时间:2025-02-25 01:00:18


1、单项选择题 患者男性,65岁。咳嗽、咳痰3天,腹泻1天,神志不清伴抽搐2小时。糖尿病史10年,不规律口服降糖药治疗。 确诊最有价值的检查是().
	A.血象
	B.胸片
	C.血糖、电解质
	D.血脂、肝功能
	E.脑CT
2、单项选择题 对于诊断慢性酒精中毒最敏感的是().
	A.AMY
	B.ALT
	C.GGT
	D.ACP
	E.ALP
3、单项选择题 高热大汗,病人诉口渴,烦躁,考虑().
	A.低渗性脱水
	B.等渗性脱水
	C.高渗性脱水
	D.低钾血症
	E.高钾血症
4、单项选择题 下面酶能在糖酵解和糖异生中都起作用的是()。
	A.丙酮酸激酶
	B.丙酮酸羧化酶
	C.3-磷酸甘油醛脱氢酶
	D.己糖激酶
	E.果糖1,6-二磷酸酯酶
5、单项选择题 患者男性,24岁。咳嗽伴午后低热一月余。体检:体温37.9℃,呼吸音较粗,叩诊左肺清音界上移。实验室检查:WBC6.2×109/L,ESR96mm/h。X线显示左侧肋膈角消失。该患者无吸烟史。 连续监测法测定活性时,血清用量10pd,底物量350μ1,光径1cm,NADH在340nm的摩尔吸光系数为6300,计算K值为().
	A.3376
	B.4127
	C.4920
	D.5714
	E.6508
6、单项选择题 血中哪一种胆红素增加会在尿中出现().
	A.非结合胆红素
	B.结合胆红素
	C.肝前胆红素
	D.非结合胆红素
	E.与清蛋白结合的胆红素
7、单项选择题 以下哪种物质血管收缩作用最强().
	A.肾素
	B.血管紧张素原
	C.血管紧张素I
	D.血管紧张素Ⅱ
	E.血管紧张素转换酶
8、单项选择题 在血清酶测定中,对慢性酒精中毒最敏感的是()。
	A.ALT
	B.AST
	C.碱性磷酸酶
	D.γ-谷氨酰转肽酶
	E.酸性磷酸酶
9、单项选择题 可防止糖酵解的抗凝剂为()。
	A.EDTA/氟化钠抗凝剂
	B.肝素
	C.草酸钾
	D.枸橼酸钠抗凝剂
	E.EDTA
10、单项选择题 要求用全血作TDM测定标本的药物是().
	A.地高辛
	B.苯妥英钠
	C.氨茶碱
	D.环孢霉素
	E.碳酸锂
11、单项选择题 下列不是糖尿病人代谢异常的临床表现的是()。
	A.高血糖和糖尿
	B.高脂血症和酮症酸中毒
	C.三多一少
	D.黏液性水肿
	E.微血管神经病变
12、单项选择题 肝细胞性黄疸时()。
	A.结合胆红素升高
	B.菲结合胆红素升高
	C.结合、非结合胆红素均升高
	D.结合、非结合胆红素均下降
	E.结合、非结合胆红素均无变化
13、单项选择题 有关APUD细胞的叙述,不正确的是()。
	A.可分泌异源性激素
	B.受下丘脑-垂体-内分泌腺轴的调控
	C.在胚胎发育上均起源于神经脊外胚层
	D.APUD细胞分化不完全
	E.统称为胺原摄取及脱羧细胞
14、多项选择题 患者男性,38岁。周期性节律性上腹部疼痛5年,近二天加重入院。平时疼痛多发生在饥饿时,进食后缓解,常有夜间疼痛。体检:慢性病容,上腹部压痛,无反跳痛。血常规:Hb90g/L,RBC3.3×1012/1,Hct0.3,RDW18%,WBC6.4×109/L,N65%,L35%。 患者应紧急检查的项目包括()。提示:若该患者腹部X线透视膈下有游离气体,T38.5℃,P120次/分,R28次/分,Bp80/50mmHg,WBC14.0×109/L,N85%。
	A.腹部X线透视
	B.腹部平片
	C.CT检查
	D.胃液分析
	E.胃肠造影
	F.胃镜
	G.血清淀粉酶
	H.血常规
15、单项选择题 临床上引起血尿酸增高的疾病,不包括()。
	A.痛风
	B.肾功能损害
	C.白血病
	D.恶性肿瘤
	E.肝硬化
16、单项选择题 下列情况中骨碱性磷酸酶一般不增高的是()。
	A.儿童
	B.Paget病
	C.骨质软化症
	D.胆汁淤积
	E.骨折
17、单项选择题 肾单位不包括()
	A.肾小球
	B.髓襻升支
	C.髓襻降支
	D.集合管
	E.近曲小管
18、单项选择题 患者女性,35岁。中上腹部持续性疼痛2天,血清淀粉酶1000U/L(Somogyi法)。患者原有甲状旁腺功能亢进症。这次发病诊断为急性胰腺炎,发病原因可能与高血钙有关。 关于钙离子与急性胰腺炎致病的关系,下列说法错误的是().
	A.高血钙易发生胰管钙化、结石
	B.钙离子与胰淀粉酶激活无关
	C.高血钙促进胰液分泌
	D.高血钙促进胃泌素分泌
	E.钙离子与胰蛋白酶原激活无关
19、单项选择题 肝硬化晚期患者,腹部出现移动性浊音,其原因主要是().
	A.清蛋白的含量降低,具有运输药物的功能下降
	B.清蛋白的含量降低,维持血浆胶体渗透压的能力下降
	C.清蛋白的含量降低,机体缺乏组织修补材料
	D.清蛋白的含量降低,造成酸碱失衡
	E.清蛋白的含量降低,机体酶活力下降
20、单项选择题 用盐酸胍裂解细胞获取的DNA大小()。
	A.分子量为20000~50000
	B.分子量为80000
	C.分子量为100000~150000
	D.分子量为150000~200000
	E.分子量为>200000
21、单项选择题 患者男性,54岁。压榨性胸痛发作后5小时就诊。查体:面色苍白,出汗。血压90/60mmHg,脉搏108次/分。心电图示sT段抬高。实验室检查:钾3.2mmol/L,钠138mnol/L,尿素氮7.2mnol/L,Cr78μmol/L。 此患者应首先考虑的疾病是().
	A.急性心肌梗死
	B.主动脉夹层撕裂
	C.肺栓塞
	D.心肌炎
	E.稳定型心绞痛
22、单项选择题 患者男性,45岁。突发胸痛2h后到医院就诊,以下哪项检查对于排除急性心肌梗死最有帮助()。
	A.CK
	B.CK-MB
	C.cTn
	D.Mb
	E.LD1
23、单项选择题 钠、钾、氯离子的主要排泄器官是().
	A.皮肤
	B.肠道
	C.肝脏
	D.肾脏
	E.肺
24、单项选择题 患者男性,65岁。咳嗽、咳痰3天,腹泻1天,神志不清伴抽搐2小时。糖尿病史10年,不规律口服降糖药治疗。 最可能出现的血生化表现是().
	A.血糖33.4mmol/L,血渗透压350mOsm/(kg·H2)(mmol/L)
	B.血糖12.5mmol/L,血渗透压330mOsm/(kg·H2O)(mmol/L)
	C.血糖6.0mmol/L,血渗透压290mOsm/(kg·H2O)(mnol/L)
	D.血糖5.5mmol/L,血渗透压350mOsm/(kg·H2O)(mmol/L)
	E.血糖2.8mmol/L,血渗透压270mOsm/(kg·H2O)(mmol/L)
25、单项选择题 肾小球滤过率为30~60ml/min时,属于肾功能减退的()。
	A.肾储备功能恢复期
	B.肾储备功能丧失期
	C.氮质血症期
	D.肾衰竭期
	E.肾功能正常
26、单项选择题 下列胆固醇成分中是逆向转运胆固醇的为()。
	A.HDL-C
	B.VLDL-C
	C.LDL-C
	D.TC
	E.FC
27、单项选择题 患者女性,39岁。发现皮肤黄色斑块10年,胸闷2年,反复发作胸痛1年。心电图检查示心肌缺血。血压138/90mmHg,心率74次/分,节律齐,无心脏杂音。双侧上眼睑有扁平黄色瘤,手指、足跟肌腱处见结节状黄色瘤,两眼有明显的角膜弓。血脂测定结果为:TC12.3mmol/L,TG1.5mmol/L,HDL-C1.2mmol/L,LDL-C8.0mmol/L。其母亲有冠心病,父亲有高血压,兄妹中一个有胆固醇增高。 如结合症状、家族史与血脂测定结果,临床上应考虑为().
	A.家族性高乳糜微粒血症
	B.家族性异常高脂蛋白血症
	C.家族性高甘油三酯血症
	D.家族性混合型高脂血症
	E.家族性高胆固醇血症
28、单项选择题 耦联过氧化物酶(POD)作为工具酶的反应中,如显色底物为邻联甲苯胺(OT),最后呈色颜色为().
	A.蓝色
	B.黄色
	C.红色
	D.紫色
	E.棕色
29、单项选择题 下列试验中血标本受溶血影响最小的是()。
	A.K+
	B.葡萄糖
	C.LDH
	D.AST
	E.ACP
30、单项选择题 血清钾、钠测定的参考方法是()。
	A.酶法
	B.离子选择电极法
	C.原子吸收分光光度法
	D.火焰光度法
	E.大环发色团法
31、单项选择题 肾小管重吸收受损在尿中可检出的蛋白质,不包括()。
	A.α1微球蛋白
	B.α2巨球蛋白
	C.β2微球蛋白
	D.溶菌酶
	E.视黄醇结合蛋白
32、单项选择题 代偿性呼吸性碱中毒().
	A.血浆pH正常,[HCO3-]下降,PCO2下降
	B.血浆pH下降,[HCO3-]增高,PCO2下降
	C.血浆pH正常,[HCO3-]下降,PCO2增高
	D.血浆pH下降,[HCO3-]下降,PCO2下降
	E.血浆pH正常,[HCO3-]增高,PCO2增高
33、单项选择题 下列疾病中,脑脊液中葡萄糖含量降低最明显的是()。
	A.化脓性脑膜炎
	B.病毒性脑炎
	C.结核性脑膜炎
	D.隐球菌性脑膜炎
	E.脑肿瘤
34、单项选择题 醋纤膜电泳时,甲胎蛋白所处的区带是().
	A.清蛋白区
	B.α1-球蛋白区
	C.α2-球蛋白区
	D.β-球蛋白区
	E.γ-球蛋白区
35、单项选择题 反映肾血流量的试验为()。
	A.BSP排泄试验
	B.内生肌酐清除率
	C.浓缩稀释试验
	D.PAH清除率
	E.ICG排泄试验
36、单项选择题 用醋酸纤维素薄膜对正常人血清中γ-GT进行同工酶电泳,往往只见()。
	A.γ-GT1和y-GT2
	B.γ-GT1和7-GT3
	C.γ-GT2和7-GT3
	D.γ-GT2和7-GT4
	E.γ-GT3和y-GT4
37、单项选择题 反映肾脏浓缩与稀释功能的指标().
