时间:2025-03-14 01:49:20


1、多项选择题 早期食管癌分为()
A.硬化型
B.平坦型
C.溃疡型
D.凹陷型
E.隆起型
2、单项选择题 下列关于左心室增大的描述,错误的是()
A.高血压可致流出道增大
B.二尖瓣关闭不全可致流入道增大
C.流入道的增大使左心室向后上增大
D.流出道的增大使左心室向左及向下增大
E.多数情况下先流入道增大,再流出道增大
3、单项选择题 有关牛皮癣性关节炎的叙述中,哪项不正确()
A.常有指甲改变
B.一般不侵犯腕和跗间关节
C.常对称性地侵犯远侧指间关节
D.指间关节或掌指关节出现脱位或半脱位,形成毁形性关节炎
E.一般无骨质疏松
4、多项选择题 关于骨髓瘤的分型,下列哪些正确()
A.按发病数目可分为单发和多发性骨髓瘤
B.按是否分泌免疫球蛋白可分为分泌型和非分泌型骨髓瘤
C.分泌型骨髓瘤少见
D.非分泌型骨髓瘤多见
E.分泌型骨髓瘤中,以IgG型多见
5、单项选择题 X线吸收量主要取决于()
A.待检组织的密度
B.待检组织的厚度
C.待检组织的形状
D.待检组织的范围
E.靶片距
6、单项选择题
左侧主支气管长约 ( )
A.1.5~2cm
B.5~6cm
C.4~7cm
D.10~13cm
E.7~8cm
7、单项选择题 右侧输尿管“S”形,应首先考虑()
A.腔静脉后输尿管
B.腹膜后纤维化
C.游离肾
D.迷走血管压迫
E.输尿管正常弯曲
8、单项选择题 易与胰头肿块混淆的是()
A.门腔淋巴结
B.右肾上腺
C.右侧膈肌脚
D.十二指肠
E.胃幽门管
9、单项选择题 法洛四联征包括()
A.肺动脉狭窄,室间隔缺损,主动脉狭窄,右心室肥大
B.肺动脉扩张,室间隔缺损,主动脉扩张,右心室肥大
C.肺动脉狭窄,房间隔缺损,主动脉骑跨,左右心室肥大
D.肺动脉狭窄,室间隔缺损,主动脉骑跨,右心室肥大
E.肺动脉扩张,房间隔缺损,主动脉骑跨,左心室肥大
10、单项选择题 梗阻上端有鸟嘴状狭窄,狭窄处粘膜呈回旋状的是()
A.单纯性小肠梗阻
B.绞窄性小肠梗阻
C.单纯性结肠梗阻
D.结肠扭转
E.肠套叠
11、多项选择题 肺内空腔影可见于()
A.肺大泡
B.含气肺囊肿
C.肺气囊
D.周围型肺癌
E.囊状支气管扩张
12、名词解释 胸膜外征
13、单项选择题 下列关于心血管功能的说法,哪项是不正确的()
A.心的传导系统包含窦房结、房室结和房室束
B.正常心的起搏点是房室结
C.动脉是运血离心的管道
D.静脉是引导血流回心的管道
E.静脉血管的管壁薄、管腔大、血容量大
14、单项选择题 下列"脊柱转移瘤"特点,哪项正确()
A.平片价值最高
B.可经动脉、静脉和淋巴管转移
C.多为腺癌
D.一定有肺转移
E.多为单椎体转移
15、多项选择题 自动冲洗显影液中加入坚膜剂的作用是()
A.防止胶片乳剂膜因高温膨胀过度而脱落
B.防止照片灰雾
C.胶片乳剂膜收敛固定
D.使冲洗影像始终稳定
E.防止显影剂氧化
16、问答题 肺不张的X线表现有哪些?
17、单项选择题
男,6岁,来自干旱地区,腰背疼痛四肢关节酸痛,结合图像,最可能的诊断是()
A.氟骨症
B.畸形性骨炎
C.石骨症
D.髋关节结核
E.甲状旁腺功能亢进
18、多项选择题 引起“小肠梗阻”病因有()
A.腹腔手术后
B.肠结核
C.回肠类癌
D.小肠蛔虫症
E.卵巢癌腹腔种植转移
19、判断题 正常时纵隔位置居中,是由于两侧胸腔压力保持平衡。
20、判断题 食管前庭段是一低压区,有防止胃内容物反流的重要作用。
21、填空题 主动脉夹层DeBakey分型,Ⅰ型_________________________,Ⅱ型_________________________,Ⅲ型_____________________。
22、单项选择题 男性,50岁。有动脉粥样硬化病史。突然感到剧烈刀割样胸痛2小时,向背部放射。体检发现主动脉瓣区可闻及舒张期杂音。考虑为主动脉夹层可能。为显示病变段全貌,下列哪项检查方法较好()
A.透视
B.胸片
C.CT
D.MRI
E.DSA
23、单项选择题 生长缓慢,表面光滑的乳腺单发性无痛性肿块,应首先考虑为()
A.乳腺癌
B.乳腺囊性增生病
C.乳腺纤维腺瘤
D.急性乳腺炎
E.以上都不对
24、单项选择题 急腹症危重患者观察腹腔少量游离气体,应采用的摄片体位是()
A.立位
B.仰卧位
C.俯卧位
D.左侧卧位水平投照
E.右侧卧位水平投照
25、单项选择题 矽肺与混合性尘肺比较,少见的X线征象是()
A.矽结节多分布于中、上叶
B.肺门淋巴结易肿大钙化
C.矽结节可融合成团块
D.肺间质纤维化严重、广泛
E.易合并肺结核
26、单项选择题 放大摄片下,使用0.05mm的超微焦点X线管,半影阈值为0.2mm,那么最大的放大率是多少()
A.2倍
B.4倍
C.5倍
D.6倍
E.8倍
27、单项选择题 关于骨骼摄影条件的选择,错误的是()
A.尽可能使用小焦点
B.管电压超过60kV时,应使用滤线栅
C.胶片尺寸不宜过小,应包括周围软组织
D.远端四肢关节摄影可选用乳腺摄影胶片
E.急性化脓性骨髓炎应增加摄影条件
28、问答题 阐述骨巨细胞瘤的X线表现?
