医学影像技术(医学高级):X线试题及答案(考试必看)

时间:2023-09-28 05:14:08

微信搜索关注"91考试网"公众号,领30元,获取事业编教师公务员等考试资料40G
题库试看结束后微信扫下方二维码即可打包下载完整版《★医学影像技术(医学高级)》题库
手机用户可保存上方二维码到手机中,在微信扫一扫中右上角选择“从相册选取二维码”即可。
题库试看结束后微信扫下方二维码即可打包下载完整版《医学影像技术(医学高级):X线》题库,分栏、分答案解析排版、小字体方便打印背记!经广大会员朋友实战检验,此方法考试通过率大大提高!绝对是您考试过关的不二利器
手机用户可保存上方二维码到手机中,在微信扫一扫中右上角选择“从相册选取二维码”即可。

1、多项选择题  下列哪些先天性心脏病,易合并肺动脉高压()

A.Lutembacher综合征
B.房间隔缺损
C.室间隔小缺损
D.室间隔大缺损
E.肺动脉狭窄


点击查看答案


2、判断题  下叶肺不张正位X线表现均为底向膈面尖指向肺门的三角形影。


点击查看答案


3、单项选择题  下述肺野划分标准,哪项是错误的()

A.肺门位于中肺野内带
B.由内向外,肺野被分为内带、外带
C.第二肋骨前端下缘水平线以上为上肺野
D.第四肋骨前端下缘水平线以上为中肺野
E.第四肋骨前端下缘水平线以下为下肺野


点击查看答案


4、多项选择题  下列哪些是观察胆囊生理功能的检查方法()

A.胆囊区平片
B.口服胆囊造影
C.静脉胆道造影
D.T型管造影
E.经皮肝穿刺胆管造影


点击查看答案


5、多项选择题  变压器油的作用是()

A.吸收水分
B.绝缘
C.降低湿度
D.散热
E.增加重量


点击查看答案


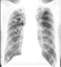
6、单项选择题  

新生儿出生后出现气急、口吐白沫,呼吸微弱。床边X光片检查如图,最可能的诊断为()

A.新生儿肺炎
B.新生儿肺出血
C.新生儿白肺
D.新生儿心肌炎
E.先心病


点击查看答案


7、单项选择题  关于"肺动脉高压",下列描述哪项不对()

A.右下肺动脉干直径大于15mm
B.肺动脉段突出,搏动明显
C.肺动脉收缩压大于30mmHg
D.主动脉结增大
E.右心室增大


点击查看答案


8、单项选择题  关于支气管肺癌的说法,错误的是()

A.女性发病率男性高
B.中央型肺癌的临床症状较周围型肺癌出现的早,症状较重
C.对于周围型肺癌,X线检查是不可缺少的手段
D.痰癌细胞检查、纤维支气管镜检查是诊断早期中央型肺癌的主要方法
E.鳞癌为肺癌最常见的组织类型


点击查看答案


9、单项选择题  “充盈缺损”不是下述哪种疾病的影像特征()

A.增生型结肠癌
B.结肠平滑肌瘤
C.先天性巨结肠
D.盲肠结核
E.结肠息肉


点击查看答案


10、单项选择题  经过锁骨中点并与身体正中线平行的直线为()

A.腋前线
B.腋中线
C.腋后线
D.锁骨中线
E.正中线


点击查看答案


11、填空题  关节脱位根据发病机制分为______________、_____________、_____________和_______________。


点击查看答案


12、单项选择题  下述关于“胃底静脉曲张”造影表现的描述,错误的是()

A.增粗迂曲的粘膜皱襞
B.结节样充盈缺损
C.管壁柔软
D.短幕征
E.喷射征


点击查看答案


13、单项选择题  心脏左前斜位投照的旋转角度一般为()

A.30~40
B.40~50
C.50~60
D.60~70
E.45~55


点击查看答案


14、单项选择题  大叶性肺炎实变期一般出现在()

A.发病后立即出现
B.发病后6~12小时
C.发病后12~24小时
D.发病后2~3天
E.发病后5~7天


点击查看答案


15、单项选择题  

女,66岁,进行性吞咽困难,胸骨后疼痛4月,结合图像,最可能的诊断为()

A.正常食管
B.食管静脉曲张
C.食管平滑肌瘤
D.食管中段癌
E.食管下段癌


点击查看答案


16、多项选择题  肺隐球菌病的X线征象有()

A.病灶可单发或多发
B.病灶呈斑片状、圆形或结节炎性浸润
C.病灶的边缘比较模糊
D.肺门和纵隔淋巴结常增大
E.晚期病变可有播散


点击查看答案


17、判断题  骨瘤是一种成骨性良性肿瘤,均起源于膜内成骨。


点击查看答案


18、名词解释  泪滴征


点击查看答案


19、单项选择题  类风湿肺病最常见的X线表现为()

A.胸膜增厚和胸腔积液
B.弥漫性肺间质纤维化
C.类风湿肺结节
D.两上肺纤维化合并空洞形成
E.肺动脉炎和肺动脉高压


点击查看答案


20、单项选择题  下述左心衰的胸片表现,错误的是()

A.左侧心房或心室增大
B.肺静脉扩张
C.双肺门周围"蝶翼样"阴影
D.胸腔积液
E.肺纹理清晰


点击查看答案


21、单项选择题  下列有关尤文肉瘤的叙述,哪项是错误的()

A.病变好发生于长骨的骨干或干骺端
B.髓腔内出现斑片状骨质破坏
C.骨膜呈葱皮样改变
D.破坏区周围骨质常无反应性骨硬化
E.对放射治疗相当敏感


点击查看答案


22、单项选择题  关于马蹄肾的描述,下列错误的是()

A.左右肾下极联合
B.易并发肾肿瘤
C.有多根肾动脉
D.偶见左右肾上极联合
E.左右输尿管自肾门通过肾联合


点击查看答案


23、单项选择题  第3腰椎的体表定位标志是()

A.剑突与肚脐连线中点
B.脐上3cm
C.脐水平
D.脐下3cm
E.脐下5cm


点击查看答案


24、单项选择题  下列缩窄性心包炎征象,哪项不对()

A.盔甲心
B.上纵隔影增宽
C.心脏搏动减弱
D.心影明显增大
E.部分患者可有胸腔积液


点击查看答案


25、单项选择题  急性化脓性骨髓炎典型X线表现是()

A.骨质破坏
B.死骨形成
C.骨质增生
D.软组织窦道形成
E.以上都是


点击查看答案


26、单项选择题  不同类型骨结核的特征性X线表现中,哪项错误()

A.关节滑膜结核首先破坏关节承重面
B.骨干结核易形成葱皮样骨膜反应
C.扁骨结核呈囊样骨质破坏
D.短管骨结核易产生骨气鼓
E.脊椎结核常见脓肿形成


点击查看答案


27、单项选择题  静脉肾盂造影检查的禁忌证是()

A.肾盂积水
B.肾结石
C.尿路狭窄
D.肾部肿瘤
E.肾功能严重损伤


点击查看答案


28、多项选择题  有关运动模糊的叙述,正确的是()

A.设备移动与被照体移动
B.暗盒移动
C.屏-片密着不良
D.除呼吸外,生理性移动不受控制
E.意外性移动如肢体移动


点击查看答案


29、单项选择题  

男,58岁,进食梗阻感,结合图像,最可能的诊断为()

A.正常食管
B.食管静脉曲张
C.食管平滑肌瘤
D.食管上段癌
E.食管下段癌


点击查看答案


30、单项选择题  下列哪项是诊断肺癌敏感性最高的检查方法()

A.X线平片
B.CT检查
C.体层摄影
D.MRI检查
E.CT导向经皮穿刺活检


点击查看答案


31、判断题  骨的生理过程,主要体现为成骨和破骨作用以及钙和磷的代谢过程。


点击查看答案


32、名词解释  马德隆(Madelung)畸形


点击查看答案


33、填空题  骨关节结核主要X线征象为___________、__________和______________。


点击查看答案


34、单项选择题  

女,33岁,肾功能不全史,结合图像,最可能的诊断是()

