时间:2024-05-28 02:24:00


1、单项选择题 有一患者患风湿性心脏病,二尖瓣狭窄合并关闭不全5年。如果对该患者做肺脏活检,在光镜下可能出现下列哪项病变()。
A.肺泡壁毛细血管扩张充血
B.肺泡腔内有红细胞
C.肺泡腔内有心力衰竭细胞
D.肺泡腔内有蛋白性液体
E.以上各项病变都可出现
2、单项选择题 延续性血栓的形成顺序为()。
A.白色血栓、混合血栓、红色血栓
B.红色血栓、白色血栓、混合血栓
C.混合血栓、红色血栓、白色血栓
D.混合血栓、白色血栓、红色血栓
E.红色血栓、混合血栓、白色血栓
3、单项选择题
一孕妇,因胎盘早期剥离,失血性休克而突然死亡。尸解见一侧肾脏皮质区锥形灰白病灶,境界清楚。周边肾实质大面积出血,红褐色。
镜下可见何种显著的病理改变()
A.干酪样坏死灶
B.结核结节形成
C.肾组织凝固性坏死
D.肾小球纤维化
E.出血、钙化灶
4、单项选择题 44岁男患者,车祸时发生右大腿骨粉碎性及开放性骨折,在送往医院途中,该患者出现面部青紫,呼吸困难,口吐白沫而亡,其最可能的死因是()。
A.心肌梗死
B.气体栓塞
C.脂肪栓塞
D.脑出血
E.气胸
5、多项选择题 静脉血栓比动脉血栓常见的原因是()
A.静脉血氧含量低
B.静脉血液粘性较大
C.有静脉瓣
D.静脉壁薄易受压
E.静脉血流缓慢
6、多项选择题 长期静脉淤血的后果有()。
A.淤血性水肿
B.淤血性出血
C.间质纤维组织增生
D.实质细胞萎缩、变性及坏死
E.细小动脉扩张充血
7、单项选择题 混合血栓的成分为()。
A.血小板和白细胞
B.血小板和红细胞
C.纤维蛋白和红细胞
D.纤维蛋白网和红细胞、白细胞、血小板小梁
E.血小板小梁、纤维蛋白网和大量红细胞
8、单项选择题 肱静脉血栓形成可引起()
A.肺动脉栓塞
B.尺动脉栓塞
C.桡动脉栓塞
D.脑动脉栓塞
E.肾动脉栓塞
9、单项选择题 与血管壁黏着最不牢固的血栓是()。
A.血栓头
B.血栓体
C.血栓尾
D.微血栓
E.风湿病心瓣膜赘生物
10、单项选择题 左心衰竭主要引起()
A.慢性脾淤血
B.慢性肝淤血
C.胃肠淤血
D.下肢淤血
E.慢性肺淤血
11、填空题 梗死可根据坏死灶内有无细菌感染分为________和________两型。
12、单项选择题 静脉内较大血栓完全机化需要的时间是()。
A.1~2天
B.1周
C.2周
D.3周
E.4周
13、单项选择题
患者男性,45岁,右下肢大隐静脉曲张4年,近期出现间歇性跛行。手术切除病变血管,见血管内红褐色固体物填充。
该病变形成的条件不包括()
A.血管内皮细胞受损
B.血流速度缓慢
C.血液凝固性增高
D.血管内皮下胶原纤维暴露
E.血小板减少
14、填空题 心腔内及血管腔内的血栓,肉眼可见,称为________,________。
15、单项选择题 脂肪栓塞患者一般的死亡原因是()。
A.动脉系统栓塞
B.脂肪分解产生自身中毒
C.肾小动脉栓塞
D.窒息和急性右心衰竭
E.脑小动脉栓塞
16、配伍题 肠梗死()脑梗死()
A.梗死灶呈节段性
B.梗死灶呈暗红色
C.梗死灶易液化
D.梗死灶呈地图状
E.梗死灶呈锥形
17、单项选择题 大量空气迅速进入血液循环引起猝死的原因是()。
A.脑栓塞
B.心肌硬化
C.肺梗死
D.心肌梗死
E.急性心衰和呼衰
18、单项选择题
长期慢性肝淤血会导致肝内纤维结缔组织增生,肝脏质地变硬,形成淤血性肝硬化。
该病变多见于哪种疾病()
A.左心衰竭
B.右心衰竭
C.血吸虫病
D.病毒性肝炎
E.以上均不是
19、单项选择题 透明血栓最常见于()
A.小动脉
B.小静脉
C.毛细血管
D.中静脉
E.中动脉
20、单项选择题 下列哪种疾病引起的出血属于漏出性出血()
A.子宫颈癌
B.主动脉瘤
C.血小板减少性紫癜
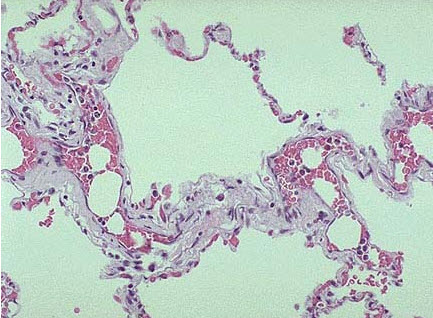
D.肺结核
E.食管静脉曲张出血
21、填空题 一次性腹水排出过多,可引起腹腔内器官发生________充血。
22、单项选择题 红色血栓的特点不包括()
A.暗红色
B.经一定时间后变干燥
C.主要见于静脉内
D.主要见于心瓣膜
E.经一定时间后失去弹性
23、单项选择题 在机化的血栓中形成与原血管腔相沟通的毛细血管,使部分血流得以恢复,这种现象称为()
A.血栓脱落
B.侧支循环形成
C.血栓机化
D.血栓硬化
E.再通
24、单项选择题 异常物体沿血流运行阻塞相应血管的过程叫()。
A.梗塞
B.梗死
C.栓塞
D.栓子
E.血栓形成
25、判断题 血管内皮细胞损伤,血流状态改变,血液凝固性增加是血栓形成的三大条件。
26、单项选择题
长期慢性肝淤血会导致肝内纤维结缔组织增生,肝脏质地变硬,形成淤血性肝硬化。
淤血性肝硬化镜下如图所示,有关该病变叙述错误的是()
A.肝小叶改建不明显
B.肝窦扩张淤血
C.汇管区内纤维结缔组织增生
D.假小叶形成
E.窦周细胞增生并可转化成肌成纤维细胞
27、单项选择题 右心衰竭可导致()
A.肝细胞透明变性
B.肝出血性梗死
C.肝贫血性梗死
D.槟榔肝
E.肝梗死
28、单项选择题 在循环血液中出现不溶于血液的异常物质,随着血液流动,阻塞血管腔,这种现象称为()
A.血栓形成
B.梗死
C.血管阻塞
D.栓塞
E.血栓栓塞
29、单项选择题 长管状骨骨折时可能引起的栓塞是()
A.空气栓塞
B.脂肪栓塞
C.血栓栓塞
D.细胞栓塞
E.细菌栓塞
30、单项选择题 诊断羊水栓塞的主要依据是在下列何处发现羊水成分()。
A.肺小静脉和毛细血管内
B.肺小动脉和毛细血管内
C.肺泡腔内
D.细支气管内
E.支气管动脉内
31、单项选择题 引起脾、肾、肺梗死最常见的原因是()。
A.动脉受压阻塞
B.动脉痉挛
C.动脉栓塞
D.血栓形成
E.动脉粥样硬化
32、单项选择题
右心衰竭时体循环淤血,出现肝脏肿大,下肢水肿等症状。
肝脏病变镜下如图,关于其病变,下列哪项说法是错误的()

A.肝窦扩张淤血
B.中央静脉扩张淤血
C.肝细胞脂肪变性
D.肝索与肝窦之比大于2:1
