时间:2024-09-25 07:12:15


1、单项选择题
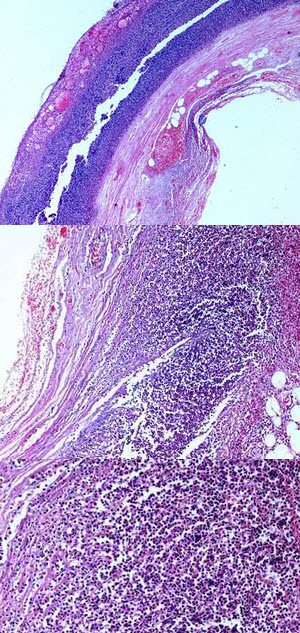
炎症病变中,主要有中性粒细胞和巨噬细胞两种吞噬细胞,其中巨噬细胞形态和名称可多种多样。
如图为肾结核结节镜下观,箭头所指细胞称之为()

A.巨噬细胞
B.类上皮细胞
C.异物巨细胞
D.Langhans巨细胞
E.泡沫细胞
2、单项选择题 败血症指的是()
A.细菌大量入血,血中可查到细菌,但可无中毒症状
B.细菌毒素入血,引起中毒症状
C.细菌产物被吸收人血引起中毒症状
D.细菌入血繁殖并产生毒素从而引起中毒症状,并在一些器官形成脓肿
E.细菌入血,繁殖并产生毒素,并有中毒症状
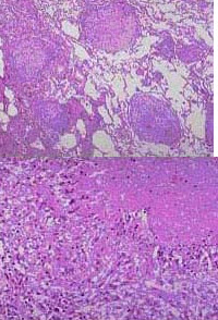
3、单项选择题
患者,男,30岁。咳嗽、胸痛、低热1年。胸片示左肺上叶巨大阴影,边缘不清。手术切除病变肺叶送检。
该病变中的多核巨细胞是由下列哪种细胞演变而来的()
A.中性粒细胞
B.嗜碱性粒细胞
C.上皮细胞
D.淋巴细胞
E.巨噬细胞
4、单项选择题 急性炎症时组织变红的主要原因是()
A.组织间隙水肿
B.炎症灶内血栓形成
C.炎症灶内炎细胞浸润
D.肉芽组织增生
E.血管扩张,血流加快
5、多项选择题 炎性肉芽组织中主要的细胞是()
A.淋巴细胞
B.浆细胞
C.巨噬细胞
D.纤维母细胞
E.血管内皮细胞
6、单项选择题 卡他性炎症指的是()
A.皮肤的浆液性炎
B.浆膜的浆液性炎
C.黏膜的浆液性炎
D.关节的浆液性炎
E.脑膜的浆液性炎
7、填空题 急性炎症有________、______________、______________三种结局。
8、问答题 简述炎症时炎细胞的吞噬过程。
9、判断题 脓液的形成主要和炎症灶中的脓细胞有关。
10、填空题 在不同的炎症病灶中巨噬细胞可转化为________、________、________、______________等细胞。
11、多项选择题 下列哪些疾病不属于渗出性炎症()
A.大叶性肺炎
B.肾盂肾炎
C.乙型脑炎
D.阿米巴肝脓肿
E.流行性脑脊髓膜炎
12、填空题 引起炎症的原因有________、________、________、________、________等。
13、多项选择题 组胺引起的血管通透性增高通过下列哪些因素起作用()
A.增加血管内流体静力压
B.增加组织交替渗透压
C.引起血管内皮细胞收缩及损伤,形成内皮细胞间隙
D.损伤血管基膜
E.介导血管平滑肌收缩
14、单项选择题 炎症反应中最有防御作用的是()
A.组织增生
B.动脉充血
C.发热反应
D.吞噬作用
E.液体渗出
15、多项选择题 单核巨噬细胞可演变为()。
A.伤寒细胞
B.类上皮细胞
C.泡沫细胞
D.朗汉斯巨细胞
E.异物巨细胞
16、名词解释 白细胞核左移(“shift to the left” of neutrophils)
17、配伍题 流行性脑脊髓膜炎()流行性乙型脑炎()白喉()流行性出血热()风湿性心肌炎()
A.出血性炎
B.纤维素性炎
C.变质性炎
D.肉芽肿性炎
E.化脓性炎
18、填空题 补体系统各成分在炎症中的作用可归纳为________和________。
19、单项选择题
某患者,烫伤半小时后入院,可见手臂多个大小不等的水疱。
该种炎症渗出物中主要含有哪种蛋白()
A.球蛋白
B.纤维蛋白
C.补体
D.清蛋白
E.以上均不是
20、单项选择题 有关炎症的定义,下列哪项最准确()
A.是机体对损伤所发生的反应
B.是活体组织对损伤因子所发生的反应
C.是活体组织对损伤因子所发生的防御反应
D.具有血管系统的活体组织对损伤因子所发生的反应
E.具有血管系统的活体组织对损伤因子所发生的防御反应
21、问答题 简述纤维素性炎的特征并举例说明。
22、单项选择题 下列疾病或病变中属于化脓性炎的是()
A.结肠嗜酸性脓肿
B.肝阿米巴脓肿
C.脊柱旁冷脓肿
D.睾丸树胶样肿
E.淋病尿道炎
23、单项选择题
仔细观察所给的“慢性浅表性胃炎”不同放大倍数之镜下观,
该种细胞常见于下列哪种炎症()
A.急性炎症
B.慢性炎症
C.化脓性炎
D.浆液性炎
E.纤维素性炎
24、单项选择题 细菌进入血中并大量繁殖,引起全身中毒症状,称之为()。
A.毒血症
B.病毒血症
C.菌血症
D.败血症
E.脓毒败血症
25、单项选择题 脓肿最常见的致病菌是()
A.溶血性链球菌
B.志贺菌
C.白色葡萄球菌
D.金黄色葡萄球菌
E.草绿色链球菌
26、单项选择题
如图,背部皮下肿块切除,病理诊断为“表皮囊肿”,镜下见真皮内异位鳞状上皮角化,形成囊肿,囊肿部分破裂,巨噬细胞等围绕形成结节(如图所示)。此结节病变应称()



A.脓肿
B.结核结节
C.异物肉芽肿
D.机化
E.钙化
27、多项选择题 下列哪些化脓性炎会发生积脓()
A.输卵管炎
B.化脓性尿道炎
C.胸膜炎
D.化脓性支气管炎
E.化脓性脑膜炎
28、单项选择题 在下列疾病中,除哪项外都是纤维素性炎症()
A.细菌性痢疾
B.小叶性肺炎
C.大叶性肺炎
D.白喉
E.尿毒症性心包炎
29、单项选择题 下列哪项不是炎性息肉的特点()
A.突出于黏膜表面
B.仅由实质细胞增生形成
C.属于慢性炎症
D.常有蒂与黏膜相连
E.常发生于鼻黏膜和子宫颈
30、单项选择题 患者,女,30岁,腰椎结核并在腰椎旁形成冷脓肿,破溃后流脓不断。此处已形成()。
A.空洞
B.瘘管
C.溃疡
D.窦道
E.糜烂
31、单项选择题 炎症时白细胞定向移动的主要原因是()
A.白细胞的阿米巴样运动
B.轴流消失
C.化学刺激物
D.血管壁的通透性增高
E.血管内压增高
32、配伍题 具有排除功能的是()具有免疫活性作用的是()具有解毒功能的是()参加肉芽肿形成的是()
A.中性粒细胞
B.肝细胞
C.呼吸道的上皮细胞
D.淋巴细胞
E.单核细胞
33、多项选择题 炎症病灶中纤维素渗出对机体有利的方面有()。
A.发生机化粘连
B.促进吞噬细胞吞噬
C.防止细菌扩散
D.使病灶局限化
E.组织再生修复的支架
34、单项选择题 下列有关纤维素性炎的描述,哪项是错误的()。
A.经常发生于粘膜、浆膜和肺
B.渗出大量纤维蛋白原并形成纤维素
C.可被中性粒细胞释放的溶蛋白酶溶解
D.可以发生机化
E.以上都不是
35、单项选择题 感染的基本病变是()。
A.炎症反应
B.细菌引起的反应
C.血管反应
D.局部组织反应
E.体液和细胞反应
