时间:2023-09-18 01:51:16


1、单项选择题 透视检查的缺点是()
	A.多角度进行观察
	B.价格低廉
	C.可进行动态观察
	D.可观察细微结构
	E.可立即获取检查结果
2、单项选择题
	男,根据其正常骨盆影像图像,判断其最可能的年龄()
	A.2岁左右
	B.8岁左右
	C.6岁左右
	D.12岁左右
	E.10岁左右
3、单项选择题 男性,50岁。有动脉粥样硬化病史。突然感到剧烈刀割样胸痛2小时,向背部放射。体检发现主动脉瓣区可闻及舒张期杂音。考虑为主动脉夹层可能。下列哪一项检查显示内膜钙化内移效果更佳()
	A.透视
	B.胸片
	C.CT
	D.MRI
	E.DSA
4、多项选择题 下列哪项可使散射线量增加()
A.被照体面积大  
B.被照体体积大  
C.被照体厚度大  
D.被照体含气量大  
E.被照体组织密度均匀
5、多项选择题 石棉肺患者易并发()
	A.肺炎
	B.胸膜间皮瘤
	C.肺癌
	D.支气管扩张
	E.肺源性心力衰竭
6、单项选择题 X线自被检者的前方射向后方为()
	A.前后方向
	B.后前方向
	C.冠状方向
	D.轴方向
	E.切线方向
7、单项选择题 关于胃溃疡X线表现,错误的是()
	A.龛影
	B.小弯短缩
	C.粘膜集中
	D.充盈缺损
	E.砂钟胃
8、单项选择题 矽肺与混合性尘肺比较,少见的X线征象是()
	A.矽结节多分布于中、上叶
	B.肺门淋巴结易肿大钙化
	C.矽结节可融合成团块
	D.肺间质纤维化严重、广泛
	E.易合并肺结核
9、多项选择题 支气管气相可见于()
	A.周围型燕麦细胞癌
	B.肺透明膜病
	C.大叶性肺炎
	D.结节病
	E.肺水肿
10、单项选择题 X线平片上见到颅内有病理性钙化灶可能是()
	A.颅咽管瘤
	B.Sturge-Weber综合征
	C.畸胎瘤
	D.结节性硬化
	E.以上均是
11、单项选择题 观察左侧乳房时,常将其分为若干象限,下述哪种说法不正确()
	A.时钟12~3点为外上象限
	B.时钟3~6点为外下象限
	C.时钟6~9点为内下象限
	D.时钟9~12点为内上象限
	E.乳头及乳晕区属外上象限
12、单项选择题
男,7岁,右前臂肿痛20天,发病时皮温较高,体温达39℃。实验室检查:WBC:12.05×109/L,中性粒细胞79%。右尺桡骨正侧位DR片如图
	
最可能的诊断是()
	A.骨结核
	B.溶骨型骨肉瘤
	C.软骨肉瘤
	D.骨纤维异常增殖症
	E.化脓性骨髓炎
13、单项选择题 下述哪项不是“Madelung畸形”的诊断要点的是()
	A.女性多见
	B.常双侧发病
	C.桡骨无蚋侧骨骺发育不良
	D.桡骨近端内侧骨骺发育不良
	E.尺骨远端向侧脱位
14、单项选择题 下列不属于X线机辅助装置的是()
	A.摄影床
	B.诊视床
	C.X线管
	D.影像增强器
	E.摄像机
15、单项选择题 作为小儿髋关节摄片,哪一项技术措施是不正确的()
	A.两侧髋关节应在一张胶片上同时摄片
	B.对生殖腺要进行防护
	C.两侧髋关节及股骨的位置一定要对称
	D.应使用锐利度较高的低速增感屏
	E.肢体左右铅号标记要正确
16、单项选择题 结肠双对比X线造影检查可显示的最小解剖单位是()
	A.结肠袋
	B.结肠带
	C.粘膜皱襞
	D.结肠无名沟
	E.以上都不是
17、多项选择题 消化道黏膜的改变包括()
	A.黏膜皱襞增粗、扭曲
	B.龛影
	C.黏膜皱襞破坏
	D.黏膜皱襞纠集
	E.微皱襞的改变
18、单项选择题 女,25岁,初产妇哺乳期,右乳腺疼痛2天,体温39℃,局部有明显压痛,诊断为急性乳腺炎,在诊断依据分析中,下列哪项是错误的()
	A.哺乳期局部疼痛
	B.局部有明显压痛
	C.体温高
	D.好发于初产妇
	E.因病人局部皮肤不红,表皮温度较对侧升高不明显,诊断不能肯定
19、多项选择题 肺转移瘤中呈小结节及粟粒病变者多见于()
	A.肝癌转移
	B.胰腺癌转移
	C.绒毛膜上皮癌转移
	D.成骨肉瘤转移
	E.甲状腺癌转移
20、多项选择题 下述哪些不是产生X线的具备条件()
	A.光电管
	B.电子源
	C.高压电场和真空下产生的高速电子流
	D.适当的障碍物
	E.旋转阳极
21、单项选择题 右侧输尿管“S”形,应首先考虑()
	A.腔静脉后输尿管
	B.腹膜后纤维化
	C.游离肾
	D.迷走血管压迫
	E.输尿管正常弯曲
22、单项选择题 下列哪项不是增感屏的结构()
	A.基层
	B.感光乳剂层
	C.保护层
	D.反射层
	E.防反射层
23、单项选择题 用于读出CR中X线影像信息的光束是()
	A.可见光
	B.红外线
	C.紫外线
	D.激光
	E.电子线
24、单项选择题 腰椎斜位标准片所见,错误的是()
	A.第1~5腰椎及腰骶关节呈斜位,于照片正中显示
	B.各椎弓根投影于椎体正中或前1/3处
	C.各椎弓根投影于椎体后1/3处
	D.椎间隙显示良好,第3腰椎上下面的两侧缘应重合
	E.与椎体相重叠的椎弓部结构,应显示清晰
25、单项选择题
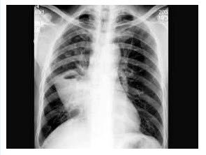
男,52岁,从事矿井工作32年,近几年出现气喘,呼吸困难,胸片如图,其最可能的诊断为()
	
	A.双肺浸润性结核
	B.双肺真菌感染
	C.两肺弥漫性间质性肺炎
	D.两肺弥漫性纤维化
	E.矽肺
26、单项选择题 “动脉瘤样骨囊肿”正确的演变顺序为()
	A.稳定期、溶骨期、膨胀期、愈合期
	B.膨胀期、稳定期、溶骨期、愈合期
	C.溶骨期、膨胀期、稳定期、愈合期
	D.稳定期、膨胀期、溶骨期、愈合期
	E.膨胀期、溶骨期、稳定期、愈合期
27、单项选择题 下列哪种疾病不宜行钡剂灌肠()
	A.溃疡性结肠炎
	B.疑有结肠癌者
	C.中毒性巨结肠
	D.先天性巨结肠
	E.疑有结肠梗阻者
28、多项选择题 关于副骨的表述,正确的是()
	A.某一骨骼的多个骨化中心在发育过程中没有合并所致
	B.由一个额外独立的骨化中心发育而来
	C.多见于腕骨附近
	D.多见于跗骨附近
	E.多见于骨骼附近的肌腱中
29、多项选择题 胆囊腺肌增生症的主要诊断依据是()
	A.胆囊缩小、变形
	B.胆囊壁增厚
	C.胆囊壁内大小不等的憩室样征象
	D.少数憩室内并发小结石
	E.病变累及胆囊全部或呈节段性
30、单项选择题 病人在出现明显症状以前,X线片就能显示转移的是()
	A.鼻咽癌
	B.乳腺癌
	C.肾癌
	D.前列腺癌
	E.胃癌
31、单项选择题 颅脑外伤侧位平片显示鼻咽腔顶软组织肿胀常提示()
	A.前颅窝骨折
	B.中颅窝骨折
	C.后颅窝骨折
	D.额骨骨折
	E.斜坡骨折
32、多项选择题 溃疡型肠结核的X线表现有()
	A.肠管边缘呈锯齿状
	B.斑点状小龛影
	C.激惹征
	D.粘膜紊乱呈小息肉状充盈缺损
	E.可出现肠梗阻表现
33、多项选择题 龛影可见于哪些病变()
	A.贲门失弛缓征
	B.胃溃疡
	C.十二指肠憩室
	D.肠结核
	E.食管静脉曲张
34、单项选择题 胸部摄片高千伏摄影是指()
	A.≥90kV
	B.≥100kV
	C.≥110kV
	D.≥120kV
	E.≥130kV
35、单项选择题 单位体积内骨量增多属于()
	A.骨内与软骨钙化
	B.骨膜增生
	C.骨内矿物质沉积
	D.骨质增生硬化
	E.死骨
36、单项选择题 下列组织中与骨代谢关系最密切的是哪项()
	A.垂体
	B.甲状旁腺
	C.胸腺
	D.胰腺
	E.脾
37、多项选择题 常见的空、回肠恶性肿瘤有哪些()
	A.腺癌
	B.恶性淋巴瘤
