时间:2024-12-19 01:53:48


1、单项选择题 红细胞膜蛋白的遗传性缺陷常见于()
A.收缩蛋白
B.带3蛋白
C.4.1蛋白
D.锚蛋白
E.以上全部
2、判断题 多数再障危象的患者骨髓象为增生减低。()
3、多项选择题 铁缺乏症包括()
A.贮存铁缺乏
B.组织铁沉着症
C.缺铁性红细胞生成
D.缺铁性贫血
E.先天性运铁蛋白缺乏症
4、问答题 影响铁吸收的因素。
5、单项选择题
男性,36岁,头晕乏力1年余,近1个月加重伴皮肤黄染。检验:血红蛋白50g/L,白细胞3.0×109/L,血小板48×109/L,网织红细胞20%;尿胆红素(-),尿胆原(+),尿含铁血黄素(+),血清铁蛋白12μg/L;骨髓检查示增生活跃,红系占53%,以中幼、晚幼红细胞增生为主。
下列哪项检查最具确诊意义()
A.骨髓铁染色
B.糖水试验
C.Ham试验
D.Coombs试验
E.血清游离血红蛋白测定
6、填空题 红细胞膜结构的两个最基本的特征是膜的______和_______。
7、单项选择题
红细胞1.4×1012/L,血红蛋白55g/L,白细胞3.1×109/L,血小板65×109/L,网织红细胞0.10%,MCV129f1,MCH36pg,MCHC0.34,该患者最可能的诊断是()
A.缺铁性贫血
B.溶血性贫血
C.骨髓病性贫血
D.巨幼细胞性贫血
E.珠蛋白生成障碍贫血
8、单项选择题
女性,32岁,肝、脾肿大,血红蛋白69g/L,网织红细胞15%,白细胞、血小板正常,骨髓红细胞系统增生明显活跃,Coombs试验阴性;Ham试验阴性,红细胞渗透脆性试验正常;自溶试验增强,加葡萄糖不纠正,加ATP纠正,疑为遗传性溶血性贫血。
网织红细胞15%,可排除哪种贫血()
A.遗传性球形红细胞增多症
B.珠蛋白生成障碍性贫血
C.再生障碍性贫血
D.G-6-PD缺乏症
E.不稳定血红蛋白病
9、单项选择题 下列哪种试验用于阵发性冷性血红蛋白尿的诊断()
A.高渗冷溶血试验
B.蔗糖溶血试验
C.冷热溶血试验
D.酸溶血试验
E.冷凝集素试验
10、名词解释 G-G-PD缺陷症
11、名词解释 细胞外铁
12、填空题 根据红细胞破坏场所的不同,溶血可分为______和______。
13、多项选择题 慢性再障多数病例骨髓象变化是()
A.三系造血细胞减少
B.骨髓增生减低
C.中幼红细胞和巨核细胞减少明显
D.非造血细胞比例增加,常>50%
E.可见“炭核”样晚幼红细胞
14、单项选择题 男性,38岁,头昏、乏力3年就诊。体检发现中度贫血貌,肝脾未扪及。实验室检查:Hb50g/L,网织红细胞0.8%,MCV76fl,MCH22pg,MCHC0.28。对该病人贫血病因分析最有用的实验室指标是()
A.MCV,MCH,MCHC
B.Hb,网织红细胞
C.MCV,MCH
D.MCH,MCHC
E.网织红细胞,MCV
15、单项选择题 铁在消化道的吸收部位主要是()
A.胃
B.肝
C.回肠
D.结肠
E.十二指肠和空肠上段肠粘膜
16、单项选择题 MCV 109fl,MCH 37pg,MCHC 0.34,其贫血属于()
A.单纯小细胞性贫血
B.小细胞低色素性贫血
C.正常细胞性贫血
D.大细胞性贫血
E.巨幼细胞性贫血
17、判断题 人体内血红蛋白铁是最活跃的部分。()
18、单项选择题
女性,32岁,肝、脾肿大,血红蛋白69g/L,网织红细胞15%,白细胞、血小板正常,骨髓红细胞系统增生明显活跃,Coombs试验阴性;Ham试验阴性,红细胞渗透脆性试验正常;自溶试验增强,加葡萄糖不纠正,加ATP纠正,疑为遗传性溶血性贫血。
最可能诊断为()
A.遗传性球形红细胞增多症
B.珠蛋白生成障碍性贫血
C.G-6-PD缺乏症
D.不稳定血红蛋白病
E.PK酶缺乏症
19、问答题 诊断红细胞膜缺陷及酶缺陷的检验方法有何不同之处?
20、单项选择题 原位溶血的场所主要发生在()
A.肝脏
B.脾脏
C.骨髓
D.肾
E.淋巴结
21、单项选择题 下列哪项属于增生性贫血()
A.缺铁性贫血
B.再生障碍性贫血
C.MDS
D.慢性疾病性贫血
E.巨幼红细胞性贫血
22、名词解释 自身溶血试验
23、名词解释 干抽
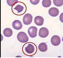
24、多项选择题
如图所示的异常红细胞结构常见于下列哪些疾病()

A.蚕豆病
B.巨幼红细胞性贫血
C.溶血性贫血
D.红白血病
E.再生障碍性贫血
25、多项选择题 符合溶血性贫血骨髓象特征的是()
A.骨髓增生明显活跃
B.小细胞低色素性贫血
C.粒/红比值减低
D.红细胞系统增生显著
E.可见豪-周小体和卡-波环等红细胞异常结构
26、单项选择题 下列哪项不能用于急性和慢性再生障碍性贫血的区别()
A.起病缓急不同
B.发病原因不同
C.发展快慢不同
D.骨髓检查特点不同
E.预后不同
27、配伍题 红细胞膜异常的指标是()免疫性溶血的指标是()提示慢性血管内溶血的是()
A.网织红细胞增多
B.渗透脆性增加
C.Coombs试验阳性
D.热变性试验
E.Rous试验阳性
28、多项选择题
如图,圈中所示红细胞绝对值减少见于下列哪些疾病()
A.巨幼细胞贫血
B.遗传性球形红细胞增多症
C.缺铁性贫血
D.再障
E.PNH
29、多项选择题 缺铁性贫血可能出现()
A.反甲
B.口角炎
C.易食癖
D.脾肿大
E.萎缩性胃炎
30、单项选择题 下列哪项疾病是获得性溶血性贫血()
A.丙酮酸激酶缺陷症
B.冷凝集素综合征
C.镰状细胞贫血
D.遗传性球形红细胞增多症
E.不稳定血红蛋白病
31、名词解释 自身免疫性溶血性贫血
32、多项选择题 临床上同时存在贫血及脾肿大的疾病是()
A.缺铁性贫血
B.再生障碍性贫血
C.巨幼红细胞性贫血
D.先天性球形红细胞增多症
E.G-6-PD缺乏症
33、多项选择题 下列哪些符合阵发性冷性血红蛋白尿()
A.儿童多见,无遗传因素
B.与病毒感染有关
C.引起本病的抗体为D-L冷抗体
D.冷热溶血试验阳性
E.Coombs试验阳性
34、多项选择题 贫血时红细胞可能出现哪些异常()
A.Howell-Jolly小体
B.卡-波环
C.嗜碱性点彩
D.核左移
E.棒状小体
35、填空题 再障危象要与两种疾病鉴别诊断:_______________、__________________________。
36、单项选择题 女性,48岁,诊断缺铁性贫血。给予铁剂治疗后Hb上升至130g/L。为保证机体有足够的储存铁,需继续铁剂治疗。期间需选择下列哪项指标监测体内储存铁的变化()
A.血清铁
B.铁蛋白
C.转铁蛋白
D.可溶性转铁蛋白受体
E.总铁结合力
37、问答题 试述阵发性睡眠性血红蛋白尿症的临床和实验室检查特点。
38、名词解释 珠蛋白生成障碍性贫血
39、配伍题 早期诊断缺铁性贫血的主要指标是()诊断铁粒幼细胞性贫血的指标是()
A.血清铁蛋白降低
B.转铁蛋白饱和度降低
C.铁粒幼细胞增多
D.总铁结合力升高
E.血清铁降低
40、多项选择题 下述表现属于血管外溶血的是()
A.脾肿大
B.尿含铁血黄素阳性
C.网织红细胞增高
D.遗传性多见
E.常见红细胞形态改变
41、单项选择题 红细胞渗透脆性试验脆性增加主要见于()
A.PNH
B.海洋性贫血
C.遗传性球形红细胞增多症
D.再生障碍性贫血
E.自身免疫性溶血性贫血
42、单项选择题 下列哪项不符合异丙醇试验()
A.试剂pH为7.2
B.异丙醇浓度为17%
C.血红蛋白液应新鲜
D.每次试验应做正常对照
E.正常人呈阴性
43、多项选择题 小细胞低色素性贫血实验鉴别诊断的重要指标是()
A.总铁结合力
B.铁饱和度
C.骨髓铁染色
D.血清铁
E.铁蛋白
44、单项选择题 血红素合成场所为()
A.肝细胞高尔基体内
B.有核红细胞的溶酶体内
C.有核红细胞和肝细胞的高尔基体内
D.有核红细胞和肝细胞的线粒体内
E.有核红细胞和肝细胞的溶酶体内
45、问答题 MDS与再障的血象和骨髓象有何区别?
46、单项选择题 外周血反映骨髓幼红细胞增生程度的准确指标是()
A.网织红细胞百分比
B.网织红细胞绝对值
C.红细胞计数
D.周围血出现有核红细胞
E.红细胞内出现豪周小体
47、多项选择题 外周血涂片观察成熟红细胞形态对下列哪些疾病有诊断意义()
A.遗传性球形红细胞增多症
B.遗传性椭圆形红细胞增多症
C.再生障碍性贫血
D.珠蛋白生成障碍性贫血
E.G-6-PD缺乏症
48、多项选择题
如图所示的异常红细胞增多可见于()

