时间:2025-02-09 06:02:11


1、单项选择题 对探测器作用的论述,正确的是()
	A.探测病人位置的准确性
	B.探测扫描时有无散射线
	C.将微弱的电流进行放大
	D.将模拟信号转换为数字信号
	E.接收X线并将其转换为电信号
2、多项选择题 关于肾上腺增生,正确的说法是()
	A.CT检查是诊断肾上腺增生的首选影像学检查方法
	B.CT的软组织分辨率较高,可以显示软组织成分
	C.MRI判断肾上腺病变内的组织成分好于CT,是CT检查的必要补充
	D.超声检查是婴幼儿肾上腺异常的首选影像学检查方法
	E.MRI空间分辨率高,可以发现小病灶
3、单项选择题 甲状腺侧叶上极不超过()
A.第一气管环  
B.第二气管环  
C.甲状软骨下缘  
D.甲状软骨中部  
E.甲状软骨上缘
4、单项选择题 一般脑血肿多少天后可进入低密度期()
	A.10天
	B.20天
	C.30天
	D.40天
	E.50天
5、单项选择题
	女,56岁,左肩部持续性疼痛,夜间加重1月余,3月前被确诊为肾细胞癌,结合影像学检查,最可能的诊断是()
	A.肱骨头骨折
	B.肱骨转移瘤
	C.肱骨骨肉瘤
	D.肱骨骨巨细胞瘤
	E.肱骨结核
6、单项选择题 8岁男性,左眼突,运动障碍2个月。CT示视神经呈梭形增粗,视交叉增粗,中度、均匀强化。最可能的诊断是()
	A.视网膜母细胞瘤
	B.视神经脑膜瘤
	C.视神经胶质瘤
	D.海绵状血管瘤
	E.黑色素瘤
7、单项选择题 女,43岁,头痛。CT示左颞叶有一3cm×4cm类圆形低密度、边界尚清晰的囊样病变,边缘轻度增强,最大可能为()
	A.囊性星形细胞瘤
	B.蛛网膜囊肿
	C.恶性淋巴瘤
	D.动静脉畸形
	E.脑膜瘤
8、多项选择题 下述哪些征象提示腮腺肿瘤为恶性可能()
	A.肿块境界不清,呈弥漫性浸润
	B.肿瘤中心坏死,显示低密度区或浓淡不均
	C.肿瘤外形规则,呈圆形
	D.肿块边界光滑,增强扫描均匀强化
	E.颈部淋巴结肿大
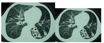
9、单项选择题
	患者,男,56岁,无明显诱因突然咯血入院,作CT检查如图,病变的肺叶(段)定位应为()
	A.右肺下叶内基底段
	B.右肺上叶尖、后段
	C.右肺中叶
	D.右肺上叶前段
	E.右肺下叶后基底段
10、多项选择题 弥漫性脑萎缩见于哪些病理情况()
	A.Alzheimer病
	B.Huntington病
	C.Parkinson病
	D.Pick病
	E.Wilson病
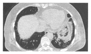
11、单项选择题
	男,50岁,患乙肝多年,现腹胀,右上腹痛,消化不良,消瘦、乏力、贫血、黄疸,血清转氨酶升高,白蛋白/球蛋白比值倒置。CT检查如下图,最可能的诊断是()
	A.肝硬化、肝癌
	B.肝硬化、腹膜后淋巴结肿大
	C.肝硬化、肝癌、腹膜后淋巴结肿大
	D.肝硬化、门脉高压、脾大
	E.肝硬化、脾大
12、单项选择题
	男,65岁,腋下触及肿大包块,全身浅表淋巴结肿大,结合所示图像,最可能的诊断是()
	A.双侧肾上腺腺瘤
	B.双侧肾上腺增生
	C.双侧肾上腺淋巴瘤
	D.双侧肾上腺转移癌
	E.肾上腺癌
13、单项选择题 诊断右心房增大的主要方法是()①X线检查②超声心动图检查③心血管造影④心电图检查⑤MRI检查
	A.①+②
	B.①+③
	C.②+③
	D.③+④
	E.②+⑤
14、单项选择题
	男,54岁,无痛性血尿1月余,根据所示图像,最可能的诊断是()
	A.多发性肾囊肿
	B.多囊肾
	C.左侧肾癌并右肾转移
	D.右侧肾囊肿合并左侧肾癌
	E.多发性肾癌合并肾囊肿
15、单项选择题
	男,26岁,转移性右下腹痛,麦氏点压痛、反跳痛,结合CT图像,最可能的诊断是()
	A.盲肠炎
	B.阑尾炎合并结石
	C.阑尾脓肿
	D.阑尾憩室炎
	E.正常阑尾
16、单项选择题
	男,71岁,转移性右下腹痛4天。查体右下腹压痛,可及包块。B超示右下腹实质性占位。CT扫描如下图,最可能的CT诊断为()
	A.阑尾类癌
	B.回盲部增殖型结核
	C.阑尾周围脓肿
	D.结肠癌
	E.溃疡性结肠炎
17、单项选择题 60岁男性,颜面肿痛、鼻衄5个月。CT显示右上颌窦壁破坏,内有不规则软组织密度肿块,侵犯眼眶、鼻腔,最可能的诊断是()
	A.鼻息肉
	B.上颌窦癌
	C.黏液囊肿
	D.乳头状瘤
	E.纤维血管瘤
18、单项选择题
	男,50岁,胸背剧痛1周余,CT如图,最可能的诊断是()
	A.主动脉弓真性动脉瘤
	B.主动脉弓假性动脉瘤
	C.主动脉弓夹层动脉瘤
	D.左上肺癌并侵犯主动脉弓部
	E.纵隔肿瘤
19、单项选择题
	患者背痛,如图所示,最可能的诊断是()
	A.转移瘤
	B.新鲜外伤
	C.骨髓瘤
	D.疏松性骨折
	E.以上都不是
20、多项选择题
	女,26岁,临床诊断为绒毛膜癌,行经腹子宫全切术后1月,CT检查如图所示,下列说法正确的是()
	A.左肾周可见低密度区,增强后无强化,其内有散在的片状稍高密度影
	B.双肾未见异常
	C.考虑为左肾外伤性出血
	D.考虑为绒毛膜癌肾转移
	E.合并有左肾周自发性血肿
21、单项选择题 下列CT设备进展中,相对应用最早的技术是()
	A.双排探测器系统应用
	B.螺旋CT扫描设备应用
	C.多层螺旋CT应用
	D.滑环技术的应用
	E.电子束CT技术的应用
22、多项选择题
	男,27岁,开车外出在高速行驶时翻车,呼吸困难,喉部肿胀,CT检查如图所示,正确的描述或诊断是()

