时间:2024-12-03 02:23:01


1、多项选择题 化脓性脑膜炎并发硬脑膜下积液的诊断依据是()
A.治疗后脑脊液好转,但发热持续不退或退后复升
B.头颅B超或CT示硬膜下腔增宽
C.出现呕吐、惊厥、前囟膨隆
D.颅骨透照实试验阳性
E.硬膜下穿刺可抽出超过2ml液体
2、判断题 小婴幼儿化脑,最应注意的体征是巴氏征。()
3、单项选择题 引起病毒性脑膜炎、脑炎最常见的病毒是()
A.虫媒病毒
B.腮腺炎病毒
C.疱疹病毒
D.流感病毒
E.肠道病毒
4、判断题 复杂部分性发作的主要病变部位在中央区。()
5、问答题 引起癫痫或(惊厥)持续状态的病因有哪些?
6、填空题 失神发作脑电图有典型___________________。
7、名词解释 梦游症(noctambulism)
8、多项选择题 化脓性脑膜炎并发脑室管膜炎的临床特点是()
A.多见于革兰阴性杆菌脑膜炎且诊断治疗不彻底的婴儿
B.发热持续不退、惊厥频繁
C.前囟饱满
D.头颅CT示脑室稍扩大
E.侧脑室穿刺CSF异常
9、单项选择题 关于急性感染性多发性神经根炎的述说哪项是正确的()
A.以冬春季节为主
B.农村较城市多见
C.女孩多于男孩
D.好发年龄多在10岁以上
E.为病毒直接感染所致
10、单项选择题 假肥大型肌营养不良肌肉肥大通常发生在()
A.胸大肌
B.股外侧肌
C.肱三头肌
D.腓肠肌
E.胫前肌
11、填空题 脑性瘫痪按运动障碍性质分类为___________________,___________________,___________________,___________________,___________________,___________________,___________________。
12、单项选择题
7岁男孩,4岁时发现走路呈鸭步态,易跌倒。小腿腓肠肌肥大,智商(1Q)为80,血清CPK1200U。该患儿首先考虑的诊断是()
A.先天性肌营养不良
B.Becker型肌营养不良
C.Duchenne型肌营养不良
D.重症肌无力
E.智力低下
13、配伍题 4岁男孩,13个月开始出现右侧面部及右上肢阵挛性发作,持续不断,无意识障碍,诊断应是()
A.强直性阵挛性癫痫状态
B.连续性部分性癫痫状态
C.复杂部分性癫痫状态
D.失神癫痫状态
E.不典型失神癫痫状态
14、填空题 瑞氏综合征的脑脊液的改变是___________________。
15、判断题 原发性癫痫患儿智力发育多受累。()
16、单项选择题 小儿脑肿瘤中最常见的肿瘤是()
A.神经胶质细胞瘤
B.髓母细胞瘤
C.血管瘤
D.室管膜瘤
E.垂体腺瘤
17、填空题 大多数专家认为___________________对格林巴利治疗无效。
18、单项选择题 在脓毒败血症过程中所发生的脑膜炎病原体多为()
A.脑膜炎双球菌
B.流感嗜血杆菌
C.大肠杆菌
D.葡萄球菌
E.肺炎链球菌
19、单项选择题 13岁男孩,诊断为复杂部分性癫痫,经卡马西平治疗后,已1年半未发作。下一步应该()
A.行血药浓度测定
B.重复脑电图检查
C.按原量继续服卡马西平
D.该药可以逐渐减量
E.停服卡马西平
20、填空题 恢复期血清病毒特异性抗体滴度高于急性期___________________对病毒性脑炎有诊断价值。
21、填空题 脑干肿瘤引起___________________。
22、多项选择题 需与急性感染性多神经根炎鉴别的疾病有()
A.脊髓灰质炎
B.急性脊髓炎
C.脊髓肿瘤
D.急性脑干炎
E.肠道病毒感染所致的急性弛缓性瘫痪
23、单项选择题
男,请根据其正常骨盆影像图像,判断其最可能的年龄()

A.2岁左右
B.8岁左右
C.6岁左右
D.12岁左右
E.10岁左右
24、单项选择题
男,6岁,睡眠差,夜惊,多汗;出牙较迟;血清磷减低、血清钙减低、碱性磷酸酶升高卜,请结合图像选择最佳选项()

A.维生素D缺乏病
B.骨软化症
C.先天性骨梅毒
D.肾性维生素D缺乏病
E.脆骨病
25、判断题 临床上及少有单纯的头痛性或腹痛性癫痫者,偏头痛决不会合并惊厥发作或自动症。()
26、单项选择题 小儿良性癫痫伴中央中颞部棘波最突出的临床特点是()
A.有明显的遗传倾向
B.智力发育正常
C.呈部分简单运动性发作
D.脑电图特异性高辐中央、中颞区棘波
E.预后良好
27、单项选择题
患儿女,2岁。因发热,头痛,呕吐2天,频发惊厥来院就诊。查体:体温39.8℃,神清,精神弱,颈部有抵抗,心肺腹无异常。克氏征(+),布氏征(+),脑脊液常规:白细胞6000×106/L,多核O.86,单核O.14,涂片可见革兰阳性双球菌。此患儿诊断为()
A.结核性脑膜炎
B.流行性脑脊髓膜炎
C.流行性乙型脑炎
D.化脓性脑膜炎
E.病毒性脑炎
28、多项选择题 失神发作诊断的主要依据是()
A.突然短暂的意识丧失,动作停止
B.轻度的肌张力低下
C.脑电图为每秒3次棘慢波发放
D.头颅CT正常
E.发作可由过度换气诱发
29、单项选择题 13岁男孩,发作性意识丧失2年,发作时双目凝视,一手捂头或突然站起来走动,每次持续2分钟或更长,发作过后不能追忆,发作无一定规律性。该患儿的发作类型是()
A.失神发作
B.肌阵挛性发作
C.不典型失神发作
D.自主神经性发作
E.复杂部分性发作
30、单项选择题 肺炎链球菌脑膜炎的特点是()
A.脑膜刺激征阳性
B.椎体束征阳性
C.高热、头痛、频吐
D.意识障碍
E.脑脊液易找到致病菌
31、单项选择题 急性感染性多神经根炎的临床表现不正确的是()
A.病前多有前驱感染
B.肌无力为对称性
C.可有颅神经受累
D.可影响呼吸
E.腱反射亢进
32、单项选择题 假性肥大性肌营养不良早期诊断实验室指标是()
A.CK
B.LDH
C.GOT
D.GTP
E.CK-MB
33、配伍题 婴儿痉挛症()线粒体脑肌病()假肥大性肌营养不良()
A.肌活检可见破碎样红纤维
B.CT示颅内有占位效应
C.脑脊液检查示细胞数680×10/L,多核为0.85
D.血清肌肉酸激酶显著增高
E.脑电图示高峰失律
34、问答题 抗癫痫药过敏综合征临床特点?
35、判断题 单纯性FS惊厥发作形式为全身性发作,只表现全身强直―阵挛性发作。()
36、填空题 病毒性脑炎引起弥漫性大脑病变,主要临床表现有___________________,___________________,___________________和___________________。
37、多项选择题 病毒性脑膜炎脑脊液变化为()
A.糖含量轻度降低
B.白细胞数轻度升高
C.氯化物降低
D.蛋白含量正常或轻度增高
E.病毒抗体检测阳性
38、填空题 对有复发倾向的高热惊厥患儿的预防,可于发热开始使用___________________,剂量为___________________,连服___________________或___________________。
39、问答题 化脑主要病理变化有哪些?
