时间:2024-12-28 08:54:05


1、填空题 目前,机器对机器的无线通信存在三种模式:机器对机器、机器对移动电话(如用户远程监视),以及移动电话对机器(如用户远程控制)。我们把这种通信简称为()。
2、单项选择题 现有的各种无线通信技术,()是最低功耗和成本的技术。
A.蓝牙
B.WiFi
C.WiMedia
D.ZigBee
3、问答题 传感器接口特点是什么?传感器的输出信号有什么特点?
4、单项选择题 从供应链的上游至下游。跟随一个特定的单元或一批产品运行路径的能力,属于可追朔性的哪个方面?()
A.跟踪
B.追朔
C.控制
D.协调
5、问答题 简述支持物联网的信息技术有哪些。(列举五项以上)
6、填空题 无线通信与互联网融合的最成熟技术是3G。预测到2020年,物联网上物与物互联的通信量和人与人的通信量之比将达到()。这无疑说明3G产业的发展正面临一个重要商机。
7、单项选择题 ZigBee堆栈是在()标准基础上建立的。
A、IEEE802.15.4
B、IEEE802.11.4
C、IEEE802.12.4
D、IEEE802.13.4
8、多项选择题 出租车智能调度系统主要有哪三部分构成?()
A、导航系统
B、车载平台
C、手机平台
D、指挥系统
9、多项选择题 下面那些是行排式二维条码()。
A、PDF417
B、CODE49
C、CODE16K
D、QRCode
10、多项选择题 物联网发展的主要机遇主要体现在()
A.我国物联网拥有强有力的政策发展基础和持久的牵引力
B.我国物联网技术研发水平处于世界前列,已具备物联网发展的条件
C.我国已具备物联网产业发展的条件,电信运营商大力推动通信网应用
D.电信网、互联网、电视网“三网”走向融合
11、单项选择题 用于“嫦娥2号”遥测月球的各类遥测仪器或设备、用于住宅小区保安之用的摄像头、火灾探头、用于体检的超声波仪器等,都可以被看作是()。
A.传感器
B.探测器
C.感应器
D.控制器
12、单项选择题 用于分割需要立即响应优先级的帧是()。
A.SIFS
B.PFIS
C.DIFS
13、问答题 一个完整的物联网系统的构成或产业链的划分为几层?
14、单项选择题 物联网中常提到的“M2M”概念不包括下面哪一项?()
A.人到人
B.人到机器
C.机器到人
D.机器到机器
15、问答题 物联网的应用领域有哪些?
16、单项选择题 物联网把我们的生活()了,万物都成了人的同类。在这个物与物相联的世界中,物品(商品)能够彼此进行“交流”,而无需人的干预。
A.美化
B.拟人化
C.自动化
D.电子化
17、多项选择题 延伸网指附属于传统电信网的用户接入点的网络,主要包括()。
A、传感器网
B、家庭网
C、个域网
D、车域网等
18、问答题 RFID技术是什么?
19、多项选择题 那些是目前物联网的困境()。
A、管理
B、地址
C、频谱
D、核心技术标准化
20、填空题 在CC2430串口实验中,用于接收和发送的数据的缓存寄存器是()。
21、填空题 互联网是人与人之间的关系,物联网是()、()之间的联系。
22、问答题 简述数字水印的基本原理。
23、多项选择题 医院信息系统是医疗信息化管理最重要的基础,是一种集()等多种技术为一体的信息管理系统。
A.管理
B.信息
C.医学
D.计算机
24、问答题 温度传感器是怎么分类的?
25、单项选择题 RFID卡()可分为:低频(LF)标签、高频(HF)标签、超高频(UHF)标签以及微波(uW)标签。
A、按供电方式分
B、按工作频率分
C、按通信方式分
D、按标签芯片分
26、问答题 电容式湿度传感器的工作原理是什么?有什么特点?使用时应注意什么问题?
27、问答题 M2M架构包含哪五个重要技术部分?
28、问答题 简述个人特征身份证明的常用方式,并能简要说明其原理。
29、单项选择题 由于人类活动排放的污染物流入河流、湖泊、海洋或者地下水等水体,使水和水体的物理、化学性质或政务群落组成发生变化从而降低了水体的使用价值指的是()。
A.水体污染
B.大气污染
C.土壤污染
30、多项选择题 为了圆满完成“十二五”规划确定的发展目标和任务,《规划》提出的保障措施有()。
A.建立统筹协调机制
B.公共服务平台建设工程
C.注重国际技术合作
31、多项选择题 以下哪个特征在人一出生就已确定下来并且终身不变的()
A.指纹
B.视网膜
C.虹膜
D.人脸
32、单项选择题 物联网的概念最早是()年提出来的。
A、1998
B、1999
C、2000
D、2010
33、多项选择题 下列哪些是典型的物联网节点?()
A.计算机
B.汇聚和转发节点
C.远程控制单元
D.传感器节点信息传输技术
34、填空题 在智慧医疗技术通过物联网技术向物理世界延伸的过程中,()起到了桥梁性的作用
35、多项选择题 物联网系统中,信息表现为()。
A、多样性
B、数据量的巨大性
C、数据关系的复杂性
D、数据处理所要求的实时性、准确性和可靠性
36、单项选择题 为传输层提供了简单、不可靠的信息传输服务是()。
A.FTP
B.TCP
C.UDP
37、单项选择题 以下不是智能信息设备的发展趋势的是()。
A、感知数据更多样化
B、处理能力更强大
C、具有可编程和可定制能力
D、存储能力更强大
38、单项选择题 下列哪项不是物联网体系构架的是()
A.感知层
B.物理层
C.网络层
D.应用层
39、问答题 传感器网络拓扑控制主要研究的问题是什么?