	A.左侧甲状软骨骨折
	B.左侧梨状窝软组织肿胀
	C.颈部、胸骨下方软组织积气
	D.左侧杓状软骨骨折
	E.考虑喉、气管破裂
23、单项选择题 关于“卵巢滤泡囊肿”,下列描述哪项不正确()
	A.单侧卵巢发病
	B.囊壁菲薄
	C.直径多超过5cm
	D.囊液水样密度
	E.可自行消失
24、单项选择题 CT引导经皮穿刺肺活检的相对禁忌证不包括()
	A.肺门肿块
	B.伴有严重慢性阻塞性肺病
	C.穿刺路线不能避开叶间胸膜或肺大泡
	D.怀疑所穿刺病灶可能是动静脉瘘
	E.怀疑所穿刺病灶可能是肺包虫病
25、单项选择题 下述哪一项首先接受穿过人体后的X线()
	A.阵列处理机
	B.照相机
	C.探测器
	D.计算机
	E.磁盘
26、单项选择题 细胞毒性水肿常见于()
	A.肿瘤破坏血脑屏障致脑水肿
	B.炎症致血脑屏障破坏形成脑水肿
	C.急性脑梗死致缺血坏死
	D.梗阻性脑积水致脑室压力增高,通过室管膜向外渗漏
	E.以上都不对
27、单项选择题 骨纤维异常增殖症发生恶变,最常见恶变为下述哪一种肿瘤()
	A.骨纤维肉瘤
	B.软骨肉瘤
	C.巨细胞瘤
	D.成骨肉瘤
	E.骨血管肉瘤
28、单项选择题 特征性肝包虫囊肿壁的钙化是()
	A.小点状
	B.大片状
	C.无规则状
	D.弧形或蛋壳状
	E.以上都不是
29、单项选择题 颅脑CT扫描的方法不包括()
	A.平扫
	B.增强扫描
	C.CT脑血管造影
	D.脑血流灌注
	E.立体扫描
30、单项选择题
	男,72岁,胆石症史多年。1个月来发热,上腹疼痛,CT扫描如下图,显示肝脏内多个直径10~30mm低密度灶,CT值20HU,边缘呈环状强化,最有可能的诊断是()
	A.多发性囊状肝转移瘤
	B.胆源性肝脓肿
	C.多发性肝囊肿
	D.肝包虫病
	E.肝脏囊腺瘤
31、单项选择题 下列恶性梗阻性黄疸造影表现,哪项不对()
	A.枯枝征
	B.软藤征
	C.梗阻节段发现软组织肿块
	D.截断征
	E.梗阻点表面不平
32、单项选择题
	女,27岁,双侧颈部淋巴结肿大,PPD(-),结合CT图像,最可能的诊断是()
	A.心包囊肿
	B.淋巴瘤
	C.淋巴结核
	D.转移性淋巴结肿大
	E.结节病
33、多项选择题 股骨头缺血坏死的CT表现为()
	A.星状征消失
	B.点片状密度增高影
	C.球钩形
	D.双边征
	E.股骨头碎裂
34、单项选择题 因探测器灵敏度不一致,采集系统故障造成的伪影形态为()
	A.移动条纹伪影
	B.放射状伪影
	C.模糊伪影
	D.帽状伪影
	E.环状伪影
35、单项选择题 CT对骨巨细胞瘤的主要检查目的是检出()
	A.骨破坏
	B.骨增生
	C.钙化
	D.转移
	E.软组织肿块
36、单项选择题
	男,25岁,额部无痛性隆起2月余,结合图像,最可能的诊断是()
	A.骨样骨瘤
	B.骨瘤
	C.骨软骨瘤
	D.骨岛
	E.骨旁骨肉瘤
37、单项选择题 以下哪项对Conn综合征(原发性醛固酮增多症)描述不当()
	A.由于各种原因引起的醛固酮过多所致
	B.腺瘤所致Conn综合征约占1/3
	C.以高血压、低血钾、高醛固酮水平和低血浆肾素活性为主要特征
	D.引起Conn综合征的肾上腺增生多表现为双侧肾上腺弥漫性增生,结节状隆起
	E.双侧肾上腺外形无增大不能排除腺体增生可能
38、单项选择题
	男,32岁,干咳,呼吸困难半月余,2月前被诊断为艾滋病,结合影像学检查,最可能的诊断是()
	A.肺结核
	B.卡氏肺囊虫性肺炎
	C.肺癌
	D.大叶性肺炎
	E.间质性肺炎
39、单项选择题 下列组合,错误的是()
	A.CT血管造影--DSA
	B.多平面重组--MPR
	C.层厚响应曲线--SSP
	D.表面阴影显示--SSD
	E.最大密度投影--MIP
40、单项选择题 女性生殖器结核最常见的是()
	A.子宫内膜结核
	B.卵巢结核
	C.结核性子宫内膜炎合并卵巢结核
	D.输卵管结核
	E.子宫颈结核
41、单项选择题 有助于鉴别子宫肌瘤与子宫体癌的是()
	A.子宫外形和大小
	B.肿块大小和密度
	C.肿瘤轮廓和边缘
	D.增强扫描的强化特征
	E.以上都不是
42、单项选择题 马蹄肾的影像学表现中,下列哪项不正确()
	A.双肾轴线异常
	B.双侧肾盂旋转不良
	C.峡部位于腹主动脉、下腔静脉与肠系膜上动脉之间
	D.峡部位于腹主动脉与下腔静脉的前方
	E.峡部不含有肾实质组织
43、单项选择题 对于螺旋CT扫描优点的描述,哪项不对()
	A.减少图像的运动伪影
	B.明显提高空间分辨率
	C.缩短扫描时间
	D.容积扫描
	E.减少病人接受X线剂量
44、单项选择题
	急腹症患者突发腹痛,影像检查如图,最可能的诊断为()
	A.出血坏死性胰腺炎
	B.尿路梗阻
	C.小肠梗阻
	D.主动脉瘤破裂
	E.以上都不是
45、单项选择题
	男,44岁,突然中上腹痛,压痛,反跳痛,腹肌紧张,发热,白细胞计数升高,CT检查如图,最可能的诊断是()
	A.急性胰腺炎
	B.慢性胰腺炎
	C.胃小弯溃疡穿孔
	D.胰腺癌
	E.胃癌
46、单项选择题 有关肝脂肪变性的描述,不正确的是()
	A.肝硬化脂肪变性与单纯脂肪沉积的病理基础相同
	B.肝脾CT值之比<1即可诊断脂肪肝
	C.CT平扫肝实质密度明显下降,肝内血管影显示不清或不能显示
	D.增强特征与正常肝脏一致,但仍低于增强后的脾脏
	E.肝内血管有时受挤压变细,但无推移包绕现象
47、单项选择题
	患者,男,50岁,右上腹痛伴黄疸,超声体检发现腹腔多个液性暗区。CT图像如下,最可能的诊断是()
	A.腹腔囊肿
	B.先天性胆管囊肿Ⅳ型
	C.腹腔皮样囊肿
	D.肝囊肿
	E.胰腺囊肿
48、单项选择题
	女,19岁,低热,盗汗,乏力,咳嗽1月余,CT检查如图,最可能的诊断是()
	A.间质性肺炎
	B.弥漫型肺癌
	C.粟粒型肺结核
	D.矽肺
	E.大叶性肺炎
49、单项选择题 浸润性生长的星形细胞瘤的CT表现是()
	A.肿瘤边缘规则清晰
	B.增强扫描一般无强化
	C.平扫为等密度
	D.平扫CT值50~70HU
	E.肿瘤内可见斑片状钙化
50、多项选择题 关于CT定位扫描的叙述。错误的是()
	A.扫描时检查床不动
	B.扫描时X球管机架不动
	C.扫描时病人不能动
	D.定位扫描图像不是横断图
	E.扫描时旋转阳极球管的阳极靶面不动
51、单项选择题 临床疑支气管扩张症,胸部X线未见病灶,怎样选择CT检查方法()
	A.增强CT扫描
	B.层厚10mm层距10mm平扫
	C.层厚10mm层距20mm平扫
	D.层厚5mm层距20mm平扫
	E.层厚1~1.5mm,高分分辨率CT扫描
52、单项选择题 先天性支气管囊肿的CT表现中,哪项是不正确的()
	A.含液囊肿在肺窗上表现为圆形高密度影,边界清楚锐利
	B.含液囊肿在纵隔窗上表现为囊肿密度均匀
	C.含液囊肿合并感染时在肺窗上表现囊肿周围可见淡薄高密度渗出性改变
	D.含气囊肿在肺窗上表现为边界清楚的圆形高密度无肺纹理区
	E.液气囊肿在肺窗及纵隔窗上均可见液气平面影像
53、单项选择题 关于肺动脉栓塞的CT表现,下列哪项最具有特征意义()
	A.一侧肺透亮度增高
	B.肺外围以胸膜为基底的楔状致密影
	C.实变区内小透亮区
	D.增强扫描,肺动脉主干内充盈缺损
	E.局限性肺血管稀少
54、单项选择题 47岁女性,左眼球向外下突出2个月余,逐渐加重,伴复视。CT示左侧额窦扩大,窦腔内呈软组织密度,骨壁变薄,左眼球受压移位,最可能的诊断是()
	A.额窦恶性肿瘤
	B.额窦黏膜下囊肿
	C.额窦骨纤维异常增殖症
	D.额窦黏液囊肿
	E.慢性额窦炎
55、单项选择题
男,40岁,有血吸虫感染史,腹胀不适,食欲减退,CT扫描所见如图,最可能的诊断是()
	
	A.肝炎后肝硬化
	B.血吸虫后肝硬化
	C.酒精性肝硬化
	D.胆汁性肝硬化
	E.脂肪肝
56、单项选择题
	女,67岁,乳癌术后1年,胸部CT如图,首先应考虑()
	A.石棉肺
	B.金葡菌肺炎
	C.粟粒性肺结核
	D.淋巴瘤
	E.肺转移瘤
57、多项选择题 关于鼻恶性肉芽肿的CT和MRI征象,正确的有()
	A.鼻腔鼻窦内不规则软组织肿块
	B.鼻中隔和患侧上颌窦壁骨质破坏
	C.肿瘤常向翼腭窝、鼻咽部等侵犯
	D.增强检查可见不均匀增强效应
	E.CT密度及MRI信号强度与炎症病变相似
58、单项选择题 膀胱癌最好发于()
	A.三角区
	B.膀胱底
	C.后壁
	D.顶部
	E.侧壁
59、单项选择题 与MRI比较,CT显示以下哪一种病变较好()
	A.脊髓水肿
	B.后纵韧带钙化
	C.脊髓受压
	D.后纵韧带撕裂
	E.骨髓水肿
60、单项选择题 有关颞骨矢状扫描体位摆法中,叙述错误的是()
	A.患者俯卧
	B.头向一侧旋转枕于20°头架上
	C.矢状面前后对应点距床面等距
	D.扫描架向头侧倾斜20°,平行矢状面
	E.球管围绕头颅前后轴旋转
61、多项选择题 纵隔皮样囊肿可有哪些CT表现()
	A.囊性病灶
	B.圆形、椭圆形或不规则形
	C.囊壁规则,较薄
	D.囊壁可有钙化
	E.增强扫描,囊壁可有强化
62、单项选择题 CT重点观察肾脏疾病,图像的窗宽、窗位是()
	A.W250~350;L35~50
	B.W150~250;L30~40
	C.W350~500;L35~50
	D.W800~1000;L300~400
	E.W1300~1500;L350~500
63、单项选择题 关于Caroli病的CT表现,错误的是()
	A.肝内胆管扩张,右叶为主
	B.肝门区中心胆管不扩张
	C.肝内多个小囊状区域,与肝内胆管不连接
	D.扩张的肝内胆管可有小结石影
	E.肝硬化表现
64、单项选择题
	男,58岁,患者右季肋区疼痛,皮肤黄染,可触及肿大胆囊,B超提示胆囊颈部肿块影,CT所见如图,最可能的诊断是()
	A.胆囊息肉
	B.胆囊癌
	C.胆囊黄色肉芽肿
	D.慢性胆囊炎
	E.胆囊腺肌增生症
65、多项选择题 下列哪些肾脏病变做CT平扫,呈“软组织密度”表现()
	A.肾结核
	B.黄色肉芽肿性肾盂肾炎
	C.肾脓肿
	D.放线菌病
	E.获得性囊性肾病变
66、单项选择题 下列关于胆囊炎与胆囊癌特点,哪项错误()
	A.胆囊炎,可有胆囊床积液
	B.胆囊癌,胆囊壁常表现为局限性增厚
	C.胆囊炎,胆囊壁一致性增厚
	D.胆囊癌,可有肝门水平胆管梗阻
	E.胆囊癌,胆囊容积明显增大
67、单项选择题
	女,40岁,腹痛、腹泻、脓血便、里急后重,结合图像,最可能的诊断是()
	A.假膜性肠炎
	B.结肠克罗恩病
	C.结肠结核
	D.慢性溃疡性肠炎
	E.结肠淋巴瘤
68、单项选择题 卵巢囊肿中最常见的是()
	A.皮样囊肿
	B.单纯囊肿
	C.巧克力囊肿
	D.滤泡囊肿
	E.多囊病
69、单项选择题 有关腰椎椎管CT检查和测量,错误的是()
	A.前后径指测量椎体后缘中点至棘突基底部中线部位的距离
	B.横径指测量两椎弓根内缘之间距离
	C.前后径正常范围在15~20mm
	D.横径正常范围在20~30mm
	E.CT增强扫描较平扫更精确
70、单项选择题 功能性胰岛细胞瘤分泌不同性质的激素,最多见的是()
	A.分泌增血糖素瘤
	B.分泌促胃液分泌素瘤
	C.血管活性肠肽瘤
	D.分泌胰岛素的瘤
	E.生长激素释放抑制素瘤
71、单项选择题 关于肝脏病变的描述,错误的是()
	A.肝硬化为肝实质内结缔组织广泛增生,假小叶形成
	B.脂肪肝是由于肝细胞内大量脂肪沉积所致
	C.肝脓肿常包括细菌性和阿米巴性两种
	D.细菌性肝脓肿液化坏死后脓液呈巧克力色,有臭味
	E.阿米巴性肝脓肿实验室检查,粪便中可查到阿米巴滋养体
72、单项选择题 关于颞下窝的毗邻关系,下列描述错误的是()
	A.前界为上颌窦外侧壁和颞骨乳突部
	B.后界为颈鞘和茎突
	C.外界为下颌支、下颌小头、冠状突和颞肌
	D.内界为鼻腔和鼻咽部
	E.上界为蝶骨大翼和岩骨尖
73、单项选择题 心肌梗死最常见的并发症是()
	A.心肌肥厚
	B.室间隔穿孔
	C.乳头肌断裂
	D.室壁瘤形成
	E.心包填塞
74、单项选择题
女,39岁,发热、咳嗽1周,WBC:15×109/L,胸部CT平扫如图
	
