时间:2025-02-05 04:16:53


1、问答题 简述超声诊断仪的主要组成部分。
2、单项选择题 布-加综合征是指()
A.门脉高压发生阻塞产生的症候群
B.充血性心衰所致的功能性肝静脉流出道阻塞
C.下腔静脉闭塞产生的一系列症候群
D.肝与右心房之间肝静脉或下腔静脉阻塞引起肝静脉回流受阻产生的一系列症候群
E.上腔静脉闭塞产生的一系列症候群
3、单项选择题 肌肉新鲜血肿的声像图特点()①血肿呈圆形、卵圆形、纺锤形②用5~7.5MHz探头探测呈强回声③用5~7.5MHz探头探测呈无回声④用2.5~3.0MHz探头探测呈无回声⑤用2.5~3.0MHz探头探测呈强回声
A.①②④
B.①②⑤
C.①③④
D.①③⑤
E.以上均不是
4、单项选择题 扫查浅表组织时,探头频率最高可使用多少兆赫()
A.20MHz
B.10MHz
C.7.5MHz
D.5.0MHz
E.3.5MHz
5、单项选择题 超声中声速的单位面积能量的名称和单位是()
A.频率,周
B.波长,米
C.强度,瓦/米
D.速度,里/秒
E.声速,米/秒
6、单项选择题 TGC是下列哪一名词的英文缩写()
A.组织增益特性
B.时间增益补偿
C.信号发生器控制
D.温度发生器控制
E.以上均不正确
7、单项选择题 子宫中央条状增强回声及其周围低回声暗带是下列哪组结构的声像图表现()
A.宫腔线,浆膜层
B.宫腔线,粘膜层
C.粘膜层,肌层
D.浆膜层,肌层
E.宫腔线,血块
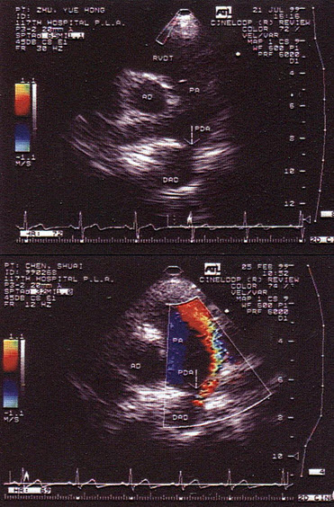
8、单项选择题 动脉导管位于()
A.主动脉弓与主肺动脉之间
B.主动脉降部与主肺动脉之间
C.主动脉降部与右肺动脉根部之间
D.主动脉降部与左肺动脉根部之间
E.头臂干与上腔静脉之间
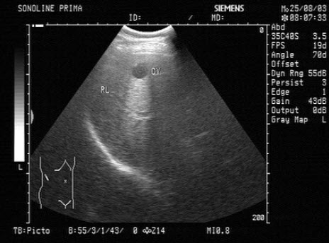
9、单项选择题
女,51岁,纳差、消瘦。结合超声声像图,诊断为()
A.胰腺癌
B.腹膜后肿块
C.胰岛细胞瘤
D.胃癌
E.胰腺炎
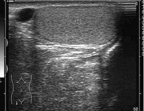
10、单项选择题
女,40岁,有时右上腹隐痛2年余。结合超声声像图,最可能的诊断为()
A.肝血管瘤
B.肝脓肿
C.小肝癌
D.转移性肝癌
E.肝囊肿
11、单项选择题 以下哪项不会引起肝脏上移()
A.结肠极度扩大
B.腹水
C.腹部肿瘤
D.膈下脓肿
E.腹部极度肿大脏器
12、单项选择题 羊水过多,超声诊断标准是羊水深度大于()
A.5cm
B.6cm
C.7cm
D.10cm
E.4cm
13、单项选择题
该病例最有可能诊断()

