时间:2025-02-13 03:53:50


1、单项选择题 易出现骨转移的盆腔内肿瘤是()
A.卵巢癌
B.子宫癌
C.膀胱癌
D.前列腺癌
E.精囊癌
2、单项选择题 筛窦发育完全的年龄一般多为()
A.5岁左右
B.10岁左右
C.12~14岁
D.20~25岁
E.以上都不对
3、单项选择题 骨纤维异常增殖症发生恶变,最常见恶变为下述哪一种肿瘤()
A.骨纤维肉瘤
B.软骨肉瘤
C.巨细胞瘤
D.成骨肉瘤
E.骨血管肉瘤
4、单项选择题 肺结核发生1~2周内,临床症状较重,而X线表现阴性的为()
A.原发性肺结核
B.急性粟粒型肺结核
C.浸润型肺结核
D.慢性血行播散型肺结核
E.以上都不对
5、单项选择题 CT对于诊断前列腺癌的主要意义在于()
A.早期诊断
B.与良性前列腺增生肥大鉴别
C.确定晚期病变范围
D.确定肿瘤是否穿破包膜
E.判断有无骨转移
6、多项选择题 肝脏密度异常包括()
A.肝内胆管积气
B.肝实质积气
C.门静脉积气
D.肝弥漫性密度增高
E.肝内局限钙化
7、单项选择题
男,65岁,腋下触及肿大包块,全身浅表淋巴结肿大,结合所示图像,最可能的诊断是()
A.双侧肾上腺腺瘤
B.双侧肾上腺增生
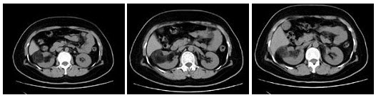
C.双侧肾上腺淋巴瘤
D.双侧肾上腺转移癌
E.肾上腺癌
8、单项选择题 后鼻孔闭锁,最佳检查方法是()
A.副鼻窦瓦氏位
B.副鼻窦柯氏位
C.副鼻窦侧位
D.副鼻窦正位体层
E.副鼻窦横断CT扫描
9、单项选择题 腰椎CT示椎小关节间隙狭窄,内含气体,关节面增生,最可能的诊断是()
A.类风湿关节炎
B.强直性脊柱炎
C.结核性关节炎
D.化脓性关节炎
E.退行性关节炎
10、单项选择题 根据CT工作原理,以下选择哪项是错误的()
A.探测器接收的信号须放大并经过模/数转换
B.模/数转换后的数据为显示数据
C.AP(阵列处理机)处理后的数据为显示数据
D.计算机控制扫描、数据采集、图像重建、显示和存储各个环节
E.图像存储包括摄片、磁带及光盘存储
11、单项选择题 螺旋CT检查效果不如常规CT的部位是()
A.胸部
B.头部
C.CTA
D.腹部
E.以上都不是
12、单项选择题
女,18岁,左锁骨部疼痛、肿胀,无发热,结合图像,最可能的诊断是()
A.骨囊肿
B.骨肉瘤
C.尤文肉瘤
D.骨巨细胞瘤
E.动脉瘤样骨囊肿
13、多项选择题 下列胃溃疡征象,哪些提示溃疡为活动性()
A.粘膜纠集
B.“B”形胃
C.局部定点压痛
D.蜗牛胃
E.项圈征
14、单项选择题 男,50岁,右肺尖发现异常肿块样影,临床表现右眼球内陷,瞳孔缩小,右上肢疼痛,最可能的诊断是()
A.肺转移癌
B.肺结核
C.胸壁结核
D.肺上沟癌
E.肺结节病
15、单项选择题 下列关于双肾大小的比较,描述正确是()
A.双肾大小差别不应超过1cm
B.左肾比右肾大1~2cm
C.右肾比左肾大1~2cm
D.左肾比右肾大3cm
E.右肾比左肾大3cm
16、单项选择题 冠状面CT图像上,中耳胆脂瘤的最早表现是()
A.上鼓室扩大
B.听小骨破坏
C.鼓窦入口扩大
D.鼓膜嵴变钝
E.上鼓室扩大和听小骨吸收
17、单项选择题 胸部连续扫描,个别层面CT图像出现重复,多见原因是()
A.操作有误
B.设备故障
C.床动错误
D.呼吸运动
E.心脏搏动
18、单项选择题
患者腹痛,结合图像,最可能的诊断是()
A.淋巴瘤
B.幽门螺杆菌感染
C.胃炎
D.浸润性胃腺癌
E.以上都不是
19、单项选择题
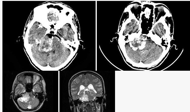
女,45岁,右侧听力下降伴行走不稳2个月,根据所提供图像,最可能的诊断是()

A.右侧脑膜瘤
B.右侧胆脂瘤
C.右侧皮样囊肿
D.右侧神经纤维瘤
E.右侧听神经瘤
20、单项选择题 在星形细胞瘤与脑梗死鉴别中,下列最有意义的是()
A.低密度
B.不增强
C.单脑叶分布
D.多脑叶分布
E.不按血管支配区分布
21、单项选择题
男,74岁,间歇性无痛性全程血尿2月余,尿路造影及CT平扫+增强如图所示,下列说法错误的是()
A.尿路造影示右侧肾盂内不规则的充盈缺损征象
B.CT平扫示右侧肾盂内软组织块影
C.增强扫描示右侧肾盂内软组织块影轻度强化
D.考虑为右侧肾盂癌
E.考虑为右侧肾盂内血块
22、单项选择题 精索内的结构不包括()
A.输精管
B.神经
C.睾丸动脉
D.射精管
E.淋巴管
23、单项选择题 眼球异物定位检查的注意事项,错误的()
A.摄片体位正确
B.尽量采用小照射野
C.尽量使眼-片距加大
D.选用干净无破损的增感屏
E.必须使用滤线设备
24、单项选择题
男,27岁,左肩部扪及一硬结1月余,有轻压痛,结合影像学检查,最可能的诊断是()
A.骨肉瘤
B.骨软骨瘤
C.骨巨细胞瘤
D.尤文肉瘤
E.骨囊肿
25、单项选择题
女,36岁,左侧腰痛2年余,CT检查如图所示,下列说法错误的是()
A.左肾下极可见一混杂密度病灶,边界尚清
B.左肾病灶中可见脂肪密度灶,该区增强时无强化
C.右肾中极可见一小类圆形混杂密度病灶
D.考虑为肾癌
E.考虑为双肾错构瘤
26、多项选择题
男,55岁,尿频,尿痛伴低热乏力1月。如图所示,下列说法正确的是()
A.左侧输尿管多发性狭窄
B.右侧肾积水
C.膀胱变形
D.左侧输尿管结核
E.左侧输尿管癌
27、单项选择题 在肝内胆管结石和钙化灶鉴别时,不支持前者的是()
A.肝内见沿胆管走向分布的强回声团
B.强回声团后方伴声影
C.树枝状分布的强回声团,并所在肝叶萎缩
D.强回声团近端胆管扩张
E.肝实质内远离门静脉的强回声斑,周围无扩张的胆管
28、单项选择题 下列对于不同类型肠梗阻的影像描述,错误的是()
A.不完全性肠梗阻,结肠内可见到少量气体影
B.粘连性肠梗阻,假肿瘤征
C.绞窄性肠梗阻,空回肠换位征
D.小肠高位梗阻,消化管无明显积气、扩张
E.麻痹性肠梗阻,全消化道不同程度积气、扩张
29、单项选择题 关于肺动脉栓塞的CT表现,下列哪项最具有特征意义()
A.一侧肺透亮度增高
B.肺外围以胸膜为基底的楔状致密影
C.实变区内小透亮区
D.增强扫描,肺动脉主干内充盈缺损
E.局限性肺血管稀少
30、单项选择题 下面哪种CT征象最有助于中耳胆脂瘤诊断()
A.鼓膜增厚内陷
B.中耳腔扩大
C.外耳道棘破坏
D.中耳内软组织影
E.听骨链移位
31、单项选择题
男,58岁,上腹部剑突下胀痛3个月余,近期症状加重,伴消瘦、乏力及柏油样便,无黄疸。体检发现左锁骨上两个肿大淋巴结,无压痛,可移动。肝脾肋下未触及。上腹部CT图像如下


A.发现癌肿胃壁外侵犯
B.观察胃壁增厚的程度
C.显示肝转移和肿大淋巴结
D.常用于明确胃癌的诊断
E.术后复查确定复发征象
32、单项选择题
男,52岁,无明显不适,CT检查,最可能的诊断为()

A.脑血管畸形
B.结节性硬化
C.甲状旁腺功能低下
D.脑颜面血管瘤病
E.转移瘤
33、单项选择题
女,35岁,发现血压高,实验室检查:血和尿中醛固酮水平增高,结合图像,最可能的诊断是()
A.右肾上腺增生
B.右肾上腺Cushing腺瘤
C.右肾上腺Conn腺瘤
D.右肾上腺转移癌
E.右肾上腺囊肿
34、多项选择题 TORCH综合征包括下述哪些疾病()
A.弓形体病
B.风疹
C.结核病
D.巨细胞包涵体病毒
E.单纯疱疹
35、单项选择题 局限性阻塞性肺气肿,最常见的病因是()
A.支气管肺癌
B.慢性支气管炎
C.支气管扩张
D.支气管哮喘
E.小叶性肺炎
36、单项选择题 影响密度分辨率的主要因素是()
A.重建算法
B.窗口技术
C.探测器孔径
D.X线管电压
E.模数转换效率
37、单项选择题
男,47岁,外伤后CT检查所见,最可能的诊断为()

