医学影像技术(医学高级):X线试题及答案(强化练习)

时间:2023-03-06 03:04:37

微信搜索关注"91考试网"公众号,领30元,获取事业编教师公务员等考试资料40G
题库试看结束后微信扫下方二维码即可打包下载完整版《★医学影像技术(医学高级)》题库
手机用户可保存上方二维码到手机中,在微信扫一扫中右上角选择“从相册选取二维码”即可。
题库试看结束后微信扫下方二维码即可打包下载完整版《医学影像技术(医学高级):X线》题库,分栏、分答案解析排版、小字体方便打印背记!经广大会员朋友实战检验,此方法考试通过率大大提高!绝对是您考试过关的不二利器
手机用户可保存上方二维码到手机中,在微信扫一扫中右上角选择“从相册选取二维码”即可。

1、单项选择题  有关子宫输卵管造影的叙述,错误的是()

A.对比剂经子宫颈口注入
B.常用碘化油作为对比剂
C.有输卵管阻塞的危险
D.子宫体恶性肿瘤者禁止造影
E.兼有治疗输卵管阻塞作用


点击查看答案


2、问答题  诊断胃下垂的X线依据是什么?


点击查看答案


3、单项选择题  颈椎右前斜位片,可显示()

A.右侧椎间孔
B.左侧椎间孔
C.右侧横突孔
D.左侧横突孔
E.椎孔


点击查看答案


4、单项选择题  IVP腹部立位像,左肾位于盆腔内,变换体位,可上下方向移位,左输尿管的长度与健侧相仿,应诊断为()

A.左侧游离肾
B.左侧异位肾
C.左侧移植肾
D.左侧肾下垂
E.左侧重复肾


点击查看答案


5、单项选择题  关于奇静脉,下列哪项不对()

A.气管、左主支气管分叉处,有时可见到奇静脉
B.气管、右主支气管分叉处,有时可见到奇静脉
C.侧位片,有助于鉴别奇静脉和气管旁肿大淋巴结
D.腔静脉闭塞、门脉高压时,奇静脉可扩张
E.由左侧腰升静脉延伸而来


点击查看答案


6、单项选择题  X线穿过均匀物体时,其强度呈下列哪种方式衰减()

A.对数关系
B.指数关系
C.线性关系
D.无任何关系
E.以上都不是


点击查看答案


7、名词解释  颈眼听综合征


点击查看答案


8、判断题  急腹症患者常合并胸腔积液和脓胸。


点击查看答案


9、单项选择题  胆管囊状扩张分为5种类型,其中I型为()

A.胆总管囊肿
B.肝内多发性囊肿
C.壁内段胆总管囊状膨出
D.多发性肝内、外囊肿
E.胆总管憩室


点击查看答案


10、多项选择题  骨关节结核的主要X线表现是()

A.骨质增生
B.骨质破坏
C.骨质软化
D.骨质疏松
E.骨骼增粗变形


点击查看答案


11、单项选择题  常用的子宫输卵管造影的对比剂是()

A.40%碘化油
B.70%泛影葡胺
C.20%碘化油
D.50%泛影葡胺
E.以上均不是


点击查看答案


12、多项选择题  腹水在X线平片上的表现为()

A.小肠内气体被压向腹部周边
B.有时于骨盆部见到狗耳征
C.胁腹线向外膨出
D.全腹部呈磨玻璃样,轮廓不清
E.大肠内气体像与胁腹线间距增大


点击查看答案


13、问答题  骨膜反应对病变的定性诊断价值如何?


点击查看答案


14、单项选择题  下述哪种心脏病不引起两肺门增大()

A.房间隔缺损
B.室间隔缺损
C.肺源性心脏病
D.肺动脉狭窄
E.动脉导管未闭


点击查看答案


15、多项选择题  韩-薛-柯氏病的临床表现包括()

A.颅骨缺损
B.肝脾肿大
C.尿崩症
D.皮疹及贫血
E.突眼


点击查看答案


16、单项选择题  眶壁的内壁构成中,哪项不正确()

A.上颌骨额突
B.泪骨
C.筛骨纸板
D.蝶骨小翼
E.上颌骨眶面


点击查看答案


17、单项选择题  胰腺癌淋巴结转移最常见于()

A.胃周淋巴结
B.下腔静脉周围淋巴结
C.腹主动脉旁淋巴结
D.肝门区淋巴结
E.腹腔动脉周围淋巴结


点击查看答案


18、判断题  男性骨化中心出现时间和骨骺闭合时间与女性一致。


点击查看答案


19、单项选择题  关于原发性支气管肺癌,下列哪项描述不准确()

A.早期中央型肺癌胸片易漏诊
B.管内型的中央型肺癌易形成肺不张
C.隐性肺癌等于早期肺癌
D.鳞癌多为中央型肺癌
E.管壁浸润型的中央型肺癌可无肺不张


点击查看答案


20、单项选择题  下列组合中,无关的是()

A.蝶鞍——垂体
B.颅中窝——卵圆孔
C.内听道——第Ⅷ神经
D.视神经孔——第Ⅴ脑神经
E.圆孔——上颌神经


点击查看答案


21、多项选择题  诊断学综合评价标准中要求有()

A.成像技术标准
B.影像显示标准
C.重要的影像细节
D.体位显示标准
E.受检者剂量标准


点击查看答案


22、单项选择题  骨骼系统疾病最常用的影像学检查方法是()

A.CT、X线平片
B.ECT
C.MRI
D.CT
E.血管造影


点击查看答案


23、单项选择题  CR摄影和常规X线摄影不同之处在于()

A.使用影像板代替胶片
B.X线发生器不同
C.人体X线吸收系数不同
D.对CR图像的观察与分析不同
E.将已摄影的X线胶片数字化


点击查看答案


24、判断题  骨瘤是一种成骨性良性肿瘤,均起源于膜内成骨。


点击查看答案


25、单项选择题  管电压超过下述哪个值时,需使用滤线栅()

A.55kV            
B.60kV
C.65kV            
D.70kV
E.75kV


点击查看答案


26、问答题  在胸部侧位片上哪些征象对疾病的诊断有利?


点击查看答案


27、单项选择题  心脏左右缘搏动减弱,大血管搏动正常,是诊断下述哪种疾病的特征性表现()

A.主动脉狭窄
B.联合瓣膜病
C.心肌病
D.心包积液
E.左心衰


点击查看答案


28、多项选择题  成人幽门梗阻的常见病因有哪些()

A.幽门管溃疡
B.胃窦癌
C.胃粘膜脱垂
D.十二指肠球部溃疡
E.成人幽门肌肥大


点击查看答案


29、单项选择题  关于鼻真菌病的X线表现,下列哪项描述不准确()

A.鼻腔软组织肿块
B.受侵鼻窦内有结节状软组织影
C.窦壁骨质无破坏
D.鼻甲增大
E.一般窦内无积液


点击查看答案


30、配伍题  颧骨弓()
胸骨()
肺底积液()

A.立位+卧位
B.立位或水平位
C.侧位+斜位
D.倒立正侧位
E.轴位


点击查看答案


31、多项选择题  CR的空间频率处理、减影处理的叙述,正确的是()

A.空间频率处理是系统对空间频率响应的调节
B.频率处理三个参数:RN、RT、RE
C.可完成血管造影与非造影影像的减影职能
D.时间减影是作对比剂注射前后的影像减影
E.能量减影是两幅以不同能量曝光的影像


点击查看答案


32、单项选择题  “恶性骨肿瘤”发病顺序依次为()

A.纤维肉瘤>成骨肉瘤>软骨肉瘤
B.成骨肉瘤>纤维肉瘤>软骨肉瘤
C.软骨肉瘤>纤维肉瘤>成骨肉瘤
D.成骨肉瘤>软骨肉瘤>纤维肉瘤
E.软骨肉瘤>成骨肉瘤>纤维肉瘤


点击查看答案


33、单项选择题  周围型肺癌的影像学表现()

A.肺内孤立结节,无分叶,边缘有毛刺,发病前有发热史
B.肺内孤立结节,内有爆米花样钙化
C.右上叶后段结节,边缘光整,周围有卫星灶,增强扫描结节无强化
D.肺内孤立结节,有分叶和毛刺,远端有胸膜凹陷征
E.左下叶后基底段肿块,CT增强扫描示胸主动脉分支进入肿块


点击查看答案


34、单项选择题  X线管的靶面材料通常是()

A.铁
B.钨
C.金
D.铜
E.钼


点击查看答案


35、多项选择题  适合高电压摄片检查的部位为()

A.喉
B.肺
C.胸骨
D.乳腺
E.鼻咽部侧位


点击查看答案


36、单项选择题  骨性骨痂形成后还需进一步改建,在儿童此过程为()

