医学影像技术(医学高级):X线考点巩固(题库版)

时间:2023-03-30 07:51:23

微信搜索关注"91考试网"公众号,领30元,获取事业编教师公务员等考试资料40G
题库试看结束后微信扫下方二维码即可打包下载完整版《★医学影像技术(医学高级)》题库
手机用户可保存上方二维码到手机中,在微信扫一扫中右上角选择“从相册选取二维码”即可。
题库试看结束后微信扫下方二维码即可打包下载完整版《医学影像技术(医学高级):X线》题库,分栏、分答案解析排版、小字体方便打印背记!经广大会员朋友实战检验,此方法考试通过率大大提高!绝对是您考试过关的不二利器
手机用户可保存上方二维码到手机中,在微信扫一扫中右上角选择“从相册选取二维码”即可。

1、单项选择题  关于肺透明膜病,下列观点错误的是()

A.多见于早产儿
B.与母亲患尿崩症无关
C.双肺透亮度增高
D.早期,肺纹理增多,呈网状细颗粒样
E.晚期,支气管气相 


点击查看答案


2、单项选择题  长骨结核与化脓性骨髓炎的主要鉴别点是()

A.病变区骨膜反应轻微
B.弥慢性骨质破坏
C.不易侵入关节
D.易向骨干发展
E.以上都是


点击查看答案


3、单项选择题  肺结核发病1~2周内,临床症状明显,X线表现阴性的是()

A.原发性肺结核
B.慢性纤维空洞型肺结核
C.血行播散型肺结核
D.结核性胸膜炎
E.浸润型肺结核


点击查看答案


4、单项选择题  关于神经鞘瘤和神经纤维瘤的描述哪项错误()

A.组织来源不同
B.神经纤维瘤多为神经纤维瘤病的局部表现
C.神经鞘瘤可多发,恶变多见
D.4%~11%神经纤维瘤病并发神经纤维肉瘤
E.神经鞘瘤可通过椎间孔侵蚀到椎管外


点击查看答案


5、单项选择题  

男,29岁,腹胀,恶心呕吐1年,加重半月。体检:下腹部压痛,结合图像,最可能的诊断为()

A.正常表现
B.胃炎
C.胃溃疡
D.胃窦炎
E.胃癌


点击查看答案


6、单项选择题  下列征象中,不符合诊断肠结核的X线表现是()

A.回盲部激惹现象
B.粘膜溃疡
C.小息肉样充盈缺损
D.病变偏于肠管一侧
E.可形成瘘管


点击查看答案


7、多项选择题  克罗恩(Crohn)病后期的肠外表现有哪些()

A.关节炎
B.杵状指
C.皮疹
D.肝脾肿大
E.虹膜炎


点击查看答案


8、多项选择题  以下可以见到钙化的疾病是()

A.错构瘤
B.淋巴结结核
C.周围型肺癌
D.中央型肺癌
E.肺泡微石症


点击查看答案


9、单项选择题  十二指肠淤滞症的常见病因是()

A.胰腺肿瘤
B.十二指肠炎性狭窄
C.十二指肠肿瘤
D.肠系膜上动脉压迫
E.十二指肠粘连


点击查看答案


10、单项选择题  多发性骨髓瘤的X线诊断,下列摄片部位选择哪个没有意义()

A.腰椎
B.肋骨
C.颅骨
D.长骨
E.骨盆


点击查看答案


11、单项选择题  “动脉瘤样骨囊肿”正确的演变顺序为()

A.稳定期、溶骨期、膨胀期、愈合期
B.膨胀期、稳定期、溶骨期、愈合期
C.溶骨期、膨胀期、稳定期、愈合期
D.稳定期、膨胀期、溶骨期、愈合期
E.膨胀期、溶骨期、稳定期、愈合期


点击查看答案


12、单项选择题  下列哪种肿瘤转移至椎管内,表现为弥漫性浸润蛛网膜下腔及其邻近神经根()

A.淋巴瘤
B.前列腺癌
C.黑色素瘤
D.髓母细胞瘤
E.室管膜瘤


点击查看答案


13、判断题  孤立肾和单纯异位肾一般无任何临床表现。


点击查看答案


14、判断题  夏科关节最早的X线表现是关节间隙变窄,骨性关节面硬化及侵蚀破坏。


点击查看答案


15、单项选择题  胸膜斑最好发于()

A.肺尖部胸膜
B.后胸壁胸膜
C.纵隔胸膜
D.侧胸壁和膈肌胸膜部分
E.前胸壁胸膜


点击查看答案


16、填空题  胰腺外分泌性肿瘤包括______________、__________和_____________。


点击查看答案


17、单项选择题  关于阴性对比剂的叙述,错误的是()

A.氧气属阴性对比剂
B.空气有产生气体栓塞的危险
C.空气在器官内吸收较慢
D.二氧化碳的溶解度较大
E.有效原子序数大


点击查看答案


18、单项选择题  肺淤血在平片上表现为()(1)肺门增大,血管边缘清楚(2)肺门增大,结构不清,血管边缘模糊(3)肺血管普遍扩张,边缘模糊,呈条纹状(4)肺内血管成比例增粗,边缘锐利(5)上肺静脉增粗,下肺静脉变细

A.(1)(2)(3)
B.(1)(3)(5)
C.(2)(4)(5)
D.(2)(3)(5)
E.(1)(3)(4)


点击查看答案


19、配伍题  慢性支气管炎可出现()
肺癌可出现()
间质性肺水肿可出现()

A.支气管憩室征
B.支气管截断征
C.空气支气管征
D.支气管宽径征
E.支气管周围袖套征


点击查看答案


20、单项选择题  下述哪项不是成软骨细胞瘤的X线特点()

A.肿瘤多位于干骺愈合前的骨骺
B.发生于关节面下的可突破骨端进入关节间隙
C.病灶多为圆形或不规则局限性骨破坏区
D.病灶边界模糊,可见大量骨膜反应
E.病变可穿破骨皮质形成局限的软组织肿块


点击查看答案


21、单项选择题  下述疾病均可见假性骨折或Looser带,此征象对以下哪种疾病诊断最有意义()

A.骨质软化症
B.甲状旁腺功能亢进
C.维生素D缺乏症
D.畸形性骨炎
E.以上均无意义


点击查看答案


22、单项选择题  

女,60岁,大腿后侧痛,下腰痛1月余,结合图像,最可能的诊断是()

A.类风湿关节炎
B.强直性脊柱炎
C.牛皮癣性关节炎
D.Reiter综合征
E.痛风性关节炎


点击查看答案


23、判断题  地中海贫血为常染色体隐性遗传性疾病。


点击查看答案


24、单项选择题  关于心腰的描述,下列观点哪项不对()

A.指心脏左缘第二弓
B.指心脏右缘第二弓
C.正常心腰应略内凹
D.正常心腰由肺动脉段构成
E.肺动脉扩大时,心腰可隆起


点击查看答案


25、单项选择题  

男,76岁,长久站立时左膝关节疼痛,可扪及捏发音,结合图像,最可能的诊断是()

 A.退行性骨关节病
B.畸形性骨炎
C.神经性关节病
D.创伤性关节炎
E.肥大性骨关节病


点击查看答案


26、多项选择题  胃良性溃疡的X线表现有()

A.环堤
B.腔外龛影
C.项圈征
D.腔内龛影
E.Hampton线


点击查看答案


27、单项选择题  可复性食管裂孔疝的定性征象是()

A.胃、食管返流
B.膈上出现胃粘膜
C.食管胃环出现在膈上
D.胃、食管前庭段增宽
E.以上都不是


点击查看答案


28、单项选择题  缩窄性心包炎的X线表现有:①上腔静脉扩张、②肺淤血、③间质性肺水肿、④右心房增大、⑤左心房增大,其中反映左心室缩窄表现的是()

A.①②④
B.①②⑤
C.②③⑤
D.②③④
E.①③⑤


点击查看答案


29、单项选择题  下列有关“非梗阻性胃扩张”原因中,错误的是()

A.用吗啡制剂
B.尿毒症昏迷
C.糖尿病胃病
D.急性腹膜炎
E.先天性肥厚型幽门狭窄


点击查看答案


30、判断题  腹腔病变、肝脏及胃部病变不会引起膈肌的改变。


点击查看答案


31、单项选择题  下列转移性骨肿瘤特点中,哪项是错的()

