时间:2024-11-19 05:46:48


1、单项选择题 关于失神发作,下列不正确的是()
A.多见于成人
B.持续时间短暂
C.突然发作
D.突然停止
E.发作频率高
2、单项选择题 强直-阵挛性癫儿发作时,瞳孔的改变是()
A.扩大,对光反应存在
B.扩大,对光反应消失
C.缩小,对光反应存在
D.缩小,对光反应消失
E.瞳孔无变化
3、单项选择题 失神发作的“个性”是()
A.意识丧失,四肢抽搐
B.口吐白沫,两眼上翻
C.突然发生,迅速终止的意识丧失
D.心跳加快,脸色苍白
E.突然跌倒,意识保留
4、单项选择题 患儿男,9岁,因“发作性四肢对称强直伴躯体前倾5年”来诊。每次发作持续10s左右缓解。出生后有窒息,生长发育迟滞。 其发作期的脑电图表现最可能是()
A.1.0~2.5Hz的全面性棘慢波复合节律
B.3Hz的全面性棘慢波复合节律
C.快(8~10Hz左右)棘波节律
D.一侧额部起源的节律性活动
E.高度失律
5、单项选择题 癫痫的首选治疗方法为()
A.药物治疗
B.病因治疗
C.手术治疗
D.心理治疗
E.康复治疗
6、单项选择题 癫痫的患病率为()
A.5%
B.10%
C.5‰
D.10‰
E.15%
7、单项选择题 抗癫痫药物换药时,下面哪项是错误的()
A.正规用药,并且已经达到有效血浓度时,仍然治疗无效
B.换药时应该先增加新的药物
C.新老药物应该有5~7天的过渡期
D.新药达到有效的抗癫痫作用时,再逐渐撤换老药
E.换新药的同时停用老药,避免合并用药时的不良反应
8、单项选择题 关于癫儿的解释错误的是()
A.是由大脑神经元异常放电引起的
B.是以短暂中枢神经系统功能失常为特征的慢性脑部疾病
C.临床表现为运动、感觉、意识、行为和自主神经等不同程度的障碍
D.正常人由于感冒、发热、药物过量、饮酒戒断或睡眠不足也能引起癫儿
E.癫儿分为原发性和继发性两大类
9、单项选择题 0~2岁发病的癫痫患者病因多为()
A.脑血管疾病
B.脑外伤
C.围产期损伤、先天性疾病或代谢性疾病
D.脑肿瘤
E.神经变性疾病
10、单项选择题 对于癫痫的药物治疗剂量最理想的是()
A.开始用大剂量,快速控制癫痫
B.根据血药浓度,即使无发作也要血药浓度达标
C.根据医生的经验
D.从小剂量开始,逐渐增加,达到既能控制癫痫,又无明显不良反应时为止
E.根据患者用药经验
11、单项选择题 癫痫发作最有生命危险的是()
A.全面性强直-阵挛发作
B.失神发作
C.复杂部分性发作
D.部分运动性发作
E.癫痫持续状态
12、单项选择题 下列脑电图改变不正确的是()
A.小发作为规律和对称的3周/秒棘慢波,背景活动正常
B.不典型失神发作为较慢而不规则的棘-慢波或尖慢波,背景活动异常
C.单纯部分性发作,脑电图变化在症状同侧相应的皮质区域
D.强直性发作为低电位10周/秒波,波幅渐增高
E.婴儿痉挛症为弥漫性高电位不规则慢活动,杂有棘波和尖波
13、单项选择题 阵挛性发作多见于()
A.中年人
B.老年人
C.青壮年
D.儿童期
E.婴幼儿
14、单项选择题 抗癫痫药对胎儿有害,传统AEDs在FDA妊娠安全分级为()
A.A级
B.B级
C.C级
D.D级
E.X级
15、多项选择题 患者男,32岁,因“全身强直阵挛发作20min”送至抢救室。 其治疗的原则包括()
A.尽快终止发作
B.保护脑神经元
C.改善循环
D.查找病因,去除促发因素
E.降压处理
F.鼻饲抗癫痫药
16、单项选择题 复杂部分性发作也称为()
A.自主神经性发作
B.特殊感觉性发作
C.颞叶发作或精神运动性发作
D.自动症
E.精神性发作
17、多项选择题 与卡马西平合用治疗难治性癫痫时,哪些药物应适当增加剂量()
A.拉莫三嗪
B.托吡酯
C.非氨酯
D.加巴喷丁
E.氨己烯酸
18、单项选择题 患儿男,4岁,因“2年内出现惊厥2次”来诊。均为感冒发热时出现,持续2~3min,伴口唇发绀和四肢抽动。出生史正常,智力、体格发育正常。 关于患儿发作性症状,叙述正确的是()
A.热性发作,属于反射性发作
B.热性发作,全面性癫痫
C.热性发作,但不诊断为癫痫
D.非典型热性发作,部分性发作
E.非典型热性发作,全面性发作
19、单项选择题 West综合征脑电图的典型表现为()
A.高峰失律
B.局限性慢波
C.多棘慢波
D.棘慢组合波
E.双侧枕区棘慢组合波或尖波
20、单项选择题 39岁男性,发作时先觉得胃部一股气体上升,并有咀嚼、吞咽动作,喃喃语,走动,似在找东西,呼唤反应,持续约4分钟。发作类型是()
A.强直-阵挛性发作
B.失神发作
C.复杂部分性发作
D.脑缺血发作
E.假性发作
21、单项选择题 男性癫痫患者38岁,3个月来有反复发作的右手及上肢抽搐性,每次持续1分钟左右,意识清醒。下面哪项是最可能的诊断()
A.复杂部分性发作
B.单纯部分性发作
C.失神发作
D.强直-阵挛性发作
E.自动症
22、多项选择题 患者男,32岁,因“全身强直阵挛发作20min”送至抢救室。 应尽快完善的检查包括()
A.血细胞计数
B.尿常规
C.肝功能
D.血糖
E.血钙
F.血气分析
23、单项选择题 关于全面强直-阵挛发作的描述,不正确的是()
A.也称大发作
B.是最常见的发作类型
C.发作时意识丧失
D.每次发作约半小时
E.多有小便失禁
24、多项选择题 强直性发作的特点是()
A.肌肉强直性痉挛
B.一般不伴有意识障碍
C.无口唇颜面发绀
D.EEG上为低电位10周/秒波
E.睡眠中发作较多
25、单项选择题 癫痫、癫痫综合征的国际分类中不包括以下哪项()
A.全身性癫痫
B.痫样发作
C.特殊的综合征
D.与部位有关(局灶性、部分性)癫痫
E.不能确定为局灶性或全身性癫痫的综合征
26、多项选择题 下列哪些方法可以提高脑电图的痫性放电的检出率()
A.反复检查或延长脑电图检查的时间
B.检查前让患者饱食
C.过度换气方法
D.闪光刺激
E.剥夺睡眠
27、单项选择题 复杂部分性发作不应该包括下面哪项()
A.可以无意识障碍
B.仅有意识障碍
C.先有单纯部分性发作,继之出现意识障碍
D.先有单纯部分性发作,后出现自动症
E.自动症
28、单项选择题 以下哪项不是反射性癫痫患者诱发因素()
A.光敏
B.特定的触觉
C.睡眠
D.进餐或精神反射
E.乐源
29、单项选择题 全面性发作成人最常见的发作类型是()
A.失神发作
B.肌阵挛发作
C.全面强直-阵挛发作
D.强直性发作
E.失张力性发作
30、单项选择题 30岁患者,一年来反复发作瞪视不动,意识模糊,奔跑、游走等,持续约半小时逐渐清醒,事后对行为毫无记忆。最可能的诊断是()
A.精神分裂症
B.Jackson癫痫
C.癔病
D.感染性精神病
E.复杂部分性发作
31、多项选择题 癫痫的发作具有特性,表现为()
A.反复发作性
B.刻板性
C.短暂性
D.持续性
E.无规律性
32、单项选择题 婴儿痉挛的典型脑电图表现为()
A.慢棘慢波综合
B.局灶性癫痫样放电
C.高度失律
D.电抑制
E.阵发性快活动
33、单项选择题 强直阵挛发作的特征是()
A.发作性头痛
B.发作性多动
C.发作性强直-阵挛动作及意识障碍
D.发作性意识障碍
E.发作性偏瘫
34、单项选择题 单纯部分性发作不应该包括下面哪项()
A.运动性发作
B.感觉性发作
C.精神症状性发作
D.自主神经性发作
E.失神发作
35、多项选择题 临床上癫痫发作的病人,必须具备的特点为()
A.有反复发作
B.全身抽搐或双手紧握,下肢僵直
C.出现短暂的中枢神经系统功能失调
D.舌咬破或自伤的现象
E.有大脑神经元异常放电
36、单项选择题 癫痫患病率为()
A.5%
B.5‰
C.10%
D.10‰
E.15‰
37、单项选择题 关于自动症,下面哪项是正确的()
A.患者有强直、震颤等不自主运动
B.有精神性发作
C.表现为舞蹈样动作
D.是自主神经功能障碍的一种表现
E.复杂部分性发作的运动表现以协调的不自主活动为特征
38、单项选择题 患者男,1岁,因“频繁出现发作性躯体屈曲强直11个月”来诊。每次发作持续10s左右,智力体格发育迟缓。出生史正常。睡眠脑电图如下图所示(Fp-前额,F-额,C-中央,P-顶,O-枕,T-颞,A-耳极参考,AV-平均参考;奇数提示左侧,偶数提示右侧;定标均为1mV,1s)。 根据以上特征,该患儿的诊断是(提示左侧,偶数提示右侧;定标均为1mV,1s)。()
A.代谢性脑病
B.婴儿痉挛症
C.婴儿严重肌阵挛癫痫
D.早发性肌阵挛脑病
E.大田原综合征
F.Lennox-Gastaut综合征(LGS)
39、单项选择题 复杂部分性发作最常见的表现()
A.只有意识障碍
B.意识障碍和自动症
C.意识障碍和肢体强直
D.意识障碍和肌阵挛
E.意识障碍和特殊姿势
40、单项选择题 诊断癫痫最重要的辅助检查是()
A.CT
B.MRI
C.TCD
D.EEG
E.SPECT
41、单项选择题 治疗癫痫持续状态首选药物为()
A.静脉注射氯丙嗪
B.静脉注射安定
C.肌内注射安定
D.肌内注射副醛
E.肌内注射鲁米那
42、单项选择题 患者男,22岁,因“睡眠中发作性肢体大幅度活动伴嘶叫6年”来诊。每次发作持续30s左右,随即清醒,有时成簇发作。既往体健。EEG:局灶性癫痫样放电。 患者发作症状及脑电图的癫痫样放电最可能起源于()
A.额叶
B.内侧颞叶
C.外侧颞叶
D.顶叶
E.枕叶
F.岛叶
43、单项选择题 抗癫痫药物的用药治疗原则哪项是错误的()
A.药物的选择主要决定于痫性发作的类型
