时间:2024-12-31 04:46:20


1、单项选择题
患者,女,14岁,眼部外伤两小时。超声检查如图,最可能的诊断为()。
A.玻璃体积血
B.玻璃体混淆
C.脉络膜脱离
D.视网膜脱离
E.以上均不是
2、单项选择题 下肢深部静脉常用的扫查部位有()。①腹股沟韧带处的股静脉②大腿中部的大隐静脉③足背静脉弓
A.①
B.①②
C.②③
D.①②③
3、单项选择题 以下人体组织、体液回声强度的描述,不正确的是()。
A.均质性液体如胆汁、囊液、尿液通常为无回声
B.非均质性液体如囊肿内合并出血,回声可以增多、增强
C.均质性实质器官如肝脏和脾脏,内部呈中等水平回声
D.软骨属于固体,内部回声较多、较强
E.骨骼和钙化的组织,回声显著增强
4、单项选择题 某患,男,42岁,近期发现,右上肢无力,来院就诊,体检发现双上肢血压相差4.0kPa。临床怀疑锁骨下动脉盗血综合征,其最重要的诊断依据是()。
A.患侧上肢脉搏减弱或消失
B.患侧上肢动脉二维图像无异常
C.患侧上肢动脉反向血流减弱或消失
D.患侧椎动脉彩色及频谱多普勒呈现反向血流
E.患侧椎动脉仍存在舒张期正向血流
5、单项选择题 随着超声仪器的更新,现扫查甲状腺采用的探头频率及方法()。
A.3.5兆赫探头,加用水囊法
B.5兆赫探头,采用直接接触法
C.<7兆赫探头,采用直接接触法
D.7~10兆赫探头,采用直接接触法
E.10兆赫探头,加用水囊法
6、单项选择题 CDFI、PW技术可用于检测()。①动脉和静脉的血流频谱②血流速度和走行方向的变化③动、静脉系统的许多疾病
A.①②③
B.①③
C.①
D.①②
7、单项选择题 角膜增厚最适宜用哪种技术确诊()。
A.M型超声扫描技术
B.B型超声扫描技术
C.A型超声扫描技术
D.超声生物显微镜
E.以上均不是
8、单项选择题 关于腮腺的解剖形态特点,错误的是()。
A.形态不规则
B.大致呈三角形
C.导管开口于口腔
D.导管长3cm~6cm
E.导管宽1cm~2cm
9、单项选择题 下列检查脑动脉的仪器条件中,哪项选择是正确的()。
A.高速度标尺
B.高滤波
C.长余辉
D.发射功率低
E.取样容积小
10、单项选择题 下列哪项表现与结节性甲状腺肿无关()。
A.甲状腺不规则,非对称性增大
B.实质回声增粗,内呈多个中等偏强回声结节
C.结节内可见液性暗区、强光点
D.CDFI显示血流丰富,血流呈花环状包绕结节,并有细小分支伸入结节内
E."冲洗征"
11、单项选择题 患者高烧后两侧耳下区肿大、发红、不适,超声显示:局部增大,回声减低,血流信号略多,最可能是()。
A.腮腺肿瘤
B.颈淋巴结肿大
C.急性腮腺炎
D.何杰金肿瘤
E.甲状腺炎
12、单项选择题 如果用V颈内动脉/V颈总动脉比作为诊断近端颈内动脉狭窄的指标,以下哪个收缩期峰值流速比值,提示颈内动脉管径缩窄率超过70%()。
A.1.5
B.2.0
C.4.0
D.5.0
E.5.5
13、单项选择题 判断视网膜中央静脉栓塞预后(病期在三个月内),其血流速度标准是()。
A.<2.0cm/s
B.<2.5cm/s
C.<3.0cm/s
D.<3.5cm/s
E.<4.0cm/s
14、单项选择题 下列哪项是眼球内异物的声像图表现()。
A.斑点状强回声,部分后伴声影
B.斑点状强回声,大多不伴声影
C.星状回声
D.尾随回声与隆起现象
E.以上都是
15、单项选择题 关于精索静脉曲张的超声描述,哪一项是错误的()。
A.多发生于左侧
B.发现于阴囊根部
C.精索静脉≤2mm
D.检出静脉反流信号
E.精索静脉≥3mm
16、单项选择题 多普勒可用于判断()。①深静脉闭塞②深静脉瓣膜功能不全③静脉急性栓塞
A.①②③
B.②③
C.①
D.①②
17、单项选择题 腹膜后淋巴结弥漫肿大,超声表现为()。
A.钙化
B.囊性改变
C.蜂窝状
D.锯齿状
E.以上均是
18、单项选择题 CDFI检测甲状腺静脉最宽径是多少,呈什么样频谱,可显示最低血流速度是()。
A.7.0~8.0mm,连续低频单向频谱,1.0~2.0cm/s
B.10.0~15.0mm,连续中等单向频谱,5.0~10.0cm/s
C.>15.0mm,连续高频单向频谱,10.0~15.0cm/s
D.<7.0mm,间断显示低频单向频谱,≤1.0cm/s
19、多项选择题 泪腺良性肿瘤USG表现有哪些()。
A.泪腺区内圆形或椭圆形异常回声区
B.边界清楚,声衰减少
C.内部回声中等,分布均匀或不均匀
D.境界不规整,回声较弱
E.后界往往显示不清楚
20、单项选择题 肢体静脉血栓分几种()。
A.急性、慢性两种
B.急性、亚急性、慢性三种
C.超急性、急性、亚急性、慢性四种
D.超急性、急性、亚急性、慢性、恢复期五种
21、单项选择题 与毒性甲状腺肿无关的是()。
A.甲状腺炎火海征
B.甲状腺海岛征
C.甲状腺上下动脉增宽
D.甲状腺上下动脉为高阻高速频谱,峰值速度70cm/s,静脉为低速宽带频谱
E.血流速度的增加随T3、T4的升高而加快
22、单项选择题
临床资料:女,66岁,自诉左眼视物不清。超声综合描述:左眼玻璃体透声不清亮,可见较多中强回声光带,可随眼球运动而移动。
超声提示()。
A.脉络膜脱离
B.视网膜脱离
C.玻璃体机化膜
D.玻璃体后脱离
23、单项选择题
临床资料:男,50岁,自述胃癌术后3年余。超声综合描述:右锁骨上窝扫查可见数个长圆形低回声区,最大1.7cm×1.1cm,边界尚清,内回声欠均匀,部分互相融合,CDFI:内可见少许动脉血流信号。见下图及彩图。
超声提示()。
A.右锁骨上窝淋巴结结核
B.右锁骨上窝囊肿
C.右锁骨上窝肿大淋巴结(淋巴结转移瘤)
D.右锁骨上窝正常淋巴结声像图
24、单项选择题 下列哪一项不是腮腺混合瘤的声像图表现()。
A.病变轮廓完整,界限清晰,呈圆形、椭圆形或表面呈分叶状
B.内部为均匀低回声或等回声
C.内部为均匀低回声中有蜂窝状小分隔
D.均匀分布的等回声中有无回声液区
E.CDFI显示边缘包绕型血流图,PSV>50cm/s
25、单项选择题 慢性淋巴性甲状腺炎(桥本氏病)的超声声像图表现是()。
A.甲状腺峡部明显增厚,回声低,血流丰富
B.甲状腺正常大小,回声低,血流丰富
C.甲状腺正常大小,回声低,分布均匀,血流不丰富
D.甲状腺轻度肿大,回声低,分布不均匀,血流不丰富
E.甲状腺轻度肿大,回声强,分布不均匀,血流不丰富
26、单项选择题
颈部扫查:请指出图1中测量为0.31cm的管径,彩图85(1)所指,彩图85(2)PW取样容积取样处分别是颈部哪条血管()。

A.椎动脉
B.甲状颈干动脉
C.颈总动脉
D.锁骨下动脉
27、单项选择题
患者上肢可扪及一包块,质软、活动度差,加压可变形。如图,提示为()。
A.脂肪瘤
B.纤维瘤
C.软组织局限增厚
D.炎性包块
E.以上均不是
28、单项选择题 测量下列距离可得出侧脑室大脑半球比率:
A.从中线至侧脑室的内侧壁,从中线至颅骨骨板的内壁
B.从侧脑室的前壁至后壁
C.从中线至侧脑室的内侧壁,同侧从中线至颅骨骨板的内侧
D.从侧脑室的内侧壁至外侧壁
29、单项选择题 甲状腺动脉有几条或几对,起源于哪两根血管分支()
A.2条;颈内动脉分支和锁骨下动脉分支
B.2对;颈内动脉分支和锁骨下动脉分支
C.4条;颈外动脉分支和锁骨下动脉分支
D.4对;颈外动脉分支和锁骨下动脉分支
E.5对;颈内动脉分支和颈外动脉分支
30、单项选择题 胸壁胸膜超声检查最重要的扫查途径是()。
A.经肋间扫查
B.经锁骨上扫查
C.经肋缘下扫查
D.经剑突下扫查
E.经肝脾扫查
31、单项选择题 腮腺的解剖部位是()。
A.咀嚼肌前部的皮下,下颌后窝
B.下颌前窝,外耳道下方
C.上抵颧弓,下达下颌肌后部,相当于耳屏水平
D.前缘位于咀嚼肌后部,后壁位于乳突部
32、单项选择题
患者感颈部肿胀1年余。根据超声声像图,诊断为()。
A.多发腺瘤
B.结节性甲状腺肿并囊变
C.甲状腺囊肿
D.甲状腺癌
E.甲状腺炎
33、单项选择题 甲状腺疾病超声表现中,“晕圈”征常见于()。
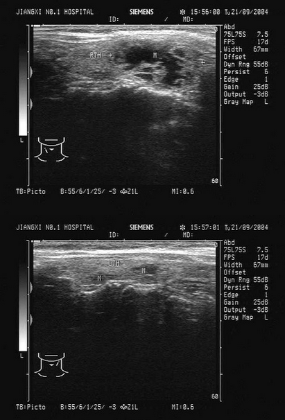
A.甲状腺炎
B.囊肿
C.腺瘤
D.腺癌
E.以上均是
34、单项选择题 下肢深静脉在解剖学上有许多变异,本来是一条静脉却变异成两条,指出下列哪支静脉容易出现此种变异()。
A.髂总静脉
B.髂外静脉
C.股浅静脉
D.股深静脉
E.腘静脉
35、单项选择题
临床资料:男,40岁,自述活动后感左下肢沉重乏力。临床物理检查:左下肢内侧可见蚯蚓状纡曲隆起,皮肤无溃烂。超声综合描述:左大隐静脉增宽,左下肢深静脉管壁光滑连续,管腔内未见异常回声,探头加压后管腔消失,CDFI:左下肢深静脉及大隐静脉内血流通畅,Valsalva试验:大隐静脉内可见血流色彩逆转,PW:左下肢深静脉血流频谱形态正常,大隐静脉出现反向频谱,持续时间2.1秒。见彩图102。
超声提示()。
A.左大隐静脉正常声像图
B.左股浅静脉瓣膜功能不全
C.左大隐静脉曲张左隐一股静脉瓣膜功能不全
D.左股总静脉瓣膜功能不全
36、单项选择题
临床资料:女,37岁,常规体检。超声综合描述:甲状腺右叶可见直径0.7cm弧形强回声光带,后伴声影。
超声提示()。
A.慢性淋巴细胞性甲状腺炎(桥本氏病)
B.甲状腺结石(右叶)
C.甲状腺异物(右叶)
D.甲状腺钙化灶(右叶)
37、单项选择题 穿支静脉是()。
A.下肢静脉与盆腔静脉的交通静脉
B.小腿静脉与大腿静脉的交通静脉
C.慢性静脉疾病时的侧支静脉
D.浅静脉相深静脉的交通静脉
E.曲张的静脉
38、单项选择题 如果颈内动脉阻塞或高度狭窄,同侧颈总动脉将出现哪种变化()。
A.阻力指数降低
B.阻力指数升高
C.收缩期峰值流速降低
D.舒张期峰值流速升高
E.血流反向
39、单项选择题
临床资料:男,40岁,常规体检。超声综合描述:右颈部可见数个长圆形低回声,边界清晰,部分融合。
超声提示()。
A.右颈部多发肿大淋巴结
B.右颈部淋巴结转移瘤
C.右颈部正常淋巴结声像图
D.右颈部淋巴结结核
40、单项选择题 肢体软组织内非金属异物有鉴别意义的超声表现是()。
A.患部检出强回声斑块
B.斑块轮廓欠清晰
C.斑块周围有反应性低回声区
D.斑块后方有明确声影
E.斑块后方无明显彗星尾征
41、单项选择题 桥本病的声像图特点是()。
