时间:2023-08-10 02:05:18


1、单项选择题
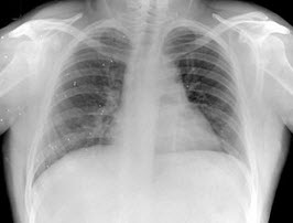
男,15天,进食呕吐5天、呼吸困难2天,如图所示,最可能的诊断为()

A.先天性肺气肿
B.左侧膈疝
C.右位心
D.右侧肺不张
E.右肺发育不全
2、单项选择题 有关静脉肾盂造影检查,错误的是()
A.腹腔巨大肿块不能施行加压法
B.常用的对比剂是复方泛影葡胺
C.造影前必须进行碘过敏试验
D.肾盂造影片可显示肾上腺
E.疑肾盂积水应加大对比剂剂量
3、单项选择题 婴幼儿摄胸片时,描述错误的是()
A.不能站立的小儿可用仰卧位或俯卧位
B.因小儿胸部厚度较薄,用前后位和后前位照像无明显差别
C.呼气和吸气时摄影无明显差别
D.正常胸腺有时与心脏增大或肺炎相混淆
E.正常也可见气管移位
4、单项选择题 横断面CT扫描,正常成人肝脏上下径为()
A.5~10cm
B.9~12cm
C.13~15cm
D.16~20cm
E.≥20cm
5、单项选择题 左侧膈肌低于右侧膈肌是因为()
A.心脏左压
B.肝位于右膈下
C.左肺较右肺体积大
D.左肺两叶,右肺分三叶
E.以上都不对
6、填空题 胃非上皮性肿瘤包括___________、_____________、________和__________等。
7、填空题 进行期胃癌可分为____、____、____和____四型。
8、单项选择题 关于右肺中叶不张的X线表现,下列错误的是()
A.后前位胸片上右下野中内带呈底向右心缘之三角形阴影
B.右心缘模糊
C.斜裂向上向前移位
D.水平裂下移
E.前弓位置显示该叶不明显
9、单项选择题 X线机接地的意义是指()
A.工作接地
B.工作接地和保护性接地
C.保护性接地
D.工作接地和保护性接地意义相同
E.电机中心头接地
10、名词解释 中央型肺癌
11、单项选择题 关于对比剂的叙述,错误的是()
A.用以形成人工对比
B.能显示组织器官的形态
C.有阴性及阳性两类对比剂
D.非离子型对比剂毒性较大
E.与周围组织器官能形成密度差别
12、单项选择题 乳腺癌最常见的病理类型是()
A.髓样癌
B.黏液癌
C.浸润性小叶癌
D.浸润性导管癌
E.湿疹样癌
13、单项选择题 “双侧肺血减少”见于()
A.异物吸入
B.肺隔离症
C.中央性肺癌
D.Ebstein畸形
E.Macleod综合征
14、单项选择题 属静脉肾盂造影禁忌证的是()
A.肾盂结石
B.膀胱结石
C.尿道狭窄
D.肾动脉狭窄
E.严重血尿
15、单项选择题 下述疾病均可见假性骨折或Looser带,此征象对以下哪种疾病诊断最有意义()
A.骨质软化症
B.甲状旁腺功能亢进
C.维生素D缺乏症
D.畸形性骨炎
E.以上均无意义
16、单项选择题 调节声带运动的软骨主要为()
A.甲状软骨
B.环状软骨
C.会厌软骨
D.杓状软骨
E.小角软骨
17、问答题 椎间盘突出的CT表现有哪些?
18、填空题 1966年于纽约制定的诊断将骶髂关节炎分为5级,即____________、_________________、___________________________________________、_______________________________________________和___________________。
19、单项选择题 下列组合,无关的是()
A.颅前窝——筛骨板
B.颅前窝——嗅神经
C.颅前窝——前筛骨神经
D.颅前窝——前筛骨动静脉
E.颅前窝——视神经管
20、单项选择题 属于骨恶性肿瘤的是()
A.皮质旁软骨瘤
B.脂肪瘤
C.神经节细胞瘤
D.骨黄色纤维瘤
E.脊索瘤
21、判断题 肾盂癌可向下种植至输尿管和膀胱。
22、多项选择题 下述哪些为贲门失弛缓症中期的X线表现有()
A.患者食管中度扩张
B.食管内有较多滞留物
C.食管边缘呈锯齿状
D.食管下段不规则运动明显减少
E.食管下端呈漏斗状狭窄
23、问答题 在胸部侧位片上哪些征象对疾病的诊断有利?
24、判断题 正常时下肺野纹理比上肺野多而粗,而右下肺野肺纹理比左下肺野多而粗。
25、单项选择题 胸片上,肺静脉高压最早出现的影像为()
A.下肺静脉收缩
B.间质性肺水肿
C.上肺静脉扩张
D.下肺静脉收缩
E.上、下肺静脉均收缩
26、名词解释 泪腺多形性腺瘤
27、多项选择题 小肠Crohn病的X线征象包括()
A.鹅卵石征
B.纵行及横行溃疡
C.口疮样溃疡
D.病变呈节段性
E.病变呈连续性
28、单项选择题 肺部转移瘤可来自()
A.血行转移
B.淋巴转移
C.邻近器官直接蔓延
D.以上都是
E.以上都不是
29、单项选择题 PACS正确的涵义是()
A.图像存储系统
B.图像传输系统
C.图像网络系统
D.图像通讯系统
E.图像存储与传输系统
30、单项选择题 第1斜位又称为()
A.右后斜位
B.左后斜位
C.左侧位
D.右前斜位
E.左前斜位
31、单项选择题 肺泡的直径约为()
A.0.2mm
B.8mm
C.10mm
D.20mm
E.10~25mm
32、判断题 肠梗阻的主要诊断依据是肠管充气扩张。
33、填空题 椎弓裂包括___________、________、___________和__________。
34、填空题 十二指肠憩室多发生在____________________,其次为__________________。多数学者认为本病可能与________________、__________________有关。
35、多项选择题 原发性甲状旁腺功能亢进发生骨质破坏的主要原因是()
A.骨质吸收加速
B.钙、磷大量丢失
C.骨样组织成骨障碍
D.纤维结缔组织取代成骨组织
E.成骨细胞活力下降
36、单项选择题 放大摄片下,使用0.05mm的超微焦点X线管,半影阈值为0.2mm,那么最大的放大率是多少()
A.2倍
B.4倍
C.5倍
D.6倍
E.8倍
37、单项选择题 肺动静脉瘘的X线表现中,以哪项诊断价值最大()
A.异常血管影
B.单发或多发结节状影
C.瘤囊搏动
D.大小可改变
E.肋骨下缘压迹
38、单项选择题 球形肺不张的影像特征是()
A.近肺底的横行条状致密
B.尖端指向肺门的三角形致密影
C.弥漫分布斑片状影
D.一侧肺致密影伴纵隔向患侧移位
E.3~5cm大小肿块影,伴“彗星尾”征
39、多项选择题 关于X线球管的特性,错误的是()
A.灯丝加热为定值时,管电压增加,管电流增加
B.管电压增高,空间电荷减少,管电流减小
C.管电压相同,灯丝电流增加,管电流增加
D.管电压相同,灯丝电流增加,管电流减小
E.管电流相同,管电压高的灯丝加热电流低
40、判断题 造釉细胞瘤主要来源于残余的牙板和造釉器。
41、单项选择题 胚胎时期头部腹侧面有鳃弓()
A.1对
B.2对
C.4对
D.6对
E.8对
42、单项选择题 X线管的真空度应保持在()
A.133.3×10Pa
B.133.3×10Pa
C.133.3×10Pa
D.133.3×10Pa
E.133.3×10Pa
43、单项选择题 周围型肺癌的影像学表现()
A.肺内孤立结节,无分叶,边缘有毛刺,发病前有发热史
B.肺内孤立结节,内有爆米花样钙化
C.右上叶后段结节,边缘光整,周围有卫星灶,增强扫描结节无强化
D.肺内孤立结节,有分叶和毛刺,远端有胸膜凹陷征
E.左下叶后基底段肿块,CT增强扫描示胸主动脉分支进入肿块
44、单项选择题 女,41岁,上腹部不适、胀痛月余,经超声检查诊断为肝血管瘤,血管瘤瘤体较小,应选择哪种治疗()
A.手术治疗
B.介入栓塞治疗
C.穿刺注硬化剂
D.放疗
E.定期复查
45、单项选择题 造影时病人出现重度碘过敏反应,最有效的措施是()
A.立即请医生处理
B.头高足低左侧卧位
C.平卧或头低足高位
D.头高足低右侧卧位
E.立即停止造影并进行急救
46、问答题 维生素D缺乏病的主要X线表现有哪些?
