时间:2023-09-18 02:38:19


1、多项选择题 下列哪些疾病属于癌前病变()。
A.皮肤慢性溃疡
B.大肠多发性息肉
C.黏膜白斑
D.慢性萎缩性胃炎
E.乳腺小叶增生
2、单项选择题 恶性肿瘤细胞核深染主要是由于()。
A.黏多糖聚集
B.核融合
C.DNA增多
D.RNA增多
E.核膜增厚
3、多项选择题 呈浸润性生长的良性肿瘤有()
A.乳头状瘤
B.平滑肌瘤
C.血管瘤
D.脂肪瘤
E.淋巴管瘤
4、单项选择题 鳞状上皮癌最基本的特征是()。
A.发生于原有鳞状上皮覆盖的部位
B.呈外生性生长
C.经淋巴道转移
D.有癌珠形成
E.癌组织的形态具有鳞状上皮的某些特点
5、多项选择题 癌的组织学特点是()
A.癌巢内癌细胞之间有网状纤维
B.癌巢周围有网状纤维包围
C.有癌巢形成
D.癌细胞弥散分布
E.癌巢与间质一般分界清楚
6、单项选择题 Krukenberg瘤的本质是()
A.胃癌
B.肠癌
C.卵巢癌
D.肝癌
E.肾癌
7、单项选择题 下列各项中哪项不属于区别良恶性肿瘤的要点()
A.肿瘤的组织结构
B.生长方式
C.复发与转移
D.压迫与阻塞
E.生长速度
8、多项选择题 肿瘤性增生的特征有()。
A.生长旺盛
B.相对的无止境生长
C.与机体不协调
D.不同程度地丧失分化成熟的能力
E.致瘤因子不存在时,肿瘤仍能继续生长
9、多项选择题 骨肉瘤X线的特征性改变是()。
A.Codman三角
B.呈鱼肉状
C.常有出血坏死
D.瘤细胞有明显异型性
E.日光放射状条纹
10、单项选择题 下列哪一项不符合肿瘤性增生()
A.与整个机体不协调
B.生长旺盛
C.增生过程中致瘤因子持续存在
D.具有相对自主性
E.不同程度的丧失了分化成熟的能力
11、多项选择题 关于实性癌的叙述,下列哪项是正确的()
A.实性癌又称单纯癌
B.指肿瘤无囊性变、呈实体性
C.实性癌的恶性程度较高
D.实性癌的癌细胞异型性大、核分裂象多见
E.实性癌的癌巢呈实体条索状、巢状,不形成腺腔
12、名词解释 癌肉瘤(carcinosarcoma)
13、单项选择题 癌前病变最确切的概念是()。
A.癌肿的早期阶段
B.良性肿瘤发生了癌变
C.一种恶性病变,不可逆转
D.有癌变潜在可能的良性病变,有可能逆转
E.有癌变潜在可能的良性病变,但必然会发展为癌肿
14、单项选择题 下列哪一种良性瘤可呈浸润性生长()。
A.平滑肌瘤
B.脂肪瘤
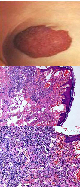
C.乳头状囊腺瘤
D.畸胎瘤
E.毛细血管瘤
15、单项选择题 腺癌的分化标志是()。
A.呈巢状排列
B.可见细胞间桥
C.有腺样结构
D.异型性小
E.可见角化珠
16、判断题 转移性肿瘤的特点为边界不清,多个,散在分布于器官表面。
17、多项选择题 肿瘤脱落细胞检查常用于()
A.癌
B.位于黏膜或浆膜的恶性肿瘤
C.肉瘤
D.位于深部组织的恶性肿瘤
E.脑组织肿瘤
18、单项选择题 下列哪种肿瘤是恶性肿瘤()。
A.畸胎瘤
B.错构瘤
C.精原细胞瘤
D.多形性腺瘤
E.纤维腺瘤
19、名词解释 恶性变(malignant change)
20、填空题 肿瘤的硬度与______、______以及______等有关。
21、单项选择题 低分化肿瘤的特点是()
A.异型性小
B.瘤细胞呈明显的巢状排列
C.瘤细胞呈明显的弥散状排列
D.恶性程度高
E.恶性程度低
22、单项选择题 下列哪项是原位癌的主要特征()
A.发生于子宫颈黏膜上皮
B.是一种早期癌
C.癌变波及上皮全层,但未浸润至黏膜下层
D.未发生转移
E.可长期保持原来的结构,甚至消退
23、问答题 简述细胞生长与增殖的信号传导过程。
24、单项选择题 胃癌最多见的组织学类型是()。
A.类癌
B.鳞癌
C.腺鳞癌
D.癌肉瘤
E.腺癌
25、单项选择题 在部分患者中可能自行消退的肿瘤包括()
A.畸胎瘤
B.神经母细胞瘤
C.子宫平滑肌瘤
D.子宫内膜癌
E.子宫颈癌
26、多项选择题 肿瘤组织的酶改变具有()
A.恶性肿瘤组主内氧化酶减少
B.肿瘤组织内蛋白分解酶增加
C.前列腺癌组织中酸性磷酸酶明显增加
D.骨肉瘤的碱性磷酸酶增加
E.肝癌的碱性磷酸酶增加
27、单项选择题 下列哪一项是肿瘤()
A.错构瘤
B.动脉瘤
C.室壁瘤
D.创伤性神经瘤
E.骨软骨瘤
28、多项选择题 下列哪些是恶性肿瘤()。
A.肌母细胞瘤
B.黑色素瘤
C.无性细胞瘤
D.非霍奇金淋巴瘤
E.精原细胞瘤
29、单项选择题 下列哪一项不是恶性肿瘤的特点()。
A.常有完整包膜
B.细胞异型性明显
C.浸润性生长
D.可发生淋巴道、血道转移
E.常有出血、坏死等继发改变
30、单项选择题 下列哪种肿瘤是上皮组织发生的良性肿瘤()
A.皮样囊肿
B.乳头状瘤
C.血管瘤
D.胶质母细胞瘤
E.脂肪瘤
31、单项选择题 恶性淋巴瘤是()。
A.发生于淋巴结的恶性肿瘤
B.发生于骨髓原始造血细胞的恶性肿瘤
C.淋巴结反应性增生形成的恶性肉芽肿
D.淋巴窦上皮增生形成的恶性肿瘤
E.原发于淋巴结和结外淋巴组织的恶性肿瘤
32、单项选择题 高分化鳞癌的组织学特点是()
A.实质与间质分界清楚
B.无细胞间桥
C.基底膜完整
D.有癌巢形成
E.有角化珠形成
33、单项选择题 下列各项均属于癌前病变,除外()。
A.纤维囊性乳腺病
B.十二指肠溃疡病
C.胃溃疡病
D.粘膜白斑
E.结肠多发性腺瘤性息肉
34、多项选择题 高分化鳞状细胞癌的镜下特点有()
A.癌巢
B.角化珠
C.细胞间桥
D.基底细胞样癌细胞
E.癌细胞大、胞质嗜碱明显
35、单项选择题 下列哪种肿瘤的间质由扩张的毛细血管组成()
A.海绵状血管瘤
B.乳腺髓样癌
C.乳腺硬癌
D.肝细胞癌
E.子宫颈鳞状细胞癌
36、单项选择题 印染厂工人发生职业性膀胱癌与下列哪一类物质有关()。
A.芳香胺类
B.多环芳烃类
C.亚硝胺类
D.黄曲霉素
E.氯乙烯
37、单项选择题 葡萄状肉瘤是下列何种肉瘤的一种类型()
A.血管肉瘤
B.脂肪肉瘤
C.黏液肉瘤
D.横纹肌肉瘤
E.纤维肉瘤
38、判断题 胃肠道的黏液癌细胞种植性转移至双侧卵巢形成的转移性黏液癌称Krukenberg瘤。
39、多项选择题 肿瘤细胞的重要生物学特征是()。
A.不同程度失去分化成熟的能力
B.生长旺盛与整个机体不协调
C.原因消除后即不再继续增生
D.高分化肿瘤恶性程度低
E.与炎症及损伤修复时增生的细胞没有本质区别
40、多项选择题 肿瘤细胞核酸代谢具有()
A.瘤组织合成DNA和RNA的聚合酶活性增高
B.瘤组织的核酸分解明显降低
C.瘤细胞的DNA和RNA的含量均明显增高
D.瘤组织合成DNA和RNA的聚合酶活性降低
E.瘤细胞的DNA和RNA的含量均明显降低
41、判断题 VEGF可由肿瘤细胞及炎细胞产生,诱导新生血管生成。
42、名词解释 间变(anaplasia)
43、单项选择题 乳腺癌淋巴道转移最早发生于()。
A.同侧锁骨上淋巴结
B.对侧锁骨上淋巴结
C.同侧腋窝淋巴结
D.对侧腋窝淋巴结
E.纵隔淋巴结
44、单项选择题 下列组织或器官中不发生癌的是()。
A.皮肤
B.淋巴造血组织
C.肾上腺
D.子宫内膜
E.卵巢
45、单项选择题 患者,男,45岁,因高位小肠梗阻急诊入院。手术切除空肠一段,见肠壁有直径4cm球形肿物一个,境界清楚,有包膜,质硬,灰白色,切面为编织状,部分区域见漩涡状。本肿瘤肉眼诊断最可能是()。
A.脂肪瘤
B.平滑肌肉瘤
C.平滑肌瘤
D.脂肪肉瘤
E.肠结核
46、名词解释 异型性(atypia)
47、填空题 肿瘤的异型性包括______和______两方面。
48、单项选择题 恶性肿瘤最本质的特征是()。
A.生长迅速
B.细胞分化不成熟
C.浸润性生长
D.复发
E.出血坏死
49、名词解释 恶病质(cachexia)
50、单项选择题 不属于癌前病变者是()。
A.代偿性肥大
B.黏膜白斑
C.慢性子宫颈炎伴宫颈糜烂
D.结肠多发性息肉
E.慢性萎缩性胃炎
51、单项选择题 诊断恶性肿瘤的组织学依据主要是()。
A.细胞浆呈嗜碱性
B.细胞核大
C.细胞异型性明显
D.核仁明显
E.可见核分裂像
52、问答题 何谓肿瘤,肿瘤是如何发生的?
53、多项选择题 下列哪些良性肿瘤易恶变()
A.结肠乳头状腺瘤
B.卵巢乳头状浆液性囊腺瘤
C.皮肤乳头状瘤
D.膀胱乳头状瘤
E.脂肪瘤
54、单项选择题 乳腺纤维腺瘤的特点是()
A.分叶状外观
B.由腺上皮与纤维组织共同构成肿瘤实质
C.易发生恶变
D.肿瘤实质无腺腔形成
E.包膜不完整,切除后易复发
55、单项选择题 分化程度高的肿瘤,下列哪项正确()。
A.恶性度高
B.浸润性生长
C.瘤细胞异型性小
D.容易转移
E.容易复发
56、单项选择题 病理诊断肉瘤的主要依据是()
A.间质稀少
B.血液供应丰富
C.有肺转移
D.瘤细胞呈弥散分布
E.浸润性生长
57、单项选择题
患者女性,67岁,返酸、嗳气伴上腹疼痛1年,胃镜检查示小弯侧近贲门处见一直径3cm溃疡,溃疡底部为秽苔覆盖,边缘结节状隆起。
活检组织镜下如图所示,正确的诊断是()