40、多项选择题 我国的医疗卫生事业的问题有()。
A.医疗资源相对匮乏
B.医疗服务不够完善
C.医疗区域发展不平衡
41、单项选择题 安防和可视对讲集成管理:通过与可视对讲和安防系统的集成,将进行()完美结合,通过一块触摸屏即可实现对智能家居系统设备进行控制。
A、可视对讲和智能安防
B、可视对讲和遥感遥控
C、家居控制和遥感遥控
D、家居控制和可视对讲
42、填空题 无线传感器结点是()中需要大量应用的传感器件。
43、填空题 ()具有规模大、自组织、多跳路由、动态、可靠、以数据为中心、与应用相关等特征,所以被人们看好。
44、问答题 信息在物联网中是运动和转化的,请抽象物联网中信息运动和转化过程模型,并释以说明。
45、单项选择题 离群点检测方法大致可以分为几类()。
A.三类
B.四类
C.五类
46、单项选择题 PDF417条码由4个条和4个空共()个模块构成,所以称为PDF417条码。
A、14
B、15
C、16
D、17
47、问答题 M2M模块与手机通信模块有什么区别?
48、单项选择题 ZigBee采用了CSMA-CA(),同时为需要固定带宽的通信业务预留了专用时隙,避免了发送数据时的竞争和冲突;明晰的信道检测。
A、自愈功能
B、自组织功能
C、碰撞避免机制
D、数据传输机制
49、多项选择题 移动通信网络的主要应用()
A、移动电话
B、无线耳机
C、车载网络
D、无线鼠标
50、多项选择题 下列哪一项属于全球定位系统组成部分?()
A.空间部分
B.地面控制系统
C.用户设备部分
D.经纬度图
51、多项选择题 下列哪些项属于3G网络的技术体制()
A.WCDMA
B.CDMA2000
C.TD-SCDMA
D.TD-LTE
52、问答题 使用CC2430控制的LED共有6个,其中2个为阳极控制(高电平点亮),4个为阴极控制(低电平点亮),编写一段程序,使得LED灯以两个灯亮、全灭,四个灯亮,全灭,六个灯亮,全灭的状态闪烁。注:头文件为iocc2430.h,三个特殊功能寄存器为P1,P1SEL,P1DIR,只写主程序。
53、单项选择题 微波RFID卡的作用距离()。
A、小于10cm
B、1~20cm
C、3~8m
D、大于10m
54、单项选择题 在云计算的体系结构中,更多依靠外部设施提供的是()。
A.管理中间件层
B.资源池层
C.SOA构建层
55、问答题 烧结生产的主要原料有哪几种?
56、问答题 物联网三大应用架构?
57、单项选择题 二维码目前不能表示的数据类型()
A、文字
B、数字
C、二进制
D、视频
58、单项选择题 RFID属于物联网的哪个层?()
A.感知层
B.网络层
C.业务层
D.应用层
59、单项选择题 在环境监测系统中一般不常用到的传感器类型有()
A.温度传感器
B.速度传感器
C.照度传感器
D.湿度传感器
60、多项选择题 未来,智慧物流的发展的特点有()。
A.精准化
B.智能化
C.协同化
61、填空题 物联网的英文名称是()
62、单项选择题 用于在竞争期和非竞争期传输数据指的是()。
A.控制帧
B.数据帧
C.管理帧
63、单项选择题 ()是由无线传感器节点通过自组织方式构成的多跳网络,是传感器应用的全新模式。
A.无线传感网
B.传感器节点
C.传统传感器
64、填空题 ()是将先进通信和操作处理等物联网技术应用于农业领域,由信息、遥感技术与生物技术支持的定时,定量实施耕作与管理的生产经营模式。
65、多项选择题 物联网数据管理系统与分布式数据库系统相比,具有自己独特的特性,下列哪些是它的特性()
A.与物联网支撑环境直接相关
B.数据需在外部计算机内处理
C.能够处理感知数据的误差
D.查询策略需适应最小化能量消耗与网络拓扑结构的变化
66、单项选择题 信息安全与保护中的可靠性测度中,在随机破坏下系统的可靠性是()。
A.生存性
B.抗毁性
C.时效性
67、填空题 面向智慧医疗的物联网系统大致可分为终端及感知延伸层、应用层和()
68、单项选择题 ()技术是一种新兴的近距离、复杂度低、低功耗、低传输率、低成本的无线通信技术,是目前组建无线传感器网络的首选技术之一。
A.Zigbee
B.Bluetooth
C.WLAN
D.WMEN
69、单项选择题 图书管理的标签应该用什么类型的标签?()
A.高频;有源
B.低频;无源
C.低频;有源
D.高频;无源
70、单项选择题 物联网的定义中,关键词为:()、约定协议、与互联网连接和智能化。
A.信息感知设备
B.信息传输设备
C.信息转换设备
D.信息输出设备
71、填空题 相比传统的医院信息系统,医疗物联网的网络连接方式以()为主
72、问答题 条形码分为几种?请简要说明每种条形码的特点。
73、多项选择题 云计算的服务模式()。
A、IaaS
B、SaaS
C、QaaS
D、PaaS
74、单项选择题 利用云计算、数据挖掘以及模糊识别等人工智能技术,对海量的数据和信息进行分析和处理,对物体实施智能化的控制,指的是物联网的哪个特征?()。
A.可靠传递
B.全面感知
C.智能处理
D.海量存储
75、单项选择题 将引起商品零售结算、物流配送及产品跟踪管理模式的革命是()系统的推广。
A.物联网
B.RFID
C.EPC
76、单项选择题 一个基于互联网、传统电信网等信息承载体,让所有能够被独立寻址的普通物理对象实现互联互通的网络的定义是谁提出来的()。
A、国际电信联盟
B、欧盟第七框架下RFID和物联网研究项目组
C、维基百科
77、问答题 我国物联网和国外差距。
78、多项选择题 使用物联网技术连接与管理家居设施,在易用性与智能化方面对于现有的家居系统有着革命性的意义。具体来说,其优势包括()。
A.高效节能
B.使用方便
C.安全性高
79、多项选择题 对于TCP报文的保证数据的可靠传输需要()。
A.传输加密
B.报文编号
C.接收确认机制
80、单项选择题 从供应链的上游至下游,跟随一个特定的单元或一批产品运行路径的能力,属于可追溯性的哪个方面?()
A、跟踪
B、追溯
C、控制
D、协调
81、多项选择题 RFID工作模式有()。
A、低压电模式
B、电磁耦合方式
C、电感耦合方式
D、高压电模式
82、问答题 传感器的定义是什么?它们是如何分类的?
