时间:2025-02-13 01:42:06


1、多项选择题 连续X线透过被照体后使()
A.射线平均能量降低
B.射线平均能量提高
C.射线平均能量接近其最高能量
D.低能光子比高能光子更多地被吸收
E.高能光子比低能光子更多地被吸收
2、单项选择题
男,15岁,右肩疼痛1月余,结合图像,最可能的诊断是()
A.嗜酸性肉芽肿
B.动脉瘤样骨性囊肿
C.骨样骨瘤
D.血管瘤
E.以上都不是
3、单项选择题 关于鼻窦正常解剖的描述,下列哪项不正确()
A.出生时,蝶窦、额窦未气化
B.出生时,上颌窦、筛窦已气化
C.蝶窦由蝶窦中隔分为左右两个窦腔
D.上颌窦前部与鼻腔仅粘膜相隔
E.前组筛窦引流至中鼻道,后组筛窦引流至上鼻道
4、单项选择题 喉肉芽肿的早期X线表现为()
A.喉腔狭窄
B.喉内结构不规则增厚
C.喉内结构弥漫肿胀、增厚
D.会厌破坏缺损
E.喉内结构粘连变形
5、单项选择题 侧卧后前位是指()
A.仰卧于摄影床上,X线从腹侧射入,背侧射出
B.侧卧于摄影床上,X线从右或左侧射入,左或右侧射出
C.仰卧于摄影床上,X线从背侧射入,腹侧射出
D.侧卧于摄影床上,X线从背侧射入,腹侧射出
E.侧卧于摄影床上,X线从腹侧射入,背侧射出
6、单项选择题 不规则型肺气肿常分布在()
A.双肺上叶
B.肺内瘢痕病灶旁
C.两肺弥漫分布,以下叶为主
D.局限于胸膜下区域
E.双肺均匀分布
7、单项选择题 左前斜位,心脏后缘自上而下依次为()
A.左心房、右心室
B.左心房、右心房
C.右心房、左心室
D.右心房、右心室
E.左心房、左心室
8、单项选择题 1895年,伦琴将X线首次应用于人体的哪个系统()
A.心血管系统
B.骨骼系统
C.神经系统
D.消化系统
E.呼吸系统
9、单项选择题 关于头颅侧位摄片,中心线应对准()
A.听眦线中点
B.听眦线前中1/3处
C.外耳孔前上各2.5cm处
D.外耳孔前2.5cm处
E.外耳孔上2.5cm处
10、单项选择题 对X线的描述,下列正确的是()
A.X线的硬度大→频率高→穿透力强
B.X线的硬度大→波长长→穿透力强
C.X线的硬度大→频率高→穿透力弱
D.X线的硬度大→波长长→穿透力弱
E.X线的硬度大→HVL小→穿透力强
11、单项选择题 下列无紫绀先天性心脏病中,哪种疾病的肺血不增多()
A.动脉导管未闭
B.房间隔缺损
C.室间隔缺损
D.主动脉瓣狭窄
E.佛氏窦瘤破入右心室
12、单项选择题 关于高千伏摄片的优点下述哪项不对()
A.X线量
B.提高解像力
C.降低图像锐利度
D.延长球管寿命
E.降低图像对比度
13、单项选择题 右前斜位,心脏后缘自上而下依次为()
A.左心房、右心房
B.右心房、左心室
C.右心房、左心房
D.左心房、左心室
E.右心房、右心室
14、单项选择题
左膝关节酸胀不适,摄片发现左胫骨上段局限性骨质改变如图示,最可能的诊断是()
A.非骨化性纤维瘤
B.骨化性纤维瘤
C.内生软骨瘤
D.骨软骨瘤
E.以上均不正确
15、多项选择题 X线质的表示方法主要有()
A.半价层
B.管电压
C.管电流
D.管电流量
E.阳极靶面物质原子序数
16、单项选择题 下列哪项不是风湿性心脏病二尖瓣狭窄的基本病理变化()
A.瓣叶粘连
B.腱索纤维化
C.腱索断裂
D.腱索短缩
E.瓣膜下移
17、单项选择题
女,80岁,右上腹疼痛反复发作6月,加重2天,曾有胆囊炎及胆结石病史,影像检查如图,最可能的诊断为()
A.十二指肠息肉
B.十二指肠巨大胆结石(胆囊十二指肠瘘)
C.十二指肠蛔虫
D.十二指肠间质瘤
E.十二指肠腺瘤
18、单项选择题 腕部骨化中心在1周岁内出现的是()
A.舟骨和月骨
B.大多角骨和小多角骨
C.头状骨和钩状骨
D.三角骨和头状骨
E.舟骨和三角骨
19、多项选择题 多发性骨软骨瘤出现哪些表现况时应高度怀疑恶变()
A.瘤体内出现透亮区
B.软骨帽增厚,发生于长骨者超过1cm
C.钙化软骨帽密度变淡,边界不清
D.远处出现转移性病灶
E.30岁以上的患者生长迅速,疼痛加剧
20、多项选择题 正位胸片上,Lutembacher综合征表现为()
A.肺纹理增多
B.多数患者肺纹理正常
C.肺门影缩小
D.右心增大
E.左心房增大
21、单项选择题
有外伤史,结合图像,最可能诊断是()
A.Smith骨折
B.尺骨骨折
C.未见异常
D.Colles骨折
E.腕关节脱位
22、单项选择题
女,48岁,车祸致右胫腓骨骨折,外固定术后两年复查,如图所示,最可能的诊断是()
A.右胫骨愈合延迟
B.右胫骨假关节形成
C.右胫骨骨折愈合好,有大量骨痂形成
D.右胫骨断端不连
E.以上均不正确
23、单项选择题 从肘静脉注入对比剂后,最迟到的是下列中的哪一部位()
A.上腔静脉
B.右心房
C.左心室
D.锁骨下静脉
E.降主动脉
24、单项选择题
男,52岁,体检胸片如图,最可能的诊断是()

A.肺不张
B.胸膜肥厚
C.包裹性积液
D.肺炎
E.气胸
25、单项选择题 符合MPSⅡ型(HUnter综合征)重型的特点为()
A.2~4岁发病,智力障碍及身体畸形
B.可出现进行性耳聋、腕管综合征
C.可出现髋关节退行性改变
D.患者可存活到六七十岁
E.尿内有大量DS和HS
26、多项选择题 先天子宫发育畸形包括()
A.鞍形子宫
B.半隔子宫
C.双角子宫
D.单角子宫
E.纵隔子宫
27、多项选择题
男,12岁,上腹痛1周,无规律,无黑便史。体检:剑突下有压痛,结合图像,最可能的诊断是()

A.正常表现
B.胃炎
C.十二指肠炎
D.十二指肠溃疡
E.十二指肠占位
28、多项选择题 顶颏位可用于观察下列哪些结构()
A.上颌窦
B.前筛窦
C.后筛窦
D.颧弓
E.眶底
29、单项选择题 男,36岁,右下腹痛、低热3月钡餐检查示回肠末端狭窄、管壁较僵硬,粘膜皱襞紊乱,回盲瓣破坏,盲肠袋挛缩,结肠显示不良,根据临床及X线表现,最可能的诊断是()
A.肠结核
B.肠癌
C.肠淋巴瘤
D.结肠息肉恶变
E.肠平滑肌瘤
30、单项选择题 在X线摄影的能量范围内,以下哪种形式利用了X线与物质相互作用()
A.康普顿散射
B.光蜕变
C.电子产生
D.光核反应
E.以上都不是
31、单项选择题 X线管的靶面材料通常是()
A.铁
B.钨
C.金
D.铜
E.钼
32、单项选择题 胸部摄片常规体位是()
A.站立位
B.仰卧位
C.俯卧位
D.坐位
E.侧卧位
33、多项选择题 下列良性骨肿瘤呈多发性表现的是()
A.血管瘤
B.骨软骨瘤
C.骨样骨瘤
D.软骨瘤
E.神经末梢瘤
34、单项选择题 女,43岁,突感左手疼痛伴多个指头麻木,行左上肢动脉造影,示左侧桡动脉广泛的充盈缺损,结合临床最可能的诊断是()
A.桡动脉夹层
B.桡动脉炎
C.桡动脉真性动脉瘤
D.桡动脉血栓形成
E.桡动脉假性动脉瘤
35、单项选择题 中肺野是指上肺野以下至()
A.第4肋骨下缘的水平线以上
B.第4肋骨前端下缘水平线
C.第4肋骨下缘的最低点水平线
D.第4肋骨前端下缘的最低点
E.第4肋骨前端下缘的最低点水平线
36、单项选择题 关于药品服用时间,下列叙述错误的是()
A.选择适宜的服药时间可以提高药物疗效
B.选择适宜的服药时间可以降低给药剂量,节约医药资源
C.选择适宜的服药时间可以减少和规避药品不良反应
D.肾上腺皮质激素类药物宜采用早晨一次给药或隔日早晨一次给药
E.降脂药宜清晨服药
