时间:2023-09-19 00:27:43


1、单项选择题 逆行肾盂造影的禁忌证是下列哪项()
	A.碘过敏者
	B.下尿路感染者
	C.静脉尿路造影显影不满意者
	D.肾功能严重损害者
	E.肝功能严重损害者
2、单项选择题
下列各肺叶肺不张的摄影位置的选择,哪项是错误的()
	A.下叶肺不张--常规正侧位加斜位 
	B.中叶肺不张--常规正位加弓位或侧位 
	C.左小叶肺不张--左侧位 
	D.右上叶肺不张--常规正位 
	E.盘状肺不张--常规正位
3、单项选择题 放大摄片下,使用0.05mm的超微焦点X线管,半影阈值为0.2mm,那么最大的放大率是多少()
	A.2倍
	B.4倍
	C.5倍
	D.6倍
	E.8倍
4、单项选择题
患者,女,46岁,胸闷气短1月,伴全身乏力,咳嗽,发热。胸片示:中上纵隔增宽,右缘呈波浪状改变。白细胞:8.5×109/L。
为明确诊断,进一步做哪项检查()
	A.胸部增强CT扫描
	B.血沉
	C.食管钡餐造影
	D.痰细胞学检查
	E.胸部MRI检查
5、多项选择题 输尿管结石X线平片可见()
	A.呈卵圆形致密阴影
	B.结石边缘多毛糙不整齐
	C.其长轴与输尿管走行一致
	D.结石常见于输尿管三个生理狭窄处
	E.梗阻上方输尿管及肾盂肾盏不同程度扩张积水
6、单项选择题 中、晚期食管癌分型中同时向腔内外侵犯的病理类型是()
	A.蕈伞型
	B.溃疡型
	C.髓质型
	D.缩窄型
	E.腔内型
7、多项选择题 在婴儿腹部立位片上见不到“双泡征”的疾病有()
	A.环状胰腺
	B.胎粪性肠梗阻
	C.肥大性幽门狭窄
	D.肠旋转不良
	E.先天性十二指肠闭锁
8、单项选择题 最常用的X线骨盆测量方法是以下哪种()
	A.放大尺直接测量法
	B.记号法
	C.立体观察法
	D.几何法
	E.以上都不是
9、单项选择题
	女,2岁,发现蓝色巩膜、听力障碍,四肢畸形等,结合图像,最可能诊断是()
	A.维生素D缺乏病
	B.维生素C缺乏症
	C.软骨发育不全
	D.呆小病
	E.成骨不全
10、单项选择题 碘苯酯主要用于哪项造影检查()
	A.支气管造影
	B.逆行肾盂造影
	C.脑血管造影
	D.椎管造影
	E.关节腔造影
11、单项选择题 肺淤血是指()
	A.肺动脉血流量增加
	B.肺静脉血流量增加
	C.肺动脉血流量减少
	D.肺静脉血流量减少
	E.以上均不是
12、单项选择题 软组织摄片中X线管阳极的靶面材料是下列哪项()
	A.钨
	B.铅
	C.铜
	D.铝
	E.钼
13、单项选择题
	男,7岁,肘部外伤,根据所示图像,最可能的诊断是()
	A.尺骨中上段骨折
	B.桡骨小头脱位
	C.孟氏骨折
	D.盖氏骨折
	E.以上均不正确
14、单项选择题 关于胆囊癌,错误的是()
	A.老年人多见
	B.女性多于男性
	C.多合并结石
	D.多为腺癌
	E.乳头状型最常见
15、单项选择题 下列无紫绀先天性心脏病中,哪种疾病的肺血不增多()
	A.动脉导管未闭
	B.房间隔缺损
	C.室间隔缺损
	D.主动脉瓣狭窄
	E.佛氏窦瘤破入右心室
16、单项选择题 下列“颅骨穹窿局限增厚”病因中,哪项错误()
	A.营养不良性肌强直
	B.软脑膜囊肿
	C.地中海贫血
	D.偏侧性脑萎缩
	E.颅骨血管瘤
17、单项选择题 下述“结节病”的胸部影像,哪项不正确()
	A.双侧对称性肺门淋巴结肿大
	B.半数病例仅有肺门淋巴结肿大
	C.两肺弥漫分布细网状结节影
	D.半数为单侧
	E.半数伴有纵隔淋巴结肿大
18、单项选择题 骨折后24小时内摄片时X线征象为()
	A.骨折邻近骨密度减低
	B.骨折线模糊
	C.骨痂
	D.平行型骨膜反应
	E.骨折线清晰、锐利
19、单项选择题 侧卧后前位是指()
	A.仰卧于摄影床上,X线从腹侧射入,背侧射出
	B.侧卧于摄影床上,X线从右或左侧射入,左或右侧射出
	C.仰卧于摄影床上,X线从背侧射入,腹侧射出
	D.侧卧于摄影床上,X线从背侧射入,腹侧射出
	E.侧卧于摄影床上,X线从腹侧射入,背侧射出
20、单项选择题
	男,12岁,平时无明显不适,结合图像,最可能的诊断是()
	A.正常胸片
	B.左旋心
	C.右旋心
	D.镜面右位心
	E.以上都不是
21、单项选择题 下列关于X线球管组件的散热方式不包括()
	A.密封管套,空调散热
	B.密封管套,自然散热
	C.密封管套,风扇散热
	D.闭路油循环风冷散热
	E.管套内冷水循环散热
22、单项选择题 恶性肿瘤钙化的特点为()
	A.钙化比较分散
	B.钙化的密度比较一致
	C.钙化的边界清楚
	D.钙化一般位于肿块内
	E.钙化形态比较规则
23、多项选择题 慢性支气管炎的X线表现包括()
	A.肺纹理扭曲、紊乱
	B.肺大泡
	C.水滴形心影
	D.肋间隙增宽,双膈面低平
	E.肺动脉高压
24、单项选择题
女,10岁,高热、咳嗽一天,血象:中性多形核粒细胞高度增多及核左移,血沉加速,痰中查到大量结核杆菌。结合图片,最可能的诊断是()
	
	A.右上肺干酪性肺炎
	B.大叶性肺炎
	C.支气管扩张
	D.小叶性肺炎
	E.葡萄球菌性肺炎
25、单项选择题
	男,24岁,低热、乏力数周,夜间偶有盗汗,胸片如图,最可能的诊断是()
	A.细支气管肺泡癌
	B.肺转移瘤
	C.两肺炎症
	D.血型播散型肺结核
	E.结节病
26、多项选择题 无肺门增大而只表现为肺门密度增高者()
	A.百日咳
	B.麻疹肺炎
	C.慢性支气管炎
	D.中央型肺癌
	E.心肺病变
27、单项选择题 胸片上KerleyB线是指()
	A.宽0.5~1mm,多见于上叶的条状影 
	B.宽约1mm,位于肋膈角上方水平行走线影 
	C.肺野内细而短的条状影 
	D.宽约0.5~1mm,肺中野横行条状影 
	E.以上都不是
28、单项选择题 在胸部正位取后前立位的原因中,无关的是()
	A.立位能正确反映胸部脏器的确切形态
	B.立位能观察到产生气液面的病理改变
	C.后前位肺组织更靠近胶片,影像清晰
	D.后前位肩胛骨易于投影在肺野之外
	E.后前位心脏放大率小
29、多项选择题 有关摄片距离的叙述,正确的是()
	A.焦-片距又称FFD
	B.焦-片距增大,模糊度增大
	C.焦-物距增大,模糊度增大
	D.物-片距减小,模糊度增大
	E.焦-物距减小,模糊度增大
30、单项选择题 与回肠相比,空肠的解剖特点,下列哪项是错误的()
	A.大部分位于左上腹
	B.蠕动较活跃
	C.肠腔相对较粗
	D.粘膜常呈羽毛状
	E.粘膜皱襞较少
31、单项选择题 腰椎两旁的腰大肌影起于()
	A.第12胸椎两旁
	B.第12胸椎下缘两旁
	C.第12胸椎与第1腰椎之间两旁
	D.第1腰椎椎体两旁
	E.第1腰椎与第2腰椎之间两旁
32、多项选择题 肺结核病可以见到的空洞为()
	A.厚壁空洞
	B.薄壁空洞
	C.虫蚀样空洞
	D.空洞内有球形内容物
	E.偏心性空洞
33、多项选择题 X线摄片中,X线与物质作用的概率的叙述,正确的是()
	A.相干散射5%
	B.光电效应约70%
	C.康普顿效应约25%
	D.电子对效应15%
	E.光核反应2%
34、单项选择题 评价胸部正位影像是否良好,最关键是哪一项()
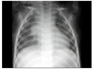
	A.左右胸锁关节对称
	B.肺纹理能连续追踪
	C.肺尖充分显示
	D.心脏边缘锐利
	E.肋膈角包括完全
35、单项选择题 肋软骨首先钙化的是下列哪项()
	A.第1肋
	B.第12肋
	C.第3肋
	D.第10肋
	E.第2肋
36、多项选择题 下列关于食管癌的X线表现,正确的是()
	A.黏膜皱襞中断
	B.管腔狭窄
	C.腔内充盈缺损
	D.不规则龛影
	E.以上都不是
37、单项选择题 以下选项中投照汤氏位,X线中心线应()
	A.向足侧倾斜45°
	B.向头侧倾斜45°
	C.向头侧倾斜30°