A.脊柱转移最常见
B.同一原发灶,可兼有溶骨性、成骨性转移
C.可有软组织肿块或肿胀
D.膀胱癌多为成骨性转移
E.甲状腺癌转移者,局部骨可膨胀


点击查看答案


32、多项选择题  主要分布于中纵隔的肿瘤有()

A.畸胎瘤
B.霍奇金病
C.心包囊肿
D.神经源性肿瘤
E.支气管囊肿


点击查看答案


33、单项选择题  下述关于小肠Crohn病的影像表现,错误的是()

A.口疮样小溃疡
B.小肠多发狭窄
C.鹅卵石征
D.肠壁增厚
E.环肠壁对称性侵犯


点击查看答案


34、单项选择题  胃肠道憩室于钡剂造影时,最不易充盈的是()

A.食管囊状憩室
B.Meckel憩室
C.胃憩室
D.十二指肠降段憩室
E.结肠憩室


点击查看答案


35、配伍题  PTA可治疗()
动脉化疗可治疗()
血管动脉栓塞可治疗()
非血管介入治疗()

A.胰腺癌动脉化疗
B.下腔静脉支架置入
C.脾动脉栓塞
D.前列腺支架置入
E.空肠造瘘


点击查看答案


36、多项选择题  CR的空间频率处理,减影处理的叙述,正确的是()

A.空间频率处理是系统对空间频率响应的调节
B.频率处理三个参数:RNRTRE
C.可完成血管造影与非造影影像的减影职能
D.时间减影是作对比剂注射前后的影像减影
E.能量减影是两幅以不同能量曝光的影像


点击查看答案


37、单项选择题  “骨中骨”征象出现于()

A.骨嗜酸性肉芽肿
B.尼曼-皮克病
C.勒-雪病
D.韩-薛-柯病
E.石骨症


点击查看答案


38、单项选择题  下列哪项不是诱发泌尿系感染的危险因素()

A.糖尿病
B.妊娠
C.前列腺肥大
D.泌尿道结石
E.直肠超声探头检查


点击查看答案


39、单项选择题  以下选项中,“子宫输卵管造影”的最佳时机为()

A.月经前第3天 
B.月经前第10天 
C.月经期
D.月经后第3天 
E.月经后第7天


点击查看答案


40、名词解释  抱球征


点击查看答案


41、单项选择题  下述疾病与心脏增大描述不相符的是()

A.Budd-Chiari综合征——右心房扩大
B.房间隔缺损——左心房增大
C.二尖瓣关闭不全——左心室增大
D.肺动脉狭窄——肺动脉段膨隆
E.动脉导管未闭——“漏斗”征


点击查看答案


42、单项选择题  髋关节蛙式位,大粗隆与股骨颈重叠的原因是()

A.股骨外翻角度较大
B.股骨外翻角度较小
C.股骨内翻角度较大
D.股骨内翻角度较小
E.股骨倾斜角度较大


点击查看答案


43、判断题  舌癌多发生于舌缘,以腺癌更为多见。


点击查看答案


44、名词解释  Lutembacher综合征


点击查看答案


45、问答题  正位胸片上哪些正常软组织影易被误认为病变?


点击查看答案


46、单项选择题  

女,26岁,体检发现右中肺野病变,胸片如图,最可能的诊断为()

A.肺错构瘤
B.肺动静脉瘘
C.周围型肺癌
D.肺结核球
E.肺转移瘤


点击查看答案


47、判断题  瓷器样胆囊是由于胆囊急性炎症所致。


点击查看答案


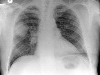
48、单项选择题  

男,66岁,近1月来感胸闷,有时低热,胸片如图,最可能的诊断为()

A.化脓性胸膜炎
B.结核性胸膜炎
C.右下肺炎症
D.右下肺不张
E.右侧胸腔积液


点击查看答案


49、单项选择题  

男,15岁,右肩疼痛1月余,结合图像,最可能的诊断是()

A.嗜酸性肉芽肿
B.动脉瘤样骨性囊肿
C.骨样骨瘤
D.血管瘤
E.以上都不是


点击查看答案


50、多项选择题  右心房增大常见于()

A.右心衰竭
B.房间隔缺损
C.三尖瓣病变
D.心房黏液瘤
E.左心衰竭


点击查看答案


51、单项选择题  

男,19岁,感胸闷、胸前区隐痛,X线检查如图,最可能的诊断是()

A.胸膜肥厚
B.肺部炎症
C.前纵隔肿瘤
D.中纵隔肿瘤
E.后纵隔肿瘤


点击查看答案


52、名词解释  游走脾


点击查看答案


53、填空题  韦格肉芽肿在诊断时应注意与_________、___________、_________、____________及________等鉴别。__________、________、_________、_______和____________等有助于鉴别。


点击查看答案


54、单项选择题  在静脉尿路造影检查中,肾癌表现可表现为()

A.蜘蛛足样表现
B.肾盂变形
C.输尿管受压移位
D.肾盂不显影
E.以上均可见


点击查看答案


55、单项选择题  导致X线行进中衰减的原因是()

A.X线频率
B.X线波长
C.X线能量
D.物质和距离
E.X线是电磁波


点击查看答案


56、单项选择题  出现膈下游离气体的原因是()

A.人工气腹
B.手术后腹腔残留气体
C.产气菌引起的急性腹膜炎
D.胃肠道穿孔
E.以上都是


点击查看答案


57、单项选择题  额窦透光度以下列哪项为标准()

A.柯氏位为标准
B.汤氏位为标准
C.头颅正位为标准
D.华氏位为标准
E.以上都不对


点击查看答案


58、单项选择题  下述良性骨肿瘤中,哪项不会发生恶变()

A.骨脂肪瘤
B.骨软骨瘤
C.软骨母细胞瘤
D.骨母细胞瘤
E.骨巨细胞瘤


点击查看答案


59、多项选择题  变压器油的作用是()

A.吸收水分
B.绝缘
C.降低湿度
D.散热
E.增加重量


点击查看答案


60、单项选择题  

女,1岁,身体发育异常,眼巩膜呈蓝色,结合图像,最可能的诊断为()

A.成骨不全
B.粘多糖病
C.软骨发育不全
D.佝偻病
E.侏儒症


点击查看答案


61、判断题  化脓性胸膜炎包括结核性脓胸及其他致病菌引起的脓胸。


点击查看答案


62、单项选择题  感光原理是()

A.光水解反应
B.光分解反应
C.光合作用
D.光合成反应
E.以上都不是


点击查看答案


63、单项选择题  经皮肺穿刺活检术最常见的并发症是()

A.气胸
B.出血
C.沿穿刺道种植转移
D.刺破大血管或心脏
E.感染


点击查看答案


64、填空题  系统性红斑狼疮X线检查时见心脏呈普遍性增大,为________和______病变所致。如系肾性高血压所致,心脏增大则以__________为主。


点击查看答案


65、单项选择题  关于“十二指肠溃疡”的描述,错误的是()

A.激惹征,提示活动性溃疡
B.球部发生率最高
C.龛影平均直径1cm以上
D.常导致球部变形
E.球后溃疡多位于球后部内侧缘


点击查看答案


66、单项选择题  以下对于胸片诊断的描述,哪项不正确()

A.有被CT、MRI取代的可能
B.良好的天然对比是胸片检查的有利条件 
C.不能检出某些早期或微小病变 
D.正位胸片难以显示心后间隙、后肋膈角区病变 
E.可诊断大多数胸内病变


点击查看答案


67、填空题  肺结核的不常见X线表现包括______________、__________________、_____________________、_______________________、____________和__________________。


点击查看答案


68、判断题  寰枢椎损伤包括寰枢关节脱位、寰椎骨折和齿突骨折等。


点击查看答案


69、单项选择题  

男,19岁,咳嗽、发热1周余,X线检查如图,最可能的诊断是()

A.左下肺不张
B.左侧胸膜肥厚
C.左下肺炎症
D.左侧胸腔积液
E.左下肺结核


点击查看答案


70、多项选择题  下列关于肺结核的概念,哪些是正确的()

A.原发性肺结核只见于婴幼儿
B.肺结核空洞多位于肺上叶
C.肺门淋巴结肿大,常为双侧对称性
D.结核球属Ⅱ型肺结核
E.Ⅲ型肺结核可有垂柳状肺纹理


点击查看答案


71、单项选择题  小儿腹部平片出现“双泡”征,最可能的诊断为()

A.正常变异
B.胃扭转
C.幽门肌肥大
D.十二指肠梗阻
E.小肠旋转不良


点击查看答案


72、单项选择题  肺部急性炎症的主要病理变化为()

A.渗出
B.增生
C.空洞
D.纤维化
E.钙化


点击查看答案


73、单项选择题  下列哪项不属于面颅骨()

A.舌骨
B.颧骨
C.鼻骨
D.泪骨
E.枕骨


点击查看答案


74、单项选择题  不是骨质增生的病因的是()

A.某些原发性肿瘤
B.外伤
C.慢性炎症
D.维生素D缺乏
E.某些代谢或内分泌障碍


点击查看答案


75、单项选择题  关于马蹄肾的描述,下列错误的是()

A.左右肾下极联合
B.易并发肾肿瘤
C.有多根肾动脉
D.偶见左右肾上极联合
E.左右输尿管自肾门通过肾联合


点击查看答案


76、问答题  在排泄性尿路造影中各器官的正常X线所见有哪些?