29、单项选择题 胰腺癌最好发于()
A.胰头
B.胰颈
C.胰体
D.胰尾
E.胰体、尾交界处
30、单项选择题 关于奇叶描述错误的是()
A.只见于右肺上叶纵隔侧
B.没有独立的支气管
C.奇叶的叶间裂共有四层胸膜
D.可以独立为一个肺叶
E.由右肺尖走向右肺门上方的奇静脉分隔形成
31、填空题 在影像上鼻息肉需与____________、______________、________、_______及_______________等进行鉴别
32、单项选择题 关于原发性支气管肺癌,下列描述错误的是()
A.中央性、管内型肺癌以鳞癌居多
B.中央性、管外型肺癌以小细胞癌常见
C.有空洞的外周型肺癌多为腺癌
D.小细胞癌,常有内分泌异常
E.周围型者,腺癌较多
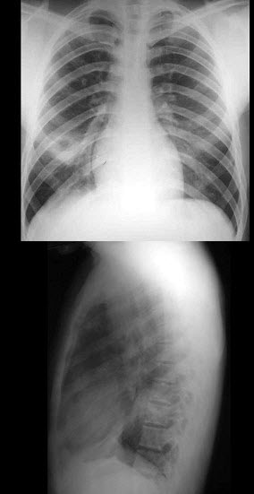
33、名词解释 Robinow综合征
34、单项选择题 中央型肺癌早期的间接X线征象是()
A.阻塞性肺不张
B.支气管扩张
C.局限性肺气肿
D.阻塞性肺炎
E.纵隔及肺门淋巴结增大
35、单项选择题 下列哪项不是先天性肺囊肿的特点()
A.可有气液平
B.单发囊肿多为液性囊肿
C.多发性囊肿多为气囊肿
D.孤立性囊肿多位于下叶
E.常为不均匀厚度的厚壁空腔
36、单项选择题 最常见的侵袭性胸腺瘤转移扩散途径为()
A.血行转移
B.沿胸膜腔种植性转移
C.淋巴转移
D.经支气管扩散
E.直接侵犯肺和横膈
37、单项选择题 诊断纵隔恶性畸胎瘤的指征是()
A.位于前纵隔
B.肿瘤直径超过5cm
C.含脂肪信号
D.局部受侵,肿瘤边缘不规则
E.以上均是
38、单项选择题 足内斜位摄片时,足底与暗盒的夹角为()
A.0~5°
B.30~45°
C.50~60°
D.70~80°
E.90°
39、多项选择题 下列哪些是观察胆囊生理功能的检查方法()
A.胆囊区平片
B.口服胆囊造影
C.静脉胆道造影
D.T型管造影
E.经皮肝穿刺胆管造影
40、名词解释 组织细胞增生症X
41、多项选择题 术前胸片示肺内球形影,术中未发现,术后2周拍片该影消失,有哪几种可能()
A.球形肺不张
B.炎性假瘤
C.球形肺炎
D.叶间积液
E.结核球
42、单项选择题 腕部外伤,临床上有腕鼻烟窝部压痛及肿胀应考虑()
A.月骨骨折
B.舟状骨骨折
C.三角骨骨折
D.大多骨骨折
E.桡骨远端骨折
43、多项选择题 下列关于提携角的描述,正确的有()
A.肱骨纵轴与桡骨在内下方夹角
B.肱骨纵轴与尺骨在内下方夹角
C.女大于男
D.男大于女
E.正常范围5~2O之间
44、单项选择题 下列关于结核性冷脓肿的描述,正确的是()
A.脓肿的弧度越大,密度越高,常提示具有活动性
B.脊柱周围的梭形软组织影
C.冷脓肿常见于脊椎结核
D.脓肿内为干酪样坏死
E.以上都是
45、填空题 肥大性骨关节病临床表现主要为__________、_________和_____________引起的症状
46、名词解释 柯莱斯(Colles)骨折
47、判断题 颅锁骨发育不全为全身性骨发育障碍,属常染色体隐性遗传。
48、单项选择题 下列关于“骨巨细胞瘤”恶变征象中应除外哪项()
A.生长速度加快
B.形成软组织肿块
C.骨膜反应加重
D.病灶边缘模糊不清
E.溶骨性骨质破坏
49、单项选择题 右前斜位,心脏后缘自上而下依次为()
A.左心房、右心房
B.右心房、左心室
C.右心房、左心房
D.左心房、左心室
E.右心房、右心室
50、单项选择题 下述肺动脉狭窄(瓣膜型)的X线表现,错误的是()
A.二尖瓣型心
B.肺动脉段突出
C.右心室增大
D.肺动脉段凹陷
E.肺血管纹理纤细
51、判断题 进行DSA、CT检查时,不必考虑放射防护。
52、问答题 怎样诊断椎弓崩裂和脊椎滑脱?
53、单项选择题 引起骨质软化的原因中,下列哪项错误()
A.维生素D缺乏
B.肠道吸收功能减退
C.肾排泄钙磷过少
D.碱性磷酸酶活动减低
E.肾排泄钙磷过多
54、填空题 肠套叠压力整复脱套成功的标准是___________________、_________________、___________________、__________________及_____________。
55、单项选择题 对于腕三角骨撕脱性骨折,下列哪个体位观察最好()
A.正位
B.侧位
C.前斜位
D.后斜位
E.轴位
56、多项选择题 含气支气管像或细支气管像多见于()
A.鳞状上皮癌
B.鳞腺癌
C.细支气管肺泡癌
D.腺癌
E.大细胞癌
57、多项选择题 眶距过宽,常见于下列哪些疾病()
A.骨性狮面
B.冠状缝晚闭
C.自发性高钙血症
D.鼻肿瘤
E.生长期脑积水
58、单项选择题 X线胶片的主要感光成分是()
A.胶体银
B.明胶
C.片基
D.色素
E.卤化银
59、单项选择题 有关乳腺良性肿块的X线征象中,应除外()
A.肿块多呈圆形或类圆形
B.肿块边缘光滑清晰
C.肿块界限不清,边缘模糊
D.肿块密度较均匀
E.肿块有时可见透明晕圈
60、多项选择题 用立位滤线器摄片的体位是()
A.站立位
B.仰卧位
C.俯卧位
D.侧卧位
E.坐立位
61、名词解释 肺隔离症
62、单项选择题 关于乳腺癌的X线征象,下列错误的是()
A.肿块,呈毛刺状
B.成簇的钙化
C.皮肤呈橘皮样改变
D.乳头凹陷
E.肿块边缘光滑,见透明晕
63、判断题 Wolfe认为在P2和DY型的乳腺,其乳腺癌发病率远远高于N、P1型。
64、填空题 室间隔缺损根据临床结合病理分为___________、___________、_________。
65、单项选择题 所谓二级放射事故,对公众人员而言,是指受到大于几倍年限值的照射()
A.2倍
B.5倍
C.10倍
D.15倍
E.20倍
66、多项选择题 脂肪肉瘤包括哪些瘤细胞()
A.粘液样细胞
B.异形性脂肪母细胞
C.梭形细胞
D.圆形细胞
E.多核瘤巨细胞
67、填空题 来自神经内分泌细胞的肺癌有_______、_____________和____________。
68、单项选择题 有关乳腺恶性肿瘤的说法中,哪项不正确()
A.肿块边缘模糊
B.界限不清
C.有长或短毛刺
D.肿块密度较低
E.触诊肿块的大小常大于X线片所见
69、单项选择题 下列哪项不符合股骨头缺血性坏死的表现()
A.股骨头相对密度增高
B.股骨头囊变硬化
C.股骨头压缩变形
D.股骨头蘑菇状变形
E.股骨头无骨质疏松
70、单项选择题 下列关于十二指肠平滑肌肉瘤的X线表现中,错误的是()
A.腔内较光滑的充盈缺损
B.管腔虽窄但无明显梗阻
C.管壁僵硬
D.管腔狭窄不明显
E.粘膜破坏
71、填空题 胸膜肥厚是由______________及________________引起,常充塞胸膜腔。
72、填空题 1976年Wolfe等根据乳腺实质和脂肪所占比例与发生乳腺癌的危险性关系将乳腺分为_______、_______、_______和_______4型。
73、判断题 维生素C缺乏症病理改变为普遍性关节软骨坏死,骺板软骨增殖层细胞基质减少。
74、单项选择题 “动脉瘤样骨囊肿”正确的演变顺序为()
A.稳定期、溶骨期、膨胀期、愈合期
B.膨胀期、稳定期、溶骨期、愈合期
C.溶骨期、膨胀期、稳定期、愈合期
D.稳定期、膨胀期、溶骨期、愈合期
E.膨胀期、溶骨期、稳定期、愈合期
75、单项选择题
男,45岁,发热、咳痰1月余,结合图像,最可能的诊断是()