	A.印戒征
	B.按叶段分布的片絮状影
	C.轨道征
	D.葡萄状影
	E.支气管黏液充填
75、单项选择题 下列哪一病变最需行CT增强扫描来诊断()
	A.球外眶内异物
	B.眼部外伤
	C.眶内肿瘤
	D.球结膜炎
	E.视网膜剥离
76、单项选择题
	成年男,右上腹不适,CT检查如图所示,最可能的诊断是()
	A.肝血管瘤
	B.肝癌
	C.肝脓肿
	D.肝囊肿
	E.肝包虫病
77、多项选择题 美国心脏病协会关于冠状动脉节段分法包括()
	A.左冠状动脉主干
	B.右冠状动脉主干
	C.左前降支近、中、远段
	D.左回旋支近、远段
	E.右冠状动脉近、中、远段
78、单项选择题 EBCT是以下哪种CT的缩写()
	A.螺旋CT
	B.CT血管造影
	C.电子束CT
	D.高分辨力CT
	E.普通CT
79、单项选择题 下列哪项不符合肾细胞癌的CT表现()
	A.平扫多呈等密度或略低密度
	B.较大肾癌密度多不均匀
	C.中心或边缘可有钙化
	D.肾静脉和下腔静脉可有癌栓
	E.增强扫描实质期肿瘤强化多高于肾实质
80、单项选择题
	女,57岁,颈部不适,CT如图所示,最可能的诊断是()
	A.咽囊囊肿
	B.鳃裂囊肿
	C.甲状舌管囊肿
	D.颈部淋巴管瘤
	E.颈部神经鞘瘤
81、单项选择题 关于肾淋巴瘤的CT表现,错误的是()
	A.无肿块的双侧肾肿大
	B.肾内有多发结节或局灶性结节
	C.肾无功能
	D.结节常钙化
	E.单发局灶性不规则的肾实质肿块
82、单项选择题 脑干结构不包括()
	A.桥脑
	B.延髓
	C.颈髓上段
	D.中脑
	E.四叠体
83、单项选择题
	女,31岁,左眼眶外上缘发现一包块,质软,余所见无明显异常,影像所见如图,最可能的诊断是()

	A.畸胎瘤
	B.错构瘤
	C.脂肪瘤
	D.表皮样囊肿
	E.淋巴管瘤
84、多项选择题 垂体微腺瘤在CT扫描时的间接征象包括以下哪几项()
	A.垂体高度增加
	B.垂体内有出血
	C.垂体柄偏移
	D.颈内动脉被包绕
	E.鞍底局限性下陷或局部骨质吸收
85、单项选择题 与CT图像重建效果无关的因素有()
	A.保留原始数据
	B.保持扫描层面的连续性
	C.保证扫描条件的一致性
	D.保持重建时间的准确性
	E.根据需要采用不同算法重建
86、单项选择题
	男,31岁,右髋部疼痛,邻近关节活动受限,右股骨有外伤史,结合图像,最可能的诊断是()


	A.骨外骨肉瘤
	B.骨化性肌炎
	C.骨外软骨肉瘤
	D.皮质旁骨肉瘤
	E.软组织钙化
87、单项选择题 以下哪项CT表现不支持视网膜母细胞瘤的诊断()
	A.病变眼球小
	B.病变内钙化
	C.视网膜弥漫性增厚
	D.相邻视网膜剥离
	E.病变增强明显
88、多项选择题 慢性血吸虫肝病CT检查的主要表现为()
	A.肝内钙化
	B.肝硬化
	C.腹水
	D.门静脉系钙化
	E.肠系膜、肠壁增厚钙化
89、单项选择题 夹层动脉瘤(主动脉夹层)CT特征性征象是()
	A.两个不同增强密度的主动脉腔被一内膜所分隔
	B.主动脉钙化内移
	C.主动脉壁异常扩张
	D.主动脉各段管径不成比例
	E.主动脉周围血肿形成
90、单项选择题 CT表现为脑基底池增强的炎性病变通常不包括()
	A.病毒性
	B.化脓性
	C.霉菌性
	D.脑膜型囊虫病
	E.结核性
91、单项选择题
	男,32岁,几天前踝部扭伤,疼痛,不能行走,结合CT图像,最可能的诊断是()
	A.骨囊肿
	B.动脉瘤样骨囊肿
	C.骨纤维异常增殖症
	D.骨巨细胞瘤
	E.畸形性骨炎
92、多项选择题 关于过敏性肺炎,下列说法正确的是()
	A.病灶具迁徙性
	B.症状轻微
	C.血中嗜酸性粒细胞增多
	D.易出现空洞性结节
	E.脱离过敏环境后不经治疗症状即可缓解
93、单项选择题
	中年女性,无何不适,B超查体偶然发现肾脏占位,行CT检查,如下图,应考虑符合何种疾病()
	A.肾癌
	B.肾囊肿
	C.错构瘤
	D.肾梗死
	E.以上都不是
94、单项选择题
女,42岁,泌乳2个月,平扫CT检查如图,最可能的诊断为()
	
	A.颅咽管瘤
	B.垂体瘤
	C.脊索瘤
	D.脑膜瘤
	E.正常
95、单项选择题 下列哪一个器官不在肾前间隙内()
	A.胰腺
	B.降结肠
	C.十二指肠
	D.升结肠
	E.肾上腺
96、单项选择题
男,78岁,糖尿病17年,低热、右侧胸痛伴咳嗽两月余,常规抗炎治疗,症状改善不明显,痰培养结核菌(-),胸部CT平扫如图
	
