时间:2023-04-01 03:03:53


1、单项选择题 胸部后前立位标准片所见,哪项是错误的()
A.自肺门到肺外带肺纹理能连续追踪到
B.锁骨与第4后肋重叠,肺尖显示充分
C.肩胛骨投影于肺野之内
D.心影及膈肌后肺纹能追踪显示
E.肺野最大密度应在D小于1.75
2、判断题 乳腺的皮肤厚度一般为0.5~2.5mm。
3、多项选择题 胃溃疡的间接征象有()
A.胃分泌增加
B.胃小弯缩短
C.对侧胃大弯的痉挛性切迹
D.胃窦痉挛
E.龛影
4、问答题 肾癌的X线表现有哪些?
5、单项选择题 哪种疾病属肺血增多并有发绀者()
A.房间隔缺损
B.部分型肺静脉异位引流
C.动脉导管未闭
D.心内膜垫缺损
E.完全型大动脉转位
6、单项选择题 下列说法不妥的是()
A.潜影的本质是银集团
B.感光中心是在乳剂的制备过程中形成的微量银质点
C.显影中心是接受光点后形成的影像银质点
D.无数显影中心所组成的银离子群即为影像
E.感光中心多,显影中心也多
7、单项选择题
女,37岁,误吞鱼刺3小时。结合图像,最可能的诊断为()