A.脑膜瘤
B.脑转移瘤
C.钙化灶
D.胶质瘤
E.脑出血
38、单项选择题 Budd-Chiari综合征的CT表现,错误的是()
A.尾叶很小
B.肝大、腹水
C.平扫尾叶和附近左叶密度较高
D.增强早期尾叶和附近左叶明显强化
E.延迟扫描肝密度趋于均匀
39、单项选择题 脊柱CT扫描不能用于检查下面哪种疾病()
A.椎管狭窄及椎管内占位性病变
B.椎间盘变性或病变
C.椎骨外伤
D.椎骨良恶性肿瘤
E.脊髓灰质炎
40、单项选择题
男性,27岁,侏儒,因脱水曾在数家医院住过院,结合所示图像,最可能的诊断是()
A.先天性肾上腺增生肥大
B.库欣综合征
C.肾上腺癌
D.腺瘤状增生肥大
E.嗜铬细胞瘤
41、单项选择题
女,12岁,右腰部疼痛10天,尿检可见大量的脓细胞,CT平扫+增强如图所示,最可能的诊断是()
A.右肾脓肿
B.右侧感染性肾囊肿
C.右肾转移癌
D.右侧肾癌
E.右肾结核
42、单项选择题
女,75岁,右上颌疼痛肿胀半年余,CT检查如图,最可能的诊断是()
A.造釉细胞瘤
B.牙龈癌
C.上颌骨骨肉瘤
D.混合性牙瘤
E.颌骨转移瘤
43、多项选择题
男,50岁,涕中带血半年,体检发现右侧颈部多个硬结,CT扫描如图所示,正确的描述或诊断是()
A.右侧筛窦内见软组织块影,边缘不规则
B.软组织影累及对侧筛窦、右侧上颌窦
C.右侧眶内壁、上颌窦壁及颅底骨质破坏
D.右侧筛窦黏液性囊肿
E.右侧筛窦癌
44、单项选择题 单光子发射计算机体层的英文缩写是()
A.X-CT
B.MRI
C.ECT
D.PET
E.SPECT
45、单项选择题 不属于髓母细胞瘤病理特点的是()
A.易出现坏死
B.可沿脑脊液播散
C.多发于小脑蚓部
D.恶性程度高
E.属于胚胎性肿瘤
46、单项选择题 CT准直器位于X线管前端的X线出口处,其宽度决定()
A.扫描的范围
B.相邻两个扫描层面的距离
C.扫描层面的厚度
D.X线管焦点距离
E.以上都不是
47、单项选择题 外伤性迟发性脑内出血多在伤后()
A.2小时内
B.24小时内
C.48小时内
D.72小时内
E.1周后
48、单项选择题
女,32岁,腹痛,腹泻便秘交替出现,解黏液血便半年,里急后重,影像检查如图,最可能的诊断是()

A.结肠癌
B.慢性结肠炎
C.过敏性结肠炎
D.溃疡性结肠炎
E.肠结核
49、单项选择题 颞骨横断面CT扫描,显示较清楚的为()
A.卵圆窗
B.鼓室的前、后、内、外壁
C.上鼓室
D.内耳道横嵴
E.鼓膜嵴
50、单项选择题 肾上腺腺瘤的CT表现多为低密度,主要原因是其内含有()
A.液体
B.脂类
C.空气
D.蛋白质
E.出血
51、单项选择题
根据所提供的图像,最可能的诊断是()
A.单纯囊肿
B.囊肿出血
C.肾细胞癌
D.腺瘤
E.以上都不是
52、单项选择题 垂体瘤不会引起的症状是()
A.泌乳闭经综合征
B.Cushing综合征
C.肢体偏瘫
D.肢端肥大症和巨人症
E.视力障碍
53、多项选择题 颈动脉海绵窦瘘表现为()
A.海绵窦扩大
B.眼球突出
C.眼外肌增粗
D.眼静脉增粗
E.眼睑肿胀
54、单项选择题 关于肩关节CT扫描检查,正确的叙述是()
A.扫描基线为肩峰下5mm
B.连续扫描,层厚层距5/10mm
C.俯卧,两手心向下
D.俯卧,两手自然放置
E.仰卧,两手心向上,连续扫描
55、单项选择题 肝局灶性结节增生的英文缩写为()
A.HME
B.NFM
C.FMH
D.HNB
E.FNH
56、多项选择题
女,32岁,左腰部胀痛不适1年余,10年前因右输尿管结石、右肾重度积水行右肾切除术,CT检查如图所示,下列说法正确的是()
A.平扫左肾周可见不规则的环形低密度影
B.增强扫描,肾皮质明显强化而周围的低密度影无强化
C.增强扫描肾实质期,肾实质强化而周围的低密度影无强化
D.增强扫描延迟期,肾实质强化减退而其周围则呈高密度影,对比明显
E.考虑为左侧尿外渗
57、单项选择题 每日开机进行CT球管校准的目的在于()
A.升高球管温度
B.启动旋转阳极
C.防止阳极靶面龟裂
D.保护X线管,防止损坏
E.增加阴极电子
58、单项选择题 下列哪项CT征象对诊断视网膜母细胞瘤最有价值()
A.眼球内肿块
B.眼球内肿块伴出血
C.眼球内肿块伴坏死
D.眼球内肿块伴钙化
E.眼球内肿块向颅内扩展
59、单项选择题 患者,男性,52岁。间歇性无痛性全程肉眼血尿半年,尿脱落细胞检查可见恶性肿瘤细胞。首选的影像学检查手段应为()
A.MRI
B.逆行性输尿管造影
C.IVP
D.KUB
E.CT
60、单项选择题 腹部CT扫描的适应证除外()
A.肝肿瘤、肝囊肿
B.胆囊炎和胆结石
C.脾脏外伤
D.肾炎
E.腹膜后腔的炎症
61、多项选择题
女,34岁,无意中发现血压升高4个月就诊,行CT检查,如图所示,下列说法正确的是()
A.CT示左侧肾上腺区可见一等密度块影,边界清楚
B.增强扫描,该病灶周边明显强化,中心处强化不明显
C.考虑为左肾上腺腺瘤
D.考虑为左肾上腺嗜铬细胞瘤
E.考虑为左肾上腺转移癌
62、单项选择题 吸入性肺脓肿的好发部位是下列哪项()
A.上叶尖段
B.上叶后段或下叶背段
C.左舌叶
D.右中叶
E.双下肺
63、单项选择题 不在纵隔内的囊肿是()
A.食管囊肿
B.皮样囊肿
C.肺囊肿
D.支气管囊肿
E.心包囊肿
64、单项选择题 以下CT表现哪项不支持支气管囊肿的诊断()
A.肿物呈卵圆形
B.肿物密度均匀,CT值45~60HU
C.肿物均匀轻度增强
D.肿物边缘光滑锐利
E.肿物内无气体影
65、单项选择题 关于胆囊结石描述,错误的是()
A.泥砂样结石常沉积在下部,密度较高,与上部胆汁形成液平
B.石灰样胆汁胆囊呈造影样高密度
C.结石均呈结节状致密影
D.结石中心可有气体存在
E.结石常合并慢性胆囊炎
66、单项选择题 肾结核的静脉肾盂造影最早出现的肾盂改变是()
A.肾皮质结核瘤
B.肾柱钙化
C.肾盂狭窄
D.肾乳头及肾小盏破坏
E.肾盂积水
67、单项选择题 以下哪项不是眼内炎性假瘤的CT表现()
A.眼球突出
B.眼睑组织肿胀增厚
C.球后脂肪呈软组织密度
D.眼外肌肌腹增粗,肌腱不增粗
E.泪腺增大
68、单项选择题
男,59岁,咳嗽,咳痰,痰中带血2月余,CT检查如图,最可能的诊断是()
A.肺结核
B.中央型肺癌
C.矽肺
D.肺炎
E.肺错构瘤
69、单项选择题
根据所提供的图像,最可能的诊断是()
A.胰腺癌
B.肝细胞瘤
C.胆管癌
D.胆囊癌
E.以上都不是
70、单项选择题
女,21岁,根据所示图像,最可能的诊断是()
A.多囊肾
B.双肾多发性囊肿
C.双肾多房性囊性肾瘤
D.多囊肾并腹膜后纤维化
E.双肾囊性肾癌并腹膜后淋巴结转移
71、单项选择题 鼻咽癌中最常见的类型是()
A.腺鳞癌
B.鳞癌
C.低分化癌
D.未分化癌
E.腺癌
72、单项选择题 以下X线表现,不属于肾周围脓肿的是()
A.患侧横膈位置升高,活动度变弱或消失
B.肾周围脂肪囊消失,肾外形无法显示
C.肾阴影肿大
D.肾内广泛钙化
E.脊椎向对侧侧凸
73、单项选择题
女,51岁,右上腹隐痛1月余,CT扫描如图,最可能的诊断是()
A.胆囊癌(肿块型)侵犯肝脏
B.肝癌侵及胆囊
C.肝转移癌
D.胆囊周围肝脓肿
E.肝血管瘤
74、多项选择题 球形肺不张的CT表现()
A.进入肿块的支气管和血管扭曲形成“彗星尾”
B.外围胸膜增厚
C.可见支气管充气征
D.胸膜下圆形或卵圆形肿块
E.肿块近肺门缘模糊
75、单项选择题 弥漫性脂肪肝残留的肝岛,常见于()
A.胆囊床附近
B.右后叶第VI、VⅡ段
C.肝尾状叶
D.左叶外侧段
E.以上都不是
76、单项选择题 关于高分辨力CT扫描技术的特点,错误的是()
A.与肺功能检查有更好的相关性
B.扫描时不需增强
C.扫描层多、层薄、条件大
D.完全可替代常规CT
E.具有好的空间分辨力
77、单项选择题
女,64岁,发热、咳嗽1周。胸部CT扫描如下图。
患者抗炎治疗2周后,行胸部CT增强扫描检查,如下图,则最具诊断意义的征象为()

