时间:2023-09-10 00:35:47


1、单项选择题 先天性输尿管囊肿X线表现为()
	A.膀胱内充盈缺损,边缘规则 
	B.输尿管局部膨大呈囊状 
	C.膀胱内圆形充盈缺损,边缘光滑,伴输尿管积水 
	D.膀胱内充盈缺损,壁僵硬 
	E.以上均不是
2、单项选择题 KerleyB线主要分布于()
	A.上肺内侧
	B.上肺外周
	C.下肺内侧
	D.下肺外周
	E.中肺野
3、单项选择题 热容量的单位J和HU的换算关系是()
	A.1HU=1.414J
	B.1HU=0.4J
	C.1HU=0.9J
	D.1HU=0.71J
	E.1HU=1.0J
4、多项选择题 关于CR成像的叙述,正确的是()
	A.CR——计算机X线摄片
	B.CR是由成像板形成数字化影像
	C.X线剂量比常规X线摄片显著降低
	D.具有多种后处理功能
	E.空间分辨率高
5、单项选择题 部分性肺静脉畸形引流,常合并下列哪种病变()
	A.法洛四联征
	B.动脉导管未闭
	C.室间隔缺损
	D.房间隔缺损
	E.肺动脉瓣狭窄并房间隔缺损
6、单项选择题 关于头颅摄片的叙述,错误的是()
	A.头颅后前正位,中心线向足侧倾斜23°经眉间射入
	B.头颅后前正位,中心线垂直经眉间射入
	C.头颅侧位,中心线垂直蝶鞍处射入
	D.蝶鞍体表定位于外耳孔前3cm,再向上2.5cm处
	E.蝶鞍体表定位于听眦线中,后1/3交点处
7、多项选择题 属于腹主动脉分支的有哪些()
	A.胃左动脉
	B.脾动脉
	C.肠系膜下动脉
	D.结肠动脉
	E.肝总动脉
8、单项选择题 慢性化脓性骨髓炎瘘管经久不愈的原因是()
	A.骨质增生
	B.脓腔或死骨存在
	C.骨干增粗
	D.新生骨形成
	E.骨髓腔闭塞
9、单项选择题 骨巨细胞瘤的好发年龄()
	A.40岁以上
	B.20~40岁
	C.0~20岁
	D.新生儿
	E.青春期
10、单项选择题 透视检查的缺点是()
	A.多角度进行观察
	B.价格低廉
	C.可进行动态观察
	D.可观察细微结构
	E.可立即获取检查结果
11、单项选择题 诊断十二指肠球溃疡较可靠的X线征象是()
	A.呈三叶瓣形变形
	B.有激惹征象
	C.局部有压迹
	D.球充盈不佳
	E.黏膜皱襞不清
12、多项选择题
	女,80岁,胃胀痛20多天,体检:剑突下有压痛,结合图像,最可能的诊断为()
	A.食管憩室
	B.食管癌
	C.胃炎
	D.胃下垂
	E.球部溃疡
13、多项选择题 下述表现中,哪些与“胃溃疡”无关()
	A.胃空腹滞留液较多
	B.激惹征
	C.“B”形胃
	D.胃排空速度加速或延缓
	E.袖口征
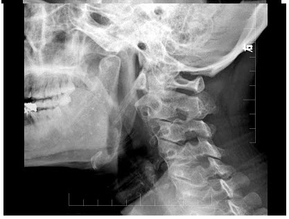
14、单项选择题 颅骨骨折患者通常首选的摄影体位是()
	A.头颅前后位、头颅侧位
	B.头颅后前位、头颅侧位
	C.头颅前后位、头颅仰卧水平侧位
	D.柯氏位、瓦氏位
	E.汤氏位、头颅仰卧水平侧位
15、单项选择题 右前斜位吞钡检查,食管前缘见不到的压迹是()
	A.主动脉弓压迹
	B.左主支气管压迹
	C.肺动脉段压迹
	D.左心房压迹
	E.降主动脉压迹
16、单项选择题 下述有关骨软骨缺血坏死的命名组合中,哪项错误()
	A.跗舟骨缺血坏死——Kōhler病
	B.跖骨头骨骺骨缺血坏死——Freiberg病
	C.腕舟状骨缺血坏死——Kienbōck病
	D.胫骨结节缺血坏死——Osgood-schlatter病
	E.股骨头骨骺缺血坏死——Legg-Perthes病
17、单项选择题 下列哪种疾病,无“肺血减少”表现()
	A.法洛四联征
	B.三尖瓣闭锁
	C.房间隔缺损
	D.永存动脉干
	E.大血管转位
18、多项选择题 成骨型转移瘤常见于()
	A.前列腺癌
	B.乳癌
	C.鼻咽癌
	D.肺癌
	E.膀胱癌
19、单项选择题 在X线摄影中,使用对比剂可以增加组织间的对比,有助于形成影像。 肝肾功能严重受损不能进行静脉尿路造影检查的原因不是()
	A.不能正常显影
	B.损伤肝肾功能
	C.必然发生过敏反应
	D.不能正常排泄对比剂
	E.机体抵抗力低下
20、单项选择题 关于结肠正常影像描述,下列错误的是()
	A.结肠粘膜皱襞有纵、横、斜三个方向
	B.升结肠的结肠袋比降结肠明显
	C.左半结肠粘膜皱襞以纵行为主
	D.左半结肠比右半结肠粗
	E.低张双对比造影可显示无名沟和无名小区
21、多项选择题 骨骼基本病变的X线表现为()
	A.骨质疏松
	B.骨质软化
	C.骨质破坏
	D.骨膜增生
	E.软组织肿块
22、单项选择题 感光原理是()
	A.光水解反应
	B.光分解反应
	C.光合作用
	D.光合成反应
	E.以上都不是
23、单项选择题
	女,25岁,胸背痛半月余,胸片如图,最可能的诊断为()
	A.左上肺不张
	B.左上肺炎
	C.纵隔肿瘤
	D.左上肺癌
	E.左上肺炎性假瘤
24、多项选择题 下列关于肾癌的影像,正确的为()
	A.肾影局限性增大
	B.IVP正常也不能完全除外肾癌
	C.肾盂、肾盏移位
	D.均有肾盂积水、肾功能降低
	E.肾盂内可有充盈缺损
25、多项选择题 肾盂肾炎的X线表现,正确的是()
	A.肾影变小
	B.肾影边缘光滑
	C.肾小盏变形
	D.肾盂肾盏可以扩张
	E.以上全都正确
26、单项选择题
	男,34岁,体检摄片如图所示,最可能的诊断是()
	A.氟骨症
	B.转移性骨肿瘤
	C.骨样骨瘤
	D.骨岛
	E.骨斑点症
27、单项选择题 下列与颅骨骨折的影像表现无关的是()
	A.颅骨凹陷性骨折
	B.颅内积气
	C.一侧乳突气房混浊
	D.蝶窦积液
	E.鞍背骨质吸收
28、单项选择题 如疑似大骨节病的病人,最佳投照体位是()
	A.双侧第一跖趾骨正、斜位
	B.双侧膝关节正位片
	C.双手正位及双踝关节正侧位
	D.双侧手腕外展位
	E.腰椎正侧位片
29、单项选择题 在成人女性,平均宫腔容量为()
	A.5ml
	B.4ml
	C.3ml
	D.8ml
	E.6ml
30、多项选择题 中央型肺癌的转移表现包括()
	A.肺门阴影增大
	B.膈肌矛盾运动
	C.肺内结节
	D.胸腔积液
	E.纵隔影增宽
31、单项选择题 肺淤血是指()
	A.肺动脉血流量增加
	B.肺静脉血流量增加
	C.肺动脉血流量减少
	D.肺静脉血流量减少
	E.以上均不是
32、单项选择题
	女,2岁半,突然哭闹3小时,急性面容,腹部触诊上腹区似可扪及包块,行钡灌肠检查,如图所示,最可能的诊断为()
	A.肠套叠
	B.先天性巨结肠
	C.结肠扭转
	D.结肠炎
	E.结肠癌
33、单项选择题 骨盆的常规摄影位置是()
	A.前后位
	B.后前位
	C.侧位
	D.斜位
	E.轴位
34、单项选择题 关于“Apert综合征”,下列描述错误的是()
	A.两眼间距过宽
	B.第3、4指并指畸形
	C.颅内压增高相应表现
	D.长骨对称性扩张呈"烧瓶状
	E.冠状缝、矢状缝早闭
35、单项选择题 下列说法,哪项是正确的()
	A.胃与十二指肠相连的部分为幽门
	B.附着于骨骼,起着运动作用的肌肉是平滑肌
	C.大肠、小肠均有肠系膜
	D.在甲状腺前方有二块甲状旁腺
	E.视神经管在眼眶外侧壁
36、单项选择题 颅脑外伤时,颅缝宽度超过以下数值,其意义如线形骨折()
	A.1.5mm
	B.3.0mm
	C.2.5mm
	D.2.0mm
	E.4.0mm
37、单项选择题 在以下胃双重对比技术中,哪项对于病变早期检出没有帮助()
	A.用触变性、复混悬性好的钡剂
	B.检查前5分钟肌注654-2
	C.检查前洗胃
	D.服钡前服适量产气消泡剂
	E.用高浓度高黏度钡剂
38、单项选择题
男,55岁,有结肠癌史,结合图像,最可能的诊断是()
	
	A.肝转移 
	B.结肠癌复发 
	C.门静脉栓塞 
	D.十二指肠癌 
	E.以上都不是
39、单项选择题 中心线与被照体局部边缘相切为()
A.前后方向  
B.后前方向  
C.切线方向  
D.冠状方向  
E.轴方向
