时间:2025-02-17 04:06:36


1、单项选择题 X线自被检者的前方射向后方为()
A.前后方向
B.后前方向
C.冠状方向
D.轴方向
E.切线方向
2、单项选择题 蝶鞍位于下列哪一个骨中()
A.筛骨
B.枕骨
C.颞骨
D.蝶骨
E.额骨
3、单项选择题 下列哪项不符合股骨头缺血性坏死的表现()
A.股骨头相对密度增高
B.股骨头囊变硬化
C.股骨头压缩变形
D.股骨头蘑菇状变形
E.股骨头无骨质疏松
4、单项选择题 胸片上,肺静脉高压最早出现的影像为()
A.下肺静脉收缩
B.间质性肺水肿
C.上肺静脉扩张
D.下肺静脉收缩
E.上、下肺静脉均收缩
5、单项选择题 左心房增大在心脏正位片上的诊断依据为()
A.肺淤血
B.心脏呈"二尖瓣型"
C.心脏呈"主动脉型"
D.右心缘"双弧征"
E.左心耳凸出
6、单项选择题 下述不是肺水肿的X线表现的是()
A.肺水肿阴影可融合为蝶翼状大片阴影
B.有时伴有胸水
C.肺水肿多为两侧,但也有一侧的
D.阴影中见不到含气支气管影
E.由于造成肺水肿疾病的改善,阴影迅速吸收
7、单项选择题
女,6岁,外伤后左肘部肿痛,活动受限,外髁局部压痛,X线摄片如图,最可能的诊断是()
A.左肱骨小头骨骺损伤
B.左肱骨髁上骨折
C.左肱骨外上髁骨骺损伤
D.左肱骨内髁骨骺损伤
E.左肱骨外髁骨骺损伤
8、单项选择题 下列骨肿瘤的叙述正确的是()
A.骨肿瘤病人常出现碱性磷酸酶增高
B.恶性肿瘤的血沉常加快
C.骨髓瘤常出现异常免疫球蛋白
D.良性肿瘤的血尿检查均正常
E.以上都是
9、单项选择题 不能用碘化油做对比剂的造影检查是()
A.瘘管造影
B.椎管造影
C.心血管造影
D.支气管造影
E.子宫输卵管造影
10、多项选择题 骨组织内的细胞有()
A.骨细胞
B.破骨细胞
C.成骨细胞
D.未分化的间叶细胞
E.干细胞
11、单项选择题 碘苯酯常用于下列哪项造影检查()
A.心血管造影
B.逆行肾盂造影
C.脑血管造影
D.椎管造影
E.静脉胆囊造影
12、单项选择题
男,56岁,痰中带血1月余,X线检查如图,最可能的诊断是()


A.两肺炎症
B.肺转移瘤
C.血行播散型肺结核
D.细支气管肺泡癌
E.矽肺
13、单项选择题 胸部摄影,FFD选用180cm的原因是避免因()
A.左右径较窄、前后径较薄引起的影像放大
B.左右径较厚、前后径较宽引起的影像放大
C.左右径较短、前后径较长引起的影像放大
D.左右径较扁、前后径较窄引起的影像放大
E.左右径较宽、前后径较厚引起的影像放大
14、单项选择题 胚胎时期头部腹侧面有鳃弓()
A.1对
B.2对
C.4对
D.6对
E.8对
15、单项选择题 骨关节外伤后行X线检查的目的是()
A.明确有无骨折或脱位
B.了解骨折及脱位的类型或程度
C.了解复位或固定术后的情况
D.观察骨折处愈合情况
E.以上都是
16、多项选择题 肥大性骨关节病最常见于()
A.胫腓骨
B.尺桡骨
C.近节指骨
D.肱骨
E.股骨
17、多项选择题 属离子型对比剂的是()
A.碘苯脂
B.碘化油
C.泛影葡胺
D.碘酞葡胺
E.复方泛影葡胺
18、单项选择题
女,80岁,右上腹疼痛反复发作6月,加重2天,曾有胆囊炎及胆结石病史,影像检查如图,最可能的诊断为()
A.十二指肠息肉
B.十二指肠巨大胆结石(胆囊十二指肠瘘)
C.十二指肠蛔虫
D.十二指肠间质瘤
E.十二指肠腺瘤
19、单项选择题 椎旁脓肿在哪种脊柱结核中出现的概率最多()
A.腰骶椎结核
B.胸椎结核
C.腰椎结核
D.胸腰椎结核
E.颈椎结核
20、多项选择题 心肌梗死患者常可见到哪些异常X线表现()
A.梗死区搏动异常
B.心脏增大以左室为主
C.心脏普遍增大
D.心包和胸膜积液
E.左心衰竭
21、单项选择题 慢性铅中毒时,若铅摄入停止,几年内铅线将逐渐消失()
A.6年
B.7年
C.8年
D.4年
E.9年
22、单项选择题 子宫输卵管造影的适应证包括下列哪项()
A.不孕症
B.生殖道畸形
C.子宫不正常出血
D.观察各种绝育措施后输卵管的情况
E.以上全是
23、单项选择题
男,5岁,高热、畏寒、咳嗽、胸痛1周,如图所示,最可能的诊断为()

A.先天性肺囊肿
B.继发型肺结核
C.支原体肺炎
D.过敏性肺炎
E.金葡菌肺炎
24、单项选择题 下列关于主动脉病变X线表现,错误的是()
A.主动脉位置改变
B.主动脉狭小
C.主动脉外形不规则
D.主动脉增宽,伸长和迂曲
E.以上都不是
25、单项选择题 脊柱结核典型影像为()
A.椎骨溶骨性破坏、椎旁软组织肿胀
B.椎体呈栅栏状
C.椎管内外哑铃状肿块,椎间孔扩大
D.椎体破坏,椎间盘破坏、椎间隙变窄
26、单项选择题 30岁,男性,头颈部外伤1小时,侧位片示颈椎序列后凸,但未见骨折,应首先考虑()
A.颈椎后侧韧带损伤
B.棘上韧带损伤
C.棘间韧带损伤
D.前纵韧带损伤
E.后纵韧带损伤
27、多项选择题 乳腺病变进行导管造影时,可见哪些X线征象()
A.导管扩张
B.导管僵直
C.导管受压移位、分支减少
D.管腔内充盈缺损
E.导管截断
28、单项选择题 关于肺动脉高压的描述,错误的是()
A.右心室增大
B.肺动脉段突出,肺门增大
C.右下肺动脉干直径>15mm
D.肺动脉收缩压>3.99kPa
E.主动脉结增大
29、多项选择题 影响影像锐利度的因素是()
A.几何模糊
B.移动模糊
C.物体吸收模糊
D.屏/片系统模糊
E.影像密度
30、单项选择题 乳腺癌皮肤淋巴管癌栓阻塞时可出现()
A.皮肤凹陷
B.橘皮征
C.乳头湿疹样改变
D.乳头凹陷
E.乳腺脓肿
31、单项选择题 支气管断裂伤最常见的征象是()
A.双肺含气不足,合并渗出性病变
B.张力性气胸合并纵隔和皮下气肿
C.肺气肿,纵隔增宽
D.肺不张,纵隔移位
E.纵隔移位合并双肺含气不足
32、单项选择题 X线机的高压整流方式不包括()
A.单相全波整流
B.单相半波整流
C.自整流
D.三相4波整流
E.三相12波整流
33、单项选择题 下述骨、关节的基本病变,错误的是()
A.炎症
B.损伤
C.肿瘤
D.关节脱位
E.永存骨骺
34、单项选择题 有关骨发育的描述,下列哪项错误()
A.颅盖诸骨、面骨和盆骨属于软骨内化骨
B.躯体和四肢属于软骨内化骨
C.锁骨和下颌骨兼有膜内化骨和软骨内化骨两种骨化形式
D.骨骼的发育主要是以成骨和破骨的形式进行
E.骨的代谢与钙磷代谢有关
35、单项选择题 关于X线机空间电荷抵偿原理的正确推论是()
A.kV↑→管电流↑
B.kV↓→灯丝电压↓
C.kV↑→管电流↓
D.kV↑→灯丝电压↑
E.kV↑→灯丝电流↑
36、多项选择题 下列髓外硬膜下肿瘤脊髓造影表现,描述正确者为()
A.阻塞近端蛛网膜下腔呈杯口状压迹
B.阻塞近端蛛网膜下腔呈水平状或锯齿状突然中断
C.部分阻塞时,造影剂呈对称性分流
D.阻塞远端蛛网膜下腔正常
E.阻塞远端蛛网膜下腔呈水平状中断
37、单项选择题 照片中出现低密度圆形阴影,最易引起的常见原因是()
A.增感屏不清
B.药膜受损脱落
C.显影时气泡附着
D.未显影前定影液小点污染
E.胶片制作中局部药膜缺损
38、多项选择题 乳腺X线摄片线质的特点是()
A.波长较短
B.波长较长
C.X线能量低
D.X线穿透力较强
E.X线穿透力较弱
