时间:2024-03-08 01:14:32


1、多项选择题 肛管上皮内瘤变包括()。
	A.肛管白斑
	B.鲍温样丘疹病
	C.Bowen病
	D.Paget病
	E.疣状癌
2、单项选择题 与动脉粥样硬化发病关系最密切的血脂是()。
	A.HDL
	B.TG
	C.VLDL
	D.HDL--C
	E.LDL
3、单项选择题 关于肝胆管黏液囊性肿瘤,叙述正确的是()。
	A.好发于男性
	B.囊腔直接与大胆管相通
	C.非浸润性肿瘤通常界限清楚,单房性
	D.囊外壁有卵巢型间质
	E.致密梭形间叶细胞表达ER/PR,不表达α-inhibin
4、多项选择题 关于血管外皮瘤,叙述正确的是()。
	A.和孤立性纤维性肿瘤是同一类型肿瘤
	B.免疫组织化学通常表达CD34
	C.良、恶性与肿瘤的大小无关
	D.细胞围绕薄壁窦隙样鹿角形血管而成
	E.与艾滋病关系密切
5、单项选择题 铁锈色痰见于大叶性肺炎()。
	A.充血水肿期
	B.红色肝样变期
	C.灰色肝样变期
	D.溶解消散期
	E.合并肺肉质变期
6、单项选择题 下述哪项有关中毒型痢疾的描述是不正确的()。
	A.儿童多见
	B.肠道症状轻
	C.多由毒力强的痢疾杆菌引起
	D.全身症状明显
	E.患者对细菌毒素反应强烈
7、多项选择题 与卵巢原始生殖细胞肿瘤密切相关的标志物有()。
	A.AFP
	B.HCG
	C.NSE
	D.CEA
	E.CA125
8、多项选择题 浸润性尿路上皮癌提示预后不良的组织学变型有()。
	A.尿路上皮癌伴鳞状分化
	B.尿路上皮癌伴腺样分化
	C.微乳头变型
	D.淋巴上皮瘤样变型
	E.微囊变型
9、多项选择题 患者女,50岁,因“腭部肿块1年,出现表面溃疡1个月”来诊。CT:腭部肿物境界清楚,直径约4cm。行临床穿刺活检,组织学发现良性形态上皮细胞巢以及巢间有黏液及玻璃样变物质沉积。 诊断依据有()。
	A.良性细胞形态
	B.多种结构特征
	C.黏液样玻璃样变间质
	D.浸润周边组织
	E.无包膜
	F.侵犯神经
10、单项选择题 关于鼻咽癌的描述,错误的是()。
	A.与EB病毒感染有关
	B.多发生于鼻咽黏膜上皮组织
	C.以高分化鳞癌最少见
	D.可经淋巴道转移至颈部淋巴结
	E.泡状核细胞癌对放疗敏感
11、多项选择题 关于肾上腺髓质和副神经节,叙述正确的有()。
	A.肾上腺以外的副交感神经节分为两大类:与副交感神经系统相关的部分及与交感神经系统相关的部分
	B.显微镜下,副神经节由主细胞巢及其周围一薄层S-100阳性的支持细胞组成
	C.肾上腺髓质及副神经节肿瘤可分为两大类:胚胎性神经肿瘤及成年神经内分泌肿瘤和瘤样病变
	D.少数典型的神经母细胞瘤,甚至是发生转移的神经母细胞瘤可经过完全的成熟而自愈
	E.肾上腺神经母细胞瘤最常见的转移部位是肺
12、单项选择题 不符合乳腺大汗腺癌的是()。
	A.肿瘤细胞具有大而红的核仁
	B.GCDFP-15免疫组织化学染色细胞质阳性表达
	C.ER和PR通常呈阳性表达
	D.90%以上的肿瘤细胞表现为大汗腺的细胞学和免疫组织化学特征
	E.AR多为阳性表达
13、单项选择题 沃--佛综合征最常见于()。
	A.破伤风
	B.白喉
	C.猩红热
	D.鼠疫
	E.暴发型流行性脑脊髓膜炎
14、单项选择题
患者男,61岁,因“左眼突出及视力下降1个月”来诊。影像学检查:眶内占位。
	高倍镜下组织形态如图所示。最有可能的诊断是()。
	A.横纹肌肉瘤
	B.黏膜相关淋巴瘤
	C.炎性假瘤
	D.视神经胶质瘤
	E.低分化鳞癌浸润
15、多项选择题 低度恶性纤维黏液样肉瘤与黏液纤维肉瘤的不同之处在于()。
	A.好发于青年人
	B.无假脂肪母细胞
	C.弧线状血管不明显
	D.瘤细胞无明显异型性
	E.核分裂象罕见
16、单项选择题
患者男,45岁,因“经常性头痛,鼻阻1年余”来诊。查体:左鼻腔内见较多干痂,味臭,中隔面黏膜糜烂,取活检。大体检查:碎组织,总体积约0.3cm3。镜检如图所示。
	

	A.抗酸染色
	B.免疫组织化学染色
	C.EBER原位杂交
	D.抗原受体基因重排检测
	E.黏液卡红染色
17、多项选择题 患者男,62岁,长期嗜酒,并患有高血压20余年,多次住院治疗,效果不佳,常感胸闷、头昏、头痛,夜尿,右肝区疼痛,消瘦。某天晚上陪朋友饮酒后突然感到头部剧烈疼痛,倒地死亡。家属要求尸体解剖,尸体解剖时发现脑基底核和内囊出血。 尸检时,可能会发生萎缩性改变的是()。
	A.心肌
	B.肝
	C.脾
	D.肺
	E.肾
	F.胃黏膜
18、多项选择题 引起绒毛心的常见疾病有()。
	A.结核病
	B.心肌梗死
	C.风湿性心脏病
	D.肺源性心脏病
	E.尿毒症
19、多项选择题 属于ANCA相关性系统性血管炎的是()。
	A.显微镜型多血管炎
	B.Wegener肉芽肿
	C.血栓性血小板减少性紫癜
	D.Churg-Strauss综合征
	E.先兆子痫和子痫
20、多项选择题 骨肿瘤中好发于骨干骺端的是()。
	A.骨肉瘤
	B.骨软骨瘤
	C.骨巨细胞瘤
	D.软骨母细胞瘤
	E.软骨黏液纤维瘤
21、单项选择题 对Hale胶体铁染色呈蓝色阳性反应的肾细胞癌是()。
	A.透明细胞肾细胞癌
	B.乳头状肾细胞癌
	C.嫌色细胞肾细胞癌
	D.Bellini集合管癌
	E.肾髓质癌
22、多项选择题 关于猪绦虫病,叙述正确的有()。
	A.人类是猪绦虫的终末宿主
	B.人类是猪绦虫的中间宿主之一
	C.脑囊虫病与患者误食绦虫卵直接相关
	D.脑囊虫病与患者吃“豆猪肉”直接相关
	E.人类不是猪绦虫的终末宿主
23、单项选择题 患者女,40岁,因“咳嗽、咯血、胸痛”来诊。近来经常午后发热、大汗、疲乏无力、食欲减退、盗汗。入院后查胸部X线片:左肺上叶有斑片状阴影,红细胞沉降率为60mm/h。 最可能的诊断是()。
	A.肺炎
	B.肺结核
	C.肺脓肿
	D.肺癌
	E.肺真菌病
24、单项选择题 患者女,48岁,因“不规则阴道出血2个月”就诊。B超提示“子宫肌瘤”。腹腔镜下行子宫肿瘤切除术。巨检:碎肌性组织9cm×7cm×5cm,肿块灰白、质稍软,质地均匀,部分可见边界。) 诊断应为()。(提示免疫组织化学检测:CK(-),CD10(-),SMA(+),DES(+),HMB-45(+),Ki-67(+)10%,CD117(-)。)
	A.子宫上皮样平滑肌瘤
	B.子宫黏液样平滑肌瘤
	C.子宫内膜间质肿瘤
	D.子宫转移性肿瘤
	E.子宫透明细胞癌
	F.子宫血管周上皮样细胞瘤(PEcomA.
25、单项选择题 关于卵巢颗粒细胞瘤,叙述错误的是()。
	A.高度恶性
	B.可引起月经紊乱
	C.多为实性
	D.可见Call-Exner小体
	E.常产生雌激素
26、多项选择题 可以表达GCDFP-15的肿瘤有()。
	A.大汗腺癌
	B.Merkel细胞癌
	C.乳腺Paget病
	D.黏液表皮样癌
	E.尿路上皮癌
27、单项选择题 急性单纯性阑尾炎的病变特点是阑尾()。
	A.全层弥漫性中性粒细胞浸润
	B.局部发生坏疽
	C.黏膜坏死伴中性粒细胞浸润
	D.闭塞、脓液潴留
	E.纤维组织增生伴炎细胞浸润
28、单项选择题 阴道转移性肿瘤结节,切片镜下见血块有胎盘绒毛状结构,其滋养层细胞显著增生间变,应考虑为()。
	A.绒毛膜上皮癌
	B.侵蚀性葡萄胎
	C.葡萄胎
	D.恶性畸胎瘤
	E.畸胎瘤
29、多项选择题 患者女,21岁,因“腹部不适6个月”来诊。B型超声:腹腔多发性肿瘤。术中发现盆腔、腹膜和卵巢形成多个肿瘤结节,肿瘤灰白色,外表光滑,质地坚实。 病理诊断考虑为()。(提示光镜下,肿瘤细胞形态如图所示。)
	A.小细胞癌
	B.幼年型颗粒细胞瘤
	C.促结缔组织增生性小圆细胞肿瘤
	D.淋巴瘤
	E.骨外尤文肉瘤/外周原始神经外胚层肿瘤
	F.胚胎性横纹肌肉瘤
30、单项选择题 患者女,58岁,因“胸痛、咳嗽1年余”来诊。胸部X线:右胸占位性病变。入院手术,术中见脏层胸膜与壁层胸膜粘连。肿物位于胸膜下,直径约5cm。镜下:瘤细胞大片坏死,细胞大,部分区域呈巢团状分布,无腺样分化,染色质粗,核仁明显,可见明显异型,核分裂20个/10HPF。 该肿瘤免疫组织化学染色为阴性的是()。
	A.vmentin
	B.Syn
	C.CK
	D.嗜银染色
	E.CD45
31、单项选择题 发生于皮肤和黏膜,小血管呈分叶状聚集,表面溃疡形成,常伴感染的是()。
	A.上皮样血管内皮瘤
	B.高分化血管肉瘤
	C.血管外皮瘤
	D.卡波西肉瘤
	E.肉芽组织型血管瘤
32、单项选择题 致密沉积物病属于下列哪种肾小球肾炎()。
	A.膜性肾小球肾炎
	B.急进性肾小球肾炎
	C.系膜增生性肾小球肾炎
	D.膜性增生性肾小球肾炎
	E.毛细血管内增生性肾小球肾炎
33、多项选择题 符合鼻咽癌特点的是()。
	A.多与EB病毒感染有关
	B.发病年龄呈双峰形
	C.多为非角化型鳞状细胞癌,常见颈部淋巴结肿大
	D.角蛋白(CK)阳性,CK是诊断本病最可靠的标志物
	E.大部分呈上皮膜抗原(EMA.阴性
34、单项选择题 患者男,32岁,因“昏迷”来诊。查体:T38.9℃,可触及脾尖,左侧肘窝可见点状或线状出血点,心脏听诊可闻及杂音。患者为静脉吸毒者。后经抢救无效死亡。 死者心脏左房室瓣瓣膜上形成赘生物。赘生物单个或多个,体积大小不一,菜花状或息肉状。赘生物呈污秽灰黄色,质松脆易碎裂、脱落。该患者最可能的诊断是()。
	A.艾滋病
	B.心肌梗死
	C.感染性心内膜炎
	D.动脉粥样硬化
	E.高血压危象
35、单项选择题 风湿性心内膜炎二尖瓣膜所形成的早期赘生物,其成分是()。
	A.血小板,白细胞
	B.白细胞,纤维素
	C.纤维素,坏死组织
	D.红细胞,血小板
	E.纤维素,血小板
36、单项选择题 血吸虫病时,引起机体损害最严重的是()。
	A.尾蚴
	B.童虫
	C.成虫
	D.死亡虫体
	E.虫卵
37、多项选择题
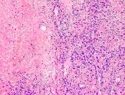
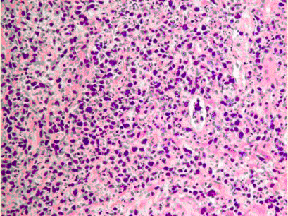
	患者男,67岁,因“体检超声发现右肝占位2个月”来诊。患者既往有慢性肝病22年。实验室检查:血AFP轻微增高。CT:右肝有一直径2cm肿块,如图所示。
	可能的病理诊断为()。(提示行CT引导性穿刺活检,组织学形态如下图所示。)
	A.肝细胞性肝癌
	B.肝细胞腺瘤
	C.肝硬化增生结节
	D.局灶性结节性增生
	E.胆管细胞癌
	F.坏死后性肝硬化
	G.肝糖原贮积病
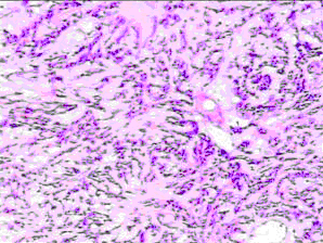
38、多项选择题
患者男,55岁,因“腹胀、腹部不适3个月”来诊。胃镜:胃体部占位。拟行手术。病理标本大体检查:胃体部一直径约4cm结节状肿物,突出于浆膜面。
	病理诊断考虑为()。(提示光镜下组织形态如图所示。)
	
	A.平滑肌肉瘤
	B.胃肠道间质瘤(GIST)
	C.脂肪瘤
	D.平滑肌瘤
	E.神经鞘瘤
	F.颗粒细胞瘤
39、单项选择题 患者男,55岁,因“阵发性腹痛6个月,突发急腹症1d”来诊。行剖腹探查,术中发现空肠中段多处溃疡。 该病例的病理诊断为()。(提示镜下:瘤细胞单一,小至中等大小,包含有不规则的核,伴中等大小的核仁,胞质暗淡或透亮,呈致密堆积。肿瘤弥漫性向肠黏膜和肌层浸润,中央可见片状坏死。免疫组织化学染色:CK(-),CDX2(-),CGA(-),SYN(-),CD20(-),CD3(+),CD4(-),CD5(-),CD8(+),CD56(+),EBER(-)。)
	A.肠病相关性T细胞淋巴瘤Ⅰ型
	B.CD56(+)的肠T细胞淋巴瘤Ⅱ型
	C.结外NK/T淋巴瘤,鼻型
	D.小细胞神经内分泌癌
	E.小B细胞性淋巴瘤
	F.肠未分化癌
40、多项选择题
患者女,60岁,因“外阴发现赘生物6个月”来诊。妇科检查:左侧大阴唇外见赘生物,3cm×3cm×2cm,淡红色,似菜花样。
	病理诊断考虑为()。(提示光镜下肿瘤组织结构及细胞形态如图所示。)
	


