时间:2025-03-22 04:02:49


1、单项选择题 关于眼眶肿瘤的描述,下述哪项正确()
A.泪囊肿瘤,良性多见
B.泪腺肿瘤,肌锥内最常见肿瘤
C.泪囊肿瘤,眶上缘外侧段骨质破坏
D.泪腺肿瘤,眶下缘外侧段骨质吸收
E.皮样囊肿,眶上缘外侧段多见
2、配伍题 关于化脓性关节炎的骨质破坏描述正确的是()关于关节结核的骨质破坏描述正确的是()关于风湿性关节炎的骨质破坏描述正确的是()
A.发展迅速,从关节承重面开始,骨质缺损与正常骨质分界不清
B.发展缓慢,从关节承重面开始,骨质缺损与正常骨质分界不清
C.发展缓慢,从关节边缘开始,有虫蚀状骨质破坏
D.发展缓慢,从关节边缘开始,为穿凿样破坏,常累及多个关节
E.发展迅速,从关节边缘开始,为穿凿样破坏,常累及多个关节
3、单项选择题 按骨折的好发部位可将上颌骨骨折分为三型,其中的Ⅲ型,骨折线不能穿过()
A.鼻嵴
B.翼突基底部
C.上颌窦底部
D.颧骨上部
E.眼眶内外壁
4、单项选择题 儿童短管骨结核最具特征性的X线表现是()
A.单纯骨皮质破坏
B.骨质增生硬化
C.骨气鼓
D.死骨及窦道形成
E.以上都不是
5、单项选择题 下列哪种检查无法显示左房黏液瘤的大小及形状()
A.CT
B.MRI
C.X线平片
D.心血管造影
E.超声心动图
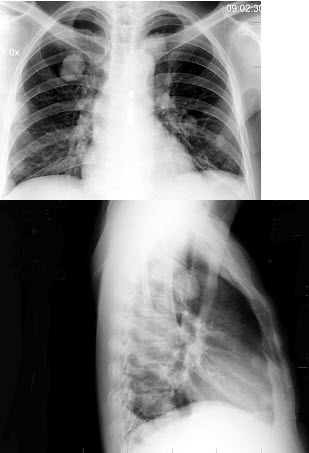
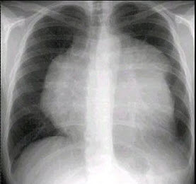
6、单项选择题
男,38岁,咳嗽、胸痛、咯血1天,X线检查如图,最可能的诊断是()

A.炎性假瘤
B.原发性肺癌
C.肺结核球
D.肺转移瘤
E.结节病
7、单项选择题 心脏右前斜位摄片,曝光前须先()
A.口服硫酸钡
B.浅呼吸屏气
C.深吸气屏气
D.平静呼吸屏气
E.腹式呼吸屏气
8、单项选择题 "肥皂泡状影"见于()
A.骨瘤
B.软骨母细胞瘤
C.骨样骨瘤
D.骨巨细胞瘤
E.软骨瘤
9、单项选择题 对左肺舌(下)支气管的描述,不正确的是()
A.相当于右肺中叶支气管
B.可视为左主支气管的直接延续
C.向前下方稍向外斜行
D.分为上舌支和下舌支
E.分布于舌叶的上段及下段
10、判断题 甲状旁腺功能亢进患者多数有骨骼病变,主要表现为骨质疏松。
11、单项选择题 物体的X线吸收量单位是()
A.伦琴
B.拉德
C.Gy
D.居里
E.帕
12、问答题 法洛四联征X线表现有哪些?
13、单项选择题
男,45岁,车祸后10小时,结合影像学检查,最可能的诊断是()
A.胫腓骨骨折
B.尺桡骨骨折
C.蒙泰贾骨折
D.柯莱斯骨折
E.加莱阿齐骨折
14、单项选择题 下列慢性肺炎胸片所见,哪项不对()
A.肺纹理增多、紊乱
B.蜂窝状、杵状阴影
C.肿块规则圆形,边缘光整
D.局限性或弥漫性肺气肿
E.肺门影增大,模糊
15、单项选择题 关于眼眶肿瘤,最常见的是下列哪项()
A.泪腺混合瘤
B.脑膜瘤
C.视神经胶质瘤
D.血管瘤
E.神经鞘膜瘤
16、名词解释 哺乳期乳腺
17、单项选择题 尿路结石最常用的检查方法是()
A.B超检查
B.腹部平片检查
C.腹部CT检查
D.静脉尿路造影检查
E.逆行尿路造影检查
18、单项选择题 骨组织属于下述哪一种()
A.致密结缔组织
B.胶原纤维
C.弹力纤维
D.嗜银纤维
E.疏松结缔组织
19、单项选择题 于斯氏位摄片的叙述,错误的是()
A.被检者俯卧于摄片床上
B.被检侧额颧鼻部紧贴暗盒(或床面)
C.头颅矢状面与床面成45°
D.听眦线与暗盒前缘保持垂直
E.中心线向足侧倾斜12°
20、多项选择题 下列良性胃溃疡征象有()
A.环堤
B.狭颈征
C.半月征
D.项圈征
E.裂隙征
21、判断题 慢性化脓性骨髓炎一般无或仅有轻微的不规则骨质破坏,一般无死骨形成。
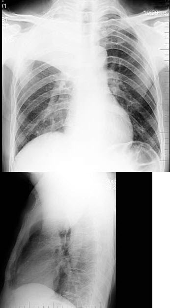
22、单项选择题
患者,女,46岁,胸闷气短1月,伴全身乏力,咳嗽,发热。胸片示:中上纵隔增宽,右缘呈波浪状改变。白细胞:8.5×10/L。
最可能的诊断是()
A.胸内甲状腺
B.胸腺瘤
C.右侧中心型肺癌
D.淋巴瘤
E.畸胎瘤
23、单项选择题 X线产生过程中,电子高速运动所需能量主要取决于()
A.管电压
B.管电流
C.灯丝焦点大小
D.旋转阳极转速
E.靶物质原子序数
24、单项选择题 慢性化脓性中耳乳突炎单纯型X线表现中,下列说法哪项错误()
A.乳突窦及其周围骨质硬化增生
B.锤骨或砧骨骨质破坏
C.乳突气房透光度减低
D.气房间隔骨质增厚、结构模糊
E.乳突气房外围骨质有明显增生
25、单项选择题 下列组合中,不在第2腰椎高度水平的组织是()
A.肝
B.肾
C.腹主动脉
D.腔静脉
E.食管
26、多项选择题 左心房增大可见于()
A.动脉导管未闭
B.单纯继发孔型房间隔缺损
C.膈上型完全性异位肺静脉引流
D.三尖瓣畸形
E.室间隔缺损
27、名词解释 横向移位
28、单项选择题 下列哪项不是肺切除术后的影像表现()
A.患侧胸腔“气液面”逐渐升高
B.术后24h内,纵隔位置应居中位
C.“健肺”胸片正常,也不能除外肺不张
D.胸腔内气体完全吸收需数周时间
E.患侧胸腔“气液面”逐渐下降,幅度超过2cm
29、单项选择题 与钨构成合金并组成常规X线管靶面材料的是()
A.铝
B.铍
C.铷
D.铼
E.铯
30、多项选择题 起源于非上皮的胃良性肿瘤为()
A.胃息肉
B.胃脂肪瘤
C.胃血管瘤
D.胃神经纤维瘤
E.胃平滑肌瘤
31、单项选择题 男性,50岁。有动脉粥样硬化病史。突然感到剧烈刀割样胸痛2小时,向背部放射。查体发现主动脉瓣区可闻及舒张期杂音。考虑为主动脉夹层可能。下列哪一项是其常见的胸片表现()
A.主动脉弓部和降主动脉上部影增宽
B.主动脉影狭小
C.主动脉影外形不规则
D.主动脉影位置改变
E.主动脉搏动增强
32、多项选择题 胸片上,空洞可见于下列哪些疾病()
A.转移性肺癌
B.原发性肺癌
C.韦格肉芽肿
D.原发性肺结核
E.嗜酸性肉芽肿
33、多项选择题 弥漫性肺间质纤维化常见于下列哪些疾病()
A.肺类风湿病
B.系统性红斑狼疮
C.皮肌炎
D.系统性硬皮病
E.风湿性肺炎
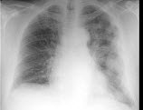
34、单项选择题
早产儿,男,生后12小时,生后8小时出现呼吸困难,如图,最可能的诊断为()

