时间:2023-09-28 01:36:13


1、填空题 炎症的基本病理变化包括________、________、________,其中最具特征性的变化是________。
2、单项选择题 金黄色葡萄球菌感染最常引起()
A.蜂窝织炎
B.脓肿
C.纤维素性炎
D.伪膜性炎
E.出血性炎
3、单项选择题 单核巨噬细胞在局部增生、聚集而形成的结节状病灶称()。
A.炎性假瘤
B.炎性息肉
C.炎性浸润
D.肉芽肿
E.肉芽组织
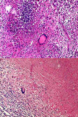
4、单项选择题
患儿,6岁,臀部皮下肌肉注射青霉素类药物4天,之后注射部位出现肿物,2周后仍未消失。
切除肿块镜检如图所示,发生了何种病变()

A.肉芽组织形成
B.异物肉芽肿形成
C.结核结节形成
D.嗜酸性肉芽肿形成
E.以上都不是
5、判断题 急性重型病毒性肝炎属增生性炎。
6、名词解释 趋化作用(chemotaxis)
7、单项选择题
某患者,烫伤半小时后入院,可见手臂多个大小不等的水疱。
该种炎症渗出物中主要含有哪种蛋白()
A.球蛋白
B.纤维蛋白
C.补体
D.清蛋白
E.以上均不是
8、填空题 急性炎症有________、______________、______________三种结局。
9、单项选择题 有一病人的阑尾切除,做病理切片检查,发现阑尾各层均有中性粒细胞浸润,血管明显充血,其诊断是();
A.单纯性阑尾炎
B.疏松结缔组织炎性阑尾炎
C.坏疽性阑尾炎
D.阑尾类癌
E.以上都不是
10、单项选择题 在急性蜂窝织炎组织中,浸润的炎细胞是()。
A.浆细胞
B.淋巴细胞
C.嗜酸性粒细胞
D.中性粒细胞
E.巨噬细胞
11、单项选择题 化脓性炎中,坏死组织的溶解液化是由于下列哪一类细胞存在所致()
A.炎症部位坏死的组织细胞
B.浸润的巨噬细胞
C.浸润的浆细胞
D.浸润的嗜酸性粒细胞
E.脓细胞
12、单项选择题
仔细观察所给的“慢性浅表性胃炎”不同放大倍数之镜下观,
如图,红色箭头所指的是什么细胞()

A.中性粒细胞
B.嗜酸性粒细胞
C.嗜碱性粒细胞
D.浆细胞
E.单核巨噬细胞
13、多项选择题 引起炎性渗出的化学介质有()
A.免疫球蛋白
B.血管活性胺
C.纤维蛋白原
D.前列腺素
E.活性氧代谢产物
14、单项选择题 同时累及脑膜、肾、肺、肠及骨的肉芽肿性病变常常是()
A.风湿小体
B.伤寒小体
C.麻风小结
D.矽结节
E.结核结节
15、填空题 炎症局部增生的细胞包括________和________。
16、名词解释 毒血症(toxemia)
17、单项选择题
患者,男,30岁。咳嗽、胸痛、低热1年。胸片示左肺上叶巨大阴影,边缘不清。手术切除病变肺叶送检。
该病变中的多核巨细胞是由下列哪种细胞演变而来的()
A.中性粒细胞
B.嗜碱性粒细胞
C.上皮细胞
D.淋巴细胞
E.巨噬细胞
18、单项选择题 关于炎症的概念比较恰当的说法是()
A.细胞异常生长的一种形式
B.白细胞对细菌的一种作用
C.组织对损伤的一种以防御为主的反应
D.致炎因子诱发的机体血管反应
E.是机体血管系统对致炎因子的反应
19、填空题 炎症介质花生四烯酸代谢产物包括________和________。
20、多项选择题 炎症的全身发热反应主要由于下列哪些物质刺激体温调节中枢引起()
A.5-HT
B.IL-1
C.TNF
D.阳离子蛋白
E.前列腺素
21、名词解释 窦道(sinus)
22、问答题 试述炎症的基本病理改变。
23、单项选择题 从患者腹腔抽出的液体外观混浊,比重高,细胞数多,静置后自行凝固,符合下述哪种情况引起的腹水()。
A.肾病综合征
B.右心衰竭
C.肝硬化
D.结核性腹膜炎
E.重度营养不良
24、填空题 血管壁通透性增加的最常见原因是________。
25、单项选择题 肉芽肿性炎主要由下列哪种细胞增生而成()。
A.肥大细胞
B.巨噬细胞
C.淋巴细胞
D.成纤维细胞
E.中性粒细胞
26、问答题 炎症局部的临床表现和全身反应是什么?发生机制是什么?
27、单项选择题 关于炎症的概念,较恰当的解释是()。
A.所有活体组织对损伤因子所发生的防御反应
B.具有完整神经系统的生物对损伤因子所发生的局部反应
C.具有血管系统的活体组织对损伤因子所发生的防御反应
D.全身出现红、肿、热、痛现象
E.机体产生的免疫反应现象
28、多项选择题 关于白细胞渗出过程,下列哪些不正确()。
A.是一个耗能的主动过程
B.发生在局部血液循环障碍的基础上
C.白细胞游走无方向性
D.大量糖皮质激素可抑制白细胞游出
E.是由于血管壁损伤,白细胞从损伤处漏出
29、填空题 蜂窝织炎主要由________菌引起,这种细菌可分泌________降解透明质酸,同时分泌________溶解纤维素。
30、问答题 简述绒毛心的发生机制及结局。
31、单项选择题 引起炎细胞渗出的最主要因素是()。
A.血管壁通透性增高
B.血流缓慢
C.血管内压升高
D.趋化作用
E.炎区渗透压升高
32、单项选择题 肉芽肿指()
A.结缔组织增生而形成境界清楚的结节状病灶
B.淋巴、网状组织增生形成的结节状病灶
C.多核巨噬细胞形成的结节状病灶
D.巨噬细胞及其演化细胞呈局部浸润和增生形成的境界清楚的结节状病灶
E.黏膜上皮、腺体和结缔组织增生并向黏膜表面突出的蒂状肿物
33、单项选择题
患者,12岁,女性,鼻塞,流涕8个月。鼻腔镜见鼻黏膜水肿,可见灰白色半透明荔枝肉样物充塞后鼻腔。行息肉摘除术。
这些炎细胞最常见于哪种炎症()
A.慢性炎症
B.急性化脓性炎症
C.急性渗出性炎
D.过敏性炎或寄生虫感染
E.以上均不是
34、填空题 白细胞吞噬作用的缺陷包括______________、________、________等几个方面。
35、单项选择题 白细胞游出前必有的过程是()
A.血流加快
B.血流变慢甚至停滞
C.白细胞靠边
D.白细胞附壁,粘着
E.血管通透性升高
36、单项选择题 慢性炎症组织内浸润的细胞主要是()
A.淋巴细胞
B.中性粒细胞
C.嗜酸性粒细胞
D.嗜碱性粒细胞
E.肥大细胞