37、单项选择题 中心线与地面垂直为()
A.水平投射
B.垂直投射
C.向上投射
D.向下投射
E.倾射投射
38、单项选择题 X线的产生,下述哪项不正确()
A.需要有自由电子群
B.电子群高速由阴极向阳极行进
C.绝大部分(99%以上)动能转变为X线
D.高速电子流突然受到阻挡
E.同时产生了大量的热能
39、单项选择题 下列“Monteggia骨折”诊断要点,哪项不对()
A.桡骨下1/3骨折伴尺骨小头脱位
B.尺骨上1/3骨折伴桡骨头脱位
C.屈曲型骨折,桡骨头向后外方脱位
D.伸直型骨折,桡骨头向前外方脱位
E.前臂旋转功能障碍
40、多项选择题 骨纤维异常增殖症四肢躯干骨病变的X线表现为()
A.囊状膨胀性改变
B.磨玻璃样改变
C.丝瓜瓤(络)状改变
D.虫蚀样改变
E.地图样改变
41、单项选择题 下列支原体肺炎的描述,错误的是()
A.小儿及成人均可患病
B.病变早期可仅有肺纹理增多,边缘模糊
C.血清冷凝集试验在2~3周值较低
D.肺炎支原体肺炎与浸润型肺结核X线表现相似
E.占据一个大叶的支原体肺炎较少见
42、单项选择题 儿童患者,消化道扭转的好发部位在()
A.胃
B.小肠
C.横结肠
D.结肠肝曲
E.乙状结肠
43、单项选择题 下列哪些疾病可以使用X线作为初步检查方法()
A.眼部阳性异物及其定位
B.眼球突出
C.眼部肿瘤
D.眼眶外伤
E.以上均可
44、单项选择题 关于膈肌的叙述,哪项是不正确的()
A.肺气肿时,膈肌下降
B.急性无气肺,膈成为高位
C.通常是左膈比右膈高
D.肺、纵隔肿瘤时,可出现膈肌麻痹
E.大量胸水时,膈影像定位困难
45、单项选择题 下列麻痹性肠梗阻的X线表现中,哪项不正确()
A.若不合并有腹膜炎,则扩张的肠曲互相靠近,肠间隙正常
B.立位可见液平面,但液面多于机械性小肠梗阻
C.多次复查肠管形态改变不明显
D.若合并腹腔内感染,则肠间隙可增宽,腹脂线模糊
E.胃、小肠和大肠等均积气、扩张
46、多项选择题 X线影像变形的叙述,正确的是()
A.被照体平行胶片时,放大变形最小
B.被照体接近中心线时,位置变形较小
C.中心线过被照体部位且垂直胶片,形状变形最小
D.被照体接近中心线时,位置变形较大
E.中心线过被照体部位且垂直胶片,放大变形最小
47、多项选择题 骨骼基本病变的X线表现为()
A.骨质疏松
B.骨质软化
C.骨质破坏
D.骨膜增生
E.软组织肿块
48、单项选择题 静脉注射碘过敏试验,注药后观察反应的常规时间是()
A.3分钟
B.5分钟
C.15分钟
D.25分钟
E.35分钟
49、单项选择题 应力性骨折在发病多长时间内,X线检查可无明显表现()
A.4~6周
B.1~2天
C.3~4周
D.3~4天
E.1~2周
50、单项选择题
女,5岁,左踝疼痛,结合图像,最可能的诊断是()
A.创伤性关节炎
B.退行性骨关节病
C.神经性关节病
D.风湿性关节炎
E.痛风
51、单项选择题
女,45岁,大便习惯改变半年余,粪便变细,黏液血便1个月。结合图像,最可能的诊断为()
A.肠扭转
B.肠套叠
C.降结肠癌
D.肠穿孔
E.降结肠炎
52、单项选择题 X线摄影中,对体位的描述均以解剖学姿势为准。 与解剖学水平面平行的定位线是()
A.听眉线
B.听眦线
C.听眶线
D.听口线
E.听鼻线
53、多项选择题 迷走神经兴奋时可引起()
A.消化道张力增高
B.消化道张力减低
C.胃肠排空加快
D.胃肠蠕动减弱
E.胃肠蠕动增强
54、单项选择题 非放射专业学生教学期间,有效剂量当量不得大于()
A.0.2mSv/年
B.0.3mSv/年
C.0.5mSv/年
D.1.0mSv/年
E.1.5mSv/年
55、单项选择题
女,24岁,脐左旁疼痛2年。体检:脐左上压痛,结合图像,最可能的诊断为()
A.正常表现
B.胃癌
C.轻度胃下垂
D.中度胃下垂
E.重度胃下垂
56、单项选择题
女,61岁,腹痛腹胀2年,结合图像,最可能的诊断为()
A.正常肠圈
B.十二指肠炎
C.降段憩室
D.水平段憩室
E.占位
57、单项选择题
女,36岁,发热,胸痛咳脓痰10余天,胸片如图,最可能的诊断为()
A.左下肺周围型肺癌并空洞形成
B.左下肺脓肿
C.左下肺空洞型肺结核
D.左侧包裹性液气胸
E.急性胃扩张
58、单项选择题 X线产生中,电子从阴极射向阳极所获的能量,由下列哪个因素决定()
A.X线管灯丝加热电压
B.管电流
C.靶物质的原子序数
D.两极间的管电压
E.阴极灯丝的焦点大小
59、单项选择题
男,72岁,胸痛,胸片检查如图,最可能的诊断是()
A.细支气管肺泡癌
B.血行播散型肺结核
C.肺转移瘤
D.结核瘤
E.结节病
60、单项选择题
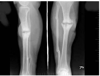
男,16岁,左小腿上端疼痛3个月余,局部肿胀,皮温稍高。结合左胫腓骨正侧位片,最可能的诊断为()
A.急性化脓性骨髓炎
B.骨化性肌炎
C.骨肉瘤
D.成软骨细胞瘤
E.软骨肉瘤
61、单项选择题 属“生理积聚造影方法”的是以下哪种()
A.钡灌肠检查
B.IVU
C.钡餐检查
D.ERCP
E.PTC
62、多项选择题 下列哪些疾病不能使腹脂线肿胀的有()
A.局限性腹膜炎
B.腹外伤
C.急性胆囊炎
D.胃肠道穿孔
E.急性阑尾炎
63、单项选择题 急性化脓性骨髓炎的最大危害是()
A.骨内、外脓肿的形成
B.骨膜下脓肿形成
C.干骺端骨质破坏
D.感染侵入关节
E.死骨形成
64、单项选择题 引起纵隔增宽的病变中,哪类最常见()
A.炎症性
B.出血性
C.肿瘤性
D.淋巴性
E.血管性
65、单项选择题 气管分叉上移,夹角大于90°,见于()
A.右心房增大
B.左心房增大
C.左心室增大
D.肺源性心脏病
E.膈肌上移
66、多项选择题 引起骨质破坏的病变有()
A.骨折
B.骨结核
C.骨髓炎
D.纤维异样增殖
E.骨髓瘤
67、单项选择题 有关照射野的描述,错误的是()
A.X线束入射于被照体的曝光面的大小称照射野
B.摄影时照射野应缩小到能容下被检部位的标度
C.照射野的大小大多用遮线器控制
D.来自中心部分的一条X线为中心线
E.中心线必须垂直于被照体中心
68、单项选择题
女,45岁,寒战、高热1周,WBC:1.8×109/L,胸片如图,应首先考虑()
A.肺结核
B.肺癌
C.肺脓肿
D.肺隔离症
E.大叶性肺炎
69、单项选择题 不属于胸部摄片位置的是()
A.后前位
B.轴位
C.斜位
D.侧位
E.前弓位
70、单项选择题 诊断脑外伤性“颅缝分离”,是指颅缝宽度超过()
A.1mm
B.2mm
C.3mm
D.4mm
E.5mm
71、单项选择题 患者,女,78岁,咳嗽、咳痰1个月余,不发热。胸片见左肺一厚壁空洞,壁厚薄不均,内壁呈结节样,外缘呈分叶状,并见毛刺,门诊行抗炎治疗1周后,复查胸片无明显变化,则最可能诊断是()
A.肺结核
B.肺癌
C.大叶性肺炎
D.小叶性肺炎
E.肺气肿
72、单项选择题 胸片上,肺静脉高压最早出现的影像为()
A.下肺静脉收缩
B.间质性肺水肿
C.上肺静脉扩张
D.下肺静脉收缩
E.上、下肺静脉均收缩
73、单项选择题 左前斜位上,“心后下间隙消失”见于()
A.主动脉扩张
B.左心房增大
C.右心房增大
D.左心室增大
E.右心室增大
74、多项选择题 肾区内高密度钙化影常见于()
A.肾积水
B.肾盂肾盏结石