A.挂钡征阳性
B.挂钡阴性
C.食管癌
D.食管憩室
E.食管炎
8、单项选择题 软骨的构成是()
A.软骨细胞
B.软骨细胞和基质
C.细胞、基质和纤维
D.软骨细胞和软骨母细胞
E.钙化软骨和软骨细胞
9、多项选择题 骨折的并发症和后遗症有()
A.神经、血管损伤
B.外伤后骨质疏松
C.骨缺血性坏死
D.创伤性骨关节病
E.延迟愈合或不愈合
10、多项选择题 肺部真菌病的发生与下述哪些因素有关()
A.机体抵抗力降低
B.口腔卫生不佳
C.抗生素的大量应用
D.长期应用激素
E.生活和职业的关系
11、多项选择题 关于黄韧带的断层解剖,正确的是()
A.宽度不超过5mm
B.黄韧带位于关节突和椎板的内侧缘
C.呈尖端向后的“V”形线条影
D.黄韧带后缘紧贴椎管内缘
E.前方与硬膜囊之间隔以低密度的脂肪组织
12、单项选择题 外伤间接暴力是指()
A.外力传导
B.坠落
C.砸伤
D.锐器伤
E.撞击
13、填空题 韦格肉芽肿在诊断时应注意与_________、___________、_________、____________及________等鉴别。__________、________、_________、_______和____________等有助于鉴别。
14、单项选择题
男,65岁,咳嗽,右胸痛,痰中带血丝1周。胸部后前位片示:右肺门影增大,右上肺大片状致密影,水平裂呈反“S”样改变。
右上肺大片状致密影侧位片位于()
A.右肺上叶尖后段
B.右肺上叶前段
C.右肺下叶背段
D.右肺中叶
E.右肺上叶
15、单项选择题 关于右肺上叶不张的X线表现,错误的是()
A.右上叶呈密度增加的大片阴影
B.肺不张叶向上移位
C.气管可向右侧移位
D.右中下叶呈代偿性肺气肿
E.右肺门的阴影向下移位
16、单项选择题 下列有关“骨气鼓”特点,哪项错误()
A.常见于小儿患者
B.患骨梭形膨大,密度增高
C.见于骨结核
D.指骨、趾骨等短管状骨多见
E.骨膜反应不明显
17、单项选择题 关于“骨囊肿”的描述,不包括哪项()
A.不跨越骺板
B.股骨、肱骨、跟骨好发
C.可为单房或多房囊肿
D.局部骨皮质变薄,但不向外膨隆
E.易发生病理性骨折
18、多项选择题 在正常腹平片上,不能显影的软组织影是()
A.肾脏
B.肝脏
C.肾上腺
D.腰大肌线
E.胰腺
19、单项选择题 与平片相比,下列哪项不是CT优势()
A.横断面成像
B.解剖分辨率高
C.密度分辨率高
D.空间分辨率高
E.增强扫描,有利于病变定性
20、单项选择题
女,78岁,长期慢性手足畸形,无冷热、痛感,结合图像,最可能的诊断是()
A.骨麻风病
B.骨梅毒
C.骨结核
D.痛风
E.类风湿关节炎
21、单项选择题 X线胶片的主要感光成分是()
A.胶体银
B.明胶
C.片基
D.色素
E.卤化银
22、问答题 何谓肺气肿?X线表现有哪些?
23、名词解释 骨性狮面
24、判断题 小肠良性肿瘤的X线表现为圆形或椭圆形充盈缺损,表面光滑,境界清晰,少数可呈分叶状,肠壁柔软无僵硬。
25、单项选择题 观察左心房收缩期扩张度,最佳体位是()
A.右后斜位
B.左前斜位
C.右前斜位
D.左侧位
E.右侧位
26、名词解释 短液平征
27、单项选择题 关于“脊柱血管瘤”临床特点正确的是()
A.青少年多见
B.腰骶椎多见
C.颈椎多见
D.局限于椎体,不侵犯附件
E.椎体可塌陷
28、判断题 结肠双对比造影片上一般均能够见到无名沟。
29、单项选择题 维生素D缺乏病初期最早出现X线改变的部位是()
A.肋骨胸骨端
B.胫骨远侧干骺端
C.桡骨近侧干骺端
D.尺骨远侧干骺端
E.肱骨远侧干骺端
30、单项选择题 便携式X线机的管电流一般小于()
A.5mA
B.10mA
C.50mA
D.100mA
E.200mA
31、单项选择题 IVP检查腹部压迫点的位置是()
A.第1腰椎水平两侧
B.第3腰椎水平
C.两侧髂前上棘连线水平
D.脐上两侧
E.耻骨联合上方3cm
32、判断题 骨嗜酸性肉芽肿病变与周围界限模糊,边缘不清。
33、判断题 腹膜后诸组织器官均没有良好的天然对比,也不需要引入对比剂。
34、单项选择题 男,52岁,右下腹痛,贫血3月,钡灌肠检查见盲肠充盈缺损,肠袋消失,粘膜中断,最可能的诊断是()
A.结肠炎性肿块
B.淋巴瘤
C.平滑肌瘤
D.盲肠癌
E.淋巴结增生症
35、单项选择题 原发性骨恶性肿瘤的X线征象是()
A.边缘清楚,骨质有破坏,骨膜反应明显
B.边缘清楚,骨质有破坏,骨膜反应不明显
C.边缘模糊,骨质有破坏,骨膜反应不明显
D.边缘模糊,骨质有破坏,骨膜反应明显
E.边缘清楚,骨质无破坏,骨膜反应明显
36、单项选择题
患者,12岁,跌倒时手掌撑地。查:肘关节半屈状,肘肿胀压痛,外突畸形,肘后三角存在,桡动脉搏动正常。
最适当的治疗方法是()
A.立即切开筋膜减压
B.切开复位、内固定
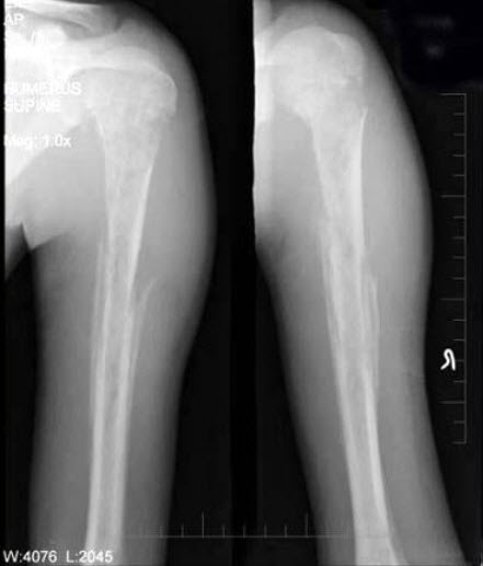
C.手法复位,石膏固定
D.手法复位即可
E.手术探查肱动脉,同时行骨折复位、内固定
37、单项选择题 逆行肾盂造影的禁忌证是()
A.尿道狭窄
B.严重的肾结核
C.严重肾盂积水
D.先天性多囊肾
E.静脉肾盂造影显影不良
38、单项选择题
男,52岁,肩痛四月余,手臂旋转时疼痛加剧,结合影像,最可能的诊断是()
A.软骨瘤
B.骨结核
C.冈上肌腱钙化
D.骨囊肿
E.骨脓肿
39、单项选择题 排尿性膀胱尿路造影对诊断下述哪种疾病有价值()
A.膀胱癌
B.外伤性输尿管、肾脏病变
C.反流性肾病
D.多发性尿道结石
E.良性前列腺肥大
40、填空题 根据骨化性肌炎的发病机制可分为________________和________________两类。
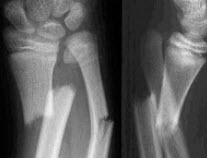
41、判断题 胆管内见到充盈缺损,首先应考虑为肿瘤、阴性结石,蛔虫病也会引起。
42、判断题 大叶性肺炎出现X线表现应该早于临床。
43、单项选择题 克罗恩(Crohn)病慢性期典型的X线征象是()
A.病区周围粘连
B.狭窄与扩张肠管相间并存
C.肠瘘形成
D.肠管条索状狭窄
E.肠管僵直,形状固定
44、单项选择题 腹部平片发现右上腹石榴样致密阴影,侧位片见该影靠前方与肋骨相连,不随体位改位置,最可能的诊断是()
A.右肾结石
B.肠系膜淋巴结钙化
C.肋软骨钙化
D.阳性胆囊结石
E.肝包虫病
45、配伍题 脾栓塞适应证()脾栓塞禁忌证()脾栓塞并发症()
A.败血症
B.原发脾亢
C.肝癌
D.肾衰
E.胰腺梗死
46、单项选择题 结核杆菌最多通过什么途径进入骨或关节部位()
A.直接扩散
B.淋巴系统
C.开放性损伤
D.血液循环
E.呼吸道传播
47、多项选择题 关于X线球管的特性,错误的是()
A.灯丝加热为定值时,管电压增加,管电流增加
B.管电压增高,空间电荷减少,管电流减小
C.管电压相同,灯丝电流增加,管电流增加
D.管电压相同,灯丝电流增加,管电流减小
E.管电流相同,管电压高的灯丝加热电流低
48、单项选择题 颅底凹陷症,标准摄片体位是()
A.颅底颌顶位
B.颅底顶颌位
C.头颅汤氏位
D.高颈椎侧位
E.高颈椎颅底侧位
49、单项选择题 下列婴幼儿肺部疾病中,哪种没有弥漫粟粒性肺结节表现()
A.肺透明膜病
B.衣原体肺炎
C.组织细胞增生症X
D.原发综合征
E.完全性肺静脉异常引流
50、判断题 对移行椎辨认的一个重要价值是手术定位。
51、名词解释 .Hoeve三联征
52、填空题 主动脉弓及其主要分支的三大主要变异包括:__________________、______________________和__________________________。
53、单项选择题 怀疑豌豆骨骨折,最佳投照体位是()
A.手腕外展位
B.手腕内收位
C.手腕侧位片
D.手掌向上斜位
E.以上都不对
54、单项选择题 正常胸片上,肺门位于()
A.第1~2前肋内带
B.第2~4前肋内带
C.第4~6前肋内带
D.第5~7前肋内带
E.第4~8前肋内带
55、单项选择题 眶壁的内壁构成中,哪项不正确()
A.上颌骨额突
B.泪骨
C.筛骨纸板
D.蝶骨小翼
E.上颌骨眶面
56、单项选择题 下列粉尘中,致癌作用最强的是()
A.石棉尘
B.青石棉
C.滑石粉
D.赤铁矿粉尘
E.镍矿粉尘
57、单项选择题 成人颈椎侧位平片环齿之距离为()
A.1~1.5mm
B.6mm以上
C.5~6mm
D.2.5~4mm
E.以上均不是
58、单项选择题 在减少与抑制散射线的方法中,错误的是()
A.使用滤线器
B.空气间隙法
C.增加附加滤过
D.扩大照射野
E.使用准直(遮线)器
59、配伍题 脾栓塞适应证()脾栓塞禁忌证()脾栓塞并发症()
A.败血症
B.原发脾亢
C.肝癌
D.肾衰
E.胰腺梗死
60、单项选择题 先天性髋内翻的X线表现中,不包括()
A.干颈角增大
B.股骨颈短
C.股骨头向下移位
D.骺软骨板增宽
E.股骨大粗隆向上移位
61、名词解释 椎弓根峡部不连
62、单项选择题 下述左心房增大的影像特点,错误的是()
A.后前位,右心缘"双房影"
B.侧位示心后缘上部突出
C.后前位,支气管分叉角度增大
D.右前斜位,食管受压、后移
E.左前斜位,心前间隙缩小甚至消失
63、单项选择题
男,28岁,右上臂肿胀、疼痛,结合图像,最可能的诊断是()
A.骨肉瘤
B.成骨性骨转移瘤
C.化脓性骨髓炎
D.滑膜肉瘤
E.骨巨细胞瘤
64、单项选择题 投照条件对解像力有影响的是()
A.实际焦点与解像力成正比
B.焦-片距与解像力成反比
C.显影液配方和显影温度不影响解像力
D.使用增感屏可提高解像力
E.物片距与解像力成反比
65、填空题 肺血液循环障碍性疾病包括_________、_______、_______和_____________。
66、单项选择题 椎间小关节囊是指()
A.包绕关节突后、外侧
B.包绕关节突前、后侧
C.包绕关节突前、内侧
D.若肥厚,可压迫神经根
E.关节囊松弛对关节稳定性无影响
67、单项选择题 最常见的恶性骨肿瘤是()
A.恶性骨母细胞瘤
B.尤文肉瘤
C.软骨肉瘤
D.骨肉瘤
E.骨旁骨肉瘤
68、单项选择题 正常毛细血管内的静水压为()
A.2.53kPa
B.3.33kPa
C.1.07kPa
D.2.67kPa
E.2.07kPa
69、单项选择题
男,8岁,高热达38.5℃三天,如图所示,最可能的诊断为()

