时间:2024-03-08 01:00:43


1、多项选择题 根据棘球蚴囊USG表现特征,可分为()
A.单囊型
B.多囊型
C.囊沙型
D.混合型
E.母子囊型
2、单项选择题 孕几周时胎头生长稳定,生物变异性小,双顶径估计孕龄最准确()
A.9~11周
B.12~20周
C.21~28周
D.28~36周
E.37~40周
3、单项选择题 患者于肝右前叶下段与左内叶交界处发现低回声不均匀实性肿块,边缘欠清,其内见多个强回声团伴声影,胆囊腔内无回声区消失,最可能诊断为()
A.胆囊癌实块型
B.肝细胞肝癌
C.炎性假瘤
D.胆管细胞肝癌
E.肝腺瘤
4、单项选择题 下列哪项与甲状腺腺瘤无关()
A.圆形或椭圆形肿物,边缘光滑,有包膜,周围有晕征
B.内部为实性低回声、增强回声、等回声
C.囊性变或出血时呈混合性回声,甚至无回声,乳头状囊腺瘤的囊壁可见乳头状或团块状突起
D.肿物后方回声明显衰减
E.肿物周边声晕处可见丰富的动静脉血流,内部乳头上可见少量血流分布
5、单项选择题 子宫内节育器正常位置是上缘距宫底外缘多少厘米以内()
A.1cm
B.1.5cm
C.2cm
D.2.5cm
E.3cm
6、单项选择题 弥漫性恶性葡萄胎CDFI的特点是()
A.子宫肌层大小不等无回声区内血供不丰富,偶见动脉血流信号,RI>0.5
B.子宫肌层呈非均匀性混合回声,内见明亮、丰富、五彩斑斓低速血流,RI<0.4
C.子宫肌层弥漫性分布大小不等无回声区,内见扩张的血管,血流丰富呈繁星点状或花环状,为低速动脉血流,RI<0.4~0.5
D.子宫肌层回声杂乱,内见明亮、丰富、五彩斑斓高速血流,RI>0.4~0.5
E.以上都错
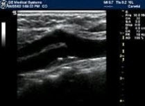
7、单项选择题
该病例最可能的诊断()

A.主动脉增宽
B.主动脉壁内膜增厚
C.夹层动脉瘤
D.假性动脉瘤
E.真性动脉瘤
8、单项选择题 由各个超声探头阵元边缘所产生的外加声束称之为()
A.边缘声影
B.阻抗伪像
C.旁瓣
D.声误差
E.主瓣
9、单项选择题
图中睾丸上方囊性回声为()
A.附睾囊肿
B.精索囊肿
C.睾丸附件囊肿
D.附睾附件囊肿
E.附睾炎
10、单项选择题 关于实性肿瘤的超声像图特点下列哪项是错误的()
A.边界整齐、光滑或不规则
B.常呈圆形、椭圆形或不规则
C.不可能出现无回声
D.可有后方组织衰减或声影
E.侧方声影可有可无
11、单项选择题 以下哪项不是乳腺纤维腺瘤的超声表现()
A.边界光滑
B.有包膜
C.内部呈均质低回声区
D.导管扩张
E.单发或多发
12、单项选择题
此为哪种疾病的超声解剖示意图()
A.法四
B.右室憩室
C.左心发育不良综合征
D.心内膜垫缺损
E.以上都不对
13、单项选择题 肾盂肿瘤声像图表现()①肾盂内边缘不规则的实性团块②肾集合系统扩张③肿瘤浸润肾实质时肾窦回声杂乱④转移时肾门、肾周淋巴结肿大⑤累及输尿管膀胱⑥CDFI:肾血管移位,分布紊乱,50%显示肿瘤内点状血流信号,高阻血流频谱
A.①②④⑤⑥
B.①②④⑥
C.①②③④⑥
D.①②③④⑤⑥
E.①②④⑤
14、单项选择题 用彩色多普勒血流成像技术检测手指末端小动脉,下列哪项调节是错误的()
A.用低的速度标尺
B.彩色图选用两色图
C.小的取样容积
D.低通滤波器
E.高通滤波器
15、单项选择题
某患者右下腹痛,血尿,根据超声声像图,最可能的诊断为()
A.右肾结石
B.右输尿管下段结石
C.阑尾炎
D.膀胱结石
E.输尿管肿瘤
16、单项选择题 输卵管哪个部位妊娠具有严重的潜在并发症()
A.峡部
B.壶腹部
C.漏斗部
D.间质部
E.以上都不是
17、单项选择题
某患者25岁,高热,肝区疼痛。肝脏声像图表现如图,结合病史,最可能的诊断是()
A.肝血管瘤
B.肝脓肿
C.肝硬化
D.肝癌
E.肝囊肿
18、单项选择题 中期妊娠是指()
A.妊娠12周末以前
B.妊娠13~27周末
C.妊娠第28~40周
D.妊娠12周末
E.妊娠13~27周末以前
19、单项选择题
某患者左肾超声声像图如下,最可能的诊断为()
A.多发性肾囊肿
B.肾结核
C.多囊肾
D.重度肾积水
E.中度肾积水
20、单项选择题 孕几周超声可清楚显示胎儿膀胱()
A.9周
B.12周
C.15周
D.20周
E.8周
21、单项选择题 超声波是如何发生的()
A.换能器的逆压电效应
B.换能器的压电效应
C.换能器向人体发送电信号
D.换能器的热效应
E.换能器的磁效应
22、单项选择题 肝脏外分泌功能包括产生()
A.糖原
B.尿素
C.肝素
D.胆汁
E.胰液
23、单项选择题 下列哪项表现与结节性甲状腺肿无关()
A.甲状腺不规则,非对称性增大
B.实质回声增粗,内呈多个中等偏强回声结节
C.结节内可见液性暗区、强光点
D.CDFI显示血流丰富,血流呈花环状包绕结节,并有细小分支伸入结节内
E."冲洗征"
24、单项选择题 对子宫内膜癌手术范围选择及预后判断最重要的声像图表现是()
A.肿瘤血流丰富
B.肿块大小
C.子宫肌层浸润深度大于50%
D.肿块形态
E.肿块回声不均
25、单项选择题 灰阶超声波的回声来源是()
A.超声波的全反射
B.超声波的背向散射及反射
C.超声波的衍射和折射
D.超声波的多普勒效应
E.超声波的绕射
26、单项选择题 超声检测甲状腺,其解剖标志是()
A.气管在其内侧,颈长肌在后方,颈动脉和颈内静脉在外侧,带状肌在内侧
B.气管在其内侧,颈长肌在外侧,颈动脉和带状肌在其后方
C.气管和带状肌在内侧,颈长肌在后,颈动脉在下方
D.气管在其内侧,颈长肌在后方、颈动脉及颈内静脉在其外侧,带状肌在其前外侧
E.以上都不是
27、问答题 肾结石的声像图表现有哪些?
28、单项选择题 胎儿十二指肠闭锁的特征性声像图显示()
A.声像图不能显示胃
B.双泡征
C.胃移位至胎儿右侧腹部
D.胃腔明显增大
E.胃下移至盆腔
29、单项选择题 关于卵巢黏液性囊腺瘤声像图表现,下列哪一项是错误的()
A.肿瘤呈圆形或椭圆形无回声区
B.囊壁呈均匀厚壁型
C.呈多房结构
D.肿瘤体积一般较小,常为双侧性
E.少数肿瘤内有乳头状物
30、单项选择题
该图为睾丸声像图,最可能的诊断为()
A.正常回声
B.急性睾丸炎
C.睾丸扭转
D.慢性睾丸炎
E.睾丸肿瘤
31、单项选择题 肾超声检测常用的频率是多少MHz()
A.1~2MHz
B.1.5~2.5MHz
C.3.0~4.0MHz
D.3.5~5.0MHz
E.7.5~12.0MHz
32、单项选择题 声在介质中的传播有纵波、横波和表面波三种方式,下列正确的是()
A.在固体中有纵波和横波两种方式
B.在液体中有纵波和横波两种方式
C.在气体中有纵波和横波两种方式
D.在真空中有纵波和横波两种方式
E.在生物组织中以纵波为主
33、单项选择题 超声声像图上,宫颈内见数个小无回声区,后方回声加强,最可能的诊断为()
A.阴道横隔
B.宫颈肥厚
C.宫颈妊娠
D.宫颈纳氏囊肿
E.宫颈癌
34、判断题 泪腺肿瘤恶性者USG境界不规整,加压探头时肿瘤不变形。
35、单项选择题 患者28岁,为室间隔缺损,左向右分流,用彩色多普勒技术检查分流血流,对仪器的调节,下述哪一项是错误的()
A.低通滤波
B.高频(7MHz以上)电子相控阵探头
C.电子线阵探头(5MHz以上)
D.高速档速度标尺(高脉冲重复频率)
E.彩色图选用两色彩图
36、单项选择题 俯卧扫查腹主动脉周围腹膜后淋巴结有一定难度,是因为()
A.髂腰肌干扰图像
B.俯卧位时淋巴结肿大
C.俯卧时淋巴结降入腹腔
D.脊柱产生声影伪像
E.以上均是
37、单项选择题 从主动脉瓣关闭到二尖瓣开放这一时期称为()
A.等容舒张期
B.等容收缩期
C.心房收缩期
D.快速射血期
E.快速舒张期
38、单项选择题 正常人的膀胱容量约为()
A.300ml以下
B.400ml左右
C.500ml左右
D.600mL左右
E.700mL左右
39、单项选择题 主动脉弓离断的临床及超声表现不包括()
A.主动脉弓部以下连续中断
B.动脉导管连接肺动脉与降主动脉
C.常合并室间隔缺损
D.常不伴有肺动脉高压
E.可无导管未闭的杂音
40、单项选择题 中年女性,突发上腹疼痛,伴恶心、呕吐,超声显示胆囊多发结石,胰腺肿大,轮廓不清,回声减低,周围见少量液性暗区,最可能的诊断是()
A.急性胰腺炎
B.慢性胰腺炎
C.急性胃炎
D.急性胆囊炎
E.急性胆管炎
41、单项选择题 小气泡产生的混响回声,回声强并且以规律间隔出现,这种伪像称为()
A.多途径伪像
B.镜像伪像
C.振铃伪像
D.旁瓣伪像
E.以上都不是
42、单项选择题
如图,36周胎儿,最可能的诊断是()
A.正常声像图
B.脑疝
C.脑积水
D.泪滴状侧脑室
E.以上都不是
43、多项选择题 关于通常所说的DCS系统,下列说法错误的是()。
A、可编程逻辑控制器
B、紧急停车系统
C、分散控制系统
D、安全联锁系统
44、单项选择题 弥漫浸润型胃癌的声像图,下列哪一项描述是错误的()
A.病变多呈低回声
B.病变多呈“火山口”征
C.胃壁五层结构消失
D.胃腔狭窄呈“假肾征”
E.胃壁显著增厚
45、单项选择题 子宫肌瘤变性与下面哪一项声像图表现最相关()
A.肌瘤直径<2cm
B.肌瘤较大,内见无回声区
C.肌瘤位置,如粘膜下肌瘤
D.单发肌瘤
E.多发肌瘤
46、单项选择题 下列关于肾外伤的描述中,哪一项不正确()
A.血尿是肾损伤的主要症状之一,血尿程度与伤情完全一致
B.超声可显示肾周围和肾组织破裂处有无血肿形成
C.声像图表现为肾周或局部实质有血肿暗区存在
D.陈旧性血肿,血块软化,回声增加,可呈类实性改变
E.合并肝脾破裂者,肝区或睥区有血肿暗区,腹盆腔内亦可有暗区
47、单项选择题 下列哪项不是脐带绕颈自行解脱或缠绕的因素()
A.妊娠月份较大而羊水较少
B.胎儿活跃,胎动频繁
C.脐带过长
D.诊断时间过早
E.羊水多,妊娠月份小
48、单项选择题 妇科肿瘤的病人,应进一步扫查下列哪个器官()
A.脾
B.乳腺
C.肝
D.肾
E.心脏
49、单项选择题
女,35岁,上腹经常疼痛不适。声像图如图所示。结合超声声像图,诊断为()
A.胆囊多发性息肉
B.胆泥淤积
C.胆囊多发性腺瘤
D.胆囊蛔虫残骸
E.胆囊多发性结石
50、单项选择题
患儿,出生1个月,因喂奶时经常呕吐,加重数天就诊,婴儿明显消瘦,皮肤松弛有皱纹,皮下脂肪减少,精神抑郁呈苦恼面容。喂奶时,可见从左季肋向右上腹移动之蠕动波。根据超声示意图,最可能的诊断为()
A.先天性肥厚型幽门狭窄
B.先天性胆管狭窄
C.胃溃疡
D.肠炎
E.肠梗阻
51、单项选择题 采用聚焦技术的主要目的是()
A.抑制旁瓣效应
B.改善横向和侧向分辨率
C.提高帧频
D.减少超声伪像
E.改善超声的指向性
52、单项选择题
该男,30岁,血压正常范围,心电图正常,T3,T4正常,该病例最可能的诊断()