83、问答题 电桥电路的主要作用是什么?可以分为哪几种?
84、问答题 互联网通过什么方式实现互联互通的呢?
85、单项选择题 高性能计算(High-performance Computing)又称为(),是世界公认的高新技术制高点和21世纪最重要的科研领域之一。
A.超级计算
B.高速计算
C.平行计算
D.网格计算
86、单项选择题 哪个不是物理传感器()。
A、视觉传感器
B、嗅觉传感器
C、听觉传感器
D、触觉传感器
87、问答题 什么是Web搜索引擎?
88、多项选择题 无线传感网相关标准()。
A、传感器到通信模块接口技术标准
B、节点设备技术标准等
C、电路标准
D、感知标准
89、填空题 物联网远程医疗的核心部件与传统远程医疗的差别是在病人身边增设了(),以提供更全面的患者信息
90、填空题 ()是指为了满足客户需求,以最低的成本,通过运输、保管、配送等方式,对原材料、半成品、成品或相关信息进行由产地到消费地整个过程的计划、实施和控制的全过程。
91、单项选择题 物联网技术是基于射频识别技术而发展起来的新兴产业,射频识别技术主要是基于什么方式进行信息传输的?()
A.电场和磁场
B.同轴电缆
C.双绞线
D.声波
92、问答题 有三个标签,UID号为10110010,10100011,11110011,要求运用二叉树搜索算法找出标签被阅读器读写的顺序。写出过程。初始询问的条件为UID<11111111
93、多项选择题 按照前端探测对象不同,智能家居系统还包括()子系统。
A.意外事故预防系统
B.防盗系统
C.远程监控系统
94、多项选择题 从1999年“智能尘埃”项目使用的WeC节点到目前使用较为普遍的Telos节点,处理器仅从8位4MHz主频提升到16位4MHz主频,节点性能的提升十分缓慢,这主要是由于()造成的。
A.供电约束
B.价格约束
C.体积约束
95、多项选择题 无线传感网络的特点()
A.自组织运作
B.节点可移动
C.低速率、低功耗
D.节点通信距离长
96、多项选择题 以下那个是交通信息发布子系统对交通信息进行实时发布的渠道?()
A.蓝牙
B.无线广播
C、Internet
D、GPRG
97、判断题 选矿是根据矿石中各种矿物的物理或化学性质的差异,而采用不同的方法将它们彼此分离,并使用矿物达到相对富集的过程。
98、填空题 ()的优点使它可以应用于几乎所有的电子设备,例如移动电话、笔记本电脑的鼠标、打印机、投影仪、数码相机、门禁系统、遥控开关、各种家用电器等。
99、多项选择题 采用智能交通管理系统(ITMS)可以()
A.防止交通污染
B.解决交通拥堵
C.减少交通事故
D.处理路灯故障
100、问答题 在传感器网络中,为什么要对网络进行拓扑结构控制与优化。
101、单项选择题 ()年,正式提出了物联网的概念,并被认为是第三次信息技术革命。
A、1998
B、1999
C、2000
D、2002
102、问答题 简述云存储的基本概念。
103、单项选择题 下列不属于物联网关键技术的是()
A.全球定位系统
B.视频车辆监测
C.移动电话技术
D.有线网络
104、单项选择题 在已知发射功率的前提下,接受节点测量接受功率,计算传播损耗,并使用信号传播模型将损耗转化为距离指的是()。
A.RSS
B.ToA
C.AoA
105、单项选择题 数据的海量性带来的问题是存储不便和计算结果的迟滞。处理策略有几种()。
A.两种
B.三种
C.四种
106、单项选择题 以下哪个不是目前主流的应用程序构架()。
A.B2C
B.P2P
C.C/S
107、问答题 什么是智能传感器?智能传感器有哪些实现方式?
108、填空题 美国哈佛大学和BBN公司在麻省剑桥部署的一个城市规模的物联网系统叫()
109、单项选择题 以下不是UWB技术特点的是()。
A.信号的接收
B.多径分别能力强
C.高速的数据传输
110、单项选择题 第三次信息技术革命指的是()。
A、互联网
B、物联网
C、智慧地球
D、感知中国
111、问答题 蓝牙和Wi-Fi区别是什么?
112、单项选择题 ()标签工作频率是3-30MHz
A、低频电子标签
B、高频电子标签
C、特高频电子标签
D、微波标签
113、填空题 应用于环境监测的物联网中的节点一般都采用()供电
114、单项选择题 通过无线网络与互联网的融合,将物体的信息实时准确地传递给用户,指的是()。
A、可靠传递
B、全面感知
C、智能处理
D、互联网
115、单项选择题 协议指的是()。
A.文件传输协议
B.网际协议
C.超文本传输协议
D.一组协议的统称
116、问答题 RFID系统的基本组成是什么?RFID的工作频率有哪几个区域?