	A.肺脓肿
	B.结核空洞
	C.肺曲菌病
	D.肺棘球蚴病
	E.大叶性肺炎
97、多项选择题 关于特发性肺间质纤维化,正确的是()
	A.为感染性炎性病变
	B.多数起病隐匿
	C.肺功能检查为限制性通气障碍
	D.CT扫描可见胸膜下弧线影
	E.CT扫描可见小叶中心性肺气肿
98、单项选择题 以下X线表现,不属于肾周围脓肿的是()
	A.患侧横膈位置升高,活动度变弱或消失
	B.肾周围脂肪囊消失,肾外形无法显示
	C.肾阴影肿大
	D.肾内广泛钙化
	E.脊椎向对侧侧凸
99、单项选择题
	男,26岁,感觉左季肋部疼痛,并逐渐加重,无明显发热,体检左肋部明显肿胀、压痛,结合所提供的图像,最可能的诊断是()
	A.软骨黏液纤维瘤
	B.软骨肉瘤
	C.骨肉瘤
	D.纤维肉瘤
	E.骨巨细胞瘤
100、单项选择题 患者,男,30岁,癫痫3个月。CT示左额后有一1.0cm×1.5cm囊样低密度影,边界清楚,囊周无水肿,边缘轻度强化,内有点状强化,应诊断为()
	A.脑内结核
	B.脑脓肿
	C.胶质瘤
	D.脑囊虫病
	E.胶质病母细胞瘤
101、单项选择题
	男,68岁,上腹部隐痛二月余,CT检查如图,最可能的诊断是()
	A.慢性胆囊炎
	B.胆囊癌(肿块型)
	C.胆囊腺肌增生症
	D.胆囊息肉
	E.胆囊区转移癌
102、单项选择题 CT值的单位是()
	A.KW
	B.HU
	C.W
	D.L
	E.CM
103、单项选择题 腰椎CT示椎小关节间隙狭窄,内含气体,关节面增生,最可能的诊断是()
	A.类风湿关节炎
	B.强直性脊柱炎
	C.结核性关节炎
	D.化脓性关节炎
	E.退行性关节炎
104、单项选择题 关于胆管系统功能紊乱,下列叙述哪项是错误的()
	A.胆囊收缩功能减低
	B.多为功能性,个别可为器质性
	C.胆汁排出延迟、胆管扩张
	D.胆囊浓缩功能减低
	E.胆总管末端括约肌痉挛、肥大、炎症、纤维化
105、单项选择题 CT造影增强应用最广的静脉注射法是()
	A.团注法
	B.单次大量快速注射法
	C.滴注-大量快注法
	D.大量快注-滴注法
	E.多次大剂量急速注射法
106、单项选择题 肾上腺内分泌肿瘤分类分型诊断主要依靠()
	A.CT检查 
	B.MRI检查 
	C.B超检查 
	D.腹膜后充气造影 
	E.实验室检查
107、单项选择题 有关腔隙性脑梗死错误的描述是()
	A.好发于大脑深部、基底节区
	B.皮层支动脉梗死
	C.大小为0.5~1.5cm
	D.临床症状可为纯运动或纯感觉障碍
	E.常多发
108、单项选择题 下列选项中,“强化程度最高”的脑肿瘤是()
	A.Ⅰ级星形胶质瘤
	B.转移瘤
	C.胆脂瘤
	D.脑膜瘤
	E.表皮样囊肿
109、多项选择题 应与石棉肺鉴别的疾病有()
	A.胸膜肥厚
	B.煤尘肺
	C.胸膜间皮瘤
	D.矽肺
	E.肺癌
110、单项选择题 大叶性肺炎实变期发生于()
	A.发病后7天
	B.发病12~24小时
	C.发病2~3天后
	D.发病后即刻
	E.发病后6~12小时
111、单项选择题 根据软骨所含纤维不同,软骨可分为()
	A.透明软骨、纤维软骨、弹力软骨
	B.骨软骨和瘤软骨
	C.玻璃软骨
	D.瘤软骨和软骨
	E.软骨基质、钙化软化
112、单项选择题
	结合图像,最可能的诊断为()
	A.肝局灶性脂肪肝
	B.肝硬化
	C.肝癌
	D.布-加综合征
	E.脂肪肝
113、单项选择题 患者,男性,52岁。间歇性无痛性全程肉眼血尿半年,尿脱落细胞检查可见恶性肿瘤细胞。首选的影像学检查手段应为()
	A.MRI
	B.逆行性输尿管造影
	C.IVP
	D.KUB
	E.CT
114、单项选择题
	影像所见如图,该病例的诊断为()
	A.肺癌
	B.神经纤维瘤病
	C.肺上沟瘤
	D.感染
	E.以上都不是
115、单项选择题 与MRI比较,CT显示以下哪种病变较好()
	A.黄韧带钙化
	B.脊髓受压
	C.脊髓水肿
	D.骨髓水肿
	E.后纵韧带撕裂
116、单项选择题 下列CT表现中,不支持颅内表皮样囊肿诊断的是()
	A.病变位于桥-小脑角,相邻岩骨有侵蚀吸收
	B.病变外形不规则,沿脑池“塑形”生长
	C.病变呈明显环形强化,内部可见分隔
	D.相邻脑白质水肿改变不明显
	E.CT平扫,病变内呈水样不均密度
117、多项选择题 CT增强扫描无强化改变的是()
	A.慢性脓肿
	B.囊肿
	C.血肿
	D.肿瘤中心坏死区
	E.腹腔恶性肿瘤
118、单项选择题
	男,27岁,干咳,呼吸困难半月余,有艾滋病病史半年余,结合CT检查,最可能的诊断是()
	A.粟粒型肺结核
	B.弥漫型肺癌
	C.间质性肺炎
	D.矽肺
	E.卡波济肉瘤
119、单项选择题 男,40岁,头痛,CT示斜坡破坏,有一3cm×4cm混杂密度影伴斑点状钙化,脑干后移,最可能的诊断是()
	A.脊索瘤
	B.脑膜瘤
	C.垂体瘤
	D.颅咽管瘤
	E.基底动脉
120、多项选择题 脊椎退行性变的CT征象包括()
	A.椎间盘膨出
	B.椎间盘真空征和髓核钙化
	C.椎旁软组织肿胀
	D.韧带肥厚、钙化
	E.椎体边缘及椎小关节骨质增生
121、单项选择题 男,50岁,因乙肝后肝硬化行原位肝移植术后1个月,抗病毒、保肝及抗排斥治疗。肝功能恢复正常后出院。出院后1周突发黄疸、发热再次住院,检查发现T管引流液内可见絮状物 首先应考虑的诊断为()
	A.超急性排斥反应
	B.急性排斥反应
	C.慢性排斥反应
	D.乙肝复发
	E.移植肝功能恢复不良
122、多项选择题 蛛网膜下腔出血时,可出现由并发症所致的间接征象,包括()
	A.动脉瘤
	B.脑积水
	C.AVM
	D.脑内血肿
	E.脑血管痉挛
123、单项选择题 脑外、脑内占位性病变的最主要鉴别点是()
	A.增强扫描
	B.中线结构的移位
	C.脑室大小的改变
	D.病变周围的脑皮髓质的移位及局部蛛网膜下腔的改变
	E.病变密度
124、单项选择题 下列对肝豆状核变性的描述,哪项不对()
	A.是一种遗传性疾病
	B.肝脏表现为结节性肝硬化
	C.表现以基底节为主的脑内多发低密度变性
	D.与铁代谢异常有关
	E.与乙型肝炎表面抗原无关
125、单项选择题
	男,67岁,胸骨后撕裂样疼痛1小时就诊。主动脉CT增强扫描图像如下,应诊断为()
	A.主动脉未见异常
	B.主动脉夹层动脉瘤
	C.主动脉弓动脉瘤
	D.主动脉硬化
	E.以上均不正确
126、单项选择题
	女,35岁,查体发现右下前纵隔占位性病变,CT如图,最可能的诊断为()
	A.淋巴瘤
	B.支气管囊肿
	C.心包囊肿
	D.脂肪瘤
	E.畸胎瘤
127、多项选择题 衡量多层螺旋CT空间成像能力的重要指标是()
	A.单个准直的宽度
	B.横断面的分辨率
	C.时间分辨率
	D.探测器总宽度
	E.Z轴空间分辨率
128、单项选择题 下述支气管扩张的CT特点,错误的是()
	A.圆形、类圆形致密影
	B.成簇、成串排列的厚壁囊腔
	C.柱状或结节状致密影
	D.肺纹理增粗,轮廓不光整
	E.印戒征
129、单项选择题
	男,56岁,肺癌术后2年余,左髋部疼痛,夜间加重,结合图像,最可能的诊断是()
	A.骨肉瘤
	B.骨转移
	C.多发性骨髓瘤
	D.骨软骨瘤
	E.软骨肉瘤
130、单项选择题 脊柱化脓性骨髓炎发病年龄多见于()
	A.儿童期
	B.少年期
	C.成人期
	D.老年人
	E.无差别
131、单项选择题 当咽鼓管和咽隐窝同时张开,在轴位图像上,鼻咽腔可以呈()
	A.三角形
	B.长方形
	C.方形
	D.圆形
	E.双梯形
132、单项选择题 脑囊虫病分型,错误的是()
	A.脑实质型
	B.脑室型
	C.混合型
	D.软脑膜型
	E.脑池型
133、多项选择题 胆总管扩张的主要症状是()
	A.腹痛
	B.恶心、呕吐
	C.黄疸
	D.食欲不振
	E.腹部肿块
134、单项选择题 有关椎间盘变性的叙述,错误的是()
	A.多发生于中老年人
	B.髓核含气量增加
	C.椎间盘以低信号为主
	D.椎间盘内信号可不均匀
	E.可伴有椎间盘突出
135、多项选择题 关于肾上腺结核,正确的说法有()
	A.继发于身体其他部位的结核
	B.常为双侧性
	C.肾上腺增大、变形、密度不均
	D.可形成脓肿
	E.可出现不规则钙化
136、单项选择题
	男,47岁。后吸涕中带血月余,触诊左颈部有质硬包块。CT扫描显示如下,最可能的诊断是()
	A.鼻咽纤维血管瘤
	B.转移瘤
	C.恶性胆脂瘤
	D.淋巴瘤
	E.鼻咽癌
137、单项选择题 中心性桥脑髓鞘溶解的常见病因是()
	A.脑梗死
	B.脑外伤
	C.长期饮酒
	D.代谢性
	E.遗传性
138、单项选择题 如经肘正中静脉进行增强扫描,下列结构中哪一项最迟强化()
	A.胰腺
	B.左右髂静脉
	C.脾脏
	D.上腔静脉
	E.肝脏
139、单项选择题
	根据所提供的图像,最可能的诊断是()
	A.起源于神经组织的团块
	B.囊腺瘤
	C.假性囊肿
	D.囊肿
	E.以上都不是
140、单项选择题 CT用X线球管的最大特点是()
	A.与常规X线管结构相同
	B.外形尺寸比常规X线管大得多
	C.不使用固定阳性X线管
	D.额定功率比常规X线管大
	E.只有单一小焦点
141、单项选择题
	男,58岁,无痛性肉眼血尿1月余,结合CT图像,最可能的诊断是()
	A.右侧肾癌
	B.右侧囊性肾癌
	C.右肾结核性肉芽肿
	D.右肾血管平滑肌脂肪瘤
	E.右肾黄色肉芽肿性肾盂肾炎
142、单项选择题 男,30岁,搏动性耳鸣,蓝色鼓膜,传导性耳聋2年。CT示鼓室内软组织肿物,最可能的诊断是()
	A.胆脂瘤,中耳炎
	B.胆脂瘤,听骨链破坏
	C.面神经瘤,听骨链破坏
	D.血管球瘤,颈内静脉裸露
	E.中耳乳突炎,听骨链破坏
143、单项选择题 CT扫描时,对呼吸控制要求高的是()
	A.膀胱扫描
	B.肝脏扫描
	C.前列腺扫描
	D.肾脏扫描
	E.肾上腺扫描
144、多项选择题 肝局灶性结节增生与肝小腺瘤鉴别诊断中,前者具备以下特点()
	A.纤维组织小梁分隔
	B.中心星形瘢痕
	C.肝细胞形态正常
	D.无包膜
	E.有小胆管增生
145、单项选择题 成骨肉瘤好发于()
	A.0~10岁
	B.10~20岁
	C.20~30岁
	D.30~40岁
	E.40~50岁
146、单项选择题 关于腹腔壁层肿瘤,下列说法错误的是()
	A.肿瘤沿腹膜面生长,呈板块状
	B.肿瘤结节以腹膜壁层为基底向腹内突起
	C.腹内脏器表面有肿块或板块状增厚
	D.肿瘤结节可多发
	E.合并大量积液
147、多项选择题 应与视网膜母细胞瘤鉴别的疾病有()
	A.眼球外伤后球萎缩
	B.原始玻璃体增生病
	C.葡萄膜黑素瘤
	D.Coats瘤
	E.晶状体后纤维增生症
148、单项选择题 缺氧所致的颅内出血以下列哪种较常见()
	A.蛛网膜下腔出血
	B.硬膜窦撕裂出血
	C.皮质桥静脉出血
	D.脉络丛静脉破裂出血
	E.脑内出血
149、单项选择题
	男,35岁,有乙肝病史多年,AFP阳性,影像检查如图,最可能的诊断是()
	A.肝硬化腹水
	B.肝血管瘤
	C.肝脓肿
	D.肝癌、肝硬化、腹水
	E.肝硬化,结节性增生
150、单项选择题
	男,55岁,临床以黄疸就诊。CT增强扫描见肝内胆管轻度扩张,胆总管上段明显扩张,直径约15mm,胆总管下段见软组织肿块且有强化,如图所示,应考虑()
	A.急性胆囊炎
	B.胆总管结石
	C.硬化性胆管炎
	D.胆总管下段癌
	E.以上都不是
151、多项选择题 肾盂癌CT表现,错误的是()
	A.较小的肾盂癌,CT检查是首选
	B.CT检查可以定性诊断、分期诊断
	C.肾盂或肾盏内的结节状软组织密度灶
	D.肿瘤与相邻肾实质分界清楚
	E.肿块轻度强化,分泌期扫描肾盂内充盈缺损灶
152、单项选择题
	女,43岁,左侧腰部不适2年余,结合所示图像,最可能的诊断是()
	A.左肾髓样脂肪瘤
	B.左肾盏憩室
	C.左肾囊肿
	D.左肾积水
	E.左肾错构瘤
153、单项选择题 下列骨肿瘤中,哪种肿瘤的CT表现不显示肿瘤基质钙化()
	A.成骨肉瘤
	B.软骨肉瘤
	C.巨细胞瘤
	D.软骨瘤
	E.骨母细胞瘤
154、单项选择题 肾上腺腺瘤的CT表现多为低密度,主要原因是其内含有()
	A.液体
	B.脂类
	C.空气
	D.蛋白质
	E.出血
155、单项选择题
	女,2个月。患儿发烧、面黄、哭闹、精神差1周,双目直视。影像学检查如图,最可能的诊断为()
	A.脑梗塞
	B.脑水肿
	C.VitK缺乏颅内出血
	D.血管畸形
	E.先天性大脑发育不良
156、多项选择题 能够做出椎间盘突出诊断的检查方法为()
	A.CT
	B.MRI
	C.ECT
	D.X线平片
	E.脊髓造影
157、单项选择题 胸部扫描,病人确实屏气困难,最好的措施是()
	A.给病人做手式指令
	B.捏捂病人鼻口
	C.令患者口式呼吸
	D.令患者腹式呼吸
	E.增大mA,缩短曝光时间
158、单项选择题 关于“Sturge-Weber综合征”,下列CT影像哪项错误()
	A.增强扫描,钙化周围明显强化
	B.颅骨局限性增厚
	C.三叉神经分布区紫红色血管瘤形成
	D.脑沟变浅,脑回增宽
	E.大脑皮层脑回样钙化
159、多项选择题 诊断缩窄性心包炎最重要的三种征象为()
	A.上腔静脉扩张
	B.心包增厚
	C.心包钙化
	D.右心房血栓形成
	E.室间隔扭曲成角
160、多项选择题
	男,20岁,右腰部胀痛不适,MRI如图示,下列说法正确的是()
	A.右侧肾盂积水
	B.右侧输尿管上段扩张积水
	C.右侧输尿管走行异常,呈“S”形向中线移位
	D.考虑为右侧腔静脉后输尿管
	E.考虑为右侧输尿管自身的扭曲
161、单项选择题 肝癌患者,平扫见肿瘤边缘更低密度环状带,增强扫描显示低密度环状带于门静脉期和实质期增强,提示多为肝癌的哪一型()
	A.巨块型
	B.结节型
	C.弥漫型
	D.外生型
	E.空洞型
162、多项选择题
	女,21岁,活动后呼吸困难,CT扫描如图,最可能的诊断是()
	A.肺静脉异位引流
	B.肺静脉异位引流根据引流肺静脉支数可分部分性及完全性
	C.根据引流部位不同分为心上型、心脏型、心下型
	D.该病例肺静脉异位引流入下腔静脉
	E.该病例为心下型肺静脉异位引流
163、单项选择题
	女,45岁,急性右上腹剧痛2小时,向右肩放射,影像检查如图,最可能的诊断为()
	A.急性胆囊炎
	B.慢性胆囊炎
	C.胆囊穿孔
	D.胆囊腺肌增生症
	E.胆道梗阻
164、单项选择题 小肝血管瘤与小肝癌的主要鉴别点是()
	A.平扫时血管瘤多呈等密度
	B.增强后动脉期小肝癌整个病灶强化
	C.小血管瘤没有假包膜
	D.延迟扫描血管瘤缩小或等密度充填
	E.以上都不是
165、单项选择题
	根据所提供的图像,最可能的诊断是()
	A.正常
	B.胃气肿
	C.气肿性胃炎
	D.胃癌
	E.以上都不是
166、单项选择题 临床怀疑蛛网膜下腔出血应采用以下哪种扫描方式()
	A.增强扫描
	B.平扫
	C.快速CT扫描
	D.灌注扫描
	E.动态扫描
167、单项选择题 下列关于肝癌CT平扫检查概念错误的是()
	A.大多数病灶为较低密度
	B.脂肪肝或肝硬化时,肝与病灶间密度差缩小
	C.肿瘤细胞分化越好,其密度与正常肝差异越大
	D.可发生坏死、出血和钙化
	E.脂肪肝特别显著时病灶成为较高密度
168、单项选择题 胸导管经何横膈裂孔进入胸腔?()
	A.下腔静脉孔
	B.胸腹裂孔
	C.主动脉裂孔
	D.食管裂孔
	E.胸导管裂孔
169、单项选择题
男,18岁,咳嗽,咳痰,咯血半月余,CT检查如图,最可能的诊断是()
	