A.冠心病
B.高血压心脏病晚期
C.甲状腺功能亢进型心脏病
D.扩张型心肌病
E.肥厚性心肌病
53、单项选择题 下列关于反射系数的描述中,错误的是()
A.两种介质声阻抗相同时,反射系数为0
B.两种介质声阻抗相差很大时,反射系数大
C.两种介质声阻抗只要有1‰的差异就会产生反射回波
D.声束垂直于界面入射时可得到最佳反射效果
E.当一种介质声阻抗值很小时,反射系数总是很小
54、填空题 道格拉斯窝位于_________。
55、名词解释 全程聚焦
56、单项选择题 关于胰腺假性囊肿的叙述错误的是()
A.由胰腺周围积液组成
B.发病后4—6周形成
C.内壁为上皮组织
D.可合并感染
E.可合并有囊壁钙化
57、单项选择题 用彩色多普勒技术检测低速血流(<0.05m/s)的正确方法是()
A.高速标尺
B.深呼吸
C.低速标尺
D.高通滤波器
E.用最大的取样框
58、单项选择题 肾动脉狭窄的诊断标准()
A.狭窄处血流亮度增加,流速加快,Vmax≥180cm/s
B.Vmax狭窄处:Vmax邻近的腹主动脉内径≥3.5cm
C.AT≥0.07s,AS<3m/s
D.RI<0.5
E.以上均是
59、单项选择题 彩色多普勒血流显像与伪彩(B彩)的区别是()
A.彩超就是伪彩
B.彩超是由灰阶转换而来
C.伪彩是彩色血流显像
D.彩超与伪彩完全不同
E.以上都对
60、单项选择题
男性,阴囊肿大,表皮温度高,触痛明显,超声见附睾尾体积增大,CDFI:血流信号丰富,如图所示,考虑为()
A.附睾炎
B.睾丸炎
C.附睾结核
D.睾丸结核
E.精索静脉曲张
61、单项选择题 以下选项中,哪项检查对诊断“眼底肿瘤”最好()
A.超声或眼底镜
B.MRI
C.血管造影
D.CT
E.眼眶正侧位平片
62、单项选择题 伴发羊水过少的胎儿畸形是()
A.消化道闭锁
B.胎儿水肿
C.无脑儿
D.肾发育不全
E.以上都不是
63、单项选择题
该病例二尖瓣返流面积与左房面积之比为37%,提示返流程度为()