E.肝细胞萎缩
33、多项选择题 心血管内膜损伤易发生血栓的机制为()。
A.激活内源性凝血系统
B.内皮下胶原暴露激活Ⅻ因子
C.血小板易于黏集
D.释放血管性血友病因子(vW因子)激活凝血过程
E.灭活ADP
34、多项选择题 贫血性梗死好发于()
A.心、脑、肾
B.肾、脾、心
C.脾、心、肺
D.心、肺、肠
E.心、脑、肠
35、单项选择题 白色血栓的主要成分是()
A.血小板
B.中性粒细胞
C.红细胞
D.单核细胞
E.纤维蛋白
36、单项选择题 下列各项,不属于生化汤组成药物的是()。
A.全当归
B.炙甘草
C.桃仁
D.生姜
E.川芎
37、填空题 长期慢性淤血,可导致淤血的组织及器官发生________性水肿,________性出血,________性硬化及实质细胞发生________、________、________。
38、单项选择题 层状血栓是()
A.红色血栓
B.白色血栓
C.混合血栓
D.透明血栓
E.延续性血栓
39、多项选择题 慢性肺淤血的患者临床可出现()
A.咳大量的血性痰
B.呼吸困难、发绀
C.听诊可闻湿性啰音
D.咳铁锈色痰
E.心脏增大
40、单项选择题 含细菌的血栓脱落所引起的梗死为()。
A.单纯性梗死
B.贫血性梗死
C.出血性梗死
D.败血性梗死
E.广泛性梗死
41、单项选择题 血液从心腔或血管内逸出,并积聚于体腔内称为()
A.体腔积血
B.出血
C.血肿
D.外出血
E.漏出性出血
42、单项选择题 血栓转归中不会发生的是()
A.钙化
B.溶解
C.化生
D.机化
E.吸收
43、单项选择题 下述脏器中,哪个容易发生出血性梗死()。
A.心
B.肾
C.肺
D.脑
E.脾
44、单项选择题 骨折后脂肪栓塞的部位通常是()
A.肺
B.脑
C.心
D.肝
E.肾
45、配伍题 风湿性心内膜炎()DIC()
A.红色血栓
B.层状血栓
C.透明血栓
D.混合血栓
E.疣状赘生物
46、填空题 各种原因导致出血时,血液逸入________称为内出血。
47、填空题 血栓栓子约90%以上来自________深部静脉,特别是________、________和________。
48、单项选择题
一老人车祸时发生左股骨粉碎性及开放性骨折,在送医院的途中突发发绀、呼吸困难,口吐白沫而死亡,图为尸检后肺部病变组织镜下观肺泡壁血管腔内见大空泡形成。其死亡原因可能是()
A.气体栓塞
B.血栓栓塞
C.心力衰竭
D.脂肪栓塞
E.以上都不是
49、多项选择题 能引起肺淤血的疾病有()。
A.肺源性心脏病
B.心肌梗死
C.高血压性心脏病
D.风心病二尖瓣狭窄
E.肺动脉栓塞
50、问答题 结核杆菌引起的肾脏坏死是什么类型坏死?肾动脉血栓栓塞引起的是哪一种坏死?
51、单项选择题 在凝血过程中起关键作用的是()。
A.血小板活化
B.组织因子的激活
C.第Ⅻ因子的激活
D.血栓素A2的释出
E.纤维蛋白网形成
52、填空题 血栓对机体的不利影响有________、________、________、________。
53、问答题 肺梗死属于哪一种梗死?如何形成?试述肉眼和镜下变化?
54、单项选择题 冠状动脉前降支栓塞可引起()
A.室间隔后1/3心肌梗死
B.左心室前壁心肌梗死
C.左心室后壁心肌梗死
D.右心室心肌梗死
E.左心室侧壁心肌梗死
55、单项选择题 栓子运行的途径一般是()。
A.顺压力运行
B.逆压力运行
C.顺血流运行
D.逆血流运行
E.A-V内交叉运行
56、单项选择题 容易发生出血性梗死的器官是()
A.心
B.肾
C.脑
D.脾
E.肠
57、多项选择题 下列哪些情况容易引起血栓形成()。
A.严重烧伤
B.长期卧床
C.产后大出血
D.静脉内膜炎
E.动脉瘤形成
58、问答题 减压病是如何引起的?应如何防治?
59、多项选择题 下列关于淤血的叙述哪些是不正确的()
A.均为病理状态
B.可为生理性的
C.只发生于局部
D.为常见的一种充血
E.临床意义不大
60、单项选择题 心力衰竭细胞最常见于()。
A.左心衰竭引起的肺淤血
B.右心衰竭
C.肺水肿
D.肺炎
E.肝淤血
61、单项选择题 下列哪项不是慢性淤血的后果()。
A.实质细胞增生
B.含铁血黄素沉积
C.漏出性出血
D.间质细胞增生
E.并发血栓形成
62、单项选择题 有一老人被打后,入院检查中出现口唇发绀,四肢凉,血压下降而死亡,尸检发现,冠状动脉Ⅳ级狭窄心肌变软,其死亡原因最可能是下列哪一项()。
A.心肌梗死
B.脑出血
C.动脉瘤破裂
D.肺动脉栓塞
E.心力衰竭愧
63、填空题 ________性充血可见于某些器官或组织的正常生理活动过程中。
64、单项选择题 一健康孕妇,足月妊娠,分娩时突然出现全身无力、呼吸困难、紫绀、休克,应首先考虑为()。
A.过敏性休克
B.羊水栓塞
C.心力衰竭
D.肺水肿
E.急性溶血
65、单项选择题 关于动脉性充血,下列哪项叙述是错误的()
A.细动脉扩张
B.见于心力衰竭
C.温度增高
D.见于减压后
E.局部呈鲜红色
66、多项选择题 血栓形成的条件主要为()。
A.血流缓慢与不规则
B.心血管内膜的损伤
C.血液凝固性增高
D.纤维蛋白溶酶增加
E.癌细胞释放出凝血因子
67、单项选择题 不属于白色血栓的是()。
A.静脉内柱状血栓的头部
B.动脉内延续性血栓的头部
C.风湿性心内膜炎的疣状赘生物
D.心房纤颤时心耳内形成的球状血栓
E.赘疣性血栓性心内膜炎的疣状赘生物
68、多项选择题 下列哪些疾病的出血属于漏出性出血()
A.胃溃疡
B.血小板减少性紫癜
C.DIC
D.维生素C缺乏
E.子宫颈癌
69、单项选择题 左侧心力衰竭患者的股静脉小血栓脱落可引起肺()
A.出血性梗死
B.贫血性梗死
C.心肌梗死
D.凝固性坏死
E.液化性坏死
70、多项选择题 室间隔缺损合并急性感染性心内膜炎并血栓形成可引起()
A.脑动脉栓塞
B.肾动脉栓塞
C.肺动脉栓塞
D.脾动脉栓塞
E.门静脉栓塞
71、问答题 动脉性充血的局部组织有何病理变化?