点击查看答案


77、多项选择题  下列疾病,可有阻塞性肺不张表现的是()

A.结节病
B.原发性淀粉样变性
C.支气管异物
D.霍奇金病
E.错构瘤


点击查看答案


78、单项选择题  大叶性肺炎患者,肺门影应()

A.肺门影上移
B.肺门影正常
C.肺门影下移
D.肺门影增大
E.肺门影缩小


点击查看答案


79、配伍题  食管上段为()
食管中段为()
食管下段为()

A.内层环行肌
B.外层纵行肌
C.平滑肌
D.横纹肌
E.横纹肌与平滑肌混合


点击查看答案


80、多项选择题  经肾脏排泄的对比剂,注药后尿中浓度的高峰时间是()

A.1~2分钟
B.5~6分钟
C.10~15分钟
D.30~60分钟
E.60~90分钟


点击查看答案


81、判断题  左心室增大时,可使心脏顺时针方向旋转,漏斗部构成左心缘的上部。


点击查看答案


82、多项选择题  无肺门增大而只表现为肺门密度增高者()

A.百日咳
B.麻疹肺炎
C.慢性支气管炎
D.中央型肺癌
E.心肺病变


点击查看答案


83、单项选择题  

男,24岁,低热2周,咳少量痰。胸片示右上肺不均密度增高影,其中有空洞形成,血沉45mm/h。

病灶好发部位是()

A.右肺上叶前段
B.右肺上叶尖后段
C.右肺上叶尖段
D.右肺上叶后段
E.右肺下叶背段


点击查看答案


84、单项选择题  有关摄片条件选择中可变因素的叙述,哪项不妥()

A.应把不随意运动器官的移动作为移动因素中的主要矛盾处理
B.同一厚度的两个健康人的胸部照片,摄片条件应一致
C.同部位同厚度的慢性骨髓炎与骨结核相比,需要增加摄片条件
D.被照体构成组织比例是摄片条件选择的重要可变因素
E.病理因素对摄片条件的影响十分复杂,较难掌握,应不断积累临床经验


点击查看答案


85、名词解释  咖啡豆征


点击查看答案


86、判断题  正常胸膜一般不显影,若见显影则为病理征象。


点击查看答案


87、填空题  肺发育异常通常可分为3型,即__________、____________和____________。


点击查看答案


88、多项选择题  下述哪些属硅酸盐肺()

A.石棉肺
B.滑石肺
C.矽肺
D.农民肺
E.棉尘肺


点击查看答案


89、单项选择题  下列关于支气管炎的X线表现,不易见到的是()

 A.肺纹理增强,边缘模糊
B.斑片状阴影中杂有结节状阴影病灶,多位于两肺下叶内
C.肺炎性假瘤
D.空洞和胸腔积液
E.有肺气肿X线表现


点击查看答案


90、单项选择题  关于骨性胸廓的组成,正确的是()

A.胸椎和肋骨连接而成
B.胸椎和胸骨连接而成
C.胸骨和肋骨连接而成
D.胸椎胸骨和肋骨连接而成
E.胸骨锁骨和肋骨连接而成


点击查看答案


91、单项选择题  下列征象与疾病的对应关系,错误的是()

A.轨道征:慢性支气管炎
B.细支气管充气征:周围型肺癌
C.垂柳征:慢性纤维空洞型肺结核
D.平腰征:左下肺不张
E.空泡征:结核瘤


点击查看答案


92、单项选择题  10月婴儿,发热、咳嗽、气喘1周,查体:嗜睡,皮肤有猩红热样皮疹,呼吸急促,鼻扇及三凹征(+),两肺散在中小水泡音。实验室检查:WBC25×10/L,N0.85,X线胸片示:两肺点片状阴影,右肺第4后肋以下呈致密片状阴影,气管向左侧移位,考虑诊断为()

A.肺炎双球菌肺炎
B.金黄色葡萄球菌肺炎
C.腺病毒肺炎
D.合胞病毒肺炎
E.肺炎支原体肺炎


点击查看答案


93、单项选择题  

女,10岁,左大腿疼痛,夜间加重,肿胀明显,结合图像,最可能的诊断是()

A.成骨性骨转移
B.化脓性骨髓炎
C.骨肉瘤
D.骨化性肌炎
E.以上都不正确


点击查看答案


94、单项选择题  下列类风湿关节炎的X线表现中哪项不正确()

A.关节肿胀
B.骨质疏松
C.关节间隙变窄
D.皮下组织钙化
E.纤维性骨性强直


点击查看答案


95、单项选择题  关于原发性支气管肺癌,下列哪项描述不准确()

A.早期中央型肺癌胸片易漏诊
B.管内型的中央型肺癌易形成肺不张
C.隐性肺癌等于早期肺癌
D.鳞癌多为中央型肺癌
E.管壁浸润型的中央型肺癌可无肺不张


点击查看答案


96、多项选择题  下列有关乳房囊性增生病的说法哪些是正确的()

A.乳腺囊性增生病是妇女多发病,其又称乳腺病
B.乳腺囊性增生病其发病与雌激素的水平失衡有关
C.乳腺囊性增生病以手术治疗为主
D.乳腺囊性增生病的肿块常是一侧单个结节,质软呈囊性变
E.囊性增生病乳房胀痛呈周期性,有经前加重,经后减轻或消失


点击查看答案


97、单项选择题  “肾乳头坏死”与下列哪种病变无关()

A.酒精中毒
B.镰状细胞贫血
C.肾小球肾炎
D.地中海贫血
E.肾结核


点击查看答案


98、填空题  骨嗜酸性肉芽肿应与____________、__________和__________等疾病鉴别诊断。


点击查看答案


99、单项选择题  

男,根据其正常骨盆影像图像,判断其最可能的年龄()

A.5岁左右
B.10岁左右
C.15左右
D.20岁左右
E.25岁左右


点击查看答案


100、名词解释  假性骨折


点击查看答案


101、单项选择题  

男,阴囊下坠不适,胀痛,平卧症状缓解。查体:阴囊下垂松弛,并可触及结节状静脉曲张。

继发病变是()

A.男性不育
B.门脉高压
C.疝气
D.前列腺肥大
E.髂动脉狭窄


点击查看答案


102、单项选择题  双肾位于Gerota氏筋膜腔内,其位置关系正确的是()

A.双肾位置高度一致
B.左肾比右肾高3~5cm
C.左肾比右肾低3~5cm
D.左肾比右肾高1~2cm
E.右肾比左肾高1~2cm


点击查看答案


103、单项选择题  

男,8岁,易疲劳,活动后心悸、气急,结合图像,最可能的诊断是()

A.房间隔缺损
B.室间隔缺损
C.肺动脉狭窄
D.动脉导管未闭
E.法洛氏四联症


点击查看答案


104、单项选择题  X线胸片上,有一直径约2.4cm的圆形阴影,边缘光滑锐利,密度较高,内有爆米花状钙化,病人无自觉症状。最可能的诊断为()

A.肺癌
B.错构瘤
C.炎性假瘤
D.包虫囊肿
E.结核球


点击查看答案


105、单项选择题  虫蚀样空洞的壁是由什么组织形成()

A.肿瘤组织
B.肉芽组织
C.纤维组织
D.坏死组织
E.薄层肺不张


点击查看答案


106、名词解释  性成熟期乳腺


点击查看答案


107、单项选择题  胸片检查中,下列结构,哪种显示率最低()

A.锁骨
B.锁骨上皮肤皱褶
C.胸锁乳突肌
D.男性乳头
E.女性乳房


点击查看答案


108、填空题  .眼眶异物X线定位通常采用______________________、_________________、_____________________、_________________和_________________等。


点击查看答案


109、单项选择题  胆囊造影脂肪餐后首次摄片时间应为()

A.5分钟
B.10分钟
C.15分钟
D.30分钟
E.60分钟


点击查看答案


110、多项选择题  肺隐球菌病的X线征象有()

A.病灶可单发或多发
B.病灶呈斑片状、圆形或结节炎性浸润
C.病灶的边缘比较模糊
D.肺门和纵隔淋巴结常增大
E.晚期病变可有播散


点击查看答案


111、单项选择题  有关解剖学方位的描述,下列错误的是()

A.近头为上
B.近体表为浅
C.近正中矢状面为内侧
D.近肢侧为近端
E.近腹为前


点击查看答案


112、单项选择题  局限性胸腔积液,不包括()

A.包裹性积液
B.叶间积液
C.肺底积液
D.支气管囊肿
E.纵隔包裹性积液


点击查看答案


113、单项选择题  

男,62岁,左膝疼痛、活动不便,结合图像,最可能的诊断是()

A.髌骨软化症
B.粉碎性骨折
C.膝关节结核
D.退行性骨关节病
E.风湿性关节炎


点击查看答案


114、问答题  骨结核的X线表现有哪些?


