时间:2025-02-08 01:56:56


1、多项选择题 外中耳畸形包括()
A.前庭导水管扩大
B.听小骨畸形
C.面神经管异常
D.内耳道畸形
E.颈动脉移位
2、单项选择题 鼻咽癌病人CT显示咽旁间隙向哪个方向移位()
A.向内
B.向外
C.向前
D.向后
E.向下
3、单项选择题 胆囊癌的CT表现分四型,下列哪型是错误的()
A.结节型
B.壁厚型
C.肿块型
D.阻塞型
E.结石型
4、单项选择题
女,8岁,头痛,鼻塞半年余,CT如图,最可能的诊断是()
A.鼻咽癌
B.鼻咽部炎症
C.腺样体肥大
D.神经纤维瘤
E.咽后脓肿
5、单项选择题 有关窗技术的理解,下列哪个不妥()
A.利用窗技术,将人体组织分为的2000个分度,调整到人眼所能辨别的16个灰阶中
B.窗位是指窗宽上限、下限CT值的平均数
C.窗位、窗中心是指一个概念
D.为显示不同组织影像,应在规范的范围调整
E.窗口技术调整的目的,是为了拍摄出一张对比良好的照片
6、单项选择题
患者,男,50岁,右上腹痛伴黄疸,超声体检发现腹腔多个液性暗区。CT图像如下,最可能的诊断是()
A.腹腔囊肿
B.先天性胆管囊肿Ⅳ型
C.腹腔皮样囊肿
D.肝囊肿
E.胰腺囊肿
7、单项选择题 根据软骨所含纤维不同,软骨可分为()
A.透明软骨、纤维软骨、弹力软骨
B.骨软骨和瘤软骨
C.玻璃软骨
D.瘤软骨和软骨
E.软骨基质、钙化软化
8、单项选择题
患者有肝炎病史,结合图像,最可能的诊断是()
A.肝癌
B.肝硬化
C.门静脉栓塞
D.肝脓肿
E.以上都不是
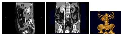
9、多项选择题
男,20岁,右腰部胀痛不适,MRI如图示,下列说法正确的是()
A.右侧肾盂积水
B.右侧输尿管上段扩张积水
C.右侧输尿管走行异常,呈“S”形向中线移位
D.考虑为右侧腔静脉后输尿管
E.考虑为右侧输尿管自身的扭曲
10、单项选择题 关于阴茎的说法,错误的是()
A.由外向内依次为皮肤、阴茎浅深筋膜及白膜
B.阴茎背动脉、神经走行于白膜与阴茎深筋膜之间
C.阴茎深筋膜包裹3条海绵体并形成阴茎悬韧带
D.白膜包裹各海绵体并形成海绵体肌
E.阴茎浅筋膜与Colles筋膜、scarpa筋膜、阴囊肉膜相移行
11、单项选择题
男,54岁,有乙肝病史,现腹胀,右上腹痛,消化不良,消瘦、乏力、贫血、黄疸,血清转氨酶升高,白蛋白/球蛋白比值倒置,CT、MRI检查如图,最可能的诊断是()
A.肝脓肿
B.局灶性结节增生
C.原发性肝癌
D.肝转移癌
E.肝炎性假瘤
12、单项选择题 脑脓肿初步形成包裹一般在几周()
A.6~12个月
B.4~8周
C.1~2周
D.3~6周
E.8~10周
13、单项选择题 肾脏CT检查前,口服对比剂的总量约为()
A.1000ml
B.800ml
C.700ml
D.600ml
E.500ml
14、单项选择题 单光子发射计算机体层的英文缩写是()
A.X-CT
B.MRI
C.ECT
D.PET
E.SPECT
15、单项选择题 关于Ⅲ型肝包虫病CT扫描的影像特点是()
A.单纯囊肿,无子囊,钙化少见
B.子囊多,内囊常分离,常有钙化
C.实质性钙化灶,含少量囊性组织
D.有少数子囊
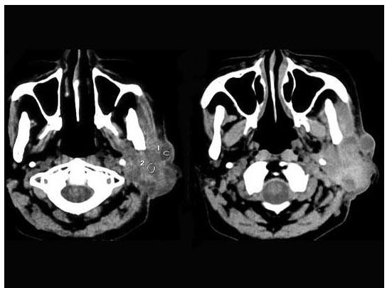
E.合并有脾脏,腹腔内多发囊性病变
16、单项选择题
因静脉吸毒染上艾滋病的患者,如图所示,最可能的诊断是()
A.椎旁脓肿
B.肌肉转移
C.肌肉梗死
D.骨髓炎
E.出血
17、单项选择题 心肌梗死的延迟增强扫描图像上,延迟性强化代表()
A.心肌纤维化
B.心肌缺血
C.心肌坏死
D.心室壁瘤
E.心肌修复
18、单项选择题
男,65岁,腋下触及肿大包块,全身浅表淋巴结肿大,结合所示图像,最可能的诊断是()
A.双侧肾上腺腺瘤
B.双侧肾上腺增生
C.双侧肾上腺淋巴瘤
D.双侧肾上腺转移癌
E.肾上腺癌
19、单项选择题 不属于原发性心肌病的是()
A.心内膜心肌纤维化
B.缺血性心肌病
C.肥厚型心肌病
D.扩张型心肌病
E.克山病
20、多项选择题 增强CT扫描脑底动脉环强化显示为()
A.脑底动脉环是鞍上池的衬边
B.后交通动脉沿鞍上池两侧缘走行,连接大脑中、后动脉
C.大脑前动脉位于鞍上池前缘,由此向纵裂池延伸
D.鞍上池后缘中央见基底动脉圆点,由此向两旁延伸的是一对大脑后动脉,沿鞍上池后缘进入环池
E.在鞍上池前外侧角内见颈内动脉高密度的圆点,大脑中动脉由此横向走入侧裂池内
21、单项选择题 肝转移癌少血供者常见表现为()
A.病理血管
B.供血血管增粗
C.血管受压弯曲
D.肿瘤染色
E.动静脉瘘
22、单项选择题 诊断右心房增大的主要方法是()①X线检查②超声心动图检查③心血管造影④心电图检查⑤MRI检查
A.①+②
B.①+③
C.②+③
D.③+④
E.②+⑤
23、单项选择题
男,7岁,外伤后1个月,当时右上臂上部局部肿痛,行夹板固定。根据CT平扫片,最可能的诊断为()
A.骨囊肿
B.骨纤维异常增殖症
C.动脉瘤样骨囊肿
D.干骺端结核
E.骨肉瘤
24、单项选择题 盆腔CT扫描适应证不包括()
A.前列腺癌
B.输卵管狭窄
C.子宫肌瘤
D.卵巢囊肿
E.膀胱癌
25、多项选择题
女,28岁,阴道有异常液体流下,CT和MRI扫描如图,下列说诊断正确的是()
A.CT增强示对比剂由膀胱进入阴道
B.MRI的T2加权像示宫颈阴道内有大片状高信号影
C.膀胱后下缘可见鸟嘴状突起
D.考虑为左侧输尿管异位开口
E.考虑为膀胱阴道瘘
26、单项选择题 喉癌中伴淋巴结转移者多见于下列哪种疾病()
A.假声带癌
B.声门下癌
C.声带癌
D.声门上癌
E.喉室癌
27、单项选择题 侵袭性曲菌病感染早期,CT扫描在肺部结节周边可见较低密度区域环绕,称作“晕轮征”,其病理基础为()
A.肺不张
B.肺出血
C.肺水肿
D.肺气肿
E.阻塞性肺炎
28、单项选择题 下列关于急性胆囊炎的特有CT表现,错误的是()
A.胆囊壁增厚>3mm,边缘模糊
B.胆囊壁周围水肿呈环状低密度影
C.胆囊增大,横径>4.5cm
D.胆总管和胰管扩张
E.胆囊腔或壁内可有气体
29、单项选择题
男,3岁。腰部包块伴反复发热1个月余。CT增强扫描如下图。最可能的诊断是()
A.肾癌
B.肾盂癌
C.肾结核
D.肾母细胞瘤
E.肾脓肿
30、单项选择题
男,16岁,大腿可触及柔软、无痛性肿块,结合图像,最可能的诊断是()
A.滑膜肉瘤
B.脂肪肉瘤
C.脂肪瘤
D.血管瘤
E.淋巴管瘤
31、单项选择题
男,56岁,根据所示图像,最可能的诊断是()
A.膀胱癌
B.膀胱结核
C.右侧输尿管结核
D.右侧输尿管乳头状瘤
E.右侧输尿管癌
32、单项选择题 以下哪项是用来表示CT机空间分辨率的()
A.X射线剂量(mGy或raD.
B.线对/cm(Lp/cm)或线经/mm(mm/mm)
C.百分数(%)
D.调制传递函数(MTF.
E.以上都不是
33、单项选择题
男,68岁,胸闷、气逼1年余,加重1周,右胸有手术史,结合CT图像,最可能的诊断是()
A.右侧气胸并皮下气肿、左侧肺气肿
B.右侧气胸并皮下气肿、左侧肺不张
C.双侧肺气肿
D.右侧气胸并皮下气肿
E.右侧肺间质病变、左侧肺气肿
34、单项选择题 有关结节病,不正确的是()
A.气管旁与肺门淋巴结受累可为结节病的典型表现
B.淋巴结受累常呈对称性分布
C.淋巴结肿大时,MR优于CT
D.观察肺实质是否受累时,CT优于MR
E.病理特征是肉芽肿沿支气管分布
35、单项选择题 男,16岁,视力下降4个月,双目失明10天,无癫痫发作史,双面部皮脂腺瘤,背部鲨角斑(多发)双侧视乳头边缘模糊呈灰色,视网膜鼻侧有散在片状出血,CT平扫双侧侧脑室外侧壁显示多发高密度钙化小结节影,增强后结节影数目增多,最可能的诊断为()
A.脑转移瘤
B.结节性硬化
C.多发性硬化
D.脑囊虫病
E.脑脓肿
36、单项选择题 椎间盘突出的部位常见于()
A.颈2~3
B.颈3~4
C.胸5~6
D.腰3~4
E.腰5~骶1
37、单项选择题 CT造影增强应用最广的静脉注射法是()
A.团注法
B.单次大量快速注射法
C.滴注-大量快注法
D.大量快注-滴注法
E.多次大剂量急速注射法
38、单项选择题
女,23岁,左颌部疼痛肿胀一年余,近来加重,CT表现如图,最可能的诊断是()
A.造釉细胞瘤
B.混合性牙瘤
C.中央性颌骨癌
D.颌骨血管瘤
E.牙龈癌
39、单项选择题
患者中年,大便次数增多,结合图像,最可能的诊断为()
A.十二指肠癌
B.结肠肝曲癌
C.胰腺癌
D.直肠癌
E.以上都不是
40、单项选择题 正常成年人腰椎椎管前后径的范围为()
A.10~14mm
B.15~25mm
C.8~12mm
D.25~30mm
E.11~13mm
41、单项选择题 与CT噪声无关的因素是()
A.X线剂量
B.扫描层厚
C.重建算法
D.探测器的灵敏度
E.FOV
42、单项选择题 下列关于肝门解剖结构的排列,正确的是()
A.肝动脉在门静脉的前侧,肝总管在静脉外侧
B.肝动脉在门静脉的外侧,肝总管在静脉的内侧
C.肝动脉在门静脉的后侧,肝总管在静脉的前侧
D.肝动脉在门静脉的内侧,肝总管在静脉后侧
E.肝动脉位于门静脉的前内侧,肝总管在门静脉外侧
43、多项选择题 有关葡萄膜黑素瘤描述正确的有()
A.好发于后1/3脉络膜
B.易转移
C.可引起视网膜剥离
D.成人多见
E.B型好,A型差
44、单项选择题 女,52岁,右眼突.CT示视神经肿瘤,内有钙化,视神经孔扩大,骨质增生,增强明显,应诊断为()
A.胶质瘤
B.横纹肌瘤
C.脑膜瘤
D.转移瘤
E.炎性假瘤
45、单项选择题 肝脏增强扫描动脉期,对以下哪种病变诊断价值最高()
A.原发性肝癌
B.肝脏炎性假瘤
C.局灶性结节增生
D.转移性肝癌
E.肝囊肿
46、多项选择题 眼球突出分为()
A.间歇性
B.非炎症性
C.炎症性
D.搏动性突眼
E.外伤性
47、单项选择题
男,42岁,右下腹痛、腹胀半年,无浅表淋巴结肿大,影像检查如图,最可能的诊断是()
A.淋巴瘤
B.结肠癌
C.Crohn病
D.肠结核
E.腹膜后纤维化
48、单项选择题 关于甲状腺肿物CT检查的描述,不正确的是()
A.确定肿瘤性与非肿瘤性病变非常困难
B.有时鉴别肿瘤的良恶性存在一定困难
C.不能确定肿瘤的范围
D.增强扫描有助于病变检出
E.可判断有无淋巴结转移
49、单项选择题 肝脏的不规则增强是由于()
A.动脉期成像
B.肝转移
C.门静脉栓塞
D.胰腺癌
E.以上都不是
50、单项选择题
女,45岁,急性上腹部持续性疼痛,程度剧烈,放射到胸背部,恶心、呕吐,白细胞计数增高,血尿淀粉酶升高,影像所见如图,最可能的诊断是()
A.急性单纯性胰腺炎
B.急性出血坏死性胰腺炎
C.慢性胰腺炎
D.胰腺癌
E.胰腺脓肿
51、单项选择题 先天性输尿管囊肿最常见的好发部位在()
A.肾盂-输尿管交界处
B.输尿管上段
C.输尿管中段
D.输尿管下段
E.输尿管膀胱壁内段
52、单项选择题
女性,21岁,上切牙后方发现一囊性突起1年,无明显疼痛。CT表现如下图所示,最可能的诊断为()
A.上颌骨含牙囊肿
B.上颌骨造釉细胞瘤
C.牙根囊肿并感染
D.腭正中囊肿
E.始基囊肿
53、单项选择题 青少年蛛网膜下腔出血常见于()
A.血管畸形破裂
B.动脉瘤破裂
C.肿瘤卒中
D.感染性病变
E.寄生虫病变
54、单项选择题
女,50岁,曾患乙型肝炎,肝硬化多年,右上腹胀痛1月余,CT检查如图所示,最可能的诊断为()
A.肝硬化、腹水伴胆管细胞癌
B.肝硬化、腹水伴原发性肝癌
C.肝硬化、腹水、肝癌并门脉癌栓
D.肝硬化、腹水并肝脓肿
E.肝硬化、腹水并肝血管瘤
55、多项选择题 局灶性肝脂肪浸润可有以下CT表现()
A.右叶较左叶多见
B.病变与正常肝组织分界十分清晰
C.增强后CT值升高,但不及正常肝组织
D.增强后病变内见走行正常的血管
E.无占位效应
56、单项选择题
男,12岁,手指细长,手臂弯曲,全身多发骨折,蓝色巩膜,结合图像,最可能的诊断是()


