医学影像技术(医学高级):X线测试题(强化练习)

时间:2023-03-05 04:59:09

微信搜索关注"91考试网"公众号,领30元,获取事业编教师公务员等考试资料40G
题库试看结束后微信扫下方二维码即可打包下载完整版《★医学影像技术(医学高级)》题库
手机用户可保存上方二维码到手机中,在微信扫一扫中右上角选择“从相册选取二维码”即可。
题库试看结束后微信扫下方二维码即可打包下载完整版《医学影像技术(医学高级):X线》题库,分栏、分答案解析排版、小字体方便打印背记!经广大会员朋友实战检验,此方法考试通过率大大提高!绝对是您考试过关的不二利器
手机用户可保存上方二维码到手机中,在微信扫一扫中右上角选择“从相册选取二维码”即可。

1、单项选择题  评价胸部正位影像是否良好,最关键是哪一项()

A.左右胸锁关节对称
B.肺纹理能连续追踪
C.肺尖充分显示
D.心脏边缘锐利
E.肋膈角包括完全


点击查看答案


2、判断题  食管前庭段是一低压区,有防止胃内容物反流的重要作用。


点击查看答案


3、单项选择题  下列关于淋巴瘤的描述,不正确的是()

A.恶性淋巴瘤常侵犯胸部
B.非霍奇金淋巴瘤侵犯纵隔者较少
C.淋巴瘤的淋巴结肿大常为对称性肿大
D.淋巴瘤的淋巴结肿大内可见出血坏死状
E.淋巴瘤可累及肺、心包


点击查看答案


4、问答题  如何判断颞颌关节脱位?


点击查看答案


5、多项选择题  下列需与非骨化性纤维瘤鉴别的肿瘤或肿瘤样病变有()

A.骨样骨瘤
B.骨巨细胞瘤
C.纤维性骨皮质缺损
D.骨纤维结构不良
E.良性间叶瘤


点击查看答案


6、单项选择题  后纵隔最常见的肿瘤是()

A.胸内甲状腺肿
B.神经源性肿瘤
C.胸腺瘤
D.淋巴瘤
E.畸胎瘤


点击查看答案


7、单项选择题  MPSI-H型的临床表现中,哪项正确()

A.出生后生长障碍,发病早
B.明显智力障碍
C.特征性面容,角膜混浊
D.X线骨骼主要为骨成形差
E.尿中含有大量DS和HS(基本比例为1:1)


点击查看答案


8、单项选择题  IVP腹部立位像,左肾位于盆腔内,变换体位,可上下方向移位,左输尿管的长度与健侧相仿,应诊断为()

A.左侧游离肾
B.左侧异位肾
C.左侧移植肾
D.左侧肾下垂
E.左侧重复肾


点击查看答案


9、多项选择题  典型的二尖瓣关闭不全患者的X线表现有()

A.左心房和左心室增大为主
B.伴有右心室增大
C.左心房呈中度到重度增大
D.肺淤血
E.病变晚期可见明显的肺循环高压


点击查看答案


10、单项选择题  下列发育异常性疾病中,哪种罕有先天性心脏病()

A.Marfan综合征
B.Klinefelter综合征
C.Pfaundler-Hurler病
D.Ehlers-Danlos综合征
E.脆骨症


点击查看答案


11、单项选择题  视神经管位(Rhees’s)摄片,正确的定位是()

A.听眉线垂直于台面
B.听眦线垂直于台面
C.听眶线垂直于台面
D.听鼻线垂直于台面
E.听口线垂直于台面


点击查看答案


12、单项选择题  关于奇静脉,下列哪项不对()

A.气管、左主支气管分叉处,有时可见到奇静脉
B.气管、右主支气管分叉处,有时可见到奇静脉
C.侧位片,有助于鉴别奇静脉和气管旁肿大淋巴结
D.腔静脉闭塞、门脉高压时,奇静脉可扩张
E.由左侧腰升静脉延伸而来


点击查看答案


13、判断题  动脉导管未闭时左右心室可以增大,有时可见漏斗征。


点击查看答案


14、单项选择题  下列横膈影像,哪项为异常表现()

A.龟背征
B.表面光滑,可呈波浪状
C.前肋膈角比后肋膈角高
D.前心膈角多为钝角
E.成人,右膈顶常比左膈略高


点击查看答案


15、多项选择题  输尿管结石X线平片可见()

A.呈卵圆形致密阴影
B.结石边缘多毛糙不整齐
C.其长轴与输尿管走行一致
D.结石常见于输尿管三个生理狭窄处
E.梗阻上方输尿管及肾盂肾盏不同程度扩张积水


点击查看答案


16、单项选择题  方形椎体可见于()

A.维生素D缺乏症
B.脊柱结核
C.强直性脊柱炎
D.巨人症
E.转移瘤


点击查看答案


17、单项选择题  左心室增大常见的原因是()

A.高血压病
B.主动脉瓣病变
C.二尖瓣关闭不全
D.动脉导管未闭
E.以上都是


点击查看答案


18、单项选择题  胃肠道疾病首选的检查方法为()

A.钡剂造影
B.平片检查
C.MRI检查
D.CT检查
E.胆系造影检查


点击查看答案


19、单项选择题  CR摄影和常规X线摄影不同之处在于()

A.使用影像板代替胶片
B.X线发生器不同
C.人体X线吸收系数不同
D.对CR图像的观察与分析不同
E.将已摄影的X线胶片数字化


点击查看答案


20、单项选择题  下述肺源性心脏病X线表现,哪项不对()

A.多有双肺纹理减少,纤细表现
B.双肺体积增大
C.肺动脉段突出
D.右下肺动脉直径大于13mm
E.右心室增大


点击查看答案


21、单项选择题  

男,阴囊下坠不适,胀痛,平卧症状缓解。查体:阴囊下垂松弛,并可触及结节状静脉曲张。

继发病变是()

A.男性不育
B.门脉高压
C.疝气
D.前列腺肥大
E.髂动脉狭窄


点击查看答案


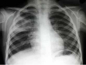
22、单项选择题  

男,69岁,胸闷气逼多年,近来咳嗽,无胸痛、无痰中带血,X线检查如图,最可能的诊断是()

A.慢支肺气肿、右上肺肿瘤
B.慢支肺气肿、右上肺炎性假瘤
C.慢支肺气肿、右上肺结核瘤
D.慢支肺气肿、肺转移瘤
E.慢支肺气肿、结节病


点击查看答案


23、单项选择题  气管隆突是指气管()

A.分叉处下方
B.分叉部左壁
C.分叉部上壁
D.分叉部右壁
E.分叉部下壁


点击查看答案


24、单项选择题  关于X线照片质量客观评价方法的叙述,中英文对照错误的是()

A.MTF——调制传递函数
B.LSF——点扩散函数
C.WS——维纳频谱
D.ACF——自相关函数
E.DQE——量子检出效率


点击查看答案


25、单项选择题  关于阴性对比剂的特点,错误的是()

A.密度低
B.成本低
C.重量轻
D.原子量高
E.X线易穿过


点击查看答案


26、单项选择题  

女,60岁,大腿后侧痛,下腰痛1月余,结合图像,最可能的诊断是()

A.类风湿关节炎
B.强直性脊柱炎
C.牛皮癣性关节炎
D.Reiter综合征
E.痛风性关节炎


点击查看答案


27、填空题  肺吸虫病的X线表现为_____________、______________、____________________和____________________。


点击查看答案


28、单项选择题  下列有关摄影体位错误的叙述是()

A.右前斜位也称第1斜位
B.左前斜位也称第2斜位
C.左侧位摄影X线由右侧投射到左侧
D.顶颌位又称下上轴位
E.右前斜位与左后斜位效果相似


点击查看答案


29、配伍题  位于乙状结肠直肠连接部的是()
位于降结肠乙状结肠交界处的是()
位于脾曲的是()

