医学影像技术(医学高级):X线题库考点(强化练习)

时间:2024-01-08 01:55:27

微信搜索关注"91考试网"公众号,领30元,获取事业编教师公务员等考试资料40G
题库试看结束后微信扫下方二维码即可打包下载完整版《★医学影像技术(医学高级)》题库
手机用户可保存上方二维码到手机中,在微信扫一扫中右上角选择“从相册选取二维码”即可。
题库试看结束后微信扫下方二维码即可打包下载完整版《医学影像技术(医学高级):X线》题库,分栏、分答案解析排版、小字体方便打印背记!经广大会员朋友实战检验,此方法考试通过率大大提高!绝对是您考试过关的不二利器
手机用户可保存上方二维码到手机中,在微信扫一扫中右上角选择“从相册选取二维码”即可。

1、单项选择题  “肺动脉高压”可继发于()

A.左房黏液瘤
B.肥厚型心肌病
C.梅毒性心脏病
D.扩张型心肌病
E.血吸虫病


点击查看答案


2、多项选择题  维生素D缺乏病骨质软化引起的变形有()

A.方形头
B.眼距增宽
C.鸡胸
D.“O”形腿
E.串珠肋


点击查看答案


3、单项选择题  左前斜位主动脉窗内不能见到下述哪一项()

A.肺动脉
B.降主动脉
C.气管分杈
D.左肺动脉
E.左支气管


点击查看答案


4、判断题  良恶性病变均可引起膈麻痹。


点击查看答案


5、问答题  鼻窦炎的X线表现有哪些?


点击查看答案


6、多项选择题  可出现肝内局限性钙化者()

A.结核性肉芽肿
B.阿米巴性肝脓肿
C.血管瘤
D.原发性肿瘤
E.肝棘球蚴病


点击查看答案


7、填空题  根据肺炎性假瘤的组织成分可将肺炎性假瘤分为5型,即_______________、_______________、____________、__________________和___________________。


点击查看答案


8、单项选择题  风湿性心脏病主动脉瓣关闭不全的主要表现是()

A.左心房、右心室增大
B.左心室增大
C.右心室肥大
D.左心房、右心室增大
E.右心房增大


点击查看答案


9、单项选择题  颞骨骨折以下列哪种类型多见()

A.粉碎性骨折
B.横行骨折
C.纵行骨折
D.撕脱性骨折
E.混合型骨折


点击查看答案


10、判断题  农民肺患者临床症状出现后即可出现X线表现。


点击查看答案


11、单项选择题  

男,75岁,吞咽困难3月,伴胸痛,结合图像,最可能的诊断为()

A.贲门癌
B.胃底癌
C.食管下段癌
D.贲门癌侵及食管、胃底
E.食管胃底静脉曲张


点击查看答案


12、单项选择题  

男,5岁,髋部疼痛乏力伴跛行5个月,结合图像,最可能的诊断是()

A.髋关节结核
B.骨肉瘤
C.股骨头骨骺缺血坏死
D.骨囊肿
E.软骨肉瘤


点击查看答案


13、单项选择题  有关矢状面将人体上下分割,错误的是()

A.水平面又称为横断面
B.水平面垂直于冠状面
C.矢状面垂直于冠状面
D.冠状面将人体前后分割
E.矢状面将人体上下分割


点击查看答案


14、多项选择题  颞骨X线摄片主要用于观察()

A.中耳
B.蝶鞍
C.颞骨岩部
D.颞骨乳突气房
E.鼻窦


点击查看答案


15、单项选择题  

关于碘对比剂的叙述,哪个是正确的()
a.作为副作用之一可引起便秘
b.它是阳性对比剂
c.应用于泌尿系统造影
d.它分离子型和非离子型
e.可以不做碘过敏试验

A.a,b
B.a,e
C.b,c,d
D.c,d
E.d,e


点击查看答案


16、配伍题  经皮穿刺肾造瘘术适应证()
经皮穿刺肾造瘘术并发证()
经皮穿刺肾造瘘术禁忌证()

A.上尿路梗阻
B.B超导引
C.脾脓肿
D.上尿路穿孔
E.肾癌


点击查看答案


17、单项选择题  下列关于肺部霉菌病的影像特点,正确的是()

A.常侵犯胸膜、胸壁,形成瘘道        
B.中下肺斑点状、云雾状影        
C.两肺粟粒样病灶        
D.空洞内有“霉菌球”        
E.双肺磨砂玻璃样改变


点击查看答案


18、单项选择题  肋骨斜位摄片,常用于检查()

A.肋软骨
B.锁骨中线区肋骨
C.腋中线区肋骨
D.肩胛中线肋骨
E.肋骨小头


点击查看答案


19、单项选择题  影响照片影像密度的各种因素中,下列哪项错误()

A.正常曝光时,密度与曝光量成正比
B.正常条件下,管电压增加,照片密度增加
C.照片密度随被照体厚度密度的增加而增加
D.焦-片距增大,密度降低
E.与照片的显影加工条件有关


点击查看答案


20、名词解释  垂柳征


点击查看答案


21、单项选择题  

男,21岁,腰部不适,晨起加重半年余,X线检查如图,最可能的诊断是()

A.类风湿关节炎
B.脊椎退行性变
C.强直性脊柱炎
D.化脓性脊柱炎
E.阻滞椎


点击查看答案


22、单项选择题  肺动静脉瘘的X线表现中,以哪项诊断价值最大()

A.异常血管影
B.单发或多发结节状影
C.瘤囊搏动
D.大小可改变
E.肋骨下缘压迹


点击查看答案


23、多项选择题  关节外伤脱位常发生在()

A.肘关节
B.肩关节
C.踝关节
D.腕关节
E.胸椎


点击查看答案


24、单项选择题  膝关节髁间凹后前位片,髁间凹呈()

A.正位投影
B.侧位投影
C.斜位投影
D.轴位投影
E.切线位投影


点击查看答案


25、单项选择题  急性血行播散型肺结核的特点为()

A.渗出、增殖性病灶为主
B.增殖性病灶为主
C.纤维化病灶为主
D.钙化病灶为主
E.混合性病灶为主


点击查看答案


26、问答题  电击伤引起的骨损伤的主要X线表现有哪些?


点击查看答案


27、单项选择题  

男,13岁,因轻微外伤后感左肱骨上部疼痛,软组织肿胀,摄片见左肱骨上段局限性骨质沿髓腔膨胀性破坏,骨皮质变薄,部分骨皮质不连续,最可能的诊断是()

A.左肱骨骨折
B.左肱骨骨囊肿伴病理性骨折
C.左肱骨骨纤伴病理性骨折
D.左肱骨巨细胞瘤伴病理性骨折
E.以上均不正确


点击查看答案


28、判断题  心包钙化是诊断心包积液的可靠征象之一。


点击查看答案


29、多项选择题  溃疡性结肠炎X线表现包括()

A.卵石样或息肉样充盈缺损
B.病变进行性发展
C.结肠边缘很多毛刺状突出,或纽扣般大小龛影
D.常见激惹征象
E.肠管狭缩短、变硬,如僵直的橡皮管


点击查看答案


30、判断题  颈动脉造影,颈内动脉分支显影早于颈外动脉。


点击查看答案


31、判断题  肾返流是肾盂造影检查中出现的一种异常X线表现。


点击查看答案


32、单项选择题  肺内错构瘤的特征性X线表现是()

A.孤立圆形阴影
B.肿块边缘清楚
C.肿块边缘可分叶
D.肿块内见爆米花样钙化
E.肿块内可形成空洞


点击查看答案


33、单项选择题  

出生6个月的男婴,摔地后右手红肿,结合CR片,正确的骨折类型是()

A.青枝骨折
B.横行骨折
C.斜行骨折
D.粉碎性骨折
E.压缩骨折


点击查看答案


34、单项选择题  影响骨基质代谢的因素中,应除外()

A.生长激素
B.甲状腺激素
C.性激素
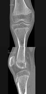
D.肾上腺皮质激素
E.甲状旁腺素


点击查看答案


35、单项选择题  疑胃溃疡患者,最先用的检查方法是()

A.X线平片摄影
B.口服钡剂造影
C.MRI
D.CT
E.B超


点击查看答案


36、单项选择题  下列哪一项临床表现对骨髓瘤的诊断最有价值()