47、单项选择题 弯刀征是哪种先天性疾病的X线表现()
A.肺隔离症
B.房间隔缺损
C.肺动脉瓣狭窄
D.心内膜垫缺损
E.右下肺静脉异常引流入肝静脉、门静脉或下腔静脉
48、单项选择题 关于“正常胃粘膜皱襞”,错误的描述是哪项()
A.胃大弯粘膜皱襞比小弯侧粗
B.胃底粘膜皱襞走向不规则
C.胃体粘膜皱襞呈纵行走向
D.胃粘膜皱襞有纵、横两种
E.胃窦部胃小区显示率最高
49、单项选择题 下列哪种疾病,无单侧膈肌抬高表现()
A.急性脊髓灰质炎
B.带状疱疹病毒感染
C.肺底积液
D.肺梗死
E.胸主动脉瘤
50、单项选择题 急性化脓性骨髓炎形成大块死骨的主要原因是()
A.骨皮质血供中断
B.广泛的骨质增生
C.骨膜血管中断
D.累及关节中断营养血管
E.以上都是
51、单项选择题 从X线被照体→潜影→可见光→数字影像,这一程序转换的是()
A.I.I.TV
B.成像板
C.闪烁体+CCD摄像机阵列
D.直接转换平板探测器
E.间接转换平板探测器
52、多项选择题 关于增感屏对影像效果影响的叙述,错误的是()
A.增加影像对比度
B.降低影像清晰度
C.降低影像颗粒性
D.提高信息传递功能
E.增加影像的层次
53、单项选择题 骨瘤的好发部位是()
A.短骨
B.长骨
C.颜面骨
D.椎骨
E.肋骨
54、单项选择题 下列横膈影像,哪项为异常表现()
A.龟背征
B.表面光滑,可呈波浪状
C.前肋膈角比后肋膈角高
D.前心膈角多为钝角
E.成人,右膈顶常比左膈略高
55、配伍题 颧骨弓()胸骨()肺底积液()
A.立位+卧位
B.立位或水平位
C.侧位+斜位
D.倒立正侧位
E.轴位
56、单项选择题 下列正常骨结构中,哪种平片能显示()
A.骨膜
B.红骨髓或黄骨髓
C.关节软骨
D.关节囊
E.骨皮质
57、判断题 中耳癌早期可致中耳骨壁破坏,晚期可致听骨破坏。
58、判断题 钼铑双金属靶面的乳腺X线机对较致密的乳腺有较好的穿透力,为诊断提供更多的诊断信息。
59、单项选择题
男,14岁。左大腿下段疼痛,伴高热,体温达39℃。查体:左股骨下段深压痛。
该患者最可能的诊断为()
A.左股骨化脓性骨髓炎
B.左股骨结核
C.左股骨骨瘤
D.左股骨骨肉瘤
E.左股骨囊肿
60、判断题 晕圈征是恶性肿瘤特有的一种X线征象。
61、单项选择题 缩窄性心包炎最常见的原因是()
A.类风湿疾病
B.纵隔病变放疗后
C.结核
D.尿毒症
E.转移性肿瘤
62、单项选择题 右下叶肺不张的影像特征是()
A.右下三角征
B.横S征
C.心后三角征
D.薄饼征
E.彗星征
63、问答题 肺内空洞有何特点?
64、填空题 原发性骨肿瘤包括________________和________________,以及__________________和___________________。
65、多项选择题 关于黄韧带的断层解剖,正确的是()
A.宽度不超过5mm
B.黄韧带位于关节突和椎板的内侧缘
C.呈尖端向后的“V”形线条影
D.黄韧带后缘紧贴椎管内缘
E.前方与硬膜囊之间隔以低密度的脂肪组织
66、单项选择题 指出下列摄片技术中,不正确的是()
A.柯氏位可显示筛窦的前后两组影
B.眼眶肿物应选择柯氏位、瑞氏位和眶缘切线位
C.上颌窦肿瘤取瓦特位外,还应摄取颅底减角位(半轴位)
D.瓦特位,两侧密度不一致(非病变所致)的原因,主要是中心线偏斜或滤线栅侧向倾斜造成的切割效应
E.眶下裂摄片采用取头颅后前正位,中心线向头侧倾斜20°
67、单项选择题 单侧跟骨侧位摄片时,中心线应对准()
A.内踝
B.外踝
C.内踝下2cm处
D.跖骨中点
E.外踝上1cm处
68、填空题 继发性肺结核的X线表现多种多样,如____________、___________、____________、___________、__________、_________和_____________等都可以见到。
69、单项选择题 前后位的英文缩写是()
A.A→P
B.D→V
C.V→D
D.RAO
E.RPO
70、单项选择题 颅骨侧位,诊断学要求清晰可见的结构是()
A.颅骨穹窿内外板
B.蝶骨壁
C.颞骨岩部
D.颅骨小梁结构及血管沟
E.以上全是
71、单项选择题 不能用口腔曲面全景摄片检查的部位是()
A.上颌骨
B.下颌骨
C.牙
D.鼻中隔
E.下颌关节
72、单项选择题 急性化脓性骨髓炎的特征性X线表现为()
A.软组织充血、水肿
B.骨质破坏
C.骨质增生
D.死骨形成
E.软组织有窦道形成
73、名词解释 蜘蛛指
74、单项选择题 下述"肺血增多"X线表现,错误的是()
A.肺纹理增多
B.肺动脉段搏动增强
C.右下肺动脉影可增粗
D.肺透亮度正常
E.心腰凹陷
75、判断题 如临床怀疑肠梗阻,钡餐造影是首选的检查方法。
76、判断题 颅底位平片,颅底骨性结构,两侧对称。
77、单项选择题
3岁,男,发热伴头顶部局限性疼痛1周,右额顶部可见局限性骨缺损,最可能的诊断是()
A.蛛网膜颗粒压迹
B.先天性颅骨缺损
C.嗜酸性肉芽肿
D.局限性骨皮质缺损
E.以上均不是
78、多项选择题 两侧肺门增大多见于()
A.结节病
B.淋巴瘤
C.两侧动脉瘤
D.肺动脉高压
E.中央型肺癌
79、单项选择题
男,78岁,上腹痛1月余,返酸,无嗳气,空腹加重。体检:上腹压痛,结合图像,最可能的诊断为()

A.正常表现
B.慢性胃炎
C.胃癌
D.十二指肠憩室
E.十二指肠占位
80、多项选择题 口腔颌面部包括哪些器官和组织()
A.口腔
B.面部软组织
C.颌面骨
D.颞颌关节
E.鼻腔
81、多项选择题 痛风的X线表现有()