B.口服药物剂量均自低限开始
C.效果不佳时亦可暂不增量,如不能控制再渐增量
D.停药必须通过缓慢减量
E.出现不良反应时不论其轻重,任何药物均应马上停用
44、单项选择题 男性,60岁,近2个月来时有头痛,并有2次发作性左手抽搐,每次2~5min停止,有高血压病史多年,体检均正常。 最适宜控制发作的药物是()
A.苯妥英钠
B.乙琥胺
C.地西泮
D.水合氯醛
E.扑米酮
45、单项选择题 5岁男患儿,突然发作瞪视不动,呼之不应,继而两手不断摸索,历时2min缓解,事后不能回忆。脑电图示双侧颞区慢波,杂有棘波、尖波。应诊断为()
A.失神发作
B.癔病性发作
C.精神分裂症
D.精神运动性发作
E.精神性发作
46、单项选择题 癫痫持续状态治疗首选()
A.氯硝安定静脉注射
B.地西泮静脉注射
C.异戊巴比妥纳静脉注射
D.苯妥英钠大负荷剂量静滴
E.卡马西平鼻饲
47、单项选择题 患者男,32岁。颅脑外伤后出现左上肢发作性抽动,持续1min左右;逐渐波及下肢和面部;意识清楚。 根据发作形式,患者的癫痫发作起源部位可能是()
A.右侧中央前回
B.右侧辅助运动区
C.右侧内侧颞叶
D.右侧顶叶
E.岛叶
48、多项选择题 患者男,32岁,因“全身强直阵挛发作20min”送至抢救室。 正确的处理有()
A.监测生命体征、血氧及心功能等
B.保持呼吸道通畅
C.给氧
D.建立静脉输液通道
E.静脉给药,抗惊厥治疗
F.对症治疗,维持生命体征和内环境稳定
49、单项选择题 患儿男,9岁,因“发作性四肢对称强直伴躯体前倾5年”来诊。每次发作持续10s左右缓解。出生后有窒息,生长发育迟滞。 患儿同时有在数秒内逐渐出现目光呆滞,呼之不应,流涎,持续30s左右;EEG:双侧慢棘慢波复合节律(1~2.5Hz)。其可能的发作类型是()
A.复杂部分性发作
B.非典型失神发作
C.强直发作
D.肌阵挛发作
E.肌阵挛-失张力发作
50、多项选择题 苯妥英钠的常见不良反应有()
A.恶心、呕吐、厌食等消化道症状
B.齿龈增生
C.毛发脱落
D.皮疹
E.体重增加
51、单项选择题 苯妥英钠不用于治疗癫痫的类型是()
A.强直阵挛发作
B.癫痫持续状态
C.肌阵挛发作
D.部分性发作
E.复杂部分性发作
52、多项选择题 关于抗癫痫药物的不良反应()
A.丙戊酸盐类的肝毒性为特异性反应
B.加巴喷丁几乎没有肝毒性
C.卡马西平可抑制骨髓致粒细胞减少
D.苯妥英钠易致共济失调和眼球震颤
E.苯巴妥类可致认知与行为异常
53、单项选择题 诊断癫痫通常主要依靠()
A.脑电图检查
B.神经系统体检
C.脑CT、MRI
D.患者的病史和临床发作的表现
E.脑脊液检查
54、单项选择题 有关非典型失神性发作的表现中哪项是错误的()
A.意识障碍发生与休止较典型失神性发作缓慢
B.肌张力改变较明显
C.脑电图表现2~2.5Hz,不规则棘慢波或尖慢波
D.双侧对称的3Hz棘慢组合波
E.多见于弥漫性脑损害患儿,预后差
55、多项选择题 临床全身性发作的患者,有以下哪几种发作类型()
A.强直-阵挛发作
B.肌阵挛发作,阵挛发作
C.失神发作
D.强直发作
E.失张力发作
56、单项选择题 强直阵挛发作持续状态是()
A.频繁的发作
B.一次发作后持续意识障碍
C.反复发作抽搐,发作间隙意识障碍不恢复
D.频繁的发作伴有颅内压增高
E.发作后持续精神异常
57、单项选择题 典型失神发作的特征是()
A.很轻的抽搐发作
B.发作性短暂意识障碍
C.发作性精神异常
D.儿童高热时抽搐
E.发作性缄默不语
58、多项选择题 脑电图改变呈现爆发抑制的癫痫综合征有()
A.婴儿痉挛症
B.Lennox-Gastaut综合征
C.大田原综合征
D.进行性肌阵挛
E.早发性肌阵挛脑病
59、单项选择题 有全身强直、阵挛发作的癫痫青年患者,一年来服抗癫痫药物已完全控制发作。他欲申请领取汽车驾驶证,咨询医生的正确回答是()
A.一直不应申领
B.五年后可申领
C.四年后可申领
D.三年后可申领
E.二年后可申领
60、单项选择题 全身强直-阵挛性发作和失神发作合并发生时,药物治疗首选()
A.地西泮(安定)
B.乙琥胺
C.苯妥英钠
D.苯巴比妥
E.丙戊酸钠
61、单项选择题 下面哪个药物服药过程不需要血药浓度监测()
A.卡马西平
B.苯妥英钠
C.拉莫三嗪
D.丙戊酸钠
E.苯巴比妥
62、多项选择题 癫痫临床诊断,下面哪些是主要的依据()
A.目睹患者的发作情形
B.详细、正确的病史
C.脑电图发现有痫性放电
D.患者有肢体的抽搐
E.患者有"自伤"现象
63、单项选择题 癫痫部分运动性发作自一处开始后,按大脑皮质运动区的分布顺序缓慢地移动,属于()
A.强直-阵挛发作
B.杰克逊(Jackson)癫痫
C.复杂部分性发作
D.典型失神发作
E.癫痫持续状态
64、单项选择题 某患者,既往有脑外伤病史,近期工作紧张,白天经常出现口角至一侧面部抽搐,每天发作2~3次,每次发作30秒至1分钟,发作时意识清醒。最可能的诊断是()
A.失神发作
B.复杂部分性发作
C.部分运动性发作
D.肌阵挛发作
E.强直性发作
65、多项选择题 在癫痫患者的用药方法中,下面哪些是正确的()
A.苯妥英钠的治疗有效剂量与中毒剂量相近,超过常规剂量很容易产生中毒症状
B.丙戊酸钠的治疗有效剂量与中毒剂量相近,超过常规剂量很容易产生中毒症状
C.丙戊酸钠的治疗范围大,开始即可以给予常规剂量
D.卡马西平由于自身诱导作用使代谢逐渐加快,半衰期缩短,需逐渐加量
E.拉莫三嗪的治疗范围大,开始即可给予常规剂量
66、多项选择题 全身强直-阵挛性发作的3个期是()
A.发作前期
B.强直期
C.阵挛期
D.发作后期
E.不应期
67、多项选择题 癫痫有以下什么特点()
A.各个年龄组都有发病
B.临床有多种发作类型
C.都有家族遗传病史
D.多数有脑外伤的病史
E.全身性强直-阵挛发作醒后对抽搐全无记忆
68、单项选择题 女性,24岁,2年来有发作性神志丧失,四肢抽搐,服药不规则。今日凌晨开始又有发作,意识一直不清。来院后又有一次四肢抽搐发作。 首先应选用的治疗药物是()
A.地西泮10mg静注
B.苯妥英钠0.25g肌注
C.地西泮20mg肌注
D.副醛5ml灌肠
E.苯巴比妥0.5g肌注
69、单项选择题 West综合征又称之为()
A.婴儿癫痫
B.婴儿失神样发作
C.高热惊厥
D.无热惊厥
E.婴儿痉挛症
70、单项选择题 治疗癫痫药物的正确服用方法是()
A.根据药物的半衰期来决定服药的次数
B.晚上1次服用
C.清晨1次服用
D.每天服用3次
E.根据癫痫发作的频率来决定服药的次数
71、多项选择题 下列癫痫综合征中,禁忌外科切除术的有()
A.进行性肌阵挛癫痫
B.伴有海马硬化的内侧颞叶癫痫
C.获得性失语癫痫
D.Dravet综合征
E.Rasmussen综合征
72、单项选择题 女,41岁,近半年来反复发作右上肢抽动,每次发作约半分钟后自行缓解。最可能的诊断是()
A.肌阵挛发作
B.单纯部分性发作
C.自动症
D.小舞蹈病
E.低钙性手足搐搦
73、单项选择题 一位患者在看电视时,突然意识丧失,两眼上翻,口唇发绀,四肢抽搐,约2~3分钟后清醒,对发作的情形不能回忆。最可能是()
A.舞蹈病
B.痫性发作
C.低钙性抽搐
D.癫痫持续状态
E.癔病
74、单项选择题 女性患者,23岁,既往有头部外伤史,近2~3年经常在白天一般日常活动中突然大叫一声、意识丧失、跌倒在地,四肢强直,眼球上翻,口吐白沫,有时带血沫,面色青紫,瞳孔散大,对光反射消失,有尿失禁,先强直后阵挛,然后逐渐停止,意识恢复。每次发作持续3~5分钟。每月发作1~2次,今日发作一次来诊。神经系统检查未见阳性体征,头面颈部可见烫伤瘢痕。 首选的治疗方法()
A.避免诱因,继续观察
B.发作时口服抗癫痫药,不发作不吃药
C.发作时肌注地西泮
D.手术治疗
E.按抗癫痫药应用原则口服抗癫痫药
75、多项选择题 自主神经发作表现为()
A.发作性
B.自主神经障碍的表现
C.以胃肠道症状为主
D.EEG上为双侧同步θ节律,4~7/秒
E.病灶在杏仁核、岛回或扣带回
76、单项选择题 局限性运动性癫痫的特征是()
A.轻微的抽搐发作
B.身体某部分发作抽搐
C.发作性头痛
D.发作性多动
E.发作性瘫痪
77、单项选择题 强直阵挛发作、部分性发作和复杂部分性发作都可选用的抗癫痫药物有()
A.苯妥英钠
B.卡马西平
C.扑痫酮
D.苯巴比妥
E.乙琥胺
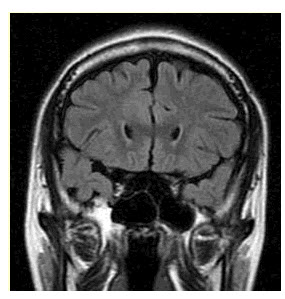
78、单项选择题
患者男,37岁,因“发作性意识障碍伴双眼发直26年”来诊。无明显先兆,每次发作持续1min左右。既往有发热惊厥史;智力体格发育正常。
该MRI表现为(提示患者行颅脑MRI检查,结果见下图。)()
A.无特异性异常
B.左侧海马硬化
C.右侧海马硬化
D.双侧海马硬化
E.左侧额叶发育异常
F.右侧额叶发育异常
79、多项选择题 患儿男,8岁,因“睡眠中发作性惊醒伴左侧面部麻木,左侧口角抽动,流涎,意识清楚但言语困难,间断发作1年”来诊。每次发作持续1min左右缓解。既往体健,智力体格发育正常。神经影像学检查正常,清醒时脑电图检查正常。 关于儿童良性癫痫伴中央颞部棘波,叙述正确的有()
A.为年龄依赖性
B.青春期前趋于自行缓解
C.常染色体隐性遗传
D.发作多出现在睡眠中
E.发作相对稀少
F.睡眠中脑电图癫痫样放电频繁
80、单项选择题