72、单项选择题 梗死呈地图状的器官是()。
A.脾
B.肺
C.肾
D.心
E.小肠
73、多项选择题 小血管破裂出血,在止血过程中发挥作用的是()
A.血管收缩
B.血小板粘集
C.凝血酶形成
D.纤维蛋白原转变为纤维蛋白
E.血小板形态改变
74、单项选择题 关于“槟榔肝”的描述,下列哪项是错误的()
A.常发生于左心衰竭
B.可导致肝硬化
C.肝小叶中央静脉扩张
D.肝细胞发生脂肪变性
E.肝内纤维组织增多
75、单项选择题 某患者有明显气促、缺氧、发绀、咯粉红色泡沫痰等症状,X线显示整个肺透亮度降低,肺纹理增粗,可考虑为()。
A.肺出血
B.肺气肿
C.肺结核
D.肺淤血与水肿
E.肺羊水吸入
76、单项选择题
慢性肝淤血肉眼观如图所示,关于其形态特征说法不正确的是()
A.色暗红,体积增大,切面湿润
B.色灰白,体积缩小,切面干燥
C.重量增加,质地变硬
D.切面可见红黄相间的条纹
E.又称槟榔肝
77、填空题 抗磷脂抗体综合征多数与________等自身免疫性疾病有关。
78、多项选择题 漏出性出血可见于()
A.败血症
B.维生素C缺乏
C.再生障碍性贫血
D.原发性血小板减少性紫癜
E.血友病
79、单项选择题 混合性血栓可见于()。
A.静脉内柱状血栓的尾部
B.毛细血管内血栓
C.急性风湿性心内膜炎的疣状血栓
D.动脉血栓头部
E.心室内附壁血栓
80、单项选择题 脑动脉栓塞患者其栓子可来自()
A.肠系膜静脉血栓
B.右心房附壁血栓
C.二尖瓣赘生物
D.下肢静脉血栓
E.右心室附壁血栓
81、单项选择题 炎性水肿的主要原因是()
A.血浆胶体渗透压降低
B.毛细血管壁通透性增高
C.淋巴管阻塞
D.静脉压升高
E.醛固酮、抗利尿激素水平增高
82、单项选择题 DIC发生广泛出血的主要原因是()
A.肝内凝血酶原合成减少
B.血管壁广泛损伤
C.大量血小板及纤维蛋白原消耗
D.单核巨噬细胞系统功能下降
E.血浆中缓激肽浓度增高
83、单项选择题 肺动脉栓塞的血栓栓子多来自()。
A.上腔静脉、肺静脉
B.下肢膝以上的深部静脉
C.肺静脉、右心
D.下腔静脉、左心
E.上腔静脉、左心
84、单项选择题 附壁血栓一般不会发生在()
A.心房
B.心室
C.心瓣膜
D.主动脉瘤
E.小静脉
85、单项选择题 右心衰竭时瘀血的主要器官是()。
A.肺、肝、脾
B.肝、脾、肾
C.脑、肾、脾
D.脑、肾、肝
E.肾、脾、肺
86、多项选择题 下列哪些情况可引起器官梗死()
A.冠状动脉血栓形成
B.肠套叠
C.左心室附壁血栓脱落
D.动脉痉挛
E.大隐静脉内静脉石形成
87、单项选择题 机化的血栓中形成与原血管腔相互沟通的新生血管,使部分血流得以恢复,称为()。
A.侧支循环形成
B.血栓机化
C.血栓硬化
D.再通
E.动脉瘤形成
88、名词解释 心力衰竭细胞(heart failure cell)
89、单项选择题 关于血栓的叙述,下列哪项是错误的()。
A.静脉血栓多于动脉血栓
B.下肢血栓多于上肢血栓
C.层状血栓是混合血栓
D.毛细血管内多为纤维素性血栓
E.静脉血栓多为红色血栓
90、填空题 因静脉血流受阻,血液淤积于________和________内,使局部组织或器官________增多,称为淤血。
91、单项选择题 容易发生贫血性梗死的脏器是()。
A.小肠
B.大肠
C.肺
D.肾
E.卵巢
92、单项选择题 急性右心衰竭时常引起()
A.皮肤黏液行水肿
B.全身多处水肿
C.眼睑水肿
D.下垂性水肿
E.下肢象皮肿
93、单项选择题 促进血小板粘集反应的因子主要是()
A.ADP、前列腺环素和凝血酶
B.胶原、ADP和凝血酶
C.ADP、血栓素A2和凝血酶
D.血栓素A2胶原和ADP
E.前列腺环素、血栓素A2和ADP
94、多项选择题 门静脉高压时建立的主要侧支循环有()
A.肠系膜下静脉+直肠静脉丛+髂内静脉+下腔静脉
B.肠系膜上静脉+髂内静脉+下腔静脉
C.胃冠状静脉+食管下静脉+奇静脉+上腔静脉
D.脐静脉+脐周腹壁静脉+腹上静脉+上腔静脉
E.门静脉+脾静脉+奇静脉+上腔静脉
95、单项选择题 大量空气迅速进入血液循环引起死亡的原因是()
A.脑栓塞
B.心肌梗死
C.心脏破裂
D.肺梗死
E.急性心力衰竭和呼吸衰竭
96、多项选择题 血栓对机体的影响()。
A.血管破裂处可止血
B.炎症灶血管内的血栓可防止细菌的扩散
C.可阻塞血管造成梗死
D.可脱落造成栓塞
E.心瓣膜上的血栓反复形成与机化可造成瓣膜变形
97、单项选择题 下列哪种情况与出血性梗死的形成无关()
A.动脉阻塞
B.组织疏松
C.严重的静脉淤血
D.有效侧支循环的建立使较多血流流入梗死区
E.脏器有双重血液供应
98、填空题 血栓对机体的不利影响有________、________、________、________等。
99、单项选择题 下列不可能合并血栓形成的疾病是()。
A.心肌梗死
B.动脉粥样硬化
C.血小板减少性紫癜
D.心内膜炎
E.静脉炎
100、单项选择题 手术后好发血栓的部位是()
A.下肢静脉
B.肾动脉
C.颈静脉
D.冠状动脉
E.门静脉
101、单项选择题 静脉较易发生血栓的原因不包括()
A.静脉血流缓慢
B.静脉表浅,易受压
C.静脉内血液粘性有所增加
D.静脉瓣内易形成涡流
E.静脉不随心脏冲动而舒张,血流可出现短暂的停滞
102、单项选择题
患者女性,27岁,不全流产,行清宫术,刮出灰红膜样碎组织共3cm×2cm×2cm。镜检如图,血凝块中大量变性的绒毛,绒毛间质中毛细血管腔内见匀质红染无结构物,这种病变最可能是()



A.微血栓形成
B.毛细血管淤血
C.水肿液形成
D.白色血栓形成
E.红色血栓形成
103、名词解释 减压病(decompretion sickness)
104、配伍题 心肌梗死()血友病()
A.栓塞
B.出血
C.血栓形成
D.梗死
E.淤血
105、单项选择题 单纯动脉栓塞不易引起()
A.肾梗死
B.脑梗死
C.肺梗死
D.脾梗死
E.心肌梗死
106、单项选择题 下列栓塞哪项能导致弥散性血管内凝血()
A.脂肪栓塞
B.空气栓塞
C.羊水栓塞
D.减压病
E.血栓栓塞
107、单项选择题 下述关于梗死的叙述中,哪一项是错误的()
A.双重血液循环的器官不易发生梗死
B.全身血液循环状态对梗死的形成无影响
C.动脉痉挛促进梗死的形成
D.有效的侧支循环的建立可防止梗死的发生
E.梗死多由动脉阻塞引起
108、单项选择题 梗死灶的颜色与下列哪些因素有关()
A.梗死灶的质地
B.梗死灶的结构
C.梗死灶的血管分布