	A.尿钠与滤过钠排泄分数(FeNA.测定
	B.酚红排泄试验(PSP)
	C.自由水清除率(CH2O)
	D.内生肌酐清除率
	E.氯化铵负荷试验
38、单项选择题 出现糖尿病症状的患者,检测其随机血糖浓度,可确诊为糖尿病的是().
	A.≥7.0mmol/L
	B.≥8.0mmol/L
	C.≥9.1mmol/L
	D.≥10.1mmol/L
	E.≥11.1mmol/L
39、单项选择题 细胞内钾约占总钾量的98%,血浆中仅占().
	A.2%
	B.0.2%
	C.1.5%
	D.0.3%
	E.1%
40、单项选择题 常引起患者的血清中结合珠蛋白升高的是()。
	A.肝硬化晚期
	B.地中海贫血
	C.ABO血型不合输血
	D.恶性疟
	E.肾病综合征
41、单项选择题 糖原的合成、分解反应开始部位是其分子结构上的().
	A.还原性末端
	B.非还原性末端
	C.还原与非还原性末端均可
	D.还原与非还原性末端均不可
	E.分子其他部位均可
42、单项选择题 临床上用于诊断肝脏疾病的酶,下列检测最恰当的是().
	A.CK、GGT、ALP、AMY
	B.ALT、AST、ALP、GGT
	C.AMY、LDH、α-HBD、GGT
	D.ACP、AST、LipasE.LDH
	E.LDH、AMIY、AST、GGT
43、单项选择题 检测临床上尿蛋白的考马斯亮蓝法属于()。
	A.染料结合法
	B.凯氏定氮法
	C.比浊法
	D.紫外分光光度法
	E.双缩脲法
44、单项选择题 一般正常成年人血清中,各乳酸脱氢酶同工酶活力之间的关系为()。
	A.LDH1>LDH2>LDH3>LDH4>LDH5
	B.LD1H<LDH2<LDH3<LDH4<LDH5
	C.LDH2<LDH1<LDH3<LDH4<LDH5
	D.LDH2>LDH1>LDH3>LDH4>LDH5
	E.LDH1<LDH2<LDH5<LDH4<LDH3
45、单项选择题 分配系数是指一种化合物在互不相溶的两个相中分配的状况,它在下列何种特定条件下是一个常数()。
	A.pH
	B.温度
	C.浓度
	D.湿度
	E.气压
46、单项选择题 甲状旁腺激素(PTH)的生理作用是().
	A.促进骨钙沉积
	B.升高血磷
	C.激活细胞内腺苷酸环化酶
	D.抑制未分化间质细胞的分化
	E.升高血钙
47、单项选择题 血钾过低时,将导致().
	A.高血钾,排酸性尿
	B.低血钾,排碱性尿
	C.低血钾,排酸性尿
	D.酸中毒,排碱性尿
	E.碱中毒,排酸性尿
48、单项选择题 胆红素进入肝细胞后的受体蛋白是().
	A.清蛋白和α1-球蛋白
	B.葡萄糖醛酸和葡萄糖
	C.Y蛋白和Z蛋白
	D.cGMP和cAMP
	E.清蛋白和球蛋白
49、单项选择题 醋纤膜电泳时,铜蓝蛋白所处的区带是().
	A.清蛋白区
	B.α1-球蛋白区
	C.α2-球蛋白区
	D.β-球蛋白区
	E.γ-球蛋白区
50、单项选择题 成人体内的水分约占体重的百分比是()。
	A.10%
	B.30%
	C.50%
	D.70%
	E.90%
51、单项选择题 胰岛细胞瘤时通常可见().
	A.胰岛素水平降低
	B.C肽水平降低
	C.血糖明显升高
	D.血糖明显下降
	E.血糖水平正常
52、单项选择题 血中哪一种胆红素增加会使尿胆红素定性试验呈阳性反应()。
	A.非结合胆红素
	B.结合胆红素
	C.δ胆红素
	D.直接反应胆红素
	E.血胆红素
53、单项选择题 能抑制糖异生的激素是()。
	A.生长素
	B.胰岛素
	C.肾上腺素
	D.胰高血糖素
	E.糖皮质激素
54、单项选择题 等渗尿是指().
	A.禁饮尿渗量<600mOsm/(kg·H2O)
	B.禁饮尿渗量300mOsm/(kg·H2O)
	C.一次性尿渗量>450mOsm/(kg·H2O)
	D.一次性尿渗量<350mOsm/(kg·H2O)
	E.禁饮尿渗量600~1000mOsm/(kg·H2O)
55、单项选择题 患者男性,60岁。实验室检查:血清Na+142mmol/L,K+3.6mmol/L,BUN6.5mmol/L,Ca2+2.82mmol/L,P1.05mmol/L,Alb45gL,AIP72U/L。 为进一步明确诊断,还应选择的检查项目为()。
	A.ALT
	B.TSH
	C.PTH
	D.Glu
	E.UA
56、单项选择题 正常情况下肾小球滤液(原尿)在肾小管内被吸收的液体量约占总量的().
	A.50%
	B.60%
	C.75%
	D.90%
	E.99%
57、单项选择题 血清碱性磷酸酶增高时不考虑()。
	A.肝脏疾病
	B.肾脏疾病
	C.胆道疾病
	D.骨疾病
	E.儿童生长期
58、单项选择题 能由脂肪酸合成酮体的部位是()。
	A.红细胞
	B.脑
	C.骨骼肌
	D.肝
	E.肾
59、单项选择题 血液中的T3、T4主要与哪种血浆蛋白结合()。
	A.甲状腺素结合球蛋白
	B.甲状腺球蛋白
	C.白蛋白
	D.前白蛋白
	E.甲状腺刺激免疫球蛋白
60、单项选择题 6-磷酸果糖→1,6-二磷酸果糖的反应,需要的条件是()。
	A.果糖二磷酸酶,ATP和Mg2+
	B.果糖二磷酸酶,ADP,Pi和Mg2+
	C.磷酸果糖激酶,ATP和Mg2+
	D.磷酸果糖激酶,ADP,Pi和Mg2+
	E.ATP和Mg2+
61、多项选择题 患者男性,65岁。食欲减退伴右上腹不适1个月余。体检:体温37.0℃巩膜黄染,心肺(-),肝肋下2cm,质地稍硬,叩诊移动性浊音可疑。实验室检查:WBC5.2×109/L,RBC3.8×1012/L,ESR36mm/h。该患者家住湖边。 实验室检查往往升高的指标是().
	A.纤维蛋白原
	B.透明质酸
	C.层黏蛋白
	D.Ⅲ型胶原前肽
	E.Ⅳ型胶原
	F.前清蛋白
	G.α[1.igf]-酸性糖蛋白
	H.铜蓝蛋白
62、单项选择题 各类型离心机的应用正确的是()。
	A.在日常检测中应用最广的是低速离心机
	B.制备型超速离心机常用于测定生物大分子的分子量
	C.高速离心机常用于大量生物制备和血站分离血浆
	D.分析型超速离心机的制备常用于病毒的分离和浓缩
	E.按照离心技术的实际应用可将离心技术分为普通离心和分析型离心两类
63、单项选择题 位于糖酵解、糖异生、磷酸戊糖途径、糖原合成和糖原分解各条代谢途径交汇点上的化合物是()。
	A.1-磷酸葡萄糖
	B.6-磷酸葡萄糖
	C.1,6-二磷酸果糖
	D.3-磷酸甘油醛
	E.6-磷酸果糖
64、单项选择题 与氨基酸转运有关的酶()。
	A.LDH
	B.r-GT
	C.ACP
	D.醛缩酶
	E.AST
65、单项选择题 某患者血气分析与电解质测定结果:[Na+]140mmo/L,[K+]3.0mmol/L,[cl-]87mmol/L,[HCO3-]28mmol/L,PCO230mmHg,pH7.60,初步考虑为()。
	A.呼吸性碱中毒伴代谢性酸中毒
	B.代谢性碱中毒伴呼吸性酸中毒
	C.呼吸性碱中毒伴代谢性碱中毒
	D.代谢性酸中毒伴呼吸性酸中毒
	E.无酸碱平衡紊乱
66、单项选择题 关于肝脏代谢,下列叙述错误的是()。
	A.肝脏是脂肪酸β-氧化的主要器官
	B.肝脏可合成VLDL
	C.肝脏是利用酮体的主要器官
	D.肝脏可将胆固醇转化为胆汁酸
	E.肝脏可生成HDL
67、单项选择题 细胞外液Na+为90mmol/L时可引起()。
	A.细胞内外液未流动
	B.细胞外液流向细胞内
	C.细胞内液流向细胞外
	D.细胞间液流向血浆
	E.血浆流向组织间液
68、单项选择题 以下情况,患者血清电泳可出现2条清蛋白带的是().
	A.干扰素治疗乙型肝炎时
	B.心梗患者舌下含服硝酸甘油
	C.中暑患者大量补液
	D.肺结核患者出现胸腔积液时
	E.大剂量青霉素治疗大叶性肺炎
69、单项选择题 酶耦联法中,常通过监测反应物NADH在哪处波长吸光度的变化来计算酶的活性()。
	A.260nm
	B.280nm
	C.340nm
	D.410nm
	E.620nm
70、单项选择题 急性肝病患者血浆中清蛋白的含量往往不降低的最主要原因是()。
	A.清蛋白的分子量小
	B.清蛋白的主要生理功能是维持血浆.胶体渗透压
	C.患者饮食可补充
	D.半寿期15~19天
	E.肾小管可重吸收
71、单项选择题 患者男性,41岁。周身水肿伴有腹水。检查发现尿蛋白(+++),24小时尿蛋白>3.5g,合并高脂血症,血浆清蛋白32g/L,诊断为肾病综合征。 肾病综合征时可出现()。
	A.尿蛋白阴性
	B.血浆总蛋白正常
	C.血浆清蛋白降低(<30g/L)
	D.血浆γ球蛋白相对升高
	E.肾小球滤过功能正常
72、单项选择题 甘油三酯在下列脂蛋白中的含量比例最高的是()。
	A.HDL
	B.LDL
	C.VLDL
	D.CM
	E.LpA.
73、单项选择题 大量输血后().
	A.血清K+增高
	B.血清Cl-增高
	C.血清Na+增高
	D.血清Cl-降低
	E.血清K+降低
74、单项选择题 极低密度脂蛋白中含量最多的成分是()。
	A.甘油三酯
	B.胆固醇
	C.载脂蛋白质
	D.磷脂
	E.游离脂肪酸
75、单项选择题 紫外分光光度法属于()。
	A.吸收光谱分析法
	B.发射光谱分析法
	C.散射光谱分析法
	D.荧光分析法
	E.反射光谱分析法
76、单项选择题 胰岛素是由胰岛中的哪种细胞所产生().