患者男,67岁,因“发作性右侧肢体抖动,有时伴有一过性意识障碍1个月”来诊。意识障碍持续2min左右,自行缓解。1年前左侧大脑中动脉区梗死。
最可能的诊断是()
A.癫痫发作
B.昏厥
C.短暂性脑缺血发作(TIA)
D.帕金森病
E.低血糖
81、单项选择题 关于癫痫的药物治疗,下列哪项错误()
A.典型失神发作,首选药物是乙琥胺、丙戊酸钠
B.特发性GTCS首选丙戊酸钠,其次为苯妥英钠或苯巴比妥
C.单纯部分性发作以及继发的GTCS,首选苯妥英钠次选卡马西平或苯巴比妥
D.复杂部分性发作首选卡马西平
E.Lennox-Gastaut综合征首选丙戊酸钠
82、单项选择题 难治性癫痫持续状态的定义是()
A.持续的癫痫发作,对初期的一线药物如地西泮、氯硝西泮、苯巴比妥、苯妥英钠等无效,连续1小时以上者
B.持续的癫痫发作,对初期的一线药物如地西泮、氯硝西泮、苯巴比妥、苯妥英钠等无效,连续2小时以上者
C.持续的癫痫发作,对初期的一线药物如地西泮、氯硝西泮、苯巴比妥、苯妥英钠等无效,连续3小时以上者
D.持续的癫痫发作,对初期的一线药物如地西泮、氯硝西泮、苯巴比妥、苯妥英钠等无效,连续4小时以上者
E.持续的癫痫发作,对初期的一线药物如地西泮、氯硝西泮、苯巴比妥、苯妥英钠等无效,连续5小时以上者
83、单项选择题 7岁男孩。进餐时突发神志丧失,手中夹的菜跌落,几秒钟后即醒。脑电图示3周/秒棘慢波规律性和对称性发放。最可能的诊断是()
A.复杂部分发作
B.部分性发作
C.杰克逊(Jackson)癫痫
D.失神发作
E.不能分类的癫痫发作
84、单项选择题 Jackson’s癫痫是()
A.部分性发作
B.局限性运动性发作
C.发作自一处开始后,按大脑皮质运动区的顺序缓慢地移动
D.局部抽搐持续不止
E.局部反复抽搐动作,大多见于一侧口角、眼睑、手指
85、单项选择题 女性,24岁,2年来有发作性神志丧失,四肢抽搐,服药不规则。今日凌晨开始又有发作,意识一直不清。来院后又有一次四肢抽搐发作。 患者目前处于下列哪一种状态()
A.癫儿持续状态
B.癫儿强直-阵挛发作
C.单纯部分发作继发全面性发作
D.复杂部分发作继发全面性发作
E.癫儿发作后昏睡期
86、单项选择题 直接导致癫痫患者发作的是()
A.脑电图上有痫样放电
B.CT或MRI上有病灶
C.癫痫病理灶
D.致痫灶
E.脑电图上有局灶改变
87、单项选择题 原发性癫痫是()
A.大脑半球病变引起的癫痫发作
B.20岁前的全身性发作
C.病因不明的全身性强直阵挛发作
D.从婴儿期开始的癫痫发作
E.用目前的检查手段,尚不能找到器质性病因者
88、单项选择题 根据病因最常见的癫痫类型是()
A.症状性癫痫
B.特发性癫痫
C.隐源性癫痫
D.妊娠性癫痫
E.经期性癫痫
89、多项选择题 关于癫痫和癫痫发作,叙述正确的有()
A.癫痫发作是因大脑神经元异常和过度超同步化放电所造成的一过性症状和(或)体征
B.某些癫痫发作可以不诊断为癫痫
C.诊断癫痫需要具有反复癫痫发作的倾向
D.针对个体患者,癫痫发作具有一过性、发作性以及形式多变
E.癫痫常伴有相应的神经生物、认知、心理及社会等方面的改变
90、单项选择题 下列叙述哪项不符合癫痫()
A.按照病因可分为特发性癫痫和症状性癫痫
B.遗传因素和环境因素均可影响癫痫性发作
C.每一位癫痫患者只有一种发作类型
D.女性患者通常在月经期和排卵期发作频繁
E.癫痫的临床表现可分癫痫性发作和癫痫症两方面
91、单项选择题 难治性癫痫约占全部癫痫的()
A.10%
B.20%
C.30%
D.40%
E.50%
92、单项选择题 5岁患儿,反复同时出现各种类型的全面性发作,伴有精神发育迟滞,EEG示为棘-慢复合波和睡眠中10Hz的快节律。最可能的诊断()
A.特殊综合征
B.特异性综合征
C.West综合征
D.Lennox-Gastaut综合征
E.Landau-Kleffner综合征
93、多项选择题 发作性睡病与癫痫的区别为()
A.不可抑制的睡眠
B.睡眠瘫痪
C.入睡前幻觉
D.猝倒
E.有抽搐
94、单项选择题 男性,20岁,5年来发作性意识不清,四肢抽搐,每次数分钟,伴尿失禁,偶舌咬破、1天来阵发性意识丧失,四肢抽搐,尿失禁,舌咬伤,每次持续3-5分钟,已发作12次,间隙期仍意识不清、曾用安定静脉点滴、苯巴比妥钠肌注,抽搐仍不能控制、治疗首选()
A.10%水化氯醛20毫升灌肠
B.静脉注射甘露醇
C.静脉缓慢注入阿米妥钠
D.再次静脉注射安定
E.再次肌肉注射苯巴比妥钠
95、单项选择题 16岁男患,2-3岁时有过高热惊厥史,在教室上课中突然发愣,推动课桌、由前排推到后排,持续1分钟停止,当时同学喊他不予理睬,事后不能回忆。1-2个月发作1次。EEG为双侧颞叶棘波。最可能的诊断()
A.青少年期失神癫痫
B.额叶癫痫
C.颞叶癫痫
D.顶叶癫痫
E.原发性阅读性癫痫
96、单项选择题 关于抗癫痫药物联合用药,下面哪项是不正确的()
A.单一药物治疗是应该遵守的基本原则
B.联合用药能明显提高疗效
C.联合用药可能会增加药物的不良反应
D.联合用药会增加患者的经济负担
E.一旦出现不良反应,影响医生对不良反应来源的判断
97、单项选择题 患儿男,4岁,因“2年内出现惊厥2次”来诊。均为感冒发热时出现,持续2~3min,伴口唇发绀和四肢抽动。出生史正常,智力、体格发育正常。 关于热性发作,叙述错误的是()
A.热性惊厥是婴幼儿最常见的发作性疾病,具有年龄依赖性
B.患病年龄为6个月~6岁
C.约3%的热性发作患儿成年后会出现癫痫
D.全面性强直-阵挛发作是热性发作最常见的类型
E.热性发作患儿都需要长期抗癫痫治疗
98、单项选择题 癫痫持续状态的药物治疗首选()
A.口服卡马西平
B.肌注苯巴比妥
C.10%水合氯醛保留灌肠
D.地西泮10-20mg静脉注射
E.异戊巴比妥250~500mg静脉注射
99、单项选择题 患者有一次突然意识丧失,四肢抽搐发作,发作时瞳孔散大,对光反应消失,1~2分钟后抽搐停止,意识逐渐清醒。临床诊断为()
A.癫痫
B.痫样发作
C.假性癫痫
D.癫痫状态
E.失神发作
100、单项选择题 抗癫痫药物种类的正确选择主要根据()
A.癫痫发作的次数
B.患者的年龄
C.癫痫发作类型和癫痫综合征类型
D.不良反应的大小
E.患者及家属的意愿
101、单项选择题 学生,16岁,在上课中突然站起、挪动桌椅,边挪边喊叫,别人不能打断他的行为,约持续1分钟自动停止,对当时的情况毫无记忆。近半年发生2次。最可能的诊断()
A.单纯部分性发作
B.复杂部分性发作
C.失神发作
D.肌阵挛发作
E.全面性强直-阵挛发作
102、单项选择题 成人的“失神”发作,几乎毫无例外是()
A.非典型失神性发作
B.精神性发作
C.单纯部分性发作
D.复杂部分性发作
E.典型失神性发作
103、多项选择题 颞叶性癫痫是指()
A.发作形式多为复杂部分性发作
B.病因多为海马硬化
C.EEG检查有时需加蝶骨电极
D.表现为各种类型遗忘症
E.有时为不典型失神发作
104、单项选择题 失神发作的脑电图表现是()
A.尖-慢组合波
B.高峰失律
C.多棘慢波
D.3Hz棘慢组合波
E.局灶性痫样放电
105、单项选择题 下列组合哪项错误()
A.杰克逊(Jackson)癫痫属部分性发作
B.精神运动性发作属部分性发作
C.West综合征主要为症状性癫痫
D.具有枕区放电的良性儿童期癫痫的发作形式为全面性发作
E.一次发作持续30分钟以上为单纯部分性发作持续状态
106、单项选择题 不能用于治疗全面性癫痫发作的药物是()
A.丙戊酸
B.拉莫三嗪
C.左乙拉西坦
D.卡马西平
E.托吡酯
107、单项选择题 男性,21岁,反复发作性四肢抽动伴意识不清2年。既往史无特殊。体查及神经系统未发现异常。诊断为特发性大发作,已连续服卡马西平1年,近来无发作。 (假设条件)如患者发作频繁,每次持续时间超过半小时,发作间期神志不清,诊断为()
A.癫儿大发作
B.癫儿小发作
C.癫儿持续状态
D.精神运动性发作
E.癔症
108、单项选择题 男性,27岁,2年来时有发作性神志丧失,四肢抽搐,当日凌晨发作后意识一直未恢复,来院后又有一次四肢抽搐发作。 发作控制后,应首选何种药物维持治疗()
A.乙琥胺
B.地西泮
C.卡马西平
D.苯妥英钠
E.丙戊酸钠
109、多项选择题 苯妥英钠治疗癫痫的适应证包括()
A.强直阵挛性发作
B.失神发作
C.部分性发作
D.肌阵挛发作
E.Lennox-Gastaut综合征
110、单项选择题 癫痫的诊断通常主要依靠()
A.神经系统体检
B.脑电图检查
C.脑CT
D.临床表现
E.脑脊液检查
111、单项选择题 癫痫的药物治疗原则,不正确的是()
A.早期
B.联合
C.足量
D.规律
E.长程
112、单项选择题 对于癫痫的药物治疗,下面哪项不正确()
A.口服药剂量自低限开始
B.定期复查,注意毒性反应及不良反应
C.不能突然停药、换药
D.先用一种药物,不能控制可加用其他药物
E.当完全控制和不产生严重毒性反应不能同时兼顾时,应满足完全控制
113、单项选择题 关于强直性发作,下面哪项是错误的()
A.多见于弥漫性脑损害的儿童
B.表现为全身或局部肌肉持续的强直性收缩
C.白天发作较多
D.发作时呈现躯干角弓反张、短暂意识丧失、面部青紫等
E.发作期的脑电图为爆发性多棘波
114、单项选择题 下列哪项不是癫痫的共同特征()
A.发作性
B.短暂性
C.重复性
D.刻板性
E.周期性
115、多项选择题 关于Lennox-Gastaut综合征,可以有以下什么特点()
A.好发于成人