40、单项选择题 骨转移瘤最常来自于()
	A.腺癌
	B.肉瘤
	C.皮肤癌
	D.食管癌
	E.以上都不是
41、单项选择题 下列组合,错误的是()
	A.髌骨骨折--侧位及轴位
	B.膝内翻--正位及双侧对照
	C.膝关节副韧带损伤--正位及双侧对照
	D.胫骨结节骨软骨炎--双侧胫骨结节侧位对照
	E.小儿髋关节脱位--双髋正位
42、单项选择题
	男,18岁,肩部外伤,疼痛、活动受限,结合图像,最可能的诊断是()
	A.肩关节盂下脱位
	B.肩关节喙突下脱位
	C.肩关节锁骨下脱位
	D.肩锁关节脱位
	E.肩关节未见脱位
43、单项选择题
男,75岁,右足第1跖趾关节和趾趾间关节疼痛3天,局部红肿,每子夜间痛醒,半年前有类似发作史。
	结合右足正斜位片,最可能的诊断是()
	A.关节结核
	B.化脓性关节炎
	C.痛风性关节炎
	D.类风湿性关节炎
	E.牛皮癣性关节炎
44、单项选择题
男,52岁,胸痛、体重下降2月余,结合胸片,最可能的诊断()
	
	A.包裹性胸腔积液
	B.胸膜肥厚
	C.化脓性胸膜炎
	D.肺癌
	E.胸膜间皮瘤
45、单项选择题 对临床怀疑“肾盂癌”的患者,应首选以下哪项检查()
	A.MRI
	B.血管造影
	C.US
	D.IVU或“逆行肾盂造影”
	E.CT
46、单项选择题
	男,67岁,右侧股骨痛,结合图像,最可能的诊断是()



	A.骨纤维结构不良
	B.维生素D缺乏病
	C.成骨不全
	D.软骨发育不全
	E.畸形性骨炎
47、多项选择题 胰头癌低张十二指肠造影的X线征象为()
	A.十二指肠曲扩大
	B.十二指肠曲缩小
	C.十二指肠内缘呈反“3”字征
	D.十二指肠内缘双边征
	E.十二指肠内侧呈锯齿状
48、单项选择题
	女,30岁,右膝关节酸胀,疼痛不适5月,X线检查如图所示,下列描述正确的是()
	A.骨质呈膨胀性破坏
	B.骨质呈肥皂泡样破坏
	C.骨质呈横向偏心性破坏
	D.以上均正确
	E.以上均不正确
49、单项选择题 下列尤文肉瘤的X线表现中,哪项不符合()
	A.骨干中心型病灶位于骨干中段髓腔内,呈弥漫性骨质疏松及斑点状、虫蚀样破坏
	B.骨干周围型其皮质外缘常呈蝶形破坏,肿瘤多呈卵圆形或分叶状向外扩展
	C.干骺中心型位于干骺端中央,骨质破坏与骨质硬化同时出现
	D.发生于骨外者表现为大小不等的软组织肿块,边界不清
	E.干骺周围型位于干骺端边缘,多呈膨胀性骨破坏
50、多项选择题 骨肉瘤的X线表现包括()
	A.瘤骨形成
	B.溶骨性骨质破坏
	C.日光放射状、袖口状骨膜反应
	D.死骨形成
	E.局部软组织肿块
51、单项选择题 下列哪种表现只见于“脊柱化脓性骨髓炎”,而不见于“脊柱结核”()
	A.椎体融合
	B.椎间隙变窄
	C.椎体骨质破坏
	D.骨质硬化
	E.椎旁脓肿
52、单项选择题 维生素D缺乏病初期最早出现X线改变的部位是()
	A.肋骨胸骨端
	B.胫骨远侧干骺端
	C.桡骨近侧干骺端
	D.尺骨远侧干骺端
	E.肱骨远侧干骺端
53、多项选择题 引起骨质破坏的病变有()
	A.骨折
	B.骨结核
	C.骨髓炎
	D.纤维异样增殖
	E.骨髓瘤
54、单项选择题 病人在出现明显症状以前,X线片就能显示转移的是()
	A.鼻咽癌
	B.乳腺癌
	C.肾癌
	D.前列腺癌
	E.胃癌
55、多项选择题 胃肠道异常的基本X线表现包括()
	A.胃肠道轮廓改变
	B.粘膜皱襞的改变
	C.功能性改变
	D.位置及移动度改变
	E.管腔大小的改变
56、单项选择题
	男,根据其正常骨盆影像图像,判断其最可能的年龄()
	A.1岁左右
	B.4岁左右
	C.7岁左右
	D.10岁左右
	E.13岁左右
57、单项选择题 有关汤氏位摄影,以下错误的是()
	A.患者仰卧,正中矢状面垂直于台面
	B.下颌内收,听眦线垂直于台面
	C.胶片上缘与头顶平齐,下缘低于下颌骨
	D.中心线向足侧倾斜15°角
	E.中心线对准眉间上方约10cm处射入,从枕外隆凸下方射出
58、单项选择题
男,56岁,胸痛2月余,最近感右臂疼痛、活动受限,胸片如图,最可能的诊断是()
	

	A.右肺癌
	B.右上肺不张
	C.右肺上沟瘤
	D.右侧胸膜肥厚
	E.右肺结核
59、多项选择题 下列造影检查中能用碘化钠作对比剂的是()
	A.胆囊造影 
	B.膀胱造影 
	C.逆行肾盂造影 
	D.静脉肾盂造影 
	E.子宫输卵管造影
60、多项选择题 上叶分布为主的肺纤维化见于()
	A.过敏性支气管肺曲菌病
	B.石棉肺
	C.博莱霉素肺部反应
	D.系统性硬皮病
	E.结节病
61、多项选择题 在逆行性尿路造影检查中,可出现哪些肾脏回流征象()
	A.肾小盏回流
	B.肾大盏回流
	C.肾小管回流
	D.肾窦回流
	E.淋巴管回流
62、单项选择题 下列哪项不属于女性瘘管()
	A.直肠阴道瘘
	B.直肠尿道瘘
	C.直肠会阴瘘
	D.直肠膀胱瘘
	E.直肠舟状窝瘘
63、单项选择题 骨巨细胞瘤的典型X线征象是()
	A.位于骨端的膨胀性偏心性囊性骨破坏,内有皂泡性骨间隔
	B.骨端的囊性破坏区,其透光区模糊,皮质变薄
	C.远距骨干骺端的偏心性囊性骨破坏,边缘硬化
	D.位于骨骺的多发性骨质破坏,内有钙化
	E.位于骨端的多发性骨质破坏,内有钙化
64、单项选择题 部位、大小、数目可一日数变的肺气囊是下列哪种疾病的特征性表现()
	A.肺吸虫病
	B.肺囊虫病
	C.葡萄球菌肺炎
	D.过敏性肺炎
	E.系统性红斑狼疮肺炎
65、单项选择题 某患者右髋痛1个月,需进行髋关节摄影检查。 有关髋关节前后位摄影,叙述正确的是()
	A.髋关节定位点是:被检侧髂前上棘与耻骨联合上缘连线中点向内下作垂线5cm处
	B.股骨颈及闭孔无投影变形
	C.申通线不能显示
	D.双下肢稍外旋
	E.患者屈髋屈膝
66、单项选择题 根据下列哪项将脊柱裂分为显性和隐性两类()
	A.染色体遗传类型
	B.椎管内容物有无疝膨出
	C.X线平片显示脊柱裂与否
	D.临床上有无神经症状
	E.棘突缺如与否
67、单项选择题 X线穿过均匀物质时,其衰减与下列哪一项因素无关()
	A.物质的衰减系数
	B.X线经过的距离
	C.X线发出的强度
	D.物质的厚度
	E.物质的面积
68、单项选择题 下列关于造影与显影时间的组合,错误的是()
	A.子宫输卵管造影——注射后即刻显影
	B.排泄性肾盂造影——静脉注射后5分钟显影
	C.选择性动脉插管造影——注射后即显影
	D.脑血管造影——注入后5秒钟显影
	E.静脉胆道造影——静脉注射后15~30分钟显影
69、单项选择题 下述矽肺间接征象,哪项不对()
	A.肺气肿
	B.肺不张
	C.胸膜增厚、粘连
	D.胸腔积液
	E.肺源性心脏病
70、单项选择题 关于腹部摄片注意事项的叙述,错误的是()
	A.摄片前均须清洁肠道
	B.除新生儿外,均应采用滤线器摄片
	C.胶片应包括整个腹部
	D.采用呼气后屏气状态曝光
	E.FFD为100cm
71、多项选择题 正位胸片上,Lutembacher综合征表现为()
	A.肺纹理增多
	B.多数患者肺纹理正常
	C.肺门影缩小
	D.右心增大
	E.左心房增大
72、多项选择题 淋巴瘤纵隔肿大淋巴结的分布以哪组最常见()
	A.前纵隔
	B.支气管旁组
	C.气管与支气管组
	D.隆突下组
	E.中纵隔组
73、单项选择题 较少发生腹膜种植性转移的肿瘤是()
	A.肝癌
	B.胃癌
	C.结肠癌
	D.子宫癌
	E.卵巢癌
74、单项选择题 X线平片上,松果体生理性钙化其直径不应超过()
	A.5.0mm
	B.7.5mm
	C.10.0mm
	D.12.0mm
	E.6.0mm
75、单项选择题 “蓬发心”是哪种疾病的特征影像()
	A.结核性心包炎
	B.石棉肺
	C.心肌病
	D.尿毒症
	E.心包积液
76、单项选择题 “急腹症”患者当疑有“肠梗阻者”时,禁做以下哪种检查()
	A.钡剂灌肠检查
	B.腹部CT
	C.口服碘剂造影
	D.立、卧位腹部平片
	E.钡餐检查
