时间:2023-07-17 04:23:28


1、单项选择题
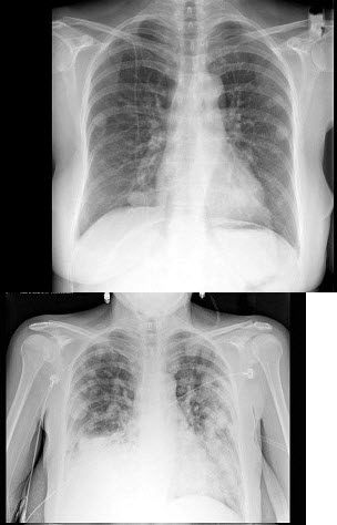
女,51岁,胸闷、咳嗽、咳痰2月余,3年前被确诊为子宫平滑肌肉瘤,结合胸片,最可能的诊断是()

A.粟粒型肺结核
B.肺转移瘤
C.结节病
D.胶原病
E.真菌病
2、单项选择题 下述原发性肺结核病理特征,错误的是()
A.常有钙化
B.可继发支气管扩张
C.98%患者可自愈,愈后不留纤维瘢痕
D.属渗出性、增殖性病变
E.少数患者可有胸腔积液
3、单项选择题 下列哪种疾病,无升主动脉扩张表现()
A.主动导管未闭
B.Marfan综合征
C.主动脉瓣狭窄
D.梅毒性主动脉炎
E.继发孔型房间隔缺损
4、单项选择题 下述乳腺脓肿影像表现中,错误的是()
A.皮肤增厚,皮下脂肪层模糊
B.致密肿块,边缘呈火焰状
C.脓肿晚期,肿块边界不清
D.乳头回缩
E.X线检查通常用于深部或慢性脓肿
5、名词解释 树上挂果征
6、单项选择题 儿童和幼年型类风湿关节炎的早期X线表现哪项是不正确的()
A.多见膝、踝、颈椎等大关节发病
B.干骺端出现横带状透亮区
C.骨骺生长加速,干骺早期融合
D.远侧指关节常被累及
E.可见关节面下的囊状透光区
7、判断题 滑石肺临床症状相对较重且出现早。
8、问答题 气胸的X线表现有哪些?
9、单项选择题 幼儿胸部正位摄片,中心线经()
A.第5胸椎
B.第6胸椎
C.第7胸椎
D.胸骨角水平
E.腋中线前5cm水平
10、多项选择题 下列哪些可在胸骨正位片上显示()
A.胸骨柄
B.胸骨体
C.剑突
D.胸锁关节
E.全部肋骨
11、判断题 狼疮性肺炎的肺部阴影可呈游走性,肺部浸润或间质性改变,用激素治疗效果好。
12、单项选择题 引起回盲瓣肥厚的最常见原因是()
A.Crohn病
B.回盲瓣粘膜脱垂
C.单纯性回盲瓣肥厚
D.回盲瓣结核
E.回盲瓣肿瘤侵犯
13、单项选择题 X线管阴极的作用是()
A.发射电子并聚焦
B.只发射电子
C.只聚焦
D.散热
E.产生X线
14、单项选择题 下列哪种体位不利于观察肺门()
A.正位
B.右侧位
C.右前斜位
D.左前斜位
E.左侧位
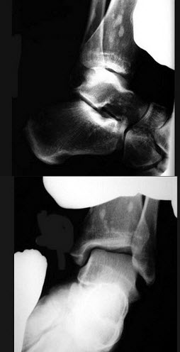
15、单项选择题
女,27岁,有外伤史,结合图像,最可能的诊断是()
A.骨斑点症
B.骨梗死
C.骨岛
D.皮肤骨膜肥厚症
E.石骨症
16、多项选择题 剥脱性骨软骨炎的X线表现为()
A.关节内游离体
B.关节软骨钙化
C.关节内大量积脓
D.远离骨性关节面的骨质破坏
E.包括关节面在内的局限性骨质缺损
17、单项选择题 静脉尿路造影时,如在膀胱内见一充盈缺损,应考虑哪些疾病()
A.膀胱结石
B.膀胱肿瘤
C.输尿管囊肿
D.前列腺肥大
E.以上都是
18、问答题 骨折的愈合分几期?各有何X线表现?
19、单项选择题 下述"肺血减少"X线影像,哪项不对()
A.肺门影小
B.肺纹理纤细、减少
C.肺透亮度增加
D.肺门搏动减弱
E.无论哪种原因,心腰均消失
20、填空题 表面骨肉瘤包括___________、__________和_________________。
21、单项选择题
男,28岁,无临床症状,体检时摄片如图,结合图像,最可能的诊断是()
A.氟骨症
B.转移性骨肿瘤
C.骨样骨瘤
D.骨岛
E.骨斑点症
22、单项选择题 非闭襻性结肠扭转的病理特点是()
A.溃疡形成
B.闭袢形成
C.循环障碍
D.肠腔狭窄
E.炎性浸润
23、单项选择题 指出属于软骨类的肿瘤是()
A.骨瘤
B.骨软骨瘤
C.骨巨细胞瘤
D.非骨化性纤维瘤
E.骨肉瘤
24、多项选择题 下列哪些不是早期食管癌的X线征象()
A.粘膜增粗、消失
B.浅小溃疡
C.小的充盈缺损
D.管壁广泛性僵硬
E.管腔明显狭窄
25、多项选择题 盲肠扭转的X线表现为()
A.充气扩张的小肠位于扩张盲肠的左侧
B.盲肠内侧或外侧可见“V”形切迹,为回盲瓣
C.鸟嘴状狭窄
D.扩张小肠以盲肠为中心呈放射状纠集扩张
E.充气扩张的小肠位于扩张盲肠的右侧
26、单项选择题 马德隆畸形是由于()
A.尺骨近端骨骺发育障碍
B.桡骨近端骨骺发育障碍
C.尺骨远端内侧骨骺发育障碍
D.桡骨远端骨骺内侧发育障碍
E.以上均不是
27、名词解释 类风湿肺结节
28、单项选择题 “腹部平片”观察不到的结构是()
A.脾脏轮廓
B.肝脏轮廓
C.肾上腺轮廓
D.胃轮廓
E.肾脏轮廓
29、多项选择题 属于腹主动脉分支的有哪些()
A.胃左动脉
B.脾动脉
C.肠系膜下动脉
D.结肠动脉
E.肝总动脉
30、单项选择题 构成照片影像的要素中,属于几何因素的是()
A.密度
B.对比度
C.锐利度
D.颗粒度
E.失真度
31、单项选择题 以下成像方法,哪项对诊断颅脑病变价值最小()
A.CT
B.MRI
C.DSA
D.平片
E.透视
32、单项选择题 需稀释造影剂进行造影检查的是()
A.口服胆囊造影
B.静脉胆道造影
C.静脉肾盂造影
D.CTA
E.膀胱造影
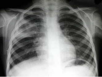
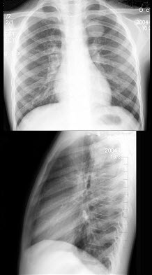
33、单项选择题
女,10岁,高热、咳嗽一天,血象:中性多形核粒细胞高度增多及核左移,血沉加速,痰中查到大量结核杆菌。结合图片,最可能的诊断是()

A.右上肺干酪性肺炎
B.大叶性肺炎
C.支气管扩张
D.小叶性肺炎
E.葡萄球菌性肺炎
34、名词解释 青枝骨折
35、单项选择题 对于先天性巨结肠(Hirschsprung病)患者,以下钡灌肠技术中,哪项不正确()
A.检查前,不清洁灌肠
B.用等渗盐水配制钡剂
C.通常只要求显示狭窄段,不要求显示全结肠
D.检查后,尽量抽出钡剂
E.检查前日,服泻药清洁灌肠
36、单项选择题 下列疾病的肺纹理特点,哪项是错误的()
A.先天性心脏病患者,肺纹理可增粗
B.先天性心脏病患者,肺纹理可变细
C.慢性支气管炎患者,肺纹理普遍稀少
D.肺气肿患者,肺纹理稀少
E.支气管扩张患者,可有局限性肺纹理增多
37、单项选择题 右前斜位片上心脏后缘自上而下依次为()
A.左心房、左心室
B.左心房、右心房
C.右心房、左心室
D.右心房、左心房
E.右心房、右心室
38、单项选择题 关于"急性化脓性鼻窦炎"的影像特点,下列说法哪项错误()
A.窦腔密度均匀增高
B.粘膜下皮质白线消失
C.窦壁粘膜增厚
D.可有气液面
E.单侧或双侧鼻窦受累
