时间:2025-02-11 07:48:44


1、单项选择题
女,54岁,腰背部隐痛不适1月余,根据所示图像,最可能的诊断是()
A.左侧单纯性肾囊肿,右肾未见异常
B.左侧肾盂积水合并右侧肾血管平滑肌脂肪瘤
C.左侧单纯性肾囊肿合并右侧肾癌
D.左侧肾盂积水合并右侧肾癌
E.左侧单纯性肾囊肿合并右侧肾血管平滑肌脂肪瘤
2、单项选择题 螺旋CT扫描与传统CT扫描相比最重要的优势是:()?
A.扫描速度快?
B.取样速度快?
C.重建速度快?
D.体积扫描?
E.单层连续扫描??
3、单项选择题 下列CT影像实际分辨率最高的是()
A.显示野25cm,重建矩阵512×512,显示矩阵1024×1024
B.显示野25cm,重建矩阵320×320,显示矩阵1024×1024
C.显示野12.5cm,重建矩阵512×512,显示矩阵512×512
D.显示野12.5cm,重建矩阵320×320,显示矩阵512×512
E.显示野12.5cm,重建矩阵320×320,显示矩阵1024×1024
4、单项选择题
根据所提供的图像,最可能的诊断()
A.骨结核
B.多发性骨转移
C.骨血管瘤
D.退行性变
E.骨质疏松
5、单项选择题
男,36岁,胸痛半月伴发高热,胸片发现占位性病变,CT检查如图,最可能的诊断为()
A.左下肺肺脓肿
B.左下肺癌并空洞形成
C.左侧胸腔积脓
D.左下肺囊肿
E.左下肺肺炎
6、多项选择题 肝癌的特征性CT表现为()
A.门脉瘤栓
B.病灶边缘明显高低不平,强化持续时间很短
C.边缘不清,灶内有气体或增强出现坏死
D.灶周无水肿带、边缘强化出现“牛眼”征
E.边缘清晰无强化
7、单项选择题 颈内静脉二腹肌淋巴结属于()
A.颈下淋巴结
B.颌下淋巴结
C.颈深淋巴结上组
D.颈深淋巴结中组
E.颈深淋巴结下组
8、单项选择题 下列脊柱病变中,椎间盘破坏发展最快的是()
A.强直性脊柱炎
B.结核
C.化脓性骨髓炎
D.布氏杆菌病
E.伤寒
9、单项选择题 动脉瘤样骨囊肿多见于哪个年龄段()
A.20岁以下
B.20~30岁
C.30~40岁
D.40~50岁
E.50岁以上
10、单项选择题 真菌性鼻窦炎的CT征象()
A.窦腔内可见软组织密度影,其内可见散在斑片状或沙粒状钙化
B.增强不明显
C.气-液平面多见
D.积液多见
E.多为双侧
11、单项选择题 下列疾病中,可以发生交通性脑积水的是()
A.桥小脑角肿瘤
B.先天性中脑导水管狭窄
C.脑膜炎
D.松果体瘤
E.小脑胶质瘤
12、多项选择题 空洞为主型的继发性肺结核CT征象为()
A.肺段或肺叶高密度阴影,内可见单个或多个空洞
B.病变同侧和对侧肺野内散在新旧不一的支气管播散病灶
C.空洞病灶周围有较多的条索状致密影,并常见钙化
D.肺纹理粗乱扭曲,可见支气管扩张征象
E.常伴较明显的胸膜肥厚及相应部位的胸廓塌陷
13、单项选择题 下列不必进行增强扫描的是()
A.鉴别纵隔内结构
B.鉴别血管肿块淋巴结
C.大血管畸形
D.肺肿块合并肺不张
E.畸胎瘤
14、多项选择题 化脓性脑膜炎的CT表现是()
A.脑室系统扩大
B.脑内不规则形低密度区
C.软脑膜、蛛网膜可见线形强化
D.基底池及脑沟显影模糊
E.颅骨内板下新月形低密度区
15、单项选择题 Budd-Chiari综合征的主要病理改变是()
A.肝静脉阻塞
B.肝动脉阻塞
C.第一肝门阻塞
D.门静脉阻塞
E.胆管阻塞
16、单项选择题 若考虑上述诊断则可能的分型是()
A.主动脉夹层(DeBakeyⅠ型或Ⅱ型)
B.主动脉夹层(DeBakeyⅡ型)
C.主动脉夹层(DeBakeyⅢ型)
D.主动脉夹层(StanfordB型)
E.无法确定
17、多项选择题
男,17岁,根据所示图像,最可能的诊断是()
A.考虑为右肾血管平滑肌脂肪瘤
B.考虑为右肾胚胎瘤
C.考虑为右肾肉瘤
D.考虑为黄色肉芽肿性肾盂肾炎
E.合并肺、肌肉转移
18、单项选择题 颌面外伤CT检查,最好选用下列哪种方法()
A.轴位、冠状位、软组织窗和骨窗
B.轴位、冠状位平扫和增强扫描
C.轴位、软组织窗和骨窗
D.冠状位、软组织窗和骨窗
E.轴位平扫和增强扫描
19、单项选择题
患者70岁,女性,背痛,如图所示,最可能诊断为()
A.转移
B.骨髓瘤
C.疲劳骨折
D.骨质疏松症
E.以上都不是
20、单项选择题
男,39岁,进行性消瘦、肝区不适、皮肤巩膜黄染2月,乙肝全套:HbsAg(+),Anti-Hbe(+),Anti-HbcIgG(+),肝功能及AFP均正常,CT检查如图,最可能的诊断是()
A.肝脓肿
B.肝血管内皮瘤
C.肝血管瘤
D.胆管细胞癌
E.肝淋巴管瘤
21、单项选择题
女,37岁,产后10天,出现剧烈头痛头昏伴神志不清2天,根据所提供图像,最可能的诊断是()

A.右侧蛛网膜下腔出血
B.右侧脑膜脑炎
C.右侧硬膜下血肿
D.右侧脑梗死
E.右侧静脉窦血栓形成
22、单项选择题
结合肺段模式图,右肺下叶的组成是()



A.G+H+I+J
B.F+G+H+I+J
C.E+F+G+H+I+J
D.D+E+F+G+H+I+J
E.C+D+E+F+G+H+I+J
23、单项选择题
男,63岁,咽喉部不适约1年,近两个月经常咳嗽,痰中带有血丝,CT如图所示,最可能的诊断是()
A.梨状窝癌
B.声门型喉癌
C.声门下型喉癌
D.声门上型喉癌
E.混合型喉癌
24、单项选择题 关于门静脉瘤栓的描述,不正确的是()
A.平扫时瘤栓密度与门静脉无大差异
B.巨块型肝癌形成门脉瘤栓的比例最高
C.若门静脉分支直径大于主干,则提示分支有瘤栓形成
D.增强扫描瘤栓呈低密度充盈缺损
E.可向两端延伸至肝内和(或)肠系膜上静脉
25、多项选择题 扩张型心肌病应与下列哪些疾病鉴别()
A.心肌梗死
B.心包积液
C.风湿性心脏病
D.三尖瓣下移
E.以上都不对
26、单项选择题
如图所示,患儿的最可能的诊断是()
A.骨髓炎
B.尤文肉瘤
C.骨肉瘤
D.软骨肉瘤
E.以上都不是
27、单项选择题 在轴位图像上视神经直径为()
A.3~4mm
B.5~7mm
C.8~10mm
D.11~13mm
E.2~3mm
28、多项选择题 肾囊肿常用的放射诊断方法是()
A.腹部平片
B.逆行尿路造影
C.静脉尿路造影
D.肾脏CT检查
E.以上都不是
29、单项选择题 女,40岁,头部外伤4小时,CT示侧脑室旁白质、胼胝体压部、大脑脚散在斑点样高密度影,提示有可能是()
A.脑出血
B.蛛网膜下腔出血
C.丘脑出血
D.脑穿通伤
E.脑白质剪切伤
30、单项选择题 鞍区旁最常见的肿瘤是()
A.血管瘤
B.胶质瘤
C.神经鞘瘤
D.转移瘤
E.淋巴瘤
31、单项选择题
男,25岁,外伤后行CT检查,最可能的诊断为()
A.脑膜瘤
B.脑挫裂伤
C.蛛网膜下腔出血
D.硬膜下血肿
E.硬膜外血肿
32、单项选择题 急性胰腺炎,CT发现肿大胰腺周围出现气体影则提示()
A.消化道穿孔
B.肠麻痹
C.脓肿形成
D.肠梗阻
E.以上均不是
33、单项选择题
患者第一肋骨切除术后,最可能的诊断为()
A.血胸
B.气胸
C.血气胸
D.肿瘤复发
E.以上都不是
34、多项选择题
该病人突发胸部疼痛,进行性呼吸困难,行X线片检查,提示右下肺病变,急诊CT平扫加增强,如图所示()
A.X线片示右下肺实变影
B.SCT增强扫描示右侧肺动脉主干完全性充盈缺损
C.右肺动脉开口处见不规则软组织密度影
D.考虑为右侧肺动脉(中央性)栓塞
E.考虑为右侧肺癌
35、单项选择题
术前检查中发现团块性病灶,最可能的诊断是()
A.癌
B.神经纤维瘤
C.动脉瘤
D.以上都有可能
E.以上都不是
36、单项选择题
男,50岁,患乙肝多年,现腹胀,右上腹痛,消化不良,消瘦、乏力、贫血、黄疸,血清转氨酶升高,白蛋白/球蛋白比值倒置。CT检查如下图,最可能的诊断是()
A.肝硬化、肝癌
B.肝硬化、腹膜后淋巴结肿大
C.肝硬化、肝癌、腹膜后淋巴结肿大
D.肝硬化、门脉高压、脾大
E.肝硬化、脾大
37、单项选择题 与骨样骨瘤的CT表现不符的是()
A.圆形或类圆形的境界清晰的低密度灶
B.瘤巢中可有不规则钙化周围环绕低密度晕环
C.瘤巢增强后中度强化
D.瘤巢周不同程度的反应性骨增生可致瘤巢被隐匿
E.邻近骨膜增生
38、单项选择题