77、单项选择题 有关人体平面的叙述,错误的是()
	A.水平面又称为横断面
	B.水平面垂直于冠状面
	C.矢状面垂直于冠状面
	D.冠状面将人体前后分割
	E.矢状面将人体上下分割
78、单项选择题 2/3胃次全切除术后,不常见的并发症是()
	A.空肠消化性溃疡
	B.吻合口溃疡
	C.残端胃炎
	D.胆石症
	E.倾倒综合征
79、单项选择题 划分左、右肝叶的解剖标志是()
	A.肝动脉
	B.门静脉
	C.肝中静脉
	D.肝左静脉
	E.肝右静脉
80、单项选择题
	男,38岁,慢性颈痛和背痛1年余,结合图像,最可能的诊断是()
	A.强直性脊柱炎
	B.类风湿关节炎
	C.Reiter综合征
	D.关节结核
	E.痛风
81、单项选择题 关于“皮质旁骨肉瘤”的描述错误的是()
	A.好发于长骨干骺端骨旁
	B.恶性度极高
	C.早期,局部骨皮质增厚
	D.肿瘤呈略高密度,与骨干间有透明带相隔
	E.肿瘤内有不规则透亮区
82、单项选择题 子宫输卵管造影时,出现咳嗽、呼吸困难、咯血及偏瘫或昏迷时,主要考虑为()
	A.碘过敏
	B.迷走神经兴奋
	C.碘油栓塞
	D.麻醉药物过敏
	E.以上都不是
83、单项选择题
	下述除哪项外均为影响骨骼钙代谢的主要因素()
	 
	A.血清中钙磷含量的高低
	B.体内维生素B含量的高低
	C.小肠中钙、磷吸收的多少
	D.甲状旁腺毒性与维生素D的比例关系
	E.肾脏对Ca2+的再吸收与排泄作用
84、单项选择题 骶骨前后位摄影的中心线()
	A.垂直投射
	B.向头侧倾斜15°
	C.向足侧倾斜15°
	D.向头侧倾斜45°
	E.向足侧倾斜45°
85、多项选择题 婴幼儿和儿童的骨髓炎的特点有()
	A.骨生长障碍
	B.骨骺早期闭合和发育畸形
	C.骨破坏广泛容易造成大块骨干坏死
	D.发病急
	E.全身中毒症状重
86、单项选择题 腹部外伤常受累脏器依次是()
	A.肝、胃、肾
	B.脾、肾、肝
	C.脾、肝、胰腺
	D.肝、肾、脾
	E.脾、肾、结肠
87、单项选择题 类风湿关节炎易侵犯颈椎时易发生环枢关节半脱位,下列描述中哪项不是半脱位的典型表现()
	A.环枢关节向前半脱位
	B.齿状突向上移位
	C.颈1侧块向两侧半脱位
	D.颈1向上半脱位
	E.环枢关节向上半脱位合并齿状突受侵蚀
88、单项选择题 口服钡剂通过小肠到达回盲部时间过缓的诊断标准是()
	A.>3小时
	B.>4小时
	C.>5小时
	D.>6小时
	E.>7小时
89、单项选择题 前臂骨折需要首先纠正的错位是()
	A.侧方错位
	B.旋转错位
	C.成角错位
	D.短缩错位
	E.分离错位
90、单项选择题
	男,6岁,来自干旱地区,腰背疼痛四肢关节酸痛,结合图像,最可能的诊断是()
	A.氟骨症
	B.畸形性骨炎
	C.石骨症
	D.髋关节结核
	E.甲状旁腺功能亢进
91、单项选择题 支气管破裂最常见的X线征象是()
	A.胸腔积液
	B.双肺充气不足
	C.肺气肿,纵隔增宽
	D.肺不张,纵隔移位
	E.心脏周围有透亮带,皮下软组织内可见散在透亮区
92、多项选择题 关于Chamberlain线,下列描述正确的是()
	A.硬腭后缘至枕大孔后唇的连线
	B.硬腭后缘至枕鳞外板最低点的连线
	C.齿状突上缘超过此线3mm为异常
	D.又称腭枕线
	E.主要用于颅底凹陷症的测量
93、单项选择题 肝脓肿X线平片检查主要的征象为()
	A.肝区含气或液平的脓腔影
	B.右膈肌膨隆
	C.右下肺盘状肺不张
	D.右胸膜肥厚
	E.胸腔少量积液
94、多项选择题 在泌尿系统影像学检查中,尿路造影是常用的检查方法,其主要是指哪些检查()
	A.X线排泄性尿路造影
	B.X线逆行性尿路造影
	C.CT尿路造影
	D.MR尿路造影
	E.核素扫描
95、单项选择题 酸性磷酸酶升高常见于()
	A.成骨性转移瘤 
	B.前列腺癌骨转移 
	C.骨肉瘤肺转移 
	D.多发性骨髓瘤 
	E.以上都是
96、多项选择题 属于胰腺外分泌性肿瘤者()
	A.胰腺癌
	B.胰腺囊腺瘤
	C.胰腺囊肿
	D.生长抑素瘤
	E.舒血管肠肽瘤
97、多项选择题 继发性肺结核可以见到的各种基本病变为()
	A.渗出性病灶
	B.增殖性病灶
	C.干酪性病灶
	D.纤维性病灶
	E.肿瘤样病灶
98、单项选择题 胆囊造影脂肪餐后首次摄片时间应为()
	A.5分钟
	B.10分钟
	C.15分钟
	D.30分钟
	E.60分钟
99、单项选择题 食管静脉曲张与食管癌的主要鉴别点是()
	A.溃疡
	B.隆起
	C.管壁柔软
	D.黏膜规整
	E.梗阻
100、单项选择题 原发性肺结核是指()
	A.原发综合征
	B.胸内淋巴结结核
	C.血行播散型肺结核
	D.前两者均是
	E.前三者均是
101、多项选择题 关于标准化前位胸片描述,正确的有()
	A.双侧斜裂的任何部分都不能显示
	B.锁骨胸骨端与第6肋后端重叠
	C.脊柱左侧心脏的密度比脊柱右侧心脏的密度要高
	D.颈胸段的椎体终板能清楚地显示
	E.左侧心膈角可能显示不清
102、单项选择题 有关解剖学方位的描述,下列错误的是()
	A.近头为上
	B.近体表为浅
	C.近正中矢状面为内侧
	D.近肢侧为近端
	E.近腹为前
103、单项选择题 以下哪项是静脉肾盂造影时,首次摄片时机()
	A.注药后1小时
	B.注药后10~12小时
	C.注药结束5分钟
	D.注药后立即摄片
	E.注药后15~30分钟
104、单项选择题 有关影像变形的叙述,正确的是()
	A.被照物体与胶片不平行造成了影像失真
	B.影像大小与形态随X线倾斜角度改变
	C.球形病灶在中心线倾斜投影下成像为椭圆形
	D.X线中心线垂直于胶片,是为防止影像变形
	E.以上全是
105、单项选择题 常于早期即发生淋巴转移的肺癌是()
	A.鳞状上皮癌
	B.小细胞未分化癌
	C.腺癌
	D.大细胞未分化癌
	E.细支气管肺泡癌
106、多项选择题
	女,37岁,咽部异物感、咽痛伴反射性耳痛、头颈部不适近1年余,如图所示,下列描述正确的是()

	A.左侧茎突长约3.5cm
	B.右侧茎突长约4.0cm
	C.双侧茎突过长综合征
	D.右侧茎突过长综合征
	E.正常茎突
107、单项选择题 骨软骨瘤典型X线特征是()
	A.瘤体可随骨骺生长而移至骨干
	B.背向关节生长的骨性突起
	C.瘤体与载瘤骨相连续
	D.瘤帽不规则钙化
	E.以上都是
108、单项选择题 胰腺癌最好发于()
	A.胰头
	B.胰颈
	C.胰体
	D.胰尾
	E.胰体、尾交界处
109、单项选择题 控制电路最终控制的是()
	A.灯丝电路的通断
	B.电源电路的通断
	C.高压次级电路的通断
	D.高压初级电路的通断
	E.保护电路的通断
110、单项选择题 下列哪种疾病,无升主动脉扩张表现()
	A.主动导管未闭
	B.Marfan综合征
	C.主动脉瓣狭窄
	D.梅毒性主动脉炎
	E.继发孔型房间隔缺损
111、单项选择题 下列哪种疾病,无“肺动脉高压”表现()
	A.肺心病
	B.Ebstein畸形
	C.二尖瓣狭窄
	D.二尖瓣关闭不全
	E.进行性全腺泡性肺气肿
112、单项选择题 成人下颌角的正常值为()
	A.110度
	B.115度
	C.120度
	D.125度
	E.130度
113、多项选择题 肺动脉扩张表现,可见于()
	A.左房黏液瘤
	B.二尖瓣病变
	C.甲状腺功能亢进
	D.广泛性肺气肿、肺纤维化
	E.脚气病
114、单项选择题 视神经孔后前轴位摄片,矢状面与台面呈()
	A.33°
	B.43°
	C.53°
	D.63°
	E.73°
115、多项选择题 副鼻窦病变常见的异常X线征象有()
	A.窦腔混浊、密度增加
	B.粘膜肥厚
	C.窦腔内软组织块影
	D.窦腔内液平面
	E.窦腔增大或缩小
116、多项选择题 下列可引起食管远端梗阻的病变有()
	A.食管癌
	B.贲门失弛缓症
	C.食管憩室
	D.返流性食管炎
	E.贲门部良性肿瘤
117、单项选择题
	男,根据其正常盆腔影像图像,判断其最可能的年龄()
