时间:2025-02-17 01:11:40


1、单项选择题 关于CT扫描方法的叙述错误的是()
A.低剂量扫描:指在保证诊断要求的前提下,降低螺旋CT的扫描参数,降低了病人X线的剂量
B.动态扫描:指静脉团注对比剂后,在极短的时间内对某一组织器官进行快速连续扫描,一边扫描一边重建图像的方法
C.目标扫描:又称靶扫描或放大扫描,是对兴趣区进行扫描的一种方法
D.延迟扫描:指注射对比剂后,等待数分钟,甚至数小时后再行扫描的一种CT检查方法
E.重叠扫描:指层间距小于层厚,使相邻的扫描层面部分重叠的CT扫描
2、单项选择题 直肠癌的主要转移方式是()
A.血行转移
B.淋巴道转移
C.种植性转移
D.直接外侵
E.以上都不是
3、单项选择题 泛影葡胺属于以下哪种对比剂()
A.阴性对比剂
B.离子型对比剂
C.阳性非离子型对比剂
D.阴性离子型对比剂
E.非离子型对比剂
4、单项选择题 男,18岁,CT扫描发现脊柱旁软组织肿块,邻近椎体骨质压迫吸收,增强扫描肿瘤内可见低密度区,首先考虑的诊断是()
A.椎旁血管瘤
B.椎旁神经纤维瘤
C.血肿机化
D.转移瘤
E.淋巴瘤
5、多项选择题 颅内结核瘤在CT扫描时有以下几种特点()
A.单发或多发结节
B.病灶钙化
C.环状强化的病灶
D.病灶周围有明显水肿
E.靶征
6、单项选择题 以下哪项对嗜铬细胞瘤的描述不恰当()
A.肿瘤起源于肾上腺髓质的成熟神经嵴细胞
B.血浆或尿儿茶酚胺升高,24h尿3-甲氧基、4-羟基杏仁酸可明显升高
C.嗜铬细胞瘤又被称为10%瘤,即10%位于肾上腺外,10%为双侧,10%为恶性
D.肿瘤巨大、分叶、密度不均者为恶性
E.肿瘤侵犯邻近结构、包埋血管或有淋巴结肿大者可诊断为恶性
7、单项选择题 患者肾衰晚期,多骨的改变是什么引起的结果()
A.继发性甲状旁腺功能亢进
B.痛风
C.细菌性骨髓炎
D.骨髓瘤
E.以上都不是
8、单项选择题
男,31岁,感左坐骨区胀痛,无发热,结合所提供的图像,最可能的诊断是()
A.骨巨细胞瘤
B.骨囊肿
C.纤维异常增殖症
D.动脉瘤样骨囊肿
E.非骨化性纤维瘤
9、单项选择题 高血压脑出血最常见的部位是()
A.基底节
B.小脑
C.脑干
D.颞叶
E.枕叶
10、单项选择题
这个急诊患者剧烈上腹痛,结合图像,最可能的诊断是()
A.大动脉破裂
B.胃溃疡穿孔
C.急性胰腺炎
D.胃幽门梗阻
E.以上都不是
11、单项选择题
青少年患者,臀疼,最可能的诊断为()
A.尤文肉瘤
B.骨肉瘤
C.动脉瘤样骨囊肿
D.骨纤维结构发育不良
E.以上都不是
12、多项选择题 下列关于大血管和冠状动脉异常的表现包括()
A.位置的异常
B.管径的异常
C.密度的异常
D.冠状动脉的异常,如钙化及其程度
E.心肌收缩功能的异常
13、单项选择题
因静脉吸毒染上艾滋病的患者,如图所示,最可能的诊断是()
A.椎旁脓肿
B.肌肉转移
C.肌肉梗死
D.骨髓炎
E.出血
14、单项选择题
男,48岁,胃癌术后1年,未化疗,CT检查如图所示,最可能的诊断为()
A.肝癌
B.肝转移癌
C.肝血管瘤
D.肝脓肿
E.肝囊肿
15、单项选择题
患者术后5天发热,如图所示,最可能的诊断为()

A.肠套叠
B.脓肿
C.缺血坏死性肠炎
D.纱布置留
E.以上都不是
16、多项选择题 脊椎退行性变的CT征象包括()
A.椎间盘膨出
B.椎间盘真空征和髓核钙化
C.椎旁软组织肿胀
D.韧带肥厚、钙化
E.椎体边缘及椎小关节骨质增生
17、单项选择题
根据所提供的图像,该病例的最可能的诊断为()
A.胰腺癌
B.无功能胰岛细胞瘤
C.腺病
D.淋巴瘤
E.以上都不是
18、单项选择题 下述哪项关于“眶内血管瘤”的CT特点说法是错误的()
A.肿瘤形态不规则
B.肿瘤常有纤维性假包膜
C.平扫软组组密度
D.分布于球后肌锥外
E.增强扫描病灶明显强化
19、单项选择题
患者腹痛,便血,有卵巢癌病史,结合图像,最可能的诊断是()
A.原发性结肠癌
B.卵巢癌种植转移
C.子宫内膜异位
D.髓外造血
E.以上都不是
20、单项选择题 脑(肝)豆状核变性,脑的铜沉积并发胶质增生最显著的部位是()
A.黑质
B.脑干
C.白质
D.壳核
E.小脑齿状核
21、单项选择题 X线在医学上应用的原理中不包括()
A.利用其穿透作用进行X线检查
B.利用其荧光作用进行透视检查
C.利用其摄片作用进行照片检查
D.利用其电离作用进行CT扫描
E.利用其生物效用进行肿瘤治疗
22、单项选择题 女,43岁,头痛。CT示左颞叶有一3cm×4cm类圆形低密度、边界尚清晰的囊样病变,边缘轻度增强,最大可能为()
A.囊性星形细胞瘤
B.蛛网膜囊肿
C.恶性淋巴瘤
D.动静脉畸形
E.脑膜瘤
23、单项选择题 关于ROC曲线的叙述,以下哪项是错误的()
A.ROC——Receiveroperationgcharacteristiccurve
B.是一种客观的评价方法
C.可对成像系统中微小病灶的检出能力评价
D.ROC——观察者操作特性曲线
E.以人眼观察刺激反应判断的评价方法
24、单项选择题
男,72岁,右上腹痛1月,AFP阴性,无乙肝病史,CT扫描如图,最可能的诊断是()
A.肝脓肿
B.肝转移癌
C.原发性肝癌
D.肝血管瘤
E.胆管细胞癌
25、单项选择题 下列哪项不属于图像后处理技术()
A.多组CT值测量
B.图像局部放大
C.改变窗宽
D.图像反转
E.矢状重建
26、单项选择题 对于诊断多发性骨髓瘤,下列CT表现中哪项不支持()
A.骨质疏松
B.椎体压缩骨折
C.骨内单发或多发穿凿样骨破坏
D.周围骨皮质完整或增厚
E.伴有软组织肿物
27、单项选择题
男,36岁,胸痛半月伴发高热,胸片发现占位性病变,CT检查如图,最可能的诊断为()
A.左下肺肺脓肿
B.左下肺癌并空洞形成
C.左侧胸腔积脓
D.左下肺囊肿
E.左下肺肺炎
28、单项选择题 肺癌钙化形成的病理基础是()
A.肿瘤瘢痕收缩
B.瘤内含气、扩张的细支气管
C.肿瘤内残存正常含气肺组织
D.肿瘤钙化或包埋原有钙化灶所致
E.癌细胞浸润及间质反应
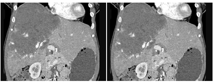
29、单项选择题 对于CT的临床应用,以下哪项不对()
A.颅脑肿瘤的检查首选普通X线,次选CT
B.椎间盘突出的检查:首选CT,次选脊髓造影
C.脑梗死的检查:首选CT,次选脑血管造影
D.肝脏肿瘤的检查:首选超声,次选CT
E.椎管内肿瘤的检查:首选CT,次选脊髓造影
30、单项选择题 关于透光率(T)的叙述,错误的是()
A.域值为0≤T≤1
B.它是指照片上某处的透光程度
C.T=1时,表明入射光全部被吸收
D.T=1时,表明入射光全部通过照片
E.在数值上等于透光程度与入射光强之比
31、单项选择题 男,48岁,上腹部不适2月余,患者有华支睾吸虫病病史。经CT检查发现肝左外叶增大,其内呈不均匀性低密度,病灶边界不清,周围可见扩张的胆管。最可能的诊断是()
A.肝脓肿
B.肝细胞癌
C.肝肉瘤
D.胆管细胞癌
E.胆囊癌
32、单项选择题 骨盆骨折常可合并邻近器官的外伤,常易损伤的器官不包括()
A.血管
B.尿道
C.膀胱
D.子宫
E.直肠
33、单项选择题 关于颅咽管瘤的描述,哪项不正确()
A.小儿及青年多见
B.80%为囊性
C.85%有钙化
D.均见于鞍上
E.肿瘤边界清楚
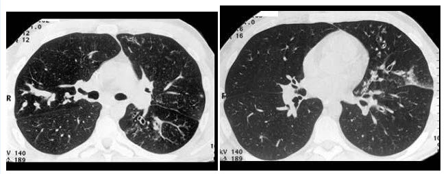
34、单项选择题 男,55岁,咳嗽、气短1年,秋冬加重。HRCT示两肺散在分布低密度区大小约2~4mm,无壁,两上肺为著,最可能的诊断为()
A.肺气肿
B.先天性肺囊肿
C.支气管囊肿
D.支气管扩张症
E.肺淋巴管腺肌瘤病
35、单项选择题 对于肺间质病变细节的观察,最理想的CT技术是()
A.高分辨率CT扫描
B.动态增强CT扫描
C.Bolus注射,常规增强扫描
D.螺旋CT扫描
E.常规CT平扫
36、单项选择题 多房滤泡囊肿与造釉细胞瘤区别点为()
A.囊腔大小差异是否明显
B.囊状透光区的数目
C.颌骨是否膨胀变形