37、名词解释 化脓性炎(suppurative or purulent inflammation)
38、单项选择题 患者,女,30岁,腰椎结核并在腰椎旁形成冷脓肿,破溃后流脓不断。此处已形成()。
A.空洞
B.瘘管
C.溃疡
D.窦道
E.糜烂
39、单项选择题 引起出血性炎的主要原因是()
A.血管破裂
B.血管壁损伤较重
C.组织缺血缺氧
D.组织内胶体渗透压升高
E.血浆晶体渗透压升高
40、单项选择题 关于嗜酸性粒细胞下列哪一种是错误的()
A.来源于骨髓
B.运动能力弱
C.无吞噬功能
D.见于寄生虫病及过敏性疾病
E.见于某些部位的亚急性或者慢性炎症
41、名词解释 渗出(exudation)
42、单项选择题 以变质性炎为主的疾病是()。
A.大叶性肺炎
B.脑膜炎
C.病毒性肝炎
D.细菌性痢疾
E.小叶性肺炎
43、单项选择题
患者男性,35岁,因急腹症拟诊急性阑尾炎手术,术后送检。
该种炎症常呈弥漫性的原因是()
A.易通过血道发生转移性脓肿
B.细菌可分泌透明质酸酶和链激酶降解纤维而易于扩散
C.可通过管道使得细菌播散至别处
D.单核巨噬细胞可吞噬细菌,将其转移至它处
E.炎细胞坏死后,溶酶体酶释放,降解组织成分造成的
44、单项选择题 白细胞在游出时会引起()
A.血管扩张
B.血管内皮细胞损伤
C.血管基底膜损伤
D.血管无明显变化
E.整个血管壁受损
45、单项选择题 变质性炎症局部的组织对物质的代谢()
A.合成和分解代谢均增强
B.合成和分解代谢均减弱
C.合成代谢增强
D.分解代谢增强
E.分解代谢减弱
46、单项选择题 化脓性炎时,与坏死组织的溶解液化有关的细胞是()。
A.嗜酸性粒细胞
B.巨噬细胞
C.淋巴细胞
D.浆细胞
E.变性坏死的中性粒细胞
47、多项选择题 炎症的基本病理变化包括()。
A.变质
B.化生
C.增生
D.渗出
E.钙化
48、单项选择题 慢性炎症病灶内浸润的炎细胞主要是()
A.中性粒细胞和单核细胞
B.单核细胞和淋巴细胞
C.浆细胞和嗜碱性粒细胞
D.淋巴细胞和嗜酸性粒细胞
E.嗜酸性细胞和嗜碱性粒细胞
49、单项选择题 炎症介质的主要作用是使()
A.局部组织合成代谢增强
B.组织分解代谢增强
C.血管壁通透性增加
D.细胞酶系统障碍
E.组织损伤
50、单项选择题 引起炎症的因素中最常见的是()
A.机械性损伤
B.物理性损伤
C.化学性损伤
D.生物性损伤
E.遗传性缺陷
51、名词解释 溃疡(ulcer)
52、多项选择题 组胺主要存在于()
A.中性粒细胞
B.肥大细胞
C.嗜碱性粒细胞
D.淋巴细胞
E.血小板
53、单项选择题 炎症的全身反应中下列哪项是不正确的()
A.发热
B.外周血中心粒细胞增多
C.单核巨噬细胞系统增生
D.抗体形成增强
E.实质器官变性、坏死、功能降低
54、单项选择题
某患者,烫伤半小时后入院,可见手臂多个大小不等的水疱。
有关该病变的叙述错误的是()
A.主要病变为浆液性物质渗出
B.多为急性渗出性炎的早期改变
C.通常病变较轻,对组织损伤较小
D.可发生在浆膜、黏膜等处
E.属变质性炎
55、多项选择题 纤维蛋白性炎常发生于()
A.浆膜
B.肺
C.肝
D.脾
E.黏膜
56、单项选择题 下列何种情况属于炎症性增生()。
A.手术切口部位瘢痕疙瘩形成
B.外阴尖锐湿疣之表皮增生
C.宫颈糜烂后鳞状上皮化生
D.风湿性心脏病时风湿小结形成
E.垂体腺瘤患者肢端肥大
57、配伍题 速发短暂反应时有()速发持续反应时有()迟发持续反应时有()
A.细静脉内皮细胞收缩
B.仅毛细血管内皮细胞损伤
C.毛细血管和小静脉内皮细胞损伤
D.仅细静脉内皮细胞损伤
E.细动脉,毛细血管和细静脉内皮细胞均损伤
58、单项选择题 有关白细胞渗出,正确的过程是()。
A.趋化作用→靠边→游出→黏着→附壁
B.靠边→黏着→趋化作用→附壁→游出
C.靠边→附壁→黏着→游出→趋化作用
D.靠边→黏着→附壁→游出→趋化作用
E.靠边→黏着→附壁→趋化作用→游出
59、单项选择题 在白细胞的渗出过程中,下列哪种细胞最先渗出()
A.巨噬细胞
B.淋巴细胞
C.浆细胞
D.中性粒细胞
E.嗜酸性粒细胞
60、问答题 一般慢性炎症的基本病理变化有哪些?
61、单项选择题
患儿,6岁,臀部皮下肌肉注射青霉素类药物4天,之后注射部位出现肿物,2周后仍未消失。
病灶内包含的成分较多,但除外()
A.单核巨噬细胞
B.异物巨细胞
C.淋巴细胞
D.纤维母细胞
E.Langhans巨细胞
62、单项选择题 急性炎症反应中出血的机制是()
A.化学介质引起的血管通透性增高
B.白细胞释放的溶酶体酶
C.纤维蛋白溶解
D.血管壁的损伤
E.凝血因子缺乏
63、单项选择题 下列哪种细胞不是通过变形运动离开血管的()。
A.中性粒细胞
B.红细胞
C.嗜酸性粒细胞
D.淋巴细胞
E.巨噬细胞
64、单项选择题 下列哪项病变不是浆液性炎()
A.胸膜炎积液
B.早期感冒黏膜炎
C.肾盂积水
D.昆虫毒素引起的皮下水肿
E.皮肤Ⅱ度烧伤水疱
65、单项选择题 炎症灶内红细胞是()
A.主动渗出
B.主动漏出
C.被动渗出
D.被动漏出
E.有时是主动渗出,有时是被动漏出
66、单项选择题 者左前臂不慎烫伤,局部红、肿、热、痛,随之出现水泡,则属于哪种炎症()。
A.浆液性炎
B.浆液纤维素性炎
C.纤维素性炎
D.出血性炎
E.急性炎
67、多项选择题 炎症时白细胞游出的过程包括()
A.血管壁通透性增高
B.白细胞附壁
C.白细胞的阿米巴运动方式
D.内皮细胞受损
E.基底膜损伤
68、多项选择题 下列哪些细胞可以通过血管内皮细胞间隙游出到血管外()
A.中性粒细胞
B.嗜酸性粒细胞
C.红细胞
D.单核细胞
E.淋巴细胞
69、配伍题 由严重烧伤引起的血管通透性升高属()由X线损伤引起的血管通透性升高属()由血管活性胺引起的血管通透性升高属()
A.速发短暂反应
B.速发持续反应
C.迟发持续短暂反应
D.白细胞介导的内皮细胞损伤
E.内皮细胞连接发育不成熟
70、填空题 引起白细胞增多的炎症介质有________和________2类。
71、单项选择题 下列哪种细胞不会在炎症灶中增殖()
A.中性粒细胞