A.多发钙化灶
B.多发含气囊腔
C.多发短毛刺
D.供血动脉起自降主动脉
E.供血动脉起自腹主动脉
78、单项选择题
男,31岁,发热,白细胞计数增高,肝区疼痛,影像表现如图,最可能的诊断是()
A.肝癌
B.肝腺瘤
C.肝黄色肉芽肿
D.肝结核
E.多发性肝脓肿
79、单项选择题 CT辐射防护中,局部剂量测量常用X线管电流量为()
A.80mAs
B.100mAs
C.120mAs
D.150mAs
E.200mAs
80、单项选择题
患者有镰刀形红细胞特征,结合图像,最可能的诊断为()
A.脾梗死
B.脾脓肿
C.脾出血
D.脾隔离症
E.以上都不是
81、单项选择题 下列哪种病不出现眼球钙化()
A.视乳头玻璃样小体
B.脉络膜肿瘤
C.视网膜母细胞瘤
D.甲状腺性突眼
E.海绵状血管瘤
82、多项选择题
女,24岁,发作性肉眼血尿1年,实验室检查:尿蛋白(-~+)、红细胞(1~2/HP),尿蛋白直立试验(+),CT扫描如图所示,下列说法正确的是()
A.双肾大小形态正常
B.左肾静脉走行至肠系膜上动脉与腹主动脉间变细,近左肾处扩张
C.左侧肠系膜上动脉与腹主动脉夹角变小
D.左侧肠系膜上动脉与腹主动脉夹角增大
E.考虑为左肾静脉胡桃夹综合征
83、多项选择题 空洞为主型的继发性肺结核CT征象为()
A.肺段或肺叶高密度阴影,内可见单个或多个空洞
B.病变同侧和对侧肺野内散在新旧不一的支气管播散病灶
C.空洞病灶周围有较多的条索状致密影,并常见钙化
D.肺纹理粗乱扭曲,可见支气管扩张征象
E.常伴较明显的胸膜肥厚及相应部位的胸廓塌陷
84、单项选择题
女,39岁,咳嗽伴轻微胸痛,CT检查如图,最可能的诊断是()
A.右下肺节段性不张
B.右下肺脓肿
C.右下肺周围型肺癌
D.右下肺炎性假瘤
E.右下肺肺泡细胞癌
85、单项选择题 常规肝CT增强扫描,有关动脉期影像的描述,下列哪项不对()
A.肝静脉强化不明显
B.肾门以下下腔静脉无明显强化
C.脾脏强化程度比肝脏高
D.肝脏明显强化
E.增强后30s内扫描
86、单项选择题 急性硬膜下血肿指损伤后几天内()
A.2天
B.2周
C.2小时
D.>2周
E.3天
87、单项选择题 临床疑肝左叶病变,轴位扫描显示不理想,应变换()
A.冠状位
B.矢状位
C.左侧卧位
D.右侧斜位
E.俯卧位或右侧卧位
88、单项选择题 胸部CT导向穿刺体位要求()
A.仰卧正位
B.俯卧正位
C.侧位
D.斜位
E.任选适当体位
89、多项选择题 下列选项中,对垂体性、肾上腺性的鉴别“Cushing综合征”有帮助的是()
A.头颅侧位片
B.肾上腺CT扫描
C.骨骼检查
D.脑垂体MRI扫描
E.血浆ACTH测定
90、单项选择题
结合所示图像,最可能的诊断是()
A.纤维瘤
B.卵巢皮样囊肿
C.卵巢囊腺瘤
D.脓肿
E.卵巢囊肿
91、单项选择题 不符合弥漫性脂肪肝中残留正常肝岛的CT表现的是()
A.为正常肝组织密度
B.增强扫描可见小血管进入其内,相邻血管有移位
C.增强前后密度始终均匀
D.边缘常较清楚且规则
E.通常位于胆囊附近或包膜下
92、单项选择题 CT造影增强应用最广的静脉注射法是()
A.团注法
B.单次大量快速注射法
C.滴注-大量快注法
D.大量快注-滴注法
E.多次大剂量急速注射法
93、单项选择题 急性化脓性骨髓炎主要感染途径是()
A.开放性骨折直接感染
B.关节感染直接蔓延
C.医源性
D.血源性感染
E.以上都不是
94、单项选择题 冠状动脉管状狭窄是指狭窄长度为()
A.5~10mm
B.5~15mm
C.10~15mm
D.10~20mm
E.15~25mm
95、单项选择题 CT图像中,测量技术尚不能解决下列哪个问题()
A.病灶的大小
B.病灶的性质
C.病灶的密度高低
D.病灶的大致体积
E.病灶增强前后CT值对比
96、单项选择题 鼻窦黏液囊肿的发病机制为()
A.窦壁黏膜下变态反应
B.乳牙根管感染
C.鼻窦开口阻塞后窦内黏液潴留导致窦腔膨胀扩大
D.窦壁黏膜下腺体轻度炎症或变态反应
E.龋齿使牙髓感染坏死
97、单项选择题 正常升主动脉管径小于()
A.15mm
B.25mm
C.35mm
D.45mm
E.55mm
98、单项选择题 黄韧带增厚、钙化主要引起()
A.脊髓受压
B.神经受压
C.椎管狭窄
D.椎板受压
E.椎间孔狭窄
99、单项选择题 输尿管的分部是()
A.远部、中部、近部
B.上部、中部、下部
C.腹部、盆部、壁内部
D.腹部、盆部、膀胱部
E.腹部、膀胱部、壁内部
100、单项选择题 男,8岁,头痛CT示松果体区有一结节状稍高密度影,明显增强,侧脑室室管膜明显增厚,最可能的诊断为()
A.畸胎瘤
B.脑膜瘤
C.恶性胶质瘤
D.松果体细胞瘤
E.生殖细胞瘤
101、单项选择题 肾上腺转移癌最常来自()
A.肝癌
B.胃癌
C.结肠癌
D.肺癌
E.乳腺癌
102、多项选择题 下列动静脉畸形(AVM)的CT征象哪些正确()
A.脑内血肿常呈不均匀高密度
B.血肿常不规则,可呈团块状
C.位置常较表浅,多见于额、顶、枕叶
D.血肿周围有脑水肿和占位表现
E.血肿附近有时可见钙化、小的软化灶
103、单项选择题 急性胰腺炎增强扫描的主要目的是()
A.判断有无胰腺坏死灶及其范围,推断病变的程度
B.观察胰腺与十二指肠的关系
C.观察胰腺与肾前筋膜的关系
D.观察胰腺与结肠肝曲及脾曲的关系
E.观察胰腺与脾静脉的关系
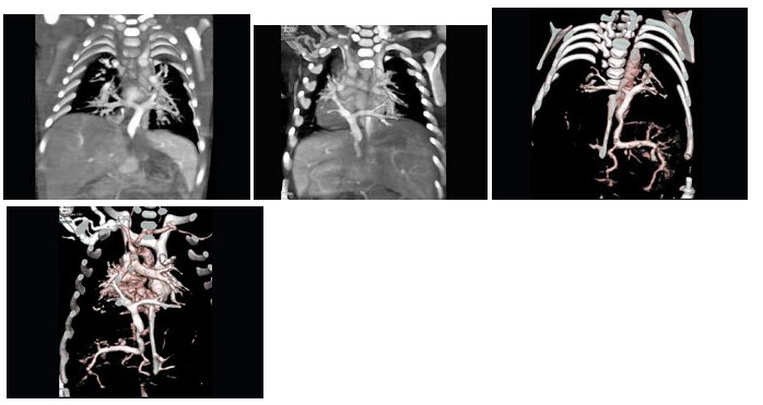
104、多项选择题
女,21岁,活动后呼吸困难,CT扫描如图,最可能的诊断是()
A.肺静脉异位引流
B.肺静脉异位引流根据引流肺静脉支数可分部分性及完全性
C.根据引流部位不同分为心上型、心脏型、心下型
D.该病例肺静脉异位引流入下腔静脉
E.该病例为心下型肺静脉异位引流
105、多项选择题 男,21岁,CT示颅后窝中线区略低密度病灶,3cm×3cm大小,关于影像学分析下列哪些是正确的()
A.四脑室前移,首先考虑髓母细胞瘤
B.四脑室前移,脑积水明显,首先考虑室管膜瘤
C.灶周围见残存的脑室,首先考虑脑室肿瘤
D.四脑室受压、变形,灶周水肿明显,鉴别诊断应考虑髓母细胞瘤、星形细胞瘤等
E.水肿的程度是鉴别髓母细胞瘤和室管膜的首要因素
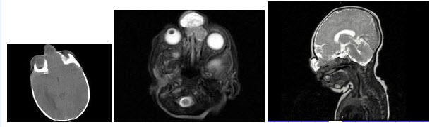
106、单项选择题 一小儿因一侧眼有黄光反射,做眼眶CT平扫:一侧眼环内后极部见软组织团块,伴有较大不规则钙化,相邻视神经明显增厚。首先考虑为()
A.视网膜血管瘤
B.视网膜母细胞瘤
C.脉络膜骨瘤
D.黑色素瘤
E.视网膜星形细胞瘤
107、单项选择题 男,8岁,头痛CT示松果体区有一1.5×1.5cm稍高密度影,中等增强,侧脑室室管膜明显增厚,增强,最可能的诊断是()
A.松果体细胞瘤
B.恶性胶质瘤
C.生殖细胞瘤
D.淋巴瘤
E.脑膜瘤
108、单项选择题 决定CT机连续工作时间长短的关键指标是()
A.磁盘容量
B.电源容量
C.X线管阳极热容量
D.X线管焦点
E.计算机性能
109、单项选择题 下列关于多发性硬化亚洲型的病变特点描述正确的是()
A.发病率较高
B.病程发展慢
C.病变以脑白质坏死为主
D.临床症状较轻
E.常合并视神经和脊髓受累
110、单项选择题 正常乳腺CT表现中,不包括()
A.乳腺后间隙
B.乳腺悬韧带
C.皮下脂肪
D.导管
E.淋巴结肿大
111、单项选择题 男,49岁,癫痫发作3次。CT示左额叶有一圆形低密度区,病灶呈不规则环形增强,最大可能是()
A.化脓性脑炎
B.胶质瘤
C.病毒性脑炎
D.血管畸形
E.结节性硬化
112、单项选择题 肾外伤不包括()
A.肾周血肿
B.包膜下出血
C.肾盂积血
D.肾挫伤
E.肾撕裂或肾断裂
113、单项选择题
患者中年,结合图像,最不可能的诊断为()
A.Gaucher’s病(家族性脾性贫血)
B.淋巴瘤
C.转移性黑色素瘤
D.镰刀形红细胞病
E.以上都不是
114、单项选择题 女,35岁,鼻塞,流涕,鼻中带血,时有绿色胶样分泌物,抗生素治疗无效,下列CT征象的描述中,对定性诊断有价值的是()
A.左侧上颌窦软组织密度影
B.左侧上颌窦软组织密度影伴不规则钙化
C.上颌窦窦壁骨质结构完整
D.双下鼻甲肥大
E.窦壁黏膜增厚
115、单项选择题 肺癌细短毛刺形成的病理基础是()
A.肿瘤瘢痕收缩
B.瘤内含气、扩张的细支气管
C.肿瘤内残存正常含气肺组织
D.肿瘤钙化或包埋原有钙化灶所致
E.癌细胞浸润及间质反应
116、单项选择题 对眼眶CT扫描图像显示的描述,错误的是()
A.能清楚显示眶壁骨性结构
B.能清楚显示眶内软组织
C.能清楚显示眼球内部结构
D.能清楚显示眼内血管走行
E.能清楚显示眼内异物大小
117、单项选择题 对CT准直器作用的论述,错误的是()
A.决定扫描层面的厚度
B.控制X线束的宽窄
C.决定扫描像素的大小
D.消除散射线的干扰
E.减少病人受辐射剂量
118、单项选择题
男,30岁,左大腿疼痛1年余,夜间或休息加重,口服止痛药可缓解,结合图像,最可能的诊断是()
A.骨瘤
B.骨样骨瘤
C.骨软骨瘤
D.骨结核
E.骨脓肿
119、单项选择题
男,75岁,右侧肢体麻木无力,言语含糊,CT检查如下,最可能的诊断是()

