时间:2024-10-01 02:14:33


1、多项选择题 患者男,56岁,因“消瘦、食欲减退及右上腹痛”来诊。查体:巩膜及全身皮肤黄染,肝大,腹腔积液。实验室检查:AFP升高,乙肝表面抗原阳性。CT:肝内巨大结节,约10cm×8cm。肝穿刺组织学:细胞呈小梁状排列,小梁之间为肝窦样血管,细胞异型性明显,核分裂象易见。 肝细胞癌的亚型包括()。
A.硬化型
B.纤维板层型
C.筛状型
D.肉瘤样型
E.淋巴上皮瘤样型
2、单项选择题
患者女,26岁,因“月经过多1年余”来诊。临床诊断:子宫黏膜下平滑肌瘤。宫腔镜检查见宫腔内赘生物3cm×2cm×2cm。行宫腔镜下“肌瘤”电切割术。肿瘤切面条纹欠清,质地中等,稍感细腻。
镜下图像如图所示,诊断首先考虑为()。


A.子宫内膜息肉
B.子宫不典型息肉状腺肌瘤
C.子宫腺纤维瘤
D.子宫腺肌瘤
E.子宫内膜癌
3、多项选择题 常表达MUM1抗原的肿瘤包括()。
A.经典型霍奇金淋巴瘤
B.大B细胞淋巴瘤
C.浆细胞骨髓瘤
D.结外浆细胞瘤
E.淋巴母细胞淋巴瘤
4、单项选择题
患者女,43岁,因“左胸壁肿块”来诊。行穿刺活检,镜下形态如图所示。


A.α-SMA
B.β-catenin
C.desmin
D.CD34
E.Calponin
5、单项选择题
患者男,42岁,右腘窝无痛性肿块,5cm×4cm×3cm,境界相对较清楚,切除后镜下形态如图所示。


A.5%
B.10%
C.10%~25%
D.25%~50%
E.>50%
6、单项选择题 关于脉络膜恶性黑色素瘤,叙述错误的是()。
A.梭形细胞型预后好于上皮细胞型
B.肿瘤愈靠近葡萄膜前方生存率愈高
C.瘤细胞色素量愈丰富预后愈差
D.诊断延迟是预后不良的原因
E.预后与组织学类型无关
7、单项选择题
患者女,38岁,因“月经量增多、经期延长6个月”来诊。末前次月经8月1日,末次月经9月1日,9月8日阴道出血量仍多,有血块。诊断性刮宫刮出少量血凝块及内膜组织,部分呈息肉状。镜下见破碎子宫内膜,有的呈增生期反应,有的呈不规则增生,有的伴分泌反应,可见厚壁血管丛。
镜下局部腺体如图所示,诊断考虑为()。

A.子宫内膜不规则增生
B.局部复杂性增生
C.嗜酸性乳头状化生
D.嗜酸性不典型乳头状化生
E.子宫内膜上皮内瘤变
8、多项选择题 Meigs综合征的主要表现包括()。
A.腹腔积液
B.Brenner瘤
C.右侧胸腔积液
D.基底细胞癌
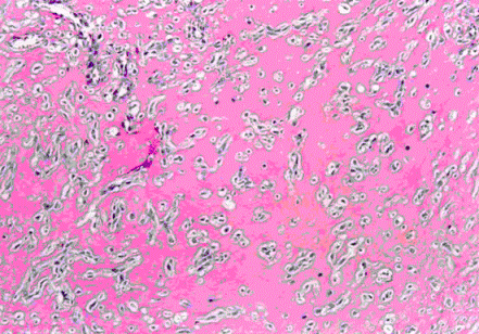
E.卵巢纤维瘤
9、单项选择题 以下哪一种疾病血尿相对不明显()。
A.膀胱癌
B.肾细胞癌
C.急性肾盂肾炎
D.慢性硬化性肾炎
E.新月体性肾炎
10、单项选择题 患者男,65岁,因“不明原因右侧腹部不适,隐痛,食欲减退2个月”来诊。发病以来,患者体重自65kg降至52kg。患者自幼居住南方,无外地居住史。血清学检查:AFP不高,CA19-9及CA125复查3次,均明显增高。 大体检查:肝肿物3个,切面灰白色,质韧,与周围界限清楚,周围肝组织无肝硬化。显微镜下可见肿瘤边界清楚,瘤细胞异型性小,呈腺管状排列,腺管腔内可见少量黏液样分泌物,无胆汁,间质纤维组织增生显著。此时,不需要鉴别的肿瘤是()。
A.肝细胞癌
B.结肠腺癌肝转移
C.塌陷部位胆管增生
D.胆管腺瘤
E.胆管纤维腺瘤
11、多项选择题 Langerhans组织细胞增生症可表达的标志物有()。
A.CD1α
B.CD21
C.CD35
D.CD207
E.S-100
12、单项选择题 适用于脂肪细胞的特殊染色是()。
A.甲基紫
B.刚果红
C.油红O
D.PAS
E.Mallory
13、单项选择题 患者女,55岁,右乳乳腺癌术后1年余,右侧胸部及右手臂肿胀,局部皮下触及隆起性肿块,边界不清,表面皮肤紫红色。 本例在鉴别诊断时应选择的免疫组织化学检测是()。
A.HMB-45、S-100、SMA
B.ER、PR、CK、CD34、CD31、CD68
C.CD68、S-100、CK、SMA、DES
D.ER、PR、S-100、CD68、CK
E.CK、EMA、CD68、S-100、SMA
14、单项选择题 HIV病毒选择性侵犯的细胞是()。
A.Ts细胞
B.B细胞
C.TH细胞
D.单核细胞
E.中性粒细胞
15、单项选择题 不同的组织和细胞再生能力不一样。 增生能力最强的组织是()。
A.上皮
B.骨
C.软骨
D.肌肉
E.神经
16、单项选择题 急性弥漫性增生性肾小球肾炎时少尿的主要原因是()。
A.毛细血管基底膜损伤,滤过障碍
B.毛细血管壁纤维素样坏死,管腔闭塞
C.系膜细胞、内皮细胞增生,毛细血管管腔狭窄
D.新月体形成,毛细血管丛受压
E.肾小球纤维化,滤过功能丧失
17、单项选择题 最常伴胎儿重大先天性畸形的情况是()。
A.非螺旋状脐血管
B.单脐动脉
C.脐带过长
D.脐带狭细
E.脐带血管血栓形成
18、单项选择题 关于角化棘皮瘤,叙述错误的是()。
A.是一种鳞状细胞增生性交界性肿瘤
B.多发生于中老年人
C.常位于手臂、手背、下肢
D.阳光照射是发病的主要因素
E.神经侵犯常常提示病变为恶性
19、单项选择题 患者男,因“近期咽部干燥刺痛和异物感”来诊。患者有不同程度的吞咽疼痛、吞咽困难,伴干咳。患者患糖尿病10年。胸部X线片未见异常,血常规未见白细胞增高。服用抗生素治疗无效,临床怀疑为咽部真菌感染,行活体组织病理学检查。显微镜下检查可见非特异性炎症改变。 若诊断曲菌病,则病理检查确诊的依据是()。
A.病变组织中检出真菌
B.病变组织中见呈抗酸染色阳性的短棒状杆菌
C.炎性肉芽肿和炎性肉芽组织内见PAS或六胺银染色阳性的有隔分枝菌丝
D.病变组织中巨噬细胞内外见PAS或阿辛蓝染色阳性的有荚膜的球菌
E.病变组织中见呈PAS染色阳性的真菌孢子和假菌丝
20、单项选择题 患者男,53岁,左臀部皮下发现孤立性肿块3年,肿块直径约3.5cm。大体检查:肿瘤卵圆形,边界清楚,似有纤维性包膜,质硬,切面呈灰白色石灰样。 最不可能的诊断是()。
A.软组织骨肉瘤
B.神经鞘黏液瘤
C.骨外黏液性软骨肉瘤
D.隆突性皮肤纤维肉瘤
E.神经鞘瘤
21、单项选择题 耳源性脑脓肿的好发部位是()。
A.大脑半球额、顶叶
B.大脑半球灰白质交界处
C.大脑半球颞、顶叶
D.大脑半球顶、枕叶
E.大脑半球颞叶和小脑
22、单项选择题 患者男,33岁,因“腹胀、腹部不适3个月”来诊。肠镜检查发现回盲部病变而手术。病理标本大体检查:回肠末端一约5cm×4cm不规则溃疡型病变,周围肠黏膜肉眼观察尚正常。 关于肠结核,叙述正确的是()。
A.大多数肠结核为原发性
B.80%以上的肠结核发生在近端回肠
C.结核性溃疡一般呈横行,与肠管垂直
D.肠结核仅有溃疡型和增殖型2种类型
E.肠梗阻多见于溃疡型肠结核
23、多项选择题 常发生在腰骶段椎管内的肿瘤是()。
A.神经鞘瘤
B.胶质母细胞瘤
C.黏液乳头型室管膜瘤
D.副神经节瘤
E.脊膜瘤
24、单项选择题 患者发热、无力、食欲不振、腹痛,以左下腹明显,腹泻早期稀便,大便次数增多后转为粘液脓血便,并有里急后重。应诊断为()。
A.急性胃肠炎
B.急性细菌性痢疾
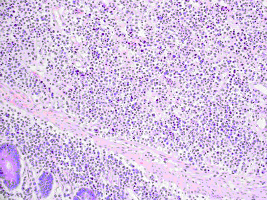
C.肠伤寒
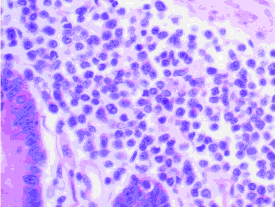
D.食物中毒
E.肠阿米巴痢疾
25、单项选择题 下列属于移植物抗宿主反应的是()。
A.急性排斥反应
B.Arthus反应
C.超敏反应
D.超急性排斥反应
E.骨髓移植排斥反应
26、多项选择题 关于一期梅毒,叙述正确的有()。
A.皮损为糜烂性丘疹或浅溃疡
B.梅毒螺旋体血清学检查常阳性
C.血管周围淋巴细胞和浆细胞密集性浸润
D.上皮样细胞肉芽肿形成
E.真皮血管内皮细胞肿胀、增生
27、单项选择题 下列哪一项不是嗜铬细胞瘤的主要病变特点()。
A.瘤细胞呈索、团状排列,有血窦围绕
B.肿瘤常见出血
C.瘤细胞胞质偏嗜碱或双嗜,常见核异型
D.免疫组化瘤细胞CgA阳性
E.瘤细胞胞质含多量脂褐素颗粒
28、多项选择题 骨肿瘤中好发于骨干骺端的是()。
A.骨肉瘤
B.骨软骨瘤
C.骨巨细胞瘤
D.软骨母细胞瘤
E.软骨黏液纤维瘤
29、单项选择题 甲状腺癌中哪一种发病率最高,而且恶性度最低,十年存活率最高()。
A.滤泡性癌
B.乳头状腺癌
C.髓样癌
D.小细胞癌
E.巨细胞癌
30、单项选择题 CK7(+)、CK20(-)、TTF-1(+)的肿瘤最可能是()。
A.结直肠腺癌
B.肺腺癌
C.Merkel细胞癌
D.肝细胞癌
E.胰腺癌
31、单项选择题
患者女,49岁,因“外阴瘙痒不适,发现多个丘疹样隆起3个月”来诊。妇科检查:大阴唇皮肤黏膜处多个直径0.2~0.4cm的皮损,浅褐色,界限尚清,表面大多光滑(如图所示)。