A.早期为关节周围软组织肿胀
B.骨皮质出现硬化或多处波浪状凹陷
C.关节周围软组织出现结节状钙化影
D.骨性关节面不规则或穿凿状破坏
E.关节间隙变窄,甚至纤维性或骨性强直
82、单项选择题 法洛四联征患者的心影,多数()
A.明显增大
B.缩小
C.进行性增大
D.雪人征
E.正常或轻度增大
83、单项选择题 深吸气后屏气曝光的部位是()
A.躯干
B.头颅
C.肺部
D.心脏
E.手臂
84、单项选择题 侧位X线片成人眼眶呈()
A.正方形
B.圆形
C.长方形
D.卵圆形
E.锥形
85、多项选择题 有关乳腺摄片的叙述,错误的是()
A.常规摄取侧斜位和轴位
B.平静呼吸中曝光
C.可使用中速增感屏
D.用于观察腺体组织的病理改变
E.青春期乳腺应降低曝光剂量
86、单项选择题 以下关于脊索瘤的叙述中,错误的是()
A.几乎都有骨质破坏
B.好发部位是骶尾部,其次是颅底
C.脊索瘤软组织肿块呈分叶状,50%~90%有钙化
D.脊索瘤起源于脊椎或椎旁残存的细胞
E.好发于颈、胸、腰椎
87、单项选择题 下列哪项不是骨骺干骺端结核的X线表现()
A.边缘模糊,圆形、椭圆形骨破坏
B.病灶偏于一侧,靠近骨骺板
C.骨硬化及碎片样死骨
D.骨皮质破坏轻
E.针状骨膜反应
88、填空题 肺发育异常通常可分为3型,即__________、____________和____________。
89、单项选择题 肺源性心脏病心影呈()
A.滴状心
B.横位心
C.靴形心
D.梨形心
E.主动脉型心
90、单项选择题 关于“食管裂孔疝”的描述,错误的是()
A.疝囊位于后下纵隔区
B.疝囊上缘狭窄为“B”环
C.常有返流性食管炎
D.“B”环是食管粘膜与胃粘膜交界处
E.疝囊粗大的胃粘膜皱襞
91、单项选择题 确诊肾盂输尿管重复畸形的主要检查方法是()
A.USG检查
B.排泄性尿路造影
C.CT检查
D.MRI检查
E.逆行性肾盂造影
92、名词解释 Scimitar征
93、单项选择题 贲门失弛缓症较具特征的X线表现是()
A.食管下端边缘呈锯齿状
B.食管下端不规则充盈缺损
C.食管下端狭窄,边缘光整,粘膜正常
D.食管下端狭窄,局部僵硬,不能扩张
E.以上都不是
94、单项选择题 二尖瓣狭窄的X线征象应是()
A.肺动脉段膨隆,肺充血,左心室增大
B.肺动脉段膨隆,肺淤血,左心室增大
C.肺动脉段凹陷,肺野清晰,右心室增大
D.肺动脉段平直,肺血管正常,心搏动减弱
E.肺动脉段膨隆,肺淤血,左心房增大,右心室增大
95、单项选择题 乳腺腺体呈不均匀性大片致密影,边缘模糊,脂肪的带状透亮线变窄或消失,此为哪类乳腺的主要特征()
A.少女乳房
B.青春型乳房
C.月经期乳房
D.哺乳期乳房
E.绝经期乳房
96、判断题 乳腺的皮肤厚度一般为0.5~2.5mm。
97、单项选择题
男,45岁,车祸后左膝部剧痛,活动受限2小时,结合影像学检查,最可能的诊断是()
A.股骨颈骨折
B.股骨下端骨折
C.柯莱斯骨折
D.胫骨骨折
E.腓骨骨折
98、单项选择题 孕妇需避免X线检查,是因为X线的()
A.穿透作用
B.荧光作用
C.生物作用
D.电离作用
E.光化学作用
99、多项选择题 剥脱性骨软骨炎的X线表现为()
A.关节内游离体
B.关节软骨钙化
C.关节内大量积脓
D.远离骨性关节面的骨质破坏
E.包括关节面在内的局限性骨质缺损
100、单项选择题
男,21岁,腰部不适,晨起加重半年余,X线检查如图,最可能的诊断是()
A.类风湿关节炎
B.脊椎退行性变
C.强直性脊柱炎
D.化脓性脊柱炎
E.阻滞椎
101、单项选择题 下列关于“小儿套叠灌肠复位”成功标志,错误的是()
A.气体、钡剂进入小肠
B.腹部包块消失
C.钡剂进入腹腔
D.灌肠器内有时可见到粪便排出
E.症状消失,患儿安然入睡
102、单项选择题 以下“病变-投照体位选择”组合中,哪项不正确()
A.颅底骨折:颅底位
B.下颌骨髁状突骨折:汤氏位
C.眼眶肿瘤:柯氏位
D.颞骨骨折:常规正侧位片
E.上颌窦病变:瓦氏位
103、单项选择题
早产儿,男,生后6小时,于生后2小时出现呼吸困难,如图,最可能的诊断为()

A.新生儿肺炎
B.新生儿湿肺
C.新生儿肺出血
D.新生儿呼吸窘迫综合症
E.胎粪吸入综合征
104、名词解释 竹节状脊柱
105、单项选择题 下列关于肺部霉菌病的影像特点,正确的是()
A.常侵犯胸膜、胸壁,形成瘘道
B.中下肺斑点状、云雾状影
C.两肺粟粒样病灶
D.空洞内有“霉菌球”
E.双肺磨砂玻璃样改变
106、多项选择题 多发性骨软骨瘤出现哪些表现况时应高度怀疑恶变()
A.瘤体内出现透亮区
B.软骨帽增厚,发生于长骨者超过1cm
C.钙化软骨帽密度变淡,边界不清
D.远处出现转移性病灶
E.30岁以上的患者生长迅速,疼痛加剧
107、多项选择题 骨肉瘤的主要成分有下述哪些()
A.肿瘤骨
B.肿瘤性骨样组织
C.肿瘤性成骨细胞
D.肿瘤性软骨组织
E.肿瘤性纤维组织
108、单项选择题 高速运动的电子与阳极靶面相互作用时,绝大部分高速电子的能量转变为()
A.X线的能量
B.热能
C.连续X线的能量
D.特性X线的能量
E.电子对的能量
109、单项选择题 下列“影像征象-相应诊断”关系,错误的是()
A.弹簧征,肠套叠卷
B.线征,小肠蛔虫症
C.雾滴征,胃癌
D.跳跃征,溃疡性肠结核
E.狗耳征,阑尾炎
110、多项选择题 正位胸片上,Lutembacher综合征表现为()
A.肺纹理增多
B.多数患者肺纹理正常
C.肺门影缩小
D.右心增大
E.左心房增大
111、问答题 肺动脉高压的X线表现有哪些?
