医学影像技术(医学高级):X线必看考点(每日一练)

时间:2023-03-30 07:26:50

微信搜索关注"91考试网"公众号,领30元,获取事业编教师公务员等考试资料40G
题库试看结束后微信扫下方二维码即可打包下载完整版《★医学影像技术(医学高级)》题库
手机用户可保存上方二维码到手机中,在微信扫一扫中右上角选择“从相册选取二维码”即可。
题库试看结束后微信扫下方二维码即可打包下载完整版《医学影像技术(医学高级):X线》题库,分栏、分答案解析排版、小字体方便打印背记!经广大会员朋友实战检验,此方法考试通过率大大提高!绝对是您考试过关的不二利器
手机用户可保存上方二维码到手机中,在微信扫一扫中右上角选择“从相册选取二维码”即可。

1、单项选择题  下列有关“骨气鼓”特点,哪项错误()

A.常见于小儿患者
B.患骨梭形膨大,密度增高
C.见于骨结核
D.指骨、趾骨等短管状骨多见
E.骨膜反应不明显


点击查看答案


2、单项选择题  幼儿胸部正位摄片,中心线经()

A.第5胸椎
B.第6胸椎
C.第7胸椎
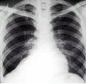
D.胸骨角水平
E.腋中线前5cm水平


点击查看答案


3、单项选择题  下述室间隔缺损的X线表现,错误的是()

A.缺损小者,可无异常
B.左心房增大
C.左右心室扩大
D.肺动脉段突出
E.主动脉结增大


点击查看答案


4、多项选择题  属于常染色体显性遗传的疾病有()

A.软骨发育不全
B.颅锁骨发育不全
C.皮肤骨膜肥厚症
D.马方(Marfan)综合征
E.重型石骨症


点击查看答案


5、名词解释  完全骨折


点击查看答案


6、单项选择题  小肠出血确诊的主要依据为()

A.钡餐透视
B.双重造影
C.CT
D.B型超声
E.血管造影


点击查看答案


7、单项选择题  动脉导管未闭出现右心室肥厚时提示()

A.肺动脉高压
B.心力衰竭
C.肺梗死
D.肺静脉高压
E.肺水肿


点击查看答案


8、多项选择题  经肾脏排泄的对比剂在尿中浓度与哪些因素有关()

A.肾脏的大小
B.肾脏的形态
C.肾脏的功能
D.对比剂的剂量
E.对比剂的浓度


点击查看答案


9、单项选择题  甲状旁腺功能亢进的骨骼改变主要表现是()

A.骨膜下骨质吸收
B.骨质密度普遍减低
C.骨内囊状透光区
D.骨骼变形和病理性骨折
E.软组织异位钙化灶


点击查看答案


10、单项选择题  腹部X线平片上,肠梗阻特征影像表现始于发病后()

A.1~5小时
B.2~4小时
C.5小时
D.6~8小时
E.8~12小时


点击查看答案


11、单项选择题  

男,63岁,进行性吞咽困难1月。食管钡餐示:食管下段粘膜不规则充盈缺损,管腔狭窄,贲门扩张欠佳。

病变侵及食管的()

A.粘膜层
B.粘膜下层
C.肌层
D.外膜
E.粘膜肌层


点击查看答案


12、单项选择题  下列关于肠结核X线征象,错误的是()

A.盲肠缩窄、收缩及变形
B.回肠末端受侵,粘膜破坏
C.回肠病变近侧端可见钡剂滞留,肠管扩张
D.肠道运行正常
E.回盲部可见跳跃征


点击查看答案


13、单项选择题  脊柱结核常见于()

A.青年人
B.儿童
C.幼儿
D.无年龄区别
E.老年人


点击查看答案


14、多项选择题  下列哪几项在乳腺X线平片上可见到()

A.皮肤
B.脂肪
C.乳头
D.乳腺实质
E.淋巴结


点击查看答案


15、单项选择题  额窦透光度以下列哪项为标准()

A.柯氏位为标准
B.汤氏位为标准
C.头颅正位为标准
D.华氏位为标准
E.以上都不对


点击查看答案


16、单项选择题  

男,49岁,心前区阵发性绞痛10天。贫血面容,有胃病史。结合图像,最可能的诊断为()

A.胃癌
B.胃小弯溃疡
C.胃炎
D.胃下垂
E.胃窦癌


点击查看答案


17、问答题  胃溃疡愈合有哪些X线表现?


点击查看答案


18、单项选择题  

男,69岁,咳嗽,胸痛2月余,胸片检查如图,最可能的诊断为()

A.血行播散型肺结核
B.肺转移瘤
C.两肺炎症
D.细支气管肺泡癌
E.结节病


点击查看答案


19、判断题  钙化的位置和形态不可作为颅内肿瘤定位或定性诊断的依据。


点击查看答案


20、问答题  肺叶外型肺隔离症的X线表现有哪些?


点击查看答案


21、单项选择题  

男,63岁,进行性吞咽困难1月。食管钡餐示:食管下段粘膜不规则充盈缺损,管腔狭窄,贲门扩张欠佳。

最可能的诊断是()

A.食管下段炎症
B.食管下段溃疡侵及贲门
C.食管下段癌侵及贲门
D.食管下段静脉曲张
E.以上都不对


点击查看答案


22、单项选择题  急性胆囊炎最常见的原因是()

A.胆囊管过长、扭曲
B.螺旋瓣异常
C.肿瘤压迫
D.胆石嵌顿
E.蛔虫阻塞


点击查看答案


23、单项选择题  43岁,男,上腹隐痛半年,ERCP示主胰管粗细不均、扭曲、僵硬,胆总管下端向内移位,最可能的诊断是()

A.胰腺癌
B.慢性胰腺炎
C.急性胰腺炎
D.胰腺假性囊肿
E.先天性胆总管囊样扩张症


点击查看答案


24、判断题  来自细支气管Clara细胞和Ⅱ型肺泡细胞癌称小细胞癌。


点击查看答案


25、单项选择题  

女,39岁。发现左大腿下段后部有一肿块,质较硬,无明显疼痛感觉,结合所提供的图像,最可能的诊断是()

A.软骨肉瘤
B.软骨瘤
C.骨肉瘤
D.骨软骨瘤
E.骨瘤


点击查看答案


26、单项选择题  关于尘肺,下列知识哪项不对()

A.不规则小阴影,见于非典型矽肺
B.胸膜斑,矽肺主要影像之一
C.长条形大阴影,见于典型矽肺
D.类圆形小阴影,矽肺最常见征象之一
E.不规则小阴影,见于石棉肺、不典型矽肺和其他尘肺


点击查看答案


27、判断题  肺动静脉瘘基本病理改变是扩张的动脉经过菲薄囊壁的动脉瘤囊直接通入扩张的静脉。


点击查看答案


28、单项选择题  

女,根据其正常足的影像图像,判断其最可能的年龄()

A.52岁左右
B.42岁左右
C.12岁左右
D.22岁左右
E.32岁左右


点击查看答案


29、单项选择题  下述“胃淋巴瘤”说法,错误的是()

A.肾门水平以下淋巴结肿大是其与胃癌鉴别点之一
B.增厚的胃壁少有坏死、囊变
C.常有胃周脂肪、脏器受累
D.罕有“白、毛、僵”现象
E.胃是消化道淋巴瘤最好发部位


点击查看答案


30、判断题  梅毒性骨髓炎多发生于短骨。


点击查看答案


31、单项选择题  下述空泡征知识,哪项不对()

A.大小为1mm至数毫米
B.病理基础为小空洞
C.常见于肺腺癌或细支气管肺泡癌
D.胸片上为低密度透光区
E.病理基础为残存的正常含气肺泡组织或小支气管


点击查看答案


32、判断题  胰岛细胞瘤影像学检查的目的在于明确肿瘤发生的部位、肿瘤有无向周围扩散以及有无周围淋巴结和肝转移等。


点击查看答案


33、单项选择题  关于膈肌矛盾运动透视表现,正确的是()

A.吸气时,健侧膈肌下降,病侧上升
B.吸气时,健侧膈肌上升,病侧下降
C.呼气时,健侧膈肌上升,病侧下降
D.呼气时,健侧膈肌下降,病侧上升
E.以上描述都不是 


点击查看答案


34、单项选择题  下列对辐射敏感的组织不包括()