	A.纤维上皮性黏膜息肉
	B.鳞状上皮内瘤变(VIN)
	C.尖锐湿疣
	D.鳞状上皮乳头状癌
	E.乳头状瘤
	F.疣状癌
41、单项选择题 关于多发性内分泌肿瘤2型,叙述错误的是()。
	A.多发性内分泌肿瘤2型(MEN2)是常染色体显性遗传的遗传性肿瘤综合征
	B.由RET基因种系突变引起
	C.病变由甲状腺、肾上腺、甲状旁腺等不同的内分泌肿瘤共同组成
	D.本综合征还包含了外分泌器官/组织(如:肠、黏膜、角膜、骨骼)的疾病
	E.在临床上,MEN2型分为2组
42、多项选择题 关于肝母细胞瘤,叙述错误的有()。
	A.是儿童最常见的肝肿瘤,70%~80%肝母细胞瘤发生在5岁前儿童,60%发生在2岁以内
	B.肿瘤内可见毛细胆管和髓外造血
	C.肿瘤内可见神经胶质细胞及神经元
	D.小细胞未分化亚型是分化最差的肝母细胞瘤,肿瘤表达CK8、vimentin和AFP
	E.血清AFP低为预后好的指征
43、多项选择题 多发生于20岁以下女性的肿瘤有()。
	A.未成熟性畸胎瘤
	B.间质黄体瘤
	C.卵泡膜细胞瘤
	D.胚胎性癌
	E.高钙血症性小细胞癌
44、单项选择题 关于桥本甲状腺炎,叙述错误的是()。
	A.女性多发
	B.中年以后多发
	C.应摘除甲状腺
	D.可与其他自身免疫性疾病并存
	E.甲状腺功能正常或低下
45、单项选择题 患者男,14岁,因“胸痛”来诊。CT:左肺胸膜一直径3cm圆形肿物。穿刺活检,镜下:增生的梭形细胞呈束状排列,被胶原纤维和炎细胞分割,浆细胞浸润明显。 最可能的诊断是()。
	A.浆细胞瘤
	B.错构瘤
	C.血管外皮细胞瘤
	D.硬化性血管瘤
	E.炎性肌成纤维细胞瘤
46、多项选择题 患者女,69岁,胸部X线检查:肺门阴影伴纵隔淋巴结肿大。气管镜活检,HE切片:肿瘤细胞呈小圆蓝细胞样、实性巢状排列,有异型性,部分细胞挤压变形。 可能的诊断有()。
	A.小细胞癌
	B.不典型类癌
	C.弥漫大B细胞淋巴瘤
	D.PNET
	E.肉瘤样癌
	F.胸膜肺母细胞瘤
47、单项选择题 患者男,50岁,因“胃灼热、反酸,间断胸骨后疼痛3年,近1周加重”来诊。 患者最不可能的诊断是()。
	A.反流性食管炎
	B.Barrett食管
	C.慢性胃炎
	D.食管-胃底静脉曲张
	E.消化道肿瘤
48、多项选择题
患者女,59岁,因“发热”来诊。胸部X线:左侧胸腔积液,肺上叶表面肿物并向肺内生长。穿刺活检,镜下:在大量致密的胶原纤维中,不典型细胞排列成席纹状或“无构型”形式,如图所示。
	
	A.CK
	B.vimentin
	C.CR
	D.CD34
	E.TTF-1
	F.CD30
	G.SMA
49、单项选择题 髓性脂肪瘤最好发的部位为()。
	A.头颈部
	B.纵隔
	C.四肢
	D.躯干
	E.腹膜后
50、多项选择题 中晚期食管癌的大体分型包括()。
	A.斑块型
	B.髓质型
	C.蕈伞型
	D.溃疡型
	E.缩窄型
51、单项选择题 主要来源于嗜酸细胞系的垂体腺瘤是()。
	A.GH细胞腺瘤
	B.PRL细胞腺瘤
	C.ACTH细胞腺瘤
	D.TSH细胞腺瘤
	E.GTH细胞腺瘤
52、单项选择题 下述有关肺结核的描述,哪项是错误的()。
	A.结核病是一种慢性传染病
	B.结核病属于Ⅲ型超敏反应
	C.肺外器官结核病多由血源播散引起
	D.钙化的干酪坏死灶内仍有结核菌
	E.空洞性肺结核属开放性结核病
53、单项选择题 患者男,36岁,因“右侧下颌区无痛性肿胀逐渐加重8个月”来诊。患者无疼痛及麻木感。查体:面部不对称,右侧下颌区膨隆。表面皮肤色、温正常。口内相应区域移行沟满,触诊有乒乓球感,穿刺可抽出褐色液体,显微镜下未见胆固醇晶体。 最可能的病理诊断是()。
	A.角化囊性瘤
	B.成釉细胞瘤
	C.颌骨中心性癌
	D.颌骨骨髓炎
	E.颌骨骨肉瘤
	F.成釉细胞癌
54、单项选择题 下列关于二尖瓣狭窄的叙述中哪一项是错误的()。
	A.左心室肥大、扩张
	B.右心室肥大、扩张
	C.左心房肥大、扩张
	D.右心房肥大、扩张
	E.肺瘀血、水肿
55、多项选择题 常发生在腰骶段椎管内的肿瘤是()。
	A.神经鞘瘤
	B.胶质母细胞瘤
	C.黏液乳头型室管膜瘤
	D.副神经节瘤
	E.脊膜瘤
56、多项选择题
患者男,50岁,因“鼓室有一息肉状肿物”来诊。镜下:薄壁血管丰富,其间可见灶状及条索状瘤细胞,如图所示。
	
	A.中耳腺瘤
	B.耵聍腺腺癌
	C.血管瘤
	D.鼓室球瘤
	E.脑膜瘤
	F.多形性腺瘤
57、单项选择题 肾母细胞瘤又称()。
	A.Wilms瘤
	B.Ewing瘤
	C.Krukenberg瘤
	D.Burkitt瘤
	E.以上都不是
58、单项选择题
患者女,36岁,因“发现颈右侧皮下2个结节”来诊。查体:结节直径分别为1.5cm和2.5cm,质中,活动,无压痛,表面皮肤无异常。临床怀疑肿瘤,行颈淋巴结活检。淋巴结活检样本的形态学如图所示。
	

	A.CD68-kp1
	B.CD68-PGM1
	C.S-100
	D.CD1a
	E.CD21
59、多项选择题 结缔组织/上皮混合性肿瘤包括()。
	A.纤维腺瘤
	B.泌乳性腺瘤
	C.叶状肿瘤
	D.脂肪瘤
	E.错构瘤
60、单项选择题 X线显示“靴形心”,见于()。
	A.肺动脉瓣狭窄
	B.主动脉瓣狭窄
	C.二尖瓣狭窄
	D.三尖瓣狭窄
	E.二尖瓣关闭不全
61、单项选择题 在骨的脉管性肿瘤中,复发率最高的类型是()。
	A.骨毛细血管瘤
	B.骨海绵状血管瘤
	C.骨血管球瘤
	D.骨上皮样血管瘤
	E.骨淋巴管瘤
62、单项选择题 患者女,35岁,因“右前臂皮肤出现淡红色斑疹”来诊。查体:皮疹呈淡红色,中心色浅,边缘色深,表面干燥,覆有少量鳞屑。 最不可能的病理诊断是()。
	A.副银屑病
	B.寻常狼疮
	C.麻风
	D.结节病
	E.风湿病
63、单项选择题 患者女,55岁,右乳乳腺癌术后1年余,右侧胸部及右手臂肿胀,局部皮下触及隆起性肿块,边界不清,表面皮肤紫红色。 血管肉瘤常见的遗传学改变是()。
	A.5pter-p11、8p12-qter丢失
	B.11pter-p5、8p12-qter丢失
	C.5pter-p11、12p8-qter丢失
	D.12pter-q20、7p15-pter丢失
	E.20pter-q12、15p7-pter丢失
64、单项选择题 结核病的细胞免疫反应中起主要作用的细胞为()。
	A.T细胞
	B.B细胞
	C.NK细胞
	D.巨噬细胞
65、单项选择题 以下哪种病变属于水样变性()。
	A.急性肝炎
	B.急性肾炎
	C.新月体性肾炎
	D.感染性心肌炎
	E.风湿性心肌炎
66、单项选择题 患者女,56岁,因“右乳外上象限肿物1周”来诊。查体:肿物活动度差,局部皮肤凹陷,右腋下可触及多枚肿大淋巴结。术前粗针穿刺活检诊断为右乳浸润性癌,右腋下淋巴结内转移性低分化腺癌,行右侧乳房切除+右腋下淋巴结清扫术。大体检查:乳腺肿物2.5cm×1.9cm×1.3cm,边界不清呈放射状,质硬,切面灰白色。 最不可能的病理诊断是()。
	A.浸润性导管癌非特殊型
	B.浸润性微乳头状癌
	C.乳头Paget病
	D.分泌性癌
	E.浸润性小叶癌
67、单项选择题 患者男,51岁,因“胸痛1年,爬楼梯或运动后胸痛加重”来诊。自述有吸烟史,每天10支。体重超重。胆固醇筛查:总胆固醇6.46mmol/L,HDL0.65mmol/L;空腹血糖8.05mmol/L。遂送往医院接受治疗,发病后出现胸骨后“压榨性”严重胸痛。后住院期间并发感染死亡。 该疾病的危险因素不包括()。
	A.肥胖
	B.吸烟
	C.缺乏体育锻炼
	D.家族遗传因素
	E.感染
68、单项选择题 浆细胞骨髓瘤的表现除外()。
	A.多发性溶骨性病变
	B.系统性淀粉样变
	C.Bence-Jones蛋白尿
	D.细胞免疫功能明显降低
	E.贫血
69、多项选择题 乳腺腺样囊性癌的特点有()。
	A.可见小梁、小管状、筛状和实体状排列方式
	B.筛状结构表现为肿瘤区被一个个细小的孔穿透,如筛状
	C.肿瘤细胞均为腺上皮细胞
	D.由假腺腔和真正的具有分泌功能的腺腔构成
	E.应与其他伴有透明空泡胞质的癌鉴别
70、单项选择题 一般不出现于SLE患者体内的抗体是()。
	A.抗核仁抗原抗体
	B.抗链球菌抗体
	C.抗RNA--非组蛋白抗体
	D.抗DNA抗体
	E.抗组蛋白抗体
71、多项选择题 患者女,60岁,因“外阴发现赘生物6个月”来诊。妇科检查:左侧大阴唇外见赘生物,3cm×3cm×2cm,淡红色,似菜花样。 可能的病变有()。(提示光镜下:皮肤及真皮乳头和皮下组织内见上皮样细胞、梭形细胞,弥漫分布,部分聚集成堆、成团。)
	A.血管肌成纤维细胞瘤
	B.阴道黑色素瘤
	C.鳞状上皮癌
	D.葡萄状肉瘤
	E.Paget病
	F.孤立性纤维瘤
	G.角化棘皮瘤
72、单项选择题 肾细胞癌时,下列镜下病变哪个除外()。
	A.透明细胞癌
	B.常有出血坏死
	C.移行细胞癌
	D.嫌色细胞癌
	E.乳头状腺癌
73、多项选择题 关于皮肤滤泡中心淋巴瘤,叙述正确的有()。
	A.原发性皮肤FCLL生物学行为惰性,预后良好
	B.病变主要位于真皮,表皮一般不受累
	C.免疫组织化学染色CD10在滤泡型常常为阳性
	D.多数病例具有Bcl-2基因重排并表达Bcl-2
	E.多数病例具有t(14;18)染色体易位
74、单项选择题 流行性脑膜炎的临床表现中,哪项是错误的()。
	A.脑脊髓膜刺激征
	B.颅内压升高症状
	C.脑脊液混浊或脓样
	D.脑脊液血性
	E.皮肤可有瘀点和瘀斑
75、单项选择题
患者男,40岁,因“呼吸困难、胸痛”来诊。患者从事采矿工作20余年。CT:左侧壁层胸膜5.0cm×4.8cm肿物,累及脏层胸膜和肺组织。术中见肿物单发,直径约5cm,实性,灰白,与脏层胸膜粘连。镜下:肿瘤细胞呈成纤维细胞样,大部分异型性不明显,细胞稀少区和细胞丰富区之间有粗的玻璃样变胶原和分支状血管分隔,如图所示。
	
	A.纤维肉瘤
	B.血管周细胞瘤
	C.间皮瘤
	D.神经鞘瘤
	E.孤立性纤维性肿瘤
76、单项选择题 不符合肺癌特点描述的是()。
	A.同一肿瘤可有不同的组织学类型
	B.同一肿瘤的不同部位分化程度可不同
	C.未分化腺癌可出现肉瘤样结构
	D.神经内分泌肿瘤不能同时向上皮细胞型分化
	E.转移癌的组织学类型可与原发癌不同
77、单项选择题 下列哪种疾病最易引起肠道狭窄()。
	A.肠阿米巴病
	B.肠伤寒
	C.肠结核
	D.细菌性痢疾
	E.以上都不是
78、单项选择题 黏液炎性成纤维细胞性肉瘤好发于()。
	A.头颈部
	B.躯干
	C.肢体近端
	D.肢体远端
	E.盆腔腹膜后
79、单项选择题 非霍奇金淋巴瘤具有一定特征性的遗传学改变。 ALK(+)间变大细胞淋巴瘤的常见遗传学改变是()。
	A.t(2;5)
	B.t(11;14)
	C.t(11;18)
	D.t(8;14)
	E.t(14;18)
80、多项选择题 患者男,56岁,因“消瘦、食欲减退及右上腹痛”来诊。查体:巩膜及全身皮肤黄染,肝大,腹腔积液。实验室检查:AFP升高,乙肝表面抗原阳性。CT:肝内巨大结节,约10cm×8cm。肝穿刺组织学:细胞呈小梁状排列,小梁之间为肝窦样血管,细胞异型性明显,核分裂象易见。 肝细胞癌的组织学结构有()。
	A.小梁状
	B.腺样
	C.紫癜样
	D.菊形团样
	E.淋巴上皮瘤样
81、多项选择题
患者女,12岁,因“颈右侧疼痛”来诊。查体:颈右侧及颌下区肿胀,可扪及一肿物,体积约4cm×5cm×3cm,边界不清楚,有轻触痛,皮温略高。患儿无其他不适。肝不大,骨髓及外周血均未发现异常。
	考虑可能的疾病()。(提示病变区活检组织的病理形态学改变如下图所示。)
	