40、单项选择题 下列哪项检查是急性化脓性脑膜炎患儿皆应做的检查()
A.血培养
B.头颅CT
C.头颅超声波
D.颅骨X线检查
E.硬膜下穿刺
41、判断题 复杂部分性发作的主要病变部位在额叶或颞叶。()
42、名词解释 惊厥(convulsion)
43、单项选择题 Lennox-Gastaut综合征的主要临床特点,下列哪项不符合()
A.主要从婴儿期起病
B.临床发作类型可有肌阵挛性、不典型失神和强直阵挛性发作
C.脑电图背景活动异常,有大量1.5Hz的慢棘慢综合波
D.大多数患儿智力低下
E.治疗困难,预后不良
44、判断题 合理使用抗癫痫药是当前治疗癫痫的主要手段。()
45、单项选择题 婴儿病毒性脑膜炎的表现,哪项不正确()
A.发作性尖声哭叫
B.意识多不受累
C.较少有惊厥发作
D.无颈项强直
E.无局限性神经系统体征
46、单项选择题 流感嗜血杆菌脑膜炎,下列哪项是错误的()
A.引起脑膜炎的菌株大多为B型
B.多见于婴幼儿发病
C.易并发硬脑膜下积液
D.该菌能产生外毒素
E.偶见皮疹
47、单项选择题
12岁,女性患者,因右小腿肿胀,疼痛,发热3月余,摄片如图所示,下列征象那项是错误的:()
A.骨质呈溶骨性破坏
B.骨质增生硬化
C.骨膜呈层状增生不明显
D.可见软组织肿块
E.以上都不正确
48、多项选择题 小儿化脓性脑膜炎常见的致病菌是()
A.脑膜炎双球菌
B.流感杆菌
C.肺炎链球菌
D.大肠杆菌
E.变性杆菌
49、问答题 非感染性惊厥的病因有哪些?
50、单项选择题 3个月患儿,发热3天、抽搐1次。脑脊液细胞数1000×10/L,蛋白1g/L,糖1.0mmol/L,培养有革兰阳性球菌,对青霉素敏感。用青霉素静滴6天后热退至正常,前囟平。第9天体温又升高,前囟复饱满,无神经系统定位体征。脑脊液复查:细胞数52×10/L,蛋白0.6g/L,糖4.1mmol/L。发热原因最可能是()
A.化脓性脑膜炎病变进展
B.硬脑膜下积液
C.并发脑脓肿
D.并发脑积水
E.合并中毒性脑病
51、判断题 癫痫持续状态首选地西泮止惊。()
52、判断题 格林―巴利的瘫痪特点是对称性痉挛性瘫痪。()
53、单项选择题 化脓性脑膜炎并发硬膜下积液,下列哪种情况需神经外科手术治疗()
A.久积液为脓性者
B.积液量过多颅压增高明显者
C.反复穿刺4~5周后仍抽液不净者
D.反复抽液3个月后仍持续颅压增高者
E.出现硬膜下积液,立即手术
54、单项选择题 小儿脑肿瘤的颅高压症状应除外()
A.呕吐
B.头痛
C.意识改变
D.眼部症状
E.肢体运动障碍
55、问答题
3岁男孩,因宫内窘迫剖宫产娩出。出生时苍白窒息,生后6个月会抬头,1岁会坐,3岁会走,双腿交叉呈剪刀样,腱反射亢进。智力基本正常。
该患儿诊断是什么及诊断依据。56、填空题 脑膜炎球菌引起的化脑首选___________________,耐___________________者需选用___________________。
57、多项选择题 诊断线粒体脑肌病时需排除()
A.颅内感染
B.小儿脑肿瘤
C.Reye综合征
D.癫痫
E.脑性瘫痪
58、填空题 当临床表现或脑电图提示为局灶性发作或局灶-继发全面性发作的患儿,应作___________________检查,甚至___________________检查。
59、单项选择题 下列癫痫发作,哪种不属于全身性发作()
A.失神发作
B.精神运动性发作
C.强直性发作
D.失张力发作
E.肌阵挛发作
60、填空题 West综合征的临床特点有___________________,___________________,___________________及___________________。
61、单项选择题
七个月婴儿,发热、咳嗽2天,嗜睡、反复惊厥半天。查体:精神差,前囟膨隆,两肺可闻及中小水泡音,颈部无抵抗,双巴氏征阳性。
最可能出现的合并症为()
A.脑室管膜炎
B.脑积水
C.硬脑膜下积液
D.颅内出血
E.脑水肿
62、单项选择题 下列哪项不是线粒体脑肌病的生化缺陷()
A.基质运输缺陷
B.基质利用缺陷
C.三羧酸循环受累
D.氧化/磷酸化耦联缺陷
E.糖原合成酶缺乏
63、问答题 化脑典型临床表现有哪些?
64、单项选择题 关于复杂型高热惊厥的特点下列哪项不符()
A.惊厥发作持续15分钟以上
B.发作形式可呈部分性发作
C.1天内发作多次
D.发作后神经系统检查正常
E.发作前有神经系统异常
65、单项选择题 癫痫发作时间过长时,除用止惊剂外,应立即()
A.给予甘露醇和地塞米松
B.给予抗生素
C.给能量合剂
D.静脉滴注碱性液体
E.静脉滴注10%葡萄酸钙
66、名词解释 全面性癫痫伴热性惊厥附加症(GEFS+)
67、单项选择题
12岁女性患者,左前臂外翻畸形4年,摄片如图所示,最佳的诊断是()
A.奥利病
B.马德隆畸形
C.先天性干骺端发育不全
D.软骨发育不全
E.骨折后愈合不良
68、单项选择题
男,13岁,运动后膝痛,请结合影像图像,选择最可能的诊断()

A.正常影像
B.动脉瘤样骨囊肿
C.骨软骨瘤
D.成骨细胞瘤
E.骨样骨瘤
69、问答题 化脓性脑膜炎抗生素应用原则有哪些?
70、多项选择题 病毒性脑炎脑脊液变化为()
A.白细胞数轻度升高
B.糖含量轻度降低
C.蛋白含量正常或轻度增高
D.氯化物降低
E.脑脊液压力正常或轻度升高
71、判断题 新生儿期的有热惊厥不能诊断为高热惊厥。()
72、单项选择题
男,7岁,无意发现鼻腔肿物,无明显症状,CT如图所示,最可能诊断为()
A.鼻淋巴瘤
B.鼻炎
C.鼻炎鼻息肉
D.鼻乳头状瘤
E.鼻炎及副鼻窦粘膜下囊肿
73、填空题 重症肌无力的主要病因是患者体液中存在___________________与___________________共同争夺___________________结合部位。
74、单项选择题 1岁男性,发热、频繁呕吐、惊厥3天,疑诊为Reye综合征,为明确诊断,首先需要作下列哪项检查()
A.血常规
B.脑脊液常规、生化检查
C.头颅CT
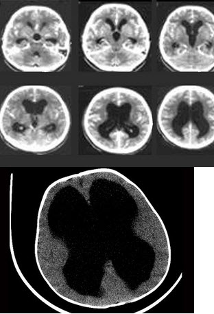
D.测血清总胆红素及1分钟胆红素
E.测血氨及转氨酶
75、单项选择题 新生儿易患大肠杆菌脑膜炎的主要原因是()
A.生产时通过母亲产道
B.体内缺乏IgM
C.体内缺乏IgG
D.细胞免疫功能发育不完全
E.血脑屏障发育未完善
76、配伍题 步态异常,步行时左右摇摆似鸭步,膝反射减弱()膝反射亢进,步行时足尖着地()早期血氨高、血糖低、血清转氨酶增高,脑脊液无炎症改变()
A.假肥大型肌营养不良
B.脑性瘫痪
C.急性感染性多神经根炎
D.进行性肌营养不良
E.先天性肌营养不良
77、单项选择题 癫痫持续状态时首选哪种药物是()
A.氯丙嗪
B.10%水合氯醛
C.地西泮
D.苯妥英钠
E.苯巴比妥钠
78、单项选择题 以下哪项不符合痉挛性脑瘫的临床表现()
A.肌张力增高,肢体痉挛
B.运动障碍
C.双下肢剪刀步态
D.巴氏征阳性
E.手足徐动明显
79、单项选择题 3个月以内小儿化脓性脑膜炎不具诊断意义的是()
A.凝视,尖叫
B.吐奶,拒食
C.嗜睡,惊厥
D.前囟张力高
E.克氏征,巴氏征阳性
80、填空题 神经胶质瘤存在___________________特定基因缺失。
81、判断题 癫痫患者首次发作较轻微且无脑损伤者,也可等第二次发作后再用药。()
82、单项选择题 鲎珠溶解试验可间接证实脑脊液中存在哪些种病原菌()
A.病毒
B.结核菌
C.革兰阴性细菌
D.真菌
E.革兰阳性细菌
83、名词解释 脑性瘫痪(cerebralpalsy)
84、单项选择题
婴幼儿,女,头比一般孩子大,请结合影像图像选择最可能的诊断()
A.脑萎缩
B.阻塞性脑积水
C.交通性脑积水
D.先天发育异常
E.脑囊肿
85、问答题 癫痫持续状态的急救处理原则?