A.维生素D缺乏症
B.维生素D过多症
C.维生素C缺乏症
D.维生素A过多症
E.肾性骨病


点击查看答案


35、多项选择题  间质性肺水肿的X线表现有()

A.肺纹理和肺门血管阴影模糊
B.支气管袖口征
C.蝶翼征
D.胸膜下水肿
E.两上肺静脉分支增粗


点击查看答案


36、单项选择题  肺吸虫病引起的肺出血及组织破坏所致的X线特点主要为()

A.浸润阴影
B.单房及多房性囊状阴影
C.结节状阴影
D.硬结和钙化阴影
E.肺纹理增多、紊乱


点击查看答案


37、判断题  慢性支气管炎影像学表现无特征性,故此类患者做影像学检查毫无价值。


点击查看答案


38、名词解释  类风湿肺结节


点击查看答案


39、名词解释  原发综合征


点击查看答案


40、单项选择题  下列哪种肺血管畸形在胸片上,可表现为肿块样()

A.肺静脉畸形
B.动脉缺如
C.动静脉瘘
D.肺动脉狭窄
E.部分性肺静脉异位引流


点击查看答案


41、单项选择题  易侵犯胸膜、胸壁,但很少形成瘘管的霉菌病是()

A.放线菌病
B.念珠菌病
C.球孢子菌病
D.曲菌病
E.奴卡菌病


点击查看答案


42、单项选择题  “Gardner综合征”患者,临床无()

A.腹腔内硬纤维瘤
B.皮肤色素沉着
C.颅面骨多发骨瘤
D.腹泻、黏液便、血便
E.可有十二指肠乳头周围癌


点击查看答案


43、判断题  浅表食管癌是指癌仅浸润至食管粘膜、粘膜下层,而无淋巴结转移者。


点击查看答案


44、单项选择题  “骨关节结核”发病率依次为()

A.长骨干骺端>长骨骨干>椎体>短管状骨
B.椎体>髋关节>膝关节>长骨干骺端
C.椎体>关节>短管状骨>长骨骨干
D.椎体>长骨干骺端>长骨骨干>短管状骨
E.椎体>附件>长骨>短骨


点击查看答案


45、单项选择题  关于支气管哮喘,下列要点错误的是()

A.发作间期,肺功能可正常
B.发作时,胸片示肺动脉高压表现
C.感染时,胸片有明显轨道征
D.发作期,肺血流量、通气量比值有所改善
E.呼气相,中心支气管不对称性萎陷


点击查看答案


46、单项选择题  关于头颅应用解剖的叙述,错误的是()

A.头颅骨可分为脑颅骨和面颅骨
B.大多数头颅骨借骨缝连接
C.前后径为眉间至枕骨最远点的距离
D.横径是两侧颞鳞缝上缘间的距离
E.鼻窦位于脑颅中部


点击查看答案


47、单项选择题  

女,65岁,腰背部疼痛,僵硬半年余,结合影像学检查,最可能的诊断是()

A.脊椎肿瘤
B.椎体压缩性骨折
C.化脓性脊柱炎
D.强直性脊柱炎
E.脊椎退行性变


点击查看答案


48、单项选择题  正常发育期胫骨结节可表现为()

A.数个排列规整、间隙匀称和边缘光滑的骨块
B.胫骨前软组织肿胀
C.膝关节脱位
D.半月板钙化
E.疲劳骨折


点击查看答案


49、单项选择题  关于肠结核的描述,正确的是()

A.平片常有“狗耳征”
B.肠结核好发于回盲部
C.通常分溃疡型、平坦型和增生型
D.病变肠段明显增宽、延长
E.原发灶以腹腔结核最常见


点击查看答案


50、名词解释  Scimitar征


点击查看答案


51、多项选择题  滑膜骨软骨瘤病的临床表现包括()

A.本病多见于青少年,男多于女
B.多数病例为双关节病变
C.主要表现为受累关节疼痛、肿胀
D.很少出现关节绞锁现象
E.关节外滑膜骨软骨瘤病可发生在腱鞘和滑液囊


点击查看答案


52、单项选择题  肺部X线表现为锁骨下区纤维条索状阴影,属于哪一型肺结核()

A.原发性肺结核
B.血行播散型肺结核
C.浸润型肺结核
D.慢性纤维空洞型肺结核
E.以上都不是


点击查看答案


53、多项选择题  乳腺恶性钙化的X线征象为()

A.钙化边缘模糊
B.多呈泥沙样、细粒状
C.形态多不规则
D.密度较一致
E.钙化一般位于肿块内


点击查看答案


54、单项选择题  关于腹部摄片注意事项的叙述,错误的是()

A.摄片前均须清洁肠道
B.除新生儿外,均应采用滤线器摄片
C.胶片应包括整个腹部
D.采用呼气后屏气状态曝光
E.FFD为100cm


点击查看答案


55、判断题  浅表型胃炎的X线表现为粘膜粗大、紊乱,常伴多发表浅溃疡。


点击查看答案


56、单项选择题  胸部右前斜位身体冠状面与暗盒呈()

A.15°
B.25°
C.35°
D.45°
E.60°


点击查看答案


57、单项选择题  胃癌最常见的部位是()

A.胃窦部
B.胃体部
C.胃底部
D.胃小弯
E.胃大弯


点击查看答案


58、单项选择题  艾滋病患者常并发的恶性肿瘤为()

A.平滑肌肉瘤
B.横纹肌肉瘤
C.血管外皮细胞瘤
D.卡波济肉瘤
E.横纹肌肉瘤


点击查看答案


59、单项选择题  成人胸部正位摄影焦-片距为()

A.50cm
B.70cm
C.90cm
D.100-120cm
E.150-180cm


点击查看答案


60、判断题  房间隔缺损时,右心房、右心室可见增大。


点击查看答案


61、单项选择题  下列不易造成局限性肺气肿的是()

A.支气管异物
B.支气管扩张
C.支气管囊肿
D.支气管良性肿瘤
E.支气管恶性肿瘤


点击查看答案


62、问答题  慢性肺炎的X线表现有哪些?


点击查看答案


63、单项选择题  对肺部肿块良恶性的鉴别要点,下述哪项是错误的()

A.良性肿块的边缘常较光整
B.毛刺征对肿块良恶性鉴别价值不大
C.恶性肿瘤钙化率较低
D.4cm以上肿块以恶性的可能性较大
E.空泡征多提示为肺癌


点击查看答案


64、单项选择题  与平片相比,下列哪项不是CT优势()

A.横断面成像
B.解剖分辨率高
C.密度分辨率高
D.空间分辨率高
E.增强扫描,有利于病变定性


点击查看答案


65、单项选择题  下列哪一个肿瘤来源于原始间叶组织()

A.骨巨细胞瘤
B.骨样骨瘤
C.骨软骨瘤
D.软骨肉瘤
E.尤文肉瘤


点击查看答案


66、单项选择题  腕部舟状骨摄片的体位选择,哪个是错误的()

A.外展位
B.斜位
C.后前正位
D.中心线倾斜20°位
E.暗盒倾斜20°位


点击查看答案


67、单项选择题  哪一型进展期胃癌X线表现为胃窦狭窄,壁僵硬、粘膜皱襞固定()

A.浅表型
B.浸润型
C.混合型
D.蕈伞型
E.溃疡型


点击查看答案


68、单项选择题  原发性支气管肺癌常见组织类型()

A.鳞癌
B.腺癌
C.未分化癌
D.混合癌
E.以上都不是


点击查看答案


69、填空题  十二指肠憩室多发生在____________________,其次为__________________。多数学者认为本病可能与________________、__________________有关。


点击查看答案


70、单项选择题  视神经管位(Rhees’s)摄片,正确的定位是()

A.听眉线垂直于台面
B.听眦线垂直于台面
C.听眶线垂直于台面
D.听鼻线垂直于台面
E.听口线垂直于台面


点击查看答案


71、单项选择题  男性尿道最狭窄处为()

A.前尿道
B.前列腺部
C.海绵体部
D.膜部
E.以上均不是


点击查看答案


72、单项选择题  膝关节侧位摄影,关节需屈曲多少度()

A.105°
B.115°
C.125°
D.135°
E.145°


点击查看答案


73、单项选择题  成人最常见“肾脏恶性肿瘤”为()