A.左房黏液瘤
B.主动脉瓣关闭不全
C.二尖瓣狭窄
D.二尖瓣关闭不全
E.二尖瓣脱垂
14、单项选择题
如图,最可能的诊断是()
A.软骨成长不全
B.致死性骨发育不全
C.窒息性胸廓发育不良
D.肢体屈曲综合征
E.无肢畸形
15、问答题 SAM征是指什么?
16、单项选择题 绒毛膜癌可转移到下列哪些部位()
A.肺
B.脑
C.肝
D.肾
E.以上全部
17、单项选择题
患者发现颈部肿块两年,无明显不适。甲状腺超声见甲状腺肿大回声不均匀,如图。最可能的诊断为()
A.甲状腺癌
B.结节性甲状腺肿
C.桥本甲状腺炎
D.甲状腺腺瘤
E.甲状腺囊肿
18、单项选择题 心肌超声造影不可以用于检测下列哪中情况()
A.心肌缺血区
B.冠脉血流储备
C.心肌梗死区
D.显示搭桥血管
E.心肌存活
19、单项选择题 脾门处低回声最常见的是().
A.淋巴结、肿瘤
B.血管
C.副脾
D.淋巴结、血管
E.血管、副脾
20、单项选择题 男性,12岁,突然发现阴囊肿胀、剧疼。超声显示:睾丸轻度肿大,中等回声,2~3小时后复查睾丸回声尚均匀,睾丸内血流消失。最可能的诊断为()
A.睾丸炎及附睾炎
B.阴囊血肿
C.鞘膜积液
D.睾丸扭转
E.斜疝绞窄
21、单项选择题 M型超声是指()
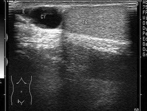
A.振幅调制型
B.辉度调制型
C.彩色血流显像
D.多普勒频谱显示
E.以上都不是
22、单项选择题 脐带绕颈几周时,胎儿颈背部声像图呈“U”型压迹()
A.脐带绕颈1周
B.脐带绕颈2周
C.脐带绕颈3周
D.脐带绕颈4周
E.正常声像图
23、单项选择题 下列眼部超声检查法中,哪种方法最简便实用()
A.经眼睑法
B.水囊法
C.探头块法
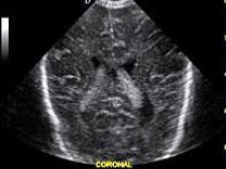
D.经水法
E.软探头法
24、单项选择题 超声的声波频率应该大于以下哪项()
A.2000Hz
B.5000Hz
C.10000Hz
D.20000Hz
E.50000Hz
25、问答题 肾盂肿瘤的声像图表现有哪些?
26、问答题 子宫肌瘤超声声像图表现?
27、单项选择题
女性,56岁,消瘦、腹部膨隆3月余。妇科检查:盆腔触及包块。超声检查如图,最可能的诊断为()
A.转移性卵巢癌
B.囊腺癌
C.黄体囊肿
D.黄素囊肿
E.囊腺瘤
28、单项选择题 彩色多普勒血流显像仪的自相关技术的作用是()
A.灰阶变换
B.分析信号相位差,得出血流速度均值和方向
C.放大回波信号的幅度
D.高通滤波
E.将回波信号增加
29、单项选择题 呼吸对上腔静脉血流的多谱勒频谱有什么影响()
A.呼吸时使血流频谱幅度都会明显增大
B.吸气时使频谱幅度降低,呼气时使频谱幅度增大
C.呼吸时对血流频谱都无影响
D.呼吸时使血流频谱幅度都明显降低
E.吸气时使频谱幅度(速度)增大,呼气时减低
30、单项选择题 彩色多普勒血流成像时使用高通滤波可达到什么目的()
A.便于检查流量大小
B.检测高速血流时不受低速运动多普勒信号的干扰
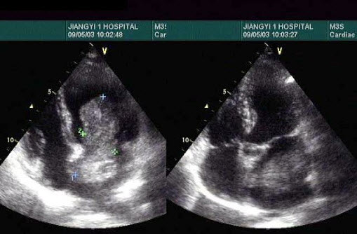
C.可以用于显示血流的方向
D.便于检查极低速的血流
E.增大检测深度
31、单项选择题 下列对阴囊内结构描述不正确的是()
A.由皮肤、肉膜及肌肉组成
B.在正中线形成阴囊隔,分左右两囊
C.无结构
D.内有睾丸、附睾、精索
E.睾丸鞘膜腔内有少量液体
32、单项选择题 入射角为多少度时,几乎检测不到回声反射而表现为“回声失落”()
A.310°
B.320°
C.330°
D.345°
E.360°
33、单项选择题 二尖瓣血流频谱呈舒张早期单峰型频谱,提示()
A.二尖瓣狭窄合并关闭不全
B.二尖瓣狭窄合并肺动脉高压
C.二尖瓣狭窄合并房间隔缺损
D.二尖瓣狭窄合并右心功能不全
E.二尖瓣狭窄合并心房纤颤
34、单项选择题 若两侧副中肾管没有汇合或汇合不完全,除形成双子宫、双角子宫外,还有()
A.鞍形子宫
B.全隔子宫
C.残角子宫
D.重复子宫
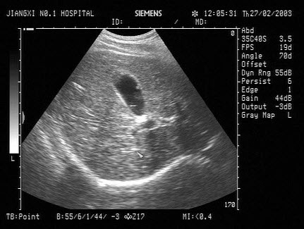
E.始基子宫
35、单项选择题 胆囊重度增大最可能的原因是()
A.梗阻
B.变异
C.肝炎
D.肝硬化
E.脂肪肝
36、判断题 子宫畸形可导致不孕、流产和早产等表现。
37、多项选择题 乳腺癌的一般USG表现可见()
A.肿瘤形态不规则,边界不整
B.瘤体中心液化或坏死时,可见不均质低回声或无回声区
C.肿瘤后方回声减低或消失
D.内部多呈实性低回声,分布不均匀
E.部分患者可探及患侧腋窝处肿大的淋巴结
38、问答题 先兆流产的声像图表现有哪些?
39、单项选择题 股骨长度测量是()
A.从近端股骨颈到远端股骨髁
B.从股骨头到内上髁
C.从大转子到远端股骨髁
D.不包括股骨颈及远端骨骺的股骨骨干全长
E.以上都不是
40、单项选择题 关于经阴道超声检查方法学的描述,下述哪一项是错误的()
A.子宫肌瘤较大时,应同时进行经腹超声检查
B.卵巢肿瘤位置较高时,应同时进行经腹超声检查
C.经阴道超声检查常用于胎儿心脏畸形诊断
D.与经腹超声相比,常能清晰显示子宫内膜形态
E.检查前需排空膀胱
41、单项选择题 胆囊颈由以下哪项与肝总管连接()
A.肝胰壶腹(Vater壶腹)
B.胆总管
C.肝左、右管
D.胆囊管
E.肝内胆管
42、单项选择题 当障碍物的直径大于1/2波长时,将会发生什么反应()
A.反射
B.折射
C.衍射
D.不反射
E.不折射
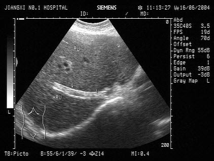
43、单项选择题 异位妊娠时,人类绒毛膜促性腺激素(HCG)滴度一般是()
A.比正常宫内妊娠稍高
B.比正常宫内妊娠低
C.比正常宫内妊娠高50%
D.比正常宫内妊娠高100%
E.与正常宫内妊娠相同
44、单项选择题 有关左心室,以下哪项不对()
A.左心室位于右心室右前方
B.左心室横切时呈圆形
C.左心室壁较右心室壁厚
D.左心室腔内有两组乳头肌附着
E.左心室的右缘为室间隔的左室面
45、单项选择题 超声测量胎儿股骨长度,怎样才能避免较大的测量误差()
A.用线阵式超声探头
B.采用凸阵式超声探头
C.采用扇扫式或小凸阵探头
D.声束与胎儿股骨尽可能保持垂直
E.声束与胎儿股骨尽可能保持平行
46、单项选择题
患者,消瘦,于左上腹触及一包块,超声见一大小5×7cm的呈假肾征的光团,如图所示,考虑为()
A.胰腺癌
B.胆囊癌
C.肝癌
D.胃癌
E.左肾癌
47、单项选择题 胆囊内可移动、无声影的病变可能是()①泥沙样小结石②胆泥③出血④寄生虫
A.①
B.①②
C.①②③
D.④
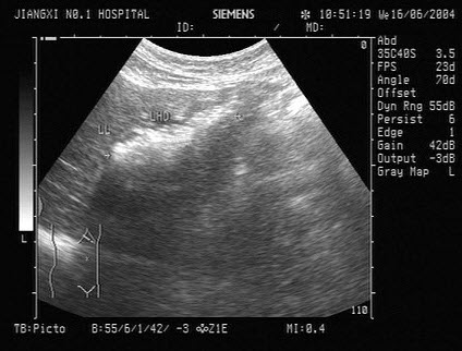
E.以上均可能
48、单项选择题 胎盘最早在妊娠几周形成()
A.4周
B.8周
C.10周
D.20周
E.24周
49、单项选择题 声阻抗产生与下列哪项最有关系()
A.声束宽度和交界面曲度
B.振荡频率和晶片的体积
C.超声在组织中的声速和组织密度
D.声波能量和组织敏感度
E.声波能量和组织密度
50、单项选择题 关于正常M型超声心动图心室波群,以下哪项正确()
A.室间隔与左室后壁呈同向运动
B.正常室间隔收缩期向后,舒张期向前运动
C.右心室负荷过重时,室间隔运动幅度增大
D.左室后壁运动曲线上升速度快,下降速度慢
E.房缺大小对室间隔运动无影响
51、单项选择题 穿刺活检针是以内、外两种径中的哪种径划分,何为粗针,何为细针()
A.外径>1.0mm为粗针,<1.0mm为细针
B.内径>1.2mm为粗针,<0.8mm为细针
C.外径>0.8mm为粗针,<0.8mm为细针
D.内径>0.7mm为粗针,<0.6mm为细针
E.内径>1.0mm为粗针,<1.0mm为细针
52、判断题 颈部海绵状血管瘤USG动态观察其大小,随体位移动固定不变。
53、单项选择题
眼球内异物的声像图表现()
①球内点、片、块状强回声,伴声影
②球壁上出现与异物相同大小的隆起假像
③异物周围无回声晕
④异物引起的继发改变
⑤有眼外伤史
A.①③⑤
B.①④⑤
C.①②④⑤
D.①②③④⑤
E.①③④⑤
54、单项选择题 采用下列哪些测量方法可推测胎儿死亡时间()①双顶径②股骨长③头围④腹围
A.①
B.①②
C.①②③
D.①②③④
E.①③
55、单项选择题 男性,30岁,已婚不育,超声显示:左侧阴囊内多条管状结构,CDFI为静脉频谱,管径大于3mm,最可能的诊断是()
A.斜疝
B.附睾炎
C.阴囊血肿
D.精索静脉曲张
E.睾丸肿瘤
56、单项选择题 肝内最常见的良性实性占位性病变是()
A.肝腺瘤
B.肝脏局灶结节性增生
C.炎性假瘤
D.肝脂肪瘤
E.以上都不是
57、单项选择题
人体重要淋巴结的分布()
①人体重要淋巴结分布在人体全身各部位区域
②淋巴结一般为集合线群,分布在身体特定区域
③人体重要淋巴结分布在胸、腹、颈部、腹股沟区
④人体重要淋巴结分布在颈、腋窝、纵隔、腹主动脉、髂、腹股沟和咽窝区
A.①③
B.②④
C.①④
D.②③
E.③④
58、单项选择题 从子宫侧缘到盆腔的翼状双层腹膜反折将盆腔分成前后两个间隙,这一结构是()
A.输卵管
B.圆韧带
C.阔韧带
D.髂腰肌
E.主韧带
59、单项选择题
超声纵向分辨力为()
①区分平行于超声束的两个物体的能力
②区分垂直于超声束的两个物体的能力
③与深度、纵向和区域分辨力相同
④与方位、角度及横向分辨力相同
A.①③
B.②④
C.①②③
D.①②④
E.①②
60、单项选择题 肝的脏面向()
A.下、后和左
B.下、后和右
C.上、后和左
D.上、后和右
E.前和左
61、单项选择题 在诊断胆石过程中,下列哪种情况最易出现假阴性结果()①有一个巨大孤立的结石②胆囊小③石头嵌顿于胆囊管
A.①②③
B.①
C.②
D.③
E.①③
62、单项选择题 超声检查盆腔之前,适度充盈膀胱的目的是()①作为透声窗②推开肠管③作为辨认脏器的标志④作为解剖的参照结构⑤有助于提高子宫位置,以便充分暴露脏器
A.①②
B.①②③
C.①②③④
D.①③④
E.以上全是
63、单项选择题
肝囊肿的声像图表现,下列哪一项是错误的()
A.囊壁薄而光滑
B.囊壁较厚,光滑,呈双层
C.侧壁出现回声失落
D.后方回声增强
E.彩色多普勒显示囊壁处短条状血流信号
64、单项选择题 彩色多普勒血流显像图最常用于哪一些部位病变()
A.肝
B.胰
C.血管性病变
D.肿瘤
E.囊肿
65、单项选择题 成人骨骼正常声像图上能显示什么结构()
A.骨外膜
B.骨内膜
C.骨皮质
D.骨松质
E.骨髓
66、单项选择题
接收器的功能包括()
①检波
②压缩
③排斥
④放大
A.②③④
B.①②③④
C.②④
D.①②
E.①②③
67、单项选择题 女,30岁,尿频、尿急、尿痛1年,声像图示右肾轻度肿大,实质结构紊乱,多个大小不等的不规则液性腔及钙化灶,部分液性腔相互通连并与扩张的肾盂沟通,液性腔及肾盂壁不规则,右输尿管全程扩张,膀胱壁弥漫性增厚、僵硬,容积明显缩小,最可能诊断为()
A.急性肾盂肾炎
B.肾结核
C.慢性肾盂肾炎
D.肾积水
E.肾囊肿
68、单项选择题 超声检查中常用的切面有()
A.矢状面
B.横切面
C.斜切面
D.冠状切面
E.以上都是
69、判断题 肾实质、脾等正常组织和肾癌等病变组织可表现为实质暗区。
70、单项选择题 囊性肿物的声像图特点是()①增强增益仍为无回声②壁光滑,边界清楚③后方回声增强④后方声影
A.①②
B.①②③
C.①②④
D.②④
E.①②③④
71、单项选择题
某患者右侧阴囊根部可触及小包块,超声声像图如下,最可能的诊断为()
A.精索鞘膜积液
B.睾丸鞘膜积液
C.附睾囊肿
D.睾丸肿瘤
E.附睾血肿
72、单项选择题 前列腺增生CDFI改变()
A.前列腺内血流丰富,可见增生结节旁有动脉血流环绕
B.前列腺内未见血流信号
C.前列腺内呈少血流改变
D.前列腺内可见丰富的静脉血流信号
E.以上都不是
73、单项选择题 试述影响左心房压的直接因素()
A.主动脉压的大小
B.三尖瓣有无狭窄
C.右室压的大小
D.主动脉瓣口有无关闭不全
E.肺静脉对左心房的充盈及二尖瓣口通畅程度
74、单项选择题 输卵管分为哪几部分()
A.峡部、壶腹部、漏斗部、伞部
B.间质部、峡部、壶腹部、漏斗部
C.角部、间质部、壶腹部、漏斗部
D.角部、峡部、壶腹部、伞部
E.角部、峡部、壶腹部、漏斗部、伞部
75、单项选择题 超声可以显示的骨结构是()①骨皮质②骨髓③骨膜④软骨组织
A.①
B.①②
C.①②③
D.①④
E.①②③④
76、单项选择题
某患者收缩期超声心动图所示,提示()