39、单项选择题 致密性骨发育不全与石骨症的X线鉴别中哪项是错误的()
A.全身骨骼非均匀性硬化
B.干骺端无致密带
C.末节指(趾)骨远端部分缺如
D.颅缝增宽,前囟不闭
E.下颌角消失
40、单项选择题 可使右心室增大、肺动脉凹陷的是()
A.二尖瓣狭窄
B.肺动脉狭窄
C.房间隔缺损
D.法洛四联征
E.肺源性心脏病
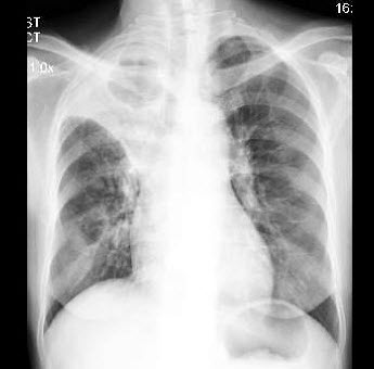
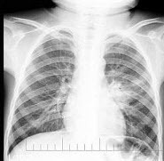
41、单项选择题
女,48岁,咳嗽2月余,胸片检查如图,最可能的诊断为()

A.右上肺胸膜肥厚
B.右上肺结核
C.右上肺不张
D.右上肺肿块
E.肺上沟瘤
42、多项选择题 右心房增大常见于()
A.右心衰竭
B.房间隔缺损
C.三尖瓣病变
D.心房黏液瘤
E.左心衰竭
43、判断题 正位胸片上可见到胸骨柄、胸骨体和剑突3部分。
44、判断题 急腹症患者宜首选立位腹部平片检查。
45、单项选择题 中心型肺癌早期的间接征象为()
A.阻塞性肺气肿
B.阻塞性肺不张
C.阻塞性肺炎
D.肺脓肿
E.支气管扩张
46、多项选择题 在乳腺钼靶X线上,可见以下哪些结构()
A.皮肤
B.脂肪
C.乳头
D.乳腺实质
E.淋巴结
47、单项选择题 慢性化脓性中耳乳突炎单纯型X线表现中,下列说法哪项错误()
A.乳突窦及其周围骨质硬化增生
B.锤骨或砧骨骨质破坏
C.乳突气房透光度减低
D.气房间隔骨质增厚、结构模糊
E.乳突气房外围骨质有明显增生
48、单项选择题 下列关于“Albright综合征”描述中,哪项错误()
A.多骨受累
B.骨干变形
C.毛玻璃样密度,偶有钙化
D.平片可见到囊样透亮区
E.少数可恶变
49、多项选择题 先天性肛门闭锁腹部倒立位摄片,主要目的是()
A.提供手术指征
B.观测直肠的气体
C.观察腹部胀气情况
D.观察肛门闭锁情况
E.测量直肠末端到肛门间的距离
50、多项选择题 颞骨X线摄片主要用于观察()
A.中耳
B.蝶鞍
C.颞骨岩部
D.颞骨乳突气房
E.鼻窦
51、单项选择题 关于胆囊癌的描述哪项正确()
A.直接侵犯以消化管最常见
B.多为鳞癌
C.多为浸润型
D.造影表现正常就可除外胆囊癌
E.胆囊壁增厚是本病特有影像
52、单项选择题 胸部高千伏摄片是指()
A.≥90kV
B.≥100kV
C.≥110kV
D.≥120kV
E.≥130kV
53、填空题 正常迷路骨壁由__________、__________及_________组成。
54、单项选择题 下述肺炎中能明确分期的是()
A.支气管肺炎
B.支原体肺炎
C.过敏性肺炎
D.金葡菌肺炎
E.大叶性肺炎
55、多项选择题 哪些原因可引起寰枢关节半脱位()
A.上呼吸道感染
B.强直性脊柱炎
C.喉部手术
D.类风湿关节炎
E.先天性畸形
56、单项选择题 房间隔缺损与室间隔缺损主要鉴别点是()
A.心脏呈二尖瓣型
B.肺动脉段高度隆起
C.肺门搏动更明显
D.左心房不大
E.左心室不大
57、单项选择题 呼吸系统X线检查的正确顺序是()
A.CT-血管造影-胸片
B.血管造影-胸片-CT
C.胸片-CT-血管造影
D.CT-胸片-血管造影
E.胸片-血管造影-CT
58、单项选择题 骨肉瘤主要临床表现是()
A.局部进行性疼痛
B.功能障碍
C.浅表静脉怒张
D.局部皮温增高
E.以上均是
59、单项选择题 骨膜增生的X线表现中,无以下哪种形状()
A.垂直状
B.放射状
C.花边状
D.斑点状
E.平行状
60、单项选择题
女,79岁,双手肿块,疼痛,结合图像,最可能的诊断是()
A.骨脓肿
B.骨囊肿
C.骨结核
D.原发性肿瘤样钙质沉着症
E.骨肉瘤
61、单项选择题 易与胰头肿块混淆的是()
A.门腔淋巴结
B.右肾上腺
C.右侧膈肌脚
D.十二指肠
E.胃幽门管
62、单项选择题 右前斜位,心脏前缘自上而下依次为()
A.左心房、左心室
B.右心房、右心室
C.右心室、左心室
D.左心房、右心室
E.左心室、右心房
63、单项选择题 长骨结核与化脓性骨髓炎的主要鉴别点是()
A.病变区骨膜反应轻微
B.弥慢性骨质破坏
C.不易侵入关节
D.易向骨干发展
E.以上都是
64、判断题 对移行椎辨认的一个重要价值是手术定位。
65、单项选择题 肱骨外科颈骨折指骨折部位发生在解剖颈下()
A.2.5cm以内
B.1~3cm
C.1~2cm
D.3~4cm
E.2~3cm
66、单项选择题 腹部透视诊断肠梗阻的主要依据是()
A.膈下游离气体
B.间位结肠
C.肠腔气液平
D.肠壁钙化
E.肠管扩张
67、单项选择题 乳腺癌最常见的病理类型是()
A.髓样癌
B.黏液癌
C.浸润性小叶癌
D.浸润性导管癌
E.湿疹样癌
68、单项选择题 下列肺泡性肺水肿的临床表现中,不包括()
A.端坐呼吸
B.水泡样湿啰音
C.咳粉红色泡沫痰
D.咳大量泡沫痰
E.夜间阵发性呼吸困难
69、单项选择题 如疑似大骨节病的病人,最佳投照体位是()
A.双侧第一跖趾骨正、斜位
B.双侧膝关节正位片
C.双手正位及双踝关节正侧位
D.双侧手腕外展位
E.腰椎正侧位片
70、多项选择题 下列组合,正确的是()
A.劳氏位——双15°
B.许氏位——双25°
C.伦氏位——双35°
D.梅氏位——双45°
E.欧文氏位——双55°
71、单项选择题 最常见的后纵隔肿瘤是()
A.神经节细胞瘤
B.淋巴瘤
C.神经母细胞瘤
D.支气管囊肿
E.转移
72、单项选择题
照片影像仅在某一部分出现模糊,最大的可能性是()
a.散射线
b.硫酸钡的流动性
c.胶片乳剂厚度
d.增感屏荧光体颗粒形态
e.半影
A.被照体移动
B.增感屏与胶片接触不良
C.摄片时间长
D.检查床台面颤动
E.暗盒漏光
73、单项选择题 腰椎在斜位X线片上显像似一只狗的样子,下列叙述不正确的是()
A.横突为“狗嘴”
B.主要观察椎弓峡部
C.下关节突为“狗前腿”
D.对侧横突为“狗后腿”
E.椎弓根为“狗眼”
74、单项选择题
男,阴囊下坠不适,胀痛,平卧症状缓解。查体:阴囊下垂松弛,并可触及结节状静脉曲张。
继发病变是()
A.男性不育
B.门脉高压
C.疝气
D.前列腺肥大
E.髂动脉狭窄
75、判断题 化脓性肺炎致病菌最常见的是肺炎双球菌。
76、多项选择题 判断对比剂过敏的依据,正确的是()
A.休克
B.便秘
C.打嗝
D.恶心呕吐
E.以上都是
77、单项选择题 球形增大的肝右叶下段称为()
A.尾状叶
B.利德尔叶
C.獭尾肝
D.右前叶
E.右后叶
78、单项选择题 关于骨岛,哪项是错误的()