A.卵巢
B.四肢
C.眼晶状体
D.骨髓
E.睾丸


点击查看答案


35、单项选择题  

女,23岁,上腹部疼痛半月,消化不良,X线检查如图,可能的诊断为()

A.十二指肠球部溃疡
B.十二指肠憩室
C.胃窦炎
D.十二指肠癌
E.十二指肠淤积症


点击查看答案


36、单项选择题  下列哪项临床表现对诊断骨髓瘤最有价值()

A.60岁以上的男性
B.全身性疼痛
C.尿中出现本-周氏蛋白
D.进行性贫血
E.血清钙及球蛋白升高


点击查看答案


37、单项选择题  哪种疾病可致肾影缩小()

A.重复肾
B.肾脓肿
C.肾积水
D.肾缺血
E.肾肿瘤


点击查看答案


38、名词解释  肺门舞蹈


点击查看答案


39、单项选择题  心包积液的液体可为()

A.浆液性
B.浆液血性
C.血性
D.乳糜性
E.以上都是


点击查看答案


40、多项选择题  产生X线必须具备的条件是()

A.光电管
B.电子源
C.旋转阳极
D.适当的障碍物(靶面)
E.高压电场和真空条件下产生的高速电子流


点击查看答案


41、多项选择题  骨膜内含有下述哪些组织()

A.血管
B.神经
C.淋巴管
D.成骨细胞
E.破骨细胞


点击查看答案


42、问答题  如何判断肺门阴影是否增大和密度增高?


点击查看答案


43、单项选择题  马蹄肾的两肾长轴()

A.自上内向下外排列
B.自上外向下内排列
C.两肾长轴垂直平行排列
D.两肾长轴横位在同一平面
E.两肾长轴排列没有规律


点击查看答案


44、单项选择题  旋转阳极X线管的代表容量是指三相六脉冲整流中,多少曝光时间所能承受的最大负荷()

A.0.05s
B.0.1s
C.0.5s
D.0.8s
E.1.0s


点击查看答案


45、填空题  痛风关节病变主要为__________、___________和________________,_____________罕见。临床上分3期,即____________________、_____________和_______________________。


点击查看答案


46、多项选择题  下述哪些疾病可引起纤维性椎管狭窄()

A.韧带肥厚
B.椎间盘脱出
C.蛛网膜粘连
D.骨性增生
E.韧带钙化


点击查看答案


47、单项选择题  

如图,在正常胸部X线影像图像上,该英文字母所代表的肺段为()

A.内基底段
B.前基底段
C.外基底段
D.后基底段
E.背段


点击查看答案


48、判断题  椎间盘突出的直接征象之一为硬膜囊、脊髓或神经根受压。


点击查看答案


49、单项选择题  下列气管支气管病变影像特点描述,错误的是()

A.剑鞘状气管,气管扁平状,壁有钙化
B.支气管扩张,病变支气管囊柱状或葡萄状
C.气管软骨瘤,气管腔内软组织肿块
D.气管支气管软化症,气管、支气管狭窄
E.复发性多软骨炎,气管壁增厚、钙化、管腔狭窄


点击查看答案


50、配伍题  左心房增大可见于()
左心室增大可见于()
法洛四联征可见于()

A.左支气管抬高征
B.心后三角消失
C.心尖抬高
D.靴形心脏
E.肺门舞蹈


点击查看答案


51、单项选择题  水平投照指的是()

A.中心线与地面相交
B.中心线与地面垂直
C.中心线与地面重合
D.中心线与地面平行
E.中心线与地面呈角


点击查看答案


52、多项选择题  绞窄性肠梗阻的X线征象为()

A.小跨度卷曲肠袢
B.假肿瘤征
C.咖啡豆征
D.空回肠换位征
E.长液面征


点击查看答案


53、判断题  阻塞性肺气肿为支气管异物的早期征象,常与纵隔摆动同时存在。


点击查看答案


54、填空题  椎弓根峡部不连时,在斜位片上,正常附件的投影形似“猎狗”:被检测横突的投影似___________;椎弓根的轴位投影似一只_________;上关节突的投影似__________;上下关节突之间的峡部似__________;椎弓为____________;同侧和对侧的下关节突似_____________;对侧侧横突为_____________。当峡部出现椎弓裂时,“猎狗”的颈部出现一纵向的_____________。


点击查看答案


55、单项选择题  继发性胆脂瘤多发生于()

A.鼓窦入口
B.外耳道
C.上鼓室
D.中鼓室
E.下鼓室


点击查看答案


56、配伍题  肺动脉瓣位于()
二尖瓣位于()
主动脉瓣位于()

A.平第4前肋或第3前肋间水平
B.相当于第5肋软骨与胸骨右缘连接处
C.在第4肋软骨与胸骨左缘连接处
D.第3前肋水平
E.第4前肋水平


点击查看答案


57、单项选择题  下列组合中,无关的是()

A.蝶鞍——垂体
B.颅中窝——卵圆孔
C.内听道——第Ⅷ神经
D.视神经孔——第Ⅴ脑神经
E.圆孔——上颌神经


点击查看答案


58、名词解释  凡康尼(Fanconi)综合征


点击查看答案


59、配伍题  肠套叠()
新生儿胃穿孔()
先天性肥厚型幽门狭窄()
先天性十二指肠闭锁()

A.足球征
B.弹簧圈表现
C.双泡征
D.肩样征
E.单泡征


点击查看答案


60、单项选择题  “双侧肺血减少”见于()

A.异物吸入
B.肺隔离症
C.中央性肺癌
D.Ebstein畸形
E.Macleod综合征


点击查看答案


61、多项选择题  颞骨X线摄片主要用于观察()

A.中耳
B.蝶鞍
C.颞骨岩部
D.颞骨乳突气房
E.鼻窦


点击查看答案


62、单项选择题  解决常规X线摄片的数字化问题的核心部分是()

A.三维信号的数字采集
B.二维信号的数字采集
C.三维信号的图像采集
D.二维信号的图像采集
E.三维信号的图像处理


点击查看答案


63、多项选择题  下述疾病中可见关节内游离体的是()

A.色素沉着绒毛结节性滑膜炎
B.滑膜骨软骨瘤病
C.神经性关节病
D.非骨化性纤维瘤
E.退行性骨关节病


点击查看答案


64、问答题  何谓肺气肿?X线表现有哪些?


点击查看答案


65、多项选择题  有关摄片距离的叙述,正确的是()

A.焦-片距又称FFD
B.焦-片距增大,模糊度增大
C.焦-物距增大,模糊度增大
D.物-片距减小,模糊度增大
E.焦-物距减小,模糊度增大


点击查看答案


66、单项选择题  

女,12岁,咳嗽一天,无畏寒、发热,如图所示,最可能的诊断为()

A.肺静脉异位引流
B.畸胎瘤
C.正常胸腺
D.右中肺不张
E.以上均不正确


点击查看答案


67、单项选择题  下列关于淋巴瘤的描述,不正确的是()

A.恶性淋巴瘤常侵犯胸部
B.非霍奇金淋巴瘤侵犯纵隔者较少
C.淋巴瘤的淋巴结肿大常为对称性肿大
D.淋巴瘤的淋巴结肿大内可见出血坏死状
E.淋巴瘤可累及肺、心包


点击查看答案


68、单项选择题  IVP检查腹部压迫点的位置是()

A.第1腰椎水平两侧
B.第3腰椎水平
C.两侧髂前上棘连线水平
D.脐上两侧
E.耻骨联合上方3cm


点击查看答案


69、单项选择题  胰腺癌最好发于()

A.胰头
B.胰颈
C.胰体
D.胰尾
E.胰体、尾交界处


点击查看答案


70、单项选择题  金黄色葡萄球菌肺炎特征性X线征象是()

A.两肺多发团片影
B.肺脓肿形成
C.肺气囊形成
D.肺不张
E.脓气胸


点击查看答案


71、多项选择题  有关胸膜的描述哪些是对的()

A.分四部分
B.斜裂胸膜面为一个平面
C.横裂内端止于肺门
D.有肺的部位必有胸膜
E.胸膜腔的界限和肺边缘是不一致的


点击查看答案


72、单项选择题  下述哪种肺炎好发于右心隔角处()

A.支气管肺炎
B.支原体肺炎
C.流感病毒性肺炎
D.腺病毒肺炎
E.麻疹肺炎


点击查看答案


73、单项选择题  脑膜中动脉,通过下列何孔入颅内()