A.新生儿肺炎
B.新生儿湿肺
C.新生儿肺出血
D.新生儿特发性呼吸窘迫综合症
E.胎粪吸入综合征
35、单项选择题 下述小儿“肠套叠”临床特点,错误的是()
A.腹部触及包块
B.呕吐,不肯进食
C.果酱油色大便
D.黑便
E.烦躁、啼哭
36、单项选择题 左肺下叶分为四段,与右肺下叶不同的是()
A.前外基底段
B.外后基底段
C.外内基底段
D.内前基底段
E.以上都不是
37、单项选择题 包裹性胸腔积液的好发部位是()
A.后胸壁和侧胸壁
B.前、后肋膈角
C.叶间裂
D.前胸壁
E.肺尖部
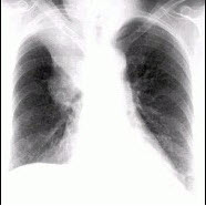
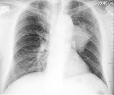
38、单项选择题
男,74岁,咳嗽,咳痰1月余,咯血丝痰1周伴胸痛,胸片如图,最可能的诊断为()

A.右上肺浸润型肺结核
B.右上肺不张
C.右侧中央型肺癌并右上肺不张
D.右侧包裹性积液
E.右肺上沟瘤
39、单项选择题 X线束的最短波长取决于()
A.毫安
B.时间
C.千伏
D.毫安秒
E.靶物质
40、单项选择题 下列长管状骨结核X线表现中,哪项不正确()
A.好发于骨干
B.骨膜反应轻微
C.易侵犯关节
D.骨质破坏为主
E.沙粒样死骨
41、多项选择题 关于被照体本身因素影响照片对比度的叙述,正确的是()
A.原子序数越高,射线对比度就越高
B.组织密度越大,造成的对比就明显
C.原子序数密度相同,对比度受厚度影响
D.被照体组织的形状与对比度相关
E.具有生命力的肺有很好的对比度
42、单项选择题 有关乳腺摄片的注意事项,错误的是()
A.采用近距离摄片
B.应屏气曝光
C.使用高分辨率胶片
D.图片应有上下左右标记
E.乳腺均为软组织不需加压摄片
43、单项选择题 下列胸腔积液的描述,正确的是()
A.中等量积液常有纵隔移位
B.显示斜裂叶间积液,以侧位片为佳
C.立位胸片,肺底积液呈外高内低的致密影
D.包裹性积液多位于前胸壁
E.立位后前位胸片,可显示100ml以下积液
44、单项选择题 观察筛窦首选()
A.头颅正位
B.头颅侧位
C.柯氏位
D.颅底位
E.华氏位
45、单项选择题 下列表现,哪项与主动脉瘤无关()
A.可有钙化
B.主动脉搏动可减弱
C.邻近骨骼无异常发现
D.主动脉瘤状、梭状扩张
E.可压迫支气管,造成肺不张
46、判断题 一侧肺不发育血管造影检查显示患侧动脉主干发育不良或缺如。
47、单项选择题 关于鼻窦正常解剖的描述,下列哪项不正确()
A.出生时,蝶窦、额窦未气化
B.出生时,上颌窦、筛窦已气化
C.蝶窦由蝶窦中隔分为左右两个窦腔
D.上颌窦前部与鼻腔仅粘膜相隔
E.前组筛窦引流至中鼻道,后组筛窦引流至上鼻道
48、填空题 儿童期大骨节病依据发病的解剖部位分为__________、__________、_________和__________。
49、单项选择题 与周围型肺癌相比,球形肺炎影像特征为()
A.粗大毛刺
B.细短毛刺
C.阻塞性肺炎、阻塞性肺气肿
D.细支气管充气征
E.空泡征
50、单项选择题 “急性化脓性骨髓炎”最好发于()
A.股骨
B.尺骨
C.胫骨
D.跟骨
E.桡骨
51、单项选择题 肺叶内型肺隔离症的供血动脉多来自()
A.腹主动脉
B.降主动脉
C.下腔静脉
D.肺静脉
E.升主动脉
52、单项选择题 用于胃肠道造影的对比剂是()
A.硫化钡
B.氯化钡
C.碳酸钡
D.硫酸钡
E.氰化铂钡
53、多项选择题 胸片上,双肺弥漫粟粒样阴影可见于()
A.肺转移瘤
B.支气管肺炎
C.结节病
D.矽肺
E.血行播散型肺结核
54、判断题 阻塞性肺气肿为支气管异物的早期征象,常与纵隔摆动同时存在。
55、配伍题 左心房增大可见于()左心室增大可见于()法洛四联征可见于()
A.左支气管抬高征
B.心后三角消失
C.心尖抬高
D.靴形心脏
E.肺门舞蹈
56、单项选择题 Lutembacher综合征特征为()
A.早期左向右分流
B.三尖瓣下移
C.晚期双向或右向左分流
D.室间隔缺损伴二尖瓣狭窄
E.房间隔缺损合并二尖瓣狭窄
57、单项选择题 诊断用X射线机房的主防护铅当量厚度应是()
A.0.5mm
B.1.0mm
C.1.5mm
D.2.0mm
E.2.5mm
58、单项选择题 下列哪项关于乳腺癌的叙述不正确的是()
A.Paget病恶性程度较低
B.乳腺癌保乳术后应接受放疗
C.锁骨上淋巴结转移属远处转移
D.原位癌患者可以不行腋窝淋巴结清扫
E.雌孕激素受体阳性的病例内分泌治疗效果好
59、单项选择题 中、晚期食管癌分型中,同时向腔内、外侵犯的病理类型是()
A.蕈伞型
B.溃疡型
C.髓质型
D.缩窄型
E.溃疡型+髓质型
60、单项选择题 先天性骨梅毒的特征表现为()
A.军刀腿
B.Charcot关节
C.Wasp-Waist征
D.长骨广泛型增生、硬化,髓腔消失
E.骨膜下、皮层内局限性骨质破坏
61、单项选择题 青年女性,前纵隔囊性肿物,内有脂肪-液体平面,增强扫描出现边缘环状强化。最可能的诊断是()
A.脂肪瘤
B.胸腺瘤
C.淋巴瘤
D.囊性畸胎瘤
E.生殖细胞瘤
62、单项选择题
图示为正常胃的分型,结合图像,最可能的诊断为()

