时间:2024-10-25 00:12:12


1、单项选择题 鼻腔恶性肿瘤以上皮源性癌肿为主,其中未分化癌和鳞状细胞癌占()
A.10%以上
B.20%以上
C.40%以上
D.80%以上
E.90%以上
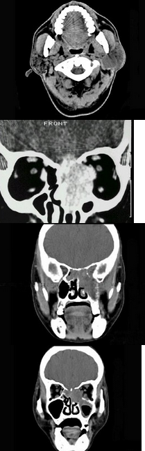
2、单项选择题
男,65岁,左眼球突出近一年,鼻涕带血,面颊部隆起,同时面颊部有麻木感,CT检查如图,最可能诊断为()

A.上颌窦息肉
B.上颌窦血管瘤
C.上颌窦囊肿
D.上颌窦癌
E.骨肉瘤
3、判断题 位居鼻及鼻窦恶性肿瘤发病率前3位的分别是鳞状细胞癌、 腺癌、淋巴上皮癌。
4、判断题 鼻窦恶性肿瘤治疗首选以药物为主的综合治疗。
5、多项选择题
男性50岁,涕中带血半年,体检发现右侧颈部多个硬结,CT扫描如图所示,请选择正确的描述和结论()

A.右侧筛窦内见软组织块影,边缘不规则
B.软组织影累及对侧筛窦、右侧上颌窦
C.右侧眶内壁、上颌窦壁及颅底骨质破坏
D.考虑为右侧筛窦黏液性囊肿
E.考虑为右侧筛窦癌
6、单项选择题 B细胞淋巴瘤多位于鼻窦,多见于()
A.西方人
B.亚洲人
C.墨西哥人
D.南美洲人
E.东方人
7、单项选择题 鼻及鼻窦内翻性乳头状瘤好发于()
A.鼻腔顶壁
B.鼻腔外侧壁
C.鼻腔内侧壁
D.鼻腔底壁
E.鼻腔下壁
8、单项选择题 鼻及鼻窦血管瘤可分为毛细血管瘤和海绵状血管瘤,前者约占()
A.80%
B.60%
C.40%
D.20%
E.30%
9、多项选择题 T淋巴细胞和NK细胞淋巴瘤多位于鼻腔,多见于()
A.西方人
B.亚洲人
C.墨西哥人
D.南美洲人
E.东方人
10、多项选择题 关于鼻腔鼻窦内翻性乳头状瘤,下列哪些是错误的?()
A.50~60岁为高发年龄
B.女性多于男性
C.术后容易复发,复发率为5%~47%不等
D.多次手术易恶变,恶变率为7%
E.女性多于男性
11、多项选择题 关于上颌窦癌,下列哪项正确?()
A.以鳞状细胞癌最多见
B.1/3伴有筛窦癌
C.肿瘤原发于Sebileau线上部分者,预后较好
D.出现张口困难者多预后较差
E.出现面瘫的多预后较差
12、单项选择题 关于鼻及鼻窦骨瘤的叙述,正确的是()
A.多发生于额窦,其次为筛窦
B.多发生于上颌窦,其次为额窦
C.多发生于筛窦,其次为额窦
D.多发生于蝶窦,其次为筛窦
E.多发生于上颌窦,其次为筛窦
13、单项选择题 关于鼻腔内翻性乳头状瘤,以下哪项不正确?()
A.切除后易复发
B.5%~15%恶变可能
C.色红或灰红,外观如乳头,颗粒或桑葚样
D.质地较息肉硬
E.质地较息肉软
14、单项选择题 鼻及鼻窦内翻性乳头状瘤多次手术后易产生恶性变,恶变率为()
A.1%
B.7%
C.17%
D.27%
E.37%
15、单项选择题 骨瘤病人有额部外伤史的比例是()
A.10%
B.20%
C.30%
D.50%
E.60%
16、判断题 位居鼻及鼻窦恶性肿瘤发病率前3位的分别是鳞状细胞癌、腺癌、淋巴上皮癌
17、多项选择题 关于鼻窦骨瘤,下列哪项正确?()
A.男性多于女性
B.最多见于额窦
C.生长缓慢,骨瘤小者无须手术
D.病理上可分为象牙型、海绵型和混合型
E.最多见于上颌窦
18、单项选择题 肉瘤占鼻腔鼻窦恶性肿瘤的比例()
A.1%~5%
B.5%~10%
C.10%~20%
D.20%~25%
E.30%~35%
19、判断题 恶性肉芽肿通常分为面中线肉芽肿型和Wegener肉芽肿型2种类型。
20、多项选择题 关于恶性肉芽肿的叙述,正确的是()
A.又称坏死性肉芽肿
B.治疗困难,预后不良
C.多与EB病毒感染有关
D.其实质是淋巴瘤
E.其实质是肿瘤
21、判断题 鼻窦骨瘤病理组织学可分为3型:密质型、松质型、混合型。
22、单项选择题 上颌窦癌采用综合治疗,5年生存率是()
A.10%~20%
B.20%~30%
C.30%~40%
D.40%~50%
E.40%~60%
23、判断题 恶性肉芽肿的病理表现主要为慢性否特异性肉芽组织和坏死,镜下细胞多样,各种否典型细胞混合存在。
24、判断题 鼻窦骨瘤多发生于上颌窦,其次为筛窦。
25、多项选择题 鼻腔、鼻窦恶性肿瘤的发病因素类似,包括()
A.长期慢性炎症刺激
B.经常接触致癌物质
C.良性肿瘤恶变
D.放射性物质
E.遗传基因
26、多项选择题 关于筛窦癌,下列哪项正确?()
A.不易早期发现,可出现内眦处无痛性包块
B.最易侵犯纸样板进入眼眶
C.淋巴转移常在同侧颈中部
D.有剧烈头痛者,说明肿瘤有颅内转移
E.不最易侵犯纸样板进入眼眶
27、单项选择题 鼻及鼻窦肉瘤以下列何者最多?()
A.恶性淋巴瘤
B.横纹肌肉瘤
C.网状细胞肉瘤
D.软骨肉瘤
E.骨肉瘤
28、单项选择题 鼻及鼻窦恶性肿瘤发病率居耳鼻咽喉头颈外科范围癌症的第几位?()
A.1
B.2
C.3
D.4
E.5
29、判断题 鼻及鼻窦恶性肿瘤最常见于额窦。
30、单项选择题 一筛窦癌病人,根据(UICC)TNM(1997)分类标准为TNM,该病人分期应为()
A.0期
B.1期
C.2期
D.3期
E.4期
31、单项选择题 一般认为上颌窦恶性肿瘤预后较好者起自窦腔()
A.前下内部分
B.前下外部分
C.后上外部分
D.后上内部分
E.后上前部分
32、单项选择题 上颌窦恶性肿瘤预后最差者起自窦腔()
A.前下内部分
B.前下外部分
C.后上外部分
D.后上内部分
E.后上前部分
33、单项选择题 最常见的鼻及鼻窦癌的病理类型是()
A.鳞状细胞癌
B.腺样囊性癌
C.肉瘤
D.淋巴上皮癌
E.乳头状癌
34、多项选择题 常见的鼻腔良性肿瘤有()
A.乳头状瘤
B.血管瘤
C.神经纤维瘤
D.脂肪瘤
E.肉瘤
35、单项选择题
女性,53岁,右侧鼻腔流血近一年,近来头痛,行CT检查如图所示,请选择正确的答案()

A.鼻腔癌
B.鼻腔内息肉
C.副鼻窦炎
D.鼻腔炎性假瘤
E.鼻腔内血管瘤