A.胃黏液腺癌
B.胃中分化腺癌
C.胃低分化腺癌
D.慢性胃溃疡
E.胃腺鳞癌
58、多项选择题 软癌(髓样癌)特征有()
A.起源于腺上皮的恶性肿瘤
B.癌巢小而间质结缔组织多
C.只发生于乳腺
D.转移多见
E.外观呈脑髓样、质软
59、单项选择题 有关黑色素瘤的描述中,哪一项是错误的()。
A.可由黑色素痣恶变而来
B.恶性度较高,易发生血道转移
C.光镜下可不见黑色素颗粒
D.可发生于粘膜和内脏器官
E.以上都不是
60、单项选择题 恶性纤维组织细胞瘤最好发于()
A.上肢
B.下肢
C.腹膜后
D.头面部
E.泌尿道
61、多项选择题 骨瘤的好发部位()
A.四肢骨
B.脊椎骨
C.头面骨
D.颌骨
E.指(趾)骨
62、问答题 什么是异位内分泌肿瘤?
63、单项选择题
患者,36岁,男,右足底黑痣迅速增大,表面溃烂1个月。手术切除送检。
镜下如图所示,真皮浅层肿瘤细胞呈巢状或片状排列,部分区侵入表皮生长,细胞核大,核仁明显,易见核分裂像。最可能的诊断是()

A.皮肤慢性溃疡
B.皮内痣
C.皮肤交界痣
D.恶性黑色素瘤
E.以上均不是
64、单项选择题
患者,男,60岁,左侧鼻翼处有一不规则形褐色肿物,表面有溃疡形成,切除肿物送检。
有关该疾病错误的叙述是()
A.绝大多数发生在有毛皮肤,面部多见
B.好发于中老年人
C.可呈浸润性生长,向周围组织侵犯
D.常常发生转移和复发
E.为低度恶性肿瘤
65、单项选择题 良性肿瘤对机体的影响最重要的是()
A.有无继发改变
B.发生的部位
C.生长方式
D.大小
E.肿瘤生存的时间长短
66、名词解释 转移(metastasis)
67、多项选择题 肉瘤的特征是()
A.青年人好发
B.切面灰红、鱼肉状
C.瘤细胞弥散排列
D.瘤细胞呈巢排列、血液供应丰富
E.多经血道转移
68、单项选择题 下列哪一项是腺瘤的特征()。
A.具有分泌功能
B.有导管结构
C.有小叶结构
D.浸润性生长
E.细胞异型性明显
69、单项选择题 下列哪种不是致癌因子()。
A.5-羟色胺
B.苯胺
C.亚硝胺
D.二甲基氨基偶氮苯
E.3,4-苯并芘
70、单项选择题 肉瘤的肉眼特点通常为()
A.结节状、有包膜,切面灰白质硬
B.结节状、有包膜,切面灰白质软
C.分叶状,可有或无包膜,切面灰红或粉红色,质硬
D.形状不定,切面灰白色,质硬,干燥
E.不规则结节状,有无完整包膜不定,切面灰红色,湿润质软如鱼肉状
71、多项选择题 引起原癌基因突变的DNA结构改变包括()
A.点突变
B.染色体易位
C.插入突变
D.染色体畸形
E.基因缺失和基因扩增
72、单项选择题
患者女性,36岁。腮腺区包块2年,手术切除见包块与周围组织境界清楚,包膜完整,大小3cm×2cm×2cm,切面灰白色,部分区半透明胶冻状。
有关该肿瘤的描述错误的是()
A.常发生于涎腺,特别多见于腮腺
B.多认为来源于腮腺闰管上皮和肌上皮细胞
C.肿瘤成分多样,可见腺体,黏液样及软骨样组织
D.通常生长缓慢,但切除后易复发
E.为恶性或交界性肿瘤
73、单项选择题 关于病理性核分裂象()
A.是恶性肿瘤所特有的
B.是良性肿瘤所特有的
C.良、恶性肿瘤均可有
D.良性肿瘤没有
E.以上都不是
74、单项选择题 淋巴结转移性癌的诊断依据是()
A.淋巴结肿大
B.淋巴结质地变硬
C.淋巴结疼痛
D.淋巴结内出现早型细胞
E.淋巴结内出现癌巢
75、单项选择题
患儿,6岁,男性,咽部有一鲜红色肿块,渐大,不规则,无包膜。手术切除。
镜下如图所示肿块由大小不等的薄壁血管构成,血管腔扩张充血。确切的诊断为()
A.淋巴管瘤
B.脂肪瘤
C.毛细血管瘤
D.海绵状血管瘤
E.动脉瘤
76、单项选择题 下述哪项描述不符合遗传性肿瘤的特点()。
A.发病年龄较年轻
B.常为多发性肿瘤
C.第一次突变发生在生殖细胞
D.男性多于女性
E.家族史阳性
77、单项选择题 与肝细胞性肝癌发生关系最密切的致癌物是()
A.黄曲霉菌
B.乙奈胺
C.环磷酰胺
D.联苯胺
E.3,4-苯并芘
78、名词解释 实性癌(solid carcinoma)
79、配伍题 神经鞘瘤()慢性粒细胞性白血病()霍奇金病()脑膜瘤()高分化鳞状细胞癌()
A.砂粒体
B.R-S细胞
C.Rh1染色体
D.Verocay小体
E.癌珠
80、单项选择题 骨肉瘤的主要诊断依据是()
A.好发于青少年
B.血道转移
C.发生于长骨骨干
D.出现肿瘤性骨质
E.可发生病理性骨折
81、多项选择题 下列哪些是肿瘤相关抗原()
A.CEA
B.ACTH
C.AFP
D.ATP
E.ADP
82、名词解释 皮样囊肿(dermoid cyst)
83、单项选择题 肺转移性肝癌指的是()。
A.肺癌转移到肝
B.肝癌转移到肺
C.肝癌和肺癌同时转移到他处
D.肝癌和肺癌互相转移
E.他处的癌转移到肺和肝
84、多项选择题 具有内分泌功能的肿瘤有()
A.纤维肉瘤
B.肠癌
C.肺癌
D.平滑肌瘤
E.胃癌
85、单项选择题
患者,女,23岁,右上肢皮下包块切除,术后送检。巨检肿块呈结节状,境界不清,无包膜,切面灰红色,质嫩。
镜下观如图所示,最可能的诊断是()

