时间:2023-07-02 01:51:48


1、单项选择题 下列除哪项外均为中央型肺癌转移的表现()
A.膈肌矛盾运动
B.膈膨升
C.肺内结节
D.胸腔积液
E.肋骨破坏
2、单项选择题 肺脓肿通常形成的空洞多为()
A.厚壁空洞
B.不规则偏心空洞
C.薄壁空洞
D.薄壁空腔
E.空洞壁厚伴有液平面
3、单项选择题
男,28岁,右肱骨上段肿痛1月,疼痛以夜间明显,如图所示,最可能的诊断是()
A.溶骨性骨肉瘤
B.成骨性骨肉瘤
C.皮质旁骨肉瘤
D.软骨肉瘤
E.以上均不是
4、单项选择题
患者上腹胀满、厌食,查体脾大,腹水征阳性。腹部超声,肝硬化,脾大,腹水。
最可能的诊断()
A.腹膜结核
B.肝炎
C.肝硬化,门脉高压征
D.肝癌
E.胃炎
5、单项选择题 长管状骨急性化脓性骨髓炎发病率从高到低的次序是()
A.胫骨>肱骨>股骨>桡骨
B.股骨>胫骨>肱骨>桡骨
C.肱骨>桡骨>胫骨>股骨
D.桡骨>肱骨>股骨>胫骨
E.胫骨>股骨>肱骨>桡骨
6、单项选择题 以下哪项是静脉肾盂造影时,首次摄片时机()
A.注药后1小时
B.注药后10~12小时
C.注药结束5分钟
D.注药后立即摄片
E.注药后15~30分钟
7、单项选择题 类风湿关节炎主要病理改变常见于()
A.关节软骨
B.关节滑膜
C.关节盘
D.关节韧带
E.关节面
8、判断题 维生素C缺乏症病理改变为普遍性关节软骨坏死,骺板软骨增殖层细胞基质减少。
9、单项选择题 X线自左前经右后达胶片称()
A.右前斜位
B.左前斜位
C.左后斜位
D.右后斜位
E.侧位
10、多项选择题 X线摄片中,X线与物质作用的概率的叙述,正确的是()
A.相干散射5%
B.光电效应约70%
C.康普顿效应约25%
D.电子对效应15%
E.光核反应2%
11、单项选择题 乳突许氏位(Schuller’s)摄片,中心线应为()
A.向头侧倾斜15°
B.向足侧倾斜15°
C.向头侧倾斜25°
D.向足侧倾斜25°
E.垂直投射
12、单项选择题 下述关于KerleyB线的描述,正确的是()
A.病理基础为肺叶间裂积液
B.为盘状肺不张
C.常见于二尖瓣狭窄
D.常见于慢性支气管炎
E.多分布于中上肺野
13、判断题 氟骨症骨质软化经常合并骨质疏松,并与硬化混和。
14、填空题 肺原发性肉瘤包括______________、_____________、________________及__________等。
15、多项选择题 主要依靠现代影像学检查的是()
A.胃肠道病变
B.骨骼病变
C.肝、胆、胰病变
D.脊髓病变
E.神经病变
16、多项选择题 肺血管异常的疾病中,伴有肿块影的是()
A.肺动脉狭窄
B.肺动脉缺如
C.肺隔离症
D.部分肺静脉回流异常
E.肺动静脉瘘
17、单项选择题 关于散射线的叙述,正确的是()
A.X线波长越长,产生散射线越多
B.X线强度越小,产生散射线越多
C.物体受照面越大,产生散射线越多
D.物体越簿,产生散射线越多
E.以上都正确
18、单项选择题 关于降低乳腺癌发生危险性的措施中,下列不正确是()
A.实行人工喂养
B.避免不必要的电离辐射
C.青春期适当节制脂肪和动物蛋白质的摄入
D.更年期尽量避免应用雌激素
E.更年期后适当增加体育活动,减少过剩脂肪
19、单项选择题 肺泡性肺水肿较典型的X线征象是()
A.肺纹理模糊
B.袖口征
C.间隔线阴影
D.蝶翼征
E.胸腔积液
20、单项选择题 左侧膈肌低于右侧膈肌是因为()
A.心脏左压
B.肝位于右膈下
C.左肺较右肺体积大
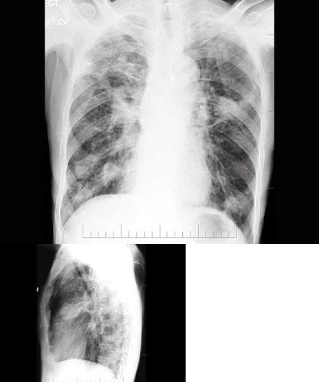
D.左肺两叶,右肺分三叶
E.以上都不对
21、名词解释 肾自截
22、单项选择题
女,51岁,胸闷、咳嗽、咳痰2月余,3年前被确诊为子宫平滑肌肉瘤,结合胸片,最可能的诊断是()

A.粟粒型肺结核
B.肺转移瘤
C.结节病
D.胶原病
E.真菌病
23、单项选择题
男,12岁,右前臂外伤后入院。结合图像,正确的诊断是()
A.Colles骨折
B.孟氏骨折
C.青枝骨折
D.Smith骨折
E.桡骨小头脱位
24、多项选择题 较常见的肺真菌病是()
A.肺曲菌病
B.肺念珠菌病
C.肺奴卡菌病
D.肺放线菌病
E.肺新型隐球菌病
25、单项选择题 在静脉尿路造影检查中,肾癌表现可表现为()
A.蜘蛛足样表现
B.肾盂变形
C.输尿管受压移位
D.肾盂不显影
E.以上均可见
26、单项选择题
根据下列影像图像,最可能的诊断是()

