医学影像技术(医学高级):X线必看考点(每日一练)

时间:2023-06-09 03:16:02

微信搜索关注"91考试网"公众号,领30元,获取事业编教师公务员等考试资料40G
题库试看结束后微信扫下方二维码即可打包下载完整版《★医学影像技术(医学高级)》题库
手机用户可保存上方二维码到手机中,在微信扫一扫中右上角选择“从相册选取二维码”即可。
题库试看结束后微信扫下方二维码即可打包下载完整版《医学影像技术(医学高级):X线》题库,分栏、分答案解析排版、小字体方便打印背记!经广大会员朋友实战检验,此方法考试通过率大大提高!绝对是您考试过关的不二利器
手机用户可保存上方二维码到手机中,在微信扫一扫中右上角选择“从相册选取二维码”即可。

1、单项选择题  正常情况下,子宫腔和输卵管内对比剂应在多少时间内排空()

A.12h
B.24h
C.36h
D.48h
E.48h~60h


点击查看答案


2、单项选择题  下列哪种表现只见于“脊柱化脓性骨髓炎”,而不见于“脊柱结核”()

A.椎体融合
B.椎间隙变窄
C.椎体骨质破坏
D.骨质硬化
E.椎旁脓肿


点击查看答案


3、判断题  维生素A缺乏可致明显的骨质疏松。


点击查看答案


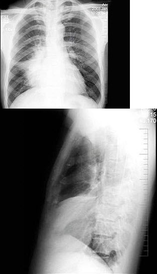
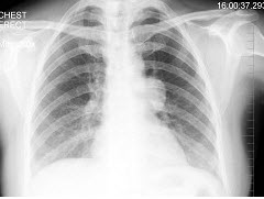
4、单项选择题  

患者输液过程中突发胸闷、气急、咳痰,胸片如图,最可能的诊断为()

A.矽肺合并感染
B.中央型肺水肿
C.真菌感染
D.间质性肺水肿
E.腺病毒肺炎


点击查看答案


5、单项选择题  

男,24岁,低热2周,咳少量痰。胸片示右上肺不均密度增高影,其中有空洞形成,血沉45mm/h。

病灶好发部位是()

A.右肺上叶前段
B.右肺上叶尖后段
C.右肺上叶尖段
D.右肺上叶后段
E.右肺下叶背段


点击查看答案


6、填空题  表面骨肉瘤包括___________、__________和_________________。


点击查看答案


7、单项选择题  “花环征”是哪种疾病的造影特征()

A.胆囊结核
B.胆囊腺肌增生症
C.胆石症
D.急性胆囊炎
E.胆囊癌


点击查看答案


8、单项选择题  60岁以上老年人按脊椎各段结核发病率的不同,由高到低的顺序排列为()

A.胸腰椎、颈椎、腰骶椎、胸椎、腰椎
B.颈椎、胸椎、胸腰椎、腰椎、腰骶椎
C.腰椎、胸椎、胸腰椎、腰骶椎、颈椎
D.腰椎、腰骶椎、胸椎、胸腰椎、颈椎
E.颈椎、胸椎、胸腰椎、腰骶椎、腰椎


点击查看答案


9、单项选择题  中心线向头侧倾斜是指()

A.向下倾斜
B.向上倾斜
C.向近端倾斜
D.向远端倾斜
E.向体轴倾斜


点击查看答案


10、多项选择题  

男,55岁,上腹饱胀不适2月,结合图像,最可能的诊断是()

A.正常表现
B.食管癌
C.食管静脉曲张
D.胃炎
E.胃癌


点击查看答案


11、单项选择题  额窦透光度以下列哪项为标准()

A.柯氏位为标准
B.汤氏位为标准
C.头颅正位为标准
D.华氏位为标准
E.以上都不对


点击查看答案


12、单项选择题  与平片相比,下列哪项不是CT优势()

A.横断面成像
B.解剖分辨率高
C.密度分辨率高
D.空间分辨率高
E.增强扫描,有利于病变定性


点击查看答案


13、单项选择题  先天性肛门闭锁,X线检查的最佳时间是()

A.婴儿出生后立即拍片
B.婴儿出生后10~12小时拍片
C.婴儿出生后20~24小时拍片
D.婴儿出生后8~10小时拍片
E.婴儿出生48小时后拍片


点击查看答案


14、单项选择题  前臂骨折需要首先纠正的错位是()

A.侧方错位
B.旋转错位
C.成角错位
D.短缩错位
E.分离错位


点击查看答案


15、多项选择题  乳腺恶性病变钙化的X线特点为()

A.钙化边缘模糊
B.多呈泥沙样、细粒状
C.形态多不规则
D.钙化一般位于肿块内
E.密度较一致


点击查看答案


16、多项选择题  恶性肿瘤向肺内转移,最易出现的X线表现有()

A.支气管炎样斑状影
B.弥漫性线状及小颗粒状阴影
C.弥漫性蜂窝状阴影
D.多发肿块影
E.单发大肿块影


点击查看答案


17、填空题  风湿性心脏病分为_____________,_______________阶段。以______________最为常见,并常伴有________________。


点击查看答案


18、单项选择题  肺叶内型肺隔离症的X线表现中,哪项对确诊该病价值最大()

A.下叶后基底段圆形或椭圆形致密阴影
B.密度均匀,边缘清楚,其下缘多与膈相连
C.病灶的大小可随病变的演变而改变
D.病变反复感染后周围的支气管可发生障碍病变
E.主动脉造影可显示来自体循环的供血动脉和引流静脉


点击查看答案


19、单项选择题  诊断风湿性心脏病二尖瓣狭窄,最直接的X线征象是()

A.肺循环高压
B.左心房重度增大
C.二尖瓣区钙化
D.右心房重度增大
E.重度间质性肺水肿


点击查看答案


20、问答题  胸腔积液的X线表现为?


点击查看答案


21、判断题  化脓性肺炎致病菌最常见的是肺炎双球菌。


点击查看答案


22、多项选择题  有关浅表凹陷型早期胃癌的描述,正确的是()

A.粘膜皱襞中断增粗变细融合
B.凹陷部凹凸不平,有时可见岛屿状小隆起
C.浅凹陷中有可认为是破坏了固有肌层的溃疡
D.其大小由数毫米至10mm以上
E.形状不整齐的浅凹陷


点击查看答案


23、单项选择题  为提高食管静脉曲张的检出率,应用下列哪种方法较好()

A.稠钡有利于病变的显示
B.多做吞咽动作
C.立位比卧位好,不需摄点片
D.少量稀钡,加用Alsava法或应用抗胆碱药物易于显示
E.以上都不是


点击查看答案


24、单项选择题  下列可出现爆米花样钙化的是()

A.肺癌
B.结核球
C.矽肺
D.胸膜间皮瘤
E.错构瘤


点击查看答案


25、名词解释  抗维生素D型维生素D缺乏症


点击查看答案


26、填空题  乳腺X线检查主要用于乳腺疾病的_______和乳腺癌的_______和_______。


点击查看答案


27、单项选择题  在平片上,蝶鞍增大和(或)破坏见于下列哪种情况()

A.垂体瘤、视交叉胶质瘤、颅咽管瘤
B.垂体瘤、颅咽管瘤
C.视交叉胶质瘤、蝶鞍或后组筛窦黏液囊肿或肿瘤
D.蝶鞍或后组筛窦黏液囊肿或肿瘤
E.以上都正确


点击查看答案


28、单项选择题  下述慢性肺脓肿影像特征,哪项不对()

A.空洞大小、形态不一
B.可为单发大空洞
C.常有液平面
D.胸膜常增厚
E.常呈偏心性空洞


点击查看答案


29、单项选择题  肺下积液所致的“膈升高”膈顶最高点位于()

A.偏外1/3
B.偏外2/3
C.偏内1/3
D.偏内2/3
E.偏外1/2


点击查看答案


30、单项选择题  关于结肠正常影像,下列描述哪项错误()

A.结肠粘膜有纵、横、斜3种方向
B.升结肠的结肠袋比降结肠明显
C.左半结肠粘膜皱襞以纵向为主
D.左半结肠比右半结肠粗
E.低张双对比造影可显示无名沟


点击查看答案


31、单项选择题  在柯氏位上,正常上颌窦的形态为()

A.正方形
B.倒三角形
C.梯形
D.正三角形
E.长方形


点击查看答案


32、问答题  消化道穿孔的X线表现及其鉴别诊断有哪些?