D.梗死灶的血流状态
E.梗死灶的含血量
109、单项选择题 肺淤血时,痰中出现胞质中含有棕黄色色素颗粒的巨噬细胞称为()。
A.尘细胞
B.肺泡巨噬细胞
C.异物巨细胞
D.单核细胞
E.心力衰竭细胞
110、多项选择题 下列哪些器官的梗死肉眼病变为锲形、灰白色、境界清楚()
A.脾脏
B.心脏
C.脑
D.肺
E.肾
111、多项选择题 关于血栓的再通下列哪些叙述是正确的()
A.是血栓机化后的一种改变
B.血栓内有相互沟通的毛细血管
C.血栓脱落、血流恢复
D.沟通血栓上下游的血流
E.血栓溶解吸收、恢复血流量
112、单项选择题 属于白色血栓的是()。
A.亚急性细菌性心内膜炎的疣状赘生物
B.风湿性心内膜炎的疣状赘生物
C.心肌梗死时的附壁血栓
D.静脉内柱状血栓的体部
E.静脉内柱状血栓的尾部
113、单项选择题 血栓的结局中下列哪项是错误的()。
A.软化、溶解、吸收
B.脱落引起栓塞
C.机化、再通
D.钙化
E.排出
114、单项选择题 ()是人身保险经纪人的主要工作。
A.协助投保人进行索赔
B.代表投保人选择保险人
C.为企事业单位没计全面的员工福利保障计划
D.风险评估和风险管理咨询服务
115、单项选择题
长期左心衰竭患者导致慢性肺淤血,临床表现为缺氧、发绀、气促等症状。
A.肺泡腔内有心衰细胞
B.肺泡壁毛细血管扩张充血
C.肺内支气管扩张,肺气肿形成
D.肺泡间隔增宽
E.肺间质中网状纤维胶原化,纤维结缔组织增生
116、单项选择题 静脉性充血时局部静脉血液回流()。
A.增多
B.减少
C.可增多或减少
D.不变
E.减少伴有心衰
117、单项选择题 关血栓的论述,错误的是()。
A.静脉血栓多于动脉血栓
B.下肢血栓多于上肢
C.动脉瘤内血栓多为混合血栓
D.静脉内血栓尾部多为红色血栓
E.毛细血管内血栓多为白色血栓
118、单项选择题 肺动脉主干栓塞引起患者猝死的原因不包括()
A.肺梗死
B.冠状动脉痉挛
C.支气管动脉痉挛
D.右心衰竭
E.肺动脉痉挛
119、单项选择题 不符合肝淤血的病变是()。
A.肉眼下呈槟榔状
B.肝窦扩张
C.肝细胞萎缩、脂肪变性
D.肝细胞大片状坏死
E.结缔组织增生
120、多项选择题 关于出血,下列哪些是错的()
A.漏出性出血不会引起严重后果
B.破裂性出血只有出血量大时才会引起严重后果
C.出血可分为内出血和外出血
D.一般进行缓慢的破裂性出血多可自行停止
E.局部软组织损伤时出血为漏出性出血
121、单项选择题 肺褐色硬化是由于()
A.肺间质纤维化伴含铁血黄素沉着
B.肺间质纤维化伴碳尘沉着
C.肺萎缩伴含铁血黄素沉着
D.肺间质纤维化伴矽结节形成
E.肺间质纤维化伴梗死
122、单项选择题 漏出性出血常见的部位是()
A.小静脉
B.小动脉
C.大动脉
D.毛细血管
E.大静脉
123、问答题
病史摘要:患者男性,60岁。剧烈运动时,突然感到左侧胸前区胀痛不适,身出冷汗,面色苍白。被送往医院途中疼痛进行性加重。入院后,心电图检查示心肌有损伤性改变。两天后病情恶化,因呼吸、心跳突然停止而死亡。
尸检所见:心脏:体积增大,心包充盈,内有血凝块约300毫升。左心室前壁、心尖部及室间隔前下方有不规则状出血、坏死,暗红色。坏死灶内有一纵行不规则裂口,长约1.5厘米。左冠状动脉前降支内见有一血栓阻塞管腔,长约1.0厘米。镜下所见:病变区的心肌细胞变性坏死。心肌间质水肿、出血,有大量中性白细胞浸润。冠状动脉管腔一侧增厚,管壁内有胆固醇沉积及纤维组织增生。管腔狭窄并伴有新鲜血栓。
主动脉:内膜有多处散在黄白色隆起的斑块。镜下所见:病变的血管壁内有大量胆固醇结晶的沉积和纤维组织的增生。脑:大脑后动脉及右侧大脑中动脉发生硬化。镜下所见:病变与主动脉相同。肾:体积缩小,形状不规则。镜下见部分肾小球发生玻璃样变。
124、单项选择题 梗死灶的形状取决于()
A.坏死灶的大小
B.坏死的类型
C.梗死灶内的含血量
D.该器官的血管分布
E.侧支循环的建立
125、填空题 血栓的类型有________、________、________、________。
126、单项选择题 白色血栓主要由下列哪些成分构成()
A.白细胞、纤维素和血小板
B.血小板和纤维素
C.红细胞和白细胞
D.红细胞和纤维素
E.血小板和红细胞
127、判断题 气体易溶于血液,故而不可能引起栓塞。
128、单项选择题 槟榔肝的特点不包括()
A.肝中央静脉扩张
B.胆小管增生
C.肝细胞萎缩
D.肝细胞脂肪变性
E.肝窦明显扩张充血
129、单项选择题 最常见的栓子是()
A.脱落的肿瘤细胞团
B.空气
C.血栓
D.羊水
E.寄生虫
130、单项选择题 下述关于梗死的描述中,哪一项是错误的()。
A.双重血液循环的器官不易发生梗死
B.全身血液循环状态对梗死的形成无影响
C.动脉的痉挛促进梗死的形成
D.有效侧支循环的建立可防止梗死的发生
E.梗死是由动脉阻塞引起的
131、填空题 按血液逸出的机制可将出血分为________和________两种。
132、名词解释 逆行性栓塞(retrograde embolism)
133、名词解释 静脉石(phlebolith)
134、单项选择题 老年患者,突然出现胸口剧痛.口蚕发绀,四肢厥冷,血压下降而死亡,其死亡原因最可能是下列哪一项()。
A.心肌梗死
B.脑出血
C.动脉瘤破裂
D.肺动脉栓塞
E.心力衰竭
135、填空题 侧支循环是指某一静脉发生阻塞时,局部血液通过该静脉的________进行回流的过程。
136、填空题 梗死灶的颜色取决于梗死组织内________多少;形状取决于该器官的________分布特点。肾、脾、肺等的梗死灶呈________,肠梗死呈________,心肌梗死呈________。
137、单项选择题 淤血不会引起()
A.水肿
B.脂肪变
C.实质细胞增生
D.局部缺氧
E.胶原纤维增生
138、单项选择题 导致肺褐色硬化的疾病是()
A.肺动脉狭窄
B.三尖瓣狭窄
C.二尖瓣狭窄
D.肺动脉栓塞
E.矽肺
139、单项选择题 淤血是由于()
A.血液淤积于皮下组织内
B.毛细血管和小静脉内血含量增加
C.血管扩张所致
D.血管腔内充满血液
E.血管内含血量增多
140、填空题 血栓形成的条件为________、________、________。
141、多项选择题 肺梗死为出血性梗死,其原因是()
A.双重血液循环
B.组织疏松
C.严重淤血
D.动脉呈树枝状分布
E.肺组织内纤维组织增生
142、单项选择题 引起肺动脉栓塞的栓子一般来自()。
A.左心房附壁血栓