A.肺脓肿
B.肺结核
C.吸入性肺炎
D.肺囊虫病
E.肺癌
76、单项选择题 甲状旁腺功能亢进的骨骼改变主要表现是()
A.骨膜下骨质吸收
B.骨质密度普遍减低
C.骨内囊状透光区
D.骨骼变形和病理性骨折
E.软组织异位钙化灶
77、单项选择题 以下哪种疾病可使右心室增大,肺动脉段凹陷()
A.二尖瓣狭窄
B.房间隔缺损
C.肺动脉狭窄
D.法洛四联征
E.肺源性心脏病
78、单项选择题 腹部平片上,小肠分六组,空肠上段位于()
A.第1组
B.第2组
C.第3组
D.第4组
E.第5组
79、名词解释 Otto骨盆
80、单项选择题 有关人体水平面的叙述,正确的是()
A.两眼眶下缘连线为水平面
B.水平面与冠状面相平行
C.水平面与矢状面相互垂直
D.水平面与矢状面相互平行
E.水平面只有一个
81、单项选择题 股骨颈骨折最易合并()
A.骨感染
B.骨不连
C.骨梗死
D.骨萎缩
E.骨缺血性坏死
82、单项选择题 青年农民,突发畏寒、高热,全身肌肉酸痛,以腓肠肌为著,3天后出现咳嗽、咯血,胸片示肺纹理增粗、结构模糊,双肺多个斑片状模糊影,最可能的诊断是()
A.农民肺
B.肺钩端螺旋体病
C.过敏性肺炎
D.间质性肺炎
E.支气管肺炎
83、单项选择题 观察左心房收缩期扩张度,最佳体位是()
A.右后斜位
B.左前斜位
C.右前斜位
D.左侧位
E.右侧位
84、多项选择题 肠套叠的主要临床症状包括()
A.呕吐
B.腹部肿块
C.血便
D.剧烈的间歇性腹部绞痛
E.发热
85、单项选择题 下述肺动脉瓣狭窄典型影像,哪项不对()
A.左肺门影增大
B.轻度狭窄时,肺血管影可正常
C.支气管动脉循环增强
D.右室小
E.心室收缩时,肺动脉瓣小叶呈圆顶状
86、单项选择题
女,1岁10个月,右肘部外伤,如图所示,最佳的诊断为()
A.全骺分离
B.肱骨髁上骨折
C.肱骨髁上骨折并肘关节脱位
D.内上髁骨骺损伤
E.内上髁骨骺损伤并肘关节脱位
87、单项选择题
男,12岁,平时无明显不适,结合图像,最可能的诊断是()

A.正常胸片
B.左旋心
C.右旋心
D.镜面右位心
E.以上都不是
88、单项选择题 X线诊断大叶性肺炎最主要的影像依据是()
A.肺大叶性阴影
B.含气支气管像
C.两肺多发大片影
D.肺纹理模糊增多
E.横膈运动受限
89、单项选择题 KerleyB线主要分布于()
A.上肺内侧
B.上肺外周
C.中肺
D.下肺内侧
E.下肺外周
90、单项选择题 球形增大的肝右叶下段称为()
A.尾状叶
B.利德尔叶
C.獭尾肝
D.右前叶
E.右后叶
91、单项选择题 X线平片上,哪种病理改变可使骨密度增高()
A.骨膜增生
B.骨质破坏
C.骨质软化
D.骨质疏松
E.纤维强直
92、单项选择题 下列哪项因素与X线穿过均匀物质时无关()
A.物质的厚度
B.X线经过的距离
C.X线强度
D.物质的衰减系数
E.物质的面积
93、单项选择题 胃扭转的X线表现是()
A.幽门高于十二指肠球部,胃呈蜷虾状
B.胃呈瀑布状
C.膈上见B环
D.大弯侧呈弧形压迹,胃向左移
E.葫芦状胃
94、单项选择题 下列骨质疏松影像表现中,哪项不正确()
A.骨小梁稀少、间隙增宽
B.骨密度减低
C.骨小梁改变首先出现在负重骨小梁
D.骨皮质变薄
E.病理性骨折
95、判断题 双侧膈肌位于同一平面上,说明一定有病变存在。
96、问答题 肺上沟瘤的X线表现有哪些?
97、判断题 胰岛细胞瘤影像学检查的目的在于明确肿瘤发生的部位、肿瘤有无向周围扩散以及有无周围淋巴结和肝转移等。
98、单项选择题 下列大叶性肺炎早期影像,哪项不对()
A.局限性肺纹理稍多
B.支气管气相
C.患肺透亮度略减低
D.发生于下叶者,邻近膈肌动度减低
E.大叶性肺炎早期,影像表现缺乏特征性
99、单项选择题 关于“疣状胃炎”的描述,错误的是()
A.圆形、椭圆形隆起性病变
B.形态规则,境界清楚
C.胃小区大小、结构正常
D.胃壁柔软
E.多数病灶小于1cm
100、单项选择题 结肠息肉病与溃疡性结肠炎的共同点是()
A.结肠袋形完整
B.肠壁韧性正常
C.息肉间粘膜正常
D.肠腔无狭窄变形
E.极易恶变
101、判断题 左侧肾脊角比右侧略大,女性者又较男性略大。
102、单项选择题 经腋窝中点的垂直线称为()
A.腋前线
B.腋中线
C.腋后线
D.锁骨中线
E.连接线
103、多项选择题 主动脉瘤的X线征象有()
A.纵隔阴影增宽
B.动脉瘤的搏动
C.瘤壁的钙化
D.侵蚀脊柱、肋骨或胸骨
E.心脏呈"主动脉型"改变
104、多项选择题 肾实质显影浅淡主要见于()
A.肾功能减退
B.尿路梗阻
C.肾结核
D.肾脓肿
E.低血压
105、名词解释 反柯莱斯(reversedColles)骨折
106、名词解释 漏斗征
107、单项选择题 下列有关胰腺的描述,错误的是()
A.胰腺是腹膜间位器官,分头、颈、体、尾四部分
B.胰头最大,被十二指肠降部和横部包绕
C.胰腺钩突位于肠系膜上静脉的后方
D.胰腺体部位于小网膜的后方
E.胰管位于实质内,又分主胰管与副胰管
108、填空题 畸胎类肿瘤,一般认为是由于胚胎时期______________发育异常所致,主要是部分________________迷走脱落,并随_____________进入纵隔所致。
109、单项选择题 下述哪项属肺实质()
A.肺泡
B.肺泡间隔
C.小叶间隔
D.支气管周围组织
E.血管周围组织
110、单项选择题 小叶旁型肺气肿主要分布在()
A.双肺上叶
B.肺内瘢痕病灶旁
C.两肺弥漫分布,以下叶为主
D.局限于胸膜下区域
E.双肺均匀分布
111、名词解释 彗星尾征
112、多项选择题 副鼻窦病变常见的异常X线征象有()
A.窦腔混浊、密度增加
B.粘膜肥厚
C.窦腔内软组织块影
D.窦腔内液平面
E.窦腔增大或缩小
113、多项选择题 心肌梗死患者常可见到哪些异常X线表现()
A.梗死区搏动异常
B.心脏增大以左室为主
C.心脏普遍增大
D.心包和胸膜积液
E.左心衰竭
114、多项选择题 关于室间隔缺损的X线表现,正确的是()
A.低位小缺损,胸片可正常
B.高位大缺损,肺血常增多
C.左心房常增大
D.右心房常增大
E.可有肺门舞蹈
115、单项选择题 下列不属于股骨头缺血坏死常见X线表现的是()
A.股骨头密度均匀增高
B.股骨头限局性疏松、囊变
C.股骨头不均匀硬化
D.髋臼增大
E.关节间隙狭窄
116、单项选择题 下述均为引起全身性骨质疏松的原因,但应除外()
A.先天性疾病
B.内分泌紊乱
C.酒精中毒
D.营养性疾病
E.肢体废用
117、单项选择题 女,48岁,无痛性肉眼血尿半月,尿中找到瘤细胞,IVP示:右肾盂有一小充盈缺损影。膀胱镜检查见右输尿管口喷血,最可能的诊断是()
A.肾盂癌
B.肾母细胞瘤
C.输尿管癌
D.肾错构瘤
E.肾癌
118、单项选择题
在X线摄片中,下列解剖部位哪些能投影于眼眶当中()
a.内听道
b.上颌窦
c.蝶鞍
d.视神经孔
e.颞颌关节
A.a,b,c
B.a,d,e
C.a,b,d
D.b,c,d
E.c,d,e
119、单项选择题 霉菌球是哪种疾病的影像特征()
A.曲菌病
B.隐球菌病
C.组织胞浆菌病
D.奴卡菌病
E.放线菌病
120、填空题 鼻真菌病常见致病菌有__________、_________和__________。
121、问答题 在胸部侧位片上哪些征象对疾病的诊断有利?