D.囊状透光区周围是否有硬化环
E.囊内是否含牙
37、单项选择题 女性,35岁,因不孕就诊,CT扫描子宫增大呈分叶状,表面光滑,子宫肌壁内实性低密度影,有钙化,宫腔受压移位,首先考虑的应该为()
A.葡萄胎
B.子宫内膜癌
C.子宫肌瘤
D.子宫肌腺瘤
E.妊娠
38、单项选择题 输尿管的分部是()
A.远部、中部、近部
B.上部、中部、下部
C.腹部、盆部、壁内部
D.腹部、盆部、膀胱部
E.腹部、膀胱部、壁内部
39、单项选择题
女,40岁,下腹部隐痛、腹胀伴阴道不规则出血1年余,B超检查提示盆腔包块,CT检查如图,下列最可能的选项是()
A.卵巢畸胎瘤
B.卵巢囊肿
C.卵巢囊腺瘤
D.卵巢囊腺癌
E.卵巢浆液性囊腺癌
40、单项选择题
根据所提供图像,最可能的诊断是()
A.淋巴瘤
B.肾癌转移
C.肺癌转移
D.以上都是
E.以上都不是
41、单项选择题 浸润性生长的星形细胞瘤的CT表现是()
A.肿瘤边缘规则清晰
B.增强扫描一般无强化
C.平扫为等密度
D.平扫CT值50~70HU
E.肿瘤内可见斑片状钙化
42、单项选择题 细菌性肝脓肿的主要感染途径不包括()
A.胆道
B.肠系膜上静脉
C.肝总动脉
D.下腔静脉
E.直接蔓延
43、单项选择题
9个月女婴,头颅迅速增大,四肢肌力下降,CT表现如图,最可能的诊断是()
A.胼胝体发育不全
B.Dandy-Walker综合征
C.前脑无裂畸形
D.脑灰质异位
E.无脑回畸形
44、单项选择题
女,27岁,寒战高热、尿频、尿痛3天,尿检:白细胞(+++),CT平扫及增强扫描如图所示,下列说法错误的是()
A.右肾体积增大
B.增强后右肾实质内可见条片状密度减低区
C.左肾未见异常
D.考虑为急性肾盂肾炎
E.考虑为慢性肾盂肾炎
45、单项选择题 男性,28岁,交通事故受伤,CT见肝脏裂伤约2cm,包膜下血肿厚度<3cm,诊断肝钝性裂伤,分级为()
A.Ⅰ级
B.Ⅱ级
C.Ⅲ级
D.Ⅳ级
E.Ⅴ级
46、单项选择题 根据疾病诊断的需要,灵活选用窗宽、窗位。颅脑CT图像常用脑窗摄影。窗宽80~100HU,窗位35HU左右。颅底、内听道病变;颅脑外伤;颅骨病变,或颅内病变侵犯颅骨,必须加摄骨窗。骨窗的窗宽1000~1400HU,窗位300~500HU。耳鸣及疑桥小脑角区病变者,应利用调节窗口技术,以观察内听道有无扩大,并根据需要对局部进行放大。头皮下软组织病变,用软组织窗摄影:窗宽300~400HU,窗位35~45HU。根据不同的部位和病变灵活选用窗宽和窗位。若病变和周围组织密度接近时,可适当调窄窗宽;若伪影较多或需观察局部组织的丰富层次,可调低窗位,并适当调宽窗宽。鞍区CT图像常用软组织窗和骨窗,软组织窗窗宽350~400HU.窗位35~40HU。 与胸部CT后处理技术无关的是()
A.摄影常规用双窗技术,即肺窗和纵隔窗
B.纵隔窗:窗宽300~500HU,窗位30~50HU
C.肺窗:窗宽800~1500HU,窗位800~600HU
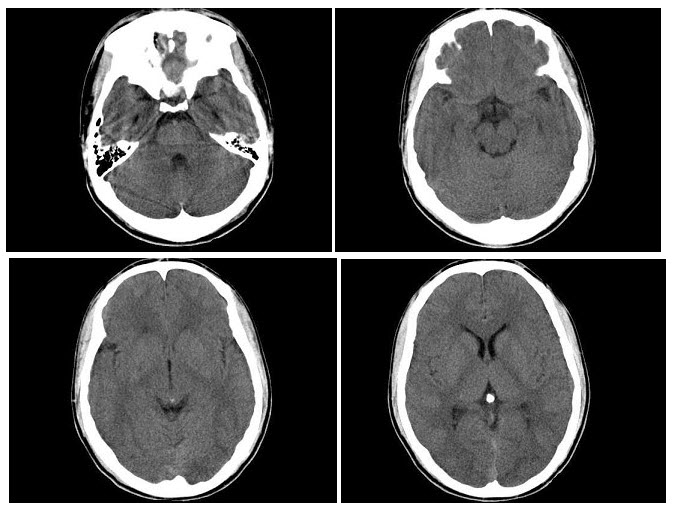
D.对于外伤病人,应观察和摄影骨窗
E.对肺部的片状影,块状影及结节病灶,可选择最佳的中间窗观察和摄影
47、多项选择题 肺结核病的主要诊断依据()
A.临床症状
B.痰检
C.胸部X线检查
D.CT检查
E.USG检查
48、单项选择题 女,80岁,右上腹痛所复发作6个月,加重2天,曾有胆囊炎及结石病史,影像检查如图,最可能的诊断为()
A.十二指肠息肉
B.十二指肠巨大胆结石(胆囊十二指肠瘘)
C.十二指肠蛔虫
D.十二指肠间质瘤
E.十二指肠腺瘤
49、单项选择题
男,74岁,间歇性无痛性全程血尿2月余,尿路造影及CT平扫+增强如图所示,下列说法错误的是()
A.尿路造影示右侧肾盂内不规则的充盈缺损征象
B.CT平扫示右侧肾盂内软组织块影
C.增强扫描示右侧肾盂内软组织块影轻度强化
D.考虑为右侧肾盂癌
E.考虑为右侧肾盂内血块
50、单项选择题 根据我国小肝癌的诊断标准,两个瘤结节的最大直径总和应是()
A.≤2.5cm
B.≤3.0cm
C.≤4.0cm
D.≤5.0cm
E.≤6.0cm
51、单项选择题 肺静脉畸形引流,无下列哪项征象()
A.肺血增多
B.右心房、室增大
C.肺动脉段突出
D.雪人征
E.左心室增大
52、多项选择题 早期肝癌应与以下哪些疾病进行鉴别()
A.血管瘤
B.肝硬化再生结节
C.转移性肝癌
D.肝腺瘤
E.FNH
53、单项选择题 关于“球后炎性假瘤”的知识,下述说法哪项不对()
A.单侧突眼常见原因之一
B.肾上腺皮质激素疗效差
C.泪腺型预后较好
D.眼外肌型者,肌腱、肌腹都肿大
E.不宜手术
54、多项选择题 维生素D缺乏症的X线表现有()
A.临时钙化带模糊,不规则
B.临时钙化带致密,称曲姆尔带
C.干骺端增宽,中央呈坏口状凹陷
D.干骺端向两侧唇状突出称皮尔坎征
E.骨骺碎裂改变
55、多项选择题 在CT和MRI图像上提示脑外肿瘤的征象可见于()
A.脑白质塌陷征
B.静脉窦闭塞
C.脑疝形成
D.脑积水
E.肿瘤以宽基与硬膜相连
56、单项选择题
影像检查如图,右心房的充盈缺损是下列哪项的可能性最大()
A.心房黏液瘤
B.肝癌侵入心脏
C.肾癌侵入心脏
D.血液凝固性过高
E.以上都不是
57、单项选择题 同层动态扫描主要是研究病灶的增强特征,常用于下列哪类病的鉴别()
A.肝炎和肝硬化
B.脂肪肝和血管瘤
C.肝炎和肝癌
D.脂肪肝和肝硬化
E.肝癌和血管瘤
58、单项选择题
男,54岁,左侧腰痛伴间断性血尿2月余,结合CT图像,最可能的诊断是()
A.左侧肾癌
B.左侧肾血管平滑肌脂肪瘤
C.左侧肾上腺腺癌
D.左侧嗜铬细胞瘤
E.左侧肾盂癌
59、单项选择题
男,22岁,右颈部肿块伴疼痛2周,结合图像,最可能的诊断是()
A.骨囊肿
B.尤文肉瘤
C.嗜酸性肉芽肿
D.神经母细胞瘤骨转移
E.骨髓炎
60、多项选择题 椎间盘突出的CT直接征象包括()
A.椎间盘后缘向椎管内局限性突出,密度与相应椎间盘一致
B.突出的椎间盘可有钙化,多与椎间盘相连
C.髓核游离,多位于硬膜外
D.硬膜外脂肪间隙变窄、移位或消失
E.硬膜囊前缘或侧方及神经根受压移位
61、多项选择题 关于肾血管平滑肌脂肪瘤,叙述错误的是()
A.肿瘤含血管、横纹肌、脂肪成分
B.肿瘤可发生破裂出血
C.为独立的肿瘤,不属于其他综合征
D.肿瘤多以脂肪为基本成分
E.肿瘤内均会显示脂肪成分
62、单项选择题
女,34岁,咳嗽,腰背疼痛二年,CT检查如图,最可能的诊断是()
A.结核性脓肿
B.囊肿
C.淋巴管瘤
D.卵巢囊肿
E.卵巢囊腺瘤
63、单项选择题 大叶性肺炎实变期发生于()
A.发病后7天
B.发病12~24小时
C.发病2~3天后
D.发病后即刻
E.发病后6~12小时
64、单项选择题
女,35岁,发现血压高,实验室检查:血和尿中醛固酮水平增高,结合图像,最可能的诊断是()
A.右肾上腺增生
B.右肾上腺Cushing腺瘤
C.右肾上腺Conn腺瘤
D.右肾上腺转移癌
E.右肾上腺囊肿
65、单项选择题
根据所提供的图像,最可能的诊断是()
A.淋巴瘤
B.腹膜后纤维化
C.胰腺癌
D.肝癌
E.以上都不是
66、单项选择题 关于视网膜母细胞瘤,下列哪项不是其常见的CT表现()
A.位于眼球壁上
B.肿瘤内团块状钙化
C.肿瘤密度较高
D.肿瘤轻度增强
E.肿瘤可向眼球外膨出
67、单项选择题
女,47岁,左侧腰部隐痛不适2个月余,结合所示图像最可能的诊断为()
A.左肾癌
B.左肾血管平滑肌脂肪瘤
C.左肾出血性囊肿
D.左肾炎性包块
E.左肾感染性囊肿
68、单项选择题 关于“颅内错构瘤”,下列描述错误的是()
A.2岁以下男孩多见,常有性早熟
B.鞍上圆形占位,多≤2cm
C.CT平扫密度与脑组织相仿
D.增强扫描明显强化
E.MRI各序列信号特点与脑灰质类似
69、单项选择题
男,55岁,胸闷气急1周,无发热,结合图像,最可能的诊断是()
A.右侧气胸
B.肺气肿并右侧肺大泡
C.肺气肿
D.间质性肺炎
E.大叶性肺炎
