时间:2025-03-22 05:36:23


1、单项选择题 下列“阑尾炎”诊断要点,错误的是()
A.阑尾内多发充盈缺损
B.边缘毛糙
C.排空加快
D.定点压痛
E.管腔狭窄、管壁僵直
2、填空题 支气管囊肿病理上其壁的结构与_________类似,囊壁还可以含________、_______、_______、___________和__________。
3、问答题 十二指肠良性肿瘤常见的共同X线表现有哪些?
4、配伍题 PTA可治疗()动脉化疗可治疗()血管动脉栓塞可治疗()非血管介入治疗()
A.胰腺癌动脉化疗
B.下腔静脉支架置入
C.脾动脉栓塞
D.前列腺支架置入
E.空肠造瘘
5、单项选择题
男,24岁,低热2周,咳少量痰。胸片示右上肺不均密度增高影,其中有空洞形成,血沉45mm/h。
最可能的诊断是()
A.右上肺炎
B.右上肺结核
C.右上肺癌
D.右上肺囊肿
E.右上肺脓肿
6、判断题 进行DSA、CT检查时,不必考虑放射防护。
7、单项选择题 关于肺门的X线解剖,描述错误的是()
A.肺门的范围是2~4前肋之间,少数在3~5前肋之间
B.左侧肺门从上到下依次为支气管、肺动脉、肺静脉
C.右侧肺门从上到下依次为支气管、肺动脉、肺静脉
D.两侧肺门从前到后为肺静脉、肺动脉支气管
E.正常肺门血管成分和支气管成分可以分清
8、单项选择题 下列组合,哪一组是错误的()
A.内耳孔——颜面神经
B.卵圆孔——三叉神经
C.枕骨大孔——延髓
D.食管裂孔——食管
E.椎间孔——椎骨动脉
9、单项选择题 下列中央型肺癌引起肺不张的X线征象,错误的是()
A.新月征
B.双翼征
C.八字胡征
D.高脚杯征
E.心影转位征
10、单项选择题 寰枢椎脱位的主要依据是()
A.寰椎前弓后缘与齿突前缘之关节间隙增宽
B.脊椎椎管前后缘连线错位
C.齿突与寰椎侧块的关节异常
D.合并齿突骨折
E.张口位上齿突偏位
11、多项选择题 影响影像锐利度的因素是()
A.几何模糊
B.移动模糊
C.物体吸收模糊
D.屏/片系统模糊
E.影像密度
12、单项选择题 横突骨折最常见的部位()
A.颈椎
B.胸椎
C.腰椎
D.颈胸椎
E.骶椎
13、多项选择题 下列哪种疾病,会出现“食管狭窄”表现()
A.纵隔肿瘤放疗后
B.返流性食管炎
C.强碱烧伤
D.皮肌炎
E.胃管插入时间过长
14、配伍题 肠套叠()新生儿胃穿孔()先天性肥厚型幽门狭窄()先天性十二指肠闭锁()
A.足球征
B.弹簧圈表现
C.双泡征
D.肩样征
E.单泡征
15、单项选择题 下列胸腔积液诊断知识,哪项正确()
A.显示斜裂叶间积液,以侧位片为佳
B.中等量积液常有纵隔移位
C.包裹性积液多位于前胸壁
D.立位胸片,肺底积液呈外高内低的致密影
E.立位胸片,可显示100ml以下积液
16、单项选择题 肾结核最早发生在()
A.肾盂内
B.肾乳头部
C.肾小球内
D.肾小管内
E.肾盏内
17、多项选择题 关于良性骨肿瘤的描述正确的有()
A.生长缓慢
B.大多接近正常组织
C.一般骨皮质保持完整或有受压膨胀性改变
D.无转移
E.无骨膜反应
18、单项选择题 球形增大的肝右叶下段称为()
A.尾状叶
B.利德尔叶
C.獭尾肝
D.右前叶
E.右后叶
19、名词解释 Dyggve-Melchior-Clausen综合征
20、单项选择题 钡餐示“胃粘膜皱襞增粗”,则可除外()
A.Zollinger Ellison综合征
B.革袋胃
C.Crohn病
D.Menetrier病
E.原发性胃非何杰金淋巴瘤
21、多项选择题 下列描述,正确的是()
A.颈肋取正侧位
B.类风湿以腰椎正位为主,包括两侧骶髂关节
C.脊椎裂以腰骶部正位为主
D.脊椎滑脱除常规正侧位外,加照双侧斜位
E.骶尾骨骨折取正位
22、单项选择题 纵隔淋巴结肿大可见于()
A.农民肺
B.大叶性肺炎
C.高原性肺水肿
D.球孢子菌病
E.棉屑肺
23、名词解释 半月征
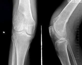
24、单项选择题
男,30岁,右膝关节酸胀,疼痛不适5个月,X线检查如图所示,最可能的诊断是()
A.骨巨细胞瘤
B.骨囊肿
C.骨血管瘤
D.动脉瘤样骨囊肿
E.以上均不正确
25、单项选择题 影响X线照片质量的物理因素,不包括()
A.密度
B.对比度
C.锐利度
D.颗粒度
E.失真度
26、单项选择题 以下选项中,子宫输卵管内造影剂正常排空时间应不超过()
A.6小时
B.36小时
C.12小时
D.24小时
E.48小时
27、单项选择题 在纵隔肿瘤中位置最高者为()
A.胸腺瘤
B.恶性淋巴瘤
C.胸内甲状腺肿
D.支气管囊肿
E.囊性畸胎瘤
28、单项选择题
男,65岁,腰背部疼痛1月余,结合图像,最可能的诊断是()
A.脊椎结核
B.椎体压缩骨折
C.脊椎退行性变
D.脊椎转移瘤
E.L2~L3椎间盘炎
29、多项选择题 下列属于X线管的固有滤过部分的是()
A.靶面
B.灯丝
C.玻璃壳
D.绝缘油
E.X线窗口
30、单项选择题 双乳剂X线胶片结构中,不包括()
A.片基
B.保护层
C.底层
D.乳剂层
E.防反射层
31、单项选择题 下列名称中,无骨质硬化表现为()
A.骨萎缩
B.骨梗死
C.缺血性坏死
D.骨岛
E.慢性炎症
32、单项选择题
男孩,13岁,外伤后入院。结合图像,最可能的诊断是()
A.青枝骨折
B.右尺骨骨折
C.Colles骨折
D.Smith骨折
E.孟氏骨折
33、单项选择题 腹部平片示一侧肾区有多发囊状钙化,内有絮状密度增高影及斑点状钙化,静脉肾盂造影该侧不显影,而对侧肾有积水表现,该侧肾应考虑为()
A.肾自截
B.肾结石
C.肾囊肿
D.肾肿瘤
E.多囊肾
34、填空题 慢性化脓性鼻窦炎主要病理改变可分为____________________、_______________及_________________。
35、名词解释 代谢性骨病
36、单项选择题 清晰可见肺野末梢血管的影像的细节指标是()
A.ф1mm
B.ф2mm
C.ф3mm
D.ф4mm
E.ф5mm
37、单项选择题 关于对比剂应具备的条件,错误的是()
A.与人体组织密度相近
B.无毒性,副作用少
C.理化性能稳定
D.易于吸收与排泄
E.使用方便
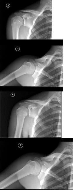
38、单项选择题
男,根据其正常肩关节影像图像,判断其最可能的年龄()
A.56岁左右
B.46岁左右
C.16岁左右
D.36岁左右
E.26岁左右
39、单项选择题 关节囊内骨折最多见于()
A.膝关节
B.踝关节
C.肘关节
D.肩关节
E.髋关节
40、单项选择题 利用以下何种手段可使组织结构影像产生对比最明显()
A.利用天然对比
B.用生理功能
C.利用人工对比
D.利用专用设备
E.利用高反差胶片
41、判断题 先天性巨结肠患儿清洁灌肠及钡剂调制,可以同其他胃肠检查患者一样。
42、单项选择题 新生儿患者,生后即发现呼吸困难,胸部X线检查左侧膈肌升高至第3肋间,其下方是胃泡影,膈肌呈现矛盾运动,心脏纵隔移向对侧,可能的诊断是()
A.膈疝
B.膈膨升
C.胃扭转
D.肺不张
E.肺下积液
43、单项选择题 下列有关乳腺结构不良的X线表现中,描述不妥的是()
A.乳腺实质内多发或弥漫性不规则结节影
B.病变严重者常难分辨正常乳腺腺体结构
C.有时可在其内见纤维条索影,边缘模糊
D.乳腺实质内无钙化影
E.少数患者乳腺内可见新月形钙化影
44、单项选择题 食管癌恶性程度最高的是()
A.髓质型
B.溃疡型
C.浸润型
D.蕈伞型
E.腔内型
45、单项选择题 IVP示单侧肾不显影,可能为()
A.马蹄肾
B.输尿管结石
C.肾下垂
D.驼峰肾
E.肾盂、输尿管重复畸形
46、名词解释 髌骨软化症
47、多项选择题 X线管中X线发生效率()
A.与管电压成正比
B.与管电压成反比
C.与靶物质原子序数成正比
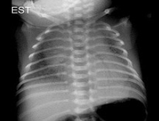
D.与靶物质原子序数成反比
E.与管电流成正比
48、问答题 泌尿系统X线检查有哪些方法?各有何优势与限度?