A.轻微
B.轻度
C.中度
D.重度
E.无返流
64、单项选择题 为了调节灰阶超声仪器的工作条件达到最佳状况,下列哪项内容不重要()
A.提高空间分辨力
B.提高时间分辨力
C.选择适当的图像前后处理及动态范围
D.调节M型的扫描速度
E.选择适宜的灰阶数
65、单项选择题 反映心室舒张功能减低不包括哪项()
A.IVRT
B.EPSS
C.E峰流速
D.E/A
E.△D%
66、单项选择题 以下哪项不是主动脉瓣狭窄的超声所见()
A.主动脉瓣叶增厚,回声增强
B.瓣口面积缩小
C.左室腔明显增大
D.左室壁普遍性增厚
E.升主动脉内探及高速射流频谱
67、单项选择题 肝豆状核变性与下列哪项元素代谢失常有关()
A.锌
B.铁
C.硒
D.铜
E.铝
68、单项选择题 在生物效应研究中,空化指()
A.气泡的生成和活动
B.坏死
C.细胞膜破裂
D.染色体破裂
E.细胞畸变
69、单项选择题 以下哪项是肝细胞肝癌的特异性表现()。
A.类圆形的实性团块
B.局部轮廓隆起
C.外周绕有声晕,内有“块块”或“镶嵌征”
D.绕有强回声边缘的结节
E.外周血管受压
70、单项选择题 海绵状血管瘤在声像图上很少表现为()
A.回声增强的病灶
B.低回声团块
C.壁光滑的无回声
D.多个病灶
E.类圆形团块
71、单项选择题 对子宫内膜癌手术范围选择及预后判断重要的超声表现是()
A.肿瘤血流丰富
B.肿瘤大小
C.肿瘤形态
D.肿瘤内回声不均质
E.肿瘤浸润子宫肌层大于50%
72、单项选择题 下列哪项不符合脐带特点()
A.脐带正常长度30~70cm,平均直径1.5~2.0cm
B.脐动脉绕脐静脉呈螺旋状走行
C.脐静脉绕脐动脉呈螺旋状走行
D.超声无法测量脐带的长度
E.由两根脐动脉,一根脐静脉组成
73、单项选择题 形成胆囊憩室最常见的原因是()
A.术后创伤
B.肿瘤
C.外压
D.流出梗阻
E.结石
74、单项选择题 妇科恶性肿瘤的血流频谱特点是()
A.低速低阻
B.低速高阻
C.高速高阻
D.高速低阻
E.以上都不是
75、单项选择题 关于多普勒超声的描述,下列哪一项是错误的()
A.主要分为连续波和脉冲波多普勒
B.脉冲波多普勒具有距离选通性
C.连续波多普勒不具有距离选通性
D.脉冲多普勒,脉冲重复频率越高,可测量血流速度越高
E.显示多普勒频谱可直接测出血流量
76、单项选择题
用超声作为软组织显像技术的优点为()
①无损伤
②对病人和操作者都安全
③可明确地显示出软组织的功能
A.①
B.①②
C.①②③
D.①③
E.②③
77、单项选择题 镜面反射通常出现在下列哪一组织周围()
A.肝脏
B.胆囊
C.脾脏
D.膈肌
E.胰腺
78、单项选择题 在心底短轴不能显示冠脉的哪一支()
A.左主干
B.左前降支
C.右后降支
D.右主干
E.左旋支
79、单项选择题 指出下列正常肢体静脉的多谱勒超声表现哪项是错误的()
A.中等大小以上的静脉,无论在休息和活动状态都有血流信号
B.静脉血流速度随呼吸运动而加快或减慢
C.乏氏(Valsalva)反应阳性
D.人工挤压远端肢体后血流信号减弱
E.呈单向回心血流
80、单项选择题 患者陈某,有风湿性关节炎病史,心脏听诊主动脉瓣区有舒张期杂音,X线胸片示左心室扩大,心电图示左心室高电压,疑有主动脉瓣关闭不全,用彩色多谱勒技术检查应有什么表现()
A.左心室在收缩期有血流射入肺动脉
B.显示有血流从主动脉瓣口在舒张期流向左心室
C.收缩期有血流从右心房流入右心室
D.左心室在收缩期无血流射入主动脉
E.收缩期有血流从左房流入左心室
81、单项选择题
一孕妇,孕28周,根据胎儿头部B超声像图,最可能的诊断为()
A.胎儿脑积水
B.无脑儿
C.脑膜脑膨出
D.正常胎儿
E.透明隔囊肿
82、多项选择题 超声检查能发现哪些病变,并多能作出正确诊断()
A.肾结石
B.肾囊肿
C.肾实质肿瘤
D.肾外伤
E.膀胱炎
83、单项选择题 眼动脉是由哪根动脉发出的第几分支()
A.颈内,第一
B.颈外,第三
C.颈总,第二
D.椎动脉,颅内
E.颈内,第三
84、单项选择题 下列对镜面右位心的二维超声检查的叙述,哪一项是错误的()
A.心尖位于胸腔右侧
B.心室位置互换,左心室在右,右心室在左侧
C.肺动脉与右心室连接
D.主动脉与右心室连接
E.心房位置互换,左心房在右,右心房在左侧
85、问答题 卵巢实性肿瘤的声像图表现有哪些?
86、单项选择题 肝肿大的原因包括()①黄疽②充血性心衰③癌症
A.①
B.①②
C.①②③
D.②③
E.①③
87、单项选择题 切片厚度伪像的产生与下列因素有关()
A.脏器位置较深
B.脏器厚度较大
C.探头近场较长
D.超声束较宽
E.探头横径过大
88、单项选择题 关于“肝血管瘤”影像,下列描述哪项不对()
A.超声,低回声结节
B.核素延迟扫描,过度充填
C.CT,充填式强化
D.MRI,电灯泡征
E.对小血管瘤诊断与鉴别,MRI价值明显优于核素扫描
89、单项选择题 超声检查常见的胰腺囊肿是().
A.先天性囊肿
B.真性囊肿
C.假性囊肿
D.滞留性囊肿
E.寄生虫性囊肿
90、问答题 腹主动脉瘤的USG声像图特点有哪些?
91、问答题 超声诊断在产科临床有何意义?
92、单项选择题 彩色多普勒血流显像仪安全性标准,下列哪项是关键性要求()
A.检出彩色的敏感性
B.超声输出功率不大于规定值
C.功能丰富
D.可使用录像、热敏打印
E.是全数字化技术
93、单项选择题
女,24岁,人流术1个月后阴道不规则出血。根据超声所示,应考虑为()
A.宫内残留
B.葡萄胎
C.绒癌
D.早孕
E.子宫肌瘤
94、单项选择题
男,25岁,左腰痛2小时伴镜下血尿,超声显示左肾盂左输尿管轻度扩张,膀胱超声图如下,可提示诊断是()
A.左输尿管囊肿
B.左输尿管结石
C.左输尿管肿瘤
D.左输尿管狭窄
E.以上都不是
95、单项选择题 子宫动脉起自哪条动脉()
A.左肾动脉(左侧),腹主动脉(右侧)
B.腹主动脉
C.髂内动脉
D.髂外动脉
E.髂总动脉
96、单项选择题 不属于门体分流的方式是()
A.脾——肾静脉分流
B.前腹壁静脉分流
C.肾——结肠静脉分流
D.系膜——腔静脉分流
E.TIPS
97、多项选择题 不同的介质有不同的声速,下述哪些正确()
A.空气——332m/s
B.血液——1570m/s
C.肝——1570m/s
D.脂肪——1476m/s
E.肌肉——1568m/
98、名词解释 B/M模式
99、单项选择题 在舒张期,压力最低的腔室是()
A.心室
B.心房
C.主动脉
D.肺动脉
E.腔静脉
100、单项选择题 鉴别巨大卵巢囊肿与腹水,下列哪种检查方法是禁忌的()
A.超声检查
B.腹部X线平片
C.胃肠道造影
D.腹腔镜检查
E.检测腹部移动性浊音
101、填空题 心包积液USG表现当积液量在100ml以下时,无回声区限于_____________,无回声区最大内径<____mm;积液量在100~500ml时,无回声区可扩展到__________________,无回声区最大内径<____mm;当积液量>500ml,______________均为无回声区包绕。
102、单项选择题 目前公认较好反映左室功能的指标是()
A.SV
B.CO
C.EF
D.CI
E.FS
103、单项选择题 医学上常用的超声频率是?()
A.2.2-10.0MHz
B.1.5-2.0MHz
C.10.0-20.0MHz
D.1.5-5.0MHz
E.2.0-100.0MHz
104、问答题 超声对于“无功能肾”的检查有何临床意义?
105、单项选择题 在诊断胆石过程中,下列哪种情况最易出现假阴性结果()①有一个巨大孤立的结石②胆囊小③石头嵌顿于胆囊管
A.①②③
B.①
C.②
D.③
E.①③
106、单项选择题 下述哪项不是扩张型心肌病超声表现()
A.心腔明显扩大
B.收缩功能减退
C.舒张功能正常
D.室壁运动普遍减低
E.室壁收缩期增厚率减低
107、单项选择题
甲状腺的动脉血供来源于()
①颈外动脉分出两对甲状腺上动脉,分布甲状腺上部,CDFI容易显示
②颈内动脉分出两条甲状腺上动脉,分布甲状腺上部,CDFI容易显示
③锁骨下动脉分出两对甲状腺下动脉,分布甲状腺下部,CDFI不易显示
④锁骨下动脉分出两条甲状腺下动脉,分布甲状腺下部,CDFI不易显示
A.①③
B.②④
C.①④
D.②③
E.①③④
108、单项选择题 以下哪种情况是彩色多普勒血流显像仪质量好的主要标志()
A.灰阶显像分辨率高
B.检出低速血流的敏感度高,抗低频噪音信号能力强
C.可连接外设多
D.功能多、性能价格比高
E.具备升级潜能
109、单项选择题 心搏出量与心输出量有什么不同()
A.心搏出量在数值上与心输出量相等
B.心率不变时,心搏出量增大反而使心输出量减低
C.心输出量是心搏出量乘以心率,心搏出量是每次心搏的排出量
D.心搏出量大于心输出量
E.心输出量不乘以心率,心搏出量需计算心率
110、单项选择题
该病例最有可能诊断是()