A.1~2年
B.4~5年
C.6~9个月
D.9~12个月
E.4~6周


点击查看答案


37、名词解释  Barrett食管


点击查看答案


38、多项选择题  胸片示边缘锐利的球形肿块,可能的诊断有()

A.先天性肺囊肿
B.肺隔离症
C.慢性肺脓肿
D.周围型肺癌
E.肺错构瘤


点击查看答案


39、单项选择题  左前斜位,心脏前缘自上而下依次为()

A.右心房、右心室
B.左心房、左心室
C.左心房、右心室
D.右心房、左心室
E.右心室、左心室


点击查看答案


40、单项选择题  男性,38岁。突发撕裂样胸背部疼痛伴大汗淋漓1小时。查体:心率100次/分,右上肢BP100/60mmHg,左上肢BP150/70mmHg。听诊可闻及颈部血管杂音,胸骨左缘3、4肋间叹气样舒张期杂音。心电图检查:窦性心律,Ⅱ、Ⅲ、aVF导联T波倒置。X线胸片:上纵隔稍宽。经服用硝酸甘油,疼痛未缓解。 如果诊断得到证实,应采取的针对性治疗措施是()

A.手术修补主动脉窦瘤
B.药物治疗
C.冠状动脉搭桥术
D.Bentall手术
E.胸腔闭式引流


点击查看答案


41、填空题  在纵隔肿瘤中,比较常见的有_____________、__________、________和__________)等。


点击查看答案


42、单项选择题  下列关于骨关节投照体位的选择哪项不对()

A.立位双足弓水平侧位;扁平足 
B.肩关节盂前后位:肩关节间隙 
C.膝关节侧位、轴位;髌骨骨折 
D.腕关节内收位:舟状骨中段横行骨折 
E.双肩关节后前持重位;肩锁关节有否脱位


点击查看答案


43、填空题  急性胆囊炎病理表现为三种类型,即_________________、________________和___________________三种。


点击查看答案


44、单项选择题  

男,67岁,中上腹痛,消瘦乏力,钡餐检查如图,不包括下列哪项()

A.腔内龛影
B.指压征
C.环堤征
D.半月征
E.项圈征


点击查看答案


45、判断题  继发性肺结核干酪为主型,肺门淋巴结常增大。


点击查看答案


46、单项选择题  

男,38岁,口干,多饮多尿消瘦2月,结合图像,最可能的诊断为()

A.正常表现
B.胃憩室
C.胃溃疡
D.胃窦炎
E.胃癌


点击查看答案


47、多项选择题  下列关于肾囊肿的描述,不正确的是()

A.平片可以明确诊断
B.尿路造影可见到肾盏受压拉长、分开或变形,但边缘光滑
C.CT平扫为低密度灶,边界清,增强后无强化
D.MRI平扫,T1加权像为低信号,T2加权像也为低信号
E.肾动脉造影可见到肾动脉受压、移位和拉直


点击查看答案


48、单项选择题  下列关于小肠结构描述不正确的是()

A.长度一般5m~7m
B.吸收作用主要在空肠
C.空肠可见钟摆运动
D.回肠末端可见逆蠕动
E.回肠管腔壁较空肠厚


点击查看答案


49、单项选择题  下述“骨纤维异常增殖症”影像表现,哪项不对()

A.骨改变以板障增宽为特征
B.囊状膨胀性病变,有硬化缘
C.可有硬化和斑点样钙化
D.病理骨折后,局部囊络”样


点击查看答案


50、单项选择题  “骨中骨”征象出现于()

A.骨嗜酸性肉芽肿
B.尼曼-皮克病
C.勒-雪病
D.韩-薛-柯病
E.石骨症


点击查看答案


51、单项选择题  摄片示“骨龄延迟”,则可除外()

A.Turner综合征
B.垂体功能亢进
C.营养不良
D.类固醇治疗
E.先天性绀型心脏病


点击查看答案


52、单项选择题  十二指肠球部溃疡好发部位是()

A.大弯侧
B.小弯侧
C.前壁
D.后壁
E.基底部


点击查看答案


53、单项选择题  

男,21岁,慢性膝关节疼痛,活动受限,皮肤多处青紫,结合图像,最可能的诊断是()

A.痛风
B.类风湿关节炎
C.退行性骨关节病
D.白血病
E.血友病性关节炎


点击查看答案


54、单项选择题  成人下颌角的正常值为()

A.110度
B.115度
C.120度
D.125度
E.130度


点击查看答案


55、名词解释  胸膜外征


点击查看答案


56、单项选择题  乙状窦沟前缘与外耳道后壁的距离,一般为()

A.<10mm
B.>14mm
C.5~10mm
D.10~14mm
E.15~18mm


点击查看答案


57、单项选择题  “钡餐检查”前,一般不需要()

A.了解病史,带上以往检查资料 
B.清洁灌肠  
C.不给予影响消化道功能的药物 
D.检查前1周内不吃高密度食物、药物
E.禁食、禁水12小时


点击查看答案


58、名词解释  短液平征


点击查看答案


59、单项选择题  肘关节脱位中哪种脱位较少见()

A.后方脱位
B.侧方脱位
C.后外方脱位
D.后内方脱位
E.以上都是


点击查看答案


60、判断题  Gd-DTPA增强扫描,几乎所有乳腺癌均有不同程度的增强。


点击查看答案


61、单项选择题  下列描述输尿管结核的影像学改变中,哪项不正确()

A.迂曲、延长
B.钙化
C.僵直
D.短缩
E.串珠状


点击查看答案


62、单项选择题  

男,6月。出生1月后经常出现喷射状呕吐,为奶块,渐加重。面色消瘦,右上腹部可触及核桃大小硬块。如图,最可能的诊断为()

A.胆总管囊肿
B.肠闭锁
C.先天性幽门肥厚狭窄
D.肠套叠
E.先天性巨结肠


点击查看答案


63、单项选择题  关于维生素D缺乏性佝偻病的X线诊断,以下哪种征象最重要()

A.临时钙化带模糊消失
B.干骺端呈毛刷状杯口状
C.骨质密度减低
D.骨干弯曲变形
E.骨小梁模糊


点击查看答案


64、多项选择题  肺结核患者,可见到哪些病理X线征象()

A.增殖性改变
B.纤维性改变
C.钙化性改变
D.空洞性改变
E.渗出性改变


点击查看答案


65、单项选择题  男性,22岁,四川人,到拉萨旅游,因头痛、咳红色泡沫痰2天,昏迷3小时就诊,胸片示两肺弥漫分布大小不等模糊影,以内带居多,最可能的诊断是()

A.ARDS
B.大叶性肺炎
C.高原性肺水肿
D.支气管肺炎
E.心源性肺水肿


点击查看答案


66、单项选择题  冠状动脉瘤最常见于()

A.Marfan综合征
B.川崎病
C.动脉粥样硬化
D.风湿性心脏病
E.梅毒性心脏病


点击查看答案


67、单项选择题  早期食管癌X线分期标准是()

A.病灶局限于粘膜和粘膜下层
B.病灶小于2cm
C.仅侵犯肌层而不侵犯浆膜层
D.仅有局部淋巴结转移
E.有血行转移


点击查看答案


68、判断题  化脓性胸膜炎包括结核性脓胸及其他致病菌引起的脓胸。


点击查看答案


69、单项选择题  有关前列腺肥大的描述,正确的是()

A.CT检查价值不大
B.多发生在侧叶及中叶
C.X线平片检查有较大价值
D.主要症状为发热、尿频
E.青少年发病率较高


点击查看答案


70、单项选择题  男,3岁,腹痛、腹胀伴呕吐1天。透视见腹部有多个气液平。首先考虑的诊断是()

A.结肠息肉
B.息肉恶变
C.结肠癌
D.肠梗阻
E.结肠炎


点击查看答案


71、配伍题  肝外伤休克()
肝癌()
肝血管瘤()
胆道梗阻()
门脉高压()

A.TIPSS
B.肝动脉栓塞术
C.PTCD
D.肝动脉造影
E.肝动脉化疗栓塞


点击查看答案


72、单项选择题  有关静脉肾盂造影腹部压迫的叙述,错误的是()

A.防止对比剂流入膀胱
B.压迫点为脐下方两侧
C.压迫球呈正八字形放置
D.压力为5.3~8.0kPa
E.观察全尿路时解除压迫


点击查看答案


73、单项选择题  肺下积液所致的“膈升高”膈顶最高点位于()

A.偏外1/3
B.偏外2/3
C.偏内1/3
D.偏内2/3
E.偏外1/2


点击查看答案


74、填空题  石骨症分两型,即轻型为_____________,重型为_____________。


点击查看答案


75、单项选择题  胸片示双肺门周围融合影,则可除外()

A.肺泡性肺水肿
B.霍奇金病
C.合胞病毒肺炎
D.卡氏肺囊虫肺炎
E.肺泡蛋白沉积症


点击查看答案


76、问答题  泌尿系统X线检查有哪些方法?各有何优势与限度?