女,58岁,上腹部疼痛半月,无畏寒、发热、黄疸等症状,CT检查如图,最可能的诊断是()
A.慢性胆囊炎
B.胆囊癌(胆囊壁增厚型)
C.胆囊腺肌增生症
D.胆囊息肉
E.胆囊转移癌
39、单项选择题
女,45岁,急性右上腹剧痛2小时,向右肩放射,影像检查如图,最可能的诊断为()

A.急性胆囊炎
B.慢性胆囊炎
C.胆囊穿孔
D.胆囊腺肌增生症
E.胆道梗阻
40、单项选择题 女,63岁,突然出现剧烈头痛6小时,伴呕吐无发热,无高血压病史,右侧瞳孔对光反射消失,上眼睑下垂,眼球向上、下及内侧运动受限,颈项强直,克氏征阳性。CT示右大脑外侧裂,枕大池呈高密度影。 该患者受累的脑神经是()
A.右侧滑车神经
B.右侧三叉神经
C.右侧动眼神经
D.右侧展神经
E.右侧面神经
41、多项选择题 有关视网膜母细胞瘤描述正确的有()
A.儿童常见
B.成人多见
C.多为单眼发生
D.有家族遗传史
E.易侵入颅内
42、单项选择题 关于肾淋巴瘤的CT表现,错误的是()
A.无肿块的双侧肾肿大
B.肾内有多发结节或局灶性结节
C.肾无功能
D.结节常钙化
E.单发局灶性不规则的肾实质肿块
43、多项选择题 Freeny的肝血管瘤CT诊断三条标准为()
A.随时间迁延,强化程度逐渐下降
B.延迟扫描病灶呈等密度
C.强化由周边向中央扩展
D.平扫,低密度病灶
E.增强早期,边缘明显强化
44、多项选择题 膀胱癌的CT表现有哪些()
A.膀胱壁突入腔内的软组织密度肿块
B.肿块大小不等,呈结节、分叶或菜花状
C.肿块密度常均匀,少数可见点状钙化
D.部分膀胱癌无明确肿块
E.增强延迟扫描表现为充盈缺损
45、单项选择题 矩阵256显示野6.4cm与矩阵512显示野12.8cm,两种图像的像素大小()
A.相等
B.前者较后者大
C.前者较后者小
D.前者1mm,后者2mm
E.前者0.25mm,后者0.125mm
46、单项选择题 RBL是指()
A.眶下线
B.听眉线
C.听眦线
D.听鼻线
E.听眶线
47、单项选择题 道格拉斯窝少量积液时,可延伸至()
A.网膜囊
B.直肠旁隐窝
C.坐骨直肠窝
D.左结肠旁沟
E.右结肠旁沟
48、单项选择题
女,50岁,左下颈部扪及一质软、表面光整的包块,逐渐增大,现感疼痛,CT如图所示,最可能的诊断是()

A.甲状腺癌
B.食管癌
C.喉癌
D.甲状腺原发淋巴瘤
E.颈部神经鞘瘤
49、多项选择题 与X线平片比较,CT显示以下哪一种骨的病变较好()
A.尺骨
B.腕骨
C.股骨
D.跖骨
E.骨盆
50、单项选择题 2岁女性,右侧眼突1个月。CT示右眼球内团块状钙化。视神经增粗,周围有软组织密度阴影,最可能的诊断是()
A.脑膜瘤
B.甲状腺性突眼
C.黑色素瘤
D.视网膜血管瘤
E.视网膜母细胞瘤
51、单项选择题 听鼻线与同侧听口线的夹角为()
A.5°
B.10°
C.13°
D.18°
E.22°
52、单项选择题
女,12岁,自幼右侧听力丧失,CT检查如图,下列说法错误的是()
A.右侧外耳道闭锁
B.右侧外耳道不发育
C.右侧慢性化脓性中耳炎
D.右侧乳突为板障型
E.应诊断为先天性外耳道畸形
53、单项选择题 关于胰腺CT断面解剖论述错误的是()
A.胰腺位于腹膜后肾前间隙中,前为腹膜壁层,后为肾前筋膜
B.胰体、尾层面高于胰头,钩突最低
C.正常胰头宽径最大范围不应超过同层面上椎体的横径
D.胰颈位于胰头、体之间,肠系膜动脉前方,前缘可见边缘凹入
E.胰头在十二指肠内呈圆形或分叶状,下腔静脉在其后方,这是确定胰头的标志
54、多项选择题 典型肝脓肿CT可表现为()
A.病灶呈圆形或椭圆形低密度
B.中心区域CT值略高于水而低于正常肝组织
C.密度均匀或不均匀
D.病灶周围往往出现不同密度的环形带
E.环状结构呈不同程度的增强
55、单项选择题 肺隔离症的CT表现,错误的是()
A.多为类圆形肿块灶
B.多位于左下叶后基底段
C.早期明显强化
D.病变实质密度,不含气
E.边缘清晰
56、单项选择题
根据所提供图像,最可能的诊断是()
A.骨髓炎
B.骨肿瘤
C.外伤
D.肺癌
E.结核
57、单项选择题 下列选项中,“强化程度最高”的脑肿瘤是()
A.Ⅰ级星形胶质瘤
B.转移瘤
C.胆脂瘤
D.脑膜瘤
E.表皮样囊肿
58、单项选择题
如图所示,该病的鉴别诊断包括以下所有的,除哪项以外()
A.腺癌
B.Hamoudi瘤
C.囊腺瘤
D.胰腺导管内乳头状黏液性肿瘤
59、单项选择题 患者头痛3年。CT示右小脑桥脑角有一3cm×5cm囊实性占位性病变跨越到鞍旁,实性部分增强,内听道正常。最大可能是()
A.听神经瘤
B.三叉神经鞘瘤
C.转移瘤
D.胶质瘤
E.表皮样囊肿
60、多项选择题 下列选项中,“二快一慢”肝脏增强技术的是()
A.快速扫描
B.慢速扫描
C.延迟扫描
D.慢速注射
E.快速注射
61、单项选择题
男,28岁,胸闷1周,胸部CT如图,最可能的诊断为()
A.间皮瘤
B.肺癌
C.包裹性积液
D.肺炎性假瘤
E.肺肉瘤
62、单项选择题 以下CT表现哪项不支持支气管囊肿的诊断()
A.肿物呈卵圆形
B.肿物密度均匀,CT值45~60HU
C.肿物均匀轻度增强
D.肿物边缘光滑锐利
E.肿物内无气体影
63、单项选择题 关于脾转移癌的说法,错误的是()
A.单发或多发低密度区
B.转移途径为血行和种植性转移
C.偶见钙化
D.脾血管丰富转移癌多见
E.脾转移癌多为少血供肿瘤
64、单项选择题
男,36岁,上腹部胀痛,CT检查如图所示,最可能的诊断是()
A.肝转移癌
B.肝癌
C.多囊肝
D.肝脓肿
E.肝囊虫病
65、多项选择题
关于膀胱癌的诊断,下列哪些说法正确()
A.膀胱癌的诊断主要靠膀胱镜检查
B.超声检查作为对膀胱癌筛选和诊断的首选影像学检查方法,但判断分期欠佳
C.CT检查、MRI检查常用于膀胱癌术前分期,后者鉴别T3a、T3b更敏感
D.尿路造影用于了解双侧肾功能情况
E.膀胱造影、血管造影一般较少应用
66、多项选择题 恶性肿瘤中不常有骨膜反应的是()
A.纤维肉瘤
B.原发网状细胞肉瘤
C.尤文肉瘤
D.骨肉瘤
E.溶骨性骨转移瘤
67、单项选择题 下列CT表现中,不支持颅内表皮样囊肿诊断的是()
A.病变位于桥-小脑角,相邻岩骨有侵蚀吸收
B.病变外形不规则,沿脑池“塑形”生长
C.病变呈明显环形强化,内部可见分隔
D.相邻脑白质水肿改变不明显
E.CT平扫,病变内呈水样不均密度
68、多项选择题 对于肝脏CT解剖,描述正确的有()
A.肝静脉进入下腔静脉的部位称为第二肝门,约平第3腰椎
B.肝静脉分为肝右、肝左、肝中静脉三支
C.肝静脉支走行于肝脏叶或段间裂内,可以用肝静脉划分肝叶、肝段
D.胸主动脉的左后方有半奇静脉,右后方有奇静脉,奇静脉的前方有胸导管
E.第二肝门的左侧可见食管影,食管后方为胸主动脉
69、单项选择题 决定空间分辨率的主要因素是()
A.扫描方式
B.有效视野
C.重建矩阵
D.显示矩阵
E.探测器数目
70、单项选择题 40岁,女性,体检发现肾占位,平扫CT值-80HU,增强扫描无明显强化,超声为强回声,应首先考虑()
A.肾囊肿
B.肾腺癌
C.肾结核
D.肾脓肿
E.肾血管平滑肌脂肪瘤
71、单项选择题 男,52岁,呼吸困难伴咳嗽1年余,逐渐加重,无咳痰,轻度杵状指。HRCT示双侧中下肺毛玻璃状斑片影伴细网状影,最可能的诊断是()
A.支气管肺炎
B.特发性肺间质纤维化
C.肺炎型肺泡癌
D.过敏性肺炎
E.成人呼吸窘迫综合征
72、单项选择题
男,55岁。突发胸痛就诊。胸部动脉CT造影如下图,可诊断为()
A.主动脉瘤
B.主动脉夹层(DeBakeyⅠ型)
C.主动脉夹层(DeBakeyⅡ型)
D.主动脉夹层(DeBakeyⅢ型)
E.主动脉血栓
73、单项选择题 关于子宫肌瘤的CT表现,下列哪项说法是错误的()
A.子宫分叶状增大或呈外突的实性肿块
B.宫旁脂肪层多存在
C.肌瘤坏死可形成囊性低密度区
D.增强扫描实性肿块不增强
E.长期存在的肌瘤可发生钙化
74、单项选择题
男,79岁,久病卧床,胸痛,呼吸困难,结合CT图像,最可能的诊断是()
A.肺栓塞
B.支气管哮喘
C.金黄色葡萄球菌感染
D.肺动脉恶性间叶瘤
E.纵隔淋巴瘤
75、单项选择题 10岁以下儿童最常见的颅内恶性肿瘤是()
A.星形细胞瘤
B.室管膜瘤
C.淋巴瘤
D.血管母细胞瘤