70、单项选择题 在HRCT扫描的必备条件中,哪项与降低噪声有关()
A.CT机固有空间分辨率0.5mm
B.扫描层厚为1~1.5mm的薄层扫描
C.图像重建使用高分辨率算法
D.应用512×512以上矩阵采集
E.使用高kV和高mAs扫描
71、单项选择题 女,63岁,突然出现剧烈头痛6小时,伴呕吐无发热,无高血压病史,右侧瞳孔对光反射消失,上眼睑下垂,眼球向上、下及内侧运动受限,颈项强直,克氏征阳性。CT示右大脑外侧裂,枕大池呈高密度影。 该患者受累的脑神经是()
A.右侧滑车神经
B.右侧三叉神经
C.右侧动眼神经
D.右侧展神经
E.右侧面神经
72、多项选择题 椎管狭窄时,CT可出现()
A.椎体边缘骨质增生
B.椎间盘膨出或突出
C.脊椎滑脱
D.椎间关节增生
E.后纵韧带及黄韧带肥厚、钙化
73、单项选择题
中年女性,最可能的诊断为()
A.心旁结节
B.内乳动脉动脉瘤
C.淋巴瘤
D.肺癌
E.以上都不是
74、单项选择题 男,12岁,头痛5天CT平扫示右侧裂池和鞍上池密度高,增强扫描呈铸形强化、最可能的诊断为()
A.脑胶质瘤
B.先天发育异常
C.脑膜瘤
D.脑结核
E.结核性脑膜炎
75、多项选择题 关于多发性硬化的描述正确的是()
A.多见于年轻男性
B.多见于年轻女性
C.症状多变
D.病灶多位于脑白质
E.无明显占位征象
76、单项选择题
根据所提供的图像,最可能的诊断是()
A.单纯囊肿
B.囊肿出血
C.肾细胞癌
D.腺瘤
E.以上都不是
77、单项选择题 下列关于肾癌不正确的说法是()
A.主要症状为无痛血尿和肿块
B.IVP可阴性
C.可继发肾积水
D.肾盏破坏及受压
E.肿瘤无钙化
78、单项选择题 下列哪项不是肾上腺腺瘤的CT表现()
A.密度均匀的类圆形实性肿块
B.边缘光滑清晰与肾上腺相连
C.常可见条或斑片状钙化
D.常因含有脂类而呈低密度
E.增强扫描呈轻度强化
79、单项选择题
男,28岁,胸闷1周,胸部CT如图,最可能的诊断为()
A.间皮瘤
B.肺癌
C.包裹性积液
D.肺炎性假瘤
E.肺肉瘤
80、单项选择题
男,58岁,头痛、恶心、行走不稳,肺和脑CT检查如图,最可能的诊断为()
A.星形细胞瘤
B.脑脓肿
C.肺癌脑转移
D.脑膜瘤
E.脑梗死
81、单项选择题 下列关于肝癌CT平扫检查概念错误的是()
A.大多数病灶为较低密度
B.脂肪肝或肝硬化时,肝与病灶间密度差缩小
C.肿瘤细胞分化越好,其密度与正常肝差异越大
D.可发生坏死、出血和钙化
E.脂肪肝特别显著时病灶成为较高密度
82、单项选择题 转移性骨肿瘤很少累及()
A.脊椎
B.手足骨
C.肋骨
D.骨盆
E.颅骨
83、单项选择题 真菌性鼻窦炎较具诊断意义的征象为()
A.窦腔密度增高
B.窦腔软组织肿块
C.都比骨质破坏
D.窦腔软组织块内的钙化斑点或斑块
E.以上都不是
84、单项选择题 正常成人腰椎侧隐窝前后径是()
A.>2mm
B.>3mm
C.>4mm
D.>5mm
E.>6mm
85、单项选择题 脊椎结核的影像学检查,CT优于X线平片主要是在于显示()
A.骨质破坏
B.椎间隙狭窄
C.骨质增生
D.椎管内脓肿
E.钙化
86、单项选择题 探测器的作用是()
A.探测病人位置的准确性
B.探测扫描时有无散射线
C.将射线能量转换为可供记录的电信号其转换为电信号
D.将模拟信号转换为数字信号
E.将微磁的电流进行放大
87、单项选择题 常出现“线样征”的小肠疾病是()
A.节段性肠炎
B.淋巴瘤
C.小肠吸收不良
D.肠结核
E.坏死性肠炎
88、单项选择题 颌面部CT增强扫描技术不包括()
A.静脉注射对比剂50~60ml
B.流速2.5~3ml/s
C.延迟扫描时间20~25秒
D.扫描范围、层厚及层间距同颌面部平扫
E.扫描方式可用连续扫描或螺距为1.5的螺旋扫描
89、单项选择题 眼部的感觉神经是()
A.泪腺神经和额神经
B.额神经和滑车神经
C.泪腺神经和动眼神经
D.额神经和展神经
E.滑车神经和鼻睫神经
90、单项选择题 立位片上,腹腔游离气体典型影像为()
A.球形
B.半球形,有气-液面
C.新月形
D.与胸腔间距>15mm
E.不规则形
91、单项选择题
根据所提供的图像,最可能的诊断是()
A.转移癌
B.肝癌
C.局灶性结节增生
D.血管瘤
E.肝脓肿
92、单项选择题
男,32岁,阵发性腹痛、腹胀,伴恶心、呕吐,腹部可触及包块,影像检查如图,最可能的诊断是()
A.小肠肿瘤
B.麻痹性肠梗阻
C.空肠套叠
D.回肠套叠
E.结肠套叠
93、单项选择题
男,44岁,车祸伤及左侧眉弓和头部,半月后左眼球结膜高度水肿,视力下降,左眼球突出,CT检查如图,最可能的诊断为()
A.眶内静脉曲张
B.颈内动脉海绵窦段动脉瘤
C.海绵窦动静脉瘘
D.脑动静脉畸形
E.硬脑膜动静脉瘘
94、多项选择题 下列关于视神经的描述,正确的是()
A.是真正的神经
B.有鞘膜
C.鞘膜内无Schwann细胞
D.其外包裹硬脑膜
E.视神经外包裹着软脑膜
95、单项选择题 输尿管结石与盆腔静脉石的鉴别要点是()
A.盆腔内高密度灶的CT值大小
B.输尿管扩张
C.输尿管扩张后突然截断闭塞
D.输尿管走形区高密度灶
E.高密度结石灶周围有软组织密度环包绕
96、单项选择题
男,45岁,头痛2年余,CT所见如图,最可能的诊断()

A.神经纤维瘤病
B.多发转移瘤
C.多发脑出血
D.多发肉芽肿
E.脑结核钙化
97、单项选择题
女,8岁,头痛,鼻塞半年余,CT如图,最可能的诊断是()
A.鼻咽癌
B.鼻咽部炎症
C.腺样体肥大
D.神经纤维瘤
E.咽后脓肿
98、单项选择题 急性化脓性骨髓炎主要感染途径是()
A.开放性骨折直接感染
B.关节感染直接蔓延
C.医源性
D.血源性感染
E.以上都不是
99、单项选择题 “结核性脑膜炎”CT征象,下列描述哪项错误()
A.梗阻性脑积水表现
B.增强,基底池、脑表面强化
C.脑内散在粟粒状病灶
D.CT平扫难以显示脑内病灶
E.平扫,基底池、大脑外侧裂密度增高
100、单项选择题 空间分辨率是指()
A.对组织对比差异的显示能力
B.对解剖细微结构的显示能力
C.评估影像灰阶的参数
D.评估信号强度的参数
E.评估伪影大小的参数
101、单项选择题 不属于脑外伤后常见的合并症是()
A.脑血管损伤
B.脑萎缩
C.脑穿通畸形
D.脑积水
E.脑室钙化
102、单项选择题
女,37岁,向心性肥胖2月,结合图像,最可能的诊断是()
A.右肾上腺腺瘤
B.右肾上腺腺癌
C.右肾上腺转移癌
D.右肾上腺嗜铬细胞瘤
E.右肾上腺增生
103、单项选择题 正常成年人腰椎椎管前后径的范围为()
A.10~14mm
B.15~25mm
C.8~12mm
D.25~30mm
E.11~13mm
104、单项选择题 CT平扫,肝脏密度一致性增高,最可能的诊断是()
A.肝淋巴瘤
B.弥漫性肝癌
C.血色病
D.肝脓肿
E.脂肪肝
105、单项选择题 增强扫描动脉期,多数转移性肝癌的强化程度()
A.比原发性肝癌低
B.明显高于肝脏
C.比原发性肝癌高
D.与原发性肝癌相仿
E.明显强化
106、单项选择题 子宫内膜异位最常见于()
A.腹膜
B.双侧卵巢
C.单侧卵巢
D.子宫直肠窝
E.膀胱子宫隐窝
107、单项选择题 正常头颅CT轴位鞍上池呈()
A.圆形或椭圆形
B.梯形或双梯形
C.三角形或梭形
D.长方形或方形
E.五角或六角形
108、多项选择题 应与视网膜母细胞瘤鉴别的疾病有()
A.眼球外伤后球萎缩
B.原始玻璃体增生病
C.葡萄膜黑素瘤
D.Coats瘤
E.晶状体后纤维增生症
109、单项选择题 以下哪项不是眼内炎性假瘤的CT表现()
A.眼球突出
B.眼睑组织肿胀增厚
C.球后脂肪呈软组织密度
D.眼外肌肌腹增粗,肌腱不增粗
E.泪腺增大
110、单项选择题 关于腹部脏器的增强扫描CT检查,错误的是()
A.采用静脉内团注法
B.门脉期延迟扫描时间60~70秒
C.实质期延迟扫描时间85~90秒
D.怀疑肝血管瘤,则实质期的延迟扫描时间为30~50分钟
E.肾脏增强扫描通常应扫描皮质期、髓质期和分泌期