A.α地中海贫血
B.β地中海贫血
C.遗传性球形红细胞增多症
D.温抗体型自身免疫性溶血性贫血
E.PNH
49、多项选择题 下列哪些因素不会使红细胞变形性下降()
A.红细胞膜蛋白异常
B.形成变性珠蛋白小体
C.维生素B12缺乏
D.红细胞膜磷脂减少
E.铁离子缺乏
50、单项选择题 下列哪种疾病可见总铁结合力升高()
A.肾病综合征
B.肝硬化
C.缺铁性贫血
D.恶牲肿瘤
E.先天性转铁蛋白缺乏
51、单项选择题 诊断缺铁的重要指标之一是()
A.转铁蛋白
B.铁结合力
C.血清铁
D.铁饱和度
E.骨髓可染铁消失
52、填空题 根据贫血的病因及发病机制通常可将贫血分为三大类:_____________、_____________、______。
53、名词解释 单纯红细胞系再生障碍
54、单项选择题
某患者外周血涂片如图,请问下列哪种是促成这种聚集最强有力的物质()
A.白蛋白
B.甘油三脂
C.γ球蛋白
D.纤维蛋白原
E.胆固醇
55、填空题 ________是导致成人铁缺乏最常见的原因。
56、多项选择题 血管内溶血的特征不包括()
A.清结合珠蛋白升高
B.尿胆原升高
C.血清游离血红蛋白明显升高
D.间接胆红素明显升高
E.高铁血红素白蛋白复合物出现
57、问答题 HbF酸洗脱试验原理和临床意义是什么?
58、单项选择题 下列哪种疾病的血象、骨髓象中血小板、巨核细胞均减少()
A.脾功能亢进
B.Evan综合征
C.再生障碍性贫血
D.特发性血小板减少性紫癜
E.巨幼细胞性贫血
59、单项选择题
如图,若在血涂片中发现圈中所示红细胞增多则表示骨髓造血功能()
A.旺盛
B.正常
C.恶性变
D.低下
E.重度低下
60、判断题 通常所说的再障是指获得性再障。()
61、单项选择题
图中所示的异常红细胞可能提示()

A.G-6-PD缺乏症
B.再障
C.PNH
D.红细胞增多症
E.遗传性球形红细胞增多症
62、单项选择题 珠蛋白生成障碍性贫血最常见下列哪种异常形态红细胞增多()
A.破碎红细胞
B.靶形红细胞
C.球形红细胞
D.泪滴形红细胞
E.镰形红细胞
63、单项选择题 VitB12测定对下列哪种疾病诊断有价值()
A.再生障碍性贫血
B.巨幼细胞性贫血
C.缺铁性贫血
D.白血病
E.PNH
64、单项选择题
如图,若圈中所示红细胞为12%,可排除哪种贫血()

A.不稳定血红蛋白病
B.再生障碍性贫血
C.遗传性球形红细胞增多症
D.G-6-PD酶缺乏症
E.海洋性贫血
65、填空题 显示溶血的实验室检验主要有____、____、____、_____、_____。
66、单项选择题 下列哪项符合小细胞低色素性贫血()
A.MCV55fl,MCH21pg,MCHC0.29
B.MCV82fl,MCH29pg,MCHC0.34
C.MCV105fl,MCH36pg,MCHC0.41
D.MCV71fl,MCH25pg,MCHC0.34
E.MCV100fl,MCH33pg,MCHC0.38
67、多项选择题 关于总铁结合力和转铁蛋白的关系,下列说法错误的是()
A.总铁结合力反映的是血清铁蛋白的水平
B.总铁结合力反映的是血清转铁蛋白的水平
C.总铁结合力等于血清可溶性转铁蛋白受体的水平
D.总铁结合力与血清铁蛋白成正比关系
E.总铁结合力反映的是血清转铁蛋白饱和度的水平
68、单项选择题 外周血涂片观察成熟红细胞形态对下列哪种疾病的诊断没有意义()
A.再生障碍性贫血
B.缺铁性贫血
C.遗传性球形红细胞增多症
D.遗传性椭圆红细胞增多症
E.珠蛋白生成障碍性贫血
69、单项选择题 骨髓增生活跃,正常幼红细胞难见,粒红比值明显增高,见巨大原始红细胞是其突出特点。该细胞圆形或椭圆形,直径30~50μm,形态特征与正常原始红细胞相似,粒系和巨核细胞系大致正常。这种骨髓象最可能见于下列哪种疾病()
A.自身免疫性溶血性贫血
B.再生障碍性贫血
C.再生障碍危象
D.缺铁性贫血
E.巨幼细胞性贫血
70、填空题 再障危象骨髓涂片中可见________是其突出特点。
71、单项选择题
男性,57岁,近半个月厌食、恶心、头晕、乏力伴皮肤黄染。检验:血红蛋白80g/L,网织红细胞5%;红细胞脆性试验轻度增加;尿胆红素阴性,尿胆原强阳性,尿潜血检查阴性,血清总胆红素77.25μmol/L,ALT28U/L。拟诊为溶血性贫血。
该患者实验室检查不会出现()
A.网织红细胞计数升高
B.血清铁蛋白升高
C.外周血出现有核红细胞
D.血清结合珠蛋白降低
E.红细胞寿命缩短
72、名词解释 HbA
73、多项选择题 增生性贫血包括()
A.再生障碍性贫血
B.溶血性贫血
C.血红蛋白病
D.失血性贫血
E.缺铁性贫血
74、填空题 铁缺乏症包括_____、______、________三期。
75、多项选择题
如图所示的异常红细胞结构为()