E.髓母细胞瘤
76、多项选择题 肾上腺腺瘤的CT表现为()
A.密度均匀的类圆形实性肿块
B.边缘光滑、清晰,与肾上腺相连
C.常可见条或斑片状钙化
D.常因含有脂类而呈低密度
E.增强扫描呈轻度强化
77、单项选择题 喉癌中伴淋巴结转移者多见于下列哪种疾病()
A.假声带癌
B.声门下癌
C.声带癌
D.声门上癌
E.喉室癌
78、单项选择题
女,40岁,腹痛、腹泻、脓血便、里急后重,结合图像,最可能的诊断是()
A.假膜性肠炎
B.结肠克罗恩病
C.结肠结核
D.慢性溃疡性肠炎
E.结肠淋巴瘤
79、单项选择题 肾血管疾病不包括()
A.肾动脉硬化
B.肾静脉栓塞
C.肾静脉硬化
D.肾动脉梗死
E.肾梗死
80、单项选择题 关于灰阶与CT值关系的叙述,正确的是()
A.高CT值部分被转换为黑色
B.高CT值部分被转换为白色
C.X线衰减越大,转换成灰阶后颜色越深
D.图像中X线未被衰减,将显示为白色图像
E.改变窗宽,也可改变被显示物体的CT值
81、单项选择题
女,18岁,左锁骨部疼痛、肿胀,无发热,结合图像,最可能的诊断是()
A.骨囊肿
B.骨肉瘤
C.尤文肉瘤
D.骨巨细胞瘤
E.动脉瘤样骨囊肿
82、单项选择题
女,9岁,视力下降1月余,CT检查如图,最可能的诊断为()

A.胶质瘤
B.脑膜瘤
C.脊索瘤
D.垂体瘤
E.颅咽管瘤
83、多项选择题
男,45岁,心悸气促乏力,下肢肿胀半年余,胸部CT如图,最可能的诊断是()
A.考虑为缩窄性心包炎
B.心包钙化显著时也可称之为“盔甲心”
C.心包钙化多见于结核
D.X线、CT为常用检查方法
E.MRI显示增厚的心包较X线、CT优越,但显示心包钙化不敏感
84、单项选择题
男,72岁,右上腹痛1月,AFP阴性,无乙肝病史,CT扫描如图,最可能的诊断是()
A.肝脓肿
B.肝转移癌
C.原发性肝癌
D.肝血管瘤
E.胆管细胞癌
85、单项选择题 多血供性肝转移者,原发灶常为()
A.肺癌
B.胃腺癌
C.结肠癌
D.肾癌
E.乳腺癌
86、单项选择题
男,50岁,中上腹饱胀、疼痛半年,消瘦,结合图像,最可能的诊断是()
A.淋巴瘤
B.胃腺瘤
C.胃癌
D.胃窦溃疡梗阻
E.胃平滑肌瘤
87、单项选择题 冠状动脉管状狭窄是指狭窄长度为()
A.5~10mm
B.5~15mm
C.10~15mm
D.10~20mm
E.15~25mm
88、单项选择题 男,50岁,腹部不适。CT示胰腺略小,胰管轻度扩张,可见较多细小钙化灶,最可能的诊断是()
A.胰腺癌
B.慢性胰腺炎
C.急性胰腺炎
D.胰腺结核
E.动脉硬化钙化
89、单项选择题
女,45岁,右耳听力下降半年余,CT检查如图,最可能的诊断是()

A.继发性胆脂瘤
B.脑膜瘤
C.三叉神经瘤
D.原发性胆脂瘤
E.听神经瘤
90、单项选择题
患者右臀疼痛,影像检查如图所示,最可能的诊断是()
A.骨软骨瘤
B.骨梗死
C.骨样骨瘤
D.骨折
E.以上都不是
91、单项选择题
女,18岁,左侧膝部疼痛2月余,夜间加重,结合影像学检查,最可能的诊断是()
A.化脓性骨髓炎
B.成骨性骨转移瘤
C.骨肉瘤
D.骨巨细胞瘤
E.骨纤维肉瘤
92、多项选择题 CT扫描常见的伪影有()
A.环形伪影
B.放射状伪影
C.月牙状伪影
D.条纹状伪影
E.以上全不是
93、单项选择题 下列关于假囊肿型腹膜后脂肪肉瘤的描述,正确的是()
A.肿瘤坏死液化形成类似水密度
B.肿瘤中的黏液性组织成分类似水密度
C.脂肪组织的部分容积效应类似水密度
D.是各型中分化程度最低的脂肪肉瘤
E.以上都不对
94、单项选择题 与MRI比较,CT显示以下哪种病变较好()
A.黄韧带钙化
B.脊髓受压
C.脊髓水肿
D.骨髓水肿
E.后纵韧带撕裂
95、单项选择题 下面关于四肢骨关节及软组织CT扫描技术的叙述错误的是()
A.双手及腕关节的扫描采用俯卧位
B.双肩关节、胸锁关节的扫描采用仰卧位
C.双膝关节、踝关节和下肢长骨的扫描采用俯卧位
D.双足扫描时应仰卧
E.双髋关节及股骨上段的扫描采用仰卧位
96、多项选择题 男,63岁,右侧听力下降半年,CT示右侧桥脑小脑脚区略低密度病灶,脑干轻度受压。下列哪些是正确的()
A.,病灶临近脑池的改变对鉴别诊断具有重要价值
B.病灶临近脑池的改变对听神经瘤与脑膜瘤的鉴别有意义
C.内听道有无扩大对听神经瘤与脑膜瘤的鉴别有意义
D.岩骨有无增生对听神经瘤与脑膜瘤的鉴别有意义
E.有无强化对听神经瘤与脑膜瘤的鉴别有重要意义
97、单项选择题 以下哪项对Conn综合征(原发性醛固酮增多症)描述不当()
A.由于各种原因引起的醛固酮过多所致
B.腺瘤所致Conn综合征约占1/3
C.以高血压、低血钾、高醛固酮水平和低血浆肾素活性为主要特征
D.引起Conn综合征的肾上腺增生多表现为双侧肾上腺弥漫性增生,结节状隆起
E.双侧肾上腺外形无增大不能排除腺体增生可能
98、多项选择题 关于鼻咽癌的CT征象,下述哪项说法正确()
A.鼻咽腔变形、不对称
B.鼻咽侧壁增厚、软组织肿块
C.咽周软组织及间隙改变
D.鼻窦炎症
E.颅底骨质无破坏
99、单项选择题 下列哪项不是视网膜母细胞瘤的常见CT表现()
A.位于眼球壁上
B.肿瘤内团块状钙化
C.肿瘤密度较低
D.肿瘤增强明显
E.肿瘤可向眼球外膨出
100、单项选择题 急性脑梗死发病8~24小时内,常见CT表现是()
A.高密度,边界不清,无明显占位效应
B.低密度,边界清楚,轻微占位效应
C.低密度,边界不清,轻微占位效应
D.等密度,占位效应明显
E.混杂密度,占位效应不明显
101、单项选择题 下列关于冠状动脉斑块的描述哪项是正确的()
A.CT不能直接测量斑块的CT值,亦不能判断其类型
B.CT可以直接测量斑块的CT值,但不能判断其类型
C.CT可以直接测量斑块的CT值,并初步确定其类型
D.CT不能直接测量斑块的CT值,但可以确定其类型
E.以上都不对
102、单项选择题 不符合弥漫性脂肪肝中残留正常肝岛的CT表现的是()
A.为正常肝组织密度
B.增强扫描可见小血管进入其内,相邻血管有移位
C.增强前后密度始终均匀
D.边缘常较清楚且规则
E.通常位于胆囊附近或包膜下
103、多项选择题 以下关于脂肪肝病因正确的是()
A.糖尿病
B.肝炎
C.肥胖
D.肝癌
E.营养不良
104、多项选择题 “脑萎缩”影像包括()
A.健侧脑组织向患侧移位
B.脑沟增宽,脑回变窄
C.侧脑室周围低密度水肿带
D.侧脑室顶部夹角大于40°
E.视隐窝变钝、变浅、消失
105、单项选择题
结合图像,最可能的诊断为()
A.肝局灶性脂肪肝
B.肝硬化
C.肝癌
D.布-加综合征
E.脂肪肝
106、单项选择题 前臂静脉团注增强扫描,肺动脉的循环时大约为()
A.10±秒
B.20±秒
C.30±秒
D.40±秒
E.50±秒
107、单项选择题 下列关于脑膜瘤的描述中正确的是()
A.男性发病率高
B.青少年多见
C.多为良性
D.多见邻骨质破坏
E.CT增强扫描多无明显强化
108、多项选择题 下列关于心室长轴面的描述,哪些是正确的()
A.电子束CT可直接显示心室长轴面
B.多层螺旋CT通道容积数据的重组获得心室长轴面
C.多层螺旋CT也可通过多时相重建获得心脏运动的信息
D.长轴面有利于显示瓣膜、左室流出道及心尖
E.常用层面包括升主动脉根部层面、左室流出道层面和左心室膈面
109、单项选择题 患者感觉喉部通气不畅,呼吸短促,最可能的诊断为()
A.淋巴瘤
B.结节病
C.胸骨后甲状腺
D.结核
E.以上都不是
110、单项选择题 儿童室管膜瘤最常发生于()
A.第三脑室
B.侧脑室
C.第四脑室
D.导水管
E.脑室旁
111、单项选择题 CT值定为0的组织是()
A.钙化
B.骨
C.水
D.脑组织
E.血液
112、单项选择题 Graves眼病最常累及()
A.上直肌
B.上斜肌
C.下直肌
D.外直肌
E.内直肌
113、单项选择题
结合图像,最可能的诊断为()
A.炎性腹泻
B.淋巴瘤
C.腺癌
D.放射性肠炎
E.以上都不是
114、多项选择题 CT的硬件构成包括()
A.扫描架
B.X线发生器
C.数据采集系统
D.数据处理系统
E.检查床
115、单项选择题 女,2岁,癫痫1年。CT示:双侧侧脑室平行分离,三脑室上抬,侧脑室轻度扩大。最可能的诊断为()