A.脑腔隙灶
B.大面积脑梗死
C.脑萎缩
D.脑白质稀疏
E.皮层下动脉硬化性脑病
120、单项选择题 男性,40岁,左眼胀痛,眼球外凸3个月余,体检时发现低头时左眼球外凸加重。最有可能的诊断为()
A.眶内炎性假瘤
B.眶内皮样囊肿
C.眶内血管瘤
D.眶内神经鞘瘤
E.眶内脑膜瘤
121、多项选择题 动脉瘤样骨囊肿的特征()
A.边缘硬化有液-液平面
B.有钙化或骨化影
C.边缘无硬化无液-液平面
D.无钙化
E.无液-液平面、无增强
122、单项选择题 下列哪项不是结核性脑膜炎的CT表现()
A.基底池密度增高
B.基底池增强
C.脑积水
D.凸面脑膜增强
E.脑膜不增强
123、单项选择题 腹部CT扫描技术的适应证不包括()
A.肝肿瘤
B.脂肪肝
C.胰腺炎
D.肿瘤淋巴结转移
E.肠痉挛
124、单项选择题 下列可能多发的脑原发肿瘤是()
A.脑膜瘤
B.颅咽管瘤
C.胶质瘤
D.室管膜瘤
E.松果体瘤
125、单项选择题
骨髓移植患者发热,结合图像,最可能的诊断为()
A.脾念珠菌病
B.脾囊肿
C.肿瘤浸润脾
D.淋巴瘤
E.以上都不是
126、单项选择题 对于慢性胆囊炎的CT特征表现是()
A.胆囊大,囊壁水肿,密度低
B.胆囊正常大小,肝内胆管扩张
C.胆囊小,囊壁增厚
D.胆囊大,胆总管扩张
E.以上都不是
127、单项选择题 关于“Sturge-Weber综合征”,下列CT影像哪项错误()
A.增强扫描,钙化周围明显强化
B.颅骨局限性增厚
C.三叉神经分布区紫红色血管瘤形成
D.脑沟变浅,脑回增宽
E.大脑皮层脑回样钙化
128、单项选择题 腮腺混合瘤的典型CT增强表现为()
A.延迟强化
B.不均匀强化
C.不强化
D.可强化
E.均匀强化
129、单项选择题
男,31岁,感左坐骨区胀痛,无发热,结合所提供的图像,最可能的诊断是()
A.骨巨细胞瘤
B.骨囊肿
C.纤维异常增殖症
D.动脉瘤样骨囊肿
E.非骨化性纤维瘤
130、单项选择题 以下哪种方法,通常不用于骨密度测量()
A.最大密度投影法
B.QCT法
C.双能量吸收法
D.双光子吸收法
E.单光子吸收法
131、单项选择题 关于肾解剖,错误的是()
A.肾实质分为皮质与髓质
B.肾实质外有肾包膜、脂肪、Gerota筋膜
C.肾前间隙有胰腺、十二指肠以及升、降结肠
D.后肾间隙有脂肪
E.肾位于腹膜腔内
132、单项选择题
男,49岁,反复发作性癫痫,双手震颤5年,伴头昏行走不稳,生化检查:血清钙降低,血清磷升高,根据所提供图像,最可能的诊断是()
A.Fahr病
B.一氧化碳中毒性脑病
C.霉变甘蔗中毒
D.肝豆状核变性
E.甲旁低
133、多项选择题 位于CT扫描架中的部件是()
A.X线管
B.探测器
C.准直器
D.计算机
E.监视器
134、单项选择题 双侧大脑半球最大的连接结构是()
A.大脑镰
B.透明隔
C.脑干
D.胼胝体
E.内囊
135、单项选择题
女,38岁,因右大腿远端部有疼痛,可摸到肿块,结合图像,最可能的诊断是()
A.非骨化性纤维瘤
B.骨囊肿
C.骨纤维异常增殖症
D.动脉瘤样骨囊肿
E.骨巨细胞瘤
136、单项选择题
女,19岁,右侧面颊部肿胀1年,CT检查如图所示,最可能的诊断是()
A.右颊部神经纤维瘤
B.右颊部血管瘤
C.右颊部脂肪瘤
D.右颊部横纹肌肉瘤
E.右颊部血肿
137、单项选择题
男,61岁,寒颤高热,右上腹痛,白细胞计数升高,CT检查如图,最可能的诊断是()
A.原发性肝癌
B.肝血管瘤
C.肝脓肿
D.炎性肉芽肿
E.肝转移癌
138、单项选择题 下列哪种体位会使椎管狭窄程度加重()
A.仰卧位
B.俯卧位
C.侧卧位
D.过伸位
E.过屈位
139、单项选择题
女,67岁,腹部包块,行IVP和CT检查如图,应诊断为()
A.多囊肾
B.双肾多发单纯性肾囊肿
C.多发囊肿性肾发育不全
D.囊性肾癌
E.多房性囊性肾瘤
140、单项选择题 鼻窦的恶性肿瘤中,最可能的诊断是()
A.腺癌
B.鳞状细胞癌
C.未分化癌
D.腺样囊性癌
E.肉瘤
141、单项选择题 男,50岁,因乙肝后肝硬化行原位肝移植术后1个月,抗病毒、保肝及抗排斥治疗。肝功能恢复正常后出院。出院后1周突发黄疸、发热再次住院,检查发现T管引流液内可见絮状物 首选检查方法()
A.B超
B.腹部CT
C.T管造影
D.肝动脉造影
E.肝穿活检
142、单项选择题 下面对颈部血管造影扫描技术的描述错误的是()
A.患者仰卧,头后仰,使下颌支与扫描床面垂直
B.在颈部侧位定位像上,设定从胸腔入口至颅底的扫描区域
C.静脉注射对比剂100ml,流速5ml/s
D.单层螺旋的扫描层厚2~3mm,间隔1~1.5mm;多层螺旋的扫描层厚0.75~1mm,重建层厚1mm,间隔0.7~1mm
E.延迟扫描时间15~18秒
143、单项选择题 下列侧脑室各部位与脑叶的相邻关系正确的是()
A.前角对顶叶
B.体部对额叶
C.三角区对额、顶、枕叶交界区
D.三角区对顶、颞、枕叶交界区
E.三角区对额、顶、颞叶交界区
144、单项选择题
男,42岁,头痛、恶心半年余,逐步加重,右侧肌力减弱,CT检查如图,最可能的诊断是()