A.松质骨内局限性骨小梁增多,增粗
B.边界清楚的致密影
C.长轴与较粗骨小梁走行方向一致
D.直径一般只有数厘米
E.以上都不是
79、单项选择题
男,28岁,右肱骨上段肿痛1月,疼痛以夜间明显,如图所示,最可能的诊断是()
A.溶骨性骨肉瘤
B.成骨性骨肉瘤
C.皮质旁骨肉瘤
D.软骨肉瘤
E.以上均不是
80、单项选择题 自动冲洗机的工作程序为()
A.显影,水洗,定影,干燥
B.显影,定影,水洗,干燥
C.显影,中间处理,定影,水洗,干燥
D.显影,干燥,定影,水洗
E.显影,停显,定影,干燥
81、名词解释 Mikulicz综合征
82、单项选择题 铅线最易发生的部位是()
A.中部肋骨前端
B.尺桡骨近端
C.胫腓骨远端
D.胫腓骨近端
E.尺桡骨远端
83、名词解释 髌骨软化症
84、单项选择题 下列可出现爆米花样钙化的是()
A.肺癌
B.结核球
C.矽肺
D.胸膜间皮瘤
E.错构瘤
85、单项选择题
男性,10岁。胸闷、气短,呼吸困难。X线检查如图,最可能的诊断为()

A.心包炎
B.心包积液
C.先天性ASD
D.先天性VSD
E.心肌炎
86、判断题 病灶迁移现象只有过敏性肺炎才可以见到。
87、单项选择题 关于骨质硬化,下述描述错误的是()
A.骨密度增高
B.骨皮质变薄
C.骨小梁增粗、变密
D.骨髓腔变窄
E.骨干增粗
88、判断题 胰岛细胞瘤影像学检查的目的在于明确肿瘤发生的部位、肿瘤有无向周围扩散以及有无周围淋巴结和肝转移等。
89、多项选择题 骨梗死的X线表现为()
A.囊状及分叶状透光区
B.硬化斑块影
C.条带状钙化骨化影
D.绒毛状骨纹
E.骨外膜增生
90、填空题 乳腺主要构成基础是_______,它是由_______及_______等构成,有_______个乳腺叶。
91、多项选择题 下列会引起肾盏肾盂破坏的疾病为()
A.肾囊肿
B.肾血肿
C.肾结核
D.肾盂癌
E.肾癌
92、单项选择题 成人视神经孔的孔径大约为()
A.0.2cm
B.0.5cm
C.1.2cm
D.0.8cm
E.1.0cm
93、判断题 动脉导管未闭时左右心室可以增大,有时可见漏斗征。
94、单项选择题 下述肺动静脉瘘影像特点,错误的是()
A.单发或多发结节
B.圆形或分叶状
C.病变边缘锐利
D.呼气相病灶体积比吸气相小
E.无钙化
95、判断题 X线诊断的结果,基本上都是肯定性诊断。
96、多项选择题 骨基质发生的良性肿瘤为()
A.骨肉瘤
B.骨旁骨瘤
C.骨样骨瘤
D.成骨细胞瘤
E.髓性骨肉瘤
97、单项选择题 青年男性,无任何诱因突发胸痛、气急1小时。听诊右肺呼吸音消失,胸片示右侧肺纹理消失,内带有软组织肿块影,纵隔向左移位,应首先()
A.右肺局限性肺气肿
B.右肺上叶肺不张
C.右肺下叶实变
D.右侧大量自发性气胸
E.右侧大量液气胸
98、填空题 引起纵隔血肿的原因主要为_______、______________________、_______________________和________________________________。
99、判断题 骨髓瘤患者尿中的凝溶蛋白(Bence-Jones)均为阳性。
100、单项选择题
患者,12岁,跌倒时手掌撑地。查:肘关节半屈状,肘肿胀压痛,外突畸形,肘后三角存在,桡动脉搏动正常。
最适当的治疗方法是()
A.立即切开筋膜减压
B.切开复位、内固定
C.手法复位,石膏固定
D.手法复位即可
E.手术探查肱动脉,同时行骨折复位、内固定
101、名词解释 夹心椎
102、单项选择题 钡餐示“胃粘膜皱襞增粗”,则可除外()
A.Zollinger Ellison综合征
B.革袋胃
C.Crohn病
D.Menetrier病
E.原发性胃非何杰金淋巴瘤
103、多项选择题 有关消化道疾病的描述,正确的是()
A.静脉曲张只见于食管,胃部见不到
B.食管癌中以鳞癌多见
C.对比造影在胃癌诊断上是重要的
D.十二指肠球部溃疡较升段者多
E.小弯侧较大弯侧的胃溃疡发生率高
104、单项选择题 下列哪种疾病,无嗜酸细胞增多表现()
A.蛔虫病
B.结节性大动脉炎
C.曲菌病
D.嗜酸细胞肉芽肿
E.呋喃妥英治疗
105、多项选择题 下列关于提携角的描述,正确的有()
A.肱骨纵轴与桡骨在内下方夹角
B.肱骨纵轴与尺骨在内下方夹角
C.女大于男
D.男大于女
E.正常范围5~2O之间
106、单项选择题 下述慢性肺脓肿影像特征,哪项不对()
A.空洞大小、形态不一
B.可为单发大空洞
C.常有液平面
D.胸膜常增厚
E.常呈偏心性空洞
107、单项选择题 肾结核肾内广泛播散的病理学基础为()
A.肾乳头坏死形成空洞
B.血行播散
C.病变位于肾皮质
D.病变位于肾髓质
E.经淋巴管蔓延
108、单项选择题 胆囊壁增厚最常见的疾病是()
A.胆囊炎
B.腹水
C.肝炎
D.肿瘤
E.胰腺炎
109、判断题 小肠憩室是指小肠壁局限性突出呈囊袋状。
110、填空题 脾增大明显时可引起____________、___________和_____________。
111、单项选择题 在胸部右前斜位片反映右心室增大的早期征象是()
A.肺动脉圆锥部膨突
B.心前缘膨隆
C.心前下间隙缩小
D.膈面延长
E.无特异性
112、多项选择题 房间隔缺损在左、右前斜位可见的X线征象有()
A.肺动脉段隆起
B.心前间隙缩小
C.左心房不大
D.右心室段延长或隆起
E.心前缘与胸骨接触面增加
113、单项选择题 肾结核最早发生在()
A.肾盂内
B.肾乳头部
C.肾小球内
D.肾小管内
E.肾盏内
114、单项选择题 肺吸虫病引起的肺出血及组织破坏所致的X线特点主要为()
A.浸润阴影
B.单房及多房性囊状阴影
C.结节状阴影
D.硬结和钙化阴影
E.肺纹理增多、紊乱
115、多项选择题 脊椎结核的较常见X线表现有()
A.大块死骨
B.椎间隙变窄或消失
C.后突畸形
D.寒性脓肿
E.骨质破坏
116、单项选择题 头颅经眶位检查的是()
A.内听道
B.枕 骨
C.枕大孔
D.岩 骨
E.蝶 鞍
117、单项选择题 慢性肺炎的X线表现中,错误的是()
A.肺纹理增多、紊乱
B.规则圆形,边缘光整的肿块影
C.肺门增大影
D.蜂窝状阴影
E.局限性或弥漫性肺气肿
118、单项选择题 以肺实质为主的病变,其X线表现主要为()
A.多数条索状阴影
B.网格状阴影
C.片状、斑片状或腺泡结节状阴影
D.蜂窝状透光改变
E.小颗粒状阴影
119、多项选择题 柯莱斯(Colles)骨折的X线表现为()
A.指桡骨远端距离远端瓶关节面2.5cm以内的骨折