A.卵圆孔
B.破裂孔
C.棘孔
D.视神经孔
E.颈静脉孔


点击查看答案


74、填空题  肠套叠压力整复脱套成功的标准是___________________、_________________、___________________、__________________及_____________。


点击查看答案


75、单项选择题  以下哪项不是滤线栅的特点()

A.图像失真度加大 
B.曝光量加大 
C.图像清晰度降低 
D.要求X线中心线与滤线栅垂直
E.图像对比度下降


点击查看答案


76、多项选择题  哪些征象与良性胃溃疡有关()

A.激惹征
B.胃空腹滞留液较多
C.胃排空速度减慢
D.袖口征
E.肩胛征


点击查看答案


77、单项选择题  眼眶异物定位时,金属标记不应放置在角膜的哪个方位上()

A.3点钟
B.6点钟
C.9点钟
D.10点钟
E.12点钟


点击查看答案


78、判断题  色素沉着绒毛结节性滑膜炎通常为多关节受累,病变关节周围骨质不疏松为其特点。


点击查看答案


79、单项选择题  关于膝关节正位、侧位的标准片所见,哪项是错误的()

A.膝关节正位片包括股骨两髁、胫骨两髁及腓骨小头
B.膝关节正位关节呈平行等距,位于照片正中
C.膝关节正位腓骨小头与胫骨应分开5cm
D.膝关节侧位股骨两髁相重叠,关节位于照片正中
E.膝关节侧位髌骨呈侧位显示,与股骨间隙分离明确,关节面无双边


点击查看答案


80、单项选择题  

男,阴囊下坠不适,胀痛,平卧症状缓解。查体:阴囊下垂松弛,并可触及结节状静脉曲张。

属精索静脉变异的是()

A.汇入肾静脉
B.汇入肝静脉
C.双精索静脉
D.汇入腹腔静脉
E.汇入下腔静脉


点击查看答案


81、单项选择题  下列胸腔积液诊断知识,哪项正确()

A.显示斜裂叶间积液,以侧位片为佳
B.中等量积液常有纵隔移位
C.包裹性积液多位于前胸壁
D.立位胸片,肺底积液呈外高内低的致密影
E.立位胸片,可显示100ml以下积液


点击查看答案


82、单项选择题  

男,14岁。左大腿下段疼痛,伴高热,体温达39℃。查体:左股骨下段深压痛。

该患者最可能的诊断为()

A.左股骨化脓性骨髓炎
B.左股骨结核
C.左股骨骨瘤
D.左股骨骨肉瘤
E.左股骨囊肿


点击查看答案


83、单项选择题  下列“脊柱结核”发病特点中,哪项正确()

A.溶骨性破坏为主
B.中心型,是最常见类型,腰椎多见
C.边缘型,胸椎多见
D.韧带下型,始于后纵韧带
E.附件型少见


点击查看答案


84、问答题  胸腔积液的X线表现为?


点击查看答案


85、多项选择题  下列良性胃溃疡征象有()

A.环堤
B.狭颈征
C.半月征
D.项圈征
E.裂隙征


点击查看答案


86、单项选择题  男,57岁,上腹痛3个月,大便潜血(+)。钡餐显示胃窦向心性狭窄,蠕动消失,未见龛影,粘膜皱襞紊乱、破坏,低张造影局部胃壁无扩张。最可能的X线诊断是()

A.胃痉挛
B.慢性胃窦炎性挛缩
C.胃窦癌
D.胃外肿瘤压迫
E.慢性胃窦溃疡所致挛缩


点击查看答案


87、单项选择题  

男性,10岁。胸闷、气短,呼吸困难。X线检查如图,最可能的诊断为()

A.心包炎
B.心包积液
C.先天性ASD
D.先天性VSD
E.心肌炎


点击查看答案


88、单项选择题  关于脚气性心脏病,错误的是()

A.肺纹理纤细
B.肺动脉段突出
C.VitB治疗效益显著
D.心影增大呈球形或烧瓶状
E.肺内散在斑片状模糊影


点击查看答案


89、多项选择题  肺门阴影的组成,包括()

A.肺动脉
B.肺静脉
C.支气管
D.淋巴组织
E.神经组织


点击查看答案


90、单项选择题  

患者上腹胀满、厌食,查体脾大,腹水征阳性。腹部超声,肝硬化,脾大,腹水。

最可能的诊断()

A.腹膜结核
B.肝炎
C.肝硬化,门脉高压征
D.肝癌
E.胃炎


点击查看答案


91、单项选择题  “骨关节结核”发生部位最少见的是()

A.脊柱
B.长骨骨干
C.短管状骨
D.关节
E.长骨干骺端


点击查看答案


92、单项选择题  关于支气管肺癌,下列描述错误的是()

A.鳞癌多见
B.起源于支气管粘膜上皮
C.周围型肺癌可钙化
D.周围型和中央型肺癌都易出现肺气肿、肺不张
E.周围型肺癌起源于段及段以下支气管


点击查看答案


93、单项选择题  正常胰腺钩突位于()

A.肠系膜上动脉前方
B.脾静脉后方
C.下腔静脉后方
D.十二指肠内侧
E.肠系膜上静脉后方


点击查看答案


94、单项选择题  正常情况下,子宫腔和输卵管内对比剂应在多少时间内排空()

A.12h
B.24h
C.36h
D.48h
E.48h~60h


点击查看答案


95、单项选择题  

男,24岁,低热2周,咳少量痰。胸片示右上肺不均密度增高影,其中有空洞形成,血沉45mm/h。

下列哪项检查对诊断最有意义()

A.血常规
B.痰细菌培养
C.纤维支气管镜
D.痰抗酸杆菌检查
E.血沉


点击查看答案


96、单项选择题  下列有关尤文肉瘤的描述哪项是错误的()

A.好发生于长骨的骨干或干骺端
B.骨髓腔内出现斑片状骨质破坏
C.骨膜呈葱皮样改变
D.破坏区周围常无硬化缘
E.以上都不是


点击查看答案


97、配伍题  石棉肺可见于()
婴幼儿胸腺可见于()
新生儿纵隔气肿可见于()

A.胸膜斑
B.液弧线
C.船帆征
D.三角帆征
E.胸膜皱缩征


点击查看答案


98、单项选择题  下列哪种疾病可致血清酸性磷酸酶升高()

A.畸形性骨炎
B.骨纤维异常增殖症
C.前列腺癌骨转移
D.骨肉瘤
E.以上都不是


点击查看答案


99、判断题  慢性球部溃疡多数可以见到典型的龛影征象。


点击查看答案


100、单项选择题  胸部侧位片肺门区不显影的是()

A.两上叶支气管
B.右上肺静脉干
C.左肺动脉弓
D.左下肺动脉
E.左上肺静脉干


点击查看答案


101、填空题  食管疾病种类繁多,常见的有_____________、_____________及__________三类。


点击查看答案


102、单项选择题  肺静脉高压在胸片上最早表现为()

A.上肺静脉扩张
B.下肺静脉扩张
C.上肺静脉收缩
D.下肺静脉收缩
E.间质性肺水肿


点击查看答案


103、单项选择题  支气管扩张的影像检查,最佳方法是()

A.胸正位片
B.CT检查
C.支气管造影
D.MRI检查
E.高分辨率CT


点击查看答案


104、单项选择题  十二指肠球部溃疡龛影的显示,首选以下哪项()

A.压迫像
B.双重像
C.充气像 
D.卧位充盈像  
E.立位充盈像


点击查看答案


105、单项选择题  胃癌大体形态可分为()

A.浸润型
B.蕈伞型
C.溃疡型
D.以上都是
E.以上都不是


点击查看答案


106、单项选择题  下列关于股骨头骨骺骨缺血坏死的X线表现中,下列哪项错误()

A.股骨头骨骺较小且扁
B.股骨头骨骺密度增高
C.股骨头骨骺节裂
D.关节间隙正常或增宽
E.髋臼边缘骨性破坏


点击查看答案


107、单项选择题  颅骨嗜酸性肉芽肿的特征性X线表现是()

A.多累及额、顶骨,起于板障,渐累及内外板
B.病变破坏外板后可形成软组织肿块
C.病变边缘锐利或呈斜坡样,周边有轻度硬化
D.病变破坏区可跨越颅缝
E.“地图样”颅骨缺损,破坏区内可有"钮扣样"死骨


点击查看答案


108、配伍题  属于肠系膜上动脉分支的有()
属于肠系膜下动脉分支的有()

A.胃左动脉
B.腰动脉
C.肾动脉
D.左结肠动脉
E.右结肠动脉


点击查看答案


109、单项选择题  成人颅内压增高时,蝶鞍的骨质吸收最早发生于()

A.前床突
B.鞍底
C.蝶鞍下部
D.后床突及鞍背
E.鞍结节


点击查看答案


110、问答题  心包积液的X线表现有哪些?


