医学影像技术(医学高级):X线微信做题(最新版)

时间:2024-01-02 03:04:47

微信搜索关注"91考试网"公众号,领30元,获取事业编教师公务员等考试资料40G
题库试看结束后微信扫下方二维码即可打包下载完整版《★医学影像技术(医学高级)》题库
手机用户可保存上方二维码到手机中,在微信扫一扫中右上角选择“从相册选取二维码”即可。
题库试看结束后微信扫下方二维码即可打包下载完整版《医学影像技术(医学高级):X线》题库,分栏、分答案解析排版、小字体方便打印背记!经广大会员朋友实战检验,此方法考试通过率大大提高!绝对是您考试过关的不二利器
手机用户可保存上方二维码到手机中,在微信扫一扫中右上角选择“从相册选取二维码”即可。

1、单项选择题  以下属于膜内化骨的骨骼是()

A.颅盖骨及颜面骨
B.四肢骨
C.脊椎骨
D.不规则骨
E.以上均是


点击查看答案


2、单项选择题  在典型的胃良性溃疡与恶性溃疡鉴别要点中,哪一项是良性溃疡的特征()

A.蠕动减弱
B.粘膜皱襞紊乱
C.龛影位于胃轮廓之内
D.龛影突出于胃轮廓之外
E.局部胃腔狭窄


点击查看答案


3、单项选择题  充血性心肌病的典型X线表现是()

A.右心房和右心室增大
B.右心室增大
C.左心室、右心室增大
D.左心室增大
E.左心房和右心室增大


点击查看答案


4、多项选择题  眶距过窄,常见于下列哪些疾病()

A.额缝早闭
B.冠状缝早闭
C.矢状缝早闭
D.先天愚型
E.端脑发育异常


点击查看答案


5、单项选择题  下列关于乳房纤维瘤的描述,错误的是()

A.多为青壮年患者
B.妊娠期肿瘤增大
C.常为双侧、多发
D.绝经后肿瘤缩小
E.分叶状肿块


点击查看答案


6、单项选择题  上颌窦摄片,常规位置是()

A.柯氏位(CaldWell位)
B.瓦氏位(Water位)
C.斯氏位(Stenever位)
D.劳氏位(LaW位)
E.瑞氏位(Rhees位)


点击查看答案


7、单项选择题  心脏右前斜位,冠状面与暗盒的角度是()

A.45°~55°
B.56°~65°
C.66°~70°
D.71°~80°
E.81°~85°


点击查看答案


8、单项选择题  X线机机房墙壁主防护厚度应达到的铅当量是()

A.1mmpb
B.2mmpb
C.3mmpb
D.4mmpb
E.5mmpb


点击查看答案


9、单项选择题  Ⅱ型肺结核是指()

A.原发性肺结核
B.血行播散型肺结核
C.慢性纤维空洞型肺结核
D.结核性胸膜炎
E.浸润型肺结核


点击查看答案


10、单项选择题  

女,72岁,上腹不适,结合图像,最可能的诊断为()

A.球部憩室
B.球部溃疡
C.降段憩室
D.降段占位
E.水平段憩室


点击查看答案


11、单项选择题  “大胃泡”常见于()

A.先天性食管闭锁
B.频发呕吐者
C.贲门失弛缓症
D.正常婴幼儿
E.短食管胸胃


点击查看答案


12、单项选择题  胆管囊状扩张分为5种类型,其中I型为()

A.胆总管囊肿
B.肝内多发性囊肿
C.壁内段胆总管囊状膨出
D.多发性肝内、外囊肿
E.胆总管憩室


点击查看答案


13、单项选择题  X线信息影像转换成可见密度影像的介质,不含()

A.屏-片系统
B.影像增强系统
C.电影胶片
D.观片灯
E.荧光屏


点击查看答案


14、单项选择题  关于十二指肠球部溃疡,下列说法错误的是()

A.常见球部变形
B.溃疡可多发
C.可形成慢性穿孔
D.胃蠕动可增强
E.部分可恶变


点击查看答案


15、单项选择题  以下对感光效应有影响的因素中,哪项不对()

A.管电压小于60时,增感效应受电压影响较大
B.与曝光时间成正比 
C.与管电压的n次方成正比 
D.与焦片距成反比
E.与管电流成正比


点击查看答案


16、单项选择题  “胃壁增厚”可见于()

A.Zollinger Ellison综合征
B.Menetrier病
C.淋巴瘤
D.静脉曲张
E.良性胃溃疡


点击查看答案


17、填空题  我国慢性氟中毒流行病地区有6种,即________________、______________、______________、_______________、___________________、_____________。


点击查看答案


18、单项选择题  口服钡剂通过小肠到达回盲部时间过缓的诊断标准是()

A.>3小时
B.>4小时
C.>5小时
D.>6小时
E.>7小时


点击查看答案


19、多项选择题  下列组合,正确的是()

A.骶椎-向头侧倾斜15~20°角
B.尾椎-向足侧倾斜15°角
C.骶椎-向头侧倾斜5~15°角
D.腰骶关节-向头侧倾斜15~20°角
E.骶髂关节-向头侧倾斜5~10°角


点击查看答案


20、单项选择题  大叶性肺炎的典型影像学变化可见于病变的()

A.充血期
B.实变期
C.消散期
D.消散期之初
E.病变全程


点击查看答案


21、名词解释  狭颈征


点击查看答案


22、填空题  巨人症骨骼改变为_________________,而肢端肥大症则以_____________为主,以_____________及___________最明显。


点击查看答案


23、名词解释  半月征


点击查看答案


24、多项选择题  下列有关子宫肌瘤的描述,正确的是()

A.常见症状为子宫出血,经量多
B.30岁以上妇女有50%患此病
C.是常见的子宫良性肿瘤
D.有的仅因腹部包块就诊
E.以上均正确


点击查看答案


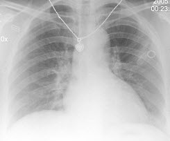
25、单项选择题  

男,8岁,易疲劳,活动后心悸、气急,结合图像,最可能的诊断是()

A.房间隔缺损
B.室间隔缺损
C.肺动脉狭窄
D.动脉导管未闭
E.法洛氏四联症


点击查看答案


26、填空题  局限性骨化性肌炎病理改变在镜下具有特征性分带现象:中央带为___________________________、中间带为_____________、外围带为_______________。


点击查看答案


27、单项选择题  

女,39岁,右上腹部隐痛,有慢性胆囊炎史,曾经做过口服胆囊造影,胆囊显影差,X线检查如图,最可能的诊断是()

A.急性胆囊炎
B.慢性胆囊炎
C.胆囊结石
D.瓷样胆囊
E.胆囊结核


点击查看答案


28、单项选择题  以下哪项不是肺气肿的分型()

A.全小叶型
B.部分小叶型
C.小叶中心型
D.小叶间隔旁型
E.瘢痕旁型


点击查看答案


29、单项选择题  周围型肺癌是指肿瘤发生在()

A.两肺野内
B.段以上支气管
C.段及段以上支气管
D.段以下支气管
E.叶及叶以下支气管


点击查看答案


30、单项选择题  斯氏位投照时,要求()

A.听眦线与胶片垂直 
B.听鼻线与胶片垂直 
C.瞳间线与胶片垂直 
D.听眶线与胶片垂直
E.以上都不对


点击查看答案


31、单项选择题  观察上颌窦首选()

A.头颅正位
B.头颅侧位
C.柯氏位
D.颅底位
E.华氏位


点击查看答案


32、单项选择题  50岁男性,咳嗽、痰中带血3月余。胸片示右肺门区4cm圆形肿块,右上肺不张,痰查癌细胞阴性,最可能的诊断是()

A.右上肺中央型肺癌
B.右上肺周围型肺癌
C.右上肺慢性纤维空洞型肺结核
D.过敏性肺炎
E.肺隔离症


点击查看答案


33、单项选择题  应力性骨折在发病多长时间内,X线检查可无明显表现()

A.4~6周
B.1~2天
C.3~4周
D.3~4天
E.1~2周


点击查看答案


34、单项选择题  

女,根据其正常骨盆影像图像,判断其最可能的年龄()

A.2岁左右
B.5岁左右
C.8岁左右
D.11岁左右
E.14岁左右


点击查看答案


35、单项选择题  属生理排泄的造影检查是()

A.T型管胆道造影
B.逆行肾盂造影
C.口服胆囊造影
D.子宫输卵管造影
E.颈内动脉造影


点击查看答案


36、单项选择题  对临床怀疑“肾盂癌”的患者,应首选以下哪项检查()