	C.平滑肌肉瘤
	D.类癌
	E.纤维肉瘤
38、多项选择题 肠系膜上动脉分支有哪些()
	A.胰十二指肠下动脉
	B.空肠动脉
	C.回结肠动脉
	D.右结肠动脉
	E.中结肠动脉
39、单项选择题 围绕视神经周围的是()
	A.脂肪组织
	B.少突胶质细胞
	C.雪旺细胞
	D.脑膜
	E.无任何组织
40、多项选择题 氟骨症的X线表现有()
	A.髓腔变小
	B.骨质极度致密,硬化
	C.骨质疏松
	D.韧带骨化明显
	E.软骨化变形
41、单项选择题
	乳腺癌TNM分期中,T2肿瘤直径不超过()
	 
	A.1cm
	B.2cm
	C.3cm
	D.4cm
	E.5cm
42、单项选择题 外伤性鼻窦积液最好发于下列哪项()
	A.上颌窦
	B.额窦
	C.蝶窦
	D.筛窦前组
	E.筛窦后组
43、多项选择题 骨髓瘤的X线表现包括()
	A.广泛性骨质疏松
	B.多发性骨质破坏
	C.软组织肿块
	D.骨质硬化
	E.骨质破坏、骨质硬化并存
44、单项选择题 下列椎间盘突出征象中,错误的是()
	A.椎间隙宽窄不均
	B.脊柱生理曲度消失
	C.椎体边缘骨质增生
	D.脊柱不稳
	E.腰大肌影增宽
45、多项选择题 肱骨外科颈骨折,正确的摄片体位是()
	A.肱骨上端正位
	B.肱骨上端侧位
	C.肱骨上端正侧位
	D.肱骨上端斜位
	E.肱骨上端穿胸位
46、单项选择题 骨折临床愈合期一般在骨折后()
	A.3周左右
	B.4周左右
	C.5周左右
	D.6周左右
	E.8周左右
47、单项选择题 评价胸部正位影像是否良好,最关键是哪一项()
	A.左右胸锁关节对称
	B.肺纹理能连续追踪
	C.肺尖充分显示
	D.心脏边缘锐利
	E.肋膈角包括完全
48、单项选择题 胸部平片上,下列哪项不属于左心室扩大的表现()
	A.可呈靴形心
	B.反向搏动点上移
	C.心尖圆钝、上翘
	D.心尖向左下方延长
	E.左前斜位,心后间隙变小、消失
49、多项选择题 下列胰腺疾病中,常显示钙化影的有哪些()
	A.急性胰腺炎
	B.胰腺囊肿
	C.慢性胰腺炎
	D.胰岛细胞瘤
	E.胰腺癌
50、单项选择题 下列肺挫伤的诊断要点,错误的是()
	A.肺内大片状或斑点状密度增高影
	B.胸痛、咯血、呼吸急促
	C.肺部阴影需2周以上时间才能完全吸收
	D.肺段或肺叶不张
	E.液气胸
51、单项选择题 急性化脓性骨髓炎典型X线表现是()
	A.骨质破坏
	B.死骨形成
	C.骨质增生
	D.软组织窦道形成
	E.以上都是
52、单项选择题
	男,46岁,腹部不适多年,结合图像,最可能的诊断为()
	A.正常空肠
	B.空肠结核
	C.克罗恩病
	D.空肠多发憩室
	E.空肠占位
53、单项选择题 骨瘤好发部位是()
	A.肱骨
	B.肋骨
	C.胸骨
	D.颅骨及颜面骨
	E.四肢骨
54、单项选择题 胆脂瘤型中耳炎的典型影像特点为()
	A.多发生于气化型乳突
	B.病变位于乳突气房内
	C.病灶有硬化缘
	D.病变大小多为3~5cm
	E.平片示圆形高密度
55、单项选择题 下列哪种肿瘤通常在肺部发生转移之后才被诊断,在X线上表现为多发性、无钙化,边缘整齐的圆形病灶()
	A.前列腺癌
	B.恶性甲状腺肿
	C.绒毛膜上皮癌
	D.成骨肉瘤
	E.乳癌
56、单项选择题
	男,78岁,上腹痛1月余,返酸,无嗳气,空腹加重。体检:上腹压痛,结合图像,最可能的诊断为()
	A.正常表现
	B.慢性胃炎
	C.胃癌
	D.十二指肠憩室
	E.十二指肠占位
57、单项选择题 患者,女,78岁,咳嗽、咳痰1个月余,不发热。胸片见左肺一厚壁空洞,壁厚薄不均,内壁呈结节样,外缘呈分叶状,并见毛刺,门诊行抗炎治疗1周后,复查胸片无明显变化,则最可能诊断是()
	A.肺结核
	B.肺癌
	C.大叶性肺炎
	D.小叶性肺炎
	E.肺气肿
58、多项选择题 乳腺X线摄片线质的特点是()
	A.波长较短
	B.波长较长
	C.X线能量低
	D.X线穿透力较强
	E.X线穿透力较弱
59、单项选择题 胃溃疡多见于()
	A.胃窦部
	B.胃窦幽门前区
	C.幽门管
	D.胃小弯与胃角附近
	E.胃大弯
60、单项选择题 肾结核钙化X线表现不包括()
	A.环状排列
	B.斑块状
	C.条状
	D.均匀细沙状
	E.簇状排列
61、多项选择题 属于腹膜间位器官的有哪些()
	A.盲肠
	B.升结肠
	C.降结肠
	D.横结肠
	E.乙状结肠
62、多项选择题 小肠的运动形式有哪些()
	A.分节运动
	B.紧张性收缩
	C.舒张
	D.蠕动
	E.摆动
63、单项选择题 原发性肺结核是指()
	A.原发综合征
	B.胸内淋巴结结核
	C.血行播散型肺结核
	D.前两者均是
	E.前三者均是
64、单项选择题 鼻咽顶前部厚度正常绝对值不超过()
	A.5mm
	B.10mm
	C.15mm
	D.20mm
	E.6mm
65、单项选择题 肾盂形态有很大差异,但多数呈()
	A.壶腹状
	B.分支状
	C.三角形
	D.不规则形
	E.树枝状
66、单项选择题 肺病灶内有多发空洞,则可除外()
	A.慢性肺脓肿
	B.组织细胞增生症X
	C.支气管囊肿
	D.类风湿结节
	E.嗜酸性肉芽肿
67、多项选择题 葡萄球菌肺炎的X线征象是()
	A.浸润灶
	B.肺气囊
	C.结节影
	D.脓胸或脓气胸
	E.增殖灶
68、单项选择题
	男,36岁,髋关节疼痛、肿胀,活动受限1月,结合图像,最可能的诊断是()
	A.骨肉瘤
	B.软骨瘤
	C.股骨结核
	D.软骨肉瘤
	E.转移瘤
69、单项选择题 外伤患者头颅内发现有气体影,骨折的部位是()
	A.额窦前壁骨折
	B.额窦后壁骨折
	C.上颌骨折
	D.筛窦骨折
	E.上颌窦后壁骨折
70、单项选择题 骨转移瘤最常来自于()
	A.腺癌
	B.肉瘤
	C.皮肤癌
	D.食管癌
	E.以上都不是
71、单项选择题 膈肌麻痹时,膈肌位置的改变是下列哪一种()
	A.两侧膈肌升高
	B.两侧膈肌降低
	C.单侧膈升高
	D.单侧膈肌降低
	E.膈肌局限性隆凸
72、多项选择题 溃疡性结肠炎X线检查可见到的征象有()
	A.卵石征
	B.绣带征
	C.袖口征
	D.靶征
	E.跳跃征
73、单项选择题 为提高食管静脉曲张的检出率,应用下列哪种方法较好()
	A.稠钡有利于病变的显示
	B.多做吞咽动作
	C.立位比卧位好,不需摄点片
	D.少量稀钡,加用Alsava法或应用抗胆碱药物易于显示
	E.以上都不是
74、单项选择题 下述石棉肺影像表现,错误的是()
	A.早期,不规则形大阴影
	B.晚期,双肺蜂窝状阴影
	C.胸膜斑可钙化
	D.蓬发心
	E.胸膜改变常比肺改变更明显
75、单项选择题 下列哪种疾病,胸片上无“肺血减少”表现的是()
	A.肺动脉狭窄
	B.法洛四联征
	C.三尖瓣闭锁
	D.肺动脉闭锁
	E.高原性心脏病
76、单项选择题 色素沉着绒毛结节性滑膜炎特点为()
	A.关节滑膜高度增生
	B.含铁血黄素沉着
	C.绒毛结节形成
	D.以上都是
	E.以上都不是
77、多项选择题 骨折的愈合过程可分为()
	A.肉芽组织修复期
	B.原发骨痂连接期
	C.骨性愈合期
	D.塑形期
	E.假关节形成期
78、单项选择题 “骨母细胞瘤”分型为()
	A.中心型+周围型
	B.中心型+骨皮质型
	C.中心型+骨皮质型+骨膜型
	D.骨干型+骨端型
	E.骨干型+干骺型+骨骺型
79、单项选择题 “钡餐检查”前,一般不需要()
	A.了解病史,带上以往检查资料
	B.清洁灌肠
	C.不给予影响消化道功能的药物
