时间:2023-03-27 00:30:53


1、多项选择题 慢性支气管炎的表现有()
A.不伴有支气管扩张
B.由于支气管壁及周围组织纤维化的结果,可见“轨道征”
C.很少有肺气肿
D.慢性支气管炎,两个肺野变化多明显
E.一般在两肺野散在索条状或网状影,进一步表示出现小结节状阴影
2、单项选择题 精原细胞瘤与下述何种疾病均属生殖细胞类肿瘤()
A.神经源性肿瘤
B.脂肪瘤
C.间皮囊肿
D.畸胎瘤
E.淋巴瘤
3、单项选择题 正位胸片上,胸锁关节相当于()
A.第二后肋水平
B.第四后肋水平
C.第四胸椎水平
D.气管分叉水平
E.左心耳水平
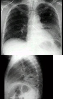
4、单项选择题
男,70岁,胸痛,不咳嗽、发热,X线检查如图,最可能的诊断是()

A.左肺结核瘤
B.左侧叶间积液
C.左肺癌
D.左肺炎性假瘤
E.左肺错构瘤
5、单项选择题 乙状窦沟前缘与外耳道后壁的距离,一般为()
A.<10mm
B.>14mm
C.5~10mm
D.10~14mm
E.15~18mm
6、单项选择题 下列哪项不属于乳腺良性肿块的X线征象()
A.肿块多呈圆形或类圆形
B.肿块界限不清
C.肿块边缘光滑清晰
D.肿块密度较均匀
E.肿块有时可见透明晕圈
7、判断题 放射性肺炎病灶内有时可见空气支气管征,且可见含气支气管分支并拢或支气管扩张征象。
8、单项选择题 “脊柱骨髓瘤”区别于“椎体血管瘤”的特点为()
A.多累及松质骨
B.破坏区内骨小梁消失
C.椎体内多发骨质破坏区
D.椎旁出现软组织肿块
E.病理骨折
9、单项选择题 易与胰头肿块混淆的是()
A.门腔淋巴结
B.右肾上腺
C.右侧膈肌脚
D.十二指肠
E.胃幽门管
10、单项选择题 下列对放射线最敏感的恶性骨肿瘤是()
A.尤文肉瘤
B.软骨肉瘤
C.成骨肉瘤
D.纤维肉瘤
E.骨巨细胞瘤
11、单项选择题 先天性巨结肠的常见X线征象是()
A.近端结肠扩张而远端无狭窄段
B.近端结肠狭窄,远端结肠扩张,并伴有功能障碍
C.远端结肠狭窄,近端结肠扩张,并伴有功能障碍
D.结肠病变区无钡剂潴留现象
E.结肠仅有功能障碍
12、判断题 颞颌关节前间隙最宽、下间隙次之、后间隙最窄。
13、单项选择题 以下选项中投照汤氏位,X线中心线应()
A.向足侧倾斜45°
B.向头侧倾斜45°
C.向头侧倾斜30°
D.向足侧倾斜30°
E.与床面垂直
14、单项选择题 静脉注射碘过敏试验,注药后观察反应的常规时间是()
A.5分钟
B.15分钟
C.25分钟
D.35分钟
E.45分钟
15、配伍题 肝外伤休克()肝癌()肝血管瘤()胆道梗阻()门脉高压()
A.TIPSS
B.肝动脉栓塞术
C.PTCD
D.肝动脉造影
E.肝动脉化疗栓塞
16、单项选择题
女,1岁,身体发育异常,如图所示,最可能的诊断为()
A.成骨不全
B.粘多糖病
C.软骨发育不全
D.佝偻病
E.侏儒症
17、单项选择题 骨巨细胞瘤的典型X线征象是()
A.位于骨端的膨胀性偏心性囊性骨破坏,内有皂泡性骨间隔
B.骨端的囊性破坏区,其透光区模糊,皮质变薄
C.远距骨干骺端的偏心性囊性骨破坏,边缘硬化
D.位于骨骺的多发性骨质破坏,内有钙化
E.位于骨端的多发性骨质破坏,内有钙化
18、多项选择题 短管骨骨干结核的X线表现为()
A.骨干内圆形、卵圆形骨质破坏
B.病灶内有时可见粗大而不整的残存骨嵴
C.病灶边缘大多比较清楚,可有轻度增生
D.可见有层状骨膜增生或骨皮质硬化
E.严重的骨破坏可延及整个指骨骨干
19、单项选择题 腹部平片对显示哪种肾先天性发育异常没有价值()
A.单纯异位肾
B.肾缺如
C.分叶肾
D.马蹄肾
E.侏儒肾
20、多项选择题 肺隔离症在诊断时需与以下哪些疾病鉴别()
A.肺脓肿
B.多房性肺囊肿
C.阻塞性肺不张
D.周围型肺癌
E.阻塞性肺炎
21、单项选择题 下列颅面骨改变,不属“正常变异”()
A.双上颌窦不对称
B.单侧额窦
C.眶上筛窦气房
D.“8”字形视神经孔
E.鼻额缝
22、单项选择题 关于肾盂造影的叙述,错误的是()
A.静脉法简单易行
B.静脉法必须行碘过敏试验
C.能显示肾盂肾盏的形态变化
D.肾功能丧失时尽量采用静脉法
E.静脉法可了解肾脏的排泄功能
23、单项选择题 膈下脓肿引起肺脓肿可表现为()
A.患侧膈肌升高
B.运动受限
C.肺内含液面空洞
D.胸膜肥厚
E.以上都是
24、单项选择题 肺底积液的最佳显示体位是()
A.健侧向下侧卧后前位
B.健侧向下侧仰位
C.患侧向上侧卧位
D.患侧向下侧卧后前位
E.立位后前位胸片
25、单项选择题 下列关于梅毒性心脏病的描述,错误的是()
A.主动脉起始部瘤样扩张
B.主动脉根部搏动增强
C.左心室增大
D.心尖闻及舒张期杂音
E.胸主动脉迂曲、延长
26、单项选择题 早发先天性骨梅毒的X线表现中,哪项错误()
A.常累及骨骺
B.Wimberger征
C.骨膜炎
D.干骺炎
E.先期钙化带增宽增浓
27、单项选择题 “蓬发心”是哪种疾病的特征影像()
A.结核性心包炎
B.石棉肺
C.心肌病
D.尿毒症
E.心包积液
28、问答题 胸椎旁软组织肿胀影的X线诊断意义如何?
29、单项选择题 法洛四联征包括()
A.肺动脉狭窄,室间隔缺损,主动脉狭窄,右心室肥大
B.肺动脉扩张,室间隔缺损,主动脉扩张,右心室肥大
C.肺动脉狭窄,房间隔缺损,主动脉骑跨,左右心室肥大
D.肺动脉狭窄,室间隔缺损,主动脉骑跨,右心室肥大
E.肺动脉扩张,房间隔缺损,主动脉骑跨,左心室肥大
30、单项选择题
男,65岁。走路时,不慎摔倒。查体:左下肢缩短,外旋50°畸形。
为明确诊断,首先应进行的检查为()
A.CT检查
B.核素骨扫描
C.X线检查
D.MRI检查
E.关节造影
31、判断题 X线管焦点越小,空间分辨力也就愈小
32、单项选择题 关于“小肠Crohn病”影像的描述,错误的是()
A.环肠壁对称性侵犯
B.鹅卵石征
C.小肠多发狭窄
D.肠壁增厚
E.口疮样小溃疡
33、单项选择题 脐上3cm与哪个椎体同一平面()
A.第12胸椎
B.第1腰椎
C.第2腰椎
D.第3腰椎
E.第4腰椎
34、单项选择题 下列脏器或组织中,哪项不能在平片摄片中显示()
A.肾脏外形
B.胰腺
C.甲状软骨
D.心脏
E.籽骨
35、多项选择题 胸膜凹陷征多见于哪种病理类型的周围型肺癌()
A.腺癌
B.鳞状上皮癌
C.类癌
D.小细胞癌
E.细支气管肺泡癌
36、单项选择题
女,58岁,吞咽困难半年,结合图像,最可能的诊断为()