A.透明隔缺如
B.脑发育不全
C.脑萎缩
D.视-隔综合征
E.胼胝体发育不良
116、单项选择题
女,27岁,体检时B超发现右侧附件区囊性占位性病变,CT检查如图,下列说法错误的是()
A.病灶来源于右侧卵巢
B.病灶边界清晰
C.病灶为单房,壁薄,无分隔
D.考虑为卵巢浆液性囊腺瘤
E.考虑为卵巢囊肿
117、单项选择题 甲状旁腺功能低下的钙化不分布在()
A.尾状核
B.豆状核
C.脑白质
D.基底池
E.脑室旁
118、单项选择题 下列层厚层距扫描参数中,哪项属于连续无间隔扫描()
A.层厚10mm,层距10mm
B.层厚10mm,层距0mm
C.层厚10mm,层距20mm
D.层厚10mm,层距5mm
E.以上都不是
119、单项选择题 女,30岁,左眼球突出,运动障碍7个月。CT平扫示左肌锥内有稍高密度不规则块影。增强扫描示均匀增强,眼肌、眼环正常。诊断为()
A.甲状腺性突眼
B.眼眶蜂窝织炎
C.炎性假瘤
D.海绵状血管瘤
E.转移瘤
120、单项选择题 下面关于盆腔CT增强扫描检查技术不合理的是()
A.常规用静脉内团注法
B.对比剂总量60~80ml
C.流速3~5ml/s
D.流速2~2.5ml/s
E.延迟扫描时间30~35秒
121、多项选择题 支气管扩张症的CT表现包括()
A.多发囊状阴影伴液气平面
B.蜂窝肺
C.支气管壁增厚
D.空气潴留
E.印戒征
122、单项选择题
男,30岁,感右下颌部有一肿物,逐渐肿大,胀痛,局部麻木1月余,结合图像,最可能的诊断是()
A.神经纤维瘤
B.神经鞘瘤
C.血管瘤
D.下颌骨肉瘤
E.软骨瘤
123、多项选择题 下列肝包虫囊肿影像,哪些提示有合并感染()
A.囊壁增厚
B.囊内密度增高
C.“飘带征”
D.囊内积气
E.增强扫描,囊壁明显强化
124、单项选择题 脑转移瘤最常见的部位是()
A.大脑灰质
B.大脑白质
C.灰白质交界
D.小脑半球
E.脑干和脑膜
125、多项选择题 注射对比剂后,乳腺增强的程度正确的是()
A.脂肪组织增加的CT值<2HU
B.导管和腺体组织增加的CT值≤10HU
C.导管和腺体组织增加的CT值≥10HU
D.乳晕后组织和乳头增加的CT值≥15HU
E.乳晕后组织和乳头增加的CT值≤15HU
126、单项选择题 关于Chiari畸形的描述,错误的是()
A.后脑先天发育异常
B.小脑扁桃体过长、变形,经枕骨大孔伸入椎管内
C.延髓及第四脑室亦向下延伸
D.常伴发脑积水与脊柱裂
E.ChiariI型常伴有脊髓脊膜膨出
127、单项选择题 不支持结节病的肺内改变的是()
A.两肺小结节影分布于肺门区的支气管血管束两侧
B.小结节影呈圆形,外形规则
C.可见斑片状磨玻璃影
D.叶间胸膜有结节样不规则增厚
E.融合的大块致密影可见支气管充气征或空洞
128、单项选择题 关于冠状动脉闭塞端的CT表现下列哪项是正确的()
A.鼠尾状表现提示急性闭塞
B.鼠尾状表现提示慢性闭塞
C.截断状表现提示慢性闭塞
D.截断状表现提示慢性闭塞的急性期
E.以上都不对
129、多项选择题 诊断缩窄性心包炎最重要的三种征象为()
A.上腔静脉扩张
B.心包增厚
C.心包钙化
D.右心房血栓形成
E.室间隔扭曲成角
130、单项选择题 关于脾血管瘤的描述,错误的是()
A.表现类似肝脏血管瘤
B.可为实性肿块也可是囊实性肿块
C.是脾最常见的良性肿瘤
D.呈蛋壳样或斑点状钙化
E.增强扫描肿块明显增强
131、单项选择题
男,32岁,髋部疼痛,结合图像,最可能的诊断是()
A.多发性骨软骨瘤
B.转移性骨肿瘤
C.多发性软骨瘤
D.血管瘤
E.骨肉瘤
132、多项选择题
男,29岁,反复发作血尿1年余,CT如图所示,下列说法正确的是()
A.左侧肾盂扩张积水
B.左侧输尿管扩张
C.左侧输尿管末端,膀胱入口处可见高密度影
D.左输尿管结石
E.膀胱结石
133、多项选择题 旋转性寰枢关节半脱位的CT诊断,正确的为()
A.儿童多见,预后良好
B.上呼吸道感染、微小的创伤、先天性畸形、强直性脊柱炎和类风湿性关节炎等均可致病
C.薄层CT横断面扫描并矢状面和冠状面重建可精确显示寰枢椎的相互关系
D.CT是诊断本病的最佳方法
E.儿童寰椎前结节后缘与枢椎齿状突前缘的距离大于4mm,提示横韧带撕裂
134、单项选择题 颈椎管狭窄的诊断标准为前后径小于()
A.8mm
B.9mm
C.10mm
D.12mm
E.13mm
135、单项选择题
女,18岁,呼吸困难,消瘦,糖原PAS染色阳性,结合图像,最可能的诊断是()
A.系统性红斑狼疮
B.肺泡癌
C.含铁血黄素沉着症
D.肺泡性肺水肿
E.肺泡蛋白沉积症
136、多项选择题 肝脏淋巴瘤通常分()
A.结节型
B.包囊型
C.弥漫型
D.巨块型
E.癌栓型
137、单项选择题
女性,21岁,上切牙后方发现一囊性突起1年,无明显疼痛。CT表现如下图所示,最可能的诊断为()
A.上颌骨含牙囊肿
B.上颌骨造釉细胞瘤
C.牙根囊肿并感染
D.腭正中囊肿
E.始基囊肿
138、单项选择题
男,29岁,左侧髋部疼痛1月余,夜间加重,结合影像学检查,最可能的诊断是()
A.慢性骨脓肿
B.动脉瘤样骨囊肿
C.骨样骨瘤
D.骨结核
E.骨瘤
139、单项选择题 关于透光率(T)的叙述,错误的是()
A.域值为0≤T≤1
B.它是指照片上某处的透光程度
C.T=1时,表明入射光全部被吸收
D.T=1时,表明入射光全部通过照片
E.在数值上等于透光程度与入射光强之比
140、单项选择题 下列关于继发性肺结核的说法,正确的是()
A.早期病变好发于上叶前段
B.易于发生支气管播散
C.常可引起纵隔淋巴结肿大
D.结核瘤说明结核治愈
E.结核空洞多见液气平面
141、单项选择题
女,2个月。患儿发烧、面黄、哭闹、精神差1周,双目直视。影像学检查如图,最可能的诊断为()
A.脑梗塞
B.脑水肿
C.VitK缺乏颅内出血
D.血管畸形
E.先天性大脑发育不良
142、单项选择题 下列关于鼻窦囊肿的描述,错误的是()
A.黏液囊肿多见于额窦
B.黏液囊肿可引起窦壁骨质吸收
C.黏膜下囊肿好发于上颌窦
D.CT容易区别黏膜下囊肿和黏液腺囊肿
E.额窦黏液囊肿可压迫眼球移位
143、单项选择题
患者轻微外伤,肾周积血、积尿,结合所示图像,最可能的诊断是()
A.典型外伤损害
B.有肾盂输尿管连接处阻塞的肾外伤
C.腹水
D.过度灌注的状态
E.以上都不是
144、单项选择题 高血压脑出血最常见的部位是()
A.基底节
B.小脑
C.脑干
D.颞叶
E.枕叶
145、单项选择题 相对而言,病人受线量最少的CT扫描方式为()
A.颅脑平扫
B.颅脑薄层扫描
C.颅脑重叠扫描
D.颅脑增强扫描
E.平扫加目标扫描
146、单项选择题
如图所示,可能性最小的诊断是()
A.骨瘤
B.骨肉瘤
C.陈旧性外伤
D.外生骨疣
E.以上都不是
147、单项选择题
男,7岁,外伤后1个月,当时右上臂上部局部肿痛,行夹板固定。根据CT平扫片,最可能的诊断为()
A.骨囊肿
B.骨纤维异常增殖症
C.动脉瘤样骨囊肿
D.干骺端结核
E.骨肉瘤
148、单项选择题 下列防护物质中,最理想的防护物是()
A.建筑材料
B.铅
C.铜
D.铁
E.铝
149、单项选择题 对于早期中耳乳突胆脂瘤的诊断,最佳方法为()
A.Schullet位平片
B.Mayer位平片
C.RunstromII位平片
D.颞骨高分辨率CT
E.MRI
150、单项选择题
女,8岁,头痛,鼻塞半年余,CT如图,最可能的诊断是()
A.鼻咽癌
B.鼻咽部炎症
C.腺样体肥大
D.神经纤维瘤
E.咽后脓肿
151、多项选择题 CT诊断脊椎结核的优于X线平片的表述中,正确的为()
A.容易显示轻微的骨质破坏
B.容易显示轻微的椎间隙狭窄
C.容易显示椎旁脓肿
D.容易显示椎管是否受累
E.增强扫描可以显示椎旁脓肿有环形强化
152、多项选择题 急性咽部脓肿常表现为()
A.椎前软组织一致性肿胀
B.咽后壁软组织呈弧形膨隆
C.可见骨质破坏,椎间隙变窄
D.生理曲度变直或后突
E.有时表现为环状强化
153、单项选择题
女,28岁,反复咯血半月余,CT检查如图,最可能的诊断是()
A.肺结核
B.肺癌
C.间质性肺炎
D.支气管扩张
E.肺脓肿
154、单项选择题
患者19岁,肾性高血压,根据图像,对其原因的评价,正确的诊断为()