49、单项选择题 急腹症按病变性质分类,不包括()
A.脏器扭转性
B.肿瘤性
C.穿孔性
D.炎症性
E.损伤性
50、问答题 胸部X线摄片的适应证有哪些?
51、单项选择题 诊断用X射线机房的主防护铅当量厚度应是()
A.0.5mm
B.1.0mm
C.1.5mm
D.2.0mm
E.2.5mm
52、单项选择题 成人股骨头缺血坏死早期的X线表现为()
A.股骨头形态和关节间隙正常
B.股骨头塌陷,但关节间隙正常
C.股骨头塌陷加重,承重区关节间隙变窄
D.股骨头可见呈混合性死骨改变
E.股骨头可见散在的斑片状或条带状硬化区
53、多项选择题 慢性支气管炎在诊断时需与下列哪些疾病鉴别()
A.间质性肺炎
B.结缔组织疾病
C.尘肺
D.细支气管炎
E.支气管扩张
54、单项选择题
男,两月。表现排便困难、便秘、腹胀,经常哭闹。如图所示,最可能的诊断为()

A.先天性巨结肠
B.假性先天性巨结肠
C.新生儿坏死性小肠结肠炎
D.先天性肠闭锁
E.肠套叠
55、单项选择题 腐蚀性食管炎病变较重者的X线表现中,应除外()
A.可侵及全部食管
B.早期食管明显痉挛与不规则收缩
C.食管边缘呈锯齿状与串珠状
D.食管粘膜正常或增粗扭曲
E.狭窄段常起于主动脉弓下方,呈向心性
56、单项选择题 在典型的胃良性溃疡与恶性溃疡鉴别要点中,哪一项是良性溃疡的特征()
A.蠕动减弱
B.粘膜皱襞紊乱
C.龛影位于胃轮廓之内
D.龛影突出于胃轮廓之外
E.局部胃腔狭窄
57、单项选择题 后前位胸片摄片时的要求,下列哪项是错误的()
A.常规胸部后前位,应是深吸气后屏息曝光
B.双肩胛骨应投影于肺野之外
C.照射野越大越好
D.去掉可使胶片产生伪影的物品
E.摄片距离在165~180cm
58、单项选择题 关于骨肿瘤好发部位,下列描述错误的是()
A.血管瘤:椎体、颅骨
B.软骨瘤:手的短管状骨
C.骨样骨瘤、尤文瘤:长骨骨干
D.成骨肉瘤:长骨干骺端
E.骨巨细胞瘤:扁骨
59、单项选择题
女,12岁,左前臂外翻畸形4年,摄片如图所示,最可能的诊断是()
A.奥利氏病
B.马德隆氏畸形
C.先天性干骺端发育不全
D.软骨发育不全
E.以上均不正确
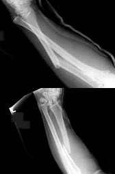
60、单项选择题
女,27岁,跌倒后左手肿痛,结合X线图像,骨折类型是()
A.柯莱斯骨折
B.蒙泰贾骨折
C.加莱阿齐骨折
D.尺桡骨骨折
E.反柯莱斯骨折
61、单项选择题 关于下肢摄影,错误的是()
A.长骨长轴应平行于胶片长轴
B.与上肢等厚部位应略增kV
C.至少应包括一端关节
D.股骨近端不用滤线器
E.焦-片距通常多采用100cm
62、名词解释 纵隔血肿
63、单项选择题
男,6岁,髋部疼痛、跛行半年,结合图像,最可能的诊断是()
A.髋关节结核
B.股骨头骨骺缺血坏死
C.骨肉瘤
D.骨囊肿
E.软骨肉瘤
64、名词解释 结核球
65、多项选择题 克罗恩(Crohn)病发生的常见部位是()
A.十二指肠
B.胃
C.回肠
D.食管
E.结肠
66、单项选择题 肝脏增大不会引起下列哪种胸部改变()
A.龟背征
B.胸腔积液
C.胸膜增厚、钙化
D.节段性肺不张
E.下叶肺炎
67、单项选择题 二尖瓣狭窄早期X线征象是()
A.左心室缩小
B.右心室增大
C.左心房增大
D.右心房增大
E.主动脉结缩小
68、单项选择题
男,13岁,运动后膝关节疼痛,结合图像,最可能的诊断是()
A.正常影像
B.动脉瘤样骨囊肿
C.骨软骨瘤
D.成骨细胞瘤
E.骨样骨瘤
69、名词解释 绝经期乳腺
70、单项选择题 观察心脏左、右心室,右心房和胸主动脉最佳的摄影体位是()
A.右侧位
B.右前斜位
C.左侧位
D.左前斜位
E.无差别
71、单项选择题
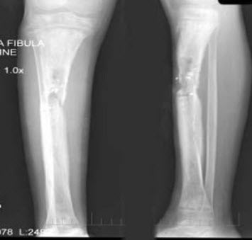
女,12岁,右小腿肿胀,疼痛,发热3月余,摄片如图所示,下列征象哪项是错误的()
A.骨质呈溶骨性破坏
B.骨质增生硬化
C.骨膜呈层状增生不明显
D.可见软组织肿块
E.软组织肿胀
72、配伍题 进行X线摄片检查是利用什么作用()测试辐射量的闪烁晶体是利用什么作用制成的()
A.穿透作用
B.荧光作用
C.电离作用
D.感光作用
E.着色作用
73、单项选择题 对临床怀疑“肾盂癌”的患者,应首选以下哪项检查()
A.MRI
B.血管造影
C.US
D.IVU或“逆行肾盂造影”
E.CT
74、单项选择题 下列溃疡性结肠炎的晚期表现中,错误的是()
A.“钮扣样”溃疡
B.结肠袋消失
C.结肠缩短
D.骶前间隙变窄
E.均匀分布的雪花样钡斑
75、问答题 胃粘膜脱垂的X线征象有哪些?