A.Payr~Strauss括约肌
B.Cannm括约肌
C.Bakki括约肌
D.Rossi括约肌
E.Mouttier括约肌


点击查看答案


30、单项选择题  椎体一次化骨中心缺血坏死的特征性X线表现是()

A.多个椎体压缩似薄骨板,密度增高
B.脊柱呈圆驼状后突畸形
C.单个椎体前缘呈阶梯状改变
D.单个椎体显著变扁,呈钱币样
E.多个椎体前缘呈阶梯状改变


点击查看答案


31、单项选择题  "外耳、中耳明显畸形伴颌面骨发育不良"被称为()

A.Dandy-Walker综合征 
B.Treacher-Collins综合征
C.Von Recklinghausen病 
D.Moya-moya病  
E.Sturge-Weber综合征


点击查看答案


32、判断题  成骨就是骨基质的形成和骨盐沉积于骨基质的过程。


点击查看答案


33、名词解释  间位结肠


点击查看答案


34、单项选择题  胸部CR摄影时为了显示被肋骨遮蔽的肺部病变,应选用哪种后处理方法()

A.灰阶处理
B.窗位处理
C.能量减影法
D.时间减影法
E.放大摄影


点击查看答案


35、单项选择题  “恶性骨肿瘤”最常见的骨膜反应类型是()

A.放射形骨膜反应
B.三角形骨膜反应
C.花边形骨膜反应
D.平行形骨膜反应
E.葱皮形骨膜反应


点击查看答案


36、多项选择题  胸片上,肺内孤立性结节见于()

A.错构瘤
B.肺转移瘤
C.肺结核
D.小叶性肺炎
E.原发性肺癌


点击查看答案


37、单项选择题  口服钡剂通过小肠到达回盲部时间过缓的诊断标准是()

A.>3小时
B.>4小时
C.>5小时
D.>6小时
E.>7小时


点击查看答案


38、单项选择题  下面肺脓肿的描述中,错误的是()

A.肺脓肿分急性、慢性两种
B.血源性肺脓肿常多发,一般为单侧
C.急性肺脓肿形成的空洞,壁厚,不规则,空洞内常有液平面
D.急性肺脓肿炎症阶段X线片上呈片絮状阴影,浓密较均匀
E.慢性肺脓肿阴影浓密,空洞可长时间无变化


点击查看答案


39、名词解释  Barrett食管


点击查看答案


40、单项选择题  膈下脓肿引起肺脓肿可表现为()

A.患侧膈肌升高
B.运动受限
C.肺内含液面空洞
D.胸膜肥厚
E.以上都是


点击查看答案


41、单项选择题  中心线向头侧倾斜是指()

A.向下倾斜
B.向上倾斜
C.向近端倾斜
D.向远端倾斜
E.向体轴倾斜


点击查看答案


42、多项选择题  软组织基本病变X线表现为()

A.软组织肿胀
B.软组织肿块
C.软组织内气体
D.肌肉萎缩
E.软组织内钙化和骨化


点击查看答案


43、单项选择题  关于腰椎前后位摄片的叙述,下列哪项是错误()

A.常规位置
B.必须使用滤线器
C.常与侧位片一同摄取
D.X线管阴极端必须对上部腰椎
E.取深呼气后屏气曝光


点击查看答案


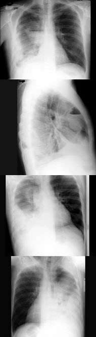
44、单项选择题  

女,31岁,咳嗽发热1周,胸片检查如图,最可能的诊断是()

A.两肺结核
B.两肺炎症
C.两侧胸膜炎
D.两肺不张
E.慢性支气管炎


点击查看答案


45、配伍题  进行X线摄片检查是利用什么作用()
测试辐射量的闪烁晶体是利用什么作用制成的()

A.穿透作用
B.荧光作用
C.电离作用
D.感光作用
E.着色作用


点击查看答案


46、多项选择题  退变性脊椎滑脱症需与椎弓根性脊椎滑脱症鉴别,后者的特点是()

A.滑脱程度常较重
B.常伴有椎间盘突出
C.椎弓根峡部的单侧或双侧断裂
D.椎管前后径常有明显增宽
E.椎管前缘与棘突后缘间距增大


点击查看答案


47、判断题  缺血坏死性结肠炎表现为偏心性狭窄,而结肠癌表现为向心性狭窄。


点击查看答案


48、单项选择题  下列有关尤文肉瘤的描述哪项是错误的()

A.好发生于长骨的骨干或干骺端
B.骨髓腔内出现斑片状骨质破坏
C.骨膜呈葱皮样改变
D.破坏区周围常无硬化缘
E.以上都不是


点击查看答案


49、多项选择题  观察气液平面或腹腔内游离气体可采用()

A.腹部仰卧前后位
B.腹部仰卧水平侧位
C.腹部站立前后位
D.部俯卧后前位
E.腹部左侧卧后前位


点击查看答案


50、单项选择题  腕部尺偏位,主要用于检查的是下列哪项()

A.掌骨
B.腕豆骨
C.腕舟骨
D.腕三角骨
E.腕钩骨


点击查看答案


51、填空题  组织学上胸腺瘤分为___________、______________及_________,目前认为良恶性难以明确分界,故提倡分为_________和___________。


点击查看答案


52、问答题  一侧胸腔密实影应考虑哪些情况?


点击查看答案


53、单项选择题  关于肺部孤立性结节或肿块,其分叶征象最常见于()

A.肺癌
B.转移性肿瘤
C.良性肿瘤
D.结核球
E.肺囊肿


点击查看答案


54、多项选择题  下列哪些为厌骨性转移性肿瘤()

A.皮肤癌
B.子宫癌
C.食管癌
D.乳癌
E.鼻咽癌


点击查看答案


55、单项选择题  下述食管癌X线征象不正确的是()

A.粘膜皱襞破坏
B.充盈缺损
C.与正常管壁移行
D.管壁僵硬不规则
E.溃疡


点击查看答案


56、单项选择题  下列关于“Sprengel畸形”,哪项错误()

A.偶可双侧发病
B.可伴短颈畸形
C.常伴颈椎、胸廓畸形
D.肩胛骨抬高,下角向脊柱侧旋转
E.锁骨正常


点击查看答案


57、配伍题  

以下病变适合的介入技术

肝外伤休克()
肝癌()
肝血管瘤()
胆道梗阻()
门脉高压()

A.TIPSS
B.肝动脉栓塞术
C.PTCD
D.肝动脉造影
E.肝动脉化疗栓塞


点击查看答案


58、多项选择题  哪些属半透异物()

A.钢
B.铝
C.矿砂
D.石片
E.玻璃屑


点击查看答案


59、单项选择题  纵隔肿瘤没有钙化的是()

A.胸骨后甲状腺瘤
B.胸腺瘤
C.畸胎类肿瘤
D.神经源性肿瘤
E.支气管囊肿


点击查看答案


60、单项选择题  下列骨肿瘤的叙述正确的是()

A.骨肿瘤病人常出现碱性磷酸酶增高
B.恶性肿瘤的血沉常加快
C.骨髓瘤常出现异常免疫球蛋白
D.良性肿瘤的血尿检查均正常
E.以上都是


点击查看答案


61、单项选择题  辐射的生物效应分为()

A.致癌效应和皮肤效应
B.遗传效应和致癌效应
C.非随机性效应和随机性效应
D.胚胎死亡效应和致癌效应
E.遗传效应和皮肤效应


点击查看答案


62、多项选择题  乳腺恶性病变钙化的X线特点为()

A.钙化边缘模糊
B.多呈泥沙样、细粒状
C.形态多不规则
D.钙化一般位于肿块内
E.密度较一致


点击查看答案


63、配伍题  经皮穿刺肾造瘘术适应证()
经皮穿刺肾造瘘术并发证()
经皮穿刺肾造瘘术禁忌证()