36、单项选择题 下列炎症介质均有趋化作用,除外()
A.前列腺素
B.白细胞三烯
C.阳离子蛋白
D.C5a
E.细菌产物
37、单项选择题 下列哪种激素具有抑制炎症的作用()
A.甲状腺素
B.生长激素
C.垂体促甲状腺素
D.促肾上腺皮质激素
E.肾上腺糖类皮质激素
38、多项选择题 下列哪些属于增生性炎症()。
A.子宫颈炎性息肉
B.急性肾小球肾炎
C.急性肾盂肾炎
D.伤寒
E.炎性假瘤
39、单项选择题 下列哪种炎症介质具有化学趋化作用()。
A.组胺
B.缓激肽
C.白细胞三烯
D.C5a
E.活性氧代谢产物
40、单项选择题 伪膜性炎症发生后对患者危害最大的部位在()
A.心包
B.胸膜
C.腹膜
D.气管
E.结肠
41、单项选择题 炎症速发性短暂反应时,血管壁通透性增高的机制是()。
A.细静脉内皮细胞收缩
B.细动脉内皮损伤
C.血管基膜降解
D.内皮细胞吞饮作用增强
E.穿胞通道开放活跃
42、单项选择题 关于败血症的叙述,下列哪项是错误的()。
A.败血症的病人有全身中毒症状
B.败血症的病人可出现皮肤粘膜出血点
C.细菌进入血后便称为败血症
D.败血症的病人可有肝、脾和淋巴结的肿大
E.血培养阴性时也不能排除败血症
43、单项选择题
死者,女性,2岁。腹痛、腹泻、里急后重2天,加剧3天伴高热,抽搐。死后尸检。
该疾病多发生于机体哪个部位()
A.食道下段
B.结肠回盲部
C.盲肠和升结肠
D.小肠上段
E.乙状结肠和直肠
44、单项选择题
患者男性,20岁,因转移性右下腹疼痛6小时入院,拟诊“急性阑尾炎”手术切除阑尾,术后送检。
该种炎细胞最常见于哪种炎症()
A.慢性炎症
B.急性炎症
C.肉芽肿性炎
D.增殖性炎
E.以上均不是
45、单项选择题 炎症灶中吸引炎细胞定向集中的现象称为()
A.白细胞游出
B.白细胞吞噬
C.白细胞阿米巴运动
D.阳性趋化性
E.白细胞渗出
46、名词解释 脓细胞(pus cell)
47、名词解释 渗出(exudation)
48、多项选择题 下述有关白细胞吞噬作用的描述,哪些是正确的()
A.IgG和C3b增强白细胞吞噬活性
B.具有活性的氧代谢产物是杀伤细菌的主要物质
C.吞噬溶媒体内将全部病原菌杀灭
D.细菌通透性蛋白、溶菌酶、阳离子蛋白、乳铁蛋白均有杀菌作用
E.氧代谢产物可引起病原微生物细胞膜、DNA发生一系列改变
49、单项选择题
患者男性,42岁,持续性剧烈腹痛3小时伴恶心、呕吐,拟诊“急性阑尾炎”手术。术中见阑尾呈紫黑色,根部破裂。镜检如图,应诊断为()

A.急性蜂窝织性阑尾炎伴穿孔
B.坏疽性阑尾炎伴穿孔
C.慢性阑尾炎伴穿孔
D.阑尾脓肿
E.阑尾腺瘤
50、判断题 局部组织的变质,渗出和增生是炎症的三大基本病理变化。
51、单项选择题 假膜性炎的特征是()。
A.在浆膜发生的纤维素性炎
B.在粘膜发生的纤维素性炎
C.容易发生机化
D.以上都不对
E.以上都正确
52、单项选择题 蜂窝织炎性阑尾炎最主要的病变特点是()。
A.中性粒细胞弥漫浸润阑尾各层组织
B.中性粒细胞向粘膜表面渗出
C.阑尾充血、水肿
D.阑尾坏死、变黑
E.阑尾穿孔
53、单项选择题 炎症局部疼痛的主要原因是()
A.细胞增生压迫神经末梢
B.局部组织变性坏死
C.局部充血及血流量增多
D.组织分解代谢增强
E.渗出物压迫及炎症介质刺激
54、单项选择题 下列有关组胺的描述,哪项是正确的()。
A.主要存在于肥大细胞和嗜碱性粒细胞中
B.可使血管扩张及血管通透性升高
C.对嗜酸性粒细胞有趋化作用
D.以上都正确
E.以上都错误
55、单项选择题 下列哪项病变不是浆液性炎()
A.胸膜炎积液
B.早期感冒黏膜炎
C.肾盂积水
D.昆虫毒素引起的皮下水肿
E.皮肤Ⅱ度烧伤水疱
56、单项选择题
患者,男,30岁。咳嗽、胸痛、低热1年。胸片示左肺上叶巨大阴影,边缘不清。手术切除病变肺叶送检。
镜检如图所示,最可能的诊断是什么()

A.肺结核
B.肺癌
C.肺脓肿
D.肺炎性假瘤
E.支气管肺炎
57、名词解释 空洞(cavity)
58、填空题 急性炎症过程主要是________、________、三个方面的变化。________是炎症的中心环节。
59、单项选择题 最能反映炎症本质的病变是()。
A.充血
B.水肿
C.白细胞游出
D.坏死
E.出血
60、单项选择题
死者,女性,2岁。腹痛、腹泻、里急后重2天,加剧3天伴高热,抽搐。死后尸检。
该类炎症好发部位除了下列哪项以外()
A.结缔组织
B.心包膜
C.支气管
D.肺
E.腹膜
61、单项选择题 假(伪)膜性炎的渗出物主要为()。
A.单核细胞、淋巴细胞和坏死组织
B.纤维素、中性粒细胞和坏死组织
C.纤维素、浆细胞和中性粒细胞
D.淋巴细胞、浆细胞和中性粒细胞
E.粘液、中性粒细胞和浆细胞
62、多项选择题 纤维素性炎的发生病因有()
A.白喉杆菌
B.痢疾杆菌
C.肺炎双球菌
D.脑膜炎双球菌
E.尿毒症
63、单项选择题 能寒热并调,和胃降逆的方剂是()
A.小柴胡汤
B.四逆散
C.逍遥散
D.痛泻要方
E.半夏泻心汤
64、填空题 白细胞吞噬作用的缺陷包括______________、________、________等几个方面。
65、单项选择题 下列有关白细胞渗出的描述,哪项是错误的()。
A.肿瘤坏死因子(TNF.可促进内皮细胞及白细胞粘附分子的表达,影响白细胞粘着
B.白细胞伸出伪足,以阿米巴运动方式从内皮细胞缝隙游出
C.炎症的不同阶段,游出的白细胞种类不同
D.红细胞漏出也是主动过程
E.趋化因子的作用是有特异性的
66、单项选择题 渗出物中出现下列哪种成分,表示血管损害最重()。
A.白蛋白
B.球蛋白
C.红细胞
D.白细胞
E.纤维蛋白原
67、判断题 变质仅发生在实质细胞,为炎症所特有。
68、单项选择题
某患者,烫伤半小时后入院,可见手臂多个大小不等的水疱。
镜下所见如图,该病变属于哪种炎症()

A.脓肿
B.纤维素性炎
C.浆液性炎
D.增殖性炎
E.以上均不是
69、单项选择题 化脓性炎症组织内浸润的细胞主要是()
A.淋巴细胞
B.浆细胞
C.巨噬细胞
D.中性粒细胞
E.嗜酸性粒细胞
70、单项选择题 关于化脓性炎的结局下列哪项是错的()
A.吸收消散
B.机化包裹
C.脓汁引流排出、组织再生而痊愈
D.转为慢性
E.化脓菌入血引起菌血症
71、配伍题 菌血症()毒血症()败血症()脓毒败血症()
A.白喉患者出现的全身中毒症状及心肌炎
B.血液可查到细菌
C.血沉加快、血内抗“O”升高