A.二尖瓣狭窄
B.二尖瓣关闭不全
C.房间隔缺损
D.动脉导管未闭
E.以上都不是
77、单项选择题 超声声像图上膀胱与直肠间的两个袋状低回声结构是()
A.附睾头
B.前列腺
C.精囊腺
D.睾丸
E.输精管
78、单项选择题 关于脾静脉的叙述,正确的是()
A.走行在胰体尾的后上方
B.走行在胰尾的前方
C.跨越体中线,不与胰组织相遇
D.位于胰腺的下方
E.直接由腹主动脉发出,走行在左肾的前方
79、单项选择题 与超声成像相关的超声波物理性质有()。
A.指向性
B.反射、折射与散射
C.衰减与吸收
D.多普勒效应
E.以上都是
80、单项选择题 引起肾积水的原因有()
A.结石
B.前列腺肥大
C.肿瘤
D.晚期妊娠
E.以上都是
81、单项选择题 自然组织谐波的作用是()
A.增加可视帧频
B.增加界面分辨力及清晰度
C.增加高频超声的穿透能力
D.提高声输出功率
E.减少超声的衰减
82、单项选择题 下面哪项不是门脉高压的侧支循环路径()
A.脾静脉
B.副脐静脉
C.胃冠状静脉
D.肠系膜静脉
E.内乳静脉
83、单项选择题 下列哪种肿瘤与麦格综合征有关()
A.子宫肌瘤
B.子宫体癌
C.卵巢纤维瘤
D.输卵管癌
E.库肯勃瘤
84、填空题
如图,二维超声心动图中,此为____________切面。

85、填空题 胎儿畸形包括__________、__________、___________、_____________、_____________、__________________、__________________、______________或___________等。
86、单项选择题 正常时胎儿膀胱每隔多长时间排空一次()
A.10~25分钟
B.30~45分钟
C.50分钟~1小时
D.1.5~2小时
E.3小时
87、单项选择题 关于彩色多普勒超声仪器的调节,不正确的是()
A.调整彩色速度标尺,使之接近实际血流速度大小
B.使彩色取样框尽可能大,以便获取尽可能多的血流信息
C.适当调节彩色偏转使声束与血流夹角尽可能小
D.调节彩色增益直至适当显示血管内血流信号
E.设定朝向探头血流为红色,背离探头血流为蓝色
88、单项选择题 超声在人体中传播遇到空气时,错误的描述是()
A.反射强烈
B.反射多于折射
C.能清晰显示空气后方组织
D.很难看到空气后方组织
E.回波幅度很大,出现亮点或光团
89、单项选择题
男性,60岁,无痛性血尿,腰部疼痛,该病例最可能的诊断()
A.肾错构瘤
B.肾脏局灶性炎症
C.肾周围脓肿
D.肾脏肿瘤
E.肾母细胞瘤
90、单项选择题 关于实性肿瘤声像图特征,下列哪项是错误的()
A.边界回声可光滑、整齐或不规则
B.外形常呈圆形、椭圆形或不规则
C.内部有回声
D.后方回声均有衰减
E.侧方声影可有可无
91、单项选择题 超声检查半月板最理想的探头频率是()
A.3.0MHz
B.3.5MHz
C.4.0MHz
D.5.0MHz
E.7.5MHz
92、单项选择题
肋缘下斜切面显示门静脉左支时,可见肝尾叶位于()
A.门静脉左支矢状段与胆囊之间
B.门静脉左支横段与下腔静脉之间
C.肝右静脉与胆囊之间
D.肝门静脉与肝静脉之间
E.以上都不是
93、单项选择题 多普勒频移属于下列哪个声段()
A.次声
B.可闻声
C.超声
D.X线
E.可见光
94、单项选择题 关于子宫体癌的病理学改变及诊断,不正确的是()
A.又称子宫内膜癌,发生在子宫内膜
B.子宫内膜为弥漫性增厚或团块状
C.始发于更年期与绝经期的妇女
D.声像图能显示内膜增厚,故早期即能确诊
E.主要临床表现为阴道出血
95、单项选择题 肝脏外分泌功能包括产生()
A.糖原
B.尿素
C.肝素
D.胆汁
E.胰液
96、问答题 异位妊娠的声像图表现有哪些?
97、单项选择题 异位妊娠破裂出血<100ml时,局限性积液的部位是()①子宫直肠窝②结肠旁隐窝③肝下间隙④双侧髂窝
A.①
B.①②
C.①②③
D.①②③④
E.②③④
98、单项选择题 葡萄胎的声像图特征是()
A.结中结征
B.半岛征
C.牛眼征
D.蜂窝状
E.火海征
99、单项选择题
图示3所指部位()
A.脾静脉
B.腹主动脉
C.肠系膜上动脉
D.胰头
E.左肾静脉
100、单项选择题
如图,初步超声诊断为()

A.二尖瓣返流
B.三尖瓣返流
C.主动脉瓣返流
D.肺动脉瓣返流
E.二尖瓣狭窄
101、单项选择题
患儿,出生3周,食欲旺盛,吮奶急,但几乎每次喂奶后立即或不久即吐,呈喷射状。X光钡餐检查,见胃窦与幽门管近端连接处呈喙状突出阴影称鸟喙征。超声检查如图,最可能的诊断是()
A.幽门狭窄
B.胃食管返流
C.胃溃疡
D.食管裂孔疝
E.肠套叠
102、单项选择题 声波垂直入射到两层相邻的介质时()
A.两个介质特性阻抗差异越大,反射越强
B.两个介质特性阻抗差异越大,反射越弱
C.反射能量小于折射能量
D.反射能量与折射能量相同
E.以上都不对
103、单项选择题
男,48岁,上腹胀痛,纳差,血吸虫病多年。结合超声声像图,诊断为()