	A.α细胞
	B.β细胞
	C.γ细胞
	D.δ细胞
	E.ε细胞
77、单项选择题 pH<7.4,cHCO3-×PCO2>1000,应考虑().
	A.呼吸性酸中毒
	B.呼吸性碱中毒
	C.代谢性酸中毒
	D.代谢性碱中毒
	E.无酸碱平衡紊乱
78、单项选择题 以下不属于胆色素的物质是()。
	A.胆红素
	B.胆绿素
	C.胆素
	D.胆碱
	E.胆素原
79、单项选择题 影响荧光强度的因素正确的是().
	A.乙醇溶剂中的荧光杂质因不影响测定可不需处理
	B.当荧光物质浓度高时会发生自熄灭现象
	C.温度升高时,荧光效率增高
	D.溶液pH对荧光强度基本没有影响
	E.要使荧光强度与荧光物质的浓度成正比应使荧光物质的浓度足够高
80、单项选择题 代偿性呼吸性酸中毒().
	A.血浆pH正常,[HCO3-]下降,PCO2下降
	B.血浆pH下降,[HCO3-]增高,PCO2下降
	C.血浆pH正常,[HCO3-]下降,PCO2增高
	D.血浆pH下降,[HCO3-]下降,PCO2下降
	E.血浆pH正常,[HCO3-]增高,PCO2增高
81、单项选择题 “脂肪动员”的脂酶中的限速酶是()。
	A.甘油一酯脂肪酶
	B.甘油二酯脂肪酶
	C.甘油三酯脂肪酶
	D.甘油激酶
	E.肝脂酶
82、单项选择题 患者男性,38岁。周期性节律性上腹部疼痛5年,近二天加重入院。平时疼痛多发生在饥饿时,进食后缓解,常有夜间疼痛。体检:慢性病容,上腹部压痛,无反跳痛。血常规:Hb90g/L,RBC3.3×1012/1,Hct0.3,RDW18%,WBC6.4×109/L,N65%,L35%。 该患者可能性最大的疾病是()。提示:该患者饱食后突然出现上腹部剧烈疼痛,伴恶心呕吐。体检:板样腹,上腹部压痛明显,有反跳痛,叩诊肝浊间界消失。
	A.复合性溃疡
	B.幽门管溃疡
	C.十二指肠球后溃疡
	D.胃泌素瘤合并溃疡
	E.胃癌
	F.胃溃疡伴萎缩性胃炎
	G.慢性胃炎
83、单项选择题 半自动生化分析仪检测血清酶活力时,考虑到检测的灵敏度和测定上限,一般样品与试剂体积比为().
	A.1:1
	B.1:10
	C.1:100
	D.10:1
	E.100:1
84、单项选择题 选择性蛋白尿中的蛋白质成分主要是()。
	A.白蛋白
	B.IgG
	C.转铁蛋白
	D.β2微球蛋白
	E.本周蛋白
85、单项选择题 调节血糖最主要的器官是()。
	A.脑
	B.肾脏
	C.肝脏
	D.胰腺
	E.心脏
86、单项选择题 脂溶性维生素吸收障碍可引起().
	A.口角炎
	B.癞皮病
	C.坏血病
	D.恶性贫血
	E.佝偻病
87、单项选择题 肝内胆固醇的主要去路是()。
	A.转变为7-脱氢胆固醇
	B.转变为性激素
	C.转变为肾上腺皮质激素
	D.转变为胆汁酸
	E.转变为胆红素
88、单项选择题 临床实验室测定血清游离钙的常规方法是()。
	A.原子吸收分光光度法
	B.火焰光度法
	C.高效液相色谱法
	D.分光光度法
	E.离子选择电极法
89、单项选择题 检测临床上脑脊液蛋白的潘氏法属于()。
	A.染料结合法
	B.凯氏定氮法
	C.比浊法
	D.紫外分光光度法
	E.双缩脲法
90、单项选择题 患者慢性肾炎5年,近来出现衰弱无力,尿少,水肿较前加重,并有轻度贫血,血压160/100mmHg。 下列检查中哪项肾功能检查最先出现异常()。
	A.尿浓缩试验
	B.酚红排泌试验
	C.肌酐清除率
	D.血尿素氮浓度
	E.血肌酐浓度
91、单项选择题 反映肾小管功能的试验为()。
	A.BSP排泄试验
	B.内生肌酐清除率
	C.浓缩稀释试验
	D.PAH清除率
	E.ICG排泄试验
92、单项选择题 有关检测血清酶活力时,添加稀释水的说法正确的是().
	A.使用液体试剂盒时,因稀释水体积和试剂体积比易于计算,稀释水的体积可比使用干粉试剂盒时多加
	B.添加样品稀释水的目的在于避免样品间交叉污染
	C.添加试剂稀释水的目的在于保证反应总体积在测定范围
	D.样品稀释水的量在复溶试剂时不必扣除
	E.试剂稀释水的量在复溶试剂时必须扣除
93、单项选择题 目前认为诊断心衰最敏感的标志物是()。
	A.ANP
	B.D-二聚体
	C.BNP
	D.P-选择素
	E.cTn
94、单项选择题 在生化分析的动态法检测中,测定杯的吸收率超过ABN(异常吸收率)时,ABN被标志为().
	A.试剂变质
	B.底物耗尽
	C.有干扰物存在
	D.样本本底太高
	E.反应超时
95、单项选择题 吸附层析的主要原理是利用物质()。
	A.在两相的吸附不同
	B.在两相的溶解不同
	C.分子大小不同
	D.离子交换不同
	E.亲和力不同
96、单项选择题 关于1型糖尿病发病机制,下列叙述正确的是().
	A.由于胰岛a细胞的破坏所引起的胰岛素绝对不足
	B.由于胰岛β细胞的破坏所引起的胰岛素绝对不足
	C.由于胰岛α细胞的破坏所引起的胰岛素相对不足
	D.由于胰岛β细胞的破坏所引起的胰岛素相对不足
	E.由于胰岛α细胞的破坏所引起的C肽绝对不足
97、单项选择题 对维持红细胞正常生理环境具有极其重要意义的氧化-还原体系是()。
	A.NAD-NADH
	B.NADP-NADPH
	C.抗坏血酸
	D.谷胱甘肽
	E.维生素E
98、单项选择题 关于血浆中[H+]、[HCO3-]与[Ca2+]之间的关系叙述正确的是()。
	A.[H+]增高,[Ca2+]下降
	B.[H+]增高,[Ca2+]增高
	C.[HCO3-]增高,[Ca2+]增高
	D.[HCO3-]下降,[Ca2+]下降
	E.[H+]下降,[Ca2+]增高
99、单项选择题 能活化脂蛋白脂肪酶(LPL)的载脂蛋白的是()。
	A.载脂蛋白A
	B.载脂蛋白B
	C.载脂蛋白C
	D.载脂蛋白D
	E.载脂蛋白E
100、单项选择题 酸中毒()。
	A.血浆HCO3-/H2CO3<20
	B.血浆HCO3-/H2CO3>20
	C.血浆HCO3-/H2CO3=20
	D.血浆HCO3-/H2CO3>40
	E.血浆HCO3-/H2CO3<40
101、单项选择题 下列不是胰岛素作用的是()。
	A.促进糖的氧化
	B.促进糖变脂肪
	C.抑制糖异生
	D.抑制血糖进入肌、脂肪组织细胞内
	E.促进肝葡萄糖激酶的活性
102、单项选择题 电极法测定原理所依据的公式是().
	A.比耳公式
	B.能斯特公式
	C.波尔定律公式
	D.Henderson-Hasselbalch方程式
	E.朗伯公式
103、单项选择题 儿童生长发育迟缓().
	A.血清CK升高
	B.血清锌缺乏
	C.血清铜降低
	D.LDL-C升高
	E.血清总铁结合力增高
104、单项选择题 下列关于脂肪酸结合蛋白(FABP)的描述,不正确的是()。
	A.FABP是分子量比肌红蛋白更小的胞质蛋白
	B.骨骼肌组织FABP含量较心肌丰富
	C.FABP能和脂肪酸结合,在心肌脂代谢中起重要作用
	D.FABP诊断早期AMI的敏感性、特异性和Mb相近,比CK-MB高
	E.临床用Mb/FABP比值来诊断AML,增加其特异性和使用价值
105、单项选择题 CA125的半衰期是()。
	A.3~4天
	B.8.5天
	C.4~5天
	D.8~15天
	E.4.8天
106、单项选择题 糖酵解时丙酮酸不会堆积,因为()。
	A.乳酸脱氢酶活性很强
	B.丙酮酸可在丙酮酸脱氢酶作用下生成乙酰CoA
	C.NADH/NAD+太低
	D.乳酸脱氢酶对丙酮酸的Km值很高
	E.可为3-磷酸甘油醛脱氢反应中生成的NADP的受氢体
107、单项选择题 血红素加氧酶主要存在于单核巨噬细胞的()。
	A.线粒体
	B.微粒体
	C.细胞核
	D.细胞质
	E.细胞膜
108、单项选择题 血清脂蛋白电泳可分α-脂蛋白、前β-脂蛋白、β-脂蛋白及乳糜微粒四个条带,α-脂蛋白中所含的载脂蛋白是()。
	A.载脂蛋白A
	B.载脂蛋白B
	C.载脂蛋白D
	D.载脂蛋白C
	E.载脂蛋白E
109、单项选择题 高渗性脱水引起()。
	A.血浆容量减少,组织间液容量减少,细胞内液容量正常
	B.血浆容量减少,组织间液容量减少,细胞内液容量增多
	C.血浆容量正常,组织间液容量减少,细胞内液容量减少
	D.血浆容量减少,组织间液容量减少,细胞内液容量减少
	E.血浆容量减少,组织间液容量正常,细胞内液容量减少
110、单项选择题 下列物质仅由肝细胞特异合成的是()。
	A.ATP
	B.蛋白质
	C.糖原
	D.尿素
	E.脂肪
111、单项选择题 根据《中国人民银行法》的规定,中国人民银行()对政府财政透支。
	A.可以
	B.必须
	C.不得
	D.自行决定
112、单项选择题 为减少分析测定中的偶然误差,可采用()。
	A.增加平行试验次数
	B.做试剂空白
	C.样本空白
	D.校正仪器
	E.对照实验
113、单项选择题 由肾小球滤过又全部被肾小管重吸收,并且肾小管不排泌的是().
	A.肌酐
	B.蛋白质
	C.葡萄糖
	D.尿素
	E.K+
114、单项选择题 患儿男,4岁。消瘦,肋骨呈串珠状,"鸡胸",头颅略方,体重偏低,X线检查提示:骨干端弯成杯口状,有脱钙现象。 初步诊断为()。
	A.佝偻病
	B.脚气病
	C.缺铁症
	D.缺锰症
	E.缺锌症
115、单项选择题 患者女性,48岁。近一年来体重减轻,多食易饥,怕热多汗,心悸,易怒,体检:消瘦,双侧甲状腺肿大,心率110次/分。 为明确诊断及疾病严重程度,最有意义的检查项目是().