A.50岁以上的男性
B.尿中出现本—周蛋白
C.进行性贫血
D.病理性骨折
E.血清钙及球蛋白升高


点击查看答案


37、单项选择题  关于头颅应用解剖的叙述,错误的是()

A.头颅骨可分为脑颅骨和面颅骨
B.大多数头颅骨借骨缝连接
C.前后径为眉间至枕骨最远点的距离
D.横径是两侧颞鳞缝上缘间的距离
E.鼻窦位于脑颅中部


点击查看答案


38、判断题  急性化脓性骨髓炎,骨膜反应的范围一般同骨的病变范围一致。


点击查看答案


39、单项选择题  测量脊椎滑脱最简单适用的方法是()

A.Meyerding法
B.Garland法
C.Lippman-Cobb法
D.Ferguson法
E.Meschan法


点击查看答案


40、单项选择题  心脏左前斜位,暗盒应与身体成多少夹角()

A.45°~55°
B.55°~65°
C.75°~85°
D.65°~75°
E.35°~45°


点击查看答案


41、单项选择题  返流性食管炎的主要病因,不包括哪项()

A.食管下端括约肌功能减弱
B.膈肌裂孔钳闭作用减弱
C.食管胃之间锐角(His角)变钝或消失
D.食管排空功能及食管粘膜防御机制下降
E.吞服或误服腐蚀剂造成的损伤


点击查看答案


42、单项选择题  铅当量的单位是()

A.mmPb
B.cmPb
C.mPb
D.dmPb
E.nmPb


点击查看答案


43、单项选择题  下述疾病均可见假性骨折或Looser带,此征象对以下哪种疾病诊断最有意义()

A.骨质软化症
B.甲状旁腺功能亢进
C.维生素D缺乏症
D.畸形性骨炎
E.以上均无意义


点击查看答案


44、单项选择题  下列哪项不属于骨折后遗症的表现()

A.废用性骨质疏松
B.骨折不愈合
C.骨缺血坏死
D.创伤性骨关节炎
E.骨痂形成


点击查看答案


45、单项选择题  下列慢性肺炎胸片所见,哪项不对()

A.肺纹理增多、紊乱
B.蜂窝状、杵状阴影
C.肿块规则圆形,边缘光整
D.局限性或弥漫性肺气肿
E.肺门影增大,模糊


点击查看答案


46、单项选择题  肺纤维化X线表现中错误的是()

A.一般不伴有肺气肿
B.一般为整个肺野受累,且为两侧
C.可见异常线状、网状、小颗粒状阴影
D.肺血管内径及轮廓不整
E.有时伴发肺气囊和气胸


点击查看答案


47、单项选择题  中心线与地面垂直为()

A.水平投射   
B.垂直投射
C.向上投射   
D.向下投射
E.倾射投射


点击查看答案


48、判断题  骨样骨瘤新生的骨质不会变为成熟的板层骨。


点击查看答案


49、单项选择题  关于肾结核的描述,错误的是()

A.90%肾结核系由尿路逆行感染所致
B.肾实质内钙化点可由干酪样病变而来
C.肾乳头部见边缘模糊的低密度病灶或空洞
D.实质破坏、纤维化可使肾外形缩小,表面不光整
E.晚期肾结核可发生全肾钙化


点击查看答案


50、多项选择题  X线经被照体形成X线信息影像,其质量决定于()

A.被照体的厚度与密度
B.被照体的原子序数
C.X线的散射状况
D.被照体的形状
E.X线的量


点击查看答案


51、单项选择题  乙状窦沟前缘与外耳道后壁的距离,一般为()

A.<10mm
B.>14mm
C.5~10mm
D.10~14mm
E.15~18mm


点击查看答案


52、单项选择题  下述“结节病”的胸部影像,哪项不正确()

A.双侧对称性肺门淋巴结肿大
B.半数病例仅有肺门淋巴结肿大
C.两肺弥漫分布细网状结节影
D.半数为单侧
E.半数伴有纵隔淋巴结肿大


点击查看答案


53、判断题  Wolfe认为在P2和DY型的乳腺,其乳腺癌发病率远远高于N、P1型。


点击查看答案


54、单项选择题  肺脓肿急性化脓性炎症阶段,X线片示()

A.小片状阴影
B.大片状致密影
C.空洞
D.胸腔积液
E.团块状阴影


点击查看答案


55、单项选择题  急性化脓性骨髓炎形成大块死骨的主要原因是()

A.骨皮质血供中断
B.广泛的骨质增生
C.骨膜血管中断
D.累及关节中断营养血管
E.以上都是


点击查看答案


56、单项选择题  从左心室发出的血管是下列哪项()

A.奇静脉
B.左肺动脉
C.升主动脉
D.上腔静脉
E.锁骨下动脉


点击查看答案


57、单项选择题  

男,5岁,高热、畏寒、咳嗽、胸痛1周,如图所示,最可能的诊断为()

A.先天性肺囊肿
B.继发型肺结核
C.支原体肺炎
D.过敏性肺炎
E.金葡菌肺炎


点击查看答案


58、单项选择题  下述纵隔病变知识,错误的是()

A.急性纵隔炎,多继发于食管穿孔
B.慢性肉芽肿性纵隔炎,多位于前上1/4纵隔
C.纵隔炎症可致纵隔影增宽
D.慢性硬化性纵隔炎,多位于后下1/4纵隔
E.自发性纵隔气肿,与间质性肺气肿关系密切


点击查看答案


59、单项选择题  

男,38岁,因左髋关节疼痛跛行1年半,经治疗症状无明显好转,双髋关节正位片摄片如图所示,最可能诊断是()

A.左髋关节结核
B.左股骨头坏死(早期)
C.左股骨头坏死(活动期)
D.左股骨头坏死(稳定期)
E.左髋关节退变


点击查看答案


60、名词解释  骨化性肌炎


点击查看答案


61、单项选择题  下列关于“长管状骨结核”的描述,哪项错误()

A.好发于骨干
B.砂粒样死骨
C.易侵犯关节
D.骨质破坏为主
E.骨膜反应轻微


点击查看答案


62、单项选择题  下列组合,哪项是不正确的()

A.松果体-性腺发育
B.食道-蠕动运动
C.甲状腺-调节基础代谢
D.肾上腺-调节血压
E.小肠-胆汁分泌


点击查看答案


63、单项选择题  男,45岁,20年前患过肺结核,3月来有咳嗽,痰偶带血丝,X线检查:右上肺有3cm×2.5cm之阴影,边缘模糊、毛糙,内有钙化点,余肺野清晰,3次查痰找癌细胞阴性,最可能的诊断是()

A.肺结核
B.肺脓肿
C.肺囊肿
D.肺癌
E.肺良性肿瘤


点击查看答案


64、多项选择题  右位主动脉可伴有()

A.永存动脉干
B.主动脉缩窄
C.法洛四联症
D.房间隔缺损
E.Ebstein畸形


点击查看答案


65、问答题  十二指肠球部溃疡愈合的X线表现有哪些?


点击查看答案


66、单项选择题  胸椎上段侧位的摄片目的是()

A.观察胸椎生理曲度
B.观察第4~6胸椎侧位形态
C.观察第10~12胸椎侧位形态
D.观察第7~9胸椎侧位形态
E.观察第1~3胸椎侧位形态


点击查看答案


67、单项选择题  属于骨恶性肿瘤的是()

A.皮质旁软骨瘤
B.脂肪瘤
C.神经节细胞瘤
D.骨黄色纤维瘤
E.脊索瘤


点击查看答案


68、多项选择题  骨基质发生的良性肿瘤为()

A.骨肉瘤
B.骨旁骨瘤
C.骨样骨瘤
D.成骨细胞瘤
E.髓性骨肉瘤


点击查看答案


69、单项选择题  儿童化脓性骨髓炎的脓肿不易进入关节腔的原因是()

A.儿童的关节对化脓性炎症的抵抗力强
B.干骺端骺板起屏障作用
C.关节囊对关节腔具有保护作用
D.脓肿容易局限和吸收
E.以上都不是


点击查看答案


70、单项选择题  

男,32岁,中上腹空腹痛,进食后缓解,剑突下轻度压痛,钡餐检查如图,最可能的诊断是()

A.十二指肠癌
B.十二指肠憩室
C.十二指肠球部溃疡
D.十二指肠节段性肠炎
E.十二指肠结核


点击查看答案


71、名词解释  匐行代替


点击查看答案


72、问答题  慢性肺炎的X线表现有哪些?


