时间:2023-08-25 02:05:13


1、单项选择题 下列哪项描述不是恶性肿瘤的特点()
A.通常分化不成熟,多为异型及幼稚细胞
B.核分裂常见,并可见不典型的核分裂象
C.侵袭性生长,边界不清
D.易发生转移
E.常有包膜
2、单项选择题 从组织学上讲,眼表面主要指()
A.眼睑和结膜
B.结膜和角膜
C.角膜和泪膜
D.结膜和泪膜
E.结膜、角膜和泪膜
3、单项选择题 原发性青光眼的视野不会出现下列哪种缺损()
A.中心暗点
B.旁中心暗点
C.弓形暗点
D.鼻侧阶梯状暗点
E.向心性视野缺损
4、多项选择题 中间葡萄膜炎的病变部位为()
A.脉络膜
B.周边视网膜
C.乳斑束
D.累及睫状体平坦部
E.玻璃体基底部
5、单项选择题 对于社会主义的人道主义,不正确的理解是()
A.护理人员应尊重病人的欲望
B.对任何病人一视同仁
C.尊重病人死后的遗体权
D.病人对医护人员也应尊重
E.在生物-心理-社会医学模式指导下开展工作
6、多项选择题 结膜炎按病程可分为()
A.慢性
B.超急性
C.急性
D.亚急性
E.免疫性
7、多项选择题 睑腺炎有可能形成眼睑蜂窝织炎的情况有()
A.抵抗力差的儿童
B.老年人
C.糖尿病
D.过早切开睑
E.用手挤压
8、单项选择题 以下不是“视觉2020”重点的是()
A.白内障
B.沙眼
C.儿童盲
D.河盲
E.青光眼
9、单项选择题 溃疡性睑缘炎的治疗方法错误的有()
A.局部滴用广谱抗生素滴眼液,涂抗生素眼膏及磺胺眼膏
B.除去脓痂及已经松落的睫毛,使毛囊中的脓液得以引流
C.每周一次用生理盐水或3%硼酸溶液清洗睑缘部
D.除去各种诱因,注意个人卫生
E.炎症完全消退后,应持续治疗至少2~3周,以防复发
10、单项选择题 患者,男,42岁。主因左眼被铁屑溅伤后视力下降2天而入院。查:视力左眼手动,左眼结膜混合性充血中度,结膜囊可见黄绿色脓液,角膜中央可见一直径约5mm的圆形溃疡灶,边缘呈灰白色浓密浸润,溃疡表面大量黏稠分泌物附着,房水闪辉(++)。 下列哪项检测方法有助于该病的诊断()
A.UBM诊断
B.OCT
C.分泌物培养+药物敏感
D.ERG
E.VEP
11、单项选择题 肿瘤的异质性是指()
A.肿瘤与起源的正常组织间的差异
B.不同肿瘤之间代谢和功能方面的差异
C.同一肿瘤不同区域形态方面的差异
D.患同一肿瘤的不同患者对相同治疗方案疗效的差异
E.同一肿瘤不同亚克隆瘤细胞生物学行为的差异
12、单项选择题 手术显微镜的基本结构包括()
A.双目镜
B.单个大物镜
C.一对棱镜
D.Galilean望远镜或天文望远镜系统
E.以上选项都正确
13、多项选择题 引起麻痹性斜视的病因包括()
A.调节因素
B.外伤
C.炎症
D.肿瘤
E.中枢神经控制失调
14、单项选择题 男,46岁。发现右眼睑皮下硬结半月余,自觉无明显不适。检查:右眼视力正常,眼睑皮肤稍隆起,眼睑皮下可触及一黄豆大圆形肿块,边界清楚,与皮肤无粘连,无明显压痛,局部睑结膜暗红色充血,余无异常发现。 如手术,最好取样做病理检查以除外()
A.皮样囊肿
B.睑板腺腺癌
C.恶性黑色素瘤
D.鳞状上皮细胞癌
E.基底细胞癌
15、单项选择题 下列不属于角膜变性的是()
A.翼状胬肉
B.Kayser-Fleischer环
C.角膜软化症
D.带状角膜变性
E.老年环
16、多项选择题 眼眶特发性炎性假瘤(IOPT)的病理分型有()
A.硬化型IOPT
B.肉芽肿型IOPT
C.嗜酸性粒细胞型IOPT
D.血管炎型IOPT
E.混合型IOPT
17、多项选择题 骨性眼眶构成是由额骨、泪骨及()
A.蝶骨
B.腭骨
C.筛骨
D.颧骨
E.上颌骨
18、多项选择题 视网膜血管炎的主要特征有()
A.病因明确
B.双眼周边部血管闭塞
C.视网膜新生血管
D.复发性玻璃体积血
E.多发生于20~40岁的女性
19、单项选择题 父母双方的同源染色体或等位基因存在着功能上的差异,不同性别的亲代传给子代的同一染色体或基因,当发生改变时可以引起不同的表现称()
A.遗传印记
B.共线性
C.关联
D.细胞生成的标记
E.错义突变
20、单项选择题 涡静脉共有几条()
A.6~8条
B.3条
C.2条
D.5~7条
E.4~6条
21、多项选择题 睑板腺囊肿的特点有()
A.眼睑皮下有大小不等的光滑肿块
B.是一种肉芽肿性炎症
C.起病缓慢
D.有疼痛感
E.不能在睑结膜面溃破
22、单项选择题 玻璃体视网膜病治疗的新时代从哪个年代开始()
A.20世纪50年代
B.20世纪60年代
C.20世纪70年代
D.20世纪80年代
E.20世纪90年代
23、单项选择题 视网膜浅层出血描述错误的是()
A.视网膜中央动脉分支的浅层毛细血管网出血
B.出血位于外丛状层和内颗粒层之间
C.出血鲜红,呈线状、条状或火焰状
D.多见于高血压性视网膜病变
E.出血沿神经纤维分布
24、多项选择题 对于恶性黑色素瘤,其治疗应为()
A.免疫治疗
B.化疗
C.直径>3mm多有淋巴转移,应切除加淋巴结根治术
D.冷冻治疗可作为术后辅助疗法
E.若瘤体直径<1.5mm可局部切除
25、多项选择题 有关自动视野检查结果判读的要点,错误的是()
A.30°以内视野的正常变异大,临床诊断视野缺损时需谨慎
B.30°~60°视野的正常变异小
C.视野缺损概率图可辅助诊断
D.相邻几个点的阈值改变有诊断意义
E.初次自动视野检查异常有可能是受试者未掌握测试要领
26、单项选择题 Herbert小凹主要见于()
A.睑结膜
B.球结膜
C.穹窿部结膜
D.角膜
E.角膜缘
27、单项选择题 婴幼儿血维生素A水平低于多少g/L即构成维生素A缺乏症()
A.100
B.200
C.300
D.400
E.500
28、单项选择题 某男,65岁,高血压病史30年,突然出现右眼视物不清5天,眼部检查:视力R:0.02,不能矫正,L:1.0,右眼前节未见明显异常,晶体轻度混浊,眼底可见视乳头边界不清,色淡,周围可见浅层视网膜下出血,视乳头周围血管纹理不清,黄斑中心反射不清,周边视网膜未见明显异常,眼压18mmHg。 对该患者首先应考虑()
A.急性球后视神经炎
B.视乳头水肿
C.前部缺血性视神经病变
D.视乳头血管炎
E.视网膜中央动脉栓塞
29、多项选择题 应用噻吗心安治疗青光眼应注意()
A.哮喘患者禁用
B.窦性心动过缓者禁用
C.严重心脏病患者禁用
D.阻塞性肺部疾患禁用
E.使用过程中,当P<52次/分立即停药
30、单项选择题 对:Bailey-Lovie视力表设计原则,描述错误的是()
A.对数单位的增率
B.每行字母数从上而下依次增加
C.字母间距与字母大小成比例
D.字母行距与字母大小成比例
E.各行视标具有相同或相似的可辨性
31、多项选择题 原发性视网膜脱离的体征是()
A.眼底有灰色隆起
B.视野向心性缩小
C.一般眼压偏高
D.视网膜下液体随体位而变
E.常无裂孔
32、单项选择题 晶状体脱位有以下体征,除外()
A.瞳孔区可见部分晶状体赤道部
B.虹膜震颤
C.散光
D.高度近视
E.青光眼
33、多项选择题 恶性青光眼的特点有()
A.常发生于抗青光眼滤过术后前房不起者
B.眼压升高、充血、疼痛
C.晶状体和虹膜向前移位
D.UBM检查可见晶状体赤道部与水肿的睫状体相贴
E.治疗时宜尽快滴用1%~2%阿托品充分麻痹睫状肌
34、单项选择题 以下疾病不宜用激光光凝治疗的是()
A.缺血型视网膜静脉阻塞
B.糖尿病性视网膜病变
C.视网膜色素变性
D.湿性年龄相关性黄斑变性
E.中心性浆液性脉络膜视网膜病变
35、单项选择题 以下关于Panum区的描述,错误的是()
A.一只眼视网膜上的任一点,在另一眼视网膜上都有一个Panum区与之对应
B.成像在相应的Panum区是形成双眼单视的基本条件
C.Panum区都非常小
D.Panum区呈横椭圆形
E.以上均不是
36、单项选择题 对非接触式角膜内皮显微镜的特点,描述有误的是()
A.裂隙光带需要很细
B.视野较为狭窄
C.可作照相记录
D.需要将照明光路和观察光路分开
E.能够较好地克服患者眼球活动这一技术难点
37、单项选择题 突然视力下降无眼痛常见于()
A.缺血性视神经病变
B.葡萄膜炎
C.急性闭角型青光眼
D.白内障
E.弱视