A.马方综合征
B.成骨不全
C.软骨发育不全
D.石骨症
E.特发性骨质溶解症
57、单项选择题 下列胆管细胞癌CT特点,错误的是()
A.肿瘤无包膜
B.CT平扫,肿瘤为略低密度
C.增强扫描动脉期,肿瘤明显强化
D.常有肝内胆管局限性扩张
E.瘤内可有细小的不规则钙化
58、单项选择题
男,50岁,血便,大便形状改变,CT如图所示,最可能的诊断是()
A.直肠息肉
B.直肠内粪便
C.直肠癌
D.直肠腺瘤
E.直肠淋巴瘤
59、单项选择题
男,41岁,体检X线提示纵隔增宽,CT检查如图,最可能的诊断是()
A.淋巴瘤
B.纵隔畸胎瘤
C.胸腺瘤
D.间皮囊肿
E.胸内甲状腺肿
60、单项选择题 关于“三叉神经瘤”,下列影像哪项不对()
A.可中度强化
B.平扫呈等密度
C.跨越中、后颅窝
D.棘孔扩大
E.岩尖骨质破坏
61、多项选择题 关于肾母细胞瘤,正确的说法是()
A.是小儿最常见的肾恶性肿瘤,多见于1~3岁
B.肿瘤与相邻肾实质分界清楚
C.肿块密度均匀
D.增强扫描强化明显
E.肿块无钙化灶
62、单项选择题 结核性脑膜脑炎常见表现不包括下列哪项()
A.脑内结核灶
B.多发性脑梗死
C.交通性脑积水
D.硬脑膜炎症
E.梗阻性脑积水
63、单项选择题 耳部CT横断位扫描技术不包括()
A.患者的体位成标准的头颅前后位
B.颞骨横断位扫描常用0°和30°断面
C.0°轴位扫描时,头稍仰,使听眶线与床面垂直
D.30°轴位扫描时,头稍前屈,使听眉线与床面垂直
E.30°轴位扫描时,扫描基线为听眦线
64、单项选择题 齿状突与枢椎如果不联合则成为游离骨组织,称终末骨,其诊断年龄为()
A.4岁
B.8岁
C.10岁
D.12岁
E.18岁
65、多项选择题
女,6个月,CT扫描如图所示,下列说法正确的是()
A.双侧肾盂积水
B.双侧肾门朝向前内方
C.双肾下极融合
D.考虑为异位肾
E.考虑为马蹄肾
66、单项选择题 男性,40岁,左侧耳下肿胀疼痛1个半月,表面皮肤正常。CT显示:右腮腺深叶增大,边缘模糊,增强扫描有强化,局部见少量气体密度影。最可能的诊断是()
A.腮腺良性肿瘤
B.腮腺恶性肿瘤
C.腮腺脓肿
D.腮腺转移瘤
E.腮腺良性增生
67、多项选择题 神经鞘瘤的临床病理特点下列哪些正确()
A.可发生于脊髓的各个节段
B.呈孤立结节状,有完整包膜
C.常与1~2个脊神经根相连
D.可发生囊变
E.与脊髓有明显粘连
68、多项选择题 原发性胆汁性肝硬化可伴有()
A.骨质软化
B.胆总管扩张
C.肝内胆管局限性扩张
D.肝门部肿块
E.肥大性骨关节病
69、单项选择题 鞍区肿瘤不包括()
A.第三脑室周围肿瘤
B.鞍内肿瘤
C.鞍旁肿瘤
D.松果体肿瘤
E.鞍上肿瘤
70、单项选择题
男,15岁,CT检查如图,最可能的诊断为()

A.正常
B.脑萎缩
C.脂肪瘤
D.蛛网膜囊肿
E.硬膜下积液
71、多项选择题
男,73岁,无痛性全程血尿2个月余,CT检查如图所示,下列说法正确的是()
A.右输尿管中下段可见沿输尿管走行的长约10.6cm,不规则的软组织肿块影
B.膀胱内可见宽基底的软组织肿块影
C.右肾及输尿管上段扩张积水
D.考虑为右侧输尿管中下段癌合并膀胱癌
E.考虑为右侧输尿管及膀胱结核
72、单项选择题 肾上腺腺瘤的CT表现多为低密度,主要原因是其内含有()
A.液体
B.脂类
C.空气
D.蛋白质
E.出血
73、多项选择题 与X线平片比较,CT显示以下哪一种骨的病变较好()
A.尺骨
B.腕骨
C.股骨
D.跖骨
E.骨盆
74、单项选择题
患者,女性,50岁,右股骨下端疼痛2个月余,近期加重,右股骨下端外侧触及软组织肿块。膝关节CT图像如下,右股骨下端病变考虑为何种疾病可能性大()

