时间:2023-11-15 01:12:38


1、单项选择题 下述骨肿瘤,哪项无多发倾向()
A.转移瘤
B.血管瘤
C.骨母细胞瘤
D.骨髓瘤
E.软骨瘤
2、单项选择题 Eisenmenger综合征的X线表现中,应除外()
A.肺动脉主干及肺门动脉显著扩张
B.肺外围的动脉纤细
C.心脏明显增大
D.心脏大小可基本正常或轻度增大
E.肺门处出现了残根状表现
3、单项选择题 “Gardner综合征”患者,临床无()
A.腹腔内硬纤维瘤
B.皮肤色素沉着
C.颅面骨多发骨瘤
D.腹泻、黏液便、血便
E.可有十二指肠乳头周围癌
4、单项选择题
男,30岁,右膝关节酸胀,疼痛不适5个月,X线检查如图所示,最可能的诊断是()
A.骨巨细胞瘤
B.骨囊肿
C.骨血管瘤
D.动脉瘤样骨囊肿
E.以上均不正确
5、单项选择题 神经源性肿瘤好发部位是()
A.前下纵隔
B.中纵隔下部
C.中纵隔上部
D.后纵隔脊柱旁沟内
E.前上纵隔
6、单项选择题 下列关于淋巴瘤的描述,不正确的是()
A.恶性淋巴瘤常侵犯胸部
B.非霍奇金淋巴瘤侵犯纵隔者较少
C.淋巴瘤的淋巴结肿大常为对称性肿大
D.淋巴瘤的淋巴结肿大内可见出血坏死状
E.淋巴瘤可累及肺、心包
7、配伍题 肺动脉瓣位于()二尖瓣位于()主动脉瓣位于()
A.平第4前肋或第3前肋间水平
B.相当于第5肋软骨与胸骨右缘连接处
C.在第4肋软骨与胸骨左缘连接处
D.第3前肋水平
E.第4前肋水平
8、多项选择题 结缔组织疾病的共同特点为()
A.患者常无临床症状
B.多器官受累
C.病程长
D.缓解与加重交替出现
E.有反映免疫现象的血清学异常
9、单项选择题 类风湿关节炎的好发年龄为()
A.40~60岁
B.10岁以下
C.20~45岁
D.10~20岁
E.60岁以上
10、单项选择题 一般不引起右心房增大的是()
A.心肌病
B.风湿性心脏病,左房室瓣狭窄
C.先天性心脏病,房间隔缺损
D.风湿性心脏病,左房室瓣关闭不全
E.以上都是
11、单项选择题 “肾乳头坏死”与下列哪种病变无关()
A.酒精中毒
B.镰状细胞贫血
C.肾小球肾炎
D.地中海贫血
E.肾结核
12、判断题 婴儿期以转移骨肿瘤和软骨肉瘤多见。
13、多项选择题 头颅柯氏位观察眼眶诸骨,包括下列哪些()
A.蝶骨大小翼
B.内听道
C.额骨眶顶部
D.乳突
E.眶上裂
14、填空题 耳腭指综合征手 X线表现是:____________________、___________、_________________、______________、______________、_______________、_________________和__________________。
15、单项选择题 某患者腹痛、腹胀、呕吐,肛门停止排气、排便3天。应首选检查方法是()
A.钡灌肠
B.B超
C.立位腹部平片
D.钡餐检查
E.CT
16、多项选择题 胃静脉曲张常发生的部位是()
A.体部
B.胃底部
C.贲门部
D.胃窦部
E.幽门部
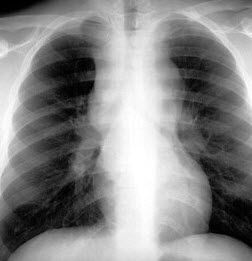
17、单项选择题
男,22岁,感胸痛且大汗淋漓就诊,X线检查如图,最可能的诊断是()

A.正常胸片
B.左肺肿瘤
C.左侧肺气肿
D.左侧气胸
E.支气管囊肿
18、判断题 中心型脊椎结核早期即引起椎间隙狭窄。
19、单项选择题 有关髋关节前后位摄片的叙述,正确的是()
A.双足内收20°
B.双足外旋20°
C.双足尖垂直向上
D.双下肢稍外展,足尖内旋并拢
E.双足跟并拢,足尖自然外旋
20、单项选择题 当瓦氏位投照时,听眦线与暗盒夹角应为()
A.0°
B.45°
C.23°
D.15°
E.37°
21、单项选择题 下列与肺心病不符的X线征象是()
A.肺气肿
B.右心室增大
C.左心室明显增大
D.右前斜位见肺动脉圆锥突出
E.右下肺动脉直径>15mm
22、单项选择题 下述哪种征象可作为直接诊断主动脉瓣狭窄的依据()
A.升主动脉中下段局限性扩张
B.左心室搏动增强
C.左心室肥厚
D.心影呈"主动脉型"
E.主动脉瓣区钙化
23、单项选择题 对于胸部检查的描述,下列哪项不对()
A.正位胸片,左侧心后膈肌常显示不清
B.对肋骨、钙化的显示,高千伏胸片不及常规胸片
C.侧位深吸气相的肋膈角常呈锐角
D.对肺尖病变,前弓位价值高
E.显示肺纹理、肺内阴影,高千伏胸片不及常规胸片
24、单项选择题
男,24岁,中上腹痛,柏油样便,面色苍白,钡餐检查如图,可能的诊断为()

A.胃癌
B.胃溃疡伴良性狭窄
C.平滑肌肉瘤
D.胃间质瘤
E.胃淋巴瘤
25、单项选择题 确诊肾盂输尿管重复畸形的主要检查方法是()
A.USG检查
B.排泄性尿路造影
C.CT检查
D.MRI检查
E.逆行性肾盂造影
26、单项选择题 观察主动脉各部的最佳体位是()
A.右侧位
B.左侧位
C.后前位
D.右前斜位
E.左前斜位
27、单项选择题 骨肉瘤X线征象是()
A.软组织肿胀
B.骨质破坏
C.骨膜反应
D.瘤骨形成
E.以上都是
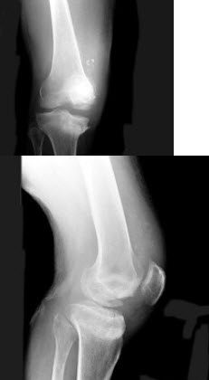
28、单项选择题
男,17岁,下肢畸形,有皮肤色素沉着,性早熟等,结合图像,最可能的诊断是()
A.非骨化性纤维瘤
B.骨巨细胞瘤
C.骨纤维结构不良
D.内生软骨瘤
E.畸形性骨炎
29、单项选择题 脾肿大最常见于哪种病变()
A.寄生虫、肿瘤
B.炎症
C.肿瘤、门静脉高压
D.炎症、寄生虫
E.门静脉高压
30、单项选择题 十二指肠球后狭窄的最常见原因为()
A.结核
B.胰头肿瘤
C.局限性炎症
D.球后溃疡
E.良性肿瘤
31、填空题 骨肉瘤的主要成分是_________________、_______________和__________,还可见多少不等的_______________和__________。
32、单项选择题
男2岁,左侧胸痛、气促,如图所示,最可能的诊断为()

A.左肺肺不张
B.左侧胸腔积液
C.左侧胸膜肥厚
D.右肺肺气肿
E.以上都不正确
33、单项选择题 下列除哪项外均为来自支气管表面上皮的癌()
A.鳞状上皮癌
B.腺癌
C.小细胞癌
D.鳞腺癌
E.大细胞癌
34、判断题 腕舟状骨骨折常可合并缺血坏死和囊状变性。
35、单项选择题 易与胰头肿块混淆的是()
A.门腔淋巴结
B.右肾上腺
C.右侧膈肌脚
D.十二指肠
E.胃幽门管
36、判断题 老年人鞍背出现骨密度减低时,最大的可能为恶性病变所致。
37、单项选择题 骨质破坏的基本X线表现是()
A.骨密度减低
B.骨小梁模糊
C.骨小梁变细
D.骨结构紊乱
E.骨结构消失
38、单项选择题 关于阴性对比剂的特点,错误的是()
A.密度低
B.成本低
C.重量轻
D.原子量高
E.X线易穿过
39、单项选择题 应力性骨折在发病多长时间内,X线检查可无明显表现()
A.4~6周
B.1~2天
C.3~4周
D.3~4天
E.1~2周
40、单项选择题
女,35岁,左侧外踝可扪及一硬结,有轻压痛,结合影像学检查,最可能的诊断是()
A.骨瘤
B.骨软骨瘤
C.骨巨细胞瘤
D.骨肉瘤
E.骨样骨瘤
41、单项选择题 胎儿受X线照射的主要危害不包括()
A.智力低下
B.皮炎
C.畸形
D.胚胎死亡
E.诱发癌症
42、多项选择题 肱骨外科颈骨折,正确的摄片体位是()
A.肱骨上端正位
B.肱骨上端侧位
C.肱骨上端正侧位
D.肱骨上端斜位
E.肱骨上端穿胸位
43、问答题 肺包虫病的X线表现有哪些?