B.临床有多种发作类型
C.常有精神发育迟滞
D.易出现癫痫持续状态
E.大部分预后不良
116、单项选择题 女性患者,23岁,既往有头部外伤史,近2~3年经常在白天一般日常活动中突然大叫一声、意识丧失、跌倒在地,四肢强直,眼球上翻,口吐白沫,有时带血沫,面色青紫,瞳孔散大,对光反射消失,有尿失禁,先强直后阵挛,然后逐渐停止,意识恢复。每次发作持续3~5分钟。每月发作1~2次,今日发作一次来诊。神经系统检查未见阳性体征,头面颈部可见烫伤瘢痕。 最可能的诊断()
A.单纯部分性发作
B.复杂部分性发作
C.阵挛性发作
D.强直性发作
E.强直-阵挛性发作
117、单项选择题 需与全面强直-阵挛发作鉴别的主要疾病是()
A.舞蹈病
B.破伤风
C.去大脑强直
D.去皮质强直
E.癔病
118、单项选择题 癫痫患者服用抗癫痫药物最禁忌的是()
A.药物剂量偏小
B.服药不规则或突然停药
C.服用几种药物
D.只在晚上服药
E.药物价格太高
119、多项选择题 癫痫的病因包括()
A.遗传因素
B.颅脑损伤
C.心血管疾病
D.低血糖
E.颅内感染
120、单项选择题 女性,24岁,2年来有发作性神志丧失,四肢抽搐,服药不规则。今日凌晨开始又有发作,意识一直不清。来院后又有一次四肢抽搐发作。 患者发作控制,清醒后应做何种处理()
A.调换其他抗癫儿药
B.询问近期服药情况,嘱正规服药
C.加大服药剂量,嘱正规服药
D.加用另一种抗癫儿药
E.停药观察1周后再考虑用药
121、多项选择题 患者男,22岁,因“睡眠中发作性肢体大幅度活动伴嘶叫6年”来诊。每次发作持续30s左右,随即清醒,有时成簇发作。既往体健。EEG:局灶性癫痫样放电。 关于局灶性皮质发育不良,叙述正确的有()
A.属于脑发育不良的一种类型
B.大多数患者具有遗传背景
C.大多数在成年发病
D.多伴有癫痫发作
E.是难治性部分性癫痫的一个常见病因
F.颅脑MRI有相对特异性表现,如局部皮质增厚,灰白质界限模糊等
122、单项选择题 诊断癫痫的依据是()
A.神经系统查体
B.颅骨X线片
C.脑CT或脑MRI
D.脑脊液检查
E.病史和脑电图
123、单项选择题 最容易引起癫痫持续状态的病因是()
A.睡眠障碍
B.饥饿
C.突然停药
D.增加抗癫痫药物的用量
E.疲劳
124、单项选择题 癫痫的年发病率为()
A.5%~7%
B.5‰~7‰
C.(5~7)/万
D.(5~7)/10万
E.(5~7)/100万
125、单项选择题 下列哪项不属于单纯部分运动性发作()
A.Jackson发作
B.旋转性发作
C.姿势性发作
D.语言性发作
E.自动症
126、多项选择题
患者男,9岁,智力体格发育迟缓,6岁时出现多种发作性症状。发作间歇期脑电图检查见下图(Fp-前额,F-额,C-中央,P-顶,O-枕,T-颞,A-耳极参考,AV-平均参考;奇数提示左侧,偶数提示右侧;定标均为1mV,1s)

A.背景活动差
B.以全面性慢棘慢波(1.0~2.5Hz)为主要表现
C.3Hz的极慢复合波
D.高度失律
E.呈现爆发抑制波形
F.多灶性癫痫放电
127、单项选择题 难治性癫痫指的是()
A.患者坚持正规服药,仍有癫痫频繁发作
B.用过3种以上的抗癫痫药物,仍有癫痫频繁发作
C.治疗2年以上,血药浓度在正常范围内,每月仍然有4次以上的癫痫发作
D.治疗2年以上,每月仍然有4次以上的癫痫发作
E.用过各种的抗癫痫药物,仍有癫痫频繁发作
128、单项选择题 癫痫患者的病理改变多样化,最主要的是()
A.异形神经元
B.齿状回颗粒细胞弥散增宽
C.苔藓纤维出芽
D.神经元脱失
E.毛细血管增生
129、单项选择题 患者女,11岁,因“发作性右侧肢体无力6个月”来诊。每次发作持续30min左右缓解,不伴抽搐及意识障碍。既往体健。 EEG:未发现癫痫样放电,但在过度换气诱发中,反应性慢波在过度换气停止后重新出现。经颅多普勒(TCD)超声:双侧颈内动脉末端狭窄。患者最可能的诊断是()
A.脑血管畸形
B.烟雾病
C.青少年肌阵挛癫痫
D.进行性肌阵挛癫痫
E.Sterge-weber综合征
130、单项选择题 造成癫痫的常见原因()
A.产伤
B.颅内肿瘤
C.脑炎
D.脑囊虫病
E.以上都是
131、单项选择题 杰克逊(Jackson)癫儿属于()
A.部分运动性发作
B.复杂部分性发作
C.体觉性发作
D.精神性发作
E.全面性发作
132、单项选择题 患者男,18岁,因“发作性腹部不适感,随即出现意识障碍,间断发作5年”来诊。每次意识障碍持续1~2min。幼时有热性发作病史。 患者伴有意识障碍的发作性症状最可能诊断为()
A.反射性晕厥
B.全面性癫痫发作
C.短暂性脑缺血发作(TIA.
D.简单部分性癫痫发作
E.癔症性发作
F.复杂部分性癫痫发作
133、单项选择题 癫痫状态最常见的原因()
A.饮酒
B.过度疲劳
C.感染
D.不规范AEDs治疗
E.不恰当地停用AEDs
134、单项选择题 女性,20岁,生气后突然哭闹,四肢强直,持续2小时,无尿便失禁、检查闭眼不语,双侧瞳孔2mm,对光反应灵敏,四肢强硬,无锥体束征()
A.癫痫
B.精神分裂症
C.癔病
D.晕厥
E.小脑出血
135、单项选择题 关于癫痫的手术治疗错误的选择是()
A.经过长时间正规单药治疗无效
B.先后用两种抗癫痫药达到最大耐受剂量无效
C.经过一次正规联合治疗无效
D.难治性复杂部分性发作
E.儿童失神发作
136、单项选择题 关于癫痫患者的停药原则,以下哪项是错误的()
A.全身强直-阵挛性发作、强直性发作、阵挛性发作完全控制4~5年
B.失神发作停止半年后
C.停药前有一个缓慢的减量过程,时间不少于1~1.5年
D.有自动症的患者可能需要长期服药
E.不同的药物停药的时间不同
137、单项选择题 具有中央-颞部棘波的良性儿童癫痫,下面哪项是错误的()
A.好发于儿童
B.通常局灶性发作,极少数可以继发全身性发作
C.需要早期用抗癫痫药物控制癫痫
D.一般不需治疗,可于16岁前自愈
E.多在夜间发作,症状轻微
138、单项选择题 癫痫持续状态通常指的是()
A.全身性强直-阵挛发作持续状态
B.失神性癫痫状态
C.肌阵挛性癫痫状态
D.部分性癫痫状态
E.复杂部分性癫痫状态
139、单项选择题 关于抗癫痫药的联合用药错误的是()
A.两种单药治疗无效患者
B.有多种类型发作
C.针对药物的不良反应
D.不宜合用化学结构相同的药物
E.尽量选用副作用相同的药物合用
140、单项选择题 症状性癫痫也被称之为()
A.原发性癫痫
B.特发性癫痫
C.隐源性癫痫
D.继发性癫痫
E.外伤性癫痫
141、单项选择题 癫痫持续状态最常见类型是()
A.单纯部分性发作持续状态
B.复杂部分性发作持续状态
C.失神发作持续状态
D.强直性发作持续状态
E.全面强直-阵挛发作持续状态
142、单项选择题 下列哪项痫性发作的表述是不正确的()
A.痫性发作可分为部分性发作和全面性发作两个主要类型
B.单纯部分性发作的性放电起始于脑局部,不伴意识障碍
C.全面性发作起始于脑局部,伴意识障碍
D.部分性发作的痫性放电起源于一侧脑部
E.全面性发作的痫性放电起源于两侧脑部
143、多项选择题 关于癫痫发作的描述,下面哪几项是正确的()
A.大发作开始为阵挛性抽搐,然后移行为强直性抽搐
B.部分性发作的患者有时可继发为全身性强直-阵挛发作
C.全身性强直-阵挛发作醒后对抽搐多无记忆
D.杰克逊癫痫发作后可以有Todd麻痹
E.典型失神发作的患者不一定都有意识障碍
144、多项选择题 临床上假性癫痫发作的患者发作时有的可以表现为()
A.突然跌倒
B.全身抽搐或双手紧握,下肢僵直
C.呼吸急促,喉中发出叫声
D.舌咬破或自伤的现象
E.伴瞳孔散大,对光反应消失
145、单项选择题 女性,23岁,突然出现抽搐,从一侧手指开始,向腕部、臂、肩部及半身扩展。诊断最大可能是()
A.失神发作
B.精神运动性发作
C.全面强直-阵挛发作
D.杰克逊(Jackson)癫儿
E.部分性感觉性癫儿
146、单项选择题 患者女,17岁,因“肢体及躯干不自主抖动并偶有全身抽搐发作5年”来诊。既往体健,智力发育正常。颅脑影像学检查正常。应用卡马西平(400mg/d)后发作增多,脑电图呈现频繁的双侧性不规则棘慢波综合。 患者的“抖动”最可能是()
A.震颤
B.局灶运动性发作
C.肌阵挛发作
D.复杂部分性发作
E.失张力发作
147、单项选择题 下面哪项不属于抗癫痫药物的严重特异反应()
A.卡马西平、丙戊酸钠所引起的骨髓抑制现象
B.苯妥英钠导致的齿龈增生
C.卡马西平、拉莫三嗪所致的皮疹
D.丙戊酸钠、卡马西平、导致的肝损伤
E.苯巴比妥导致的智能、行为改变
148、单项选择题
患者男,6岁,因“发作性不明原因发笑4年”来诊。发笑与环境不相宜,每次发作持续几十秒,并逐渐出现认知功能衰退。EEG:双侧前额和前颞的阵发性theta活动。
其诊断可能是(提示行颅脑MRI检查,如下图。)()
A.局部皮质发育不良
B.遗传代谢性疾病
C.结节性硬化
D.下丘脑错构瘤
E.海绵状血管瘤
F.胶质瘤
149、单项选择题 以下哪项是精神运动性癫痫发作的特征()
A.持续存在的精神异常
B.持续存在的昏睡
C.抑郁、幻觉、自制力低下
D.发作性抽搐伴意识障碍
E.发作性精神异常和自动症
150、单项选择题 抗癫痫药物联合用药,下面哪项是错误的()
A.联合用药应该注意药物的相互作用
B.不要将药物作用相同的药物合用
C.避免有相同不良反应的药物
D.最好选用作用原理、代谢途径及不良反应不同的药物