点击查看答案


33、单项选择题  下述“骨软骨瘤”诊断要点中,哪项不对()

A.好发于长骨干骺端
B.肿瘤呈菜花状,有钙化和透亮区
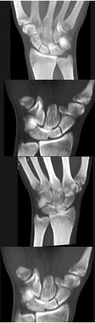
C.软骨帽厚度与年龄成反比
D.无恶变倾向
E.软骨帽表面有包膜


点击查看答案


34、名词解释  A环


点击查看答案


35、判断题  孤立肾和单纯异位肾一般无任何临床表现。


点击查看答案


36、单项选择题  下列长管状骨结核X线表现中,哪项不正确()

A.好发于骨干
B.骨膜反应轻微
C.易侵犯关节
D.骨质破坏为主
E.沙粒样死骨


点击查看答案


37、单项选择题  听小骨位于下列解剖部位中的哪项()

A.前庭
B.半规管
C.蜗牛
D.鼓室
E.外耳道


点击查看答案


38、单项选择题  

女,71岁,左肩痛,系统性红斑狼疮服用高剂量的类固醇半年,结合图像,最可能的诊断是()

A.化脓性关节炎
B.类风湿关节炎
C.骨纤维肉瘤
D.肱骨头缺血坏死
E.肩关节结核


点击查看答案


39、判断题  主-肺动脉间隔缺损以右心增大为主,主动脉结常缩小。


点击查看答案


40、单项选择题  关于肺动脉高压的描述,错误的是()

A.右心室增大
B.肺动脉段突出,肺门增大
C.右下肺动脉干直径>15mm
D.肺动脉收缩压>3.99kPa
E.主动脉结增大


点击查看答案


41、单项选择题  下列发育异常性疾病中,哪种罕有先天性心脏病()

A.Marfan综合征
B.Klinefelter综合征
C.Pfaundler-Hurler病
D.Ehlers-Danlos综合征
E.脆骨症


点击查看答案


42、单项选择题  

男,6岁,髋部疼痛、跛行半年,结合图像,最可能的诊断是()

A.髋关节结核
B.股骨头骨骺缺血坏死
C.骨肉瘤
D.骨囊肿
E.软骨肉瘤


点击查看答案


43、单项选择题  静脉注射碘过敏试验,注药后观察反应的常规时间是()

A.5分钟
B.15分钟
C.25分钟
D.35分钟
E.45分钟


点击查看答案


44、单项选择题  输卵管全长8~14cm,由内向外分为()

A.间质部、壶腹部、伞部、峡部
B.间质部、峡部、壶腹部、伞部
C.壶腹部、间质部、峡部、伞部
D.峡部、壶腹部、间质部、伞部
E.伞部、间质部、峡部、壶腹部


点击查看答案


45、单项选择题  易与胰头肿块混淆的是()

A.门腔淋巴结
B.右肾上腺
C.右侧膈肌脚
D.十二指肠
E.胃幽门管


点击查看答案


46、多项选择题  用立位滤线器摄片的体位是()

A.站立位
B.仰卧位
C.俯卧位
D.侧卧位
E.坐立位


点击查看答案


47、单项选择题  心脏右前斜位投照的旋转角度一般为()

A.30°~45°
B.45°~55°
C.50°~55°
D.55°~60°
E.50°~60°


点击查看答案


48、单项选择题  关于CR的工作原理,正确的是()

A.IP由基层荧光体层和保护层构成
B.IP由基层晶体层构成
C.IP用于检测图像数据
D.IP用于存储图像数据
E.IP用于传输图像数据


点击查看答案


49、单项选择题  下述哪种肺炎好发于右心隔角处()

A.支气管肺炎
B.支原体肺炎
C.流感病毒性肺炎
D.腺病毒肺炎
E.麻疹肺炎


点击查看答案


50、填空题  移行椎颅侧移位的特点是:_________________、_______________、________________、____________和______________。


点击查看答案


51、名词解释  游走脾


点击查看答案


52、判断题  维生素D缺乏病早期的主要X线表现是骺板先期钙化带不规则变薄、模糊或消失。


点击查看答案


53、单项选择题  骨质增生由下述哪种原因引起()

A.骨动脉或静脉栓塞及血栓形成
B.肿瘤组织形成的肿瘤骨
C.成骨细胞活动形成新生骨或软骨内成骨
D.软骨细胞活动形成新生骨
E.以上都不是


点击查看答案


54、多项选择题  骨盆X线片上,强直性脊柱炎与致密性髂骨炎主要鉴别点为()

A.强直性脊柱炎,关节间隙及双侧关节面不受累
B.致密性髂骨炎,关节间隙及双侧关节面不受累
C.致密性髂骨炎仅累及髂骨,骶骨骨质正常
D.强直性脊柱炎,关节间隙及双侧关节面均受累
E.致密性髂骨炎,关节间隙及双侧关节面均受累


点击查看答案


55、单项选择题  马德隆(Madelung)畸形的X线表现中,哪项是错误的()

A.桡骨远端关节面的内倾角加大,内侧有缺损
B.桡骨远端骨骺呈三角形变形,尖端指向内侧
C.桡骨短而弯,尺骨相对地增长
D.桡骨远端关节面与远端突出的尺骨远端形成"V"形切迹
E.腕骨角增大,远列腕骨排列成楔形,月状骨位于尖端


点击查看答案


56、名词解释  骨性狮面


点击查看答案


57、单项选择题  下列关于畸胎类肿瘤描述,错误的是()

A.多位于前纵隔中部
B.分囊性和实质性两种
C.含有骨骼、牙齿是其特征
D.短期内增大示其恶性变
E.不能见到气液平面


点击查看答案


58、单项选择题  下列有关“骨布氏菌感染”描述中,哪项不正确()

A.脊柱、四肢大关节多处受累
B.关节软骨下囊性变
C.关节边缘性骨质破坏
D.四肢末梢小关节受累
E.就影像表现难与结核性、化脓性骨关节炎鉴别


点击查看答案


59、单项选择题  股骨颈骨折最易合并()

A.骨感染
B.骨不连
C.骨梗死
D.骨萎缩
E.骨缺血性坏死


点击查看答案


60、问答题  儿童大骨节病干骺型的主要X线表现有哪些?


点击查看答案


61、填空题  主动脉弓及其主要分支的三大主要变异包括:__________________、______________________和__________________________。


点击查看答案


62、单项选择题  下列组合中,关系最密切的是()

A.甲状旁腺——脑室
B.松果体——蝶鞍
C.泪腺——上颌窦
D.晶状体——基底核
E.脑垂体——蝶骨


点击查看答案


63、名词解释  地方病


点击查看答案


64、多项选择题  下列有关色素沉着绒毛结节性滑膜炎的描述中,正确的有()

A.软组织内有蛋壳样钙化
B.主要累及关节滑膜、关节囊和腱鞘
C.本病好发生于青壮年
D.动脉造影可显示富于血管的关节内肿块
E.膝关节最易受累


点击查看答案


65、判断题  右心房增大常伴有上腔和(或)下腔静脉扩张与奇静脉扩张。


点击查看答案


66、单项选择题  肾结核X线平片征象,下列哪项正确()

A.肾影倒八字形
B.病侧肾下垂
C.肾影不清
D.肾区可见不规则钙化灶
E.肾外形不光整


点击查看答案


67、单项选择题  急性化脓性骨髓炎的X线摄片,主要表现为()

A.骨质增生硬化
B.新生骨
C.骨质破坏
D.死骨形成
E.以上都不是


点击查看答案


68、单项选择题  心脏左前斜位投照的旋转角度一般为()

A.30~40
B.40~50
C.50~60
D.60~70
E.45~55


点击查看答案


69、单项选择题  下述左心衰的胸片表现,错误的是()

A.左侧心房或心室增大
B.肺静脉扩张
C.双肺门周围"蝶翼样"阴影
D.胸腔积液
E.肺纹理清晰


点击查看答案


70、单项选择题  下列组合,哪一组是错误的()

A.内耳孔——颜面神经
B.卵圆孔——三叉神经
C.枕骨大孔——延髓
D.食管裂孔——食管
E.椎间孔——椎骨动脉


点击查看答案


71、单项选择题  

该病例临床上有持续性足部疼痛,结合图像,最可能的诊断为()

A.骨样骨瘤
B.疲劳骨折
C.尤文氏瘤
D.正常结构
E.骨软骨瘤


点击查看答案


72、配伍题  慢性支气管炎可出现()
肺癌可出现()
间质性肺水肿可出现()

A.支气管憩室征
B.支气管截断征
C.空气支气管征
D.支气管宽径征
E.支气管周围袖套征


点击查看答案


73、问答题  软骨黏液样纤维瘤的X线表现有哪些?


