医学影像技术(医学高级):X线测试题(考试必看)

时间:2023-09-12 01:54:41

微信搜索关注"91考试网"公众号,领30元,获取事业编教师公务员等考试资料40G
题库试看结束后微信扫下方二维码即可打包下载完整版《★医学影像技术(医学高级)》题库
手机用户可保存上方二维码到手机中,在微信扫一扫中右上角选择“从相册选取二维码”即可。
题库试看结束后微信扫下方二维码即可打包下载完整版《医学影像技术(医学高级):X线》题库,分栏、分答案解析排版、小字体方便打印背记!经广大会员朋友实战检验,此方法考试通过率大大提高!绝对是您考试过关的不二利器
手机用户可保存上方二维码到手机中,在微信扫一扫中右上角选择“从相册选取二维码”即可。

1、单项选择题  用于胃肠道造影的对比剂是()

A.硫化钡
B.氯化钡
C.碳酸钡
D.硫酸钡
E.氰化铂钡


点击查看答案


2、判断题  炎症性狭窄范围较广泛且边缘不整齐,而肿瘤性狭窄范围较局限且边缘较整齐。


点击查看答案


3、单项选择题  下列哪种疾病腹部平片不能诊断()

A.胆囊阳性结石
B.肠梗阻
C.慢性胰腺炎
D.消化道穿孔
E.小儿先天性肛门闭锁


点击查看答案


4、单项选择题  扁平足,常用的摄影体位是()

A.足侧位
B.足轴位
C.足斜位
D.足负重水平侧位
E.双曝光全足正位


点击查看答案


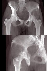
5、单项选择题  

女,42岁,双下肢疼痛,结合图像,最可能的诊断是()

A.Paget病
B.内生软骨瘤
C.非骨化性纤维瘤
D.骨巨细胞瘤
E.骨纤维异常增殖症


点击查看答案


6、单项选择题  髋关节后前斜位(谢氏位)用于检查股骨头()

A.向上脱位
B.向下脱位
C.向前脱位
D.向后脱位
E.向外侧脱位


点击查看答案


7、单项选择题  “脊柱骨髓瘤”区别于“椎体血管瘤”的特点为()

A.多累及松质骨
B.破坏区内骨小梁消失
C.椎体内多发骨质破坏区
D.椎旁出现软组织肿块
E.病理骨折


点击查看答案


8、判断题  立位腹部平片对诊断急腹症无价值,必须行CT和超声检查。


点击查看答案


9、单项选择题  慢性化脓性中耳乳突炎肉芽肿型,骨质破坏部位为()

A.乙状窦
B.上鼓室
C.乳突窦区
D.乳突窦入口
E.听小骨


点击查看答案


10、单项选择题  气管隆突是指气管()

A.分叉处下方
B.分叉部左壁
C.分叉部上壁
D.分叉部右壁
E.分叉部下壁


点击查看答案


11、单项选择题  类风湿关节炎主要病理改变常见于()

A.关节软骨
B.关节滑膜
C.关节盘
D.关节韧带
E.关节面


点击查看答案


12、多项选择题  摄片条件选择中可变因素的叙述,正确的是()

A.同厚度健康人的胸片,摄片条件一致
B.病理因素对摄片条件的影响非常重要
C.脂肪多的人需要增加照射量
D.骨结核与慢性骨髓炎相比,需增加摄片条件
E.组织构成比例是摄片条件选择的重要可变因素


点击查看答案


13、单项选择题  下列与气管、支气管异物相关影像,哪项不对()

A.膈肌矛盾运动
B.肺门影增大
C.肺不张
D.肺气肿
E.纵隔摆动


点击查看答案


14、单项选择题  下述“软骨母细胞瘤”诊断要点中,哪项不正确()

A.25岁以下多见
B.可恶变
C.好发于长管状骨骨骺区、干骺端
D.偶有骨膜反应
E.不侵犯关节


点击查看答案


15、单项选择题  老年男性,刺激性干咳2月余,多次痰查癌细胞阴性,胸片除右中肺叶局限性透亮度增加外,未见其他异常,最可能的诊断是()

A.支气管结核
B.气管异物
C.早期肺癌
D.慢性支气管炎
E.急性支气管炎


点击查看答案


16、单项选择题  下列胸腔积液的描述,正确的是()

A.中等量积液常有纵隔移位
B.显示斜裂叶间积液,以侧位片为佳
C.立位胸片,肺底积液呈外高内低的致密影
D.包裹性积液多位于前胸壁
E.立位后前位胸片,可显示100ml以下积液


点击查看答案


17、名词解释  艾滋病


点击查看答案


18、判断题  十二指肠癌常于第1段或第2段形成狭窄和充盈缺损。


点击查看答案


19、单项选择题  立位胸片上肺底积液最特征表现为()

A.横膈抬高,最高点内移
B.横膈抬高,最高点外移
C.纵隔心影向健侧移位
D.纵隔心影向患侧移位
E.气液平


点击查看答案


20、判断题  结节病约半数患者纵隔、肺门淋巴结肿大为唯一的异常表现。


点击查看答案


21、判断题  龛影为溃疡的直接征象。


点击查看答案


22、单项选择题  下列哪一个不是骨纤维结构不良的特点()

A.病变区之间骨皮质异常,可见骨膜反应及骨质疏松
B.四肢长骨呈磨玻璃样改变
C.指骨细腰消失呈腊肠状外观
D.骨干以囊状膨胀表现为主
E.病变呈囊状透亮区


点击查看答案


23、判断题  骨髓瘤患者尿中的凝溶蛋白(Bence-Jones)均为阳性。


点击查看答案


24、单项选择题  有关对比度、锐利度、密度的相互关系,下列哪种说法错误()

A.密度是对比度、锐利度的基础
B.锐利度与对比度无直接关系
C.照片对比度不随密度改变而改变
D.观片灯的亮度也影响对比度的效果
E.在高密度的周围如有对比度小的物体影像,常难以辨认


点击查看答案


25、多项选择题  单纯性小肠梗阻的X线征象表现为()

A.假肿瘤征
B.空、回肠换位
C.短小液平面
D.较长液平面
E.连贯、规则、紧靠扩张的肠曲


点击查看答案


26、单项选择题  侧位胸片上,右叶中央型肺癌伴有右中叶、右下叶不张时,形成的征象称为()

A.饼征
B.双翼征
C.膈上半月征
D.龟背征
E.膈角移位征


点击查看答案


27、单项选择题  男,5岁,腹痛,黏液便并偶带血10多天,钡灌肠见乙状结肠远端有1cm×1cm大小圆形充盈缺损,边缘光滑,可活动,最可能的诊断是()

A.结肠息肉恶变
B.结肠炎
C.结肠息肉
D.结肠癌
E.结肠憩室


点击查看答案


28、单项选择题  下列关于“腕角”、“腕征”不正确的是()

A.“腕角”正常值为131.5°
B.“腕征”阳性,腕角<117°
C.“腕征”阳性,腕角<145°
D.Turner综合征时,“腕征”阳性
E.腕角:舟骨、月骨切线与三角骨、月骨切线夹角


点击查看答案


29、单项选择题  前后位的英文缩写是()

A.A→P
B.D→V
C.V→D
D.RAO
E.RPO


点击查看答案


30、单项选择题  肺静脉高压诊断的重要指征是()

A.间隔线出现
B.上肺静脉扩张
C.胸腔少量积液
D.钙化灶
E.含铁血黄素沉着


点击查看答案


31、单项选择题  下述良性骨肿瘤中,哪项不会发生恶变()

A.骨脂肪瘤
B.骨软骨瘤
C.软骨母细胞瘤
D.骨母细胞瘤
E.骨巨细胞瘤


点击查看答案


32、配伍题  输尿管长约()
输精管长约()

A.15~20cm
B.30~45cm
C.25~30cm
D.2~8cm
E.10~12cm


点击查看答案


33、判断题  维生素D缺乏病发生于生长中的骨骼,主要是膜内化骨的钙化过程发生障碍。


点击查看答案


34、单项选择题  “恶性骨肿瘤”发病顺序依次为()

A.纤维肉瘤>成骨肉瘤>软骨肉瘤
B.成骨肉瘤>纤维肉瘤>软骨肉瘤
C.软骨肉瘤>纤维肉瘤>成骨肉瘤
D.成骨肉瘤>软骨肉瘤>纤维肉瘤
E.软骨肉瘤>成骨肉瘤>纤维肉瘤


点击查看答案


35、单项选择题  下列哪种方法是“眶内异物定位”,最常用的()