A.MRI 
B.血管造影
C.US
D.IVU或“逆行肾盂造影”
E.CT


点击查看答案


37、单项选择题  下列关于“肠结核”影像表现,错误的是()

A.增生型肠结核出现充盈缺损
B.跳跃征
C.溃疡型龛影检出率高
D.增生型肠结核肠管出现短缩、变窄
E.内瘘


点击查看答案


38、单项选择题  下列肺泡性肺水肿影像,哪项不对()

A.KerleyA线
B.支气管气相
C.心影正常或增大
D.肺门影增大、模糊
E.肺内影演变迅速


点击查看答案


39、单项选择题  以下关于“脊柱硬膜外脓肿”特点中,哪项正确()

A.骶管最常见
B.多位于椎管前方
C.葡萄球菌感染,邻近椎骨常破坏
D.结核感染,邻近椎骨常破坏
E.“制动+抗生素”疗效最佳


点击查看答案


40、多项选择题  退行性骨关节病中四肢大关节的X线表现是()

A.承重区变凹变扁
B.关节面下囊肿
C.非承重区骨质增生
D.关节腔有游离体
E.关节间隙变窄


点击查看答案


41、单项选择题  右前斜位片上心脏后缘自上而下依次为()

A.左心房、左心室
B.左心房、右心房
C.右心房、左心室
D.右心房、左心房
E.右心房、右心室


点击查看答案


42、单项选择题  关于间质性肺炎,下列影像哪项不对()

A.肺纹理增多,边缘模糊
B.网状、小点状影
C.可有弥漫性肺气肿
D.可有肺不张
E.特征性“八”字阴影


点击查看答案


43、填空题  肝细胞癌发病与____________和__________密切相关。病理学上分为________、_________和_________三型。


点击查看答案


44、单项选择题  下列诊断肺隔离症最有价值的X线方法是()

A.支气管造影
B.主动脉造影
C.体层摄影
D.胸部平片
E.肺动脉造影


点击查看答案


45、名词解释  膈角移位征


点击查看答案


46、多项选择题  消化道粘膜的改变包括()

A.粘膜皱襞增粗、扭曲
B.龛影
C.粘膜破坏
D.粘膜皱襞纠集
E.微皱襞的改变


点击查看答案


47、单项选择题  关于连续X线光子能量的叙述,错误的是()

A.X线是一束混合能谱
B.能量大X线波长长
C.能量决定于电子的能量
D.能量决定于核电荷
E.能量决定于电子接近核的情况


点击查看答案


48、填空题  肺转移瘤的转移途径有___________、_____________和_____________。


点击查看答案


49、单项选择题  胸部后前位定位摄片的原因中,哪一项是不正确的()

A.后前位肋骨间隙增宽、肺野展现宽广
B.后前位心脏放大率小,被纵隔掩盖的部分少
C.后前位肩胛骨投影在肺野之外
D.后前位肺组织更易靠近胶片,影像清晰
E.能正确反映出胸部脏器的确切形态,且能观察液气平面的改变


点击查看答案


50、多项选择题  剥脱性骨软骨炎的X线表现为()

A.关节内游离体
B.关节软骨钙化
C.关节内大量积脓
D.远离骨性关节面的骨质破坏
E.包括关节面在内的局限性骨质缺损


点击查看答案


51、单项选择题  

女,18岁,左下肢肿痛,活动后加重,关节僵硬,结合图像,最可能的诊断是()

A.蜡油骨病
B.骨斑点症
C.条纹状骨病
D.石骨病
E.肥大性骨关节病


点击查看答案


52、单项选择题  解除因腹部加压引起迷走神经反应的最有效措施是()

A.抗休克措施
B.注射阿托品
C.注射肾上腺素
D.立即解除压迫
E.输液加速对比剂的排泄


点击查看答案


53、单项选择题  下列哪项是阴性造影剂()

A.空气 
B.40%碘化油 
C.钡剂 
D.5%碘化钠溶液 
E.泛影葡胺


点击查看答案


54、问答题  房间隔缺损的X线表现有哪些?


点击查看答案


55、单项选择题  大叶性肺炎的X线表现为()

A.肺纹理增强,透光度减低
B.肺叶或肺段云雾状阴影
C.炎症部位呈蜂窝状透亮区
D.大叶不均匀性阴影
E.肺叶或肺段密度增高一致性阴影


点击查看答案


56、单项选择题  

女,17岁,有支气管炎,蛋白尿(++++),结合图片,最可能的诊断()

A.特发性含铁血黄素沉着
B.韦格肉芽肿
C.肺梗死
D.特发性肺间质纤维化
E.肺-肾综合征


点击查看答案


57、单项选择题  下列关于肾癌不正确的说法是()

A.主要症状为无痛血尿和肿块
B.IVP可阴性
C.肾盏破坏及受压
D.肿瘤无钙化
E.可继发肾积水


点击查看答案


58、多项选择题  牙体由哪几部分构成()

A.牙釉质
B.牙本质
C.牙骨质
D.牙髓
E.牙周膜


点击查看答案


59、问答题  骨肉瘤的基本X线表现包括哪些?


点击查看答案


60、单项选择题  直肠癌的首选影像学检查方法是()

A.钡餐检查
B.钡灌肠造影
C.B超
D.CT
E.结肠镜


点击查看答案


61、单项选择题  下列哪项不能作为食管癌的早期征象()

A.粘膜皱襞增粗、迂曲、中断
B.局限浅在的充盈缺损
C.狭窄段上方食管扩张
D.管壁局限性僵硬
E.小溃疡


点击查看答案


62、多项选择题  在婴儿腹部立位片上见不到“双泡征”的疾病有()

A.环状胰腺
B.胎粪性肠梗阻
C.肥大性幽门狭窄
D.肠旋转不良
E.先天性十二指肠闭锁


点击查看答案


63、单项选择题  X线表现:肺血少、左肺门大于右肺门,肺动脉段直立状突起,最可能的诊断是()

A.主动脉狭窄
B.高血压性心脏病
C.肺动脉狭窄
D.肺心病
E.动脉导管未闭


点击查看答案


64、单项选择题  患者25岁,诉膝关节间歇性隐痛、肿胀半年多,查体胫骨上端内侧肿胀,触之有乒乓球感,X线片示胫骨上端偏内侧呈膨胀性肥皂泡样骨质破坏,横径大于纵径,应诊断为()

A.骨巨细胞瘤
B.动脉瘤样骨囊肿
C.软骨母细胞瘤
D.溶骨型骨肉瘤
E.骨囊肿


点击查看答案


65、单项选择题  固定阳极X线管的阳极结构组成正确的是()

A.靶面、阳极柄、阳极帽
B.阳极头、转子、阳极帽
C.阳极头、阳极柄、阳极帽
D.靶面、转子、阳极帽
E.靶面、钼杆、阳极帽


点击查看答案


66、单项选择题  

男,63岁,进行性吞咽困难1月。食管钡餐示:食管下段粘膜不规则充盈缺损,管腔狭窄,贲门扩张欠佳。

最可能的诊断是()

A.食管下段炎症
B.食管下段溃疡侵及贲门
C.食管下段癌侵及贲门
D.食管下段静脉曲张
E.以上都不对


点击查看答案


67、单项选择题  乳突双15°侧位,亦称为()

A.劳氏位(LaW位)
B.许氏位(Schuller位)
C.伦氏位(Runstrom位)
D.梅氏位(Mayer位)
E.斯氏位(Stenever位)


点击查看答案


68、单项选择题  下列表现,哪项与主动脉瘤无关()

A.可有钙化
B.主动脉搏动可减弱
C.邻近骨骼无异常发现
D.主动脉瘤状、梭状扩张
E.可压迫支气管,造成肺不张


点击查看答案


69、单项选择题  

女,17岁,左髋部酸胀不适半年,骨盆正位片如图所示,最可能的诊断是()

A.骨髓炎
B.内生软骨瘤
C.骨纤维结构不良
D.骨斑点症
E.以上均不正确


点击查看答案


70、多项选择题  房间隔缺损少见类型有()

A.静脉窦型
B.下腔静脉型
C.冠状窦型
D.上腔型
E.继发孔型


点击查看答案


71、多项选择题  消化道穿孔的描述中,正确的有()

A.没有游离气腹征象就能排除胃肠穿孔
B.穿孔穿入腹腔内时,立位腹透可见膈下游离气体
C.小肠及阑尾穿孔后很少有气腹出现
D.依穿孔穿入腹腔内或腹膜后间隙而有不同的X线表现
E.以上均正确


点击查看答案


72、判断题  骨瘤是一种成骨性良性肿瘤,均起源于膜内成骨。


点击查看答案


73、判断题  骨间板中有血管通道,因此不易发生缺因坏死。


点击查看答案


74、多项选择题  以被照体姿势命名的位置有()

A.经眶位
B.前弓位
C.蛙式位
D.谢氏位
E.切线位


点击查看答案


75、单项选择题  四肢长管状骨摄片时至少应包括()

A.长骨的两端
B.邻近两个关节
C.长骨的上端或下端
D.长骨的软组织
E.邻近一个关节


点击查看答案


76、问答题  肺结核并发肺癌时应注意如何鉴别诊断?