点击查看答案


74、多项选择题  

女,80岁,胃胀痛20多天,体检:剑突下有压痛,结合图像,最可能的诊断为()

A.食管憩室
B.食管癌
C.胃炎
D.胃下垂
E.球部溃疡


点击查看答案


75、单项选择题  关于切线投影的叙述,错误的是()

A.将中心线从被检部位边缘通过,称切线投影
B.此法可使相邻部分X线吸收差异减小
C.对于某些边缘凸出,可采用此法
D.对某些边缘凹陷,可采用此法
E.对某些表面病灶,可采用此法


点击查看答案


76、多项选择题  支气管气相可见于()

A.周围型燕麦细胞癌
B.肺透明膜病
C.大叶性肺炎
D.结节病
E.肺水肿


点击查看答案


77、多项选择题  起源于非上皮的胃良性肿瘤为()

A.胃息肉
B.胃脂肪瘤
C.胃血管瘤
D.胃神经纤维瘤
E.胃平滑肌瘤


点击查看答案


78、单项选择题  脂肪肉瘤中哪种类型最常见()

A.黏液型
B.圆细胞型
C.分化良好型
D.多形性型
E.混合型


点击查看答案


79、单项选择题  有关对比度、锐利度、密度的相互关系,下列哪种说法错误()

A.密度是对比度、锐利度的基础
B.锐利度与对比度无直接关系
C.照片对比度不随密度改变而改变
D.观片灯的亮度也影响对比度的效果
E.在高密度的周围如有对比度小的物体影像,常难以辨认


点击查看答案


80、单项选择题  摄肩关节盂前后位应在常规肩关节前后位基础上()

A.身体向检测后斜25°~30° 
B.身体向检侧后斜10°~20° 
C.身体向检侧后斜45° 
D.身体向检侧前斜45° 
E.身体向检侧前斜10°~20°


点击查看答案


81、填空题  急性胃炎一般分为________、________、__________和_________。


点击查看答案


82、单项选择题  胸腔积液罕见于()

A.细菌性肺炎
B.结核
C.乳腺癌胸膜转移
D.结节病
E.淋巴管腺肌瘤病 


点击查看答案


83、单项选择题  关于支气管肺癌的说法,错误的是()

A.女性发病率男性高
B.中央型肺癌的临床症状较周围型肺癌出现的早,症状较重
C.对于周围型肺癌,X线检查是不可缺少的手段
D.痰癌细胞检查、纤维支气管镜检查是诊断早期中央型肺癌的主要方法
E.鳞癌为肺癌最常见的组织类型


点击查看答案


84、名词解释  胆脂瘤


点击查看答案


85、配伍题  食管上段为()
食管中段为()
食管下段为()

A.内层环行肌
B.外层纵行肌
C.平滑肌
D.横纹肌
E.横纹肌与平滑肌混合


点击查看答案


86、单项选择题  椎旁脓肿在哪种脊柱结核中出现的概率最多()

A.腰骶椎结核
B.胸椎结核
C.腰椎结核
D.胸腰椎结核
E.颈椎结核


点击查看答案


87、单项选择题  从颈椎开口位照片中,判断摄片体位正确的依据是()

A.上门齿与枕骨边缘投影重叠
B.上门齿与枕骨边缘稍分离
C.上门齿投影在枕骨边缘的下方
D.上门齿投影在枕骨边缘的上方
E.上门齿与枕骨边缘分离约0.5cm


点击查看答案


88、多项选择题  减小几何模糊,正确的措施是()

A.被照体远离胶片
B.被照体贴近胶片
C.使用小焦点
D.使用小的焦—片距
E.使用大的焦—片距


点击查看答案


89、单项选择题  诊断肾动脉狭窄、肾动脉瘤等肾血管疾病的金标准为()

A.血管造影检查
B.CTA检查
C.MRA检查
D.DSA检查
E.MRI检查


点击查看答案


90、单项选择题  下列有关乳腺结构不良的X线表现中,描述不妥的是()

A.乳腺实质内多发或弥漫性不规则结节影
B.病变严重者常难分辨正常乳腺腺体结构
C.有时可在其内见纤维条索影,边缘模糊
D.乳腺实质内无钙化影
E.少数患者乳腺内可见新月形钙化影


点击查看答案


91、单项选择题  下列哪项对溶骨型骨转移瘤的X线表现描述不正确()

A.多呈虫蚀状、鼠咬状骨质破坏
B.可单骨或多骨发病
C.骨膜反应常见
D.可并发病理性骨折
E.可合并软组织肿块


点击查看答案


92、多项选择题  引起肝脓肿常见的细菌为()

A.大肠杆菌
B.金黄色葡萄球菌
C.绿脓杆菌
D.变形杆菌
E.肠炎杆菌


点击查看答案


93、问答题  在X线上怎样识别关节各部分?


点击查看答案


94、填空题  骨嗜酸性肉芽肿应与____________、__________和__________等疾病鉴别诊断。


点击查看答案


95、单项选择题  

哪几项属于腹腔内脏器()
a.肝
b.脾
c.肾
d.胰
e.胃

A.a,b,c
B.a,b,e
C.a,d,e
D.b,c,d
E.c,d,e


点击查看答案


96、单项选择题  下列关于“乳腺病变”,说法错误的是()

A.“Paget病”有转变为导管癌可能
B.髓样癌,边缘光整
C.只要见到腋下淋巴结,就提示转移
D.细小钙化多见于乳腺管内肿瘤
E.触诊比影像显示的肿块大,则提示恶性可能


点击查看答案


97、单项选择题  手正位片上,拇指显示为()

A.轴位影像
B.正位影像
C.斜位影像
D.侧位影像
E.切线位影像


点击查看答案


98、问答题  纵隔积气有哪些X线表现?


点击查看答案


99、单项选择题  男,65岁,小便不畅半年,腰骶部、骨盆疼痛3个月,胸部平片及CT未见异常,腰椎及骨盆平片示骨内多发斑片状密度增高影,最可能的诊断是()

A.氟骨症
B.石骨症
C.骨转移瘤
D.结核
E.骨肉瘤


点击查看答案


100、单项选择题  下列哪项与缩窄性心包炎X线征象不相符()

A.左心房增大
B.胸腔积液
C.心脏大小可正常
D.右下肺动脉呈残根状
E.上腔静脉扩张


点击查看答案


101、单项选择题  高血压性心脏病的X线表现,哪项除外()

A.心脏呈主动脉型
B.主动脉增宽
C.主动脉结膨凸
D.主动脉结缩小
E.左心室肥厚


点击查看答案


102、单项选择题  成人颈椎侧位平片环齿之距离为()

A.1~1.5mm
B.6mm以上
C.5~6mm
D.2.5~4mm
E.以上均不是


点击查看答案


103、多项选择题  关节根据其活动程度可分为()

A.活动关节
B.少动关节
C.不动关节
D.骨缝
E.椎间隙


点击查看答案


104、单项选择题  逆行肾盂造影示自肾小盏中央开始向皮质呈放射状或肩状阴影,属于()

A.肾盂静脉周围逆流
B.肾盂肾窦逆流
C.肾盂淋巴管逆流
D.肾盂静脉逆流
E.肾小管逆流


点击查看答案


105、单项选择题  

女,45岁,结合图像,最可能的诊断是()

A.类风湿关节炎
B.痛风
C.假痛风
D.牛皮癣性关节炎
E.神经性关节病


点击查看答案


106、判断题  物质的密度高,吸收的X线量少,影像在图像上呈黑影。


点击查看答案


107、多项选择题  X线检查,室间隔缺损可表现为()

A.低位小缺损,胸片可正常
B.高位大缺损,肺血常增多
C.右心房常增大
D.可有肺门舞蹈
E.左心房常增大


点击查看答案


108、单项选择题  金黄色葡萄球菌肺炎的特征性X线征象为()

A.两肺多发片状阴影
B.脓肿形成
C.肺气囊形成
D.胸腔积液
E.脓气胸


点击查看答案


109、问答题  类风湿关节炎的旱期X线表现有哪些?


点击查看答案


110、问答题  骨转移性肿瘤的X线表现有哪些?


点击查看答案


111、多项选择题  下列摄片用语,错误的是()

A.中心线向肢侧倾斜
B.中心线向手侧倾斜
C.中心线向足侧倾斜
D.中心线向头侧倾斜
E.中心线向地面倾斜


点击查看答案


112、名词解释  酒窝征


点击查看答案


113、单项选择题  

男,47岁,关节炎病史20年,结合图像,最可能的诊断是()

A.类风湿关节炎
B.痛风
C.骨关节结核
D.牛皮癣性关节炎
E.Reiter综合征


点击查看答案


114、单项选择题  男性,50岁。有动脉粥样硬化病史。突然感到剧烈刀割样胸痛2小时,向背部放射。查体发现主动脉瓣区可闻及舒张期杂音。考虑为主动脉夹层可能。下列哪一项是其常见的胸片表现()

A.主动脉弓部和降主动脉上部影增宽
B.主动脉影狭小
C.主动脉影外形不规则
D.主动脉影位置改变
E.主动脉搏动增强


点击查看答案


115、填空题  先天性心脏病按X线片肺血情况分为__________、__________、___________。


点击查看答案


116、配伍题  构成左心缘第二弓的是()
构成心右心缘第二弓的是()
构成右心缘第一弓的是()

A.肺动脉段
B.右心房
C.上腔静脉
D.左心耳
E.左心室


点击查看答案


117、单项选择题  左心房增大最早出现的X线征象是()

A.轻度肺淤血
B.左心房耳部突出
C.左前斜位左主支气管抬高
D.心脏右缘出现双房影
E.吞钡检查见食管局限性压迹


点击查看答案


118、多项选择题  骨髓瘤好发于下列哪些部位()

A.肱骨
B.脊椎
C.肋骨
D.骨盆
E.胸骨


点击查看答案


119、问答题  烧伤引起的骨损伤的主要X线表现有哪些?