A.胃扭转
B.牛角型胃
C.钩型胃
D.瀑布型胃
E.无力型胃
63、单项选择题 唐氏(Down)综合征,又称()
A.21-三体综合征
B.奴南综合征
C.杜纳综合征
D.克氏综合征
E.5p综合征
64、单项选择题 “先天性骨梅毒”诊断要点为()
A.新生儿血清学检查均为阳性
B.不经治疗,骨膜炎不会逐渐吸收
C.囊肿形成
D.干骺端透亮线.
E.胫骨近端内侧对称性、侵蚀性改变
65、单项选择题 乳腺脂肪层所形成的透亮带厚度为()
A.0.5~1.5mm
B.0.5~2.5cm
C.0.5~1.5cm
D.0.5~2.5mm
E.1.5~2.5mm
66、单项选择题 指(趾)骨化脓性骨髓炎的X线表现中,下列哪项是错误的()
A.可涉及指(趾)骨的一侧或整块指(趾)骨,并出现小死骨
B.大多发生于末节指(趾)骨
C.一般由皮下感染直接蔓延而来
D.骨气鼓
E.无骨膜反应
67、单项选择题 下述哪项对诊断系统性红斑狼疮具有特殊的诊断价值()
A.抗核抗体阳性
B.白细胞减少
C.血γ球蛋白增加
D.血沉加速
E.SLE细胞阳性
68、单项选择题 KerlerA线主要分布于()
A.两肺中上野
B.两肺下野外带
C.两肺上野
D.两肺下野内带
E.两肺中野
69、单项选择题 骨皮质旁肉瘤在X线片上沿骨干与肿瘤之间出现狭窄透亮间隙的原因是()
A.肿瘤界限清楚呈分叶状
B.肿瘤周围有由瘤软组织形成的假包膜
C.包膜与瘤骨紧密相连,其纤维深入瘤骨内部
D.骨外膜夹在瘤骨与正常皮质之间
E.瘤骨超越基底紧密地悬在皮质外面周围
70、单项选择题 下述哪项为软骨内成骨()
A.颅盖骨
B.面骨
C.颅底
D.锁骨
E.下颌骨的一部分
71、单项选择题 关于X线机空间电荷抵偿原理的正确推论是()
A.kV↑→管电流↑
B.kV↓→灯丝电压↓
C.kV↑→管电流↓
D.kV↑→灯丝电压↑
E.kV↑→灯丝电流↑
72、填空题 肺结核的不常见X线表现包括______________、__________________、_____________________、_______________________、____________和__________________。
73、判断题 早期的胰体、尾癌症状常不明显,待发现时常已经是晚期。
74、单项选择题 食管癌恶性程度最高的是()
A.髓质型
B.溃疡型
C.浸润型
D.蕈伞型
E.腔内型
75、单项选择题
女,根据其正常骨盆影像图像,判断其最可能的年龄()
A.69岁左右
B.59岁左右
C.49岁左右
D.19岁左右
E.39岁左右
76、单项选择题 关于X线防护原则,哪个是错误()
A.建立剂量限制体系
B.延长受照时间
C.建立屏蔽防护
D.增加照射距离
E.合理降低个人受照剂量与全民X线检查频率
77、单项选择题 哪类肺癌在早期就发生淋巴转移()
A.鳞癌
B.腺癌
C.大细胞未分化癌
D.小细胞未分化癌
E.细支气管肺泡癌
78、判断题 骨麻风病变主要累及手足短管骨、鼻骨。
79、问答题 骨膜反应对病变的定性诊断价值如何?
80、单项选择题 原发性良性肺肿瘤,下列描述哪项不对()
A.球形肿块,边缘光整,可有浅分叶
B.空洞少见
C.可有斑点状或结节状钙化
D.肺门、纵隔淋巴结正常
E.常有细短毛刺
81、单项选择题
进展期胃癌引起胃窦狭窄、壁僵硬、粘膜皱襞固定,X线分型应属于()

A.溃疡型
B.蕈伞型
C.浸润型
D.浅表型
E.混合型
82、单项选择题 下述肺泡细胞癌的诊断要点,错误的是()
A.咳嗽、大量咳痰
B.咯血
C.全身硬皮病者发病率高
D.痰细胞学检查可有阳性发现
E.胸片表现可类似感染性病变
83、单项选择题 二尖瓣狭窄的心影X线表现为()
A.靴形
B.球形
C.烧瓶形
D.梨形
E.普大形
84、多项选择题 软组织基本病变X线表现为()
A.软组织肿胀
B.软组织肿块
C.软组织内气体
D.肌肉萎缩
E.软组织内钙化和骨化
85、判断题 十二指肠球后溃疡指的是球后壁的溃疡。
86、多项选择题 肺实质包含下述哪些成分()
A.肺泡管
B.肺泡囊
C.小叶间隔
D.肺泡
E.肺泡壁
87、填空题 组织学上胸腺瘤分为_______________、________________及_______,目前认为良恶性难以明确分界,故提倡分为________和_______。
88、单项选择题 下面关于过敏性肺炎的描述,错误的是()
A.病变可为游走性
B.过敏性肺炎反复发作或不吸收
C.两中下肺野沿支气管走行分布斑片状边缘模糊阴影
D.过敏性肺炎分急性型和慢性型两种
E.两中下肺较密集的2~3mm粟粒状阴影
89、多项选择题 支原体肺炎需与下述哪种病变鉴别()
A.肺炎性假瘤
B.细菌性肺炎
C.继发性肺结核
D.过敏性肺炎
E.病毒性肺炎
90、单项选择题
患者,女,46岁,胸闷气短1月,伴全身乏力,咳嗽,发热。胸片示:中上纵隔增宽,右缘呈波浪状改变。白细胞:8.5×10/L。
当病人出现声音嘶哑时,提示肿瘤已侵犯()
A.声带
B.迷走神经
C.喉上神经
D.喉返神经
E.气管隆突
91、名词解释 白血病带
92、单项选择题 X线胶片中感光物质是下列哪组()
A.溴化银
B.氯化银
C.溴化银+碘化银
D.碘化银
E.氟化银
93、单项选择题 下列疾患,不能由腹部平片诊断的是()
A.胆囊阳性结石
B.肠梗阻
C.慢性胰腺炎
D.消化道穿孔
E.小儿先天性肛门闭锁
94、单项选择题 绞窄性小肠梗阻常见原因是()
A.肠内疝
B.肠扭转
C.肠套叠
D.肠粘连
E.以上都是
95、单项选择题 脐上3cm与哪个椎体同一平面()
A.第12胸椎
B.第1腰椎
C.第2腰椎
D.第3腰椎
E.第4腰椎
96、多项选择题 经肾脏排泄的对比剂在尿中浓度与哪些因素有关()
A.肾脏的大小
B.肾脏的形态
C.肾脏的功能
D.对比剂的剂量
E.对比剂的浓度
97、单项选择题 关于乳腺摄影的叙述,错误的是()
A.通常使用钼靶X线机
B.常摄取侧位和轴位片
C.用40kV以上的管电压
D.屏气曝光
E.焦-片距为40~50cm
98、单项选择题 确诊乳腺肿块性质最可靠的检查方法是()
A.红外线
B.B超
C.钼靶摄片
D.MRI
E.活检病理
99、单项选择题 动脉导管未闭出现右心室肥厚时提示()
A.肺动脉高压
B.心力衰竭
C.肺梗死
D.肺静脉高压
E.肺水肿
100、多项选择题 哪些部位的恶性肿瘤均易转移到肺部()
A.乳腺
B.肾
C.骨
D.消化系统
E.头颈部
101、多项选择题 乳腺纤维腺瘤X线表现为()
A.多呈圆形或椭圆形
B.偶可略为分叶状
C.边缘光整,密度较高且均匀
D.可伴有晕征
E.有时肿瘤内可见钙化
102、单项选择题 立位滤线器主要用于()
A.四肢摄影
B.胸部透视
C.胸部摄影
D.骨盆摄影
E.肾盂造影
103、单项选择题 构成高血压心脏病患者左心缘第一弓的结构是()
A.上腔静脉
B.升主动脉
C.左室流出道
D.右室流出道
E.降主动脉
104、单项选择题
男,70岁,进行性吞咽困难半年,结合图像,最可能的诊断为()

A.正常食管
B.食管静脉曲张
C.食管平滑肌瘤
D.贲门失弛缓
E.食管癌
105、多项选择题 下列哪些是进展性结肠癌的X线表现()
A.粘膜皱襞迂曲
B.粘膜皱襞破坏
C.充盈缺损
D.龛影
E.环形狭窄
106、名词解释 Von Hippel-Lindau综合征
107、填空题 在纵隔肿瘤中,比较常见的有_____________、__________、________和__________)等。
108、单项选择题
女,74岁,上腹痛4月,纳差,结合图像,最可能的诊断为()