A.正常食管
B.食管静脉曲张
C.食管癌
D.食管憩室
E.食管平滑肌瘤
37、单项选择题 关于一侧肺不发育的X线表现,下列哪项是不正确的()
A.患侧胸部密度均匀增高
B.无血管纹理分布
C.心脏纵隔移向患侧
D.两侧胸廓大小形态对称
E.患侧动脉主干发育不良或缺如
38、单项选择题 X线透过被照体后形成的X线强度的差异,称为()
A.人工对比度
B.天然对比度
C.射线对比度
D.胶片对比度
E.照片对比度
39、名词解释 成角
40、单项选择题 关于左肺上叶不张的X线表现,下列描述错误的是()
A.肺不张叶向前上移位
B.后前位胸片上左上中野大片阴影,上部密度较下部密度高
C.下叶出现代偿性肺气肿
D.侧位胸片上肺不张叶向后移位
E.下叶背段无变化
41、单项选择题 结肠双对比X线造影检查可显示的最小解剖单位是()
A.结肠袋
B.结肠带
C.粘膜皱襞
D.结肠无名沟
E.以上都不是
42、单项选择题 女,48岁,无痛性肉眼血尿半月,尿中找到瘤细胞,IVP示:右肾盂有一小充盈缺损影。膀胱镜检查见右输尿管口喷血,最可能的诊断是()
A.肾盂癌
B.肾母细胞瘤
C.输尿管癌
D.肾错构瘤
E.肾癌
43、判断题 胰腺癌与慢性胰腺炎均可在十二指肠降部出现3字征。
44、单项选择题 眶壁的内壁构成中,哪项不正确()
A.上颌骨额突
B.泪骨
C.筛骨纸板
D.蝶骨小翼
E.上颌骨眶面
45、判断题 胰多肽瘤属胰岛非B细胞发生的肿瘤。
46、单项选择题 下列关于肺转移瘤的描述哪项是错误的()
A.人体许多部位的原发性肿瘤都可转移至肺内
B.血行转移X线表现为两中下肺野散在小结节或球形阴影
C.血行转移多见于肝癌、胰腺癌、甲状腺癌或绒癌等
D.淋巴转移X线表现为两中下肺野多发小结节、粟粒状或网格状阴影
E.以上都不是
47、单项选择题 真菌球多见于哪种肺真菌病()
A.肺隐球菌病
B.肺念珠菌病
C.肺奴卡菌病
D.肺放线菌病
E.肺曲菌病
48、判断题 AIDS患者一般都有梅毒、淋病、阿米巴病等感染的既往史。
49、单项选择题
男,26岁,左肩部可触及一硬结,无红肿、压痛,结合图像,最可能的诊断是()
A.骨样骨瘤
B.骨软骨瘤
C.软骨肉瘤
D.骨旁骨瘤
E.骨肉瘤
50、名词解释 假肿瘤征
51、单项选择题 下列新生儿正常胸片影像错误的是()
A.“船帆征”提示有胸腺瘤
B.心胸比例比成人大
C.左膈常比右膈高
D.外带无肺纹理
E.心尖不明显
52、配伍题 属于肠系膜上动脉分支的有()属于肠系膜下动脉分支的有()
A.胃左动脉
B.腰动脉
C.肾动脉
D.左结肠动脉
E.右结肠动脉
53、单项选择题
男,40岁,胸痛胸闷2月余,胸片如图,最可能的诊断为()

A.右侧恶性胸膜间皮瘤
B.右侧胸腔积液
C.右侧包裹性积液
D.右侧良性胸膜间皮瘤
E.右侧胸膜增厚
54、单项选择题 大多数的膀胱上皮性肿瘤均为恶性,细胞类型依其发病率依次为()
A.鳞癌、腺癌、移行细胞癌
B.鳞癌、移行细胞癌、腺癌
C.移行细胞癌、鳞癌、腺癌
D.腺癌、鳞癌、移行细胞癌
E.移行细胞癌、腺癌、鳞癌
55、单项选择题 下列组合,哪项错误()
A.胸腔游离积液——正位,加照患侧侧卧水平正位或斜位
B.包裹性积液——正位,加照切线位
C.肺下积液——卧位
D.胸膜间皮瘤——取呼气吸气位对照
E.纵隔气肿——除常规正位外,必须照侧位
56、单项选择题 自截肾常见于下列哪种疾病()
A.慢性肾炎
B.肾结核
C.肾结石
D.肾癌
E.慢性肾盂肾炎
57、单项选择题
男,15岁,畏寒,高热2周,摄片如图所示,下列诊断正确的是()
A.急性化脓性骨髓炎
B.慢性化脓性骨髓炎
C.溶骨性骨肉瘤
D.尤文肉瘤
E.以上均不正确
58、单项选择题
女,66岁,进行性吞咽困难,胸骨后疼痛4月,结合图像,最可能的诊断为()

A.正常食管
B.食管静脉曲张
C.食管平滑肌瘤
D.食管中段癌
E.食管下段癌
59、单项选择题 肺淀粉样变性肺实质型的X线表现中,错误的是()
A.单发或多发团块,呈圆形或椭圆形,边缘不清楚
B.两肺弥漫结节或粟粒病灶阴影
C.可有广泛的间质纤维化的表现
D.少数病例结节可钙化或骨化,骨化影呈钉子状或玻璃渣样
E.分布广泛的间质浸润常引起周围细支气管阻塞性肺气肿
60、问答题 骨肉瘤的基本X线表现包括哪些?
61、单项选择题 自动冲洗机的工作程序为()
A.显影,水洗,定影,干燥
B.显影,定影,水洗,干燥
C.显影,中间处理,定影,水洗,干燥
D.显影,干燥,定影,水洗
E.显影,停显,定影,干燥
62、单项选择题 矢状面与胶片平行的摄影体位有()
A.胸部正位
B.RAO位
C.乳突轴位
D.腕关节正位
E.心脏左侧位
63、填空题 引起脾肿大的病因很多,主要有________、__________、________、_________、___________和__________。
64、单项选择题 下列溃疡性结肠炎的晚期表现中,错误的是()
A.“钮扣样”溃疡
B.结肠袋消失
C.结肠缩短
D.骶前间隙变窄
E.均匀分布的雪花样钡斑
65、判断题 先天性髋关节脱位,股骨干骺端向上不应超过Hilgenreiner线。
66、单项选择题 慢性胃炎按Schindler分类法是()
A.萎缩性胃炎、增生性胃炎、肠上皮化生
B.浅表性胃炎、萎缩性胃炎、肥大性胃炎
C.浅表性胃炎、增生性胃炎、肥大性胃炎
D.萎缩性胃炎、肥大性胃炎、肠上皮化生
E.肥大性胃炎、浅表性胃炎、肠上皮化生
67、填空题 胃非上皮性肿瘤包括___________、_____________、________和__________等。
68、单项选择题 肋骨斜位摄片,目的是观察()
A.腋中线,肋骨上斜部骨质情况
B.腋中线,肋骨直线部骨质情况
C.腋后线,肋骨弯曲部骨质情况
D.腋前线,肋骨弯曲部骨质情况
E.腋中线,肋骨弯曲部骨质情况
69、单项选择题 测量脊椎滑脱最简单适用的方法是()
A.Meyerding法
B.Garland法
C.Lippman-Cobb法
D.Ferguson法
E.Meschan法
70、单项选择题 在婴儿腹立位片上,可见双泡征疾病的是()
A.先天性十二指肠闭锁
B.胎粪性肠梗阻
C.肠套叠
D.肥厚型幽门狭窄
E.以上都不是
71、多项选择题 纵隔向患侧移位,见于()
A.慢性纤维空洞型肺结核
B.肺不张
C.大叶性肺炎
D.先天性肺不发育
E.胸腔积液
72、多项选择题 剥脱性骨软骨炎的X线表现为()
A.关节内游离体
B.关节软骨钙化
C.关节内大量积脓
D.远离骨性关节面的骨质破坏
E.包括关节面在内的局限性骨质缺损
73、单项选择题 腕骨中最后骨化的是()
A.头状骨
B.舟骨
C.大、小多角骨
D.豌豆骨
E.月骨
74、单项选择题
男,67岁,咳嗽、胸痛2月余,痰中带血,不发热,X线检查如图,最可能的诊断是()