D.全身中毒症状,血培养细菌阳性
E.全身脏器有多发性脓肿,血培养细菌阳性
72、多项选择题 慢性炎症的特征是在组织中出现()
A.淋巴细胞
B.单核细胞
C.成纤维细胞
D.浆细胞
E.嗜酸性粒细胞
73、单项选择题 感染性肉芽肿的特征性细胞成分是()。
A.嗜酸性粒细胞及浆细胞
B.淋巴细胞及巨噬细胞
C.单核巨噬细胞及中性粒细胞
D.多核巨细胞及类上皮细胞
E.异物巨细胞及淋巴细胞
74、填空题 蜂窝织炎主要由________菌引起,这种细菌可分泌________降解透明质酸,同时分泌________溶解纤维素。
75、判断题 皮肤Ⅱ度烫伤形成的水疱属纤维素性炎。
76、单项选择题 下列关于纤维素性炎症的叙述中,哪项是正确的()。
A.合并有少量中性粒细胞浸润时应称为化脓性纤维素性炎
B.当出现机化以后便引起纤维素性粘连
C.其好发部位为粘膜、浆膜和肺
D.假膜的必有成分是纤维素、白细胞、浆膜间皮细胞和细菌
E.咽部假膜常与其下方的粘膜疏松粘连,易剥脱
77、问答题 简述急性炎症后期以单核细胞浸润为主的机制。
78、单项选择题 以下何种情况属于炎症的变质性变化()。
A.严重挤压后组织细胞坏死
B.下肢静脉血栓形成后足趾坏疽
C.烫伤后局部组织红肿起水泡
D.病毒性肝炎时,肝细胞嗜酸性变
E.脂肪肝时肝细胞肿大、脂肪变性
79、判断题 结核性肉芽肿中最重要的成分是Langhans细胞。
80、名词解释 白细胞边集
81、单项选择题 下列哪项不是败血症的表现()
A.细菌入血并产生毒素
B.高热寒战
C.一些内脏器官的多发性小脓肿
D.皮肤、黏膜点状出血
E.脾肿大
82、配伍题 速发短暂反应时有()速发持续反应时有()迟发持续反应时有()
A.细静脉内皮细胞收缩
B.仅毛细血管内皮细胞损伤
C.毛细血管和小静脉内皮细胞损伤
D.仅细静脉内皮细胞损伤
E.细动脉,毛细血管和细静脉内皮细胞均损伤
83、单项选择题 下述关于急性炎症时白细胞渗出的描述中,哪项是错误的()。
A.在炎症反应中,中性粒细胞进入边流、附壁
B.内皮细胞收缩,使中性粒细胞从间隙游出血管
C.中性粒细胞通过伸出伪足,逐渐从内皮细胞间隙游出血管
D.在趋化因子的作用下,中性粒细胞到达炎症部位
E.补体C、C是重要的炎症介质
84、单项选择题 患者,男,30岁,突发性畏寒、发热,并出现颜面、颈部及上胸部潮红、皮肤瘀点,伴发头痛、腰痛及眼眶痛,并出现肾功能衰竭,确诊为流行性出血热。患者的出血性倾向主要是因为()。
A.血管破裂
B.毛细血管壁损害
C.血小板减少
D.血小板功能异常
E.凝血因子缺乏
85、单项选择题 下列关于急性炎症时白细胞渗出的描述中,哪项是错误的()
A.在炎症反应中,中性粒细胞进入边流,附壁
B.内皮细胞收缩,使白细胞从间隙游出血管
C.中性粒细胞伸出巨大伪足,逐渐从内皮细胞间隙游出血管
D.在趋化因子作用下,中心粒细胞达到炎症部位
E.白三烯具有趋化作用及化学促活作用
86、名词解释 疖(furuncle)
87、填空题 炎症时,液体成分渗出主要原因________、________、________。
88、多项选择题 炎症时局部组织代谢的特点是()
A.分解代谢亢进
B.酸性代谢产物堆积
C.局部氢离子浓度升高
D.5一羟色胺释放
E.细胞因子释放
89、问答题 试述(急性)炎症蔓延扩散的方式。
90、多项选择题 白细胞渗出的防御作用是()。
A.吞噬病原体
B.参与免疫反应
C.杀伤与降解吞噬体
D.稀释毒素
E.吸收渗出液
91、单项选择题
患者女性,56岁,上腹部隐痛并向右肩背放射。既往有多次胆绞痛史。手术切除胆囊,术后巨检胆囊增大,内含结石2枚,直径1.5cm,黏膜粗糙,并可见多个黄色小息肉样物,易脱落。壁厚0.3cm。
镜检如图所示,最佳诊断为()

A.慢性胆囊炎
B.急性胆囊炎
C.胆囊息肉
D.胆囊腺瘤
E.慢性胆囊炎伴胆固醇息肉形成
92、单项选择题 以变质为主的炎症,其实质细胞的主要变化是()
A.增生和再生
B.萎缩和变性
C.变性和坏死
D.增生和变性
E.坏死和萎缩
93、单项选择题 下列哪项关于纤维素性炎的叙述是正确的()
A.当出现机化时引起纤维素性的粘连
B.其好发部位是黏膜、浆膜和肺
C.肺的纤维素性炎常引起肺泡壁的破坏
D.假膜常与黏膜疏松连接,易脱落
E.假膜组成为纤维素、间皮细胞、白细胞和细菌
94、名词解释 窦道(sinus)
95、问答题 一般慢性炎症的基本病理变化有哪些?
96、填空题 根据炎症病变特点急性菌痢属________炎症;流脑属________炎症;阿米巴痢疾属________炎症;乙脑属______________炎症。
97、单项选择题 下列哪一项不是渗出性炎()
A.卡他性炎症
B.乙型脑炎
C.白喉
D.肾盂肾炎
E.小叶性肺炎
98、多项选择题 影响内皮细胞和白细胞粘着的因素有()
A.内皮细胞和白细胞表面正电荷被中和
B.二价阳离子的桥接作用
C.肿瘤坏死因子的释放
D.白细胞表面粘附分子的表达
E.内皮细胞表面粘附分子的表达
99、判断题 金黄色葡萄球菌感染多形成蜂窝织炎。
100、单项选择题 下列何种情况属于炎症性增生()。
A.手术切口部位瘢痕疙瘩形成
B.外阴尖锐湿疣之表皮增生
C.宫颈糜烂后鳞状上皮化生
D.风湿性心脏病时风湿小结形成
E.垂体腺瘤患者肢端肥大
101、多项选择题 花生四烯酸是二十碳不饱和脂肪酸,其代谢产物在炎症中可引起()
A.发热
B.疼痛
C.血管扩张
D.组织损伤
E.白细胞渗出
102、单项选择题 炎症时哪种细胞最先渗出()。
A.巨噬细胞
B.中性粒细胞
C.淋巴细胞
D.浆细胞
E.嗜碱性粒细胞
103、填空题 急性炎症时一般以________细胞浸润为主,慢性炎症时以________细胞、________细胞和________细胞浸润为主。
104、问答题 试述炎症的基本病理改变。
105、单项选择题 属于慢性肉芽肿性炎的是()。
A.结核
B.伤寒
C.肠阿米巴病
D.慢性支气管炎
E.慢性阑尾炎
106、单项选择题
患者,12岁,女性,鼻塞,流涕8个月。鼻腔镜见鼻黏膜水肿,可见灰白色半透明荔枝肉样物充塞后鼻腔。行息肉摘除术。
这些炎细胞最常见于哪种炎症()
A.慢性炎症
B.急性化脓性炎症
C.急性渗出性炎
D.过敏性炎或寄生虫感染
E.以上均不是
107、单项选择题 急性炎症灶内与组织损伤无直接关系的是()。
A.病原体
B.血管反应
C.渗出的中性粒细胞
D.微循环中的红细胞
E.释放的炎性介质
108、问答题 何谓慢性肉芽肿性炎?主要类型有哪些?