A.外阴尖锐湿疣
B.白塞病
C.鲍温样丘疹病
D.念珠菌性外阴炎
E.传染性软疣
32、单项选择题 淋巴瘤样息肉病常出现于()。
A.滤泡淋巴瘤
B.B-CLL/SLL
C.套细胞淋巴瘤
D.淋巴浆细胞性淋巴瘤
E.淋巴结外边缘区黏膜相关淋巴组织淋巴瘤(MALTomA.
33、多项选择题 通常累及双侧卵巢的病变有()。
A.间质卵泡膜细胞增生症
B.多囊卵巢综合征
C.硬化性间质瘤
D.高反应性黄体
E.Krukenberg瘤
34、单项选择题 支气管最常见的唾液腺性恶性肿瘤是()。
A.腺泡细胞癌
B.腺样囊性癌
C.黏液表皮样癌
D.多形性腺瘤
E.嗜酸细胞瘤
35、单项选择题 患者女,28岁,3年来反复乏力、食欲减退、肝区隐痛,血清氨基转移酶反复升高,胆红素偏高,血清球蛋白升高,血清ANA抗体,anti-dsDNA抗体均阳性,近来晨起常出现颜面部水肿。查体:背部红色突起盘状红斑,陈旧皮损有萎缩性瘢痕。 最可能的诊断是()。
A.慢性迁延性肝炎
B.慢性活动性肝炎
C.慢性重型肝炎
D.胆道感染
E.系统性红斑狼疮
36、单项选择题 对侵蚀性葡萄胎,以下哪项是错误的()。
A.子宫增大与妊娠月份不符
B.患者不觉胎动
C.绒毛膜促性腺激素持续升高
D.子宫腔内不见水泡状胎块
E.肉眼可见水泡状胎块位于阔韧带
37、单项选择题 中毒型细菌性痢疾的临床表现应除外()。
A.肠道症状不明显
B.有严重的脱水和水电解质紊乱
C.发病10小时左右即可出现中毒性休克
D.有严重的全身中毒症状
E.可有急性呼吸衰竭
38、多项选择题 继发性胆汁性肝硬化的病变特点包括()。
A.肝细胞呈网状或羽毛状坏死
B.毛细胆管淤胆、胆栓形成
C.“胆汁湖”形成
D.小胆管增生
E.汇管区有多量中性粒细胞浸润
39、单项选择题 患者男,68岁,因“食欲减退,饭后饱胀,体重减轻”来诊。胃镜:胃窦下弯处隆起,黏膜皱襞变平坦。行胃大部切除术,大体检查:肿瘤位于胃壁,4.5cm×4.8cm,切面呈灰红鱼肉状,界限清楚,无明确包膜;组织学检查:肿瘤由上皮样细胞组成,呈团巢状排列,细胞异型性轻,胞质中等量,嗜伊红色。核分裂象偶见。间质血管丰富。 在鉴别诊断中对诊断神经内分泌细胞肿瘤很重要的是()
A.CD56(+)
B.CD138(+)
C.CD117(+)
D.SYN(+)
E.EMA(+)
40、单项选择题
患者男,出生10d,因“脐部有分泌物5d”来诊。查体:脐部可见黏膜中央部有一窦孔,有分泌物。血常规:WBC15×109/L,淋巴细胞0.6,中性粒细胞0.4。
此类先天性疾病最可能的致病因素是()。
A.脐导管未闭
B.脐尿管剩件
C.卵黄囊剩件
D.中肾管剩件
E.副中肾管剩件
41、多项选择题 符合鼻咽癌特点的是()。
A.多与EB病毒感染有关
B.发病年龄呈双峰形
C.多为非角化型鳞状细胞癌,常见颈部淋巴结肿大
D.角蛋白(CK)阳性,CK是诊断本病最可靠的标志物
E.大部分呈上皮膜抗原(EMA.阴性
42、多项选择题 患者女,56岁,因“腹胀、腰部不适”来诊。CT:左上腹部占位性病变。大体检查:病变12cm×11cm,结节状,界清。组织学检查:肿瘤以梭形细胞为主,呈交错条索状排列,细胞密集,细胞胞质中等界限尚清。部分区域肿瘤细胞呈上皮样,片状分布,细胞胞质丰富,界限清楚。间质胶原轻度增生,伴有炎症细胞浸润。 为了明确病理诊断,需要的实验室检查有()。
A.CT
B.MRI
C.胃造影术
D.B型超声
E.肿瘤穿刺细胞术
F.肿瘤标志物检测
43、多项选择题 关于外阴上皮内瘤变的诊治重点,叙述正确的有()。
A.确认或除外年轻女性外阴生殖道疣
B.浸润前病变(外阴上皮内瘤变)的确认和分类
C.明确外阴上皮内瘤变的分级
D.确定早期浸润性鳞癌的分类和治疗
E.确定鳞状细胞癌亚型和恰当治疗
44、单项选择题 下列形态指标中不能提示子宫内膜癌浸润的是()。
A.腺内异型细胞搭桥呈筛状
B.复杂的腺体分支或广泛的乳头形成
C.腺体融合呈实性或形成筛状结构,直径>2mm
D.腺体排列紊乱,间质走向杂乱
E.异型腺体周围伴有促纤维生成性间质
45、单项选择题 关于原发性硬化性胆管炎,叙述错误的是()。
A.自身免疫性因素在原发性硬化性胆管炎的发病中起重要作用
B.男性多见
C.常合并克罗恩病
D.肝内外胆管同时受累
E.围胆管洋葱皮样纤维化
46、单项选择题 关于木村(Kimura)病,叙述错误的是()。
A.实验室检查示外周血嗜酸性粒细胞增多
B.也称“血管淋巴增生伴嗜酸粒细胞增多”
C.病变组织中常见嗜酸性脓肿
D.可累及淋巴结及结外组织
E.病因不明
47、单项选择题 绒毛膜癌经血行最常转移到()。
A.肾上腺
B.肝
C.肺
D.骨
E.脑
48、单项选择题
患者男,4岁,以“发热、呕吐待查”来诊。患儿反复高热伴呕吐13d,血WBC14×109/L,中性粒细胞0.81,经抢救无效,病情加重而死亡。尸检发现脑膜充血、水肿,在蛛网膜下腔和脑表面可见黄白色脓样渗出物覆盖。
最可能的诊断是()。
A.脑脓肿
B.化脓性脑膜炎
C.结核性脑膜炎
D.流行性乙型脑炎
E.流行性脑脊髓膜炎
49、多项选择题 需要与滤泡淋巴瘤相鉴别的疾病有()。
A.反应性滤泡增生
B.进行性转化的生发中心(PTGC.
C.套细胞淋巴瘤
D.淋巴结边缘区淋巴瘤
E.慢性B淋巴细胞白血病/小B淋巴细胞淋巴瘤
50、单项选择题 关于淋巴母细胞性淋巴瘤,叙述错误的是()。
A.瘤细胞表达TdT
B.T细胞性淋巴母细胞淋巴瘤患者有纵隔肿块
C.T和B细胞淋巴瘤的组织形态学表现明显不同
D.B细胞性淋巴母细胞淋巴瘤患者常表现为白血病
E.有时瘤细胞可表达CD56
51、单项选择题 不符合母细胞性浆母细胞样树突状细胞肿瘤诊断的是()。
A.其肿瘤细胞形似淋巴母细胞,形态较一致
B.可以皮肤病变为首发表现
C.肿瘤常累及外周血和骨髓组织
D.瘤细胞的表型是CD4(+)、CD56(+)、CD123(+)
E.EB病毒相关淋巴增生性疾病
52、单项选择题
患者女,14岁,因“刺激性咳嗽3个月,痰少,头颈及躯干上部皮肤肿胀,并逐渐加重”来诊。胸部CT:前上纵隔占位,如图所示。

A.胸腺瘤
B.淋巴母细胞性淋巴瘤
C.生殖细胞肿瘤
D.恶性外周神经鞘膜瘤(MPNST)
E.纵隔(胸腺)原发大B细胞淋巴瘤
53、单项选择题 区别乳腺转移性肿瘤和原发性肿瘤最可靠的依据是()。
A.乳腺转移性肿瘤常呈暴发性经过
B.癌组织内同时伴有原位癌病变
C.转移瘤细胞多分布于乳腺导管和小叶周围
D.乳腺淋巴管和血管内充满瘤细胞团
E.乳腺导管上皮无异型增生现象
54、单项选择题
患者男,40岁,因“呼吸困难、胸痛”来诊。患者从事采矿工作20余年。CT:左侧壁层胸膜5.0cm×4.8cm肿物,累及脏层胸膜和肺组织。术中见肿物单发,直径约5cm,实性,灰白,与脏层胸膜粘连。镜下:肿瘤细胞呈成纤维细胞样,大部分异型性不明显,细胞稀少区和细胞丰富区之间有粗的玻璃样变胶原和分支状血管分隔,如图所示。

A.CD34
B.Bcl-2
C.vimentin
D.calretinin
E.CD99
55、单项选择题 下列淋巴组织肿瘤中不存在EBV感染的是()。
A.移植后淋巴增生性疾病
B.经典型霍奇金淋巴瘤
C.皮下脂膜炎样T细胞淋巴瘤
D.传染性单核细胞增多症
E.侵袭性NK细胞白血病
56、单项选择题 预后较好的乳腺癌是()。
A.浸润性导管癌非特殊型
B.浸润性微乳头状癌
C.浸润性小叶癌
D.小管癌
E.化生性癌
57、单项选择题 急性普通型肝炎时SGPT升高是下述哪种病变引起()。
A.再生
B.化生
C.增生
D.变质
E.凋亡
58、单项选择题 最常用的增殖活性标志物是()。
A.p63
B.Ki-67
C.CD117
D.EGFR
E.p170
59、多项选择题 患者女,50岁,因“上腹部闷胀感”来诊。B型超声:胆囊结石,胆囊壁轻度增厚。行腹腔镜胆囊切除术。送检标本胆囊9cm×4cm×4cm,内见1个结石,充满胆囊。胆囊壁厚0.4cm,灰白、半透明、质韧,局灶增厚达0.8cm,质稍硬。黏膜粗糙,上皮基本脱落。 根据上述形态,对患者的处理方法有()。
A.报告良性病变,建议随访患者
B.深切全面取材
C.对可疑区域深切
D.进行p53、CEA等免疫组织化学染色
E.联系临床,了解术中所见
F.报告恶性,并补取切缘和断端
60、单项选择题 患者女,33岁人,结婚5年未孕,月经不规则多年,已闭经4个月,B型超声:内膜增厚1.0cm,内膜回声不均,双侧卵巢多囊性改变。尿妊娠试验阴性。 血内分泌检查FSH7.8U/L,LH26U/L,E2287pmol/L,P2.8nmol/L,TTE3nmol/L,临床诊断为()。
A.下丘脑或垂体性闭经
B.卵巢功能不全
C.子宫性闭经
D.多囊卵巢综合征
E.卵巢早衰
61、单项选择题 在流行性乙型脑炎的病变中,下列哪项是错误的()。
A.大脑内有软化灶形成
B.淋巴细胞和单核细胞浸润并有血管套形成
C.大脑神经元变性坏死
D.蛛网膜下腔出现大量白细胞
E.小胶质细胞结节形成
62、单项选择题 患者女,60岁,因“外阴发现赘生物6个月”来诊。妇科检查:左侧大阴唇外见赘生物,3cm×3cm×2cm,淡红色,似菜花样。 该病例的病理诊断为()。(提示镜下:瘤细胞分化良好,胞质丰富、嗜酸性,核分裂象少见,间质有明显慢性炎性细胞浸润,上皮脚呈杵球形平推浸润深部组织。原位杂交检测:HPV16型感染。)
A.角化棘皮瘤
B.疣状癌
C.分化型鳞状上皮内瘤变(VIN)
D.鳞状上皮乳头状癌
E.浅表浸润鳞状细胞癌
F.乳头状瘤
63、单项选择题 风湿性心内膜炎二尖瓣膜所形成的早期赘生物,其成分是()。
A.血小板,白细胞
B.白细胞,纤维素
C.纤维素,坏死组织
D.红细胞,血小板
E.纤维素,血小板
64、单项选择题 患者女,38岁,因“月经量增多、经期延长6个月”来诊。末前次月经8月1日,末次月经9月1日,9月8日阴道出血量仍多,有血块。诊断性刮宫刮出少量血凝块及内膜组织,部分呈息肉状。镜下见破碎子宫内膜,有的呈增生期反应,有的呈不规则增生,有的伴分泌反应,可见厚壁血管丛。 鉴别的主要依据是()。
A.月经经期延长
B.腺体结构复杂
C.嗜酸性芽胞状细胞乳头,无非典型性
D.嗜酸性芽胞状细胞乳头,有非典型性
E.与周围组织形成明显反差,伴有细胞非典型性
65、多项选择题
患者女,35岁,多年月经不调,原发不孕,促排卵治疗6个月余,无效。B型超声:内膜增厚,回声杂乱。刮宫内膜组织中量,灰白,质地软脆。光镜下组织图像如图所示。


该图像提示()。(提示因患者年轻、未生育,本人有强烈意愿保留生育功能,充分评估后给予大剂量孕激素连续治疗3个月,再次刮宫组织图像如下图所示。)
A.子宫内膜呈抑制性分泌
B.子宫内膜药物治疗有效
C.子宫内膜局部复杂性增生
D.子宫内膜药物治疗无效
E.可继续治疗
F.建议手术治疗
66、单项选择题 患者男,19岁,因“颈部肿物2年余”来诊。查体:T36.7℃,P88次/min,右侧颈部可触及3个约2cm×3cm串珠样质韧肿物。 为进一步明确诊断,考虑做的检查是()。
A.肿物活检或细针穿刺病理检查
B.颈部X线片
C.颈部CT
D.颈部MRI
E.颈部肿物B型超声
67、多项选择题
患者男,58岁,因“自觉咽部不适”来诊。查体:右侧扁桃体Ⅱ度肿大,同侧颈部可扪及1个肿大的淋巴结,直径约2cm,活动,无触痛。
病理诊断考虑为()。(提示临床怀疑肿瘤,并行活检。大体检查:不规则组织1块,直径约0.4cm。镜检如下图所示。)


A.黑色素瘤
B.非霍奇金淋巴瘤
C.滤泡树突状细胞肉瘤
D.慢性扁桃体炎急性发作
E.低分化癌
F.血管肉瘤
68、单项选择题 关于尖锐湿疣,下列说法错误的是()。
A.潜伏期常为三个月左右
B.早期即出现症状
C.镜检表皮角质层轻度增厚,细胞角化不全,棘层肥厚
D.早期表面粗糙,细颗粒状
E.镜检表皮浅部的细胞出现凹空细胞
69、单项选择题 患者男,8岁,因粪隐血阳性,发现结肠多发息肉行内镜治疗。摘除多枚息肉,呈圆或卵圆形,最大息肉直径2cm,大者多有蒂,表面较光滑。镜下:息肉由分化成熟的腺管构成,腺腔呈不同程度扩张,形成大小不一的囊腔。间质充血、水肿及大量炎细胞浸润。 最有可能的诊断是()。
A.幼年性息肉
B.增生性息肉
C.Peutz-Jeghers息肉
D.绒毛状腺瘤
E.管状腺瘤
70、单项选择题 膜性增生性肾小球肾炎的主要病变特点是()。
A.内皮细胞增生和系膜基质增多
B.系膜细胞增生和基质增多
C.系膜硬化
D.肾小管内脂质沉积
E.单核细胞和中性粒细胞浸润
71、单项选择题
患者女,58岁,体检发现直肠黏膜息肉状隆起,广基无蒂,约1.2cm×1.0cm,表面黏膜光滑,切面质实。
光镜下组织学如图所示。最可能的诊断是()。
A.低分化腺癌
B.中分化腺癌
C.上皮样平滑肌肿瘤
D.上皮样胃肠间质瘤
E.神经内分泌肿瘤
72、单项选择题 患者女,60岁,因“外阴发现赘生物6个月”来诊。妇科检查:左侧大阴唇外见赘生物,3cm×3cm×2cm,淡红色,似菜花样。 影响外阴及阴道黑色素瘤预后的不良因素是()。
A.患者年龄
B.肿瘤发生部位
C.Breslow测量厚度小于0.8mm
D.Clark浸润水平4级
E.Clark浸润水平3级
F.核分裂象计数大于5个/mm2
73、单项选择题 下列病变不属于Ⅳ型变态反应的是()。
A.单核细胞浸润为主的炎症
B.结核样型麻风
C.假结核结节
D.新型隐球菌感染
E.重症肌无力
74、单项选择题
患者女,63岁,胃体部发现一个直径约1.5cm的肿块,呈息肉状生长,表面黏膜大多光滑,局部见浅表溃疡形成。切面见肿块呈灰白、灰黄色,位于黏膜下,界限尚清。
光镜下组织形态如图所示。最有可能的诊断是()。
A.绒毛状腺瘤
B.高分化腺癌
C.胰腺异位
D.管状腺瘤
E.神经内分泌肿瘤
75、单项选择题 X线显示“梨形心”,见于()。
A.主动脉瓣狭窄
B.主动脉瓣关闭不全
C.二尖瓣狭窄
D.三尖瓣关闭不全
E.二尖瓣关闭不全
76、单项选择题 血吸虫病的慢性虫卵结节与结核结节的鉴别点主要为()。
A.类上皮细胞
B.多核巨细胞
C.干酪样坏死
D.纤维细胞
E.淋巴细胞
77、单项选择题
患者女,52岁,因“左乳外下象限肿物1年,明显增大1个月”来诊。查体:肿物活动差,表面皮肤破溃。无乳腺癌家族史及乳腺疾病史。X线:左乳外下象限边界清楚的致密肿物。肿物最大径7.5cm。行左乳房单纯切除+腋下淋巴结清扫术。大体检查:乳腺内肿物7.0cm×5.9cm×3.8cm,切面黄白色有光泽,质地坚硬,伴有坏死和囊腔形成。
光镜下肿物的病理组织学形态如图所示。最有可能的病理学诊断是()。