A.肾母细胞瘤
B.转移性肾癌
C.肾细胞癌
D.肾淋巴瘤
E.肾盂癌


点击查看答案


74、判断题  婴儿期以转移骨肿瘤和软骨肉瘤多见。


点击查看答案


75、单项选择题  锁骨上皮肤皱褶的宽度一般为()

A.2~3cm
B.3~5mm
C.2~3mm
D.5~6mm
E.3~5cm


点击查看答案


76、判断题  结节状阴影构成为肺吸虫引起的肺内出血及组织破坏所致。


点击查看答案


77、单项选择题  关于尘肺,下列知识哪项不对()

A.不规则小阴影,见于非典型矽肺
B.胸膜斑,矽肺主要影像之一
C.长条形大阴影,见于典型矽肺
D.类圆形小阴影,矽肺最常见征象之一
E.不规则小阴影,见于石棉肺、不典型矽肺和其他尘肺


点击查看答案


78、单项选择题  慢性铅中毒时,若铅摄入停止,几年内铅线将逐渐消失()

A.6年
B.7年
C.8年
D.4年
E.9年


点击查看答案


79、配伍题  食管上段为()
食管中段为()
食管下段为()

A.内层环行肌
B.外层纵行肌
C.平滑肌
D.横纹肌
E.横纹肌与平滑肌混合


点击查看答案


80、单项选择题  

男,18岁,右股骨肿瘤术后,出现大腿中段疼痛,夜间尤甚,结合CT图像,最可能的诊断是()

A.骨纤维肉瘤
B.尤文肉瘤
C.骨肉瘤
D.成骨性骨转移瘤
E.化脓性骨髓炎


点击查看答案


81、多项选择题  良性胃溃疡的典型X线表现()

A.腔外龛影
B.放射状粘膜纠集
C.蠕动消失
D.指压迹
E.粘膜杵状中断


点击查看答案


82、单项选择题  胶片上相邻两点间的密度差称为()

A.黑化度 
B.X线对比度 
C.胶片灰雾度 
D.解像力 
E.光学对比度


点击查看答案


83、多项选择题  囊状肺动静脉瘘的典型X线表现为()

A.单发或多发结节状影
B.按肺叶或肺段的多发葡萄状高密度阴影
C.异常血管影
D.瘤囊搏动及大小可改变
E.肋骨下缘压迹


点击查看答案


84、单项选择题  横突骨折最常见的部位()

A.颈椎
B.胸椎
C.腰椎
D.颈胸椎
E.骶椎


点击查看答案


85、单项选择题  肺淤血是指()

A.肺动脉血流量增加
B.肺静脉血流量增加
C.肺动脉血流量减少
D.肺静脉血流量减少
E.以上均不是


点击查看答案


86、多项选择题  X线经被照体形成X线信息影像,其质量决定于()

A.被照体的厚度与密度
B.被照体的原子序数
C.X线的散射状况
D.被照体的形状
E.X线的量


点击查看答案


87、判断题  颅内血管畸形,一般不引起正常脑血管的移位,这是同恶性肿瘤的区别点之一。


点击查看答案


88、名词解释  白血病带


点击查看答案


89、单项选择题  

男,78岁,进行性吞咽困难1月余,结合图像,最可能的诊断为()

A.正常压迹
B.食管平滑肌瘤
C.食管癌
D.食管憩室
E.食管静脉曲张


点击查看答案


90、单项选择题  某女,30岁,胸片示右上纵隔一椭圆形阴影,其中有斑点状钙化影,透视下见块影可随吞咽上下移动,首先考虑()

A.胸腺癌
B.支气管囊肿
C.畸胎瘤
D.心包囊肿
E.胸内甲状腺


点击查看答案


91、多项选择题  关节根据其活动程度可分为()

A.活动关节
B.少动关节
C.不动关节
D.骨缝
E.椎间隙


点击查看答案


92、单项选择题  肺结核空洞一般为()

A.薄壁空洞
B.厚壁空洞
C.虫蚀样空洞
D.以上均可
E.以上均不可


点击查看答案


93、单项选择题  先天性支气管囊肿的主要并发症是()

A.继发感染
B.肺大泡
C.癌变
D.胸膜炎
E.支气管扩张


点击查看答案


94、问答题  颞颌关节强直分几种?有何X线表现?


点击查看答案


95、判断题  骨梗死最易累及四肢长骨的骨皮质及骨小梁部分。


点击查看答案


96、单项选择题  下列肺梗死平片所见,错误的是()

A.肺门淋巴结增大
B.密度均匀、边缘不清模糊影,后基底段多见
C.可形成空洞
D.少量胸腔积液
E.多数患者平片表现正常


点击查看答案


97、单项选择题  下列哪项,不符合肥厚型心肌病X线表现()

A.心脏可呈主动脉型
B.肺血管纹理常正常
C.心脏增大
D.心脏搏动无特殊,可增强、减弱或正常
E.部分可见左房、右室增大


点击查看答案


98、单项选择题  

男,18岁,右锁骨轻微疼痛,伴局部肿胀,结合图像,最可能的诊断是()

A.右锁骨正常
B.右锁骨嗜酸性肉芽肿
C.右锁骨骨囊肿
D.右锁骨骨结核
E.右锁骨骨巨细胞瘤


点击查看答案


99、单项选择题  肺包虫囊肿病囊肿破裂较典型的X线征象为()

A.空气支气管征
B.水上浮莲征
C.浸润阴影
D.空气半月征
E.囊状阴影


点击查看答案


100、填空题  腹腔脓肿按其发生部位可分为___________、_________________和______________。


点击查看答案


101、多项选择题  胸片上,空洞可见于下列哪些疾病()

A.转移性肺癌
B.原发性肺癌
C.韦格肉芽肿
D.原发性肺结核
E.嗜酸性肉芽肿


点击查看答案


102、问答题  马方(Marfan)综合征的X线表现有哪些?


点击查看答案


103、单项选择题  粟粒型肺结核胸片的特征是()

A.两肺尖部一般不受累
B.从肺尖到肺底大小均匀的结节影
C.胸腔积液
D.胸膜增厚
E.肺门淋巴结增大


点击查看答案


104、名词解释  骨折不愈合


点击查看答案


105、单项选择题  易与胰头肿块混淆的是()

A.门腔淋巴结
B.右肾上腺
C.右侧膈肌脚
D.十二指肠
E.胃幽门管


点击查看答案


106、判断题  癫痫的大发作及小发作都是原发性癫痫。


点击查看答案


107、单项选择题  肺下积液所致的“膈升高”膈顶最高点位于()

A.偏外1/3
B.偏外2/3
C.偏内1/3
D.偏内2/3
E.偏外1/2


点击查看答案


108、单项选择题  下列病毒性肺炎影像描述,错误的是()

A.可有小结节阴影
B.可有斑片状阴影
C.可有大片状阴影
D.肺纹理可增粗
E.具有特征性影像表现


点击查看答案


109、单项选择题  脂肪肉瘤中哪一类型恶性程度最高()

A.圆细胞型
B.黏液型
C.分化良好型
D.多形性型
E.混合型


点击查看答案


110、单项选择题  在胸部平片上,可见圆形或类圆形的孤立性结节影的是()

A.结节病
B.结核球
C.慢性支气管炎
D.肺泡蛋白沉积症
E.肺不张


点击查看答案


111、多项选择题  激光照相机的主要组成部分有()

A.信号处理部分
B.激光打印部分
C.胶片传送部分
D.A/D转换器
E.网络接口


点击查看答案


112、判断题  胰腺癌与慢性胰腺炎均可在十二指肠降部出现3字征。


点击查看答案


113、名词解释  海绵窦综合征


点击查看答案


114、单项选择题  关于“肾结核”的影像,下列说法哪项不正确()

A.不规则钙化
B.肾盏破坏
C.肾盂可以无破坏
D.所有患者肾影均缩小
E.IVP示,肾盂显影浅淡


点击查看答案


115、多项选择题  短管骨骨干结核的X线表现为()

A.骨干内圆形、卵圆形骨质破坏
B.病灶内有时可见粗大而不整的残存骨嵴
C.病灶边缘大多比较清楚,可有轻度增生
D.可见有层状骨膜增生或骨皮质硬化
E.严重的骨破坏可延及整个指骨骨干