122、单项选择题 有关子宫输卵管造影的叙述,错误的是()
A.对比剂经子宫颈口注入
B.常用碘化油作为对比剂
C.有输卵管阻塞的危险
D.子宫体恶性肿瘤者禁止造影
E.兼有治疗输卵管阻塞作用
123、单项选择题 老年患者,呼吸困难,胸痛,上腹部不适,呕吐。X线胸片示:左侧膈肌明显升高至第3~4前肋水平,心脏向右移位,透视膈肌有矛盾运动,最可能的诊断是()
A.膈疝
B.肺下积液
C.膈膨升
D.肺不张
E.膈下脓肿
124、多项选择题 关于胶片特性曲线的叙述,正确的是()
A.是描绘曝光量与所产生密度之间关系的一条曲线
B.曲线可以表示出感光材料的物理性能
C.胶片特性曲线也称H-D曲线
D.曲线的横坐标为曝光量,纵坐标为密度
E.曲线的横坐标为密度,纵坐标为曝光量
125、问答题 眼眶平片适应于哪些疾病的X线检查?如何进行眼眶平片分析?
126、单项选择题 原发性肺结核典型X线征象()
A.肺内浸润阴影
B.肺门淋巴结肿大
C.双极征
D.肺空洞形成
E.胸腔积液
127、多项选择题 关于黄韧带的断层解剖,正确的是()
A.宽度不超过5mm
B.黄韧带位于关节突和椎板的内侧缘
C.呈尖端向后的“V”形线条影
D.黄韧带后缘紧贴椎管内缘
E.前方与硬膜囊之间隔以低密度的脂肪组织
128、单项选择题 有关脊索瘤的好发部位和X线主要特点的描述中,不正确的是()
A.肿瘤好发于脊柱两端,居中线部位
B.常为膨胀性溶骨性破坏,其中可残存碎骨片或小梁间隔
C.病变周围可出现软组织肿块影
D.50%患者可有钙化
E.绝大多数患者可有骨膜反应
129、名词解释 青枝骨折
130、多项选择题 以下哪项对脂肪肝的描述是正确的()
A.肝脏的脂肪肝含量>5%
B.过量的脂肪蓄积于肝细胞内
C.过多的脂肪浸润在肝细胞间隙
D.过多的脂肪主要是甘油三酯
E.轻度脂肪肝多无自觉症状
131、单项选择题 X线表现的严重程度与临床症状不相称,为下述哪种肿瘤骨转移的特征()
A.乳癌骨转移
B.肾癌骨转移
C.前列腺癌骨转移
D.鼻咽癌骨转移
E.甲状腺癌骨转移
132、多项选择题 引起成人股骨头缺血坏死的常见原因为()
A.外伤
B.皮质激素治疗
C.酒精中毒
D.减压病
E.肾移植
133、多项选择题 Esenmenger综合征患者,可有哪些异常()
A.主动脉骑跨
B.完全性肺静脉异位引流
C.室间隔缺损
D.右心室肥大
E.房间隔缺损
134、单项选择题
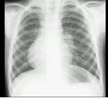
男,65岁,呼吸困难伴胸闷1月余,胸片如图,最可能的诊断为()

A.气胸
B.肺结核
C.慢性支气管炎并肺气肿
D.肺部感染
E.支气管扩张
135、单项选择题 腕部尺偏位,主要用于检查的是下列哪项()
A.掌骨
B.腕豆骨
C.腕舟骨
D.腕三角骨
E.腕钩骨
136、单项选择题 放射工作条件在年有效剂量当量有可能超过15mSv/年时,定为()
A.乙种工作条件
B.丙种工作条件
C.戊种工作条件
D.甲种工作条件
E.丁种工作条件
137、填空题 肺原发性肉瘤包括______________、_____________、________________及__________等。
138、单项选择题 正常成年人腰椎侧隐窝前后径至少是()
A.1mm
B.2mm
C.3mm
D.4mm
E.5mm
139、单项选择题 钡餐检查,病理性胃形态为()
A.牛角型
B.瀑布胃
C.葫芦型
D.鱼钩型
E.无力型
140、单项选择题 下述左心衰的胸片表现,错误的是()
A.左侧心房或心室增大
B.肺静脉扩张
C.双肺门周围"蝶翼样"阴影
D.胸腔积液
E.肺纹理清晰
141、单项选择题 胶片密度与曝光量成正比关系的,是特性曲线的什么部分()
A.足部
B.肩部
C.直线部
D.反转部
E.全部
142、单项选择题
男,71岁,背部酸痛,低热,乏力,消瘦2月余,结合影像学表现,最可能的诊断是()
A.脊柱转移瘤
B.化脓性脊柱炎
C.脊椎结核
D.椎体压缩骨折
E.阻滞椎
143、单项选择题 股骨头AVN的好发部位是()
A.股骨表面软骨
B.干骺端
C.股骨颈
D.股骨头皮质骨下骨组织
E.转子间区
144、单项选择题 应用于医学领域最早的辐射能源是()
A.β线
B.γ线
C.X线
D.钴
E.镭
145、单项选择题 成人视神经孔的孔径大约为()
A.0.2cm
B.0.5cm
C.1.2cm
D.0.8cm
E.1.0cm
146、填空题 急性胃炎一般分为________、________、__________和_________。
147、单项选择题 男性尿道最狭窄处为()
A.前尿道
B.前列腺部
C.海绵体部
D.膜部
E.以上均不是
148、单项选择题 下列疾患的摄片位置选择,哪个不妥()
A.颈肋--以第七颈椎为中心的前后正位
B.颈椎病--常规正侧位
C.1~2颈椎半脱位--1~2颈椎开口位及侧位
D.胸腔开口综合征--包括下部颈椎及双侧锁骨的前后正位
E.颈椎结核--常规正侧位
149、判断题 纵隔血肿量少时无异常表现,量多时可见对称性纵隔增宽。
150、多项选择题 关于肺放射损伤,下述观点哪些不对()
A.放疗后1月内损伤最重
B.主要累及肺叶及支气管
C.晚期形成肺纤维化
D.损伤程度与照射剂量成直线形正比关系
E.肺血灌注无改变
151、名词解释 膈膨升
152、单项选择题 诊断慢性肺静脉高压的重要指征是()
A.上肺静脉扩张
B.间隔线出现
C.骨化灶
D.含铁血黄素沉着
E.胸腔少量积液
153、单项选择题 关于间质性肺炎的X线表现,描述错误的是()
A.范围大、散在
B.多与肺叶肺段无关
C.为线状、网状、小斑点状阴影
D.看不到含气支气管征
E.从病理学观点看,间质和实质的病变不能同时发病
154、单项选择题
女,38岁,慢性疾病导致双手变形,颜面部可见蝶形红斑,结合图像,最可能的诊断是()
A.痛风
B.类风湿关节炎
C.骨麻风病
D.系统性红斑狼疮骨改变
E.骨梅毒
155、单项选择题 下列哪种疾病,无弥漫性肺泡实变改变()
A.肺泡微石症
B.误吸石蜡
C.肺出血性肾小球肾炎
D.肺泡蛋白沉积症
E.成人呼吸窘迫综合征
156、单项选择题 先天性膈疝中,最常见的是()
A.前胸腹膜孔疝