A.头颅侧位定位法 
B.术中定位法 
C.CT定位法 
D.几何定位法 
E.超声定位法


点击查看答案


36、单项选择题  类风湿关节炎早期病变主要在()

A.邻近软组织
B.骨组织
C.关节韧带
D.滑膜组织
E.关节软骨


点击查看答案


37、填空题  脊椎骨折分为次要损伤和重要损伤,后者包括_______________、_____________、___________及__________。


点击查看答案


38、单项选择题  下列哪种疾病可致血清酸性磷酸酶升高()

A.畸形性骨炎
B.骨纤维异常增殖症
C.前列腺癌骨转移
D.骨肉瘤
E.以上都不是


点击查看答案


39、名词解释  空回肠换位征


点击查看答案


40、单项选择题  

关于X线物理效应的说法,哪项是正确的()
a.穿透作用
b.电离作用
c.荧光作用
d.热作用
e.干涉与衍射作用

A.a,b,c
B.a,b,e
C.a,d,e
D.b,c,d
E.a~e全部


点击查看答案


41、填空题  结肠癌依其大体病理分型为________、________和_________。


点击查看答案


42、判断题  胆囊缩小、变形和胆囊壁内大小不等的憩室样征象,是诊断胆囊腺肌增生症的主要依据。


点击查看答案


43、名词解释  Laurin角


点击查看答案


44、单项选择题  脆骨症又称()

A.软骨发育不全
B.干骺发育不良
C.成骨不全
D.维生素C缺乏
E.维生素D缺乏病


点击查看答案


45、单项选择题  下列“脊柱结核”平片表现中,不含哪项()

A.相邻椎体破坏
B.椎间隙变窄、消失、椎体融合
C.边缘性、虫蚀样骨质破坏
D.腰大肌影增宽,可有钙化
E.骨赘、骨桥形成


点击查看答案


46、单项选择题  老年性和绝经后骨质疏松的特征性病理改变为()

A.皮质骨萎缩
B.松质骨萎缩
C.成骨细胞数目减少
D.破骨细胞数目增多
E.哈氏管明显扩大


点击查看答案


47、名词解释  黑伯登(Heberden)结节


点击查看答案


48、多项选择题  腹部泌尿系平片(KUB)诊断学要求可见的结构是()

A.骨骼
B.肾脏轮廓
C.腰大肌影
D.腹壁脂肪线
E.膀胱


点击查看答案


49、单项选择题  头颅凹陷性骨折,应首选哪种投照体位()

A.切线位
B.头颅侧位 
C.汤氏位
D.颅底位 
E.头颅后前位


点击查看答案


50、单项选择题  下述石棉肺影像表现,错误的是()

A.早期,不规则形大阴影
B.晚期,双肺蜂窝状阴影
C.胸膜斑可钙化
D.蓬发心
E.胸膜改变常比肺改变更明显


点击查看答案


51、单项选择题  在下列病变中,对“输尿管移位”特点描述,错误的是()

A.肾上极肿瘤,输尿管可不移位
B.腹膜后纤维化:输尿管中段向内移位
C.恶性淋巴瘤:输尿管中段向外移位
D.子宫肌瘤:输尿管下段向外移位
E.肾旋转不良:输尿管上段向内移位


点击查看答案


52、单项选择题  

男,14岁。左大腿下段疼痛,伴高热,体温达39℃。查体:左股骨下段深压痛。

该患者最可能的诊断为()

A.左股骨化脓性骨髓炎
B.左股骨结核
C.左股骨骨瘤
D.左股骨骨肉瘤
E.左股骨囊肿


点击查看答案


53、名词解释  卫星病灶


点击查看答案


54、单项选择题  肺转移瘤并发自发性气胸,以下列哪种原发肿瘤多见()

A.尤文肉瘤
B.骨肉瘤
C.骨软骨肉瘤
D.滑膜肉瘤
E.骨旁骨肉瘤


点击查看答案


55、单项选择题  从X线被照体→潜影→可见光→数字影像,这一程序转换的是()

A.I.I.TV
B.成像板
C.闪烁体+CCD摄像机阵列
D.直接转换平板探测器
E.间接转换平板探测器


点击查看答案


56、单项选择题  诊断早期骨软骨缺血坏死最为敏感的检查方法是()

A.MRI检查
B.X线平片
C.CT平扫
D.CT增强扫描
E.临床体检


点击查看答案


57、配伍题  前列腺增生起源于()
前列腺癌起源于()

A.中央带
B.移行带
C.外围带
D.前纤维基质区
E.射精管


点击查看答案


58、单项选择题  下列哪项不是肺切除术后的影像表现()

A.患侧胸腔“气液面”逐渐升高
B.术后24h内,纵隔位置应居中位
C.“健肺”胸片正常,也不能除外肺不张
D.胸腔内气体完全吸收需数周时间
E.患侧胸腔“气液面”逐渐下降,幅度超过2cm


点击查看答案


59、单项选择题  下列哪项关于乳腺癌的叙述不正确的是()

A.Paget病恶性程度较低
B.乳腺癌保乳术后应接受放疗
C.锁骨上淋巴结转移属远处转移
D.原位癌患者可以不行腋窝淋巴结清扫
E.雌孕激素受体阳性的病例内分泌治疗效果好


点击查看答案


60、配伍题  经皮穿刺肾造瘘术适应证()
经皮穿刺肾造瘘术并发证()
经皮穿刺肾造瘘术禁忌证()

A.上尿路梗阻
B.B超导引
C.脾脓肿
D.上尿路穿孔
E.肾癌


点击查看答案


61、单项选择题  出生时未发育的鼻窦为()

A.上颌窦
B.筛窦
C.蝶窦
D.额窦
E.以上都不是


点击查看答案


62、单项选择题  

男,8岁。跌倒时手掌着地,查体:肘部明显肿胀,有压痛,肘关节呈半屈曲状向外突出畸形,肘后三角尚存。

首先应做进行的肘部辅助检查为()

A.超声检查
B.DSA
C.关节造影术
D.X线检查
E.MRI检查


点击查看答案


63、单项选择题  下列骨骼中,属于扁骨的是()

A.椎骨
B.股骨
C.肩胛骨
D.上颌骨
E.指骨


点击查看答案


64、单项选择题  

男,2岁,发育迟缓,头颅软,结合图像,最可能的诊断是()

A.成骨不全
B.颅锁骨发育不全
C.马方综合征
D.软骨发育不全
E.黏多糖病


点击查看答案


65、单项选择题  在肺源性心脏病中,提示重度肺动脉高压的X线征象是()

A.右心室重度增大
B.右心功能不全
C.肺动脉圆锥隆起
D.肺动脉干增粗
E.肺门“残根”征


点击查看答案


66、单项选择题  股骨粉碎性骨折,侧位摄影首选的体位是()

A.蛙式位
B.谢氏位
C.侧卧侧位
D.仰卧水平侧位
E.俯卧水平侧位


点击查看答案


67、多项选择题  下列有关早期胃癌的分型中,正确的有()

A.Ⅰ型-隆起型
B.Ⅱ型-浅表型
C.Ⅱa型-浅表平坦型
D.Ⅱc型-浅表凹陷型
E.Ⅲ型-凹陷型


点击查看答案


68、单项选择题  心脏左前斜位摄片,身体冠状面与胶片夹角为()

A.20~25°
B.30~35°
C.40~45°
D.50~60°
E.60~70°


点击查看答案


69、问答题  什么是胃小区、胃小沟及结肠无名沟?