点击查看答案


116、单项选择题  常规胸片,对哪种结构显示最差()

A.肋骨
B.肋软骨
C.锁骨
D.横膈
E.胸椎


点击查看答案


117、单项选择题  检查左侧乳腺时,常将其分为若干象限,下述说法错误的是()

A.时钟12~3点为外上象限
B.时钟3~6点为外下象限
C.乳头及乳晕区属外上象限
D.时钟9~12点为内上象限
E.时钟6~9点为内下象限


点击查看答案


118、多项选择题  退变性脊椎滑脱症需与椎弓根性脊椎滑脱症鉴别,后者的特点是()

A.滑脱程度常较重
B.常伴有椎间盘突出
C.椎弓根峡部的单侧或双侧断裂
D.椎管前后径常有明显增宽
E.椎管前缘与棘突后缘间距增大


点击查看答案


119、单项选择题  跖骨头骨骺缺血坏死好发部位是()

A.第一跖骨头
B.第二跖骨头
C.第三跖骨头
D.第四跖骨头
E.第五跖骨头


点击查看答案


120、单项选择题  下列哪种疾病可致血清酸性磷酸酶升高()

A.畸形性骨炎
B.骨纤维异常增殖症
C.前列腺癌骨转移
D.骨肉瘤
E.以上都不是


点击查看答案


121、判断题  一般右肺门较左肺门低1~2cm。


点击查看答案


122、单项选择题  下列椎间盘突出征象中,错误的是()

A.椎间隙宽窄不均
B.脊柱生理曲度消失
C.椎体边缘骨质增生
D.脊柱不稳
E.腰大肌影增宽


点击查看答案


123、填空题  胸膜间皮瘤起源于胸膜的_____________与___________,病理上可分为__________、_________和_________。


点击查看答案


124、单项选择题  成人颈椎侧位平片环齿之距离为()

A.1~1.5mm
B.6mm以上
C.5~6mm
D.2.5~4mm
E.以上均不是


点击查看答案


125、多项选择题  黏多糖贮积症中哪几型所致的骨病变最重()

A.Ⅰ型
B.Ⅳ型
C.Ⅵ型
D.Ⅱ型
E.Ⅲ型


点击查看答案


126、单项选择题  “PTC”术前准备,一般不包括()

A.出血时间 
B.碘过敏试验 
C.凝血时间 
D.全腹部CT检查 
E.凝血酶原时间


点击查看答案


127、单项选择题  

出生6个月的男婴,摔地后右手红肿,结合CR片,正确的骨折类型是()

A.青枝骨折
B.横行骨折
C.斜行骨折
D.粉碎性骨折
E.压缩骨折


点击查看答案


128、多项选择题  下列哪些是进展性结肠癌的X线表现()

A.粘膜皱襞迂曲
B.粘膜皱襞破坏
C.充盈缺损
D.龛影
E.环形狭窄


点击查看答案


129、单项选择题  下述骨骼疾病可引起胸椎旁软组织肿胀,哪项除外()

A.强直性脊柱炎
B.胸椎结核
C.嗜酸性肉芽肿
D.胸椎转移瘤
E.神经鞘瘤


点击查看答案


130、单项选择题  有关乳腺恶性肿瘤的说法中,哪项不正确()

A.肿块边缘模糊
B.界限不清
C.有长或短毛刺
D.肿块密度较低
E.触诊肿块的大小常大于X线片所见


点击查看答案


131、单项选择题  关于间质性肺炎,下列影像哪项不对()

A.肺纹理增多,边缘模糊
B.网状、小点状影
C.可有弥漫性肺气肿
D.可有肺不张
E.特征性“八”字阴影


点击查看答案


132、名词解释  马富西(Maffucci)综合征


点击查看答案


133、单项选择题  平片难以显示的脏器或组织是下列哪项()

A.肾脏
B.籽骨
C.心脏
D.胆囊
E.甲状软骨


点击查看答案


134、单项选择题  

男,26岁,胸闷、胸痛3月余,胸片如图,最可能的诊断为()

A.左上肺空洞型结核
B.左上肺脓肿
C.左上肺液气囊肿
D.左上肺包虫病
E.韦格肉芽肿


点击查看答案


135、问答题  支气管扩张X线平片有哪些表现?


点击查看答案


136、单项选择题  X摄片中,四肢骨的摄片距离通常多用()

A.140cm
B.100cm
C.70cm
D.60cm
E.50cm


点击查看答案


137、单项选择题  下列选项中,不能在胸片上看到“空气支气管征"的疾病是()

A.细支气管和肺泡癌
B.大叶性肺炎
C.阻塞性肺炎
D.肺泡性肺水肿
E.肺出血


点击查看答案


138、单项选择题  关于原发性支气管肺癌,下列描述错误的是()

A.中央性、管内型肺癌以鳞癌居多
B.中央性、管外型肺癌以小细胞癌常见
C.有空洞的外周型肺癌多为腺癌
D.小细胞癌,常有内分泌异常
E.周围型者,腺癌较多


点击查看答案


139、单项选择题  

女,72岁,上腹不适,结合图像,最可能的诊断为()

A.球部憩室
B.球部溃疡
C.降段憩室
D.降段占位
E.水平段憩室


点击查看答案


140、填空题  肺真菌病的影像学表现主要有__________、______________、______________、_____________、_________和__________。


点击查看答案


141、单项选择题  

男,45岁,发热、咳痰1月余,结合图像,最可能的诊断是()

A.肺脓肿
B.肺结核
C.吸入性肺炎
D.肺囊虫病
E.肺癌


点击查看答案


142、填空题  骨纤维肉瘤的X线表现分为_________、_________、___________和________。


点击查看答案


143、判断题  成人脊椎结核好发于腰椎,常仅侵犯邻近两个椎体。


点击查看答案


144、单项选择题  关于X线影像分析与诊断的叙述,错误的是()

A.X线影像形成的技术条件应满足诊断的要求
B.应首先观察病灶本身
C.要区分正常与异常
D.观察病灶分布数量、形态、密度与邻近组织关系
E.X线影像的分析与诊断必须结合临床


点击查看答案


145、单项选择题  最常见的后纵隔肿瘤是()

A.神经节细胞瘤
B.淋巴瘤
C.神经母细胞瘤
D.支气管囊肿
E.转移


点击查看答案


146、单项选择题  对X线的描述,下列正确的是()

A.X线的硬度大→频率高→穿透力强
B.X线的硬度大→波长长→穿透力强
C.X线的硬度大→频率高→穿透力弱
D.X线的硬度大→波长长→穿透力弱
E.X线的硬度大→HVL小→穿透力强


点击查看答案


147、单项选择题  关于胶片本底灰雾的叙述,错误的是()

A.是照射量等于零时照片所具有的密度值
B.位于特性曲线的趾部
C.是胶片曝光后产生的最小密度值
D.片基灰雾和乳剂灰雾组成
E.与乳剂感光中心的大小和数目有关


点击查看答案


148、名词解释  橘皮样变


点击查看答案


149、单项选择题  下述粟粒型肺结核影像特点,哪项不对()

A.急性者,两上肺受累常较重
B.结节直径1~2mm
C.急性者,大小、密度、分布均匀
D.慢性者,大小、密度、分布不均匀,主要分布在两肺中上野
E.透视检查漏诊率高


点击查看答案


150、多项选择题  X线摄片时,应注意中心线的()

A.入射点
B.中心线的能量
C.射入胶片的位置
D.投射的方向
E.入射的角度


点击查看答案


151、单项选择题  下列不属于个人防护用品的是()

A.防护帽
B.铅眼镜
C.防护手套
D.防护围裙
E.准直器


点击查看答案


152、单项选择题  正常气管隆突的分叉角度约为()

A.45°~75°
B.55°~85°
C.65°~90°
D.60°~85°
E.60°~75°


点击查看答案


153、单项选择题  高速电子与阳极靶物质发生相互作用时()

A.产生连续X线
B.只产生特性X线
C.产生连续X线和特性X线
D.不产生X线
E.产生电子线


点击查看答案


154、单项选择题  下列“阑尾炎”诊断要点,错误的是()