C.肾脏钙质沉着病
D.肾癌
E.肾动脉瘤
75、单项选择题
患者,男性,40岁,突发腹痛,腹胀逐渐加重,呈阵发性,查肠鸣音亢进,既往有腹部手术史,如图所示,最可能的诊断为()

A.急性腹膜炎
B.胃肠道穿孔
C.急性胰腺炎
D.小肠急性肠梗阻
E.急性阑尾炎
76、单项选择题 关于一侧肺不发育的X线表现,下列哪项是不正确的()
A.患侧胸部密度均匀增高
B.无血管纹理分布
C.心脏纵隔移向患侧
D.两侧胸廓大小形态对称
E.患侧动脉主干发育不良或缺如
77、单项选择题 后前位胸片上,左心膈角区常可见()
A.上腔静脉
B.上肺静脉
C.下腔静脉
D.下肺静脉
E.心包脂肪垫
78、单项选择题 柯氏位摄影,中心线与听眦线夹角是()
A.15°
B.23°
C.37°
D.45°
E.53°
79、单项选择题 有关碘过敏试验的方法,下列哪项是错误的()
A.皮内试验
B.眼结膜试验
C.口服试验
D.肌内注射试验
E.静脉注射试验
80、多项选择题 绞窄性小肠梗阻常见原因()
A.扭转
B.内疝
C.套叠
D.粘连
E.以上都不是
81、多项选择题 影响辐射损伤的因素是()
A.剂量率
B.照射方式
C.照射部位和范围
D.辐射线性质
E.辐射线剂量
82、单项选择题 静脉尿路造影常用对比剂为()
A.硫酸钡
B.泛影葡胺
C.碘化油
D.碘化钠
E.泛影酸钠
83、多项选择题 下列关于肝硬化,正确的描述是()
A.血吸虫性肝硬化,肝裂多增宽
B.肝硬化患者,肝转移癌发生率降低
C.结节性肝硬化有家族倾向
D.肝硬化结节不会癌变
E.肝脏体积可不同程度增大或缩小
84、单项选择题
男,38岁,咳嗽、胸痛3天,胸片如图,最可能的诊断为()

A.右侧少量胸腔积液
B.右侧中量胸腔积液
C.右侧胸膜增厚
D.右下肺炎性病变
E.右下肺不张
85、单项选择题 下列诊断小肠Crohn(克罗恩)病较为特征的X线表现是()
A.多发生于回肠远端
B.“卵石征”
C.“跳跃征”
D.管腔狭窄
E.纵行溃疡
86、单项选择题
女,12岁,咳嗽、低热2月余,结合胸片,最可能的诊断是()
A.血行播撒型肺结核
B.两肺含铁血黄素沉着
C.间质性肺炎
D.支气管肺炎
E.风心二狭
87、单项选择题 下列哪一项不属于脑颅骨()
A.额骨
B.颞骨
C.筛骨
D.下颌骨
E.顶骨
88、单项选择题 有关溃疡性结肠炎的说法中,错误的是()
A.是一种非特异性大肠粘膜的慢性炎症性病变
B.多数学者认为与免疫异常、感染、遗传等因素有关
C.起病多急骤,发展迅速,中毒症状重
D.病变多发生在结肠下段,也可遍及整个结肠甚至末端回肠
E.常发生于青壮年,20~40岁之间
89、单项选择题 在下列病变中,对"输尿管移位"特点描述,错误的是()
A.肾上极肿瘤:输尿管可不移位
B.腹膜后纤维化:输尿管中段向内移位
C.恶性淋巴瘤:输尿管中段向外移位
D.子宫肌瘤:输尿管下段向外移位
E.肾旋转不良:输尿管上段向内移位
90、单项选择题
女,52岁,足跟痛,手指运动僵硬,结合图像,最可能的诊断是()
A.骨质疏松症
B.骨脓肿
C.骨囊肿
D.骨折
E.类风湿关节炎
91、单项选择题 急腹症按病变性质分类,不包括()
A.脏器扭转性
B.肿瘤性
C.穿孔性
D.炎症性
E.损伤性
92、单项选择题 腰椎斜位片,正常椎弓及附件的影像呈""猎狗形""。 椎弓崩裂最好发于()
A.第1腰椎
B.第2腰椎
C.第3腰椎
D.第4腰椎
E.第5腰椎
93、单项选择题 球形肺不张的影像特征是()
A.近肺底的横行条状致密
B.尖端指向肺门的三角形致密影
C.弥漫分布斑片状影
D.一侧肺致密影伴纵隔向患侧移位
E.3~5cm大小肿块影,伴“彗星尾”征
94、单项选择题 氟骨症的主要X线表现为()
A.关节改变
B.骨质疏松
C.骨间断性生长痕
D.骨质软化
E.骨质硬化
95、单项选择题 下列哪种疾病,充盈缺损表现不明显()
A.增生型胃癌
B.胃粘膜下平滑肌瘤
C.结肠息肉
D.溃疡性食管癌
E.增殖型肠结核
96、单项选择题 “短肢型侏儒”可见于()
A.假性软骨发育不全
B.晚发型脊柱骨骺发育不良
C.关节-眼病
D.黏多糖病Ⅶ型
E.致密性骨发育不全
97、单项选择题 下列心脏影像中,哪项不太重要()
A.位置
B.大小
C.形态
D.密度
E.搏动状态
98、单项选择题 对于胸部检查的描述,下列哪项不对()
A.正位胸片,左侧心后膈肌常显示不清
B.对肋骨、钙化的显示,高千伏胸片不及常规胸片
C.侧位深吸气相的肋膈角常呈锐角
D.对肺尖病变,前弓位价值高
E.显示肺纹理、肺内阴影,高千伏胸片不及常规胸片
99、单项选择题 产生连续X线,是由于高速电子作用于()
A.原子核,使之分裂
B.原子内层轨道电子,使之脱出
C.原子外层轨道电子,使之脱出
D.原子的核电场,损失能量而减速
E.靶物质中的自由电子,使之改变方向
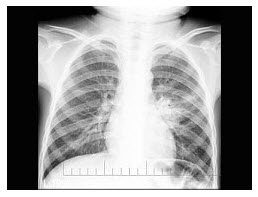
100、单项选择题
男,3岁,咳嗽、低热2周余,不咯血、咳痰,X线检查如图,最可能的诊断是()
A.左肺炎症
B.左肺结核(Ⅰ型)
C.左肺结核(Ⅱ型)
D.左肺结核(Ⅲ型)
E.肺癌
101、单项选择题 下列关于“食管憩室”的描述错误的是()
A.本病多为后天性
B.病因分内压性、牵引性两种
C.牵引性憩室口部较宽
D.内压性憩室呈圆形或乳头状
E.憩室表面无粘膜皱襞
102、单项选择题
男,2岁,关节肿胀,结合图像,最可能的诊断是()
A.肾性骨病
B.黏多糖贮积症
C.维生素D缺乏症
D.维生素C缺乏症
E.维生素D过多症
103、单项选择题 在平片上,关于颅骨血管压迹的描述,正确的哪项()
A.脑膜中动脉压迹:星芒状
B.板障静脉压迹:最常见
C.静脉窦压迹:矢状窦居多
D.偶可见到导静脉影
E.蛛网膜颗粒压迹:冠状缝两侧5cm范围内
104、单项选择题 下列组织中与骨代谢关系最密切的是哪项()
A.垂体
B.甲状旁腺
C.胸腺
D.胰腺
E.脾
105、单项选择题
男,61岁,痰中带血,X线检查如图,最可能的诊断是()
A.结节病
B.右肺癌
C.右肺淋巴结肿大
D.肺转移瘤
E.炎性假瘤
106、单项选择题 肺转移瘤并发自发性气胸,以下列哪种原发肿瘤多见()
A.尤文肉瘤
B.骨肉瘤
C.骨软骨肉瘤
D.滑膜肉瘤
E.骨旁骨肉瘤
107、单项选择题 IVP示肾盏破坏,则可排除下列哪项()
A.肾结核
B.肾盂旁囊肿
C.肾盂肿瘤
D.肾乳头坏死
E.肾腺癌
108、单项选择题 下列慢性肺炎胸片所见,哪项不对()
A.肺纹理增多、紊乱
B.蜂窝状、杵状阴影
C.肿块规则圆形,边缘光整
D.局限性或弥漫性肺气肿
E.肺门影增大,模糊
109、单项选择题 下列疾病中,适用深呼气曝光的是()
A.肺炎
B.肺脓肿
C.肺大泡
D.肺癌
E.肺结核
110、单项选择题 肾动脉沿以下规律分布()
A.肾动脉一肾段动脉一弓形动脉一叶间动脉
B.肾动脉一肾段动脉一叶间动脉一叶间动脉一弓形动脉
C.肾动脉一肾段动脉一弓形动脉一叶间动脉一叶间动脉
D.肾动脉一肾段动脉一叶间动脉一弓形动脉一小叶间动脉
E.肾动脉一肾段动脉一叶间动脉一叶间动脉一弓形动脉一叶间动脉
111、多项选择题 广泛性骨质疏松不常见于哪些情况()
A.豆状骨骨折后
B.绝经后
C.甲状旁腺功能亢进
D.肢端肥大症
E.多发性骨髓瘤