点击查看答案


115、单项选择题  下述恶性肿瘤中,可出现成骨性骨转移的是()

A.鼻咽癌
B.乳腺癌
C.胃癌
D.前列腺癌
E.以上均可


点击查看答案


116、单项选择题  十二指肠球后狭窄的最常见原因为()

A.结核
B.胰头肿瘤
C.局限性炎症
D.球后溃疡
E.良性肿瘤


点击查看答案


117、多项选择题  X线经被照体形成X线信息影像,其质量决定于()

A.被照体的厚度与密度
B.被照体的原子序数
C.X线的散射状况
D.被照体的形状
E.X线的量


点击查看答案


118、单项选择题  下述空泡征知识,哪项不对()

A.大小为1mm至数毫米
B.病理基础为小空洞
C.常见于肺腺癌或细支气管肺泡癌
D.胸片上为低密度透光区
E.病理基础为残存的正常含气肺泡组织或小支气管


点击查看答案


119、单项选择题  

男,63岁,进行性吞咽困难1月。食管钡餐示:食管下段粘膜不规则充盈缺损,管腔狭窄,贲门扩张欠佳。

病变侵及食管的()

A.粘膜层
B.粘膜下层
C.肌层
D.外膜
E.粘膜肌层


点击查看答案


120、单项选择题  在胸部右前斜位片反映右心室增大的早期征象是()

A.肺动脉圆锥部膨突
B.心前缘膨隆
C.心前下间隙缩小
D.膈面延长
E.无特异性


点击查看答案


121、填空题  腕骨骨折以_______最多见,脱位以_______最多见。


点击查看答案


122、多项选择题  下列哪些不属正常肺纹理影像()

A.肺纹理增多
B.肺纹理减少
C.肺纹理缺乏
D.肺纹理聚拢
E.下肺纹理比上肺纹理多


点击查看答案


123、单项选择题  

男,根据其正常骨盆影像图像,判断其最可能的年龄()

A.6岁左右
B.30岁左右
C.12岁左右
D.18岁左右
E.24岁左右


点击查看答案


124、单项选择题  

男,18岁,被人殴打后胸痛,结合胸片,最可能的诊断是()

A.血气胸
B.气胸
C.胸腔积液
D.肺气肿
E.肺挫伤


点击查看答案


125、多项选择题  淋巴瘤纵隔肿大淋巴结的分布以哪组最常见()

A.前纵隔
B.支气管旁组
C.气管与支气管组
D.隆突下组
E.中纵隔组


点击查看答案


126、单项选择题  

女,12岁,咳嗽、低热2月余,结合胸片,最可能的诊断是()

A.血行播撒型肺结核
B.两肺含铁血黄素沉着
C.间质性肺炎
D.支气管肺炎
E.风心二狭


点击查看答案


127、单项选择题  

男,21岁,慢性膝关节疼痛,活动受限,皮肤多处青紫,结合图像,最可能的诊断是()

A.痛风
B.类风湿关节炎
C.退行性骨关节病
D.白血病
E.血友病性关节炎


点击查看答案


128、名词解释  膈膨升


点击查看答案


129、单项选择题  下述完全性肺静脉异位引流的特点,错误的是()A.有房间隔缺损

B.左上腔静脉永存
C.右心房、右心室增大
D.双房影
E.膈下引流多数入门静脉,少数入下腔静脉


点击查看答案


130、单项选择题  主动脉型心脏见于()

A.主动脉瓣病变
B.高血压
C.主动脉缩窄
D.引起左心室增大的疾病
E.以上都是


点击查看答案


131、判断题  早期结肠癌的最佳检查方法是钡剂灌肠。


点击查看答案


132、多项选择题  可进行功能位检查的是哪些部位()

A.颈椎
B.下颌关节
C.胰腺
D.颞骨
E.胆囊


点击查看答案


133、单项选择题  X线诊断心包积液较可靠方法是()

A.左前斜位X线片看室间沟深浅
B.心影是否呈烧瓶样
C.右前斜位吞钡食管压迹有无加深
D.透视下心脏搏动情况
E.以上都不是


点击查看答案


134、单项选择题  

患者,12岁,跌倒时手掌撑地。查:肘关节半屈状,肘肿胀压痛,外突畸形,肘后三角存在,桡动脉搏动正常。

最适当的治疗方法是()

A.立即切开筋膜减压
B.切开复位、内固定
C.手法复位,石膏固定
D.手法复位即可
E.手术探查肱动脉,同时行骨折复位、内固定


点击查看答案


135、单项选择题  不出现Schmort结节的疾病是()

A.强直性脊柱炎
B.溶骨性脊椎转移瘤
C.椎间盘脱出症
D.类风湿关节炎
E.脊柱退行性骨关节病


点击查看答案


136、多项选择题  引起纵隔血肿的原因为()

A.车祸挤压伤
B.主动脉瘤破裂
C.咽后壁出血
D.自发性纵隔血肿
E.主动脉夹层破裂


点击查看答案


137、多项选择题  主动脉瘤的X线征象有()

A.纵隔阴影增宽
B.动脉瘤的搏动
C.瘤壁的钙化
D.侵蚀脊柱、肋骨或胸骨
E.心脏呈"主动脉型"改变


点击查看答案


138、单项选择题  

关于X线物理效应的说法,哪项是正确的()
a.穿透作用
b.电离作用
c.荧光作用
d.热作用
e.干涉与衍射作用

A.a,b,c
B.a,b,e
C.a,d,e
D.b,c,d
E.a~e全部


点击查看答案


139、判断题  十二指肠结核好发于十二指肠的上升部。


点击查看答案


140、多项选择题  中等量心包积液时可见的X线征象为()

A.心影普遍增大
B.上纵隔影变短变宽
C.心尖搏动减弱或消失
D.主动脉搏动正常
E.肺纹理正常或减少


点击查看答案


141、填空题  在纵隔肿瘤中,比较常见的有_____________、__________、________和__________)等。


点击查看答案


142、单项选择题  下列哪项X线征象中,提示骨折不愈合()

A.骨痂形成少
B.软组织块影
C.骨折断端光滑硬化,无骨痂
D.骨膜反应
E.骨折线模糊


点击查看答案


143、问答题  小肠功能紊乱的X线表现有哪些?