112、多项选择题 氟骨症的X线表现有()
A.髓腔变小
B.骨质极度致密,硬化
C.骨质疏松
D.韧带骨化明显
E.软骨化变形
113、单项选择题 在腹部正位片发现右上腹部一圆形致密影,进一步检查方法为()
A.静脉尿路造影检查
B.B超检查
C.腹部侧位片检查
D.CT检查
E.磁共振检查
114、单项选择题
女,72岁,吞咽不适2月余。体检:咽红,结合图像,最可能的诊断为()

A.食管癌
B.食管溃疡
C.食管憩室
D.食管走行迂曲
E.贲门失弛缓
115、多项选择题 以下哪些骨肿瘤常见钙化()
A.骨瘤
B.骨肉瘤
C.骨巨细胞瘤
D.软骨瘤
E.软骨肉瘤
116、单项选择题 下列哪种疾病,胸片上不表现为肺动脉段凹陷()
A.Ebstein畸形
B.法洛四联征
C.肺动脉漏斗部狭窄
D.三尖瓣闭锁
E.主动脉狭窄
117、填空题 脊椎结核依骨质最先破坏的部位,可分为____________、___________、____________和_________。
118、单项选择题 下述有关白血病的胸部影像,错误的是()
A.网状结节影
B.双侧肺门淋巴结对称性肿大
C.大叶实变
D.粟粒样或结节样影
E.胸腔积液
119、填空题 膈上食管憩室多发生在膈肌上_______cm一段,常见于食管的_______,常与___________和____________并存。
120、单项选择题 腹部立位片空肠扩张可见()
A.环形皱襞较多
B.半月状皱襞
C.上腹或上中腹偏右
D.中下腹或下腹偏右
E.环形皱襞较少
121、单项选择题 早期化脓性关节炎的X线表现是()
A.血性积液
B.关节间隙变窄
C.关节纤维性强直
D.关节面破坏
E.关节间隙增宽
122、单项选择题 不属于胸部摄片位置的是()
A.后前位
B.轴位
C.斜位
D.侧位
E.前弓位
123、单项选择题 胸部后前位片上出现双心房影,提示()
A.右心室增大
B.右心房增大
C.左心室增大
D.左心房增大
E.主动脉增宽,迂曲
124、单项选择题 急性化脓性骨髓炎的X线片主要表现为()
A.骨膜增生
B.骨质破坏
C.死骨形成
D.新生骨
E.出现钙化
125、名词解释 项圈征
126、单项选择题 粟粒型肺结核胸片的特征是()
A.两肺尖部一般不受累
B.从肺尖到肺底大小均匀的结节影
C.胸腔积液
D.胸膜增厚
E.肺门淋巴结增大
127、单项选择题 下列有关尤文肉瘤的叙述,哪项是错误的()
A.病变好发生于长骨的骨干或干骺端
B.髓腔内出现斑片状骨质破坏
C.骨膜呈葱皮样改变
D.破坏区周围骨质常无反应性骨硬化
E.对放射治疗相当敏感
128、单项选择题 人体骨数最多的时期为()
A.新生儿期
B.婴幼儿期
C.青春期
D.青春期到骨发育成熟期前
E.骨发育成熟期
129、单项选择题 下述“骨纤维异常增殖症”影像表现,哪项不对()
A.骨改变以板障增宽为特征
B.囊状膨胀性病变,有硬化缘
C.可有硬化和斑点样钙化
D.病理骨折后,局部囊络”样
130、单项选择题 虫蚀样空洞的壁是由什么组织形成()
A.肿瘤组织
B.肉芽组织
C.纤维组织
D.坏死组织
E.薄层肺不张
131、单项选择题 肺部X线表现为锁骨下区纤维条索状阴影,属于哪一型肺结核()
A.原发性肺结核
B.血行播散型肺结核
C.浸润型肺结核
D.慢性纤维空洞型肺结核
E.以上都不是
132、单项选择题 X线管内保持高度真空的目的是()
A.保护灯丝
B.保护靶面
C.防止电子与空气分子冲击而减速
D.形成高压回路
E.防止电子与空气分子冲击而引起化学反应
133、单项选择题 骨囊肿的X线表现中,哪项应除外()
A.囊肿一般为单发,很少多发
B.病灶大多为卵圆形,长径与骨长轴一致
C.囊肿向外膨胀性生长
D.膨胀的程度一般不超过干骺端的宽度
E.囊内可见明显骨嵴
134、单项选择题 X线胶片长轴与摄影床长轴平行称()
A.竖向
B.横向
C.立向
D.斜向
E.交叉向
135、单项选择题 下列肺切除术后影像表现,哪项不对()
A.术后24小时内,纵隔位置应居中位
B.患侧胸腔气液面逐渐升高
C.胸腔内气体完全吸收需数周时间
D.健肺胸片正常,也不能除外肺不张
E.患侧胸腔气液面逐渐下降
136、单项选择题 下列麻痹性肠梗阻的X线表现中,哪项不正确()
A.若不合并有腹膜炎,则扩张的肠曲互相靠近,肠间隙正常
B.立位可见液平面,但液面多于机械性小肠梗阻
C.多次复查肠管形态改变不明显
D.若合并腹腔内感染,则肠间隙可增宽,腹脂线模糊
E.胃、小肠和大肠等均积气、扩张
137、单项选择题 对影像增强器电子透镜的解释,下列错误的是()
A.由各电极组成
B.对电子起聚焦作用
C.对电子进行放大
D.对电子进行加速
E.形成缩小增强的电子像
138、多项选择题 全自动准直器可进行的操作方式有()
A.手动
B.自动
C.无线遥控
D.红外遥控
E.以上都是
139、填空题 眼眶异物按异物的位置可分为__________、__________和________。
140、填空题 气胸及液气胸立位透视可以直接观察到位于上方的_______及位于下方的__________,变换体位可以观察到___________的变化。
141、单项选择题 下列中央型肺癌引起肺不张的X线征象,错误的是()
A.新月征
B.双翼征
C.八字胡征
D.高脚杯征
E.心影转位征
142、单项选择题
女,47岁,腰背痛并向髋部和下肢放射,结合图像,最可能的诊断是()
A.腰5压缩性骨折
B.移行椎
C.脊椎裂
D.腰5椎弓峡部不连
E.Klipple-Feil综合征
143、判断题 排泄性和逆行性尿路造影的作用是不相同的。
144、单项选择题
男,65岁,咳嗽,右胸痛,痰中带血丝1周。胸部后前位片示:右肺门影增大,右上肺大片状致密影,水平裂呈反“S”样改变。
被阻塞的支气管()
A.右主支气管
B.右肺上叶支气管
C.右肺上叶前段支气管
D.右肺中叶支气管
E.右肺上叶尖后段支气管
145、单项选择题 “先天性骨梅毒”诊断要点为()
A.新生儿血清学检查均为阳性
B.不经治疗,骨膜炎不会逐渐吸收
C.囊肿形成
D.干骺端透亮线.
E.胫骨近端内侧对称性、侵蚀性改变
146、多项选择题 关于X线影像重叠的叙述,正确的是()
A.用前后和左右几个方向的摄片表现人体结构
B.胸片中看不到胸骨影像,是大物体(纵隔)密度大于小物体
C.膝关节正位照片中髌骨影像,是大小物体组织密度相等
D.肺野中的肋骨阴影很明显,是大小物体组织密度相等
E.以上都是
147、单项选择题 立柱式X线管头支持装置的组成不包括()
A.立柱
B.移动轨道
C.滑架
D.胸片架
E.横臂
148、单项选择题 青年女性,前纵隔囊性肿物,内有脂肪-液体平面,增强扫描出现边缘环状强化。最可能的诊断是()
A.脂肪瘤
B.胸腺瘤
C.淋巴瘤
D.囊性畸胎瘤
E.生殖细胞瘤
149、多项选择题 下列组合,正确的是()
A.左前斜位——中心线经被照体的右后射向左前
B.右前斜位——中心线经被照体的左后射向右前
C.右后斜位——中心线经被照体的左前射向右后
D.左后斜位——中心线经被照体的左前射向右后
E.斜位——中心线经被照体的前面射向后面
150、问答题 心包积液的X线表现有哪些?