B.主动脉裂孔疝
C.食管裂孔疝
D.后胸腹膜孔疝
E.腔静脉裂孔疝
157、单项选择题
女,60岁,大腿后侧痛,下腰痛1月余,结合图像,最可能的诊断是()
A.类风湿关节炎
B.强直性脊柱炎
C.牛皮癣性关节炎
D.Reiter综合征
E.痛风性关节炎
158、单项选择题 急性化脓性骨髓炎典型X线表现是()
A.骨质破坏
B.死骨形成
C.骨质增生
D.软组织窦道形成
E.以上都是
159、单项选择题 变换体位或深呼吸时肾上下移动的范围为()
A.1~5cm
B.5~10cm
C.2~6cm
D.1~2cm
E.8~12cm
160、单项选择题
女,45岁,胸片检查如图,最可能的诊断为()

A.右膈下脓肿
B.右侧胸膜肥厚
C.右侧游离性胸腔积液
D.右侧肺底积液
E.右下肺不张
161、单项选择题 以下哪项不是滤线栅的特点()
A.图像失真度加大
B.曝光量加大
C.图像清晰度降低
D.要求X线中心线与滤线栅垂直
E.图像对比度下降
162、单项选择题 正常人一般左肺由几个肺段组成()
A.7
B.8
C.9
D.10
E.11
163、单项选择题 下列有关成骨细胞瘤的X线表现中,哪项不正确()
A.肿瘤大小为2~10cm不等
B.多为类圆形膨胀性骨质破坏
C.边缘不清楚,周围常无骨增生硬化
D.可有少量骨膜反应
E.肿瘤周围的软组织可有局限性肿胀
164、单项选择题 粟粒型肺结核胸片的特征是()
A.两肺尖部一般不受累
B.从肺尖到肺底大小均匀的结节影
C.胸腔积液
D.胸膜增厚
E.肺门淋巴结增大
165、单项选择题 肺动静脉瘘的X线表现中,以哪项诊断价值最大()
A.异常血管影
B.单发或多发结节状影
C.瘤囊搏动
D.大小可改变
E.肋骨下缘压迹
166、多项选择题 特发性骨质溶解症主要发生在下述哪些部位()
A.腕掌
B.跗跖
C.肘部
D.跖趾
E.掌指
167、单项选择题 关于过敏性上颌窦炎,下列影像表现哪项错误()
A.多个鼻窦受累
B.窦壁骨质硬化
C.上颌窦息肉
D.鼻甲粘膜增厚
E."气液面"较少见
168、单项选择题 观察下列哪种结构,需用人工对比()
A.上颌窦
B.含气肺组织
C.肩关节
D.肾盂
E.骨盆
169、单项选择题 "外耳、中耳明显畸形伴颌面骨发育不良"被称为()
A.Dandy-Walker综合征
B.Treacher-Collins综合征
C.Von Recklinghausen病
D.Moya-moya病
E.Sturge-Weber综合征
170、填空题 国家现行《职业病名单》中规定的肺尘埃沉着病有12种,即__________、___________________、_________________、________________、_____________、__________________、___________________、_________________、____________________、_________________、_____________________和____________________。
171、单项选择题 关于子宫原位癌的描述,错误的是()
A.发生于子宫颈粘膜上皮
B.未发生转移
C.是一种早期癌
D.可长期保持原来的结构
E.癌变仅累及上皮细胞,但未浸润至粘膜下层
172、名词解释 腰指数
173、单项选择题
女,60岁,髋部疼痛、活动受限、跛行,结合图像,最可能的诊断是()
A.骨岛
B.髋关节结核
C.股骨头缺血坏死
D.退变性囊肿
E.暂时性骨质疏松
174、单项选择题 下列说法正确的是()
A.颈椎前凸线的弧距小于6mm为颈椎强直
B.颈椎侧位片上,第4、5颈椎椎体前部可稍变窄,轻度楔形变
C.颈左后斜位检查颈椎左侧椎间孔,颈椎右后斜位检查颈椎右侧椎间孔
D.颈椎侧位片上椎间隙宽度约为邻近椎体高度的1/3~1/2
E.正常情况下,第5椎间孔最小
175、填空题 化脓性骨髓炎是病变涉及______、_____和______的化脓性炎症。
176、名词解释 指压迹
177、单项选择题 下列有关摄影体位错误的叙述是()
A.右前斜位也称第1斜位
B.左前斜位也称第2斜位
C.左侧位摄影X线由右侧投射到左侧
D.顶颌位又称下上轴位
E.右前斜位与左后斜位效果相似
178、单项选择题
男,22岁,滑冰时摔倒右手撑地时受伤,结合CR片,最可能的诊断是()
A.柯莱斯骨折
B.蒙泰贾骨折
C.加莱阿齐骨折
D.桡骨远端骨折
E.反柯莱斯骨折
179、单项选择题 下述哪项为软骨内成骨()
A.颅盖骨
B.面骨
C.颅底
D.锁骨
E.下颌骨的一部分
180、单项选择题 关于“急性膀胱炎”的诊断要点,错误的是()
A.常有全身中毒症状
B.泌尿系症状重
C.盆腔平片难有阳性发现
D.CT检查阳性率比平片高
E.尿常规检查常有阳性发现
181、问答题 如何判断颞颌关节脱位?
182、单项选择题 下列哪项不属于胃溃疡X线间接征象()
A.指压迹征
B.空腹潴留液
C.张力增强
D.张力减弱
E.龛影
183、多项选择题 哪些疾病可引起头颅增大()
A.畸形性骨炎
B.骨纤维异常增殖症
C.肢端肥大症
D.婴儿及积水
E.脑发育迟缓
184、单项选择题
男,52岁,肩痛四月余,手臂旋转时疼痛加剧,结合影像,最可能的诊断是()
A.软骨瘤
B.骨结核
C.冈上肌腱钙化
D.骨囊肿
E.骨脓肿
185、配伍题 肝外伤休克()肝癌()肝血管瘤()胆道梗阻()门脉高压()
A.TIPSS
B.肝动脉栓塞术
C.PTCD
D.肝动脉造影
E.肝动脉化疗栓塞
186、单项选择题 下列哪项不是月骨骨软骨炎的X线征象()
A.密度增高,有时可见囊性变
B.关节面不规则裂隙
C.外形不规则,体积增大
D.囊性变,周边硬化
E.附近骨质疏松
187、单项选择题 发生“碘过敏反应”的症状中,下列哪种最危险()
A.面部潮红
B.皮肤丘疹
C.皮肤瘙痒
D.喉头发痒
E.喷嚏
188、名词解释 齿状线
189、单项选择题 后前位胸片摄片时的要求,下列哪项是错误的()
A.常规胸部后前位,应是深吸气后屏息曝光
B.双肩胛骨应投影于肺野之外
C.照射野越大越好
D.去掉可使胶片产生伪影的物品
E.摄片距离在165~180cm
190、问答题 肺错构瘤的X线表现有哪些?