A.髓样癌
B.浸润性导管癌非特殊型
C.鳞状细胞癌
D.黏液癌
E.浸润性微乳头状癌
78、多项选择题 阴茎鳞癌的变异型包括()。
A.透明细胞鳞癌
B.疣状癌
C.乳头状癌
D.肉瘤样癌
E.湿疣状鳞癌
79、多项选择题 可伴有大量CD5(+)、CD1a(+)、CD99(+)、TDT(+)未成熟T淋巴细胞的肿瘤是()。
A.B1型胸腺瘤
B.B2型胸腺瘤
C.B3型胸腺瘤
D.化生性胸腺瘤
E.淋巴上皮瘤样癌
80、多项选择题 中晚期食管癌的大体分型包括()。
A.斑块型
B.髓质型
C.蕈伞型
D.溃疡型
E.缩窄型
81、单项选择题 伤寒杆菌感染的特征性反应细胞是()。
A.中性粒细胞
B.嗜酸性粒细胞
C.单核细胞
D.多核巨细胞
E.淋巴细胞
82、多项选择题 需要与淋巴结的间变大细胞淋巴瘤相鉴别的疾病有()。
A.经典型霍奇金淋巴瘤
B.转移性低分化癌
C.大B细胞淋巴瘤
D.滤泡树突状细胞肿瘤
E.转移性黑色素瘤
83、单项选择题 骨结核病常见于()。
A.股骨
B.肋骨
C.腓骨
D.胫骨
E.脊椎骨
84、单项选择题 乳腺化生性癌不包括()。
A.富脂质癌
B.鳞状细胞癌
C.癌肉瘤
D.梭形细胞癌
E.产生基质的癌
85、单项选择题
患者女,36岁,因“发现颈右侧皮下2个结节”来诊。查体:结节直径分别为1.5cm和2.5cm,质中,活动,无压痛,表面皮肤无异常。临床怀疑肿瘤,行颈淋巴结活检。淋巴结活检样本的形态学如图所示。


A.木村病
B.巨淋巴结增殖症(Castleman病)
C.异物肉芽肿
D.组织细胞坏死性淋巴结炎
E.伴巨淋巴结病的窦组织细胞增生症(Rosai-Dorfman病)
86、单项选择题 多形性腺瘤是()。
A.最常见的涎腺上皮源性良性肿瘤
B.多见于小涎腺
C.癌前病变
D.又称Warthin瘤
E.易复发
87、单项选择题 患者女,55岁,“因咳嗽、咳痰带血”来诊。X线:右下肺野境界不清阴影。镜下:肿瘤由分化好的含黏液的柱状细胞构成,细胞核位于基底部无明显异型,局部间质内可见腺样结构,该灶直径>5mm。 根据2011肺腺癌IASLC/ATS/ERS国际多学科分类,该病例应诊断为()。
A.微浸润性黏液腺癌
B.原位黏液腺癌
C.细支气管肺泡癌
D.浸润性黏液腺癌
E.透明细胞腺癌
88、单项选择题 关于Graves病病变,叙述错误的是()。
A.间质血管丰富,显著充血
B.滤泡细胞显著增生并形成乳头
C.滤泡上皮高柱状,细胞核深染
D.间质淋巴细胞浸润及淋巴滤泡形成
E.甲状腺外出现滤泡时应诊断为恶性变
89、单项选择题 自身免疫性肝炎的特点除外()。
A.以女性多见,常表现为多克隆高丙种球蛋白血症
B.血清学检查抗核抗体、抗平滑肌抗体阳性
C.病变主要特点:界板肝细胞碎片状坏死,通常有明显浆细胞浸润
D.罕见纤维化,因此通常不发生肝硬化
E.采用免疫抑制剂治疗有效
90、单项选择题 预后最差的甲状腺癌是()。
A.髓样癌
B.嗜酸细胞癌
C.巨细胞型未分化癌
D.乳头状癌
E.滤泡性癌
91、单项选择题 下列关于大肠癌的定义错误的是()。
A.癌组织侵犯不超过黏膜肌层时称为上皮内瘤变
B.原先的上皮重度非典型增生和原位癌归入高级别上皮内瘤变
C.重度上皮内瘤变5年存活率为100%
D.肿瘤细胞浸润到黏膜下层,5年存活率下降不明显
E.当癌组织浸润肌层达浆膜层后,可直接蔓延至邻近器官
92、单项选择题 伤寒小结由何种细胞组成()。
A.类上皮细胞
B.多核巨细胞
C.淋巴细胞
D.浆细胞
E.巨噬细胞
93、单项选择题 不符合十二指肠溃疡描述的是()。
A.多位于十二指肠球部
B.直径多在1cm以内
C.易发生出血
D.易发生穿孔
E.易发生癌变
94、单项选择题 一老年妇女遭车祸,左下肢粉碎性骨折,失血过多,经抢救无效死亡。尸检,肾脏和脑有多处脂肪栓塞,其栓子运行的途径是()。
A.动脉栓塞
B.静脉栓塞
C.门静脉栓塞
D.交叉性栓塞
E.逆行性栓塞
95、单项选择题 患者女,56岁,因“腹胀、腰部不适”来诊。CT:左上腹部占位性病变。大体检查:病变12cm×11cm,结节状,界清。组织学检查:肿瘤以梭形细胞为主,呈交错条索状排列,细胞密集,细胞胞质中等界限尚清。部分区域肿瘤细胞呈上皮样,片状分布,细胞胞质丰富,界限清楚。间质胶原轻度增生,伴有炎症细胞浸润。 对病理诊断有重要指导价值的抗体是()。
A.CD56
B.CD20
C.LCA
D.CD117
E.CD31
96、单项选择题 男性最常见的皮肤转移瘤来自()。
A.肺
B.大肠
C.皮肤黑色素瘤
D.肾
E.口腔鳞状细胞癌
97、单项选择题 下列关于二尖瓣狭窄的叙述中哪一项是错误的()。
A.左心室肥大、扩张
B.右心室肥大、扩张
C.左心房肥大、扩张
D.右心房肥大、扩张
E.肺瘀血、水肿
98、单项选择题 下列哪一型白血病脾大最明显()。
A.慢性淋巴细胞性白血病
B.急性粒细胞白血病
C.急性淋巴细胞性白血病
D.慢性粒细胞白血病
E.以上都不是
99、单项选择题 纤维组织细胞瘤可发生肺转移的亚型是()。
A.上皮样型
B.动脉瘤样型
C.斑块样CD34(+)真皮纤维瘤
D.富于细胞型
E.透明细胞型
100、单项选择题 关于外周T细胞淋巴瘤(非特指型),叙述正确的是()。
A.有特异性的临床表现
B.具有典型的组织形态学改变
C.通过免疫表型检测就可确定该肿瘤的组织学类型
D.存在T细胞受体基因的克隆性重排
E.预后较好
101、单项选择题 根据你所学的创伤愈合的病理知识,请回答下列问题。 不属于骨折愈合过程的是()。
A.伤口早期变化
B.血肿形成
C.纤维性骨痂形成
D.骨性骨痂形成
E.骨痂改建或再塑
102、单项选择题 患者男,54岁,因“胃部不适6个月”来诊。胃镜:胃体大弯后侧壁见一黏膜皱襞肥大区,呈脑回状,表面颗粒样粗糙不平,面积约30mm×40mm。 病理诊断为()。(提示镜下进一步观察:肿瘤细胞呈单核细胞样,核轻微不规则,染色质中等,核仁不明显,胞质丰富、透亮,细胞界限清楚,可见浆细胞分化及Dutcher小体。免疫组织化学染色:CK(-),CD20(+),CD3(-),CD5(-),CD23(-),CD10(-),Bcl6(-),Bcl2(-),CyclinD1(-),CD38(+),Ki-67(+)30%。)
A.滤泡性淋巴瘤
B.弥漫性大B细胞淋巴瘤
C.套细胞淋巴瘤
D.Burkitt淋巴瘤
E.MALT淋巴瘤
F.T细胞淋巴瘤
G.小淋巴细胞性淋巴瘤
103、单项选择题 下述哪种肝硬化称为干线型肝硬化()。
A.门脉性
B.坏死后性
C.胆汁性
D.瘀血性
E.血吸虫性
104、多项选择题
患者男,42岁,因“牙龈肿胀2个月”来诊。查体:局部牙龈肿胀,质韧,触之出血。行活检。镜检形态学表现如图所示。

A.弥漫大B细胞淋巴瘤
B.间变大细胞淋巴瘤
C.淋巴母细胞淋巴瘤
D.急性髓系白血病浸润
E.低分化癌浸润
F.恶性黑色素瘤
105、单项选择题 关于肉瘤样癌,叙述错误的是()。
A.分化差
B.含肉瘤或肉瘤样分化
C.巨细胞癌一般有丰富的炎细胞浸润
D.癌肉瘤中的癌成分可以为小细胞癌
E.不能依据细胞学或小活检标本诊断肉瘤样癌
106、单项选择题 低度恶性纤维黏液样肉瘤中因特异性染色体易位而产生的融合性基因为()。
A.ETV6-NTRK3
B.COL1A1-PDGFB
C.CSF1-COL6A3
D.FUS-CREB3L2
E.FUS-ATF1
107、多项选择题
患者男,49岁,因“腰痛2个月”入院。查体:L1~L3椎体破坏,余无明显阳性体征。X线:溶骨性病变;术中冷冻组织活检,镜下几乎未见正常骨质,可见大量片状增生的小淋巴细胞,细胞异型性不明显,组织边缘可见少量体积较大细胞,胞质淡染,核增大,形态略不规则,未见明确坏死灶。
冷冻切片时需要考虑的病变有()。
A.椎骨结核
B.椎体的慢性骨髓炎
C.骨纤维结构不良
D.骨嗜酸性肉芽肿
E.骨霍奇金淋巴瘤
F.骨非霍奇金淋巴瘤
G.骨转移癌
H.骨Ewing肉瘤/PNET
I.骨母细胞瘤
108、多项选择题 关于缺血性结肠炎,叙述错误的是()。
A.多发生于年轻患者
B.早期黏膜及黏膜下层高度充血、水肿及出血,黏膜坏死,可见影细胞和影腺窝结构
C.黏膜下明显淋巴细胞性血管炎
D.可有均匀片状假膜形成
E.患者可发生肠穿孔和肠梗阻
109、单项选择题 根据你所学的创伤愈合的病理知识,请回答下列问题。 不属于创伤愈合基本过程的是()。
A.伤口早期变化
B.血肿形成
C.伤口收缩
D.肉芽组织增生和瘢痕形成
E.表皮及其他组织增生
110、单项选择题 就分子通路而言,卵巢癌的发病存在二元模式。 关于Ⅱ型癌,叙述正确的是()。
A.常伴有PTEN突变
B.常伴有K-ras突变
C.常伴有BRAF突变
D.常伴有p53突变
E.常伴有交界性肿瘤
111、单项选择题 患者女,69岁,因“渐进性黄疸2年,伴腹痛、体重减轻”来诊。实验室检查:梗阻性黄疸;CT:胰头部占位。 镜下:肿瘤组织内间质成分较少,由大量巨核或异型明显的梭形细胞构成,并可见少量破骨样多核巨细胞,最后诊断应为()。
A.未分化癌
B.髓样癌
C.大细胞癌
D.黏液性囊腺癌
E.鳞状细胞癌
112、多项选择题 大脑胶质瘤病常见的“继发结构”有()。
A.肿瘤细胞于软脑膜下浸润生长
B.肿瘤细胞围绕在血管周围生长
C.坏死灶周围瘤细胞呈栅栏状排列
D.肿瘤细胞围绕神经元生长
E.小胶质细胞结节形成
113、单项选择题 大叶性肺炎与肺肉质变发生关系最密切的因素可能是()。
A.细菌毒力过强
B.肺组织结构被炎症破坏
C.中性粒细胞渗出过少
D.单核细胞浸润过多
E.病程太长
114、单项选择题 患者女,58岁,因“胸痛、咳嗽1年余”来诊。胸部X线:右胸占位性病变。入院手术,术中见脏层胸膜与壁层胸膜粘连。肿物位于胸膜下,直径约5cm。镜下:瘤细胞大片坏死,细胞大,部分区域呈巢团状分布,无腺样分化,染色质粗,核仁明显,可见明显异型,核分裂20个/10HPF。 首先考虑的诊断是()。
A.错构瘤
B.恶性间皮瘤
C.腺癌
D.肺大细胞癌
E.非小细胞癌
115、单项选择题 关于结节性甲状腺肿,下列哪项是错误的()。
A.结节具有完整包膜
B.结节对周围甲状腺组织无明显压迫作用
C.滤泡上皮有乳头增生者可发生癌变
D.结节内常有出血、坏死、纤维增生等改变
E.弥漫性增生性甲状腺肿可以转变为结节性甲状腺肿
116、单项选择题 胎盘上行感染的形态学特征不包括()。
A.绒毛膜羊膜炎
B.胎膜炎
C.脐带炎
D.绒毛炎
E.绒毛膜板炎
117、单项选择题 关于血吸虫病的描述,下列哪项是正确的()。
A.晚期急性虫卵结节出现多量类上皮细胞
B.慢性虫卵结节的虫卵内毛蚴仍存活
C.急性虫卵结节内大量嗜中性粒细胞浸润
D.慢性虫卵结节内大量淋巴细胞浸润
E.肺脏内无虫卵结节形成
118、单项选择题 慢性支气管炎患者咳痰的病变基础是()。
A.支气管黏膜上皮细胞变性、坏死脱落
B.支气管壁腺体肥大、增生,浆液腺上皮的黏液化
C.支气管壁充血、水肿,淋巴细胞浸润
D.软骨萎缩、钙化
E.支气管壁瘢痕形成
119、多项选择题
患者男,55岁,因“阵发性腹痛6个月,突发急腹症1d”来诊。行剖腹探查,术中发现空肠中段多处溃疡。
病理诊断考虑为()。(提示光镜下,溃疡周围肠壁内细胞形态如图所示。)