	A.10岁左右
	B.30岁左右
	C.20岁左右
	D.80岁左右
	E.60岁左右
118、单项选择题 下列诊断颅底骨折的依据中最确切的是()
	A.皮下溢血斑
	B.脑脊液漏
	C.意识障碍
	D.耳道或鼻腔出血
	E.X线检查可疑颅底骨折
119、单项选择题 下述哪项不属于毛细血管通透性增高引起的肺水肿原因()
	A.高原性肺水肿
	B.吸入刺激性气体
	C.成人型呼吸窘迫综合征
	D.淹溺
	E.弥散性血管内凝血
120、多项选择题 颞骨骨折按骨折线与岩锥长轴的关系分为以下几种类型()
	A.横行骨折
	B.撕脱骨折
	C.混合性骨折
	D.纵行骨折
	E.粉碎骨折
121、单项选择题 下列哪种体位最适宜观察双侧肺尖的病变()
	A.肺尖放大摄影
	B.肺尖前弓位
	C.肺尖后弓位
	D.胸部后前位
	E.胸部前后位
122、单项选择题 肺结核发病1~2周内,临床症状明显,X线表现阴性的是()
	A.原发性肺结核
	B.慢性纤维空洞型肺结核
	C.血行播散型肺结核
	D.结核性胸膜炎
	E.浸润型肺结核
123、多项选择题 能产生脑脊液的是()
	A.侧脑室
	B.第三脑室
	C.第四脑室
	D.蛛网膜颗粒
	E.室管膜
124、单项选择题 关于一侧肺不发育的X线表现,下列哪项是不正确的()
	A.患侧胸部密度均匀增高 
	B.无血管纹理分布 
	C.心脏纵隔移向患侧 
	D.两侧胸廓大小形态对称 
	E.患侧动脉主干发育不良或缺如
125、单项选择题
	男,6岁,右肘部外伤,结合图像,最可能的诊断是()
	A.右肱骨远端骨折
	B.右肱骨内上髁骨折
	C.右肱骨外上髁骨折
	D.右尺骨鹰嘴骨骺损伤
	E.右尺桡脱位
126、单项选择题 关于腰椎前后位摄影的叙述,哪项错误()
	A.是常规位置
	B.必须使用滤线器
	C.常与侧位片一同摄取
	D.脐下3cm对准胶片中心
	E.屈髋屈膝
127、多项选择题 颅骨骨折的间接征象是()
	A.乳突气房消失
	B.骨折线
	C.颅内积气
	D.软组织肿胀
	E.蝶窦气-液平面
128、单项选择题 以下对CR特点的描述,哪项不正确()
	A.与原有X线设备不匹配
	B.X线用量明显减少
	C.放射技师不需专门培训
	D.多种后处理功能
	E.数字化存储、可网络管理
129、单项选择题 关于矽肺的影像描述,下列哪项不对()
	A.病变早期,间隔线
	B.病变晚期,肺纹理增多、网状
	C.肺门淋巴结蛋壳样钙化
	D.病变晚期,八字形或长条状大阴影
	E.病变早期,类圆形小阴影,边缘锐利、可钙化
130、单项选择题 良性溃疡X线征象中哪项不正确()
	A.龛影突出胃壁轮廓之外
	B.治疗后好转
	C.龛影正面观呈圆形
	D.粘膜皱襞通到龛影口
	E.胃大弯浅盘状溃疡
131、多项选择题 骨缺血性坏死常见于()
	A.股骨颈骨折
	B.股骨干骨折
	C.距骨骨折
	D.月骨骨折
	E.腕舟骨骨折
132、单项选择题 下述“尤文肉瘤”知识,哪项正确()
	A.成年人多见
	B.常有骨、肺转移
	C.常有特征性骨膜反应
	D.好发于长骨干骺端
	E.髓腔内可有成骨性改变
133、单项选择题
	女,20岁,上腹隐痛1年余,纳差,结合图像,最可能的诊断为()
	A.正常表现
	B.胃癌
	C.肠系膜上动脉压迫综合征
	D.胃炎
	E.十二指肠占位
134、单项选择题 肠梗阻患者X线检查显示气液平面的最早时间是()
	A.腹痛时
	B.梗阻后3~6小时
	C.发现明显腹胀后
	D.发生第一次呕吐后
	E.发病后12小时
135、多项选择题 下列哪些疾病胸片上主动脉结增大()
	A.动脉导管未闭
	B.梅毒性心脏病
	C.主动脉瓣狭窄
	D.主动脉瓣关闭不全
	E.高血压心脏病
136、单项选择题 下述“软骨母细胞瘤”诊断要点中,哪项不正确()
	A.25岁以下多见
	B.可恶变
	C.好发于长管状骨骨骺区、干骺端
	D.偶有骨膜反应
	E.不侵犯关节
137、单项选择题 腰椎斜位片,正常椎弓及附件的影像呈""猎狗形""。 腰椎各解剖结构与“猎狗”的对应关系错误的表述为()
	A.狗嘴为同侧横突
	B.耳为同侧上关节突
	C.眼为对侧椎弓根的断面
	D.前腿为同侧下关节突
	E.颈部为同侧椎弓峡部
138、单项选择题 下列哪项不是增感屏的结构()
	A.基层
	B.感光乳剂层
	C.保护层
	D.反射层
	E.防反射层
139、单项选择题 尿路造影中常见肾盂肾盏、输尿管及膀胱内充盈缺损,最常见病因是()
	A.肿瘤
	B.结核
	C.炎症
	D.结石
	E.血块
140、单项选择题 X线诊断大叶性肺炎最主要的影像依据是()
	A.肺大叶性阴影
	B.含气支气管像
	C.两肺多发大片影
	D.肺纹理模糊增多
	E.横膈运动受限
141、单项选择题 放射工作人员应每年进行一次健康检查,其中血液检查不包括哪项()
	A.红细胞计数
	B.白细胞总数及其分类
	C.血红蛋白
	D.血压测定
	E.全血相对密度(比重)
142、单项选择题 服用下列哪种药物不引起肠道弥漫性扩张()
	A.左旋多巴
	B.普鲁卡因
	C.吗啡
	D.阿托品
	E.胃复安
143、多项选择题 关于对比剂的叙述,正确的是()
	A.对比剂与造影剂不同
	B.分为阴性及阳性两类
	C.阳性对比剂不易被X线透过
	D.阴性对比剂易被X线透过
	E.碘剂和钡剂均为有机碘化物
144、单项选择题 下列关于“Albright综合征”描述中,哪项错误()
	A.多骨受累
	B.骨干变形
	C.毛玻璃样密度,偶有钙化
	D.平片可见到囊样透亮区
	E.少数可恶变
145、单项选择题
	男,15岁,右肩疼痛1月余,结合图像,最可能的诊断是()
	A.嗜酸性肉芽肿
	B.动脉瘤样骨性囊肿
	C.骨样骨瘤
	D.血管瘤
	E.以上都不是
146、单项选择题
	患者,男,23岁,患者自述后枕部隆起3年,枕部见一局部隆起,质硬,无活动,无明显压痛,无局部红肿热痛,拍片如下,最可能的诊断为()
	A.骨样骨瘤
	B.骨软骨瘤
	C.骨瘤
	D.颅骨纤维异常增殖症
	E.血管瘤
147、多项选择题 下列那些疾病可能发生乳头内陷()
	A.乳腺癌
	B.浆细胞性乳腺炎
	C.乳腺脂肪坏死
	D.乳腺囊性增生
	E.乳腺结核
148、单项选择题
男,56岁,痰中带血1月余,X线检查如图,最可能的诊断是()
	

	A.两肺炎症
	B.肺转移瘤
	C.血行播散型肺结核
	D.细支气管肺泡癌
	E.矽肺
149、多项选择题 慢性铅中毒的主要临床表现为()
	A.便秘
	B.腹绞痛
	C.贫血
	D.末梢神经炎
	E.铅中毒性脑病
150、多项选择题 急性肺水肿与肺炎急性期的鉴别点为()
	A.肺水肿病变发生迅速、动态变化快
	B.肺水肿有间隔线阴影
	C.肺水肿X线表现为大片状高密度影,边缘清楚
	D.肺水肿患者多有心脏及肾脏的原发病
	E.肺水肿无发热等肺炎的临床表现
151、单项选择题 DSA成像的叙述,错误的是()
	A.DSA——数字减影血管造影
	B.Mask片是与普通平片完全相同的图像
	C.Mask——蒙片
	D.造影图像与未造影图像相减得血管图像
	E.血管显影所需的碘量与血管直径成反比
152、单项选择题 慢性十二指肠球部溃疡最常见的X线征象是()
	A.龛影
	B.粘膜集中
	C.激惹征
	D.球部变形
	E.管腔狭窄
153、单项选择题 下列关于散射线及其影响因素的描述哪项错误()
	A.管电压越高,散射线越多
	B.在一定厚度内,被照物体越厚散射线越多
	C.增感屏速度越快,散射线越少
	D.散射线是离开原射线束的折射光子
	E.照射野的大小是产生散射线的重要因素
154、单项选择题
	男,21岁,1月前触及颈部淋巴结肿大,现有上腔静脉综合征,结合胸片,最可能的诊断()
	A.结节病
	B.淋巴结核
	C.转移性淋巴结肿大
	D.淋巴瘤
	E.胸腺瘤
155、多项选择题 骨膜反应可见于下列哪些骨疾病()
	A.骨髓炎
	B.骨折
	C.骨瘤
	D.骨肉瘤
	E.尤文肉瘤(EwingsarcomA.