	A.过敏性肺炎
	B.支气管扩张
	C.原发性肺结核
	D.大叶性肺炎
	E.肺癌
170、单项选择题 每日开机进行CT球管校准的目的在于()
	A.升高球管温度
	B.启动旋转阳极
	C.防止阳极靶面龟裂
	D.保护X线管,防止损坏
	E.增加阴极电子
171、单项选择题 在星形细胞瘤与脑梗死鉴别中,下列最有意义的是()
	A.低密度
	B.不增强
	C.单脑叶分布
	D.多脑叶分布
	E.不按血管支配区分布
172、多项选择题
	女,34岁,左侧腰部疼痛,有外伤史,CT检查如图所示,下列说法正确的是()
	A.左肾外缘有“半月”形的高密度影
	B.脾下缘可见不规则的高密度影
	C.左肾受压变形
	D.考虑为左肾包膜下出血
	E.考虑为脾出血
173、多项选择题 视神经鞘增厚和增强呈“路轨”征见于()
	A.视神经鞘炎症
	B.视神经鞘出血
	C.海绵状血管瘤
	D.视神经鞘脑膜瘤
	E.转移癌浸润
174、多项选择题 肾上腺腺瘤的CT表现为()
	A.密度均匀的类圆形实性肿块
	B.边缘光滑、清晰,与肾上腺相连
	C.常可见条或斑片状钙化
	D.常因含有脂类而呈低密度
	E.增强扫描呈轻度强化
175、单项选择题 男,30岁,头颅外伤5小时,CT轴位平扫示左额骨骨折,头皮血肿,额顶部双凸形不均匀高密度,中线结构右移,最可能的诊断为()
	A.急性硬膜外血肿 
	B.急性硬膜下血肿 
	C.急性脑血肿伴硬膜外血肿 
	D.脑挫裂伤伴硬膜下血肿 
	E.亚急性硬膜下血肿
176、单项选择题 不是腹部CT扫描技术的适应证的是()
	A.慢性胰腺炎
	B.肾结石
	C.肾动脉狭窄
	D.库欣综合征
	E.胃痉挛
177、单项选择题 血脑屏障破坏所致的脑水肿,哪项正确()
	A.细胞毒性水肿
	B.血管源性水肿
	C.间质水肿
	D.A+B
	E.A+B+C
178、多项选择题 动脉瘤样骨囊肿CT表现为()
	A.病变呈囊状膨胀性骨破坏,骨壳菲薄
	B.破坏区内可见多个含液囊腔
	C.可见液液平面
	D.囊腔间隔为软组织密度,并可见钙化和骨化
	E.增强扫描囊间隔无强化
179、单项选择题 肺部肿块增强前后的CT值测量,常采用软组织窗,原因是()
A.肿块是软组织,肺窗会影响CT值的准确性  
B.软组织窗只有一种,而肺窗有两种  
C.各个医院之间肺窗的设置相差较大  
D.肺窗CT值的线性没有软组织窗好  
E.诊断医师习惯观看软组织窗的肿块图
180、单项选择题
	男,75岁,吞咽有梗阻感,消瘦、乏力、中上腹痛,影像检查如图,最可能的诊断是()
	A.食管癌
	B.胃窦癌
	C.贲门癌
	D.慢性胃炎
	E.胃淋巴瘤
181、多项选择题
	男,65岁,左侧腰背部胀痛伴无痛性全程血尿3月余,CT平扫及增强检查如图所示,下列说法正确的是()
	A.平扫时见左肾上极有一软组织肿块影,其边界较清楚
	B.增强扫描肾皮质期可见肿块明显强化,其内亦有无强化区
	C.增强扫描肾实质期可见肿块强化迅速下降,但密度比平扫时仍要高
	D.考虑为左侧肾癌
	E.考虑为左侧肾错构瘤
182、单项选择题
	男,52岁,双眼突出2-3年,结合图像,最可能的诊断是()

	A.淋巴瘤
	B.肌炎型炎性假瘤
	C.眼肌发育异常
	D.眼型Graves病
	E.眼眶血管畸型
183、多项选择题 CT薄层扫描示右主支气管内壁结节样软组织密度影,局部管腔变窄,右下肺肺窗示片絮状稍高密度影,边缘欠清。可能的诊断为()
	A.卡波济(Kaposi)肉瘤
	B.支气管腺瘤
	C.中央型错构瘤
	D.早期周围型肺癌
	E.早期中央型肺癌
184、单项选择题
	根据皮下组织的表现,该病例可能性最小的诊断为()
	A.转移
	B.淋巴瘤
	C.良性囊肿
	D.黑色素瘤
	E.纤维瘤
185、单项选择题
	男,5岁,有尿路感染伴急性发热,CT增强扫描如图所示,最可能的诊断是()
	A.左侧肾炎
	B.左侧肾脓肿
	C.左侧急性肾盂肾炎
	D.左侧黄色肉芽肿性肾盂肾炎
	E.左侧慢性肾盂肾炎
186、单项选择题
	患者腹痛,结合图像,最可能的诊断是()
	A.阑尾炎
	B.憩室炎
	C.胰腺炎
	D.肠系膜脂膜炎
	E.以上都不是
187、单项选择题 下列关于腹水的描述,不正确的是()
	A.腹膜反折部增厚
	B.Morrison囊内出现水样密度影
	C.盆腔液体最早聚积于膀胱直肠窝内
	D.少量腹水常位于右侧,环绕肝处缘
	E.右侧结肠旁沟内的液体不能与右膈下间隙直接相通
188、单项选择题
	男,30岁,近2年来右膝疼痛,活动后加重,2周前由于剧烈运动后,右膝活动受限,右膝压痛明显,有波动感,皮肤稍显红肿,以髌骨部明显,结合图像,最可能的诊断是()
	A.纤维性骨皮质缺损
	B.非骨化性纤维瘤
	C.骨囊肿
	D.骨巨细胞瘤
	E.动脉瘤样骨囊肿
189、单项选择题 普通型间质性肺炎的CT特征是()
	A.斑片状、网状、毛玻璃样密度影 
	B.不规则形,线状或蜂窝状阴影 
	C.散在分布斑片状阴影 
	D.多发5~7mm结节影,半数有空洞 
	E.钙化
190、单项选择题
	患者50岁,红细胞增多,渐进性腹痛,结合图像,最可能的诊断是()