点击查看答案


77、单项选择题  下列哪种疾病不宜行钡剂灌肠()

A.溃疡性结肠炎
B.疑有结肠癌者
C.中毒性巨结肠
D.先天性巨结肠
E.疑有结肠梗阻者


点击查看答案


78、单项选择题  

女,16岁,左臀部疼痛伴发热2个月,摄片如图所示,最可能的诊断是()

A.左髂骨成骨肉瘤
B.左髂骨急性化脓性骨髓炎
C.左髂骨软骨肉瘤
D.左髂骨网状细胞肉瘤
E.以上均不正确


点击查看答案


79、单项选择题  包裹性胸腔积液的好发部位是()

A.后胸壁和侧胸壁
B.前、后肋膈角
C.叶间裂
D.前胸壁
E.肺尖部


点击查看答案


80、单项选择题  下列类风湿肺结节影像特点,错误的是()

A.多分布在肺野中内带
B.大小不等,多为1~2cm
C.边缘光整
D.可形成空洞
E.见于重度类风湿关节炎和多发皮下结节者


点击查看答案


81、单项选择题  

男,30岁,右膝关节酸胀,疼痛不适5个月,X线检查如图所示,最可能的诊断是()

A.骨巨细胞瘤
B.骨囊肿
C.骨血管瘤
D.动脉瘤样骨囊肿
E.以上均不正确


点击查看答案


82、单项选择题  克罗恩(Crohn)病慢性期典型的X线征象是()

A.病区周围粘连
B.狭窄与扩张肠管相间并存
C.肠瘘形成
D.肠管条索状狭窄
E.肠管僵直,形状固定


点击查看答案


83、单项选择题  下列哪项在肺纹理的构成中不是主要构成部分()

A.肺动脉分支
B.支气管
C.淋巴管
D.间质组织
E.肺静脉


点击查看答案


84、单项选择题  诊断肺隔离症的影像学表现是()

A.病变多位于下叶后基底段
B.若不充气,表现为膈上椎旁实性密度病变
C.若与支气管交通,表现囊性病变,内有液平面
D.增强扫描显示来自体循环动脉的血管进入病变区具有特征性
E.以上都是


点击查看答案


85、单项选择题  下列不属于X线机辅助装置的是()

A.摄影床
B.诊视床
C.X线管
D.影像增强器
E.摄像机


点击查看答案


86、单项选择题  下列哪一种韧带是横跨过环椎弓的宽阔的韧带束,确保齿状突与环椎前弓相贴()

A.覆膜
B.翼状韧带
C.齿状突韧带
D.横韧带
E.前面的环枕膜


点击查看答案


87、单项选择题  测量脊椎滑脱最简单适用的方法是()

A.Meyerding法
B.Garland法
C.Lippman-Cobb法
D.Ferguson法
E.Meschan法


点击查看答案


88、配伍题  周围型肺癌()
肺平滑肌瘤()
肺错构瘤()
肺段隔离症()

A.左下叶后基底段肿块,上下径较长,增强CT显示主动脉分支供血
B.左上叶孤立性结节,类圆形,无分叶和毛刺,CT增强后明显强化
C.右上叶前段孤立结节,有分叶,细短毛刺,内部有空泡
D.左下叶孤立结节,浅分叶,内有爆米花样钙化
E.右上叶后段结节,边缘光整,CT增强后无强化


点击查看答案


89、单项选择题  关于“骨纤维肉瘤”错误的是()

A.青少年多见
B.长骨干骺端、骨干好发,偏心性生长
C.中央型,边缘模糊溶骨性破坏
D.骨膜型,骨旁高密度肿块
E.没有或仅有轻度骨膜反应


点击查看答案


90、单项选择题  “钡餐检查”前,一般不需要()

A.了解病史,带上以往检查资料 
B.清洁灌肠  
C.不给予影响消化道功能的药物 
D.检查前1周内不吃高密度食物、药物
E.禁食、禁水12小时


点击查看答案


91、单项选择题  下列“漏斗胸”正位胸片表现,哪项不对()

A.右心缘轮廓消失
B.左心缘变直
C.心胸比例变小
D.心脏向左移位
E.前肋向内下方倾斜,后肋平直


点击查看答案


92、名词解释  周期性瘫痪(period paralysis)


点击查看答案


93、填空题  肺真菌病影像学表现的病理基础有__________、___________、_____________、_______________、_______________和_____________。


点击查看答案


94、单项选择题  关于鼻咽癌,其常规X线检查体位是()

A.鼻咽侧位
B.鼻咽侧位+颅底位
C.颈侧位
D.头颅正位
E.颅底位


点击查看答案


95、单项选择题  一张胸部图片中,同时可观察心房、心室、大血管的最佳体位是()

A.心脏正位
B.胸部左侧位
C.左前斜位
D.右前斜位
E.胸部右侧位


点击查看答案


96、判断题  眼眶正位眶内上缘显影淡,考虑为骨质破坏。


点击查看答案


97、单项选择题  患者4岁,高热、咳嗽、气喘7天。听诊两肺水泡音,实验室检查WBC:24×10/L,X线平片示:右肺中下野呈多发致密片状阴影,气管纵隔向左移位。最可能的诊断为()

A.肺炎支原体肺炎
B.麻疹肺炎
C.腺病毒肺炎
D.肺炎链球菌肺炎
E.金黄色葡萄球菌肺炎


点击查看答案


98、多项选择题  肺间质包含下述哪些成分()

A.肺泡间隔
B.小叶间隔
C.肺泡管
D.肺泡壁
E.支气管及血管的周围组织


点击查看答案


99、判断题  慢性化脓性骨髓炎一般无或仅有轻微的不规则骨质破坏,一般无死骨形成。


点击查看答案


100、判断题  Gd-DTPA增强扫描,几乎所有乳腺癌均有不同程度的增强。


点击查看答案


101、单项选择题  以下选项中,乳突伦氏位投照时,球管中心线应()

A.向足侧倾斜35°
B.向足侧、面侧各倾斜15° 
C.向足侧倾斜35°~45° 
D.向足侧倾斜25°~30°
E.向足侧,面侧各倾斜45°


点击查看答案


102、单项选择题  良性溃疡X线征象中哪项不正确()

A.龛影突出胃壁轮廓之外
B.治疗后好转
C.龛影正面观呈圆形
D.粘膜皱襞通到龛影口
E.胃大弯浅盘状溃疡


点击查看答案


103、单项选择题  不属于脊柱退行性改变的征象是()

A.椎间隙陕窄
B.椎小关节骨质增生
C.韧带增厚
D.椎旁软组织肿胀
E.椎间盘脱出


点击查看答案


104、名词解释  乳腺Cooper韧带


点击查看答案


105、问答题  什么是胃小区、胃小沟及结肠无名沟?