A.嗜铬细胞瘤
B.肾动脉狭窄
C.肾癌
D.Page(佩奇氏)肾
E.以上都不是
155、单项选择题 下列关于Budd-Chiari综合征的影像,哪一项是错误的()
A.多数患者有腹水征
B.增强早期肝脏呈不均质改变
C.肝静脉变窄,显示不清
D.肝脏体积增大
E.CT诊断优于DSA
156、多项选择题 肝血管瘤的诊断标准为()
A.平扫呈低密度增强等密度充填时间大于7分钟
B.强化区域进行性向病灶中央扩散
C.早期病灶边缘呈高密度强化
D.平扫呈低密度增强后,等密度充填时间大于3分钟
E.延迟扫描病灶呈等密度充填
157、单项选择题 心肌梗死的延迟增强扫描图像上,延迟性强化代表()
A.心肌纤维化
B.心肌缺血
C.心肌坏死
D.心室壁瘤
E.心肌修复
158、单项选择题
男,53岁,吸烟史30多年,头痛,CT检查如图,最可能的诊断为()

A.转移瘤
B.脑囊虫病
C.多发结节性硬化
D.结核瘤
E.脑膜瘤
159、单项选择题 对眼眶CT扫描图像显示的描述,错误的是()
A.能清楚显示眶壁骨性结构
B.能清楚显示眶内软组织
C.能清楚显示眼球内部结构
D.能清楚显示眼内血管走行
E.能清楚显示眼内异物大小
160、单项选择题 关于碘对比剂的叙述,正确的是()
A.泛影葡胺属无机碘化物
B.碘对比剂均为阳性对比剂
C.离子型对比剂是阴性对比剂
D.非离子对比剂不能用于心血管造影
E.复方泛影葡胺是非碘对比剂
161、单项选择题
男,69岁,于1天前饮酒后突发左侧肢体无力,CT检查,最可能的诊断是()
A.右侧基底节及顶枕叶多发梗死
B.星形细胞瘤
C.脑脓肿
D.少枝胶质细胞瘤
E.脑囊肿
162、单项选择题 T1WI表现均匀低信号病灶,T2WI随着TE的延长肿瘤信号强度递增似灯炮,注入Gd-DTPA后病灶周边结节强化,延迟后增强范围逐渐扩大应诊断为()
A.肝癌
B.肝腺瘤
C.肝囊肿
D.肝海绵状血管瘤
E.胆管癌
163、单项选择题
女,32岁,因停经46天,少许不规则阴道流血15天,下腹胀痛3天入院,后穹窿穿刺抽出不凝血,CT检查如图所示,下列说法错误的是()
A.在左附件区可见一椭圆形略高密度病灶
B.病灶外缘较光整
C.盆腔内较高密度积液
D.考虑为宫外孕
E.考虑为卵巢巧克力囊肿
164、单项选择题 CT图像中从白到黑的灰度影像,称为()
A.密度分辨率高
B.空间分辨率高
C.灰阶
D.窗宽窗位
E.噪声
165、单项选择题 CT机空间分辨率的测量,常用的方法是()
A.目测
B.仿真人体体模
C.分辨率体模
D.分辨率测试线对板
E.星模卡
166、单项选择题 心肌梗死的CT表现主要有()
A.局部心肌增厚
B.局部心肌变薄
C.节段性心室壁收缩期增厚率升高
D.室壁运动无异常
E.以上都不对
167、单项选择题 肾周间隙内的组织或结构为()
A.肾上腺
B.肾血管
C.肾周脂肪
D.输尿管近段
E.以上都是
168、单项选择题 CT对胃癌的诊断价值,哪项不正确()
A.发现癌肿胃壁外侵犯
B.观察胃壁增厚的程度
C.常用于明确胃癌的诊断
D.显示肝转移和肿大淋巴结
E.术后复查确定复发征象
169、单项选择题
根据皮下组织的表现,该病例可能性最小的诊断为()
A.转移
B.淋巴瘤
C.良性囊肿
D.黑色素瘤
E.纤维瘤
170、单项选择题
女,54岁,急性腹痛、腹胀,便血,影像检查如图,最可能的诊断是()
A.小肠梗阻
B.节段性小肠炎
C.肝门脉积气
D.小肠局部缺血梗死并门脉积气
E.小肠穿孔
171、单项选择题 不是腹部CT扫描技术的适应证的是()
A.慢性胰腺炎
B.肾结石
C.肾动脉狭窄
D.库欣综合征
E.胃痉挛
172、单项选择题 下列脑囊虫病CT特点的描述,错误的是()
A.多发钙化型:钙化周围水肿明显,增强扫描呈明显强化
B.多发小囊型:在半球区有多发散在小圆形或卵圆形低密度影
C.多发结节型:增强扫描低密度影出现结节或环状强化
D.单发大囊型:脑内圆形、椭圆或分叶状的低密度影
E.急性脑炎型:全脑肿胀,脑室小,增强扫描无强化
173、单项选择题 脑静脉和静脉窦血栓形成的特征表现是()
A.平扫有"带"征,增强有"空三角征"
B.靠近脑表面的大片低密度区内见小的高密度影
C.双侧出血性脑梗死
D.脑萎缩,脑室系统扩大
E.大片低密度区内见高密度影
174、单项选择题
男,63岁,腹胀、双下肢浮肿、乏力、食欲不振,结合图像,最可能的诊断是()
A.酒精性肝硬化
B.血吸虫肝硬化
C.肝炎后肝硬化
D.局限性脂肪肝
E.原发性肝癌
175、单项选择题 肺叶不张的CT表现,错误的是()
A.胸廓变小
B.肺体积收缩
C.纵隔向健侧移位
D.同侧膈肌升高
E.叶间胸膜移位
176、单项选择题 心脏粘液瘤,最常见于()
A.右心房内
B.右心室内
C.左心房内
D.左心室内
E.心包腔内
177、单项选择题 下述结肠疾病影像特点,哪项不对()
A.炎症:范围广,境界不清
B.肿瘤:形态固定、粘膜皱襞破坏
C.炎症:形态可变、跳跃征
D.肿瘤:范围局限,界限清楚
E.炎症:一般不形成肠外肿块
178、单项选择题
结合图像,该病例胰腺团块,最不可能的诊断为()
A.胰腺癌
B.胰岛细胞瘤
C.胰高血糖素瘤
D.肾癌转移
E.胰腺炎
179、单项选择题 不属于原发性心肌病的是()
A.心内膜心肌纤维化
B.缺血性心肌病
C.肥厚型心肌病
D.扩张型心肌病
E.克山病
180、单项选择题 CT平扫,肝脏密度一致性增高,最可能的诊断是()
A.肝淋巴瘤
B.弥漫性肝癌
C.血色病
D.肝脓肿
E.脂肪肝
181、单项选择题 下列哪项为确诊肺动静脉瘘首选的检查方法为()
A.胸部X线摄片
B.CT检查
C.肺血管造影
D.MRI检查
E.断层摄片
182、单项选择题 CT的放大扫描实际上是()
A.采用了小焦点,而使图像质量保持不变
B.缩小重建范围的一种扫描方法
C.缩小了X线源与病人之间的距离
D.增加了病人辐射剂量的总量
E.放大倍数越大,图像越清晰
183、单项选择题 颅脑扫描准备工作,下列哪项与图像质量无关()
A.摘掉头上金属饰物
B.利用头颅固定设备
C.做好碘过敏试验
D.采用药物镇静
E.解除患者扫描恐惧心理
184、多项选择题 右上腹部钙化灶可见于下述哪些疾病()
A.肝包虫病钙化
B.肝外胆管阳性结石
C.肝内胆管阴性结石
D.肝内肿瘤钙化
E.胆囊阳性结石
185、单项选择题 马蹄肾的影像学表现中,下列哪项不正确()
A.双肾轴线异常
B.双侧肾盂旋转不良
C.峡部位于腹主动脉、下腔静脉与肠系膜上动脉之间
D.峡部位于腹主动脉与下腔静脉的前方
E.峡部不含有肾实质组织
186、单项选择题 女,25岁,左乳痛7天,体温39.5~40℃,局部明显压痛、红肿。 乳腺脓肿切开引流后,下列哪项是终止哺乳的绝对指征()
A.初产妇
B.体温
C.毒血症状明显
D.引流脓液较少
E.引流术后并发乳瘘
187、多项选择题
女,34岁,无意中发现血压升高4个月就诊,行CT检查,如图所示,下列说法正确的是()
A.CT示左侧肾上腺区可见一等密度块影,边界清楚
B.增强扫描,该病灶周边明显强化,中心处强化不明显
C.考虑为左肾上腺腺瘤
D.考虑为左肾上腺嗜铬细胞瘤
E.考虑为左肾上腺转移癌
188、单项选择题 下列哪项不适应DSA检查()
A.肿瘤化疗栓塞术
B.冠脉动脉内置支撑架术
C.良性前列腺增生球囊扩张术
D.大咯血支气管动脉栓塞术
E.颅内动脉瘤栓塞术
189、单项选择题 头部外伤4小时,CT示侧脑室旁白质、胼胝体压部、大脑脚散在斑点样高密度影。提示有可能是()
A.脑挫伤
B.蛛网膜下腔出血
C.背侧丘脑出血
D.脑白质剪切伤
E.脑穿通伤
190、单项选择题 以下哪种CT征象最有助于脑外肿瘤的诊断()
A.边界不清
B.肿瘤沿脑镰或天幕生长
C.同侧脑室受压移位
D.病变与颅板交界呈钝角
E.血管源性水肿
191、单项选择题 先天性颅脑闭合畸形,不包括()
A.脑脊膜膨出
B.脑膜膨出
C.胼胝体脂肪瘤
D.无脑畸形
E.无脑回畸形
192、单项选择题 关于“皮层下动脉硬化性脑病”,下列哪项CT表现不对()
A.主要累及侧脑室旁、半卵圆区白质
B.平扫为边缘不清、斑片状略低密度影
C.腔隙性脑梗死
D.不对称分布
E.弥漫型混合性脑萎缩
193、单项选择题 骨骼的CT值()