A.脑膜瘤
B.胶质瘤
C.转移瘤
D.畸胎瘤
E.室管膜瘤
145、单项选择题
出生2天的男婴,鼻根部眉间正中有一肿块,CT检查如图,最可能的诊断是()
A.蛛网膜囊肿
B.脑膨出
C.硬膜外囊肿
D.鼻息肉
E.鼻咽癌
146、单项选择题
55岁,女性,结合图像,最可能的诊断是()
A.卵巢癌扩散
B.结核性腹膜炎
C.胃癌
D.腹膜炎
E.以上都不是
147、单项选择题 男,67岁,近期频发血尿10余天,右肾轮廓增大,变形。CT示右肾有一6cm直径大小肿块,内有斑片状钙化,密度混杂。进一步的最佳检查应为()
A.B超
B.增强CT
C.静脉肾盂造影
D.逆行肾盂输尿管造影
E.核素检查
148、单项选择题 膀胱癌盆腔淋巴转移的诊断标准是淋巴结直径大于()
A.5mm
B.10mm
C.15mm
D.20mm
E.25mm
149、单项选择题 关于听神经瘤的CT表现,下列哪项说法错误()
A.常发生梗阻性脑积水
B.增强后明显强化
C.同侧岩骨骨质增生
D.同侧桥小脑角池增宽
E.可以双侧发病
150、多项选择题 椎管狭窄症包括()
A.椎管狭窄
B.椎间盘疝
C.侧隐窝狭窄
D.椎间孔狭窄
E.椎间盘变性
151、多项选择题 下列关于Crohn病的CT表现,正确的是()
A.节段性肠壁增厚是CT的主要表现,一般厚度在15mm以内
B.急性期肠壁可显示分层现象,表现为靶征或双晕征
C.增强扫描时,处于活动期和慢性期的病变均可强化
D.CT对窦道、瘘管等合并症的诊断价值高于钡剂造影
E.增强扫描时肠系膜出现梳样征时提示进入慢性期
152、多项选择题 肺放线菌病的CT表现为下述哪些()
A.肺门淋巴结肿大
B.结节灶或小空洞影
C.肋骨骨膜增生
D.局灶性或广泛性实变影
E.空气半月征及晕轮征
153、单项选择题 头颅外伤2天,CT示蝶窦有气液平面,颅内有积气。诊断为()
A.颅底骨折
B.蝶骨骨折
C.急性筛窦炎
D.化脓性蝶窦炎
E.额骨骨折
154、单项选择题
女,45岁,右腰部疼痛伴血尿,根据所示图像,最可能的诊断是()
A.右肾结核
B.右肾出血
C.右肾结石
D.右肾积水
E.右肾结石合并右肾扩张积水
155、单项选择题
中年患者,女性,偶然发现肝团块,结合图像,最可能的诊断是()
A.肝癌
B.肝血管平滑肌瘤
C.局灶性结节增生
D.肝腺瘤
E.转移癌
156、单项选择题 骨骺或骨端钙化带凹陷而无硬化,在儿童骨关节病中常见于()
A.维生素D缺乏症
B.维生素C缺乏症
C.缺血性坏死
D.黏多糖病
E.关节结核
157、单项选择题
男,19岁,腹胀,腹部隆起半年余,CT检查如图,最可能的诊断是()
A.腹腔淋巴管瘤
B.腹腔积液
C.腹腔转移癌
D.小肠间质瘤
E.肠系膜囊肿
158、单项选择题
男,15岁,下腹疼痛不适,结合图像,最可能的诊断是()
A.结肠和系膜多发性血管瘤
B.结肠癌腹腔淋巴结转移
C.结肠淋巴瘤
D.假膜性肠炎
E.结肠溃疡性结肠炎
159、单项选择题 单凭CT平扫,难以诊断以下哪种病变()
A.垂体微腺瘤
B.椎间盘突出
C.肺癌
D.肺结核
E.肾结石
160、单项选择题 下面对颅脑CT后处理技术应用正确的是()
A.颅脑CT图像常用软组织窗摄影
B.观察脑时用窗宽80~100HU,窗位35HU左右
C.骨窗的窗宽1500~2000HU,窗位300~500HU
D.观察软组织时用窗宽400~500HU,窗位30~60HU
E.疑桥小脑角区病变者用窗宽80~100HU,窗位35HU左右
161、单项选择题
女,33岁,右上腹疼1周,有口服避孕药史,CT检查如图,最可能的诊断是()
A.肝脓肿
B.肝囊肿
C.肝癌合并出血
D.肝血管内皮瘤
E.肝腺瘤合并出血
162、多项选择题
男,65岁,左侧腰背部胀痛伴无痛性全程血尿3月余,CT平扫及增强检查如图所示,下列说法正确的是()
A.平扫时见左肾上极有一软组织肿块影,其边界较清楚
B.增强扫描肾皮质期可见肿块明显强化,其内亦有无强化区
C.增强扫描肾实质期可见肿块强化迅速下降,但密度比平扫时仍要高
D.考虑为左侧肾癌
E.考虑为左侧肾错构瘤
163、单项选择题 窗宽为300窗位为20时,其CT值显示的范围为()
A.-170~130
B.-150~150
C.-130~170
D.0~300
E.-300~0
164、单项选择题 多发性硬化的诊断要点,下列描述哪项不对()
A.60岁多见,男性居多
B.脑内多发脱髓鞘病变
C.病灶不大,多位于脑室旁
D.水肿及占位征轻
E.急性期或有恶变时,病灶可强化
165、单项选择题
关于十二指肠球部溃疡,下列说法不正确的是()
A.常见球部变形
B.溃疡可多发
C.胃肠钡餐检查可见点状钡斑
D.可见胃蠕动增强
E.部分可恶变
166、单项选择题
淋巴瘤患者放疗后3月出现气急咳嗽,CT如图,最可能的诊断是()
A.陈旧性结核
B.放射性肺炎
C.浸润型肺结核
D.瘢痕癌
E.矽肺结节
167、单项选择题 下哪项CT表现不支持硬膜外血肿的诊断()
A.相邻颅骨线形骨折
B.血肿呈新月形
C.相邻脑组织受压移位
D.血肿内缘光滑
E.血肿内密度均匀
168、单项选择题
女,50岁,左下颈部扪及一质软、表面光整的包块,逐渐增大,现感疼痛,CT如图所示,最可能的诊断是()

A.甲状腺癌
B.食管癌
C.喉癌
D.甲状腺原发淋巴瘤
E.颈部神经鞘瘤
169、单项选择题 EBCT是以下哪种CT的缩写()
A.螺旋CT
B.CT血管造影
C.电子束CT
D.高分辨力CT
E.普通CT
170、单项选择题 患者,男,45岁,咳嗽,咳痰,高热(39℃)1周余,抗感染治疗无明显效果,临床上伴有肾脏功能异常,近日有咯血。CT随访观察肺部多个类圆形病灶,部分病灶内可见空洞,在1~2周内部分病灶缩小,并有新的病灶出现。以下最应考虑的诊断是()
A.支气管扩张并感染
B.继发性肺结核
C.肺癌
D.肺脓肿
E.韦格肉芽肿
171、单项选择题 慢性硬膜下血肿与硬膜下积液(水瘤)的鉴别点不正确的是()
A.血肿密度常略高于积液
B.强化后扫描血肿常可见包膜
C.血肿常有外伤史
D.血肿多为双侧发病
E.血肿的占位效应常较明显
172、单项选择题
男,54岁,左侧腰痛伴间断性血尿2月余,结合CT图像,最可能的诊断是()
A.左侧肾癌
B.左侧肾血管平滑肌脂肪瘤
C.左侧肾上腺腺癌
D.左侧嗜铬细胞瘤
E.左侧肾盂癌
173、单项选择题
男,74岁,咽喉部不适1年余,近两3个月咽喉疼痛,吞咽困难,CT如图所示,最可能诊断是()
A.喉癌
B.会厌癌
C.声带癌
D.声门下区癌
E.跨声门型癌
174、单项选择题 下列哪个不是脑室的结构()
A.松果体窝
B.孟氏孔(室间孔)
C.侧孔
D.Magenide氏孔
E.筛孔
175、单项选择题
某前列腺癌患者治疗后复查胸部CT如下图所示,则应诊断为()
A.胸膜间皮瘤
B.胸膜增厚
C.胸腔少量积液
D.液气胸
E.胸腔包裹性积液
176、单项选择题
男,78岁,糖尿病17年,低热、右侧胸痛伴咳嗽两月余,常规抗炎治疗,症状改善不明显,痰培养结核菌(-),胸部CT平扫如图

A.肺脓肿
B.结核空洞
C.肺曲菌病
D.肺棘球蚴病
E.大叶性肺炎
177、单项选择题 脂肪组织的CT值为()
A.40~80HU
B.20~40HU
C.0~20HU
D.-20~-120HU
E.<-200HU
178、单项选择题
如图所示,该病例的鉴别诊断包括()
A.淋巴瘤
B.硬纤维瘤
C.肉瘤
D.以上都是
E.以上都不是
179、单项选择题
女,34岁,反复咳嗽20余年,结合图像,最可能的诊断是()