151、单项选择题 我国规定,不得参与放射工作的最小年龄界限是()
A.15周岁
B.16周岁
C.17周岁
D.18周岁
E.20周岁
152、单项选择题 下列人体体表定位中,错误的是()
A.喉头隆起——第4颈椎高度
B.剑突——相当第7胸椎高度
C.两侧髂骨嵴连线——第4腰椎水平
D.胸骨柄上缘——第3胸椎高度
E.第一腰椎——相当剑突与肚脐连线中点
153、单项选择题 下列说法,哪项错误()
A.籽骨由关节附近肌腱肌化而成
B.髌骨是体内最大的籽骨
C.籽骨有骨膜,副骨无骨膜
D.籽骨无骨膜,副骨有骨膜
E.副骨由没有完全融合的多个骨化中心形成
154、判断题 视神经孔位显示两侧视神经孔形态大小不对称,有时下缘密度较低。
155、单项选择题 减少与抑制散射线的方法中,错误的是()
A.降低管电压
B.减小焦-片距离
C.缩小照射野
D.使用后盖贴有金属膜的暗盒
E.正确使用遮线器
156、单项选择题 部分性肺静脉畸形引流,常合并下列哪种病变()
A.法洛四联征
B.动脉导管未闭
C.室间隔缺损
D.房间隔缺损
E.肺动脉瓣狭窄并房间隔缺损
157、单项选择题 大肠全长约为()
A.5~6m
B.2.0m
C.1.5m
D.2.5m
E.3.0m
158、单项选择题 成人颅内压增高时,蝶鞍的骨质吸收最早发生于()
A.前床突
B.鞍底
C.蝶鞍下部
D.后床突及鞍背
E.鞍结节
159、单项选择题 梗阻上端有鸟嘴状狭窄,狭窄处粘膜呈回旋状的是()
A.单纯性小肠梗阻
B.绞窄性小肠梗阻
C.单纯性结肠梗阻
D.结肠扭转
E.肠套叠
160、单项选择题 按波长由短到长排列顺序,下列哪组正确()
A.红外线,紫外线,可见光,无线电波,X线
B.紫外线,可见光,红外线,无线电波,X线
C.无线电波,X线,红外线,可见光,紫外线
D.可见光,红外线,无线电波,紫外线,X线
E.X线,紫外线,可见光,红外线
161、单项选择题
女,69岁,摔伤后左髋部疼痛,活动受限8小时,结合影像学检查,最可能的诊断是()
A.股骨头骨折
B.肱骨骨折
C.蒙泰贾骨折
D.骨盆骨折
E.股骨颈骨折
162、单项选择题 下列有关乳腺癌的描述,哪项是错误的()
A.乳腺外上象限发生率最高,接近50%
B.骨转移的主要部位是肋骨
C.“橘皮征”是皮内和皮下淋巴管被癌细胞堵塞所致
D.Paget病的原发灶在乳头区的大乳管内
E.治疗方针应是尽早手术,辅以放、化疗等综合疗法
163、名词解释 咽后脓肿
164、多项选择题 食管裂孔疝的间接X线征象有()
A.食管返流
B.食管胃环
C.食管胃角变钝
D.食管下段迂曲增宽
E.消化性食管炎
165、单项选择题 原发性支气管肺癌的最常见组织类型为()
A.鳞癌
B.腺癌
C.小细胞癌
D.未分化癌
E.混合癌
166、单项选择题
女,19岁,跛行19年,结合影像学检查,最可能的诊断是()
A.先天性髋关节脱位
B.先天性髋内翻
C.骨盆骨折
D.髋臼骨折
E.股骨头缺血坏死
167、多项选择题 关于乳腺检查中,下列哪些是正确的()
A.应两侧乳腺对比检查
B.先查健侧,后查患侧
C.触诊时采用手指掌面
D.不要用手指捏乳腺组织
E.检查时应循序对乳腺外上、内下、外下、内上各象限及中央区作全面检查
168、多项选择题 肾上腺疾病的影像检查方法包括()
A.腹部平片
B.腹部CT
C.静脉尿路造影
D.B超
E.MRI
169、单项选择题 ERCP的适应证()
A.急性胰腺炎
B.重度胆管感染
C.慢性胰腺炎急性发作
D.肝内胆管炎
E.以上都不是
170、名词解释 贲门癌
171、单项选择题 下列哪种疾病,无嗜酸细胞增多表现()
A.蛔虫病
B.结节性大动脉炎
C.曲菌病
D.嗜酸细胞肉芽肿
E.呋喃妥英治疗
172、单项选择题
男,8岁,高热达38.5℃三天,如图所示,最可能的诊断为()

A.畸胎瘤
B.原发综合征
C.肺脓肿
D.包裹性胸腔积液
E.支气管肺炎
173、单项选择题 纵隔肿瘤没有钙化的是()
A.胸骨后甲状腺瘤
B.胸腺瘤
C.畸胎类肿瘤
D.神经源性肿瘤
E.支气管囊肿
174、判断题 老年人鞍背出现骨密度减低时,最大的可能为恶性病变所致。
175、单项选择题 右前斜位X线片上心影后缘的上部是()
A.右心房
B.右心室
C.左心房
D.左心室
E.升主动脉
176、配伍题 肺囊肿继发感染时可出现()肺包虫囊肿病典型征象是()
A.半月征
B.双弓征
C.水上浮莲征
D.轨征
E.兔耳征
177、单项选择题 患者中年男性,无痛性全程血尿半月余,IVP示同侧肾盂、输尿管及膀胱均见充盈缺损。可能性最大的诊断是()
A.肾癌+种植转移
B.转移癌
C.腺瘤
D.肾结核
E.移行细胞癌
178、多项选择题 良性胃溃疡有下列哪些X线征象()
A.环堤
B.腔内龛影
C.放射状粘膜纠集
D.腔外龛影
E.裂隙征
179、单项选择题
男,22岁,被散铅弹50米射击射中,无胸部症状,结合胸片,最可能的诊断是()

A.胸部异物
B.体外异物
C.粟粒型肺结核
D.肺挫伤
E.肺癌
180、填空题 输乳窦下方的输乳管逐级分支为_______、_______、_______和_______。
181、单项选择题 下述胰头癌十二指肠曲的X线征象中,错误的是哪一项()
A.球后段出现笔杆征
B.粘膜呈毛刷状尖角状
C.腔边出现反“3”字形改变
D.肠腔内出现充盈缺损
E.肠壁出现双边影
182、判断题 继发骨化中心开始于骺的中央并逐渐扩大与干骺端相接。
183、单项选择题 下述"肺血减少"X线影像,哪项不对()
A.肺门影小
B.肺纹理纤细、减少
C.肺透亮度增加
D.肺门搏动减弱
E.无论哪种原因,心腰均消失
184、判断题 子宫输卵管炎慢性期主要表现为宫腔粘连、输卵管粘连和闭塞。
185、单项选择题 关于仰卧位摄片,下列组合中哪个是不正确的()
A.骶髂关节正位——中心线向头侧倾斜15°~30°
B.骶髂关节斜位——人体矢状面倾斜15°~20°
C.骶髂关节左后斜位——显示左侧骶髂关节
D.腰椎左后斜位——显示左侧椎间关节
E.胸椎右后斜位——显示右侧椎间关节
186、单项选择题
女,41岁,身材矮小,背痛,结合图像,最可能的诊断是()
A.腰椎退行性变
B.腰椎间盘突出
C.软骨发育不全
D.石骨症
E.马方综合征
187、名词解释 胃扭转
188、判断题 婴幼儿葡萄球菌肺炎在病变后期才出现肺气囊。
189、填空题 葡萄球菌肺炎,过度膨胀的小叶破裂而融合较大的含气空腔,称_______,又称________,其壁由一层_________及一层___________所构成,外围为______________,此为该病的特征。
190、多项选择题 下列哪些是肺炎性假瘤的X线特点()
A.可发生于两肺的任何部位,以肺表浅部位多见
B.形态不一,可呈圆形、椭圆形或类圆形
C.多数直径在2~4cm,少数甚至大于10cm
D.一般为中等密度,大多均匀
E.可在数年之内无明显增大
191、多项选择题 盲肠扭转的X线表现为()
A.充气扩张的小肠位于扩张盲肠的左侧
B.盲肠内侧或外侧可见“V”形切迹,为回盲瓣
C.鸟嘴状狭窄
D.扩张小肠以盲肠为中心呈放射状纠集扩张
E.充气扩张的小肠位于扩张盲肠的右侧
192、单项选择题 下述动脉导管未闭的X线表现,错误的是()
A.肺动脉段突出
B.漏斗征
C.主动脉结缩小
D.主动脉结增大
E.肺门影增大
193、单项选择题 腹部平片上,小肠分六组,空肠上段位于()
A.第1组
B.第2组
C.第3组
D.第4组
E.第5组
194、判断题 怀疑眼内有金属磁性异物时,应首选MRI检查。
195、名词解释 肺栓塞
196、单项选择题
男,47岁,关节炎病史20年,结合图像,最可能的诊断是()
A.类风湿关节炎
B.痛风
C.骨关节结核
D.牛皮癣性关节炎
E.Reiter综合征
197、单项选择题 下列哪一项不是骨折的X线征象()
A.嵌入性致密增高影
B.骨皮质凹陷与隆凸
C.骨小梁中断与扭曲
D.异物致骨缺损,颅缝分离
E.边缘硬化线形成,密度减低影
198、问答题 泌尿系统X线检查有哪些方法?各有何优势与限度?