点击查看答案


70、单项选择题  

女,6岁,外伤后左肘部肿痛,活动受限,外髁局部压痛,X线摄片如图,最可能的诊断是()

A.左肱骨小头骨骺损伤
B.左肱骨髁上骨折
C.左肱骨外上髁骨骺损伤
D.左肱骨内髁骨骺损伤
E.左肱骨外髁骨骺损伤


点击查看答案


71、单项选择题  关于乳腺摄影的叙述,错误的是()

A.通常使用钼靶X线机
B.常摄取侧位和轴位片
C.用40kV以上的管电压
D.屏气曝光
E.焦-片距为40~50cm


点击查看答案


72、填空题  肿瘤的TNM分期,T代表_______,N代表_______,M代表_______。


点击查看答案


73、单项选择题  关于大量心包积液的描述,错误的是()

A.烧瓶心
B.心缘平直、各弧形消失
C.心脏搏动度减弱
D.肺纹理正常或减少
E.无左心衰时,肺淤血


点击查看答案


74、单项选择题  胸片示单侧胸腔密度均匀性增高,则可除外下列哪种疾病()

A.一侧张力性气胸
B.一侧大量胸腔积液
C.一侧肺不张
D.一侧肺实变
E.一侧肺切除


点击查看答案


75、单项选择题  先天性胸骨软骨隆凸导致的胸廓畸形为()

A.漏斗胸
B.鸡胸
C.桶状胸
D.连枷胸
E.钟状胸


点击查看答案


76、判断题  中心型肺癌胸片上早期的X线表现是肺门肿块。


点击查看答案


77、单项选择题  下列组合,哪个是对的()

A.第1、2颈椎摄片——开口位
B.腰椎正位摄片——双膝要伸展
C.髋关节正位摄片——足尖外旋
D.消化道急腹症摄片——卧位
E.腕关节正位——前后位


点击查看答案


78、单项选择题  下列特发性肺间质纤维化特点,错误的是()

A.进行性呼吸困难,咳嗽、痰多
B.又名Hamman-Rich综合征
C.急性型多见,慢性型少见
D.可能与免疫性疾病或遗传有关
E.胸部影像与其他弥漫性肺间质纤维化病变难以鉴别


点击查看答案


79、单项选择题  肾上腺常用的检查方法为()

A.X线平片
B.选择性肾上腺动脉造影
C.子宫输卵管造影
D.盆腔动脉造影
E.精囊输精管造影


点击查看答案


80、单项选择题  维生素D缺乏病恢复期长骨X线改变的表现是()

A.干骺端呈杯口状改变
B.骨骺软骨明显增厚
C.骨质普遍稀疏
D.骨骺与干骺端距离加大
E.临时钙化带重新出现


点击查看答案


81、单项选择题  下列肺泡性肺水肿影像,哪项不对()

A.KerleyA线
B.支气管气相
C.心影正常或增大
D.肺门影增大、模糊
E.肺内影演变迅速


点击查看答案


82、填空题  网膜囊脓肿最常见的病因为_______________和________________。


点击查看答案


83、单项选择题  关于结肠正常影像描述,下列错误的是()

A.结肠粘膜皱襞有纵、横、斜三个方向
B.升结肠的结肠袋比降结肠明显
C.左半结肠粘膜皱襞以纵行为主
D.左半结肠比右半结肠粗
E.低张双对比造影可显示无名沟和无名小区


点击查看答案


84、单项选择题  二尖瓣狭窄早期X线征象是()

A.左心室缩小
B.右心室增大
C.左心房增大
D.右心房增大
E.主动脉结缩小


点击查看答案


85、单项选择题  尾骨前后位,中心线应()

A.向足侧倾斜15°~30° 
B.向头侧倾斜15°~30°  
C.向足侧倾斜10° 
D.与检查床垂直
E.向前沿侧倾斜10°


点击查看答案


86、单项选择题  下列选项中,不能在胸片上看到“空气支气管征"的疾病是()

A.细支气管和肺泡癌
B.大叶性肺炎
C.阻塞性肺炎
D.肺泡性肺水肿
E.肺出血


点击查看答案


87、单项选择题  KerlerA线主要分布于()

A.两肺中上野
B.两肺下野外带
C.两肺上野
D.两肺下野内带
E.两肺中野


点击查看答案


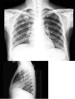
88、单项选择题  

男,16岁,突感呼吸困难,大汗淋漓,胸片检查如图,最可能的诊断是()

A.右侧肺气肿
B.右侧肺部肿块
C.右侧气胸
D.右侧肺大泡
E.右侧肺挫伤


点击查看答案


89、问答题  十二指肠良性肿瘤常见的共同X线表现有哪些?


点击查看答案


90、问答题  贲门癌的X线表现有哪些?


点击查看答案


91、单项选择题  结核球的影像学表现()

A.肺内孤立结节,无分叶,边缘有毛刺,发病前有发热史
B.肺内孤立结节,内有爆米花样钙化
C.右上叶后段结节,边缘光整,周围有卫星灶,增强扫描结节无强化
D.肺内孤立结节,有分叶和毛刺,远端有胸膜凹陷征
E.左下叶后基底段肿块,CT增强扫描示胸主动脉分支进入肿块


点击查看答案


92、多项选择题  下列哪些为厌骨性转移性肿瘤()

A.皮肤癌
B.子宫癌
C.食管癌
D.乳癌
E.鼻咽癌


点击查看答案


93、单项选择题  下述哪项对诊断系统性红斑狼疮具有特殊的诊断价值()

A.抗核抗体阳性
B.白细胞减少
C.血γ球蛋白增加
D.血沉加速
E.SLE细胞阳性


点击查看答案


94、单项选择题  下列哪一项不是骨折的X线征象()

A.嵌入性致密增高影
B.骨皮质凹陷与隆凸
C.骨小梁中断与扭曲
D.异物致骨缺损,颅缝分离
E.边缘硬化线形成,密度减低影


点击查看答案


95、单项选择题  霍纳综合征最常见于()

A.肺泡细胞癌
B.肺上沟癌
C.肺底癌
D.瘢痕癌
E.结核瘤


点击查看答案


96、多项选择题  眶距过窄,常见于下列哪些疾病()

A.额缝早闭
B.冠状缝早闭
C.矢状缝早闭
D.先天愚型
E.端脑发育异常


点击查看答案


97、单项选择题  对X线的描述,下列正确的是()

A.X线的硬度大→频率高→穿透力强
B.X线的硬度大→波长长→穿透力强
C.X线的硬度大→频率高→穿透力弱
D.X线的硬度大→波长长→穿透力弱
E.X线的硬度大→HVL小→穿透力强


点击查看答案


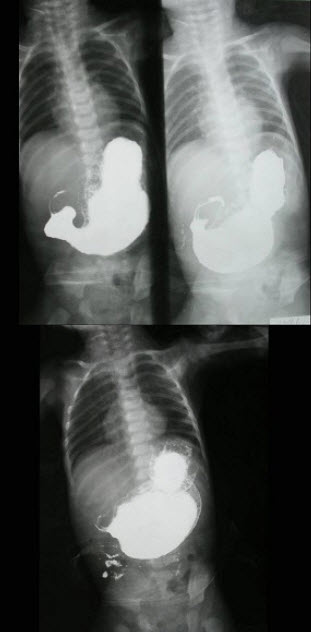
98、单项选择题  

女婴,7月。经常呕吐,腹部饱满、膨隆,消瘦。如图所示,最可能的诊断为()

A.消化道闭锁
B.十二指肠闭锁
C.消化道穿孔
D.肠套叠
E.肠扭转


点击查看答案


99、单项选择题  间质性肺炎较特征的X线表现是()

A.蜂窝肺
B.网状阴影之间伴小点状致密阴影
C.肺纹理增粗模糊
D.肺气肿
E.肺门阴影增大,密度增高


点击查看答案


100、多项选择题  眶距过宽,常见于下列哪些疾病()

A.骨性狮面
B.冠状缝晚闭
C.自发性高钙血症
D.鼻肿瘤
E.生长期脑积水


点击查看答案


101、单项选择题  

男,29岁,体检胸片如图,最可能的诊断是()

A.右上肺炎症
B.右上肺炎性假瘤
C.右上肺结核瘤
D.右上肺肿瘤
E.结节病


点击查看答案


102、单项选择题  下述造影剂的描述,错误的是()

A.高密度造影剂称为阳性造影剂
B.低密度造影剂称为阴性造影剂
C.非离子型造影剂比离子型安全
D.非离子型造影剂的渗透压比离子型的低
E.非离子型造影剂比离子型造影剂价格低廉


点击查看答案


103、多项选择题  关于胶片特性曲线的叙述,正确的是()

A.是描绘曝光量与所产生密度之间关系的一条曲线
B.曲线可以表示出感光材料的物理性能
C.胶片特性曲线也称H-D曲线
D.曲线的横坐标为曝光量,纵坐标为密度
E.曲线的横坐标为密度,纵坐标为曝光量


点击查看答案


104、单项选择题  “原发性骨肿瘤”最好发的部位()

A.股骨、胫骨
B.胫骨、肱骨
C.脊柱、股骨
D.骨盆、颅骨
E.股骨、肱骨


点击查看答案


105、单项选择题  急性化脓性骨髓炎的最大危害是()

A.骨内、外脓肿的形成
B.骨膜下脓肿形成
C.干骺端骨质破坏
D.感染侵入关节
E.死骨形成


点击查看答案


106、多项选择题  有关胸膜的描述哪些是对的()

A.分四部分
B.斜裂胸膜面为一个平面
C.横裂内端止于肺门
D.有肺的部位必有胸膜
E.胸膜腔的界限和肺边缘是不一致的


点击查看答案


107、单项选择题  KerleyB线主要分布于()