A.软骨肉瘤
B.骨肉瘤
C.骨髓炎
D.骨软骨瘤
E.软骨瘤
75、单项选择题
女,35岁,查体发现右下前纵隔占位性病变,CT如图,最可能的诊断为()
A.淋巴瘤
B.支气管囊肿
C.心包囊肿
D.脂肪瘤
E.畸胎瘤
76、单项选择题 “肾上腺脑白质营养不良”CT特点,下列描述哪项不对()
A.三角区周围白质内对称分布
B.“蝶翼状”密度减低区,可边缘性强化
C.三角区白质内弥漫分布小钙化灶
D.晚期以弥漫性脑萎缩表现为主
E.多有明显占位效应
77、单项选择题
男,68岁,呼吸困难、轻度吞咽困难3月余,结合CT图像,最可能的诊断是()
A.气管乳头状瘤
B.气管脓肿
C.气管炎性假瘤
D.食管癌
E.甲状腺癌
78、多项选择题 下列关于“五腔心”层面描述,正确的是()
A.“五腔心”层面即为左心室流出道层面
B.此层面可见主动脉窦
C.可见左、右心房
D.可见左、右心室
E.可见下腔静脉
79、单项选择题 女,30岁,左眼球突出,运动障碍7个月。CT平扫示左肌锥内有稍高密度不规则块影。增强扫描示均匀增强,眼肌、眼环正常。诊断为()
A.甲状腺性突眼
B.眼眶蜂窝织炎
C.炎性假瘤
D.海绵状血管瘤
E.转移瘤
80、单项选择题
女,36岁,左胸部疼痛不适5天,CT图像如图,应诊断为()
A.胸膜间皮瘤
B.胸腔积液
C.腹腔积液
D.胸膜增厚
E.胸膜钙化斑
81、多项选择题 应与石棉肺鉴别的疾病有()
A.胸膜肥厚
B.煤尘肺
C.胸膜间皮瘤
D.矽肺
E.肺癌
82、单项选择题 腹主动脉瘤的直径为多少容易发生破裂()
A.<3.5cm
B.<4.0cm
C.>5cm
D.>8cm
E.<1.0cm
83、单项选择题 512×512表示方式,表示的是()
A.像素
B.矩阵
C.体素
D.视野
E.灰阶
84、多项选择题 “肾血管平滑肌脂肪瘤”行CT平扫,可以表现为()
A.脂肪密度
B.软组织密度
C.混杂密度
D.均匀高密度
E.水样密度
85、单项选择题 下面对胸部CT扫描技术叙述正确的是()
A.患者仰卧、头先进,两臂放在身体侧边
B.指示灯侧面定位线对正中矢状面
C.驼背病人可改为俯卧位
D.常规扫描一个胸部侧位像做定位像
E.扫描范围从肺尖开始,一直扫描到膈顶
86、单项选择题 CT诊断颈椎创伤,错误的为()
A.寰枢椎脱位既要观察前脱位,还需注意旋转性脱位
B.环椎骨折也称为Jefferson骨折,MRI显示优于CT
C.颈椎横突出现骨折,并不一定表明椎动脉损伤
D.CT在显示骨折的同时,尚可显示硬膜囊受压情况
E.环椎前结节后缘与枢椎齿状突前缘距离成人>2mm、儿童>4mm则说明横韧带撕裂
87、多项选择题
该病人突发胸部疼痛,进行性呼吸困难,行X线片检查,提示右下肺病变,急诊CT平扫加增强,如图所示()
A.X线片示右下肺实变影
B.SCT增强扫描示右侧肺动脉主干完全性充盈缺损
C.右肺动脉开口处见不规则软组织密度影
D.考虑为右侧肺动脉(中央性)栓塞
E.考虑为右侧肺癌
88、单项选择题 鉴别听神经瘤与三叉神经瘤最重要的征象是()
A.瘤体与颅板呈锐角
B.增强幅度
C.合并出血、坏死
D.中、颅后窝骑跨生长
E.岩骨尖骨质破坏
89、单项选择题
患者踝痛,如图所示,最可能诊断为()
A.跟距骨桥
B.缺血坏死
C.骨髓炎
D.骨伤
E.以上都不是
90、单项选择题 关于鼻咽癌CT扫描技术,描述错误的是()
A.常规平扫
B.扫描范围上至蝶鞍、下至第三颈椎下缘
C.颅底部分的图像应加骨窗
D.图像显示一般采用软组织窗
E.常规平扫+增强
91、单项选择题 骨关节CT检查,一般采用()
A.平扫加增强扫描
B.仰卧患侧横轴位
C.定位像代替平片
D.俯卧双侧横轴位
E.骨窗和软组织窗并双侧骨关节对比观察
92、单项选择题 腹部CT扫描的适应证除外()
A.肝肿瘤、肝囊肿
B.胆囊炎和胆结石
C.脾脏外伤
D.肾炎
E.腹膜后腔的炎症
93、多项选择题 小脑星形细胞的肿瘤应与下列哪些病变相鉴别()
A.小脑梗死
B.室管膜瘤
C.神经胶质肉瘤
D.髓母细胞瘤
E.血管母细胞瘤
94、多项选择题 关于腺性膀胱炎,描述正确的是()
A.慢性感染被认为是其发生的主要诱因
B.膀胱壁无钙化
C.膀胱壁可见蛋壳样钙化
D.膀胱壁呈局限性不规则增厚或弥漫均匀性增厚
E.一般不侵犯肌层
95、单项选择题
女,55岁,鼻咽癌放疗15年,近1周左耳根部肿胀,无发热,PE:左耳根部皮下扪及三个结节,有波动感和轻压痛,CT如图所示,最可能的诊断是()

A.左腮腺腺瘤
B.左腮腺混合瘤
C.左腮腺腺淋巴瘤
D.左腮腺恶性混合瘤
E.左腮腺蜂窝织炎
96、单项选择题 下述肺炎性假瘤的CT影像特点,错误的是()
A.多数密度均匀
B.边缘清楚的圆形肿块
C.一般无分叶
D.邻近胸膜无显著增厚
E.双上肺多见
97、单项选择题
右肺根内结构如图,自上而下依次为()
A.肺静脉、肺动脉、主支气管
B.肺动脉、上肺静脉、主支气管
C.上叶支气管、肺动脉、肺静脉
D.肺动脉、上肺静脉、上叶支气管
E.肺动脉、肺静脉、主支气管
98、单项选择题
女,57岁,咳嗽,胸闷,胸痛2月余,5年前被确诊为子宫绒毛膜癌,结合影像学检查,最可能的诊断是()
A.肺癌
B.肺结核
C.肺转移瘤
D.结节病
E.矽肺
99、单项选择题 下列人体组织器官CT值低于0时的是()
A.肝脏
B.脑白质
C.肺
D.甲状腺
E.肌肉
100、单项选择题 下列哪项属于肠梗阻的基本CT征象()
A.肠管显著扩张,其内可见气液平面
B.可见“U”形肠袢
C.可见“鸟嘴征”
D.假肿瘤征
E.肠管呈分层环状改变
101、单项选择题 CT示咽旁间隙向外移位,提示占位病变来源于()
A.鼻咽
B.颌下腺
C.腺样体
D.腮腺
E.颈深淋巴结
102、单项选择题 骨肉瘤最主要的X线和CT征象是()
A.骨质破坏
B.软组织肿胀
C.骨膜反应
D.骨质增生硬化
E.瘤骨形成
103、单项选择题 脱屑性间质性肺炎的CT特征()
A.斑片状、网状、毛玻璃样密度影
B.不规则形,线状或蜂窝状阴影
C.散在分布斑片状阴影
D.多发5~7mm结节影,半数有空洞
E.钙化
104、单项选择题 血管对比剂浓度高,且维持时间长的注射方法是()
A.静脉点滴法
B.团注法
C.滴注--大量快注法
D.大量快注--滴注法
E.多次大剂量急速注射法
105、单项选择题
结合肺段模式图,右肺下叶的组成是()



A.G+H+I+J
B.F+G+H+I+J
C.E+F+G+H+I+J
D.D+E+F+G+H+I+J
E.C+D+E+F+G+H+I+J
106、单项选择题
女,64岁,发热、咳嗽1周。胸部CT扫描如下图。

A.胸部X线检查
B.胸部HRCT检查
C.胸部CT增强扫描
D.胸部MRI平扫
E.胸部MRI增强扫描
107、单项选择题 肺癌细短毛刺形成的病理基础是()
A.肿瘤瘢痕收缩
B.瘤内含气、扩张的细支气管
C.肿瘤内残存正常含气肺组织
D.肿瘤钙化或包埋原有钙化灶所致
E.癌细胞浸润及间质反应
108、单项选择题
男,25岁,右踝部疼痛肿胀、活动受限6个月,伴午后发热(37.4~38℃)。WBC:8.16×109/L,ESR:83mm/h。结合右踝平片及CT重组图像(MPR),最可能的诊断是()
A.类风湿性关节炎
B.化脓性关节炎
C.关节结核
D.痛风性关节炎
E.多发性骨髓瘤
109、多项选择题
男,73岁,呼吸急促半天,CT扫描如图,正确的描述或诊断是()
A.冠状动脉壁可见钙化影,右侧明显
B.右侧冠状动脉局限性梭形扩张
C.心包肥厚
D.右侧冠状动脉瘤
E.左侧冠状动脉瘤
110、多项选择题
女,64岁,反复尿频尿急尿痛6年余,尿常规检查:红细胞(++),白细胞(++)。CT扫描如图示,下列说法正确的是()
A.右侧输尿管下段管壁增厚,管腔狭窄
B.右肾积水
C.右侧输尿管上段扩张
D.考虑为慢性输尿管炎
E.考虑为输尿管移行细胞癌
111、多项选择题 椎缘骨的CT表现有哪些()
A.椎体前部半圆形或梭形骨质缺损
B.位于椎体前1/3,边缘硬化
C.缺损区CT值70~90HU
D.游离骨块位于缺损区后方
E.周围无软组织肿块
112、单项选择题 肺结核发生1~2周内,临床症状较重,而X线表现阴性的为()
A.原发性肺结核
B.急性粟粒型肺结核
C.浸润型肺结核
D.慢性血行播散型肺结核
E.以上都不对
113、单项选择题 颅内动静脉畸形CT平扫,一般可为高、等、低三种密度。低密度是指()
A.胶质增生
B.尚未钙化的血栓
C.梗死区及脑萎缩的脑脊液充填区
D.周围水肿
E.脑实质
114、单项选择题
中年患者,女性,偶然发现肝团块,结合图像,最可能的诊断是()
A.肝癌
B.肝血管平滑肌瘤
C.局灶性结节增生
D.肝腺瘤
E.转移癌
115、单项选择题 下列哪项为大叶性肺炎最常见的致病菌()
A.绿色链球菌
B.流感嗜血杆菌
C.肺炎链球菌
D.大肠杆菌
E.绿脓杆菌
116、单项选择题 内分泌性突眼CT的表现为()
A.泪腺增大
B.眼球壁增厚
C.视神经增粗
D.眼外肌增厚以肌腱附着处明显
E.眼外肌增厚以肌腹肥厚为著
117、单项选择题
男,4个月,相貌怪异,结合图像,最可能的诊断()