112、多项选择题 早期胃癌浅表型(Ⅱ型)的X线表现为()
A.肿瘤呈类圆形凸向胃腔,高度超过5mm
B.肿瘤表浅、平坦,沿黏膜皱襞及皱襞下层生长
C.形态不规则,多数病变边界清楚
D.三个亚型隆起与凹陷均不超过5mm
E.双重法及压迫法呈不规则颗粒状杂乱影
113、单项选择题
男,38岁,左膝痛,受伤时出血较多,结合图像,最可能的诊断是()
A.白血病
B.血友病性关节炎
C.骨巨细胞瘤
D.退行性骨关节病
E.类风湿关节炎
114、多项选择题 经肾脏排泄的对比剂,注药后尿中浓度的高峰时间是()
A.1~2分钟
B.5~6分钟
C.10~15分钟
D.30~60分钟
E.60~90分钟
115、多项选择题 用X线测量心脏大小目前常用的方法包括()
A.心胸比值
B.心脏横径
C.心脏正面面积
D.心体积测量
E.以上都不是
116、单项选择题 风湿性心脏病主动脉瓣关闭不全的主要表现是()
A.左心房、右心室增大
B.左心室增大
C.右心室肥大
D.右心房、左心室增大
E.右心房增大
117、单项选择题 平静呼吸下屏气,常用于哪个部位的检查()
A.手
B.下肢
C.前臂
D.心脏
E.躯干
118、单项选择题 乳腺癌最常见的病理类型为()
A.髓样癌
B.硬癌
C.乳头状癌
D.小叶癌
E.导管癌
119、单项选择题 女,35岁,右肺上叶后段薄壁空洞,直径3cm,内有较小的液面,空洞周围肺内有渗出病变,右下叶及左肺中下野有多发斑片状渗出影,最可能的诊断是()
A.肺结核病(干酪性肺炎)
B.肺脓肿
C.血源性肺脓肿
D.空洞型肺癌
E.肺霉菌病
120、单项选择题 经肝脏排泄的口服对比剂是()
A.胆影钠
B.碘番酸
C.胆影葡胺
D.泛影葡胺
E.甲泛葡糖
121、单项选择题 第一幅人体头部MR图像是哪1年获取的()
A.1946年
B.1952年
C.1972年
D.1977年
E.1978年
122、单项选择题 软线摄影的管电压范围为()
A.25kV
B.25~40kV
C.40~100kV
D.40~60kV
E.100~200kV
123、单项选择题 正确维护增感屏的方法中,错误的是()
A.防高温防潮湿
B.防阳光曝晒
C.防止水或药液溅入
D.发现灰尘即用口吹清除
E.暗盒应直立放置,避免重压变形
124、多项选择题 骨质破坏的病因包括()
A.炎症
B.病理组织直接浸润
C.肿瘤或瘤样病变
D.肉芽肿
E.病理组织间接引起破骨细胞活动亢进
125、单项选择题 足内斜位摄片时,足底与暗盒的夹角为()
A.0~5°
B.30~45°
C.50~60°
D.70~80°
E.90°
126、单项选择题
女,17岁,左髋部酸胀不适半年,骨盆正位片如图所示,最可能的诊断是()
A.骨髓炎
B.内生软骨瘤
C.骨纤维结构不良
D.骨斑点症
E.以上均不正确
127、单项选择题 返流性食管炎的主要病因,不包括哪项()
A.食管下端括约肌功能减弱
B.膈肌裂孔钳闭作用减弱
C.食管胃之间锐角(His角)变钝或消失
D.食管排空功能及食管粘膜防御机制下降
E.吞服或误服腐蚀剂造成的损伤
128、单项选择题 下列哪项不是亲骨性转移的肿瘤()
A.鼻咽癌
B.肺癌
C.乳癌
D.肾癌
E.皮肤癌
129、单项选择题 关于X线滤过的说法,错误的是()
A.滤过是把X线束中的低能成分吸收掉
B.固有滤过,是指X线管本身的滤过
C.固有滤过用铅当量表示
D.总滤过为附加滤过与固有滤过之和
E.一般对低能量射线采用铝滤过板
130、单项选择题 恶性肿瘤的钙化特点是()
A.钙化比较分散
B.钙化的密度比较一致
C.钙化一般位于肿块内
D.钙化的边界清楚
E.钙化形态比较规则
131、多项选择题 15岁男孩,脐周痛6小时。体检示肠鸣音亢进,大便常规查到蛔虫卵,腹部平片示第1~4组小肠积气、扩张,直肠内有少量气粪影。完整的诊断应包括()
A.单纯性肠梗阻
B.小肠蛔虫病
C.机械性肠梗阻
D.小肠低位梗阻
E.不完全性肠梗阻
132、单项选择题 观察左心房大小的最佳检查方法是()
A.后前位吞钡
B.左前斜位吞钡
C.右前斜位吞钡透视或摄片
D.右侧位
E.左侧位
133、单项选择题
女,15岁,发现大腿远端肿块1周,无明显疼痛,结合图像,最可能诊断是()
A.骨质增生
B.软骨瘤
C.骨肉瘤
D.骨瘤
E.骨软骨瘤
134、单项选择题 室间隔缺损血流动力学的改变首先引起()
A.右心房增大
B.右心室增大
C.左心室增大
D.主动脉扩张
E.肺动脉扩张
135、单项选择题 下列病变多见于骨干的是()
A.骨囊肿
B.骨巨细胞瘤
C.尤文肉瘤
D.软骨肉瘤
E.以上都不是
136、多项选择题 骨髓瘤的X线表现包括()
A.广泛性骨质疏松
B.多发性骨质破坏
C.软组织肿块
D.骨质硬化
E.骨质破坏、骨质硬化并存
137、单项选择题 下列哪种疾病,无单侧膈肌抬高表现()
A.急性脊髓灰质炎
B.带状疱疹病毒感染
C.肺底积液
D.肺梗死
E.胸主动脉瘤
138、多项选择题 有关X线照片对比度的叙述,正确的是()
A.散射线使照片对比度下降
B.照片对比度高才是好照片
C.低管电压技术的X线照片具有良好对比度
D.高电压摄片技术照片影像对比度下降
E.胸部高电压摄片对比度能显示肺纹理的连续追踪
139、单项选择题 X线胸片的中肺野是指()
A.第2~4肋骨最低点之间的区域
B.第2~4前肋下缘之间的区域
C.第2~4前肋上缘之间的区域
D.第2前肋上缘、第4前肋下缘之间的区域
E.第2前肋下缘、第4前肋上缘之间的区域
140、单项选择题 构成肺门阴影的最主要结构是()
A.肺动脉
B.肺静脉
C.支气管
D.神经
E.淋巴组织
141、单项选择题 临床上称作卢滕巴赫(Lutembacher)综合征的先天性心脏病是房间隔缺损(二孔型)合并下列哪种疾病()
A.二尖瓣关闭不全
B.肺动脉狭窄
C.肺静脉畸形引流
D.左上腔静脉畸形发展
E.二尖瓣狭窄
142、单项选择题
男,72岁,喉部异物感2~3天。体检:咽喉部慢性充血,结合图像,最可能的诊断为()
A.正常表现
B.会厌征
C.颈椎退变
D.食管型颈椎病
E.以上都不是
143、单项选择题 关于许氏位摄片的叙述,错误的是()
A.患者头颅呈标准侧位
B.耳廓前折
C.中心线向头侧倾斜25°
D.多用于检查乳突气房
E.中心线入射点为对侧乳突尖上8cm处
144、单项选择题
男,47岁,关节炎病史20年,结合图像,最可能的诊断是()
A.类风湿关节炎
B.痛风
C.骨关节结核
D.牛皮癣性关节炎
E.Reiter综合征
145、单项选择题 腕部外伤,临床上有腕鼻烟窝部压痛及肿胀应考虑()
A.月骨骨折
B.舟状骨骨折
C.三角骨骨折
D.大多骨骨折
E.桡骨远端骨折
146、单项选择题 男,5岁,腹痛,黏液便并偶带血10余天。钡灌肠见乙状结肠远端有1×1cm大小圆形充盈缺损,边缘光滑锐利,有一定活动度。首先考虑的诊断为()
A.结肠息肉
B.结肠息肉恶变
C.结肠癌
D.结肠憩室
E.结肠炎
147、多项选择题 声门上型癌的X线表现包括()
A.会厌和杓会厌襞增厚、肿胀、僵硬
B.声带喉室面局限性隆起
C.喉前庭不规则狭窄
D.假声带区域软组织密度增高
E.喉室变窄、消失
148、单项选择题
患者,男,76岁,食管钡餐造影检查示食管壁张力降低,蠕动减弱,钡剂排空延迟,并在食管中下段见到串珠状充盈缺损影。钡餐检查如下图所示:

A.是门静脉高压的重要并发症