111、多项选择题
男,54岁,左侧腰痛,伴间歇性血尿2个月余,结合所示图像,下列哪项描述正确()
A.左侧肾癌
B.肝内多发转移癌
C.肝癌
D.左肾转移癌
E.腹主动脉旁及左肾门区淋巴结转移
112、单项选择题
女,75岁,突发左侧肢体无力,嘴角歪斜,言语表达不清,CT如图,最可能的诊断是()
A.右侧颞顶枕叶梗死
B.星形细胞瘤
C.脑脓肿
D.少枝胶质细胞瘤
E.脑囊肿
113、单项选择题
如图所示,最可能的诊断为()
A.脂肪肉瘤
B.肠系膜炎纤维化
C.肾血管肌肉脂肪瘤
D.肾出血后
E.以上都不是
114、多项选择题 脉络膜黑色素瘤应与下列哪种肿瘤相鉴别()
A.视网膜母细胞瘤
B.脉络膜血管瘤
C.Coats病
D.眼球转移性肿瘤
E.脉络膜骨瘤
115、单项选择题
根据所提供的图像,最可能的诊断是()
A.囊腺瘤
B.囊腺癌
C.胰腺腺癌
D.Hamoudi瘤
E.以上都不是
116、单项选择题 冠状动脉一级狭窄指()
A.狭窄在10%以下
B.狭窄在15%以下
C.狭窄在20%以下
D.狭窄在25%以下
E.狭窄在30%以下
117、单项选择题 腮腺混合瘤典型的CT表现是()
A.不增强
B.可增强
C.不均匀增强
D.均匀增强
E.延迟增强
118、多项选择题
女,26岁,临床诊断为绒毛膜癌,行经腹子宫全切术后1月,CT检查如图所示,下列说法正确的是()
A.左肾周可见低密度区,增强后无强化,其内有散在的片状稍高密度影
B.双肾未见异常
C.考虑为左肾外伤性出血
D.考虑为绒毛膜癌肾转移
E.合并有左肾周自发性血肿
119、单项选择题
女,12岁,自幼右侧听力丧失,CT检查如图,下列说法错误的是()
A.右侧外耳道闭锁
B.右侧外耳道不发育
C.右侧慢性化脓性中耳炎
D.右侧乳突为板障型
E.应诊断为先天性外耳道畸形
120、单项选择题 脾肿大的诊断标准是()
A.上下>12cm,前后>5个肋单元
B.上下>14cm,前后>4个肋单元
C.上下>14cm,前后>6个肋单元
D.上下>15cm,前后>6个肋单元
E.上下>15cm,前后>5个肋单元
121、单项选择题 鼻咽鳞状细胞癌的下列描述,错误的是()
A.可破坏邻近组织
B.倾向于血行转移
C.倾向于淋巴道转移
D.与EB病毒感染有关
E.颈深上部淋巴结转移最常见
122、单项选择题 关于周围型肺癌的CT增强扫描,错误的是()
A.对于肺部病变,多直接行CT增强扫描便于发现病变并作出诊断
B.在动态CT增强扫描中肺癌的时间-密度曲线呈逐渐上升的形态
C.在CT强化的形态上肺癌多表现为完全强化
D.肺癌增强扫描的CT值比平扫增加20~80HU以上
E.CT增强扫描用于早期肺癌的鉴别诊断
123、单项选择题 夹层动脉瘤(主动脉夹层)CT特征性征象是()
A.两个不同增强密度的主动脉腔被一内膜所分隔
B.主动脉钙化内移
C.主动脉壁异常扩张
D.主动脉各段管径不成比例
E.主动脉周围血肿形成
124、单项选择题
男,58岁,工人,于近一个星期出现头疼、头晕,两个小时前突发右下肢乏力,摔倒在地,影像检查如图,最可能的诊断是()
A.左侧大脑中动脉梗死
B.胶质瘤
C.脑出血
D.脑膜瘤
E.动静脉畸形
125、单项选择题 结节病患者CT表现为肺门及纵隔淋巴结肿大,双肺见斑片状磨玻璃影伴纤维条索状影,属于哪一期()
A.Ⅰ期
B.Ⅱ期
C.Ⅲ期
D.Ⅳ期
E.Ⅴ期
126、多项选择题 慢性胆囊炎的CT表现为()
A.容易穿孔并在肝内形成脓肿
B.胆囊缩小
C.胆囊增大
D.均合并结石
E.胆囊壁增厚可钙化
127、单项选择题 Modic将椎间盘脱出分为四型,不包含下列哪项()
A.挤出(extrudeD.
B.突出(protrusion)
C.椎体滑脱
D.髓核游离
E.膨出
128、单项选择题
女,34岁,右上腹胀痛不适,肝肋下3cm,CT所见如图,最可能的诊断是()
A.原发性肝癌
B.肝海绵状血管瘤
C.肝腺瘤
D.肝局灶性结节增生
E.肝脓肿
129、单项选择题 实现人机对话的系统是()
A.扫描系统
B.图像处理系统
C.视频显示系统
D.电视组件系统
E.硬盘系统
130、单项选择题
男,23岁,左膝部运动后疼痛,结合影像学检查,最可能的诊断是()
A.骨巨细胞瘤
B.动脉瘤样骨囊肿
C.骨纤维异常增殖症
D.骨囊肿并骨折
E.骨脓肿
131、单项选择题
女,50岁,查体发现纵隔向左移位,行胸部CT扫描如下图。

A.前者患侧肺充气不良程度重
B.后者患侧肺充气不良程度重
C.前者胸廓不对称,患侧胸廓小
D.后者胸廓不对称,患侧胸廓小
E.前者无症状
132、单项选择题 CT检查前患者的准备工作不包括()
A.患者须携带有关检查资料
B.被检查患者的家属不能进入CT室
C.对患者应作好耐心的解释说明工作
D.对于不能合作的患者事先给予镇静剂
E.需要做增强的患者做或不做过敏试验
133、单项选择题 脱屑性间质性肺炎的CT特征()
A.斑片状、网状、毛玻璃样密度影
B.不规则形,线状或蜂窝状阴影
C.散在分布斑片状阴影
D.多发5~7mm结节影,半数有空洞
E.钙化
134、单项选择题
男,56岁,右髋部疼痛,结合图像,最可能的诊断是()
A.骶髂关节炎
B.骶髂关节结核
C.强直性脊柱炎
D.骨转移瘤
E.类风湿关节炎
135、单项选择题
根据皮下组织的表现,该病例可能性最小的诊断为()
A.转移
B.淋巴瘤
C.良性囊肿
D.黑色素瘤
E.纤维瘤
136、单项选择题
男,56岁,腹部包块伴高血压,CT扫描如图所示,下列说法错误的是()
A.双肾体积明显增大
B.双肾内可见多个大小不等的囊性病灶,呈蜂窝状改变
C.肝内可见多个大小不等的囊性病灶
D.考虑为多囊肾、多囊肝
E.考虑为双肾多发单纯性囊肿
137、单项选择题 下列脾脏病变CT增强扫描特点,错误的是()
A.脾脏血管肉瘤增强扫描时表现似血管瘤,先从病灶边缘强化,然后逐渐向中央充填
B.脾脏转移瘤增强扫描后病灶呈不均匀强化,强化程度较正常脾实质低
C.脾脏血管瘤增强后周围见结节状强化,并逐渐向中心填充,延迟扫描病灶大部分完全充填
D.脾脓肿增强后脓肿壁明显强化,中央坏死区无改变
E.脾梗死后增强扫描病灶可有强化,且轮廓较平扫时清楚
138、单项选择题
女,21岁,根据所示图像,最可能的诊断是()
A.多囊肾
B.双肾多发性囊肿
C.双肾多房性囊性肾瘤
D.多囊肾并腹膜后纤维化
E.双肾囊性肾癌并腹膜后淋巴结转移
139、多项选择题
女,57岁,右腰部胀痛6月余,触及右侧腹部包块2月,CT平扫及增强如图所示,下列说法正确的是()
A.平扫时可见右侧腹部巨大的软组织肿块影,其内可见小片状的低密度影
B.增强扫描肿块强化明显,其内可见无强化的低密度坏死灶
C.考虑肿块来源于肝脏,是原发性肝癌,并挤压推移右肾
D.考虑肿块来源于右肾,是巨大的肾癌,并挤压推移右肝,与其分界欠清
E.考虑肿块来源于右肾,是肾血管平滑肌脂肪瘤,并挤压推移右肝,与其分界欠清
140、单项选择题 颅脑病变的非直接征象是()
A.脑室变形、正常结构移位、脑水肿
B.病灶增强,形态、中线结构移位
C.蛛网膜下腔增宽、骨质增生
D.脑室扩张、脑积水、病灶多发
E.病灶的结构、大小、密度
141、单项选择题 关于颅脑扫描基线和应用的叙述错误的是()
A.扫描基线有听眦线
B.扫描基线有听眉线
C.扫描基线有听眶线
D.头部CT检查常以此听眶线作为扫描基线
E.经听眉线扫描的图像对显示第四脑室和基底节区组织结构较好
142、单项选择题 早期“泪腺肿瘤”的诊断最佳技术是以下哪项()
A.CT矢状面扫描
B.瓦氏位摄片
C.柯氏位摄片
D.CT冠状面扫描
E.CT横断面扫描
143、单项选择题 腔隙性脑梗死最常发生下列哪个部位()
A.枕叶
B.基底节区
C.脑干
D.顶叶
E.小脑半球
144、单项选择题
根据所提供的图像该病例肾上腺团块的性质最可能为()
A.原发性肾上腺癌
B.转移癌
C.出血
D.淋巴瘤
E.嗜铬细胞瘤
145、单项选择题 颈内静脉二腹肌淋巴结属于()
A.颈下淋巴结
B.颌下淋巴结
C.颈深淋巴结上组
D.颈深淋巴结中组
E.颈深淋巴结下组