117、单项选择题 2009年10月()提出了“智慧地球”。
A、IBM
B、微软
C、三星
D、国际电信联盟
118、填空题 物联网在物流领域的应用,催生出了许多智能物流方面的应用,()不属于其在智能物流方面的应用
119、问答题 简述云计算与并行计算的关系。
120、填空题 RFID系统中的本地服务器负责收集来自各种阅读器读取的信息,并通过()发送到后台处理中心进行相应的信息处理。
121、单项选择题 物联网中物与物、物与人之间的通信是()方式。
A.只利用有线通信
B.只利用无线通信
C.综合利用有线和无线两者通信
D.既非有线亦非无线的特殊通信
122、多项选择题 RFID相关标准有()。
A、空中接口技术标准
B、数据结构技术标准
C、一致性测试标准等
D、后台数据库标准
123、单项选择题 与普通家居相比,智能家居由原来的被动静止的家居结构转变为具有()的工具。
A.自动
B.能动智慧
C.自我学习
D.智能化
124、单项选择题 WLAN设备具有平等的通信关系,每个设备即是数据交互的终端也作为数据传输的路由,不需要AP的支持是()。
A.802.11
B.BSS
C.Adhoc
125、单项选择题 射频识别系统中真正的数据载体是()
A.读写器
B.电子标签
C.天线
D.中间件
126、问答题 关系数据库模型的相关概念是什么?
127、问答题 简述云和云计算的基本概念。
128、问答题 简述数据挖掘和知识发现在物联网中的重要作用。
129、填空题 ()是用来检测被测量物中氢离子浓度并转换成相应的可用输出信号的传感器,通常由化学部分和信号传输部分构成。
130、单项选择题 互联网中,支持域名解析的协议是()。
A.HTTP
B.DNS
C.FTP
131、多项选择题 从技术上看,生物传感器由()构成。其中,分子识别元件是生物传感器选择性测定的基础,它可以引起某种物理变化或化学变化。
A.分子识别元件
B.图像识别元件
C.换能器
D.辅助电源
132、单项选择题 截止到2010年7月,蓝牙共有()个版本。
A.5
B.6
C.7
133、单项选择题 车载信息服务系统也是()领域的应用之一。
A.智慧物流
B.智慧交通
C.智能农业
134、问答题 位置信息的三大要素是什么?
135、单项选择题 智能物流系统(ILS)与传统物流显著的不同是它能够提供传统物流所不能提供的增值服务,下面哪个属于智能物流的增值服务?()
A、数码仓储应用系统
B、供应链库存透明化
C、物流的全程跟踪和控制
D、远程配送
136、单项选择题 网络上提供虚拟存储的一种服务方式,可以根据实际存储容量来支付费用是()。
A.PaaS
B.IaaS
C.SaaS
137、单项选择题 感知中国中心设在()。
A、北京
B、上海
C、九泉
D、无锡
138、问答题 MEMS的英文名是什么?
139、多项选择题 以下哪些是卫星通信的缺点?()
A.两极地区为通信的盲区
B.卫星发射和控制技术比较简单
C.存在日凌中断、星蚀、雨衰现象
D.有较大的信号传播延时
140、多项选择题 RFID的技术特点有()。
A、非接触式,中远距离工作
B、大批量、由读写器快速自动读取
C、信息量大、可以细分单品
D、芯片存储,可多次读取
141、填空题 ()自己不带电源,只有在阅读器阅读范围之内,对阅读器所产生的电磁场发生感应而获得电能,从而使其所带的信息数据能够发送出去,主要应用在门禁控制、物流管理等方面。
142、单项选择题 主要用于集装箱号和箱型代码的识别,是基于光学字符识别发展而来的一种实用技术,包括触发、图像抓拍、字符识别等几个关键环节的技术是()。
A.GPS
B.智能图像识别
C.AIS
143、单项选择题 物联网的核心是()。
A、应用
B、产业
C、技术
D、标准
144、单项选择题 下列哪一项不属于物联网十大应用范畴?()
A、智能电网
B、医疗健康
C、智能通信
D、金融与服务业
145、单项选择题 声敏传感器接受()信息,并转化为电信号。
A、力
B、声
C、光
D、位置
146、单项选择题 动物追踪使用最合适的标签是()标签。
A.高频有源
B.低频无源
C.低频有源
D.高频无源
147、单项选择题 ()无须布线和购置设备的成本,而且可以快速地进行部署,也比较容易组网,能有效地降低大规模布、撤接线的成本,有利于迈向通用的通信平台。
A.有线通信
B.无线通信
C.专线通信
D.对讲机
148、单项选择题 物联网节点之间的无线通信,一般不会受到下列因素的影响。()
A.节点能量
B.障碍物
C.天气
D.时间
149、单项选择题 超高频RFID卡的作用距离()。
A、小于10cm
B、1~20cm
C、3~8m
D、大于10m
150、问答题 无线网络的由哪些元素组成?
151、单项选择题 物联网的安全问题中包含有共性化的网络安全。网络安全技术研究目的是保证网络环境中传输、存储与处理信息的安全性。网络安全研究归纳为以下四个方面:网络安全体系结构方面的研究、网络安全防护技术研究、密码应用技术研究、()。
A.网络安全法规的研究
B.网络安全应用技术研究
C.防火墙技术的研究
D.杀毒软件的研究
152、单项选择题 工期索赔的计算方法以()分析法为主。
A.横道图
B.甘特图
C.网络图
D.香蕉图
153、单项选择题 由IBM云计算中心开发的企业级云计算解决方案是()。
A.Chubby
B.蓝云
C.弹性计算云
154、填空题 人们把物体通过传感设备和无线通讯技术,与互联网相连,其目的是使物体的有关信息能及时地通过互联网为需要这些信息的对象所获悉,以便对方能随时对物体进行识别、定位、跟踪、监控和管理,从而达到()的第一步。
155、多项选择题 卫星通信网络的组成包括()
A.通信卫星
B.地球站群
C.监控管理系统
D.跟踪遥测系统
156、问答题 对于抛物面天线,已知它的抛物面直径为2m,中心工作波长为2cm,根据统计出来的经验数据,请计算其增益近似为多少。
157、问答题 简述私有云、公用云和混合云的基本概念。
158、问答题 物联网发展中那些企业会受益?