A.嗜碱性点彩红细胞
B.H-J小体
C.网织红细胞
D.疟原虫
E.卡波环
76、填空题 常成人主要有____、_____和______三种血红蛋白。
77、名词解释 原位溶血
78、填空题 红细胞的主要能源是葡萄糖,其分解代谢包括_____和_____两个途径。
79、多项选择题 急性再障与慢性再障相比有哪些特点()
A.前者网织红细胞较高
B.前者血红蛋白下降较快
C.前者白细胞数更低
D.前者中性粒细胞较高
E.前者血小板更低
80、填空题 PNH是一种造血干细胞基因突变引起的溶血性疾病,以____为主要特征,多为慢性____溶血。
81、单项选择题 下列哪种疾病可能出现单纯小细胞性贫血()
A.珠蛋白生成障碍性贫血
B.缺铁性贫血
C.巨幼细胞性贫血
D.白血病
E.尿毒症
82、判断题 PK缺乏症时加葡萄糖不能纠正,加ATP可纠正。()
83、多项选择题 正常成人红细胞内没有()
A.HbA
B.HbH
C.HbS
D.HbA2
E.HbF
84、多项选择题 下列属于造血功能障碍所致的贫血是()
A.再生障碍性贫血
B.白血病
C.骨髓病性贫血
D.骨髓增生异常综合征
E.恶性贫血
85、单项选择题 DNA合成过程中的重要辅酶是()
A.叶酸还原酶
B.TPH
C.二氢叶酸还原酶
D.5-甲酰四氢叶酸
E.NADPH
86、问答题 正常成人血红蛋白有哪几种?
87、问答题 抗人球蛋白试验的原理是什么?
88、单项选择题
女性,29岁,一年来面色苍白,乏力气短。检验:红细胞2.5×1O/L,血红蛋白55g/L,MCV74fl,MCH20pg,MCHC0.30,网织红细胞1.5%,血涂片红细胞淡染区扩大。
下列实验室检查最有诊断意义的是()
A.骨髓内外铁染色
B.血清铁饱和度测定
C.血清铁测定
D.转铁蛋白饱和度
E.血清总铁结合力测定
89、判断题 大细胞性贫血首选网织红细胞检查。()
90、单项选择题 下列哪项符合再生障碍性贫血()
A.RDW正常,MCV正常
B.RDW正常,MCV增高
C.RDW正常,MCV减低
D.RDW增高,MCV正常
E.RDW增高,MCV增高
91、单项选择题
男性,13岁,反复发热,深黄色尿2年。体检:巩膜轻度黄染,脾肋下2.5cm。检验:血红蛋白90g/L。网织红细胞12%;血涂片显示红细胞呈小球形,中央苍白区消失;尿胆红素阴性,尿胆原强阳性。
红细胞渗透脆性试验正常,Rous试验(-)。为明确诊断还应选择下列哪项实验室检查()
A.自身溶血试验
B.Ham试验
C.高铁血红蛋白还原试验
D.碱变性试验
E.冷热溶血试验
92、单项选择题 正常成人每天铁利用量一般为()
A.11mg左右
B.22mg左右
C.33mg左右
D.44mg左右
E.55mg左右
93、填空题 小细胞低色素性贫血时MCV____,MCH____,MCHC____;大细胞性贫血时MCV____,MCH____,MCHC____;单纯小细胞性贫血时MCV____,MCH____,MCHC____。
94、多项选择题 下列哪几项可作为确诊溶血的证据()
A.直接胆红素增高
B.血浆高铁血红素白蛋白阳性
C.尿胆原阴性
D.血浆游离血红蛋白增高
E.血清结合珠蛋白减低
95、单项选择题
男性,36岁,头晕乏力1年余,近1个月加重伴皮肤黄染。检验:血红蛋白50g/L,白细胞3.0×109/L,血小板48×109/L,网织红细胞20%;尿胆红素(-),尿胆原(+),尿含铁血黄素(+),血清铁蛋白12μg/L;骨髓检查示增生活跃,红系占53%,以中幼、晚幼红细胞增生为主。
再次询问病史时,下列哪项最为重要()
A.有无服用药物史
B.有无电离辐射史
C.有无消化道出血史
D.有无酱油色尿发作史
E.有无胆石症史
96、多项选择题
某贫血患者的血涂片、骨髓涂片、PAS染色分别如图所示,下列说法正确的是()
A.该患者为大细胞正色素性贫血
B.MCV升高,MCH升高,MCHC正常,RDW升高
C.这类贫血患者血涂片上可见点彩红细胞、H-J小体及有核红细胞
D.细胞内外铁均增高
E.白细胞数正常或减低
97、问答题 溶血性贫血按病因学如何分类?
98、单项选择题 某患者诊断为G-6-PD缺乏症伴血管内溶血。下列哪项不是该患者的特异性实验室检查()
A.网织红细胞升高
B.尿含铁血黄素试验(+)
C.高铁血红蛋白血症
D.血浆结合珠蛋白降低
E.血浆内游离血红蛋白升高
99、单项选择题 缺铁性贫血与铁粒幼细胞性贫血的鉴别要点是()
A.血清铁
B.血清总铁结合力
C.骨髓铁染色
D.红细胞内游离原卟啉测定
E.MCV、MCH、MCHC测定
100、单项选择题
图中所示的红细胞结构为()

A.杜勒小体
B.嗜碱性点彩红细胞
C.H-J小体
D.有核红细胞
E.疟原虫
101、单项选择题 HbBarts见于下列哪种疾病()
A.HbC病
B.α珠蛋白生成障碍性贫血
C.β珠蛋白生成障碍性贫血
D.HbS病
E.HbE病
102、单项选择题 外周血中不出现有核红细胞的疾病是()
A.溶血性贫血
B.骨髓纤维化
C.缺铁性贫血
D.红白血病
E.恶性肿瘤骨髓转移
103、单项选择题 人体缺铁时,最早表现的是()
A.FEP增高
B.血清铁降低
C.血清铁蛋白降低
D.血清总铁结合力增高
E.转铁蛋白饱和度降低
104、名词解释 血清铁
105、多项选择题 外周血涂片观察成熟红细胞形态对下列哪些疾病的诊断意义不大()
A.遗传性球形红细胞增多症
B.巨幼细胞性贫血
C.珠蛋白生成障碍性贫血
D.急性失血性贫血
E.再生障碍性贫血
106、单项选择题 关于叶酸下列不正确的是()
A.不耐热
B.是DNA合成的必需营养素
C.人体自身可合成
D.存在于绿叶蔬菜、水果中
E.正常人每天需要200μg
107、单项选择题 HbBarts的组成是()
A.γ4
B.δ4
C.α2β2
D.α2γ2
E.α2δ2
108、单项选择题 下列说法哪项不符合先天性球形红细胞增多症()
A.红细胞渗透脆性增高
B.外周血球形红细胞大于20%
C.脾肿大明显
D.自身溶血试验明显增高,加葡萄糖不能纠正
E.属于先天性红细胞膜异常性疾病
109、问答题 缺铁性贫血贮铁缺乏期各项检测指标有什么变化?
110、问答题 Ham试验的原理和应用如何?
111、多项选择题 下述符合溶血性贫血的是()
A.网织红细胞数目增加
B.血片可见幼稚红细胞
C.骨髓增生明显活跃
D.红细胞寿命缩短
E.以上都是
112、判断题 含铁血黄素是一种脂溶性的铁蛋白。()
113、单项选择题 下列说法哪一项不对()
A.正常人体内铁的总量约为6~8克
B.铁主要随胃肠道脱落的上皮细胞、胆汁等排出
C.缺铁时,铁的排泄可减少50%
D.当体内铁负荷过多时,每天可排出4mg铁
E.少量经泌尿生殖道、皮肤及粘膜脱落的上皮细胞排泄
114、单项选择题 某男,17岁,头昏乏力,牙龈出血半年。体检:贫血貌,皮肤可见散在瘀点,肝、脾、淋巴结不肿大。疑为再生障碍性贫血。下列哪项最有助于该病的诊断()
A.周围全血细胞减少
B.网织红细胞计数减低
C.正常细胞正常色素性贫血
D.骨髓细胞培养集落生长能力降低
E.骨髓增生低下,造血细胞减少,非造血细胞增多
115、问答题
患者,男,26岁。面色苍白反复发作,伴巩膜黄染,阵发性头晕,气短近5年。每次发作前4~5天均伴有尿色深黄。实验室检查:RBC1.85×1012/L,Hb52g/L,WBC2.6×109/L,血小板60×109/L,网织红细胞35%,尿常规,蛋白(+),RBC1~3个/HP,Rous试验(++),尿胆原(+),胆红素(-),Coombs试验(-)。骨髓象:红系增生活跃,中幼红细胞占29%,晚幼红细胞占22%,成熟红细胞大小不一,中央淡染区稍扩大。试分析该病例。
116、单项选择题
早期缺铁性贫血多为()

