时间:2023-09-02 03:24:11


1、单项选择题 感染的基本病变是()。
A.炎症反应
B.细菌引起的反应
C.血管反应
D.局部组织反应
E.体液和细胞反应
2、多项选择题 关于白细胞渗出过程,下列哪些不正确()。
A.是一个耗能的主动过程
B.发生在局部血液循环障碍的基础上
C.白细胞游走无方向性
D.大量糖皮质激素可抑制白细胞游出
E.是由于血管壁损伤,白细胞从损伤处漏出
3、单项选择题
死者,女性,68岁,长期胸闷不适,进行性加剧至心衰而亡。
对于该疾病的描述,错误的是()
A.可导致心包积液
B.又名干性心包炎
C.渗出成分少可溶解吸收
D.可出现心前区疼痛
E.听诊可闻及心包摩擦音
4、单项选择题 炎症时,经被动过程从血管内到血管外组织的细胞是()。
A.淋巴细胞
B.红细胞
C.单核细胞
D.嗜酸粒细胞
E.嗜碱粒细胞
5、单项选择题
患者男性,53岁,腹胀,返酸,嗳气半年。胃镜检查见胃窦部黏膜稍粗糙,并可见小片状糜烂。
综合所见,正确的诊断为()
A.急性胃炎
B.嗜酸性胃炎
C.慢性浅表性胃炎
D.慢性胃溃疡
E.慢性萎缩性胃炎
6、单项选择题 化脓性炎症组织内浸润的细胞主要是()
A.淋巴细胞
B.浆细胞
C.巨噬细胞
D.中性粒细胞
E.嗜酸性粒细胞
7、填空题 炎症介质引起血管通透性增加的反应持续时间短,称为________反应;内皮细胞严重损伤可使血管通透性迅速增强,持续时间较长,称为________反应;损伤较轻或物理因素(如X线)引起的损伤,血管通透性增加发生较晚,但持续时间较长,称为________反应。
8、单项选择题 从患者腹腔抽出的液体外观混浊,比重高,细胞数多,静置后自行凝固,符合下述哪种情况引起的腹水()。
A.肾病综合征
B.右心衰竭
C.肝硬化
D.结核性腹膜炎
E.重度营养不良
9、判断题 假膜性炎是发生在黏膜上的增生性炎。
10、单项选择题 速发性短暂反应时血管壁通透性增高的机制是()
A.细静脉内皮细胞收缩
B.细动脉内皮损伤
C.基膜降解
D.内皮细胞胞饮作用增强
E.以上都不是
11、单项选择题 慢性炎症组织内浸润的细胞主要是()
A.淋巴细胞
B.中性粒细胞
C.嗜酸性粒细胞
D.嗜碱性粒细胞
E.肥大细胞
12、单项选择题 不属于以纤维素渗出为主的疾病是()。
A.白喉
B.绒毛心
C.肝硬化腹水
D.细菌性痢疾
E.大叶性肺炎
13、单项选择题 在葡萄球菌感染的炎症反应中所见到的炎细胞主要是()
A.淋巴细胞
B.单核细胞
C.嗜酸性粒细胞
D.肥大细胞
E.中性粒细胞
14、单项选择题 关于蜂窝织炎的描述错误的是()。
A.病变组织呈马蜂窝状
B.皮肤、肌肉和阑尾是好发部位
C.主要由溶血性链球菌引起
D.病变弥漫与细菌透明质酸酶和链激酶有关
E.中性粒细胞弥漫浸润组织
15、多项选择题 炎症时白细胞游出的过程包括()
A.血管壁通透性增高
B.白细胞附壁
C.白细胞的阿米巴运动方式
D.内皮细胞受损
E.基底膜损伤
16、单项选择题 病理检查一小儿肺脏切面时,两肺各叶均有大小不等的实变病灶,而且下叶为重呈灰白色或灰黄色,病灶边界不清,其病变应属于何种疾病()。
A.大叶性肺炎
B.不典型肺炎
C.小叶性肺炎
D.干酪样肺炎
E.病毒性肺炎
17、判断题 蜂窝织炎常见于皮下组织、肌肉和阑尾。
18、名词解释 渗出(exudation)
19、判断题 结核性肉芽肿中最重要的成分是Langhans细胞。
20、单项选择题 败血症指的是()
A.细菌大量入血,血中可查到细菌,但可无中毒症状
B.细菌毒素入血,引起中毒症状
C.细菌产物被吸收人血引起中毒症状
D.细菌入血繁殖并产生毒素从而引起中毒症状,并在一些器官形成脓肿
E.细菌入血,繁殖并产生毒素,并有中毒症状
21、配伍题 食道癌癌肿向气管穿破形成()深部脓肿向皮肤穿破形成()肛周脓肿同时向直肠和体表穿破()肠伤寒病灶向浆膜面穿破()
A.形成空洞
B.形成溃疡
C.形成瘘管
D.形成窦道
E.形成穿孔
22、单项选择题 引起炎症最常见的因素是()。
A.机械因素
B.物理因素
C.化学因素
D.生物性因素
E.异常免疫反应
23、单项选择题
某患者,烫伤半小时后入院,可见手臂多个大小不等的水疱。
该种炎症渗出物中主要含有哪种蛋白()
A.球蛋白
B.纤维蛋白
C.补体
D.清蛋白
E.以上均不是
24、填空题 凡是能引起组织和细胞损伤的因子都能引起炎症,这些因子统称为________。
25、多项选择题 脓液中的必有成分是()
A.脓细胞
B.红细胞
C.细菌
D.坏死组织碎屑
E.浆液
26、判断题 急性重型病毒性肝炎属增生性炎。
27、单项选择题 急性病毒性肝炎时,最常见的炎症细胞是()
A.嗜酸性粒细胞
B.巨噬细胞
C.单核细胞
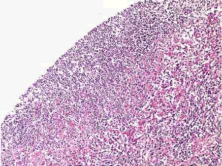
D.淋巴细胞
E.浆细胞
28、单项选择题 患者,男,26岁,肛旁脓肿破溃后流脓不断。入院检查,肛旁创口为外口,内口与直肠相通,此病理通道是()。
A.空洞
B.瘘管
C.窦道
D.溃疡
E.糜烂
29、多项选择题 炎症病灶中纤维素渗出对机体有利的方面有()。
A.发生机化粘连
B.促进吞噬细胞吞噬
C.防止细菌扩散
D.使病灶局限化
E.组织再生修复的支架
30、名词解释 纤维素性炎
31、单项选择题 蜂窝织炎的概念应为()
A.是发生于疏松结缔组织及阑尾的急性炎症
B.是以中性粒细胞渗出为主的炎症
C.是一种弥漫性化脓性炎症
D.由链球菌感染所引起的化脓性炎症
E.没有明显坏死的渗出性炎症
32、多项选择题 下列关于纤维素性炎正确的描述是()
A.炎症局部血管壁损伤较重
B.发生机化是由于巨噬细胞对纤维素溶解、吞噬作用减弱所致
C.假膜多由纤维素、炎细胞及坏死组织碎屑组成
D.“绒毛心”是由于渗出的纤维素刺激心包间皮细胞,使之呈绒毛状增生所致
E.假膜性炎不发生浆膜和肺
33、单项选择题 浆液性炎症中,其渗出的浆液内蛋白质含量浓度为()
A.1%~3%
B.3%~5%
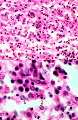
C.5%~7%
D.7%~9%
E.>10%
34、单项选择题
患者男性,53岁,腹胀,返酸,嗳气半年。胃镜检查见胃窦部黏膜稍粗糙,并可见小片状糜烂。
该种炎细胞最常见于哪种炎症()
A.慢性炎症
B.急性化脓性炎症
C.肉芽肿性炎
D.过敏性炎或寄生虫感染
E.以上均不是