39、多项选择题 小肠的运动形式有哪些()
A.分节运动
B.紧张性收缩
C.舒张
D.蠕动
E.摆动
40、单项选择题 退行性骨关节病与夏科关节鉴别点为()
A.关节间隙可见游离体
B.关节严重破坏,与症状轻微不符
C.关节变形
D.关节骨质增生
E.关节间隙狭窄
41、单项选择题 X线球管中的阴极产生大量的自由电子是通过()
A.高电压、小电流
B.低电压、大电流
C.只需电流
D.低电压、小电流
E.高电压、大电流
42、单项选择题 男,63岁,进行性吞咽困难1月。食管钡餐示:食管下段粘膜不规则充盈缺损,管腔狭窄,贲门扩张欠佳。 发现肝内转移,则转移途径为()
A.直接浸润
B.淋巴转移
C.种植转移
D.血行转移
E.消化道粘膜下浸润
43、多项选择题 骨关节病与摄片体位的组合,正确的是()
A.柯莱斯骨折——腕关节正侧位
B.肱骨外科颈骨折——肱骨外科颈正位
C.腕部舟状骨骨折——腕关节尺偏位(外展位)
D.肩胛骨高位症——肩胛骨正位
E.尺神经沟病变——尺神经沟特殊位
44、单项选择题 急腹症按病变性质分类,不包括()
A.脏器扭转性
B.肿瘤性
C.穿孔性
D.炎症性
E.损伤性
45、单项选择题 下述胰头癌十二指肠曲的X线征象中,错误的是哪一项()
A.球后段出现笔杆征
B.粘膜呈毛刷状尖角状
C.腔边出现反“3”字形改变
D.肠腔内出现充盈缺损
E.肠壁出现双边影
46、单项选择题 X线的本质不同于()
A.无线电波
B.可见光
C.红外线
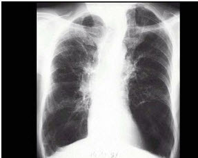
D.阴极射线
E.γ射线
47、多项选择题 X线胶片的结构主要包括()
A.乳剂膜
B.保护膜
C.结合膜
D.片基
E.荧光体层
48、单项选择题 影响X线量和质的因素不包括()
A.管电流
B.靶物质
C.高压波形
D.管电压
E.散射线
49、单项选择题 关于髋关节正位标准片所见,哪项不确切()
A.照片包括髋关节、股骨近端1/3,同侧耻坐骨及部分髂骨翼
B.头位于照片上1/3正中,大粗隆与股骨颈相重叠1/3
C.股骨颈及闭孔无投影变形
D.髋关节骨纹理清晰锐利
E.小髋关节正位必须双侧对比显示
50、多项选择题 可引起眶窝小的疾病有()
A.无眼球、小眼球
B.筛窦粘膜囊肿
C.婴儿期眼球摘除术后
D.骨瘤
E.眼球肿瘤
51、单项选择题 下列有关胰腺的描述,错误的是()
A.胰腺是腹膜间位器官,分头、颈、体、尾四部分
B.胰头最大,被十二指肠降部和横部包绕
C.胰腺钩突位于肠系膜上静脉的后方
D.胰腺体部位于小网膜的后方
E.胰管位于实质内,又分主胰管与副胰管
52、单项选择题 心脏疾病最重要的病理征象是()
A.心力衰竭
B.心脏和大血管搏动异常
C.大血管改变
D.心脏增大
E.肺部血循环异常改变
53、单项选择题
男,24岁,低热、乏力数周,夜间偶有盗汗,胸片如图,最可能的诊断是()
A.细支气管肺泡癌
B.肺转移瘤
C.两肺炎症
D.血型播散型肺结核
E.结节病
54、多项选择题 早期食管癌分为()
A.硬化型
B.平坦型
C.溃疡型
D.凹陷型
E.隆起型
55、单项选择题 中心线与地面垂直为()
A.水平投射
B.垂直投射
C.向上投射
D.向下投射
E.倾射投射
56、单项选择题 腹部仰卧前后位摄片的叙述错误的是()
A.患者仰卧于摄片床上
B.腹部正中矢状面与床面垂直
C.剑突末端向上2~3cm处平胶片上缘
D.耻骨联合下2~3cm处平胶片下缘
E.中心线入射点为脐上3cm
57、单项选择题 肾结核X线检查时,错误的是()
A.平片检查可无异常发现
B.肾实质内可见云絮状或环状钙化
C.若肾盏、肾盂被广泛破坏,排泄性尿路造影可以显影
D.逆行尿路造影可以显示肾盂肾盏形成的不规则空腔
E.全肾钙化
58、单项选择题 下述“家族性结肠息肉病”临床特点,哪项正确()
A.罕有恶变
B.青年发病
C.好发于直肠
D.常染色体隐性遗传
E.常因腹部绞痛就诊
59、单项选择题 下述“胃淋巴瘤”说法,错误的是()
A.肾门水平以下淋巴结肿大是其与胃癌鉴别点之一
B.增厚的胃壁少有坏死、囊变
C.常有胃周脂肪、脏器受累
D.罕有“白、毛、僵”现象
E.胃是消化道淋巴瘤最好发部位
60、单项选择题
男,8岁,外伤后入院。结合图片,最可能的诊断是()
A.Colles骨折
B.右肱骨髁上骨折
C.Smith骨折
D.孟氏骨折
E.青枝骨折
61、单项选择题 心脏左右缘搏动减弱,大血管搏动正常,是诊断下述哪种疾病的特征性表现()
A.主动脉狭窄
B.联合瓣膜病
C.心肌病
D.心包积液
E.左心衰
62、单项选择题 关于肾结核的描述,错误的是()
A.90%肾结核系由尿路逆行感染所致
B.肾实质内钙化点可由干酪样病变而来
C.肾乳头部见边缘模糊的低密度病灶或空洞
D.实质破坏、纤维化可使肾外形缩小,表面不光整
E.晚期肾结核可发生全肾钙化
63、单项选择题 交感神经兴奋时()
A.消化道张力增高
B.胃肠蠕动增强
C.消化道张力减低
D.胃肠蠕动减弱
E.胃肠排空加快
64、单项选择题 下列眶内病变诊断要点,哪项不对()
A.甲状腺突眼:可以单侧或双侧
B.眶内血管瘤:偶可见到静脉石
C.眶内静脉曲张:间歇性突眼
D.眶内炎性假瘤:平片无异常发现
E.横纹肌肉瘤:眶骨破坏
65、单项选择题 下列哪项在头颅平片上不能显示()
A.前床突
B.垂体
C.后床突
D.鞍结节
E.蝶鞍
66、多项选择题 法洛四联征在胸部后前位片上的X线表现为()
A.心脏无明显增大
B.肺门缩小,肺血管纤细
C.心尖圆钝、上翘、心腰凹陷
D.肺血少者可能见到侧支循环
E.伴有右位主动脉弓则主动脉结在右侧
67、单项选择题 下列关于恶性泪腺肿瘤的X线表现中,错误的是()
A.泪腺窝骨壁结构模糊、吸收
B.局部眶部变薄、边缘光滑
C.病灶边缘模糊
D.不规则虫蚀样破坏
E.眼眶轻度普遍性扩大
68、单项选择题 关于CR系统的影像板,以下说法不正确的是()
A.影像板上的信息可永久保存
B.影像板上的信息为模拟信号
C.自影像板上读出的信息为数字信息
D.影像板可反复使用
E.影像板代替胶片保存X线影像
69、单项选择题 不能用做静脉肾盂造影的对比剂是()
A.碘苯酯
B.泛影葡胺
C.碘酞葡胺
D.甲泛葡糖
E.复方泛影葡胺
70、单项选择题
女,31岁,左侧髋部疼痛1月余,有压痛,压之有捏乒乓球感,结合影像学检查,最可能的诊断是()
A.骨囊肿
B.骨巨细胞瘤
C.动脉瘤样骨囊肿
D.成软骨细胞瘤
E.骨结核
71、单项选择题 下述慢性肺源性心脏病的胸片表现中,错误的是()
A.肺部广泛纤维化
B.肺气肿
C.肺动脉段突出
D.右下肺动脉横径>10mm
E.右心室增大
72、单项选择题
女,46岁,排便困难,结合图像,最可能的诊断为()
A.正常肠圈
B.球部溃疡
C.球部憩室
D.降段憩室
E.水平段憩室
73、单项选择题 X线平片上,松果体生理性钙化其直径不应超过()
A.5.0mm
B.7.5mm
C.10.0mm
D.12.0mm
E.6.0mm
74、多项选择题 主动脉瘤的X线表现有()
A.可压迫侵蚀脊柱、后肋或胸骨
B.有时可见到线形或弧形钙化
C.主动脉瘤为局限性囊状或梭形扩张
D.对气管、食管粘连压迫可引起移位
E.可造成主动脉瓣关闭不全、左心室增大
75、单项选择题 评价胸部正位影像是否良好,最关键是哪一项()