B.常见于肝硬化,发生率高达80%~90%
C.早期有明显的症状
D.呕血为主要症状
E.可伴脾大、脾亢或腹水等
149、单项选择题 消化系统肿瘤转移至肝脏的主要途径是()
A.门静脉
B.肝动脉
C.肝静脉
D.胆管系统
E.下腔静脉
150、单项选择题 哪种疾病可致肾影缩小()
A.重复肾
B.肾脓肿
C.肾积水
D.肾缺血
E.肾肿瘤
151、多项选择题 急性腹膜炎的X线表现有()
A.小肠、大肠充气和淤张
B.腹脂线增宽、密度增高或消失
C.肠壁增厚与肠管活动受限
D.腹肌松弛
E.腹腔积液
152、单项选择题 胸部正位摄片,胸厚测量的正确部位是()
A.第5胸椎水平
B.第6胸椎水平
C.第7胸椎水平
D.第8胸椎水平
E.第9胸椎水平
153、多项选择题 葡萄球菌肺炎的X线征象是()
A.浸润灶
B.肺气囊
C.结节影
D.脓胸或脓气胸
E.增殖灶
154、单项选择题
男,38岁,因左髋关节疼痛跛行1年半,经治疗症状无明显好转,双髋关节正位片摄片如图所示,最可能诊断是()
A.左髋关节结核
B.左股骨头坏死(早期)
C.左股骨头坏死(活动期)
D.左股骨头坏死(稳定期)
E.左髋关节退变
155、单项选择题 慢性化脓性中耳乳突炎单纯型X线表现中,下列说法哪项错误()
A.乳突窦及其周围骨质硬化增生
B.锤骨或砧骨骨质破坏
C.乳突气房透光度减低
D.气房间隔骨质增厚、结构模糊
E.乳突气房外围骨质有明显增生
156、单项选择题 在引起颅骨破坏的疾病中,下列哪种最常见()
A.脑膜瘤
B.血管瘤
C.胶质瘤
D.多发性骨髓瘤
E.眶内肿瘤
157、单项选择题 下列属于关节基本病变的是()
A.炎症
B.关节脱位
C.肿瘤
D.损伤
E.以上都是
158、单项选择题 放射工作人员全身均匀照射时,防止随机性效应的年剂量当量限值是()
A.10mSv/年
B.20mSv/年
C.30mSv/年
D.40mSv/年
E.50mSv/年
159、多项选择题 以下属于软骨内化骨者的是()
A.锁骨两端
B.脊柱
C.躯干
D.面骨
E.四肢骨
160、单项选择题 下列属于肾的正常变异有()
A.马蹄肾
B.海绵肾
C.驼峰肾
D.多囊肾
E.油灰肾
161、单项选择题 椎旁脓肿在哪种脊柱结核中出现的概率最多()
A.腰骶椎结核
B.胸椎结核
C.腰椎结核
D.胸腰椎结核
E.颈椎结核
162、单项选择题 迷走右锁骨下动脉在食管后方的压迹是()
A.由右侧向左上的螺旋形的压迹
B.由右侧向右上的螺旋形的压迹
C.由左侧向左上的螺旋形的压迹
D.由左侧向右上斜行的螺旋形压迹
E.以上都不是
163、单项选择题 下列结构中,哪一种结构无“血脑屏障”()
A.中脑
B.大脑
C.丘脑
D.神经垂体
E.小脑
164、单项选择题 关于“中耳乳突炎”,下列说法哪项错误()
A.乳突气房密度增高
B.乳突房壁增厚、结构模糊
C.气房间隔骨质破坏或硬化
D.气房内充满肉芽组织
E.急性者常有胆脂瘤形成
165、单项选择题 下列有关标准体位的描述,错误的是()
A.人体直立
B.掌心向前
C.两眼向前方平视
D.双上肢下垂置躯干两侧
E.两下肢并拢,足尖外展
166、单项选择题 下列关于造影剂的分类组合,错误的是()
A.硫酸钡——阳性造影剂
B.泛影葡胺——无机碘化合物
C.碘苯酯——碘化油类
D.空气、二氧化碳、氧气——阴性造影剂
E.胆影葡胺——有机碘造影剂
167、单项选择题 可引起纵隔向患侧移位的病变是()
A.慢性纤维空洞型肺结核
B.一侧大量胸腔积液
C.肺脓肿
D.一侧大量气胸
E.大叶性肺炎
168、单项选择题 骨瘤好发部位是()
A.肱骨
B.肋骨
C.胸骨
D.颅骨及颜面骨
E.四肢骨
169、多项选择题 左心房增大可见于()
A.动脉导管末闭
B.单纯继发孔型房间隔缺损
C.膈上型完全性肺静脉异位引流
D.室间隔缺损
E.三尖瓣畸形
170、单项选择题 周围型肺癌所形成的空洞,其X线特征是()
A.厚壁,其内有大液平面,外缘模糊
B.厚壁,偏心性,内壁凹凸不平,无明显液平面
C.薄壁,蜂窝状阴影
D.薄壁,周边光整,大小形态可变化
E.薄壁,其内有大液平面,边缘清晰
171、多项选择题 能使纵隔向患侧移位者()
A.肺不张
B.肺实变
C.广泛胸膜增厚
D.胸腔积液
E.胸膜肿瘤
172、单项选择题 常伴“脊髓空洞症”的疾病是()
A.Moya-Moya病
B.神经鞘瘤
C.Dandy-Walker综合征
D.脊膜瘤
E.室管膜瘤
173、单项选择题 不适于做膀胱造影的对比剂是()
A.碘化钠
B.复方碘化钠
C.泛影葡胺
D.碘化油
E.过滤空气
174、多项选择题 成人幽门梗阻的常见病因有哪些()
A.幽门管溃疡
B.胃窦癌
C.胃粘膜脱垂
D.十二指肠球部溃疡
E.成人幽门肌肥大
175、单项选择题 X线显示成人关节间隙组成包括()
A.骨端和关节腔
B.骨端和关节软骨
C.关节软骨和关节滑液
D.关节软骨、关节腔和关节滑液
E.关节腔和关节滑液
176、单项选择题 关于肺充血,下列哪一项是正确的()
A.肺静脉回流受阻,血液淤滞于肺内
B.透视下可见肺门舞蹈
C.肺野透明度显著减低
D.肺静脉普遍扩张呈模糊条纹状影
E.两肺门影增大,肺门血管边缘模糊
177、单项选择题 下述胰头癌十二指肠曲的X线征象中,错误的是哪一项()
A.球后段出现笔杆征
B.粘膜呈毛刷状尖角状
C.腔边出现反“3”字形改变
D.肠腔内出现充盈缺损
E.肠壁出现双边影
178、单项选择题 关于降低乳腺癌发生危险性的措施中,下列不正确是()
A.实行人工喂养
B.避免不必要的电离辐射
C.青春期适当节制脂肪和动物蛋白质的摄入
D.更年期尽量避免应用雌激素
E.更年期后适当增加体育活动,减少过剩脂肪
179、单项选择题 目前矽肺分期的主要手段为()
A.HRCT
B.高千伏X线胸片
C.薄层胸部CT
D.普通胸部CT
E.正位胸片
180、单项选择题 下列关于基线描述错误的是()
A.Reid基线为眶下缘至外耳道中点的连线
B.上眶耳线为眶上缘至外耳道中点的连线
C.眦耳线为外眦与外耳道中点的连线
D.Reid基线亦称眶耳线
E.前连合后缘中点至后联合前缘中点的连线
181、多项选择题 硬化型骨髓炎的X线表现不包括()
A.骨质硬化增生
B.骨内膜增生
C.骨外膜增生
D.骨脓肿
E.死骨形成
182、单项选择题 不适用高千伏摄影的部位是()
A.胸部
B.脊柱
C.胸腺
D.骨盆
E.消化道
183、单项选择题 Looser带(假骨折线)是诊断下述哪种疾病的可靠征象()
A.Paget病(畸形性骨炎)
B.骨质软化症
C.甲状旁腺功能减退
D.骨纤维异常增殖症
E.石骨症
184、单项选择题 出现下列哪项最应考虑“骨软骨瘤”恶变可能()
A.短期内生长迅速
B.“软骨帽”厚大于10mm
C.明显强化
D.MRI未见“软骨帽”
E.骨膜反应
185、单项选择题 下述哪种疾病仍把X线检查当作首选方法()
A.胃肠道肿瘤
B.颅脑外伤
C.四肢外伤
D.肺部肿瘤
E.泌尿系炎症
186、单项选择题 下述肺淀粉样变性胸部影像,错误的是()
A.单发或多发团块影
B.两肺弥漫小结节影
C.厚壁空洞
D.肺不张
E.淋巴结肿大
187、单项选择题 检查左心房最佳的X线摄片方法是()
A.后前位摄片检查
B.左前斜位摄片检查
C.右前斜位摄片检查
D.右前斜位加食管吞钡摄片
E.左前斜位加食管吞钡摄片检查