A.正细胞正色素性贫血
B.小细胞正色素性贫血
C.小细胞低色素性贫血
D.大细胞低色素性贫血
E.大细胞性贫血
117、判断题 蜂毒不能直接破坏红细胞膜。()
118、单项选择题 继发性再障可能与下列哪些因素有关()
A.红细胞缺乏
B.中性粒细胞缺乏
C.单核细胞缺乏
D.维生素缺乏
E.有毒的化学物质如苯
119、单项选择题 符合缺铁性贫血的实验室检查是()
A.血清铁蛋白降低,总铁结合力降低
B.血清铁蛋白正常,总铁结合力降低
C.血清铁蛋白降低,总铁结合力降低
D.血清铁蛋白降低,总铁结合力正常
E.血清铁蛋白降低,总铁结合力增高
120、单项选择题
如图,若外周血圈中所示红细胞增多,最常见于()
A.白血病
B.缺铁性贫血
C.溶血性贫血
D.骨髓病性贫血
E.再生障碍性贫血
121、单项选择题 下述哪项疾病不是血管外溶血()
A.阵发性冷性血红蛋白尿症
B.丙酮酸激酶缺陷症
C.先天性球形红细胞增多症
D.微血管病性溶血性贫血
E.不稳定血红蛋白病
122、问答题 简述我国现行再障的诊断标准。
123、单项选择题
女性27岁,头晕乏力2年,近3个月加重。检验:血红蛋白56g/L,骨髓亚铁氰化钾染色骨髓小粒含铁血黄素(+++)。
若该患者骨髓亚铁氰化钾染色骨髓小粒含铁血黄素(+),幼红细胞内铁粒减少,骨髓象显示:中晚幼红细胞45%,体积小,胞质量少,边缘不规则,最有可能为()
A.再生障碍性贫血
B.珠蛋白合成障碍性贫血
C.慢性溶血性贫血
D.缺铁性贫血
E.巨幼细胞性贫血
124、单项选择题
女性28岁,头晕乏力、面色苍白2年余。检验:红细胞2.6×10/L,血红蛋白60g/L,MCV,MCH,MCHC均低于正常;血涂片如图。最不可能是哪项贫血()