点击查看答案


120、填空题  小儿急性肠套叠的主要临床症状有_______、________、______________和_______等。


点击查看答案


121、单项选择题  胸壁外伤较少发生肋骨骨折部位是()

A.第1~2肋骨
B.第3~10肋骨
C.第10~12肋骨
D.第8~10肋骨
E.第3~5肋骨


点击查看答案


122、单项选择题  X线有物理特性、化学特性和生物特性,下列属于化学特性的是哪项()

A.穿透作用
B.荧光作用
C.感光作用
D.干涉与衍射、反射与折射作用
E.电离作用


点击查看答案


123、单项选择题  下列有关骨折基本X线征象中,哪项错误()

A.密度增高骨折线
B.骨小梁扭曲/中断
C.密度减低骨折线
D.碎骨片
E.骨骺移位


点击查看答案


124、单项选择题  

新生儿,出生后呼吸困难、颜面青紫,经对症治疗,病情改善不明显,结合其胸片,最可能的诊断为()

A.食道裂孔疝
B.膈疝-后外侧疝
C.膈疝-胸骨旁疝
D.膈膨升
E.以上都不是


点击查看答案


125、单项选择题  男性,22岁,四川人,到拉萨旅游,因头痛、咳红色泡沫痰2天,昏迷3小时就诊,胸片示两肺弥漫分布大小不等模糊影,以内带居多,最可能的诊断是()

A.ARDS
B.大叶性肺炎
C.高原性肺水肿
D.支气管肺炎
E.心源性肺水肿


点击查看答案


126、单项选择题  右心室流入道是指()

A.二尖瓣至心尖部的一段
B.心尖至主动脉瓣的部分
C.三尖瓣至右心室心尖的一段
D.右心室心尖至肺动脉瓣的部分
E.以上都不是


点击查看答案


127、问答题  【背景材料】某设备监理单位承接了某安装工程项目监理工作。业主要求设备监理单位在监理合同书限定时间内提交监理规划。设备监理单位立即着手监理规划的编制工作。 一、收集制订编制设备监理规划的依据资料: 1.安装工程承包合同资料; 2.有关该项目的规范和标准; 3.该项目承包单位和设计单位的资料。 二、计划编制的设备监理规划的基本内容如下: 1.设备工程项目概况; 2.设备监理工作范围和工作内容; 3.设备监理工作的目标; 4.设备监理规划交底; 5.设备监理工作程序和工作制度; 6.安装设计单位和安装单位之间的协调。 一般情况下,设备监理规划应由谁来组织编制?


点击查看答案


128、单项选择题  下列哪项不是肥厚型胃炎的X线表现()

A.粘膜皱襞隆起、粗大而宽
B.粘膜皱襞数量增多
C.粘膜皱襞排列紊乱、扭曲不正
D.常有多发表浅溃疡及息肉样结节
E.充盈像时胃轮廓呈波浪状


点击查看答案


129、单项选择题  中心型肺癌最早出现征象是()

A.黏液嵌塞征
B.局限性肺气肿
C.段或叶肺不张
D.阻塞性肺炎
E.肺门阴影增浓


点击查看答案


130、单项选择题  关于卡氏肺囊虫病,下列描述错误的是()

A.单个或多个肺叶、肺段分布
B.双下肺斑片状影
C.肺门旁浅淡斑片状、蝶翼状影
D.病情变化快
E.双下肺多发球形影,可有空洞


点击查看答案


131、单项选择题  易引起肺脓肿的疾病是()

A.肺结核
B.大叶肺炎
C.放射性损伤
D.肺肿瘤
E.肺霉菌感染


点击查看答案


132、多项选择题  头颅柯氏位观察眼眶诸骨,包括下列哪些()

A.蝶骨大小翼
B.内听道
C.额骨眶顶部
D.乳突
E.眶上裂


点击查看答案


133、判断题  骺软骨有阻止肿瘤发展的趋势,故骨肉瘤不会侵犯骨骺。


点击查看答案


134、单项选择题  

男,36岁,胸痛、发热2周余,X线检查如图,最可能的诊断是()

A.右下肺炎症
B.右肺肿瘤
C.右下肺不张
D.右肺中叶综合征
E.右侧气胸


点击查看答案


135、单项选择题  骨与关节的X线投照位置,常规要求最确切的是()

A.正侧位摄片
B.正侧位必要时双侧对照摄片
C.左右双斜位摄片
D.双侧对比摄片
E.正侧位片,包括周围软组织及邻近一个关节


点击查看答案


136、单项选择题  甲种工作条件是指1年照射的有效量剂量有可能超过()

A.20mSv
B.15mSv
C.10mSv
D.5mSv
E.25mSv


点击查看答案


137、填空题  颞骨骨折按骨折线与岩锥长轴的关系可分为________、___________和____________。


点击查看答案


138、判断题  克氏综合征患者骨骺骨化中心出现和愈合均正常,唯掌骨征阳性。


点击查看答案


139、单项选择题  下列有关“三期梅毒”影像征象中,正确的是()

A.对髓腔内改变,MRI可确诊
B.长骨骨干广泛骨膜反应、骨质破坏
C.常有细小死骨
D.梅毒中发生在长骨
E.额骨、枕骨变薄


点击查看答案


140、单项选择题  胎儿出生前受X线照射,引起智力低下的主要时期是()

A.5~7周
B.8~15周
C.16~20周
D.21~25周
E.26~30周


点击查看答案


141、单项选择题  大叶性肺炎的充血期是指发病后()

A.6~12小时
B.12~24小时
C.24~48小时
D.48~96小时
E.96~120小时


点击查看答案


142、填空题  室间隔缺损根据临床结合病理分为___________、___________、_________。


点击查看答案


143、填空题  胸膜肥厚是由______________及________________引起,常充塞胸膜腔。


点击查看答案


144、单项选择题  肺部炎症导致肺组织发生坏死出血、钙盐沉着,最终导致结果是()

A.渗出
B.增殖
C.钙化
D.纤维化
E.空洞


点击查看答案


145、单项选择题  关于原发性支气管肺癌,下列哪项描述不准确()

A.早期中央型肺癌胸片易漏诊
B.管内型的中央型肺癌易形成肺不张
C.隐性肺癌等于早期肺癌
D.鳞癌多为中央型肺癌
E.管壁浸润型的中央型肺癌可无肺不张


点击查看答案


146、单项选择题  

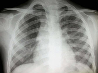
女,12岁,咳嗽一天,无畏寒、发热,如图所示,最可能的诊断为()

A.肺静脉异位引流
B.畸胎瘤
C.正常胸腺
D.右中肺不张
E.以上均不正确


点击查看答案


147、单项选择题  临床怀疑“肾结石”患者,首选以下哪种检查()

A.KUB 
B.选择性肾动脉造影
C.IVU 
D.逆行尿路造影
E.CT


点击查看答案


148、多项选择题  下列哪些属于直接引入法造影()

A.胃肠钡餐造影
B.口服胆囊造影
C.逆行肾盂造影
D.静脉肾盂造影
E.子宫输卵管造影


点击查看答案


149、单项选择题  管电流的改变,一般是()

A.调节灯丝初级电路中的电阻
B.调节电源电压
C.调节稳压器的输入电压
D.调节稳压器的输出电压
E.调节管电压


点击查看答案


150、单项选择题  下列颅面骨改变,不属“正常变异”()

A.双上颌窦不对称
B.单侧额窦
C.眶上筛窦气房
D.“8”字形视神经孔
E.鼻额缝


点击查看答案


151、单项选择题  下列哪种疾病可出现肺血减少的X线征象是()

A.室间隔缺损
B.风湿性心脏病二尖瓣狭窄
C.原发性肺动脉高压
D.高血压性心脏病
E.以上都不是


点击查看答案


152、单项选择题  掌下斜位片,掌骨投影重叠较多的是()