A.右侧胸膜肥厚
B.右上肺不张
C.右肺癌并右上肺不张
D.右侧包裹性积液
E.肺上沟瘤
75、填空题 胰腺外分泌性肿瘤包括______________、__________和_____________。
76、单项选择题 心脏右前斜位摄片,曝光前须先()
A.口服硫酸钡
B.浅呼吸屏气
C.深吸气屏气
D.平静呼吸屏气
E.腹式呼吸屏气
77、单项选择题 下列“软骨黏液样纤维瘤”诊断要点中,哪项是错误的()
A.可恶变
B.青少年多见
C.长骨干骺端多见
D.单发或多发囊状透光区
E.多有砂粒样钙化
78、单项选择题 “肺动脉高压”可继发于()
A.左房黏液瘤
B.肥厚型心肌病
C.梅毒性心脏病
D.扩张型心肌病
E.血吸虫病
79、单项选择题 关于干燥综合征,下列描述错误的是()
A.老年男性多见
B.肺间质纤维化
C.肺假性淋巴瘤
D.肺门淋巴结肿大
E.胸膜增厚、胸腔积液
80、单项选择题 下列哪项,不符合肥厚型心肌病X线表现()
A.心脏可呈主动脉型
B.肺血管纹理常正常
C.心脏增大
D.心脏搏动无特殊,可增强、减弱或正常
E.部分可见左房、右室增大
81、多项选择题 眶距过窄,常见于下列哪些疾病()
A.额缝早闭
B.冠状缝早闭
C.矢状缝早闭
D.先天愚型
E.端脑发育异常
82、单项选择题 来自细支气管Clara细胞和Ⅱ型肺泡细胞的癌为()
A.腺癌
B.细支气管肺泡癌
C.大细胞癌
D.类癌
E.小细胞癌
83、判断题 良性溃疡周围胃小区和胃小沟存在,但大小及粗细不均匀。
84、单项选择题 下述关于“胃底静脉曲张”造影表现的描述,错误的是()
A.增粗迂曲的粘膜皱襞
B.结节样充盈缺损
C.管壁柔软
D.短幕征
E.喷射征
85、单项选择题 下列关于自发性主动脉夹层的描述,错误的是()
A.常有高血压史
B.主动脉真腔变窄
C.病变范围较广泛
D.常伴强直性脊柱炎
E.升主动脉者一般要求手术
86、名词解释 肾自截
87、单项选择题
女,36岁,发热,胸痛咳脓痰10余天,胸片如图,最可能的诊断为()

A.左下肺周围型肺癌并空洞形成
B.左下肺脓肿
C.左下肺空洞型肺结核
D.左侧包裹性液气胸
E.急性胃扩张
88、单项选择题 下列哪种疾病不宜行钡剂灌肠()
A.溃疡性结肠炎
B.疑有结肠癌者
C.中毒性巨结肠
D.先天性巨结肠
E.疑有结肠梗阻者
89、单项选择题 下列哪种方法是“眶内异物定位”,最常用的()
A.头颅侧位定位法
B.术中定位法
C.CT定位法
D.几何定位法
E.超声定位法
90、单项选择题 “假肾征”指的是哪个脏器病变()
A.肾
B.肝
C.肠
D.肝、肾
E.肾、肠
91、多项选择题 腕部标准后前位片,当腕关节桡偏时()
A.头状骨轴线倾斜
B.钩骨长轴倾斜,舟骨变长
C.三角间隙扩大
D.三角间隙变窄
E.钩骨长轴变直,舟骨变长
92、单项选择题 中央型肺癌的X线表现中,胸片不易发现的征象是()
A.阻塞性肺炎
B.肺不张
C.黏液嵌塞征
D.肺门区及纵隔肿块
E.肺气肿
93、填空题 膀胱结石的临床表现为_________、_______、_______、______和_____等。
94、单项选择题 胃癌大体形态可分为()
A.浸润型
B.蕈伞型
C.溃疡型
D.以上都是
E.以上都不是
95、单项选择题 关于肺脓肿,下列描述哪项不对()
A.葡萄球菌、肺炎双球菌为常见致病菌
B.常有高热、寒战、大量脓痰
C.多数急性空洞壁薄,内壁光整
D.邻近胸膜增厚,甚至脓胸形成
E.急性空洞常有液平面
96、单项选择题
男,34岁,体检摄片如图所示,最可能的诊断是()
A.氟骨症
B.转移性骨肿瘤
C.骨样骨瘤
D.骨岛
E.骨斑点症
97、判断题 伴影可使X线影像的清晰度增高。
98、判断题 骨瘤由分化良好的成熟骨构成,主要起源于膜内化骨。
99、单项选择题 腹部仰卧前后位摄片应用最多的是检查()
A.急腹症
B.腹部肿块
C.腹部脏器形态
D.泌尿系结石
E.泌尿系囊肿
100、单项选择题 下列关于急性肺脓肿的描述,不正确的是()
A.葡萄球菌、肺炎链球菌为常见致病菌
B.常有高热、寒战、大量脓痰
C.邻近胸膜增厚,甚至脓胸形成
D.多数急性空洞为薄壁空洞
E.急性空洞常有“液平面”
101、单项选择题
男,65岁。走路时,不慎摔倒。查体:左下肢缩短,外旋50°畸形。
为明确诊断,首先应进行的检查为()
A.CT检查
B.核素骨扫描
C.X线检查
D.MRI检查
E.关节造影
102、单项选择题 陈旧性关节脱位是指脱位时间()
A.<2周
B.>2周
C.<3周
D.>3周
E.<4周
103、名词解释 骨折延迟愈合
104、单项选择题 部分性肺静脉畸形引流,常合并下列哪种病变()
A.法洛四联征
B.动脉导管未闭
C.室间隔缺损
D.房间隔缺损
E.肺动脉瓣狭窄并房间隔缺损
105、填空题 脂肪肉瘤按肿瘤所含主要细胞成分不同,可分为________、__________、____________、____________及___________。
106、单项选择题 有关水平面的定位,哪个是错误的()
A.经过两眼眶下缘及外耳孔上缘为水平面
B.水平面与矢状面相互水平
C.乳突尖端位于水平面下方
D.蝶鞍位于水平面下方
E.视神经孔位于水平面上方
107、多项选择题 下述哪些不是产生X线的具备条件()
A.光电管
B.电子源
C.高压电场和真空下产生的高速电子流
D.适当的障碍物
E.旋转阳极
108、单项选择题 所谓二级放射事故,对公众人员而言,是指受到大于几倍年限值的照射()
A.2倍
B.5倍
C.10倍
D.15倍
E.20倍
109、单项选择题 “骨巨细胞瘤”典型影像为()
A.好发于长骨干骺端
B.新骨生成和骨膜反应
C.“皂泡样”改变
D.病变与邻近正常组织分界不清
E.溶骨性或成骨性改变
110、多项选择题 恶性骨肿瘤中不常有骨膜反应的是()
A.骨纤维肉瘤
B.尤文肉瘤
C.原发网状细胞肉瘤
D.骨肉瘤
E.转移性骨肿瘤
111、多项选择题 肺动脉扩张表现,可见于()
A.左房黏液瘤
B.二尖瓣病变
C.甲状腺功能亢进
D.广泛性肺气肿、肺纤维化
E.脚气病
112、多项选择题 良性胃溃疡患者,龛影周围表现中()
A.粘膜水肿
B.粘膜纠集
C.肿块
D.粘膜中断
E.器官变形
113、问答题 肾盂肾炎的X线表现有哪些?
114、填空题 骨折合并症和后遗症有_______________、______________、_________、_____________、_____________、___________、_____________和____________。
115、单项选择题 关于散射线及其影响因素的叙述,错误的是()
A.散射线是指离开原射线线束方向的射线
B.管电压越高,散射线越多
C.增感屏感度越高,散射线越少
D.在一定厚度内,被照物体越厚,散射线越多
E.照射野与散射线有密切关系
116、单项选择题
男,40岁,黑便1周,半年来呕血两次。查体:脾肋下4cm,结合图像,最可能的诊断为()