A.肠结核
B.Crohn病
C.肠未分化癌
D.B细胞淋巴瘤
E.溃疡性结肠炎
F.T细胞淋巴瘤
120、单项选择题 2型糖尿病早期,胰岛()。
A.数目减少
B.B细胞变性、坏死
C.无明显病变
D.纤维化
E.大量淋巴细胞浸润
121、单项选择题 患者男,28岁,因“右侧肢体活动受限2个月”来诊。MRI:胼胝体占位。 根据病史和影像学表现,诊断时不考虑的肿瘤是()。
A.星形细胞瘤
B.淋巴瘤
C.神经鞘瘤
D.生殖细胞瘤
E.室管膜瘤
122、单项选择题 病理报告书中非必需的项目是()。
A.姓名
B.性别
C.年龄
D.婚史
E.取材部位
123、单项选择题 患者女,48岁,因“不规则阴道出血2个月”就诊。B超提示“子宫肌瘤”。腹腔镜下行子宫肿瘤切除术。巨检:碎肌性组织9cm×7cm×5cm,肿块灰白、质稍软,质地均匀,部分可见边界。) 该肿瘤的生物学行为及治疗建议是()。
A.低度恶性,建议扩大子宫切除+双附件切除
B.高度恶性,建议广泛性子宫切除+双附件切除+淋巴结清扫
C.生物学行为不能确定,建议单纯肿瘤切除
D.生物学行为不能确定,建议子宫切除
E.良性肿瘤,不需其他治疗
F.良性肿瘤,有可能复发,建议随访
124、单项选择题 流行性脑脊髓膜炎的病变性质属于()。
A.变质性炎
B.渗出性炎
C.化脓性炎
D.肉芽肿性炎
E.增生性炎
125、多项选择题 患者男,20岁,因“高热10余天”来诊。查体:肝、脾均在肋下1.0cm,质软,轻度腹痛及腹泻。1周后突然发生急性腹膜炎。 该病的特点包括()。
A.肉芽肿形成
B.病灶以回肠下端最为常见
C.易发生肠出血和肠穿孔
D.蜡样坏死
E.易引起肠腔狭窄
F.支气管肺炎
126、多项选择题 患者男,65岁,因“腹部不适6个月,粪隐血试验阳性2次”来诊。肠镜:回盲部多发息肉。术后标本大体检查:回肠末端和结肠回盲部数十个息肉状物,直径0.2~2.0cm,部分有蒂,周围黏膜正常。 可能的病变是()。
A.增生性息肉病
B.Peutz-Jeghers综合征
C.淋巴瘤
D.幼年性息肉病
E.肠结核
F.Crohn病
G.多发性腺瘤
127、单项选择题 患者男,因“近期咽部干燥刺痛和异物感”来诊。患者有不同程度的吞咽疼痛、吞咽困难,伴干咳。患者患糖尿病10年。胸部X线片未见异常,血常规未见白细胞增高。服用抗生素治疗无效,临床怀疑为咽部真菌感染,行活体组织病理学检查。显微镜下检查可见非特异性炎症改变。 若诊断念珠菌病,则病理检查确诊的依据是()。
A.病变组织中检出真菌
B.病变组织中见呈抗酸染色阳性的短棒状杆菌
C.炎性肉芽肿和炎性肉芽组织内见PAS或六胺银染色阳性的有隔分枝菌丝
D.病变组织中巨噬细胞内外见PAS或阿辛蓝染色阳性的有荚膜的球菌
E.病变组织中见呈PAS染色阳性的真菌孢子和假菌丝
128、多项选择题 患者女,56岁,因“腹胀、腰部不适”来诊。CT:左上腹部占位性病变。大体检查:病变12cm×11cm,结节状,界清。组织学检查:肿瘤以梭形细胞为主,呈交错条索状排列,细胞密集,细胞胞质中等界限尚清。部分区域肿瘤细胞呈上皮样,片状分布,细胞胞质丰富,界限清楚。间质胶原轻度增生,伴有炎症细胞浸润。 对本例诊断生物学行为高度侵袭危险有价值的是()。
A.部位
B.症状
C.年龄
D.组织学形态
E.大小
F.性别
129、单项选择题 在脂肪瘤的发生过程中起主要作用的是()。
A.ATF
B.CHOP
C.HMGIC
D.PDGFB
E.TLS
130、单项选择题 结核结节主要由哪种细胞构成()。
A.浆细胞
B.淋巴细胞
C.成纤维细胞
D.类上皮细胞和朗汉斯巨细胞
E.巨噬细胞
131、单项选择题 患者男,58岁,因“自觉咽部不适”来诊。查体:右侧扁桃体Ⅱ度肿大,同侧颈部可扪及1个肿大的淋巴结,直径约2cm,活动,无触痛。 该结果支持的疾病诊断是()。(提示免疫组织化学染色:PCK(-),HMB-45(-),S-100(-),CD79a(+),CD3(-),CD10(+),BCL-6(+),MUM1(-),CD30部分(+),Ki-6750%。)
A.间变大细胞淋巴瘤
B.髓外浆细胞瘤
C.弥漫大B细胞淋巴瘤
D.低分化鳞状细胞癌
E.粒细胞肉瘤
F.恶性黑色素瘤
132、单项选择题
患者男,44岁,左小腿外侧膝关节下有一直径5cm肿块,镜下形态如图所示。


A.S-100
B.α-SMA
C.AE1/AE3
D.myogenin
E.CD34
133、单项选择题 患者女,48岁,因“左腋下肿物6个月”来诊。查体:肿物边界不清,活动差。无乳腺癌家族史及乳腺疾病史。B型超声显示左腋下多枚肿大淋巴结,相互融合及左乳腺外上象限见最大径1.5cm边界不清肿物。行左乳房单纯切除+腋下淋巴结清扫术。大体检查:乳腺内肿物1.7cm×1.6cm×1.2cm,边界不清,质地硬,切面灰白色。腋下见14枚肿大淋巴结,直径0.3~2.2cm,相互融合,质地硬。 乳腺内的肿瘤最可能的病理学诊断是()。
A.恶性叶状肿瘤
B.囊内乳头状癌
C.黏液癌纯型
D.浸润性微乳头状癌
E.囊内乳头状瘤伴腺上皮不典型增生
134、多项选择题 属于中间微丝蛋白的标志物有()。
A.细胞角蛋白
B.波形蛋白
C.肌动蛋白
D.结蛋白
E.纤维连结蛋白
135、单项选择题 患者,56岁,3年前出现手部震颤,静止时尤甚,渐发展至面部、下肢,死于肺部感染。尸检见脑组织黑质色素减少,残留神经细胞内可见Lewy小体,最可能的诊断是()。
A.帕金森病
B.癫痫
C.不自主运动
D.慢性进行性舞蹈病
E.阿尔茨海默病
136、单项选择题 就分子通路而言,卵巢癌的发病存在二元模式。 下列肿瘤中常出现砂粒体的是()。
A.高分化黏液性腺癌
B.癌肉瘤
C.恶性苗勒管混合瘤
D.低分化浆液性腺癌
E.未分化癌
137、单项选择题 有关风湿病的描述,哪项是错误的()。
A.可引起缩窄性心包炎
B.风湿性关节炎为纤维素性炎
C.风湿性肉芽肿具有诊断意义
D.Aschoff细胞可能为巨噬细胞源性
E.Aschoff小体内淋巴细胞主要是T细胞
138、单项选择题 下述哪项有关中毒型痢疾的描述是不正确的()。
A.儿童多见
B.肠道症状轻
C.多由毒力强的痢疾杆菌引起
D.全身症状明显
E.患者对细菌毒素反应强烈
139、单项选择题 血吸虫虫卵引起的损害其变态反应机制为()。
A.Ⅰ型
B.Ⅳ型
C.Ⅱ型
D.体液免疫
E.Ⅲ型
140、单项选择题
患者男,45岁,因“经常性头痛,鼻阻1年余”来诊。查体:左鼻腔内见较多干痂,味臭,中隔面黏膜糜烂,取活检。大体检查:碎组织,总体积约0.3cm3。镜检如图所示。


A.低分化癌
B.恶性黑色素瘤
C.鼻硬结病
D.结外鼻型NK/T细胞淋巴瘤
E.大B细胞淋巴瘤
141、单项选择题 弥漫性新月体性肾小球肾炎时构成新月体的主要细胞是()。
A.球囊壁层上皮细胞
B.球囊壁层上皮细胞和单核细胞
C.系膜细胞和内皮细胞
D.球囊脏层上皮细胞和单核细胞
E.球囊脏层上皮细胞
142、单项选择题
患者女,20岁,因停经2个月,阴道流血,血HCG水平较高,行刮宫术。宫腔刮出物肉眼未见明显水泡。刮宫标本显微镜检查如图所示。




143、单项选择题 患儿5岁,近来活动减少,乏力、食欲减退、盗汗。胸透见右肺上叶下部片状阴影,右肺门淋巴结肿大,应考虑诊断为()。
A.小叶性肺炎
B.原发性肺结核病
C.支原体肺炎
D.病毒性肺炎
E.间质性肺炎
144、单项选择题 以皮肤病变为特点的淋巴瘤是()。
A.蕈样霉菌病
B.Burkitt淋巴瘤
C.免疫母细胞淋巴瘤
D.小淋巴细胞性淋巴瘤
E.滤泡性淋巴瘤
145、多项选择题 患者女,50岁,因“上腹部闷胀感”来诊。B型超声:胆囊结石,胆囊壁轻度增厚。行腹腔镜胆囊切除术。送检标本胆囊9cm×4cm×4cm,内见1个结石,充满胆囊。胆囊壁厚0.4cm,灰白、半透明、质韧,局灶增厚达0.8cm,质稍硬。黏膜粗糙,上皮基本脱落。 可能的病理诊断是()。
A.慢性结石性胆囊炎
B.瓷化胆囊
C.胆囊腺肌瘤
D.囊内乳头状瘤
E.胆囊腺癌
F.淋巴瘤
G.转移癌
146、单项选择题 不属于乳腺良性上皮性肿瘤的是()。
A.纤维腺瘤
B.管状腺瘤
C.泌乳性腺瘤
D.导管腺瘤
E.大汗腺腺瘤
147、多项选择题 关于结节性甲状腺肿,叙述正确的是()。
A.常见出血、囊性变及钙化
B.结节具有完整的包膜
C.结节周边血管改变明显
D.大多呈现甲状腺功能亢进
E.可有不同程度淋巴细胞浸润
148、多项选择题
患者女,36岁,因“偶然察觉颈右侧结节”来诊。查体:结节约橄榄大小,触之微痛,但无其他不适,遂行活检。镜检:滤泡间区多灶性坏死及小脓肿形成,并伴上皮样细胞反应,如图所示。


A.淋巴结结核
B.急性非特异性淋巴结炎
C.组织细胞坏死性淋巴结炎
D.猫抓病性淋巴结炎
E.结节病
F.经典型霍奇金淋巴瘤
149、单项选择题
患者男,27岁,因“不规则发热,颈、腋下及腹股沟等处多发性淋巴结肿大,以及进行性消瘦”来诊,肿大淋巴结直径为1.5~2.5cm,遂行颈淋巴结活检。大体检查:灰白色结节1个,2cm×1cm×1cm,包膜完整,切面呈灰白色,质软;镜检:淋巴结结构大部分破坏,被膜下见少量小淋巴细胞(图1),大片区域内见泡沫样组织细胞成片分布,胞质内见一些细颗粒状物,疑为病原微生物(图2)。