A.左右胸锁关节对称
B.肺纹理能连续追踪
C.肺尖充分显示
D.心脏边缘锐利
E.肋膈角包括完全
76、单项选择题 隆起型胃炎又称之为()
A.炎性息肉
B.浅表性胃炎
C.肥大性胃炎
D.萎缩性胃炎
E.疣状胃炎
77、多项选择题 硬化型骨髓炎的X线表现不包括()
A.骨质硬化增生
B.骨内膜增生
C.骨外膜增生
D.骨脓肿
E.死骨形成
78、单项选择题 以下哪项不是X线产生应具备的条件()
A.电子云
B.高真空
C.电子的骤然加速
D.阳极靶
E.电子的高速运动
79、单项选择题 陈旧性关节脱位是指脱位时间超过()
A.1周
B.2周
C.3周
D.4周
E.6周
80、多项选择题 使用滤线栅的注意事项,正确的是()
A.使用聚集式滤线栅时不可倒置
B.X线中心线必须垂直于栅板平面
C.倾斜中心线摄片时倾斜的方向与栅排列方向垂直
D.摄片距离在栅焦距的允许范围内
E.相应增加摄片kV值或mAs
81、单项选择题 男,5岁,腹痛,黏液便并偶带血10余天。钡灌肠见乙状结肠远端有1×1cm大小圆形充盈缺损,边缘光滑锐利,有一定活动度。首先考虑的诊断为()
A.结肠息肉
B.结肠息肉恶变
C.结肠癌
D.结肠憩室
E.结肠炎
82、单项选择题 下列哪项属于椎骨恶性骨质破坏者()
A.脊柱结核
B.骨巨细胞瘤
C.骨囊肿
D.骨转移瘤
E.嗜酸性肉芽肿
83、多项选择题 椎管内血管畸形根据异常血管的形态和结构,可分为以下哪几类()
A.动静脉畸形
B.毛细血管扩张症
C.动静脉瘘
D.海绵状血管瘤
E.静脉畸形
84、单项选择题 检查左心房最佳的X线摄片方法是()
A.后前位摄片检查
B.左前斜位摄片检查
C.右前斜位摄片检查
D.右前斜位加食管吞钡摄片
E.左前斜位加食管吞钡摄片检查
85、单项选择题 下述哪项不是心包积液典型X线征象()
A.心脏呈普大型
B.心缘搏动减弱
C.上腔静脉扩张
D.肺血管纹理增多
E.主动脉搏动正常
86、单项选择题
男,36岁,从高处摔下,足部受伤,结合图像,最可能的诊断是()
A.距骨骨折
B.跟骨骨折
C.骰骨骨折
D.舟状骨骨折
E.楔骨骨折
87、单项选择题 早期食管癌X线分期标准是()
A.病灶局限于粘膜和粘膜下层
B.病灶小于2cm
C.仅侵犯肌层而不侵犯浆膜层
D.仅有局部淋巴结转移
E.有血行转移
88、单项选择题 食管的第三个生理压迹局限性增深时提示()
A.主动脉弓扩张
B.右心房增大
C.左心室增大
D.左心房增大
E.右心室增大
89、单项选择题 小肠出血确诊的主要依据为()
A.钡餐透视
B.双重造影
C.CT
D.B型超声
E.血管造影
90、多项选择题 输尿管结石需与下列哪些病变相鉴别()
A.胆结石
B.腹部淋巴结钙化
C.肾结核
D.静脉石
E.肾囊肿
91、单项选择题 与胃的分型无关的是()
A.角型胃
B.袋型胃
C.钩型胃
D.长型胃
E.瀑布型骨
92、单项选择题
女婴,7月。经常呕吐,腹部饱满、膨隆,消瘦。如图所示,最可能的诊断为()
A.消化道闭锁
B.十二指肠闭锁
C.消化道穿孔
D.肠套叠
E.肠扭转
93、多项选择题 引起血清碱性磷酸酶升高的骨病是()
A.成骨性转移瘤
B.纤维肉瘤
C.畸形性骨炎
D.骨肉瘤
E.尤文肉瘤
94、多项选择题 骨缺血性坏死常见于()
A.股骨颈骨折
B.股骨干骨折
C.距骨骨折
D.月骨骨折
E.腕舟骨骨折
95、单项选择题 支气管阻塞征象中,最早的改变为()
A.阻塞性炎症
B.局限性阻塞性肺气肿
C.支气管扩张
D.肺脓肿形成
E.阻塞性肺不张
96、多项选择题 石棉肺的胸膜改变有()
A.胸膜斑形成
B.胸膜纤维化
C.胸腔积液
D.胸膜间皮瘤
E.胸膜斑钙化
97、多项选择题 脊柱有5个移行带,包括下述哪些()
A.骶尾带
B.颈胸带
C.胸腰带
D.腰骶带
E.枕颈带
98、单项选择题 关于碘对比剂的叙述,错误的是()
A.阳性对比剂X线不易透过
B.分有机碘化物和无机碘化物
C.硫酸钡可用于消化道造影
D.离子型对比剂带有电荷
E.非离子型对比剂不带有电荷
99、单项选择题 骨肉瘤好发年龄为()
A.婴幼儿
B.10岁以下
C.15~25岁
D.25~40岁
E.40岁以上
100、单项选择题
男,28岁,轻咳2个月,有盗汗。胸片如图

A.过敏性肺炎
B.嗜酸性肉芽肿
C.支气管扩张
D.肺隔离症
E.肺结核
101、多项选择题 引起“小肠梗阻”病因有()
A.腹腔手术后
B.肠结核
C.回肠类癌
D.小肠蛔虫症
E.卵巢癌腹腔种植转移
102、单项选择题 “腹部平片”观察不到的结构是()
A.脾脏轮廓
B.肝脏轮廓
C.肾上腺轮廓
D.胃轮廓
E.肾脏轮廓
103、单项选择题 骨肉瘤X线诊断主要依据()
A.骨质破坏
B.骨膜反应
C.软组织肿块
D.肿瘤骨
E.肿瘤侵入关节
104、单项选择题 “上消化道”指的是()
A.食管全程
B.食管+胃
C.食管+胃+十二指肠
D.食管+胃+十二指肠+空肠
E.食管+胃+十二指肠+空肠+回肠
105、单项选择题 肺下积液所致的“膈升高”膈顶最高点位于()
A.偏外1/3
B.偏外2/3
C.偏内1/3
D.偏内2/3
E.偏外1/2
106、单项选择题 黏多糖贮积症Ⅳ型,下述哪个部位可以正常()
A.骨盆
B.脊柱
C.颅骨
D.手部
E.腕部
107、单项选择题 动力过快,指口服钡剂多长时间达到盲肠()
A.2.5小时
B.1.5小时
C.4小时
D.3.5小时
E.3小时
108、单项选择题 下列表现,哪项与主动脉瘤无关()
A.可有钙化
B.主动脉搏动可减弱
C.邻近骨骼无异常发现
D.主动脉瘤状、梭状扩张
E.可压迫支气管,造成肺不张
109、单项选择题 辐射的生物效应分为()
A.致癌效应和皮肤效应
B.遗传效应和致癌效应
C.非随机性效应和随机性效应
D.胚胎死亡效应和致癌效应
E.遗传效应和皮肤效应
110、单项选择题 肾结核钙化X线表现不包括()
A.环状排列
B.斑块状
C.条状
D.均匀细沙状
E.簇状排列
111、单项选择题 关于寰枢关节叙述正确的是()
A.可使头部做前俯、后仰和侧屈运动
B.两侧关节间隙常不对称
C.可使头部做旋转运动
D.属于联合关节
E.由寰椎两侧的下关节面与枢椎的上关节面构成
112、单项选择题 血管瘤多发生于()
A.长骨骨干
B.椎体和颅骨
C.短管状骨
D.骨盆
E.干骺端
113、单项选择题 下列长管状骨结核X线表现中,哪项不正确()
A.好发于骨干
B.骨膜反应轻微
C.易侵犯关节
D.骨质破坏为主
E.沙粒样死骨
114、单项选择题 增感屏结构中,吸收层的作用是()
A.提高发光效率
B.提高清晰度
C.改善颗粒度
D.控制量子斑点
E.提高对比度
115、单项选择题 以下属于膜内化骨的骨骼是()
A.颅盖骨及颜面骨
B.四肢骨
C.脊椎骨
D.不规则骨
E.以上均是
116、单项选择题 早期中耳癌的X线摄影以何种位置摄影最佳()
A.汤氏位摄影
B.伦氏位摄影
C.斯氏位摄影
D.头颅前后位摄影
E.颅底摄影
117、单项选择题 排尿性膀胱尿路造影对诊断下述哪种疾病有价值()
A.膀胱癌
B.外伤性输尿管、肾脏病变
C.反流性肾病
D.多发性尿道结石
E.良性前列腺肥大
118、单项选择题 肺血减少见于下列哪种先天性心脏病的()