A.第1~2掌骨
B.第2~3掌骨
C.第3~4掌骨
D.第4~5掌骨
E.第1~5掌骨


点击查看答案


153、单项选择题  胸片常规摄片位指的是()

A.立位前后位
B.立位后前位
C.卧位前后位
D.卧位后前位
E.右侧位


点击查看答案


154、多项选择题  下述哪些不是产生X线的具备条件()

A.光电管
B.电子源
C.高压电场和真空下产生的高速电子流
D.适当的障碍物
E.旋转阳极


点击查看答案


155、单项选择题  关于头颅摄影注意事项的叙述,错误的是()

A.颅骨切线位可不用滤线器
B.中心线倾斜角度必须准确
C.颅底骨折病人常取颌顶位摄影
D.可取平静呼吸下屏气曝光
E.焦-片距一般为100cm


点击查看答案


156、填空题  股骨头骨骺缺血坏死影像学表现可分为________、_______、________和______4期。


点击查看答案


157、单项选择题  于斯氏位摄片的叙述,错误的是()

A.被检者俯卧于摄片床上
B.被检侧额颧鼻部紧贴暗盒(或床面)
C.头颅矢状面与床面成45°
D.听眦线与暗盒前缘保持垂直
E.中心线向足侧倾斜12°


点击查看答案


158、单项选择题  许莫结节是指椎间盘()

A.向后突出
B.向椎间孔突出
C.向椎旁突出
D.向椎体内突出
E.向前突出


点击查看答案


159、判断题  颅锁骨发育不全为全身性骨发育障碍,属常染色体隐性遗传。


点击查看答案


160、单项选择题  下述哪项是膜内化成骨()

A.颅顶骨和面骨
B.脊柱和骨盆
C.四肢长骨
D.颅底骨和筛骨
E.四肢短管状骨


点击查看答案


161、单项选择题  在肝转移病灶中,钙化发生率高的是()

A.肾癌
B.直肠癌
C.胰腺癌
D.平滑肌肉瘤
E.甲状腺癌


点击查看答案


162、单项选择题  梗阻以上结肠扩张,有宽大液平面,小肠轻度扩张,有少许液平面,最可能的诊断是()

A.单纯性结肠梗阻
B.绞窄性小肠梗阻
C.单纯性小肠梗阻
D.结肠扭转
E.肠套叠


点击查看答案


163、名词解释  颈眼听综合征


点击查看答案


164、问答题  肺脓肿的X线表现有哪些?


点击查看答案


165、单项选择题  食管中下段局限性不规则收缩,称为()

A.第1蠕动波
B.第2蠕动波
C.第3蠕动波
D.第4蠕动波
E.以上都不是


点击查看答案


166、单项选择题  下列哪些X线表现可作为间质性肺水肿的诊断依据()

A.两肺野透亮度减低
B.肺门影模糊不清
C.心影增大
D.Kerley线
E.肋膈角闭塞


点击查看答案


167、多项选择题  下列“无紫绀型先天性心脏病”中,哪些疾病的“肺血正常”()

A.肺动脉狭窄
B.主动脉瓣狭窄
C.主动脉缩窄
D.三尖瓣下移
E.以上均为“肺血正常”的“无紫绀型先天性心脏病”


点击查看答案


168、单项选择题  下列化脓性关节炎的X线表现中,哪项出现早而又具有特征性()

A.关节脓肿
B.关节脱位
C.关节腔狭窄
D.关节持重面骨质破坏
E.关节骨性强直


点击查看答案


169、单项选择题  下列哪种检查无法显示左房黏液瘤的大小及形状()

A.CT
B.MRI
C.X线平片
D.心血管造影
E.超声心动图


点击查看答案


170、单项选择题  胸片上,正常肺门位于()

A.第1~3前肋内带
B.第2~4前肋内带
C.第4~6前肋内带
D.第5~7前肋内带
E.第7~9前肋内带


点击查看答案


171、单项选择题  下列有关尤文肉瘤的叙述,哪项是错误的()

A.病变好发生于长骨的骨干或干骺端
B.髓腔内出现斑片状骨质破坏
C.骨膜呈葱皮样改变
D.破坏区周围骨质常无反应性骨硬化
E.对放射治疗相当敏感


点击查看答案


172、单项选择题  关于肝肿瘤的叙述,不正确的是()

A.常见的良性肝肿瘤是海绵状血管瘤
B.肝转移癌是常见恶性肿瘤
C.肝肿瘤包括良性和恶性肿瘤
D.胆管细胞癌是多血供型肿瘤
E.肝细胞癌是成人常见原发性恶性肿瘤


点击查看答案


173、单项选择题  胃癌最常见的部位是()

A.胃窦部
B.胃体部
C.胃底部
D.胃小弯
E.胃大弯


点击查看答案


174、填空题  Judet分类法将髋臼骨折分为3型,即Ⅰ型为_____________;Ⅱ型为_____________;Ⅲ型为____________。


点击查看答案


175、单项选择题  下列放射性肺炎影像,哪项不对()

A.急性期,片状模糊影
B.慢性期,纤细的网状条索影
C.1个月后:可呈块状影
D.病情稳定后,其余肺野代偿性肺气肿
E.病变大小始终与投照范围一致


点击查看答案


176、单项选择题  正常成年人腰椎侧隐窝前后径至少是()

A.1mm
B.2mm
C.3mm
D.4mm
E.5mm


点击查看答案


177、单项选择题  关于椎间盘“赤道征”,下列观点哪项正确()

A.见于正常儿童椎间盘
B.有十分重要的临床意义
C.是椎间盘退变的早期征象
D.是椎间盘退变的晚期征象
E.见于正常成人椎间盘


点击查看答案


178、单项选择题  下列限时器中限时最不精确的是()

A.电子管限时器
B.晶体管限时器
C.机械式限时器
D.集成电路限时器
E.同步电机式限时器


点击查看答案


179、单项选择题  下列关于胸部摄影技术的分析,哪个是正确的()

A.胸部后前位片胸廓不对称是中心线不对
B.肺野内出现局限性高密度影,肯定是肺内病变
C.气管不居中,肯定是位置不正
D.优质片肯定是条件合适
E.胸片上影像模糊,肯定是患者移动


点击查看答案


180、单项选择题  下列选择中,张口位不能显示是哪项()

A.齿状突 
B.茎突 
C.寰椎 
D.寰枢关节 
E.枢椎


点击查看答案


181、问答题  胸膜钙化和肺内钙化如何鉴别?


点击查看答案


182、单项选择题  下列有关“硬化性骨髓炎”诊断要点,哪项不对()

A.好发于股骨和胫骨
B.患骨皮质增厚、髓腔消失
C.患骨增粗,但无骨膜反应
D.一般无死骨形成
E.硬化区内常有大小不等的密度减低区


点击查看答案


183、名词解释  月骨周围脱位


点击查看答案


184、单项选择题  在胸部正位取后前立位的原因中,无关的是()

A.立位能正确反映胸部脏器的确切形态
B.立位能观察到产生气液面的病理改变
C.后前位肺组织更靠近胶片,影像清晰
D.后前位肩胛骨易于投影在肺野之外
E.后前位心脏放大率小


点击查看答案


185、单项选择题  腰椎在斜位X线片上显像似一只狗的样子,下列叙述不正确的是()

A.横突为“狗嘴”
B.主要观察椎弓峡部
C.下关节突为“狗前腿”
D.对侧横突为“狗后腿”
E.椎弓根为“狗眼”


点击查看答案


186、多项选择题  由不可见到可见X线影像,与信息转换功能有关的是()

A.胶片特性
B.荧光体特性
C.X线质
D.显影的加工条件
E.被照体的原子序数


点击查看答案


187、单项选择题  常于早期即发生淋巴转移的肺癌是()

A.鳞状上皮癌
B.小细胞未分化癌
C.腺癌
D.大细胞未分化癌
E.细支气管肺泡癌


点击查看答案


188、单项选择题  

患者,女,46岁,胸闷气短1月,伴全身乏力,咳嗽,发热。胸片示:中上纵隔增宽,右缘呈波浪状改变。白细胞:8.5×10/L。

当病人出现声音嘶哑时,提示肿瘤已侵犯()

A.声带
B.迷走神经
C.喉上神经
D.喉返神经
E.气管隆突


点击查看答案


189、单项选择题  关于“脊柱血管瘤”临床特点正确的是()

A.青少年多见
B.腰骶椎多见
C.颈椎多见
D.局限于椎体,不侵犯附件
E.椎体可塌陷


点击查看答案


190、多项选择题  龛影可见于哪些病变()