点击查看答案


73、单项选择题  下列哪项为组织来源未定的肿瘤为()

A.纤维肉瘤
B.骨巨细胞瘤
C.骨髓瘤
D.尤文肉瘤
E.脊索瘤


点击查看答案


74、多项选择题  骨肉瘤基本X线表现包括()

A.骨质破坏
B.肿瘤骨
C.肿瘤软骨钙化
D.软组织肿块
E.骨膜增生和Codman三角


点击查看答案


75、问答题  胃粘膜脱垂的X线征象有哪些?


点击查看答案


76、单项选择题  支气管异物常发生于()

A.左上叶
B.右上叶
C.左舌叶
D.右下叶
E.左下叶


点击查看答案


77、多项选择题  泌尿系统常规X线检查包括()

A.X线平片
B.尿路造影
C.血管造影
D.子宫输卵管造影
E.肾上腺静脉造影


点击查看答案


78、单项选择题  关于"鼻窦炎",下述说法哪项错误()

A.浆液囊肿好发于上颌窦
B.黏液囊肿多位于额窦和筛窦
C.蝶窦的囊肿发生率最低
D.急性鼻窦炎有"液平面"、慢性鼻窦炎无"液平面"
E.慢性鼻窦炎,窦腔变小、密度增高


点击查看答案


79、多项选择题  胃溃疡的间接征象有()

A.胃分泌增加
B.胃小弯缩短
C.对侧胃大弯的痉挛性切迹
D.胃窦痉挛
E.龛影


点击查看答案


80、单项选择题  “生长障碍线”的临床意义为()

A.曾经骨生长停止
B.目前骨生长停止
C.不说明什么问题
D.其数目与年龄成正比
E.提示骨矿物质代谢


点击查看答案


81、单项选择题  下列通过内听道的神经是哪项()

A.动眼神经
B.三叉神经
C.颜面神经
D.迷走神经
E.舌下神经


点击查看答案


82、单项选择题  膝关节侧位摄片,中心线应对准()

A.髌骨下缘与腘窝折线中点
B.髌骨上缘
C.髌骨下缘
D.髌骨后缘
E.髌骨中点


点击查看答案


83、单项选择题  下列哪种疾病,胸片无肋骨下缘切迹()

A.肺动脉闭锁
B.主动脉缩窄
C.上腔静脉阻塞
D.类风湿关节炎
E.神经纤维瘤病


点击查看答案


84、单项选择题  下列关于“恶性骨肿瘤”好发年龄中,哪项是错误的()

A.成骨肉瘤:10~25岁
B.多发性骨髓瘤:20~30岁
C.网状细胞肉瘤:30~40岁
D.转移性骨肿瘤:40岁以上
E.继发性软骨肉瘤:40岁以上


点击查看答案


85、填空题  返流性食管炎根据其发展过程病理上可分为三期,即早期____________;中期____________________;晚期_______________________。


点击查看答案


86、单项选择题  脊髓室管膜瘤的特点是()

A.均可发生显著异常对比增强
B.发生于脊髓中央管及终丝
C.种植转移与空洞形成
D.最多见的髓内肿瘤
E.以上全对


点击查看答案


87、单项选择题  

男,21岁,曾多次有过骨折史,结合图像,最可能的诊断是()

A.石骨症
B.成骨不全
C.畸形性骨炎
D.转移性骨肿瘤
E.氟骨症


点击查看答案


88、单项选择题  儿童短管骨结核最具特征性的X线表现是()

A.单纯骨皮质破坏
B.骨质增生硬化
C.骨气鼓
D.死骨及窦道形成
E.以上都不是


点击查看答案


89、多项选择题  早期食管癌根据大体病理形态分为()

A.平坦型
B.糜烂型
C.斑块型
D.髓质型
E.乳头型


点击查看答案


90、配伍题  巨大右房见于()
巨大左房见于()

A.二尖瓣狭窄
B.二尖瓣关闭不全
C.房间隔缺损
D.动脉导管未闭
E.Ebstein畸形


点击查看答案


91、单项选择题  延迟愈合或不愈合少见于()

A.股骨颈
B.胫骨上1/3
C.胫骨下1/3
D.舟骨
E.距骨


点击查看答案


92、单项选择题  X线表现结肠移动度较大,腔内发现边缘欠光滑,加压后可变形的充盈缺损,最可能的诊断为()

A.息肉
B.腺癌
C.血管瘤
D.粪块
E.淋巴瘤


点击查看答案


93、单项选择题  冠状动脉粥样硬化主要侵犯以下哪些分支()

A.回旋支、左室支
B.前降支、左旋支
C.右旋支、后降支
D.前间隔支、边缘支
E.房室结支、心室支


点击查看答案


94、判断题  继发性肺结核渗出浸润为主型,可见到薄壁、张力、干酪厚壁和纤维空洞等。


点击查看答案


95、单项选择题  下述哪项不符合胸膜结核瘤的影像特点()

A.多位于外侧胸壁、前胸壁或后胸壁
B.可为扁平丘状、半圆形或不规则形态
C.多数为2~5cm大小
D.肿块密度均匀一致
E.多有同侧胸膜炎病史


点击查看答案


96、单项选择题  成人胸部正位摄影焦-片距为()

A.50cm
B.70cm
C.90cm
D.100-120cm
E.150-180cm


点击查看答案


97、单项选择题  下列除哪项外,均为肋骨骨折的继发征象()

A.骨折线
B.气胸
C.液气胸
D.皮下气肿
E.纵隔气肿


点击查看答案


98、判断题  早期结肠癌的最佳检查方法是钡剂灌肠。


点击查看答案


99、单项选择题  肺转移瘤中两肺呈多发或单发的较大结节及肿块见于()

A.甲状腺癌转移
B.肝癌转移
C.胰腺癌转移
D.绒毛膜上皮癌转移
E.精原细胞瘤转移


点击查看答案


100、单项选择题  “表浅溃疡和粘膜斑”见于下述哪种疾病()

A.克罗恩病
B.Behcet病
C.假膜性结肠炎
D.肠结核
E.结肠癌


点击查看答案


101、单项选择题  放射工作人员防止眼晶体发生非随机性效应的年剂量当量限值是()

A.50mSv/年
B.150mSv/年
C.100mSv/年
D.250mSv/年
E.350mSv/年


点击查看答案


102、单项选择题  有关静脉滴注肾盂造影的禁忌证,错误的是()

A.严重的心血管疾患
B.甲状腺功能亢进
C.严重肝病者
D.碘过敏者
E.腹部有巨大肿块者


点击查看答案


103、单项选择题  下列脏器或组织中,哪项不能在平片摄片中显示()

A.肾脏外形
B.胰腺
C.甲状软骨
D.心脏
E.籽骨


点击查看答案


104、名词解释  shenton线


点击查看答案


105、单项选择题  显示颈椎椎间孔的最佳体位是()

A.身体侧斜25°,中心线向头侧倾斜15°~20°
B.身体侧斜25°,中心线与床面垂直 
C.身体侧斜35°,中心线向足侧倾斜10°
D.身体侧斜45°,中心线向头侧倾斜15°~20° 
E.身体侧斜45°,中心线与床面垂直


点击查看答案


106、单项选择题  无壁空洞最常见于()

A.周围型肺癌
B.干酪性肺炎
C.肺脓肿
D.肺转移瘤
E.浸润型肺结核


点击查看答案


107、判断题  纯合子镰状细胞贫血最常引起骨髓增生和骨质疏松。


点击查看答案


108、判断题  关节结核大多累及一个持重的大关节,以髋关节和膝关节为常见。


点击查看答案


109、单项选择题  

女,42岁,双下肢疼痛,结合图像,最可能的诊断是()

A.Paget病
B.内生软骨瘤
C.非骨化性纤维瘤
D.骨巨细胞瘤
E.骨纤维异常增殖症


点击查看答案


110、单项选择题  下列哪项属于静脉肾盂造影的禁忌证()

A.肾盂结石
B.膀胱结石
C.尿道狭窄
D.肾动脉狭窄
E.严重血尿


点击查看答案


111、单项选择题  好发于巩膜、球筋膜下间隙内的肿瘤为()

A.视神经脑膜瘤
B.视网膜母细胞瘤
C.血管瘤
D.泪腺肿瘤
E.皮样囊肿


点击查看答案


112、单项选择题  黏多糖贮积症Ⅳ型,下述哪个部位可以正常()