B.二尖瓣疣状血栓
C.门静脉的血栓
D.动脉或左心房的血栓
E.下肢深静脉或右心血栓
143、单项选择题 患者,男性,42岁。因骑车跌倒引起右小腿胫、腓骨骨折,经石膏固定后回家卧床休息,此后小腿肿痛无明显缓解。伤后2周,右下肢肿痛加重,去医院复查,拆除原石膏并重新包扎固定,但肿胀进行性发展至大腿,肿痛难忍。住院观察4天后,坐起吃饭时,突然大叫一声,当即心跳呼吸停止,抢救无效死亡。分析病情: 本病例在处理上应引以为戒的是()。
A.处理不及时
B.未用抗生素
C.抢救不力
D.缺乏适当的活动
E.固定不良
144、多项选择题 内皮细胞具有防止心血管内血液凝固的功能是因为()。
A.它是一个单细胞屏障
B.分泌凝血酶调节蛋白
C.合成组织型纤溶酶原活化因子
D.分泌ADP酶
E.合成蛋白S
145、单项选择题
一患儿,以急腹症入院急诊手术。术中见部分小肠红褐色,肠管扭转成团,切除病变肠管。
巨检如图所示,可能的病变是()

A.先天行巨结肠
B.肠梗死
C.肠破裂
D.急性肠炎
E.以上都不是
146、配伍题 微循环小血管内的微血栓()静脉内血栓的尾部()二尖瓣狭窄左心房内球形血栓()风湿性心瓣膜上的赘生物()新生的肉芽组织向血栓内长入()
A.透明血栓
B.白色血栓
C.混合血栓
D.红色血栓
E.血栓机化
147、判断题 透明血栓最常见于DIC,只有显微镜下才能找到。
148、单项选择题 肺动脉栓塞引起患者猝死的机制,下列哪项除外()。
A.肺动脉阻塞和痉挛
B.心冠状动脉痉挛
C.支气管动脉痉挛
D.急性右心衰竭
E.肺硬化
149、单项选择题 右心衰竭引起淤血的器官主要是()。
A.肺、肝及胃肠道
B.肺、脑及下肢
C.肝、脾及胃肠道
D.肾、肺及下肢
E.脾、肺及胃肠道
150、单项选择题 肺内小动脉分支阻塞可有什么后果()
A.凝固性坏死
B.液化性坏死
C.贫血性梗死
D.出血性梗死
E.一般不引起严重后果
151、填空题 动脉栓塞是________、________和________梗死的最常见原因。
152、单项选择题 肺内小动脉个别分支阻塞的结果为()。
A.贫血性梗死
B.出血性梗死
C.凝固性坏死
D.液化性坏死
E.一般不引起严重后果
153、单项选择题 与股骨粉碎性骨折的患者下肢静脉形成血栓无关的是()
A.血粘度增高
B.血管损伤
C.血流速度变慢
D.长期卧床
E.脂肪进入血循环
154、单项选择题 左心衰竭时常出现()。
A.肝淤血
B.颈静脉怒张
C.下肢水肿
D.粉红色泡沫痰
E.胸水
155、多项选择题 可成为栓子的物质有()。
A.瘤细胞团
B.脂肪滴
C.气体
D.羊水
E.寄生虫虫卵
156、单项选择题 在HE染色切片上见到肺泡腔内有粉红色液体成分可诊断为()。
A.肺出血
B.肺结核
C.肺气肿
D.肺水肿
E.肺羊水吸入
157、单项选择题 肠扭转可引起肠()
A.贫血性梗死
B.白色梗死
C.出血性梗死
D.凝固性坏死
E.液化性坏死
158、单项选择题 下列哪种病变属于梗死()
A.重Ⅱ度烧伤
B.足坏疽
C.刀割伤
D.病毒性肝炎
E.脓肿
159、多项选择题 脑梗死可发生于()
A.二尖瓣狭窄合并血栓形成
B.三尖瓣关闭不全合并血栓形成
C.右心室心肌梗死合并附壁血栓
D.主动脉瓣亚急性细菌性心内膜炎
E.房间隔缺损患者大腿深部静脉的血栓性静脉炎
160、单项选择题 脂肪栓塞患者的一般死亡原因是()
A.动脉系统栓塞
B.脂肪分解产物引起中毒
C.肾小动脉栓塞
D.脑小动脉栓塞
E.肺水肿和心功能不全
161、单项选择题 活体心血管内的血液有形成分凝集成的固体质块随血流运行而阻塞血管腔的过程称为()。
A.血栓形成
B.血栓
C.血栓栓塞
D.梗死
E.栓子运行
162、单项选择题 最常见的栓子是()
A.脱落的肿瘤细胞团
B.空气
C.血栓
D.羊水
E.寄生虫
163、配伍题 颈部静脉破裂()肝癌两肺广泛转移()
A.细菌团栓塞
B.空气栓塞
C.血栓栓塞
D.脂肪栓塞
E.肿瘤栓塞
164、多项选择题 血栓的类型包括()
A.透明血栓
B.延续性血栓
C.白色血栓
D.红色血栓
E.混合血栓
165、单项选择题 引起脂肪栓塞的原因有()
A.肝损伤
B.血脂过高
C.脾损伤
D.脂肪组织严重受挫
E.乳腺病
166、单项选择题 血液流入组织内并局限化时,形成()
A.积血
B.外出血
C.内出血
D.血肿
E.淤斑
167、多项选择题 下列哪些血栓属于混合性血栓()。
A.心肌梗死处的附壁血栓
B.静脉血栓的体部
C.动脉血栓的体部
D.动脉瘤内层状血栓
E.微循环内血栓
168、单项选择题 循环血液中阻塞血管的异常物质称为()
A.血栓
B.血栓形成
C.静脉石
D.血栓脱落
E.栓子
169、单项选择题 血栓机化是指血栓中有()。
A.血小板凝集成小梁状
B.纤维蛋白及巨噬细胞
C.异物巨细胞及纤维细胞
D.新生毛细血管及成纤维细胞
E.大量淋巴细胞及纤维细胞
170、单项选择题 出血性梗死容易发生在()。
A.心
B.肾
C.肺
D.脑
E.脾
171、单项选择题 致使肺梗死的血栓栓子一般来自()
A.静脉系统或右心的血栓
B.二尖瓣疣状血栓的脱落
C.门静脉的血栓脱落
D.左心房附壁血栓
E.动脉及左心房的血栓脱落
172、单项选择题 门静脉回流受阻,可引发下列哪个脏器淤血()
A.脑
B.肝
C.肾
D.肺
E.脾
173、单项选择题 血栓对机体的不利影响不包括()
A.阻塞血管
B.引起组织和器官的梗死
C.堵塞血管破口,阻止出血
D.心瓣膜变形
E.DIC,并引起广泛出血和休克
174、单项选择题 在触发凝血过程中起核心作用的是()
A.凝血酶原的激活
B.血小板的活化
C.血栓素A2的释出
D.第Ⅶ因子的激话
E.纤维蛋白网形成
175、名词解释 败血性梗死(septic infarct)
176、单项选择题 大脑中动脉血栓栓塞,栓子可能来源于()
A.右心房
B.左心房
C.肠系膜静脉
D.髂静脉
E.髂动脉
177、判断题 静脉石或动脉石实质上是血栓发生了机化。
178、单项选择题 充血是指()。
A.静脉血回流受阻,血液淤积于毛细血管和小静脉内
B.炎症时血管扩张
C.动脉输入血量增多
D.静脉输入血量增多
E.局部组织血管内血液含量增多
179、多项选择题 慢性肝淤血时肝脏可发生下列哪些病理改变()
A.肝窦扩张
B.肝细胞萎缩
C.肝细胞脂肪变性
D.纤维组织增生
E.肝细胞坏死
180、问答题 高血压病患者在何种情况下会出现呼吸困难、痰液中有心衰细胞?简述其发生机制。
181、单项选择题 脂肪栓塞患者死亡的最常见原因是()。