点击查看答案


106、单项选择题  下列有关摄影体位命名原则的描述,错误的是()

A.依被照体的摄影部位
B.依被照体摄影时的体位
C.依X线入射被照体时的方向
D.依被照体与摄影床的位置关系
E.依被照体与胶片所处的位置关系


点击查看答案


107、单项选择题  下列有关左心室增大的X线表现中,错误的是()

A.心尖向下向左延伸,居膈下甚至在胃泡内
B.左心缘圆隆,有时上部隆起明显,使心脏呈球形
C.左心室段延长,使相反搏动点下移
D.增大显著时将心影向右推并膨隆
E.右前斜位常无明显改变


点击查看答案


108、单项选择题  下述哪项为软骨内成骨()

A.颅盖骨
B.面骨
C.颅底
D.锁骨
E.下颌骨的一部分


点击查看答案


109、多项选择题  典型的二尖瓣关闭不全患者的X线表现有()

A.左心房和左心室增大为主
B.伴有右心室增大
C.左心房呈中度到重度增大
D.肺淤血
E.病变晚期可见明显的肺循环高压


点击查看答案


110、判断题  颅锁骨发育不全为全身性骨发育障碍,属常染色体隐性遗传。


点击查看答案


111、判断题  片状、结节状或球形影多数为间质性病变。


点击查看答案


112、单项选择题  静脉尿路造影时,如在膀胱内见一充盈缺损,应考虑哪些疾病()

A.膀胱结石
B.膀胱肿瘤
C.输尿管囊肿
D.前列腺肥大
E.以上都是


点击查看答案


113、单项选择题  

头颅侧位平片摄片,不能显示的结构有哪些()
a.蝶鞍
b.脑室
c.大脑中心沟
d.血管沟
e.钙化

A.a,b
B.a,e
C.b,c
D.c,d
E.d,e


点击查看答案


114、单项选择题  应用于医学领域最早的辐射能源是()

A.β线
B.γ线
C.X线
D.钴
E.镭


点击查看答案


115、单项选择题  某男,45岁,体检发现左下肺一直径2.5cm块状影,边缘分叶有毛刺,应考虑为()

A.矽肺
B.周围型肺癌
C.肺结核球
D.错构瘤
E.球形肺炎


点击查看答案


116、单项选择题  下列肺结核分型中,错误的是()

A.Ⅰ型肺结核:原发性肺结核
B.Ⅱ型肺结核:血行播散型肺结核
C.Ⅲ型肺结核:继发型肺结核
D.Ⅳ型肺结核:空洞型肺结核
E.Ⅴ型肺结核:其他肺外结核


点击查看答案


117、判断题  瓷器样胆囊是由于胆囊急性炎症所致。


点击查看答案


118、单项选择题  结核性胸膜炎在结核病分类中属于()

A.Ⅰ型
B.Ⅱ型
C.Ⅲ型
D.Ⅳ型
E.Ⅴ型


点击查看答案


119、多项选择题  影响影像锐利度的因素是()

A.几何模糊
B.移动模糊
C.物体吸收模糊
D.屏/片系统模糊
E.影像密度


点击查看答案


120、多项选择题  巨人症与肢端肥大症初期内分泌症状包括()

A.性器官发育过早
B.性欲亢进
C.性欲减退
D.闭经
E.阳痿


点击查看答案


121、名词解释  Otto骨盆


点击查看答案


122、多项选择题  腹膜腔肿瘤X线腹部平片检查时可表现为()

A.腹腔积液
B.部分脏器受压移位
C.腹腔软组织密度肿块
D.异常钙化斑
E.肠壁增厚


点击查看答案


123、填空题  可形成广泛粟粒样结节的肺病变有:____________、______________、_______________、_______________、____________________。


点击查看答案


124、多项选择题  胃肠道异常的基本X线表现包括()

A.胃肠道轮廓改变
B.粘膜皱襞的改变
C.功能性改变
D.位置及移动度改变
E.管腔大小的改变


点击查看答案


125、单项选择题  在腹部正位片发现右上腹部一圆形致密影,进一步检查方法为()

A.静脉尿路造影检查
B.B超检查
C.腹部侧位片检查
D.CT检查
E.磁共振检查


点击查看答案


126、单项选择题  肺肿块影直径一般不大于4cm的是下列哪项()

A.转移瘤
B.肺癌
C.肺脓肿
D.肺动静脉瘘
E.坏死性肉芽肿


点击查看答案


127、单项选择题  影响乳腺癌预后的最主要因素()

A.病人年龄
B.是否绝经
C.肿块大小
D.手术切除范围
E.癌肿本身生物学特性


点击查看答案


128、单项选择题  显示右肺下叶不张最佳体位是()

A.后前位
B.右后斜位
C.右侧位
D.左侧位
E.前弓位


点击查看答案


129、单项选择题  

男,65岁,腰背部疼痛1月余,结合图像,最可能的诊断是()

A.脊椎结核
B.椎体压缩骨折
C.脊椎退行性变
D.脊椎转移瘤
E.L2~L3椎间盘炎


点击查看答案


130、问答题  纵隔积气有哪些X线表现?


点击查看答案


131、单项选择题  “生长障碍线”的临床意义为()

A.曾经骨生长停止
B.目前骨生长停止
C.不说明什么问题
D.其数目与年龄成正比
E.提示骨矿物质代谢


点击查看答案


132、判断题  右位主动脉弓常合并迷走左锁骨下动脉。


点击查看答案


133、问答题  肾结核的病理基础及X线表现是什么?


点击查看答案


134、单项选择题  滑膜型关节结核的X线表现哪项不对()

A.骨端骨质疏松
B.周围肌肉萎缩
C.骨质破坏先从非承重关节开始
D.关节软骨破坏较晚
E.关节软骨破坏较早


点击查看答案


135、单项选择题  关于肺结核的X线表现,错误的是()

A.空洞多见于S2、S3
B.包裹性,干酪性灶,一般为清楚阴影
C.原发综合征中连接肺野结核病灶和肺门淋巴结的是结核炎症引起的条索状阴影
D.初染病灶多发生钙化
E.一般为两侧肺门淋巴结肿大


点击查看答案


136、判断题  输尿管结石位于其走行区内,易发生在生理性狭窄处。


点击查看答案


137、单项选择题  下列疾病临床特点描述,错误的是()

A.肿块形态随呼吸、体位改变而变化:胃底静脉曲张
B.胃粘膜巨大皱襞:蛋白漏出征
C.胃淋巴瘤:频发呕吐
D.多发疣状隆起:糜烂性胃炎
E.消化道溃疡:卓艾综合征


点击查看答案


138、名词解释  肋骨切迹


点击查看答案


139、单项选择题  “短肢型侏儒”可见于()

A.假性软骨发育不全
B.晚发型脊柱骨骺发育不良
C.关节-眼病
D.黏多糖病Ⅶ型
E.致密性骨发育不全


点击查看答案


140、单项选择题  头颅侧位投照时,以下要求哪项正确()

A.听眦线与胶片垂直 
B.听鼻线与胶片垂直 
C.听口线与胶片垂直
D.听眶线与胶片垂直
E.瞳间线与胶片垂直


点击查看答案


141、多项选择题  腹部X线摄影时,右膈下见到气体影的有()

A.内脏转位症
B.肝硬化
C.胃癌
D.肾癌
E.消化道溃疡穿孔


点击查看答案


142、单项选择题  下述单纯煤肺影像特点,错误的是()

A.类圆形小阴影
B.不规则形小阴影
C.常有大阴影
D.罕有胸膜斑
E.肺间质纤维化


点击查看答案


143、单项选择题  X线管的靶面材料通常是()

A.铁
B.钨
C.金
D.铜
E.锌


点击查看答案


144、多项选择题  先天性主动脉缩窄常合并()

A.动脉导管未闭
B.房间隔缺损
C.主动脉双瓣畸形伴关闭不全
D.主动脉畸形
E.三尖瓣下移畸形


点击查看答案


145、单项选择题  儿童长骨分为4部分,下列哪项是错误的()

A.骨干
B.骨端
C.骨骺
D.骨骺板
E.干骺端


点击查看答案


146、单项选择题  下列胸腔积液影像,哪项不对()

A.正位片,100ml积液即可有肋膈角变钝、消失
B.立位片,中等量胸腔积液时不能显示患侧膈肌
C.正位片,后胸壁包裹性积液为边缘模糊致密影
D.切线位,包裹性积液为梭形致密影
E.正位片,斜裂叶间积液为片状模糊影


点击查看答案


147、单项选择题  “良、恶性胃溃疡”共有的征象为()

A.腔内龛影
B.裂隙征
C.半月征
D.穿透性溃疡
E.环堤


点击查看答案


148、填空题  淋巴管瘤在镜下可分3型,即_______________、____________________和________________。


点击查看答案


149、判断题  逆行尿路造影检查时,如发现有狭窄段,应考虑为病理所致。


点击查看答案


150、单项选择题  尘肺的X线描述术语中,错误的是()

A.大阴影
B.小阴影
C.浸润性阴影
D.胸膜斑
E.弥漫性胸膜增厚


点击查看答案


151、多项选择题  黏多糖贮积症中哪几型所致的骨病变最重()