A.右下肺不张
B.右侧肺底积液
C.右膈膨升
D.右侧心包脂肪垫
E.右下肺结核
27、多项选择题 先天性主动脉缩窄的X线表现为()
A.肋骨切迹
B.3字征
C.升主动脉扩张
D.上纵隔阴影增宽
E.降主动脉上段的狭窄后扩张
28、单项选择题 关于寰枢关节叙述正确的是()
A.可使头部做前俯、后仰和侧屈运动
B.两侧关节间隙常不对称
C.可使头部做旋转运动
D.属于联合关节
E.由寰椎两侧的下关节面与枢椎的上关节面构成
29、问答题 法洛四联征X线表现有哪些?
30、单项选择题 下列关于心血管功能的说法,哪项是不正确的()
A.心的传导系统包含窦房结、房室结和房室束
B.正常心的起搏点是房室结
C.动脉是运血离心的管道
D.静脉是引导血流回心的管道
E.静脉血管的管壁薄、管腔大、血容量大
31、填空题 中央型肺癌根据肿瘤的生长方式分为________、________和___________。
32、问答题 肾结石有何X线表现?需与哪些阴影鉴别?
33、单项选择题 经肾脏排泄的非离子型对比剂是()
A.胆影酸钠
B.碘番酸
C.胆影葡胺
D.泛影葡胺
E.甲泛葡糖
34、单项选择题 肩关节间隙正常宽度约()
A.2mm
B.3mm
C.4mm
D.5mm
E.6mm
35、单项选择题 关于常规手后前位摄片的叙述,错误的是()
A.患者侧坐于摄片床旁
B.暗盒平放于摄片床上
C.被检手掌面向下
D.五指伸直略分开
E.中心线向近端倾斜10°
36、单项选择题 易与胰头肿块混淆的是()
A.门腔淋巴结
B.右肾上腺
C.右侧膈肌脚
D.十二指肠
E.胃幽门管
37、单项选择题 下列哪个因素与自动冲洗照片干燥不良无关()
A.干燥温度设置过低
B.干燥室内湿度过大
C.定影液疲劳
D.风量不足
E.水洗温度低于常温
38、单项选择题 下列大叶性肺炎诊断要点,哪项不对()
A.早期:表现先于影像改变
B.吸收期:临床表现迟于影像改变
C.临床多以亚段肺炎形成出现
D.少数可转化为机化性肺炎、肺脓肿、脓胸等
E.典型影像为边缘模糊、密度均匀的片状致密影
39、单项选择题 小叶性肺炎发生在小儿,主要表现为()
A.脊柱旁及心脏边缘部病变较多
B.不局限于一个肺叶或肺段的密度增高阴影
C.两肺中下部内中带沿肺纹理分布的病变
D.局限性肺气肿
E.出现三角形肺不张
40、填空题 肿瘤骨的形态主要有________、_______和_______。
41、单项选择题 下列哪项不是肥厚型胃炎的X线表现()
A.粘膜皱襞隆起、粗大而宽
B.粘膜皱襞数量增多
C.粘膜皱襞排列紊乱、扭曲不正
D.常有多发表浅溃疡及息肉样结节
E.充盈像时胃轮廓呈波浪状
42、单项选择题
男,18岁,右髋关节肿胀,疼痛1月余,经抗感染治疗,疗效不佳,结合图像,最可能的诊断是()
A.右髋关节软骨肉瘤
B.右髋关节滑膜肉瘤
C.右髋关节纤维肉瘤
D.右髋关节化脓性关节炎
E.以上均不是
43、名词解释 Scimitar征
44、多项选择题 下列可引起肾盏肾盂受压变形的疾病为()
A.肾囊肿
B.肾肿瘤
C.肾血肿
D.肾脓肿
E.肾结石
45、判断题 造釉细胞瘤主要来源于残余的牙板和造釉器。
46、填空题 移行椎颅侧移位的特点是:_________________、_______________、________________、____________和______________。
47、单项选择题 下列肺念珠菌病的描述,错误的是()
A.细小斑点状、云雾状阴影
B.常无肺门淋巴结肿大
C.沿支气管分布片状影
D.肺纹理增多
E.约半数患者胸片正常
48、单项选择题
如图,在正常胸部X线影像图像上,该英文字母所代表的肺段为()

A.尖段
B.后段
C.尖后段
D.舌叶上段
E.前段
49、填空题 地中海贫血即__________________,由Cooley(1925年)首先报道,故又称为___________,也称_______________,为常染色体显性遗传性疾病。
50、单项选择题
女,根据其正常骨盆影像图像,判断其最可能的年龄()
A.69岁左右
B.59岁左右
C.49岁左右
D.19岁左右
E.39岁左右
51、单项选择题 下列选项中,主要在瓦氏位摄片显示的是()
A.乳突、中耳气房
B.额窦、眼眶周围骨质
C.上颌窦、筛窦、额窦
D.视神经孔、后组筛窦
E.内听道、蝶鞍、枕骨
52、单项选择题 乳腺癌最常发生的部位为()
A.乳头部位
B.外下象限
C.内下象限
D.外上象限
E.内上象限
53、多项选择题 肝胆显像的临床应用价值()
A.肝移植的监测
B.胆管闭锁及新生儿肝炎的鉴别诊断
C.肠胃反流的诊断
D.黄疸的鉴别诊断
E.胆管旁路手术后检测引流异常及梗阻部位的定位
54、单项选择题 在X线检查中,对被检者的防护措施错误的是()
A.避免操作失误
B.选用多种X线检查方法
C.采用恰当的X线质和量
D.严格控制照射量
E.做好非检查部位的屏蔽防护
55、填空题 肾小管性骨病骨质软化表现的主要X线征象为__________________、______________和___________等。
56、判断题 椎间小关节面的异常改变在影像学上具特征时,一般不需与其他病变鉴别。
57、单项选择题 儿童骨折特点是()
A.骺线增宽
B.斜行骨折
C.粉碎性骨折
D.嵌入性骨折
E.旋转骨折
58、单项选择题 下列检查技术的相应选项,错误的是()
A.手指:近距离摄影
B.乳腺:软组织摄影
C.肺:高千伏摄影
D.心血管:连续摄影
E.消化道:双重造影
59、配伍题 颧骨弓()胸骨()肺底积液()
A.立位+卧位
B.立位或水平位
C.侧位+斜位
D.倒立正侧位
E.轴位
60、单项选择题
女,41岁,颈部疼痛,结合图像,最可能的诊断是()
A.骨肉瘤
B.骨囊肿
C.骨脓肿
D.骨软骨瘤
E.骨结核
61、单项选择题 X线片表现肺血增多,临床表现有发绀者是()
A.二孔型房间隔缺损
B.心内膜垫缺损
C.动脉导管未闭
D.室间隔缺损
E.艾森门格综合征
62、单项选择题 下列除哪项外,均为肋骨骨折的继发征象()
A.骨折线
B.气胸
C.液气胸
D.皮下气肿
E.纵隔气肿
63、单项选择题
男,72岁,手足小关节红肿热痛,白细胞升高,血沉快,血尿酸升高,结合图像,最可能诊断是()
A.类风湿关节炎
B.退行性骨关节病
C.痛风性关节炎
D.假痛风
E.滑膜炎
64、单项选择题 腹部透视诊断肠梗阻的主要依据是()
A.膈下游离气体
B.间位结肠
C.肠腔气液平
D.肠壁钙化
E.肠管扩张
65、单项选择题 有关人体水平面的叙述,正确的是()
A.两眼眶下缘连线为水平面
B.水平面与冠状面相平行
C.水平面与矢状面相互垂直
D.水平面与矢状面相互平行
E.水平面只有一个
66、名词解释 shenton线
67、单项选择题 关于子宫原位癌的描述,错误的是()
A.发生于子宫颈粘膜上皮
B.未发生转移
C.是一种早期癌
D.可长期保持原来的结构
E.癌变仅累及上皮细胞,但未浸润至粘膜下层
68、单项选择题 男,5岁,腹痛,黏液便并偶带血10余天。钡灌肠见乙状结肠远端有1×1cm大小圆形充盈缺损,边缘光滑锐利,有一定活动度。首先考虑的诊断为()
A.结肠息肉
B.结肠息肉恶变
C.结肠癌
D.结肠憩室
E.结肠炎
69、单项选择题 造影时发生碘油栓塞,患者应取的位置是()
A.头高足低右侧卧位
B.头低足高左侧卧位
C.头高足低左侧卧位
D.头低足高右侧卧位
E.平卧位
70、单项选择题 经肝排泄的静脉注射对比剂有()
A.胆影葡胺
B.碘酞葡胺
C.碘葡酰胺
D.碘番酸
E.碘卡酸
71、单项选择题
男,62岁,铸铁工,咳嗽、呼吸急促1月余,结合胸片,最可能的诊断()