38、单项选择题 一主子午线聚焦在视网膜后,另一主子午线聚焦在视网膜之前称为()
A.单纯近视散光
B.单纯远视散光
C.复合近视散光
D.复合远视散光
E.混合散光
39、单项选择题 以下哪种说法正确()
A.药物的赋形剂会影响该药物的脂、水溶解度之比
B.药物pH会影响到药物在泪液中的丢失率、角膜泪液中的药物饱和度、药物与角膜接触的时间
C.分子量小于500的药物角膜吸收能力很差
D.氯化苯甲羟胺没有表面活性作用
E.当药物浓度在一定范围增加时,药物在角膜的通透性也随之增加;当超过一定范围时,虽然浓度增加但药物的角膜通透性并不增加,甚至减低。
40、单项选择题 对于炎性假瘤的典型表现,不包括以下哪项()
A.急性起病
B.眼眶痛
C.眼外肌正常
D.复视和眼球突出
E.眼球运动障碍
41、多项选择题 预防交感性眼炎发生的措施有()
A.注意工农业生产安全
B.伤眼视力恢复无希望者,可摘除眼球
C.对于有希望保存视力者,尽可能修复伤口
D.及时修复穿通伤口,避免眼组织嵌顿
E.积极预防感染
42、单项选择题 引起视网膜下出血的常见疾病是()
A.干性年龄相关性黄斑变性
B.糖尿病性视网膜病变
C.缺血型视网膜静脉阻塞
D.视网膜中央动脉阻塞
E.湿性年龄相关性黄斑变性
43、单项选择题 先天性内斜视与获得性内斜视的区别要点是()
A.后者斜视角随年龄的增大而增大
B.前者的斜视角偏大C>40°
C.前者常伴有垂直斜视
D.与调节的关系
E.发病年龄
44、多项选择题 有哪些因素共同参与维持角膜的透明性()
A.角膜具有屈光度
B.角膜周边免疫活性因子分布高
C.角膜无血管
D.基质层胶原纤维束排列规则
E.角膜内皮层有Na+-K+ATP酶,可将基质层水分排入前房,使基质层水分含量稳定
45、单项选择题 视野检查方法包括()
A.弧形视野计
B.Humphrey视野计
C.Goldmann视野计
D.平面视野计
E.以上选项都正确
46、单项选择题 急性炎症24小时内病灶中主要的炎性细胞是()
A.浆细胞
B.淋巴细胞
C.肥大细胞
D.中性粒细胞
E.单核细胞
47、多项选择题 发展中国家致盲的最主要原因为()
A.老年性黄斑变性
B.老年性白内障
C.沙眼
D.感染性眼病
E.青光眼
48、单项选择题 某女性患者,75岁,右眼白内障摘除联合人工晶体植入术后25天,疼痛、视物不清7天,20年前行"双眼虹膜周边切除术"。眼部检查:右眼视力:眼前手动,角膜水肿,前房明显变浅,周边小于1/4CT,瞳孔约4mm×4mm大小,对光反应迟钝,人工晶体位置正,眼压40mmHg;左眼视力:0.12,角膜清亮,前房浅,周边小于1/3CT,瞳孔约3.5mm×3.5mm大小,晶体混浊,眼底模糊不清,眼压17mmHg。 该患者右眼最主要诊断该考虑为()
A.右眼急性闭角型青光眼
B.右眼原发性开角型青光眼
C.右眼恶性青光眼。
D.右眼急性葡萄膜炎
E.右眼脉络膜脱离
49、单项选择题 患者,男,5岁,发现眼斜半年,检查:视力右0.4左0.8,双眼前节及眼底未见异常,角膜映光OD+30°,眼球运动无受限,阿托品膏散瞳验光右+3.75DS/1.75DC×90=0.6左+2.25DS/0.25DC×90=1.0。 治疗首先考虑()
A.配凹镜片及弱视训练
B.配凸镜片及弱视训练
C.药物治疗
D.手术治疗
E.局部理疗
50、多项选择题 关于前房积血的处理正确的是()
A.应用止血剂
B.必要时前房冲洗
C.测量眼压
D.缩小瞳孔
E.卧床休息,取平卧位
51、多项选择题 弱视注视性质类型有()
A.旁中心注视
B.中心注视
C.远周边注视
D.周边注视
E.黄斑旁注视
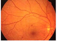
52、单项选择题
患者,男性,35岁,双眼高度近视。2周前觉右眼下方黑影,3天前视力骤降。检查右眼矫正视力0.01,眼前段(-),眼底检查如图,首先考虑的诊断是()
A.视网膜色素变性
B.老年黄斑变性
C.视网膜中央动脉栓塞
D.视网膜脱离
E.高度近视黄斑变性
53、多项选择题 新生儿出生后应常规应用()
A.0.5%四环素眼膏
B.贝复舒眼药水
C.贝他舒眼药水
D.氯霉素眼药水
E.EDTA眼药水
54、单项选择题 视物变形不见于()
A.青光眼
B.黄斑裂孔
C.视网膜脉络膜瘤
D.视网膜出血
E.视网膜脱离
55、单项选择题 主观验光时,红绿平衡显示红色比绿色清晰,这表示()
A.近视过矫
B.近视欠矫
C.远视欠矫
D.散光未矫
E.矫正平衡
56、多项选择题 玻璃体的功能主要有()
A.代谢作用
B.具有屏障作用
C.支撑晶状体和视网膜
D.在胚胎时期对眼球发育起重要作用
E.保持玻璃体腔的高度透明
57、多项选择题 睑腺炎的特征包括()
A.内睑腺炎范围较弥散
B.患处红肿热痛
C.外睑腺炎的炎症反应集中在睫毛根部的睑缘处
D.如感染靠近内眦部,会引起反应性球结膜水肿
E.常见致病菌为金黄色葡萄球菌
58、单项选择题 一名远视患者,远视力为0.8,先作主观验光,用+2.5DS的镜片后,远视力提高到1.5,再慢慢增加镜片的度数至+5.5DS时远视力仍然保持1.5,再增加镜片的度数远视力下降,用阿托品麻痹使睫状肌调节放松后检影结果为+6.5DS 该患者的显性远视度数为()
A.+2.5D
B.+3D
C.+5.5D
D.+ID
E.+6.5D
59、多项选择题 前葡萄膜炎时KP按形状可分为()
A.中等大
B.羊脂状
C.圆形
D.三角形
E.尘状
60、单项选择题 睑外翻的病因中不包括()
A.老年眼轮匝肌松弛
B.动眼神经麻痹
C.面神经麻痹
D.眼睑皮肤烧伤
E.眼睑皮肤手术
61、多项选择题 有关真性糖尿病性白内障的叙述正确的是()
A.可伴有屈光变化
B.多为双眼发病
C.发生较早,进展较快,容易成熟
D.多发生于严重的幼年型糖尿病患者
E.开始时,在前囊下的皮质区出现无数分散的、灰色或蓝色雪花样或点状混浊
62、多项选择题 关于交感性眼炎的叙述正确的是()
A.潜伏期3~6个月
B.主要与细胞免疫有关
C.属迟发性自身免疫性疾病
D.主要与体液免疫有关
E.摘除诱发眼多不能终止病程
63、多项选择题 双眼视觉功能失调后可能产生的眼功能变化有()
A.异常视网膜对应
B.斜视
C.复视
D.弱视
E.旁中心注视
64、多项选择题 眼周注射的方法包括()
A.球结膜下注射
B.玻璃体腔内注射
C.球后注射
D.前房内注射
E.球筋膜下注射
65、单项选择题 视交叉的病变包括()
A.脑垂体肿瘤
B.鞍结节脑膜炎
C.颅咽管瘤
D.前交通动脉瘤
E.以上均是
66、单项选择题 屈光参差超过多少度数以上会出现融像困难()
A.2.00D
B.2.50D
C.3.00D
D.3.50D
E.4.00D
67、单项选择题 玻璃体后脱离时()
A.多数有急性症状
B.有闪光感
C.多数有视网膜脱离发生
D.无眼前飘忽感
E.多伴有视网膜裂孔的发生
68、多项选择题 属于主觉验光的有()
A.检影验光
B.红绿测试
C.直接试镜片法验光
D.电脑验光
E.综合验光仪验光
69、单项选择题 准分子激光的波长为()
A.191nm
B.193nm
C.195nm
D.197nm
E.199nm
70、单项选择题 关于渐变多焦点镜片的说法正确的是()
A.只能看清近距离的物体
B.只能看清中距离的物体
C.只能看清远距离的物体
D.镜片下方为近视区
E.镜片范围内无变形(像差)区
71、单项选择题 关于脑膜瘤下列描述不正确的是()
A.多见于中年妇女
B.发生于儿童则预后更差
C.影像学表现呈多样性
D.治疗主要是手术
E.易复发,多数为恶性
72、单项选择题
(如图)患者,男性,右眼剔除角膜异物后一天,有畏光、流泪、视力下降,检查右眼视力O.1,无法矫正,结膜混合充血,角膜表面见3mm×2mm大小的黄白色坏死灶,周围水肿,前房积脓1mm,最可能的诊断是()
A.铜绿假单胞菌性角膜溃疡
B.蚕食性角膜溃疡
C.真菌性角膜溃疡
D.病毒性角膜溃疡
E.匐行性角膜溃疡
73、单项选择题 患者,男,20岁。主因双眼红、痒、视力下降2天就诊。查:双眼结膜混合性充血,角膜后细小KP,房水闪辉(++),瞳孔缩小,瞳孔缘部分虹膜后粘,晶状体无混浊,眼底未见明显异常,指测眼压Tn。 对于该病人的处理,哪项不正确()