A.正常食管
B.食管癌
C.食管静脉曲张
D.贲门癌
E.食管炎
117、名词解释 Klipple-Feil综合征
118、单项选择题 乳腺癌患者仅发现腰椎转移,其转移途径是()
A.胸导管
B.体循环
C.肺循环
D.门静脉系统
E.椎旁静脉系统
119、判断题 X线检查没有游离气腹征象,也不能排除胃肠穿孔的可能。
120、单项选择题 胆管囊状扩张分为5种类型,其中I型为()
A.胆总管囊肿
B.肝内多发性囊肿
C.壁内段胆总管囊状膨出
D.多发性肝内、外囊肿
E.胆总管憩室
121、名词解释 骨折片陷落征
122、单项选择题 儿童短管骨结核最具特征性的X线表现是()
A.单纯骨皮质破坏
B.骨质增生硬化
C.骨气鼓
D.死骨及窦道形成
E.以上都不是
123、单项选择题 女,35岁,右肺上叶后段薄壁空洞,直径3cm,内有较小的液面,空洞周围肺内有渗出病变,右下叶及左肺中下野有多发斑片状渗出影,最可能的诊断是()
A.肺结核病(干酪性肺炎)
B.肺脓肿
C.血源性肺脓肿
D.空洞型肺癌
E.肺霉菌病
124、单项选择题 肥厚型心肌病的X线征象中,下列哪项错误()
A.心脏多数不大或仅有轻度增大
B.肺动脉段明显突出
C.肺血管纹理正常或有轻度肺淤血
D.心脏搏动正常或增强
E.少数病例心脏可高度增大
125、问答题 胸部X线摄片的适应证有哪些?
126、单项选择题
男,6岁,左髋关节跛行2月余,根据所示图像,最可能的诊断是()
A.正常表现
B.左髋结核
C.左髋关节炎
D.左髋半脱位
E.左股骨头缺血坏死
127、多项选择题 二尖瓣狭窄后前位可见的X线征象有()
A.右心缘双心房影
B.主动脉结略小或正常
C.肺淤血
D.左心缘出现第3心缘
E.左下心缘平直,心尖上翘
128、单项选择题 右肺门角是哪两种结构的夹角()
A.右中叶静脉和右下肺动脉
B.右下肺动脉干和右主支气管
C.右上叶下后静脉干和右下肺动脉
D.右上叶下后静脉干和气管
E.右上叶下后静脉和右主支气管
129、多项选择题 影响X线强度分布的因素是()
A.靶面倾角
B.辐射时间的长短
C.阳极的类型(固定或旋转)
D.靶面出现过热熔解的程度
E.管内阳极与阴极间的距离
130、单项选择题 肺结核的并发症中,哪项较少见到()
A.肺结核并肺癌
B.肺结核并发肺气肿
C.肺结核并发支气管结核
D.肺结核并发支气管扩张
E.肺结核并发肺不张
131、单项选择题 不透光性肾结石的首选影像学检查方法是()
A.超声检查
B.腹部平片
C.CT扫描
D.MRI
E.IVP
132、单项选择题 右前斜位,心脏后缘自上而下依次为()
A.左心房、右心房
B.右心房、左心室
C.右心房、左心房
D.左心房、左心室
E.右心房、右心室
133、问答题 双侧肺门影增大常见于哪些疾病?
134、单项选择题
女,5岁,左踝疼痛,结合图像,最可能的诊断是()
A.创伤性关节炎
B.退行性骨关节病
C.神经性关节病
D.风湿性关节炎
E.痛风
135、单项选择题 炎性假瘤影像学表现为()
A.肺内孤立结节,无分叶,边缘有毛刺,发病前有发热史
B.肺内孤立结节,内有爆米花样钙化
C.右上叶后段结节,边缘光整,周围有卫星灶,增强扫描结节无强化
D.肺内孤立结节,有分叶和毛刺,远端有胸膜凹陷征
E.左下叶后基底段肿块,CT增强扫描示胸主动脉分支进入肿块
136、单项选择题 下列“良性骨肿瘤”影像特点中,不含哪项()
A.硬化边缘
B.局部骨膨隆
C.常无骨膜反应
D.骨皮质断裂
E.病灶边缘清楚
137、单项选择题 中央型错构瘤主要由什么成分组成()
A.脂肪组织
B.平滑肌组织
C.纤维结缔组织
D.软骨组织
E.骨组织
138、单项选择题 下列与肺心病不符的X线征象是()
A.肺气肿
B.右心室增大
C.左心室明显增大
D.右前斜位见肺动脉圆锥突出
E.右下肺动脉直径>15mm
139、单项选择题 下述关于“巨细胞瘤”和“动脉瘤样骨囊肿”描述中正确的是()
A.腰椎受累,常为巨细胞瘤
B.两者放疗效果均较差
C.动脉瘤样骨囊肿,只见于生长期骨骼
D.巨细胞瘤,既见于生长期也见于成熟期骨骼
E.骨骺板对动脉瘤样骨囊肿有限制作用
140、单项选择题
男,7岁,外伤后突发呼吸困难伴胸痛,结合图像,最可能的诊断是()

A.胸腔积液
B.肺大泡
C.气胸
D.液气胸
E.肺脓肿
141、单项选择题 下列关于“外伤性化脓性骨髓炎”特点中,哪项错误()
A.多由开放伤引起
B.病变常较广泛
C.常有多个死骨
D.可有异物存留
E.骨痂形成较晚
142、单项选择题
男,49岁,进行性吞咽困难1月,结合图像,最可能的诊断为()

A.正常食管
B.食管炎
C.食管癌
D.食管静脉曲张
E.胃炎
143、判断题 老年人和食管贲门失弛缓症患者不能见到第3蠕动波。
144、单项选择题 关于“食管裂孔疝”的描述,错误的是()
A.疝囊位于后下纵隔区
B.疝囊上缘狭窄为“B”环
C.常有返流性食管炎
D.“B”环是食管粘膜与胃粘膜交界处
E.疝囊粗大的胃粘膜皱襞
145、单项选择题 左主支气管与气管中线成多少度角()
A.10°~20°
B.20°~30°
C.30°~40°
D.40°~55°
E.50°~60°
146、单项选择题 下述哪项不属于毛细血管通透性增高引起的肺水肿原因()
A.高原性肺水肿
B.吸入刺激性气体
C.成人型呼吸窘迫综合征
D.淹溺
E.弥散性血管内凝血
147、判断题 逆行尿路造影时,前尿道显示较排泄性造影为宽。
148、单项选择题
男,28岁,从高处坠落后双足疼痛1月余,结合影像学检查,最可能的诊断是()
A.跟骨骨折
B.骰骨骨折
C.距骨骨折
D.舟状骨骨折
E.楔骨骨折
149、判断题 肾盂癌可向下种植至输尿管和膀胱。
150、单项选择题 近距离投照的焦-片距是()
A.≤0.20m
B.0.75~1.0m
C.0.35~0.5m
D.0.5~0.75m
E.0.20~0.30m
151、判断题 食管前庭段是一低压区,有防止胃内容物反流的重要作用。
152、单项选择题 下列关于“胃窦炎”描述,错误的是()
A.胃窦粘膜粗大
B.粘膜皱襞斜行、横行或交叉排列紊乱
C.肩胛征
D.胃窦张力增高
E.充盈像时,胃窦轮廓呈细齿状
153、单项选择题
男,8岁,易疲劳,活动后心悸、气急,结合图像,最可能的诊断是()