A.甲状腺非对称性肿大
B.内部回声普遍减低、增粗,呈网格状
C.内部回声普遍增强、增粗,呈网格状
D.常有多发强回声结节
E.正常的实质内见片状强回声
42、单项选择题 下列哪支血管不是颈内动脉的分支()。
A.大脑前动脉
B.大脑中动脉
C.大脑后动脉
D.前交通动脉
E.后交通动脉
43、单项选择题 超声可以显示最小多少厘米的甲状腺结节()
A.甲状腺内所有结节
B.甲状腺内>1cm结节
C.甲状腺内<0.5cm结节超声无法显示
D.甲状腺内>0.2cm结节超声均可显示
E.以上均不是
44、单项选择题 眼异物的声像图特点()。①球内点、片、块状强回声,伴声影②球壁上出现与异物相同大小的隆起假象③异物周围无回声晕④异物引起的继发改变⑤有眼外伤史
A.①③⑤
B.①④⑤
C.①②④⑤
D.以上各项均是
45、单项选择题 眶海绵窦瘘的超声表现()。①眼上静脉明显扩张,球后饱满呈多个无回声②CDFI:扩张的眼上静脉呈红色血流或五彩镶嵌样血流③CDFI:扩张的眼上静脉呈蓝色血流或五彩镶嵌样血流④PW:显示动脉静脉化⑤PW:显示静脉动脉化⑥同侧颈内动脉血流量增高,Vmax增加,RI降低⑦对侧颈内动脉血流量减低,V减低,RI增高
A.①②⑤⑥
B.①③⑤⑦
C.①②④⑥⑦
D.①③④⑥⑦
46、单项选择题
患者,女,25岁,颈部触及肿块半年余,无明显不适。甲状腺超声见右侧甲状腺一单发异常光团,如图。最可能的诊断为()。
A.甲状腺癌
B.结节性甲状腺肿
C.甲状腺腺瘤
D.甲状腺炎
E.甲状腺囊肿
47、单项选择题 甲状腺的静脉有几条,收容甲状腺哪些部位的血液,进入哪条静脉()。
A.二条,上、下,颈内静脉
B.三条,上、中、下,颈内静脉
C.三条,上、中、下,颈内静脉、无名静脉
D.四条,上、中、下、峡,颈内静脉、无名静脉
E.以上均不是
48、单项选择题
临床资料:62岁,自述右眼渐进性视力减退,视物不清3年,加重半年余。超声综合描述:双眼球形态正常,晶状体内透声不清亮,内可见增强回声,玻璃体内透声清亮。
超声提示()。
A.晶状体混浊(白内障)
B.玻璃体内异物
C.晶状体脱位
D.正常晶状体声像图
49、单项选择题 成人甲状腺正常超声测值是()。
A.长径3.0~4.0cm,宽径1.5~2.0cm,厚径0.5~1.0cm,峡部厚<0.4cm
B.长径4.0~5.0cm,宽径2.0~2.5cm,厚径1.0~1.5cm,峡部厚≤0.4cm
C.长径5.0~6.0cm,宽径2.5~3.0cm,厚径1.5~2:0cm,峡部厚>0.4cm
D.长径5.5~6.5cm,宽径3.5~4.5cm,厚径2.5~3.5cm,峡部厚≥0.5cm
50、单项选择题 下列不符合腮腺管结石(涎石病)的声像图表现是()。
A.腮腺大小、形态正常
B.腮腺内可探及致密强回声斑点或斑块
C.较大结石可引起导管阻塞,后方伴声影
D.腮腺导管无扩张
51、单项选择题 下肢浅静脉是()。①大隐静脉②股浅静脉③腓静脉④小隐静脉
A.①④
B.①②
C.①②③
D.②③
52、单项选择题
临床资料:男性,38岁,自述右眼视力下降来诊。临床物理检查:发现患者颜面部血管瘤,余全身检查未见异常。超声综合描述:右眼后极部可见0.6cm×0.8cm孤立型椭圆形中强回声,边界清晰,内部回声均匀。与周围组织之间界限清晰,后方无明显声衰减,中强回声旁可见带状强回声与视盘回声相连,CDFI:中强回声内可见丰富的血流信号,以基底部分布最为明显,PW:为动脉血流频谱。见下彩图。
超声提示()。
A.葡萄膜色素痣合并视网膜脱离
B.葡萄膜恶性黑色素瘤合并视网膜脱离
C.脉络膜血管瘤合并视网膜脱离
D.视网膜静脉周围炎
53、单项选择题
临床资料:男,29岁,采石场工人,施工时异物击中右眼4小时。超声综合描述:眼球形态、大小正常,晶状体内透声清亮,横切眼球壁6:00玻璃体内见增强回声光点(箭头所指),后方无声影,其旁可见点、小片状低回声,可随眼球运动而移动。
超声提示()。
A.眶内异物(金属异物)
B.球内金属异物并玻璃体出血、玻璃体混浊
C.眶内异物(碎石屑)
D.球内异物(玻璃体内碎石屑)合并玻璃体出血
54、单项选择题
下图为眼睛正常声像图,请回答图中黄←、绿←、红←分别所指部位的名称()。见彩图。
A.黄←晶状体、绿←玻璃体、红←视神经
B.黄←前房、绿←玻璃体、红←视神经
C.黄←晶状体、绿←玻璃体、红←眼外肌
D.黄←睫状体、绿←玻璃体、红←视神经
55、单项选择题 关于眼眶肿瘤的描述,错误的是()。
A.良性肿瘤膨胀性生长,有包膜
B.良性肿瘤多呈圆形和椭圆形
C.良性肿瘤边缘清楚、锐利,可见肿瘤声晕
D.恶性肿瘤浸润性发展,有包膜
E.恶性肿瘤形态不规则,边界不清楚
56、单项选择题 下肢深静脉发生变异,使本来是一条静脉变异成两条,指出下列哪一静脉容易出现此种变异()。
A.髂总静脉
B.股浅静脉
C.股深静脉
D.腘静脉
57、单项选择题 甲状腺腺瘤()
A.甲状腺滤泡上皮发生的一种罕见肿瘤
B.为恶性肿瘤
C.肿瘤生长迅速
D.老年男性多见
E.多为单发,圆形或类圆形,常压迫周围组织
58、单项选择题 眼科超声检查方法有哪些()。①直接法②间接法③特殊法
A.①
B.②
C.①②
D.①②③
59、单项选择题 如何进行赤道部扫查()。
A.眼球尽量向上看,探头与眼球赤道平行扫查,可检出晶状体、角膜、玻璃体腔、球壁、球后脂肪
B.眼球尽量向下看,探头与眼球赤道平行扫查,可检出玻璃体腔、球壁、球后脂肪
C.眼球尽量向前看,探头与眼球赤道平行扫查,仅可检出玻璃体腔
D.以上各项均是
60、单项选择题
患者男,21岁,发现睾丸无痛肿块,局部不规则,结合超声图像,最可能的诊断是()。
A.精原细胞瘤
B.睾丸畸胎瘤
C.精母细胞瘤
D.睾丸腺癌
E.睾丸囊肿
61、单项选择题 内径减少百分之多少为颈动脉中度以上狭窄的形态学指标()。
A.>30%
B.>40%
C.>50%
D.>60%
E.>70%
62、单项选择题 Coats病(外层渗出性视网膜病变)的超声表现是()。
A.玻璃体内可见与视盘回声相连的条带状强回声,其与球壁环之间为均匀有自动运动现象的点状回声
B.晶状体后花冠状弱回声
C.多个球形强弱不等的低回声
D.圆锥形由前向后中强回声
63、单项选择题
临床资料:男,75岁,自述进行性视物模糊。超声综合描述:眼球形态正常,晶状体前后皮质回声增强,内透声不清亮,呈椭圆形强回声(箭头所指)。
超声提示()。
A.人工晶状体植入
B.晶状体混浊(白内障)
C.球内异物
D.玻璃体出血
64、单项选择题 下列哪一项不是典型腮腺囊肿的声像图表现()。
A.形态不规则,呈多边形
B.囊后方回声增强
C.轮廓完整,界限清晰
D.有时可见轮廓线
E.囊内为均匀无回声,透声性良好
65、单项选择题 下面哪条动脉闭塞时出现眼动脉血流倒流()。
A.基底动脉
B.椎动脉
C.颈外动脉
D.颈内动脉
66、单项选择题 腮腺多形性腺瘤又称()。
A.腮腺黏液表皮样癌
B.腮腺涎石病
C.腮腺混合瘤
D.腮腺囊肿
67、单项选择题 右下颌角下方胸锁乳突肌内侧深部,颈总动脉分叉处可见5.0cm×3.0cm低回声区,边界清楚,形态规整,颈内、颈外动脉受其挤压向两侧推移,管腔无明显狭窄,CDFI:低回声区内见较丰富的动静脉血流信号,并见颈外动脉分支直接进入低回声区内,超声提示()。
A.颈神经纤维瘤
B.颈神经鞘瘤
C.颈交感神经鞘瘤
D.颈动脉体瘤
68、单项选择题 成人甲状腺正常超声测量值是()。
A.长径3.0~4.0cm,宽径1.5~2.0cm,厚径0.5~1.0cm,峡部厚<0.4cm
B.长径4.0~5.0cm,宽径2.0~2.0cm,厚径1.0~1.5cm,峡部厚≤0.4cm
C.长径5.0~6.0cm,宽径2.5~3.0cm,厚径1.5~2.0cm,峡部厚>0.4cm
D.长径5.5~6.5cm,宽径3.5~4.5cm,厚径2.5~3.5cm,峡部厚≥0.5cm
E.长径4.0~5.0cm,宽径2.5~3.0cm,厚径0.5~1.0cm,峡部厚≤0.4cm
69、单项选择题
临床资料:男,44岁,自述患慢性顽固性咽炎多年,久治不愈。超声综合描述:右颈部可见数个长圆形低回声,边界清晰,形态规则。
超声提示()。
A.右颈部多发肿大淋巴结(慢性炎性肿大)
B.右颈部淋巴结转移瘤
C.右颈部正常淋巴结声像图
D.右颈部淋巴结结核
70、单项选择题
临床资料:女,42岁,自述颈部不适,吞咽时有疼痛感。化验检查:抗甲状腺球蛋白抗体和抗甲状腺微粒体抗体明显增高。超声综合描述:双侧甲状腺增大,回声减低不均,内可见较多大小不等,形态不规则小无回声区。
超声提示()。
A.结节性甲状腺肿
B.毒性甲状腺肿(原发性甲状腺功能亢进)
C.单纯性甲状腺肿
D.慢性淋巴细胞性甲状腺炎(桥本氏病)
71、单项选择题
临床资料:男,59岁,常规体检,确诊高血压、高血脂、糖尿病10年余。超声综合描述:图1:双侧颈总动脉内膜粗糙,中内膜增厚,厚度:0.13~0.22cm,右颈总动脉可见4.7cm×0.24cm中等回声;图2:横切该段右颈总动脉呈偏心样增厚;彩图:CDFI:该段血流束明显变细。
超声提示()。
A.双侧颈动脉粥样硬化并右颈总动脉体瘤形成
B.双侧颈动脉粥样硬化并右颈总动脉软斑形成
C.双侧颈动脉粥样硬化并右颈总动脉硬斑形成
D.大动脉炎
72、单项选择题
患者,女性,甲状腺肿大。探及多个结节状的强回声光团,其内可见暗区。如图所示,最可能的诊断为()。
A.甲状腺功能亢进
B.甲状腺腺瘤
C.甲状腺炎
D.结节性甲状腺肿
E.甲状腺癌
73、单项选择题 无反应性骨膜增厚,无钙化及骨化改变,为哪种骨肿瘤的超声表现()。
A.骨巨细胞瘤
B.成骨肉瘤
C.软骨肉瘤
D.纤维肉瘤
E.滑膜肉瘤
74、单项选择题
患者发现颈部肿块数年,无明显不适。甲状腺超声如图,最可能的诊断为()。
A.甲状腺癌
B.结节性甲状腺肿
C.甲状腺炎
D.甲状腺腺瘤并囊变
E.甲状腺囊肿
75、单项选择题 正常成人妇女乳腺通常不包括的组成内容是()。
A.平滑肌
B.腺叶
C.小叶
D.腺泡
E.导管
76、单项选择题 关于眼球赤道部扫查的描述,正确的是()。
A.眼球尽量向上看,探头与眼球赤道平行扫查,可检出晶体、角膜、玻璃体腔、球壁、球后脂肪
B.眼球尽量向下看,探头与眼球赤道平行扫查,可检出玻璃体腔、球壁、球后脂肪