191、单项选择题 骨膜增生的X线表现中,无以下哪种形状()
A.垂直状
B.放射状
C.花边状
D.斑点状
E.平行状
192、单项选择题 有关影像变形的叙述,正确的是()
A.被照物体与胶片不平行造成了影像失真
B.影像大小与形态随X线倾斜角度改变
C.球形病灶在中心线倾斜投影下成像为椭圆形
D.X线中心线垂直于胶片,是为防止影像变形
E.以上全是
193、单项选择题 下列哪种方法是“眶内异物定位”,最常用的()
A.头颅侧位定位法
B.术中定位法
C.CT定位法
D.几何定位法
E.超声定位法
194、多项选择题 CR的空间频率处理、减影处理的叙述,正确的是()
A.空间频率处理是系统对空间频率响应的调节
B.频率处理三个参数:RN、RT、RE
C.可完成血管造影与非造影影像的减影职能
D.时间减影是作对比剂注射前后的影像减影
E.能量减影是两幅以不同能量曝光的影像
195、单项选择题 关于CR的工作原理,错误的是()
A.IP由基层荧光体层和保护层构成
B.透过人体的X线光子以潜影形式储存在荧光层的晶体内
C.透过人体的X线光子被IP转换成数字图像
D.IP在读出装置接受激光束扫描
E.激发束激发出的荧光与潜影成正比
196、单项选择题 胸部照片中肺纹理的影像,主要形成组织是下列哪一个()
A.血管
B.支气管
C.淋巴管
D.肺泡
E.胸膜
197、多项选择题 摄片条件选择中可变因素的叙述,正确的是()
A.同厚度健康人的胸片,摄片条件一致
B.病理因素对摄片条件的影响非常重要
C.脂肪多的人需要增加照射量
D.骨结核与慢性骨髓炎相比,需增加摄片条件
E.组织构成比例是摄片条件选择的重要可变因素
198、判断题 结节病约半数患者纵隔、肺门淋巴结肿大为唯一的异常表现。
199、单项选择题 下列可出现爆米花样钙化的是()
A.肺癌
B.结核球
C.矽肺
D.胸膜间皮瘤
E.错构瘤
200、单项选择题 Shenton线是指()
A.髂前下棘下方髂骨外缘与股骨颈外缘的连线
B.闭孔上缘与股骨颈内缘的连线
C.自股骨大转子顶端向股骨干线引的垂线
D.自髂臼顶外端向“Y”形软骨连线引的垂线
E.闭孔上缘与股骨颈外缘的连线
201、单项选择题 关于阳性对比剂的叙述,错误的是()
A.与周围组织相比X线衰减系数大
B.与阴性对比剂相比X线衰减系数大
C.阳性对比剂易被X线透过
D.碘剂和钡剂均为阳性对比剂
E.非离子型对比剂毒性较小
202、单项选择题 下列哪项是“Pole病”的骨改变特点()
A.长骨对称性扩张呈"烧瓶状"
B.手指粗短,呈"三叉戟"样
C.Otto骨盆
D.第一跖骨萎缩,第五跖骨肥大
E.四肢细长
203、判断题 骨质破坏是骨的无机成分的比例增高。
204、填空题 转移至肝的肿瘤的途径为_________________、______________、__________________或__________________。
205、单项选择题 以下对比剂的描述,哪项不正确()
A.低密度对比剂称为“阴性”对比剂
B.高密度对比剂称为“阳性”对比剂
C.非离子型对比剂的渗透压比离子型的低
D.非离子型对比剂比离子型安全
E.欧乃派克、优维显是常用的离子型对比剂
206、单项选择题 儿童最常见的"左向右分流"先天性心脏病是()
A.房间隔缺损
B.室间隔缺损
C.房间隔缺损加室间隔缺损
D.动脉导管未闭
E.法洛四联征
207、单项选择题 有关乳腺摄片配套设备的叙述,错误的是()
A.使用单页增感屏
B.只用后屏
C.高分辨率胶片
D.特制或自动压迫装置
E.铝质暗盒
208、单项选择题 大叶性肺炎可累及()
A.肺叶的大部
B.肺叶的全部
C.肺叶的一部
D.以上都不是
E.以上都是
209、单项选择题 下列关于"外伤性主动脉瘤"的描述,错误的是()
A.常见于突然速伤
B.上纵隔影增宽
C.多伴心脏挫伤
D.好发于降主动脉处
E.是主动脉假性动脉瘤常见原因
210、单项选择题 慢性阑尾炎最主要的X线表现是()
A.盲肠钡剂滞留
B.阑尾压痛
C.阑尾滞留钡剂
D.阑尾粘连固定
E.阑尾结石
211、单项选择题 下列肺梗死平片所见,错误的是()
A.肺门淋巴结增大
B.密度均匀、边缘不清模糊影,后基底段多见
C.可形成空洞
D.少量胸腔积液
E.多数患者平片表现正常
212、填空题 淋巴管瘤在镜下可分3型,即_______________、____________________和________________。
213、多项选择题 成骨型转移瘤常见于()
A.前列腺癌
B.乳癌
C.鼻咽癌
D.肺癌
E.膀胱癌
214、单项选择题 同轴高压电缆由内向外排列正确的是()
A.芯线→绝缘层→屏蔽层→半导体层→保护层
B.芯线→绝缘层→半导体层→屏蔽层→保护层
C.芯线→半导体层→绝缘层→屏蔽层→保护层
D.芯线→屏蔽层→绝缘层→半导体层→保护层
E.芯线→绝缘层→半导体层→保护层→屏蔽层
215、判断题 病灶迁移现象只有过敏性肺炎才可以见到。
216、单项选择题 关于散射线及其影响因素的说法,错误的是()
A.散射线是离开原射线线束的折射光子
B.管电压越高,散射线越多
C.增感屏感度越高,散射线越少
D.在一定厚度内,被照体越厚散射线越多
E.照射野是产生散射线的重要因素
217、单项选择题 下列心脏病变透视特点的描述,哪项不对()
A.缩窄性心包炎:心脏搏动减弱
B.左心室室壁瘤:心脏局部矛盾运动
C.轻度心肌炎:心脏搏动正常
D.主动脉关闭不全:反向搏动点下移
E.主动脉关闭不全:心脏搏动普遍增强
218、判断题 氟骨症骨质软化经常合并骨质疏松,并与硬化混和。
219、单项选择题
男,66岁,咳嗽、发热2周余,无痰中带血,X线检查如图,最可能的诊断是()

A.细支气管肺泡癌
B.血行播散型肺结核
C.左肺浸润型肺结核
D.左肺炎症
E.肺转移瘤
220、名词解释 飘带征
221、判断题 胰腺癌与慢性胰腺炎均可在十二指肠降部出现3字征。
222、单项选择题 下列肺泡性肺水肿影像,哪项不对()
A.KerleyA线
B.支气管气相
C.心影正常或增大
D.肺门影增大、模糊
E.肺内影演变迅速
223、单项选择题 下列表现哪项是粟粒型肺结核的特征()
A.肺尖不受累
B.结节直径1~2mm
C.胸腔积液
D.间隔线
E.肺门淋巴结常增大
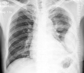
224、单项选择题
患者,女,46岁,胸闷气短1月,伴全身乏力,咳嗽,发热。胸片示:中上纵隔增宽,右缘呈波浪状改变。白细胞:8.5×10/L。
为明确诊断,进一步做哪项检查()
A.胸部增强CT扫描
B.血沉
C.食管钡餐造影
D.痰细胞学检查
E.胸部MRI检查
225、单项选择题 早期胃癌确诊的首选方法是()
A.超声
B.CT
C.胃镜活检
D.胃肠气钡双重造影