A.正常表现
B.胃炎
C.胃癌
D.笔杆征
E.十二指肠占位
109、单项选择题 患儿,1.5岁,高热20天,食欲减退,轻咳,消瘦,青霉素治疗无效,一个半月前患过麻疹。查体:体温39.6℃,营养差,消瘦,重病容,气促,心脏(-),双肺呼吸音粗,肝肋下3cm,胸肋下1.5cm,OT试验(-),胸片示:双肺可见散在点状阴影,最可能的诊断是()
A.败血症性肺炎
B.腺病毒肺炎
C.支气管肺炎
D.粟粒型肺结核
E.支原体肺炎
110、单项选择题
患者上腹胀满、厌食,查体脾大,腹水征阳性。腹部超声,肝硬化,脾大,腹水。
介入治疗方法()
A.脾动脉化疗
B.TIPSS
C.食管支架
D.肝动脉栓塞
E.PTCD
111、单项选择题 右前斜位片上心脏后缘自上而下依次为()
A.左心房、左心室
B.左心房、右心房
C.右心房、左心室
D.右心房、左心房
E.右心房、右心室
112、问答题 正位胸片如何确定病变来自肺外还是肺内?
113、单项选择题 横突骨折最常见的部位()
A.颈椎
B.胸椎
C.腰椎
D.颈胸椎
E.骶椎
114、单项选择题 胸骨后前位摄影条件正确的选择是()
A.低千伏高毫安长曝光时间
B.高千伏高毫安长曝光时间
C.低千伏低毫安短曝光时间
D.高千伏高毫安短曝光时间
E.低千伏低毫安长曝光时间
115、单项选择题 所谓防护性能好的屏蔽材料是指()
A.对X线吸收能力强,散射量多
B.对X线吸收能力弱,散射量少
C.只考虑对X线的吸收能力强
D.只考虑材料产生的散射量少
E.对X线吸收能力强,而散射量少
116、单项选择题 灯泡征最常见于()
A.肝脓肿
B.肝血管瘤
C.原发性肝癌
D.转移性肝癌
E.肝囊肿合并出血
117、单项选择题 下列关于肺气肿的描述,不正确的是()
A.上叶肺血增加
B.可有肺大泡
C.胸片正常就可除外肺气肿
D.膈顶变平
E.少数正常人也可出现肺气肿类似表现
118、判断题 胰多肽瘤属胰岛非B细胞发生的肿瘤。
119、单项选择题 有关摄片条件选择中可变因素的叙述,哪项不妥()
A.应把不随意运动器官的移动作为移动因素中的主要矛盾处理
B.同一厚度的两个健康人的胸部照片,摄片条件应一致
C.同部位同厚度的慢性骨髓炎与骨结核相比,需要增加摄片条件
D.被照体构成组织比例是摄片条件选择的重要可变因素
E.病理因素对摄片条件的影响十分复杂,较难掌握,应不断积累临床经验
120、单项选择题
男,52岁,体检胸片如图,最可能的诊断是()

A.肺不张
B.胸膜肥厚
C.包裹性积液
D.肺炎
E.气胸
121、单项选择题 发生“碘过敏反应”的症状中,下列哪种最危险()
A.面部潮红
B.皮肤丘疹
C.皮肤瘙痒
D.喉头发痒
E.喷嚏
122、单项选择题 管电压超过下述哪个值时,需使用滤线栅()
A.55kV
B.60kV
C.65kV
D.70kV
E.75kV
123、单项选择题 下列畸形,与“Klippel-Feil综合征”无关的是()
A.脊髓空洞症
B.Sprengel畸形
C.“颈椎间盘突出”发病率升高
D.颈椎融合畸形
E.融合处椎间孔闭合
124、配伍题 男尿道管最狭窄的部分是()中央有精阜的是()尿道球腺开口于()
A.前列腺上部
B.膜部
C.海绵体部
D.尿道球部
E.射精管
125、单项选择题 下述类风湿关节炎的X线表现错误的是()
A.关节肿胀
B.骨质疏松
C.关节间隙变窄
D.皮下组织钙化
E.以上都不是
126、判断题 为了作出正确的X线诊断,在分析和诊断中应遵循一定的原则和步骤。
127、单项选择题
男,38岁,左膝痛,受伤时出血较多,结合图像,最可能的诊断是()
A.白血病
B.血友病性关节炎
C.骨巨细胞瘤
D.退行性骨关节病
E.类风湿关节炎
128、问答题 如何判断颞颌关节脱位?
129、多项选择题 下列可引起食管远端梗阻的病变有()
A.食管癌
B.贲门失弛缓症
C.食管憩室
D.返流性食管炎
E.贲门部良性肿瘤
130、单项选择题
男,63岁,进行性吞咽困难1月。食管钡餐示:食管下段粘膜不规则充盈缺损,管腔狭窄,贲门扩张欠佳。
病变侵及食管的()
A.粘膜层
B.粘膜下层
C.肌层
D.外膜
E.粘膜肌层
131、单项选择题 下述原发综合征特点,错误的是()
A.哑铃状病灶
B.原发灶:多位于上肺下部和下肺上部
C.原发灶:圆形、类圆形或片絮状
D.肺门淋巴结炎吸收比肺内病灶快
E.原发灶周围可有片状模糊影
132、单项选择题 前臂孟氏骨折是()
A.尺骨上1/3骨折伴肘关节桡骨小头脱位
B.尺骨中1/3骨折伴肘关节桡骨小头脱位
C.尺骨上l/3骨折伴肘关节桡骨小头脱位
D.桡骨骨折伴肘关节桡骨小头脱位
E.桡骨骨折伴肘关节尺骨脱位
133、单项选择题 关于纵隔肿瘤,下列知识哪项不对()
A.多数纵隔肿瘤都有其好发部位
B.前纵隔:多为胎生性囊肿和胸腺瘤
C.中纵隔:多为恶性淋巴瘤
D.转移瘤:纵隔影常对称性增宽
E.胸片难以区分胸腺瘤和畸胎瘤
134、单项选择题 关于代谢性骨疾病的主要X线表现错误的是()
A.骨质疏松
B.纤维性骨炎
C.骨质硬化
D.骨质增生
E.以上都不是
135、单项选择题 下列诊断小肠克罗恩病较为特征性的X线表现是()
A.多发生于回肠远端
B.“激惹征”
C.“跳跃征”
D.管腔狭窄
E.纵行溃疡
136、单项选择题 下述哪项是儿童最常见肾肿瘤()
A.肾盂乳头状瘤
B.肾腺瘤
C.肾腺癌
D.肾血管瘤
E.肾胚胎瘤
137、配伍题 可观察到肠系膜上动脉压迹的是()可观察到胰头病变的是()
A.十二指肠肠圈
B.十二指肠降部
C.十二指肠水平部
D.十二指肠升部
E.十二指肠球部
138、单项选择题 骨关节外伤后行X线检查的目的是()
A.明确有无骨折或脱位
B.了解骨折及脱位的类型或程度
C.了解复位或固定术后的情况
D.观察骨折处愈合情况
E.以上都是
139、判断题 椎间小关节面的异常改变在影像学上具特征时,一般不需与其他病变鉴别。
140、名词解释 椎弓根峡部不连
141、名词解释 幼年性结肠息肉综合征
142、填空题 喉癌按解剖部位可分为__________、__________、___________和________。
143、单项选择题
男,49岁,心前区阵发性绞痛10天。贫血面容,有胃病史。结合图像,最可能的诊断为()

A.胃癌
B.胃小弯溃疡
C.胃炎
D.胃下垂
E.胃窦癌
144、单项选择题 对临床怀疑“肾盂癌”的患者,应首选以下哪项检查()
A.MRI
B.血管造影
C.US
D.IVU或“逆行肾盂造影”
E.CT
145、判断题 胸膜下肺梗死常合并有大量胸腔积液。
146、单项选择题 下述食管癌X线征象不正确的是()
A.粘膜皱襞破坏
B.充盈缺损
C.与正常管壁移行
D.管壁僵硬不规则
E.溃疡
147、单项选择题 椎体一次化骨中心缺血坏死的特征性X线表现是()
A.多个椎体压缩似薄骨板,密度增高
B.脊柱呈圆驼状后突畸形
C.单个椎体前缘呈阶梯状改变
D.单个椎体显著变扁,呈钱币样
E.多个椎体前缘呈阶梯状改变
148、单项选择题 腰椎峡部不连,X线摄片清晰显影于()
A.正位像
B.侧位像
C.斜位像
D.过伸侧位像
E.过屈侧位像
149、单项选择题 X线诊断肺隔离症的最有价值的方法是()
A.支气管造影
B.主动脉造影
C.体层摄影
D.胸部平片
E.胸动脉造影
150、单项选择题 导致空洞型肺病变的最常见致病菌是()
A.金黄色葡萄球菌
B.肺炎双球菌
C.流感病毒
D.肺炎支原体
E.立克次体
151、单项选择题 关于骨骼摄影条件的选择,错误的是()
A.尽可能使用小焦点
B.管电压超过60kV时,应使用滤线栅
C.胶片尺寸不宜过小,应包括周围软组织
D.远端四肢关节摄影可选用乳腺摄影胶片
E.急性化脓性骨髓炎应增加摄影条件
152、问答题 肺心病有何X线征象?
153、单项选择题
男,52岁,胸痛、体重下降2月余,结合胸片,最可能的诊断()