A.原发孔房缺
B.继发孔房缺
C.冠状静脉窦隔缺损
D.部分性肺静脉畸形引流
E.部分型心内膜垫缺损
111、单项选择题 下列对阴囊内结构描述不正确的是()
A.由皮肤、肉膜及肌肉组成
B.在正中线形成阴囊隔,分左右两囊
C.无结构
D.内有睾丸、附睾、精索
E.睾丸鞘膜腔内有少量液体
112、单项选择题 慢性淋巴性甲状腺炎(桥本氏病)的超声声像图表现是()
A.甲状腺峡部明显增厚,回声低,血流丰富
B.甲状腺正常大小,回声低,血流丰富
C.甲状腺正常大小,回声低,分布均匀,血流不丰富
D.甲状腺轻度肿大,回声低,分布不均匀,血流不丰富
E.甲状腺轻度肿大,回声强,分布不均匀,血流不丰富
113、单项选择题 腮腺炎的声像图表现是()
A.不同程度的弥漫性肿大
B.急性期轮廓不清,呈低回声
C.腮腺血流信号增多
D.慢性期界限清晰,呈强回声
E.以上都是
114、单项选择题 超声波是由波源振动而产生,其最低振动频率不小于()。
A、3000次/秒
B、5000次/秒
C、15000次/秒
D、18000次/秒
E、20000次/秒
115、单项选择题
某腹胀患者中腹部声像图表现,最可能的诊断是()
A.胰尾癌
B.胰腺炎
C.胰头癌
D.正常图像肿大淋巴结
116、单项选择题 检查肺动脉瓣狭窄时,彩色多普勒血流显像的滤波(filter)应怎样调节()
A.用中等频率滤波,使血流显示充满肺动脉
B.不用滤波器,以免干扰血流信号
C.用低通滤波,使血流不失真
D.选用高通滤波,以减少、消除低速信号干扰
E.以上都不是
117、填空题 死胎USG表现为__________________________、_______________________、______________________________、_________________________________、___________________和_____________。
118、单项选择题
某患者左侧阴囊下部疼痛不适3天,曾患前列腺炎,无外伤史,无结核病史,超声声像图如下,最可能的诊断为()
A.睾丸肿瘤
B.附睾尾炎性包块
C.睾丸炎
D.附睾结核
E.附睾肿瘤
119、单项选择题 孕几周时,超声可检测出脐带回声()
A.8周
B.12周
C.16周
D.20周
E.24周
120、单项选择题
根据颈部动脉声像图初步诊断()

A.颈部动脉内血栓
B.颈部动脉内肿瘤
C.颈部动脉粥样斑块
D.颈部动脉内膜局限增厚
E.大动脉炎
121、单项选择题 5.0~10.0MHz探头适用于检测()①骨骼②浅表组织③肌腱④半月板⑤关节软骨⑥婴幼儿⑦术中
A.①②③④
B.①②③④⑤
C.①②③④⑤⑥
D.②③④⑤⑥⑦
E.①②③④⑤⑥⑦
122、单项选择题 上腔静脉血流的多谱勒频谱不具有下述哪项特点()
A.频谱是连续起伏波型
B.频谱幅度不受呼吸影响
C.深吸气时血流速度增块
D.从胸骨上窝检查为负向频谱
E.深呼吸时血流速度减慢
123、单项选择题 有关肺动脉的描述,以下哪项是正确的()
A.肺动脉起自左心室
B.左肺动脉经主动脉弓下方经过
C.肺动脉位于主动脉的左前方
D.动脉导管常位于右肺动脉根部
E.肺动脉瓣呈“晶字形”排列
124、单项选择题 超声波归属于何种波()
A.光波
B.电磁波
C.机械波
D.微波
E.粒子波
125、单项选择题
患者,右下腹压痛反跳痛。结合超声声像图,最可能的诊断是()
A.肠梗阻
B.结肠癌
C.正常阑尾
D.阑尾炎
E.肠穿孔
126、单项选择题 发生在下列哪一层的子宫肌瘤最可能带蒂()①肌层②浆膜下③粘膜下④平滑肌肉瘤
A.②③
B.①④
C.①②③
D.②③④
E.②
127、单项选择题 葡萄胎声像图表现,下述哪一项是错误的()
A.25~60%伴发黄素囊肿
B.子宫大于孕期
C.蜂窝状声像图示特异性超声所见
D.需与过期流产相鉴别
E.刮宫后黄素囊肿持续存在2月是诊断恶性葡萄胎的依据
128、单项选择题
女性,27岁,停经49天,尿妊娠试验阳性。如图所示,超声诊断为()
A.宫腔积液
B.早孕,多胎妊娠
C.绒癌
D.葡萄胎
E.稽留流产
129、单项选择题 甲状腺腺瘤的声像图特征是()
A.圆形或椭圆形肿物,边界清,无包膜,呈低回声
B.圆形或椭圆形肿物,边界清,有包膜,呈低回声,周围有晕征
C.圆形或椭圆形肿物,边界不光滑,无包膜,呈低回声
D.圆形或椭圆形肿物,边界不光滑,有包膜,呈强回声
E.以上都不对
130、多项选择题 泪腺良性肿瘤USG表现有哪些()
A.泪腺区内圆形或椭圆形异常回声区
B.边界清楚,声衰减少
C.内部回声中等,分布均匀或不均匀
D.境界不规整,回声较弱
E.后界往往显示不清楚
131、单项选择题 目前较常用的方法是将前列腺分为内腺和外腺,其划分的依据是()
A.腺体与尿道的关系
B.腺体对性激素的敏感性
C.腺体与射精管的关系
D.腺体与膀胱颈的关系
E.以上均不是
132、单项选择题 若月经周期是25天,估计排卵应在月经周期的第几天()
A.1天
B.8天
C.11天
D.14天
E.25天
133、单项选择题 下面哪项不是门脉高压的侧支循环路径()
A.脾静脉
B.副脐静脉
C.胃冠状静脉
D.肠系膜静脉
E.内乳静脉
134、单项选择题 临床常用E峰流速,A峰流速,E/A比值及IVRT反映下列哪项()
A.左心局部舒张功能
B.左心整体舒张功能
C.左心收缩功能
D.右心收缩功能
E.心肌传导功能
135、单项选择题 超声诊断肢体动静脉瘘最有力的依据()
A.近心端动脉内径增宽
B.动脉呈现低阻力型血流频谱
C.静脉明显扩张
D.静脉内出现动脉样血流频谱
E.合并出现假性动脉瘤
136、单项选择题 肝内胆管不包括()
A.毛细胆管
B.小叶间胆管
C.左胆管
D.右胆管
E.胆总管
137、单项选择题
多普勒超声技术可分为()
①脉冲多普勒
②彩色多普勒
③连续多普勒
④频谱多普勒
A.①②
B.②④
C.①②③
D.①②③④
E.①③
138、单项选择题
男,49岁,肥胖,血脂增高。结合超声声像图诊断为()

A.炎性假瘤
B.非均匀性脂肪肝
C.肝硬化
D.肝结节病
E.肝炎
139、单项选择题
某患者下腹部声像图表现,根据箭头提示,最可能的诊断为()
A.前列腺囊肿
B.膀胱憩室
C.前列腺癌
D.精液囊肿
E.膀胱肿瘤
140、问答题 超声如何判断肾积水的严重程度?
141、单项选择题 下列哪一项与葡萄胎超声鉴别诊断无关()
A.过期流产
B.子宫肌瘤变性
C.子宫肌腺症
D.宫腔积液
E.子宫内膜癌
142、单项选择题
女,16岁,有性生活史,因停经35天。根据B超检查声像图如下,合理的超声诊断意见为()
A.动态观察
B.早孕
C.宫外孕可能,建议经阴道超声检查
D.抗感染治疗
E.内膜过度增生
143、单项选择题 肾影局限性增大,可见于哪一种病变()
A.肾脓肿愈合后
B.肾包膜下血肿
C.肾梗死
D.肾结核晚期
E.肾脏放疗后
144、单项选择题 超声检查眼异物的常用方法是()
A.眼睑外直接扫查法
B.间接扫查法
C.窗试验法,彩阶显示法
D.漂浮异物的超声试验,超声磁性试验
E.以上都是
145、单项选择题 子宫位置有()①前倾位②后倾位③水平位④后倾后屈位
A.①
B.①②
C.①②③
D.①②③④
E.②③
146、单项选择题 轴(纵)向分辨力直接与什么有关()
A.穿透深度
B.脉冲波的长度
C.阻尼
D.入射的角度
E.声束的宽度
147、单项选择题 肾锥体肥大是由于()
A.肾脏的恶性肿瘤
B.肾脏的良性肿瘤
C.起源于肾上腺的良性肿瘤
D.肾脏正常变异
E.尿路潴留
148、单项选择题 下列哪种物质具有较高的声阻抗系数()
A.固体
B.液体
C.气体
D.软组织
E.上述各种声阻抗系数相等
149、单项选择题 声束通过一介质后,其振幅和声强的降低称为()
A.吸收
B.声影
C.声阻抗
D.衰减
E.失落
150、单项选择题 以下哪项不属于左冠状动脉()
A.窦房结动脉
B.对角支
C.穿支
D.前降支
E.左旋支
151、单项选择题 超声见双蜕膜囊征则有力提示()
A.异位妊娠
B.早孕合并宫内积血
C.假妊娠囊
D.先兆流产
E.以上都不是
152、填空题
如图,可见腹主动脉及其分支纵切超声图,图中与腹主动脉平行的分支为_______。

