
249、填空题 鼻咽癌起源于___________或__________,多数为____________,少数为_______、_________等。
250、单项选择题 颞骨骨折后出现眩晕、感音性耳聋、自发性眼震和面瘫,其最可能的骨折类型为()
A.凹陷性骨折
B.纵行骨折
C.横行骨折
D.Y形骨折
E.青枝骨折
251、判断题 局限性阻塞性肺气肿胸廓呈桶状,严重时可见垂位心型。
252、判断题 系统性红斑狼疮在发病早期,即可见明显的X线征象。
253、单项选择题 在病理状态下,才能见到的X线影像是()
A.营养血管沟
B.骨松质
C.骨皮质
D.骨膜
E.以上都是
254、单项选择题
男,70岁,胸痛,不咳嗽、发热,X线检查如图,最可能的诊断是()

A.左肺结核瘤
B.左侧叶间积液
C.左肺癌
D.左肺炎性假瘤
E.左肺错构瘤
255、单项选择题 青年患者,右肺下叶背段见一薄壁空洞。应首先考虑()
A.先天性肺囊肿
B.肺结核
C.肺脓肿
D.肺癌
E.肺包虫囊肿
256、单项选择题 下列关于“外伤性化脓性骨髓炎”特点中,哪项错误()
A.多由开放伤引起
B.病变常较广泛
C.常有多个死骨
D.可有异物存留
E.骨痂形成较晚
257、名词解释 米利兹(Mirrizzi)综合征
258、单项选择题 指出透视的缺点()
A.操作方便,费用低
B.可多位置观察
C.能观察器官的动态情况
D.无客观记录
E.马上有结果
259、名词解释 Verner-Morrrson综合征
260、多项选择题 下列叙述,正确的是()
A.自人体的头端达尾端的轴线为长轴
B.上下方向,将人体左右等分的线为正中线
C.人体位于标准姿势时的平面为体轴
D.人体位于标准姿势时的轴线为体轴
E.人体直立与地面垂直的线为水平线
261、单项选择题 下列“单发性软骨瘤”影像特点中,哪项错误()
A.单房或多房
B.膨胀性生长
C.骨皮质变薄、表面凹凸不平
D.瘤内无钙化
E.多为内生性
262、多项选择题 “慢性胆囊炎”患者,“口服胆囊造影”的表现有哪些()
A.胆囊显影延迟
B.胆囊显影浅淡
C.胆囊壁钙化
D.脂餐后胆囊收缩率60%
E.胆囊结石
263、单项选择题 诊断风湿性心脏病二尖瓣狭窄,最直接的X线征象是()
A.肺循环高压
B.左心房重度增大
C.二尖瓣区钙化
D.右心房重度增大
E.重度间质性肺水肿
264、单项选择题 下述“少年结肠息肉”特点,错误的是()
A.孤立性息肉发病率最高
B.孤立性息肉恶变率最高
C.6个以上息肉:少年结肠息肉病
D.居儿童结肠肿瘤发病首位
E.婴儿型发病率最低
265、单项选择题 手正位片上,拇指显示为()
A.轴位影像
B.正位影像
C.斜位影像
D.侧位影像
E.切线位影像
266、单项选择题 关于胸部正位摄片的叙述,哪个是错误的()
A.同一患者病变治疗过程中的胸部照片复查,应尽力确保照片密度与对比度的一致性
B.曝光时间要长
C.常规采用后前立位,180cm摄片距离
D.观察气管分叉部应采用高电压摄片技术
E.高电压摄片技术可扩大观察范围
267、单项选择题 大量血胸,X线胸片呈现为()
A.X线胸片呈肺野磨玻璃样变或面纱征
B.X线胸片呈多发边缘锐利、密度均匀高密度影
C.X线胸片呈一侧胸腔一片致密均匀阴影,纵隔向健侧移位
D.X线胸片呈纵隔气肿,大量气胸
E.X线胸片呈心影明显增大,心脏各弧消失
268、单项选择题 膈下脓肿的典型X线表现()
A.膈下液平面
B.膈肌活动度受限
C.膈肌局限性凸起
D.膈肌抬高
E.膈面模糊
269、多项选择题 消化道穿孔的描述中,正确的有()
A.没有游离气腹征象就能排除胃肠穿孔
B.穿孔穿入腹腔内时,立位腹透可见膈下游离气体
C.小肠及阑尾穿孔后很少有气腹出现
D.依穿孔穿入腹腔内或腹膜后间隙而有不同的X线表现
E.以上均正确
270、单项选择题
男,14岁。左大腿下段疼痛,伴高热,体温达39℃。查体:左股骨下段深压痛。
该患者最可能的诊断为()
A.左股骨化脓性骨髓炎
B.左股骨结核
C.左股骨骨瘤
D.左股骨骨肉瘤
E.左股骨囊肿
271、单项选择题 肺动脉高压的典型表现为()
A.出现间隔线
B.残根征
C.肺野透亮度减低
D.多继发于左心衰
E.肺纹理增粗,结构模糊
272、单项选择题 关于肠内气体叙述正确的是()
A.十二指肠球部的气体位置不固定
B.右下腹出现固定的小气液平面有病理意义
C.各部小肠内均不应充气
D.大肠内总是有些气体
E.以上都不对
273、多项选择题 PACS系统的基本组成包括下列那项()
A.影像存储
B.影像输入
C.检索、应用
D.影像采集
E.影像输出
274、单项选择题 下列哪一项与紫绀性先天性心脏病无关()
A.发育迟缓
B.骨龄延迟
C.颅骨板障变薄