A.溶血性贫血
B.再生障碍性贫血
C.缺铁性贫血
D.铁粒幼细胞性贫血
E.慢性感染性贫血
125、多项选择题 关于珠蛋白生成障碍性贫血,下列说法正确的是()
A.东南亚为高发区之一
B.我国北方多见
C.出现靶形红细胞,嗜碱性点彩红细胞
D.遗传性珠蛋白基因缺失
E.红细胞渗透脆性显著降低
126、单项选择题 下列叙述哪项符合溶血性贫血()
A.缺乏造血物质引起
B.缺乏促红细胞生成素
C.是小细胞低色素性贫血
D.合成异常血红蛋白
E.细胞存活期缩短,破坏增加
127、单项选择题
某患者外周血涂片如图1,骨髓涂片如图2,该患者最可能为哪种疾病()
A.PNH
B.缺铁性贫血
C.巨幼细胞性贫血
D.自身免疫性溶血性贫血
E.珠蛋白生成障碍性贫血
128、多项选择题 下列哪些指标支持小细胞低色素性贫血的诊断()
A.MCV65fl
B.MCV88fl
C.MCH22pg
D.MCH31pg
E.MCHC0.28
129、单项选择题 G-6-PD酶缺乏时,下列哪项试验阳性()
A.抗人球蛋白试验
B.蛇毒因子溶血试验
C.酸溶血试验
D.蔗糖溶血试验
E.高铁血红蛋白还原试验
130、多项选择题 G-6-PD酶缺陷症可见于以下哪些类型()
A.感染诱发溶血性贫血
B.先天性非球形红细胞性溶血性贫血
C.先天性椭圆形红细胞增多症
D.蚕豆病
E.新生儿高胆红素血症
131、填空题 临床最常用____和____的测定值来确定有无贫血。
132、单项选择题
男性,38岁,半年前患急性黄疸型肝炎,近半个月来出现发热、牙龈出血。体检:重度贫血貌,肝肋下2cm,脾肋下可及。检验:红细胞1.8×1012/L,血红蛋白55g/L,白细胞2.5×109/L,血小板32×109/L,网织红细胞0.2%
患者最可能为()
A.再生障碍性贫血
B.慢性肝病性贫血
C.脾功能亢进
D.巨幼细胞性贫血
E.恶性组织细胞增生症
133、名词解释 双相性贫血
134、单项选择题 高铁血红蛋白还原试验正常人还原率为()
A.10%
B.25%
C.45%
D.60%
E.75%以上
135、单项选择题 珠蛋白生成障碍性贫血外周血检查结果很可能为()
A.MCV82fl,MCH29pg,MCHC0.35
B.MCV80fl,MCH33pg,MCHC0.41
C.MCV71fl,MCH27pg,MCHC0.35
D.MCV78fl,MCH34pg,MCHC0.38
E.MCV70fl,MCH25pg,MCHC0.30
136、单项选择题 下列哪项属于血管内溶血()
A.PNH
B.缺铁性贫血
C.脾功能亢进
D.β珠蛋白生成障碍性贫血
E.丙酮酸激酶缺乏症
137、单项选择题
男性,16岁,面色苍白半年。体检:中度贫血貌,巩膜轻度黄染,脾肋下2.5cm。检验:血红蛋白81g/L,白细胞及血小板正常,网织红细胞16%;Coombs试验(-);红细胞渗透脆性试验,初溶为58%氯化钠溶液,全溶为46%氯化钠溶液。
本例贫血发病机制可能为()
A.遗传性红细胞膜缺陷
B.获得性红细胞膜缺陷
C.红细胞磷酸己糖旁路中的酶缺陷
D.珠蛋白肽链合成减少
E.红细胞自身抗体产生
138、填空题 血浆游离血红蛋白明显增高是判断_____的指征,______、______、______、______等疾病血浆游离血红蛋白明显增高。
139、单项选择题 再障患者骨髓病理组织学检验发现造血细胞减少,尤其是()
A.巨大原始红细胞
B.巨大早幼粒细胞
C.巨核细胞
D.巨大血小板
E.巨大原始粒细胞
140、填空题 再障的骨髓铁染色可见细胞内、外铁____,血清铁____,血清可溶性转铁蛋白受体____,中性粒细胞碱性磷酸酶活性____。
141、问答题 简述缺铁性贫血红细胞生成的诊断标准。
142、单项选择题 溶血性贫血患者溶血发作期的外周血网织红细饱计数一般为()
A.0.5%~1.5%
B.1.6%~2.5%
C.2.6%~3.5%
D.3.6%~4.5%
E.5.0%~20.0%
143、填空题 急性再障起病急,进展迅速,病程短,此型再障又称为________;慢性再障起病缓慢,病程进展慢较平稳,如病情恶化,转为重型再障,称为_________。
144、填空题 再障所引起的贫血类型多数为________,少数为______。
145、单项选择题 红细胞分布宽度(RDW)可用于估计()
A.红细胞数
B.Hct
C.红细胞体积异质性
D.血红蛋白量
E.红蛋白浓度
146、问答题 简述再生障碍性贫血的骨髓病理学特点。
147、单项选择题
男性,36岁,头晕乏力1年余,近1个月加重伴皮肤黄染。检验:血红蛋白50g/L,白细胞3.0×109/L,血小板48×109/L,网织红细胞20%;尿胆红素(-),尿胆原(+),尿含铁血黄素(+),血清铁蛋白12μg/L;骨髓检查示增生活跃,红系占53%,以中幼、晚幼红细胞增生为主。
本病例最可能诊断为()
A.缺铁性贫血
B.珠蛋白生成障碍性贫血
C.自身免疫性溶血性贫血
D.PK酶缺乏症
E.PNH
148、多项选择题 哪些贫血属于小细胞性贫血()
A.铁粒幼红细胞性贫血
B.缺铁性贫血
C.遗传性球形红细胞增多症
D.再生障碍性贫血
E.珠蛋白生成障碍性贫血
149、问答题
患者,男,17岁,因面色苍白12天入院。体格检查:体温37℃,脉搏94次/分,呼吸16次/分。血压14/9kPa,中度贫血貌,肝脾大。皮肤粘膜轻度黄染。实验室检查:Hb90g/L。WBC7.6×109/L,RBC3.58×1012/L,MCV74fl,MCH24pg,MCHC0.32,网织红细胞0.06,血清总胆红素47.1μmol/L;骨髓增生明显活跃,以红系增生为主。血红蛋白电泳:HbE94%,HbF6%,HbA消失。试分析该病例。
150、单项选择题 原发性再生障碍性贫血骨髓象检查不可能出现的改变是()
A.骨髓增生活跃
B.巨核细胞减少
C.粒红比例降低
D.粒细胞系统成熟停滞于早期阶段
E.浆细胞、组织嗜碱细胞及网状细胞增多
151、多项选择题 下列符合急性溶血性贫血的是()
A.酱油色尿
B.贫血
C.黄疸
D.周围神经炎症状
E.寒战、高热、腰背四肢疼痛
152、填空题 _____和________是引起继发性红细胞增多的主要原因。
153、多项选择题 下列哪些不是急性再障的血象表现()
A.正常细胞性贫血
B.网织红细胞>2%
C.血红蛋白下降缓慢
D.血小板<10×109/L
E.中性粒细胞<0.5×109/L
154、问答题 可反映红细胞膜缺陷的实验室检验有哪些?
155、判断题 成人重度贫血常合并贫血性心脏病。()
156、名词解释 纯红细胞再生障碍性贫血
157、填空题 红细胞增多症是指____、____和____异常增高,超过_____。可分为____和____两类。
158、多项选择题 目前认为再障的发病机制主要有()
A.免疫机制异常
B.遗传倾向
C.造血干细胞异常
D.造血微环境缺陷
E.物理因素
159、问答题 珠蛋白生成障碍性贫血如何分类?
160、填空题 成人贫血程度划为________级。
161、填空题 G-6-PD缺乏症的筛选试验包括_____________、_____________、_____________、________________。
162、判断题 真性红细胞增多症患者骨髓红细胞系、粒细胞系和巨核细胞系均有异常增生。()
163、单项选择题 与巨幼细胞性贫血无关的是()
A.中性粒细胞核左移
B.中性粒细胞核增多
C.MCV112~159fl
D.MCH32~49pg
E.MCHC0.32~0.36
164、单项选择题 男性,20岁,头昏乏力1年余,经检查确诊为继发性再生障碍性贫血。下列哪项不是引起继发性再障的病因()
A.丙酮酸激酶缺乏
B.电离辐射
C.抗肿瘤药物
D.病毒感染
E.氯霉素
165、填空题 温抗体型自身免疫性溶血性贫血的一个重要的诊断方法是________试验。它包括____法和_____法。______法具有半定量的测定价值。
166、多项选择题 关于遗传性球形红细胞增多症的描述哪些是正确的()
A.临床上常见静脉血栓形成
B.是最常见的遗传性红细胞膜缺陷所致的溶血
C.外周血小球形红细胞大于10%
D.渗透脆性增加:于5.2~7.2g/L的低渗盐水开始溶解,4.0g/L完全溶解
E.应与自身免疫性溶血性贫血所致继发性球形细胞增多症相鉴别
167、多项选择题 用于红细胞生成减少所致贫血的检查有()
A.高铁血红蛋白还原试验
B.血清铁检测
C.血清铁蛋白测定
D.血浆维生素B12检测
E.红细胞G-6-PD活性测定
168、判断题 贫血的诊断以查明贫血的性质和病因最为重要。()
169、多项选择题 下列哪些叙述符合G-6-PD缺乏症()
A.G-6-PD缺乏的黑人有电泳B型酶
B.G-6-PD缺乏是X性连锁隐性或不完全显性遗传
C.A型G-6-PD是一种快速移动电泳变异型,大约见于30%的白人中
D.B型G-6-PD是此酶的正常形式,约见于70%的黄种人和几乎所有黑人
E.红细胞G-6-PD活性测定是这种疾病的确诊试验之一
170、判断题 急性温抗体型自身免疫性溶血性贫血可出现类白血病反应。()
171、单项选择题
贫血患者血片如图,运铁蛋白饱和度0.12,最可能的诊断是()
A.再生障碍性贫血
B.缺铁性贫血
C.慢性感染性贫血
D.铁粒幼细胞性贫血
E.自身免疫性溶血性贫血
172、单项选择题 下列组合中不正确的是()
A.再生障碍性贫血——小细胞低色素性贫血
B.骨髓病性贫血——正细胞正色素性贫血
C.溶血性贫血——正细胞正色素性贫血
D.缺铁性贫血——小细胞低色素性贫血
E.巨幼红细胞性贫血——可见红细胞大小不均
173、填空题 G-6-PD是红细胞糖代谢___________途径的关键酶;PK酶是红细胞内_______途径的重要酶。
174、填空题 铁主要以_____和_______的形式贮存在骨髓等多种细胞和血浆内。
175、单项选择题 不属于红细胞生成减少性贫血的是()
A.缺铁性贫血
B.红细胞酶缺陷性贫血
C.铁粒幼细胞贫血
D.再生障碍性贫血
E.营养性巨幼细胞性贫血
176、多项选择题 下列哪些可作为PNH与再生障碍性贫血的鉴别()
A.酸溶血
B.蔗糖溶血
C.骨髓增生情况
D.中性粒细胞碱性磷酸酶染色
E.有无黄疸、血红蛋白尿
177、单项选择题
女性27岁,头晕乏力2年,近3个月加重。检验:血红蛋白56g/L,骨髓亚铁氰化钾染色骨髓小粒含铁血黄素(+++)。
最不可能为()
A.慢性再生障碍性贫血
B.巨幼细胞性贫血
C.慢性感染性贫血
D.慢性溶血性贫血
E.缺铁性贫血
178、单项选择题
女性,29岁,一年来面色苍白,乏力气短。检验:红细胞2.5×1O/L,血红蛋白55g/L,MCV74fl,MCH20pg,MCHC0.30,网织红细胞1.5%,血涂片红细胞淡染区扩大。
进行血清铁代谢检查,有可能出现()
A.血清铁减少,总铁结合力减少
B.血清铁减少,血清铁饱和度增加
C.血清铁减少,血清铁蛋白增加
D.清铁减少,红细胞内游离原卟啉减少
E.血清铁减少,总铁结合力增加
179、多项选择题 溶血性贫血时外周血中常可见()
A.点彩红细胞
B.红细胞缗钱状形成
C.网织红细胞
D.红细胞寿命缩短
E.有核红细胞
180、单项选择题 诊断急性血管内溶血最有意义的结果是()
A.黄疸
B.红细胞减少
C.血红蛋白血症和血红蛋白尿
D.尿胆原增加
E.红细胞渗透脆性试验阳性
181、判断题 慢性失血是妊娠妇女铁缺乏最常见的原因。()
182、填空题 根据发病原因,再障可分为____和____,通常所说的再障是指___。
183、单项选择题 血清结合珠蛋白参考值为()
A.0.5~1.5g/L
B.2.0~3.5g/L
C.3.0~4.5g/L
D.4.6~6.0g/L
E.6.1~7.5g/L
184、单项选择题 骨髓涂片细胞形态学检查不能确诊的疾病是()
A.急性白血病
B.再生障碍性贫血
C.多发性骨髓瘤
D.慢性白血病
E.缺铁性贫血
185、单项选择题 具有保护Hb的巯基及RBC膜作用的RBC酶为()
A.G-6-PD酶
B.丙酮酸脱氢酶
C.乳酸脱氢酶
D.铁血红蛋白还原酶
E.谷胱甘肽还原酶
186、单项选择题
图中所示红细胞异常结构为()