A.粟粒型肺结核
B.肺结节病
C.尘肺
D.肺炎
E.肺淤血
72、单项选择题 关于正常肺纹理描述不妥的是()
A.肺动静脉构成,以肺动脉为主
B.自肺门出发向肺外围走行呈树枝状影
C.有时支气管、淋巴管亦显影
D.主要分布于肺内中带
E.动脉性肺纹理细而致密,走行清晰而直
73、单项选择题 正确维护增感屏的方法中,错误的是()
A.防高温防潮湿
B.防阳光曝晒
C.防止水或药液溅入
D.发现灰尘即用口吹清除
E.暗盒应直立放置,避免重压变形
74、判断题 早期胃癌全部能在优质的双重对比造影片上显示出来。
75、单项选择题 来源于骨髓及造血组织的骨肿瘤是()
A.骨巨细胞瘤
B.骨样骨瘤
C.骨软骨瘤
D.动脉瘤样骨囊肿
E.尤文肉瘤
76、判断题 矽结节为直径约3mm左右,轮廓清楚,致密孤立的结节阴影。
77、填空题 原发性甲状旁腺功能亢进以______________为主,其次为_________________,_________最少。
78、单项选择题
男,4个月,阴茎、排尿异常4个月,行尿道造影如图所示,最可能的诊断是()
A.正常尿道
B.尿道瓣膜形成
C.尿道下裂畸形
D.尿道憩室
E.尿道重复畸形
79、判断题 早发先天性骨梅毒患者的骨骼改变与临床症状常相一致。
80、单项选择题 “中晚期胃癌”分型中,不包括哪型()
A.表浅型
B.蕈伞型
C.浸润型
D.溃疡型
E.髓样型
81、单项选择题 在胸部右前斜位片反映右心室增大的早期征象是()
A.肺动脉圆锥部膨突
B.心前缘膨隆
C.心前下间隙缩小
D.膈面延长
E.无特异性
82、判断题 畸胎类肿瘤在胎儿期即存在,故出生后即可。
83、配伍题 肠套叠()新生儿胃穿孔()先天性肥厚型幽门狭窄()先天性十二指肠闭锁()
A.足球征
B.弹簧圈表现
C.双泡征
D.肩样征
E.单泡征
84、单项选择题 哪种疾病属肺血增多并有发绀者()
A.房间隔缺损
B.部分型肺静脉异位引流
C.动脉导管未闭
D.心内膜垫缺损
E.完全型大动脉转位
85、单项选择题 滤线栅的使用在那个投照部位为多()
A.头颅后前位
B.鼻骨侧位
C.拇指侧位
D.婴幼儿胸部前后位
E.乳房
86、多项选择题 软组织肿瘤钙化常见于()
A.软组织软骨瘤
B.皮样囊肿
C.畸胎瘤
D.软组织错构瘤
E.软骨肉瘤
87、判断题 继发性肺结核多为已静止的原发病灶的重新活动,偶为外源性再感染。
88、多项选择题 常可发生少血管型肝转移的是()
A.平滑肌肉瘤
B.甲状腺癌
C.胃癌
D.肾癌
E.恶性淋巴瘤
89、单项选择题 膝关节正位摄片,中心线应对准()
A.髌骨上缘
B.髌骨中心
C.髌骨下缘1cm
D.髌骨上缘1cm
E.髌骨下缘2cm
90、填空题 胃非上皮性肿瘤包括___________、_____________、________和__________等。
91、单项选择题
男,21岁,1月前触及颈部淋巴结肿大,现有上腔静脉综合征,结合胸片,最可能的诊断()

A.结节病
B.淋巴结核
C.转移性淋巴结肿大
D.淋巴瘤
E.胸腺瘤
92、多项选择题 马方(Marfan)综合征病变主要侵犯()
A.肺
B.眼
C.心血管
D.骨骼
E.神经
93、单项选择题 结核球的影像学表现()
A.肺内孤立结节,无分叶,边缘有毛刺,发病前有发热史
B.肺内孤立结节,内有爆米花样钙化
C.右上叶后段结节,边缘光整,周围有卫星灶,增强扫描结节无强化
D.肺内孤立结节,有分叶和毛刺,远端有胸膜凹陷征
E.左下叶后基底段肿块,CT增强扫描示胸主动脉分支进入肿块
94、多项选择题 石棉肺的胸膜改变有()
A.胸膜斑形成
B.胸膜纤维化
C.胸腔积液
D.胸膜间皮瘤
E.胸膜斑钙化
95、单项选择题 X线诊断矽肺的肯定依据是()
A.团块阴影
B.结节阴影
C.网状阴影
D.边缘性肺气肿
E.肺门淋巴结蛋壳样钙化
96、单项选择题
男,63岁,进行性吞咽困难1月。食管钡餐示:食管下段粘膜不规则充盈缺损,管腔狭窄,贲门扩张欠佳。
发现肝内转移,则转移途径为()
A.直接浸润
B.淋巴转移
C.种植转移
D.血行转移
E.消化道粘膜下浸润
97、单项选择题 下列哪项不是心包积液的典型X表现()
A.心影普遍性向两侧扩大,呈烧瓶样或球状
B.上腔静脉影增宽
C.心影在短期内迅速增大并肺淤血
D.心脏搏动明显减弱而主动脉搏动正常
E.主动脉影变短
98、单项选择题 下列关于皮革状胃的X线征象,错误的是()
A.胃粘膜皱襞形态不变
B.胃腔缩小
C.幽门管多呈关闭状态
D.胃壁蠕动消失
E.食管可继发扩张
99、填空题 移行椎尾侧移位的特点是:______________、_____________、________________、_____________、____________和_____________。
100、单项选择题 “胃壁增厚”可见于()
A.Zollinger Ellison综合征
B.Menetrier病
C.淋巴瘤
D.静脉曲张
E.良性胃溃疡
101、单项选择题 脊柱退行性骨关节病X线表现:①椎间隙狭窄、②椎间盘钙化、⑤椎体骨赘形成、④Schmorl结节、⑤椎间隙“真空现象”,其中提示椎间盘退变的直接征象是()
A.①②
B.②③
C.②④
D.①⑤
E.②⑤
102、单项选择题
男,36岁,体检胸片如图,最可能的诊断是()