A.畸胎瘤
B.原发综合征
C.肺脓肿
D.包裹性胸腔积液
E.支气管肺炎
70、多项选择题 胃溃疡特殊表现包括()
A.胃窦部溃疡
B.线形溃疡
C.巨大型溃疡
D.胼胝性溃疡
E.穿透性溃疡
71、多项选择题 输尿管的三个生理狭窄包括()
A.肾盂、输尿管连接处
B.膀胱入口处
C.与髂总动脉交叉处
D.平第3腰椎处
E.输尿管与精索交叉处
72、单项选择题 关于阴性对比剂的叙述,错误的是()
A.氧气属阴性对比剂
B.空气有产生气体栓塞的危险
C.空气在器官内吸收较慢
D.二氧化碳的溶解度较大
E.氮气常用作对比剂
73、多项选择题 容易引起肋骨切迹的有()
A.肺静脉异位引流
B.动脉导管未闭
C.引流术后的法洛四联征
D.主动脉缩窄
E.腹主动脉血栓
74、单项选择题 下列肺吸虫病的描述,错误的是()
A.单房或多房囊状透光区
B.圆形或片状模糊影
C.大小不等硬结影,可钙化
D.结节状、片状阴影
E.肺门淋巴结肿大
75、多项选择题 X线质的表示方法主要有()
A.半价层
B.管电压
C.管电流
D.管电流量
E.阳极靶面物质原子序数
76、单项选择题 成人脊柱结核好发于()
A.颈椎
B.骶椎
C.腰椎
D.胸椎
E.以上都是
77、单项选择题 男,39岁,突然持续性上腹剧痛,迅速扩散全腹,腹肌紧张,肝浊音界消失,X线检查:膈下有新月形气体影,最可能的诊断为()
A.十二指肠球部溃疡穿孔
B.急性胰腺炎
C.绞窄性肠梗阻
D.急性化脓性胆囊炎
E.急性阑尾炎穿孔
78、单项选择题 胸骨角位于哪个连接处()
A.胸骨柄与剑突
B.胸骨体与剑突
C.胸骨柄与胸骨体
D.锁骨与胸骨柄
E.以上都不是
79、单项选择题 构成肺门阴影的最主要结构是()
A.肺动脉
B.肺静脉
C.支气管
D.神经
E.淋巴组织
80、填空题 乳腺癌的远处转移最常见的部位是_______、_______、_______。
81、单项选择题 肩关节正位摄片,中心线正确射入点是()
A.锁骨的中点
B.关节盂
C.肩峰
D.肩胛骨喙突
E.肱骨头
82、单项选择题 关节脱位发生率从高到低排列的次序为()
A.肩关节>足关节>肘关节>髋关节>踝关节>腕关节>膝关节
B.肘关节>膝关节>腕关节>踝关节>髋关节>足关节>肩关节
C.肘关节>肩关节>足关节>髋关节>踝关节>腕关节>膝关节
D.髋关节>膝关节>腕关节>踝关节>足关节>肩关节>肘关节
E.踝关节>腕关节>膝关节>肘关节>肩关节>足关节>髋关节
83、单项选择题
男,19岁,咳嗽、发热1周余,X线检查如图,最可能的诊断是()

A.左下肺不张
B.左侧胸膜肥厚
C.左下肺炎症
D.左侧胸腔积液
E.左下肺结核
84、配伍题 完全性肺静脉畸形引流可见于()大动脉炎可见于()动脉导管未闭可见于()
A.漏斗征
B.主动脉球征
C.主动脉球缩征
D.降主动脉内收征
E.“8”字形心脏
85、判断题 中间支气管为右主支气管的直接延续,长2~3cm,无分支。
86、名词解释 胸膜凹陷征
87、判断题 狼疮性肺炎的肺部阴影可呈游走性,肺部浸润或间质性改变,用激素治疗效果好。
88、多项选择题 关于增感屏对影像效果影响的叙述,错误的是()
A.增加影像对比度
B.降低影像清晰度
C.降低影像颗粒性
D.提高信息传递功能
E.增加影像的层次
89、多项选择题 单侧肺透亮度增加,可见于()
A.肺含铁血黄素沉着病
B.Macleod病
C.镰刀综合征
D.乳癌根治术后
E.脊柱侧弯
90、单项选择题 Goodpasture综合征是()
A.植入性非肾性抗原引起的肾小球肾炎
B.循环免疫复合物性肾小球肾炎
C.IgA肾病
D.脂性肾病
E.肺出血-肾炎综合征
91、单项选择题 下述哪项为软骨内成骨()
A.颅盖骨
B.面骨
C.颅底
D.锁骨
E.下颌骨的一部分
92、单项选择题 下列哪项保存方法不会使X线胶片出现灰雾()
A.胶片放置在铅皮破损的铅箱内
B.胶片与化学药品类存放在同一库房内
C.胶片放置在符合要求的完好的铅箱内,并投放了干燥剂
D.胶片存放在热力、煤气管道的地下室库房内
E.胶片在低温、高湿度的霉雨季节启封存放
93、配伍题 进行X线摄片检查是利用什么作用()测试辐射量的闪烁晶体是利用什么作用制成的()
A.穿透作用
B.荧光作用
C.电离作用
D.感光作用
E.着色作用
94、单项选择题
男,61岁,痰中带血,X线检查如图,最可能的诊断是()

A.结节病
B.右肺癌
C.右肺淋巴结肿大
D.肺转移瘤
E.炎性假瘤
95、填空题 来自支气管表面上皮的肺癌有_____________、_________、_________和___________。
96、填空题 早期食管癌大体病理形态可分为四型,分别为________、_________、_________和____________。
97、单项选择题 左前斜位上,心脏后下缘明显突出,提示()
A.左心房增大
B.右心房增大
C.左心室增大
D.右心室增大
E.主动脉增宽,迂曲
98、判断题 由于肾上腺的密度与周围组织有一定的差异,故在X线平片上即可显示出来。
99、多项选择题 肾阳性结石应与下列哪些病变相鉴别()
A.腹部淋巴结钙化
B.肋软骨钙化
C.胆囊结石
D.肾囊肿
E.以上都是
100、单项选择题 下列X线照片标记内容,不包括()
A.摄影日期
B.X线片号
C.患者姓名
D.病灶性质
E.被检肢体方位
101、判断题 十二指肠球后溃疡指的是球后壁的溃疡。
102、单项选择题
男,5岁,高热、畏寒、咳嗽、胸痛1周,如图所示,最可能的诊断为()

A.先天性肺囊肿
B.继发型肺结核
C.支原体肺炎
D.过敏性肺炎
E.金葡菌肺炎
103、单项选择题 显示右肺下叶不张最佳体位是()
A.后前位
B.右后斜位
C.右侧位
D.左侧位
E.前弓位
104、单项选择题
男,5岁,低热,盗汗,咳嗽2月余,结合图像,最可能的诊断是()