	A.肝癌
	B.转移癌
	C.再生结节
	D.肝血管瘤
	E.以上都不是
191、单项选择题
	男,56岁,突感胸闷,憋气,就诊后行CTA检查如下图,应考虑为()
	A.主动脉瘤
	B.主动脉夹层(DeBakeyⅠ型)并主动脉瘤
	C.主动脉夹层(DeBakeyⅡ型)并主动脉瘤
	D.主动脉夹层(DeBakeyⅢ型)并主动脉瘤
	E.主动脉血栓
192、单项选择题
女性,58岁。突感胸骨后疼痛来院就诊。行胸部CT平扫如图:
	
	A.X线平片
	B.胸部超声
	C.MSCTA
	D.MRI
	E.放射性核素扫描
193、单项选择题
	精索内筋膜对应于腹壁的哪一层()
	A.scarpa筋膜
	B.腹横筋膜
	C.腹横肌腱膜
	D.腹内斜肌腱膜
	E.腹外斜肌腱膜
194、单项选择题 下列哪项决定正常血液的CT值()
	A.血红蛋白
	B.血小板
	C.血浆
	D.血铁含量
	E.白蛋白
195、单项选择题
	男,33岁,右肩部疼痛,巨大肿块,活动受限,结合图像,最可能的诊断是()
	A.骨肉瘤
	B.软骨瘤
	C.骨软骨瘤
	D.软骨肉瘤
	E.骨转移瘤
196、单项选择题 在脊髓内肿瘤中,下列哪种组织学类型最常见()
	A.神经母细胞瘤
	B.血管母细胞瘤
	C.神经上皮性囊肿
	D.胶质瘤
	E.错构瘤
197、单项选择题
	男,50岁,中上腹饱胀、疼痛半年,消瘦,结合图像,最可能的诊断是()
	A.淋巴瘤
	B.胃腺瘤
	C.胃癌
	D.胃窦溃疡梗阻
	E.胃平滑肌瘤
198、单项选择题 下列肺间质病变知识,哪项是不正确的()
	A.常规CT增强扫描价值最高
	B.小叶间隔不均匀增厚
	C.支气管血管周围间质增厚
	D.蜂窝状阴影
	E.网状阴影
199、单项选择题 等密度硬膜下血肿与颅内肿瘤鉴别的最有效方法()
	A.行薄层(2~4mm)扫描
	B.改为冠状位扫描
	C.进行增强扫描
	D.调整扫描角度
	E.1周后复查对比
200、单项选择题
	女,23岁,左颌骨疼痛,夜间明显,服阿司匹林可缓解,结合图像,最可能的诊断是()
	A.骨脓肿
	B.骨样骨瘤
	C.骨化性纤维瘤
	D.骨巨细胞瘤
	E.骨肉瘤
201、多项选择题
	男,59岁,反复尿频尿急尿痛4年余,尿常规检查:红细胞(+),白细胞(++),CT扫描如图示,下列说法正确的是()
	A.左侧输尿管中下段输尿管管壁增厚,管腔狭窄
	B.左侧侧输尿管上段扩张
	C.考虑为输尿管结核
	D.考虑为慢性输尿管炎
	E.考虑为输尿管移行细胞癌
202、多项选择题 鳃裂囊肿的CT征象为()
	A.边界清楚、圆形或卵圆形低密度囊性肿块
	B.平扫时囊壁显示欠清,增强后囊壁轻度强化
	C.CT值在0~20HU,囊壁薄
	D.继发感染时囊壁增厚,囊液密度增高
	E.有时可见囊肿位于颈内和颈外动脉之间
203、单项选择题 右主支气管水平奇静脉直径正常为()
	A.3~4mm
	B.4~5mm
	C.5~6mm
	D.6~7mm
	E.5~8mm
204、单项选择题
	女,18岁,呼吸困难,消瘦,糖原PAS染色阳性,结合图像,最可能的诊断是()
	A.系统性红斑狼疮
	B.肺泡癌
	C.含铁血黄素沉着症
	D.肺泡性肺水肿
	E.肺泡蛋白沉积症
205、多项选择题 维生素D缺乏症的X线表现有()
	A.临时钙化带模糊,不规则
	B.临时钙化带致密,称曲姆尔带
	C.干骺端增宽,中央呈坏口状凹陷
	D.干骺端向两侧唇状突出称皮尔坎征
	E.骨骺碎裂改变
206、单项选择题
	男,35岁,皮肤可见咖啡色素斑,关节疼痛,结合图像,最可能的诊断是()
	A.骨肉瘤
	B.骨转移瘤
	C.神经纤维瘤
	D.骨软骨瘤
	E.纤维肉瘤
207、单项选择题
	男,43岁,左下腹痛不适1月余,结合图像,最可能的诊断是()
	A.结肠癌
	B.淋巴瘤
	C.腹膜后肉瘤
	D.转移癌
	E.畸胎瘤
208、多项选择题 注射对比剂后,乳腺增强的程度正确的是()
	A.脂肪组织增加的CT值<2HU
	B.导管和腺体组织增加的CT值≤10HU
	C.导管和腺体组织增加的CT值≥10HU
	D.乳晕后组织和乳头增加的CT值≥15HU
	E.乳晕后组织和乳头增加的CT值≤15HU
209、单项选择题 少枝胶质细胞瘤的特征性CT表现是()
	A.混合密度
	B.索条状钙化
	C.不规则增强
	D.可呈低密度
	E.以上都是
210、单项选择题
	男,45岁,下肢剧痛,活动受限,结合图像,最可能的诊断是()
	A.剥脱性骨软骨炎
	B.急性骨髓炎
	C.骨梗死
	D.骨结核
	E.骨肉瘤
211、单项选择题 两肺血减少,肺动脉段突出,两肺动脉干不对称,左侧粗,右侧细,见于哪种心脏病()
	A.法洛四联征
	B.动脉导管未闭
	C.原发性肺动脉高压
	D.肺动脉瓣狭窄
	E.高位室间隔缺损
212、单项选择题
	牙齿参差不齐,无发热,无疼痛,PE:上牙槽向前隆突,影像检查如图,最可能诊断为()
	A.上颌骨结核
	B.上颌骨含牙囊肿
	C.上颌骨脓肿
	D.上颌骨造釉细胞瘤
	E.上颌骨巨细胞瘤
213、单项选择题
	男,50岁,黄疸进行性加重、腹部胀痛不适、食欲减退、体重减轻、上腹部可触及肿块,CT扫描如图,最可能的诊断为()
	A.急性胰腺炎
	B.慢性胰腺炎
	C.胰头癌
	D.腹膜后淋巴瘤
	E.转移癌
214、单项选择题 男,50岁,右肺尖发现异常肿块样影,临床表现右眼球内陷,瞳孔缩小,右上肢疼痛,最可能的诊断是()
	A.肺转移癌
	B.肺结核
	C.胸壁结核
	D.肺上沟癌
	E.肺结节病
215、多项选择题 对于肝脏CT解剖,描述正确的有()
	A.肝静脉进入下腔静脉的部位称为第二肝门,约平第3腰椎
	B.肝静脉分为肝右、肝左、肝中静脉三支
	C.肝静脉支走行于肝脏叶或段间裂内,可以用肝静脉划分肝叶、肝段
	D.胸主动脉的左后方有半奇静脉,右后方有奇静脉,奇静脉的前方有胸导管
	E.第二肝门的左侧可见食管影,食管后方为胸主动脉
216、单项选择题
	男,51岁,右上腹隐痛2月余,CT扫描如图,最可能的诊断是()
	A.胆囊癌伴肝门胰头周围转移
	B.胆囊息肉
	C.胆囊黄色肉芽肿
	D.慢性胰腺炎并胆囊息肉
	E.胆囊腺瘤及慢性胰腺炎
217、单项选择题
	男,11岁,有遗传性多发性骨软骨瘤史,现左髋部肿胀、疼痛明显,结合图像,最可能的诊断是()
	A.尤文肉瘤
	B.软骨肉瘤
	C.骨肉瘤
	D.化脓性骨髓炎
	E.骨软骨瘤
218、单项选择题
	根据所提供的图像,该病例的最可能的诊断为()
	A.肝癌
	B.布-加氏综合征
	C.脂肪瘤
	D.肝硬化
	E.以上都不是
219、单项选择题
女,12岁,头痛、恶心、呕吐1周,平扫CT检查如图
	
	A.前颅窝
	B.中颅窝
	C.后颅窝
	D.脑自质
	E.脑皮质
220、单项选择题 关于肾CT检查说法,错误的是()
	A.扫描前3天禁服钡剂、钙或含金属药物
	B.平扫可发现钙化和结石
	C.扫描前30分钟口服15%泛影葡胺400ml
	D.一般不需做增强扫描
	E.扫描前6小时禁食
221、多项选择题 脑外伤常见的后遗症有哪些()
	A.脑软化 
	B.脑萎缩 
	C.脑积水 
	D.蛛网膜囊肿 
	E.脑穿通畸形囊肿
222、单项选择题 CT对胃癌的诊断价值,哪项不正确()
	A.发现癌肿胃壁外侵犯
	B.观察胃壁增厚的程度
	C.常用于明确胃癌的诊断
	D.显示肝转移和肿大淋巴结
	E.术后复查确定复发征象
223、单项选择题
	女,3岁,右耳出生至今耳聋,结合图像,最可能的诊断是()