A.动脉导管未闭
B.室间隔缺损
C.房间隔缺损
D.艾森门格综合征
E.法洛四联征
119、多项选择题 关于慢性单纯型化脓性中耳乳突炎,下列描述正确的是()
A.又称咽鼓管鼓室型
B.锤骨或砧骨部分骨质吸收破坏
C.乳突气房透光度减低
D.气房间隔骨质增生
E.气房外围骨质明显增生
120、单项选择题 充血性心肌病的典型X线表现是()
A.右心房和右心室增大
B.右心室增大
C.左心室、右心室增大
D.左心室增大
E.左心房和右心室增大
121、单项选择题 下列“脊柱结核”发病特点中,哪项正确()
A.溶骨性破坏为主
B.中心型,是最常见类型,腰椎多见
C.边缘型,胸椎多见
D.韧带下型,始于后纵韧带
E.附件型少见
122、单项选择题 下列紫绀性先天性心脏病中,哪种有“肺血减少”表现()
A.Ebstein畸形
B.主动脉缩窄
C.房间隔缺损
D.肺动脉瓣闭锁
E.完全性大血管转位
123、单项选择题
男,54岁,咳嗽,伴胸痛2周,午后有低热,胸片如图,最可能的诊断是()
A.肺脓肿
B.结核空洞
C.韦格肉芽肿
D.肺癌
E.肺大泡
124、单项选择题 清晰可见肺野末梢血管的影像的细节指标是()
A.ф1mm
B.ф2mm
C.ф3mm
D.ф4mm
E.ф5mm
125、单项选择题 下列“先天性马蹄内翻足”骨质改变中,哪项不正确()
A.跖趾骨内收、跖曲
B.跟骨短而宽,跖曲内翻,向后下方移位
C.第一跖骨萎缩,第五跖骨肥大
D.舟骨短而宽,并向内旋转移位
E.距骨短而宽,距骨头脱位
126、多项选择题 15岁男孩,脐周痛6小时。体检示肠鸣音亢进,大便常规查到蛔虫卵,腹部平片示第1~4组小肠积气、扩张,直肠内有少量气粪影。完整的诊断应包括()
A.单纯性肠梗阻
B.小肠蛔虫病
C.机械性肠梗阻
D.小肠低位梗阻
E.不完全性肠梗阻
127、多项选择题 华氏位片正常表现为()
A.鼻窦黏膜一般不显示
B.上颌窦呈三角形
C.上颌窦顶壁和内侧壁夹角区可见后组筛窦投影
D.眶下缘下方可见扁圆形的眶下孔
E.上鼻甲显示清楚
128、单项选择题 头颅经眶位可检查()
A.枕大孔
B.枕骨
C.内听道
D.岩骨
E.蝶鞍
129、单项选择题 肺循环血量增多,而左心室和体循环血流减少的是()
A.法洛四联征
B.肺动脉狭窄
C.房间隔缺损
D.室间隔缺损
E.动脉导管未闭
130、单项选择题 子宫输卵管造影的禁忌证是()
A.子宫输卵管慢性炎症
B.子宫输卵管结核
C.子宫输卵管良性肿瘤
D.子宫输卵管位置形态异常
E.子宫输卵管出血
131、单项选择题 关于“骨囊肿”的描述,不包括哪项()
A.不跨越骺板
B.股骨、肱骨、跟骨好发
C.可为单房或多房囊肿
D.局部骨皮质变薄,但不向外膨隆
E.易发生病理性骨折
132、单项选择题
男,3岁,走路跛行,两下肢不等长,左脚外展受限,结合图像,最可能的诊断是()
A.髋关节前脱位
B.髋关节后脱位
C.髋关节中心脱位
D.先天性髋内翻
E.髋关节结核
133、单项选择题 下列哪项不是佝偻病的X线征象()
A.骺板先期钙化带不规则变薄、模糊
B.干骺端增宽,中央部凹陷呈杯口状
C.干骺端骨小梁稀疏、粗糙、紊乱呈毛刷状
D.骺板先期钙化带向两旁突出于干骺端之外,形成骨刺样改变即骨刺征(Pelkan征)
E.骨骺骨化中心出现延迟、密度低、边缘模糊
134、多项选择题 下列符合脊椎滑脱的叙述有()
A.分真性滑脱和假性滑脱两种
B.假性滑脱即退变性脊椎滑脱,椎弓(峡部)骨质无断裂
C.包括前滑脱、后滑脱及侧方滑脱,其中以前滑脱多见
D.滑脱程度的测量以Meyerding法较适用,分为四度
E.真性滑脱指椎体滑脱的同时伴有椎弓(峡部)骨质缺损
135、单项选择题 不能用碘化油造影的是()
A.唾液腺造影
B.泪道造影
C.支气管造影
D.子宫输卵管造影
E.椎管造影
136、单项选择题 汤氏位照片显示,以下不正确的是()
A.照片包括全部枕骨、岩骨、眶骨及下颌骨升支
B.矢状缝与鼻中隔连线位于照片正中
C.两侧内听道位于岩骨正中清晰显示
D.鞍背于枕骨大孔内1/2处清晰显示
E.圆孔、卵圆孔、棘孔可清晰显示
137、多项选择题 距骨骨折的常见类型有()
A.斜行骨折
B.塌陷骨折
C.粉碎骨折
D.横行骨折
E.压缩骨折
138、单项选择题 骨转移瘤的转移途径中,下列哪一项最多见()
A.直接侵犯
B.血行转移
C.淋巴转移
D.原发性骨肿瘤的骨转移
E.皮肤癌骨转移
139、多项选择题 成人幽门梗阻的常见病因有哪些()
A.幽门管溃疡
B.胃窦癌
C.胃粘膜脱垂
D.十二指肠球部溃疡
E.成人幽门肌肥大
140、单项选择题 对于先天性巨结肠(Hirschsprung病)患者,以下钡灌肠技术中,哪项不正确()
A.检查前,不清洁灌肠
B.用等渗盐水配制钡剂
C.通常只要求显示狭窄段,不要求显示全结肠
D.检查后,尽量抽出钡剂
E.检查前日,服泻药清洁灌肠
141、单项选择题 关于骨质硬化,下列X线表现中哪项错误()
A.骨密度增高
B.骨皮质增厚
C.骨小梁增粗、增密
D.骨髓腔变窄
E.骨轮廓无变化
142、单项选择题 下列哪项是X线检查需要防护的原因()
A.荧光效应
B.电离效应
C.穿透性
D.感光效应
143、单项选择题 横断面像上,下列基底节解剖描述中哪项不对()
A.内囊前支内侧为尾状核头部
B.内囊后支外侧为纹状体、苍白球
C.内囊前支外侧为纹状体、苍白球
D.内囊后支内侧为中脑
E.纹状体、苍白球外侧是外囊
144、多项选择题 先天性主动脉缩窄常合并()
A.动脉导管未闭
B.房间隔缺损
C.主动脉双瓣畸形伴关闭不全
D.主动脉畸形
E.三尖瓣下移畸形
145、单项选择题
女,50岁,因右侧骶髂关节疼痛半年伴左下腹部疼痛,血尿1天,X线检查如图所示,最可能的诊断是()
A.右侧骶髂关节炎
B.右侧致密性骶髂关节炎
C.左侧输尿管下端结石
D.右侧致密性骶髂关节炎;左侧输尿管下端结石
E.以上均不正确
146、单项选择题 观察颅底结构改变,下列哪种摄片位置最佳()
A.汤氏位
B.斯氏位
C.53°后前斜位
D.前后位
E.颏顶位
147、单项选择题 下述“结节病”的胸部影像,哪项不正确()
A.双侧对称性肺门淋巴结肿大
B.半数病例仅有肺门淋巴结肿大
C.两肺弥漫分布细网状结节影
D.半数为单侧
E.半数伴有纵隔淋巴结肿大
148、单项选择题 右胫骨下段骨折摄片时至少应包括()
A.跟骨
B.右膝关节
C.腓骨下段
D.距骨
E.右踝关节
149、单项选择题 酸性磷酸酶升高常见于()
A.成骨性转移瘤
B.前列腺癌骨转移
C.骨肉瘤肺转移
D.多发性骨髓瘤
E.以上都是
150、单项选择题 痛风早期最易侵犯的关节为()
A.踝关节
B.指间关节
C.第一跖趾关节
D.趾间关节
E.第1掌指关节
151、单项选择题 “法洛四联征”心影呈()
A.梨形心
B.横位心
C.主动脉型心脏
D.悬滴状心
E.靴形心
152、多项选择题 诊断恶性骨肿瘤的诊断依据是()
A.浸润性骨质破坏
B.有骨膜反应
C.有软组织肿块
D.破坏区内有死骨
E.Codman三角
153、多项选择题 急性粟粒性肺结核的X线表现为()
A.发病初期X线片阴性
B.分布均匀
C.大小不等
D.大小一致
E.密度相近
154、多项选择题 头颅侧位片,正常蝶鞍形态可以表现为()
A.圆形
B.椭圆形