A.畸胎瘤
B.胸腺瘤
C.淋巴瘤
D.胸内甲状腺肿
E.脂肪瘤
103、单项选择题 室间隔缺损血流动力学的改变首先引起()
A.右心房增大
B.右心室增大
C.左心房增大
D.主动脉扩张
E.肺动脉隆起
104、问答题 双侧肺门影增大常见于哪些疾病?
105、单项选择题 在胸片上,无广泛线状、索条状、网状及蜂窝状阴影的是()
A.原发性肺癌
B.石棉肺
C.肺纤维化
D.支气管扩张
E.恶性淋巴管炎
106、名词解释 Mikulicz综合征
107、单项选择题
男,65岁,咳嗽,右胸痛,痰中带血丝1周。胸部后前位片示:右肺门影增大,右上肺大片状致密影,水平裂呈反“S”样改变。
阻塞的支气管()
A.右主支气管
B.右肺上叶支气管
C.右肺上叶前段支气管
D.右肺中叶支气管
E.右肺上叶尖后段支气管
108、单项选择题 眼眶骨折多见于()
A.外侧壁和顶壁
B.内侧壁和底壁
C.内侧壁和顶壁
D.底壁和外侧壁
E.顶壁和底壁
109、判断题 上颌窦癌最常见为破坏内侧壁并伴鼻腔外侧壁或鼻腔内软组织肿块。
110、问答题 膈疝的X线表现有哪些?
111、单项选择题 静脉肾盂造影时,在注药后30分钟摄影,对下列哪种疾病有诊断价值()
A.Wilms瘤
B.海绵肾
C.慢性肾盂肾炎
D.肾囊肿
E.肾积水
112、单项选择题 心包积液的液体可为()
A.浆液性
B.浆液血性
C.血性
D.乳糜性
E.以上都是
113、单项选择题 椎弓峡部断裂,正确的摄片体位是()
A.腰椎正位
B.腰椎侧位
C.腰椎双斜位
D.腰骶部斜位
E.腰骶部侧位
114、单项选择题 普通X线摄片,胶片吸收的光能中,增感屏的荧光能量占()
A.75%
B.80%
C.85%
D.90%
E.95%
115、判断题 立位腹部平片对诊断急腹症无价值,必须行CT和超声检查。
116、单项选择题 下列关于肺部组织胞浆菌病影像特点,正确的是()
A.常侵犯胸膜、胸壁,形成瘘道
B.中下肺斑点状、云雾状影
C.两肺粟粒样病灶
D.空洞内有“霉菌球”
E.双肺磨砂玻璃样改变
117、单项选择题 下列类风湿关节炎的X线表现中哪项不正确()
A.关节肿胀
B.骨质疏松
C.关节间隙变窄
D.皮下组织钙化
E.纤维性骨性强直
118、单项选择题 下列球形肺炎影像,哪项不对()
A.动态观察,病灶形态变化快
B.边缘模糊不清的球形病灶
C.多数密度均匀
D.空泡征
E.边缘波浪状,可有粗长毛刺
119、单项选择题 诊断纵隔恶性畸胎瘤的指征是()
A.位于前纵隔
B.肿瘤直径超过5cm
C.含脂肪信号
D.局部受侵,肿瘤边缘不规则
E.以上均是
120、单项选择题 胸片上,肺底积液最特征的影像学表现为()
A.横膈抬高,最高点外移
B.横膈抬高,最高点内移
C.纵隔心影向对侧移位
D.纵隔心影向健侧移位
E.气液面
121、单项选择题
女,52岁,感胸痛2月余,无发热,X线检查如图,最可能的诊断是()

A.细支气管肺泡癌
B.两肺炎症
C.亚急性血行播散型肺结核
D.肺转移瘤
E.结节病
122、单项选择题
男,65岁,咳嗽,右胸痛,痰中带血丝1周。胸部后前位片示:右肺门影增大,右上肺大片状致密影,水平裂呈反“S”样改变。
右上肺大片状致密影侧位片位于()
A.右肺上叶尖后段
B.右肺上叶前段
C.右肺下叶背段
D.右肺中叶
E.右肺上叶
123、多项选择题 关于獭尾肝的描述哪些正确()
A.肝左叶增大,与脾脏相连
B.可见于正常变异
C.肝尾叶增大,与胰腺相连
D.可见于肝肿瘤时
E.可见于肝叶比例失调时
124、单项选择题 骨转移瘤最常来自于()
A.腺癌
B.肉瘤
C.皮肤癌
D.食管癌
E.以上都不是
125、单项选择题 肺-肾综合征的病理变化中,应除外()
A.肾小球肾炎
B.缺铁性贫血
C.肺门淋巴结肿大
D.肺间质纤维化
E.肺部实变
126、单项选择题 矢状面与胶片平行的摄影体位有()
A.胸部正位
B.RAO位
C.乳突轴位
D.腕关节正位
E.心脏左侧位
127、单项选择题 下列肺挫伤的诊断要点,错误的是()
A.肺内大片状或斑点状密度增高影
B.胸痛、咯血、呼吸急促
C.肺部阴影需2周以上时间才能完全吸收
D.肺段或肺叶不张
E.液气胸
128、名词解释 肩胛征
129、问答题 在X线上怎样识别关节各部分?
130、单项选择题 急性乳腺炎患者,下列哪项是必定有的临床表现()
A.皮肤红
B.局部皮温明显升高
C.局部有波动
D.疼痛并有明显压痛
E.以上都不对
131、单项选择题 下列有关食管造影描述,错误的是()
A.食管粘膜皱襞呈纵行
B.钡剂通过正常贲门时无分流现象
C.为了解胃底结构,应常规服发泡剂
D.充盈缺损不仅见于食管新生物
E.正位充盈像未见异常就可除外食管癌
132、名词解释 对吻溃疡
133、单项选择题
男,根据其正常骨盆影像图像,判断其最可能的年龄()
A.68岁左右
B.58岁左右
C.18岁左右
D.48岁左右
E.28岁左右
134、单项选择题 下列胸部疾病不随深呼吸而变形的应是()
A.先天性肺囊肿
B.囊性畸胎瘤
C.肺包虫囊肿病
D.心包囊肿
E.神经纤维瘤
135、填空题 室间隔缺损根据临床结合病理分为___________、___________、_________。
136、填空题 在纵隔肿瘤中,比较常见的有_____________、__________、________和__________)等。
137、多项选择题 食管癌腔内型的X线特点是()
A.累及范围长
B.巨大息肉样充盈缺损
C.病灶边界清楚
D.粘膜皱襞中断破坏
E.管腔扩张而狭窄梗阻不明显
138、判断题 瓷器样胆囊是由于胆囊急性炎症所致。
139、多项选择题 流行性出血热影像学的病理基础为()
A.肺充血
B.肺缺血
C.肺水肿
D.肺淤血
E.肺出血
140、名词解释 横向移位
141、问答题 骨折的基本X线表现有哪些?
142、问答题 简述子宫输卵管结核的X线表现?
143、单项选择题
关于乳房摄片的叙述,哪个是正确的()
a.采用低电压摄片
b.相对而言,脂肪组织多的乳房,癌的诊断容易一些
c.微小钙化灶出现对乳癌的诊断是有价值的征象
d.乳房摄片时必须施加压迫
A.a,c,d
B.a,b
C.b,c
D.d
E.a~d全部
144、单项选择题
男,24岁,低热2周,咳少量痰。胸片示右上肺不均密度增高影,其中有空洞形成,血沉45mm/h。
最可能的诊断是()
A.右上肺炎
B.右上肺结核
C.右上肺癌
D.右上肺囊肿
E.右上肺脓肿
145、多项选择题 骨髓瘤好发于下列哪些部位()
A.肱骨
B.脊椎
C.肋骨
D.骨盆
E.胸骨
146、单项选择题 “良、恶性胃溃疡”共有的征象为()
A.腔内龛影
B.裂隙征
C.半月征
D.穿透性溃疡
E.环堤
147、判断题 腔内型食管癌累及范围较局限,管腔狭窄呈环状狭窄,其上方管腔扩张。
148、单项选择题
男,两月。表现排便困难、便秘、腹胀,经常哭闹。如图所示,最可能的诊断为()