A.颅缝早闭
B.小脑畸形
C.颅底陷凹
D.Dandy-Walker综合征
E.脑积水
118、单项选择题 青少年患者,呼吸短促,最可能的诊断是()
A.囊性纤维化
B.抗胰蛋白酶缺乏
C.获得性免疫缺乏综合征
D.支气管扩张
E.以上都不是
119、单项选择题
肾血管平滑肌脂肪瘤的病理(CT扫描见下图),错误的是()
A.肾实质内肿瘤
B.由三种组织成分构成
C.有包膜
D.可有肾盂肾盏变形
E.肿瘤容易出血
120、单项选择题 脑干结构不包括()
A.桥脑
B.延髓
C.颈髓上段
D.中脑
E.四叠体
121、单项选择题 关于喉囊肿CT表现,下列说法哪项不对()
A.若伴发感染时CT值可升高
B.囊内若为气体,则呈极低密度
C.囊内若为液体,则为水样CT值
D.囊内同时含有气体和液体,可见到气液平面
E.与喉室不相通的囊状结构
122、单项选择题
男,6岁,左髋部疼痛、乏力、跛行,结合MR检查,最可能的诊断是()
A.髋关节结核
B.股骨头骨骺缺血坏死
C.骨肉瘤
D.骨囊肿
E.软骨肉瘤
123、多项选择题 硬膜下血肿的CT征象为()
A.亚急性期表现为高、等、低或混合密度
B.慢性期表现为颅板下方新月形高密度影
C.由于常合并脑挫裂伤,故占位征象显著
D.少数慢性硬膜下血肿内可形成分隔
E.慢性硬膜下血肿可以形成盔甲脑
124、单项选择题 关于“Sturge-Weber综合征”,下列CT影像哪项错误()
A.增强扫描,钙化周围明显强化
B.颅骨局限性增厚
C.三叉神经分布区紫红色血管瘤形成
D.脑沟变浅,脑回增宽
E.大脑皮层脑回样钙化
125、多项选择题 弥漫性脑萎缩见于哪些病理情况()
A.Alzheimer病
B.Huntington病
C.Parkinson病
D.Pick病
E.Wilson病
126、单项选择题 正常前庭导水管的宽度小于()
A.3mm
B.4mm
C.1.5mm
D.1mm
E.2mm
127、单项选择题 颈椎管狭窄的CT诊断标准为正中矢状径小于()
A.10mm
B.11mm
C.12mm
D.13mm
E.15mm
128、单项选择题 关于肺动脉栓塞的CT表现,下列哪项最具有特征意义()
A.一侧肺透亮度增高
B.肺外围以胸膜为基底的楔状致密影
C.实变区内小透亮区
D.增强扫描,肺动脉主干内充盈缺损
E.局限性肺血管稀少
129、单项选择题
根据所提供的图像,最可能的诊断为()
A.肝癌
B.肝血管瘤
C.局灶性结节增生
D.肝硬化再生结节
E.以上都不是
130、单项选择题
女,15天。吸吮反射减弱。CT检查,最可能的诊断为()
A.脑水肿
B.新生儿缺氧缺血性脑病
C.脑出血
D.先天性无脑回
E.先天性巨脑回
131、多项选择题 Freeny的肝血管瘤CT诊断三条标准为()
A.随时间迁延,强化程度逐渐下降
B.延迟扫描病灶呈等密度
C.强化由周边向中央扩展
D.平扫,低密度病灶
E.增强早期,边缘明显强化
132、单项选择题 女,27岁,搏动性耳鸣,蓝色鼓膜,CT示鼓室有一0.8cm×0.6cm软组织密度影,中度增强,最可能的诊断是()
A.鼓室球瘤
B.胆脂瘤
C.中耳炎
D.中耳癌
E.高位颈内动脉裸露
133、多项选择题 注射对比剂后,乳腺增强的程度正确的是()
A.脂肪组织增加的CT值<2HU
B.导管和腺体组织增加的CT值≤10HU
C.导管和腺体组织增加的CT值≥10HU
D.乳晕后组织和乳头增加的CT值≥15HU
E.乳晕后组织和乳头增加的CT值≤15HU
134、单项选择题 CT对甲状腺肿瘤的诊断评价,下列说法哪项不正确()
A.定位较准确
B.有无钙化是鉴别良恶性的依据
C.判断有无淋巴结转移
D.判断有无邻近组织受累
E.鉴别良恶性有一定限度
135、多项选择题 关于肺动脉的描述,正确的是()
A.肺动脉均与同名的支气管伴行
B.肺动脉不与同名的支气管伴行
C.肺动脉均与同名的肺静脉伴行
D.肺动脉不与同名的肺静脉伴行
E.肺动脉一般与同名的支气管伴行
136、单项选择题
男,29岁,头颅外伤,结合CT图像,最可能的诊断是()


A.颅内出血
B.硬膜下血肿
C.硬膜外血肿
D.脑脓肿
E.脑挫裂伤
137、多项选择题
女,26岁,临床诊断为绒毛膜癌,行经腹子宫全切术后1月,CT检查如图所示,下列说法正确的是()
A.左肾周可见低密度区,增强后无强化,其内有散在的片状稍高密度影
B.双肾未见异常
C.考虑为左肾外伤性出血
D.考虑为绒毛膜癌肾转移
E.合并有左肾周自发性血肿
138、单项选择题 CT诊断前列腺增生的标准是()
A.超过耻骨联合上缘
B.超过耻骨联合上缘10mm
C.超过耻骨联合上缘15mm
D.超过耻骨联合上缘20~30mm
E.超过耻骨联合上缘30~40mm
139、单项选择题 下列肿瘤中,常出现囊状扩张型骨转移的是()
A.甲状腺癌
B.肺癌
C.胃癌
D.直肠癌
E.宫颈癌
140、多项选择题 脑脓肿CT表现分哪几期()
A.急性脑炎早期
B.急性脑炎晚期
C.脓肿形成期
D.病灶吸收期
E.包膜形成期
141、单项选择题 眼球异物定位最主要的目的是()
A.确定有无异物
B.确定异物大小
C.确定异物位置
D.确定异物性质
E.确定手术方案
142、单项选择题
患者,男性,42岁,髋部疼痛,CR及CT图像如下,应诊断为()

A.髋关节结核
B.股骨头缺血坏死
C.股骨头退变性囊肿
D.骨岛
E.骨质疏松
143、单项选择题 CT检查的成像技术条件包括的项目有()
A.检查体位
B.重建方法
C.窗宽
D.窗位
E.以上全是
144、单项选择题 单发巨大肝占位伴砂粒样钙化,最可能的诊断是()
A.淋巴瘤肝转移
B.肺癌肝转移
C.结肠癌肝转移
D.子宫内膜癌肝转移
E.肾癌肝转移
145、单项选择题 根据冠状动脉直径减少的百分数可推算出其面积减少的百分数,狭窄直径减少70%相当于面积减少()
A.75%
B.80%
C.85%
D.90%
E.95%
146、单项选择题 CT机将模拟信号转换成数字信号的器件是()
A.探测器
B.阵列处理机
C.预放大器
D.A/D转换器
E.D/A转换器
147、单项选择题
女,58岁。左腰部不适、血尿2月余。CT增强扫描如下图。最可能的诊断是()
A.肾癌
B.肾盂癌
C.肾错构瘤
D.肾囊肿
E.肾脓肿
148、多项选择题
女,50岁,体检发现右侧甲状腺有较硬结节,CT扫描如图所示,正确的描述或诊断是()
A.右侧甲状腺内见稍低密度影,周边围以环形致密钙化影
B.肿块影与周围结构分界清楚
C.结节性甲状腺肿
D.甲状腺癌
E.甲状腺腺瘤钙化
149、多项选择题 与周围型肺癌相比,结核球的CT特点可为()
A.有包膜
B.边缘弧形钙化
C.边缘光整或有尖角状牵引外突
D.可见卫星病灶
E.伴有明显的胸膜增厚
150、单项选择题 基底节为大脑半球内灰质核团,不包括()
A.尾状核
B.豆状核
C.丘脑
D.屏状核
E.杏仁核
151、单项选择题
女,33岁。低热、乏力、右腰痛3个月余。CT双期扫描如下图所示,应首先考虑的病变为()
A.右肾盂癌
B.右肾脓肿
C.右肾错构瘤
D.右肾囊肿
E.右肾结核
152、单项选择题 空间分辨率又称为()
A.空间响应函数
B.对比分辨率
C.调制传递函数
D.点分布函数
E.高对比度分辨率
153、多项选择题 眼眶炎性假瘤的分型,包括()
A.眶隔前型
B.肌炎型
C.泪腺炎型
D.巩膜周围炎型
E.神经束膜炎型
154、单项选择题
男,53岁,吸烟史30多年,头痛,CT检查如图,最可能的诊断为()