点击查看答案


111、单项选择题  下列选项中哪项是结肠息肉最主要的临床表现()

A.便血
B.呕吐
C.腹胀
D.便秘
E.腹泻


点击查看答案


112、单项选择题  电离电荷易被以下哪种物质收集起来()

A.骨骼
B.气体
C.肌肉
D.肠管
E.体液


点击查看答案


113、单项选择题  胃复合溃疡是指()

A.胃溃疡同时伴发十二指肠溃疡
B.高位溃疡并贲门痉挛
C.幽门前区溃疡并幽门梗阻
D.胃溃疡并出血、穿孔
E.小弯溃疡并慢性胃炎


点击查看答案


114、单项选择题  肋骨斜位摄片,目的是观察()

A.腋中线,肋骨上斜部骨质情况
B.腋中线,肋骨直线部骨质情况
C.腋后线,肋骨弯曲部骨质情况
D.腋前线,肋骨弯曲部骨质情况
E.腋中线,肋骨弯曲部骨质情况


点击查看答案


115、单项选择题  

男,45岁,车祸后左膝部剧痛,活动受限2小时,结合影像学检查,最可能的诊断是()

A.股骨颈骨折
B.股骨下端骨折
C.柯莱斯骨折
D.胫骨骨折
E.腓骨骨折


点击查看答案


116、多项选择题  下列关于肝硬化,正确的描述是()

A.血吸虫性肝硬化,肝裂多增宽
B.肝硬化患者,肝转移癌发生率降低
C.结节性肝硬化有家族倾向
D.肝硬化结节不会癌变
E.肝脏体积可不同程度增大或缩小


点击查看答案


117、单项选择题  胸椎上段侧位的摄片目的是()

A.观察胸椎生理曲度
B.观察第4~6胸椎侧位形态
C.观察第10~12胸椎侧位形态
D.观察第7~9胸椎侧位形态
E.观察第1~3胸椎侧位形态


点击查看答案


118、判断题  主-肺动脉间隔缺损以右心增大为主,主动脉结常缩小。


点击查看答案


119、名词解释  咖啡豆征


点击查看答案


120、单项选择题  医用X线诊断装置的组成不包括()

A.控制器
B.变压器
C.高压发生器
D.专用机械装置
E.影像装置


点击查看答案


121、单项选择题  二尖瓣狭窄的心影X线表现为()

A.靴形
B.球形
C.烧瓶形
D.梨形
E.普大形


点击查看答案


122、单项选择题  下述“骨纤维异常增殖症”影像表现,哪项不对()

A.骨改变以板障增宽为特征
B.囊状膨胀性病变,有硬化缘
C.可有硬化和斑点样钙化
D.病理骨折后,局部囊络”样


点击查看答案


123、单项选择题  

男,根据其正常骨盆影像图像,判断其最可能的年龄()

A.1岁左右
B.4岁左右
C.7岁左右
D.10岁左右
E.13岁左右


点击查看答案


124、单项选择题  下列哪种疾病,无"肺血减少"表现()

A.法洛四联征
B.三尖瓣闭锁
C.房间隔缺损
D.永存动脉干
E.大血管转位


点击查看答案


125、单项选择题  正确的“肱骨髁上骨折”分型是()

A.内收型+外展型+粉碎型
B.屈曲型+内收型+外展型
C.伸直型+外型+粉碎型
D.伸直型+内收型+外展型
E.伸直型+屈曲型+粉碎型


点击查看答案


126、单项选择题  X线表现为粗大树枝样阴影,尖端指向肺门,应考虑()

A.肺气肿
B.肺不张
C.黏液嵌塞征
D.阻塞性肺炎
E.肺门区及纵隔肿块


点击查看答案


127、配伍题  颧骨弓()
胸骨()
肺底积液()

A.立位+卧位
B.立位或水平位
C.侧位+斜位
D.倒立正侧位
E.轴位


点击查看答案


128、判断题  矽结节为直径约3mm左右,轮廓清楚,致密孤立的结节阴影。


点击查看答案


129、单项选择题  胸椎摄片时应包括()

A.上腰椎或下颈椎
B.锁骨
C.肋骨
D.胸骨
E.骨盆


点击查看答案


130、单项选择题  下列“Monteggia骨折”诊断要点,哪项不对()

A.桡骨下1/3骨折伴尺骨小头脱位
B.尺骨上1/3骨折伴桡骨头脱位
C.屈曲型骨折,桡骨头向后外方脱位
D.伸直型骨折,桡骨头向前外方脱位
E.前臂旋转功能障碍


点击查看答案


131、问答题  膈疝的X线表现有哪些?


点击查看答案


132、判断题  非骨化性纤维瘤少数病灶可以自愈。


点击查看答案


133、判断题  骨瘤由分化良好的成熟骨构成,主要起源于膜内化骨。


点击查看答案


134、单项选择题  男,13岁,右髋疼痛2年,右耻、坐骨部疼痛1年。X线表现:右额骨见地图样缺损区,边缘锐利清楚,右坐骨及髋臼下部呈溶骨破坏,坐骨部分消失,最可能的诊断是()

A.黄色瘤病
B.骨纤维异常增殖症
C.骨嗜酸性肉芽肿
D.棕色瘤
E.骨巨细胞瘤


点击查看答案


135、多项选择题  食管裂孔疝的间接X线征象有()

A.食管返流
B.食管胃环
C.食管胃角变钝
D.食管下段迂曲增宽
E.消化性食管炎


点击查看答案


136、单项选择题  

关于X线物理效应的说法,哪项是正确的()
a.穿透作用
b.电离作用
c.荧光作用
d.热作用
e.干涉与衍射作用

A.a,b,c
B.a,b,e
C.a,d,e
D.b,c,d
E.a~e全部


点击查看答案


137、单项选择题  梗阻以上结肠扩张,有宽大液平面,小肠轻度扩张,有少许液平面,最可能的诊断是()

A.单纯性结肠梗阻
B.绞窄性小肠梗阻
C.单纯性小肠梗阻
D.结肠扭转
E.肠套叠


点击查看答案


138、多项选择题  下列哪些器官组织常被筛窦恶性肿瘤侵及()

A.眼眶
B.口腔
C.上颌窦
D.鼻腔
E.蝶窦


点击查看答案


139、判断题  急性出血坏死性胰腺炎并发症发生率高,预后差。


点击查看答案


140、填空题  十二指肠溃疡多发生于球部_______或______,常呈______或_______,直径多在_______mm,溃疡周围有_________、_______及_____________。


点击查看答案


141、单项选择题  下列不宜做子宫输卵管造影的是()

A.不孕症
B.了解输卵管结扎术后效果
C.生殖器官畸形
D.了解子宫出血的原因
E.子宫恶性肿瘤


点击查看答案


142、问答题  支气管扩张X线平片有哪些表现?


