时间:2023-06-10 02:09:15


1、单项选择题 在逆行性尿路造影检查中,可能出现下列哪种正常生理性改变()
	A.肾盂肾盏不显影
	B.肾盂充盈缺损
	C.肾盂肾盏痉挛
	D.肾盏肾盂边缘不规整
	E.肾盏肾盂扩张
2、单项选择题 下列粉尘中,致癌作用最强的是()
	A.石棉尘
	B.青石棉
	C.滑石粉
	D.赤铁矿粉尘
	E.镍矿粉尘
3、单项选择题 下列关于心血管功能的说法,哪项是不正确的()
	A.心的传导系统包含窦房结、房室结和房室束
	B.正常心的起搏点是房室结
	C.动脉是运血离心的管道
	D.静脉是引导血流回心的管道
	E.静脉血管的管壁薄、管腔大、血容量大
4、单项选择题 关于肺不张影像,下列哪项不对()
	A.叶间裂移位
	B.同侧横膈抬高
	C.患侧肋间隙增宽
	D.肺门移位
	E.纵隔可向患侧移位
5、单项选择题 诊断肠结核最主要的X线征象是()
	A.左半结肠袋影消失
	B.直、乙状结肠交界处狭窄
	C.结肠肝区充盈缺损
	D.盲肠缩短狭窄
	E.回肠呈节段状腊肠状改变
6、多项选择题 “肠套叠灌肠复位”适应证有()
A.全身情况尚好  
B.果酱油色便  
C.大量血便  
D.了解结肠以下低位套叠  
E.套叠时间较长
7、单项选择题 下列哪项不是骨纤维结构不良的X线表现()
	A.骨皮质膨胀,无骨膜反应
	B.颅骨硬化及颅底畸形
	C.骨干囊状透亮区,呈磨砂玻璃状
	D.骨骺延迟闭合,无病理骨折
	E.病变呈多房状
8、单项选择题 鼻咽侧位片上,正常成人鼻咽顶后壁软组织厚度不超过()
	A.0.5cm
	B.1.5cm
	C.1.8cm
	D.2.0cm
	E.2.5cm
9、单项选择题 高千伏摄影,主要用于下列哪个部位的检查()
	A.肢体软组织 
	B.胸部 
	C.乳腺 
	D.骨骼 
	E.腹部
10、单项选择题 下述胰头癌十二指肠曲的X线征象中,错误的是哪一项()
	A.球后段出现笔杆征
	B.粘膜呈毛刷状尖角状
	C.腔边出现反“3”字形改变
	D.肠腔内出现充盈缺损
	E.肠壁出现双边影
11、多项选择题 关于X线防护原则,正确的是()
	A.合理降低个人受照剂量
	B.缩短受照时间
	C.建立屏蔽防护
	D.缩短照射距离
	E.合理降低全民X线检查频率
12、单项选择题 心包积液在少于多少毫升时,其心影大小和形态可无明显改变()
	A.30ml
	B.50ml
	C.300ml
	D.500ml
	E.800ml
13、多项选择题 铅线易发生部位有()
	A.尺桡骨远端
	B.胫骨两端
	C.股骨远端
	D.肱骨近端
	E.中部肋骨前端
14、多项选择题 韩-薛-柯氏病的临床表现包括()
	A.颅骨缺损
	B.肝脾肿大
	C.尿崩症
	D.皮疹及贫血
	E.突眼
15、单项选择题
	男,48岁,吞咽不适、返酸3年,结合图像,最可能的诊断为()

	A.正常肠圈
	B.十二指肠炎
	C.球部溃疡
	D.降段憩室
	E.水平段憩室
16、单项选择题 碘苯酯常用于下列哪项造影检查()
	A.心血管造影
	B.逆行肾盂造影
	C.脑血管造影
	D.椎管造影
	E.静脉胆囊造影
17、单项选择题 骨瘤Gardner综合征包括()
	A.骨瘤、软组织肿瘤、结肠憩室
	B.骨样骨瘤、软组织肿瘤、结肠息肉
	C.骨样骨瘤、软组织肿瘤、结肠憩室
	D.骨瘤、软组织肿瘤、结肠息肉
	E.骨纤维异常增殖症、软组织肿瘤、结肠息肉
18、单项选择题 关于食管癌的基本X线征象的说法,错误的是()
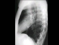
	A.粘膜皱襞紊乱、破坏
	B.不规则腔内充盈缺损
	C.管壁僵直,蠕动消失
	D.纵隔内软组织肿块
	E.恶性溃疡龛影
19、单项选择题
	男,55岁,中上腹隐痛多年,剑突下压痛,影像检查如图,最可能的诊断是()
	A.十二肠溃疡
	B.十二指肠憩室
	C.十二指肠癌
	D.十二指肠重复畸形
	E.十二指肠穿孔
20、单项选择题 男,6岁,临床需查骨龄。 若摄腕部正位片,正常情况下不能显示的腕骨为()
	A.头状骨
	B.钩骨
	C.三角骨
	D.豆骨
	E.月骨
21、单项选择题 病灶组织的放射性分布高于正常组织的显像是()
	A.平面显像
	B.断层显像
	C.阴性显像
	D.阳性显像
	E.介入显像
22、多项选择题 Goodpasture综合征(肺一肾综合征)包括()
	A.肺门淋巴结病
	B.肺纤维变性
	C.肝肿大
	D.缺铁性贫血
	E.肾小球性肾炎
23、单项选择题 下列哪种疾病,不出现局限性颅骨“竖发”表现()
	A.白血病
	B.先天性溶血性贫血
	C.重度缺铁性贫血
	D.血管瘤
	E.继发于紫绀型先天性心脏病的红细胞增多症
24、单项选择题 左前斜位上,“心后下间隙消失”见于()
	A.主动脉扩张
	B.左心房增大
	C.右心房增大
	D.左心室增大
	E.右心室增大
25、单项选择题 下列疾患,不能由腹部平片诊断的是()
	A.胆囊阳性结石
	B.肠梗阻
	C.慢性胰腺炎
	D.消化道穿孔
	E.小儿先天性肛门闭锁
26、单项选择题 胶片密度与曝光量成正比关系的,是特性曲线的什么部分()
	A.足部
	B.肩部
	C.直线部
	D.反转部
	E.全部
27、多项选择题 Perkin方格正确的表述为()
	A.用于股骨头骨骺出现前的儿童髋关节测量
	B.横行线为自两侧"Y"形软骨的中央画线
	C.垂线经过髋臼的外侧缘
	D.横行线与垂线形成的象限称为Perkin方格
	E.正常股骨头骨骺位于内下象限
28、单项选择题 女性,41岁,吞咽困难3年,有时进流质困难,伴呕吐,胸骨后疼痛。X线检查:食管吞钡下端呈锥状狭窄,上端扩大;患者做跳跃动作时,钡剂呈间歇性以粗细不等的圆柱向胃内喷流,狭窄部有纵行规则的粘膜皱襞。首先应考虑为()
	A.食管癌
	B.食管憩室
	C.贲门癌
	D.贲门失弛缓症
	E.食管平滑肌瘤
29、多项选择题 肺泡性肺水肿的X线征象有()
	A.间隔线阴影
	B.病变动态变化较快
	C.胸腔积液
	D.蝶翼征
	E.上肺静脉扩张
30、单项选择题
	女,20岁,上腹隐痛1年余,纳差,结合图像,最可能的诊断为()
	A.正常表现
	B.胃癌
	C.肠系膜上动脉压迫综合征
	D.胃炎
	E.十二指肠占位
31、单项选择题 心脏左右缘搏动减弱,大血管搏动正常,是诊断下述哪种疾病的特征性表现()
	A.主动脉狭窄
	B.联合瓣膜病
	C.心肌病
	D.心包积液
	E.左心衰
32、单项选择题 关于乳腺摄影,错误的是()
	A.采用近距离摄影,使用高分辨率胶片
	B.常规摄取内外斜位和头尾位
	C.因乳腺均为软组织,故不需加压
	D.必要时进行放大摄影提高分辨率
	E.乳腺皮肤应平坦,乳头呈切线位
33、单项选择题
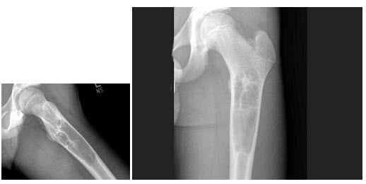
	女,14岁,右大腿上部轻度疼痛1周,结合图像,最可能的诊断是()
	A.骨囊肿
	B.骨巨细胞瘤
	C.嗜酸性肉芽肿
	D.动脉瘤样骨囊肿
	E.以上都不是
34、多项选择题 骨肉瘤的基本X线表现为()
	A.肿瘤钙化
	B.骨质破坏
	C.骨膜反应
	D.软组织肿块
	E.肿瘤新生骨
35、单项选择题 早期乳腺癌最适宜的检查方法为()
	A.钼靶摄片
	B.CT
	C.MRI
	D.红外线
	E.B超
36、单项选择题 关于“皮质旁骨肉瘤”的描述错误的是()
	A.好发于长骨干骺端骨旁
	B.恶性度极高
	C.早期,局部骨皮质增厚
	D.肿瘤呈略高密度,与骨干间有透明带相隔