76、单项选择题 下列“心脏形态-相关疾病”组合中,哪项正确()
A.绒毛心:二尖瓣狭窄
B.悬滴心:尿毒症
C.梨形心:法洛四联征
D.靴形心:肺源性心脏病
E.雪人征:完全型肺静脉异位引流
77、单项选择题
女,40岁,下颌颏部隆起,结合图像最可能诊断()
A.造釉细胞瘤
B.骨软骨瘤
C.含牙囊肿
D.骨巨细胞瘤
E.动脉瘤样骨囊肿
78、单项选择题 不支持纵隔肿瘤诊断的是()
A.透视下转动病人,肿块基底部及边缘与纵隔不能分离
B.深呼吸时肿块随呼吸上、下移动
C.纵隔肿块有宽的基底与纵隔相连
D.肿块的边缘与纵隔边缘之夹角为钝角
E.肿块最大上下径在纵隔内
79、多项选择题 腹腔脓肿的主要X线表现有()
A.脓肿有气体时可见气液空腔或气泡征象
B.脓腔无气体时表现软组织肿块
C.脓肿相邻器官受压移位
D.脓肿周围炎性浸润
E.炎症扩散时呈腹膜炎改变
80、名词解释 马方(Marfan)综合征
81、单项选择题 结核球的影像学表现()
A.肺内孤立结节,无分叶,边缘有毛刺,发病前有发热史
B.肺内孤立结节,内有爆米花样钙化
C.右上叶后段结节,边缘光整,周围有卫星灶,增强扫描结节无强化
D.肺内孤立结节,有分叶和毛刺,远端有胸膜凹陷征
E.左下叶后基底段肿块,CT增强扫描示胸主动脉分支进入肿块
82、单项选择题 中心线与地面垂直为()
A.水平投射
B.垂直投射
C.向上投射
D.向下投射
E.倾射投射
83、单项选择题 马德隆畸形是由于()
A.尺骨近端骨骺发育障碍
B.桡骨近端骨骺发育障碍
C.尺骨远端内侧骨骺发育障碍
D.桡骨远端骨骺内侧发育障碍
E.以上均不是
84、单项选择题
男,23岁,左侧胸壁刺伤3小时,呼吸窘迫,结合胸片检查,最可能的诊断()

A.肺气肿
B.气胸
C.纵隔气肿
D.肺挫伤
E.胸腔积液
85、判断题 早期结肠癌的最佳检查方法是钡剂灌肠。
86、多项选择题 支原体肺炎需与下述哪种病变鉴别()
A.肺炎性假瘤
B.细菌性肺炎
C.继发性肺结核
D.过敏性肺炎
E.病毒性肺炎
87、单项选择题 胚胎时期头部腹侧面有鳃弓()
A.1对
B.2对
C.4对
D.6对
E.8对
88、单项选择题
男,58岁,右大腿酸痛,弯曲变形,有外伤史,右股骨摄片如图所示,最可能的诊断是()
A.硬化性骨纤维结构不良
B.慢性化脓性骨髓炎
C.骨质软化症
D.慢性硬化性骨髓炎
E.以上均不正确
89、单项选择题 下列哪项不属于膀胱造影的术前准备()
A.排尿
B.清洁肠道
C.备好导尿管
D.碘过敏试验
E.备好注射用水和容器
90、单项选择题 慢性胃炎按Schindler分类法是()
A.萎缩性胃炎、增生性胃炎、肠上皮化生
B.浅表性胃炎、萎缩性胃炎、肥大性胃炎
C.浅表性胃炎、增生性胃炎、肥大性胃炎
D.萎缩性胃炎、肥大性胃炎、肠上皮化生
E.肥大性胃炎、浅表性胃炎、肠上皮化生
91、单项选择题 下列说法不妥的是()
A.潜影的本质是银集团
B.感光中心是在乳剂的制备过程中形成的微量银质点
C.显影中心是接受光点后形成的影像银质点
D.无数显影中心所组成的银离子群即为影像
E.感光中心多,显影中心也多
92、问答题 肺泡癌的X线表现有哪些?
93、单项选择题 早期胃癌常见的是()
A.Ⅰ型
B.Ⅱa型
C.Ⅱb型
D.Ⅱc型
E.Ⅲ型
94、判断题 X线检查没有游离气腹征象,也不能排除胃肠穿孔的可能。
95、单项选择题 腰椎间盘疝可以形成椎间盘游离体,下列关于游离体的描述中,哪项错误()
A.游离体与椎间盘可以在同一层面上
B.游离体可以在椎间盘以上或以下层面
C.游离体密度一般高于硬膜囊
D.游离体密度一般低于硬膜囊
E.游离体一般不增强
96、单项选择题 对于结肠病变的诊断,应首选以下哪项()
A.立位腹部平片
B.CT
C.单对比灌肠检查
D.气钡双对比灌肠检查
E.卧位腹部平片
97、单项选择题 应力性骨折在发病多长时间内,X线检查可无明显表现()
A.4~6周
B.1~2天
C.3~4周
D.3~4天
E.1~2周
98、单项选择题 胸部平片上,下列哪项不属于左心室扩大的表现()
A.可呈靴形心
B.反向搏动点上移
C.心尖圆钝、上翘
D.心尖向左下方延长
E.左前斜位,心后间隙变小、消失
99、单项选择题 周围型肺癌短细毛刺的形成与下列哪项关系不大()
A.癌性浸润
B.癌性淋巴管炎
C.阻塞性肺气肿
D.支气管扩张
E.阻塞性肺炎
100、单项选择题 骨组织属于下述哪一种()
A.致密结缔组织
B.胶原纤维
C.弹力纤维
D.嗜银纤维
E.疏松结缔组织
101、单项选择题 右前斜位,心脏后缘自上而下依次为()
A.左心房、右心房
B.右心房、左心室
C.右心房、左心房
D.左心房、左心室
E.右心房、右心室
102、单项选择题 胃复合溃疡是指()
A.胃溃疡同时伴发十二指肠溃疡
B.高位溃疡并贲门痉挛
C.幽门前区溃疡并幽门梗阻
D.胃溃疡并出血、穿孔
E.小弯溃疡并慢性胃炎
103、单项选择题 早期周围型肺癌的结节阴影指瘤体直径()
A.≤1cm
B.≤1.5cm
C.≤2cm
D.>2cm
E.≤3cm
104、单项选择题 关于过敏性上颌窦炎,下列影像表现哪项错误()
A.多个鼻窦受累
B.窦壁骨质硬化
C.上颌窦息肉
D.鼻甲粘膜增厚
E."气液面"较少见
105、单项选择题
女,41岁,慢性肾功能不全,结合图像,最可能的诊断是()
A.白血病
B.甲状旁腺功能亢进
C.地中海贫血
D.镰状细胞贫血
E.骨关节结核
106、单项选择题 人体组织的自然对比,按密度由高至低排列,下列哪组正确()
A.骨骼、脂肪软组织、体液、气体
B.骨骼、脂肪体液、软组织、气体
C.骨骼、体液、软组织、气体、脂肪
D.骨骼、体液、脂肪、软组织、气体
E.骨骼、软组织、体液、脂肪、气体
107、多项选择题 一般摄片用X线胶片种类包括()
A.感蓝胶片
B.感绿胶片
C.乳腺摄片用正色胶片
D.清洁用胶片
E.高清晰度摄片用胶片
108、多项选择题 肺静脉高压的常见X线影像有()
A.间质性肺水肿
B.肺泡性肺水肿
C.肺门减小
D.左房增大
E.含铁血黄素沉着
109、单项选择题 慢性支气管炎早期X线表现为()
A.肺纹理改变
B.肺气肿征象
C.肺动脉高压征象
D.肺部炎症
E.气管剑鞘状改变
110、单项选择题 以下选项中,乳突许氏位投照时,球管中心线应()
A.向足侧倾斜35°
B.向足侧倾斜25°~30°
C.向足侧倾斜35°~45°
D.向足侧、面侧各倾斜15°
E.向头侧倾斜35°~45°