156、单项选择题 下列“软骨黏液样纤维瘤”诊断要点中,哪项是错误的()
	A.可恶变
	B.青少年多见
	C.长骨干骺端多见
	D.单发或多发囊状透光区
	E.多有砂粒样钙化
157、多项选择题 在观察骨肿瘤的影像时,应注意()
	A.发病部位
	B.病变数目
	C.骨质改变
	D.骨膜增生
	E.周围软组织改变
158、多项选择题 以下哪些病变属于肿瘤样病变()
	A.骨囊肿
	B.动脉瘤样骨囊肿
	C.骨纤维异样增殖
	D.广泛性纤维囊性骨炎
	E.外生骨疣
159、单项选择题 关于软骨肉瘤的表述,错误的是()
	A.据肿瘤发生部位,分为中心型和周围型,前者发生于髓腔,后者发生于骨表面
	B.据肿瘤起源,分为原发性和继发性,中心型多为原发性,周围型多为继发性
	C.原发性多见于30岁以下,继发性多在40岁以上
	D.镜下,由肿瘤性软骨细胞和软骨基质构成,常见软骨基质钙化,呈环状
	E.骨盆发病者以骶骨常见
160、单项选择题 椎体与椎弓愈合最早的部位是()
	A.颈椎
	B.胸椎
	C.腰椎
	D.骶椎
	E.尾椎
161、单项选择题 下列不属于成人化脓性骨髓炎特点的是()
	A.多数只有局部症状和体征
	B.发病缓慢
	C.容易侵犯关节,导致功能障碍
	D.无明显全身中毒症状
	E.预后良好
162、多项选择题 右肺中叶不张的X线表现,正确的是()
	A.正位片表现为右肺下野内带底向右心缘的三角形高密度影
	B.正位片下界通常较清楚
	C.正位片上界通常较清楚
	D.右肺上、下叶可出现代偿性肺气肿
	E.侧位片呈底向后胸壁、尖向肺门的三角形高密度影
163、多项选择题 骨关节病与摄片体位的组合,正确的是()
	A.柯莱斯骨折——腕关节正侧位
	B.肱骨外科颈骨折——肱骨外科颈正位
	C.腕部舟状骨骨折——腕关节尺偏位(外展位)
	D.肩胛骨高位症——肩胛骨正位
	E.尺神经沟病变——尺神经沟特殊位
164、单项选择题
	男,6岁,睡眠差、夜惊、多汗、出牙较迟、血清磷减低、血清钙减低、碱性磷酸酶升高,结合图像,最可能诊断是()
	A.维生素D缺乏病
	B.骨质软化症
	C.先天性骨梅毒
	D.肾性维生素D缺乏病
	E.脆骨病
165、多项选择题 左心室增大主要见于()
	A.高血压病
	B.主动脉瓣病变
	C.二尖瓣关闭不全
	D.室间隔缺损
	E.动脉导管未闭
166、单项选择题
	男,23岁,根据影像图像,最可能的诊断是()
	A.骨髓炎
	B.骨硬化症
	C.骨囊肿
	D.骨脓肿
	E.骨结核
167、单项选择题 在胸部右前斜位片反映右心室增大的早期征象是()
	A.肺动脉圆锥部膨突
	B.心前缘膨隆
	C.心前下间隙缩小
	D.膈面延长
	E.无特异性
168、单项选择题
女性,35岁。阵发性劳力性呼吸困难及阵发性夜间呼吸困难。听诊可闻及奔马律。行胸部平片检查如下图:
	
	A.右室流出道狭窄
	B.限制型心肌病
	C.扩张型心肌病
	D.二尖瓣关闭不全
	E.室间隔缺损
169、单项选择题 患者,女,30岁,胸片示右上纵隔一椭圆形阴影,其中有斑点状钙化影,透视下见块影可随吞咽上下移动,首先考虑()
	A.畸胎瘤
	B.心包囊肿
	C.胸内甲状腺
	D.支气管囊肿
	E.胸腺癌
170、多项选择题 椎体缺血坏死可出现以下哪些X线表现()
	A.椎体变扁呈厚薄一致的致密扁盘状
	B.椎体前后径及横径均增大
	C.椎间隙正常或稍增宽
	D.多侵及椎弓根
	E.腰大肌边缘模糊
171、多项选择题 动脉瘤样骨囊肿临床、影像学表现正确的是()
	A.好发于10~20岁青少年
	B.多见于长骨干骺端
	C.好发于骨骺
	D.60%~75%发病于股骨上端、椎体及附件
	E.典型者,病灶呈明显膨胀性囊状透亮区,外观似吹泡状改变
172、多项选择题 单纯性小肠梗阻常见原因是()
	A.肠粘连
	B.小肠扭转
	C.炎性狭窄
	D.粘连索带压迫
	E.肿瘤
173、多项选择题 典型的二尖瓣关闭不全患者的X线表现有()
	A.左心房和左心室增大为主
	B.伴有右心室增大
	C.左心房呈中度到重度增大
	D.肺淤血
	E.病变晚期可见明显的肺循环高压
174、单项选择题 肺内错构瘤的特征性X线表现是()
	A.孤立圆形阴影
	B.肿块边缘清楚
	C.肿块边缘可分叶
	D.肿块内见爆米花样钙化
	E.肿块内可形成空洞
175、单项选择题 化脓性骨髓炎的最早骨质破坏部位在()
	A.骨皮质
	B.骨干
	C.干骺端松质骨
	D.骨骺
	E.骨髓腔
176、单项选择题 脊椎骨折可出现()
	A.脊椎后突成角
	B.棘突撕脱骨折
	C.棘突间隙增宽
	D.截瘫
	E.以上均可
177、单项选择题 观察左心房大小的最佳检查方法是()
	A.后前位吞钡
	B.左前斜位吞钡
	C.右前斜位吞钡透视或摄片
	D.右侧位
	E.左侧位
178、多项选择题 肾动脉的肾外分支有()
	A.膈下动脉
	B.性腺动脉
	C.输尿管上段动脉
	D.肠系膜上动脉
	E.肾上腺下动脉
179、多项选择题 来源于纤维组织的良性骨肿瘤的是()
	A.神经纤维瘤
	B.韧带样纤维瘤
	C.纤维肉瘤
	D.非骨化性纤维瘤
	E.神经纤维肉瘤
180、单项选择题 脊柱摄片时体表定位标记,哪一种不妥()
	A.甲状软骨--第5颈椎 
	B.剑突--第8胸椎 
	C.胸骨颈静脉切迹--第3胸椎 
	D.肋骨弓下缘--第3腰椎 
	E.耻骨联合上缘--尾骨
181、单项选择题 双乳肿块,月经前胀痛,月经来潮后缓解,应首先考虑()
	A.乳腺纤维腺瘤
	B.乳腺癌
	C.急性乳腺炎
	D.乳腺结核
	E.乳腺囊性增生病
182、单项选择题 对影像增强器电子透镜的解释,下列错误的是()
	A.由各电极组成
	B.对电子起聚焦作用
	C.对电子进行放大
	D.对电子进行加速
	E.形成缩小增强的电子像
183、单项选择题 X线的产生,下列哪项不正确()
	A.高速电子流突然受阻
	B.自由电子群变成高速电子流
	C.电压差
	D.99%以上动能转变为X射线
184、单项选择题 所谓近距离摄影,是指焦-片距为()
	A.15~20cm
	B.25~30cm
	C.35~50cm
	D.55~60cm
	E.65~70cm
185、多项选择题 下列属于厌骨性肿瘤的是()
	A.肺癌
	B.皮肤癌
	C.胃癌
	D.子宫内膜癌
	E.乳腺癌
186、多项选择题 胃静脉曲张常发生的部位是()
	A.体部
	B.胃底部
	C.贲门部
	D.胃窦部
	E.幽门部
187、单项选择题 以下选项中,当颅底位投照时,X线中心线应()
	A.与听鼻线垂直
	B.与听眦线垂直或呈105°角
	C.与听口线平行
	D.与听口线垂直
	E.与听眶线平行
188、单项选择题 关于急性肺炎的描述,错误的是()
	A.发展迅速
	B.边缘不清楚
	C.可见含气支气管征
	D.阴影不易融合,边缘清楚
	E.密度一致的阴影
189、多项选择题 较容易识别的脊柱骨性标志是()
	A.髂前上嵴
	B.耻骨联合
	C.尾骨末节
	D.腰骶关节
	E.第7颈椎棘突
190、单项选择题 静脉肾盂造影立位片,左肾位于盆腔内,可上下移动,左侧输尿管长度与右侧相仿,应诊断为()
	A.左侧游离肾
	B.左侧异位肾
	C.左肾下垂
	D.左侧重复肾
	E.左侧移植肾
191、单项选择题 新生儿摄取胸部正位时应选择()
	A.站立前后位
	B.站立后前位
	C.仰卧后前位
	D.半坐后前位
	E.仰卧前后位
192、单项选择题 下列关于基线描述错误的是()
	A.Reid基线为眶下缘至外耳道中点的连线
	B.上眶耳线为眶上缘至外耳道中点的连线