C.扁平形
D.桥形蝶鞍
E.双鞍底
155、单项选择题
男,65岁,呼吸困难伴胸闷1月余,胸片如图,最可能的诊断为()

A.气胸
B.肺结核
C.慢性支气管炎并肺气肿
D.肺部感染
E.支气管扩张
156、单项选择题 以下不属于碘过敏试验方法的是()
A.静脉注射试验
B.口服试验
C.舌下试验
D.皮下试验
E.眼结合膜试验
157、单项选择题 以下正常食管X线解剖的说法,哪项不对()
A.始于颈6椎体水平
B.止于胸11椎体水平
C.通常分颈段、胸段、腹段
D.食管粘膜纹与胃相似
E.青年人有三个生理压迹
158、多项选择题 高千伏摄片特点的叙述,正确的是()
A.获得层次丰富的X线照片
B.缩短曝光时间,减少被照体移动模糊
C.减少管电压,延长X线管寿命
D.散射线减少,照片对比度较高
E.有利于病人防护
159、单项选择题 下列哪项关于肾筋膜的描述是错误的()
A.上方与膈下筋膜融合
B.前后肾筋膜融合成吉氏筋膜
C.侧方与侧锥筋膜融合
D.下方与髂筋膜融合
E.后方内侧与腰大肌融合
160、单项选择题 头颅平片用来确定颅内压增高的主要依据是()
A.颅骨骨质吸收,脑回压迹增多
B.蝶鞍改变,颅骨骨质吸收
C.颅缝增宽,脑回压迹增多、增宽
D.颅缝增宽,蝶鞍改变,脑回压迹增多、增宽
E.颅缝增宽,颅骨骨质吸收
161、单项选择题 下列结构中,除哪哪一种结构外均有硬脑膜()
A.大脑镰
B.三脑室
C.鞍隔
D.小脑幕
E.三叉神经半月节腔
162、单项选择题 患者,女,30岁,胸片示右上纵隔一椭圆形阴影,其中有斑点状钙化影,透视下见块影可随吞咽上下移动,首先考虑()
A.畸胎瘤
B.心包囊肿
C.胸内甲状腺
D.支气管囊肿
E.胸腺癌
163、单项选择题 被照体矢状面与胶片平行的摄影体位有()
A.胸部正位
B.心脏右前斜位
C.梅氏位
D.腕关节正位
E.胸部侧卧侧位
164、单项选择题 肺叶内型肺隔离症的供血动脉来自()
A.升主动脉
B.降主动脉
C.腹主动脉
D.支气管动脉
E.肺动脉
165、单项选择题 单手正位摄片,中心线应垂直对准()
A.第2掌骨头
B.第3掌骨头
C.第3掌骨头基底部
D.第4掌骨头
E.第5掌骨基底部
166、多项选择题 可出现肝内局限性钙化者()
A.结核性肉芽肿
B.阿米巴性肝脓肿
C.血管瘤
D.原发性肿瘤
E.肝棘球蚴病
167、单项选择题 上颌窦开口于下列哪个鼻道()
A.上鼻道
B.最上鼻道
C.中鼻道
D.下鼻道
E.以上都不对
168、单项选择题 以下征象中不支持纵隔肿瘤诊断的是()
A.呼吸时肿块随呼吸上下移动
B.吞咽时肿块随吞咽上下移动
C.肿块与纵隔宽基底相贴
D.肿块中心在纵隔内
E.肿块边缘与纵隔夹角为钝角
169、单项选择题 慢性阑尾炎最主要的X线表现是()
A.盲肠钡剂滞留
B.阑尾压痛
C.阑尾滞留钡剂
D.阑尾粘连固定
E.阑尾结石
170、单项选择题 下列心脏影像中,哪项不太重要()
A.位置
B.大小
C.形态
D.密度
E.搏动状态
171、多项选择题 关于DR成像的叙述,正确的是()
A.X线数字摄片——Digitalradiography
B.硒鼓技术利用硒接受X线照射后直接转换为电信号
C.直接放射成像是直接读取感应介质记录的X线信息
D.直接放射成像以数字化图像方式重放和记录
E.以上都正确
172、单项选择题 溃疡型食管癌的典型表现是()
A.牵引性憩室
B.食管节段性环行狭窄
C.食管内充盈缺损
D.龛影
E.食管全程扩张,末端呈鼠尾状
173、单项选择题
下列各肺叶肺不张的摄影位置的选择,哪项是错误的()
A.下叶肺不张--常规正侧位加斜位
B.中叶肺不张--常规正位加弓位或侧位
C.左小叶肺不张--左侧位
D.右上叶肺不张--常规正位
E.盘状肺不张--常规正位
174、单项选择题
男,55岁,上腹饱胀不适半年余,加重1个月,近一个月上腹部不适转为疼痛,为持续性钝痛,服用胃药后症状仍不缓解,并伴有消瘦、体重减轻、间断黑便症状。结合图像,最可能的诊断为()
A.胃癌
B.胃憩室
C.胃小弯溃疡
D.胃炎
E.胃下垂
175、单项选择题 支气管破裂最常见的X线征象是()
A.胸腔积液
B.双肺充气不足
C.肺气肿,纵隔增宽
D.肺不张,纵隔移位
E.心脏周围有透亮带,皮下软组织内可见散在透亮区
176、单项选择题 哪种疾病属肺血增多并有发绀者()
A.房间隔缺损
B.部分型肺静脉异位引流
C.动脉导管未闭
D.心内膜垫缺损
E.完全型大动脉转位
177、单项选择题 肱骨外科颈骨折指骨折部位发生在解剖颈下()
A.2.5cm以内
B.1~3cm
C.1~2cm
D.3~4cm
E.2~3cm
178、单项选择题
男,56岁,踝关节肿胀,有糖尿病史,结合图像,最可能的诊断是()
A.创伤性关节炎
B.退行性关节病
C.痛风
D.类风湿关节炎
E.神经性关节病
179、单项选择题
男,7岁,肘部外伤,根据所示图像,最可能的诊断是()
A.尺骨中上段骨折
B.桡骨小头脱位
C.孟氏骨折
D.盖氏骨折
E.以上均不正确
180、单项选择题 观察心脏左、右心室,右心房和胸主动脉最佳的摄影体位是()
A.右侧位
B.右前斜位
C.左侧位
D.左前斜位
E.无差别
181、单项选择题 水溶性碘对比剂不包括()
A.碘化油
B.泛影葡胺
C.碘帕醇
D.碘海醇
182、单项选择题 散射线量与有关因素的关系,正确的是()
A.与mA成反比
B.kV升高,散射线量增加
C.与肢体厚度成反比
D.与距离成正比
E.以上都不是
183、单项选择题 平片上,蝶鞍增大和(或)破坏表现见于下述哪种情况()
A.垂体瘤、视交叉胶质瘤、颅咽管瘤
B.垂体瘤、颅咽管瘤
C.视交叉胶质瘤、蝶窦或后组筛窦黏液囊肿或肿瘤
D.蝶窦或后组筛窦黏液囊肿或肿瘤
E.垂体瘤、视交叉胶质瘤、颅咽管瘤、蝶窦或后组筛窦黏液囊肿或肿瘤
184、单项选择题 哪类肺癌在早期就发生淋巴转移()
A.鳞癌
B.腺癌
C.大细胞未分化癌
D.小细胞未分化癌
E.细支气管肺泡癌
185、单项选择题 下列关于“骨瘤”的描述中,哪项错误()
A.多见于颅骨外板
B.菜花状,顶端可有不规则钙化
C.可发生于鼻窦内
D.均匀一致高密度
E.多数肿瘤体积不大
186、单项选择题 下列关于眼眶肌锥内肿瘤描述中,其早期X线表现是()
A.眶外侧壁受压
B.眶内侧壁受压
C.眶底壁受压
D.眶顶壁受压
E.眶骨吸收破坏
187、多项选择题 全自动准直器可进行的操作方式有()
A.手动
B.自动
C.无线遥控
D.红外遥控
E.以上都是
188、多项选择题 关于慢性化脓性骨髓炎,正确的表述是()
A.可由急性化脓性骨髓炎转化而来
B.常见死骨
C.可见骨包壳形成
D.Garre骨髓炎最初即为慢性过程
E.骨膜反应不如急性明显
189、多项选择题 下列属于胃溃疡直接征象的是()
A.粘膜线
B.项圈征
C.狭颈征
D.哑铃胃
E.胃小弯缩短
190、单项选择题 发生在球部的溃疡约占十二指肠溃疡的()
A.50%
B.60%
C.70%
D.80%
E.90%
191、单项选择题 “良性骨肿瘤”发病率的顺序依次为()
A.骨软骨瘤>巨细胞瘤>软骨瘤>骨瘤
B.骨软骨瘤>软骨瘤>巨细胞瘤>骨瘤
C.骨瘤>巨细胞瘤>软骨瘤>骨软骨瘤
D.巨细胞瘤>骨软骨瘤>软骨瘤>骨瘤
E.骨瘤>骨软骨瘤>巨细胞瘤>软骨瘤