111、单项选择题 溃疡型胃癌的X线特点中,哪项是错误的()
A.龛影位于胃轮廓之外,边缘隆起、质硬
B.胃癌向壁内生长,中心形成大溃疡
C.与正常相邻胃壁境界清楚
D.粘膜纠集但中断于环堤外
E.龛影多呈半月形,外缘平直,内缘不整齐
112、单项选择题 头颅侧位片,下列正常蝶鞍形态中,哪项不正确()
A.圆形
B.椭圆形
C.扁圆形
D.双鞍底
E.桥形蝶鞍
113、判断题 耳硬化症一般可分窗硬化及耳蜗硬化两型。
114、单项选择题 胸骨角位于哪个连接处()
A.胸骨柄与剑突
B.胸骨体与剑突
C.胸骨柄与胸骨体
D.锁骨与胸骨柄
E.以上都不是
115、名词解释 R-A氏窦
116、单项选择题 有关肩袖撕裂的临床表现中,应除外()
A.肩袖撕裂多为慢性创伤所致
B.好发于30岁以下的男性
C.撕裂时患者能听到肩部撕裂声
D.肩部剧痛,关节活动受限
E.病程长者不能将手放在头部或背部
117、单项选择题 下述二尖瓣关闭不全诊断要点,哪项不对()
A.心尖区闻及收缩期杂音
B.肺充血
C.间隔线
D.支气管分叉角扩大
E.心后间隙缩小
118、单项选择题
男,70岁,胸痛,不咳嗽、发热,X线检查如图,最可能的诊断是()

A.左肺结核瘤
B.左侧叶间积液
C.左肺癌
D.左肺炎性假瘤
E.左肺错构瘤
119、单项选择题 右前斜位片上心脏后缘自上而下依次为()
A.左心房、左心室
B.左心房、右心房
C.右心房、左心室
D.右心房、左心房
E.右心房、右心室
120、多项选择题 下列有关色素性胆结石描述中,错误的有()
A.主要成分为胆红素钙
B.胆固醇含量达70%以上
C.呈泥沙样或颗粒状
D.剖面常呈多面体影
E.剖面见分层状、结石多发
121、名词解释 骨瘤样病变
122、单项选择题 与平片相比,下列哪项不是CT优势()
A.横断面成像
B.解剖分辨率高
C.密度分辨率高
D.空间分辨率高
E.增强扫描,有利于病变定性
123、单项选择题 关于"急性化脓性鼻窦炎"的影像特点,下列说法哪项错误()
A.窦腔密度均匀增高
B.粘膜下皮质白线消失
C.窦壁粘膜增厚
D.可有气液面
E.单侧或双侧鼻窦受累
124、单项选择题 易合并恶性间皮瘤的尘肺见于()
A.煤尘肺
B.矽肺
C.炭黑尘肺
D.石棉肺
E.石墨尘肺
125、单项选择题
男,23岁,根据影像图像,最可能的诊断是()
A.骨髓炎
B.骨硬化症
C.骨囊肿
D.骨脓肿
E.骨结核
126、填空题 来自神经内分泌细胞的肺癌有_______、_____________和____________。
127、判断题 早期棉尘肺患者胸片即表现为慢性支气管炎征象。
128、单项选择题 男,5岁,腹痛,黏液便并偶带血10余天。钡灌肠见乙状结肠远端有1×1cm大小圆形充盈缺损,边缘光滑锐利,有一定活动度。首先考虑的诊断为()
A.结肠息肉
B.结肠息肉恶变
C.结肠癌
D.结肠憩室
E.结肠炎
129、单项选择题
患者上腹胀满、厌食,查体脾大,腹水征阳性。腹部超声,肝硬化,脾大,腹水。
介入治疗方法()
A.脾动脉化疗
B.TIPSS
C.食管支架
D.肝动脉栓塞
E.PTCD
130、名词解释 原发综合征
131、单项选择题 构成高血压心脏病患者左心缘第一弓的结构是()
A.上腔静脉
B.升主动脉
C.左室流出道
D.右室流出道
E.降主动脉
132、单项选择题 颅骨骨折的直接征象是()
A.乳突气房消失
B.颅内积气
C.软组织肿胀
D.骨折线
E.蝶窦积气-液平面
133、单项选择题 脊柱骨软骨瘤好发于()
A.棘突
B.横突
C.椎弓
D.椎体
E.小关节突
134、单项选择题 成人的椎体结核和椎体肿瘤在X线上的主要鉴别点是()
A.椎体破坏程度
B.是否有死骨形成
C.椎旁软组织阴影
D.椎间隙是否变窄或消失
E.是否有钙化
135、单项选择题 下列缩窄性心包炎征象,哪项不对()
A.盔甲心
B.上纵隔影增宽
C.心脏搏动减弱
D.心影明显增大
E.部分患者可有胸腔积液
136、多项选择题 神经瘤性角皮病的主要表现有()
A.假关节
B.骨发育异常
C.脊柱侧弯
D.听力障碍
E.运动障碍
137、单项选择题 关于膈肌矛盾运动透视表现,正确的是()
A.吸气时,健侧膈肌下降,病侧上升
B.吸气时,健侧膈肌上升,病侧下降
C.呼气时,健侧膈肌上升,病侧下降
D.呼气时,健侧膈肌下降,病侧上升
E.以上描述都不是
138、单项选择题 下列哪项不是脊柱结核的X线表现()
A.相邻椎体破坏
B.椎间隙变窄、消失、椎体融合
C.边缘性、虫蚀样骨质破坏
D.腰大肌肿胀,可有钙化
E.骨赘、骨桥形成
139、单项选择题 特殊意外情况下,在一次事件中有效剂量不得大于()
A.50mSv
B.100mSv
C.150mSv
D.200mSv
E.250mSv
140、多项选择题 心肌梗死患者常可见到哪些异常X线表现()
A.梗死区搏动异常
B.心脏增大以左室为主
C.心脏普遍增大
D.心包和胸膜积液
E.左心衰竭
141、单项选择题 退行性骨关节病与夏科关节鉴别点为()
A.关节间隙可见游离体
B.关节严重破坏,与症状轻微不符
C.关节变形
D.关节骨质增生
E.关节间隙狭窄
142、单项选择题 下列哪项只有在病理状态下才能在X线摄片上见到()
A.骨膜
B.骨松质
C.骨皮质
D.营养管
E.以上都是
143、单项选择题 骨样骨瘤由以下哪两部分组成()
A.瘤巢和周围骨质硬化区
B.瘤巢和周围骨质破坏区
C.砂粒样物质和周围骨质破坏区
D.砂粒样物质和周围骨质硬化区
E.瘤巢和砂粒样物质
144、多项选择题 以下哪项对脂肪肝的描述是正确的()
A.肝脏的脂肪肝含量>5%
B.过量的脂肪蓄积于肝细胞内
C.过多的脂肪浸润在肝细胞间隙
D.过多的脂肪主要是甘油三酯
E.轻度脂肪肝多无自觉症状
145、单项选择题 髋关节蛙式位,大粗隆与股骨颈重叠的原因是()
A.股骨外翻角度较大
B.股骨外翻角度较小
C.股骨内翻角度较大
D.股骨内翻角度较小
E.股骨倾斜角度较大
146、单项选择题 十二指肠溃疡直径多为()
A.5~10mm
B.11~15mm
C.4~12mm
D.16~20mm
E.21~25mm
147、单项选择题 关于腹部仰卧前后位摄片的描述,错误的是()
A.患者仰卧于检查床上
B.人体正中矢状面垂直于床面
C.中心线对准剑突与耻骨联合连线中点
D.片号及摄片日期标记应反放
E.必须做‘左右方位’标记
148、判断题 烧伤患者的骨质疏松可最早在伤后1个月出现。
149、单项选择题 下述哪种恶性肿瘤的肺转移可以出现钙化()