A.转移瘤
B.脑囊虫病
C.多发结节性硬化
D.结核瘤
E.脑膜瘤
155、单项选择题 总骨脚的构成为()
A.上半规管后脚和水平半规管后脚
B.上半规管后脚和后半规管下脚
C.上半规管后脚和后半规管上脚
D.水平半规管后脚和后半规管上脚
E.后半规管上脚和水平半规管前脚
156、单项选择题 关于肾癌的CT检查,错误的是()
A.肾实质癌表现为形态不规则的软组织肿块,产生肾外形扩大或局部隆起
B.增强扫描是绝对不能省略的,增强后肾癌整体密度较肾实质为高
C.增强扫描具有诊断价值,同时可以确定有无血管瘤栓形成
D.对于较大肾癌,可以观察判断其外延浸润的其他征象
E.CT对肾癌诊断和分期的准确率超过90%
157、多项选择题
男,65岁,左侧腰背部胀痛伴无痛性全程血尿3月余,CT平扫及增强检查如图所示,下列说法正确的是()
A.平扫时见左肾上极有一软组织肿块影,其边界较清楚
B.增强扫描肾皮质期可见肿块明显强化,其内亦有无强化区
C.增强扫描肾实质期可见肿块强化迅速下降,但密度比平扫时仍要高
D.考虑为左侧肾癌
E.考虑为左侧肾错构瘤
158、单项选择题
男,68岁,上腹部隐痛二月余,CT检查如图,最可能的诊断是()
A.慢性胆囊炎
B.胆囊癌(肿块型)
C.胆囊腺肌增生症
D.胆囊息肉
E.胆囊区转移癌
159、单项选择题
女,12岁,头痛、恶心、呕吐1周,平扫CT检查如图

A.胶质瘤
B.脑膜瘤
C.室管膜瘤
D.髓母细胞瘤
E.胶质母细胞瘤
160、单项选择题 眼球异物定位检查的注意事项,错误的()
A.摄片体位正确
B.尽量采用小照射野
C.尽量使眼-片距加大
D.选用干净无破损的增感屏
E.必须使用滤线设备
161、单项选择题 下述正常脾脏CT表现,哪项不对()
A.脾脏上下径<15cm
B.CT平扫,比肝脏略高
C.平扫CT值,30~70HU
D.脾脏厚度3~4cm
E.脾脏强化先于肝脏
162、单项选择题 对于慢性胆囊炎的CT特征表现是()
A.胆囊大,囊壁水肿,密度低
B.胆囊正常大小,肝内胆管扩张
C.胆囊小,囊壁增厚
D.胆囊大,胆总管扩张
E.以上都不是
163、单项选择题
女,43岁,两眼不能完全睁开,全身无力两年余。胸部CT扫描前纵隔内发现肿块,如图,最可能的诊断是()
A.畸胎瘤
B.心包囊肿
C.气管囊肿
D.胸内甲状腺肿
E.胸腺瘤
164、单项选择题
男,56岁,右髋部疼痛,结合图像,最可能的诊断是()
A.骶髂关节炎
B.骶髂关节结核
C.强直性脊柱炎
D.骨转移瘤
E.类风湿关节炎
165、单项选择题 下列碘过敏试验方法,哪项是错误的()
A.眼结膜试验
B.皮下试验
C.舌下试验
D.口服法试验
E.静脉注射法试验
166、单项选择题 超声提示肾实质小占位,为明确诊断,进一步检查应首选下列哪项检查()
A.IVP
B.CT
C.KUB
D.放射性核素扫描
E.血管造影
167、单项选择题 CT对胃癌的诊断价值,哪项不正确()
A.发现癌肿胃壁外侵犯
B.观察胃壁增厚的程度
C.常用于明确胃癌的诊断
D.显示肝转移和肿大淋巴结
E.术后复查确定复发征象
168、单项选择题 下列哪项CT征象对诊断视网膜母细胞瘤最有价值()
A.眼球内肿块
B.眼球内肿块伴出血
C.眼球内肿块伴坏死
D.眼球内肿块伴钙化
E.眼球内肿块向颅内扩展
169、单项选择题
根据所提供的图像,最可能的诊断是()
A.淋巴瘤
B.腹膜后纤维化
C.胰腺癌
D.肝癌
E.以上都不是
170、单项选择题 以下对鼻咽常规CT扫描范围的描述,哪项是正确的()
A.上颌骨齿槽突至会厌上缘
B.会厌上缘至环状软骨下缘
C.硬腭至舌骨
D.舌骨至胸廓入口水平
E.听鼻线至硬腭
171、单项选择题
女,40岁,高热伴胸痛1周,CT如图,最可能的诊断是()
A.支气管囊肿
B.淋巴瘤
C.纵隔脓肿伴淋巴结反应性肿大
D.胸腺囊肿
E.恶性畸胎瘤
172、单项选择题 男,8岁,头痛,CT示小脑桥脑角池,桥前池,右侧大脑角池,脚间池和鞍旁不规则的低密度病变无增强,最可能的诊断是()
A.皮样囊肿
B.蛛网膜囊肿
C.表皮样囊肿
D.脑萎缩
E.脑囊虫病
173、单项选择题
男,44岁,突然中上腹痛,压痛,反跳痛,腹肌紧张,发热,白细胞计数升高,CT检查如图,最可能的诊断是()
A.急性胰腺炎
B.慢性胰腺炎
C.胃小弯溃疡穿孔
D.胰腺癌
E.胃癌
174、单项选择题
男,55岁,上腹部隐痛1月余,CT检查如图,最可能的诊断是()
A.胆囊结石
B.胆囊癌(腔内型)
C.胆囊腺肌增生症
D.胆囊息肉
E.胆囊转移癌
175、多项选择题 胸部CT片上,支气管气相可见于()
A.肺水肿
B.霍奇金病
C.肺透明膜病
D.大叶性肺炎
E.结节病
176、单项选择题 不支持结节病的肺内改变的是()
A.两肺小结节影分布于肺门区的支气管血管束两侧
B.小结节影呈圆形,外形规则
C.可见斑片状磨玻璃影
D.叶间胸膜有结节样不规则增厚
E.融合的大块致密影可见支气管充气征或空洞
177、单项选择题
女,12岁,头痛、恶心、呕吐1周,平扫CT检查如图