A.血吸虫肝纤维化
B.脂肪肝
C.细菌性肝脓疡
D.肝豆状核变性
E.肝炎
104、单项选择题
女性,18岁,月经不来潮就诊。超声检查如图,最可能的诊断为()
A.畸胎瘤
B.先天性无子宫
C.子宫肌瘤
D.双子宫
E.始基子宫
105、单项选择题
图示4所指部位()
A.脾静脉
B.腹主动脉
C.肠系膜上动脉
D.胰头
E.下腔静脉
106、单项选择题 超声探头频率的临床应用,下列哪项是错误的()
A.200000Hz~1MHz,用于一般脏器检查
B.2.5~5MHz,用于腹部及心脏检查
C.5~5MHz,用于小器官、眼科检查
D.10~30MHz,用于皮肤及血管内检查
E.40~100MHz,用于生物显微镜成像
107、单项选择题 非镜面反射()
A.当界面大于波长时发生
B.当界面小于波长时发生
C.发生于类镜面表面
D.取决于声束角
E.取决于声速
108、问答题 多囊肾的声像图表现有哪些?
109、单项选择题
某患者阴囊部疼痛不适,超声声像图如下,最可能的诊断为()
A.附睾炎
B.睾丸炎
C.睾丸肿瘤
D.附睾结核
E.附睾肿瘤
110、单项选择题
声学造影剂须符合下列哪些项要求()
①微泡小,能安全稳定通过肺循环
②可进人心肌或全身血池
③无毒副作用
④能停留相对较长时间
A.①
B.①②
C.①②③
D.②③④
E.以上均须符合
111、单项选择题 下列肾脏疾病哪一项不属于肾先天性异常()
A.重复肾
B.肾发育不良
C.马蹄肾
D.肾自截
E.异位肾
112、单项选择题 自然组织谐波的作用是()
A.增加可视帧频
B.增加界面分辨力,清晰度及信噪比
C.增加高频超声的穿透深度
D.提高声输出功率
E.减少超声能量的衰减
113、单项选择题 肾异位,错位的肾常在下列哪一部位找到()
A.对侧肾窝中
B.同侧膈顶下
C.小骨盆内
D.对侧腹腔
E.以上都不是
114、单项选择题 关于脐疝的临床特点与超声表现的叙述,下列哪项是错误的()
A.超声检查要观察脐血管入腹壁处
B.肠管脱向脐带
C.常伴有染色体异常
D.肝脏脱向脐带
E.肠管漂浮于羊水之中
115、单项选择题
图中肝脏图像最长的管道为()
A.肝右静脉
B.肝中静脉
C.门静脉右支
D.下腔静脉肝段
E.门脉左支
116、单项选择题 用频谱多谱勒测肺动脉高压的肺动脉血流有什么特点()
A.血流加速时间及射血时间延长(AT、ET),射血前时间延长(PEP)
B.AT、PEP延长,ET缩短
C.血流加速时间缩短(AT),射血时间缩短(ET),射血前时间延长(PEP)
D.AT、ET、PEP均缩短
E.AT、ET无变化,PEP延长
117、单项选择题
女性,44岁,取环术后下腹疼痛1天。B超检查如图,最可能的诊断为()
A.子宫血肿
B.盆腔血肿
C.子宫肌瘤
D.子宫腺肌瘤
E.肌瘤囊变
118、单项选择题
患者体检发现睾丸小肿块,结合超声图像,最可能的诊断是()
A.睾丸囊肿
B.睾丸结核
C.白膜囊肿
D.睾丸腺癌
E.附睾囊肿
119、单项选择题
女,现在正在行肺癌放疗治疗。结合超声声像图,诊断为()
A.转移性癌
B.脾血肿
C.脾梗死
D.脾脓肿
E.脾血管瘤
120、单项选择题 卵巢非赘生性囊肿临床表现和声像图特征,不正确的是()
A.黄体囊肿是黄体形成过程中黄体血肿液化形成
B.黄素囊肿与滋养细胞瘤伴发
C.黄素囊肿多呈双侧性
D.卵巢非赘生性囊肿是卵巢囊性肿瘤,多不能自行消退
E.绝经后妇女较少见
121、单项选择题 超声诊断仪的工作环境,下列哪项不宜()
A.监视器避免阳光直射
B.整机不应放置在高温,潮湿环境
C.用紫外线照射或消毒液对探头消毒
D.使用稳压器,保持正常供电
E.远离高电场,高磁场
122、单项选择题 正常甲状腺横切时的超声特征是()
A.甲状腺包膜完整,呈蝶形,强回声
B.甲状腺为蝶形,包膜完整,均质,中等回声
C.甲状腺包膜完整,呈圆形,均质弱回声
D.甲状腺包膜不完整,呈蝶形,均质弱回声
E.甲状腺包膜不完整,呈蝶形,不均质强回声
123、名词解释 “键盘征”(“鱼刺征”)
124、单项选择题 亚急性甲状腺炎的临床及超声表现是()
A.初期咽痛、低热、有上呼吸道症状
B.实验室T、T增高,白细胞上升,血沉快
C.甲状腺中度增大,内有均质稀疏弱回声点
D.彩色多谱勒血流显像显示血流较丰富或不丰富
E.以上都是
125、单项选择题 孕几周后仍为0级胎盘,则应疑有妊娠糖尿病、母子Rh因子不合引起胎盘成熟延迟()
A.20周
B.24周
C.28周
D.32周
E.26周
126、单项选择题
SonoCT技术包括()
①电子声束偏转技术
②数字化图像处理技术
③谐波技术
④X线CT技术
A.①②
B.③④
C.②④
D.①②③
E.以上都是
127、单项选择题 下列哪一项对前列腺癌的诊断帮助不大()
A.前列腺增大,不对称,内回声不均匀
B.前列腺内部散在杂乱的斑点状及团状不规则强回声
C.血清PSA明显升高
D.双肾积水,膀胱小梁小房形成
E.盆腔扫查髂血管旁出现肿大淋巴结
128、多项选择题 下述哪些属死胎的声像图表现()
A.胎儿各生长参数小于孕周预计值
B.胎心搏动、胎动均消失
C.胎儿颅骨变形,颅缝重叠
D.胎儿全身水肿,皮肤呈双层改变
E.内脏结构紊乱清楚
129、单项选择题
女性,46岁,发现腹部肿块1个月余。妇科检查:盆腔触及包块。超声检查如图,最可能的诊断为()
A.囊腺癌
B.囊腺瘤
C.黄体囊肿
D.转移性卵巢癌
E.包裹性积液
130、单项选择题
女,27岁,下腹部疼痛数月,体检:右侧附件区增厚、增大,B超检查如图所示,最可能的诊断为()
A.右侧卵巢囊肿
B.右侧输尿管扩张
C.右侧输卵管积液
D.盆腔积液
E.以上都不是
131、单项选择题 肾窦脂肪沉积过多,肾窦声像图显示为()①增大②减小③回声多增强④回声减低
A.①③
B.①④
C.②③
D.②④
E.①③④
132、单项选择题
图中脑室内高回声区域为()