35、单项选择题 炎性息肉的结构特点是()。
A.结缔组织增生形成境界清楚的结节状病灶
B.淋巴细胞增生形成的结节状病灶
C.多核巨细胞形成的结节状病灶
D.结缔组织和多核巨细胞增生形成的结节状病灶
E.黏膜上皮、腺上皮和肉芽组织增生并向黏膜表面突出
36、填空题 根据渗出物的不同,将渗出性炎为________、________、________、________等四类。
37、单项选择题 炎性假瘤常发生于()
A.急性渗出性炎
B.慢性增生性炎
C.急性化脓性炎
D.细胞不典型增生
E.急性出血性炎
38、名词解释 脓毒败血症(pyemia)
39、单项选择题 具有趋化作用的炎性介质是()。
A.组胺
B.C5a
C.血小板激活因子
D.缓激肽
E.活性氧代谢产物
40、单项选择题 假膜性炎是指()。
A.皮肤的纤维素性炎
B.黏膜的化脓性炎
C.浆膜的纤维素性炎
D.浆膜的化脓性炎
E.黏膜的纤维素性炎
41、判断题 肉芽肿性炎病灶中以巨噬细胞及其衍生细胞增生为主。
42、单项选择题
患者男性,20岁,因转移性右下腹疼痛6小时入院,拟诊“急性阑尾炎”手术切除阑尾,术后送检。
该种细胞变性坏死后称之为()
A.类上皮细胞
B.淋巴细胞
C.颗粒细胞
D.异物巨细胞
E.脓细胞
43、多项选择题 下述有关细胞因子在炎症中的作用的描述,哪些是正确的()
A.由激活的淋巴细胞和单核细胞产生
B.内毒素可促进TNF分泌
C.促进白细胞粘着渗出
D.可以引起发热
E.增强白细胞吞噬功能
44、多项选择题 蜂窝织炎病变不易局限的原因主要是()。
A.发生在较疏松组织
B.细菌分泌链激酶
C.组织坏死明显
D.细菌分泌透明质酸酶
E.无肉芽组织包裹
45、多项选择题 下列哪些情况可引起慢性炎症灶内的巨噬细胞聚集()
A.有慢性的间叶细胞向巨噬细胞分化
B.局部的巨噬细胞寿命长并长期驻留
C.单核巨噬细胞持续渗出
D.局部巨噬细胞分裂增生
E.局部巨噬细胞被多种因素激活
46、单项选择题 患者术后1个月,伤口痒痛。将伤口处遗留的缝线及周围增生组织切除时,缝线周围可见()。
A.淋巴细胞、类上皮细胞和朗汉斯巨细胞
B.巨噬细胞、成纤维细胞和异物巨细胞
C.淋巴细胞、干酪样坏死和类上皮细胞
D.新生的毛细血管、成纤维细胞
E.新生的毛细血管、中性粒细胞
47、配伍题 组胺()IL-8()纤维蛋白降解产物()葡萄球菌()伤寒杆菌()
A.对中性粒细胞有趋化作用
B.对嗜酸性粒细胞有趋化作用
C.对嗜碱性粒细胞有趋化作用
D.对单核细胞有趋化作用
E.对肥大细胞有趋化作用
48、单项选择题 臀部深层脓肿,一端向皮肤表面穿破,另一端向直肠穿破,应称为()。
A.糜烂
B.溃疡
C.空洞
D.窦道
E.瘘管
49、单项选择题 下述哪种疾病属出血性炎()
A.病毒性肝炎
B.肠阿米巴病
C.流行性脑脊髓膜炎
D.钩端螺旋体病
E.丹毒
50、填空题 具有________系统的________组织对________的反应称为炎症。
51、单项选择题
患者男性,53岁,腹胀,返酸,嗳气半年。胃镜检查见胃窦部黏膜稍粗糙,并可见小片状糜烂。
镜检如图所示黏膜内大量炎细胞浸润,以哪一类炎细胞为主()

A.淋巴细胞
B.中性粒细胞
C.嗜酸性粒细胞
D.单核细胞
E.浆细胞
52、名词解释 绒毛心(cor villosum)
53、问答题 简述炎性吞噬作用及其意义。
54、多项选择题 引起炎症灶液体渗出的因素有()
A.血管壁通透性升高
B.血管内胶体渗透压升高
C.血管内流体静压升高
D.组织胶体渗压升高
E.趋化因子作用
55、单项选择题 急性炎症引起局部肿胀的主要因素是()。
A.充血及渗出
B.局部组织分子浓度升高
C.组织细胞增生
D.炎症介质的形成
E.组织细胞变性坏死
56、单项选择题 下列疾病或病变中属于化脓性炎的是()
A.结肠嗜酸性脓肿
B.肝阿米巴脓肿
C.脊柱旁冷脓肿
D.睾丸树胶样肿
E.淋病尿道炎
57、单项选择题 下列各项急性炎症反应,按出现顺序哪一种最先出现()
A.血管扩张
B.血流缓慢
C.白细胞附壁
D.白细胞游出
E.血流停滞
58、名词解释 脓肿(abscess)
59、多项选择题 与炎性渗出有关的因素为()。
A.血管内流体静压升高
B.血管壁通透性增高
C.炎区组织胶体渗透压增高
D.血浆胶体渗透压下降
E.各种阳性趋化物质作用
60、单项选择题 有关炎性增生,下列哪项不正确()。
A.有一些生长因子参与
B.有致炎因子刺激
C.为炎症的基本病理改变之一
D.与修复无关
E.包括实质细胞和间质细胞的增生
61、单项选择题 补体对白细胞的作用不包括()。
A.促进白细胞的附壁
B.促进白细胞的粘着
C.对白细胞有趋化作用
D.促进中性粒细胞和单核细胞释放炎症介质
E.促进白细胞的吞噬作用
62、单项选择题 下列哪项是变质性炎()
A.流行性脑脊髓膜炎
B.细菌性痢疾
C.大叶性肺炎
D.阿米巴肝脓肿
E.化脓性胆囊炎
63、多项选择题 渗出液的特点有()。
A.较浑浊
B.相对密度高
C.含细胞数少
D.静置时可凝固
E.含蛋白质
64、单项选择题 炎症过程中最早出现的血管反应是()
A.中动脉收缩
B.细动脉收缩
C.细动脉扩张
D.毛细血管扩张
E.细动脉和毛细血管扩张
65、填空题 渗出物的防御作用有________,________,________,________,________,________。
66、单项选择题 关于化脓性炎的结局,错误的是()。
A.吸收消散
B.机化包裹
C.化脓菌入血引起菌血症
D.脓液引流排出,组织再生而痊愈
E.转为慢性
67、多项选择题 下列哪些化脓性炎会发生积脓()
A.输卵管炎
B.化脓性尿道炎
C.胸膜炎
D.化脓性支气管炎
E.化脓性脑膜炎
68、多项选择题 蜂窝织炎的炎细胞弥漫性浸润是由于()
A.病原体能产生透明质酸酶,降解透明质酸
B.病原体能产生链激酶,溶解纤维蛋白
C.感染的组织疏松
D.是由于金黄色葡萄球菌感染所致
E.病原体毒力强,组织破坏明显
69、单项选择题 急性炎症反应中出血的机制是()
A.化学介质引起的血管通透性增高
B.白细胞释放的溶酶体酶
C.纤维蛋白溶解
D.血管壁的损伤
E.凝血因子缺乏
70、填空题 引起炎症的原因有________、________、________、________、________等。
71、单项选择题 在急性炎症过程中,下列改变哪一种最先出现()。
A.细动脉及微血管扩张