A.贲门失弛缓征
B.胃溃疡
C.十二指肠憩室
D.肠结核
E.食管静脉曲张


点击查看答案


191、单项选择题  

男,55岁,左侧舌下肿胀不适2个月余,体检发现左侧舌下肿胀,舌下阜处可见脓苔黏附,触痛,按之可见淡黄色脓液从舌下阜溢出,摄片如图所示,最可能诊断()

A.左侧颌下腺涎石
B.左侧舌下腺涎石
C.左侧腮腺涎石
D.正常影像
E.左侧下颌骨含牙囊肿


点击查看答案


192、判断题  慢性铅中毒可见长骨干骺端密度减低,出现骨膜炎改变。


点击查看答案


193、单项选择题  正位胸片上,动脉导管未闭的特征表现为()

A.双房影
B.漏斗征
C.靴形心
D.梨形心
E.平腰征


点击查看答案


194、多项选择题  “继发孔型房间隔缺损”分为哪几型()

A.中央型/卵圆窝型
B.上腔型
C.下腔型
D.周边型
E.混合型


点击查看答案


195、单项选择题  

男,63岁,进行性吞咽困难1月。食管钡餐示:食管下段粘膜不规则充盈缺损,管腔狭窄,贲门扩张欠佳。

最可能的诊断是()

A.食管下段炎症
B.食管下段溃疡侵及贲门
C.食管下段癌侵及贲门
D.食管下段静脉曲张
E.以上都不对


点击查看答案


196、单项选择题  对左肺舌(下)支气管的描述,不正确的是()

A.相当于右肺中叶支气管
B.可视为左主支气管的直接延续
C.向前下方稍向外斜行
D.分为上舌支和下舌支
E.分布于舌叶的上段及下段


点击查看答案


197、单项选择题  肺动脉狭窄最常见的类型是()

A.瓣膜下型
B.瓣膜上型
C.瓣膜型
D.混合型
E.以上都不是


点击查看答案


198、单项选择题  

男,21岁,手部不慎摔伤,局部疼痛,结合图像,最可能的诊断是()

A.大多角骨骨折
B.小多角骨骨折
C.三角骨骨折
D.月骨骨折
E.舟状骨骨折


点击查看答案


199、单项选择题  

男,34岁,体检摄片如图所示,最可能的诊断是()

A.氟骨症
B.转移性骨肿瘤
C.骨样骨瘤
D.骨岛
E.骨斑点症


点击查看答案


200、填空题  肺真菌病的影像学表现主要有__________、______________、______________、_____________、_________和__________。


点击查看答案


201、单项选择题  下列哪种疾病不出现左心房增大()

A.二尖瓣狭窄
B.肺动脉瓣狭窄
C.二尖瓣关闭不全
D.室间隔缺损
E.动脉导管未闭


点击查看答案


202、配伍题  关于化脓性关节炎的骨质破坏描述正确的是()
关于关节结核的骨质破坏描述正确的是()
关于风湿性关节炎的骨质破坏描述正确的是()

A.发展迅速,从关节承重面开始,骨质缺损与正常骨质分界不清
B.发展缓慢,从关节承重面开始,骨质缺损与正常骨质分界不清
C.发展缓慢,从关节边缘开始,有虫蚀状骨质破坏
D.发展缓慢,从关节边缘开始,为穿凿样破坏,常累及多个关节
E.发展迅速,从关节边缘开始,为穿凿样破坏,常累及多个关节


点击查看答案


203、名词解释  Caroli病


点击查看答案


204、单项选择题  可用于静脉肾盂造影的对比剂是()

A.碘化油
B.碘苯酯
C.泛影葡胺
D.碘化钠
E.胆影葡胺


点击查看答案


205、单项选择题  以下哪项不是肺气肿的分型()

A.全小叶型
B.部分小叶型
C.小叶中心型
D.小叶间隔旁型
E.瘢痕旁型


点击查看答案


206、单项选择题  下述主动脉硬化胸片所见,错误的是()

A.左心缘第一弓突出
B.右心缘第一弓突出
C.侧位片上,主动脉窗扩大
D.降主动脉迂曲,多向右侧突出
E.主动脉弓可有线样或斑片状钙化


点击查看答案


207、判断题  食管狭窄部位内的溃疡形成并伴发食管裂孔疝是Barrett溃疡的特点。


点击查看答案


208、单项选择题  下颌关节间隙正常值为()

A.1.5mm
B.1.8mm
C.2.0mm
D.2.5mm
E.3.0mm


点击查看答案


209、问答题  膈疝的X线表现有哪些?


点击查看答案


210、单项选择题  

女,49岁,常感胸前区隐痛,X线检查如图,最可能的诊断是()

A.畸胎瘤
B.胸腺瘤
C.淋巴瘤
D.左肺肿瘤
E.胸内甲状腺肿


点击查看答案


211、单项选择题  平静呼吸下屏气,常用于哪个部位的检查()

A.手
B.下肢
C.前臂
D.心脏
E.躯干


点击查看答案


212、单项选择题  

男,65岁,咳嗽,右胸痛,痰中带血丝1周。胸部后前位片示:右肺门影增大,右上肺大片状致密影,水平裂呈反“S”样改变。

被阻塞的支气管()

A.右主支气管
B.右肺上叶支气管
C.右肺上叶前段支气管
D.右肺中叶支气管
E.右肺上叶尖后段支气管


点击查看答案


213、单项选择题  视神经孔后前轴位摄片,矢状面与台面呈()

A.33°
B.43°
C.53°
D.63°
E.73°


点击查看答案


214、单项选择题  下述神经性关节病的X线表现中,哪项不正确()

A.最早的X线表现为关节囊肿胀,轻微半脱位
B.关节间隙逐渐变窄,骨性关节面硬化及侵蚀破坏
C.关节骨端碎裂,并被吸收,以持重骨多见
D.关节腔内出现大量积液和多数游离体
E.不会出现骨质疏松和骨膜反应


点击查看答案


215、判断题  寰枢椎损伤包括寰枢关节脱位、寰椎骨折和齿突骨折等。


点击查看答案


216、问答题  十二指肠良性肿瘤常见的共同X线表现有哪些?


点击查看答案


217、单项选择题  

男,65岁,咳嗽,右胸痛,痰中带血丝1周。胸部后前位片示:右肺门影增大,右上肺大片状致密影,水平裂呈反“S”样改变。

被阻塞的支气管()

A.右主支气管
B.右肺上叶支气管
C.右肺上叶前段支气管
D.右肺中叶支气管
E.右肺上叶尖后段支气管


点击查看答案


218、多项选择题  正位胸片上,Lutembacher综合征表现为()

A.肺纹理增多
B.多数患者肺纹理正常
C.肺门影缩小
D.右心增大
E.左心房增大


点击查看答案


219、判断题  胆囊缩小、变形和胆囊壁内大小不等的憩室样征象,是诊断胆囊腺肌增生症的主要依据。


点击查看答案


220、单项选择题  尾骨是由几块椎骨组成()

A.3块
B.4块
C.5块
D.6块
E.4节退化椎骨融合成1块


点击查看答案


221、多项选择题  左心房增大多见于下述哪些疾病()

A.二尖瓣病变
B.主动脉病变
C.动脉导管未闭
D.室间隔缺损
E.左心衰竭


点击查看答案


222、多项选择题  软组织肿瘤钙化常见于()

A.软组织软骨瘤
B.皮样囊肿
C.畸胎瘤
D.软组织错构瘤
E.软骨肉瘤


点击查看答案


223、单项选择题  节段性肺不张的影像特征是()

A.近肺底的横行条状致密
B.尖端指向肺门的三角形致密影
C.弥漫分布斑片状影
D.一侧肺致密影伴纵隔向患侧移位
E.3~5cm大小肿块影,伴“彗星尾”征


点击查看答案


224、单项选择题  脊髓内不伴有脊髓空洞症肿瘤是()

A.室管膜瘤
B.血管母细胞瘤
C.转移瘤
D.星形细胞瘤
E.以上全不对


点击查看答案


225、单项选择题  

女,根据其正常骨盆影像图像,判断其最可能的年龄()

A.28岁左右
B.18岁左右
C.38岁左右
D.78岁左右
E.58岁左右


点击查看答案


226、填空题  颅锁骨发育不全系全身性骨发育障碍,_________和__________的骨骼均受累,表现为___________、__________和_______。


点击查看答案


227、单项选择题  

男,22岁,左侧膝部肿胀,疼痛2月余,结合影像学检查,最可能的诊断是()

A.骨脓肿
B.骨肉瘤
C.骨髓炎
D.动脉瘤样骨囊肿
E.软骨肉瘤


点击查看答案


228、单项选择题  下列病毒性肺炎影像描述,错误的是()

A.可有小结节阴影
B.可有斑片状阴影
C.可有大片状阴影
D.肺纹理可增粗
E.具有特征性影像表现


点击查看答案


229、单项选择题  视神经孔增大多见于()