C.眼球尽量向前看,探头与眼球赤道平行扫查,仅可检出玻璃体腔
D.眼球尽量向下看,探头与眼球赤道平行扫查,仅可检出玻璃体腔
E.以上各项均是
77、单项选择题 患者女性,30岁,哺乳期发现双乳肿块,超声显示双乳内各有数个大小不等的无回声区,边界光滑,后方回声增强,最可能是()。
A.乳腺炎
B.乳腺脓肿
C.乳腺囊肿
D.乳腺增生
E.乳腺腺瘤
78、单项选择题 采用挤压远端肢体放松后判断下肢深静脉瓣膜功能,通常反流持续时间多少秒说明瓣膜功能不全()。
A.<0.5秒
B.>0.5秒
C.0.5~1.0秒
D.>1.0秒
79、单项选择题 甲状腺的动脉血供来源于()。①颈外动脉分出两对甲状腺上动脉,分布甲状腺上部,CDFI容易显示②颈内动脉分出两条甲状腺上动脉,分布甲状腺上部,CDFI容易显示③锁骨下动脉分出两对甲状腺下动脉,分布甲状腺下部,CDFI不易显示④锁骨下动脉分出两条甲状腺下动脉,分布甲状腺下部,CDFI不易显示
A.①③
B.②④
C.①④
D.②③
80、单项选择题 以下哪项不是乳腺纤维腺瘤的超声表现(后方回声多增强)()。
A.边界光滑
B.有包膜
C.内部呈均质低回声区
D.导管扩张
E.单发或多发
81、单项选择题 视网膜母细胞瘤容易发生坏死、钙化,在声像图上表现为“钙斑”,“钙斑”的超声检出率是()。
A.40%
B.50%
C.60%
D.70%
E.80%
82、单项选择题 CDFI检测甲状腺上下动脉内径、Vmax是()。
A.2.0cm,<10.0cm/s
B.<1.5mm,10.0~20.0cm/s
C.<0.5mm,20.0~30.0cm/s
D.2.0mm,30.0~50.0cm/s
83、单项选择题
临床资料:女,48岁,常规体检。临床物理检查:双侧颈部形态饱满,甲状腺左叶有结节感,质韧。超声综合描述:双侧甲状腺增大,内可见不均质回声区,右叶中部不均质回声大小3.5cm×2.6cm,左叶不均质回声大小3.3cm×1.9cm,内回声明显不均,由低一中等回声,CDFI:不均质回声区内血流信号异常丰富,呈近似火海征,其余部分血流信号未见异常。见下图及彩图74。
超声提示()。
A.慢性淋巴细胞性甲状腺炎(桥本氏病)
B.甲状腺腺瘤
C.甲状腺癌
D.亚急性甲状腺炎
84、单项选择题
患者发现颈部肿块两年,无明显不适。甲状腺超声见甲状腺肿大回声不均匀,如图。最可能的诊断为()。
A.甲状腺癌
B.结节性甲状腺肿
C.桥本甲状腺炎
D.甲状腺腺瘤
E.甲状腺囊肿
85、单项选择题 眼球有几个腔,眼球内容物有()。
A.眼球为一圆形腔隙,内容物有晶状体、玻璃体
B.眼球有两腔:前房、后房,内容物有晶状体、玻璃体
C.眼球有三腔:前房、后房、玻璃体腔,内容物有晶状体、玻璃体
D.眼球有四腔:前房、后房、晶状体腔、玻璃体腔,内容物有晶状体、玻璃体
86、单项选择题 锁骨下动脉盗血综合征最重要的诊断依据是()。
A.患侧上肢脉搏减弱或消失
B.患侧上肢动脉二维图像无异常
C.患侧上肢动脉反向血流减弱或消失
D.患侧椎动脉彩色及频谱多普勒呈现反向血流
E.患侧椎动脉仍存在舒张期正向血流
87、单项选择题 消除深部静脉瓣功能不全,压力可导致继发的血液反流和什么()。
A.自发的声波减弱
B.继发的声波增强
C.高调的自发声波
D.无周期变化的连续自发的声波
88、单项选择题
临床资料:男,21岁,6600V高压电击伤右前臂13天。临床物理检查:右手腕部创面皮肤及皮下组织缺损肌组织外露,表面有分泌物,皮肤烧伤面积约2%。超声综合描述:右桡动脉腕水平至腕上13cm处内膜粗糙、不光滑,腕水平中内膜增厚,厚度0.11cm(箭头所示),显示长度1.3cm,残余管腔内径0.1cm,其近心端内径0.27cm,CDFI:该段血流束变窄,PW:V46.6cm/s。见彩图103。
超声提示()。
A.右桡动脉腕水平闭塞
B.右桡动脉腕水平节段性狭窄(中内膜烧伤后水肿增厚)
C.右桡动脉腕水平血栓
D.右桡动脉腕水平内膜粗糙
89、单项选择题 一中年女性,颈部肿大。超声显示:甲状腺不规则、非对称性肿大,实质回声增粗,内见多个结节,结节边界欠清晰,有的内部可见液性暗区,CDFI:血流丰富,粗大迂曲的分支血管在结节间穿行、绕行。最可能的诊断是()。
A.甲状腺腺瘤
B.甲状腺癌
C.结节性甲状腺肿
D.桥本病
E.毒性甲状腺肿
90、单项选择题
临床资料:男,32岁,自述右足部皮肤温度减低,脚趾变形发黑溃烂两月余。临床物理检查:右足第三、第四趾变黑、皱缩,足底皮肤坏死有渗出,其周围皮肤肿胀呈紫红色,不能主动活动。右足背动脉及右胫后动脉搏动消失,余双下肢动脉搏动好。超声综合描述:右胫后动脉管腔内透声不清亮,可见中等回声,CDFI:右腘动脉血流通畅,充盈良好,血流至右胫后动脉中等回声处呈红蓝镶嵌杂色血流,其远心端血流中断,管腔内无血流信号。见下图及彩图。
超声提示()。
A.右胫后静脉血栓
B.右胫后动脉闭塞
C.大动脉炎
D.右胫后动静脉瘘
91、单项选择题 对尿道狭窄描述的是()。
A.病因可分为先天性,炎症性,外伤性和医源性
B.骨盆骨折后尿道狭窄多发生在膜部
C.本病尚可继发尿道结石,前列腺炎等
D.外伤是后天性尿道狭窄最常见的病因
E.骑跨伤狭窄部位多位于后尿道膜部
92、单项选择题 下列检查脑动脉的仪器条件中,正确的是()。
A.高速度标尺
B.高滤波
C.长余辉
D.发射功率低
E.取样容积小
93、单项选择题
如图,正常甲状腺中部横切面的超声声像图,中央气管环状软骨前方组织为()。
A.甲状腺峡部
B.皮下组织
C.甲状旁腺
D.淋巴结
E.以上均不对
94、单项选择题 超声造影检测外周血管,下列哪一项不是血管异常的声像图表现()。
A.动脉、静脉血栓形成使血流充盈缺损
B.动脉狭窄时血流变细
C.动脉扩张时血流明显加速
D.动脉闭塞时无血流显示
95、单项选择题 选择最适宜腮腺的超声扫查方法()。
A.采用7.0~10.0MHz频率探头,多切面进行扫查
B.理发后,多切面进行扫查
C.空腹进行多切面扫查
D.进行纵切面扫查,主要观察腮腺的血管及神经分布
96、单项选择题 腮腺的超声检查方法最适宜的是()。
A.采用7~10MHz频率探头,多切面进行检查
B.理发后,多切面进行检查
C.空腹进行多切面检查
D.主要观察腮腺的血管及神经分布
E.进行纵切面检查
97、单项选择题
患者眼前闪光,视力减退1周。结合超声声像图,最可能的诊断是()。
A.局限性脉络膜脱离
B.局限性视网膜脱离
C.完全性视网膜脱离
D.玻璃体后脱离
E.以上均不对
98、单项选择题
临床资料:男,25岁,自述发热,嗓子痛。临床物理检查:扁桃体红、肿大,体温39.0℃。超声综合描述:双侧颈部血管旁可见数个两头稍尖长圆形低回声,最大1.7cm×0.7cm,边界清晰,长径/短径比值(L/S)≥2。
超声提示()。
A.颈淋巴瘤
B.双侧颈部肿大淋巴结(颈淋巴结炎)
C.颈淋巴结结核
D.颈部正常淋巴结
99、单项选择题 新生儿颅脑声像图上见到透明中隔充满无回声的腔称为()。
A.中间体
B.侧脑室
C.第三脑室
D.透明中隔腔
100、单项选择题 室管膜下出血的声像图表现()。
A.脑实质出现透声区
B.脉络膜丛回声增强
C.侧脑室的额角回声增强
D.侧脑室的体部、额角的下面、外侧面回声增强
101、单项选择题 甲状腺囊肿是指
A.单纯性囊肿
B.囊腺瘤
C.甲状腺癌囊性变
D.出血性囊肿
E.以上都对
102、单项选择题 葡萄膜自前向后包括哪几个部分()。
A.虹膜、睫状体和脉络膜三个部分
B.角膜、睫状体和视网膜三个部分
C.虹膜、睫状体、视网膜和脉络膜四个部分
D.角膜、虹膜、睫状体和脉络膜四个部分
103、单项选择题 颅脑超声检测采用哪些超声技术()。①二维超声成像②频谱多普勒技术③彩色多普勒技术④能量多普勒技术⑤多普勒组织成像(DTI)
A.①②
B.①②③
C.①②③④
D.以上各项均是
104、单项选择题 乳腺外侧淋巴回流,首先流向()。
A.锁骨上
B.锁骨下
C.胸导管
D.腋下
E.颈侧方
105、单项选择题
临床资料:女,37岁,常规体检。临床物理检查:双侧甲状腺不对称,扪及多发肿物,无压痛。化验检查:甲状腺功能正常。超声综合描述:双侧甲状腺形态大小正常,内可见数个低回声区,最大位于左叶,大小0.7cm×0.9cm,边界清晰,内回声欠均,CDFI:双侧甲状腺内可见少许动静脉血流信号,低回声区内可见星点状血流信号。见下彩图。
超声提示()。
A.甲状腺腺瘤
B.毒性甲状腺肿(原发性甲状腺功能亢进)
C.结节性甲状腺肿
D.甲状腺正常声像图
106、单项选择题 眼部静脉出现动脉化血流是超声诊断颈动脉海绵窦瘘的主要依据,发生这种变化的静脉是()。
A.视网膜中央静脉
B.眼上静脉
C.眼下静脉
D.内眦静脉
E.涡静脉
107、单项选择题 良性淋巴结的声像图特点是()①淋巴结均匀性肿大,长(L)/宽(S)>2②淋巴结分叶状增大,长(L)/宽(S)<2③呈椭圆形,被膜回声强而完整④被膜回声强而不完整⑤血流丰富,分布规律呈高速低阻,RI<0.5⑥血流丰富,分布不规则呈高速高阻,R1>0.7
A.①③⑤
B.②④⑥
C.①④⑥
D.②③⑤
E.①③④
108、单项选择题 睾丸扭转的超声表现,哪一项是错误的()。
A.睾丸内呈中等回声
B.睾丸轻度肿大
C.睾丸周围少量液体
D.内部回声欠均匀
E.CDFI内有丰富血流信号
109、单项选择题 俯卧位检查腘静脉时,膝关节应屈曲多少度()。
A.10°
B.30°
C.45°
D.90°
110、单项选择题 亚急性甲状腺炎的临床及超声表现是()。
A.初期咽痛、低热、有上呼吸道症状
B.实验室T、T增高,白细胞上升,血沉快
C.甲状腺中度增大,内有均质稀疏弱回声点
D.彩色多谱勒血流显像显示血流较丰富或不丰富
E.以上都是
111、单项选择题 人体最长的静脉是哪条静脉()。
A.下腔静脉
B.股静脉
C.髂总静脉
D.大隐静脉
112、单项选择题 赵某,男,15岁,发现多处自发性骨折。近2个月病情发展很快,超声显示:甲状腺后下方见一巨大、分叶状实性肿物,边界不清。CDFI:测出动静脉瘘,临床拟诊断甲状旁腺功能亢进,最可能诊断()。
A.甲状腺瘤
B.甲状旁腺瘤
C.甲状腺囊肿
D.甲状旁腺增生
E.甲状旁腺囊肿
113、单项选择题