B.细动脉收缩
C.血流加速
D.血流速度减慢
E.白细胞附壁
72、单项选择题 急性炎症时组织变红的主要原因是()
A.组织间隙水肿
B.炎症灶内血栓形成
C.炎症灶内炎细胞浸润
D.肉芽组织增生
E.血管扩张,血流加快
73、填空题 炎症过程中造成组织损伤的炎症介质主要有、、等。
74、填空题 肉芽肿主要细胞成分是由渗出的________和局部增生的________演变来的上皮样细胞和多核巨细胞。按形成的原因不同可分为________肉芽肿和________肉芽肿。
75、多项选择题 下列病变中哪些属感染行肉芽肿()
A.结核瘤
B.瘤型麻风
C.炎性息肉
D.腹股沟淋巴肉芽肿
E.风湿性肉芽肿
76、单项选择题 下列哪种不是异物性肉芽肿的原因()
A.手术缝线
B.注入的油脂
C.植物纤维
D.寄生虫
E.滑石粉
77、填空题 典型的结核性肉芽肿包括________、________、________、________、________5种成分。
78、填空题 疖是________、________及其________所发生的脓肿。
79、名词解释 毒血症(toxemia)
80、单项选择题 下列关于纤维素性炎症的叙述中,哪项是正确的()。
A.合并有少量中性粒细胞浸润时应称为化脓性纤维素性炎
B.当出现机化以后便引起纤维素性粘连
C.其好发部位为粘膜、浆膜和肺
D.假膜的必有成分是纤维素、白细胞、浆膜间皮细胞和细菌
E.咽部假膜常与其下方的粘膜疏松粘连,易剥脱
81、单项选择题 病毒感染引起的炎症中,所见到的主要细胞是()。
A.淋巴细胞
B.肥大细胞
C.嗜酸性粒细胞
D.中性粒细胞
E.浆细胞
82、多项选择题 下列哪些物质是炎症介质()。
A.三磷酸腺苷
B.补体
C.5-羟色胺
D.组胺
E.前列腺素
83、单项选择题 关于败血症,以下哪项不准确()
A.血液中有细菌生长繁殖
B.常有较重的全身症状
C.在皮肤、黏膜处可发现出血点
D.血培养是最有价值的诊断
E.常形成转移性脓肿
84、问答题 试述炎性增生的作用并举例说明。
85、单项选择题 局部黏膜上皮、腺体及肉芽组织增生形成的带蒂肿物称为()。
A.瘢痕疙瘩
B.炎性息肉
C.炎性肉芽肿
D.腺瘤
E.炎性假瘤
86、填空题 炎症的基本病理变化包括________、________、________,其中最具特征性的变化是________。
87、单项选择题 化脓性炎中,坏死组织的溶解液化是由于下列哪一类细胞存在所致()
A.炎症部位坏死的组织细胞
B.浸润的巨噬细胞
C.浸润的浆细胞
D.浸润的嗜酸性粒细胞
E.脓细胞
88、单项选择题 下列哪项不属于炎症灶内代谢变化()。
A.分解代谢增高
B.胶体渗透压增高
C.晶体渗透压增高
D.耗氧量增高
E.代谢性碱中毒
89、单项选择题 下列哪种疾病属于增生性炎()。
A.乙型脑炎
B.子宫内膜炎
C.伤寒病
D.大叶性肺炎
E.普通型病毒性肝炎
90、单项选择题 炎症时吞噬细胞杀灭、清除病原体或异物主要依靠细胞内的()。
A.高尔基复合体
B.滑面内质网
C.溶酶体
D.粗面内质网
E.线粒体
91、判断题 NK细胞在病毒感染性疾病中可发挥重要作用。
92、名词解释 炎性假瘤(inflammatory pseudotumour)
93、填空题 致炎因子不同,渗出的白细胞种类也不同。多数细菌感染以________浸润为主,病毒感染以________浸润为主,寄生虫感染或过敏反应以________浸润为主。
94、多项选择题 在炎症过程中,中性粒细胞具有如下作用()
A.吞噬细菌
B.吞噬抗原抗体复合物
C.吞噬坏死组织小的碎片
D.吞噬异物
E.吞噬炎症介质
95、多项选择题 下列哪些属于增生性炎症()。
A.子宫颈炎性息肉
B.急性肾小球肾炎
C.急性肾盂肾炎
D.伤寒
E.炎性假瘤
96、配伍题 溃疡()蜂窝织炎()脓肿()糜烂()
A.皮肤或黏膜的深层缺损
B.局部组织坏死并有大量中性粒细胞灶性浸润
C.组织间隙有大量中性粒细胞弥漫浸润
D.皮肤或黏膜的表浅缺损
E.黏膜的化脓性炎症
97、问答题 慢性炎的基本病理变化及结局。
98、单项选择题 病毒性肝炎的炎症灶内浸润的主要细胞是()。
A.中性粒细胞
B.嗜酸性粒细胞
C.淋巴细胞,单核细胞
D.肥大细胞
E.浆细胞
99、单项选择题 患者手臂被开水烫伤后红肿、疼痛,冷敷后稍减轻,但未起水疱。此种病变应称为()。
A.淤血
B.浆液性炎
C.炎性水肿
D.脓肿
E.蜂窝织炎
100、填空题 炎症介质在炎症过程中的主要功能有________、________、________等。
101、单项选择题 病理解剖一女尸,发现一侧肾体积较小,表面不光滑,有数个大小不一、不规则瘢痕,切面瘢痕处质地较硬,肾盂粘膜增厚等改变,该肾最可能的病理诊断是()。
A.动脉粥样硬化梗死瘢痕
B.慢性肾炎
C.慢性肾盂肾炎
D.高血压固缩肾
E.以上都不是
102、单项选择题 下列哪些与炎症渗出液无关()。
A.血管通透性升高
B.液体含细胞较少
C.液体静置后不能自凝
D.液体比重高
E.蛋白含量较高
103、单项选择题 下列哪种细胞不是通过变形运动离开血管的()。
A.中性粒细胞
B.红细胞
C.嗜酸性粒细胞
D.淋巴细胞
E.巨噬细胞
104、多项选择题 出血性炎症可见于下列哪些疾病()
A.炭疽
B.流行性出血热
C.钩端螺旋体
D.肠伤寒
E.鼠疫
105、名词解释 慢性炎
106、单项选择题 急性炎症时,炎症局部血流速度的减慢主要是由于()
A.血管内流体静压下降
B.血管口径变小,血流阻力增大
C.微血管通透性升高的结果
D.组织水肿升高对血管产生压迫
E.血管阻塞
107、多项选择题 在急性炎症中,中性粒细胞重要活动是()
A.穿过血管壁游出
B.由阳性趋化作用向炎症病灶集中
C.吞噬作用
D.形成炎性肉芽肿
E.一部分坏死分解释放蛋白溶解酶
108、多项选择题 炎症时局部组织代谢的特点是()
A.分解代谢亢进
B.酸性代谢产物堆积
C.局部氢离子浓度升高
D.5一羟色胺释放
E.细胞因子释放
109、单项选择题 炎症时炎细胞渗出的主要因素是()。
A.血管壁通透性增高
B.血管内压过高
C.血管壁严重受损使白细胞漏出
D.炎症介质的作用
E.血浆胶体渗透压升高
110、问答题 炎症的结局。
111、单项选择题 溶血性链球菌感染最常引起()
A.蜂窝织炎
B.脓肿
C.纤维素性炎
D.伪膜性炎
E.出血性炎