86、填空题 年龄小于3个月的幼婴化脑,脑膜刺激征不明显与___________________,___________________,___________________有关。
87、判断题 脑肿瘤患儿如出现瞳孔不等大或明显意识障碍时,应考虑为枕骨大孔疝。()
88、多项选择题 化脓性脑膜炎在下列哪些情况下应做头颅CT检查()
A.治疗中持续发热、头围增大
B.局限性神经系统异常体征
C.显著颅内压增高
D.疑有脑脓肿和硬膜下积液形成
E.疑有脑室管膜炎
89、单项选择题 10岁男孩,经检查确诊为小儿良性癫痫伴中央中颞部棘波,下列哪项不是其临床特点()
A.发作类型为简单部分性发作,亦可为大发作
B.发作与睡眠关系密切
C.智力发育正常
D.有明显的遗传倾向
E.抗癫痫药物需终身治疗
90、单项选择题 关于病毒性脑膜炎以下哪项不正确()
A.起病急
B.轻者可自行缓解
C.患儿均留有后遗症
D.脑脊液蛋白和细胞数轻度升高
E.脑脊液中可分离出病毒
91、多项选择题 化脓性脑膜炎常见的并发症有()
A.硬脑膜下积液
B.脑性低钠血症
C.脑积水
D.脑室管膜炎
E.癫痫
92、判断题 Reye综合征出现惊厥时,首选苯巴比妥止惊。()
93、名词解释 脑膜刺激征(meningealirritationsign)
94、单项选择题
女,2岁,有蓝色巩膜、听力障碍,四肢畸形等,请结合所提供图像,选择最佳选项()
A.维生素D缺乏病
B.维生素C缺乏病
C.软骨发育不全
D.呆小病
E.成骨不全
95、名词解释 痫样发作
96、问答题 癫痫的危险因素有哪些?
97、判断题 颞叶癫痫首选丙戊酸钠。()
98、单项选择题 化脓性脑膜炎患儿有颅高压、脑疝症状时,首先选用()
A.20%甘露醇静推
B.50%葡萄糖静推
C.呋塞米肌注
D.50%甘油口服
E.地塞米松肌注
99、单项选择题 下列哪种化脓性脑膜炎脑脊液细菌检出率最高()
A.脑膜炎双球菌脑膜炎
B.大肠杆菌脑膜炎
C.肺炎链球菌脑膜炎
D.流感嗜血杆菌脑膜炎
E.李司忒菌脑膜炎
100、填空题 病毒性脑炎若脑部病变主要累积___________________,临床则以___________________为主要表现。
101、填空题 化脑常见的致病菌有___________________、___________________及___________________。新生儿及小婴儿化脑常见的致病菌有___________________和___________________。
102、单项选择题 6岁男孩,阵发性头痛1个月,伴呕吐,有复视现象。体查:体温正常,神清,右下肢肌张力增高,腱反射亢进,脑脊液常规、生化基本正常。诊断应考虑为()
A.化脓性脑膜炎
B.病毒性脑炎
C.Reye综合征
D.小儿脑肿瘤
E.神经血管性头痛
103、单项选择题 8个月男孩,诊断为婴儿痉挛症。首选的抗癫痫药物是()
A.丙戊酸钠每天20~50mg/kg
B.苯巴比妥每天3~5mg/kg
C.苯妥英钠每天4~7mg/kg
D.氯硝西泮每天O.01~0.2mg/kg
E.卡马西平每天10~30mg/kg
104、单项选择题 下列脑脊液检查哪项符合Reye综合征的改变()
A.蛋白质0.8g/L
B.糖1.83mmol/L
C.氯化物101mmol/L
D.细胞数250×106/L
E.压力2.05kPa
105、填空题 肌阵挛发作首选___________________。
106、多项选择题 小儿良性癫痫伴中央颞区棘波的主要临床特征是()
A.多在5~10岁发病
B.发作类型呈部分简单运动性发作,多在夜间发作
C.脑电图示颞中区、中央区高辐双相尖波或棘波
D.智力正常,预后良好
E.体检无异常
107、填空题 典型失神发作首选___________________。
108、名词解释 West综合征
109、单项选择题 确诊化脓性脑膜炎的依据是()
A.抽搐、昏迷
B.高热、头痛、呕吐
C.脑脊液中找到致病菌
D.脑膜刺激征阳性
E.婴儿前囟饱满,隆起
110、单项选择题
女孩,8岁。1个月前突然发作1次,两眼上翻,四肢抽动,面色青紫,历时1分钟逐渐清醒,醒后未诉不适。5年前有类似发作1次。1周前查脑电图正常。神经系统检查无异常。
服药半年未发作。自行停药1周后突然发作,意识不清1小时。为控制发作,应首选()
A.苯妥英钠缓慢静脉注射
B.异戊巴比妥钠缓慢静脉注射
C.氯丙嗪口服
D.地西泮缓慢静脉注射
E.10%水合氯醛保留灌肠
111、名词解释 注意力缺乏多动症(attentiondeficithyperactivitydisorder)
112、判断题 婴儿痉挛症有明显的智力低下。()
113、名词解释 屏气发作(breathholdingspell)
114、填空题 发育早期阶段是指___________________。
115、问答题
男孩,10岁。8岁起发作性意识丧失,伴四肢抽搐,服药后已两年未发。近来自行停药,今晨开始有频繁连续抽动。在2次发作期间意识不清,来院急诊时有频繁抽动作伴昏迷。
指出患儿此次的发作类型、首选采用的治疗药物及出院后服药的时间。116、填空题 枕骨大孔疝瞳孔变化是___________________。
117、填空题 假肥大型肌营养不良的病因是___________________的基因突变所致。
118、名词解释 线粒体脑肌病(mitochondrialencephalomyopathy)
119、单项选择题 大肠杆菌脑膜炎正确的治疗是()
A.选用头孢拉定
B.选用头孢三嗪
C.不必用药物鞘内注射
D.临床症状消失和体温正常后停药
E.选用头孢唑啉
120、判断题 癫痫持续状态禁用甘露醇。()
121、名词解释 杰克逊发作
122、填空题 有意识丧失的非癫痫发作性的疾病有___________________。