A.纤维瘤
B.纤维肉瘤
C.平滑肌瘤
D.平滑肌肉瘤
E.神经鞘瘤
86、单项选择题
女性,35岁,健康体检时发现宫颈黏膜轻~中度糜烂,取活检镜下如图1、2所示鳞状上皮内出现异型细胞,局限在宫颈上皮层的下1/3,正确的诊断是()

A.CINⅠ级
B.CINⅡ级
C.CINⅢ级
D.宫颈原位癌
E.宫颈鳞状上皮化生
87、单项选择题
患者,男,31岁,因上腹饱胀不适、反酸、嗳气就诊。
该病变与下列疾病均为癌前病变,但除外()
A.黏膜白斑
B.宫颈原位癌
C.肝硬化
D.结肠息肉状腺瘤
E.慢性溃疡性结肠炎
88、填空题 平滑肌瘤最好发于______,其次为______。
89、多项选择题 下列哪些良性肿瘤容易恶变()
A.膀胱乳头状瘤
B.卵巢浆液性乳头状囊腺瘤
C.声带乳头状瘤
D.皮肤乳头状瘤
E.外耳道乳头状瘤
90、单项选择题 肿瘤的生长分数是指()。
A.肿瘤细胞群体中处于复制阶段(S+G期)的细胞比例
B.肿瘤细胞群体中处于合成前期(G期)的细胞比例
C.肿瘤细胞群体中处于有丝分裂期(M期)的细胞比例
D.肿瘤细胞群体中处于合成前后期(G+G期)的细胞比例
E.肿瘤细胞群体中处于合成期(S期)的细胞比例
91、单项选择题 下列哪种最支持恶性肿瘤的形态()
A.肿瘤与周围组织分界不清
B.囊性变
C.出血、坏死
D.鱼肉状
E.质硬
92、单项选择题
患者男性,63岁。肩胛部肿块10余年,触之无痛,似有包膜。手术切除送检。
巨检肿块淡黄色,结节状,包膜完整(如图),镜检(如图),最可能的诊断为()
A.皮下脂肪组织增生
B.脂肪纤维瘤
C.脂肪瘤
D.脂肪血管瘤
E.脂肪肉瘤
93、多项选择题 下列哪些肿瘤有明显的遗传倾向()
A.视网膜母细胞瘤
B.结肠多发性腺瘤性息肉
C.,神经纤维瘤
D.肝细胞癌
E.乳腺癌
94、单项选择题 与病毒可能有关的人类肿瘤是()。
A.乳腺癌
B.鼻咽癌
C.Burkitt淋巴瘤
D.子宫颈癌
E.以上都是
95、判断题 视网膜母细胞瘤,肾母细胞瘤,神经母细胞瘤及血管母细胞瘤均属于恶性肿瘤。
96、单项选择题 下列哪种不符合毛细血管瘤的特性()
A.儿童常见的良性肿瘤
B.多为先天性发生
C.多位于皮肤
D.成年后停止发展,甚至自行消退
E.包膜形成
97、单项选择题 下列肿瘤中,哪一个最常有异位的激素分泌()。
A.肾细胞癌
B.骨肉瘤
C.乳腺硬癌
D.胃腺癌
E.肺小细胞癌
98、单项选择题
女性,45岁,临床诊断为CINⅡ级,行宫颈LEEP刀锥切术治疗,术后病检如图所示,鳞状上皮增生,异型细胞累及上皮全层的2/3以上,部分区达到全层,正确的诊断是()
A.CINⅠ级
B.CINⅡ级
C.CINⅢ级
D.慢性宫颈炎
E.宫颈鳞状细胞癌
99、单项选择题 下列哪一项不符合平滑肌瘤的特点()。
A.好发于子宫、胃肠道等部位
B.肿瘤境界清楚
C.切面灰白、质韧,呈编织状
D.不会恶性变
E.不转移
100、单项选择题 下列肿瘤中,有明显家族发病倾向者为()
A.胶质瘤
B.结肠息肉性腺瘤
C.骨软骨瘤
D.畸胎瘤
E.淋巴瘤
101、问答题 腺上皮可形成哪些类型肿瘤,举例并简述其形态特点。
102、多项选择题 肿瘤命名的主要依据是()
A.组织来源
B.肿瘤的性质
C.形态特点
D.发生部位
E.生长速度
103、单项选择题
患者女性,67岁,返酸、嗳气伴上腹疼痛1年,胃镜检查示小弯侧近贲门处见一直径3cm溃疡,溃疡底部为秽苔覆盖,边缘结节状隆起。
有关该病变描述不正确的是()
A.来源于腺上皮的恶性肿瘤
B.分化比较好的可见形成腺样结构的癌组织
C.低分化者形成实性癌巢
D.肿瘤的分化程度主要依据其生长速度,肿瘤大小
E.临床分期和肿瘤浸润深度密切相关
104、单项选择题
男性病患,手术切除左手臂上一皮下肿块,结节状,有包膜,切面灰白色,质均,镜下改变如图1、2、3所示,可能的诊断是()