	C.眦耳线为外眦与外耳道中点的连线
	D.Reid基线亦称眶耳线
	E.前连合后缘中点至后联合前缘中点的连线
193、多项选择题 有关中心线的叙述错误的是()
	A.中心线是摄片方向的代表
	B.远离中心线的射线能正确反映被照体的状况
	C.中心线一般通过被摄部位的中心
	D.可用准直器(遮线器)模拟指示
	E.从X线管窗口射出的线即是中心线
194、单项选择题 下列转移性骨肿瘤特点中,哪项是错的()
A.脊柱转移最常见  
B.同一原发灶,可兼有溶骨性、成骨性转移  
C.可有软组织肿块或肿胀  
D.膀胱癌多为成骨性转移  
E.甲状腺癌转移者,局部骨可膨胀
195、单项选择题 额窦摄片,常规位置是()
	A.柯氏位(CaldWell’s) 
	B.瓦氏位(Water’s) 
	C.斯氏位(Stenever’s) 
	D.劳氏位(LaW’s) 
	E.瑞氏位(Rhees’s)
196、单项选择题 肺病灶内有多发空洞,则可除外()
	A.慢性肺脓肿
	B.组织细胞增生症X
	C.支气管囊肿
	D.类风湿结节
	E.嗜酸性肉芽肿
197、单项选择题 骨骺、干骺端结核的特征性X线表现为()
	A.破坏区边缘有硬化
	B.破坏区常横跨骺线
	C.破坏区较局限
	D.死骨及窦道形成
	E.以上都是
198、单项选择题 对激光照相机特点的描述,以下哪项不对()
	A.成像分辨率与激光束宽度成反比
	B.对胶片无特殊要求,凡双面药膜片均可
	C.图像可任意放大、缩小
	D.成像分辨率不能超过读取分辨率
	E.只适用于数字信息图像
199、单项选择题 下列哪种疾病可出现肺血减少的X线征象是()
	A.室间隔缺损
	B.风湿性心脏病二尖瓣狭窄
	C.原发性肺动脉高压
	D.高血压性心脏病
	E.以上都不是
200、多项选择题 激光照相机的主要组成部分有()
	A.信号处理部分
	B.激光打印部分
	C.胶片传送部分
	D.A/D转换器
	E.网络接口
201、单项选择题 铅线最易发生的部位是()
	A.中部肋骨前端
	B.尺桡骨近端
	C.胫腓骨远端
	D.胫腓骨近端
	E.尺桡骨远端
202、单项选择题
	男,41岁,中上腹腹痛,如图所示,最可能的诊断是()
	A.溃疡型胃癌
	B.胃溃疡
	C.胃肉瘤
	D.胃间质瘤
	E.胃淋巴瘤
203、单项选择题
	男,28岁,右肱骨上段肿痛1月,疼痛以夜间明显,如图所示,最可能的诊断是()
	A.溶骨性骨肉瘤
	B.成骨性骨肉瘤
	C.皮质旁骨肉瘤
	D.软骨肉瘤
	E.以上均不是
204、多项选择题 下列哪些征象可在X线胸片上看到()
	A.船帆征
	B.剪影征
	C.空泡征
	D.双泡征
	E.双轨征
205、多项选择题 X线管中,阳极靶面的作用是()
	A.散热
	B.发生X线
	C.阻止高速电子
	D.完成高压电路的回路
	E.产生电子流
206、单项选择题 成人心脏摄片的焦-片距为()
	A.近距离
	B.100cm
	C.85cm
	D.150cm
	E.200cm
207、单项选择题
	女,12岁,右小腿肿胀,疼痛,发热3月余,摄片如图所示,下列征象哪项是错误的()
	A.骨质呈溶骨性破坏
	B.骨质增生硬化
	C.骨膜呈层状增生不明显
	D.可见软组织肿块
	E.软组织肿胀
208、单项选择题
患者,男,76岁,食管钡餐造影检查示食管壁张力降低,蠕动减弱,钡剂排空延迟,并在食管中下段见到串珠状充盈缺损影。钡餐检查如下图所示:
	
	A.是门静脉高压的重要并发症
	B.常见于肝硬化,发生率高达80%~90%
	C.早期有明显的症状
	D.呕血为主要症状
	E.可伴脾大、脾亢或腹水等
209、单项选择题 可复性食管裂孔疝的典型征象是()
	A.膈上出现胃粘膜
	B.食管下括约肌上升和收缩
	C.食管胃环上升出现在膈上
	D.部分胃底位于膈上
	E.胃食管前庭管腔增宽
210、多项选择题 胆囊腺肌增生症的主要诊断依据是()
	A.胆囊缩小、变形
	B.胆囊壁增厚
	C.胆囊壁内大小不等的憩室样征象
	D.少数憩室内并发小结石
	E.病变累及胆囊全部或呈节段性
211、单项选择题 下列关于“马蹄肾”的病理特点,错误的是()
	A.多为双肾上极融合 
	B.多为双肾下极融合 
	C.常有多支肾动脉 
	D.输尿管从肾联合腹侧下行 
	E.伴肾旋转不良
212、单项选择题 对心脑组织毒性最低的对比剂是()
	A.胆影葡胺
	B.泛影葡胺
	C.复方泛影葡胺
	D.碘酞葡胺
	E.甲泛葡糖
213、多项选择题 有关解剖学方位的叙述,正确的是()
	A.近身体腹侧为前面
	B.近身体腹侧为后面
	C.近皮肤为浅层
	D.近头侧为下
	E.近心脏侧为近端
214、单项选择题 诊断肾下垂,下列哪项检查最合适()
	A.腹部卧位平片
	B.逆行肾盂造影片
	C.静脉肾盂造影后摄立位全尿路X线片
	D.腹部立位平片
	E.静脉肾盂造影片
215、单项选择题 齿状突顶端超过腭枕线多少,可诊断为颅底凹陷症()
	A.2mm
	B.2.5mm
	C.3mm
	D.4mm
	E.5mm
216、单项选择题 急性化脓性骨髓炎大块死骨形成主要原因是()
	A.血栓性动脉炎致血供障碍
	B.脓肿直接破坏骨组织
	C.骨膜血管断裂
	D.窦道形成
	E.病理骨折
217、单项选择题 胆脂瘤最多见于下列哪种类型乳突()
	A.气化型乳突
	B.混合型孔突
	C.板障型乳突
	D.与乳突类型无关
	E.以上都不是
218、单项选择题
	男,30岁,右膝关节酸胀,疼痛不适5个月,X线检查如图所示,最可能的诊断是()
	A.骨巨细胞瘤
	B.骨囊肿
	C.骨血管瘤
	D.动脉瘤样骨囊肿
	E.以上均不正确
219、单项选择题 左前斜位主动脉窗内不能见到下述哪一项()
	A.肺动脉
	B.降主动脉
	C.气管分杈
	D.左肺动脉
	E.左支气管
220、多项选择题 骨折的常见类型包括()
	A.隐匿骨折
	B.斜行骨折
	C.螺旋骨折
	D.粉碎骨折
	E.横行骨折
221、单项选择题 关于鼻真菌病的X线表现,下列哪项描述不准确()
	A.鼻腔软组织肿块
	B.受侵鼻窦内有结节状软组织影
	C.窦壁骨质无破坏
	D.鼻甲增大
	E.一般窦内无积液
222、单项选择题 溃疡型胃癌的X线特点中,哪项是错误的()
	A.龛影位于胃轮廓之外,边缘隆起、质硬
	B.胃癌向壁内生长,中心形成大溃疡
	C.与正常相邻胃壁境界清楚
	D.粘膜纠集但中断于环堤外
	E.龛影多呈半月形,外缘平直,内缘不整齐
223、单项选择题 骨转移瘤的转移途径中,下列哪一项最多见()
	A.直接侵犯
	B.血行转移
	C.淋巴转移
	D.原发性骨肿瘤的骨转移
	E.皮肤癌骨转移
224、单项选择题 孕妇需避免X线检查,是因为X线的()
	A.穿透作用
	B.荧光作用
	C.生物作用
	D.电离作用
	E.光化学作用
225、单项选择题 关于CR的工作原理,错误的是()
	A.IP由基层荧光体层和保护层构成
	B.透过人体的X线光子以潜影形式储存在荧光层的晶体内
	C.透过人体的X线光子被IP转换成数字图像
	D.IP在读出装置接受激光束扫描
	E.激发束激发出的荧光与潜影成正比
226、单项选择题 内听道病变通常选用的摄影位置是()
	A.柯氏位、瓦氏位
	B.头颅侧位、后前位
	C.汤氏位、许氏位、梅氏位
	D.斯氏位、颅底位、汤氏位
	E.伦氏位、头颅前后位
227、单项选择题 下述哪项属肺实质()
	A.肺泡
	B.肺泡间隔
	C.小叶间隔
	D.支气管周围组织
	E.血管周围组织
228、单项选择题 50岁男性,咳嗽、痰中带血3月余。胸片示右肺门区4cm圆形肿块,右上肺不张,痰查癌细胞阴性,最可能的诊断是()