E.MRI
226、单项选择题 肺脓肿通常形成的空洞多为()
A.厚壁空洞
B.不规则偏心空洞
C.薄壁空洞
D.薄壁空腔
E.空洞壁厚伴有液平面
227、单项选择题 指出骨麻风病特异性的X线表现()
A.囊样或膨胀性改变
B.骨营养孔扩大
C.密集性骨吸收
D.出现夏科氏关节
E.继发骨膜炎和骨髓炎
228、单项选择题 呼吸系统X线检查的正确顺序是()
A.CT-血管造影-胸片
B.血管造影-胸片-CT
C.胸片-CT-血管造影
D.CT-胸片-血管造影
E.胸片-血管造影-CT
229、填空题 乳腺脓肿切开引流,为避免损伤乳管而形成乳瘘,应作_______切开,乳晕下脓肿应沿乳晕边缘作_______切口。急性乳腺炎的预防,关键于_______、_______、_______、_______、_______。
230、单项选择题 骨样骨瘤由以下哪两部分组成()
A.瘤巢和周围骨质硬化区
B.瘤巢和周围骨质破坏区
C.砂粒样物质和周围骨质破坏区
D.砂粒样物质和周围骨质硬化区
E.瘤巢和砂粒样物质
231、单项选择题
根据如图影像图像,最可能的诊断是()
A.压缩性骨折
B.腰椎退变
C.腰椎结核
D.强直性脊柱炎
E.骨囊肿
232、多项选择题 动脉导管未闭的X线表现有()
A.右心房不大
B.右心室可大或不大
C.肺动脉增粗
D.肺血增多
E.有时可见漏斗征
233、单项选择题 X线机机房墙壁主防护厚度应达到的铅当量是()
A.1mmpb
B.2mmpb
C.3mmpb
D.4mmpb
E.5mmpb
234、判断题 胆管内见到充盈缺损,首先应考虑为肿瘤、阴性结石,蛔虫病也会引起。
235、单项选择题 进展期中央型肺癌肿瘤瘤体的X线征象为()
A.肺门肿块阴影
B.支气管腔内结节
C.支气管管腔狭窄
D.阻塞性支气管扩张
E.支气管管腔增厚
236、多项选择题 左心房增大可见于()
A.动脉导管未闭
B.单纯继发孔型房间隔缺损
C.膈上型完全性异位肺静脉引流
D.三尖瓣畸形
E.室间隔缺损
237、单项选择题 下述哪种征象可作为直接诊断主动脉瓣狭窄的依据()
A.升主动脉中下段局限性扩张
B.左心室搏动增强
C.左心室肥厚
D.心影呈"主动脉型"
E.主动脉瓣区钙化
238、单项选择题 关于增生型结肠癌的X线表现,错误的是()
A.肠腔内出现不规则的充盈缺损
B.肠腔内有较大的龛影
C.表面粘膜皱襞破坏中断或消失
D.局部肠壁僵硬平直,结肠袋消失
E.轮廓不规则,病变多发生于肠壁的一侧
239、多项选择题 X线检查中对被检者防护,应采取的措施()
A.提高国民对放射防护的知识水平
B.正确选用X线检查的适应证
C.做好非检查部位的屏蔽防护
D.采用恰当的X线质
E.严格控制照射量
240、单项选择题 包裹性胸腔积液的好发部位是()
A.后胸壁和侧胸壁
B.前、后肋膈角
C.叶间裂
D.前胸壁
E.肺尖部
241、单项选择题 指出下列摄片技术中,不正确的是()
A.柯氏位可显示筛窦的前后两组影
B.眼眶肿物应选择柯氏位、瑞氏位和眶缘切线位
C.上颌窦肿瘤取瓦特位外,还应摄取颅底减角位(半轴位)
D.瓦特位,两侧密度不一致(非病变所致)的原因,主要是中心线偏斜或滤线栅侧向倾斜造成的切割效应
E.眶下裂摄片采用取头颅后前正位,中心线向头侧倾斜20°
242、名词解释 乳腺Cooper韧带
243、单项选择题 膈上肋骨正位摄片,呼吸方式为()
A.平静呼吸
B.深呼气后屏气
C.深吸气后屏气
D.平静呼吸下屏气
E.深吸气后深呼气屏气
244、单项选择题
男,63岁,进行性吞咽困难1月。食管钡餐示:食管下段粘膜不规则充盈缺损,管腔狭窄,贲门扩张欠佳。
最可能的诊断是()
A.食管下段炎症
B.食管下段溃疡侵及贲门
C.食管下段癌侵及贲门
D.食管下段静脉曲张
E.以上都不对
245、填空题 根据化学成分的不同,胆结石分为______________、______________和_______________三种。
246、单项选择题 最常用于“子宫输卵管造影”的造影剂是以下哪项()
A.Gd-DTPA
B.钡剂
C.碘泛酸
D.40%碘化油
E.空气
247、单项选择题
属于颞骨的哪一部分()
a.乳突窦
b.上颌窦
c.蝶鞍
d.筛窦
e.内听道
A.a,b
B.a,e
C.a,c
D.c,d
E.d,e
248、单项选择题 构成X线照片影像的物理因素是()
A.密度
B.对比度
C.锐利度
D.颗粒度
E.以上都是
249、单项选择题 质量管理活动开展的程序,不包括()
A.对策实施
B.效果确认
C.标准化
D.遗留问题和今后的改善方法
E.领导决策
250、填空题 主动脉弓及其主要分支的三大主要变异包括:__________________、______________________和__________________________。
251、多项选择题 有关胃肠道粘膜的说法中,哪些正确()
A.空肠粘膜皱襞常显示为羽毛状影像
B.十二指肠球部粘膜皱襞为纵向、彼此平行的条纹
C.胃粘膜皱襞呈条纹状影
D.食管粘膜皱襞为纤细条纹状阴影
E.大肠粘膜皱襞为纵、横、斜3种方向交划结合的纹理
252、单项选择题 影响X线量和质的因素不包括()
A.管电流
B.靶物质
C.高压波形
D.管电压
E.散射线
253、单项选择题 食管造影通常可见到下列压迹,除了()
A.主动脉弓压迹
B.左支气管压迹
C.降主动脉压迹
D.左心室压迹
E.左心房压迹
254、判断题 石棉肺胸膜斑阴影比肺内改变出现的要早。
255、单项选择题 左心房增大一般最先向哪一方向增大()
A.向上增大
B.向右增大
C.向左增大
D.向后增大
E.左心耳增大
256、单项选择题 关于十二指肠球部溃疡,下列说法错误的是()
A.常见球部变形
B.溃疡可多发
C.可形成慢性穿孔
D.胃蠕动可增强
E.部分可恶变
257、多项选择题 根据作用力的方式和骨折本身的情况,将骨折分为()
A.创伤性骨折
B.疲劳性骨折
C.病理性骨折
D.不稳定性骨折
E.稳定性骨折
258、单项选择题
女,50岁,血便10余年,加重1年(连续出血),近2月大便时肛门常滴鲜血,量较多,X线检查如图,最可能的诊断是()

A.直肠癌
B.直肠绒毛状腺瘤
C.直肠淋巴瘤
D.直肠转移癌
E.直肠结核
259、单项选择题 人体最重要的排泄器官是()
A.皮肤
B.肺
C.消化道
D.肾
E.唾液腺
260、单项选择题 关于奇静脉,下列哪项不对()
A.气管、左主支气管分叉处,有时可见到奇静脉
B.气管、右主支气管分叉处,有时可见到奇静脉
C.侧位片,有助于鉴别奇静脉和气管旁肿大淋巴结
D.腔静脉闭塞、门脉高压时,奇静脉可扩张
E.由左侧腰升静脉延伸而来
261、单项选择题 女性,57岁,右上腹隐痛2月就诊,腹部平片示右上腹见一圆形致密影,侧位片示致密影位于脊柱前方。最可能的诊断是()