	D.向足侧倾斜30°
	E.与床面垂直
38、多项选择题 黏多糖贮积症中哪几型所致的骨病变最重()
	A.Ⅰ型
	B.Ⅳ型
	C.Ⅵ型
	D.Ⅱ型
	E.Ⅲ型
39、单项选择题 ERCP的适应证()
	A.急性胰腺炎
	B.重度胆管感染
	C.慢性胰腺炎急性发作
	D.肝内胆管炎
	E.以上都不是
40、单项选择题 腹部立位片空肠扩张可见()
	A.环形皱襞较多
	B.半月状皱襞
	C.上腹或上中腹偏右
	D.中下腹或下腹偏右
	E.环形皱襞较少
41、单项选择题 下列关于肺泡微石症的描述,错误的是()
	A.血钙浓度正常
	B.家族性
	C.胸片呈“蜂窝状”影
	D.结石成分与骨类似
	E.两肺胸膜下区分布细小钙化影
42、单项选择题
患者,男,76岁,食管钡餐造影检查示食管壁张力降低,蠕动减弱,钡剂排空延迟,并在食管中下段见到串珠状充盈缺损影。钡餐检查如下图所示:
	
	A.是门静脉高压的重要并发症
	B.常见于肝硬化,发生率高达80%~90%
	C.早期有明显的症状
	D.呕血为主要症状
	E.可伴脾大、脾亢或腹水等
43、单项选择题 “钡餐检查”前,一般不需要()
	A.了解病史,带上以往检查资料
	B.清洁灌肠
	C.不给予影响消化道功能的药物
	D.检查前1周内不吃高密度食物、药物
	E.禁食、禁水12小时
44、单项选择题 骨盆的常规摄影位置是()
	A.前后位
	B.后前位
	C.侧位
	D.斜位
	E.轴位
45、单项选择题 下述哪项不是心包积液典型X线征象()
	A.心脏呈普大型
	B.心缘搏动减弱
	C.上腔静脉扩张
	D.肺血管纹理增多
	E.主动脉搏动正常
46、单项选择题 下列有关肝局灶性结节增生的病理描述哪项是错误的()
	A.含正常肝细胞
	B.含枯否细胞
	C.含正常肝小叶结构
	D.含血管组织
	E.含胆管组织
47、多项选择题 下列关于肝硬化,正确的描述是()
	A.血吸虫性肝硬化,肝裂多增宽 
	B.肝硬化患者,肝转移癌发生率降低 
	C.结节性肝硬化有家族倾向 
	D.肝硬化结节不会癌变 
	E.肝脏体积可不同程度增大或缩小
48、单项选择题
	男,8岁,外伤后入院。结合图片,最可能的诊断是()
	A.Colles骨折
	B.右肱骨髁上骨折
	C.Smith骨折
	D.孟氏骨折
	E.青枝骨折
49、单项选择题 输尿管结石最常见停留的部位是在()
	A.肾盂漏斗部
	B.输尿管起始部
	C.跨过髂总动脉处
	D.进入膀胱壁处
	E.骨盆入口处
50、单项选择题 胃窦部有一圆形溃疡,直径2cm,较浅,边缘不整齐,外形火山口状,最可能的诊断为()
	A.急性胃炎
	B.早期凹陷型胃癌
	C.溃疡型胃癌
	D.胃溃疡
	E.急性应激性溃疡
51、单项选择题
	男,45岁,车祸后左膝部剧痛,活动受限2小时,结合影像学检查,最可能的诊断是()
	A.股骨颈骨折
	B.股骨下端骨折
	C.柯莱斯骨折
	D.胫骨骨折
	E.腓骨骨折
52、单项选择题 投照肩关节喙突卧位前后位时,中心线应()
	A.向脚侧倾斜15°~30°
	B.向头侧倾斜5°~15°
	C.与床面垂直
	D.向头侧倾斜15°~30°
	E.向头侧倾斜5°~15°
53、单项选择题 肺转移瘤中两肺呈多发或单发的较大结节及肿块见于()
	A.甲状腺癌转移
	B.肝癌转移
	C.胰腺癌转移
	D.绒毛膜上皮癌转移
	E.精原细胞瘤转移
54、单项选择题 影响X线照片清晰度的观察条件,不包括()
	A.观片灯亮度
	B.照明用电源电压
	C.肉眼的MTF
	D.室内照明条件
	E.环境明暗程度
55、单项选择题
男,86岁,干部,反复胸闷、心悸30年,心前区剧烈疼痛12小时入院。入院时心电图除aVR导联外,普遍性ST段压低,当天CPK629.7U/L,LDH635.2U/L。
查体时心脏听诊有多发性期前收缩,心电监护示多发室性早搏,有时形成短阵室速。下列治疗药物何项首选()
	A.利多卡因
	B.苯妥英钠
	C.西地兰
	D.异搏定
	E.奎尼丁
56、单项选择题 影响钙磷代谢的主要因素为()
	A.甲状旁腺素
	B.维生素C
	C.甲状腺激素
	D.性激素
	E.维生素A
57、单项选择题 X线胶片长轴与摄影床长轴平行称()
	A.竖向
	B.横向
	C.立向
	D.斜向
	E.交叉向
58、单项选择题 以间质改变为主的肺炎是()
	A.支原体肺炎
	B.肺炎球菌性肺炎
	C.支气管肺炎
	D.葡萄球菌性肺炎
	E.放射性肺炎
59、单项选择题
	患儿,男,1天,生后呼吸困难,羊水见胎粪污染,如图,最可能的诊断为()
	A.新生儿肺炎
	B.新生儿湿肺
	C.新生儿肺出血
	D.新生儿呼吸窘迫综合症
	E.胎粪吸入综合征
60、单项选择题 正位胸片上()
	A.女乳头投影于第4肋
	B.男乳头投影于第4前肋间
	C.第7~10肋软骨依次连接上位肋软骨
	D.第10~12为浮肋
	E.胸骨角向后平于第4胸椎体
61、单项选择题 下述有关骨软骨缺血坏死的命名组合中,哪项错误()
	A.跗舟骨缺血坏死——Kōhler病
	B.跖骨头骨骺骨缺血坏死——Freiberg病
	C.腕舟状骨缺血坏死——Kienbōck病
	D.胫骨结节缺血坏死——Osgood-schlatter病
	E.股骨头骨骺缺血坏死——Legg-Perthes病
62、单项选择题 大多数结肠癌的病理类型是()
	A.类癌
	B.黏液癌
	C.腺癌
	D.乳头状腺癌
	E.胶样癌
63、单项选择题 质量管理活动开展的程序,不包括()
	A.对策实施
	B.效果确认
	C.标准化
	D.遗留问题和今后的改善方法
	E.领导决策
64、单项选择题 男,65岁,咳嗽,右胸痛,痰中带血丝1周。胸部后前位片示:右肺门影增大,右上肺大片状致密影,水平裂呈反“S”样改变。 右上肺大片状致密影侧位片位于()
	A.右肺上叶尖后段
	B.右肺上叶前段
	C.右肺下叶背段
	D.右肺中叶
	E.右肺上叶
65、单项选择题 近距离投照的焦-片距是()
	A.≤0.20m
	B.0.75~1.0m
	C.0.35~0.5m
	D.0.5~0.75m
	E.0.20~0.30m
66、单项选择题 X线机的高压整流方式不包括()
	A.单相全波整流
	B.单相半波整流
	C.自整流
	D.三相4波整流
	E.三相12波整流
67、单项选择题 有关解剖学方位的描述,下列错误的是()
	A.近头为上
	B.近体表为浅
	C.近正中矢状面为内侧
	D.近肢侧为近端
	E.近腹为前
68、单项选择题 第3腰椎的体表定位标志是()
	A.剑突与肚脐连线中点
	B.脐上3cm
	C.脐水平
	D.脐下3cm
	E.脐下5cm
69、单项选择题 腰椎椎管与椎体比例超过多少为椎管狭窄()
	A.1:3
	B.1:4
	C.1:4.5
	D.1:5
	E.1:5.5
70、单项选择题 正常毛细血管内的静水压为()
	A.2.53kPa
	B.3.33kPa
	C.1.07kPa
	D.2.67kPa
	E.2.07kPa
71、多项选择题 X线影像变形的叙述,正确的是()
	A.被照体平行胶片时,放大变形最小
	B.被照体接近中心线时,位置变形较小
	C.中心线过被照体部位且垂直胶片,形状变形最小
	D.被照体接近中心线时,位置变形较大
	E.中心线过被照体部位且垂直胶片,放大变形最小
72、单项选择题 可复性食管裂孔疝的定性征象是()
	A.胃、食管返流
	B.膈上出现胃粘膜
	C.食管胃环出现在膈上
	D.胃、食管前庭段增宽
	E.以上都不是
73、单项选择题
	椎间盘脱出的部位常见于()
	 
	A.C1-2
	B.T3-4
	C.L1-2
	D.C7~T1
	E.L5~S1
74、单项选择题 以下关于“脊柱硬膜外脓肿”特点中,哪项正确()
	A.骶管最常见
	B.多位于椎管前方
	C.葡萄球菌感染,邻近椎骨常破坏
	D.结核感染,邻近椎骨常破坏
	E.“制动+抗生素”疗效最佳