A.骨盆
B.脊柱
C.颅骨
D.手部
E.腕部


点击查看答案


113、单项选择题  下列关于“乳腺病变”,说法错误的是()

A.“Paget病”有转变为导管癌可能
B.髓样癌,边缘光整
C.只要见到腋下淋巴结,就提示转移
D.细小钙化多见于乳腺管内肿瘤
E.触诊比影像显示的肿块大,则提示恶性可能


点击查看答案


114、单项选择题  下列除哪项外均为来自支气管表面上皮的癌()

A.鳞状上皮癌
B.腺癌
C.小细胞癌
D.鳞腺癌
E.大细胞癌


点击查看答案


115、多项选择题  有关人体的标准姿势正确的叙述是()

A.人体直立,两眼向前方平视
B.两下肢分离约30cm
C.掌心足尖向前
D.双上肢下垂置躯干两侧
E.两下肢并拢,足尖外展


点击查看答案


116、填空题  输尿管结石易停留在生理狭窄处,即_________________、____________________及______________________。


点击查看答案


117、单项选择题  下列有关“硬化性骨髓炎”诊断要点,哪项不对()

A.好发于股骨和胫骨
B.患骨皮质增厚、髓腔消失
C.患骨增粗,但无骨膜反应
D.一般无死骨形成
E.硬化区内常有大小不等的密度减低区


点击查看答案


118、单项选择题  关于常规上臂侧位摄片的说法,哪项错误()

A.是一个常规位置
B.应包括肩肘两关节
C.上臂长轴应与胶片长轴平行
D.取仰卧位摄片
E.上肢伸直,桡侧近暗盒


点击查看答案


119、名词解释  纵隔摆动


点击查看答案


120、判断题  蝶窦在颅底位和侧位像可以显示,两侧多不对称。


点击查看答案


121、多项选择题  有关头颅正位摄片的叙述,错误的是()

A.病人呈俯卧姿势
B.听眦线垂直台面
C.矢状面平行台面
D.下颌内收,靠近台面
E.两外耳孔到台距等高


点击查看答案


122、多项选择题  下列哪些因素与辐射损伤有关()

A.辐射线的性质
B.X线剂量
C.照射部位和范围
D.血型
E.照射方式


点击查看答案


123、单项选择题  

男,进行性吞咽困难1月余,结合图像,最可能的诊断为()

A.贲门失弛缓
B.食管癌
C.贲门癌
D.胃底癌
E.贲门癌侵及胃底


点击查看答案


124、单项选择题  下列关于支原体肺炎的描述,错误的是()

A.多分布于中、下肺野
B.发病2周后,血冷凝集反应阳性
C.可呈网状阴影
D.抗生素治疗有效
E.浅淡的斑片状阴影,一般不超过一个肺叶


点击查看答案


125、判断题  疲劳骨折好发于第2跖骨、胫骨和尺桡骨,骨折线多不明显。


点击查看答案


126、多项选择题  关于室间隔缺损的X线表现,正确的是()

A.低位小缺损,胸片可正常
B.高位大缺损,肺血常增多
C.左心房常增大
D.右心房常增大
E.可有肺门舞蹈


点击查看答案


127、单项选择题  对于预防“碘过敏反应”的发生,无帮助的措施是()

A.检查前做碘过敏实验 
B.选用非离子型造影剂 
C.选用高渗造影剂 
D.减少造影剂用量
E.高危患者避免使用含碘造影剂


点击查看答案


128、单项选择题  下述“Peutz-Jegher综合征”病理特点,哪项正确()

A.结肠息肉呈弥漫性分布
B.小肠息肉,腺瘤居多
C.结肠内息肉,易恶变
D.没有胃息肉
E.常有结肠梗阻


点击查看答案


129、单项选择题  关于视网膜母细胞瘤的影像特点,下述哪项说法是错误的()

A.肿瘤呈乳头样或扁平状,多发病灶
B.单眼发病
C.视神经可增粗,视神经孔可扩大
D.砂粒样、斑块样钙化
E.向球外生长者预后不良


点击查看答案


130、问答题  颈椎病有哪些X线表现?


点击查看答案


131、名词解释  胆脂瘤


点击查看答案


132、单项选择题  下列描述输尿管结核的影像学改变中,哪项不正确()

A.迂曲、延长
B.钙化
C.僵直
D.短缩
E.串珠状


点击查看答案


133、单项选择题  下列选择中,张口位不能显示是哪项()

A.齿状突 
B.茎突 
C.寰椎 
D.寰枢关节 
E.枢椎


点击查看答案


134、单项选择题  观察上颌窦首选()

A.头颅正位
B.头颅侧位
C.柯氏位
D.颅底位
E.华氏位


点击查看答案


135、多项选择题  泌尿系统结核的主要X线检查方法是()

A.静脉肾盂造影
B.逆行肾盂造影
C.腹部平片
D.B超
E.DSA


点击查看答案


136、判断题  老年人和食管贲门失弛缓症患者不能见到第3蠕动波。


点击查看答案


137、单项选择题  心脏右前斜位片主要观察的是()

A.主动脉窗
B.左心房、左心室
C.右心房、右心室
D.右心房、肺动脉干
E.左房、肺动脉干、右心室漏斗部


点击查看答案


138、单项选择题  十二指肠球部溃疡龛影的显示,首选以下哪项()

A.压迫像
B.双重像
C.充气像 
D.卧位充盈像  
E.立位充盈像


点击查看答案


139、单项选择题  下述主动脉硬化胸片所见,错误的是()

A.左心缘第一弓突出
B.右心缘第一弓突出
C.侧位片上,主动脉窗扩大
D.降主动脉迂曲,多向右侧突出
E.主动脉弓可有线样或斑片状钙化


点击查看答案


140、单项选择题  关于眼眶爆裂骨折,下列描述哪项错误()

A.眼底骨质断裂
B.碎骨片向眶外移位
C.上颌窦内密度增高
D.多数患者不需要手术治疗
E.泪滴征


点击查看答案


141、单项选择题  早期中耳癌的X线摄影以何种位置摄影最佳()

A.汤氏位摄影
B.伦氏位摄影
C.斯氏位摄影
D.头颅前后位摄影
E.颅底摄影


点击查看答案


142、名词解释  骨折线


点击查看答案


143、单项选择题  以下对于胸片诊断的描述,哪项不正确()

A.有被CT、MRI取代的可能
B.良好的天然对比是胸片检查的有利条件 
C.不能检出某些早期或微小病变 
D.正位胸片难以显示心后间隙、后肋膈角区病变 
E.可诊断大多数胸内病变


点击查看答案


144、单项选择题  “急性化脓性骨髓炎”最好发于()

A.股骨
B.尺骨
C.胫骨
D.跟骨
E.桡骨


点击查看答案


145、单项选择题  胸骨后前位摄影条件正确的选择是()

A.低千伏高毫安长曝光时间
B.高千伏高毫安长曝光时间
C.低千伏低毫安短曝光时间
D.高千伏高毫安短曝光时间
E.低千伏低毫安长曝光时间


点击查看答案


146、单项选择题  心脏最大径是指()

A.心影左侧最突出点至中线的垂直距离
B.心影右侧最突出点至中线的垂直距离
C.心影左右两侧最突出点间距离
D.右心缘上下部交界点至心尖部之间距离
E.心影左侧最突出点至中线的距离与右心缘最突出点至中线距离之和


点击查看答案


147、单项选择题  哪些投照部位需用滤线器()


点击查看答案


148、问答题  肾结石有何X线表现?需与哪些阴影鉴别?


点击查看答案


149、填空题  耳腭指综合征手 X线表现是:____________________、___________、_________________、______________、______________、_______________、_________________和__________________。


点击查看答案


150、单项选择题  动脉导管未闭最典型的X线征象是()

A.肺血增多
B.主动脉结增宽凸出
C.左心室增大
D.右心室增大
E.左心房增大


点击查看答案


151、判断题  中间支气管为右主支气管的直接延续,长2~3cm,无分支。


点击查看答案


152、名词解释  上腔静脉阻塞综合征


点击查看答案


153、问答题  肠结核的主要X线表现有哪些?