A.病原微生物培养,明确其型别
B.HIV初筛检查
C.了解患者的职业
D.肿瘤标志物检测
E.免疫功能检查
150、多项选择题 良性上皮性肿瘤包括()。
A.导管腺瘤
B.乳头管腺瘤
C.大汗腺腺瘤
D.管状腺瘤
E.纤维腺瘤
151、单项选择题 关于硅肺的描述,正确的是()。
A.大于5μm的硅尘致病性强
B.硅酸导致巨噬细胞损伤
C.硅结节内无免疫球蛋白
D.纤维性结节是早期病变
E.胸膜常无病变
152、单项选择题 医源性因素会引起某些子宫内膜的病理改变,包括药物、放置节育环、手术等。 关于宫腔手术可引起的病理改变,叙述错误的是()。
A.放置节育环易引发放线菌感染,镜下似绒线状,含有硫磺颗粒
B.子宫造影或药物通液可引发肉芽肿性改变,组织细胞及纤维组织增生
C.宫腔手术操作易引发结核,可见有结核结节形成
D.宫腔手术会导致宫腔粘连,内膜损伤、纤维组织增生
E.子宫检查偶尔可引发异物反应,形成的异物结节需要与结核鉴别
153、多项选择题 符合乳腺浸润性乳头状癌的是()。
A.有纤细或钝的乳头状突起或呈实体状生长
B.胞质呈典型的双染性
C.看不见钙化
D.肿瘤细胞的核中度异型
E.浸润多见于乳头状结构的基底侧
154、多项选择题 腺泡细胞癌的腺泡细胞是()。
A.大细胞
B.含有酶原分泌颗粒的胞质
C.含有糖原
D.PAS(+)
E.PTAH(+)
155、单项选择题 患者女,48岁,因“左乳外上象限无痛、实性肿物8个月,明显增大并伴有疼痛2个月”来诊。大体检查:椭圆形肿物,6.4cm×5.0cm×3.9cm,包膜尚完整,切面实性、多彩状,可见出血、坏死。 与间质肉瘤鉴别的重要依据是()。
A.大体有包膜
B.间质内没有黏液变性
C.间质内没有钙化
D.见到残存的正常导管
E.间质呈明显的肉瘤改变
156、单项选择题 不符合乳腺腺样囊性癌的是()。
A.低度侵袭潜能
B.组织学特征与发生在唾液腺的同类肿瘤相似
C.也称圆柱瘤样癌
D.多与唾液腺肿瘤伴发
E.两侧乳房的发生概率相等
157、单项选择题 阴茎不常见的良性间叶肿瘤是()。
A.血管瘤
B.平滑肌瘤
C.血管角皮瘤
D.血管球瘤
E.上皮样血管瘤
158、单项选择题 乳腺浸润性乳头状癌较常发生于()。
A.老年女性
B.老年男性
C.中年女性
D.青春期女性
E.任何年龄的女性
159、单项选择题 流行性乙型脑炎较具特征性的病变是()。
A.淋巴细胞血管套
B.镂空状软化灶
C.蛛网膜下腔中性粒细胞浸润
D.胶质结节
E.小脑普肯耶细胞丢失
160、单项选择题 患者女,63岁,胃体部发现一个直径约1.5cm的肿块,呈息肉状生长,表面黏膜大多光滑,局部见浅表溃疡形成。切面见肿块呈灰白、灰黄色,位于黏膜下,界限尚清。 高倍镜显示肿瘤细胞核分裂象约15个/10HPF,Ki-67指数10%。免疫组织化学染色:CK(+),CGA(+),SYN(+),CD56(+)。按WHO神经内分泌肿瘤(NETs)分级,此瘤为()
A.神经内分泌肿瘤1级(NETG1)
B.神经内分泌肿瘤2级(NETG2)
C.神经内分泌肿瘤3级(NETG3)
D.神经内分泌癌(NEC.
E.混合性腺癌神经内分泌癌(MANEC.
161、单项选择题 GIST可发生在消化道的任何部位,从食管中段至肛门。GIST的最好发部位是()。
A.食管
B.胃
C.小肠
D.结肠
E.直肠
162、单项选择题 CD15(-)、CD30(+)、ALK(+)的淋巴瘤最可能是()。
A.弥漫性大B细胞淋巴瘤
B.外周T细胞淋巴瘤
C.间变性大细胞淋巴瘤
D.结节性淋巴细胞为主霍奇金淋巴瘤
E.经典型霍奇金淋巴瘤
163、单项选择题 分泌降钙素的甲状腺癌是()。
A.乳头状癌
B.滤泡性癌
C.髓样癌
D.未分化癌
E.嗜酸细胞癌
164、单项选择题 动脉粥样硬化最常累及的血管是()。
A.全身中小静脉
B.毛细血管
C.全身小静脉
D.全身细小动脉
E.弹力和肌型动脉
165、多项选择题 患者女,65岁,因“腹胀、腰部不适”来诊。CT:左上腹部占位性病变。病变7.5cm×6.8cm,呈结节状。 对患者诊断为肾源性血管平滑肌脂肪瘤有指导意义的是()。
A.血尿
B.CD117(+)
C.HMB-45(+)
D.CD34(-)
E.S100P(-)
F.DES
166、单项选择题 行性乙型脑炎病变最轻微的部位是()。
A.脑桥
B.脊髓
C.基底核
D.丘脑
E.延髓
167、单项选择题
患者男,9岁,因“臀部皮下结节2年,近期增大”来诊。患者臀部皮下结节2年,刚开始黄豆大小,生长缓慢,无痛性,近期生长迅速。就诊时结节直径约2.5cm,境界不清,予以局部切除,镜下形态如图所示。

A.炎性肌成纤维细胞瘤
B.非典型性纤维组织细胞瘤
C.隆突性皮纤维肉瘤
D.丛状纤维组织细胞瘤
E.血管瘤样纤维组织细胞瘤
168、单项选择题 恶性度较高的胃癌组织学类型是()。
A.硬癌
B.髓样癌
C.黏液癌
D.印戒细胞癌
E.腺癌
169、多项选择题 关于Barrett食管,叙述正确的有()。
A.是远端食管腺癌的癌前病变
B.内镜下病变处黏膜呈橘红色天鹅绒样
C.其发生主要是由于长期胃食管反流造成的黏膜损伤
D.镜下必须有肠上皮化生才能诊断
E.组织学上可存在不完全肠上皮化生或完全肠上皮化生
170、单项选择题 患者女,40岁,B型超声发现左侧卵巢有一直径3cm的囊肿。 如果囊肿恶变,通常形成()。
A.胚胎性癌
B.移行细胞癌
C.黏液性腺癌
D.绒毛膜癌
E.透明细胞腺癌
F.印戒细胞癌
G.卵黄囊瘤
171、单项选择题 有关梅毒,哪项不正确()。
A.是由梅毒螺旋体引起的生殖系统病变
B.梅毒螺旋体离体干燥后1~2小时即可死亡
C.可经胎盘屏障,传染给胎儿
D.测定血清反应素敏感性高、结果快,适用于筛查
E.测定血清特异性抗体,准确、灵敏,用于确诊
172、多项选择题 关于肾上腺髓质和副神经节,叙述正确的有()。
A.肾上腺以外的副交感神经节分为两大类:与副交感神经系统相关的部分及与交感神经系统相关的部分
B.显微镜下,副神经节由主细胞巢及其周围一薄层S-100阳性的支持细胞组成
C.肾上腺髓质及副神经节肿瘤可分为两大类:胚胎性神经肿瘤及成年神经内分泌肿瘤和瘤样病变
D.少数典型的神经母细胞瘤,甚至是发生转移的神经母细胞瘤可经过完全的成熟而自愈
E.肾上腺神经母细胞瘤最常见的转移部位是肺
173、多项选择题 患者男,62岁,因“排黑粪1个月”来诊。胃镜:十二指肠下段局部黏膜隆起,部分黏膜呈污絮色。手术标本大体检查:肿块呈结节状,位于肠壁,5.1cm×4.9cm。肠壁结构完整。组织学检查:肿瘤由梭形细胞组成,呈条索状或交错条索状排列,核分裂象6个/50HPF。间质血管丰富,间质胶原纤维增生。免疫组织化学检查:CD117(++),DOG1(++),CD34(+),SMA(-),S100P(++),DES(-),b-catenin(-)。 本例临床病理和免疫组织化学结果均符合胃肠道间质肿瘤的病理诊断,需鉴别诊断的疾病有()。
A.平滑肌肉瘤
B.纤维瘤病
C.神经纤维瘤病
D.炎性肌成纤维细胞肿瘤
E.纤维组织细胞瘤
F.孤立性纤维性肿瘤
174、单项选择题 下列哪种成分是粥样斑块内所没有的()。
A.红染的无定性物质
B.胆固醇结晶
C.中性粒细胞
D.泡沫细胞
E.淋巴细胞
175、多项选择题 Hürthle细胞多见于()。
A.桥本甲状腺炎
B.结节性甲状腺肿
C.亚急性甲状腺炎
D.甲状腺结节病
E.滤泡性腺瘤
176、单项选择题
患者男,35岁,送检切片为前额皮下结节,自述从小就有,并且耳后、手指和膝盖下也有相似结节,镜下形态如图所示。

A.内脏
B.神经
C.血管
D.骨和关节
E.中枢神经系统
177、单项选择题 关于动脉瘤样骨囊肿,叙述错误的是()。
A.影像学呈偏心性、溶骨性和膨胀性改变
B.多发生于20岁以下的青少年
C.组织学主要为纤维组织构成的血腔样结构,可见多核巨细胞和反应性编织骨
D.属于瘤样病变,不发生复发和转移
E.分为原发性和继发性
178、单项选择题
患者女,22岁,左大腿深部肌肉组织内一直径约8.5cm肿块,结节状,切面呈灰白暗红色,灶区出血、囊性变。
光镜下组织形态如图所示。最有可能的诊断是()。
A.恶性颗粒细胞瘤
B.腺泡状横纹肌肉瘤
C.转移性肾细胞癌
D.腺泡状软组织肉瘤
E.副神经节瘤
179、单项选择题 有关暴发型流行性脑脊髓膜炎,下列哪项不正确()。
A.起病急,进展快,死亡率高
B.脑膜病变重
C.常伴中毒性休克和DIC
D.由脑膜炎双球菌释放的内毒素所致
E.常伴肾上腺皮质出血和功能衰竭
180、多项选择题
患者女,58岁。因“体检发现脾大5年,腹胀1年”来诊。5年前,体检发现脾大,无腹痛、腹胀,贫血,皮肤淤斑和牙龈出血等,未予重视。2个月前,腹胀加剧。近10个月来患者体重下降约15kg。血常规:Hb74g/L,PLT80×109/L,WBC7.49×109/L。B型超声:脾大,脾肋间厚约6.3cm,肋缘下约4.0cm,内缘距中线约2.0cm,实质回声均匀,未见占位。脾门淋巴结肿大。患者接受了择期脾切除术。术中:脾体积为25cm×20cm×7cm,质硬,表面有灰褐色斑点,并见1个副脾,直径约1cm。肝胃韧带、小肠系膜上见多枚肿大的淋巴结(具体数值不详)。曾行骨髓活检2次。脾、淋巴结和骨髓活检的形态学改变如图所示。



A.骨髓增生性肿瘤(MPN)
B.急性粒细胞白血病
C.系统性肥大细胞增生症
D.转移性癌
E.骨髓异常增生综合征(MDS)
F.继发性骨髓纤维化
181、单项选择题 根据你所学的创伤愈合的病理知识,请回答下列问题。 影响创伤愈合的局部因素不包括()。
A.感染与异物
B.局部血液循环
C.年龄和营养
D.神经支配
E.电离辐射
182、多项选择题 患者男,62岁,因“排黑粪1个月”来诊。胃镜:十二指肠下段局部黏膜隆起,部分黏膜呈污絮色。手术标本大体检查:肿块呈结节状,位于肠壁,5.1cm×4.9cm。肠壁结构完整。组织学检查:肿瘤由梭形细胞组成,呈条索状或交错条索状排列,核分裂象6个/50HPF。间质血管丰富,间质胶原纤维增生。免疫组织化学检查:CD34(+),SMA(-),S100P(++)。 需鉴别诊断的疾病有()。
A.平滑肌肉瘤
B.纤维瘤病
C.神经纤维瘤病
D.炎性肌成纤维细胞肿瘤
E.胃肠道间质肿瘤
F.孤立性纤维性肿瘤
183、多项选择题 患者男,62岁,长期嗜酒,并患有高血压20余年,多次住院治疗,效果不佳,常感胸闷、头昏、头痛,夜尿,右肝区疼痛,消瘦。某天晚上陪朋友饮酒后突然感到头部剧烈疼痛,倒地死亡。家属要求尸体解剖,尸体解剖时发现脑基底核和内囊出血。 可能发生的病变有()。
A.肝脂肪变性
B.肝硬化
C.脾小体中央动脉玻璃样变性
D.肾小球玻璃样变性
E.脑血管硬化
F.脑血管破裂出血
G.左心室壁肥厚
184、单项选择题
患者女,56岁,因“右乳外上象限肿物1周”来诊。查体:肿物活动度差,局部皮肤凹陷,右腋下可触及多枚肿大淋巴结。术前粗针穿刺活检诊断为右乳浸润性癌,右腋下淋巴结内转移性低分化腺癌,行右侧乳房切除+右腋下淋巴结清扫术。大体检查:乳腺肿物2.5cm×1.9cm×1.3cm,边界不清呈放射状,质硬,切面灰白色。
光镜下病理组织学形态如图所示。最有可能的诊断是()。