A.0~20HU
B.30~60HU
C.-60~-90HU
D.1000HU
E.-1000HU
194、单项选择题 CT平扫,除下述哪种病变外,其余病变均可有钙化()
A.肝脏黑色素瘤
B.肝内胆管结石
C.酒精性肝病
D.结肠癌肝转移
E.肝脏血吸虫病
195、单项选择题 CT对骨巨细胞瘤的主要检查目的是检出()
A.骨破坏
B.骨增生
C.钙化
D.转移
E.软组织肿块
196、单项选择题 患者,男性,71岁。主诉:发作性头晕、恶心、面色苍白伴高血压半年,入院观察,当时测量血压180/80mmHg,上腹部CT示:双侧少量胸腔积液,右侧肾上腺区有直径5cm大小圆形稍高密度影,边缘清晰,内部密度不均,病灶侵及肝尾叶。最可能的诊断为()
A.肾上腺囊肿
B.肾上腺转移瘤
C.肾上腺髓样脂肪瘤
D.肾上腺腺瘤
E.嗜铬细胞瘤
197、单项选择题 正常成人腰椎侧隐窝前后径是()
A.>2mm
B.>3mm
C.>4mm
D.>5mm
E.>6mm
198、多项选择题 关于肝局灶性结节增生的病理改变的描述,正确的是()
A.以星状纤维瘢痕组织为核心
B.纤维组织分隔呈辐射状、形成分房状结构
C.纤维分隔内有血管腔及增生的胆管
D.肿块与周围组织分界较清
E.有包膜
199、单项选择题 显示野、矩阵、像素值三者关系的描述,哪个不妥()
A.显示野不变,矩阵加大,像素值变小
B.显示野不变,矩阵加大,图像分辨率提高
C.显示野不变,矩阵加大,图像重建时间长
D.矩阵不变,加大显示野,像素值提高
E.矩阵不变,像素值减半,显示野面积缩小4倍
200、单项选择题 CT基本设备不包括以下哪项()
A.计算机和数据收集、阵列处理系统
B.扫描架、检查床和X线发生系统
C.独立诊断工作站
D.操作台和图像显示系统
E.照相机和其他用于资料的存储设备
201、多项选择题 下列哪些是典型肝脓肿的CT表现()
A.平扫示低密度占位,中心区CT值略高于水
B.多为圆或椭圆形,部分腔内有分隔
C.脓肿内可见小气泡
D.脓肿周围出现不同密度环形带
E.增强扫描脓肿壁有较明显的强化,但强化持续时间很短
202、单项选择题 颅底骨折的间接征象是()
A.硬膜外血肿
B.硬膜下血肿
C.头皮血肿
D.副鼻窦和/或乳突气房出现气-液面
E.脑血肿
203、单项选择题
根据所提供的图像,最可能的诊断是()
A.肾细胞癌
B.淋巴瘤
C.生殖细胞瘤
D.转移癌
E.以上都不是
204、单项选择题 当咽鼓管和咽隐窝同时张开,在轴位图像上,鼻咽腔可以呈()
A.三角形
B.长方形
C.方形
D.圆形
E.双梯形
205、单项选择题 鞍区CT扫描可以诊断的疾病不包括()
A.垂体肿瘤
B.垂体泌乳素微腺瘤
C.颅咽管瘤
D.脑膜瘤
E.垂体萎缩
206、单项选择题
在肾上腺CT检查中,下列哪种说法是正确的()
A.左肾上腺常呈斜线状
B.右肾上腺常呈三角状
C.肾上腺侧支厚度小于5mm
D.肾上腺侧支面积小于100mm2
E.肾上腺侧支厚度小于10mm
207、单项选择题 结核性脑膜脑炎常见表现不包括下列哪项()
A.脑内结核灶
B.多发性脑梗死
C.交通性脑积水
D.硬脑膜炎症
E.梗阻性脑积水
208、单项选择题 CT示腰4椎体后缘局限性软组织密度影,硬膜囊前方脂肪层消失,硬膜囊受压变形,神经根增粗,诊断为()
A.神经纤维瘤
B.神经根鞘囊肿
C.椎间盘突出
D.椎间盘膨出
E.椎小关节病
209、单项选择题
男,50岁,胸背剧痛1周余,CT如图,最可能的诊断是()
A.主动脉弓真性动脉瘤
B.主动脉弓假性动脉瘤
C.主动脉弓夹层动脉瘤
D.左上肺癌并侵犯主动脉弓部
E.纵隔肿瘤
210、单项选择题
患者有一个细小的胰腺团块,结合图像,下列哪项陈述正确()
A.患者的病灶是不可切除的
B.可切除的
C.病灶是早期的
D.病灶局限于胰体
E.以上都不正确
211、单项选择题 盆腔CT检查,需求在膀胱充盈的状态扫描,目的是()
A.观察膀胱的蓄水量
B.与邻近的子宫区别
C.更清楚地显示膀胱内壁
D.观察膀胱壁的厚度
E.稀释肾脏排泄的对比剂
212、单项选择题 脊柱化脓性骨髓炎发病年龄多见于()
A.儿童期
B.少年期
C.成人期
D.老年人
E.无差别
213、单项选择题 有关腺样囊性癌描述,错误的是()
A.好发于气管
B.由腔外向腔内生长
C.多为中心型
D.段支气管少见
E.支气管镜易确诊
214、单项选择题 下列属于投射纤维()
A.前连合
B.弓状纤维
C.外囊
D.胼胝体
E.海马连合
215、单项选择题 对下列哪种骨折,CT诊断价值不及平片()
A.肱骨小头骨折
B.环椎骨折
C.颈椎横突骨折
D.腰椎骨折
E.股骨干骨折
216、单项选择题 关于腮腺混合瘤,典型的CT表现为()
A.不增强
B.可增强
C.延迟增强
D.不均匀增强
E.均匀增强
217、单项选择题
患者,男性,52岁,自述10天前发热,体温:38.2℃。血常规检查WBC:16.3×109/L,尿常规WBC:58.7/ml,增强CT检查如下图,应诊断为()
A.肾细胞癌
B.肾盂癌
C.肾囊肿
D.肾血管平滑肌脂肪瘤
E.肾脓肿
218、单项选择题 腰椎CT扫描时,给病人腿部垫起的目的是()
A.让病人躺着更舒服
B.减轻病人由于椎间盘突出引起的疼痛
C.使腰椎的生理弧度减小
D.使扫描机架可以少倾斜角度
E.避免病人的脚弄脏检查床
219、单项选择题 男,30岁,头颅CT示左小脑半球一3cm×4cm囊样低密度区伴壁结节,结节明显增强,四脑室受压变形、右移,最可能的诊断是()
A.胶质母细胞瘤
B.髓母细胞瘤
C.星形细胞瘤
D.血管网状细胞瘤
E.淋巴瘤
220、单项选择题 根据软骨所含纤维不同,软骨可分为()
A.透明软骨、纤维软骨、弹力软骨
B.骨软骨和瘤软骨
C.玻璃软骨
D.瘤软骨和软骨
E.软骨基质、钙化软化
221、单项选择题 侵袭性曲菌病感染早期,CT扫描在肺部结节周边可见较低密度区域环绕,称作“晕轮征”,其病理基础为()
A.肺不张
B.肺出血
C.肺水肿
D.肺气肿
E.阻塞性肺炎
222、单项选择题
男,38岁,咳嗽,咳痰,关节疼痛,外周淋巴结肿大,结合CT图像,最可能的诊断是()
A.肺泡蛋白沉积症
B.肺间质病
C.结节病
D.肺结核
E.霍奇金病
223、单项选择题 CT与常规X线体层摄片比较,最主要的不同是()
A.采用激光机相拍照
B.无层面外组织结构干扰
C.X线辐射剂量较小
D.可使用对比剂增加
E.以上均不是
224、单项选择题 对于慢性胆囊炎的CT特征表现是()
A.胆囊大,囊壁水肿,密度低
B.胆囊正常大小,肝内胆管扩张
C.胆囊小,囊壁增厚
D.胆囊大,胆总管扩张
E.以上都不是
225、多项选择题 关于肺动脉的描述,正确的是()
A.肺动脉均与同名的支气管伴行
B.肺动脉不与同名的支气管伴行
C.肺动脉均与同名的肺静脉伴行
D.肺动脉不与同名的肺静脉伴行
E.肺动脉一般与同名的支气管伴行
226、多项选择题 鼻中隔软骨部的组成结构包括()
A.鼻中隔软骨
B.鼻翼大软骨
C.鼻翼小软骨
D.侧鼻软骨
E.以上都不是
227、单项选择题 急性脑梗死发病8~24小时内,常见CT表现是()
A.高密度,边界不清,无明显占位效应
B.低密度,边界清楚,轻微占位效应
C.低密度,边界不清,轻微占位效应
D.等密度,占位效应明显
E.混杂密度,占位效应不明显
228、单项选择题 一个伤患者,CT检查见双肾形态正常,但右肾强化不明显,最可能的诊断是()
A.右肾血管撕裂伤
B.肾动脉撕裂
C.肾包膜下血肿
D.真性肾破裂
E.肾撕裂
229、单项选择题 与高血压脑出血比较,脑淀粉样变性出血好发于()
A.基底节
B.皮层
C.脑干
D.脑室旁
E.小脑
230、单项选择题
男,28岁,右髋部疼痛2个月余,结合影像学检查,最可能的诊断是()
A.慢性骨脓肿
B.骨样骨瘤
C.骨巨细胞瘤
D.骨囊肿
E.骨转移瘤
231、单项选择题 颞叶钩回疝致使鞍上池出现哪种变化()
A.前移
B.后移
C.向同侧移位
D.向对侧移位
E.变形、后移
232、多项选择题 下列哪些为肾上腺功能亢进性病变()
A.库欣综合征(Cushing综合征)
B.原发醛固酮增多症(Conn综合征)
C.原发性肾上腺增生
D.肾上腺型阿狄森病(adrenalAddisondis-easE.