109、单项选择题 大量细菌毒素入血,导致实质细胞变性、坏死及全身中毒症状的称()
A.菌血症
B.毒血症
C.败血症
D.白血病
E.脓毒血症
110、多项选择题 炎症反应的化学介质包括()
A.前列腺素
B.激肽类
C.5-HT
D.组胺
E.白三烯
111、问答题 简述炎症介质在炎症过程中的作用。
112、单项选择题
患儿,6岁,臀部皮下肌肉注射青霉素类药物4天,之后注射部位出现肿物,2周后仍未消失。
病灶内包含的成分较多,但除外()
A.单核巨噬细胞
B.异物巨细胞
C.淋巴细胞
D.纤维母细胞
E.Langhans巨细胞
113、填空题 凡是能引起组织和细胞损伤的因子都能引起炎症,这些因子统称为________。
114、多项选择题 在慢性化脓性炎症灶中,可见到下列哪些细胞()
A.中性粒细胞
B.淋巴细胞
C.浆细胞
D.单核细胞
E.纤维母细胞
115、单项选择题 慢性炎症病灶内浸润的炎细胞主要是()
A.中性粒细胞和单核细胞
B.单核细胞和淋巴细胞
C.浆细胞和嗜碱性粒细胞
D.淋巴细胞和嗜酸性粒细胞
E.嗜酸性细胞和嗜碱性粒细胞
116、单项选择题 炎症早期出现炎性充血时,最先累及的血管为()
A.细动脉
B.小动脉
C.细静脉
D.小静脉
E.毛细血管
117、多项选择题 渗出液的特点有()。
A.较浑浊
B.相对密度高
C.含细胞数少
D.静置时可凝固
E.含蛋白质
118、多项选择题 急性炎症局部疼痛的主要因素是()
A.局部组织变性坏死
B.渗出物压迫
C.局部充血及血流量增多
D.炎症介质的直接作用
E.细胞增生压迫神经末梢
119、问答题 化脓性炎的概念及各种类型的病理变化。
120、问答题 患者男,9岁,因发热、腿痛半月余入院,于入院前20天开始感左腿疼痛,发热,食欲减退,精神不佳,2天前左侧大腿变粗,疼痛加重而入院。体格检查:体温39.6℃,消瘦,营养欠佳。左大腿增粗,并有压痛,局部红、热。心率110次/分,双肺可闻及湿啰音,肝脏大,下界在右肋缘下3cm。实验室检查:红细胞3.5×10/L,白细胞13.5×10/L,中性粒细胞89%,淋巴细胞7%,单核细胞1%。尿中有脓细胞少许。入院后,切开左股部,可见大量脓液,于入院后第四天突然出现烦躁不安,继之心跳呼吸停止而死亡。尸检:左股外侧上段肌肉内脓肿,切开含黄色脓液约10ml,心肌、肺、肝、肾、膀胱、左肋间肌内、左腹壁及甲状腺内均见多数脓肿(血培养有金黄色葡萄菌生长)。主动脉瓣变厚,有软而脆的赘生物。左心室前上方有一脓肿已破裂,心包腔内积血,心包有纤维蛋白脓性渗出物。
121、单项选择题
患者女性,56岁,上腹部隐痛并向右肩背放射。既往有多次胆绞痛史。手术切除胆囊,术后巨检胆囊增大,内含结石2枚,直径1.5cm,黏膜粗糙,并可见多个黄色小息肉样物,易脱落。壁厚0.3cm。
息肉内泡沫样细胞属于哪一类细胞()
A.中性粒细胞
B.单核巨噬细胞
C.浆细胞
D.淋巴细胞
E.嗜酸性粒细胞
122、单项选择题 炎性息肉的结构特点是()。
A.结缔组织增生形成境界清楚的结节状病灶
B.淋巴细胞增生形成的结节状病灶
C.多核巨细胞形成的结节状病灶
D.结缔组织和多核巨细胞增生形成的结节状病灶
E.黏膜上皮、腺上皮和肉芽组织增生并向黏膜表面突出
123、单项选择题 非典型肺炎属于()。
A.肺化脓性炎
B.肺纤维素性炎
C.肺泡性炎
D.肺间质性炎
E.肺出血性炎
124、单项选择题 慢性炎症组织内浸润的细胞主要是()
A.淋巴细胞
B.中性粒细胞
C.嗜酸性粒细胞
D.嗜碱性粒细胞
E.肥大细胞
125、问答题 比较渗出液与漏出液的区别。
126、单项选择题 在慢性炎症灶中下列哪种炎症细胞最常见()
A.中性粒细胞
B.嗜酸性粒细胞
C.淋巴细胞
D.肥大细胞
E.嗜碱性粒细胞
127、单项选择题 白细胞在游出时会引起()
A.血管扩张
B.血管内皮细胞损伤
C.血管基底膜损伤
D.血管无明显变化
E.整个血管壁受损
128、多项选择题 构成肉芽肿的细胞有()
A.内皮细胞
B.类上皮细胞
C.多核巨细胞
D.纤维母细胞
E.淋巴细胞
129、填空题 出血性炎常见于________、________及________________等疾病。
130、问答题 简述炎症发热的利弊。
131、单项选择题 在寄生虫感染病变中,下列哪种细胞常见()
A.嗜酸性粒细胞
B.淋巴细胞
C.嗜碱性粒细胞
D.浆细胞
E.单核细胞
132、单项选择题
患者,女,42岁,咽痛、发热(38℃)两天后,突然高热、寒战,继之皮肤、黏膜出现多发性出血斑点,全身淋巴结及脾脏轻度肿大。查血:白细胞总数13.5×109/L,分叶核60%,杆状核25%。血培养检出葡萄球菌。此时患者为()。
A.毒血症
B.菌血症
C.败血症
D.脓毒败血症
E.中毒性休克
133、单项选择题 化脓性炎中,坏死组织的溶解液化是由于下列哪一类细胞存在所致()
A.炎症部位坏死的组织细胞
B.浸润的巨噬细胞
C.浸润的浆细胞
D.浸润的嗜酸性粒细胞
E.脓细胞
134、单项选择题 关于炎症的概念比较恰当的说法是()
A.细胞异常生长的一种形式
B.白细胞对细菌的一种作用
C.组织对损伤的一种以防御为主的反应
D.致炎因子诱发的机体血管反应
E.是机体血管系统对致炎因子的反应
135、问答题 炎症局部的临床表现和全身反应是什么?发生机制是什么?