188、单项选择题 关于骨质硬化,下列X线表现中哪项错误()
A.骨密度增高
B.骨皮质增厚
C.骨小梁增粗、增密
D.骨髓腔变窄
E.骨轮廓无变化
189、单项选择题 先天性输尿管囊肿最好发部位是()
A.肾盂输尿管移行处
B.输尿管上段
C.输尿管中段
D.输尿管下段
E.输尿管膀胱壁内段
190、多项选择题 单纯性小肠梗阻常见原因是()
A.肠粘连
B.小肠扭转
C.炎性狭窄
D.粘连索带压迫
E.肿瘤
191、单项选择题
女,17岁,背部和正中胸部急性疼痛和带状疱疹感染,结合图像,最可能的诊断是()
A.镰状细胞贫血
B.地中海贫血
C.系统性红斑狼疮
D.类风湿关节炎
E.白血病
192、单项选择题 X线摄影中,对体位的描述均以解剖学姿势为准。 外耳孔与鼻前棘的连线称为()
A.听眦线
B.听眶线
C.听鼻线
D.听口线
E.瞳间线
193、单项选择题 在典型的胃良性溃疡与恶性溃疡鉴别要点中,哪一项是良性溃疡的特征()
A.蠕动减弱
B.粘膜皱襞紊乱
C.龛影位于胃轮廓之内
D.龛影突出于胃轮廓之外
E.局部胃腔狭窄
194、单项选择题 X线能使胶片产生()
A.穿透作用
B.荧光作用
C.感光作用
D.电离作用
E.脱水作用
195、单项选择题 多囊肾为()
A.肾小球的囊状扩张
B.肾淋巴结的囊状扩张
C.肾集合管的囊状扩张
D.肾小盏的囊状扩张
E.肾实质内小静脉的囊状扩张
196、单项选择题 家族性结肠息肉综合征的有关说法,哪项是错误的()
A.为常染色体显性遗传性疾病
B.左侧结肠好发
C.息肉表面粗糙不规则,有分叶者应警惕恶性变
D.结肠无短缩,结肠粘膜常有溃疡形成
E.结肠无激惹征,结肠袋正常
197、多项选择题 肥大性骨关节病最常见于()
A.胫腓骨
B.尺桡骨
C.近节指骨
D.肱骨
E.股骨
198、单项选择题 溃疡型胃癌的X线特点中,哪项是错误的()
A.龛影位于胃轮廓之外,边缘隆起、质硬
B.胃癌向壁内生长,中心形成大溃疡
C.与正常相邻胃壁境界清楚
D.粘膜纠集但中断于环堤外
E.龛影多呈半月形,外缘平直,内缘不整齐
199、单项选择题 下列哪项不是佝偻病的X线征象()
A.骺板先期钙化带不规则变薄、模糊
B.干骺端增宽,中央部凹陷呈杯口状
C.干骺端骨小梁稀疏、粗糙、紊乱呈毛刷状
D.骺板先期钙化带向两旁突出于干骺端之外,形成骨刺样改变即骨刺征(Pelkan征)
E.骨骺骨化中心出现延迟、密度低、边缘模糊
200、单项选择题 如疑似大骨节病的病人,最佳投照体位是()
A.双侧第一跖趾骨正、斜位
B.双侧膝关节正位片
C.双手正位及双踝关节正侧位
D.双侧手腕外展位
E.腰椎正侧位片
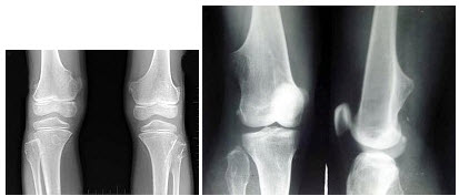
201、单项选择题
男,23岁,膝关节疼痛,结合图像,最可能的诊断是()
A.骨脓肿
B.骨样骨瘤
C.骨肉瘤
D.骨软骨瘤
E.骨囊肿
202、多项选择题 血供丰富的肝转移癌多表现为()
A.供血血管增粗
B.动静脉瘘
C.病理血管
D.肿瘤染色
E.血管受压弯曲
203、多项选择题 主要分布于中纵隔的肿瘤有()
A.心包囊肿
B.霍奇金病(Hodgkindisease,HD.
C.神经源性肿瘤
D.支气管囊肿
E.畸胎瘤
204、多项选择题 常见的空、回肠恶性肿瘤有哪些()
A.腺癌
B.恶性淋巴瘤
C.平滑肌肉瘤
D.类癌
E.纤维肉瘤
205、单项选择题 下列哪种癌组织易形成空洞()
A.腺癌
B.肺泡上皮癌
C.扁平上皮癌
D.大细胞未分化癌
E.小细胞未分化癌
206、单项选择题 下述各项均能在食管上直接形成压迹,但除外()
A.肺动脉
B.主动脉弓
C.左主支气管
D.降主动脉
E.左心房
207、单项选择题 下列哪项,不符合肥厚型心肌病X线表现()
A.心脏可呈主动脉型
B.肺血管纹理常正常
C.心脏增大
D.心脏搏动无特殊,可增强、减弱或正常
E.部分可见左房、右室增大
208、多项选择题 关节间隙是由哪些结构组成()
A.骨性关节面上的软骨
B.关节腔
C.滑膜
D.骨性关节面
E.干骺端
209、单项选择题 “胸片常规位”是指()
A.卧位前后位
B.立位后前位
C.卧位后前位
D.立位前后位
E.右侧位
210、多项选择题 多发性骨软骨瘤出现哪些情况应高度怀疑恶变()
A.软骨帽增厚,发生于长骨者超过1cm
B.钙化软骨帽密度变淡,边界不清
C.瘤体内出现透亮区
D.远处出现转移性病灶
E.30岁以上的患者肿瘤体积突发性增大
211、单项选择题 良性溃疡X线征象中哪项不正确()
A.龛影突出胃壁轮廓之外
B.治疗后好转
C.龛影正面观呈圆形
D.粘膜皱襞通到龛影口
E.胃大弯浅盘状溃疡
212、单项选择题 下列哪种疾病不引起胸椎旁软组织肿胀()
A.胸椎结核
B.胸椎肿瘤
C.强直性脊柱炎
D.嗜酸性肉芽肿
E.以上都不是
213、多项选择题 输尿管的三个生理狭窄包括()
A.肾盂、输尿管连接处
B.膀胱入口处
C.与髂总动脉交叉处
D.平第3腰椎处
E.输尿管与精索交叉处
214、单项选择题 X线平片上,下述蝶鞍影像,属于正常蝶鞍影像的是()
A.桥形蝶鞍
B.鞍背骨质吸收
C.双鞍底
D.蝶鞍扩大
E.鞍内偶可见到钙化影
215、多项选择题 主动脉瘤的X线征象有()
A.纵隔阴影增宽
B.动脉瘤的搏动
C.瘤壁的钙化
D.侵蚀脊柱、肋骨或胸骨
E.心脏呈"主动脉型"改变
216、单项选择题 胆管囊状扩张分为5种类型,其中Ⅰ型为()
A.胆总管囊肿
B.肝内多发性囊肿
C.壁内段胆总管囊状膨出
D.多发性肝内、外囊肿
E.胆总管憩室
217、单项选择题 腕部尺偏位,主要用于检查的是下列哪项()
A.掌骨
B.腕豆骨
C.腕舟骨
D.腕三角骨
E.腕钩骨
218、单项选择题 有关膀胱癌和结石的鉴别,下列错误的是()
A.双重对比造影两者等同
B.癌与结石均不随体位改变而移动
C.膀胱癌浸润膀胱壁,使膀胱壁不光整和硬化
D.膀胱癌的充盈缺损边缘不光整,而结石则光滑
E.X线平片易于诊断结石
219、单项选择题 伦琴发现X线的日期是()
A.1895年11月8日
B.1895年8月11日
C.1901年11月8日
D.1901年8月11日
E.1985年11月8日
220、单项选择题 标准立位胸片,气胸线位于肺野外1/4处,提示患肺压缩率为()
A.10%
B.25%
C.50%
D.75%
E.93%
221、单项选择题 下列关于骨岛的说法中,错误的是()
A.分布于密质骨内
B.边缘较清楚
C.长轴与较粗的骨小梁方向一致
D.密度均匀
E.致密性阴影
222、单项选择题 心脏疾病最重要的病理征象是()
A.心力衰竭
B.心脏和大血管搏动异常
C.大血管改变
D.心脏增大
E.肺部血循环异常改变
223、单项选择题 骨膜增生的X线表现中,无以下哪种形状()
A.垂直状
B.放射状
C.花边状
D.斑点状
E.平行状
224、单项选择题 下列哪种肿瘤转移至椎管内,表现为弥漫性浸润蛛网膜下腔及其邻近神经根()
A.淋巴瘤
B.前列腺癌
C.黑色素瘤
D.髓母细胞瘤
E.室管膜瘤
225、单项选择题 关于胸部摄片的描述,错误的是()
A.左前斜位,冠状面与暗盒成40~45°
B.右前斜位,冠状面与暗盒成45~55°
C.胸正位——冠状面平行暗盒
D.胸侧位——冠状面垂直暗盒
E.前凸位——胸部冠状面与暗盒不小于45°
226、单项选择题 下列有关肝局灶性结节增生的病理描述哪项是错误的()