A.左肺脓肿
B.肺炎
C.先天性支气管闭锁
D.支气管囊肿
E.肺隔离症
180、单项选择题 下述哪种技术,对于提高胃CT图像质量没有价值()
A.仰卧左前斜位扫描
B.适量高密度胃肠道对比剂
C.适量阴性胃肠道对比剂
D.增强扫描
E.扫描前用盐酸山莨菪碱
181、单项选择题 下述肿瘤中常出现散在钙化的是()
A.颅咽管瘤
B.少枝胶质细胞瘤
C.脊索瘤
D.生殖细胞瘤
E.软骨瘤
182、单项选择题 骨骼的CT值()
A.0~20HU
B.30~60HU
C.-60~-90HU
D.1000HU
E.-1000HU
183、多项选择题 关于肺转移瘤的CT表现,正确的是()
A.骨肉瘤肺转移常有钙化
B.肺转移瘤空洞少见,多出现于腺癌转移
C.绒癌的肺转移瘤在化疗后可消失
D.经淋巴道转移者,HRCT可见小叶间隔串珠样改变,小叶中心性结节及胸膜下结节
E.肺转移瘤可短期内迅速增大或长时间无变化
184、单项选择题 在多囊肝的描述中,错误的是()
A.是一先天性疾病
B.早期可无明显症状
C.肝脏体积增大,密布大小不等的囊腔
D.囊壁不均匀增厚,并可见乳头状突起
E.常合并肾脏等其他脏器的多囊性病灶
185、单项选择题
患者60多岁,男性,胸部不适加重,最可能的诊断为()
A.食管癌
B.肺癌
C.主动脉瘤破裂
D.淋巴瘤
E.以上都不是
186、单项选择题
男,36岁,左大腿可触及软组织肿块,结合图像,最可能的诊断是()
A.脂肪瘤
B.脂肪肉瘤
C.血管瘤
D.淋巴管瘤
E.纤维肉瘤
187、单项选择题 CT与MRI相比,下列哪项是其优势()
A.密度分辨率高
B.直接多轴面成像
C.化学成像,信息量大
D.空间分辨率高
E.无碘过敏危险
188、单项选择题
患儿,男,5岁,CT平扫图像如下,最可能的诊断是()
A.垂体瘤
B.透明隔囊肿
C.颅咽管瘤
D.蛛网膜囊肿
E.Rathke裂囊肿
189、单项选择题 视神经各段中最长的部分是()
A.视神经管内段
B.眼眶内段
C.颅内段
D.肌锥外段
E.视交叉区段
190、单项选择题
女,59岁,腰背部疼痛伴低热乏力,结合影像学检查,最可能的诊断是()
A.脊柱转移瘤
B.化脓性脊柱炎
C.脊椎结核
D.椎体压缩骨折
E.强直性脊柱炎
191、单项选择题 脾肿大的诊断标准是()
A.上下>12cm,前后>5个肋单元
B.上下>14cm,前后>4个肋单元
C.上下>14cm,前后>6个肋单元
D.上下>15cm,前后>6个肋单元
E.上下>15cm,前后>5个肋单元
192、单项选择题
男,36岁,膝关节疼痛8年余,活动受限,其周围可触及肿块,结合图像,最可能的诊断是()
A.骨巨细胞瘤
B.滑膜肉瘤
C.血友病性关节炎
D.色素沉着绒毛结节性滑膜炎
E.类风湿关节炎
193、单项选择题
15岁,男性,臀疼,如图所示,最可能诊断为()
A.软骨发育不良
B.缺血坏死
C.骨转移瘤
D.尤文肉瘤
E.以上都不是
194、单项选择题 以下哪项是用来表示CT机空间分辨率的()
A.X射线剂量(mGy或raD.
B.线对/cm(Lp/cm)或线经/mm(mm/mm)
C.百分数(%)
D.调制传递函数(MTF.
E.以上都不是
195、单项选择题 癫痫发作2次,CT平扫示侧脑室旁多发低密度灶,无占位效应,但强化后呈结节样增强。最可能的诊断是()
A.髓鞘形成异常
B.脑囊虫病
C.转移瘤
D.多发性硬化
E.脑脓肿
196、单项选择题
女,14岁,腹胀疼痛,上腹部见胃型,呕吐(胆汁样),影像检查如图,最可能的诊断是()
A.十二指肠综合征
B.机械性小肠梗阻
C.十二指肠憩室
D.十二指肠重复畸形
E.麻痹性肠梗阻
197、单项选择题
女,37岁,产后10天,出现剧烈头痛头昏伴神志不清2天,根据所提供图像,最可能的诊断是()

A.右侧蛛网膜下腔出血
B.右侧脑膜脑炎
C.右侧硬膜下血肿
D.右侧脑梗死
E.右侧静脉窦血栓形成
198、单项选择题 脊膜瘤的有关病理特点中,下列哪项错误()
A.大多数呈圆形或卵圆形
B.通常发生在靠近神经根穿过的突起处
C.绝大多数肿瘤生长于脊髓内
D.大小不等,一般为2~3.5cm
E.少数脊膜瘤可发生恶变
199、单项选择题 CT横断面扫描,下列有关胆总管正常解剖的描述,哪项不对()
A.平均长度7.5cm
B.平均宽度1.2cm
C.增强扫描,胆总管壁无明显强化
D.可异位开口于十二指肠憩室内
E.十二指肠上段层面:后有门静脉,左有肝动脉
200、单项选择题
女,54岁,超声体检发现肝右后叶直径约2.4cm强回声结节。CT增强扫描(动脉期、静脉期及延迟期三期扫描)如图所示,最有可能的诊断为()
A.肝海绵状血管瘤
B.肝细胞性肝癌
C.转移瘤
D.肝局灶性结节性增生(FNH)
E.肝囊肿
201、多项选择题 放射性肺炎的CT表现为()
A.长条片状高密度影
B.病灶呈跨叶分布
C.病灶密度不均
D.病灶边缘平直
E.病灶体积缩小
202、单项选择题 显示颅脑CT图像的窗宽、窗位选择正确的是()
A.颅脑CT图像常用脑窗摄影
B.窗宽100~150HU,窗位35HU左右
C.窗宽80~100HU,窗位35HU左右
D.窗宽90~120HU,窗位40HU左右
E.窗宽100~120HU,窗位45HU左右
203、多项选择题 下列哪些特点属于高压滑环技术()
A.取消了球管启动、加速、减速、停止过程
B.电缆不再缠绕
C.球管单向连续旋转
D.依靠铜制滑环和碳刷接触馈电
E.易产生高压噪声
204、单项选择题 T1WI表现均匀低信号病灶,T2WI随着TE的延长肿瘤信号强度递增似灯炮,注入Gd-DTPA后病灶周边结节强化,延迟后增强范围逐渐扩大应诊断为()
A.肝癌
B.肝腺瘤
C.肝囊肿
D.肝海绵状血管瘤
E.胆管癌
205、单项选择题
主诉剧烈腹痛,根据影像图像,最可能的诊断为()
A.憩室炎
B.肠系膜炎
C.胰腺炎
D.主动脉瘤破裂
E.以上都不是
206、单项选择题 在CT征象上与血管网状细胞瘤表现最相似的肿瘤是()
A.囊状星形细胞瘤
B.室管膜瘤
C.髓母细胞瘤
D.皮样囊肿
E.囊性转移瘤
207、单项选择题 关于“腔静脉后输尿管”,下列描述哪项是错误的()
A.反复尿路感染
B.常有血尿
C.常有肾盂、输尿管积水
D.常有双下腔静脉畸形
E.对侧肾脏,常有先天发育异常
208、多项选择题
男,55岁,右腰部不适1年余,CT扫描如图所示,下列说法正确的是()
A.右肾中极可见一类圆形肿块影,肿块密度不均
B.其内见低密度脂肪影
C.其边缘清楚,与周围境界清晰
D.考虑为右肾癌
E.考虑为右肾错构瘤
209、单项选择题
根据所提供的图像,该病例的最可能的诊断为()
A.2条肾动脉
B.肾动脉狭窄
C.肾细胞癌
D.肾梗死
E.以上都不是
210、单项选择题
男,40岁,有血吸虫感染史,腹胀不适,食欲减退,CT扫描所见如图,最可能的诊断是()

A.肝炎后肝硬化
B.血吸虫后肝硬化
C.酒精性肝硬化
D.胆汁性肝硬化
E.脂肪肝
211、单项选择题
女,43岁,发现盆腔包块3年,排尿困难6日,影像检查如图,最可能的诊断是()
A.腹腔脂肪肉瘤
B.腹腔恶性间质瘤
C.腹腔畸胎瘤
D.腹腔畸胎瘤伴卵巢内胚窦瘤
E.卵巢内胚窦瘤
212、单项选择题
男,36岁,腹胀、消化不良、消瘦、中上腹痛,影像检查如下图,最可能的诊断是()
A.胃间质肉瘤并肝转移
B.胃间质瘤并原发性肝癌
C.内胚窦瘤肝转移
D.胃淋巴瘤伴原发性肝癌
E.胃间质瘤并肝血管瘤
213、单项选择题 无论肾结石是否透光,诊断价值最大的检查方法应为()
A.IVP
B.腹部平片
C.B超
D.螺旋CT
E.MRU
214、单项选择题
男,67岁,排便习惯改变,血便3月入院,CT检查如图所示,下列说法错误的是()

A.直肠肠腔局限性增厚
B.其表面欠光整,边界欠清晰
C.可做直肠指检及活检以确定病变性质
D.此为直肠息肉
E.此为直肠癌
215、单项选择题
男,60岁,曾患乙肝、肝硬化多年,右上腹胀痛1月余,AFP为80.8μg/L,CT检查如图所示,最可能的诊断是()
A.肝硬化结节增生、右肾上腺瘤
B.肝、右肾上腺均为转移癌
C.肝癌右肾上腺转移
D.肝腺瘤、右肾上腺腺瘤
E.肾上腺癌肝转移
216、单项选择题
男,36岁,低热,咳嗽,咳脓痰2月余,结合影像学检查,最可能的诊断是()
A.大叶性肺炎
B.肺放线菌病
C.肺结核
D.肺错构瘤
E.肺曲菌病
217、单项选择题 女性盆腔内软组织肿块,向上可达下腹部,肿块为囊实性,不规则,部分可钙化,肿块与子宫分界不清,伴有腹水和大网膜转移,最可能的诊断是()
A.淋巴瘤
B.宫颈癌
C.卵巢癌
D.膀胱癌
E.结肠癌
218、单项选择题 椎间盘扫描时,机架倾斜角度的依据是()
A.与椎间隙平行
B.与椎间盘垂直
C.与椎体成45°
D.与椎体垂直
E.与椎间盘成15°
219、多项选择题 脉络膜黑色素瘤应与下列哪种肿瘤相鉴别()
A.视网膜母细胞瘤
B.脉络膜血管瘤
C.Coats病
D.眼球转移性肿瘤
E.脉络膜骨瘤
220、单项选择题 CT扫描中常用的FOV是指()
A.矩阵大小
B.兴趣区
C.灰阶标尺
D.扫描野
E.激光胶片的分辨力
221、单项选择题 空气的CT值()
A.0~20HU
B.30~60HU
C.-60~-90HU
D.1000HU
E.-1000HU
222、单项选择题
男,26岁,进行性鼻腔阻塞、流涕来院就诊,近两年持续性头痛、头晕,筛窦区病变影像检查如图,最可能的诊断是()

A.脊索瘤伴左上颌窦炎
B.软骨瘤伴左上颌窦炎
C.骨化性纤维瘤伴左上颌窦炎
D.骨结核伴左上颌窦炎
E.骨纤维异常增殖症伴左上颌窦炎
223、单项选择题
女,69岁,低热、乏力3个月余,消瘦,食欲不佳,PE:腹股沟触及多个肿大的淋巴结,质较硬,尚可移动,CT如图所示,最可能的诊断是()