	A.淋巴母细胞性淋巴瘤
	B.Burkitt淋巴瘤
	C.粒细胞肉瘤
	D.胚胎性横纹肌肉瘤
	E.Ewing/PNET
	F.神经母细胞瘤
	G.间变大细胞淋巴瘤
82、单项选择题 与急性弥漫性增生性肾小球肾炎有关的病原体主要是()。
	A.葡萄球菌
	B.肺炎球菌
	C.链球菌
	D.病毒
	E.寄生虫
83、单项选择题 栅栏状肌成纤维细胞瘤好发于()。
	A.头颈部
	B.胸腹壁
	C.四肢
	D.腹股沟
	E.手足
84、单项选择题
患者男,35岁,送检切片为前额皮下结节,自述从小就有,并且耳后、手指和膝盖下也有相似结节,镜下形态如图所示。
	
	A.PAS
	B.PTAH
	C.甲苯胺蓝
	D.刚果红
	E.Gimsa
85、单项选择题 下列哪项不是非毒性甲状腺肿的临床表现()。
	A.甲状腺肿大
	B.颈部压迫感和吞咽困难
	C.常有甲状腺功能低下
	D.声音嘶哑
	E.少数可有甲状腺功能亢进的症状
86、多项选择题 患者女,42岁,因“左乳溢液1个月余”入院。大体检查:乳腺组织切面未见确切结节,见多个囊腔。 黏液囊肿样病变与黏液癌的鉴别要点是()。
	A.准确判断黏液囊肿样病变内衬上皮的性质
	B.明确漂浮于外溢黏液中的细胞性质
	C.漂浮于外溢黏液中细胞的量
	D.漂浮细胞与囊肿/导管壁相延续
	E.患者发病年龄
	F.病变大体呈黏液胶冻样外观
87、单项选择题
	患者男,64岁,左大腿皮下结节,镜下形态如图所示,最可能的诊断是()。
	

	A.低度恶性纤维黏液样肉瘤
	B.黏液纤维肉瘤
	C.黏液样脂肪肉瘤
	D.黏液样恶性周围神经鞘膜瘤
	E.黏液炎性成纤维细胞性肉瘤
88、单项选择题 患者女,49岁,月经周期紊乱6个月,15d前阴道出血,量少,持续淋漓不尽。就诊前1d夜里阴道出血明显增多,伴有大血块。 光镜下,子宫内膜腺体过度增生,轮廓不规则,相互拥挤,间质稀少,可见背靠背现象。腺上皮细胞呈假复层,形态正常,无异型改变,有极性。病理诊断为()。
	A.单纯性增生
	B.复杂性增生
	C.不规则增生
	D.不典型增生
	E.EIN
89、单项选择题 符合柱状细胞变的是()。
	A.柱状细胞增生,层数增多,超过2层,顶浆分泌明显
	B.柱状细胞增生,1~2层,可为立方-扁平化上皮,可见顶浆分泌
	C.一至数层立方形到柱状细胞,常见顶浆分泌
	D.柱状细胞密集,复层化,可有靴钉样细胞
	E.腺泡不同程度扩张,立方形到柱状细胞,可类似于小管癌细胞
90、多项选择题 肥厚性心肌病的特点有()。
	A.心脏增大
	B.心室肌肥厚
	C.心室显著扩张
	D.心内膜增厚
	E.心肌细胞肥大
91、多项选择题 患者男,69岁,因“阴茎包皮出现结节,伴表面破溃”来诊。查体:患者阴茎包皮出现小结节,圆形,直径1cm,表面破溃形成糜烂、浅溃疡,与周围分界清楚。 可能的病理诊断有()。(提示镜下:组织表面被覆鳞状上皮增生,部分上皮坏死、溃疡形成,溃疡处见中性粒细胞浸润;真皮层见大量淋巴细胞、浆细胞及少量单核细胞、中性粒细胞浸润;小血管明显增生,内皮细胞肿胀;血管周围淋巴细胞、浆细胞密集性浸润。)
	A.生殖器疱疹
	B.软下疳
	C.鳞癌
	D.恶性淋巴瘤
	E.梅毒
	F.性病性淋巴肉芽肿
92、多项选择题 可表达CD34,并对诊断具有提示性意义()。
	A.隆突性皮纤维肉瘤
	B.梭形细胞脂肪瘤
	C.孤立性纤维性肿瘤
	D.巨细胞成纤维细胞瘤
	E.上皮样肉瘤
93、多项选择题 与动脉粥样硬化有密切关系的脂蛋白有()。
	A.LDL
	B.sLDL
	C.HDL
	D.CM
	E.VLDL
94、单项选择题 患者女,35岁。患者自述4个月前发现耳后一肿物,开始约花生大小,现略增大,无不适。大体检查:灰红肿块,3.0cm×2.3cm×2.0cm,其切面灰红,质地中等,境界较清。低倍镜检:可见增生的血管,伴明显淋巴细胞及嗜酸粒细胞浸润。 此时最佳诊断为()。(提示中倍及高倍镜检:嗜酸粒细胞增生明显,沿着增生的小血管发展,并可见嗜酸性脓肿及嗜酸性淋巴滤泡形成,血管内皮增生不明显而且没有上皮样改变。)
	A.淋巴瘤样肉芽肿
	B.Kimuradisease
	C.非特异性嗜酸细胞性炎症
	D.上皮样血管瘤
	E.寄生虫感染性肉芽肿
	F.血管免疫母T细胞性淋巴瘤
95、多项选择题 葡萄簇样横纹肌肉瘤好发于()。
	A.鼻腔
	B.膀胱
	C.会阴
	D.阴道
	E.宫颈
96、多项选择题 可不表达CD20抗原的B细胞肿瘤包括()。
	A.浆细胞骨髓瘤
	B.淋巴瘤样肉芽肿病
	C.浆母细胞性淋巴瘤
	D.原发渗出性淋巴瘤
	E.血管内大B细胞淋巴瘤
97、单项选择题 患者女,3岁,因“阴道口不适伴新生物3个月”来诊。妇科检查:阴道口部位淡红色息肉状肿瘤,直径2cm,质软脆,有蒂,表面尚光滑。 关于葡萄状肉瘤,叙述正确的是()。
	A.是阴道最常见的间叶性肿瘤
	B.80%以上的葡萄状肉瘤发生在青年女性
	C.肿瘤细胞异型性明显
	D.肿瘤组织由3个不同特征的区域构成
	E.常可见瘤巨细胞
98、多项选择题
患者女,76岁,因“发现脾大2周”来诊。查体:腹部扪诊可触及脾,Ⅰ线14cm,Ⅱ线16cm,因诊断不明而行择期脾切除术。术中:脾体积约20cm×15cm×9cm,表面光滑,未扪及确切包块。脾门淋巴结肿大,直径为3cm。病理:全切脾,重1250g,被膜光滑,切面暗红色,质中,呈均匀的细颗粒状。“脾门淋巴结”1枚,体积为3.5cm×1.5cm×0.8cm。脾及脾门淋巴结病变如图所示。
	

	A.流式细胞术
	B.免疫组织化学染色
	C.抗原受体基因重排检测
	D.荧光原位杂交(FISH)
	E.细胞遗传学检测
	F.PAS染色
99、单项选择题 恶性高血压最具有特征性的病变是()。
	A.细动脉的玻璃样变
	B.细动脉的纤维素性坏死
	C.细小动脉内膜炎
	D.动脉粥样硬化
	E.动脉中层钙化
100、多项选择题 关于小细胞肺癌与不典型类癌的鉴别,叙述正确的有()。
	A.小细胞肺癌多核分裂指数高
	B.小细胞肺癌坏死更广泛
	C.均表达神经内分泌标记
	D.小细胞肺癌表达TTF-1
	E.不典型类癌不表达TTF-1
101、单项选择题
	患者女,55岁,因“肛门瘙痒3个月”来诊。查体:肛周皮肤粗糙,有渗液。活检组织学如图所示。病理诊断最有可能的是()。
	
	A.肛门Paget病
	B.肛门Bowen病
	C.印戒细胞癌
	D.腺鳞癌
	E.鳞状细胞癌
102、多项选择题
患者女,44岁,1-0-0-1。因“发现盆腔肿物3年”入院。术中见子宫肿物9cm×8cm×7cm,切片灰白,质细腻,有黏冻感,条纹不明显。光镜形态如图所示。
	
	A.黏液样平滑肌瘤肌源性标志物阳性,增殖活性不高
	B.黏液性平滑肌肉瘤肌源性标志物阳性,增殖活性明显增高
	C.平滑肌瘤黏液样变性区域细胞稀疏,增殖活性不高
	D.子宫内膜间质肿瘤黏液变CD10(+),肌源性标志物阴性,AB/PAS局灶阳性
	E.黏液性子宫内膜间质肉瘤CD10(+),肌源性标志物阴性,AB/PAS弥漫阳性
	F.黏液腺癌上皮性标志物阳性,增殖活性高
103、单项选择题 患者男,8岁,因粪隐血阳性,发现结肠多发息肉行内镜治疗。摘除多枚息肉,呈圆或卵圆形,最大息肉直径2cm,大者多有蒂,表面较光滑。镜下:息肉由分化成熟的腺管构成,腺腔呈不同程度扩张,形成大小不一的囊腔。间质充血、水肿及大量炎细胞浸润。 下述病变中癌变率最高的是()。
	A.幼年性息肉
	B.增生性息肉
	C.Peutz-Jeghers息肉
	D.管状腺瘤
	E.广基锯齿状腺瘤
104、多项选择题 滤泡树突状细胞肿瘤可表达()。
	A.CD45
	B.CD21
	C.CD68
	D.CD35
	E.CD117
105、单项选择题 下列描述中符合小叶性肺炎特点的是()。
	A.是一种纤维素性炎
	B.能引起急性支气管炎的细菌、病毒均能引起小叶性肺炎
	C.肺内散在多数病灶,且病灶均在小叶范围内
	D.病变愈合后可形成肺肉质变
	E.肺内各病灶病变表现不一致
106、单项选择题 易并发结肠癌的肠道寄生虫病有()。
	A.阿米巴病
	B.血吸虫病
	C.蛔虫病
	D.棘球绦虫病
	E.钩虫病
107、单项选择题 多发性内分泌肿瘤Ⅰ型(MEN1)是常染色体显性遗传性疾病,其基因定位于()。
	A.10q11.2
	B.11q13
	C.1p35~36.1
	D.1q21~23
	E.17q11.2
108、多项选择题 阑尾印戒细胞癌常表达()。
	A.CK20
	B.CDX2
	C.E-cadherin
	D.MUC5AC
	E.β-catenin
109、单项选择题
患者女,68岁,因“右乳外上象限肿物2d”来诊。查体:肿物边界清,活动尚可。无乳腺癌家族史。2年前同侧乳腺肿物切除,病理诊断为囊肿及腺病。本次肿物术前针吸组织病理诊断为浸润性癌,行乳房单纯切除术。大体检查:肿瘤3.9cm×2.9cm×2.8cm,边界清楚,质软,胶冻样。
	光镜下组织形态如下图所示。最有可能的病理诊断是()。
	

	A.浸润性导管癌非特殊型
	B.髓样癌
	C.黏液癌纯型
	D.黏液样纤维腺瘤
	E.印戒细胞癌
110、单项选择题 患者女,72岁,因“绝经25年后阴道少量出血1周”来诊。B型超声:宫腔肿块,侵犯深肌层。 不属于Ⅱ型癌的是()。
	A.浆液性乳头状腺癌
	B.透明细胞癌
	C.神经内分泌癌
	D.未分化癌
	E.癌肉瘤
111、单项选择题 关于食管癌的描述中,哪项是错误的()。
	A.食管上段最常见
	B.鳞状细胞癌多见
	C.可见原位癌
	D.亚硝胺与食管癌发生有关
	E.可以多灶发生
112、单项选择题 大细胞癌与低分化鳞癌的鉴别点是()。
	A.细胞大小
	B.有单个细胞角化
	C.TTF-1阴性
	D.细胞核不同
	E.均有坏死
113、多项选择题
患者女,35岁,近6个月月经紊乱、经期延长。B型超声:宫腔赘生物约3cm×3cm×2cm。宫腔镜下行电切割术。大体观察:中量灰黄色碎软组织,质较细腻。光镜下组织图像如图所示。
	