153、单项选择题 卵巢浆液性囊腺瘤的声像图特点是()①伴有腹水②分隔及壁上见菜花状乳头③菜花状乳头穿破囊壁向外生长④囊壁或隔膜或乳头上可见动脉血流,且RI<0.5
A.①
B.①②
C.①②③
D.①②③④
E.①③④
154、单项选择题
该病例最可能的诊断()

A.矫正型大动脉转位
B.右室双出口
C.完全性大动脉转位
D.主动脉骑跨
E.单心室
155、单项选择题 以下哪项不是正常膀胱腔内常见的伪像()
A.肠气旁瓣伪像
B.腹壁混响伪像
C.巴切片厚度伪像
D.镜面伪像
E.部分容积效应
156、单项选择题
如图可诊断为()
A.小肝癌
B.肝转移癌
C.肝脓肿
D.多发肝血管瘤
E.肝囊肿
157、单项选择题 关于肠系膜上动脉描述,不正确的是()
A.起自腹腔动脉下方的腹主动脉
B.位于脾静脉后方
C.位于左肾静脉前方
D.位于十二指肠水平段后方
E.位于胰腺钩突的前方
158、单项选择题 超声波的波长()
A.与介质的声速和频率成正比
B.等于声速与频率的乘积
C.等于声速与周期的乘积
D.与声速和频率无关
159、单项选择题
正常淋巴结的结构()
①淋巴结表面有一层被膜
②淋巴结表面无被膜
③淋巴结包括皮质和髓质,皮质的淋巴窦致密,髓质的淋巴窦疏松
④淋巴结包括皮质和髓质,皮质的淋巴窦疏松,髓质的淋巴窦致密
⑤淋巴液由皮质淋巴结-淋巴输入管-结内-淋巴窦-淋巴输出管-淋巴门
⑥淋巴液由淋巴门-淋巴输入管-淋巴窦-结内-淋巴输出管-皮质淋巴结
A.①③⑤
B.②④⑥
C.①④⑥
D.②③⑤
E.①③⑥
160、单项选择题 Rh不合的胎盘声像图特点是()①胎盘增大②胎盘减小③胎盘变薄
A.①
B.①②
C.③
D.②③
E.①②③
161、单项选择题 妇女乳腺受内分泌影响从发育至老年分期哪项是错误的()
A.青春前期
B.青春期
C.成熟期
D.妊娠、哺乳期
E.老年萎缩期
162、单项选择题 下列对肺循环的叙述哪一项有错误()
A.肺静脉血流入左心房
B.右心室血流排入肺动脉
C.肺动脉血流入右心房
D.肺动脉血经肺进入肺静脉
E.右心房的血来自腔静脉
163、单项选择题
男,49岁,上腹不适1个月余。结合超声声像图,诊断为()
A.肝血管瘤
B.肝癌
C.局限性脂肪肝
D.肝脓肿
E.肝囊肿
164、单项选择题
根据超声声像图,提示为()
A.肾下垂
B.肾发育不良
C.异位肾
D.马蹄肾
E.游走肾
165、单项选择题
患者,男,高热,右上腹痛,肝区扣击痛。结合超声声像图,诊断为()
A.肝血管瘤
B.肝脓肿
C.肝癌
D.脂肪肝
E.肝囊肿
166、单项选择题
男性,4岁,因左肾区不适就诊,无外伤史,无发热,左腹部可扪及肿块。根据其声像图,可能的诊断为()
A.肾母细胞癌
B.急性肾炎
C.肾血管平滑肌脂肪瘤
D.肾脓肿
E.肾癌
167、问答题 子宫腺肌症的声像图表现有哪些?
168、单项选择题
该病例最有可能诊断()

A.肺动脉内径增宽
B.动脉导管未闭
C.肺动脉瓣狭窄
D.肺动脉瓣关闭不全
E.右室流出道狭窄
169、单项选择题 下列哪项不引起EPSS增大()
A.左心衰竭
B.左室扩大
C.扩张型心肌病
D.肥厚型心肌病
E.二尖瓣狭窄
170、单项选择题 肢体软组织内非金属异物有鉴别意义的超声表现是()
A.患部检出强回声斑块
B.斑块轮廓欠清晰
C.斑块周围有反应性低回声区
D.斑块后方有明确声影
E.斑块后方无明显彗星尾征
171、单项选择题
如图切面称为哪种超声心动图切面()

A.心尖四腔
B.心尖短轴
C.左室长轴
D.心尖二腔
E.大动脉短轴
172、单项选择题 胎儿腹裂的临床特点与声像图表现,下列哪项是错误的()
A.肠管凸入脐带内
B.位于脐带入口处右侧
C.一般还伴有染色体异常
D.肠管漂浮于羊水当中
E.要注意观察脐血管入腹壁处
173、单项选择题 经腹壁胃肠超声检查前准备,下列哪一项是正确的()
A.检查应安排在X线钡剂检查之后
B.检查中可饮水500ml-700ml,以充盈胃腔
C.禁食4小时
D.大肠检查前需禁食
E.胃镜检查之后
174、单项选择题 不符合急性盆腔炎的声像图表现的是()
A.子宫直肠陷凹积液
B.早期阶段声像图一般无特殊表现
C.卵巢缩小
D.附件部可见大小不等增厚迂曲连续管状结构
E.管状长形肿块边缘模糊
175、单项选择题 下列描述哪个正确()
A.二侧肾脏位置在同一水平
B.右肾略高于左肾
C.右肾略低于左肾
D.右肾常位于胆囊内下方
E.以上均不是
176、单项选择题 胎盘分几级,Ⅲ级胎盘绒毛膜板声像图表现是()
A.三级,直而清晰、光滑平整
B.四级,波状起伏
C.四级,切迹伸入胎盘,未达基底层
D.四级,切迹深入基底膜
E.四级,直而清晰,光滑平整
177、单项选择题 正常肾皮质伸向髓质锥体间的组织块,是下列哪项()
A.肥大肾柱
B.肾盂肿瘤
C.肾脂肪瘤
D.肾错构瘤
E.以上都不是
178、单项选择题 在使用CDFI过程中,下列何者不妥()
A.根据所检测血流速度高低来选择Scale
B.对高速正向血流应将Baseline下调
C.对高速负向血流应将Baseline上调
D.选择适宜的Filter
E.取样框应尽可能大,以充分显示血流情况
179、单项选择题
某患者高热,肾区疼痛,肾脏超声声像图如下,最可能的诊断为()
A.肾囊肿
B.急性肾炎
C.脓肾
D.肾癌
E.肾结核
180、单项选择题
中年女性,中下腹横切面如图,箭头所示为()
A.子宫钙化环
B.宫内节育器
C.子宫肌瘤
D.孕囊
E.子宫肌瘤钙化
181、单项选择题 心血管和外周血管造影现代的方法是()
A.经胃肠灌注
B.经直肠灌注
C.皮下注射
D.静脉注射
E.口服
182、单项选择题
胎儿心脏超声检查如图,最可能的诊断是()
A.法四
B.右心发育不良综合征
C.左心发育不良综合征
D.心内膜垫缺损
E.大动脉换位(TGA)
183、单项选择题 超声测量以1540cm/s设置速度标尺,下列关于测量的叙述中哪项正确()
A.测量肝、胰、脾、肾的误差小
B.脂肪组织的测量小于真实值
C.胎儿股骨长径的测量大于真实值
D.晶状体的测量无偏差
E.声束垂直时测量误差偏大
184、单项选择题 患者无痛性血尿,超声示膀胱三角区乳头状隆起性病灶3cm×2cm,基底部较宽,不随体位移动,首选诊断是()
A.膀胱结石
B.膀胱内血凝块
C.血管瘤
D.膀胱癌
E.膀胱内异物
185、单项选择题 长期下尿路梗阻的继发声像图改变,应除外()
A.膀胱小梁化
B.膀胱憩室
C.膀胱结石
D.双肾积水
E.前列腺增生
186、单项选择题 继发孔型房间隔缺损在二维超声检查时有什么所见()。
A.显示房间隔最位处(房、室间隔连接处)缺损
B.显示左心室扩大
C.显示房间隔最上部(近心房顶部处)
D.显示室间隔上移缺损
E.显示房间隔央部缺损
187、单项选择题 膝关节前交叉韧带损伤的声像图表现()
A.股骨外侧髁处滑膜增厚、增强、不规则
B.内侧副韧带肿胀增厚,回声不均匀减低
C.内侧副韧带肿胀边界模糊不清
D.韧带回声中断或缺如
E.韧带分离,出现低回声裂隙
188、单项选择题 超声检查断面包括()。
A.纵断面
B.横断面
C.斜断面
D.冠状断面
E.以上都正确
189、单项选择题 Crucial三角的三个边由哪三个部分构成()
A.膀胱壁、颅骨光环的一部分、部分绒毛板
B.膀胱壁、颅骨光环的一部分、后壁胎盘下缘
C.膀胱壁、颅骨光环的一部分、前壁胎盘下缘
D.后壁胎盘下缘、子宫内口、部分绒毛板
E.以上都不是
190、单项选择题 膀胱残余尿测定时,以下哪一种说法不对()
A.残余尿测量应排尿后立即测定
B.膀胱顶部易受肠气掩盖,可适当加压推开肠气,加以纠正
C.测量膀胱各径线时,纵切和横切的加压程度相同
D.测残余尿时应嘱病人多饮水,使膀胱过度充盈后,其排尿后测量残尿更准确
E.超声测定残尿量同膀胱剩余尿量间有一定的误差
191、判断题
根据三维超声所见,图中为双胎妊娠。