44、名词解释 MPSI-H型
45、单项选择题 关节脱位发生率从高到低排列的次序为()
A.肩关节>足关节>肘关节>髋关节>踝关节>腕关节>膝关节
B.肘关节>膝关节>腕关节>踝关节>髋关节>足关节>肩关节
C.肘关节>肩关节>足关节>髋关节>踝关节>腕关节>膝关节
D.髋关节>膝关节>腕关节>踝关节>足关节>肩关节>肘关节
E.踝关节>腕关节>膝关节>肘关节>肩关节>足关节>髋关节
46、单项选择题 下列过敏性肺炎影像,哪项不对()
A.双侧中下肺野斑片状边缘模糊影
B.双肺弥漫分布粟粒状阴影
C.肺纹理增多,边缘模糊
D.病变位置固定,无游走性改变特点
E.反复发作可发展为间质纤维化、肉芽肿
47、单项选择题 流感病毒性肺炎的影像特征是()
A.数天内仅见双肺纹理增粗、毛糙
B.病理、影像表现演变快
C.伴弥漫性肺气肿的广泛间质性炎症改变
D.呈典型的支气管肺炎表现
E.间质纤维化伴肺大泡
48、多项选择题 早期食管癌根据大体病理形态分为()
A.平坦型
B.糜烂型
C.斑块型
D.髓质型
E.乳头型
49、填空题 白血病是________________,按细胞种类可分为________________、________________和_________________。
50、单项选择题
女,12岁,咳嗽、低热2月余,结合胸片,最可能的诊断是()

A.血行播撒型肺结核
B.两肺含铁血黄素沉着
C.间质性肺炎
D.支气管肺炎
E.风心二狭
51、单项选择题 在结缔组织疾病中,哪种较易侵犯肺部和胸膜()
A.系统性红斑狼疮
B.干燥综合征
C.类风湿关节炎
D.结节性多动脉炎
E.硬皮病
52、判断题 乳腺的皮肤厚度一般为0.5~2.5mm。
53、单项选择题
患儿,男,1天,生后呼吸困难,有窒息史,如图,最可能的诊断为()

A.新生儿肺炎
B.新生儿湿肺
C.新生儿肺出血
D.新生儿呼吸窘迫综合症
E.胎粪吸入综合征
54、多项选择题 增感屏保护层的作用是()
A.有助于防止静电现象
B.对质脆的荧光体进行物理保护
C.进行表面清洁时可保护荧光体不受损害
D.增强对X线的吸收
E.增强荧光的转换效率
55、判断题 维生素A缺乏可致明显的骨质疏松。
56、单项选择题 下列病变中,斜位吞钡检查,不形成食管压迹的是()
A.食管癌
B.胸腺瘤
C.迷走右锁骨下动脉
D.左心房增大
E.主动脉瓣关闭不全
57、单项选择题 后前位胸片上,左心缘见不到哪项结构()
A.肺动脉段
B.主动脉结
C.左心耳
D.左心室
E.右心室
58、单项选择题 左向右分流型先天性心脏病出现的肺血改变是()
A.肺充血
B.肺淤血
C.肺缺血
D.肺出血
E.以上都不是
59、填空题 引起膈麻痹的原因较多,如_________、__________、_______、______、_______和__________等。
60、单项选择题
男,23岁,跛行,外展受限,两下肢不等长,结合图像,最可能的诊断是()
A.髋关节中心脱位
B.髋关节后脱位
C.髋关节前脱位
D.先天性髋内翻
E.髋关节结核
61、单项选择题
女,72岁,吞咽不适2月余。体检:咽红,结合图像,最可能的诊断为()

A.食管癌
B.食管溃疡
C.食管憩室
D.食管走行迂曲
E.贲门失弛缓
62、单项选择题 关于室间隔缺损,下列哪项不对()
A.临床出现紫绀:Esenmenger综合征
B.肺血正常可除外本病诊断
C.膜型多见
D.室间隔膜部高位缺损:Gerbode型室缺
E."四腔位"有利于显示缺损部位、类型
63、多项选择题 下列哪几项在乳腺X线平片上可见到()
A.皮肤
B.脂肪
C.乳头
D.乳腺实质
E.淋巴结
64、多项选择题 能使纵隔向患侧移位者()
A.肺不张
B.肺实变
C.广泛胸膜增厚
D.胸腔积液
E.胸膜肿瘤
65、名词解释 创伤性骨折
66、名词解释 Schmorl结节
67、单项选择题 下列新生儿正常胸片影像错误的是()
A.“船帆征”提示有胸腺瘤
B.心胸比例比成人大
C.左膈常比右膈高
D.外带无肺纹理
E.心尖不明显
68、单项选择题 颅骨骨折的直接征象是()
A.乳突气房消失
B.颅内积气
C.软组织肿胀
D.骨折线
E.蝶窦积气-液平面
69、单项选择题 直径为多少的眶内铁质异物平片可显示()
A.1mm以上
B.0.5mm以上
C.0.8mm以上
D.1.2mm以上
E.0.3mm以上
70、单项选择题 关于胸部摄片的描述,错误的是()
A.左前斜位,冠状面与暗盒成40~45°
B.右前斜位,冠状面与暗盒成45~55°
C.胸正位——冠状面平行暗盒
D.胸侧位——冠状面垂直暗盒
E.前凸位——胸部冠状面与暗盒不小于45°
71、单项选择题 CR系统中,直接记录X线影像信息的载体是()
A.胶片
B.磁盘
C.成像板
D.荧光屏
E.平板探测器
72、单项选择题 前列腺癌常发生骨转移,其表现为()
A.成骨型、溶骨型
B.混合型
C.混合型、溶骨型
D.成骨型、混合型
E.成骨型、溶骨型、混合型,以成骨型多见
73、单项选择题 以间质改变为主的肺炎是()
A.支原体肺炎
B.肺炎球菌性肺炎
C.支气管肺炎
D.葡萄球菌性肺炎
E.放射性肺炎
74、单项选择题 有关胸腔内生殖细胞瘤,错误的是()
A.多见于20~40岁
B.多起源于胸腺
C.多位于中纵隔
D.可见有脂肪信号
E.可见有囊性信号
75、单项选择题
男,20岁,胸痛、身材矮小,结合图像,最可能的诊断是()
A.马方综合征
B.颅锁骨发育不全
C.成骨不全
D.软骨发育不全
E.特发性骨质溶解症
76、填空题 类脂质沉积病包括__________和_____________;组织细胞增生症X包括____________、____________和____________。
77、名词解释 罗杰病
78、单项选择题 下列关于眼眶肌锥内肿瘤描述中,其早期X线表现是()
A.眶外侧壁受压
B.眶内侧壁受压
C.眶底壁受压
D.眶顶壁受压
E.眶骨吸收破坏
79、单项选择题 骶髂关节前后位中心线入射点是()
A.耻骨联合上缘
B.耻骨联合下缘
C.髂前上棘内侧
D.髂前上棘外侧
E.脐下3cm
80、多项选择题 石棉肺患者易并发()
A.肺炎
B.胸膜间皮瘤
C.肺癌
D.支气管扩张
E.肺源性心力衰竭
81、名词解释 重叠移位
82、单项选择题 有关石骨症的描述,下列哪一项不正确()
A.石骨症为成骨异常所致
B.全身骨骼广泛性致密硬化
C.临床症状与骨的病变程度平行
D.维生素D缺乏病为其常见的并发症
E.骨髓外造血器官常继发性增大
83、填空题 来自支气管表面上皮的肺癌有_____________、_________、_________和___________。
84、问答题 十二指肠、小肠、结肠正常造影时X线表现如何?