A.上尿路梗阻
B.B超导引
C.脾脓肿
D.上尿路穿孔
E.肾癌


点击查看答案


64、多项选择题  下列疾病中,哪些钙化少见()

A.矽肺
B.肺癌
C.错构瘤
D.慢性肺炎
E.肺结核


点击查看答案


65、单项选择题  胸片上,肺底积液最特征的影像学表现为()

A.横膈抬高,最高点外移
B.横膈抬高,最高点内移
C.纵隔心影向对侧移位
D.纵隔心影向健侧移位
E.气液面 


点击查看答案


66、判断题  骨麻风病变主要累及手足短管骨、鼻骨。


点击查看答案


67、单项选择题  

男,62岁,咳嗽、咳痰1月余,结合图像,最可能的诊断是()

A.脓结核
B.肺脓肿
C.肺炎
D.纵隔肿瘤
E.肺转移癌


点击查看答案


68、单项选择题  

女,33岁,肾功能不全史,结合图像,最可能的诊断是()

A.维生素D缺乏症
B.维生素D过多症
C.维生素C缺乏症
D.维生素A过多症
E.肾性骨病


点击查看答案


69、单项选择题  

女,25岁,腕部疼痛,结合图像,最可能的诊断是()

A.肥大性骨关节病
B.骨髓炎
C.骨肉瘤
D.嗜酸性肉芽肿
E.骨膜下出血


点击查看答案


70、判断题  肠梗阻的主要诊断依据是肠管充气扩张。


点击查看答案


71、单项选择题  干酪性肺炎属于()

A.慢性纤维空洞型肺结核
B.原发性肺结核
C.血型播散型肺结核
D.浸润型肺结核
E.以上都不是


点击查看答案


72、单项选择题  主肺动脉窗层面不包括哪一解剖结构()

A.升主动脉和降主动脉
B.降主动脉,气管
C.上腔静脉
D.奇静脉弓通常也位于此层面
E.头臂静脉


点击查看答案


73、名词解释  骨瘤样病变


点击查看答案


74、单项选择题  下列关于乳腺摄影技术中不正确的是()

A.不用或只用单面增感屏 
B.低电压
C.只需拍侧位片 
D.低电流 
E.钼靶 


点击查看答案


75、单项选择题  下列支原体肺炎的描述,错误的是()

A.小儿及成人均可患病
B.病变早期可仅有肺纹理增多,边缘模糊
C.血清冷凝集试验在2~3周值较低
D.肺炎支原体肺炎与浸润型肺结核X线表现相似
E.占据一个大叶的支原体肺炎较少见


点击查看答案


76、单项选择题  

女,46岁,排便困难,结合图像,最可能的诊断为()

A.正常肠圈
B.球部溃疡
C.球部憩室
D.降段憩室
E.水平段憩室


点击查看答案


77、多项选择题  巨人症与肢端肥大症初期内分泌症状包括()

A.性器官发育过早
B.性欲亢进
C.性欲减退
D.闭经
E.阳痿


点击查看答案


78、单项选择题  放射工作条件在有效剂量当量有可能超过15mSv/年时,定为()

A.乙种工作条件
B.丙种工作条件
C.戊种工作条件
D.甲种工作条件
E.丁种工作条件


点击查看答案


79、单项选择题  下列哪一种疾病,一般不出现小叶间隔线()

A.急性高原反应
B.右心衰
C.左心衰
D.肺水肿
E.风湿性二尖瓣狭窄


点击查看答案


80、单项选择题  可以累及关节软骨的良性骨肿瘤是()

A.软骨瘤
B.骨巨细胞瘤
C.软骨母细胞瘤
D.骨母细胞瘤
E.以上都不是


点击查看答案


81、多项选择题  下列哪些不属正常肺纹理影像()

A.肺纹理增多
B.肺纹理减少
C.肺纹理缺乏
D.肺纹理聚拢
E.下肺纹理比上肺纹理多


点击查看答案


82、单项选择题  结肠息肉病与溃疡性结肠炎的共同点是()

A.结肠袋形完整
B.肠壁韧性正常
C.息肉间粘膜正常
D.肠腔无狭窄变形
E.极易恶变


点击查看答案


83、单项选择题  

女,31岁,胸片体检如图,最可能的诊断是()

A.左肺炎性假瘤
B.左肺结核瘤
C.纵隔肿瘤
D.左肺癌
E.胸膜间皮瘤


点击查看答案


84、单项选择题  膝关节正位摄片,中心线应对准()

A.髌骨上缘
B.髌骨中心
C.髌骨下缘1cm
D.髌骨上缘1cm
E.髌骨下缘2cm


点击查看答案


85、单项选择题  静脉肾盂造影检查的禁忌证是()

A.肾盂积水
B.肾结石
C.尿路狭窄
D.肾部肿瘤
E.肾功能严重损伤


点击查看答案


86、单项选择题  

男,22岁,感胸痛且大汗淋漓就诊,X线检查如图,最可能的诊断是()

A.正常胸片
B.左肺肿瘤
C.左侧肺气肿
D.左侧气胸
E.支气管囊肿


点击查看答案


87、单项选择题  子宫输卵管造影,正常宫腔容积平均为()

A.7ml左右
B.6ml左右
C.5ml左右
D.4ml左右
E.3ml左右


点击查看答案


88、单项选择题  

男,65岁,咳嗽,右胸痛,痰中带血丝1周。胸部后前位片示:右肺门影增大,右上肺大片状致密影,水平裂呈反“S”样改变。

右上肺大片状致密影侧位片位于()

A.右肺上叶尖后段
B.右肺上叶前段
C.右肺下叶背段
D.右肺中叶
E.右肺上叶


点击查看答案


89、单项选择题  

男,62岁,铸铁工,咳嗽、呼吸急促1月余,结合胸片,最可能的诊断()

A.粟粒型肺结核
B.肺结节病
C.尘肺
D.肺炎
E.肺淤血


点击查看答案


90、单项选择题  周围型肺癌所形成的空洞,其X线特征是()

A.厚壁,其内有大液平面,外缘模糊
B.厚壁,偏心性,内壁凹凸不平,无明显液平面
C.薄壁,蜂窝状阴影
D.薄壁,周边光整,大小形态可变化
E.薄壁,其内有大液平面,边缘清晰


点击查看答案


91、配伍题  支气管异物可见于()
食管自发破裂可见于()
右上纵隔积液可见于()

A.V型征
B.上纵隔液平面影
C.右上纵隔增宽尖角征
D.纵隔压迫征
E.纵隔钟摆运动


点击查看答案


92、填空题  骨关节结核主要X线征象为___________、__________和______________。


点击查看答案


93、单项选择题  散射线量与有关因素的关系,正确的是()

A.与mA成反比
B.kV升高,散射线量增加
C.与肢体厚度成反比
D.与距离成正比
E.以上都不是


点击查看答案


94、多项选择题  胃癌的X线造影征象有()

A.胃壁僵硬呈直线,边缘不整齐
B.充盈缺损
C.不整齐的巨大溃疡
D.胃粘膜皱襞中断融合
E.可见明显的环堤和中心不整齐的溃疡


点击查看答案


95、填空题  化脓性骨髓炎是病变涉及______、_____和______的化脓性炎症。


点击查看答案


96、判断题  上颌窦血管瘤X线显示上颌窦内上角由钝角变为锐角,骨质破坏吸收。


点击查看答案


97、单项选择题  哪种疾病可致肾影缩小()

A.重复肾
B.肾脓肿
C.肾积水
D.肾缺血
E.肾肿瘤


点击查看答案


98、单项选择题  平静时胸式呼吸以哪种肌的活动为主()

A.膈肌
B.腹肌
C.肋间内肌
D.肋间外肌
E.胸大肌


点击查看答案


99、单项选择题  中央型错构瘤主要由什么成分组成()