A.包裹性胸腔积液
B.胸膜肥厚
C.化脓性胸膜炎
D.肺癌
E.胸膜间皮瘤
154、问答题 中心型肺癌的X线征象有哪些?
155、单项选择题 下列哪种方法是“眶内异物定位”,最常用的()
A.头颅侧位定位法
B.术中定位法
C.CT定位法
D.几何定位法
E.超声定位法
156、多项选择题 产生X线必须具备的条件是()
A.光电管
B.电子源
C.旋转阳极
D.适当的障碍物(靶面)
E.高压电场和真空条件下产生的高速电子流
157、填空题 肠套叠分为_________、_________和_________三型。
158、单项选择题 下列哪种疾病,无嗜酸细胞增多表现()
A.蛔虫病
B.结节性大动脉炎
C.曲菌病
D.嗜酸细胞肉芽肿
E.呋喃妥英治疗
159、单项选择题 右心室流入道是指()
A.二尖瓣至心尖部的一段
B.心尖至主动脉瓣的部分
C.三尖瓣至右心室心尖的一段
D.右心室心尖至肺动脉瓣的部分
E.以上都不是
160、配伍题 纵隔气肿可见于()肺气肿可见于()肺下积液可见于()
A.横膈矛盾运动
B.横膈连续征
C.横膈下降
D.横膈上升
E.假横膈
161、单项选择题 肾动脉沿以下规律分布()
A.肾动脉一肾段动脉一弓形动脉一叶间动脉
B.肾动脉一肾段动脉一叶间动脉一叶间动脉一弓形动脉
C.肾动脉一肾段动脉一弓形动脉一叶间动脉一叶间动脉
D.肾动脉一肾段动脉一叶间动脉一弓形动脉一小叶间动脉
E.肾动脉一肾段动脉一叶间动脉一叶间动脉一弓形动脉一叶间动脉
162、单项选择题 下述胃X线解剖知识,错误的是()
A.角切迹至幽门间为胃窦
B.仰卧位检查,胃窦靠背侧,胃体靠腹侧
C.胃大弯粘膜皱襞比胃小弯皱襞粗
D.胃底粘膜皱襞走向不规则
E.侧位片,胃体后壁与脊柱前缘正常间距约1.5个椎体宽
163、单项选择题 下列哪项不是月骨骨软骨炎的X线征象()
A.密度增高,有时可见囊性变
B.关节面不规则裂隙
C.外形不规则,体积增大
D.囊性变,周边硬化
E.附近骨质疏松
164、判断题 逆行尿路造影检查时,如发现有狭窄段,应考虑为病理所致。
165、单项选择题 检查左侧乳腺时,常将其分为若干象限,下述说法错误的是()
A.时钟12~3点为外上象限
B.时钟3~6点为外下象限
C.乳头及乳晕区属外上象限
D.时钟9~12点为内上象限
E.时钟6~9点为内下象限
166、名词解释 Luschka关节
167、单项选择题 哪项不是椎体缺血坏死的X线所见()
A.椎间隙正常或稍增宽
B.椎体部分或全部塌陷,其前后径增大呈扁平状
C.椎体上、下缘压缩变形密度增高
D.椎体呈楔状,脊柱后突畸形呈圆驼状
E.许莫结节罕见
168、单项选择题 肺外围有一圆形阴影,轮廓清楚,完整,直径3cm,中央有爆米花状钙化,其余肺野清晰,无自觉症状,首先考虑()
A.结核球
B.纤维瘤
C.错构瘤
D.血管瘤
E.肺癌
169、单项选择题 Ⅱ型肺结核是指()
A.原发性肺结核
B.血行播散型肺结核
C.慢性纤维空洞型肺结核
D.结核性胸膜炎
E.浸润型肺结核
170、单项选择题 关于CR的工作原理,正确的是()
A.IP由基层荧光体层和保护层构成
B.IP由基层晶体层构成
C.IP用于检测图像数据
D.IP用于存储图像数据
E.IP用于传输图像数据
171、单项选择题 右主支气管与气管中线成多少度角()
A.10~20°
B.20~30°
C.30~40°
D.40~55°
E.50~60°
172、多项选择题 胸片上,肺内网状、蜂窝状阴影可见于()
A.间质纤维化
B.间质性肺炎
C.尘肺
D.急性粟粒型肺结核
E.小叶性肺炎
173、配伍题 左下腹小肠是()中段回肠是()右中下腹小肠是()盆腔内小肠是()
A.第6组小肠
B.第5组小肠
C.第4组小肠
D.第3组小肠
E.第2组小肠
174、单项选择题 右主支气管水平奇静脉直径正常为()
A.3~4mm
B.4~5mm
C.5~6mm
D.6~7mm
E.7~8mm
175、名词解释 椎管狭窄
176、多项选择题 主动脉瘤的X线表现有()
A.可压迫侵蚀脊柱、后肋或胸骨
B.有时可见到线形或弧形钙化
C.主动脉瘤为局限性囊状或梭形扩张
D.对气管、食管粘连压迫可引起移位
E.可造成主动脉瓣关闭不全、左心室增大
177、单项选择题 关于“Apert综合征”,下列描述错误的是()
A.两眼间距过宽
B.第3、4指并指畸形
C.颅内压增高相应表现
D.长骨对称性扩张呈"烧瓶状
E.冠状缝、矢状缝早闭
178、单项选择题 胎儿出生前受X线照射,引起智力低下的主要时期是()
A.5~7周
B.8~15周
C.16~20周
D.21~25周
E.26~30周
179、判断题 农民肺患者临床症状出现后即可出现X线表现。
180、多项选择题 下列有关色素沉着绒毛结节性滑膜炎的描述中,正确的有()
A.软组织内有蛋壳样钙化
B.主要累及关节滑膜、关节囊和腱鞘
C.本病好发生于青壮年
D.动脉造影可显示富于血管的关节内肿块
E.膝关节最易受累
181、单项选择题 有关锐利度和模糊度的叙述,错误的是()
A.模糊度也称不锐利度
B.模糊度以长度(mm)量度
C.照片的锐利度与模糊值成反比
D.物体越小,照片对比度越低,模糊值小
E.模糊值一定时,随对比度增加锐利度越好
182、判断题 脊椎骨、颞骨、颅骨和髂骨均属异形骨。
183、单项选择题 侧位X线片成人眼眶呈()
A.正方形
B.圆形
C.长方形
D.卵圆形
E.锥形
184、单项选择题 风湿性心脏病二尖瓣狭窄与二尖瓣关闭不全的鉴别点在于后者有()
A.肺淤血
B.左心室增大
C.肺动脉段膨隆
D.肺循环高压
E.左心房增大明显
185、填空题 原发性骨肿瘤包括________________和________________,以及__________________和___________________。
186、单项选择题 关于X线强度分布的叙述,正确的是()
A.与靶面倾斜角度无关
B.阴极端X线强度弱
C.照射野内分布均匀
D.X线管短轴方向两侧对称
E.与靶面状况无关
187、单项选择题 关于灯丝变压器的叙述,错误的是()
A.降压变压器
B.初级电流小,次级电流大
C.初级线数多,次级线数少
D.初级线径小,次级线径大
E.绝缘要求和普通变压器相同
188、单项选择题 下列关于骨关节投照体位的选择哪项不对()
A.立位双足弓水平侧位;扁平足
B.肩关节盂前后位:肩关节间隙
C.膝关节侧位、轴位;髌骨骨折
D.腕关节内收位:舟状骨中段横行骨折
E.双肩关节后前持重位;肩锁关节有否脱位
189、单项选择题 乳突双15°侧位,亦称为()
A.劳氏位(LaW位)
B.许氏位(Schuller位)
C.伦氏位(Runstrom位)
D.梅氏位(Mayer位)
E.斯氏位(Stenever位)
190、单项选择题 胸片肋膈角变平变钝积液量约为()
A.50ml
B.150ml
C.200ml
D.300ml
E.400ml
191、单项选择题 下述均为扁骨,但应除外()
A.颅骨
B.肩胛骨
C.胸骨
D.跗骨
E.髂骨
192、判断题 骨质疏松是指单位重量的骨组织的钙盐含量降低。
193、单项选择题 充盈良好的胃CT像,胃的哪一部分最厚()
A.胃体前壁
B.胃体后壁
C.贲门区
D.胃窦部
E.胃底大弯侧
194、填空题 尼曼-皮克病是_________________缺乏引起的磷脂质代谢障碍性疾病,在骨髓、肝脾或淋巴结内可找到__________________。
195、单项选择题 不同类型骨结核的特征性X线表现中,哪项错误()
A.关节滑膜结核首先破坏关节承重面
B.骨干结核易形成葱皮样骨膜反应
C.扁骨结核呈囊样骨质破坏
D.短管骨结核易产生骨气鼓
E.脊椎结核常见脓肿形成
196、多项选择题 胸部内脏平片检查主要包括()
A.锁骨平片检查
B.胸骨平片检查
C.肺的平片检查
D.心及大血管的平片检查
E.胸椎的平片检查
197、单项选择题 “膈倒转”常见于哪种疾病()
A.膈肿瘤
B.横膈疝
C.横膈麻痹
D.两下肺实变
E.大量胸腔积掖
198、单项选择题 下列关于肾癌不正确的说法是()
A.主要症状为无痛血尿和肿块
B.IVP可阴性
C.肾盏破坏及受压
D.肿瘤无钙化
E.可继发肾积水
199、单项选择题 下列关于矽肺的影像描述,错误的是()
A.病变晚期,间隔线
B.病变早期,肺纹理增多,呈网状
C.病变晚期,“八”字形或长条状大阴影
D.肺门淋巴结蛋壳样钙化
E.病变早期,类圆形小阴影,边缘锐利,可有钙化
200、单项选择题
患者女,6岁,左下肢跛行三年,直立时臀部后耸,结合骨盆平片,正确的诊断是()
A.左髋内翻畸形
B.左髋结核
C.左先天性髋关节脱位
D.左股骨头缺血坏死
E.左髋关节炎
201、单项选择题 心脏右前斜位片主要观察()
A.右心房、肺动脉主干
B.左心房、左心室
C.左心房、肺动脉主干和右心室
D.左心室、右心室
E.气管分杈、主动脉窗
202、单项选择题
男,23岁,左侧胸壁刺伤3小时,呼吸窘迫,结合胸片检查,最可能的诊断()