A.上肺内侧
B.上肺外周
C.下肺内侧
D.下肺外周
E.中肺野


点击查看答案


108、单项选择题  可以累及关节软骨的良性骨肿瘤是()

A.软骨瘤
B.骨巨细胞瘤
C.软骨母细胞瘤
D.骨母细胞瘤
E.以上都不是


点击查看答案


109、判断题  中量积液时见到的渗液曲线(Ellis线)是因为液体的上缘不一致,呈抛物线状递减而形成的。


点击查看答案


110、单项选择题  下列心脏病变透视特点的描述,哪项不对()

A.缩窄性心包炎:心脏搏动减弱
B.左心室室壁瘤:心脏局部矛盾运动
C.轻度心肌炎:心脏搏动正常
D.主动脉关闭不全:反向搏动点下移
E.主动脉关闭不全:心脏搏动普遍增强


点击查看答案


111、单项选择题  关于髋关节正位标准片所见,哪项不确切()

A.照片包括髋关节、股骨近端1/3,同侧耻坐骨及部分髂骨翼
B.股骨头位于照片上1/3正中,大粗隆与股骨颈相重叠1/3
C.股骨颈及闭孔无投影变形
D.髋关节骨纹理清晰锐利
E.小髋关节正位必须双侧对比显示


点击查看答案


112、单项选择题  

男,52岁,从事矿井工作32年,近几年出现气喘,呼吸困难,胸片如图,其最可能的诊断为()

A.双肺浸润性结核
B.双肺真菌感染
C.两肺弥漫性间质性肺炎
D.两肺弥漫性纤维化
E.矽肺


点击查看答案


113、单项选择题  下述肺放线菌病的特点中,错误的是()

A.痰中可有硫磺颗粒
B.下叶居多,呈节段性分布
C.不会出现脓胸或胸膜肥厚
D.侵犯胸壁易引起肋骨骨髓炎和胸壁窦道
E.早期肺泡浸润、空洞形成


点击查看答案


114、多项选择题  下列叙述正确的是()

A.正常股骨头应在Perrin方格的内上象限
B.腕骨征阳性见于马德隆畸形
C.月骨正常为不等边四边形,若为三角形,表示月骨脱位
D.腕骨颈与股骨干在内方的颈干角约为125°
E.足内弓的正常值为115°~150°


点击查看答案


115、单项选择题  “表浅溃疡和粘膜斑”见于下述哪种疾病()

A.克罗恩病
B.Behcet病
C.假膜性结肠炎
D.肠结核
E.结肠癌


点击查看答案


116、单项选择题  关于碘过敏反应的描述错误的是 ( )

A.检查室应备足抢救设备和药品
B.造影前用抗过敏药可减少碘过敏发生
C.碘过敏试验阴性则不会发生碘过敏反应
D.多见于血管内给予含碘造影剂
E.用同一批号含碘造影剂也要做碘过敏试验


点击查看答案


117、单项选择题  充盈良好的胃CT像,胃的哪一部分最厚()

A.胃体前壁
B.胃体后壁
C.贲门区
D.胃窦部
E.胃底大弯侧


点击查看答案


118、单项选择题  乳腺脂肪层所形成的透亮带厚度为()

A.0.5~1.5mm
B.0.5~2.5cm
C.0.5~1.5cm
D.0.5~2.5mm
E.1.5~2.5mm


点击查看答案


119、问答题  十二指肠球部溃疡愈合的X线表现有哪些?


点击查看答案


120、多项选择题  关于X线防护原则,正确的是()

A.合理降低个人受照剂量
B.缩短受照时间
C.建立屏蔽防护
D.缩短照射距离
E.合理降低全民X线检查频率


点击查看答案


121、多项选择题  移行椎尾侧移行的特点有()

A.第7颈椎横突过长
B.第1尾椎骶化
C.第1骶椎腰化
D.第4腰椎横突过长
E.第12肋骨过长


点击查看答案


122、判断题  乳腺的皮肤厚度一般为0.5~2.5mm。


点击查看答案


123、填空题  腹腔脓肿按其发生部位可分为___________、_________________和______________。


点击查看答案


124、多项选择题  关于被照体本身因素影响照片对比度的叙述,正确的是()

A.原子序数越高,射线对比度就越高
B.组织密度越大,造成的对比就明显
C.原子序数密度相同,对比度受厚度影响
D.被照体组织的形状与对比度相关
E.具有生命力的肺有很好的对比度


点击查看答案


125、名词解释  粘膜线


点击查看答案


126、单项选择题  胸部正位片见纵隔旁两旁凸出阴影,是指下列哪组淋巴结肿大()

A.支气管肺淋巴结
B.隆突下淋巴结
C.气管支气管淋巴结
D.气管旁淋巴结
E.后纵隔淋巴结


点击查看答案


127、单项选择题  下列对胃平滑肌肉瘤描述错误的是()

A.胃的分叶状肿块
B.胃壁的结构显示清楚
C.肿块内回声强弱不均
D.瘤体内多有坏死、出血的无回声
E.瘤体内的无回声形态不规则


点击查看答案


128、单项选择题  左心衰竭主要X线表现()

A.肺淤血
B.胸膜增厚或产生少量积液
C.心脏房室增大
D.肺水肿
E.以上都是


点击查看答案


129、单项选择题  标准立位胸片,气胸线位于肺野外1/4处,提示患肺压缩率为()

A.10%
B.25%
C.50%
D.75%
E.93%


点击查看答案


130、单项选择题  关于钼靶X线机的结构的叙述,错误的是()

A.按乳房生理特征设计
B.阳极为散热性好的铜体上嵌以钼
C.阳极倾角为19°
D.阴极接地
E.线焦点


点击查看答案


131、单项选择题  下列诊断肺隔离症最有价值的X线方法是()

A.支气管造影
B.主动脉造影
C.体层摄影
D.胸部平片
E.肺动脉造影


点击查看答案


132、单项选择题  深吸气后屏气曝光的部位是()

A.躯干
B.头颅
C.肺部
D.心脏
E.手臂


点击查看答案


133、单项选择题  关于肺隔离症的描述,下列哪项正确()

A.右侧比左侧常见
B.与支气管树相通较常见
C.如发生于叶内,通常见于婴儿
D.上叶与下叶的发生率相等
E.绝大多数血供来自腹主动脉


点击查看答案


134、多项选择题  医学影像学发展的三个阶段指的是()

A.X线诊断学
B.X线的临床应用
C.放射诊断学的形成
D.整体放射学的建立
E.医学影像学的建立


点击查看答案


135、单项选择题  下列椎间盘突出征象中,错误的是()

A.椎间隙宽窄不均
B.脊柱生理曲度消失
C.椎体边缘骨质增生
D.脊柱不稳
E.腰大肌影增宽


点击查看答案


136、单项选择题  乳腺腺体呈不均匀性大片致密影,边缘模糊,脂肪的带状透亮线变窄或消失,此为哪类乳腺的主要特征()

A.少女乳房
B.青春型乳房
C.月经期乳房
D.哺乳期乳房
E.绝经期乳房


点击查看答案


137、单项选择题  关于头颅应用解剖的叙述,错误的是()

A.头颅骨可分为脑颅骨和面颅骨
B.大多数头颅骨借骨缝连接
C.前后径为眉间至枕骨最远点的距离
D.横径是两侧颞鳞缝上缘间的距离
E.鼻窦位于脑颅中部


点击查看答案


138、单项选择题  下列与大量心包积液X线征象不符的是()

A.心脏普遍增大,心缘各弧消失
B.心脏搏动减弱或消失
C.多数患者见明显肺淤血改变
D.卧位透视时心底阴影增宽
E.心影大小短期内可明显改变


点击查看答案


139、单项选择题  下列哪项在头颅平片上不能显示()

A.前床突
B.垂体
C.后床突
D.鞍结节
E.蝶鞍


点击查看答案


140、多项选择题  葡萄球菌肺炎的X线征象是()

A.浸润灶
B.肺气囊
C.结节影
D.脓胸或脓气胸
E.增殖灶


点击查看答案


141、多项选择题  关于良性骨肿瘤的描述正确的有()

A.生长缓慢
B.大多接近正常组织
C.一般骨皮质保持完整或有受压膨胀性改变
D.无转移
E.无骨膜反应


点击查看答案


142、名词解释  蒙泰贾(Monteggia)骨折


点击查看答案


143、单项选择题  与外科手术相比,人们容易接受介入治疗的主要原因在于()

A.安全可靠
B.并发症少
C.少创伤以至无创伤
D.术后效果好
E.术中时间短


点击查看答案


144、单项选择题  下列关于X线的本质的描述,正确的是()