112、配伍题 具有排除功能的是()具有免疫活性作用的是()具有解毒功能的是()参加肉芽肿形成的是()
A.中性粒细胞
B.肝细胞
C.呼吸道的上皮细胞
D.淋巴细胞
E.单核细胞
113、单项选择题
炎症病变中,主要有中性粒细胞和巨噬细胞两种吞噬细胞,其中巨噬细胞形态和名称可多种多样。
如图为肠伤寒镜下观,箭头所指吞噬了伤寒杆菌、红细胞及细胞碎片的大细胞,我们称之为()
A.伤寒细胞
B.类上皮细胞
C.异物巨细胞
D.巨噬细胞
E.泡沫细胞
114、单项选择题 炎症灶中吸引炎细胞定向集中的现象称为()
A.白细胞游出
B.白细胞吞噬
C.白细胞阿米巴运动
D.阳性趋化性
E.白细胞渗出
115、问答题 患者男,9岁,因发热、腿痛半月余入院,于入院前20天开始感左腿疼痛,发热,食欲减退,精神不佳,2天前左侧大腿变粗,疼痛加重而入院。体格检查:体温39.6℃,消瘦,营养欠佳。左大腿增粗,并有压痛,局部红、热。心率110次/分,双肺可闻及湿啰音,肝脏大,下界在右肋缘下3cm。实验室检查:红细胞3.5×10/L,白细胞13.5×10/L,中性粒细胞89%,淋巴细胞7%,单核细胞1%。尿中有脓细胞少许。入院后,切开左股部,可见大量脓液,于入院后第四天突然出现烦躁不安,继之心跳呼吸停止而死亡。尸检:左股外侧上段肌肉内脓肿,切开含黄色脓液约10ml,心肌、肺、肝、肾、膀胱、左肋间肌内、左腹壁及甲状腺内均见多数脓肿(血培养有金黄色葡萄菌生长)。主动脉瓣变厚,有软而脆的赘生物。左心室前上方有一脓肿已破裂,心包腔内积血,心包有纤维蛋白脓性渗出物。
116、单项选择题 炎症增生性病变对机体的主要作用是()。
A.致瘤
B.压迫
C.损伤
D.化生
E.限制炎症扩散和修复
117、单项选择题 患者,女,30岁,腰椎结核并在腰椎旁形成冷脓肿,破溃后流脓不断。此处已形成()。
A.空洞
B.瘘管
C.溃疡
D.窦道
E.糜烂
118、单项选择题 能寒热并调,和胃降逆的方剂是()
A.小柴胡汤
B.四逆散
C.逍遥散
D.痛泻要方
E.半夏泻心汤
119、多项选择题 下述有关补体在炎症中的描述中,哪些是正确地()
A.经典和替代途径均可激活补体系统
B.C3a和C5a是最重要的炎症介质
C.增加血管通透性
D.促进白细胞渗出
E.增强白细胞吞噬活性
120、单项选择题 慢性炎症组织中最常见的炎细胞是()。
A.嗜酸性粒细胞
B.淋巴细胞
C.肥大细胞
D.嗜碱性粒细胞
E.中性粒细胞
121、单项选择题 炎症介质的主要作用是使()
A.局部组织合成代谢增强
B.组织分解代谢增强
C.血管壁通透性增加
D.细胞酶系统障碍
E.组织损伤
122、单项选择题 下列哪项病变不是浆液性炎()
A.胸膜炎积液
B.早期感冒黏膜炎
C.肾盂积水
D.昆虫毒素引起的皮下水肿
E.皮肤Ⅱ度烧伤水疱
123、填空题 炎症的局部蔓延可形成________、________、________、________、______________。
124、单项选择题 类上皮细胞来源于()
A.嗜酸性粒细胞
B.淋巴细胞
C.中性粒细胞
D.浆细胞
E.巨噬细胞
125、单项选择题 假膜性炎的假膜成分不包括()
A.大量纤维素
B.中性粒细胞
C.病原体
D.坏死细胞碎屑
E.大量增生的纤维母细胞
126、单项选择题 炎症过程中最有防御意义的是()。
A.炎性介质形成
B.组织分解代谢增强
C.白细胞渗出
D.爽性水肿
E.炎性充血
127、单项选择题
患者女性,39岁,因经量增多,淋漓不尽行诊刮术。送检内膜组织镜下见子宫内膜间质中大量浆细胞浸润,应诊断为()

A.急性子宫内膜炎
B.慢性子宫内膜炎
C.子宫内膜结核
D.子宫内膜单纯性增生
E.以上均不是
128、单项选择题 中性粒细胞或巨噬细胞的杀菌作用,主要是由下列各项中哪项完成的()。
A.溶菌酶
B.乳铁蛋白
C.杀菌素
D.H2O2-MPO-Cl系统
E.阳离子蛋白
129、填空题 炎症介质花生四烯酸代谢产物包括________和________。
130、单项选择题 渗出的炎细胞中哪种移动最迅速()。
A.巨噬细胞
B.中性粒细胞
C.淋巴细胞
D.浆细胞
E.嗜碱性粒细胞
131、单项选择题 有关渗出液与漏出液,下列哪项正确()。
A.渗出液只形成浆膜腔积液
B.漏出液只造成间质水肿
C.渗出液与漏出液均可造成间质水肿与浆膜腔积液
D.渗出液与漏出液均不会造成间质水肿与浆膜腔积液
E.渗出液与漏出液在机体局部发生炎症时同时存在
132、单项选择题
患者,男,45岁。因高热、咳嗽、咳大量脓痰入院。X线示一有液平面的空腔。手术切除病变肺组织,巨检见病变中央呈囊腔状,腔内含黄色脓液,镜下腔壁可见大量变性坏死中性粒细胞,如图所示,可诊断为()



A.肺结核
B.肺脓肿
C.小叶性肺炎
D.大叶性肺炎
E.肺癌
133、单项选择题 假膜是由大量()。
A.纤维蛋白及白细胞、脱落上皮细胞组成
B.白细胞及组织碎屑、浆液组成
C.浆液及红细胞、白细胞组成
D.血小板及红细胞、白细胞组成
E.红细胞、白细胞、巨噬细胞组成
134、单项选择题
某患者,烫伤半小时后入院,可见手臂多个大小不等的水疱。
死者,男,12岁。死前气促,三凹症明显,肺部叩诊呈实音。尸检见胸腔内大量淡黄色清亮液体。巨检如图所示,胸膜腔内发生了哪种炎症()

A.浆液性炎
B.纤维素性炎
C.化脓性炎
D.蜂窝织炎
E.以上均不是
135、单项选择题 炎症灶内下述哪种成分不是由血液中渗出来的()
A.浆液
B.淋巴细胞
C.浆细胞
D.单核细胞
E.纤维蛋白原
136、填空题 炎症的蔓延扩散包括________、________________和________3种类型。
137、多项选择题 下列哪些属感染性肉芽肿()
A.慢性虫卵结节
B.矽结节
C.树胶肿
D.风湿小体
E.伤寒小结
138、单项选择题 下列哪项最符合脓肿的含义()
A.可形成空腔的变质性炎
B.常见于实质性脏器的化脓性炎症
C.伴有明显组织坏死溶解的化脓性炎症
D.有组织坏死,经溶解后形成脓腔的局限性化脓性炎症
E.愈合后常有瘢痕形成的化脓性炎症
139、填空题 炎症时,液体成分渗出主要原因________、________、________。
140、填空题 漏出液的形成主要与________有关,与渗出液相比,漏出液比重________,含蛋白量________,含细胞数量________,外观________。