A.脂肪组织
B.平滑肌组织
C.纤维结缔组织
D.软骨组织
E.骨组织


点击查看答案


100、判断题  脑回压迹增多是儿童颅内压增高的主要X线征象。


点击查看答案


101、多项选择题  肾实质显影浅淡主要见于()

A.肾功能减退
B.尿路梗阻
C.肾结核
D.肾脓肿
E.低血压


点击查看答案


102、单项选择题  

男,19岁,咳嗽、发热1周余,X线检查如图,最可能的诊断是()

A.左下肺不张
B.左侧胸膜肥厚
C.左下肺炎症
D.左侧胸腔积液
E.左下肺结核


点击查看答案


103、单项选择题  以下关于脊索瘤的叙述中,错误的是()

A.几乎都有骨质破坏
B.好发部位是骶尾部,其次是颅底
C.脊索瘤软组织肿块呈分叶状,50%~90%有钙化
D.脊索瘤起源于脊椎或椎旁残存的细胞
E.好发于颈、胸、腰椎


点击查看答案


104、填空题  室间隔缺损根据血流动力学可分为__________、__________、__________、_____________。


点击查看答案


105、单项选择题  手正位片上,拇指显示为()

A.轴位影像
B.正位影像
C.斜位影像
D.侧位影像
E.切线位影像


点击查看答案


106、填空题  引起脾肿大的病因很多,主要有________、__________、________、_________、___________和__________。


点击查看答案


107、单项选择题  下述疾病均可见假性骨折或Looser带,此征象对以下哪种疾病诊断最有意义()

A.骨质软化症
B.甲状旁腺功能亢进
C.维生素D缺乏症
D.畸形性骨炎
E.以上均无意义


点击查看答案


108、单项选择题  男性,40岁,上腹隐痛1年余,进食后缓解。2小时前突发上腹部剧痛,查体剑突下压痛,反跳痛。应首先考虑()

A.消化道出血
B.胃溃疡恶变
C.消化道穿孔
D.胃扭转
E.胃平滑肌肉瘤


点击查看答案


109、多项选择题  “恶性胃溃疡”征象有()

A.狭颈征
B.项圈征
C.半月征
D.月晕征
E.裂隙征


点击查看答案


110、单项选择题  KerleyB线最常见于哪种疾病()

A.肺癌
B.肺结核
C.心房间隔缺损
D.二尖瓣狭窄
E.慢性支气管炎


点击查看答案


111、判断题  垂体肿瘤或鞍区脑膜瘤可使眶上裂增大,并可引起邻近骨质破坏吸收。


点击查看答案


112、名词解释  艾滋病


点击查看答案


113、单项选择题  

左侧主支气管长约 ( )

A.1.5~2cm
B.5~6cm
C.4~7cm
D.10~13cm
E.7~8cm


点击查看答案


114、名词解释  鲍兰三联症


点击查看答案


115、配伍题  脾栓塞适应证()
脾栓塞禁忌证()
脾栓塞并发症()

A.败血症
B.原发脾亢
C.肝癌
D.肾衰
E.胰腺梗死


点击查看答案


116、单项选择题  下列骨质疏松影像表现中,哪项不正确()

A.骨小梁稀少、间隙增宽
B.骨密度减低
C.骨小梁改变首先出现在负重骨小梁
D.骨皮质变薄
E.病理性骨折


点击查看答案


117、多项选择题  影像增强管的形式有()

A.单视野
B.两视野
C.六视野
D.三视野
E.连续可变视野


点击查看答案


118、单项选择题  下述结核瘤的特点,错误的是()

A.较高密度,可有钙化
B.可有偏心的小空洞形成
C.常有卫星灶,胸壁侧可有粗大毛刺
D.为2cm以下片状影
E.边缘清晰,可有浅分叶


点击查看答案


119、单项选择题  

男,65岁,腰背部疼痛1月余,结合图像,最可能的诊断是()

A.脊椎结核
B.椎体压缩骨折
C.脊椎退行性变
D.脊椎转移瘤
E.L2~L3椎间盘炎


点击查看答案


120、单项选择题  腹部摄片时呼吸方式为()

A.深吸气后屏气
B.深呼气后屏气
C.连续缓慢浅呼吸
D.平静呼吸
E.以上都不是


点击查看答案


121、单项选择题  

男,65岁,咳嗽,右胸痛,痰中带血丝1周。胸部后前位片示:右肺门影增大,右上肺大片状致密影,水平裂呈反“S”样改变。

右上肺大片状致密影侧位片位于()

A.右肺上叶尖后段
B.右肺上叶前段
C.右肺下叶背段
D.右肺中叶
E.右肺上叶


点击查看答案


122、多项选择题  肌肉周围有辅助装置保护肌及协助肌的活动,以下属于肌肉周围辅助装置的是()

A.筋膜
B.腱鞘
C.滑液囊
D.籽骨
E.副骨


点击查看答案


123、单项选择题  

男,26岁,胸闷、胸痛3月余,胸片如图,最可能的诊断为()

A.左上肺空洞型结核
B.左上肺脓肿
C.左上肺液气囊肿
D.左上肺包虫病
E.韦格肉芽肿


点击查看答案


124、单项选择题  急性化脓性骨髓炎的骨质X线平片表现,在发病何时可出现()

A.2周后
B.即刻
C.2周
D.以上都不是
E.2周内


点击查看答案


125、单项选择题  

女,53岁,常感中上腹不适,结合图像,最可能的诊断为()

A.正常表现
B.慢性胃炎
C.胃溃疡
D.胃憩室
E.胃癌


点击查看答案


126、单项选择题  下列哪项临床表现对诊断骨髓瘤最有价值()

A.60岁以上的男性
B.全身性疼痛
C.尿中出现本-周氏蛋白
D.进行性贫血
E.血清钙及球蛋白升高


点击查看答案


127、判断题  肺类风湿病可出现两上肺纤维化且合并空洞形成,与肺结核病有时难以区别。


点击查看答案


128、多项选择题  腰椎后缘软骨结节在侧位片上可表现为()

A.椎体后上(下)缘有弧状或切迹状骨质缺损区
B.骨质缺损区边缘硬化或毛糙不整
C.与缺损区相对应,有类圆形、锥形骨块翘起并突入椎管内
D.骨块可全部或部分与椎体分离
E.好发于腰4的下角,常单椎体发病


点击查看答案


129、名词解释  Page肾


点击查看答案


130、多项选择题  肠系膜下动脉分支有哪些()

A.右结肠动脉
B.左结肠动脉
C.中结肠动脉
D.直肠上动脉
E.乙状结肠动脉


点击查看答案


131、单项选择题  

7岁,男孩,跛行半年伴疼痛,行双髋关节摄片,如图所示,最佳的诊断是()

A.右髋关节结核
B.右股骨头骨软骨炎
C.右侧扁平髋
D.克丁病
E.右股骨头无菌性坏死


点击查看答案


132、单项选择题  正常髋臼角的大小为()

A.10~15°
B.20~30°
C.30~40°
D.40~50°
E.50~60°


点击查看答案


133、名词解释  肺栓塞


点击查看答案


134、单项选择题  透视发现右前上纵隔有一椭圆形块影,其中有斑点状致密影,可随吞咽动作向上运动,首先应考虑()

A.恶性淋巴瘤
B.胸腺瘤
C.畸胎瘤
D.支气管囊肿
E.甲状腺瘤


点击查看答案


135、单项选择题  冠状动脉粥样硬化主要侵犯以下哪些分支()

A.回旋支、左室支
B.前降支、左旋支
C.右旋支、后降支
D.前间隔支、边缘支
E.房室结支、心室支


点击查看答案


136、单项选择题  慢性阑尾炎最主要的X线表现是()