123、单项选择题 男孩,6岁。系脑性瘫痪。对其进行治疗时,下列哪项不是主要的()
A.全面关心患儿,注意合理营养和护理
B.早期发现,早期治疗
C.静脉注射或肌内注射脑活素
D.对有语言障碍、智力低下者,进行语言训练、特殊教育
E.运动障碍应采用综合矫正治疗
124、单项选择题 10天女婴,吐奶、嗜睡8天,伴有惊厥,体温37℃,反应低下,全身皮肤明显黄染,前囟紧张,克、布氏征阴性,脑脊液检查未找到细菌。下列检查中哪项对明确诊断最有帮助()
A.测脑脊液乳酸盐
B.测脑脊液乳酸脱氢酶活性
C.测脑脊液免疫球蛋白
D.脑脊液鲎珠溶解物试验
E.测脑脊液PPD-IgG,PPD-IgM
125、判断题 DMD与BMD是假肥大型肌营养不良的两种类型,临床表现相似,但BMD的发病率较DMD高。()
126、单项选择题
女,请根据其正常骨盆影像图像,判断其最可能的年龄()

A.2岁左右
B.5岁左右
C.8岁左右
D.11岁左右
E.14岁左右
127、判断题 Lennor-Gastaut综合征是儿童期一种主要的难治性癫痫。()
128、单项选择题 8个月男性患儿,诊断为“化脑”,用青霉素和氯霉素治疗,病情好转,体温正常。近3天又发热、抽搐,体温39.5℃;神志欠清,前囟紧张。脑脊液:外观清亮,细胞数12×10/L,氯化物110mmol/L,蛋白质450mg/L,糖4mmol/L,应首先考虑()
A.脑水肿
B.硬脑膜下积液
C.脑脓肿
D.合并结核性脑膜炎
E.脑膜炎复发
129、填空题 ___________________是发现脑膜炎双球菌重要而简便的方法。
130、多项选择题 婴儿期常见的惊厥病因有()
A.低血钙
B.化脓性脑膜炎
C.高热惊厥
D.婴儿痉挛症
E.颅内感染
131、单项选择题 2岁女孩。1岁起出现点头、发呆发作,有时呈大发作,至今不会独坐和爬。出生时有窒息及颅内出血。头围46cm,前囟已闭。CT检查示脑萎缩,EEG示双侧有较多1.5Hz棘-慢波和多棘-慢波阵发。诊断为Lennox-Gastaut’s综合征。首选的抗癫痫药物应是()
A.卡马西平每天10~30mg/kg
B.苯巴比妥每天3~5mg/kg
C.苯妥英钠每天4~7mg/kg
D.丙戊酸钠每天20~50mg/kg
E.氯硝西泮每天O.01~O.2mg/kg
132、判断题 脑性瘫痪最常见的类型是手足徐动脑瘫。()
133、单项选择题
13岁男性患者,右跟骨疼痛不适3周,无发热等其他不适,右跟骨侧、轴位摄片如图示,最可能的诊断是()
A.右跟骨结核
B.右跟骨骨囊肿
C.右跟骨骨巨细胞瘤
D.右跟骨血管瘤
E.以上都不正确
134、问答题 新生儿期常见的惊厥病因有哪些?
135、单项选择题 小儿结核性脑膜炎或化脓性脑膜炎出现急性偏瘫的主要原因是()
A.脑室管膜炎
B.细菌栓塞
C.急性脑膜脑炎
D.脑脓肿
E.脑动脉内膜炎
136、名词解释 化脑(化脓性脑膜炎)(purulentmeningitis)
137、填空题 重症肌无力患儿禁用药物有___________________、___________________、___________________、___________________。
138、单项选择题
女,2岁,因呕吐、惊厥、意识障碍4~5天急诊入院。病前1周曾有流涕、咳嗽。家族史无类似病史。查体:体温38℃,嗜睡,双瞳孔等大等圆、对光发射存在,咽充血,心、肺(-),腹平软,肝右肋下2.5cm,脾未及,无脑膜刺激征,大便常规未见异常。
为确诊应作下列检查,除外()
A.硬脑膜下穿刺抽液检查
B.脑电图检查
C.肝肾功能检查
D.肝功能检查
E.头部CT检查
139、单项选择题
男,12岁,左面颊肿大5年余,局部呈紫红色,CT如图所示,最可能诊断为()
A.蔓状血管瘤
B.血管外皮瘤
C.动静脉畸形
D.慢性腮腺炎
E.下颌下腺慢性炎症
140、填空题 ___________________是诊断癫痫最重要的实验室检查。
141、填空题 有热惊厥的病因有___________________,___________________,___________________等。
142、配伍题 7岁男孩,临床与脑电图诊断为颞叶癫痫,CT检查无异常。其首选的抗癫痫药物应是()10岁女孩,发作性发呆、凝视2个月,曾有1次大发作。脑电图示3Hz棘慢波阵发,过度换气时明显增多。其首选的抗癫痫药物是()女孩,10个月。点头、弯腰、举手发作2个月,每天十余次,脑电图呈高峰节律紊乱。其首选药物应是()
A.丙戊酸钠
B.卡马西平
C.ACTH
D.氯硝西泮
E.乙琥胺
143、单项选择题 急性感染性多发性神经根炎脑脊液特点为()
A.细胞数明显增高
B.糖含量有所降低
C.出现蛋白细胞分离现象
D.出现细胞蛋白分离现象
E.蛋白增高以病后第1周最显著
144、单项选择题 2岁女孩,频繁呕吐2天,伴昏迷、惊厥。肝右肋下4cm。血清转氨酶100U,血糖为1.12mmol/L。诊断为Reye综合征。下列哪项不是致病因素()
A.病前有病毒感染史
B.黄曲霉毒素污染食物
C.服用水杨酸退热剂
D.服用抗癫痫药物如丙戊酸钠
E.金黄色葡萄球菌感染
145、单项选择题 颅骨骨折或外科手术后造成的脑脊液鼻漏或脑脊液耳漏病儿患脑膜炎后,常反复再发。其病原菌多为()
A.脑膜炎双球菌
B.肺炎链球菌
C.金黄色葡萄球菌
D.流感嗜血杆菌
E.大肠杆菌
146、单项选择题 婴儿化脓性脑膜炎最常见的并发症是()
A.癫痫
B.硬脑膜下积液
C.脑室管膜炎
D.脑积水
E.失明
147、单项选择题 Reye综合征预后的决定因素应除外()
A.患儿起病年龄
B.发热的程度
C.病情进展的速度
D.诊治的早晚
E.血氨、血糖、血清钾等血液生化的异常
148、问答题 儿童期重症肌无力的主要临床表现有哪些?