A.含正常肝细胞
B.含枯否细胞
C.含正常肝小叶结构
D.含血管组织
E.含胆管组织
227、单项选择题 骨膜增生的病因包括()
A.肿瘤
B.骨膜下出血
C.炎症或外伤
D.血管性病变
E.以上都是
228、单项选择题
女,50岁,血便10余年,加重1年(连续出血),近2月大便时肛门常滴鲜血,量较多,X线检查如图,最可能的诊断是()
A.直肠癌
B.直肠绒毛状腺瘤
C.直肠淋巴瘤
D.直肠转移癌
E.直肠结核
229、多项选择题 X线摄片时,应注意中心线的()
A.入射点
B.中心线的能量
C.射入胶片的位置
D.投射的方向
E.入射的角度
230、单项选择题 下述哪种征象可作为直接诊断主动脉瓣狭窄的依据()
A.升主动脉中下段局限性扩张
B.左心室搏动增强
C.左心室肥厚
D.心影呈"主动脉型"
E.主动脉瓣区钙化
231、单项选择题 关于髋关节正位标准片所见,哪项不确切()
A.照片包括髋关节、股骨近端1/3,同侧耻坐骨及部分髂骨翼
B.头位于照片上1/3正中,大粗隆与股骨颈相重叠1/3
C.股骨颈及闭孔无投影变形
D.髋关节骨纹理清晰锐利
E.小髋关节正位必须双侧对比显示
232、单项选择题 右位主动脉弓最常见的伴随异常是()
A.永存动脉干
B.孤立的继发孔型房间隔缺损
C.三尖瓣闭锁
D.非矫正型大动脉转位
E.法洛四联征
233、单项选择题 头颅摄影位置中,经常需要避开颞骨岩部。 瓦氏位是检查以下哪个器官的首选位置()
A.颞骨岩部
B.额窦
C.上颌窦
D.筛窦
E.下颌骨
234、多项选择题 下列疾病中,哪些钙化少见()
A.矽肺
B.肺癌
C.错构瘤
D.慢性肺炎
E.肺结核
235、单项选择题
男,21岁,右腘窝部无痛性肿块2年,质硬,较固定,近期局部出现疼痛。结合右股骨正侧位片,最可能的诊断为()
A.骨化性肌炎
B.软骨肉瘤
C.骨化性纤维瘤
D.皮质旁骨肉瘤
E.肿瘤样钙质沉着症
236、单项选择题 人体X线吸收量主要取决于()
A.待检组织的密度
B.待检组织的厚度
C.待检组织的形状、大小
D.靶-片距
E.以上都不对
237、单项选择题 退行性骨关节病与夏科关节鉴别点为()
A.关节间隙可见游离体
B.关节严重破坏,与症状轻微不符
C.关节变形
D.关节骨质增生
E.关节间隙狭窄
238、单项选择题 中央型肺水肿典型X线征象是()
A.双肺大小不一的弥漫性片状模糊影
B.双肺下野可见KerlerA和B线
C.肺门阴影轻度大而模糊
D.以肺门为中心的蝶翼状阴影
E.局部的肺叶实变阴影
239、单项选择题 关于阳性对比剂的叙述,错误的是()
A.与周围组织相比X线衰减系数大
B.与阴性对比剂相比X线衰减系数大
C.阳性对比剂易被X线透过
D.碘剂和钡剂均为阳性对比剂
E.非离子型对比剂毒性较小
240、单项选择题 许莫结节是指椎间盘()
A.向后突出
B.向椎间孔突出
C.向椎旁突出
D.向椎体内突出
E.向前突出
241、单项选择题 关于胸部摄影,错误的是()
A.两手背置于髋部,双肘内旋的主要目的是避免双臂投影于肺内
B.焦-片距应为180cm
C.应使用滤线器
D.应使用短摄影时间
E.常规站立后前位
242、单项选择题 致密性骨发育不全与石骨症的X线鉴别中哪项是错误的()
A.全身骨骼非均匀性硬化
B.干骺端无致密带
C.末节指(趾)骨远端部分缺如
D.颅缝增宽,前囟不闭
E.下颌角消失
243、单项选择题 关于遮线器的作用,错误的是()
A.显示照射野
B.显示中心线
C.屏蔽多余原射线
D.吸收二次射线
E.让病人尽可能少接受辐射
244、单项选择题
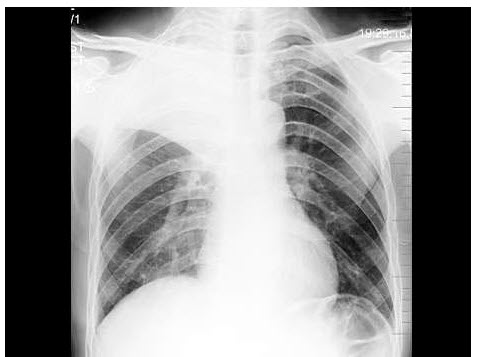
男,69岁,咳嗽,胸痛2月余,胸片检查如图,最可能的诊断为()
A.血行播散型肺结核
B.肺转移瘤
C.两肺炎症
D.细支气管肺泡癌
E.结节病
245、单项选择题 继发性肺结核以渗出浸润为主型的X线表现,下列哪项不正确()
A.散在或较广泛的支气管播散灶
B.肺门淋巴结常增大
C.可见薄壁、张力和纤维空洞
D.病灶为斑片状或云絮状
E.病多位于两肺锁骨上、下区域
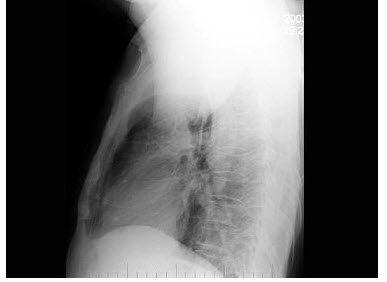
246、单项选择题
患者,女,28岁,轻咳两月,有盗汗。胸片如图:

A.痰细菌培养
B.痰抗酸杆菌检查
C.Kveim氏试验
D.血沉
E.血常规
247、多项选择题 来源于纤维组织的良性骨肿瘤的是()
A.神经纤维瘤
B.韧带样纤维瘤
C.纤维肉瘤
D.非骨化性纤维瘤
E.神经纤维肉瘤
248、单项选择题 颅脑外伤侧位平片显示鼻咽腔顶软组织肿胀常提示()
A.前颅窝骨折
B.中颅窝骨折
C.后颅窝骨折
D.额骨骨折
E.斜坡骨折
249、单项选择题 高血压性心脏病心影呈()
A.二尖瓣型
B.主动脉型
C.横位心
D.滴状心
E.靴形心
250、单项选择题 后前位胸片上,心右缘的构成为()
A.右心室
B.右心房和上肺静脉
C.左心室流出道
D.上腔静脉和右心房
E.上肺静脉
251、多项选择题 下列引起局限性颅骨增生的疾病有()
A.脑膜瘤
B.慢性骨髓炎
C.陈旧性骨折
D.石骨症
E.骨瘤
252、单项选择题 疑消化道穿孔,观察膈下游离气体应摄()
A.左侧卧水平投照
B.右侧卧水平投照
C.仰卧水平投照
D.仰卧后前位
E.站立前后位
253、单项选择题
男,根据其正常骨盆影像图像,判断其最可能的年龄()
A.1岁左右
B.4岁左右
C.7岁左右
D.10岁左右
E.13岁左右
254、多项选择题 恶性肿瘤向肺内转移,最易出现的X线表现有()
A.支气管炎样斑状影
B.弥漫性线状及小颗粒状阴影
C.弥漫性蜂窝状阴影
D.多发肿块影
E.单发大肿块影
255、多项选择题 关于肾盂,正确的说法是()
A.最佳显影时间是注入对比剂后15~30分钟
B.肾盂上连肾大盏,下连输尿管
C.肾盂大部分位于肾门区
D.肾盂形态差异不大
E.肾盂无蠕动
256、单项选择题 下列组合,哪项是不正确的()
A.二尖瓣-左房与左室之间
B.半月瓣-左室与主动脉之间
C.三尖瓣-右房与右室之间
D.肺动脉瓣-右室与肺动脉之间
E.心室-发出静脉
257、多项选择题 肾盂肾炎的X线表现,正确的是()
A.肾影变小
B.肾影边缘光滑
C.肾小盏变形
D.肾盂肾盏可以扩张
E.以上全都正确
258、单项选择题
男,17岁,右腿酸痛、肿胀2个月余。右膝关节平片如下,最可能的诊断为()
A.纤维性骨皮质缺损
B.非骨化性纤维瘤
C.骨化性纤维瘤
D.骨样骨瘤
E.骨巨细胞瘤
259、单项选择题 X线信息影像转换成可见密度影像的介质,不含()
A.屏-片系统
B.影像增强系统
C.电影胶片
D.观片灯
E.荧光屏
260、单项选择题 心脏左前斜位片,心缘后下部的投影是()
A.左心房
B.左心室
C.肺动脉圆锥
D.右心房
E.右心室
261、单项选择题 胸骨角位于哪个连接处()
A.胸骨柄与剑突
B.胸骨体与剑突
C.胸骨柄与胸骨体
D.锁骨与胸骨柄
E.以上都不是
262、单项选择题 经肾脏排泄的离子型对比剂是()
A.胆影葡胺
B.碘帕醇
C.优维显
D.碘苯酯
E.泛影葡胺
263、单项选择题 X线由德国科学家伦琴发现于()
A.1800年
B.1840年
C.1890年
D.1895年
E.1900年
264、多项选择题 脂肪瘤多见于下述哪些部位()