点击查看答案


143、单项选择题  纵隔向健侧移位见于()

A.张力性气胸
B.肺不张
C.蜂窝肺
D.一侧肺切除
E.大叶性肺炎


点击查看答案


144、判断题  肾上腺血管造影包括选择性肾上腺动脉造影和肾上腺选择性静脉造影。


点击查看答案


145、单项选择题  影响X线照片影像清晰度的因素,不包括()

A.影像放大率
B.胶片对比度
C.摄片管电压
D.摄片时间
E.是否用造影剂


点击查看答案


146、单项选择题  锁骨正位片:锁骨显示为∽形弯曲为()

A.肩关节旋转所致
B.肩关节抬高所致
C.肩关节外展所致
D.肩关节内收所致
E.肩关节倾斜所致


点击查看答案


147、多项选择题  肺静脉高压的常见X线影像有()

A.间质性肺水肿
B.肺泡性肺水肿
C.肺门减小
D.左房增大
E.含铁血黄素沉着


点击查看答案


148、单项选择题  良性骨肿瘤的最佳检查方法是()

A.X线平片
B.CT
C.MR
D.B超
E.核素检查


点击查看答案


149、名词解释  心胸比例


点击查看答案


150、填空题  软组织积气按其来源可分为___________________、__________________、______________和________________________。


点击查看答案


151、单项选择题  

有外伤史,结合图像,最可能诊断是()

A.Smith骨折
B.尺骨骨折
C.未见异常
D.Colles骨折
E.腕关节脱位


点击查看答案


152、单项选择题  矽肺肺门改变较为典型的征象为()

A.肺门阴影增大
B.肺门阴影密度增高
C.肺门淋巴蛋壳样钙化
D.肺门舞蹈征
E.肺门阴影上提或外移


点击查看答案


153、单项选择题  X线透视的优点,错误的是()

A.可直接观察器官的运动功能
B.可任意旋转病人的体位,多方位进行观察
C.可观察身体组织的细微变化
D.操作简单,立即可得结果
E.费用低廉


点击查看答案


154、单项选择题  下列哪种肱骨骨折多见于儿童,且为肘部最常见骨折()

A.肱骨外科颈骨折
B.肱骨骨干骨折
C.肱骨髁上骨折
D.肱骨远端全骨骺分离
E.肱骨头骨骺分离


点击查看答案


155、单项选择题  通常所说的肺内结节性病灶,直径应为()

A.≤0.5cm
B.≤1cm
C.1~4cm
D.4~6cm
E.≥6cm


点击查看答案


156、单项选择题  乳腺癌最常见的病理类型是()

A.髓样癌
B.黏液癌
C.浸润性小叶癌
D.浸润性导管癌
E.湿疹样癌


点击查看答案


157、多项选择题  诊断学综合评价标准中要求有()

A.成像技术标准
B.影像显示标准
C.重要的影像细节
D.体位显示标准
E.受检者剂量标准


点击查看答案


158、单项选择题  肺部转移瘤可来自()

A.血行转移
B.淋巴转移
C.邻近器官直接蔓延
D.以上都是
E.以上都不是


点击查看答案


159、多项选择题  脊椎退行性变的病理改变中,包括哪项()

A.椎间盘退行性变
B.椎间关节退行性变
C.韧带退行性变
D.脊椎骨骼改变
E.脊椎结核、肿瘤病变


点击查看答案


160、问答题  泌尿系统X线检查有哪些方法?各有何优势与限度?


点击查看答案


161、单项选择题  

男,52岁,体检胸片如图,最可能的诊断是()

A.肺不张
B.胸膜肥厚
C.包裹性积液
D.肺炎
E.气胸


点击查看答案


162、单项选择题  肺叶内型肺隔离症静脉回流多经()

A.肺静脉
B.下腔静脉
C.上腔静脉
D.奇静脉
E.半奇静脉


点击查看答案


163、多项选择题  常见的颅壁压迹有()

A.导静脉压迹
B.脑回压迹
C.脑膜中动脉压迹
D.蛛网膜颗粒压迹
E.大脑中动脉


点击查看答案


164、单项选择题  

男,5岁。发热、胸痛、胸闷、气促。X线检查如图,最可能的诊断为()

A.右侧胸膜间皮瘤
B.右侧肺脓肿
C.右侧包裹性积液
D.右侧肺不张
E.右侧气胸


点击查看答案


165、单项选择题  胸膜斑最好发于()

A.肺尖部胸膜
B.后胸壁胸膜
C.纵隔胸膜
D.侧胸壁和膈肌胸膜部分
E.前胸壁胸膜


点击查看答案


166、问答题  大叶性肺炎的X线表现有哪些?


点击查看答案


167、单项选择题  肘关节脱位中,哪种脱位最少见()

A.后外方脱位
B.侧方脱位
C.后方脱位
D.后内方脱位
E.以上都是


点击查看答案


168、多项选择题  退行性骨关节病中四肢大关节的X线表现是()

A.承重区变凹变扁
B.关节面下囊肿
C.非承重区骨质增生
D.关节腔有游离体
E.关节间隙变窄


点击查看答案


169、单项选择题  下述“尤文肉瘤”知识,哪项正确()

A.成年人多见
B.常有骨、肺转移
C.常有特征性骨膜反应
D.好发于长骨干骺端
E.髓腔内可有成骨性改变


点击查看答案


170、单项选择题  下列哪种方法是“眶内异物定位”,最常用的()

A.头颅侧位定位法 
B.术中定位法 
C.CT定位法 
D.几何定位法 
E.超声定位法


点击查看答案


171、判断题  食管少量充钡,粘膜皱襞表现为数条横向、相互平行的纤细条纹状阴影。


点击查看答案


172、单项选择题  下列正常肺纹理的表现,哪项是错误的()

A.上肺纹理细,下肺纹理粗
B.肺纹理呈树枝状,越分越细
C.右下肺纹理比左下肺纹理明显
D.两上肺纹理相比,右上比左上多
E.肺纹理向下伸延,可与肝影重叠


点击查看答案


173、问答题  心脏各房室增大的X线表现有哪些?


点击查看答案


174、判断题  眼眶蜂窝织炎X线平片检查多见明显骨质破坏。


点击查看答案


175、单项选择题  关于肺不张影像,下列哪项不对()

A.叶间裂移位
B.同侧横膈抬高
C.患侧肋间隙增宽
D.肺门移位
E.纵隔可向患侧移位


点击查看答案


176、单项选择题  关于支气管哮喘,下列要点错误的是()

A.发作间期,肺功能可正常
B.发作时,胸片示肺动脉高压表现
C.感染时,胸片有明显轨道征
D.发作期,肺血流量、通气量比值有所改善
E.呼气相,中心支气管不对称性萎陷


点击查看答案


177、单项选择题  大叶性肺炎患者,肺门影应()

A.肺门影上移
B.肺门影正常
C.肺门影下移
D.肺门影增大
E.肺门影缩小


点击查看答案


178、单项选择题  

男,6岁,来自干旱地区,腰背疼痛四肢关节酸痛,结合图像,最可能的诊断是()

A.氟骨症
B.畸形性骨炎
C.石骨症
D.髋关节结核
E.甲状旁腺功能亢进


点击查看答案


179、单项选择题  股骨属于()

A.长管状骨
B.扁骨
C.不规则骨
D.短管状骨
E.以上都是


点击查看答案


180、多项选择题  “肠套叠灌肠复位”适应证有()

A.全身情况尚好
B.果酱油色便
C.大量血便
D.了解结肠以下低位套叠
E.套叠时间较长


点击查看答案


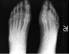
181、单项选择题  

男,56岁,发现右足第一跖趾关节反复突发性红、肿、热、剧痛5年,行右足摄片,如下图示,最可能的诊断是()

A.类风湿关节炎
B.退行性骨关节病
C.踇外翻滑囊炎
D.痛风
E.骨结核


点击查看答案


182、判断题  蝶窦在颅底位和侧位像可以显示,两侧多不对称。


点击查看答案


183、单项选择题  胰腺癌淋巴结转移最常见于()

A.胃周淋巴结
B.下腔静脉周围淋巴结
C.腹主动脉旁淋巴结
D.肝门区淋巴结
E.腹腔动脉周围淋巴结


点击查看答案


184、填空题  组织学上将原发性肝癌分为__________、____________和___________。


点击查看答案


185、单项选择题  下列选项中,主要在瓦氏位摄片显示的是()

A.乳突、中耳气房
B.额窦、眼眶周围骨质 
C.上颌窦、筛窦、额窦  
D.视神经孔、后组筛窦 
E.内听道、蝶鞍、枕骨


点击查看答案


186、单项选择题  下列与气管、支气管异物相关影像,哪项不对()

A.膈肌矛盾运动
B.肺门影增大
C.肺不张
D.肺气肿
E.纵隔摆动


点击查看答案


187、单项选择题  

男,65岁,咳嗽,右胸痛,痰中带血丝1周。胸部后前位片示:右肺门影增大,右上肺大片状致密影,水平裂呈反“S”样改变。

被阻塞的支气管()

A.右主支气管
B.右肺上叶支气管
C.右肺上叶前段支气管
D.右肺中叶支气管
E.右肺上叶尖后段支气管


点击查看答案


188、单项选择题  

男,69岁,胸闷气逼多年,近来咳嗽,无胸痛、无痰中带血,X线检查如图,最可能的诊断是()