85、名词解释 砂钟胃
86、单项选择题 关于胶片γ值的叙述错误是()
A.γ值指胶片的反差系数
B.γ值大的胶片影像对比度小
C.γ值大的胶片宽容度小
D.γ值指的是直线部的斜率
E.X线胶片的γ值在2.5~3.0之间
87、单项选择题 下列哪项不是骨骺干骺端结核的X线表现()
A.边缘模糊,圆形、椭圆形骨破坏
B.病灶偏于一侧,靠近骨骺板
C.骨硬化及碎片样死骨
D.骨皮质破坏轻
E.针状骨膜反应
88、配伍题 左下腹小肠是()中段回肠是()右中下腹小肠是()盆腔内小肠是()
A.第6组小肠
B.第5组小肠
C.第4组小肠
D.第3组小肠
E.第2组小肠
89、单项选择题 下列不属于高压部件的是()
A.高压变压器
B.灯丝变压器
C.高压交换闸
D.高压接触器
E.高压电缆
90、名词解释 穿透性溃疡
91、单项选择题 肘关节脱位中哪种脱位较少见()
A.后方脱位
B.侧方脱位
C.后外方脱位
D.后内方脱位
E.以上都是
92、单项选择题 腰椎前后位的中心线入射点是()
A.胸骨剑突
B.脐上3cm
C.脐
D.脐下3cm
E.髂前上棘连线中点
93、单项选择题 下列哪项为骨骼摄片的最佳距离()
A.150cm
B.100cm
C.80cm
D.60cm
E.50cm
94、单项选择题 疑似病人痛风,最佳投照体位是()
A.双侧跟骨侧位片
B.双侧掌上斜位
C.胸骨正位片
D.骨盆侧位片
E.第1跖趾骨正、斜位
95、单项选择题
胸部正位摄片的叙述,哪个是正确的()
a.后前位与前后位相比,心脏放大率较小
b.RAO即是第2斜位(左前斜位)
c.主动脉弓投影于左上肺野
d.吸气时,膈肌上升
e.胸锁关节在后前位时,与第4后肋相重
A.a,b
B.a,e
C.b,c
D.a,c,e
E.d,e
96、判断题 颅内非病理性钙化多见于松果体、基底核等。
97、单项选择题 AIDS的肺部X线表现为()
A.混合性实变
B.两肺弥漫性均匀性实变
C.单侧不均匀性斑片样实变
D.弥漫性间质性肺炎
E.胸腔积液
98、判断题 泌尿系阳性结石和阴性结石的概念只适于X线平片检查。
99、多项选择题 周围型肺癌主要见于哪些组织学类型()
A.细支气管肺泡癌
B.腺癌
C.鳞状上皮癌
D.大细胞癌
E.类癌
100、单项选择题
女,24岁,脐左旁疼痛2年。体检:脐左上压痛,结合图像,最可能的诊断为()
A.正常表现
B.胃癌
C.轻度胃下垂
D.中度胃下垂
E.重度胃下垂
101、单项选择题 小腿前后位摄片时,足的位置应为()
A.足尖垂直向上
B.足尖向上并内旋10°
C.足尖向上并内旋15°
D.足尖向上并外旋10°
E.足尖向上并外旋15°
102、单项选择题 肺叶由几个肺段组成()
A.2~5个
B.3~5个
C.10个
D.4个
E.7~8个
103、单项选择题 从X线被照体→潜影→可见光→数字影像,这一程序转换的是()
A.I.I.TV
B.成像板
C.闪烁体+CCD摄像机阵列
D.直接转换平板探测器
E.间接转换平板探测器
104、单项选择题 以下选项中,“子宫输卵管造影”的最佳时机为()
A.月经前第3天
B.月经前第10天
C.月经期
D.月经后第3天
E.月经后第7天
105、单项选择题
女,根据其正常骨盆影像图像,判断其最可能的年龄()
A.53岁左右
B.13岁左右
C.73岁左右
D.33岁左右
E.63岁左右
106、单项选择题 下列哪项不是食管贲门失弛缓症的征象()
A.狭窄段管壁僵硬
B.食管内有液平面现象
C.蠕动减弱或消失
D.钡剂通过缓慢
E.食管下段狭窄,上方扩张明显
107、单项选择题
男,64岁,咳嗽、高热数日,无痰中带血,X线检查如图,最可能的诊断是()

A.右侧胸腔积液
B.右侧胸腔积液并肺脓肿
C.右肺炎
D.右肺不张
E.气胸
108、名词解释 橘皮样变
109、单项选择题 关于“小肠Crohn病”影像的描述,错误的是()
A.环肠壁对称性侵犯
B.鹅卵石征
C.小肠多发狭窄
D.肠壁增厚
E.口疮样小溃疡
110、多项选择题 有关消化道疾病的描述,正确的是()
A.静脉曲张只见于食管,胃部见不到
B.食管癌中以鳞癌多见
C.对比造影在胃癌诊断上是重要的
D.十二指肠球部溃疡较升段者多
E.小弯侧较大弯侧的胃溃疡发生率高
111、多项选择题 关于CR成像优缺点的叙述,错误的是()
A.X线剂量比常规X线摄片降低
B.可与原有的X线摄片设备匹配工作
C.有后处理功能
D.时间分辨率高
E.空间分辨率高
112、单项选择题 下列说法正确的是()
A.颈椎前凸线的弧距小于6mm为颈椎强直
B.颈椎侧位片上,第4、5颈椎椎体前部可稍变窄,轻度楔形变
C.颈左后斜位检查颈椎左侧椎间孔,颈椎右后斜位检查颈椎右侧椎间孔
D.颈椎侧位片上椎间隙宽度约为邻近椎体高度的1/3~1/2
E.正常情况下,第5椎间孔最小
113、单项选择题 右心室流入道是指()
A.二尖瓣至心尖部的一段
B.心尖至主动脉瓣的部分
C.三尖瓣至右心室心尖的一段
D.右心室心尖至肺动脉瓣的部分
E.以上都不是
114、单项选择题 下列哪项不属于女性瘘管()
A.直肠阴道瘘
B.直肠尿道瘘
C.直肠会阴瘘
D.直肠膀胱瘘
E.直肠舟状窝瘘
115、填空题 表面骨肉瘤包括___________、__________和_________________。
116、单项选择题 下列哪种疾病不宜行钡剂灌肠()
A.溃疡性结肠炎
B.疑有结肠癌者
C.中毒性巨结肠
D.先天性巨结肠
E.疑有结肠梗阻者
117、单项选择题 乳腺癌患者仅发现腰椎转移,其转移途径是()
A.胸导管
B.体循环
C.肺循环
D.门静脉系统
E.椎旁静脉系统
118、单项选择题 下列关于乳房纤维瘤的描述,错误的是()
A.多为青壮年患者
B.妊娠期肿瘤增大
C.常为双侧、多发
D.绝经后肿瘤缩小
E.分叶状肿块
119、单项选择题 右前斜位,心脏前缘自上而下依次为()
A.左心房、左心室
B.右心房、右心室
C.右心室、左心室