	E.肿瘤内有不规则透亮区
37、多项选择题 通过眶下裂的血管和神经有()
	A.上颌神经
	B.眶下动脉
	C.眶下静脉
	D.交感神经
	E.第Ⅴ脑神经眼支
38、单项选择题 大量胸腔积液上缘达第几肋前端平面以上()
	A.第4肋
	B.第2肋
	C.第6肋
	D.第7肋
	E.第3肋
39、单项选择题 关于冠状动脉解剖的描述哪项不正确()
	A.心脏正位片上左冠窦向左膨出,右冠窦向右膨出,无冠窦位于两窦之间的前壁
	B.左冠状动脉主干走行于肺动脉干和左心耳之间,至左房室沟处分为两支
	C.左前降支阻塞时,由斜角支建立侧支循环由右冠状动脉供血给左室
	D.右冠状动脉窦房结支通常为第2分支,走向后上方,供血给心脏系统的重要部位
	E.约18%的人右冠状动脉远侧段缺如
40、单项选择题 关于颅骨中的孔与其通过组织的组合,哪项是对的()
	A.眶上裂——上颌神经
	B.枕骨大孔——延髓、椎动脉
	C.圆孔——动眼神经
	D.卵圆孔——下颌神经
	E.颈静脉孔——面神经
41、单项选择题 下列哪些疾病可以使用X线作为初步检查方法()
	A.眼部阳性异物及其定位
	B.眼球突出
	C.眼部肿瘤
	D.眼眶外伤
	E.以上均可
42、单项选择题 围绕视神经周围的是()
	A.脂肪组织
	B.少突胶质细胞
	C.雪旺细胞
	D.脑膜
	E.无任何组织
43、单项选择题 X线在体内各部穿透力,由大到小排列有以下几种,正确的是()
	A.气体,液体及软组织,脂肪,骨骼
	B.骨骼,脂肪,液体及软组织,气体
	C.气体,脂肪,液体及软组织,骨骼
	D.脂肪,气体,液体及软组织
	E.骨骼,软组织及液体,脂肪,气体
44、单项选择题 下列哪项X线征象不是良性胃溃疡的表现()
	A.腔内龛影
	B.粘膜纠集
	C.汗普顿(hampton)线
	D.胃小弯缩短
	E.腔外龛影
45、单项选择题 鉴别肝癌与肝血管瘤时,可采用的方法是()
	A.高分辨率扫描方法
	B.肝血管灌注方法
	C.薄层扫描方法
	D.放大扫描方法
	E.注射对比剂后的动态扫描
46、单项选择题 以下除哪种造影外,都能了解胆管结构()
	A.PTC
	B.IVU
	C.ERCP
	D.术中胆道造影
	E.T型管造影
47、多项选择题 多发性骨软骨瘤出现哪些情况应高度怀疑恶变()
	A.软骨帽增厚,发生于长骨者超过1cm
	B.钙化软骨帽密度变淡,边界不清
	C.瘤体内出现透亮区
	D.远处出现转移性病灶
	E.30岁以上的患者肿瘤体积突发性增大
48、单项选择题 膈下肋骨摄片,采用的呼吸方式为()
	A.浅呼吸屏气
	B.深呼气后屏气
	C.深吸气后屏气
	D.平静呼吸屏气
	E.深吸深呼后屏气
49、单项选择题
	男,37岁,右手腕部外伤1.5小时,右腕部肿痛。根据右腕关节正侧位片,应诊断为()
	A.Barton骨折
	B.Colles骨折
	C.Smith骨折
	D.Monteggia骨折
	E.Bennett骨折
50、单项选择题 下述原发性肺结核病理特征,错误的是()
	A.常有钙化
	B.可继发支气管扩张
	C.98%患者可自愈,愈后不留纤维瘢痕
	D.属渗出性、增殖性病变
	E.少数患者可有胸腔积液
51、单项选择题
	男,7岁,外伤后突发呼吸困难伴胸痛,结合图像,最可能的诊断是()
	A.胸腔积液
	B.肺大泡
	C.气胸
	D.液气胸
	E.肺脓肿
52、单项选择题 泌尿系统结核最常见的感染途径是()
	A.淋巴系统途径
	B.呼吸系统途径
	C.消化系统途径
	D.血行播散
	E.接触传染途径
53、多项选择题 X线检查中对被检者防护,应采取的措施()
	A.提高国民对放射防护的知识水平
	B.正确选用X线检查的适应证
	C.做好非检查部位的屏蔽防护
	D.采用恰当的X线质
	E.严格控制照射量
54、多项选择题 膀胱癌X线膀胱造影表现是()
	A.突入腔内的菜花状或乳头状充盈缺损
	B.病灶基底较宽
	C.局部壁较僵硬、凹凸不平
	D.输尿管和肾积水
	E.以上都是
55、单项选择题 乳房的脂肪层形成一条透亮带,其厚度为()
	A.0.5~1.5mm 
	B.0.5~2.5mm 
	C.0.5~1.5cm 
	D.1.0~2.5cm 
	E.1.5~2.5mm
56、单项选择题 关于“Apert综合征”,下列描述错误的是()
	A.两眼间距过宽
	B.第3、4指并指畸形
	C.颅内压增高相应表现
	D.长骨对称性扩张呈"烧瓶状
	E.冠状缝、矢状缝早闭
57、多项选择题 骨转移瘤较常见的影像学征象为()
	A.多发棉絮状成骨
	B.骨膜反应
	C.骨质破坏
	D.病理骨折
	E.脊椎转移时,椎间隙(盘)多保持完整
58、单项选择题 关于肺吸虫病,下列描述错误的是()
	A.圆形或片状模糊影
	B.单房或多房囊状透光区,周围有索条状影
	C.结节状、片状阴影
	D.大小不等硬结影,可钙化
	E.无钙化病灶
59、多项选择题 骨折的愈合过程可分为()
	A.肉芽组织修复期
	B.原发骨痂连接期
	C.骨性愈合期
	D.塑形期
	E.假关节形成期
60、单项选择题 关于房间隔缺损,X线检查见不到()
	A.右心增大
	B.肺门舞蹈
	C.左心室增大
	D.主动脉结缩小
	E.肺动脉段突出
61、单项选择题 静脉肾盂造影立位片,左肾位于盆腔内,可上下移动,左侧输尿管长度与右侧相仿,应诊断为()
	A.左侧游离肾
	B.左侧异位肾
	C.左肾下垂
	D.左侧重复肾
	E.左侧移植肾
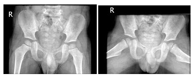
62、单项选择题
	患者女,6岁,左下肢跛行三年,直立时臀部后耸,结合骨盆平片,正确的诊断是()
	A.左髋内翻畸形
	B.左髋结核
	C.左先天性髋关节脱位
	D.左股骨头缺血坏死
	E.左髋关节炎
63、单项选择题
	男,32岁,因车祸致右髋关节肿痛,活动受限摄片如图示,最可能的诊断是()
	A.骨盆Ⅰ型骨折
	B.骨盆Ⅱ型骨折
	C.骨盆Ⅲ型骨折
	D.骨盆Ⅳ型骨折
	E.以上均不是
64、单项选择题 关于钼靶X线机的结构的叙述,错误的是()
	A.按乳房生理特征设计
	B.阳极为散热性好的铜体上嵌以钼
	C.阳极倾角为19°
	D.阴极接地
	E.线焦点
65、单项选择题 下列胰腺病变,哪种不发生钙化()
	A.慢性胰腺炎
	B.胰腺癌
	C.胰岛细胞瘤
	D.单纯性急性胰腺炎
	E.胰腺囊肿
66、单项选择题 鼻窦不包括下列哪项()
	A.上颌窦
	B.额窦
	C.蝶窦
	D.筛窦
	E.直窦
67、单项选择题 腰椎斜位片,正常椎弓及附件的影像呈""猎狗形""。 椎弓崩裂最好发于()
	A.第1腰椎
	B.第2腰椎
	C.第3腰椎
	D.第4腰椎
	E.第5腰椎
68、多项选择题 容易引起肋骨切迹的有()
	A.肺静脉异位引流
	B.动脉导管未闭
	C.引流术后的法洛四联征
	D.主动脉缩窄
	E.腹主动脉血栓
69、单项选择题
	女,40岁,下颌颏部隆起,结合图像最可能诊断()
	A.造釉细胞瘤
	B.骨软骨瘤
	C.含牙囊肿
	D.骨巨细胞瘤
	E.动脉瘤样骨囊肿
70、单项选择题
	女,27岁,有外伤史,结合图像,最可能的诊断是()
	A.骨斑点症
	B.骨梗死
	C.骨岛
	D.皮肤骨膜肥厚症
	E.石骨症
71、单项选择题
	男,28岁,右上肢疼痛,夜间加重,服用止痛药可缓解,结合图像,最可能的诊断是()
	A.骨瘤
	B.骨软骨瘤
	C.骨样骨瘤
	D.骨囊肿
	E.成骨细胞瘤
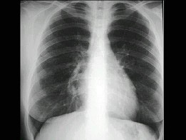