146、单项选择题 关于门脉癌栓,下列观点错误的是()
A.可伴门脉海绵样变
B.增强扫描,癌栓可强化
C.个别患者肝内可见不到明显肿瘤
D.转移性肝癌者,出现率高
E.少数癌栓可与肿瘤不在同一肝叶
147、多项选择题 关于腺性膀胱炎,描述正确的是()
A.慢性感染被认为是其发生的主要诱因
B.膀胱壁无钙化
C.膀胱壁可见蛋壳样钙化
D.膀胱壁呈局限性不规则增厚或弥漫均匀性增厚
E.一般不侵犯肌层
148、单项选择题 2岁女性,右侧眼突1个月。CT示右眼球内团块状钙化。视神经增粗,周围有软组织密度阴影,最可能的诊断是()
A.脑膜瘤
B.甲状腺性突眼
C.黑色素瘤
D.视网膜血管瘤
E.视网膜母细胞瘤
149、单项选择题 CT增强扫描前病人的禁食时间为()
A.1小时
B.4小时
C.8小时
D.12小时
E.24小时
150、单项选择题
男,58岁,上腹部剑突下胀痛3个月余,近期症状加重,伴消瘦、乏力及柏油样便,无黄疸。体检发现左锁骨上两个肿大淋巴结,无压痛,可移动。肝脾肋下未触及。上腹部CT图像如下


A.发现癌肿胃壁外侵犯
B.观察胃壁增厚的程度
C.显示肝转移和肿大淋巴结
D.常用于明确胃癌的诊断
E.术后复查确定复发征象
151、单项选择题
女,35岁,养鸽,咳嗽、咳痰,结合CT图像,最可能的诊断是()
A.肺隐球菌病
B.肺转移瘤
C.支气管肺炎
D.肺结核
E.肺泡癌
152、单项选择题 Graves眼病最常累及()
A.上直肌
B.上斜肌
C.下直肌
D.外直肌
E.内直肌
153、单项选择题 半卵圆中心是()
A.投射纤维
B.皮层下灰质
C.皮层下纤维
D.连合纤维
E.弓形纤维
154、单项选择题 男,50岁,头痛,CT示鞍上池前角有一直径0.8cm软组织密度影,增强扫描呈均匀高密度,最可能的诊断为()
A.垂体瘤
B.颅咽管瘤
C.前交通动脉瘤
D.后交通动脉瘤
E.大脑中动脉瘤
155、单项选择题 下列有关前瞻性心电图门控的描述,正确的是()
A.获取心动周期所有时相的图像
B.增加X线辐射剂量
C.受心律不齐的影响较小
D.前门控主要用于EBCT的心脏成像和MSCT的钙化积分
E.Z轴分辨率较高
156、单项选择题 面神经瘤多见于()
A.前膝部
B.后膝部
C.前膝部和后膝部
D.内耳道段
E.颅内段
157、单项选择题 脑肿瘤强化程度主要取决于()
A.血脑屏障破坏程度
B.肿瘤大小
C.使用离子型还是非离子型造影剂
D.年龄
E.肿瘤部位
158、单项选择题 关于肝血管瘤的描述,下列哪项不正确()
A.病理上可分为海绵状血管瘤和毛细血管性血管瘤
B.平扫多呈低密度
C.增强扫描从病灶周边部开始强化
D.病灶边缘增强的密度与同一层面的主动脉密度相似
E.与肝癌相比,血管瘤向病灶中心增强的速度较快
159、单项选择题 关于CT机的工作原理描述,错误的是()
A.利用窄束X线穿透被检部位
B.透过被检体的X线被探测器接收直接成像
C.X线穿透被检部位时,其强度呈负指数关系衰减
D.计算机将模拟信号变成数字信号,再重建图像
E.A/D转换是将模拟信号转换成数字信号
160、单项选择题 小肝血管瘤与小肝癌的鉴别主要点是()
A.平扫时血管瘤多呈等密度
B.增强后动脉期小肝癌整个病灶强化
C.小血管瘤没有假包膜
D.延迟扫描血管瘤缩小或等密度充填
E.以上都不是
161、多项选择题 烟雾病CT平扫的表现有()
A.蛛网膜下腔出血
B.脑室缩小
C.高密度病灶
D.局部脑萎缩
E.低密度病灶
162、单项选择题
患者70岁,最可能的诊断是()
A.胸腺瘤
B.淋巴瘤
C.神经纤维瘤
D.转移瘤
E.胸骨后甲状腺肿
163、单项选择题 眼球异物定位最主要的目的是()
A.确定有无异物
B.确定异物大小
C.确定异物位置
D.确定异物性质
E.确定手术方案
164、单项选择题 夹层腹主动脉瘤主要见于()
A.高血压
B.主动脉缩窄
C.外伤
D.不当的主动脉插管术
E.Marfan综合征
165、单项选择题 关于鼻咽癌的影像表现,下列描述错误的是()
A.早期可表现为鼻咽侧壁平坦、僵直
B.患侧咽隐窝消失
C.注射对比剂后,肿瘤呈轻度强化
D.肿瘤常伴囊变或钙化
E.对骨的侵犯可为单纯性骨破坏、骨质硬化或两者兼有
166、单项选择题 关于碘对比剂的叙述,正确的是()
A.泛影葡胺属无机碘化物
B.碘对比剂均为阳性对比剂
C.离子型对比剂是阴性对比剂
D.非离子对比剂不能用于心血管造影
E.复方泛影葡胺是非碘对比剂
167、多项选择题
女,50岁,体检发现右侧甲状腺有较硬结节,CT扫描如图所示,正确的描述或诊断是()
A.右侧甲状腺内见稍低密度影,周边围以环形致密钙化影
B.肿块影与周围结构分界清楚
C.结节性甲状腺肿
D.甲状腺癌
E.甲状腺腺瘤钙化
168、单项选择题
男,55岁。腹痛伴发热1周就诊。主动脉CTA检查MPR如图,考虑为()
A.主动脉夹层动脉瘤
B.主动脉瘤并附壁血栓
C.主动脉血栓形成
D.主动脉硬化
E.主动脉破裂
169、单项选择题 与颅咽管瘤特点不符的是()
A.为常见的鞍上肿瘤
B.好发于儿童
C.好发于40~60岁患者
D.密度常较均匀
E.肿瘤边界清楚
170、多项选择题 有关髋臼的解剖,正确的表述为()
A.由髂骨、坐骨和耻骨的体部共同合成
B.髂骨体构成髋臼的上2/5
C.坐骨体构成髋臼的下2/5
D.耻骨体构成髋臼的后下1/5
E.耻骨体构成髋臼的前下1/5
171、单项选择题 40岁男性,体检发现胆总管局限性扩张,CT增强扫描,扩张的胆总管壁无增厚、强化表现,肝内胆管结构正常,胆总管远端无“截断征”,最可能诊断为()
A.胰头癌
B.壶腹癌
C.化脓性胆管炎
D.先天性胆总管囊样扩张症
E.硬化性胆管炎
172、单项选择题 正常眼晶体CT值为()
A.30~45HU
B.45~60HU
C.80HU左右
D.120~140HU
E.以上都不对
173、单项选择题
女,67岁,腹部包块,行IVP和CT检查如图,应诊断为()
A.多囊肾
B.双肾多发单纯性肾囊肿
C.多发囊肿性肾发育不全
D.囊性肾癌
E.多房性囊性肾瘤
174、单项选择题
男,45岁,无痛性肉眼血尿2个月余,MRI扫描如图所示,下列说法错误的是()
A.膀胱壁上可见一宽基底的肿块影,突向腔内
B.在TWI上呈等信号
C.在TWI上呈等信号
D.考虑为膀胱结石
E.考虑为膀胱癌可能性大
175、单项选择题 下列关于“蛛网膜囊肿”CT特点的描述,下列哪项是错误的()
A.颅底多见
B.平扫脑脊液密度
C.不强化
D.脑白质塌陷征
E.局部颅板可明显增厚
176、单项选择题 关于肾脏CT检查方法,下列哪项是错误的()
A.普通扫描可以发现钙化及结节
B.扫描前禁服钡剂、含钙或金属药物
C.扫描前30分钟口服15%泛影葡胺500ml
D.扫描前6小时禁食
E.一般不需要增强扫描
177、单项选择题 患者,男,60岁,右侧肢体功能障碍2小时,颅脑CT平扫未见异常。24小时后复查,左颞叶大片模糊低密度影,应诊断为()
A.左颈内动脉支配区急性脑梗死
B.前交通动脉支配区急性脑梗死
C.左大脑中动脉支配区急性脑梗死
D.左大脑前动脉支配区急性脑梗死
E.左大脑后动脉支配区急性脑梗死
178、单项选择题 CT值定义公式中的常数(k)应该是()
A.500
B.1000
C.2000
D.3000
E.4000
179、单项选择题
女,51岁,右上腹隐痛1月余,CT扫描如图,最可能的诊断是()
A.胆囊癌(肿块型)侵犯肝脏
B.肝癌侵及胆囊
C.肝转移癌
D.胆囊周围肝脓肿
E.肝血管瘤
180、单项选择题 下列关于卵巢畸胎瘤的描述,错误的是()
A.绝大多数畸胎瘤为良性
B.发病主要见于青春期前
C.弧形钙化是特征性表现
D.肿瘤内可无脂肪或钙化组织的CT征象
E.肿瘤可为囊实性肿块
181、单项选择题 下面对颅脑CT后处理技术应用正确的是()
A.颅脑CT图像常用软组织窗摄影
B.观察脑时用窗宽80~100HU,窗位35HU左右
C.骨窗的窗宽1500~2000HU,窗位300~500HU
D.观察软组织时用窗宽400~500HU,窗位30~60HU