临床资料:男,68岁,确诊糖尿病20年,脑梗塞5年。超声综合描述:双颈总、颈内动脉内膜粗糙,回声强弱不均,中内膜不均匀增厚;左颈内动脉起始段管壁可见中等回声区,后方无声影,该段残余管腔内径0.33cm,CDFI:左颈内动脉起始段中等回声区内血流充盈缺损,残余管腔内可见细小血流通过,其远端呈杂色血流信号,PW:该段V4.55m/s。见彩图89。
超声提示()。
A.双侧颈动脉粥样硬化并左颈内动脉起始段软斑形成并节段性管腔狭窄
B.双侧颈动脉粥样硬化
C.双侧颈动脉粥样硬化并硬斑形成
D.正常颈动脉声像图
114、单项选择题 颈总动脉分叉处可有以下彩色多普勒血流显像的正常变异()。
A.彩色血流呈明显的五彩镶嵌
B.分叉处靠近膨大部有一些颜色不一的翻转彩色血流
C.彩色血流明显变细或时有时无
D.血流的彩色信号完全翻转
E.血流完全中断
115、单项选择题 锁骨下动脉窃血综合征最重要的超声诊断依据是()。
A.患侧上肢动脉二维图像无异常改变
B.患侧上肢动脉脉冲多普勒频谱反向血流减少或消失,血流速度减慢
C.患侧椎动脉脉冲及彩色多普勒呈现反向血流
D.患侧椎动脉仍存在舒张期正向血流
116、单项选择题 关于黏液表皮样瘤的描述,错误的是()。
A.又称黏液表皮样癌
B.为涎腺少见疾病
C.病程长者生长慢,无痛,质硬,体积小
D.病程短者生长快,疼痛,可溃破
E.瘤体无包膜,周围界限欠清晰,可侵犯邻近组织
117、单项选择题 表浅淋巴结正常声像图是()。
A.中心部髓质区为强回声,周边皮质区为低回声,可见凹陷的淋巴门
B.边界清楚,长径>横径,横径≤0.5cm
C.Vmax8.41±3.64cm/s,RI<0.6
D.以上各项均是
118、多项选择题 超声可鉴别视网膜脱离与玻璃体机化膜,其各自声像图特点是()。①玻璃体暗区内有膜状、树枝、条索状强回声②玻璃体暗区内凹面指向眼前的弧形膜状强回声③膜不与球壁环相连④膜与球壁环密切相连⑤与视神经无关系⑥与视神经有密切关系⑦膜活动度小⑧膜活动度大⑨膜内无彩色血流信号⑩膜内有彩色血流信号⑾膜内无动脉频谱⑿膜内有低速低阻动脉频谱
A.视网膜脱离:①③⑤⑦⑨⑾
B.视网膜脱离:②④⑥⑧⑩⑿
C.玻璃体机化膜:①③⑤⑦⑨⑩
D.玻璃体机化膜:②④⑥⑧⑩⑾
119、单项选择题 脉络膜黑色素瘤的超声声像图表现是()。
A.半圆形或蘑菇形实性肿物自眼球壁突入玻璃体腔
B.肿物前部回声密集明亮,向后渐衰减
C.肿物局部眼球壁较周围正常区回声低下
D.继发视网膜脱离
E.以上都对
120、单项选择题
患者体检发现睾丸小肿块,结合超声图像,最可能的诊断是()。
A.睾丸囊肿
B.睾丸结核
C.白膜囊肿
D.睾丸腺癌
E.附睾囊肿
121、单项选择题 结节性甲状腺肿的声像图表现()①左右甲状腺不对称增大,有多发结节,无包膜②左右甲状腺不对称增大,有单发结节,有包膜③甲状腺内结节边界模糊,不规整,结节周围无正常甲状腺组织④甲状腺内结节边界清晰,形态规整,结节与周围正常甲状腺组织界限清楚⑤CDFI呈多彩状,可见血管绕行征、彩球征⑥CDFI呈少血流改变
A.①③⑤
B.②④⑥
C.①④⑥
D.②③⑤
E.①③⑥
122、单项选择题
临床资料:女性,25岁,自述心悸,多汗,食欲亢进,体重减轻6个月余,发现颈部增粗1周。临床物理检查:甲状腺对称性增大,随吞咽上下运动,听诊有血管杂音。超声综合描述:双侧甲状腺增大,回声减低,明显不均,内未见囊实性肿物,CDFI:内可见丰富动静脉血流信号,呈"火海"征。见下图及彩图。
超声提示()。
A.结节性甲状腺肿
B.毒性甲状腺肿(原发性甲状腺功能亢进)
C.甲状腺腺瘤
D.甲状腺正常声像图
123、单项选择题 超声检查发现,右下颌角下方,胸锁乳突肌内侧深部的颈总动脉分叉处5cm×3cm大小低回声包块,边界清楚、规整,包块造成颈内及颈外动脉向两侧推移。包块内部有较丰富的动、静脉血流,并可见颈外动脉的分支进入包块内,请就此超声表现做出诊断()。
A.颈神经纤维瘤
B.颈神经鞘瘤
C.颈交感神经鞘瘤
D.颈动脉瘤
E.颈动脉体瘤
124、单项选择题 下列哪项指标不是判断颈动脉狭窄的常规血流动力学指标()。
A.狭窄处峰值速度
B.狭窄处舒张末期血流速度
C.狭窄处血流阻力指数
D.峰值血流速度比
E.舒张末期血流速度比
125、单项选择题 同心圆征是指赤道部扫查发现()。
A.不完全性脉络膜脱离
B.完全性视网膜脱离
C.部分性色素膜脱离
D.完全性虹膜脱离
E.完全性色素膜脱离
126、单项选择题 眶上动脉是以下哪条动脉的分支()。
A.颈外动脉
B.面动脉
C.颞浅动脉
D.眼动脉
127、单项选择题 徐某,男,20岁,感冒后发现咽痛,颈前部肿大、疼痛,低热,白细胞升高血沉快、超声显示:甲状腺中度肿大,回声减低,最可能的诊断是()。
A.结节性甲状腺肿
B.原发性甲状腺功能亢进
C.甲状腺腺瘤
D.亚急性甲状腺炎
E.慢性甲状腺炎
128、单项选择题 视神经全长多少毫米,分几段,超声检测可显示哪几段()。
A.<33mm,3段,各段
B.33~55mm,4段,球壁、眶内段
C.33~55mm,4段,球壁、眶内、管内段
D.55mm,4段,球壁、眶内、颅内段
E.60mm,4段,球壁、眶内、颅内段
129、单项选择题
临床资料:男,57岁,自诉近视30余年,近1月右眼视物模糊,眼前阴影遮挡,视力下降,当地医院诊断糖尿病视网膜痛变。眼科检查:视力:右0.05、左0.6。眼底右眼窥视较模糊,视盘边界不清,水肿,血管走行尚可,视网膜大量散在点片状出血,火焰状。超声综合描述:右眼玻璃体暗区内可见带状回声,其尖端与视盘相连,两边分别与周边球壁相连(箭头所示),呈V形,运动试验、后运动阳性,CDFI:带状回声内可见动脉血流信号,且与视网膜中央动脉血流信号相延续。
超声提示()。
A.玻璃体后脱位
B.脉络膜脱离
C.视网膜脱离
D.玻璃体浑浊
130、单项选择题
患者发现颈部肿块两年余,无明显不适。甲状腺超声显示甲状腺及血管旁异常光团,如图。最可能的诊断为()。

A.甲状腺癌
B.结节性甲状腺肿
C.甲状腺炎
D.甲状腺腺瘤
E.以上均不是
131、单项选择题 如果用颈内动脉速度/颈总动脉速度作为诊断近端颈内动脉狭窄的指标,以下哪个收缩期峰值流速比值,提示颈内动脉管径狭窄率超过70%()。
A.1.5
B.2.0
C.4.0
D.5.0
E.5.5
132、单项选择题 一患者右大腿、小腿和踝部收缩压与上肢收缩压相比明显降低。但整个下肢血压相差不大,此时应进行的检查是()。
A.整个下肢动脉的多普勒血流显像
B.髂动脉的多普勒血流显像
C.运动测试
D.颈动脉的多普勒血流显像
E.腘动脉多普勒血流显像
133、单项选择题 单纯性甲状腺肿的超声声像图表现是()。
A.甲状腺均匀性显著肿大,压迫气管和颈部血管
B.早期光点增粗,有的可见散在性边界模糊的小结节
C.后期可形成多个薄壁的液性暗区
D.腺体中常发生液化、血块机化及钙化
E.以上都是
134、单项选择题 下肢静脉频谱多普勒的时相变化代表了()。
A.进行Valsalva动作时血流的变化
B.患者进行体位改变致血流变化
C.腓肠肌收缩时的血流变化
D.呼吸时的血流变化
E.探头频率改变时血流的变化
135、单项选择题 涎腺最基本的构成是腺细胞,分泌腺液,涎腺中最大的腺体是()。
A.舌下腺
B.颌下腺
C.腮腺
D.甲状旁腺
136、单项选择题
患者,男,23岁,发现睾丸内无痛性肿块1月余。透光试验阳性。结合超声图像,最可能的诊断是()。
A.睾丸囊肿
B.精索鞘膜积液
C.附睾结核
D.精液囊肿
E.附睾囊肿
137、单项选择题
临床资料:男,52岁,常规体检,确诊糖尿病、高血压、高血脂3年余。超声综合描述:双侧颈总动脉内膜粗糙,连续中断,中内膜回声强弱不均,节段性增厚,分叉处最大厚度:左0.14cm。右0.13cm。
超声提示()。
A.双侧颈动脉粥样硬化并软斑形成
B.双侧颈动脉粥样硬化并钙化斑形成
C.双侧颈动脉轻度粥样硬化(节段性中内膜增厚)
D.正常颈动脉声像图
138、单项选择题
临床资料:女,28岁,右颌下肿、不适两月余。超声综合描述:右侧颌下腺可见1.5cm×1.1cm长圆形低回声,边界清晰,形态规则,内回声不均,后方声加强,CDFI:其内及周边可见血流信号。见下图及彩图82。


超声提示()。
A.右腮腺囊性占位
B.右颌下腺实性占位
C.右腮腺混合性占位
D.右颈部肿大淋巴结
139、单项选择题 腘动脉瘤()。
A.常伴有壁钙化
B.在膝关节的后方
C.常由动脉硬化引发
D.以上各项均是
140、单项选择题 颈动脉-海绵窦瘘USG的主要表现为()。
A.眼上静脉扩张
B.用探头压迫眼球时搏动消失
C.眶脂体扩大
D.眼外肌肥厚
E.泪腺肿大
141、单项选择题 下列哪项检查,可不作为彩超颅内动脉各分支段的常规测量数据()。
A.收缩期峰值速度
B.舒张期最低速度
C.搏动指数、阻力指数
D.血管检测深度
142、单项选择题
临床资料:女,45岁,自述发现左颈部包块1年余。超声综合描述:甲状腺右叶形态大小正常,内可见数个低回声区(箭头所示),无包膜,内回声尚均匀;左叶增大失常态,内可见6.9cm×4.0cm中等回声,边界清晰,内回声不均,中部可见3.5cm×1.8cm不规则无回声区,CDFI:双侧甲状腺内血流信号不丰富,低回声区内可见少许血流信号。
超声提示()。
A.甲状腺腺瘤
B.毒性甲状腺肿(原发性甲状腺功能亢进)
C.结节性甲状腺肿并囊性变
D.甲状腺正常声像图
143、单项选择题 视网膜母细胞瘤USG重要的声学特征为()。
A.玻璃体内实质性光团
B.光与球壁紧密相连
C.内部回声不均
D.常有无回声区出现
E.内部出现钙斑反射
144、单项选择题 涎腺是重要的消化腺,属外分泌腺,包括()。
A.腮腺
B.颌下腺
C.舌下腺
D.以上各项均是
145、单项选择题 腮腺囊肿的超声表现是()。
A.形态规整,多呈圆形或多边形
B.轮廓边界完整,呈锯齿状
C.内呈不均质混合回声
D.透声性欠佳,后方轻度衰减
E.边界完整,内为无回声,后方回声增强
146、单项选择题 超声生物显微镜采用多少MHz的探头()。
A.5~10MHz
B.10~20MHz
C.<50MHz
D.50~100MHz
E.﹥100MHz
147、单项选择题 毒性甲状腺肿(Graves’病)的超声表现是()。
A.甲状腺弥漫增大,内部为低回声,血流较丰富