点击查看答案


77、多项选择题  早期食管癌分为()

A.硬化型
B.平坦型
C.溃疡型
D.凹陷型
E.隆起型


点击查看答案


78、单项选择题  

女,25岁,腕部疼痛,结合图像,最可能的诊断是()

A.肥大性骨关节病
B.骨髓炎
C.骨肉瘤
D.嗜酸性肉芽肿
E.骨膜下出血


点击查看答案


79、单项选择题  关于右肺上叶不张的X线表现,错误的是()

A.右上叶呈密度增加的大片阴影
B.肺不张叶向上移位
C.气管可向右侧移位
D.右中下叶呈代偿性肺气肿
E.右肺门的阴影向下移位


点击查看答案


80、单项选择题  大叶性肺炎的蔓延途径是()

A.肺泡孔
B.肺泡腔内的浆液
C.肺动脉
D.肺泡壁
E.肺静脉


点击查看答案


81、单项选择题  下述关于多发性骨软骨瘤恶变的征象,不正确的是()

A.远处出现转移性病灶
B.软骨帽增厚
C.钙化软骨帽密度变淡,边界不清
D.瘤体内出现透亮区
E.肿瘤生长缓慢或突然生长停止


点击查看答案


82、名词解释  肾自截


点击查看答案


83、问答题  在肺结核中引起肺不张的原因有哪些?


点击查看答案


84、单项选择题  减少与抑制散射线的方法中,错误的是()

A.降低管电压
B.减小焦-片距离
C.缩小照射野
D.使用后盖贴有金属膜的暗盒
E.正确使用遮线器


点击查看答案


85、单项选择题  “假肾征”指的是哪个脏器病变()

A.肾
B.肝
C.肠
D.肝、肾
E.肾、肠


点击查看答案


86、单项选择题  关于房间隔缺损,X线检查见不到()

A.右心增大
B.肺门舞蹈
C.左心室增大
D.主动脉结缩小
E.肺动脉段突出


点击查看答案


87、单项选择题  下列哪项不是骨骺干骺端结核的X线表现()

A.边缘模糊,圆形、椭圆形骨破坏
B.病灶偏于一侧,靠近骨骺板
C.骨硬化及碎片样死骨
D.骨皮质破坏轻
E.针状骨膜反应


点击查看答案


88、单项选择题  返流性食管炎的主要病因,不包括哪项()

A.食管下端括约肌功能减弱
B.膈肌裂孔钳闭作用减弱
C.食管胃之间锐角(His角)变钝或消失
D.食管排空功能及食管粘膜防御机制下降
E.吞服或误服腐蚀剂造成的损伤


点击查看答案


89、多项选择题  类风湿性关节炎早期X线表现有()

A.骨膜增厚和骨化
B.关节邻近骨质疏松
C.关节周围软组织肿胀
D.关节间隙增宽
E.骨质侵蚀和假囊形成


点击查看答案


90、单项选择题  疑有肺尖处病灶时,应选择的摄片位置是()

A.胸部后前位
B.胸部侧位
C.胸部斜位
D.胸部前弓位
E.胸部点片


点击查看答案


91、单项选择题  有关静脉肾盂造影的叙述,错误的是()

A.腹部不能压迫者可取头低足高位
B.过于肥胖者对比剂要加倍
C.肾下垂患者应加摄立位片
D.高质量造影照片可显示肾上腺
E.疑异位肾者应使用大规格胶片


点击查看答案


92、多项选择题  关于被照体本身因素影响照片对比度的叙述,正确的是()

A.原子序数越高,射线对比度就越高
B.组织密度越大,造成的对比就明显
C.原子序数密度相同,对比度受厚度影响
D.被照体组织的形状与对比度相关
E.具有生命力的肺有很好的对比度


点击查看答案


93、多项选择题  可进行功能位检查的是哪些部位()

A.颈椎
B.下颌关节
C.胰腺
D.颞骨
E.胆囊


点击查看答案


94、单项选择题  关于DR的描述,正确的是()

A.DR图像与传统X线图像不同,分析的方法也不同
B.部分传统X线摄影的部位不能用DR成像
C.DR的探测器寿命短
D.DR的密度分辨力高于普通X线片
E.DR系统不能进行透视检查


点击查看答案


95、判断题  食管狭窄部位内的溃疡形成并伴发食管裂孔疝是Barrett溃疡的特点。


点击查看答案


96、单项选择题  肾结核X线平片征象,下列哪项正确()

A.肾影倒八字形
B.病侧肾下垂
C.肾影不清
D.肾区可见不规则钙化灶
E.肾外形不光整


点击查看答案


97、单项选择题  盘状肺不张的影像特征是()

A.近肺底的横行条状致密
B.尖端指向肺门的三角形致密影
C.弥漫分布斑片状影
D.一侧肺致密影伴纵隔向患侧移位
E.3~5cm大小肿块影,伴“彗星尾”征


点击查看答案


98、单项选择题  

男,45岁,发热、咳痰1月余,结合图像,最可能的诊断是()

A.肺脓肿
B.肺结核
C.吸入性肺炎
D.肺囊虫病
E.肺癌


点击查看答案


99、判断题  晕圈征是恶性肿瘤特有的一种X线征象。


点击查看答案


100、填空题  可形成广泛粟粒样结节的肺病变有:____________、______________、_______________、_______________、____________________。


点击查看答案


101、单项选择题  下述左心衰的胸片表现,错误的是()

A.左侧心房或心室增大
B.肺静脉扩张
C.双肺门周围"蝶翼样"阴影
D.胸腔积液
E.肺纹理清晰


点击查看答案


102、多项选择题  肺结核病的全身中毒症状有()

A.盗汗
B.咯血
C.低热
D.乏力
E.咳嗽


点击查看答案


103、单项选择题  原发性良性肺肿瘤,下列描述哪项不对()

A.球形肿块,边缘光整,可有浅分叶
B.空洞少见
C.可有斑点状或结节状钙化
D.肺门、纵隔淋巴结正常
E.常有细短毛刺


点击查看答案


104、单项选择题  

进展期胃癌引起胃窦狭窄、壁僵硬、粘膜皱襞固定,X线分型应属于()

A.溃疡型
B.蕈伞型
C.浸润型
D.浅表型
E.混合型


点击查看答案


105、单项选择题  骨质破坏的基本X线表现是()

A.骨密度减低
B.骨小梁模糊
C.骨小梁变细
D.骨结构紊乱
E.骨结构消失


点击查看答案


106、单项选择题  

男,7岁,该患儿患有先天性脊柱畸形,根据所示图像,最可能的诊断是()

A.移行椎
B.阻滞椎
C.脊椎侧弯
D.半椎畸形
E.蝴蝶椎畸形


点击查看答案


107、单项选择题  腰骶关节前后位摄片,中心线的投射角度是()

A.垂直投射
B.向头侧倾斜15°~20°
C.向足侧倾斜15°~20°
D.向头侧倾斜45°
E.向足侧倾斜45°


点击查看答案


108、单项选择题  

男,根据其正常骨盆影像图像,判断其最可能的年龄()

A.2岁左右
B.8岁左右
C.6岁左右
D.12岁左右
E.10岁左右


点击查看答案


109、判断题  腹水型结核性腹膜炎常表现为肠曲间距增宽,小肠呈漂浮状。


点击查看答案


110、判断题  Sprengel畸形高位肩胛常有骨、软骨或纤维组织与颈椎、上胸椎连接。


点击查看答案


111、单项选择题  

女,46岁,排便困难,结合图像,最可能的诊断为()

A.正常肠圈
B.球部溃疡
C.球部憩室
D.降段憩室
E.水平段憩室


点击查看答案


112、多项选择题  正位胸片上,Lutembacher综合征表现为()

A.肺纹理增多
B.多数患者肺纹理正常
C.肺门影缩小
D.右心增大
E.左心房增大


点击查看答案


113、单项选择题  肺挫伤为()

A.X线胸片呈肺野磨玻璃样变或面纱征
B.X线胸片呈多发边缘锐利、密度均匀高密度影
C.X线胸片呈一侧胸腔一片致密均匀阴影,纵隔向健侧移位
D.X线胸片呈纵隔气肿,大量气胸
E.X线胸片呈心影明显增大,心脏各弧消失


点击查看答案


114、单项选择题  滤线栅使用原则中,被照体厚度应超过()