	A.右上肺中央型肺癌
	B.右上肺周围型肺癌
	C.右上肺慢性纤维空洞型肺结核
	D.过敏性肺炎
	E.肺隔离症
229、单项选择题 血管瘤多发生于()
	A.长骨骨干
	B.椎体和颅骨
	C.短管状骨
	D.骨盆
	E.干骺端
230、单项选择题 老年性和绝经后骨质疏松的特征性病理改变为()
	A.皮质骨萎缩
	B.松质骨萎缩
	C.成骨细胞数目减少
	D.破骨细胞数目增多
	E.哈氏管明显扩大
231、多项选择题
	男,64岁,进食梗阻感半月。体检:咽充血少许滤泡,结合图像,最可能的诊断为()
	A.会厌征
	B.颈椎退变
	C.食管癌
	D.食管型颈椎病
	E.以上都不是
232、单项选择题 正常成年人胸椎椎管前后径范围为()
	A.12~21mm
	B.15~25mm
	C.8~12mm
	D.14~15mm
	E.16~27mm
233、单项选择题 后前位胸片上,高血压心脏病患者右心缘第一弓通常由哪种结构构成()
	A.上腔静脉
	B.升主动脉
	C.左室流出道
	D.降主动脉
	E.右室流出道
234、多项选择题 腰椎前后正位要求清晰可见的结构是()
	A.椎弓
	B.椎间关节
	C.棘突和横突
	D.骨皮质和骨小梁
	E.腰大肌
235、单项选择题 中纵隔最常见的肿瘤是()
	A.胸内甲状腺肿
	B.神经源性肿瘤
	C.胸腺瘤
	D.淋巴瘤
	E.畸胎瘤
236、多项选择题 右位主动脉可伴有()
	A.永存动脉干
	B.主动脉缩窄
	C.法洛四联症
	D.房间隔缺损
	E.Ebstein畸形
237、单项选择题 关于骨性胸廓的组成,正确的是()
	A.胸椎和肋骨连接而成
	B.胸椎和胸骨连接而成
	C.胸骨和肋骨连接而成
	D.胸椎胸骨和肋骨连接而成
	E.胸骨锁骨和肋骨连接而成
238、单项选择题 透视发现右前上纵隔有一椭圆形块影,其中有斑点状致密影,可随吞咽动作向上运动,首先应考虑()
	A.恶性淋巴瘤
	B.胸腺瘤
	C.畸胎瘤
	D.支气管囊肿
	E.甲状腺瘤
239、多项选择题 肩关节前脱位常见的类型有()
	A.喙突下型
	B.肩胛骨下型
	C.盂下型
	D.肩峰下型
	E.锁骨下型
240、单项选择题 下列关于“胃小区”影像描述,错误的是()
	A.正常胃小区小于10mm
	B.胃窦部胃小区多为多角形
	C.胃体部胃小区以圆形、椭圆形者居多
	D.萎缩性胃炎患者难以显示胃小区
	E.胃小区显示率与操作技术和所用钡剂特性关系密切
241、单项选择题
	男,70岁,胸痛,不咳嗽、发热,X线检查如图,最可能的诊断是()
	A.左肺结核瘤
	B.左侧叶间积液
	C.左肺癌
	D.左肺炎性假瘤
	E.左肺错构瘤
242、单项选择题 当掌心向下平放在暗盒垂直投照时,显示的是以下哪项()
	A.拇指后前位
	B.拇指侧位
	C.拇指斜位
	D.拇指前后位
	E.拇指切线位
243、多项选择题 X线平片上乳突一般分为以下几型()
	A.气化型
	B.板障型
	C.疏松型
	D.混合型
	E.硬化型
244、单项选择题 有关锐利度和模糊度的叙述,错误的是()
	A.模糊度也称不锐利度
	B.模糊度以长度(mm)量度
	C.照片的锐利度与模糊值成反比
	D.物体越小,照片对比度越低,模糊值小
	E.模糊值一定时,随对比度增加锐利度越好
245、多项选择题 关于副骨的表述,正确的是()
	A.某一骨骼的多个骨化中心在发育过程中没有合并所致
	B.由一个额外独立的骨化中心发育而来
	C.多见于腕骨附近
	D.多见于跗骨附近
	E.多见于骨骼附近的肌腱中
246、多项选择题 下列属于亲骨性肿瘤的是()
	A.肾癌
	B.甲状腺癌
	C.食管癌
	D.鼻咽癌
	E.前列腺癌
247、单项选择题 软线摄影的管电压范围为()
	A.25kV
	B.25~40kV
	C.40~100kV
	D.40~60kV
	E.100~200kV
248、多项选择题 神经鞘瘤的临床病理特点有()
	A.可发生于脊髓的各个节段
	B.常与1~2个脊神经根相连
	C.呈孤立结节状,有完整包膜
	D.可发生囊变
	E.与脊髓有明显粘连
249、多项选择题 下列哪种疾病,会出现“食管狭窄”表现()
	A.纵隔肿瘤放疗后
	B.返流性食管炎
	C.强碱烧伤
	D.皮肌炎
	E.胃管插入时间过长
250、单项选择题 X线机的高压整流方式不包括()
	A.单相全波整流
	B.单相半波整流
	C.自整流
	D.三相4波整流
	E.三相12波整流
251、单项选择题 在胸片上不显示蜂窝状影的是()
	A.硬皮病
	B.肺结节病
	C.血行转移瘤
	D.组织细胞增生症X
	E.弥漫性肺纤维化
252、单项选择题
男,29岁,体检胸片如图,最可能的诊断是()
	

	A.右上肺炎症
	B.右上肺炎性假瘤
	C.右上肺结核瘤
	D.右上肺肿瘤
	E.结节病
253、多项选择题 消化道穿孔的描述中,正确的有()
	A.没有游离气腹征象就能排除胃肠穿孔
	B.穿孔穿入腹腔内时,立位腹透可见膈下游离气体
	C.小肠及阑尾穿孔后很少有气腹出现
	D.依穿孔穿入腹腔内或腹膜后间隙而有不同的X线表现
	E.以上均正确
254、单项选择题 来自神经内分泌细胞的癌是()
	A.小细胞癌
	B.大细胞癌
	C.腺癌
	D.鳞癌
	E.细支气管肺泡癌
255、单项选择题 血管造影时引入对比剂的方法属于()
	A.口服法
	B.灌注法
	C.直接引入法
	D.间接引入法
	E.生理排泄法
256、单项选择题
	男,78岁,上腹痛1月余,返酸,无嗳气,空腹加重。体检:上腹压痛,结合图像,最可能的诊断为()
	A.正常表现
	B.慢性胃炎
	C.胃癌
	D.十二指肠憩室
	E.十二指肠占位
257、多项选择题 下列属于胃溃疡直接征象的是()
	A.粘膜线
	B.项圈征
	C.狭颈征
	D.哑铃胃
	E.胃小弯缩短
258、单项选择题 类风湿性关节炎病变最初是发生在()
	A.关节内韧带
	B.关节软骨
	C.关节滑囊
	D.关节囊纤维层
	E.关节骨关节面
259、多项选择题
	男,12岁,上腹痛1周,无规律,无黑便史。体检:剑突下有压痛,结合图像,最可能的诊断是()

	A.正常表现
	B.胃炎
	C.十二指肠炎
	D.十二指肠溃疡
	E.十二指肠占位
260、单项选择题 第二斜位又称为()
	A.右前斜位
	B.左前斜位
	C.左后斜位
	D.右后斜位
	E.侧位
261、单项选择题 男,63岁,进行性吞咽困难1月。食管钡餐示:食管下段粘膜不规则充盈缺损,管腔狭窄,贲门扩张欠佳。 发现肝内转移,则转移途径为()
	A.直接浸润
	B.淋巴转移
	C.种植转移
	D.血行转移
	E.消化道粘膜下浸润
262、单项选择题 我国放射防护标准中规定公众年剂量限值是()
	A.5mSv
	B.5Sv
	C.50mSv
	D.50Sv
	E.5mGy
263、单项选择题 “雪人征”是哪种疾病的特征性征象()
	A.左室双出口
	B.假性动脉干
	C.下腔静脉异常回流
	D.完全型肺静脉异位引流
	E.右肺静脉异常引流入肝静脉、门静脉或下腔静脉
264、单项选择题
	根据图像,最可能的诊断是()
	A.肺气肿
	B.慢性支气管炎
	C.气胸
	D.纵隔气肿
	E.肺转移瘤
265、单项选择题 下述“转移性骨肿瘤”的描述错误的是()
	A.骨髓转移以红骨髓居多
	B.常为多发转移
	C.偶可呈弥漫性骨硬化改变
	D.无骨膜反应和软组织肿块
	E.髂骨转移多见
266、多项选择题 常见的空、回肠恶性肿瘤有哪些()
	A.腺癌
	B.恶性淋巴瘤