点击查看答案


144、多项选择题  骨折的并发症和后遗症有()

A.神经、血管损伤
B.外伤后骨质疏松
C.骨缺血性坏死
D.创伤性骨关节病
E.延迟愈合或不愈合


点击查看答案


145、单项选择题  骨膜增生的X线表现中,无以下哪种形状()

A.垂直状
B.放射状
C.花边状
D.斑点状
E.平行状


点击查看答案


146、多项选择题  属于关节退行性变的X线表现有()

A.骨性关节面边缘骨不规整
B.软骨下骨质囊变
C.关节间隙狭窄
D.关节间隙增宽
E.以上都不是


点击查看答案


147、判断题  特发性肥大性骨关节病和继发性肥大性骨关节病的X线表现相同,主要为管状骨对称性骨膜新生骨。


点击查看答案


148、单项选择题  下列有关骨折基本X线征象中,哪项错误()

A.密度增高骨折线
B.骨小梁扭曲/中断
C.密度减低骨折线
D.碎骨片
E.骨骺移位


点击查看答案


149、单项选择题  IVP示肾盂呈杵状,则可排除下列哪项()

A.肾乳头坏死
B.慢性肾盂肾炎
C.肾结石
D.肾盂积水
E.肾盂肿瘤


点击查看答案


150、多项选择题  肾盂逆流包括()

A.肾乳头管逆流
B.肾小管逆流
C.肾窦逆流
D.肾盂淋巴管逆流
E.肾盂静脉逆流


点击查看答案


151、单项选择题  “表浅溃疡和粘膜斑”见于下述哪种疾病()

A.克罗恩病
B.Behcet病
C.假膜性结肠炎
D.肠结核
E.结肠癌


点击查看答案


152、单项选择题  摄四肢长管状骨X线片至少应包括()

A.患骨全程 
B.不必拍正位片 
C.邻近两个关节 
D.不必包括关节 
E.邻近一个关节


点击查看答案


153、单项选择题  下列关于肺部霉菌病的影像特点,正确的是()

A.常侵犯胸膜、胸壁,形成瘘道        
B.中下肺斑点状、云雾状影        
C.两肺粟粒样病灶        
D.空洞内有“霉菌球”        
E.双肺磨砂玻璃样改变


点击查看答案


154、单项选择题  

女,12岁,咳嗽一天,无畏寒、发热,如图所示,最可能的诊断为()

A.肺静脉异位引流
B.畸胎瘤
C.正常胸腺
D.右中肺不张
E.以上均不正确


点击查看答案


155、单项选择题  心脏摄片,宜采用的呼吸方式为()

A.浅呼吸屏气
B.深呼气屏气
C.深吸气屏气
D.平静呼吸屏气
E.腹式呼吸屏气


点击查看答案


156、单项选择题  

男,58岁,咳嗽、气促3月余,吸烟20余年,结合胸片最可能的诊断是()

A.肺癌
B.胸膜间皮瘤
C.肺结核
D.错构瘤
E.结节病


点击查看答案


157、单项选择题  下列关于肺转移瘤的描述哪项是错误的()

A.人体许多部位的原发性肿瘤都可转移至肺内
B.血行转移X线表现为两中下肺野散在小结节或球形阴影
C.血行转移多见于肝癌、胰腺癌、甲状腺癌或绒癌等
D.淋巴转移X线表现为两中下肺野多发小结节、粟粒状或网格状阴影
E.以上都不是


点击查看答案


158、多项选择题  肺结核病可以见到的空洞为()

A.厚壁空洞
B.薄壁空洞
C.虫蚀样空洞
D.空洞内有球形内容物
E.偏心性空洞


点击查看答案


159、单项选择题  下列哪种疾病可无纵隔移位()

A.渗出性胸膜炎
B.胸膜间皮瘤
C.巨大肺肿瘤
D.白血病改变
E.转移性胸膜肿瘤


点击查看答案


160、单项选择题  两肺野透明度减低,如磨砂玻璃样,肺门阴影大而模糊,两肺门上出现向上的鹿角状血管影,应首先考虑为()

A.肺充血
B.肺淤血
C.肺气肿
D.肺缺血
E.肺水肿


点击查看答案


161、单项选择题  肺癌最常见的转移途径是()

A.血行转移
B.直接蔓延
C.支气管播散
D.淋巴转移
E.以上都不是


点击查看答案


162、单项选择题  

男,68岁,患“胃炎”20余年,因突然出现全腹剧烈疼痛,病人被动屈曲位,初体温正常,后出现最高体温38.5℃,脉搏110次/分,查体:腹式呼吸减弱,腹肌紧张不明显,全腹压痛、反跳痛,以上腹部为重;X线立位平片示小肠普遍胀气,并见小液气平面,膈下见游离气体。

如暂时以非手术治疗为主,病人体位应是()

A.仰卧位
B.头低足高位
C.平卧位
D.半卧位
E.无特殊要求


点击查看答案


163、单项选择题  引起右心房增大的病因有()

A.三尖瓣关闭不全
B.右心室衰竭
C.三尖瓣狭窄或闭锁
D.三尖瓣下移
E.以上都是


点击查看答案


164、多项选择题  肺结核患者,可见到哪些病理X线征象()

A.增殖性改变
B.纤维性改变
C.钙化性改变
D.空洞性改变
E.渗出性改变


点击查看答案


165、单项选择题  

女,50岁,手指关节肿痛,晨僵,结合图像,最可能诊断是()

A.关节结核
B.牛皮癣性关节炎
C.痛风性关节炎
D.类风湿关节炎
E.Reiter综合征


点击查看答案


166、单项选择题  下列关于胸膜斑知识,哪项正确()

A.接触石棉15年左右出现
B.常累及壁层胸膜
C.10cm以上
D.多数厚度大于2cm
E.边缘模糊


点击查看答案


167、单项选择题  下述哪种心脏病不引起两肺门增大()

A.房间隔缺损
B.室间隔缺损
C.肺源性心脏病
D.肺动脉狭窄
E.动脉导管未闭


点击查看答案


168、单项选择题  下列关于造影剂的分类组合,错误的是()

A.硫酸钡——阳性造影剂
B.泛影葡胺——无机碘化合物
C.碘苯酯——碘化油类
D.空气、二氧化碳、氧气——阴性造影剂
E.胆影葡胺——有机碘造影剂


点击查看答案


169、多项选择题  血供丰富的肝转移癌多表现为()

A.供血血管增粗
B.动静脉瘘
C.病理血管
D.肿瘤染色
E.血管受压弯曲


点击查看答案


170、单项选择题  

男,35岁,上腹部反复疼痛伴进行性黄疸,加重1周,呕血1次。体检:巩膜及全身皮肤中度黄染,肝区及脾区有轻压痛,叩击痛,结合图像,最可能的诊断为()

A.正常食管
B.食管静脉曲张
C.食管胃底静脉曲张
D.贲门失弛缓
E.食管贲门癌


点击查看答案


171、单项选择题  

男,46岁,腹部不适多年,结合图像,最可能的诊断为()

A.正常空肠
B.空肠结核
C.克罗恩病
D.空肠多发憩室
E.空肠占位


点击查看答案


172、单项选择题  关于奇叶描述错误的是()

A.只见于右肺上叶纵隔侧
B.没有独立的支气管
C.奇叶的叶间裂共有四层胸膜
D.可以独立为一个肺叶
E.由右肺尖走向右肺门上方的奇静脉分隔形成


点击查看答案


173、名词解释  代谢性骨病


点击查看答案


174、问答题  眼眶平片适应于哪些疾病的X线检查?如何进行眼眶平片分析?


点击查看答案


175、单项选择题  

男,22岁,膝部酸痛、肿胀,结合图像,最可能的诊断是()

A.纤维性骨皮质缺损
B.嗜酸性肉芽肿
C.非骨化性纤维瘤
D.软骨黏液样纤维瘤
E.骨样骨瘤


点击查看答案


176、多项选择题  使用滤线栅的注意事项,正确的是()

A.使用聚集式滤线栅时不可倒置
B.X线中心线必须垂直于栅板平面
C.倾斜中心线摄片时倾斜的方向与栅排列方向垂直
D.摄片距离在栅焦距的允许范围内
E.相应增加摄片kV值或mAs


点击查看答案


177、单项选择题  下列肿瘤性病变中,不属于椎管髓内肿瘤范畴的是()

A.室管膜瘤
B.血管母细胞瘤
C.星形细胞瘤
D.少突神经胶质瘤
E.神经纤维瘤


点击查看答案


178、配伍题  经皮穿刺肾造瘘术适应证()
经皮穿刺肾造瘘术并发证()
经皮穿刺肾造瘘术禁忌证()

A.上尿路梗阻
B.B超导引
C.脾脓肿
D.上尿路穿孔
E.肾癌


点击查看答案


179、多项选择题  关于乳房脓肿切开引流,下列哪些是正确的()

A.一般应作放射状切开
B.乳晕下脓肿应沿乳晕边缘作弧形切口
C.乳腺后脓肿可沿乳腺下缘作弧形切口
D.脓腔较大时,可在脓腔的最低部位另加切口作对口引流
E.以上都对


点击查看答案


180、判断题  Wolfe认为在P2和DY型的乳腺,其乳腺癌发病率明显高于NoP1型。


点击查看答案


181、单项选择题  

男,80岁,脐周隐痛反复发作半年,加重1月,体检:脐周压痛,以脐上为主,无反跳痛,结合图像,最可能的诊断为()

A.正常表现
B.胃炎
C.胃癌
D.笔杆征
E.降段憩室


点击查看答案


182、多项选择题  以被照体姿势命名的位置有()

A.经眶位
B.前弓位
C.蛙式位
D.谢氏位
E.切线位


点击查看答案


183、判断题  膈膨升主要表现为膈肌矛盾运动和膈的升高。


点击查看答案


184、问答题  电击伤引起的骨损伤的主要X线表现有哪些?