A.淋巴瘤
B.颈淋巴结转移瘤
C.颈淋巴结结核
D.结节病
E.淋巴结炎
224、多项选择题 在诊断动脉瘤方面,与常规血管造影比较,CT的优点为()
A.可显示瘤体大小
B.可显示瘤内附壁血栓及其钙化
C.可显示瘤壁钙化
D.可显示瘤腔外的情况
E.可显示受累的动脉分支
225、单项选择题 一般对比剂产生的过敏反应不包括()
A.皮肤荨麻疹
B.呼吸困难
C.恶心呕吐
D.腹腔积气
E.血压下降
226、多项选择题 股骨头缺血坏死的CT表现为()
A.星状征消失
B.点片状密度增高影
C.球钩形
D.双边征
E.股骨头碎裂
227、多项选择题 支气管扩张症的CT表现包括()
A.多发囊状阴影伴液气平面
B.蜂窝肺
C.支气管壁增厚
D.空气潴留
E.印戒征
228、单项选择题 中颅窝脑膜瘤是()
A.球形肿瘤
B.脑外肿瘤
C.良性肿瘤
D.恶性肿瘤
E.脑内肿瘤
229、多项选择题 对于肝脏CT解剖,描述正确的有()
A.肝静脉进入下腔静脉的部位称为第二肝门,约平第3腰椎
B.肝静脉分为肝右、肝左、肝中静脉三支
C.肝静脉支走行于肝脏叶或段间裂内,可以用肝静脉划分肝叶、肝段
D.胸主动脉的左后方有半奇静脉,右后方有奇静脉,奇静脉的前方有胸导管
E.第二肝门的左侧可见食管影,食管后方为胸主动脉
230、多项选择题 肝包虫病的CT表现以下哪些是不正确的()
A.一般多发
B.病灶形态不规则
C.病灶与周围正常肝组织界限不清
D.增强后无强化
E.很少发生钙化
231、单项选择题 下列哪项是颅脑横断面CT扫描常用基线(OM线)()
A.听眶线
B.听眦线
C.听鼻线
D.听口线
E.Mcgregor线
232、单项选择题 不是CT检查前患者的准备工作的是()
A.做盆腔扫描检查的患者,还需提前一天作好口服对比剂的准备
B.做腹部检查的患者,须根据检查的需要,事先作好口服对比剂或水等的准备
C.需要作增强的患者,应详细询问有无药物过敏史
D.昏迷的患者,须事先给予镇静剂
E.检查并去除被检部位的金属物品
233、单项选择题 不是CT扫描注意事项的是()
A.CT室应配备常规急救器械和药品,在病人发生对比剂过敏或其他意外情况时急救
B.确定扫描参数根据病变部位、病变性质和临床要求确定扫描参数
C.根据病情的轻、重、缓、急和本部门的工作情况合理安排患者的检查时间
D.认真阅读审查申请单
E.不合作患者,拒绝CT扫描
234、单项选择题 前交通动脉瘤破裂所致的蛛网膜下腔出血常见于()
A.脚间池
B.鞍上池
C.桥小脑角池
D.环池
E.大脑大静脉池
235、单项选择题
女,36岁,无任何症状,体检时超声发现左侧肾上腺区占位,CT扫描如图所示,应诊断为()
A.左肾上腺腺瘤
B.左肾上腺囊肿
C.左肾上腺嗜铬细胞瘤
D.左肾上腺髓样脂肪瘤
E.左肾上腺转移癌
236、单项选择题
根据所提供的图像,最可能的诊断为()
A.胰腺腺癌
B.胰岛细胞瘤
C.胰腺假性囊肿
D.胰腺囊腺瘤
E.以上都不是
237、单项选择题 下列关于乳腺癌CT平扫哪项不正确()
A.瘤体密度一般低于腺体密度
B.CT值多为25~56HU
C.肿瘤内有坏死液化后可出现低密度区
D.明显显示肿瘤内的短杆状、泥沙样钙化
E.累及胸壁者可见乳腺后间隙消失
238、多项选择题 脑结核瘤的病理改变包括下述哪些()
A.常位于血运丰富的白质内
B.呈结节状或分叶状,大小2~6cm
C.外围为纤维膜,中间有干酪坏死物质
D.少数有钙化,形成脓液者极少
E.周围炎性细胞少,但有星形细胞增生
239、单项选择题 以下哪一代CT,其探测器排列成圆环且固定,仅X线管旋转()
A.第一代CT机
B.第二代CT机
C.第三代CT机
D.第四代CT机
E.第五代CT机
240、单项选择题 颅内动静脉畸形CT平扫一般可为高,等,低三种密度,高密度是指()
A.胶质增生
B.周围水肿
C.梗死区及脑萎缩的脑脊液充填区
D.尚未钙化的血栓
E.脑实质
241、单项选择题 下列哪项,不是CT扫描的适应证()
A.眼部外伤
B.眼眶内异物
C.眼的先天性疾病
D.近视眼
E.眼球及眶内肿物
242、单项选择题 下列关于腹膜后脂肪肉瘤,错误的是()
A.CT分为实体型、混合型和假囊肿型
B.实体型以纤维组织成分为主
C.假囊肿型为脂肪、纤维和黏液性组织共存
D.测不到脂肪密度可排除脂肪肉瘤
E.CT定性困难时,应做穿刺活检
243、单项选择题 精索静脉曲张可引起下列哪种情况()
A.输卵管闭塞导致不育
B.输尿管狭窄
C.影响生精功能导致不育
D.输精管闭塞导致不育
E.以上都不是
244、单项选择题 关于结肠癌的描述不确切的是()
A.溃疡型多见
B.腺癌为主
C.升结肠易形成腔内肿块
D.降结肠癌多为浸润型
E.早期结肠癌可呈菜花状
245、单项选择题
女,43岁,左侧腰部不适2年余,结合所示图像,最可能的诊断是()
A.左肾髓样脂肪瘤
B.左肾盏憩室
C.左肾囊肿
D.左肾积水
E.左肾错构瘤
246、单项选择题 典型的单纯性肝囊肿的CT密度是()
A.空气样密度
B.水样密度
C.脂肪密度
D.肌肉样密度
E.肝脏样密度
247、单项选择题 下述哪项结构在增强扫描时最迟强化()
A.胰腺
B.脾脏
C.肝脏
D.肾门以下下腔静脉
E.肾门以上下腔静脉
248、多项选择题 肾透明细胞癌CT增强扫描的强化特点是()
A.延迟期强化常不及肾实质
B.可为不规则边缘强化
C.可为不均匀斑片状强化
D.少数可无明显对比增强
E.动脉期强化明显
249、单项选择题
患者40岁,男性,最可能的诊断是()
A.结核
B.结节病
C.肿瘤淋巴播散
D.硅肺病
E.肺癌
250、单项选择题
女,78岁,突然意识障碍,结合CT图像,最可能的诊断是()
A.脑挫裂伤
B.脑转移瘤
C.高血压性脑出血
D.脑膜瘤
E.脑脓肿
251、单项选择题
男,32岁,上腹部持续性疼痛,放射至胸背部,高热,恶心呕吐,上腹部压痛反跳痛,CT检查如图,最可能的诊断是()
A.急性单纯性胰腺炎
B.出血坏死性胰腺炎
C.慢性胰腺炎
D.慢性胰腺炎急性发作
E.胰腺癌
252、单项选择题 小脑血管母细胞瘤和囊性星形细胞瘤的CT鉴别中,下列哪项最有意义()
A.肿瘤平扫密度
B.强化程度
C.钙化
D.囊变
E.第四脑室形态变化
253、单项选择题 下述Caroli病CT特点,错误的是()
A.增强扫描可见“中心圆点征”
B.病变主要分布于肝脏周边区域
C.病灶内无结石
D.肝内单发或多发囊状低密度影
E.给予胆管对比剂,显示病变与胆管相通
254、多项选择题 炎性假瘤弥漫炎症型的CT征象为()
A.泪腺增大肿胀
B.眼外肌正常
C.视神经增粗
D.球后脂肪密度增高
E.眶内结构分界不清
255、单项选择题
男,18岁,咳嗽,咳痰,咯血半月余,CT检查如图,最可能的诊断是()


A.过敏性肺炎
B.支气管扩张
C.原发性肺结核
D.大叶性肺炎
E.肺癌
256、单项选择题
男,35岁,因车祸入院,呼吸困难、发绀、上腹痛,结合胸片和CT,最可能的诊断是()
A.膈疝
B.胸腔积液
C.膈膨升
D.膈麻痹
E.液气胸
257、多项选择题 关于喉良性肿瘤,其CT征象包括()
A.多数肿瘤形态规则,边界清楚
B.CT平扫多呈等密度,密度均匀
C.周围组织可有侵袭性改变
D.晚期可向喉外发展,破坏喉软骨
E.有时肿瘤可见钙化
258、多项选择题 高分辨率CT扫描通常用于()
A.肺弥漫性间质性病变
B.肾上腺
C.视神经
D.内耳
E.肺结节性病灶
259、单项选择题
男,50岁,黄疸进行性加重、腹部胀痛不适、食欲减退、体重减轻、上腹部可触及肿块,CT扫描如图,最可能的诊断为()
A.急性胰腺炎
B.慢性胰腺炎
C.胰头癌
D.腹膜后淋巴瘤
E.转移癌
260、单项选择题
男,74岁,外伤1小时,意识模糊,平扫CT检查如图,最可能的诊断为()