	D.检查前1周内不吃高密度食物、药物
	E.禁食、禁水12小时
80、单项选择题 有关乳腺良性肿块的X线征象中,应除外()
	A.肿块多呈圆形或类圆形
	B.肿块边缘光滑清晰
	C.肿块界限不清,边缘模糊
	D.肿块密度较均匀
	E.肿块有时可见透明晕圈
81、单项选择题 应力性骨折在发病多长时间内,X线检查可无明显表现()
	A.4~6周
	B.1~2天
	C.3~4周
	D.3~4天
	E.1~2周
82、多项选择题 膝关节前后正位摄片要求清晰可见的结构是()
	A.股骨远端骨小梁
	B.胫骨近端骨小梁
	C.膝关节周围软组织
	D.髌骨
	E.半月板
83、单项选择题 关于头颅侧位摄片,中心线应对准()
	A.听眦线中点
	B.听眦线前中1/3处
	C.外耳孔前上各2.5cm处
	D.外耳孔前2.5cm处
	E.外耳孔上2.5cm处
84、单项选择题 下列病变多见于骨干的是()
	A.骨囊肿
	B.骨巨细胞瘤
	C.尤文肉瘤
	D.软骨肉瘤
	E.以上都不是
85、多项选择题 黏多糖贮积症最常见的酸性黏多糖主要有3种,即()
	A.硫酸类肝素
	B.硫酸皮肤素
	C.硫酸角质素
	D.硫酸软骨素C
	E.硫酸软骨素A
86、多项选择题 Esenmenger综合征患者,可有哪些异常()
	A.主动脉骑跨
	B.完全性肺静脉异位引流
	C.室间隔缺损
	D.右心室肥大
	E.房间隔缺损
87、多项选择题 转移性骨肿瘤的临床、影像学特点为()
	A.多见于中老年人
	B.可多发
	C.溶骨型较多见
	D.不易形成软组织肿块
	E.一般无骨膜反应
88、多项选择题 右心房增大常见于()
	A.右心衰竭
	B.房间隔缺损
	C.三尖瓣病变
	D.心房黏液瘤
	E.左心衰竭
89、多项选择题 二尖瓣复合体包括()
	A.二尖瓣环
	B.二尖瓣
	C.二尖瓣腱索
	D.乳头肌
	E.以上都不是
90、多项选择题 参与右肺门构成的有()
	A.右上肺动脉
	B.右下肺支气管
	C.右下肺动脉
	D.右下肺静脉
	E.以上都是
91、多项选择题 慢性支气管炎的X线表现包括()
	A.肺纹理扭曲、紊乱
	B.肺大泡
	C.水滴形心影
	D.肋间隙增宽,双膈面低平
	E.肺动脉高压
92、多项选择题 骨转移瘤较常见的影像学征象为()
	A.多发棉絮状成骨
	B.骨膜反应
	C.骨质破坏
	D.病理骨折
	E.脊椎转移时,椎间隙(盘)多保持完整
93、单项选择题 舟状头畸形的颅缝闭合特点一般表现为()
	A.矢状缝、人字缝提早闭合
	B.矢状缝、冠状缝提早闭合
	C.冠状缝、人字缝提早闭合
	D.矢状缝、顶颞缝提早闭合
	E.偏侧颅缝提早闭合
94、单项选择题 在纵隔九分区法中,作为中后纵隔分界的是()
	A.气管后壁
	B.心后壁
	C.食管前壁
	D.食管后壁
	E.降主动脉前壁
95、多项选择题 对比剂对人体组织刺激性的(反应)比较,正确的是()
	A.氧气>空气
	B.无机碘>有机碘
	C.离子型>非离子型
	D.口服>静脉
	E.以上都是
96、单项选择题 脊柱结核常见于()
	A.青年人
	B.儿童
	C.幼儿
	D.无年龄区别
	E.老年人
97、单项选择题
	女,65岁,腰背部疼痛,僵硬半年余,结合影像学检查,最可能的诊断是()
	A.脊椎肿瘤
	B.椎体压缩性骨折
	C.化脓性脊柱炎
	D.强直性脊柱炎
	E.脊椎退行性变
98、单项选择题 关于桡腕关节的描述正确的是()
	A.由桡骨下端的腕关节面构成关节窝
	B.属椭圆关节
	C.由近侧副腕骨构成关节头
	D.内收的幅度大于外展,外展的幅度大于内收
	E.舟骨、月骨、三角骨、钩状骨均参与构成
99、单项选择题 骨肿瘤和肿瘤样病变中,骨皮质膨胀呈“吹泡状”见于()
	A.动脉瘤样骨囊肿
	B.骨纤维异常增殖症
	C.畸形性骨炎
	D.骨样骨瘤
	E.孤立性骨囊肿
100、单项选择题
男,7岁,右前臂肿痛20天,发病时皮温较高,体温达39℃。实验室检查:WBC:12.05×109/L,中性粒细胞79%。右尺桡骨正侧位DR片如图
	
	A.骨穿刺活检
	B.试验性放射治疗
	C.ECT
	D.MRI
	E.超声成像
101、多项选择题 肠套叠钡灌肠的典型X线表现有哪些()
	A.钡剂头端受阻
	B.钡剂头端呈杯口状
	C.位于肝、脾曲处的钡剂头端轴位像为圆形充盈缺损
	D.钡剂排出后附着于粘膜皱襞的钡剂为螺旋弹簧状
	E.钡剂头端见龛影
102、多项选择题 成人幽门梗阻的常见病因有哪些()
	A.幽门管溃疡
	B.胃窦癌
	C.胃粘膜脱垂
	D.十二指肠球部溃疡
	E.成人幽门肌肥大
103、单项选择题 头颅侧位是临床经常拍摄的摄影位置。 头颅侧位能够显示的结构是()
	A.内听道
	B.圆孔
	C.枕骨大孔
	D.视神经孔
	E.蝶鞍侧位形态
104、多项选择题 胸片上,肺内多发空洞可见于()
	A.肺泡细胞癌
	B.转移性肺癌
	C.肺吸虫病
	D.韦格肉芽肿
	E.肺结核
105、单项选择题 关于常规胸椎侧位摄影的叙述,错误的是()
	A.清晰显示1~12胸椎形态
	B.患者侧卧于摄影台
	C.冠状面应垂直于胶片
	D.应使用滤线器摄影
	E.中心线对准第7胸椎入射
106、单项选择题 有关解剖学方位的描述,下列错误的是()
	A.近头为上
	B.近体表为浅
	C.近正中矢状面为内侧
	D.近肢侧为近端
	E.近腹为前
107、单项选择题 有关肾盂造影时压迫腹部的叙述,错误的是()
	A.防止对比剂流入膀胱
	B.压迫点为脐水平两侧
	C.压迫球呈"倒八字"形放置
	D.压力为80~100mmHg
	E.观察全尿路时解除压迫
108、单项选择题 关于“单纯性骨囊肿”CT表现错误的是()
	A.囊内偶有间隔
	B.囊内容物CT值近似水
	C.位于肱骨骨干者可有硬化缘
	D.位于长骨骨干者骨皮质变薄
	E.合并病理骨折时,可出现"碎片陷落征"
109、单项选择题
	男,34岁,不规则上腹痛1月,如图,最可能的诊断是()
	A.胃癌
	B.胃溃疡
	C.胃恶性间质瘤
	D.胃淋巴瘤
	E.胃间质瘤
110、单项选择题 支气管扩张的X线影像表现,下述哪项不对()
	A.胸片正常可除外此病
	B.局部肺纹理增多、走行紊乱
	C.囊状或蜂窝状影
	D.不规则杵状致密影
	E.不规则管状透明影
111、单项选择题 假骨折线(Looser带)是诊断下述哪种疾病的可靠征象()
	A.老年性骨质疏松
	B.甲状旁腺功能减退
	C.骨纤维异常增殖症
	D.骨质软化症
	E.成骨不全
112、单项选择题 成人视神经孔的孔径大约为()
	A.0.2cm
	B.0.5cm
	C.1.2cm
	D.0.8cm
	E.1.0cm
113、多项选择题 副鼻窦瓦特氏位,不能观察到的影像有()
	A.筛窦
	B.额窦
	C.眶内异物
	D.眶上裂
	E.蝶骨小翼
114、多项选择题 骨纤维异常增殖症X线表现,正确的是()
	A.长骨病变多始于干骺或骨干并渐向骨端扩展,易累及骨骺
	B.囊状膨胀性透亮区,其内散在条索状骨纹及斑点状钙化致密影
	C.磨玻璃样改变
	D.丝瓜瓤(络)样改变,患骨膨胀增粗,骨小梁粗大扭曲,沿纵轴方向走行
	E.颅骨内外板和板障膨大、硬化
115、多项选择题 胃癌的X线造影征象有()
	A.胃壁僵硬呈直线,边缘不整齐
	B.充盈缺损
	C.不整齐的巨大溃疡
	D.胃粘膜皱襞中断融合
	E.可见明显的环堤和中心不整齐的溃疡
116、单项选择题 下列不是关节创伤的并发症和后遗症是()
	A.不稳定和松弛性关节 
	B.慢性窦道 
	C.关节畸形 
	D.假关节 
	E.化脓性关节炎