72、单项选择题
男,58岁,咳嗽、发热1周余,无痰中带血,无胸痛,X线胸片如图,最可能的诊断是()
	
	A.右上肺不张
	B.右上肺结核
	C.右上肺炎症
	D.右上胸膜肥厚
	E.右上肺癌
73、单项选择题 骨折后24小时内摄片时X线征象为()
	A.骨折邻近骨密度减低
	B.骨折线模糊
	C.骨痂
	D.平行型骨膜反应
	E.骨折线清晰、锐利
74、单项选择题 以下选项中不参与蝶鞍构成的是()
	A.鞍结节
	B.鞍背
	C.斜坡
	D.鞍底
	E.前床突
75、单项选择题 颈椎张口位摄影,错误的是()
	A.上颌切牙咬合面与乳突尖连线垂直于床面
	B.头后仰
	C.中心线向头侧倾斜15°
	D.尽量张大口
	E.主要观察寰枢椎
76、多项选择题 肺间质包含下述哪些成分()
	A.肺泡间隔
	B.小叶间隔
	C.肺泡管
	D.肺泡壁
	E.支气管及血管的周围组织
77、单项选择题 以下“解剖结构-最佳显示体位”组合中,哪项不正确()
	A.内听道:首选斯氏位
	B.眶下缘、泪囊:首选瓦氏位
	C.枕骨大孔:首选汤氏位
	D.中耳:首选伦氏位
	E.视神经孔:首选瑞氏位
78、单项选择题 男,36岁,右下腹痛、低热3月钡餐检查示回肠末端狭窄、管壁较僵硬,粘膜皱襞紊乱,回盲瓣破坏,盲肠袋挛缩,结肠显示不良,根据临床及X线表现,最可能的诊断是()
	A.肠结核
	B.肠癌
	C.肠淋巴瘤
	D.结肠息肉恶变
	E.肠平滑肌瘤
79、单项选择题 某患者外伤,临床怀疑椎弓峡部断裂。 照片显示的是哪一侧的椎弓峡部()
	A.左侧
	B.右侧
	C.靠近摄影台面侧
	D.远离摄影台面侧
	E.双侧
80、单项选择题 食管吞咽充盈时宽度可达()
	A.1~2cm
	B.2~3cm
	C.3~4cm
	D.0.5~1cm
	E.6~8cm
81、单项选择题 “短头畸形”的颅缝闭合特点为()
	A.冠状缝提早闭合
	B.矢状缝、冠状缝提早闭合
	C.矢状缝、顶颞缝提早闭合
	D.矢状缝、人字缝提早闭合
	E.偏侧颅缝提早闭合
82、单项选择题
男,86岁,干部,反复胸闷、心悸30年,心前区剧烈疼痛12小时入院。入院时心电图除aVR导联外,普遍性ST段压低,当天CPK629.7U/L,LDH635.2U/L。
查体时心脏听诊有多发性期前收缩,心电监护示多发室性早搏,有时形成短阵室速。下列治疗药物何项首选()
	A.利多卡因
	B.苯妥英钠
	C.西地兰
	D.异搏定
	E.奎尼丁
83、单项选择题 胸部正位取后前立位摄影的原因,无关的是()
	A.能正确反映胸部脏器的确切形态
	B.能观察到产生气液面的病理改变
	C.肺组织更靠近胶片,影像清晰
	D.肩胛骨易于投影在肺野之外
	E.心脏放大率小
84、单项选择题 关于左心房的X线投影,下列哪一项不正确()
	A.在右前斜位上,位于心脏后缘下段
	B.在左前斜位上,位于心脏阴影后缘上段
	C.在右前斜位,观察食管的左心房压迹
	D.在左侧位上,位于心后缘上段
	E.后前位左心房耳位于左心室段与肺动脉段之间
85、单项选择题 化脓性骨髓炎指的是什么组织的化脓性感染()
	A.骨皮质和骨膜
	B.骨骺和骨髓
	C.骨髓、骨和骨膜
	D.骨髓
	E.以上都是
	F.以上都不是
86、单项选择题 疑有“急性膀胱炎”时,应避免以下哪种检查()
	A.逆行插管膀胱造影
	B.尿常规检查
	C.骨盆区平片
	D.CT
	E.顺行膀胱造影
87、单项选择题 关于髋关节正位标准片所见,哪项不确切()
	A.照片包括髋关节、股骨近端1/3,同侧耻坐骨及部分髂骨翼 
	B.头位于照片上1/3正中,大粗隆与股骨颈相重叠1/3 
	C.股骨颈及闭孔无投影变形 
	D.髋关节骨纹理清晰锐利 
	E.小髋关节正位必须双侧对比显示
88、单项选择题 软骨的构成是()
	A.软骨细胞
	B.软骨细胞和基质
	C.细胞、基质和纤维
	D.软骨细胞和软骨母细胞
	E.钙化软骨和软骨细胞
89、单项选择题 下列关于“肠结核”影像表现,错误的是()
	A.增生型肠结核出现充盈缺损
	B.跳跃征
	C.溃疡型龛影检出率高
	D.增生型肠结核肠管出现短缩、变窄
	E.内瘘
90、单项选择题 关于骨质硬化,下列X线表现中哪项错误()
	A.骨密度增高
	B.骨皮质增厚
	C.骨小梁增粗、增密
	D.骨髓腔变窄
	E.骨轮廓无变化
91、单项选择题 下述法洛四联征的基本改变,错误的是()
	A.主动脉骑跨
	B.肺动脉狭窄
	C.右心室肥厚
	D.高位室间隔缺损
	E.三尖瓣下移
92、单项选择题 后前位胸片上,左心膈角区常可见()
	A.上腔静脉
	B.上肺静脉
	C.下腔静脉
	D.下肺静脉
	E.心包脂肪垫
93、多项选择题 骨组织内的细胞有()
	A.骨细胞
	B.破骨细胞
	C.成骨细胞
	D.未分化的间叶细胞
	E.干细胞
94、单项选择题 关于DR的描述,下列哪项是错误的()
	A.较CR成像速度快
	B.探测器寿命长
	C.曝光量小
	D.可透视
	E.容易与原X线设备匹配
95、单项选择题 诊断早期骨软骨缺血坏死最为敏感的检查方法是()
	A.MRI检查
	B.X线平片
	C.CT平扫
	D.CT增强扫描
	E.临床体检
96、单项选择题 拟诊上颌窦癌并骨质侵犯的患者应首选的摄影位置是()
	A.俯卧瓦氏位
	B.站立瓦氏位
	C.汤氏位
	D.柯氏位
	E.头颅侧位
97、单项选择题 在成人女性,平均宫腔容量为()
	A.5ml
	B.4ml
	C.3ml
	D.8ml
	E.6ml
98、多项选择题 关于骨髓瘤的分型,下列哪些正确()
	A.按发病数目可分为单发和多发性骨髓瘤
	B.按是否分泌免疫球蛋白可分为分泌型和非分泌型骨髓瘤
	C.分泌型骨髓瘤少见
	D.非分泌型骨髓瘤多见
	E.分泌型骨髓瘤中,以IgG型多见
99、单项选择题 下列哪项不是诱发泌尿系感染的危险因素()
	A.糖尿病
	B.妊娠
	C.前列腺肥大
	D.泌尿道结石
	E.直肠超声探头检查
100、单项选择题 关于寰枢关节叙述正确的是()
	A.可使头部做前俯、后仰和侧屈运动
	B.两侧关节间隙常不对称
	C.可使头部做旋转运动
	D.属于联合关节
	E.由寰椎两侧的下关节面与枢椎的上关节面构成
101、单项选择题 心脏X线摄影是检查心脏病变的重要手段。 心脏右前斜位摄影,身体冠状面与胶片夹角为()
	A.15°~20°
	B.25°~35°
	C.35°~40°
	D.45°~55°
	E.55°~65°
102、多项选择题 与胰腺毗邻关系密切的大血管有哪些()
	A.肠系膜上动脉
	B.腔静脉、门静脉
	C.脾动脉、脾静脉
	D.腹腔动脉、腹主动脉
	E.肠系膜下动脉
103、单项选择题 肺脓肿的感染途径是()
	A.吸入性
	B.血源性
	C.邻近器官感染直接蔓延
	D.以上都是
	E.以上都不是
104、多项选择题 骨折断端移位的描述中,正确的为()
	A.横向移位是骨折远侧端向侧方或前、后方移位
	B.横向移位是骨折近侧端向侧方或前、后方移位
	C.断端分离为骨折断端之间距离增大
	D.重叠移位是断端发生完全性移位后,因肌肉收缩而致断端重叠,肢体短缩
	E.断端嵌入为较细的骨干断端嵌入较宽大的干骺端或骨端的松质骨内
105、单项选择题
患者,女,28岁,轻咳两月,有盗汗。胸片如图:
	
	A.过敏性肺炎
	B.嗜酸性肉芽肿
	C.支气管扩张
	D.肺隔离症
	E.肺结核
106、单项选择题 “先天性骨梅毒”诊断要点为()
	A.新生儿血清学检查均为阳性
	B.不经治疗,骨膜炎不会逐渐吸收
	C.囊肿形成
	D.干骺端透亮线.