A.肺气肿
B.气胸
C.纵隔气肿
D.肺挫伤
E.胸腔积液
203、名词解释 颈动脉体瘤
204、单项选择题 气管分叉上移,夹角大于90°,见于()
A.右心房增大
B.左心房增大
C.左心室增大
D.肺源性心脏病
E.膈肌上移
205、单项选择题
男,阴囊下坠不适,胀痛,平卧症状缓解。查体:阴囊下垂松弛,并可触及结节状静脉曲张。
属精索静脉变异的是()
A.汇入肾静脉
B.汇入肝静脉
C.双精索静脉
D.汇入腹腔静脉
E.汇入下腔静脉
206、名词解释 3字征
207、单项选择题
女,45岁,结合图像,最可能的诊断是()
A.类风湿关节炎
B.痛风
C.假痛风
D.牛皮癣性关节炎
E.神经性关节病
208、单项选择题 特殊意外情况下,在一次事件中有效剂量不得大于()
A.50mSv
B.100mSv
C.150mSv
D.200mSv
E.250mSv
209、单项选择题 腰椎扫描时,给病人腿部垫起的目的是()
A.让病人躺着更舒服
B.减轻病人由于椎间盘突出引起的疼痛
C.使腰椎的生理弧度减少
D.使扫描机架可以少倾斜角度
E.避免病人的脚弄脏检查床
210、单项选择题 下颌关节间隙正常值为()
A.1.5mm
B.1.8mm
C.2.0mm
D.2.5mm
E.3.0mm
211、单项选择题 关于骨质软化,下列描述哪项错误()
A.骨密度减低
B.耻骨联合后凹畸形
C.假骨折线
D.骨小梁稀少,边缘模糊
E.骨皮质变薄,边缘模糊
212、单项选择题
男,8岁,胸闷、气急1月余,查体见颈静脉显露,胸片如图,最可能的诊断是()

A.心包积液
B.心肌炎
C.淋巴瘤
D.房间隔缺损
E.肺静脉异位引流
213、单项选择题
岩骨摄片的代表位置是()
a.Schuller's位
b.Water's位
c.颅底顶颌位
d.Stenver's位
e.Mayer's位
A.a,b,d
B.a,b,e
C.a,d,e
D.b,c,d
E.c,d,e
214、多项选择题 腹膜腔肿瘤X线腹部平片检查时可表现为()
A.腹腔积液
B.部分脏器受压移位
C.腹腔软组织密度肿块
D.异常钙化斑
E.肠壁增厚
215、单项选择题
女,53岁,胸闷乏力数月,偶感胸痛,不发热,X线检查如图,最可能的诊断是()

A.原发性肺癌
B.亚急性血行播散型肺结核
C.肺转移瘤
D.细支气管肺泡癌
E.结节病
216、判断题 颅内良性肿瘤的小动脉显形多呈模糊的小斑点状表现。
217、问答题 肾盂肿瘤在X线上需要与哪些病相鉴别?
218、单项选择题
女,52岁,感胸痛2月余,无发热,X线检查如图,最可能的诊断是()

A.细支气管肺泡癌
B.两肺炎症
C.亚急性血行播散型肺结核
D.肺转移瘤
E.结节病
219、单项选择题 男,45岁,20年前患过肺结核,3月来有咳嗽,痰偶带血丝,X线检查:右上肺有3cm×2.5cm之阴影,边缘模糊、毛糙,内有钙化点,余肺野清晰,3次查痰找癌细胞阴性,最可能的诊断是()
A.肺结核
B.肺脓肿
C.肺囊肿
D.肺癌
E.肺良性肿瘤
220、判断题 纯合子镰状细胞贫血最常引起骨髓增生和骨质疏松。
221、单项选择题
女,15岁,发现大腿远端肿块1周,无明显疼痛,结合图像,最可能诊断是()
A.骨质增生
B.软骨瘤
C.骨肉瘤
D.骨瘤
E.骨软骨瘤
222、单项选择题
女,6岁,外伤后左肘部肿痛,活动受限,外髁局部压痛,X线摄片如图,最可能的诊断是()
A.左肱骨小头骨骺损伤
B.左肱骨髁上骨折
C.左肱骨外上髁骨骺损伤
D.左肱骨内髁骨骺损伤
E.左肱骨外髁骨骺损伤
223、单项选择题
女,56岁,进行性吞咽困难2月,伴胸骨后针刺感入院,结合图像,最可能的诊断为()