	A.伴有出血坏死
	B.核分裂象5~10个/HPF
	C.肌层浸润
	D.侵犯血管
	E.远处转移
	F.细胞轻度异型
114、单项选择题
患者男,15岁,因“发现阴囊肿物3个月余”来诊。查体:囊肿呈实性结节状。初诊意见:间叶组织恶性肿瘤。
最特异的免疫组织化学检查是()。
	A.desmin
	B.SMA
	C.myogenin
	D.vimentin
	E.actin
115、单项选择题 患者男,2岁,因“左侧面瘫2个月”来诊。MRI:左小脑脑桥角巨大占位。 根据病史和影像学表现,首先考虑的诊断是()。
	A.畸胎瘤
	B.神经鞘瘤
	C.脑膜瘤
	D.非典型畸胎样/横纹肌样瘤
	E.血管母细胞瘤
116、单项选择题 AIDS首先侵犯的器官是()。
	A.脾
	B.淋巴结
	C.肠粘膜
	D.生殖道
	E.皮肤
117、多项选择题 系统性肥大细胞增生症的主要诊断标准包括()。
	A.外周血检测到KIT基因816密码子点突变
	B.脾组织切片上见多灶性、密集的肥大细胞浸润
	C.皮肤活检组织切片上见多灶性、密集的肥大细胞浸润
	D.血清总类胰蛋白酶(traptasE.持续高于20ng/ml
	E.骨髓活检见多灶性、密集的肥大细胞浸润
118、多项选择题 神经内分泌肿瘤可表达的标志物有()。
	A.CgA
	B.MBP
	C.Syn
	D.GFAP
	E.CD16
119、单项选择题 患者男,65岁,因“不明原因右侧腹部不适,隐痛,食欲减退2个月”来诊。发病以来,患者体重自65kg降至52kg。患者自幼居住南方,无外地居住史。血清学检查:AFP不高,CA19-9及CA125复查3次,均明显增高。 该肿瘤发病的分子机制中最常见的是()。
	A.抑癌基因p53及P16的失活
	B.癌基因ERRB2及EGFR扩增
	C.抑癌基因p53缺失及K-ras突变
	D.DPC-4基因突变
	E.c-RAS基因的点突变和cyclinD1的共扩增
120、单项选择题 经常沿着脑和脊髓的蛛网膜下隙播散的肿瘤是()。
	A.星形细胞瘤
	B.髓母细胞瘤
	C.神经纤维瘤
	D.室管膜瘤
	E.血管母细胞瘤
121、单项选择题
	患者女,14岁,因“刺激性咳嗽3个月,痰少,头颈及躯干上部皮肤肿胀,并逐渐加重”来诊。胸部CT:前上纵隔占位,如图所示。
	该患者接受了胸腔镜检查,并行活检。送检组织1.5cm×2.0cm×1.0cm,切面灰白色,质嫩,未见明显坏死及出血。镜检如下图所示,病理初诊考虑肿瘤,最可能是()。
	A.胸腺瘤
	B.非霍奇金淋巴瘤
	C.生殖细胞肿瘤
	D.恶性外周神经鞘膜瘤
	E.经典型霍奇金淋巴瘤
122、单项选择题 胶原纤维束出现在哪个类型的霍奇金淋巴瘤中()。
	A.淋巴细胞消减型
	B.淋巴细胞为主型
	C.网织型
	D.混合细胞型
	E.结节硬化型
123、多项选择题 患者男,62岁,因“排黑粪1个月”来诊。胃镜:十二指肠下段局部黏膜隆起,部分黏膜呈污絮色。手术标本大体检查:肿块呈结节状,位于肠壁,5.1cm×4.9cm。肠壁结构完整。组织学检查:肿瘤由梭形细胞组成,呈条索状或交错条索状排列,核分裂象6个/50HPF。间质血管丰富,间质胶原纤维增生。免疫组织化学检查:CD117(++),DOG1(++),CD34(+),SMA(-),S100P(++),DES(-),b-catenin(-)。 对判断本例胃肠道间质肿瘤的生物学行为属高度危险侵袭性有重要价值的有()。
	A.年龄
	B.性别
	C.十二指肠下段
	D.肿瘤5.1cm×4.9cm
	E.核分裂象6个/50HPF
	F.症状
124、多项选择题 患者男,60岁,因“咽下食物不畅3个月,明显加重1周”来诊。内镜检查:食管中下1/3可见食管壁粗糙、僵硬,肿物表面可见糜烂和溃疡,触之易出血。 可能的病理诊断是()。
	A.食管鳞状细胞癌
	B.食管腺癌
	C.食管淋巴瘤
	D.食管内分泌肿瘤
	E.Barrett食管
	F.反流性食管炎
	G.食管颗粒细胞瘤
125、单项选择题 患者男,19岁,因“颈部肿物2年余”来诊。查体:T36.7℃,P88次/min,右侧颈部可触及3个约2cm×3cm串珠样质韧肿物。 诊断应首先考虑()。
	A.鼻咽癌
	B.颈淋巴结结核
	C.喉癌颈部淋巴结转移
	D.颈神经鞘瘤
	E.淋巴瘤
126、单项选择题 门脉性肝硬化与坏死后性肝硬化的病变区别哪项除外()。
	A.假小叶的大小
	B.纤维间隔的厚薄
	C.炎细胞浸润的轻重
	D.肝细胞坏死的多少
	E.肝内小血管改建的有无
127、多项选择题 淋巴组织肿瘤的骨髓浸润可表现为()。
	A.弥漫性浸润
	B.旁小梁性分布
	C.间质浸润
	D.与肿瘤的类型有关
	E.与肿瘤累及的程度有关
128、单项选择题
患者男,9岁,因“臀部皮下结节2年,近期增大”来诊。患者臀部皮下结节2年,刚开始黄豆大小,生长缓慢,无痛性,近期生长迅速。就诊时结节直径约2.5cm,境界不清,予以局部切除,镜下形态如图所示。
	
	A.t(12;16)(q13;p11)
	B.t(X;18)(p11;q11)
	C.t(7;16)(q33;p11)
	D.t(11;22)(q24;q12)
	E.t(17;22)(q22;q13)
129、单项选择题
患者男,44岁,左小腿外侧膝关节下有一直径5cm肿块,镜下形态如图所示。
	

	A.S-100
	B.α-SMA
	C.AE1/AE3
	D.myogenin
	E.CD34
130、多项选择题 胚胎性横纹肌肉瘤相对最为好发的部位包括()。
	A.头颈部
	B.呼吸道
	C.消化道
	D.四肢
	E.泌尿生殖道
131、单项选择题 肺出血肾炎综合征患者咯血是由于()。
	A.肺瘀血
	B.肺纤维素性炎
	C.肺化脓性炎
	D.交叉免疫反应引起的肺损伤
	E.肺空洞
132、多项选择题
患者女,59岁,因“发热”来诊。胸部X线:左侧胸腔积液,肺上叶表面肿物并向肺内生长。穿刺活检,镜下:在大量致密的胶原纤维中,不典型细胞排列成席纹状或“无构型”形式,如图所示。
	
	A.机化性胸膜炎
	B.肺腺癌
	C.恶性间皮瘤
	D.孤立性纤维性肿瘤
	E.炎性肌成纤维细胞瘤
	F.胸膜的原发性渗出性淋巴瘤
133、单项选择题
患者女,14岁,因“刺激性咳嗽3个月,痰少,头颈及躯干上部皮肤肿胀,并逐渐加重”来诊。胸部CT:前上纵隔占位,如图所示。
	
	A.胸腺瘤
	B.淋巴母细胞性淋巴瘤
	C.生殖细胞肿瘤
	D.恶性外周神经鞘膜瘤
	E.纵隔(胸腺)原发大B细胞淋巴瘤
134、单项选择题 流行性乙型脑炎的病变性质属于()。
	A.变质性炎
	B.渗出性炎
	C.增生性炎
	D.肉芽肿性炎
	E.化脓性炎
135、单项选择题
患者男,60岁,因“咽下食物不畅3个月,明显加重1周”来诊。内镜检查:食管中下1/3可见食管壁粗糙、僵硬,肿物表面可见糜烂和溃疡,触之易出血。
	病理诊断是()。(提示术后病理标本大体检查:肿瘤切面食管壁明显增厚,上下呈坡状隆起,表面可见表浅溃疡,灰白、质地较脆。光镜下病理组织学结构如图所示。免疫组织化学染色:CK14(+),CK5/6(+),CKpan(+),Vim(-)。)
	