192、单项选择题 下列哪种体位最适宜观察双侧肺尖的病变()
A.肺尖放大摄影
B.肺尖前弓位
C.肺尖后弓位
D.胸部后前位
E.胸部前后位
193、单项选择题 下列哪种肿瘤通常在肺部发生转移之后才被诊断,在X线上表现为多发性、无钙化,边缘整齐的圆形病灶()
A.前列腺癌
B.恶性甲状腺肿
C.绒毛膜上皮癌
D.成骨肉瘤
E.乳癌
194、单项选择题 下列胸片影像,哪项与二尖瓣狭窄无关()
A.KerleyB线
B.食管受压
C.肺动脉段凹陷
D.左心缘出现四弓
E.双房影
195、多项选择题 下列哪项可使散射线量增加()
A.被照体面积大
B.被照体体积大
C.被照体厚度大
D.被照体含气量大
E.被照体组织密度均匀
196、多项选择题 属于腹膜间位器官的有哪些()
A.盲肠
B.升结肠
C.降结肠
D.横结肠
E.乙状结肠
197、单项选择题 关于神经鞘瘤和神经纤维瘤的描述哪项错误()
A.组织来源不同
B.神经纤维瘤多为神经纤维瘤病的局部表现
C.神经鞘瘤可多发,恶变多见
D.4%~11%神经纤维瘤病并发神经纤维肉瘤
E.神经鞘瘤可通过椎间孔侵蚀到椎管外
198、多项选择题 下列有关色素性胆结石描述中,错误的有()
A.主要成分为胆红素钙
B.胆固醇含量达70%以上
C.呈泥沙样或颗粒状
D.剖面常呈多面体影
E.剖面见分层状、结石多发
199、单项选择题 下述孤立性肺结节影像标准,哪项不对()
A.圆形或椭圆形病灶
B.直径1~4cm
C.不与胸壁、纵隔、横膈、心脏相连
D.可有卫星灶
E.其余肺野无实质性病灶
200、多项选择题 甲状旁腺功能亢进骨质硬化多见于()
A.下颌骨
B.骨盆
C.肋骨
D.脊柱
E.长骨
201、单项选择题
女,5岁,左踝疼痛,结合图像,最可能的诊断是()
A.创伤性关节炎
B.退行性骨关节病
C.神经性关节病
D.风湿性关节炎
E.痛风
202、多项选择题 脊柱结核的感染途径有()
A.直接扩散
B.消化系统传播
C.血行播散
D.淋巴系统传播
E.沿蛛网膜下腔播散
203、单项选择题 心脏右前斜位投照的旋转角度一般为()
A.30°~45°
B.45°~55°
C.50°~55°
D.55°~60°
E.50°~60°
204、单项选择题 下述疾病的肺血均属正常,但应除外()
A.原发性肺动脉高压
B.特发性肺动脉扩张
C.先天性主动脉瓣狭窄
D.先天性主动脉缩窄
E.特发性升主动脉扩张
205、单项选择题
男,69岁,咳嗽,胸痛2月余,胸片检查如图,最可能的诊断为()
A.血行播散型肺结核
B.肺转移瘤
C.两肺炎症
D.细支气管肺泡癌
E.结节病
206、多项选择题 马方(Marfan)综合征病变主要侵犯()
A.肺
B.眼
C.心血管
D.骨骼
E.神经
207、单项选择题 男,65岁,咳嗽,右胸痛,痰中带血丝1周。胸部后前位片示:右肺门影增大,右上肺大片状致密影,水平裂呈反“S”样改变。 被阻塞的支气管()
A.右主支气管
B.右肺上叶支气管
C.右肺上叶前段支气管
D.右肺中叶支气管
E.右肺上叶尖后段支气管
208、单项选择题
女,58岁,吞咽困难半年,结合图像,最可能的诊断为()
A.正常食管
B.食管静脉曲张
C.食管癌
D.食管憩室
E.食管平滑肌瘤
209、单项选择题 肺淤血在平片上表现为()(1)肺门增大,血管边缘清楚(2)肺门增大,结构不清,血管边缘模糊(3)肺血管普遍扩张,边缘模糊,呈条纹状(4)肺内血管成比例增粗,边缘锐利(5)上肺静脉增粗,下肺静脉变细
A.(1)(2)(3)
B.(1)(3)(5)
C.(2)(4)(5)
D.(2)(3)(5)
E.(1)(3)(4)
210、多项选择题 在X线诊断中“肺门”包括以下哪些结构()
A.肺动脉
B.肺静脉
C.支气管
D.淋巴管
E.肺根
211、多项选择题 纤维性骨皮质缺损的特点包括()
A.多见于6~15岁儿童,男多于女
B.有家庭发病倾向
C.病变常多发、对称性
D.呈囊状或片状皮质缺损区,有硬化边
E.多于2~4年内自行消失
212、多项选择题 泌尿系统常规X线检查包括()
A.X线平片
B.尿路造影
C.血管造影
D.子宫输卵管造影
E.肾上腺静脉造影
213、单项选择题 心脏左前斜位摄片,身体冠状面与胶片夹角为()
A.20~25°
B.30~35°
C.40~45°
D.50~60°
E.60~70°
214、多项选择题 胃溃疡的间接征象有()
A.胃分泌增加
B.胃小弯缩短
C.对侧胃大弯的痉挛性切迹
D.胃窦痉挛
E.龛影
215、单项选择题 急性化脓性骨髓炎典型X线表现是()
A.骨质破坏
B.死骨形成
C.骨质增生
D.软组织窦道形成
E.以上都是
216、多项选择题 椎管内神经鞘瘤的X线表现包括()
A.脊髓造影可见肿瘤侧蛛网膜下隙增宽,健侧变窄
B.完全阻塞时,阻塞端呈典型的双杯口状
C.完全阻塞时,阻塞端呈典型的梭形
D.部分阻塞时,可以显示围绕肿瘤边缘的充盈缺损
E.脊髓受压,并向健侧移位
217、单项选择题 肺淤血是指()
A.肺动脉血流量增加
B.肺静脉血流量增加
C.肺动脉血流量减少
D.肺静脉血流量减少
E.以上均不是
218、单项选择题 X线产生过程中,电子高速运动所需能量主要取决于()
A.管电压
B.管电流
C.灯丝焦点大小
D.旋转阳极转速
E.靶物质原子序数
219、单项选择题 斯氏位投照时,要求()
A.听眦线与胶片垂直
B.听鼻线与胶片垂直
C.瞳间线与胶片垂直
D.听眶线与胶片垂直
E.以上都不对
220、多项选择题 移行椎尾侧移行的特点有()
A.第7颈椎横突过长
B.第1尾椎骶化
C.第1骶椎腰化
D.第4腰椎横突过长
E.第12肋骨过长
221、单项选择题 下列横膈影像,哪项为异常表现()
A.龟背征
B.表面光滑,可呈波浪状
C.前肋膈角比后肋膈角高
D.前心膈角多为钝角
E.成人,右膈顶常比左膈略高
222、单项选择题 胃癌大体形态可分为()
A.浸润型
B.蕈伞型
C.溃疡型
D.以上都是
E.以上都不是
223、单项选择题 下列有关尤文肉瘤的描述哪项是错误的()
A.好发生于长骨的骨干或干骺端
B.骨髓腔内出现斑片状骨质破坏
C.骨膜呈葱皮样改变
D.破坏区周围常无硬化缘
E.以上都不是
224、多项选择题 下述哪些为贲门失弛缓症中期的X线表现有()
A.患者食管中度扩张
B.食管内有较多滞留物
C.食管边缘呈锯齿状
D.食管下段不规则运动明显减少
E.食管下端呈漏斗状狭窄
225、多项选择题 哪些征象与良性胃溃疡有关()
A.激惹征
B.胃空腹滞留液较多
C.胃排空速度减慢
D.袖口征
E.肩胛征
226、多项选择题 骨质疏松症的X线表现有()
A.呈鱼尾状椎体
B.骨皮质变薄
C.骨小梁变细减少
D.椎间隙增宽
E.骨质密度减低
227、单项选择题 关于高千伏摄片的优点下述哪项不对()
A.X线量
B.提高解像力
C.降低图像锐利度
D.延长球管寿命
E.降低图像对比度
228、单项选择题 下述哪项不属于毛细血管通透性增高引起的肺水肿原因()
A.高原性肺水肿
B.吸入刺激性气体
C.成人型呼吸窘迫综合征
D.淹溺
E.弥散性血管内凝血
229、单项选择题 老年性和绝经后骨质疏松的特征性病理改变为()
A.皮质骨萎缩
B.松质骨萎缩
C.成骨细胞数目减少
D.破骨细胞数目增多
E.哈氏管明显扩大