192、单项选择题 枯萎孕囊声像图表现是()①宫腔内形态不规则胎囊②胎囊内无胎芽、无胎心搏动③胎囊内可见小胎块④随访观察胎囊可增大,可出现胎盘回声
A.①④
B.②④
C.③④
D.①②③
E.①③④
193、单项选择题 测量双顶径应注意()
A.保证胎头显示呈柠檬形
B.保证胎头显示呈圆形
C.在透明隔和丘脑水平获得声像图
D.在大脑镰和侧脑室水平获得声像图
E.在小脑水平获得声像图
194、单项选择题 肾脏由几部分结构构成:①肾实质、肾窦②肾皮质、肾髓质③肾锥体、肾柱、肾乳头④肾盏、肾盂、肾动脉、肾静脉、脂肪
A.①
B.①②
C.①②③
D.①③④
E.②③④
195、单项选择题
根据超声图像所示,判断致病人肾脏积水的梗阻在输尿管哪一段()
A.下段
B.中段
C.上段
D.膀胱内
E.肾盂内
196、单项选择题 子宫解剖分为()
A.子宫底、子宫角、子宫体
B.子宫角、子宫体、子宫颈
C.子宫底、子宫体、子宫峡部
D.子宫底、子宫体、子宫颈
E.子宫底、子宫角、子宫颈
197、单项选择题 声像图中,形成强回声,其后方有声影的是()
A.皮肤
B.脂肪
C.纤维组织
D.结石
E.实质脏器
198、单项选择题 超声断层图像分析是由浅入深按解剖层次进行的,腹部超声应包括()
A.皮肤及皮下组织
B.肌肉组织(腹壁组织)
C.腹膜腔
D.腹部内脏结构
E.以上都有
199、单项选择题 女,30岁,尿频、尿急、尿痛1年,声像图示右肾轻度肿大,实质结构紊乱,多个大小不等的不规则液性腔及钙化灶,部分液性腔相互通连并与扩张的肾盂沟通,液性腔及肾盂壁不规则,右输尿管全程扩张,膀胱壁弥漫性增厚、僵硬,容积明显缩小,最可能诊断为()
A.急性肾盂肾炎
B.肾结核
C.慢性肾盂肾炎
D.肾积水
E.肾囊肿
200、单项选择题 正常颅外动脉血流频谱是下列哪种形态()
A.低阻力频谱
B.高阻力频谱
C.收缩期双峰、舒张期三峰频谱
D.三相血流频谱
E.宽频双峰递减型频谱
201、单项选择题 乳腺炎的超声特征是()
A.乳腺内回声增强,分布不均,边界清
B.乳腺内回声增强,分布不均,边界模糊欠清
C.乳腺内回声中等,分布不均,边界清
D.乳腺内回声减低,分布均,边界模糊欠清
E.乳腺内回声减低,分布不均,边界清
202、单项选择题 眼外肌有几条,分别是()
A.四条,上直、下直、内直、外直肌
B.六条,上直、下直、内直、外直、上斜、下斜肌
C.六条,上直、下直、内直、外直、内斜、外斜肌
D.八条,上直、下直、内直、外直、内斜、外斜、上斜、下斜肌
E.以上均不是
203、单项选择题 有关彩色混叠伪像原因的叙述中,不正确的是()
A.当被测血流速度达到Nyquist频率极限时出现混叠伪像
B.Nyquist频率极限是脉冲重复频率的1/2
C.Nyquist频率极限是血流速度能被检测的极限
D.彩色多普勒能量图不会出现彩色信号混叠
E.通过调节基线位置可测量超过Nyquist频率极限的血流速度
204、单项选择题 超声在介质传播时,其声能逐渐缩小称为()。
A.吸收
B.声阻抗
C.衰减
D.失落
E.转换
205、单项选择题 超声检测诊断法洛四联征,应有哪些声像图改变()①主动脉骑跨②室间隔缺损③肺动脉狭窄④右心室肥厚
A.①
B.③④
C.②③
D.①②③④
E.①②③
206、单项选择题 引起脂肪肝的常见原因()①营养性原因,肥胖或营养缺乏②代谢性原因,糖尿病、肝糖原累积、高脂血症③药物原因,乙醇、皮质类固醇及细胞毒药物④特发性,原因不明
A.①
B.①②
C.①②③
D.①②③④
E.②④
207、单项选择题 可用超声观察区别的眼眶组织有()①眼球壁②眼球内容物③视神经间隙④眶内脂肪组织⑤眼外肌
A.①②
B.①②③
C.①②③④
D.①②③④⑤
E.②③④
208、单项选择题 彩色血流图是指()
A.振幅调制型
B.辉度调制型
C.彩色血流显像
D.多普勒频谱显示
E.以上都不是
209、单项选择题 一般在妊娠多少周才能清楚显示胎头光环()
A.8周
B.8~9周
C.10周
D.11周
E.12周
210、单项选择题 影响彩色多普勒成像帧频最重要的因素是()
A.彩色增益及深度补偿
B.滤波器的调节
C.彩色标尺的设定
D.彩色取样框大小及深度
E.探头的发射频率
211、单项选择题
女性,29岁,停经28周,产前超声检查如图,最可能的诊断为()
A.胎儿畸形,脑积水
B.胎儿畸形,腹壁裂
C.胎儿畸形,室间隔缺损
D.胎儿畸形,无脑儿
E.胎儿畸形,露脑畸形
212、单项选择题
患者有高血压病史,最可能的诊断是()

A.腹主动脉瘤
B.腹主动脉粥样斑块
C.腹主动脉夹层瘤
D.假性动脉瘤
E.以上都不是
213、单项选择题 前列腺组织中易发生肿瘤及炎症的部位是()
A.前叶和两侧叶
B.中叶和后叶
C.后叶或外腺
D.内腺
E.两侧叶
214、单项选择题
女,24岁,停经2月余阴道不规则出血数日,阴式B超检查,如图所示,最可能的诊断为()
A.早孕
B.葡萄胎
C.绒癌
D.宫内积血块
E.畸胎瘤
215、单项选择题
患者体检发现肝脏体积增大,超声见右叶巨大的强回声光团,边界见声晕,门脉见实质性光团充填,如图所示,考虑为()
A.肝癌并门脉癌栓
B.肝脓肿
C.肝囊肿
D.肝结核
E.肝血管瘤
216、填空题 常见的腹膜后恶性肿瘤有________、________、__________、_________。
217、单项选择题
患者,消瘦,于左上腹触及一包块,超声见一大小5×7cm的呈假肾征的光团,如图所示,考虑为()
A.胰腺癌
B.胆囊癌
C.肝癌
D.胃癌
E.左肾癌
218、单项选择题 下腔静脉在什么运动时塌陷()
A.浅呼吸
B.运动
C.吸气
D.呼气
E.Valsalva动作
219、单项选择题 选用超声耦合剂错误的是()
A.应满足阻抗匹配条件
B.耦合剂越厚越好
C.让超声尽量多进入人体
D.排除空气,增加透声性
E.特性阻抗接近人体(软组织)的特性阻抗
220、问答题 血管平滑肌脂肪瘤(错构瘤)的声像图表现有哪些?
221、单项选择题 由于瓣膜的先天畸形,二维超声显示和测量出功能性右心室、房化右心室及固有右心房,这是什么疾病()
A.三尖瓣下移畸形
B.三尖瓣先天裂加赘生物
C.三尖瓣裂
D.三尖瓣一个瓣叶缺如
E.三尖瓣闭锁
222、单项选择题
该病例最有可能诊断()