B.甲状腺弥漫增大,内部呈中-低回声,血流呈“火海征”
C.甲状腺弥漫增大,内部为低回声,血流不丰富
D.甲状腺不对称性肿大,内部呈低回声,血流呈“火海征”
E.甲状腺正常大小,内部为低回声,血流正常
148、单项选择题 关于脉络膜黑色素瘤的描述,哪项是错误的()。
A.是成年人最常见的眼内恶性肿瘤
B.居眼内恶性肿瘤的第2位
C.在葡萄膜肿瘤中占61.5%
D.视力减退或视野缺损
E.白瞳孔是最常见的体征
149、单项选择题 甲状腺炎临床分型是()。
A.①急性②慢性
B.①急性②亚急性
C.①急性②亚急性③慢性
D.①临床下型②急性③亚急性④慢性
E.①急性②临床下型③慢性
150、单项选择题 下肢静脉的静脉瓣功能不全,观察有无反流及其速度快慢,首选下述哪种技术()。
A.彩色多普勒血流显像
B.二维灰阶超声显像
C.多普勒能量图
D.M型超声
E.超声造影
151、单项选择题
患者全身骨关节疼痛,有肾结石病史。行超声检查甲状腺,如图。最可能的诊断为()。
A.甲状腺腺瘤
B.甲状腺癌
C.甲状旁腺腺瘤
D.甲状腺囊肿
E.以上均不是
152、单项选择题 下肢深部血管包括()。①胫前静脉②腘静脉③股总静脉④胫后静脉⑤股深静脉⑥股浅静脉
A.①②③
B.①②③④
C.①②③④⑤
D.以上各项均是
153、单项选择题 指出下列哪项不是正常肢体静脉的多普勒声像图表现()。
A.中等大小以上的静脉,无论在休息和活动状态都有血流信号,呈单向回心血流
B.静脉血流速度随呼吸运动而加快或减慢
C.乏氏(Valsal,va)试验阳性
D.人工挤压远端肢体后血流信号减弱
154、单项选择题 继发性下肢深静脉瓣功能不全主要诊断依据是()。
A.下肢深静脉管径变宽
B.静脉瓣增厚、残缺或消失
C.管腔内较强的实质性血栓回声
D.彩色血流出现逆转
E.血流频谱出现反向血流
155、单项选择题 骨膜增厚,回声增强,进而隆起抬高与骨皮质分离,这种特异性超声表现的骨肿瘤疾病是()。
A.软骨肉瘤
B.成骨肉瘤
C.滑膜肉瘤
D.纤维肉瘤
E.骨巨细胞瘤
156、单项选择题 正常颈外动脉血流频谱特点是()。
A.低阻力频谱
B.高阻力频谱
C.三相或四相波
D.宽频毛刺样
E.宽频三峰递减型频谱
157、单项选择题
甲状腺超声声像图如下,最可能的诊断为()。
A.甲状腺囊肿
B.结节性甲状腺肿并囊变
C.甲状腺腺瘤并囊变
D.甲状腺囊腺癌
E.甲状腺炎
158、单项选择题 成年女性乳房的主要构成包括()。
A.皮肤、皮下脂肪及韧带
B.脂肪、腺叶及小叶
C.皮肤、皮下脂肪及腺体
D.皮肤、皮下脂肪及肌肉
E.腺叶、腺泡及脂肪
159、单项选择题 眼部超声检查发现:一侧眼球壁内较强回声异物,异物周围可见无回声裂隙环绕。最可能的诊断是()。
A.眼球内异物
B.早期巩膜异物
C.陈旧性巩膜异物
D.视网膜下异物
E.眼眶内异物
160、单项选择题 正常甲状腺横切时的超声特征是()。
A.甲状腺包膜完整,呈蝶形,强回声
B.甲状腺为蝶形,包膜完整,均质,中等回声
C.甲状腺包膜完整,呈圆形,均质弱回声
D.甲状腺包膜不完整,呈蝶形,均质弱回声
E.甲状腺包膜不完整,呈蝶形,不均质强回声
161、单项选择题 腮腺囊肿的超声表现,哪一项是错误的()。
A.内为无回声区
B.形态欠规则
C.多呈圆形
D.边缘整齐、界限清楚
E.后方回声增强
162、单项选择题 颈动脉硬化闭塞症的CDFI表现()。①动脉轻度狭窄无改变②动脉轻度狭窄无明显涡流③动脉中度狭窄时血流变细,狭窄处呈杂色血流信号④动脉中度或重度狭窄时血流变细、狭窄处形成涡流,呈杂色血流信号⑤动脉管腔完全闭塞血流信号中断,闭塞上段血流速度减低,产生逆流或涡流⑥动脉管腔完全闭塞血流信号中断,闭塞上段血流速度加快,下段血流速度减低或无血流
A.①③⑥
B.②④⑤
C.①④⑤
D.②③⑥
163、单项选择题 颈总动脉分叉处彩色多谱勒血流显像的正常变异是()。
A.彩色血流呈明显的五彩镶嵌
B.分叉处靠近膨大部有一些颜色不一的翻转彩色血流
C.彩色血流明显变细或时有时无
D.血流的彩色信号完全翻转
E.血流完全中断
164、单项选择题
临床资料:女,24岁,自述左下肢持续性疼痛1周,加重伴肿胀2天。临床物理检查:左下肢肿胀。超声综合描述:左股总静脉内透声不清亮,可见低回声,探头加压后管腔不消失,CDFI:低回声区内未见血流信号,其旁可见条样血流信号。见彩图100。
超声提示()。
A.左股总动静脉瘘
B.左股总静脉先天畸形
C.左股总动脉栓塞
D.左股总静脉血栓
165、单项选择题
临床资料:男,56岁,常规体检,确诊高血压、糖尿病5年。超声综合描述:双侧颈总动脉中内膜厚度0.13cm,左侧颈总动脉中段管腔内可见1.1cm×0.25cm中等回声,后方无声影。
超声提示()。
A.双侧颈动脉粥样硬化
B.双侧颈动脉粥样硬化并左颈总动脉中段软斑形成
C.双侧颈动脉粥样硬化并钙化斑形成
D.颈动脉正常声像图
166、单项选择题 新生儿颅脑超声最常用探测声窗是()。①前囟②后囟③乳突囟④蝶囟
A.①②
B.①③
C.③④
D.以上各项均是
167、单项选择题 超声检测甲状腺,其解剖标志是()。
A.气管在其内侧,颈长肌在后方,颈动脉和颈内静脉在外侧,带状肌在内侧
B.气管在其内侧,颈长肌在外侧,颈动脉和带状肌在其后方
C.气管和带状肌在内侧,颈长肌在后,颈动脉在下方
D.气管在其内侧,颈长肌在后方、颈动脉及颈内静脉在其外侧,带状肌在其前外侧
E.以上都不是
168、单项选择题 正常腮腺的声像图表现是()。
A.表面为整齐平滑的边缘
B.腺体为光点细小、分布均匀的低回声区
C.低回声区内可见一平行强回声光带,为腮腺主导管
D.以上都对
E.以上都不对
169、单项选择题
请回答下图是采用哪种扫查方式获取的颈部哪一部位声像图像()。
A.甲状腺能量图扫查
B.甲状腺宽景超声扫查
C.甲状腺三维超声扫查
D.甲状腺造影谐波扫查
170、单项选择题
临床资料:男,55岁,冠心病,行冠状动脉造影术后。临床物理检查:穿刺点出现搏动、震颤和持续性血管杂音。超声综合描述:右股浅动脉中部与其邻近的右股总静脉相通,CDFI:右股浅动脉与右股总静脉相通处及远端右股总静脉内血流紊乱,呈五彩镶嵌状,血流自右股浅动脉一右股总静脉内,PW:内可见高速湍流动脉血流频谱,Vmax2.69m/s。见彩图98。
超声提示()。
A.右股浅动脉真性动脉瘤
B.右股浅动脉假性动脉瘤
C.右股浅动脉-右股总静脉动静脉瘘(裂孔型)
D.右股浅静脉血栓
171、单项选择题 结节性甲状腺囊肿的超声特点,哪一项是错误的()。
A.颈前部肿大、增粗
B.甲状腺内多个结节
C.结节大小不等、分布不均
D.CDFI示血流丰富,沿结节绕行
E.结节都是实性的
172、单项选择题 下列哪支血管不是颅底动脉环的组成部分()。
A.大脑前动脉
B.大脑中动脉
C.大脑后动脉
D.前交通动脉
E.后交通动脉
173、单项选择题 当脑动脉血流成像有局部膨大,直径大于多少可诊断脑动脉瘤()。
A.0.5cm
B.0.6cm
C.0.7cm
D.0.8cm
174、单项选择题
患者,女,35岁,发现颈部稍大3年,无明显不适,甲状腺超声见右侧甲状腺一单发异常光团,声像图如下,最可能的诊断是

A.甲状腺癌
B.结节性甲状腺肿
C.甲状腺炎
D.甲状腺腺瘤
E.甲状腺囊肿
175、单项选择题
临床资料:男,78岁,自述头晕1月余,体位变化站立时明显。超声综合描述:双侧颈总、颈内动脉内膜粗糙,连续性差,中内膜增厚,管壁可见多个大小不等强回声光团,最大1.1cm×0.3cm,位于右颈总动脉分叉处,后伴声影,该段残余管腔内径0.36cm。
超声提示()。
A.颈动脉正常声像图
B.双侧颈动脉粥样硬化
C.双侧颈动脉粥样硬化并软斑形成
D.双侧颈动脉粥样硬化伴钙化斑形成右颈总动脉节段性狭窄
176、单项选择题 乳腺良性与恶性肿瘤的超声鉴别特点,错误的是()。
A.边界是否光滑、完整
B.内部回声增强或减低
C.肿物后方是否衰减
D.纵横比是否大于1
E.肿块大小
177、单项选择题
临床资料:女,40岁,自诉右侧颈部不适.临床物理检查:右颈部可扪及一肿物,边界清晰,可随吞咽上下移动。超声综合描述:甲状腺右叶中部可见3.0cm×1.4cm不均质回声区,内可见数个强回声光团,最大直径0.4cm,后伴声影,CDFI:不均回声内血供丰富。见下图及彩图。
超声提示()。
A.甲状腺癌(右叶)
B.甲状腺腺瘤合并钙化(右叶)
C.结节性甲状腺肿
D.甲状腺钙化灶(右叶)
178、单项选择题 颈动脉重度狭窄内径减少百分比是()。
A.0~50%
B.51%~70%
C.71%~90%
D.91%~99%
179、单项选择题
临床资料:男,52岁,自述双眼前有漂浮物(飞蚊症),视力下降半年余。超声综合描述:玻璃体内可见点状中等回声,不与球壁相连,随眼球运动而移动。
超声提示()。
A.脉络膜脱离
B.玻璃体混浊
C.玻璃体后脱位
D.视网膜脱离
180、单项选择题 超声生物显微镜检测扫查的眼前段结构包括()。
A.角膜、巩膜、前房、前房角、虹膜、睫状体、后房、周边玻璃体、晶状体和悬韧带
B.角膜、前房、前房角、后房、晶状体和悬韧带
C.角膜、巩膜、前房、前房角、虹膜、睫状体
D.角膜、巩膜、前房、前房角
181、单项选择题 某患者,男,42岁,近期发现,右上肢无力,来院就诊,体检发现双上肢血压相差4.0kPa。临床怀疑锁骨下动脉盗血综合征,其最重要的诊断依据是()。
A.患侧上肢脉搏减弱或消失
B.患侧上肢动脉二维图像无异常
C.患侧上肢动脉反向血流减弱或消失
D.患侧椎动脉彩色及频谱多普勒呈现反向血流
E.患侧椎动脉仍存在舒张期正向血流
182、单项选择题
请指出下图所显示的是右椎动脉哪一段()。见下图及彩图。
A.右椎动脉颅内段
B.右椎动脉椎间段
C.右椎动脉入椎前段
D.右椎动脉基底段
183、单项选择题 颈动脉硬化闭塞的二维超声表现是()。①颈动脉管壁内膜面回声增强变厚,表面粗糙,连续性差,内膜有中断现象②管腔内有粥样硬化斑块形成,分低回声软斑和强回声硬斑两种③斑块内出血时呈不规则低回声④溃疡形成时斑块表面呈类似火山口样壁龛影⑤血栓形成,急性呈低回声,陈旧性回声增强⑥急性血栓形成,二维超声难以显示,陈旧性血栓呈低回声
A.①②④⑥
B.①②③④⑤
C.①②③④⑥
D.以上各项均是
184、单项选择题