	A.外耳畸形
	B.内耳畸形
	C.中耳畸形
	D.右侧胆脂瘤
	E.未见异常
224、多项选择题 硬膜下血肿的CT征象为()
	A.亚急性期表现为高、等、低或混合密度
	B.慢性期表现为颅板下方新月形高密度影
	C.由于常合并脑挫裂伤,故占位征象显著
	D.少数慢性硬膜下血肿内可形成分隔
	E.慢性硬膜下血肿可以形成盔甲脑
225、单项选择题
	根据所提供的图像,该病例最可能的诊断为()
	A.肾细胞癌
	B.囊性肾癌
	C.单纯性囊肿
	D.错构瘤
	E.肾血管平滑肌脂肪瘤
226、多项选择题 有关视网膜母细胞瘤叙述正确的有()
	A.常围绕血管生长
	B.易转移
	C.可多灶发生
	D.不侵犯视神经
	E.瘤内多见钙化
227、单项选择题 胰腺病变中,下列哪种疾病不发生钙化()
	A.胰腺囊肿
	B.单纯性急性胰腺炎
	C.慢性胰腺炎
	D.胰腺癌
	E.胰岛细胞癌
228、单项选择题 男,65岁,右侧肢体肌力弱,CT示左额顶叶有-2.5cm×4cm混杂密度区,花环样强化,中线右移,最大可能为()
	A.恶性脑膜瘤
	B.少枝胶质细胞瘤
	C.恶性淋巴瘤
	D.胶质母细胞瘤
	E.脑结核球
229、单项选择题
	男,30岁,感右下颌部有一肿物,逐渐肿大,胀痛,局部麻木1月余,结合图像,最可能的诊断是()
	A.神经纤维瘤
	B.神经鞘瘤
	C.血管瘤
	D.下颌骨肉瘤
	E.软骨瘤
230、单项选择题 关于眶内正常结构的CT解剖,下列描述哪项错误()
	A.两侧眼上静脉可不对称
	B.视神经直径3~4mm
	C.内直肌最厚,上斜肌最薄
	D.眼上静脉直径2~3.5mm
	E.眼环厚度1~2mm
231、单项选择题 5岁男性,有不洁饮食史,自觉胸痛,气急,有果酱色粘痰,CT示肺内多发边缘模糊斑片状影,内有多个空洞,空洞壁厚薄不均,部分空洞内有条状高密度影,最可能的诊断是()
	A.过敏性肺炎
	B.急性肺脓肿
	C.肺吸虫病
	D.大叶性肺炎
	E.肺钩端螺旋体病
232、单项选择题 腰椎术后不良综合征原因有()
	A.椎间盘再脱出
	B.假性脊髓膨出
	C.小关节脱位
	D.神经受损
	E.以上均是
233、单项选择题 颅面血管瘤主要临床或CT特点是()
	A.面部血管痣,癫痫,脑萎缩
	B.面部血管痣,癫痫,基底节钙化
	C.面部血管痣,头痛,大脑表浅部曲线样钙化
	D.面部血管痣,癫痫,大脑表浅部曲线样钙化
	E.面部血管痣,癫痫,大脑深部钙化
234、多项选择题 烟雾病CT平扫的表现有()
	A.蛛网膜下腔出血
	B.脑室缩小
	C.高密度病灶
	D.局部脑萎缩
	E.低密度病灶
235、单项选择题 脑梗死好发于()
	A.大脑中动脉供血区
	B.基底动脉供血区
	C.大脑后动脉供血区
	D.椎动脉供血区
	E.大脑前动脉供血区
236、单项选择题
女,45岁,右侧听力下降伴行走不稳2个月,根据所提供图像,最可能的诊断是()
	
	A.右侧脑膜瘤
	B.右侧胆脂瘤
	C.右侧皮样囊肿
	D.右侧神经纤维瘤
	E.右侧听神经瘤
237、单项选择题 男,46岁,反复右上腹部不适、消化不良数年,右上腹部剧烈疼痛伴恶心、呕吐及轻度黄疸5天。右上腹部压痛,莫非氏征阳性,临床拟诊为胆囊结石。如行CT检查,下列哪项符合胆囊结石的特征性表现()
	A.胆囊增大
	B.胆囊缩小
	C.胆囊内密度增高
	D.胆囊内圆形高密度影
	E.胆管内高密度影
238、单项选择题
	男,38岁,外伤后半个月,行CT复查如图,最可能的诊断为()
	A.脑出血
	B.硬膜外血肿
	C.脑萎缩
	D.脑挫裂伤
	E.亚急性硬膜下血肿
239、多项选择题
	该病人突发胸部疼痛,进行性呼吸困难,行X线片检查,提示右下肺病变,急诊CT平扫加增强,如图所示()
	A.X线片示右下肺实变影
	B.SCT增强扫描示右侧肺动脉主干完全性充盈缺损
	C.右肺动脉开口处见不规则软组织密度影
	D.考虑为右侧肺动脉(中央性)栓塞
	E.考虑为右侧肺癌
240、单项选择题 CT值由高至低是()
	A.骨髓,骨皮质,肌肉
	B.肌肉,骨皮质,骨髓
	C.骨皮质,肌肉,骨髓
	D.水,肌肉,骨髓
	E.血液,肌肉,骨髓
241、单项选择题 按WH0分类关于Ⅱ级星形细胞瘤的CT表现的描述,哪项是错误的()
	A.肿瘤与水肿不易区分 
	B.病灶几乎不强化 
	C.病灶呈不均匀强化 
	D.病灶边缘清楚 
	E.占位效应较轻
242、单项选择题 血管瘤的CT检查中,下列哪项征象描述不对()
A.球后肌锥内圆形、类圆形肿块、边界清楚  
B.密度可因血窦和间质比例不同而异  
C.部分可有斑点状或圆形高密度钙化  
D.增强检查肿瘤强化明显  
E.肿瘤较大可压迫眶骨变形,骨质破坏
243、单项选择题
	男,12岁,反复咳嗽咳痰多年,CT如图所示,最可能的诊断为()
	A.先天性支气管囊肿
	B.支气管扩张
	C.肺发育不全
	D.肺隔离症
	E.肺脓肿
244、单项选择题
	女,40岁,下腹部隐痛、腹胀伴阴道不规则出血1年余,B超检查提示盆腔包块,CT检查如图,下列最可能的选项是()
	A.卵巢畸胎瘤
	B.卵巢囊肿
	C.卵巢囊腺瘤
	D.卵巢囊腺癌
	E.卵巢浆液性囊腺癌
245、单项选择题 常用头颅CT扫描一般层厚为()
	A.5mm
	B.10mm
	C.8mm
	D.9mm
	E.4mm
246、单项选择题 男,50岁,因乙肝后肝硬化行原位肝移植术后1个月,抗病毒、保肝及抗排斥治疗。肝功能恢复正常后出院。出院后1周突发黄疸、发热再次住院,检查发现T管引流液内可见絮状物 首选检查方法()
	A.B超
	B.腹部CT
	C.T管造影
	D.肝动脉造影
	E.肝穿活检
247、单项选择题 成人型多囊肾一般不伴有()
	A.肝囊肿 
	B.颅内动脉瘤 
	C.脾囊肿 
	D.脾肿大及功能亢进 
	E.胰腺囊肿
248、单项选择题
	结合图像,最可能的诊断是()
	A.主动脉夹层
	B.腹主动脉瘤并腹壁血栓
	C.假性动脉瘤
	D.囊肿
	E.以上都不是
249、单项选择题 显示野、矩阵、像素值三者关系的描述,哪个不妥()
	A.显示野不变,矩阵加大,像素值变小
	B.显示野不变,矩阵加大,图像分辨率提高
	C.显示野不变,矩阵加大,图像重建时间长
	D.矩阵不变,加大显示野,像素值提高
	E.矩阵不变,像素值减半,显示野面积缩小4倍
250、单项选择题
	男,45岁,右下腹包块伴进行性增大5月,有钝痛,体检:右下腹明显隆起,可触及一5cm×6cm包块,质中,活动差,影像检查如图,最可能的诊断为()
	A.精原细胞瘤
	B.腹股沟阴囊恶性间皮细胞瘤
	C.腹外疝
	D.阑尾脓肿
	E.淋巴瘤
251、单项选择题 肺结核的确诊方法为()
	A.CT
	B.体层摄影
	C.胸片
	D.痰培养
	E.动态观察
252、多项选择题
	女,28岁,阴道有异常液体流下,CT和MRI扫描如图,下列说诊断正确的是()
	 