D.左心房、右心室
E.左心室、右心房
120、判断题 肠梗阻的主要诊断依据是肠管充气扩张。
121、单项选择题 下列组合错误的是()
A.正中矢状面——将躯体分为左右对称的平面
B.矢状面——将躯体分为左右两部分的平面
C.冠状面——将躯体分为前后两部分的平面
D.侧面——后背皮肤面
E.水平面——将躯体分为上下两部分的平面
122、单项选择题 有关乳腺良性肿块的X线征象中,应除外()
A.肿块多呈圆形或类圆形
B.肿块边缘光滑清晰
C.肿块界限不清,边缘模糊
D.肿块密度较均匀
E.肿块有时可见透明晕圈
123、多项选择题 软组织肿瘤钙化常见于()
A.软组织软骨瘤
B.皮样囊肿
C.畸胎瘤
D.软组织错构瘤
E.软骨肉瘤
124、单项选择题 关于X线滤过的说法,错误的是()
A.滤过是把X线束中的低能成分吸收掉
B.固有滤过,是指X线管本身的滤过
C.固有滤过用铅当量表示
D.总滤过为附加滤过与固有滤过之和
E.一般对低能量射线采用铝滤过板
125、单项选择题 对公众的个人年剂量当量限值,全身照射时应低于()
A.1mSv
B.2mSv
C.3mSv
D.4mSv
E.5mSv
126、单项选择题 弯刀征是哪种先天性疾病的X线表现()
A.肺隔离症
B.房间隔缺损
C.肺动脉瓣狭窄
D.心内膜垫缺损
E.右下肺静脉异常引流入肝静脉、门静脉或下腔静脉
127、判断题 逆行尿路造影检查时,如发现有狭窄段,应考虑为病理所致。
128、单项选择题 成人时,下列不是红骨髓集中部位的是()
A.颅骨
B.脊柱
C.肋骨
D.骨盆
E.股骨
129、多项选择题 骨质疏松症的X线表现有()
A.呈鱼尾状椎体
B.骨皮质变薄
C.骨小梁变细减少
D.椎间隙增宽
E.骨质密度减低
130、单项选择题 包裹性胸腔积液的好发部位是()
A.后胸壁和侧胸壁
B.前、后肋膈角
C.叶间裂
D.前胸壁
E.肺尖部
131、单项选择题 下列表现哪项是粟粒型肺结核的特征()
A.肺尖不受累
B.结节直径1~2mm
C.胸腔积液
D.间隔线
E.肺门淋巴结常增大
132、单项选择题 肺包虫囊肿病囊肿破裂较典型的X线征象为()
A.空气支气管征
B.水上浮莲征
C.浸润阴影
D.空气半月征
E.囊状阴影
133、单项选择题 有关髋关节前后位摄影的叙述,正确的是()
A.双足内收20°
B.双足外旋20°
C.双足尖垂直向上
D.双下肢稍外展,足尖内旋并拢
E.双足跟并拢,足尖自然外旋
134、单项选择题 二尖瓣狭窄的X线征象应是()
A.肺动脉段膨隆,肺充血,左心室增大
B.肺动脉段膨隆,肺淤血,左心室增大
C.肺动脉段凹陷,肺野清晰,右心室增大
D.肺动脉段平直,肺血管正常,心搏动减弱
E.肺动脉段膨隆,肺淤血,左心房增大,右心室增大
135、单项选择题 X线自左前经右后达胶片称()
A.右前斜位
B.左前斜位
C.左后斜位
D.右后斜位
E.侧位
136、单项选择题 下列关于前列腺肥大的描述,错误的是()
A.残留尿增加
B.尿道前列腺部伸展并延长
C.并发膀胱炎时,膀胱壁可有息肉形成
D.膀胱底部边缘不规则的充盈缺损
E.膀胱边缘可见弧形压迫
137、单项选择题
男,8岁,外伤后入院。结合图片,最可能的诊断是()
A.Colles骨折
B.右肱骨髁上骨折
C.Smith骨折
D.孟氏骨折
E.青枝骨折
138、单项选择题 女性,40岁。劳累后心悸、气促。体检:心尖区闻及舒张期隆隆样杂音。胸部正位片示:心影呈梨形,中度增大。显示左心房增大的最佳摄片方法是()
A.正位摄片
B.左前斜位摄片
C.右前斜位摄片
D.右侧位摄片
E.右前斜位加食道吞钡摄片
139、单项选择题 下列关于心脏左前斜位的描述,错误的是()
A.又称第二斜位
B.可观察左心室
C.可观察右心房
D.可观察右心室
E.可观察左主支气管位置
140、单项选择题 下列有关“原发性肝癌”病理特点描述,错误的是()
A.瘤内可有脂肪沉积
B.门脉主干癌栓发生率较高
C.肺是最常见的转移性脏器
D.常合并肝硬化
E.“动-静脉瘘”仅见于原发性肝癌
141、多项选择题 关于下段胸椎压缩骨折,正确的摄片体位是()
A.胸椎正位
B.胸椎侧位
C.胸椎斜位
D.胸腰段正位
E.胸腰段侧位
142、多项选择题 观察气液平面或腹腔内游离气体可采用()
A.腹部仰卧前后位
B.腹部仰卧水平侧位
C.腹部站立前后位
D.部俯卧后前位
E.腹部左侧卧后前位
143、单项选择题 中、晚期食管癌分型中,同时向腔内、外侵犯的病理类型是()
A.蕈伞型
B.溃疡型
C.髓质型
D.缩窄型
E.溃疡型+髓质型
144、多项选择题 主要分布于中纵隔的肿瘤有()
A.畸胎瘤
B.霍奇金病
C.心包囊肿
D.神经源性肿瘤
E.支气管囊肿
145、多项选择题 影响辐射损伤的因素是()
A.剂量率
B.照射方式
C.照射部位和范围
D.辐射线性质
E.辐射线剂量
146、单项选择题 下列肺挫伤的诊断要点,错误的是()
A.肺内大片状或斑点状密度增高影
B.胸痛、咯血、呼吸急促
C.肺部阴影需2周以上时间才能完全吸收
D.肺段或肺叶不张
E.液气胸
147、单项选择题 全尿路摄片应包括的范围是()
A.上界包括第9胸椎,下界达耻骨联合
B.上界包括第10胸椎,下界达耻骨联合
C.上界包括第11胸椎,下界达耻骨联合
D.上界包括第12胸椎,下界达耻骨联合
E.上界包括第1腰椎,下界达耻骨联合
148、单项选择题 肋软骨首先钙化的是下列哪项()
A.第1肋
B.第12肋
C.第3肋
D.第10肋
E.第2肋
149、填空题 胰腺假性囊肿作为急性胰腺炎的并发症大约在病程的______周内形成,为_______________、_________________所致。
150、单项选择题 下列组合,哪个是对的()
A.第1、2颈椎摄片——开口位
B.腰椎正位摄片——双膝要伸展
C.髋关节正位摄片——足尖外旋
D.消化道急腹症摄片——卧位
E.腕关节正位——前后位
151、问答题 结核性腹膜炎有哪些X线表现?