	A.鳞状细胞癌
	B.低分化腺癌
	C.黏液表皮样癌
	D.未分化癌
	E.梭形细胞癌
	F.淋巴瘤
	G.食管神经内分泌肿瘤
136、单项选择题 急性蜂窝织炎性阑尾炎的病变特点是阑尾()。
	A.全层弥漫性中性粒细胞浸润
	B.局部发生坏疽
	C.黏膜坏死伴中性粒细胞浸润
	D.闭塞、脓液潴留
	E.纤维组织增生伴炎细胞浸润
137、单项选择题 下列哪项符合肠伤寒时形成的溃疡的形态特点()。
	A.呈烧瓶状,口小底大
	B.呈椭圆形,其长轴平行于肠的长轴
	C.呈浅表的地图形
	D.不规则,边缘呈火山口样隆起
	E.呈环形、带状包绕肠管
138、多项选择题 中枢神经系统“透明细胞肿瘤”的鉴别诊断包括()。
	A.中枢神经细胞瘤
	B.脑膜瘤
	C.室管膜瘤
	D.血管母细胞瘤
	E.少突胶质细胞瘤胶质瘤
139、单项选择题 患者女,56岁,因“右乳外上象限肿物1周”来诊。查体:肿物活动度差,局部皮肤凹陷,右腋下可触及多枚肿大淋巴结。术前粗针穿刺活检诊断为右乳浸润性癌,右腋下淋巴结内转移性低分化腺癌,行右侧乳房切除+右腋下淋巴结清扫术。大体检查:乳腺肿物2.5cm×1.9cm×1.3cm,边界不清呈放射状,质硬,切面灰白色。 确诊依据除外()。
	A.肿瘤细胞形状各异,胞质丰富,呈嗜酸性
	B.肿瘤形态不一,缺乏规律性的结构特征
	C.肿瘤细胞排列成小梁状
	D.肿瘤细胞排列成索状、簇状
	E.见到正常的乳腺导管
140、单项选择题 导致脑疝的大脑疾病是()。
	A.流行性乙型脑炎
	B.脑水肿
	C.脑出血
	D.脑内肿瘤
	E.以上都可能
141、单项选择题 患者女,48岁,因“左乳内上象限肿物2周”来诊。肿物活动度差,伴有乳头单乳管血性溢液。无乳腺癌家族史及乳腺疾病史。同侧腋下可触及肿大淋巴结,粗针穿刺活检诊断为淋巴结内转移性低分化腺癌。行乳房切除+腋下淋巴结清扫术。大体检查:乳腺肿物4.6cm×3.9cm×3.6cm,边界不清,质硬,切面灰白,有灰黄色斑点,挤压有粉刺样物。 最不可能的病理诊断是()。
	A.化生性癌
	B.浸润性导管癌非特殊型
	C.乳头Paget病
	D.分泌性癌
	E.浸润性小叶癌
142、单项选择题 在我国流行的血吸虫病是由何种血吸虫引起的()。
	A.曼氏血吸虫
	B.埃及血吸虫
	C.日本血吸虫
	D.包氏血吸虫
	E.斯氏血吸虫
143、多项选择题 关于种痘水疱病样T细胞淋巴瘤,叙述正确的是()。
	A.好发于面部等皮肤暴露部位
	B.存在EB病毒感染
	C.水疱样丘疹
	D.部分患者对蚊虫叮咬会发生变态反应
	E.老年患者多见
144、单项选择题 患者,男,58岁,咳嗽、咳痰10年余。体检:桶状胸,两肺可闻及少许湿啰音,三尖瓣区闻及收缩期杂音,可平卧,肝、脾无肿大,下肢无水肿。其诊断可能是()。
	A.肺炎
	B.慢性支气管炎、肺气肿
	C.慢性支气管炎、肺气肿、肺心病代偿期
	D.慢性支气管炎、肺气肿、肺心病失代偿期
	E.慢性支气管炎、肺心病
145、单项选择题 患者女,33岁人,结婚5年未孕,月经不规则多年,已闭经4个月,B型超声:内膜增厚1.0cm,内膜回声不均,双侧卵巢多囊性改变。尿妊娠试验阴性。 血内分泌检查FSH7.8U/L,LH26U/L,E2287pmol/L,P2.8nmol/L,TTE3nmol/L,临床诊断为()。
	A.下丘脑或垂体性闭经
	B.卵巢功能不全
	C.子宫性闭经
	D.多囊卵巢综合征
	E.卵巢早衰
146、单项选择题 电镜下观察到伴致密体微丝囊、质膜下吞饮空泡和外板的肿瘤是()。
	A.纤维肉瘤
	B.平滑肌肉瘤
	C.横纹肌肉瘤
	D.滑膜肉瘤
	E.恶性神经鞘膜瘤
147、单项选择题 对结核病最有诊断价值的基本病理变化是()。
	A.含大量淋巴细胞和巨噬细胞的渗出液
	B.灰白色、半透明状的粟粒大小结节
	C.找到Langhans巨细胞
	D.干酪样坏死
	E.类上皮细胞
148、多项选择题 关于外阴营养不良,叙述正确的有()。
	A.病因复杂多样、临床表现不一,病变名称繁多
	B.与感染HPV有关
	C.外阴瘙痒和伴有界限清楚的白色(或暗红色)散在性斑片状病损为临床特点
	D.萎缩性硬化性苔藓细胞缺乏非典型性
	E.是一种癌前病变
149、单项选择题 关于Barrett食管,叙述正确的是()。
	A.确切的诊断无须内镜所见
	B.发病率无性别和地域差异
	C.大体检查黏膜呈黄白色斑块样
	D.黏膜腺体出现化生的柱状上皮和杯状细胞,但没有潘氏细胞和吸收细胞
	E.食管远端黏膜的鳞状上皮被化生的柱状上皮替代即为Barrett食管
150、单项选择题 下列哪一项不符合肺小细胞癌()。
	A.多发生于肺周边部
	B.癌细胞常密集成群
	C.恶性度高
	D.起源于Kulchitsky细胞
	E.癌细胞内可见神经分泌颗粒
151、单项选择题 下列叙述中错误的是()。
	A.鼻腔鼻窦内翻性乳头状瘤多为单侧发生
	B.小儿喉乳头状瘤多与HPV感染有关
	C.咽部血管纤维瘤不发生于成人和女性
	D.EBER阳性对鼻NK/T细胞淋巴瘤的诊断十分必要
	E.变应性真菌性鼻窦炎是非侵袭性真菌性鼻窦炎
152、单项选择题 医源性因素会引起某些子宫内膜的病理改变,包括药物、放置节育环、手术等。 与子宫内膜变化不对应的是()。
	A.含孕激素的宫内节育器可使子宫内膜腺体萎缩和间质蜕膜变化
	B.口服避孕药抑制内膜增殖,使内膜分泌不良
	C.持续雌激素刺激可能导致内膜不规则增生及息肉形成
	D.大剂量孕激素会导致内膜增厚,发生不典型增生的危险性增加
	E.长期应用他莫昔芬,并发内膜息肉和内膜增殖症以及腺癌的比例增加
153、单项选择题 缺乏典型诊断性R-S细胞的霍奇金淋巴瘤亚型是()。
	A.结节硬化型
	B.混合细胞型
	C.淋巴细胞减消减型
	D.弥漫性淋巴细胞为主型
	E.结节性淋巴细胞为主型
154、单项选择题 1型糖尿病的特点应除外()。
	A.青少年发病
	B.血中胰岛素开始不下降,甚至升高
	C.早期可见非特异性胰岛炎
	D.胰岛B细胞明显减少
	E.发病与遗传和自身免疫有关
155、单项选择题 患者男,65岁,因“胸骨后阵发性针刺样疼痛1年,咽下食物梗噎感3个月”来诊。查体:右锁骨上淋巴结肿大。 该肿瘤为()。(提示高倍镜:肿瘤细胞小,细胞核深染,圆形或椭圆形,细胞质极少,核分裂象多见,可见坏死灶。免疫组织化学染色:CD56(+),NSE(+),Syn(+),CgA(+),CD20(-),CD79a(-),CK14(-),Vim(-),HMB-45(-)。)
	A.类癌
	B.小细胞癌
	C.混合性内分泌-外分泌癌
	D.B细胞淋巴瘤
	E.未分化癌
	F.恶性黑色素瘤
156、单项选择题 关于APUD细胞,叙述错误的是()。
	A.来源于神经嵴细胞
	B.具有摄取胺前体脱羧的功能
	C.胞质内有神经内分泌颗粒
	D.存在于内分泌腺体内
	E.不存在于皮肤、黏膜
157、单项选择题 乳腺化生性癌不包括()。
	A.富脂质癌
	B.鳞状细胞癌
	C.癌肉瘤
	D.梭形细胞癌
	E.产生基质的癌
158、单项选择题 患者男,41岁,右膝肿痛1年余。X线片:股骨下端骨骺端有一直径约3cm的偏心性、肥皂泡样溶骨性病变。 关于骨巨细胞瘤,叙述正确的是()。
	A.肿瘤主要位于骨的干骺端
	B.破骨细胞样多核巨细胞具有肿瘤性质
	C.多发生于20岁以下的青少年
	D.易局部复发,可见远处转移
	E.属于高度恶性肿瘤,预后差
159、单项选择题 骨结核病常见于()。
	A.股骨
	B.肋骨
	C.腓骨
	D.胫骨
	E.脊椎骨
160、单项选择题 下列有关阴茎癌的特点叙述不恰当的是()。
	A.常发生于40岁以上的男性
	B.患者大多有包皮过长
	C.肉眼常呈菜花状或溃疡状
	D.组织学上以低分化鳞状细胞癌最多见
	E.转移发生较早,远处转移少见
161、单项选择题
患者男,49岁,因“腰痛2个月”入院。查体:L1~L3椎体破坏,余无明显阳性体征。X线:溶骨性病变;术中冷冻组织活检,镜下几乎未见正常骨质,可见大量片状增生的小淋巴细胞,细胞异型性不明显,组织边缘可见少量体积较大细胞,胞质淡染,核增大,形态略不规则,未见明确坏死灶。
该病例的病理诊断为()。(提示免疫组织化学染色:片状及散在分布的异型细胞CD20(+)、CD79a(+)、BCL-2(+)、CD10(+)、BCL-6(+);Ki-67约80%(+);CD30(-)、CD15(-)、CK(-)、NSE(-)、CgA(-)、Syn(-)、CD56(-)、CD1a(-)、S-100(-)。)
	A.椎骨非霍奇金淋巴瘤,大B细胞性
	B.骨霍奇金淋巴瘤
	C.骨嗜酸性肉芽肿
	D.骨转移癌
	E.骨Ewing肉瘤/PNET
	F.骨间变性大细胞淋巴瘤
162、单项选择题 未成熟性畸胎瘤3级的诊断,每张切片中未成熟神经组织的量至少应达到()。
	A.1个低倍视野
	B.2个低倍视野
	C.3个低倍视野
	D.4个低倍视野
	E.5个低倍视野
163、单项选择题 患者女,36岁,多年吸烟史,临床表现为进展缓慢的呼吸功能障碍。X线:双肺底可见毛玻璃样不透光区。肺活检:间质纤维化伴轻度慢性炎症,肺泡腔内见巨噬细胞聚集,上述病变最可能的诊断为()。
	A.非特异性间质性肺炎
	B.呼吸性支气管炎
	C.肺气肿伴慢性支气管炎
	D.脱屑型间质性肺炎
	E.普通型间质性肺炎
164、单项选择题 下列肺癌的描述中哪项正确()。
	A.腺癌最多见
	B.小细胞癌多呈弥漫型
	C.鳞状细胞癌多有吸烟史
	D.周围型多为鳞癌
	E.细支气管肺泡癌多为中央型
165、单项选择题 就分子通路而言,卵巢癌的发病存在二元模式。 下列属于Ⅰ型癌的是()。
	A.高分化黏液性腺癌
	B.癌肉瘤
	C.恶性苗勒管混合瘤
	D.低分化浆液性腺癌
	E.未分化癌
166、单项选择题
患者女,63岁,胃体部发现一个直径约1.5cm的肿块,呈息肉状生长,表面黏膜大多光滑,局部见浅表溃疡形成。切面见肿块呈灰白、灰黄色,位于黏膜下,界限尚清。
	光镜下组织形态如图所示。最有可能的诊断是()。
	A.绒毛状腺瘤
	B.高分化腺癌
	C.胰腺异位
	D.管状腺瘤
	E.神经内分泌肿瘤
167、多项选择题 横纹肌肉瘤可表达的标志物有()。
	A.SMA
	B.Des
	C.calponin
	D.myoD1
	E.myogenin
168、单项选择题 患者男,16岁,因“运动后上腹部胀痛”来诊。胃镜:胃体部后壁隆起性肿块,3cm×5cm。胃镜超声:肿块累及胃壁肌层。行肿块穿刺组织学检查:病变由较单一的上皮样细胞组成,细胞排列呈片状,细胞间质缺乏胶原,血管丰富扩张。 如果免疫组织化学检查结果:CD117(+++),DOG1(++),SMA(+),S100P(-),SYN(-),支持儿童型胃肠道间质肿瘤的病理诊断,应首选的治疗方案是()。
	A.内镜下切除
	B.新辅助化学治疗
	C.靶向药物治疗
	D.胃大部手术切除
	E.单用化学治疗
169、单项选择题 患者女,21岁,因“腹部不适6个月”来诊。B型超声:腹腔多发性肿瘤。术中发现盆腔、腹膜和卵巢形成多个肿瘤结节,肿瘤灰白色,外表光滑,质地坚实。 该病例的病理诊断为()。(提示镜下:小圆瘤细胞巢大小不一、形状不规则,瘤巢中央见坏死,瘤细胞间见增生的致密纤维结缔组织,灶区见纤维黏液样间质。免疫组织化学染色:AE1/AE3(+),EMA(+),desmin(+),vimentin(+),NSE(+),LCA(-),WT-1(-),CK20(-),CK5/6(-),CD99(-),CD20(-),CD3(-)。)
	A.淋巴瘤
	B.胚胎性横纹肌肉瘤
	C.小细胞癌
	D.恶性间皮瘤
	E.促结缔组织增生性小圆细胞肿瘤
	F.小细胞低分化性滑膜肉瘤
170、单项选择题 患者女,33岁人,结婚5年未孕,月经不规则多年,已闭经4个月,B型超声:内膜增厚1.0cm,内膜回声不均,双侧卵巢多囊性改变。尿妊娠试验阴性。 子宫内膜最不可能出现的情况是()。
	A.正常内膜增生期
	B.子宫内膜分泌反应
	C.子宫内膜不规则增生
	D.子宫内膜增生过长
	E.子宫内膜息肉
171、单项选择题
患者女,55岁,右乳乳腺癌术后1年余,右侧胸部及右手臂肿胀,局部皮下触及隆起性肿块,边界不清,表面皮肤紫红色。
	光镜下组织形态如图所示。最有可能的诊断是()。
	A.乳腺癌术后复发或转移
	B.血管瘤
	C.血管肉瘤
	D.肉芽肿
	E.皮肤隆突性纤维肉瘤
172、单项选择题 关于动脉粥样硬化的危险因素,下列哪一项是错误的()。
	A.LDL水平持续升高
	B.HDL水平持续升高
	C.大量吸烟
	D.糖尿病
	E.高血压
173、多项选择题 关于小管癌,叙述正确的有()。
	A.与非特殊型浸润性导管癌相比更易发生于老年女性
	B.肿瘤体积较小
	C.常与一些上皮增生性病变共存
	D.易发生淋巴结转移
	E.小管由单层腺上皮细胞组成
174、单项选择题 患者女,20岁,因“高热2周”来诊。查体:扁桃体及鼻咽部黏膜肿胀。取米粒大扁桃体组织活检,镜下可见淋巴组织增生,增生的淋巴细胞有异型性,部分区坏死,免疫组织化学染色:CD45RO、CD20、及CD68均可见部分细胞阳性,CD56散在阳性,EBER部分细胞核阳性。 首先应考虑的诊断是()。
	A.鼻型NK/T细胞淋巴瘤
	B.传染性单核细胞增生症
	C.Burkitt淋巴瘤
	D.鼻咽癌累及
	E.霍奇金淋巴瘤累及
175、单项选择题
患者女,52岁,因“左乳外下象限肿物1年,明显增大1个月”来诊。查体:肿物活动差,表面皮肤破溃。无乳腺癌家族史及乳腺疾病史。X线:左乳外下象限边界清楚的致密肿物。肿物最大径7.5cm。行左乳房单纯切除+腋下淋巴结清扫术。大体检查:乳腺内肿物7.0cm×5.9cm×3.8cm,切面黄白色有光泽,质地坚硬,伴有坏死和囊腔形成。
	光镜下肿物的病理组织学形态如图所示。最有可能的病理学诊断是()。
	

	A.髓样癌
	B.浸润性导管癌非特殊型
	C.鳞状细胞癌
	D.黏液癌
	E.浸润性微乳头状癌
176、单项选择题 关于棘球蚴病的描述不正确的是()。
	A.又称包虫病
	B.我国以细粒棘球蚴感染多见
	C.细粒棘球蚴引起的病变主要由囊肿压迫产生
	D.泡状棘球蚴可形成内生性子囊
	E.泡状棘球蚴病可导致肝硬化
177、单项选择题 关于肝淋巴瘤,叙述正确的是()。
	A.多数病例发生于儿童,也可累及成人
	B.弥漫大B细胞淋巴瘤最常见
	C.肝脾T细胞淋巴瘤主要累及年轻女性
	D.发生于儿童的淋巴瘤主要为EBV阳性B细胞性淋巴组织增生性疾病
	E.慢性淋巴细胞白血病和B细胞型非霍奇金淋巴瘤累及肝时,主要分布在血窦
178、多项选择题 患者男,68岁,因“腹部饱胀、食欲减退”来诊。查体:上腹部触及包块。胃镜:胃底部前壁占位,局灶性黏膜溃疡。大体检查:肿瘤5.8cm×6.9cm,切面灰白、灰红色,界限清楚。组织学检查:肿瘤由胖梭形细胞组成,条索状排列,间质中等量,部分呈变性坏死。细胞核分裂象5个/50HPF。 对排除梭形细胞癌有指导意义的有()。
	A.p63(-)
	B.CD117(-)
	C.Cytokeratin(-)
	D.Vimentin(-)
	E.SMA(-)
	F.CD34(-)
179、单项选择题 浆膜梭形细胞肿瘤中,CD34(+)、CD117(-)提示()。
	A.腹膜腺瘤样瘤
	B.孤立性纤维性肿瘤
	C.腹膜播散性平滑肌瘤病
	D.腹膜恶性间皮瘤
	E.转移癌
180、单项选择题 侵蚀性葡萄胎与绒毛膜上皮癌的主要不同是()。
	A.浸润肌层
	B.I细胞明显增生和异型性
	C.阴道转移结节
	D.有绒毛结构
	E.出血、坏死
181、单项选择题 能确诊前列腺增生的检查方法是()。
	A.前列腺直肠指检
	B.前列腺CT
	C.血清前列腺特异性抗原(PSA.检测
	D.经直肠前列腺超声波(TRUS)
	E.前列腺穿刺活检
182、单项选择题 患者男,33岁,因“腹胀、腹部不适3个月”来诊。肠镜检查发现回盲部病变而手术。病理标本大体检查:回肠末端一约5cm×4cm不规则溃疡型病变,周围肠黏膜肉眼观察尚正常。 最不可能的诊断是()。
	A.肠结核
	B.溃疡性结肠炎
	C.淋巴瘤
	D.肠腺癌
	E.胃肠道间质瘤
183、单项选择题 未成熟畸胎瘤最重要的诊断依据是()。
	A.成神经细胞
	B.原始神经管
	C.神经上皮菊形团
	D.未成熟软骨
	E.未分化的梭形细胞
184、多项选择题 EB病毒相关淋巴增生性疾病包括()。
	A.传染性单核细胞增多症
	B.经典型霍奇金淋巴瘤
	C.结节性淋巴细胞为主型霍奇金淋巴瘤
	D.侵袭性NK细胞白血病
	E.种痘水疱病样T细胞淋巴瘤
185、多项选择题 患者男,68岁。因“腹部饱胀、纳差”来诊。查体:上腹部触及包块。胃镜:胃体部前壁占位,局灶性黏膜溃疡。大体检查:肿瘤5.8cm×6.9cm,切面灰白、灰红色,界限清楚。组织学检查:肿瘤由胖梭形细胞组成,条索状排列,部分呈变性坏死。细胞核分裂象5个/50HPF。 对判断本肿瘤的侵袭性生物学行为有指导意义的有()。
	A.发生部位为胃
	B.CD117阳性
	C.肿瘤大小
	D.核分裂象数目/50HPF
	E.肿瘤坏死
	F.血管数量
186、单项选择题 轻微病变性肾小球肾炎临床不出现()。
	A.高度水肿
	B.血尿
	C.低蛋白血症
	D.高脂血症
	E.大量蛋白尿
187、单项选择题 非霍奇金淋巴瘤具有一定特征性的遗传学改变。 胃的淋巴结外边缘区黏膜相关淋巴组织淋巴瘤的遗传学改变是()。
	A.t(2;5)
	B.t(11;14)
	C.t(11;18)
	D.t(8;14)
	E.t(14;18)
188、单项选择题 有Ph染色体标志的主要是哪一种白血病()。
	A.急性粒细胞性白血病
	B.慢性粒细胞性白血病
	C.急性淋巴细胞性白血病
	D.慢性淋巴细胞性白血病
	E.急性单核细胞性白血病
189、多项选择题 应用免疫组织化学染色鉴别恶性间皮瘤与肺腺癌时,叙述正确的有()。
	A.恶性间皮瘤表达CK5/6
	B.恶性间皮瘤表达calretinin
	C.恶性间皮瘤表达WT1
	D.恶性间皮瘤表达TTF-1
	E.肺腺癌表达TTF-1
190、单项选择题 下列属于Ⅰ型变态反应的一组疾病是()。
	A.链球菌感染后肾小球肾炎、输血反应、血清病
	B.哮喘、过敏性休克、皮肤荨麻疹
	C.输血反应、皮肤荨麻疹、过敏性鼻炎
	D.移植排斥反应、枯草热、哮喘
	E.过敏性休克、过敏性鼻炎、结核菌反应
191、单项选择题 关于AIDS机会性感染的特点,下列叙述哪项不正确()。
	A.病原种类繁多,一般可有两种以上感染同时存在
	B.感染所致之炎症反应往往很重而典型
	C.50%患者有机会性卡氏肺孢子虫感染
	D.中枢神经系统多为弓形虫或新型隐球菌感染
	E.感染范围广,以中枢神经系统、肺、消化道的病变最为常见
192、单项选择题 下列哪项与单纯性甲状腺肿有关()。
	A.淋巴滤泡形成
	B.甲状腺滤泡破坏
	C.甲状腺呈对称结节状增大
	D.一般不伴甲状腺功能亢进或功能低下的表现
	E.一般有临床症状
193、单项选择题 患者,男,2岁。近几日出现发热、咳嗽,伴黄色黏液脓痰,胸透见两肺下叶散在边缘模糊的斑片状阴影,其最可能的病变是()。
	A.干酪样肺炎
	B.大叶性肺炎
	C.小叶性肺炎
	D.间质性肺炎
	E.转移性肿瘤
194、多项选择题 来源于间皮的肿瘤有()。
	A.腹膜腺瘤样瘤
	B.腹膜多囊性间皮瘤
	C.腹膜播散性平滑肌瘤病
	D.腹膜恶性间皮瘤
	E.腹膜假黏液瘤
195、多项选择题 患者男,24岁,腹腔内出现多发结节,腹腔积液。大体检查:肿瘤结节实性,质硬,大小不一,呈斑块状或球形。 特征性的遗传学改变包括()。
	A.融合基因EWS-WT1
	B.染色体易位t(11;22)
	C.染色体易位(p13;q12)
	D.11号染色体上的基因为FLI-1基因
	E.11号染色体上的基因为WT1基因
	F.染色体易位t(11;14)
	G.染色体易位t(11;18)
196、单项选择题 亚急性感染性心内膜炎赘生物哪项除外有以下特点()。
	A.外观污秽、灰黄色、质脆
	B.多发生于原有病变的瓣膜上
	C.赘生物单个或多个,息肉状
	D.镜下观,其表面有菌团
	E.赘生物脱落引起动脉性栓塞和血管炎
197、单项选择题 患者女,58岁,因“胸痛、咳嗽1年余”来诊。胸部X线:右胸占位性病变。入院手术,术中见脏层胸膜与壁层胸膜粘连。肿物位于胸膜下,直径约5cm。镜下:瘤细胞大片坏死,细胞大,部分区域呈巢团状分布,无腺样分化,染色质粗,核仁明显,可见明显异型,核分裂20个/10HPF。 首先考虑的诊断是()。
	A.错构瘤
	B.恶性间皮瘤
	C.腺癌
	D.肺大细胞癌
	E.非小细胞癌
198、单项选择题 最常伴胎儿重大先天性畸形的情况是()。
	A.非螺旋状脐血管
	B.单脐动脉
	C.脐带过长
	D.脐带狭细
	E.脐带血管血栓形成
199、单项选择题 患者女,46岁。因“腭部肿物1年,渐增大,影响吞咽”来诊。肿物直径约5cm,有包膜,分叶状,切面见多囊,囊内含黏液。组织学检查:表皮样细胞、黏液细胞和中间细胞;以囊性为主,约占肿瘤40%,有乳头状或实性结构,囊内充满黏液。也有内衬柱状细胞导管样结构以及透明细胞区域。可见浸润周边组织和神经,伴有肿瘤坏死,核分裂6个/10HPF,但细胞间变不明显。 根据病例资料,本例组织学评分和分级是()。
	A.4分;低级别
	B.5分;低级别
	C.6分;中级别
	D.7分;中级别
	E.7分;高级别
200、单项选择题 非霍奇金淋巴瘤具有一定特征性的遗传学改变。 套细胞淋巴瘤的遗传学改变是()。
	A.t(2;5)
	B.t(11;14)
	C.t(11;18)
	D.t(8;14)
	E.t(14;18)
201、单项选择题 适用于脂肪细胞的特殊染色是()。
	A.甲基紫
	B.刚果红
	C.油红O
	D.PAS
	E.Mallory
202、单项选择题 关于甲状旁腺功能亢进,叙述错误的是()。
	A.出现高钙血症和低磷血症
	B.引起多发性尿结石
	C.导致纤维囊性骨炎
	D.多由甲状旁腺腺瘤引起
	E.继发性甲状旁腺功能亢进多见
203、单项选择题
患者男,42岁,因“牙龈肿胀2个月”来诊。查体:局部牙龈肿胀,质韧,触之出血。行活检。镜检形态学表现如图所示。
	