A.纤维肉瘤
B.纤维瘤
C.平滑肌瘤
D.脂肪瘤
E.平滑肌肉瘤
105、多项选择题 肿瘤的发生与激素有关的有()
A.乳腺癌
B.卵巢癌
C.阴茎癌
D.前列腺癌
E.子宫体癌
106、多项选择题 间接作用的化学致癌物是()
A.多环芳烃如3,4-苯并芘等
B.芳香胺类如乙萘胺
C.氨基偶氮染料如二甲基氨基偶氮苯
D.亚硝胺类
E.黄曲霉毒素如黄曲霉毒素B1
107、判断题 肿瘤细胞的异型性主要是指胞核的多形性。
108、单项选择题 与遗传关系密切的肿瘤是()。
A.肾母细胞瘤
B.皮肤乳头状瘤
C.膀胱癌
D.乳腺纤维腺瘤
E.肝海绵状血管瘤
109、单项选择题 肿瘤的异型性是指肿瘤的()。
A.组织代谢异常
B.组织生长异常
C.间质与起源组织在形态上的差异
D.实质与起源组织在形态上的差异
E.组织与起源组织在机能上的差异
110、单项选择题 以下哪点与高分化恶性肿瘤不符()
A.异型性较小
B.常见于老年人
C.侵袭性较小
D.不发生转移
E.肿瘤体积较小
111、单项选择题 癌和肉瘤的转移特征是()。
A.两者均常有淋巴道和血道转移
B.两者都首先转移于淋巴结
C.肉瘤常有种植性转移
D.肉瘤常由淋巴道转移,而癌常由血道转移
E.以上都不是
112、问答题 简述肿瘤的组织结构特征。
113、多项选择题 肿瘤的分期依据是()
A.原发肿瘤的大小
B.浸润的深度
C.是否有淋巴结转移
D.是否有远处器官转移
E.肿瘤细胞的分化程度
114、多项选择题 恶性肿瘤浸润性生长可致()。
A.局部器官的结构破坏
B.瘤组织周围明显炎症反应带
C.周围组织增生形成包膜
D.肿块与周围组织分界不清
E.严重感染
115、多项选择题 与肿瘤硬度有关的因素有()
A.起源组织
B.变性、坏死
C.含血量
D.实质与间质的比例
E.钙化
116、单项选择题 来源于间叶组织的肿瘤是()
A.Wilms瘤
B.神经鞘瘤
C.髓母细胞瘤
D.骨软骨瘤
E.黑色素瘤
117、单项选择题 下列哪项不属于腺癌的类型()
A.硬癌
B.单纯癌
C.实体癌
D.基底细胞癌
E.髓样癌
118、单项选择题 在激素与恶性肿瘤发生的研究中,目前认为可能具有致癌作用的激素是()。
A.甲状腺素
B.孕激素
C.前列腺素
D.雌激素
E.肾上腺皮质激素
119、多项选择题 子宫颈癌最常用的病理学检查方法是()
A.脱落细胞学检查
B.内窥镜检查
C.活体组织检查
D.超声检查
E.CT检查
120、单项选择题 肿瘤血道转移的确切依据是()。
A.恶性肿瘤细胞侵入静脉
B.恶性肿瘤细胞侵入动脉
C.血液中查见肿瘤细胞
D.肿瘤细胞栓塞于远隔器官
E.在远隔器官形成同一组织学类型的肿瘤
121、填空题 血道转移最常见的器官是______,其次是______。
122、名词解释 肉瘤(sarcoma)
123、单项选择题 大肠多发性息肉属于()。
A.癌的早期病变
B.癌前病变
C.原位癌
D.非典型增生
E.无癌变可能的良性病变
124、单项选择题
患者男性,50岁,小腿皮下巨大包块切除,术后送检。
镜检如图所示瘤细胞大小、形态不一,并有多核瘤巨细胞,胞浆强嗜酸性;免疫组化检查瘤细胞myoglobin阳性。最可能的诊断是()

A.纤维肉瘤
B.平滑肌肉瘤
C.横纹肌肉瘤
D.横纹肌瘤
E.以上均不是
125、填空题 常见的癌前病变有______,______,______,______,______,______。
126、单项选择题
患儿,6岁,男性,咽部有一鲜红色肿块,渐大,不规则,无包膜。手术切除。
有关该肿瘤叙述错误的是()
A.常见于儿童
B.属脉管瘤中的血管瘤
C.血管瘤包括毛细血管瘤、海绵状血管瘤、混合性血管瘤三大类
D.常常呈浸润性生长
E.可发生于任何部位,但以咽喉部最常见
127、单项选择题 左锁骨上淋巴结转移性鳞癌的原发部位最可能是()。
A.甲状腺
B.胃
C.食管
D.乳腺
E.肝
128、多项选择题 基底细胞癌多见于()
A.上肢
B.下肢
C.眼睑
D.鼻翼
E.面颊
129、单项选择题 下列哪一项不符合乳头状瘤的特征()。
A.被覆上皮的良性肿瘤
B.呈外生性生长形成乳头
C.轴心由结缔组织和血管构成
D.根部宽广成广基
E.少数可恶变
130、单项选择题 骨肉瘤通过血道转移,常见在哪一器官形成转移瘤()。
A.肾脏
B.肝脏
C.脾脏
D.肺
E.脑
131、填空题 骨巨细胞瘤光镜下瘤组织由______及______构成。
132、单项选择题 良性肿瘤的特征应除外()。
A.包膜可不完整
B.瘤细胞多少不等
C.瘤细胞高度未分化
D.可压迫和阻塞器官
E.可有出血、坏死
133、多项选择题 下列哪些癌的组织学类型主要为鳞癌()。
A.肺癌
B.食管癌
C.胃癌
D.大肠癌
E.宫颈癌
134、单项选择题
患者男性,50岁,小腿皮下巨大包块切除,术后送检。
有关该疾病,下列说法不正确的是()
A.来源于间叶组织
B.早期易发生血道转移
C.来源于横纹肌母细胞
D.大部分为低度恶性肿瘤
E.分化高者红染的胞浆内可见纵纹和横纹
135、单项选择题 癌前病变指的是()。
A.具有癌变可能的良性病变
B.有癌变可能性的良性肿瘤
C.瘤样增生的良性病变
D.交界性肿瘤
E.良性肿瘤出现癌变
136、填空题 囊腺瘤常发生于______,纤维腺瘤常发生于______,多形性腺瘤常发生于______,息肉状腺瘤常发生于______。
137、单项选择题 下列哪项最符合鳞状细胞癌的特征()
A.发生于原有单层扁平上皮的覆盖部位
B.呈外生性生长
C.癌细胞的排列及形态仍保留单层扁平上皮的某些特征
D.癌珠形成
E.主要经淋巴道转移
138、配伍题 皮下脂肪瘤多呈()子宫平滑肌瘤多呈()肾盂、膀胱黏膜的良性肿瘤多呈()卵巢腺瘤多呈()胃肠黏膜腺瘤多呈()
A.结节状
B.息肉状
C.乳头状
D.囊状
E.分叶状
139、单项选择题 肿瘤恶性程度的高低取决于()
A.肿瘤体积的大小
B.肿瘤患者的临床表现
C.肿瘤的生长速度
D.肿瘤细胞的分化程度
E.肿瘤发生的部位
140、判断题 所有的恶性肿瘤都会发生转移。
141、单项选择题
患者男性,8岁,左侧颈部先天性毛细血管瘤8年。
巨检如图所示,镜检如图所示,该肿瘤的生长方式为()

A.膨胀性生长
B.外生性生长
C.浸润性生长
D.外生性+浸润性生长
E.外生性+膨胀性生长
142、单项选择题 下列哪项与肿瘤发生无关()
A.DNA修复调节基因突变
B.无端粒酶活性
C.凋亡基因受到抑制
D.原癌基因激活
E.抑癌基因失活
143、单项选择题 实性癌、硬癌、单纯癌、软癌均为()。
A.高分化腺癌
B.低分化腺癌
C.腺鳞癌
D.高分化鳞癌
E.低分化鳞癌
144、填空题 目前提出的癌变机制主要有______、______、______学说。
145、单项选择题
患者女性,28岁,卵巢囊肿切除送检。巨检肿块囊实性,大小15cm×13cm×7cm,切开内含大量毛发、油脂、并可见实性质硬区。
有关该病特征的描述,下列错误的是()
A.属于良性肿瘤
B.仅见于女性患者
C.少数可能恶变为鳞状细胞癌
D.多含有两个以上胚层的各种组织成分
E.多见于卵巢和睾丸
146、单项选择题 患者,男,52岁,上腹胀、隐痛,伴乏力、消瘦、食欲下降4个月。体检:腹软,腹部无压痛,贫血;直肠指诊触及结节状硬块,无压痛,不活动。为明确诊断最好采用下列哪项检查()。
A.穿刺活检
B.直肠镜检查并活检
C.X线检查
D.B超检查
E.气钡双重对比造影检查
147、单项选择题 左锁骨上淋巴结转移性腺癌的原发部位最常见为()。
A.乳腺
B.食管
C.肝脏
D.甲状腺
E.胃
148、单项选择题 肿瘤的间质由扩张的毛细血管组成的是()。
A.海绵状血管瘤
B.肝细胞癌
C.乳腺髓样癌
D.胃硬癌
E.宫颈鳞癌
149、单项选择题
患者,女,15岁,诉右膝疼痛,逐渐加重、夜间尤甚,X线片示右侧股骨下端呈Codman三角。手术切除病变组织送检。巨检肿瘤位于干骺端,切面灰白色鱼肉状,并见出血坏死及周围骨皮质破坏。
有关该疾病的叙述错误的是()
A.来源于间叶组织
B.来源于骨母细胞
C.常见于青少年
D.好发于四肢长骨,尤其是股骨下端和胫骨上端
E.高度恶性,早期即发生淋巴道转移
150、单项选择题
肿瘤组织均具有一定的异型性,异型性的大小是确定良、恶性的主要组织学依据。
图为皮肤鳞状细胞癌镜下观,从肿瘤组织结构的角度观察其异型性,以下描述正确的是()
A.肿瘤细胞保持正常鳞状上皮结构
B.肿瘤细胞排列整齐,细胞极向正常
C.肿瘤细胞呈编织状排列
D.肿瘤细胞呈束状排列
E.肿瘤细胞失去正常鳞状上皮的结构,呈巢团状排列
151、填空题 肿瘤的形状与其______、______、______和肿瘤的______密切相关。
152、单项选择题
患者男性,8岁,左侧颈部先天性毛细血管瘤8年。
该肿瘤的性质为()
A.癌前病变
B.恶性肿瘤
C.交界性肿瘤
D.良性肿瘤
E.以上都不是
153、多项选择题 直接作用的化学致癌物是()
A.烷化剂
B.酰化剂
C.金属元素如镍、铬
D.非金属元素如砷
E.有机化合物如苯
154、多项选择题 与膀胱癌发生有关的致癌物有()
A.乙萘胺
B.4-氨基联苯
C.联苯胺
D.猩红
E.二甲基氨基偶氮苯
155、单项选择题
女性患者,24岁,诉左侧腕部肿胀并疼痛。压之有乒乓球样感觉,X线片示左侧桡骨远端偏心位溶骨性破坏,无骨膜反应,骨皮质膨胀变薄,呈肥皂泡样改变。
镜下如图所示,正确的诊断是()