A.浸润性导管癌非特殊型
B.浸润性微乳头状癌
C.分泌性癌
D.恶性淋巴瘤
E.黏液癌
185、单项选择题 怀疑梅毒时看到哪种细胞浸润为支持诊断()。
A.中性粒细胞
B.嗜酸性粒细胞
C.淋巴细胞及浆细胞
D.肥大细胞
E.巨噬细胞
186、单项选择题 患者女,3岁,因“阴道口不适伴新生物3个月”来诊。妇科检查:阴道口部位淡红色息肉状肿瘤,直径2cm,质软脆,有蒂,表面尚光滑。 关于葡萄状肉瘤,叙述正确的是()。
A.是阴道最常见的间叶性肿瘤
B.80%以上的葡萄状肉瘤发生在青年女性
C.肿瘤细胞异型性明显
D.肿瘤组织由3个不同特征的区域构成
E.常可见瘤巨细胞
187、多项选择题 淋巴结反应性增生的常见组织形态学表现有()。
A.淋巴滤泡增生
B.形态一致的淋巴细胞在淋巴结被膜及被膜外软组织中浸润
C.窦组织细胞增生
D.淋巴滤泡、滤泡间区及窦组织细胞均增生
E.滤泡间区增生
188、单项选择题 患者男,因“近期咽部干燥刺痛和异物感”来诊。患者有不同程度的吞咽疼痛、吞咽困难,伴干咳。患者患糖尿病10年。胸部X线片未见异常,血常规未见白细胞增高。服用抗生素治疗无效,临床怀疑为咽部真菌感染,行活体组织病理学检查。显微镜下检查可见非特异性炎症改变。 若诊断咽结核,则病理检查确诊的依据是()。
A.病变组织中检出真菌
B.病变组织中见呈抗酸染色阳性的短棒状杆菌
C.炎性肉芽肿和炎性肉芽组织内见PAS或六胺银染色阳性的有隔分枝菌丝
D.病变组织中巨噬细胞内外见PAS或阿辛蓝染色阳性的有荚膜的球菌
E.病变组织中见呈PAS染色阳性的真菌孢子和假菌丝
189、单项选择题 患者女,50岁,因“右侧腹部隐痛,轻度黄疸4个月”来诊。B型超声:肝脏一直径10cm肿物。肿瘤为多房囊性,囊腔较大。 此时病理医师最需要做的事应为()。
A.多处取材寻找有无癌变
B.做多项免疫组织化学检查确定肿瘤类型
C.询问临床情况,排除卵巢癌转移之可能
D.建议患者做全身检查,寻找原发灶
E.直接做出诊断
190、单项选择题 发生于皮肤和黏膜,小血管呈分叶状聚集,表面溃疡形成,常伴感染的是()。
A.上皮样血管内皮瘤
B.高分化血管肉瘤
C.血管外皮瘤
D.卡波西肉瘤
E.肉芽组织型血管瘤
191、多项选择题 桥本甲状腺炎的病变包括()。
A.甲状腺组织内有大量淋巴细胞浸润
B.滤泡萎缩
C.纤维结缔组织增生
D.结核样肉芽肿
E.Hürthle细胞
192、多项选择题 可表达CD30抗原的淋巴增生性疾病有()。
A.结外NK/T细胞淋巴瘤,鼻型
B.经典型霍奇金淋巴瘤
C.淋巴瘤样丘疹
D.髓肉瘤
E.浆细胞瘤
193、单项选择题 患者女,22岁,左大腿深部肌肉组织内一直径约8.5cm肿块,结节状,切面呈灰白暗红色,灶区出血、囊性变。 最不可能的病理诊断是()。
A.神经鞘瘤
B.滑膜肉瘤
C.脊索瘤
D.骨外尤文肉瘤/外周原始神经外胚层肿瘤
E.纤维肉瘤
194、多项选择题 患者女,21岁,因“腹部不适6个月”来诊。B型超声:腹腔多发性肿瘤。术中发现盆腔、腹膜和卵巢形成多个肿瘤结节,肿瘤灰白色,外表光滑,质地坚实。 可能的病理诊断是()。
A.胚胎性横纹肌肉瘤
B.胚胎性癌
C.成熟性囊性畸胎瘤
D.淋巴瘤
E.小细胞癌
F.骨外尤文肉瘤/外周原始神经外胚层肿瘤
G.促结缔组织增生性小圆细胞肿瘤
195、单项选择题
患者女,28岁,3年来反复乏力、食欲减退、肝区隐痛,血清氨基转移酶反复升高,胆红素偏高,血清球蛋白升高,血清ANA抗体,anti-dsDNA抗体均阳性,近来晨起常出现颜面部水肿。查体:背部红色突起盘状红斑,陈旧皮损有萎缩性瘢痕。
光镜下组织形态如图所示。与病变特征最为相符的描述是()。
A.基质黏蛋白沉积
B.肉芽组织
C.小动脉玻璃样变
D.角化过度和表皮萎缩
E.盘状红斑狼疮
196、单项选择题 患者女,40岁,因“咳嗽、咯血、胸痛”来诊。近来经常午后发热、大汗、疲乏无力、食欲减退、盗汗。入院后查胸部X线片:左肺上叶有斑片状阴影,红细胞沉降率为60mm/h。 确诊该病首选的实验室检查是()。
A.痰细胞学检查
B.痰结核菌培养
C.胸部CT
D.痰涂片找癌细胞
E.痰涂片抗酸染色找抗酸杆菌
197、单项选择题 患者男,52岁,因“间断腹部不适,轻微腹痛伴腹泻10年,症状加重6个月”来诊。患者自述腹部有包块,粪呈糊状、有黏液、有时发黑。 下述肠癌亚型中,预后相对好的是()。
A.筛状粉刺型腺癌
B.印戒细胞癌
C.微乳头癌
D.MSI-H髓样癌
E.腺鳞癌
F.梭形细胞癌
G.未分化癌
198、单项选择题 患者男,45岁,肱骨穿刺标本组织学显示:碎骨组织中小灶小细胞肿瘤,肿瘤细胞胞质少,瘤细胞间可见少量淡红染均质物质。 最不可能的病理诊断是()。
A.淋巴瘤
B.骨肉瘤
C.Ewing肉瘤/PNET
D.转移癌
E.骨样骨瘤
199、多项选择题
患者男,65岁,因“胸骨后阵发性针刺样疼痛1年,咽下食物梗噎感3个月”来诊。查体:右锁骨上淋巴结肿大。
可能的病理诊断是()。(提示光镜下该肿瘤的病理组织学形态如图所示。)

A.淋巴瘤
B.低分化鳞状细胞癌
C.神经内分泌肿瘤
D.梭形细胞癌
E.基底细胞样癌
F.平滑肌瘤
G.恶性黑色素瘤
200、单项选择题 日本血吸虫病的病变在乙状结肠和直肠最为显著是因为()。
A.血液循环不畅
B.成虫的寄生部位
C.肠壁淋巴组织丰富
D.肠壁组织结构疏松
E.粪便潴留
201、多项选择题 可合并继发性动脉瘤样骨囊肿的病变是()。
A.骨巨细胞瘤
B.软骨瘤
C.骨母细胞瘤
D.软骨母细胞瘤
E.非骨化性纤维瘤
202、单项选择题 卵巢性腺母细胞瘤是指()。
A.颗粒细胞瘤+卵泡膜细胞瘤
B.颗粒细胞瘤+支持细胞瘤
C.女性性索分化+男性性索分化
D.混合性生殖细胞肿瘤
E.生殖细胞肿瘤+性索间质肿瘤
203、多项选择题 患者女,12岁,因“颈右侧疼痛”来诊。查体:颈右侧及颌下区肿胀,可扪及一肿物,体积约4cm×5cm×3cm,边界不清楚,有轻触痛,皮温略高。患儿无其他不适。肝不大,骨髓及外周血均未发现异常。 该患儿可能发生的疾病有()。
A.急性非特异性淋巴结炎
B.淋巴结结核
C.淋巴组织肿瘤
D.急性粒细胞白血病
E.囊性水瘤
F.浆细胞骨髓瘤
G.传染性单核细胞增多症
204、多项选择题 特异性地好发于女性下生殖道的肿瘤是()。
A.纤维上皮性息肉
B.富于细胞血管纤维瘤
C.浅表性血管黏液瘤
D.浅表性肌成纤维细胞瘤
E.血管肌成纤维细胞瘤
205、单项选择题 下列哪项与组织对胰岛素不敏感有关()。
A.1型糖尿病
B.2型糖尿病
C.1型和2型糖尿病
D.低血糖
E.以上均不是
206、单项选择题 非霍奇金淋巴瘤具有一定特征性的遗传学改变。 ALK(+)间变大细胞淋巴瘤的常见遗传学改变是()。
A.t(2;5)
B.t(11;14)
C.t(11;18)
D.t(8;14)
E.t(14;18)
207、单项选择题 患者女,39岁,行阑尾手术切除时,发现阑尾尖端有一直径0.8cm的灰白色肿物,质硬,界限清楚,但无薄膜,经甲醛固定后肿物呈淡黄色。镜下:肿瘤内细胞大小一致,呈立方形或矮柱状,免疫组织化学染色SY阳性。 有助于明确诊断的检查是()。
A.CEA免疫组织化学染色
B.黏液染色
C.CK免疫组织化学染色
D.嗜银染色
E.脂肪染色
208、多项选择题
患者男,67岁,因“体检超声发现右肝占位2个月”来诊。患者既往有慢性肝病22年。实验室检查:血AFP轻微增高。CT:右肝有一直径2cm肿块,如图所示。