	A.弥漫大B细胞淋巴瘤
	B.间变大细胞淋巴瘤
	C.淋巴母细胞淋巴瘤
	D.急性髓系白血病浸润
	E.低分化癌浸润
	F.恶性黑色素瘤
204、单项选择题 患者女,26岁,因“左乳外上象限肿物1年”来诊。查体:左乳外上象限有一无痛、实性、质韧、生长缓慢、边界清楚、可移动的孤立性结节,2.9cm×2.8cm×2.0cm。大体检查:椭圆形肿物,包膜完整,切面隆起、实性、灰白灰黄色,质韧。 镜下可见部分区域的间质细胞丰富,需要鉴别的肿瘤是()。
	A.腺脂肪瘤
	B.导管乳头状瘤
	C.叶状肿瘤
	D.管状腺瘤
	E.导管腺瘤
205、多项选择题 患者女,56岁,因“腹胀、腰部不适”来诊。CT:左上腹部占位性病变。大体检查:病变12cm×11cm,结节状,界清。组织学检查:肿瘤以梭形细胞为主,呈交错条索状排列,细胞密集,细胞胞质中等界限尚清。部分区域肿瘤细胞呈上皮样,片状分布,细胞胞质丰富,界限清楚。间质胶原轻度增生,伴有炎症细胞浸润。 为了明确病理诊断,需要的实验室检查有()。
	A.CT
	B.MRI
	C.胃造影术
	D.B型超声
	E.肿瘤穿刺细胞术
	F.肿瘤标志物检测
206、单项选择题 患者女,40岁,因“咳嗽、咯血、胸痛”来诊。近来经常午后发热、大汗、疲乏无力、食欲减退、盗汗。入院后查胸部X线片:左肺上叶有斑片状阴影,红细胞沉降率为60mm/h。 确诊该病的特征性病变是()。
	A.成纤维细胞
	B.淋巴细胞
	C.结核结节
	D.朗格汉斯多核巨细胞
	E.上皮样细胞
207、多项选择题 关于牙源性囊肿,叙述正确的是()。
	A.牙齿形成器官的上皮或上皮剩余形成的一组囊肿
	B.是发育性囊肿,不是炎症性囊肿
	C.牙板上皮残余可发生根侧牙周囊肿
	D.残余釉上皮可发生含牙囊肿
	E.鼻腭管内的上皮残余可发生鼻腭管囊肿
208、单项选择题 二尖瓣狭窄时,由于血流动力学变化首先出现()。
	A.左心房扩张肥大
	B.左心室扩张肥大
	C.肺瘀血
	D.肺动脉高压
	E.左心室萎缩
209、多项选择题 狼疮性肾炎较为特征性的病变有()。
	A.肾间质大量嗜酸粒细胞浸润
	B.光镜下白金耳样改变
	C.免疫病理呈“满堂亮”现象
	D.电镜下多部位电子致密物沉积
	E.出现苏木素小体
210、单项选择题
患者女,14岁,因“刺激性咳嗽3个月,痰少,头颈及躯干上部皮肤肿胀,并逐渐加重”来诊。胸部CT:前上纵隔占位,如图所示。
	
	A.胸腺瘤
	B.淋巴母细胞性淋巴瘤
	C.生殖细胞肿瘤
	D.恶性外周神经鞘膜瘤(MPNST)
	E.纵隔(胸腺)原发大B细胞淋巴瘤
211、多项选择题 符合慢性胰腺炎特点的是()。
	A.高危因素为胆道疾病和酗酒
	B.胰腺小叶萎缩,间质纤维组织增生
	C.胰腺组织内可见大片坏死和出血
	D.导管上皮可出现异型增生
	E.可形成局限性包块
212、单项选择题
患者男,4岁,以“发热、呕吐待查”来诊。患儿反复高热伴呕吐13d,血WBC14×109/L,中性粒细胞0.81,经抢救无效,病情加重而死亡。尸检发现脑膜充血、水肿,在蛛网膜下腔和脑表面可见黄白色脓样渗出物覆盖。
最可能的诊断是()。
	A.脑脓肿
	B.化脓性脑膜炎
	C.结核性脑膜炎
	D.流行性乙型脑炎
	E.流行性脑脊髓膜炎
213、单项选择题 乳腺原发的神经内分泌癌是()。
	A.神经内分泌标志染色有散在或局部阳性细胞的非特殊型乳腺癌
	B.形态学特征与发生在胃肠道和肺部的神经内分泌肿瘤不同
	C.肿瘤中有50%以上的癌细胞表达神经内分泌标志物
	D.分泌性癌的一种亚型
	E.年轻人多见
214、单项选择题 肾盂肾炎是指()。
	A.肾盂黏膜化脓性炎症
	B.肾间质的化脓性炎症
	C.以肾盂、肾间质为主的变态反应性炎症
	D.肾盂、肾间质、肾小管的非化脓性炎症
	E.肾盂、肾间质、肾小管的炎性疾病
215、多项选择题 属于混合性神经元-胶质肿瘤的有()。
	A.胚胎发育不良性神经上皮瘤
	B.中枢神经系统节细胞神经母细胞瘤
	C.松果体细胞瘤
	D.乳头状胶质神经元肿瘤
	E.多形性黄色瘤型星形细胞瘤
216、单项选择题 男性患者,39岁,自觉关节疼痛2年,近半年感觉关节变形、僵硬,病变时而发作,时而缓解,血清检查有RF存在,该患者关节内的主要病理改变是()。
	A.干酪样坏死
	B.肉芽肿性炎
	C.非化脓性增生性滑膜炎
	D.急性纤维素渗出性炎
	E.肉芽组织机化,瘢痕形成
217、单项选择题 区别乳腺转移性肿瘤和原发性肿瘤最可靠的依据是()。
	A.乳腺转移性肿瘤常呈暴发性经过
	B.癌组织内同时伴有原位癌病变
	C.转移瘤细胞多分布于乳腺导管和小叶周围
	D.乳腺淋巴管和血管内充满瘤细胞团
	E.乳腺导管上皮无异型增生现象
218、单项选择题 患者女,40岁,因“阵发性腹痛6个月,突发急腹症1d”来诊。行剖腹探查,术中发现胰尾部占位。 该病例的病理诊断为()。(提示镜下:瘤细胞单一,中等大小,包含不规则的核,伴中等大小的核仁,排列成假乳头状,可见微囊形成。中央可见大片出血坏死。免疫组织化学染色:CK部分(+),CDX(-),α1-trypsin(+),CD56(+),β-catenin核(+),CD99核旁点状(+),vimentin(+),E-caldherin(-)。)
	A.腺泡细胞癌
	B.导管腺癌
	C.实性假乳头状肿瘤
	D.黏液性囊性肿瘤
	E.导管内黏液性乳头状肿瘤
	F.神经内分泌肿瘤
219、单项选择题 多形性腺瘤是()。
	A.最常见的涎腺上皮源性良性肿瘤
	B.多见于小涎腺
	C.癌前病变
	D.又称Warthin瘤
	E.易复发
220、多项选择题 属于转录因子的标志物有()。
	A.SP-A
	B.TTF-1
	C.Hep-per1
	D.MUC
	E.CDX-2
221、多项选择题 下列叙述中正确的有()。
	A.鼻结核都伴有肺部结核
	B.vimentin阳性是基底细胞腺瘤与腺体囊性癌的鉴别点之一
	C.鼻腔鼻窦涎腺型癌明显多于涎腺型腺瘤
	D.鼻胶质瘤是鼻部发生的一种胶质细胞肿瘤
	E.鼻腔畸胎癌肉瘤中可见嗅神经母细胞瘤成分
222、多项选择题 良性上皮性肿瘤包括()。
	A.导管腺瘤
	B.乳头管腺瘤
	C.大汗腺腺瘤
	D.管状腺瘤
	E.纤维腺瘤
223、单项选择题 患者女,12岁,因“颈右侧疼痛”来诊。查体:颈右侧及颌下区肿胀,可扪及一肿物,体积约4cm×5cm×3cm,边界不清楚,有轻触痛,皮温略高。患儿无其他不适。肝不大,骨髓及外周血均未发现异常。 疾病的特征性遗传学改变是()。
	A.t(8;14)
	B.t(14;18)
	C.t(11;14)
	D.t(11;18)
	E.t(2;5)
	F.t(9;22)
	G.t(15;17)
224、单项选择题 荧光原位杂交(FISH)不能检测的分子异常是()。
	A.染色体获得
	B.染色体丢失
	C.染色体易位
	D.基因扩增
	E.点突变
225、单项选择题 不符合黏液癌的是()。
	A.不论纯型还是混合型预后都好
	B.乳腺X线表现大多为境界清楚的分叶状肿物
	C.肿瘤切面呈胶冻样
	D.平均年龄比常见的浸润性癌高
	E.相当一部分病例可见神经内分泌分化
226、单项选择题 细胞损伤时,最严重的标志是()。
	A.细胞排列的破坏
	B.细胞之间大小不等
	C.细胞膜损伤
	D.细胞器损伤
	E.细胞核损伤
227、单项选择题 患者女,50岁,因“右侧腹部隐痛,轻度黄疸4个月”来诊。B型超声:肝脏一直径10cm肿物。肿瘤为多房囊性,囊腔较大。 此时最佳诊断为()。(提示肿瘤切面呈多房囊性,囊肿与胆管不相通,内壁可见小乳头状突起。镜下:囊壁内衬复层上皮细胞,呈乳头状生长,细胞中度异型性,可见核分裂象,胞质内可见分泌物,酶消化后PAS染色阳性。肿瘤间质细胞丰富,形同卵巢样间质。)
	A.黏液性囊腺瘤
	B.交界性黏液性囊腺瘤
	C.浆液性囊腺瘤
	D.交界性浆液性囊腺瘤
	E.黏液性囊腺癌
228、多项选择题 患者男,6岁,下颌部肿痛2周。X线片:下颌骨有一直径1.5cm溶骨性病变,边界清楚。 病变可能是()。(提示光镜下:病变主要由圆形或卵圆形组织细胞组成。细胞中等大,境界不清,胞质嗜酸或透亮,核呈卵圆形,核膜弯曲或见核沟,呈咖啡豆样,核仁不明显。瘤细胞可聚集成巢或簇状,并与大量嗜酸粒细胞、淋巴细胞、浆细胞和中性粒细胞混杂。)
	A.软骨母细胞瘤
	B.巨细胞修复性肉芽肿
	C.嗜酸性肉芽肿
	D.骨纤维增生性纤维瘤
	E.骨良性纤维组织细胞瘤
	F.骨母细胞瘤
	G.干骺端纤维性缺损
229、多项选择题 患者男,52岁,因“间断腹部不适,轻微腹痛伴腹泻10年,症状加重6个月”来诊。患者自述腹部有包块,粪呈糊状、有黏液、有时发黑。 可能的诊断是()。
	A.急性感染性结肠炎
	B.慢性肠血吸虫病
	C.溃疡性结肠炎
	D.Crohn病
	E.肠结核
	F.先天性巨结肠
	G.结肠癌
230、单项选择题 患者男,19岁,因“颈部肿物2年余”来诊。查体:T36.7℃,P88次/min,右侧颈部可触及3个约2cm×3cm串珠样质韧肿物。 为确定病原体而进行的特异性特殊染色为()。
	A.PAS染色
	B.阿辛蓝染色
	C.六胺银染色
	D.Masson三色染色
	E.抗酸染色
231、单项选择题 患者女,38岁,因“月经量增多、经期延长6个月”来诊。末前次月经8月1日,末次月经9月1日,9月8日阴道出血量仍多,有血块。诊断性刮宫刮出少量血凝块及内膜组织,部分呈息肉状。镜下见破碎子宫内膜,有的呈增生期反应,有的呈不规则增生,有的伴分泌反应,可见厚壁血管丛。 鉴别的主要依据是()。
	A.月经经期延长
	B.腺体结构复杂
	C.嗜酸性芽胞状细胞乳头,无非典型性
	D.嗜酸性芽胞状细胞乳头,有非典型性
	E.与周围组织形成明显反差,伴有细胞非典型性
232、单项选择题
患者女,14岁,未婚,因“血样白带6个月余,阴道出血24d”来诊。查体:宫腔肿物自阴道脱出。取出部分组织活检。大体检查:碎肿瘤组织12cm×11cm×3cm,部分呈葡萄状、分叶状。送检组织如图所示。
	