E.疑桥小脑角区病变者用窗宽80~100HU,窗位35HU左右
182、单项选择题 男,67岁,近期频发血尿10余天,右肾轮廓增大,变形。CT示右肾有一6cm直径大小肿块,内有斑片状钙化,密度混杂。进一步的最佳检查应为()
A.B超
B.增强CT
C.静脉肾盂造影
D.逆行肾盂输尿管造影
E.核素检查
183、多项选择题 CT对下列哪些疾病有诊断价值()
A.冠状动脉粥样硬化性狭窄或闭塞
B.颅内肿瘤、寄生虫病
C.冠状动脉和心瓣膜的钙化
D.腹膜腔及腹膜后间隙病变
E.鼻窦、中耳小胆脂瘤
184、多项选择题 下列病变中,哪些可伴有“颅内动脉瘤”()
A.神经纤维瘤病
B.主动脉狭窄
C.胶原病
D.多囊肾
E.Marfan综合征
185、单项选择题
患者26岁,男性,有慢性肺病,剧烈腹痛,汗液正常,最可能的诊断是()
A.过敏性支气管肺曲霉菌病
B.结核
C.囊性纤维化
D.淋巴瘤
E.以上都不是
186、单项选择题
女性,49岁,双肾B超示多发结石,血液生化检查显示血钙升高,血磷降低。甲状腺、甲状旁腺CT扫描如下,最可能的诊断为()
A.左侧甲状腺腺瘤
B.左侧甲状腺癌
C.左侧甲状旁腺腺瘤
D.左侧颈部淋巴结肿大
E.左侧甲状旁腺腺癌
187、单项选择题
男,64岁,患糖尿病,最近3天出现发热,伴颈静脉显露,结合CT图像,最可能的诊断是()
A.坏死性纵隔炎
B.纵隔淋巴瘤
C.侵袭性胸腺瘤
D.恶性畸胎瘤
E.纵隔脓肿
188、单项选择题
男,61岁,寒颤高热,右上腹痛,白细胞计数升高,CT检查如图,最可能的诊断是()

A.原发性肝癌
B.肝血管瘤
C.肝脓肿
D.炎性肉芽肿
E.肝转移癌
189、单项选择题 喉部的CT扫描范围应该是()
A.舌骨平面向下至环状软骨下缘
B.会厌部向下至主动脉弓上缘
C.口咽部向下至胸骨柄上缘
D.第三颈椎上缘至第七颈椎下缘
E.声门上方向下至声门下方
190、单项选择题 主动脉瘤形成的主要原因是()
A.感染
B.外伤
C.先天性畸形
D.中层囊性坏死
E.动脉粥样硬化
191、单项选择题
成人,头疼、发热,血象高,CT检查如图,最可能的诊断是()
A.脑脓肿
B.胶质瘤
C.皮样囊肿
D.脑梗死
E.脑膜瘤
192、单项选择题 下列哪项属于供血少的肿瘤()
A.甲状腺瘤
B.绒毛膜上皮癌
C.胰岛细胞癌
D.胰腺癌
E.平滑肌肉瘤
193、多项选择题 与听眶线的夹角均为12°的线有()
A.听眉线
B.听眦线
C.听鼻线
D.听口线
E.瞳间线
194、单项选择题
男,68岁,咳嗽,咯血2月余,吸烟史40余年,结合影像学检查,最可能的诊断是()
A.肺囊肿
B.肺癌
C.肺结核
D.肺脓肿
E.纵隔畸胎瘤
195、多项选择题 大叶性肺炎的CT征象包括()
A.病变呈叶或段分布
B.支气管充气征
C.病变密度均匀,边缘平直
D.实变肺叶体积与正常相等
E.病灶可完全吸收消散
196、单项选择题
男,30岁,偶尔干咳,结合图像,最可能的诊断是()
A.左下肺感染
B.左下肺结核
C.左下肺错构瘤
D.左下肺炎性假瘤
E.左下肺AVM
197、多项选择题
男,45岁,间断性腰背痛4个月,突发左下肢全肢水肿,小腿有张力性水泡,胸腹部CT扫描如图,下列哪些征象或结论正确()
A.下腔静脉缺如
B.下腔静脉变细
C.奇静脉增粗
D.奇静脉变细
E.正常CT表现
198、单项选择题 多幅相机成像胶片不适用于()
A.CT
B.MRI
C.CR
D.DSA
E.ECT
199、单项选择题 与鼻咽部前后处于同一平面的结构是()
A.额窦
B.筛窦
C.蝶窦
D.上颌窦
E.上门齿
200、单项选择题 下列关于多层螺旋CT的优点,错误的是()
A.较大的覆盖范围
B.一次扫描可采集多层数据信息
C.可提高时间分辨率
D.可提高密度分辨率
E.可减少对比剂的使用量
201、单项选择题
男,27岁,干咳,呼吸困难半月余,有艾滋病病史半年余,结合CT检查,最可能的诊断是()
A.粟粒型肺结核
B.弥漫型肺癌
C.间质性肺炎
D.矽肺
E.卡波济肉瘤
202、单项选择题
男,53岁,胸痛1月余加重2周,CT检查如图,最可能的诊断为()
A.右侧石棉肺胸膜斑
B.右侧良性胸膜间皮瘤
C.右侧恶性胸膜间皮瘤
D.右侧胸膜转移瘤
E.右侧胸膜弥漫增厚
203、多项选择题 下述哪项CT值大于90HU()
A.结核灶钙化
B.新鲜血液
C.陈旧性血肿
D.陈旧血肿钙化
E.腹水
204、单项选择题
男,41岁。HBsAg(+),AFP45μg/ml。体检超声发现肝右叶有26mm×23mm大小低回声结节。CT增强扫描如图所示。最有可能的诊断为()
A.肝血管瘤
B.肝细胞癌
C.肝炎性假瘤
D.脂肪肝
E.肝腺瘤
205、单项选择题 中年男性,腰痛、尿频、尿急,CT示右肾上极5cm大小略低密度占位,边缘模糊,环形强化,邻近肾周有积液,应首先考虑()
A.右肾上极腺癌
B.右肾上极肾母细胞瘤
C.右肾上极错构瘤
D.右肾上极脓肿
E.右肾上极肾结核
206、单项选择题 以下骨结构或病理改变中,X线或CT上表现为低密度的是()
A.骨皮质
B.骨髓腔
C.矿物质沉积
D.钙化
E.死骨
207、单项选择题 关于腺样体的表述正确的是()
A.又称腭扁桃腺,位于咽侧壁的扁桃腺腺窝内
B.又称咽扁桃腺,位于咽侧壁的扁桃腺腺窝内
C.又称咽扁桃腺,位于咽顶壁,为一团淋巴组织
D.又称腭扁桃腺,位于咽顶壁,为一团淋巴组织
E.健康成人无腺样体
208、单项选择题 甲状旁腺功能低下的钙化不分布在()
A.尾状核
B.豆状核
C.脑白质
D.基底池
E.脑室旁
209、单项选择题 鼻咽癌在中国发病率最高的地区为()
A.广西
B.广东
C.湖南
D.江西
E.浙江
210、单项选择题
女性,43岁,发现左侧颌下包块2年多,近3个月明显增大。行CT增强扫描如图所示:

A.X线平片
B.CT
C.超声
D.MRI
E.DSA
211、单项选择题
男,55岁,左下腹胀痛、并可触及包块,结合图像,最可能的诊断为()
A.结肠Crohn病
B.结肠癌
C.结肠腺瘤
D.肠结核
E.慢性溃疡性结肠炎
212、单项选择题
结合图像,该病例胰腺团块,最不可能的诊断为()
A.胰腺癌
B.胰岛细胞瘤
C.胰高血糖素瘤
D.肾癌转移
E.胰腺炎
213、单项选择题 动态增强扫描加延迟扫描最常用于的诊断和鉴别诊断()
A.肝硬化和脂肪肝
B.肝囊肿和肝癌
C.肝硬化和血管瘤
D.脂肪肝和肝囊肿
E.肝癌和肝血管瘤
214、单项选择题 腮腺混合瘤的典型CT增强表现为()
A.延迟强化
B.不均匀强化
C.不强化
D.可强化
E.均匀强化
215、单项选择题 男,40岁,右侧突眼。CT示球后肿块,内有静脉石样钙化,增强明显,最可能的诊断是()
A.炎性假瘤
B.良性肿瘤
C.海绵状血管瘤
D.恶性肿瘤
E.甲状腺性突眼
216、单项选择题 肾上腺腺瘤的CT表现,下列说法错误的是()
A.多数为双侧发病
B.引起原醛症的瘤体较小(1~3cm)
C.皮质醇症的瘤体稍大(2cm以上)
D.类圆形、边缘光滑、清楚、密度均匀
E.注射对比剂后,瘤体轻度增强
217、多项选择题 与周围型肺癌相比,结核球的CT特点可为()
A.有包膜
B.边缘弧形钙化
C.边缘光整或有尖角状牵引外突
D.可见卫星病灶
E.伴有明显的胸膜增厚
218、单项选择题
患者体重减轻,结合图像,最可能的诊断为()
A.肉瘤
B.淋巴瘤
C.结核
D.巨细胞包涵体病毒感染
E.以上都不是
219、多项选择题 小脑星形细胞瘤CT检查时,可见下列哪些征象()
A.多位于小脑半球,少数在小脑蚓部
B.肿瘤可为囊性或实性
C.囊性瘤平扫为均匀的低密度
D.实性瘤平扫为均匀的高密度
E.多有水肿,第三脑室受压移位、闭塞
220、单项选择题 男,57岁,右侧胸部不适3天,无发热,无咳嗽、咳痰。CT示右下肺外基底段楔形软组织密度病变,基底与胸膜相连,内可见小透亮区,内侧可见小血管影,考虑为()
A.周围型肺癌
B.肺不张
C.过敏性肺炎
D.肺梗塞
E.肺结核
221、多项选择题 内分泌性突眼见于()
A.甲状腺功能亢进期
B.甲状腺功能亢进期前