B.常伴远侧断段向背侧移位和向掌侧成角
C.骨折线常为横行,有时为粉碎性骨折
D.常合并尺骨茎突骨折和下尺桡关节分离
E.桡骨远端骨骺未联合前常发生桡骨远端骨骺分离
120、配伍题 输尿管长约()输精管长约()
A.15~20cm
B.30~45cm
C.25~30cm
D.2~8cm
E.10~12cm
121、单项选择题 无紫绀先天性心脏病中,肺血减少的是()
A.房间隔缺损
B.室间隔缺损
C.主动脉口狭窄
D.动脉导管未闭
E.先天性二尖瓣狭窄
122、填空题 肺血液循环障碍性疾病包括_________、_______、_______和_____________。
123、填空题 原发性甲状旁腺功能亢进以______________为主,其次为_________________,_________最少。
124、单项选择题 下述“骨样骨瘤”诊断要点中,哪项错误()
A.夜间痛明显
B.低密度病灶内常有钙化
C.多数患者小于30岁
D.长骨干骺端多见
E.伴广泛骨质增生、硬化的皮质内密度减低区
125、单项选择题 下列正常肺纹理的表现,哪项是错误的()
A.上肺纹理细,下肺纹理粗
B.肺纹理呈树枝状,越分越细
C.右下肺纹理比左下肺纹理明显
D.两上肺纹理相比,右上比左上多
E.肺纹理向下伸延,可与肝影重叠
126、多项选择题 中量游离性胸腔积液的渗液曲线的形成与下述哪些因素有关()
A.胸腔内的负压状态
B.液体的表面张力
C.肺组织的弹性
D.液体的重力
E.液体在胸腔内的虹吸作用
127、单项选择题 肺炎性假瘤的影像特点中,下列描述哪项不正确()
A.大多位于肺的表浅部位
B.直径2~4cm,也可大于5cm
C.邻近胸膜可见局限性增厚
D.多数密度均匀,偶有空洞
E.一般在数年之内可有明显增大
128、多项选择题 软组织肿瘤钙化常见于()
A.软组织软骨瘤
B.皮样囊肿
C.畸胎瘤
D.软组织错构瘤
E.软骨肉瘤
129、单项选择题 下列哪项关于肾筋膜的描述是错误的()
A.上方与膈下筋膜融合
B.前后肾筋膜融合成吉氏筋膜
C.侧方与侧锥筋膜融合
D.下方与髂筋膜融合
E.后方内侧与腰大肌融合
130、问答题 上颌窦恶性肿瘤的X线表现有哪些?
131、判断题 流行性出血热影像学的病理基础为肺水肿和肺出血。
132、多项选择题 中央型肺癌胸内淋巴结转移多见于哪组淋巴结()
A.主动脉弓旁
B.上腔静脉后
C.主肺动脉窗
D.气管旁及双肺门
E.气管分叉下
133、多项选择题 溃疡型肠结核的X线表现有()
A.肠管边缘呈锯齿状
B.斑点状小龛影
C.激惹征
D.粘膜紊乱呈小息肉状充盈缺损
E.可出现肠梗阻表现
134、填空题 常见的膝关节创伤包括______________、__________________和________________。
135、单项选择题 下列组合错误的是()
A.正中矢状面——将躯体分为左右对称的平面
B.矢状面——将躯体分为左右两部分的平面
C.冠状面——将躯体分为前后两部分的平面
D.侧面——后背皮肤面
E.水平面——将躯体分为上下两部分的平面
136、单项选择题 下列化脓性关节炎的X线表现中,哪项出现早而又具有特征性()
A.关节脓肿
B.关节脱位
C.关节腔狭窄
D.关节持重面骨质破坏
E.关节骨性强直
137、单项选择题 关于食管癌的基本X线征象的说法,错误的是()
A.粘膜皱襞紊乱、破坏
B.不规则腔内充盈缺损
C.管壁僵直,蠕动消失
D.纵隔内软组织肿块
E.恶性溃疡龛影
138、单项选择题 关于散射线及其影响因素的叙述,错误的是()
A.散射线是指离开原射线线束方向的射线
B.管电压越高,散射线越多
C.增感屏感度越高,散射线越少
D.在一定厚度内,被照物体越厚,散射线越多
E.照射野与散射线有密切关系
139、单项选择题 结肠息肉病与溃疡性结肠炎的共同点是()
A.结肠袋形完整
B.肠壁韧性正常
C.息肉间粘膜正常
D.肠腔无狭窄变形
E.极易恶变
140、单项选择题 下列关于“膀胱结核”的诊断要点,错误的是()
A.多继发于生殖系统结核
B.多继发于肾结核
C.膀胱体积缩小
D.膀胱壁线样钙化
E.输尿管开口附近可见充盈缺损
141、单项选择题 分析胸片时一般不考虑()
A.胸廓
B.肺
C.膈
D.胸膜
E.腹膜
142、单项选择题 在风湿性的心脏瓣膜损害中,哪项最多见()
A.主动脉瓣
B.二尖瓣
C.三尖瓣
D.肺动脉瓣
E.联合瓣膜
143、单项选择题 以下“病变-投照体位选择”组合中,哪项不正确()
A.颅底骨折:颅底位
B.下颌骨髁状突骨折:汤氏位
C.眼眶肿瘤:柯氏位
D.颞骨骨折:常规正侧位片
E.上颌窦病变:瓦氏位
144、单项选择题 下述“骨纤维异常增殖症”影像表现,哪项不对()
A.骨改变以板障增宽为特征
B.囊状膨胀性病变,有硬化缘
C.可有硬化和斑点样钙化
D.病理骨折后,局部囊络”样
145、名词解释 镜面右位心
146、单项选择题 新生儿有几个囟门()
A.4个
B.2个
C.5个
D.6个
E.7个
147、单项选择题 下列关于肾结核的描述,错误的是()
A.90%左右由血行感染而来
B.结核菌在肾髓质引起增生和破坏改变
C.CT可显示肾乳头部的多发低密度干酪灶
D.方向可从肾的一处扩散形成空洞或积脓
E.晚期钙化表明肾结核病变完全愈合
148、多项选择题 关于膝关节前后正位片显示标准,正确的是()
A.片包括股骨远端胫骨近端骨骼
B.关节面位于照片下1/3处显示
C.关节间隙内外两侧等距
D.腓骨小头与胫骨仅有小部分重叠
E.腓骨小头与胫骨不应有重叠
149、单项选择题 肺泡性肺水肿较典型的X线征象是()
A.肺纹理模糊
B.袖口征
C.间隔线阴影
D.蝶翼征
E.胸腔积液
150、单项选择题 有关静脉肾盂造影腹部压迫的叙述,错误的是()
A.防止对比剂流入膀胱
B.压迫点为脐下方两侧
C.压迫球呈正八字形放置
D.压力为5.3~8.0kPa
E.观察全尿路时解除压迫
151、名词解释 绝经期乳腺
152、单项选择题 下列哪项检查不属于X线特殊检查()
A.透视
B.高千伏摄影
C.记波摄影
D.荧光缩影
E.体层摄影
153、单项选择题 肺淤血在平片上表现为()(1)肺门增大,血管边缘清楚(2)肺门增大,结构不清,血管边缘模糊(3)肺血管普遍扩张,边缘模糊,呈条纹状(4)肺内血管成比例增粗,边缘锐利(5)上肺静脉增粗,下肺静脉变细
A.(1)(2)(3)
B.(1)(3)(5)
C.(2)(4)(5)
D.(2)(3)(5)
E.(1)(3)(4)
154、问答题 间质性肺炎的X线表现有哪些?