A.肝细胞性肝癌
B.肝细胞腺瘤
C.肝硬化增生结节
D.局灶性结节性增生
E.胆管细胞癌
F.肝炎性假瘤
G.肝转移瘤
209、单项选择题 鉴别T细胞和B细胞最精确的方法是()。
A.形态
B.细胞化学
C.基因重组(Ig和TCR)
D.免疫酶标记
E.染色体分带技术
210、单项选择题 慢性消化性溃疡最好发于()。
A.胃小弯近幽门部
B.十二指肠球部
C.十二指肠下段
D.胃体部
E.胃与十二指肠复合
211、单项选择题 对结核病最有诊断价值的基本病理变化是()。
A.含大量淋巴细胞和巨噬细胞的渗出液
B.灰白色、半透明状的粟粒大小结节
C.找到Langhans巨细胞
D.干酪样坏死
E.类上皮细胞
212、单项选择题 患者男,56岁,因“消瘦、食欲减退及右上腹痛”来诊。查体:巩膜及全身皮肤黄染,肝大,腹腔积液。实验室检查:AFP升高,乙肝表面抗原阳性。CT:肝内巨大结节,约10cm×8cm。肝穿刺组织学:细胞呈小梁状排列,小梁之间为肝窦样血管,细胞异型性明显,核分裂象易见。 该患者最有可能患的疾病是()。
A.结节性肝硬化
B.肝细胞腺瘤
C.肝细胞癌
D.肝内胆管癌
E.结节性再生性增生
213、单项选择题 X线检查原发综合征的阴影呈()。
A.灶状
B.云絮状
C.哑铃状
D.斑点状
E.网状
214、单项选择题 女性童尸,尸检见双肺重量增加,充血,密布灰白色粟粒大小结节,微隆起于切面。病理诊断是()。
A.间质性肺炎
B.麻疹性肺炎
C.粟粒性肺结核
D.小叶性肺炎
E.葡萄球菌性肺炎
215、单项选择题 肾细胞癌的最好发部位是()。
A.肾门
B.肾下极
C.肾中部
D.肾上极
E.随机发生
216、单项选择题 甲床,直径1cm的紫蓝色结节,最可能的诊断是()。
A.血管外皮瘤
B.高分化血管肉瘤
C.肉芽组织型血管瘤
D.血管球瘤
E.幼年性血管瘤
217、单项选择题 肾细胞癌可伴有下列哪种表现()。
A.高脂血症
B.脂滴沉积
C.低补体血症
D.红细胞增多症
E.IgA沉积
218、单项选择题 关于皮肤疾病,叙述错误的是()。
A.蕈样霉菌病是外周性亲表皮性低度恶性非霍奇金T淋巴细胞淋巴瘤
B.淋巴瘤样丘疹病是一种慢性、反复发作的T淋巴组织增生性疾病
C.淋巴瘤样肉芽肿病是一种由EBV阳性的B淋巴细胞组成的淋巴组织增生性疾病
D.Sézary综合征是以皮肤干燥和口干为主要表现自身免疫系统疾病
E.Pautrier微脓肿是肿瘤细胞侵犯表皮所致
219、单项选择题 能确诊前列腺增生的检查方法是()。
A.前列腺直肠指检
B.前列腺CT
C.血清前列腺特异性抗原(PSA.检测
D.经直肠前列腺超声波(TRUS)
E.前列腺穿刺活检
220、单项选择题 患者男,50岁。口底部见结节状隆起肿物多年,渐大,近月发生表面溃疡,肿瘤直径约3.5cm。活检组织学呈过度角化的乳头状瘤。完整切除肿瘤,组织学显示宽大的乳头增生,表面过度角化,未见明显异型增生细胞,病灶基底部上皮钉突粗大,向下生长,超过邻近鳞状上皮基底层,间质淋巴浆细胞浸润。 本病的特征不包括()。
A.缓慢生长
B.高分化鳞状细胞癌
C.推挤性生长边缘
D.细胞学缺乏异型性
E.易早转移
221、单项选择题 子宫颈糜烂是指病变处()。
A.鳞状上皮坏死
B.柱状上皮取代鳞状上皮
C.鳞状上皮脱落
D.鳞状上皮取代柱状上皮
E.鳞状上皮异型增生
222、单项选择题 肾母细胞瘤来源于()。
A.肾盂黏膜
B.肾小管上皮细胞
C.肾脏上皮细胞
D.壁层上皮细胞
E.后肾胚基组织
223、单项选择题 下列哪个不同于膀胱癌的转移病灶()。
A.侵犯输尿管
B.血路转移到肝、肺
C.侵犯子宫
D.淋巴道转移到左锁骨上淋巴结
E.淋巴道转移到髂动脉旁淋巴结
224、单项选择题 系统性硬化的特征性病变是()。
A.全身性皮肤变硬,胶原纤维增生
B.全身多处器官间质过度纤维化
C.全身细小动脉玻璃样变、硬化
D.全身皮肤血管增厚、玻璃样变
E.全身皮肤多发性肉芽肿形成并纤维化
225、多项选择题 患者男,6岁,下颌部肿痛2周。X线片:下颌骨有一直径1.5cm溶骨性病变,边界清楚。 病变可能是()。(提示光镜下:病变主要由圆形或卵圆形组织细胞组成。细胞中等大,境界不清,胞质嗜酸或透亮,核呈卵圆形,核膜弯曲或见核沟,呈咖啡豆样,核仁不明显。瘤细胞可聚集成巢或簇状,并与大量嗜酸粒细胞、淋巴细胞、浆细胞和中性粒细胞混杂。)
A.软骨母细胞瘤
B.巨细胞修复性肉芽肿
C.嗜酸性肉芽肿
D.骨纤维增生性纤维瘤
E.骨良性纤维组织细胞瘤
F.骨母细胞瘤
G.干骺端纤维性缺损
226、单项选择题 患者男,6岁,下颌部肿痛2周。X线片:下颌骨有一直径1.5cm溶骨性病变,边界清楚。 电镜下,嗜酸性肉芽肿的瘤细胞胞质内可见的特征性成分是()。
A.糖原
B.脂质
C.病毒包涵体
D.Berbeck颗粒
E.黑色素颗粒
F.含铁血黄素
227、单项选择题 患者男,55岁,因“粪带血,伴疼痛2个月”来诊。直肠指检:肛管齿状线处一息肉性肿块,指套染血。 病理诊断为()。(提示免疫组织化学染色:CK部分(+),LCA(-),CGA(-),SYN(-),HMB-45(+),S-100(+),MelanA(+)。)
A.淋巴瘤
B.痔
C.梅毒
D.管状腺瘤
E.神经内分泌肿瘤
F.恶性黑色素瘤
G.肛管未分化癌
H.大汗腺腺瘤
228、单项选择题 关于伤寒的描述下列哪一项是错误的()。
A.是一种以单核巨噬细胞系统的巨噬细胞增生为主要特征的急性炎症
B.肠病变主要见于回肠下段的淋巴小结
C.肠病变发展可分为髓样肿胀期、坏死期、溃疡期、愈合期
D.肠溃疡期时是菌血症严重、全身中毒症状明显时
E.除肠外,还可累及淋巴结、肝、脾、胆囊、皮肤、肌肉、脑等
229、单项选择题 急性弥漫性增生性肾小球肾炎的肾小球滤过率减低与下列哪个因素有关()。
A.大量肾球囊壁层上皮细胞增生
B.肾小球毛细血管腔狭窄
C.血管系膜细胞增生
D.毛细血管内皮细胞增生
E.以上皆可
230、单项选择题 患者女,3岁,因“阴道口不适伴新生物3个月”来诊。妇科检查:阴道口部位淡红色息肉状肿瘤,直径2cm,质软脆,有蒂,表面尚光滑。 该肿瘤最正确的免疫组织化学标志物结果是()。
A.desmin(+)、binmetin(+)、bcl-2(+)
B.actin(+)、desmin(+)、myoglobin(+)和myosin(+)
C.CD34(+),desmin(-)和actin(+)
D.actin(+)、desmin(+),myoglobin(-)和myosin(-)
E.actin(-)、desmin(-),myoglobin(+)、myosin(+)
231、单项选择题
患者男,66岁,因“发现颈右侧结节”来诊。查体:右侧颈部可扪及多个肿大的淋巴结,直径1~3cm,质中偏硬。B型超声:颈、腋下、腹股沟区以及腹腔内多发性低密度结节影,脾轻度肿大。实验室检查:外周血白细胞30.13×109/L,淋巴细胞0.60。
该例的病理诊断应为()。(提示颈淋巴结活检形态学如下图所示。免疫组织化学染色:CD20(+),CD3(-),CD5(+),CD10(-),CD23(+),CD38(-),CD43(+),cyclinD1(-),Ki-6715%。)
A.结节性淋巴细胞为主型霍奇金淋巴瘤
B.急性前淋巴细胞白血病
C.套细胞淋巴瘤
D.慢性淋巴细胞白血病/小淋巴细胞性淋巴瘤
E.脾边缘区淋巴瘤
F.经典型霍奇金淋巴瘤
G.浆细胞骨髓瘤
232、单项选择题 患者女,40岁,因“阵发性腹痛6个月,突发急腹症1d”来诊。行剖腹探查,术中发现胰尾部占位。 该病例的病理诊断为()。(提示镜下:瘤细胞单一,中等大小,包含不规则的核,伴中等大小的核仁,排列成假乳头状,可见微囊形成。中央可见大片出血坏死。免疫组织化学染色:CK部分(+),CDX(-),α1-trypsin(+),CD56(+),β-catenin核(+),CD99核旁点状(+),vimentin(+),E-caldherin(-)。)
A.腺泡细胞癌
B.导管腺癌
C.实性假乳头状肿瘤
D.黏液性囊性肿瘤
E.导管内黏液性乳头状肿瘤
F.神经内分泌肿瘤
233、单项选择题 下列关于流行性乙型脑炎的叙述中,哪一项是错误的()。
A.病变以大脑皮质最重
B.夏天集中发病
C.通过消化道传染
D.可以遗留智力障碍
E.可有发热及昏迷的症状
234、单项选择题 伤寒肠道病变如合并肠穿孔常发生在()。
A.髓样肿胀期
B.溃疡形成期
C.坏死期
D.败血症期
E.愈合期
235、单项选择题 有助于鉴别肌成纤维细胞和平滑肌细胞的标志物为()。
A.α-SMA
B.desmin
C.β-catenin
D.calponin
E.h-caldesmon
236、单项选择题 关于乳腺导管普通型增生(UDH),叙述错误的是()。
A.增生的上皮细胞可形成新月形边窗、筛状或实性、微乳头状
B.增生的上皮细胞呈流水状排列
C.是一种良性导管上皮增生病变
D.增生的上皮细胞可表达CK5/6、CK34βE12
E.可伴有大汗腺化生,常见坏死
237、多项选择题 需要与淋巴结猫抓病相鉴别的疾病有()。
A.急性非特异性淋巴结炎
B.真菌性淋巴结炎
C.性病性淋巴肉芽肿(当腹股沟淋巴结累及时)
D.淋巴结结核
E.组织细胞坏死性淋巴结炎
238、单项选择题 形成肉芽肿的心肌炎是()。
A.特发性巨细胞性心肌炎
B.柯萨奇B病毒性心肌炎
C.埃可病毒性心肌炎
D.白喉杆菌性心肌炎
E.葡萄球菌性心肌炎
239、单项选择题 一般情况下病理报告发出的时间应为()。
A.1个工作日内
B.3个工作日内
C.5个工作日内
D.7个工作日内
E.10个工作日内
240、单项选择题 患者女,46岁,因“体检发现右肺一直径3cm孤立、边界清楚的肿物”来诊。CT:伴有明显的对比增强。术中见实性、黄褐色、无包膜结节,有出血灶。镜下:多数为乳头状,其表面由立方状细胞覆盖,乳头内有圆形、多角形细胞充填,细胞温和,无核分裂象。 最可能的诊断是()。
A.乳头状腺瘤
B.肺透明细胞肿瘤
C.类癌
D.乳头状腺癌
E.硬化性血管瘤
241、单项选择题 CD20(+)、CD5(+)、cyclinD1(+)的恶性淋巴瘤是()。
A.B-小淋巴细胞淋巴瘤
B.滤泡性淋巴瘤
C.套细胞淋巴瘤
D.MALT淋巴瘤
E.Burkilt淋巴瘤
242、多项选择题 淋巴造血组织肿瘤常有骨髓累及的有()。
A.套细胞淋巴瘤
B.脾边缘区淋巴瘤
C.B-急性淋巴母细胞白血病/淋巴瘤
D.结节性淋巴细胞为主型霍奇金淋巴瘤
E.系统性肥大细胞增生症
243、多项选择题 胃肠道外GIST指发生在胃肠道以外的其他部位或器官的GIST,常见的部位有()。
A.胸腔内
B.大网膜
C.肠系膜
D.胆囊
E.后腹膜
244、单项选择题 患者女,72岁,因“绝经25年后阴道少量出血1周”来诊。B型超声:宫腔肿块,侵犯深肌层。 不属于Ⅱ型癌的是()。
A.浆液性乳头状腺癌
B.透明细胞癌
C.神经内分泌癌
D.未分化癌
E.癌肉瘤
245、单项选择题 高血压时左心室壁增厚属于()。
A.化生
B.增生
C.再生
D.水肿
E.代偿
246、多项选择题 阴道腺病的腺上皮组织学类型为()。
A.宫颈内膜型
B.透明细胞型
C.子宫内膜型
D.中肾管型
E.输卵管上皮型
247、单项选择题 肾细胞癌的典型临床表现是()。
A.尿频、尿急、尿痛
B.蛋白尿
C.水肿
D.高血压
E.血尿、肾区肿块、腰痛
248、单项选择题 患者女,46岁。绝经2年,发现白带增多6个月。临床诊断:子宫平滑肌瘤。术中见子宫体下端不规则肿块9cm×8cm×5cm,切面淡黄色,质软,肿块边界尚清晰。 不符合上述诊断肿瘤特点,可以排除的诊断依据是()。
A.子宫内膜间质肿瘤有多向分化
B.类似卵巢性索间质肿瘤
C.上皮样成分浸润性生长
D.细胞呈梁索状排列
E.由恶性上皮及恶性间叶成分组成
249、单项选择题 患者女,46岁。绝经2年,发现白带增多6个月。临床诊断:子宫平滑肌瘤。术中见子宫体下端不规则肿块9cm×8cm×5cm,切面淡黄色,质软,肿块边界尚清晰。 免疫组织化学:CK(+)、inhibin(+)、calretinin(+)、caldesmon(-),病理诊断为()。
A.子宫内膜间质肿瘤伴性索样分化
B.子宫性索样肿瘤
C.子宫内膜样腺癌伴性索样分化
D.神经内分泌癌
E.恶性Müllerian混合瘤
250、多项选择题 关于弥漫大B细胞淋巴瘤,根据Han分型,提示为非生发中心细胞表型的有()。
A.CD10(+)、BCL6(+)、MUM1(-)
B.CD10(+)、BCL6(-)、MUM1(-)
C.CD10(-)、BCL6(+)、MUM1(-)
D.CD10(+)、BCL6(+)、MUM1(+)
E.CD10(-)、BCL6(-)、MUM1(-)
251、单项选择题
患者男,9岁,因“臀部皮下结节2年,近期增大”来诊。患者臀部皮下结节2年,刚开始黄豆大小,生长缓慢,无痛性,近期生长迅速。就诊时结节直径约2.5cm,境界不清,予以局部切除,镜下形态如图所示。

A.t(12;16)(q13;p11)
B.t(X;18)(p11;q11)
C.t(7;16)(q33;p11)
D.t(11;22)(q24;q12)
E.t(17;22)(q22;q13)
252、单项选择题 下列描述中符合小叶性肺炎特点的是()。
A.是一种纤维素性炎
B.能引起急性支气管炎的细菌、病毒均能引起小叶性肺炎
C.肺内散在多数病灶,且病灶均在小叶范围内
D.病变愈合后可形成肺肉质变
E.肺内各病灶病变表现不一致
253、单项选择题
患者女,72岁,因“绝经25年后阴道少量出血1周”来诊。B型超声:宫腔肿块,侵犯深肌层。
少量诊断性刮宫组织,镜下见腺体呈复杂的乳头状增生,光镜高倍图像如下图。病理诊断为()。