A.骨结核
B.软骨肉瘤
C.甲状旁腺棕色瘤
D.动脉瘤样骨囊肿
E.骨巨细胞瘤
156、填空题 癌一般首先采取______转移,晚期出现______。
157、单项选择题 诊断肿瘤最可靠的方法是()。
A.X线检查
B.脱落细胞学检查
C.核磁共振
D.病理活体组织检查
E.B超检查
158、单项选择题 良性与恶性肿瘤判定中,最有诊断意义的是()。
A.生长方式
B.生长速度
C.肿瘤的异型性
D.对机体影响
E.出血与坏死
159、单项选择题 下列哪种肿瘤属于恶性肿瘤()。
A.畸胎瘤
B.错构瘤
C.精原细胞瘤
D.多形性腺瘤
E.纤维腺瘤
160、单项选择题 癌转移至淋巴结时,首先出现在()。
A.边缘窦
B.髓窦
C.淋巴滤泡内
D.副皮质区
E.淋巴结门部
161、问答题 肿瘤性增生与炎性增生有何区别?
162、填空题 骨软骨瘤好发于______,尤以______及______最多见。
163、单项选择题
患者女性,45岁。左乳腺包块2年,镜检如图所示乳腺小叶导管和腺泡上皮细胞的增生、导管囊状扩张,层次增多,轻度异型,局部呈筛状结构,间质纤维组织增生。则该病变的诊断是()

A.乳腺纤维腺瘤
B.乳腺小叶癌
C.乳腺增生性纤维囊性变
D.浸润性导管癌
E.硬化性腺病
164、多项选择题 关于鳞状细胞癌的正确叙述有()。
A.常发生在原有鳞状上皮的部位
B.高分化者癌巢中可见角化珠
C.也可发生在正常时没有鳞状上皮而发生鳞化的部位
D.多先经血道转移
E.多见于青少年
165、单项选择题 最具有特征性血管生成作用的因子是()
A.VEGF
B.b-FGF
C.ACTH
D.5-HT
E.AFP
166、单项选择题 膀胱最常见的恶性肿瘤为()
A.腺癌
B.鳞状细胞癌
C.移行细胞癌
D.纤维肉瘤
E.平滑肌肉瘤
167、单项选择题
患者男性,16岁。腹泻便秘交替,进行性消瘦2年,结肠镜检查见直肠黏膜面密布大小不一的息肉状肿物。手术切除病变肠管送检。
有关该病的叙述不正确的是()
A.多见于直肠,亦见于结肠其他部位
B.常具有家族遗传性
C.不但癌变率高,而且易早期发生癌变
D.为典型的癌前病变
E.镜下增生的组织与正常黏膜无差别
168、单项选择题 下述哪一项不符合肿瘤性增生()。
A.增生过程需致癌因素持续存在
B.相对无止境生长
C.细胞分化成熟能力下降
D.细胞分裂能力加强
E.常形成肿块
169、单项选择题 肿瘤的发生与亚硝胺类化合物关系不密切的()。
A.食管癌
B.胃癌
C.大肠癌
D.胆囊癌
E.肝癌
170、多项选择题 常见的癌基因有()。
A.sis
B.myc
C.p53
D.abl
E.ras
171、单项选择题 由两个或两个以上胚层来源组织构成的肿瘤称为()。
A.癌肉瘤
B.中胚层混合瘤
C.未分化癌
D.畸胎瘤
E.错构瘤
172、单项选择题 下列哪一种是良性肿瘤()
A.霍奇金病
B.蕈样霉菌病
C.淋巴瘤
D.绒毛膜癌
E.成熟性囊性畸胎瘤
173、单项选择题 患者,女,15岁。左膝上方肿胀伴疼痛半年余;近来出现咳嗽、咯血,X线检查股骨下端骨质溶解,血清碱性磷酸酶升高,左膝的肿块首先应考虑为()。
A.骨肉瘤
B.骨结核
C.骨坏死
D.骨巨细胞瘤
E.骨转移性肿瘤
174、名词解释 癌症(cancer)
175、填空题 目前认为致癌过程的二阶段学说为______和______2个过程。
176、名词解释 错构瘤(harmatoma)
177、多项选择题 下列哪些组织起源的恶性肿瘤叫肉瘤()
A.滑膜
B.间皮
C.血管
D.移行上皮
E.脂肪组织
178、单项选择题 确定肿瘤组织的来源是根据肿瘤的()。
A.生长方式
B.异型性
C.实质
D.间质
E.大小与形态
179、单项选择题 下列哪项不属于肿瘤的细胞异型性()。
A.瘤细胞的多形性
B.瘤细胞核的多形性
C.胞浆多呈嗜碱性
D.瘤细胞的极向紊乱
E.出现病理性核分裂象
180、单项选择题 一个恶性肿瘤既有上皮成分又有间叶成分,称为()。
A.癌症
B.类癌
C.癌
D.肉瘤
E.癌肉瘤
181、单项选择题 肝癌一般不转移至()
A.淋巴结
B.脾
C.腹膜
D.肺
E.脑
182、单项选择题 淋巴结的转移性肿瘤首先出现于()。
A.淋巴结门部
B.淋巴结边缘窦
C.淋巴结生发中心
D.淋巴结髓窦
E.淋巴结被膜
183、单项选择题
患者男性,60岁,右手肘部一菜花样肿物,突出皮面,大小2cm×1cm×1cm,有蒂,与周围分界清。
有关该肿瘤的叙述,下列哪项是错误的()
A.由覆盖上皮发生
B.多呈外生性生长,形成绒毛状、菜花状或乳头状
C.多为恶性肿瘤
D.鳞状上皮、柱状上皮、移形上皮均可发生
E.光镜下乳头表面覆盖上皮,轴心由血管和纤维结缔组织构成
184、问答题 简述肿瘤异型性与肿瘤分化程度及良恶性的关系。
185、单项选择题
女性,42岁,阴道接触性出血10天。宫颈活检镜下示鳞状上皮增生,部分细胞异型,局限在宫颈上皮层的下1/3~2/3(如图所示),正确的诊断是()