155、单项选择题 关于X线的叙述,错误的是()
A.X线是一种电磁波
B.X线波长,穿透力弱
C.L层比M层产生的X线波长长
D.L层比M层产生的X线波长短
E.X线波长与电子所在壳层有关
156、问答题 胸内淋巴结结核有哪些X线表现?
157、填空题 骨折合并症和后遗症有_______________、______________、_________、_____________、_____________、___________、_____________和____________。
158、单项选择题 X线表现的严重程度与临床症状不相称,为下述哪种肿瘤骨转移的特征()
A.乳癌骨转移
B.肾癌骨转移
C.前列腺癌骨转移
D.鼻咽癌骨转移
E.甲状腺癌骨转移
159、单项选择题 连续X线的辐射方式称为()
A.自发辐射
B.受激辐射
C.轫致辐射
D.特征辐射
E.热辐射
160、单项选择题 下述肺动脉高压的诊断标准,错误的是()
A.肺动脉平均超2.66kPa即可诊断
B.肺动脉平均压>6.65kPa时为重度
C.肺动脉平均压在2.79~3.99kPa时为轻度
D.肺动脉平均压在4.12~6.65kPa时为中度
E.以上都不是
161、单项选择题
男,65岁,咳嗽,右胸痛,痰中带血丝1周。胸部后前位片示:右肺门影增大,右上肺大片状致密影,水平裂呈反“S”样改变。
最可能的诊断是()
A.右上肺炎
B.右上肺脓肿
C.右上阻塞性肺炎
D.右上肺结核
E.右侧中心型肺癌伴右上肺不张
162、单项选择题 IVP示“肾盂显影浅淡”,下列哪项错误()
A.髓质海绵肾早期
B.尿崩症
C.尿毒症
D.高血压肾病
E.输尿管结石
163、单项选择题 男,65岁,小便不畅半年,腰骶部、骨盆疼痛3个月,胸部平片及CT未见异常,腰椎及骨盆平片示骨内多发斑片状密度增高影,最可能的诊断是()
A.氟骨症
B.石骨症
C.骨转移瘤
D.结核
E.骨肉瘤
164、单项选择题 以下对于影像检查局限性的说法,哪项观点不对()
A.某些疾病,影像学无法检出
B.异病同影或同病异影
C.影像表现可与临床不同步
D.过小的病变影像检查可阴性
E.不同成像方法间无互补作用
165、问答题 肺叶外型肺隔离症的X线表现有哪些?
166、单项选择题 在所有跗骨中,有继发性骨化中心的是()
A.楔骨
B.跟骨
C.骰骨
D.跖骨
E.趾骨
167、单项选择题 "泪囊肿瘤"首选的X线检查体位是()
A.柯氏位
B.眼眶正位
C.头颅正位
D.视神经孔位
E.华氏位
168、单项选择题
女,27岁,跌倒后左手肿痛,结合X线图像,骨折类型是()
A.柯莱斯骨折
B.蒙泰贾骨折
C.加莱阿齐骨折
D.尺桡骨骨折
E.反柯莱斯骨折
169、单项选择题 下述“新生儿胸腹膜裂孔疝”描述,错误的是()
A.左侧居多
B.可伴肺发育不全
C.常有肠梗阻
D.左肾可疝入胸腔
E.比胸骨旁疝发生率低
170、填空题 骨转移瘤的X线表现可分为__________、________和__________,以_________多见。
171、问答题 纵隔积气有哪些X线表现?
172、多项选择题 肾上腺疾病的影像检查方法包括()
A.腹部平片
B.腹部CT
C.静脉尿路造影
D.B超
E.MRI
173、单项选择题 胸部CR摄影与常规X线摄影相比,CR摄影对下列哪项信息显示较好()
A.肺间质纤维化
B.间质性肺炎
C.肺泡病变
D.肺结节性病变
E.以上都不是
174、单项选择题 与周围型肺癌相比,球形肺炎影像特征为()
A.粗大毛刺
B.细短毛刺
C.阻塞性肺炎、阻塞性肺气肿
D.细支气管充气征
E.空泡征
175、多项选择题 肠套叠的主要临床症状包括()
A.呕吐
B.腹部肿块
C.血便
D.剧烈的间歇性腹部绞痛
E.发热
176、单项选择题 后组鼻窦指()
A.筛窦+蝶窦
B.筛窦+上颌窦+蝶窦
C.后组筛窦+蝶窦
D.后组筛窦+上颌窦+蝶窦
E.上颌窦+蝶窦
177、单项选择题 X线球管中的阴极产生大量的自由电子是通过()
A.高电压、小电流
B.低电压、大电流
C.只需电流
D.低电压、小电流
E.高电压、大电流
178、多项选择题 胃溃疡特殊表现包括()
A.胃窦部溃疡
B.线形溃疡
C.巨大型溃疡
D.胼胝性溃疡
E.穿透性溃疡
179、单项选择题 肺静脉高压在胸片上最早表现为()
A.上肺静脉扩张
B.下肺静脉扩张
C.上肺静脉收缩
D.下肺静脉收缩
E.间质性肺水肿
180、单项选择题 肺部最常见的良性肿瘤是()
A.错构瘤
B.支气管腺瘤
C.平滑肌瘤
D.纤维瘤
E.脂肪瘤
181、单项选择题 “PTC”术前准备,一般不包括()
A.出血时间
B.碘过敏试验
C.凝血时间
D.全腹部CT检查
E.凝血酶原时间
182、单项选择题 关于正常肺纹理的表现,错误的是()
A.肺纹理呈树枝状,越分越细
B.上肺纹理细,下肺纹理粗
C.右下肺纹理比左下肺纹理明显
D.两上肺纹理相比右上肺比左上肺多
E.肺纹理向下伸延可与肝影重叠
183、单项选择题 下列哪种疾病可致血清酸性磷酸酶升高()
A.畸形性骨炎
B.骨纤维异常增殖症
C.前列腺癌骨转移
D.骨肉瘤
E.以上都不是
184、单项选择题 不属于胃癌基本X线表现的是()
A.Garman综合征
B.胃壁僵硬、边缘不齐
C.项圈征及狭颈征
D.粘膜皱襞破坏中断
E.胃呈皮革状变形
185、单项选择题 X线上,在心膈角发现团状阴影,最常见的是()
A.支气管肺炎
B.心包脂肪垫
C.麻疹肺炎
D.心包囊肿
E.心包憩室
186、单项选择题 X线胶片中感光物质是下列哪组()
A.溴化银
B.氯化银
C.溴化银+碘化银
D.碘化银
E.氟化银
187、单项选择题 肺部炎症导致肺组织发生坏死出血、钙盐沉着,最终导致结果是()
A.渗出
B.增殖
C.钙化
D.纤维化
E.空洞
188、单项选择题
男,56岁,踝关节肿胀,有糖尿病史,结合图像,最可能的诊断是()
A.创伤性关节炎
B.退行性关节病
C.痛风
D.类风湿关节炎
E.神经性关节病
189、单项选择题 对于胸部检查的描述,下列哪项不对()
A.正位胸片,左侧心后膈肌常显示不清
B.对肋骨、钙化的显示,高千伏胸片不及常规胸片
C.侧位深吸气相的肋膈角常呈锐角
D.对肺尖病变,前弓位价值高
E.显示肺纹理、肺内阴影,高千伏胸片不及常规胸片
190、单项选择题 下列有关标准体位的描述,错误的是()
A.人体直立
B.掌心向前