A.肺癌
B.大叶性肺炎
C.支气管肺炎
D.肺结核
E.过敏性肺炎
105、单项选择题 肺动静脉瘘特征性临床表现为()
A.呼吸困难
B.红细胞增多症
C.颜面血管扩张
D.心外性杂音
E.咯血
106、多项选择题 关于标准侧位胸片的描述,正确的有()
A.正常情况下前后肋膈角显示清晰
B.正常情况下后肋膈角境界不清
C.气管前壁的外缘通常可见
D.取右侧位投照,心脏遮盖邻近的左侧膈肌有特征性
E.胸椎愈向下透亮度愈增加
107、单项选择题 X线摄片某处对入射光线吸收率为90%,此处的光学密度值为()
A.0.1
B.0.9
C.1.0
D.2.0
E.3.0
108、单项选择题 矽肺最常见的死因是()
A.慢性肺源性心脏病
B.结核
C.呼吸道感染
D.自发性气胸
E.呼吸功能衰竭
109、多项选择题 骨嗜酸性肉芽肿好发于()
A.颅骨
B.骨盆
C.肋骨
D.脊柱
E.股骨
110、单项选择题 女,25岁,初产妇哺乳期,右乳腺疼痛2天,体温39℃,局部有明显压痛,诊断为急性乳腺炎,在诊断依据分析中,下列哪项是错误的()
A.哺乳期局部疼痛
B.局部有明显压痛
C.体温高
D.好发于初产妇
E.因病人局部皮肤不红,表皮温度较对侧升高不明显,诊断不能肯定
111、单项选择题 一般不引起左心房增大的是()
A.风湿性二尖瓣狭窄
B.风湿性二尖瓣关闭不全
C.动脉导管未闭
D.心肌病
E.房间隔缺损
112、问答题 肺泡癌的X线表现有哪些?
113、单项选择题
骨盆是由哪几部分构成的()
a.股骨
b.耻骨
c.坐骨
d.髂骨
e.距骨
A.a,b,c
B.a,b,e
C.a,d,e
D.b,c,d
E.c,d,e
114、单项选择题
男,8岁。跌倒时手掌着地,查体:肘部明显肿胀,有压痛,肘关节呈半屈曲状向外突出畸形,肘后三角尚存。
最有可能的诊断为()
A.尺骨鹰嘴骨折
B.屈曲型肱骨髁上骨折
C.伸直型肱骨髁上骨折
D.肘关节脱位
E.桡骨小头半脱位
115、单项选择题 下列肺泡性肺水肿的临床表现中,不包括()
A.端坐呼吸
B.水泡样湿啰音
C.咳粉红色泡沫痰
D.咳大量泡沫痰
E.夜间阵发性呼吸困难
116、判断题 支气管袖口征主要见于肺泡性肺水肿。A.对
117、单项选择题 下述哪项是膜内化成骨()
A.颅顶骨和面骨
B.脊柱和骨盆
C.四肢长骨
D.颅底骨和筛骨
E.四肢短管状骨
118、名词解释 杜纳(Turner)综合征
119、单项选择题
女,55岁,跌倒后右手痛,结合X线平片表现,正确的诊断是()
A.柯莱斯骨折
B.蒙泰贾骨折
C.加莱阿齐骨折
D.尺桡骨骨折
E.反柯莱阿齐骨折
120、单项选择题 骨软骨瘤典型X线特征是()
A.瘤体可随骨骺生长而移至骨干
B.背向关节生长的骨性突起
C.瘤体与载瘤骨相连续
D.瘤帽不规则钙化
E.以上都是
121、单项选择题 小肠出血确诊的主要依据为()
A.钡餐透视
B.双重造影
C.CT
D.B型超声
E.血管造影
122、单项选择题 儿童时期病理性骨折最常见的原因是()
A.骨囊肿
B.转移性骨瘤
C.废用性骨萎缩
D.佝偻病
E.成骨不全
123、单项选择题 下列正常X线平片表现,哪项不正确()
A.出生24小时后结肠内就可有气体
B.婴儿消化管内可有“气液面”
C.成人正常小肠管径应小于4cm
D.成人正常左半结肠管径应小于5cm
E.正常女性偶可见到“腹腔游离气体”
124、单项选择题
男,28岁,近2月感乏力、食欲不佳,常有午后低热,有时盗汗,胸片如图,最可能的诊断为()

A.两肺细菌性炎症
B.原发性肺结核
C.继发性肺结核
D.肺脓肿
E.肺转移瘤
125、单项选择题
男,68岁,患“胃炎”20余年,因突然出现全腹剧烈疼痛,病人被动屈曲位,初体温正常,后出现最高体温38.5℃,脉搏110次/分,查体:腹式呼吸减弱,腹肌紧张不明显,全腹压痛、反跳痛,以上腹部为重;X线立位平片示小肠普遍胀气,并见小液气平面,膈下见游离气体。
如暂时以非手术治疗为主,病人体位应是()
A.仰卧位
B.头低足高位
C.平卧位
D.半卧位
E.无特殊要求
126、单项选择题 下列哪项不属于乳腺良性肿块的X线征象()
A.肿块多呈圆形或类圆形
B.肿块界限不清
C.肿块边缘光滑清晰
D.肿块密度较均匀
E.肿块有时可见透明晕圈
127、单项选择题 颞骨骨折后出现眩晕、感音性耳聋、自发性眼震和面瘫,其最可能的骨折类型为()
A.凹陷性骨折
B.纵行骨折
C.横行骨折
D.Y形骨折
E.青枝骨折
128、单项选择题 下述“转移性骨肿瘤”的描述错误的是()
A.骨髓转移以红骨髓居多
B.常为多发转移
C.偶可呈弥漫性骨硬化改变
D.无骨膜反应和软组织肿块
E.髂骨转移多见
129、单项选择题 下列"脊柱转移瘤"特点,哪项正确()
A.平片价值最高
B.可经动脉、静脉和淋巴管转移
C.多为腺癌
D.一定有肺转移
E.多为单椎体转移
130、单项选择题 放射工作人员防止眼晶体发生非随机性效应的年剂量当量限值是()
A.50mSv/年
B.150mSv/年
C.100mSv/年
D.250mSv/年
E.350mSv/年
131、判断题 维生素A缺乏可致明显的骨质疏松。
132、单项选择题 食管贲门失弛缓症的典型X线表现是()
A.食管蠕动减弱
B.食管下端不规则狭窄
C.食管下端鸟嘴样或漏斗状狭窄
D.钡剂通过缓慢
E.食管极度扩张
133、问答题 双侧肺门影增大常见于哪些疾病?
134、单项选择题 类风湿肺病最常见的X线表现为()
A.胸膜增厚和胸腔积液
B.弥漫性肺间质纤维化
C.类风湿肺结节
D.两上肺纤维化合并空洞形成
E.肺动脉炎和肺动脉高压
135、多项选择题 下列组合,正确的是()
A.骶椎-向头侧倾斜15~20°角
B.尾椎-向足侧倾斜15°角
C.骶椎-向头侧倾斜5~15°角
D.腰骶关节-向头侧倾斜15~20°角
E.骶髂关节-向头侧倾斜5~10°角
136、单项选择题 急性胆囊炎最常见的原因是()
A.胆囊管过长、扭曲
B.螺旋瓣异常
C.肿瘤压迫
D.胆石嵌顿
E.蛔虫阻塞
137、单项选择题 金黄色葡萄球菌肺炎特征性X线征象是()
A.两肺多发团片影
B.肺脓肿形成
C.肺气囊形成
D.肺不张
E.脓气胸
138、问答题 浸润型肺结核的X线表现有哪些?
139、单项选择题 下列描述中,错误的是()
A.一般把慢性支气管炎、肺气肿、支气管哮喘及弥漫性细支气管炎统称阻塞性肺疾病
B.右肺中叶炎症时,右心缘第二弓不清称为剪影征阳性
C.先天性膈疝,多伴有肠扭转且固定
D.含气支气管征是在肺炎等病出现肺实质浸润时的表现
E.心脏病时左房压异常升高时出现KerleyB线
140、单项选择题
男,50岁,腰背痛,结合图像,最可能的诊断是()
A.椎体融合
B.L5隐性脊椎裂
C.移行椎
D.L5椎弓峡部不连及L5滑脱
E.L5-S1椎间盘突出
141、填空题 肺真菌病影像学表现的病理基础有__________、___________、_____________、_______________、_______________和_____________。
142、问答题 椎间盘突出的CT表现有哪些?
143、配伍题 肺动脉瓣位于()二尖瓣位于()主动脉瓣位于()
A.平第4前肋或第3前肋间水平
B.相当于第5肋软骨与胸骨右缘连接处
C.在第4肋软骨与胸骨左缘连接处
D.第3前肋水平
E.第4前肋水平
144、单项选择题
男,68岁,患“胃炎”20余年,因突然出现全腹剧烈疼痛,病人被动屈曲位,初体温正常,后出现最高体温38.5℃,脉搏110次/分,查体:腹式呼吸减弱,腹肌紧张不明显,全腹压痛、反跳痛,以上腹部为重;X线立位平片示小肠普遍胀气,并见小液气平面,膈下见游离气体。
根据上述症状及体征,最可能诊断为()
A.胃出血
B.胃穿孔
C.肠梗阻
D.急性胃肠炎
E.胆绞痛
145、多项选择题 肌肉周围有辅助装置保护肌及协助肌的活动,以下属于肌肉周围辅助装置的是()
A.筋膜
B.腱鞘
C.滑液囊
D.籽骨
E.副骨
146、多项选择题 高千伏摄片特点的叙述,正确的是()
A.获得层次丰富的X线照片
B.缩短曝光时间,减少被照体移动模糊
C.减少管电压,延长X线管寿命
D.散射线减少,照片对比度较高
E.有利于病人防护
147、填空题 腹部结核以________、____________及______________为常见,其感染途径可分为_________、_________及_________________。
148、填空题 颅锁骨发育不全系全身性骨发育障碍,_________和__________的骨骼均受累,表现为___________、__________和_______。
149、单项选择题 关于胸椎摄影,下列选项中正确的是()
A.上腰椎或下颈椎
B.只需摄待检胸椎局部正侧位片
C.下颈椎
D.上腰椎
E.以上都不对
150、单项选择题 检查输卵管通畅度的首选方法是()
A.输卵管通液
B.输卵管通气
C.子宫输卵管造影
D.宫腔镜
E.B超检查
151、判断题 良性溃疡周围胃小区和胃小沟存在,但大小及粗细不均匀。
152、多项选择题 骨骼的基本病变包括()
A.骨质疏松
B.骨质增生
C.骨质破坏
D.矿物质沉积
E.骨折
153、单项选择题 以下体位显示的双对比范围,在“胃低张双对比造影”中,哪项不正确()
A.半立过度右前斜位:胃体贲门区
B.立位正位及双斜位:胃底、贲门区
C.仰卧右前斜位:胃窦、幽门前区及十二指肠
D.半立过度左前斜位:胃体贲门区
E.头低俯卧右前斜位:胃窦前壁
154、单项选择题
男,35岁,上腹部反复疼痛伴进行性黄疸,加重1周,呕血1次。体检:巩膜及全身皮肤中度黄染,肝区及脾区有轻压痛,叩击痛,结合图像,最可能的诊断为()