159、问答题 物联网定义是什么?
160、单项选择题 下列哪类节点消耗的能量最小?()
A.边缘节点
B.处于中间的节点
C.能量消耗都一样
D.靠近基站的节点
161、单项选择题 传感技术要在物联网中发挥作用,必须具有如下特征:传感部件(或称传感触点)要敏感、型小、节能。这一特征主要体现在()上。
A.芯片技术
B.微机电系统技术
C.无线通信技术
D.存储技术
162、单项选择题 以下哪个特征不是在人一出生就已确定下来并且终身不变的?()
A.指纹
B.视网膜
C.虹膜
D.手掌纹线
163、单项选择题 哪个不是智能尘埃的特点()。
A、广泛用于国防目标
B、广泛用于生态、气候
C、智能爬行器
D、体积超过1立方米
164、单项选择题 传感器节点软件系统的核心是()。
A.操作系统
B.使用技术
C.软件
165、单项选择题 ZigBee网络设备()可以担任网络协调者,形成网络,让其他的FFD或是精简功能装置(RFD)连结,具备控制器的功能,可提供信息双向传输。
A、网络协调器
B、全功能设备(FFD.
C、精简功能设备(RFD.
D、交换机
166、单项选择题 智能农业在()领域的应用,避免了自然环境和气候的影响,减少了病虫危害,实现了作物的优质、高产和无公害生产。
A、智能温室
B、节水灌溉
C、智能化培育控制
D、水产养殖环境监控
167、问答题 无线传感器网络为什么要使用时间同步机制,时间同步机制的主要性能参数包括哪些?
168、多项选择题 ZigBee网络设备类型包括()。
A、交换机
B、网络协调器
C、全功能设备(FFD.
D、精简功能设备(RFD.:
169、单项选择题 关于光纤通信,下列说法正确的是()。
A、光在光导纤维中经多次反射从一段传到另一端
B、光在光导纤维中始终沿直线传播
C、光导纤维是一种很细很细的金属丝
D、光信号在光导纤维中以声音的速度传播
170、填空题 蓝牙是一种支持设备短距离通信,一般是()之类的无线技术
171、多项选择题 Zigbee的应用层的组件包括()。
A.Zigbee设备对象
B.应用支持子层
C.应用对象
172、单项选择题 哪类安全是指人民大众的生命、健康和财产安全,它包括自然灾害(如地震、洪涝等)、技术灾害(如交通事故、火灾、爆炸等)、社会灾害(如骚乱、恐怖主义袭击等)和公共卫生事件(如食品、药品安全和突发疫情等)等几个方面。()
A、社会安全
B、公共安全
C、国家安全
D、网络安全
173、单项选择题 物联网(internetofthings)的概念是在()年由欧洲的科学家首次提出的。
A.1999
B.2005
C.2009
D.2010
174、多项选择题 在RFID安全和隐私保护中,逻辑方法包括()。
A.哈希锁
B.哈希链方案
C.匿名ID方案
175、多项选择题 RFID标签的分类按通信方式分包括()。
A、主动式标签(TTF.
B、被动式标签(RTF.
C、有源(ActivE.标签
D、无源(PassivE.标签
176、单项选择题 中央控制系统是智能家居的(),负责对其他的功能子系统进行智能控制。
A.“管家”
B.“大脑”
C.“医生”
D.“保安”
177、问答题 简述M2M两种应用模式的异同。
178、多项选择题 IBM智能地球战略的主要构成部分()。
A、应用软件
B、RFID标签
C、实时信息处理软件
D、传感器
179、多项选择题 无线传感器网络中哪些情况需要时间同步?()
A.标记时间戳的报文
B.MAC协议
C.测矩定位
D.移动目标的跟踪
180、问答题 物联网需发展中可能会遇到的一些问题。
181、单项选择题 物联网最重要的基础设施之一是()。
A、感知识别层
B、网络层
C、管理服务层
182、多项选择题 物联网跟人的神经网络相似,通过各种信息传感设备,把物品与互联网连接起来,进行信息交换和通讯,下面哪些是物联网的信息传感设备:()
A、射频识别(RFID.芯片
B、红外感应器
C、全球定位系统
D、激光扫描器
183、单项选择题 下列四项中,哪一项不是传感器节点内数据处理技术()。
A.传感器节点数据预处理
B.传感器节点定位技术
C.传感器节点信息持久化存储技术
D.传感器节点信息传输技术
184、单项选择题 2009年创建的国家传感网创新示范新区在()。
A.无锡
B、上海
C、北京
D、南京
185、单项选择题 “智能电网”解决方案被形象比喻为电力系统的()。电力公司可以通过使用传感器、计量表、数字控件和分析工具,自动监控电网,优化电网性能、防止断电、更快地恢复供电,消费者对电力使用的管理也可细化到每个联网的装置。
A.动力系统
B.“中枢神经系统”
C.反馈系统
D.控制系统
186、单项选择题 ZigBee():无需人工干预,网络节点能够感知其他节点的存在,并确定连结关系,组成结构化的网络。
A、自愈功能
B、自组织功能
C、碰撞避免机制
D、数据传输机制
187、问答题 超声波的基本特性?