A.盲肠钡剂滞留
B.阑尾压痛
C.阑尾滞留钡剂
D.阑尾粘连固定
E.阑尾结石


点击查看答案


137、填空题  急性腹膜炎的影像学诊断主要依据_____________、______________、______________、_________________和________________。


点击查看答案


138、多项选择题  多发性骨软骨瘤出现哪些表现况时应高度怀疑恶变()

A.瘤体内出现透亮区
B.软骨帽增厚,发生于长骨者超过1cm
C.钙化软骨帽密度变淡,边界不清
D.远处出现转移性病灶
E.30岁以上的患者生长迅速,疼痛加剧


点击查看答案


139、名词解释  胸膜外征


点击查看答案


140、多项选择题  十二指肠炎的影像特征是()

A.球部激惹征
B.球部龛影
C.球部痉挛
D.球部变形
E.球部无明显变形


点击查看答案


141、填空题  .眼眶异物X线定位通常采用______________________、_________________、_____________________、_________________和_________________等。


点击查看答案


142、单项选择题  一般不引起左心房增大的是()

A.风湿性心脏病,二尖瓣狭窄
B.风湿性心脏病,二尖瓣关闭不全
C.心肌病
D.房间隔缺损
E.以上都不是


点击查看答案


143、多项选择题  肺间质纤维化可见于()

A.高原性肺水肿
B.Hamman-Rich综合征
C.尘肺
D.空调肺
E.硬皮病


点击查看答案


144、单项选择题  肺淤血在平片上表现为()(1)肺门增大,血管边缘清楚(2)肺门增大,结构不清,血管边缘模糊(3)肺血管普遍扩张,边缘模糊,呈条纹状(4)肺内血管成比例增粗,边缘锐利(5)上肺静脉增粗,下肺静脉变细

A.(1)(2)(3)
B.(1)(3)(5)
C.(2)(4)(5)
D.(2)(3)(5)
E.(1)(3)(4)


点击查看答案


145、单项选择题  骨髓瘤的X线表现中错误的是()

A.好发于颅骨、脊椎、骨盆、肋骨等部位
B.骨质普广泛疏松
C.颅骨呈多发性穿凿状破坏
D.椎弓根破坏
E.肋骨呈膨胀性分房状骨破坏


点击查看答案


146、配伍题  属于肠系膜上动脉分支的有()
属于肠系膜下动脉分支的有()

A.胃左动脉
B.腰动脉
C.肾动脉
D.左结肠动脉
E.右结肠动脉


点击查看答案


147、单项选择题  CR系统中,直接记录X线影像信息的载体是()

A.胶片
B.磁盘
C.成像板
D.荧光屏
E.平板探测器


点击查看答案


148、单项选择题  下列哪种疾病肺血异常()

A.马方(Marfan)征
B.特发性肺动脉扩张
C.先天性主动脉狭窄
D.先天性肺动脉瓣关闭不全
E.原发性肺动脉高压


点击查看答案


149、单项选择题  

女,根据其正常足的影像图像,判断其最可能的年龄()

A.52岁左右
B.42岁左右
C.12岁左右
D.22岁左右
E.32岁左右


点击查看答案


150、单项选择题  腰大肌阴影起始于()

A.第11胸椎下缘
B.第12胸椎下缘
C.第1腰椎上缘
D.第1腰椎下缘
E.第12胸椎上缘


点击查看答案


151、判断题  骺软骨有阻止肿瘤发展的趋势,故骨肉瘤不会侵犯骨骺。


点击查看答案


152、单项选择题  X线上,在心膈角发现团状阴影,最常见的是()

A.支气管肺炎
B.心包脂肪垫
C.麻疹肺炎
D.心包囊肿
E.心包憩室


点击查看答案


153、单项选择题  下列哪种不是左向右分流的先天性心脏病()

A.房间隔缺损
B.心内膜垫缺损
C.动脉导管未闭
D.室间隔缺损
E.法洛四联征


点击查看答案


154、单项选择题  下列哪项保存方法不会使X线胶片出现灰雾()

A.胶片放置在铅皮破损的铅箱内
B.胶片与化学药品类存放在同一库房内
C.胶片放置在符合要求的完好的铅箱内,并投放了干燥剂
D.胶片存放在热力、煤气管道的地下室库房内
E.胶片在低温、高湿度的霉雨季节启封存放


点击查看答案


155、单项选择题  下列胸腔积液的描述,正确的是()

A.中等量积液常有纵隔移位
B.显示斜裂叶间积液,以侧位片为佳
C.立位胸片,肺底积液呈外高内低的致密影
D.包裹性积液多位于前胸壁
E.立位后前位胸片,可显示100ml以下积液


点击查看答案


156、单项选择题  头颅凹陷性骨折,应首选哪种投照体位()

A.切线位
B.头颅侧位 
C.汤氏位
D.颅底位 
E.头颅后前位


点击查看答案


157、单项选择题  男性,38岁。突发撕裂样胸背部疼痛伴大汗淋漓1小时。查体:心率100次/分,右上肢BP100/60mmHg,左上肢BP150/70mmHg。听诊可闻及颈部血管杂音,胸骨左缘3、4肋间叹气样舒张期杂音。心电图检查:窦性心律,Ⅱ、Ⅲ、aVF导联T波倒置。X线胸片:上纵隔稍宽。经服用硝酸甘油,疼痛未缓解。 如果诊断得到证实,应采取的针对性治疗措施是()

A.手术修补主动脉窦瘤
B.药物治疗
C.冠状动脉搭桥术
D.Bentall手术
E.胸腔闭式引流


点击查看答案


158、单项选择题  下列右心室增大的胸片影像表现,错误的是()

A.心尖圆钝、上抬
B.右心室流出道膨隆
C.右心室流入道膨隆
D.心腰消失、位置上移
E.向后扩大参与组成右心缘


点击查看答案


159、单项选择题  中肺野是指上肺野以下至()

A.第四肋骨下缘的水平线以上
B.第四肋骨前缘下缘水平线
C.第四肋骨下缘的最低点
D.第四肋骨前端下缘的最低点
E.第四肋骨前端下缘的最低点水平线


点击查看答案


160、问答题  肾脏先天性异常有哪些?


点击查看答案


161、单项选择题  “胸片常规位”是指()

A.卧位前后位
B.立位后前位
C.卧位后前位 
D.立位前后位 
E.右侧位


点击查看答案


162、单项选择题  后组鼻窦指()

A.筛窦+蝶窦
B.筛窦+上颌窦+蝶窦
C.后组筛窦+蝶窦
D.后组筛窦+上颌窦+蝶窦
E.上颌窦+蝶窦


点击查看答案


163、单项选择题  下列摄片位置,哪项显示正确()

A.颈椎右后斜位显示右侧椎间孔
B.腰椎右后斜位显示左侧椎体的峡部
C.胸椎左后斜位显示右侧椎间关节
D.骶髂关节右后斜位显示右侧骶髂关节面
E.腰椎左后斜位显示右侧椎体的峡部


点击查看答案


164、名词解释  Lutembacher综合征


点击查看答案


165、多项选择题  下列属于心脏摄片检查体位的是()

A.前后位
B.后前位
C.左前斜位
D.右前斜位
E.右侧位


点击查看答案


166、单项选择题  输尿管结核患者,静脉肾盂造影的典型表现为()

A.输尿管不规则狭窄和扩大,呈串珠状,边缘呈虫蚀状
B.输尿管囊样扩张
C.输尿管内见圆形致密影
D.输尿管扭曲
E.输尿管内见不规则透光影


点击查看答案


167、单项选择题  “脊柱骨髓瘤”区别于“椎体血管瘤”的特点为()

A.多累及松质骨
B.破坏区内骨小梁消失
C.椎体内多发骨质破坏区
D.椎旁出现软组织肿块
E.病理骨折


点击查看答案


168、单项选择题  乳腺癌最常发生的部位为()

A.乳头部位
B.外下象限
C.内下象限
D.外上象限
E.内上象限


点击查看答案


169、判断题  胸部结节病患者出现肺部病变,多发生在淋巴结病变之前。


点击查看答案


170、单项选择题  肺动脉狭窄时肺血管改变是()

A.肺充血
B.肺淤血
C.肺缺血
D.肺出血
E.以上都不是


点击查看答案


171、单项选择题  X线胸片上,有一直径约2.4cm的圆形阴影,边缘光滑锐利,密度较高,内有爆米花状钙化,病人无自觉症状。最可能的诊断为()

A.肺癌
B.错构瘤
C.炎性假瘤
D.包虫囊肿
E.结核球


点击查看答案


172、名词解释  肺挫伤


点击查看答案


173、问答题  心脏各房室增大的X线表现有哪些?