C.单纯性甲状腺肿
D.甲状腺功能减退者
E.甲状腺功能亢进期后
222、单项选择题 蛛网膜囊肿的好发部位依次为()
A.颅中窝,颅后窝,鞍上
B.颅前窝,颅后窝,颅中窝
C.颅中窝,颅前窝,颅后窝
D.颅前窝,颅中窝,颅后窝
E.颅中窝,额叶凸面,颅后窝
223、单项选择题 右下肺门的主要构成为()
A.右下肺动脉及下肺静脉
B.右下肺动脉及上下肺静脉
C.右下肺静脉及动脉(除后回归支外)
D.右下肺静脉及相应支气管、淋巴结
E.右下肺动脉
224、单项选择题 关于“鼻咽癌”的CT特点,下述哪项说法不对()
A.邻近骨质常有破坏
B.破裂孔可扩大
C.肿瘤呈轻度强化
D.患侧咀嚼肌群萎缩
E.鼻咽部软组织肿块影
225、多项选择题 以下颅内病变,CT表现多与脑组织密度相仿的是()
A.动脉瘤
B.亚急性期硬膜下血肿
C.多发性硬化
D.脑血肿吸收期
E.脑膜瘤
226、单项选择题 对多发性骨髓瘤检出率最高的影像检查是()
A.平片
B.断层
C.CT平扫
D.增强CT
E.MRI
227、单项选择题 有关大脑半球各叶分界的描述,错误的是()
A.顶叶经中央沟与额叶分隔
B.额叶经外侧裂与颞叶分开
C.顶枕裂区分顶叶与枕叶
D.岛叶借环状沟与额顶颞叶分隔
E.颞顶枕叶的分界为外侧裂与顶枕裂的连线
228、单项选择题
女,34岁,反复咳嗽20余年,结合图像,最可能的诊断是()


A.左肺脓肿
B.肺炎
C.先天性支气管闭锁
D.支气管囊肿
E.肺隔离症
229、单项选择题 胰岛细胞瘤的CT特点为()
A.增强扫描动脉期明显结节样强化病灶
B.延迟扫描明显结节样强化病灶
C.延迟扫描明显环样强化灶
D.增强扫描静脉期低密度结节灶
E.增强扫描动脉期低密度结节灶
230、单项选择题 少枝胶质细胞瘤的特征性CT表现是()
A.混合密度
B.索条状钙化
C.不规则增强
D.可呈低密度
E.以上都是
231、多项选择题 慢性化脓性中耳乳突炎单纯型CT表现有()
A.听小骨部分吸收、破坏
B.鼓室粘膜增厚
C.乳突窦或较大的气房粘膜增厚
D.上鼓室、乳突窦入口可见骨壁破坏
E.气房间隔增粗、密度增加
232、单项选择题 下列实现数字化最迟的是哪项技术()
A.CT
B.X线摄片
C.MRI
D.DSA
E.胃肠造影
233、单项选择题
女,45岁,右耳听力下降半年余,CT检查如图,最可能的诊断是()

A.继发性胆脂瘤
B.脑膜瘤
C.三叉神经瘤
D.原发性胆脂瘤
E.听神经瘤
234、单项选择题 关于鼻咽癌CT扫描技术,描述错误的是()
A.常规平扫
B.扫描范围上至蝶鞍、下至第三颈椎下缘
C.颅底部分的图像应加骨窗
D.图像显示一般采用软组织窗
E.常规平扫+增强
235、单项选择题 外伤患者,CT示双肾形态正常,但右肾强化不明显,最可能的诊断是()
A.右肾血管撕裂伤
B.肾撕裂
C.真性破裂
D.肾动脉断裂
E.肾包膜下血肿
236、多项选择题 内分泌性突眼CT表现有()
A.泪腺增大
B.视神经增粗
C.眼外肌增大
D.上睑收缩
E.眼球壁可增厚
237、单项选择题 女性盆腔内软组织肿块,向上可达下腹部,肿块为囊实性,不规则,部分可钙化,肿块与子宫分界不清,伴有腹水和大网膜转移,最可能的诊断是()
A.淋巴瘤
B.宫颈癌
C.卵巢癌
D.膀胱癌
E.结肠癌
238、单项选择题 移行细胞癌最好发的部位是()
A.肾小盏
B.肾盂
C.肾实质
D.输尿管
E.膀胱
239、单项选择题
男,47岁,右侧腰骶部、右髋部疼痛3年余,近期加重,无发热。根据骨盆平片及腰骶部、右髋CT平扫片,最可能的诊断为()
A.骨髓瘤
B.骨转移瘤
C.骨纤维异常增殖症
D.畸形性骨炎
E.骨结核
240、多项选择题 肺放线菌病的CT表现为下述哪些()
A.肺门淋巴结肿大
B.结节灶或小空洞影
C.肋骨骨膜增生
D.局灶性或广泛性实变影
E.空气半月征及晕轮征
241、单项选择题 下列选项中,“强化程度最高”的脑肿瘤是()
A.Ⅰ级星形胶质瘤
B.转移瘤
C.胆脂瘤
D.脑膜瘤
E.表皮样囊肿
242、单项选择题 下述肺间质病变CT表现,错误的是()
A.小叶间隔增厚
B.肺内长线状影
C.胸膜下线
D.网状阴影
E.肺内致密结节影
243、单项选择题 骨关节CT检查,一般采用()
A.平扫加增强扫描
B.仰卧患侧横轴位
C.定位像代替平片
D.俯卧双侧横轴位
E.骨窗和软组织窗并双侧骨关节对比观察
244、单项选择题 下列哪项决定骨松质的CT值()
A.红骨髓
B.黄骨髓
C.骨小梁、红骨髓、黄骨髓
D.红骨髓、黄骨髓
E.骨小梁
245、多项选择题 关于过敏性肺炎,下列说法正确的是()
A.病灶具迁徙性
B.症状轻微
C.血中嗜酸性粒细胞增多
D.易出现空洞性结节
E.脱离过敏环境后不经治疗症状即可缓解
246、单项选择题 下列关于肝静脉的描述错误的是()
A.肝静脉包括肝左、中、右静脉
B.肝静脉包括肝左、中、右静脉,肝右后静脉和尾状叶静脉
C.肝左、中、右静脉出肝处称为第二肝门
D.肝右后下静脉和尾状叶静脉出肝处称为第三肝门
E.第二和第三肝门是相互移行的
247、单项选择题
影像所见如图,该病例的诊断为()
A.肺癌
B.神经纤维瘤病
C.肺上沟瘤
D.感染
E.以上都不是
248、单项选择题
男,18岁,咳嗽,咳痰,咯血半月余,CT检查如图,最可能的诊断是()


A.过敏性肺炎
B.支气管扩张
C.原发性肺结核
D.大叶性肺炎
E.肺癌
249、单项选择题 星形细胞瘤分四级,属Ⅰ级星形细胞瘤的是()
A.常无增强
B.花环状增强
C.团状增强
D.瘤周水肿明显
E.有占位效应
250、单项选择题 关于髓外硬膜内肿瘤CT表现的描述,不正确的是()
A.脊髓受压移位
B.肿瘤同侧上方蛛网膜下腔增宽
C.椎管外生长呈“哑铃”状
D.骨结构正常
E.冠状面或矢状面重建有助于诊断
251、单项选择题
男,20岁,头痛、鼻塞、鼻出血,CT如图所示,最可能的诊断是()
A.鼻咽癌
B.巨大的鼻息肉
C.鼻咽纤维血管瘤
D.鼻咽神经纤维瘤
E.鼻咽腺样体增生
252、单项选择题
男,50岁,中上腹饱胀、疼痛半年,消瘦,结合图像,最可能的诊断是()
A.淋巴瘤
B.胃腺瘤
C.胃癌
D.胃窦溃疡梗阻
E.胃平滑肌瘤
253、单项选择题 颅咽管瘤的诊断要点,下列描述哪项错误()
A.儿童多见
B.好发于鞍上
C.囊变者高达80%
D.常有钙化
E.增强扫描不强化
254、单项选择题 颈部CT扫描技术的描述错误的是()
A.患者仰卧,颈部与床面平行
B.摄取颈部侧位定位像
C.甲状腺扫描范围从第3颈椎下缘至第1胸椎
D.甲状腺的扫描层厚与层间距可用5mm
E.扫描方式:螺旋或非螺旋均可
255、单项选择题
女,33岁,右上腹疼1周,有口服避孕药史,CT检查如图,最可能的诊断是()
A.肝脓肿
B.肝囊肿
C.肝癌合并出血
D.肝血管内皮瘤
E.肝腺瘤合并出血
256、单项选择题 下列不是CT检查前患者的准备工作的是()
A.做盆腔扫描检查的患者,还需提前一天作好口服对比剂的准备
B.作腹部检查的患者,事先作好口服对比剂或水等的准备
C.作增强的患者,应详细询问有无药物过敏史
D.检查前2周内,做过食管、胃肠钡餐和钡剂灌肠的患者不能作腹部CT扫描
E.对于胸腹部检查的患者,作必要的呼吸训练
257、单项选择题 关于“第六脑室”,下列描述错误的是()
A.又称为“Vergae腔”
B.为透明隔腔向后的延续
C.横断面像上呈圆形,位于三脑室体部中间
D.通常不与脑室相通
E.CT扫描,内容物水样密度
258、单项选择题 将探测器接收的信息转换为数字信号的是()
A.信号放大器
B.探测器
C.A/D转换器
D.信号比较器
E.后组探测器
259、多项选择题
男,57岁,睡觉打鼾,近来加重,CT扫描如图所示,正确的描述或诊断是()
A.鼻咽腔偏右侧可见类圆形软组织块影
B.肿块内密度尚均匀,其上方见较多钙化影
C.肿块边缘大部清楚,邻近结构未见明显受侵
D.鼻咽癌
E.鼻咽部多形性腺瘤
260、单项选择题
男,49岁,进行性消瘦、肝区不适、皮肤巩膜黄染2月,乙肝检查:HbsAg(+),Anti-Hbe(+),Anti-HbcIgG(+),肝功能及AFP均正常,CT检查如图,最可能的诊断是()