A.Ⅰ型
B.Ⅳ型
C.Ⅵ型
D.Ⅱ型
E.Ⅲ型


点击查看答案


152、单项选择题  

骨盆是由哪几部分构成的()
a.股骨
b.耻骨
c.坐骨
d.髂骨
e.距骨

A.a,b,c
B.a,b,e
C.a,d,e
D.b,c,d
E.c,d,e


点击查看答案


153、单项选择题  典型急性粟粒型肺结核的患者,发病初期的X线征象是()

A.肺纹理增强
B.肺纹理稀疏
C.“三均匀”现象
D.肺野透光度降低
E.胸膜反应


点击查看答案


154、单项选择题  肺小叶由几个呼吸小叶构成()

A.1~2个
B.4~6个
C.3~5个
D.8~10个
E.4~8个


点击查看答案


155、多项选择题  影响钙磷代谢的主要因素包括()

A.维生素D
B.甲状旁腺素
C.甲状降钙素
D.肾上腺素
E.血管紧张素


点击查看答案


156、单项选择题  不同类型骨结核的特征性X线表现中,哪项错误()

A.关节滑膜结核首先破坏关节承重面
B.骨干结核易形成葱皮样骨膜反应
C.扁骨结核呈囊样骨质破坏
D.短管骨结核易产生骨气鼓
E.脊椎结核常见脓肿形成


点击查看答案


157、单项选择题  

男,9岁,脸色苍白5月。上腹部不规则疼痛。大便潜血(+),血红蛋白61g/L,结合图像,最可能的诊断为()

A.正常表现
B.胃窦炎
C.球部溃疡
D.十二指肠球炎
E.球后溃疡


点击查看答案


158、名词解释  气管支气管软化症


点击查看答案


159、单项选择题  下列哪种X线征象是食管静脉曲张与食管癌的鉴别要点()

A.串珠状充盈缺损
B.管腔边缘凹凸不平
C.蠕动减弱,钡剂通过缓慢
D.纵行粘膜皱襞消失
E.管腔扩张及舒缩性存在


点击查看答案


160、单项选择题  下列影像,哪项与“返流性食管炎”无关()

A.食管下端浅小溃疡
B.食管粘膜皱襞肥厚
C.常合并十二指肠球部溃疡
D.鹅卵石样表现
E.食管下端良性狭窄


点击查看答案


161、多项选择题  胰头癌低张十二指肠造影的X线征象为()

A.十二指肠曲扩大
B.十二指肠曲缩小
C.十二指肠内缘呈反“3”字征
D.十二指肠内缘双边征
E.十二指肠内侧呈锯齿状


点击查看答案


162、问答题  哪些X线征象有利于纵隔肿瘤的定性诊断?


点击查看答案


163、单项选择题  43岁,男,上腹隐痛半年,ERCP示主胰管粗细不均、扭曲、僵硬,胆总管下端向内移位,最可能的诊断是()

A.胰腺癌
B.慢性胰腺炎
C.急性胰腺炎
D.胰腺假性囊肿
E.先天性胆总管囊样扩张症


点击查看答案


164、单项选择题  

女,15岁,发现大腿远端肿块1周,无明显疼痛,结合图像,最可能诊断是()

A.骨质增生
B.软骨瘤
C.骨肉瘤
D.骨瘤
E.骨软骨瘤


点击查看答案


165、问答题  慢性支气管炎的X线表现有哪些?


点击查看答案


166、多项选择题  胃溃疡的间接征象有()

A.胃分泌增加
B.胃小弯缩短
C.对侧胃大弯的痉挛性切迹
D.胃窦痉挛
E.龛影


点击查看答案


167、单项选择题  肺叶内型肺隔离症的供血动脉多来自()

A.腹主动脉
B.降主动脉
C.下腔静脉
D.肺静脉
E.升主动脉


点击查看答案


168、单项选择题  PACS正确的涵义是()

A.图像存储系统
B.图像传输系统
C.图像网络系统
D.图像通讯系统
E.图像存储与传输系统


点击查看答案


169、多项选择题  流行性出血热影像学的病理基础为()

A.肺充血
B.肺缺血
C.肺水肿
D.肺淤血
E.肺出血


点击查看答案


170、单项选择题  横突骨折最常见的部位()

A.颈椎
B.胸椎
C.腰椎
D.颈胸椎
E.骶椎


点击查看答案


171、单项选择题  下述胃溃疡征象,哪项提示为恶性()

A.粘膜纠集
B.狭颈征
C.项圈征
D.腔外龛影
E.局部胃壁僵硬


点击查看答案


172、单项选择题  脾肿大最常见于哪种病变()

A.寄生虫、肿瘤
B.炎症
C.肿瘤、门静脉高压
D.炎症、寄生虫
E.门静脉高压


点击查看答案


173、单项选择题  辐射的生物效应分为()

A.致癌效应和皮肤效应
B.遗传效应和致癌效应
C.非随机性效应和随机性效应
D.胚胎死亡效应和致癌效应
E.遗传效应和皮肤效应


点击查看答案


174、单项选择题  关于胆囊癌的描述哪项正确()

A.直接侵犯以消化管最常见
B.多为鳞癌
C.多为浸润型
D.造影表现正常就可除外胆囊癌
E.胆囊壁增厚是本病特有影像


点击查看答案


175、填空题  组织学上胸腺瘤分为___________、______________及_________,目前认为良恶性难以明确分界,故提倡分为_________和___________。


点击查看答案


176、填空题  骨纤维肉瘤的X线表现分为_________、_________、___________和________。


点击查看答案


177、单项选择题  扩张型心肌病最常累及()

A.左心室
B.左心房
C.右心室
D.右心房
E.房室瓣环


点击查看答案


178、单项选择题  正常后前位胸片上,左心缘见不到()

A.主动脉结
B.肺动脉段
C.右心室
D.左心耳
E.左心室


点击查看答案


179、多项选择题  小肠的运动形式有哪些()

A.分节运动
B.紧张性收缩
C.舒张
D.蠕动
E.摆动


点击查看答案


180、单项选择题  关于头颅正侧位摄片,中心线射入点与体表定位点的位置,哪个是对的()

A.头颅的正位,中心线应向头侧倾斜15°,经眉间射入胶片
B.头颅后前正位,中心线应向足侧倾斜15°,经眉间射入胶片
C.头颅侧位,中心线应通过听眦线正中垂直射入胶片
D.蝶鞍体表定位于外耳孔前2.5cm,再向上2.5cm处
E.蝶鞍体表定位于听眦线中,后1/3交点向上2cm处。


点击查看答案


181、配伍题  支气管异物可见于()
食管自发破裂可见于()
右上纵隔积液可见于()

A.V型征
B.上纵隔液平面影
C.右上纵隔增宽尖角征
D.纵隔压迫征
E.纵隔钟摆运动


点击查看答案


182、问答题  恶性骨肿瘤的X线表现有哪些?


点击查看答案


183、多项选择题  有关肿瘤性钙化的说法中下列哪些正确()

A.颅咽管瘤钙化呈带状
B.少突胶质瘤钙化呈点状、片状
C.星形细胞瘤钙化呈堆状
D.脑膜瘤钙化呈团块状
E.室管膜瘤钙化呈分散状


点击查看答案


184、单项选择题  在纵隔肿瘤中位置最高者为()

A.胸腺瘤
B.恶性淋巴瘤
C.胸内甲状腺肿
D.支气管囊肿
E.囊性畸胎瘤


点击查看答案


185、多项选择题  黏多糖在体内主要分布于哪些组织器官()

A.角膜
B.神经
C.心脏
D.肝脾
E.骨骼


点击查看答案


186、问答题  法洛四联征X线表现有哪些?