点击查看答案


154、单项选择题  下列关于X线的本质的描述,正确的是()

A.只有X线球管才能产生X线
B.凡是X线都可用于影像诊断
C.X线是一种波长很短的电磁波
D.比红外线波长长
E.波长范围为5~10nm


点击查看答案


155、单项选择题  下列哪种肿瘤转移至椎管内,表现为弥漫性浸润蛛网膜下腔及其邻近神经根()

A.淋巴瘤
B.前列腺癌
C.黑色素瘤
D.髓母细胞瘤
E.室管膜瘤


点击查看答案


156、问答题  脊柱的哪些正常X线所见易引起误诊?


点击查看答案


157、多项选择题  小肠的运动形式有哪些()

A.分节运动
B.紧张性收缩
C.舒张
D.蠕动
E.摆动


点击查看答案


158、单项选择题  关于膈肌矛盾运动透视表现,正确的是()

A.吸气时,健侧膈肌下降,病侧上升
B.吸气时,健侧膈肌上升,病侧下降
C.呼气时,健侧膈肌上升,病侧下降
D.呼气时,健侧膈肌下降,病侧上升
E.以上描述都不是 


点击查看答案


159、单项选择题  室间隔缺损患者有时出现声音嘶哑,其原因最可能是()

A.扩张的右心房压迫喉返神经
B.扩张的左心房压迫喉返神经
C.扩张的主动脉压迫喉返神经
D.扩张的肺动脉压迫喉返神经
E.扩张的左、右心房压迫喉返神经


点击查看答案


160、多项选择题  骨关节病与摄片体位的组合,正确的是()

A.柯莱斯骨折——腕关节正侧位
B.肱骨外科颈骨折——肱骨外科颈正位
C.腕部舟状骨骨折——腕关节尺偏位(外展位)
D.肩胛骨高位症——肩胛骨正位
E.尺神经沟病变——尺神经沟特殊位


点击查看答案


161、单项选择题  输尿管生理狭窄区中最窄的部位是()

A.肾盂起始部
B.输尿管起始部
C.跨过髂总动脉处
D.跨过骨盆入口处
E.进入膀胱壁处


点击查看答案


162、单项选择题  下列哪种疾病,不是"左向右分流"()

A.隔离肺
B.房间隔缺损
C.弯刀综合征
D.动脉导管未闭
E.完全性异常肺静脉回流


点击查看答案


163、填空题  肺源性心脏病根据病理生理改变,主要X线表现为______________、______________、_________和_____________。


点击查看答案


164、多项选择题  汤氏位摄片,中心线向足倾斜25°~30°角,可观察()

A.枕骨
B.迷路
C.内听道
D.顶骨后部
E.枕骨大孔


点击查看答案


165、单项选择题  

女,27岁,双侧髋部疼痛,肿胀2月余,有髋部外伤史,结合图像,最可能的诊断是()

A.股骨颈骨折
B.股骨头骨折
C.慢性骨髓炎
D.慢性骨脓肿
E.骨结核


点击查看答案


166、单项选择题  下列检查技术的相应选项,错误的是()

A.手指:近距离摄影 
B.乳腺:软组织摄影 
C.肺:高千伏摄影 
D.心血管:连续摄影 
E.消化道:双重造影


点击查看答案


167、判断题  萎缩性胃炎有类似胃溃疡的规律性上腹疼痛。


点击查看答案


168、多项选择题  先天性主动脉缩窄常合并()

A.动脉导管未闭
B.房间隔缺损
C.主动脉双瓣畸形伴关闭不全
D.主动脉畸形
E.三尖瓣下移畸形


点击查看答案


169、单项选择题  在胸部正位取后前立位的原因中,无关的是()

A.立位能正确反映胸部脏器的确切形态
B.立位能观察到产生气液面的病理改变
C.后前位肺组织更靠近胶片,影像清晰
D.后前位肩胛骨易于投影在肺野之外
E.后前位心脏放大率小


点击查看答案


170、填空题  中央型肺癌根据肿瘤的生长方式分为________、________和___________。


点击查看答案


171、单项选择题  X线片示右上纵隔有一梭形肿块影,边缘呈波浪状,内含钙化斑块影,气管受压被推向左侧,随吞咽动作上下移动,首先应考虑的是()

A.胸腺瘤
B.畸胎瘤
C.甲状腺肿瘤
D.支气管囊肿
E.恶性淋巴瘤


点击查看答案


172、单项选择题  女,40岁,钡餐示食管壁张力减低,蠕动减弱,钡剂排空延迟,并在食管下段见到串珠状充盈缺损影。首先考虑()

A.食管下段平滑肌瘤
B.返流性食管炎
C.食管下段静脉曲张
D.食管癌
E.食管裂孔疝


点击查看答案


173、单项选择题  正常食管壁厚度大约为()

A.1mm
B.3mm
C.5mm
D.4mm
E.以上均不是


点击查看答案


174、判断题  脾脓肿常常是败血症脓栓的结果。


点击查看答案


175、单项选择题  儿童和幼年型类风湿关节炎的早期X线表现哪项是不正确的()

A.多见膝、踝、颈椎等大关节发病
B.干骺端出现横带状透亮区
C.骨骺生长加速,干骺早期融合
D.远侧指关节常被累及
E.可见关节面下的囊状透光区


点击查看答案


176、单项选择题  “消化道恶性肿瘤”,钡餐检查不能显示的是()

A.管壁僵硬
B.管腔狭窄
C.粘膜破坏、消失
D.腔内充盈缺损
E.狭颈征


点击查看答案


177、填空题  韩-薛-柯病三大典型症状是__________、__________和_________。


点击查看答案


178、单项选择题  

男,70岁,胸痛,不咳嗽、发热,X线检查如图,最可能的诊断是()

A.左肺结核瘤
B.左侧叶间积液
C.左肺癌
D.左肺炎性假瘤
E.左肺错构瘤


点击查看答案


179、单项选择题  周围型肺癌的影像学表现()

A.肺内孤立结节,无分叶,边缘有毛刺,发病前有发热史
B.肺内孤立结节,内有爆米花样钙化
C.右上叶后段结节,边缘光整,周围有卫星灶,增强扫描结节无强化
D.肺内孤立结节,有分叶和毛刺,远端有胸膜凹陷征
E.左下叶后基底段肿块,CT增强扫描示胸主动脉分支进入肿块


点击查看答案


180、单项选择题  关于“真菌性食管炎”,下列描述哪项不正确()

A.多为白色念珠菌感染
B.主要侵犯食管中上段
C.常有胸骨后疼痛和进食梗阻
D.轻者粘膜增粗,呈串珠状,重者偶有“鹅卵石征”
E.主要侵犯食管中下段


点击查看答案


181、填空题  胃平滑肌肉瘤依其发生的部位、发展方向及对胃腔的影响,可分为_______、________和_________。


点击查看答案


182、单项选择题  下列关于关节滑膜结核的X线表现,错误的是()

A.持续性关节软组织肿胀
B.骨质稀疏
C.关节面非持重面部分骨破坏
D.晚期关节间隙变窄
E.早期关节间隙变窄


点击查看答案


183、单项选择题  下述食管癌X线征象不正确的是()

A.粘膜皱襞破坏
B.充盈缺损
C.与正常管壁移行
D.管壁僵硬不规则
E.溃疡


点击查看答案


184、多项选择题  胃肠道异常的基本X线表现包括()

A.胃肠道轮廓改变
B.粘膜皱襞的改变
C.功能性改变
D.位置及移动度改变
E.管腔大小的改变


点击查看答案


185、填空题  风湿性心脏病分为_____________,_______________阶段。以______________最为常见,并常伴有________________。


点击查看答案


186、单项选择题  关于胸部钝伤,下列知识哪项不对()

A.正位胸片正常就可除外肋骨骨折
B.胸骨骨折常合并心脏、大血管伤
C.食管破裂多发生于食管下1/3段
D.肺挫裂伤常见于有肋骨骨折者
E.气胸常见于不伴肋骨骨折的胸部钝伤


点击查看答案


187、单项选择题  法洛四联征患者的心影,多数()

A.明显增大
B.缩小
C.进行性增大
D.雪人征
E.正常或轻度增大


点击查看答案


188、单项选择题  下述哪项属肺实质()

A.肺泡
B.肺泡间隔
C.小叶间隔
D.支气管周围组织
E.血管周围组织


点击查看答案


189、单项选择题  浸润型肺结核是指()

A.原发综合征
B.胸内淋巴结结核
C.结核性胸膜炎
D.以上均是
E.以上均不是


点击查看答案


190、单项选择题  长骨结核与化脓性骨髓炎的主要鉴别点是()