75、单项选择题 下列关于眼眶肌锥内肿瘤描述中,其早期X线表现是()
	A.眶外侧壁受压
	B.眶内侧壁受压
	C.眶底壁受压
	D.眶顶壁受压
	E.眶骨吸收破坏
76、多项选择题 增感屏保护层的作用是()
	A.有助于防止静电现象
	B.对质脆的荧光体进行物理保护
	C.进行表面清洁时可保护荧光体不受损害
	D.增强对X线的吸收
	E.增强荧光的转换效率
77、单项选择题 肺放线菌病的早期X线表现为()
	A.肺纹理增强
	B.斑片状阴影
	C.片状炎性浸润
	D.多发结节状阴影
	E.不规则致密阴影
78、单项选择题 在泌尿系统疾病中,其不透光性结石占结石的()
	A.25%
	B.40%
	C.50%
	D.70%
	E.90%
79、多项选择题 葡萄球菌肺炎的X线征象是()
	A.浸润灶
	B.肺气囊
	C.结节影
	D.脓胸或脓气胸
	E.增殖灶
80、单项选择题 胸部后前位摄片胶片下缘应包括()
	A.第6胸椎
	B.第8胸椎
	C.第10胸椎
	D.第12胸椎
	E.第3腰椎
81、多项选择题 15岁男孩,脐周痛6小时。体检示肠鸣音亢进,大便常规查到蛔虫卵,腹部平片示第1~4组小肠积气、扩张,直肠内有少量气粪影。完整的诊断应包括()
	A.单纯性肠梗阻
	B.小肠蛔虫病
	C.机械性肠梗阻
	D.小肠低位梗阻
	E.不完全性肠梗阻
82、单项选择题 早期胃癌常见的是()
	A.Ⅰ型
	B.Ⅱa型
	C.Ⅱb型
	D.Ⅱc型
	E.Ⅲ型
83、单项选择题 急症腹部平片摄片注意事项的叙述,错误的是()
	A.摄片前必须清洁肠腔 
	B.使用滤线栅 
	C.FFD为100cm 
	D.常采用呼气后屏气曝光 
	E.胶片应竖用
84、单项选择题 下列哪项为组织来源未定的肿瘤为()
	A.纤维肉瘤
	B.骨巨细胞瘤
	C.骨髓瘤
	D.尤文肉瘤
	E.脊索瘤
85、单项选择题 以下对感光效应有影响的因素中,哪项不对()
	A.管电压小于60时,增感效应受电压影响较大 
	B.与曝光时间成正比 
	C.与管电压的n次方成正比 
	D.与焦片距成反比 
	E.与管电流成正比
86、单项选择题
	男,72岁,手足小关节红肿热痛,白细胞升高,血沉快,血尿酸升高,结合图像,最可能诊断是()
	A.类风湿关节炎
	B.退行性骨关节病
	C.痛风性关节炎
	D.假痛风
	E.滑膜炎
87、单项选择题 下述关于小肠Crohn病的影像表现,错误的是()
	A.口疮样小溃疡
	B.小肠多发狭窄
	C.鹅卵石征
	D.肠壁增厚
	E.环肠壁对称性侵犯
88、单项选择题 向上倾斜指的是()
	A.中心线向肢侧倾斜
	B.中心线向内侧倾斜
	C.中心线向足侧倾斜
	D.中心线向头侧倾斜
	E.中心线向地面倾斜
89、单项选择题
	男,49岁,进行性吞咽困难1月,结合图像,最可能的诊断为()
	A.正常食管
	B.食管炎
	C.食管癌
	D.食管静脉曲张
	E.胃炎
90、单项选择题 老年男性,刺激性干咳2月余,多次痰查癌细胞阴性,胸片除右中肺叶局限性透亮度增加外,未见其他异常,最可能的诊断是()
	A.支气管结核
	B.气管异物
	C.早期肺癌
	D.慢性支气管炎
	E.急性支气管炎
91、单项选择题 下列麻痹性肠梗阻的X线表现中,哪项不正确()
	A.若不合并有腹膜炎,则扩张的肠曲互相靠近,肠间隙正常
	B.立位可见液平面,但液面多于机械性小肠梗阻
	C.多次复查肠管形态改变不明显
	D.若合并腹腔内感染,则肠间隙可增宽,腹脂线模糊
	E.胃、小肠和大肠等均积气、扩张
92、单项选择题 心脏左前斜位,摄片的角度是()
	A.45°~55°
	B.55°~65°
	C.60°~70°
	D.70°~80°
	E.80°~85°
93、单项选择题 以下不属于碘过敏试验方法的是()
	A.静脉注射试验
	B.口服试验
	C.舌下试验
	D.皮下试验
	E.眼结合膜试验
94、单项选择题 下列诊断肺隔离症最有价值的X线方法是()
	A.支气管造影
	B.主动脉造影
	C.体层摄影
	D.胸部平片
	E.肺动脉造影
95、单项选择题 用“离子型造影剂”做血管造影时,一次用量最多不得超过()
	A.3ml/kg体重
	B.4ml/kg体重
	C.6ml/kg体重
	D.2ml/kg体重
	E.8ml/kg体重
96、单项选择题 头颅平片的诊断价值,下述观点哪项不正确()
	A.显示颅内血肿
	B.显示颅内金属异物
	C.显示骨折
	D.显示颅骨发育情况
	E.显示颅内病理性钙化
97、多项选择题 小儿脑积水头颅平片的表现是()
	A.颅缝分离、囱门扩大和延迟闭合
	B.头颅呈圆球状增大,头面比例失调
	C.颅板菲薄,密度减低
	D.蝶鞍呈气球状增大
	E.以上都对
98、单项选择题 维生素D缺乏症的早期最早出现X线表现是()
	A.胫骨远侧干骺端
	B.桡骨近侧干骺端
	C.肋骨胸骨端
	D.尺骨远侧干骺端
	E.以上都不是
99、单项选择题 X线检查左心房最有效的方法为()
	A.左前斜位加食管吞钡
	B.右前斜位加食管吞钡
	C.后前位
	D.右侧位
	E.右前斜位
100、单项选择题 诊断肾下垂时,应做下述哪项检查()
	A.腹部立位平片 
	B.腹部卧位平片 
	C.静脉肾盂造影后摄立位全尿路片 
	D.静脉肾盂造影片 
	E.逆行肾盂造影片
101、单项选择题 下列哪种疾病,没有龛影表现()
	A.食管憩室
	B.胃溃疡
	C.胃癌
	D.食管癌
	E.肠结核
102、多项选择题 肾结石的形态典型表现为()
	A.桑椹状
	B.分层状
	C.鹿角状
	D.三角形
	E.类圆形
103、单项选择题
	女,48岁,车祸致右胫腓骨骨折,外固定术后两年复查,如图所示,最可能的诊断是()
	A.右胫骨愈合延迟
	B.右胫骨假关节形成
	C.右胫骨骨折愈合好,有大量骨痂形成
	D.右胫骨断端不连
	E.以上均不正确
104、多项选择题 激光照相机的主要组成部分有()
	A.信号处理部分
	B.激光打印部分
	C.胶片传送部分
	D.A/D转换器
	E.网络接口
105、单项选择题 下列肿瘤性病变中,不属于椎管髓内肿瘤范畴的是()
	A.室管膜瘤
	B.血管母细胞瘤
	C.星形细胞瘤
	D.少突神经胶质瘤
	E.神经纤维瘤
106、单项选择题 下列正常骨结构中,哪种平片能显示()
	A.骨膜
	B.红骨髓或黄骨髓
	C.关节软骨
	D.关节囊
	E.骨皮质
107、多项选择题 空洞洞壁的成分可以是()
	A.坏死组织
	B.肉芽组织
	C.纤维组织
	D.肿瘤组织
	E.正常组织
108、单项选择题 成人颈椎侧位平片环齿之距离为()
	A.1~1.5mm
	B.6mm以上
	C.5~6mm
	D.2.5~4mm
	E.以上均不是
109、单项选择题 男,24岁,低热2周,咳少量痰。胸片示右上肺不均密度增高影,其中有空洞形成,血沉45mm/h。 病灶好发部位是()
	A.右肺上叶前段
	B.右肺上叶尖后段
	C.右肺上叶尖段
	D.右肺上叶后段
	E.右肺下叶背段
110、单项选择题 下列关于眼眶正位片的描述,正确的是()
	A.鼻颌位后前45°投照
	B.鼻颌位后前23°投照
	C.可显示一侧眼眶的所有结构
	D.可以显示上颌窦
	E.以上都不对
111、单项选择题 关于大量心包积液,下列描述哪项不对()
	A.球形心
	B.肺淤血
	C.肺血减少
	D.多为结核性
	E.心脏搏动度减弱
112、单项选择题 颅骨嗜酸性肉芽肿的特征性X线表现是()
	A.多累及额、顶骨,起于板障,渐累及内外板
	B.病变破坏外板后可形成软组织肿块
	C.病变边缘锐利或呈斜坡样,周边有轻度硬化
	D.病变破坏区可跨越颅缝
	E.“地图样”颅骨缺损,破坏区内可有"钮扣样"死骨
113、单项选择题 男,63岁,进行性吞咽困难1月。食管钡餐示:食管下段粘膜不规则充盈缺损,管腔狭窄,贲门扩张欠佳。 发现肝内转移,则转移途径为()
	A.直接浸润
	B.淋巴转移
	C.种植转移
	D.血行转移