点击查看答案


185、单项选择题  

男,24岁,低热2周,咳少量痰。胸片示右上肺不均密度增高影,其中有空洞形成,血沉45mm/h。

最可能的诊断是()

A.右上肺炎
B.右上肺结核
C.右上肺癌
D.右上肺囊肿
E.右上肺脓肿


点击查看答案


186、判断题  甲状旁腺功能亢进患者多数有骨骼病变,主要表现为骨质疏松。


点击查看答案


187、单项选择题  下述结核瘤的特点,错误的是()

A.较高密度,可有钙化
B.可有偏心的小空洞形成
C.常有卫星灶,胸壁侧可有粗大毛刺
D.为2cm以下片状影
E.边缘清晰,可有浅分叶


点击查看答案


188、填空题  脊柱有5个移行带,即__________、_________、________、________和________。


点击查看答案


189、配伍题  肠套叠()
新生儿胃穿孔()
先天性肥厚型幽门狭窄()
先天性十二指肠闭锁()

A.足球征
B.弹簧圈表现
C.双泡征
D.肩样征
E.单泡征


点击查看答案


190、单项选择题  普通X线摄片,胶片吸收的光能中,增感屏的荧光能量占()

A.75%
B.80%
C.85%
D.90%
E.95%


点击查看答案


191、单项选择题  

女,45岁,骶髂部疼痛3月余,结合图像,最可能的诊断是()

A.骶髂关节骨折
B.骶髂关节结核
C.骶髂关节炎
D.骶髂骨骨囊肿
E.骶髂骨骨脓肿


点击查看答案


192、填空题  引起纵隔血肿的原因主要为_______、______________________、_______________________和________________________________。


点击查看答案


193、单项选择题  下列疾病临床特点描述,错误的是()

A.肿块形态随呼吸、体位改变而变化:胃底静脉曲张
B.胃粘膜巨大皱襞:蛋白漏出征
C.胃淋巴瘤:频发呕吐
D.多发疣状隆起:糜烂性胃炎
E.消化道溃疡:卓艾综合征


点击查看答案


194、单项选择题  关于脚气性心脏病,错误的是()

A.肺纹理纤细
B.肺动脉段突出
C.VitB治疗效益显著
D.心影增大呈球形或烧瓶状
E.肺内散在斑片状模糊影


点击查看答案


195、多项选择题  支气管气相可见于()

A.周围型燕麦细胞癌
B.肺透明膜病
C.大叶性肺炎
D.结节病
E.肺水肿


点击查看答案


196、配伍题  中纵隔最常见的肿瘤是()
前纵隔最常见的肿瘤是()
后纵隔最常见的肿瘤是()

A.畸胎瘤
B.胸腺瘤
C.淋巴瘤
D.神经源性肿瘤
E.甲状腺瘤


点击查看答案


197、单项选择题  下列哪项属于静脉肾盂造影的禁忌证()

A.肾盂结石
B.膀胱结石
C.尿道狭窄
D.肾动脉狭窄
E.严重血尿


点击查看答案


198、单项选择题  

男,60岁,因双髋关节反复疼痛2年余,无明显外伤史,X线摄片如图,最可能的诊断是()

A.双髋关节退行性骨关节病
B.双髋关节创伤性关节炎
C.双髋关节特发性骨关节病
D.双髋关节结核
E.神经性关节炎


点击查看答案


199、问答题  肺结核原发综合征的X线表现有哪些?


点击查看答案


200、单项选择题  胸骨左缘第二肋间可闻及连续性机器样杂音,胸片示主动脉弓及肺动脉段突出,肺血增多,最可能的诊断是()

A.房间隔缺损
B.室间隔缺损
C.肺动脉瓣狭窄
D.动脉导管未闭
E.法洛四联征


点击查看答案


201、多项选择题  奇静脉扩大可见于()

A.心包积液
B.三尖瓣狭窄
C.门静脉高压
D.下腔静脉阻塞
E.上腔静脉阻塞


点击查看答案


202、名词解释  白血病带


点击查看答案


203、名词解释  原发综合征


点击查看答案


204、单项选择题  下列哪种疾病不出现左心房增大()

A.二尖瓣狭窄
B.肺动脉瓣狭窄
C.二尖瓣关闭不全
D.室间隔缺损
E.动脉导管未闭


点击查看答案


205、单项选择题  排尿性膀胱尿路造影对诊断下述哪种疾病有价值()

A.膀胱癌
B.外伤性输尿管、肾脏病变
C.反流性肾病
D.多发性尿道结石
E.良性前列腺肥大


点击查看答案


206、单项选择题  眼眶壁一致性骨质疏松常见于()

A.邻近眶窝的颅内病变
B.生长较久的眶内占位病变
C.眶周病变
D.眶转移瘤
E.泪腺肿瘤


点击查看答案


207、单项选择题  胸片显示为双侧性弧形肿块,密度均匀,且无钙化,可能是以下哪种肿瘤()

A.胸内甲状腺肿
B.神经源性肿瘤
C.胸腺瘤
D.淋巴瘤
E.畸胎瘤


点击查看答案


208、多项选择题  外照射防护的基本方法是()

A.固有防护
B.时间防护
C.距离防护
D.个人防护
E.屏蔽防护


点击查看答案


209、单项选择题  X线平片上,肾结石可以表现为()

A.圆形
B.卵圆形
C.桑椹形
D.鹿角形
E.以上都可


点击查看答案


210、单项选择题  易与胰头肿块混淆的是()

A.门腔淋巴结
B.右肾上腺
C.右侧膈肌脚
D.十二指肠
E.胃幽门管


点击查看答案


211、单项选择题  诊断肾下垂时,应做下述哪项检查()

A.腹部立位平片
B.腹部卧位平片
C.静脉肾盂造影后摄立位全尿路片
D.静脉肾盂造影片
E.逆行肾盂造影片


点击查看答案


212、单项选择题  下列疾病与“Zollinger Ellison综合征”无关的是()

A.胃窦胃泌素瘤
B.可有转移性肝肿瘤
C.空肠溃疡
D.支气管肺癌
E.空肠皱襞增厚


点击查看答案


213、单项选择题  发生“碘过敏反应”的症状中,下列哪种最危险()

A.面部潮红 
B.皮肤丘疹 
C.皮肤瘙痒 
D.喉头发痒 
E.喷嚏


点击查看答案


214、单项选择题  X线胶片中感光物质是下列哪组()

A.溴化银
B.氯化银
C.溴化银+碘化银
D.碘化银
E.氟化银


点击查看答案


215、单项选择题  下列肺血改变与疾病的对应关系,哪项不对()

A.肺出血:钩端螺旋体病
B.肺淤血:二尖瓣狭窄
C.肺充血:动脉导管未闭
D.肺缺血:肺动脉狭窄
E.肺血正常:法洛四联征


点击查看答案


216、单项选择题  关于胃溃疡X线表现,错误的是()

A.龛影
B.小弯短缩
C.粘膜集中
D.充盈缺损
E.砂钟胃


点击查看答案


217、多项选择题  关节间隙是由哪些结构组成()

A.骨性关节面上的软骨
B.关节腔
C.滑膜
D.骨性关节面
E.干骺端


点击查看答案


218、单项选择题  

男,6月。出生1月后经常出现喷射状呕吐,为奶块,渐加重。面色消瘦,右上腹部可触及核桃大小硬块。如图,最可能的诊断为()

A.胆总管囊肿
B.肠闭锁
C.先天性幽门肥厚狭窄
D.肠套叠
E.先天性巨结肠


点击查看答案


219、多项选择题  肺纹理缺乏,常见于()

A.肺大泡
B.空洞
C.气胸
D.含气囊肿
E.肺气肿


点击查看答案


220、单项选择题  “多发性骨软骨瘤”诊断要点是()

A.病变局部骨骼增宽
B.无软组织肿胀
C.终生缓慢生长
D.好发于干骺端肌骺线旁
E.属遗传性疾病


点击查看答案


221、单项选择题  正常气管隆突的分叉角度约为()