A.立即应用1%匹罗卡品眼药水点眼
B.局部频点氯地眼药水
C.结膜下注射庆大霉素2万单位,地塞米松2mg
D.服泰普芬胶囊
E.可静脉点滴青霉素
74、单项选择题 不通过眶下裂的组织结构有()
A.眼下静脉
B.第Ⅴ脑神经的上颌支
C.第Ⅲ、Ⅳ脑神经
D.颧神经
E.蝶腭神经节分支
75、单项选择题 海绵窦血栓可有()
A.眼眶疼痛
B.视力下降
C.眼球突出
D.结膜血管扩张
E.以上都对
76、单项选择题 下列哪一项不能增加滴眼药后眼部对药物的吸收()
A.在滴第一滴药后马上滴第二滴
B.滴两种不同的药物时,应间隔10分钟
C.滴药后压迫泪囊部
D.滴药后轻轻闭眼休息3~5分钟
E.在滴眼之前加滴一次表面麻醉药
77、单项选择题 视网膜捕获光线并将微量的光能转化为神经反应的部位是()
A.色素上皮层
B.光感受器外节
C.光感受器内节
D.视网膜外核层
E.视网膜双极细胞
78、多项选择题 维持眼表健康的主要因素为()
A.泪液质量正常
B.角膜缘干细胞功能正常
C.结膜和角膜上皮的正常表型
D.眼睑解剖功能正常
E.相关的感觉神经、运动神经功能正常
79、单项选择题 功能小梁是指()
A.小梁网的前1/3
B.小梁网的前2/3
C.小梁网的后1/3
D.小梁网的后2/3
E.小梁网的前3/5
80、单项选择题 视盘水肿的发生率一般占颅内肿瘤的()
A.1%~10%
B.10%~20%
C.20%~40%
D.40%~60%
E.60%~80%
81、多项选择题 根据前房角形态、病因机制及发病年龄,将青光眼分为()
A.原发性闭角型青光眼
B.继发性青光眼
C.新生血管性青光眼
D.原发性开角型青光眼
E.先天性青光眼
82、单项选择题 一主子午线聚焦在视网膜上,另一主子午线聚焦在视网膜之后称为()
A.单纯近视散光
B.单纯远视散光
C.复合近视散光
D.复合远视散光
E.混合散光
83、单项选择题 对于流行病学研究中常见的两类错误,下列说法中错误的是()
A.通过降低检验水准,Ⅰ类错误会减少
B.通过降低检验水准,Ⅱ类错误会减少
C.工类错误即假阳性错误
D.Ⅱ类错误即假阴性错误
E.无法同时减少工、Ⅱ类错误
84、单项选择题
患者,女性,30岁,左眼视力下降1周,检查左眼视力0.8,眼前段(-),眼底检查如图,对该病治疗描述正确的是()
A.渗漏点距中心凹200um以外,可激光凝固渗漏点
B.血管扩张药可使病程缩短
C.糖皮质激素有效
D.必要时可行手术
E.可用冷冻治疗
85、单项选择题 某男,28岁,右眼被石灰烧伤 后期治疗原则是()
A.控制感染
B.防止瞳孔后粘连
C.抑制胶原合成
D.抑制新生血管形成
E.促进角膜修复
86、单项选择题 下列指标中,随着研究样本量的增加而减少的是()
A.有效性
B.选择偏倚
C.准确性
D.随机误差
E.系统误差
87、多项选择题 关于变应性结膜炎的特点()
A.形成广泛脸球粘连
B.无季节性加重
C.结膜乳头中等大小,且上下睑同样明显
D.晶状体有特征性后囊下或前囊下混浊
E.有广泛角膜血管化和混浊
88、单项选择题 眼部滴用的糖皮质激素的适应症不包括()
A.泡性结膜角膜炎
B.角膜基质炎
C.病毒性角膜炎
D.春季卡他性结膜炎
E.膜睫状体炎
89、单项选择题 视网膜裂孔边缘翻卷,表面皱褶,考虑病变为哪一级()
A.增生性玻璃体视网膜病变A
B.增生性玻璃体视网膜病变B
C.增生性玻璃体视网膜病变C1
D.增生性玻璃体视网膜病变D
E.增生性玻璃体视网膜病变C1-3
90、单项选择题 患者,男,55岁,双眼视物成双半月,检查;血压140/85mmHg,韶力右1.0,左1.0,双眼前节及眼底未见异常,角膜映光点在右眼颞侧瞳孔缘,右眼外转不能过中线。同视机检查OS注视L-3°|+17°|+30°R。 最可能的诊断()
A.共同性内斜视
B.共同性外斜视
C.麻痹性内斜视
D.麻痹性外斜视
E.麻痹性上斜视
91、多项选择题 下列关于巩膜炎葡萄肿的是()
A.前巩膜葡萄肿是指膨出位于睫状体区
B.前巩膜葡萄肿早期可试行减压术
C.B超有助于诊断
D.若患眼视力无光感且疼痛,可行眼球摘除术
E.后巩膜葡萄肿位于眼底及视盘周围,多见于高度近视
92、单项选择题 隐匿性巩膜破裂()
A.破裂部位在角巩膜缘
B.破裂部位赤道部以前
C.破裂部位在斜肌下
D.破裂部位在扁平部
E.破裂部位在直肌下或后部巩膜
93、单项选择题 下列关于知觉型眼震的说法,错误的是()
A.病因是视觉性传出机制的缺陷
B.常见原因有高度屈光不正,先天性青光眼,白内障等
C.常为双侧水平性眼震,呈钟摆型
D.集合可抑制眼震
E.常引起异常头位
94、单项选择题 下列关于视野缺损的描述错误的是()
A.位于中央注视区的相对或绝对暗点称中心暗点,常同时伴有中心视力的减退
B.象限性缺损多见于视交叉以上的视路损害
C.旁中心暗点常见于青光眼的早期损害,向心性视野缩小常见于晚期青光眼
D.生理盲点纵径>9.5°,横径>7.5°,可考虑生理盲点扩大
E.双颞侧偏盲说明颞侧视网膜功能障碍,常见于垂体的压迫
95、单项选择题 睑腺炎属于()
A.化脓性炎症
B.慢性炎症
C.慢性非特异性炎症
D.黏液性炎症
E.慢性肉芽肿性炎症
96、单项选择题 全身给药后,药物对眼内的通透性不受下列哪个因素的影响()
A.药物生物利用度
B.药物的水溶性
C.药物血清蛋白结合率
D.血眼屏障
E.药物的脂溶性
97、单项选择题 手术显微镜的叙述不正确的是()
A.工作距离指物镜至术眼的距离
B.工作距离等于物镜的焦距
C.总放大率等于目镜放大率与物镜放大率的乘积
D.照明系统多采用同轴照明
E.手术显微镜的物镜焦距常用的有150mm、170mm和200mm
98、单项选择题 睑板腺囊肿好发于()
A.婴儿
B.幼儿
C.青少年
D.老年
E.以上都不是
99、单项选择题 以下疾病主要病变部位不在黄斑区的是()
A.Best病
B.AMD
C.Stargardt病
D.Eales病
E.以上都不是
100、多项选择题 房水循环的路径为()
A.由睫状突无色上皮生成
B.到前房角小梁网
C.经后房通过瞳孔到达前房
D.进入Sehlemm管
E.经巩膜内集合管至睫状前静脉
101、单项选择题 关于视网膜母细胞瘤的描述,下列错误的是()
A.是婴幼儿最常见的眼内恶性肿瘤
B.常以白瞳征为首发体征
C.瘤细胞可脱落进入前房形成假性积脓
D.瘤细胞圆形、椭圆形,细胞质较少,可有Flexner-Wintersteinei菊花团
E.是发生于视网膜的良性肿瘤
102、单项选择题 视网膜结核主要的临床表现不包括()
A.视网膜水肿
B.结核性视网膜炎
C.视网膜结核结节
D.结核性视网膜静脉周围炎
E.结核性视网膜动脉炎
103、单项选择题 关于角膜映光法下列说法正确的是()
A.用于判断有无斜视,并估计斜视角
B.用于判断有无斜视,不包括隐斜视,并估计斜视角
C.用于判断有无麻痹性斜视
D.用于判断有无隐斜视
E.以上都不正确
104、单项选择题 患者女性,55岁。小梁切除术后第二天,眼压34mmHg,球结膜滤过泡扁平,前房深。最可能的原因是()
A.恶性青光眼
B.滤过泡瘢痕化
C.脉络膜脱离
D.滤过过强
E.巩膜切除口阻塞
105、多项选择题 真菌在下列条件下易致眼组织损伤()
A.长期应用免疫抑制剂
B.过敏
C.外伤
D.长期应用抗生素
E.发热
106、单项选择题 某男,28岁,右眼被石灰烧伤 如果在现场采用清水冲洗伤眼,应至少冲洗()
A.10分钟
B.20分钟
C.30分钟
D.50分钟
E.60分钟
107、多项选择题 下列论述甲状腺相关性眼病正确的是()
A.通常是双眼
B.伴有眼睑后退和睑裂开大
C.通常无视力障碍
D.伴有辐辏不全和眼球运动障碍
E.甲状腺功能异常与眼球突出度有密切的平行关系
108、单项选择题 下列哪项属于睫状充血的描述()
A.血管形态粗大弯曲
B.患者视力多正常
C.血管分支不清晰
D.常伴大量分泌物
E.血管来源于结膜后动脉
109、单项选择题 正常24小时眼压波动范围()
A.10~21mmHg
B.≤5mmHg
C.≤8mmHg
D.>5mmHg
E.>8mmHg
110、单项选择题 一般认为,人眼可辨认的最小视角为()
A.1’
B.5’
C.10’
D.1"