230、单项选择题
椎间盘脱出的部位常见于()
A.C1-2
B.T3-4
C.L1-2
D.C7~T1
E.L5~S1
231、单项选择题 关于X线滤过的说法,错误的是()
A.滤过是把X线束中的低能成分吸收掉
B.固有滤过,是指X线管本身的滤过
C.固有滤过用铅当量表示
D.总滤过为附加滤过与固有滤过之和
E.一般对低能量射线采用铝滤过板
232、单项选择题 “骨母细胞瘤”分型为()
A.中心型+周围型
B.中心型+骨皮质型
C.中心型+骨皮质型+骨膜型
D.骨干型+骨端型
E.骨干型+干骺型+骨骺型
233、单项选择题 关于X线装置的说法,下列哪项不正确的()
A.管电流与管电压的二次方成正比
B.管电流的调整是通过灯丝加热电流的变化来完成
C.电流是通过与X线管并联的mA表来测量
D.灯丝加热变压器,必须进行高压绝缘
E.mAs的控制方式,是电流的时间积分值到达设定值时,停止曝光
234、多项选择题 下列有关龛影的说法,正确的是()
A.胃肠道壁产生溃烂,达到一定程度,造影时被钡剂填充
B.当X线从病变区呈切线位投影时,形成突出于腔外的钡斑影像
C.胃溃疡形成的突出于胃腔之外的半圆形钡斑影像,称为龛影或壁龛
D.是来自胃肠道的肿瘤突向腔内而形成的影像,是肿瘤的直接征象
E.双对比造影或压迫法检查正面观察时,可仅显示为局限性钡剂残留影像
235、单项选择题 左心衰竭主要X线表现()
A.肺淤血
B.胸膜增厚或产生少量积液
C.心脏房室增大
D.肺水肿
E.以上都是
236、单项选择题 下列疾病与“ZollingerEllison综合征”无关的是()
A.胃窦胃泌素瘤
B.可有转移性肝肿瘤
C.空肠溃疡
D.支气管肺癌
E.空肠皱襞增厚
237、单项选择题 关于输尿管,错误的是()
A.输尿管全长25~30cm
B.输尿管无节律性蠕动
C.输尿管分三段
D.输尿管有三个生理狭窄
E.静脉注入对比剂后30分钟,松开腹压,即可见双侧输尿管充盈对比剂
238、单项选择题 女,33岁,吞咽困难1年,钡餐检查示食管明显扩张,蠕动减弱,食管远端鸟嘴状,表面尚光整,饮水后,造影剂部分进入胃内,最可能的诊断为()
A.食管下端平滑肌瘤
B.食管下端癌
C.贲门失弛缓症
D.食管下端静脉曲张
E.返流性食管炎
239、单项选择题 关于颅骨中的孔与其通过组织的组合,哪项是对的()
A.眶上裂——上颌神经
B.枕骨大孔——延髓、椎动脉
C.圆孔——动眼神经
D.卵圆孔——下颌神经
E.颈静脉孔——面神经
240、单项选择题 左前斜位,心脏前缘自上而下依次为()
A.右心房、右心室
B.左心房、左心室
C.左心房、右心室
D.右心房、左心室
E.右心室、左心室
241、多项选择题 下列有关早期胃癌的分型中,正确的有()
A.Ⅰ型-隆起型
B.Ⅱ型-浅表型
C.Ⅱa型-浅表平坦型
D.Ⅱc型-浅表凹陷型
E.Ⅲ型-凹陷型
242、多项选择题 下列关于顶颏位片的描述,正确的是()
A.鼻翼投影于上颌窦内上方
B.颅底卵圆孔投影重叠于窦底
C.岩骨重叠于上颌窦底
D.上唇投影于上颌窦底部
E.以上都不是
243、单项选择题 女,35岁,右肺上叶后段薄壁空洞,直径3cm,内有较小的液面,空洞周围肺内有渗出病变,右下叶及左肺中下野有多发斑片状渗出影,最可能的诊断是()
A.肺结核病(干酪性肺炎)
B.肺脓肿
C.血源性肺脓肿
D.空洞型肺癌
E.肺霉菌病
244、多项选择题 正常腹主动脉造影可显示腹主动脉及其分支,分支包括哪几部分()
A.腹腔动脉
B.肠系膜上动脉
C.肠系膜下动脉
D.两侧肾动脉
E.睾丸动脉
245、单项选择题 关于阳性对比剂的叙述,错误的是()
A.与周围组织相比X线衰减系数大
B.与阴性对比剂相比X线衰减系数大
C.阳性对比剂易被X线透过
D.碘剂和钡剂均为阳性对比剂
E.非离子型对比剂毒性较小
246、单项选择题 容易发生脑膜或脑膜脑膨出的囟门是()
A.前囟
B.后囟
C.前外侧囟
D.后外侧囟
E.副囟
247、单项选择题 下列哪项不是维生素C缺乏病在干骺端的X线表现()
A.维生素C缺乏病线
B.维生素C缺乏病透亮带
C.骨刺征
D.环状骨骺
E.角征
248、单项选择题 关于手部退行性骨关节病,下列哪项不是其X线表现()
A.指骨基底及掌骨头骨刺
B.关节间隙狭窄
C.关节面硬化
D.关节边缘部骨侵蚀
E.关节半脱位
249、单项选择题 下述哪项除外,其余均为肺门病变的基本X线表现()
A.肺门增大
B.肺门缩小
C.肺门移位
D.肺门结核
E.肺门密度增高
250、单项选择题 风湿性心脏病主动脉瓣关闭不全的主要表现是()
A.左心房、右心室增大
B.左心室增大
C.右心室肥大
D.右心房、左心室增大
E.右心房增大
251、多项选择题 肺转移瘤中呈小结节及粟粒病变者多见于()
A.肝癌转移
B.胰腺癌转移
C.绒毛膜上皮癌转移
D.成骨肉瘤转移
E.甲状腺癌转移
252、单项选择题 下列多发性肺囊肿的X线表现中,错误的是()
A.多见于一侧肺
B.多为含气囊肿,大小不等
C.囊壁薄而边缘锐利
D.通常伴有胸膜增厚
E.肺体积增大
253、多项选择题 哪些是肝癌肝动脉造影时的表现()
A.肿瘤供血的肝动脉扩张
B.肿瘤湖征
C.肝血管受压拉直、移位或被肿瘤包绕
D.肿瘤内显示异常瘤血管
E.动静脉瘤
254、多项选择题 关于胰腺炎的X线表现,描述正确的是()
A.十二指肠球呈三叶状变形
B.Vater壶腹肿大
C.十二指肠环变形或扩大
D.肠管局限性麻痹性肠梗阻
E.胰腺结石及钙化
255、单项选择题 骨囊肿的X线表现中,哪项应除外()
A.囊肿一般为单发,很少多发
B.病灶大多为卵圆形,长径与骨长轴一致
C.囊肿向外膨胀性生长
D.膨胀的程度一般不超过干骺端的宽度
E.囊内可见明显骨嵴
256、多项选择题 关于肾盂,正确的说法是()
A.最佳显影时间是注入对比剂后15~30分钟
B.肾盂上连肾大盏,下连输尿管
C.肾盂大部分位于肾门区
D.肾盂形态差异不大
E.肾盂无蠕动
257、单项选择题 常见的心包疾病主要有()
A.心包钙化
B.心包肥厚
C.心包腔积液
D.缩窄性心包炎
E.心包肿瘤
258、单项选择题
男,根据其正常膝关节影像图像,判断其最可能的年龄()
A.61岁左右
B.51岁左右
C.11岁左右
D.21岁左右
E.31岁左右
259、多项选择题 先天性主动脉缩窄的X线表现为()
A.肋骨切迹
B.3字征
C.升主动脉扩张
D.上纵隔阴影增宽
E.降主动脉上段的狭窄后扩张
260、单项选择题 维生素D缺乏症的早期最早出现X线表现是()
A.胫骨远侧干骺端
B.桡骨近侧干骺端
C.肋骨胸骨端
D.尺骨远侧干骺端
E.以上都不是
261、单项选择题 固定阳极X线管的阳极结构组成正确的是()
A.靶面、阳极柄、阳极帽
B.阳极头、转子、阳极帽
C.阳极头、阳极柄、阳极帽
D.靶面、转子、阳极帽
E.靶面、钼杆、阳极帽
262、单项选择题 临床上称作卢滕巴赫(Lutembacher)综合征的先天性心脏病是房间隔缺损(二孔型)合并下列哪种疾病()
A.二尖瓣关闭不全
B.肺动脉狭窄
C.肺静脉畸形引流
D.左上腔静脉畸形发展
E.二尖瓣狭窄
263、单项选择题 房间隔缺损第2孔型的血流动力学改变中,下列哪项不正确()
A.右心房血流量减少
B.右心室血流量增加
C.左心房血流量增加