E.可将多种药物联合作广谱抗癫痫药用
151、多项选择题
患者男,9岁,智力体格发育迟缓,6岁时出现多种发作性症状。发作间歇期脑电图检查见下图(Fp-前额,F-额,C-中央,P-顶,O-枕,T-颞,A-耳极参考,AV-平均参考;奇数提示左侧,偶数提示右侧;定标均为1mV,1s)

A.部分患者可以从婴儿痉挛症演变而来
B.患儿常常有发作性跌倒
C.多呈现药物难治性
D.常常需要多种抗癫痫药联合治疗
E.胼胝体切开术有利于缓解症状
F.手术切除为最佳治疗方式
152、单项选择题 关于癫痫发作间期的药物治疗,下列哪项是正确的()
A.有痫样发作的患者,就应用药
B.年龄>60岁的患者,应该用药
C.半年之内发作2次以上者,一经诊断明确,就应用药
D.年龄<10岁的患者,应该用药
E.一年之内发作3次以上者,一经诊断明确,就应用药
153、单项选择题 可用于失神小发作的药物有()
A.卡马西平
B.乙琥胺
C.苯巴比妥
D.苯妥英钠
E.拉莫三嗪
154、单项选择题 下面哪项发作时意识是清楚的()
A.复杂部分发作
B.全身性强直-阵挛发作
C.杰克逊(Jackson)癫痫
D.失神发作
E.癫痫持续状态
155、单项选择题 Todd麻痹的症状一般在发作后多少时间内消除()
A.24小时内
B.1/2小时~36小时内
C.1/2小时内
D.1小时内
E.72小时内
156、单项选择题 提高脑电图的痫性放电的检出率需要下列哪项方法()
A.反复检查或延长脑电图检查的时间、过度换气方法、闪光刺激、剥夺睡眠等
B.检查前让患者饱食
C.检查前运动
D.检查前充足的睡眠
E.检查前禁食
157、多项选择题 单纯部分性发作包括()
A.运动性发作
B.失神发作
C.感觉性发作
D.自主神经性发作
E.精神症状性发作
158、单项选择题 复杂部分性发作的病损在()
A.中央前回
B.黑质-纹状体
C.颞叶
D.枕叶
E.小脑
159、单项选择题 下列哪些疾病需要与癫痫鉴别()
A.晕厥
B.癔症样发作
C.短暂性脑缺血发作
D.低血糖症
E.以上都需要
160、单项选择题 关于状态关联性癫痫发作,下面哪项是错误的()
A.患者的发作与特殊状态有关
B.常见原因如高热、缺氧、内分泌改变、电解质紊乱、药物过量、睡眠剥夺、酒精戒断等
C.临床可以诊断为癫痼
D.发作的性质虽为痫性发作,一般不诊断为癫痫
E.一旦去除有关状态即不再发作
161、单项选择题 以下癫儿发作类型中属无意识障碍的是()
A.单纯部分性发作
B.复杂部分性发作
C.部分性发作继发泛化
D.失神发作
E.强直-阵挛发作
162、多项选择题 复杂部分性发作包括()
A.自动症
B.仅有意识障碍
C.先有单纯部分性发作,继之出现意识障碍
D.先有单纯部分性发作,后出现自动症
E.可以无意识障碍
163、多项选择题 痫性发作的分类依据是()
A.痫性放电起源于一侧还是双侧大脑半球
B.意识是否保持
C.发作时的症状
D.有无先兆
E.脑部MRI的改变
164、单项选择题 复杂部分性发作可以出现下列哪项症状()
A.感觉性发作
B.杰克逊癫痫
C.自主神经性发作
D.词语性自动症
E.遗忘症
165、单项选择题 一名儿童,男性,7岁,既往体健,半年前家长发现其吃饭时突然筷子脱落,两眼凝视,呆立不动,呼之不应,持续7-8秒后恢复正常继续吃饭。后一日发作约10次,对发作经过无记忆,前往医院检查诊断为癫痫,最有可能是哪型癫痫()
A.大发作
B.局限性发作
C.小发作
D.腹痛性癫痫
E.复杂部分性发作
166、单项选择题 下列哪一项是癫痫小发作的脑电图的典型表现()
A.3周/秒棘慢波
B.高波幅弥漫性10周/秒
C.弥漫性慢波
D.一侧偏胜的长段δ波或θ波
E.高峰失律
167、多项选择题 目前常用的脑电图检查方法包括()
A.常规脑电图
B.动态脑电图(脑电图长时程监测)
C.脑电地形图
D.诱发电位
E.视频脑电图
168、单项选择题 癫痫综合征的分类是依据()
A.癫痫的病因
B.发病机制
C.临床表现及疾病演变过程
D.治疗效果等综合因素进行分类
E.以上全都是
169、多项选择题 癫痫特征性脑电图改变为()
A.棘波
B.尖波
C.多棘慢波
D.棘慢-尖慢组合波
E.α波慢化
170、多项选择题 关于癫痫的预后,下面哪几项是正确的()
A.80%左右的患者用目前的抗癫痫药物能够完全控制发作
B.复杂部分性发作的患者多数需要终身服药
C.特发性全身性癫痫复发的机会较少
D.有脑器质性损伤或有神经系统体征的预后差
E.典型失神发作的预后较非典型失神发作的预后差
171、多项选择题 阵挛性发作的特点是()
A.全身性阵挛性抽动
B.仅见于婴幼儿
C.有自动症
D.肌张力改变
E.EEC上为不规则棘-慢波
172、单项选择题 婴儿严重肌阵挛癫痫(Dravet综合征)最常见的遗传学异常是()
A.HRNA4
B.LCN2
C.ABRA1
D.KCNQ2,3
E.SCN1A
173、多项选择题 癫痫持续状态患者的处理应该包括以下哪几项()
A.迅速控制抽搐的发作
B.保持呼吸道通畅,必要时可以考虑气管插管或气管切开
C.用大剂量的醒脑药物
D.脱水减轻脑水肿
E.高压氧治疗
174、单项选择题 全身性强直-阵挛发作的治疗过程中突然停药,可以引起()
A.失神发作
B.复杂部分性发作
C.癫痫持续状态
D.肌阵挛性发作
E.单纯部分性发作
175、多项选择题 下列哪些抗癫痫药物的严重特异反应需考虑停药或换药()
A.卡马西平所引起的恶心、呕吐、厌食等消化道症状
B.苯妥英钠导致的齿龈增生
C.卡马西平、拉莫三嗪所致的严重皮疹
D.丙戊酸钠、卡马西平导致的肝损伤、血小板减少等
E.苯巴比妥导致的智能、行为改变
176、单项选择题 治疗West综合征(婴儿痉挛症)的首选药物是()
A.拉莫三嗪
B.乙琥胺
C.托吡酯
D.加巴喷丁
E.ACTH(促肾上腺皮质激素)
177、单项选择题 下面哪项高度提示癫痫发作()
A.肢体抽搐
B.尿失禁
C.发作后意识模糊
D.精神异常
E.一过性失语
178、单项选择题 失神发作与复杂部分性发作的鉴别,哪项不对()
A.意识障碍持续时间前者较后者长
B.发作终止前者较后者快
C.神经元放电起始部位不同
D.EEG表现不同
E.药物治疗不同
179、单项选择题 Todd麻痹指的是()
A.部分运动性发作后遗留暂时性失语
B.癫痫发作后遗留暂时性的共济失调
C.癫痫发作后遗留暂时性的动眼神经麻痹
D.癫痫发作后遗留暂时性局部肢体麻木或感觉障碍
E.部分运动性发作后遗留暂时性局部肢体无力或瘫痪
180、单项选择题 下列哪项不是癫痫发作的影响因素()
A.遗传因素
B.年龄
C.睡眠
D.吸烟
E.饮酒
181、单项选择题 男,20岁,因突发四肢抽搐伴意识丧失2分钟而入院,神经系统查体无定位体征。意识逐渐恢复后,仍昏睡、头痛、无力,对抽搐全无记忆 如果检查发现脑电图有棘-慢综合波持续发放,最可能的诊断是()
A.癔症
B.晕厥
C.癫痫
D.发作性低血糖
E.短暂性脑缺血发作
182、单项选择题 下面哪项不属于脑电图检查范围()
A.常规脑电图
B.动态脑电图(脑电图长时程监测)
C.脑电地形图
D.诱发电位
E.视频脑电图
183、单项选择题 男性,21岁,反复发作性四肢抽动伴意识不清2年。既往史无特殊。体查及神经系统未发现异常。诊断为特发性大发作,已连续服卡马西平1年,近来无发作。 要完全控制多长时间,才能逐渐减量()
A.1年
B.1年半
C.2~3年
D.3~4年
E.4~5年
184、单项选择题 关于强直阵挛发作错误的是()
A.强直期所有骨骼肌呈持续性收缩
B.阵挛期每次痉挛都继有短促的肌松弛
C.惊厥后期可有大、小便失禁
D.强直期和阵挛期有心率增快、血压高、瞳孔扩大,但光反射存在
E.少数发作后有自动症和情感变化
185、单项选择题
患者男,22岁,因“睡眠中发作性肢体大幅度活动伴嘶叫6年”来诊。每次发作持续30s左右,随即清醒,有时成簇发作。既往体健。EEG:局灶性癫痫样放电。
最可能的诊断是(提示行颅脑MRI检查,结果如下图所示。)()
A.无异常
B.结节性硬化
C.局灶性皮质发育不良
D.脑囊虫
E.低度恶性胶质细胞瘤
F.神经-胶质混合细胞瘤
186、单项选择题 男性患者,9岁发病,表现为发作性一侧面肌抽搐,持续1~2分钟,多在夜间发作,2~3个月发作1次。头部MRI检查未见异常,EEG为背景活动正常基础上,中央-颞区高波幅棘-慢波。口服卡马西平有效,16岁以后未再发病。最可能的诊断()
A.颞叶癫痫
B.顶叶癫痫
C.额叶癫痫
D.青少年肌阵挛癫痫
E.伴中央-颞部棘波的良性儿童癫痫
187、多项选择题 复杂部分性发作又称之为()
A.单纯部分性发作
B.精神运动性发作
C.颞叶性发作
D.癫痫大发作
E.癫痫小发作
188、单项选择题 关于抗癫痫药的应用不正确的是()
A.增药可适当快,减药要慢,逐一增减
B.控制发作后必须坚持长期服用,不宜随意减量或停药
C.换药期间应有5~7天的过渡期
D.失神发作控制后平稳二周即可停药
E.全面强直-阵挛性发作完全控制4~5年后可考虑停药,停药前应缓慢减量
189、单项选择题 卡马西平和奥卡西平会加重()
A.肌阵挛发作
B.不对称强直发作
C.杰克逊发作
D.继发全面强直阵挛发作
E.复杂部分性发作
190、单项选择题
患者男,1岁,因“频繁出现发作性躯体屈曲强直11个月”来诊。每次发作持续10s左右,智力体格发育迟缓。出生史正常。睡眠脑电图如下图所示(Fp-前额,F-额,C-中央,P-顶,O-枕,T-颞,A-耳极参考,AV-平均参考;奇数提示左侧,偶数提示右侧;定标均为1mV,1s)。