A.H-J小体
B.杜勒小体
C.嗜碱性点彩红细胞
D.疟原虫
E.网织红细胞
187、单项选择题 下列不属于造血功能障碍所致的贫血是()
A.再生障碍性贫血
B.白血病
C.骨髓病性贫血
D.骨髓增生异常综合征
E.恶性贫血
188、单项选择题 珠蛋白肽链的分子结构由基因决定,组成“β基因簇”的是()
A.α、β、γ
B.β、γ、δ、ε
C.β、γ、δ、ζ
D.β、γ、δ
E.β、γ、δ、ε、ζ
189、单项选择题 阵发性睡眠性血红蛋白尿时,下列哪项实验常呈阳性()
A.红细胞渗透脆性试验
B.抗人球蛋白试验
C.异丙醇实验
D.冷凝集素试验
E.尿含铁血黄素试验
190、单项选择题
某家族性遗传病患者血涂片如图,红细胞渗透脆性增加,下述哪项不符合其病情。()
A.脾肿大
B.红细胞在脾窦被破坏
C.血红蛋白电泳出现异常区带
D.尿胆原阳性
E.网织红细胞明显增高
191、单项选择题
男性,16岁,面色苍白半年。体检:中度贫血貌,巩膜轻度黄染,脾肋下2.5cm。检验:血红蛋白81g/L,白细胞及血小板正常,网织红细胞16%;Coombs试验(-);红细胞渗透脆性试验,初溶为58%氯化钠溶液,全溶为46%氯化钠溶液。
下列哪项检查对该病的诊断价值不大()
A.骨髓涂片检查
B.外周血涂片检查
C.红细胞直径测定
D.红细胞厚度测定
E.红细胞渗透脆性试验
192、多项选择题 PNH与再生障碍性贫血的鉴别在于()
A.前者酸溶血试验阴性
B.前者蛇毒溶血试验阳性
C.前者红细胞渗透脆性试验阳性
D.前者蔗糖溶血试验阳性
E.前者网织红细胞减低
193、问答题 缺铁性贫血的铁代谢检测指标有什么变化?
194、单项选择题 正常成人每天需要维生素B12()
A.2~5μg
B.5~10μg
C.10~20μg
D.20~25μg
E.25~30μg
195、问答题 叶酸缺乏的巨幼细胞性贫血的诊断标准是什么?
196、单项选择题 下列不是缺铁性贫血原因的是()
A.多次妊娠和哺乳的妇女
B.长期偏食
C.慢性失血
D.药物或毒物的作用
E.发育中的婴儿和青少年
197、多项选择题
某患者血涂片见图1,骨髓涂片见图2,该患者可能为()

A.温抗体型自身免疫性溶血性贫血
B.巨幼细胞贫血
C.阵发性冷性血红蛋白尿症
D.遗传性球形红细胞增多症
E.铁粒幼细胞贫血
198、单项选择题 红细胞膜结构的两个最基本特征是()
A.韧性和对称性
B.粘性和对称性
C.流动性和对称性
D.粘性和不对称性
E.流动性和不对称性
199、多项选择题 有助于自身免疫性溶血性贫血诊断的试验有()
A.抗人球蛋白试验
B.变性珠蛋白小体生成试验
C.血清内因子阻断抗体试验
D.红细胞包涵体试验
E.冷凝集素试验
200、填空题 根据病因不同免疫性溶血性贫血可分为三类:_____、______和______。
201、单项选择题 下列哪项检查与PNH的诊断无关()
A.Ham试验
B.碱变性试验
C.Rous试验
D.蔗糖溶血试验
E.蛇毒因子溶血试验
202、多项选择题 与慢性系统性疾病贫血相符的是()
A.正细胞正色素性
B.小细胞低色素性
C.血清铁、运铁蛋白饱和度增加
D.骨髓铁染色细胞外铁减少
E.总铁结合力正常或降低
203、问答题 目前公认的再障发病机制的影响因素有哪些?
204、单项选择题 全血细胞减少最常见于()
A.缺铁性贫血
B.溶血性贫血
C.再生障碍性贫血
D.白血病
E.巨幼红细胞性贫血
205、判断题 HbA比HbF有更强的抗碱作用。()
206、单项选择题 下列哪种溶血性贫血是获得性红细胞膜缺陷所致()
A.原发性睡眠性血红蛋白尿症
B.遗传性椭圆形红细胞增多症
C.遗传性球形红细胞增多症阵
D.自身免疫性溶血性贫血
E.微血管病性溶血性贫血
207、单项选择题 诊断慢性血管内溶血最有意义的阳性结果是()
A.尿胆原阳性
B.黄疸
C.血清间接胆红素阳性
D.抗人球蛋白试验阳性
E.尿含铁血黄素试验阳性
208、问答题 试述温抗体型自身免疫性溶血性贫血的主要诊断依据。
209、问答题 试述巨幼细胞性贫血的实验室检查。
210、单项选择题
女性27岁,头晕乏力2年,近3个月加重。检验:血红蛋白56g/L,骨髓亚铁氰化钾染色骨髓小粒含铁血黄素(+++)。
进一步检查显示,幼红细胞内铁粒明显增多,环形铁粒幼细胞占25%,则可能为()
A.缺铁性贫血
B.铁粒幼细胞性贫血
C.慢性溶血性贫血
D.珠蛋白合成障碍性贫血
E.巨幼细胞性贫血
211、单项选择题 收缩蛋白α链用限制性胰蛋白酶消化后,经SDS-PAGE分析显示()
A.2个肽段
B.3个肽段
C.4个肽段
D.5个肽段
E.6个肽段
212、判断题 出生10天内新生儿Hb小于145g/L诊断为贫血。()
213、多项选择题 非造血物质缺乏或利用障碍所致的贫血有()
A.失血性贫血
B.营养性巨幼细胞性贫血
C.溶血性贫血
D.骨髓病性贫血
E.铁粒幼细胞性贫血
214、多项选择题 变性珠蛋白小体生成试验阳性见于()
A.HbM病
B.PK酶缺乏
C.HbS病
D.HbH病
E.不稳定血红蛋白病
215、单项选择题 诊断温抗体型自身免疫性溶血性贫血最重要的实验室检查是()
A.Ham试验
B.免疫球蛋白试验
C.血红蛋白电泳
D.游离血红蛋白测定
E.Coombs试验
216、单项选择题 下列哪组符合巨幼细胞性贫血()
A.MCV增高,MCH增高,MCHC减低
B.MCV增高,MCH增高,MCHC正常
C.MCV减低,MCH减低,MCHC正常
D.MCV减低,MCH减低,MCHC减低
E.MCV减低,MCH减低,MCHC增高
217、问答题 简述G-6-PD酶缺乏症溶血机制。
218、单项选择题 脾切除对下列哪种溶血性贫血治疗效果最好()
A.自身免疫性溶血性贫血
B.遗传性球形红细胞增多症
C.PNH
D.珠蛋白生成障碍性贫血
E.红细胞G-6-PD缺乏症
219、多项选择题 下列哪些说法符合巨幼细胞性贫血()
A.可有牛肉舌的临床表现
B.大细胞正色素性贫血
C.粒、红、巨核系细胞均出现巨幼变
D.多起源于营养不良
E.中性粒细胞核右移
220、单项选择题
女性,29岁,一年来面色苍白,乏力气短。检验:红细胞2.5×1O/L,血红蛋白55g/L,MCV74fl,MCH20pg,MCHC0.30,网织红细胞1.5%,血涂片红细胞淡染区扩大。
初步诊断最可能为()
A.再障
B.遗传性球形红细胞增多症
C.白血病
D.缺铁性贫血
E.巨幼细胞贫血
221、填空题 再障患者的血象中通常网织红细胞绝对值______,中性粒细胞_____,淋巴细胞比例_____,血小板_____。
222、单项选择题
女性,29岁,一年来面色苍白,乏力气短。检验:红细胞2.5×1O/L,血红蛋白55g/L,MCV74fl,MCH20pg,MCHC0.30,网织红细胞1.5%,血涂片红细胞淡染区扩大。
可以确诊为缺铁性贫血的实验是()
A.细胞内铁减少,细胞外铁减少或消失
B.细胞内铁增加,细胞外铁减少
C.细胞内铁减少,细胞外铁增加
D.细胞内铁增加,细胞外铁增加
E.细胞内铁减少,细胞外铁正常
223、单项选择题 关于红细胞膜稳定性下面哪项说法不对()
A.氧化损伤不影响膜稳定性
B.细菌毒素影响膜稳定性
C.酶代谢异常影响膜稳定性
D.自身抗体与红细胞结合影响膜稳定性
E.红细胞膜蛋白遗传性缺陷影响膜稳定性
224、多项选择题 巨幼细胞性贫血应该与下列哪些疾病鉴别()
A.PNH
B.缺铁性贫血
C.急性红白血病
D.全血细胞减少性疾病
E.MDS
225、单项选择题 下列说法哪项不符合冷凝集素综合征()
A.抗体为IgM
B.0~4℃时凝集反应最强
C.溶血不需要补体参与
D.可见红细胞呈缗钱状
E.冷溶血试验阴性
226、单项选择题
男性,57岁,近半个月厌食、恶心、头晕、乏力伴皮肤黄染。检验:血红蛋白80g/L,网织红细胞5%;红细胞脆性试验轻度增加;尿胆红素阴性,尿胆原强阳性,尿潜血检查阴性,血清总胆红素77.25μmol/L,ALT28U/L。拟诊为溶血性贫血。
若上述试验阴性,结合其他检查,该患者最可能为()
A.遗传性球形红细胞增多症
B.新生儿溶血症
C.异常血红蛋白病
D.免疫性溶血性贫血
E.珠蛋白生成障碍性贫血
227、多项选择题 红细胞膜的功能有()
A.细胞运输
B.信息传递
C.血型抗原
D.凝血调节
E.免疫反应、免疫调节
228、多项选择题 诊断溶血性疾病的必需条件是()
A.红细胞寿命缩短,破坏增加
B.贫血
C.网织红细胞增多
D.Ham试验阳性
E.Coombs试验阳性
229、单项选择题 判断体内铁贮存量最敏感的指标是()
A.可溶转铁蛋白受体
B.转铁蛋白饱和度
C.铁蛋白
D.转铁蛋白
E.铁结合力
230、问答题 简述成人贫血程度分级标准。
231、问答题 哪些实验室检查结果可以显示有溶血性贫血的可能性?
232、填空题 镰状细胞贫血的病变为_____链第6位____被____替代形成_____。
233、配伍题 胃切除后可能导致()长期月经过多可能导致()白血病患者的贫血是()蚕豆病是()钩虫病是()
A.小细胞正色素性贫血
B.小细胞低色素性贫血
C.红细胞酶缺陷性贫血
D.正细胞正色素性贫血
E.巨幼细胞性贫血
234、多项选择题 正常人体的储存铁的主要形式是()
A.肌红蛋白
B.铁蛋白
C.含铁血黄素
D.转铁蛋白
E.血红蛋白
235、单项选择题 男性轻度贫血,其血红蛋白可能为()
A.122g/L
B.98g/L
C.80g/L
D.58g/L
E.30g/L
236、多项选择题 下列哪些试验对不稳定血红蛋白病具有诊断价值()
A.热变性试验
B.变性珠蛋白小体试验
C.肽链分析试验
D.酸溶血试验
E.异丙醇试验
237、单项选择题 下列疾病中可溶性转铁蛋白受体不增加的是()
A.缺铁性贫血
B.无效生成性贫血
C.溶血性贫血
D.巨幼细胞贫血
E.再生障碍性贫血
238、单项选择题 红细胞膜中含量最多的蛋白是()
A.锚蛋白
B.带3蛋白
C.收缩蛋白
D.4.1蛋白
E.4.2蛋白
239、多项选择题
某患者血涂片和骨髓涂片分别见图,该患者可能为()