点击查看答案


174、单项选择题  先天性肛门闭锁,X线检查的最佳时间是()

A.婴儿出生后立即拍片
B.婴儿出生后10~12小时拍片
C.婴儿出生后20~24小时拍片
D.婴儿出生后8~10小时拍片
E.婴儿出生48小时后拍片


点击查看答案


175、判断题  肺尘埃沉着病早期无肺纹理增强、变粗等改变。


点击查看答案


176、判断题  结肠憩室只发生于乙状结肠,不发生于其他部位。


点击查看答案


177、多项选择题  

女,48岁,中上腹不适,结合图像,最可能的诊断为()

A.正常表现
B.胃炎
C.胃癌
D.十二指肠憩室
E.十二指肠占位


点击查看答案


178、填空题  右位主动脉弓按降主动脉位置分成两型,即___________________为Ⅰ型,_______________________为Ⅱ型。


点击查看答案


179、判断题  胰岛细胞瘤影像学检查的目的在于明确肿瘤发生的部位、肿瘤有无向周围扩散以及有无周围淋巴结和肝转移等。


点击查看答案


180、判断题  胃肉瘤高度恶性者常为弥漫性浸润,呈多发肿块,穿孔少见,较少累及淋巴结。


点击查看答案


181、单项选择题  观察颈椎椎间孔,正确的摄片体位是()

A.正位
B.侧位
C.斜位
D.过屈位
E.颈椎侧位


点击查看答案


182、单项选择题  骨肉瘤主要临床表现是()

A.局部进行性疼痛
B.功能障碍
C.浅表静脉怒张
D.局部皮温增高
E.以上均是


点击查看答案


183、单项选择题  女,41岁,上腹部不适、胀痛月余,经超声检查诊断为肝血管瘤,血管瘤瘤体较小,应选择哪种治疗()

A.手术治疗
B.介入栓塞治疗
C.穿刺注硬化剂
D.放疗
E.定期复查


点击查看答案


184、单项选择题  下述“尤文肉瘤”知识,哪项正确()

A.成年人多见
B.常有骨、肺转移
C.常有特征性骨膜反应
D.好发于长骨干骺端
E.髓腔内可有成骨性改变


点击查看答案


185、单项选择题  支气管扩张的正确表现为()

A.后天病因有肺炎、慢性支气管炎
B.看不到气液平面
C.有支气管扩张的肺叶膨胀
D.可发生于各个肺叶,但上叶最多见
E.可有囊状扩张、柱状扩张


点击查看答案


186、单项选择题  

男,23岁,左侧胸壁刺伤3小时,呼吸窘迫,结合胸片检查,最可能的诊断()

A.肺气肿
B.气胸
C.纵隔气肿
D.肺挫伤
E.胸腔积液


点击查看答案


187、单项选择题  骨样骨瘤由以下哪两部分组成()

A.瘤巢和周围骨质硬化区
B.瘤巢和周围骨质破坏区
C.砂粒样物质和周围骨质破坏区
D.砂粒样物质和周围骨质硬化区
E.瘤巢和砂粒样物质


点击查看答案


188、单项选择题  维生素A过多引起中毒时,骨骼变化下列哪项不正确()

A.管状骨造形失常
B.骨质吸收
C.骨膜下新骨形成
D.软组织异位钙化
E.骨骺包埋畸形


点击查看答案


189、单项选择题  下列眶内病变诊断要点,哪项不对()

A.甲状腺突眼:可以单侧或双侧
B.眶内血管瘤:偶可见到静脉石
C.眶内静脉曲张:间歇性突眼
D.眶内炎性假瘤:平片无异常发现
E.横纹肌肉瘤:眶骨破坏


点击查看答案


190、填空题  胃扭转根据扭转方式不同,可分为__________________、___________________和_______________三型。


点击查看答案


191、判断题  伴影可使X线影像的清晰度增高。


点击查看答案


192、单项选择题  下述肺癌病理知识,错误的是()

A.周围型肺癌倍增时间通常短于30天
B.瘢痕癌多为腺癌
C.鳞癌常有空洞,腺癌罕有空洞
D.中央型肺癌多为鳞癌
E.燕麦细胞瘤常有大块状纵隔淋巴结肿大


点击查看答案


193、单项选择题  血管瘤多发生于()

A.长骨骨干
B.椎体和颅骨
C.短管状骨
D.骨盆
E.干骺端


点击查看答案


194、单项选择题  下述ARDS要点,哪项不对()

A.败血症是最常见原因
B.临床表现与影像改变同步
C.特征性影像表现比临床症状迟
D.早期,间质性肺水肿
E.可有左心衰


点击查看答案


195、单项选择题  

女,11岁,低热,夜间盗汗,咳嗽1月余,结合图像,最可能的诊断是()

A.支气管肺炎
B.肺结核
C.肺癌
D.过敏性肺炎
E.大叶性肺炎


点击查看答案


196、单项选择题  静脉尿路造影摄片曝光时的呼吸状态应是()

A.随意呼吸
B.缓慢深呼吸
C.吸气后屏气
D.呼气后屏气
E.缓慢浅呼吸


点击查看答案


197、单项选择题  关于组织细胞增生症X线检查的描述,下列错误的是()

A.胸腔积液较少见
B.肺门淋巴结肿大
C.早期,弥漫分布网状结节影
D.晚期,蜂窝肺
E.骨骼系统病变


点击查看答案


198、单项选择题  成骨型骨肉瘤的特点()

A.肿瘤骨形成为主
B.早期骨皮质受侵
C.软组织肿胀
D.易引起病理骨折
E.骨皮质破坏为主


点击查看答案


199、单项选择题  马德隆畸形是由于()

A.尺骨近端骨骺发育障碍
B.桡骨近端骨骺发育障碍
C.尺骨远端内侧骨骺发育障碍
D.桡骨远端骨骺内侧发育障碍
E.以上均不是


点击查看答案


200、单项选择题  在十二指肠球部溃疡约占十二指肠溃疡的百分率是()

A.50%
B.60%
C.70%
D.80%
E.90%


点击查看答案


201、单项选择题  疑消化道穿孔,观察膈下游离气体应摄()

A.左侧卧水平投照
B.右侧卧水平投照
C.仰卧水平投照
D.仰卧后前位
E.站立前后位


点击查看答案


202、单项选择题  

男,68岁,患“胃炎”20余年,因突然出现全腹剧烈疼痛,病人被动屈曲位,初体温正常,后出现最高体温38.5℃,脉搏110次/分,查体:腹式呼吸减弱,腹肌紧张不明显,全腹压痛、反跳痛,以上腹部为重;X线立位平片示小肠普遍胀气,并见小液气平面,膈下见游离气体。

病人需手术绝对指征是()

A.肠胀气明显
B.膈下见游离气体
C.发热高达38.5℃
D.全腹压痛及反跳痛
E.以上都不是


点击查看答案


203、单项选择题  疑似病人痛风,最佳投照体位是()

A.双侧跟骨侧位片 
B.双侧掌上斜位 
C.胸骨正位片 
D.骨盆侧位片 
E.第1跖趾骨正、斜位


点击查看答案


204、单项选择题  腹部平片检查最常用于诊断()