	E.消化道粘膜下浸润
114、单项选择题 隆起型胃炎又称之为()
	A.炎性息肉 
	B.浅表性胃炎 
	C.肥大性胃炎 
	D.萎缩性胃炎 
	E.疣状胃炎
115、多项选择题 有关胆道系统疾病的检查方法有()
	A.PTC 
	B.静脉胆道造影 
	C.口服胆囊造影 
	D.ERCP 
	E.B超
116、单项选择题 以下选项中,当颅底位投照时,X线中心线应()
	A.与听鼻线垂直
	B.与听眦线垂直或呈105°角
	C.与听口线平行
	D.与听口线垂直
	E.与听眶线平行
117、单项选择题
女,63岁,胸痛、呼吸困难2月余,咳嗽、发热2天,曾有肺癌手术史,X线检查如图,最可能的诊断是()
	
	A.细支气管肺泡癌 
	B.肺转移瘤 
	C.肺水肿 
	D.两肺炎症 
	E.结节病
118、单项选择题 下述哪组肋骨联合最常见()
	A.第1、2肋骨间联合
	B.第3、4肋骨间联合
	C.第5、6肋骨间联合
	D.第7、8肋骨间联合
	E.第9、10肋骨间联合
119、单项选择题 大量胸腔积液上缘达第几肋前端平面以上()
	A.第4肋
	B.第2肋
	C.第6肋
	D.第7肋
	E.第3肋
120、单项选择题 踝关节正位摄片,中心线应对准()
	A.内踝
	B.外踝
	C.内外踝连线中点
	D.内外踝连线中点上1cm
	E.内外踝连线中点上5cm
121、多项选择题 哪些是肝癌肝动脉造影时的表现()
	A.肿瘤供血的肝动脉扩张 
	B.肿瘤湖征 
	C.肝血管受压拉直、移位或被肿瘤包绕 
	D.肿瘤内显示异常瘤血管 
	E.动静脉瘤
122、单项选择题 月骨骨化年龄为()
	A.3岁
	B.4岁
	C.5岁
	D.6岁
	E.7岁
123、单项选择题 先天性骨梅毒的特征表现为()
	A.军刀腿
	B.Charcot关节
	C.Wasp-Waist征
	D.长骨广泛型增生、硬化,髓腔消失
	E.骨膜下、皮层内局限性骨质破坏
124、单项选择题 直径为多少的眶内铁质异物平片可显示()
	A.1mm以上
	B.0.5mm以上
	C.0.8mm以上
	D.1.2mm以上
	E.0.3mm以上
125、单项选择题 关于结肠癌,下列哪项是错误的()
	A.绝大多数结肠癌是腺癌
	B.好发于降结肠
	C.浸润型表现为肠腔狭窄,局限于一侧或呈环形
	D.增生型表现为腔内充盈缺损
	E.混合型多是晚期表现
126、单项选择题 手正位片,拇指显示为()
	A.轴位影像
	B.正位影像
	C.斜位影像
	D.侧位影像
	E.切线位影像
127、多项选择题 胃良性溃疡的X线表现有()
	A.环堤 
	B.腔外龛影 
	C.项圈征 
	D.腔内龛影 
	E.Hampton线 
128、多项选择题 结核发病与转归过程中,主要涉及的免疫机制有()
	A.免疫反应
	B.Ⅰ型变态反应
	C.Ⅱ型变态反应
	D.Ⅲ型变态反应
	E.Ⅳ型变态反应
129、单项选择题 右胫骨下段骨折摄片时至少应包括()
	A.跟骨
	B.右膝关节
	C.腓骨下段
	D.距骨
	E.右踝关节
130、多项选择题 哪些部位的恶性肿瘤均易转移到肺部()
	A.乳腺 
	B.肾 
	C.骨 
	D.消化系统 
	E.头颈部 
	正确答案:ABCDE
131、多项选择题 奇静脉扩大可见于()
	A.心包积液
	B.三尖瓣狭窄
	C.门静脉高压
	D.下腔静脉阻塞
	E.上腔静脉阻塞
132、多项选择题 下列良性胃溃疡征象有()
	A.环堤
	B.狭颈征
	C.半月征
	D.项圈征
	E.裂隙征
133、单项选择题 下列关于急性肺泡性肺水肿的描述,哪项不对()
	A.肺门旁蝶翼样浓密影 
	B.早期小结节状影,迅速融合呈大片状 
	C.由中下肺内带向上肺及外带发展 
	D.胸腔积液 
	E.经有效治疗,多数患者肺内改变可于数周内完全消散
134、单项选择题 关于膀胱炎的X线检查,错误的是()
	A.急性期膀胱边缘较模糊
	B.慢性期膀胱体积可以不变
	C.慢性期膀胱边缘可呈锯齿状
	D.膀胱输尿管反流
	E.膀胱憩室
135、单项选择题 X线产生中,电子从阴极射向阳极所获的能量,由下列哪个因素决定()
	A.X线管灯丝加热电压
	B.管电流
	C.靶物质的原子序数
	D.两极间的管电压
	E.阴极灯丝的焦点大小
136、单项选择题 下列胰腺病变,哪种不发生钙化()
	A.慢性胰腺炎
	B.胰腺癌
	C.胰岛细胞瘤
	D.单纯性急性胰腺炎
	E.胰腺囊肿
137、单项选择题
男,38岁,咳嗽、胸痛、咯血1天,X线检查如图,最可能的诊断是()
	
	A.炎性假瘤
	B.原发性肺癌
	C.肺结核球
	D.肺转移瘤
	E.结节病
138、单项选择题 颌顶位又称为()
	A.顶颌位
	B.下上轴位
	C.上下轴位
	D.额鼻位
	E.后前位
139、单项选择题
	女,根据其正常膝关节影像图像,判断其最可能的年龄()
	A.5岁左右
	B.11岁左右
	C.17岁左右
	D.23岁左右
	E.29岁左右
140、单项选择题
	女,75岁,吞咽困难3个月,行食管钡餐检查,如图所示,最可能的诊断为()
	A.正常食管
	B.食管静脉曲张
	C.食管癌
	D.食管憩室
	E.食管平滑肌瘤
141、单项选择题 男,24岁,低热2周,咳少量痰。胸片示右上肺不均密度增高影,其中有空洞形成,血沉45mm/h。 最可能的诊断是()
	A.右上肺炎
	B.右上肺结核
	C.右上肺癌
	D.右上肺囊肿
	E.右上肺脓肿
142、多项选择题 电击伤中电热损伤引起的骨损伤多表现为()
	A.骨膜反应
	B.骨质增生
	C.骨质疏松
	D.骨溶解
	E.骨自截和骨变形
143、多项选择题 溃疡性结肠炎X线表现包括()
	A.卵石样或息肉样充盈缺损
	B.病变进行性发展
	C.结肠边缘很多毛刺状突出,或纽扣般大小龛影
	D.常见激惹征象
	E.肠管狭缩短、变硬,如僵直的橡皮管
144、单项选择题 在胸部X线诊断中,错误的是()
	A.左心室增大——左前斜摄片
	B.中叶综合征——侧位摄片
	C.肺结核——前弓位摄片
	D.肺气肿——呼气时摄片
	E.液气胸——卧位摄片
145、单项选择题 股骨颈嵌入骨折的表述,错误的是()
	A.老年人,特别是绝经后妇女多见
	B.股骨颈嵌入型骨折占10%,属不稳定骨折
	C.X线片上不易显示骨折线,易漏诊
	D.可仅表现为部分骨小梁中断及重叠
	E.骨折愈合时仅表现为骨折线模糊和骨小梁通过
146、单项选择题 关于阳性对比剂的叙述,错误的是()
	A.与周围组织相比X线衰减系数大
	B.与阴性对比剂相比X线衰减系数大
	C.阳性对比剂易被X线透过
	D.碘剂和钡剂均为阳性对比剂
	E.非离子型对比剂毒性较小
147、单项选择题
	男,22岁,滑冰时摔倒右手撑地时受伤,结合CR片,最可能的诊断是()
	A.柯莱斯骨折
	B.蒙泰贾骨折
	C.加莱阿齐骨折
	D.桡骨远端骨折
	E.反柯莱斯骨折
148、单项选择题 X线摄影中,对体位的描述均以解剖学姿势为准。 与解剖学水平面平行的定位线是()
	A.听眉线
	B.听眦线
	C.听眶线
	D.听口线
	E.听鼻线
149、单项选择题
	女,根据其正常骨盆影像图像,判断其最可能的年龄()
	A.28岁左右
	B.18岁左右
	C.38岁左右
	D.78岁左右
	E.58岁左右
150、单项选择题
	男,6岁,身材矮小,关节畸形,血钙磷化验异常,如图,最可能的诊断为()
	A.坏血病
	B.肾性佝偻病
	C.粘多糖病
	D.克汀病
	E.脂质沉积病
151、单项选择题 下列有关影像检查的描述,错误的是()
	A.过小的病变影像检查可呈阴性
	B.不同成像方法间有互补作用
	C.影像表现常与临床同步
	D.异病同影或同病异影常会遇到
	E.某些疾病,影像学无法检出
152、单项选择题
	男,38岁,左膝痛,受伤时出血较多,结合图像,最可能的诊断是()
	A.白血病
	B.血友病性关节炎
	C.骨巨细胞瘤
	D.退行性骨关节病