A.硬膜外血肿
B.硬膜下血肿
C.蛛网膜下腔出血
D.脑内血肿
E.脑梗死
261、单项选择题 肝血色素沉着病的CT值为()
A.30HU
B.0~50HU
C.-14~20HU
D.60~100HU
E.86~132HU
262、多项选择题 有关葡萄膜黑素瘤描述正确的有()
A.好发于后1/3脉络膜
B.易转移
C.可引起视网膜剥离
D.成人多见
E.B型好,A型差
263、单项选择题
男,13岁,右髋部疼痛不适,无红肿,结合所提供的图像,最可能的诊断是()
A.非骨化性纤维瘤
B.骨巨细胞瘤
C.畸形性骨炎
D.内生软骨瘤
E.骨纤维结构不良
264、单项选择题 关于肾上腺转移瘤,正确的诊断主要依赖于()
A.单侧或双侧肾上腺肿块
B.临床资料
C.双侧肾上腺肿块而无原发瘤
D.血管造影检查
E.MRI反相位检查
265、单项选择题
根据所提供的图像,该病例最可能的诊断为()

A.胰腺假性囊肿
B.十二指肠血肿
C.十二指肠癌
D.十二指肠憩室
E.胰腺癌
266、单项选择题 诊断眼眶爆裂骨折,最好的检查方法()
A.X线平片
B.CT冠状扫描
C.CT横断扫描
D.MRI
E.矢状面重建
267、单项选择题 下列哪项不是肺气肿分型()
A.全小叶型
B.泡性气肿型
C.小叶中心型
D.小叶间隔旁型
E.瘢痕旁型
268、单项选择题
患者,男性,42岁,髋部疼痛,CR及CT图像如下,应诊断为()

A.髋关节结核
B.股骨头缺血坏死
C.股骨头退变性囊肿
D.骨岛
E.骨质疏松
269、单项选择题 先天性支气管囊肿的CT表现中,哪项是不正确的()
A.含液囊肿在肺窗上表现为圆形高密度影,边界清楚锐利
B.含液囊肿在纵隔窗上表现为囊肿密度均匀
C.含液囊肿合并感染时在肺窗上表现囊肿周围可见淡薄高密度渗出性改变
D.含气囊肿在肺窗上表现为边界清楚的圆形高密度无肺纹理区
E.液气囊肿在肺窗及纵隔窗上均可见液气平面影像
270、单项选择题 关于三叉神经瘤描述,下列哪项是错误的()
A.位于中颅窝
B.位于后颅窝
C.常见岩骨尖破坏
D.无瘤周水肿
E.常见内听道扩大
271、单项选择题 肾动脉狭窄经皮穿刺动脉成形术的禁忌症是()
A.造影发现肾动脉中度狭窄,有临床症状者
B.造影发现肾动脉狭窄,无临床症状者
C.造影发现肾动脉重度狭窄,有临床症状者
D.造影发现肾动脉重度狭窄,无有临床症状者
E.系列影像检查发现肾体积逐渐缩小者
272、单项选择题 下列关于继发性肺结核的说法,正确的是()
A.早期病变好发于上叶前段
B.易于发生支气管播散
C.常可引起纵隔淋巴结肿大
D.结核瘤说明结核治愈
E.结核空洞多见液气平面
273、单项选择题 显示野、矩阵、像素值三者关系的描述,哪个不妥()
A.显示野不变,矩阵加大,像素值变小
B.显示野不变,矩阵加大,图像分辨率提高
C.显示野不变,矩阵加大,图像重建时间长
D.矩阵不变,加大显示野,像素值提高
E.矩阵不变,像素值减半,显示野面积缩小4倍
274、单项选择题
男,45岁,右腰部隐痛不适伴无痛性肉眼血尿1月,结合所示图像,最可能的诊断是()
A.右肾癌
B.右肾血管平滑肌脂肪瘤
C.右肾感染性囊肿
D.右肾盂癌
E.右肾脓肿
275、单项选择题 增强扫描动脉期,多数转移性肝癌的强化程度()
A.比原发性肝癌低
B.明显高于肝脏
C.比原发性肝癌高
D.与原发性肝癌相仿
E.明显强化
276、单项选择题 关于囊形肝包虫病CT影像,下列描述错误的是()
A.囊壁可钙化
B.肝内大小、数目不等的囊性病灶
C.子囊密度比母囊高
D.“水上荷花征”
E.“双边征”
277、单项选择题 下列防护物质中,最理想的防护物是()
A.建筑材料
B.铅
C.铜
D.铁
E.铝
278、单项选择题
结合图像,最可能的诊断为()
A.炎性腹泻
B.淋巴瘤
C.腺癌
D.放射性肠炎
E.以上都不是
279、多项选择题 下列关于冠状动脉狭窄的描述,正确的是()
A.根据狭窄范围不同分为局限性狭窄、管状狭窄和弥漫性狭窄
B.弥漫性狭窄对冠状动脉血流动力学的影响远大于狭窄程度相同的局限性狭窄
C.冠状动脉狭窄的程度可采用狭窄直径减少的百分数表示
D.冠状动脉狭窄可分为4级
E.冠状动脉狭窄≥50%的患者,运动可以诱发心肌缺血
280、单项选择题
男,31岁,反复咳嗽,咯血10年余,结合影像学检查,最可能的诊断是()
A.肺囊肿
B.间质性肺炎
C.肺曲菌病
D.支气管扩张
E.肺结核
281、单项选择题 关于“多囊肾”的CT表现,下列哪项是错误的()
A.囊肿大小、分布不均呈蜂窝状
B.囊肿大小、密度、分布均匀
C.增强扫描囊肿不强化
D.婴儿型者,肾盂、肾盏、肾外形多正常
E.成人型者,肾影常增大,肾盂、肾盏受压、变形
282、单项选择题 女,40岁,头部外伤4小时,CT示侧脑室旁白质、胼胝体压部、大脑脚散在斑点样高密度影,提示有可能是()
A.脑出血
B.蛛网膜下腔出血
C.丘脑出血
D.脑穿通伤
E.脑白质剪切伤
283、单项选择题
男,56岁,尿频、尿急3月余,肉眼血尿1月余,结合所示图像,最可能的诊断()
A.膀胱癌伴出血
B.膀胱结石
C.膀胱憩室伴出血
D.慢性膀胱炎
E.膀胱憩室伴感染
284、单项选择题 与胸部CT扫描技术无关的是()
A.患者仰卧、头先进
B.侧面定位线对准人体正中冠状面
C.定位像为胸部前后正位像
D.扫描基线从膈顶开始
E.常规胸部CT扫描采用螺旋扫描,层厚10mm,间隔10mm
285、单项选择题 下列关于“蛛网膜囊肿”CT特点的描述,下列哪项是错误的()
A.颅底多见
B.平扫脑脊液密度
C.不强化
D.脑白质塌陷征
E.局部颅板可明显增厚
286、单项选择题
男,34岁,大腿下段疼痛2年,可摸到肿块,结合图像,最可能的诊断是()
A.骨肉瘤
B.软骨肉瘤
C.软骨瘤
D.纤维肉瘤
E.巨细胞瘤
287、单项选择题 螺旋CT扫描,在动脉增强早期,下述组织结构中,哪一项最早出现不均匀斑片状强化()
A.胰腺
B.脾脏
C.肌肉
D.肝脏
E.腹主动脉
288、单项选择题 下列哪项不属颅脑平扫适应证的是()
A.颅内出血
B.脑梗死
C.脑萎缩
D.脑血管畸形
E.先天性无脑
289、单项选择题 不需做胸部增强扫描的是()
A.明确分辨纵隔结构时
B.明确大气管有无狭窄时
C.区分纵隔肿物与大血管时
D.肿块合并肺不张时
E.分析复杂的大血管畸形时
290、单项选择题 髓鞘形成不良病不包括()
A.髓鞘形成不足
B.脱髓鞘病
C.肾上腺脑白质营养不良
D.海绵状变性
E.异染性脑白质营养不良
291、单项选择题 甲状旁腺功能低下的钙化不分布在()
A.尾状核
B.豆状核
C.脑白质
D.基底池
E.脑室旁
292、单项选择题 下列哪项CT技术,对肾盏旁囊肿的诊断与鉴别诊断有重要价值()
A.薄层扫描
B.窄窗技术
C.冠状面重建图像
D.螺旋扫描
E.增强扫描
293、单项选择题 图像显示技术中,应用最多而且最重要的技术是()
A.黑白反转
B.放大
C.窗口
D.图像方向旋转
E.三维图像重建
294、单项选择题
该患者偶然发现的病灶是(包括胃),结合图像,最可能的诊断是()
A.胃癌
B.脂肪瘤
C.肠扭转
D.囊肿
E.以上都不是
295、单项选择题 膀胱肿瘤的CT扫描其主要目的为()
A.早期诊断
B.显示肿瘤突入腔内的情况
C.良恶性肿瘤鉴别诊断
D.肿瘤与非肿瘤性病变的鉴别
E.显示肿瘤侵犯膀胱周围组织和淋巴结转移
296、单项选择题 下列哪项不是肝癌所致肝静脉、下腔静脉癌栓的表现()
A.下腔静脉不规则
B.肝静脉阻塞
C.下腔静脉增宽且密度不均
D.肠系膜上静脉内见同心圆黑影
E.下腔静脉腔内充盈缺损
297、多项选择题 肝岛CT表现()
A.胆囊床附近最常见
B.脂肪肝基础上呈相对高密度
C.边界清楚,形态各异
D.无占位效应
E.增强后无早期异常强化
298、单项选择题 鼻咽癌向颅内转移的最常见途径为()
A.卵圆孔
B.颈静脉孔
C.眶下裂
D.破裂孔
E.棘孔
299、单项选择题 青年男性,自觉无明显不适,CT示双下肺多发斑片状、边缘不清模糊影,有支气管气相,抗感染治疗30天后复查,病灶形态变化不大,但位置改变,最可能的诊断是()
A.过敏性肺炎
B.肺结核
C.支气管扩张
D.矽肺
E.肺放线菌病
300、单项选择题 以下哪项CT表现最支持视神经胶质瘤的CT诊断()
A.视神经梭形增强
B.受累视神经“双轨征”
C.肿瘤增强明显
D.视交叉受累
E.视神经孔增大