患者,男,28岁,皮下扪及肿块六月余。超声检查压之不变形。声像图提示()。
A.脂肪瘤
B.纤维瘤
C.皮下组织增厚
D.炎症
E.皮脂腺囊肿
185、单项选择题 超声检查见颈总动脉壁内膜分离,将血管分成真假两个腔,分离的内膜回声随心动周期不停的摆动,彩色多普勒超声见真腔内血流大致正常,假腔内血流紊乱,呈五彩镶嵌样表现,超声提示()。
A.真性颈动脉瘤
B.假性颈动脉瘤
C.颈动脉夹层动脉瘤
D.颈动脉体瘤
186、单项选择题 儿童中最常见的眼内恶性肿瘤是()。
A.脉络膜黑色素瘤
B.睫状体黑色素瘤
C.视网膜母细胞瘤
D.横纹肌肉瘤
E.脉络膜转移癌
187、单项选择题 颅内动脉中最难显示的动脉血管是()。
A.大脑前动脉
B.大脑中动脉
C.大脑后动脉
D.前交通动脉
E.后交通动脉
188、单项选择题 以下哪项声像图表现不是眼眶横纹肌肉瘤的特点()。
A.肿瘤内有挖空征
B.肿瘤边界较清楚,后方无明显声衰减
C.肿瘤呈圆形、椭圆形或扁圆形低回声
D.CDFI:肿瘤内有丰富的彩色血流,PW:多呈动脉频谱
189、单项选择题 早产新生儿对低温非常敏感,因此超声检查者应该()。①在超声室内装有冷暖空调设备②在早产儿人工抚育器内应用实时显像仪进行扫查③室温应在75~78°F④室温应在75~78℃
A.①③
B.②③
C.①②③
D.①②④
190、单项选择题 视网膜母细胞瘤常见于()。
A.婴幼儿时期的肿瘤
B.青年时期的肿瘤
C.成年时期的肿瘤
D.老年时期的肿瘤
E.以上都对
191、单项选择题 表现为实质性包块的颈部血管疾病是()。
A.真性动脉瘤
B.假性动脉瘤
C.夹层动脉瘤
D.颈动脉体瘤
E.颈动脉扭曲
192、单项选择题
患者颈部肿大,可扪及肿块。如图,提示为()。
A.甲状腺腺瘤
B.结节性状腺肿大
C.甲状腺癌
D.甲状腺炎症
E.甲状腺囊肿
193、单项选择题 下列眼部超声检查法中,哪种方法最简便实用()。
A.经眼睑法
B.水囊法
C.探头块法
D.经水法
E.软探头法
194、单项选择题 颞窗可显示的解剖结构是()。
A.脑中线、侧脑室、丘脑、第三脑室、脑半球(颞叶)
B.颅内左右椎动脉、基底动脉、小脑后下动脉
C.深部小脑、侧脑室后脚、脉络丛
D.颈内动脉虹吸段(海绵窦段及床突上段)
195、多项选择题 眼眶横纹肌肉瘤USG检查,可见()。
A.圆形、椭圆形或不规则的实质性状回声
B.因有假包膜故边界较清晰
C.内部呈均匀的弱回声影
D.内部呈不均匀的强回声影
E.视神经及球壁侵犯、破坏改变
196、单项选择题 颈内动脉血流频谱是下列哪种表现()。
A.低阻力频谱
B.高阻力频谱
C.舒张期三峰频谱
D.宽频毛刺样频谱
E.窄频三峰递减型频谱
197、单项选择题 眼球壁分几层()。
A.分内外两层
B.分内、中、外3层
C.分角膜、巩膜、脉络膜、视网膜4层
D.分角膜、巩膜、色素膜、脉络膜、视网膜5层
E.以上均不是
198、单项选择题 超声生物显微镜最适于检查()。
A.眼内容物
B.眼球壁
C.眼前段结构
D.视神经乳头
E.以上均不是
199、单项选择题 超声判断颈动脉轻度狭窄采用的方法是()。①形态学方法②二维、CDFI图像③狭窄面积百分比④脉冲多普勒频谱测量评估
A.①
B.①②
C.①②③
D.①②③④
200、单项选择题 颈内动脉根据行程分为四段,正确的是()。
A.颈段、岩内段、海绵窦段和前床突上段
B.颈段、岩内段、前床突上段和海绵窦段
C.岩内段、颈段、前床突上段和海绵窦段
D.岩内段、颈段、海绵窦段和前床突上段
E.颈段、海绵窦段、岩内段和前床突上段
201、单项选择题
临床资料:女,38岁,自述长时间站立及劳累后左小腿胀痛,休息后可缓解2年余。临床物理检查:左小腿皮下蚯蚓样团块状突起,无色素沉着。超声综合描述:左下肢深静脉管腔明显增宽,内未见异常回声,探头加压后管腔消失,深吸气时,管径增宽,CDFI:左下肢深静脉管腔内血流通畅,Valsalva试验及挤压小腿后股静脉内彩色血流色彩逆转;PW:频谱方向逆转,持续时间1.5秒。见下彩图。
超声提示()。
A.左股静脉瓣膜关闭功能不全
B.左大隐静脉血栓
C.左大隐静脉正常声像图
D.左隐一股静脉瓣膜关闭功能不全
202、单项选择题 某男,36岁,睾丸肿大、疼痛就诊,超声检查可见:睾丸增大、肿块呈椭圆形、轮廓整齐、呈中低回声,最可能是()。
A.精原细胞瘤
B.胚胎癌
C.绒毛膜上皮癌
D.畸胎癌
E.混合性肿瘤
203、单项选择题 腮腺混合瘤的声像图特征是()。
A.肿瘤呈圆形或椭圆形,偶见分叶形,边界光滑整齐、清晰
B.内呈均匀低回声或中等回声;部分肿瘤内部呈蜂窝状无回声;肿瘤内部发现强回声斑点钙化灶时,应考虑恶变
C.CDFI:血流多包绕肿瘤呈点状或环行分布,Vmax<50.0cm/s
D.以上各项均是
204、单项选择题 X线无法显示而超声可显示的异物为()。①玻璃②塑料③木头
A.②③
B.①②③
C.①②
D.①
205、单项选择题 扫查锁骨下动脉较适宜的探头频率是()。
A.2.0MHz
B.2.5MHz
C.5.0MHz
D.10.0MHz
E.12MHz
206、单项选择题
结合甲状腺横断面超声声像图,甲状腺为()。
A.均质体
B.非均质体
C.无界面区
D.强回声区
E.以上均不是
207、单项选择题 正常淋巴结的形状及横径是()。
A.圆形,<2.0mm
B.长形,>6.0mm
C.豆状,5.0mm
D.卵圆形,<4.0mm
208、单项选择题 超声检测的眼动脉眶内行程分几段,其分支名称是()。
A.2段,视网膜中央动脉
B.3段,视网膜中央动脉、睫状后动脉
C.3段,视网膜中央动脉、睫状后动脉、泪腺动脉
D.4段,视网膜中央动脉、睫状后动脉、泪腺动脉
E.3段,睫状后动脉,泪腺动脉
209、单项选择题 腮腺炎的声像图表现是()。
A.不同程度的弥漫性肿大
B.急性期轮廓不清,呈低回声
C.腮腺血流信号增多
D.慢性期界限清晰,呈强回声
E.以上都是
210、单项选择题 舒张期正向血流速度最大的是()。
A.颈内动脉
B.颈外动脉
C.颈总动脉
D.锁骨下动脉
E.颈静脉
211、单项选择题 视网膜脱离是指()。
A.视网膜与虹膜之间的脱离
B.视网膜与脉络膜之间的脱离
C.视网膜与色素膜之间的脱离
D.视网膜与纤维膜之间的脱离
E.视网膜神经上皮层与色素上皮层之间的脱离
212、单项选择题
临床资料:女,70岁,自诉确诊左足底恶性黑色素瘤两年余,中药治疗无明显好转来诊。超声综合描述:左腹股沟区可见多个低回声(图1),部分相互融合,最大3.5cm×2.1cm,边界清晰,形态不规则,内回声不均,CDFI:内可见血流信号。左腹股沟区另可见多个不均质回声区(图2),最大2.1cm×1.8cm,边界清晰,形态不规则,内可见无回声区,CDFI:不均质回声区内可见血流信号。
超声提示()。
A.左腹股沟区多发不均质回声区(淋巴囊肿)
B.左腹股沟区多发不均质回声区(反应性淋巴结肿大)
C.左腹股沟区多发低回声、不均质回声(淋巴结转移瘤)
D.左腹股沟区多发不均质回声区(皮下血肿)
213、单项选择题 糖尿病视网膜病变的超声表现是()。①视网膜增厚,回声增强,球壁增厚②视网膜血流减少③视网膜血流增加④视网膜中央动脉血流速度减低,PI、RI增高⑤视网膜中央动脉血流速度减低,PI、RI减低⑥视网膜中央静脉血流增高,视网膜中央动脉/视网膜中央静脉减小⑦视网膜中央静脉血流降低,视网膜中央动脉/视网膜中央静脉增大
A.①②④⑥
B.①③⑤⑦
C.①②⑤⑦
D.①③④⑥
214、单项选择题 患者高热后两侧耳下区红肿,超声显示:局部增大,回声减低,血流信号略增多。最可能的诊断是()。
A.腮腺肿瘤
B.颈淋巴结肿大
C.急性腮腺炎
D.何杰金肿瘤
E.甲状腺炎
215、单项选择题 经眼睑进行眼部二维超声检查,最佳探头频率是()。
A.3.0MHz
B.3.5MHz
C.4.0MHz
D.5.0MHz
E.7.5MHz
216、单项选择题 超声检查眼异物的常用方法是()。
A.眼睑外直接扫查法
B.间接扫查法
C.窗试验法,彩阶显示法
D.漂浮异物的超声试验,超声磁性试验
E.以上都是
217、单项选择题 关于原发性视网膜脱离的描述,正确的是()。
A.亦称孔源性视网膜脱离
B.是一种原因不明的视网膜层间分离
C.视力减退,相应的视野缺乏
D.眼底检查可发现视网膜灰色隆起
E.以上都对
218、单项选择题 甲状腺腺瘤的超声特征,哪一项不正确()。
A.圆形或椭圆形
B.边界光滑、包膜完整
C.内部呈低回声,质地均匀
D.肿瘤周围见声晕,有丰富的血流信号
E.常为多发性
219、单项选择题
患者,男性,甲状腺一侧可触及包块,超声见边界清晰的低回声光团,包膜完整。如图所示,最可能的诊断为()。
A.甲状腺腺瘤并囊性变
B.甲状腺炎
C.结节性甲状腺肿
D.甲状腺癌
E.甲状腺囊肿
220、单项选择题
临床资料:女,33岁,爆炸伤后左眼不适。超声综合描述:双眼球形态正常,双眼球玻璃体内可见数个点状强回声(箭头所示),后伴彗星尾征。
超声提示()。
A.左眼晶状体脱位
B.左眼玻璃体混浊(出血)
C.左眼球内异物
D.左眼正常声像图
221、单项选择题
临床资料:女,41岁,自述无意中发现颈部肿物半年。临床物理检查:左侧颈部可扪及肿物,边界清晰,可随吞咽上下移动。超声综合描述:甲状腺左叶增大,中部可见2.9cm×2.6cm圆形不均质回声区,边界清晰,有完整包膜,内回声由无一低一中等回声,CDFI:内血流信号不丰富。
超声提示()。
A.甲状腺癌(左叶)
B.甲状腺腺瘤并囊性变(左叶)
C.甲状腺囊肿(左叶)
D.甲状腺炎性结节(左叶)
222、单项选择题 杨某,男,60岁,查体时发现颈前偏右有一实性肿物,不活动,质硬,同侧淋巴结肿大,超声显示:甲状腺右叶探及单个、不规则实性的低回声结节,境界不清,CDFI有高速血流信号。最可能的诊断是()。
A.甲状腺囊肿
B.甲状腺腺瘤
C.甲状腺癌
D.亚急性甲状腺炎
E.颈淋巴瘤
223、单项选择题 俯卧扫查腹主动脉周围腹膜后淋巴结有一定难度,是因为()。
A.髂腰肌干扰图像
B.俯卧位时淋巴结肿大
C.俯卧时淋巴结降入腹腔
D.脊柱产生声影伪像
E.以上均是
224、单项选择题
临床资料:女,2岁,母亲代述发现患儿白瞳、斜视。超声综合描述:玻璃体暗区内可见球形中等不均质回声,几乎充满整个玻璃体腔,CDFI:内见"V"形红蓝相伴行血流信号,与视网膜中央动、静脉相延续。见下彩图。