152、单项选择题
男,68岁,患“胃炎”20余年,因突然出现全腹剧烈疼痛,病人被动屈曲位,初体温正常,后出现最高体温38.5℃,脉搏110次/分,查体:腹式呼吸减弱,腹肌紧张不明显,全腹压痛、反跳痛,以上腹部为重;X线立位平片示小肠普遍胀气,并见小液气平面,膈下见游离气体。
病人需手术绝对指征是()
A.肠胀气明显
B.膈下见游离气体
C.发热高达38.5℃
D.全腹压痛及反跳痛
E.以上都不是
153、多项选择题 逆行肾盂造影的禁忌证有()
A.多囊肾
B.尿道狭窄
C.肾盂积水
D.严重的血尿
E.输尿管周围病变
154、单项选择题 软组织摄片中X线管阳极的靶面材料是下列哪项()
A.钨
B.铅
C.铜
D.铝
E.建筑材料
155、多项选择题 激光照相机的主要组成部分有()
A.信号处理部分
B.激光打印部分
C.胶片传送部分
D.A/D转换器
E.网络接口
156、单项选择题 关于大量心包积液,下列描述哪项不对()
A.球形心
B.肺淤血
C.肺血减少
D.多为结核性
E.心脏搏动度减弱
157、单项选择题 关节结核的关节面破坏首先发生在()
A.骨骺
B.骨骺板
C.干骺端
D.关节持重部位
E.关节非持重部位,滑膜附着处
158、单项选择题 关于数字成像方法的叙述,错误的是()
A.胶片数字化仪不是数字化X线成像方式
B.计算机放射摄影是数字化X线成像方式
C.非直接转换技术是数字化X线成像方式
D.直接转换技术是数字化X线成像方式
E.硒鼓技术用于直接放射成像技术
159、判断题 骨龄的统计方法有两种,即骨龄表法和骨龄图谱法。
160、单项选择题 以下选项中,当颅底位投照时,X线中心线应()
A.与听鼻线垂直
B.与听眦线垂直或呈105°角
C.与听口线平行
D.与听口线垂直
E.与听眶线平行
161、多项选择题 下列哪些可在胸骨正位片上显示()
A.胸骨柄
B.胸骨体
C.剑突
D.胸锁关节
E.全部肋骨
162、单项选择题 下列哪项在肺纹理的构成中不是主要构成部分()
A.肺动脉分支
B.支气管
C.淋巴管
D.间质组织
E.肺静脉
163、单项选择题 听小骨位于下列解剖部位中的哪项()
A.前庭
B.半规管
C.蜗牛
D.鼓室
E.外耳道
164、单项选择题
男,50岁,腰背痛,结合图像,最可能的诊断是()
A.椎体融合
B.L5隐性脊椎裂
C.移行椎
D.L5椎弓峡部不连及L5滑脱
E.L5-S1椎间盘突出
165、单项选择题 右心衰竭主要X线表现()
A.上腔静脉扩张
B.心脏房室增大
C.胸腔积液,膈肌升高
D.奇静脉扩张
E.以上都是
166、问答题 胸内淋巴结结核有哪些X线表现?
167、单项选择题 下列哪种不属于直接导入造影法()
A.口服胆囊造影
B.钡餐检查
C.PTC
D.子宫输卵管造影
E.椎管造影
168、单项选择题 骨囊肿的X线表现中,哪项应除外()
A.囊肿一般为单发,很少多发
B.病灶大多为卵圆形,长径与骨长轴一致
C.囊肿向外膨胀性生长
D.膨胀的程度一般不超过干骺端的宽度
E.囊内可见明显骨嵴
169、单项选择题 胸片上双侧肺门影增大可见于()
A.大叶性肺炎
B.慢性肺源性心脏病
C.慢性纤维空洞型肺结核
D.法洛四联征
E.肺隔离症
170、单项选择题 下列关于转移性骨肿瘤的描述哪项是不正确的()
A.溶骨性骨转移骨体积可略增大
B.溶骨型病灶较广泛可伴软组织肿块影
C.成骨性骨转移血清碱性磷酸酶常增高
D.脊柱是骨转移好发部位之一
E.膝、肘关节以下骨骼极少发生转移
171、单项选择题 关于管电压、管电流的叙述,正确的是()
A.管电压是峰值,管电流是平均值
B.管电压是峰值,管电流是有效值
C.管电压是有效值,管电流是平均值
D.管电压是峰值,管电流是峰值
E.管电压是平均值,管电流是有效值
172、单项选择题 下述不属于血源性肺脓肿的X线征象的是()
A.病变多发
B.形成薄壁空洞
C.空洞周围大片渗出
D.可有液平
E.可无液平
173、单项选择题
男,阴囊下坠不适,胀痛,平卧症状缓解。查体:阴囊下垂松弛,并可触及结节状静脉曲张。
最可能的诊断是()
A.鞘膜积液
B.血管瘤
C.肿瘤
D.精索静脉曲张
E.感染
174、多项选择题
男,24岁,鼻部被击伤,如图所示,最可能的诊断是()
A.鼻骨中段见透亮线影
B.鼻骨远端稍塌陷
C.鼻骨骨折处可见小骨片影向下方分离
D.考虑为鼻骨线性骨折
E.鼻骨粉碎性骨折
175、多项选择题 关于室间隔缺损的X线表现,正确的是()
A.低位小缺损,胸片可正常
B.高位大缺损,肺血常增多
C.左心房常增大
D.右心房常增大
E.可有肺门舞蹈
176、单项选择题 关于腰椎正位标准片的说法,下列哪项不妥()
A.第1~5腰椎,腰骶关节、两侧骶髂关节对称显示
B.第3腰椎位于照片正中,棘突序列位于椎体正中
C.除第3腰椎各缘呈切线显示外,其余椎体均呈双边显示
D.除腰椎结核外,腰椎正位照片可不包括两侧腰大肌
E.各椎体及其附件结构易于分辨,骨纹理清晰显示
177、多项选择题 下列疾病X线摄片诊断价值最高的是()
A.胰腺癌
B.肾结石
C.肠梗阻
D.阑尾炎
E.胆囊炎
178、单项选择题 关于胆囊叙述不正确的是()
A.分颈、漏斗、体、底四部分
B.胆总管连于漏斗部
C.容积约40ml
D.服油餐后半小时胆囊开始缩小
E.服油餐后胆囊2小时内排空
179、名词解释 .Hoeve三联征
180、单项选择题 下述肺淀粉样变性胸部影像,错误的是()
A.单发或多发团块影
B.两肺弥漫小结节影
C.厚壁空洞
D.肺不张
E.淋巴结肿大
181、填空题 骨-甲发育不全又称髌、甲、肘发育异常,属_______________,本病患者有四联畸形,即_____________、_______________________、_____________和___________。
182、多项选择题 闭襻性肠梗阻的X线征象是()
A.长液平征
B.短液平征
C.空回肠转位征
D.咖啡豆征
E.假肿瘤征
183、问答题 肾癌的X线表现有哪些?