脑电图结果提示为()
A.爆发抑制波型
B.高度失律
C.多灶性癫痫样放电
D.局灶性癫痫样放电继发全面化
E.顶部尖波
F.睡眠纺锤
191、单项选择题 关于脑电图在诊断癫痫中的价值,下列正确的是()
A.脑电图上有痫样放电即可以诊断癫痢
B.脑电图上无痫样放电即可以排除癫痫
C.正常人脑电图没有痫样放电
D.脑电图是癫痫的另一个重要特征,也是诊断癫痫的主要佐证
E.脑电图是诊断癫痫的唯一辅助手段
192、单项选择题 关于反射性癫痫的治疗方法,主要的关键是()
A.心理治疗
B.脱离致痫的诱因
C.睡眠疗法
D.抗癫痫药物治疗
E.服用抗过敏的药物
193、多项选择题 有骨髓与肝损害的抗痫药物有()
A.非氨酯
B.卡马西平
C.苯妥英钠
D.丙戊酸钠
E.苯巴比妥
194、单项选择题 治疗全面强直-阵挛发作,如突然停药可引起()
A.失神发作
B.失眠
C.精神委靡
D.抗癫儿用药量增加
E.癫儿持续状态
195、单项选择题 男性患儿,4岁,发热、躁动伴四肢频繁抽搐2d,入院后诊断为病毒性脑炎,住院1个月后出院。出院后仍有发作性意识障碍伴四肢抽搐,每次持续2min左右,每天发作2~3次,发作间期完全正常。治疗首选()
A.地西泮静注
B.卡马西平口服
C.乙琥胺口服
D.硫喷妥钠静注
E.手术治疗
196、单项选择题
患儿男,8岁,因“睡眠中发作性惊醒伴左侧面部麻木,左侧口角抽动,流涎,意识清楚但言语困难,间断发作1年”来诊。每次发作持续1min左右缓解。既往体健,智力体格发育正常。神经影像学检查正常,清醒时脑电图检查正常。
最可能的诊断是(提示行睡眠脑电图检查,见下图(Fp-前额,F-额,C-中央,P-顶,O-枕,T-颞,A-耳极参考,AV-平均参考;奇数提示左侧,偶数提示右侧;定标均为1mV,1s)。()
A.获得性失语癫痫
B.症状性部分性癫痫
C.颞叶癫痫
D.儿童失神癫痫
E.儿童良性癫痫伴中央颞部棘波
F.Rasmussen综合征
197、多项选择题 癫痫诊断的主要依据是()
A.病史
B.EEG
C.影像学及实验室检查
D.颈动脉超声
E.TCD
198、单项选择题 迅速控制癫痫大发作持续状态首选药是()
A.丙戊酸钠
B.苯巴比妥
C.安定
D.10%水化氯醛
E.卡马西平
199、单项选择题 癫痫单纯部分发作,下列哪一项临床表现是不正确的()
A.见于任何年龄,以成人较多
B.常为脑局灶性器质性病变刺激引起
C.主要表现为单纯的基本的运动,感觉或自主神经症状发作
D.伴有意识障碍
E.可能有发作后的短暂瘫痪
200、单项选择题 男性,32岁,打球后突发头痛、呕吐,伴右上肢Jackson癫痫半分钟,先后二次。神经系统检查,颈有阻力,右上肢肌力Ⅲ级,右上肢肱二头、三头肌腱反射亢进,余无异常。脑脊液均匀血性。镜检红细胞满视野,糖和氯化物正常。为明确病因最佳的检查是()
A.CT
B.MRI
C.脑电图
D.经颅超声多普勒
E.脑动脉血管造影
201、多项选择题 癫痫的定义是()
A.是一组慢性疾病或综合征
B.发作性抽搐
C.中枢神经系统内存在破坏性病变
D.神经元异常放电所引起的暂时性大脑功能失常
E.具有突然发生、反复发作的特点
202、单项选择题 男,20岁,因突发四肢抽搐伴意识丧失2分钟而入院,神经系统查体无定位体征。意识逐渐恢复后,仍昏睡、头痛、无力,对抽搐全无记忆 如果既往5年内有同样发作,且未采取治疗,应首选()
A.苯妥英钠
B.卡马西平
C.乙琥胺
D.氯化钙
E.地西冸
203、单项选择题 关于Lennox-Gastaut综合征,下列不正确的是()
A.好发于1~8岁
B.临床有多种发作类型
C.有精神发育迟滞
D.易出现癫痫持续状态
E.多数患者对抗癫痫药物有效
204、单项选择题 临床上癫痫发作与假性癫痫发作的主要鉴别为发作时有()
A.全身抽搐
B.突然跌倒
C.呼吸急促,喉中发出叫声
D.双手紧握,下肢僵直
E.伴瞳孔散大,对光反应消失
205、多项选择题 癫痫持续状态患者常可以伴发()
A.高热
B.酸中毒
C.水、电解质紊乱
D.褥疮
E.肺部感染
206、多项选择题 具有癫痫源定侧以及定位意义的发作症状有()
A.强迫性偏转
B.一侧肢体阵挛
C.体感先兆
D.一侧肢体强直伴对侧手部自动症
E.发作后Todd麻痹
207、单项选择题 男性,60岁,近2个月来时有头痛,并有2次发作性左手抽搐,每次2~5min停止,有高血压病史多年,体检均正常。 引起单纯部分性发作的病因,首先考虑()
A.脑脓肿
B.颅内肿瘤
C.缺血性脑卒中
D.脑血管畸形
E.脑变性病变
208、单项选择题 源于颞叶的痫性发作,多数表现为()
A.对侧上肢的共济运动障碍
B.对侧头部、肢体的局部感觉或运动症状
C.对侧表现为舞蹈样动作
D.常见有恐惧感、嗅幻觉、味幻觉、内脏感觉或似曾相识感等表现
E.常出现管状视野
209、单项选择题 癫痫持续状态急救的首选药物是()
A.卡马西平
B.安定类
C.苯妥英钠
D.副醛
E.苯巴比妥钠
210、单项选择题 诊断癫痫最主要的依据是()
A.CT
B.MRI
C.体格检查
D.病史
E.SPECT
211、单项选择题 治疗癫痫持续状态的地西泮静脉注射速度是()
A.每分钟不大于1mg
B.每分钟不大于2mg
C.每分钟不大于3mg
D.每分钟不大于4mg
E.每分钟不大于5mg
212、单项选择题 8岁智力低下的男孩,发作时出现强烈的点头,屈体样动作,持续此姿势5-8秒,常摔伤头部,伴颜面青紫、瞳孔散大。该患儿的发作类型是()
A.肌阵挛发作用
B.强直性发作
C.复杂部分性发作
D.全面性强直-阵挛发作
E.发作性睡病
213、多项选择题 原发性癫痫是()
A.病年龄较小
B.脑内未发现器质性病变
C.以全面性发作为主
D.以部分性发作为主
E.因大脑半球病变引起的癫痫发作
214、多项选择题 婴儿痉挛症用ACTH或皮质类固醇系统规则治疗无效时,可考虑改用()
A.托吡酯
B.氨己烯酸
C.加巴喷丁
D.拉莫三嗪
E.非氨酯
215、多项选择题 癫痫治疗的方法主要有()
A.心理治疗
B.病因治疗
C.康复治疗
D.药物治疗
E.手术治疗
216、单项选择题 患者男,11岁,因“反复发作左手抽动1年”来诊。发作逐渐频繁,持续时间逐渐延长,并出现认知功能衰退和左侧肢体瘫痪。既往体健,家族史无异常。 患者进行了有关检查,最可能的检查结果是()
A.脑电图背景活动正常
B.脑电图呈现全面性癫痫样放电
C.神经影像学检查提示正常
D.神经影像学检查提示右侧外侧裂、额叶进行性萎缩
E.神经影像学检查提示右侧额叶血管畸形
217、多项选择题 癫痫发作的影响因素包括()
A.年龄
B.遗传
C.睡眠
D.地域
E.内环境改变
218、单项选择题 关于癫痫的表现,下列哪项是正确的()
A.癫痫发作一定要有抽搐
B.癫痫发作一定要有意识的丧失
C.可表现为感觉、运动、精神、意识、行为、自主神经功能异常或兼而有之
D.失神发作的患者无意识障碍
E.不影响自主神经功能
219、单项选择题 下面哪个药物不属于新型抗癫痫药物()
A.拉莫三嗪
B.乙琥胺
C.托吡酯
D.加巴喷丁
E.氨己烯酸
220、多项选择题 患者男,37岁,因“发作性意识障碍伴双眼发直26年”来诊。无明显先兆,每次发作持续1min左右。既往有发热惊厥史;智力体格发育正常。 关于术前评估,叙述正确的有(提示患者尝试了多种药物治疗,仍有频繁发作,拟手术治疗。)()
A.发作症状学分析:提示发作起源
B.发作期脑电图分析:直接记录大脑癫痫的起源
C.结构影像学检查:提示癫痫性结构病变
D.PET检查:有助于定位癫痫源区
E.阿米妥试验:有助于语言和记忆半球定侧
F.如无创性检查结果不一致或者需要精确功能区定位,考虑进行有创性检查
221、多项选择题
患者男,9岁,智力体格发育迟缓,6岁时出现多种发作性症状。发作间歇期脑电图检查见下图(Fp-前额,F-额,C-中央,P-顶,O-枕,T-颞,A-耳极参考,AV-平均参考;奇数提示左侧,偶数提示右侧;定标均为1mV,1s)

A.强直发作
B.非典型失神发作
C.失张力发作
D.肌阵挛发作
E.失神发作
F.痴笑发作
222、单项选择题 患者男,37岁,因“发作性意识障碍伴双眼发直26年”来诊。无明显先兆,每次发作持续1min左右。既往有发热惊厥史;智力体格发育正常。 患者的发作症状最可能是()
A.心因性发作
B.失神发作
C.非典型失神发作
D.额叶起源的复杂部分性发作
E.颞叶起源的复杂部分性发作
F.昏厥
223、单项选择题 癫痫发作的两大主要类型是()
A.全面性发作和复杂部分发作
B.全面性发作和失神发作
C.全面性发作和单纯部分发作
D.部分发作和强直-阵挛发作
E.部分运动性发作和失神发作
224、单项选择题 患者男,32岁。颅脑外伤后出现左上肢发作性抽动,持续1min左右;逐渐波及下肢和面部;意识清楚。 首选的治疗药物是()
A.卡马西平
B.丙戊酸钠
C.卡马西平+丙戊酸钠
D.苯巴比妥
E.托吡酯
225、单项选择题 对癫儿发作患者的急救首要处置是()
A.从速给药,控制发作
B.按压人中
C.CT发现病因
D.保持呼吸道通畅,防止窒息
E.详细询问病史
226、单项选择题 患者女,11岁,因“发作性右侧肢体无力6个月”来诊。每次发作持续30min左右缓解,不伴抽搐及意识障碍。既往体健。 患者发作症状最可能是()
A.全面性癫痫发作
B.短暂性脑缺血发作(TIA.