A.正常食管
B.食管静脉曲张
C.食管胃底静脉曲张
D.贲门失弛缓
E.食管贲门癌
155、填空题 AIDS肺炎的病理改变主要为___________________,表现为_________、________________________和______________________。
156、单项选择题 下列病变,哪一个不适合立位摄片()
A.肠穿孔
B.胸腔积液
C.骨盆骨折
D.肠梗阻
E.脊柱侧弯症
157、多项选择题 二尖瓣狭窄后前位可见的X线征象有()
A.右心缘双心房影
B.主动脉结略小或正常
C.肺淤血
D.左心缘出现第3心缘
E.左下心缘平直,心尖上翘
158、单项选择题 关于支原体肺炎,下列描述哪项正确()
A.抗生素治疗有效
B.血冷凝集试验比值低
C.上肺野分布
D.肺纹增多,网状阴影
E.团块状阴影
159、单项选择题 关于胶片本底灰雾的叙述,错误的是()
A.是照射量等于零时照片所具有的密度值
B.位于特性曲线的趾部
C.是胶片曝光后产生的最小密度值
D.片基灰雾和乳剂灰雾组成
E.与乳剂感光中心的大小和数目有关
160、判断题 黏多糖贮积症Ⅰ型最突出表现为小腕骨及手指爪样畸形。
161、单项选择题
男,7岁,肘部外伤,根据所示图像,最可能的诊断是()
A.尺骨中上段骨折
B.桡骨小头脱位
C.孟氏骨折
D.盖氏骨折
E.以上均不正确
162、单项选择题 椎弓峡部断裂,正确的摄片体位是()
A.腰椎正位
B.腰椎侧位
C.腰椎双斜位
D.腰骶部斜位
E.腰骶部侧位
163、问答题 试述甲状旁腺功能亢进骨骼病变的常见X线表现?
164、单项选择题 某患者腹痛、腹胀、呕吐,肛门停止排气、排便3天。应首选检查方法是()
A.钡灌肠
B.B超
C.立位腹部平片
D.钡餐检查
E.CT
165、单项选择题 关于头颅指数的叙述,错误的是()
A.是头颅最大前后径与最大横径之比
B.中头型的头颅指数70%~80%
C.短头型的头颅指数大于80%
D.长头型的头颅指数小于70%
E.头颅指数因人而异
166、配伍题 肘关节提携角()腕关节腕骨角()腕关节前倾角()股骨颈前倾角()
A.5°~20°
B.9°~20°
C.13°~20°
D.15°~20°
E.平均130°
167、单项选择题 下述哪项不属于毛细血管通透性增高引起的肺水肿原因()
A.高原性肺水肿
B.吸入刺激性气体
C.成人型呼吸窘迫综合征
D.淹溺
E.弥散性血管内凝血
168、单项选择题
男,36岁,体检胸片如图,最可能的诊断是()

A.畸胎瘤
B.胸腺瘤
C.淋巴瘤
D.胸内甲状腺肿
E.脂肪瘤
169、名词解释 结核球
170、单项选择题
30岁,女,因左前臂酸胀不适1年,活动可,左前臂正侧位片如图所示,最可能诊断是()
A.左尺骨蜡泪样骨病
B.石骨症
C.骨皮质增厚症
D.骨膜炎
E.慢性化脓性骨髓炎
171、单项选择题 关于对比度的叙述,错误的是()
A.低电压摄片技术能提高乳腺各组织间的对比
B.骨骼照片有良好的对比
C.离体的肺组织照片,具有很高的对比
D.消化道必须通过对比剂,才能形成组织对比
E.高电压摄片的照片,对比度降低
172、名词解释 Albright综合征
173、单项选择题 风湿性二尖瓣狭窄早期的X线表现是()
A.左心房增大
B.右心室增大
C.左心室缩小
D.右心房增大
E.主动脉结缩小
174、多项选择题 可进行功能位检查的是哪些部位()
A.颈椎
B.下颌关节
C.胰腺
D.颞骨
E.胆囊
175、单项选择题 腹水患者卧位腹部平片能显示的是()
A.腹内结构不清,密度增高
B.小肠被压向腹部周边部位
C.结肠与腹脂线间距加大
D.狗耳征
E.腰大肌影欠清晰
176、单项选择题 不属于胸部摄片位置的是()
A.后前位
B.轴位
C.斜位
D.侧位
E.前弓位
177、单项选择题
下列部位摄片属被检测离开暗盒的摄片方法有哪些()
a.骶髂关节斜位
b.肩关节轴位
c.腕关节侧位
d.乳腺放大摄片
e.颈椎斜位
A.a,b,c
B.a,b,e
C.a,d,e
D.b,c,d
E.c,d,e
178、名词解释 颈静脉窝综合征
179、单项选择题 生长缓慢,表面光滑的乳腺单发性无痛性肿块,应首先考虑为()
A.乳腺癌
B.乳腺囊性增生病
C.乳腺纤维腺瘤
D.急性乳腺炎
E.以上都不对
180、单项选择题 眼眶增大的诊断标准为()
A.眼眶上下壁间宽度≥1.5cm
B.眼眶上下壁间宽度≥2.0cm
C.眼眶上下壁间宽度≤2.0cm
D.眼眶上下壁间宽度≤1.5cm
E.眼眶上下壁间宽度≥3.0cm
181、单项选择题
男,16岁,突感呼吸困难,大汗淋漓,胸片检查如图,最可能的诊断是()