	E.胫骨近端内侧对称性、侵蚀性改变
107、单项选择题
	男,38岁,间断上腹不适4年,呕咖啡样物及黑便2天。结合图像,最可能的诊断为()
	A.正常十二指肠肠圈
	B.十二指肠球溃疡
	C.十二指肠降段憩室
	D.十二指肠球后溃疡
	E.十二指肠占位
108、单项选择题
	男,37岁,行胃癌根治术后1月余,反复上腹胀,呕吐十天。该患者根治术为()
	A.毕Ⅰ氏
	B.毕Ⅱ氏
	C.胃全部切除术
	D.节段胃切除术
	E.以上都不是
109、多项选择题 房间隔缺损少见类型有()
	A.静脉窦型
	B.下腔静脉型
	C.冠状窦型
	D.上腔型
	E.继发孔型
110、单项选择题 X线检查腰椎前后位时,中心线应对准()
	A.脐上2cm
	B.肚脐
	C.脐下2cm
	D.肚脐与耻骨连线中点下4cm
	E.剑突
111、单项选择题 十二指肠溃疡的直接X线征象是()
	A.龛影
	B.球部变形
	C.龛影局部压痛
	D.幽门痉挛
	E.激惹征
112、单项选择题 眼眶外侧壁由下列哪些结构组成()
	A.额骨眶板、蝶骨小翼
	B.上颌骨额突、蝶骨和筛板
	C.颧骨、颞骨
	D.颧骨、蝶骨
	E.额骨眶突、蝶骨大翼
113、单项选择题 慢性化脓性骨髓炎的X线表现主要表现是()
	A.钙化
	B.骨膜增生
	C.骨皮质增厚
	D.骨干增粗
	E.骨质硬化增生
114、多项选择题 属于关节退行性变的X线表现有()
	A.骨性关节面边缘骨不规整
	B.软骨下骨质囊变
	C.关节间隙狭窄
	D.关节间隙增宽
	E.以上都不是
115、单项选择题 下列哪种疾病,胸片上无“左心房增大”表现()
	A.室间隔缺损
	B.二尖瓣关闭不全
	C.二尖瓣狭窄
	D.肺动脉瓣狭窄
	E.动脉导管未闭
116、单项选择题 心脏摄影时的呼吸方式是()
	A.平静呼吸下曝光
	B.平静呼吸下屏气曝光
	C.深吸气后屏气曝光
	D.深呼气后屏气曝光
	E.均匀缓慢浅呼吸中曝光
117、单项选择题 慢性化脓性中耳乳突炎肉芽肿型,骨质破坏部位为()
	A.乙状窦
	B.上鼓室
	C.乳突窦区
	D.乳突窦入口
	E.听小骨
118、单项选择题 大剂量静脉肾盂造影的禁忌证不包括()
	A.严重的心血管疾患
	B.甲状腺功能亢进者
	C.腹部有巨大肿块者
	D.骨髓瘤合并肾衰竭
	E.碘过敏试验阳性者
119、单项选择题 颈椎张口位是显示寰枢椎的摄影位置。 颈椎张口位照片显示,以下错误的是()
	A.寰枢椎显示于上、下齿列之间
	B.上中切牙牙冠与枕骨底部相重叠
	C.齿突与寰椎两侧块间隙对称
	D.寰枕关节成切线位显示
	E.第三、四颈椎亦可显示于口中
120、多项选择题 哪些是慢性胃溃疡恶变的征象()
	A.龛影周围出现小结节状充盈缺损,犹如指压迹
	B.龛影周围粘膜皱襞呈杵状增粗或中断
	C.龛影变为不规则或边缘出现尖角征
	D.治疗过程中龛影逐渐增大
	E.龛影周围粘膜纠集,呈辐射状
121、单项选择题 X线诊断矽肺的肯定依据是()
	A.团块阴影 
	B.结节阴影 
	C.网状阴影 
	D.边缘性肺气肿 
	E.肺门淋巴结蛋壳样钙化
122、单项选择题 胸片上KerleyB线是指()
	A.宽0.5~1mm,多见于上叶的条状影 
	B.宽约1mm,位于肋膈角上方水平行走线影 
	C.肺野内细而短的条状影 
	D.宽约0.5~1mm,肺中野横行条状影 
	E.以上都不是
123、多项选择题 胆囊腺肌增生症的主要诊断依据是()
	A.胆囊缩小、变形
	B.胆囊壁增厚
	C.胆囊壁内大小不等的憩室样征象
	D.少数憩室内并发小结石
	E.病变累及胆囊全部或呈节段性
124、多项选择题 下列哪些疾病可引起视神经孔增大()
	A.视神经胶质瘤
	B.视神经鞘瘤
	C.畸形性骨炎
	D.蝶骨嵴脑膜瘤
	E.颅内疾病
125、单项选择题 氟骨症具有特殊诊断意义的X线征象是()
	A.骨质疏松和骨质硬化同时存在
	B.脊柱前韧带和小关节间软组织钙化
	C.骨盆骶棘韧带、骶结节韧带和髂腰韧带钙化
	D.粗糙的骨小梁交叉成粗纱布网眼状
	E.胫腓骨和尺桡骨等处的骨间隙和闭孔周围肌肉附着处钙化
126、单项选择题 下列哪种骨转移的临床症状相对较轻()
	A.乳腺癌骨转移
	B.鼻咽癌骨转移
	C.甲状腺癌骨转移
	D.胃癌骨转移
	E.前列腺癌骨转移
127、单项选择题
	女,23岁,行按摩时,听到“咔”一声后感手指剧痛,结合图像,最可能的诊断是()
	A.血管瘤
	B.骨囊肿
	C.骨巨细胞瘤
	D.上皮样囊肿
	E.内生软骨瘤并骨折
128、单项选择题 头颅平片用来确定颅内压增高的主要依据是()
	A.颅骨骨质吸收,脑回压迹增多
	B.蝶鞍改变,颅骨骨质吸收
	C.颅缝增宽,脑回压迹增多、增宽
	D.颅缝增宽,蝶鞍改变,脑回压迹增多、增宽
	E.颅缝增宽,颅骨骨质吸收
129、单项选择题 变换体位或深呼吸时肾上下移动的范围为()
	A.1~5cm
	B.5~10cm
	C.2~6cm
	D.1~2cm
	E.8~12cm
130、多项选择题 关于股骨正位摄片条件选择,正确的是()
	A.使用滤线器
	B.平静呼吸方式
	C.FFD为75~120cm
	D.总滤过≤25mm的铝
	E.体表入射剂量≥1.0mGy
131、单项选择题 局限性纤维化的常见原因为()
	A.结缔组织病
	B.硬皮病
	C.类风湿病
	D.慢性肺炎
	E.尘肺
132、单项选择题 右心衰竭的X线表现不包括()
	A.肺静脉影增宽
	B.心脏增大
	C.上腔静脉影增宽
	D.胸腔积液
	E.以上都不是
133、单项选择题 额窦开口于()
	A.上鼻道
	B.中鼻道
	C.下鼻道
	D.筛漏斗
	E.蝶筛隐窝
134、单项选择题
男,56岁,痰中带血1月余,X线检查如图,最可能的诊断是()
	

	A.两肺炎症
	B.肺转移瘤
	C.血行播散型肺结核
	D.细支气管肺泡癌
	E.矽肺
135、单项选择题
	男,6月。出生1月后经常出现喷射状呕吐,为奶块,渐加重。面色消瘦,右上腹部可触及核桃大小硬块。如图,最可能的诊断为()
	A.胆总管囊肿
	B.肠闭锁
	C.先天性幽门肥厚狭窄
	D.肠套叠
	E.先天性巨结肠
136、单项选择题 较少发生腹膜种植性转移的肿瘤是()
	A.肝癌
	B.胃癌
	C.结肠癌
	D.子宫癌
	E.卵巢癌
137、单项选择题 下述骨、关节的基本病变,错误的是()
A.炎症  
B.损伤  
C.肿瘤  
D.关节脱位  
E.永存骨骺
138、单项选择题 上部胸椎侧位摄片,下述方法哪项错误()
	A.取侧卧位
	B.近台侧上肢屈曲上举
	C.远台侧上肢置身体后下方
	D.中心线向头侧倾斜15°角
	E.平静呼吸中屏气曝光
139、单项选择题 下述疾病均可见假性骨折或Looser带,此征象对以下哪种疾病诊断最有意义()
	A.骨质软化症
	B.甲状旁腺功能亢进
	C.维生素D缺乏症
	D.畸形性骨炎
	E.以上均无意义
140、单项选择题
	女,25岁,胸背痛半月余,胸片如图,最可能的诊断为()
	A.左上肺不张
	B.左上肺炎
	C.纵隔肿瘤
	D.左上肺癌
	E.左上肺炎性假瘤
141、单项选择题
	男,24岁,低热、乏力数周,夜间偶有盗汗,胸片如图,最可能的诊断是()
	A.细支气管肺泡癌
	B.肺转移瘤
	C.两肺炎症
	D.血型播散型肺结核
	E.结节病
142、多项选择题 关于对比剂的叙述,正确的是()
	A.对比剂与造影剂不同
	B.分为阴性及阳性两类
	C.阳性对比剂不易被X线透过
	D.阴性对比剂易被X线透过
	E.碘剂和钡剂均为有机碘化物
143、单项选择题 肾动脉沿以下规律分布()
	A.肾动脉一肾段动脉一弓形动脉一叶间动脉
	B.肾动脉一肾段动脉一叶间动脉一叶间动脉一弓形动脉
	C.肾动脉一肾段动脉一弓形动脉一叶间动脉一叶间动脉
	D.肾动脉一肾段动脉一叶间动脉一弓形动脉一小叶间动脉
	E.肾动脉一肾段动脉一叶间动脉一叶间动脉一弓形动脉一叶间动脉
144、单项选择题 男,28岁,反复右上腹痛1年,进食后可缓解,有时夜间疼痛明显。 若影像学检查显示胃幽门痉挛,开放延迟,胃分泌液增多,最有可能的诊断为()
	A.胃癌