136、多项选择题 下列哪些疾病的病变常以渗出为主()
A.大叶性肺炎
B.胸膜炎
C.蜂窝织炎性阑尾炎
D.病毒性肝炎
E.急性肾盂肾炎
137、多项选择题 炎症的全身发热反应主要由于下列哪些物质刺激体温调节中枢引起()
A.5-HT
B.IL-1
C.TNF
D.阳离子蛋白
E.前列腺素
138、单项选择题 具有趋化作用的炎性介质是()。
A.组胺
B.C5a
C.血小板激活因子
D.缓激肽
E.活性氧代谢产物
139、单项选择题 引起炎细胞渗出的最主要因素是()。
A.血管壁通透性增高
B.血流缓慢
C.血管内压升高
D.趋化作用
E.炎区渗透压升高
140、单项选择题
患者,男,30岁。咳嗽、胸痛、低热1年。胸片示左肺上叶巨大阴影,边缘不清。手术切除病变肺叶送检。
对该病变描述错误的是()
A.属慢性炎症
B.属肉芽肿性炎
C.干酪样坏死对该病变具有诊断意义
D.病灶中可见巨噬细胞、类上皮细胞、多核巨细胞、淋巴细胞等
E.属特殊的急性炎症
141、单项选择题 纤维素性炎可以表现为()。
A.纤维素样变性
B.纤维素样坏死
C.纤维化
D.纤维组织增生
E.纤维素渗出
142、多项选择题 组胺主要存在于()
A.中性粒细胞
B.肥大细胞
C.嗜碱性粒细胞
D.淋巴细胞
E.血小板
143、填空题 炎症介质花生四烯酸代谢产物包括________和________。
144、单项选择题 伪膜性炎发展下去可引起()
A.假膜下肉芽肿形成
B.伪膜溶解液化形成脓肿
C.伪膜脱落形成溃疡
D.表面化脓
E.伪膜坏死发生穿孔或形成窦道
145、判断题 假膜性炎是发生在黏膜上的增生性炎。
146、单项选择题 有关白细胞渗出,正确的过程是()。
A.趋化作用→靠边→游出→黏着→附壁
B.靠边→黏着→趋化作用→附壁→游出
C.靠边→附壁→黏着→游出→趋化作用
D.靠边→黏着→附壁→游出→趋化作用
E.靠边→黏着→附壁→趋化作用→游出
147、单项选择题 炎性假瘤不具有下列哪项特点()
A.是一种良性肿瘤
B.由局部组织的炎性增生形成
C.为一边界清楚的肿瘤样团块
D.肉眼形态和X线所见与肿瘤相似
E.常见的好发部位是眼眶和肺
148、填空题 疖是________、________及其________所发生的脓肿。
149、单项选择题 下列哪项肉芽肿中无多核巨细胞()
A.风湿小体
B.伤寒小结
C.血吸虫卵结节
D.矽结节
E.树胶肿
150、多项选择题 下述有关细胞因子在炎症中的作用的描述,哪些是正确的()
A.由激活的淋巴细胞和单核细胞产生
B.内毒素可促进TNF分泌
C.促进白细胞粘着渗出
D.可以引起发热
E.增强白细胞吞噬功能
151、多项选择题 浆液性渗出易发生于()。
A.皮肤
B.浆膜
C.黏膜
D.疏松结缔组织
E.致密结缔组织
152、单项选择题 在急性蜂窝织炎组织中,浸润的炎细胞是()。
A.浆细胞
B.淋巴细胞
C.嗜酸性粒细胞
D.中性粒细胞
E.巨噬细胞
153、填空题 致炎因子不同,渗出的白细胞种类也不同。多数细菌感染以________浸润为主,病毒感染以________浸润为主,寄生虫感染或过敏反应以________浸润为主。
154、多项选择题 下列哪些属感染性肉芽肿()
A.慢性虫卵结节
B.矽结节
C.树胶肿
D.风湿小体
E.伤寒小结
155、填空题 蜂窝织炎常发生于________,________,________等处。
156、单项选择题 有一小孩左前臂不慎烫伤,局部红、肿、热、痛,随之出现水泡,其属于哪种炎症()。
A.浆液性炎
B.浆液纤维素性炎
C.纤维素性炎
D.出血性炎
E.急性炎
157、单项选择题 炎症时白细胞渗出聚集在局部组织内的现象称为白细胞()。
A.附壁
B.游出
C.浸润
D.黏着
E.运动
158、配伍题 急性化脓性阑尾炎是()病毒性肝炎()干性结核性胸膜炎()溶血性链球菌感染时常为()白喉和细菌性痢疾为()皮肤二度烧伤出现的水疱为()结核性肉芽肿为()
A.变质性炎
B.浆液性炎
C.纤维素性炎
D.增生性炎
E.蜂窝织炎
159、单项选择题 下列哪项是变质性炎()
A.流行性脑脊髓膜炎
B.细菌性痢疾
C.大叶性肺炎
D.阿米巴肝脓肿
E.化脓性胆囊炎
160、名词解释 积液(hydrops)
161、多项选择题 下列哪些细胞可以通过血管内皮细胞间隙游出到血管外()
A.中性粒细胞
B.嗜酸性粒细胞
C.红细胞
D.单核细胞
E.淋巴细胞
162、填空题 典型的结核性肉芽肿包括________、________、________、________、________5种成分。
163、名词解释 毒血症(toxemia)
164、单项选择题 引起血管通透性升高的速发短暂反应主要受下列哪些因素影响()。
A.补体
B.组胺
C.细菌毒素
D.热损伤
E.缓激肽
165、单项选择题 炎症最有防御意义的改变是()。
A.白细胞渗出
B.分解代谢亢进
C.血浆渗出
D.纤维素渗出
E.炎症介质形成
166、单项选择题 在过敏反应炎症中,组胺来源于()
A.嗜酸性粒细胞
B.淋巴细胞
C.浆细胞
D.肥大细胞
E.单核细胞
167、单项选择题 下列哪项不具有防御作用()
A.纤维蛋白渗出
B.白细胞游出
C.血浆渗出
D.炎性增生
E.红细胞漏出
168、多项选择题 炎症增生性变化包括()
A.上皮增生
B.毛细血管增生
C.腺体增生
D.巨噬细胞增生
E.纤维组织增生
169、配伍题 阳离子蛋白()细胞因子()组胺()
A.由肥大细胞产生
B.由中性粒细胞产生
C.由巨噬细胞产生
D.由内皮细胞产生
E.由嗜酸性粒细胞产生
170、单项选择题 下列可释放血小板激活因子的细胞应除外()
A.内皮细胞
B.淋巴细胞
C.嗜碱性粒细胞
D.单核细胞
E.中性粒细胞
171、单项选择题 炎症的变质性病变是指局部组织细胞()。
A.变形
B.腐败
C.变性和坏死
D.凋亡
E.水肿
172、单项选择题 白细胞渗出与红细胞漏出是()
A.同时在相同的机制下发生
B.相互独立的两个过程
C.先有白细胞渗出再有红细胞漏出
D.白细胞渗出后产生炎症介质可对红细胞漏出产生趋化作用
E.同时渗出
173、填空题 血管壁通透性增加的最常见原因是________。
174、多项选择题 下列哪些疾病的病变属于感染性肉芽肿()
A.霍奇金病
B.风湿小结
C.矽肺结节
D.结核结节
E.瘤型麻风
175、多项选择题 嗜酸性细胞增多与下列哪些有关()
A.慢性肉芽肿性炎
B.迟发性变态反应
C.病毒感染
D.速发性(Ⅰ型)变态反应
E.寄生虫感染
176、填空题 炎症的基本病理变化包括________、________、________,其中最具特征性的变化是________。
177、填空题 渗出物的防御作用有________,________,________,________,________,________。
178、单项选择题 关于化脓性炎的结局,错误的是()。
A.吸收消散
B.机化包裹
C.化脓菌入血引起菌血症
D.脓液引流排出,组织再生而痊愈
E.转为慢性
179、单项选择题 炎性假瘤常发生于()
A.急性渗出性炎
B.慢性增生性炎
C.急性化脓性炎
D.细胞不典型增生
E.急性出血性炎
180、单项选择题 速发性短暂反应时血管壁通透性增高的机制是()
A.细静脉内皮细胞收缩