117、单项选择题 下列关于膀胱憩室的鉴别诊断,错误的是()
	A.膀胱或膀胱憩室感染时可出现尿急尿频等症状
	B.膀胱憩室可单发,亦可多发
	C.正常膀胱内可见肌小梁间隔
	D.膀胱憩室可见肌小梁间隔
	E.膀胱憩室与膀胱相通
118、单项选择题 下列“骨母细胞瘤”影像特点中,哪项错误()
	A.有硬化缘 
	B.晚期可液化呈囊样密度 
	C.管状骨者,常呈中心型分布 
	D.早期毛玻璃状,沙砾样钙化 
	E.骨皮质可断裂、软组织肿块形成
119、单项选择题 30岁,男性,头颈部外伤1小时,侧位片示颈椎序列后凸,但未见骨折,应首先考虑()
	A.颈椎后侧韧带损伤
	B.棘上韧带损伤
	C.棘间韧带损伤
	D.前纵韧带损伤
	E.后纵韧带损伤
120、单项选择题 对于先天性巨结肠(Hirschsprung病)患者,以下钡灌肠技术中,哪项不正确()
	A.检查前,不清洁灌肠 
	B.用等渗盐水配制钡剂 
	C.通常只要求显示狭窄段,不要求显示全结肠 
	D.检查后,尽量抽出钡剂 
	E.检查前日,服泻药清洁灌肠
121、单项选择题 法洛四联征的心影,多表现为()
	A.明显增大
	B.进行性增大
	C.缩小
	D.正常或轻度增大
	E.雪人征
122、多项选择题 早期食管癌根据大体病理形态分为()
	A.平坦型
	B.糜烂型
	C.斑块型
	D.髓质型
	E.乳头型
123、单项选择题
下列各肺叶肺不张的摄影位置的选择,哪项是错误的()
	A.下叶肺不张--常规正侧位加斜位 
	B.中叶肺不张--常规正位加弓位或侧位 
	C.左小叶肺不张--左侧位 
	D.右上叶肺不张--常规正位 
	E.盘状肺不张--常规正位
124、单项选择题 观察鼻骨常规以哪种平片为主()
	A.鼻骨正位片
	B.鼻骨侧位片
	C.鼻颌位片
	D.顶颏位片
	E.眶下裂位
125、多项选择题 先天子宫发育畸形包括()
	A.鞍形子宫
	B.半隔子宫
	C.双角子宫
	D.单角子宫
	E.纵隔子宫
126、单项选择题
患者,女,28岁,轻咳两月,有盗汗。胸片如图:
	
	A.Ⅰ
	B.Ⅱ
	C.Ⅲ
	D.Ⅳ
	E.Ⅵ
127、单项选择题 关于产生X线条件的叙述,错误的是 ( )
	A.电子源
	B.高速电子流
	C.阻碍电子流的靶面
	D.高速电子与靶物质相互作用的结果
	E.X线管的靶面均由钼制成
128、单项选择题 图像上相邻两点之间的密度差是()
	A.清晰度
	B.密度
	C.失真度
	D.锐利度
	E.对比度
129、单项选择题 有关碘过敏试验的方法,下列哪项是错误的()
	A.皮内试验
	B.眼结膜试验
	C.口服试验
	D.肌内注射试验
	E.静脉注射试验
130、单项选择题 下列正常骨结构中,哪种平片能显示()
	A.骨膜
	B.红骨髓或黄骨髓
	C.关节软骨
	D.关节囊
	E.骨皮质
131、单项选择题 KerleyB线最常见于哪种疾病()
	A.肺癌
	B.肺结核
	C.心房间隔缺损
	D.二尖瓣狭窄
	E.慢性支气管炎
132、单项选择题 不产生脑脊液的是()
	A.侧脑室
	B.第三脑室
	C.第四脑室
	D.蛛网膜颗粒
	E.室管膜
133、单项选择题 下列有关肺转移瘤的描述,错误的是()
	A.血行转移,最常见的转移方式
	B.淋巴转移,常见于消化系统肿瘤
	C.直接侵犯,多源自胸膜、纵隔恶性肿瘤
	D.血行转移,均为多发圆形结节影
	E.原发性肝癌常发生肺转移
134、单项选择题 心脏右前斜位摄片,曝光前须先()
	A.口服硫酸钡
	B.浅呼吸屏气
	C.深吸气屏气
	D.平静呼吸屏气
	E.腹式呼吸屏气
135、单项选择题
女,4岁,根据影像图像,最可能的诊断是()
	

	A.肺癌
	B.胸骨后甲状腺肿
	C.胸腺瘤
	D.神经源性肿瘤
	E.淋巴瘤
136、多项选择题 关于膝关节前后正位片显示标准,正确的是()
	A.片包括股骨远端胫骨近端骨骼
	B.关节面位于照片下1/3处显示
	C.关节间隙内外两侧等距
	D.腓骨小头与胫骨仅有小部分重叠
	E.腓骨小头与胫骨不应有重叠
137、单项选择题
	根据图像,最可能的诊断是()
	A.肺气肿
	B.慢性支气管炎
	C.气胸
	D.纵隔气肿
	E.肺转移瘤
138、多项选择题 下列肺炎中X线表现为类圆形阴影且易形成空洞的多见于()
	A.大叶性肺炎
	B.小叶性肺炎
	C.化脓性肺炎
	D.支原体肺炎
	E.霉菌性肺炎
139、多项选择题 哪些是慢性胃溃疡恶变的征象()
	A.龛影周围出现小结节状充盈缺损,犹如指压迹
	B.龛影周围粘膜皱襞呈杵状增粗或中断
	C.龛影变为不规则或边缘出现尖角征
	D.治疗过程中龛影逐渐增大
	E.龛影周围粘膜纠集,呈辐射状
140、多项选择题 肺血流受下述哪些因素影响()
	A.右心搏出量
	B.全心搏出量
	C.肺血管阻力
	D.肺泡内压
	E.肺弹力
141、多项选择题 位于前纵隔的肿瘤有()
	A.胸腺瘤
	B.皮样囊肿
	C.畸胎瘤
	D.神经纤维瘤
	E.支气管囊肿
142、单项选择题 胶片感光发生的光化学反应,实质上属于()
	A.水解反应
	B.合成反应
	C.氧化-还原反应
	D.光合作用
	E.光化学反应
143、单项选择题 下述有关骨软骨缺血坏死的命名组合中,哪项错误()
	A.跗舟骨缺血坏死——Kōhler病
	B.跖骨头骨骺骨缺血坏死——Freiberg病
	C.腕舟状骨缺血坏死——Kienbōck病
	D.胫骨结节缺血坏死——Osgood-schlatter病
	E.股骨头骨骺缺血坏死——Legg-Perthes病
144、单项选择题
	女,6岁,外伤后左肘部肿痛,活动受限,外髁局部压痛,X线摄片如图,最可能的诊断是()
	A.左肱骨小头骨骺损伤
	B.左肱骨髁上骨折
	C.左肱骨外上髁骨骺损伤
	D.左肱骨内髁骨骺损伤
	E.左肱骨外髁骨骺损伤
145、单项选择题 以下不通过眶上裂的是()
	A.滑车神经
	B.动眼神经
	C.眼动脉
	D.眼静脉
	E.外展神经
146、单项选择题 对于胸部检查的描述,下列哪项不对()
	A.正位胸片,左侧心后膈肌常显示不清
	B.对肋骨、钙化的显示,高千伏胸片不及常规胸片
	C.侧位深吸气相的肋膈角常呈锐角
	D.对肺尖病变,前弓位价值高
	E.显示肺纹理、肺内阴影,高千伏胸片不及常规胸片
147、单项选择题 孕妇需避免X线检查,是因为X线的()
	A.穿透作用
	B.荧光作用
	C.生物作用
	D.电离作用
	E.光化学作用
148、单项选择题 下列有关左心房增大影像表现,哪项不对()
	A.后前位,右心缘"双房影"
	B.后前位,支气管分叉角度增大
	C.左前斜位,左下叶支气管后移
	D.左前斜位,心前间隙缩小甚至消失
	E.侧位示心后缘上部突出、食管受压
149、多项选择题 关于结肠正常影像,下列描述正确的是()
	A.结肠黏膜有纵、横、斜3种方向
	B.升结肠的结肠袋比降结肠明显
	C.左半结肠黏膜皱襞以纵向为主
	D.左半结肠比右半结肠粗
	E.低张双对比造影可显示无名沟
150、单项选择题 下述孤立性肺结节影像标准,哪项不对()
	A.圆形或椭圆形病灶
	B.直径1~4cm
	C.不与胸壁、纵隔、横膈、心脏相连
	D.可有卫星灶
	E.其余肺野无实质性病灶
151、单项选择题 肩关节正位摄片,中心线正确射入点是()
	A.锁骨的中点
	B.关节盂
	C.肩峰
	D.肩胛骨喙突
	E.肱骨头
152、单项选择题
	女,48岁,车祸致右胫腓骨骨折,外固定术后两年复查,如图所示,最可能的诊断是()
	A.右胫骨愈合延迟
	B.右胫骨假关节形成
	C.右胫骨骨折愈合好,有大量骨痂形成
	D.右胫骨断端不连