A.巨幼细胞贫血
B.再障
C.缺铁性贫血
D.慢性失血
E.急性失血
240、多项选择题 重型β珠蛋白生成障碍性贫血的Hb电泳结果是()
A.HbA增加
B.HbH出现
C.HbF增加
D.HbA可增加,或降低,或正常
E.HbA明显减少或消失
241、多项选择题 正常成人红细胞中Hb不包括()
A.HbA
B.HbA2
C.HbH
D.HbF
E.HbBarts
242、单项选择题 下列哪种疾病不属于遗传性疾病()
A.PNH
B.G-6-PD缺陷症
C.PK酶缺陷症
D.珠蛋白生成障碍贫血
E.血友病
243、名词解释 HbH
244、问答题
患者,男,63岁,因面色苍白、乏力、消瘦3个月而入院。体检呈中度贫血貌,舌呈镜面舌,余无异常发现。实验室检查:WBC2.6×109/L,HB68g/L,RBC1.54×1012/L,MCV138.2fl,MCH44.2pg,MCHC0.342,PLT41×109/L,Ret1.8%,HCT0.21,成熟红细胞个体偏大,血涂片如图。铁蛋白572.6μg/L,VitB12为O,叶酸5.5pg/L。骨髓:增生活跃,M/E为2.1/1,粒系40%,见核右移现象,有较多中毒颗粒,可见巨杆状核粒细胞,红系19%,可见类巨幼变幼红细胞。巨核细胞全片见3个,余未见异常。其他辅助检查均未有异常发现。试分析该病例。

245、单项选择题 诊断缺铁性贫血敏感可靠的实验的是()
A.血清铁蛋白测定
B.体格检查
C.血清铁测定
D.CT扫描
E.骨髓检查
246、单项选择题 影响DNA合成的常见因素()
A.丙酮酸激酶缺乏
B.铁缺乏
C.叶酸和维生素B12缺乏
D.维生素C缺乏
E.微量元素缺乏
247、问答题 试述阵发性睡眠性血红蛋白尿症(PNH)和再生障碍性贫血实验室检查的不同点?
248、单项选择题 诊断温抗体型溶血性贫血最重要的实验室检查是()
A.Ham试验
B.Donath-Landsteiner试验
C.免疫球蛋白测定
D.Coombs试验
E.血红蛋白电泳
249、填空题 继发性再障的病因主要有:____________、___________、____________、_____________。
250、多项选择题 血管外溶血的特点不包括()
A.脾肿大
B.血红蛋白血症
C.血浆结合珠蛋白升高
D.贫血、黄疸
E.血红蛋白尿
251、单项选择题 按贫血的形态学分类,骨髓病性贫血属下列哪项()
A.单纯小细胞性贫血
B.小细胞低色素性贫血
C.正常细胞性贫血
D.大细胞性贫血
E.珠蛋白生成障碍性贫血
252、单项选择题 下列组合哪项不符合PNH的实验室检查()
A.PNH-蔗糖溶血试验阳性
B.PNH-尿含铁血黄素试验阳性
C.PNH-尿隐血试验阳性
D.PNH-Ham试验阳性
E.PNH-抗人球蛋白试验阳性
253、单项选择题
男性,38岁,半年前患急性黄疸型肝炎,近半个月来出现发热、牙龈出血。体检:重度贫血貌,肝肋下2cm,脾肋下可及。检验:红细胞1.8×1012/L,血红蛋白55g/L,白细胞2.5×109/L,血小板32×109/L,网织红细胞0.2%
要明确诊断,还应进行哪项实验室检查()
A.Ham试验
B.Coombs试验
C.骨髓象检查
D.血清维生素B12测定
E.Hb电泳
254、单项选择题 红细胞直方图显示曲线波峰左移,峰底变窄,提示为()
A.再障
B.小细胞性贫血
C.铁粒幼细胞贫血
D.球形红细胞增多症
E.巨幼红细胞贫血
255、配伍题 再生障碍危象()缺铁性贫血()PNH()巨幼细胞贫血()铁粒幼细胞贫血()
A.骨髓象红系细胞“核老质幼”
B.环形铁粒幼红细胞30%
C.骨髓象红系细胞“核幼质老”
D.酱油色尿
E.骨髓涂片中可见巨大原始红细胞
256、单项选择题 Heinz小体生成试验与下列哪种疾病有关()
A.PNH
B.PK酶缺乏症
C.遗传性球形红细胞增多症
D.G-6-PD缺乏症
E.自身免疫性溶血性贫血
257、判断题 正常血红蛋白HbA裂解后出现β、HbA、HbA2、α四条带。()
258、判断题 纯红细胞再生障碍性贫血患者外周血红细胞、白细胞和血小板计数均低于正常。()
259、填空题 血红蛋白Barts病,又称_____,是由于缺失4个_______,无___生成,正常______缺乏,而____自行聚合形成______。
260、名词解释 总铁结合力
261、填空题 红细胞膜由____、___、___和____等组成。
262、单项选择题 下列哪项属于遗传性溶血性贫血()
A.镰状细胞贫血
B.阵发性睡眠性血红蛋白尿症
C.自身免疫性溶血性贫血
D.ABO血型不合溶血性贫血
E.微血管病性溶血性贫血
263、问答题 如何确定溶血性贫血的病因?
264、多项选择题 用于免疫性溶血性贫血检查的试验是()
A.热溶血试验
B.抗人球蛋白试验
C.血红蛋白电泳
D.G-6-PD测定
E.冷凝集素试验
265、单项选择题 成人中度贫血血红蛋白含量为()
A.31~60g/L
B.60~90g/L
C.80~100g/L
D.60~120g/L
E.100~120g/L
266、多项选择题 维生素B12缺乏所致巨幼细胞性贫血与叶酸缺乏所致巨幼细胞性贫血的不同之处是()
A.前者有神经症状,后者没有
B.我国以前者少见,后者多见
C.前者应当以肠道外方式给药治疗,后者一般采用口服方式给药治疗
D.前者的发病机制是dTTP减少和丙酰辅酶A堆积,后者仅为dTTP减少
E.前者核少浆老,后者核老浆少
267、单项选择题
如图,圈中所示红细胞中的异常结构为()