A.CINⅠ级
B.CINⅡ级
C.CINⅢ级
D.宫颈原位癌
E.宫颈鳞状上皮化生
186、单项选择题 下列哪一种肿瘤的组织来源于三个胚层()。
A.无性细胞瘤
B.精原细胞瘤
C.癌肉瘤
D.畸胎瘤
E.腮腺多形性腺瘤
187、单项选择题 下列哪项不符合基底细胞癌的特点()
A.局部浸润破坏明显,常形成溃疡
B.易发生转移
C.属低度恶性肿瘤
D.好发生于老年人颜面部
E.对放疗敏感
188、名词解释 硬癌(scirrhous carcinoma)
189、单项选择题
死者,女性,76岁,死于晚期胃癌恶病质。尸检见肝脏表面多发性边界清楚结节如图,镜检如图所示,肝脏的正确病理诊断为()

A.结节性肝硬化
B.胃的转移性肝癌
C.肝转移性胃癌
D.肝脓肿
E.肝细胞性肝癌
190、单项选择题 鳞癌患者周围血中查见恶性肿瘤细胞,说明()。
A.已发生肿瘤血道转移
B.即将发生肿瘤血道转移
C.已是恶性肿瘤晚期
D.并发了白血病
E.有可能发生肿瘤血道转移
191、单项选择题 确定癌的主要依据是()
A.灰白、质硬
B.瘤细胞呈巢状排列
C.出现病理性核分裂象
D.细胞异型性明显
E.40岁以上中老年人
192、单项选择题 区别癌与肉瘤的主要依据是()。
A.浸润性生长、无包膜
B.异型性明显,有核分裂象
C.常通过血道转移
D.表达不同的细胞骨架蛋白
E.肿瘤体积巨大
193、单项选择题 符合转移性肿瘤概念的是()。
A.远隔器官发生的另一肿瘤
B.可形成癌脐
C.与原发瘤同属一种类型
D.血道转移的结果
E.可进一步发生转移
194、单项选择题 肝表面及切面见多个灰白色实性结节,分界清楚,最可能的诊断是()。
A.病毒性肝炎
B.多发性肝脓肿
C.多发性肝血管瘤
D.肝转移性癌
E.阿米巴肝脓肿
195、单项选择题 下列哪项最符合转移性肿瘤的概念()
A.远隔器官发生的另一种肿瘤
B.血道转移的结果
C.可形成“癌脐”
D.与原发瘤同属一类型
E.可进一步发生转移
196、单项选择题 良性肿瘤与恶性肿瘤的主要区别在肿瘤的()。
A.大小
B.生长速度
C.组织来源
D.分化程度
E.形状
197、多项选择题 下列经化生后可发生鳞状细胞癌的部位有()
A.食管
B.子宫
C.支气管
D.胆囊
E.肾盂
198、单项选择题 肺转移性肾癌是指()
A.肺癌转移到肾
B.肺癌和肾癌相互转移
C.肾癌转移到肺
D.肺、肾癌转移到他处
E.他处转移到肺肾的癌
199、单项选择题 患者,男,65岁,下肢慢性溃疡近5年,经久不愈。最近出现明显疼痛,边缘隆起似火山口,易出血。该病例极有可能发生了皮肤的()。
A.鳞状细胞癌
B.慢性溃疡急性发作
C.蜂窝织炎
D.脓肿形成
E.基底细胞癌
200、单项选择题 与黄曲霉毒素关系密切的肿瘤是()。
A.鼻咽癌
B.肝癌
C.食道癌
D.胃癌
E.膀胱癌
201、单项选择题 下列哪一种不是致癌物质()。
A.砷
B.金
C.铬
D.镍
E.镉
202、单项选择题 瘤性增生与炎性增生的根本区别是()
A.有炎细胞浸润
B.有核分裂象
C.生长快
D.有肿块形成
E.细胞不同程度的失去了分化成熟的能力
203、单项选择题 淋巴结作病理切片检查,淋巴结内互成团的异型细胞,并有病理性核分裂相和角化珠形成,应诊断为()。
A.淋巴结结核
B.淋巴结慢性炎症
C.淋巴结转移性腺癌
D.恶性淋巴瘤
E.淋巴结转移性鳞状细胞癌
204、填空题 肿瘤对宿主的影响有______、______、______、______、______、______、______、______。
205、单项选择题 乳头状瘤的乳头中心(轴索)的成分是()
A.癌细胞
B.脉管
C.纤维结缔组织
D.癌细胞和纤维结缔组织
E.纤维结缔组织和脉管
206、单项选择题 下列哪项不符合视网膜母细胞瘤的特征()
A.是小儿眼内最常见的恶性肿瘤
B.主要经血道转移
C.瘤细胞小而圆,胞质少,核分裂象多见
D.分化较好的区域可见瘤细胞排列成菊形团结构
E.多见于3岁以下的儿童
207、单项选择题 病理上判断肿瘤的良恶性,最主要的指标是()。
A.生长速度
B.生长方式
C.肿瘤的异型性
D.出血坏死
E.对机体影响
208、单项选择题 光镜上区分癌与肉瘤的主要依据是()。
A.病理性核分裂象的多少
B.细胞异型性的大小
C.组织来源的不同
D.实质与间质分界是否明显
E.细胞膜是否清楚
209、单项选择题 胫骨旁一巨大肿块,包膜不完整,切面淡红色,已侵犯骨皮质,镜检瘤细胞弥漫分布,细胞异型性明显,有少量胶原纤维形成,拟诊断为()
A.未分化癌
B.纤维肉瘤
C.横纹肌肉瘤
D.纤维瘤
E.平滑肌肉瘤
210、配伍题 肺癌()骨肉瘤()平滑肌瘤()肾母细胞瘤()
A.多见于40岁以上成人
B.多见于2~4岁儿童
C.多为先天畸形
D.最易发生于子宫
E.多见于青少年
211、多项选择题 腺上皮癌根据其形态结构和分化程度可分为以下类型()。
A.管状腺癌
B.黏液癌
C.尿路上皮癌
D.囊腺癌
E.实性癌
212、单项选择题 肿瘤性增生与炎性增生的根本区别是()。
A.有肿块形成
B.细胞生长活跃
C.有核分裂象
D.生长快
E.细胞有异型性
213、单项选择题 最能体现腺癌特点的是()。
A.发生于腺上皮
B.癌细胞呈腺样排列
C.癌巢形成
D.呈结节状外观
E.异型性明显
214、单项选择题 下列哪个肿瘤不是恶性肿瘤()。
A.黑色素瘤
B.视网膜母细胞瘤
C.尤文瘤
D.畸胎瘤
E.霍奇金病
215、问答题 简述肿瘤对机体的影响。
216、多项选择题 下列哪些癌血供比较丰富,常较早发生血道转移()。
A.乳腺癌
B.胃癌
C.食管癌
D.肝癌
E.绒毛膜癌
217、单项选择题 下列哪一项不符合骨肉瘤()。
A.好发于青少年
B.易血道转移
C.好发于长骨骨干
D.出现肿瘤性骨样组织
E.可发生病理性骨折
218、单项选择题
死者,男性,68岁。晚期肝癌并上消化道出血而亡。尸检时见肺表面多数大小不一的圆形癌结节,边界清楚。
肿瘤血道转移不常累及的脏器是()
A.肝
B.肺
C.脑
D.肾
E.脾
219、填空题 瘤细胞多经______入血,少数经______入血。
220、名词解释 种植性转移(transcoelomic metastasis)
221、单项选择题
患者,女,23岁,右上肢皮下包块切除,术后送检。巨检肿块呈结节状,境界不清,无包膜,切面灰红色,质嫩。
如需确诊,应做免疫组化检查进一步鉴别。该肿瘤表达的抗体为()
A.Vim、SMA、Des阳性,CK、S100、NF阴性
B.CK、S100阳性,SMA、Des、NF、Vim阴性
C.Vim阳性,SMA、Des、NF、CK、S100阴性
D.Vim、S100、NF阳性,SMA、Des、CK阴性
E.Vim、CK阳性,S100、SMA、Des、NF阴性
222、名词解释 癌前病变(precancerous lesions)
223、单项选择题 有一位男性病人,胃部患有肿瘤,经手术切除,见胃粘膜完好,胃壁肿物境界清,有包膜,大小如鸡蛋,镜下瘤细胞为梭形,胞质红染,胞核呈杆状,瘤细胞排成束状,局部有栅状结构。此瘤可诊断为()。
A.纤维瘤
B.瘤样纤维组织增生
C.平滑肌瘤
D.平滑肌肉瘤
E.纤维肉瘤
224、多项选择题 属于良性瘤的是()
A.多形性腺瘤
B.精原细胞瘤
C.黑色素瘤
D.淋巴瘤
E.乳头状瘤
225、填空题 肿瘤抗原引起宿主的免疫反应主要是______免疫,其效应细胞主要有______,______,______。
226、多项选择题 癌性浆膜腔积液的特征有()
A.积液澄清
B.积液血性
C.积液浑浊
D.涂片找到癌细胞
E.积液中蛋白增加
227、单项选择题 有一男性病人,手术切除皮下结节状肿物,有完整包膜,切面为灰白色有纹理,质地硬韧。镜下见呈束状排列的胶原纤维走行交错,细胞核多为梭形,但无异型性表现,此瘤可诊断为()。
A.瘤样纤维组织增生
B.纤维瘤
C.平滑肌瘤
D.纤维组织细胞瘤
E.以上都不是
228、单项选择题 患者,女,56岁,右眼睑皮肤有一直径约0.6cm微隆起肿块2年。2月前无意中破溃,有少量渗出,外用消炎药治疗后溃疡不愈合。该病例最可能是()。
A.慢性炎症
B.炎性假瘤
C.皮肤良性肿瘤
D.麦粒肿
E.基底细胞癌
229、多项选择题 血源性转移瘤的形态特点()。
A.多个、散在
B.球形
C.边界较清楚
D.有包膜
E.出血、坏死少见
230、单项选择题 不发生癌的组织是()。
A.皮肤附件
B.肾上腺
C.子宫内膜
D.甲状旁腺
E.软骨组织
231、多项选择题 异型性大的肿瘤特征是()。
A.生长迅速
B.预后好
C.细胞分化程度低
D.不易转移
E.恶性程度高
232、单项选择题 肿瘤的实质指的是()。
A.血管
B.淋巴管
C.结缔组织
D.肿瘤细胞
E.神经
233、单项选择题 关于髓样癌的叙述,下列哪项是正确的()
A.癌巢小而少
B.是一种高分化腺癌
C.恶性程度低
D.是起源于骨髓的癌
E.癌巢大而多
234、单项选择题 肿瘤细胞分化程度高是指()。
A.肿瘤周围有较多的淋巴细胞浸润
B.不容易引起器官的阻塞和破坏
C.肿瘤易发生浸润、转移,恶性程度高
D.有较大的异型性
E.与起源组织相似
235、单项选择题 关于畸胎瘤下列哪项正确()
A.属良性肿瘤
B.大体呈囊状
C.不发生转移
D.实质为三个胚层来源的不同组织成分
E.只发生于卵巢、睾丸
236、单项选择题 下列肿瘤中哪个具有双相分化()
A.横纹肌肉瘤
B.滑膜肉瘤
C.骨肉瘤
D.Ewing瘤
E.骨髓瘤
237、填空题 骨软骨瘤剖面特征性的3层结构是______、______、______。
238、名词解释 端粒酶(telomerase)
239、单项选择题 恶性肿瘤的特点有()
A.转移
B.无出血、囊性变
C.呈膨胀性生长或外生性生长
D.生长快,可浸润
E.浸润性生长
240、单项选择题
患者女性,48岁,阴道接触性出血1年。阴道镜下见宫颈黏膜粗糙,呈粗颗粒状。
镜下诊断该疾病的重要标志是()
A.癌巢中有角化珠
B.形成腺体样结构
C.无细胞间桥
D.基底膜完整
E.实质与间质分界清楚
241、单项选择题 非典型增生是()。
A.细胞异型性不明显,极性不丧失
B.不会进一步发展为癌
C.细胞有一定异型性但未累及上皮全层
D.肿瘤细胞没有浸润黏膜下层
E.细胞异型性增生但无核分裂
242、单项选择题
患儿,2岁,家长发现患儿瞳孔区呈现“猫眼样反光”,视网膜检查见圆形或椭圆形边界不清的黄白色隆起的肿块,肿块摘除术后活检。
镜下如图所示,瘤细胞小圆形,裸核,圆形,深染,核分裂像多见。部分区可见菊形团结构。正确的诊断是()