149、单项选择题
七个月婴儿,发热、咳嗽2天,嗜睡、反复惊厥半天。查体:精神差,前囟膨隆,两肺可闻及中小水泡音,颈部无抵抗,双巴氏征阳性。
为明确诊断,应选哪项检查()
A.胸部X线片
B.PPD检查
C.脑电图
D.血培养
E.脑脊液检查
150、判断题 脑性瘫痪以痉挛型最常见。()
151、单项选择题 关于瑞氏综合征的病因,下列哪一项是错误的()
A.乙酰水杨酸应用可导致本病的发生
B.与B型流感病毒和水痘感染有关
C.与遗传代谢病如中链酰基一CoA脱氢酶缺陷有关
D.线粒体脂肪酸氧化代谢缺陷病可以出现与本病相似症状
E.与细菌感染有关
152、单项选择题
男,6岁,髋痛、跛行,请结合CR检查,选出最可能的诊断()

A.髋关节结核
B.股骨头骨骺缺血坏死
C.骨肉瘤
D.骨囊肿
E.软骨肉瘤
153、单项选择题 假肥大型肌营养不良患儿缺失基因定位于()
A.Xp21
B.Xq21
C.Xpl3
D.Xql3
E.Xg31
154、单项选择题 男,4个月,左耳流脓2天后发热5天,抽搐2次。体温:40℃,左外耳道积脓,左乳突处压痛。前囟紧张。布氏征(+)、克氏征(+)。血白细胞20×10/L,中性粒细胞O.88。CSF细胞数800×10/L,潘氏试验(+),糖1.8mmol/L。氯化物110mmoI/L。最可能诊断为中耳炎、乳突炎合并()
A.败血症
B.病毒性脑炎
C.高热惊厥
D.化脓性脑膜炎
E.脑脓肿
155、问答题 需要与化脑鉴别的疾病主要有哪些,什么是鉴别的关键?
156、配伍题 患儿女,3岁,高热1周,头痛3天,呕吐3次。头面部脓疖多个,持续3周未愈。体温:40℃,面色青灰,颈抵抗,布氏征(+)。脑脊液细胞数1280x106/L,糖2.0mmol/L,氯化物120mmol/L,涂片、培养均阴性。此时宜选的重要检查是()男性患儿,6个月,发热6天,拒奶,呕吐,嗜睡,未种卡介苗。体温:38.5℃,呼吸48次/分,唇周青紫,两肺散在细湿啰音,肝在右肋下3cm,脾1cm,颈有抵抗感。脑脊液细胞数420x106/L,蛋白0.8g/L,糖1.6mmol/L,氯化物100mmol/L,为确诊上述何种检查首选()
A.皮肤脓液培养
B.血气分析
C.X线胸片
D.PPD试验
E.头颅CT扫描
157、多项选择题 注意力缺陷多动症的治疗方法包括()
A.实施合理教育
B.减少对患儿的不良刺激
C.合理使用药物
D.药物治疗在周末使用
E.三环抗抑郁药的使用
158、名词解释 病毒性脑炎(viralencephalitis)
159、单项选择题 小儿长期颅内压增高,不会见到()
A.颅缝裂开
B.头围大呈鞍形
C.出现落日眼
D.颅骨X线片见有指压痕
E.视网膜和视乳头水肿
160、单项选择题 癫痫的外科手术治疗指征不包括()
A.抗癫痫药物治疗无效
B.已知脑内局限性病变的继发性癫痫
C.小儿良性癫痫伴中央中颞部棘波
D.部分性癫痫
E.未发现脑内病灶但发作频繁影响发育的婴儿癫痫
161、填空题 Reye综合征患者抢救过程避免使用___________________和___________________。
162、单项选择题
女,请根据其正常骨盆影像图像,判断其最可能的年龄()

A.1岁左右
B.5岁左右
C.3岁左右
D.7岁左右
E.10岁左右
163、判断题 流感病毒是引起病毒性脑炎最常见的病毒。()
164、多项选择题 失神发作的主要临床特点是()
A.青春期前发病
B.失神发作频繁
C.失神发作时脑电图为3Hz棘慢波同步发放
D.有明显的遗传倾向,女性多于男性
E.可伴异常背景
165、判断题 瑞氏综合征预后的决定因素是发热的程度。()
166、填空题 肿瘤以___________________治疗为主。
167、判断题 继发性癫痫的临床特点是多可发现原发性疾病。()
168、填空题 儿童期重症肌无力以__________型最多见。
169、单项选择题 患儿5岁。出生时有颅内出血,出现四肢张力增高,姿势异常及运动障碍,腱反射亢进。智力低下,巴氏征阳性。其脑瘫类型是()
A.痉挛性偏瘫
B.手足徐动性
C.强直型
D.共济失调型
E.痉挛性四肢瘫
170、单项选择题 对于脑水肿,下列哪种药物脱水疗效最佳()
A.可的松
B.氢化可的松
C.泼尼松
D.促肾上腺皮质激素
E.地塞米松
171、多项选择题 小儿癫痫应与下列哪些疾病相鉴别()
A.屏气发作
B.习惯性阴部摩擦
C.晕厥
D.睡眠障碍
E.维生素D缺乏性手足搐搦症
172、单项选择题 Reye综合征的实验室检查下列哪项不符合()
A.周围白细胞计数增加以中性粒细胞为主
B.血氨在早期升高
C.早期有血清转氨酶升高、凝血酶原时间延长
D.低血糖在0岁以上小儿最明显
E.脑脊液的主要改变是压力增高
173、填空题 小儿脑肿瘤居小儿时期恶性肿瘤___________________。
174、多项选择题 小儿脑肿瘤常需与以下哪些疾病鉴别()
A.脑脓肿
B.脑寄生虫病
C.脑内结核瘤
D.尿崩症
E.癫痫
175、问答题 假肥大型肌营养不良的病理是什么?
176、多项选择题 病毒性脑膜炎的临床特点是()
A.全身中毒症状不重
B.可有局限性神经系统体征
C.意识多不受累
D.预后欠佳
E.病程1~2周
177、问答题 全面性癫痫伴热性惊厥附加症的临床特点是什么?
178、判断题 癫痫是不治之症。()
179、配伍题 癫痫失神发作()婴儿痉挛症()脑性瘫痪()假肥大型肌营养不良()注意力缺陷多动症()
A.智力正常,但有学习困难
B.智力低下,伴有肌张力增高
C.智力发育迟滞,伴有点头状肌阵挛发作
D.智力可低于正常,腓肠肌肥大
E.智力发育正常,有发作性短暂意识丧失
180、问答题 小儿失神癫痫的临床特点是什么?