A.急性左心衰竭
B.急性右心衰竭或窒息
C.中毒性休克
D.肾功能衰竭
E.脑出血
182、单项选择题 栓子是指()。
A.活体心血管内血液凝固过程中产生的物质
B.人体死亡后血液凝固过程中产生的物质
C.循环血液中不溶于血液,随血流运动并阻塞血管的物质
D.心瓣膜的疣状赘生物
E.动脉夹层内的凝血块
183、判断题 梗死通常可分为贫血性和出血性梗死。
184、单项选择题 心脏附壁血栓常属于()。
A.红色血栓
B.混合血栓
C.白色血栓
D.透明血栓
E.延续性血栓
185、多项选择题 可自行停止的出血有()
A.硬脑膜中动脉破裂
B.出血性胰腺炎时的出血
C.脾窦内破裂
D.肾灶状梗死
E.DIC性出血
186、单项选择题 严重肝实质疾病引起出血的原因是()
A.凝血因子消耗过多
B.凝血因子合成减少
C.红细胞破坏
D.血小板生成减少
E.凝血因子无功能
187、单项选择题 一患者主诉心悸气短,两下肢水肿入院,查体:颈静脉怒张,心尖区可闻及舒张期杂音,肝肋缘下3cm,轻度压痛,AFP正常。患者的肝脏可能出现下列哪一种病变()。
A.肝细胞癌
B.慢性肝淤血
C.肝脂肪变性
D.慢性肝炎
E.肝硬化
188、填空题 局部组织或器官的血管内血液含量的增多可分为________及________两类。
189、单项选择题 颈静脉外伤时,最可能导致死亡的是()
A.空气栓塞
B.脂肪栓塞
C.血栓栓塞
D.细胞栓塞
E.细菌栓塞
190、单项选择题 静脉血栓的尾部是()
A.白色血栓
B.混合血栓
C.红色血栓
D.透明血栓
E.层状血栓
191、多项选择题 混合血栓的组成成分有()
A.红细胞
B.白细胞
C.纤维素
D.血小板
E.成纤维细胞
192、单项选择题 下肢深静脉内血栓形成后对机体的最主要影响()
A.引起下肢梗死
B.引起下肢坏疽
C.引起全身器官衰竭
D.引起肺栓塞致猝死
E.引起下肢水肿
193、填空题 既可以出现贫血性梗死又可以出现出血性梗死的器官是________。
194、单项选择题 纤维素性血栓主要发生在()。
A.下肢深静脉
B.左心耳
C.微循环
D.心室壁瘤内
E.门静脉
195、单项选择题 左心室附壁血栓可引起()
A.心力衰竭
B.肺淤血
C.脑动脉栓塞
D.肺动脉栓塞
E.心壁穿孔
196、单项选择题 混合血栓巨体形态特点中错误的描述是()
A.湿润
B.圆柱状
C.有红白相间条纹状结构
D.粗糙
E.与血管壁粘着
197、填空题 血栓形成是由于各种原因破坏________系统和________系统之间的动态平衡,导致________系统的活性增加,触发了凝血过程,从而导致血栓形成。
198、单项选择题 促进血小板黏集反应最主要的活性物质是()。
A.ATP
B.ADP和血栓素A2
C.5-HT
D.前列环素
E.肾上腺素
199、多项选择题 透明血栓可出现于()
A.微动脉
B.毛细血管
C.微静脉
D.小动脉
E.小静脉
200、单项选择题 不符合静脉性充血的是()。
A.局部发绀
B.小动脉扩张
C.局部温度降低
D.局部组织肿胀
E.间质水肿
201、判断题 包用客车、公务车、专用列车、豪华列车时,应预先支付相当于运费30%的定金。(部竞赛题)
202、单项选择题
一孕妇,因胎盘早期剥离,失血性休克而突然死亡。尸解见一侧肾脏皮质区锥形灰白病灶,境界清楚。周边肾实质大面积出血,红褐色。
巨检如图,镜检如图所示,可作出何种病理诊断()

A.肾出血性梗死
B.肾贫血性梗死
C.肾脓肿
D.肾结核
E.慢性肾小球肾炎
203、单项选择题 毛细血管内的血栓属于()
A.白色血栓
B.红色血栓
C.混合血栓
D.透明血栓
E.闭塞性血栓
204、单项选择题 股静脉内较大的血栓完全机化需要()
A.2天
B.1周
C.2周
D.1个月
E.2个月
205、多项选择题 关于白色血栓,下列哪些描述是正确的()
A.白色血栓可见于风湿性心内膜炎
B.白色血栓主要由纤维素、血小板组成
C.白色血栓含化脓菌,故肉眼呈白色
D.风湿性心脏病时白色血栓机化可造成瓣膜变形
E.延续性血栓的头部亦是白色血栓
206、多项选择题 下列哪些水肿的形成中有肾素-血管紧张素-醛固酮系统起作用()
A.心性水肿
B.肝性水肿
C.肺水肿
D.皮肤黏液水肿
E.肾性水肿
207、单项选择题 与肺动脉主干栓塞引起猝死关系不大的是()
A.急性右心衰竭
B.肺循环压骤然下降
C.肺出血性梗死
D.血栓中血小板释放大量5-羟色胺引起冠状动脉、肺和支气管动脉广泛痉挛
E.迷走神经反射引起支气管、肺动脉痉挛
208、单项选择题 尸检病例,男性,76岁,因全心衰竭死亡。肺组织病理报告:肺泡壁毛细血管扩张充血,肺泡腔内有红细胞、水肿液及吞噬有含铁血黄素的巨噬细胞,间质有纤维组织增生 心脏不太可能出现的病变是()。
A.心肌肥大
B.心脏体积增大
C.心腔扩张
D.心脏缩小
E.心脏重量增加
209、单项选择题 有关肝淤血时,下列哪一项是不正确的()。
A.中央静脉扩张
B.肝小叶的中心呈暗红色
C.肝细胞脂肪变性
D.肝血窦扩张
E.小叶间静脉扩张、肝血窦狭窄
210、单项选择题 肺梗死患者胸痛的主要原因是()
A.出血灶刺激支气管
B.肺通气障碍
C.坏死组织刺激支气管
D.梗死区胸膜炎
E.以上都不是
211、单项选择题
患者女性,27岁。因车祸导致脾脏破裂,手术切除脾脏,术后送检脾脏肿大,表面间两道长3cm的破裂口,镜检如图所示,该病变性质属()

A.慢性淤血
B.静脉性充血
C.动脉性充血
D.破裂性出血
E.以上都不是
212、名词解释 透明血栓(hyaline thrombus)
213、单项选择题 乳腺癌根治术后,上肢水肿的主要原因是()。
A.血浆胶体渗透压低下
B.静脉压上升
C.毛细血管通透性增高
D.淋巴管闭塞
E.肝细胞对抗利尿液灭活性能力降低
214、单项选择题 左心室附壁血栓最易引起()。
A.肺栓塞
B.心室血流受阻
C.心肌梗死
D.心室壁穿孔
E.脑栓塞
215、单项选择题 肠黏膜面的纤维素渗出所形成的假膜()
A.分离排除
B.溶解吸收
C.包裹
D.机化
E.肉芽组织填补
216、单项选择题
与
之间的相互关系是()。
A.对映异构体
B.非对映异构体
C.顺反异构体
D.构象异构体
217、单项选择题 主要由纤维蛋白构成的血栓是()。
A.透明血栓
B.红色血栓
C.混合血栓
D.白色血栓
E.附壁血栓
218、单项选择题 下列哪项栓塞易导致弥散性血管内凝血()。
A.脂肪栓塞
B.空气栓塞
C.羊水栓塞
D.氮气栓塞
E.血栓栓塞