点击查看答案


187、单项选择题  关于左肺上叶不张的X线表现,下列描述错误的是()

A.肺不张叶向前上移位
B.后前位胸片上左上中野大片阴影,上部密度较下部密度高
C.下叶出现代偿性肺气肿
D.侧位胸片上肺不张叶向后移位
E.下叶背段无变化


点击查看答案


188、单项选择题  

男,8岁。跌倒时手掌着地,查体:肘部明显肿胀,有压痛,肘关节呈半屈曲状向外突出畸形,肘后三角尚存。

最有可能的诊断为()

A.尺骨鹰嘴骨折
B.屈曲型肱骨髁上骨折
C.伸直型肱骨髁上骨折
D.肘关节脱位
E.桡骨小头半脱位


点击查看答案


189、单项选择题  急性化脓性骨髓炎的X线摄片,主要表现为()

A.骨质增生硬化
B.新生骨
C.骨质破坏
D.死骨形成
E.以上都不是


点击查看答案


190、单项选择题  小叶性肺炎发生在小儿,主要表现为()

A.脊柱旁及心脏边缘部病变较多
B.不局限于一个肺叶或肺段的密度增高阴影
C.两肺中下部内中带沿肺纹理分布的病变
D.局限性肺气肿
E.出现三角形肺不张


点击查看答案


191、多项选择题  神经瘤性角皮病的主要表现有()

A.假关节
B.骨发育异常
C.脊柱侧弯
D.听力障碍
E.运动障碍


点击查看答案


192、填空题  返流性食管炎根据其发展过程病理上可分为三期,即早期____________;中期____________________;晚期_______________________。


点击查看答案


193、配伍题  肺动脉瓣位于()
二尖瓣位于()
主动脉瓣位于()

A.平第4前肋或第3前肋间水平
B.相当于第5肋软骨与胸骨右缘连接处
C.在第4肋软骨与胸骨左缘连接处
D.第3前肋水平
E.第4前肋水平


点击查看答案


194、问答题  在排泄性尿路造影中各器官的正常X线所见有哪些?


点击查看答案


195、单项选择题  左前斜位,心脏后缘自上而下依次为()

A.左心房、右心室
B.左心房、右心房
C.右心房、左心室
D.右心房、右心室
E.左心房、左心室


点击查看答案


196、单项选择题  观察儿童骨龄应摄()

A.肘关节片
B.膝关节片
C.腕关节片
D.踝关节片
E.髋关节片


点击查看答案


197、单项选择题  胃肠道憩室于钡剂造影时,最不易充盈的是()

A.食管囊状憩室
B.Meckel憩室
C.胃憩室
D.十二指肠降段憩室
E.结肠憩室


点击查看答案


198、单项选择题  下述“尤文肉瘤”知识,哪项正确()

A.成年人多见
B.常有骨、肺转移
C.常有特征性骨膜反应
D.好发于长骨干骺端
E.髓腔内可有成骨性改变


点击查看答案


199、单项选择题  下列正常骨结构中,哪种平片能显示()

A.骨膜
B.红骨髓或黄骨髓
C.关节软骨
D.关节囊
E.骨皮质


点击查看答案


200、名词解释  纵隔气肿


点击查看答案


201、单项选择题  成人股骨头缺血坏死早期的X线表现为()

A.股骨头形态和关节间隙正常
B.股骨头塌陷,但关节间隙正常
C.股骨头塌陷加重,承重区关节间隙变窄
D.股骨头可见呈混合性死骨改变
E.股骨头可见散在的斑片状或条带状硬化区


点击查看答案


202、单项选择题  下列化脓性关节炎的X线表现中,哪项出现早而又具有特征性()

A.关节脓肿
B.关节脱位
C.关节腔狭窄
D.关节持重面骨质破坏
E.关节骨性强直


点击查看答案


203、配伍题  属于肠系膜上动脉分支的有()
属于肠系膜下动脉分支的有()

A.胃左动脉
B.腰动脉
C.肾动脉
D.左结肠动脉
E.右结肠动脉


点击查看答案


204、多项选择题  影响X线强度的因素是()

A.靶物质
B.管电压
C.管电流
D.空间电荷
E.高压波形


点击查看答案


205、多项选择题  下列关于提携角的描述,正确的有()

A.肱骨纵轴与桡骨在内下方夹角
B.肱骨纵轴与尺骨在内下方夹角
C.女大于男
D.男大于女
E.正常范围5~2O之间


点击查看答案


206、问答题  肺部基本病变的X线表现包括哪些?


点击查看答案


207、单项选择题  下述造影剂的描述,错误的是()

A.高密度造影剂称为阳性造影剂
B.低密度造影剂称为阴性造影剂
C.非离子型造影剂比离子型安全
D.非离子型造影剂的渗透压比离子型的低
E.非离子型造影剂比离子型造影剂价格低廉


点击查看答案


208、单项选择题  下述哪种征象可作为直接诊断主动脉瓣狭窄的依据()

A.升主动脉中下段局限性扩张
B.左心室搏动增强
C.左心室肥厚
D.心影呈"主动脉型"
E.主动脉瓣区钙化


点击查看答案


209、单项选择题  下述主动脉病变在普通X线平片上的表现,错误的是()

A.主动脉增宽、伸长和迂曲
B.主动脉搏动增强
C.主动脉外形不规则
D.主动脉位置改变
E.主动脉狭小


点击查看答案


210、单项选择题  下列哪种疾病,胸片上无"左心房增大"表现()

A.室间隔缺损
B.二尖瓣关闭不全
C.二尖瓣狭窄
D.肺动脉瓣狭窄
E.动脉导管未闭


点击查看答案


211、单项选择题  下列哪种情况会发生"眶上裂变窄"()

A.颈动脉-海绵窦瘘
B.垂体瘤
C.骨纤维结构不良
D.颅咽管瘤
E.海绵窦内颈内动脉瘤


点击查看答案


212、单项选择题  指出骨麻风病特异性的X线表现()

A.囊样或膨胀性改变
B.骨营养孔扩大
C.密集性骨吸收
D.出现夏科氏关节
E.继发骨膜炎和骨髓炎


点击查看答案


213、单项选择题  

女,68岁,发现高血压病30年,有痔疮史。04年12月6日大便潜血(+++),结合图像,最可能的诊断为()

A.食管癌
B.食管下段憩室
C.食管裂孔疝
D.食管溃疡
E.返流性食管炎


点击查看答案


214、单项选择题  正位胸片上,胸锁关节相当于()

A.第二后肋水平
B.第四后肋水平
C.第四胸椎水平
D.气管分叉水平
E.左心耳水平


点击查看答案


215、单项选择题  在胸部后前位片上右心缘的下部是()

A.右心房
B.右心室
C.左心房
D.左心室
E.升主动脉


点击查看答案


216、填空题  先天性骨梅毒的X线表现主要为________、_______和________。


点击查看答案


217、单项选择题  

女,53岁,进行性吞咽困难伴呕吐,吐黏液半月,结合图像,最可能的诊断为()

A.食管癌
B.贲门癌
C.食管静脉曲张
D.贲门失弛缓
E.胃底癌


点击查看答案


218、单项选择题  放射工作人员全身均匀照射时,防止随机性效应的年剂量当量限值是()

A.10mSv/年
B.20mSv/年
C.30mSv/年
D.40mSv/年
E.50mSv/年


点击查看答案


219、多项选择题  下列哪些先天性心脏病,易合并肺动脉高压()

A.Lutembacher综合征
B.房间隔缺损
C.室间隔小缺损
D.室间隔大缺损
E.肺动脉狭窄


点击查看答案


220、单项选择题  从左心室发出的血管是下列哪项()

A.奇静脉
B.左肺动脉
C.升主动脉
D.上腔静脉
E.锁骨下动脉


点击查看答案


221、单项选择题  下述哪项不是房间隔缺损的X线征象()

A.右心室增大
B.左房不大
C.左心房增大
D.右心房增大
E.主动脉结缩小


点击查看答案


222、问答题  慢性肺炎的X线表现有哪些?


点击查看答案


223、多项选择题  下列组合,正确的是()

A.劳氏位——双15°
B.许氏位——双25°
C.伦氏位——双35°
D.梅氏位——双45°
E.欧文氏位——双55°


点击查看答案


224、单项选择题  关于肺泡微石症,下列描述错误的是()

A.家族性
B.血钙浓度正常
C.结石成分与骨类似
D.两肺弥漫分布细小钙化影
E.肺门淋巴结肿大


点击查看答案


225、多项选择题  正常腹主动脉造影可显示腹主动脉及其分支,分支包括哪几部分()

A.腹腔动脉
B.肠系膜上动脉
C.肠系膜下动脉
D.两侧肾动脉
E.睾丸动脉


点击查看答案


226、单项选择题  结节病较少累及的部位为()

A.骨
B.淋巴结
C.胸膜
D.肺
E.皮肤


点击查看答案


227、单项选择题  下述哪种肺炎好发于右心隔角处()

A.支气管肺炎
B.支原体肺炎
C.流感病毒性肺炎
D.腺病毒肺炎
E.麻疹肺炎


点击查看答案


228、单项选择题  关于结肠癌,下列哪项是错误的()

A.绝大多数结肠癌是腺癌
B.好发于降结肠
C.浸润型表现为肠腔狭窄,局限于一侧或呈环形
D.增生型表现为腔内充盈缺损
E.混合型多是晚期表现


点击查看答案


229、单项选择题  

女,25岁,腕部疼痛,结合图像,最可能的诊断是()

A.肥大性骨关节病
B.骨髓炎
C.骨肉瘤
D.嗜酸性肉芽肿
E.骨膜下出血


点击查看答案


230、多项选择题  X线摄片中,X线与物质作用的概率的叙述,正确的是()

A.相干散射5%
B.光电效应约70%
C.康普顿效应约25%
D.电子对效应15%
E.光核反应2%


点击查看答案


231、名词解释  肾盂输尿管重复畸形


点击查看答案


232、单项选择题  下列摄片体位选择,哪个是不正确的()

A.胫骨粗隆骨软骨炎--膝关节正侧位
B.踝关节韧带撕裂--内旋60°位
C.膝内翻--双膝站立正位
D.胫骨慢性骨髓炎--胫腓骨全长正侧位,加滤线栅
E.膝关节半月板损伤--MR扫描


点击查看答案


233、问答题  肺心病有何X线征象?