184、单项选择题 有关乳腺摄片的注意事项,错误的是()
A.采用近距离摄片
B.应屏气曝光
C.使用高分辨率胶片
D.图片应有上下左右标记
E.乳腺均为软组织不需加压摄片
185、单项选择题 下述关于多发性骨软骨瘤恶变的征象,不正确的是()
A.远处出现转移性病灶
B.软骨帽增厚
C.钙化软骨帽密度变淡,边界不清
D.瘤体内出现透亮区
E.肿瘤生长缓慢或突然生长停止
186、单项选择题 继发性肺结核以渗出浸润为主型的X线表现,下列哪项不正确()
A.散在或较广泛的支气管播散灶
B.肺门淋巴结常增大
C.可见薄壁、张力和纤维空洞
D.病灶为斑片状或云絮状
E.病多位于两肺锁骨上、下区域
187、多项选择题 退变性脊椎滑脱症需与椎弓根性脊椎滑脱症鉴别,后者的特点是()
A.滑脱程度常较重
B.常伴有椎间盘突出
C.椎弓根峡部的单侧或双侧断裂
D.椎管前后径常有明显增宽
E.椎管前缘与棘突后缘间距增大
188、填空题 骨肿瘤的诊断须结合临床资料,应注意骨肿瘤的_________、_____________、___________和____________。
189、配伍题 男婴儿尿道梗阻的重要原因()成人尿道梗阻最常见原因()输尿管梗阻最常见的原因是()
A.结石
B.结核
C.肿瘤
D.狭窄
E.先天性后尿道瓣膜
190、单项选择题 关于骨与关节的先天性畸形的描述中,下列哪项是正确的()
A.以发育障碍为多见
B.以分裂异常为多见
C.以发育障碍和分裂异常为多见
D.以发育障碍为多见,分裂异常少见
E.以分裂异常为多见,发育障碍少见
191、多项选择题 以下哪种病变不出现“泥沙”状死骨()
A.胫骨结节骨软骨病
B.慢性化脓性骨髓炎
C.长骨结核
D.扁骨结核
E.急性化脓性骨髓炎
192、多项选择题 韩-薛-柯氏病的临床表现包括()
A.颅骨缺损
B.肝脾肿大
C.尿崩症
D.皮疹及贫血
E.突眼
193、多项选择题 下述表现中,哪些与“胃溃疡”无关()
A.胃空腹滞留液较多
B.激惹征
C.“B”形胃
D.胃排空速度加速或延缓
E.袖口征
194、单项选择题 下列对辐射敏感的组织不包括()
A.卵巢
B.四肢
C.眼晶状体
D.骨髓
E.睾丸
195、填空题 克罗恩(Crohn)病有___________、____________和__________等并发症。
196、单项选择题 不能用碘化油做对比剂的造影检查是()
A.瘘管造影
B.椎管造影
C.心血管造影
D.支气管造影
E.子宫输卵管造影
197、判断题 淋巴瘤可侵犯胸膜、心包及肺组织。
198、单项选择题
男,68岁,患“胃炎”20余年,因突然出现全腹剧烈疼痛,病人被动屈曲位,初体温正常,后出现最高体温38.5℃,脉搏110次/分,查体:腹式呼吸减弱,腹肌紧张不明显,全腹压痛、反跳痛,以上腹部为重;X线立位平片示小肠普遍胀气,并见小液气平面,膈下见游离气体。
如暂时以非手术治疗为主,病人体位应是()
A.仰卧位
B.头低足高位
C.平卧位
D.半卧位
E.无特殊要求
199、判断题 板障静脉压迹在11岁以前出现,11岁后即消失不见。
200、判断题 结肠双对比造影片上一般均能够见到无名沟。
201、判断题 肾动脉造影检查是诊断肾动脉狭窄、肾动脉瘤等肾血管疾病的唯一金标准。
202、配伍题 构成左心缘第二弓的是()构成心右心缘第二弓的是()构成右心缘第一弓的是()
A.肺动脉段
B.右心房
C.上腔静脉
D.左心耳
E.左心室
203、单项选择题 关于“小肠Crohn病”影像的描述,错误的是()
A.环肠壁对称性侵犯
B.鹅卵石征
C.小肠多发狭窄
D.肠壁增厚
E.口疮样小溃疡
204、单项选择题 PACS正确的涵义是()
A.图像存储系统
B.图像传输系统
C.图像网络系统
D.图像通讯系统
E.图像存储与传输系统
205、单项选择题 急性乳腺炎患者,下列哪项是必定有的临床表现()
A.皮肤红
B.局部皮温明显升高
C.局部有波动
D.疼痛并有明显压痛
E.以上都不对
206、填空题 支气管囊肿病理上其壁的结构与_________类似,囊壁还可以含________、_______、_______、___________和__________。
207、单项选择题 乳腺囊性增生病的典型临床特征为()
A.肿块有压痛
B.乳腺胀痛与月经周期有关
C.肿块界限不清
D.肿块有结节
E.以上都不对
208、单项选择题 骨膜增生的病因包括()
A.肿瘤
B.骨膜下出血
C.炎症或外伤
D.血管性病变
E.以上都是
209、名词解释 骺线早闭
210、单项选择题 中心型肺癌早期的间接征象为()
A.阻塞性肺气肿
B.阻塞性肺不张
C.阻塞性肺炎
D.肺脓肿
E.支气管扩张
211、单项选择题 高速运动的电子与阳极靶面相互作用时,绝大部分高速电子的能量转变为()
A.X线的能量
B.热能
C.连续X线的能量
D.特性X线的能量
E.电子对的能量
212、单项选择题 左前斜位,心脏后缘自上而下依次为()
A.左心房、右心室
B.左心房、右心房
C.右心房、左心室
D.右心房、右心室
E.左心房、左心室
213、单项选择题 下列哪项X线征象不是良性胃溃疡的表现()
A.腔内龛影
B.粘膜纠集
C.汗普顿(hampton)线
D.胃小弯缩短
E.腔外龛影
214、单项选择题 胰头癌与壶腹癌的鉴别要点是()
A.十二指肠肿块
B.胆胰管扩张
C.肿块内的回声
D.胆道是否一致性扩张
E.病理组织学检查
215、多项选择题 骨肉瘤的基本X线表现为()
A.肿瘤钙化
B.骨质破坏
C.骨膜反应
D.软组织肿块
E.肿瘤新生骨
216、单项选择题 普通X线胶片采用的卤化银主要是()
A.AgBr
B.AgCl
C.AgI
D.AgF
E.AgBr+AgF
217、单项选择题 肋骨斜位摄片,常用于检查()
A.肋软骨
B.锁骨中线区肋骨
C.腋中线区肋骨
D.肩胛中线肋骨
E.肋骨小头
218、名词解释 青枝骨折
219、填空题 引起继发性骨质疏松的常见原因包括____________、______________、__________、__________、_________________、____________、__________和________。
220、填空题 成人股骨头缺血坏死关节囊腔异常出现于部分股骨头塌陷后的患者,主要包括_____________、______________、______________和____________。
221、多项选择题 黏多糖贮积症最常见的酸性黏多糖主要有3种,即()
A.硫酸类肝素
B.硫酸皮肤素
C.硫酸角质素
D.硫酸软骨素C
E.硫酸软骨素A
222、单项选择题 下列哪种体位不利于观察肺门()
A.正位
B.右侧位
C.右前斜位