A.阑尾内多发充盈缺损
B.边缘毛糙
C.排空加快
D.定点压痛
E.管腔狭窄、管壁僵直


点击查看答案


155、多项选择题  下列哪些属于直接引入法造影()

A.胃肠钡餐造影
B.口服胆囊造影
C.逆行肾盂造影
D.静脉肾盂造影
E.子宫输卵管造影


点击查看答案


156、多项选择题  肺静脉高压的常见X线影像有()

A.间质性肺水肿
B.肺泡性肺水肿
C.肺门减小
D.左房增大
E.含铁血黄素沉着


点击查看答案


157、判断题  原发性腹膜肿瘤,非常少见,因此应在首先除外转移性肿瘤后才可考虑。


点击查看答案


158、填空题  晚发先天性骨梅毒临床上常见有_________、______、________、________、__________和___________等。


点击查看答案


159、单项选择题  X线束的最短波长取决于()

A.毫安
B.时间
C.千伏
D.毫安秒
E.靶物质


点击查看答案


160、单项选择题  脊柱结核典型影像为()

A.椎骨溶骨性破坏、椎旁软组织肿胀
B.椎体呈栅栏状
C.椎管内外哑铃状肿块,椎间孔扩大
D.椎体破坏,椎间盘破坏、椎间隙变窄


点击查看答案


161、单项选择题  食管最常见的良性肿瘤是()

A.脂肪瘤
B.血管瘤
C.平滑肌瘤
D.淋巴瘤
E.腺瘤


点击查看答案


162、单项选择题  特发性骨质溶解症主要指发生于下述哪个部位的缓慢进行性骨质吸收()

A.跖趾
B.远侧指关关节
C.远侧距间关节
D.腕掌
E.掌指


点击查看答案


163、判断题  硬化型乳突表现为鼓窦周围骨质增生硬化,密度减低。


点击查看答案


164、单项选择题  下列不属于关节运动是()

A.屈伸运动
B.内收运动
C.心脏搏动
D.旋转运动
E.外展运动


点击查看答案


165、多项选择题  下列胰腺疾病中,常显示钙化影的有哪些()

A.急性胰腺炎
B.胰腺囊肿
C.慢性胰腺炎
D.胰岛细胞瘤
E.胰腺癌


点击查看答案


166、单项选择题  下列哪项不是骨纤维结构不良的X线表现()

A.骨皮质膨胀,无骨膜反应
B.颅骨硬化及颅底畸形
C.骨干囊状透亮区,呈磨砂玻璃状
D.骨骺延迟闭合,无病理骨折
E.病变呈多房状


点击查看答案


167、单项选择题  支气管囊肿最常位于()

A.右下肺
B.左上肺
C.隆突下
D.左下肺
E.气管旁


点击查看答案


168、判断题  骨嗜酸性肉芽肿病变与周围界限模糊,边缘不清。


点击查看答案


169、名词解释  Dyggve-Melchior-Clausen综合征


点击查看答案


170、单项选择题  下列有关“先天性骨梅毒”影像学特征是()

A.Charcot关节
B.军刀腿
C.长骨广泛型增生、硬化,髓腔消失
D.骨膜下、皮层内局限型骨质破坏
E.Wasp-Waist征


点击查看答案


171、单项选择题  良性骨肿瘤的主要X线表现是()

A.骨质破坏,边缘清楚
B.骨质破坏,边缘模糊
C.明显骨膜反应
D.空腔形成
E.多处虫蛀状破坏


点击查看答案


172、名词解释  Holt-Oram综合征


点击查看答案


173、单项选择题  

男,14岁,偶然发现双膝部肿块1天,双膝关节摄片如图,最可能的诊断是()

A.骨瘤
B.骨软骨瘤
C.局限性骨皮质增厚
D.软骨肉瘤
E.以上均不正确


点击查看答案


174、问答题  胃癌复发的X线表现有哪些?


点击查看答案


175、多项选择题  胸部内脏平片检查主要包括()

A.锁骨平片检查
B.胸骨平片检查
C.肺的平片检查
D.心及大血管的平片检查
E.胸椎的平片检查


点击查看答案


176、单项选择题  关于下肢摄影,错误的是()

A.长骨长轴应平行于胶片长轴
B.与上肢等厚部位应略增kV
C.至少应包括一端关节
D.股骨近端不用滤线器
E.焦-片距通常多采用100cm


点击查看答案


177、单项选择题  眼眶密度减低可见于()

A.眶内组织水肿
B.眶内组织出血
C.眼球肿瘤
D.眼球增大
E.小眼球与无眼球畸形


点击查看答案


178、单项选择题  纵隔肿瘤没有钙化的是()

A.胸骨后甲状腺瘤
B.胸腺瘤
C.畸胎类肿瘤
D.神经源性肿瘤
E.支气管囊肿


点击查看答案


179、名词解释  纵隔摆动


点击查看答案


180、判断题  维生素C缺乏症病理改变为普遍性关节软骨坏死,骺板软骨增殖层细胞基质减少。


点击查看答案


181、单项选择题  

男,65岁。走路时,不慎摔倒。查体:左下肢缩短,外旋50°畸形。 

该患者最可能的诊断为()

A.左粗隆间骨折
B.左股骨颈骨折
C.左髋关节脱位
D.左髋软组织挫伤
E.左髋臼骨折


点击查看答案


182、单项选择题  X线透过被照体后形成的X线强度的差异,称为()

A.人工对比度
B.天然对比度
C.射线对比度
D.胶片对比度
E.照片对比度


点击查看答案


183、判断题  寰椎前结节后缘与枢椎齿状突前缘的距离成人大于4mm,儿童大于2mm则说明有横韧带的撕裂。


点击查看答案


184、单项选择题  X线对人体损伤的因素是()

A.X线剂量
B.照射方式
C.X线剂量率
D.照射部位与范围
E.以上都是


点击查看答案


185、单项选择题  

女,72岁,吞咽不适2月余。体检:咽红,结合图像,最可能的诊断为()

A.食管癌
B.食管溃疡
C.食管憩室
D.食管走行迂曲
E.贲门失弛缓


点击查看答案


186、单项选择题  下列哪种影像,与持续性支气管哮喘的影像表现不符合()

A.双肺纹理增多
B.双肺透光度增加
C.双膈位于第十后肋水平
D.心影狭长
E.约1/3患者平片可无异常发现 


点击查看答案


187、名词解释  颈静脉窝综合征


点击查看答案


188、判断题  特发性肥大性骨关节病和继发性肥大性骨关节病的X线表现相同,主要为管状骨对称性骨膜新生骨。


点击查看答案


189、填空题  化脓性骨髓炎的感染途径为_________、_________________和_________________。


点击查看答案


190、单项选择题  下列肺部炎症中哪项不易见到胸膜反应()

A.大叶性肺炎
B.化脓性肺炎
C.机化性肺炎
D.支原体肺炎
E.过敏性肺炎


点击查看答案


191、单项选择题  有关人体水平面的叙述,正确的是()

A.两眼眶下缘连线为水平面
B.水平面与冠状面相平行
C.水平面与矢状面相互垂直
D.水平面与矢状面相互平行
E.水平面只有一个


点击查看答案


192、单项选择题  下列“影像征象-相应诊断”关系,错误的是()

A.弹簧征,肠套叠卷
B.线征,小肠蛔虫症
C.雾滴征,胃癌
D.跳跃征,溃疡性肠结核
E.狗耳征,阑尾炎


点击查看答案


193、单项选择题  骨质增生由下述哪种原因引起()

A.骨动脉或静脉栓塞及血栓形成
B.肿瘤组织形成的肿瘤骨
C.成骨细胞活动形成新生骨或软骨内成骨
D.软骨细胞活动形成新生骨
E.以上都不是


点击查看答案


194、单项选择题  下列关于“乳腺病变”,说法错误的是()

A.“Paget病”有转变为导管癌可能
B.髓样癌,边缘光整
C.只要见到腋下淋巴结,就提示转移
D.细小钙化多见于乳腺管内肿瘤
E.触诊比影像显示的肿块大,则提示恶性可能


点击查看答案


195、多项选择题  关于乳房脓肿切开引流,下列哪些是正确的()