A.正常表现
B.食管静脉曲张
C.食管上段癌
D.食管中段癌
E.食管下段癌
224、单项选择题 大量血胸,X线胸片呈现为()
A.X线胸片呈肺野磨玻璃样变或面纱征
B.X线胸片呈多发边缘锐利、密度均匀高密度影
C.X线胸片呈一侧胸腔一片致密均匀阴影,纵隔向健侧移位
D.X线胸片呈纵隔气肿,大量气胸
E.X线胸片呈心影明显增大,心脏各弧消失
225、多项选择题 韩-薛-柯氏病的临床表现包括()
A.颅骨缺损
B.肝脾肿大
C.尿崩症
D.皮疹及贫血
E.突眼
226、名词解释 酒窝征
227、单项选择题 胃复合溃疡是指()
A.胃溃疡同时伴发十二指肠溃疡
B.高位溃疡并贲门痉挛
C.幽门前区溃疡并幽门梗阻
D.胃溃疡并出血、穿孔
E.小弯溃疡并慢性胃炎
228、单项选择题 关于"急性化脓性鼻窦炎"的影像特点,下列说法哪项错误()
A.窦腔密度均匀增高
B.粘膜下皮质白线消失
C.窦壁粘膜增厚
D.可有气液面
E.单侧或双侧鼻窦受累
229、单项选择题 颅底骨折X线摄片常规取()
A.梅氏位
B.柯氏位
C.瑞氏位
D.切线位
E.仰卧水平侧位
230、单项选择题 下列关于“Sprengel畸形”,哪项错误()
A.偶可双侧发病
B.可伴短颈畸形
C.常伴颈椎、胸廓畸形
D.肩胛骨抬高,下角向脊柱侧旋转
E.锁骨正常
231、单项选择题 好发于40岁以上的“恶性骨肿瘤”是()
A.骨脂肪肉瘤
B.扁骨的纤维肉瘤
C.原发性软骨肉瘤
D.尤文肉瘤
E.骨肉瘤
232、判断题 大叶性肺炎出现X线表现应该早于临床。
233、单项选择题 关于强直性脊柱炎早期X线征象中,下列错误的是()
A.椎体上、下缘限局性骨质破坏
B.椎体前缘骨质硬化,出现方椎
C.椎旁韧带骨化
D.脊柱骨质疏松
E.关节骨性强直
234、单项选择题 不属于脊柱退行性改变的征象是()
A.椎间隙陕窄
B.椎小关节骨质增生
C.韧带增厚
D.椎旁软组织肿胀
E.椎间盘脱出
235、多项选择题 下列中的哪些部位,不适合高电压摄片()
A.纵隔
B.喉
C.胸骨
D.乳腺
E.胸部
236、单项选择题 婴幼儿摄胸片时,描述错误的是()
A.不能站立的小儿可用仰卧位或俯卧位
B.因小儿胸部厚度较薄,用前后位和后前位照像无明显差别
C.呼气和吸气时摄影无明显差别
D.正常胸腺有时与心脏增大或肺炎相混淆
E.正常也可见气管移位
237、单项选择题
女,28岁,反复骨骼疼痛,结合图像,最可能的诊断是()
A.地中海贫血
B.镰状细胞贫血
C.白血病
D.脊椎退行性变
E.椎间盘突出
238、单项选择题 电压的单位是()。
A.伏特;
B.安培;
C.千瓦;
D.马力。
239、单项选择题 关于X线机高压交换闸的错误叙述是()
A.机械强度要求高
B.用来切换正负高压
C.可用一般继电器代替
D.用来切换灯丝电压
E.必需浸在绝缘油中使用
240、单项选择题 影像学表现为“双侧肾影增大”,则可除外()
A.急性肾小球肾炎
B.油灰肾,即结核性肾自截
C.双侧重复肾
D.双侧肾盂积水
E.多囊肾
241、单项选择题
男,65岁。走路时,不慎摔倒。查体:左下肢缩短,外旋50°畸形。
为明确诊断,首先应进行的检查为()
A.CT检查
B.核素骨扫描
C.X线检查
D.MRI检查
E.关节造影
242、单项选择题
患者上腹胀满、厌食,查体脾大,腹水征阳性。腹部超声,肝硬化,脾大,腹水。
最可能的诊断()
A.腹膜结核
B.肝炎
C.肝硬化,门脉高压征
D.肝癌
E.胃炎
243、多项选择题 周围型肺癌主要见于哪些组织学类型()
A.细支气管肺泡癌
B.腺癌
C.鳞状上皮癌
D.大细胞癌
E.类癌
244、单项选择题 跖骨头骨骺缺血坏死好发部位是()
A.第一跖骨头
B.第二跖骨头
C.第三跖骨头
D.第四跖骨头
E.第五跖骨头
245、单项选择题 影像增强管输入屏的结构不包括()
A.铝基板
B.荧光体层
C.隔离层
D.光电转换层
E.屏蔽层
246、单项选择题 为了提高早期胃癌的诊断率,首选下列哪种检查方法()
A.充盈法
B.粘膜法
C.气钡双重造影
D.加压法
E.低张胃气钡双重造影
247、单项选择题 下列哪项不符合肾结核的影像表现特点()
A.不规则钙化
B.肾影均匀缩小
C.肾实质内棉团状、云雾状对比剂影
D.肾盂破坏
E.IVP:肾盂显影浅淡
248、判断题 肺泡蛋白沉积症病变不仅累及肺部,而且胸膜淋巴结亦常累及。
249、单项选择题 关于肾结核的描述,错误的是()
A.90%肾结核系由尿路逆行感染所致
B.肾实质内钙化点可由干酪样病变而来
C.肾乳头部见边缘模糊的低密度病灶或空洞
D.实质破坏、纤维化可使肾外形缩小,表面不光整
E.晚期肾结核可发生全肾钙化
250、多项选择题 外照射防护的基本方法是()
A.固有防护
B.时间防护
C.距离防护
D.个人防护
E.屏蔽防护
251、单项选择题 缩窄性心包炎最常见的原因是()
A.类风湿疾病
B.纵隔病变放疗后
C.结核
D.尿毒症
E.转移性肿瘤
252、单项选择题 关于过敏性上颌窦炎,下列影像表现哪项错误()
A.多个鼻窦受累
B.窦壁骨质硬化
C.上颌窦息肉
D.鼻甲粘膜增厚
E."气液面"较少见
253、判断题 维生素D缺乏病发生于生长中的骨骼,主要是膜内化骨的钙化过程发生障碍。
254、多项选择题 下列对于椎管关节描述正确的有()
A.扫描层面位于椎间孔上部,可以显示脊神经根
B.扫描层面位于椎间孔下部,可以显示脊神经根
C.脊神经根后根大于前根
D.腰髓神经根大于颈髓神经根
E.脊神经根后根小于前根
255、单项选择题
女,17岁,有支气管炎,蛋白尿(++++),结合图片,最可能的诊断()