	E.以上均不正确
153、多项选择题 关于肺转移瘤,正确的是()
	A.许多部位的原发性肿瘤可转移至肺内
	B.肺转移瘤患者少有呼吸道症状
	C.血行转移X线表现为两中下肺野散在小结节或棉球样阴影
	D.淋巴结转移X线表现为双中下肺野模糊网格状影
	E.以上都不是
154、单项选择题 腹部仰卧前后位摄片应用最多的是检查()
	A.急腹症
	B.腹部肿块
	C.腹部脏器形态
	D.泌尿系结石
	E.泌尿系囊肿
155、单项选择题 深吸气后屏气状态又称为()
	A.动态呼吸法
	B.Muller呼吸法
	C.Valsalva呼吸法
	D.平静呼吸法
	E.以上都对
156、单项选择题 贲门癌是指源于贲门口中心周围多少厘米以内的胃癌()
	A.1.0~3.0cm
	B.0.5~1.0cm
	C.2.5~3.0cm
	D.2.0~2.5cm
	E.1.5~3.5cm
157、单项选择题 左向右分流型先天性心脏病出现的肺部血管改变是()
	A.肺栓塞
	B.肺出血
	C.肺淤血
	D.肺充血
	E.肺缺血
158、单项选择题
	女,23岁,行按摩时,听到“咔”一声后感手指剧痛,结合图像,最可能的诊断是()
	A.血管瘤
	B.骨囊肿
	C.骨巨细胞瘤
	D.上皮样囊肿
	E.内生软骨瘤并骨折
159、单项选择题 拟诊上颌窦癌并骨质侵犯的患者应首选的摄影位置是()
	A.俯卧瓦氏位
	B.站立瓦氏位
	C.汤氏位
	D.柯氏位
	E.头颅侧位
160、单项选择题 下列对辐射敏感的组织不包括()
	A.卵巢
	B.四肢
	C.眼晶状体
	D.骨髓
	E.睾丸
161、单项选择题
	女,3岁,身高不增,智力正常,结合图像,最可能的诊断是()
	A.维生素D缺乏症
	B.肾性骨病
	C.黏多糖贮积症Ⅳ型
	D.黏多糖贮积症Ⅰ型
	E.MPSⅡ型
162、单项选择题 水溶性碘对比剂不包括()
	A.碘化油
	B.泛影葡胺
	C.碘帕醇
	D.碘海醇
163、单项选择题 早期中耳癌的X线摄影以何种位置摄影最佳()
	A.汤氏位摄影 
	B.伦氏位摄影 
	C.斯氏位摄影 
	D.头颅前后位摄影 
	E.颅底摄影
164、单项选择题 当柯氏位投照时,听眦线与暗盒的夹角为()
	A.0°
	B.23°
	C.45°
	D.37°
	E.15°
165、多项选择题 肺类风湿病的实验室检查多见()
	A.类风湿因子阳性
	B.血清白蛋白减低
	C.IgG、IgM增高
	D.血沉减慢
	E.γ球蛋白增加
166、单项选择题 下列“Monteggia骨折”诊断要点,哪项不对()
	A.桡骨下1/3骨折伴尺骨小头脱位
	B.尺骨上1/3骨折伴桡骨头脱位
	C.屈曲型骨折,桡骨头向后外方脱位
	D.伸直型骨折,桡骨头向前外方脱位
	E.前臂旋转功能障碍
167、单项选择题 胶片上相邻两点间的密度差称为()
	A.黑化度
	B.X线对比度
	C.胶片灰雾度
	D.解像力
	E.光学对比度
168、单项选择题 减少和排除散射线的方法中,下列哪项错误()
	A.缩小照射野
	B.用金属后背盖的暗盒
	C.用遮线筒或缩光器来
	D.选择高电压摄影的方法
	E.使用滤线栅
169、多项选择题 Perkin方格正确的表述为()
	A.用于股骨头骨骺出现前的儿童髋关节测量
	B.横行线为自两侧"Y"形软骨的中央画线
	C.垂线经过髋臼的外侧缘
	D.横行线与垂线形成的象限称为Perkin方格
	E.正常股骨头骨骺位于内下象限
170、单项选择题 下述哪项是膜内化成骨()
	A.颅顶骨和面骨
	B.脊柱和骨盆
	C.四肢长骨
	D.颅底骨和筛骨
	E.四肢短管状骨
171、单项选择题 关于“胃癌”钡餐造影表现,下列哪项不对()
	A.胃壁局限性僵硬
	B.线状溃疡
	C.病变周围粘膜皱襞中断、破坏
	D.底部凹凸不平的浅大溃疡
	E.表面凹凸不平的充盈缺损
172、多项选择题 乳腺X线摄片线质的特点是()
	A.波长较短
	B.波长较长
	C.X线能量低
	D.X线穿透力较强
	E.X线穿透力较弱
173、多项选择题 左心房增大的X线表现为()
	A.食管向后受压移位
	B.双重阴影、双弧形
	C.左心缘可见左心耳突出
	D.左主支气管受压抬高
	E.心影向两侧增宽
174、单项选择题 DSA成像的叙述,错误的是()
	A.DSA——数字减影血管造影
	B.Mask片是与普通平片完全相同的图像
	C.Mask——蒙片
	D.造影图像与未造影图像相减得血管图像
	E.血管显影所需的碘量与血管直径成反比
175、多项选择题 在逆行性尿路造影检查中,可出现哪些肾脏回流征象()
	A.肾小盏回流
	B.肾大盏回流
	C.肾小管回流
	D.肾窦回流
	E.淋巴管回流
176、单项选择题 克氏(Klinefelter)综合征的X线表现中,应除外()
	A.骨骺骨化中心出现和愈合均延迟
	B.髋外翻、膝内翻畸形
	C.头颅较小,额窦不发育,小蝶窦
	D.桡骨骨融合或错位
	E.掌骨征阴性
177、单项选择题 下列溃疡性结肠炎的晚期表现中,错误的是()
	A.“钮扣样”溃疡
	B.结肠袋消失
	C.结肠缩短
	D.骶前间隙变窄
	E.均匀分布的雪花样钡斑
178、单项选择题 软X线摄影主要是利用X射线的()
	A.光电吸收
	B.康普顿吸收
	C.电子对效应
	D.光核反应
	E.相干散射
179、单项选择题
女,3岁,低热、咳嗽2月余,结合胸片,最可能的诊断为()
	
	A.原发综合征
	B.肺门淋巴结核
	C.淋巴瘤
	D.支原体肺炎
	E.间质性肺炎
180、单项选择题 肩关节正位摄影,以下错误的是()
	A.被检侧上肢稍外旋
	B.肩部紧贴暗盒
	C.肩胛骨喙突置于暗盒中心
	D.影像显示肩关节盂前后重合,成切线位显示,关节间隙显示清晰
	E.肱骨小结节位于肱骨头内1/3显示
181、单项选择题 胸骨角位于哪个连接处()
	A.胸骨柄与剑突
	B.胸骨体与剑突
	C.胸骨柄与胸骨体
	D.锁骨与胸骨柄
	E.以上都不是
182、单项选择题 下列单纯性二尖瓣狭窄的胸片影像,错误的是()
	A.双房影
	B.左心室增大
	C.左心缘出现四弓
	D.KerleyB线
	E.食管受压
183、单项选择题 下述观点,哪项正确()
	A.使用增感屏是为了减少X线用量 
	B.长时间透视不会引起“X线烧伤” 
	C.使用增感屏可提高图像清晰度 
	D.数字成像不限X线用量 
	E.透视前暗适应是为了减轻病人精神负担
184、单项选择题 下列哪种疾病,无“肺血减少”表现()
	A.法洛四联征
	B.三尖瓣闭锁
	C.房间隔缺损
	D.永存动脉干
	E.大血管转位
185、多项选择题 X线发生装置包括()
	A.控制装置
	B.高压发生装置
	C.诊视床
	D.X线管
	E.影像装置
186、单项选择题 食管的生理性狭窄及其压迹部位相同的是哪些()
	A.左心房部
	B.主动脉弓部
	C.膈食管裂孔部
	D.食管入口部
	E.左主支气管部
187、多项选择题 胰头癌低张十二指肠造影的X线征象为()
	A.十二指肠曲扩大
	B.十二指肠曲缩小
	C.十二指肠内缘呈反“3”字征
	D.十二指肠内缘双边征
	E.十二指肠内侧呈锯齿状
188、单项选择题 对于风湿性心脏病、二尖瓣狭窄的病人,观察左心房最佳的位置是()
	A.胸部右前斜(吞钡)位
	B.胸部左前斜(吞钡)位
	C.胸部后前位
	D.胸部侧位
	E.胸部右后斜位
189、单项选择题 下列哪项不属于头颅摄片定位标志线()
	A.听眶线
	B.听眦线
	C.听鼻线
	D.听颧线
	E.听口线
190、单项选择题 有关影像变形的叙述,正确的是()