A.室管膜下出血
B.脉络丛
C.肿瘤
D.脑室出血
E.脑室扩张
133、单项选择题 以下哪项不是冠心病室壁瘤的超声所见()
A.局部心壁向外膨出
B.心尖部室壁瘤使左室呈“倒葫芦状”
C.膨出处室壁变薄,回声增强
D.病变局部室壁运动幅度增大
E.瘤壁与室壁相延续
134、单项选择题
女,42岁,上腹部经常疼痛不适,加重1周。声像图如图所示,结合超声声像图,诊断为()
A.左肝内胆管多发性结石
B.左肝内胆管蛔虫
C.左肝内胆管癌
D.左肝钙化灶
E.左肝内血管瘤
135、单项选择题 声强的准确定义()
A.超声换能器发射脉冲超声,其发出的最大时间峰值
B.描述超声能量大小的一种物理量,即超声束在单位时间通过单位横截面积的超声能量
C.在脉冲重复频率的最长间隔时间内平均声强
D.超声波穿过组织时的强度
E.超声的频率
136、单项选择题 半月板损伤的特异声像图是()
A.半月板内的线状、带状及斑块状强回声
B.边缘局限性回声增强
C.向周边移位与韧带分离
D.关节腔内的无回声
E.独立光团的软骨剥离
137、单项选择题
一患者,发热,右上腹痛,血常规检查白细胞增多。结合超声声像图,诊断为()
A.肝脓肿
B.肝血管瘤
C.肝癌
D.脂肪肝
E.肝囊肿
138、问答题 超声监测卵泡发育有何临床意义?
139、单项选择题 房间隔缺损第Ⅱ孔型的USG表现中,哪项错误()
A.右心房、右心室内径增大
B.左心房、左心室内径增减小
C.室间隔运动幅度降低、平坦
D.房间隔的连续性中断
E.主肺动脉及右肺动脉缩小
140、单项选择题 关于腮腺管结石(涎石病)的超声表现的描述,哪一项是错误的()
A.腮腺大小、形态正常
B.腮腺内可探及致密强回声斑点或斑块
C.较大结石可引起导管阻塞
D.腮腺导管无扩张
E.较大结石后方伴声影
141、单项选择题 中年女性,突发上腹疼痛,伴恶心、呕吐,超声显示胆囊多发结石,胰腺肿大,轮廓不清,回声减低,周围见少量液性暗区,最可能的诊断是()
A.急性胰腺炎
B.慢性胰腺炎
C.急性胃炎
D.急性胆囊炎
E.急性胆管炎
142、单项选择题 肾上腺型艾迪生病主要的病因是()
A.肾上腺结核
B.特发性肾上腺萎缩
C.组织胞浆菌病
D.淀粉样变性
E.产后大出血
143、问答题 超声诊断肾下垂的依据是什么?
144、单项选择题 双胎间输血综合征主要发生在()
A.双卵双胎
B.单卵双胎
C.A和B均是
D.A和B均不是
E.以上都不是
145、单项选择题 患者王某,有心绞痛发作史,心电图ST段降低,T波倒置,超声显像检查疑有室壁运动异常,需作心肌超声造影,你准备的经末梢静脉造影()
A.微气泡直径小于红细胞,但大于8μm以上
B.选择压缩系数小于液体、固体的微气泡
C.微气泡较大,从末梢静脉进入右心
D.选择密度大于固体的微气泡
E.微气泡直径小于5μm
146、单项选择题 正常颅外动脉血流频谱是下列哪种形态()
A.低阻力频谱
B.高阻力频谱
C.收缩期双峰、舒张期三峰频谱
D.三相血流频谱
E.宽频双峰递减型频谱
147、单项选择题 甲状腺炎临床分型是()
A.①急性②慢性
B.①急性②亚急性
C.①急性②亚急性③慢性
D.①临床下型②急性③亚急性④慢性
E.①急性②临床下型③慢性
148、单项选择题 门静脉系统扩张可由以下哪些病变所致()①右心衰②肝硬化③二尖瓣狭窄④主动脉瓣狭窄
A.①②
B.②③
C.①③
D.①②③
E.①②③④
149、单项选择题 关于“肝血管瘤”影像,下列描述哪项不对()
A.超声,低回声结节
B.核素延迟扫描,过度充填
C.CT,充填式强化
D.MRI,电灯泡征
E.对小血管瘤诊断与鉴别,MRI价值明显优于核素扫描
150、单项选择题 从移动的发射体获得的多普勒频移()
A.当多普勒入射角接近0°时最大
B.是发射和接收频率之和
C.多普勒角度为90°时最强
D.多普勒角度小于90°时为负向频移
E.是频率的平方根
151、问答题 法洛四联症的二维超声表现?
152、单项选择题 成人脾脏长径超声测量正常值()
A.<9.0cm
B.<10cm
C.<11cm
D.<12cm
E.<13cm
153、单项选择题 约孕几周前后声像图上可显示胎盘()
A.4周
B.6周
C.9周
D.12周
E.14周
154、单项选择题 没有被腹膜所覆盖的肝脏部分称为()
A.方叶
B.尾状叶
C.裸区
D.右后叶
E.左叶
155、单项选择题 最常与葡萄胎并发的卵巢囊肿是()
A.滤泡囊肿
B.皮样囊肿
C.卵巢冠囊肿
D.黄素囊肿
E.黄体囊肿
156、单项选择题 关于卵巢无性细胞瘤,下列哪一项是错误的()
A.卵巢恶性生殖细胞实性肿瘤
B.常见于儿童及青年妇女
C.肿瘤彩色多普勒血流显像可显示丰富血流
D.卵巢实性良性肿瘤
E.卵巢少见良性肿瘤
157、单项选择题 超声生物效应的物理机制是()
A.机械效应
B.热效应
C.辐射效应
D.空化效应
E.多普勒效应
158、单项选择题 脐带绕颈的原因有()①脐带过长②胎动过频③脐带扭转④脐带脱垂
A.①
B.①②
C.①②③
D.①②③④
E.①③④
159、单项选择题 下列骨及软骨的正常声像图哪项错误()
A.骨皮质为平直连续光滑的强回声
B.骨髓若显示,呈弱回声
C.骨的骺端膨大,表面薄而光整
D.纤维软骨为中等回声,透明软骨为强回声
E.骨松质为内部有散在强斑点的弱回声
160、单项选择题 经胸骨上窝不可以检查哪种心血管结构()
A.主动脉
B.上腔静脉
C.降主动脉
D.右肺动脉
E.下腔静脉
161、单项选择题 传播超声波的媒介物质叫()
A.耦合剂
B.介质
C.探头
D.晶片
E.超声波
162、单项选择题 人体不同组织和体液回声强度是不同的,下列哪一项是错误的()
A.液体均是无回声的,固体均是有回声的
B.实质性组织如肝脾是中等水平回声
C.脂肪组织是低水平回声
D.纤维化和钙化引起组织回声增强
E.脏层胸膜—肺组织(含气)界面产生很强的反射
163、单项选择题 子宫内膜异位症声像图特征是()①子宫增大,形态饱满②子宫肌壁回声粗糙不均匀,与宫壁无明显界限③子宫内膜线移位④易与子宫肌瘤相混淆
A.①
B.①②
C.①②③
D.①②③④
E.①③④
164、单项选择题
根据心尖四腔心切面声像图所示,超声诊断为()

A.左房血栓
B.二尖瓣赘生物
C.左房黏液瘤
D.正常声像图
E.以上都不是
165、单项选择题 肝脏左叶的分叶是()
A.内侧及外侧叶
B.左外上及外下段
C.头侧部及尾侧部
D.尾叶及方叶
E.上侧叶及下侧叶
166、单项选择题 肾动脉狭窄的诊断标准()
A.狭窄处血流亮度增加,流速加快,Vmax≥180cm/s
B.Vmax狭窄处:Vmax邻近的腹主动脉内径≥3.5cm
C.AT≥0.07s,AS<3m/s
D.RI<0.5
E.以上均是
167、单项选择题 Rh不合的胎盘声像图特点是()①胎盘增大②胎盘减小③胎盘变薄
A.①
B.①②
C.③
D.②③
E.①②③
168、单项选择题 通过胆囊窝中点到第二肝门处下腔静脉左壁之连线,将肝脏分为哪两叶()
A.左叶、右叶
B.右前叶、右后叶
C.左内叶、右外叶
D.尾叶、方叶
E.以上都不是
169、单项选择题 下列哪一项不是腮腺混合瘤的声像图表现()
A.病变轮廓完整,界限清晰,呈圆形、椭圆形或表面呈分叶状
B.内部为均匀低回声或等回声
C.内部为均匀低回声中有蜂窝状小分隔
D.均匀分布的等回声中有无回声液区
E.CDFI显示边缘包绕型血流图,PSV>50cm/s
170、单项选择题 边缘性前置胎盘的声像图特点是()
A.胎盘下缘部分覆盖子宫颈内口
B.胎盘完全将子宫颈内口覆盖
C.胎盘下缘抵达子宫颈内口,但未覆盖宫颈内口
D.胎盘部分在子宫下段,距宫颈内口约5cm
E.胎盘部分在子宫下段,距宫颈内口约7cm
171、单项选择题 肺动脉高压时肺动脉血流频谱特点不包括下列哪一项()
A.频谱流速峰值前移
B.加速时间缩短
C.加速度加快
D.射血时间(ET)缩短
E.射血前期(PEP)缩短
172、单项选择题 经眼睑进行眼部二维超声检查,最佳探头频率是()
A.3.0MHz
B.3.5MHz
C.4.0MHz
D.5.0MHz
E.7.5MHz
173、单项选择题 指出下列正常肢体静脉的多谱勒超声表现哪项是错误的()
A.中等大小以上的静脉,无论在休息和活动状态都有血流信号
B.静脉血流速度随呼吸运动而加快或减慢
C.乏氏(Valsalva)反应阳性
D.人工挤压远端肢体后血流信号减弱
E.呈单向回心血流
174、问答题 急性胰腺炎超声声像图表现?
175、单项选择题 超声可以显示最小多少厘米的甲状腺结节()
A.甲状腺内所有结节
B.甲状腺内>1cm结节
C.甲状腺内<0.5cm结节超声无法显示
D.甲状腺内>0.2cm结节超声均可显示
E.以上均不是
176、单项选择题
患者,男,50岁,发热半月余,全身不适,乏力,食欲不振。根据超声心动图,最可能的诊断是()