	E.类风湿关节炎
153、单项选择题 下列对胃平滑肌肉瘤描述错误的是()
	A.胃的分叶状肿块
	B.胃壁的结构显示清楚
	C.肿块内回声强弱不均
	D.瘤体内多有坏死、出血的无回声
	E.瘤体内的无回声形态不规则
154、单项选择题 乳腺癌最常发生的部位为()
	A.乳头部位
	B.外下象限
	C.内下象限
	D.外上象限
	E.内上象限
155、单项选择题 法洛四联症患者,通常不伴有()
	A.肺动脉高压
	B.右位主动脉弓
	C.冠状动脉畸形
	D.右心室肥厚
	E.左上腔静脉永存
156、多项选择题 支原体肺炎需与下述哪种病变鉴别()
	A.肺炎性假瘤
	B.细菌性肺炎
	C.继发性肺结核
	D.过敏性肺炎
	E.病毒性肺炎
157、单项选择题
	女,50岁,因右侧骶髂关节疼痛半年伴左下腹部疼痛,血尿1天,X线检查如图所示,最可能的诊断是()
	A.右侧骶髂关节炎
	B.右侧致密性骶髂关节炎
	C.左侧输尿管下端结石
	D.右侧致密性骶髂关节炎;左侧输尿管下端结石
	E.以上均不正确
158、多项选择题 慢性支气管炎在诊断时需与下列哪些疾病鉴别()
	A.间质性肺炎
	B.结缔组织疾病
	C.尘肺
	D.细支气管炎
	E.支气管扩张
159、单项选择题 脊柱结核典型影像为()
	A.椎骨溶骨性破坏、椎旁软组织肿胀
	B.椎体呈栅栏状
	C.椎管内外哑铃状肿块,椎间孔扩大
	D.椎体破坏,椎间盘破坏、椎间隙变窄
160、多项选择题 肺类风湿病的实验室检查多见()
	A.类风湿因子阳性
	B.血清白蛋白减低
	C.IgG、IgM增高
	D.血沉减慢
	E.γ球蛋白增加
161、单项选择题 关于先天性心脏病的X线表现,下列描述哪项不对()
	A.Ebstein畸形:右心房增大
	B.肺动脉瓣狭窄:心腰消失
	C.动脉导管未闭:右心房大小正常
	D.房间隔缺损:主动脉结增大
	E.二尖瓣关闭不全:左心室增大
162、单项选择题 男,65岁,咳嗽,右胸痛,痰中带血丝1周。胸部后前位片示:右肺门影增大,右上肺大片状致密影,水平裂呈反“S”样改变。 最可能的诊断是()
	A.右上肺炎
	B.右上肺脓肿
	C.右上阻塞性肺炎
	D.右上肺结核
	E.右侧中心型肺癌伴右上肺不张
163、单项选择题 所有膀胱上皮性肿瘤大部分为恶性,其细胞类型依其发病率由高到低依次为()
	A.鳞癌,移行细胞癌,腺癌
	B.移行细胞癌,鳞癌,腺癌
	C.腺癌,鳞癌,移行细胞癌
	D.移行细胞癌,腺癌,鳞癌
	E.鳞癌,腺癌,移行细胞癌
164、单项选择题 X线表现肺门增大模糊,肺纹理模糊,肋膈角区见KerleyB线,原因是()
	A.肺动、静脉瘘
	B.肺动脉栓塞
	C.肺动脉血流量减少
	D.肺动脉高压
	E.肺静脉高压
165、单项选择题 下列胸腔积液诊断知识,哪项正确()
	A.显示斜裂叶间积液,以侧位片为佳
	B.中等量积液常有纵隔移位
	C.包裹性积液多位于前胸壁
	D.立位胸片,肺底积液呈外高内低的致密影
	E.立位胸片,可显示100ml以下积液
166、单项选择题 有关杜纳(Turner)综合征的X线表现中,哪项错误()
	A.掌骨征阳性
	B.腕骨角增大
	C.胫骨内髁关节面变平面下陷
	D.脊柱侧弯后突,腰椎呈方形
	E.骨骺发育正常,与骨干联合延迟
167、单项选择题 下列哪种疾病不宜行钡剂灌肠()
	A.溃疡性结肠炎
	B.疑有结肠癌者
	C.中毒性巨结肠
	D.先天性巨结肠
	E.疑有结肠梗阻者
168、单项选择题 特发性肺间质纤维化好发于()
	A.肺门附近
	B.上叶尖后段或下叶背段
	C.胸膜下区
	D.双下肺野
	E.双肺弥漫分布
169、单项选择题
	女,73岁,吞咽困难2月。体检:咽充血,滤泡增生,最可能的诊断为()

	A.会厌征(+)
	B.会厌征(-)
	C.食管癌
	D.食管静脉曲张
	E.食管憩室
170、多项选择题
	女,49岁,进食上腹痛,腹部肠胀气近2天,今肛门已排气,大便已解,结合图像,最可能的诊断为()

	A.正常表现
	B.慢性胃炎
	C.胃溃疡
	D.球部溃疡
	E.胃粘膜脱垂
171、单项选择题 骨折临床愈合期一般在骨折后()
	A.3周左右
	B.4周左右
	C.5周左右
	D.6周左右
	E.8周左右
172、单项选择题 关于胃癌的基本X线表现,错误的是()
	A.Carman综合征
	B.粘膜皱襞破坏中断
	C.革袋胃
	D.胃壁僵硬
	E.项圈征及狭颈征
173、单项选择题 关于冠状动脉解剖的描述哪项不正确()
	A.心脏正位片上左冠窦向左膨出,右冠窦向右膨出,无冠窦位于两窦之间的前壁
	B.左冠状动脉主干走行于肺动脉干和左心耳之间,至左房室沟处分为两支
	C.左前降支阻塞时,由斜角支建立侧支循环由右冠状动脉供血给左室
	D.右冠状动脉窦房结支通常为第2分支,走向后上方,供血给心脏系统的重要部位
	E.约18%的人右冠状动脉远侧段缺如
174、单项选择题
	图示为正常胃的分型,结合图像,最可能的诊断为()
	A.胃扭转
	B.牛角型胃
	C.钩型胃
	D.瀑布型胃
	E.无力型胃
175、单项选择题
	男,28岁,右上臂肿胀、疼痛,结合图像,最可能的诊断是()
	A.骨肉瘤
	B.成骨性骨转移瘤
	C.化脓性骨髓炎
	D.滑膜肉瘤
	E.骨巨细胞瘤
176、多项选择题 脊柱结构的四个生理弯曲是指()
	A.颈曲
	B.腰曲
	C.腹曲
	D.胸曲
	E.骶曲
177、多项选择题 二尖瓣狭窄或(和)关闭不全时,胸片可见到的表现有()
	A.肺内无结节状影
	B.肺内含铁血黄素沉着
	C.间隔线
	D.上肺静脉增粗,下肺静脉变细
	E.肺动脉段凹陷
178、单项选择题 下述关于“胃底静脉曲张”造影表现的描述,错误的是()
	A.增粗迂曲的粘膜皱襞
	B.结节样充盈缺损
	C.管壁柔软
	D.短幕征
	E.喷射征
179、单项选择题 常于早期即发生淋巴转移的肺癌是()
	A.鳞状上皮癌
	B.小细胞未分化癌
	C.腺癌
	D.大细胞未分化癌
	E.细支气管肺泡癌
180、单项选择题 软X线摄影主要是利用X射线的()
	A.光电吸收
	B.康普顿吸收
	C.电子对效应
	D.光核反应
	E.相干散射
181、单项选择题 有关石骨症的描述,下列哪一项不正确()
	A.石骨症为成骨异常所致
	B.全身骨骼广泛性致密硬化
	C.临床症状与骨的病变程度平行
	D.维生素D缺乏病为其常见的并发症
	E.骨髓外造血器官常继发性增大
182、单项选择题 骨骺损伤的表述,错误的是()
	A.干、骺愈合前骨骺部发生的创伤,也称骨骺分离
	B.约30%骨骺损伤继发肢体短缩或成角畸形
	C.X线平片表现为骨骺移位、骺板增宽及临时钙化带模糊或消失
	D.X线平片可以显示二次骨化中心骨化前的骨骺损伤
	E.MRI显示骺板的纤维桥和骨桥最佳
183、多项选择题 引起局限性颅骨增生的疾病有()
	A.骨瘤
	B.骨肉瘤
	C.陈旧性骨折
	D.石骨症
	E.脑膜瘤
184、单项选择题 下列哪一种检查方法已不用于常规颅脑影像学检查()
	A.头颅正侧位
	B.脑血管造影
	C.CT
	D.气脑造影
	E.MRI
185、单项选择题 男,19岁,右股骨上段骨折行股骨髁上牵引时摄片发现:髁上内后侧骨皮质缺损,边缘清楚硬化,缺损区内呈不规则斑片骨化影。追问病史,局部无任何不适,最可能的诊断是()
	A.骨纤维异常增殖症
	B.纤维性皮质骨缺损
	C.骨化性纤维瘤
	D.非骨化性纤维瘤
	E.骨结核
186、单项选择题 中央型肺水肿典型X线征象是()
	A.双肺大小不一的弥漫性片状模糊影
	B.双肺下野可见KerlerA和B线
	C.肺门阴影轻度大而模糊
	D.以肺门为中心的蝶翼状阴影
	E.局部的肺叶实变阴影
187、单项选择题 下列名称中,无骨质硬化表现为()
	A.骨萎缩
	B.骨梗死
	C.缺血性坏死
	D.骨岛
	E.慢性炎症
188、单项选择题 关于“单纯性骨囊肿”CT表现错误的是()
	A.囊内偶有间隔