A.一般应作放射状切开
B.乳晕下脓肿应沿乳晕边缘作弧形切口
C.乳腺后脓肿可沿乳腺下缘作弧形切口
D.脓腔较大时,可在脓腔的最低部位另加切口作对口引流
E.以上都对


点击查看答案


196、单项选择题  

男,阴囊下坠不适,胀痛,平卧症状缓解。查体:阴囊下垂松弛,并可触及结节状静脉曲张。

属精索静脉变异的是()

A.汇入肾静脉
B.汇入肝静脉
C.双精索静脉
D.汇入腹腔静脉
E.汇入下腔静脉


点击查看答案


197、单项选择题  关于对比剂的叙述,错误的是()

A.用以形成人工对比
B.能显示组织器官的形态
C.有阴性及阳性两类对比剂
D.非离子型对比剂毒性较大
E.与周围组织器官能形成密度差别


点击查看答案


198、单项选择题  

男,69岁,胸闷气逼多年,近来咳嗽,无胸痛、无痰中带血,X线检查如图,最可能的诊断是()

A.慢支肺气肿、右上肺肿瘤
B.慢支肺气肿、右上肺炎性假瘤
C.慢支肺气肿、右上肺结核瘤
D.慢支肺气肿、肺转移瘤
E.慢支肺气肿、结节病


点击查看答案


199、判断题  胸膜下肺梗死常合并有大量胸腔积液。


点击查看答案


200、判断题  间质性肺水肿病变在1~2天或数小时内可有明显的变化,其动态变化较快。


点击查看答案


201、单项选择题  下列关于支气管动脉的解剖叙述,错误的是()

A.支气管动脉直径正常为2~3mm,当肺部有肿瘤时相应的血管可增粗
B.正常支气管动脉从纵隔向肺门方向行走,可与纵隔内动脉、肋间动脉或对侧支气管动脉相通
C.右侧支气管动脉大多为一支且与肋间动脉共干,并以与第三肋间动脉共干为最常见
D.支气管动脉起源均在胸主动脉4~9胸椎水平
E.70%~90%起自第5-6胸椎水平


点击查看答案


202、单项选择题  经腋窝中点的垂直线称为()

A.腋前线
B.腋中线
C.腋后线
D.锁骨中线
E.连接线


点击查看答案


203、填空题  胸膜肥厚是由______________及________________引起,常充塞胸膜腔。


点击查看答案


204、填空题  根据作用力的方式和骨本身的情况,骨折可分_________、_________和_________。


点击查看答案


205、单项选择题  

女,61岁,腹痛腹胀2年,结合图像,最可能的诊断为()

A.正常肠圈
B.十二指肠炎
C.降段憩室
D.水平段憩室
E.占位


点击查看答案


206、配伍题  属于肠系膜上动脉分支的有()
属于肠系膜下动脉分支的有()

A.胃左动脉
B.腰动脉
C.肾动脉
D.左结肠动脉
E.右结肠动脉


点击查看答案


207、单项选择题  下列有关标准体位的描述,错误的是()

A.人体直立
B.掌心向前
C.两眼向前方平视
D.双上肢下垂置躯干两侧
E.两下肢并拢,足尖外展


点击查看答案


208、多项选择题  广泛性骨质疏松不常见于哪些情况()

A.豆状骨骨折后
B.绝经后
C.甲状旁腺功能亢进
D.肢端肥大症
E.多发性骨髓瘤


点击查看答案


209、单项选择题  不属于医用胶片种类的是()

A.一般摄影用X线胶片
B.多幅相机和激光相机成像胶片
C.影像增强器记录胶片
D.X线特种胶片
E.彩色电影胶片


点击查看答案


210、单项选择题  X线胶片长轴与摄影床长轴平行称()

A.竖向
B.横向
C.立向
D.斜向
E.交叉向


点击查看答案


211、单项选择题  下述疾病除哪一种外均可见关节内游离体()

A.退行性骨关节病
B.滑膜骨软骨瘤病
C.神经性关节病
D.非骨化性纤维瘤
E.骨折


点击查看答案


212、名词解释  狭颈征/项圈征


点击查看答案


213、多项选择题  下列属于低压部件的是()

A.自耦变压器
B.延时器
C.空间电荷补偿变压器
D.透视高压接触器
E.稳压器


点击查看答案


214、单项选择题  

男,27岁,胸痛,胸片检查如图,最可能的诊断是()

A.右上肺炎症
B.右上肺脓肿
C.右上肺结核
D.右上肺不张
E.右上肺癌


点击查看答案


215、单项选择题  溃疡型胃癌的X线特点中,哪项是错误的()

A.龛影位于胃轮廓之外,边缘隆起、质硬
B.胃癌向壁内生长,中心形成大溃疡
C.与正常相邻胃壁境界清楚
D.粘膜纠集但中断于环堤外
E.龛影多呈半月形,外缘平直,内缘不整齐


点击查看答案


216、单项选择题  下列骨骼不参与眼眶构成的是()

A.筛骨
B.蝶骨
C.腭骨
D.颞骨
E.上颌骨


点击查看答案


217、单项选择题  CR系统影像信息具有的动态范围是()

A.1:10
B.1:100
C.1:1000
D.1:10000
E.1:100000


点击查看答案


218、多项选择题  骨肉瘤的主要成分有下述哪些()

A.肿瘤骨
B.肿瘤性骨样组织
C.肿瘤性成骨细胞
D.肿瘤性软骨组织
E.肿瘤性纤维组织


点击查看答案


219、单项选择题  “良、恶性胃溃疡”共有的征象为()

A.腔内龛影
B.裂隙征
C.半月征
D.穿透性溃疡
E.环堤


点击查看答案


220、单项选择题  

患者,女,46岁,胸闷气短1月,伴全身乏力,咳嗽,发热。胸片示:中上纵隔增宽,右缘呈波浪状改变。白细胞:8.5×10/L。

为明确诊断,进一步做哪项检查()

A.胸部增强CT扫描
B.血沉
C.食管钡餐造影
D.痰细胞学检查
E.胸部MRI检查


点击查看答案


221、问答题  胸椎旁软组织肿胀影的X线诊断意义如何?


点击查看答案


222、多项选择题  管电压在摄片条件选择中的意义,正确的是()

A.电压代表着X线的穿透力
B.管电压控制着影像对比度
C.管电压对照片密度的影响小于照射量
D.低电压技术,照片对比度大
E.高电压技术,照片对比度大


点击查看答案


223、填空题  脾恶性淋巴瘤病理分型为_______________、________、__________和_____________四型。


点击查看答案


224、单项选择题  主要由柯氏位摄片显示的是哪项()

A.乳突、中耳气房
B.视神经孔、后组筛窦
C.内听道、蝶鞍、枕骨 
D.额窦、眼眶周围骨质
E.上颌窦、筛窦、额窦


点击查看答案


225、单项选择题  纤维性病变的胸片表现特点是()

A.云絮状浅淡模糊影
B.条索状密度增高影
C.边缘清楚致密影,密度比肋骨低
D.边缘清楚致密影,密度比肋骨高
E.肺透亮度增加,局部肺纹理缺如


点击查看答案


226、单项选择题  

根据如图影像图像,最可能的诊断是()

A.压缩性骨折
B.腰椎退变
C.腰椎结核
D.强直性脊柱炎
E.骨囊肿


点击查看答案


227、单项选择题  肩关节脱位最常见的方向是()

A.前下方
B.前上方
C.后下方
D.后上方
E.后方


点击查看答案


228、单项选择题  下列哪项不是增感屏的结构()

A.基层
B.感光乳剂层
C.保护层
D.反射层
E.防反射层


点击查看答案


229、多项选择题  颞颌关节紊乱综合征X线平片检查可以显示哪些结构()

A.关节盘及关节囊的改变
B.关节间隙的改变
C.髁状突运动度的变化
D.关节骨质的改变
E.关节凹、关节结节的改变


点击查看答案


230、单项选择题  男,65岁,小便不畅半年,腰骶部、骨盆疼痛3个月,胸部平片及CT未见异常,腰椎及骨盆平片示骨内多发斑片状密度增高影,最可能的诊断是()

A.氟骨症
B.石骨症
C.骨转移瘤
D.结核
E.骨肉瘤


点击查看答案


231、单项选择题  

男,24岁,低热2周,咳少量痰。胸片示右上肺不均密度增高影,其中有空洞形成,血沉45mm/h。

最可能的诊断是()

A.右上肺炎
B.右上肺结核
C.右上肺癌
D.右上肺囊肿
E.右上肺脓肿


点击查看答案


232、单项选择题  下列有关“非梗阻性胃扩张”原因中,错误的是()

A.用吗啡制剂
B.尿毒症昏迷
C.糖尿病胃病
D.急性腹膜炎
E.先天性肥厚型幽门狭窄


点击查看答案


233、问答题  骨膜反应对病变的定性诊断价值如何?