A.肝转移癌
B.肝血管内皮瘤
C.肝血管瘤
D.胆管细胞癌
E.肝淋巴管瘤
261、多项选择题 肝包虫病的CT表现以下哪些是不正确的()
A.一般多发
B.病灶形态不规则
C.病灶与周围正常肝组织界限不清
D.增强后无强化
E.很少发生钙化
262、单项选择题
女,46岁,胸痛,乳腺癌放、化疗术后,结合图像,最可能的诊断是()
A.化脓性骨髓炎
B.胸骨坏死
C.成骨性骨转移瘤
D.胸骨结核
E.以上都不正确
263、单项选择题 关于肝门部结构的描述,哪项不正确()
A.门静脉由脾静脉和肠系膜下静脉汇合而成
B.肝动脉位于门静脉的前内侧
C.肝总管在门静脉的前外侧
D.肝静脉在第二肝门处汇入下腔静脉
E.正常时肝内胆管不显示
264、单项选择题 急性出血坏死型胰腺炎的并发症不包括()
A.蜂窝织炎
B.脓肿
C.假性囊肿
D.胰腺管扩张
E.门静脉系统血管闭塞和血栓形成
265、单项选择题 CT成像原理利用的是()
A.多方位成像特性
B.横断面图像显示特性
C.X线的吸收衰减特性
D.数据采集系统(DAS)特性
E.线透过被照体之后的直进性
266、单项选择题 在CT轴位像上,主肺动脉的直径不应大于()
A.2cm
B.2.5cm
C.3cm
D.3.5cm
E.4cm
267、单项选择题
多发性骨髓瘤患者出现咳嗽,咳痰,气急,胸片检查发现病变后行CT检查如图,最可能的诊断为()
A.肺部感染
B.两肺结核
C.骨髓瘤转移肺部
D.肺淀粉样变性
E.肺转移瘤
268、单项选择题 浸润型肺结核最常见的病理改变是()
A.肺腺泡结节
B.纤维组织增生
C.空洞形成
D.干酪性肺炎
E.结核球
269、单项选择题 关于CT摄片要求,对诊断影响最大的是哪项()
A.按照解剖顺序进行图像排列
B.平扫与增强图像不要交叉排
C.应将带有定位线的定位片拍入
D.正确地选择窗宽与窗位
E.对放大测量重建的图像排在后面
270、单项选择题
男,56岁,间歇性血尿半年余,根据所示图像,最可能的诊断是()
A.膀胱结石
B.膀胱血块
C.膀胱结核
D.膀胱癌
E.膀胱息肉
271、单项选择题 40岁,女性,体检发现肾占位,平扫CT值-80HU,增强扫描无明显强化,超声为强回声,应首先考虑()
A.肾囊肿
B.肾腺癌
C.肾结核
D.肾脓肿
E.肾血管平滑肌脂肪瘤
272、多项选择题 下列哪些肾脏病变做CT平扫,呈“软组织密度”表现()
A.肾结核
B.黄色肉芽肿性肾盂肾炎
C.肾脓肿
D.放线菌病
E.获得性囊性肾病变
273、单项选择题 有关结节病,不正确的是()
A.气管旁与肺门淋巴结受累可为结节病的典型表现
B.淋巴结受累常呈对称性分布
C.淋巴结肿大时,MR优于CT
D.观察肺实质是否受累时,CT优于MR
E.病理特征是肉芽肿沿支气管分布
274、单项选择题 已婚妇女,盆腔CT扫描为了显示阴道和宫颈的部位,应放置()
A.避孕环
B.碘油
C.纱布塞子或阴道栓
D.硫酸钡
E.碘水
275、单项选择题 骨纤维异常增殖症发生恶变,最常见恶变为下述哪一种肿瘤()
A.骨纤维肉瘤
B.软骨肉瘤
C.巨细胞瘤
D.成骨肉瘤
E.骨血管肉瘤
276、单项选择题 关于透明隔腔下列哪项描述不对()
A.位于透明隔之间
B.不与脑室相通
C.在新生儿CT上几乎均可显示
D.又称Verga腔
E.其密度与脑脊液相等
277、单项选择题
男婴,11月,咳嗽,结合图像,最可能的诊断是()
A.畸胎瘤
B.肺隔离症
C.肾母细胞瘤
D.嗜咯细胞瘤
E.神经源性肿瘤
278、单项选择题
男,46岁,无痛性血尿2个月,CT扫描如图所示,应诊断为()
A.左侧输尿管结核
B.左侧输尿管炎
C.左侧输尿管癌
D.左侧输尿管结石
E.左侧输尿管血块
279、单项选择题 下面哪项不是胸部CT扫描的适应证()
A.肋骨骨折
B.包裹性气胸
C.肋间神经炎
D.间质性肺炎
E.结核
280、单项选择题 患者60岁,女性,吞咽困难,正确的答案是()
A.甲状腺肿
B.前肠副囊肿
C.异位副甲状腺腺瘤
D.神经源性肿瘤
E.以上都不是
281、单项选择题 儿童小脑半球占位性病变,首先考虑()
A.血管母细胞瘤
B.髓母细胞瘤
C.生殖细胞瘤
D.星形细胞瘤
E.室管膜瘤
282、单项选择题 关于Chiari畸形的描述,错误的是()
A.后脑先天发育异常
B.小脑扁桃体过长、变形,经枕骨大孔伸入椎管内
C.延髓及第四脑室亦向下延伸
D.常伴发脑积水与脊柱裂
E.ChiariI型常伴有脊髓脊膜膨出
283、单项选择题
女,17岁,右耳乳突区隐痛,右耳后乳突区出现包块,逐渐增大,CT检查如图,最可能的诊断是()


A.胆脂瘤
B.化脓性中耳炎
C.嗜酸性肉芽肿
D.中耳癌
E.听神经瘤
284、单项选择题
女,55岁,发热,左侧腰部痛胀不适4天,CT检查如图所示,下列说法错误的是()
A.左肾上极和下极各可见一个类圆形的囊性病灶
B.病灶境界清晰,囊内密度近似水样密度
C.肾前筋膜增厚
D.考虑为多囊肾合并感染
E.考虑为多发肾囊肿合并感染
285、单项选择题 前交通动脉瘤破裂所致的蛛网膜下腔出血常见于()
A.脚间池
B.鞍上池
C.桥小脑角池
D.环池
E.大脑大静脉池
286、单项选择题 关于正常腮腺CT平扫表现的描述,错误的是()
A.密度低于肌肉
B.密度高于脂肪
C.密度低于颌下腺
D.腺体萎缩时密度增高
E.密度与腺体内的脂肪含量有关
287、单项选择题
某前列腺癌患者治疗后复查胸部CT如下图所示,则应诊断为()
A.胸膜间皮瘤
B.胸膜增厚
C.胸腔少量积液
D.液气胸
E.胸腔包裹性积液
288、单项选择题
55岁,女性,结合图像,最可能的诊断是()
A.卵巢癌扩散
B.结核性腹膜炎
C.胃癌
D.腹膜炎
E.以上都不是
289、单项选择题
男,29岁,头颅外伤,结合CT图像,最可能的诊断是()


A.颅内出血
B.硬膜下血肿
C.硬膜外血肿
D.脑脓肿
E.脑挫裂伤
290、单项选择题 关于室管膜瘤的CT描述,下列哪项是正确的()
A.多见于第三脑室
B.多见于两侧脑室
C.多见于成人
D.多见于第四脑室
E.不可能发生在脑室外
291、单项选择题
男,23岁,近日感头痛、头晕,CT检查如图,最可能的诊断为()
A.脑萎缩
B.脑室出血
C.正常颅脑
D.脑水肿
E.胶质瘤
292、单项选择题
男,12岁,发热、右上腹痛、压痛,影像检查如图,最可能的诊断是()
A.肝脓肿
B.膈下脓肿
C.肝包膜下出血
D.包裹性腹腔积液
E.肝硬化肝水
293、单项选择题 下述哪项结构在增强扫描时最迟强化()
A.胰腺
B.脾脏
C.肝脏
D.肾门以下下腔静脉
E.肾门以上下腔静脉
294、单项选择题
患者16岁,女性,最可能的诊断是()
A.胰腺腺癌
B.Hamoudi瘤
C.假性囊肿
D.胰腺胚细胞瘤
E.以上都不是
295、单项选择题 下列哪项不支持鼓室血管球瘤()
A.搏动性耳鸣
B.蓝色鼓膜
C.神经性耳聋
D.CT示鼓室内软组织小肿块
E.颈动脉管与颈静脉管骨性边缘清晰
296、单项选择题 下列关于冠状动脉瘤的CT表现哪项是正确的()
A.多层螺旋CT不能显示动脉瘤全貌
B.CT横断面图像不利于观察动脉瘤壁
C.多见附壁血栓
D.动脉瘤壁无钙化
E.CT横断面图像不利于观察动脉瘤壁局限性或弥漫性扩张,形态为囊状、梭形或不规则形
297、单项选择题 下列哪项不属于CT机硬件结构范畴()
A.扫描机架
B.扫描检查床
C.X线发生系统
D.多幅照相机
E.自动洗片机
298、单项选择题
女,17岁,发现左侧颈部包块半年余,PE:病灶质软,境界不清,无压痛,CT如图所示,最可能的诊断是()
A.颈部脂肪瘤
B.颈部畸胎瘤
C.颈部错构瘤
D.颈部淋巴管瘤
E.颈部陈旧性血肿
299、多项选择题 下列胃溃疡征象,哪些提示溃疡为活动性()
A.粘膜纠集
B.“B”形胃
C.局部定点压痛
D.蜗牛胃
E.项圈征
300、单项选择题 肾结核最早的病灶位于()
A.肾乳头部
B.肾小盏内
C.肾小管内
D.肾盏内
E.肾盂内