	B.胃溃疡
	C.十二指肠溃疡
	D.慢性胃炎
	E.慢性胰腺炎
145、单项选择题 诊断缩窄性心包炎最可靠的X线征象为()
	A.心脏搏动减弱
	B.心缘正常弧度消失
	C.心脏缩小
	D.透视下心脏搏动减弱
	E.心包钙化
146、单项选择题 输尿管结核患者,静脉肾盂造影的典型表现为()
	A.输尿管不规则狭窄和扩大,呈串珠状,边缘呈虫蚀状
	B.输尿管囊样扩张
	C.输尿管内见圆形致密影
	D.输尿管扭曲
	E.输尿管内见不规则透光影
147、单项选择题 关于原发性支气管肺癌,下列哪项描述不准确()
	A.早期中央型肺癌胸片易漏诊
	B.管内型的中央型肺癌易形成肺不张
	C.隐性肺癌等于早期肺癌
	D.鳞癌多为中央型肺癌
	E.管壁浸润型的中央型肺癌可无肺不张
148、单项选择题
患者,男,76岁,食管钡餐造影检查示食管壁张力降低,蠕动减弱,钡剂排空延迟,并在食管中下段见到串珠状充盈缺损影。钡餐检查如下图所示:
	
	A.是门静脉高压的重要并发症
	B.常见于肝硬化,发生率高达80%~90%
	C.早期有明显的症状
	D.呕血为主要症状
	E.可伴脾大、脾亢或腹水等
149、单项选择题 类风湿关节炎易侵犯颈椎时易发生环枢关节半脱位,下列描述中哪项不是半脱位的典型表现()
	A.环枢关节向前半脱位
	B.齿状突向上移位
	C.颈1侧块向两侧半脱位
	D.颈1向上半脱位
	E.环枢关节向上半脱位合并齿状突受侵蚀
150、单项选择题 照片中出现低密度圆形阴影,最易引起的常见原因是()
	A.增感屏不清
	B.药膜受损脱落
	C.显影时气泡附着
	D.未显影前定影液小点污染
	E.胶片制作中局部药膜缺损
151、多项选择题 骨折的并发症和后遗症有()
	A.神经、血管损伤
	B.外伤后骨质疏松
	C.骨缺血性坏死
	D.创伤性骨关节病
	E.延迟愈合或不愈合
152、单项选择题 延迟愈合或不愈合少见于()
	A.股骨颈
	B.胫骨上1/3
	C.胫骨下1/3
	D.舟骨
	E.距骨
153、单项选择题 家族性结肠息肉综合征的有关说法,哪项是错误的()
	A.为常染色体显性遗传性疾病
	B.左侧结肠好发
	C.息肉表面粗糙不规则,有分叶者应警惕恶性变
	D.结肠无短缩,结肠黏膜常有溃疡形成
	E.结肠无激惹征,结肠袋正常
154、单项选择题 关于头颅指数的叙述,错误的是()
	A.是头颅最大前后径与最大横径之比
	B.中头型的头颅指数70%~80%
	C.短头型的头颅指数大于80%
	D.长头型的头颅指数小于70%
	E.头颅指数因人而异
155、单项选择题 下列哪种X线征象是食管静脉曲张与食管癌的鉴别要点()
	A.串珠状充盈缺损
	B.管腔边缘凹凸不平
	C.蠕动减弱,钡剂通过缓慢
	D.纵行粘膜皱襞消失
	E.管腔扩张及舒缩性存在
156、多项选择题 X线检查中膀胱癌有定性诊断价值的表现是()
	A.膀胱区充盈缺损
	B.肾盂积水
	C.输尿管积水
	D.膀胱壁不规整、僵直
	E.膀胱钙化
157、多项选择题 观察上颌窦病变的基本X线摄片位置为()
	A.侧位片
	B.顶颏位
	C.鼻颌位
	D.切线位
	E.视神经孔位
158、单项选择题
女,26岁,体检发现右中肺野病变,胸片如图,最可能的诊断为()
	

	A.肺错构瘤
	B.肺动静脉瘘
	C.周围型肺癌
	D.肺结核球
	E.肺转移瘤
159、单项选择题 贲门癌是指源于贲门口中心周围多少厘米以内的胃癌()
	A.1.0~3.0cm
	B.0.5~1.0cm
	C.2.5~3.0cm
	D.2.0~2.5cm
	E.1.5~3.5cm
160、多项选择题 以肺出血为特征的病变()
	A.钩端螺旋体病
	B.Goodpasture综合征
	C.特发性含铁血黄素沉着症
	D.系统性硬皮病
	E.干燥综合征
161、多项选择题 柯莱斯(Colles)骨折的X线表现为()
	A.指桡骨远端距离远端瓶关节面2.5cm以内的骨折
	B.常伴远侧断段向背侧移位和向掌侧成角
	C.骨折线常为横行,有时为粉碎性骨折
	D.常合并尺骨茎突骨折和下尺桡关节分离
	E.桡骨远端骨骺未联合前常发生桡骨远端骨骺分离
162、单项选择题 下列正常X线平片表现,哪项不正确()
	A.出生24小时后结肠内就可有气体 
	B.婴儿消化管内可有“气液面” 
	C.成人正常小肠管径应小于4cm 
	D.成人正常左半结肠管径应小于5cm 
	E.正常女性偶可见到“腹腔游离气体”
163、单项选择题
	男,根据其正常盆腔影像图像,判断其最可能的年龄()
	A.15岁左右
	B.12岁左右
	C.6岁左右
	D.3岁左右
	E.9岁左右
164、单项选择题
	男,32岁,中上腹空腹痛,进食后缓解,剑突下轻度压痛,钡餐检查如图,最可能的诊断是()
	A.十二指肠癌
	B.十二指肠憩室
	C.十二指肠球部溃疡
	D.十二指肠节段性肠炎
	E.十二指肠结核
165、多项选择题 乳腺病变进行导管造影时,可见哪些X线征象()
	A.导管扩张
	B.导管僵直
	C.导管受压移位、分支减少
	D.管腔内充盈缺损
	E.导管截断
166、单项选择题 所有膀胱上皮性肿瘤大部分为恶性,其细胞类型依其发病率由高到低依次为()
	A.鳞癌,移行细胞癌,腺癌
	B.移行细胞癌,鳞癌,腺癌
	C.腺癌,鳞癌,移行细胞癌
	D.移行细胞癌,腺癌,鳞癌
	E.鳞癌,腺癌,移行细胞癌
167、单项选择题
下列胸部正侧位片显示的病变,应定位为()
	
	A.左肺上叶前段
	B.左肺上叶后段
	C.左肺上叶舌段
	D.左肺下叶背段
	E.左肺下叶后基底段
168、单项选择题 影响X线照片质量的物理因素,不包括()
	A.密度
	B.对比度
	C.锐利度
	D.颗粒度
	E.失真度
169、单项选择题 在胸片上不显示蜂窝状影的是()
	A.硬皮病
	B.肺结节病
	C.血行转移瘤
	D.组织细胞增生症X
	E.弥漫性肺纤维化
170、单项选择题 经腋窝中点的垂直线称为()
	A.腋前线
	B.腋中线
	C.腋后线
	D.锁骨中线
	E.连接线
171、多项选择题 肺血流受下述哪些因素影响()
	A.右心搏出量
	B.全心搏出量
	C.肺血管阻力
	D.肺泡内压
	E.肺弹力
172、多项选择题 系统性红斑狼疮的胸片有以下特点()
	A.肺部游走性斑片状浸润影或间质性改变
	B.肺门淋巴结肿大
	C.胸腔积液
	D.心包积液
	E.胸膜钙化
173、单项选择题 吸收X线能力最强的组织结构是()
	A.肌肉
	B.脂肪
	C.骨骼
	D.肺组织
	E.肝脏
174、单项选择题 下列关于“长管状骨结核”的描述,哪项错误()
	A.好发于骨干
	B.砂粒样死骨
	C.易侵犯关节
	D.骨质破坏为主
	E.骨膜反应轻微
175、单项选择题 进展期胃癌引起胃窦狭窄、壁僵硬、粘膜皱襞固定,X线分型应属于()
	A.溃疡型
	B.蕈伞型
	C.浸润型
	D.浅表型
	E.混合型
176、单项选择题 颅底凹陷症,标准摄片体位是()
	A.颅底颌顶位
	B.颅底顶颌位
	C.头颅汤氏位
	D.高颈椎侧位
	E.高颈椎颅底侧位
177、单项选择题 X线平片上下列哪种组织密度最高()
	A.液体
	B.肌肉
	C.含气肺组织
	D.骨骼
178、单项选择题 下列哪项是X线检查需要防护的原因()
	A.荧光效应
	B.电离效应
	C.穿透性
	D.感光效应
179、单项选择题 腹部仰卧前后位摄片应用最多的是检查()
	A.急腹症
	B.腹部肿块
	C.腹部脏器形态
	D.泌尿系结石
	E.泌尿系囊肿
180、多项选择题 下列对X线属高感受性组织器官的是()
	A.生殖腺
	B.淋巴组织
	C.骨
	D.脂肪
	E.造血组织
181、单项选择题 左前斜位,心脏前缘自上而下依次为()
	A.右心房、右心室
	B.左心房、左心室
	C.左心房、右心室
	D.右心房、左心室
	E.右心室、左心室
182、单项选择题 关于痛风性关节炎的描述中,下列哪项错误()
	A.本病好发生于女,有家族倾向性
	B.晚期可出现骨、软骨破坏及痛风结节
	C.血清尿酸增高
	D.X线示关节非对称性结节样膨胀骨破坏面较大
	E.最常见于第一跖趾关节