A.先天性巨结肠
B.假性先天性巨结肠
C.新生儿坏死性小肠结肠炎
D.先天性肠闭锁
E.肠套叠
149、单项选择题 球形增大的肝右叶下段称为()
A.尾状叶
B.利德尔叶
C.獭尾肝
D.右前叶
E.右后叶
150、填空题 鼻真菌病常见致病菌有__________、_________和__________。
151、判断题 每个脊椎有3个原始骨化中心,1个形成椎体,另2个形成椎弓。
152、填空题 鼻咽癌起源于___________或__________,多数为____________,少数为_______、_________等。
153、判断题 胰多肽瘤属胰岛非B细胞发生的肿瘤。
154、判断题 良性溃疡周围胃小区和胃小沟存在,但大小及粗细不均匀。
155、单项选择题 胆囊区俯卧位摄片的体位倾斜角度,正确的是()
A.右侧抬高20~30°
B.左侧抬高20~30°
C.左侧抬高10~15°
D.右侧抬高10~15°
E.左侧抬高15~25°
156、单项选择题
男,65岁,咳嗽,右胸痛,痰中带血丝1周。胸部后前位片示:右肺门影增大,右上肺大片状致密影,水平裂呈反“S”样改变。
最可能的诊断是()
A.右上肺炎
B.右上肺脓肿
C.右上阻塞性肺炎
D.右上肺结核
E.右侧中心型肺癌伴右上肺不张
157、填空题 骨折合并症和后遗症有_______________、______________、_________、_____________、_____________、___________、_____________和____________。
158、多项选择题 下列良性胃溃疡征象有()
A.环堤
B.狭颈征
C.半月征
D.项圈征
E.裂隙征
159、单项选择题 风湿性心脏病最易侵犯的瓣膜是()
A.主动脉瓣
B.肺动脉瓣
C.二尖瓣
D.三尖瓣
E.二尖瓣+主动脉瓣
160、多项选择题 肾结石的形态典型表现为()
A.桑椹状
B.分层状
C.鹿角状
D.三角形
E.类圆形
161、单项选择题
男,72岁,胸痛,胸片检查如图,最可能的诊断是()

A.细支气管肺泡癌
B.血行播散型肺结核
C.肺转移瘤
D.结核瘤
E.结节病
162、填空题 最常见的三种小肠恶性肿瘤是________、_____________和____________,其发生部位与__________有关。
163、填空题 肝血色素沉着病三大临床特点是_________、_______________和__________。
164、单项选择题 关于鼻真菌病的X线表现,下列哪项描述不准确()
A.鼻腔软组织肿块
B.受侵鼻窦内有结节状软组织影
C.窦壁骨质无破坏
D.鼻甲增大
E.一般窦内无积液
165、单项选择题
男,24岁,低热2周,咳少量痰。胸片示右上肺不均密度增高影,其中有空洞形成,血沉45mm/h。
最可能的诊断是()
A.右上肺炎
B.右上肺结核
C.右上肺癌
D.右上肺囊肿
E.右上肺脓肿
166、问答题 胃溃疡愈合有哪些X线表现?
167、单项选择题
男,45岁,发热、咳痰1月余,结合图像,最可能的诊断是()

A.肺脓肿
B.肺结核
C.吸入性肺炎
D.肺囊虫病
E.肺癌
168、单项选择题 两肺血减少,肺动脉段突出,左侧肺动脉大于右侧,属于下述哪种疾病改变()
A.法洛四联征
B.动脉导管未闭
C.肺动脉瓣狭窄
D.高位室间隔缺损
E.以上都不是
169、单项选择题
男,23岁,膝关节疼痛,结合图像,最可能的诊断是()
A.骨脓肿
B.骨样骨瘤
C.骨肉瘤
D.骨软骨瘤
E.骨囊肿
170、单项选择题 下列关于眼眶肌锥内肿瘤描述中,其早期X线表现是()
A.眶外侧壁受压
B.眶内侧壁受压
C.眶底壁受压
D.眶顶壁受压
E.眶骨吸收破坏
171、多项选择题 诊断恶性骨肿瘤的诊断依据是()
A.浸润性骨质破坏
B.有骨膜反应
C.有软组织肿块
D.破坏区内有死骨
E.Codman三角
172、单项选择题 观察筛窦首选()
A.头颅正位
B.头颅侧位
C.柯氏位
D.颅底位
E.华氏位
173、单项选择题
男,10月。有时哭闹。X线检查如图,最可能的诊断为()

A.畸胎瘤
B.胸腺瘤
C.婴幼儿胸腺
D.右上肺不张
E.神经母细胞瘤
174、单项选择题 下述疾病与心脏增大描述不相符的是()
A.Budd-Chiari综合征——右心房扩大
B.房间隔缺损——左心房增大
C.二尖瓣关闭不全——左心室增大
D.肺动脉狭窄——肺动脉段膨隆
E.动脉导管未闭——“漏斗”征
175、单项选择题
男,7岁,外伤后突发呼吸困难伴胸痛,结合图像,最可能的诊断是()