C.两眼向前方平视
D.双上肢下垂置躯干两侧
E.两下肢并拢,足尖外展
191、单项选择题 下列关于“乳腺病变”,说法错误的是()
A.“Paget病”有转变为导管癌可能
B.髓样癌,边缘光整
C.只要见到腋下淋巴结,就提示转移
D.细小钙化多见于乳腺管内肿瘤
E.触诊比影像显示的肿块大,则提示恶性可能
192、多项选择题
男,1岁零8个月,生长发育差,易患呼吸道感染,心悸气促,心脏正、侧位片检查如图所示,正确的描述和诊断是()

A.正位示心影向两侧扩大,心尖左移
B.肺纹理增多
C.侧位示心前间隙变窄,心后食管前三角间隙消失
D.房间隔缺损
E.室间隔缺损
193、单项选择题 最容易观察颈椎结核椎旁脓肿的体位是()
A.正位X线片
B.侧位X线片
C.左斜位X线片
D.右斜位X线片
E.前屈侧位X线片
194、判断题 破骨细胞是一种多核巨细胞,其主要作用是参与骨的破坏。
195、单项选择题 胸腺瘤是纵隔常见肿瘤之一,下列描述正确的是()
A.胸腺瘤常发于中纵隔
B.常见于儿童及20岁以下者
C.直径>10cm者,恶性变的可能性明显增加
D.只有良性肿瘤内部才能出现钙化
E.只有恶性胸腺瘤才会出现重症肌无力
196、单项选择题 子宫输卵管造影的禁忌证是()
A.子宫输卵管慢性炎症
B.子宫输卵管结核
C.子宫输卵管良性肿瘤
D.子宫输卵管位置形态异常
E.子宫输卵管出血
197、单项选择题 关于许氏位摄片的叙述,错误的是()
A.患者头颅呈标准侧位
B.耳廓前折
C.中心线向头侧倾斜25°
D.多用于检查乳突气房
E.中心线入射点为对侧乳突尖上8cm处
198、单项选择题 前列腺癌常发生骨转移,其表现为()
A.成骨型、溶骨型
B.混合型
C.混合型、溶骨型
D.成骨型、混合型
E.成骨型、溶骨型、混合型,以成骨型多见
199、单项选择题 “中晚期胃癌”分型中,不包括哪型()
A.表浅型
B.蕈伞型
C.浸润型
D.溃疡型
E.髓样型
200、单项选择题
女,17岁,左髋部酸胀不适半年,骨盆正位片如图所示,最可能的诊断是()
A.骨髓炎
B.内生软骨瘤
C.骨纤维结构不良
D.骨斑点症
E.以上均不正确
201、多项选择题 关于X线质的叙述,正确的是()
A.X线的硬度
B.X线的强度
C.X线的波长越短,X线质越硬
D.常以管电压(kV)值间接表示X线质
E.常以管电流(mA)值间接表示X线质
202、单项选择题
男,49岁,进行性吞咽困难1月,结合图像,最可能的诊断为()

A.正常食管
B.食管炎
C.食管癌
D.食管静脉曲张
E.胃炎
203、多项选择题 正常排泄性尿路造影依检查时间不同显示()
A.肾实质
B.肾盏
C.肾盂
D.输尿管
E.膀胱
204、单项选择题 下列肺部炎症中哪项不易见到胸膜反应()
A.大叶性肺炎
B.化脓性肺炎
C.机化性肺炎
D.支原体肺炎
E.过敏性肺炎
205、单项选择题 关于冠状动脉解剖的描述哪项不正确()
A.心脏正位片上左冠窦向左膨出,右冠窦向右膨出,无冠窦位于两窦之间的前壁
B.左冠状动脉主干走行于肺动脉干和左心耳之间,至左房室沟处分为两支
C.左前降支阻塞时,由斜角支建立侧支循环由右冠状动脉供血给左室
D.右冠状动脉窦房结支通常为第2分支,走向后上方,供血给心脏系统的重要部位
E.约18%的人右冠状动脉远侧段缺如
206、问答题 痛风的X线表现有哪些?
207、判断题 先天性主动脉缩窄与特发性肺动脉扩张的肺血管改变均正常。
208、单项选择题 下述哪项属脊椎骨折次要损伤()
A.椎弓峡部骨折
B.爆裂骨折
C.安全带骨折
D.压缩或楔形骨折
E.骨折-脱位
209、配伍题 属于肠系膜上动脉分支的有()属于肠系膜下动脉分支的有()
A.胃左动脉
B.腰动脉
C.肾动脉
D.左结肠动脉
E.右结肠动脉
210、单项选择题 单位体积内骨量增多属于()
A.骨内与软骨钙化
B.骨膜增生
C.骨内矿物质沉积
D.骨质增生硬化
E.死骨
211、单项选择题 胸部右前斜位身体冠状面与暗盒呈()
A.15°
B.25°
C.35°
D.45°
E.60°
212、判断题 电击伤时,血管损伤可导致骨缺血坏死和骨质吸收。
213、单项选择题 患者25岁,诉膝关节间歇性隐痛、肿胀半年多,查体胫骨上端内侧肿胀,触之有乒乓球感,X线片示胫骨上端偏内侧呈膨胀性肥皂泡样骨质破坏,横径大于纵径,应诊断为()
A.骨巨细胞瘤
B.动脉瘤样骨囊肿
C.软骨母细胞瘤
D.溶骨型骨肉瘤
E.骨囊肿
214、多项选择题 下列有关主动脉硬化的表现,正确的有()
A.由于升主动脉扩张,右心缘第一弓突出
B.主动脉钙化为线状,大多见于主动脉弓
C.降主动脉迂曲,多偏向左侧
D.左前斜位,主动脉弓向前向后上方移位,主动脉窗扩大
E.左心缘第一弓明显突出
215、名词解释 心脏摆动征
216、多项选择题 下列哪些疾病腹部立位片不能进行诊断的是()
A.肠梗阻
B.肠憩室
C.肠套叠
D.肠穿孔
E.肠扭转
217、单项选择题
患者,12岁,跌倒时手掌撑地。查:肘关节半屈状,肘肿胀压痛,外突畸形,肘后三角存在,桡动脉搏动正常。
最适当的治疗方法是()
A.立即切开筋膜减压
B.切开复位、内固定
C.手法复位,石膏固定
D.手法复位即可
E.手术探查肱动脉,同时行骨折复位、内固定
218、单项选择题 下列关于肺不张的X线表现,错误的是()
A.邻近肺呈代偿性膨胀
B.纵隔向患侧移位
C.胸廓缩小,肋间隙变窄
D.肺门阴影增大
E.肺叶体积缩小,肺纹理消失
219、单项选择题 “骨中骨”征象出现于()
A.骨嗜酸性肉芽肿
B.尼曼-皮克病
C.勒-雪病
D.韩-薛-柯病
E.石骨症
220、单项选择题 下述左心衰的胸片表现,错误的是()
A.左侧心房或心室增大
B.肺静脉扩张
C.双肺门周围"蝶翼样"阴影
D.胸腔积液
E.肺纹理清晰
221、单项选择题
男,37岁,行胃癌根治术后1月余,反复上腹胀,呕吐十天。该患者根治术为()

A.毕Ⅰ氏
B.毕Ⅱ氏
C.胃全部切除术
D.节段胃切除术
E.以上都不是
222、单项选择题 骨骺Salter-HarrisⅣ型损伤是指()
A.骨骺与干骺端完全分离,整个骺板的所有层均断裂
B.部分骺板断裂,可有干骺端小的骨折片仍与骨骺相连
C.骨骺骨折延伸到干骺端,并波及关节面,部分与干骺端分离
D.骨折线穿过干骺端、骺板和骨骺,多数也穿过关节软骨
E.骺板的压缩性损伤,一般不伴有骨损伤,最初多无异常X线表现
223、配伍题 骨质软化是指()骨质增生是指()