A.房间隔缺损
B.室间隔缺损
C.肺动脉狭窄
D.动脉导管未闭
E.法洛氏四联症
154、单项选择题 退行性骨关节病与夏科关节鉴别点为()
A.关节间隙可见游离体
B.关节严重破坏,与症状轻微不符
C.关节变形
D.关节骨质增生
E.关节间隙狭窄
155、单项选择题 髋关节后前斜位(谢氏位)用于检查股骨头()
A.向上脱位
B.向下脱位
C.向前脱位
D.向后脱位
E.向外侧脱位
156、名词解释 肩胛征
157、多项选择题 下列关于肠套叠的描述,错误的是()
A.小肠机械性肠梗阻表现
B.好发于回盲部
C.套叠部远端呈杯口状
D.常见于儿童
E.应在24小时内手术
158、单项选择题
男,65岁,咳嗽,右胸痛,痰中带血丝1周。胸部后前位片示:右肺门影增大,右上肺大片状致密影,水平裂呈反“S”样改变。
最可能的诊断是()
A.右上肺炎
B.右上肺脓肿
C.右上阻塞性肺炎
D.右上肺结核
E.右侧中心型肺癌伴右上肺不张
159、多项选择题 下列良性骨肿瘤呈多发性表现的是()
A.血管瘤
B.骨软骨瘤
C.骨样骨瘤
D.软骨瘤
E.神经末梢瘤
160、单项选择题 Albright综合征是指()
A.腰椎结核并骨脓肿形成
B.多发性软骨瘤并多发性血管癌
C.骨纤维异常增殖症合并性早熟,皮肤色素沉着
D.骨糖尿病合并夏科关节
E.骨盆发育畸形并髋关节脱位
161、名词解释 泪滴征
162、单项选择题
男,68岁,患“胃炎”20余年,因突然出现全腹剧烈疼痛,病人被动屈曲位,初体温正常,后出现最高体温38.5℃,脉搏110次/分,查体:腹式呼吸减弱,腹肌紧张不明显,全腹压痛、反跳痛,以上腹部为重;X线立位平片示小肠普遍胀气,并见小液气平面,膈下见游离气体。
根据上述症状及体征,最可能诊断为()
A.胃出血
B.胃穿孔
C.肠梗阻
D.急性胃肠炎
E.胆绞痛
163、单项选择题
照片影像仅在某一部分出现模糊,最大的可能性是()
a.散射线
b.硫酸钡的流动性
c.胶片乳剂厚度
d.增感屏荧光体颗粒形态
e.半影
A.被照体移动
B.增感屏与胶片接触不良
C.摄片时间长
D.检查床台面颤动
E.暗盒漏光
164、填空题 胸膜肥厚是由______________及________________引起,常充塞胸膜腔。
165、单项选择题 滤线栅的使用在那个投照部位为多()
A.头颅后前位
B.鼻骨侧位
C.拇指侧位
D.婴幼儿胸部前后位
E.乳房
166、单项选择题 伴有肿块阴影的肺血管异常的疾病是()
A.肺动脉狭窄
B.一侧肺发育不全
C.肺动脉缺如
D.肺动静脉瘘
E.部分肺静脉回流异常
167、单项选择题 下述“食管静脉曲张”影像特点,哪项不正确()
A.蚯蚓状充盈缺损
B.不侵犯食管上段
C.食管张力降低,管腔扩张
D.食管壁柔软度尚可
E.Valsalva呼吸可提高检出率
168、多项选择题 脊椎退行性变的病理改变中,包括哪项()
A.椎间盘退行性变
B.椎间关节退行性变
C.韧带退行性变
D.脊椎骨骼改变
E.脊椎结核、肿瘤病变
169、单项选择题 正常气管隆突的分叉角度约为()
A.45°~75°
B.55°~85°
C.65°~90°
D.60°~85°
E.60°~75°
170、单项选择题 儿童长骨分为4部分,下列哪项是错误的()
A.骨干
B.骨端
C.骨骺
D.骨骺板
E.干骺端
171、单项选择题 下列不属于肺实质的是()
A.肺泡管
B.肺泡囊
C.肺泡
D.肺泡壁
E.肺泡间隔
172、多项选择题 下述哪项只有一个骨骺()
A.指骨
B.掌骨
C.腕骨
D.趾骨
E.跖骨
173、单项选择题 正常肺腺泡直径为()
A.6~8mm
B.15mm
C.10mm
D.20mm
E.25mm
174、单项选择题 下述主动脉病变在普通X线平片上的表现,错误的是()
A.主动脉增宽、伸长和迂曲
B.主动脉搏动增强
C.主动脉外形不规则
D.主动脉位置改变
E.主动脉狭小
175、单项选择题 腰椎峡部不连,X线摄片清晰显影于()
A.正位像
B.侧位像
C.斜位像
D.过伸侧位像
E.过屈侧位像
176、单项选择题
6岁,女,右小腿疼痛,跛行5年,无明显外伤史,右小腿正侧位片如图所示,最可能诊断是()
A.先天性骨不连
B.先天性骨梅毒
C.先天性假关节形成
D.成骨发育不全
E.软骨发育不全
177、多项选择题 下述哪些疾病可引起纤维性椎管狭窄()
A.韧带肥厚
B.椎间盘脱出
C.蛛网膜粘连
D.骨性增生
E.韧带钙化
178、名词解释 维生素C缺乏症线
179、单项选择题 贲门癌是指源于贲门口中心周围多少厘米以内的胃癌()
A.1.0~3.0cm
B.0.5~1.0cm
C.2.5~3.0cm
D.2.0~2.5cm
E.1.5~3.5cm
180、单项选择题 急性乳腺炎患者,下列哪项是必定有的临床表现()
A.皮肤红
B.局部皮温明显升高
C.局部有波动
D.疼痛并有明显压痛
E.以上都不对
181、判断题 缺血坏死性结肠炎表现为偏心性狭窄,而结肠癌表现为向心性狭窄。
182、单项选择题 X线穿过均匀物质时,其强度呈下述何种方式衰减:()
A.对数关系
B.指数关系
C.线性关系
D.无任何关系
E.以上都不是
183、单项选择题
男,60岁,左股骨痛1年余,结合图像,最可能的诊断是()
A.骨纤维异常增殖症
B.Paget病
C.髋关节结核
D.股骨头缺血坏死
E.化脓性骨髓炎
184、单项选择题 纵隔向健侧移位见于()
A.张力性气胸
B.肺不张
C.蜂窝肺
D.一侧肺切除
E.大叶性肺炎
185、单项选择题 “法洛四联征”中起主导作用的畸形是()
A.肺动脉狭窄+主动脉骑跨
B.肺动脉狭窄+右心室肥厚
C.肺动脉狭窄+室间隔缺损
D.右心室肥厚+室间隔缺损
E.右心室肥厚+主动脉骑跨
186、单项选择题 X线胸片上,有一直径约2.4cm的圆形阴影,边缘光滑锐利,密度较高,内有爆米花状钙化,病人无自觉症状。最可能的诊断为()
A.肺癌
B.错构瘤
C.炎性假瘤
D.包虫囊肿
E.结核球
187、单项选择题 下列疾患中不宜做静脉肾盂造影的是()
A.成骨性骨肉瘤
B.甲状腺功能亢进
C.骨转移瘤
D.多发性骨髓瘤
E.尤文肉瘤
188、判断题 钼铑双金属靶面的乳腺X线机对较致密的乳腺有较好的穿透力,为诊断提供更多的诊断信息。
189、单项选择题 下列哪种疾患在食管的位置或形态上不发生变化()
A.左心房扩大
B.胸腺肥大
C.膈疝
D.食管静脉曲张
E.主动脉扩张
190、判断题 颅锁骨发育不全为全身性骨发育障碍,属常染色体隐性遗传。
191、多项选择题 韩-薛-柯病的X线表现为()
A.病变呈边界清楚的溶骨性破坏区
B.可相互融合,呈不规则地图样颅骨缺损
C.严重者如象牙镂空或雕刻样改变
D.牙槽骨破坏可致牙齿歪斜或呈悬浮状
E.肺门增大、肺纹理增多、紊乱
192、单项选择题 下列有关左心室增大的X线表现中,错误的是()
A.心尖向下向左延伸,居膈下甚至在胃泡内
B.左心缘圆隆,有时上部隆起明显,使心脏呈球形
C.左心室段延长,使相反搏动点下移
D.增大显著时将心影向右推并膨隆
E.右前斜位常无明显改变
193、单项选择题
男,66岁,上腹疼痛3~4天,胃部有手术史。结合图像,最可能的诊断为()