A.病变区骨膜反应轻微
B.弥慢性骨质破坏
C.不易侵入关节
D.易向骨干发展
E.以上都是


点击查看答案


191、单项选择题  下列肺梗死平片所见,错误的是()

A.肺门淋巴结增大
B.密度均匀、边缘不清模糊影,后基底段多见
C.可形成空洞
D.少量胸腔积液
E.多数患者平片表现正常


点击查看答案


192、单项选择题  

男,46岁,膝关节疼痛1年余,结合图像,最可能的诊断是()

A.骨质硬化
B.骨质疏松
C.骨质软化
D.骨髓瘤
E.转移瘤


点击查看答案


193、名词解释  Holt-Oram综合征


点击查看答案


194、单项选择题  关于类风湿患者的胸部影像,下述错误的是()

A.胸腔积液最常见
B.弥漫性肺间质纤维化
C.空洞型肺结节
D.肺部病变可先于关节病变
E.大叶性肺实变


点击查看答案


195、单项选择题  关于优质X线图像质量标准的叙述,下列说法错误的是()

A.尽量多的图像斑点
B.适当的密度
C.良好的对比度
D.较高的分辨率
E.微小的失真度


点击查看答案


196、单项选择题  儿童长骨分为四部分,下列哪项不在其内()

A.骨骺
B.骨骺板
C.骨端
D.骨干
E.干骺端


点击查看答案


197、填空题  根据骨化性肌炎的发病机制可分为________________和________________两类。


点击查看答案


198、问答题  阐述骨巨细胞瘤的X线表现?


点击查看答案


199、判断题  膀胱输尿管反流常常会引起输尿管、膀胱的变化。


点击查看答案


200、单项选择题  肺动脉高压的诊断要点为()

A.出现间隔线
B.肺野透亮度减低
C.多继发于左心衰
D.肺纹理增粗,结构模糊
E.肺动脉段突出、各肺动脉主干增粗


点击查看答案


201、问答题  泌尿系统X线检查有哪些方法?各有何优势与限度?


点击查看答案


202、名词解释  颈眼听综合征


点击查看答案


203、单项选择题  下述各项均能在食管上直接形成压迹,但除外()

A.肺动脉
B.主动脉弓
C.左主支气管
D.降主动脉
E.左心房


点击查看答案


204、配伍题  石棉肺可见于()
婴幼儿胸腺可见于()
新生儿纵隔气肿可见于()

A.胸膜斑
B.液弧线
C.船帆征
D.三角帆征
E.胸膜皱缩征


点击查看答案


205、多项选择题  肺泡性肺水肿的X线征象有()

A.间隔线阴影
B.病变动态变化较快
C.胸腔积液
D.蝶翼征
E.上肺静脉扩张


点击查看答案


206、单项选择题  怀疑豌豆骨骨折,最佳投照体位是()

A.手腕外展位 
B.手腕内收位 
C.手腕侧位片 
D.手掌向上斜位 
E.以上都不对


点击查看答案


207、单项选择题  良性溃疡X线征象中哪项不正确()

A.龛影突出胃壁轮廓之外
B.治疗后好转
C.龛影正面观呈圆形
D.粘膜皱襞通到龛影口
E.胃大弯浅盘状溃疡


点击查看答案


208、单项选择题  

关于X线物理效应的说法,哪项是正确的()
a.穿透作用
b.电离作用
c.荧光作用
d.热作用
e.干涉与衍射作用

A.a,b,c
B.a,b,e
C.a,d,e
D.b,c,d
E.a~e全部


点击查看答案


209、单项选择题  出现膈下游离气体的原因是()

A.人工气腹
B.手术后腹腔残留气体
C.产气菌引起的急性腹膜炎
D.胃肠道穿孔
E.以上都是


点击查看答案


210、单项选择题  

男,2岁,右肘外伤,影像检查如图,最可能的诊断为()

A.右肱骨小头髁骨骺损伤(Ⅱ型骨骺损伤)
B.右肱骨小头骨骺损伤(Ⅳ型骨骺损伤)
C.右肱骨外上髁骨骺损伤(Ⅳ型骨骺损伤)
D.右肱骨外髁骨骺损伤(Ⅱ型骨骺损伤)
E.右肱骨外髁骨骺损伤(Ⅱ型骨骺损伤)


点击查看答案


211、填空题  小于_____cm的单发结节,或2个结节直径之和不超过_____cm的肝细胞癌为小肝癌。


点击查看答案


212、单项选择题  霉菌球是哪种疾病的影像特征()

A.曲菌病
B.隐球菌病
C.组织胞浆菌病
D.奴卡菌病
E.放线菌病


点击查看答案


213、单项选择题  晚期尿毒症病人肾脏内出现囊肿病变的原因是()

A.先天性
B.代谢性
C.感染性
D.中毒性
E.缺血及营养不良


点击查看答案


214、单项选择题  肱骨可有如下变异,应除外哪项()

A.肱骨干下1/3前内侧见一钩状突起
B.滑车上孔
C.肘髌骨
D.肱骨外上髁边缘可见与骨干平行之条状影
E.深的结间沟在侧位上如骨皮质缺损


点击查看答案


215、单项选择题  观察儿童骨龄应摄()

A.肘关节片
B.膝关节片
C.腕关节片
D.踝关节片
E.髋关节片


点击查看答案


216、多项选择题  滤线栅使用不当,会造成射线切割的是()

A.栅斜置
B.栅反置
C.中心线纵向偏距
D.中心线纵向倾角
E.焦-片距与栅-焦距一致


点击查看答案


217、多项选择题  

女,37岁,咽部异物感、咽痛伴反射性耳痛、头颈部不适近1年余,如图所示,下列描述正确的是()

A.左侧茎突长约3.5cm
B.右侧茎突长约4.0cm
C.双侧茎突过长综合征
D.右侧茎突过长综合征
E.正常茎突


点击查看答案


218、单项选择题  

女,6月余,呼吸窘迫,左肺呼吸音弱、偶可闻及哮鸣音,结合图像,最可能的诊断()

A.先天性肺气肿
B.细支气管肺炎
C.胸腔积液
D.先天性囊性腺瘤样畸形
E.支气管囊肿


点击查看答案


219、判断题  在血管造影上胰岛细胞瘤表现为圆形、边缘清楚的肿瘤染色,其密度明显高于周围正常胰腺组织。


点击查看答案


220、单项选择题  X线表现的严重程度与临床症状不相称,为下述哪种肿瘤骨转移的特征()

A.乳癌骨转移
B.肾癌骨转移
C.前列腺癌骨转移
D.鼻咽癌骨转移
E.甲状腺癌骨转移


点击查看答案


221、单项选择题  下列哪项是“逆行肾盂造影”的绝对禁忌证()

A.肝功能损害 
B.过敏体质 
C.肾功能损害 
D.老年体弱
E.下尿路感染


点击查看答案


222、多项选择题  哪些疾病可引起头颅增大()

A.畸形性骨炎
B.骨纤维异常增殖症
C.肢端肥大症
D.婴儿及积水
E.脑发育迟缓


点击查看答案


223、配伍题  左上叶肺不张典型征象是()
右下叶肺不张典型征象是()

A.薄饼征
B.右上三角征
C.平腰征
D.心后三角征
E.左上肺索条影


点击查看答案


224、多项选择题  关于X线影像重叠的叙述,正确的是()

A.用前后和左右几个方向的摄片表现人体结构
B.胸片中看不到胸骨影像,是大物体(纵隔)密度大于小物体
C.膝关节正位照片中髌骨影像,是大小物体组织密度相等
D.肺野中的肋骨阴影很明显,是大小物体组织密度相等
E.以上都是


点击查看答案


225、单项选择题  直径为多少的眶内铁质异物平片可显示()

A.1mm以上
B.0.5mm以上
C.0.8mm以上
D.1.2mm以上
E.0.3mm以上


点击查看答案


226、单项选择题  下述哪项是儿童最常见肾肿瘤()

A.肾盂乳头状瘤
B.肾腺瘤
C.肾腺癌
D.肾血管瘤
E.肾胚胎瘤


点击查看答案


227、单项选择题  左向右分流型先天性心脏病出现的肺部血管改变是()

A.肺栓塞
B.肺出血
C.肺淤血
D.肺充血
E.肺缺血


点击查看答案


228、多项选择题  消化道穿孔的描述中,正确的有()