B.淋巴细胞
C.巨噬细胞
D.肥大细胞
E.纤维母细胞
72、多项选择题 在急性炎症中,中性粒细胞重要活动是()
A.穿过血管壁游出
B.由阳性趋化作用向炎症病灶集中
C.吞噬作用
D.形成炎性肉芽肿
E.一部分坏死分解释放蛋白溶解酶
73、单项选择题 属于慢性肉芽肿性炎的是()。
A.结核
B.伤寒
C.肠阿米巴病
D.慢性支气管炎
E.慢性阑尾炎
74、名词解释 类上皮细胞(epithelioid cell)
75、填空题 疖是________、________及其________所发生的脓肿。
76、单项选择题 变质是指()。
A.局部组织变性、坏疽
B.局部组织水肿、坏死
C.局部组织变性、坏死
D.局部组织萎缩、化生
E.局部组织坏死、纤维化
77、问答题 简述纤维素性炎的特征并举例说明。
78、单项选择题 下列疾病中,哪一种不是化脓性炎()。
A.急性蜂窝织炎性阑尾炎
B.肾盂肾炎
C.皮肤疖肿
D.急性细菌性心内膜炎
E.肾小球肾炎
79、单项选择题 组胺类介质引起血管通透性升高的机制是()
A.引起内皮细胞收缩
B.引起内皮细胞损伤
C.介导白细胞对内皮细胞的损伤
D.使内皮细胞的胞饮作用增强
E.以上均不是
80、单项选择题 下述关于急性炎症时白细胞渗出的描述中,哪项是错误的()。
A.在炎症反应中,中性粒细胞进入边流、附壁
B.内皮细胞收缩,使中性粒细胞从间隙游出血管
C.中性粒细胞通过伸出伪足,逐渐从内皮细胞间隙游出血管
D.在趋化因子的作用下,中性粒细胞到达炎症部位
E.补体C、C是重要的炎症介质
81、名词解释 脓细胞(pus cell)
82、单项选择题 炎症时,经被动过程从血管内到血管外组织的细胞是()。
A.淋巴细胞
B.红细胞
C.单核细胞
D.嗜酸粒细胞
E.嗜碱粒细胞
83、单项选择题 下列哪项肉芽肿中无多核巨细胞()
A.风湿小体
B.伤寒小结
C.血吸虫卵结节
D.矽结节
E.树胶肿
84、填空题 表面化脓是发生在________或________组织的化脓性炎。
85、单项选择题 急性病毒性肝炎时,最常见的炎症细胞是()
A.嗜酸性粒细胞
B.巨噬细胞
C.单核细胞
D.淋巴细胞
E.浆细胞
86、单项选择题 患者术后1个月,伤口痒痛。将伤口处遗留的缝线及周围增生组织切除时,缝线周围可见()。
A.淋巴细胞、类上皮细胞和朗汉斯巨细胞
B.巨噬细胞、成纤维细胞和异物巨细胞
C.淋巴细胞、干酪样坏死和类上皮细胞
D.新生的毛细血管、成纤维细胞
E.新生的毛细血管、中性粒细胞
87、单项选择题 炎区血管壁通透性增高的机制是()。
A.内皮细胞收缩
B.穿胞作用增强
C.内皮细胞损伤
D.新生毛细血管高通透性
E.以上均是
88、填空题 炎性息肉增生的成分为________,________,________。
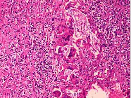
89、填空题 蜂窝织炎常发生于________,________,________等处。
90、单项选择题
炎症病变中,主要有中性粒细胞和巨噬细胞两种吞噬细胞,其中巨噬细胞形态和名称可多种多样。
如图为肾结核结节镜下观,箭头所指细胞称之为()

A.巨噬细胞
B.类上皮细胞
C.异物巨细胞
D.Langhans巨细胞
E.泡沫细胞
91、判断题 脓液的形成主要和炎症灶中的脓细胞有关。
92、单项选择题 病毒感染引起的炎症中,所见到的主要细胞是()。
A.淋巴细胞
B.肥大细胞
C.嗜酸性粒细胞
D.中性粒细胞
E.浆细胞
93、判断题 疖是毛囊、皮脂腺及其附近组织发生的脓肿。
94、单项选择题 下列有关炎性渗出液的描述,哪项是错误的()。
A.液体比重高
B.外观清亮
C.细胞含量多
D.蛋白含量高
E.液体静置后可凝固
95、单项选择题 关于蜂窝织炎的描述错误的是()。
A.病变组织呈马蜂窝状
B.皮肤、肌肉和阑尾是好发部位
C.主要由溶血性链球菌引起
D.病变弥漫与细菌透明质酸酶和链激酶有关
E.中性粒细胞弥漫浸润组织
96、名词解释 浆液性炎
97、单项选择题 病理解剖一女尸,发现一侧肾体积较小,表面不光滑,有数个大小不一、不规则瘢痕,切面瘢痕处质地较硬,肾盂粘膜增厚等改变,该肾最可能的病理诊断是()。
A.动脉粥样硬化梗死瘢痕
B.慢性肾炎
C.慢性肾盂肾炎
D.高血压固缩肾
E.以上都不是
98、单项选择题 炎症反应的中心环节是()
A.白细胞的渗出
B.吞噬作用
C.血管反应
D.坏死溶解
E.免疫反应
99、配伍题 急性化脓性炎症浸润的细胞主要为()结核病时浸润的细胞常为()慢性肉芽肿性炎时可能出现()寄生虫感染时较多的浸润细胞为()慢性炎症灶中浸润的炎细胞多为()
A.淋巴细胞
B.嗜酸性粒细胞
C.单核细胞
D.中性粒细胞
E.多核巨细胞
100、填空题 渗出液的特点:蛋白质含量________、细胞成分________,因此比重________、________凝固。
101、单项选择题 浆液性炎症中,其渗出的浆液内蛋白质含量浓度为()
A.1%~3%
B.3%~5%
C.5%~7%
D.7%~9%
E.>10%
102、多项选择题 炎症增生性变化包括()
A.上皮增生
B.毛细血管增生
C.腺体增生
D.巨噬细胞增生
E.纤维组织增生
103、判断题 金黄色葡萄球菌感染多形成蜂窝织炎。
104、单项选择题 速发性短暂反应时血管壁通透性增高的机制是()
A.细静脉内皮细胞收缩
B.细动脉内皮损伤
C.基膜降解
D.内皮细胞胞饮作用增强
E.以上都不是
105、填空题 临床上采用阿司匹林和非甾体类抗炎药物进行抗炎的主要机制是抑制________的环氧化酶代谢途径,从而减少炎症介质________的产生。
106、单项选择题 从腹腔中抽出的液体特征为:高比重,静置后凝固,浑浊且呈黄色。其最可能是下列何种疾病引起的()。
A.右心衰竭
B.门脉性肝硬化
C.腹膜炎
D.肾小球肾炎
E.腹部肿瘤
107、单项选择题 伪膜性炎发展下去可引起()
A.假膜下肉芽肿形成
B.伪膜溶解液化形成脓肿
C.伪膜脱落形成溃疡
D.表面化脓
E.伪膜坏死发生穿孔或形成窦道
108、名词解释 慢性炎
109、名词解释 痈(carbuncle)