A.15cm   
B.12cm
C.10cm   
D.8cm
E.5cm


点击查看答案


115、单项选择题  

女,根据其正常小腿影像图像,判断其最可能的年龄()

A.4岁左右
B.20岁左右
C.16岁左右
D.12岁左右
E.8岁左右


点击查看答案


116、单项选择题  X线平片上,肾结石可以表现为()

A.圆形
B.卵圆形
C.桑椹形
D.鹿角形
E.以上都可


点击查看答案


117、判断题  脑回压迹增多为颅内压增高最可靠的一种X线征象。


点击查看答案


118、判断题  畸胎类肿瘤增强扫描呈强化不均匀,瘤灶一过性显著强化常提示恶性可能性大。


点击查看答案


119、单项选择题  正常气管隆突的分叉角度为()

A.55°~95°
B.70°~100°
C.60°~95°
D.60°~85°
E.65°~90°


点击查看答案


120、判断题  胆管内见到充盈缺损,首先应考虑为肿瘤、阴性结石,蛔虫病也会引起。


点击查看答案


121、多项选择题  脊柱结构的四个生理弯曲是指()

A.颈曲
B.腰曲
C.腹曲
D.胸曲
E.骶曲


点击查看答案


122、多项选择题  左心室增大主要见于()

A.高血压病
B.主动脉瓣病变
C.二尖瓣关闭不全
D.室间隔缺损
E.动脉导管未闭


点击查看答案


123、单项选择题  在风湿性的心脏瓣膜损害中,哪项最多见()

A.主动脉瓣
B.二尖瓣
C.三尖瓣
D.肺动脉瓣
E.联合瓣膜


点击查看答案


124、单项选择题  胸片上,双侧肺门影增大可见于()

A.大叶性肺炎
B.慢性纤维空洞型肺结核
C.法洛四联征
D.慢性肺源性心脏病
E.肺隔离症


点击查看答案


125、单项选择题  关于肺霉菌病,下列影像哪项不对()

A.密度均匀、边缘模糊结节影
B.愈后不残留钙化影
C.双肺多发、边缘清楚致密影
D.肺门肿块影
E.新月形气影


点击查看答案


126、单项选择题  下列“骨纤维异常增殖症”描述,哪项不对()

A.可多同时发病
B.发育成熟后,停止生长
C.可恶变
D.常有病理骨折、畸形
E.好发于骨干,病变较局限


点击查看答案


127、单项选择题  足前后位摄片,中心线应向足跟侧倾斜()

A.5°
B.15°
C.20°
D.25°
E.30°


点击查看答案


128、单项选择题  

女,根据其正常肘关节影像图像,判断其最可能的年龄()

A.17岁左右
B.27岁左右
C.67岁左右
D.37岁左右
E.57岁左右


点击查看答案


129、单项选择题  下列哪项不符合股骨头缺血性坏死的表现()

A.股骨头相对密度增高
B.股骨头囊变硬化
C.股骨头压缩变形
D.股骨头蘑菇状变形
E.股骨头无骨质疏松


点击查看答案


130、单项选择题  KerleyB线最常见于哪种疾病()

A.肺癌
B.肺结核
C.心房间隔缺损
D.二尖瓣狭窄
E.慢性支气管炎


点击查看答案


131、单项选择题  心脏右前斜位片主要观察()

A.右心房、肺动脉主干
B.左心房、左心室
C.左心房、肺动脉主干和右心室
D.左心室、右心室
E.气管分杈、主动脉窗


点击查看答案


132、单项选择题  经皮肾动脉腔内成形术简称()

A.PTC
B.PTRA
C.PTCA
D.PCN
E.PTA


点击查看答案


133、单项选择题  “骨巨细胞瘤”典型影像为()

A.好发于长骨干骺端
B.新骨生成和骨膜反应
C.“皂泡样”改变
D.病变与邻近正常组织分界不清
E.溶骨性或成骨性改变


点击查看答案


134、名词解释  髋臼角


点击查看答案


135、单项选择题  下述多发性骨髓瘤影像特点中,哪项错误()

A.扁骨、不规则骨多见
B.常有广泛性骨质疏松
C.穿凿样、蜂窝状等多种形态骨质破坏
D.常有病理骨折
E.常有骨膜反应


点击查看答案


136、单项选择题  

女,11岁,低热,夜间盗汗,咳嗽1月余,结合图像,最可能的诊断是()

A.支气管肺炎
B.肺结核
C.肺癌
D.过敏性肺炎
E.大叶性肺炎


点击查看答案


137、单项选择题  不能用做静脉肾盂造影的对比剂是()

A.碘苯酯
B.泛影葡胺
C.碘酞葡胺
D.甲泛葡糖
E.复方泛影葡胺


点击查看答案


138、判断题  三尖瓣下移畸形多数伴有心房间的异常孔道,多为卵圆孔未闭。


点击查看答案


139、多项选择题  哪些是慢性胃溃疡恶变的征象()

A.龛影周围出现小结节状充盈缺损,犹如指压迹
B.龛影周围粘膜皱襞呈杵状增粗或中断
C.龛影变为不规则或边缘出现尖角征
D.治疗过程中龛影逐渐增大
E.龛影周围粘膜纠集,呈辐射状


点击查看答案


140、问答题  室间隔缺损和动脉导管未闭X线表现有何不同?


点击查看答案


141、单项选择题  脊椎骨折可出现()

A.脊椎后突成角
B.棘突撕脱骨折
C.棘突间隙增宽
D.截瘫
E.以上均可


点击查看答案


142、单项选择题  特发性肺间质纤维化好发于()

A.肺门附近
B.上叶尖后段或下叶背段
C.胸膜下区
D.双下肺野
E.双肺弥漫分布


点击查看答案


143、名词解释  组织细胞增生症X


点击查看答案


144、填空题  股骨头骨骺缺血坏死影像学表现可分为________、_______、________和______4期。


点击查看答案


145、单项选择题  通过眶上裂的神经中,下列哪项不正确()

A.第Ⅲ脑神经
B.第Ⅳ脑神经
C.第Ⅵ脑神经
D.第Ⅴ脑神经的眼支
E.视神经


点击查看答案


146、单项选择题  女性,40岁。劳累后心悸、气促。体检:心尖区闻及舒张期隆隆样杂音。胸部正位摄片:心影呈梨形,中度增大。下列哪项是其典型的影像表现()

A.单纯左心房增大
B.左心房,左心室增大
C.左心房、右心房增大
D.左心房、右心室增大
E.左心室、右心室增大


点击查看答案


147、单项选择题  关于"中耳乳突炎",下列说法哪项错误()

A.乳突气房密度增高
B.乳突房壁增厚、结构模糊
C.气房间隔骨质破坏或硬化
D.气房内充满肉芽组织
E.急性者常有胆脂瘤形成


点击查看答案


148、名词解释  假性骨折


点击查看答案


149、单项选择题  下列主动脉瓣关闭不全诊断要点,哪项不对()

A.主动脉瓣区舒张期吹风样杂音
B.主动脉弓迂曲、延长,搏动增强
C.心尖圆钝、上抬
D.侧位胸片示心前间隙缩小
E.心尖向左下方移位


点击查看答案


150、判断题  颅锁骨发育不全为全身性骨发育障碍,属常染色体隐性遗传。


点击查看答案


151、判断题  动脉导管未闭时左右心室可以增大,有时可见漏斗征。


点击查看答案


152、单项选择题  心房间隔缺损的X线表现,错误的是()

A.肺动脉段突出
B.主动脉结缩小
C.肺门舞蹈
D.右心增大
E.左心室增大


点击查看答案


153、单项选择题  乳腺癌出现“酒窝征”的原因是()

A.癌肿压迫乳管
B.合并感染
C.周围组织粘连
D.淋巴管癌栓阻塞
E.癌肿侵犯Cooper韧带


点击查看答案


154、单项选择题  出现膈下游离气体的原因是()

A.人工气腹
B.手术后腹腔残留气体
C.产气菌引起的急性腹膜炎
D.胃肠道穿孔
E.以上都是


点击查看答案


155、名词解释  性成熟期乳腺


点击查看答案


156、单项选择题  从肘静脉注入对比剂后,最迟到的是下列中的哪一部位()

A.上腔静脉
B.右心房
C.左心室
D.锁骨下静脉
E.降主动脉


点击查看答案


157、单项选择题  下列哪种病变一般不表现为单侧肾影缩小()

A.肾梗死
B.肾结核
C.肾血管平滑肌脂肪瘤
D.肾动脉狭窄
E.肾发育不良


点击查看答案


158、多项选择题  下列叙述正确的是()