A.只有X线球管才能产生X线
B.凡是X线都可用于影像诊断
C.X线是一种波长很短的电磁波
D.比红外线波长长
E.波长范围为5~10nm


点击查看答案


145、单项选择题  

女,18岁,左下肢肿痛,活动后加重,关节僵硬,结合图像,最可能的诊断是()

A.蜡油骨病
B.骨斑点症
C.条纹状骨病
D.石骨病
E.肥大性骨关节病


点击查看答案


146、单项选择题  

如图所示,左侧胸部病变,最可能的诊断为()

A.包裹性积液
B.恶性胸膜间皮瘤
C.左下肺脓肿
D.左下肺癌
E.左侧胸腔积液


点击查看答案


147、单项选择题  灯泡征最常见于()

A.肝脓肿
B.肝血管瘤
C.原发性肝癌
D.转移性肝癌
E.肝囊肿合并出血


点击查看答案


148、判断题  Crohn病好发生于回盲部,亦可发生于空、回肠。


点击查看答案


149、填空题  急性腹膜炎的影像学诊断主要依据_____________、______________、______________、_________________和________________。


点击查看答案


150、单项选择题  下列“多发性软骨瘤”诊断要点中,哪项错误()

A.单侧或双侧发病
B.手足短管状骨罕见
C.5%可恶变
D.圆形、卵圆形密度减低影
E.瘤内散在分布有大量点状钙化


点击查看答案


151、单项选择题  

男,65岁,咳嗽,右胸痛,痰中带血丝1周。胸部后前位片示:右肺门影增大,右上肺大片状致密影,水平裂呈反“S”样改变。

最可能的诊断是()

A.右上肺炎
B.右上肺脓肿
C.右上阻塞性肺炎
D.右上肺结核
E.右侧中心型肺癌伴右上肺不张


点击查看答案


152、多项选择题  常可发生少血管型肝转移的是()

A.平滑肌肉瘤
B.甲状腺癌
C.胃癌
D.肾癌
E.恶性淋巴瘤


点击查看答案


153、判断题  液气胸都由外伤引起,而自发性气胸均无外伤史。


点击查看答案


154、单项选择题  胸部后前位片上出现双心房影,提示()

A.右心室增大
B.右心房增大
C.左心室增大
D.左心房增大
E.主动脉增宽,迂曲


点击查看答案


155、单项选择题  下列哪项不是增感屏的结构()

A.基层
B.感光乳剂层
C.保护层
D.反射层
E.防反射层


点击查看答案


156、判断题  髓核脱出以腰椎4~5及腰椎5~骶椎1最多见,患者常有脊髓及脊神经根压迫症状。


点击查看答案


157、配伍题  构成左心缘第二弓的是()
构成心右心缘第二弓的是()
构成右心缘第一弓的是()

A.肺动脉段
B.右心房
C.上腔静脉
D.左心耳
E.左心室


点击查看答案


158、填空题  胃扭转根据扭转方式不同,可分为__________________、___________________和_______________三型。


点击查看答案


159、单项选择题  发病率最高的髓内肿瘤是()

A.少突胶质细胞瘤
B.脊膜瘤
C.血管性肿瘤
D.星形胶质细胞瘤
E.室管膜瘤


点击查看答案


160、多项选择题  空洞洞壁的成分可以是()

A.坏死组织
B.肉芽组织
C.纤维组织
D.肿瘤组织
E.正常组织


点击查看答案


161、单项选择题  支气管异物常发生于()

A.左上叶
B.右上叶
C.左舌叶
D.右下叶
E.左下叶


点击查看答案


162、单项选择题  左前斜位上,心脏后下缘明显突出,提示()

A.左心房增大
B.右心房增大
C.左心室增大
D.右心室增大
E.主动脉增宽,迂曲


点击查看答案


163、单项选择题  关于大量心包积液,下列描述哪项不对()

A.球形心
B.肺淤血
C.肺血减少
D.多为结核性
E.心脏搏动度减弱


点击查看答案


164、单项选择题  X线片示右上纵隔有一梭形肿块影,边缘呈波浪状,内含钙化斑块影,气管受压被推向左侧,随吞咽动作上下移动,首先应考虑的是()

A.胸腺瘤
B.畸胎瘤
C.甲状腺肿瘤
D.支气管囊肿
E.恶性淋巴瘤


点击查看答案


165、多项选择题  关于头颅侧位投照,正确的体位是()

A.矢状面与台面平行
B.听眦线与台面平行
C.听眦线与台面垂直
D.瞳间线与台面垂直
E.听眶线与台面平行


点击查看答案


166、问答题  胸椎旁软组织肿胀影的X线诊断意义如何?


点击查看答案


167、单项选择题  肺部慢性炎症通常表现是()

A.增殖
B.渗出
C.空洞
D.纤维化
E.钙化


点击查看答案


168、单项选择题  铅线最易发生的部位是()

A.中部肋骨前端
B.尺桡骨近端
C.胫腓骨远端
D.胫腓骨近端
E.尺桡骨远端


点击查看答案


169、单项选择题  下列哪项不是食管贲门失弛缓症的征象()

A.狭窄段管壁僵硬
B.食管内有液平面现象
C.蠕动减弱或消失
D.钡剂通过缓慢
E.食管下段狭窄,上方扩张明显


点击查看答案


170、单项选择题  男,19岁,右股骨上段骨折行股骨髁上牵引时摄片发现:髁上内后侧骨皮质缺损,边缘清楚硬化,缺损区内呈不规则斑片骨化影。追问病史,局部无任何不适,最可能的诊断是()

A.骨纤维异常增殖症
B.纤维性皮质骨缺损
C.骨化性纤维瘤
D.非骨化性纤维瘤
E.骨结核


点击查看答案


171、多项选择题  影响X线强度分布的因素是()

A.靶面倾角
B.辐射时间的长短
C.阳极的类型(固定或旋转)
D.靶面出现过热熔解的程度
E.管内阳极与阴极间的距离


点击查看答案


172、配伍题  完全性肺静脉畸形引流可见于()
大动脉炎可见于()
动脉导管未闭可见于()

A.漏斗征
B.主动脉球征
C.主动脉球缩征
D.降主动脉内收征
E.“8”字形心脏


点击查看答案


173、单项选择题  呼吸系统X线检查的正确顺序是()

A.CT-血管造影-胸片
B.血管造影-胸片-CT
C.胸片-CT-血管造影
D.CT-胸片-血管造影
E.胸片-血管造影-CT


点击查看答案


174、单项选择题  ⅣP的简称是()

A.腹部平片
B.逆行性肾盂造影
C.静脉性尿路造影
D.膀胱造影
E.尿道造影


点击查看答案


175、单项选择题  

通常需要经时的造影是哪个()
a.淋巴造影
b.瘘管造影
c.静脉肾盂造影
d.子宫输卵管造影

A.a,c,d
B.a,b
C.b,c
D.b,d
E.a~d全部


点击查看答案


176、单项选择题  

男,24岁,低热2周,咳少量痰。胸片示右上肺不均密度增高影,其中有空洞形成,血沉45mm/h。

最可能的诊断是()

A.右上肺炎
B.右上肺结核
C.右上肺癌
D.右上肺囊肿
E.右上肺脓肿


点击查看答案


177、单项选择题  关于阴性对比剂的叙述,错误的是()

A.氧气属阴性对比剂
B.空气有产生气体栓塞的危险
C.空气在器官内吸收较慢
D.二氧化碳的溶解度较大
E.有效原子序数大


点击查看答案


178、单项选择题  

女,73岁,吞咽困难2月。体检:咽充血,滤泡增生,最可能的诊断为()

A.会厌征(+)
B.会厌征(-)
C.食管癌
D.食管静脉曲张
E.食管憩室


点击查看答案


179、多项选择题  韩-薛-柯氏病的临床表现包括()

A.颅骨缺损
B.肝脾肿大
C.尿崩症
D.皮疹及贫血
E.突眼


点击查看答案


180、多项选择题  下列关于肾囊肿的描述,不正确的是()

A.平片可以明确诊断
B.尿路造影可见到肾盏受压拉长、分开或变形,但边缘光滑
C.CT平扫为低密度灶,边界清,增强后无强化
D.MRI平扫,T1加权像为低信号,T2加权像也为低信号
E.肾动脉造影可见到肾动脉受压、移位和拉直


点击查看答案


181、单项选择题  下列关于纵隔囊肿的说法,错误的是()

A.支气管囊肿壁的结构与支气管壁结构相同
B.支气管囊肿常与支气管相通
C.食管囊肿多见于婴儿和儿童
D.食管囊肿远较支气管囊肿发病率低
E.心包囊肿右侧较左侧多见