D.左前斜位
E.左侧位
223、单项选择题
婴儿出生后无胎粪,哭闹,腹胀,无肛门。影像检查如图,最可能的诊断为()

A.先天性肛门直肠畸形-高位型
B.先天性肛门直肠畸形-低位型
C.先天性肛门直肠畸形-第5型
D.先天性肛门直肠畸形-第6型
E.先天性肠闭锁
224、单项选择题 肺淤血的早期X线征象是()
A.上肺静脉扩张似鹿角状
B.肺间质纤维化
C.肺门阴影增大模糊
D.肺野透明度减低如磨砂玻璃状
E.肺血管纹理增多增粗
225、单项选择题 化脓性骨髓炎指的是什么组织的化脓性感染()
A.骨皮质和骨膜
B.骨骺和骨髓
C.骨髓、骨和骨膜
D.骨髓
E.以上都是
F.以上都不是
226、判断题 夏科关节最早的X线表现是关节间隙变窄,骨性关节面硬化及侵蚀破坏。
227、判断题 间质性肺水肿病变在1~2天或数小时内可有明显的变化,其动态变化较快。
228、多项选择题 当肾盂积水时,静脉肾盂造影的表现为()
A.肾盂、肾盏呈囊状扩大
B.肾盏变成杆状,肾盂扩大
C.肾小盏杯口圆钝
D.肾小盏杯口锐利
E.肾盂、肾盏缩小
229、填空题 化脓性骨髓炎是病变涉及______、_____和______的化脓性炎症。
230、判断题 结肠憩室只发生于乙状结肠,不发生于其他部位。
231、单项选择题
男,38岁,咳嗽、胸痛、咯血1天,X线检查如图,最可能的诊断是()

A.炎性假瘤
B.原发性肺癌
C.肺结核球
D.肺转移瘤
E.结节病
232、判断题 骺软骨有阻止肿瘤发展的趋势,故骨肉瘤不会侵犯骨骺。
233、单项选择题 诊断肺隔离症的影像学表现是()
A.病变多位于下叶后基底段
B.若不充气,表现为膈上椎旁实性密度病变
C.若与支气管交通,表现囊性病变,内有液平面
D.增强扫描显示来自体循环动脉的血管进入病变区具有特征性
E.以上都是
234、单项选择题 多发性骨髓瘤的X线诊断,下列摄片部位选择哪个没有意义()
A.腰椎
B.肋骨
C.颅骨
D.长骨
E.骨盆
235、填空题 组织学上胸腺瘤分为_______________、________________及_______,目前认为良恶性难以明确分界,故提倡分为________和_______。
236、单项选择题 应用于医学领域最早的辐射能源是()
A.β线
B.γ线
C.X线
D.钴
E.镭
237、单项选择题 肥胖病人心影呈()
A.滴状心
B.横位心
C.靴形心
D.主动脉型心
E.梨形心
238、名词解释 地方病
239、判断题 溃疡型肠结核常有龛影与激惹征表现。
240、单项选择题
男,15岁,从楼梯上滑倒,足部扭伤,结合图像,最可能的诊断是()
A.腓骨骨折
B.胫腓骨骨折
C.胫骨骨折
D.距骨骨折
E.跟骨骨折
241、单项选择题 关于连续X线光子能量的叙述,错误的是()
A.X线是一束混合能谱
B.能量大X线波长长
C.能量决定于电子的能量
D.能量决定于核电荷
E.能量决定于电子接近核的情况
242、单项选择题 关于游走脾的说法,不正确的是()
A.血管造影可明确脾的位置
B.左上腹、脾影消失,脾窝内见肠管影占据
C.肾盂造影,可见左肾向上移位
D.位于正常位置以外的腹腔内其他部位
E.一种常见的先天异常
243、问答题 静脉尿路造影一侧不显影常见于哪些病变?
244、单项选择题 不能用口腔曲面全景摄片检查的部位是()
A.上颌骨
B.下颌骨
C.牙
D.鼻中隔
E.下颌关节
245、单项选择题
男,62岁,铸铁工,咳嗽、呼吸急促1月余,结合胸片,最可能的诊断()

A.粟粒型肺结核
B.肺结节病
C.尘肺
D.肺炎
E.肺淤血
246、单项选择题
女,53岁,因摔倒时手掌着地,感右肘关节肿痛、畸形,X线摄片如图所示,正确的诊断是()
A.右肱骨外髁骨折
B.右肱骨内上髁骨折
C.右肱骨外上髁骨折
D.右肱骨小头骨骺分离
E.以上均不正确
247、单项选择题 关于小儿胸腺影像错误的是()
A.位于前上纵隔
B.上缘界限不清
C.随呼吸改变形状
D.随体位改变形状
E.船帆征为病理征象
248、填空题 脊椎退行性变包括_________、_____________和_________的退行性变。
249、单项选择题 脆骨症又称()
A.软骨发育不全
B.干骺发育不良
C.成骨不全
D.维生素C缺乏
E.维生素D缺乏病
250、单项选择题 关于骨折,下列观点哪项不对()
A.松质骨骨折线多为密度增高
B.平片就能除外骨折
C.骨骼断裂、骨连续性中断
D.仅有骨皮质、骨小梁扭曲也能诊断骨折
E.不同年龄,骨折好发部位不同
251、单项选择题
女,56岁,痰中带血1月余,X线检查如图,最可能的诊断是()

A.右肺癌
B.右肺转移瘤
C.右肺结核瘤
D.右肺炎性假瘤
E.右肺错构瘤
252、多项选择题 骨折移位的常见类型有()
A.成角
B.横向移位
C.重叠移位
D.分离移位
E.旋转移位
253、单项选择题 良性骨肿瘤的最佳检查方法是()
A.X线平片
B.CT
C.MR
D.B超
E.核素检查
254、判断题 肺-肾综合征血清学检查抗基底膜抗体常为阴性。
255、多项选择题 “恶性胃溃疡”征象有()
A.狭颈征
B.项圈征
C.半月征
D.月晕征
E.裂隙征
256、多项选择题 下列关于肝硬化,正确的描述是()
A.血吸虫性肝硬化,肝裂多增宽
B.肝硬化患者,肝转移癌发生率降低
C.结节性肝硬化有家族倾向
D.肝硬化结节不会癌变
E.肝脏体积可不同程度增大或缩小
257、单项选择题
男,21岁,1月前触及颈部淋巴结肿大,现有上腔静脉综合征,结合胸片,最可能的诊断()

A.结节病
B.淋巴结核
C.转移性淋巴结肿大
D.淋巴瘤
E.胸腺瘤
258、判断题 在正侧位片上均可见到水平裂和斜裂。
259、单项选择题 发生于肺部转移的肿瘤常为()
A.绒癌
B.乳癌
C.肝癌
D.胃癌
E.以上都是
260、填空题 中晚期食管癌可分为五型,即_______、________、________、________、_______。
261、单项选择题 腰椎椎弓峡部骨折,哪个体位摄片可显示()
A.正位像
B.侧位像
C.斜位像
D.过伸侧位像
E.过屈侧位像
262、多项选择题 下列肺炎中X线表现为类圆形阴影且易形成空洞的多见于()
A.大叶性肺炎
B.小叶性肺炎
C.化脓性肺炎
D.支原体肺炎
E.霉菌性肺炎
263、单项选择题 两肺野透明度减低,如磨砂玻璃样,肺门阴影大而模糊,两肺门上出现向上的鹿角状血管影,应首先考虑为()
A.肺充血
B.肺淤血
C.肺气肿
D.肺缺血
E.肺水肿
264、单项选择题 胸片显示为双侧性弧形肿块,密度均匀,且无钙化,可能是以下哪种肿瘤()
A.胸内甲状腺肿
B.神经源性肿瘤
C.胸腺瘤
D.淋巴瘤
E.畸胎瘤
265、问答题 结核球的X线表现有哪些?