A.风湿性心脏病
B.感染性心内膜炎
C.老年退行改变
D.主动脉瓣狭窄
E.冠心
177、单项选择题 由于入射波束与曲面相互作用造成伪像并产生声影,称为()
A.幻影伪像
B.边缘伪像
C.“彗星尾征”伪像
D.振铃伪像
E.混响伪像
178、单项选择题
女,32岁,偶感右上腹不适多年。声像图如图所示,最可能的诊断为()
A.胆囊结石
B.胆囊蛔虫
C.胆囊胆固醇结晶
D.胆囊息肉
E.胆囊腺瘤
179、单项选择题 下列描述波长与频率关系的结论,哪个是错误的()
A.波长与频率成反比
B.频率越高,波长越短
C.频率越低,波长越长
D.频率越高,纵向分辨力越好
E.波长与频率成正比
180、单项选择题
女,27岁,上腹部剧烈疼痛2天。声像图如图所示,诊断为()
A.胆道蛔虫
B.胆道结石
C.胆道胆汁淤积
D.引流管回声
E.胆管癌
181、单项选择题 腮腺炎的声像图表现是()
A.不同程度的弥漫性肿大
B.急性期轮廓不清,呈低回声
C.腮腺血流信号增多
D.慢性期界限清晰,呈强回声
E.以上都是
182、单项选择题 超声探头最重要的部分是()
A.保护层
B.匹配层
C.压电振子
D.阵子聚焦透镜
E.探头驱动电路
183、单项选择题 女性,62岁,急腹症住院,超声检查图像为:胆囊增大,胆囊壁弥漫增厚呈“双边影”表现,胆囊腔内见一强回声光团伴声影,随体位改变而移动,根据声像图表现,可能的诊断为()
A.①②③
B.①③
C.②④
D.④
E.①②③④
184、单项选择题 下列哪项不是脐带绕颈自行解脱或缠绕的因素()
A.妊娠月份较大而羊水较少
B.胎儿活跃,胎动频繁
C.脐带过长
D.诊断时间过早
E.羊水多,妊娠月份小
185、单项选择题 声像图毗邻回声一般不包括下述哪项()
A.病变与毗邻脏器间有无粘连、挤压
B.病变是否侵犯周围邻近脏器
C.有无周围淋巴结肿大,周围血管有无异常
D.有无继发性管道扩张(胆管等)
E.邻近脏器是否有器质性病变
186、单项选择题 下列哪项不符合子宫内膜异位症()
A.随月经周期变化
B.发生于子宫肌层称子宫肌腺症
C.发生于卵巢称巧克力囊肿
D.良性疾病,不发生远处转移和种植
E.可种植于盆腔
187、单项选择题
患者女33岁,右上腹剧痛5小时,体检:右上腹压痛及叩击痛(弱阳性),B超检查如图所示,根据超声声像图,诊断为()
A.胆总管结石
B.胆总管引流管回声
C.胆总管蛔虫
D.胆总管胆泥淤积
E.胆总管癌
188、单项选择题
某患者肝脏声像图表现如图,诊断为()
A.肝血管瘤
B.肝癌
C.肝囊肿
D.肝脓肿
E.肝内胆管囊状扩张
189、单项选择题 关于多普勒超声的描述,下列哪一项是错误的()
A.主要分为连续波和脉冲波多普勒
B.脉冲波多普勒具有距离选通性
C.连续波多普勒不具有距离选通性
D.脉冲多普勒,脉冲重复频率越高,可测量血流速度越高
E.显示多普勒频谱可直接测出血流量
190、单项选择题
超声检查如图所示,该病例最可能诊断()
A.肥大肾柱
B.肾脏局灶性炎症
C.肾脏肿瘤
D.肾脏错构瘤
E.肾脏脂肪瘤
191、问答题 脾外伤的USG有哪些?
192、单项选择题 以下哪一项不是超声检查膀胱肿瘤的主要目的()
A.肿瘤大小
B.肿瘤位置
C.肿瘤数目
D.肿瘤早期诊断
E.肿瘤分期
193、单项选择题 下列哪种气体不能用于超声造影()
A.空气
B.二氧化碳气体
C.氧气
D.纯氮气体
E.氟碳气体
194、单项选择题 超声测量以1540cm/s设置速度标尺,下列关于测量的叙述中哪项正确()
A.测量肝、胰、脾、肾的误差小
B.脂肪组织的测量小于真实值
C.胎儿股骨长径的测量大于真实值
D.晶状体的测量无偏差
E.声束垂直时测量误差偏大
195、单项选择题 下列哪项与超声波灰阶无关()
A.信号动态范围
B.增益及深度增益补偿
C.图像后处理
D.M型的扫描速度
E.聚焦点数或聚焦范围
196、单项选择题
该病例最有可能诊断()

A.单心室、大动脉转位
B.左室双出口
C.大动脉转位
D.单心室
E.法洛四联症
197、单项选择题 以下哪种声像图最易诊断为肾积水()
A.肾盂、肾盏集合系统充满无回声
B.肾盂、肾盏集合系统回声增强
C.肾失常扭曲
D.肾实质多发无回声
E.肾盂内局限性高张囊性无回声
198、单项选择题
为了计算一个反射物的距离,必须知道()
①传播速度
②脉冲往返时间
③反射因素
A.①②③
B.①②
C.①③
D.②③
E.①
199、单项选择题 下述哪项不是扩张型心肌病超声表现()
A.心腔明显扩大
B.收缩功能减退
C.舒张功能正常
D.室壁运动普遍减低
E.室壁收缩期增厚率减低
200、单项选择题
图中显示图像为()
A.牛眼征
B.靶环征
C.套筒征
D.蟹钳征
E.以上都不是
201、单项选择题 孕32周后HC/AC比值在下列哪种情况下可诊断非对称性胎儿宫内发育迟缓()
A.比值减小,低于正常值的95%以上
B.比值增高,超过正常值的95%以上
C.无改变
D.比值大于24
E.比值大于2.4
202、单项选择题 测量二尖瓣口面积的切面为()
A.左心长轴切面
B.心底短轴切面
C.心室短轴鱼口水平切面
D.心室短轴腱索水平切面
E.心室四腔切面
203、名词解释 扫描速度
204、单项选择题 沿声束轴测量的被探测物与探头间的距离叫()
A.声场
B.范围
C.间期
D.厚度
E.强度
205、单项选择题
男,近视,四肢细长,行超声检查心脏如图,最可能诊断为()

A.正常心脏图像
B.高血压心脏病
C.马方综合征
D.以上均不是
E.以上均是
206、单项选择题
图示5所指部位()
A.脾静脉
B.腹主动脉
C.胰头
D.下腔静脉
E.肠系膜上静脉
207、单项选择题 关于睾丸肿瘤的论述,下列哪项是正确的()
A.睾丸肿瘤有生殖细胞性、间质细胞性、转移性三大类
B.生殖细胞性肿瘤45%为恶性
C.生殖细胞性肿瘤中以精原细胞瘤最常见
D.间质细胞性、转移性肿瘤约占35%
E.生殖细胞性肿瘤的转移途径主要是血行转移,其次为淋巴转移
208、单项选择题 超声的生物学效应不包括()
A.热效应
B.空化效应
C.多普勒效应
D.热凝固效应
E.致畸效应
209、单项选择题 M型超声的特点哪项是错误的()
A.单声束取样获得界面回声
B.Y轴代表界面深浅
C.X轴可另加时基扫描线
D.可用于心脏功能的测量计算
E.也可同时用于Z轴上显示的回波
210、单项选择题 冠状动脉粥样硬化好发部位()
A.左前降支
B.右冠脉
C.左旋支
D.左主干
E.右后降支
211、单项选择题 引起双侧输尿管积水的常见原因是()
A.下尿路梗阻性病变
B.前列腺炎
C.精囊炎
D.脐尿管囊肿
E.前列腺结石
212、单项选择题
女,28岁,经常上腹不适。声像图如图所示,诊断为()
A.胆囊蛔虫
B.胆囊结石
C.胆囊腺瘤
D.胆囊内胆汁淤积
E.胆囊癌
213、单项选择题 彩色多普勒技术不可以与下列哪种技术并用()
A.二维超声显像
B.频谱多普勒
C.三维超声显像
D.M型超声心动图
E.以上都不是
214、单项选择题 患者高热后两侧耳下区红肿,超声显示:局部增大,回声减低,血流信号略增多。最可能的诊断是()
A.腮腺肿瘤
B.颈淋巴结肿大
C.急性腮腺炎
D.何杰金肿瘤
E.甲状腺炎
215、单项选择题 心上型的完全型肺静脉异常回流,二维超声检测所见()
A.显示四条肺静脉分别回流到冠状静脉窦
B.在左房后上方可显示肺总静脉回流入上腔静脉
C.肺静脉回流到下腔静脉
D.显示肺静脉直接回流到右房
E.在右房后方显示四支肺静脉回流到右冠状静脉
216、单项选择题
男,19岁。上腹部不适,肥胖。结合超声声像图,诊断为()

A.肝癌
B.肝硬化
C.脂肪肝
D.肝炎
E.肝豆状核变性
217、单项选择题 扫查锁骨下动脉较适宜的探头频率是()
A.2.0MHz
B.2.5MHz
C.5.0MHz
D.10.0MHz
E.12MHz
218、单项选择题
患儿,出生3周,喂奶后立即或不久即吐,呈喷射状,吐物为奶及奶块。根据超声中腹部检查如图,最可能的诊断为()
A.先天性肥厚型幽门狭窄
B.先天性胆管狭窄
C.胃溃疡
D.肠套叠
E.正常声像图
219、单项选择题 脾静脉位于()
A.腹腔动脉的尾侧
B.腹主动脉的前方
C.肠系膜上动脉前方
D.胰腺后方
E.以上各项均是
220、单项选择题
男性,37岁,睾丸红肿热痛,超声见睾丸回声不均匀,CDFI:血流信号丰富。如图所示,考虑为()
A.急性睾丸炎
B.附睾炎
C.睾丸脓肿
D.睾丸结核
E.睾丸肿瘤
221、单项选择题 反射回声频率的改变,取决于反射体的运动,这称为()
A.入射角度
B.多普勒效应
C.传播
D.自然反射
E.混响
222、多项选择题 “羊水过多”常出现的并发症是()
A.呼吸系统畸形
B.消化系统畸形
C.循环系统畸形
D.泌尿系统畸形
E.神经系统畸形
223、单项选择题 造成前置胎盘的假阳性超声诊断的原因有()①膀胱过度充盈②子宫局部收缩③子宫肌瘤④羊膜腔外血块⑤膀胱未充盈
A.①②
B.①②③
C.①②③④
D.①②③④⑤
E.①③⑤
224、单项选择题 关于子宫内膜息肉的描述,下列哪一项是错误的()
A.经阴道超声表现为子宫内膜局限性增厚隆起
B.息肉是非赘生性的
C.息肉是内膜局限性部位受激素刺激而形成
D.息肉内常可见极丰富的血流信号
E.非弥漫性子宫内膜增生可产生子宫内膜息肉
225、单项选择题 用7.5-10MHz高频探头,探测正常附睾,超声显示()
A.附睾头,而体尾不显示
B.附睾头、尾而体部不显示
C.睾丸,而附睾不显示
D.附睾头、体及尾均显示
E.附睾头、尾及输精管显示
226、单项选择题 关于超声传播速度的叙述中,正确的是()
A.声波在不同组织中传播速度相同
B.医用超声诊断设备中以脂肪组织中的声速设置速度标尺
C.组织密度越大,声速越小
D.组织硬度越大,声速越小
E.软组织中声速低于骨骼组织中声速
227、单项选择题 中年女性,突发右腰部及右下腹部剧痛,伴恶心。超声显示右肾轻度积水,最可能的诊断是()
A.阑尾炎
B.右侧附件炎
C.右输尿管结石
D.右输尿管肿瘤
E.膀胱结石、膀胱炎
228、单项选择题 关于子宫动脉的描述,不正确的是()
A.子宫动脉发自髂内动脉前干
B.其分支分别供应子宫、输尿管、卵巢及阴道上部
C.子宫动脉频谱正常波形显示为收缩期的峰尖锐舒张期速度减低
D.频谱随月经周期无明显变化
E.子宫两侧的血供相同
229、填空题
如图,可见腹主动脉及其分支纵切超声图,图中与腹主动脉平行的分支为_______。