A.前颅窝
B.中颅窝
C.后颅窝
D.脑自质
E.脑皮质
178、单项选择题 关于门静脉瘤栓的描述,不正确的是()
A.平扫时瘤栓密度与门静脉无大差异
B.巨块型肝癌形成门脉瘤栓的比例最高
C.若门静脉分支直径大于主干,则提示分支有瘤栓形成
D.增强扫描瘤栓呈低密度充盈缺损
E.可向两端延伸至肝内和(或)肠系膜上静脉
179、单项选择题
女,63岁,高热、左侧腰痛伴尿频、尿痛,根据所示图像,最可能的诊断是()
A.左肾脓肿
B.化脓性肾盂肾炎
C.气肿性肾盂肾炎
D.慢性肾盂肾炎
E.黄色肉芽肿性肾盂肾炎
180、单项选择题 面神经管分()
A.2段
B.3段
C.4段
D.5段
E.6段
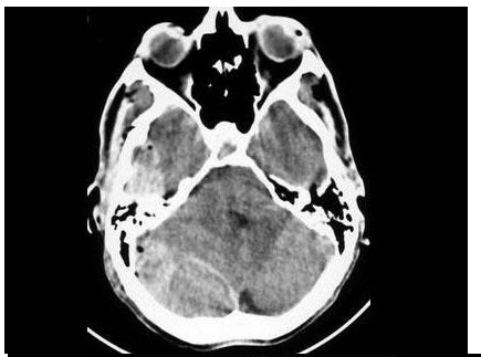
181、单项选择题
男,58岁,头痛、恶心、行走不稳,肺和脑CT检查如图,最可能的诊断为()
A.星形细胞瘤
B.脑脓肿
C.肺癌脑转移
D.脑膜瘤
E.脑梗死
182、单项选择题
成年男,右上腹不适,CT检查如图所示,最可能的诊断是()
A.肝血管瘤
B.肝癌
C.肝脓肿
D.肝囊肿
E.肝包虫病
183、单项选择题 以下关于降主动脉夹层动脉瘤的CT表现哪项是错误的()
A.内膜钙化内移
B.两个不同增强密度的主动脉腔
C.主动脉夹层真腔较大,假腔较小
D.真腔与假腔直径比<1
E.假腔可无增强
184、单项选择题 关于重组图像的原理,正确的叙述是()
A.重组图像就是图像重建
B.用计算机对原始数据进行运算得到显示数据矩阵
C.用计算机将各不同层面的像素重新排列的技术
D.重新组成三维的图像
E.重新组成三维空间中任一平面的图像
185、单项选择题 下列哪类脑肿瘤常见钙化影()
A.脑内转移瘤
B.垂体瘤
C.室管膜瘤
D.血管母细胞瘤
E.淋巴瘤
186、单项选择题 关于螺旋CT扫描优点的描述,下列哪项不正确()
A.减少图像的运动伪影
B.明显提高空间分辨率
C.可动态扫描
D.减少患者的辐射量
E.缩短扫描时间
187、单项选择题 下列脑挫裂伤描述,下列哪项是错误的()
A.低密度水肿区出现斑点状高密度出血灶
B.可伴有蛛网膜下腔出血
C.可发生在白质或灰质,不能同时受累
D.病变局部脑池脑沟变小、消失
E.明显占位效应
188、单项选择题 第三代CT图像中心出现环状伪影,其产生的原因多见于()
A.X线强度变化
B.重建图像的中心与扫描旋转的中心重合
C.数据采集系统故障
D.高密度结构,如金属
E.AP重建故障
189、单项选择题
男,11岁,持续性右足部疼痛,无发热。根据右足正、斜位X线片及CT平扫片,最可能的诊断为()
A.骨样骨瘤
B.疲劳性骨折
C.尤文肉瘤
D.骨软骨瘤
E.硬化性骨髓炎
190、单项选择题 腹膜后良性肿瘤中不包括()
A.脂肪瘤
B.平滑肌瘤
C.脂肪肉瘤
D.异位嗜铬细胞瘤
E.淋巴管瘤
191、单项选择题 有关听眶线的描述,正确的是哪项()
A.外耳孔与眼眶下缘的连线
B.外耳孔与眼外眦的连线
C.外耳孔与鼻前棘的连线
D.外耳孔与眉弓的连线
E.外耳孔与鼻尖的连线
192、单项选择题 有关正常成人肾脏,描述正确的是()
A.左肾体积较右肾略大,右肾位置较左肾低
B.左肾体积较右肾略大,右肾位置较左肾高
C.右肾体积较左肾略大,右肾位置较左肾高
D.右肾体积较左肾略大,右肾位置较左肾低
E.右肾体积与左肾等大,右肾位置较左肾高
193、多项选择题 下列关于心包渗出的说法,正确的是()
A.正常心包腔含有20~30ml液体
B.正常心包液体是血清的超滤液,含1.7%~3.5%的蛋白质
C.CT扫描很容易发现心包积液,少至50ml的液体即可检出
D.在仰卧位检查时,少量的渗出液将聚集于左心室与右心房的后外方
E.大量渗出时形成一水样密度带环绕心脏,而使壁层心包与心脏的距离加大
194、单项选择题 关于颞下窝的毗邻关系,下列描述错误的是()
A.前界为上颌窦外侧壁和颞骨乳突部
B.后界为颈鞘和茎突
C.外界为下颌支、下颌小头、冠状突和颞肌
D.内界为鼻腔和鼻咽部
E.上界为蝶骨大翼和岩骨尖
195、单项选择题
女,45岁,急性右上腹剧痛2小时,向右肩放射,影像检查如图,最可能的诊断为()
A.急性胆囊炎
B.慢性胆囊炎
C.胆囊穿孔
D.胆囊腺肌增生症
E.胆道梗阻
196、单项选择题 移行细胞癌最好发的部位是()
A.肾小盏
B.肾盂
C.肾实质
D.输尿管
E.膀胱
197、单项选择题
结合所示图像,最可能的诊断是()
A.肾细胞癌
B.移行上皮细胞癌
C.肾静脉栓塞
D.急性肾盂肾炎
E.肾梗死
198、单项选择题 腰椎CT显示椎间盘超出椎体边缘,后缘凹陷消失呈均匀光滑对称性软组织密度影,硬膜囊前缘轻度受压,应诊断()
A.椎间盘膨出
B.椎间盘中央型突出
C.椎间盘外侧型突出
D.椎间盘“真空征”
E.正常椎间盘
199、单项选择题
女,45岁,背部持续性隐痛半月余,6个月前被确诊为乳腺癌,结合影像学检查,最可能的诊断是()
A.骨转移瘤
B.脊椎结核
C.椎体压缩性骨折
D.化脓性脊柱炎
E.脊椎退行性变
200、单项选择题
结合图像,最可能的诊断是()
A.肠套叠
B.肠癌
C.克罗恩病
D.肠结核
E.以上都不是
201、单项选择题 多形性胶质细胞瘤与单发巨大的转移瘤CT表现有何不同()
A.瘤周水肿明显
B.花环样增强
C.有占位效应
D.蝶鞍扩大
E.常见低密度影
202、单项选择题 肺结核的确诊方法为()
A.CT
B.体层摄影
C.胸片
D.痰培养
E.动态观察
203、单项选择题 在多囊肝的描述中,错误的是()
A.是一先天性疾病
B.早期可无明显症状
C.肝脏体积增大,密布大小不等的囊腔
D.囊壁不均匀增厚,并可见乳头状突起
E.常合并肾脏等其他脏器的多囊性病灶
204、单项选择题 脑三叉神经血管瘤病(sturge-Weber综合征)的特征描述,下列哪项是错误的()
A.前额血管痣
B.面颊血管痣
C.枕叶血管瘤
D.额叶血管瘤
E.癫痫
205、单项选择题
根据CT图像,最可能的诊断是()
A.肝腺瘤
B.局灶性结节增生
C.囊腺瘤
D.肝癌
E.肝血管瘤
206、单项选择题 扩张型心肌病的CT表现为()
A.左心室呈气球样扩张
B.不伴心肌肥厚
C.心室收缩功能正常
D.可见附壁血栓呈高密度影
E.以上都不对
207、单项选择题 下列哪种炮制方法不属于火制法()。
A.煮
B.炒
C.炙
D.煅
E.煨
208、单项选择题
男,28岁,胸闷气急,伴干咳,查体见颈静脉显露,CT如图,最可能的诊断为()
A.心包肥厚
B.心包积液
C.心肌炎
D.贫血性心脏病
E.心包转移瘤
209、单项选择题
根据所提供的图像,该病例的最可能的诊断为()
A.2条肾动脉
B.肾动脉狭窄
C.肾细胞癌
D.肾梗死
E.以上都不是
210、单项选择题 肾上腺区示有含脂肪性肿块,边缘整齐,内有钙化,CT示有轻度强化,应首先诊断为()
A.肾上腺腺瘤
B.血管平滑肌脂肪瘤
C.肾上腺纤维瘤
D.髓样脂肪瘤
E.脂肪瘤
211、单项选择题
女,17岁,发现左侧颈部包块半年余,PE:病灶质软,境界不清,无压痛,CT如图所示,最可能的诊断是()
A.颈部脂肪瘤
B.颈部畸胎瘤
C.颈部错构瘤
D.颈部淋巴管瘤
E.颈部陈旧性血肿
212、单项选择题 已婚妇女,盆腔CT扫描为了显示阴道和宫颈的部位,应放置()
A.避孕环
B.碘油
C.纱布塞子或阴道栓
D.硫酸钡
E.碘水
213、单项选择题
患者,女性,61岁,3年前腰椎手术史,术后开始左下肢感觉减退、麻木、无力,左足隐痛,期间无外伤史,左足拇趾曾不明原因窦道形成,后自愈,现左足持续疼痛、肿胀,加重半个月,左下肢跛行。其X线及CT图像如下,诊断左足病变为()
A.疲劳性骨折
B.退行性变
C.Charcot关节
D.撕脱性骨折
E.化脓性关节炎
214、单项选择题 窗宽窗位均选为100,则CT值的显示范围是()
A.50~-50
B.-50~-150
C.50~150
D.100~200
E.150~-150
215、单项选择题 一般将下列哪项称为有临床意义的病变()
A.冠状动脉狭窄大于50%(直径)
B.冠状动脉狭窄大于45%(直径)
C.冠状动脉狭窄大于40%(直径)
D.面积减少超过70%
E.面积减少超过60%
216、多项选择题 “Parkinson病”患者,CT扫描上可见到()
A.中央型脑萎缩
B.外周型脑萎缩
C.局限性脑萎缩
D.苍白球对称性钙化
E.基底节区偶有低密度灶
217、单项选择题 关于颅脑CT增强扫描技术的叙述错误的是()
A.分为平扫后增强扫描和直接增强扫描两种方法
B.直接增强扫描是注入对比剂后的逐层连续扫描
C.平扫后增强扫描是在平扫基础上加做的增强扫描
D.颅内转移瘤、脑膜瘤等,可在注射对比剂后30秒开始扫描
E.颅内感染、囊肿等,可在注射对比剂后60秒开始扫描
218、单项选择题 心肌梗死的CT表现主要有()
A.局部心肌增厚
B.局部心肌变薄
C.节段性心室壁收缩期增厚率升高
D.室壁运动无异常
E.以上都不对
219、单项选择题 男,60岁,头痛,CT示左额叶有一4cm×2.5cm低密度病变,内有斑片样钙化,轻度不均匀强化,灶周轻度水肿,中线右偏,最大可能为()
A.少枝胶质细胞瘤
B.脑膜瘤
C.胶质母细胞瘤
D.转移瘤
E.恶性淋巴瘤
220、单项选择题 关节感染性病变的定性诊断应依据的方法为()
A.MRI
B.CT
C.关节液培养
D.X线平片
E.超声成像
221、单项选择题
女,39岁,咳嗽伴轻微胸痛,CT检查如图,最可能的诊断是()
A.右下肺节段性不张
B.右下肺脓肿
C.右下肺周围型肺癌
D.右下肺炎性假瘤
E.右下肺肺泡细胞癌
222、单项选择题 女,48岁,右侧耳下肿胀伴轻度疼痛1月,表面皮肤色正常。CT示右侧腮腺深叶增大,边缘模糊,有增强,病变处可见少量气体影,最可能的诊断是()
A.腮腺恶性肿瘤
B.腮腺良性肿瘤
C.腮腺转移瘤
D.腮腺脓肿
E.腮腺良性增生
223、单项选择题
男,44岁,右下腹包块1年余,无压痛,质较硬,影像检查如图,最可能的诊断是()
A.腹膜后间质瘤
B.腹腔间皮瘤
C.腹膜后神经纤维瘤
D.腹膜后畸胎瘤
E.脂肪肉瘤
224、单项选择题
男,37岁,颈部疼痛,活动时加重,休息可减轻,夜间有盗汗,结合图像,最可能的诊断是()
A.骨巨细胞瘤
B.颈椎骨转移
C.颈椎退行性变
D.颈椎结核
E.骨髓瘤
225、单项选择题 诊断纵隔畸胎瘤的特征性CT征象是()
A.肿块位于前上纵隔
B.肿块有分叶
C.肿块内有齿样骨化
D.肺内转移
E.以上都不是
226、单项选择题
女,45岁,抑郁嗜睡1月,实验室检查血钙3mml/L,CT图像如图,最可能的诊断为()
A.正常
B.永存上腔静脉干
C.胸内甲状旁腺瘤
D.胸内甲状腺瘤
E.囊性胸腺瘤
227、单项选择题
男,55岁,双侧颈部无痛性包块渐进性增大半年,CT检查如图,最可能的诊断是()
A.双侧颈动脉瘤
B.双侧颈静脉瘤
C.双侧颈动脉夹层
D.双侧颈部肿大淋巴结
E.双侧血管瘤
228、单项选择题 骨膜增生的CT表现,正确的是()
A.CT能显示平片不易发现的扁平骨如肩胛骨和髂骨的骨膜增生
B.CT常不能显示多层骨膜增生
C.有时不能显示增生的骨膜与骨皮质之间的透亮间隙
D.CT上,有时增生的骨膜和原来的骨皮质混在一起而类似于骨皮质增厚
E.以上均对
229、单项选择题 头部外伤4小时,CT示侧脑室旁白质、胼胝体压部、大脑脚散在斑点样高密度影。提示有可能是()
A.脑挫伤
B.蛛网膜下腔出血
C.背侧丘脑出血
D.脑白质剪切伤
E.脑穿通伤
230、单项选择题
患者50岁,红细胞增多,渐进性腹痛,结合图像,最可能的诊断是()