266、单项选择题 溃疡型胃癌的X线特点中,哪项是错误的()
A.龛影位于胃轮廓之外,边缘隆起、质硬
B.胃癌向壁内生长,中心形成大溃疡
C.与正常相邻胃壁境界清楚
D.粘膜纠集但中断于环堤外
E.龛影多呈半月形,外缘平直,内缘不整齐
267、单项选择题 左心房增大的X线表现,下列哪项应除外()
A.左心缘出现4个弓,第3弓特别突出
B.降主动脉左移
C.双心房或双心缘阴影
D.心尖明显下移
E.左主支气管受压抬高
268、填空题 结核性腹膜炎病理上可分为__________、__________、__________。
269、单项选择题 下述乳腺脓肿影像表现中,错误的是()
A.皮肤增厚,皮下脂肪层模糊
B.致密肿块,边缘呈火焰状
C.脓肿晚期,肿块边界不清
D.乳头回缩
E.X线检查通常用于深部或慢性脓肿
270、配伍题 中纵隔最常见的肿瘤是()前纵隔最常见的肿瘤是()后纵隔最常见的肿瘤是()
A.畸胎瘤
B.胸腺瘤
C.淋巴瘤
D.神经源性肿瘤
E.甲状腺瘤
271、多项选择题 广泛性骨质疏松不常见于哪些情况()
A.豆状骨骨折后
B.绝经后
C.甲状旁腺功能亢进
D.肢端肥大症
E.多发性骨髓瘤
272、名词解释 创伤性骨关节病
273、单项选择题 梗阻上端有鸟嘴状狭窄,狭窄处粘膜呈回旋状的是()
A.单纯性小肠梗阻
B.绞窄性小肠梗阻
C.单纯性结肠梗阻
D.结肠扭转
E.肠套叠
274、单项选择题 有关肩袖撕裂的临床表现中,应除外()
A.肩袖撕裂多为慢性创伤所致
B.好发于30岁以下的男性
C.撕裂时患者能听到肩部撕裂声
D.肩部剧痛,关节活动受限
E.病程长者不能将手放在头部或背部
275、单项选择题 下述二尖瓣狭窄影像,哪项不对()
A.间质性肺水肿
B.肺门影增大
C.梨形心
D.双房影
E.主动脉结增大
276、单项选择题 慢性支气管炎早期X线表现为()
A.肺纹理改变
B.肺气肿征象
C.肺动脉高压征象
D.肺部炎症
E.气管剑鞘状改变
277、单项选择题 心脏左右缘搏动减弱,大血管搏动正常,是诊断下述哪种疾病的特征性表现()
A.主动脉狭窄
B.联合瓣膜病
C.心肌病
D.心包积液
E.左心衰
278、单项选择题 采用计算机和远程通讯技术的医疗信息传输系统总称为()
A.远程会诊
B.远程诊断
C.远程教育
D.远程医疗系统
E.远程放射学系统
279、判断题 X线片是二维图像,在这种图像上人体的各种结构互相重叠难于准确观察。
280、单项选择题 下列哪项检查不属于X线特殊检查()
A.透视
B.高千伏摄影
C.记波摄影
D.荧光缩影
E.体层摄影
281、单项选择题 静脉尿路造影时,如在膀胱内见一充盈缺损,应考虑哪些疾病()
A.膀胱结石
B.膀胱肿瘤
C.输尿管囊肿
D.前列腺肥大
E.以上都是
282、单项选择题
有外伤史,结合图像,最可能诊断是()
A.Smith骨折
B.尺骨骨折
C.未见异常
D.Colles骨折
E.腕关节脱位
283、单项选择题 最容易损伤椎动脉的骨折部位是()
A.腰椎骨折
B.棘突骨折
C.横突孔骨折
D.胸椎骨折
E.颈椎椎体
284、多项选择题 在正常腹平片上,不能显影的软组织影是()
A.肾脏
B.肝脏
C.肾上腺
D.腰大肌线
E.胰腺
285、单项选择题
男,67岁,脊髓痨患者,右下肢麻木,右膝关节肿胀,结合图像,最可能的诊断是()
A.创伤性关节炎
B.退行性骨关节病
C.神经性关节病
D.风湿性关节炎
E.痛风
286、单项选择题 下列组合中,错误的是()
A.骶髂关节正位——中心线向头侧倾斜15°
B.骶髂关节斜位——人体矢状面倾斜45°
C.骶髂关节左后斜位——显示右侧骶髂关节
D.腰椎左后斜位——显示左侧椎间关节
E.胸椎左后斜位——显示右侧椎间关节
287、多项选择题 黏多糖贮积症中哪几型所致的骨病变最重()
A.Ⅰ型
B.Ⅳ型
C.Ⅵ型
D.Ⅱ型
E.Ⅲ型
288、单项选择题 肠结核好发于()
A.结肠
B.回肠
C.回盲部
D.直肠
E.空肠
289、单项选择题
女,根据其正常小腿影像图像,判断其最可能的年龄()
A.4岁左右
B.20岁左右
C.16岁左右
D.12岁左右
E.8岁左右
290、单项选择题 急性胆囊炎最常见的原因是()
A.胆囊管过长、扭曲
B.螺旋瓣异常
C.肿瘤压迫
D.胆石嵌顿
E.蛔虫阻塞
291、多项选择题 下列哪几项属于乳腺恶性肿瘤的X线征象()
A.肿块边缘模糊
B.密度较均匀
C.肿块呈类圆形
D.密度增高
E.边缘有长或短毛刺
292、单项选择题 中肺野是指上肺野以下至()
A.第4肋骨下缘的水平线以上
B.第4肋骨前端下缘水平线
C.第4肋骨下缘的最低点水平线
D.第4肋骨前端下缘的最低点
E.第4肋骨前端下缘的最低点水平线
293、单项选择题 长骨结核与化脓性骨髓炎的主要鉴别点是()
A.病变区骨膜反应轻微
B.弥慢性骨质破坏
C.不易侵入关节
D.易向骨干发展
E.以上都是
294、多项选择题 胰头癌低张十二指肠造影的X线征象为()
A.十二指肠曲扩大
B.十二指肠曲缩小
C.十二指肠内缘呈反“3”字征
D.十二指肠内缘双边征
E.十二指肠内侧呈锯齿状
295、判断题 肝下缘消失的层面上仍能见到脾下缘则可认为脾向下增大。
296、判断题 急腹症患者宜首选立位腹部平片检查。
297、多项选择题 先天性肛门闭锁腹部倒立位摄片,主要目的是()
A.提供手术指征
B.观测直肠的气体
C.观察腹部胀气情况
D.观察肛门闭锁情况
E.测量直肠末端到肛门间的距离
298、多项选择题 副鼻窦病变常见的异常X线征象有()
A.窦腔混浊、密度增加
B.粘膜肥厚
C.窦腔内软组织块影
D.窦腔内液平面
E.窦腔增大或缩小
299、判断题 骨外骨肉瘤是起源于骨外的、分化程度较高的恶性成骨性骨肿瘤。
300、单项选择题 下列诊断肺隔离症最有价值的X线方法是()
A.支气管造影
B.主动脉造影
C.体层摄影
D.胸部平片
E.肺动脉造影