	A.血清游离T3、T4
	B.血清总T3、T4
	C.131I摄取试验
	D.血皮质醇
	E.甲状腺自身抗体
116、多项选择题 患者男性,38岁。周期性节律性上腹部疼痛5年,近二天加重入院。平时疼痛多发生在饥饿时,进食后缓解,常有夜间疼痛。体检:慢性病容,上腹部压痛,无反跳痛。血常规:Hb90g/L,RBC3.3×1012/1,Hct0.3,RDW18%,WBC6.4×109/L,N65%,L35%。 患者应做的进一步检查为()。提示:若该患者胃液分析结果为:BAO>15mmol/h、MAO>60mmol/h,BAO/MAO比值>0.6。
	A.胃镜检查
	B.X线钡餐检查
	C.CT检查
	D.胃液分析
	E.大便隐血试验
	F.腹部X线透视
	G.肝穿刺活检
	H.腹腔镜检查
117、单项选择题 某种物质的血浆清除率大于肾小球滤过率时意味着().
	A.肾小管对该物质有重吸收作用
	B.肾小管对该物质有分泌作用
	C.肾小管对该物质既有重吸收作用又有分泌作用
	D.肾小管对该物质既无重吸收作用又无分泌作用
	E.肾小管对该物质有重吸收作用,无分泌作用
118、单项选择题 患者男性,65岁。腰痛入院,血红蛋白60g/L,尿蛋白2g/L,本周蛋白(+)。 其尿蛋白尿类型为()。
	A.肾小球性蛋白尿
	B.肾小管性蛋白尿
	C.组织性蛋白尿
	D.溢出性蛋白尿
	E.分泌性蛋白尿
119、单项选择题 关于胆汁酸盐的错误叙述是().
	A.它在肝脏由胆固醇合成
	B.它为脂类吸收中的乳化剂
	C.它能抑制胆固醇结石的形成
	D.它是胆色素的代谢产物
	E.它能经肠肝循环被重吸收
120、单项选择题 呼吸性酸中毒时()。
	A.PaCO2↑
	B.PaCO2↓
	C.肺过度换气
	D.肾脏排出氢离子减少
	E.肾脏重吸收HCO3-减少
121、单项选择题 由胰岛α细胞分泌的激素是().
	A.生长素
	B.生长抑素
	C.胰高血糖素
	D.促胰液肽
	E.甲状腺素
122、单项选择题 隐性黄疸的胆红素界限值是().
	A.1.71~3.42μmol/L
	B.17.1~34.2μmol/L
	C.17.1~171μmol/L
	D.1.71~3.42mmol/L
	E.17.1~34.2mmol/L
123、单项选择题 下列关于前清蛋白的描述,正确的是()。
	A.是维持血浆渗透压最主要的蛋白质
	B.血清中的参考范围为200~400mg/ml
	C.对T4的亲和力比T3大
	D.在醋酸纤维素薄膜电泳中显示在清蛋白的阳极侧
	E.半寿期很长
124、单项选择题 心肌梗死时,血清中LD活性升高最明显的是()。
	A.LD1
	B.LD2
	C.LD3
	D.LD4
	E.LD5
125、单项选择题 Wilson病因()。
	A.缺碘
	B.缺硒
	C.汞中毒
	D.铁过剩
	E.铜代谢异常
126、单项选择题 pH增高导致()。
	A.P50降低,氧解离曲线左移
	B.P50降低,氧解离曲线右移
	C.P50增加,氧解离曲线左移
	D.P50增加,氧解离曲线右移
	E.P50正常,氧解离曲线正常
127、单项选择题 根据阴离子间隙水平的高低有助于判断()。
	A.代谢性酸中毒
	B.代谢性碱中毒
	C.呼吸性酸中毒
	D.呼吸性碱中毒
	E.对酸碱平衡紊乱的诊断没有帮助
128、多项选择题 患者女性,40岁。因发热、食欲减退、恶心、右上腹隐痛2周,皮肤黄染1周就诊。曾按上感和胃病治疗无好转。尿色较黄,无皮肤瘙痒,大便正常,体重无明显变化。既往体健,病毒性肝炎病史不详。查体:T37.8℃,P80次/分,R20次/分,BP120/75mmHg,皮肤略黄,无出血点,浅表淋巴结未触及,巩膜黄染,心肺(-),腹平软,肝肋下2.5cm,质软,轻压痛和叩击痛,脾侧位刚及,腹水征(-),下肢不肿。 为明确诊断,患者应进行的检查有().
	A.骨髓检查
	B.肝胆B超
	C.逆行性胰胆管造影
	D.肝功能检查(包括胆红素)
	E.肾功能检查
	F.大便常规
	G.尿常规
	H.血常规及网织红细胞
129、单项选择题 用甲酰胺解聚法获取的DNA大小()。
	A.分子量为20000~50000
	B.分子量为80000
	C.分子量为100000~150000
	D.分子量为150000~200000
	E.分子量为>200000
130、单项选择题 血清脂蛋白电泳中,出现宽-β带的是()。
	A.Ⅰ型高脂蛋白血症
	B.Ⅱa型高脂蛋白血症
	C.Ⅱb型高脂蛋白血症
	D.Ⅲ型高脂蛋白血症
	E.Ⅴ型高脂蛋白血症
131、单项选择题 LD酶是由几种不同亚基组成的().
	A.2
	B.3
	C.4
	D.5
	E.6
132、单项选择题 渗透压测定的原理是根据()。
	A.比重高低
	B.黏度大小
	C.冰点下降
	D.沸点上升
	E.溶解度上升
133、单项选择题 胎儿呼吸窘迫综合征的患儿血浆中浓度明显降低的是().
	A.前清蛋白
	B.转铁蛋白
	C.结合珠蛋白
	D.α1-抗胰蛋白酶
	E.低密度脂蛋白
134、单项选择题 内生肌酐清除率的参考值是()。
	A.40~50ml/min
	B.50~60ml/min
	C.70~80ml/min
	D.80~120ml/min
	E.120~150ml/min
135、单项选择题 某实验室作某一血糖测定法的回收试验,用8.35mmol/L的糖标准与混合血清(含糖4.51mmol/L)以2:1的比例混合作测试,其结果为7.10mmol/L,则其回收率为().
	A.97.4%
	B.98.2%
	C.99.8%
	D.100.4%
	E.101.2%
136、单项选择题 下列导致脂肪肝的可能原因不包括()。
	A.肝功能受损
	B.磷脂合成原料不足
	C.糖转变为脂肪过多
	D.VLDL合成过多
	E.肝内脂肪不能及时输出
137、多项选择题 患者男性,55岁。因食欲亢进易饥,伴心慌、多汗2月余就诊。体检:明显肥胖,情绪较急躁、皮肤略潮湿,甲状腺不明显。心率124次/分,血压140/70mmHg,双手无震颤。 为了进一步确诊,需要急查的项目有().
	A.血浆渗透压
	B.血糖
	C.血酮
	D.血气分析
	E.血尿素氮、肌酐
	F.血浆胰岛素水平
	G.血肝功能
138、单项选择题 合成清蛋白的细胞是()。
	A.肝实质细胞
	B.肝间质细胞
	C.浆细胞
	D.心肌细胞
	E.骨骼肌细胞
139、单项选择题 醋纤膜电泳时,C反应蛋白所处的区带是().
	A.清蛋白区
	B.α1-球蛋白区
	C.α2-球蛋白区
	D.β-球蛋白区
	E.γ-球蛋白区
140、单项选择题 下列关于C-反应蛋白(CRP)的描述,错误的是()。
	A.肿瘤浸润时可升高
	B.急性时相反应蛋白之一
	C.肝细胞合成
	D.电泳处在α2区
	E.临床应用特异性较差
141、单项选择题 胆红素是下列哪种物质的分解产物()。
	A.胆汁酸
	B.胆素原
	C.胆素
	D.血红素
	E.胆固醇
142、单项选择题 临床上不需进行TDM的抗生素类药物是()。
	A.阿米卡星
	B.青霉素
	C.链霉素
	D.氯霉素
	E.妥布霉素
143、单项选择题 患者男性,65岁。咳嗽、咳痰3天,腹泻1天,神志不清伴抽搐2小时。糖尿病史10年,不规律口服降糖药治疗。 目前最有效的处理是().
	A.甘露醇脱水
	B.输葡萄糖+胰岛素
	C.抗生素
	D.输生理盐水+胰岛素
	E.补钾+胰岛素
144、单项选择题 调节ADH分泌的主要是()。
	A.血流速度
	B.血浆胶体渗透压
	C.血浆晶体渗透压
	D.毛细血管压
	E.血液黏滞性
145、单项选择题 Ⅳ型糖原累积症的生化特征主要是缺少().
	A.分枝酶
	B.脱枝酶
	C.变位酶
	D.糖原合成酶
	E.糖原磷酸化酶
146、单项选择题 生物转化中第一相反应最主要的是()。
	A.水解反应
	B.还原反应
	C.氧化反应
	D.脱羧反应
	E.加成反应
147、单项选择题 患者女性,52岁。10年前患乳腺癌,做过乳房切除和放射治疗,现因背部疼痛就诊,实验室检查血钙浓度显著升高,有重度高钙血症。 引起该患者高钙血症的病因最有可能为()。
	A.原发性甲状旁腺功能亢进
	B.甲状腺功能亢进
	C.维生素D摄入过量
	D.异位恶性肿瘤
	E.维生素A摄入过量
148、单项选择题 患者男性,24岁。近半年来腹部不适,多次剧烈腹痛。空腹12小时抽血分离血浆,呈奶样乳白色,但经15000转/分、离心30分钟后,发现血浆下层较透明,而表面为奶油层。 该患者血浆中哪项脂类成分显著升高().
	A.外源性胆固醇
	B.内源性胆固醇
	C.外源性甘油三酯
	D.内源性甘油三酯
	E.外源性甘油三酯和胆固醇
149、单项选择题 给患者注射胰岛素、葡萄糖后,不适于作血清钾测定,因为此时钾代谢的变化是()。
	A.无改变
	B.细胞外钾进入细胞内
	C.细胞内钾溢出到细胞外
	D.尿钾增高
	E.血钾增高
150、单项选择题 患者女性,65岁。突发心前区剧烈疼痛,随后心悸、气促,考虑急性心肌梗死。该患者下列哪项指标最早出现异常()。
	A.Mb
	B.CK/CK-MB
	C.LD1/LD2
	D.cTn
	E.AST
151、单项选择题 能使蛋白质沉淀而又不变性所用的沉淀剂和温度条件是()。
	A.低温下用硫酸铵
	B.常温下用硫酸铜
	C.常温下用三氯醋酸
	D.低温下用丙酮或乙醇
	E.低温下用三氯醋酸
152、单项选择题 不是引起高磷血症的常见原因是()。
	A.肾排泌磷酸盐的能力下降
	B.磷酸盐摄入过多
	C.磷向细胞外转移
	D.维生素D缺乏
	E.维生素D中毒
153、单项选择题 关于维生素D3的功能,以下正确的是().