E.嗜铬细胞瘤
233、单项选择题 女性生殖器结核最常见的是()
A.子宫内膜结核
B.卵巢结核
C.结核性子宫内膜炎合并卵巢结核
D.输卵管结核
E.子宫颈结核
234、单项选择题 肺结核的确诊方法为()
A.CT
B.体层摄影
C.胸片
D.痰培养
E.动态观察
235、单项选择题 急性硬膜下血肿指损伤后几天内()
A.2天
B.2周
C.2小时
D.>2周
E.3天
236、单项选择题
男,65岁,腋下触及肿大包块,全身浅表淋巴结肿大,结合所示图像,最可能的诊断是()
A.双侧肾上腺腺瘤
B.双侧肾上腺增生
C.双侧肾上腺淋巴瘤
D.双侧肾上腺转移癌
E.肾上腺癌
237、单项选择题
根据所提供的图像,可除外下列哪种诊断()
A.十二指肠间质瘤
B.十二指肠转移癌
C.胰腺腺癌
D.淋巴瘤
E.以上都不是
238、单项选择题
根据PET和CT图像,最可能的诊断是()
A.间皮瘤
B.陈旧性积脓
C.腺癌
D.胸膜炎
E.以上都不是
239、多项选择题 “Parkinson病”患者,CT扫描上可见到()
A.中央型脑萎缩
B.外周型脑萎缩
C.局限性脑萎缩
D.苍白球对称性钙化
E.基底节区偶有低密度灶
240、单项选择题
男,15岁,一星期前寒战,继而体温急剧升高,达39~40℃,发病后1~2天患肢右大腿出现功能障碍。局部出现红、肿、热、痛等症状,触之有波动感。实验室检查,血中白细胞升高,血沉增快,血培养阳性,中性粒细胞轻度升高,结合所提供的图像,最可能的诊断是()
A.急性化脓性骨髓炎
B.慢性化脓性骨髓炎
C.软骨肉瘤
D.动脉瘤样骨囊肿
E.骨巨细胞瘤
241、单项选择题 室壁瘤的CT征象有()
A.局部心室壁增厚,并见反向运动
B.局部心室壁变薄,并见反向运动
C.室壁向内凹陷,无反向运动
D.室壁向外膨隆,无反向运动
E.室壁变薄,无反向运动
242、多项选择题 下列关于肝血管瘤的描述,正确的是()
A.女性多于男性
B.肉眼呈紫红色,质地较软
C.一般有包膜
D.瘤内呈囊状或筛状,犹如海绵
E.是最常见的肝脏肿瘤
243、单项选择题 库欣综合征最常见的原因是()
A.肾上腺腺瘤
B.嗜铬细胞瘤
C.功能性肾上腺癌
D.肾上腺皮质增生
E.胰岛细胞瘤
244、单项选择题
男,34岁,近1年来左髂骨部疼痛,活动后加重,3周前由于剧烈运动后活动受限,查体:左髂骨部压痛明显,皮肤稍显红肿,结合图像,最可能的诊断是()
A.动脉瘤样骨囊肿
B.骨巨细胞瘤
C.骨囊肿
D.软骨瘤
E.非骨化性纤维瘤
245、单项选择题
根据所提供的图像,患者右下象限病灶的最可能的诊断为()
A.阑尾炎
B.阑尾脓肿
C.盲肠癌
D.盲肠癌并阑尾梗阻
E.以上都不是
246、单项选择题 转移性肝癌最常见的CT强化类型是()
A.充填式强化
B.环形强化
C.不强化
D.明显均匀强化
E.包膜征
247、单项选择题 卵巢癌的主要转移方式是()
A.血行转移
B.淋巴道转移
C.种植性转移
D.直接外侵
E.沿生殖道播散
248、单项选择题 对于CT诊断颈椎创伤,错误的是()
A.发现横突骨折,即可诊断椎动脉损伤
B.对于环椎骨折,CT在显示骨折片和移位方面优于X线平片
C.对环枢椎脱位不但应注意前脱位,还应注意旋转脱位
D.CT在显示骨折的同时,可显示硬膜囊受压的情况
E.了解齿状突与前结节的关系,有助于判断脊髓损伤程度
249、单项选择题 “子宫内膜异位”,最常见的好发部位为()
A.膀胱
B.子宫直肠窝
C.腹膜
D.膀胱子宫陷窝
E.卵巢
250、单项选择题 下面对胸部CT扫描技术叙述错误的是()
A.患者仰卧、头先进
B.有时为了区别少量胸水与胸膜肥厚,可以改为俯卧位
C.常规胸部CT扫描采用螺旋扫描,层厚5mm,间隔5mm
D.扫描基线从肺尖开始
E.常规扫描一个胸部前后正位像做定位像
251、单项选择题
右肺根内结构如图,自上而下依次为()
A.肺静脉、肺动脉、主支气管
B.肺动脉、上肺静脉、主支气管
C.上叶支气管、肺动脉、肺静脉
D.肺动脉、上肺静脉、上叶支气管
E.肺动脉、肺静脉、主支气管
252、单项选择题
根据所提供的图像,该病灶最好的分期为()
A.Bosniak1
B.Bosniak2
C.Bosniak3
D.Bosniak4
E.以上都不是
253、单项选择题 动态扫描技术叙述不正确的是()
A.动态扫描应在增强后应用才有价值
B.动态扫描图像显示在全部扫描完毕后
C.动态扫描系指一定时间内连续扫描数层
D.动态扫描时患者不应停止呼吸
E.动态扫描能观察血流动力学的改变
254、单项选择题
女,46岁,胸痛,乳腺癌放、化疗术后,结合图像,最可能的诊断是()
A.化脓性骨髓炎
B.胸骨坏死
C.成骨性骨转移瘤
D.胸骨结核
E.以上都不正确
255、单项选择题
主诉剧烈腹痛,根据影像图像,最可能的诊断为()
A.憩室炎
B.肠系膜炎
C.胰腺炎
D.主动脉瘤破裂
E.以上都不是
256、单项选择题 常出现“线样征”的小肠疾病是()
A.节段性肠炎
B.淋巴瘤
C.小肠吸收不良
D.肠结核
E.坏死性肠炎
257、单项选择题 深吸气后屏气,常用于的摄片部位是()
A.躯干
B.头颅
C.肺部
D.心脏
E.手
258、单项选择题
男,58岁,间断腹部隐痛9月,贫血3月,近日加重并伴有柏油样便,CT所见如图,最可能的诊断是()
A.小肠淋巴瘤
B.小肠恶性间质瘤
C.小肠重复畸形
D.小肠癌
E.小肠淋巴肉瘤
259、单项选择题 注入对比剂后要求15min开始扫描的是()
A.氙气增强CT
B.颅脑增强CT
C.关节造影CT
D.肝脏增强CT
E.脊髓造影CT
260、单项选择题 女,43岁,头痛,发热,5天,CT平扫显示脚间池内葡萄状低密度,有强化,脑室扩大,最可能的诊断是()
A.结核性脑膜炎
B.化脓性脑膜炎
C.脑膜型脑囊虫病
D.病毒性脑膜脑炎
E.霉菌性脑膜炎
261、单项选择题 女性,45岁,CT平扫,右肾影均匀增大,内有多房囊样结构,肾实质变薄,增强扫描对比剂进入囊腔形成“液-液面”,首先考虑的病变为()
A.多囊肾
B.肾盂癌
C.肾盂积水
D.多发性肾囊肿
E.肾结核
262、单项选择题 关于“多囊肾”的CT表现,下列哪项是错误的()
A.囊肿大小、分布不均呈蜂窝状
B.囊肿大小、密度、分布均匀
C.增强扫描囊肿不强化
D.婴儿型者,肾盂、肾盏、肾外形多正常
E.成人型者,肾影常增大,肾盂、肾盏受压、变形
263、单项选择题 霉菌性上颌窦炎最常见的致病菌为()
A.曲霉菌
B.毛霉菌
C.鼻孢子菌
D.念珠菌
E.隐球菌
264、单项选择题 下列哪项征象不是转移性肝癌的特征()
A.环靶征
B.亮环征
C.双管征
D.晕征
E.牛眼征
265、多项选择题 颅内良性肿瘤出现钙化常见于()
A.胆脂瘤
B.颅咽管瘤
C.垂体瘤
D.少枝胶质细胞瘤
E.脑膜瘤
266、单项选择题 扩张型心肌病的CT表现为()
A.左心室呈气球样扩张
B.不伴心肌肥厚
C.心室收缩功能正常
D.可见附壁血栓呈高密度影
E.以上都不对
267、单项选择题
根据所提供的图像,最可能的诊断是()
A.肾细胞癌
B.移行细胞癌
C.肾静脉栓塞
D.急性肾盂肾炎
E.肾梗死
268、单项选择题
患者中年,男性,黄疸,ERCP术后,三维图像如图,最可能的诊断为()