A.视网膜母细胞瘤
B.转移性眼内炎
C.渗出性视网膜炎
D.视网膜胶质瘤
E.先天性视网膜发育不全
243、单项选择题 下列哪种为恶性肿瘤()
A.囊状水瘤
B.畸胎瘤
C.混合瘤
D.霍奇金病
E.纤维腺瘤
244、单项选择题 血道转移的确切依据是()。
A.瘤细胞侵入静脉
B.毛细血管内有瘤栓形成
C.瘤细胞侵入动脉
D.瘤细胞栓塞于远隔器官
E.在远隔器官形成同一类型肿瘤
245、多项选择题 肾母细胞瘤形态特点是()
A.肿瘤体积大
B.有完整包膜,分界清楚
C.切面灰白,灰红
D.可含骨、软骨
E.细胞成分复杂
246、问答题 简述基底细胞癌的特点。
247、多项选择题 恶性肿瘤浸润性生长的机制可能是因为瘤细胞()。
A.细胞间黏附性下降
B.有运动能力
C.与基质附着力增强
D.有不断增生的能力
E.分泌蛋白溶解酶
248、多项选择题 腺上皮发生的恶性肿瘤()
A.称为腺癌
B.呈浸润性生长
C.多由淋巴道转移
D.癌巢中均有腺腔形成
E.不含实性癌
249、单项选择题
图为纤维肉瘤之镜下观,有关其异型性错误的描述是()

A.肿瘤细胞呈束状排列
B.肿瘤细胞丰富,排列紧密
C.肿瘤细胞体积大,并且大小不一
D.可见病理性核分裂像
E.肿瘤细胞核与胞浆比例正常
250、填空题 肿瘤与其起源组织差异越大,其分化程度与越______,恶性程度越______,异型性越______。
251、单项选择题 晚期胃癌常转移到左锁骨上淋巴结,后者又称()
A.Aschoff淋巴结
B.Ewing淋巴结
C.Krukenberg淋巴结
D.Schwann淋巴结
E.Virchow淋巴结
252、名词解释 浸润性生长(invasive growth)
253、单项选择题
患者,男,45岁,左侧大腿有一包块,位置较深。手术切除,似有包膜,切面分叶状。
镜下观如图所示,可能的诊断是()

A.脂肪瘤
B.毛细血管瘤
C.平滑肌肉瘤
D.脂肪肉瘤
E.血管肉瘤
254、判断题 黄曲霉毒素B1与HBV感染的协同作用是我国肝癌高发地区的主要致癌因素。
255、单项选择题 起源于上皮组织的恶性肿瘤称为()。
A.类癌
B.癌症
C.癌
D.肉瘤
E.癌肉瘤
256、单项选择题 肿瘤细胞核染色体多呈()
A.单倍体
B.双倍体
C.三倍体
D.多倍体或非整倍体
E.以上都不是
257、单项选择题 下列哪一项不符合纤维瘤的特征()。
A.是一种良性肿瘤
B.好发于四肢和躯干的皮下
C.切面灰白、质韧,呈编织状
D.可转移
E.细胞异型性不明显
258、多项选择题 生理状态下在炎症、损伤修复等病理状态下细胞的增生具有()
A.有的属于正常新陈代谢的细胞更新
B.有的是对刺激或损伤的适应性反应
C.增生的组织能分化成熟核恢复原来正常组织的结构和功能
D.其增生有一定限度
E.增生的原因消除后就不再继续增生
259、多项选择题 关于肿瘤的叙述,下列哪项是正确的()
A.机体局部组织增生形成的肿块即为肿瘤
B.肿瘤具有不同程度的异型性
C.肿瘤组织具有异常的代谢和功能
D.肿瘤一定形成局部肿块
E.肿瘤属基因病
260、多项选择题 原癌基因激活的方式有()。
A.点突变
B.染色体重排
C.基因扩增
D.过度表达
E.染色体易位
261、单项选择题 单纯癌好发生于下列哪个器官()
A.肾
B.肝
C.胃
D.乳腺
E.肠
262、单项选择题
女性患者,右乳外上象限出现肿物一年,临床触诊圆形,界清,可移动。行肿物切除。
术后活检镜下如图所示,正确的诊断是()