	A.升高血钙,血磷
	B.降低血钙,血磷
	C.升高血钙,降低血磷
	D.升高血磷,降低血钙
	E.升高血钙,对血磷无影响
154、单项选择题 双缩脲法测定蛋白质时产生有色物质的颜色为().
	A.黄色
	B.蓝色
	C.绿色
	D.棕色
	E.紫红色
155、单项选择题 微量元素是指其含量低于人体总重量的()。
	A.1%
	B.0.1%
	C.0.01%
	D.0.001%
	E.0.0001%
156、单项选择题 1分子葡萄糖无氧酵解时净生成几分子ATP()。
	A.1
	B.2
	C.3
	D.4
	E.5
157、单项选择题 抗利尿激素调节().
	A.肾脏远端小管和集合管对水的重吸收
	B.肾脏近端小管对水的重吸收
	C.肾脏近端小管对钾的重吸收
	D.肾脏远端小管和集合管对钾的重吸收
	E.肾脏近端小管和集合管对水的重吸收
158、单项选择题 下列原因可造成血尿素含量增高,不包括().
	A.急性黄色肝萎缩
	B.休克
	C.慢性肾小球肾炎
	D.泌尿道严重梗阻
	E.剧烈呕吐或腹泻
159、单项选择题 会使细胞内钾向细胞外转移,引起高钾血症的是()。
	A.急性肾功能不全
	B.代谢性酸中毒
	C.代谢性碱中毒
	D.严重呕吐、腹泻
	E.大量输液
160、多项选择题 患者男性,38岁。周期性节律性上腹部疼痛5年,近二天加重入院。平时疼痛多发生在饥饿时,进食后缓解,常有夜间疼痛。体检:慢性病容,上腹部压痛,无反跳痛。血常规:Hb90g/L,RBC3.3×1012/1,Hct0.3,RDW18%,WBC6.4×109/L,N65%,L35%。 进一步处理应为().
	A.抗休克
	B.抗生素
	C.输血
	D.急诊手术
	E.气管切开
	F.胃肠道外营养
	G.腹部穿刺减压
161、单项选择题 呼吸性酸中毒是由于()。
	A.血浆NaHCO3含量原发性减少所致
	B.血浆NaHCO3含量原发性增多所致
	C.血浆H2CO3浓度原发性增高所致
	D.血浆H2CO3浓度原发性下降所致
	E.血浆NaHCO3与H2CO3同时增加所致
162、单项选择题 糖酵解过程的终产物是()。
	A.丙酮酸
	B.葡萄糖
	C.果糖
	D.乳糖
	E.乳酸
163、单项选择题 血清脂蛋白电泳中的前β-脂蛋白是指()。
	A.CM
	B.LDL
	C.IDL
	D.VLDL
	E.HDL
164、单项选择题 前列腺()。
	A.酸性磷酸酶
	B.精浆果糖
	C.两者均是
	D.两者均不是
165、单项选择题 糖异生过程中哪一种酶代替糖酵解中的己糖激酶催化相反的生化反应()。
	A.磷酸烯醇式丙酮酸羧激酶
	B.果糖二磷酸酶Ⅰ
	C.丙酮酸羧化酶
	D.葡萄糖-6-磷酸酶
	E.磷酸化酶
166、单项选择题 生物传感器中决定传感器的功能与质量的关键元件是()。
	A.生物敏感膜
	B.热敏元件
	C.光敏管
	D.荧光计
	E.阻抗计
167、单项选择题 指出下列组合不当的项目().
	A.肾病综合征--血清铁降低
	B.缺铁性贫血--总铁结合力降低
	C.急性肝炎--血清铁增高
	D.再生障碍性贫血--血清铁增高
	E.溶血性贫血--血清铁增高
168、单项选择题 低热导致()。
	A.P50降低,氧解离曲线左移
	B.P50降低,氧解离曲线右移
	C.P50增加,氧解离曲线左移
	D.P50增加,氧解离曲线右移
	E.P50正常,氧解离曲线正常
169、单项选择题 大量输血可引起().
	A.高阴离子间隙型代谢性酸中毒
	B.正常阴离子间隙型代谢性酸中毒
	C.Cl-响应型代谢性碱中毒
	D.Cl-抵抗型代谢性碱中毒
	E.外源性碱增多引起的代谢性碱中毒
170、单项选择题 乳酸脱氢酶同工酶中,主要存在于心肌组织的是()。
	A.LD1
	B.LD2
	C.LD3
	D.LD4
	E.LD5
171、单项选择题 某患者临床表现为周期性深呼吸、疲乏感,动脉血气结果:pH7.36,SB20mmol/L,AB19mmol/L,PCO24kPa,BE-5mmol/L,考虑为()。
	A.代偿型代谢性酸中毒
	B.代偿型呼吸性酸中毒
	C.代偿型呼吸性碱中毒
	D.代偿型代谢性碱中毒
	E.无酸碱平衡紊乱
172、单项选择题 下列有关血浆蛋白质的功能的描述中,不包括().
	A.维持血浆渗透压
	B.激素的运输载体
	C.作为凝血因子参与凝血
	D.作为免疫分子参与体液免疫
	E.作为原料生成胆汁酸
173、单项选择题 代谢性酸中毒,完全代偿().
	A.糖尿病患者血气分析,pH、[HCO3-]及BE均明显降低,PCO2明显降低
	B.糖尿病患者血气分析,pH、[HCO3-]及BE均明显降低,PCO2增高
	C.糖尿病患者血气分析,pH、[HCO3-]及BE均明显降低,PCO2降低不明显
	D.糖尿病患者血气分析,pH正常、[HCO3-]及BE均明显降低,PCO2明显降低
	E.糖尿病患者血气分析,pH降低、[HCO3-]及BE正常,PCO2增高
174、单项选择题 目前临床上测定蛋白质最经典的方法()。
	A.染料结合法
	B.凯氏定氮法
	C.比浊法
	D.紫外分光光度法
	E.双缩脲法
175、单项选择题 下列不属于理想的心肌损伤标志物的特性的是()。
	A.高敏感性和高特异性
	B.主要或仅存在于心肌组织
	C.能检测早期心肌损伤
	D.能评估溶栓效果
	E.窗口期短
176、单项选择题 铜是人体微量元素之一,它在体内很重要,因为铜是()。
	A.还原酶的组成部分
	B.酶的激活剂
	C.氧化酶的组成部分
	D.转移酶的组成部分
	E.体内维生素的组成部分
177、多项选择题 患者男性,38岁。周期性节律性上腹部疼痛5年,近二天加重入院。平时疼痛多发生在饥饿时,进食后缓解,常有夜间疼痛。体检:慢性病容,上腹部压痛,无反跳痛。血常规:Hb90g/L,RBC3.3×1012/1,Hct0.3,RDW18%,WBC6.4×109/L,N65%,L35%。 应考虑可能的并发症有().
	A.消化性溃疡合并出血
	B.消化性溃疡合并穿孔
	C.休克早期
	D.腹膜炎
	E.失血性贫血
	F.胰腺炎
178、单项选择题 符合比尔定律的有色溶液稀释时,其最大吸收峰的波长()。
	A.向长波长方向移动
	B.向短波长方向移动
	C.不移动,但峰高值增大
	D.不移动,但峰高值降低
	E.不移动,峰值不变
179、单项选择题 低渗性脱水时体液容量的变化特点().
	A.细胞内、外液等量减少
	B.细胞内液显著减少、细胞外液正常
	C.细胞外液显著减少、细胞内液正常
	D.细胞内液显著减少、细胞外液轻度减少
	E.细胞外液显著减少、细胞内液轻度减少
180、单项选择题 等渗性缺水引起体液容量的变化().
	A.以血液浓缩为主
	B.只有组织间液减少
	C.血浆、组织间液、细胞内液都减少,以血浆减少为主
	D.血浆、组织间液、细胞内液都减少,以细胞内液减少为主
	E.血浆、组织间液、细胞内液都减少,以组织间液减少为主
181、单项选择题 患者女性,39岁。主诉已闭经,并逐渐肥胖,X射线有骨质疏松现象,实验室检查:血钾2.5mmol/L,空腹血糖7.72mmol/L,血皮质醇(8:00)增高并且不能被大剂量地塞米松抑制。最可能的诊断是().
A.CLlshing病  
B.肾上腺皮质肿瘤  
C.糖尿病  
D.Addison病  
E.单纯性肥胖
182、单项选择题 可导致同型胱氨酸尿症的是().
	A.延胡索酸乙酰乙酸水解酶缺陷
	B.甲硫氨酸合成酶缺陷
	C.苯丙氨酸羟化酶缺陷
	D.葡萄糖-6-磷酸酶缺乏
	E.α1-抗胰蛋白酶缺乏
183、多项选择题 患者女性,28岁。近2天出现口周麻木、手足抽搐如助产士手或鹰爪状。查体:身高152cm,体重51kg,BP110/70mmHg,甲状腺不大,心、肺无异常。实验室检查提示血钙降低。 提示:实验室检查示血PTH10ng/L(正常15~65ng/L),血钙1.75mmol/L,尿钙6.0mmol/24h,血Bun7.3mmol/L,Cr110μmol/L,考虑诊断为原发性甲状旁腺功能减退。该患者应当监测下列哪些电解质,以防止电解质紊乱造成患者症状加重().
	A.血钙
	B.血磷
	C.血钾
	D.血铁
	E.血镁
	F.血钠
	G.血氯
184、单项选择题 表示准确性比较低的是()。
	A.ROC曲线下面积(AUC.=0.1
	B.ROC曲线下面积(AUC.=0.5
	C.ROC曲线下面积(AUC.=0.8
	D.ROC曲线下面积(AUC.=0.9
	E.ROC曲线下面积(AUC.=1.0
185、单项选择题 不影响血尿素浓度的因素是()。
	A.循环血容量异常
	B.肝功能状态
	C.机体肌肉总量
	D.蛋白质摄入量
	E.肾功能状态
186、单项选择题 患者男性,51岁。1年前因颅咽管瘤做过手术,术后渐进性乏力,体重减轻,食欲减退,实验室检查:血钠130mmol/L,血钾9mmol/L,血皮质醇(8:00)40μg/L,24小时尿17-OHCS降低,血ACTH低于正常,ACTH兴奋试验能使血浆皮质醇水平增加,最可能的诊断是().