A.没有游离气腹征象就能排除胃肠穿孔
B.穿孔穿入腹腔内时,立位腹透可见膈下游离气体
C.小肠及阑尾穿孔后很少有气腹出现
D.依穿孔穿入腹腔内或腹膜后间隙而有不同的X线表现
E.以上均正确


点击查看答案


229、单项选择题  

男,18岁,右股骨肿瘤术后,出现大腿中段疼痛,夜间尤甚,结合CT图像,最可能的诊断是()

A.骨纤维肉瘤
B.尤文肉瘤
C.骨肉瘤
D.成骨性骨转移瘤
E.化脓性骨髓炎


点击查看答案


230、判断题  巨人症表现为全身骨骼均匀性增长、变粗、骨骺愈合及二次骨化中心出现提前。


点击查看答案


231、单项选择题  关于肠结核的描述,正确的是()

A.平片常有“狗耳征”
B.肠结核好发于回盲部
C.通常分溃疡型、平坦型和增生型
D.病变肠段明显增宽、延长
E.原发灶以腹腔结核最常见


点击查看答案


232、判断题  早期胃癌浅表隆起型,指癌灶较周围粘膜稍隆起,但不超过粘膜厚度两倍者。


点击查看答案


233、单项选择题  关于CR的工作原理,正确的是()

A.IP由基层荧光体层和保护层构成
B.IP由基层晶体层构成
C.IP用于检测图像数据
D.IP用于存储图像数据
E.IP用于传输图像数据


点击查看答案


234、多项选择题  关于X线强度的叙述,正确的是()

A.KVP代表X线的质
B.X线强度指的是管电压的高低
C.靶物质的原子序数越高,X线强度越大
D.X线强度与管电压成正比
E.脉冲电压越接近峰值,X线强度越大


点击查看答案


235、名词解释  角征


点击查看答案


236、多项选择题  腕部标准后前位片,当腕关节桡偏时()

A.头状骨轴线倾斜
B.钩骨长轴倾斜,舟骨变长
C.三角间隙扩大
D.三角间隙变窄
E.钩骨长轴变直,舟骨变长


点击查看答案


237、多项选择题  有关胃肠道粘膜的说法中,哪些正确()

A.空肠粘膜皱襞常显示为羽毛状影像
B.十二指肠球部粘膜皱襞为纵向、彼此平行的条纹
C.胃粘膜皱襞呈条纹状影
D.食管粘膜皱襞为纤细条纹状阴影
E.大肠粘膜皱襞为纵、横、斜3种方向交划结合的纹理


点击查看答案


238、单项选择题  支气管扩张的X线平片表现,下列哪项对诊断价值大()

A.肺纹理改变
B.肺内炎症
C.肺不张
D.囊状或蜂窝状影
E.局限性胸膜增厚粘连


点击查看答案


239、单项选择题  下列关于肾脏X线解剖描述错误的是()

A.KUB片上肾脏位于第12胸椎到第2~3腰椎两侧
B.侧位片上肾脏影一般在脊柱前缘的后方
C.肾内缘较外缘靠前
D.KUB片上可观察到肾周围的脂肪组织
E.正常情况下,肾上下左右均有一定的移动度


点击查看答案


240、多项选择题  特发性骨质溶解症主要发生在下述哪些部位()

A.腕掌
B.跗跖
C.肘部
D.跖趾
E.掌指


点击查看答案


241、名词解释  晕轮征


点击查看答案


242、填空题  各型黏多糖贮积症的临床表现可有其特点,但比较共同的特点有_________、__________________、____________和__________。


点击查看答案


243、单项选择题  椎旁脓肿常见于()

A.胸椎结核
B.颈椎结核
C.腰骶椎结核
D.腰椎结核
E.骶尾椎结核


点击查看答案


244、单项选择题  关于X线滤过的说法,错误的是()

A.滤过是把X线束中的低能成分吸收掉
B.固有滤过,是指X线管本身的滤过
C.固有滤过用铅当量表示
D.总滤过为附加滤过与固有滤过之和
E.一般对低能量射线采用铝滤过板


点击查看答案


245、单项选择题  有关乳腺摄影的叙述,错误的是()

A.需要加压
B.使用单乳剂胶片
C.使用高速增感屏
D.常规摄取轴位和侧斜位
E.依发育期确定曝光条件


点击查看答案


246、单项选择题  近年来,下列肿瘤中呈增加趋势的是()

A.皮肤癌
B.骨肉瘤
C.子宫癌
D.结肠癌
E.肺癌


点击查看答案


247、单项选择题  观察左侧乳房时,常将其分为若干象限,下述哪种说法不正确()

A.时钟12~3点为外上象限
B.时钟3~6点为外下象限
C.时钟6~9点为内下象限
D.时钟9~12点为内上象限
E.乳头及乳晕区属外上象限


点击查看答案


248、单项选择题  下列描述中,错误的是()

A.一般把慢性支气管炎、肺气肿、支气管哮喘及弥漫性细支气管炎统称阻塞性肺疾病
B.右肺中叶炎症时,右心缘第二弓不清称为剪影征阳性
C.先天性膈疝,多伴有肠扭转且固定
D.含气支气管征是在肺炎等病出现肺实质浸润时的表现
E.心脏病时左房压异常升高时出现KerleyB线


点击查看答案


249、单项选择题  X线诊断肺隔离症的最有价值的方法是()

A.支气管造影
B.主动脉造影
C.体层摄影
D.胸部平片
E.胸动脉造影


点击查看答案


250、填空题  绞窄性肠梗阻的常见原因有哪些__________、_____________和_________。


点击查看答案


251、单项选择题  

男,根据其正常手的影像图像,判断其最可能的年龄()

A.16岁左右
B.26岁左右
C.36岁左右
D.76岁左右
E.56岁左右


点击查看答案


252、填空题  骨软骨瘤由___________、__________和_________3部分组成。


点击查看答案


253、单项选择题  视神经孔后前轴位摄片,矢状面与台面呈()

A.33°
B.43°
C.53°
D.63°
E.73°


点击查看答案


254、名词解释  偏身肥大


点击查看答案


255、单项选择题  

女,根据其正常骨盆影像图像,判断其最可能的年龄()

A.1岁左右
B.5岁左右
C.3岁左右
D.7岁左右
E.9岁左右


点击查看答案


256、单项选择题  支气管充气征不见于下列哪种病变()

A.肺脓肿
B.淋巴瘤
C.炎性假瘤
D.大叶性肺炎
E.肺腺癌


点击查看答案


257、单项选择题  依发生部位,股骨近端骨折分型不包括()

A.粗隆间骨折
B.股骨颈骨折
C.股骨髁上骨折
D.大粗隆骨折
E.小粗隆骨折


点击查看答案


258、单项选择题  下列骨骼不参与眼眶构成的是()

A.筛骨
B.蝶骨
C.腭骨
D.颞骨
E.上颌骨


点击查看答案


259、填空题  房间隔缺损,按缺损部位分为__________、__________、__________。


点击查看答案


260、名词解释  肩胛征


点击查看答案


261、单项选择题  

女,25岁,胸背痛半月余,胸片如图,最可能的诊断为()

A.左上肺不张
B.左上肺炎
C.纵隔肿瘤
D.左上肺癌
E.左上肺炎性假瘤


点击查看答案


262、单项选择题  下列哪种检查无法显示左房黏液瘤的大小及形状()

A.CT
B.MRI
C.X线平片
D.心血管造影
E.超声心动图


点击查看答案


263、单项选择题  食管贲门失弛缓症的典型X线表现是()

A.食管蠕动减弱
B.食管下端不规则狭窄
C.食管下端鸟嘴样或漏斗状狭窄
D.钡剂通过缓慢
E.食管极度扩张


点击查看答案


264、单项选择题  下列肾脏病变,哪种无“钙化”表现()

A.肾癌
B.肾结核
C.急性肾小球肾炎
D.肾错构瘤
E.慢性肾小球肾炎

 


点击查看答案


265、配伍题  四肢管状骨干骨折常见于()
颅骨骨折常见于()
椎体骨折常见于()
骨端关节内松质骨骨折常见于()

A.“T”形、“Y”形或嵌压骨折线
B.塌陷或星状骨折线
C.压缩变形
D.横行、纵行、斜行、螺旋形或粉碎性等
E.不规则形


点击查看答案


266、单项选择题  关于“间质性膀胱炎”描述,下列哪项是错误的()

A.好发于中年女性
B.免疫、神经内分泌功能异常者发病率较高
C.活检和尿培养常有阳性发现
D.多位于膀胱前壁和顶部
E.造影表现与单纯性膀胱炎类似


点击查看答案


267、单项选择题  控制电路最终控制的是()

A.灯丝电路的通断
B.电源电路的通断
C.高压次级电路的通断
D.高压初级电路的通断
E.保护电路的通断


点击查看答案


268、单项选择题  腹部仰卧前后位摄片应用最多的是检查()

A.急腹症
B.腹部肿块
C.腹部脏器形态
D.泌尿系结石
E.泌尿系囊肿


点击查看答案


269、问答题  骨膜反应对病变的定性诊断价值如何?