A.右肾结石
B.胆囊结石
C.淋巴结钙化
D.右输尿管结石
E.以上都不是
262、单项选择题 下列哪项不属于头颅摄片定位标志线()
A.听眶线
B.听眦线
C.听鼻线
D.听颧线
E.听口线
263、单项选择题 关于肺隔离症的描述,下列哪项正确()
A.右侧比左侧常见
B.与支气管树相通较常见
C.如发生于叶内,通常见于婴儿
D.上叶与下叶的发生率相等
E.绝大多数血供来自腹主动脉
264、单项选择题 肺静脉高压诊断的重要指征是()
A.间隔线出现
B.上肺静脉扩张
C.胸腔少量积液
D.钙化灶
E.含铁血黄素沉着
265、多项选择题 下述哪些疾病可引起纤维性椎管狭窄()
A.韧带肥厚
B.椎间盘脱出
C.蛛网膜粘连
D.骨性增生
E.韧带钙化
266、单项选择题 下列长管状骨结核X线表现中,哪项不正确()
A.好发于骨干
B.骨膜反应轻微
C.易侵犯关节
D.骨质破坏为主
E.沙粒样死骨
267、单项选择题 动脉导管未闭出现右心室肥厚时提示()
A.肺静脉高压
B.肺水肿
C.肺栓塞
D.肺动脉高压
E.心力衰竭
268、填空题 泌尿系统结石依其发生部位分为_______、_____________、__________和____________。
269、判断题 钼铑双金属靶面的乳腺X线机对较致密的乳腺有较好的穿透力,为诊断提供更多的信息。
270、配伍题 位于乙状结肠直肠连接部的是()位于降结肠乙状结肠交界处的是()位于脾曲的是()
A.Payr~Strauss括约肌
B.Cannm括约肌
C.Bakki括约肌
D.Rossi括约肌
E.Mouttier括约肌
271、名词解释 肾盂输尿管重复畸形
272、多项选择题 下列哪些属于直接引入法造影()
A.胃肠钡餐造影
B.口服胆囊造影
C.逆行肾盂造影
D.静脉肾盂造影
E.子宫输卵管造影
273、单项选择题 下列胸部病变的摄片位置选择,错误的是()
A.包裹性积液——切线位
B.胸腔积液——侧卧水平正位或斜位
C.胸腔积液——站立后前位、侧位
D.慢性支气管炎——常规正位的深吸气与深呼气位对照
E.肺癌——常规正、侧位
274、单项选择题 先天性巨结肠行钡灌肠检查时,操作错误的是()
A.钡灌注量不宜过多
B.灌肠时压力不宜过大
C.检查完毕最好抽出钡剂
D.肛管不宜放置过高
E.先用肥皂水清洁灌肠
275、单项选择题 肺部转移瘤可来自()
A.血行转移
B.淋巴转移
C.邻近器官直接蔓延
D.以上都是
E.以上都不是
276、填空题 乳腺可分为_______、_______、_______和_______。
277、单项选择题 X线表现:肺血少、左肺门大于右肺门,肺动脉段直立状突起,最可能的诊断是()
A.主动脉狭窄
B.高血压性心脏病
C.肺动脉狭窄
D.肺心病
E.动脉导管未闭
278、单项选择题 下列表现,哪项与主动脉瘤无关()
A.可有钙化
B.主动脉搏动可减弱
C.邻近骨骼无异常发现
D.主动脉瘤状、梭状扩张
E.可压迫支气管,造成肺不张
279、判断题 农民肺患者临床症状出现后即可出现X线表现。
280、单项选择题 下列哪项保存方法不会使X线胶片出现灰雾()
A.胶片放置在铅皮破损的铅箱内
B.胶片与化学药品类存放在同一库房内
C.胶片放置在符合要求的完好的铅箱内,并投放了干燥剂
D.胶片存放在热力、煤气管道的地下室库房内
E.胶片在低温、高湿度的霉雨季节启封存放
281、单项选择题 结核球与周围型肺癌鉴别诊断的关键在于前者()
A.边缘较光整
B.干酪样厚壁空洞
C.病灶内呈斑点状钙化
D.直径一般不超过3cm
E.卫星病灶及纤维条索影(引流支气管影)
282、单项选择题
女,1岁,身体发育异常,眼巩膜呈蓝色,结合图像,最可能的诊断为()
A.成骨不全
B.粘多糖病
C.软骨发育不全
D.佝偻病
E.侏儒症
283、多项选择题 下列肠套叠的X线表现中,正确的有哪些()
A.钡剂排出后附着于粘膜皱襞的钡剂显示为螺旋弹簧状
B.钡灌肠套叠头部呈充盈缺损
C.腹部造影与平片可见软组织块
D.肠套叠有不全肠梗阻或完全性梗阻的表现
E.空气灌肠检查时,套叠头部呈充盈缺损阴影
284、填空题 移行椎尾侧移位的特点是:______________、_____________、________________、_____________、____________和_____________。
285、单项选择题 下列哪项不是枢椎齿状突原发骨化中心发育异常的表现()
A.齿状突上端分叉
B.齿状突骨
C.齿状突缺如
D.终末骨
E.颈延髓交界处受压变细移位
286、名词解释 Barrett食管
287、单项选择题
女,54岁,上腹部胀痛1月余,结合图像,最可能的诊断为()

A.正常胃
B.胃炎
C.胃窦炎
D.胃癌
E.胃溃疡
288、单项选择题
如图所示,左侧胸部病变,最可能的诊断为()

A.包裹性积液
B.恶性胸膜间皮瘤
C.左下肺脓肿
D.左下肺癌
E.左侧胸腔积液
289、单项选择题 影响乳腺癌预后的最主要因素()
A.病人年龄
B.是否绝经
C.肿块大小
D.手术切除范围
E.癌肿本身生物学特性
290、问答题 痛风的X线表现有哪些?
291、判断题 早发先天性骨梅毒患者的骨骼改变与临床症状常相一致。
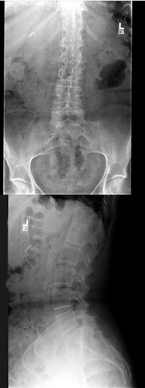
292、单项选择题
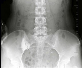
女,26岁,骶髂部疼痛2年余,间歇发作,结合图像,最可能诊断是()
A.致密性髂骨炎
B.化脓性髂骨炎
C.结核性髂骨炎
D.强直性脊柱炎
E.骶髂关节退行性变
293、单项选择题 “恶性骨肿瘤”发病顺序依次为()
A.纤维肉瘤>成骨肉瘤>软骨肉瘤
B.成骨肉瘤>纤维肉瘤>软骨肉瘤
C.软骨肉瘤>纤维肉瘤>成骨肉瘤
D.成骨肉瘤>软骨肉瘤>纤维肉瘤
E.软骨肉瘤>成骨肉瘤>纤维肉瘤
294、判断题 椎间小关节面的异常改变在影像学上具特征时,一般不需与其他病变鉴别。
295、判断题 中量积液时见到的渗液曲线(Ellis线)是因为液体的上缘不一致,呈抛物线状递减而形成的。
296、问答题 在排泄性尿路造影中各器官的正常X线所见有哪些?
297、填空题 骨纤维肉瘤的X线表现分为_________、_________、___________和________。
298、单项选择题 疲劳骨折的最好发于()
A.股骨
B.跟骨
C.第二跖骨
D.耻骨
E.以上都不是
299、单项选择题 骨样骨瘤典型X线征象是()
A.瘤巢及伴有周围硬化
B.好发于胫股骨
C.发生于松质骨很少,出现钙化
D.骨膜下者为紧贴骨质的软组织肿块
E.好发于尺桡骨
300、多项选择题 X线胶片的结构主要包括()
A.乳剂膜
B.保护膜
C.结合膜
D.片基
E.荧光体层