A.正常表现
B.胃炎
C.胃溃疡
D.胃窦炎
E.残胃炎
194、单项选择题 卫星病灶多见于下列哪种疾病()
A.周围型肺癌
B.球形肺炎
C.肺脓肿
D.急性粟粒型肺结核
E.结核球
195、单项选择题 胸片示厚壁空洞性病变,则可除外()
A.支气管囊肿
B.肺结核
C.肺梗死
D.叶内型隔离肺
E.坏死性肉芽肿
196、判断题 左心房增大常伴有肺静脉高压。
197、多项选择题 良性胃溃疡有下列哪些X线征象()
A.环堤
B.腔内龛影
C.放射状粘膜纠集
D.腔外龛影
E.裂隙征
198、单项选择题 下列组合,错误的是()
A.听眶线——与听眦线约呈20°角
B.听眦线——与听眶线约呈12°角
C.听鼻线——与听眦线约呈25°角
D.听口线——与听眦线约呈35°角
E.听眉线——与听眦线约呈10°角
199、单项选择题 婴幼儿摄胸片时,描述错误的是()
A.不能站立的小儿可用仰卧位或俯卧位
B.因小儿胸部厚度较薄,用前后位和后前位照像无明显差别
C.呼气和吸气时摄影无明显差别
D.正常胸腺有时与心脏增大或肺炎相混淆
E.正常也可见气管移位
200、填空题 肾先天性发育异常应包括__________、___________、____________、___________和____________。
201、单项选择题
男,8岁,右髋疼痛,活动受限,结合图像,最可能的诊断是()
A.股骨头骨骺缺血坏死
B.髋关节结核
C.剥脱性骨软骨炎
D.退行性骨关节病
E.骨纤维异常增殖症
202、单项选择题
男,11岁。自出生后出现活动后憋喘、口唇发紫。检查如图所示。最可能的诊断是()

A.完全性肺静脉异位引流-心下型
B.完全性肺静脉异位引流-心上型
C.完全性肺静脉异位引流-心内型
D.完全性肺静脉异位引流-混合型
E.法洛四联症
203、单项选择题 蝶鞍位于下列哪一个骨中()
A.筛骨
B.枕骨
C.颞骨
D.蝶骨
E.额骨
204、单项选择题 下列关于肺气肿的描述,错误的是()
A.胸片正常就可除外肺气肿
B.上叶肺血增加
C.膈顶变平
D.可有肺大泡
E.少数正常人也可出现肺体积增大、肺野透亮度增加等肺气肿类似表现
205、单项选择题
男,23岁,胸闷伴胸痛1月余,胸片如图,最可能的诊断为()

A.右膈膨升
B.右下肺盘状不张
C.正常胸片
D.右侧肺底积液
E.右侧膈下脓肿
206、单项选择题 食管贲门失弛缓症的典型X线表现是()
A.食管蠕动减弱
B.食管下端不规则狭窄
C.食管下端鸟嘴样或漏斗状狭窄
D.钡剂通过缓慢
E.食管极度扩张
207、单项选择题 肩关节脱位多见于()
A.儿童
B.向下、外脱位
C.后脱位
D.前脱位
E.以上都是
208、多项选择题 胸部侧位片,纵隔的划分包括()
A.前纵隔
B.左纵隔
C.中纵隔
D.右纵隔
E.后纵隔
209、单项选择题 骨关节外伤后行X线检查的目的是()
A.明确有无骨折或脱位
B.了解骨折及脱位的类型或程度
C.了解复位或固定术后的情况
D.观察骨折处愈合情况
E.以上都是
210、单项选择题 股骨属于()
A.长管状骨
B.扁骨
C.不规则骨
D.短管状骨
E.以上都是
211、问答题 椎间盘突出的CT表现有哪些?
212、单项选择题 下列心脏影像中,哪项不太重要()
A.位置
B.大小
C.形态
D.密度
E.搏动状态
213、名词解释 霍纳(Horner)综合征
214、填空题 急性栗粒型肺结核X线表现的“三均匀”,是指病灶__________、__________和___________。
215、单项选择题 胸片上,正常肺门位于()
A.第1~3前肋内带
B.第2~4前肋内带
C.第4~6前肋内带
D.第5~7前肋内带
E.第7~9前肋内带
216、配伍题 位于乙状结肠直肠连接部的是()位于降结肠乙状结肠交界处的是()位于脾曲的是()
A.Payr~Strauss括约肌
B.Cannm括约肌
C.Bakki括约肌
D.Rossi括约肌
E.Mouttier括约肌
217、单项选择题 下列X线防护知识,哪项不对 ( )
A.机房有用射线束朝向墙厚度:不低于2mm铅当量
B.机房侧壁、顶壁墙厚度:不低于1mm铅当量
C.铅围裙等个人防护用品:不低于0.125mm铅当量
D.控制台屏敝室防护能力:不低于0.25mm铅当量
E.球管、病人间距不小于35cm
218、单项选择题 显示颈椎椎间孔的最佳摄影体位是()
A.正位
B.斜位
C.侧位
D.张口位
E.切线位
219、多项选择题 病灶密度均匀、边缘模糊影见于()
A.干酪性肺炎
B.支原体肺炎
C.肺脓肿早期
D.矽肺晚期
E.大叶性肺炎
220、单项选择题 常于早期即发生淋巴转移的肺癌是()
A.鳞状上皮癌
B.小细胞未分化癌
C.腺癌
D.大细胞未分化癌
E.细支气管肺泡癌
221、填空题 病理上淋巴瘤分____________和_______________两大类。
222、单项选择题
男,71岁,背部酸痛,低热,乏力,消瘦2月余,结合影像学表现,最可能的诊断是()
A.脊柱转移瘤
B.化脓性脊柱炎
C.脊椎结核
D.椎体压缩骨折
E.阻滞椎
223、多项选择题 影响X线量的因素是()
A.靶物质的原子序数
B.高压电缆长度
C.X线管灯丝加热电流
D.管电压
E.自耦变压器
224、单项选择题 关于代谢性骨疾病的主要X线表现错误的是()
A.骨质疏松
B.纤维性骨炎
C.骨质硬化
D.骨质增生
E.以上都不是
225、单项选择题
男,44岁,间断性背部疼痛1月余,结合影像学检查,最可能的诊断是()
A.脊髓空洞症
B.L4/5椎间孔狭窄
C.脊膜瘤
D.强直性脊柱炎
E.脊柱结核
226、单项选择题 横突骨折最常见的部位()
A.颈椎
B.胸椎
C.腰椎
D.颈胸椎
E.骶椎
227、名词解释 膈角移位征
228、单项选择题 投照条件对解像力有影响的是()
A.实际焦点与解像力成正比
B.焦-片距与解像力成反比
C.显影液配方和显影温度不影响解像力
D.使用增感屏可提高解像力
E.物片距与解像力成反比
229、单项选择题 关于照片影像密度、对比度、锐利度的相互关系,哪种说法不妥()
A.密度是对比度、锐利度的基础
B.照片对比度可随密度的改变而改变
C.锐利度与对比度无直接关系
D.看片灯的亮度也影响着照片对比度的视觉效果
E.在高密度背景下,对比度小的物体影像难以辨认
230、多项选择题 迷走神经兴奋时可引起()
A.消化道张力增高
B.消化道张力减低
C.胃肠排空加快
D.胃肠蠕动减弱
E.胃肠蠕动增强
231、单项选择题 关于阳性对比剂的叙述,错误的是()
A.与周围组织相比X线衰减系数大
B.与阴性对比剂相比X线衰减系数大
C.阳性对比剂易被X线透过
D.碘剂和钡剂均为阳性对比剂
E.非离子型对比剂毒性较小
232、名词解释 假性骨折
233、单项选择题 椎间小关节囊是指()
A.包绕关节突后、外侧
B.包绕关节突前、后侧
C.包绕关节突前、内侧
D.若肥厚,可压迫神经根
E.关节囊松弛对关节稳定性无影响
234、填空题 返流性食管炎根据其发展过程病理上可分为三期,即早期____________;中期____________________;晚期_______________________。
235、多项选择题 骨骼基本病变的X线表现为()
A.骨质疏松
B.骨质软化
C.骨质破坏
D.骨膜增生
E.软组织肿块
236、单项选择题 法洛四联征患者的心影,多数()
A.明显增大
B.缩小
C.进行性增大
D.雪人征
E.正常或轻度增大
237、单项选择题 下列组合,无关的是()
A.颅前窝——筛骨板
B.颅前窝——嗅神经
C.颅前窝——前筛骨神经
D.颅前窝——前筛骨动静脉
E.颅前窝——视神经管
238、单项选择题 下列“脊柱先天畸形”中,哪项错误()
A.先天性斜颈
B.环椎枕化
C.枢椎齿状突缺如
D.椎弓崩裂
E.Klippel-Feil综合征
239、单项选择题 下列有关“先天性骨梅毒”影像学特征是()
A.Charcot关节
B.军刀腿
C.长骨广泛型增生、硬化,髓腔消失
D.骨膜下、皮层内局限型骨质破坏
E.Wasp-Waist征
240、单项选择题 支气管扩张的影像检查,最佳方法是()
A.胸正位片
B.CT检查
C.支气管造影
D.MRI检查
E.高分辨率CT
241、判断题 炎症性狭窄范围较广泛且边缘不整齐,而肿瘤性狭窄范围较局限且边缘较整齐。
242、单项选择题
男,66岁,近1月来感胸闷,有时低热,胸片如图,最可能的诊断为()