188、填空题 现存的物联网络,尤其是传感器网络中的分布式计算主要用于()工作
189、多项选择题 802.11WLAN可以分配为两工作模式,分别是()。
A.无线模式
B.固定基础设施模式
C.自组织模式
190、单项选择题 在几何学中多边形的集合中心称为质心,多边形顶点左边的平均值就是质心的左边指的是()。
A.质心定位
B.位置指纹定位
C.多边测量
191、单项选择题
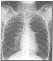
男性,26岁,发育尚可。反复发生上呼吸道感染,近来出现气急,心悸,易疲劳。听诊肺动脉瓣区第二心音亢进,可听到收缩期杂音。行胸部X线平片检查如下图:
A.右室流出道狭窄
B.主动脉瓣关闭不全
C.二尖瓣脱垂
D.房间隔缺损
E.三尖瓣闭锁
192、填空题 无线传感器网络的节点有()、汇聚节点、网关节点三种类型。
193、单项选择题 光敏传感器接受()信息,并转化为电信号。
A、力
B、声
C、光
D、位置
194、多项选择题 目前在传感器网络领域使用的最广泛的操作系统是()。
A.Linux
B.TinyOS
C.Contiki
195、单项选择题 目标架构^91考试网有云和私有云的结合是()。
A.公有云
B.私有云
C.混合云
196、单项选择题 RFID技术中的标签按使用的工作频率,可以分为低频、中高频、超高频与微波等类型。我国居民的第二代身份证采用的是()RFID技术。
A.低频
B.中高频
C.超高频
D.微波
197、单项选择题 读写模块的主要任务和功能包括以下几方面除了()
A.与应用系统软件进行通信,并执行从应用系统软件发送来的指令
B.控制阅读器与电子标签的通信过程
C.接受并调制来自电子标签的射频信号
D.对阅读器和标签之间传输的数据进行加密和解密
198、多项选择题 在传感器节点定位技术中,下列哪些项是使用全球定位系统技术定位的缺点?()
A、只适合于视距通信的场合
B、通常能耗高、体积大且成本较高
C、需要固定基础设施
D、实用性不好,抗干扰能力弱
199、单项选择题 在云计算平台中,()软件即服务。
A、IaaS
B、PaaS
C、SaaS
D、QaaS
200、单项选择题 智能建筑的四个基本要素是()
A.结构、系统、网络和管理
B.结构、系统、服务和管理
C.架构、智能、网络和管理
D.服务、管理、架构和系统
201、多项选择题 物联网主要涉及的关键技术包括()
A.射频识别技术
B.纳米技术
C.传感器技术
D.网络通信技术
202、问答题 简述鲁棒控制的定义和原理,举出一个应用鲁棒控制的实例。
203、填空题 RFID的主要核心部件是()和电子标签。
204、单项选择题 ()年哈里.斯托克曼发表的“利用反射功率的通讯”奠定了射频识别RFID的理论基础。
A、1948
B、1949
C、1960
D、1970
205、单项选择题 “四个全面”是河南发展的基本要求,下列选项中不属于党中央“四个全面”总体部署内容的是()。
A、全面建成小康社会
B、全面深化改革
C、全面推进依法治国
D、全面推进城镇化建设
206、单项选择题 以下哪一项用于存储被识别物体的标识信息?()
A、天线
B、电子标签
C、读写器
D、计算机
207、单项选择题 下列哪项3G标准属于我国自主知识产权的技术标准?()
A.WCDMA
B.CDMA2000
C.TD-SCDMA
D.TD-LTE
208、单项选择题 RFID技术实质是一个基于()发展出来的一种自动识别技术,是一种可以将物品编码采用无线标签方式进行记录和供读取的小型发射设备,是目前比较先进的一种非接触式识别技术。
A.无线电技术
B.超声波技术
C.雷达技术
D.激光技术
209、多项选择题 能实现节电节能量的方式是()。
A、休眠机制
B、拒绝通信
C、停止采集数据
D、关闭计算模块
210、填空题 ()是将先进的通信和操作处理等物联网技术应用于农业领域,由信息、摇杆技术与生物技术支持的定时、定量实施耕作与管理的生产经营模式。
211、多项选择题 无线传感器网络覆盖技术按覆盖目标分类分为()
A.面覆盖
B.点覆盖
C.随机覆盖
D.栅栏覆盖
212、问答题 四种类型的路由协议分别是什么?
213、问答题 嵌入式系统怎样定义?
214、单项选择题 空分多路法用()来防止碰撞?
A.定向天线
B.频率复用
C.定时双工
D.码分复用
215、多项选择题 云计算平台的特点()。
A、虚拟化
B、基于互联网
C、大型的集中计算
D、按需使用
216、多项选择题 以下哪些是无线传感网的关键技术?()
A.网络拓扑控制
B.网络路由技术
C.时间同步技术
D.定位技术
217、单项选择题 RFID系统被视为物联网的起源,而()系统是从RFD迈向物联网的一个典型应用。
A.EPC
B.UCC
C.WINS
218、问答题 网络信息安全的一般性指标是哪些?