141、单项选择题 在过敏反应炎症中,组胺来源于()
A.嗜酸性粒细胞
B.淋巴细胞
C.浆细胞
D.肥大细胞
E.单核细胞
142、单项选择题 伪膜性炎症发生后对患者危害最大的部位在()
A.心包
B.胸膜
C.腹膜
D.气管
E.结肠
143、单项选择题 化脓性炎时,与坏死组织的溶解液化有关的细胞是()。
A.嗜酸性粒细胞
B.巨噬细胞
C.淋巴细胞
D.浆细胞
E.变性坏死的中性粒细胞
144、配伍题 痈()疖()窦道()瘘管()
A.只有一端开口的盲道
B.具有两端开口的病理性通道
C.单个毛囊发生的化脓性炎
D.多个毛囊发生的化脓性炎
E.坏死组织沿自然管道排除体外后在局部留下的空腔
145、单项选择题 下列有关纤维素性炎的描述,哪项是错误的()。
A.经常发生于粘膜、浆膜和肺
B.渗出大量纤维蛋白原并形成纤维素
C.可被中性粒细胞释放的溶蛋白酶溶解
D.可以发生机化
E.以上都不是
146、单项选择题 炎症早期血流动力学改变的顺序为()
A.血流减慢→血管扩张,血流加速→细动脉短暂收缩→白细胞附壁
B.血管扩张,血流加速→细动脉短暂收缩→白细胞附壁→血流减慢
C.细动脉短暂收缩→血流减慢→血管扩张,血流加速→白细胞附壁
D.细动脉短暂收缩→血管扩张,血流加速→白细胞附壁→血流减慢
E.细动脉短暂收缩→血管扩张,血流加速→血流减慢→白细胞附壁
147、单项选择题 下列哪项不是炎性息肉的特点()
A.突出于黏膜表面
B.仅由实质细胞增生形成
C.属于慢性炎症
D.常有蒂与黏膜相连
E.常发生于鼻黏膜和子宫颈
148、判断题 疖是毛囊、皮脂腺及其附近组织发生的脓肿。
149、单项选择题 单核巨噬细胞在局部增生、聚集而形成的结节状病灶称()。
A.炎性假瘤
B.炎性息肉
C.炎性浸润
D.肉芽肿
E.肉芽组织
150、单项选择题 关于炎症的概念比较恰当的说法是()
A.细胞异常生长的一种形式
B.白细胞对细菌的一种作用
C.组织对损伤的一种以防御为主的反应
D.致炎因子诱发的机体血管反应
E.是机体血管系统对致炎因子的反应
151、名词解释 伪膜性炎(pseudomenbranous inflammation)
152、单项选择题 急性炎症灶内与组织损伤无直接关系的是()。
A.病原体
B.血管反应
C.渗出的中性粒细胞
D.微循环中的红细胞
E.释放的炎性介质
153、单项选择题 关于炎症的叙述,下列哪项是正确的()
A.炎症对机体均有利
B.任何机体都会发生炎症反应
C.急性炎症也可出现以增生为主的病变
D.慢性炎症均由急性炎症发展而来
E.炎症反应不会损伤机体
154、单项选择题
患者男性,20岁,因转移性右下腹疼痛6小时入院,拟诊“急性阑尾炎”手术切除阑尾,术后送检。
该种炎细胞最常见于哪种炎症()
A.慢性炎症
B.急性炎症
C.肉芽肿性炎
D.增殖性炎
E.以上均不是
155、判断题 变质仅发生在实质细胞,为炎症所特有。
156、名词解释 趋化作用(chemotaxis)
157、填空题 炎症局部组织血管内的________和________通过________进入________、________、________和________的过程叫渗出。
158、判断题 皮肤Ⅱ度烫伤形成的水疱属纤维素性炎。
159、单项选择题 下列不是浆液性炎的病变是()。
A.感冒初期的鼻黏膜炎
B.皮肤Ⅱ度烧伤引起的水疱
C.胸膜炎积液
D.肾盂积水
E.昆虫毒素引起的皮下水肿
160、单项选择题 下列哪项与漏出液的特点无关()
A.液体比重低
B.液体静置后不凝固
C.液体内无或极少纤维蛋白原
D.漏出与流体静力学因素有关
E.Rivalta反应阳性
161、判断题 变质性炎发生于某些重症感染,中毒或变态反应。
162、单项选择题
仔细观察所给的“慢性浅表性胃炎”不同放大倍数之镜下观,
该种细胞常见于下列哪种炎症()
A.急性炎症
B.慢性炎症
C.化脓性炎
D.浆液性炎
E.纤维素性炎
163、单项选择题 急性炎症病灶内哪种炎症细胞最多见()
A.浆细胞
B.淋巴细胞
C.嗜酸性粒细胞
D.中性粒细胞
E.巨噬细胞
164、填空题 白细胞吞噬作用的缺陷包括______________、________、________等几个方面。
165、填空题 炎症的局部表现包括________、________、________、________、________。
166、单项选择题
仔细观察所给的“慢性浅表性胃炎”不同放大倍数之镜下观,
这种细胞的主要作用是()
A.吞噬细菌和细胞碎片
B.分泌细胞因子
C.抗原呈递
D.释放炎症介质
E.分泌抗体
167、多项选择题 溶血性链球菌常引起蜂窝织炎,其理由是()
A.病原体能产生透明质酸酶
B.病原体能产生链激酶
C.病原体毒力强,组织破坏明显
D.病原全能产生溶血的毒素
E.病变组织
168、单项选择题 下列哪项关于炎症的叙述是正确的()
A.慢性炎均由急性炎转变而来
B.炎症反应均对机体有利
C.炎症时组织增大为增生所致
D.炎症渗出均会引起组织肿胀
E.增生是机体的抗损伤的反应
169、多项选择题 浆液性渗出易发生于()。
A.皮肤
B.浆膜
C.黏膜
D.疏松结缔组织
E.致密结缔组织
170、单项选择题 炎症时,渗出液的产生最主要的原因是()
A.血管内流体静压升高
B.血管内胶体渗透压降低
C.血管通透性升高
D.组织静水压升高
E.组织液的胶体渗透压升高
171、单项选择题 下列哪项不是败血症的表现()
A.细菌入血并产生毒素
B.高热寒战
C.一些内脏器官的多发性小脓肿
D.皮肤、黏膜点状出血
E.脾肿大
172、单项选择题 细菌性痢疾属于()
A.变质性炎症
B.浆液性炎症
C.纤维素性炎症
D.蜂窝织炎症
E.化脓性炎症
173、问答题 举例说明炎性水肿和炎性积液。
174、单项选择题 者左前臂不慎烫伤,局部红、肿、热、痛,随之出现水泡,则属于哪种炎症()。
A.浆液性炎
B.浆液纤维素性炎
C.纤维素性炎
D.出血性炎
E.急性炎
175、多项选择题 能使单核细胞激活的因素包括()
A.C3a和C5a
B.IL-7
C.阳离子蛋白
D.内毒素
E.纤维粘连蛋白
176、多项选择题 下述有关炎症浸润细胞的描述中,哪些是正确的()
A.病毒性肝炎时以浆细胞为主
B.伤寒病中以巨噬细胞为主
C.急性血吸虫卵结节内以中性粒细胞为主
D.结核结节中以多核巨细胞为主
E.痈病变中以中性粒细胞为主
177、单项选择题 变质性炎症局部的组织对物质的代谢()