A.45°~75°
B.55°~85°
C.65°~90°
D.60°~85°
E.60°~75°


点击查看答案


222、单项选择题  下述胃溃疡征象,哪项提示为恶性()

A.粘膜纠集
B.狭颈征
C.项圈征
D.腔外龛影
E.局部胃壁僵硬


点击查看答案


223、单项选择题  胸椎摄片时应包括()

A.上腰椎或下颈椎
B.锁骨
C.肋骨
D.胸骨
E.骨盆


点击查看答案


224、名词解释  食管胃角


点击查看答案


225、单项选择题  腕骨脱位中,以哪一种骨的脱位较多见()

A.舟骨
B.月骨
C.豆骨
D.大多角骨
E.小多角骨


点击查看答案


226、多项选择题  下列组合,正确的是()

A.劳氏位——双15°
B.许氏位——双25°
C.伦氏位——双35°
D.梅氏位——双45°
E.欧文氏位——双55°


点击查看答案


227、单项选择题  关于钼靶X线机的结构的叙述,错误的是()

A.按乳房生理特征设计
B.阳极为散热性好的铜体上嵌以钼
C.阳极倾角为19°
D.阴极接地
E.线焦点


点击查看答案


228、单项选择题  骨样骨瘤由以下哪两部分组成()

A.瘤巢和周围骨质硬化区
B.瘤巢和周围骨质破坏区
C.砂粒样物质和周围骨质破坏区
D.砂粒样物质和周围骨质硬化区
E.瘤巢和砂粒样物质


点击查看答案


229、名词解释  Wimberger征


点击查看答案


230、单项选择题  X线所见成人关节间隙组成是()

A.关节软骨
B.关节腔
C.关节液
D.关节软骨、关节腔和关节液
E.关节软骨、关节液


点击查看答案


231、问答题  肾结石有何X线表现?需与哪些阴影鉴别?


点击查看答案


232、单项选择题  X线管阳极靶面材料的特点不包括下列哪项 ( )

A.原子序数高
B.X线发生效率高
C.熔点高
D.焦点小
E.金属蒸发率低


点击查看答案


233、单项选择题  女,22岁,右上肢内侧肿块1年,体检:右前臂内侧有鹅蛋大小肿块,质硬,压痛不明显,X线表现:右尺骨中段见椭圆形囊状透亮区,内有横行骨嵴,骨皮质变薄,局部骨皮质凹陷,应诊断为下列哪一种病变()

A.孤立性骨囊肿
B.动脉瘤样骨囊肿
C.骨巨细胞瘤
D.软骨黏液样纤维瘤
E.嗜酸性肉芽肿


点击查看答案


234、单项选择题  风湿性心脏瓣膜病二尖瓣狭窄在X线平片上表现为()

A.肺血增多,右心房、室增大,主动脉结小
B.肺血增多,左、右心室增大,主动脉结正常
C.肺血减少,右心房、室增大,主动脉结小
D.肺淤血,左心房、右心室增大,主动脉结小
E.肺淤血,右心房、左心室增大,主动脉结正常


点击查看答案


235、单项选择题  胶片感光发生的光化学反应,实质上属于()

A.水解反应
B.合成反应
C.氧化-还原反应
D.光合作用
E.光化学反应


点击查看答案


236、单项选择题  慢性阑尾炎最主要的X线表现是()

A.盲肠钡剂滞留
B.阑尾压痛
C.阑尾滞留钡剂
D.阑尾粘连固定
E.阑尾结石


点击查看答案


237、单项选择题  关于乳腺癌的X线征象,下列错误的是()

A.肿块,呈毛刺状
B.成簇的钙化
C.皮肤呈橘皮样改变
D.乳头凹陷
E.肿块边缘光滑,见透明晕


点击查看答案


238、单项选择题  

女,3岁,身体发育异常,如图所示,最可能的诊断为()

A.成骨不全
B.粘多糖病
C.软骨发育不全
D.佝偻病
E.侏儒症


点击查看答案


239、单项选择题  

如图,在正常胸部X线影像图像上,该英文字母所代表的肺段为()

A.尖段
B.后段
C.尖后段
D.舌叶上段
E.前段


点击查看答案


240、单项选择题  下列描述与大量心包积液X线征象不符合的是()

A.心脏普遍增大,心缘各弧消失
B.心脏搏动减弱或消失
C.肺淤血改变
D.卧位透视时见心底阴影增宽
E.心影大小短期内可明显改变


点击查看答案


241、单项选择题  

女,49岁,常感胸前区隐痛,X线检查如图,最可能的诊断是()

A.畸胎瘤
B.胸腺瘤
C.淋巴瘤
D.左肺肿瘤
E.胸内甲状腺肿


点击查看答案


242、单项选择题  下列中哪项与颈椎斜位标准片所见不符()

A.第1~7颈椎位于照片长轴正中显示
B.椎弓根投影于椎体正中
C.椎间孔呈卵圆形排列,边缘清晰锐利
D.下颌骨应与椎体重叠
E.椎体骨纹理清晰可见,椎间隙明显易分辨


点击查看答案


243、单项选择题  碘过敏试验方法中,下列哪种方法最可靠()

A.口服试验
B.皮内试验
C.舌下试验
D.眼结膜试验
E.静脉注射试验


点击查看答案


244、单项选择题  X线上,在心膈角发现团状阴影,最常见的是()

A.支气管肺炎
B.心包脂肪垫
C.麻疹肺炎
D.心包囊肿
E.心包憩室


点击查看答案


245、名词解释  幼年性结肠息肉综合征


点击查看答案


246、名词解释  Zollinger-Ellison综合征


点击查看答案


247、单项选择题  X线机机房墙壁主防护厚度应达到的铅当量是()

A.1mmpb
B.2mmpb
C.3mmpb
D.4mmpb
E.5mmpb


点击查看答案


248、单项选择题  

男,56岁,胸痛2月余,最近感右臂疼痛、活动受限,胸片如图,最可能的诊断是()

A.右肺癌
B.右上肺不张
C.右肺上沟瘤
D.右侧胸膜肥厚
E.右肺结核


点击查看答案


249、单项选择题  大剂量静脉肾盂造影的禁忌证下列哪项应除外()

A.严重的心血管疾患
B.甲状腺功能亢进者
C.腹部有巨大肿块者
D.骨髓瘤合并肾衰竭
E.碘过敏试验阳性者


点击查看答案


250、单项选择题  右前斜位片上心脏后缘自上而下依次为()

A.左心房、左心室
B.左心房、右心房
C.右心房、左心室
D.右心房、左心房
E.右心房、右心室


点击查看答案


251、多项选择题  以下哪种骨骼兼有膜内骨化和软骨内骨化()

A.颅盖骨
B.股骨
C.下颌骨
D.指骨
E.锁骨


点击查看答案


252、单项选择题  肺循环血量增多,而左心室和体循环血流减少的是()

A.法洛四联征
B.肺动脉狭窄
C.房间隔缺损
D.室间隔缺损
E.动脉导管未闭


点击查看答案


253、单项选择题  下列关于“Albright综合征”描述中,哪项错误()

A.多骨受累
B.骨干变形
C.毛玻璃样密度,偶有钙化
D.平片可见到囊样透亮区
E.少数可恶变


点击查看答案


254、填空题  1998年8月中华结核病学会制定的结核病分类法将结核病分为________________、________________、______________、________________和_______________。


点击查看答案


255、填空题  心包囊肿囊肿壁菲薄透明,外壁为______________,内壁为_______________,内含_________或__________液体。


点击查看答案


256、单项选择题  下述骨骼疾病可引起胸椎旁软组织肿胀,哪项除外()

A.强直性脊柱炎
B.胸椎结核
C.嗜酸性肉芽肿
D.胸椎转移瘤
E.神经鞘瘤


点击查看答案


257、判断题  右心衰竭时肺内可无充血征象。


点击查看答案


258、多项选择题  哪些是慢性胃溃疡恶变的征象()

A.龛影周围出现小结节状充盈缺损,犹如指压迹
B.龛影周围粘膜皱襞呈杵状增粗或中断
C.龛影变为不规则或边缘出现尖角征
D.治疗过程中龛影逐渐增大
E.龛影周围粘膜纠集,呈辐射状


点击查看答案


259、单项选择题  下列关于“长管状骨结核”的描述,哪项错误()

A.好发于骨干
B.砂粒样死骨
C.易侵犯关节
D.骨质破坏为主
E.骨膜反应轻微


点击查看答案


260、判断题  骨髓瘤患者尿中的凝溶蛋白(Bence-Jones)均为阳性。


点击查看答案


261、判断题  肾返流是肾盂造影检查中出现的一种异常X线表现。


点击查看答案


262、单项选择题  下列病变中,斜位吞钡检查,不形成食管压迹的是()