230、名词解释 B/M模式
231、多项选择题 一般的土地估价方法,仅适用于单宗土地的估价,而路线价估价法则被认为是一种(),又能节省人力、财力,并可同时对大量宗地进行估价的方法。
A.迅速
B.准确
C.公平
D.简洁
E.合理
232、单项选择题
超声于左侧附睾头可探及圆形的无回声暗区,边清。如图所示,考虑为()
A.附睾头囊肿
B.附睾附件
C.睾丸囊肿
D.附睾尾囊肿
E.精索鞘膜积液
233、单项选择题 关于心尖四腔切面以下哪项不正确()
A.探头置心尖呈水平扫查
B.图像近场为心尖,远场为心底
C.十字交叉位于心脏中间处
D.左心室在右侧,右心室在左侧
E.可清晰显示左右房室瓣的活动
234、单项选择题 原发孔房间隔缺损在二维超声检查时有什么所见()
A.显示房间隔最低位处(房、室间隔连接处)缺损
B.显示左心室扩大
C.显示房间隔最上部(近心房顶部处)缺损
D.显示室间隔上段缺损
E.显示房间隔中央部缺损
235、单项选择题 以下哪一项不是膝关节积液的声像图表现()
A.关节囊明显扩张,关节腔增宽,呈无回声区,内有短带状或团块状强回声
B.髌上间隙及髌前囊内有少量无回声区
C.关节滑膜增厚,呈结节状或团块状略强回声突向关节腔
D.半月板间隙宽大,可见两个强回声界面间有一低回声带
E.关节周围软组织肿胀
236、问答题 女性内生殖器官的正常声像图表现有哪些?
237、单项选择题 超声诊断睾丸扭转的主要依据是()
A.睾丸缩小
B.睾丸肿大
C.睾丸内血流丰富
D.睾丸内无血流信号
E.睾丸周围积液
238、单项选择题 压电效应只有通过哪种材料才能表现出来()
A.金属材料
B.水晶不对称材料
C.天然存在的材料
D.塑料材料
E.合金材料
239、单项选择题 长期肾积水时肾最常见的声像图是()
A.吹胀的袋状无回声
B.无回声分隔
C.椰菜花状无回声
D.哑铃状无回声
E.巨大囊肿型
240、单项选择题 纵切肾脏,两肾后部相连应怀疑()
A.马蹄肾
B.肾异位
C.肾脓肿
D.肾发育不全
E.肾下垂
241、单项选择题
男,60岁,上腹疼痛不适数10年。结合超声声像图,诊断为()
A.胆囊多发性结石
B.胆囊多发性息肉
C.胆囊泥沙样结石
D.胆囊充满性结石并萎缩性胆囊炎
E.胆囊胆固醇结晶
242、单项选择题
一患者有介入手术史,具体病史不祥。肝脏超声检查声像图如下,图中箭头所示最可能的是()
A.支架
B.蛔虫
C.结石
D.正常结构
E.肝静脉
243、单项选择题 随年龄增加,胰腺显示为()
A.回声减低,体积增大
B.回声无改变,体积增大
C.回声增高,体积缩小
D.回声增高,体积增大
E.回声减低,体积缩小
244、单项选择题 下列哪一项与子宫肌瘤鉴别诊断最不相关()
A.卵巢实性肿瘤
B.盆腔炎性包快
C.宫腔积液
D.子宫肥大症
E.子宫腺肌症
245、单项选择题 鉴别囊肿与实性肿瘤最可靠的依据是()
A.边界光滑,整齐与否
B.外形是否圆形或椭圆形
C.内部无回声或有回声
D.后方回声增强与否
E.边界回声、外形、内部回声、后方回声综合分析
246、问答题 子宫腺肌症的声像图表现有哪些?
247、单项选择题 影响彩色多普勒成像帧频最重要的因素是()
A.彩色增益及深度补偿
B.滤波器的调节
C.彩色标尺的设定
D.彩色取样框大小及深度
E.探头的发射频率
248、单项选择题
如图,根据胎儿颈部声像图,最可能的诊断是()
A.脊柱裂
B.脑膜膨出
C.淋巴管囊肿
D.单脐动脉
E.正常图像
249、单项选择题 下颈内动脉第一分支为()
A.眼动脉
B.视网膜中央动脉
C.睫状后长动脉
D.睫状后短动脉
E.睫状前动脉
250、单项选择题 关于脉络膜黑色素瘤的描述,哪项是错误的()
A.是成年人最常见的眼内恶性肿瘤
B.居眼内恶性肿瘤的第2位
C.在葡萄膜肿瘤中占61.5%
D.视力减退或视野缺损
E.白瞳孔是最常见的体征
251、单项选择题 根据头臀长度(CRL)计算孕龄的简易公式是()
A.孕周=CRL(cm)
B.孕周=CRI(cm)+3
C.孕周=CRL(cm)+5
D.孕周=CRL(cm)+6.5
E.孕周=CRL(cm)+4
252、单项选择题 下列多囊卵巢综合征症状和声像图的表现,哪一项是错误的()
A.多毛
B.肥胖
C.卵泡少于5个
D.双侧卵巢增大
E.彩色多普勒检查卵巢髓质血流丰富
253、单项选择题 宫内避孕器的并发症包括()
A.子宫肌层嵌顿
B.节育器穿孔、外游
C.子宫穿孔
D.盆腔积液
E.以上各项均是
254、填空题 由于使用了高性能超声仪,明显提高了超声对________、___________、______、________等软组织及________、__________等组织结构和血流的显现力。
255、单项选择题 临床常用E峰流速,A峰流速,E/A比值及IVRT反映下列哪项()
A.左心局部舒张功能
B.左心整体舒张功能
C.左心收缩功能
D.右心收缩功能
E.心肌传导功能
256、单项选择题 当备用电源灯关闭灯燃亮表示()。
A.交流备用汇流条没有电源
B.直流备用汇流条没有电源
C.电瓶汇流条没有电源
D.以上都不对
257、单项选择题 关于婴儿型多囊肾的叙述,下面哪一项是正确的()
A.胎儿期肾脏出现少数囊泡是正常的
B.主要为大囊泡
C.在晚孕之前总有表现
D.肾脏可表现为实质性强回声
E.肾脏体积较正常小
258、单项选择题 下列关于囊性肿物的描述,错误的是()
A.无回声性肿物
B.壁薄而光滑
C.后壁回声清晰而锐利
D.具有后方声影
E.内部无多普勒血流信号
259、单项选择题
超声检查如图,最可能的诊断是()
A.正常声像图
B.淋巴管囊肿
C.下颚裂
D.唇裂
E.上腭裂
260、单项选择题
某腹胀患者中腹部声像图表现,最可能的诊断是()
A.胰尾癌
B.胰腺炎
C.胰头癌
D.正常图像肿大淋巴结
261、单项选择题 肝囊肿的声像图表现,下列哪一项是错误的()
A.囊壁薄而光滑
B.囊壁较厚,光滑,呈双层
C.侧壁出现回声失落
D.后方回声增强
E.彩色多普勒显示囊壁处短条状血流信号
262、单项选择题 彩色多普勒血流显像与伪彩(B彩)的区别是()
A.彩超就是伪彩
B.彩超是由灰阶转换而来
C.伪彩是彩色血流显像
D.彩超与伪彩完全不同
E.以上都对
263、单项选择题
男,有高血压病史,腰部触及包块,超声检查如图所示,最可能的诊断是()
A.肾重度积水
B.多发性肾囊肿
C.多囊肾
D.肾多囊性发育异常
E.肾脓肿
264、问答题 试述前置胎盘超声表现。
265、单项选择题 下列关于肺动脉的叙述,哪一项是错误的()
A.三个半月形瓣,称为左、右、无冠状瓣
B.肺动脉瓣口位于主动脉瓣口的左前上方
C.肺动脉瓣口各半月瓣游离缘的中部有半月瓣小结
D.肺动脉瓣口与右室流出道连接
E.三个半月瓣,称为左、右、前瓣
266、单项选择题
女,24岁,已婚未育,体检时B超检查,如图所示,最可能的诊断为()
A.右附件实质性包块
B.左附件实质性包块
C.子宫肌瘤
D.双子宫
E.纵隔子宫
267、单项选择题 超声造影在心血管的用途,下列哪一项是错误的()
A.观察心包积液
B.确定心腔界限
C.观察瓣膜口返流
D.判断解剖结构属性
E.观察心腔间的右向左分流
268、单项选择题
该病例最可能的诊断()