A.合成和分解代谢均增强
B.合成和分解代谢均减弱
C.合成代谢增强
D.分解代谢增强
E.分解代谢减弱
178、配伍题 病毒性肝炎为()皮肤Ⅱ度烧伤出现的水泡为()白喉和细菌性痢疾常为()溶血性链球菌感染时常为()
A.变质性炎
B.蜂窝织炎
C.纤维素性炎
D.卡他性炎
E.浆液性炎
179、填空题 生物性病原体引起的炎症称为________。
180、单项选择题 慢性炎症病灶内,最常出现的浸润细胞是()。
A.中性粒细胞
B.淋巴细胞
C.嗜酸性粒细胞
D.嗜碱性粒细胞
E.肥大细胞
181、单项选择题 绒毛心是指心外膜的()。
A.纤维素性炎
B.浆液性炎
C.化脓性炎
D.增生性炎
E.变质性炎
182、问答题 简述炎症时白细胞增高机制。
183、填空题 根据炎症病变特点急性菌痢属________炎症;流脑属________炎症;阿米巴痢疾属________炎症;乙脑属______________炎症。
184、多项选择题 花生四烯酸是二十碳不饱和脂肪酸,其代谢产物在炎症中可引起()
A.发热
B.疼痛
C.血管扩张
D.组织损伤
E.白细胞渗出
185、配伍题 脓肿()烧伤的水疱()大叶性肺炎()急性炎症()
A.以中性粒细胞浸润为主的炎症
B.以浆液渗出为主的炎症
C.以纤维蛋白渗出为主的炎症
D.以局限性化脓为主的炎症
E.以伪膜形成为主的炎症
186、多项选择题 组胺引起的血管通透性增高通过下列哪些因素起作用()
A.增加血管内流体静力压
B.增加组织交替渗透压
C.引起血管内皮细胞收缩及损伤,形成内皮细胞间隙
D.损伤血管基膜
E.介导血管平滑肌收缩
187、多项选择题 炎症的基本病理变化包括()。
A.变质
B.化生
C.增生
D.渗出
E.钙化
188、名词解释 炎症(inflammation)
189、多项选择题 影响内皮细胞和白细胞粘着的因素有()
A.内皮细胞和白细胞表面正电荷被中和
B.二价阳离子的桥接作用
C.肿瘤坏死因子的释放
D.白细胞表面粘附分子的表达
E.内皮细胞表面粘附分子的表达
190、问答题 简述绒毛心的发生机制及结局。
191、单项选择题 急性炎症时引起组织肿胀的主要原因是()
A.组织增生
B.动脉扩张
C.静脉阻塞
D.富含蛋白的液体进入组织间隙
E.小静脉痉挛
192、多项选择题 炎性肉芽组织中主要的细胞是()
A.淋巴细胞
B.浆细胞
C.巨噬细胞
D.纤维母细胞
E.血管内皮细胞
193、多项选择题 急性炎症局部疼痛的主要因素是()
A.局部组织变性坏死
B.渗出物压迫
C.局部充血及血流量增多
D.炎症介质的直接作用
E.细胞增生压迫神经末梢
194、单项选择题 炎症最有防御意义的改变是()。
A.白细胞渗出
B.分解代谢亢进
C.血浆渗出
D.纤维素渗出
E.炎症介质形成
195、单项选择题 各种致炎因子中最常见的一类是()。
A.物理性因子
B.化学性因子
C.机械性因子
D.生物性因子
E.免疫性因子
196、单项选择题 在下列疾病中,除哪项外都是纤维素性炎症()
A.细菌性痢疾
B.小叶性肺炎
C.大叶性肺炎
D.白喉
E.尿毒症性心包炎
197、判断题 浆液性炎中的渗出物主要为混有少量细胞和纤维素的血清。
198、问答题 简述急性炎症后期以单核细胞浸润为主的机制。
199、填空题 血管通透性增高的机制:________,________,________。
200、名词解释 脓细胞(pus cell)
201、单项选择题
死者,女性,68岁,长期胸闷不适,进行性加剧至心衰而亡。
死后心脏的大体观如图所示,病理诊断应为()“

A.化脓性心包炎
B.纤维素性心包炎
C.心肌炎
D.心肌梗死
E.以上均不是
202、问答题 炎症局部的临床表现和全身反应是什么?发生机制是什么?
203、单项选择题 属于慢性肉芽肿性炎的是()。
A.结核
B.伤寒
C.肠阿米巴病
D.慢性支气管炎
E.慢性阑尾炎
204、单项选择题 炎症时哪种细胞最先渗出()。
A.巨噬细胞
B.中性粒细胞
C.淋巴细胞
D.浆细胞
E.嗜碱性粒细胞
205、填空题 急性炎症时一般以________细胞浸润为主,慢性炎症时以________细胞、________细胞和________细胞浸润为主。
206、单项选择题 下列有关炎性渗出液的描述,哪项是错误的()。
A.液体比重高
B.外观清亮
C.细胞含量多
D.蛋白含量高
E.液体静置后可凝固
207、单项选择题
患者,男,30岁。咳嗽、胸痛、低热1年。胸片示左肺上叶巨大阴影,边缘不清。手术切除病变肺叶送检。
该病变中的多核巨细胞是由下列哪种细胞演变而来的()
A.中性粒细胞
B.嗜碱性粒细胞
C.上皮细胞
D.淋巴细胞
E.巨噬细胞
208、填空题 一氧化氮主要是由________细胞、巨噬细胞和一些特定的神经细胞所产生,是在________作用下生成的。
209、名词解释 变质(alteration)
210、多项选择题 在慢性化脓性炎症灶中,可见到下列哪些细胞()
A.中性粒细胞
B.淋巴细胞
C.浆细胞
D.单核细胞
E.纤维母细胞
211、多项选择题 单核巨噬细胞可演变为()。
A.伤寒细胞
B.类上皮细胞
C.泡沫细胞
D.朗汉斯巨细胞
E.异物巨细胞
212、单项选择题 下列哪项与炎症渗出液无关()
A.血管通透性增高
B.液体比重高
C.液体静置后凝固
D.液体内含纤维蛋白原
E.液体内含极少细胞
213、名词解释 肉芽肿(granuloma)
214、名词解释 疖(furuncle)
215、单项选择题 下列哪项不属肉芽肿性炎()
A.风湿病
B.伤寒
C.矽肺
D.乙脑
E.麻风
216、单项选择题
患者,男,30岁。咳嗽、胸痛、低热1年。胸片示左肺上叶巨大阴影,边缘不清。手术切除病变肺叶送检。
对该病变描述错误的是()
A.属慢性炎症
B.属肉芽肿性炎
C.干酪样坏死对该病变具有诊断意义
D.病灶中可见巨噬细胞、类上皮细胞、多核巨细胞、淋巴细胞等
E.属特殊的急性炎症
217、单项选择题 炎症的基本病变是()
A.组织细胞的变性坏死
B.组织的炎性充血和水肿
C.变质,渗出,增生
D.红,肿,热,痛,功能障碍
E.周围血液中白细胞增多和体温升高
218、配伍题 流行性脑脊髓膜炎属()皮肤疖肿属()化脓性胆囊炎属()
A.浆液性炎
B.纤维素性炎
C.表面化脓和积脓
D.蜂窝织炎
E.脓肿
219、单项选择题 单核细胞的趋化因子应除外()
A.C3a
B.C5a