A.心包炎并心包积液
B.心衰
C.心包缩窄
D.心包填塞
E.胸腔积液
223、多项选择题 囊性和实性肿瘤的声像图之间相互比较包括()
A.外形和边界
B.大小
C.内部回声
D.后方回声增强
E.侧边声影
224、单项选择题 大腿深部骨组织病变,探测深度达到15cm~18cm,应选用哪种频率的探头()
A.2.0MHz
B.3.5MHz
C.5.0MHz
D.7.5MHz
E.10.0MHz
225、单项选择题
根据声像图表现,诊断是()
A.胸水
B.腹水
C.正常
D.肠梗阻
E.胆囊
226、单项选择题 关于肾上腺皮脂腺瘤,下列说法错误的是()
A.单侧多见
B.多呈圆形或椭圆形
C.边界清楚
D.低回声结节
E.双侧多见
227、单项选择题 从使用角度评价彩色多普勒血流显像仪,下列哪项是质量差的标志()
A.空间分辨力、速度分辨力、动态分辨力均高
B.检出血流敏感度高
C.显示图像均匀性好
D.彩色血流效果佳
E.提高灰阶图像增益时,彩色图像质量即下降
228、问答题 胎盘早剥的声像图表现有哪些?
229、单项选择题
该病例最可能的诊断()

A.血栓
B.房间隔膨胀瘤
C.黏液瘤
D.赘生物
E.以上都不是
230、单项选择题 导致脐带脱垂的常见原因有()①盆头不称②先露入盆受阻③胎盘位置较低④脐带过长
A.①
B.①②
C.①②③
D.①②③④
E.④
231、单项选择题 有关二尖瓣超声所见,下列哪项不对()
A.二尖瓣位于左侧房室口
B.前后瓣均有腱索相连
C.二尖瓣较三尖瓣位置高
D.二尖瓣脱垂以前叶多见
E.前后叶正常活动呈逆向运动
232、单项选择题 许多种彩色多普勒血流显像仪均带伪彩功能,它的作用是()
A.增加彩色血流检出敏感度
B.增加彩色血流的信息量
C.增加灰阶图像的视觉分辨能力
D.能进行定量测量
E.增加低速血流的显示能力
233、单项选择题 关节的基本结构有()①关节面②关节囊③关节腔④滑囊⑤筋膜
A.①②
B.①②③
C.①②③④
D.①③④⑤
E.①②③④⑤
234、单项选择题
超声引导穿刺的精确性的影响因素()
①超声仪分辨率
②声束厚度
③穿刺目标大,影响不明显
④穿刺目标大,影响明显
⑤穿刺目标小,影响不明显
⑥穿刺目标小,影响明显
A.①②③⑥
B.①②④⑤
C.①②④⑥
D.①②③⑤
E.②③④⑥
235、单项选择题 淋巴管囊肿的声像图特征是()①颈背部较大无回声,壁厚内有分隔②全身水肿、浆膜腔积液③颈前囊性包块④胎头颅骨缺损处膨出囊性肿物
A.①
B.①②
C.①②③
D.①②③④
E.①③④
236、单项选择题 下腔静脉的主要属支有()
A.髂总静脉、肝静脉、肠系膜上静脉
B.髂总静脉、肝静脉、脾静脉
C.髂总静脉、肝静脉、肾静脉
D.髂总静脉、肾静脉、肠系膜下静脉
E.髂总静脉、肝静脉、门静脉
237、单项选择题 以下哪项是主动脉瓣关闭不全所致()
A.SAM现象
B.弓背样改变
C.钻石样改变
D.吊床样改变
E.二尖瓣前叶高频震颤
238、单项选择题 睾丸内微钙化灶与新生物生长有一定相关性,微钙化灶一般出现于()
A.睾丸精细管钙化
B.精液内芽肿钙化
C.静脉结石
D.结核侵犯的组织
E.睾丸肿瘤
239、单项选择题 下列关于脉冲重复频率的叙述中,正确的是()
A.当频移大于脉冲重复频率时,发生混叠
B.脉冲重复频率与最大取样深度成反比
C.测定深部血流,必须提高脉冲重复频率
D.欲测高速血流,应降低脉冲重复频率
E.降低脉冲重复频率可减少伪像的产生
240、判断题 羊水量在300ml以下称羊水过少;羊水量在800ml以上为羊水过多。
241、单项选择题 M型超声心动图的心室波群可检查哪种结构的运动曲线()
A.主动脉根部曲线
B.左房后壁曲线
C.室间隔曲线
D.主动脉瓣后叶曲线
E.三尖瓣曲线
242、单项选择题 对病人只作横切扫查时,肝尾叶可被错认为是()
A.脾凹面
B.胰
C.右肾
D.胃
E.十二指肠
243、单项选择题 人体不同组织和体液回声强度是不同的,下列哪一项是错误的()
A.液体均是无回声的,固体均是有回声的
B.实质性组织如肝脾是中等水平回声
C.脂肪组织是低水平回声
D.纤维化和钙化引起组织回声增强
E.脏层胸膜—肺组织(含气)界面产生很强的反射
244、单项选择题 异位妊娠发生于输卵管妊娠的百分率是()
A.30%
B.50%
C.70%
D.80%
E.95%
245、单项选择题 缩窄性心包炎用二维超声检测心包有什么异常所见()
A.心包腔内有积液及心包上有团、块状回声
B.心包增厚(>2mm)并常有粘连
C.心包腔内有大量心包积液的无回声区
D.心包腔内积液随体位而变动
E.心包变薄
246、判断题 子宫畸形可导致不孕、流产和早产等表现。
247、单项选择题
该病例最有可能诊断是()

A.布-加综合征
B.川崎病
C.动脉瘤
D.以上都不是
E.门静脉高压
248、单项选择题
患者,低热,清洁灌肠后,中腹部超声声像图可见融合成团的异常光团,最可能的诊断是()
A.胰腺癌
B.淋巴瘤
C.结肠癌
D.腹腔结核
E.腹膜后肿瘤
249、单项选择题 Doppler技术,可应用于()
A.检测血流类型
B.检测血流类型、血流方向和流速
C.检测血流类型、血流方向和流速、许多动静脉系统的病变
D.检测血流类型、许多动静脉系统的病变
E.血流方向和流速
250、单项选择题
男,57岁,慢性乙肝多年,现上腹痛,纳差,AFP>500,结合超声声像图,诊断为()