E.5"
111、单项选择题 已知视网膜动脉阻塞最常见的原因是()
A.巨细胞性动脉炎
B.颈动脉病
C.心脏瓣膜病
D.心律不齐
E.感染性心内膜炎
112、单项选择题 硬脑膜外血肿在眼科的一个重要体征是()
A.眼球突出
B.眼球运动障碍
C.眼眶皮下淤血
D.眼眶皮下气肿
E.瞳孔改变
113、单项选择题 垂体瘤的典型早期视野改变为什么象限缺损()
A.颞上
B.颞下
C.鼻上
D.鼻下
E.以上都不对
114、多项选择题 有助于后葡萄膜炎的诊断方法有()
A.PCR测定
B.FFA
C.视野
D.B超
E.ICGA
115、单项选择题 一名远视患者,远视力为0.8,先作主观验光,用+2.5DS的镜片后,远视力提高到1.5,再慢慢增加镜片的度数至+5.5DS时远视力仍然保持1.5,再增加镜片的度数远视力下降,用阿托品麻痹使睫状肌调节放松后检影结果为+6.5DS 该患者的绝对远视度数为()
A.+2.5D
B.+3D
C.+5.5D
D.+1D
E.+6.5D
116、单项选择题 多发性硬化以视神经、脊髓和脑干等为好发部位,多发生在下列哪一年龄组()
A.10~20岁
B.20~30岁
C.25~40岁
D.40~50岁
E.50岁以上
117、单项选择题 关于视网膜检影,下列哪项是正确的()
A.是一种主观测量眼的屈光力的方法
B.只能用带状光检影镜来检测
C.工作距离是一个恒定的值
D.工作镜的度数等于检测者的检影距离(m)的倒数
E.视网膜检影的中和是一个点
118、单项选择题 以下关于配偶肌和拮抗肌说法是正确的是()
A.右外直肌与右内直肌是配偶肌
B.右外直肌与左内直肌是拮抗肌
C.上直肌与下斜肌在旋转运动时是拮抗肌
D.上斜肌与下斜肌是配偶肌
119、单项选择题 以下关于外伤性黄斑裂孔哪项说法是错误的()
A.可行激光治疗
B.有视网膜脱离者行手术治疗
C.由钝挫伤造成局部的坏死及玻璃体牵拉所致
D.可在伤后立即出现
E.可在伤后水肿消退后出现
120、单项选择题 下面对于正常玻璃体功能表述不正确的是()
A.支持作用
B.保持透明
C.促进细胞增殖
D.促进眼球发育
E.代谢作用
121、单项选择题 Vogt栅位于()
A.角膜
B.角巩膜缘
C.虹膜睫状体交界处
D.巩膜
E.虹膜
122、多项选择题 脉络膜转移癌特点()
A.CT、MRI、超声波、FFA有助诊断
B.常双眼受累
C.有全身其他部位肿瘤病史
D.视网膜下液
E.后极部视网膜下灰黄色或黄白色结节状扁平隆起
123、多项选择题 白瞳症可见于()
A.早产儿视网膜病变
B.视网膜母细胞瘤
C.先天性白内障
D.Coat’s病(视网膜毛细管扩张)
E.转移性眼内炎
124、多项选择题 可累及角膜的眼病()
A.淋菌性结膜炎
B.春季卡他性结膜炎
C.霰粒肿
D.睑腺炎
E.干眼症
125、单项选择题 哪种眼病不会出现闪光视觉()
A.视网膜脱离
B.急性视网膜脉络膜炎
C.眼球外伤
D.原发性开角型青光眼
E.急性玻璃体后脱离
126、多项选择题 外伤性眼内炎的主要特征有()
A.玻璃体雪球样混浊
B.球结膜高度水肿、充血
C.角膜混浊
D.前房积脓
E.视力严重下降
127、单项选择题 影响药物透过角膜的因素不包括()
A.药物的浓度
B.溶解度
C.粘滞性与脂溶性
D.角膜直径的大小
E.表面活性
128、单项选择题 粘弹剂在眼科手术中的作用主要包括()
A.产生并维持空间,便于手术操作
B.保护角膜内皮细胞
C.帮助止血
D.帮助恢复前房,维持眼内压
E.以上选项均正确
129、单项选择题 下列葡萄膜恶性黑色素瘤哪一类预后最好()
A.上皮细胞型
B.梭形细胞型
C.混合细胞型
D.坏死型
E.气球状细胞型
130、单项选择题 受滑车神经支配的是()
A.内直肌
B.上直肌
C.上斜肌
D.下斜肌
E.外直肌
131、多项选择题 决定人工晶体屈光度的因素有()
A.眼轴
B.角膜曲率
C.晶状体的厚度
D.人工晶体A常数
E.患者的年龄
132、单项选择题 贫血所引起的最常见的眼底表现是()
A.视神经萎缩
B.黄斑水肿
C.视网膜前膜
D.视网膜剥离
E.视网膜出血
133、单项选择题 下列属于Ⅰ型超敏反应的是()
A.春季性结膜炎
B.蚕食性角膜溃疡
C.内分泌性突眼
D.眼眶性炎性假瘤
E.交感性眼炎
134、单项选择题 下列哪项检测不适用于屈光间质混浊的患者()
A.电脑自动验光仪检测
B.干涉条纹视力检测
C.视网膜视力计
D.潜在视力测量仪
E.B超
135、单项选择题 新生儿,生后第3天,家长发现患儿双眼发红流泪,且伴有大量脓性分泌物。查:双眼睑高度水肿,结膜充血水肿,结膜囊可见大量黄绿色脓性分泌物,角膜清,余检查不配合。 哪种检测方法有助于诊断和治疗()
A.分泌物做细菌培养+药敏试验
B.免疫荧光
C.PCR
D.B超
E.CT
136、单项选择题 视网膜内屏障的构成,以下说法正确的是()
A.由视网膜色素上皮组成
B.介于视网膜与玻璃体之间
C.由视网膜内界膜组成
D.阻挡脉络膜血管内的血液成分渗漏至视网膜内
E.由视网膜血管内皮间的连接复合体组成
137、单项选择题 下列有关视觉症状错误的是()
A.视物模糊,眼干燥症者,常诉下午较模糊
B.眼前黑影飘动多见于近视眼及老年人
C.晶状体硬化可产生晶状体性虹视
D.晶状体或玻璃体混浊均可致眼前黑影无规律飘动
E.单眼性复视主要为屈光不正造成,双眼复视(遮盖任何一眼无复视)为眼球运动复视
138、单项选择题 西方国家老年人致盲的最主要原因是()
A.白内障
B.青光眼
C.角膜病
D.老年性黄斑变性
E.糖尿病性视网膜病变
139、单项选择题 关于成人重症肌无力,下列说法错误的是()
A.临床上常用新斯的明或依酚氯铵注射以确定诊断
B.虽为全身性疾病,但并非全身肌肉平均受累,往往有所侧重
C.本病多发生在20~40岁,女性多见,但幼儿及儿童也常见到
D.是自身免疫性全身性肌病,主要损害横纹肌
E.80%~90%的患者首发症状是眼球外展受限
140、单项选择题 眶搏动不伴有杂音()
A.脑膜脑膨出
B.颈动脉海绵窦瘘
C.眶脓肿
D.眼眶静脉曲张
E.海绵状血管瘤
141、单项选择题 系统性红斑狼疮的眼部表现主要在()
A.结膜
B.角膜
C.虹膜
D.晶状体
E.视网膜
142、单项选择题 黄色瘤合并血脂异常的比例为()
A.20%
B.40%
C.10%
D.30%
E.50%
143、多项选择题 可引起流泪的疾病有()
A.面神经损伤
B.倒睫
C.下睑外翻
D.三叉神经炎
E.鼻泪管狭窄
144、单项选择题 患者,男,55岁,双眼视物成双半月,检查;血压140/85mmHg,韶力右1.0,左1.0,双眼前节及眼底未见异常,角膜映光点在右眼颞侧瞳孔缘,右眼外转不能过中线。同视机检查OS注视L-3°|+17°|+30°R。 该患者最可能出现的代偿头位是()
A.面向右转,视线向左
B.面向左转,视线向右
C.面向右转,视线向右
D.面向左转,视线向左
E.头向左肩倾,面向右转
145、多项选择题 现眼压计测量法包括()
A.压陷式
B.压平式
C.指压式
D.非接触式
E.激光式
146、多项选择题 下述关于视力表述正确的为()
A.主反映黄斑中心凹的功能
B.用对物体的最小分辨角来表示
C.又称视敏度
D.是分辨三维物体位置与形状的能力
E.分远、近视力
147、多项选择题 关于玻璃体积血正确的是()
A.查明和治疗原发疾病
B.早期用凉血止血药,后期用活血化瘀药物可显著促进吸收
C.突然发作,视力明显下降
D.积血超过6个月会产生白内障和视网膜脱离
E.裂隙灯检查可见点状或块状红色混浊
148、单项选择题 睫状后长动脉斜穿进入巩膜处位于()
A.视神经外侧约1mm处
B.视神经外侧约2mm处
C.视神经外侧约4mm处
D.赤道附近
E.四条直肌两侧
149、多项选择题 下列哪项属于白内障超声乳化术的优点()
A.手术适应症较广
B.减少脉络膜渗出及出血
C.术后视力恢复快
D.超声乳化技术容易掌握
E.减少角膜散光
150、多项选择题 糖尿病性视网膜病变早期眼底特征性表现是()
A.视网膜水肿
B.微动脉瘤
C.硬性渗出
D.视网膜内出血
E.软性渗出
151、单项选择题 以下哪项不是对数视力表的特点()
A.根据Weber-Fechner法则设计