219、多项选择题 血管内膜损伤时容易发生血栓形成,其原因是()
A.损伤的内皮释放组织因子
B.损伤的内皮释放二磷酸腺苷
C.裸露的胶原纤维吸附血小板
D.裸露的胶原纤维激活第Ⅻ因子
E.裸露的胶原激活血小板
220、单项选择题 一次多量空气进入静脉可引起猝死,最低进入空气量约为()。
A.1ml
B.5ml
C.10ml
D.50ml
E.100ml
221、填空题 贫血性梗死多为________所致。常发生于________、________、________等器官,它们以________和________为特征,梗死灶呈________色。
222、单项选择题 出血性梗死的形成,除动脉阻塞外,还应具备()。
A.吻合支丰富、组织致密
B.静脉通畅、组织疏松
C.静脉淤血、双重循环、组织疏松
D.静脉淤血、组织致密
E.双重循环、组织致密
223、单项选择题 下列哪种器官很少发生梗死()
A.心
B.脾
C.肾
D.肝
E.肠
224、单项选择题 心脏赘生物最常见于()
A.心外膜
B.心瓣膜
C.心内膜
D.心肌
E.冠状动脉口
225、多项选择题 静脉系统来源的血栓栓子可引起()
A.心肌梗死
B.肺动脉主干栓塞
C.肝梗死
D.脑梗死
E.肺出血性梗死
226、单项选择题 混合血栓见于()
A.毛细血管内
B.静脉血栓的头部
C.动脉血栓的起始部
D.心瓣膜上的赘生物
E.静脉血栓的体部
227、填空题 在短时间内失循环血量________,可发生出血性休克。
228、填空题 脂肪栓子的形成是含有________或________严重挫伤时________破裂所释放的脂滴进入破裂的血管而入血。
229、多项选择题 淤血对机体的影响取决于淤血的()。
A.范围
B.发生的速度
C.程度
D.部位
E.持续的时间
230、单项选择题 下列哪项不是肺梗死的特点()
A.梗死灶呈不规则形
B.梗死灶呈暗红色
C.为凝固性坏死
D.可继发感染引起坏疽
E.累及胸膜脏层时可引起胸痛
231、单项选择题 羊水栓塞是指羊水阻塞的过程()
A.胎儿呼吸道
B.胎儿肺静脉
C.母体肺静脉
D.母体肺动脉
E.胎儿肺动脉
232、单项选择题
患者男性,45岁,右下肢大隐静脉曲张4年,近期出现间歇性跛行。手术切除病变血管,见血管内红褐色固体物填充。
镜检如图所示,最佳诊断为()

A.静脉淤血
B.静脉血栓
C.静脉结石
D.静脉脂肪栓塞
E.以上都不是
233、单项选择题 下列哪种出血不属于破裂性出血()
A.慢性空洞性肺结核大咯血
B.肝硬化食管静脉曲张大呕血
C.十二指肠溃疡柏油样便
D.胃癌呕血
E.肺淤血性出血
234、单项选择题 梗死呈节段状的器官是()。
A.小肠
B.心
C.肾
D.脾
E.脑
235、问答题 试述血栓栓塞肺动脉后引起猝死的机制。
236、单项选择题 下列出血病变中不属于内出血的是()
A.血肿
B.淤点
C.淤斑
D.鼻忸
E.腹腔积血
237、单项选择题 90%肺动脉血栓性栓塞的栓子都来源于()。
A.下肢深静脉
B.上肢静脉
C.肝静脉
D.下肢浅静脉
E.门静脉
238、填空题 血管腔内有血栓形成后,可继发这些改变:________、________、________、________。
239、单项选择题 下列病变中逆行栓塞引起的是()
A.肠结核原发综合征
B.克氏病
C.肠阿米巴病
D.肝血吸虫病
E.肠血吸虫病
240、多项选择题 慢性肝淤血时,会出现下列哪些病变()
A.纤维组织增生
B.假小叶形成
C.脂肪变
D.气球样变
E.肝细胞萎缩
241、单项选择题 减压病的发生主要是由于()
A.氧气栓塞
B.氮气栓塞
C.二氧化碳栓塞
D.氢气栓塞
E.混合气体栓塞
242、多项选择题 静脉淤血对机体的影响取决于()
A.淤血的范围
B.淤血的器官
C.淤血的程度
D.淤血发生的速度
E.侧支循环建立的状况
243、填空题 淤血的后果有________,________,________。
244、单项选择题 慢性肺淤血不包括()
A.肺水肿
B.肺出血
C.肺泡壁毛细血管扩张充血
D.肺泡间隔增宽
E.肺内支气管明显扩张
245、多项选择题 心肌梗死时()
A.梗死灶呈地图形
B.梗死灶常发生液化
C.多为贫血性梗死
D.梗死灶周围可见充血出血带
E.常继发附壁血栓形成
246、单项选择题 淤血的局部组织()。
A.小动脉扩张
B.色鲜红
C.血液中氧分压升高
D.血流减慢
E.功能亢进
247、名词解释 血栓栓塞(thromboembolism)
248、单项选择题 羊水栓塞时,病理诊断的主要依据是()。
A.肺小动脉和毛细血管内有羊水成分
B.微血管内透明血栓
C.肺泡腔内有角化上皮和胎粪小体等
D.肺水肿和出血
E.肺透明膜形成
249、单项选择题 下述哪种因素与血栓形成无关()
A.血管内膜损伤
B.血流缓慢
C.血小板数量增多
D.癌细胞崩解产物
E.纤维蛋白溶酶增加
250、多项选择题 可以引起槟榔肝的疾患有()。
A.上腔静脉受压
B.门静脉高压症
C.肺源性心脏病
D.三尖瓣狭窄
E.缩窄性心包炎
251、名词解释 肺“棕色硬变”(brown induration)
252、单项选择题 肝细胞发生严重损伤时引起出血的主要原因()
A.凝血因子合成减少
B.凝血因子消耗过多
C.红细胞破坏
D.血小板生成减少
E.凝血因子无功能
253、单项选择题 下列哪种情况不易形成静脉血栓()
A.急性重症肝炎
B.充血性心力衰竭
C.红细胞增多症
D.外科手术后的患者
E.肺癌晚期患者
254、单项选择题 肺动脉栓塞引起猝死的原因不包括哪一项()。
A.肺动脉痉挛
B.支气管动脉痉挛
C.支气管痉挛
D.肺出血性梗死
E.心冠状动脉痉挛
255、填空题 遗传性高凝状态主要的原因是________基因突变。
256、名词解释 充血(hyperemia)
257、问答题 血栓形成的条件是什么?各举一例说明。
258、单项选择题 肺动脉栓塞患者常见的死亡原因是()
A.急性右心衰竭
B.急性左心衰竭
C.中毒性休克
D.大片肺出血
E.急性肾衰
259、判断题 动脉瘤内的附壁血栓属于红色血栓。
260、多项选择题 内皮细胞有防止心血管内血液凝固的功能因为()
A.正常内皮细胞组成一层单细胞薄膜屏障
B.内皮细胞表面具有凝血酶调节蛋白
C.合成ADP酶
D.合成NO
E.前列腺素
261、名词解释 血栓(thrombus)
262、单项选择题 关于淤血组织器官的病变,哪项描述是错误的()
A.常伴有水肿
B.呈暗红色
C.温度增加
D.可引起出血
E.可发生萎缩