A.乳腺腺病
B.乳腺癌
C.乳腺小叶癌
D.硬化性腺病
E.乳腺纤维腺瘤
263、多项选择题 下列为致癌因子的因素有()
A.环磷酰胺
B.亚硝胺
C.铁
D.砷
E.镍
264、配伍题 纤维瘤病()无性细胞瘤()皮样囊肿()先天性巨结肠()结肠多发性腺瘤性息肉()
A.良性肿瘤
B.恶性肿瘤
C.增生性病变
D.癌前病变
E.发育不全
265、多项选择题 癌与肉瘤的转移特点有()
A.癌只发生淋巴道转移,肉瘤只发生血道转移
B.肉瘤只发生淋巴道转移,癌只发生血道转移
C.两着均发生淋巴道转移和血道转移
D.两着均发生种植性转移
E.癌多经淋巴道转移,肉瘤多经血道转移
266、单项选择题 属于良性肿瘤的疾病是()。
A.淋巴瘤
B.黑色素瘤
C.白血病
D.多发性骨髓瘤
E.骨母细胞瘤
267、多项选择题 目前已知与人类肿瘤发生有关的肿瘤病毒有()。
A.乳头状瘤病毒
B.EB病毒
C.乙型肝炎病毒
D.腺病毒
E.人类T细胞白血病病毒
268、多项选择题 恶性肿瘤常具有()
A.瘤细胞的多形性明显
B.瘤组织的排列、极向紊乱明显
C.瘤细胞核的多形性明显
D.瘤细胞胞质多呈嗜碱性
E.瘤细胞超微结构的异型性明显
269、名词解释 直接蔓延(dirrect extension)
270、多项选择题 下列哪些属于化学致癌物()
A.5-羟色胺
B.环磷酰胺
C.3,4-苯并芘
D.联苯胺
E.组胺
271、单项选择题 下列哪项不符合Wilms瘤的特征()
A.多见于儿童
B.是肾脏的一种恶性肿瘤
C.主要由透明细胞组成
D.易复发
E.可发生转移
272、多项选择题 关于肿瘤的分级正确的是()
A.采用三级分级法
B.采用四级分级法
C.Ⅰ级属低度恶性
D.Ⅰ级属高度恶性
E.该分级法有一定的主观性
273、多项选择题 肿瘤的生长能力与下列哪几项有关()
A.生长分数
B.肿瘤血管形成能力
C.肿瘤细胞倍增时间
D.肿瘤细胞异质性
E.肿瘤细胞生成与丧失之比
274、单项选择题 下列哪种肿瘤无血管及间质()
A.葡萄胎
B.恶性葡萄胎
C.绒毛膜癌
D.血管肉瘤
E.骨肉瘤
275、单项选择题 最易发生血道转移的癌是()。
A.胃癌
B.鼻咽癌
C.子宫颈癌
D.绒毛膜癌
E.乳腺癌
276、单项选择题 下列哪项不属于细胞异型性()
A.核数目不一
B.核肿胀,核膜不清
C.核染色质分布不均
D.核大小不等,核畸形
E.病理性核分裂象
277、名词解释 原位癌(carcinoma in situ)
278、单项选择题 关于单纯癌,下列哪项正确()
A.属高分化腺癌
B.预后较好
C.恶性度低
D.转移较晚
E.属低分化腺癌
279、单项选择题 癌与肉瘤的组织学区别主要是()。
A.肿瘤细胞的分化程度
B.肿瘤细胞是否形成癌巢
C.肿瘤的包膜是否完整
D.肿瘤细胞核分裂象的多少
E.肿瘤间质中是否有淋巴细胞浸润
280、单项选择题 下列哪种形状的肿瘤恶性的可能性大()。
A.乳头状
B.囊状
C.息肉状
D.边缘隆起的溃疡状
E.体积巨大的分叶状
281、单项选择题
患者女性,58岁,发现双侧卵巢包块1个月。患者2年前曾因胃癌行次全胃切除术,病理诊断为“胃印戒细胞癌”。现切除卵巢包块送检。
巨检如图,镜检如图所示,首先应考虑的诊断为()

A.卵巢黏液性囊腺瘤
B.Krukenberg瘤
C.胃转移性卵巢癌
D.卵巢癌
E.以上都不是
282、多项选择题 平滑肌瘤可发生于下列器官()
A.胃、肠
B.子宫
C.皮肤
D.心脏
E.肺脏
283、单项选择题 下列为恶性肿瘤的是()
A.畸胎瘤
B.神经鞘瘤
C.软骨母细胞瘤
D.视网膜母细胞瘤
E.甲状腺囊腺瘤
284、填空题 ______多经淋巴道转移,______多经血道转移。
285、单项选择题 关于恶性肿瘤的超微结构的叙述,错误的是()。
A.细胞器数目减少
B.可见核内陷和怪形核
C.可见特异性超微结构
D.细胞间连接减少
E.核仁数目增多
286、单项选择题 皮样囊肿是指()
A.皮肤囊性肿块
B.卵巢良性畸胎瘤
C.皮肤恶性畸胎瘤
D.皮肤皮脂腺囊肿
E.卵巢囊腺瘤
287、单项选择题 肉瘤是指()。
A.由神经组织来源的肿瘤
B.由上皮组织来源的良性肿瘤
C.由间叶组织来源的良性肿瘤
D.由间叶组织来源的恶性肿瘤
E.由上皮组织来源的恶性肿瘤
288、名词解释 生长分数(growth fraction)
289、单项选择题 骨肉瘤的好发部位是()
A.头面骨
B.脊椎骨
C.扁骨
D.长骨
E.指(趾)骨
290、填空题 肿瘤的间质对肿瘤起着______和______作用,在某些情况下有______肿瘤生长的作用。
291、多项选择题 下列属癌前疾病的是()
A.慢性浅表性胃炎
B.慢性萎缩性胃炎
C.慢性肥厚性胃炎
D.胃溃疡
E.急性胃炎
292、单项选择题 下列哪项非直接浸润()
A.乳腺癌侵及胸肌、胸腔直达肺组织
B.贲门癌累及食管下段
C.骨肉瘤侵及周围肌肉及软组织
D.宫颈癌侵及膀胱直肠
E.黑色素瘤周围出现了小卫星灶
293、单项选择题 胃癌不可能种植到()。
A.大网膜
B.腹膜
C.子宫
D.卵巢
E.肾脏
294、名词解释 端粒(telomere)
295、单项选择题 肿瘤的特性取决于()
A.肿瘤的生长部位
B.肿瘤的生长速度
C.肿瘤的生长方式
D.肿瘤的实质
E.肿瘤的间质
296、单项选择题 肉瘤最典型的肉眼特点()。
A.结节状,有假包膜
B.质软、湿润
C.常有出血、坏死
D.呈“鱼肉状”
E.色淡粉红或暗红色
297、填空题 常见的血管形成因子有______和______等。
298、配伍题 纤维瘤()脂肪肉瘤()黏液腺癌()交界性肿瘤()卵巢的浆液性囊腺瘤()
A.来源于上皮组织的恶性肿瘤
B.来源于间叶组织的恶性肿瘤
C.组织形态介于良性与恶性肿瘤之间的肿瘤
D.来源于上皮组织的良性肿瘤
E.来源于间叶组织的良性肿瘤
299、多项选择题 下列哪些符合肿瘤命名的原则()
A.良性肿瘤在其来源组织名称后加一“瘤”字
B.恶性上皮组织肿瘤称“癌”
C.恶性间叶组织肿瘤称“肉瘤”
D.恶性肿瘤也可以用“瘤”命名
E.肿瘤也可以用“病”命名
300、单项选择题 下列哪一项不符合良性肿瘤()。
A.生长缓慢
B.常呈浸润性生长
C.异型性小
D.术后一般很少复发
E.不发生转移