A.正常股骨头应在Perrin方格的内上象限
B.腕骨征阳性见于马德隆畸形
C.月骨正常为不等边四边形,若为三角形,表示月骨脱位
D.腕骨颈与股骨干在内方的颈干角约为125°
E.足内弓的正常值为115°~150°


点击查看答案


159、单项选择题  下列哪种疾病,没有患侧横膈抬高现象()

A.肺不张
B.膈神经麻痹
C.胸膜粘连
D.张力性气胸
E.膈下脓肿


点击查看答案


160、单项选择题  

头颅部位的摄片中,正中矢状面垂直于台面的位置有哪些()
a.Mayer位
b.Schuller位
c.stenver位
d.Water位
e.ToWne位

A.a,b
B.a,e
C.b,c
D.c,d
E.d,e


点击查看答案


161、多项选择题  哪些是肝癌肝动脉造影时的表现()

A.肿瘤供血的肝动脉扩张
B.肿瘤湖征
C.肝血管受压拉直、移位或被肿瘤包绕
D.肿瘤内显示异常瘤血管
E.动静脉瘤


点击查看答案


162、单项选择题  下述肾脏病变,最不可能出现钙化的是()

A.肾盂结石
B.肾结核
C.肾畸胎瘤
D.肾细胞癌
E.肾淋巴瘤


点击查看答案


163、单项选择题  关于骨纤维结构不良的X线表现,哪项除外()

A.骨性狮面
B.单房或多房性囊状透光区
C.囊内有磨砂玻璃样钙化
D.胫骨囊性病变周围常有骨硬化
E.囊性病变见于颅面骨


点击查看答案


164、填空题  内分泌系统由许多内分泌腺组成,其中_______、_________、__________、_________、________和________等的异常,均可引起骨骼系统病变。


点击查看答案


165、单项选择题  下述神经性关节病的X线表现中,哪项不正确()

A.最早的X线表现为关节囊肿胀,轻微半脱位
B.关节间隙逐渐变窄,骨性关节面硬化及侵蚀破坏
C.关节骨端碎裂,并被吸收,以持重骨多见
D.关节腔内出现大量积液和多数游离体
E.不会出现骨质疏松和骨膜反应


点击查看答案


166、单项选择题  下述慢性肺源性心脏病的胸片表现中,错误的是()

A.肺部广泛纤维化
B.肺气肿
C.肺动脉段突出
D.右下肺动脉横径>10mm
E.右心室增大


点击查看答案


167、单项选择题  关于游走脾的说法,不正确的是()

A.血管造影可明确脾的位置
B.左上腹、脾影消失,脾窝内见肠管影占据
C.肾盂造影,可见左肾向上移位
D.位于正常位置以外的腹腔内其他部位
E.一种常见的先天异常


点击查看答案


168、多项选择题  肺内空腔影可见于()

A.肺大泡
B.含气肺囊肿
C.肺气囊
D.周围型肺癌
E.囊状支气管扩张


点击查看答案


169、单项选择题  有关照射野的描述,错误的是()

A.X线束入射于被照体的曝光面的大小称照射野
B.摄影时照射野应缩小到能容下被检部位的标度
C.照射野的大小大多用遮线器控制
D.来自中心部分的一条X线为中心线
E.中心线必须垂直于被照体中心


点击查看答案


170、单项选择题  男,65岁,钡剂灌肠检查发现乙状结肠下段呈局限性环形狭窄,肠壁僵硬,与正常肠管截然分界,首先应考虑()

A.溃疡性结肠炎
B.结肠结核
C.浸润型结肠癌
D.溃疡型结肠癌
E.结肠息肉病


点击查看答案


171、名词解释  穿透性溃疡


点击查看答案


172、单项选择题  

男,62岁,咳嗽、胸痛1月余,X线检查如图,最可能的诊断是()

A.右下肺炎症
B.右下肺不张
C.右肺癌
D.右肺转移瘤
E.右肺错构瘤


点击查看答案


173、单项选择题  骨囊肿的X线表现中,哪项应除外()

A.囊肿一般为单发,很少多发
B.病灶大多为卵圆形,长径与骨长轴一致
C.囊肿向外膨胀性生长
D.膨胀的程度一般不超过干骺端的宽度
E.囊内可见明显骨嵴


点击查看答案


174、单项选择题  旋转阳极启动的定子线圈安装在()

A.控制台内
B.球管阳极端
C.球管阴极端
D.高压发生器内
E.管套中央部


点击查看答案


175、单项选择题  下列关于肺气肿的描述,不正确的是()

A.上叶肺血增加
B.可有肺大泡
C.胸片正常就可除外肺气肿
D.膈顶变平
E.少数正常人也可出现肺气肿类似表现


点击查看答案


176、单项选择题  十二指肠溃疡直径多为()

A.5~10mm
B.11~15mm
C.4~12mm
D.16~20mm
E.21~25mm


点击查看答案


177、填空题  痛风关节病变主要为__________、___________和________________,_____________罕见。临床上分3期,即____________________、_____________和_______________________。


点击查看答案


178、单项选择题  风湿性心脏病左房室瓣关闭不全的主要表现是()

A.左心房、右心室增大
B.右心室肥大
C.左心室增大
D.左心房、左心室增大
E.右心房增大


点击查看答案


179、单项选择题  下列哪项因素与X线穿过均匀物质时无关()

A.物质的厚度   
B.X线经过的距离   
C.X线强度   
D.物质的衰减系数   
E.物质的面积


点击查看答案


180、单项选择题  

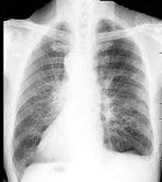
患者,男,3岁,突发左侧胸痛伴呼吸困难3小时入院,如图所示,最可能的诊断为()

A.左侧肺气肿
B.左侧气胸
C.左肺门淋巴结结核
D.右肺小叶性肺炎
E.以上都不正确


点击查看答案


181、单项选择题  下列摄片位置,哪项显示正确()

A.颈椎右后斜位显示右侧椎间孔
B.腰椎右后斜位显示左侧椎体的峡部
C.胸椎左后斜位显示右侧椎间关节
D.骶髂关节右后斜位显示右侧骶髂关节面
E.腰椎左后斜位显示右侧椎体的峡部


点击查看答案


182、单项选择题  下列与气管、支气管异物相关影像,哪项不对()

A.膈肌矛盾运动
B.肺门影增大
C.肺不张
D.肺气肿
E.纵隔摆动


点击查看答案


183、名词解释  骨折


点击查看答案


184、单项选择题  关于“肾结核”的影像,下列说法哪项不正确()

A.不规则钙化
B.肾盏破坏
C.肾盂可以无破坏
D.所有患者肾影均缩小
E.IVP示,肾盂显影浅淡


点击查看答案


185、单项选择题  慢性十二指肠球部溃疡最常见的X线征象是()

A.龛影
B.粘膜集中
C.激惹征
D.球部变形
E.管腔狭窄


点击查看答案


186、单项选择题  下列哪项不属于面颅骨()

A.舌骨
B.颧骨
C.鼻骨
D.泪骨
E.枕骨


点击查看答案


187、单项选择题  

男,20岁,胸闷、低热1月余,突然咯血,X线检查如图,最可能的诊断是()

A.肺结核(Ⅰ型)伴右侧胸腔积液
B.肺结核(Ⅲ型)伴右侧胸腔积液
C.肺结核(Ⅱ型)伴右侧肺不张
D.肺结核(Ⅲ型)伴右侧肺不张
E.肺转移瘤伴右侧肺不张


点击查看答案


188、单项选择题  

男,18岁,右髋关节肿胀,疼痛1月余,经抗感染治疗,疗效不佳,结合图像,最可能的诊断是()

A.右髋关节软骨肉瘤
B.右髋关节滑膜肉瘤
C.右髋关节纤维肉瘤
D.右髋关节化脓性关节炎
E.以上均不是


点击查看答案


189、单项选择题  下述哪项除外,其余均为肺门病变的基本X线表现()

A.肺门增大
B.肺门缩小
C.肺门移位
D.肺门结核
E.肺门密度增高


点击查看答案


190、单项选择题  关于肠内气体叙述正确的是()

A.十二指肠球部的气体位置不固定
B.右下腹出现固定的小气液平面有病理意义
C.各部小肠内均不应充气
D.大肠内总是有些气体
E.以上都不对


点击查看答案


191、单项选择题  X线诊断矽肺最主要的征象()

A.是肺纹理增强
B.间隔线出现
C.肺叶呈磨“玻璃状”
D.肺间质呈网状
E.两肺多发结节影


点击查看答案


192、问答题  肺脓肿的X线表现有哪些?


点击查看答案


193、问答题  避孕环移入腹腔和坠入宫颈管有何X线表现?