A.视神经胶质瘤
B.先天发育异常
C.蝶骨嵴脑膜瘤
D.畸形性骨炎
E.石骨症


点击查看答案


230、单项选择题  关于肺内空洞性球形病灶最常见于()

A.肺癌
B.转移性肿瘤
C.良性肿瘤
D.结核球
E.炎性假瘤


点击查看答案


231、单项选择题  下列关于急性肺泡性肺水肿的描述,错误的是()

A.早期小结节状影,迅速融合呈大片状
B.肺门旁蝶形浓密影
C.胸腔积液
D.由中、下肺内带向上肺及外带发展
E.经有效治疗,病变可于数周后完全消散


点击查看答案


232、单项选择题  “脊柱骨髓瘤”区别于“椎体血管瘤”的特点为()

A.多累及松质骨
B.破坏区内骨小梁消失
C.椎体内多发骨质破坏区
D.椎旁出现软组织肿块
E.病理骨折


点击查看答案


233、填空题  支气管肺炎在小叶内可经________及________蔓延,也可通过分隔不全的___________蔓延至邻近小叶,还可经_________蔓延至邻近或远隔小叶。


点击查看答案


234、单项选择题  子宫输卵管造影的禁忌证是()

A.子宫输卵管慢性炎症
B.子宫输卵管结核
C.子宫输卵管良性肿瘤
D.子宫输卵管位置形态异常
E.子宫输卵管出血


点击查看答案


235、单项选择题  法洛四联征的心影,多表现为()

A.明显增大
B.进行性增大
C.缩小
D.正常或轻度增大
E.雪人征


点击查看答案


236、填空题  畸胎类肿瘤,一般认为是由于胚胎时期______________发育异常所致,主要是部分________________迷走脱落,并随_____________进入纵隔所致。


点击查看答案


237、名词解释  纵隔摆动


点击查看答案


238、单项选择题  对影像半影模糊的控制阈值为()

A.0.05mm
B.0.20mm
C.0.25mm
D.1.0mm
E.1.5mm


点击查看答案


239、单项选择题  心脏左前斜位片,心缘后下部的投影是()

A.左心房
B.左心室
C.肺动脉圆锥
D.右心房
E.右心室


点击查看答案


240、单项选择题  易与胰头肿块混淆的是()

A.门腔淋巴结
B.右肾上腺
C.右侧膈肌脚
D.十二指肠
E.胃幽门管


点击查看答案


241、单项选择题  

女,39岁,右上腹部隐痛,有慢性胆囊炎史,曾经做过口服胆囊造影,胆囊显影差,X线检查如图,最可能的诊断是()

A.急性胆囊炎
B.慢性胆囊炎
C.胆囊结石
D.瓷样胆囊
E.胆囊结核


点击查看答案


242、单项选择题  1895年,伦琴将X线首次应用于人体的哪个系统()

A.心血管系统
B.骨骼系统
C.神经系统
D.消化系统
E.呼吸系统


点击查看答案


243、判断题  间质性肺水肿病变在1~2天或数小时内可有明显的变化,其动态变化较快。


点击查看答案


244、单项选择题  血源性骨髓炎最常见的病原菌是()

A.溶血性葡萄球菌
B.大肠杆菌
C.肺炎双球菌
D.链球菌
E.金黄色葡萄球菌


点击查看答案


245、判断题  肾返流是肾盂造影检查中出现的一种异常X线表现。


点击查看答案


246、单项选择题  

女,30岁,喜欢吃柿子,近日出现腹痛,腹胀,X线检查如图,最可能的诊断是()

A.骶骨肿瘤
B.钡餐检查后钡剂残留
C.肠结石
D.盆腔异位肾钙化
E.盆腔畸胎瘤


点击查看答案


247、填空题  中央型肺癌根据肿瘤的生长方式分为________、________和___________。


点击查看答案


248、填空题  白血病是________________,按细胞种类可分为________________、________________和_________________。


点击查看答案


249、单项选择题  关于慢性支气管炎,下列影像错误的是()

A.X线表现常缺乏特征性
B.很少发生肺气肿
C.急性发作时,肺内可有斑片状影
D.病变多分布在中下肺野
E.肺纹理增多


点击查看答案


250、单项选择题  

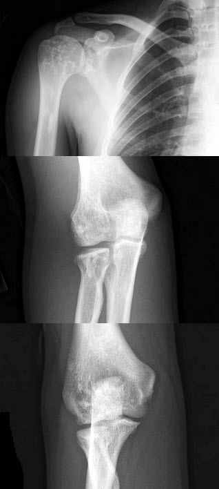
男,28岁,右肱骨上段肿痛1个月,疼痛以夜间明显,摄片如图所示,提示骨肉瘤最为主要的征象是()

A.溶骨性破坏
B.骨膜增生
C.肿瘤骨形成
D.软组织肿块影
E.Codman三角


点击查看答案


251、单项选择题  胸骨左缘第二肋间可闻及连续性机器样杂音,胸片示主动脉弓及肺动脉段突出,肺血增多,最可能的诊断是()

A.房间隔缺损
B.室间隔缺损
C.肺动脉瓣狭窄
D.动脉导管未闭
E.法洛四联征


点击查看答案


252、判断题  大脑后动脉为基底动脉的终支,向后分出颞支和顶支。


点击查看答案


253、多项选择题  关于结肠癌的X线表现,哪些是正确的()

A.腔内不规则龛影
B.腔内充盈缺损
C.肠腔狭窄,局限于一侧或呈环形
D.龛影周围宽窄不一的环堤
E.病变肠壁僵硬


点击查看答案


254、单项选择题  下列哪种疾病,无升主动脉扩张表现()

A.主动导管未闭
B.Marfan综合征
C.主动脉瓣狭窄
D.梅毒性主动脉炎
E.继发孔型房间隔缺损


点击查看答案


255、多项选择题  关于气胸下列哪项正确()

A.胸部平片不易发现微量气胸
B.所有气胸都有加重甚至发展为张力性气胸的可能
C.气胸在胸部平片上大多能得到明确诊断
D.CT检查的目的是发现少量气胸及少见部位的气胸
E.检查微量气胸时,宜用呼气相扫描


点击查看答案


256、多项选择题  中央型肺癌胸内淋巴结转移多见于哪组淋巴结()

A.主动脉弓旁
B.上腔静脉后
C.主肺动脉窗
D.气管旁及双肺门
E.气管分叉下


点击查看答案


257、单项选择题  下述疾病与心脏增大描述不相符的是()

A.Budd-Chiari综合征——右心房扩大
B.房间隔缺损——左心房增大
C.二尖瓣关闭不全——左心室增大
D.肺动脉狭窄——肺动脉段膨隆
E.动脉导管未闭——“漏斗”征


点击查看答案


258、填空题  最常见的三种小肠恶性肿瘤是________、_____________和____________,其发生部位与__________有关。


点击查看答案


259、多项选择题  淋巴瘤纵隔肿大淋巴结的分布以哪组最常见()

A.前纵隔
B.支气管旁组
C.气管与支气管组
D.隆突下组
E.中纵隔组


点击查看答案


260、单项选择题  正常主胰管的管径在胰头、胰体、胰尾部分别为()

A.3mm、3mm、2mm
B.3mm、3mm、3mm
C.3mm、2mm、1mm
D.4mm、3mm、2mm
E.2mm、2mm、1mm


点击查看答案


261、配伍题  周围型肺癌()
肺平滑肌瘤()
肺错构瘤()
肺段隔离症()

A.左下叶后基底段肿块,上下径较长,增强CT显示主动脉分支供血
B.左上叶孤立性结节,类圆形,无分叶和毛刺,CT增强后明显强化
C.右上叶前段孤立结节,有分叶,细短毛刺,内部有空泡
D.左下叶孤立结节,浅分叶,内有爆米花样钙化
E.右上叶后段结节,边缘光整,CT增强后无强化


点击查看答案


262、单项选择题  下述不是肺水肿的X线表现的是()

A.肺水肿阴影可融合为蝶翼状大片阴影
B.有时伴有胸水
C.肺水肿多为两侧,但也有一侧的
D.阴影中见不到含气支气管影
E.由于造成肺水肿疾病的改善,阴影迅速吸收


点击查看答案


263、单项选择题  下述KerleyB线特点,哪项不对()

A.周围小叶间隔增厚所致
B.水平走向
C.可见于矽肺
D.是肺静脉压升高最早期表现
E.胸片上,其厚度约为1mm,长度为2~6cm


点击查看答案


264、单项选择题  消化道管壁由内向外第三层为()

A.粘膜下层
B.外膜层
C.肌层
D.粘膜层
E.内膜层


点击查看答案


265、单项选择题  气管隆突是指气管()