A.胸腔积液
B.肺大泡
C.气胸
D.液气胸
E.肺脓肿
176、单项选择题
男,65岁,咳嗽,右胸痛,痰中带血丝1周。胸部后前位片示:右肺门影增大,右上肺大片状致密影,水平裂呈反“S”样改变。
最可能的诊断是()
A.右上肺炎
B.右上肺脓肿
C.右上阻塞性肺炎
D.右上肺结核
E.右侧中心型肺癌伴右上肺不张
177、多项选择题 下列属于X线管的固有滤过部分的是()
A.靶面
B.灯丝
C.玻璃壳
D.绝缘油
E.X线窗口
178、单项选择题 腹部X线平片上,肠梗阻特征影像表现始于发病后()
A.1~5小时
B.2~4小时
C.5小时
D.6~8小时
E.8~12小时
179、多项选择题 下列有关色素沉着绒毛结节性滑膜炎的描述中,正确的有()
A.软组织内有蛋壳样钙化
B.主要累及关节滑膜、关节囊和腱鞘
C.本病好发生于青壮年
D.动脉造影可显示富于血管的关节内肿块
E.膝关节最易受累
180、多项选择题 下列关于肠套叠的描述,错误的是()
A.小肠机械性肠梗阻表现
B.好发于回盲部
C.套叠部远端呈杯口状
D.常见于儿童
E.应在24小时内手术
181、单项选择题 升主动脉扩张一般不见于()
A.动脉导管未闭
B.继发孔型房间隔缺损
C.主动脉瓣狭窄
D.梅毒性主动脉炎
E.Marfan综合征
182、单项选择题 ERCP的正确说法是()
A.逆行肾盂造影
B.逆行性内镜胆胰管造影
C.经皮肝穿胆道造影术
D.静脉法胆道造影
E.口服法胆囊造影
183、单项选择题 “脊柱骨髓瘤”区别于“椎体血管瘤”的特点为()
A.多累及松质骨
B.破坏区内骨小梁消失
C.椎体内多发骨质破坏区
D.椎旁出现软组织肿块
E.病理骨折
184、单项选择题 眶上裂缩小常见于()
A.骨纤维异常增殖症
B.眼动脉瘤
C.垂体肿瘤
D.颈内动脉瘤
E.颈内动脉海绵窦瘘
185、单项选择题 不属于医用胶片种类的是()
A.一般摄影用X线胶片
B.多幅相机和激光相机成像胶片
C.影像增强器记录胶片
D.X线特种胶片
E.彩色电影胶片
186、多项选择题 关于X线影像重叠的叙述,正确的是()
A.用前后和左右几个方向的摄片表现人体结构
B.胸片中看不到胸骨影像,是大物体(纵隔)密度大于小物体
C.膝关节正位照片中髌骨影像,是大小物体组织密度相等
D.肺野中的肋骨阴影很明显,是大小物体组织密度相等
E.以上都是
187、单项选择题 最常用于“子宫输卵管造影”的造影剂是以下哪项()
A.Gd-DTPA
B.钡剂
C.碘泛酸
D.40%碘化油
E.空气
188、单项选择题 钡餐示“胃粘膜皱襞增粗”,则可除外()
A.Zollinger Ellison综合征
B.革袋胃
C.Crohn病
D.Menetrier病
E.原发性胃非何杰金淋巴瘤
189、单项选择题 大剂量静脉尿路造影,肾盏、肾盂、输尿管达到饱和程度的时间是注射开始后()
A.6~10分钟
B.10~15分钟
C.15~30分钟
D.45分钟
E.30~60分钟
190、单项选择题
男,63岁,进行性吞咽困难1月。食管钡餐示:食管下段粘膜不规则充盈缺损,管腔狭窄,贲门扩张欠佳。
发现肝内转移,则转移途径为()
A.直接浸润
B.淋巴转移
C.种植转移
D.血行转移
E.消化道粘膜下浸润
191、单项选择题 下列哪种方法是“眶内异物定位”,最常用的()
A.头颅侧位定位法
B.术中定位法
C.CT定位法
D.几何定位法
E.超声定位法
192、填空题 椎间盘突出应与_______________________、_______________、________和________________作鉴别诊断。
193、判断题 肺类风湿病可出现两上肺纤维化且合并空洞形成,与肺结核病有时难以区别。
194、单项选择题 影响X线照片影像清晰度的因素,不包括()
A.影像放大率
B.胶片对比度
C.摄片管电压
D.摄片时间
E.是否用造影剂
195、单项选择题 颅骨侧位,诊断学要求清晰可见的结构是()
A.颅骨穹窿内外板
B.蝶骨壁
C.颞骨岩部
D.颅骨小梁结构及血管沟
E.以上全是
196、单项选择题 不透光性肾结石的首选影像学检查方法是()
A.超声检查
B.腹部平片
C.CT扫描
D.MRI
E.IVP
197、名词解释 骨性狮面
198、单项选择题 心脏右前斜位摄片,曝光前须先()
A.口服硫酸钡
B.浅呼吸屏气
C.深吸气屏气
D.平静呼吸屏气
E.腹式呼吸屏气
199、名词解释 支气管扩张
200、判断题 腺样体肥大X线见鼻咽腔因腺样体占位而狭小,局部骨质破坏
201、多项选择题 哪些是慢性胃溃疡恶变的征象()
A.龛影周围出现小结节状充盈缺损,犹如指压迹
B.龛影周围粘膜皱襞呈杵状增粗或中断
C.龛影变为不规则或边缘出现尖角征
D.治疗过程中龛影逐渐增大
E.龛影周围粘膜纠集,呈辐射状
202、问答题 如何判断颞颌关节脱位?
203、名词解释 张力性气胸
204、单项选择题 主要由柯氏位摄片显示的是哪项()
A.乳突、中耳气房
B.视神经孔、后组筛窦
C.内听道、蝶鞍、枕骨
D.额窦、眼眶周围骨质
E.上颌窦、筛窦、额窦
205、单项选择题 节段性肺不张的影像特征是()
A.近肺底的横行条状致密
B.尖端指向肺门的三角形致密影
C.弥漫分布斑片状影
D.一侧肺致密影伴纵隔向患侧移位
E.3~5cm大小肿块影,伴“彗星尾”征
206、单项选择题 腰大肌阴影起始于()
A.第11胸椎下缘
B.第12胸椎下缘
C.第1腰椎上缘
D.第1腰椎下缘
E.第12胸椎上缘
207、单项选择题 关于右肺上叶不张的X线表现,错误的是()
A.右上叶呈密度增加的大片阴影
B.肺不张叶向上移位
C.气管可向右侧移位
D.右中下叶呈代偿性肺气肿
E.右肺门的阴影向下移位
208、单项选择题
男,72岁,喉部异物感2~3天。体检:咽喉部慢性充血,结合图像,最可能的诊断为()

A.正常表现
B.会厌征
C.颈椎退变
D.食管型颈椎病
E.以上都不是
209、多项选择题 下列叙述,正确的是()
A.自人体的头端达尾端的轴线为长轴
B.上下方向,将人体左右等分的线为正中线
C.人体位于标准姿势时的平面为体轴
D.人体位于标准姿势时的轴线为体轴
E.人体直立与地面垂直的线为水平线
210、单项选择题 经皮肾动脉腔内成形术简称()
A.PTC
B.PTRA
C.PTCA
D.PCN
E.PTA
211、多项选择题 中量游离性胸腔积液的渗液曲线的形成与下述哪些因素有关()
A.胸腔内的负压状态
B.液体的表面张力
C.肺组织的弹性
D.液体的重力
E.液体在胸腔内的虹吸作用
212、多项选择题 放射防护的基本原则是()
A.实践的正当化
B.放射防护最优化
C.个人剂量限值
D.机房的防护
E.患者的防护
213、单项选择题 下列关于肺挫伤要点,错误的是()
A.胸痛、咯血、呼吸急促
B.肺内大片状或斑点状密度增高影
C.肺段或肺叶不张
D.液气胸
E.肺部阴影完全吸收需2周时间
214、单项选择题
女,48岁,咳嗽2月余,胸片检查如图,最可能的诊断为()

A.右上肺胸膜肥厚
B.右上肺结核
C.右上肺不张
D.右上肺肿块
E.肺上沟瘤
215、填空题 血管瘤通常分为3种类型,即___________、______________和___________。
216、判断题 皮质旁骨肉瘤CT可清楚显示骨旁的骨性包块,一般不见软组织肿胀。
217、单项选择题 骨折不愈合的X线征象是()
A.两骨折端移位
B.两骨折端分离
C.两骨折端骨质硬化
D.两骨折端成角
E.两骨折端重叠
218、单项选择题 二尖瓣狭窄的X线征象应是()
A.肺动脉段膨隆,肺充血,左心室增大
B.肺动脉段膨隆,肺淤血,左心室增大
C.肺动脉段凹陷,肺野清晰,右心室增大
D.肺动脉段平直,肺血管正常,心搏动减弱
E.肺动脉段膨隆,肺淤血,左心房增大,右心室增大
219、填空题 乳腺主要构成基础是_______,它是由_______及_______等构成,有_______个乳腺叶。
220、单项选择题
男,22岁,膝部酸痛、肿胀,结合图像,最可能的诊断是()
A.纤维性骨皮质缺损
B.嗜酸性肉芽肿
C.非骨化性纤维瘤
D.软骨黏液样纤维瘤
E.骨样骨瘤
221、填空题 慢性肺脓肿的三大特征是____________、___________和__________。
222、单项选择题
男,24岁,低热2周,咳少量痰。胸片示右上肺不均密度增高影,其中有空洞形成,血沉45mm/h。
病灶好发部位是()
A.右肺上叶前段
B.右肺上叶尖后段
C.右肺上叶尖段
D.右肺上叶后段
E.右肺下叶背段
223、填空题 肺脓肿按感染途径的不同可分为_________、__________和___________________。
224、单项选择题 成人股骨头缺血坏死早期的X线表现为()
A.股骨头形态和关节间隙正常
B.股骨头塌陷,但关节间隙正常
C.股骨头塌陷加重,承重区关节间隙变窄
D.股骨头可见呈混合性死骨改变
E.股骨头可见散在的斑片状或条带状硬化区
225、单项选择题
患者输液过程中突发胸闷、气急、咳痰,胸片如图,最可能的诊断为()