B.各行视标大小按照几何级数增减
C.以1分视角作为标准视力
D.视力记录不是按照算术级数增减
E.视标从小到大每行增1.2589倍
152、单项选择题 某女,36岁,右眼被碎玻璃溅伤1天。检查:全身情况尚可,右眼视力:手动,左眼视力:1.2;颞侧角膜可见穿通伤口。 如果异物位于晶状体内,但晶状体大部分尚透明,应采取何种治疗措施()
A.原伤口取出异物
B.不必立即取出异物
C.经睫状体扁平部切口取异物
D.摘除晶状体的同时取出异物
E.行玻璃体切除术取出异物
153、单项选择题 反映一组性质相同的观测值的平均水平,常选用算数平均数和几何平均数。适合用几何平均数计算的资料应该是服从()
A.正态分布
B.负偏态分布
C.对数正态分布
D.t分布
E.任意分布均可
154、多项选择题 视网膜脱离的高危因素有()
A.老年人
B.无晶体眼
C.眼外伤
D.高度远视
E.人工晶体眼
155、单项选择题 理论上的双眼单视界是()
A.通过注视点和双眼结点的圆周
B.通过注视点,垂直于双眼平面的直线
C.通过注视点,平行于双眼平面的直线
D.只有注视点
E.以上均不是
156、单项选择题 患者,男,10岁,右眼肿胀,疼痛伴头痛2天,检查见:T39.2°C,鼻尖右侧有一疖肿。眼部情况:视力右0.8右1.2,右眼上、下睑皮肤红肿(+++),右眼球轻度向前突出,球结膜充血水肿(++),角膜透明,房闪(-),眼底未见异常,右眼转动疼痛剧烈,左眼(-)。 下列哪一种检查最能帮助诊断()
A.血常规
B.泪道冲洗
C.眼部B超
D.血常规+眼眶CT
E.颈动脉造影
157、单项选择题 使眼球向正前方突出的肿瘤多位于眼眶哪个间隙()
A.骨膜外间隙
B.肌锥外间隙
C.肌锥内间隙
D.眼球筋膜与巩膜之间隙
E.眼球内
158、单项选择题 玻璃体积血是由于()
A.玻璃体本身血管破裂
B.睫状体、视网膜或脉络膜的血管损伤引起
C.前房角挫伤
D.房角后退
E.玻璃体变性
159、多项选择题 施行泪囊鼻腔吻合术主要的是()
A.骨孔前界不超过泪嵴前3mm
B.确定下鼻道位置
C.鼻黏膜与泪囊黏膜瓣缝合
D.确定中鼻道位置
E.不要伤及鼻黏膜
160、单项选择题 以下为产生双眼单视的必要条件,除外()
A.双眼能共同注视目标
B.有良好的网膜及视神经传导功能
C.视皮质具有融像功能
D.双眼无恒定性斜视
E.双眼屈光状态必须正常
161、单项选择题 球后视神经炎可有()
A.视力明显下降
B.早期眼底正常
C.视野有中心或旁中心暗点
D.VEP的P100延缓或消失异常
E.以上都对
162、单项选择题 HIV病毒感染后眼部可能出现以下哪种肿瘤()
A.Kaposi肉瘤
B.Krukenberg肿瘤
C.WiIres瘤
D.Pancoast瘤
E.Crohn病
163、多项选择题 向心性视野缩小可见于()
A.中心性浆液性视网膜脉络膜病变
B.黄斑变性
C.视网膜色素变性
D.癔病
E.青光眼晚期
164、单项选择题 眼球壁包括()
A.角膜-巩膜-虹膜-视网膜
B.结膜-角膜-巩膜-视网膜
C.角膜-巩膜-葡萄膜-视网膜
D.角膜-巩膜-睫状体-视网膜
E.角膜-巩膜-脉络膜-视网膜
165、单项选择题 单纯疱疹病毒性角膜炎属于()
A.化脓性炎症
B.慢性炎症
C.慢性非特异性炎症
D.黏液性炎症
E.慢性肉芽肿性炎症
166、多项选择题 关于先天性梅毒性角膜基质炎的特点()
A.多数角膜可恢复透明
B.常伴虹膜炎
C.角膜基质深层水肿,角膜增厚
D.可累及双眼,女性多于男性
E.可有畏光、流泪等刺激症状
167、多项选择题 1987年WHO判断沙眼的体征有()
A.角膜混浊
B.弥慢性结膜炎症
C.倒睫或睑内翻
D.睑结膜瘢痕
E.有无滤泡性结膜炎症
168、多项选择题 眶外壁由下列哪几块骨构成()
A.上颌骨
B.额骨
C.腭骨
D.蝶骨
E.颧骨
169、单项选择题 前房变深,虹膜震颤是皮质性白内障发展到了哪一期()
A.初发期
B.未成熟期
C.成熟期
D.过熟期
E.以上均不是
170、多项选择题 Behcet病的临床表现有()
A.皮肤色素脱失
B.视网膜炎
C.生殖器溃疡
D.口腔溃疡
E.复发性色素膜炎
171、单项选择题 不符合先天性无虹膜临床表现的是()
A.多为单眼发病
B.瞳孔区极度散大,几乎和角膜范围相等
C.常合并晶状体混浊、黄斑发育不良、视乳头发育不良、先天性青光眼等
D.可见到晶状体赤道边缘、悬韧带及睫状突
E.自觉畏光,视力差,常伴弱视
172、多项选择题 下列哪几项可引起晶体脱位()
A.眼外伤
B.前部葡萄膜炎
C.Marchesani综合征
D.视网膜脱离
E.Marfan综合征
173、单项选择题 下列关于海绵状血管瘤描述正确的是()
A.包膜多不完整
B.肿瘤内含有平滑肌
C.常影响视力
D.A超内反射为中低波
E.多数可自发消退
174、单项选择题 眼球运动神经麻痹的常见原因()
A.高血压
B.结核病
C.尿毒症
D.感染性心内膜炎
E.糖尿病
175、单项选择题 新生儿,生后第3天,家长发现患儿双眼发红流泪,且伴有大量脓性分泌物。查:双眼睑高度水肿,结膜充血水肿,结膜囊可见大量黄绿色脓性分泌物,角膜清,余检查不配合。 该患儿最可能的诊断是()
A.春季结膜炎
B.新生儿淋球菌性结膜炎
C.病毒性结膜炎
D.包涵体性结膜炎
E.Stevens-Johnson综合征
176、单项选择题 眼球转动时疼痛常见于()
A.巩膜炎
B.屈光性疼痛
C.角膜贯通伤
D.急性视神经炎
E.高眼压性眼痛
177、单项选择题 关于眼的血液供应,叙述正确的是()
A.眼球血供来自颈内动脉的眼动脉
B.眼动脉经眶下裂人眶内
C.眼动脉在眶隔的前方分支
D.视网膜中央动脉不属于终末动脉
E.眼动脉分为视网膜中央动脉系统和睫状动脉系统
178、单项选择题 肝豆状核变性是因为下列哪种物质代谢障碍所引起的()
A.铁
B.锌
C.镁
D.铜
E.铅
179、多项选择题 结膜炎的治疗原则有()
A.药膏涂眼
B.注意防止交叉感染
C.全身治疗
D.滴眼液点眼
E.结膜囊冲洗
180、单项选择题
关于视网膜深层出血(如图)描述错误的是()
A.表现为小的圆点状出血,色暗红
B.为视网膜深层毛细血管的出血
C.位于外丛状层和内核层之间
D.多呈线状、条状及火焰状
E.多见于静脉性损害的疾病
181、单项选择题 比较两条生存曲线是否存在统计学差异的最佳方法是()
A.Kaplan-Meier检验
B.Actuarial检验
C.Log-Rank检验
D.配对T检验
E.两样本T检验
182、多项选择题 糖尿病性视网膜病变可引起下列哪些眼部病变()
A.新生血管性青光眼
B.近视眼
C.玻璃体积血
D.虹膜红变
E.视网膜脱离
183、单项选择题 如果在处理定量资料时用多次t检验取代方差分析和两两比较,这样做将导致()
A.计算量增大
B.假阳性错误率增大
C.结果无变化
D.假阳性错误率减小
E.假阴性错误率增大
184、单项选择题 从前往后,泪膜的结构为()
A.水液层,脂质层,黏蛋白层
B.脂质层,黏蛋白层,水液层
C.脂质层,水液层,黏蛋白层
D.水液层,黏蛋白层,脂质层
E.黏蛋白层,水液层,脂质层
185、单项选择题 原发性青光眼可能是()
A.多因素遗传病
B.先天性疾病
C.家族性疾病
D.单基因遗传病
E.线粒体遗传病
186、单项选择题 进行成组设计资料的t检验和方差分析之前要考虑资料是否符合两个重要的前提条件,即()
A.同质性和方差齐性
B.正态性和均衡性
C.正态性和方差齐性
D.正态性和可加性
E.方差齐性和同质性
187、多项选择题 视网膜中央静脉阻塞的易患因素有()
A.高血压
B.高度近视
C.动脉硬化
D.大视盘
E.糖尿病
188、单项选择题 垂直斜视下列说法不正确的是()
A.成年后获得性垂直斜视较常见
B.可由先天性解剖异常引起
C.其命名习惯根据注视眼而定
D.治疗不一定通过手术方式、
E.发病年龄在6~8岁以后则常出现复视现象
189、多项选择题 睫状充血的特点有()
A.起源于角膜缘深层血管
B.充血的血管可随手指移动
C.呈鲜红色
D.愈近角膜缘充血愈明显
E.滴入0.1%肾上腺素充血消失