D.肺动脉血流量增加
E.左心室血流量减少
264、单项选择题 下列哪些疾病可以使用X线作为初步检查方法()
A.眼部阳性异物及其定位
B.眼球突出
C.眼部肿瘤
D.眼眶外伤
E.以上均可
265、单项选择题 “竖发征”不累及哪个部位()
A.枕骨粗隆以下枕骨
B.枕骨粗隆以上枕骨
C.额骨
D.顶骨
E.颞骨
266、单项选择题 下述哪种疾病仍把X线检查当作首选方法()
A.胃肠道肿瘤
B.颅脑外伤
C.四肢外伤
D.肺部肿瘤
E.泌尿系炎症
267、单项选择题 如疑似大骨节病的病人,最佳投照体位是()
A.双侧第一跖趾骨正、斜位
B.双侧膝关节正位片
C.双手正位及双踝关节正侧位
D.双侧手腕外展位
E.腰椎正侧位片
268、单项选择题
男,2岁,阵发性哭闹不安1天,频繁呕吐,腹部拒按,腹部触诊脐右上方可触及包块,行钡灌肠检查,如图所示,最可能的诊断为()

A.肠扭转
B.结肠癌
C.肠穿孔
D.肠套叠
E.以上都不是
269、单项选择题 构成高血压心脏病患者左心缘第一弓的结构是()
A.上腔静脉
B.升主动脉
C.左室流出道
D.右室流出道
E.降主动脉
270、单项选择题 无菌性骨坏死最常见的部位是()
A.肱骨头
B.髌骨
C.膝部股骨外髁
D.桡骨小头
E.股骨头
271、单项选择题 有关高原性心脏病的描述,错误的是()
A.双肺纹理增多、紊乱
B.心影增大
C.上腔静脉影增宽
D.肺门影增大,结构欠清
E.仅凭上述表现就能诊断本病
272、多项选择题 十二指肠炎的影像特征是()
A.球部激惹征
B.球部龛影
C.球部痉挛
D.球部变形
E.球部无明显变形
273、多项选择题 肺癌支气管动脉造影的异常表现是()
A.支气管动脉迂曲扩张
B.支气管动脉分支紊乱呈网状
C.支气管动脉闭塞
D.支气管动脉起源异常
E.支气管动脉与肺循环分流
274、单项选择题 关于下肢摄影,错误的是()
A.长骨长轴应平行于胶片长轴
B.与上肢等厚部位应略增kV
C.至少应包括一端关节
D.股骨近端不用滤线器
E.焦-片距通常多采用100cm
275、单项选择题
男,65岁,胸痛,胸片检查如图,下列诊断中最可能的是()
A.右肺胸膜肥厚
B.右肺不张
C.右侧胸腔积液
D.右肺炎症
E.以上都不对
276、单项选择题 关于乳腺癌的X线征象,下列错误的是()
A.肿块,呈毛刺状
B.成簇的钙化
C.皮肤呈橘皮样改变
D.乳头凹陷
E.肿块边缘光滑,见透明晕
277、多项选择题 酒精性慢性胰腺炎的特点有()
A.大导管扩张,小导管正常
B.管腔内有蛋白类物质或栓子
C.胰管结石和胰体钙化
D.小导管和主导管均扩张
E.管腔内无堵塞物且很少钙化
278、单项选择题
如图,在正常胸部X线影像图像上,该英文字母所代表的肺段为()
A.内基底段
B.前基底段
C.外基底段
D.后基底段
E.背段
279、单项选择题 用于读出CR中X线影像信息的光束是()
A.可见光
B.红外线
C.紫外线
D.激光
E.电子线
280、单项选择题 拟诊上颌窦积液的患者应首选的摄影位置是()
A.俯卧瓦氏位
B.站立瓦氏位
C.汤氏位
D.柯氏位
E.头颅侧位
281、多项选择题 输尿管的三个生理狭窄包括()
A.肾盂、输尿管连接处
B.膀胱入口处
C.与髂总动脉交叉处
D.平第3腰椎处
E.输尿管与精索交叉处
282、单项选择题 下述关于“肋骨先天性畸形”,哪项错误()
A.颈肋
B.腰肋
C.肋骨发育不全
D.肋软骨钙化
E.叉状肋
283、单项选择题 产生连续X线,是由于高速电子作用于()
A.原子核,使之分裂
B.原子内层轨道电子,使之脱出
C.原子外层轨道电子,使之脱出
D.原子的核电场,损失能量而减速
E.靶物质中的自由电子,使之改变方向
284、单项选择题 水痘病毒性肺炎的影像特征()
A.数天内仅见双肺纹理增粗、毛糙
B.病理、影像表现演变快
C.伴弥漫性肺气肿的广泛间质性炎症改变
D.呈典型的支气管肺炎表现
E.间质纤维化伴肺大泡
285、单项选择题 我国的放射卫生防护标准叙述,错误的是()
A.辐射实践正当化为放射防护的综合原则
B.我国放射卫生防护标准是GB4792
C.放射防护水平最优化为放射防护的综合原则
D.以剂量当量限值或最大允许剂量为唯一指标
E.个人剂量当量限值为放射防护的综合原则
286、单项选择题 有关溃疡性结肠炎的说法中,错误的是()
A.是一种非特异性大肠粘膜的慢性炎症性病变
B.多数学者认为与免疫异常、感染、遗传等因素有关
C.起病多急骤,发展迅速,中毒症状重
D.病变多发生在结肠下段,也可遍及整个结肠甚至末端回肠
E.常发生于青壮年,20~40岁之间
287、多项选择题 下列哪些可在胸骨正位片上显示()
A.胸骨柄
B.胸骨体
C.剑突
D.胸锁关节
E.全部肋骨
288、多项选择题 肝脓肿的发病原因包括()
A.胆道炎症所致
B.经淋巴系统感染
C.腹腔内和胃肠道感染经门静脉进入肝脏
D.全身其他部位炎症经肝动脉进入肝脏
E.阿米巴原虫感染
289、单项选择题 某患者右髋痛1个月,需进行髋关节摄影检查。 检查小儿髋关节脱位、复位情况的体位是()
A.髋关节前后位
B.髋关节侧位
C.髋关节侧斜位
D.髋关节蛙式位
E.髋关节后前斜位
290、多项选择题 成骨型转移瘤常见于()
A.前列腺癌
B.乳癌
C.鼻咽癌
D.肺癌
E.膀胱癌
291、单项选择题 以下哪种肿瘤易形成肿瘤软骨()
A.骨纤维瘤
B.溶骨型骨肉瘤
C.骨巨细胞瘤
D.骨瘤
E.骨软骨瘤
292、单项选择题 下列有关摄影体位错误的叙述是()
A.右前斜位也称第1斜位
B.左前斜位也称第2斜位
C.左侧位摄影X线由右侧投射到左侧
D.顶颌位又称下上轴位
E.右前斜位与左后斜位效果相似
293、单项选择题 儿童和幼年型类风湿关节炎的早期X线表现哪项是不正确的()
A.多见膝、踝、颈椎等大关节发病
B.干骺端出现横带状透亮区
C.骨骺生长加速,干骺早期融合
D.远侧指关节常被累及
E.可见关节面下的囊状透光区
294、多项选择题 下列肺放线菌病特点,错误的是()
A.痰中可有硫磺颗粒
B.下叶居多,节段性分布
C.肺脓肿、脓胸、胸膜肥厚
D.早期肺泡浸润、空洞形成,晚期肺纤维化
E.侵犯胸壁、肋骨,但不形成瘘管
295、多项选择题 单纯性小肠梗阻的X线征象表现为()
A.假肿瘤征
B.空、回肠换位
C.短小液平面
D.较长液平面
E.连贯、规则、紧靠扩张的肠曲
296、单项选择题
男,49岁,右髋部疼痛1年半,近1个月加重,不发热,有饮酒史。根据骨盆平片,最可能的诊断为()
A.股骨头缺血坏死
B.髋关节结核
C.髋关节化脓性炎症
D.退行性骨关节病
E.强直性脊椎炎髋关节改变
297、多项选择题 骨折线需与以下哪几项区别()
A.骨骺线
B.营养动脉血管
C.颅缝
D.生长障碍线
E.关节间隙
298、单项选择题 下列关于“长管状骨结核”的描述,哪项错误()
A.好发于骨干
B.砂粒样死骨
C.易侵犯关节
D.骨质破坏为主
E.骨膜反应轻微
299、多项选择题 右心房增大的原因包括()
A.三尖瓣下移畸形
B.动脉导管未闭
C.房间隔缺损
D.主动脉瓣狭窄
E.冠心病
300、单项选择题
男,35岁,反复颈部不适20余年,结合图像,最可能的诊断是()
A.颈椎椎体融合
B.颈椎结核
C.颈椎退行性变
D.颈椎压缩性骨折
E.颈椎骨转移瘤