A.食管癌
B.胸腺瘤
C.迷走右锁骨下动脉
D.左心房增大
E.主动脉瓣关闭不全


点击查看答案


263、名词解释  赖特(Reiter)综合征


点击查看答案


264、单项选择题  左前斜位,心脏后缘自上而下依次为()

A.左心房、右心室
B.左心房、右心房
C.右心房、左心室
D.右心房、右心室
E.左心房、左心室


点击查看答案


265、单项选择题  

女,3岁,低热、咳嗽2月余,结合胸片,最可能的诊断为()

A.原发综合征
B.肺门淋巴结核
C.淋巴瘤
D.支原体肺炎
E.间质性肺炎


点击查看答案


266、单项选择题  肺动脉狭窄的X线平片表现为()

A.肺血增多,右心房、室增大,主动脉结小
B.肺血增多,左、右心室增大,主动脉结正常
C.肺血减少,右心房、室增大,主动脉结小
D.肺淤血,左心房、右心室增大,主动脉结小
E.肺淤血,右心房、左心室增大,主动脉结正常


点击查看答案


267、判断题  左侧肾脊角比右侧略大,女性者又较男性略大。


点击查看答案


268、单项选择题  造影示“膀胱挛缩”,则可排除()

A.浸润型膀胱癌
B.前列腺肥大
C.膀胱结核
D.盆腔炎
E.膀胱炎


点击查看答案


269、判断题  三尖瓣下移畸形多数伴有心房间的异常孔道,多为卵圆孔未闭。


点击查看答案


270、多项选择题  单侧肺透亮度增加,可见于()

A.肺含铁血黄素沉着病
B.Macleod病
C.镰刀综合征
D.乳癌根治术后
E.脊柱侧弯


点击查看答案


271、单项选择题  剥脱性骨软骨炎好发于()

A.股骨内外侧髁
B.肱骨小头
C.跖骨
D.股骨头
E.距骨滑车


点击查看答案


272、单项选择题  关于食管癌的基本X线征象的说法,错误的是()

A.粘膜皱襞紊乱、破坏
B.不规则腔内充盈缺损
C.管壁僵直,蠕动消失
D.纵隔内软组织肿块
E.恶性溃疡龛影


点击查看答案


273、单项选择题  光电效应是下列哪种作用的结果()

A.X线光子与原子的内壳层轨道电子
B.X线光子与原子核
C.高速电子与原子轨道电子
D.高速电子与原子核
E.高速电子与高速电子


点击查看答案


274、判断题  回肠胀气扩张的特点为粘膜皱襞排列稀疏或皱襞消失,呈光滑的管状。


点击查看答案


275、单项选择题  眼眶骨折多见于()

A.外侧壁和顶壁
B.内侧壁和底壁
C.内侧壁和顶壁
D.底壁和外侧壁
E.顶壁和底壁


点击查看答案


276、多项选择题  PACS系统的基本组成包括下列那项()

A.影像存储  
B.影像输入 
C.检索、应用
D.影像采集 
E.影像输出


点击查看答案


277、单项选择题  肺纹理主要解剖成分是()

A.支气管
B.肺静脉
C.肺动脉
D.肺静脉、支气管
E.肺动脉、肺静脉


点击查看答案


278、单项选择题  

女,1岁,身体发育异常,如图所示,最可能的诊断为()

A.成骨不全
B.粘多糖病
C.软骨发育不全
D.佝偻病
E.侏儒症


点击查看答案


279、判断题  成人脊椎结核好发于腰椎,常仅侵犯邻近两个椎体。


点击查看答案


280、填空题  室间隔缺损根据血流动力学可分为__________、__________、__________、_____________。


点击查看答案


281、名词解释  革袋胃


点击查看答案


282、单项选择题  “钡餐检查”前,一般不需要()

A.了解病史,带上以往检查资料 
B.清洁灌肠  
C.不给予影响消化道功能的药物 
D.检查前1周内不吃高密度食物、药物
E.禁食、禁水12小时


点击查看答案


283、填空题  儿童期大骨节病依据发病的解剖部位分为__________、__________、_________和__________。


点击查看答案


284、单项选择题  ⅣP的简称是()

A.腹部平片
B.逆行性肾盂造影
C.静脉性尿路造影
D.膀胱造影
E.尿道造影


点击查看答案


285、多项选择题  二尖瓣狭窄或(和)关闭不全时,胸片可见到的表现有()

A.肺内无结节状影
B.肺内含铁血黄素沉着
C.间隔线
D.上肺静脉增粗,下肺静脉变细
E.肺动脉段凹陷


点击查看答案


286、问答题  简述子宫输卵管结核的X线表现?


点击查看答案


287、单项选择题  眼球异物定位检查的主要目的是()

A.确定有无异物
B.确定异物的大小
C.确定异物的位置
D.确定异物的性质
E.确定手术方案


点击查看答案


288、单项选择题  下述肺动脉瓣狭窄典型影像,哪项不对()

A.左肺门影增大
B.轻度狭窄时,肺血管影可正常
C.支气管动脉循环增强
D.右室小
E.心室收缩时,肺动脉瓣小叶呈圆顶状


点击查看答案


289、多项选择题  典型的二尖瓣关闭不全患者的X线表现有()

A.左心房和左心室增大为主
B.伴有右心室增大
C.左心房呈中度到重度增大
D.肺淤血
E.病变晚期可见明显的肺循环高压


点击查看答案


290、单项选择题  

女,17岁,有支气管炎,蛋白尿(++++),结合图片,最可能的诊断()

A.特发性含铁血黄素沉着
B.韦格肉芽肿
C.肺梗死
D.特发性肺间质纤维化
E.肺-肾综合征


点击查看答案


291、单项选择题  下列通过内听道的神经是哪项()

A.动眼神经
B.三叉神经
C.颜面神经
D.迷走神经
E.舌下神经


点击查看答案


292、单项选择题  下述关于“非骨化性纤维瘤”的描述,错误的是()

A.5~20岁多见
B.多位于股骨、胫骨干骺端
C.卵圆形、多囊样密度减低区
D.无硬化缘
E.无骨膜反应和软组织肿块


点击查看答案


293、单项选择题  下述肺动脉高压的诊断标准,错误的是()

A.肺动脉平均超2.66kPa即可诊断
B.肺动脉平均压>6.65kPa时为重度
C.肺动脉平均压在2.79~3.99kPa时为轻度
D.肺动脉平均压在4.12~6.65kPa时为中度
E.以上都不是


点击查看答案


294、单项选择题  右前斜位,心脏后缘自上而下依次为()

A.左心房、右心房
B.右心房、左心室
C.右心房、左心房
D.左心房、左心室
E.右心房、右心室


点击查看答案


295、多项选择题  肺结核病的全身中毒症状有()

A.盗汗
B.咯血
C.低热
D.乏力
E.咳嗽


点击查看答案


296、多项选择题  骨折延迟愈合或不愈合常见于()

A.距骨骨折
B.胫骨上1/3骨折
C.舟骨骨折
D.股骨颈骨折
E.肱骨干骨折


点击查看答案


297、填空题  胰腺假性囊肿作为急性胰腺炎的并发症大约在病程的______周内形成,为_______________、_________________所致。


点击查看答案


298、单项选择题  胸腔积液可为()

A.血性
B.脓性
C.乳糜性
D.以上都可以
E.以上都不是


点击查看答案


299、单项选择题  横突骨折最常见的部位()

A.颈椎
B.胸椎
C.腰椎
D.颈胸椎
E.骶椎


点击查看答案


300、名词解释  粘膜线


点击查看答案


题库试看结束后微信扫下方二维码即可打包下载完整版《★医学影像技术(医学高级)》题库
手机用户可保存上方二维码到手机中,在微信扫一扫中右上角选择“从相册选取二维码”即可。
题库试看结束后微信扫下方二维码即可打包下载完整版《医学影像技术(医学高级):X线》题库,分栏、分答案解析排版、小字体方便打印背记!经广大会员朋友实战检验,此方法考试通过率大大提高!绝对是您考试过关的不二利器
手机用户可保存上方二维码到手机中,在微信扫一扫中右上角选择“从相册选取二维码”即可。

微信搜索关注"91考试网"公众号,领30元,获取公务员事业编教师考试资料40G