点击查看答案


234、单项选择题  下列骨髓瘤的X线表现中,错误的是()

A.好发于颅骨、脊柱、骨盆和肋骨等部位
B.骨质普遍稀疏
C.骨呈多发性穿凿样骨质破坏
D.椎弓根破坏
E.骨质破坏周边常无硬化


点击查看答案


235、判断题  非骨化性纤维瘤少数病灶可以自愈。


点击查看答案


236、问答题  何谓Wolfe乳腺分型。


点击查看答案


237、单项选择题  髋关节后前斜位(谢氏位)用于检查股骨头()

A.向上脱位
B.向下脱位
C.向前脱位
D.向后脱位
E.向外侧脱位


点击查看答案


238、名词解释  抗维生素D型维生素D缺乏症


点击查看答案


239、单项选择题  关于X线影像分析与诊断的叙述,错误的是()

A.X线影像形成的技术条件应满足诊断的要求
B.应首先观察病灶本身
C.要区分正常与异常
D.观察病灶分布数量、形态、密度与邻近组织关系
E.X线影像的分析与诊断必须结合临床


点击查看答案


240、单项选择题  右下叶肺不张的影像特征是()

A.右下三角征
B.横S征
C.心后三角征
D.薄饼征
E.彗星征


点击查看答案


241、填空题  后天性食管裂孔疝的发病因素主要有_____________、_______________、______________、___________、_____________。


点击查看答案


242、多项选择题  “肝内胆管积气”见于下列哪些疾病()

A.胆管消化道瘘
B.Oddi括约肌功能不全
C.Budd-Chiari综合征
D.小肠系膜扭转
E.肠系膜血管栓塞


点击查看答案


243、单项选择题  肺叶内型肺隔离症的X线表现中,哪项对确诊该病价值最大()

A.下叶后基底段圆形或椭圆形致密阴影
B.密度均匀,边缘清楚,其下缘多与膈相连
C.病灶的大小可随病变的演变而改变
D.病变反复感染后周围的支气管可发生障碍病变
E.主动脉造影可显示来自体循环的供血动脉和引流静脉


点击查看答案


244、单项选择题  KerleyA线主要分布于()

A.上肺外周
B.下肺内侧
C.上肺内侧
D.中肺野
E.下肺外周


点击查看答案


245、多项选择题  胸片上,空洞可见于下列哪些疾病()

A.转移性肺癌
B.原发性肺癌
C.韦格肉芽肿
D.原发性肺结核
E.嗜酸性肉芽肿


点击查看答案


246、多项选择题  关于X线影像重叠的叙述,正确的是()

A.用前后和左右几个方向的摄片表现人体结构
B.胸片中看不到胸骨影像,是大物体(纵隔)密度大于小物体
C.膝关节正位照片中髌骨影像,是大小物体组织密度相等
D.肺野中的肋骨阴影很明显,是大小物体组织密度相等
E.以上都是


点击查看答案


247、单项选择题  下列右心室增大的胸片影像表现,错误的是()

A.心尖圆钝、上抬
B.右心室流出道膨隆
C.右心室流入道膨隆
D.心腰消失、位置上移
E.向后扩大参与组成右心缘


点击查看答案


248、名词解释  不完全骨折


点击查看答案


249、单项选择题  男,5岁,腹痛,黏液便并偶带血10多天,钡灌肠见乙状结肠远端有1cm×1cm大小圆形充盈缺损,边缘光滑,可活动,最可能的诊断是()

A.结肠息肉恶变
B.结肠炎
C.结肠息肉
D.结肠癌
E.结肠憩室


点击查看答案


250、单项选择题  下列气管支气管病变影像特点描述,错误的是()

A.剑鞘状气管,气管扁平状,壁有钙化
B.支气管扩张,病变支气管囊柱状或葡萄状
C.气管软骨瘤,气管腔内软组织肿块
D.气管支气管软化症,气管、支气管狭窄
E.复发性多软骨炎,气管壁增厚、钙化、管腔狭窄


点击查看答案


251、单项选择题  

女,39岁,感胸痛、乏力,胸片如图,最可能的诊断是()

A.左肺炎症
B.心包积液
C.正常胸片
D.左肺结核
E.胸膜炎


点击查看答案


252、问答题  泌尿系统X线检查有哪些方法?各有何优势与限度?


点击查看答案


253、单项选择题  大叶性肺炎多见于()

A.青少年
B.老年人
C.婴幼儿
D.青壮年
E.以上都是


点击查看答案


254、单项选择题  下列麻痹性肠梗阻的X线表现中,哪项不正确()

A.若不合并有腹膜炎,则扩张的肠曲互相靠近,肠间隙正常
B.立位可见液平面,但液面多于机械性小肠梗阻
C.多次复查肠管形态改变不明显
D.若合并腹腔内感染,则肠间隙可增宽,腹脂线模糊
E.胃、小肠和大肠等均积气、扩张


点击查看答案


255、单项选择题  

男,13岁,右跟骨疼痛不适3周,右跟骨侧、轴位摄片如图示,最可能的诊断是()

A.右跟骨结核
B.右跟骨骨囊肿
C.右跟骨骨巨细胞瘤
D.右跟骨血管瘤
E.以上均不正确


点击查看答案


256、多项选择题  全自动准直器可进行的操作方式有()

A.手动
B.自动
C.无线遥控
D.红外遥控
E.以上都是


点击查看答案


257、问答题  胃溃疡愈合有哪些X线表现?


点击查看答案


258、填空题  耳腭指综合征手 X线表现是:____________________、___________、_________________、______________、______________、_______________、_________________和__________________。


点击查看答案


259、单项选择题  关节脱位发生率从高到低排列的次序为()

A.肩关节>足关节>肘关节>髋关节>踝关节>腕关节>膝关节
B.肘关节>膝关节>腕关节>踝关节>髋关节>足关节>肩关节
C.肘关节>肩关节>足关节>髋关节>踝关节>腕关节>膝关节
D.髋关节>膝关节>腕关节>踝关节>足关节>肩关节>肘关节
E.踝关节>腕关节>膝关节>肘关节>肩关节>足关节>髋关节


点击查看答案


260、判断题  肺结核病的转归取决于治疗和机体的免疫力。


点击查看答案


261、多项选择题  “慢性胆囊炎”患者,“口服胆囊造影”的表现有哪些()

A.胆囊显影延迟
B.胆囊显影浅淡
C.胆囊壁钙化
D.脂餐后胆囊收缩率60%
E.胆囊结石


点击查看答案


262、多项选择题  克罗恩(Crohn)病有哪些并发症()

A.脓肿形成
B.肠梗阻
C.瘘管形成
D.肠结核
E.肠癌


点击查看答案


263、配伍题  输尿管长约()
输精管长约()

A.15~20cm
B.30~45cm
C.25~30cm
D.2~8cm
E.10~12cm


点击查看答案


264、单项选择题  下列胸片所见,哪项与法洛四联征无关()

A.漏斗征
B.心腰凹陷
C.肺血减少
D.肺门影增大
E.心尖圆钝,微上翘


点击查看答案


265、名词解释  骨化性肌炎


点击查看答案


266、单项选择题  肺结核空洞一般可为()

A.薄壁空洞
B.厚壁空洞
C.虫蚀样空洞
D.以上都是
E.以上都不是


点击查看答案


267、判断题  钮扣状钙化为血管瘤特征性X线表现。


点击查看答案


268、判断题  肠套叠整复成功后,应继续观察48小时。


点击查看答案


269、单项选择题  迷走右锁骨下动脉在食管后方的压迹是()