点击查看答案


234、填空题  后纵隔神经源性肿瘤主要分_____________与______________两大类。


点击查看答案


235、问答题  早期食管癌的基本X线表现有哪些?


点击查看答案


236、名词解释  漏斗征


点击查看答案


237、填空题  肺内出血表现为__________、___________或__________阴影。


点击查看答案


238、单项选择题  表示空间分辨率的单位是()

A.半值全宽
B.对比度指数
C.百分线对数(LP%)
D.cm线对数(LP/cm)
E.厘米线对数(LP/cm)


点击查看答案


239、单项选择题  关于脚气性心脏病,错误的是()

A.肺纹理纤细
B.肺动脉段突出
C.VitB治疗效益显著
D.心影增大呈球形或烧瓶状
E.肺内散在斑片状模糊影


点击查看答案


240、单项选择题  对影像半影模糊的控制阈值为()

A.0.05mm
B.0.20mm
C.0.25mm
D.1.0mm
E.1.5mm


点击查看答案


241、配伍题  肺囊肿继发感染时可出现()
肺包虫囊肿病典型征象是()

A.半月征
B.双弓征
C.水上浮莲征
D.轨征
E.兔耳征


点击查看答案


242、单项选择题  下列“脊柱结核”发病特点中,哪项正确()

A.溶骨性破坏为主
B.中心型,是最常见类型,腰椎多见
C.边缘型,胸椎多见
D.韧带下型,始于后纵韧带
E.附件型少见


点击查看答案


243、填空题  成人股骨头缺血坏死股骨头塌陷可发生于低密度区出现前后或同时,表现为股骨头_________、________、________、________和___________。


点击查看答案


244、单项选择题  下列关于脊柱肿瘤描述错误的是()

A.室管膜瘤是成人最常见的脊髓肿瘤
B.星形细胞瘤是儿童最常见的脊髓肿瘤
C.脂肪瘤是椎管内最常见的髓外肿瘤
D.血管瘤是最常见的椎体良性肿瘤
E.转移瘤是最常见的椎体恶性肿瘤


点击查看答案


245、多项选择题  支气管气相可见于()

A.周围型燕麦细胞癌
B.肺透明膜病
C.大叶性肺炎
D.结节病
E.肺水肿


点击查看答案


246、多项选择题  慢性铅中毒的主要临床表现为()

A.便秘
B.腹绞痛
C.贫血
D.末梢神经炎
E.铅中毒性脑病


点击查看答案


247、单项选择题  膈下肋骨摄片,采用的呼吸方式为()

A.浅呼吸屏气
B.深呼气后屏气
C.深吸气后屏气
D.平静呼吸屏气
E.深吸深呼后屏气


点击查看答案


248、单项选择题  小儿肘关节摄片,桡骨骨干中轴线连线与肱骨小头骨骺中线不相连,应诊断为()

A.Colles骨折
B.Smith骨折
C.肱骨外髁骨骺分离
D.Monteggia骨折
E.以上都不对


点击查看答案


249、配伍题  前列腺增生起源于()
前列腺癌起源于()

A.中央带
B.移行带
C.外围带
D.前纤维基质区
E.射精管


点击查看答案


250、单项选择题  骨纤维肉瘤中央型的主要X线表现为()

A.生长慢者破坏区可呈囊状,甚至膨胀性骨破坏
B.多骨多发溶骨性骨破坏,同时可伴有内脏和软组织的多发肿瘤
C.骨旁软组织肿块和邻近部位的骨皮质毛糙、压迫性缺损
D.瘤区内无明显骨化及钙化,一般无骨膜反应
E.边缘模糊的溶骨性破坏,周围呈筛孔样改变


点击查看答案


251、单项选择题  周围型肺癌的影像学表现,下列哪项描述不对()

A.反S征
B.病变早期与炎症有时难以鉴别
C.癌性空洞,少有液平面
D.短小毛刺
E.合并炎症时,其外缘模糊、内缘清楚


点击查看答案


252、单项选择题  腰椎斜位标准片所见,错误的是()

A.第1~5腰椎及腰骶关节呈斜位,于照片正中显示
B.各椎弓根投影于椎体正中或前1/3处
C.各椎弓根投影于椎体后1/3处
D.椎间隙显示良好,第3腰椎上下面的两侧缘应重合
E.与椎体相重叠的椎弓部结构,应显示清晰


点击查看答案


253、判断题  梅毒性骨髓炎多发生于短骨。


点击查看答案


254、名词解释  成角


点击查看答案


255、单项选择题  在肝转移病灶中,钙化发生率高的是()

A.肾癌
B.直肠癌
C.胰腺癌
D.平滑肌肉瘤
E.甲状腺癌


点击查看答案


256、配伍题  中纵隔最常见的肿瘤是()
前纵隔最常见的肿瘤是()
后纵隔最常见的肿瘤是()

A.畸胎瘤
B.胸腺瘤
C.淋巴瘤
D.神经源性肿瘤
E.甲状腺瘤


点击查看答案


257、单项选择题  关于“小肠肿瘤”描述,错误的是()

A.淋巴肉瘤:多位于回肠
B.良性肿瘤:平滑肌瘤、腺瘤居多
C.小肠类癌:多位于回肠
D.小肠腺癌:多位于十二指肠、空肠近段
E.CT诊断价值最高


点击查看答案


258、单项选择题  以下消化道造影的显示方法中,哪种最不常用()

A.双重法 
B.压迫法 
C.粘膜法 
D.充盈法 
E.排空法


点击查看答案


259、判断题  阑尾类癌瘤体一般较小,百分之九十以上直径小于1cm。


点击查看答案


260、单项选择题  下列哪项不是心包积液的典型X表现()

A.心影普遍性向两侧扩大,呈烧瓶样或球状
B.上腔静脉影增宽
C.心影在短期内迅速增大并肺淤血
D.心脏搏动明显减弱而主动脉搏动正常
E.主动脉影变短


点击查看答案


261、名词解释  游走肾


点击查看答案


262、单项选择题  下列属于颈椎病X线表现的有()

A.可伴有小关节面硬化
B.椎体边缘骨质增生、硬化
C.椎间孔狭窄
D.椎间隙变窄
E.以上都是


点击查看答案


263、单项选择题  肾实质内占位性病变主要X线征象为()

A.肾盂肾盏受压移位
B.肾脏增大
C.肾排泄功能减退
D.肾轮廓呈分叶状或局部隆凸
E.肾实质局部密度增高


点击查看答案


264、单项选择题  放射工作人员防止眼晶体发生非随机性效应的年剂量当量限值是()

A.50mSv/年
B.150mSv/年
C.100mSv/年
D.250mSv/年
E.350mSv/年


点击查看答案


265、填空题  组织学上胸腺瘤分为_______________、________________及_______,目前认为良恶性难以明确分界,故提倡分为________和_______。


点击查看答案


266、单项选择题  有关库欣(Cushing)综合征合并病理骨折的描述,哪项是错误的()

A.好发于椎体和肋骨
B.骨折后骨痂形成良好
C.骨痂X线表现多显示为绒毛状
D.骨折愈合时间延迟
E.多合并骨质疏松


点击查看答案


267、单项选择题  下列颅骨缝隙,呈锯齿状的是()

A.成人颅缝
B.骨折线
C.幼儿颅缝
D.血管压迹
E.蛛网膜颗粒压迹


点击查看答案


268、名词解释  结核球


点击查看答案


269、判断题  黏多糖贮积症Ⅰ型最突出表现为小腕骨及手指爪样畸形。


点击查看答案


270、多项选择题  关于X线影像重叠的叙述,正确的是()