点击查看答案


182、单项选择题  后前位胸片上,左心缘见不到哪项结构()

A.肺动脉段
B.主动脉结
C.左心耳
D.左心室
E.右心室


点击查看答案


183、单项选择题  伤患者头颅内发现有气体影,骨折的部位是()

A.额窦前壁骨折
B.额窦后壁骨折
C.上颌骨折
D.筛窦骨折
E.上颌窦后壁骨折


点击查看答案


184、多项选择题  下列哪些器官组织常被筛窦恶性肿瘤侵及()

A.眼眶
B.口腔
C.上颌窦
D.鼻腔
E.蝶窦


点击查看答案


185、单项选择题  于斯氏位摄片的叙述,错误的是()

A.被检者俯卧于摄片床上
B.被检侧额颧鼻部紧贴暗盒(或床面)
C.头颅矢状面与床面成45°
D.听眦线与暗盒前缘保持垂直
E.中心线向足侧倾斜12°


点击查看答案


186、名词解释  抱球征


点击查看答案


187、单项选择题  下列“化脓性骨髓炎”诊断要点,不包括下列哪项()

A.儿童多见
B.常侵犯关节
C.长骨多见
D.软组织改变最早出现
E.临床表现先于影像改变


点击查看答案


188、单项选择题  

男,8岁,易疲劳,活动后心悸、气急,结合图像,最可能的诊断是()

A.房间隔缺损
B.室间隔缺损
C.肺动脉狭窄
D.动脉导管未闭
E.法洛氏四联症


点击查看答案


189、单项选择题  一般不用于检查心脏的体位是()

A.后前位
B.左侧位
C.右侧位
D.右前斜位
E.左前斜位


点击查看答案


190、单项选择题  右主支气管水平奇静脉直径正常为()

A.3~4mm
B.4~5mm
C.5~6mm
D.6~7mm
E.7~8mm


点击查看答案


191、判断题  鳃裂囊肿由完全退化的鳃裂组织发育而成。


点击查看答案


192、多项选择题  下述哪些为成软骨性肿瘤()

A.单发性骨软骨瘤
B.多发性骨软骨瘤
C.单发性内生软骨瘤
D.多发性软骨瘤
E.成软骨细胞瘤


点击查看答案


193、单项选择题  

男,6月。出生1月后经常出现喷射状呕吐,为奶块,渐加重。面色消瘦,右上腹部可触及核桃大小硬块。如图,最可能的诊断为()

A.胆总管囊肿
B.肠闭锁
C.先天性幽门肥厚狭窄
D.肠套叠
E.先天性巨结肠


点击查看答案


194、单项选择题  在右前斜位上食管压迹加深,提示()

A.左心室增大
B.右心室增大
C.左心房增大
D.右心房增大
E.主动脉增宽,扭曲


点击查看答案


195、单项选择题  不是骨质增生的病因的是()

A.某些原发性肿瘤
B.外伤
C.慢性炎症
D.维生素D缺乏
E.某些代谢或内分泌障碍


点击查看答案


196、单项选择题  下列哪种不是左向右分流的先天性心脏病()

A.房间隔缺损
B.心内膜垫缺损
C.动脉导管未闭
D.室间隔缺损
E.法洛四联征


点击查看答案


197、单项选择题  男性,34岁。反复咳脓痰,伴痰中带血,双下肺呼吸音增粗。下列诊断最可能是()

A.慢性支气管炎
B.气胸
C.支气管扩张
D.肺水肿
E.支气管哮喘


点击查看答案


198、单项选择题  关节软骨及骨性关节面被病理组织侵犯,称为()

A.关节肿胀
B.关节退行性变
C.关节脱位
D.关节强直
E.关节破坏


点击查看答案


199、单项选择题  在几周内出现骨端碎片及半脱位者,称急性夏科氏关节()

A.2周
B.10周
C.8周
D.6周
E.4周


点击查看答案


200、单项选择题  关于胸部摄片的说法,下列哪个是正确的()

A.正位摄片应取远距离、呼气位
B.前后位与后前位正位摄片相比,肩胛骨更易投影于肺野之外
C.正位中心线射入点应在第4胸椎高度
D.胸部斜位摄片,应根据检查目的部位显示决定倾斜角度
E.以上都不对


点击查看答案


201、单项选择题  关于胆囊癌的描述哪项正确()

A.直接侵犯以消化管最常见
B.多为鳞癌
C.多为浸润型
D.造影表现正常就可除外胆囊癌
E.胆囊壁增厚是本病特有影像


点击查看答案


202、单项选择题  患者中年男性,无痛性全程血尿半月余,IVP示同侧肾盂、输尿管及膀胱均见充盈缺损。可能性最大的诊断是()

A.肾癌+种植转移
B.转移癌
C.腺瘤
D.肾结核
E.移行细胞癌


点击查看答案


203、判断题  原发性腹膜肿瘤,非常少见,因此应在首先除外转移性肿瘤后才可考虑。


点击查看答案


204、单项选择题  关于“急性膀胱炎”的诊断要点,错误的是()

A.常有全身中毒症状
B.泌尿系症状重
C.盆腔平片难有阳性发现
D.CT检查阳性率比平片高
E.尿常规检查常有阳性发现


点击查看答案


205、单项选择题  子宫输卵管造影,正常宫腔容积平均为()

A.7ml左右
B.6ml左右
C.5ml左右
D.4ml左右
E.3ml左右


点击查看答案


206、多项选择题  肺间质包含下述哪些成分()

A.肺泡间隔
B.小叶间隔
C.肺泡管
D.肺泡壁
E.支气管及血管的周围组织


点击查看答案


207、名词解释  肾自截


点击查看答案


208、多项选择题  食管的正常蠕动包括()

A.原发性蠕动波
B.原发性收缩波
C.继发性收缩波
D.继发性蠕动波
E.第三收缩波


点击查看答案


209、单项选择题  下列哪种细胞见于代谢病()

A.Gaucher细胞
B.Niemann-Pick细胞
C.AS浆细胞
D.吞噬细胞
E.嗜酸性粒细胞


点击查看答案


210、单项选择题  在成人女性,平均宫腔容量为()

A.5ml
B.4ml
C.3ml
D.8ml
E.6ml


点击查看答案


211、单项选择题  患者,女性,27岁,发现右乳单发肿块1年,边界清,表面光滑,肿块活动度好,1年来肿块无明显增大,最可能的诊断是()

A.浆细胞性乳腺炎
B.乳腺囊性增生
C.乳腺纤维腺瘤
D.乳腺癌
E.乳腺脂肪坏死


点击查看答案


212、名词解释  肩胛征


点击查看答案


213、填空题  肺结核基本病变的性质可分为_____________、______________和_______________。


点击查看答案


214、单项选择题  正常主胰管的管径在胰头、胰体、胰尾部分别为()

A.3mm、3mm、2mm
B.3mm、3mm、3mm
C.3mm、2mm、1mm
D.4mm、3mm、2mm
E.2mm、2mm、1mm


点击查看答案


215、单项选择题  有关解剖学方位的描述,下列错误的是()

A.近头为上
B.近体表为浅
C.近正中矢状面为内侧
D.近肢侧为近端
E.近腹为前


点击查看答案


216、单项选择题  有关髋关节前后位摄影的叙述,正确的是()

A.双足内收20°
B.双足外旋20°
C.双足尖垂直向上
D.双下肢稍外展,足尖内旋并拢
E.双足跟并拢,足尖自然外旋


点击查看答案


217、判断题  食管贲门失弛缓症的X线表现为食管下端呈漏斗状狭窄,上端扩张,边缘毛糙,粘膜可中断或不中断。


点击查看答案


218、单项选择题  单侧肾绞痛伴血尿者,腹部平片无异常,静脉肾盂造影不显影,而逆行肾盂造影显示正常,应首先考虑()

A.结石
B.急性尿路感染
C.肾动脉感染
D.肾静脉栓塞
E.输尿管肿瘤


点击查看答案


219、单项选择题  骨骺Salter-HarrisⅣ型损伤是指()

A.骨骺与干骺端完全分离,整个骺板的所有层均断裂
B.部分骺板断裂,可有干骺端小的骨折片仍与骨骺相连
C.骨骺骨折延伸到干骺端,并波及关节面,部分与干骺端分离
D.骨折线穿过干骺端、骺板和骨骺,多数也穿过关节软骨
E.骺板的压缩性损伤,一般不伴有骨损伤,最初多无异常X线表现


点击查看答案


220、单项选择题  骨肉瘤的好发年龄为()