A.肝血管瘤
B.肝脓肿
C.结节性肝硬化
D.弥漫性肝癌
E.脂肪肝
251、单项选择题 脐带绕颈可造成()①胎儿宫内窘迫②危及胎儿生命③胎儿延迟入盆④胎儿宫内发育迟缓
A.①
B.①②
C.①②③
D.①②③④
E.①④
252、单项选择题 成人最常见的鞘膜积液是()
A.睾丸鞘膜积液
B.精索鞘膜积液,交通型鞘膜积液
C.睾丸鞘膜积液,交通型鞘膜积液
D.鞘膜积液,精索鞘膜积液
E.精索鞘膜积液
253、单项选择题 下列回声强度排列顺序,不正确的是()
A.肾窦>胰腺>肝实质>肾皮质
B.肾窦>肾皮质>肾髓质>肝实质
C.肾髓质>胰腺>脾实质>血液
D.肝实质>肾皮质>血液>胆汁
E.胰腺>肾皮质>血液>尿液
254、单项选择题
患者女33岁,右上腹剧痛5小时,体检:右上腹压痛及叩击痛(弱阳性),B超检查如图所示,根据超声声像图,诊断为()
A.胆总管结石
B.胆总管引流管回声
C.胆总管蛔虫
D.胆总管胆泥淤积
E.胆总管癌
255、单项选择题 在多普勒超声中,对于运动界面的显示是靠:
A.组织的不同特性
B.对具有变化节奏和频率的特定声波的认识
C.被研究部分的快速和不规律的运动
D.发现细微,几乎难以听到的回声
E.界面回声的反射强度
256、单项选择题 超声图像中,形成线状强回声的是()
A.皮肤
B.脂肪
C.纤维组织
D.结石
E.实质脏器
257、单项选择题
男,60岁,便血就诊。PE:左下腹可扪及一肿块,质硬。结合超声声像图,诊断为()
A.Crohn’s病
B.肠梗阻
C.肠癌
D.肠套叠
E.肠结核
258、单项选择题 最常与葡萄胎并发的卵巢囊肿是()
A.滤泡囊肿
B.皮样囊肿
C.卵巢冠囊肿
D.黄素囊肿
E.黄体囊肿
259、单项选择题 正常颈动脉的血流在彩色多谱勒血流显像图中表现为()
A.层流
B.湍流、层流
C.湍流、层流、逆流
D.湍流
E.层流、逆流
260、名词解释 声全息
261、单项选择题
女,24岁,已婚未育,体检时B超检查,如图所示,最可能的诊断为()
A.右附件实质性包块
B.左附件实质性包块
C.子宫肌瘤
D.双子宫
E.纵隔子宫
262、单项选择题 肾柱肥大常混淆为肿瘤见于()
A.肾盏较小时如同残留的肾盏
B.肾盏较大时如同残留的输尿管
C.肾皮质延伸至肾包膜外
D.在肾皮质深入髓质环绕分隔肾锥体的部分异常
E.以上都是
263、单项选择题 患者,男,38岁,呼吸困难,晕厥,胸痛,血压120/85mmHg,听诊二、三肋间收缩期杂音,该患者最可能的诊断()
A.感染性心内膜炎
B.肥厚型心脏病
C.高血压心脏病
D.主动脉瓣狭窄
E.主动脉缩窄
264、单项选择题 下列哪一项与淋巴乳状囊腺瘤无关()
A.实性均匀性低回声团块
B.形态尚规则,与周围组织分界清晰
C.无被膜轮廓线
D.后方回声无增强,亦无衰减
E.CDFI显示分支型血流分布,PSV<60cm/s,RI0.55~0.80
265、单项选择题 扫查锁骨下动脉较适宜的探头频率是()
A.2.0MHz
B.2.5MHz
C.5.0MHz
D.10.0MHz
E.12MHz
266、单项选择题 超声的生物学效应不包括()
A.热效应
B.空化效应
C.多普勒效应
D.热凝固效应
E.致畸效应
267、单项选择题 探头的维护和保养措施中,不正确的是()
A.避免探头撞击、落地
B.用酒精擦拭清洁探头
C.探头消毒时不可采用高温蒸煮
D.探头电缆线避免用力牵拉、扭曲
E.禁用液体石蜡做耦合剂
268、问答题 胚胎停止发育的声像图表现有哪些?
269、单项选择题 正常成人妇女乳腺通常不包括的组成内容是()
A.平滑肌
B.腺叶
C.小叶
D.腺泡
E.导管
270、单项选择题 胆囊本身弯曲或分隔称为什么胆囊()
A.水肿
B.库瓦济埃
C.双重
D.贝雷帽
E.畸形
271、单项选择题
图为胃内超声所见胃各层表现,自内向外第一层为()
A.粘膜
B.粘膜下层
C.固有肌层
D.浆膜层
E.浆膜下层
272、单项选择题 股骨长径与腹围比率正常值是()
A.20±2
B.22±2
C.26±2
D.>28
E.18±2
273、单项选择题 赵某,男,50岁,颈前偏右有一实性结节,质硬。2周后发现声音嘶哑,超声显示:甲状腺右叶单发,境界不清,低回声结节,内有细点状强回声,伴有右颈部淋巴结肿大,最可能的诊断是()
A.甲状腺腺瘤
B.甲状腺癌
C.甲状腺囊肿
D.结节性甲状腺肿
E.桥本病
274、单项选择题 卵泡监测一般从月经周期第几日开始()
A.8~9天
B.10~11天
C.12~13天
D.13~14天
E.6~7天
275、单项选择题 伴发羊水过多的胎儿畸形是()①脊柱裂②骨骼系统异常③膈疝④尿道闭锁
A.①
B.①②
C.①②③
D.①②③④
E.②③
276、单项选择题 子宫直肠陷窝积液的常见原因是()①黄体囊肿破裂②排卵后③异位妊娠破裂④卵巢肿瘤
A.①
B.①②
C.①②③
D.①②③④
E.②③④
277、单项选择题
下列哪种介质中,超声难以传播()
①空气
②骨骼
③硫酸钡
④肝
A.①
B.①②
C.①②③
D.①④
E.①②③④
278、单项选择题 后方回声增强效应不常见于()
A.肝囊肿
B.肝内血管瘤
C.正常胆囊
D.肾囊肿
E.充盈的膀胱
279、单项选择题
人体重要淋巴结的分布()
①人体重要淋巴结分布在人体全身各部位区域
②淋巴结一般为集合线群,分布在身体特定区域
③人体重要淋巴结分布在胸、腹、颈部、腹股沟区
④人体重要淋巴结分布在颈、腋窝、纵隔、腹主动脉、髂、腹股沟和咽窝区
A.①③
B.②④
C.①④
D.②③
E.③④
280、单项选择题 利用超声检测技术最早在几周能显示胎心搏动()
A.5~6周
B.6~7周
C.7~8周
D.8~9周
E.10~12周
281、单项选择题 下列哪一项对诊断胎儿食管闭锁无帮助()
A.胃泡未显示
B.羊水多
C.胎儿异常吞咽动作
D.肠管扩张
E.胎儿反吐
282、单项选择题
患者有风心病史,该病诊断是()

A.左房黏液瘤
B.左房赘生物
C.左房良性肿瘤
D.左房血栓
E.以上都不是
283、问答题 如何利用超声鉴别多囊肾与其他肾囊性病变?
284、单项选择题
患者男65岁,上腹部疼痛3个月余,进行性加重1周余,进食后呕吐。上腹部B超检查如图所示,根据超声声像图诊断为()
A.胃溃疡
B.胃炎
C.胃癌
D.肝癌
E.胰头癌
285、单项选择题 葡萄胎刮宫术后,黄素囊肿消退常需要多长时间()
A.1~2周
B.4~5周
C.6个月
D.2~4个月
E.8周
286、单项选择题 穿过界面后,声束方向的改变,是由于()
A.入射角度
B.折射
C.正常反射
D.后散射
E.衰减
287、单项选择题 肝脏局部脂肪浸润的常见部位是()
A.邻近胆囊窝的肝实质
B.ReiDel’s叶
C.邻近右肾上腺的肝实质
D.邻近右肾的肝实质
E.邻近膈顶的肝实质
288、单项选择题 肠套叠的超声表现不正确的是()
A.短轴图像上可见多环同心圆征象
B.套叠的肠壁全周性增厚
C.远端肠管扩张
D.套入的肠系膜血管血流异常
E.套叠的肠壁均匀性增厚
289、单项选择题
红色箭头所指部位是()
A.宫颈
B.阴道
C.子宫
D.宫体
E.以上都不是
290、单项选择题 羊水量少于多少毫升称羊水过少()
A.300~400ml
B.1000ml
C.15000ml
D.2000ml
E.1500ml
291、单项选择题 中晚期妊娠无痛性阴道出血的最常见的原因是()
A.创伤
B.前置胎盘
C.胎盘早剥
D.异位妊娠
E.子宫收缩
292、单项选择题 女性,24岁,葡萄胎刮宫术3个月,血β-HCG121U/L。对该病例病情判断,下列哪项是错误的()
A.再次妊娠
B.葡萄组织宫内残留
C.绒毛膜癌
D.侵蚀性葡萄胎
E.术后血β-HCG正常下降过程
293、单项选择题 下列叙述正确的是()
A.12周以后采用双顶径推测孕龄最准确
B.双顶径标准切面的测量不受胎位的影响
C.早孕时测量胎囊大小可准确推测孕龄
D.多参数测量可提高孕龄估计的准确性
E.16周以后采用股骨长径推测孕龄最准确
294、填空题 超声Murphy征阳性指扫查中将探头压迫胆囊区______________________或______________________。
295、单项选择题
女性,32岁,停经45天,B超检查如图,最可能的诊断为()
A.宫腔积液
B.宫体肌瘤
C.早期妊娠
D.子宫粘膜下肌瘤
E.卵巢囊肿
296、单项选择题 晕圈征是指甲状腺肿块周围有低回声环,常见于()
A.甲状腺炎
B.囊肿
C.腺瘤
D.腺癌
E.结节性甲状腺肿
297、单项选择题 膀胱内出现的异常回声,最可能的诊断为()
A.膀胱血块
B.膀胱肿瘤
C.膀胱异物
D.导尿管
E.膀胱内囊肿
298、单项选择题 下面哪种组织对超声传播阻力最小()
A.肌肉
B.脂肪
C.骨骼
D.血液
E.气体
299、单项选择题 不孕症伴有痛经,常发生于()
A.多囊卵巢综合征
B.子宫内膜异位症
C.子宫内膜增殖症
D.卵巢囊肿
E.粘膜下子宫肌瘤
300、单项选择题
该病例最可能的诊断()

A.肥厚型心肌病
B.高血压病
C.左室流出道狭窄
D.主动脉瓣下膜性狭窄
E.主动脉瓣上狭窄