	C.平滑肌肉瘤
	D.类癌
	E.纤维肉瘤
267、单项选择题 进展期胃癌引起胃窦狭窄、壁僵硬、粘膜皱襞固定,X线分型应属于()
	A.溃疡型
	B.蕈伞型
	C.浸润型
	D.浅表型
	E.混合型
268、单项选择题 下列组合中,关系最密切的是()
	A.甲状旁腺——脑室
	B.松果体——蝶鞍
	C.泪腺——上颌窦
	D.晶状体——基底核
	E.脑垂体——蝶骨
269、多项选择题 关于天幕横断解剖形态描述,正确的是()
	A.在窦汇平面以下层面切迹缘成八字形
	B.天幕呈斜行走行,不与横断层面平行
	C.在窦汇上方层面,切迹缘可呈“V”形高密度带,大脑镰显影,则呈“Y”形
	D.天幕切迹缘依不同层面而表现不同
	E.层面直接切过窦汇则呈“M”形
270、多项选择题 影响影像锐利度的因素是()
	A.几何模糊
	B.移动模糊
	C.物体吸收模糊
	D.屏/片系统模糊
	E.影像密度
271、单项选择题 以下“解剖结构-最佳显示体位”组合中,哪项不正确()
	A.内听道:首选斯氏位
	B.眶下缘、泪囊:首选瓦氏位
	C.枕骨大孔:首选汤氏位
	D.中耳:首选伦氏位
	E.视神经孔:首选瑞氏位
272、单项选择题 X线表现:肺血少、左肺门大于右肺门,肺动脉段直立状突起,最可能的诊断是()
	A.主动脉狭窄
	B.高血压性心脏病
	C.肺动脉狭窄
	D.肺心病
	E.动脉导管未闭
273、单项选择题
	男,根据其正常骨盆影像图像,判断其最可能的年龄()
	A.5岁左右
	B.10岁左右
	C.15左右
	D.20岁左右
	E.25岁左右
274、单项选择题 下列有关骨折基本X线征象中,哪项错误()
	A.密度增高骨折线
	B.骨小梁扭曲/中断
	C.密度减低骨折线
	D.碎骨片
	E.骨骺移位
275、单项选择题
	女,25岁,腕部疼痛,结合图像,最可能的诊断是()
	A.肥大性骨关节病
	B.骨髓炎
	C.骨肉瘤
	D.嗜酸性肉芽肿
	E.骨膜下出血
276、单项选择题 脑疝种类较多,海马回向鞍上池或幕下移位者称为()
	A.天幕孔疝 
	B.扣带回疝 
	C.小脑扁桃体疝 
	D.大脑镰疝 
	E.钩回疝
277、单项选择题 X线在体内各部穿透力,由大到小排列有以下几种,正确的是()
	A.气体,液体及软组织,脂肪,骨骼
	B.骨骼,脂肪,液体及软组织,气体
	C.气体,脂肪,液体及软组织,骨骼
	D.脂肪,气体,液体及软组织
	E.骨骼,软组织及液体,脂肪,气体
278、单项选择题 Morquro综合征在长管骨的X线表现中,哪项错误()
	A.倾向于变短、增粗,骨皮质变薄
	B.干骺增大,不规整,可有缺损区
	C.骨骺骨化中心出现提前,常有分节现象
	D.骨骺骨化中心出现延迟,与骨干融合时间也延迟
	E.关节间隙增宽,或有脱位及畸形
279、单项选择题 胸部正位取后前立位摄影的原因,无关的是()
	A.能正确反映胸部脏器的确切形态
	B.能观察到产生气液面的病理改变
	C.肺组织更靠近胶片,影像清晰
	D.肩胛骨易于投影在肺野之外
	E.心脏放大率小
280、单项选择题
	男,28岁,右上肢疼痛,夜间加重,服用止痛药可缓解,结合图像,最可能的诊断是()
	A.骨瘤
	B.骨软骨瘤
	C.骨样骨瘤
	D.骨囊肿
	E.成骨细胞瘤
281、多项选择题 增感屏使用中不妥的事项是()
	A.避免放在高温和过干燥处
	B.有灰尘时必须用嘴轻吹去
	C.不宜放在潮湿处以免发霉
	D.清洁后应置于阳光下晒干后方可使用
	E.要直立放置,随时扣好暗盒弹簧扣
282、多项选择题 十二指肠球后溃疡的特点是()
	A.常为多发
	B.好发于降部上1/3的外缘
	C.龛影表面呈乳头样或方形
	D.在龛影的对侧伴有痉挛切迹
	E.有粘膜皱襞集中的征象
283、多项选择题 腰椎后缘软骨结节在侧位片上可表现为()
A.椎体后上(下)缘有弧状或切迹状骨质缺损区  
B.骨质缺损区边缘硬化或毛糙不整  
C.与缺损区相对应,有类圆形、锥形骨块翘起并突入椎管内  
D.骨块可全部或部分与椎体分离  
E.好发于腰4的下角,常单椎体发病
284、单项选择题 男,阴囊下坠不适,胀痛,平卧症状缓解。查体:阴囊下垂松弛,并可触及结节状静脉曲张。 属精索静脉变异的是()
	A.汇入肾静脉
	B.汇入肝静脉
	C.双精索静脉
	D.汇入腹腔静脉
	E.汇入下腔静脉
285、单项选择题 下列不是关节创伤的并发症和后遗症是()
	A.不稳定和松弛性关节 
	B.慢性窦道 
	C.关节畸形 
	D.假关节 
	E.化脓性关节炎
286、单项选择题 腹部平片检查最常用于诊断()
	A.胃癌
	B.肠梗阻
	C.胃溃疡
	D.结肠癌
	E.食管癌
287、单项选择题 扩张型心肌病的主要血流动力学变化是()
	A.心室收缩功能降低
	B.心室舒张功能降低
	C.心室舒张期负荷增加,心脏"泵"功能不良
	D.心室收缩功能不良致"泵"功能不良
	E.以上都不是
288、单项选择题 下列哪项不是亲骨性转移的肿瘤()
	A.鼻咽癌
	B.肺癌
	C.乳癌
	D.肾癌
	E.皮肤癌
289、单项选择题 对骨代谢影响最大的维生素是()
	A.维生素A
	B.维生素B
	C.维生素C
	D.维生素D
	E.维生素E
290、多项选择题 系统性红斑狼疮的胸片有以下特点()
	A.肺部游走性斑片状浸润影或间质性改变
	B.肺门淋巴结肿大
	C.胸腔积液
	D.心包积液
	E.胸膜钙化
291、单项选择题 关于右肺中叶不张的X线表现,下列错误的是()
	A.后前位胸片上右下野中内带呈底向右心缘之三角形阴影
	B.右心缘模糊
	C.斜裂向上向前移位
	D.水平裂下移
	E.前弓位置显示该叶不明显
292、单项选择题 钡灌肠检查见病变远端呈杯口状充盈缺损,周围有多个弹簧状环形阴影的是下述哪种疾病()
	A.单纯性肠梗阻
	B.绞窄性小肠梗阻
	C.单纯性结肠梗阻
	D.肠套叠
	E.结肠扭转
293、单项选择题 肺转移瘤中两肺呈小结节及粟粒状病变见于()
	A.结肠癌转移
	B.肾癌转移
	C.肝癌转移
	D.骨肉瘤转移
	E.精原细胞瘤
294、单项选择题 关于岩骨锥体角定义的叙述,最确切的是()
	A.头颅正中矢状面与颞骨的夹角
	B.岩骨长轴线与头颅水平面间的夹角
	C.岩骨长轴线与头颅正中矢状面的夹角
	D.岩骨的长轴线与头颅冠状面间的夹角
	E.岩骨短轴与头颅正中矢状面间的夹角
295、单项选择题 慢性肺源性心脏病的X线诊断依据是()
	A.心脏突然增大,肺动脉段突出,上腔静脉扩张
	B.肺部淤血,肺动脉高压,右心室增大
	C.肺血管增粗,右心房增大,肺动脉段突出
	D.肺部慢性病变,肺动脉高压,右心室增大
	E.肺部充血,肺循环高压,右心房增大
296、单项选择题
女,25岁,误吞鱼刺1小时。结合图像,最可能的诊断为()
	
	A.挂钡征阳性
	B.挂钡阴性
	C.食管癌
	D.食管憩室
	E.食管炎
297、单项选择题 下列哪项属于椎骨恶性骨质破坏者()
	A.脊柱结核
	B.骨巨细胞瘤
	C.骨囊肿
	D.骨转移瘤
	E.嗜酸性肉芽肿
298、单项选择题 下述“畸形性骨炎”诊断要点,哪项错误()
	A.骨干变形
	B.20岁以下多见
	C.碱性磷酸酶升高
	D.早期表现,骨质疏松、骨皮质分层
	E.男性多见
299、单项选择题 X线照射后在影像板存留的是()
	A.模拟影像
	B.数字影像
	C.黑白影像
	D.彩色影像
	E.电信号
300、多项选择题 后颅凹自鞍背及岩嵴开始至枕内粗隆为止,内有()
	A.小脑、脑桥和延髓
	B.破裂孔
	C.两侧内听道
	D.卵圆孔
	E.脑桥和延髓