110、名词解释 完全痊愈
111、单项选择题 细菌性痢疾属于()
A.变质性炎症
B.浆液性炎症
C.纤维素性炎症
D.蜂窝织炎症
E.化脓性炎症
112、名词解释 白细胞粘着
113、问答题 举例说明炎性水肿和炎性积液。
114、单项选择题 下列哪项不具有防御作用()
A.纤维蛋白渗出
B.白细胞游出
C.血浆渗出
D.炎性增生
E.红细胞漏出
115、单项选择题 下列有关白细胞渗出的描述,哪项是错误的()。
A.肿瘤坏死因子(TNF.可促进内皮细胞及白细胞粘附分子的表达,影响白细胞粘着
B.白细胞伸出伪足,以阿米巴运动方式从内皮细胞缝隙游出
C.炎症的不同阶段,游出的白细胞种类不同
D.红细胞漏出也是主动过程
E.趋化因子的作用是有特异性的
116、单项选择题 在寄生虫感染病变中,下列哪种细胞常见()
A.嗜酸性粒细胞
B.淋巴细胞
C.嗜碱性粒细胞
D.浆细胞
E.单核细胞
117、多项选择题 渗出液的特点有()。
A.较浑浊
B.相对密度高
C.含细胞数少
D.静置时可凝固
E.含蛋白质
118、单项选择题 下列哪种疾病属于增生性炎()。
A.乙型脑炎
B.子宫内膜炎
C.伤寒病
D.大叶性肺炎
E.普通型病毒性肝炎
119、多项选择题 炎症时局部组织代谢的特点是()
A.分解代谢亢进
B.酸性代谢产物堆积
C.局部氢离子浓度升高
D.5一羟色胺释放
E.细胞因子释放
120、判断题 肉芽肿性炎病灶中以巨噬细胞及其衍生细胞增生为主。
121、单项选择题 下列哪种激素具有抑制炎症的作用()
A.甲状腺素
B.生长激素
C.垂体促甲状腺素
D.促肾上腺皮质激素
E.肾上腺糖类皮质激素
122、多项选择题 蜂窝织炎病变不易局限的原因主要是()。
A.发生在较疏松组织
B.细菌分泌链激酶
C.组织坏死明显
D.细菌分泌透明质酸酶
E.无肉芽组织包裹
123、填空题 脓液中的中性粒细胞只有少数具有吞噬能力,大多已发生变性和坏死,称为________。
124、单项选择题 在急性炎症过程中,下列改变哪一种最先出现()。
A.细动脉及微血管扩张
B.细动脉收缩
C.血流加速
D.血流速度减慢
E.白细胞附壁
125、填空题 炎症的局部表现包括________、________、________、________、________。
126、多项选择题 慢性炎症的病理变化包括()
A.类上皮细胞增生
B.黏膜息肉形成
C.小血管增生
D.纤维细胞增生
E.嗜酸性粒细胞浸润
127、填空题 典型的结核性肉芽肿包括________、________、________、________、________5种成分。
128、填空题 炎症灶内的病原微生物或某些毒性代谢产物进入血循环,可引起________、________________、________________、______________。
129、单项选择题 下列哪项不是败血症的表现()
A.细菌入血并产生毒素
B.高热寒战
C.一些内脏器官的多发性小脓肿
D.皮肤、黏膜点状出血
E.脾肿大
130、单项选择题 炎症局部的基本病变是()。
A.变性、坏死、增生
B.变质、渗出、增生
C.炎症介质的释放
D.血管变化及渗出物形成
E.局部物质代谢紊乱
131、单项选择题 败血症指的是()
A.细菌大量入血,血中可查到细菌,但可无中毒症状
B.细菌毒素入血,引起中毒症状
C.细菌产物被吸收人血引起中毒症状
D.细菌入血繁殖并产生毒素从而引起中毒症状,并在一些器官形成脓肿
E.细菌入血,繁殖并产生毒素,并有中毒症状
132、判断题 蜂窝织炎常见于皮下组织、肌肉和阑尾。
133、单项选择题 急性炎症引起局部肿胀的主要因素是()。
A.充血及渗出
B.局部组织分子浓度升高
C.组织细胞增生
D.炎症介质的形成
E.组织细胞变性坏死
134、填空题 急性炎症时一般以________细胞浸润为主,慢性炎症时以________细胞、________细胞和________细胞浸润为主。
135、问答题 简述炎症时白细胞增高机制。
136、判断题 炎性渗出是急性炎症的重要特征,对机体有害无益。
137、多项选择题 下列哪些是感染性肉芽肿()。
A.伤寒肉芽肿
B.结核肉芽肿
C.矽结节
D.胶质小结
E.异物肉芽肿
138、问答题 简述炎性吞噬作用及其意义。
139、配伍题 食道癌癌肿向气管穿破形成()深部脓肿向皮肤穿破形成()肛周脓肿同时向直肠和体表穿破()肠伤寒病灶向浆膜面穿破()
A.形成空洞
B.形成溃疡
C.形成瘘管
D.形成窦道
E.形成穿孔
140、多项选择题 下列哪些情况可引起慢性炎症灶内的巨噬细胞聚集()
A.有慢性的间叶细胞向巨噬细胞分化
B.局部的巨噬细胞寿命长并长期驻留
C.单核巨噬细胞持续渗出
D.局部巨噬细胞分裂增生
E.局部巨噬细胞被多种因素激活
141、单项选择题 在过敏反应炎症中,组胺来源于()
A.嗜酸性粒细胞
B.淋巴细胞
C.浆细胞
D.肥大细胞
E.单核细胞
142、单项选择题 臀部深层脓肿,一端向皮肤表面穿破,另一端向直肠穿破,应称为()。
A.糜烂
B.溃疡
C.空洞
D.窦道
E.瘘管
143、问答题 白细胞的渗出。
144、判断题 变质仅发生在实质细胞,为炎症所特有。
145、多项选择题 影响内皮细胞和白细胞粘着的因素有()
A.内皮细胞和白细胞表面正电荷被中和
B.二价阳离子的桥接作用
C.肿瘤坏死因子的释放
D.白细胞表面粘附分子的表达
E.内皮细胞表面粘附分子的表达
146、多项选择题 下列哪些疾病的病变常以渗出为主()
A.大叶性肺炎
B.胸膜炎
C.蜂窝织炎性阑尾炎
D.病毒性肝炎
E.急性肾盂肾炎
147、配伍题 血管反应是()炎症渗出是()生物性因子是()
A.常引起器官功能障碍
B.炎症反应最常见的原因
C.炎症最具特征性的变化
D.炎症反应的中心环节
E.急性炎症早期的标志
148、名词解释 蜂窝织炎(phlegmonous inflammation)
149、单项选择题 下述哪种疾病属出血性炎()
A.病毒性肝炎
B.肠阿米巴病
C.流行性脑脊髓膜炎
D.钩端螺旋体病
E.丹毒
150、问答题 何谓慢性肉芽肿性炎?主要类型有哪些?