点击查看答案


270、多项选择题  肺隐球菌病的X线征象有()

A.病灶可单发或多发
B.病灶呈斑片状、圆形或结节炎性浸润
C.病灶的边缘比较模糊
D.肺门和纵隔淋巴结常增大
E.晚期病变可有播散


点击查看答案


271、单项选择题  厚壁空洞的洞壁厚度往往超过()

A.2mm
B.3mm
C.10mm
D.6mm
E.8mm


点击查看答案


272、单项选择题  粟粒型肺结核胸片的特征是()

A.两肺尖部一般不受累
B.从肺尖到肺底大小均匀的结节影
C.胸腔积液
D.胸膜增厚
E.肺门淋巴结增大


点击查看答案


273、单项选择题  下列关于溃疡的描述,错误的是()

A.龛影未能充盈并显示时,球部畸形是常见的重要的X线征象
B.若溃疡穿透浆膜而被周围炎症组织包围,称为胼胝性溃疡
C.胃和十二指肠同时发生溃疡称为复合溃疡
D.胃和十二指肠溃疡好发于青壮年
E.畸形有功能性和器质性两种,可分别存在或同时存在


点击查看答案


274、填空题  支气管肺炎在小叶内可经________及________蔓延,也可通过分隔不全的___________蔓延至邻近小叶,还可经_________蔓延至邻近或远隔小叶。


点击查看答案


275、多项选择题  肠系膜上动脉分支有哪些()

A.空、回肠动脉
B.回结肠动脉
C.左结肠动脉
D.中结肠动脉
E.右结肠动脉


点击查看答案


276、名词解释  裂隙征


点击查看答案


277、单项选择题  构成肺门的主要结构是()

A.肺动脉
B.支气管
C.肺静脉
D.淋巴组织
E.以上都不是


点击查看答案


278、单项选择题  “结肠扩张”,则可除外()

A.溃疡性结肠炎
B.结肠癌
C.Hirschsprung病
D.间位结肠
E.麻痹性肠梗阻


点击查看答案


279、填空题  肺结核的并发症有_________、_________、____________、____________和______________。


点击查看答案


280、单项选择题  下列正常骨结构中,哪种平片能显示()

A.骨膜
B.红骨髓或黄骨髓
C.关节软骨
D.关节囊
E.骨皮质


点击查看答案


281、单项选择题  

男,63岁,进行性吞咽困难1月。食管钡餐示:食管下段粘膜不规则充盈缺损,管腔狭窄,贲门扩张欠佳。

病变侵及食管的()

A.粘膜层
B.粘膜下层
C.肌层
D.外膜
E.粘膜肌层


点击查看答案


282、单项选择题  腐蚀性食管炎病变较重者的X线表现中,应除外()

A.可侵及全部食管
B.早期食管明显痉挛与不规则收缩
C.食管边缘呈锯齿状与串珠状
D.食管粘膜正常或增粗扭曲
E.狭窄段常起于主动脉弓下方,呈向心性


点击查看答案


283、单项选择题  

女,45岁,骶髂部疼痛3月余,结合图像,最可能的诊断是()

A.骶髂关节骨折
B.骶髂关节结核
C.骶髂关节炎
D.骶髂骨骨囊肿
E.骶髂骨骨脓肿


点击查看答案


284、单项选择题  观察外耳道闭锁的最佳摄片体位是()

A.头颅正位(经眶位)
B.颅底顶颌位
C.汤氏位
D.梅氏位
E.许氏位


点击查看答案


285、单项选择题  心脏右前斜位摄影,服钡的目的是观察()

A.右心房压迫食管情况
B.右心室压迫食管情况
C.左心房压迫食管情况
D.左心室压迫食管情况
E.全心压迫食管情况


点击查看答案


286、单项选择题  股骨颈骨折最易合并()

A.骨感染
B.骨不连
C.骨梗死
D.骨萎缩
E.骨缺血性坏死


点击查看答案


287、单项选择题  关于肺部孤立性结节或肿块,其分叶征象最常见于()

A.肺癌
B.转移性肿瘤
C.良性肿瘤
D.结核球
E.肺囊肿


点击查看答案


288、单项选择题  下列影像,哪项与“返流性食管炎”无关()

A.食管下端浅小溃疡
B.食管粘膜皱襞肥厚
C.常合并十二指肠球部溃疡
D.鹅卵石样表现
E.食管下端良性狭窄


点击查看答案


289、单项选择题  

男,56岁,踝关节肿胀,有糖尿病史,结合图像,最可能的诊断是()

A.创伤性关节炎
B.退行性关节病
C.痛风
D.类风湿关节炎
E.神经性关节病


点击查看答案


290、单项选择题  心脏左前斜位,摄片的角度是()

A.45°~55°
B.55°~65°
C.60°~70°
D.70°~80°
E.80°~85°


点击查看答案


291、单项选择题  

女,根据其正常肘关节影像图像,判断其最可能的年龄()

A.17岁左右
B.27岁左右
C.67岁左右
D.37岁左右
E.57岁左右


点击查看答案


292、单项选择题  关于腰椎侧位片显示的叙述,错误的是()

A.全部腰椎呈侧位显示在片内
B.椎间孔投影于照片正中
C.腰大肌影像清晰
D.椎体后缘无双边征
E.椎间隙显示清晰


点击查看答案


293、单项选择题  大叶性肺炎的X线表现为()

A.肺纹理增强,透光度减低
B.肺叶或肺段云雾状阴影
C.炎症部位呈蜂窝状透亮区
D.大叶不均匀性阴影
E.肺叶或肺段密度增高一致性阴影


点击查看答案


294、判断题  颅锁骨发育不全为全身性骨发育障碍,属常染色体隐性遗传。


点击查看答案


295、多项选择题  产生X线必须具备的条件是()

A.光电管
B.电子源
C.旋转阳极
D.适当的障碍物(靶面)
E.高压电场和真空条件下产生的高速电子流


点击查看答案


296、多项选择题  下述哪些疾病可引起纤维性椎管狭窄()

A.韧带肥厚
B.椎间盘脱出
C.蛛网膜粘连
D.骨性增生
E.韧带钙化


点击查看答案


297、单项选择题  右肺门角是哪两种结构的夹角()

A.右上叶下后静脉和右主支气管
B.右上叶下后静脉干和右下肺动脉
C.右上叶下后静脉干和气管
D.右下肺动脉干和右主支气管
E.右中叶静脉和右下肺动脉


点击查看答案


298、问答题  强直性脊椎炎的X线表现有哪些?


点击查看答案


299、单项选择题  

男婴,4月。腹部涨满,如图所示。最可能的诊断为()

A.小肠闭锁
B.坏死性小肠结肠炎
C.十二指肠闭锁
D.肠套叠
E.肠穿孔


点击查看答案


300、判断题  肺放线菌病病变累及胸膜可引起胸膜炎或脓胸。


点击查看答案


题库试看结束后微信扫下方二维码即可打包下载完整版《★医学影像技术(医学高级)》题库
手机用户可保存上方二维码到手机中,在微信扫一扫中右上角选择“从相册选取二维码”即可。
题库试看结束后微信扫下方二维码即可打包下载完整版《医学影像技术(医学高级):X线》题库,分栏、分答案解析排版、小字体方便打印背记!经广大会员朋友实战检验,此方法考试通过率大大提高!绝对是您考试过关的不二利器
手机用户可保存上方二维码到手机中,在微信扫一扫中右上角选择“从相册选取二维码”即可。

微信搜索关注"91考试网"公众号,领30元,获取公务员事业编教师考试资料40G