	A.被照物体与胶片不平行造成了影像失真
	B.影像大小与形态随X线倾斜角度改变
	C.球形病灶在中心线倾斜投影下成像为椭圆形
	D.X线中心线垂直于胶片,是为防止影像变形
	E.以上全是
191、单项选择题 房间隔缺损第2孔型的血流动力学改变中,下列哪项不正确()
	A.右心房血流量减少
	B.右心室血流量增加
	C.左心房血流量增加
	D.肺动脉血流量增加
	E.左心室血流量减少
192、单项选择题
	男,53岁,反复咳嗽,咳痰1月余,伴胸闷,胸片如图,最可能的诊断为()
	A.右中肺大叶性肺炎
	B.右中肺不张
	C.右中肺栓塞
	D.右下肺背段不张
	E.右下肺隔离症
193、多项选择题 以下哪些病变属于肿瘤样病变()
	A.骨囊肿
	B.动脉瘤样骨囊肿
	C.骨纤维异样增殖
	D.广泛性纤维囊性骨炎
	E.外生骨疣
194、单项选择题 关于经肾脏排泄的水溶性有机碘对比剂,以下说法错误的是()
	A.离子型对比剂在血液内呈正、负离子形态存在
	B.离子型对比剂渗透压低于非离子型对比剂
	C.非离子型对比剂不是盐类,在血液内不离解
	D.双聚体比单聚体含碘量高
	E.是三碘苯环的衍生物
195、单项选择题 颈椎右前斜位摄影,观察的是()
	A.右侧椎间孔
	B.左侧椎间孔
	C.右侧横突孔
	D.左侧横突孔
	E.椎孔
196、单项选择题 关于神经鞘瘤和神经纤维瘤的描述哪项错误()
	A.组织来源不同
	B.神经纤维瘤多为神经纤维瘤病的局部表现
	C.神经鞘瘤可多发,恶变多见
	D.4%~11%神经纤维瘤病并发神经纤维肉瘤
	E.神经鞘瘤可通过椎间孔侵蚀到椎管外
197、单项选择题 最易引起有肺气囊的肺炎病菌是()
	A.肺炎杆菌
	B.葡萄球菌
	C.链球菌
	D.病毒
	E.肺炎链球菌
198、多项选择题 肺肾综合征的X线表现为()
	A.多发结节状
	B.小叶斑片状
	C.大片融合状
	D.纤维条索状
	E.多发空洞状
199、单项选择题 肾结核X线检查时,错误的是()
	A.平片检查可无异常发现
	B.肾实质内可见云絮状或环状钙化
	C.若肾盏、肾盂被广泛破坏,排泄性尿路造影可以显影
	D.逆行尿路造影可以显示肾盂肾盏形成的不规则空腔
	E.全肾钙化
200、单项选择题
	女,根据其正常手的影像图像,判断其最可能的年龄()
	A.67岁左右
	B.57岁左右
	C.17岁左右
	D.47岁左右
	E.37岁左右
201、多项选择题 消化道穿孔的描述中,正确的有()
	A.没有游离气腹征象就能排除胃肠穿孔
	B.穿孔穿入腹腔内时,立位腹透可见膈下游离气体
	C.小肠及阑尾穿孔后很少有气腹出现
	D.依穿孔穿入腹腔内或腹膜后间隙而有不同的X线表现
	E.以上均正确
202、单项选择题 成人颈椎侧位平片环齿之距离为()
	A.1~1.5mm
	B.6mm以上
	C.5~6mm
	D.2.5~4mm
	E.以上均不是
203、单项选择题 心包积液在少于多少毫升时,其心影大小和形态可无明显改变()
	A.30ml
	B.50ml
	C.300ml
	D.500ml
	E.800ml
204、多项选择题 下列关于提携角的描述,正确的有()
	A.肱骨纵轴与桡骨在内下方夹角
	B.肱骨纵轴与尺骨在内下方夹角
	C.女大于男
	D.男大于女
	E.正常范围5~2O之间
205、单项选择题 对脊柱结核的检查,CT优于X线平片在于显示()
	A.椎间隙变窄
	B.钙化
	C.骨质增生
	D.骨质破坏
	E.椎管内脓肿
206、单项选择题
	男,2岁,关节肿胀,结合图像,最可能的诊断是()
	A.肾性骨病
	B.黏多糖贮积症
	C.维生素D缺乏症
	D.维生素C缺乏症
	E.维生素D过多症
207、多项选择题 X线胶片所用的感光物质是()
	A.溴化银
	B.碘化银
	C.氟化银
	D.硝酸银
	E.氯化银
208、多项选择题 马方(Marfan)综合征病变主要侵犯()
	A.肺
	B.眼
	C.心血管
	D.骨骼
	E.神经
209、单项选择题 一般认为静息时以左心室射血分数(LVEF)判断异常的标准是()
	A.<40%
	B.<45%
	C.<50%
	D.<55%
	E.<60%
210、单项选择题 手正位片上,拇指显示为()
	A.轴位影像
	B.正位影像
	C.斜位影像
	D.侧位影像
	E.切线位影像
211、多项选择题 下列哪些不是早期食管癌的X线征象()
	A.粘膜增粗、消失
	B.浅小溃疡
	C.小的充盈缺损
	D.管壁广泛性僵硬
	E.管腔明显狭窄
212、多项选择题 下列关于肾癌的影像,正确的为()
	A.肾影局限性增大
	B.IVP正常也不能完全除外肾癌
	C.肾盂、肾盏移位
	D.均有肾盂积水、肾功能降低
	E.肾盂内可有充盈缺损
213、多项选择题 慢性支气管炎在诊断时需与下列哪些疾病鉴别()
	A.间质性肺炎
	B.结缔组织疾病
	C.尘肺
	D.细支气管炎
	E.支气管扩张
214、单项选择题 胸片示肺动脉段凹陷,可除外下述哪种疾病()
	A.主动脉缩窄
	B.Ebstein畸形
	C.法洛四联征
	D.三尖瓣闭锁
	E.肺动脉漏斗部狭窄
215、单项选择题 关于麻痹性肠梗阻的X线表现,错误的是()
	A.易合并腹水
	B.不易与低位结肠梗阻鉴别
	C.在仰卧位及立位上,气体的形状及位置的变化大
	D.因积气而扩张的肠管范围广泛
	E.有的来自机械性肠梗阻
216、单项选择题
	男,37岁,出现多处骨折,结合图像,最可能的诊断是()
	A.石骨症
	B.成骨不全
	C.畸形性骨炎
	D.转移性骨肿瘤
	E.氟骨症
217、单项选择题 X线在体内各部穿透力,由大到小排列有以下几种,正确的是()
	A.气体,液体及软组织,脂肪,骨骼
	B.骨骼,脂肪,液体及软组织,气体
	C.气体,脂肪,液体及软组织,骨骼
	D.脂肪,气体,液体及软组织
	E.骨骼,软组织及液体,脂肪,气体
218、单项选择题 骨囊肿的好发部位()
	A.长骨干骺端
	B.长骨骨端
	C.长骨骨干
	D.扁骨
	E.不规则骨
219、单项选择题 颅脑外伤、骨折累及鼻窦时出现鼻窦积液,最常见于()
	A.上颌窦
	B.额窦
	C.筛窦
	D.蝶窦
	E.以上都是
220、单项选择题 有关前列腺肥大的描述,正确的是()
	A.CT检查价值不大
	B.多发生在侧叶及中叶
	C.X线平片检查有较大价值
	D.主要症状为发热、尿频
	E.青少年发病率较高
221、单项选择题
	下列关于胸膜斑知识,哪项正确()
	 
	A.接触石棉15年左右出现
	B.常累及壁层胸膜
	C.10cm2以上
	D.多数厚度大于2cm
	E.边缘模糊
222、单项选择题 确诊肾盂输尿管重复畸形的主要检查方法是()
	A.USG检查
	B.排泄性尿路造影
	C.CT检查
	D.MRI检查
	E.逆行性肾盂造影
223、单项选择题
	女,24岁,反复发作的骨骼肌肉痛,结合图像,最可能的诊断是()


	A.镰状细胞贫血
	B.地中海贫血
	C.骨梅毒
	D.白血病
	E.椎间盘突出
224、单项选择题 先天性输尿管囊肿X线表现为()
	A.膀胱内充盈缺损,边缘规则 
	B.输尿管局部膨大呈囊状 
	C.膀胱内圆形充盈缺损,边缘光滑,伴输尿管积水 
	D.膀胱内充盈缺损,壁僵硬 
	E.以上均不是
225、单项选择题 肾上腺常用的检查方法为()
	A.X线平片
	B.选择性肾上腺动脉造影
	C.子宫输卵管造影
	D.盆腔动脉造影
	E.精囊输精管造影
226、单项选择题 特发性骨质溶解症主要指发生于下述哪个部位的缓慢进行性骨质吸收()
	A.跖趾
	B.远侧指关关节
	C.远侧距间关节
	D.腕掌