超声提示()。
A.视网膜脱离
B.视网膜母细胞瘤(内生肿块型)
C.原始玻璃体增生症
D.新生儿视网膜病变
225、单项选择题 下列哪些疾病属于葡萄膜疾病()。①葡萄膜缺损②脉络膜出血③巩膜葡萄肿④虹膜囊肿⑤斑痣性错构瘤⑥髓上皮瘤⑦眼前段缺血综合征⑧Coats病
A.①②④⑥⑦
B.①②③④
C.①③④⑥⑦
D.以上各项均是
226、单项选择题 患者女性,50岁,无症状,偶然发现颈粗,超声检查发现甲状腺轻度肿大,内见多个囊实性小结节,最可能是()。
A.甲状腺炎
B.毒性甲状腺肿
C.结节性甲状腺肿
D.单纯性甲状腺肿
E.甲状腺囊肿
227、单项选择题 甲状腺峡部超声显示为无回声区,手术病理证实为峡部腺瘤囊性变,在发病位置上,应该与下列哪一种疾病鉴别()。
A.甲状腺癌囊性变
B.甲状腺炎部分液化
C.结节性甲状腺肿囊性变
D.鳃裂囊肿
E.甲状舌管囊肿
228、单项选择题 正常预外动脉血流频谱是下列哪种形态()。
A.低阻力频谱
B.高阻力频谱
C.收缩期双峰、舒张期三峰频谱
D.三相血流频谱
E.宽频双峰递减型频谱
229、单项选择题
临床资料:女,74岁,主诉转颈后眩晕。超声综合描述:左侧椎动脉内径0.33cm,走行正常,右侧椎动脉内径0.32cm,走行纡曲,入椎前呈"M"形,椎间段节段性走行纡曲,CDFI:纡曲段血流充盈良好。见彩图92。

超声提示()。
A.双侧椎动脉正常声像图
B.双侧椎动脉不对称
C.右侧椎动脉闭塞
D.右侧椎动脉走行纡曲(椎前段、椎间段)
230、单项选择题 超声检查半月板最理想的探头频率是()。
A.3.0MHz
B.3.5MHz
C.4.0MHz
D.5.0MHz
E.7.5MHz
231、单项选择题
临床资料:男性,8岁,自述左眼视物不清。超声综合描述:左眼玻璃体暗区透声不清亮,后极部可见椭圆形中强回声光环,内见点状强回声。见下彩图。
超声提示()。
A.脉络膜血管瘤合并视网膜脱离
B.玻璃体后脱离
C.玻璃体内猪囊尾蚴并玻璃体混浊
D.视网膜静脉周围炎
232、单项选择题 布-加综合征的病变部位在()。
A.颈内静脉+上腔静脉
B.肘静脉+锁骨下静脉
C.门静脉及其属枝
D.肝静脉+下腔静脉
E.下肢静脉
233、单项选择题 桥本甲状腺炎的声像图表现是()。
A.两叶不规则肿大,边缘模糊不清,峡部厚度相对正常
B.多数可见大小不等的结节回声
C.结节周围见环状血流,并见丰富分支伸入结节内
D.甲状腺实质光点粗,分布不均,回声低,对增益调节不大敏感
E.以上都对
234、单项选择题 甲状腺炎分几种类型()。
A.①急性;②慢性
B.①急性;②亚急性
C.①急性;②亚急性;③慢性
D.①临床下型;②急性;③亚急性;④慢性
235、单项选择题 成人脑动脉血流检测成功率最高的血管是()。
A.大脑前动脉
B.大脑中动脉
C.大脑后动脉
D.前交通动脉
E.后交通动脉
236、单项选择题 腮腺导管始于腺泡腔,经润管、小叶间导管、叶间导管至总导管,开口于口腔内,导管全长(),外径()。
A.3.0~6.0mm,2.0~5.0cm
B.>6.0cm,2.0~5.0mm
C.3.0~6.0cm,2.0~5.0mm
D.<3.0cm,2.0~5.0cm
237、单项选择题 判断视网膜中央静脉栓塞预后(病期在3个月内),其血流速度标准是()。
A.<2.0cm/s
B.<2.5cm/s
C.<3.0cm/s
D.<3.5cm/s
E.<4.0cm/s
238、单项选择题 下列哪项超声所见为腰椎间盘脱出的特异性超声表现()。
A.局限性椎管狭窄,内径变小
B.椎板、椎体与椎间盘碎片形成的“三重密度”征象
C.硬膜前方无回声区受压变形
D.硬膜外脂肪的环状回声出现压迹
E.破裂脱出的椎间盘呈形态各异的强回声
239、单项选择题 关于脉络膜黑色素瘤,下列哪项是错误的()。
A.是成年人最常见的眼内恶性肿瘤
B.居眼内恶性肿瘤的第3位
C.在葡萄膜肿瘤中占61.5%
D.视力减退和视野缺损
E.白瞳孔是最常见的体征
240、单项选择题
患者多处骨折,结合颈部超声图像,最可能的诊断是()。
A.甲状腺瘤
B.甲状旁腺瘤
C.甲状旁腺增生
D.甲状旁腺癌
E.甲状腺炎
241、单项选择题 甲状腺腺瘤的声像图特征是()。
A.圆形或椭圆形肿物,边界清,无包膜,呈低回声
B.圆形或椭圆形肿物,边界清,有包膜,呈低回声,周围有晕征
C.圆形或椭圆形肿物,边界不光滑,无包膜,呈低回声
D.圆形或椭圆形肿物,边界不光滑,有包膜,呈强回声
E.以上都不对
242、单项选择题 甲状腺恶性肿瘤的超声特点为()。①肿瘤边界不规整呈蟹足样改变,分化程度高的癌瘤边缘整齐,有晕环②肿瘤边界不规整呈蟹足样改变,分化程度低的癌瘤边缘整齐,有晕环③肿块呈低回声伴砂粒体钙化,大小1.0~2.0mm,后方衰减或无变化④肿块呈低回声伴钙化斑,后伴声影⑤CDFI:血供极丰富,肿块内及周边有动脉频谱⑥CDFI:血供不丰富,肿块内少许星点状血流信号
A.①④⑤
B.②③⑥
C.①③⑤
D.②④⑥
243、单项选择题 下肢静脉包括几组,分别是()。
A.两组:深静脉、大隐静脉
B.三组:深静脉、浅静脉,深、浅静脉交通支
C.四组:股总、股浅、胫前、胫后静脉
D.五组:股总、股浅、胫前、胫后、大隐、小隐静脉
244、单项选择题
患者,3岁,发现瞳孔区黄白色反光。眼底检查发现玻璃体浑浊。结合超声声像图,最可能的诊断是()。
A.视网膜母细胞瘤
B.新生儿视网膜脱离
C.原始玻璃体增生症
D.先天性白内障
E.玻璃体后脱离
245、单项选择题 主动脉弓长轴切面上看不到哪一支血管()。
A.头臂干
B.左锁骨下动脉
C.左颈总动脉
D.右肺动脉
E.左肺动脉
246、单项选择题 脑动脉粥样硬化时血流频谱特点()。①幅度:收缩期最高峰(V1)<收缩期第二峰(V2),第二峰波峰圆钝②幅度:收缩期最高峰(V1)<收缩期第二峰(V2),收缩期最高峰波峰圆钝③收缩期幅度:收缩期最高峰(V1)>收缩期第二峰(V2),第二峰波峰圆钝④收缩期幅度:收缩期最高峰(V1)>收缩期第二峰(V2),收缩期最高峰波峰圆钝⑤收缩期最高峰与第二峰融合,波峰圆钝
A.①④⑤
B.②③⑤
C.①②⑤
D.①③④
247、单项选择题 结节性甲状腺肿最常见的病因是()。
A.甲状腺炎
B.合并甲状腺功能亢进
C.碘缺乏
D.碘过量
E.甲状腺癌
248、单项选择题 扫查浅表组织时,探头频率最高可使用多少兆赫()。
A.20MHz
B.10MHz
C.7.5MHz
D.5.0MHz
E.3.5MHz
249、单项选择题
临床资料:女,44岁,自述颈部不适,声音嘶哑两周余。临床物理检查:甲状腺右叶扪及一肿物,活动度差。超声综合描述:甲状腺形态、大小正常,右叶可见4.0cm×3.1cm低回声区,边界欠清,内回声不均,可见较多砂粒样强回声光点。
超声提示()。
A.甲状腺腺瘤(右叶)
B.甲状腺癌(右叶)
C.结节性甲状腺肿
D.毒性甲状腺肿(原发性甲状腺功能亢进)
250、单项选择题
临床资料:女,51岁,自述洗澡时偶然发现右颈部无痛性肿物。临床物理检查:甲状腺右叶可扪及肿物,随吞咽活动上下移动,质软,边界清,活动度好。超声综合描述:甲状腺右叶增大失常态,内可见8.3cm×6.3cm中等稍增强回声区,边界清晰,有完整包膜,中部可见形态不规则无回声区,CDFI:中等稍增强回声区周边可见血管绕行,内可见少许短条状动静脉血流信号。见下图及彩图。
超声提示()。
A.甲状腺囊肿(右叶)
B.结节性甲状腺肿
C.甲状腺癌(右叶)
D.甲状腺腺瘤并囊性变(右叶)
251、单项选择题 腮腺位于下颌后窝咀嚼肌部皮下,解剖形态特点哪一项是错误的()。
A.形态不规则
B.大致呈三角形
C.导管开口于口腔
D.导管长3~6cm
E.导管宽1~2cm
252、单项选择题 患者男性,32岁,发现阴囊增大半年,无不适,超声显示:阴囊内液体三面包绕于睾丸,但不影响精索,最可能是()。
A.象皮肿
B.婴儿鞘膜积液
C.精索鞘膜积液
D.睾丸鞘膜积液
E.睾丸囊肿
253、单项选择题
临床资料:男,24岁,自述外伤后患肢肿胀、疼痛、麻木、乏力两年余。超声综合描述:左肘部可见7.4cm×2.9cm形态不规则不均质回声区(图1),CDFI:内红蓝相间紊乱血流信号(彩图),可引出高速动脉频谱及静脉频谱(图2),动静脉之间相通。
超声提示()。
A.左肘部脂肪瘤
B.左肘部假性动脉瘤
C.左肘部血管瘤
D.左肘部动静脉瘘(囊瘤型)
254、单项选择题 在测量眼球时,组成后壁的复合回声构成是()。
A.视网膜、角膜和巩膜
B.视网膜、脉络膜和巩膜
C.玻璃体、脉络膜和巩膜
D.玻璃体、眼房和脉络膜
E.视网膜、玻璃体和眼房
255、单项选择题 超声可以发现最小多少厘米的甲状腺结节()。
A.甲状腺内所有结节
B.甲状腺内>1.0cm结节
C.甲状腺内<0.5cm结节超声无法显示
D.甲状腺内>0.2cm结节超声均可显示
256、单项选择题
临床资料:男,48岁,常规体检。超声综合描述:甲状腺左叶可见直径0.9cm弧形强回声光带,后伴声影。
超声提示()。
A.甲状腺异物(左叶)
B.甲状腺结石(左叶)
C.甲状腺钙化灶(左叶)
D.慢性淋巴细胞性甲状腺炎(桥本氏病)
257、单项选择题
临床资料:男,70岁,自述患糖尿病20年,行走时双腿无力,进行性加重,以右侧为显著。超声综合描述:右股浅动脉管腔内透声不清亮,可见中等回声,CDFI:右股动脉充盈良好,右股浅动脉中等回声处及其远心端血流中断,管腔内无血流信号。见彩图96。
超声提示()。
A.右股浅静脉血栓
B.右股浅动脉闭塞
C.大动脉炎
D.右股浅动静脉瘘
258、单项选择题 下肢动脉闭塞时,常用下列哪条动脉作对照()。
A.肱动脉
B.颈动脉
C.主动脉
D.对侧下肢动脉系统
259、单项选择题
患者颈部包块5年,结合超声声像图,最可能的诊断是()。
A.甲状腺瘤
B.甲状腺癌
C.甲状腺结节
D.甲状腺炎
E.桥本氏甲状腺炎
260、单项选择题 结节性甲状腺肿最常见的原因是()。
A.甲状腺炎
B.合并甲亢
C.碘缺乏
D.碘过量
261、单项选择题 超声诊断肢体动静脉瘘最有力的依据是()。
A.近心端动脉内径增宽
B.动脉呈现低阻力型血流频谱
C.静脉明显扩张
D.静脉内出现动脉样血流频谱