	A.Qashing病
	B.尿崩症
	C.肾上腺皮质功能亢进
	D.Addison病
	E.继发性肾上腺皮质功能减退
187、单项选择题 患者男性,24岁。咳嗽伴午后低热一月余。体检:体温37.9℃,呼吸音较粗,叩诊左肺清音界上移。实验室检查:WBC6.2×109/L,ESR96mm/h。X线显示左侧肋膈角消失。该患者无吸烟史。 该患者最可能的疾病是().
	A.肺结核伴左侧胸腔积液
	B.肺癌伴左侧胸腔积液
	C.大叶性肺炎伴左侧胸腔积液
	D.左侧肺阻塞伴左侧胸腔积液
	E.肺脓肿伴左侧胸腔积液
188、单项选择题 根据米一曼方程,理论上酶测定时的底物浓度最好为Km的().
	A.1~2倍
	B.10~20倍
	C.100~200倍
	D.1000~2000倍
	E.10000~20000倍
189、单项选择题 CA199的半衰期是()。
	A.3~4天
	B.8.5天
	C.4~5天
	D.8~15天
	E.4.8天
190、多项选择题 患者男性,53岁。头痛、头晕半年,1周来视物不清,伴恶心、呕吐。查体:T36.9℃,P90次/分,R24次/分,BP195/120mmHg,重病容,精神差,眼睑水肿,结膜稍苍白,巩膜无黄染。心肺无异常。腹稍膨隆,无压痛及反跳痛,肝脾肋下未及,移动性浊音(-),肠鸣音存在。双下肢凹陷性水肿(+)。实验室检查:尿蛋白(+),BUN32mmol/L,Cr854νmol/L,Ccr10ml/min。 为明确病因及了解病情,患者应进行的检查有().
	A.双肾及肾动脉B超
	B.纤维胃镜
	C.颅脑CT
	D.血电解质
	E.血糖
	F.血常规
	G.血肝功能
	H.血气分析
	I.眼底检查
191、单项选择题 动脉粥样硬化().
	A.血清CK升高
	B.血清锌缺乏
	C.血清铜降低
	D.LDL-C升高
	E.血清总铁结合力增高
192、单项选择题 下列关于HDL的叙述错误的是()。
	A.主要在肝中合成
	B.能促进动脉硬化的发生
	C.将外周组织的游离胆固醇转运到肝内处理
	D.主要的载脂蛋白为ApoAl
	E.LCAT通过转酯化反应将机体中的游离胆固醇转化成胆固醇酯
193、单项选择题 正常人皮质醇分泌节律是()。
	A.清晨最高,下午最低
	B.午夜最高,下午最低
	C.午夜最低,下午最高
	D.清晨最低,午夜最高
	E.清晨最高,午夜最低
194、多项选择题 患者男性,55岁。因食欲亢进易饥,伴心慌、多汗2月余就诊。体检:明显肥胖,情绪较急躁、皮肤略潮湿,甲状腺不明显。心率124次/分,血压140/70mmHg,双手无震颤。 关于该患者的初步诊断,以下说法正确的是().
	A.可能存在糖尿病
	B.可能存在糖耐量异常
	C.可以除外甲状腺功能亢进
	D.可能存在高胰岛素血症
	E.可能存在低血糖
	F.可能存在甲状腺功能亢进
195、单项选择题 6-磷酸葡萄糖酶主要分布的器官是().
	A.肾
	B.肌肉
	C.心
	D.肝
	E.脑
196、单项选择题 复合PSA半衰期约()。
	A.1天
	B.7天
	C.12天
	D.2~3天
	E.10天
197、单项选择题 心肌梗死的早期标志物().
	A.BNP
	B.CK-MB
	C.Mb
	D.cTn
	E.HBDH
198、单项选择题 PSA在精液中浓度约为血清浓度的多少倍()。
	A.10万
	B.1万
	C.100万
	D.100倍
	E.1000倍
199、单项选择题 与凝血酶原生成有关的维生素是().
	A.维生素A
	B.维生素E
	C.维生素K
	D.维生素PP
	E.维生素C
200、单项选择题 细胞内液中最多的离子()。
	A.K+
	B.Na+
	C.CI-
	D.Ca2+
	E.HCO3-
201、单项选择题 HRB335直径25mm钢筋拉伸后测得屈服点载荷179kN,抗拉极限载荷256kN;屈服强度和抗拉强度分别为()Mpa.
	A、365;520
	B、364;521
	C、360;520
	D、365;521
202、单项选择题 下列能引起血钾浓度降低的是()。
	A.创伤
	B.高热
	C.饥饿
	D.呕吐
	E.缺氧
203、单项选择题 碱中毒时,将导致().
	A.高血钾,排酸性尿
	B.低血钾,排碱性尿
	C.低血钾,排酸性尿
	D.酸中毒,排碱性尿
	E.碱中毒,排酸性尿
204、单项选择题 大量出汗后血液渗透压升高引起()。
	A.醛固酮分泌增加
	B.PTH分泌增加
	C.ADH分泌增加
	D.肾上腺素分泌增加
	E.降钙素分泌增加
205、单项选择题 饥饿后摄食,其肝细胞主要糖代谢途径是().
	A.糖异生
	B.糖有氧氧化
	C.糖酵解
	D.糖原分解
	E.磷酸戊糖途径
206、单项选择题
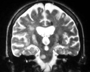
患者,女性,30岁,3年前因为双下肢麻木无力,治疗3周后症状消失。1年前右眼视力下降,未经治疗2周后好转。近1周出现走路不稳、复视。MRI表现如图。
	
	A.右侧视神经炎
	B.脊髓炎
	C.脑干脑炎
	D.多发性硬化
	E.视神经脊髓炎
207、单项选择题 碱中毒()。
	A.血浆HCO3-/H2CO3<20
	B.血浆HCO3-/H2CO3>20
	C.血浆HCO3-/H2CO3=20
	D.血浆HCO3-/H2CO3>40
	E.血浆HCO3-/H2CO3<40
208、单项选择题 肾病综合征患者血浆中的含量明显升高的是().
	A.前清蛋白
	B.转铁蛋白
	C.结合珠蛋白
	D.α1-抗胰蛋白酶
	E.低密度脂蛋白
209、单项选择题 患者女性,40岁。患者3年前因Gaves病行部分甲状腺切除术,最近出现双手痉挛,严重抑郁。实验室检查:血清Cr80μmol/L,Ca2++1.38mmol/L,P1.75mmc)lL,Alk)39g/L,PTH1.3pmlol/L(正常1.6~6.9pmol/L。),血气分析正常。 甲状旁腺功能低下可引起().
	A.血钙增高血磷降低
	B.血磷降低
	C.血钙和血磷同时增高
	D.血钙和血磷同时降低
	E.血钙降低血磷增高
210、单项选择题 正常代谢中肾小管对[HCO3-]重吸收的主要部位在().
	A.远端小管
	B.近端小管
	C.集合管
	D.肾盂
	E.髓袢
211、单项选择题 肾脏在维持酸碱平衡中最主要的功能是().
	A.排出酮体
	B.排H+保Na+
	C.重吸收糖以维持血糖水平
	D.排除挥发酸
	E.排出铵盐
212、单项选择题 急性心肌梗死().
	A.血清CK升高
	B.血清锌缺乏
	C.血清铜降低
	D.LDL-C升高
	E.血清总铁结合力增高
213、单项选择题 血钾过高时,将导致().
	A.高血钾,排酸性尿
	B.低血钾,排碱性尿
	C.低血钾,排酸性尿
	D.酸中毒,排碱性尿
	E.碱中毒,排酸性尿
214、单项选择题 急性呼吸性酸中毒的预计代偿公式是().
	A.PCO2=40-(24-cHCO3-)×1.2±2
	B.PCO2=40+(cHCO3--24)×0.9±5
	C.cHCO3-=24+(PCO2-40)×0.4±3
	D.cHC3-=24+(PCO2-40)×0.07±1.5
	E.cHCO3-=24-(40-PCO2)×0.2±2.5
215、单项选择题 乳酸脱氢酶(LD)是()。
	A.二聚体
	B.三聚体
	C.四聚体
	D.五聚体
	E.六聚体
216、单项选择题 具有促进视觉细胞内感光物质合成与再生功能的维生素是()。
	A.维生素A
	B.维生素B1
	C.维生素D
	D.维生素PP
	E.维生素C
217、单项选择题 呼吸性碱中毒最常见().
	A.血钾升高
	B.血钠降低
	C.血钙升高
	D.血磷升高
	E.血氯升高
218、单项选择题 在测定时,不宜使用肝素抗凝血浆的药物是().
	A.环孢素
	B.庆大霉素
	C.地高辛
	D.利多卡因
	E.苯妥英钠
219、单项选择题 对营养不良和肝功能不全比较敏感的蛋白质指标是().
	A.清蛋白
	B.转铁蛋白
	C.前清蛋白
	D.C反应蛋白
	E.免疫球蛋白
220、单项选择题 以下不属于脂类物质化合物的是()。
	A.辅酶Q
	B.磷脂酸
	C.维生素E
	D.甘油
	E.脂蛋白
221、单项选择题 血液缓冲系统中,缓冲能力最强的是().
A.NaHCO3/HCO3  
B.还原型血红蛋白/血红蛋白  
C.血浆蛋白-Na/血浆蛋白  
D.Na2HPO4/NaH2PO4  
E.KHCO3/H2CO3
222、单项选择题 合成类固醇激素的前体物质是()。
	A.白蛋白
	B.精氨酸
	C.酪氨酸
	D.皮质醇
	E.胆固醇
223、单项选择题 对于诊断急性甲型肝炎最有价值的是().
	A.AMY
	B.ALT
	C.GGT
	D.ACP
	E.ALP
224、单项选择题 既能增强心肌兴奋性,又能降低神经肌肉兴奋性的离子是().
	A.钠离子
	B.钾离子
	C.钙离子
	D.镁离子
	E.氢氧根离子
225、单项选择题 患者男性,68岁。慢支30年,近3年来下肢水肿,平时活动气短,3天前受凉后加重,神志恍惚嗜睡,血气分析pH7.15,PaCO280mmHg,PaO245mmHg。 初步判断患者属于().
	A.呼吸性碱中毒
	B.呼吸性酸中毒
	C.代谢性碱中毒
	D.代谢性酸中毒
	E.无酸碱平衡紊乱
226、单项选择题 常用免疫比浊法进行测定的试验项目是().
	A.转氨酶
	B.载脂蛋白
	C.胆固醇
	D.清蛋白
	E.总胆汁酸
227、单项选择题 血红蛋白的重要组成部分()。
	A.铜
	B.锌
	C.硒
	D.碘
	E.铁
228、单项选择题 患儿男,15岁。食欲减退,免疫力降低,异食癖(嗜土),生长发育迟缓,临床诊断为营养性侏儒症,原发性男性不育症。此男孩可能缺乏().
	A.铅
	B.锌
	C.镉
	D.铝
	E.砷
229、单项选择题 以下不影响钾在细胞内外分布的因素是()。
	A.糖代谢
	B.血液pH
	C.脂肪代谢
	D.肾和呼吸功能
	E.消化功能
230、单项选择题 血浆中分子量最大的是().