	A.葡萄簇肉瘤肉眼观察有葡萄状组织,镜下含有横纹肌肉瘤成分
	B.恶性畸胎瘤含有多种组织成分,包括中胚叶恶性成分
	C.癌肉瘤由恶性上皮性成分和恶性间叶性成分组成
	D.恶性腺纤维瘤(癌纤维瘤)由癌组织和良性间叶性组织组成
	E.Müllerian腺肉瘤由良性上皮性成分和恶性间叶性组织组成
	F.考虑转移性软组织肉瘤是因为无法解释该肿瘤形态特点
233、多项选择题 典型的风湿肉芽肿包含的成分有()。
	A.Aschoff细胞
	B.纤维素样坏死
	C.淋巴细胞
	D.Aschoff巨细胞
	E.嗜酸粒细胞
234、单项选择题 患者女,68岁,因“右乳外上象限肿物2d”来诊。查体:肿物边界清,活动尚可。无乳腺癌家族史。2年前同侧乳腺肿物切除,病理诊断为囊肿及腺病。本次肿物术前针吸组织病理诊断为浸润性癌,行乳房单纯切除术。大体检查:肿瘤3.9cm×2.9cm×2.8cm,边界清楚,质软,胶冻样。 最可能的病理诊断是()。
	A.浸润性导管癌非特殊型
	B.髓样癌
	C.黏液癌
	D.黏液样纤维腺瘤
	E.黏液囊肿样变
235、多项选择题 白血病诊断与分型的依据包括()。
	A.骨髓穿刺细胞学检查
	B.流式细胞术检查
	C.细胞遗传学检查
	D.血常规检查
	E.B型超声检查
236、单项选择题 患者男,65岁,因“胸骨后阵发性针刺样疼痛1年,咽下食物梗噎感3个月”来诊。查体:右锁骨上淋巴结肿大。 该患者初步诊断最不考虑的疾病是()。
	A.食管癌
	B.平滑肌肿瘤
	C.胃肠间质瘤
	D.淋巴瘤
	E.食管下段静脉曲张
	F.反流性食管炎
237、单项选择题
患者男,72岁,因“发现双颈多枚淋巴结肿大,直径1~3cm,活动,质中,伴不规则发热,体重下降”来诊。行颈左侧肿大淋巴结活检,形态学如图所示。
	

	A.弥漫大B细胞淋巴瘤,非特指
	B.经典型霍奇金淋巴瘤
	C.外周T细胞淋巴瘤,非特指
	D.粒细胞肉瘤
	E.NK/T细胞淋巴瘤
238、单项选择题 患者女,49岁,月经周期紊乱6个月,15d前阴道出血,量少,持续淋漓不尽。就诊前1d夜里阴道出血明显增多,伴有大血块。 该病产生的主要原因是()。
	A.外源性激素的作用
	B.孕激素相对不足
	C.子宫内膜息肉
	D.更年期精神紧张
	E.卵巢不排卵,内膜持续受雌激素影响
239、单项选择题 下列属于移植物抗宿主反应的是()。
	A.急性排斥反应
	B.Arthus反应
	C.超敏反应
	D.超急性排斥反应
	E.骨髓移植排斥反应
240、单项选择题 患者女,50岁,因“左大腿红、肿、痛,呈线状分布”来诊。经检查,诊断为左下肢表浅静脉炎。 病理检查最不可能看到的继发病变是()。
	A.粥样硬化
	B.静脉旁血肿
	C.局部淤血
	D.血栓形成
	E.局部水肿
241、单项选择题 关于阴道上皮内瘤变,叙述错误的是()。
	A.发病与人乳头瘤病毒(HPV)感染有关
	B.常在以前或诊断时伴有宫颈病变
	C.病理组织学表现及分级与VIN类似
	D.发生于阴道的上1/3
	E.细胞学检查有一定诊断意义
242、单项选择题 在成软骨性肿瘤中,最常见的肿瘤是()。
	A.软骨黏液纤维瘤
	B.软骨肉瘤
	C.骨软骨瘤
	D.软骨母细胞瘤
	E.软骨瘤
243、单项选择题 月经周期规则,月经量进行性减少,有不孕史,最可能的诊断是()。
	A.子宫内膜结核
	B.子宫内膜息肉
	C.子宫黏膜下肌瘤
	D.子宫腺肌病
	E.功能性子宫出血
244、单项选择题 患者男,30岁,因“前臂伸侧皮肤红斑”来诊。患者前臂伸侧皮肤出现环状暗红斑、界限清楚,边缘高起,中央部分色素减退。 该病例的病理诊断为()。(提示镜下:表皮萎缩,真皮内上皮样细胞肉芽肿形成,含多核巨细胞,围以密集的淋巴细胞;皮肤附属器有炎细胞浸润并破坏;皮肤神经也见炎细胞浸润及破坏,并见上皮样细胞肉芽肿形成;抗酸染色阴性。)
	A.寻常狼疮
	B.皮肤肉样瘤
	C.真菌病
	D.皮肤麻风
	E.红斑性狼疮
	F.皮肤淋巴瘤
245、单项选择题 Masson三色法主要用于区分()。
	A.肌纤维与神经纤维
	B.胶原纤维与肌纤维
	C.网状纤维与胶原纤维
	D.弹性纤维与网状纤维
	E.神经纤维与弹性纤维
246、多项选择题 下列肿瘤中属于Ⅰ型卵巢癌的有()。
	A.低级别浆液性腺癌
	B.黏液性腺癌
	C.透明细胞腺癌
	D.癌肉瘤
	E.子宫内膜样腺癌
247、单项选择题 某患者体检发现肝大,想查明原因。 如果怀疑是病毒性肝炎,肝细胞最常见的变性或物质沉积是()。
	A.肝细胞内玻璃样变
	B.肝细胞水变性
	C.肝细胞脂肪变性
	D.肝细胞嗜酸性变性
	E.肝细胞淀粉样变性
248、单项选择题 糖尿病的肾脏病变不包括()。
	A.弥漫性肾小球硬化
	B.入球动脉硬化
	C.结节性肾小球硬化
	D.脂性肾病
	E.肾乳头坏死
249、单项选择题 病毒性肝炎的基本病变中不包括()。
	A.气球样变
	B.脂肪变性
	C.嗜酸性变
	D.溶解坏死
	E.小胆管增生
250、单项选择题
患者男,23岁,发现左下肢无痛性肿块5年,大小无明显改变。影像学检查可见一个突出胫骨表面的具有软骨性质的阴影(下图),并与下方骨有连续。
	
	A.软骨肉瘤
	B.骨旁骨肉瘤
	C.软骨母细胞瘤
	D.骨软骨瘤
	E.软骨黏液纤维瘤
251、单项选择题 主动脉粥样硬化病变部位常见于()。
	A.升主动脉
	B.主动脉弓
	C.胸主动脉
	D.腹主动脉
	E.降主动脉
252、单项选择题 组织学为欺骗性良性(deceptivelybenign)的浸润性膀胱癌组织学类型是()。
	A.尿路上皮癌伴鳞状分化
	B.尿路上皮癌伴腺样分化
	C.巢样变型
	D.微囊变型
	E.淋巴瘤样型
253、单项选择题 原发性高血压脑出血最常见的部位是()。
	A.大脑皮质
	B.侧脑室
	C.豆状核和丘脑
	D.内囊和基底核
	E.蛛网膜下腔
254、单项选择题 存在t(X;18)(p11;q11)的肿瘤是()。
	A.纤维肉瘤
	B.Ewing肉瘤
	C.滑膜肉瘤
	D.平滑肌肉瘤
	E.恶性神经鞘膜瘤
255、单项选择题 流行性脑脊髓膜炎典型的病理变化是()。
	A.神经细胞变性坏死
	B.脑软化灶形成
	C.噬神经细胞现象
	D.蛛网膜下腔脓性渗出物堆积
	E.淋巴细胞袖套状浸润
256、单项选择题 患者男,50岁,因“胃灼热、反酸,间断胸骨后疼痛3年,近1周加重”来诊。 内镜检查:胃食管未发现肿瘤,食管远端黏膜齿状线以上呈橘红色天鹅绒样,环状。最应该考虑的诊断是()。
	A.放射性食管炎
	B.Barrett食管
	C.慢性胃炎
	D.消化道溃疡
	E.反流性食管炎
257、单项选择题 寄生虫病病变组织中的Charcot-Leyden晶体来自()。
	A.中性粒细胞
	B.嗜酸粒细胞
	C.嗜碱粒细胞
	D.淋巴细胞
	E.浆细胞
258、多项选择题 术中冷冻切片快速诊断的报告发出人可以是()。
	A.住院医师
	B.副高级职称的进修医师
	C.冷冻技术培训过的主治医师
	D.副主任医师
	E.主任医师
259、单项选择题 结核结节中最具有诊断意义的细胞成分是()。
	A.朗汉斯巨细胞和上皮样细胞
	B.朗汉斯巨细胞和淋巴细胞
	C.淋巴细胞和上皮样细胞
	D.上皮样细胞和异物巨细胞
	E.纤维母细胞和异物巨细胞
260、多项选择题 关于外阴阴道深部血管黏液瘤,叙述正确的有()。
	A.肿瘤生长缓慢,切除后无复发
	B.肿瘤边界不清,切面均质,黏液呈胶冻样
	C.镜下成纤维细胞、肌成纤维细胞位于黏液样间质中
	D.瘤细胞排列成簇或束,呈旋涡状排列于中、大厚壁血管周围
	E.肿瘤细胞desmin和S-100阳性
261、单项选择题 患者女,56岁,因“右乳外上象限肿物1周”来诊。查体:肿物活动度差,局部皮肤凹陷,右腋下可触及多枚肿大淋巴结。术前粗针穿刺活检诊断为右乳浸润性癌,右腋下淋巴结内转移性低分化腺癌,行右侧乳房切除+右腋下淋巴结清扫术。大体检查:乳腺肿物2.5cm×1.9cm×1.3cm,边界不清呈放射状,质硬,切面灰白色。 确诊依据除外()。
	A.肿瘤细胞推挤周围乳腺组织形成较清楚的边界
	B.肿瘤细胞有异型性,形态不一,缺乏规律性的结构特征
	C.肿瘤细胞排列成簇状、小梁状
	D.没有坏死
	E.见腺管样结构
262、多项选择题 关于卵巢微乳头状交界性肿瘤,叙述正确的有()。
	A.乳头长度是宽度的3倍
	B.容易伴发腹膜种植
	C.常为双侧发生
	D.常转化为高级别浆液性腺癌
	E.复发风险较高
263、多项选择题
患者女,76岁,因“发现脾大2周”来诊。查体:腹部扪诊可触及脾,Ⅰ线14cm,Ⅱ线16cm,因诊断不明而行择期脾切除术。术中:脾体积约20cm×15cm×9cm,表面光滑,未扪及确切包块。脾门淋巴结肿大,直径为3cm。病理:全切脾,重1250g,被膜光滑,切面暗红色,质中,呈均匀的细颗粒状。“脾门淋巴结”1枚,体积为3.5cm×1.5cm×0.8cm。脾及脾门淋巴结病变如图所示。
	

	A.毛细胞白血病
	B.滤泡淋巴瘤
	C.套细胞淋巴瘤
	D.脾边缘区B细胞淋巴瘤
	E.髓外造血
	F.霍奇金淋巴瘤累及
	G.慢性淋巴细胞白血病/小淋巴细胞淋巴瘤
264、多项选择题 患者女,11岁,因“烦渴多饮、多尿3年,明显肥胖及身高停滞2年”来诊。MRI:鞍区异常信号影,等T1,长T2,周边有水肿,可强化。 考虑诊断为()。(提示镜下:异常增生的细胞弥漫性浸润,细胞多为单核,无明显异型性,胞质丰富,细胞界限不清,细胞核可有不规则皱褶,可见纵行核沟,核仁不明显,伴多量嗜酸粒细胞浸润。)
	A.嗜酸性肉芽肿
	B.生殖细胞瘤
	C.Rosai-Dorfman病
	D.垂体瘤
	E.Hand-Schuller-Christian病
	F.颅咽管瘤
265、单项选择题 在伤寒病的潜伏期,伤寒杆菌一般在机体的何种组织细胞中寄生、繁殖()。
	A.巨噬细胞
	B.T细胞
	C.胆囊
	D.心脏
	E.肾脏
266、单项选择题 患者男,65岁,因“不明原因右侧腹部不适,隐痛,食欲减退2个月”来诊。发病以来,患者体重自65kg降至52kg。患者自幼居住南方,无外地居住史。血清学检查:AFP不高,CA19-9及CA125复查3次,均明显增高。 该肿瘤影响预后最常见的因素为()。
	A.淋巴结转移和手术切缘情况
	B.淋巴结转移和肿瘤大小
	C.淋巴结转移和肿瘤分化程度
	D.肝内卫星结节和淋巴结转移
	E.术后辅助治疗情况和肿瘤分化程度
267、多项选择题
患者女,44岁,1-0-0-1。因“发现盆腔肿物3年”入院。术中见子宫肿物9cm×8cm×7cm,切片灰白,质细腻,有黏冻感,条纹不明显。光镜形态如图所示。
	