A.特发性含铁血黄素沉着
B.韦格肉芽肿
C.肺梗死
D.特发性肺间质纤维化
E.肺-肾综合征
256、单项选择题 CR系统影像信息具有的动态范围是()
A.1:10
B.1:100
C.1:1000
D.1:10000
E.1:100000
257、单项选择题 心脏左前斜位,摄片的角度是()
A.45°~55°
B.55°~65°
C.60°~70°
D.70°~80°
E.80°~85°
258、单项选择题 当掌心向下平放在暗盒垂直投照时,显示的是以下哪项()
A.拇指后前位
B.拇指侧位
C.拇指斜位
D.拇指前后位
E.拇指切线位
259、单项选择题 确诊肾盂输尿管重复畸形的主要检查方法是()
A.USG检查
B.排泄性尿路造影
C.CT检查
D.MRI检查
E.逆行性肾盂造影
260、问答题 对天车主要构件的力学性要求有哪些?
261、多项选择题 先天性巨结肠在钡剂灌肠以前应注意的有关事宜有()
A.不用泻药
B.重复灌肠
C.肛管不宜放置过高
D.钡剂注入速度不宜过快
E.调节钡剂用等渗盐水
262、单项选择题 下列胸部疾病不随深呼吸而变形的应是()
A.先天性肺囊肿
B.囊性畸胎瘤
C.肺包虫囊肿病
D.心包囊肿
E.神经纤维瘤
263、单项选择题 关于连续X线光子能量的叙述,错误的是()
A.X线是一束混合能谱
B.能量大X线波长长
C.能量决定于电子的能量
D.能量决定于核电荷
E.能量决定于电子接近核的情况
264、多项选择题 下述多发性大动脉炎的特点,错误的是()
A.男性多见
B.多见于40岁以后发病
C.升主动脉变窄
D.降主动脉夹层动脉瘤形成
E.上肢无脉搏
265、单项选择题 下述几种纵隔肿瘤的组织来源中哪项不正确()
A.神经源性肿瘤—起源于神经组织
B.支气管囊肿—起源于胚胎期气管芽突
C.恶性淋巴瘤—起源于淋巴组织
D.胸内甲状腺—起源于异位甲状腺或颈部甲状腺
E.胸腺瘤—起源于残留胚胎组织
266、单项选择题 碘过敏试验方法中最可靠的是()
A.口服试验
B.眼结膜试验
C.舌下试验
D.静脉注射试验
E.皮内试验
267、配伍题 慢性支气管炎可出现()肺癌可出现()间质性肺水肿可出现()
A.支气管憩室征
B.支气管截断征
C.空气支气管征
D.支气管宽径征
E.支气管周围袖套征
268、多项选择题 有关中心线的叙述错误的是()
A.中心线是摄片方向的代表
B.远离中心线的射线能正确反映被照体的状况
C.中心线一般通过被摄部位的中心
D.可用准直器(遮线器)模拟指示
E.从X线管窗口射出的线即是中心线
269、单项选择题 X线管阳极靶面材料的特点不包括下列哪项 ( )
A.原子序数高
B.X线发生效率高
C.熔点高
D.焦点小
E.金属蒸发率低
270、单项选择题 肘关节脱位中,哪种脱位最少见()
A.后外方脱位
B.侧方脱位
C.后方脱位
D.后内方脱位
E.以上都是
271、单项选择题 关于碘过敏反应的描述错误的是 ( )
A.检查室应备足抢救设备和药品
B.造影前用抗过敏药可减少碘过敏发生
C.碘过敏试验阴性则不会发生碘过敏反应
D.多见于血管内给予含碘造影剂
E.用同一批号含碘造影剂也要做碘过敏试验
272、多项选择题 下列属于高压部件的是()
A.X线管
B.高压硅整流器
C.灯丝加热变压器
D.高压电缆
E.高压交换闸
273、单项选择题 成人股骨头缺血坏死早期的X线表现为()
A.股骨头形态和关节间隙正常
B.股骨头塌陷,但关节间隙正常
C.股骨头塌陷加重,承重区关节间隙变窄
D.股骨头可见呈混合性死骨改变
E.股骨头可见散在的斑片状或条带状硬化区
274、单项选择题 视神经管位(Rhees’s)摄片,正确的定位是()
A.听眉线垂直于台面
B.听眦线垂直于台面
C.听眶线垂直于台面
D.听鼻线垂直于台面
E.听口线垂直于台面
275、单项选择题 关于“慢性肾盂肾炎”的造影表现,下列说法错误的是()
A.肾影大小正常、表面不光滑
B.肾功能减低
C.杵状肾盏
D.肾实质变薄
E.肾盂、肾盏轻度扩大
276、填空题 食管疾病种类繁多,常见的有_____________、_____________及__________三类。
277、单项选择题 下列哪种疾病不引起胸椎旁软组织肿胀()
A.胸椎结核
B.胸椎肿瘤
C.强直性脊柱炎
D.嗜酸性肉芽肿
E.以上都不是
278、单项选择题
如图,在正常胸部X线影像图像上,该英文字母所代表的肺段为()

A.内基底段
B.前基底段
C.外基底段
D.后基底段
E.背段
279、多项选择题 下列疾病中,哪些钙化少见()
A.矽肺
B.肺癌
C.错构瘤
D.慢性肺炎
E.肺结核
280、多项选择题 两侧肺门增大多见于()
A.结节病
B.淋巴瘤
C.两侧动脉瘤
D.肺动脉高压
E.中央型肺癌
281、单项选择题 指出下述与肺源性心脏病X线征象无的是()
A.心脏呈“二尖瓣”型
B.右心室增大
C.左心室明显增大
D.肺动脉段隆起
E.右肺动脉增宽
282、单项选择题 正常发育期胫骨结节可表现为()
A.数个排列规整、间隙匀称和边缘光滑的骨块
B.胫骨前软组织肿胀
C.膝关节脱位
D.半月板钙化
E.疲劳骨折
283、问答题 一侧肺门影增大常见于哪些疾病?
284、单项选择题 侧位胸片上,右叶中央型肺癌伴有右中叶、右下叶不张时,形成的征象称为()
A.饼征
B.双翼征
C.膈上半月征
D.龟背征
E.膈角移位征
285、单项选择题 下述关于“胃底静脉曲张”造影表现的描述,错误的是()
A.增粗迂曲的粘膜皱襞
B.结节样充盈缺损
C.管壁柔软
D.短幕征
E.喷射征
286、单项选择题 IVP腹部立位像,左肾位于盆腔内,变换体位,可上下方向移位,左输尿管的长度与健侧相仿,应诊断为()
A.左侧游离肾
B.左侧异位肾
C.左侧移植肾
D.左侧肾下垂
E.左侧重复肾
287、多项选择题 下列描述,正确的是()
A.X线的质控制着照片对比度
B.X线管的总滤过也影响着照片对比度
C.射线对比度也影响照片对比度
D.X线量是照片对比度形成的决定因素
E.管电压波形与照片对比度无关
288、单项选择题
男,35岁,上腹部反复疼痛伴进行性黄疸,加重1周,呕血1次。体检:巩膜及全身皮肤中度黄染,肝区及脾区有轻压痛,叩击痛,结合图像,最可能的诊断为()

A.正常食管
B.食管静脉曲张
C.食管胃底静脉曲张
D.贲门失弛缓
E.食管贲门癌
289、单项选择题 关于头颅后前位摄片的叙述,错误的是()
A.被检者俯卧于检查床上
B.正中矢状面垂直于台面
C.听眦线垂直于台面
D.暗盒竖放
E.暗盒上缘平颅顶
290、单项选择题 与平片相比,下列哪项不是CT优势()
A.横断面成像
B.解剖分辨率高
C.密度分辨率高
D.空间分辨率高
E.增强扫描,有利于病变定性
291、判断题 早期胃癌浅表隆起型,指癌灶较周围粘膜稍隆起,但不超过粘膜厚度两倍者。
292、单项选择题 “原发性骨肿瘤”最好发的部位()
A.股骨、胫骨
B.胫骨、肱骨
C.脊柱、股骨
D.骨盆、颅骨
E.股骨、肱骨
293、单项选择题 关于左肺上叶不张的X线表现,下列描述错误的是()
A.肺不张叶向前上移位
B.后前位胸片上左上中野大片阴影,上部密度较下部密度高
C.下叶出现代偿性肺气肿
D.侧位胸片上肺不张叶向后移位
E.下叶背段无变化
294、单项选择题
男,57岁,胸痛数月,近2天痰中带血,X线检查如图,最可能的诊断是()

A.左肺不张
B.左肺炎症
C.左肺肿块
D.左肺门淋巴结肿大
E.正常心、肺、膈
295、单项选择题 肺源性心脏病主要表现是()
A.左心房、右心室增大
B.左心房,右心室增大
C.右心房增大
D.左心室增大
E.右心室肥大
296、单项选择题
男,70岁,胸痛,不咳嗽、发热,X线检查如图,最可能的诊断是()

A.左肺结核瘤
B.左侧叶间积液
C.左肺癌
D.左肺炎性假瘤
E.左肺错构瘤
297、判断题 成骨不全的基本X线征象为多发骨折、骨皮质菲薄和骨密度减低。
298、单项选择题 下列多发性肺囊肿的X线表现中,错误的是()
A.多见于一侧肺
B.多为含气囊肿,大小不等
C.囊壁薄而边缘锐利
D.通常伴有胸膜增厚
E.肺体积增大
299、单项选择题 溃疡型食管癌的典型表现是()
A.牵引性憩室
B.食管节段性环行狭窄
C.食管内充盈缺损
D.龛影
E.食管全程扩张,末端呈鼠尾状
300、单项选择题 肥胖病人心影呈()
A.滴状心
B.横位心
C.靴形心
D.主动脉型心
E.梨形心