A.由右侧向左上的螺旋形的压迹
B.由右侧向右上的螺旋形的压迹
C.由左侧向左上的螺旋形的压迹
D.由左侧向右上斜行的螺旋形压迹
E.以上都不是


点击查看答案


270、单项选择题  下列关于“软骨肉瘤”的描述中,错误的是()

A.原发性者,起源于残留的胚胎软骨
B.软组织肿块,可有钙化
C.继发性者,年龄较大
D.继发性者,起源于骨瘤
E.中心型者,少数可有骨膜反应


点击查看答案


271、单项选择题  下列“阑尾炎”诊断要点,错误的是()

A.阑尾内多发充盈缺损
B.边缘毛糙
C.排空加快
D.定点压痛
E.管腔狭窄、管壁僵直


点击查看答案


272、单项选择题  下列哪项不是“右向左分流”的疾病()

A.永存动脉干
B.法洛三联症
C.法洛四联征
D.大血管转位
E.肺隔离症


点击查看答案


273、单项选择题  “腕骨二次骨化中心”出现的正常顺序是()

A.头、钩、三角、月
B.小、大、钩、头
C.豆、月、头、钩
D.舟、钩、月、头
E.月、豆、头、大


点击查看答案


274、多项选择题  脂肪瘤多见于下述哪些部位()

A.颈部
B.肩部
C.背部
D.臀部
E.肾周


点击查看答案


275、单项选择题  

男,40岁,胸痛胸闷2月余,胸片如图,最可能的诊断为()

A.右侧恶性胸膜间皮瘤
B.右侧胸腔积液
C.右侧包裹性积液
D.右侧良性胸膜间皮瘤
E.右侧胸膜增厚


点击查看答案


276、单项选择题  

男,8岁,外伤后入院。结合图片,最可能的诊断是()

A.Colles骨折
B.右肱骨髁上骨折
C.Smith骨折
D.孟氏骨折
E.青枝骨折


点击查看答案


277、单项选择题  

女,17岁,背部和正中胸部急性疼痛和带状疱疹感染,结合图像,最可能的诊断是()

A.镰状细胞贫血
B.地中海贫血
C.系统性红斑狼疮
D.类风湿关节炎
E.白血病


点击查看答案


278、多项选择题  关于X线防护原则,正确的是()

A.合理降低个人受照剂量
B.缩短受照时间
C.建立屏蔽防护
D.缩短照射距离
E.合理降低全民X线检查频率


点击查看答案


279、多项选择题  胃癌的X线造影征象有()

A.胃壁僵硬呈直线,边缘不整齐
B.充盈缺损
C.不整齐的巨大溃疡
D.胃粘膜皱襞中断融合
E.可见明显的环堤和中心不整齐的溃疡


点击查看答案


280、单项选择题  下列哪种骨转移的临床症状相对较轻()

A.乳腺癌骨转移
B.鼻咽癌骨转移
C.甲状腺癌骨转移
D.胃癌骨转移
E.前列腺癌骨转移


点击查看答案


281、单项选择题  易与胰头肿块混淆的是()

A.门腔淋巴结
B.右肾上腺
C.右侧膈肌脚
D.十二指肠
E.胃幽门管


点击查看答案


282、单项选择题  男,38岁,钡餐示食管壁张力减低,蠕动减弱,钡剂排空延迟,并见食管下段有串珠状充盈缺损影,首先应考虑()

A.食管下段静脉曲张
B.食管粘膜下平滑肌瘤
C.返流性食管炎
D.食管裂孔疝
E.食管癌


点击查看答案


283、多项选择题  有关中心线的叙述错误的是()

A.中心线是摄片方向的代表
B.远离中心线的射线能正确反映被照体的状况
C.中心线一般通过被摄部位的中心
D.可用准直器(遮线器)模拟指示
E.从X线管窗口射出的线即是中心线


点击查看答案


284、单项选择题  成人心脏摄片的焦-片距为()

A.近距离
B.100cm
C.85cm
D.150cm
E.200cm


点击查看答案


285、单项选择题  先天性巨结肠的常见X线征象是()

A.近端结肠扩张而远端无狭窄段
B.近端结肠狭窄,远端结肠扩张,并伴有功能障碍
C.远端结肠狭窄,近端结肠扩张,并伴有功能障碍
D.结肠病变区无钡剂潴留现象
E.结肠仅有功能障碍


点击查看答案


286、问答题  胃粘膜脱垂的X线征象有哪些?


点击查看答案


287、单项选择题  下列“化脓性骨髓炎”诊断要点,不包括下列哪项()

A.儿童多见
B.常侵犯关节
C.长骨多见
D.软组织改变最早出现
E.临床表现先于影像改变


点击查看答案


288、填空题  肠套叠压力整复脱套成功的标准是___________________、_________________、___________________、__________________及_____________。


点击查看答案


289、多项选择题  周围型肺癌主要见于哪些组织学类型()

A.细支气管肺泡癌
B.腺癌
C.鳞状上皮癌
D.大细胞癌
E.类癌


点击查看答案


290、判断题  肺隐球菌病的慢性肺部病灶可为孤立性的大空洞,周围常有炎症反应。


点击查看答案


291、单项选择题  下列哪种影像,与持续性支气管哮喘的影像表现不符合()

A.双肺纹理增多
B.双肺透光度增加
C.双膈位于第十后肋水平
D.心影狭长
E.约1/3患者平片可无异常发现 


点击查看答案


292、单项选择题  关于肾结核的描述,错误的是()

A.90%肾结核系由尿路逆行感染所致
B.肾实质内钙化点可由干酪样病变而来
C.肾乳头部见边缘模糊的低密度病灶或空洞
D.实质破坏、纤维化可使肾外形缩小,表面不光整
E.晚期肾结核可发生全肾钙化


点击查看答案


293、单项选择题  管电流的改变,一般是()

A.调节灯丝初级电路中的电阻
B.调节电源电压
C.调节稳压器的输入电压
D.调节稳压器的输出电压
E.调节管电压


点击查看答案


294、单项选择题  易与胰头肿块混淆的是()

A.门腔淋巴结
B.右肾上腺
C.右侧膈肌脚
D.十二指肠
E.胃幽门管


点击查看答案


295、单项选择题  继发性胆脂瘤多发生于()

A.鼓窦入口
B.外耳道
C.上鼓室
D.中鼓室
E.下鼓室


点击查看答案


296、多项选择题  关于乳腺癌治疗的说法哪些正确()

A.手术、化疗、放疗、内分泌治疗均是综合治疗的重要部分
B.术前化疗可以使肿瘤缩小,使更多的患者获得保乳机会
C.术前化疗应选择敏感性化疗方案
D.细针穿刺细胞涂片见到恶性细胞即行术前化疗
E.手术范围越大,乳腺癌的治疗效果越好


点击查看答案


297、判断题  食管贲门失弛缓症的X线表现为食管下端呈漏斗状狭窄,上端扩张,边缘毛糙,粘膜可中断或不中断。


点击查看答案


298、单项选择题  食管最常见的良性肿瘤是()

A.脂肪瘤
B.血管瘤
C.平滑肌瘤
D.淋巴瘤
E.腺瘤


点击查看答案


299、单项选择题  哪项属于胰腺外分泌性肿瘤()

A.胃泌素瘤
B.胰岛素瘤
C.胰腺囊腺瘤
D.胰高血糖素瘤
E.生长抑素瘤


点击查看答案


300、多项选择题  胸片上,双肺弥漫粟粒样阴影可见于()

A.肺转移瘤
B.支气管肺炎
C.结节病
D.矽肺
E.血行播散型肺结核


点击查看答案


题库试看结束后微信扫下方二维码即可打包下载完整版《★医学影像技术(医学高级)》题库
手机用户可保存上方二维码到手机中,在微信扫一扫中右上角选择“从相册选取二维码”即可。
题库试看结束后微信扫下方二维码即可打包下载完整版《医学影像技术(医学高级):X线》题库,分栏、分答案解析排版、小字体方便打印背记!经广大会员朋友实战检验,此方法考试通过率大大提高!绝对是您考试过关的不二利器
手机用户可保存上方二维码到手机中,在微信扫一扫中右上角选择“从相册选取二维码”即可。

微信搜索关注"91考试网"公众号,领30元,获取公务员事业编教师考试资料40G