A.浆液性乳头状腺癌
B.浆液性乳头状化生
C.透明细胞癌
D.子宫内膜样腺癌
E.恶性Müllerian管混合瘤
254、多项选择题 患者女,50岁,因“腭部肿块1年,出现表面溃疡1个月”来诊。CT:腭部肿物境界清楚,直径约4cm。行临床穿刺活检,组织学发现良性形态上皮细胞巢以及巢间有黏液及玻璃样变物质沉积。 诊断依据有()。
A.良性细胞形态
B.多种结构特征
C.黏液样玻璃样变间质
D.浸润周边组织
E.无包膜
F.侵犯神经
255、单项选择题 患者男,45岁,肱骨穿刺标本组织学显示:碎骨组织中小灶小细胞肿瘤,肿瘤细胞胞质少,瘤细胞间可见少量淡红染均质物质。 免疫组织化学:肿瘤细胞vimentin(+),CD99(+),LCA(-),CK(-),osteocalcin(+),遗传学检查t(11:22)染色体易位阴性,则最可能的诊断是()。
A.淋巴瘤
B.Ewing肉瘤/PNET
C.小细胞骨肉瘤
D.小细胞转移癌
E.骨母细胞瘤
256、多项选择题 关于乳腺炎症性癌,叙述正确的有()。
A.属于晚期乳腺癌
B.临床分期为T4d
C.仅有皮肤淋巴管癌栓,无特异的临床表现也可诊断
D.也属于炎症性病变
E.在皮肤红肿部位周边取材,镜下更容易观察到淋巴管癌栓
257、多项选择题 PAS阳性染色的微生物有()。
A.荚膜组织胞质菌
B.金黄色葡萄球菌
C.结核杆菌
D.隐球菌
E.梅毒螺旋体
258、单项选择题 最常见的脊髓肿瘤是()。
A.星形细胞瘤
B.髓母细胞瘤
C.神经纤维瘤
D.室管膜瘤
E.血管母细胞瘤
259、单项选择题 结节性淋巴细胞为主型霍奇金淋巴瘤的典型表型是()。
A.CD30(+)、CD15(+)、CD20(-)、CD3(-)、CD45(-)、EBV(+)
B.CD30(+)、CD15(+)、CD20(+)、CD3(-)、CD45(-)、EBV(+)
C.CD30(-)、CD15(-)、CD20(+)、CD3(-)、CD45(+)、EBV(-)
D.CD30(+)、CD15(-)、CD20(-)、CD3(-)、CD45(-)、EBV(-)
E.CD30(+)、CD15(+)、CD20(+)、CD3(-)、CD45(+)、EBV(-)
260、单项选择题 患者女,20岁,因“高热2周”来诊。查体:扁桃体及鼻咽部黏膜肿胀。取米粒大扁桃体组织活检,镜下可见淋巴组织增生,增生的淋巴细胞有异型性,部分区坏死,免疫组织化学染色:CD45RO、CD20、及CD68均可见部分细胞阳性,CD56散在阳性,EBER部分细胞核阳性。 首先应考虑的诊断是()。
A.鼻型NK/T细胞淋巴瘤
B.传染性单核细胞增生症
C.Burkitt淋巴瘤
D.鼻咽癌累及
E.霍奇金淋巴瘤累及
261、多项选择题 患者男,42岁,因“下肢外伤”来诊。伤口约4cm×5cm×6cm,红、肿、热、痛、功能障碍,并流出异物和脓液。经住院治疗2个月余,伤口愈合。 影响患者伤口愈合的主要因素是()。
A.营养不良
B.年龄偏大
C.伤口异物
D.伤口感染
E.局部血液循环障碍
F.未及时清创、抗感染
262、多项选择题 可诊断为非典型导管上皮增生的是()。
A.增生的细胞有大汗腺特征
B.增生的细胞大小一致,可见核沟
C.具有低级别导管原位癌的全部特征,存在少于2个独立的管腔内
D.具有低级别导管原位癌的全部特征,合计横切面直径<2mm
E.伴有钙化和坏死
263、单项选择题 管状腺瘤的镜下观察不包括()。
A.密集增生的小腺管
B.小腺管由腺上皮和肌上皮构成
C.间质内可见少数淋巴细胞
D.腺上皮细胞与正常静止期乳腺腺上皮细胞相似
E.间质明显增生及腺管被挤压
264、单项选择题 关于经典型霍奇金淋巴瘤,叙述错误的是()。
A.病变组织中的肿瘤细胞远远少于非肿瘤细胞成分
B.儿童及青少年患者多见
C.病变的扩散是不可预知的
D.不发生白血病转化
E.淋巴结受累
265、单项选择题 患者男,62岁,因“声音嘶哑,咳嗽痰中带血”来诊。初诊为慢性咽喉炎,治疗3个月后,声音依然嘶哑不见好转,发音也越来越困难,病情明显加重,再次入上级医院诊治。患者吸烟40年。喉镜:左侧声带前有一菜花状肿物,质脆,触之易出血。 根据上述初步检查结果,本例主要考虑为()。
A.喉角化病
B.喉癌
C.喉血管瘤
D.喉脂肪瘤
E.喉结核
F.喉结节
266、多项选择题 聚合酶链反应(PCR)能用于检测()。
A.染色体易位
B.肿瘤已知突变
C.肿瘤未知突变
D.肿瘤微小残留疾病
E.微卫星不稳定
267、单项选择题 下述有关肺结核的描述,哪项是错误的()。
A.结核病是一种慢性传染病
B.结核病属于Ⅲ型超敏反应
C.肺外器官结核病多由血源播散引起
D.钙化的干酪坏死灶内仍有结核菌
E.空洞性肺结核属开放性结核病
268、单项选择题 风湿性心内膜炎最易侵犯的心瓣膜是()。
A.主动脉瓣
B.肺动脉瓣
C.二尖瓣
D.三尖瓣
E.二尖瓣和三尖瓣
269、单项选择题 单核巨噬细胞系统为主要病变部位的肉芽肿性病变是()。
A.伤寒小结
B.矽结节
C.结核结节
D.梅毒树胶样肿
E.风湿小结
270、单项选择题 女性生殖道结核。 卵巢结核最主要的传播来源是()。
A.输卵管结核直接播散
B.泌尿道结核淋巴管播散
C.肺结核血行播散
D.结核性腹膜炎累及卵巢
E.卵巢原发感染
271、单项选择题 患者女,55岁,右乳乳腺癌术后1年余,右侧胸部及右手臂肿胀,局部皮下触及隆起性肿块,边界不清,表面皮肤紫红色。 血管肉瘤常见的遗传学改变是()。
A.5pter-p11、8p12-qter丢失
B.11pter-p5、8p12-qter丢失
C.5pter-p11、12p8-qter丢失
D.12pter-q20、7p15-pter丢失
E.20pter-q12、15p7-pter丢失
272、单项选择题 在我国流行的血吸虫病是由何种血吸虫引起的()。
A.曼氏血吸虫
B.埃及血吸虫
C.日本血吸虫
D.包氏血吸虫
E.斯氏血吸虫
273、多项选择题 葡萄簇样横纹肌肉瘤好发于()。
A.鼻腔
B.膀胱
C.会阴
D.阴道
E.宫颈
274、单项选择题 就分子通路而言,卵巢癌的发病存在二元模式。 下列属于Ⅰ型癌的是()。
A.高分化黏液性腺癌
B.癌肉瘤
C.恶性苗勒管混合瘤
D.低分化浆液性腺癌
E.未分化癌
275、单项选择题 患者男,50岁,因“胃灼热、反酸,间断胸骨后疼痛3年,近1周加重”来诊。 内镜检查:胃食管未发现肿瘤,食管远端黏膜齿状线以上呈橘红色天鹅绒样,环状。最应该考虑的诊断是()。
A.放射性食管炎
B.Barrett食管
C.慢性胃炎
D.消化道溃疡
E.反流性食管炎
276、单项选择题 患者女,49岁,月经周期紊乱6个月,15d前阴道出血,量少,持续淋漓不尽。就诊前1d夜里阴道出血明显增多,伴有大血块。 此时最恰当的处理方式为()。
A.建议出血量减少后刮宫
B.建议月经第1天刮宫
C.建议立即刮宫
D.建议月经第5天刮宫
E.不建议刮宫
277、单项选择题 患者女,50岁,因“腭部肿块1年,出现表面溃疡1个月”来诊。CT:腭部肿物境界清楚,直径约4cm。行临床穿刺活检,组织学发现良性形态上皮细胞巢以及巢间有黏液及玻璃样变物质沉积。 最佳病理诊断为()。(提示完整切除标本送检,肿瘤无包膜,直径3.5cm,切面均质,分叶状,灰黄色,质硬。无出血、坏死。组织学检查:瘤细胞圆形或卵圆形核,核仁不明显,未见核分裂,形成实性、管状、筛孔状、囊样或呈同心圆形靶样排列;间质有黏液或玻璃样变,可见周边涎腺组织内周围神经生长。)
A.黏液表皮样癌
B.多形性腺瘤
C.癌在多形性腺瘤中
D.囊腺癌
E.多形性低度恶性腺癌
F.腺样囊性癌
278、多项选择题 黑色素瘤的ABCD法则包括()。
A.不对称性
B.不规则的边界
C.不均匀的颜色
D.直径>6mm
E.适用于所有黑色素瘤的评价
279、单项选择题 患者男,62岁,因“声音嘶哑,咳嗽痰中带血”来诊。初诊为慢性咽喉炎,治疗3个月后,声音依然嘶哑不见好转,发音也越来越困难,病情明显加重,再次入上级医院诊治。患者吸烟40年。喉镜:左侧声带前有一菜花状肿物,质脆,触之易出血。 最有可能的诊断为()。(提示若显微镜下见分化良好的鳞状上皮呈乳头状生长,基底部呈杵状深入间质,细胞无明显异型性,核分裂少见。)
A.鳞状细胞癌
B.疣状癌
C.小细胞癌
D.基底细胞样鳞状细胞癌
E.淋巴上皮癌
F.肉瘤样癌
G.腺癌
280、多项选择题 Gram染色呈阴性反应的细菌有()。
A.金黄色葡萄球菌
B.溶血性链球菌
C.结核杆菌
D.麻风杆菌
E.梅毒螺旋体
281、单项选择题 硬化性横纹肌肉瘤的特征为弥漫性表达()。
A.myogenin
B.desmin
C.MSA
D.MyoD1
E.myoglobin
282、多项选择题 关于假膜性肠炎,叙述错误的是()。
A.多发生于儿童、老年人和体弱多病患者
B.与服用广谱抗生素无关
C.肠黏膜为多灶性、境界清楚的黄色斑块
D.假膜由大量纤维蛋白、黏液及中性粒细胞等组成
E.患者易发生肠穿孔和肠梗阻
283、单项选择题
患者女,56岁,因“右乳外上象限肿物1周”来诊。查体:肿物活动度差,局部皮肤凹陷,右腋下可触及多枚肿大淋巴结。术前粗针穿刺活检诊断为右乳浸润性癌,右腋下淋巴结内转移性低分化腺癌,行右侧乳房切除+右腋下淋巴结清扫术。大体检查:乳腺肿物2.5cm×1.9cm×1.3cm,边界不清呈放射状,质硬,切面灰白色。
光镜下病理组织学形态如图所示。最有可能的病理诊断是()。


A.浸润性导管癌非特殊型
B.化生性癌
C.分泌性癌
D.髓样癌
E.腺样囊性癌
284、多项选择题 患者男,56岁,因“消瘦、食欲减退及右上腹痛”来诊。查体:巩膜及全身皮肤黄染,肝大,腹腔积液。实验室检查:AFP升高,乙肝表面抗原阳性。CT:肝内巨大结节,约10cm×8cm。肝穿刺组织学:细胞呈小梁状排列,小梁之间为肝窦样血管,细胞异型性明显,核分裂象易见。 肝细胞癌的组织学结构有()。
A.小梁状
B.腺样
C.紫癜样
D.菊形团样
E.淋巴上皮瘤样
285、多项选择题 患者男,62岁,因“排黑粪1个月”来诊。胃镜:十二指肠下段局部黏膜隆起,部分黏膜呈污絮色。手术标本大体检查:肿块呈结节状,位于肠壁,5.1cm×4.9cm。肠壁结构完整。组织学检查:肿瘤由梭形细胞组成,呈条索状或交错条索状排列,核分裂象6个/50HPF。间质血管丰富,间质胶原纤维增生。免疫组织化学检查:CD117(++),DOG1(++),CD34(+),SMA(-),S100P(++),DES(-),b-catenin(-)。 对判断本例胃肠道间质肿瘤的生物学行为属高度危险侵袭性有重要价值的有()。
A.年龄
B.性别
C.十二指肠下段
D.肿瘤5.1cm×4.9cm
E.核分裂象6个/50HPF
F.症状
286、单项选择题 宫颈上皮内瘤变(CIN)是指()。
A.宫颈上皮良性肿瘤
B.非典型增生
C.原位癌
D.异型增生和原位癌
E.以上都不是
287、单项选择题 沃--佛综合征最常见于()。
A.破伤风
B.白喉
C.猩红热
D.鼠疫
E.暴发型流行性脑脊髓膜炎
288、单项选择题 患者男,8岁,因粪隐血阳性,发现结肠多发息肉行内镜治疗。摘除多枚息肉,呈圆或卵圆形,最大息肉直径2cm,大者多有蒂,表面较光滑。镜下:息肉由分化成熟的腺管构成,腺腔呈不同程度扩张,形成大小不一的囊腔。间质充血、水肿及大量炎细胞浸润。 下述病变中癌变率最高的是()。
A.幼年性息肉
B.增生性息肉
C.Peutz-Jeghers息肉
D.管状腺瘤
E.广基锯齿状腺瘤
289、多项选择题 关于红斑狼疮,叙述正确的有()。
A.是一种自身免疫性疾病
B.多见于青年女性
C.面部可见蝶形红斑
D.毛囊角化亢进、表皮萎缩伴基底层液化、附属器周围淋巴细胞浸润
E.可见上皮样细胞肉芽肿
290、单项选择题 患者男,28岁,因“右侧肢体活动受限2个月”来诊。MRI:胼胝体占位。 可确诊的免疫组织化学标志物是()。
A.GFAP(+)
B.HMB-45(+)
C.OCT3/4(+)
D.AFP(+)
E.CD20(+)
291、多项选择题 符合慢性胰腺炎特点的是()。
A.高危因素为胆道疾病和酗酒
B.胰腺小叶萎缩,间质纤维组织增生
C.胰腺组织内可见大片坏死和出血
D.导管上皮可出现异型增生
E.可形成局限性包块
292、单项选择题 患者女,40岁,B型超声发现左侧卵巢有一直径3cm的囊肿。 最可能的诊断是()。(提示患者痛经,囊肿表面呈蓝色,内壁粗糙、黄褐色,内含浓稠巧克力样物。)
A.滤泡囊肿
B.卵泡膜细胞瘤
C.子宫内膜异位囊肿
D.Brenner瘤
E.黄体囊肿
F.浆液性囊腺瘤
G.结核
293、多项选择题 患者男,55岁,因“腹胀、腹部不适3个月”来诊。胃镜:胃体部占位。拟行手术。病理标本大体检查:胃体部一直径约4cm结节状肿物,突出于浆膜面。 可能的病理诊断是()。
A.腺瘤
B.胃肠道间质瘤(GIST)
C.脂肪瘤
D.平滑肌瘤
E.神经鞘瘤
F.颗粒细胞瘤
G.平滑肌肉瘤
294、多项选择题 构成黏液表皮样癌的细胞成分包括()。
A.表皮样细胞
B.黏液细胞
C.中间细胞
D.透明细胞
E.柱状细胞
295、多项选择题 动脉瘤的常见并发症包括()。
A.破裂出血
B.附壁血栓形成
C.钙化
D.继发感染
E.血栓脱落致栓塞
296、多项选择题 关于输卵管子宫内膜异位,叙述正确的有()。
A.浆膜或浆膜下子宫内膜异位症最常见,常伴盆腔子宫内膜异位
B.常累及输卵管肌层
C.输卵管间质部及峡部子宫内膜化是指子宫内膜取代输卵管黏膜,可能是生理性改变
D.输卵管切除后子宫内膜异位症形态学改变似子宫腺肌症
E.Warthard巢是输卵管浆膜子宫内膜异位的特殊形式
297、多项选择题
患者男,出生10d,因“脐部有分泌物5d”来诊。查体:脐部可见黏膜中央部有一窦孔,有分泌物。血常规:WBC15×109/L,淋巴细胞0.6,中性粒细胞0.4。
可能的诊断是()。
A.细菌性肠炎
B.脐肠瘘
C.脐尿瘘
D.脐部黏膜息肉
E.败血症
298、单项选择题 乳腺浸润性筛状癌是()。
A.筛状型的导管内癌
B.一种预后良好的浸润性癌
C.腺样囊腺癌的亚型
D.一种预后不好的浸润性癌
E.化生性癌的一种
299、多项选择题 患者男,56岁,因“消瘦、食欲减退及右上腹痛”来诊。查体:巩膜及全身皮肤黄染,肝大,腹腔积液。实验室检查:AFP升高,乙肝表面抗原阳性。CT:肝内巨大结节,约10cm×8cm。肝穿刺组织学:细胞呈小梁状排列,小梁之间为肝窦样血管,细胞异型性明显,核分裂象易见。 肝细胞癌表达的抗体有()。
A.HepPar1
B.GPC3
C.CK19
D.LCA
E.CK18
300、单项选择题 患者男,60岁,因“咽下食物不畅3个月,明显加重1周”来诊。内镜检查:食管中下1/3可见食管壁粗糙、僵硬,肿物表面可见糜烂和溃疡,触之易出血。 该肿瘤大体分型属于()。
A.蕈伞型
B.髓质型
C.缩窄型
D.溃疡型
E.巨块型
F.斑块型
G.息肉型