190、单项选择题 患者,男,10岁,右眼肿胀,疼痛伴头痛2天,检查见:T39.2°C,鼻尖右侧有一疖肿。眼部情况:视力右0.8右1.2,右眼上、下睑皮肤红肿(+++),右眼球轻度向前突出,球结膜充血水肿(++),角膜透明,房闪(-),眼底未见异常,右眼转动疼痛剧烈,左眼(-)。 患者住院后出现剧烈头痛,左眼外转中度受限,右眼底视乳头水肿,患者目前最可能的诊断是()
A.面部脓肿继发眶蜂窝织炎
B.海绵窦血栓形成
C.眼眶脓肿
D.眼眶骨髓炎
E.颅内感染
191、单项选择题 以下哪项疾病属于急症()
A.黄斑囊样水肿
B.视网膜海绵状血管瘤
C.糖尿病性黄斑水肿
D.中心性浆液性脉络膜视网膜病变
E.视网膜中央动脉阻塞
192、单项选择题 以下哪种病毒是流行性出血性结膜炎的常见致病病毒()
A.巨细胞病毒
B.单纯疱疹病毒
C.肠道病毒70型
D.EB病毒
E.艾滋病病毒
193、单项选择题 主要潜伏在三叉神经节感觉神经细胞内,主要引起生殖器以外的皮肤及黏膜感染的病毒是()
A.单纯疱疹病毒Ⅰ型(HSV-Ⅰ型)
B.单纯疱疹病毒Ⅱ型(HSV-Ⅱ型)
C.巨细胞病毒
D.腺病毒
E.柯萨奇病毒A24
194、单项选择题 对自动验光仪叙述错误的是()
A.其设计基于间接检眼镜原理
B.通过改变人瞳光线的聚散度使光标在视网膜的反射面上清晰成像
C.只能使用可见光作为检测光源
D.屈光间质混浊时测量结果误差较大
E.被检眼观察器械时的调节引起的器械性近视是自动验光中的一个主要问题
195、多项选择题 玻璃体积血常见于()
A.以上全是
B.糖尿病性视网膜病变
C.视网膜血管炎
D.视网膜中央动脉栓塞
E.视网膜中央静脉阻塞
196、多项选择题 引起视物变形的疾病有()
A.虹膜后粘连
B.视网膜脱离
C.中心性浆液性视网膜脉络膜病变
D.青光眼
E.老年性黄斑变性
197、单项选择题 流行性角结膜炎的病原体不包括()
A.腺病毒7型
B.腺病毒8型
C.腺病毒19型
D.腺病毒29型
E.腺病毒37型
198、多项选择题 原发性急性闭角型青光眼先兆期会有()
A.视力仅为光感
B.突然视力模糊
C.突然眼胀痛
D.突然眼剧烈胀痛
E.剧烈头痛伴呕吐
199、多项选择题 青光眼病人术后随诊应注意()
A.用药情况
B.对于先天性青光眼患儿测量眼轴
C.视神经变化情况
D.3个月或半年复查视力及视野
E.眼压维持在<15.88mm%
200、单项选择题 正常成人玻璃体腔容积约为()
A.2ml
B.3ml
C.3.5ml
D.4.5ml
E.5ml
201、单项选择题 滴用阿托品后进行验光,这时去除了()
A.近觉性调节
B.融像性调节
C.所有的调节
D.物象模糊诱发的调节
E.张力性调节
202、多项选择题 关于脉络膜破裂正确的是()
A.视网膜的弹性比脉络膜大,视网膜可无影响
B.无特殊治疗
C.常发生在视盘与黄斑之间
D.呈弧形凹面朝向视盘
E.脉络膜大血管层完整
203、单项选择题 关于眼缺血综合征描述错误的是()
A.视网膜动脉变窄,静脉扩张
B.视力预后好
C.虹膜新生血管伴眼压升高者,可行广泛视网膜光凝
D.常因粥样硬化,或炎症性疾病致病
E.可出现视网膜出血及微动脉瘤
204、单项选择题 一物体置于球面透镜前10cm处,成像在透镜后方25cm处,此透镜的屈光力为()
A.+10.00D
B.+4.00D
C.+6.00D
D.+8.00D
E.+14.00D
205、多项选择题 急性结膜炎的常见致病菌为()
A.流感嗜血杆菌
B.Koch-Weeks杆菌
C.金黄色葡萄球菌
D.大肠杆菌
E.Morax-Axenfeld杆菌
206、单项选择题 视乳头是视野上生理盲点所对应的部位,主要原因为该处()
A.无脉络膜结构
B.无色素上皮
C.视细胞被视网膜中央动静脉遮盖
D.仅有神经纤维而无视细胞
E.仅有视杆细胞而无视锥细胞
207、多项选择题 下列哪项属于渐进镜的优点()
A.全程的清晰视力
B.无形的子片
C.良好自然的中间视觉
D.眼位、头位运动相对增加
E.视觉自然
208、单项选择题 准分子激光角膜原位磨镶术与准分子激光角膜切削术所引起的不同的并发症是()
A.角膜上皮植入
B.夜间眩光
C.单眼复视
D.不规则散光
E.术后欠矫
209、多项选择题 视乳头水肿应与下列哪些疾病鉴别()
A.视神经脊髓炎
B.视乳头血管炎
C.视乳头炎
D.缺血性视神经病变
E.假性视神经炎
210、单项选择题 为了直观反映两种眼部疾病的患病率随时间推移的变化速度,应选择()
A.普通线图
B.半对数线图
C.多边图或直方图
D.散布图
E.抛物线图
211、单项选择题 全世界致盲的首位原因()
A.沙眼
B.白内障
C.河盲
D.儿童盲
E.青光眼
212、单项选择题 下列不是我国盲和低视力患病率特点的是()
A.随年龄增加而增加
B.女性多见
C.农村多见
D.城市多见
E.致盲的主要原因为白内障
213、多项选择题 以下腺体中,称之为副泪腺的是()
A.Zeis腺
B.Meibom腺
C.Wolfring腺
D.Moll腺
E.Krause腺
214、单项选择题 患者,女,50岁。主因右眼被玉米叶划伤1天入院。查:右眼睫状充血,角膜颞上方可见一约2mm×3mm大小病灶、略隆起,表现较干燥,周边呈毛刺状改变,角膜基质层水肿、前房可见约1mm积脓。 关于该病人的治疗哪项不对()
A.局部应用氟康唑液点眼
B.全身应用抗真菌药
C.适量应用糖皮质激素
D.并发虹睫炎者用1%阿托品散瞳
E.保守治疗无效时,可行角膜移植
215、多项选择题 高眼压症是指()
A.眼压超过11~21mmHg范围
B.无眼痛、红、视力下降
C.无眼底损害表现
D.无视神经、视野损害
E.随访多年
216、单项选择题 自动视野计检查分类的叙述不正确的是()
A.包括阈上值检查、阈值检查和快速阈值检查三类
B.阈上值检查为视野的定性检查
C.阈值检查为视野的定性检查
D.阈值检查所需的时间最长
E.快速阈值检查通过智能趋势分析从而缩短了检测时间
217、单项选择题 脓漏眼多由下列哪种细菌引起()
A.肺炎双球菌
B.腺病毒
C.脑膜炎双球菌
D.葡萄球菌
E.淋病奈瑟菌
218、多项选择题 对衣原体敏感的药物有()
A.青霉素
B.四环素
C.两性霉素
D.红霉素
E.头孢菌素
219、多项选择题 机械性眼外伤一般包括()
A.辐射伤
B.钝挫伤
C.化学伤
D.穿孔伤
E.异物伤
220、单项选择题 肿瘤的异型性是指()
A.肿瘤实质与间质之间的差异
B.癌与肉瘤之间的差异
C.恶性瘤细胞与正常组织细胞之间的差异
D.良性增生与肿瘤性增生之间的差异
E.良性肿瘤与恶性肿瘤之间的差异
221、多项选择题 角膜的组织学特点有()
A.透明无血管
B.角膜中央略厚,周边略薄
C.有一定的弯曲度和光滑球面
D.有丰富的感觉神经末梢
E.由坚韧、致密的结缔组织构成
222、单项选择题 关于角膜混浊,下列描述错误的是()
A.按病程分:活动性角膜病变与陈旧性混浊
B.按程度分:薄翳,斑翳及白斑
C.按病变性质分:炎症性,外伤性,变态反应性,变性与营养不良性及瘢痕性混浊
D.角膜新生血管为结膜血管的侵入,位于角膜基质层
E.角膜的透明性主要依靠其组织的光学一致性
223、多项选择题 弱视可分为()
A.剥夺性弱视
B.屈光性弱视
C.屈光不正性弱视
D.子午线性弱视
E.斜视性弱视
224、单项选择题 眼的屈光间质由以下哪些部分构成()
A.角膜、房水、晶状体、玻璃体
B.晶状体、玻璃体、视网膜
C.瞳孔、晶状体、玻璃体
D.角膜、瞳孔、晶状体、玻璃体
E.房水、晶状体、玻璃体
225、单项选择题 遮盖、去遮盖试验用于检查()
A.判断交替性斜视的斜视眼
B.判断隐斜视的斜视眼
C.判断麻痹性斜视的斜视眼
D.判断恒定性斜视的斜视眼
E.以上都不正确
226、单项选择题 关于泪腺腺样囊性癌,下列哪一项描述是错误的()
A.好发于中、青年女性
B.眼球向前外下方突出
C.恶性程度高
D.癌组织容易侵犯神经和眶骨
E.癌细胞呈筛网状排列,腺腔内含嗜碱性黏液
227、单项选择题 关于Snellen视力表,以下说法错误的是()
A.是一种用于测量"最小阅读力"的视力表
B.根据1分视角的最小分辨角设计
C.每行视标大小按照几何级数增减
D.经典的Snellen分数表达法为最小分辨角的倒数
E.检查距离为5米或6米