C.失张力发作
D.负性肌阵挛发作
E.肌阵挛发作
227、单项选择题 强直性癫痫发作的治疗药物可选用()
A.乙琥胺
B.苯妥英钠
C.卡马西平
D.丙戊酸钠
E.苯巴比妥
228、多项选择题 下列抗癫痫药物中,属于肝酶诱导药的有()
A.苯妥英
B.卡马西平
C.苯巴比妥
D.丙戊酸钠
E.拉莫三嗪
229、单项选择题 下列哪项不是假性癫痫发作的表现()
A.四肢强直持续一天
B.闭眼,含泪,过度换气
C.常常有人在场发病
D.舌咬伤,尿失禁,瞳孔散大,对光反射消失
E.暗示治疗可戏剧般好转
230、多项选择题 癫痫的手术适应症为()
A.起源于一侧颞叶的难治性复杂部分性发作
B.患者有手术的要求
C.致痫灶为于大脑皮层
D.手术可以切除且不会遗留严重神经功能缺陷
E.病因明确的肿瘤、动脉瘤或血管畸形等,在手术可切除区域
231、单项选择题 患儿男,8岁,因“睡眠中发作性惊醒伴左侧面部麻木,左侧口角抽动,流涎,意识清楚但言语困难,间断发作1年”来诊。每次发作持续1min左右缓解。既往体健,智力体格发育正常。神经影像学检查正常,清醒时脑电图检查正常。 患者的发作症状最可能是()
A.非癫痫性发作
B.睡眠障碍
C.全面性癫痫发作
D.局灶性癫痫发作
E.复杂部分性发作
232、单项选择题 关于癫痫的预后,下面哪项是错误的()
A.80%左右的患者用目前的抗癫痫药物能够完全控制发作
B.正规减量后,50%以上患者终身不再发病
C.特发性全身性癫痫复发的机会较少
D.有脑器质性损伤或有神经系统体征的预后差
E.典型失神发作的预后较非典型失神发作的预后差
233、单项选择题 目前诊断癫痫最科学的组合是()
A.病史+查体+普通脑电图+CT
B.病史+查体+普通脑电图+MRI
C.病史+查体+动态脑电图+CT
D.病史+查体+动态脑电图+MRI
E.病史+查体+动态脑电图+SPECT
234、单项选择题 治疗癫痫持续状态的药物首选是()
A.地西泮静脉推注然后静脉点滴维持
B.苯妥英钠静脉推注
C.苯巴比妥肌肉注射
D.甘露醇脱水
E.水合氯醛灌肠
235、单项选择题 下面哪项关于癫痫的说法是错误的()
A.痫性放电源于一侧大脑半球,不伴有意识障碍的发作,为单纯部分性发作
B.全面性发作为痫性放电源于两侧大脑半球,同时伴有意识障碍的发作
C.部分性发作为成年期痫性发作最常见的类型
D.部分性发作均不伴有意识障碍
E.部分性发作可扩展为全面性发作
236、单项选择题 患儿男,6岁,因“逐渐出现言语减少、词义失认,伴多动和注意力障碍6个月”来诊。发病来睡眠中强直-阵挛发作1次。既往体健,家族史无异常。 最可能的诊断是()
A.颞叶癫痫
B.额叶癫痫
C.儿童良性癫痫伴中央颞部棘波
D.Landau-Kleffner综合征(LKS)
E.Lennox-Gastaut综合征(LGS)
237、单项选择题 患者男,6岁,因“发作性不明原因发笑4年”来诊。发笑与环境不相宜,每次发作持续几十秒,并逐渐出现认知功能衰退。EEG:双侧前额和前颞的阵发性theta活动。 对于其发作性症状最准确的描述是()
A.精神行为障碍
B.痴笑发作
C.失神发作
D.复杂部分性发作
E.非癫痫失神发作
F.自动症
238、单项选择题 癫痫持续状态的发作持续时间是()
A.10min
B.20min
C.30min
D.40min
E.50min
239、多项选择题 患者男,18岁,因“发作性腹部不适感,随即出现意识障碍,间断发作5年”来诊。每次意识障碍持续1~2min。幼时有热性发作病史。 为明确诊断,常规针对性检查包括()
A.心电图
B.脑电图
C.经颅多普勒(TCD.超声
D.颅脑CT、MRI
E.胃镜
F.腰椎穿刺
240、多项选择题 基底型偏头痛与癫痫的鉴别包括()
A.可以脑干症状为先兆
B.先兆持续20~30分钟
C.以枕颈部疼痛为主
D.可有意识模糊、跌倒发作
E.EEG上无棘慢波
241、单项选择题 癫痫综合征不包括()
A.具有中央-颞部棘波的良性儿童癫痫
B.Weber综合征
C.West综合征
D.具有枕区放电的良性儿童癫痫
E.Lennox-Gastaut综合征
242、单项选择题 脑电图示双侧对称3周/秒棘-慢波或多棘-慢波提示癫儿发作类型为()
A.强直性发作
B.阵挛性发作
C.失神发作
D.肌阵挛发作
E.无张力性发作
243、单项选择题 患者男,11岁,因“反复发作左手抽动1年”来诊。发作逐渐频繁,持续时间逐渐延长,并出现认知功能衰退和左侧肢体瘫痪。既往体健,家族史无异常。 应用卡马西平、丙戊酸钠治疗效果不佳,下一步最适宜的治疗方案是()
A.生酮饮食
B.换用新型抗癫痫药物治疗
C.换用促肾上腺皮质激素(ACTH)治疗
D.迷走神经刺激治疗
E.手术治疗
244、单项选择题 对于一个怀疑复杂部分性发作的患者,为提高EEG的阳性率,常()
A.加做额骨电极
B.加做颞骨电极
C.加做蝶骨电极
D.服用氟哌啶醇诱发
E.暗示诱发
245、单项选择题 继发性癫痫首选的检查是()
A.颅骨平片
B.脑电图
C.腰椎穿刺
D.脑CT
E.脑血管造影
246、单项选择题 患者男,32岁。颅脑外伤后出现左上肢发作性抽动,持续1min左右;逐渐波及下肢和面部;意识清楚。 患者的癫痫发作形式最可能是()
A.复杂部分性发作
B.过度运动发作
C.自动症
D.局灶性运动发作伴杰克逊传播
E.肌阵挛发作
247、单项选择题 男,65岁,发作性意识丧失1年,每次发作均由左侧肢体不自主抽搐开始,继而意识丧失伴尿失禁,口唇青紫,持续5分钟左右。诊断首先考虑的是()
A.癔症
B.原发性癫痫
C.继发性癫痫
D.短暂性脑缺血发作
E.晕厥
248、单项选择题 强直性发作的典型脑电图表现为()
A.尖-慢组合波
B.爆发性多棘波
C.高峰失律
D.2-3Hz棘慢组合波
E.局灶性痫样放电
249、单项选择题 女性患者,30岁,表现为突然发生左侧手指首先抽搐,逐渐向手腕、前臂、肩部及左侧半身扩展,下列哪项是最可能的诊断()
A.杰克逊癫痫发作
B.Lennox-Gastaut综合征
C.复杂部分性发作
D.全身性强直-阵挛发作
E.失神发作
250、单项选择题 男性,27岁,2年来时有发作性神志丧失,四肢抽搐,当日凌晨发作后意识一直未恢复,来院后又有一次四肢抽搐发作。 该患者所患病情属()
A.强直性大发作
B.肌阵挛性发作
C.癫儿持续状态
D.癫儿强直-阵挛发作
E.单纯部分发作继全面性发作
251、单项选择题 对癫痫强直-阵挛发作及癫痫失神发作均有疗效的抗癫痫药物为()
A.苯妥英钠
B.苯巴比妥
C.扑痫酮
D.丙戊酸钠
E.酰胺咪嗪(卡马西平)
252、单项选择题 部分感觉(特殊性感觉)性发作的表现中不出现下列哪种情况()
A.幻觉或错觉
B.视觉性(如闪光或黑朦)
C.听觉性
D.嗅觉性
E.味觉性
253、单项选择题 下面哪项不是苯妥英钠的常见不良反应()
A.体重增加
B.齿龈增生
C.毛发脱落
D.皮疹
E.恶心、呕吐、厌食等消化道症状
254、单项选择题 男性,21岁,反复发作性四肢抽动伴意识不清2年。既往史无特殊。体查及神经系统未发现异常。诊断为特发性大发作,已连续服卡马西平1年,近来无发作。 (假设条件)如确诊后服药1个月仍不能控制发作,应该()
A.复查脑电图,进一步明确诊断
B.查血药浓度,酌情加量
C.换用另一种抗癫儿药
D.联合用药
E.停药观察
255、多项选择题 肌阵挛性发作的特点是()
A.短暂快速的某一肌群收缩
B.发作时间短、间隔时间长
C.晨醒或入睡时频繁
D.EEG上为多棘慢波
E.多为遗传性疾病
256、单项选择题 抗癫痫药物血浓度检测的主要目的是()
A.判断癫痫持续状态的重要指标
B.决定用药的类型
C.决定用药的剂量
D.决定是否停药的依据
E.提高用药的有效性和安全性
257、单项选择题 有关癫痫患者的多药联合治疗,下面哪项是错误的()
A.有多种类型的发作
B.对部分单药治疗无效的患者
C.针对药物不良反应
D.针对患者的特殊情况(如月经性癫痫)
E.患者的要求
258、单项选择题 关于单纯部分性发作,下列不正确的是()
A.自主神经性发作
B.自动症
C.局灶性运动性发作
D.感觉性发作
E.精神症状性发作
259、单项选择题 男性,21岁,反复发作性四肢抽动伴意识不清2年。既往史无特殊。体查及神经系统未发现异常。诊断为特发性大发作,已连续服卡马西平1年,近来无发作。 此时首要的处理是()
A.苯妥英钠口服
B.10%水合氯醛灌肠
C.地西泮(安定)10~20mg静注
D.苯巴比妥钠0.2g肌注
E.异戊巴比妥钠0.5g静注
260、单项选择题 关于癫痫持续状态最确切的是()
A.全面强直-阵挛发作频繁发生,持续24h
B.连续的失神发作
C.局部抽搐持续数小时或数日
D.发作自一处开始,按大脑皮质运动区逐渐扩展
E.一次发作持续30min以上或连续多次发作,间期意识或神经功能未恢复至通常水平
261、单项选择题 患儿,9岁,既往有脑炎病史,睡眠中发病,眼球上翻,牙关紧闭,四肢伸直,颈部后伸,面色发绀,持续30秒后停止。EEG为暴发性多棘波。最可能的诊断()
A.单纯部分性发作
B.复杂部分性发作
C.肌阵挛发作
D.强直性发作
E.全面性强直-阵挛发作
262、多项选择题 合理的多药联合治疗,适用于()
A.有多种类型的发作
B.患者的要求
C.针对药物不良反应
D.针对患者的特殊情况(如月经性癫痫)
E.对部分单药治疗无效的患者