D.杵状指
E.肋骨切迹
275、单项选择题 关于头颅后前位摄片的叙述,错误的是()
A.被检者俯卧于检查床上
B.正中矢状面垂直于台面
C.听眦线垂直于台面
D.暗盒竖放
E.暗盒上缘平颅顶
276、填空题 眼眶异物按异物吸收X线程度可分为__________、___________和_________。
277、判断题 骺软骨有阻止肿瘤发展的趋势,故骨肉瘤不会侵犯骨骺。
278、填空题 肱骨外科颈骨折可分为___________、___________和__________3型,常合并__________________。
279、单项选择题 患者,25岁,长期低热、肩痛、乏力,近日咳嗽加剧,痰中带血丝,血沉快,胸片见右上肺类圆形阴影,周围散在条索状阴影,间有少许点状钙化影,可能的诊断为()
A.肺吸虫病
B.肺癌
C.结核球
D.过敏性肺炎
E.炎性假瘤
280、填空题 马德隆(Madelung)畸形是由于桡骨远端内侧骨骺发育异常引起的_________和________的畸形。
281、单项选择题 下列哪一项临床表现对骨髓瘤的诊断最有价值()
A.50岁以上的男性
B.尿中出现本—周蛋白
C.进行性贫血
D.病理性骨折
E.血清钙及球蛋白升高
282、单项选择题 在胸部右前斜位片反映右心室增大的早期征象是()
A.肺动脉圆锥部膨突
B.心前缘膨隆
C.心前下间隙缩小
D.膈面延长
E.无特异性
283、单项选择题 关于阴性对比剂的叙述,正确的是()
A.氧气属阳性对比剂
B.氧气比空气更容易获取
C.空气在器官内吸收快
D.CO不如空气使用安全
E.空气有产生气体栓塞的危险
284、单项选择题 痛风早期主要病理改变发生在()
A.软骨下骨组织
B.关节软骨
C.关节滑膜
D.关节囊及周围韧带
E.关节周围软组织
285、多项选择题 成骨型转移瘤常见于()
A.前列腺癌
B.乳癌
C.鼻咽癌
D.肺癌
E.膀胱癌
286、单项选择题 “黄色肉芽肿性肾盂肾炎”的诊断要点,下述哪项错误()
A.反复尿路感染
B.双侧多见
C.变形杆菌感染所致
D.尿检发现泡沫细胞
E.肾窦脂肪堆积
287、单项选择题 风湿性心脏病二尖瓣狭窄与二尖瓣关闭不全的鉴别点在于后者有()
A.肺淤血
B.左心室增大
C.肺动脉段膨隆
D.肺循环高压
E.左心房增大明显
288、多项选择题 下列描述,正确的是()
A.X线的质控制着照片对比度
B.X线管的总滤过也影响着照片对比度
C.射线对比度也影响照片对比度
D.X线量是照片对比度形成的决定因素
E.管电压波形与照片对比度无关
289、单项选择题 以下选项中,“子宫输卵管造影”的最佳时机为()
A.月经前第3天
B.月经前第10天
C.月经期
D.月经后第3天
E.月经后第7天
290、单项选择题
男,32岁,头晕、头痛多年,额窦X线检查如图所示,最可能的诊断是()
A.右侧额窦骨瘤
B.右侧额窦囊肿
C.右侧额窦骨岛
D.正常额窦
E.右侧额窦软骨瘤
291、单项选择题 胃扭转的X线表现是()
A.幽门高于十二指肠球部,胃呈蜷虾状
B.胃呈瀑布状
C.膈上见B环
D.大弯侧呈弧形压迹,胃向左移
E.葫芦状胃
292、单项选择题 支气管完全性断裂的X线特征为()
A.轨道征
B.水上浮莲征
C.胸膜凹陷征
D.肺脏坠落征
E.空气半月征
293、单项选择题 胆脂瘤型中耳炎的典型影像特点为()
A.多发生于气化型乳突
B.病变位于乳突气房内
C.病灶有硬化缘
D.病变大小多为3~5cm
E.平片示圆形高密度
294、单项选择题 肺结核的并发症中,哪项较少见到()
A.肺结核并肺癌
B.肺结核并发肺气肿
C.肺结核并发支气管结核
D.肺结核并发支气管扩张
E.肺结核并发肺不张
295、单项选择题 逆行肾盂造影的术前准备,不包括()
A.碘过敏试验
B.清洁肠道
C.麻醉剂过敏试验
D.检查当日禁食
E.有关膀胱镜检查准备
296、单项选择题 胆管囊状扩张分为5种类型,其中I型为()
A.胆总管囊肿
B.肝内多发性囊肿
C.壁内段胆总管囊状膨出
D.多发性肝内、外囊肿
E.胆总管憩室
297、单项选择题
男,23岁,胸闷伴胸痛1月余,胸片如图,最可能的诊断为()

A.右膈膨升
B.右下肺盘状不张
C.正常胸片
D.右侧肺底积液
E.右侧膈下脓肿
298、单项选择题 经眶位摄片,主要显示的影像是()
A.听骨
B.乳突
C.眶下裂
D.内听道
E.眶上裂
299、填空题 先天性心脏病按X线片肺血情况分为__________、__________、___________。
300、单项选择题 脊髓室管膜瘤的特点是()
A.均可发生显著异常对比增强
B.发生于脊髓中央管及终丝
C.种植转移与空洞形成
D.最多见的髓内肿瘤
E.以上全对