228、单项选择题 受光刺激时,感光细胞上离子的进出主要由下列哪种物质控制()
A.cAMP
B.cTMP
C.cUMP
D.cGMP
E.cCMP
229、单项选择题 引起Coats病最终失明的主要原因是()
A.视网膜脱离
B.视网膜胆固醇结晶
C.静脉扩张
D.并发性白内障
E.以上都不对
230、单项选择题 硬脑膜外血肿时,如果一侧或双侧瞳孔开大,僵直大约多长时间以上,则很少有存活者()
A.15分钟以上
B.30分钟以上
C.60分钟以上
D.90分钟以上
E.120分钟以上
231、多项选择题 对于青光眼病人术后随访,出现何种情况应及时就诊()
A.突发眼胀痛
B.有异物感
C.出现虹视
D.眼睛干涩
E.读书后双眼不适
232、多项选择题 属于屈光不正的包括()
A.近视
B.老视
C.远视
D.散光
E.屈光参差
233、单项选择题 下列说法正确的是()
A.色觉是视网膜视杆细胞的一种功能,属于黄斑的功能
B.色盲分先天性和后天性两种。先天性多见于性连锁隐性遗传病,女多于男
C.暗光的辨认是视网膜视锥细胞的功能,分布于周边视网膜,接受暗光刺激产生视兴奋
D.在外界无光线刺激下出现的视觉称闪光视觉,常见于视网膜脱离、急性视网膜脉络膜炎、眼球外伤
E.视物变形指物像扭曲变形,或变大或变小。常发生于视网膜病变患者,如视网膜皱缩患者之视物变形变小
234、单项选择题 脉络膜脱离的B超特点不包括()
A.单个或多个圆顶形强回声光带,光带厚而平滑
B.后运动活跃
C.后端邻近视盘但不与视盘相连
D.多个大泡状隆起可呈对吻状
E.脉络膜全周脱离时,横向扫描显示花环形外观
235、单项选择题 大脑中动脉阻塞的眼部表现为()
A.同侧同向偏盲,有黄斑回避
B.对侧同向偏盲,有黄斑回避
C.对侧同向偏盲,无黄斑回避
D.同侧同向偏盲,无黄斑回避
E.以上都不对
236、单项选择题
孔源性视网膜脱离(如图)的易患因素有()
A.无晶状体眼
B.视网膜格子样变性
C.高度近视
D.眼外伤
E.以上都是
237、单项选择题 正常玻璃体具有的代谢功能是()
A.载体转运
B.易化扩散
C.主动转运
D.目前不清楚
E.主动与被动均有
238、多项选择题 急性虹膜睫状体炎与急性结膜炎主要区别要点包括()
A.房水闪辉
B.瞳孔改变
C.KP出现
D.睫状充血
E.视力下降
239、单项选择题 关于调节幅度检查,以下错误的是()
A.移近法和负镜法都属于主观的检查方法
B.检查时如果光线太亮,会令瞳孔缩小,焦深增大,导致检查结果偏大
C.移近法一般比负镜法测量的结果高一些
D.20岁被检者,移近法测量的调节幅度为10D,为调节不足
E.动态检影法也可测量调节幅度
240、多项选择题 下列哪些情况不适合植入人工晶体()
A.角膜内皮细胞计数为900个/mm2
B.3~7岁儿童白内障
C.葡萄膜炎活动期的白内障患者
D.先天性小眼球
E.高度近视患者
241、多项选择题 假性外斜视常见于()
A.眼眶间距过宽
B.瞳距过大
C.Kappa角过大
D.鼻根部过窄
E.眼球凹陷
242、单项选择题 荧光造影常显示脉络膜低荧光的疾病是()
A.视网膜中央静脉阻塞
B.年龄相关性黄斑变性
C.Stargardt病
D.视网膜中央动脉阻塞
E.中心性浆液性脉络膜视网膜病变
243、单项选择题 下列哪项病变特征提示角膜活动性病变()
A.病变边界清楚
B.病变表面不粗糙,有光泽
C.睫状充血
D.荧光素角膜染色阴性
E.角膜有白色血管痕迹
244、多项选择题 有关角膜的神经,正确的描述是()
A.角膜感觉十分敏锐
B.三叉神经受损后角膜感觉无明显减退
C.角膜上皮层神经末梢丰富
D.来自三叉神经眼支
E.角膜受损后疼痛不明显
245、单项选择题 患者,男,55岁,双眼视物成双半月,检查;血压140/85mmHg,韶力右1.0,左1.0,双眼前节及眼底未见异常,角膜映光点在右眼颞侧瞳孔缘,右眼外转不能过中线。同视机检查OS注视L-3°|+17°|+30°R。 对患者进行复像检查,最可能出现的结果是()
A.水平同侧复视,右眼颞侧复像距离最大
B.水平同侧复视,左眼颞侧复像距离最大
C.水平交叉复视,右眼颞侧复像距离最大
D.水平交叉复视,左眼颞侧复像距离最大
E.水平同侧复视,左眼鼻侧复像距离最大
246、多项选择题 适合用于检查斜视角的方法有()
A.用Placido山角膜计检查
B.三棱镜检查法
C.同视机检查法
D.视野弓检查法
E.角膜反光法
247、单项选择题 眼部转移性肿瘤最常见的转移部位是()
A.眼眶
B.脉络膜
C.视网膜
D.玻璃体腔
E.眼睑
248、单项选择题 关于家族渗出性玻璃体视网膜病变正确的是()
A.为常染色体显性遗传
B.多为单侧
C.鼻侧视网膜无血管化
D.早期常见孔源性视网膜脱离
E.有吸氧史
249、单项选择题 瞳孔对光反射反射弧的效应器是()
A.瞳孔开大肌
B.瞳孔括约肌
C.睫状肌
D.虹膜
E.眼睑
250、单项选择题 下列哪项不是坏死的形态学改变()
A.细胞质肿大,伊红染色加深
B.核固缩、核破裂、核溶解
C.细胞器崩解,结构消失
D.核内染色质凝集成块
E.细胞核增大,染色质边集
251、多项选择题 关于先天性特发性眼球震颤的说法,哪些是正确的()
A.患者可同时合并共同性内.外斜视
B.患者除眼球震颤外,无明显异常
C.手术治疗的适应征是代偿头位,偏斜≥15°~20°
D.眼球震颤患者一般有代偿头位
E.眼球震颤的治疗方法有屈光矫正、三棱镜治疗、手术治疗
252、多项选择题 房水生理功能为()
A.营养脉络膜
B.营养角膜
C.营养晶体
D.构成屈光介质
E.维持和调节眼压
253、多项选择题 全葡萄膜炎是指()
A.脉络膜
B.视网膜
C.玻璃体
D.睫状体
E.虹膜
254、多项选择题 下列哪项属于角膜接触镜的优点()
A.矫正屈光参差好
B.矫正不规则散光好
C.舒适方便安全
D.视野宽阔
E.影像真实
255、单项选择题 某男,58岁,右眼视力下降1个月。右眼视力眼前指数,左眼视力1.0。眼底:玻璃体轻度混浊,视乳头边界不清,轻度隆起,静脉迂曲扩张,呈腊肠样,视网膜大范围片状出血,近视盘的视网膜可见多量片状黄白色渗出,黄斑中心凹亦可见出血渗出。 该病例如治疗不当,可能出现的最严重的并发症是()
A.白内障
B.玻璃体积血
C.视网膜脱离
D.新生血管性青光眼
E.黄斑囊样变性
256、单项选择题 引起沙眼的病原体为()
A.沙眼衣原体D~K型
B.沙眼衣原体A、B、C、Ba型
C.沙眼衣原体L1型
D.鹦鹉热衣原体
E.沙眼衣原体L2、L3型
257、单项选择题
患者,女性,68岁,高血压病史8年余,冠心病病史6年,左眼4天前突感视力下降,无眼痛眼胀,半月前曾有类似发作史,持续5-10分钟视力恢复。检查见患者角膜清亮,前方中深,后房见人工晶状体,位正,眼底检查如图,根据以上相关信息,我们可以推测,该患者可能患有一下何种眼疾()
A.视网膜中央动脉栓塞
B.视网膜中央静脉栓塞
C.视网膜分支静脉栓塞
D.视网膜分支动脉栓塞
E.视网膜血管炎
258、单项选择题 多发性硬化最常见的眼部表现是()
A.视神经萎缩
B.眼肌麻痹
C.球后视神经炎
D.Horner综合征
E.上睑下垂
259、单项选择题
患者,男,30岁,左眼视物不清2天,检查左眼视力0.9,眼前段(-),眼底检查如图,不符合该病的临床表现为()
A.中央暗影
B.视物变形
C.视物模糊
D.中央凹反光消失
E.视力突然丧失
260、单项选择题 鼻咽癌患者发生了麻痹性角膜炎或溃疡,是因为下列哪根神经受损()
A.面神经
B.额神经
C.视神经
D.三叉神经
E.动眼神经
261、单项选择题 准分子激光角膜原位磨镶术(LASIK)的激光切削作用于角膜()
A.上皮层
B.前弹力层
C.基质层
D.后前弹力层
E.内皮层
262、单项选择题 春季角结膜炎病灶的特征性炎性细胞是()
A.中性粒细胞
B.淋巴细胞
C.嗜酸性粒细胞
D.单核细胞
E.嗜碱性粒细胞
263、单项选择题 视网膜母细胞瘤的遗传方式是()
A.常染色体显性遗传
B.常染色体隐性遗传
C.x-性连锁隐性遗传
D.线粒体DNA遗传
E.以上都不是
264、多项选择题 Coldenhar综合征有()
A.耳前瘘管
B.眼睑缺损
C.眶肿物
D.伴附耳
E.双侧结膜皮样瘤