A.肝癌
B.乳腺癌
C.成骨肉瘤
D.肾癌
E.黑色素瘤
150、多项选择题 右位主动脉可伴有()
A.永存动脉干
B.主动脉缩窄
C.法洛四联症
D.房间隔缺损
E.Ebstein畸形
151、单项选择题 下列哪项不是增感屏的结构()
A.基层
B.感光乳剂层
C.保护层
D.反射层
E.防反射层
152、名词解释 膈膨升
153、多项选择题 高千伏摄片特点的叙述,正确的是()
A.获得层次丰富的X线照片
B.缩短曝光时间,减少被照体移动模糊
C.减少管电压,延长X线管寿命
D.散射线减少,照片对比度较高
E.有利于病人防护
154、单项选择题 下列哪一个肿瘤来源于原始间叶组织()
A.骨巨细胞瘤
B.骨样骨瘤
C.骨软骨瘤
D.软骨肉瘤
E.尤文肉瘤
155、单项选择题 农民肺的X线表现中,错误的是()
A.临床症状出现后相当长的时间才出现X线表现
B.早期肉芽肿病变显示为肺内弥散的颗粒状或小结节状影
C.患者脱离接触有害灰尘后肺部改变继续加重
D.农民肺患者的肺门阴影一般不增大
E.慢性期肺部主要表现为弥散性间质性纤维改变
156、单项选择题
右髋关节疼痛,跛行1年多,无明显外伤史,双髋关节摄片如图,最可能的诊断是()
A.右髋关节退行性关节病
B.右髋关节创伤性关节病
C.右髋关节结核
D.右髋关节化脓性关节炎
E.右髋关节神经性关节炎
157、单项选择题 关溃疡性结肠炎的说法中,错误的是()
A.是一种非特异性大肠粘膜的慢性炎症性病变
B.多数学者认为与免疫异常、感染、遗传等因素有关
C.起病多急骤,发展迅速,中毒症状重
D.病变多发生在结肠下段,也可遍及整个结肠甚至末端回肠
E.常发生于青壮年,20~40岁之间
158、多项选择题 恶性骨肿瘤中不常有骨膜反应的是()
A.骨纤维肉瘤
B.尤文肉瘤
C.原发网状细胞肉瘤
D.骨肉瘤
E.转移性骨肿瘤
159、单项选择题
男,77岁,全身性骨痛,夜间加重,贫血,PSA大于100,结合图像,最可能的诊断是()
A.成骨性骨转移
B.多发性骨髓瘤
C.慢性化脓性骨髓炎
D.骨肉瘤
E.以上都不是
160、单项选择题
8岁,男孩,外伤后感左肘关节肿痛,左肘关节正侧位摄片如图,下列哪项描述错误()
A.“八”字征
B.“X”线白线不连续
C.软组织肿胀
D.左肱骨小头骺线增宽
E.以上均正确
161、填空题 食管癌的病因尚不明,与多种因素有关,分别为______、__________、________、__________、____________、__________、___________和___________。
162、单项选择题 指出骨麻风病特异性的X线表现()
A.囊样或膨胀性改变
B.骨营养孔扩大
C.密集性骨吸收
D.出现夏科氏关节
E.继发骨膜炎和骨髓炎
163、单项选择题
患者突发胸痛气急,呼吸困难,胸片如图,最可能的诊断为()

A.右侧肺大泡
B.右侧气胸
C.右侧中央型肺癌并阻塞性肺气肿
D.肺气肿
E.右肺肺炎
164、填空题 烧伤后骨关节的继发性改变有__________________、______________、____________、______________及_______________________、_____________等。
165、多项选择题 引起肝脓肿常见的细菌为()
A.大肠杆菌
B.金黄色葡萄球菌
C.绿脓杆菌
D.变形杆菌
E.肠炎杆菌
166、判断题 肾动脉造影检查是诊断肾动脉狭窄、肾动脉瘤等肾血管疾病的唯一金标准。
167、单项选择题 “贲门失弛缓症”的造影表现,哪项不正确()
A.食管明显扩张,并迂曲、延长
B.食管蠕动减弱、消失
C.钡剂通过障碍,服解痉剂可缓解
D.食管末端截断性狭窄、表面不平
E.引起食管炎改变
168、单项选择题 下述骨骼疾病可引起胸椎旁软组织肿胀,哪项除外()
A.强直性脊柱炎
B.胸椎结核
C.嗜酸性肉芽肿
D.胸椎转移瘤
E.神经鞘瘤
169、单项选择题 软骨的构成是()
A.软骨细胞
B.软骨细胞和基质
C.细胞、基质和纤维
D.软骨细胞和软骨母细胞
E.钙化软骨和软骨细胞
170、单项选择题 骨关节外伤后行X线检查的目的是()
A.明确有无骨折或脱位
B.了解骨折及脱位的类型或程度
C.了解复位或固定术后的情况
D.观察骨折处愈合情况
E.以上都是
171、单项选择题 肺源性心脏病主要X线表现是()
A.左心房、右心室增大
B.右心室肥大
C.全心增大
D.右心房、左心室增大
E.左心室增大
172、多项选择题 下列哪些属于直接引入法造影()
A.胃肠钡餐造影
B.口服胆囊造影
C.逆行肾盂造影
D.静脉肾盂造影
E.子宫输卵管造影
173、单项选择题 有关静脉肾盂造影腹部压迫的叙述,错误的是()
A.防止对比剂流入膀胱
B.压迫点为脐下方两侧
C.压迫球呈正八字形放置
D.压力为5.3~8.0kPa
E.观察全尿路时解除压迫
174、填空题 全腹膜炎多继发于___________、_______________、_________、_____________及__________等。
175、单项选择题 以下哪项不是X线产生应具备的条件()
A.电子云
B.高真空
C.电子的骤然加速
D.阳极靶
E.电子的高速运动
176、问答题 《围城》的艺术风格分析
177、填空题 胰腺外分泌性肿瘤包括______________、__________和_____________。
178、单项选择题 胰腺癌易侵犯的周围脏器中,哪项除外()
A.十二指肠
B.胃窦后壁
C.胃窦前壁
D.结肠
E.大网膜
179、多项选择题 在纵隔肿瘤中,比较常见的有()
A.胸腺瘤
B.迷走甲状腺肿
C.淋巴瘤
D.神经源性肿瘤
E.畸胎瘤
180、多项选择题 肺转移瘤中呈小结节及粟粒病变者多见于()
A.肝癌转移
B.胰腺癌转移
C.绒毛膜上皮癌转移
D.成骨肉瘤转移
E.甲状腺癌转移
181、单项选择题 构成照片影像的要素中,属于几何因素的是()
A.密度
B.对比度
C.锐利度
D.颗粒度
E.失真度
182、名词解释 MPSI-H型
183、单项选择题 关于矽肺的影像描述,下列哪项不对()
A.病变早期,间隔线
B.病变晚期,肺纹理增多、网状
C.肺门淋巴结蛋壳样钙化
D.病变晚期,八字形或长条状大阴影
E.病变早期,类圆形小阴影,边缘锐利、可钙化
184、多项选择题 来源于纤维组织的良性骨肿瘤的是()
A.神经纤维瘤
B.韧带样纤维瘤
C.纤维肉瘤
D.非骨化性纤维瘤
E.神经纤维肉瘤