199、单项选择题
男,46岁,双髋部疼痛,实验室检查血钙升高,尿本周蛋白(+),结合图像,最可能的诊断是()
A.骨髓瘤
B.骨质疏松症
C.骨转移瘤
D.骨囊肿
E.动脉瘤样骨囊肿
200、多项选择题 下列哪些是进展性结肠癌的X线表现()
A.粘膜皱襞迂曲
B.粘膜皱襞破坏
C.充盈缺损
D.龛影
E.环形狭窄
201、单项选择题 下列哪项不是枢椎齿状突原发骨化中心发育异常的表现()
A.齿状突上端分叉
B.齿状突骨
C.齿状突缺如
D.终末骨
E.颈延髓交界处受压变细移位
202、单项选择题 对梅毒性心脏病的定性诊断最有价值的是()
A.升主动脉壁的线状钙化
B.主动脉瘤呈线状或弧形钙化
C.主动脉弓部中度扩张
D.左心室增大
E.动脉瘤外形为局限性囊状或梭状阴影
203、单项选择题 正确维护增感屏的方法中,错误的是()
A.防高温防潮湿
B.防阳光曝晒
C.防止水或药液溅入
D.发现灰尘即用口吹清除
E.暗盒应直立放置,避免重压变形
204、单项选择题 关于结肠正常影像,下列描述哪项错误()
A.结肠粘膜有纵、横、斜3种方向
B.升结肠的结肠袋比降结肠明显
C.左半结肠粘膜皱襞以纵向为主
D.左半结肠比右半结肠粗
E.低张双对比造影可显示无名沟
205、填空题 脊椎结核的椎体信号改变,大多数TWI呈现______________,少数病灶呈现____________;TWI多现___________;部分病则呈现____________;增强检查以___________较常见。
206、单项选择题 下列描述与大量心包积液X线征象不符合的是()
A.心脏普遍增大,心缘各弧消失
B.心脏搏动减弱或消失
C.肺淤血改变
D.卧位透视时见心底阴影增宽
E.心影大小短期内可明显改变
207、单项选择题 胃癌的好发部位依次是()
A.胃小弯、贲门、胃窦
B.胃窦、胃小弯、贲门
C.贲门、胃窦、胃大弯
D.胃小弯、胃窦、胃大弯
E.胃窦、贲门、胃小弯
208、单项选择题 在早期周围型肺癌中,“小泡征”常见于()
A.腺癌
B.大细胞癌
C.鳞癌
D.小细胞癌
E.类癌
209、单项选择题 成人胸部正位摄影焦-片距为()
A.50cm
B.70cm
C.90cm
D.100-120cm
E.150-180cm
210、单项选择题
男,24岁,双手疼痛,结合图像,最可能的诊断是()
A.肢端肥大症
B.骨质疏松症
C.类风湿关节炎
D.痛风
E.维生素D缺乏症
211、填空题 小儿急性肠套叠的主要临床症状有_______、________、______________和_______等。
212、多项选择题 X线发生装置包括()
A.控制装置
B.高压发生装置
C.诊视床
D.X线管
E.影像装置
213、单项选择题
男,35岁,上腹部反复疼痛伴进行性黄疸,加重1周,呕血1次。体检:巩膜及全身皮肤中度黄染,肝区及脾区有轻压痛,叩击痛,结合图像,最可能的诊断为()

A.正常食管
B.食管静脉曲张
C.食管胃底静脉曲张
D.贲门失弛缓
E.食管贲门癌
214、填空题 克罗恩(Crohn)病有___________、____________和__________等并发症。
215、配伍题 纵隔气肿可见于()肺气肿可见于()肺下积液可见于()
A.横膈矛盾运动
B.横膈连续征
C.横膈下降
D.横膈上升
E.假横膈
216、问答题 液气胸的X线表现有哪些?
217、单项选择题 晚期尿毒症病人肾脏内出现囊肿病变的原因是()
A.先天性
B.代谢性
C.感染性
D.中毒性
E.缺血及营养不良
218、单项选择题 下列骨肿瘤样病变中,骨质膨胀呈“皂泡状”征象的是()
A.畸形性骨炎
B.孤立性骨囊肿
C.上皮样骨囊肿
D.动脉瘤样骨囊肿
E.骨纤维异常增殖症
219、单项选择题 下列关于“腕角”、“腕征”不正确的是()
A.“腕角”正常值为131.5°
B.“腕征”阳性,腕角<117°
C.“腕征”阳性,腕角<145°
D.Turner综合征时,“腕征”阳性
E.腕角:舟骨、月骨切线与三角骨、月骨切线夹角
220、单项选择题 用于胃肠道造影的对比剂是()
A.硫化钡
B.氯化钡
C.碳酸钡
D.硫酸钡
E.氰化铂钡
221、单项选择题 不影响X线对比度的因素是()
A.X线源与人体间的距离
B.人体组织的原子序数
C.物质的线性吸收系数
D.人体组织的密度
E.X线波长
222、单项选择题 同时出现双室增大的疾病是()
A.二尖瓣狭窄
B.心包炎
C.室间隔缺损
D.主动脉瓣狭窄
E.三尖瓣关闭不全
223、单项选择题 肋骨先天性畸形常见的类型有()
A.颈肋
B.胸骨畸形
C.肋骨分叉畸形
D.肋骨联合畸形
E.以上都是
224、单项选择题 溃疡型肠结核主要消化道症状是()
A.呕吐
B.便秘
C.消瘦
D.腹部肿块
E.腹痛、腹泻、大便呈糊状
225、名词解释 Caroli病
226、单项选择题 大叶性肺炎多见于()
A.青少年
B.老年人
C.婴幼儿
D.青壮年
E.以上都是
227、判断题 肋软骨钙化发生的早晚及钙化的程度具有重要临床意义。
228、单项选择题 有关摄片条件选择中可变因素的叙述,哪项不妥()
A.应把不随意运动器官的移动作为移动因素中的主要矛盾处理
B.同一厚度的两个健康人的胸部照片,摄片条件应一致
C.同部位同厚度的慢性骨髓炎与骨结核相比,需要增加摄片条件
D.被照体构成组织比例是摄片条件选择的重要可变因素
E.病理因素对摄片条件的影响十分复杂,较难掌握,应不断积累临床经验
229、单项选择题 与胃的分型无关的是()
A.角型胃
B.袋型胃
C.钩型胃
D.长型胃
E.瀑布型骨
230、单项选择题 显示脊索瘤时,CT和X线平片不同点在于()
A.CT可见肿瘤强化
B.巨大软组织肿块
C.骨质破坏
D.肿瘤钙化
E.CT易于显示骶尾部脊索瘤
231、单项选择题 十二指肠球部溃疡好发部位是()
A.大弯侧
B.小弯侧
C.前壁
D.后壁
E.基底部
232、单项选择题 下述结核瘤特点,哪项不对()
A.多为2cm以下球形影
B.均匀较高密度,可有钙化
C.可有边缘性空洞形成