A.肝癌
B.转移癌
C.再生结节
D.肝血管瘤
E.以上都不是
231、单项选择题 骨梗死最易累及的部位为()
A.桡骨下部
B.肱骨上部
C.胫腓骨骨干
D.肱骨下端
E.股骨上部
232、单项选择题 下列哪项,不是CT扫描的适应证()
A.眼部外伤
B.眼眶内异物
C.眼的先天性疾病
D.近视眼
E.眼球及眶内肿物
233、单项选择题
男,68岁,咳嗽,咯血2月余,吸烟史40余年,结合影像学检查,最可能的诊断是()
A.肺囊肿
B.肺癌
C.肺结核
D.肺脓肿
E.纵隔畸胎瘤
234、单项选择题 下列关于假囊肿型腹膜后脂肪肉瘤的描述,正确的是()
A.肿瘤坏死液化形成类似水密度
B.肿瘤中的黏液性组织成分类似水密度
C.脂肪组织的部分容积效应类似水密度
D.是各型中分化程度最低的脂肪肉瘤
E.以上都不对
235、单项选择题
男,19岁,腹胀,腹部隆起半年余,CT检查如图,最可能的诊断是()
A.腹腔淋巴管瘤
B.腹腔积液
C.腹腔转移癌
D.小肠间质瘤
E.肠系膜囊肿
236、多项选择题 美国心脏病协会关于冠状动脉节段分法包括()
A.左冠状动脉主干
B.右冠状动脉主干
C.左前降支近、中、远段
D.左回旋支近、远段
E.右冠状动脉近、中、远段
237、单项选择题 “结核性脑膜炎”CT征象,下列描述哪项错误()
A.梗阻性脑积水表现
B.增强,基底池、脑表面强化
C.脑内散在粟粒状病灶
D.CT平扫难以显示脑内病灶
E.平扫,基底池、大脑外侧裂密度增高
238、单项选择题 关于窗技术描述错误的是()
A.窗位指窗宽上、下限CT值的平均数
B.窗宽指显示图像时所选用的CT值的范围
C.窗技术包括窗宽、窗位的选择
D.根据诊断需要调解图像的对比度和亮度的调节技术
E.如窗位和窗宽均调节至80,CT值的范围是80-160
239、单项选择题
男,74岁,外伤1小时,意识模糊,平扫CT检查如图,最可能的诊断为()

A.硬膜外血肿
B.硬膜下血肿
C.蛛网膜下腔出血
D.脑内血肿
E.脑梗死
240、单项选择题
根据所提供的图像,最可能的诊断为()
A.出血坏死性胰腺炎
B.脓肿
C.急性胰腺炎
D.假性囊肿
E.胰腺癌
241、单项选择题 下列哪项CT表现是诊断主动脉瓣狭窄的特征性征象()
A.主动脉瓣口缩小
B.主动脉瓣增厚
C.主动脉瓣缩短
D.主动脉瓣钙化
E.主动脉瓣纤维化
242、单项选择题 与骨样骨瘤的CT表现不符的是()
A.圆形或类圆形的境界清晰的低密度灶
B.瘤巢中可有不规则钙化周围环绕低密度晕环
C.瘤巢增强后中度强化
D.瘤巢周不同程度的反应性骨增生可致瘤巢被隐匿
E.邻近骨膜增生
243、单项选择题 多幅相机成像胶片不适用于()
A.CT
B.MRI
C.CR
D.DSA
E.ECT
244、单项选择题
CT血管造影如图,最可能的诊断为()
A.A型夹层动脉瘤
B.B型夹层动脉瘤
C.流动假像
D.运动假像
E.以上都不是
245、单项选择题
男,60岁,曾患乙肝、肝硬化多年,右上腹胀痛1月余,AFP为80.8μg/L,CT检查如图所示,最可能的诊断是()
A.肝硬化结节增生、右肾上腺瘤
B.肝、右肾上腺均为转移癌
C.肝癌右肾上腺转移
D.肝腺瘤、右肾上腺腺瘤
E.肾上腺癌肝转移
246、单项选择题 将射线能量转换为可供记录的电信号的装置是()
A.滤过器
B.探测器
C.准直器
D.A/D转换器
E.陈列处理机
247、多项选择题 关于肾上腺增生,正确的说法是()
A.CT检查是诊断肾上腺增生的首选影像学检查方法
B.CT的软组织分辨率较高,可以显示软组织成分
C.MRI判断肾上腺病变内的组织成分好于CT,是CT检查的必要补充
D.超声检查是婴幼儿肾上腺异常的首选影像学检查方法
E.MRI空间分辨率高,可以发现小病灶
248、多项选择题
男,50岁,自觉咽喉部不适一个多月,间断刺激性咳嗽,CT扫描如图所示,正确的描述或诊断是()
A.左侧声带内侧壁见结节状影向腔内突出,以宽基底与声带相连
B.增强扫描结节强化不明显,密度均匀,周围结构未见受侵
C.左侧声带息肉
D.左侧声带乳头状瘤
E.喉癌
249、单项选择题 女,43岁,头痛。CT示左颞叶有一3cm×4cm类圆形低密度、边界尚清晰的囊样病变,边缘轻度增强,最大可能为()
A.囊性星形细胞瘤
B.蛛网膜囊肿
C.恶性淋巴瘤
D.动静脉畸形
E.脑膜瘤
250、单项选择题 多发性硬化的病理改变为()
A.炎性浸润
B.局灶性细胞水肿
C.脑白质脱髓鞘
D.脑灰质坏死
E.缺血缺氧
251、多项选择题 关于支原体肺炎的说法,正确的是()
A.血冷凝集试验效价升高
B.通常白细胞数明显增多
C.最常见于单侧
D.易见空洞
E.全身症状较重,与X线表现不成比例
252、多项选择题 目前CT常用的检测器不包括()
A.晶体管检测器
B.液体检测器
C.绝缘体检测器
D.气体检测器
E.闪烁检测器
253、单项选择题
肾部分切除术后出现血尿,最可能的诊断是()
A.肿瘤复发
B.脓肿
C.假性动脉瘤
D.囊肿
E.以上都不是
254、单项选择题 较易出现钙化的肾上腺肿瘤是()
A.嗜铬细胞瘤及肾上腺囊肿
B.嗜铬细胞瘤及髓样脂肪瘤
C.肾上腺皮质腺瘤及肾上腺囊肿
D.神经母细胞瘤及肾上腺皮质腺癌
E.肾上腺皮质腺瘤及肾上腺癌
255、单项选择题 胰腺钩突前面,CT显示二个血管断面,应是()
A.(右)门静脉(左)脾静脉
B.(右)肠系膜上静脉(左)脾静脉
C.(右)肠系膜上动脉(左)肠系膜上静脉
D.(右)门静脉(左)腹腔动脉
E.(右)肠系膜上静脉(左)肠系膜上动脉
256、单项选择题
男,56岁,排便形状改变,便后不尽感,CT检查如图所示,下列说法正确的是()
A.肠壁上有蒂状新生物
B.其表面光滑,边界清楚
C.肠腔未见狭窄
D.此为直肠息肉
E.此为直肠癌
257、单项选择题 下列关于双肾大小的比较,描述正确是()
A.双肾大小差别不应超过1cm
B.左肾比右肾大1~2cm
C.右肾比左肾大1~2cm
D.左肾比右肾大3cm
E.右肾比左肾大3cm
258、单项选择题 关于降主动脉夹层动脉瘤的CT表现,下列说法错误的是()
A.内膜钙化内移
B.两个不同增强密度的主动脉腔
C.主动脉夹层真腔较小,假腔较大
D.平扫不能显示剥离的内膜瓣
E.假腔可无增强
259、单项选择题 不符合弥漫性脂肪肝中残留正常肝岛的CT表现的是()
A.为正常肝组织密度
B.增强扫描可见小血管进入其内,相邻血管有移位
C.增强前后密度始终均匀
D.边缘常较清楚且规则
E.通常位于胆囊附近或包膜下
260、单项选择题 CT检查食管裂孔疝采用的方法是()
A.单纯CT平扫
B.平扫+增强
C.单纯增强扫描
D.口服高密度造影剂平扫
E.动态增强扫描
261、单项选择题 脊柱结核发生率最高的是()
A.颈椎
B.上位胸椎
C.下位胸椎
D.腰椎
E.骶椎
262、单项选择题 蛛网膜下腔出血首选的检查方法应为()
A.MRI
B.PET
C.ECG
D.CT
E.ECT
263、单项选择题 眼外肌从眶尖的腱环向前行附于()
A.角膜
B.虹膜
C.巩膜
D.视网膜
E.脉络膜
264、单项选择题 下列与CT图像重建有关的器件是()
A.X线管
B.阵列处理器
C.数据采集系统(DAS)
D.硬磁盘
E.低压滑环
265、单项选择题 下述哪种技术,对于提高胃CT图像质量没有价值()
A.仰卧左前斜位扫描
B.适量高密度胃肠道对比剂
C.适量阴性胃肠道对比剂
D.增强扫描
E.扫描前用盐酸山莨菪碱
266、多项选择题 关于鞍上池横断面解剖部位正确的是()
A.池内前部有"V"字形交叉
B.位于两个颅中窝之间
C.五角形的鞍上池左缘邻接大脑脚
D.鞍上池可呈"五角形"或"六角形"
E.鞍上池的后角位于后缘中央,为脚间池
267、单项选择题 不符合脑脓肿CT表现的是()
A.病灶呈环形
B.可见强化的壁
C.腔内可见气体密度
D.病灶无瘤周水肿
E.明显占位效应
268、单项选择题
男,58岁,患者右季肋区疼痛,皮肤黄染,可触及肿大胆囊,B超提示胆囊颈部肿块影,CT所见如图,最可能的诊断是()
A.胆囊息肉
B.胆囊癌
C.胆囊黄色肉芽肿
D.慢性胆囊炎
E.胆囊腺肌增生症
269、单项选择题
牙齿参差不齐,无发热,无疼痛,PE:上牙槽向前隆突,影像检查如图,最可能诊断为()
A.上颌骨结核
B.上颌骨含牙囊肿
C.上颌骨脓肿
D.上颌骨造釉细胞瘤
E.上颌骨巨细胞瘤
270、单项选择题
成人,外伤后1小时,CT检查如图,最可能的诊断为()
A.脑出血
B.脑膜瘤
C.脑转移瘤
D.脑挫裂伤
E.钙化灶
271、单项选择题 眼眶炎性假瘤肌炎型CT表现,以下错误的是()
A.一条或数条眼外肌增粗、肥大
B.多累及下直肌和内直肌
C.整条眼肌弥漫肥大
D.边缘多模糊
E.边缘整齐
272、单项选择题 膈脚外侧积液提示()
A.腹水
B.肺内结节
C.心包积液
D.胸水+腹水
E.无定位意义
273、单项选择题 以下哪种病变增强CT检查对其有帮助()
A.胆囊结石
B.肺间质纤维化
C.泌尿系结石
D.肝内占位
E.腰椎间盘突出
274、单项选择题
男,37岁,半年来视力下降明显,近1个月失明,CT如图,最可能的诊断是()