181、单项选择题 化脓性脑膜炎预后的决定因素应除外()
A.患儿发病年龄大小
B.诊治时间的早晚
C.致病菌种类
D.机体的免疫力
E.发热的程度
182、判断题 癫痫持续状态禁用甘露醇。()
183、判断题 下运动神经元病变时肌张力低下,腱反射消失。()
184、填空题 对有明显颅压增高者,最好先适当___________________后再行腰穿刺。
185、判断题 惊厥是指伴有骨骼肌强烈收缩的痫样发作,所以痫样发作都有惊厥。()
186、填空题 高热惊厥单纯型发作形式为___________________,持续时间___________________,好发年龄___________________。
187、单项选择题 葡萄球菌脑膜炎区别于链球菌脑膜炎的有意义特点是()
A.年龄的差异
B.脑脊液糖、蛋白、氯化物变化
C.皮疹有无
D.脑脊液有无薄膜形成
E.找到特有的病原菌
188、单项选择题 当急性感染性多发性神经根炎患儿出现下列哪些情况时,具有气管切开指征()
A.呼吸肌麻痹发展迅速
B.呼吸表浅不伴声音嘶哑和吞咽困难
C.右肺下叶不张
D.哮喘性支气管炎
E.血PaO27.32kPa,PaCO26.65kPa
189、填空题 癫痫患者若仅作常规清醒脑电图,阳性率___________________,加上睡眠等各种诱发实验可增至___________________,作动态脑电图或录像脑电图连续作___________________记录,使阳性率___________________。
190、单项选择题
1岁男婴,高热、频繁呕吐1天。体查:面色较苍白,双眼凝视,心、肺无异常,颈软,克、布氏征(-)。血常规:白细胞18×109/L,中性粒细胞O.85,淋巴细胞O.15。最不能排除下列哪种疾病()
A.上呼吸道感染
B.早期结核性脑膜炎
C.早期化脓性脑膜炎
D.病毒性脑炎
E.急性胃炎
191、填空题 隐球菌性脑膜炎的诊断有赖___________________。
192、名词解释 脑性低钠血症
193、填空题 复杂部分性发作首选___________________。
194、名词解释 癫痫危险因素
195、单项选择题 急性感染性多发性神经根炎患儿入院时的双下肢肢体在平面上能带动关节活动,能克服地心引力是()
A.0级
B.Ⅰ级
C.Ⅱ级
D.Ⅲ级
E.Ⅳ级
196、名词解释 高热惊厥(febrileconvulsion)
197、填空题 典型偏头痛主要表现为___________________,___________________,___________________,___________________和___________________等。
198、单项选择题 复杂部分性发作与简单部分性发作的主要鉴别点在于()
A.自动症的有无
B.意识障碍的有无
C.Todd麻痹的有无
D.有无感觉异常
E.精神症状性发作的有无
199、多项选择题 脑膜炎双球菌脑膜炎的主要临床特点是()
A.起病急骤,多在冬春季发病
B.皮肤出血点或瘀斑
C.迅速出现休克、DIC
D.易并发硬脑膜下积液
E.多发生在新生儿期
200、填空题 小儿脑肿瘤发生在___________________较成人多见。
201、单项选择题 化脓性脑膜炎应用糖皮质激素治疗的指征是()
A.高热、头痛、呕吐者
B.有颅神经损伤者
C.有休克、明显脑水肿或疑有梗阻者
D.前囟膨隆、紧张,嗜睡
E.用抗生素治疗无效者
202、多项选择题 颞叶癫痫的主要临床特点是()
A.突然意识丧失、动作停止、凝视
B.口-消化道自动症
C.具有幻觉、错觉、恐惧等精神症
D.常有热性惊厥史和惊厥家族史
E.意识正常
203、名词解释 Gower征
204、名词解释 违法行为
205、名词解释 局灶性发作(focalattack)
206、单项选择题 下列哪项不是继发性癫痫的临床特点()
A.可发现原发性疾病
B.可有多种形式发作
C.脑电图背景波多正常
D.智力发育多受累
E.对抗癫痫药物的反应欠佳
207、单项选择题 新生儿大肠杆菌脑膜炎抗生素应用时间一般为()
A.临床症状消失即可停药
B.脑脊液正常即可停药
C.用药一周即可停药
D.脑脊液无菌或正常后2周
E.脑脊液不正常,但临床症状已消失,2周以上即可停药
208、判断题 精神运动性发作是全部性发作。()
209、单项选择题
男,2岁,发育迟缓,头颅软,请结合图像,选出最可能的诊断()
A.成骨不全
B.颅锁骨发育不全
C.马方综合征
D.软骨发育不全
E.粘多糖病
210、单项选择题 5岁男性患儿,高热、头痛、呕吐2天,昏迷1天,起病前曾排稀便数次,无脓血,未见皮疹,心肺腹无异常,脑膜刺激征阳性,双侧巴氏征阳性,大便常规无异常。血常规:白细胞6×10/L,中性粒细胞0.30,淋巴细胞0.70。最可能的诊断是()
A.病毒性脑膜炎、脑炎
B.结核性脑膜炎
C.化脓性脑膜炎
D.中毒性菌痢
E.中毒性脑炎
211、单项选择题 癫痫精神运动性发作首选药物是()
A.苯妥英钠
B.苯巴比妥
C.卡马西平
D.托吡酯
E.丙戊酸钠
212、多项选择题 中毒性脑病所致惊厥的临床特点是()
A.任何年龄均可发生
B.多见于中毒型菌痢、败血症、肺炎等疾病的极期
C.惊厥可局限性、次数多、时间长
D.预后较差
E.惊厥与体温有关
213、多项选择题 Reye综合征的发生与下列病毒感染流行有关()
A.呼吸道合胞病毒
B.腺病毒
C.A型流感病毒
D.B型流感病毒
E.水痘病毒
214、配伍题 化脓性脑膜炎()病毒性脑炎()结核性脑膜炎()
A.糖正常,氯化物↓,蛋白质↑,细胞数↑,中性粒细胞为主
B.糖↓↓,氯化物↓,蛋白质↑↑,细胞数↑,中性粒细胞为主
C.糖↓↓,氯化物↓,蛋白质↑↑,细胞数↑,淋巴细胞为主
D.糖正常,氯化物正常,蛋白质↑,细胞数↑,淋巴细胞为主
E.糖↓↓,氯化物正常,蛋白质正常,细胞数正常
215、单项选择题 下列哪项不是注意力缺陷多动症的临床表现()
A.睡眠不安、喂养困难
B.与周围的小朋友相处融洽
C.坐立不安、注意力分散
D.IQ基本正常
E.症状随小儿成熟而趋好转
216、单项选择题 化脓性脑膜炎与结核性脑膜炎在脑脊液检查有根本性区别的项目是()
A.白细胞总数及分类
B.蛋白定量
C.糖及氯化物定量
D.脑脊液外观
E.脑脊液病原检测
217、配伍题 流感嗜血杆菌性脑膜炎首选()疱疹病毒脑炎首选()结核性脑膜炎首选()
A.无环鸟苷
B.大剂量青霉素G
C.氨苄青霉素
D.头孢唑林
E.异烟肼
218、判断题 长期使用苯妥英钠会引起牙龈增生。()
219、填空题 炎症渗出物粘连堵塞脑室液循环之狭小通道引起___________________障碍,即___________________脑积水,颅底及脑表面蛛网膜炎或静脉血栓引起___________________障碍,即___________________脑积水。
220、填空题 癫痫按病因分为___________________、___________________、___________________。
221、单项选择题 下列哪项不符合Reye综合征的临床表现()
A.病程分期以脑病症状的发展为依据
B.病程进展缓慢
C.肝脏轻中度肿大,一般无黄疸
D.小婴儿表现为突然呼吸急促或暂停、惊厥发作
E.可有去大脑强直
222、单项选择题
女孩,8岁。1个月前突然发作1次,两眼上翻,四肢抽动,面色青紫,历时1分钟逐渐清醒,醒后未诉不适。5年前有类似发作1次。1周前查脑电图正常。神经系统检查无异常。
此时该患儿最合适的处理是()
A.暂不服药继续观察
B.给予抗感染治疗
C.脑脊液检查
D.给予抗癫痫药物
E.复查脑电图
223、单项选择题
女,4岁,右侧颈部可扪及一包块约两个月,无热无痛,CT如图所示,最可能的诊断为()
A.咽旁血管外皮瘤
B.咽旁副神经节瘤
C.咽旁脓肿
D.咽旁神经纤维瘤
E.咽旁小唾液腺混合瘤
224、多项选择题 复杂型高热惊厥主要特点是()
A.惊厥发作持续15分钟以上
B.部分性发作
C.一次热病过程中发作多次
D.发作前神经系统异常
E.可有复发
225、单项选择题
男,请根据其正常骨盆影像图像,判断其最可能的年龄()

A.2岁左右
B.5岁左右
C.8岁左右
D.11岁左右
E.14岁左右
226、填空题 脑疝时瞳孔不等大或意识障碍时应考虑___________________。若出现呼吸节律不规则和颈项强直要考虑并发___________________。
227、判断题 脑瘫是进行性中枢运动发育异常。()
228、单项选择题
女,3岁,身高不增,智力正常,请结合图像,选出最可能的诊断()

A.维生素D缺乏症
B.肾性骨病
C.粘多糖贮积症IV型
D.粘多糖贮积症I型
E.MPSII型
229、填空题 Reye综合征的病理特征是___________________和___________________。
230、单项选择题 新生儿化脓性脑膜炎,以下哪项临床表现不常见()
A.发热或体温不升
B.颅高压征
C.拒食、呕吐
D.前囟饱满
E.呼吸暂停
231、单项选择题
男,2岁、右眼白瞳症一个月,CT影像如图,最可能的诊断为()
A.眼球内寄生虫病
B.永存原始玻璃体增生症
C.脉络膜骨病
D.Coats病
E.视网膜母细胞瘤
232、配伍题 多发性抽动首选()婴儿痉挛首选()癫痫精神运动性发作首选()癫痫失神发作首选()注意力缺陷多动症首选()
A.哌甲酯
B.卡马西平
C.氟哌啶醇
D.丙戊酸钠
E.ACTH
233、填空题 抗癫痫药中有食欲和体重增加不良反应的是___________________。
234、配伍题 流感嗜血杆菌脑膜炎首选()结核性脑膜炎首选和必选()
A.无环鸟苷
B.大剂量青霉素
C.氨苄青霉素
D.利福平
E.异烟肼
F.丁胺卡那霉素
235、单项选择题
七个月婴儿,发热、咳嗽2天,嗜睡、反复惊厥半天。查体:精神差,前囟膨隆,两肺可闻及中小水泡音,颈部无抵抗,双巴氏征阳性。
不可能的诊断为()
A.高热惊厥
B.中毒性脑病
C.病毒性脑炎
D.化脓性脑膜炎
E.结核性脑膜炎
236、判断题 典型化脑脑脊液改变是细胞数增高,蛋白增高,糖升高。()
237、名词解释 复杂局灶性发作
238、填空题 GEFS+,又称___________________。是指___________________,总发作次数___________________一般FS。
239、问答题 年龄小于3个月的幼婴和朽生儿化脑的临床表现特点是什么?