A.矽肺合并感染
B.中央型肺水肿
C.真菌感染
D.间质性肺水肿
E.腺病毒肺炎
226、多项选择题 消化道粘膜的改变包括()
A.粘膜皱襞增粗、扭曲
B.龛影
C.粘膜破坏
D.粘膜皱襞纠集
E.微皱襞的改变
227、单项选择题 大肠全长约为()
A.5~6m
B.2.0m
C.1.5m
D.2.5m
E.3.0m
228、单项选择题 关于维生素D缺乏性佝偻病的X线诊断,以下哪种征象最重要()
A.临时钙化带模糊消失
B.干骺端呈毛刷状杯口状
C.骨质密度减低
D.骨干弯曲变形
E.骨小梁模糊
229、单项选择题 与胸骨颈静脉切迹同一平面的是()
A.第1~2胸椎间
B.第2~3胸椎间
C.第3~4胸椎间
D.第4~5胸椎间
E.第5~6胸椎间
230、填空题 食管癌的病因尚不明,与多种因素有关,分别为______、__________、________、__________、____________、__________、___________和___________。
231、单项选择题 风湿性心脏病左房室瓣(二尖瓣)病变时肺血管改变()
A.肺充血
B.肺淤血
C.肺缺血
D.肺出血
E.以上都不是
232、单项选择题 胎儿受X线照射的主要危害不包括()
A.智力低下
B.皮炎
C.畸形
D.胚胎死亡
E.诱发癌症
233、判断题 慢性血行播散型肺结核为继发性肺结核的一种重要类型。
234、单项选择题 矽肺最常见的死因是()
A.慢性肺源性心脏病
B.结核
C.呼吸道感染
D.自发性气胸
E.呼吸功能衰竭
235、单项选择题 下述慢性肺脓肿影像特征,哪项不对()
A.空洞大小、形态不一
B.可为单发大空洞
C.常有液平面
D.胸膜常增厚
E.常呈偏心性空洞
236、判断题 蝶窦在颅底位和侧位像可以显示,两侧多不对称。
237、名词解释 Brodie脓肿
238、单项选择题 右前斜位吞钡检查,食管前缘见不到的压迹是()
A.主动脉弓压迹
B.左主支气管压迹
C.肺动脉段压迹
D.左心房压迹
E.降主动脉压迹
239、单项选择题 易合并恶性间皮瘤的尘肺见于()
A.煤尘肺
B.矽肺
C.炭黑尘肺
D.石棉肺
E.石墨尘肺
240、单项选择题 下列关于淋巴瘤的描述,不正确的是()
A.恶性淋巴瘤常侵犯胸部
B.非霍奇金淋巴瘤侵犯纵隔者较少
C.淋巴瘤的淋巴结肿大常为对称性肿大
D.淋巴瘤的淋巴结肿大内可见出血坏死状
E.淋巴瘤可累及肺、心包
241、多项选择题 关于胰腺炎的X线表现,描述正确的是()
A.十二指肠球呈三叶状变形
B.Vater壶腹肿大
C.十二指肠环变形或扩大
D.肠管局限性麻痹性肠梗阻
E.胰腺结石及钙化
242、单项选择题 关于麻痹性肠梗阻的X线表现,错误的是()
A.易合并腹水
B.不易与低位结肠梗阻鉴别
C.在仰卧位及立位上,气体的形状及位置的变化大
D.因积气而扩张的肠管范围广泛
E.有的来自机械性肠梗阻
243、多项选择题 X线质的表示方法主要有()
A.半价层
B.管电压
C.管电流
D.管电流量
E.阳极靶面物质原子序数
244、单项选择题 骨肉瘤主要转移途径为()
A.消化道转移
B.淋巴结转移
C.跳跃性转移
D.种植播散
E.血行转移
245、单项选择题 显影液量不够时,应补充以下哪种液体()
A.清水
B.特别配制的补充液
C.陈旧的显影液
D.新鲜的显影液原液
E.碱性溶液
246、判断题 恶性肿瘤触诊时肿块的大小常小于X线所见。
247、多项选择题 关于“ERCP”的禁忌证,下列正确的是()
A.严重胆管感染
B.慢性胰腺炎
C.急性胰腺炎
D.胆管肿瘤
E.慢性胰腺炎急性发作
248、单项选择题 下列哪项为组织来源未定的肿瘤为()
A.纤维肉瘤
B.骨巨细胞瘤
C.骨髓瘤
D.尤文肉瘤
E.脊索瘤
249、单项选择题 X线胶片中感光物质是下列哪组()
A.溴化银
B.氯化银
C.溴化银+碘化银
D.碘化银
E.氟化银
250、多项选择题 韩-薛-柯氏病的临床表现包括()
A.颅骨缺损
B.肝脾肿大
C.尿崩症
D.皮疹及贫血
E.突眼
251、多项选择题 肺内少见的良性肿瘤有()
A.错构瘤
B.软骨瘤
C.纤维瘤
D.平滑肌瘤
E.脂肪瘤
252、单项选择题
女,79岁,双手肿块,疼痛,结合图像,最可能的诊断是()
A.骨脓肿
B.骨囊肿
C.骨结核
D.原发性肿瘤样钙质沉着症
E.骨肉瘤
253、单项选择题 关于鼻咽癌,其常规X线检查体位是()
A.鼻咽侧位
B.鼻咽侧位+颅底位
C.颈侧位
D.头颅正位
E.颅底位
254、多项选择题 可进行功能位检查的是哪些部位()
A.颈椎
B.下颌关节
C.胰腺
D.颞骨
E.胆囊
255、单项选择题 对于结肠病变的诊断,应首选以下哪项()
A.立位腹部平片
B.CT
C.单对比灌肠检查
D.气钡双对比灌肠检查
E.卧位腹部平片
256、判断题 颞颌关节前间隙最宽、下间隙次之、后间隙最窄。
257、单项选择题 先天性巨结肠的常见X线征象是()
A.近端结肠扩张而远端无狭窄段
B.近端结肠狭窄,远端结肠扩张,并伴有功能障碍
C.远端结肠狭窄,近端结肠扩张,并伴有功能障碍
D.结肠病变区无钡剂潴留现象
E.结肠仅有功能障碍
258、单项选择题 肺静脉高压在胸片上最早表现为()
A.上肺静脉扩张
B.下肺静脉扩张
C.上肺静脉收缩
D.下肺静脉收缩
E.间质性肺水肿
259、单项选择题 KerleyB线最常见于哪种疾病()
A.肺癌
B.肺结核
C.心房间隔缺损
D.二尖瓣狭窄
E.慢性支气管炎
260、多项选择题 肺动脉段突出可见于()
A.主动脉瓣狭窄
B.瓣膜型肺动脉狭窄
C.漏斗型肺动脉狭窄
D.高血压心脏病
E.肺源性心脏病
261、单项选择题 对X线的描述,下列正确的是()
A.X线的硬度大→频率高→穿透力强
B.X线的硬度大→波长长→穿透力强
C.X线的硬度大→频率高→穿透力弱
D.X线的硬度大→波长长→穿透力弱
E.X线的硬度大→HVL小→穿透力强
262、单项选择题
男,出生后2天。哭闹不止,腹胀。如图所示,最可能的诊断为()