185、单项选择题 青年女性,前纵隔囊性肿物,内有脂肪-液体平面,增强扫描出现边缘环状强化。最可能的诊断是()
A.脂肪瘤
B.胸腺瘤
C.淋巴瘤
D.囊性畸胎瘤
E.生殖细胞瘤
186、单项选择题 缩窄性心包炎的X线表现中,哪项不正确:
A.心影多为正常大小或轻度增大()
B.心脏搏动明显增强
C.心缘变直,各弓分界不清
D.心脏边缘不规则或多边状
E.心影外形多呈三角形
187、单项选择题 通常所说的肺内肿块性病灶,直径应()
A.≥2cm
B.≥4cm
C.≥6cm
D.≥7cm
E.≥8cm
188、单项选择题 急性乳腺炎患者,下列哪项是必定有的临床表现()
A.皮肤红
B.局部皮温明显升高
C.局部有波动
D.疼痛并有明显压痛
E.以上都不对
189、单项选择题 下列寄生虫中,哪项不常引起肺部感染()
A.肺吸虫
B.包虫
C.血吸虫
D.绦虫
E.溶组织阿米巴
190、单项选择题 X线摄片某处对入射光线吸收率为90%,此处的光学密度值为()
A.0.1
B.0.9
C.1.0
D.2.0
E.3.0
191、填空题 肺炎性假瘤是由__________、_________、____________、__________、____________及_____________等组成的肉芽肿。
192、配伍题 周围型肺癌()肺平滑肌瘤()肺错构瘤()肺段隔离症()
A.左下叶后基底段肿块,上下径较长,增强CT显示主动脉分支供血
B.左上叶孤立性结节,类圆形,无分叶和毛刺,CT增强后明显强化
C.右上叶前段孤立结节,有分叶,细短毛刺,内部有空泡
D.左下叶孤立结节,浅分叶,内有爆米花样钙化
E.右上叶后段结节,边缘光整,CT增强后无强化
193、单项选择题 病人仰卧,影像增强器转至病人右前方的摄影方向称()
A.左前斜位
B.右前斜位
C.足头位
D.头足位
E.肝腋位
194、名词解释 袖口征
195、单项选择题 胶片感光发生的光化学反应,实质上属于()
A.水解反应
B.合成反应
C.氧化-还原反应
D.光合作用
E.光化学反应
196、单项选择题 消除呼吸运动模糊正确的方法是()
A.延长时间曝光
B.增加管电压
C.屏气后曝光
D.增大物-片距
E.应用滤线栅
197、判断题 食管贲门失弛缓症的X线表现为食管下端呈漏斗状狭窄,上端扩张,边缘毛糙,粘膜可中断或不中断。
198、单项选择题 辐射的生物效应分为()
A.致癌效应和皮肤效应
B.遗传效应和致癌效应
C.非随机性效应和随机性效应
D.胚胎死亡效应和致癌效应
E.遗传效应和皮肤效应
199、单项选择题 下述动脉导管未闭的X线表现,错误的是()
A.肺动脉段突出
B.漏斗征
C.主动脉结缩小
D.主动脉结增大
E.肺门影增大
200、单项选择题 蝶鞍位于下列哪一个骨中()
A.筛骨
B.枕骨
C.颞骨
D.蝶骨
E.额骨
201、单项选择题
女,2岁,肘部外伤,如图所示,最佳的诊断为()
A.肱骨髁上骨折
B.肱骨髁上骨折并肘关节脱位
C.内上髁骨骺损伤
D.内上髁骨骺损伤并肘关节脱位
E.全骺分离
202、单项选择题 关于鼻窦正常解剖的描述,下列哪项不正确()
A.出生时,蝶窦、额窦未气化
B.出生时,上颌窦、筛窦已气化
C.蝶窦由蝶窦中隔分为左右两个窦腔
D.上颌窦前部与鼻腔仅粘膜相隔
E.前组筛窦引流至中鼻道,后组筛窦引流至上鼻道
203、单项选择题 婴幼儿摄胸片时,描述错误的是()
A.不能站立的小儿可用仰卧位或俯卧位
B.因小儿胸部厚度较薄,用前后位和后前位照像无明显差别
C.呼气和吸气时摄影无明显差别
D.正常胸腺有时与心脏增大或肺炎相混淆
E.正常也可见气管移位
204、单项选择题 两肺野透明度减低,如磨砂玻璃样,肺门阴影大而模糊,两肺门上出现向上的鹿角状血管影,应首先考虑为()
A.肺充血
B.肺淤血
C.肺气肿
D.肺缺血
E.肺水肿
205、多项选择题 成人骨髓炎的特点有()
A.无明显全身中毒症状
B.症状较轻
C.发病缓慢
D.骨质破坏较局限
E.预后较好
206、填空题 肺内出血表现为___________、_____________或_____________阴影。
207、多项选择题 髋关节脱位或半脱位的测量有多种方法,在股骨头骨骺出现之前用()
A.泪滴距
B.Calve线
C.Shenton线
D.Perkin方格
E.C-E角
208、名词解释 狭颈征/项圈征
209、单项选择题 活检证实为浸润性导管癌,患者有保乳愿望,目前最适宜的治疗是()
A.放疗
B.化疗
C.手术
D.内分泌治疗
E.中药治疗
210、单项选择题 十二指肠溃疡最常见的部位是()
A.水平部
B.球部
C.降部
D.球后部
E.小弯侧
211、填空题 骨肉瘤据瘤骨多少可分为__________、________和_________。也可据肿瘤性骨样组织、肿瘤性软骨组织和纤维组织以及血腔的有无及多少分为_________、___________、____________、__________和______________。
212、单项选择题
男,26岁,左肩部可触及一硬结,无红肿、压痛,结合图像,最可能的诊断是()
A.骨样骨瘤
B.骨软骨瘤
C.软骨肉瘤
D.骨旁骨瘤
E.骨肉瘤
213、单项选择题
女,71岁,吞咽困难数月,结合图像,最可能的诊断为()

A.正常表现
B.食管静脉曲张
C.食管平滑肌瘤
D.食管上段癌
E.食管下段癌
214、判断题 左心房增大常伴有肺静脉高压。
215、多项选择题 胸片上,空洞可见于下列哪些疾病()
A.转移性肺癌
B.原发性肺癌
C.韦格肉芽肿
D.原发性肺结核
E.嗜酸性肉芽肿
216、问答题 双侧肺门影增大常见于哪些疾病?
217、单项选择题 X线检查眶内不透X线异物目的是()
A.确定异物手术方法
B.确定定位方法
C.确定有无异物及大小,形态、位置及球内外
D.提供更准确检查方法
E.便于测量和计算
218、单项选择题 弯刀征是哪种先天性疾病的X线表现()
A.肺隔离症
B.房间隔缺损
C.肺动脉瓣狭窄
D.心内膜垫缺损
E.右下肺静脉异常引流入肝静脉、门静脉或下腔静脉
219、填空题 在纵隔肿瘤中,比较常见的有_____________、__________、________和__________)等。
220、单项选择题 充血性心肌病的典型X线表现是()
A.右心房和右心室增大
B.右心室增大
C.左心室、右心室增大
D.左心室增大
E.左心房和右心室增大
221、问答题 成人股骨头缺血坏死的X线表现有哪些?