183、单项选择题
	男,15岁,右髋部疼痛、红肿,有压痛,皮温增高,结合图像,最可能的诊断是()
	A.骨肉瘤
	B.急性骨髓炎
	C.尤文肉瘤
	D.转移性神经母细胞瘤
	E.骨结核
184、多项选择题
男,1岁零8个月,生长发育差,易患呼吸道感染,心悸气促,心脏正、侧位片检查如图所示,正确的描述和诊断是()
	

	A.正位示心影向两侧扩大,心尖左移
	B.肺纹理增多
	C.侧位示心前间隙变窄,心后食管前三角间隙消失
	D.房间隔缺损
	E.室间隔缺损
185、单项选择题
	膀胱造影片见下图,你考虑什么诊断可能性大()
	A.膀胱炎
	B.膀胱癌
	C.膀胱结石
	D.膀胱息肉
	E.以上都不是
186、单项选择题 关于X线机空间电荷抵偿原理的正确推论是()
	A.kV↑→管电流↑
	B.kV↓→灯丝电压↓
	C.kV↑→管电流↓
	D.kV↑→灯丝电压↑
	E.kV↑→灯丝电流↑
187、单项选择题 乙状结肠扭转确诊的检查方法是()
	A.X线平片
	B.CT
	C.血管造影
	D.口服钡餐造影
	E.钡灌肠检查
188、多项选择题 气胸的X线表现包括()
	A.患侧胸壁下方见无肺纹理区
	B.患侧肺萎陷、密度增高,向肺门压缩
	C.张力性气胸时,纵隔向患侧移位
	D.患侧膈肌下降变平
	E.可见压缩肺的脏层胸膜线
189、多项选择题 椎管内血管畸形根据异常血管的形态和结构,可分为以下哪几类()
	A.动静脉畸形
	B.毛细血管扩张症
	C.动静脉瘘
	D.海绵状血管瘤
	E.静脉畸形
190、单项选择题 下述“Down综合征”骨改变特点,哪项不正确()
	A.骨狭小,颅板变薄
	B.眶间距增宽
	C.鼻窦腔不发达
	D.第五指骨中节短小
	E.髂骨下移,髋臼角减小
191、单项选择题 下列哪种“消化道功能异常”,钡餐不能检出的是()
	A.分泌增多
	B.分泌减少
	C.逆蠕动
	D.排空加快
	E.张力增高
192、单项选择题 不宜用腹部仰卧前后位摄影的是()
	A.观察泌尿系结石
	B.观察腹部钙化
	C.观察造影显示
	D.观察腹部异物
	E.观察肠梗阻气液平面
193、单项选择题 膀胱良、恶性肿瘤影像学鉴别诊断最具价值的是()
	A.膀胱壁僵硬
	B.膀胱容积缩小
	C.膀胱充盈缺损大小
	D.膀胱充盈缺损形态
	E.CT检查
194、单项选择题 骶骨前后位,中心线应()
	A.向头侧倾斜5°~15°
	B.与检查床垂直
	C.向头侧倾斜15°~30°
	D.向足侧倾斜5°~15°
	E.向足侧倾斜15°~30°
195、单项选择题 下述“畸形性骨炎”诊断要点,哪项错误()
	A.骨干变形
	B.20岁以下多见
	C.碱性磷酸酶升高
	D.早期表现,骨质疏松、骨皮质分层
	E.男性多见
196、单项选择题 显示脊索瘤时,CT和X线平片不同点在于()
	A.CT可见肿瘤强化
	B.巨大软组织肿块
	C.骨质破坏
	D.肿瘤钙化
	E.CT易于显示骶尾部脊索瘤
197、单项选择题 X线平片上可见部分骨小梁与压力方向一致,部分与张力方向一致者为()
	A.股骨干
	B.股骨近端
	C.肱骨干
	D.胫骨近端
	E.髂骨
198、多项选择题 汤氏位摄片,中心线向足倾斜25°~30°角,可观察()
	A.枕骨
	B.迷路
	C.内听道
	D.顶骨后部
	E.枕骨大孔
199、多项选择题 关节外伤脱位常发生在()
	A.肘关节
	B.肩关节
	C.踝关节
	D.腕关节
	E.胸椎
200、单项选择题 下列描述,错误的是()
	A.保护剂防止显影剂氧化
	B.保护剂防止照片污染
	C.促进剂稳定显影液pH值
	D.促进剂促进显影剂的电离
	E.促进剂促使乳剂层收缩
201、单项选择题 先天性主动脉缩窄可合并()
	A.室间隔膜部狭窄
	B.动脉导管未闭
	C.房间隔-原发孔型
	D.肺动脉狭窄
	E.右位主动脉弓
202、多项选择题 引起纵隔血肿的原因为()
	A.车祸挤压伤
	B.主动脉瘤破裂
	C.咽后壁出血
	D.自发性纵隔血肿
	E.主动脉夹层破裂
203、单项选择题
	女,71岁,左肩痛,系统性红斑狼疮服用高剂量的类固醇半年,结合图像,最可能的诊断是()
	A.化脓性关节炎
	B.类风湿关节炎
	C.骨纤维肉瘤
	D.肱骨头缺血坏死
	E.肩关节结核
204、单项选择题 不出现Schmorl结节的疾病是()
	A.强直性脊柱炎
	B.溶骨性脊椎转移瘤
	C.椎间盘脱出症
	D.类风湿关节炎
	E.脊柱退行性骨关节病
205、单项选择题 在下列病变中,对"输尿管移位"特点描述,错误的是()
	A.肾上极肿瘤:输尿管可不移位
	B.腹膜后纤维化:输尿管中段向内移位
	C.恶性淋巴瘤:输尿管中段向外移位
	D.子宫肌瘤:输尿管下段向外移位
	E.肾旋转不良:输尿管上段向内移位
206、单项选择题 水痘病毒性肺炎的影像特征()
	A.数天内仅见双肺纹理增粗、毛糙 
	B.病理、影像表现演变快 
	C.伴弥漫性肺气肿的广泛间质性炎症改变 
	D.呈典型的支气管肺炎表现 
	E.间质纤维化伴肺大泡
207、多项选择题 下列恶性骨肿瘤中呈多发性表现的是()
	A.软骨肉瘤
	B.骨肉瘤
	C.转移瘤
	D.骨髓瘤
	E.纤维肉瘤
208、多项选择题 有关人体的标准姿势正确的叙述是()
	A.人体直立,两眼向前方平视
	B.两下肢分离约30cm
	C.掌心足尖向前
	D.双上肢下垂置躯干两侧
	E.两下肢并拢,足尖外展
209、单项选择题 我国规定,不得参与放射工作的最小年龄界限是()
	A.15周岁
	B.16周岁
	C.17周岁
	D.18周岁
	E.20周岁
210、单项选择题 正常双侧眼球突出度相差多少有病理意义()
	A.1mm
	B.2mm
	C.3mm
	D.4mm
	E.5mm
211、单项选择题
	女,28岁,反复骨骼疼痛,结合图像,最可能的诊断是()
	A.地中海贫血
	B.镰状细胞贫血
	C.白血病
	D.脊椎退行性变
	E.椎间盘突出
212、单项选择题 婴幼儿间质性肺炎急性阶段的重要X线表现是()
	A.肺实变
	B.肺膨胀
	C.肺不张
	D.支气管扩张
	E.间质纤维化
213、单项选择题
	男,56岁,右髋部疼痛,5年前被确诊为前列腺癌,结合图像,最可能的诊断是()
	A.骨纤维异常增殖症
	B.转移性骨肿瘤
	C.畸形性骨炎
	D.内生软骨瘤
	E.非骨化性纤维瘤
214、单项选择题 一般认为静息时以左心室射血分数(LVEF)判断异常的标准是()
	A.<40%
	B.<45%
	C.<50%
	D.<55%
	E.<60%
215、单项选择题 下列“管状骨结核”影像特点中,哪项不正确()
	A.成人,骨干常膨胀、增粗
	B.圆形、卵圆形、不规则形破坏区
	C.多数病灶边缘锐利,有硬化缘
	D.儿童短管状骨者,常双侧多发
	E.儿童,骨膜反应明显
216、单项选择题 下列疾病中,不引起食管位置或形态改变的是()
	A.主动脉扩张
	B.食管癌
	C.左房增大
	D.膈疝
	E.胸腺肥大
217、单项选择题 关于继发性肺结核不正确的是()
	A.多为内源性,偶为外源性
	B.多位于肺局部,如肺尖、锁骨下区及下叶背段
	C.可见薄壁、张力性、干酪厚壁、纤维性等不同类型的空洞
	D.可见结核球或干酪性肺炎
	E.常有肺门淋巴结肿大
218、单项选择题
男,43岁,胸闷、胸痛10余天,不咳嗽,无发热,X线检查如图,最可能的诊断是()
	

	A.原发性肺癌
	B.肺转移瘤
	C.炎性假瘤
	D.结核瘤
	E.结节病
219、单项选择题 下列肺梗死平片所见,错误的是()
	A.肺门淋巴结增大
	B.密度均匀、边缘不清模糊影,后基底段多见
	C.可形成空洞
	D.少量胸腔积液
	E.多数患者平片表现正常
220、单项选择题 下述骨发育知识,哪项错误()
	A.源于外胚层
	B.颅骨、面骨属膜内成骨
	C.四肢骨、躯干骨为软骨内成骨
	D.骨成形主要靠新生骨不断改建、塑形实现
	E.源于中胚层
221、单项选择题
男,7岁,右前臂肿痛20天,发病时皮温较高,体温达39℃。实验室检查:WBC:12.05×109/L,中性粒细胞79%。右尺桡骨正侧位DR片如图
	
	A.骨穿刺活检