263、单项选择题 癫痫的手术治疗最佳适应证是()
A.复杂部分性癫痫
B.难治性部分性癫痫发作
C.单纯部分性癫痫
D.失神性癫痫
E.肌阵挛性癫痫
264、单项选择题 抗癫痫药物的选择,最主要的依据是()
A.依据癫痫发作类型
B.药物不良反应大小
C.药物来源
D.药物价格
E.药物剂型
265、单项选择题 苯妥英钠对癫痫疗效最好的类型是()
A.复杂部分性发作
B.失神发作
C.间脑发作
D.强直阵挛发作
E.婴儿痉挛症
266、多项选择题 West综合征的特征是()
A.好发于青少年
B.多发于1岁以内
C.临床有头颈、躯干或全身的频繁肌痉挛
D.智能不影响
E.多有精神发育迟滞
267、多项选择题 晕厥与癫痫的鉴别为()
A.短暂意识障碍
B.常有诱因
C.抽搐少见
D.面色苍白、出汗
E.EEG上无癫痫波
268、单项选择题 脑电图对癫痫病人有较大的诊断价值,阳性率达()
A.10%
B.20%
C.80%
D.90%
E.40%
269、多项选择题 关于儿童良性癫痫伴有中央颞部棘波,叙述正确的有()
A.5~10岁发病最为多见
B.大多数病例仅在睡眠中发作
C.发作相对稀疏
D.脑电图的特征在于一侧中央颞部棘波,多为双相形态,清醒中频繁出现
E.预后良好,青春期早期有自行缓解的趋势
270、单项选择题 关于失张力性发作,下面哪项是错误的()
A.意识障碍所致
B.姿势张力性丧失所致
C.表现为垂颈、张口、肢体下垂
D.躯干失张力性跌倒或猝倒发作
E.发作期的脑电图为多棘-慢波或低电位活动
271、单项选择题 患者男,67岁,因“发作性右侧肢体抖动,有时伴有一过性意识障碍1个月”来诊。意识障碍持续2min左右,自行缓解。1年前左侧大脑中动脉区梗死。 EEG:发作期左侧额区癫痫样放电。关于抗癫痫药物治疗的注意事项,叙述错误的是()
A.老年人药物剂量应该减少
B.应尽可能选择非肝酶诱导或者抑制的药物
C.应减少或者避免应用对认知功能有影响的药物
D.避免用造成或者加重骨质疏松的药物
E.多药联合治疗
272、多项选择题 可产生复视的抗痫药物有()
A.苯妥英钠
B.扑米酮
C.拉莫三嗪
D.卡马西平
E.氨己烯酸
273、单项选择题 7个月男性患儿,反复发作性快速点头样痉挛伴双上肢外展,下肢和躯干屈曲。1~2岁发现有智力低下。EEG为高度节律失调。4岁后发作停止。最可能的诊断()
A.特异性综合征
B.特殊综合征
C.West综合征
D.早期肌阵挛性脑病
E.Lennox-Gastaut综合征
274、单项选择题 女性,11岁,近2个月发作性四肢抽搐3次,伴有意识障碍,口吐白沫,大、小便失禁,每次持续时间4~6min。神经系统体查未见异常。下列哪项检查最有助于诊断()
A.头颅MRI
B.头颅CT
C.脑电图
D.脑脊液检查
E.脑干诱发电位
275、单项选择题 癫痫持续状态的治疗关键是()
A.终止癫痫的发作
B.减轻脑水肿
C.保持水、电解质的平衡
D.控制感染
E.保持呼吸道通畅
276、单项选择题 癫痫的发病机制非常复杂,导致癫痫发作的是()
A.大脑皮质病理灶
B.丘脑病理灶
C.小脑病理灶
D.脑干病理灶
E.不同部位的致痫灶
277、单项选择题 患者女,17岁,因“肢体及躯干不自主抖动并偶有全身抽搐发作5年”来诊。既往体健,智力发育正常。颅脑影像学检查正常。应用卡马西平(400mg/d)后发作增多,脑电图呈现频繁的双侧性不规则棘慢波综合。 患者停用卡马西平后,发作明显减少,脑电图癫痫样放电显著减少,应用丙戊酸钠后,发作消失。最可能的综合征诊断是()
A.特发性局灶性癫痫
B.进行性肌阵挛癫痫
C.青少年肌阵挛癫痫
D.肌阵挛失神癫痫
E.Lennox-Gastaut综合征
278、多项选择题 全面性发作的特征为()
A.大部分与遗传关系密切
B.痫性放电起源于两侧大脑半球
C.有先兆
D.可由缺氧性脑病引起
E.有自动症
279、单项选择题 对各型癫痫都有一定疗效的药物是()
A.乙琥胺
B.苯妥英钠
C.卡马西平
D.丙戊酸钠
E.苯巴比妥
280、单项选择题 癫痫诊断时首选的辅助检查方法是()
A.CT
B.MRI
C.SPECT
D.EEG
E.PET
281、单项选择题 男,34岁,反复发作性四肢抽搐伴意识丧失2年余。入院前8小时四肢抽搐频繁发作,每次15~25分钟,伴尿失禁及舌咬伤;发作间歇期意识不清。既往粪便中曾有白色节片。头颅CT可见多发性钙化灶 采用的急诊治疗措施是()
A.静注地西泮(安定)
B.肌注地西泮
C.肌注氯丙嗪
D.肌注苯巴比妥纳
E.静注山梗菜碱(洛贝林)
282、单项选择题 肌阵挛性癫痫发作,首选药物是()
A.卡马西平
B.拉莫三嗪
C.氨己烯酸
D.加巴喷丁
E.丙戊酸钠
283、单项选择题 男,34岁,反复发作性四肢抽搐伴意识丧失2年余。入院前8小时四肢抽搐频繁发作,每次15~25分钟,伴尿失禁及舌咬伤;发作间歇期意识不清。既往粪便中曾有白色节片。头颅CT可见多发性钙化灶 诊断应首先考虑()
A.原发性癫痫
B.多发性脑肿瘤继发癫痫
C.脑囊虫继发癫癫痫
D.手足搐搦症
E.癔病性抽搐
284、单项选择题 患者女,17岁,因“肢体及躯干不自主抖动并偶有全身抽搐发作5年”来诊。既往体健,智力发育正常。颅脑影像学检查正常。应用卡马西平(400mg/d)后发作增多,脑电图呈现频繁的双侧性不规则棘慢波综合。 最适宜的处理是()
A.卡马西平加量
B.停用卡马西平,替换为奥卡西平
C.停用卡马西平,替换为丙戊酸钠
D.继续卡马西平治疗,加用丙戊酸钠
E.继续卡马西平治疗,加用苯妥英钠
285、多项选择题 难治性癫痫的诊断包括以下几点()
A.经过2年以上正规的抗癫痫治疗
B.已经达到有效的治疗剂量或患者所能够耐受的最大剂量
C.患者是复杂部分性发作
D.每月仍有4次以上的发作
E.患者的依从性很差
286、多项选择题 下列哪些药物代谢为线性药代动力学,服药过程不需要血药浓度监测()
A.卡马西平
B.苯妥英钠
C.拉莫三嗪
D.托吡酯
E.加巴喷丁
287、单项选择题 卡马西平对癫痫最好的类型是()
A.强直阵挛发作
B.复杂部分性发作
C.间脑发作
D.单纯部分性发作
E.失神发作
288、单项选择题 源于额、顶叶皮质的痫性发作,多数表现为()
A.对侧头部、肢体的局部感觉或运动症状
B.同侧头部、肢体的局部感觉或运动症状
C.对侧表现为舞蹈样动作
D.常见有恐惧、幻觉等表现
E.对侧上肢的共济运动障碍
289、多项选择题 非典型失神性发作的表现为()
A.意识障碍发生与休止较典型失神性发作缓慢
B.肌张力改变较明显
C.脑电图表现2~2.5Hz不规则棘慢波或尖慢波
D.患儿多有弥漫性脑损害
E.对丙戊酸类反应良好,预后较好
290、多项选择题 患者男,6岁,因“发作性不明原因发笑4年”来诊。发笑与环境不相宜,每次发作持续几十秒,并逐渐出现认知功能衰退。EEG:双侧前额和前颞的阵发性theta活动。 关于痴笑性癫痫,叙述正确的有()
A.多见于婴儿和儿童期发病
B.痴笑发作是主要的发作形式
C.痴笑不伴有情感愉悦成分
D.下丘脑错构瘤是主要的病因
E.可出现认知障碍和行为异常
F.手术是有效的治疗方法
291、单项选择题 典型失神发作也称之为()
A.失张力性发作
B.精神性发作
C.单纯部分性发作
D.复杂部分性发作
E.小发作
292、单项选择题 听觉性特殊感觉性发作的病灶在()
A.枕叶
B.颞叶外侧或岛回
C.顶叶
D.额叶眶部或杏仁核
E.扣带回
293、单项选择题 癫痫发作的病理生理基础是()
A.神经细胞内、外离子含量异常
B.兴奋性氨基酸或神经递质增多
C.大脑皮质神经元过度放电
D.神经细胞膜结构有缺陷
E.抑制性神经元功能减退
294、单项选择题 女,7岁,近2个月来间发突然意识不清,发呆,两目瞪视,呼之不应,数秒钟后立即清醒,但对发作无记忆,每天发作几十次。体格检查及神经系统检查未发现异常。该患儿治疗首选药应是()
A.乙琥胺
B.丙戊酸钠
C.卡马西平
D.苯妥英钠
E.苯巴比妥
295、单项选择题 癫痫状态的处理原则中不包括哪项()
A.保持生命体征稳定
B.控制癫痫状态的发作
C.减少发作对脑部神经元的损害
D.尽可能根除病因及处理并发症
E.检测抗癫痫药物浓度调整药物剂量
296、单项选择题 癫痫发病的两个高峰年龄段是()
A.新生儿和儿童
B.儿童和中年人
C.青少年和老年
D.中年人和老年
E.新生儿和老年
297、多项选择题 癫痫、癫痫综合征的国际分类中包括下列哪几项()
A.全身性癫痫
B.与部位有关(局灶性、部分性)癫痢
C.不能确定为局灶性或全身性癫痫的综合征痫样发作
D.特殊的综合征
E.痫样发作
298、单项选择题 关于癫痫的治疗不正确的是()
A.首次发作者可以观察,暂不用药
B.半年内发作两次以上者,一经诊断明确,就应用药
C.39%的癫痫患者有自发性缓解倾向,故并非每个癫痫患者都需要用药
D.单一用药70%~80%癫痫患者可以得到控制
E.近年来由于功能神经外科的进步,治疗癫痫应首选外科治疗
299、单项选择题 单纯部分性发作不包括()
A.部分运动性发作
B.部分感觉性发作
C.肌阵挛发作
D.自主神经性发作
E.精神性发作
300、单项选择题 抗癫痫药的应用不正确的是()
A.尽可能单药治疗
B.从小剂量开始,缓慢增量至最低有效剂量
C.70%~80%患者单药治疗可以控制发作
D.一种单药治疗无效,就应选择联合用药
E.30%患者为药物难治性癫痫