点击查看答案


194、单项选择题  腹部平片发现右上腹石榴样致密阴影,侧位片见该影靠前方与肋骨相连,不随体位改位置,最可能的诊断是()

A.右肾结石
B.肠系膜淋巴结钙化
C.肋软骨钙化
D.阳性胆囊结石
E.肝包虫病


点击查看答案


195、单项选择题  肺淤血的早期X线征象是()

A.上肺静脉扩张似鹿角状
B.肺间质纤维化
C.肺门阴影增大模糊
D.肺野透明度减低如磨砂玻璃状
E.肺血管纹理增多增粗


点击查看答案


196、单项选择题  下述疾病与心脏增大描述不相符的是()

A.Budd-Chiari综合征——右心房扩大
B.房间隔缺损——左心房增大
C.二尖瓣关闭不全——左心室增大
D.肺动脉狭窄——肺动脉段膨隆
E.动脉导管未闭——“漏斗”征


点击查看答案


197、名词解释  鼻窦粘膜下囊肿


点击查看答案


198、单项选择题  下列哪项不符合肾结核的影像表现特点()

A.不规则钙化
B.肾影均匀缩小
C.肾实质内棉团状、云雾状对比剂影
D.肾盂破坏
E.IVP:肾盂显影浅淡


点击查看答案


199、单项选择题  新生儿有几个囟门()

A.4个
B.2个
C.5个
D.6个
E.7个


点击查看答案


200、单项选择题  下列“软骨黏液样纤维瘤”诊断要点中,哪项是错误的()

A.可恶变
B.青少年多见
C.长骨干骺端多见
D.单发或多发囊状透光区
E.多有砂粒样钙化


点击查看答案


201、单项选择题  关于一侧肺不发育的X线表现,下列哪项是不正确的()

A.患侧胸部密度均匀增高
B.无血管纹理分布
C.心脏纵隔移向患侧
D.两侧胸廓大小形态对称
E.患侧动脉主干发育不良或缺如


点击查看答案


202、配伍题  左下腹小肠是()
中段回肠是()
右中下腹小肠是()
盆腔内小肠是()

A.第6组小肠
B.第5组小肠
C.第4组小肠
D.第3组小肠
E.第2组小肠


点击查看答案


203、单项选择题  下列关于支气管动脉的解剖叙述,错误的是()

A.支气管动脉直径正常为2~3mm,当肺部有肿瘤时相应的血管可增粗
B.正常支气管动脉从纵隔向肺门方向行走,可与纵隔内动脉、肋间动脉或对侧支气管动脉相通
C.右侧支气管动脉大多为一支且与肋间动脉共干,并以与第三肋间动脉共干为最常见
D.支气管动脉起源均在胸主动脉4~9胸椎水平
E.70%~90%起自第5-6胸椎水平


点击查看答案


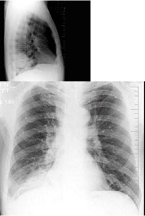
204、单项选择题  

女,45岁,胸片检查如图,最可能的诊断为()

A.右膈下脓肿
B.右侧胸膜肥厚
C.右侧游离性胸腔积液
D.右侧肺底积液
E.右下肺不张


点击查看答案


205、单项选择题  标准后前位胸片上可清楚见到()

A.第1~3胸椎
B.第1~4胸椎
C.第1~12胸椎
D.第1~10胸椎
E.第8~12胸椎


点击查看答案


206、单项选择题  关于阴性对比剂的叙述,错误的是()

A.空气是阴性对比剂
B.空气在器官内吸收较快
C.空气易产生气体栓塞
D.二氧化碳的溶解度较大
E.二氧化碳不易产生气体栓塞


点击查看答案


207、多项选择题  肠套叠的主要临床症状包括()

A.呕吐
B.腹部肿块
C.血便
D.剧烈的间歇性腹部绞痛
E.发热


点击查看答案


208、单项选择题  下列疾病与“Zollinger Ellison综合征”无关的是()

A.胃窦胃泌素瘤
B.可有转移性肝肿瘤
C.空肠溃疡
D.支气管肺癌
E.空肠皱襞增厚


点击查看答案


209、单项选择题  “Gardner综合征”患者,临床无()

A.腹腔内硬纤维瘤
B.皮肤色素沉着
C.颅面骨多发骨瘤
D.腹泻、黏液便、血便
E.可有十二指肠乳头周围癌


点击查看答案


210、单项选择题  关于“疣状胃炎”的描述,错误的是()

A.圆形、椭圆形隆起性病变
B.形态规则,境界清楚
C.胃小区大小、结构正常
D.胃壁柔软
E.多数病灶小于1cm


点击查看答案


211、单项选择题  下列关于梅毒性心脏病的描述,错误的是()

A.主动脉起始部瘤样扩张
B.主动脉根部搏动增强
C.左心室增大
D.心尖闻及舒张期杂音
E.胸主动脉迂曲、延长


点击查看答案


212、单项选择题  气管隆突是指气管()

A.分叉处下方
B.分叉部左壁
C.分叉部上壁
D.分叉部右壁
E.分叉部下壁


点击查看答案


213、多项选择题  下述哪些疾病可出现空洞()

A.肺结核
B.肺脓肿
C.肺炎
D.真菌病
E.韦格氏肉芽肿


点击查看答案


214、单项选择题  

女,49岁,脐周疼痛近1月,大便有时稀。体检:脐周有压痛,结合图像,最可能的诊断为()

A.胃体炎
B.胃体癌
C.胃窦炎
D.胃窦癌
E.胃溃疡


点击查看答案


215、单项选择题  自发性气胸常见于()

A.严重的肺气肿
B.胸膜下肺大泡
C.表浅结核性空洞
D.慢性支气管炎
E.以上均是 


点击查看答案


216、配伍题  胃癌的好发部位为()
胃溃疡的好发部位在()
哪个部位见到的溃疡性病变应疑为癌()
十二指肠溃疡好发于()

A.小弯
B.大弯
C.胃角
D.胃窦
E.十二指肠球部


点击查看答案


217、名词解释  泪滴距


点击查看答案


218、多项选择题  骨梗死的X线表现为()

A.囊状及分叶状透光区
B.硬化斑块影
C.条带状钙化骨化影
D.绒毛状骨纹
E.骨外膜增生


点击查看答案


219、名词解释  肺隔离症


点击查看答案


220、单项选择题  下列有关尤文肉瘤的叙述,哪项是错误的()

A.病变好发生于长骨的骨干或干骺端
B.髓腔内出现斑片状骨质破坏
C.骨膜呈葱皮样改变
D.破坏区周围骨质常无反应性骨硬化
E.对放射治疗相当敏感


点击查看答案


221、单项选择题  下列有关放射性肺炎的描述,错误的是()

A.15Gy,胸片就可有异常发现
B.几个月后出现慢性间质纤维化
C.胸片异常始于放疗6~12周后
D.早期以间质性肺水肿为主
E.抗生素治疗无效


点击查看答案


222、单项选择题  维生素A过多引起中毒时,骨骼变化下列哪项不正确()

A.管状骨造形失常
B.骨质吸收
C.骨膜下新骨形成
D.软组织异位钙化
E.骨骺包埋畸形


点击查看答案


223、单项选择题  下述有关骨软骨缺血坏死的命名组合中,哪项错误()

A.跗舟骨缺血坏死——Kōhler病
B.跖骨头骨骺骨缺血坏死——Freiberg病
C.腕舟状骨缺血坏死——Kienbōck病
D.胫骨结节缺血坏死——Osgood-schlatter病
E.股骨头骨骺缺血坏死——Legg-Perthes病


点击查看答案


224、单项选择题  关于"耳硬化症"的诊断要点,下述说法哪项错误()

A.多在20~30岁起病
B.平片价值不高
C.高分辨率CT价值较高
D.早期以骨质疏松为主
E.晚期以骨质破坏为主


点击查看答案


225、单项选择题  关于肾盂造影的叙述,错误的是()

A.静脉法简单易行
B.静脉法必须行碘过敏试验
C.能显示肾盂肾盏的形态变化
D.肾功能丧失时尽量采用静脉法
E.静脉法可了解肾脏的排泄功能


点击查看答案


226、单项选择题  易与胰头肿块混淆的是()

A.门腔淋巴结
B.右肾上腺
C.右侧膈肌脚
D.十二指肠
E.胃幽门管


点击查看答案


227、单项选择题  下述纵隔病变知识,错误的是()

A.急性纵隔炎,多继发于食管穿孔
B.慢性肉芽肿性纵隔炎,多位于前上1/4纵隔
C.纵隔炎症可致纵隔影增宽
D.慢性硬化性纵隔炎,多位于后下1/4纵隔
E.自发性纵隔气肿,与间质性肺气肿关系密切