151、填空题 出血性炎常见于________、________及________________等疾病。
152、单项选择题 炎症局部疼痛的主要原因是()
A.细胞增生压迫神经末梢
B.局部组织变性坏死
C.局部充血及血流量增多
D.组织分解代谢增强
E.渗出物压迫及炎症介质刺激
153、配伍题 菌血症()毒血症()败血症()脓毒败血症()
A.白喉患者出现的全身中毒症状及心肌炎
B.血液可查到细菌
C.血沉加快、血内抗“O”升高
D.全身中毒症状,血培养细菌阳性
E.全身脏器有多发性脓肿,血培养细菌阳性
154、单项选择题 伪膜性炎症指的是()
A.浆膜的纤维素性炎症
B.黏膜的纤维素性炎症
C.浆膜的浆液性炎症
D.黏膜的浆液性炎症
E.皮肤的纤维素性炎症
155、多项选择题 能使单核细胞激活的因素包括()
A.C3a和C5a
B.IL-7
C.阳离子蛋白
D.内毒素
E.纤维粘连蛋白
156、单项选择题 下列可释放血小板激活因子的细胞应除外()
A.内皮细胞
B.淋巴细胞
C.嗜碱性粒细胞
D.单核细胞
E.中性粒细胞
157、单项选择题 炎症过程中最有防御意义的是()。
A.炎性介质形成
B.组织分解代谢增强
C.白细胞渗出
D.爽性水肿
E.炎性充血
158、单项选择题
死者,女性,68岁,长期胸闷不适,进行性加剧至心衰而亡。
对于该疾病的描述,错误的是()
A.可导致心包积液
B.又名干性心包炎
C.渗出成分少可溶解吸收
D.可出现心前区疼痛
E.听诊可闻及心包摩擦音
159、多项选择题 下列哪些疾病的病变属于感染性肉芽肿()
A.霍奇金病
B.风湿小结
C.矽肺结节
D.结核结节
E.瘤型麻风
160、填空题 炎症局部组织血管内的________和________通过________进入________、________、________和________的过程叫渗出。
161、多项选择题 出血性炎症可见于下列哪些疾病()
A.炭疽
B.流行性出血热
C.钩端螺旋体
D.肠伤寒
E.鼠疫
162、多项选择题 炎性肉芽组织中主要的细胞是()
A.淋巴细胞
B.浆细胞
C.巨噬细胞
D.纤维母细胞
E.血管内皮细胞
163、单项选择题 组胺主要存在于()。
A.巨噬细胞
B.血管内皮细胞
C.肥大细胞和嗜碱性粒细胞
D.淋巴细胞
E.嗜酸性粒细胞
164、名词解释 绒毛心(cor villosum)
165、单项选择题 卡他性炎是指()。
A.黏膜的变质性炎
B.黏膜的渗出性炎
C.黏膜的增生性炎
D.浆膜的急性炎症
E.浆膜的慢性炎症
166、多项选择题 引起炎症灶液体渗出的因素有()
A.血管壁通透性升高
B.血管内胶体渗透压升高
C.血管内流体静压升高
D.组织胶体渗压升高
E.趋化因子作用
167、单项选择题 下列除哪项外,均是细菌性痢疾、白喉的共同特点()。
A.都是由细菌感染引起
B.常是急性炎症
C.病变都是以增生为主
D.都是纤维素性炎症
E.都可形成假膜
168、名词解释 空洞(cavity)
169、单项选择题
患者女性,56岁,上腹部隐痛并向右肩背放射。既往有多次胆绞痛史。手术切除胆囊,术后巨检胆囊增大,内含结石2枚,直径1.5cm,黏膜粗糙,并可见多个黄色小息肉样物,易脱落。壁厚0.3cm。
镜检如图所示,最佳诊断为()

A.慢性胆囊炎
B.急性胆囊炎
C.胆囊息肉
D.胆囊腺瘤
E.慢性胆囊炎伴胆固醇息肉形成
170、单项选择题 下述炎症中哪种不属肉芽肿性炎症()。
A.麻风
B.霉菌感染
C.手术缝线慢性炎症反应
D.粟粒性肺结核
E.阿米巴病
171、填空题 凡是能引起组织和细胞损伤的因子都能引起炎症,这些因子统称为________。
172、单项选择题
患者男性,53岁,腹胀,返酸,嗳气半年。胃镜检查见胃窦部黏膜稍粗糙,并可见小片状糜烂。
该种炎细胞最常见于哪种炎症()
A.慢性炎症
B.急性化脓性炎症
C.肉芽肿性炎
D.过敏性炎或寄生虫感染
E.以上均不是
173、单项选择题 引起炎症最常见的因素是()。
A.机械因素
B.物理因素
C.化学因素
D.生物性因素
E.异常免疫反应
174、单项选择题 炎症的变质性病变是指局部组织细胞()。
A.变形
B.腐败
C.变性和坏死
D.凋亡
E.水肿
175、多项选择题 下列关于纤维素性炎正确的描述是()
A.炎症局部血管壁损伤较重
B.发生机化是由于巨噬细胞对纤维素溶解、吞噬作用减弱所致
C.假膜多由纤维素、炎细胞及坏死组织碎屑组成
D.“绒毛心”是由于渗出的纤维素刺激心包间皮细胞,使之呈绒毛状增生所致
E.假膜性炎不发生浆膜和肺
176、单项选择题 在慢性炎症灶中下列哪种炎症细胞最常见()
A.中性粒细胞
B.嗜酸性粒细胞
C.淋巴细胞
D.肥大细胞
E.嗜碱性粒细胞
177、问答题 吞噬过程及意义。
178、单项选择题 最能反映炎症本质的病变是()。
A.充血
B.水肿
C.白细胞游出
D.坏死
E.出血
179、单项选择题 患者,男,55岁,患支气管扩张症合并感染,形成支气管瘘、胸腔积脓。其胸腔积液镜检可见大量()。
A.红细胞
B.单核细胞
C.中性粒细胞
D.纤维素
E.淋巴细胞
180、填空题 炎症时,液体成分渗出主要原因________、________、________。
181、单项选择题 趋化作用是指白细胞的()。
A.边集、附壁及其在组织内游走
B.自血管内游出的过程
C.吞噬、黏着病原体的过程
D.沿血管壁作阿米巴运动
E.向着某些化学物质定向游走
182、多项选择题 组胺引起的血管通透性增高通过下列哪些因素起作用()
A.增加血管内流体静力压
B.增加组织交替渗透压
C.引起血管内皮细胞收缩及损伤,形成内皮细胞间隙
D.损伤血管基膜
E.介导血管平滑肌收缩
183、多项选择题 纤维素性炎的发生病因有()
A.白喉杆菌
B.痢疾杆菌
C.肺炎双球菌
D.脑膜炎双球菌
E.尿毒症
184、判断题 窦道是指两个有腔器官之间有两个以上开口的病理性管道。
185、单项选择题 下列有关纤维素性炎的描述,哪项是错误的()。
A.经常发生于粘膜、浆膜和肺
B.渗出大量纤维蛋白原并形成纤维素
C.可被中性粒细胞释放的溶蛋白酶溶解
D.可以发生机化
E.以上都不是
186、多项选择题 慢性炎症的特征是在组织中出现()
A.淋巴细胞
B.单核细胞
C.成纤维细胞
D.浆细胞
E.嗜酸性粒细胞
187、单项选择题 炎症早期出现炎性充血时,最先累及的血管为()
A.细动脉
B.小动脉
C.细静脉
D.小静脉
E.毛细血管