219、单项选择题 在计量计费方面,智能电网通过物联网技术的应用,用户电量可自动计量与统计。这对智能电网具有十分重要的意义。因为电表数据计量与统计的及时性、正确性直接影响到电力部门的()。
A.电网安全
B.供电的质量
C.自动化水平
D.信息化水平
220、多项选择题 物联网的中国标准组织有哪些()
A.电子标签国家标准工作组
B.传感网络标准工作组
C.泛在网技术工作委员会
D.中国物联网标准联合工作组
221、单项选择题 智能家居的核心特性是什么()
A.高享受、高智能
B.高效率、低成本
C.安全、舒适
D.智能、低成本
222、单项选择题 ()标签工作频率是2.45GHz。
A、低频电子标签
B、高频电子标签
C、特高频电子标签
D、微波标签
223、单项选择题 ()给出的物联网概念最权威
A、微软
B、IBM
C、三星
D、国际电信联盟
224、单项选择题 RFID硬件部分不包括()。
A、读写器
B、天线
C、二维码
D、电子标签
225、多项选择题 物联网技术体系主要包括()。
A、感知延伸层技术
B、网络层技术
C、应用层技术
D、物理层
226、单项选择题 出租车智能调度系统要解决的实质问题是()。
A、打车难
B、“车找人”或“人等车”的不对称情况
C、日益增长的用户需求给出租车公交系统带来的沉重压力
D、出租车与乘客之间的信息匹配不及时
227、多项选择题 物联网的主要特征()。
A.全面感知
B.功能强大
C.智能处理
D.可靠传送
228、单项选择题 ()抗损性强、可折叠、可局部穿孔、可局部切割
A、二维条码
B、磁卡
C、IC卡
D、光卡
229、填空题 普适计算的最终的目的是实现物理空间与信息空间的完全融合,这一点是和()的目的非常相似。
230、单项选择题 物联网是未来互联网的一个组成,可以定义为基于标准的和交互通信协议的且具有自配置能力的动态全球网络基础设施,在物联网的和虚拟的“物件”具有身份、物理属性、拟人化等特征,他们能够被一个综合的信息网络所连接的定义是谁提出来的()。
A、国际电信联盟
B、欧盟第七框架下RFID和物联网研究项目组
C、维基百科
231、问答题 基于距离的定位的方法分为:基于TOA的定位、基于TDOA的定位、基于AOA的定位和基于RSSI的定位等,比较这四种方法的优缺点。
232、单项选择题 云计算(Cloud computing)是支撑物联网的重要计算环境之一。云计算有如下一些主要特性:云计算是一种新的计算模式;云计算是互联网计算模式的商业实现方式;云计算的优点是安全、方便、共享的资源可以按需扩展;云计算体现了()的理念。
A.虚拟化
B.软件即服务
C.资源无限
D.分布式计算
233、填空题 ()自带电源或可再生能源,标签可以通过无线发射模块主动向阅读器发送识别信号,主要应用在远程电子付费、远程识别、监控等系统中。
234、问答题 EPC编码有几种技术要求?每种要求具体是如何要求的?
235、问答题 目前我国物联网发展过程中亟待突破的瓶颈?
236、单项选择题 下列哪个不是物联网数据的特征()。
A.多样性
B.多态性
C.海量性
237、问答题 简述自适应控制的定义和原理。
238、单项选择题 第三方物流是一个新型服务业,()在第三方物流业上的应用也启示服务行业该如何应用该技术来改善其服务提供了很好的借鉴。
A.物联网
B.互联网
C.通信网
D.传感器网络
239、填空题 CC2430时钟工作频率为32MHZ,16位定时器1要设置128分频,现在要计时0.125秒,应该设定计数器的终值为()。
240、多项选择题 IEEE802.15.4标准所定义的物理层具有的功能有:()
A.激活和休眠无线电收发器
B.当前信道的能量检测
C.接收数据包的链路质量指示
D.信道频率选择和数据的发送与接收
241、单项选择题 对设备进行调光控制的方法分为荧光灯、()、和非荧光灯调光。
A.光线传感
B.LED调光
C.温控调光
D.外部控制
242、单项选择题 停车诱导系统中的控制系统不对车位数据进行()。
A、采集
B、传输
C、控制
D、处理
243、单项选择题 济川煎的功用是()
A.养血通便
B.温肾通便
C.行气通便
D.润肠通便
E.泻热通便
244、填空题 “云”可以理解成互联网中的计算机群,这个群可以包括几万台计算机,也可以包括上百万台计算机。“云”中的资源在使用者看来是()。
245、单项选择题 实施农产品的跟踪与追朔,需要在农产品供应链的各个环节上对农产品信息进行标识、采集、传递和关联管理。其实质就是要形成一条完整的(),使得农产品的信息流、物流联系起来,根据农产品的信息追查农产品的实体。
A.供应链
B.产业链
C.信息链
D.黄金链
246、单项选择题 IBM提出的物联网构架结构类型是()。
A、三层
B、四层
C、八横四纵
D、五层
247、单项选择题 (),zigbeeAlliance成立。
A、2002年
B、2003年
C、2004年
D、2005年
248、多项选择题 物联网感知层的重要特征是信息生成方式多样化,这得益于丰富的物联网感知识别终端。包括()等。
A、条码
B、RFID
C、传感器
249、单项选择题 云计算为客户提供自助化的资源服务,用户无需同提供商交互就可得到计算自愿能力是()。
A.资源配置动态化
B.服务可计量化
C.需求服务自助化
250、问答题 简述数字隐藏的基本原理。
251、单项选择题 哪()种不是PDF417提供的数据组合模式。
A、文本组合模式
B、字节组合模式
C、数字组合模式
D、图像组合模式
252、单项选择题 ()模式将是物联网发展的最高阶段。
A、MaaS
B、TaaS
C、DaaS
D、SaaS
253、问答题 物联网对嵌入式系统有什么要求?