263、问答题 根据你学过的病理知识举出三个例子,说明心血管内膜损伤能引起血栓形成,并根据病理变化说明引起血栓形成的机制。
264、单项选择题 左冠状动脉回旋支栓塞可引起()
A.左心室前壁心肌梗死
B.左心室后壁心肌梗死
C.左心室侧壁心肌梗死
D.室间隔前1/3心肌梗死
E.右心室心肌梗死
265、单项选择题 不符合漏出性出血的是()。
A.流行性出血热引起的出血
B.白血病引起的出血
C.肺癌引起的咯血
D.血友病引起的出血
E.DIC引起的出血
266、判断题 出血性梗死常见于肺和肠等器官。
267、名词解释 贫血性梗死(anemic infarct)
268、多项选择题 关于大循环动脉的血栓栓塞下列哪些叙述是错误的()
A.血栓栓子来自于下肢静脉
B.血栓栓子可来自于左心
C.可引起脾贫血性梗死
D.可引起下肢坏死
E.可引起肺出血性梗死
269、填空题 动脉栓塞以________、________、________、________为常见。
270、单项选择题 抑制血小板凝集的因子为()
A.ADP
B.PGI2
C.PL3
D.Ca2+
E.TAX2
271、单项选择题 者左脚外伤后感染化脓,而后出现左腿麻木、发凉和水肿入院治疗。入院第三天突然出现呼吸困难,咳嗽、咯血以及口唇发绀等症状,在抢救过程中死亡。该患者可能死于下列哪一项疾病()。
A.大叶性肺炎
B.肺动脉栓塞
C.肺出血性梗死
D.败血症
E.以上都不是
272、单项选择题 脾、肾梗死灶肉眼检查的主要特点为()
A.多呈楔形、灰白色、界限清楚
B.多呈不规则形、暗红色、界限不清
C.多呈楔形、暗红色、界限不清
D.多呈地图形、暗红色、界限不清
E.多呈地图状、灰白色、界限清楚
273、单项选择题 对一软土试样进行无侧限抗压强度试验,测得其无侧限抗压强度为40kPa,则该土的不排水抗剪强度为()。
A.40kPa
B.20kPa
C.10kPa
D.5kPa
274、单项选择题 下列情况不会引起肝淤血()
A.肺源性心脏病
B.心包腔闭塞
C.肿瘤压迫肝门
D.肺动脉狭窄
E.三尖瓣狭窄
275、单项选择题 脑组织坏死属于()
A.湿性坏疽
B.液化性坏死
C.贫血性梗死
D.嗜酸性坏死
E.凝固性坏死
276、单项选择题 患者,男性,42岁。因骑车跌倒引起右小腿胫、腓骨骨折,经石膏固定后回家卧床休息,此后小腿肿痛无明显缓解。伤后2周,右下肢肿痛加重,去医院复查,拆除原石膏并重新包扎固定,但肿胀进行性发展至大腿,肿痛难忍。住院观察4天后,坐起吃饭时,突然大叫一声,当即心跳呼吸停止,抢救无效死亡。分析病情: 患者突然死亡的原因最可能是()。
A.心肌梗死
B.创伤性休克
C.肺动脉栓塞
D.脑血管意外
E.窒息
277、单项选择题
长期左心衰竭患者导致慢性肺淤血,临床表现为缺氧、发绀、气促等症状。
图中胞浆内含褐色颗粒的心衰细胞实质是哪种细胞()
A.中性粒细胞
B.嗜酸性粒细胞
C.单核巨噬细胞
D.淋巴细胞
E.以上均不是
278、单项选择题 梗死是指()。
A.缺血引起的坏死
B.生理性翟序性死亡
C.厌氧细菌感染而引起的坏死
D.结核杆菌感染而引起的坏死
E.胰酶外溢而引起的组织坏死
279、单项选择题 肺动脉栓塞不会引起()
A.猝死
B.间质性肺炎
C.肺梗死
D.肺动脉高压
E.右心室扩张
280、单项选择题 肺小动脉被骨肉瘤细胞阻塞时称为()
A.肿瘤的转移
B.脂肪栓塞
C.气体栓塞
D.肿瘤细胞栓塞
E.血栓栓塞
281、单项选择题 下列哪个器官在动脉阻塞后极少发生梗死()。
A.肾
B.脾
C.心
D.肝
E.脑
282、单项选择题 慢性肺淤血患者痰的特征是()
A.黏液痰
B.粉红色泡沫痰
C.黄脓痰
D.血性痰
E.铁锈色痰
283、名词解释 出血(hemorrhage)
284、单项选择题 慢性肺淤血的特点不包括()
A.切面流出淡红色泡沫状液体
B.肺泡腔内有心衰细胞
C.肺泡壁毛细血管扩张充血
D.肺内支气管扩张
E.肺泡间隔增宽
285、多项选择题 肝淤血的镜下改变是()
A.肝小叶结构破坏
B.肝细胞萎缩
C.间质纤维结缔组织增生
D.肝细胞脂肪变性
E.中央静脉及肝窦扩张
286、单项选择题 急性风湿性心内膜炎心瓣膜上的赘生物为()
A.透明血栓
B.红色血栓
C.白色血栓
D.混合血栓
E.微血栓
287、多项选择题 可引起槟榔肝的疾病有()
A.肺源性心脏病
B.二尖瓣狭窄伴有心力衰竭
C.三尖瓣狭窄
D.上腔静脉受压
E.门静脉高压症
288、单项选择题
死者,女性,30岁,急性肺炎合并败血症而亡。尸检时全身皮肤黏膜大量淤血点,多脏器出现梗死灶。
肺脏见一梗死灶(如图),该病变属于()

A.出血性梗死
B.贫血性梗死
C.凝固性坏死
D.液化性坏死
E.以上都不是
289、单项选择题 急性肺淤血时最典型的症状是()
A.心悸
B.胸闷
C.呼吸困难
D.粉红色泡沫痰
E.铁锈色痰
290、多项选择题 可以引起槟榔肝的疾病是()
A.三尖瓣狭窄
B.缩窄性心包炎
C.门静脉高压
D.二尖瓣狭窄
E.主动脉瓣狭窄
291、单项选择题 下列哪些成分不会成为栓子()
A.肿瘤细胞团
B.血吸虫虫卵
C.机化的血栓
D.血液中的气体
E.脂肪滴
292、单项选择题 皮肤、黏膜和浆膜少而广泛的出血灶称为()
A.积血
B.淤血
C.血肿
D.凝血块
E.瘀点
293、填空题 肺出血性梗死区常位于________,尤以________多见。
294、多项选择题 引起肺动脉栓塞的血栓栓子多来自()
A.腘静脉
B.股静脉
C.髂静脉
D.盆腔静脉
E.下肢浅静脉
295、单项选择题 因休克而死亡的患者,解剖后在多处组织切片中均能见到()
A.透明血栓
B.红色血栓
C.白色血栓
D.混合血栓
E.附壁血栓
296、单项选择题 下列心脏病很少引起肺淤血的是()。
A.高血压性心脏病
B.肺源性心脏病
C.风湿性心脏病二尖瓣狭窄
D.梅毒性心脏病
E.冠心病
297、单项选择题 下列哪种因素与动脉阻塞无关()
A.血栓形成
B.动脉瘤
C.肿瘤压迫
D.动脉粥样硬化
E.动脉栓塞
298、单项选择题 尸体解剖时常见到的灰白色固体质块是()
A.白色血栓
B.红色血栓
C.混合血栓
D.血凝块
E.寄生虫
299、多项选择题 血栓形成常见于下列哪些病变()
A.大面积烧伤
B.脾功能亢进
C.某些癌症
D.血友病
E.动脉粥样硬化
300、多项选择题 下述因素中,与水肿的发生有关的是()
A.毛细血管内压力增高
B.组织间渗透压增高
C.毛细血管通透性增高
D.淋巴回流受阻
E.血浆胶体渗透压增高