B.细动脉内皮损伤
C.基膜降解
D.内皮细胞胞饮作用增强
E.以上都不是
181、多项选择题 渗出液可有如下特征()
A.液体中蛋白质含量较高
B.比重大于1.020
C.液体中细胞数较多
D.静置时液体可出现自凝
E.Rivalta试验可呈阴性反应
182、单项选择题 臀部深层脓肿,一端向皮肤表面穿破,另一端向直肠穿破,应称为()。
A.糜烂
B.溃疡
C.空洞
D.窦道
E.瘘管
183、单项选择题 有关渗出液与漏出液,下列哪项正确()。
A.渗出液只形成浆膜腔积液
B.漏出液只造成间质水肿
C.渗出液与漏出液均可造成间质水肿与浆膜腔积液
D.渗出液与漏出液均不会造成间质水肿与浆膜腔积液
E.渗出液与漏出液在机体局部发生炎症时同时存在
184、单项选择题 下列关于炎症介质的描述,哪项是不正确的()。
A.凝血系统在炎症中具有重要功能
B.C、C是重要的炎症介质
C.缓激肽可使血管通透性增加
D.花生四烯酸代谢产物可导致发热、疼痛
E.组胺具有阳性趋化作用
185、单项选择题 在葡萄球菌感染的炎症反应中所见到的炎细胞主要是()
A.淋巴细胞
B.单核细胞
C.嗜酸性粒细胞
D.肥大细胞
E.中性粒细胞
186、单项选择题 假膜性炎是指()。
A.皮肤的纤维素性炎
B.黏膜的化脓性炎
C.浆膜的纤维素性炎
D.浆膜的化脓性炎
E.黏膜的纤维素性炎
187、单项选择题
炎症病变中,主要有中性粒细胞和巨噬细胞两种吞噬细胞,其中巨噬细胞形态和名称可多种多样。
如图为肠伤寒镜下观,箭头所指吞噬了伤寒杆菌、红细胞及细胞碎片的大细胞,我们称之为()
A.伤寒细胞
B.类上皮细胞
C.异物巨细胞
D.巨噬细胞
E.泡沫细胞
188、单项选择题 急性炎症病灶内哪种炎症细胞最多见()
A.浆细胞
B.淋巴细胞
C.嗜酸性粒细胞
D.中性粒细胞
E.巨噬细胞
189、判断题 浆液性炎中的渗出物主要为混有少量细胞和纤维素的血清。
190、单项选择题 假膜是由大量()。
A.纤维蛋白及白细胞、脱落上皮细胞组成
B.白细胞及组织碎屑、浆液组成
C.浆液及红细胞、白细胞组成
D.血小板及红细胞、白细胞组成
E.红细胞、白细胞、巨噬细胞组成
191、单项选择题 不属于以纤维素渗出为主的疾病是()。
A.白喉
B.绒毛心
C.肝硬化腹水
D.细菌性痢疾
E.大叶性肺炎
192、单项选择题 假膜性炎是以下列哪种成分渗出为主()。
A.白蛋白
B.球蛋白
C.红细胞
D.白细胞
E.纤维蛋白
193、单项选择题 下列哪些与炎症渗出液无关()。
A.血管通透性升高
B.液体含细胞较少
C.液体静置后不能自凝
D.液体比重高
E.蛋白含量较高
194、单项选择题 病毒性感染最常引起()。
A.蜂窝织炎性阑尾炎
B.肝脓肿
C.间质性肺炎
D.流行性脑膜炎
E.风湿性心肌炎
195、判断题 肉芽肿性炎病灶中以巨噬细胞及其衍生细胞增生为主。
196、多项选择题 在急性炎症中,中性粒细胞重要活动是()
A.穿过血管壁游出
B.由阳性趋化作用向炎症病灶集中
C.吞噬作用
D.形成炎性肉芽肿
E.一部分坏死分解释放蛋白溶解酶
197、配伍题 急性肾小球肾炎()急性病毒性肝炎()肝脓肿()
A.以变质为主的炎症
B.以浆液渗出为主的炎症
C.以纤维素渗出为主的炎症
D.以中性白细胞渗出为主的炎症
E.以增生为主的炎症
198、单项选择题 各种致炎因子中最常见的一类是()。
A.物理性因子
B.化学性因子
C.机械性因子
D.生物性因子
E.免疫性因子
199、单项选择题
患者男性,35岁,因急腹症拟诊急性阑尾炎手术,术后送检。
该种炎症多好发于哪些部位()
A.黏膜
B.浆膜
C.致密结缔组织
D.疏松结缔组织
E.脂肪组织
200、填空题 漏出液的形成主要与________有关,与渗出液相比,漏出液比重________,含蛋白量________,含细胞数量________,外观________。
201、单项选择题
患者男性,35岁,因急腹症拟诊急性阑尾炎手术,术后送检。
该种炎症常呈弥漫性的原因是()
A.易通过血道发生转移性脓肿
B.细菌可分泌透明质酸酶和链激酶降解纤维而易于扩散
C.可通过管道使得细菌播散至别处
D.单核巨噬细胞可吞噬细菌,将其转移至它处
E.炎细胞坏死后,溶酶体酶释放,降解组织成分造成的
202、判断题 心包膜的纤维素性炎可形成绒毛心。
203、单项选择题 炎症时吞噬细胞杀灭、清除病原体或异物主要依靠细胞内的()。
A.高尔基复合体
B.滑面内质网
C.溶酶体
D.粗面内质网
E.线粒体
204、单项选择题 关于炎症的叙述,下列哪项是正确的()
A.炎症对机体均有利
B.任何机体都会发生炎症反应
C.急性炎症也可出现以增生为主的病变
D.慢性炎症均由急性炎症发展而来
E.炎症反应不会损伤机体
205、单项选择题 渗出液与漏出液在下列哪项无明显区别()。
A.蛋白量
B.细胞数
C.比重
D.凝固性
E.液体量
206、单项选择题
患者男性,35岁,因急腹症拟诊急性阑尾炎手术,术后送检。
巨检及镜下观如图,正确的病理诊断应为()

A.急性单纯性阑尾炎
B.急性蜂窝织性阑尾炎
C.急性坏疽性阑尾炎
D.急性坏疽性阑尾炎并阑尾周围脓肿形成
E.慢性阑尾炎
207、单项选择题 下列哪项不符合脓肿的病变()
A.病灶内有大量中性粒细胞
B.周围可有肉芽组织增生
C.中心部分常发生凝固性坏死
D.有脓液形成
E.病灶中可见细菌菌落
208、单项选择题
患者女性,39岁,因经量增多,淋漓不尽行诊刮术。送检内膜组织镜下见子宫内膜间质中大量浆细胞浸润,应诊断为()

A.急性子宫内膜炎
B.慢性子宫内膜炎
C.子宫内膜结核
D.子宫内膜单纯性增生
E.以上均不是
209、单项选择题 慢性炎症病灶内,最常出现的浸润细胞是()。
A.中性粒细胞
B.淋巴细胞
C.嗜酸性粒细胞
D.嗜碱性粒细胞
E.肥大细胞
210、填空题 具有________系统的________组织对________的反应称为炎症。
211、判断题 炎性渗出是急性炎症的重要特征,对机体有害无益。
212、填空题 炎症的局部表现包括________、________、________、________、________。
213、单项选择题 组胺类介质引起血管通透性升高的机制是()
A.引起内皮细胞收缩
B.引起内皮细胞损伤
C.介导白细胞对内皮细胞的损伤
D.使内皮细胞的胞饮作用增强
E.以上均不是
214、单项选择题 炎区血管壁通透性增高的机制是()。
A.内皮细胞收缩
B.穿胞作用增强
C.内皮细胞损伤
D.新生毛细血管高通透性
E.以上均是
215、名词解释 白细胞粘着
216、填空题 炎症过程中造成组织损伤的炎症介质主要有、、等。
217、问答题 白细胞在局部的作用。
218、单项选择题 肉芽组织的主要成分是()。
A.中性粒细胞
B.淋巴细胞
C.毛细血管和纤维母细胞
D.巨噬细胞
E.异物巨细胞
219、单项选择题
患者男性,53岁,腹胀,返酸,嗳气半年。胃镜检查见胃窦部黏膜稍粗糙,并可见小片状糜烂。
该种炎细胞最常见于哪种炎症()
A.慢性炎症
B.急性化脓性炎症
C.肉芽肿性炎
D.过敏性炎或寄生虫感染
E.以上均不是
220、问答题 简述炎症时白细胞增高机制。
221、名词解释 炎性假瘤(inflammatory pseudotumour)
222、单项选择题 多核细胞不见于下列哪项疾病()