	B.囊内容物CT值近似水
	C.位于肱骨骨干者可有硬化缘
	D.位于长骨骨干者骨皮质变薄
	E.合并病理骨折时,可出现"碎片陷落征"
189、单项选择题 眼眶外侧壁由下列哪些结构组成()
	A.额骨眶板、蝶骨小翼
	B.上颌骨额突、蝶骨和筛板
	C.颧骨、颞骨
	D.颧骨、蝶骨
	E.额骨眶突、蝶骨大翼
190、单项选择题 在弥漫性肺疾病的诊断中,首先应进行的影像学检查是()
	A.CT扫描
	B.MRI
	C.胸部X线片
	D.核素扫描
	E.肺血管造影
191、单项选择题
	患者,男,33岁,吞咽时感不适,咽痛,转头时疼痛显著,行X线片检查如下,可诊断为()
	A.右侧茎突综合征
	B.颞下颌关节半脱位
	C.颞下颌关节紊乱
	D.环枢椎关节紊乱
	E.颈椎病
192、单项选择题 下述“溃疡性结肠炎”早期征象,错误的是()
	A.苹果核征
	B.无名沟、无名小区模糊、粗糙
	C.“腔壁线”毛糙
	D.肠壁表面针尖样钡影
	E.无名沟宽度超过1.0mm
193、多项选择题 肾阳性结石应与下列哪些病变相鉴别()
	A.腹部淋巴结钙化
	B.肋软骨钙化
	C.胆囊结石
	D.肾囊肿
	E.以上都是
194、单项选择题 骨转移瘤的转移途径中,下列哪一项最多见()
	A.直接侵犯
	B.血行转移
	C.淋巴转移
	D.原发性骨肿瘤的骨转移
	E.皮肤癌骨转移
195、单项选择题
	男,58岁,进食梗阻感,结合图像,最可能的诊断为()

	A.正常食管
	B.食管静脉曲张
	C.食管平滑肌瘤
	D.食管上段癌
	E.食管下段癌
196、多项选择题 使用滤线栅的注意事项,正确的是()
	A.使用聚集式滤线栅时不可倒置
	B.X线中心线必须垂直于栅板平面
	C.倾斜中心线摄片时倾斜的方向与栅排列方向垂直
	D.摄片距离在栅焦距的允许范围内
	E.相应增加摄片kV值或mAs
197、单项选择题
	男,38岁,心前区阵发性绞痛10天。贫血面容,有胃病史。结合图像,最可能的诊断为()
	A.胃癌
	B.胃窦癌
	C.胃小弯溃疡
	D.胃炎
	E.胃下垂
198、单项选择题 下述肺炎性假瘤影像特点,哪项不对()
	A.可发生于两肺任何部位
	B.肿块圆形,无分叶,多数边缘清楚
	C.直径常小于2cm
	D.多数质地均匀,偶有空洞
	E.邻近胸膜可增厚
199、多项选择题
男,56岁,劳累后心慌气促10余年,近来自觉症状加重。临床听诊,心尖区有舒张期和收缩期杂音,行胸部X检查,如图所示,描述正确的是()
	


	A.后前位示双房影,左心缘第三弓突出
	B.右前斜位示左心房增大,心后上缘后突压迫服钡食管
	C.左前斜位示心影向后下方突出
	D.考虑三尖瓣狭窄
	E.考虑二尖瓣狭窄并关闭不全
200、单项选择题 下列人体体表定位中,错误的是()
	A.喉头隆起——第4颈椎高度 
	B.剑突——相当第7胸椎高度 
	C.两侧髂骨嵴连线——第4腰椎水平 
	D.胸骨柄上缘——第3胸椎高度 
	E.第一腰椎——相当剑突与肚脐连线中点
201、单项选择题 自截肾常见于下列哪种疾病()
	A.慢性肾炎
	B.肾结核
	C.肾结石
	D.肾癌
	E.慢性肾盂肾炎
202、单项选择题 下述哪项属常染色体隐性遗传疾病()
	A.软骨发育不全
	B.石骨症(轻型)
	C.皮肤骨膜肥厚症
	D.颅锁骨发育不全
	E.石骨症(重型)
203、单项选择题 最常见的侵袭性胸腺瘤转移扩散途径为()
	A.血行转移
	B.沿胸膜腔种植性转移
	C.淋巴转移
	D.经支气管扩散
	E.直接侵犯肺和横膈
204、单项选择题 检查眼前部病变的投照位置是()
	A.视神经孔位
	B.顶颏位
	C.眼眶侧位
	D.眼眶切线位
	E.眼眶正位
205、单项选择题 关于肾癌的影像学表现,下列描述不正确的是()
	A.肾影局限性增大
	B.IVP正常也不能完全除外本病
	C.肾盂、肾盏移位
	D.都有肾盂积水
	E.肾盂内可有充盈缺损
206、单项选择题 克氏(Klinefelter)综合征的X线表现中,应除外()
	A.骨骺骨化中心出现和愈合均延迟
	B.髋外翻、膝内翻畸形
	C.头颅较小,额窦不发育,小蝶窦
	D.桡骨骨融合或错位
	E.掌骨征阴性
207、单项选择题 下列关于“成骨肉瘤”诊断要点中,哪项是错误的()
	A.最常见的原发性恶性骨肿瘤
	B.好发于长骨干骺端
	C.可有葱皮样骨膜反应
	D.肿瘤内无钙化、骨化
	E.肿瘤内既有成骨性,又有溶骨性改变
208、单项选择题
	男,5岁,低热,盗汗,咳嗽2月余,结合图像,最可能的诊断是()
	A.肺癌
	B.大叶性肺炎
	C.支气管肺炎
	D.肺结核
	E.过敏性肺炎
209、单项选择题 人体X线吸收量主要取决于()
	A.待检组织的密度
	B.待检组织的厚度
	C.待检组织的形状、大小
	D.靶-片距
	E.以上都不对
210、单项选择题 腰骶关节前后位摄片,中心线的投射角度是()
	A.垂直投射
	B.向头侧倾斜15°~20°
	C.向足侧倾斜15°~20°
	D.向头侧倾斜45°
	E.向足侧倾斜45°
211、单项选择题 下列胸腔积液影像,哪项不对()
	A.正位片,100ml积液即可有肋膈角变钝、消失
	B.立位片,中等量胸腔积液时不能显示患侧膈肌
	C.正位片,后胸壁包裹性积液为边缘模糊致密影
	D.切线位,包裹性积液为梭形致密影
	E.正位片,斜裂叶间积液为片状模糊影
212、单项选择题 “双侧肺血减少”见于()
	A.异物吸入
	B.肺隔离症
	C.中央性肺癌
	D.Ebstein畸形
	E.Macleod综合征
213、多项选择题 骨质破坏的病因包括()
	A.炎症
	B.病理组织直接浸润
	C.肿瘤或瘤样病变
	D.肉芽肿
	E.病理组织间接引起破骨细胞活动亢进
214、单项选择题 碘过敏试验方法中最可靠的是()
	A.口服试验
	B.眼结膜试验
	C.舌下试验
	D.静脉注射试验
	E.皮内试验
215、单项选择题
	男,15岁,左侧中指局部肿胀,无压痛,关节活动无明显异常,结合图像,最可能诊断是()
	A.骨质疏松
	B.内生软骨瘤
	C.骨巨细胞瘤
	D.骨囊肿
	E.动脉瘤样骨囊肿
216、单项选择题 上部胸椎侧位摄片,下述方法哪项错误()
	A.取侧卧位
	B.近台侧上肢屈曲上举
	C.远台侧上肢置身体后下方
	D.中心线向头侧倾斜15°角
	E.平静呼吸中屏气曝光
217、单项选择题 肾上腺常用的检查方法为()
	A.X线平片
	B.选择性肾上腺动脉造影
	C.子宫输卵管造影
	D.盆腔动脉造影
	E.精囊输精管造影
218、单项选择题 下列哪项属于静脉肾盂造影的禁忌证()
	A.肾盂结石
	B.膀胱结石
	C.尿道狭窄
	D.肾动脉狭窄
	E.严重血尿
219、多项选择题 室间隔缺损的血流动力学改变有()
	A.左心室增大
	B.右心室增大
	C.左心房增大
	D.右心房增大
	E.肺动脉高压
220、单项选择题 男,63岁,进行性吞咽困难1月。食管钡餐示:食管下段粘膜不规则充盈缺损,管腔狭窄,贲门扩张欠佳。 最可能的诊断是()
	A.食管下段炎症
	B.食管下段溃疡侵及贲门
	C.食管下段癌侵及贲门
	D.食管下段静脉曲张
	E.以上都不对
221、单项选择题 关于肺充血,下列哪一项是正确的()
	A.肺静脉回流受阻,血液淤滞于肺内
	B.透视下可见肺门舞蹈
	C.肺野透明度显著减低
	D.肺静脉普遍扩张呈模糊条纹状影
	E.两肺门影增大,肺门血管边缘模糊
222、单项选择题 排尿性膀胱尿路造影对诊断下述哪种疾病有价值()
	A.膀胱癌
	B.外伤性输尿管、肾脏病变
	C.反流性肾病
	D.多发性尿道结石
	E.良性前列腺肥大
223、单项选择题 利用以下何种手段可使组织结构影像产生对比最明显()
	A.利用天然对比
	B.用生理功能
	C.利用人工对比
	D.利用专用设备
	E.利用高反差胶片
224、单项选择题 右心衰竭的X线表现不包括()
	A.肺静脉影增宽
	B.心脏增大