254、单项选择题 降低位置的精度,不采用精确的坐标,二叔用精确位置附近的位置作为发布的位置信息指的是数据混淆中的()。
A.声东击西
B.模糊范围
C.含糊其辞
255、单项选择题 物联网的概念,最早是由美国的麻省理工学院在()年提出来的
A、1998
B、1999
C、2000
D、2002
256、填空题 甚至带有照相功能的手机、车载的GPS装置都可以被看作是(),因为手机可以把一些场景转化为一种视频信号输出,GPS装置能输出地理位置的信号。
257、单项选择题 网络信息不被泄露给非授权的用户、实体或过程,信息只为授权用户使用的特性指的是()。
A.可靠性
B.保密性
C.完整性
258、问答题 简述物联网的定义
259、多项选择题 农业物联网中的感知识别层主要实现对()发的实时感知。
A.农业生态环境
B.农作物的状态
C.农产品状态
260、单项选择题 国际上的物联网运营商在产业发展模式上有各自的偏好,目前,主要的产业发展模式有()。
A.3种
B.4种
C.5种
261、单项选择题 ()是网络终端进行通信时第一个端到端的层。
A.传输层
B.应用层
C.感知识别层
262、单项选择题 平安城市的概念框架包括哪些?()①涵盖突发事件管理全生命周期的整体公共安全管理、事发前对各种风险隐患的日常监测监控和预防②事发时对突发公共事件相对集中的接报、预警③事发后对相关应急政府职能部门的同意调度、协同指挥,智能辅助决策支持④相关行业应急信息资源整合共享等
A、①②③④
B、①②③
C、①②④
D、①③④
263、单项选择题 与其他无线网路技术相比,()具有,低功耗,可靠性好,抗干扰强,低成本,安全的特点。
A.IEEE802.16
B.IEEE802.15.4
C.Zigbee
264、单项选择题 高频RFID卡的作用距离()。
A、小于10cm
B、1~20cm
C、3~8m
D、大于10m
265、问答题 电子标签分为哪几种?简述每种标签的工作原理。
266、单项选择题 我国开始传感网的研究是在()年。
A、1999年
B、2000年
C、2004年
D、2005年
267、单项选择题 目前无线传感网普遍采用的是什么节点()。
A.WINS节点
B.Mica节点
C.Telos节点
268、问答题 说明数据挖掘的过程。
269、单项选择题 通过二维码识读设备、射频识别(RFID)装置、红外感应器、全球定位系统和极光扫描器等信息传感设备,按照约定的协议,把任何物品与互联网相连接,进行信息交换和通信,以实现智能化识别、定位、跟踪、监控和管理的一种网络的定义是谁提出来的()。
A、国际电信联盟
B、欧盟第七框架下RFID和物联网研究项目组
C、维基百科
270、单项选择题 传感器已是一个非常()概念,能把物理世界的量转换成一定信息表达的装置,都可以被称为传感器。
A.专门的
B.狭义的
C.宽泛的
D.学术的
271、多项选择题 由于用户无法控制公有云的基础设施,公有云服务提供商必须保证提供资源的()和()。
A.安全性
B.隐私性
C.可靠性
272、单项选择题 RFID属于物联网的哪个层?()
A.感知层
B.网络层
C.业务层
D.应用层
273、问答题 与传统网络的路由协议相比,无线传感器网络的路由协议具有哪些特点?
274、填空题 ()不是物联网的数据管理系统结构。
275、多项选择题 以下是中间件的主要任务和功能的是()
A.阅读器协调控制
B.数据过滤与处理
C.数据路由与存储
D.进程管理
276、填空题 交通信息采集子系统的采集前置机主要功能是()。
277、单项选择题 ()标签工作频率是30-300kHz。
A、低频电子标签
B、高频电子标签
C、特高频电子标签
D、微波标签
278、填空题 关于ZIGBEE的技术特点,叙述有错的是()
279、单项选择题 相比于传统的医院信息系统,医疗物联网的网络连接方式以()为主。
A、有线传输
B、移动传输
C、无线传输
D、路由传输
280、多项选择题 下列四项中,哪些项目是传感器节点内数据处理技术?()
A.传感器节点数据预处理
B.传感器节点定位技术
C.传感器节点信息持久化存储技术
D.传感器节点信息传输技术
281、多项选择题 1995年,比尔盖茨《未来之路》中提及到物联网概念,包括()。
A、数字电视
B、购买冰箱
C、不同的电视广告
D、全新的数字音乐
282、单项选择题 服务器负责管理在该顶级域名服务器注册下的所有二级域名是()。
A.顶级域名服务器
B.根域名服务器
C.权限域名服务器
283、单项选择题 在数据挖掘中的数据预处理阶段,从原始数据库中选取相关数据货样本以确定需要关注的目标数据,在此过程中可能采用一些数据库操作对数据进行处理指的是()。
A.数据准备
B.数据选取
C.数据变换
284、多项选择题 下列哪些属于物联网在物流领域的应用。()
A.智能海关
B.智能交通
C.智能邮政
D.智能配送
285、问答题 物联网的技术标准。
286、问答题 物联网分为哪几个层次?
287、问答题 传统传感器由哪些组成?
288、问答题 物联网产业的三大发展阶段。
289、单项选择题 ZigBee的频带,()传输速率为20KB/S适用于欧洲。
A、868MHZ
B、915MHZ
C、2.4GHZ
D、2.5GHZ
290、单项选择题 下列关于物联网节点的说法错误的是()
A.攻击者通过某些漏洞,可以获取传感节点中的机密信息
B.攻击者通过某些漏洞,可以修改传感节点中的程序代码
C.攻击者通过某些漏洞,可以获取监听传感器网络中传输的信息
D.物联网节点被攻击无所谓,不会产生损失
291、多项选择题 针对帧的不同,可将802.11的MAC帧细分为()。
A.控制帧
B.管理帧
C.数据帧
292、问答题 物联网将物理世界与虚拟世界连接起来,这一点在数据库系统中是如何体现的?
293、单项选择题 ()年中国把物联网发展写入了政府工作报告。
A、2000
B、2008
C、2009
D、2010
294、单项选择题 在IEEE802.15.4的物理层提到了几种器件()。
A.一种
B.两种
C.三种
295、问答题 分析物联网的关键技术和应用难点。
296、单项选择题 24小时不受时空限制地在线,实时进行信息交互、实时进行交易和支付、实时实施物流配送,这些是()的基本特征与需求。
A.信息时代
B.网络时代
C.C时代
D.E时代
297、单项选择题 物流是()流程的一部分,是为了满足客户对商品、服务及相关信息从原产地到消费地的高效率、高效益的双向流动与存储进行的计划、实施与控制的过程。
A.制造
B.管理
C.财务
D.供应链
298、单项选择题 智能建筑管理系统必须以系统一体化、功能一体化、()、和软件界面一体化等多种集成技术为基础。
A、构架一体化
B、管理一体化
C、服务一体化
D、网络一体化
299、多项选择题 智慧城市应具备以下哪些特征?()
A.实现全面感测,智慧城市包含物联网
B.智慧城市面向应用和服务
C.智慧城市与物理城市融为一体
D.智慧城市能实现自主组网、自维护
300、问答题 网络存储体系结构有哪几种?通信网络的主要数据交换方式有哪几种?