222、单项选择题
女,24岁,脐左旁疼痛2年。体检:脐左上压痛,结合图像,最可能的诊断为()
A.正常表现
B.胃癌
C.轻度胃下垂
D.中度胃下垂
E.重度胃下垂
223、单项选择题 法洛四联征患者的心影,多数()
A.明显增大
B.缩小
C.进行性增大
D.雪人征
E.正常或轻度增大
224、单项选择题 向上倾斜指的是()
A.中心线向肢侧倾斜
B.中心线向内侧倾斜
C.中心线向足侧倾斜
D.中心线向头侧倾斜
E.中心线向地面倾斜
225、单项选择题 应用于医学领域最早的辐射能源是()
A.β线
B.γ线
C.X线
D.钴
E.镭
226、多项选择题 成人双侧肾长径相差大于3cm,应考虑为()
A.慢性肾小球肾炎
B.糖尿病肾病
C.急性肾小管坏死
D.慢性肾盂肾炎
E.肾动脉狭窄
227、单项选择题 中肺野是指上肺野以下至()
A.第四肋骨下缘的水平线以上
B.第四肋骨前缘下缘水平线
C.第四肋骨下缘的最低点
D.第四肋骨前端下缘的最低点
E.第四肋骨前端下缘的最低点水平线
228、单项选择题 右位主动脉弓最常见的伴随异常是()
A.永存动脉干
B.孤立的继发孔型房间隔缺损
C.三尖瓣闭锁
D.非矫正型大动脉转位
E.法洛四联征
229、单项选择题 颅脑外伤侧位平片显示鼻咽腔顶软组织肿胀常提示()
A.前颅窝骨折
B.中颅窝骨折
C.后颅窝骨折
D.额骨骨折
E.斜坡骨折
230、名词解释 Caroli病
231、单项选择题 X线吸收量主要取决于()
A.待检组织的密度
B.待检组织的厚度
C.待检组织的形状
D.待检组织的范围
E.靶片距
232、配伍题 胃癌的好发部位为()胃溃疡的好发部位在()哪个部位见到的溃疡性病变应疑为癌()十二指肠溃疡好发于()
A.小弯
B.大弯
C.胃角
D.胃窦
E.十二指肠球部
233、单项选择题 肝静脉汇入下腔静脉处为()
A.第一肝门
B.第二肝门
C.第三肝门
D.第四肝门
E.以上都不是
234、单项选择题 关于“Whipple病”的特点,错误的是()
A.病变早期,四环素治疗效果好
B.空肠粘膜皱襞增厚
C.小肠绒毛显示率较高
D.平片常可见到关节异常
E.常伴低蛋白血症
235、单项选择题
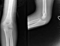
女,6岁,外伤后左肘部肿痛,活动受限,外髁局部压痛,X线摄片如图,最可能的诊断是()
A.左肱骨小头骨骺损伤
B.左肱骨髁上骨折
C.左肱骨外上髁骨骺损伤
D.左肱骨内髁骨骺损伤
E.左肱骨外髁骨骺损伤
236、单项选择题 下列有关儿童短骨骨干结核特征性表现是()
A.骨质稀疏
B.死骨及窦道形成
C.骨质增生硬化
D.骨气鼓
E.骨质破坏
237、多项选择题 先天性巨结肠在钡剂灌肠以前应注意的有关事宜有()
A.不用泻药
B.重复灌肠
C.肛管不宜放置过高
D.钡剂注入速度不宜过快
E.调节钡剂用等渗盐水
238、单项选择题 关于DR的描述,下列哪项是错误的()
A.较CR成像速度快
B.探测器寿命长
C.曝光量小
D.可透视
E.容易与原X线设备匹配
239、单项选择题 同时出现双室增大的疾病是()
A.二尖瓣狭窄
B.心包炎
C.室间隔缺损
D.主动脉瓣狭窄
E.三尖瓣关闭不全
240、多项选择题 关于X线管阳极的叙述,错误的是()
A.乳腺机X线管的阳极使用钼靶
B.旋转阳极靶盘直径越大管容量越大
C.靶盘覆以钼石墨层,以增加阳极热容量
D.X线管容量是指阳极热容量
E.旋转阳极管的X线发生效率高于固定阳极管
241、单项选择题 需稀释造影剂进行造影检查的是()
A.口服胆囊造影
B.静脉胆道造影
C.静脉肾盂造影
D.CTA
E.膀胱造影
242、单项选择题
男,6岁。经常咳嗽、憋喘,呼吸急促、口唇青紫,进行性加重。X线检查如图,最可能的诊断为()

A.先天性PDA
B.先天性VSD
C.先天性ASD
D.法洛氏四联症
E.先天性肺动静脉瘘
243、名词解释 游走肾
244、单项选择题 心脏左前斜位投照的旋转角度一般为()
A.30~40
B.40~50
C.50~60
D.60~70
E.45~55
245、多项选择题 按现行部颁规定,下列属于概算基础单价的是()。
A.建筑工程单价
B.安装工程单价
C.施工机械台时单价
D.电、风、水预算价格
E.砂石料单价
246、填空题 韧带损伤分______________和_____________两种。韧带各段断裂的机会是相等的,如发生在附着部,可引起_____________。
247、单项选择题 下列关于左侧上腔静脉的错误描述是()
A.位于主动脉弓外侧
B.下行于肺动脉主干的外侧
C.经左肺门前方进入左房与左室之间的冠状窦
D.增强扫描有助于与淋巴结鉴别
E.右上肢静脉注射造影剂并快速动脉早期扫描可清楚显示
248、单项选择题 儿童长骨分为四部分,下列哪项不在其内()
A.骨骺
B.骨骺板
C.骨端
D.骨干
E.干骺端
249、单项选择题 通常所说的肺内结节性病灶,直径应为()
A.≤0.5cm
B.≤1cm
C.1~4cm
D.4~6cm
E.≥6cm
250、单项选择题 关于阴性对比剂的叙述,错误的是()
A.空气是阴性对比剂
B.空气在器官内吸收较快
C.空气易产生气体栓塞
D.二氧化碳的溶解度较大
E.二氧化碳不易产生气体栓塞
251、多项选择题 肺隐球菌病的X线征象有()
A.病灶可单发或多发
B.病灶呈斑片状、圆形或结节炎性浸润
C.病灶的边缘比较模糊
D.肺门和纵隔淋巴结常增大
E.晚期病变可有播散
252、单项选择题 自截肾常见于下列哪种疾病()
A.慢性肾炎
B.肾结核
C.肾结石
D.肾癌
E.慢性肾盂肾炎
253、单项选择题 男,56岁,右下腹痛、贫血3个月。钡灌肠检查示:盲肠充盈缺损,袋形消失,粘膜皱襞中断。首先应考虑诊断为()
A.淋巴结增生症
B.平滑肌瘤
C.淋巴瘤
D.结肠炎块
E.盲肠癌
254、单项选择题 下列有关溃疡性结肠炎的X线钡灌肠表现中,错误的是()
A.肠管狭窄短缩
B.多发溃疡
C.息肉形成
D.粘膜破坏、中断
E.结肠袋消失
255、填空题 眼眶异物按异物种类可分为__________和__________。
256、问答题 液气胸的X线表现有哪些?
257、单项选择题 下列哪种病变无"上颌窦窦壁骨质破坏"的表现()
A.梅毒
B.鼻硬结肿
C.鼻窦真菌感染
D.黏液囊肿
E.结核
258、多项选择题 结节病的X线征象包括()
A.有时可见桡骨囊性变
B.肺门淋巴结肿大
C.多为两肺受累
D.有时纵隔淋巴结也肿大
E.最后可导致肺源性心脏病
259、判断题 黏多糖贮积症Ⅱ型,面容拟似古代建筑物上的狮身面像。
260、单项选择题
男,47岁,右小腿反复肿胀,摄片如图,考虑为慢性化脓性骨髓炎,下列描述错误的是()
A.骨干增粗,变形
B.骨髓腔变窄,消失
C.骨质以增生硬化为主
D.可见泥沙样死骨
E.以上均不正确
261、单项选择题 关于散射线及其影响因素的叙述,错误的是()
A.散射线是离开原射线线束的折射光子
B.管电压越高,散射线越多
C.增感屏感度越高,散射线越少
D.在一定厚度内,被照体越厚散射线越多
E.照射野是产生散射线的重要因素之一
262、问答题 颈椎病有哪些X线表现?