D.常有卫星灶、胸壁侧可有粗大毛刺
E.可有浅分叶
233、单项选择题 “小泡征”提示哪种疾病()
A.周围型肺癌,尤其是支气管肺泡癌
B.中心型肺癌
C.肺气肿
D.肺结核
E.肺脓肿
234、单项选择题 关于一侧肺不发育的X线表现,下列哪项是不正确的()
A.患侧胸部密度均匀增高
B.无血管纹理分布
C.心脏纵隔移向患侧
D.两侧胸廓大小形态对称
E.患侧动脉主干发育不良或缺如
235、名词解释 酒窝征
236、单项选择题
男,根据其正常骨盆影像图像,判断其最可能的年龄()
A.68岁左右
B.58岁左右
C.18岁左右
D.48岁左右
E.28岁左右
237、单项选择题 关于X线照片质量客观评价方法的叙述,中英文对照错误的是()
A.MTF——调制传递函数
B.LSF——点扩散函数
C.WS——维纳频谱
D.ACF——自相关函数
E.DQE——量子检出效率
238、填空题 儿童期大骨节病依据发病的解剖部位分为__________、__________、_________和__________。
239、填空题 根据肿瘤的发生部位,肺癌可分为3种类型,即____________、___________和____________。
240、单项选择题 成人食管全长约()
A.1~40cm
B.5~20cm
C.15~30cm
D.20~30cm
E.40~50cm
241、单项选择题 胎儿受X线照射的主要危害不包括()
A.智力低下
B.皮炎
C.畸形
D.胚胎死亡
E.诱发癌症
242、单项选择题 通常所说的肺内结节性病灶,直径应为()
A.≤0.5cm
B.≤1cm
C.1~4cm
D.4~6cm
E.≥6cm
243、多项选择题 恶性骨肿瘤中不常有骨膜反应的是()
A.骨纤维肉瘤
B.尤文肉瘤
C.原发网状细胞肉瘤
D.骨肉瘤
E.转移性骨肿瘤
244、名词解释 骨刺征
245、单项选择题 临床怀疑“肾结石”患者,首选以下哪种检查()
A.KUB
B.选择性肾动脉造影
C.IVU
D.逆行尿路造影
E.CT
246、单项选择题 下列说法不妥的是()
A.潜影的本质是银集团
B.感光中心是在乳剂的制备过程中形成的微量银质点
C.显影中心是接受光点后形成的影像银质点
D.无数显影中心所组成的银离子群即为影像
E.感光中心多,显影中心也多
247、单项选择题
女,53岁,进行性吞咽困难伴呕吐,吐黏液半月,结合图像,最可能的诊断为()

A.食管癌
B.贲门癌
C.食管静脉曲张
D.贲门失弛缓
E.胃底癌
248、单项选择题 胸膜粘连最常见的部位是()
A.肺尖部胸膜
B.肋隔角处
C.心膈角处
D.纵隔胸膜
E.以上都不是
249、单项选择题 下列关于“骨巨细胞瘤”恶变征象中应除外哪项()
A.生长速度加快
B.形成软组织肿块
C.骨膜反应加重
D.病灶边缘模糊不清
E.溶骨性骨质破坏
250、单项选择题 患者4岁,高热、咳嗽、气喘7天。听诊两肺水泡音,实验室检查WBC:24×10/L,X线平片示:右肺中下野呈多发致密片状阴影,气管纵隔向左移位。最可能的诊断为()
A.肺炎支原体肺炎
B.麻疹肺炎
C.腺病毒肺炎
D.肺炎链球菌肺炎
E.金黄色葡萄球菌肺炎
251、单项选择题 与下颌角同一平面的椎体是()
A.第1颈椎
B.第2颈椎
C.第3颈椎
D.第4颈椎
E.第5颈椎
252、单项选择题 下列有关“骨血管瘤”的描述,哪项不正确()
A.青少年发病
B.常有外伤史
C.大量骨质溶解与骨质硬化
D.关节可阻止病变蔓延
E.骨畸形,多数患者临床症状轻微
253、单项选择题
男,23岁,胸闷伴胸痛1月余,胸片如图,最可能的诊断为()

A.右膈膨升
B.右下肺盘状不张
C.正常胸片
D.右侧肺底积液
E.右侧膈下脓肿
254、单项选择题 关于腹部摄片注意事项的叙述,错误的是()
A.摄片前均须清洁肠道
B.除新生儿外,均应采用滤线器摄片
C.胶片应包括整个腹部
D.采用呼气后屏气状态曝光
E.FFD为100cm
255、单项选择题 下列关于“外伤性化脓性骨髓炎”特点中,哪项错误()
A.多由开放伤引起
B.病变常较广泛
C.常有多个死骨
D.可有异物存留
E.骨痂形成较晚
256、判断题 右中叶肺不张侧位呈底向前壁尖向肺门的三角形阴影。
257、单项选择题 下列哪项临床表现对诊断骨髓瘤最有价值()
A.60岁以上的男性
B.全身性疼痛
C.尿中出现本-周氏蛋白
D.进行性贫血
E.血清钙及球蛋白升高
258、单项选择题 患者25岁,诉膝关节间歇性隐痛、肿胀半年多,查体胫骨上端内侧肿胀,触之有乒乓球感,X线片示胫骨上端偏内侧呈膨胀性肥皂泡样骨质破坏,横径大于纵径,应诊断为()
A.骨巨细胞瘤
B.动脉瘤样骨囊肿
C.软骨母细胞瘤
D.溶骨型骨肉瘤
E.骨囊肿
259、单项选择题 短管状骨骨结核的典型X线表现为()
A.骨皮质破坏
B.骨皮质增生
C.破坏周围硬化
D.骨膜增生
E.骨气鼓
260、单项选择题 关于维生素D缺乏性佝偻病的X线诊断,以下哪种征象最重要()
A.临时钙化带模糊消失
B.干骺端呈毛刷状杯口状
C.骨质密度减低
D.骨干弯曲变形
E.骨小梁模糊
261、名词解释 Gaucher瘤
262、单项选择题 下述胃溃疡征象,哪项提示为恶性()
A.粘膜纠集
B.狭颈征
C.项圈征
D.腔外龛影
E.局部胃壁僵硬
263、单项选择题 关于腰椎前后位摄片的叙述,下列哪项是错误()
A.常规位置
B.必须使用滤线器
C.常与侧位片一同摄取
D.X线管阴极端必须对上部腰椎
E.取深呼气后屏气曝光
264、单项选择题 不是骨质增生的病因的是()
A.某些原发性肿瘤
B.外伤
C.慢性炎症
D.维生素D缺乏
E.某些代谢或内分泌障碍
265、单项选择题 发生“碘过敏反应”的症状中,下列哪种最危险()
A.面部潮红
B.皮肤丘疹
C.皮肤瘙痒
D.喉头发痒
E.喷嚏
266、单项选择题 下列描述与乳腺纤维瘤的临床和X线主要特征不符合的是()
A.肿块边界清楚
B.周期性疼痛
C.肿块活动,增长缓慢
D.肿块明显压痛
E.无腋窝淋巴结增大