A.用前后和左右几个方向的摄片表现人体结构
B.胸片中看不到胸骨影像,是大物体(纵隔)密度大于小物体
C.膝关节正位照片中髌骨影像,是大小物体组织密度相等
D.肺野中的肋骨阴影很明显,是大小物体组织密度相等
E.以上都是


点击查看答案


271、单项选择题  球形增大的肝右叶下段称为()

A.尾状叶
B.利德尔叶
C.獭尾肝
D.右前叶
E.右后叶


点击查看答案


272、单项选择题  下述恶性肿瘤中,可出现成骨性骨转移的是()

A.鼻咽癌
B.乳腺癌
C.胃癌
D.前列腺癌
E.以上均可


点击查看答案


273、单项选择题  环枕融合常伴有()

A.环枕关节半脱位
B.颅底凹陷
C.颈髓交界处受压移位
D.A+B+C
E.A+B


点击查看答案


274、单项选择题  下列哪种疾病,充盈缺损表现不明显()

A.增生型胃癌
B.胃粘膜下平滑肌瘤
C.结肠息肉
D.溃疡性食管癌
E.增殖型肠结核


点击查看答案


275、名词解释  Otto骨盆


点击查看答案


276、问答题  肠结核的主要X线表现有哪些?


点击查看答案


277、名词解释  三叉手畸形


点击查看答案


278、单项选择题  下述哪项不是骨肿瘤的基本X线征象()

A.骨质破坏
B.椎旁脓肿
C.瘤骨
D.肿瘤
E.瘤软骨


点击查看答案


279、单项选择题  关于肺泡蛋白沉积症的诊断,下述哪项最有价值()

A.血尿和脓尿
B.Kveim试验阳性
C.ACE升高
D.糖原PAS染色阳性
E.尿钙升高


点击查看答案


280、单项选择题  下列有关软骨发育不全的X线表现中,哪项错误()

A.肱骨和股骨对称性短粗且弯曲,骨皮质增厚
B.肱骨和股骨骺板光滑或轻度不规则,并散在点状致密影
C.肱骨和股骨干骺端增宽,向两侧张开而中央凹陷
D.尺骨较桡骨长,远侧端变细,近端增宽
E.腓骨头位置较高,远端过长引起足内翻


点击查看答案


281、多项选择题  肺结核病的全身中毒症状有()

A.盗汗
B.咯血
C.低热
D.乏力
E.咳嗽


点击查看答案


282、填空题  脊椎结核的椎体信号改变,大多数TWI呈现______________,少数病灶呈现____________;TWI多现___________;部分病则呈现____________;增强检查以___________较常见。


点击查看答案


283、判断题  炎症性狭窄范围较广泛且边缘不整齐,而肿瘤性狭窄范围较局限且边缘较整齐。


点击查看答案


284、单项选择题  

男,24岁,中上腹痛,柏油样便,面色苍白,钡餐检查如图,可能的诊断为()

A.胃癌
B.胃溃疡伴良性狭窄
C.平滑肌肉瘤
D.胃间质瘤
E.胃淋巴瘤


点击查看答案


285、填空题  软组织肿瘤钙化常见于_____________、___________、__________、___________________和____________等。


点击查看答案


286、单项选择题  下列“心脏形态-相关疾病”组合中,哪项正确()

A.绒毛心:二尖瓣狭窄
B.悬滴心:尿毒症
C.梨形心:法洛四联征
D.靴形心:肺源性心脏病
E.雪人征:完全型肺静脉异位引流


点击查看答案


287、单项选择题  在正常情况下,Water位X线片上颌窦密度与眼眶密度相比()

A.上颌窦密度高于眼眶密度
B.上颌窦密度高于眼眶密度
C.上颌窦密度等于眼眶密度
D.上颌窦密度低于或等于眼眶密度
E.因个体差异,无法相比


点击查看答案


288、单项选择题  关于“Peutz-Jeghers综合征”,错误的是()

A.偶有结肠多发息肉
B.胃肠多发息肉
C.口唇粘膜色素沉着
D.空肠恶变
E.易套叠、出血


点击查看答案


289、多项选择题  有关头颅正位摄片的叙述,错误的是()

A.病人呈俯卧姿势
B.听眦线垂直台面
C.矢状面平行台面
D.下颌内收,靠近台面
E.两外耳孔到台距等高


点击查看答案


290、单项选择题  下述体表定位标志的描述,哪项不正确()

A.两侧髂嵴连线:第4腰椎水平 
B.剑突:第7胸椎水平 
C.喉结:第4颈椎水平 
D.剑突与肚脐连线中点:第1腰椎水平 
E.颈部棘突最长:第7颈椎


点击查看答案


291、单项选择题  下列不可复性食管裂孔疝的征象中,错误的是()

A.膈上幕状粗大粘膜较固定
B.心后区出现含液平面之囊状影,且固定存在
C.钡餐检查示部分胃疝入胸腔,固定存在
D.可伴有食管缩短现象
E.疝囊于立位片上显示不清


点击查看答案


292、单项选择题  没有“肠壁内积气”表现的是()

A.小肠平滑肌瘤
B.缺血性结肠炎
C.坏死性小肠结肠炎
D.肠系膜上动脉栓塞
E.中毒性巨结肠


点击查看答案


293、单项选择题  

30岁,女,因左前臂酸胀不适1年,活动可,左前臂正侧位片如图所示,最可能诊断是()

A.左尺骨蜡泪样骨病
B.石骨症
C.骨皮质增厚症
D.骨膜炎
E.慢性化脓性骨髓炎


点击查看答案


294、单项选择题  周围型肺癌所形成的空洞,其X线特征是()

A.厚壁,其内有大液平面,外缘模糊
B.厚壁,偏心性,内壁凹凸不平,无明显液平面
C.薄壁,蜂窝状阴影
D.薄壁,周边光整,大小形态可变化
E.薄壁,其内有大液平面,边缘清晰


点击查看答案


295、单项选择题  颅底凹陷症,标准摄片体位是()

A.颅底颌顶位
B.颅底顶颌位
C.头颅汤氏位
D.高颈椎侧位
E.高颈椎颅底侧位


点击查看答案


296、多项选择题  柯莱斯(Colles)骨折的X线表现为()

A.指桡骨远端距离远端瓶关节面2.5cm以内的骨折
B.常伴远侧断段向背侧移位和向掌侧成角
C.骨折线常为横行,有时为粉碎性骨折
D.常合并尺骨茎突骨折和下尺桡关节分离
E.桡骨远端骨骺未联合前常发生桡骨远端骨骺分离


点击查看答案


297、填空题  膀胱结石的临床表现为_________、_______、_______、______和_____等。


点击查看答案


298、单项选择题  腹部摄片时呼吸方式为()

A.深吸气后屏气
B.深呼气后屏气
C.连续缓慢浅呼吸
D.平静呼吸
E.以上都不是


点击查看答案


299、单项选择题  锁骨正位片:锁骨显示为∽形弯曲为()

A.肩关节旋转所致
B.肩关节抬高所致
C.肩关节外展所致
D.肩关节内收所致
E.肩关节倾斜所致


点击查看答案


300、多项选择题  优良的消化道双重对比造影钡剂,应具备的条件为()

A.弥散性好 
B.流动性高 
C.浓度高
D.黏稠度高 
E.抗凝聚性好


点击查看答案


题库试看结束后微信扫下方二维码即可打包下载完整版《★医学影像技术(医学高级)》题库
手机用户可保存上方二维码到手机中,在微信扫一扫中右上角选择“从相册选取二维码”即可。
题库试看结束后微信扫下方二维码即可打包下载完整版《医学影像技术(医学高级):X线》题库,分栏、分答案解析排版、小字体方便打印背记!经广大会员朋友实战检验,此方法考试通过率大大提高!绝对是您考试过关的不二利器
手机用户可保存上方二维码到手机中,在微信扫一扫中右上角选择“从相册选取二维码”即可。

微信搜索关注"91考试网"公众号,领30元,获取公务员事业编教师考试资料40G