A.化脓性胸膜炎
B.结核性胸膜炎
C.右下肺炎症
D.右下肺不张
E.右侧胸腔积液
243、单项选择题 下列有关“三期梅毒”影像征象中,正确的是()
A.对髓腔内改变,MRI可确诊
B.长骨骨干广泛骨膜反应、骨质破坏
C.常有细小死骨
D.梅毒中发生在长骨
E.额骨、枕骨变薄
244、名词解释 骨骺损伤
245、问答题 肺静脉高压的X线表现有哪些?
246、判断题 肺动静脉瘘基本病理改变是扩张的动脉经过菲薄囊壁的动脉瘤囊直接通入扩张的静脉。
247、判断题 在工作中,通常用密度的高与低表示影像的白与黑。
248、问答题 中心型肺癌的X线征象有哪些?
249、单项选择题 手正位片上,拇指显示为()
A.轴位影像
B.正位影像
C.斜位影像
D.侧位影像
E.切线位影像
250、单项选择题 下列胃溃疡并发症中,哪种不宜用钡餐检查()
A.纳差、消瘦
B.幽门梗阻
C.慢性胃穿孔
D.溃疡癌变
E.活动性大出血
251、单项选择题 关于降低乳腺癌发生危险性的措施中,下列不正确是()
A.实行人工喂养
B.避免不必要的电离辐射
C.青春期适当节制脂肪和动物蛋白质的摄入
D.更年期尽量避免应用雌激素
E.更年期后适当增加体育活动,减少过剩脂肪
252、单项选择题
患者,女,46岁,胸闷气短1月,伴全身乏力,咳嗽,发热。胸片示:中上纵隔增宽,右缘呈波浪状改变。白细胞:8.5×10/L。
最可能的诊断是()
A.胸内甲状腺
B.胸腺瘤
C.右侧中心型肺癌
D.淋巴瘤
E.畸胎瘤
253、单项选择题 慢性阑尾炎最主要的X线表现是()
A.盲肠钡剂滞留
B.阑尾压痛
C.阑尾滞留钡剂
D.阑尾粘连固定
E.阑尾结石
254、单项选择题 有关黄韧带的断面解剖错误的叙述是()
A.呈尖端向后的V形线条影
B.宽度不超过6mm
C.黄韧带后缘紧贴椎管内缘
D.黄韧带位于关节突关节和椎板的内侧缘
E.前方与硬膜囊之间隔以低密度的脂肪组织
255、多项选择题 石棉肺患者易并发()
A.肺炎
B.胸膜间皮瘤
C.肺癌
D.支气管扩张
E.肺源性心力衰竭
256、单项选择题 衡量防护材料防护性能的铅当量单位为()
A.伦琴
B.拉德
C.Gy
D.居里
E.毫米
257、单项选择题 肺静脉高压在胸片上最早表现为()
A.上肺静脉扩张
B.下肺静脉扩张
C.上肺静脉收缩
D.下肺静脉收缩
E.间质性肺水肿
258、单项选择题 下列关于肺泡细胞癌诊断要点,错误的是()
A.痰细胞学可有阳性发现
B.咳嗽、大量黏液痰
C.经常咯血
D.全身硬皮病者,本病发病率较高
E.胸片表现为感染性肺实变难以鉴别
259、多项选择题 系统性红斑狼疮致死的主要原因为()
A.肾功能衰竭
B.神经系统并发症
C.心血管系统并发症
D.感染
E.囊性肺纤维化
260、单项选择题 关于视网膜母细胞瘤的影像特点,下述哪项说法是错误的()
A.肿瘤呈乳头样或扁平状,多发病灶
B.单眼发病
C.视神经可增粗,视神经孔可扩大
D.砂粒样、斑块样钙化
E.向球外生长者预后不良
261、配伍题 左上叶肺不张典型征象是()右下叶肺不张典型征象是()
A.薄饼征
B.右上三角征
C.平腰征
D.心后三角征
E.左上肺索条影
262、单项选择题 KerlerA线主要分布于()
A.两肺中上野
B.两肺下野外带
C.两肺上野
D.两肺下野内带
E.两肺中野
263、单项选择题 下列疾患,不能由腹部平片诊断的是()
A.胆囊阳性结石
B.肠梗阻
C.慢性胰腺炎
D.消化道穿孔
E.小儿先天性肛门闭锁
264、单项选择题 皮革胃是属于下列哪种类型胃癌()
A.蕈伞型胃癌
B.溃疡型胃癌
C.浸润型胃癌
D.混合型胃癌
E.平坦型胃癌
265、多项选择题 下列属于低压部件的是()
A.自耦变压器
B.延时器
C.空间电荷补偿变压器
D.透视高压接触器
E.稳压器
266、单项选择题
女,2岁,发现蓝色巩膜、听力障碍,四肢畸形等,结合图像,最可能诊断是()
A.维生素D缺乏病
B.维生素C缺乏症
C.软骨发育不全
D.呆小病
E.成骨不全
267、单项选择题
女,26岁,右踝部疼痛,结合图像,最可能的诊断是()
A.单纯性骨囊肿
B.骨巨细胞瘤
C.嗜酸性肉芽肿
D.骨纤维异常增殖症
E.动脉瘤样骨囊肿
268、单项选择题
女,53岁,常感中上腹不适,结合图像,最可能的诊断为()