A.胰腺癌
B.末梢胆管狭窄
C.胆管癌
D.肝门区肝癌
E.十二指肠癌
269、单项选择题 喉癌可分成声门上型、声门型、声门下型和跨声门型、其中声门下型约占喉癌病例的()
A.5%
B.10%
C.15%
D.20%
E.25%
270、多项选择题 中枢神经系统结节性硬化包括()
A.皮层和皮层下白质、白质和侧脑室室管膜下错构瘤
B.室管膜下巨细胞星形细胞瘤
C.放射状异位白质
D.室管膜下结节
E.视网膜星形细胞错构瘤
271、单项选择题 关于正常涎腺CT表现,下述哪项错误()
A.横断面扫描最常用
B.正常腮腺大小,个体差异大
C.正常腮腺平扫CT值:-20~20HU
D.增强扫描,正常腮腺明显强化
E.正常颌下腺平扫CT值:45HU左右
272、单项选择题
根据所提供的图像,该病例最可能的诊断为()
A.胰腺假性囊肿
B.十二指肠血肿
C.十二指肠癌
D.十二指肠憩室
E.胰腺癌
273、单项选择题 关于肾上腺髓样脂肪瘤的CT表现,不正确的是()
A.边界清楚
B.多为双侧且>5cm甚至达12cm
C.中央有多分隔
D.脂肪密度
E.常见钙化或壳状钙化
274、单项选择题
男,56岁,骶部持续性疼痛,夜间加重,结合图像,最可能的诊断是()
A.脊索瘤
B.骨转移瘤
C.骨肉瘤
D.多发性骨髓瘤
E.骨巨细胞瘤
275、单项选择题 根据CT工作原理,X线穿过人体后首先被下列哪部分接受()
A.计算机
B.照相机
C.磁盘
D.探测器
E.阵列处理机
276、单项选择题 肾结核最早的病灶位于()
A.肾乳头部
B.肾小盏内
C.肾小管内
D.肾盏内
E.肾盂内
277、单项选择题 肾前筋膜与肾后筋膜构成腹膜后腔,其内有以下结构存在()
A.肾动脉、静脉
B.肾盂、肾盏、输尿管
C.肾门淋巴管
D.集合系统
E.以上都是
278、多项选择题
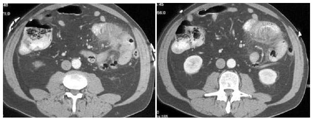
男,53岁,体重明显下降而行CT检查,如图所示,下列说法正确的是()
A.右肾区可见不规则的软组织块,增强为不均匀强化
B.肾平面以上的下腔静脉内均有软组织密度影
C.右心房内可见充盈缺损
D.此为右侧肾癌
E.癌栓侵入下腔静脉并扩散至右心房
279、单项选择题
根据所提供的图像,可除外下列哪种诊断()
A.小肠憩室炎
B.穿孔
C.缺血坏死性肠炎
D.大肠憩室炎
E.以上都不是
280、单项选择题
患者50岁,红细胞增多,渐进性腹痛,结合图像,最可能的诊断是()

A.肝癌
B.转移癌
C.再生结节
D.肝血管瘤
E.以上都不是
281、单项选择题 所有膀胱上皮性肿瘤均为恶性,其细胞类型依其发病率依次为()
A.鳞癌、移行细胞癌、腺癌
B.移行细胞癌、鳞癌、腺癌
C.腺癌、鳞癌、移行细胞癌
D.移行细胞癌、腺癌、鳞癌
E.鳞癌、腺癌、移行细胞癌
282、单项选择题 女,28岁,产后突发剧烈头疼,视物模糊,一侧肢体轻偏瘫。CT平扫示双侧脑白质大片低密度改变,皮层斑点状出血,脑室变小。最可能的诊断为()
A.静脉窦血栓形成
B.脑梗死
C.出血性脑梗死
D.多发性硬化活动期
E.脑炎
283、单项选择题 脑梗死的坏死液化期,CT表现为()
A.等密度,边界模糊
B.低密度,边界模糊
C.低密度,边界清楚
D.等密度,边界清楚
E.混杂密度,边界清楚
284、单项选择题 男性,28岁,腹痛呕吐。CT示胰腺弥漫增大,结构不清,胰周有较多渗液,部分包裹,结构不清,局部可见气泡影,诊断()
A.急性水肿性胰腺炎
B.急性坏死性胰腺炎
C.急性胰腺炎,假囊肿形成
D.急性胰腺炎,脓肿形成
E.急性胰腺炎,伴有出血
285、单项选择题 下列哪项不属颅脑平扫适应证的是()
A.颅内出血
B.脑梗死
C.脑萎缩
D.脑血管畸形
E.先天性无脑
286、单项选择题 结节性硬化的特征性钙化结节发生在()
A.侧脑室周围
B.第三、四脑室周围
C.皮层下皮质
D.皮层
E.脑沟、脑室
287、单项选择题 最支持眶内原发炎性假瘤诊断的CT表现是()
A.一条或多条眼外肌梭形增粗
B.球后软组织肿块
C.病变有增强
D.眼肌附着处眼环增粗,模糊
E.双侧眼球突出
288、单项选择题
女,33岁,咳嗽,无发热,结合图像,最可能的诊断是()
A.肺结节病
B.淋巴瘤
C.中央型肺癌
D.胸腺瘤
E.支气管囊肿
289、单项选择题 提示颅底骨折的CT征象是()
A.硬膜外血肿
B.气颅
C.头皮血肿
D.颅缝增宽
E.脑血肿
290、单项选择题
男,58岁,有高血压病史,突发胸背剧痛,CT扫描如图,其最可能的诊断为()
A.主动脉瘤
B.主动脉假性动脉瘤
C.主动脉窦瘤破裂
D.高安病
E.主动脉夹层动脉瘤
291、单项选择题 骨肉瘤的CT影像特点中,哪项错误()
A.松质骨的斑片状缺损和骨皮质内表面的侵蚀
B.骨皮质全层的虫蚀状、斑片状缺损甚至大片的缺损
C.骨质增生表现为松质骨内不规则斑片状高密度影和骨皮质增厚
D.瘤骨分布在骨破坏区和软组织肿块内,密度与平片所见相似
E.软组织肿块常偏于病骨一侧或围绕病骨生长,其边缘大多模糊
292、多项选择题 关于胰腺在CT图像上的识别标志,正确的为()
A.十二指肠水平部横跨于下腔静脉和腹主动脉前方,标志着胰头消失
B.腹主动脉左前壁是区分胰颈与胰体的标志
C.门静脉或肠系膜上静脉右壁是区分胰头与胰颈的标志
D.一般认为钩突向左延伸部分超过肠系膜上动脉属异常
E.钩突位于肠系膜上动静脉与下腔静脉之间
293、单项选择题 对探测器性能的叙述,错误的是()
A.对X线射能量具有良好的吸收能力
B.对较大范围的射线强度具有良好的反应能力及均匀性
C.工作性能稳定,有良好的再现性
D.残光少,且恢复常态的时间慢
E.体积小,灵敏度高,少量射线照射,能获得足够大信息强度
294、单项选择题
男,34岁,大腿下段疼痛2年,可摸到肿块,结合图像,最可能的诊断是()
A.骨肉瘤
B.软骨肉瘤
C.软骨瘤
D.纤维肉瘤
E.巨细胞瘤
295、单项选择题 颈部CT扫描的适应证不包括()
A.甲状腺肿瘤
B.颈部各种肿块
C.淋巴结肿大
D.腮腺炎
E.颈动脉体瘤
296、多项选择题 外伤性CCF最常见的三大临床表现为()
A.搏动性突眼
B.球结膜充血水肿
C.进行性视力下降
D.颅内杂音
E.视野缺损
297、单项选择题
男,52岁,贲门癌术后3年,肝脏CT增强扫描如图所示,考虑的疾病为()
A.贲门癌肝转移
B.原发性肝细胞癌
C.肝海绵状血管瘤
D.多囊肝
E.肝囊肿
298、单项选择题 男性,40岁,左侧耳下肿胀疼痛1个半月,表面皮肤正常。CT显示:右腮腺深叶增大,边缘模糊,增强扫描有强化,局部见少量气体密度影。最可能的诊断是()
A.腮腺良性肿瘤
B.腮腺恶性肿瘤
C.腮腺脓肿
D.腮腺转移瘤
E.腮腺良性增生
299、多项选择题 关于CT定位扫描的叙述。错误的是()
A.扫描时检查床不动
B.扫描时X球管机架不动
C.扫描时病人不能动
D.定位扫描图像不是横断图
E.扫描时旋转阳极球管的阳极靶面不动
300、单项选择题 鼻咽鳞状细胞癌的下列描述,错误的是()
A.可破坏邻近组织
B.倾向于血行转移
C.倾向于淋巴道转移
D.与EB病毒感染有关
E.颈深上部淋巴结转移最常见