A.色素膜黑色素瘤伴视网膜脱离
B.色素膜血管瘤伴视网膜脱离
C.色素膜转移瘤伴视网膜脱离
D.色素膜神经瘤伴视网膜脱离
E.黑色素细胞瘤伴视网膜脱离
275、单项选择题 高分辨率CT扫描,层厚必须采用()
A.1~2mm扫描层厚
B.3~4mm扫描层厚
C.5~6mm扫描层厚
D.8~10mm扫描层厚
E.10~20mm扫描层厚
276、单项选择题 关于肩关节CT扫描检查,正确的叙述是()
A.扫描基线为肩峰下5mm
B.连续扫描,层厚层距5/10mm
C.俯卧,两手心向下
D.俯卧,两手自然放置
E.仰卧,两手心向上,连续扫描
277、单项选择题 肾上腺营养不良主要发生在()
A.儿童
B.青年女性
C.青春期
D.中年
E.老年
278、单项选择题 关于胆管结石CT表现,错误的是()
A.胆管内环行或圆形致密影
B.扩张的胆总管末端无肿块征象
C.常伴有结石平面以上的胆总管扩张
D.可同时有肝内外胆管和胆囊结石
E.“靶征”表现为周边高密度、中心为水样密度的胆汁
279、多项选择题 下列关于气胸的说法,正确的是()
A.新生儿气胸多为正压换气所致,需积极治疗
B.是肺囊性纤维化的常见并发症
C.可继发于胸部骨骼损伤或胸部钝性外伤
D.是肺发育不全的特征性并发症
E.如为张力性气胸,则胸内腔静脉受压
280、单项选择题
女,59岁,右侧肩背部持续性隐痛1月余,夜间加重,结合影像学检查,最可能的诊断是()
A.骨肉瘤
B.骨巨细胞瘤
C.骨转移瘤
D.软骨肉瘤
E.骨囊肿
281、单项选择题 在CT图像上,正常双侧内囊对称呈()
A.梭形
B.圆形
C.方形
D.长方形
E.“><”字形
282、单项选择题
女,56岁,左肩部持续性疼痛,夜间加重1月余,3月前被确诊为肾细胞癌,结合影像学检查,最可能的诊断是()
A.肱骨头骨折
B.肱骨转移瘤
C.肱骨骨肉瘤
D.肱骨骨巨细胞瘤
E.肱骨结核
283、单项选择题 关于原发脑肿瘤的描述,错误的是()
A.常有颅外或椎管外转移
B.成人患者常位于大脑半球
C.儿童患者以小脑肿瘤居多
D.临床常有颅内高压或颅神经受损表现
E.男性发病比女性多
284、单项选择题 下列哪项描述不符合化脓性脑炎(早期)的CT表现()
A.脑实质内低密度灶
B.病灶明显强化
C.有占位效应
D.多发生于颞、额、枕叶
E.病灶与水肿界限不清
285、单项选择题 脑囊虫病分型,错误的是()
A.脑实质型
B.脑室型
C.混合型
D.软脑膜型
E.脑池型
286、单项选择题 有关副鼻窦扫描范围的描述,下列错误的是()
A.副鼻窦横断扫描从上齿槽开始向上连续扫完额窦
B.冠状面扫描,从外眦向后扫至颈前缘
C.冠状面扫描,从颈前缘开始向前扫至额窦平面
D.冠状面扫描基线应垂直听眶线
E.横断位扫描基线应以听眉线一致
287、单项选择题 胰岛细胞瘤的CT特点为()
A.增强扫描动脉期明显结节样强化病灶
B.延迟扫描明显结节样强化病灶
C.延迟扫描明显环样强化灶
D.增强扫描静脉期低密度结节灶
E.增强扫描动脉期低密度结节灶
288、单项选择题 如经肘正中静脉进行增强扫描,下列结构中哪一项最迟强化()
A.胰腺
B.左右髂静脉
C.脾脏
D.上腔静脉
E.肝脏
289、单项选择题 下面哪项是急性硬膜下血肿的不典型表现()
A.梭形
B.均匀高密度
C.广泛
D.可跨越颅缝
E.中线结构移位
290、单项选择题 下列颅内肿瘤最易合并出血的是()
A.多形胶质母细胞瘤
B.转移瘤
C.脑膜瘤
D.血管网织细胞瘤
E.髓母细胞瘤
291、单项选择题
男,49岁,进行性消瘦、肝区不适、皮肤巩膜黄染2月,乙肝检查:HbsAg(+),Anti-Hbe(+),Anti-HbcIgG(+),肝功能及AFP均正常,CT检查如图,最可能的诊断是()
A.肝转移癌
B.肝血管内皮瘤
C.肝血管瘤
D.胆管细胞癌
E.肝淋巴管瘤
292、单项选择题 支气管扩张的描述哪项是错误的()
A.可分为柱状、静脉曲张型和囊状三型
B.扩张支气管与伴行肺动脉形成“印戒”征
C.可继发于肺结核、肺癌和放射性肺炎
D.支气管造影诊断的准确率低于CT
E.囊内出现气液平面是囊状支气管扩张最具特异性征象
293、多项选择题 脑外伤常见的后遗症有哪些()
A.脑软化
B.脑萎缩
C.脑积水
D.蛛网膜囊肿
E.脑穿通畸形囊肿
294、单项选择题 起源于脉管组织的恶性肿瘤(相对恶性)为()
A.血管瘤
B.血管球瘤
C.血管内皮瘤
D.淋巴管瘤
E.血管瘤病
295、单项选择题 下列关于乳腺癌CT平扫哪项不正确()
A.瘤体密度一般低于腺体密度
B.CT值多为25~56HU
C.肿瘤内有坏死液化后可出现低密度区
D.明显显示肿瘤内的短杆状、泥沙样钙化
E.累及胸壁者可见乳腺后间隙消失
296、单项选择题 肥厚型心肌病的病理学表现为()
A.心肌肥厚以右心室流出道为著
B.心肌肥厚以左心室流出道为著
C.常累及肌部室间隔引起对称性肥厚
D.不伴有乳头肌肥厚及移位
E.心腔可扩大
297、单项选择题 关于腹部CT扫描技术叙述错误的是()
A.肝脏和脾脏以AM顶为扫描基线
B.腹膜后腔以肝门为扫描基线
C.胆囊和胰腺以肝门为扫描基线
D.肾和肾上腺以肾上极为扫描基线
E.腹部扫描采用标准或高分辨率模式
298、单项选择题 当窗宽为200、窗位为0时,以下CT值显示范围哪项正确()
A.-150~50
B.-100~100
C.100~200
D.0~200
E.-200~0
299、单项选择题 颞窝前界的解剖结构为()
A.蝶骨大翼和岩骨尖
B.上颌窦后外侧壁
C.颌支,冠状突和颞肌
D.茎突和颈鞘
E.鼻腔和鼻咽
300、单项选择题 下列关于继发性肺结核的说法,正确的是()
A.早期病变好发于上叶前段
B.易于发生支气管播散
C.常可引起纵隔淋巴结肿大
D.结核瘤说明结核治愈
E.结核空洞多见液气平面