A.右侧肺气肿
B.右侧肺部肿块
C.右侧气胸
D.右侧肺大泡
E.右侧肺挫伤
182、单项选择题
女,69岁,摔伤后左髋部疼痛,活动受限8小时,结合影像学检查,最可能的诊断是()
A.股骨头骨折
B.肱骨骨折
C.蒙泰贾骨折
D.骨盆骨折
E.股骨颈骨折
183、判断题 若肺透亮度及心影等均正常,可完全排除气管内异物的存在。
184、名词解释 早期胃癌
185、判断题 哈弗斯系统顺骨干长轴平行排列。
186、名词解释 Treacher-Collins综合征
187、填空题 肺源性心脏病根据病理生理改变,主要X线表现为______________、______________、_________和_____________。
188、判断题 破骨细胞是一种多核巨细胞,其主要作用是参与骨的破坏。
189、单项选择题
男,根据其正常骨盆影像图像,判断其最可能的年龄()
A.1岁左右
B.4岁左右
C.7岁左右
D.10岁左右
E.13岁左右
190、名词解释 指压迹
191、单项选择题 骨内膨胀性病变无周围硬化性边缘,是下述哪一疾病的X线征象之一()
A.软骨黏液样纤维瘤
B.动脉瘤样骨囊肿
C.囊性骨纤维异样增殖症
D.骨巨细胞瘤
E.骨囊肿
192、多项选择题 下列属于X线管的固有滤过部分的是()
A.靶面
B.灯丝
C.玻璃壳
D.绝缘油
E.X线窗口
193、单项选择题
男,10岁,腕部外伤,根据所示图像,最可能的诊断是()
A.柯雷氏骨折
B.反柯雷氏骨折
C.蒙氏骨折
D.尺桡骨远侧
E.盖氏骨折
194、多项选择题 下列脊椎结核的X线表现有()
A.椎体破坏
B.椎间隙变窄
C.椎旁软组织阴影增宽
D.椎旁韧带钙化
E.脊柱后突畸形
195、单项选择题
男,根据其正常骨盆影像图像,判断其最可能的年龄()
A.2岁左右
B.5岁左右
C.8岁左右
D.11岁左右
E.14岁左右
196、填空题 各型黏多糖贮积症的临床表现可有其特点,但比较共同的特点有_________、__________________、____________和__________。
197、多项选择题
男,24岁,鼻部被击伤,如图所示,最可能的诊断是()
A.鼻骨中段见透亮线影
B.鼻骨远端稍塌陷
C.鼻骨骨折处可见小骨片影向下方分离
D.考虑为鼻骨线性骨折
E.鼻骨粉碎性骨折
198、单项选择题 下列不属于股骨头缺血坏死常见X线表现的是()
A.股骨头密度均匀增高
B.股骨头限局性疏松、囊变
C.股骨头不均匀硬化
D.髋臼增大
E.关节间隙狭窄
199、单项选择题 肺循环血量增多,而左心室和体循环血流减少的是()
A.法洛四联征
B.肺动脉狭窄
C.房间隔缺损
D.室间隔缺损
E.动脉导管未闭
200、单项选择题 放大摄影原理的主要依据是()
A.光学原理
B.化学原理
C.物理学原理
D.几何学原理
E.感光学原理
201、单项选择题 先天性骨骼异常和后天性病理性骨病的鉴别要点在于前者具有()
A.弯曲变形
B.骨骼增粗
C.位置异常
D.骨质正常
E.软组织改变
202、问答题 泌尿系统X线检查有哪些方法?各有何优势与限度?
203、单项选择题 部分性肺静脉畸形引流,常合并下列哪种病变()
A.法洛四联征
B.动脉导管未闭
C.室间隔缺损
D.房间隔缺损
E.肺动脉瓣狭窄并房间隔缺损
204、单项选择题
男,75岁,胸痛,咳嗽半年,气逼,多年前曾因黑色素瘤手术,胸片如图,最可能的诊断是()

A.原发性肺癌
B.肺结核瘤
C.黑色素瘤肺转移
D.炎性假瘤
E.韦格肉芽肿
205、判断题 软骨发育不全是一种失比例、肢根型侏儒。
206、单项选择题 伦琴发现X线的日期是()
A.1895年11月8日
B.1895年8月11日
C.1901年11月8日
D.1901年8月11日
E.1985年11月8日
207、名词解释 跳跃性转移
208、单项选择题 下列过敏性肺炎影像,哪项不对()
A.双侧中下肺野斑片状边缘模糊影
B.双肺弥漫分布粟粒状阴影
C.肺纹理增多,边缘模糊
D.病变位置固定,无游走性改变特点
E.反复发作可发展为间质纤维化、肉芽肿
209、单项选择题
男,77岁,全身性骨痛,夜间加重,贫血,PSA大于100,结合图像,最可能的诊断是()
A.成骨性骨转移
B.多发性骨髓瘤
C.慢性化脓性骨髓炎
D.骨肉瘤
E.以上都不是
210、单项选择题
男孩,13岁,外伤后入院。结合图像,最可能的诊断是()
A.青枝骨折
B.右尺骨骨折
C.Colles骨折
D.Smith骨折
E.孟氏骨折
211、单项选择题 下列关于心血管功能的说法,哪项是不正确的()
A.心的传导系统包含窦房结、房室结和房室束
B.正常心的起搏点是房室结
C.动脉是运血离心的管道
D.静脉是引导血流回心的管道
E.静脉血管的管壁薄、管腔大、血容量大
212、单项选择题
男,4月,出现腹胀半月,呕吐2天,出生后大便细少,如图所示,最可能的诊断为()

A.动力性肠梗阻
B.麻痹性肠梗阻
C.先天性巨结肠
D.绞窄性肠梗阻
E.肠套叠
213、单项选择题 风湿性心脏病左房室瓣(二尖瓣)病变时肺血管改变()
A.肺充血
B.肺淤血
C.肺缺血
D.肺出血
E.以上都不是
214、多项选择题 心肌梗死的重要并发症是()
A.肺炎
B.心律失常
C.心源性休克
D.心力衰竭
E.腹痛
215、单项选择题 有关库欣(Cushing)综合征合并病理骨折的描述,哪项是错误的()
A.好发于椎体和肋骨
B.骨折后骨痂形成良好
C.骨痂X线表现多显示为绒毛状
D.骨折愈合时间延迟
E.多合并骨质疏松
216、单项选择题 风湿性心脏瓣膜病二尖瓣狭窄在X线平片上表现为()
A.肺血增多,右心房、室增大,主动脉结小
B.肺血增多,左、右心室增大,主动脉结正常
C.肺血减少,右心房、室增大,主动脉结小
D.肺淤血,左心房、右心室增大,主动脉结小
E.肺淤血,右心房、左心室增大,主动脉结正常
217、单项选择题 下述疾病对骨化中心的出现及愈合均具有促进作用,但除外()
A.甲状腺功能亢进
B.性腺功能亢进
C.肾上腺皮质肿瘤
D.骨纤维异常增殖症
E.伸舌样痴呆
218、问答题 急性粟粒型肺结核的X线特点是什么?
219、问答题 葡萄球菌肺炎出现的肺气囊有何特点?
220、问答题 胸椎旁软组织肿胀影的X线诊断意义如何?
221、判断题 婴幼儿葡萄球菌肺炎在病变后期才出现肺气囊。
222、单项选择题 以下选项中,乳突许氏位投照时,球管中心线应()
A.向足侧倾斜35°
B.向足侧倾斜25°~30°
C.向足侧倾斜35°~45°
D.向足侧、面侧各倾斜15°
E.向头侧倾斜35°~45°
223、单项选择题 用“离子型造影剂”做血管造影时,一次用量最多不得超过()
A.3ml/kg体重
B.4ml/kg体重
C.6ml/kg体重
D.2ml/kg体重
E.8ml/kg体重
224、多项选择题 下列有关主动脉硬化的表现,正确的有()
A.由于升主动脉扩张,右心缘第一弓突出
B.主动脉钙化为线状,大多见于主动脉弓
C.降主动脉迂曲,多偏向左侧
D.左前斜位,主动脉弓向前向后上方移位,主动脉窗扩大
E.左心缘第一弓明显突出
225、单项选择题 下列哪一项不是骨折的X线征象()
A.嵌入性致密增高影
B.骨皮质凹陷与隆凸
C.骨小梁中断与扭曲
D.异物致骨缺损,颅缝分离
E.边缘硬化线形成,密度减低影
226、判断题 正常时膈肌顶最高点在内1/3处。
227、名词解释 泪滴征
228、单项选择题 当掌心向下平放在暗盒垂直投照时,显示的是以下哪项()
A.拇指后前位
B.拇指侧位
C.拇指斜位
D.拇指前后位
E.拇指切线位
229、单项选择题
男,21岁,高热1周伴胸痛,胸片如图,最可能的诊断为()