188、填空题 一氧化氮主要是由________细胞、巨噬细胞和一些特定的神经细胞所产生,是在________作用下生成的。
189、多项选择题 对中性粒细胞具有趋化作用的物质是()
A.C3a
B.C5a
C.细菌代谢产物
D.坏死组织
E.阳离子蛋白
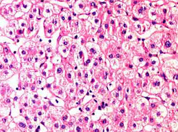
190、单项选择题
患者,12岁,女性,鼻塞,流涕8个月。鼻腔镜见鼻黏膜水肿,可见灰白色半透明荔枝肉样物充塞后鼻腔。行息肉摘除术。
如图为一肝炎患者肝脏病理切片镜下观,肝细胞水肿,胞浆疏松化或气球样变,肝窦狭窄,几近消失。肝细胞的这种病理变化称()

A.变性
B.坏死
C.变质
D.渗出
E.增生
191、单项选择题 病毒性肝炎的炎症灶内浸润的主要细胞是()。
A.中性粒细胞
B.嗜酸性粒细胞
C.淋巴细胞,单核细胞
D.肥大细胞
E.浆细胞
192、配伍题 急性肾小球肾炎()急性病毒性肝炎()肝脓肿()
A.以变质为主的炎症
B.以浆液渗出为主的炎症
C.以纤维素渗出为主的炎症
D.以中性白细胞渗出为主的炎症
E.以增生为主的炎症
193、单项选择题 假膜性炎是指()。
A.皮肤的纤维素性炎
B.黏膜的化脓性炎
C.浆膜的纤维素性炎
D.浆膜的化脓性炎
E.黏膜的纤维素性炎
194、判断题 局部组织的变质,渗出和增生是炎症的三大基本病理变化。
195、单项选择题 下列哪一项不是渗出性炎()
A.卡他性炎症
B.乙型脑炎
C.白喉
D.肾盂肾炎
E.小叶性肺炎
196、单项选择题 炎症时白细胞渗出聚集在局部组织内的现象称为白细胞()。
A.附壁
B.游出
C.浸润
D.黏着
E.运动
197、单项选择题 炎性假瘤不具有下列哪项特点()
A.是一种良性肿瘤
B.由局部组织的炎性增生形成
C.为一边界清楚的肿瘤样团块
D.肉眼形态和X线所见与肿瘤相似
E.常见的好发部位是眼眶和肺
198、单项选择题 炎症反应中最有防御作用的是()
A.组织增生
B.动脉充血
C.发热反应
D.吞噬作用
E.液体渗出
199、单项选择题 炎症局部疼痛的主要因素是神经末梢被()。
A.细胞增生压迫
B.渗出物压迫及炎症介质刺激
C.局部充血及血流量增多刺激
D.组织分解代谢加强刺激
E.局部组织变性坏死刺激
200、单项选择题 蜂窝织炎性阑尾炎最主要的病变特点是()。
A.中性粒细胞弥漫浸润阑尾各层组织
B.中性粒细胞向粘膜表面渗出
C.阑尾充血、水肿
D.阑尾坏死、变黑
E.阑尾穿孔
201、单项选择题 关于败血症,以下哪项不准确()
A.血液中有细菌生长繁殖
B.常有较重的全身症状
C.在皮肤、黏膜处可发现出血点
D.血培养是最有价值的诊断
E.常形成转移性脓肿
202、单项选择题
死者,女性,2岁。腹痛、腹泻、里急后重2天,加剧3天伴高热,抽搐。死后尸检。
该疾病多发生于机体哪个部位()
A.食道下段
B.结肠回盲部
C.盲肠和升结肠
D.小肠上段
E.乙状结肠和直肠
203、单项选择题 急性炎症时组织变红的主要原因是()
A.组织间隙水肿
B.炎症灶内血栓形成
C.炎症灶内炎细胞浸润
D.肉芽组织增生
E.血管扩张,血流加快
204、配伍题 血浆渗出()C3b渗出()纤维蛋白渗出()白细胞渗出()溶酶体酶渗出()
A.可加重组织损伤
B.可起到调理素的作用
C.可使炎症局限
D.可清除致炎因子
E.可稀释毒素
205、多项选择题 与炎性渗出有关的因素为()。
A.血管内流体静压升高
B.血管壁通透性增高
C.炎区组织胶体渗透压增高
D.血浆胶体渗透压下降
E.各种阳性趋化物质作用
206、单项选择题 以下何种情况属于炎症的变质性变化()。
A.严重挤压后组织细胞坏死
B.下肢静脉血栓形成后足趾坏疽
C.烫伤后局部组织红肿起水泡
D.病毒性肝炎时,肝细胞嗜酸性变
E.脂肪肝时肝细胞肿大、脂肪变性
207、判断题 浆液性炎中的渗出物主要为混有少量细胞和纤维素的血清。
208、多项选择题 蜂窝织炎的炎细胞弥漫性浸润是由于()
A.病原体能产生透明质酸酶,降解透明质酸
B.病原体能产生链激酶,溶解纤维蛋白
C.感染的组织疏松
D.是由于金黄色葡萄球菌感染所致
E.病原体毒力强,组织破坏明显
209、多项选择题 单核巨噬细胞可演变为()。
A.伤寒细胞
B.类上皮细胞
C.泡沫细胞
D.朗汉斯巨细胞
E.异物巨细胞
210、多项选择题 在中性粒细胞的嗜天青颗粒中含有()
A.酸性水解酶
B.中性蛋白酶
C.髓过氧化物酶
D.溶菌酶
E.碱性磷酸酶
211、多项选择题 下列病变中哪些属感染行肉芽肿()
A.结核瘤
B.瘤型麻风
C.炎性息肉
D.腹股沟淋巴肉芽肿
E.风湿性肉芽肿
212、单项选择题 以变质为主的炎症,其实质细胞的主要变化是()
A.增生和再生
B.萎缩和变性
C.变性和坏死
D.增生和变性
E.坏死和萎缩
213、名词解释 伪膜性炎(pseudomenbranous inflammation)
214、多项选择题 血管活性胺包括()
A.亚硝胺
B.组胺
C.5-羟色胺
D.谷氨酰胺
E.二级胺
215、名词解释 表面化脓
216、单项选择题 只有一个开口的病理性盲管是()
A.糜烂
B.溃疡
C.窦道
D.瘘管
E.空洞
217、单项选择题 有关渗出液与漏出液,下列哪项正确()。
A.渗出液只形成浆膜腔积液
B.漏出液只造成间质水肿
C.渗出液与漏出液均可造成间质水肿与浆膜腔积液
D.渗出液与漏出液均不会造成间质水肿与浆膜腔积液
E.渗出液与漏出液在机体局部发生炎症时同时存在
218、单项选择题 引起发热和疼痛的炎性介质是()。
A.组胺
B.C5a
C.缓激肽
D.PG
E.NO
219、单项选择题 感染的基本病变是()。
A.炎症反应
B.细菌引起的反应
C.血管反应
D.局部组织反应
E.体液和细胞反应
220、单项选择题 下列不是浆液性炎的病变是()。
A.感冒初期的鼻黏膜炎
B.皮肤Ⅱ度烧伤引起的水疱
C.胸膜炎积液
D.肾盂积水
E.昆虫毒素引起的皮下水肿
221、单项选择题 患者,男,26岁,肛旁脓肿破溃后流脓不断。入院检查,肛旁创口为外口,内口与直肠相通,此病理通道是()。
A.空洞
B.瘘管
C.窦道
D.溃疡
E.糜烂
222、问答题 试述四种常见的炎症介质及其作用特点。
223、多项选择题 浆液性渗出易发生于()。
A.皮肤
B.浆膜
C.黏膜
D.疏松结缔组织
E.致密结缔组织
224、单项选择题 内皮细胞、纤维母细胞、淋巴细胞常见于()
A.急性炎症
B.炎性肉芽组织
C.伤口愈合处
D.肉芽肿性炎
E.化脓性炎症