263、判断题 X线诊断的结果,基本上都是肯定性诊断。
264、单项选择题 慢性铅中毒时,若铅摄入停止,几年内铅线将逐渐消失()
A.6年
B.7年
C.8年
D.4年
E.9年
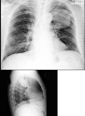
265、单项选择题
早产儿,男,生后6小时,于生后2小时出现呼吸困难,如图,最可能的诊断为()

A.新生儿肺炎
B.新生儿湿肺
C.新生儿肺出血
D.新生儿呼吸窘迫综合症
E.胎粪吸入综合征
266、单项选择题
男,40岁,胸痛胸闷2月余,胸片如图,最可能的诊断为()

A.右侧恶性胸膜间皮瘤
B.右侧胸腔积液
C.右侧包裹性积液
D.右侧良性胸膜间皮瘤
E.右侧胸膜增厚
267、填空题 心包囊肿囊肿壁菲薄透明,外壁为______________,内壁为_______________,内含_________或__________液体。
268、多项选择题 哪些部位的恶性肿瘤均易转移到肺部()
A.乳腺
B.肾
C.骨
D.消化系统
E.头颈部
269、单项选择题 “胸部前弓位”的突出优势是()
A.观察前心膈角病变
B.观察胸骨病变
C.观察后肋膈角病变
D.观察肺尖病变
E.观察右斜裂病变
270、单项选择题 发生率最高的“腕骨骨折”是()
A.舟状骨骨折
B.三角骨骨折
C.大多角骨骨折
D.月骨骨折
E.豆状骨骨折
271、单项选择题 周围型肺癌的影像学表现,下列哪项描述不对()
A.反S征
B.病变早期与炎症有时难以鉴别
C.癌性空洞,少有液平面
D.短小毛刺
E.合并炎症时,其外缘模糊、内缘清楚
272、单项选择题 原发综合征的典型表现为()
A.位于上叶的片状阴影
B.由病变区伸向肺门的条状模糊影
C.肺门气管支气管淋巴结肿大
D.原发灶、肺门淋巴结及结核性淋巴管炎组成的哑铃状影
E.两肺散在斑点状密度增高影
273、多项选择题 外照射防护的基本方法是()
A.固有防护
B.时间防护
C.距离防护
D.个人防护
E.屏蔽防护
274、判断题 结肠双对比造影片上一般均能够见到无名沟。
275、单项选择题 恶性肿瘤钙化的特点为()
A.钙化比较分散
B.钙化的密度比较一致
C.钙化的边界清楚
D.钙化一般位于肿块内
E.钙化形态比较规则
276、判断题 AIDS患者一般都有梅毒、淋病、阿米巴病等感染的既往史。
277、单项选择题 下列关于上肢摄影的注意事项中,错误的是()
A.至少包括一个关节
B.幼儿骨关节应摄取双侧
C.必须使用滤线设备
D.焦-片距一般为75~100cm
E.注意X线防护
278、多项选择题 韦格肉芽肿的胸部影像包括()
A.肺门淋巴结对称性明显增大
B.两肺大小相等结节影
C.小片状阴影
D.可有厚壁或薄壁空洞,空洞内壁不规则
E.少量胸腔积液
279、名词解释 肾盂输尿管重复畸形
280、单项选择题 关于慢性支气管炎,下列影像错误的是()
A.X线表现常缺乏特征性
B.很少发生肺气肿
C.急性发作时,肺内可有斑片状影
D.病变多分布在中下肺野
E.肺纹理增多
281、单项选择题 继发性胆脂瘤多发生于()
A.鼓窦入口
B.外耳道
C.上鼓室
D.中鼓室
E.下鼓室
282、单项选择题 大叶性肺炎多见于()
A.青少年
B.老年人
C.婴幼儿
D.青壮年
E.以上都是
283、单项选择题
男,32岁,因车祸致右髋关节肿痛,活动受限摄片如图示,最可能的诊断是()
A.骨盆Ⅰ型骨折
B.骨盆Ⅱ型骨折
C.骨盆Ⅲ型骨折
D.骨盆Ⅳ型骨折
E.以上均不是
284、填空题 畸形性骨炎的MRI主要表现为___________、____________、____________和___________。
285、单项选择题 吸收X线能力最强的组织结构是()
A.肌肉
B.脂肪
C.骨骼
D.肺组织
E.肝脏
286、单项选择题 标准后前位胸片上可清楚见到()
A.第1~3胸椎
B.第1~4胸椎
C.第1~12胸椎
D.第1~10胸椎
E.第8~12胸椎
287、单项选择题 钡餐示“食管远端鸟嘴样狭窄”,则可除外()
A.贲门失弛缓症
B.食管裂孔疝
C.消化性溃疡
D.胃底贲门癌
E.食管静脉曲张
288、单项选择题 连续X线的辐射方式称为()
A.自发辐射
B.受激辐射
C.轫致辐射
D.特征辐射
E.热辐射
289、单项选择题 X线片表现肺血增多,临床表现有发绀者是()
A.二孔型房间隔缺损
B.心内膜垫缺损
C.动脉导管未闭
D.室间隔缺损
E.艾森门格综合征
290、单项选择题 下列哪项对溶骨型骨转移瘤的X线表现描述不正确()
A.多呈虫蚀状、鼠咬状骨质破坏
B.可单骨或多骨发病
C.骨膜反应常见
D.可并发病理性骨折
E.可合并软组织肿块
291、单项选择题 踝关节正位摄片,中心线应对准()
A.内踝
B.外踝
C.内外踝连线中点
D.内外踝连线中点上1cm
E.内外踝连线中点上5cm
292、单项选择题 影响空间分辨率因素中,受人为因素制约的是()
A.X射线扇形束的角度
B.空间采样频率
C.探测器孔径的大小
D.图像重建算法
E.采样间距
293、单项选择题 子宫输卵管造影的禁忌证是()
A.子宫输卵管慢性炎症
B.子宫输卵管结核
C.子宫输卵管良性肿瘤
D.子宫输卵管位置形态异常
E.子宫输卵管出血
294、单项选择题 X线自枕部经额部垂直射入胶片的摄片体位是()
A.前后位
B.下上轴位
C.上下轴位
D.顶颌位
E.后前位
295、单项选择题 有关脊索瘤的好发部位和X线主要特点,错误的是()
A.肿瘤好发生于脊柱两端,居中线部位
B.常为膨胀性溶骨性破坏,其中可残存碎骨片或小梁沟隔
C.绝大多数病人可有骨质增生和硬化
D.50%病人可有钙化
E.以上都不是
296、单项选择题 下列不同类型“肠梗阻”影像描述,哪项是错误的()
A.粘连性肠梗阻,假肿瘤征
B.小肠高位梗阻,消化管无明显积气、扩张
C.绞窄性肠梗阻,空回肠换位征
D.不完全性肠梗阻,结肠内可见到少量气体影
E.麻痹性肠梗阻,全消化道不同程度积气、扩张
297、单项选择题
男,60岁,因双髋关节反复疼痛2年余,无明显外伤史,X线摄片如图,最可能的诊断是()
A.双髋关节退行性骨关节病
B.双髋关节创伤性关节炎
C.双髋关节特发性骨关节病
D.双髋关节结核
E.神经性关节炎
298、单项选择题 下述几种纵隔肿瘤的组织来源中哪项不正确()
A.神经源性肿瘤—起源于神经组织
B.支气管囊肿—起源于胚胎期气管芽突
C.恶性淋巴瘤—起源于淋巴组织
D.胸内甲状腺—起源于异位甲状腺或颈部甲状腺
E.胸腺瘤—起源于残留胚胎组织
299、单项选择题 引起回盲瓣肥厚的最常见原因是()
A.Crohn病
B.回盲瓣粘膜脱垂
C.单纯性回盲瓣肥厚
D.回盲瓣结核
E.回盲瓣肿瘤侵犯
300、单项选择题 关于乳腺摄影的叙述,错误的是()
A.通常使用钼靶X线机
B.常摄取侧位和轴位片
C.用40kV以上的管电压
D.屏气曝光
E.焦-片距为40~50cm