	E.掌指
227、单项选择题
	男,7岁,外伤后突发呼吸困难伴胸痛,结合图像,最可能的诊断是()
	A.胸腔积液
	B.肺大泡
	C.气胸
	D.液气胸
	E.肺脓肿
228、单项选择题 下列哪项属于静脉肾盂造影的禁忌证()
	A.肾盂结石
	B.膀胱结石
	C.尿道狭窄
	D.肾动脉狭窄
	E.严重血尿
229、多项选择题 下列属于X线管的固有滤过部分的是()
	A.靶面
	B.灯丝
	C.玻璃壳
	D.绝缘油
	E.X线窗口
230、多项选择题 左心房增大可见于()
	A.动脉导管末闭
	B.单纯继发孔型房间隔缺损
	C.膈上型完全性肺静脉异位引流
	D.室间隔缺损
	E.三尖瓣畸形
231、单项选择题 ERCP的正确说法是()
	A.逆行肾盂造影
	B.逆行性内镜胆胰管造影
	C.经皮肝穿胆道造影术
	D.静脉法胆道造影
	E.口服法胆囊造影
232、多项选择题 正常排泄性尿路造影依检查时间不同显示()
	A.肾实质
	B.肾盏
	C.肾盂
	D.输尿管
	E.膀胱
233、单项选择题 位于中颅窝的孔或裂为()
	A.盲孔
	B.舌下神经孔
	C.筛孔
	D.颈静脉孔
	E.圆孔
234、单项选择题 慢性化脓性中耳乳突炎肉芽肿型,骨质破坏部位为()
	A.乙状窦
	B.上鼓室
	C.乳突窦区
	D.乳突窦入口
	E.听小骨
235、单项选择题 消除呼吸运动模糊正确的方法是()
	A.延长时间曝光
	B.增加管电压
	C.屏气后曝光
	D.增大物-片距
	E.应用滤线栅
236、单项选择题 慢性化脓性骨髓炎的X线表现主要表现是()
	A.钙化
	B.骨膜增生
	C.骨皮质增厚
	D.骨干增粗
	E.骨质硬化增生
237、单项选择题 泌尿系统结核最常见的感染途径是()
	A.淋巴系统途径
	B.呼吸系统途径
	C.消化系统途径
	D.血行播散
	E.接触传染途径
238、单项选择题 男,16岁,下背痛和晨起僵硬1个月,活动后减轻,伴乏力,低热。 若骶髂关节X线平片显示双侧骶髂关节间隙变窄,边缘模糊,关节面下囊性变,关节两侧硬化,则最可能的诊断为()
	A.类风湿性关节炎
	B.强直性脊柱炎
	C.骶髂关节结核
	D.骶髂关节化脓性炎症
	E.银屑病关节炎
239、单项选择题 大剂量静脉肾盂造影的禁忌证不包括()
	A.严重的心血管疾患
	B.甲状腺功能亢进者
	C.腹部有巨大肿块者
	D.骨髓瘤合并肾衰竭
	E.碘过敏试验阳性者
240、单项选择题 胃复合溃疡是指()
	A.胃溃疡同时伴发十二指肠溃疡
	B.高位溃疡并贲门痉挛
	C.幽门前区溃疡并幽门梗阻
	D.胃溃疡并出血、穿孔
	E.小弯溃疡并慢性胃炎
241、单项选择题 男,28岁,反复右上腹痛1年,进食后可缓解,有时夜间疼痛明显。 若影像学检查显示胃幽门痉挛,开放延迟,胃分泌液增多,最有可能的诊断为()
	A.胃癌
	B.胃溃疡
	C.十二指肠溃疡
	D.慢性胃炎
	E.慢性胰腺炎
242、单项选择题 下列哪项为乳房癌的临床特征()
	A.漏斗征
	B.帐篷征
	C.彗星尾征
	D.晕圈征
	E.酒窝征
243、多项选择题 胃肠道异常的基本X线表现包括()
	A.胃肠道轮廓改变
	B.粘膜皱襞的改变
	C.功能性改变
	D.位置及移动度改变
	E.管腔大小的改变
244、单项选择题
	女,9岁,右髋部疼痛、跛行半年,无发热。结合骨盆平片,最可能的诊断为()
	A.右髋关节结核
	B.右髋关节化脓性关节炎
	C.右股骨骨骺骨结核
	D.右髋类风湿性关节炎
	E.右股骨头骨骺缺血坏死
245、单项选择题
	8岁,男孩,外伤后感左肘关节肿痛,左肘关节正侧位摄片如图,下列哪项描述错误()
	A.“八”字征
	B.“X”线白线不连续
	C.软组织肿胀
	D.左肱骨小头骺线增宽
	E.以上均正确
246、单项选择题 类风湿关节炎主要病理改变常见于()
	A.关节软骨
	B.关节滑膜
	C.关节盘
	D.关节韧带
	E.关节面
247、单项选择题 我国规定,不得参与放射工作的最小年龄界限是()
	A.15周岁
	B.16周岁
	C.17周岁
	D.18周岁
	E.20周岁
248、单项选择题 下列不宜做子宫输卵管造影的是()
	A.不孕症
	B.了解输卵管结扎术后效果
	C.生殖器官畸形
	D.了解子宫出血的原因
	E.子宫恶性肿瘤
249、单项选择题 骨盆的常规摄片位置()
	A.前后位
	B.后前位
	C.侧位
	D.斜位
	E.轴位
250、单项选择题 X线上,在心膈角发现团状阴影,最常见的是()
	A.支气管肺炎
	B.心包脂肪垫
	C.麻疹肺炎
	D.心包囊肿
	E.心包憩室
251、单项选择题 下列有关标准体位的描述,错误的是()
	A.人体直立
	B.掌心向前
	C.两眼向前方平视
	D.双上肢下垂置躯干两侧
	E.两下肢并拢,足尖外展
252、多项选择题 影响钙磷代谢的主要因素包括()
	A.维生素D
	B.甲状旁腺素
	C.甲状降钙素
	D.肾上腺素
	E.血管紧张素
253、单项选择题
女,63岁,胸痛、呼吸困难2月余,咳嗽、发热2天,曾有肺癌手术史,X线检查如图,最可能的诊断是()
	
	A.细支气管肺泡癌 
	B.肺转移瘤 
	C.肺水肿 
	D.两肺炎症 
	E.结节病
254、多项选择题 下列关于骨瘤的描述,正确的是()
	A.骨瘤分致密型、松质型、混合型三种
	B.颅骨外板发病率高于内板
	C.额、顶、枕骨发病率高于鼻窦区
	D.鼻窦区发病率高于额、顶、枕骨
	E.一般在全身骨骼发育成熟后停止生长
255、单项选择题 乳腺常规检查技术()
	A.高千伏摄片
	B.双重造影
	C.连续摄片
	D.纸包片摄片
	E.软组织摄片
256、单项选择题 下列哪种疾病,无“肺动脉高压”表现()
	A.肺心病
	B.Ebstein畸形
	C.二尖瓣狭窄
	D.二尖瓣关闭不全
	E.进行性全腺泡性肺气肿
257、多项选择题 有关解剖学方位的叙述,正确的是()
	A.近身体腹侧为前面
	B.近身体腹侧为后面
	C.近皮肤为浅层
	D.近头侧为下
	E.近心脏侧为近端
258、单项选择题
	男,64岁,咳嗽、高热数日,无痰中带血,X线检查如图,最可能的诊断是()
	A.右侧胸腔积液
	B.右侧胸腔积液并肺脓肿
	C.右肺炎
	D.右肺不张
	E.气胸
259、单项选择题 X线机的分类下列哪项不正确()
	A.用于透视、摄影和特殊检查的X线机属诊断用X线机
	B.按机械结构和运输方式可分为携带式、移动式和固定式
	C.用于疾病治疗的属于治疗用X线机
	D.按机器的体积分为大、中、小型
	E.按机器应用特点分为综合用X线机和专用X线机
260、多项选择题 中量游离性胸腔积液的渗液曲线的形成与下述哪些因素有关()
	A.胸腔内的负压状态
	B.液体的表面张力
	C.肺组织的弹性
	D.液体的重力
	E.液体在胸腔内的虹吸作用
261、单项选择题 马德隆畸形是由于()
	A.尺骨近端骨骺发育障碍
	B.桡骨近端骨骺发育障碍
	C.尺骨远端内侧骨骺发育障碍
	D.桡骨远端骨骺内侧发育障碍
	E.以上均不是
262、单项选择题 关于骨盆摄影错误的叙述是()
	A.常用于外伤及骨质破坏的检查
	B.应完全包括骨盆诸骨
	C.双下肢伸直并内旋,两趾并拢,足跟分开
	D.中心线应向足侧倾斜20°角
	E.成人摄片都需要使用滤线器
263、单项选择题
	女,52岁,足跟痛,手指运动僵硬,结合图像,最可能的诊断是()
	A.骨质疏松症
	B.骨脓肿
	C.骨囊肿
	D.骨折
	E.类风湿关节炎
264、单项选择题 常于早期即发生淋巴转移的肺癌是()
	A.鳞状上皮癌
	B.小细胞未分化癌
	C.腺癌