点击查看答案


228、单项选择题  单侧肾影增大,则可除外下列哪项()

A.重复肾
B.肾囊肿
C.肾肿瘤
D.多囊肾
E.肾盂积水


点击查看答案


229、单项选择题  类风湿性关节炎病变最初是发生在()

A.关节内韧带
B.关节软骨
C.关节滑囊
D.关节囊纤维层
E.关节骨关节面


点击查看答案


230、单项选择题  肝脏增大不会引起下列哪种胸部改变()

A.龟背征
B.胸腔积液
C.胸膜增厚、钙化
D.节段性肺不张
E.下叶肺炎


点击查看答案


231、单项选择题  X线产生过程中,电子高速运动所需能量主要取决于()

A.管电压
B.管电流
C.灯丝焦点大小
D.旋转阳极转速
E.靶物质原子序数


点击查看答案


232、单项选择题  关于阴性对比剂的叙述,错误的是()

A.氧气属阴性对比剂
B.空气有产生气体栓塞的危险
C.空气在器官内吸收较慢
D.二氧化碳的溶解度较大
E.有效原子序数大


点击查看答案


233、多项选择题  软组织肿瘤钙化常见于()

A.软组织软骨瘤
B.皮样囊肿
C.畸胎瘤
D.软组织错构瘤
E.软骨肉瘤


点击查看答案


234、多项选择题  下列良性骨肿瘤呈多发性表现的是()

A.血管瘤
B.骨软骨瘤
C.骨样骨瘤
D.软骨瘤
E.神经末梢瘤


点击查看答案


235、单项选择题  “膈倒转”常见于哪种疾病()

A.膈肿瘤
B.横膈疝
C.横膈麻痹
D.两下肺实变
E.大量胸腔积掖


点击查看答案


236、单项选择题  下述关于“胃底静脉曲张”造影表现的描述,错误的是()

A.增粗迂曲的粘膜皱襞
B.结节样充盈缺损
C.管壁柔软
D.短幕征
E.喷射征


点击查看答案


237、单项选择题  扁平足,常用的摄影体位是()

A.足侧位
B.足轴位
C.足斜位
D.足负重水平侧位
E.双曝光全足正位


点击查看答案


238、单项选择题  胸腺瘤是纵隔常见肿瘤之一,下列描述正确的是()

A.胸腺瘤常发于中纵隔
B.常见于儿童及20岁以下者
C.直径>10cm者,恶性变的可能性明显增加
D.只有良性肿瘤内部才能出现钙化
E.只有恶性胸腺瘤才会出现重症肌无力


点击查看答案


239、单项选择题  

男,68岁,因左胸部外伤摄片,结合图像,最可能的诊断是()

A.镜面右位心
B.纵隔疝
C.右侧胸腔积液
D.右肺占位
E.右侧肺不张


点击查看答案


240、多项选择题  关于DR成像的叙述,正确的是()

A.X线数字摄片——Digital radiography
B.硒鼓技术利用硒接受X线照射后直接转换为电信号
C.直接放射成像是直接读取感应介质记录的X线信息
D.直接放射成像以数字化图像方式重放和记录
E.以上都正确


点击查看答案


241、判断题  头颅平片常规选用的位置有后前位和侧位。


点击查看答案


242、问答题  简述正常乳腺导管造影所见?


点击查看答案


243、多项选择题  管电压在摄片条件选择中的意义,正确的是()

A.电压代表着X线的穿透力
B.管电压控制着影像对比度
C.管电压对照片密度的影响小于照射量
D.低电压技术,照片对比度大
E.高电压技术,照片对比度大


点击查看答案


244、单项选择题  放射工作条件在有效剂量当量有可能超过15mSv/年时,定为()

A.乙种工作条件
B.丙种工作条件
C.戊种工作条件
D.甲种工作条件
E.丁种工作条件


点击查看答案


245、单项选择题  

男,7岁,外伤后突发呼吸困难伴胸痛,结合图像,最可能的诊断是()

A.胸腔积液
B.肺大泡
C.气胸
D.液气胸
E.肺脓肿


点击查看答案


246、填空题  脾囊肿主要压迫的器官有_____、______或________。


点击查看答案


247、单项选择题  胸部后前位定位摄片的原因中,哪一项是不正确的()

A.后前位肋骨间隙增宽、肺野展现宽广
B.后前位心脏放大率小,被纵隔掩盖的部分少
C.后前位肩胛骨投影在肺野之外
D.后前位肺组织更易靠近胶片,影像清晰
E.能正确反映出胸部脏器的确切形态,且能观察液气平面的改变


点击查看答案


248、单项选择题  钡餐检查,回肠粘膜皱襞多呈()

A.弹簧状
B.腊肠状
C.雪花状
D.羽毛状
E.鱼骨状


点击查看答案


249、多项选择题  以下哪些骨肿瘤常见钙化()

A.骨瘤
B.骨肉瘤
C.骨巨细胞瘤
D.软骨瘤
E.软骨肉瘤


点击查看答案


250、单项选择题  显示脊索瘤时,CT和X线平片不同点在于()

A.CT可见肿瘤强化
B.巨大软组织肿块
C.骨质破坏
D.肿瘤钙化
E.CT易于显示骶尾部脊索瘤


点击查看答案


251、单项选择题  

女,27岁,跌倒后左手肿痛,结合X线图像,骨折类型是()

A.柯莱斯骨折
B.蒙泰贾骨折
C.加莱阿齐骨折
D.尺桡骨骨折
E.反柯莱斯骨折


点击查看答案


252、单项选择题  

男,68岁,患“胃炎”20余年,因突然出现全腹剧烈疼痛,病人被动屈曲位,初体温正常,后出现最高体温38.5℃,脉搏110次/分,查体:腹式呼吸减弱,腹肌紧张不明显,全腹压痛、反跳痛,以上腹部为重;X线立位平片示小肠普遍胀气,并见小液气平面,膈下见游离气体。

病人需手术绝对指征是()

A.肠胀气明显
B.膈下见游离气体
C.发热高达38.5℃
D.全腹压痛及反跳痛
E.以上都不是


点击查看答案


253、单项选择题  静脉肾盂造影见输尿管膀胱开口处有一圆形充盈缺损,轮廓光滑,呈“蛇头状”或“光晕”征,常见于下列哪种病变()

A.膀胱憩室
B.输尿管下段结石
C.膀胱癌
D.膀胱结石
E.输尿管囊肿


点击查看答案


254、多项选择题  痛风的X线表现有()

A.早期为关节周围软组织肿胀
B.骨皮质出现硬化或多处波浪状凹陷
C.关节周围软组织出现结节状钙化影
D.骨性关节面不规则或穿凿状破坏
E.关节间隙变窄,甚至纤维性或骨性强直


点击查看答案


255、单项选择题  

女,71岁,左肩痛,系统性红斑狼疮服用高剂量的类固醇半年,结合图像,最可能的诊断是()

A.化脓性关节炎
B.类风湿关节炎
C.骨纤维肉瘤
D.肱骨头缺血坏死
E.肩关节结核


点击查看答案


256、多项选择题  黏多糖在体内主要分布于哪些组织器官()

A.角膜
B.神经
C.心脏
D.肝脾
E.骨骼


点击查看答案


257、判断题  胰管、胆总管都受累的所谓“双管征”是诊断胰头癌较可靠的征象。


点击查看答案


258、单项选择题  易与胰头肿块混淆的是()

A.门腔淋巴结
B.右肾上腺
C.右侧膈肌脚
D.十二指肠
E.胃幽门管


点击查看答案


259、单项选择题  关于肺内空洞性球形病灶最常见于()

A.肺癌
B.转移性肿瘤
C.良性肿瘤
D.结核球
E.炎性假瘤


点击查看答案


260、单项选择题  经皮肺穿刺活检术最常见的并发症是()

A.气胸
B.出血
C.沿穿刺道种植转移
D.刺破大血管或心脏
E.感染


点击查看答案


261、多项选择题  溃疡型胃癌X线征象包括()

A.僵硬
B.放射状粘膜纠集
C.项圈征
D.裂隙征
E.环堤


点击查看答案


262、填空题  化脓性骨髓炎是病变涉及______、_____和______的化脓性炎症。


点击查看答案


263、单项选择题  外伤性鼻窦积液最好发于下列哪项()

A.上颌窦
B.额窦
C.蝶窦
D.筛窦前组
E.筛窦后组


点击查看答案


264、问答题  滑动性食管裂孔疝的X线表现有哪些?