A.卡波环
B.嗜碱性点彩红细胞
C.H-J小体
D.网织红细胞
E.疟原虫
268、配伍题 铁粒幼细胞性贫血()巨幼细胞贫血()缺铁性贫血贮铁缺乏期()缺铁性贫血红细胞生成期()缺铁性贫血期()
A.内因子缺乏
B.铁粒幼红细胞增多
C.贮存铁下降,早期出现血清铁蛋白下降
D.贮存铁更进一步减少,铁蛋白减少,血清铁和转铁蛋白饱和度下降,总铁结合力增高和游离原卟啉升高,出现一般症状
E.除上述特点外,尚有明显红细胞和血红蛋白减少,并出现多个系统症状
269、问答题 自身溶血试验及纠正试验有何临床意义?
270、问答题 红细胞膜的功能有哪些?
271、单项选择题 收缩蛋白的β链用限制性胰蛋白酶消化后,经SDS-PAGE分析显示()
A.2个肽段
B.3个肽段
C.4个肽段
D.5个肽段
E.6个肽段
272、多项选择题 下列哪些不是轻型β珠蛋白生成障碍性贫血的实验室检查()
A.HbA2或HbF增加
B.网织红细胞计数降低
C.血小板减少
D.MCV降低
E.MCHC降低
273、多项选择题
如图为某患者骨髓铁染色结果。下列说法正确的是()

A.圈中所示为环形铁粒幼红细胞
B.细胞内铁是指存在于中幼红细胞、晚幼红细胞及成熟红细胞中的铁
C.细胞外铁主要存在于骨髓小粒的巨噬细胞中
D.铁粒幼细胞贫血中环形铁粒幼红细胞占20%以上
E.MDS患者也可见环形铁粒幼红细胞
274、单项选择题 血红蛋白是由()
A.一对珠蛋白肽链和二个亚铁血红素组成
B.一对珠蛋白肽链和四个亚亚铁血红素组成
C.两对珠蛋白肽链和二个亚铁血红素组成
D.两对珠蛋白肽链和三个亚铁血红素组成
E.两对珠蛋白肽链和四个亚铁血红素组成
275、单项选择题 下列哪项不是缺铁性贫血缺铁早期的实验室指标()
A.铁粒幼细胞正常
B.红细胞形态正常
C.网织红细胞计数正常
D.血清铁减少
E.骨髓小粒染色铁正常或减少
276、填空题 Hb的功能主要是运输____和____。
277、多项选择题 下列哪些检验结果符合缺铁性贫血()
A.铁降低
B.铁饱和度降低
C.铁蛋白降低
D.转铁蛋白升高
E.总铁结合力降低
278、填空题 反映红细胞酶缺乏的实验室检查可有:__________________、__________________、__________________、__________________、__________________。
279、多项选择题 铁代谢障碍性疾病有()
A.缺铁性贫血
B.慢性感染性贫血
C.铁粒幼细胞贫血
D.组织铁沉着症
E.血红蛋白病
280、填空题 G-6-PD缺乏症患者自身溶血试验溶血率___,加_______和___都可以纠正;丙酮酸激酶缺乏症患者自身溶血试验溶血率明显______,加_____不能纠正,加____可以纠正。
281、多项选择题 溶血性贫血时红细胞中常可见()
A.Howell-Jolly小体
B.棒状小体
C.卡-波环
D.中毒颗粒
E.球形包涵体
282、多项选择题 红细胞膜的功能包括哪些()
A.维持红细胞的正常形态和变形性
B.参与红细胞内外物质的运输
C.与免疫复合物的清除有关
D.调节补体的活性
E.具有抗原性
283、单项选择题 珠蛋白生成障碍性贫血的主要诊断依据是()
A.网织红细胞增高
B.血红蛋白电泳异常
C.血红蛋白尿
D.外周血出现有核红细胞
E.骨髓中幼稚红细胞明显增高
284、单项选择题
某女,长期月经过多,血片如图,为进一步明确诊断,需进行下列何种检查()
A.维生素B12测定
B.Ham试验
C.铁代谢检查
D.Coombs试验
E.Hb电泳检测
285、判断题 6个月以上小儿贫血程度的划分同成人标准。()
286、填空题 再障病人的骨髓病理组织学检验可发现骨髓增生减退,造血细胞减少,特别是______减少。
287、填空题 正常细胞性贫血首选_________检查。
288、问答题 G-6-PD酶缺乏症的筛选和确诊是试验可有哪些?
289、单项选择题
男性,16岁,面色苍白半年。体检:中度贫血貌,巩膜轻度黄染,脾肋下2.5cm。检验:血红蛋白81g/L,白细胞及血小板正常,网织红细胞16%;Coombs试验(-);红细胞渗透脆性试验,初溶为58%氯化钠溶液,全溶为46%氯化钠溶液。
若确诊为上题中的疾病,下列说法正确的是()
A.可分为水肿细胞型、干细胞型和其他型
B.红细胞渗透脆性试验示脆性增加,红细胞寿命缩短
C.自身溶血试验溶血>5%,加ATP不能纠正
D.为常染色体隐性遗传性疾病
E.病变来源于造血干细胞的突变,是一种克隆病
290、单项选择题 不属于遗传性红细胞内在缺陷的是()
A.G-6-PD缺乏症
B.异常Hb病
C.PK缺乏症
D.巨幼细胞贫血
E.遗传性球形红细胞增多症
291、单项选择题 缺铁性贫血最可能出现()
A.sTfR升高、SF降低、Ret正常
B.sTfR升高、SF升高、Ret正常
C.sTfR降低、SF降低、Ret正常
D.sTfR升高、SF降低、Ret降低
E.sTfR降低、SF降低、Ret升高
292、填空题 遗传性球形红细胞增多症最常见的临床表现是_____、____和_____。
293、配伍题 高铁血红蛋白还原试验用于检测()血红蛋白电泳用于检测()红细胞渗透胞性试验用于检测()Coombs试验用于检测()
A.遗传性球形红细胞增多症
B.胎儿水肿综合征
C.蚕豆病
D.PNH
E.阵发性冷性血红蛋白尿症
294、单项选择题
男性,16岁,面色苍白半年。体检:中度贫血貌,巩膜轻度黄染,脾肋下2.5cm。检验:血红蛋白81g/L,白细胞及血小板正常,网织红细胞16%;Coombs试验(-);红细胞渗透脆性试验,初溶为58%氯化钠溶液,全溶为46%氯化钠溶液。
患者可能为哪种溶血性贫血()
A.G-6-PD缺乏症
B.高铁血红蛋白血症
C.珠蛋白生成障碍性贫血
D.PNH
E.遗传性球形红细胞增多症
295、单项选择题
男性,57岁,近半个月厌食、恶心、头晕、乏力伴皮肤黄染。检验:血红蛋白80g/L,网织红细胞5%;红细胞脆性试验轻度增加;尿胆红素阴性,尿胆原强阳性,尿潜血检查阴性,血清总胆红素77.25μmol/L,ALT28U/L。拟诊为溶血性贫血。
若患者出现酱油色尿,高铁血红蛋白还原试验及荧光斑点试验(+),可能的诊断是()
A.珠蛋白生成障碍性贫血
B.G-6-PD缺乏症
C.稳定血红蛋白病
D.PK酶缺乏症
E.PNH
296、单项选择题 下列疾病与血管内溶血无关的是()
A.自身免疫性溶血性贫血
B.G-6-PD缺乏症
C.疟疾
D.PNH
E.阵发性冷性血红蛋白尿
297、单项选择题 人体内维生素B12贮存量为()
A.1~2mg
B.2~3mg
C.3~4mg
D.4~5mg
E.5~6mg
298、单项选择题 下列哪项不属于血红蛋白病()
A.卟啉病
B.高铁血红蛋白血症
C.镰状细胞贫血
D.血红蛋白E病
E.β地中海贫血
299、填空题 红细胞膜骨架系统对维持红细胞的____、____和___起重要作用。
300、问答题 巨幼细胞性贫血应与哪些疾病相鉴别?