	D.大细胞未分化癌
	E.细支气管肺泡癌
265、单项选择题 脂肪肉瘤中哪一类型恶性程度最高()
	A.圆细胞型
	B.黏液型
	C.分化良好型
	D.多形性型
	E.混合型
266、多项选择题 下列脊椎结核的X线表现有()
	A.椎体破坏
	B.椎间隙变窄
	C.椎旁软组织阴影增宽
	D.椎旁韧带钙化
	E.脊柱后突畸形
267、单项选择题 位于蝶骨大翼的外部,其内有三叉神经的第三支和脑膜副动脉通过的孔是()
	A.圆孔
	B.卵圆孔
	C.棘孔
	D.破裂孔
	E.以上都是
268、单项选择题 男,36岁,右下腹痛、低热3月钡餐检查示回肠末端狭窄、管壁较僵硬,粘膜皱襞紊乱,回盲瓣破坏,盲肠袋挛缩,结肠显示不良,根据临床及X线表现,最可能的诊断是()
	A.肠结核
	B.肠癌
	C.肠淋巴瘤
	D.结肠息肉恶变
	E.肠平滑肌瘤
269、多项选择题 经海绵窦穿行的血管神经包括()
	A.颈内动脉
	B.外展神经
	C.动眼神经
	D.滑车神经
	E.眼神经
270、单项选择题
	女,14岁,右大腿上部轻度疼痛1周,结合图像,最可能的诊断是()
	A.骨囊肿
	B.骨巨细胞瘤
	C.嗜酸性肉芽肿
	D.动脉瘤样骨囊肿
	E.以上都不是
271、单项选择题 膝关节侧位标准片所见,哪项不对()
	A.膝关节间隙位于照片正中投影
	B.股骨内外髁重叠良好
	C.股骨与胫骨夹角180°
	D.髌骨呈侧位显示,与股骨间隙分离明确
	E.膝关节诸骨纹理及周围软组织清晰可见
272、单项选择题 食管癌恶性程度最高的是()
	A.髓质型
	B.溃疡型
	C.浸润型
	D.蕈伞型
	E.腔内型
273、单项选择题 大剂量静脉尿路造影时,肾盏、肾盂、输尿管达到饱和程度的时间是注射开始后()
	A.25~30分钟
	B.6~10分钟
	C.15~20分钟
	D.11~14分钟
	E.30~60分钟
274、多项选择题 下列有关色素沉着绒毛结节性滑膜炎的描述中,正确的有()
	A.软组织内有蛋壳样钙化
	B.主要累及关节滑膜、关节囊和腱鞘
	C.本病好发生于青壮年
	D.动脉造影可显示富于血管的关节内肿块
	E.膝关节最易受累
275、单项选择题 下列“心脏形态-相关疾病”组合中,哪项正确()
	A.绒毛心:二尖瓣狭窄
	B.悬滴心:尿毒症
	C.梨形心:法洛四联征
	D.靴形心:肺源性心脏病
	E.雪人征:完全型肺静脉异位引流
276、单项选择题 缩窄性心包炎的X线表现中,哪项不正确()
	A.心影多为正常大小或轻度增大
	B.心脏搏动明显增强
	C.心缘变直,各弓分界不清
	D.心脏边缘不规则或多边状
	E.心影外形多呈三角形
277、单项选择题 对骨代谢影响最大的维生素是()
	A.维生素A
	B.维生素B
	C.维生素C
	D.维生素D
	E.维生素E
278、单项选择题
男,18岁,感胸闷气逼,胸片检查如图,最可能的诊断是()
	
	A.左侧胸膜肥厚
	B.左侧胸腔积液
	C.左侧液气胸
	D.左侧肺不张
	E.以上都不对
279、多项选择题 在头颅正位片上可见到的颅缝有()
	A.矢状缝
	B.人字缝
	C.颞鳞缝
	D.冠状缝
	E.顶骨乳突缝
280、单项选择题
	男,7岁,肘部外伤,根据所示图像,最可能的诊断是()
	A.尺骨中上段骨折
	B.桡骨小头脱位
	C.孟氏骨折
	D.盖氏骨折
	E.以上均不正确
281、单项选择题 用于X线成像的波长为()
	A.0.0006~50mm
	B.0.0006~50nm
	C.0.031~0.008mm
	D.0.031~0.008nm
282、单项选择题
	女,18岁,左下肢肿痛,活动后加重,关节僵硬,结合图像,最可能的诊断是()
	A.蜡油骨病
	B.骨斑点症
	C.条纹状骨病
	D.石骨病
	E.肥大性骨关节病
283、多项选择题 下述哪些原因属毛细血管内静水压升高引起的肺水肿()
	A.心肌病致左心衰竭
	B.心肌炎致左心衰竭
	C.左心瓣膜病变致左心衰竭
	D.急性肾小球肾炎致左心衰竭
	E.急性心肌梗死致左心衰竭
284、单项选择题 下列属生理排泄法造影检查是()
	A.钡灌肠造影
	B.逆行肾盂造影
	C.口服胆囊造影
	D.子宫输卵管造影
	E.冠状动脉造影
285、单项选择题 增感屏结构中,吸收层的作用是()
	A.提高发光效率
	B.提高清晰度
	C.改善颗粒度
	D.控制量子斑点
	E.提高对比度
286、多项选择题 二尖瓣狭窄或(和)关闭不全时,胸片可见到的表现有()
	A.肺内无结节状影
	B.肺内含铁血黄素沉着
	C.间隔线
	D.上肺静脉增粗,下肺静脉变细
	E.肺动脉段凹陷
287、单项选择题
患者,男,40岁,因进食困难,逐渐加重半年就诊,钡餐造影检查示食管明显扩张,蠕动减弱,食管远端呈鸟嘴状,表面尚光整,服温水后,对比剂部分进入胃内。钡餐检查如图所示
	
	A."鸟嘴"征
	B."半月"征
	C."袖口"征
	D."跳跃"征
	E."狭颈"征
288、单项选择题
	男,16岁,左小腿上端疼痛3个月余,局部肿胀,皮温稍高。结合左胫腓骨正侧位片,最可能的诊断为()
	A.急性化脓性骨髓炎
	B.骨化性肌炎
	C.骨肉瘤
	D.成软骨细胞瘤
	E.软骨肉瘤
289、单项选择题 法洛四联症患者,通常不伴有()
	A.肺动脉高压
	B.右位主动脉弓
	C.冠状动脉畸形
	D.右心室肥厚
	E.左上腔静脉永存
290、单项选择题 下述哪项不是骨肿瘤的基本X线征象()
	A.骨质破坏
	B.椎旁脓肿
	C.瘤骨
	D.肿瘤
	E.瘤软骨
291、多项选择题 关于胸腹裂孔疝的说法,正确的是()
	A.大多数病例发生于右侧
	B.可导致新生儿X线胸片上一侧胸部密度增高
	C.如果疝较小,多位于前外方
	D.多伴脾发育不全
	E.是造成新生儿呼吸窘迫的常见原因
292、单项选择题 心房间隔缺损的X线表现,错误的是()
	A.肺动脉段突出
	B.主动脉结缩小
	C.肺门舞蹈
	D.右心增大
	E.左心室增大
293、单项选择题
	女,65岁,右膝痛,活动受限,结合图像,最可能的诊断是()
	A.神经性关节病
	B.创伤性关节炎
	C.退行性骨关节病
	D.类风湿关节炎
	E.痛风
294、单项选择题 贲门失弛缓症较具特征的X线表现是()
	A.食管下端边缘呈锯齿状 
	B.食管下端不规则充盈缺损 
	C.食管下端狭窄,边缘光整,粘膜正常 
	D.食管下端狭窄,局部僵硬,不能扩张 
	E.以上都不是
295、单项选择题 构成胸部后前位X线影像的器官和组织中下列哪项除外,其余均为白影()
	A.肩胛骨
	B.心脏
	C.肺纹理
	D.肺野
	E.大血管
296、多项选择题 KUB检查前应当做的准备有()
	A.除去皮肤表面阻光物如膏药等
	B.检查前1周不吃矿物类中成药
	C.检查前1周不作上消化道钡剂造影
	D.检查当日禁饮食
	E.必要时先做腹部透视
297、单项选择题 X线检查腰椎前后位时,中心线应对准()
	A.脐上2cm
	B.肚脐
	C.脐下2cm
	D.肚脐与耻骨连线中点下4cm
	E.剑突
298、单项选择题 下列有关乳腺癌的描述中,不属X线特征的是()
	A.漏斗征
	B.酒窝征
	C.彗星尾征
	D.晕圈征
	E.帐篷征
299、单项选择题 诊断肾下垂时,应做下述哪项检查()
	A.腹部立位平片 
	B.腹部卧位平片 
	C.静脉肾盂造影后摄立位全尿路片 
	D.静脉肾盂造影片 
	E.逆行肾盂造影片
300、多项选择题 以肺出血为特征的病变()
	A.钩端螺旋体病
	B.Goodpasture综合征
	C.特发性含铁血黄素沉着症
	D.系统性硬皮病
	E.干燥综合征