225、单项选择题 补体对白细胞的作用不包括()。
A.促进白细胞的附壁
B.促进白细胞的粘着
C.对白细胞有趋化作用
D.促进中性粒细胞和单核细胞释放炎症介质
E.促进白细胞的吞噬作用
226、多项选择题 胸腔积液抽出后,下列哪项检查结果符合渗出液()
A.外观浑浊
B.比重小于1.020
C.多量炎细胞
D.蛋白含量高
E.Rivalta反应阴性
227、单项选择题 下列哪一项,不是渗出液对机体的有利因素()
A.带来各种抗体,补体及杀菌物质
B.稀释毒素或刺激物
C.纤维素的形成可限制细菌蔓延
D.纤维素的形成有利于机化
E.纤维素的形成有利于白细胞的吞噬作用
228、多项选择题 对嗜酸性粒细胞有趋化作用的物质是()
A.C3a
B.C5a
C.白细胞三烯
D.阳离子蛋白
E.ECF-A
229、单项选择题 下列疾病中不是化脓性炎的是()。
A.疖
B.痈
C.蜂窝织性阑尾炎
D.急性肾小球肾炎
E.急性肾盂肾炎
230、单项选择题 急性纤维素性炎时病灶中不见下列哪项()。
A.大量纤维素
B.中性粒细胞
C.坏死的细胞碎屑
D.病原体
E.大量成纤维细胞
231、单项选择题 纤维素性炎症的好发部位应除外()
A.胸膜
B.皮肤
C.心包
D.气管
E.结肠
232、问答题 简述炎症介质在炎症过程中的作用。
233、填空题 血管活性胺包括______________和______________。
234、单项选择题 患者,男,50岁,X线片检查发现右肺上叶直径3cm的高密度阴影,边界较清,密度不甚均匀。该病变经手术切除,标本进行病理检查发现:主要为纤维组织增生,部分区域肺泡上皮及支气管上皮增生,单核细胞、淋巴细胞浸润。此时应诊断为()。
A.肺的良性肿瘤
B.肺的肉芽肿性炎
C.间质性肺炎
D.肺的瘢痕形成
E.肺的炎性假瘤
235、名词解释 调理素(bacteriotropin)
236、名词解释 感染(infection)
237、单项选择题 感染性肉芽肿的特征性细胞成分是()。
A.嗜酸性粒细胞及浆细胞
B.淋巴细胞及巨噬细胞
C.单核巨噬细胞及中性粒细胞
D.多核巨细胞及类上皮细胞
E.异物巨细胞及淋巴细胞
238、多项选择题 在炎症过程中,引起血管通透性增高的因素有()
A.内皮细胞收缩
B.内皮细胞损伤
C.新生毛细血管壁的高通透性
D.凝血因子减少
E.基膜样物质合成速率下降
239、单项选择题 下列各项急性炎症反应,按出现顺序哪一种最先出现()
A.血管扩张
B.血流缓慢
C.白细胞附壁
D.白细胞游出
E.血流停滞
240、多项选择题 炎症反应的化学介质包括()
A.前列腺素
B.激肽类
C.5-HT
D.组胺
E.白三烯
241、单项选择题 下列哪项最符合炎症的概念()。
A.是致炎因子引起的血管反应
B.是组织对损伤的防御反应
C.是具有血管系统的活体组织的损伤反应
D.是具有血管系统的活体组织对致炎因子的损伤所发生的以防御为主的反应
E.是机体血管系统对致炎因子所产生的反应
242、多项选择题 急性炎症局部疼痛的主要因素是()
A.局部组织变性坏死
B.渗出物压迫
C.局部充血及血流量增多
D.炎症介质的直接作用
E.细胞增生压迫神经末梢
243、多项选择题 脓液中的必有成分是()
A.脓细胞
B.红细胞
C.细菌
D.坏死组织碎屑
E.浆液
244、填空题 纤维素渗出过多可造成________和________,________及________。
245、单项选择题 尸检发现肾脏肿大,包膜易剥,表面光滑,呈红色,可见小出血点,切面皮质增厚,皮髓分界尚清,该肾病变最可能是何种炎症()。
A.变质性炎
B.渗出性炎
C.出血性炎
D.增生性炎
E.纤维素性炎
246、单项选择题 有一小孩左前臂不慎烫伤,局部红、肿、热、痛,随之出现水泡,其属于哪种炎症()。
A.浆液性炎
B.浆液纤维素性炎
C.纤维素性炎
D.出血性炎
E.急性炎
247、单项选择题 急性病毒性肝炎属于()
A.渗出性炎症
B.肉芽肿性炎症
C.变质性炎症
D.增生性炎症
E.出血性炎症
248、单项选择题 下列何种情况属于炎症性渗出()。
A.烧伤后皮肤水泡形成
B.碰伤后皮下血肿形成
C.梗死灶周边的出血带
D.胸膜间皮瘤患者胸腔积液
E.以上都不是
249、单项选择题 有一病人尸检发现脑膜充血、水肿,在蛛网膜下腔内见到黄白色脓样渗出物,属于何种病变()。
A.脑脓肿
B.化脓性脑膜炎
C.结核性脑膜炎
D.浆液性脑膜炎
E.乙型脑炎
250、单项选择题 下列哪种病变属于感染性肉芽肿()。
A.风湿性肉芽肿
B.结核性肉芽肿
C.脂肪坏死性肉芽肿
D.炎性息肉
E.炎性假瘤
251、单项选择题 下列有关化脓性炎症的描述,哪项不准确()。
A.有大量中性粒细胞渗出即为化脓性炎
B.脓性渗出物称为“脓液”
C.脓细胞(脓球)即变性坏死的中性粒细胞
D.化脓性炎中均伴有不同程度的组织坏死
E.蜂窝织炎和脓肿均为化脓性炎
252、单项选择题 急性细菌性痢疾的典型肠道病变性质是()。
A.化脓性炎症
B.卡他性炎症
C.假膜性炎症
D.出血性化脓性炎症
E.蜂窝织炎
253、单项选择题 炎症时吞噬细胞杀灭、清除病原体或异物主要依靠细胞内的()。
A.高尔基复合体
B.滑面内质网
C.溶酶体
D.粗面内质网
E.线粒体
254、单项选择题 渗出物中出现下列哪种成分,表示血管损害最重()。
A.白蛋白
B.球蛋白
C.红细胞
D.白细胞
E.纤维蛋白原
255、多项选择题 引起发热的炎症介质主要有()
A.组胺
B.5-羟色胺
C.IL-1
D.TNF
E.PGE
256、单项选择题 下列关于疏松结缔组织炎的叙述,哪项是正确的()。
A.常由草绿色链球菌感染引起
B.常见部位是内脏器官、肌肉和阑尾
C.病变特点与链球菌分泌的链激酶和透明质酸酶有关
D.细菌不容易经组织间隙、淋巴管和血道蔓延扩散
E.常有明显的组织坏死和脓肿形成
257、填空题 急性炎症过程主要是________、________、三个方面的变化。________是炎症的中心环节。
258、问答题 试述浆液性炎的特点、部位、举例及结局。
259、单项选择题
患者男性,35岁,因急腹症拟诊急性阑尾炎手术,术后送检。
该种炎症多是由于哪种细菌引起的()
A.金黄色葡萄球菌
B.白色葡萄球菌
C.绿脓杆菌
D.溶血性链球菌
E.结核杆菌
260、填空题 从渗出物的成分及其病变特点出发,可将炎症分为________、________和______________等类型。
261、单项选择题 炎性息肉的结构特点是()。