	B.试验性放射治疗
	C.ECT
	D.MRI
	E.超声成像
222、单项选择题 某患者外伤,临床怀疑椎弓峡部断裂。 为诊断椎弓峡部断裂,正确的摄影体位是()
	A.腰椎正位
	B.腰椎侧位
	C.腰椎双斜位
	D.腰骶部斜位
	E.腰骶部侧位
223、单项选择题 观察舟状骨,应该摄()
	A.腕关节后前位
	B.腕关节侧位
	C.腕关节尺侧偏展位
	D.腕关节斜位
	E.手后前位
224、多项选择题 额窦可显示于下列哪些体位片()
	A.瓦氏位
	B.梅氏位
	C.柯氏位
	D.斯氏位
	E.侧位片
225、多项选择题 剥脱性骨软骨炎的X线表现为()
	A.关节内游离体
	B.关节软骨钙化
	C.关节内大量积脓
	D.远离骨性关节面的骨质破坏
	E.包括关节面在内的局限性骨质缺损
226、单项选择题 下列关于“成骨肉瘤”诊断要点中,哪项是错误的()
	A.最常见的原发性恶性骨肿瘤
	B.好发于长骨干骺端
	C.可有葱皮样骨膜反应
	D.肿瘤内无钙化、骨化
	E.肿瘤内既有成骨性,又有溶骨性改变
227、单项选择题 下列哪种疾病,无“肺动脉高压”表现()
	A.肺心病
	B.Ebstein畸形
	C.二尖瓣狭窄
	D.二尖瓣关闭不全
	E.进行性全腺泡性肺气肿
228、多项选择题 激光照相机的主要组成部分有()
	A.信号处理部分
	B.激光打印部分
	C.胶片传送部分
	D.A/D转换器
	E.网络接口
229、单项选择题 男,16岁,下背痛和晨起僵硬1个月,活动后减轻,伴乏力,低热。 影像学检查路线宜首选何种检查()
	A.腰椎正侧位X线片
	B.腰椎CT平扫
	C.腰椎MRI平扫
	D.骶髂关节X线平片
	E.骶髂关节MRI增强扫描
230、单项选择题 某患者右髋痛1个月,需进行髋关节摄影检查。 有关髋关节前后位摄影,叙述正确的是()
	A.髋关节定位点是:被检侧髂前上棘与耻骨联合上缘连线中点向内下作垂线5cm处
	B.股骨颈及闭孔无投影变形
	C.申通线不能显示
	D.双下肢稍外旋
	E.患者屈髋屈膝
231、单项选择题 下列哪一项不是骨折的X线征象()
	A.嵌入性致密增高影
	B.骨皮质凹陷与隆凸
	C.骨小梁中断与扭曲
	D.异物致骨缺损,颅缝分离
	E.边缘硬化线形成,密度减低影
232、单项选择题
	下列关于胸膜斑知识,哪项正确()
	 
	A.接触石棉15年左右出现
	B.常累及壁层胸膜
	C.10cm2以上
	D.多数厚度大于2cm
	E.边缘模糊
233、单项选择题 下列哪项不属于女性瘘管()
	A.直肠阴道瘘
	B.直肠尿道瘘
	C.直肠会阴瘘
	D.直肠膀胱瘘
	E.直肠舟状窝瘘
234、单项选择题 肺下积液所致的“膈升高”膈顶最高点位于()
	A.偏外1/3
	B.偏外2/3
	C.偏内1/3
	D.偏内2/3
	E.偏外1/2
235、单项选择题 非闭襻性结肠扭转的病理特点是()
	A.溃疡形成
	B.闭袢形成
	C.循环障碍
	D.肠腔狭窄
	E.炎性浸润
236、多项选择题 肠结核可以发生在下述哪些部位()
	A.回肠
	B.空肠
	C.回盲部
	D.十二指肠
	E.升结肠
237、单项选择题 肋骨斜位摄片,目的是观察()
	A.腋中线,肋骨上斜部骨质情况
	B.腋中线,肋骨直线部骨质情况
	C.腋后线,肋骨弯曲部骨质情况
	D.腋前线,肋骨弯曲部骨质情况
	E.腋中线,肋骨弯曲部骨质情况
238、单项选择题
	患儿,男,1天,生后呼吸困难,羊水见胎粪污染,如图,最可能的诊断为()
	A.新生儿肺炎
	B.新生儿湿肺
	C.新生儿肺出血
	D.新生儿呼吸窘迫综合症
	E.胎粪吸入综合征
239、单项选择题 食管造影通常可见到下列压迹,除了()
	A.主动脉弓压迹
	B.左支气管压迹
	C.降主动脉压迹
	D.左心室压迹
	E.左心房压迹
240、单项选择题 下述为节育器在盆腔正位投照时的正常形态,但除外()
	A.扁圆形
	B.长圆形
	C.圆形
	D.纵“一”字形
	E.横“一”字形
241、单项选择题 返流性食管炎的主要病因,不包括哪项()
	A.食管下端括约肌功能减弱
	B.膈肌裂孔钳闭作用减弱
	C.食管胃之间锐角(His角)变钝或消失
	D.食管排空功能及食管粘膜防御机制下降
	E.吞服或误服腐蚀剂造成的损伤
242、多项选择题 下列哪些疾病不能使腹脂线肿胀的有()
	A.局限性腹膜炎
	B.腹外伤
	C.急性胆囊炎
	D.胃肠道穿孔
	E.急性阑尾炎
243、单项选择题 KerleyB线最常见于哪种疾病()
	A.肺癌
	B.肺结核
	C.心房间隔缺损
	D.二尖瓣狭窄
	E.慢性支气管炎
244、单项选择题 关于遮线器的作用,错误的是()
	A.显示照射野
	B.显示中心线
	C.屏蔽多余原射线
	D.吸收二次射线
	E.让病人尽可能少接受辐射
245、多项选择题 主要依靠现代影像学检查的是()
	A.胃肠道病变
	B.骨骼病变
	C.肝、胆、胰病变
	D.脊髓病变
	E.神经病变
246、单项选择题 下列哪一项不属于脑颅骨()
	A.额骨
	B.颞骨
	C.筛骨
	D.下颌骨
	E.顶骨
247、单项选择题 胃肠道疾病首选的检查方法为()
	A.钡剂造影
	B.平片检查
	C.MRI检查
	D.CT检查
	E.胆系造影检查
248、多项选择题 不属于生理排泄的造影检查是()
	A.消化道钡餐造影
	B.静脉肾盂造影
	C.口服胆囊造影
	D.子宫输卵管造影
	E.四肢静脉造影
249、单项选择题 绞窄性肠梗阻的可靠征象是()
	A.假肿瘤征
	B.足球征
	C.空肠换位征
	D.肠管双壁征
	E.肠曲截断征
250、单项选择题 有关碘过敏试验的方法,下列哪项是错误的()
	A.皮内试验
	B.眼结膜试验
	C.口服试验
	D.肌内注射试验
	E.静脉注射试验
251、多项选择题 关于二尖瓣狭窄,下列哪些描述是正确的()
	A.左房内压力升高,左房增大
	B.肺动脉压升高
	C.肺静脉压升高
	D.合并关闭不全时,左房扩张
	E.左房扩张导致左室扩张
252、单项选择题 下列肺隔离症影像表现,错误的是()
	A.多位于左下叶
	B.多为类圆形影
	C.病变实质密度,不含气
	D.早期明显强化
	E.边缘清晰
253、单项选择题 肺结核病变可通过以下方式愈合()
	A.吸收
	B.纤维化
	C.钙化
	D.空洞瘢痕愈合
	E.以上都是
254、单项选择题 下列哪项在头颅平片上不能显示()
	A.前床突
	B.垂体
	C.后床突
	D.鞍结节
	E.蝶鞍
255、多项选择题 肺结核患者,可见到哪些病理X线征象()
	A.增殖性改变
	B.纤维性改变
	C.钙化性改变
	D.空洞性改变
	E.渗出性改变
256、多项选择题 膝关节前后正位摄片要求清晰可见的结构是()
	A.股骨远端骨小梁
	B.胫骨近端骨小梁
	C.膝关节周围软组织
	D.髌骨
	E.半月板
257、多项选择题 关于胰腺炎的X线表现,描述正确的是()
	A.十二指肠球呈三叶状变形
	B.Vater壶腹肿大
	C.十二指肠环变形或扩大
	D.肠管局限性麻痹性肠梗阻
	E.胰腺结石及钙化
258、单项选择题 曲面体层摄影常用于检查()
	A.颧骨
	B.筛骨
	C.颌骨
	D.颞骨
	E.蝶骨
259、单项选择题 X线平片上见到颅内有病理性钙化灶可能是()
	A.颅咽管瘤
	B.Sturge-Weber综合征
	C.畸胎瘤
	D.结节性硬化
	E.以上均是
260、单项选择题 以下选项中,乳突许氏位投照时,球管中心线应()
	A.向足侧倾斜35°
	B.向足侧倾斜25°~30°
	C.向足侧倾斜35°~45°
	D.向足侧、面侧各倾斜15°
	E.向头侧倾斜35°~45°
261、单项选择题 消化道管壁由内向外第三层为()
	A.粘膜下层
	B.外膜层
	C.肌层
	D.粘膜层
	E.内膜层
262、单项选择题 下列哪项不引起左心缘第二弓(肺动脉段)凹陷的是()
	A.肺动脉狭窄
	B.三尖瓣闭锁
	C.单一主动脉干
	D.法洛四联征
	E.大血管移位
263、单项选择题 胶片上相邻两点间的密度差称为()
	A.黑化度
	B.X线对比度
	C.胶片灰雾度