A.20~30岁
B.11~21岁
C.10岁以下
D.21~40岁
E.50岁以上


点击查看答案


221、单项选择题  下述"肺血增多"X线表现,错误的是()

A.肺纹理增多
B.肺动脉段搏动增强
C.右下肺动脉影可增粗
D.肺透亮度正常
E.心腰凹陷


点击查看答案


222、多项选择题  哪些是肝癌肝动脉造影时的表现()

A.肿瘤供血的肝动脉扩张
B.肿瘤湖征
C.肝血管受压拉直、移位或被肿瘤包绕
D.肿瘤内显示异常瘤血管
E.动静脉瘤


点击查看答案


223、单项选择题  小叶旁型肺气肿主要分布在()

A.双肺上叶
B.肺内瘢痕病灶旁
C.两肺弥漫分布,以下叶为主
D.局限于胸膜下区域
E.双肺均匀分布


点击查看答案


224、单项选择题  下列胸部病变的摄片位置选择,错误的是()

A.包裹性积液——切线位
B.胸腔积液——侧卧水平正位或斜位
C.胸腔积液——站立后前位、侧位
D.慢性支气管炎——常规正位的深吸气与深呼气位对照
E.肺癌——常规正、侧位


点击查看答案


225、配伍题  四肢管状骨干骨折常见于()
颅骨骨折常见于()
椎体骨折常见于()
骨端关节内松质骨骨折常见于()

A.“T”形、“Y”形或嵌压骨折线
B.塌陷或星状骨折线
C.压缩变形
D.横行、纵行、斜行、螺旋形或粉碎性等
E.不规则形


点击查看答案


226、名词解释  袖口征


点击查看答案


227、单项选择题  关于足正位摄片,下列哪项错误()

A.为常规投照体位
B.可清晰显示距骨及跟骨
C.足底平踏暗盒
D.足趾应包括在胶片内
E.中心线可对准舟骰关节入射


点击查看答案


228、单项选择题  

女,53岁,进行性吞咽困难伴呕吐,吐黏液半月,结合图像,最可能的诊断为()

A.食管癌
B.贲门癌
C.食管静脉曲张
D.贲门失弛缓
E.胃底癌


点击查看答案


229、单项选择题  下列哪项属于上皮胃的良性肿瘤()

A.胃息肉
B.胃纤维瘤
C.胃平滑肌瘤
D.胃脂肪瘤
E.胃血管瘤


点击查看答案


230、问答题  如何鉴别肺门、纵隔淋巴结肿大?


点击查看答案


231、单项选择题  下述疾病对骨化中心的出现及愈合均具有促进作用,但除外()

A.甲状腺功能亢进
B.性腺功能亢进
C.肾上腺皮质肿瘤
D.骨纤维异常增殖症
E.伸舌样痴呆


点击查看答案


232、多项选择题  影响骨代谢的因素包括()

A.食物中蛋白质和钙磷的含量
B.小肠和肾的功能
C.内分泌作用
D.维生素A、C、D
E.人体的运动和力的作用


点击查看答案


233、单项选择题  放射工作人员全身均匀照射时,防止随机性效应的年剂量当量限值是()

A.10mSv/年
B.20mSv/年
C.30mSv/年
D.40mSv/年
E.50mSv/年


点击查看答案


234、填空题  软组织肿瘤钙化常见于_____________、___________、__________、___________________和____________等。


点击查看答案


235、多项选择题  下列属于扁骨者为()

A.颅骨
B.肩胛骨
C.脊椎骨
D.颞骨
E.跗骨


点击查看答案


236、单项选择题  动脉导管未闭与其他左向右分流的先心病具有鉴别意义X线征象是()

A.左心室增大 
B.左心房增大
C.主动脉弓增宽
D.右心室增大
E.肺血增多


点击查看答案


237、填空题  引起膈麻痹的原因较多,如_________、__________、_______、______、_______和__________等。


点击查看答案


238、单项选择题  

有外伤史,结合图像,最可能诊断是()

A.Smith骨折
B.尺骨骨折
C.未见异常
D.Colles骨折
E.腕关节脱位


点击查看答案


239、单项选择题  右主支气管与气管中线成多少度角()

A.10~20°
B.20~30°
C.30~40°
D.40~55°
E.50~60°


点击查看答案


240、单项选择题  视神经管位(Rhees’s)摄片,正确的定位是()

A.听眉线垂直于台面
B.听眦线垂直于台面
C.听眶线垂直于台面
D.听鼻线垂直于台面
E.听口线垂直于台面


点击查看答案


241、单项选择题  碘过敏试验方法中最可靠的是()

A.口服试验
B.眼结膜试验
C.舌下试验
D.静脉注射试验
E.皮内试验


点击查看答案


242、问答题  肺包虫病的X线表现有哪些?


点击查看答案


243、判断题  颈动脉造影,颈内动脉分支显影早于颈外动脉。


点击查看答案


244、单项选择题  下列球形病灶的钙化特征中,哪项是不正确的()

A.结核球-斑点状或环层状钙化
B.肺炎性假瘤-粗钙化斑点
C.肉芽肿-成层形钙化
D.错构瘤-爆米花样钙化
E.矽肺-蛋壳样钙化


点击查看答案


245、多项选择题  集成运算放大器组成的滞回比较器必定()。

A、无反馈
B、有正反馈
C、有负反馈
D、无反馈或有负反馈
E、电压正反馈


点击查看答案


246、单项选择题  指出骨麻风病特异性的X线表现()

A.囊样或膨胀性改变
B.骨营养孔扩大
C.密集性骨吸收
D.出现夏科氏关节
E.继发骨膜炎和骨髓炎


点击查看答案


247、单项选择题  穿过人体后的射线称为()

A.一次射线
B.二次射线
C.透射线
D.原发射线
E.散射线


点击查看答案


248、单项选择题  

女,45岁,骶髂部疼痛3月余,结合图像,最可能的诊断是()

A.骶髂关节骨折
B.骶髂关节结核
C.骶髂关节炎
D.骶髂骨骨囊肿
E.骶髂骨骨脓肿


点击查看答案


249、单项选择题  肋骨斜位摄片,常用于检查()

A.肋软骨
B.锁骨中线区肋骨
C.腋中线区肋骨
D.肩胛中线肋骨
E.肋骨小头


点击查看答案


250、多项选择题  特发性骨质溶解症主要发生在下述哪些部位()

A.腕掌
B.跗跖
C.肘部
D.跖趾
E.掌指


点击查看答案


251、名词解释  裂隙征


点击查看答案


252、单项选择题  “骨关节结核”发生部位最少见的是()

A.脊柱
B.长骨骨干
C.短管状骨
D.关节
E.长骨干骺端


点击查看答案


253、判断题  胆囊癌多数为腺癌,80%肿瘤呈浸润性生长。


点击查看答案


254、单项选择题  下述哪项是膜内化成骨()

A.颅顶骨和面骨
B.脊柱和骨盆
C.四肢长骨
D.颅底骨和筛骨
E.四肢短管状骨


点击查看答案


255、单项选择题  与下颌角同一平面的椎体是()

A.第1颈椎
B.第2颈椎
C.第3颈椎
D.第4颈椎
E.第5颈椎


点击查看答案


256、单项选择题  左向右分流型先天性心脏病出现的肺部血管改变是()

A.肺栓塞
B.肺出血
C.肺淤血
D.肺充血
E.肺缺血


点击查看答案


257、判断题  特发性肥大性骨关节病和继发性肥大性骨关节病的X线表现相同,主要为管状骨对称性骨膜新生骨。


点击查看答案


258、单项选择题  食管癌的病理分型为()

A.髓质型
B.蕈伞型
C.溃疡型
D.硬化型
E.以上都是


点击查看答案


259、单项选择题  通常照片铅字标记应置于暗盒边缘内()

A.0.5cm处
B.1.0cm处
C.1.5cm处
D.3cm处
E.5cm处


点击查看答案


260、单项选择题  固定阳极X线管的阳极结构正确的是()

A.靶面阳极柄阳极帽
B.阳极头转子阳极帽
C.阳极头阳极柄阳极帽
D.靶面转子阳极帽
E.靶面钼杆阳极帽


点击查看答案


261、填空题  引起脾肿大的病因很多,主要有________、__________、________、_________、___________和__________。


点击查看答案


262、多项选择题  在观察骨肿瘤的影像时,应注意()

A.发病部位
B.病变数目
C.骨质改变
D.骨膜增生
E.周围软组织改变


点击查看答案


263、单项选择题  自截肾常见于下列哪种疾病()