	A.铜蓝蛋白
	B.转铁蛋白
	C.结合珠蛋白
	D.α2-巨球蛋白
	E.C-反应蛋白
231、单项选择题 患者女性,45岁。有慢性肾炎病史20年,近一月来下肢水肿,血压20/13.5kPa,尿蛋白定量3g/d,血肌酐215μmol/L,其蛋白尿性质最可能为()。
	A.低分子蛋白尿
	B.中分子蛋白尿
	C.高分子蛋白尿
	D.组织性蛋白尿
	E.混合性蛋白尿
232、单项选择题 下列有关胆固醇水平增高的疾病,叙述错误的是()。
	A.甲状腺功能减退时,血胆固醇水平常降低
	B.糖尿病时,血胆固醇水平常增高
	C.严重肝病时,血胆固醇水平常降低
	D.恶性肿瘤时,血胆固醇水平常降低
	E.肾病综合征,血胆固醇水平常增高
233、单项选择题 酶的粗制品分离常用方法是()。
	A.吸附分离法
	B.盐析法
	C.有机溶剂沉淀法
	D.层析法
	E.等电沉淀法
234、单项选择题 下列关于清蛋白的描述,错误的是()。
	A.在pH7.4的环境中带负电荷
	B.正常情况下可完全从肾小球滤过
	C.是血浆中含量最多的蛋白质
	D.当血浆中的浓度低于28g/L时可出现水肿
	E.醋纤膜电泳时,清蛋白区的参考范围是57%~68%
235、单项选择题 某患者少尿3天,发生完全性房室传导阻滞后,旋即心脏骤停。 正常人血清钾浓度为()。
	A.3.0~5.0mmol/L
	B.3.0~6.0mmol/L
	C.3.5~5.5mmol/L
	D.3.5~6.0mmol/L
	E.3.5~6.5mmol/L
236、单项选择题 醋纤膜电泳时,低密度脂蛋白所处的区带是().
	A.清蛋白区
	B.α1-球蛋白区
	C.α2-球蛋白区
	D.β-球蛋白区
	E.γ-球蛋白区
237、单项选择题 以下关于脱氧吡啶酚作为骨吸收标志物特异性及灵敏度均较高的原因,不正确的是()。
	A.它是由胶原自然形成的,非生物合成
	B.从尿中排出前不被代谢
	C.骨是脱氧吡啶酚的主要来源
	D.不受饮食的影响
	E.软骨是脱氧吡啶酚的主要来源
238、单项选择题 患者男性,24岁。近半年来腹部不适,多次剧烈腹痛。空腹12小时抽血分离血浆,呈奶样乳白色,但经15000转/分、离心30分钟后,发现血浆下层较透明,而表面为奶油层。 该患者血浆中下列哪项脂蛋白可能升高().
	A.HDL
	B.IDL
	C.LDL
	D.VLDL
	E.CM
239、单项选择题 因变质校准液引起的误差属于().
	A.偶然误差中的标本处理不当误差
	B.系统误差中的试剂误差
	C.系统误差中的方法学误差
	D.工作曲线制备错差
	E.偶然误差中的试剂误差
240、单项选择题 下列关于尿糖说法正确的是().
	A.尿糖阳性,血糖一定也升高
	B.尿糖阳性肯定是由于肾小管不能将糖全部重吸收
	C.尿糖阳性肯定是有糖代谢紊乱
	D.尿糖阳性是诊断糖尿病的唯一依据
	E.尿糖阳性一定是由于胰岛素分泌不足引起的
241、单项选择题 患者男性,24岁。咳嗽伴午后低热一月余。体检:体温37.9℃,呼吸音较粗,叩诊左肺清音界上移。实验室检查:WBC6.2×109/L,ESR96mm/h。X线显示左侧肋膈角消失。该患者无吸烟史。 下列胸水酶学检查哪一项对了解胸水性质更有帮助().
	A.AST
	B.CK
	C.GGT
	D.LD
	E.ALP
242、单项选择题 患者男性,25岁。头晕、眼睑水肿二天。既往体健。查体眼睑及双下肢中度水肿,心肺(-)、腹部(-)、双肾区叩痛(+)。Bp190/100mmHg,实验室检查:尿常规示尿蛋白(+++)、WBC2~5个/HPF,RBC10个/HPF,咽拭子培养为乙型溶血性链球菌生长,24小时尿蛋白定量为3.2go 该患者可能的诊断为().
	A.急性心功能衰竭
	B.糖尿病肾病
	C.急性肾小球肾炎
	D.急性肾小管肾炎
	E.慢性肾小球肾炎
243、单项选择题 地方性甲状腺肿病因()。
	A.缺碘
	B.缺硒
	C.汞中毒
	D.铁过剩
	E.铜代谢异常
244、单项选择题 患者男性,24岁。咳嗽伴午后低热一月余。体检:体温37.9℃,呼吸音较粗,叩诊左肺清音界上移。实验室检查:WBC6.2×109/L,ESR96mm/h。X线显示左侧肋膈角消失。该患者无吸烟史。 连续监测法测定LD,常通过监测哪处波长吸光度的变化来计算酶的活性().
	A.260nm
	B.280nm
	C.340nm
	D.410nm
	E.620nm
245、单项选择题 糖尿病酮症会引起().
	A.代谢性碱中毒
	B.代谢性酸中毒
	C.呼吸性碱中毒
	D.呼吸性酸中毒
	E.复合型酸中毒
246、单项选择题 正常人血浆中胆红素量最低的是()。
	A.胆红素-清蛋白
	B.游离胆红素
	C.非结合胆红素
	D.δ胆红素
	E.直接胆红素
247、单项选择题 体内氨基酸代谢的最终产物是()。
	A.H2O、CO2、NH3
	B.H2O、CO、NH3
	C.H2O、CO2、NH3、Mg
	D.H2O、CO2、NH3、Fe
	E.H2O、CO2、NH3、Cu
248、单项选择题 耦联过氧化物酶(POD)作为具酶的反应中,如显色底物为4-氨基安替比林(4-AAP),最后呈色颜色为().
	A.蓝色
	B.黄色
	C.红色
	D.紫色
	E.棕色
249、单项选择题 克山病因()。
	A.缺碘
	B.缺硒
	C.汞中毒
	D.铁过剩
	E.铜代谢异常
250、单项选择题 服用苯巴比妥后,血清中GGT含量增加的原因是().
	A.苯巴比妥可诱导肝脏合成GGT
	B.苯巴比妥可破坏肝细胞使GGT增加
	C.苯巴比妥可减少GGT的转化以增加血中酶浓度
	D.苯巴比妥可增加肝细胞膜的通透性使GGT大量释放入血
	E.苯巴比妥影响GGT检测,可使GGT假性增高
251、单项选择题 用于分离不同分子质量大小蛋白质的方法()。
	A.凝胶过滤
	B.等电聚焦电泳
	C.免疫电泳
	D.琼脂糖凝胶电泳
	E.免疫固定电泳
252、单项选择题 婴幼儿毛细血管采血多采用()。
	A.手指
	B.颈静脉
	C.耳垂
	D.足跟部
	E.股静脉
253、单项选择题 下列哪个不是血糖的去路()。
	A.合成糖原
	B.氧化供能
	C.转变为脂肪
	D.转变为氨基酸
	E.糖异生作用
254、单项选择题 下列关于结合珠蛋白的描述,错误的是()。
	A.个体之间有多种遗传表型
	B.主要功能是与游离的血红蛋白结合
	C.每分子的结合珠蛋白可结合4分子的血红蛋白
	D.结合珠蛋白与血红蛋白的复合物不易解离
	E.结合珠蛋白与血红蛋白的复合物是在网状内皮系统分解
255、单项选择题 能活化卵磷脂-胆固醇酰基移换酶(LCAT)的载脂蛋白是()。
	A.载脂蛋白A
	B.载脂蛋白B
	C.载脂蛋白C
	D.载脂蛋白D
	E.载脂蛋白E
256、单项选择题 酚试剂法测定蛋白质是利用哪两种氨基酸残基与试剂产生有色物质()。
	A.精氨酸和脯氨酸
	B.甘氨酸和苯丙氨酸
	C.色氨酸和酪氨酸
	D.亮氨酸和异亮氨酸
	E.甲硫氨酸和门冬氨酸
257、单项选择题 非代偿性代谢性酸中毒().
	A.血浆pH正常,[HCO3-]下降,PCO2下降
	B.血浆pH下降,[HCO3-]增高,PCO2下降
	C.血浆pH正常,[HCO3-]下降,PCO2增高
	D.血浆pH下降,[HCO3-]下降,PCO2下降
	E.血浆pH正常,[HCO3-]增高,PCO2增高
258、单项选择题 以下选项中,符合代谢性碱中毒特点的是()。
	A.NaHCO3/H2CO3<20/1,原发性HCO3↑
	B.NaHCO3/H2CO3<20/1,原发性NaHCO3↓
	C.NaHCO3/H2CO3>20/1,原发性H2CO3↑
	D.NaHCO3/H2CO3>20/1,原发性NaHCO3↑
	E.pH一定增高
259、单项选择题 不是骨形成标志物的一项是()。
	A.胶原交联
	B.骨钙素
	C.前胶原肽
	D.骨碱性磷酸酶
	E.骨谷氨酰基蛋白
260、单项选择题 患者女性,39岁。主诉有闭经并逐渐肥胖。血压140/90mmHg,X线检查示骨质疏松,实验室检查:血钾2.5mmol/L,空腹血糖7.73mmol/L,血皮质醇(8:00AM)增高,且不能被大剂量地塞米松抑制。最可能的诊断是().
	A.肾上腺瘤性Cushing病
	B.肾上腺癌性Cushing病
	C.糖尿病
	D.Addison病
	E.单纯性肥胖
261、单项选择题 AFP的半衰期是()。
	A.3~4天
	B.8.5天
	C.4~5天
	D.8~15天
	E.4.8天
262、单项选择题 门冬氨酸和α-酮戊二酸可以作为下列哪种酶的反应基质物()。
	A.ALT
	B.AST
	C.ALP
	D.GGT
	E.AMY
263、单项选择题 饥饿一天时血糖的主要来源途径是()。
	A.肠道吸收
	B.肝糖原分解
	C.肌糖原分解
	D.肾小管重吸收
	E.糖异生
264、多项选择题 患者男性,65岁。食欲减退伴右上腹不适1个月余。体检:体温37.0℃巩膜黄染,心肺(-),肝肋下2cm,质地稍硬,叩诊移动性浊音可疑。实验室检查:WBC5.2×109/L,RBC3.8×1012/L,ESR36mm/h。该患者家住湖边。 该患者要考虑的疾病可能有().