C.白三烯
D.阳离子蛋白质
E.纤维粘连蛋白降解物
220、单项选择题 引起血管通透性升高的速发短暂反应主要受下列哪些因素影响()。
A.补体
B.组胺
C.细菌毒素
D.热损伤
E.缓激肽
221、单项选择题
死者,女性,2岁。腹痛、腹泻、里急后重2天,加剧3天伴高热,抽搐。死后尸检。
直肠的大体和镜下观如图,初步诊断与下列哪种疾病符合()

A.Barrett食管
B.肠结核
C.肠Crohn病
D.细菌性痢疾
E.阿米巴痢疾
222、单项选择题 炎症反应最重要的特征是()。
A.血管扩张
B.血浆渗出
C.纤维素渗出
D.白细胞渗出
E.红细胞渗出
223、单项选择题 炎症灶内红细胞是()
A.主动渗出
B.主动漏出
C.被动渗出
D.被动漏出
E.有时是主动渗出,有时是被动漏出
224、问答题 炎性渗出物的作用。
225、问答题 简述纤维素性炎的特征并举例说明。
226、多项选择题 纤维素性炎的发生病因有()
A.白喉杆菌
B.痢疾杆菌
C.肺炎双球菌
D.脑膜炎双球菌
E.尿毒症
227、单项选择题
仔细观察所给的“慢性浅表性胃炎”不同放大倍数之镜下观,
如图,红色箭头所指的是什么细胞()

A.中性粒细胞
B.嗜酸性粒细胞
C.嗜碱性粒细胞
D.浆细胞
E.单核巨噬细胞
228、单项选择题 细菌进入血中并大量繁殖,引起全身中毒症状,称之为()。
A.毒血症
B.病毒血症
C.菌血症
D.败血症
E.脓毒败血症
229、判断题 金黄色葡萄球菌感染多形成蜂窝织炎。
230、多项选择题 下述有关白细胞吞噬作用的描述,哪些是正确的()
A.IgG和C3b增强白细胞吞噬活性
B.具有活性的氧代谢产物是杀伤细菌的主要物质
C.吞噬溶媒体内将全部病原菌杀灭
D.细菌通透性蛋白、溶菌酶、阳离子蛋白、乳铁蛋白均有杀菌作用
E.氧代谢产物可引起病原微生物细胞膜、DNA发生一系列改变
231、单项选择题 渗出液与漏出液在下列哪项无明显区别()。
A.蛋白量
B.细胞数
C.比重
D.凝固性
E.液体量
232、问答题 白细胞的渗出。
233、问答题 试述浆液性炎的特点、部位、举例及结局。
234、单项选择题 下列哪种病变属于感染性肉芽肿()。
A.风湿性肉芽肿
B.结核性肉芽肿
C.脂肪坏死性肉芽肿
D.炎性息肉
E.炎性假瘤
235、单项选择题 炎症的全身反应中下列哪项是不正确的()
A.发热
B.外周血中心粒细胞增多
C.单核巨噬细胞系统增生
D.抗体形成增强
E.实质器官变性、坏死、功能降低
236、名词解释 空洞(cavity)
237、单项选择题 同时累及脑膜、肾、肺、肠及骨的肉芽肿性病变常常是()
A.风湿小体
B.伤寒小体
C.麻风小结
D.矽结节
E.结核结节
238、问答题 简述炎症时炎细胞的吞噬过程。
239、填空题 从渗出物的成分及其病变特点出发,可将炎症分为________、________和______________等类型。
240、单项选择题 脓肿中最常见的致病菌是()
A.金黄色葡萄球菌
B.大肠杆菌
C.溶血性链球菌
D.白色葡萄球菌
E.绿脓杆菌
241、单项选择题 炎性假瘤不具有下列哪项特点()
A.是一种良性肿瘤
B.由局部组织的炎性增生形成
C.为一边界清楚的肿瘤样团块
D.肉眼形态和X线所见与肿瘤相似
E.常见的好发部位是眼眶和肺
242、单项选择题 尸检发现肾脏肿大,包膜易剥,表面光滑,呈红色,可见小出血点,切面皮质增厚,皮髓分界尚清,该肾病变最可能是何种炎症()。
A.变质性炎
B.渗出性炎
C.出血性炎
D.增生性炎
E.纤维素性炎
243、单项选择题 炎症速发性短暂反应时,血管壁通透性增高的机制是()。
A.细静脉内皮细胞收缩
B.细动脉内皮损伤
C.血管基膜降解
D.内皮细胞吞饮作用增强
E.穿胞通道开放活跃
244、单项选择题 下列哪种细胞不会在炎症灶中增殖()
A.中性粒细胞
B.淋巴细胞
C.巨噬细胞
D.肥大细胞
E.纤维母细胞
245、单项选择题
患者男性,20岁,因转移性右下腹疼痛6小时入院,拟诊“急性阑尾炎”手术切除阑尾,术后送检。
该患者确切的诊断为()
A.急性化脓性阑尾炎
B.慢性阑尾炎
C.坏疽性阑尾炎
D.嗜酸性阑尾炎
E.以上都不是
246、问答题 试述炎症的基本病理改变。
247、单项选择题 在寄生虫感染病变中,下列哪种细胞常见()
A.嗜酸性粒细胞
B.淋巴细胞
C.嗜碱性粒细胞
D.浆细胞
E.单核细胞
248、单项选择题
患者,12岁,女性,鼻塞,流涕8个月。鼻腔镜见鼻黏膜水肿,可见灰白色半透明荔枝肉样物充塞后鼻腔。行息肉摘除术。
这些炎细胞最常见于哪种炎症()
A.慢性炎症
B.急性化脓性炎症
C.急性渗出性炎
D.过敏性炎或寄生虫感染
E.以上均不是
249、单项选择题 下列有关急性炎症的描述,哪项是错误的()。
A.起病急骤
B.病变持续时间相对短
C.以变质性变化为主
D.炎症细胞浸润常以中性粒细胞为主
E.炎症局部不出现增生性病变
250、填空题 白细胞到达炎症灶后的吞噬过程包括________、________、________3个阶段。
251、单项选择题 纤维素性炎症的好发部位应除外()
A.胸膜
B.皮肤
C.心包
D.气管
E.结肠
252、问答题 吞噬过程及意义。
253、单项选择题 哪一项是渗出液对机体的有害作用()。
A.带来多种抗体、补体及溶菌物质
B.体腔内纤维素渗出并发生机化
C.稀释毒素及有害刺激物
D.纤维素渗出可限制细菌蔓延
E.纤维素渗出有利于白细胞的吞噬作用
254、单项选择题 炎症中疼痛与下列哪项介质有关()
A.组胺
B.5-羟色胺
C.前列腺素
D.白细胞三烯
E.补体成分
255、单项选择题 假(伪)膜性炎的渗出物主要为()。
A.单核细胞、淋巴细胞和坏死组织
B.纤维素、中性粒细胞和坏死组织
C.纤维素、浆细胞和中性粒细胞
D.淋巴细胞、浆细胞和中性粒细胞
E.粘液、中性粒细胞和浆细胞
256、名词解释 表面化脓
257、单项选择题 只有一个开口的病理性盲管是()
A.糜烂
B.溃疡
C.窦道
D.瘘管
E.空洞
258、多项选择题 下列哪些病变属于急性炎症变化()
A.血管充血
B.血浆及白细胞渗出
C.血管通透性增高
D.成纤维细胞增多
E.局部组织细胞变性、坏死
259、问答题 解释炎症是防御为主的反应。
260、单项选择题 下列哪种疾病属于出血性炎()。
A.病毒性肝炎
B.流脑
C.流行性出血热
D.肠阿米巴病
E.丹毒