	A.子宫黏液样平滑肌瘤
	B.子宫黏液性平滑肌肉瘤
	C.子宫平滑肌瘤黏液变
	D.子宫内膜间质肿瘤黏液变
	E.黏液性子宫内膜间质肉瘤
	F.子宫黏液腺癌
268、单项选择题 患者男,28岁,因“右侧肢体活动受限2个月”来诊。MRI:胼胝体占位。 根据病史和影像学表现,诊断时不考虑的肿瘤是()。
	A.星形细胞瘤
	B.淋巴瘤
	C.神经鞘瘤
	D.生殖细胞瘤
	E.室管膜瘤
269、单项选择题 患者女,因“左胸部皮肤出现红斑及成簇的小水疱,伴局部疼痛”来诊。 最不可能的病理诊断是()。
	A.天疱疮
	B.带状疱疹
	C.红斑狼疮
	D.疱疹样皮炎
	E.类天疱疮
270、单项选择题 患者女,44岁,因“右乳外下象限无痛、质硬性肿物6个月”来诊。查体:肿物边界清楚、可移动,3.9cm×2.9cm×2.8cm。大体检查:椭圆形肿物,包膜完整,切面实性隆起,灰白/灰黄色,质韧,分叶状并见弯曲的裂隙。 确诊依据除外()。
	A.间质黏液变性
	B.肿瘤由间质和上皮混合构成
	C.肿瘤呈分叶状结构并见裂隙
	D.间质内没有钙化
	E.间质细胞较丰富,异型不明显,未见核分裂象
271、单项选择题 患急性普通型肝炎时肝区疼痛的主要病理机制是()。
	A.肝细胞广泛水肿
	B.肝细胞广泛嗜酸性变
	C.肝细胞广泛坏死
	D.门管区炎细胞浸润
	E.间质反应性增生
272、单项选择题 最常见的脂肪肉瘤为()。
	A.分化良好型脂肪肉瘤
	B.去分化脂肪肉瘤
	C.黏液样脂肪肉瘤
	D.多形性脂肪肉瘤
	E.混合型脂肪肉瘤
273、单项选择题 患者男,58岁,因“自觉咽部不适”来诊。查体:右侧扁桃体Ⅱ度肿大,同侧颈部可扪及1个肿大的淋巴结,直径约2cm,活动,无触痛。 该结果支持的疾病诊断是()。(提示免疫组织化学染色:PCK(-),HMB-45(-),S-100(-),CD79a(+),CD3(-),CD10(+),BCL-6(+),MUM1(-),CD30部分(+),Ki-6750%。)
	A.间变大细胞淋巴瘤
	B.髓外浆细胞瘤
	C.弥漫大B细胞淋巴瘤
	D.低分化鳞状细胞癌
	E.粒细胞肉瘤
	F.恶性黑色素瘤
274、多项选择题 患者男,62岁,因“排黑粪1个月”来诊。胃镜:十二指肠下段局部黏膜隆起,部分黏膜呈污絮色。手术标本大体检查:肿块呈结节状,位于肠壁,5.1cm×4.9cm。肠壁结构完整。组织学检查:肿瘤由梭形细胞组成,呈条索状或交错条索状排列,核分裂象6个/50HPF。间质血管丰富,间质胶原纤维增生。免疫组织化学检查:CD34(+),SMA(-),S100P(++)。 需鉴别诊断的疾病有()。
	A.平滑肌肉瘤
	B.纤维瘤病
	C.神经纤维瘤病
	D.炎性肌成纤维细胞肿瘤
	E.胃肠道间质肿瘤
	F.孤立性纤维性肿瘤
275、单项选择题 前列腺增生是指()。
	A.前列腺腺体肥大
	B.前列腺腺体增生
	C.前列腺间质纤维组织增生
	D.前列腺腺体、平滑肌和纤维组织都增生
	E.主要指前列腺平滑肌增生
276、单项选择题 患者女,33岁人,结婚5年未孕,月经不规则多年,已闭经4个月,B型超声:内膜增厚1.0cm,内膜回声不均,双侧卵巢多囊性改变。尿妊娠试验阴性。 诊断性刮宫刮出内膜组织2cm×2cm×1cm,光镜下见腺体密集呈分支状及锯齿状,局部可见背靠背及腺体内搭桥现象。腺上皮细胞核圆略增大,形态不规则,极性改变。未见明显浸润。病理诊断为()。
	A.子宫内膜癌
	B.子宫内膜单纯性增生
	C.子宫内膜复杂性增生
	D.子宫内膜单纯性不典型增生
	E.子宫内膜复杂性不典型增生
277、单项选择题 慢性肾炎晚期肾小球最主要的变化是()。
	A.肾小球纤维化、玻璃样变
	B.肾小球周围纤维化
	C.入球小动脉玻璃样变
	D.毛细血管内皮增生
	E.肾球囊壁层上皮细胞增生
278、单项选择题 患者女,因“左胸部皮肤出现红斑及成簇的小水疱,伴局部疼痛”来诊。 该病例的疾病类型属于()。
	A.变态反应性疾病
	B.细菌感染性疾病
	C.遗传性疾病
	D.自身免疫性疾病
	E.病毒感染性疾病
279、单项选择题
患者女,46岁。绝经2年,发现白带增多6个月。临床诊断:子宫平滑肌瘤。术中见子宫体下端不规则肿块9cm×8cm×5cm,切面淡黄色,质软,肿块边界尚清晰。
	光镜组织图像如图所示(形态表现均一)。诊断首先考虑为()。
	
	A.子宫内膜间质肿瘤
	B.子宫性索样肿瘤
	C.子宫内膜样腺癌
	D.神经内分泌癌
	E.恶性Müllerian混合瘤
280、单项选择题 患者男,70岁,因“不规则发热及全身淋巴结肿大4个月,伴多浆膜腔积液及体重下降”来诊。 最不可能的疾病诊断是()。
	A.溶血性贫血
	B.非霍奇金淋巴瘤
	C.粟粒性结核
	D.转移性癌
	E.深部真菌病
281、单项选择题
患者男,27岁,因“不规则发热,颈、腋下及腹股沟等处多发性淋巴结肿大,以及进行性消瘦”来诊,肿大淋巴结直径为1.5~2.5cm,遂行颈淋巴结活检。大体检查:灰白色结节1个,2cm×1cm×1cm,包膜完整,切面呈灰白色,质软;镜检:淋巴结结构大部分破坏,被膜下见少量小淋巴细胞(图1),大片区域内见泡沫样组织细胞成片分布,胞质内见一些细颗粒状物,疑为病原微生物(图2)。
	 
 
	A.Fantana染色
	B.PAS染色
	C.抗酸染色
	D.六胺银染色
	E.吉姆萨染色
282、单项选择题
	患者男,27岁,因“不规则发热,颈、腋下及腹股沟等处多发性淋巴结肿大,以及进行性消瘦”来诊,肿大淋巴结直径为1.5~2.5cm,遂行颈淋巴结活检。大体检查:灰白色结节1个,2cm×1cm×1cm,包膜完整,切面呈灰白色,质软;镜检:淋巴结结构大部分破坏,被膜下见少量小淋巴细胞(图1),大片区域内见泡沫样组织细胞成片分布,胞质内见一些细颗粒状物,疑为病原微生物(图2)。

	根据下图,最准确的答案是()。
	
	A.抗酸染色阳性,提示分枝杆菌感染
	B.黏液卡红染色阳性,提示新型隐球菌感染
	C.Giemsa染色阳性,提示幽门螺杆菌感染
	D.Giemsa染色阳性,提示梅毒螺旋体感染
	E.Giemsa染色阳性,提示立氏曼原虫感染
283、多项选择题 关于混合性肝细胞-胆管癌,叙述正确的有()。
	A.肝细胞癌和胆管细胞癌是在同一患者的肝的不同瘤块
	B.为单一结节,部分为肝细胞癌分化,部分为胆管细胞癌分化
	C.为单一结节,肿瘤细胞分化方向不确定,可能为肝细胞来源
	D.为单一结节,大部分肿瘤细胞分化方向不确定,肿瘤周边可见肝细胞及胆管细胞分化
	E.转移灶可表现为肝细胞癌、胆管癌或两者混合
284、单项选择题 患者男,25岁。因“手背部多发丘疹”来诊。查体:患者手背部见多发性、米粒到绿豆大有蜡样光泽的半圆形丘疹,灰白色,丘疹中心有脐凹。 最不可能的病理诊断是()。
	A.寻常疣
	B.扁平疣
	C.跖疣
	D.传染性软疣
	E.疣状表皮非典型增生
285、多项选择题 已被认为是孤立性纤维性肿瘤的特殊类型的是()。
	A.血管纤维瘤
	B.富于细胞性血管纤维瘤
	C.巨细胞血管纤维瘤
	D.巨细胞成纤维细胞瘤
	E.脂肪瘤样血管外皮瘤
286、单项选择题 正常子宫内膜会出现的变异不包括()。
	A.内膜厚度略有差异
	B.局部腺体的拥挤和套叠现象
	C.局部腺体的轻度不典型增生
	D.内膜表面结节状或有皱褶
	E.刮宫内膜组织增生期腺体和分泌期腺体同时存在
287、多项选择题 关于Peutz-Jeghers综合征,叙述正确的是()。
	A.是常染色体隐性遗传性疾病
	B.肠道息肉属错构瘤性病变
	C.胃肠道息肉数必须超过100个
	D.皮肤、黏膜色素沉着
	E.PJ综合征患者癌症发生率明显高于正常人
288、单项选择题 良性高血压最具有特征性的血管病变是()。
	A.细动脉的玻璃样变
	B.细动脉的纤维素性坏死
	C.细小动脉内膜炎
	D.动脉粥样硬化
	E.动脉中层钙化
289、单项选择题 原因不明的机化性肺炎较特异的病理学表现为()。
	A.间质纤维化
	B.肺泡腔内巨噬细胞聚集
	C.透明膜
	D.细支气管周围肉芽肿
	E.细支气管腔内含成纤维细胞的机化物
290、单项选择题 患者男,38岁,因“肛门区肿块1个月”来诊。患者为同性恋。 诊断不考虑()。
	A.梅毒
	B.尖锐湿疣
	C.慢性肠血吸虫病
	D.疣状癌
	E.鳞状细胞癌
291、多项选择题 患者男,68岁。因“腹部饱胀、纳差”来诊。查体:上腹部触及包块。胃镜:胃体部前壁占位,局灶性黏膜溃疡。大体检查:肿瘤5.8cm×6.9cm,切面灰白、灰红色,界限清楚。组织学检查:肿瘤由胖梭形细胞组成,条索状排列,部分呈变性坏死。细胞核分裂象5个/50HPF。 对诊断胃肠道间质肿瘤有指导价值的免疫组织化学检查指标有()。
	A.CD34
	B.CD56
	C.CD31
	D.CD117
	E.DOG1
	F.VIM
292、单项选择题
患者女,36岁,因“发现颈右侧皮下2个结节”来诊。查体:结节直径分别为1.5cm和2.5cm,质中,活动,无压痛,表面皮肤无异常。临床怀疑肿瘤,行颈淋巴结活检。淋巴结活检样本的形态学如图所示。
	

	A.抗酸染色
	B.免疫组织化学染色
	C.细胞遗传学检查
	D.EBER原位杂交
	E.抗原受体基因重排检测
293、多项选择题 关于儿童黑色素瘤,叙述正确的有()。
	A.是发生于儿童(发生于1岁至青春期前)的黑色素瘤
	B.组织学改变类似成人性黑色素瘤
	C.诊断标准与成人相同
	D.皮肤黑色素瘤几乎不发生在2岁以下
	E.缺乏成熟现象不是诊断依据
294、单项选择题
患者女,20岁,因停经2个月,阴道流血,血HCG水平较高,行刮宫术。宫腔刮出物肉眼未见明显水泡。刮宫标本显微镜检查如图所示。




 
 295、多项选择题 关于输卵管慢性肉芽肿性炎,叙述正确的有()。
	A.肉芽肿性输卵管炎几乎总是由结核引起,血行播散是最常见的传染途径
	B.几乎所有的女性生殖器结核均存在输卵管结核
	C.即使典型的上皮样细胞肉芽肿,明确诊断仍需依赖结核杆菌病原学检查
	D.假黄色瘤性输卵管炎与子宫内膜异位症关系密切,与结核等病原菌感染关系不大
	E.输卵管慢性肉芽肿性炎的病因还包括放线菌、寄生虫、结节病及克隆恩病等
296、单项选择题 患者女,22岁,左大腿深部肌肉组织内一直径约8.5cm肿块,结节状,切面呈灰白暗红色,灶区出血、囊性变。 最不可能的病理诊断是()。
	A.神经鞘瘤
	B.滑膜肉瘤
	C.脊索瘤
	D.骨外尤文肉瘤/外周原始神经外胚层肿瘤
	E.纤维肉瘤
297、单项选择题 下列哪项不符合绒毛膜癌()。
	A.多起源于滋养层细胞
	B.血中、尿内绒毛膜促性腺激素(HCG)水平升高
	C.病灶周围有大片出血、坏死
	D.血道转移为其主要转移途径
	E.肿瘤组织由绒毛和间质构成
298、单项选择题 导管腺瘤也被称为()。
	A.汗腺瘤样腺瘤
	B.腺肌上皮瘤
	C.硬化性导管乳头状瘤
	D.血管外皮细胞瘤
	E.纤维腺瘤
299、单项选择题 伤寒病的肠道病变特点是()。
	A.病变好发于结肠粘膜层及粘膜下层
	B.不累及肠系膜淋巴结
	C.形成与肠长轴平行的椭圆形溃疡
	D.溃疡愈合后形成瘢痕引起肠狭窄
	E.病变愈复后不会再次复发
300、多项选择题 患者男,24岁,腹腔内出现多发结节,腹腔积液。大体检查:肿瘤结节实性,质硬,大小不一,呈斑块状或球形。 免疫组织化学染色阳性的有()。(提示镜下:肿瘤细胞被富于细胞的间质分割成界限清楚的细胞巢,如图所示。肿瘤细胞形态单一,呈小圆形,核深染,核分裂活跃,胞质稀少。)
	A.CK
	B.结蛋白(desmin)
	C.NSE
	D.WT1
	E.钙视网膜蛋白(calretinin)
	F.CD99