A.慢性肾炎
B.肾结核
C.肾结石
D.肾癌
E.慢性肾盂肾炎


点击查看答案


264、多项选择题  结缔组织疾病的共同特点为()

A.患者常无临床症状
B.多器官受累
C.病程长
D.缓解与加重交替出现
E.有反映免疫现象的血清学异常


点击查看答案


265、单项选择题  神经根型颈椎病,首选的摄片体位是()

A.颈椎双斜位
B.颈椎开口位
C.颈椎过伸位
D.颈椎过屈位
E.以上都不是


点击查看答案


266、单项选择题  有关脊索瘤的好发部位和X线主要特点,错误的是()

A.肿瘤好发生于脊柱两端,居中线部位
B.常为膨胀性溶骨性破坏,其中可残存碎骨片或小梁沟隔
C.绝大多数病人可有骨质增生和硬化
D.50%病人可有钙化
E.以上都不是


点击查看答案


267、单项选择题  关于“胃癌”钡餐造影表现,下列哪项不对()

A.胃壁局限性僵硬
B.线状溃疡
C.病变周围粘膜皱襞中断、破坏
D.底部凹凸不平的浅大溃疡
E.表面凹凸不平的充盈缺损


点击查看答案


268、判断题  上颌窦血管瘤X线显示上颌窦内上角由钝角变为锐角,骨质破坏吸收。


点击查看答案


269、配伍题  前列腺增生起源于()
前列腺癌起源于()

A.中央带
B.移行带
C.外围带
D.前纤维基质区
E.射精管


点击查看答案


270、单项选择题  肺气肿的X线表现,错误的是()

A.桶状胸,肋间隙增宽
B.肺野透亮度增高
C.两侧膈肌升高
D.两肺纹理稀疏
E.心影呈滴状


点击查看答案


271、多项选择题  胆囊腺肌增生症的主要诊断依据是()

A.胆囊缩小、变形
B.胆囊壁增厚
C.胆囊壁内大小不等的憩室样征象
D.少数憩室内并发小结石
E.病变累及胆囊全部或呈节段性


点击查看答案


272、填空题  畸形性骨炎的MRI主要表现为___________、____________、____________和___________。


点击查看答案


273、判断题  支气管含液囊肿和含气囊肿在透视下或呼吸相摄片,其大小和形态可见改变。


点击查看答案


274、单项选择题  慢性十二指肠球部溃疡最常见的X线征象是()

A.龛影
B.粘膜集中
C.激惹征
D.球部变形
E.管腔狭窄


点击查看答案


275、名词解释  胸膜外征


点击查看答案


276、名词解释  类癌综合征


点击查看答案


277、多项选择题  

男,12岁,上腹痛1周,无规律,无黑便史。体检:剑突下有压痛,结合图像,最可能的诊断是()

A.正常表现
B.胃炎
C.十二指肠炎
D.十二指肠溃疡
E.十二指肠占位


点击查看答案


278、多项选择题  石棉肺患者易并发()

A.肺炎
B.胸膜间皮瘤
C.肺癌
D.支气管扩张
E.肺源性心力衰竭


点击查看答案


279、多项选择题  肺转移瘤中呈小结节及粟粒病变者多见于()

A.肝癌转移
B.胰腺癌转移
C.绒毛膜上皮癌转移
D.成骨肉瘤转移
E.甲状腺癌转移


点击查看答案


280、名词解释  罗杰病


点击查看答案


281、单项选择题  女,33岁,吞咽困难1年,钡餐检查示食管明显扩张,蠕动减弱,食管远端鸟嘴状,表面尚光整,饮水后,造影剂部分进入胃内,最可能的诊断为()

A.食管下端平滑肌瘤
B.食管下端癌
C.贲门失弛缓症
D.食管下端静脉曲张
E.返流性食管炎


点击查看答案


282、单项选择题  

女,31岁,左侧髋部疼痛1月余,有压痛,压之有捏乒乓球感,结合影像学检查,最可能的诊断是()

A.骨囊肿
B.骨巨细胞瘤
C.动脉瘤样骨囊肿
D.成软骨细胞瘤
E.骨结核


点击查看答案


283、单项选择题  下列哪项不是骨骺干骺端结核的X线表现()

A.边缘模糊,圆形、椭圆形骨破坏
B.病灶偏于一侧,靠近骨骺板
C.骨硬化及碎片样死骨
D.骨皮质破坏轻
E.针状骨膜反应


点击查看答案


284、多项选择题  引起骨质破坏的病变有()

A.骨折
B.骨结核
C.骨髓炎
D.纤维异样增殖
E.骨髓瘤


点击查看答案


285、单项选择题  在静脉快速注入对比剂后的几分钟正常肾实质显影()

A.0.5分钟
B.1分钟
C.2分钟
D.3分钟
E.4分钟


点击查看答案


286、多项选择题  腕部标准后前位片,当腕关节桡偏时()

A.头状骨轴线倾斜
B.钩骨长轴倾斜,舟骨变长
C.三角间隙扩大
D.三角间隙变窄
E.钩骨长轴变直,舟骨变长


点击查看答案


287、单项选择题  膈肌的矛盾运动以哪种体位观察最佳()

A.站立性
B.侧卧位
C.仰卧位
D.俯卧位
E.半坐位


点击查看答案


288、单项选择题  影响X线照片质量的物理因素,不包括()

A.密度
B.对比度
C.锐利度
D.颗粒度
E.失真度


点击查看答案


289、单项选择题  

女,50岁,手指关节肿痛,晨僵,结合图像,最可能诊断是()

A.关节结核
B.牛皮癣性关节炎
C.痛风性关节炎
D.类风湿关节炎
E.Reiter综合征


点击查看答案


290、单项选择题  

男,56岁,痰中带血1月余,X线检查如图,最可能的诊断是()

A.两肺炎症
B.肺转移瘤
C.血行播散型肺结核
D.细支气管肺泡癌
E.矽肺


点击查看答案


291、单项选择题  胃肠道疾病首选的检查方法为()

A.钡剂造影
B.平片检查
C.MRI检查
D.CT检查
E.胆系造影检查


点击查看答案


292、问答题  小叶性肺炎的X线表现有哪些?


点击查看答案


293、单项选择题  

男,24岁,中上腹痛,柏油样便,面色苍白,钡餐检查如图,可能的诊断为()

A.胃癌
B.胃溃疡伴良性狭窄
C.平滑肌肉瘤
D.胃间质瘤
E.胃淋巴瘤


点击查看答案


294、单项选择题  2/3胃次全切除术后,不常见的并发症是()

A.空肠消化性溃疡
B.吻合口溃疡
C.残端胃炎
D.胆石症
E.倾倒综合征


点击查看答案


295、单项选择题  最常见的后纵隔肿瘤是()

A.神经节细胞瘤
B.淋巴瘤
C.神经母细胞瘤
D.支气管囊肿
E.转移


点击查看答案


296、单项选择题  马德隆(Madelung)畸形的X线表现中,哪项是错误的()

A.桡骨远端关节面的内倾角加大,内侧有缺损
B.桡骨远端骨骺呈三角形变形,尖端指向内侧
C.桡骨短而弯,尺骨相对地增长
D.桡骨远端关节面与远端突出的尺骨远端形成"V"形切迹
E.腕骨角增大,远列腕骨排列成楔形,月状骨位于尖端


点击查看答案


297、判断题  局限性骨化性肌炎的诊断必须于软组织肿块内可见到有骨结构。


点击查看答案


298、单项选择题  最常见的侵袭性胸腺瘤转移扩散途径为()

A.血行转移
B.沿胸膜腔种植性转移
C.淋巴转移
D.经支气管扩散
E.直接侵犯肺和横膈


点击查看答案


299、单项选择题  下述关于“肋骨先天性畸形”,哪项错误()

A.颈肋
B.腰肋
C.肋骨发育不全
D.肋软骨钙化
E.叉状肋


点击查看答案


300、问答题  骨折的愈合分几期?各有何X线表现?


点击查看答案


题库试看结束后微信扫下方二维码即可打包下载完整版《★医学影像技术(医学高级)》题库
手机用户可保存上方二维码到手机中,在微信扫一扫中右上角选择“从相册选取二维码”即可。
题库试看结束后微信扫下方二维码即可打包下载完整版《医学影像技术(医学高级):X线》题库,分栏、分答案解析排版、小字体方便打印背记!经广大会员朋友实战检验,此方法考试通过率大大提高!绝对是您考试过关的不二利器
手机用户可保存上方二维码到手机中,在微信扫一扫中右上角选择“从相册选取二维码”即可。

微信搜索关注"91考试网"公众号,领30元,获取公务员事业编教师考试资料40G