A.正常表现
B.慢性胃炎
C.胃溃疡
D.胃憩室
E.胃癌
269、多项选择题 X线经被照体形成X线信息影像,其质量决定于()
A.被照体的厚度与密度
B.被照体的原子序数
C.X线的散射状况
D.被照体的形状
E.X线的量
270、单项选择题 电击伤中以哪个部位骨骼损伤最多见()
A.肩部
B.手部
C.躯干
D.膝部
E.头部
271、单项选择题 无壁空洞最常见于()
A.周围型肺癌
B.干酪性肺炎
C.肺脓肿
D.肺转移瘤
E.浸润型肺结核
272、多项选择题 正常腹主动脉造影可显示腹主动脉及其分支,分支包括哪几部分()
A.腹腔动脉
B.肠系膜上动脉
C.肠系膜下动脉
D.两侧肾动脉
E.睾丸动脉
273、单项选择题 支气管断裂伤最常见的征象是()
A.双肺含气不足,合并渗出性病变
B.张力性气胸合并纵隔和皮下气肿
C.肺气肿,纵隔增宽
D.肺不张,纵隔移位
E.纵隔移位合并双肺含气不足
274、单项选择题
如图,在正常胸部X线影像图像上,该英文字母所代表的肺段为()

A.内基底段
B.前基底段
C.外基底段
D.后基底段
E.背段
275、单项选择题 乳腺腺体呈不均匀性大片致密影,边缘模糊,脂肪的带状透亮线变窄或消失,此为哪类乳腺的主要特征()
A.少女乳房
B.青春型乳房
C.月经期乳房
D.哺乳期乳房
E.绝经期乳房
276、单项选择题 骨质增生由下述哪种原因引起()
A.骨动脉或静脉栓塞及血栓形成
B.肿瘤组织形成的肿瘤骨
C.成骨细胞活动形成新生骨或软骨内成骨
D.软骨细胞活动形成新生骨
E.以上都不是
277、单项选择题 关于“正常胃粘膜皱襞”,错误的描述是哪项()
A.胃大弯粘膜皱襞比小弯侧粗
B.胃底粘膜皱襞走向不规则
C.胃体粘膜皱襞呈纵行走向
D.胃粘膜皱襞有纵、横两种
E.胃窦部胃小区显示率最高
278、单项选择题 下列哪项不是心包积液的典型X表现()
A.心影普遍性向两侧扩大,呈烧瓶样或球状
B.上腔静脉影增宽
C.心影在短期内迅速增大并肺淤血
D.心脏搏动明显减弱而主动脉搏动正常
E.主动脉影变短
279、多项选择题 肺血管异常的疾病中,伴有肿块影的是()
A.肺动脉狭窄
B.肺动脉缺如
C.肺隔离症
D.部分肺静脉回流异常
E.肺动静脉瘘
280、名词解释 轨道征
281、单项选择题
男,36岁,胸痛、发热2周余,X线检查如图,最可能的诊断是()

A.右下肺炎症
B.右肺肿瘤
C.右下肺不张
D.右肺中叶综合征
E.右侧气胸
282、单项选择题
男,23岁,膝关节疼痛,结合图像,最可能的诊断是()
A.骨脓肿
B.骨样骨瘤
C.骨肉瘤
D.骨软骨瘤
E.骨囊肿
283、单项选择题 下列关于“多发性骨髓瘤”错误的是()
A.常有病理骨折
B.扁骨、不规则骨多见
C.多部位、多发性病灶
D.常有广泛性骨质疏松
E.骨质以溶骨破坏为主,骨皮质无膨胀、硬化
284、单项选择题
男,8岁。跌倒时手掌着地,查体:肘部明显肿胀,有压痛,肘关节呈半屈曲状向外突出畸形,肘后三角尚存。
首先应做进行的肘部辅助检查为()
A.超声检查
B.DSA
C.关节造影术
D.X线检查
E.MRI检查
285、单项选择题 日本内镜协会对早期胃癌的定义是根据()
A.肿瘤的大小
B.有无溃疡
C.有无转移
D.有无穿孔
E.肿瘤限于粘膜和粘膜下层
286、单项选择题
女,77岁,进行性吞咽困难月余,伴胸闷气短,腹胀。结合图像,最可能的诊断为()

A.正常压迹
B.食管癌
C.食管静脉曲张
D.食管溃疡
E.食管憩室
287、填空题 1966年于纽约制定的诊断将骶髂关节炎分为5级,即____________、_________________、___________________________________________、_______________________________________________和___________________。
288、单项选择题 桡骨小头半脱位是由于()
A.尺侧副韧带松弛
B.桡侧副韧带松弛
C.桡骨环状韧带松弛
D.尺骨环状韧带松弛
E.以上均不是
289、单项选择题
男,65岁,胸痛,胸片检查如图,下列诊断中最可能的是()

A.右肺胸膜肥厚
B.右肺不张
C.右侧胸腔积液
D.右肺炎症
E.以上都不对
290、判断题 钼铑双金属靶面的乳腺X线机对较致密的乳腺有较好的穿透力,为诊断提供更多的信息。
291、多项选择题 关于气胸下列哪项正确()
A.胸部平片不易发现微量气胸
B.所有气胸都有加重甚至发展为张力性气胸的可能
C.气胸在胸部平片上大多能得到明确诊断
D.CT检查的目的是发现少量气胸及少见部位的气胸
E.检查微量气胸时,宜用呼气相扫描
292、单项选择题 肺淤血是指()
A.肺动脉血流量增加
B.肺静脉血流量增加
C.肺动脉血流量减少
D.肺静脉血流量减少
E.以上均不是
293、单项选择题
女,50岁,手指关节肿痛,晨僵,结合图像,最可能诊断是()
A.关节结核
B.牛皮癣性关节炎
C.痛风性关节炎
D.类风湿关节炎
E.Reiter综合征
294、单项选择题 骨皮质外1/3的血供主要来源于()
A.骨膜动脉
B.滋养动脉升支
C.滋养动脉降支
D.干骺动脉
E.骨骺动脉
295、单项选择题 关于增生型结肠癌的X线表现,错误的是()
A.肠腔内出现不规则的充盈缺损
B.肠腔内有较大的龛影
C.表面粘膜皱襞破坏中断或消失
D.局部肠壁僵硬平直,结肠袋消失
E.轮廓不规则,病变多发生于肠壁的一侧
296、多项选择题 有关头颅正位摄片的叙述,错误的是()
A.病人呈俯卧姿势
B.听眦线垂直台面
C.矢状面平行台面
D.下颌内收,靠近台面
E.两外耳孔到台距等高
297、单项选择题
女,8岁,寒战、高热一周,如图所示,最可能的诊断为()

A.左侧肺不张
B.左侧胸腔积液
C.左侧多发性肺脓肿
D.左心室增大
E.以上都不正确
298、名词解释 激惹征
299、单项选择题 肺病灶内有多发空洞,则可除外()
A.慢性肺脓肿
B.组织细胞增生症X
C.支气管囊肿
D.类风湿结节
E.嗜酸性肉芽肿
300、单项选择题 胸片显示为双侧性弧形肿块,密度均匀,且无钙化,可能是以下哪种肿瘤()
A.胸内甲状腺肿
B.神经源性肿瘤
C.胸腺瘤
D.淋巴瘤
E.畸胎瘤