267、配伍题 左心房增大可见于()左心室增大可见于()法洛四联征可见于()
A.左支气管抬高征
B.心后三角消失
C.心尖抬高
D.靴形心脏
E.肺门舞蹈
268、单项选择题 下列除哪项外均为中央型肺癌转移的表现()
A.膈肌矛盾运动
B.膈膨升
C.肺内结节
D.胸腔积液
E.肋骨破坏
269、多项选择题 在胸片上表现为肺血增多的心脏病有()
A.室间隔缺损
B.三尖瓣闭锁不全
C.房间隔缺损
D.肺动脉狭窄
E.动脉导管未闭
270、单项选择题 先天性肛门闭锁,X线检查的最佳时间是()
A.婴儿出生后立即拍片
B.婴儿出生后10~12小时拍片
C.婴儿出生后20~24小时拍片
D.婴儿出生后8~10小时拍片
E.婴儿出生48小时后拍片
271、名词解释 支气管袖口征
272、单项选择题 在X线检查中,对被检者的防护措施错误的是()
A.避免操作失误
B.选用多种X线检查方法
C.采用恰当的X线质和量
D.严格控制照射量
E.做好非检查部位的屏蔽防护
273、单项选择题 腹部平片发现右上腹石榴样致密阴影,侧位片见该影靠前方与肋骨相连,不随体位改位置,最可能的诊断是()
A.右肾结石
B.肠系膜淋巴结钙化
C.肋软骨钙化
D.阳性胆囊结石
E.肝包虫病
274、单项选择题
男,根据其正常骨盆影像图像,判断其最可能的年龄()
A.2岁左右
B.8岁左右
C.6岁左右
D.12岁左右
E.10岁左右
275、单项选择题 在胸片上,无广泛线状、索条状、网状及蜂窝状阴影的是()
A.原发性肺癌
B.石棉肺
C.肺纤维化
D.支气管扩张
E.恶性淋巴管炎
276、单项选择题 下列有关乳腺结构不良的X线表现中,描述不妥的是()
A.乳腺实质内多发或弥漫性不规则结节影
B.病变严重者常难分辨正常乳腺腺体结构
C.有时可在其内见纤维条索影,边缘模糊
D.乳腺实质内无钙化影
E.少数患者乳腺内可见新月形钙化影
277、单项选择题
男,52岁,从事矿井工作32年,近几年出现气喘,呼吸困难,胸片如图,其最可能的诊断为()

A.双肺浸润性结核
B.双肺真菌感染
C.两肺弥漫性间质性肺炎
D.两肺弥漫性纤维化
E.矽肺
278、单项选择题
女,31岁,胸片体检如图,最可能的诊断是()

A.左肺炎性假瘤
B.左肺结核瘤
C.纵隔肿瘤
D.左肺癌
E.胸膜间皮瘤
279、单项选择题 中纵隔最常见的肿瘤是()
A.胸内甲状腺肿
B.神经源性肿瘤
C.胸腺瘤
D.淋巴瘤
E.畸胎瘤
280、多项选择题 闭襻性肠梗阻的X线征象是()
A.长液平征
B.短液平征
C.空回肠转位征
D.咖啡豆征
E.假肿瘤征
281、单项选择题 典型急性粟粒型肺结核的患者,发病初期的X线征象是()
A.肺纹理增强
B.肺纹理稀疏
C.“三均匀”现象
D.肺野透光度降低
E.胸膜反应
282、名词解释 马富西(Maffucci)综合征
283、单项选择题 下述哪项是膜内化成骨()
A.颅顶骨和面骨
B.脊柱和骨盆
C.四肢长骨
D.颅底骨和筛骨
E.四肢短管状骨
284、单项选择题 下列哪项不符合肾结核的影像表现特点()
A.不规则钙化
B.肾影均匀缩小
C.肾实质内棉团状、云雾状对比剂影
D.肾盂破坏
E.IVP:肾盂显影浅淡
285、单项选择题 腕骨角增大见于下述哪种疾病()
A.骨骺发育异常
B.粘多糖病Ⅳ型
C.软骨骨生成障碍
D.粘多糖病Ⅰ型
E.马德隆畸形
286、单项选择题
患者上腹胀满、厌食,查体脾大,腹水征阳性。腹部超声,肝硬化,脾大,腹水。
介入治疗方法()
A.脾动脉化疗
B.TIPSS
C.食管支架
D.肝动脉栓塞
E.PTCD
287、单项选择题 正确选择乳突梅氏位的摄影角度,应是()
A.双25°
B.双35°
C.双45°
D.双55°
E.双65°
288、单项选择题 视神经管位(Rhees’s)摄片,正确的定位是()
A.听眉线垂直于台面
B.听眦线垂直于台面
C.听眶线垂直于台面
D.听鼻线垂直于台面
E.听口线垂直于台面
289、单项选择题 最常见的侵袭性胸腺瘤转移扩散途径为()
A.血行转移
B.沿胸膜腔种植性转移
C.淋巴转移
D.经支气管扩散
E.直接侵犯肺和横膈
290、单项选择题 下列关于正常纵隔的描述,错误的是()
A.后前位胸片,纵隔位于胸部中央
B.主要由心脏、大血管和气管构成
C.肺门位于下纵隔
D.心脏位于中、下纵隔
E.四分法,上纵隔位于胸片柄下缘与第四胸椎下缘连线以上
291、单项选择题 关于过敏性上颌窦炎,下列影像表现哪项错误()
A.多个鼻窦受累
B.窦壁骨质硬化
C.上颌窦息肉
D.鼻甲粘膜增厚
E."气液面"较少见
292、单项选择题 以下对于胸片诊断的描述,哪项不正确()
A.有被CT、MRI取代的可能
B.良好的天然对比是胸片检查的有利条件
C.不能检出某些早期或微小病变
D.正位胸片难以显示心后间隙、后肋膈角区病变
E.可诊断大多数胸内病变
293、单项选择题 急性化脓性骨髓炎的X线摄片,主要表现为()
A.骨质增生硬化
B.新生骨
C.骨质破坏
D.死骨形成
E.以上都不是
294、判断题 乳腺腺体随年龄的增长在X线片上无明显差异。
295、单项选择题 与形成X线照片影像的要素无关的是()
A.照片密度
B.照片的对比度
C.照片的锐利度
D.照片的颗粒度
E.照片的几何精度
296、判断题 急腹症患者宜首选立位腹部平片检查。
297、判断题 慢性化脓性骨髓炎一般无或仅有轻微的不规则骨质破坏,一般无死骨形成。
298、单项选择题 下列哪项不是风湿性心脏病二尖瓣狭窄的基本病理变化()
A.瓣叶粘连
B.腱索纤维化
C.腱索断裂
D.腱索短缩
E.瓣膜下移
299、多项选择题 下列哪些属于过敏性结肠炎X线表现()
A.钡剂通过迅速,0.5~6小时钡剂可达盲肠
B.小肠呈张力增高、痉挛、变细,结肠袋明显增多、增深
C.若结肠内积液较多时,钡剂可呈线样征
D.若结肠内有大量液体时,结肠壁呈“双层肠壁状”
E.钡剂排出的粘膜皱襞呈卵石样改变
300、单项选择题 以下选项中,可提高“图像对比度”的因素是()
A.管电压过高
B.使用滤线器
C.被照物体太厚,密度过大
D.使用遮光器
E.胶片过期