240、问答题
患儿5个月,发热呕吐2天,抽搐2次入院。查体:体温39℃,嗜睡,前囟饱满,颈项强直。腰穿脑脊液微浑,白细胞数2000×106/L,多核为主,蛋白(+++),糖1.67mmol/L,大剂量的青霉素治疗5天,热退,10天,脑脊液好转,但又复高热,抽搐,神智欠清,前囟隆起。
请作出可能的诊断及依据,进一步确诊的方法。241、单项选择题 预防小儿高热惊厥首选()
A.卡马西平
B.苯巴比妥
C.苯妥英钠
D.硝西泮
E.乙琥胺
242、单项选择题 化脓性脑膜炎合并硬膜下积液时,治疗应首选()
A.加大抗生素剂量
B.鞘内注射抗生素
C.硬膜下穿刺排液
D.用脱水剂
E.手术摘除囊膜
243、配伍题 9岁男孩,发作性发呆、凝视2个月,持物落地,不抽,临床诊断为失神癫痫。其脑电图改变应是()男孩,6个月。生后第3天有颅内出血,生后4个月出现点头、弯腰、举手,每天10余次伴喊叫,临床诊断为婴儿痉挛症。其脑电图改变应是()10岁男孩,入睡后不久有面部及肢体抽动2个月,每天1~2次。智力发育正常,神经系统检查阴性,CT检查无异常。临床诊断为良性局限性癫痫。其脑电图改变应是()患儿1岁半。高位产钳助产,产时苍白、窒息,生后4个月点头发呆发作,每天10余次,智力发育落后,还不能独坐,临床诊断为Lennox-Gastaut综合征。其脑电图改变应是()
A.3Hz棘慢波
B.1.5~2.5Hz慢棘-慢波
C.高峰节律紊乱
D.T3/C3有棘-慢波放电灶
E.双侧同步尖-慢波棘-慢波阵发
244、判断题 小儿惊厥持续状态时,立即肌注地西泮0.3~0.5mg∕kg次。()
245、单项选择题 8岁男孩,系注意力缺陷多动症,心理治疗外,在下列药物治疗方案中,哪点不妥当()
A.盐酸哌醋甲酯(利他林)10mg,早、中午服用
B.苯丙胺5mg,早、中午服用
C.匹莫林20mg,早、晚服用
D.米帕明(丙咪嗪)25mg,每晚服1片
E.阿米替林,每天2次(早、中午)
246、判断题 中央颞区棘波的儿童良性癫痫是全部性发作。()
247、单项选择题 10岁男孩,发作性意识丧失伴四肢抽搐2年,服药后2年未发,已自行停药。近1天出现有频繁、连续抽动。在2次发作间神志不清,就诊时有频繁抽搐伴昏迷。首先应采用的治疗是()
A.苯妥英钠10mg/kg肌内注射
B.苯巴比妥肌内注射15mg/kg
C.地西泮静脉注射O.2~0.3mg/kg
D.副醛8~10ml保留灌肠
E.异戊巴比妥静脉缓慢注射
248、填空题 ___________________是诊断假性肌肥大营养不良重要依据。
249、单项选择题
8岁女性患者,因外伤后致右胫骨骨折,下列描述正确的是()

A.对位好,对线差
B.对位差,对线好
C.对位对线好
D.对位对线差
E.以上都不正确
250、单项选择题
男,12岁,大腿下部间歇性疼痛,劳累后加重,结合图像,最可能的诊断是()

A.纤维性骨皮质缺损
B.干骺端结核
C.骨样骨瘤
D.邻皮质软骨瘤
E.非骨化性纤维瘤
251、单项选择题 确诊化脓性脑膜炎的依据是()
A.颈部强直
B.全身性惊厥
C.婴儿前囟隆起
D.头颅CT检查
E.脑脊液中找到致病菌
252、单项选择题 婴儿患化脓性脑膜炎时脑膜刺激征不明显是由于()
A.脑膜炎症反应轻
B.神经系统发育不够完善
C.机体反应差
D.囟门及颅缝未闭,对颅高压可起缓冲作用
E.颈部肌肉不发达
253、单项选择题 1岁半男孩,频繁呕吐伴惊厥2天。体查:昏迷,肝右肋下4cm。血清转氨酶80U,血糖1.4mmol/L,临床诊断考虑为Reye综合征。下列哪项不是其主要临床特点()
A.前驱病毒感染史
B.急性进行性脑病症状
C.神经系统定位体征
D.脑脊液压力增高而无炎症改变
E.早期血糖降低
254、单项选择题 肺炎链球菌脑膜炎对青霉素中度耐药者应选用的抗生素是()
A.氨苄西林
B.庆大霉素
C.头孢曲松钠
D.红霉素
E.青霉素
255、单项选择题
6岁女性患者,因外伤后致左肘关节肿痛,活动受限,外踝局部压痛明显X线摄片如图,最合适的诊断是()
A.左肱骨小头骨骺I度分离
B.左肱骨小头骨骺II度分离
C.左肱骨小头骨骺III度分离
D.左肱骨小头骨骺IV度分离
E.以上都不正确
256、单项选择题 下列哪点不是诊断小儿脑性瘫痪的依据()
A.有妊娠、围生期的高危因素
B.进行性中枢运动障碍和姿势异常
C.姿势控制异常
D.肌紧张异常和不随意运动
E.运动发育落后或异常
257、多项选择题 脑性瘫痪除运动障碍外,常伴有下列哪些异常()
A.智力低下
B.语言障碍
C.癫痫
D.认知和行为异常
E.意识障碍
258、判断题 流感杆菌化脑发病年龄以3岁以上小儿多见。()
259、单项选择题 肺炎双球菌和流感杆菌引起的化脓性脑膜炎一般多见于()
A.新生儿
B.年长儿
C.婴幼儿
D.学龄前期儿童
E.成人
260、填空题 ___________________是格林巴利综合征死亡的主要原因。
261、多项选择题 假肥大型肌营养不良的遗传特点包括()
A.X连锁隐性遗传病
B.新突变率高
C.2/3以上病例为缺失型突变
D.是由于编码蛋白质dystrophin的基因发生突变所致
E.先证者的家系中若母亲再次妊娠,男性有50%患病危险
262、单项选择题 关于小儿脑肿瘤,下列哪一项是错误的()
A.脑神经受损症状多见于脑干肿瘤
B.视力和视野缺损多见于颅咽管肿瘤
C.共济失调多见于小脑肿瘤
D.癫痫发作多见于大脑半球肿瘤
E.椎体束征多见于幕下肿瘤
263、单项选择题 脑脓肿最易发生于下列哪种病人()
A.肺炎链球菌性脑膜炎
B.脑膜炎双球菌性脑膜炎
C.法洛四联症
D.新生儿败血症
E.尿毒症
264、判断题 急性感染性多发性神经根炎的瘫痪特点是非对称性迟缓性瘫痪。()
265、问答题 假肥大型肌营养不良的主要临床表现有哪些?