A.伤寒
B.结核
C.霍奇金病
D.血吸虫虫卵结节
E.异物肉芽肿
223、单项选择题 下列关于疏松结缔组织炎的叙述,哪项是正确的()。
A.常由草绿色链球菌感染引起
B.常见部位是内脏器官、肌肉和阑尾
C.病变特点与链球菌分泌的链激酶和透明质酸酶有关
D.细菌不容易经组织间隙、淋巴管和血道蔓延扩散
E.常有明显的组织坏死和脓肿形成
224、单项选择题 下列疾病中不是化脓性炎的是()。
A.疖
B.痈
C.蜂窝织性阑尾炎
D.急性肾小球肾炎
E.急性肾盂肾炎
225、单项选择题
患者男性,53岁,腹胀,返酸,嗳气半年。胃镜检查见胃窦部黏膜稍粗糙,并可见小片状糜烂。
镜检如图所示黏膜内大量炎细胞浸润,以哪一类炎细胞为主()

A.淋巴细胞
B.中性粒细胞
C.嗜酸性粒细胞
D.单核细胞
E.浆细胞
226、问答题 患者女,20岁,1周前鼻部生一小疖,曾用手挤压,后局部红肿,次日出现高热、头痛,呕吐,经抗生素治疗效果不佳,入院治疗。体格检查:体温39.9℃,鼻部近左眼内侧有一小疖;已破结痂,左鼻翼部有三个绿豆大小的脓肿。实验室检查:白细胞11.0×10/L,中性79.9%,淋巴10%,单核10%、嗜酸性0.5%。治疗无效,当日死亡,鼻部疖脓液培养有金黄色葡萄球菌生长。病理检查:鼻部疖肿4个,两眼周围软组织蜂窝织炎,血管内血栓形成,海绵窦及颈内静脉内血栓形成,肺、肾中有多数小脓肿。
227、填空题 从渗出物的成分及其病变特点出发,可将炎症分为________、________和______________等类型。
228、单项选择题 中性粒细胞或巨噬细胞的杀菌作用,主要是由下列各项中哪项完成的()。
A.溶菌酶
B.乳铁蛋白
C.杀菌素
D.H2O2-MPO-Cl系统
E.阳离子蛋白
229、单项选择题
患者,女,8岁。因头痛呕吐,高热入院。大体观如图,镜下可见大量变性坏死中性粒细胞,如图所示。应诊断为()

A.流行性脑脊髓膜炎
B.流行性乙型脑炎
C.转移性癌
D.脑出血
E.脑脓肿
230、填空题 炎症灶内的病原微生物或某些毒性代谢产物进入血循环,可引起________、________________、________________、______________。
231、判断题 变质性炎发生于某些重症感染,中毒或变态反应。
232、判断题 淋巴细胞的浸润多见于急性炎症或病毒感染引起的炎症。
233、多项选择题 炎症时白细胞游出的过程包括()
A.血管壁通透性增高
B.白细胞附壁
C.白细胞的阿米巴运动方式
D.内皮细胞受损
E.基底膜损伤
234、名词解释 脓肿(abscess)
235、多项选择题 关于白细胞渗出过程,下列哪些不正确()。
A.是一个耗能的主动过程
B.发生在局部血液循环障碍的基础上
C.白细胞游走无方向性
D.大量糖皮质激素可抑制白细胞游出
E.是由于血管壁损伤,白细胞从损伤处漏出
236、多项选择题 蜂窝织炎的炎细胞弥漫性浸润是由于()
A.病原体能产生透明质酸酶,降解透明质酸
B.病原体能产生链激酶,溶解纤维蛋白
C.感染的组织疏松
D.是由于金黄色葡萄球菌感染所致
E.病原体毒力强,组织破坏明显
237、多项选择题 炎症增生包括()。
A.上皮增生
B.毛细血管增生
C.腺体增生
D.巨噬细胞增生
E.纤维组织增生
238、单项选择题 下列有关化脓性炎症的描述,哪项不准确()。
A.有大量中性粒细胞渗出即为化脓性炎
B.脓性渗出物称为“脓液”
C.脓细胞(脓球)即变性坏死的中性粒细胞
D.化脓性炎中均伴有不同程度的组织坏死
E.蜂窝织炎和脓肿均为化脓性炎
239、单项选择题 外科切除一段肠管,病检发现肠粘膜表面肿物有一细蒂与肠粘膜相连,镜下见腺体增生,腺管大小及形状不一,上皮无异型性,间质中有慢性炎细胞浸润,其病理诊断可能是()。
A.高分化肠腺癌
B.肠类癌
C.慢性肠炎伴粘膜上皮增生
D.克隆病
E.肠粘膜息肉
240、单项选择题 炎症最常见的病因是()。
A.物理性因子
B.化学性因子
C.生物性因子
D.组织坏死
E.变态反应
241、名词解释 绒毛心(cor villosum)
242、单项选择题
死者,女性,2岁。腹痛、腹泻、里急后重2天,加剧3天伴高热,抽搐。死后尸检。
直肠的大体和镜下观如图,初步诊断与下列哪种疾病符合()

A.Barrett食管
B.肠结核
C.肠Crohn病
D.细菌性痢疾
E.阿米巴痢疾
243、多项选择题 纤维蛋白性炎常发生于()
A.浆膜
B.肺
C.肝
D.脾
E.黏膜
244、单项选择题
死者,女性,68岁,长期胸闷不适,进行性加剧至心衰而亡。
对于该疾病的描述,错误的是()
A.可导致心包积液
B.又名干性心包炎
C.渗出成分少可溶解吸收
D.可出现心前区疼痛
E.听诊可闻及心包摩擦音
245、单项选择题 变质性炎症局部的组织对物质的代谢()
A.合成和分解代谢均增强
B.合成和分解代谢均减弱
C.合成代谢增强
D.分解代谢增强
E.分解代谢减弱
246、单项选择题 下列哪项与漏出液的特点无关()
A.液体比重低
B.液体静置后不凝固
C.液体内无或极少纤维蛋白原
D.漏出与流体静力学因素有关
E.Rivalta反应阳性
247、填空题 炎症局部组织血管内的________和________通过________进入________、________、________和________的过程叫渗出。
248、名词解释 调理素(bacteriotropin)
249、单项选择题 下列哪项关于炎症的叙述是正确的()
A.慢性炎均由急性炎转变而来
B.炎症反应均对机体有利
C.炎症时组织增大为增生所致
D.炎症渗出均会引起组织肿胀
E.增生是机体的抗损伤的反应
250、单项选择题 化脓性炎时,与坏死组织的溶解液化有关的细胞是()。
A.嗜酸性粒细胞
B.巨噬细胞
C.淋巴细胞
D.浆细胞
E.变性坏死的中性粒细胞
251、填空题 表面化脓是发生在________或________组织的化脓性炎。
252、名词解释 不完全痊愈
253、单项选择题 下列有关急性炎症的描述,哪项是错误的()。
A.起病急骤
B.病变持续时间相对短
C.以变质性变化为主
D.炎症细胞浸润常以中性粒细胞为主
E.炎症局部不出现增生性病变
254、单项选择题 细菌性痢疾属于()
A.变质性炎症
B.浆液性炎症
C.纤维素性炎症
D.蜂窝织炎症
E.化脓性炎症
255、多项选择题 下列各项中符合炎性息肉特点的是()
A.见于黏膜的慢性炎症
B.局部黏膜上皮和腺体及肉芽组织增生而形成
C.肉眼呈突出于黏膜的肉芽肿块
D.好发于呼吸道和宫颈
E.有可能癌变
256、单项选择题 类上皮细胞来源于()
A.嗜酸性粒细胞
B.淋巴细胞
C.中性粒细胞
D.浆细胞
E.巨噬细胞
257、单项选择题 病理解剖一女尸,发现一侧肾体积较小,表面不光滑,有数个大小不一、不规则瘢痕,切面瘢痕处质地较硬,肾盂粘膜增厚等改变,该肾最可能的病理诊断是()。
A.动脉粥样硬化梗死瘢痕
B.慢性肾炎
C.慢性肾盂肾炎
D.高血压固缩肾
E.以上都不是
258、单项选择题 炎症灶内有较多红细胞说明()
A.局部血管受损严重
B.局部血管内静水压较高
C.局部血管内渗透压较低
D.局部有较多的内毒素
E.局部有较多的外毒素
259、单项选择题 浆液性炎症时,其浆液内所含的蛋白质主要是()。