	D.解像力
	E.光学对比度
264、单项选择题
	女性,45岁,类风湿性关节炎病史6年,近来感到夜间阵发性呼吸困难,伴有轻度咳嗽,无痰。心脏听诊心尖区S1亢进,胸骨左缘3~4肋间收缩期杂音。行胸部平片检查如下图,应考虑()
	A.主动脉瓣狭窄
	B.主动脉瓣关闭不全
	C.动脉导管未闭
	D.右室流出道狭窄
	E.二尖瓣狭窄
265、单项选择题 患儿,新生儿出生评分8分,出生约6小时后出现呼吸困难,进行性加重,并出现皮肤青紫及吸气性三凹征,胸片示双肺密实,呈“白肺”表现,下列诊断的是()
	A.肺出血
	B.新生儿肺透明膜病
	C.-侧肺不发育
	D.吸入性肺炎
	E.新生儿湿肺
266、单项选择题 慢性铅中毒时,若铅摄入停止,几年内铅线将逐渐消失()
	A.6年
	B.7年
	C.8年
	D.4年
	E.9年
267、单项选择题 支气管断裂伤最常见的征象是()
	A.双肺含气不足,合并渗出性病变
	B.张力性气胸合并纵隔和皮下气肿
	C.肺气肿,纵隔增宽
	D.肺不张,纵隔移位
	E.纵隔移位合并双肺含气不足
268、多项选择题 小肠Crohn病的X线征象包括()
	A.鹅卵石征
	B.纵行及横行溃疡
	C.口疮样溃疡
	D.病变呈节段性
	E.病变呈连续性
269、单项选择题 下列颅内肿瘤的影像检查方法中,目前最常用的是()
	A.头颅平片
	B.体层摄影
	C.全景摄影
	D.造影检查
	E.CT检查
270、多项选择题 关于头颅侧位投照,正确的体位是()
	A.矢状面与台面平行
	B.听眦线与台面平行
	C.听眦线与台面垂直
	D.瞳间线与台面垂直
	E.听眶线与台面平行
271、单项选择题 以下关于膈肌病变的说法,错误的是()
	A.婴儿最常见的先天性膈疝为胸腹裂孔疝
	B.外伤性膈疝可由开放性或闭合性膈损伤引起,闭合性膈损伤多发生于右膈
	C.膈肌麻痹并非在膈神经损伤后立即发生,而是随时间推移逐渐表现为异常
	D.膈膨升可发生于任何年龄,以中老年人多见
	E.膈麻痹患者的患侧膈肌在呼吸时无运动或反常运动
272、多项选择题 下列组合,正确的是()
	A.左前斜位——中心线经被照体的右后射向左前
	B.右前斜位——中心线经被照体的左后射向右前
	C.右后斜位——中心线经被照体的左前射向右后
	D.左后斜位——中心线经被照体的左前射向右后
	E.斜位——中心线经被照体的前面射向后面
273、单项选择题 关于放射性肺炎的X线表现,下列错误的是()
	A.放射性肺炎发生于原发灶所在肺叶
	B.可伴有膈肌升高,纵隔向对侧移位
	C.急性期多表现为组织增生
	D.其中有时可见到支气管充气征
	E.局限性,斑片状或大片状,密度不均阴影
274、单项选择题 特发性肺间质纤维化好发于()
	A.肺门附近
	B.上叶尖后段或下叶背段
	C.胸膜下区
	D.双下肺野
	E.双肺弥漫分布
275、单项选择题 胆管囊状扩张分为5种类型,其中Ⅰ型为()
	A.胆总管囊肿
	B.肝内多发性囊肿
	C.壁内段胆总管囊状膨出
	D.多发性肝内、外囊肿
	E.胆总管憩室
276、单项选择题 KerleyB线主要分布于()
	A.上肺内侧
	B.上肺外周
	C.下肺内侧
	D.下肺外周
	E.中肺野
277、单项选择题 男,65岁。走路时,不慎摔倒。查体:左下肢缩短,外旋50°畸形。 为明确诊断,首先应进行的检查为()
	A.CT检查
	B.核素骨扫描
	C.X线检查
	D.MRI检查
	E.关节造影
278、单项选择题 中央型肺水肿典型X线征象是()
	A.双肺大小不一的弥漫性片状模糊影
	B.双肺下野可见KerlerA和B线
	C.肺门阴影轻度大而模糊
	D.以肺门为中心的蝶翼状阴影
	E.局部的肺叶实变阴影
279、单项选择题 尾骨前后位摄片时,中心线的正确投射是()
	A.垂直投射
	B.向头侧倾斜15°
	C.向足侧倾斜15°
	D.向头侧倾斜45°
	E.向足侧倾斜45°
280、多项选择题 肺纹理聚拢见于()
	A.肺结核
	B.支气管扩张
	C.阻塞性肺气肿
	D.胸腔积液
	E.肺不张
281、单项选择题 关于CR系统的影像板,以下说法不正确的是()
	A.影像板上的信息可永久保存
	B.影像板上的信息为模拟信号
	C.自影像板上读出的信息为数字信息
	D.影像板可反复使用
	E.影像板代替胶片保存X线影像
282、多项选择题 关于恶性骨肿瘤描述正确的有()
	A.生长快,常侵及邻近组织
	B.可发生肺部或骨转移
	C.骨皮质或髓腔有破坏缺损区
	D.与正常组织无明显界限,边界不清
	E.骨膜常受累,呈葱皮状、针样、放射状、三角形
283、单项选择题 胃肠道憩室于钡剂造影时,最不易充盈的是()
	A.食管囊状憩室
	B.Meckel憩室
	C.胃憩室
	D.十二指肠降段憩室
	E.结肠憩室
284、单项选择题 关于贫血性心脏病,下列表现哪项不对()
	A.肺动脉段突出
	B.左心房明显增大
	C.双心室增大,以左心室为著
	D.肺血正常或轻度增多
	E.贫血纠正后,部分患者心影可恢复正常
285、单项选择题 以下成像方法,哪项对诊断颅脑病变价值最小()
	A.CT
	B.MRI
	C.DSA
	D.平片
	E.透视
286、多项选择题 肺内空腔影可见于()
	A.肺大泡
	B.含气肺囊肿
	C.肺气囊
	D.周围型肺癌
	E.囊状支气管扩张
287、单项选择题 下列哪项不是胃息肉的X线表现()
	A.肿瘤周围粘膜正常
	B.轮廓光滑
	C.胃襞柔软
	D.肿瘤区粘膜皱襞消失
	E.腔外肿块
288、单项选择题 下列结构中,除哪哪一种结构外均有硬脑膜()
	A.大脑镰
	B.三脑室
	C.鞍隔
	D.小脑幕
	E.三叉神经半月节腔
289、单项选择题 下列哪项不属于头颅摄片定位标志线()
	A.听眶线
	B.听眦线
	C.听鼻线
	D.听颧线
	E.听口线
290、单项选择题 鼻骨侧位摄影时与胶片垂直的是()
	A.听眦线
	B.听眶线
	C.听鼻线
	D.听口线
	E.瞳间线
291、单项选择题 关于输尿管,错误的是()
	A.输尿管全长25~30cm
	B.输尿管无节律性蠕动
	C.输尿管分三段
	D.输尿管有三个生理狭窄
	E.静脉注入对比剂后30分钟,松开腹压,即可见双侧输尿管充盈对比剂
292、单项选择题 下列系统性红斑狼疮肺部影像学表现,哪项较具特征性()
	A.胸膜增厚、胸腔积液
	B.肺内游走性片状模糊影
	C.双下肺网状结节影
	D.肺门周围蝶翼状影
	E.心影普遍增大
293、单项选择题
	男,18岁,右锁骨轻微疼痛,伴局部肿胀,结合图像,最可能的诊断是()
	A.右锁骨正常
	B.右锁骨嗜酸性肉芽肿
	C.右锁骨骨囊肿
	D.右锁骨骨结核
	E.右锁骨骨巨细胞瘤
294、多项选择题 腹部平片可用于下列哪些疾病的检查()
	A.胆囊结石
	B.消化道穿孔
	C.胃溃疡
	D.肠结核
	E.乙状结肠扭转
295、单项选择题 下面肺脓肿的描述中,错误的是()
	A.肺脓肿分急性、慢性两种
	B.血源性肺脓肿常多发,一般为单侧
	C.急性肺脓肿形成的空洞,壁厚,不规则,空洞内常有液平面
	D.急性肺脓肿炎症阶段X线片上呈片絮状阴影,浓密较均匀
	E.慢性肺脓肿阴影浓密,空洞可长时间无变化
296、单项选择题 X线检查眶内不透X线异物的目的是()
	A.确定异物手术方法
	B.提供更准确的检查方法
	C.便于测量和计算
	D.确定有无异物及大小、形态、位置
	E.确定定位方法
297、多项选择题 龛影可见于哪些病变()
	A.贲门失弛缓征
	B.胃溃疡
	C.十二指肠憩室
	D.肠结核
	E.食管静脉曲张
298、单项选择题 每个肾脏其肾小盏数为()
	A.5~6个
	B.6~10个
	C.6~14个
	D.8~10个
	E.10~15个
299、单项选择题 疑似病人痛风,最佳投照体位是()
	A.双侧跟骨侧位片
	B.双侧掌上斜位
	C.胸骨正位片
	D.骨盆侧位片
	E.第1跖趾骨正、斜位
300、单项选择题
	女,2岁,发现蓝色巩膜、听力障碍,四肢畸形等,结合图像,最可能诊断是()
	A.维生素D缺乏病
	B.维生素C缺乏症
	C.软骨发育不全
	D.呆小病
	E.成骨不全