A.结缔组织增生形成境界清楚的结节状病灶
B.淋巴细胞增生形成的结节状病灶
C.多核巨细胞形成的结节状病灶
D.结缔组织和多核巨细胞增生形成的结节状病灶
E.黏膜上皮、腺上皮和肉芽组织增生并向黏膜表面突出
262、单项选择题 中性粒细胞和巨噬细胞的杀菌作用,主要由下列哪项完成()。
A.溶菌酶
B.杀菌素
C.阳离子蛋白
D.H2O2--MPO-Cl-系统
E.免疫球蛋白
263、单项选择题 渗出液与漏出液在下列哪项无明显区别()。
A.蛋白量
B.细胞数
C.比重
D.凝固性
E.液体量
264、判断题 皮肤Ⅱ度烫伤形成的水疱属纤维素性炎。
265、单项选择题 慢性炎症组织中最常见的炎细胞是()。
A.嗜酸性粒细胞
B.淋巴细胞
C.肥大细胞
D.嗜碱性粒细胞
E.中性粒细胞
266、判断题 白细胞的吞噬过程包括识别和粘附,吞入和降解3个阶段。
267、名词解释 白细胞核左移(“shift to the left” of neutrophils)
268、单项选择题 炎症时白细胞定向移动的主要原因是()
A.白细胞的阿米巴样运动
B.轴流消失
C.化学刺激物
D.血管壁的通透性增高
E.血管内压增高
269、填空题 根据渗出物的不同,将渗出性炎为________、________、________、________等四类。
270、单项选择题 假膜性炎的假膜成分不包括()
A.大量纤维素
B.中性粒细胞
C.病原体
D.坏死细胞碎屑
E.大量增生的纤维母细胞
271、单项选择题 下列炎症介质均有趋化作用,除外()
A.前列腺素
B.白细胞三烯
C.阳离子蛋白
D.C5a
E.细菌产物
272、多项选择题 下述有关补体在炎症中的描述中,哪些是正确地()
A.经典和替代途径均可激活补体系统
B.C3a和C5a是最重要的炎症介质
C.增加血管通透性
D.促进白细胞渗出
E.增强白细胞吞噬活性
273、填空题 常见致炎因子有________、________、________、________。
274、问答题 简述炎症发热的利弊。
275、单项选择题
患者男性,20岁,因转移性右下腹疼痛6小时入院,拟诊“急性阑尾炎”手术切除阑尾,术后送检。
该种炎细胞最常见于哪种炎症()
A.慢性炎症
B.急性炎症
C.肉芽肿性炎
D.增殖性炎
E.以上均不是
276、单项选择题 钩端螺旋体病属下列哪种类型炎症()
A.浆液性炎
B.化脓性炎
C.蜂窝织炎
D.增生性炎
E.出血性炎
277、单项选择题 关于炎症细胞的描述,下列哪项不正确()
A.中性粒细胞浸润通常是急性炎症的标志
B.慢性炎症细胞主要是淋巴细胞,巨噬细胞和浆细胞
C.淋巴细胞并非总是慢性炎症的特征
D.中性粒细胞游出后常引起局部单核细胞的渗出
E.白细胞的渗出只见于急性炎症早期
278、填空题 发生在黏膜和浆膜的化脓性炎称为________,当脓液积存在浆膜腔、胆囊或输卵管腔内时称为________
279、单项选择题 具有高比重,静置凝固,黄色浑浊等性状的腹水见于()
A.门静脉高压
B.右心衰竭
C.慢性肾炎
D.低蛋白血症
E.腹膜炎
280、名词解释 白细胞边集
281、多项选择题 嗜酸性细胞增多与下列哪些有关()
A.慢性肉芽肿性炎
B.迟发性变态反应
C.病毒感染
D.速发性(Ⅰ型)变态反应
E.寄生虫感染
282、问答题 白细胞在局部的作用。
283、单项选择题 炎症中疼痛与下列哪项介质有关()
A.组胺
B.5-羟色胺
C.前列腺素
D.白细胞三烯
E.补体成分
284、填空题 生物性病原体引起的炎症称为________。
285、单项选择题
患者女性,56岁,上腹部隐痛并向右肩背放射。既往有多次胆绞痛史。手术切除胆囊,术后巨检胆囊增大,内含结石2枚,直径1.5cm,黏膜粗糙,并可见多个黄色小息肉样物,易脱落。壁厚0.3cm。
主要病变特点不包括以下哪一点()
A.胆囊腺体异型增生
B.黏膜面可见息肉形成
C.息肉内含大量吞噬了胆固醇的泡沫样细胞
D.囊壁纤维组织及肌组织增生
E.大量慢性炎细胞浸润
286、判断题 结核性肉芽肿中最重要的成分是Langhans细胞。
287、单项选择题 肺炎双球菌感染最常引起肺的()
A.蜂窝织炎
B.脓肿
C.纤维素性炎
D.伪膜性炎
E.出血性炎
288、单项选择题 急性炎症病灶内哪种炎症细胞最多见()
A.浆细胞
B.淋巴细胞
C.嗜酸性粒细胞
D.中性粒细胞
E.巨噬细胞
289、单项选择题 患者,男,30岁,突发性畏寒、发热,并出现颜面、颈部及上胸部潮红、皮肤瘀点,伴发头痛、腰痛及眼眶痛,并出现肾功能衰竭,确诊为流行性出血热。患者的出血性倾向主要是因为()。
A.血管破裂
B.毛细血管壁损害
C.血小板减少
D.血小板功能异常
E.凝血因子缺乏
290、问答题 简述急性炎症后期以单核细胞浸润为主的机制。
291、填空题 漏出液或渗出液聚集在间质内称为________,积聚在浆膜腔形成________。
292、单项选择题 下列哪项关于纤维素性炎的叙述是正确的()
A.当出现机化时引起纤维素性的粘连
B.其好发部位是黏膜、浆膜和肺
C.肺的纤维素性炎常引起肺泡壁的破坏
D.假膜常与黏膜疏松连接,易脱落
E.假膜组成为纤维素、间皮细胞、白细胞和细菌
293、填空题 根据炎症病变特点急性菌痢属________炎症;流脑属________炎症;阿米巴痢疾属________炎症;乙脑属______________炎症。
294、问答题 炎性渗出物的作用。
295、单项选择题
如图,背部皮下肿块切除,病理诊断为“表皮囊肿”,镜下见真皮内异位鳞状上皮角化,形成囊肿,囊肿部分破裂,巨噬细胞等围绕形成结节(如图所示)。此结节病变应称()



A.脓肿
B.结核结节
C.异物肉芽肿
D.机化
E.钙化
296、单项选择题 外科切除一段肠管,病检发现肠粘膜表面肿物有一细蒂与肠粘膜相连,镜下见腺体增生,腺管大小及形状不一,上皮无异型性,间质中有慢性炎细胞浸润,其病理诊断可能是()。
A.高分化肠腺癌
B.肠类癌
C.慢性肠炎伴粘膜上皮增生
D.克隆病
E.肠粘膜息肉
297、名词解释 变质(alteration)
298、名词解释 积液(hydrops)
299、配伍题 脓肿()烧伤的水疱()大叶性肺炎()急性炎症()
A.以中性粒细胞浸润为主的炎症
B.以浆液渗出为主的炎症
C.以纤维蛋白渗出为主的炎症
D.以局限性化脓为主的炎症
E.以伪膜形成为主的炎症
300、填空题 炎症的蔓延扩散方式主要有________、________、________。