	A.CT增强示对比剂由膀胱进入阴道
	B.MRI的T2加权像示宫颈阴道内有大片状高信号影
	C.膀胱后下缘可见鸟嘴状突起
	D.考虑为左侧输尿管异位开口
	E.考虑为膀胱阴道瘘
253、单项选择题 对准直器作用的叙述,不正确的是()
	A.大幅度减少散射线的干扰
	B.决定扫描层的厚度
	C.减少患者的放射剂量
	D.决定像素的大小
	E.提供图像质量
254、单项选择题
	患者50岁,右上腹痛,结合图像,最可能的诊断是()
	A.气肿性胆囊炎
	B.急性胆囊炎
	C.慢性胆囊炎
	D.胆囊癌
	E.以上都不是
255、单项选择题
	肝右前叶病灶,结合图像,最可能的诊断是()
	A.肝血管瘤破裂
	B.肝血管平滑肌瘤破裂
	C.肝癌并破裂
	D.布-加综合征
	E.以上都不是
256、单项选择题
关于十二指肠球部溃疡,下列说法不正确的是()
	A.常见球部变形
	B.溃疡可多发
	C.胃肠钡餐检查可见点状钡斑
	D.可见胃蠕动增强
	E.部分可恶变
257、单项选择题 已婚妇女,盆腔CT扫描为了显示阴道和宫颈的部位,应放置()
	A.避孕环
	B.碘油
	C.纱布塞子或阴道栓
	D.硫酸钡
	E.碘水
258、单项选择题 当窗宽为250,窗位为50时,其CT值显示范围为()
	A.50~250
	B.-75~175
	C.-125~125
	D.0~250
	E.50~300
259、单项选择题
	女,47岁,左侧腰部隐痛不适2个月余,结合所示图像最可能的诊断为()
	A.左肾癌
	B.左肾血管平滑肌脂肪瘤
	C.左肾出血性囊肿
	D.左肾炎性包块
	E.左肾感染性囊肿
260、单项选择题 关于腹膜后脂肪肉瘤的叙述,不正确的是()
	A.即使分化好的肿瘤,密度也常高于人体正常脂肪
	B.实体型前后以纤维组织为主
	C.假囊肿型肿瘤多为黏液脂肪肉瘤
	D.不伴有瘤内钙化
	E.肿瘤密度常不均匀,边界不甚清楚,或呈浸润生长
261、单项选择题 侧脑室三角区对应的脑叶是()
	A.额颞顶叶交界区
	B.额颞枕叶交界区
	C.颞顶枕叶交界区
	D.颞枕叶和小脑半球交界区
	E.颞枕岛叶交界区
262、多项选择题 胰腺癌的影像学表现为()
	A.上消化道造影检查可出现十二指肠圈扩大,降部内缘出现反"3"字征
	B.CT可出现"双管征"
	C.CT可表现为胰腺的增大或肿块
	D.血行转移以脾脏最为常见
	E.增强扫描,病灶强化程度较周围胰腺组织低
263、单项选择题 肾细胞癌的影像检查中,哪些表现最为常见()
	A.坏死、出血、非均质强化的肿块
	B.囊性变并均质强化
	C.不均质肿块并均质强化
	D.囊变、钙化无强化
	E.钙化囊变不伴有强化
264、单项选择题 外伤性迟发性脑内出血多在伤后()
	A.2小时内
	B.24小时内
	C.48小时内
	D.72小时内
	E.1周后
265、多项选择题 慢性胆囊炎的CT表现为()
	A.容易穿孔并在肝内形成脓肿
	B.胆囊缩小
	C.胆囊增大
	D.均合并结石
	E.胆囊壁增厚可钙化
266、单项选择题 下列易出现钙化性转移的盆腔内肿瘤是()
	A.卵巢癌
	B.宫颈癌
	C.前列腺癌
	D.膀胱癌
	E.精囊癌
267、单项选择题
	女,45岁,满月脸、向心性肥胖2年余,实验室检查:血、尿皮质醇增高,结合CT图像,最可能的诊断是()
	A.左肾上腺腺瘤
	B.左肾上腺腺癌
	C.左肾上腺转移癌
	D.左肾上腺嗜铬细胞瘤
	E.左肾上腺增生
268、单项选择题 头颅外伤2天,CT示蝶窦有气液平面,颅内有积气。诊断为()
	A.颅底骨折
	B.蝶骨骨折
	C.急性筛窦炎
	D.化脓性蝶窦炎
	E.额骨骨折
269、多项选择题 动脉瘤样骨囊肿的特征()
	A.边缘硬化有液-液平面
	B.有钙化或骨化影
	C.边缘无硬化无液-液平面
	D.无钙化
	E.无液-液平面、无增强
270、单项选择题 食管癌最易发生的部位是()
	A.食管贲门处
	B.胸上段
	C.胸中段
	D.胸下段
	E.颈段
271、单项选择题
	患者腹胀,盗汗,结合所示图像,最可能的诊断是()
	A.淋巴瘤
	B.肾癌
	C.急性肾盂肾炎
	D.肾结核
	E.肾囊肿
272、单项选择题 CT显示右上肺内3cm类圆形软组织密度结节,边缘分叶状,有毛刺,可见胸膜尾征,外侧可见钙化斑,病灶周围数个软组织密度小结节影,最可能的诊断是()
	A.周围型肺癌
	B.结核球
	C.炎性假瘤
	D.球形肺不张
	E.非典型性肺炎
273、单项选择题 不适合做CT扫描的是()
	A.颅脑外伤
	B.脑肿瘤
	C.新生儿缺氧缺血性脑病
	D.精神分裂症
	E.脑实质变性
274、单项选择题
	男,76岁,无痛性肉眼血尿3个月,CT检查如图所示,下列说法错误的是()
	A.左侧肾盂扩张积水
	B.左侧输尿管中上段扩张
	C.左侧输尿管下段可见节段状不规则的软组织肿块影
	D.考虑为左侧输尿管炎
	E.考虑为左侧输尿管下段癌
275、单项选择题 以下对于窗位概念的描述,正确的是()
	A.窗位相当于显示灰阶的中心
	B.不同机器的窗位值不同
	C.窗位规定所显示CT值的范围
	D.窗位与所显示的组织CT值无关
	E.通常窗位选择以水的CT值为标准
276、单项选择题 血管瘤CT检查技术的“两快一慢”是指()
	A.快速扫描,快速重建,慢速注射
	B.快速注药,快速扫描,延迟扫描
	C.快速注药,慢速扫描,快速重建
	D.快速扫描,快速注药,延迟重建
	E.以上都不是
277、单项选择题
	男,36岁,左大腿可触及软组织肿块,结合图像,最可能的诊断是()
	A.脂肪瘤
	B.脂肪肉瘤
	C.血管瘤
	D.淋巴管瘤
	E.纤维肉瘤
278、单项选择题 癫痫发作2次,CT平扫示侧脑室旁多发低密度灶,无占位效应,但强化后呈结节样增强。最可能的诊断是()
	A.髓鞘形成异常
	B.脑囊虫病
	C.转移瘤
	D.多发性硬化
	E.脑脓肿
279、单项选择题 通常认为内耳道宽度小于多少为狭窄()
	A.5mm
	B.3mm
	C.8mm
	D.1mm
	E.10mm
280、单项选择题 心肌梗死的延迟增强扫描图像上,延迟性强化代表()
	A.心肌纤维化
	B.心肌缺血
	C.心肌坏死
	D.心室壁瘤
	E.心肌修复
281、单项选择题 CT诊断颈椎创伤,错误的为()
	A.寰枢椎脱位既要观察前脱位,还需注意旋转性脱位
	B.环椎骨折也称为Jefferson骨折,MRI显示优于CT
	C.颈椎横突出现骨折,并不一定表明椎动脉损伤
	D.CT在显示骨折的同时,尚可显示硬膜囊受压情况
	E.环椎前结节后缘与枢椎齿状突前缘距离成人>2mm、儿童>4mm则说明横韧带撕裂
282、单项选择题 松果体区最常见的肿瘤是()
	A.畸胎瘤
	B.表皮样囊肿
	C.胶质瘤
	D.生殖细胞瘤
	E.松果体细胞瘤
283、单项选择题
	女,54岁,左上腹痛,CT检查如图,最可能的诊断是()
	A.脾淋巴瘤
	B.脾脓肿
	C.脾梗死
	D.脾血管瘤
	E.脾转移癌
284、单项选择题 关于胆囊结石描述,错误的是()
A.泥砂样结石常沉积在下部,密度较高,与上部胆汁形成液平  
B.石灰样胆汁胆囊呈造影样高密度  
C.结石均呈结节状致密影  
D.结石中心可有气体存在  
E.结石常合并慢性胆囊炎
285、单项选择题 下列哪项不是颅脑增强扫描的目的()
	A.区分梗死与水肿
	B.观察肿瘤的血运情况
	C.明确肿瘤边界
	D.鉴别脑内外肿瘤
	E.观察血脑屏障的破坏
286、单项选择题
	女,67岁,腹部包块,行IVP和CT检查如图,应诊断为()
	A.多囊肾
	B.双肾多发单纯性肾囊肿
	C.多发囊肿性肾发育不全
	D.囊性肾癌
	E.多房性囊性肾瘤
287、单项选择题
	患者偶然发现肾上腺团块,结合所示图像,最可能的诊断是()
	A.转移
	B.脂肪瘤
	C.腺瘤
	D.嗜铬细胞瘤
	E.以上都不是
288、单项选择题 眼球异物定位方法中定位最准确的是()
	A.巴尔金氏定位法
	B.角膜缘定位环法
	C.吸盘式定位器法
	D.薄骨位摄片法
	E.无骨位摄片法
289、单项选择题
	男,54岁,外伤后十余天,左季肋区疼痛、肿胀。CT检查如图,最可能的诊断是()
	A.脾破裂实质内血肿
	B.脾包膜下血肿
	C.脾挫裂伤
	D.脾梗死
	E.脾扭转
290、单项选择题
	根据所提供的图像,最可能的诊断是()
	A.胆囊癌
	B.气肿性胆囊炎
	C.胆囊结石
	D.慢性胆囊炎
	E.以上都不是
291、多项选择题 增强CT扫描脑底动脉环强化显示为()
	A.脑底动脉环是鞍上池的衬边
	B.后交通动脉沿鞍上池两侧缘走行,连接大脑中、后动脉
	C.大脑前动脉位于鞍上池前缘,由此向纵裂池延伸
	D.鞍上池后缘中央见基底动脉圆点,由此向两旁延伸的是一对大脑后动脉,沿鞍上池后缘进入环池
	E.在鞍上池前外侧角内见颈内动脉高密度的圆点,大脑中动脉由此横向走入侧裂池内
292、单项选择题
	男,53岁,左眼痛、突出3年,结合图像,最可能的诊断是()
	A.淋巴瘤
	B.骨膜下脓肿
	C.黏液囊肿
	D.眼型Graves病
	E.良性混合瘤
293、单项选择题 肺纹理主要由哪些结构组成()
	A.支气管动、静脉和淋巴管
	B.支气管
	C.淋巴管
	D.支气管动、静脉
	E.肺动、静脉
294、单项选择题 水的衰减系数是()
	A.0
	B.1
	C.2
	D.10
	E.100
295、单项选择题 下列关于脑膜瘤的描述中正确的是()
	A.男性发病率高
	B.青少年多见
	C.多为良性
	D.多见邻骨质破坏
	E.CT增强扫描多无明显强化
296、多项选择题 下列选项中,“二快一慢”肝脏增强技术的是()
	A.快速扫描
	B.慢速扫描
	C.延迟扫描
	D.慢速注射
	E.快速注射
297、单项选择题 CT诊断前列腺增生的标准是()
	A.超过耻骨联合上缘
	B.超过耻骨联合上缘10mm
	C.超过耻骨联合上缘15mm
	D.超过耻骨联合上缘20~30mm
	E.超过耻骨联合上缘30~40mm
298、单项选择题
	患者,女,57岁,咳嗽、咳痰两个月余,3天前咯鲜血一次,约5ml,作胸部CT扫描如图。则应诊断为()
	A.周围型肺癌
	B.支气管肺炎
	C.中央型肺癌
	D.支气管扩张
	E.肺泡蛋白沉积症
299、单项选择题 典型的单纯性肝囊肿的CT密度是()
	A.空气样密度
	B.水样密度
	C.脂肪密度
	D.肌肉样密度
	E.肝脏样密度
300、单项选择题 关于卵巢浆液性囊腺癌的描述,哪项不正确()
	A.多为单侧卵巢受累
	B.早期就可有腹腔转移
	C.可为囊实性质地
	D.就诊时,瘤体多较大
	E.囊壁厚,且厚度不均,可强化