A.分叉处下方
B.分叉部左壁
C.分叉部上壁
D.分叉部右壁
E.分叉部下壁


点击查看答案


266、单项选择题  肾结核最早发生在()

A.肾盂内
B.肾乳头部
C.肾小球内
D.肾小管内
E.肾盏内


点击查看答案


267、单项选择题  下列关于乳腺恶性肿瘤的描述中,哪项是错误的()

A.肿块边缘模糊
B.界限不清
C.肿块密度低
D.有长或短毛刺
E.触诊肿块的大小常大于X线所见


点击查看答案


268、单项选择题  部分性肺静脉畸形引流,常合并下列哪种病变()

A.法洛四联征
B.动脉导管未闭
C.室间隔缺损
D.房间隔缺损
E.肺动脉瓣狭窄并房间隔缺损


点击查看答案


269、单项选择题  增殖性病变的胸片表现特点是()

A.云絮状浅淡模糊影
B.条索状密度增高影
C.边缘清楚致密影,密度比肋骨低
D.边缘清楚致密影,密度比肋骨高
E.肺透亮度增加,局部肺纹理缺如


点击查看答案


270、单项选择题  “恶性骨肿瘤”最常见的转移的部位是()

A.脑
B.骨骼
C.肺
D.脊椎
E.肝脏


点击查看答案


271、单项选择题  X线在体内各部穿透力,由大到小排列有以下几种,正确的是()

A.气体,液体及软组织,脂肪,骨骼
B.骨骼,脂肪,液体及软组织,气体
C.气体,脂肪,液体及软组织,骨骼
D.脂肪,气体,液体及软组织
E.骨骼,软组织及液体,脂肪,气体


点击查看答案


272、单项选择题  类风湿性关节炎病变最初是发生在()

A.关节内韧带
B.关节软骨
C.关节滑囊
D.关节囊纤维层
E.关节骨关节面


点击查看答案


273、问答题  十二指肠溃疡的X线表现有哪些?


点击查看答案


274、名词解释  吻形死骨


点击查看答案


275、单项选择题  下列哪项不是“右向左分流”的疾病()

A.永存动脉干
B.法洛三联症
C.法洛四联征
D.大血管转位
E.肺隔离症


点击查看答案


276、单项选择题  对于胸部检查的描述,下列哪项不对()

A.正位胸片,左侧心后膈肌常显示不清 
B.对肋骨、钙化的显示,高千伏胸片不及常规胸片
C.侧位深吸气相的肋膈角常呈锐角
D.对肺尖病变,前弓位价值高 
E.显示肺纹理、肺内阴影,高千伏胸片不及常规胸片


点击查看答案


277、单项选择题  CR的调谐处理参数包括()

A.调谐类型(GT)
B.旋转量(GA)
C.旋转中心(GC)
D.谐调移动量(GS)
E.以上都是


点击查看答案


278、判断题  中心型脊椎结核早期即引起椎间隙狭窄。


点击查看答案


279、单项选择题  下述关于“肋骨先天性畸形”,哪项错误()

A.颈肋
B.腰肋
C.肋骨发育不全
D.肋软骨钙化
E.叉状肋


点击查看答案


280、单项选择题  检查输卵管通畅度的首选方法是()

A.输卵管通液
B.输卵管通气
C.子宫输卵管造影
D.宫腔镜
E.B超检查


点击查看答案


281、问答题  肺结核原发综合征的X线表现有哪些?


点击查看答案


282、单项选择题  以下哪项不是滤线栅的特点()

A.图像失真度加大 
B.曝光量加大 
C.图像清晰度降低 
D.要求X线中心线与滤线栅垂直
E.图像对比度下降


点击查看答案


283、多项选择题  成人双侧肾长径相差大于3cm,应考虑为()

A.慢性肾小球肾炎
B.糖尿病肾病
C.急性肾小管坏死
D.慢性肾盂肾炎
E.肾动脉狭窄


点击查看答案


284、多项选择题  成人股骨头缺血坏死股骨头密度增高的病理基础为()

A.骨小梁断裂嵌插
B.骨小梁表面新骨沉积
C.骨髓钙化
D.骨皮质增厚
E.骨质吸收


点击查看答案


285、单项选择题  在脊柱退行性骨关节病中,椎体边缘增生不易发生于()

A.椎体的前外侧
B.后突椎体的前缘
C.侧弯椎体凸面
D.狭窄椎间隙的上、下面
E.相邻骨赘可形成骨桥


点击查看答案


286、单项选择题  无紫绀先天性心脏病中,肺血减少的是()

A.房间隔缺损
B.室间隔缺损
C.主动脉口狭窄
D.动脉导管未闭
E.先天性二尖瓣狭窄


点击查看答案


287、单项选择题  先天性骨梅毒的特征表现为()

A.军刀腿
B.Charcot关节
C.Wasp-Waist征
D.长骨广泛型增生、硬化,髓腔消失
E.骨膜下、皮层内局限性骨质破坏


点击查看答案


288、单项选择题  

男,22岁,高热3天伴咳嗽,胸片如图,最可能的诊断是()

A.肺结核
B.支气管肺炎
C.金葡菌肺炎
D.大叶性肺炎
E.干酪性肺炎


点击查看答案


289、多项选择题  肘关节脱位中以哪种脱位较罕见()

A.后方脱位
B.后外方脱位
C.后内方脱位
D.侧方脱位
E.前方脱位


点击查看答案


290、单项选择题  下列哪种肾形态无临床意义是()

A.马蹄肾
B.驼峰肾
C.油灰肾
D.海绵肾
E.多囊肾


点击查看答案


291、单项选择题  下列哪项不是“火器伤骨折”的特点()

A.感染少见
B.常有异物存留
C.愈合慢,常有畸形愈合或骨不连
D.常为多发性骨折
E.多为粉碎性骨折


点击查看答案


292、单项选择题  下列关于肺不张的X线表现,错误的是()

A.邻近肺呈代偿性膨胀
B.纵隔向患侧移位
C.胸廓缩小,肋间隙变窄
D.肺门阴影增大
E.肺叶体积缩小,肺纹理消失


点击查看答案


293、多项选择题  典型的二尖瓣关闭不全患者的X线表现有()

A.左心房和左心室增大为主
B.伴有右心室增大
C.左心房呈中度到重度增大
D.肺淤血
E.病变晚期可见明显的肺循环高压


点击查看答案


294、单项选择题  慢性化脓性骨髓炎的X线表现主要表现是()

A.钙化
B.骨膜增生
C.骨皮质增厚
D.骨干增粗
E.骨质硬化增生


点击查看答案


295、单项选择题  桡骨小头半脱位是由于()

A.尺侧副韧带松弛
B.桡侧副韧带松弛
C.桡骨环状韧带松弛
D.尺骨环状韧带松弛
E.以上均不是


点击查看答案


296、单项选择题  先天性主动脉缩窄可合并()

A.室间隔膜部狭窄
B.动脉导管未闭
C.房间隔-原发孔型
D.肺动脉狭窄
E.右位主动脉弓


点击查看答案


297、单项选择题  贲门失弛缓症较具特征的X线表现是()

A.食管下端边缘呈锯齿状
B.食管下端不规则充盈缺损
C.食管下端狭窄,边缘光整,粘膜正常
D.食管下端狭窄,局部僵硬,不能扩张
E.以上都不是


点击查看答案


298、单项选择题  

女,根据其正常骨盆影像图像,判断其最可能的年龄()

A.1岁左右
B.5岁左右
C.3岁左右
D.7岁左右
E.9岁左右


点击查看答案


299、单项选择题  

男,35岁,反复颈部不适20余年,结合图像,最可能的诊断是()

A.颈椎椎体融合
B.颈椎结核
C.颈椎退行性变
D.颈椎压缩性骨折
E.颈椎骨转移瘤


点击查看答案


300、单项选择题  “法洛四联征”心影呈()

A.梨形心
B.横位心
C.主动脉型心脏
D.悬滴状心
E.靴形心


点击查看答案


题库试看结束后微信扫下方二维码即可打包下载完整版《★医学影像技术(医学高级)》题库
手机用户可保存上方二维码到手机中,在微信扫一扫中右上角选择“从相册选取二维码”即可。
题库试看结束后微信扫下方二维码即可打包下载完整版《医学影像技术(医学高级):X线》题库,分栏、分答案解析排版、小字体方便打印背记!经广大会员朋友实战检验,此方法考试通过率大大提高!绝对是您考试过关的不二利器
手机用户可保存上方二维码到手机中,在微信扫一扫中右上角选择“从相册选取二维码”即可。

微信搜索关注"91考试网"公众号,领30元,获取公务员事业编教师考试资料40G