265、单项选择题 前列腺素E在眼局部高浓度使用时,会产生的影响是()
A.瞳孔缩小,对眼压改变不大
B.对瞳孔影响不大,眼压升高
C.瞳孔缩小,眼压升高
D.瞳孔缩小,眼压下降
E.瞳孔增大,眼压升高
266、单项选择题 常用的抗代谢药物有()
A.丝裂霉素C
B.妥布霉素
C.万古霉素
D.青霉素
E.罗红霉素
267、单项选择题 患者,男,45岁,发现双眼视物成双半月。全身一般情况可,眼部情况:视力右1.2,左1.2,向前平视双眼上睑缘在角膜缘上约2mm,结膜轻度充血,角膜透明,眼底未见异常。角膜映光:左眼L/R8°,左眼下转轻度受限,B超示:左眼下直肌增粗,双眼球突出度22mm。 最可能的诊断为()
A.麻痹性上斜视
B.共同性上斜视
C.重症肌无力(眼型)
D.甲状腺相关性眼病
E.眼眶特发性炎性假瘤
268、单项选择题
患儿,男性,7岁,左眼视力模糊1周,并有眼球转动时疼痛,之前有感冒史。检查瞳孔对光反射略迟钝,眼底检查如图()
A.球后视力神经炎
B.缺血性视神经病变
C.巩膜炎
D.屈光不正
E.虹膜睫状体炎
269、单项选择题 关于MRI眼图像的优点下列哪项不对()
A.对晶状体没有X线辐射作用
B.能直接多方位成像
C.骨结构、钙化灶和异物信号强
D.对软组织有高清晰的分辨力
E.MRI对眶内容物、视神经和视交叉等软组织分辨力高
270、单项选择题 以下哪种途径不能使病毒灭活()
A.干热(160~180℃,1小时)
B.电离辐射(α、γ、β射线)
C.非电离辐射(紫外线)
D.过氧化氢
E.低温冷冻(-70℃)
271、单项选择题 中心暗点不常见于()
A.Leber视神经萎缩
B.视网膜色素变性
C.中毒性视神经萎缩
D.球后视神经炎
E.黄斑部病变
272、单项选择题 某男,28岁,右眼被石灰烧伤 现场急救应()
A.包扎右眼,转送医院
B.硼酸液点眼
C.消炎药点眼
D.涂红霉素眼膏
E.大量清水反复冲洗
273、多项选择题 黄斑囊样水肿常见于()
A.增殖型糖尿病性视网膜病变
B.视网膜色素变性
C.视网膜中央静脉阻塞
D.高度近视
E.白内障术后
274、单项选择题 儿童双眼视觉发育完成的年龄是()
A.14岁
B.6岁
C.10岁
D.3岁
E.12岁
275、单项选择题 某女性患者,75岁,右眼白内障摘除联合人工晶体植入术后25天,疼痛、视物不清7天,20年前行"双眼虹膜周边切除术"。眼部检查:右眼视力:眼前手动,角膜水肿,前房明显变浅,周边小于1/4CT,瞳孔约4mm×4mm大小,对光反应迟钝,人工晶体位置正,眼压40mmHg;左眼视力:0.12,角膜清亮,前房浅,周边小于1/3CT,瞳孔约3.5mm×3.5mm大小,晶体混浊,眼底模糊不清,眼压17mmHg。 该患者右眼最有价值的辅助检查是()
A.眼B超
B.眼眶CT
C.ERG及VEP
D.超声生物显微镜(UBM)
E.视野检查
276、单项选择题 星状玻璃体变性与下列哪项有关()
A.高血脂
B.糖尿病
C.玻璃体液化
D.遗传
E.与眼内出血
277、单项选择题 某男,37岁,既往无眼病史,出现右,右眼视物模糊变暗15天,检查:视力:右眼0.6,左眼1.5,眼底检查:视乳头颜色正常,边界清楚,动静脉未见明显异常,黄斑部可见2PD大小的水肿区,中心凹反射消失。 治疗原则不包括()
A.禁用皮质类固醇
B.多能自愈,不需任何药物
C.不能自愈者可考虑激光光凝渗漏点,但注意勿损伤中心视力
D.可用碘制剂
E.可内服皮质类固醇
278、多项选择题 “视觉2020”行动将下列哪些疾病列为重点()
A.青光眼
B.屈光不正和低视力
C.角膜病
D.沙眼
E.白内障
279、单项选择题 遗传性疾病是由于()
A.先天性因素引起的疾病
B.家族性发生的疾病
C.遗传物质改变导致的疾病
D.上代亲属有同样的疾病
E.以上都是
280、单项选择题 不能用激光光凝治疗的疾病是()
A.Eales病
B.Coats病
C.Stargardt病
D.AMD
E.以上都不能
281、多项选择题 根据药物的化学性质和药理性质,抗青光眼药物可分为()
A.前列腺素制剂
B.肾上腺素能拟似药
C.碳酸酐酶抑制剂
D.拟副交感神经药物
E.高渗脱水剂
282、单项选择题
糖尿病患者眼底检查如图,该患者糖尿病视网膜病变属于哪期()
A.Ⅰ期
B.Ⅱ期
C.Ⅲ期
D.Ⅳ期
E.Ⅴ期
283、单项选择题 调节不足的处理,错误的是()
A.尽可能完全矫正屈光不正
B.配阅读用正镜
C.推近法训练调节幅度
D.视近配BI的棱镜
E.以上都正确
284、单项选择题 关于眼眶X线的特征,下列哪项描述是正确的()
A.眼眶扩大一般为恶性病变
B.眶骨破坏在良性肿瘤中也常见
C.可以显示泪腺窝、视神经孔、眶上裂、蝶骨嵴
D.无名线消失多代表恶性肿瘤
E.眼眶内如果有组织钙化,多为良性病变
285、单项选择题 下列哪种疾病可导致视力突然丧失()
A.视网膜色素变性
B.视盘水肿
C.视网膜中央动脉阻塞
D.中心性浆液性脉络膜视网膜病变
E.以上都不对
286、多项选择题 沙眼的诊断条件有()
A.上睑下垂
B.睑结膜瘢痕
C.上睑结膜滤泡
D.角膜缘滤泡及后遗症(Herbert小凹)
E.角膜缘上方血管翳
287、单项选择题 在哪项疾病治疗中禁用糖皮质激素()
A.视网膜中央静脉阻塞
B.视网膜静脉周围炎
C.Coats病
D.前部缺血性视神经病变
E.中心性浆液性脉络膜视网膜病变
288、单项选择题 下列有关视网膜静脉周围炎(Eales病)的说法,错误的是()
A.它多发于儿童女性患者
B.可能与结核感染有关
C.通常为双侧性
D.反复发生视网膜及玻璃体出血
E.视网膜周边部小静脉管壁两旁出现白鞘
289、多项选择题 先天性白内障的治疗正确的是()
A.对视力影响不大的,一般不需手术
B.手术愈早,获得良好视力的机会愈大
C.常用的矫正方法有:眼镜矫正、角膜接触镜、LOL植入
D.术后需进行屈光矫正和视力训练,防治弱视,促进融合功能的发育
E.明显影响视力的,可选择晶状体切除术或晶状体吸除术
290、多项选择题 关于先天性青光眼的描述是()
A.病理组织学发现虹膜根部附着点前移
B.出现青光眼性视神经乳头凹陷有诊断意义
C.可分为婴幼儿型、青少年型及合并其他先天异常的青光眼
D.主要采用手术治疗
E.与前房角发育异常有关
291、多项选择题 引起原发性视神经萎缩的原因有()
A.眶内血管瘤
B.多发性硬化
C.球后视神经炎
D.遗传性视神经萎缩
E.视神经损伤
292、单项选择题 某男,58岁,右眼视力下降1个月。右眼视力眼前指数,左眼视力1.0。眼底:玻璃体轻度混浊,视乳头边界不清,轻度隆起,静脉迂曲扩张,呈腊肠样,视网膜大范围片状出血,近视盘的视网膜可见多量片状黄白色渗出,黄斑中心凹亦可见出血渗出。 为了避免出现最严重的并发症,最有效的治疗措施是()
A.应用血管扩张剂
B.应用止血剂
C.使用抗炎药
D.使用抗凝血药物
E.视网膜光凝
293、单项选择题 一般不会出现白瞳症的眼病有()
A.Coats病
B.视网膜母细胞瘤
C.眼内炎
D.青光眼
E.早产儿视网膜病变
294、多项选择题 双颞侧偏盲可见于()
A.脱髓鞘疾病
B.脑垂体瘤的压迫
C.双眼青光眼晚期
D.左侧视束受损
E.双眼高度近视
295、多项选择题 视觉电生理检查包括()
A.眼A超
B.EOG
C.眼B超
D.ERG
E.VEP
296、单项选择题 视网膜电图(ERG)早期诊断最有意义的疾病是()
A.交感性眼炎
B.视乳头水肿
C.糖尿病视网膜病变
D.视网膜色素变性
E.视网膜母细胞瘤
297、单项选择题 共同性斜视的特点为()
A.复视
B.代偿头位
C.眼球运动障碍
D.第二斜角=第一斜角
E.第二斜角>第一斜角
298、单项选择题 关于线粒体遗传,下列哪一项是正确的()
A.mtDNA为母系遗传
B.mtDNA为X-性连锁隐性遗传
C.男性患者其女儿容易得病
D.女性患者其女儿容易得病
E.均为家族性发病,无散发病例
299、单项选择题 白化病最突出的眼部症状是()
A.眼球震颤
B.视力低下
C.畏光
D.先天性黄斑部形成不全
E.虹膜萎缩
300、单项选择题 Kaposi肉瘤最早发生在眼部的部位是()
A.虹膜
B.眼眶、眼外肌
C.泪腺
D.角膜
E.下睑、结膜下穹