A.白蛋白
B.球蛋白
C.纤维蛋白
D.补体
E.以上都不是
260、单项选择题 补体对白细胞的作用不包括()。
A.促进白细胞的附壁
B.促进白细胞的粘着
C.对白细胞有趋化作用
D.促进中性粒细胞和单核细胞释放炎症介质
E.促进白细胞的吞噬作用
261、名词解释 炎性息肉(inflammatory polyp)
262、单项选择题 下列不是浆液性炎的病变是()。
A.感冒初期的鼻黏膜炎
B.皮肤Ⅱ度烧伤引起的水疱
C.胸膜炎积液
D.肾盂积水
E.昆虫毒素引起的皮下水肿
263、判断题 急性重型病毒性肝炎属增生性炎。
264、单项选择题 下列哪种疾病属于出血性炎()。
A.病毒性肝炎
B.流脑
C.流行性出血热
D.肠阿米巴病
E.丹毒
265、多项选择题 下述有关炎症浸润细胞的描述中,哪些是正确的()
A.病毒性肝炎时以浆细胞为主
B.伤寒病中以巨噬细胞为主
C.急性血吸虫卵结节内以中性粒细胞为主
D.结核结节中以多核巨细胞为主
E.痈病变中以中性粒细胞为主
266、单项选择题 中性粒细胞和巨噬细胞的杀菌作用,主要由下列哪项完成()。
A.溶菌酶
B.杀菌素
C.阳离子蛋白
D.H2O2--MPO-Cl-系统
E.免疫球蛋白
267、单项选择题 患者手臂被开水烫伤后红肿、疼痛,冷敷后稍减轻,但未起水疱。此种病变应称为()。
A.淤血
B.浆液性炎
C.炎性水肿
D.脓肿
E.蜂窝织炎
268、单项选择题 哪一项是渗出液对机体的有害作用()。
A.带来多种抗体、补体及溶菌物质
B.体腔内纤维素渗出并发生机化
C.稀释毒素及有害刺激物
D.纤维素渗出可限制细菌蔓延
E.纤维素渗出有利于白细胞的吞噬作用
269、填空题 肉芽肿主要细胞成分是由渗出的________和局部增生的________演变来的上皮样细胞和多核巨细胞。按形成的原因不同可分为________肉芽肿和________肉芽肿。
270、单项选择题
某患者,烫伤半小时后入院,可见手臂多个大小不等的水疱。
该种炎症的常见发生部位,除了下列哪项以外()
A.胸膜
B.腹膜
C.肌肉
D.滑膜
E.黏膜
271、单项选择题 下列哪种变化最能促使血液成分渗出()
A.小动脉短暂痉挛,血流减少
B.小静脉、毛细血管淤血,血流缓慢
C.小动脉扩张,血流加快
D.组织变质崩解
E.内皮细胞肿胀
272、单项选择题
患者男性,35岁,因急腹症拟诊急性阑尾炎手术,术后送检。
该种炎症多是由于哪种细菌引起的()
A.金黄色葡萄球菌
B.白色葡萄球菌
C.绿脓杆菌
D.溶血性链球菌
E.结核杆菌
273、单项选择题 患者,男,55岁,患支气管扩张症合并感染,形成支气管瘘、胸腔积脓。其胸腔积液镜检可见大量()。
A.红细胞
B.单核细胞
C.中性粒细胞
D.纤维素
E.淋巴细胞
274、单项选择题 引起出血性炎的主要原因是()
A.血管破裂
B.血管壁损伤较重
C.组织缺血缺氧
D.组织内胶体渗透压升高
E.血浆晶体渗透压升高
275、问答题 试述四种常见的炎症介质及其作用特点。
276、单项选择题 由血吸虫感染引起的急性虫卵结节中,最突出的炎症细胞是()。
A.淋巴细胞
B.浆细胞
C.中性粒细胞
D.嗜酸性粒细胞
E.单核巨噬细胞
277、单项选择题 下列有关巨噬细胞作用的描述,哪项是错误的()。
A.在急性炎症早期和化脓性炎症时常见
B.有吞噬作用,可吞噬细菌等
C.IgG和Cb增强其吞噬作用
D.吞噬后在细胞内形成吞噬溶酶体
E.氧代谢产物、过氧化物酶等可杀灭细菌
278、多项选择题 炎症的全身反应包括()。
A.发热
B.白细胞增多
C.单核巨噬细胞系统增生
D.贫血
E.恶病质
279、单项选择题 白细胞游出前必有的过程是()
A.血流加快
B.血流变慢甚至停滞
C.白细胞靠边
D.白细胞附壁,粘着
E.血管通透性升高
280、单项选择题 急性炎症过程中,最先发生哪种变化()
A.白细胞游出
B.白细胞附壁
C.吞噬作用
D.血流淤滞
E.趋化作用
281、单项选择题 有关炎性增生,下列哪项不正确()。
A.有一些生长因子参与
B.有致炎因子刺激
C.为炎症的基本病理改变之一
D.与修复无关
E.包括实质细胞和间质细胞的增生
282、单项选择题 引起发热和疼痛的炎性介质是()。
A.组胺
B.C5a
C.缓激肽
D.PG
E.NO
283、判断题 白细胞的吞噬过程包括识别和粘附,吞入和降解3个阶段。
284、多项选择题 引起炎症灶液体渗出的因素有()
A.血管壁通透性升高
B.血管内胶体渗透压升高
C.血管内流体静压升高
D.组织胶体渗压升高
E.趋化因子作用
285、单项选择题 脓细胞是指()。
A.中性粒细胞
B.单核细胞
C.脓液中的各种化脓菌
D.脓液中变性坏死的中性粒细胞
E.吞噬了病原体的炎细胞
286、问答题 白细胞的渗出。
287、单项选择题
患者,男,45岁。因高热、咳嗽、咳大量脓痰入院。X线示一有液平面的空腔。手术切除病变肺组织,巨检见病变中央呈囊腔状,腔内含黄色脓液,镜下腔壁可见大量变性坏死中性粒细胞,如图所示,可诊断为()



A.肺结核
B.肺脓肿
C.小叶性肺炎
D.大叶性肺炎
E.肺癌
288、单项选择题 下列哪种不是异物性肉芽肿的原因()
A.手术缝线
B.注入的油脂
C.植物纤维
D.寄生虫
E.滑石粉
289、单项选择题 下列哪项不属于炎症灶内代谢变化()。
A.分解代谢增高
B.胶体渗透压增高
C.晶体渗透压增高
D.耗氧量增高
E.代谢性碱中毒
290、判断题 NK细胞在病毒感染性疾病中可发挥重要作用。
291、单项选择题
患者男性,20岁,因转移性右下腹疼痛6小时入院,拟诊“急性阑尾炎”手术切除阑尾,术后送检。
该患者确切的诊断为()
A.急性化脓性阑尾炎
B.慢性阑尾炎
C.坏疽性阑尾炎
D.嗜酸性阑尾炎
E.以上都不是
292、配伍题 溃疡()蜂窝织炎()脓肿()糜烂()
A.皮肤或黏膜的深层缺损
B.局部组织坏死并有大量中性粒细胞灶性浸润
C.组织间隙有大量中性粒细胞弥漫浸润
D.皮肤或黏膜的表浅缺损
E.黏膜的化脓性炎症
293、填空题 脓液中的中性粒细胞只有少数具有吞噬能力,大多已发生变性和坏死,称为________。
294、单项选择题 急性炎症时,炎症局部血流速度的减慢主要是由于()
A.血管内流体静压下降
B.血管口径变小,血流阻力增大
C.微血管通透性升高的结果
D.组织水肿升高对血管产生压迫
E.血管阻塞
295、单项选择题 变质是指()。
A.局部组织变性、坏疽
B.局部组织水肿、坏死
C.局部组织变性、坏死
D.局部组织萎缩、化生
E.局部组织坏死、纤维化
296、问答题 炎症的结局。
297、单项选择题 下列除哪项外,均是细菌性痢疾、白喉的共同特点()。
A.都是由细菌感染引起
B.常是急性炎症
C.病变都是以增生为主
D.都是纤维素性炎症
E.都可形成假膜
298、多项选择题 下列哪些因素与纤维素性炎的预后有关()
A.血浆渗出的量
B.中性粒细胞渗出的量
C.纤维蛋白原渗出的量
D.组织中抗胰蛋白酶的含量
E.纤维素的机化程度
299、单项选择题 急性化脓性炎症组织中最多的炎细胞是()。
A.中性粒细胞
B.嗜酸性粒细胞
C.淋巴细胞
D.浆细胞
E.巨噬细胞
300、单项选择题 下述哪种疾病属出血性炎()
A.病毒性肝炎
B.肠阿米巴病
C.流行性脑脊髓膜炎
D.钩端螺旋体病
E.丹毒