A.主肺动脉间隔缺损
B.动脉导管未闭
C.冠状动脉—肺动脉瘘
D.主动脉窦瘤破裂
E.房间膈缺损
269、单项选择题 乳房良性肿瘤的声像图表现()
A.包膜完整
B.包膜完整,内部回声均匀
C.包膜完整,内部回声均匀,后方回声衰弱
D.包膜完整,内部回声均匀,后方回声可增强也可不增强
E.内部回声均匀,后方回声衰减
270、单项选择题 调节“彩超”中的速度标尺及滤波范围,下列哪项是错误的()
A.高速血流选择高速标尺
B.低速血流选择低速标尺
C.消除低频信号干扰,应采用高速标尺
D.低通道滤波适合检查低速血流
E.高通滤波适合检查高速血流
271、单项选择题 肾积水的声像图表现()
A.肾盂分离中间为液性暗区
B.肾盂分离中间为液性暗区,液性暗区与输尿管相通
C.肾盂分离中间为液性暗区,液性暗区与输尿管相通,液性暗区不相通
D.肾盂分离中间为液性暗区,液性暗区与输尿管相通,液性暗区互不相通,液性暗区液腔饱满
E.肾盂分离中间为液性暗区,液性暗区与输尿管相通,液性暗区液腔饱满
272、单项选择题 关于葡萄胎超声表现,下列哪项是正确的()
A.子宫小于孕期
B.双侧卵巢正常
C.子宫大于孕期
D.宫腔内无血流显像
E.卵巢黄素囊肿是诊断葡萄胎的唯一征象
273、填空题
如图,根据二尖瓣M型超声心动图特征,可见CD段呈_______样改变。

274、单项选择题 正常肾脏中间的综合回声代表()
A.肾窦
B.肾集合系统、肾血管、肾窦
C.肾实质
D.肾周脂肪、肾筋膜
E.肾柱
275、单项选择题 最有利于肝扫查的呼吸阶段是()
A.深呼气后屏气
B.深吸气后屏气
C.正常呼吸
D.正常呼气末屏气
E.正常吸气末屏气
276、单项选择题 下列哪项不是胃充盈后超声检查的主要目的()
A.胃癌的早期诊断
B.显示胃壁厚度及层次
C.鉴别胃壁增厚和粗大粘膜皱襞
D.判断肿瘤浸润深度
E.提高胃后方结构的显示能力
277、单项选择题 经腹壁胃肠超声检查前准备,下列哪一项是正确的()
A.检查应安排在X线钡剂检查之后
B.检查中可饮水500ml-700ml,以充盈胃腔
C.禁食4小时
D.大肠检查前需禁食
E.胃镜检查之后
278、单项选择题 关于妇科超声检查方法不正确的是()
A.经腹超声检查,应使膀胱适度充盈
B.经阴道超声检查,膀胱应充盈
C.阴道探头应放入阴道穹隆部
D.经阴道超声检查的基本检查手法包括倾斜、推拉、旋转等
E.经宫腔超声检查对宫内病变的观察较经阴道检查更为细致和全面
279、单项选择题 子宫解剖分为()
A.子宫底、子宫角、子宫体
B.子宫角、子宫体、子宫颈
C.子宫底、子宫体、子宫峡部
D.子宫底、子宫体、子宫颈
E.子宫底、子宫角、子宫颈
280、单项选择题 子宫正常位于()
A.膀胱前方,直肠后方
B.膀胱后方,直肠前方
C.膀胱上方,直肠前方
D.膀胱下方,直肠后方
E.膀胱左侧,直肠右侧
281、单项选择题 孕几周是胎儿股骨长度的最易测量时间()
A.9~12周
B.14~22周
C.24~28周
D.32~36周
E.37~40周
282、单项选择题 下面哪一项乳腺病变或结构不伴有后方回声增强()
A.囊肿
B.脂肪小叶
C.扩张的导管
D.纤维腺瘤
E.脓肿
283、单项选择题
男28岁,胸部疼痛1周余,神清,心律齐,超声心动图如下,根据图片应提示()

A.单心室
B.心内膜垫缺损
C.三尖瓣上移
D.三尖瓣下移
E.三尖瓣狭窄
284、单项选择题 胆总管上段位于门静脉()
A.右前方
B.前方
C.左方
D.后方
E.左前方
285、多项选择题
超声示意图为一患者剑突下横切图,显示了肝脾叠影图像,下列哪些患者最可能出现这种现象()
A.慢性活动性肝炎
B.慢性粒细胞白血病
C.急性乙型肝炎
D.肝脓肿
E.胃癌
286、单项选择题 甲状腺动脉有几条或几对,起源于哪两根血管分支()
A.2条;颈内动脉分支和锁骨下动脉分支
B.2对;颈内动脉分支和锁骨下动脉分支
C.4条;颈外动脉分支和锁骨下动脉分支
D.4对;颈外动脉分支和锁骨下动脉分支
E.5对;颈内动脉分支和颈外动脉分支
287、单项选择题 肺动脉瓣口血流的多谱勒频谱在肺动脉高压时的变化,下述哪一项是错误的()
A.频谱上升支陡峭
B.频谱波峰前移
C.频谱幅度明显增大
D.频谱波形似匕首形状
E.频谱持续时间短
288、多项选择题 不同的介质有不同的声速,下述哪些正确()
A.空气——332m/s
B.血液——1570m/s
C.肝——1570m/s
D.脂肪——1476m/s
E.肌肉——1568m/
289、问答题 肝囊肿超声声像图表现?
290、单项选择题 主动脉弓离断的临床及超声表现不包括()
A.主动脉弓部以下连续中断
B.动脉导管连接肺动脉与降主动脉
C.常合并室间隔缺损
D.常不伴有肺动脉高压
E.可无导管未闭的杂音
291、单项选择题 关于小肝癌的描述,下列哪项是错误的()
A.圆形低回声结节
B.远侧回声可轻度增强
C.可见侧方声影
D.边界清楚
E.周围见较宽的晕环,中心液化呈“牛眼征”
292、判断题 慢性泪腺炎USG显示泪腺呈杏核状增大,边界清楚,内回声中等或较弱。
293、单项选择题 左侧三房心的超声所见,哪一项错误()
A.左房内有一隔膜
B.左房内隔膜上有孔
C.肺静脉血只回流到真性左房
D.左房内隔膜及合并房缺
E.肺静脉血全部回流到副房
294、单项选择题 计算头围(HC)的公式是()
A.HC=BPD+OFD
B.HC=(BPD十OFD)/2π
C.HC=(BPD+OFD)1.57
D.HC=(BPD+OFD)2/π
E.HC=(BPD十OFD)/2
295、单项选择题 超声三维重建技术目前的临床应用情况是()
A.正处于发展改进阶段
B.作为常规已成功的用于临床
C.图像已非常逼真
D.用于心脏实时成像已变得简单、易行
E.现在已能取代二维超声及彩超
296、单项选择题
如图所示,该频谱为下列那支血管的频谱特点()

A.颈外动脉
B.颈内动脉
C.颈总动脉
D.颈内静脉
E.椎动脉
297、单项选择题 下列哪种疾病的检查应首选超声检查(USC)()
A.肝脏弥散性病变
B.骨折后愈合情况
C.胃炎
D.肺炎性假瘤
E.皮肤癌
298、多项选择题 腹膜液性无回声肿块见于()
A.囊性淋巴管瘤
B.包虫囊肿
C.血肿吸收期
D.腹膜后脓肿
E.横纹肌肉瘤
299、单项选择题
该图为睾丸声像图,最可能的诊断为()
A.正常回声
B.急性睾丸炎
C.睾丸扭转
D.慢性睾丸炎
E.睾丸肿瘤
300、填空题 正常胎儿心血管超声表现为:____________________、_____________________、______________________、_____________________和____________________________。