266、填空题 复杂性高热惊厥,好发年龄___________________,惊厥形式___________________,惊厥持续时间___________________。
267、多项选择题 化脓性脑膜炎并发硬膜下积液的治疗要点为()
A.积液多时反复穿刺放液
B.多次穿刺放液效果不好,手术摘除囊膜
C.加强脱水剂和利尿剂的使用
D.有积脓时行局部冲洗注入抗生素
E.穿刺放液应尽量多放
268、单项选择题 未明病原菌的新生儿脑膜炎治疗应选用哪个治疗方案()
A.异烟肼+链霉素
B.两性霉素B
C.青霉素+庆大霉素
D.青霉素+氯霉素
E.头孢曲松钠
269、单项选择题
女,请根据其正常小腿影像图像,判断其最可能的年龄()

A.4岁左右
B.20岁左右
C.16岁左右
D.12岁左右
E.8岁左右
270、单项选择题 下列哪一项不是小儿脑肿瘤的特点()
A.颅高压症状出现较早
B.呕吐是唯一早期症状
C.头痛在清晨较重,以额、枕部为主
D.肿瘤定位症状少、出现晚
E.好发在中线、前颅凹部位
271、填空题 梦游症是___________________障碍。
272、单项选择题 儿童脑脊液检查,以下哪项不正常()
A.压力0.69~1.96kPa
B.白细胞数4×10/L
C.蛋白定量O.48g/L
D.氯120mmol/L
E.糖4.4mmol/L
273、单项选择题
女,4岁,左腿跛行2个月。请结合图片,选出最可能的诊断()

A.骨囊肿
B.软骨肉瘤
C.骨肉瘤
D.髋关节结核
E.股骨头骨骺缺血坏死
274、判断题 小儿脑肿瘤患者也可有颈部抵抗。()
275、单项选择题 下列哪一点不是小儿单纯型高热惊厥的临床特点()
A.惊厥多见于6个月至3岁的小儿
B.发作前均有发热,多在发病初期体温骤升时发生
C.惊厥呈全身性,持续时间不超过10分钟
D.多伴有呼吸道、消化道感染,而无中枢神经系统感染
E.发作1周后脑电图异常
276、填空题 癫痫持续状态指___________________或___________________。
277、判断题 小儿脑肿瘤行腰椎穿刺主要用于和颅内感染性疾病的鉴别。()
278、判断题 先天性重症肌无力与母亲患MG有关。()
279、判断题 发热引起的惊厥是高热惊厥。()
280、名词解释 Tourette综合征
281、单项选择题 化脓性脑膜炎伴血管升压素异常分泌时常表现为()
A.脱水酸中毒
B.低血钙抽搐
C.低血镁惊厥
D.低钾碱中毒
E.低钠水中毒
282、单项选择题 小儿颅内肿瘤最常见的症状是()
A.头痛
B.呕吐
C.复视和智力减退
D.精神行为异常
E.瘫痪
283、填空题 正常婴幼儿硬膜下积液量___________________,蛋白定量___________________。
284、单项选择题
8岁男孩,因外伤后感左肘关节肿痛,活动受限半小时入院,行左肘关节正侧位摄片如图示,最佳的诊断是()
A.左肱骨髁上骨折
B.左肱骨小头骨骺I度分离
C.左肱骨髁上细微骨折
D.软组织挫伤
E.以上都不正确
285、单项选择题 关于化脓性脑膜炎以下哪项不符合()
A.3个月以下婴儿,脑膜刺激征多不典型
B.2岁以上症状和体征渐趋典型
C.肺炎链球菌脑膜炎多见于婴儿
D.大肠杆菌脑膜炎多见于2个月以内婴儿
E.脑膜炎双球菌脑膜炎多流行于秋季
286、名词解释 学习障碍(learningdisorder)
287、单项选择题 目前公认治疗急性感染性多发性神经根炎的首选治疗方案是()
A.换血疗法
B.大剂量皮质激素冲击治疗
C.大剂量静注丙种球蛋白
D.血浆置换
E.大剂量免疫抑制剂
288、判断题 失神癫痫是全部性发作。()
289、问答题 化脓性脑膜炎脑脊液改变是什么?
290、判断题 假肥大型肌营养不良是常染色体隐性遗传。()
291、单项选择题 化脓性脑膜炎患儿,经治疗高热不退已2天,今日反复惊厥不止,呼吸节律不整,前囟隆起,张力明显增高。此时应立即给予下述处理,除外()
A.物理降温
B.立即腰穿放脑脊液以降低颅内压
C.安定缓慢静注止惊
D.地塞米松静注降颅压
E.甘露醇静推
292、判断题 肺炎链球菌脑膜炎的特点之一易并发硬脑膜下积液。()
293、配伍题 痉挛性偏瘫()痉挛性双瘫()痉挛性四肢瘫()手足徐动型瘫痪()共济失调型脑瘫()
A.患侧手生长迟滞
B.双下肢呈马蹄内翻状,上肢运动正常
C.四肢肌张力增高
D.肌张力降低,抬头无力
E.共济失调
294、单项选择题
女,1岁半,头颅迅速增大,行CT检查如图,请选出最可能的诊断()
A.积水型无脑畸形
B.硬膜外血肿
C.硬膜下血肿
D.硬膜下积液
E.脑内血肿
295、问答题 化脑抗生素应用原则是什么?
296、判断题 长期使用苯妥英钠会引起智力减退。()
297、单项选择题 以下哪点不是肺炎链球菌脑膜炎的特点()
A.多见于1岁以下的婴儿
B.易并发硬膜下积液
C.易迁延不愈反复发作
D.易有颅神经损伤
E.脑脊液易找到细菌
298、单项选择题
女,12岁,进行性肢体震颤1年余,多次出现发音困难,CT、MRI检查如图所示,最可能的诊断为()
A.肝豆状核变性
B.脑萎缩
C.双侧基底节区多发梗死
D.脱髓鞘改变
E.脑积水
299、名词解释 重症肌无力危象
300、单项选择题 注意力缺陷多动症病因是多种多样的,但除外()
A.遗传
B.中枢神经病毒感染
C.出生体重过低
D.营养不良
E.多巴胺受体超敏