A.胃癌
B.肠梗阻
C.胃溃疡
D.结肠癌
E.食管癌


点击查看答案


205、单项选择题  脂肪肉瘤中哪一类型恶性程度最高()

A.圆细胞型
B.黏液型
C.分化良好型
D.多形性型
E.混合型


点击查看答案


206、多项选择题  食管裂孔疝的X线征象表现为()

A.心后区含有液平面的囊状影
B.食管下端明显狭窄
C.膈上幕状粗大粘膜
D.食管胃环出现
E.局限性食管蠕动消失


点击查看答案


207、单项选择题  下列摄片体位选择,哪个是不正确的()

A.胫骨粗隆骨软骨炎--膝关节正侧位
B.踝关节韧带撕裂--内旋60°位
C.膝内翻--双膝站立正位
D.胫骨慢性骨髓炎--胫腓骨全长正侧位,加滤线栅
E.膝关节半月板损伤--MR扫描


点击查看答案


208、多项选择题  支气管囊肿的囊壁可以含有哪些成份()

A.软骨
B.平滑肌
C.骨骼
D.弹性纤维组织
E.淋巴组织


点击查看答案


209、填空题  胆管癌多数为_______,少数为_________。肿瘤的生长方式可分为_________、_________和___________。


点击查看答案


210、多项选择题  脊柱骨质增生可见于()

A.特发性肥大性骨关节病
B.强直性脊柱炎
C.脊柱结核愈合期
D.畸形性骨炎
E.脊柱外伤


点击查看答案


211、单项选择题  下述关于KerleyB线的描述,正确的是()

A.病理基础为肺叶间裂积液
B.为盘状肺不张
C.常见于二尖瓣狭窄
D.常见于慢性支气管炎
E.多分布于中上肺野


点击查看答案


212、单项选择题  

女,10岁,高热、咳嗽一天,血象:中性多形核粒细胞高度增多及核左移,血沉加速,痰中查到大量结核杆菌。结合图片,最可能的诊断是()

A.右上肺干酪性肺炎
B.大叶性肺炎
C.支气管扩张
D.小叶性肺炎
E.葡萄球菌性肺炎


点击查看答案


213、填空题  肱骨外科颈骨折可分为___________、___________和__________3型,常合并__________________。


点击查看答案


214、单项选择题  构成胸部后前位X线影像的器官和组织中下列哪项除外,其余均为白影()

A.肩胛骨
B.心脏
C.肺纹理
D.肺野
E.大血管


点击查看答案


215、单项选择题  下列哪一个不是骨纤维结构不良的特点()

A.病变区之间骨皮质异常,可见骨膜反应及骨质疏松
B.四肢长骨呈磨玻璃样改变
C.指骨细腰消失呈腊肠状外观
D.骨干以囊状膨胀表现为主
E.病变呈囊状透亮区


点击查看答案


216、多项选择题  X线胶片的结构主要包括()

A.乳剂膜
B.保护膜
C.结合膜
D.片基
E.荧光体层


点击查看答案


217、单项选择题  发生“碘过敏反应”的症状中,下列哪种最危险()

A.面部潮红 
B.皮肤丘疹 
C.皮肤瘙痒 
D.喉头发痒 
E.喷嚏


点击查看答案


218、多项选择题  骨肉瘤的主要成分有下述哪些()

A.肿瘤骨
B.肿瘤性骨样组织
C.肿瘤性成骨细胞
D.肿瘤性软骨组织
E.肿瘤性纤维组织


点击查看答案


219、单项选择题  心脏疾病最重要的病理征象是()

A.心力衰竭
B.心脏和大血管搏动异常
C.大血管改变
D.心脏增大
E.肺部血循环异常改变


点击查看答案


220、多项选择题  二尖瓣狭窄或(和)关闭不全时,胸片可见到的表现有()

A.肺内无结节状影
B.肺内含铁血黄素沉着
C.间隔线
D.上肺静脉增粗,下肺静脉变细
E.肺动脉段凹陷


点击查看答案


221、判断题  维生素C缺乏症病理改变为普遍性关节软骨坏死,骺板软骨增殖层细胞基质减少。


点击查看答案


222、判断题  原发性腹膜肿瘤,非常少见,因此应在首先除外转移性肿瘤后才可考虑。


点击查看答案


223、单项选择题  心脏右前斜位投照的旋转角度一般为()

A.30°~45°
B.45°~55°
C.50°~55°
D.55°~60°
E.50°~60°


点击查看答案


224、单项选择题  环枕融合常伴有()

A.环枕关节半脱位
B.颅底凹陷
C.颈髓交界处受压移位
D.A+B+C
E.A+B


点击查看答案


225、多项选择题  神经瘤性角皮病的主要表现有()

A.假关节
B.骨发育异常
C.脊柱侧弯
D.听力障碍
E.运动障碍


点击查看答案


226、单项选择题  中央型肺癌伴右上肺不张的影像特征是()

A.右下三角征
B.横S征
C.心后三角征
D.薄饼征
E.彗星征


点击查看答案


227、单项选择题  下述良性骨肿瘤中,哪项不会发生恶变()

A.骨脂肪瘤
B.骨软骨瘤
C.软骨母细胞瘤
D.骨母细胞瘤
E.骨巨细胞瘤


点击查看答案


228、单项选择题  酸性磷酸酶升高常见于()

A.成骨性转移瘤
B.前列腺癌骨转移
C.骨肉瘤肺转移
D.多发性骨髓瘤
E.以上都是


点击查看答案


229、单项选择题  下列类风湿肺结节影像特点,错误的是()

A.多分布在肺野中内带
B.大小不等,多为1~2cm
C.边缘光整
D.可形成空洞
E.见于重度类风湿关节炎和多发皮下结节者


点击查看答案


230、多项选择题  肾先天性发育异常包括()

A.肾数目异常
B.肾位置异常
C.肾形态异常
D.肾旋转异常
E.肾发育不全


点击查看答案


231、单项选择题  放射工作人员防止眼晶体发生非随机性效应的年剂量当量限值是()

A.50mSv/年
B.150mSv/年
C.100mSv/年
D.250mSv/年
E.350mSv/年


点击查看答案


232、单项选择题  关于良性胃溃疡的X线征象,错误的是()

A.项圈征
B.粘膜线未中断
C.狭颈征
D.指压迹征
E.粘膜纠集


点击查看答案


233、配伍题  肘关节提携角()
腕关节腕骨角()
腕关节前倾角()
股骨颈前倾角()

A.5°~20°
B.9°~20°
C.13°~20°
D.15°~20°
E.平均130°


点击查看答案


234、单项选择题  对X线管管套的解释,错误的是()

A.防散射
B.由塑料制成
C.油浸式
D.固定保护X线管
E.防电击


点击查看答案


235、单项选择题  X线平片上,肾结石可以表现为()

A.圆形
B.卵圆形
C.桑椹形
D.鹿角形
E.以上都可


点击查看答案


236、单项选择题  眼球内细小玻璃碎片属于()

A.不透性异物
B.半透性异物
C.透光性异物
D.金属性异物
E.磁性异物


点击查看答案


237、多项选择题  关于乳腺检查中,下列哪些是正确的()

A.应两侧乳腺对比检查
B.先查健侧,后查患侧
C.触诊时采用手指掌面
D.不要用手指捏乳腺组织
E.检查时应循序对乳腺外上、内下、外下、内上各象限及中央区作全面检查


点击查看答案


238、单项选择题  继发性胆脂瘤多发生于()

A.鼓窦入口
B.外耳道
C.上鼓室
D.中鼓室
E.下鼓室


点击查看答案


239、单项选择题  胸部后前位摄片胶片下缘应包括()

A.第6胸椎
B.第8胸椎
C.第10胸椎
D.第12胸椎
E.第3腰椎


点击查看答案


240、单项选择题  下列骨骼中,属于扁骨的是()

A.椎骨
B.股骨
C.肩胛骨
D.上颌骨
E.指骨


点击查看答案


241、问答题  胃粘膜脱垂的X线征象有哪些?