点击查看答案


265、名词解释  椎弓根峡部不连


点击查看答案


266、单项选择题  下列关于“膀胱结核”的诊断要点,错误的是()

A.多继发于生殖系统结核
B.多继发于肾结核
C.膀胱体积缩小
D.膀胱壁线样钙化
E.输尿管开口附近可见充盈缺损


点击查看答案


267、多项选择题  二尖瓣狭窄或(和)关闭不全时,胸片可见到的表现有()

A.肺内无结节状影
B.肺内含铁血黄素沉着
C.间隔线
D.上肺静脉增粗,下肺静脉变细
E.肺动脉段凹陷


点击查看答案


268、多项选择题  主要分布于中纵隔的肿瘤有()

A.畸胎瘤
B.霍奇金病
C.心包囊肿
D.神经源性肿瘤
E.支气管囊肿


点击查看答案


269、单项选择题  关于“小肠Crohn病”影像的描述,错误的是()

A.环肠壁对称性侵犯
B.鹅卵石征
C.小肠多发狭窄
D.肠壁增厚
E.口疮样小溃疡


点击查看答案


270、问答题  葡萄球菌肺炎出现的肺气囊有何特点?


点击查看答案


271、多项选择题  下列哪些是十二指肠溃疡的间接X线征象()

A.龛影
B.球部变形
C.龛影局部压痛
D.幽门痉挛
E.激惹征


点击查看答案


272、单项选择题  下列肺切除术后影像表现,哪项不对()

A.术后24小时内,纵隔位置应居中位
B.患侧胸腔气液面逐渐升高
C.胸腔内气体完全吸收需数周时间
D.健肺胸片正常,也不能除外肺不张
E.患侧胸腔气液面逐渐下降


点击查看答案


273、单项选择题  胰腺癌最好发于()

A.胰头
B.胰颈
C.胰体
D.胰尾
E.胰体、尾交界处


点击查看答案


274、单项选择题  “霉菌球”是哪种疾病的影像特征()

A.曲菌病
B.隐球菌病
C.组织胞浆菌病
D.奴卡菌病
E.放线菌病


点击查看答案


275、填空题  进行性骨化性肌炎又称_________________________,是一种少见的_____________________,病因可能为___________________。


点击查看答案


276、多项选择题  早期食管癌根据大体病理形态分为()

A.平坦型
B.糜烂型
C.斑块型
D.髓质型
E.乳头型


点击查看答案


277、单项选择题  下列哪一项临床表现对骨髓瘤的诊断最有价值()

A.50岁以上的男性
B.尿中出现本—周蛋白
C.进行性贫血
D.病理性骨折
E.血清钙及球蛋白升高


点击查看答案


278、配伍题  胃癌的好发部位为()
胃溃疡的好发部位在()
哪个部位见到的溃疡性病变应疑为癌()
十二指肠溃疡好发于()

A.小弯
B.大弯
C.胃角
D.胃窦
E.十二指肠球部


点击查看答案


279、判断题  成人脊椎结核好发于腰椎,常仅侵犯邻近两个椎体。


点击查看答案


280、单项选择题  关于“十二指肠溃疡”的描述,错误的是()

A.激惹征,提示活动性溃疡
B.球部发生率最高
C.龛影平均直径1cm以上
D.常导致球部变形
E.球后溃疡多位于球后部内侧缘


点击查看答案


281、单项选择题  检查左侧乳腺时,常将其分为若干象限,下述说法错误的是()

A.时钟12~3点为外上象限
B.时钟3~6点为外下象限
C.乳头及乳晕区属外上象限
D.时钟9~12点为内上象限
E.时钟6~9点为内下象限


点击查看答案


282、配伍题  支气管异物可见于()
食管自发破裂可见于()
右上纵隔积液可见于()

A.V型征
B.上纵隔液平面影
C.右上纵隔增宽尖角征
D.纵隔压迫征
E.纵隔钟摆运动


点击查看答案


283、单项选择题  在肝转移癌中,多血供型转移的是()

A.肾癌
B.胃癌
C.胰腺癌
D.恶性淋巴瘤
E.以上均不是


点击查看答案


284、单项选择题  有关对比度、锐利度、密度的相互关系,下列哪种说法错误()

A.密度是对比度、锐利度的基础
B.锐利度与对比度无直接关系
C.照片对比度不随密度改变而改变
D.观片灯的亮度也影响对比度的效果
E.在高密度的周围如有对比度小的物体影像,常难以辨认


点击查看答案


285、单项选择题  

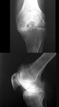
男,30岁,右膝关节酸胀,疼痛不适5个月,X线检查如图所示,最可能的诊断是()

A.骨巨细胞瘤
B.骨囊肿
C.骨血管瘤
D.动脉瘤样骨囊肿
E.以上均不正确


点击查看答案


286、单项选择题  下列哪项不是心包积液典型X线表现()

A.部分病例可伴有不同程度的上腔静脉扩张
B.心缘搏动普遍显著减弱以致消失,主动脉搏动可正常
C.“心包层”增厚
D.短期内心影无变化
E.心影向两侧增大,呈“普大型”或球型


点击查看答案


287、填空题  软组织积气按其来源可分为___________________、__________________、______________和________________________。


点击查看答案


288、单项选择题  下列关于造影剂的分类组合,错误的是()

A.硫酸钡——阳性造影剂
B.泛影葡胺——无机碘化合物
C.碘苯酯——碘化油类
D.空气、二氧化碳、氧气——阴性造影剂
E.胆影葡胺——有机碘造影剂


点击查看答案


289、单项选择题  

女,69岁,摔伤后左髋部疼痛,活动受限8小时,结合影像学检查,最可能的诊断是()

A.股骨头骨折
B.肱骨骨折
C.蒙泰贾骨折
D.骨盆骨折
E.股骨颈骨折


点击查看答案


290、多项选择题  小肠Crohn病的X线征象包括()

A.鹅卵石征
B.纵行及横行溃疡
C.口疮样溃疡
D.病变呈节段性
E.病变呈连续性


点击查看答案


291、单项选择题  最常见的椎管内神经源性肿瘤是()

A.神经鞘瘤
B.神经节细胞瘤
C.神经纤维肉瘤
D.神经纤维瘤
E.神经节母细胞瘤


点击查看答案


292、问答题  间质性肺炎的X线表现有哪些?


点击查看答案


293、单项选择题  大叶性肺炎的典型影像学变化可见于病变的()

A.充血期
B.实变期
C.消散期
D.消散期之初
E.病变全程


点击查看答案


294、判断题  对移行椎辨认的一个重要价值是手术定位。


点击查看答案


295、单项选择题  

如图,在正常胸部X线影像图像上,该英文字母所代表的肺段为()

A.尖段
B.后段
C.尖后段
D.舌叶上段
E.前段


点击查看答案


296、单项选择题  下列“慢性骨脓肿”影像特点描述不正确的是()

A.骨质破坏常位于干骺端中央
B.局部软组织无肿胀
C.圆形、分叶状密度减低区
D.没有或仅有轻度骨膜反应
E.病灶内常有死骨


点击查看答案


297、多项选择题  下列摄片用语,错误的是()

A.中心线向肢侧倾斜
B.中心线向手侧倾斜
C.中心线向足侧倾斜
D.中心线向头侧倾斜
E.中心线向地面倾斜


点击查看答案


298、单项选择题  左前斜位上,心脏后下缘明显突出,提示()

A.左心房增大
B.右心房增大
C.左心室增大
D.右心室增大
E.主动脉增宽,迂曲


点击查看答案


299、单项选择题  在静脉尿路造影检查中,肾癌表现可表现为()

A.蜘蛛足样表现
B.肾盂变形
C.输尿管受压移位
D.肾盂不显影
E.以上均可见


点击查看答案


300、单项选择题  

男,27岁,近2月来感胸闷,无咳嗽咳痰,不发热,X线检查如图,最可能的诊断是()

A.右侧包裹性胸腔积液
B.右侧肺不张
C.右侧游离性胸腔积液
D.右侧膈下脓肿
E.胸膜间皮瘤


点击查看答案


题库试看结束后微信扫下方二维码即可打包下载完整版《★医学影像技术(医学高级)》题库
手机用户可保存上方二维码到手机中,在微信扫一扫中右上角选择“从相册选取二维码”即可。
题库试看结束后微信扫下方二维码即可打包下载完整版《医学影像技术(医学高级):X线》题库,分栏、分答案解析排版、小字体方便打印背记!经广大会员朋友实战检验,此方法考试通过率大大提高!绝对是您考试过关的不二利器
手机用户可保存上方二维码到手机中,在微信扫一扫中右上角选择“从相册选取二维码”即可。

微信搜索关注"91考试网"公众号,领30元,获取公务员事业编教师考试资料40G