	C.上腔静脉影增宽
	D.胸腔积液
	E.以上都不是
225、单项选择题 食管静脉曲张与食管癌的主要鉴别点是()
	A.溃疡
	B.隆起
	C.管壁柔软
	D.黏膜规整
	E.梗阻
226、单项选择题 食管平滑肌瘤特征性X线表现是()
	A.充盈缺损
	B.黏膜紊乱
	C.管腔变形
	D.环形征
	E.浅分叶
227、单项选择题 滑膜骨软骨瘤病最常见于()
	A.膝关节
	B.髋关节
	C.肘关节
	D.踝关节
	E.腕关节
228、多项选择题 X线摄片时,应注意中心线的()
	A.入射点
	B.中心线的能量
	C.射入胶片的位置
	D.投射的方向
	E.入射的角度
229、多项选择题 主动脉瘤的X线表现有()
	A.可压迫侵蚀脊柱、后肋或胸骨
	B.有时可见到线形或弧形钙化
	C.主动脉瘤为局限性囊状或梭形扩张
	D.对气管、食管粘连压迫可引起移位
	E.可造成主动脉瓣关闭不全、左心室增大
230、多项选择题 管电压在摄片条件选择中的意义,正确的是()
	A.电压代表着X线的穿透力
	B.管电压控制着影像对比度
	C.管电压对照片密度的影响小于照射量
	D.低电压技术,照片对比度大
	E.高电压技术,照片对比度大
231、多项选择题 以下哪些原因可引起脑血管形态的改变()
	A.肿瘤
	B.脑血管畸形
	C.动脉瘤
	D.梗死
	E.出血
232、单项选择题
	女,25岁,腕部疼痛,结合图像,最可能的诊断是()
	A.肥大性骨关节病
	B.骨髓炎
	C.骨肉瘤
	D.嗜酸性肉芽肿
	E.骨膜下出血
233、多项选择题 四肢创伤行影像学检查的目的是()
	A.明确有无骨折或肌腱韧带断裂
	B.了解骨折错位情况
	C.透视监视下行复位治疗
	D.复位固定后摄片,观察复位情况
	E.定期复查,观察愈合过程及有无并发症
234、单项选择题 关于常规上臂侧位摄片的说法,哪项错误()
	A.是一个常规位置
	B.应包括肩肘两关节
	C.上臂长轴应与胶片长轴平行
	D.取仰卧位摄片
	E.上肢伸直,桡侧近暗盒
235、多项选择题 好发于下叶的肺病变有()
	A.支气管扩张
	B.念珠菌病
	C.继发性肺结核
	D.肺隔离症
	E.支原体肺炎
236、单项选择题
	女,58岁,吞咽困难半年,结合图像,最可能的诊断为()
	A.正常食管
	B.食管静脉曲张
	C.食管癌
	D.食管憩室
	E.食管平滑肌瘤
237、多项选择题 下列那些疾病可能发生乳头溢液()
	A.乳腺纤维腺瘤
	B.乳腺囊性增生
	C.导管内乳头状瘤
	D.浆细胞性乳腺炎
	E.乳腺癌
238、单项选择题 关于“Whipple病”的特点,错误的是()
	A.病变早期,四环素治疗效果好
	B.空肠粘膜皱襞增厚
	C.小肠绒毛显示率较高
	D.平片常可见到关节异常
	E.常伴低蛋白血症
239、单项选择题 关于食管静脉曲张与食管癌,最主要的鉴别点是()
	A.无溃疡
	B.无隆起
	C.管壁柔软
	D.粘膜规整
	E.无梗阻
240、单项选择题 下述胃X线解剖知识,错误的是()
	A.角切迹至幽门间为胃窦
	B.仰卧位检查,胃窦靠背侧,胃体靠腹侧
	C.胃大弯粘膜皱襞比胃小弯皱襞粗
	D.胃底粘膜皱襞走向不规则
	E.侧位片,胃体后壁与脊柱前缘正常间距约1.5个椎体宽
241、单项选择题 急性化脓性骨髓炎的X线片主要表现为()
	A.骨膜增生
	B.骨质破坏
	C.死骨形成
	D.新生骨
	E.出现钙化
242、单项选择题
患者,男性,40岁,突发腹痛,腹胀逐渐加重,呈阵发性,查肠鸣音亢进,既往有腹部手术史,如图所示,最可能的诊断为()
	
	A.急性腹膜炎
	B.胃肠道穿孔
	C.急性胰腺炎
	D.小肠急性肠梗阻
	E.急性阑尾炎
243、多项选择题 关于肺转移瘤,正确的是()
	A.许多部位的原发性肿瘤可转移至肺内
	B.肺转移瘤患者少有呼吸道症状
	C.血行转移X线表现为两中下肺野散在小结节或棉球样阴影
	D.淋巴结转移X线表现为双中下肺野模糊网格状影
	E.以上都不是
244、单项选择题 关于肘关节正位摄片的说法,错误的是()
	A.检查肘关节及周围软组织
	B.使肘关节屈曲约成为120°
	C.背侧置于暗盒上
	D.尺骨鹰嘴突置胶片中心
	E.照片显示肘关节间隙清晰
245、单项选择题 X线上,在心膈角发现团状阴影,最常见的是()
	A.支气管肺炎
	B.心包脂肪垫
	C.麻疹肺炎
	D.心包囊肿
	E.心包憩室
246、单项选择题 关于肾脏的X线解剖,下列哪种叙述是错误的()
	A.正常情况下,肾脏上下左右均有一定的活动度
	B.肾内缘较外缘靠前
	C.腹部平片上可观察到肾周脂肪组织
	D.右肾较左肾低1~2cm
	E.两侧肾轴平行于腰大肌
247、多项选择题 两侧肺门增大多见于()
	A.结节病
	B.淋巴瘤
	C.两侧动脉瘤
	D.肺动脉高压
	E.中央型肺癌
248、单项选择题 关于原发性支气管肺癌,下列哪项描述不准确()
	A.早期中央型肺癌胸片易漏诊
	B.管内型的中央型肺癌易形成肺不张
	C.隐性肺癌等于早期肺癌
	D.鳞癌多为中央型肺癌
	E.管壁浸润型的中央型肺癌可无肺不张
249、单项选择题 右前斜位,心脏前缘自上而下依次为()
	A.左心房、左心室
	B.右心房、右心室
	C.右心室、左心室
	D.左心房、右心室
	E.左心室、右心房
250、单项选择题 颅骨骨折的分型为()
	A.线样骨折、凹陷骨折、压缩性骨折
	B.线样骨折、粉碎性骨折
	C.凹陷骨折、粉碎性骨折、穿入骨折
	D.撕脱骨折、穿入骨折
	E.线样骨折、凹陷骨折、粉碎性骨折、穿入骨折
251、单项选择题 以下选项中,“子宫输卵管造影”的最佳时机为()
	A.月经前第3天
	B.月经前第10天
	C.月经期
	D.月经后第3天
	E.月经后第7天
252、单项选择题 关于纵隔肿瘤,下列知识哪项不对()
	A.多数纵隔肿瘤都有其好发部位
	B.前纵隔:多为胎生性囊肿和胸腺瘤
	C.中纵隔:多为恶性淋巴瘤
	D.转移瘤:纵隔影常对称性增宽
	E.胸片难以区分胸腺瘤和畸胎瘤
253、多项选择题 急性肺水肿与肺炎急性期的鉴别点为()
	A.肺水肿病变发生迅速、动态变化快
	B.肺水肿有间隔线阴影
	C.肺水肿X线表现为大片状高密度影,边缘清楚
	D.肺水肿患者多有心脏及肾脏的原发病
	E.肺水肿无发热等肺炎的临床表现
254、多项选择题 优良的消化道双重对比造影钡剂,应具备的条件为()
	A.弥散性好
	B.流动性高
	C.浓度高
	D.黏稠度高
	E.抗凝聚性好
255、单项选择题 造影中发生气体栓塞,应将病人置于哪种体位()
	A.半卧位
	B.头低足高右侧卧位
	C.头低足高左侧卧位
	D.头高足低右侧卧位
	E.头高足低左侧卧位
256、单项选择题 下列与大量心包积液X线征象不符的是()
	A.心脏普遍增大,心缘各弧消失
	B.心脏搏动减弱或消失
	C.多数患者见明显肺淤血改变
	D.卧位透视时心底阴影增宽
	E.心影大小短期内可明显改变
257、多项选择题 用立位滤线器摄片的体位是()
	A.站立位
	B.仰卧位
	C.俯卧位
	D.侧卧位
	E.坐立位
258、单项选择题 剥脱性骨软骨炎好发于()
	A.股骨内外侧髁
	B.肱骨小头
	C.跖骨
	D.股骨头
	E.距骨滑车
259、单项选择题 关于对比剂硫酸钡,以下错误的是()
	A.是难溶性固体对比剂
	B.不被胃肠道吸收
	C.以原形从粪便中排出
	D.可进行静脉注射
	E.其混悬剂可涂布于胃肠道上
260、多项选择题 婴幼儿和儿童的骨髓炎的特点有()
	A.骨生长障碍
	B.骨骺早期闭合和发育畸形
	C.骨破坏广泛容易造成大块骨干坏死
	D.发病急
	E.全身中毒症状重
261、单项选择题 下述完全性肺静脉异位引流的特点,错误的是()
	A.有房间隔缺损
	B.左上腔静脉永存
	C.右心房、右心室增大
	D.双房影
	E.膈下引流多数入门静脉,少数入下腔静脉
262、单项选择题 下列摄片位置,哪项显示正确()