261、单项选择题 假膜性炎的特征是()。
A.在浆膜发生的纤维素性炎
B.在粘膜发生的纤维素性炎
C.容易发生机化
D.以上都不对
E.以上都正确
262、单项选择题 下列哪种病变属于渗出性炎()。
A.水样变性
B.肝硬变腹水
C.气性坏疽
D.绒毛心
E.出血
263、单项选择题 下述炎症中哪种不属肉芽肿性炎症()。
A.麻风
B.霉菌感染
C.手术缝线慢性炎症反应
D.粟粒性肺结核
E.阿米巴病
264、多项选择题 血管壁通透性增加的机制有()。
A.内皮细胞收缩
B.内皮细胞损伤
C.新生毛细血管壁的高通透性
D.白细胞附壁
E.内皮细胞穿胞作用增强
265、名词解释 白细胞粘着
266、单项选择题 炎性浸润是指()
A.白细胞自血管内进入炎区组织
B.血浆蛋白自血管进入炎区组织
C.液体成分自血管内进入炎区组织
D.生物病原体进入炎区组织
E.炎症向周围组织扩展
267、问答题 试述(急性)炎症蔓延扩散的方式。
268、单项选择题
患者男性,35岁,因急腹症拟诊急性阑尾炎手术,术后送检。
该种炎症常呈弥漫性的原因是()
A.易通过血道发生转移性脓肿
B.细菌可分泌透明质酸酶和链激酶降解纤维而易于扩散
C.可通过管道使得细菌播散至别处
D.单核巨噬细胞可吞噬细菌,将其转移至它处
E.炎细胞坏死后,溶酶体酶释放,降解组织成分造成的
269、单项选择题 关于败血症的叙述,下列哪项是错误的()。
A.败血症的病人有全身中毒症状
B.败血症的病人可出现皮肤粘膜出血点
C.细菌进入血后便称为败血症
D.败血症的病人可有肝、脾和淋巴结的肿大
E.血培养阴性时也不能排除败血症
270、多项选择题 在炎症过程中,引起血管通透性增高的因素有()
A.内皮细胞收缩
B.内皮细胞损伤
C.新生毛细血管壁的高通透性
D.凝血因子减少
E.基膜样物质合成速率下降
271、单项选择题 下列有关白细胞渗出的描述,哪项是错误的()。
A.肿瘤坏死因子(TNF.可促进内皮细胞及白细胞粘附分子的表达,影响白细胞粘着
B.白细胞伸出伪足,以阿米巴运动方式从内皮细胞缝隙游出
C.炎症的不同阶段,游出的白细胞种类不同
D.红细胞漏出也是主动过程
E.趋化因子的作用是有特异性的
272、单项选择题 在白细胞的渗出过程中,下列哪种细胞最先渗出()
A.巨噬细胞
B.淋巴细胞
C.浆细胞
D.中性粒细胞
E.嗜酸性粒细胞
273、单项选择题 下述关于急性炎症时白细胞渗出的描述中,哪项是错误的()。
A.在炎症反应中,中性粒细胞进入边流、附壁
B.内皮细胞收缩,使中性粒细胞从间隙游出血管
C.中性粒细胞通过伸出伪足,逐渐从内皮细胞间隙游出血管
D.在趋化因子的作用下,中性粒细胞到达炎症部位
E.补体C、C是重要的炎症介质
274、单项选择题
某患者,烫伤半小时后入院,可见手臂多个大小不等的水疱。
关于该种炎症,下列描述错误的是()
A.渗出物中还有少量中性粒细胞和纤维素
B.该种炎症一般较重
C.该种炎症渗出量过多可导致严重后果
D.该种炎症一般较轻,易于消退
E.在表皮内和表皮下的该种炎症可形成水疱
275、单项选择题 钩端螺旋体病属下列哪种类型炎症()
A.浆液性炎
B.化脓性炎
C.蜂窝织炎
D.增生性炎
E.出血性炎
276、填空题 发生在黏膜和浆膜的化脓性炎称为________,当脓液积存在浆膜腔、胆囊或输卵管腔内时称为________
277、单项选择题 中性粒细胞和巨噬细胞的杀菌作用,主要由下列哪项完成()。
A.溶菌酶
B.杀菌素
C.阳离子蛋白
D.H2O2--MPO-Cl-系统
E.免疫球蛋白
278、单项选择题 以变质性炎为主的疾病是()。
A.大叶性肺炎
B.脑膜炎
C.病毒性肝炎
D.细菌性痢疾
E.小叶性肺炎
279、判断题 炎性渗出是急性炎症的重要特征,对机体有害无益。
280、单项选择题 较多嗜酸性粒细胞浸润见于()
A.伤寒杆菌感染
B.变态反应或寄生虫感染
C.乙脑病毒感染
D.溶血性链球菌感染
E.葡萄球菌感染
281、单项选择题 内皮细胞、纤维母细胞、淋巴细胞常见于()
A.急性炎症
B.炎性肉芽组织
C.伤口愈合处
D.肉芽肿性炎
E.化脓性炎症
282、填空题 血管壁通透性增加的最常见原因是________。
283、填空题 临床上采用阿司匹林和非甾体类抗炎药物进行抗炎的主要机制是抑制________的环氧化酶代谢途径,从而减少炎症介质________的产生。
284、单项选择题 以变质为主的炎症,其实质细胞的主要变化是()
A.增生和再生
B.萎缩和变性
C.变性和坏死
D.增生和变性
E.坏死和萎缩
285、名词解释 炎性息肉(inflammatory polyp)
286、多项选择题 对中性粒细胞具有趋化作用的物质是()
A.C3a
B.C5a
C.细菌代谢产物
D.坏死组织
E.阳离子蛋白
287、填空题 表面化脓是发生在________或________组织的化脓性炎。
288、多项选择题 炎症时局部温度增高是因为()
A.小动脉扩张充血
B.小静脉扩张淤血
C.炎性渗出物的形成
D.组织代谢增强
E.局部组织增生
289、问答题 简述炎症时纤维素渗出的利弊。
290、单项选择题 下列炎症介质均有趋化作用,除外()
A.前列腺素
B.白细胞三烯
C.阳离子蛋白
D.C5a
E.细菌产物
291、名词解释 浆液性炎
292、单项选择题 蜂窝织炎性阑尾炎最主要的病变特点是()。
A.中性粒细胞弥漫浸润阑尾各层组织
B.中性粒细胞向粘膜表面渗出
C.阑尾充血、水肿
D.阑尾坏死、变黑
E.阑尾穿孔
293、多项选择题 下列哪些疾病的病变属于感染性肉芽肿()
A.霍奇金病
B.风湿小结
C.矽肺结节
D.结核结节
E.瘤型麻风
294、名词解释 不完全痊愈
295、单项选择题 最能反映炎症本质的病变是()。
A.充血
B.水肿
C.白细胞游出
D.坏死
E.出血
296、单项选择题 具有高比重,静置凝固,黄色浑浊等性状的腹水见于()
A.门静脉高压
B.右心衰竭
C.慢性肾炎
D.低蛋白血症
E.腹膜炎
297、填空题 蜂窝织炎常发生于________,________,________等处。
298、多项选择题 炎症的全身反应包括()。
A.发热
B.白细胞增多
C.单核巨噬细胞系统增生
D.贫血
E.恶病质
299、名词解释 痈(carbuncle)
300、多项选择题 巨噬细胞的作用是()
A.传递抗原信息
B.引起组织水肿
C.导致组织损伤
D.形成多核巨细胞
E.吞噬原虫及异物