262、单项选择题 以下何者不支持法乐氏四联症诊断()。
A.紫绀
B.杵状指
C.P2亢进
D.胸骨左缘收缩期杂音
E.蹲踞现象
263、单项选择题
患者低热,咽喉肿痛1周。发现甲状腺肿大,左侧局部压痛,结合超声声像图,最可能的诊断是()。
A.结节性甲状腺肿
B.亚急性甲状腺炎
C.甲状腺瘤
D.甲状腺癌
E.甲状腺功能亢进
264、单项选择题 经颅超声能检测哪些脑动脉血管()。①大脑前动脉②大脑中动脉③大脑后动脉④后交通支⑤前交通支⑥颈内动脉颅内末段⑦颈内动脉中、末段⑧椎动脉中、末段⑨椎动脉颅内段⑩基底动脉
A.①②③④⑥⑨⑩
B.①②③⑤⑦⑧⑩
C.①②③④⑤⑥⑨⑩
D.①②③④⑤⑦⑧⑩
265、多项选择题 眼眶蜂窝织炎USG表现为()。
A.球后脂肪垫扩大
B.内回声均匀
C.内回声不均匀
D.病灶周边不规则
E.与周围组织界限不清楚
266、单项选择题
临床资料:女,74岁,自诉头晕3年加重2月余.超声综合描述:双侧颈内动脉走行纡曲,呈"S"形,CDFI:血流通畅。见彩图90。
超声提示()。
A.右侧颈内动脉走行纡曲
B.双侧颈内动脉走行纡曲
C.左侧颈内动脉走行纡曲
D.双侧颈内动脉正常声像图
267、单项选择题 刘某,女,18岁,尿毒症,肾功能衰竭。超声发现颈前部甲状腺背侧有多个低回声结节。最可能的诊断是()。
A.颈淋巴结肿大
B.甲状腺腺瘤
C.结节性甲状腺肿
D.甲状旁腺增生
E.甲状旁腺腺瘤
268、单项选择题
临床资料:男,25岁,眼外伤后1周。超声综合描述:左眼球形态大小正常,玻璃体内球壁颞侧2:00~6:00可见弧形带状回声,向球内突起,有多点与球壁相连,但不与视盘相连,形态似花瓣状,弧形带状回声与球壁间为无回声,最大厚度3.6mm,玻璃体透声不清亮。
超声提示()。
A.左眼玻璃体混浊
B.左眼视网膜脱离
C.左眼玻璃体后脱位
D.左眼脉络膜脱离玻璃体混浊
269、单项选择题 腮腺呈弥漫性肿大,边界欠清晰,内回声稍增强,腺体导管走行正常,无扩张或狭窄,超声提示()。
A.腮腺肥大
B.腮腺混合瘤
C.腮腺炎
D.腮腺囊肿
270、单项选择题 检查眼内异物的最常用超声方法是()。
A.降低仪器灵敏度,强回声斑的回声强度无明显下降
B.“窗”试验法
C.彩阶显示法
D.增大仪器灵敏度
E.超声磁性试验
271、单项选择题 股动脉走行于以下哪个部位()。
A.腹股沟韧带浅表前方
B.腹股沟韧带深面
C.腹股沟韧带
D.闭孔
272、单项选择题 四肢血管彩色多普勒表现()。①单一层流、血流充盈好,边缘整齐②血流信号呈红一蓝一红快速转变③血流信号呈红一黄一蓝一红转变④较大的动脉分叉处有紊乱血流信号
A.①②
B.①②③
C.①②④
D.以上各项均是
273、单项选择题 腮腺的形态呈不规则形,似三角形,它的径线是()。
A.长6.0cm,宽3.0~4.0cm,厚1.0cm
B.长6.0mm,宽3.0~4.0mm,厚4.0mm
C.长>6.0cm,宽>4.0cm,厚>1.0cm
D.长>6.0mm,宽>4.0mm,厚>1.0mm
274、单项选择题
判断下图、彩图符合哪种眼睑疾病。
超声提示()。
A.眼睑神经纤维瘤
B.眼睑皮样囊肿
C.眼睑血肿
D.睑板腺癌
275、单项选择题 大脑底部前发自颈内动脉的唯一的分支是()。
A.基底动脉
B.椎动脉
C.颞动脉
D.眼动脉
276、单项选择题 颈动脉海绵窦瘘最主要的超声诊断依据是()。
A.眼上静脉明显扩张
B.眼上静脉压力增高
C.眼上静脉反向血流
D.频谱多普勒示眼上静脉血流动脉化
E.同侧颈动脉血流量增高
277、单项选择题 正常腮腺的解剖部位是()。
A.咀嚼肌前部的皮下,下颌后窝
B.下颌前窝,外耳道下方
C.上抵颧弓,下达下颌肌后部,相当耳屏水平
D.前缘位于咀嚼肌后部,后壁位于乳突部
E.前缘位于咀嚼肌中部,后界位于胸锁乳突肌后缘
278、单项选择题 不作为彩超颅内动脉各分支段常规测量的是()。
A.收缩其峰值速度
B.舒张期最低速度
C.搏动指数
D.阻力指数
E.血管检测深度
279、单项选择题 最不适用于成人颅脑超声检查的探头频率是
A.2.0MHz
B.2.5MHz
C.3.5MHz
D.4.0MHz
E.5.0MHz
280、单项选择题
临床资料:男,50岁,自诉头晕,转颈时加重。超声综合描述:左侧椎动脉内径0.37cm,椎动脉入椎前段走行呈倒V形,管腔内透声清亮,CDFI:血流信号呈红蓝交替。见下彩图。
超声提示()。
A.左椎动脉入椎前段狭窄
B.左甲状颈干动脉走行纡曲
C.左椎动脉入椎前段走行纡曲
D.锁骨下动脉窃血综合征
281、单项选择题 人体不同组织声衰减的程度不同,指出下面何项不妥()。
A.骨骼、钙化衰减程度多
B.肌腱、瘢痕声衰减明显
C.肝、肾、肌肉属中等
D.皮下脂肪组织属低衰减
E.肺组织(含气)衰减程度更低
282、单项选择题
患者,女,65岁,近半月颈部明显增大。超声检查如图,最可能的诊断为()。
A.甲状腺囊肿
B.结节性甲状腺肿
C.甲状腺腺瘤并囊变
D.甲状腺乳头状囊腺癌
E.甲状腺炎
283、单项选择题 经颅超声能检测哪些脑解剖结构()。①大脑②小脑③丘脑④脑桥⑤侧脑室⑥第三脑室⑦各脑室⑧脑中线
A.①②③⑦⑧
B.②③⑤⑥⑧
C.①②③④⑦⑧
D.以上各项均是
284、单项选择题 颈动脉硬化闭塞症的脉冲多普勒频谱表现()。①颈动脉轻度狭窄:频谱轻度增宽,Vmax无变化②颈动脉轻度狭窄:频谱轻度增宽,Vmax无明显变化或轻度增快③颈动脉中、重度狭窄:Vmax加快,频谱增宽④颈动脉中、重度狭窄:Vmax加快,舒张期反向血流消失,频谱增宽⑤颈动脉完全闭塞:测不出频谱,远心端Vmax平均速度减慢,舒张期反向血流消失,呈低幅连续单相血流频谱⑥颈动脉完全闭塞:测不出频谱,近心端Vmax平均速度加快,呈双向血流频谱
A.①③⑥
B.②④⑤
C.①④⑤
D.②③⑥
285、单项选择题 原始第一玻璃体永存是()。
A.胚胎发育期的第一原始玻璃体保留到出生后形成的正常生理现象
B.胚胎发育期的第二玻璃体保留到出生后形成的正常生理现象
C.胚胎发育期的第一原始玻璃体内玻璃体动脉保留到出生后的病理现象
D.胚胎发育期的第二原始玻璃体内玻璃体动脉保留到出生后的病理现象
286、单项选择题 可用超声观察区别的眼眶组织有()。①眼球壁②眼球内容物③视神经间隙④眶内脂肪组织⑤眼外肌
A.①②
B.①②③
C.①②③④
D.①②③④⑤
287、单项选择题 CDFI检测甲状腺ff--F动脉内径平均是多少,Vmax是多少()。
A.甲状腺上下动脉内径平均2cm,<10cm/s
B.甲状腺上下动脉内径平均<1.5mm,10~20cm/s
C.甲状腺上下动脉内径平均<0.5mm,20~30cm/s
D.甲状腺上下动脉内径平均2mm,30~50cm/s
E.甲状腺上下动脉内径平均3mm,30~50cm/s
288、单项选择题 眼球超声检查最常采用的方法是()。
A.直接法
B.眼睑法
C.水袋法
D.探头法
E.经水法
289、单项选择题 颈部血管损伤可分为()。
A.完全断裂
B.部分断裂
C.非断裂性损伤
D.以上各项均是
290、单项选择题 鉴别眼球内的异物为金属还是非金属,最有效的方法是()。
A.窗试验法
B.彩阶显示法
C.灰阶直方图法
D.超声磁性试验
E.漂浮试验
291、单项选择题 四肢静脉脉冲多普勒频谱有几大特征,分别为()。
A.三大特征:自发性、周期性、乏氏反应
B.四大特征:自发性、周期性、乏氏反应、人工挤压肢体远端血流信号增强
C.五大特征:自发性、周期性、乏氏反应、人工挤压肢体远端血流信号增强、单向回心血流
D.五大特征:自发性、周期性、乏氏反应、人工挤压肢体远端血流信号减低、单向回心血流
292、单项选择题
临床资料:男,67岁,自述反复头晕2年余,加重2天,发作性晕厥,上肢麻木。既往史:脑梗塞3年。临床物理检查:颈部有血管杂音。超声综合描述:胸骨上窝扫查右锁骨下动脉起始段管腔内透声不清亮,可见中等回声(箭头所示),CDFI:局部血流信号充盈缺损,PW:V4.77m/s。CDFI:右椎动脉血流出现红、蓝交替现象;PW:右椎动脉血流频谱收缩期呈反向血流,舒张期呈正向血流。见彩图94。
超声提示()。
A.锁骨下动脉窃血综合征(右锁骨下动脉起始段动脉硬化斑块形成并重度狭窄,同侧右侧椎动脉血流逆行流入右锁骨下动脉)
B.右椎动脉狭窄
C.右椎动脉闭塞
D.右椎动脉正常声像图
293、单项选择题 经颅超声可以检测诊断哪些脑血管病变()。①脑动脉硬化狭窄②脑动脉闭塞③脑动脉痉挛④脑动脉瘤⑤脑动静脉畸形⑥糖尿病脑血管病⑦颅内占位⑧颈内动脉海绵窦瘘⑨脑出血、脑梗塞
A.①②③④⑤
B.①②③④⑤⑥⑧
C.①②③④⑤⑧⑨
D.以上各项均是
294、单项选择题 颈内动脉血流频谱形态为()
A.低阻力频谱
B.高阻力频谱
C.舒张期三峰频谱
D.宽频毛刺样频谱
E.窄频三峰递减型频谱
295、单项选择题 腮腺炎的超声表现是()。
A.弥漫性增大
B.急性期呈低回声区
C.慢性期呈强回声区
D.腮腺血流信号增多
E.以上都是
296、单项选择题 超声见腹主动脉局部内膜分离,将血管分成两个腔,分离的内膜随血流搏动而摆动。CDFI见一腔内血流正常,另一腔内血流紊乱,可能的诊断是()。
A.真性动脉瘤
B.假性动脉瘤
C.夹层动脉瘤
D.动脉变异
E.动脉硬化
297、单项选择题 患者男性,60岁,查体时发现颈前偏右有一实性结节,不活动,质硬,同侧淋巴结肿大,超声显示:甲状腺右叶呈单发,不规则实性的低回声结节,境界不清,CDFI有高速血流信号,最可能是()。
A.甲状腺囊肿
B.甲状腺腺瘤
C.甲状腺癌
D.亚急性甲状腺炎
E.颈淋巴瘤
298、单项选择题 下列不符合腮腺囊肿的声像图表现是()。
A.内为无回声区,后方回声增强
B.形态欠规则
C.多呈圆形
D.边缘整齐、界限清楚
299、单项选择题
临床资料:男,43岁,自述牙痛、嗓子痛。超声综合描述:右颈总动脉旁可见数个长圆形低回声,边界清晰,形态规则,内回声不均,中部回声稍强,周边回声低。
超声提示()。
A.右颈部淋巴结结核
B.右颈部淋巴结转移瘤
C.右颈部正常淋巴结声像图
D.右颈部多发肿大淋巴结(慢性炎性肿大)
300、单项选择题 经颅超声检测的声窗是()。①颞窗②枕窗③眼窗④额窗⑤顶窗⑥颞-额窗、额-顶窗、顶-枕窗、颡-枕窗
A.①②④
B.①②④⑤
C.①②③④⑤
D.以上各项均是