A.右上肺周围型肺癌
B.右中肺不张
C.右上肺脓肿
D.右中肺脓肿
E.右上肺硬化性血管瘤
230、单项选择题 下述疾病均可出现Schmorl结节,但应除外哪项()
A.库欣综合征
B.化脓性脊椎炎
C.脊椎退行性骨关节病
D.椎体骺板缺血性坏死
E.椎间盘脱出症
231、单项选择题 特殊意外情况下,在一次事件中有效剂量不得大于()
A.50mSv
B.100mSv
C.150mSv
D.200mSv
E.250mSv
232、单项选择题
男,69岁,胸闷气逼多年,近来咳嗽,无胸痛、无痰中带血,X线检查如图,最可能的诊断是()

A.慢支肺气肿、右上肺肿瘤
B.慢支肺气肿、右上肺炎性假瘤
C.慢支肺气肿、右上肺结核瘤
D.慢支肺气肿、肺转移瘤
E.慢支肺气肿、结节病
233、单项选择题 水痘病毒性肺炎的影像特征()
A.数天内仅见双肺纹理增粗、毛糙
B.病理、影像表现演变快
C.伴弥漫性肺气肿的广泛间质性炎症改变
D.呈典型的支气管肺炎表现
E.间质纤维化伴肺大泡
234、单项选择题 肺-肾综合征的病理变化中,应除外()
A.肾小球肾炎
B.缺铁性贫血
C.肺门淋巴结肿大
D.肺间质纤维化
E.肺部实变
235、单项选择题 关于头颅摄影注意事项的叙述,错误的是()
A.颅骨切线位可不用滤线器
B.中心线倾斜角度必须准确
C.颅底骨折病人常取颌顶位摄影
D.可取平静呼吸下屏气曝光
E.焦-片距一般为100cm
236、判断题 球形病灶多数为良性肿瘤,块状病灶多数为恶性肿瘤。
237、问答题 肺上沟瘤的X线表现有哪些?
238、单项选择题 直肠癌的首选影像学检查方法是()
A.钡餐检查
B.钡灌肠造影
C.B超
D.CT
E.结肠镜
239、单项选择题 下述纵隔病变知识,错误的是()
A.急性纵隔炎,多继发于食管穿孔
B.慢性肉芽肿性纵隔炎,多位于前上1/4纵隔
C.纵隔炎症可致纵隔影增宽
D.慢性硬化性纵隔炎,多位于后下1/4纵隔
E.自发性纵隔气肿,与间质性肺气肿关系密切
240、单项选择题 关于骨结构的描述中,下列哪项是正确的()
A.骨是由骨细胞和骨基质构成
B.骨的细胞成分包括成骨细胞、破骨细胞
C.骨细胞埋置于骨基质中
D.骨基质由胶原纤维和矿物盐构成
E.骨是由骨细胞和骨盐构成
241、单项选择题 下述“Peutz-Jegher综合征”病理特点,哪项正确()
A.结肠息肉呈弥漫性分布
B.小肠息肉,腺瘤居多
C.结肠内息肉,易恶变
D.没有胃息肉
E.常有结肠梗阻
242、单项选择题 在胸片上,无广泛线状、索条状、网状及蜂窝状阴影的是()
A.原发性肺癌
B.石棉肺
C.肺纤维化
D.支气管扩张
E.恶性淋巴管炎
243、单项选择题 10月婴儿,发热、咳嗽、气喘1周,查体:嗜睡,皮肤有猩红热样皮疹,呼吸急促,鼻扇及三凹征(+),两肺散在中小水泡音。实验室检查:WBC25×10/L,N0.85,X线胸片示:两肺点片状阴影,右肺第4后肋以下呈致密片状阴影,气管向左侧移位,考虑诊断为()
A.肺炎双球菌肺炎
B.金黄色葡萄球菌肺炎
C.腺病毒肺炎
D.合胞病毒肺炎
E.肺炎支原体肺炎
244、单项选择题 在胸部正位取后前立位摄片的原因中,下列哪项是错误的()
A.立位能正确反映胸部脏器的确切形态
B.立体能观察到产生气液面的病理改变
C.后前位肺组织更靠近胶片,影像清晰
D.后前位肩胛骨易于投影在肺野之外
E.后前位心脏放大率小
245、单项选择题
男,6岁,口唇青紫,喜蹲踞,结合图像,最可能的诊断是()

A.室间隔缺损
B.房间隔缺损
C.肺动脉狭窄
D.法洛氏四联症
E.动脉导管未闭
246、填空题 泌尿系结石由多种成分组成,即_______、_______、_________、_______和_______等。
247、单项选择题 下列哪种疾病不出现主动脉根部不扩张表现()
A.法洛四联征
B.Marfan综合征
C.梅毒性心脏病
D.主动脉瓣狭窄
E.心内膜纤维弹性组织增生症
248、单项选择题 下列骨骼不参与眼眶构成的是()
A.筛骨
B.蝶骨
C.腭骨
D.颞骨
E.上颌骨
249、单项选择题 经皮肾动脉腔内成形术简称()
A.PTC
B.PTRA
C.PTCA
D.PCN
E.PTA
250、单项选择题 下列叙述,哪项不正确()
A.右肺分为三叶
B.右肺门阴影比左肺门高
C.右膈高于左膈
D.气管分叉部相当第4~6胸椎高度
E.肺纹理由肺动脉、肺静脉构成
251、单项选择题 先天性胸骨软骨隆凸导致的胸廓畸形为()
A.漏斗胸
B.鸡胸
C.桶状胸
D.连枷胸
E.钟状胸
252、单项选择题 有关碘过敏试验的方法,下列哪项是错误的()
A.皮内试验
B.眼结膜试验
C.口服试验
D.肌内注射试验
E.静脉注射试验
253、单项选择题 伤患者头颅内发现有气体影,骨折的部位是()
A.额窦前壁骨折
B.额窦后壁骨折
C.上颌骨折
D.筛窦骨折
E.上颌窦后壁骨折
254、单项选择题 下列哪项属于上皮胃的良性肿瘤()
A.胃息肉
B.胃纤维瘤
C.胃平滑肌瘤
D.胃脂肪瘤
E.胃血管瘤
255、判断题 继发性肺结核干酪为主型,肺门淋巴结常增大。
256、多项选择题 肾动脉的肾外分支有()
A.膈下动脉
B.性腺动脉
C.输尿管上段动脉
D.肠系膜上动脉
E.肾上腺下动脉
257、单项选择题
男,56岁,踝关节肿胀,有糖尿病史,结合图像,最可能的诊断是()
A.创伤性关节炎
B.退行性关节病
C.痛风
D.类风湿关节炎
E.神经性关节病
258、单项选择题 胸部后前位摄片胶片下缘应包括()
A.第6胸椎
B.第8胸椎
C.第10胸椎
D.第12胸椎
E.第3腰椎
259、问答题 单纯性小肠梗阻的X线表现有哪些?
260、单项选择题 可用于静脉肾盂造影的对比剂是()
A.碘化油
B.碘苯酯
C.泛影葡胺
D.碘化钠
E.胆影葡胺
261、单项选择题 胸膜粘连最常见的是()
A.肺尖部胸膜
B.肋膈角处
C.心膈角处
D.纵隔胸膜
E.以上都不是
262、单项选择题 髓内肿瘤中以哪种组织学类型最常见()
A.错构瘤
B.血管母细胞瘤
C.神经母细胞瘤
D.胶质瘤
E.神经上皮性囊肿
263、单项选择题 颅脑外伤侧位平片显示鼻咽腔顶软组织肿胀常提示()
A.前颅窝骨折
B.中颅窝骨折
C.后颅窝骨折
D.额骨骨折
E.斜坡骨折
264、单项选择题
男,22岁,左侧膝部肿胀,疼痛2月余,结合影像学检查,最可能的诊断是()
A.骨脓肿
B.骨肉瘤
C.骨髓炎
D.动脉瘤样骨囊肿
E.软骨肉瘤
265、单项选择题 结节病较少累及的部位为()
A.骨
B.淋巴结
C.胸膜
D.肺
E.皮肤
266、判断题 颅内血管畸形,一般不引起正常脑血管的移位,这是同恶性肿瘤的区别点之一。
267、判断题 正常时下肺野纹理比上肺野多而粗,而右下肺野肺纹理比左下肺野多而粗。
268、问答题 肺动脉瓣狭窄的X线表现有哪些?
269、单项选择题
男,24岁,低热2周,咳少量痰。胸片示右上肺不均密度增高影,其中有空洞形成,血沉45mm/h。
最可能的诊断是()
A.右上肺炎
B.右上肺结核
C.右上肺癌
D.右上肺囊肿
E.右上肺脓肿
270、单项选择题
男,10岁,外伤,结合图像,最可能的诊断是()
A.未见异常
B.骺移骨折
C.青枝骨折
D.腕关节脱位
E.踝关节脱位
271、多项选择题 判断对比剂过敏的依据,正确的是()
A.休克
B.便秘
C.打嗝
D.恶心呕吐
E.以上都是
272、单项选择题 乳腺脂肪层所形成的透亮带厚度为()
A.0.5~1.5mm
B.0.5~2.5cm
C.0.5~1.5cm
D.0.5~2.5mm
E.1.5~2.5mm
273、多项选择题 类风湿性关节炎早期X线表现有()
A.骨膜增厚和骨化
B.关节邻近骨质疏松
C.关节周围软组织肿胀
D.关节间隙增宽
E.骨质侵蚀和假囊形成
274、单项选择题 “花环征”是哪种疾病的造影特征()
A.胆囊结核
B.胆囊腺肌增生症
C.胆石症
D.急性胆囊炎
E.胆囊癌
275、单项选择题 肺部炎症导致肺组织发生坏死出血、钙盐沉着,最终导致结果是()
A.渗出
B.增殖
C.钙化
D.纤维化
E.空洞
276、单项选择题 有关脊索瘤的好发部位和X线主要特点,错误的是()
A.肿瘤好发生于脊柱两端,居中线部位
B.常为膨胀性溶骨性破坏,其中可残存碎骨片或小梁沟隔
C.绝大多数病人可有骨质增生和硬化
D.50%病人可有钙化
E.以上都不是
277、单项选择题
男,49岁,心前区阵发性绞痛10天。贫血面容,有胃病史。结合图像,最可能的诊断为()