A.单位体积内骨组织有机成分正常,而矿物质含量减少
B.单位体积内骨组织无机成分正常,而矿物质含量减少
C.单位体积内骨组织有机成分正常,而矿物质含量增多
D.单位体积内骨量增多
E.单位体积内骨量减少
224、单项选择题 十二指肠球后狭窄的最常见原因为()
A.结核
B.胰头肿瘤
C.局限性炎症
D.球后溃疡
E.良性肿瘤
225、单项选择题 以下关于脊索瘤的叙述中,错误的是()
A.几乎都有骨质破坏
B.好发部位是骶尾部,其次是颅底
C.脊索瘤软组织肿块呈分叶状,50%~90%有钙化
D.脊索瘤起源于脊椎或椎旁残存的细胞
E.好发于颈、胸、腰椎
226、单项选择题 关于"中耳乳突炎",下列说法哪项错误()
A.乳突气房密度增高
B.乳突房壁增厚、结构模糊
C.气房间隔骨质破坏或硬化
D.气房内充满肉芽组织
E.急性者常有胆脂瘤形成
227、单项选择题 骨皮质外1/3的血供主要来源于()
A.骨膜动脉
B.滋养动脉升支
C.滋养动脉降支
D.干骺动脉
E.骨骺动脉
228、判断题 骺软骨有阻止肿瘤发展的趋势,故骨肉瘤不会侵犯骨骺。
229、单项选择题 与剑突至肚脐连线的中点处于同一平面的椎体是()
A.第1腰椎
B.第2腰椎
C.第3腰椎
D.第4腰椎
E.第5腰椎
230、判断题 胸部外伤的严重性除与胸部外伤的程度有关,还与外伤的方式有关。
231、单项选择题 肺淤血是指()
A.肺动脉血流量增加
B.肺静脉血流量增加
C.肺动脉血流量减少
D.肺静脉血流量减少
E.以上均不是
232、单项选择题 下列说法,哪项是正确的()
A.胃与十二指肠相连的部分为幽门
B.附着于骨骼,起着运动作用的肌肉是平滑肌
C.大肠、小肠均有肠系膜
D.在甲状腺前方有二块甲状旁腺
E.视神经管在眼眶外侧壁
233、单项选择题
男,22岁,滑冰时摔倒右手撑地时受伤,结合CR片,最可能的诊断是()
A.柯莱斯骨折
B.蒙泰贾骨折
C.加莱阿齐骨折
D.桡骨远端骨折
E.反柯莱斯骨折
234、单项选择题 下列多发性肺囊肿的X线表现中,错误的是()
A.多见于一侧肺
B.多为含气囊肿,大小不等
C.囊壁薄而边缘锐利
D.通常伴有胸膜增厚
E.肺体积增大
235、单项选择题 月骨骨化年龄为()
A.3岁
B.4岁
C.5岁
D.6岁
E.7岁
236、单项选择题 下列有关支气管肺癌的说法中,哪一项是错误的()
A.是男性发病率最高的恶性肿瘤
B.鳞癌是肺癌最常见的类型
C.X线胸片仍然是最主要的普查手段
D.通常中央型肺癌出现症状较周围型早
E.周围型肺癌较中央型者易漏诊
237、单项选择题 下列哪种先天性疾病,不伴室间隔缺损()
A.法洛四联征
B.假性动脉干
C.右室双出口
D.Lutembacher综合征
E.完全性肺静脉异位引流
238、多项选择题 左心室增大主要见于()
A.高血压病
B.主动脉瓣病变
C.二尖瓣关闭不全
D.室间隔缺损
E.动脉导管未闭
239、单项选择题 下列对胃平滑肌肉瘤描述错误的是()
A.胃的分叶状肿块
B.胃壁的结构显示清楚
C.肿块内回声强弱不均
D.瘤体内多有坏死、出血的无回声
E.瘤体内的无回声形态不规则
240、单项选择题 脊椎骨折可出现()
A.脊椎后突成角
B.棘突撕脱骨折
C.棘突间隙增宽
D.截瘫
E.以上均可
241、单项选择题 颅内最常见的病理钙化是()
A.松果体
B.侧脑室脉络膜丛钙化
C.硬脑膜钙化
D.蛛网膜粒钙化
E.脑垂体钙化
242、单项选择题 颌顶位又称为()
A.顶颌位
B.下上轴位
C.上下轴位
D.额鼻位
E.后前位
243、名词解释 食管胃角
244、多项选择题 主动脉瘤的X线征象有()
A.纵隔阴影增宽
B.动脉瘤的搏动
C.瘤壁的钙化
D.侵蚀脊柱、肋骨或胸骨
E.心脏呈"主动脉型"改变
245、多项选择题 石棉肺患者易并发()
A.肺炎
B.胸膜间皮瘤
C.肺癌
D.支气管扩张
E.肺源性心力衰竭
246、名词解释 骺线早闭
247、单项选择题 下列造影表现,哪项与“结肠癌”无关()
A.肠梗阻
B.苹果核征
C.充盈缺损
D.肠套叠
E.笔尖征
248、单项选择题 下列关于脊柱肿瘤描述错误的是()
A.室管膜瘤是成人最常见的脊髓肿瘤
B.星形细胞瘤是儿童最常见的脊髓肿瘤
C.脂肪瘤是椎管内最常见的髓外肿瘤
D.血管瘤是最常见的椎体良性肿瘤
E.转移瘤是最常见的椎体恶性肿瘤
249、单项选择题 胸片上,双侧肺门影增大可见于()
A.大叶性肺炎
B.慢性纤维空洞型肺结核
C.法洛四联征
D.慢性肺源性心脏病
E.肺隔离症
250、单项选择题 下列关于恶性泪腺肿瘤的X线表现中,错误的是()
A.泪腺窝骨壁结构模糊、吸收
B.局部眶部变薄、边缘光滑
C.病灶边缘模糊
D.不规则虫蚀样破坏
E.眼眶轻度普遍性扩大
251、单项选择题
男,9岁,常年咳嗽,无其他自觉症状,X线检查如图,最可能的诊断是

A.结核瘤
B.原发性肺癌
C.炎性假瘤
D.纵隔肿瘤
E.韦格肉芽肿
252、单项选择题 充血性心肌病的典型X线表现是()
A.右心房和右心室增大
B.右心室增大
C.左心室、右心室增大
D.左心室增大
E.左心房和右心室增大
253、名词解释 第3心室
254、单项选择题 关于卡氏肺囊虫病,下列观点哪项不对()
A.双侧发病
B.胸膜炎
C.弥漫性支气管肺炎
D.抗生素治疗效果不佳
E.可有空洞
255、单项选择题 有关神经纤维瘤病的描述,下列哪项不正确()
A.为遗传性中胚层和外胚层神经组织发育异常
B.病变范围广泛,可累及多个器官或系统
C.临床表现是皮肤咖啡色素斑和多发神经纤维瘤
D.脊柱侧弯后突畸形很常见
E.颅底骨常出现特征性骨生长过度
256、单项选择题 颅底凹陷症,标准摄片体位是()
A.颅底颌顶位
B.颅底顶颌位
C.头颅汤氏位
D.高颈椎侧位
E.高颈椎颅底侧位
257、单项选择题
岩骨摄片的代表位置是()
a.Schuller's位
b.Water's位
c.颅底顶颌位
d.Stenver's位
e.Mayer's位
A.a,b,d
B.a,b,e
C.a,d,e
D.b,c,d
E.c,d,e
258、单项选择题 有关胸腔内生殖细胞瘤,错误的是()
A.多见于20~40岁
B.多起源于胸腺
C.多位于中纵隔
D.可见有脂肪信号
E.可见有囊性信号
259、判断题 Sprengel畸形高位肩胛常有骨、软骨或纤维组织与颈椎、上胸椎连接。
260、单项选择题 输尿管生理狭窄区中最窄的部位是()