A.慢支肺气肿、右上肺肿瘤
B.慢支肺气肿、右上肺炎性假瘤
C.慢支肺气肿、右上肺结核瘤
D.慢支肺气肿、肺转移瘤
E.慢支肺气肿、结节病


点击查看答案


189、单项选择题  马德隆(Madelung)畸形的X线表现中,哪项是错误的()

A.桡骨远端关节面的内倾角加大,内侧有缺损
B.桡骨远端骨骺呈三角形变形,尖端指向内侧
C.桡骨短而弯,尺骨相对地增长
D.桡骨远端关节面与远端突出的尺骨远端形成"V"形切迹
E.腕骨角增大,远列腕骨排列成楔形,月状骨位于尖端


点击查看答案


190、单项选择题  关于肾结核的描述,错误的是()

A.90%肾结核系由尿路逆行感染所致
B.肾实质内钙化点可由干酪样病变而来
C.肾乳头部见边缘模糊的低密度病灶或空洞
D.实质破坏、纤维化可使肾外形缩小,表面不光整
E.晚期肾结核可发生全肾钙化


点击查看答案


191、单项选择题  胸片常规摄片位指的是()

A.立位前后位
B.立位后前位
C.卧位前后位
D.卧位后前位
E.右侧位


点击查看答案


192、配伍题  巨大右房见于()
巨大左房见于()

A.二尖瓣狭窄
B.二尖瓣关闭不全
C.房间隔缺损
D.动脉导管未闭
E.Ebstein畸形


点击查看答案


193、多项选择题  下列组合,正确的是()

A.劳氏位——双15°
B.许氏位——双25°
C.伦氏位——双35°
D.梅氏位——双45°
E.欧文氏位——双55°


点击查看答案


194、判断题  左心房增大常伴有肺静脉高压。


点击查看答案


195、单项选择题  心脏右前斜位片主要观察的是()

A.主动脉窗
B.左心房、左心室
C.右心房、右心室
D.右心房、肺动脉干
E.左房、肺动脉干、右心室漏斗部


点击查看答案


196、判断题  尿路结石大多数能从平片上显示出来。


点击查看答案


197、单项选择题  下列胸腔积液影像,哪项不对()

A.正位片,100ml积液即可有肋膈角变钝、消失
B.立位片,中等量胸腔积液时不能显示患侧膈肌
C.正位片,后胸壁包裹性积液为边缘模糊致密影
D.切线位,包裹性积液为梭形致密影
E.正位片,斜裂叶间积液为片状模糊影


点击查看答案


198、单项选择题  目前公众个人全身受照射的年剂量应低于()

A.0.5mSv
B.1mSv
C.2mSv
D.5mSv
E.10mSv


点击查看答案


199、单项选择题  发生“碘过敏反应”的症状中,下列哪种最危险()

A.面部潮红 
B.皮肤丘疹 
C.皮肤瘙痒 
D.喉头发痒 
E.喷嚏


点击查看答案


200、多项选择题  单纯性小肠梗阻的X线征象表现为()

A.假肿瘤征
B.空、回肠换位
C.短小液平面
D.较长液平面
E.连贯、规则、紧靠扩张的肠曲


点击查看答案


201、单项选择题  “先天性输尿管囊肿”,最常见的好发部位在()

A.肾盂-输尿管交界处
B.输尿管上段
C.输尿管中段
D.输尿管下段
E.输尿管膀胱壁内段


点击查看答案


202、单项选择题  下列不属于肺实质的是()

A.肺泡管
B.肺泡囊
C.肺泡
D.肺泡壁
E.肺泡间隔


点击查看答案


203、问答题  怎样诊断椎弓崩裂和脊椎滑脱?


点击查看答案


204、单项选择题  支气管充气征不见于下列哪种病变()

A.肺脓肿
B.淋巴瘤
C.炎性假瘤
D.大叶性肺炎
E.肺腺癌


点击查看答案


205、单项选择题  

如图,在正常胸部X线影像图像上,该英文字母所代表的肺段为()

A.内基底段
B.前基底段
C.外基底段
D.后基底段
E.背段


点击查看答案


206、填空题  乳腺癌X线间接征象有_______、_______、_______和_______。


点击查看答案


207、单项选择题  肺癌最常见的转移途径是()

A.血行转移
B.直接蔓延
C.支气管播散
D.淋巴转移
E.以上都不是


点击查看答案


208、多项选择题  食管的正常蠕动包括()

A.原发性蠕动波
B.原发性收缩波
C.继发性收缩波
D.继发性蠕动波
E.第三收缩波


点击查看答案


209、单项选择题  

男,4个月,阴茎、排尿异常4个月,行尿道造影如图所示,最可能的诊断是()

A.正常尿道
B.尿道瓣膜形成
C.尿道下裂畸形
D.尿道憩室
E.尿道重复畸形


点击查看答案


210、单项选择题  下列组合中,哪项不妥()

A.内听道——多轨道迹体层摄片
B.全泌尿系——全景摄片
C.关节腔——双重造影
D.甲状腺——软组织摄片
E.喉——高电压摄片


点击查看答案


211、单项选择题  

女,12岁,脊柱侧弯畸形,双下肢长短不一,结合图像,最可能的诊断是()

A.骨纤维结构不良
B.骨巨细胞瘤
C.内生软骨瘤
D.非骨化性纤维瘤
E.Paget病


点击查看答案


212、名词解释  气管支气管软化症


点击查看答案


213、单项选择题  脊柱结核典型影像为()

A.椎骨溶骨性破坏、椎旁软组织肿胀
B.椎体呈栅栏状
C.椎管内外哑铃状肿块,椎间孔扩大
D.椎体破坏,椎间盘破坏、椎间隙变窄


点击查看答案


214、名词解释  袖口征


点击查看答案


215、单项选择题  特发性骨质溶解症主要指发生于下述哪个部位的缓慢进行性骨质吸收()

A.跖趾
B.远侧指关关节
C.远侧距间关节
D.腕掌
E.掌指


点击查看答案


216、单项选择题  作为小儿髋关节摄片,哪一项技术措施是不正确的()

A.两侧髋关节应在一张胶片上同时摄片
B.对生殖腺要进行防护
C.两侧髋关节及股骨的位置一定要对称
D.应使用锐利度较高的低速增感屏
E.肢体左右铅号标记要正确


点击查看答案


217、单项选择题  人眼能分辨的最低密度差异为()

A.2%
B.5%
C.10%
D.15%
E.30%


点击查看答案


218、判断题  农民肺患者临床症状出现后即可出现X线表现。


点击查看答案


219、单项选择题  尾骨前后位,中心线应()

A.向足侧倾斜15°~30° 
B.向头侧倾斜15°~30°  
C.向足侧倾斜10° 
D.与检查床垂直
E.向前沿侧倾斜10°


点击查看答案


220、单项选择题  关于肺念珠菌病,下列描述错误的是()

A.肺纹理增多
B.细斑点状、云雾状阴影
C.常无肺门淋巴结肿大
D.沿支气管分布片状影
E.约半数患者胸片正常


点击查看答案


221、单项选择题  

如图,在正常胸部X线影像图像上,该英文字母所代表的肺段为()

A.尖段
B.后段
C.尖后段
D.舌叶上段
E.前段


点击查看答案


222、单项选择题  下列病变多见于骨干的是()

A.骨囊肿
B.骨巨细胞瘤
C.尤文肉瘤
D.软骨肉瘤
E.以上都不是


点击查看答案


223、判断题  正常胸膜一般不显影,若见显影则为病理征象。


点击查看答案


224、配伍题  男婴儿尿道梗阻的重要原因()
成人尿道梗阻最常见原因()
输尿管梗阻最常见的原因是()

A.结石
B.结核
C.肿瘤
D.狭窄
E.先天性后尿道瓣膜


点击查看答案


225、单项选择题  以下属于膜内化骨的骨骼是()

A.颅盖骨及颜面骨
B.四肢骨
C.脊椎骨
D.不规则骨
E.以上均是


点击查看答案


226、判断题  颅内非病理性钙化多见于松果体、基底核等。


点击查看答案


227、多项选择题  良性胃溃疡有下列哪些X线征象()

A.环堤
B.腔内龛影
C.放射状粘膜纠集
D.腔外龛影
E.裂隙征


点击查看答案


228、单项选择题  下列特发性肺间质纤维化特点,错误的是()

A.进行性呼吸困难,咳嗽、痰多
B.又名Hamman-Rich综合征
C.急性型多见,慢性型少见
D.可能与免疫性疾病或遗传有关
E.胸部影像与其他弥漫性肺间质纤维化病变难以鉴别