	A.颈椎右后斜位显示右侧椎间孔
	B.腰椎右后斜位显示左侧椎体的峡部
	C.胸椎左后斜位显示右侧椎间关节
	D.骶髂关节右后斜位显示右侧骶髂关节面
	E.腰椎左后斜位显示右侧椎体的峡部
263、单项选择题 慢性胃炎按Schindler分类法是()
	A.萎缩性胃炎、增生性胃炎、肠上皮化生
	B.浅表性胃炎、萎缩性胃炎、肥大性胃炎
	C.浅表性胃炎、增生性胃炎、肥大性胃炎
	D.萎缩性胃炎、肥大性胃炎、肠上皮化生
	E.肥大性胃炎、浅表性胃炎、肠上皮化生
264、多项选择题 中央型肺癌常见到的阻塞性改变为()
	A.阻塞性肺气肿
	B.间质性肺气肿
	C.阻塞性肺炎
	D.阻塞性支气管扩张
	E.阻塞性肺不张
265、单项选择题 胸骨角位于哪个连接处()
	A.胸骨柄与剑突
	B.胸骨体与剑突
	C.胸骨柄与胸骨体
	D.锁骨与胸骨柄
	E.以上都不是
266、多项选择题 骨质破坏可见于()
	A.骨肿瘤
	B.骨肿瘤样病变
	C.骨感染
	D.骨肉芽肿性病变
	E.石骨症
267、单项选择题
	男,22岁,膝部酸痛、肿胀,结合图像,最可能的诊断是()
	A.纤维性骨皮质缺损
	B.嗜酸性肉芽肿
	C.非骨化性纤维瘤
	D.软骨黏液样纤维瘤
	E.骨样骨瘤
268、多项选择题 胸部内脏平片检查主要包括()
	A.锁骨平片检查
	B.胸骨平片检查
	C.肺的平片检查
	D.心及大血管的平片检查
	E.胸椎的平片检查
269、多项选择题 关于恶性骨肿瘤描述正确的有()
	A.生长快,常侵及邻近组织
	B.可发生肺部或骨转移
	C.骨皮质或髓腔有破坏缺损区
	D.与正常组织无明显界限,边界不清
	E.骨膜常受累,呈葱皮状、针样、放射状、三角形
270、单项选择题 人体组织的自然对比,按密度由高至低排列,下列哪组正确()
	A.骨骼、脂肪软组织、体液、气体
	B.骨骼、脂肪体液、软组织、气体
	C.骨骼、体液、软组织、气体、脂肪
	D.骨骼、体液、脂肪、软组织、气体
	E.骨骼、软组织、体液、脂肪、气体
271、单项选择题 下列哪种疾病,无“肺动脉高压”表现()
	A.肺心病
	B.Ebstein畸形
	C.二尖瓣狭窄
	D.二尖瓣关闭不全
	E.进行性全腺泡性肺气肿
272、单项选择题 早期乳腺癌最适宜的检查方法为()
	A.钼靶摄片
	B.CT
	C.MRI
	D.红外线
	E.B超
273、多项选择题 CR的空间频率处理,减影处理的叙述,正确的是()
	A.空间频率处理是系统对空间频率响应的调节
	B.频率处理三个参数:RN、RT、RE
	C.可完成血管造影与非造影影像的减影职能
	D.时间减影是作对比剂注射前后的影像减影
	E.能量减影是两幅以不同能量曝光的影像
274、多项选择题 下列脊椎结核的X线表现有()
	A.椎体破坏
	B.椎间隙变窄
	C.椎旁软组织阴影增宽
	D.椎旁韧带钙化
	E.脊柱后突畸形
275、多项选择题 减小几何模糊,正确的措施是()
	A.被照体远离胶片
	B.被照体贴近胶片
	C.使用小焦点
	D.使用小的焦—片距
	E.使用大的焦—片距
276、多项选择题 地中海贫血骨骼主要X线表现为()
	A.骨髓增生
	B.骨生长紊乱
	C.病理性骨折
	D.铁晶体异常沉积
	E.髓外造血
277、单项选择题 左下叶肺不张的影像特征是()
	A.右下三角征
	B.横S征
	C.心后三角征
	D.薄饼征
	E.彗星征
278、单项选择题 下列组合中,无关的是()
	A.蝶鞍——垂体
	B.颅中窝——卵圆孔
	C.内听道——第Ⅷ神经
	D.视神经孔——第Ⅴ脑神经
	E.圆孔——上颌神经
279、多项选择题 类风湿性关节炎伴肺部受累表现为()
	A.常见于女性
	B.胸腔积液
	C.两肺门周围蝴蝶状实变阴影为特征性表现
	D.可出现空洞性肺结节
	E.肺病变可出现于关节症状之前
280、多项选择题 以下关于眼眶内侧壁组成结构的描述,错误的是()
	A.额骨眶板、蝶骨小翼
	B.上颌骨额突、泪骨和筛板
	C.上颌骨、颞骨
	D.泪骨、额骨眶板
	E.额骨眶突、蝶骨大翼
281、单项选择题 下列颅内钙化中,除哪项外其他是生理钙化()
	A.松果体钙化
	B.侧脑室脉络膜丛钙化
	C.鞍隔钙化
	D.大脑镰钙化
	E.脑垂体钙化
282、单项选择题 青枝骨折以下列哪种X线检查最佳()
	A.平片检查
	B.透视
	C.关节造影
	D.血管造影
	E.椎管造影
283、单项选择题 颞骨骨折以下列哪种类型多见()
	A.粉碎性骨折
	B.横行骨折
	C.纵行骨折
	D.撕脱性骨折
	E.混合型骨折
284、单项选择题 疲劳性骨折的骨折线多表现为()
	A.边缘清楚的带状密度增高影
	B.边缘模糊的带状密度增高影
	C.边缘清楚的透亮线
	D.边缘模糊的透亮线
	E.骨折断端错位
285、单项选择题 关于肺泡蛋白沉积症的诊断,下述哪项最有价值()
	A.血尿和脓尿
	B.Kveim试验阳性
	C.ACE升高
	D.糖原PAS染色阳性
	E.尿钙升高
286、单项选择题 关于降低乳腺癌发生危险性的措施中,下列不正确是()
	A.实行人工喂养
	B.避免不必要的电离辐射
	C.青春期适当节制脂肪和动物蛋白质的摄入
	D.更年期尽量避免应用雌激素
	E.更年期后适当增加体育活动,减少过剩脂肪
287、单项选择题 第三蠕动波见于()
	A.食管静脉曲张
	B.食管癌
	C.老年人及食管贲门失弛缓症患者
	D.食管憩室
	E.以上都不是
288、单项选择题
	男,46岁,腹部不适多年,结合图像,最可能的诊断为()
	A.正常空肠
	B.空肠结核
	C.克罗恩病
	D.空肠多发憩室
	E.空肠占位
289、单项选择题 关于支原体肺炎,下列描述哪项正确()
	A.抗生素治疗有效
	B.血冷凝集试验比值低
	C.上肺野分布
	D.肺纹增多,网状阴影
	E.团块状阴影
290、单项选择题 对公众的个人年剂量当量限值,全身照射时应低于()
	A.1mSv
	B.2mSv
	C.3mSv
	D.4mSv
	E.5mSv
291、多项选择题 骨折延迟愈合或不愈合常见于()
	A.距骨骨折
	B.胫骨上1/3骨折
	C.舟骨骨折
	D.股骨颈骨折
	E.肱骨干骨折
292、多项选择题 颞骨X线摄片主要用于观察()
	A.中耳
	B.蝶鞍
	C.颞骨岩部
	D.颞骨乳突气房
	E.鼻窦
293、多项选择题 X线摄片时的曝光量与下列哪些因素有关()
	A.被摄入体组织的密度
	B.被摄入体部位的厚度
	C.被摄入体的身高
	D.被摄入体的体重
	E.被摄入体与X线球管的距离
294、单项选择题 X线经被照体的内侧射向外侧的方向称()
	A.外内方向
	B.后前方向
	C.内外方向
	D.掌背方向
	E.前后方向
295、单项选择题 下述骨骼疾病中,除哪种疾病外均可引起胸椎旁软组织肿胀()
	A.胸椎结核
	B.强直性脊柱炎
	C.嗜酸性肉芽种
	D.胸椎肿瘤
	E.化脓性脊柱炎
296、多项选择题 可引起支气管狭窄及闭塞的是()
	A.异物
	B.支气管癌
	C.支气管周围肿瘤压迫
	D.由感染造成的肉芽肿、瘢痕
	E.支气管腺癌
297、单项选择题 下列关于上肢摄影的注意事项中,错误的是()
	A.至少包括一个关节
	B.幼儿骨关节应摄取双侧
	C.必须使用滤线设备
	D.焦-片距一般为75~100cm
	E.注意X线防护
298、单项选择题 化脓性关节炎的X线表现中,下列哪项出现较早且又具有特征性()
	A.关节囊增大,密度增高
	B.关节间隙增宽
	C.关节承重面骨质破坏
	D.关节周围骨质疏松
	E.病理性关节脱位
299、单项选择题 下列关于乳腺恶性肿瘤的描述中,哪项是错误的()
	A.肿块边缘模糊 
	B.界限不清 
	C.肿块密度低 
	D.有长或短毛刺 
	E.触诊肿块的大小常大于X线所见
300、单项选择题 骨组织属于下述哪一种()
	A.致密结缔组织
	B.胶原纤维
	C.弹力纤维
	D.嗜银纤维
	E.疏松结缔组织