A.颈部
B.肩部
C.背部
D.臀部
E.肾周
265、单项选择题 不属于直接引入法造影的是()
A.胃肠钡餐造影
B.钡灌肠造影
C.逆行肾盂造影
D.静脉肾盂造影
E.子宫输卵管造影
266、单项选择题 下列关于“长管状骨结核”的描述,哪项错误()
A.好发于骨干
B.砂粒样死骨
C.易侵犯关节
D.骨质破坏为主
E.骨膜反应轻微
267、单项选择题 女性,40岁。劳累后心悸、气促。体检:心尖区闻及舒张期隆隆样杂音。胸部正位片示:心影呈梨形,中度增大。显示左心房增大的最佳摄片方法是()
A.正位摄片
B.左前斜位摄片
C.右前斜位摄片
D.右侧位摄片
E.右前斜位加食道吞钡摄片
268、多项选择题 黏多糖贮积症最常见的酸性黏多糖主要有3种,即()
A.硫酸类肝素
B.硫酸皮肤素
C.硫酸角质素
D.硫酸软骨素C
E.硫酸软骨素A
269、单项选择题 肋骨斜位摄片,常用于检查()
A.肋软骨
B.锁骨中线区肋骨
C.腋中线区肋骨
D.肩胛中线肋骨
E.肋骨小头
270、单项选择题 以下选项中,哪项不能提高“图像清晰度”()
A.加大物片距
B.加大焦片距
C.小焦点技术
D.缩短曝光时间
E.使用滤线器、遮光器
271、单项选择题 用“离子型造影剂”做血管造影时,一次用量最多不得超过()
A.3ml/kg体重
B.4ml/kg体重
C.6ml/kg体重
D.2ml/kg体重
E.8ml/kg体重
272、单项选择题 下列哪项属于静脉肾盂造影的禁忌证()
A.肾盂结石
B.膀胱结石
C.尿道狭窄
D.肾动脉狭窄
E.严重血尿
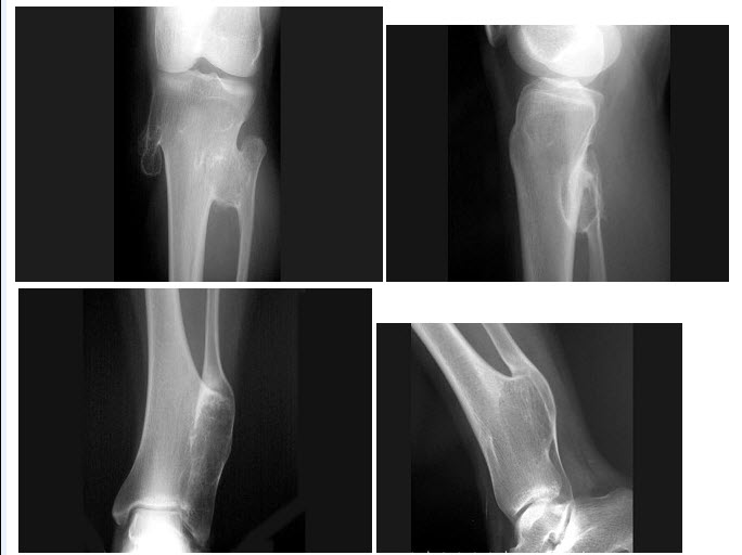
273、单项选择题
患者,男性,39岁,左小腿肿胀、疼痛1个月余,夜间加重。左胫腓骨正侧位片如下,最可能的诊断为()
A.成骨性转移瘤
B.骨肉瘤
C.软骨肉瘤
D.Ewing肉瘤
E.慢性硬化性骨髓炎
274、单项选择题 按波长由短到长排列顺序,下列哪组正确()
A.红外线,紫外线,可见光,无线电波,X线
B.紫外线,可见光,红外线,无线电波,X线
C.无线电波,X线,红外线,可见光,紫外线
D.可见光,红外线,无线电波,紫外线,X线
E.X线,紫外线,可见光,红外线
275、单项选择题 不能用碘化油做对比剂的造影检查是()
A.瘘管造影
B.椎管造影
C.心血管造影
D.支气管造影
E.子宫输卵管造影
276、单项选择题 男,14岁。左大腿下段疼痛,伴高热,体温达39℃。查体:左股骨下段深压痛。 该患者最可能的诊断为()
A.左股骨化脓性骨髓炎
B.左股骨结核
C.左股骨骨瘤
D.左股骨骨肉瘤
E.左股骨囊肿
277、多项选择题 特发性骨质溶解症主要发生在下述哪些部位()
A.腕掌
B.跗跖
C.肘部
D.跖趾
E.掌指
278、单项选择题 骨囊肿的好发部位()
A.长骨干骺端
B.长骨骨端
C.长骨骨干
D.扁骨
E.不规则骨
279、单项选择题 诊断肾下垂,下列哪项检查最合适()
A.腹部卧位平片
B.逆行肾盂造影片
C.静脉肾盂造影后摄立位全尿路X线片
D.腹部立位平片
E.静脉肾盂造影片
280、单项选择题 腹部立位片空肠扩张可见()
A.环形皱襞较多
B.半月状皱襞
C.上腹或上中腹偏右
D.中下腹或下腹偏右
E.环形皱襞较少
281、单项选择题
男,16岁,长期的骨骼肌肉畸形,听力障碍,结合图像,最可能的诊断是()

A.马方综合征
B.成骨不全
C.肾性骨病
D.甲状旁腺功能亢进
E.维生素D缺乏症
282、单项选择题 选择防护材料时,不需考虑的因素是()
A.防护性能
B.运输安全
C.结构性能
D.稳定性能
E.经济成本
283、单项选择题 左前斜位,心脏前缘自上而下依次为()
A.右心房、右心室
B.左心房、左心室
C.左心房、右心室
D.右心房、左心室
E.右心室、左心室
284、单项选择题
关于阴性对比剂的叙述,正确的是()
A.氧气属阳性对比剂
B.氧气比空气更容易获取
C.空气在器官内吸收快
D.CO2不如空气使用安全
E.空气有产生气体栓塞的危险
285、单项选择题 关于支原体肺炎,下列描述哪项正确()
A.抗生素治疗有效
B.血冷凝集试验比值低
C.上肺野分布
D.肺纹增多,网状阴影
E.团块状阴影
286、单项选择题 下列有关尤文肉瘤的叙述中,错误的是()
A.病变好发生于长骨的骨干或干骺端
B.骨髓腔内出现斑片状骨质破坏
C.骨膜呈葱皮样改变
D.破坏区周围常有反应性骨质增生硬化
E.并非少见
287、单项选择题 与剑突至肚脐连线的中点处于同一平面的椎体是()
A.第1腰椎
B.第2腰椎
C.第3腰椎
D.第4腰椎
E.第5腰椎
288、单项选择题
女,65岁,腰背部疼痛,僵硬半年余,结合影像学检查,最可能的诊断是()
A.脊椎肿瘤
B.椎体压缩性骨折
C.化脓性脊柱炎
D.强直性脊柱炎
E.脊椎退行性变
289、单项选择题 下列哪项不是左心衰竭的X线表现()
A.肺静脉扩张
B.肺淤血
C.上腔静脉影增宽
D.肺泡性肺水肿
E.胸腔积液
290、单项选择题 男,63岁,进行性吞咽困难1月。食管钡餐示:食管下段粘膜不规则充盈缺损,管腔狭窄,贲门扩张欠佳。 最可能的诊断是()
A.食管下段炎症
B.食管下段溃疡侵及贲门
C.食管下段癌侵及贲门
D.食管下段静脉曲张
E.以上都不对
291、单项选择题 支气管充气征不见于下列哪种病变()
A.肺脓肿
B.淋巴瘤
C.炎性假瘤
D.大叶性肺炎
E.肺腺癌
292、单项选择题 正确选择乳突梅氏位的摄影角度,应是()
A.双25°
B.双35°
C.双45°
D.双55°
E.双65°
293、多项选择题 诊断“颅底凹陷症”,常采用下列哪些骨性标准()
A.听鼻线
B.Chamberlain线
C.McGregor线
D.眶耳线
E.二腹肌沟线
294、多项选择题 下列疾病好发于前纵隔的有()
A.胸膜心包囊肿
B.纵隔畸胎瘤
C.胸腺瘤
D.神经源性肿瘤
E.淋巴瘤
295、多项选择题 肺转移瘤中呈小结节及粟粒病变者多见于()
A.肝癌转移
B.胰腺癌转移
C.绒毛膜上皮癌转移
D.成骨肉瘤转移
E.甲状腺癌转移
296、单项选择题 胸部摄影条件的选择,下述错误的是()
A.选择180cm的摄影距离
B.选择0.05~0.01s的摄影时间
C.选择100~125kVp的高电压摄影技术
D.同厚度的桶状胸与正常人胸部摄影相比要适当增加曝光条件
E.要考虑胸部疾患病理变化
297、单项选择题 腰椎斜位标准片所见,错误的是()
A.第1~5腰椎及腰骶关节呈斜位,于照片正中显示
B.各椎弓根投影于椎体正中或前1/3处
C.各椎弓根投影于椎体后1/3处
D.椎间隙显示良好,第3腰椎上下面的两侧缘应重合
E.与椎体相重叠的椎弓部结构,应显示清晰
298、单项选择题 关于照片锐利度的叙述,错误的是()
A.不锐利的照片有漏掉病灶的可能
B.不锐利的照片影像边界不清
C.不锐利的照片易出现误诊
D.锐利度是模糊度的反义词
E.被照体越靠近胶片,影像越不锐利
299、单项选择题 风湿性心脏病二尖瓣狭窄与二尖瓣关闭不全的鉴别点在于后者有()
A.肺淤血
B.左心室增大
C.肺动脉段膨隆
D.肺循环高压
E.左心房增大明显
300、单项选择题
男,14岁,偶然发现双膝部肿块1天,双膝关节摄片如图,最可能的诊断是()
A.骨瘤
B.骨软骨瘤
C.局限性骨皮质增厚
D.软骨肉瘤
E.以上均不正确