A.肾盂起始部
B.输尿管起始部
C.跨过髂总动脉处
D.跨过骨盆入口处
E.进入膀胱壁处
261、填空题 各型黏多糖贮积症的临床表现可有其特点,但比较共同的特点有_________、__________________、____________和__________。
262、多项选择题 关节外伤脱位常发生在()
A.肘关节
B.肩关节
C.踝关节
D.腕关节
E.胸椎
263、单项选择题 下列哪种疾病,无弥漫性肺泡实变改变()
A.肺泡微石症
B.误吸石蜡
C.肺出血性肾小球肾炎
D.肺泡蛋白沉积症
E.成人呼吸窘迫综合征
264、多项选择题 关于X线强度的叙述,正确的是()
A.KVP代表X线的质
B.X线强度指的是管电压的高低
C.靶物质的原子序数越高,X线强度越大
D.X线强度与管电压成正比
E.脉冲电压越接近峰值,X线强度越大
265、单项选择题
女,52岁,感胸痛2月余,无发热,X线检查如图,最可能的诊断是()

A.细支气管肺泡癌
B.两肺炎症
C.亚急性血行播散型肺结核
D.肺转移瘤
E.结节病
266、多项选择题 肺结核病可以见到的空洞为()
A.厚壁空洞
B.薄壁空洞
C.虫蚀样空洞
D.空洞内有球形内容物
E.偏心性空洞
267、单项选择题 易合并恶性间皮瘤的尘肺见于()
A.煤尘肺
B.矽肺
C.炭黑尘肺
D.石棉肺
E.石墨尘肺
268、判断题 多数溃疡性结肠炎病例起病缓慢,发作期与缓解期交替出现。
269、单项选择题 肺部急性炎症反应的病理改变是()
A.渗出灶
B.增殖灶
C.纤维化灶
D.空洞
E.钙化灶
270、单项选择题 下列哪种疾病,不伴三尖瓣关闭不全()
A.风湿性心脏病
B.肺静脉高压
C.右房黏液瘤
D.三尖瓣脱垂
E.Ebstein畸形
271、单项选择题 与喉软骨构成无关的是()
A.甲状软骨
B.环状软骨
C.会厌软骨
D.腭骨
E.杓状软骨
272、单项选择题
男,63岁,进行性吞咽困难1月。食管钡餐示:食管下段粘膜不规则充盈缺损,管腔狭窄,贲门扩张欠佳。
病变侵及食管的()
A.粘膜层
B.粘膜下层
C.肌层
D.外膜
E.粘膜肌层
273、单项选择题 胸片上KerleyB线是指()
A.宽0.5~1mm,多见于上叶的条状影
B.宽约1mm,位于肋膈角上方水平行走线影
C.肺野内细而短的条状影
D.宽约0.5~1mm,肺中野横行条状影
E.以上都不是
274、单项选择题
患者,女,46岁,胸闷气短1月,伴全身乏力,咳嗽,发热。胸片示:中上纵隔增宽,右缘呈波浪状改变。白细胞:8.5×10/L。
当病人出现声音嘶哑时,提示肿瘤已侵犯()
A.声带
B.迷走神经
C.喉上神经
D.喉返神经
E.气管隆突
275、判断题 Crohn病好发生于回盲部,亦可发生于空、回肠。
276、问答题 肺转移性肿瘤的X线表现有哪些?
277、单项选择题 有关牛皮癣性关节炎的叙述中,哪项不正确()
A.常有指甲改变
B.一般不侵犯腕和跗间关节
C.常对称性地侵犯远侧指间关节
D.指间关节或掌指关节出现脱位或半脱位,形成毁形性关节炎
E.一般无骨质疏松
278、单项选择题
男,70岁,进行性吞咽困难半年,结合图像,最可能的诊断为()

A.正常食管
B.食管静脉曲张
C.食管平滑肌瘤
D.贲门失弛缓
E.食管癌
279、单项选择题
男,3岁,咳嗽、低热2周余,不咯血、咳痰,X线检查如图,最可能的诊断是()

A.左肺炎症
B.左肺结核(Ⅰ型)
C.左肺结核(Ⅱ型)
D.左肺结核(Ⅲ型)
E.肺癌
280、单项选择题 “良、恶性胃溃疡”共有的征象为()
A.腔内龛影
B.裂隙征
C.半月征
D.穿透性溃疡
E.环堤
281、单项选择题 质量管理活动开展的程序,不包括()
A.对策实施
B.效果确认
C.标准化
D.遗留问题和今后的改善方法
E.领导决策
282、单项选择题
男,22岁,高热3天伴咳嗽,胸片如图,最可能的诊断是()

A.肺结核
B.支气管肺炎
C.金葡菌肺炎
D.大叶性肺炎
E.干酪性肺炎
283、多项选择题 下述疾病中可见关节内游离体的是()
A.色素沉着绒毛结节性滑膜炎
B.滑膜骨软骨瘤病
C.神经性关节病
D.非骨化性纤维瘤
E.退行性骨关节病
284、名词解释 颞下颌关节紊乱综合征
285、判断题 在吞钡之后,有钡剂残留在会厌谿及梨状隐窝处,把这种现象称为会厌征。
286、名词解释 习惯性脱位
287、单项选择题 青年患者,右肺下叶背段见一薄壁空洞。应首先考虑()
A.先天性肺囊肿
B.肺结核
C.肺脓肿
D.肺癌
E.肺包虫囊肿
288、配伍题 食管上段为()食管中段为()食管下段为()
A.内层环行肌
B.外层纵行肌
C.平滑肌
D.横纹肌
E.横纹肌与平滑肌混合
289、判断题 对移行椎辨认的一个重要价值是手术定位。
290、单项选择题 放射工作人员佩带个人剂量计的正确部位是()
A.上臂
B.上衣兜内
C.裤子兜内
D.左前胸
E.背部
291、单项选择题 四肢长管状骨摄片时至少应包括()
A.长骨的两端
B.邻近两个关节
C.长骨的上端或下端
D.长骨的软组织
E.邻近一个关节
292、单项选择题 中央型错构瘤主要由什么成分组成()
A.脂肪组织
B.平滑肌组织
C.纤维结缔组织
D.软骨组织
E.骨组织
293、多项选择题 胸片上,肺内网状、蜂窝状阴影可见于()
A.间质纤维化
B.间质性肺炎
C.尘肺
D.急性粟粒型肺结核
E.小叶性肺炎
294、名词解释 Schmorl结节
295、单项选择题
男,22岁,膝部酸痛、肿胀,结合图像,最可能的诊断是()
A.纤维性骨皮质缺损
B.嗜酸性肉芽肿
C.非骨化性纤维瘤
D.软骨黏液样纤维瘤
E.骨样骨瘤
296、判断题 由于纵隔内有心血管及结缔组织,故纵隔炎症不易扩散。
297、单项选择题 下列“慢性骨脓肿”影像特点描述不正确的是()
A.骨质破坏常位于干骺端中央
B.局部软组织无肿胀
C.圆形、分叶状密度减低区
D.没有或仅有轻度骨膜反应
E.病灶内常有死骨
298、单项选择题 支气管异物常发生于()
A.左上叶
B.右上叶
C.左舌叶
D.右下叶
E.左下叶
299、填空题 急性腹膜炎的影像学诊断主要依据_____________、______________、______________、_________________和________________。
300、多项选择题 变压器油的作用是()
A.吸收水分
B.绝缘
C.降低湿度
D.散热
E.增加重量