A.肠套叠
B.肠闭锁
C.胎粪性腹膜炎
D.肠扭转
E.肠狭窄
263、判断题 出血聚集在纵隔组织间隙即形成纵隔血肿。
264、单项选择题 气管分叉上移,夹角增大,见于()
A.左心房增大
B.右心房增大
C.左心室增大
D.膈肌上移
E.肺源性心脏病
265、单项选择题
根据所提供图像,最可能的诊断是()
A.Colles骨折
B.Smith骨折
C.未见异常
D.舟骨骨折
E.骺离骨折
266、单项选择题 关于肺泡蛋白沉积症,下列描述错误的是()
A.弥漫密集分布粟粒样致密影
B.肺门周围蝶形阴影
C.局限性肺气肿、肺不张
D.弥漫网织结节影
E.自限性疾病,预后较好
267、单项选择题 泌尿系统结核最常见的感染途径是()
A.淋巴系统途径
B.呼吸系统途径
C.消化系统途径
D.血行播散
E.接触传染途径
268、单项选择题 关于胸部外伤,下列描述错误的是()
A.常有多发肋骨骨折
B.易并发皮下气肿、气胸
C.创伤性膈疝,右侧多见
D.常有肺不张
E.可有肺出血
269、单项选择题 股骨粉碎性骨折,侧位摄影首选的体位是()
A.蛙式位
B.谢氏位
C.侧卧侧位
D.仰卧水平侧位
E.俯卧水平侧位
270、多项选择题 在头颅正位片上可见到的颅缝有()
A.矢状缝
B.人字缝
C.颞鳞缝
D.冠状缝
E.顶骨乳突缝
271、单项选择题 下述慢性肺源性心脏病的胸片表现中,错误的是()
A.肺部广泛纤维化
B.肺气肿
C.肺动脉段突出
D.右下肺动脉横径>10mm
E.右心室增大
272、问答题 肾结核的病理基础及X线表现是什么?
273、填空题 脊柱有5个移行带,即__________、_________、________、________和________。
274、判断题 大脑后动脉为基底动脉的终支,向后分出颞支和顶支。
275、判断题 浅表型胃炎的X线表现为粘膜粗大、紊乱,常伴多发表浅溃疡。
276、名词解释 骺线早闭
277、单项选择题 成人骨折后,骨痂塑形期一般需()
A.3~6个月
B.6个月~1年
C.1~2年
D.2~4年
E.4~5年
278、单项选择题
女,31岁,胸片体检如图,最可能的诊断是()

A.左肺炎性假瘤
B.左肺结核瘤
C.纵隔肿瘤
D.左肺癌
E.胸膜间皮瘤
279、多项选择题 下列有关主动脉硬化的表现,正确的有()
A.由于升主动脉扩张,右心缘第一弓突出
B.主动脉钙化为线状,大多见于主动脉弓
C.降主动脉迂曲,多偏向左侧
D.左前斜位,主动脉弓向前向后上方移位,主动脉窗扩大
E.左心缘第一弓明显突出
280、单项选择题 下列组合,哪个是不正确的()
A.硫酸钡——阳性对比剂
B.碘普罗胺——有机碘化物
C.空气、氧气——阴性对比剂
D.胆影葡胺——无机碘化物
E.碘苯酯——碘化油
281、单项选择题 在X线摄影的能量范围内,以下哪种形式利用了X线与物质相互作用()
A.康普顿散射
B.光蜕变
C.电子产生
D.光核反应
E.以上都不是
282、单项选择题 关于恶性胸膜间皮瘤,下列诊断要点哪项不对()
A.约50%患者胸水为淡黄色
B.胸膜结节可均匀强化
C.胸廓可变形,纵隔可移位
D.胸膜弥漫性、结节样增厚
E.胸膜局限性肿块
283、单项选择题 胸部正位片见纵隔旁两旁凸出阴影,是指下列哪组淋巴结肿大()
A.支气管肺淋巴结
B.隆突下淋巴结
C.气管支气管淋巴结
D.气管旁淋巴结
E.后纵隔淋巴结
284、名词解释 奴南(Noonan)综合征
285、判断题 肝下缘消失的层面上仍能见到脾下缘则可认为脾向下增大。
286、单项选择题 椎间小关节囊是指()
A.包绕关节突后、外侧
B.包绕关节突前、后侧
C.包绕关节突前、内侧
D.若肥厚,可压迫神经根
E.关节囊松弛对关节稳定性无影响
287、多项选择题 诊断良性骨肿瘤的X线诊断依据是()
A.骨质膨胀破坏,骨皮质亦破坏
B.破坏区边界清楚
C.无软组织肿块
D.无骨膜反应
E.并发病理性骨折时,可有骨膜增生
288、判断题 肺-肾综合征血清学检查抗基底膜抗体常为阴性。
289、单项选择题 下列关于X管的描述错误的是()
A.诊断用X线管的有效焦点均设计为正方形
B.一般X线管常设有两个焦点灯丝
C.更换X线管要用型号相同或具备相同性能的代用管
D.X线管阴极与阳极的距离比整流管两极间距离小
E.管套窗口与管壁窗口应在同一方位上
290、单项选择题 特发性肺间质纤维化好发于()
A.上叶尖后段或下叶背段
B.胸膜下区
C.双下肺
D.肺门附近
E.双肺弥漫分布
291、单项选择题 下列哪种疾病不宜行钡剂灌肠()
A.溃疡性结肠炎
B.疑有结肠癌者
C.中毒性巨结肠
D.先天性巨结肠
E.疑有结肠梗阻者
292、单项选择题
男,70岁,胸痛,不咳嗽、发热,X线检查如图,最可能的诊断是()

A.左肺结核瘤
B.左侧叶间积液
C.左肺癌
D.左肺炎性假瘤
E.左肺错构瘤
293、填空题 颌骨血管瘤可分为_____________、______________及______________。
294、判断题 肋软骨钙化发生的早晚及钙化的程度具有重要临床意义。
295、单项选择题 “法洛四联征”心影呈()
A.梨形心
B.横位心
C.主动脉型心脏
D.悬滴状心
E.靴形心
296、名词解释 多发溃疡
297、名词解释 Calve线
298、单项选择题 关于慢性支气管炎,下列影像错误的是()
A.X线表现常缺乏特征性
B.很少发生肺气肿
C.急性发作时,肺内可有斑片状影
D.病变多分布在中下肺野
E.肺纹理增多
299、多项选择题 可引起眶窝小的疾病有()
A.无眼球、小眼球
B.筛窦粘膜囊肿
C.婴儿期眼球摘除术后
D.骨瘤
E.眼球肿瘤
300、判断题 肺动脉段的隆凸,均是右心室流出道增大所引起。