点击查看答案


229、单项选择题  静脉肾盂造影检查的禁忌证是()

A.肾盂积水
B.肾结石
C.尿路狭窄
D.肾部肿瘤
E.肾功能严重损伤


点击查看答案


230、填空题  椎弓裂包括___________、________、___________和__________。


点击查看答案


231、多项选择题  椎体缺血坏死可出现以下哪些X线表现()

A.椎体变扁呈厚薄一致的致密扁盘状
B.椎体前后径及横径均增大
C.椎间隙正常或稍增宽
D.多侵及椎弓根
E.腰大肌边缘模糊


点击查看答案


232、单项选择题  成人视神经孔的孔径大约为()

A.0.2cm
B.0.5cm
C.1.2cm
D.0.8cm
E.1.0cm


点击查看答案


233、判断题  继发性肺结核渗出浸润为主型,可见到薄壁、张力、干酪厚壁和纤维空洞等。


点击查看答案


234、单项选择题  颞骨骨折以下列哪种类型多见()

A.粉碎性骨折
B.横行骨折
C.纵行骨折
D.撕脱性骨折
E.混合型骨折


点击查看答案


235、多项选择题  高千伏摄片特点的叙述,正确的是()

A.获得层次丰富的X线照片
B.缩短曝光时间,减少被照体移动模糊
C.减少管电压,延长X线管寿命
D.散射线减少,照片对比度较高
E.有利于病人防护


点击查看答案


236、名词解释  卵石征


点击查看答案


237、单项选择题  “胃壁增厚”可见于()

A.Zollinger Ellison综合征
B.Menetrier病
C.淋巴瘤
D.静脉曲张
E.良性胃溃疡


点击查看答案


238、单项选择题  最常见的肾占位性病变为()

A.单纯性肾囊肿
B.肾细胞癌
C.肾盂癌
D.肾腺瘤
E.血管平滑肌脂肪瘤


点击查看答案


239、单项选择题  有关X线束照射野的叙述,错误的是()

A.X线束具有穿透性
B.摄片时,可将X线照射野适当放大
C.照射野的大小,多用遮线器来控制
D.X线束中心部分的X线称为中心线
E.中心线走向表示着摄片方向


点击查看答案


240、单项选择题  X线自被检者的前方射向后方为()

A.前后方向
B.后前方向
C.冠状方向
D.轴方向
E.切线方向


点击查看答案


241、单项选择题  在早期周围型肺癌中,“小泡征”常见于()

A.腺癌
B.大细胞癌
C.鳞癌
D.小细胞癌
E.类癌


点击查看答案


242、单项选择题  关于“急性膀胱炎”的诊断要点,错误的是()

A.常有全身中毒症状
B.泌尿系症状重
C.盆腔平片难有阳性发现
D.CT检查阳性率比平片高
E.尿常规检查常有阳性发现


点击查看答案


243、单项选择题  右心衰竭主要X线表现()

A.上腔静脉扩张
B.心脏房室增大
C.胸腔积液,膈肌升高
D.奇静脉扩张
E.以上都是


点击查看答案


244、多项选择题  胰头癌引起的十二指肠环改变为()

A.降部充盈缺损
B.降部双边征
C.降部小弯侧粘膜皱襞破坏、消失
D.降部出现反“З”征
E.肠环缩小


点击查看答案


245、单项选择题  筛骨属于()

A.扁骨
B.短管状骨
C.不规则骨
D.长管状骨
E.以上都是


点击查看答案


246、单项选择题  伦琴发现X线的日期是()

A.1895年11月8日
B.1895年8月11日
C.1901年11月8日
D.1901年8月11日
E.1985年11月8日


点击查看答案


247、单项选择题  易合并恶性间皮瘤的尘肺见于()

A.煤尘肺
B.矽肺
C.炭黑尘肺
D.石棉肺
E.石墨尘肺


点击查看答案


248、单项选择题  

根据下列影像图像,最可能的诊断是()

A.右下肺不张
B.右侧肺底积液
C.右膈膨升
D.右侧心包脂肪垫
E.右下肺结核


点击查看答案


249、单项选择题  造影时病人出现重度碘过敏反应,最有效的措施是()

A.立即请医生处理
B.头高足低左侧卧位
C.平卧或头低足高位
D.头高足低右侧卧位
E.立即停止造影并进行急救


点击查看答案


250、单项选择题  儿童化脓性骨髓炎的脓肿不易进入关节腔内的原因是()

A.脓肿容易局限和吸收
B.关节囊对关节腔有保护作用
C.干骺端骺板起屏障作用
D.儿童的关节有较强的抵抗力
E.以上都是


点击查看答案


251、单项选择题  关于肺隔离症的描述,下列哪项正确()

A.右侧比左侧常见
B.与支气管树相通较常见
C.如发生于叶内,通常见于婴儿
D.上叶与下叶的发生率相等
E.绝大多数血供来自腹主动脉


点击查看答案


252、单项选择题  高血压心脏病心影呈()

A.主动脉型心
B.靴形心
C.梨形心
D.滴状心
E.横位心


点击查看答案


253、单项选择题  下列关于十二指肠平滑肌肉瘤的X线表现中,错误的是()

A.腔内较光滑的充盈缺损
B.管腔虽窄但无明显梗阻
C.管壁僵硬
D.管腔狭窄不明显
E.粘膜破坏


点击查看答案


254、单项选择题  

女,4岁,根据影像图像,最可能的诊断是()

A.肺癌
B.胸骨后甲状腺肿
C.胸腺瘤
D.神经源性肿瘤
E.淋巴瘤


点击查看答案


255、单项选择题  缩窄性心包炎最常见的原因是()

A.类风湿疾病
B.纵隔病变放疗后
C.结核
D.尿毒症
E.转移性肿瘤


点击查看答案


256、单项选择题  有关摄片条件选择中可变因素的叙述,哪项不妥()

A.应把不随意运动器官的移动作为移动因素中的主要矛盾处理
B.同一厚度的两个健康人的胸部照片,摄片条件应一致
C.同部位同厚度的慢性骨髓炎与骨结核相比,需要增加摄片条件
D.被照体构成组织比例是摄片条件选择的重要可变因素
E.病理因素对摄片条件的影响十分复杂,较难掌握,应不断积累临床经验


点击查看答案


257、单项选择题  后前位胸片于右主支气管角部可见小椭圆形致密影,这是()

A.气管旁淋巴结
B.无名静脉
C.奇静脉
D.钙化灶
E.半奇静脉


点击查看答案


258、判断题  寰椎前结节后缘与枢椎齿状突前缘的距离成人大于4mm,儿童大于2mm则说明有横韧带的撕裂。


点击查看答案


259、单项选择题  返流性食管炎的主要病因,不包括哪项()

A.食管下端括约肌功能减弱
B.膈肌裂孔钳闭作用减弱
C.食管胃之间锐角(His角)变钝或消失
D.食管排空功能及食管粘膜防御机制下降
E.吞服或误服腐蚀剂造成的损伤


点击查看答案


260、多项选择题  闭襻性肠梗阻的X线征象是()

A.长液平征
B.短液平征
C.空回肠转位征
D.咖啡豆征
E.假肿瘤征


点击查看答案


261、单项选择题  贲门失弛缓症较具特征的X线表现是()

A.食管下端边缘呈锯齿状
B.食管下端不规则充盈缺损
C.食管下端狭窄,边缘光整,粘膜正常
D.食管下端狭窄,局部僵硬,不能扩张
E.以上都不是


点击查看答案


262、名词解释  .Hoeve三联征


点击查看答案


263、配伍题  肝外伤休克()
肝癌()
肝血管瘤()
胆道梗阻()
门脉高压()

A.TIPSS
B.肝动脉栓塞术
C.PTCD
D.肝动脉造影
E.肝动脉化疗栓塞


点击查看答案


264、填空题  肺转移瘤需与_________、________、_________、_________、__________和__________等鉴别。


点击查看答案


265、单项选择题  将PACS各组成部分连成一体的是()

A.存储系统
B.显示设备
C.数据库系统
D.通讯网络系统
E.图像采集装置


点击查看答案


266、填空题  来自支气管表面上皮的肺癌有_____________、_________、_________和___________。


点击查看答案


267、单项选择题  

男,65岁,咳嗽,右胸痛,痰中带血丝1周。胸部后前位片示:右肺门影增大,右上肺大片状致密影,水平裂呈反“S”样改变。

右上肺大片状致密影侧位片位于()