A.胃癌
B.胃小弯溃疡
C.胃炎
D.胃下垂
E.胃窦癌
278、单项选择题 正常膀胱“造影”所见,下述描述错误的是()
A.位于耻骨联合上方
B.呈倒三角形或类球形
C.女性膀胱顶部可有子宫压迹
D.男性膀胱底部均有前列腺压迹
E.需拍平片和正、侧及斜位片
279、单项选择题
男,17岁,下肢畸形,有皮肤色素沉着,性早熟等,结合图像,最可能的诊断是()
A.非骨化性纤维瘤
B.骨巨细胞瘤
C.骨纤维结构不良
D.内生软骨瘤
E.畸形性骨炎
280、多项选择题 支气管气相可见于()
A.周围型燕麦细胞癌
B.肺透明膜病
C.大叶性肺炎
D.结节病
E.肺水肿
281、单项选择题 CR系统中,直接记录X线影像信息的载体是()
A.胶片
B.磁盘
C.成像板
D.荧光屏
E.平板探测器
282、多项选择题 引起成人股骨头缺血坏死的常见原因为()
A.外伤
B.皮质激素治疗
C.酒精中毒
D.减压病
E.肾移植
283、单项选择题 X线在体内各部穿透力,由大到小排列有以下几种,正确的是()
A.气体,液体及软组织,脂肪,骨骼
B.骨骼,脂肪,液体及软组织,气体
C.气体,脂肪,液体及软组织,骨骼
D.脂肪,气体,液体及软组织
E.骨骼,软组织及液体,脂肪,气体
284、单项选择题 骨肉瘤的好发年龄为()
A.20~30岁
B.11~21岁
C.10岁以下
D.21~40岁
E.50岁以上
285、判断题 骨松质和骨密质的结构基本一致,都有哈弗斯系统。
286、问答题 膈疝的X线表现有哪些?
287、多项选择题 引起膈肌改变的疾病中,包括()
A.纵隔病变
B.腹腔病变
C.肝脏病变
D.肺毁损
E.膈肌本身病变
288、单项选择题
男,15岁,畏寒,高热2周,摄片如图所示,下列诊断正确的是()
A.急性化脓性骨髓炎
B.慢性化脓性骨髓炎
C.溶骨性骨肉瘤
D.尤文肉瘤
E.以上均不正确
289、单项选择题 十二指肠球部溃疡龛影的显示,首选以下哪项()
A.压迫像
B.双重像
C.充气像
D.卧位充盈像
E.立位充盈像
290、多项选择题 “ERCP”适应证包括()
A.急性胰腺炎
B.慢性胰腺炎
C.胆道先天性异常
D.胆管肿瘤
E.严重胆管感染
291、多项选择题 胰头癌引起的十二指肠环改变为()
A.降部充盈缺损
B.降部双边征
C.降部小弯侧粘膜皱襞破坏、消失
D.降部出现反“З”征
E.肠环缩小
292、判断题 肺泡蛋白沉积症除肺泡局限性病变,尚有全身各系统受累的症状。
293、填空题 乳腺可分为_______、_______、_______和_______。
294、单项选择题 下述ARDS要点,哪项不对()
A.败血症是最常见原因
B.临床表现与影像改变同步
C.特征性影像表现比临床症状迟
D.早期,间质性肺水肿
E.可有左心衰
295、多项选择题 关于下段胸椎压缩骨折,正确的摄片体位是()
A.胸椎正位
B.胸椎侧位
C.胸椎斜位
D.胸腰段正位
E.胸腰段侧位
296、单项选择题
女,67岁,咳嗽1周,有甲状腺癌史,结合胸片,最可能的诊断()

A.甲状腺癌肺转移
B.粟粒型肺结核
C.尘肺
D.结节病
E.肺炎
297、多项选择题 有关肿瘤性钙化的说法中下列哪些正确()
A.颅咽管瘤钙化呈带状
B.少突胶质瘤钙化呈点状、片状
C.星形细胞瘤钙化呈堆状
D.脑膜瘤钙化呈团块状
E.室管膜瘤钙化呈分散状
298、单项选择题
男,8岁,外伤后入院。结合图片,最可能的诊断是()
A.Colles骨折
B.右肱骨髁上骨折
C.Smith骨折
D.孟氏骨折
E.青枝骨折
299、单项选择题 下列关于肺转移瘤的描述哪项是错误的()
A.人体许多部位的原发性肿瘤都可转移至肺内
B.血行转移X线表现为两中下肺野散在小结节或球形阴影
C.血行转移多见于肝癌、胰腺癌、甲状腺癌或绒癌等
D.淋巴转移X线表现为两中下肺野多发小结节、粟粒状或网格状阴影
E.以上都不是
300、判断题 萎缩性胃炎有类似胃溃疡的规律性上腹疼痛。