	A.血吸虫肝病
	B.慢性乙型肝炎
	C.原发性肝癌
	D.胆结石
	E.胃溃疡
	F.胃癌
	G.胰腺炎
265、单项选择题 双缩脲法测定蛋白质是利用肽键与某离子结合产生有色物质的原理,此离子是()。
	A.Fe2+
	B.Cu2+
	C.Mg2+
	D.Zn2+
	E.Co2+
266、单项选择题 代谢性碱中毒是由于()。
	A.血浆NaHCO3含量原发性减少所致
	B.血浆NaHCO3含量原发性增多所致
	C.血浆H2CO3浓度原发性增高所致
	D.血浆H2CO3浓度原发性下降所致
	E.血浆NaHCO3与H2CO3同时增加所致
267、单项选择题 全部由肾小球滤过,肾小管不分泌、不吸收().
	A.菊粉
	B.酚红
	C.葡萄糖
	D.肌酐
	E.对氨马尿酸盐
268、多项选择题 不同信贷资产适用不同减值测试模型,以下表述正确的是()。
	A.单笔测试适用于已发生、已发现,且单项金额重大的信贷资产
	B.组合测试适用于已发生、已发现,但单项金额非重大
	C.滚动率测试适用于已发生、已发现,且单项金额重大的信贷资产
	D.单笔测试适用于已发生、已发现的信贷资产
269、单项选择题 肝功能障碍时,血浆蛋白的主要改变是()。
	A.球蛋白的含量下降
	B.清蛋白的含量升高
	C.清蛋白的含量升高,球蛋白的含量下降
	D.清蛋白的含量下降,球蛋白的含量升高
	E.清蛋白与球蛋白的含量均下降
270、单项选择题 血清蛋白A/G倒置主要提示()。
	A.营养不良
	B.免疫状态低下
	C.肝脏疾病
	D.肾脏疾病
	E.免疫状态过高
271、单项选择题 血浆胶体渗透压的大小取决于()。
	A.清蛋白浓度
	B.球蛋白浓度
	C.葡萄糖浓度
	D.脂类的含量
	E.Na+、Cl-等无机离子含量
272、单项选择题 我国诊断肾病综合征的尿蛋白标志是()。
	A.>2.0g/24h
	B.>2.5g/24h
	C.>3.0g/24h
	D.>3.5g/24h
	E.>4.0g/24h
273、单项选择题 某患者因乏力、口干、咽痛、呼吸困难就诊,口中有金属气味。检查发现蛋白尿,骨变形、软化,肾小管重吸收障碍,消化道吸收不良,可能是哪种金属中毒().
	A.钴
	B.镉
	C.锰
	D.铁
	E.锌
274、单项选择题 合成MM型肌酸激酶蛋白的细胞是()。
	A.肝实质细胞
	B.肝间质细胞
	C.浆细胞
	D.心肌细胞
	E.骨骼肌细胞
275、多项选择题 患者女性,40岁。因发热、食欲减退、恶心、右上腹隐痛2周,皮肤黄染1周就诊。曾按上感和胃病治疗无好转。尿色较黄,无皮肤瘙痒,大便正常,体重无明显变化。既往体健,病毒性肝炎病史不详。查体:T37.8℃,P80次/分,R20次/分,BP120/75mmHg,皮肤略黄,无出血点,浅表淋巴结未触及,巩膜黄染,心肺(-),腹平软,肝肋下2.5cm,质软,轻压痛和叩击痛,脾侧位刚及,腹水征(-),下肢不肿。 下列实验室检查结果提示该患者可能具有传染性的有().
	A.血清HBVDNA阳性
	B.血清HBeAg阳性
	C.血清抗HbcA-b阳性
	D.血清DNA聚合酶阳性
	E.血清抗HBsAb阳性
	F.血清HBcAg阳性
276、单项选择题 对肝豆状核变性诊断有较大意义的是().
	A.铜蓝蛋白
	B.转铁蛋白
	C.结合珠蛋白
	D.α2-巨球蛋白
	E.C-反应蛋白
277、单项选择题 测得ALT为45U/L,报告单上写的是75U/L,这种差错是().
	A.恒定误差
	B.比例误差
	C.偶然误差
	D.过失误差
	E.系统误差
278、单项选择题 生长激素的分泌,白天在餐后几小时左右()。
	A.1h
	B.3h
	C.30min
	D.6h
	E.8h
279、单项选择题 正常代谢中肾小管对糖的重吸收的主要部位是().
	A.近端小管
	B.髓袢
	C.远端小管
	D.集合管
	E.肾盂
280、单项选择题 生物转化中参与氧化反应最重要的酶是()。
	A.加单氧酶
	B.加双氧酶
	C.水解酶
	D.胺氧化酶
	E.醇脱氢酶
281、单项选择题 患者女性,30岁。主诉有渐进性乏力,体重减轻,食欲减退,体检:消瘦,皮肤青铜色。实验室检查:血Na132mmol/L,血K6.0mmol/L,血皮质醇(8:00AM)42μg/L,24小时尿17-OHCS降低,血ACTH超过正常,ACTH兴奋试验不能使血浆皮质醇水平增加。最可能的诊断是().
	A.Cushing病
	B.尿崩症
	C.肾上腺皮质功能亢进
	D.Addison病
	E.异源性ACTH综合征
282、单项选择题 患者女性,39岁。发现皮肤黄色斑块10年,胸闷2年,反复发作胸痛1年。心电图检查示心肌缺血。血压138/90mmHg,心率74次/分,节律齐,无心脏杂音。双侧上眼睑有扁平黄色瘤,手指、足跟肌腱处见结节状黄色瘤,两眼有明显的角膜弓。血脂测定结果为:TC12.3mmol/L,TG1.5mmol/L,HDL-C1.2mmol/L,LDL-C8.0mmol/L。其母亲有冠心病,父亲有高血压,兄妹中一个有胆固醇增高。 如要进一步确诊,可进行下述何种检查().
	A.LDL受体基因检测
	B.ApoB基因检测
	C.LPL活性测定
	D.LpA.基因检测
	E.ApoE基因检钡0
283、单项选择题 血药浓度存在治疗窗的药物是().
	A.地高辛
	B.苯妥英钠
	C.利多卡因
	D.庆大霉素
	E.三环类抗抑郁药
284、单项选择题 选择性蛋白尿的特点为()。
	A.24小时尿蛋白少于150mg
	B.运动后出现一过性蛋白尿
	C.每日尿蛋白量超过3.5g
	D.多为清蛋白或更小分子的蛋白质
	E.多为球蛋白
285、单项选择题 能调节降低血糖浓度的激素是()。
	A.胰高血糖素
	B.肾上腺素
	C.甲状腺素
	D.胰岛素
	E.肾上腺皮质激素
286、单项选择题 血中某种蛋白含量过高,从尿中排出,其蛋白尿类型为()。
	A.肾小球性蛋白尿
	B.肾小管性蛋白尿
	C.分泌性蛋白尿
	D.溢出性蛋白尿
	E.组织性蛋白尿
287、单项选择题 目前临床上血清总蛋白测定最常使用的方法()。
	A.染料结合法
	B.凯氏定氮法
	C.比浊法
	D.紫外分光光度法
	E.双缩脲法
288、单项选择题 能激活血浆中卵磷脂脂蛋白脂酰转移酶(LCAT)的载脂蛋白是()。
	A.apoAI
	B.apoAⅡ
	C.apoB
	D.apoC
	E.apoE
289、单项选择题 下列选项中,属于慢性肾功能不全氮质血症期的是()。
	A.GFR>50ml/min;Cr<170μmol/L
	B.GFR<50ml/min;Cr>170μmol/L
	C.GFR<25ml/min;Cr>170μmol/L
	D.GFR<15ml/min;Cr<442μmol/L
	E.GFR<10ml/min;Cr>884μMol/L
290、单项选择题 血气分析仪能直接测定的指标有()。
	A.pH、PCO2、AG
	B.pH、PCO2、PO2
	C.pH、PCO2、AG
	D.pH、SB、AG
	E.pH、AB、AG
291、单项选择题 以下选项中,符合呼吸性酸中毒特点的是()。
	A.NaHCO3/H2CO3<20/1,原发性H2CO3↑
	B.NaHCO3/H2CO3<20/1,原发性NaHCO3↓
	C.NaHCO3/H2CO3>20/1,原发性H2CO3↑
	D.NaHCO3/H2CO3>20/1,原发性NaHCO3↓
	E.pH一定降低
292、单项选择题 下列哪种物质是次级胆汁酸()。
	A.脱氧胆酸
	B.鹅脱氧胆酸
	C.甘氨胆酸
	D.牛磺胆酸
	E.甘氨鹅脱氧胆酸
293、单项选择题 血氨增高导致脑功能障碍的生化机制是()。
	A.抑制脑中酶活性
	B.升高脑中pH
	C.大量消耗脑中旷酮戊二酸
	D.抑制呼吸链的电子传递
	E.升高脑中尿素浓度
294、单项选择题 正常人血氨清除的主要途径是().
	A.在脑组织中合成谷氨酰胺
	B.通过鸟氨酸循环合成尿素
	C.通过呼吸系统排泄
	D.通过肾小球从尿中排泄
	E.从胃肠道排泄
295、单项选择题 下列符合原发性甲状腺功能减低的试验结果是().
	A.血浆TSH常低于正常
	B.血浆TRH常低于正常
	C.131I摄取试验结果高于正常
	D.血浆甲状腺素结合球蛋白含量增加
	E.血浆T3,T4浓度增加
296、单项选择题 关于骨质软化症,以下叙述错误的是()。
	A.长期维生素D缺乏
	B.长期低磷血症
	C.类骨质(非矿化有机基质)增加
	D.依替磷酸钠治疗Paget病可引起骨质软化症
	E.骨质软化症又称变形性骨炎
297、单项选择题 临床上进行24小时尿17一羟皮质类固醇含量检查是了解().
	A.雌性激素的水平
	B.肾上腺髓质激素的分泌状况
	C.肾上腺皮质激素的分泌状况
	D.雄性激素的水平
	E.卵巢的合成分泌状况
298、单项选择题 以下对总铁结合力(TIBC)理解正确的是()。
	A.缺铁性贫血时,患者总铁结合力明显下降
	B.总铁结合力就是铁蛋白中铁的总量
	C.总铁结合力就是血红蛋白中铁的总量
	D.总铁结合力的单位是微克或者毫克
	E.转铁蛋白的含量可推算出总铁结合力
299、单项选择题 等渗性脱水时体液容量的变化特点().
	A.细胞内、外液等量减少
	B.细胞内液显著减少、细胞外液正常
	C.细胞外液显著减少、细胞内液正常
	D.细胞内液显著减少、细胞外液轻度减少
	E.细胞外液显著减少、细胞内液轻度减少
300、单项选择题 高渗性脱水时体液容量的变化特点().
	A.细胞内、外液等量减少
	B.细胞内液显著减少、细胞外液正常
	C.细胞外液显著减少、细胞内液正常
	D.细胞内液显著减少、细胞外液轻度减少
	E.细胞外液显著减少、细胞内液轻度减少