A.右肺上叶尖后段
B.右肺上叶前段
C.右肺下叶背段
D.右肺中叶
E.右肺上叶


点击查看答案


268、单项选择题  唐氏(Down)综合征,又称()

A.21-三体综合征
B.奴南综合征
C.杜纳综合征
D.克氏综合征
E.5p综合征


点击查看答案


269、单项选择题  骨肉瘤的好发年龄是()

A.15岁以下
B.15~25岁
C.婴幼儿
D.25~40岁
E.40岁以上


点击查看答案


270、单项选择题  股骨颈骨折最易合并()

A.骨感染
B.骨不连
C.骨梗死
D.骨萎缩
E.骨缺血性坏死


点击查看答案


271、单项选择题  在透视下最易漏诊的结核是()

A.慢性纤维空洞型肺结核
B.结核球
C.急性粟粒型肺结核
D.浸润型肺结核
E.原发综合征


点击查看答案


272、多项选择题  下列可引起肾盏肾盂受压变形的疾病为()

A.肾囊肿
B.肾肿瘤
C.肾血肿
D.肾脓肿
E.肾结石


点击查看答案


273、多项选择题  可使脑膜中动脉压迹异常增粗、迂曲者()

A.血管瘤
B.颅骨恶性肿瘤
C.转移瘤
D.星型胶质细胞瘤
E.脑膜瘤


点击查看答案


274、问答题  盔甲心


点击查看答案


275、单项选择题  X线片表现肺血增多,临床表现有发绀者是()

A.二孔型房间隔缺损
B.心内膜垫缺损
C.动脉导管未闭
D.室间隔缺损
E.艾森门格综合征


点击查看答案


276、单项选择题  十二指肠溃疡最常见的部位是()

A.水平部
B.球部
C.降部
D.球后部
E.小弯侧


点击查看答案


277、单项选择题  关于原发性支气管肺癌,下列哪项描述不准确()

A.早期中央型肺癌胸片易漏诊
B.管内型的中央型肺癌易形成肺不张
C.隐性肺癌等于早期肺癌
D.鳞癌多为中央型肺癌
E.管壁浸润型的中央型肺癌可无肺不张


点击查看答案


278、判断题  回肠胀气扩张的特点为粘膜皱襞排列稀疏或皱襞消失,呈光滑的管状。


点击查看答案


279、判断题  缺血坏死性结肠炎表现为偏心性狭窄,而结肠癌表现为向心性狭窄。


点击查看答案


280、单项选择题  下列哪项在肺纹理的构成中不是主要构成部分()

A.肺动脉分支
B.支气管
C.淋巴管
D.间质组织
E.肺静脉


点击查看答案


281、单项选择题  男,14岁,左小腿近端疼痛半年余,间断持续性局部软组织隆起,质硬、皮温高,X线片示胫骨骨骺均匀性致密呈象牙样及棉絮状,骨膜反应不明显,应考虑是()

A.骨纤维异常增殖症
B.硬化性骨髓炎
C.软骨母细胞瘤
D.内生软骨瘤
E.成骨型骨肉瘤


点击查看答案


282、判断题  在颏顶位可以较好地显示颅中窝底内的三孔等结构。


点击查看答案


283、单项选择题  关于左心室增大的X线表现,错误的是()

A.左心室段延长,心尖部下移,相反搏动点上移
B.主动脉弓扩大,升主动脉及主动脉弓分别向右向左凸出
C.左侧位,心后缘下段向后膨出
D.心脏向左呈逆时针方向旋转
E.左前斜位,心后缘下段向后向下膨凸延长,室间沟向下向前移位


点击查看答案


284、单项选择题  下列关于病变与空洞特点的描述,不正确的是()

A.肺气囊:薄壁空洞
B.肺脓肿:均匀厚壁空洞
C.浸润型肺结核:薄壁空洞有卫星灶
D.肺癌;偏心空洞,有壁结节
E.慢性纤维空洞型肺结核:纤维厚壁空洞


点击查看答案


285、填空题  气胸及液气胸立位透视可以直接观察到位于上方的_______及位于下方的__________,变换体位可以观察到___________的变化。


点击查看答案


286、单项选择题  下列哪项不是胃息肉的X线表现()

A.肿瘤周围粘膜正常
B.轮廓光滑
C.胃襞柔软
D.肿瘤区粘膜皱襞消失
E.腔外肿块


点击查看答案


287、填空题  马方(Marfan)综合征约1/3患者有先天性心脏大血管病变,常有________、____________、____________和____________。


点击查看答案


288、配伍题  肠套叠()
新生儿胃穿孔()
先天性肥厚型幽门狭窄()
先天性十二指肠闭锁()

A.足球征
B.弹簧圈表现
C.双泡征
D.肩样征
E.单泡征


点击查看答案


289、单项选择题  下列关于骨岛的说法中,错误的是()

A.分布于密质骨内
B.边缘较清楚
C.长轴与较粗的骨小梁方向一致
D.密度均匀
E.致密性阴影


点击查看答案


290、单项选择题  非放射专业学生教学期间,有效剂量当量不得大于()

A.0.2mSv/年
B.0.3mSv/年
C.0.5mSv/年
D.1.0mSv/年
E.1.5mSv/年


点击查看答案


291、单项选择题  最常见的后纵隔肿瘤是()

A.神经节细胞瘤
B.淋巴瘤
C.神经母细胞瘤
D.支气管囊肿
E.转移


点击查看答案


292、单项选择题  

患者,女,46岁,胸闷气短1月,伴全身乏力,咳嗽,发热。胸片示:中上纵隔增宽,右缘呈波浪状改变。白细胞:8.5×10/L。

为明确诊断,进一步做哪项检查()

A.胸部增强CT扫描
B.血沉
C.食管钡餐造影
D.痰细胞学检查
E.胸部MRI检查


点击查看答案


293、判断题  上颌窦血管瘤X线显示上颌窦内上角由钝角变为锐角,骨质破坏吸收。


点击查看答案


294、单项选择题  可复性食管裂孔疝的典型征象是()

A.膈上出现胃粘膜
B.食管下括约肌上升和收缩
C.食管胃环上升出现在膈上
D.部分胃底位于膈上
E.胃食管前庭管腔增宽


点击查看答案


295、单项选择题  痛风早期最易侵犯的关节为()

A.踝关节
B.指间关节
C.第一跖趾关节
D.趾间关节
E.第1掌指关节


点击查看答案


296、单项选择题  结核球与周围型肺癌鉴别诊断的关键在于前者()

A.边缘较光整
B.干酪样厚壁空洞
C.病灶内呈斑点状钙化
D.直径一般不超过3cm
E.卫星病灶及纤维条索影(引流支气管影)


点击查看答案


297、单项选择题  骨巨细胞瘤好发年龄为()

A.60岁以上
B.20~40岁
C.50~60岁
D.1~10岁
E.任何年龄


点击查看答案


298、单项选择题  关于高压变压器的叙述,正确的是()

A.初级电流小,次级电流大
B.初级线数多,次级线数少
C.降压变压器
D.初级线径大,次级线径小
E.设计容量是最高额定容量的1/2


点击查看答案


299、多项选择题  位于前纵隔的肿瘤有()

A.胸腺瘤
B.皮样囊肿
C.畸胎瘤
D.神经纤维瘤
E.支气管囊肿


点击查看答案


300、单项选择题  诊断纵隔恶性畸胎瘤的指征是()

A.位于前纵隔
B.肿瘤直径超过5cm
C.含脂肪信号
D.局部受侵,肿瘤边缘不规则
E.以上均是


点击查看答案


题库试看结束后微信扫下方二维码即可打包下载完整版《★医学影像技术(医学高级)》题库
手机用户可保存上方二维码到手机中,在微信扫一扫中右上角选择“从相册选取二维码”即可。
题库试看结束后微信扫下方二维码即可打包下载完整版《医学影像技术(医学高级):X线》题库,分栏、分答案解析排版、小字体方便打印背记!经广大会员朋友实战检验,此方法考试通过率大大提高!绝对是您考试过关的不二利器
手机用户可保存上方二维码到手机中,在微信扫一扫中右上角选择“从相册选取二维码”即可。

微信搜索关注"91考试网"公众号,领30元,获取公务员事业编教师考试资料40G