点击查看答案


242、单项选择题  小儿肘关节摄片,桡骨骨干中轴线连线与肱骨小头骨骺中线不相连,应诊断为()

A.Colles骨折
B.Smith骨折
C.肱骨外髁骨骺分离
D.Monteggia骨折
E.以上都不对


点击查看答案


243、单项选择题  肝脏的纵裂内有()

A.肝圆韧带
B.肝左静脉
C.左肝动脉
D.左门静脉
E.以上均有


点击查看答案


244、单项选择题  

男,5岁,足背肿痛,结合图像,最可能的诊断是()

A.跗舟骨缺血坏死
B.跗舟骨骨折
C.成骨不全
D.软骨发育不全
E.剥脱性骨软骨炎


点击查看答案


245、填空题  根据骨化性肌炎的发病机制可分为________________和________________两类。


点击查看答案


246、单项选择题  胸部X线检查最常用的投照位置是()

A.卧位前后位
B.立位前后位
C.卧位后前位
D.立位后前位
E.立位左侧位


点击查看答案


247、填空题  支气管囊肿病理上其壁的结构与__________类似,囊壁还可以含______、________、___________、______________和__________。


点击查看答案


248、单项选择题  男,50岁,吞咽略有不适感5月,背部胀痛1周,查体未见明显异常,食管钡餐透正位观食管中段有约2×3cm椭圆形充盈缺损,钡剂通过略有停顿,粘膜皱襞无破坏中断征象,管壁伸缩自如侧位示相应段食管后壁有一浅弧形压迹,腔外似有一类圆形的软组织阴影,该病例进一步检查宜选择()

A.食管镜
B.气钡双重造影
C.超声
D.CT
E.核素


点击查看答案


249、单项选择题  以下对比剂的描述,哪项不正确()

A.低密度对比剂称为“阴性”对比剂 
B.高密度对比剂称为“阳性”对比剂
C.非离子型对比剂的渗透压比离子型的低
D.非离子型对比剂比离子型安全
E.欧乃派克、优维显是常用的离子型对比剂


点击查看答案


250、单项选择题  下列不属于乳腺组织的是()

A.腺体
B.导管
C.胸大肌
D.纤维组织
E.脂肪组织


点击查看答案


251、判断题  肾返流是肾盂造影检查中出现的一种异常X线表现。


点击查看答案


252、判断题  胰腺癌为多血管肿瘤,增强扫描时密度增加较为明显。


点击查看答案


253、问答题  四肢长管骨急性化脓性骨髓炎的X线表现有哪些?


点击查看答案


254、多项选择题  肥大性骨关节病最常见于()

A.胫腓骨
B.尺桡骨
C.近节指骨
D.肱骨
E.股骨


点击查看答案


255、判断题  AIDS患者一般都有梅毒、淋病、阿米巴病等感染的既往史。


点击查看答案


256、单项选择题  

30岁,女,因左前臂酸胀不适1年,活动可,左前臂正侧位片如图所示,最可能诊断是()

A.左尺骨蜡泪样骨病
B.石骨症
C.骨皮质增厚症
D.骨膜炎
E.慢性化脓性骨髓炎


点击查看答案


257、单项选择题  

男,47岁,关节炎病史20年,结合图像,最可能的诊断是()

A.类风湿关节炎
B.痛风
C.骨关节结核
D.牛皮癣性关节炎
E.Reiter综合征


点击查看答案


258、单项选择题  下列关于十二指肠平滑肌肉瘤的X线表现中,错误的是()

A.腔内较光滑的充盈缺损
B.管腔虽窄但无明显梗阻
C.管壁僵硬
D.管腔狭窄不明显
E.粘膜破坏


点击查看答案


259、多项选择题  软骨组织发生的良性骨肿瘤为()

A.成骨细胞瘤
B.骨瘤
C.皮质旁软骨瘤
D.成软骨细胞瘤
E.骨软骨瘤


点击查看答案


260、判断题  房间隔缺损时,右心房、右心室可见增大。


点击查看答案


261、判断题  淋巴瘤可侵犯胸膜、心包及肺组织。


点击查看答案


262、单项选择题  老年患者,呼吸困难,胸痛,上腹部不适,呕吐。X线胸片示:左侧膈肌明显升高至第3~4前肋水平,心脏向右移位,透视膈肌有矛盾运动,最可能的诊断是()

A.膈疝
B.肺下积液
C.膈膨升
D.肺不张
E.膈下脓肿


点击查看答案


263、多项选择题  肺血管异常的疾病中,伴有肿块影的是()

A.肺动脉狭窄
B.肺动脉缺如
C.肺隔离症
D.部分肺静脉回流异常
E.肺动静脉瘘


点击查看答案


264、多项选择题  X线管中,阳极靶面的作用是()

A.散热
B.发生X线
C.阻止高速电子
D.完成高压电路的回路
E.产生电子流


点击查看答案


265、单项选择题  

女,根据其正常肘关节影像图像,判断其最可能的年龄()

A.17岁左右
B.27岁左右
C.67岁左右
D.37岁左右
E.57岁左右


点击查看答案


266、名词解释  代谢性骨病


点击查看答案


267、单项选择题  良性骨肿瘤的主要X线表现是()

A.骨质破坏,边缘清楚
B.骨质破坏,边缘模糊
C.明显骨膜反应
D.空腔形成
E.多处虫蛀状破坏


点击查看答案


268、填空题  我国慢性氟中毒流行病地区有6种,即________________、______________、______________、_______________、___________________、_____________。


点击查看答案


269、多项选择题  骨关节病与摄片体位的组合,正确的是()

A.柯莱斯骨折——腕关节正侧位
B.肱骨外科颈骨折——肱骨外科颈正位
C.腕部舟状骨骨折——腕关节尺偏位(外展位)
D.肩胛骨高位症——肩胛骨正位
E.尺神经沟病变——尺神经沟特殊位


点击查看答案


270、单项选择题  原发性纵隔肿瘤种类很多,它们的共同点为纵隔内占位病变,一般不包括()

A.食管、心脏内肿瘤
B.食管、气管及心脏内肿瘤
C.食管、气管,主支气管及心脏内的肿瘤,但包括囊肿
D.气管、主支气管内肿瘤
E.气管、心脏内肿瘤,但包括囊肿


点击查看答案


271、单项选择题  椎间小关节囊是指()

A.包绕关节突后、外侧
B.包绕关节突前、后侧
C.包绕关节突前、内侧
D.若肥厚,可压迫神经根
E.关节囊松弛对关节稳定性无影响


点击查看答案


272、单项选择题  支气管扩张的X线平片表现,下列哪项对诊断价值大()

A.肺纹理改变
B.肺内炎症
C.肺不张
D.囊状或蜂窝状影
E.局限性胸膜增厚粘连


点击查看答案


273、判断题  腔内型食管癌累及范围较局限,管腔狭窄呈环状狭窄,其上方管腔扩张。


点击查看答案


274、单项选择题  经过锁骨中点并与身体正中线平行的直线为()

A.腋前线
B.腋中线
C.腋后线
D.锁骨中线
E.正中线


点击查看答案


275、配伍题  错构瘤可见于()
矽肺可见于()
肺泡微石症可见于()

A.爆米花样钙化
B.分叶征、脐凹征
C.蝶翼征
D.伪足征
E.肺周边壳状钙化


点击查看答案


276、单项选择题  

男,22岁,高热3天伴咳嗽,胸片如图,最可能的诊断是()

A.肺结核
B.支气管肺炎
C.金葡菌肺炎
D.大叶性肺炎
E.干酪性肺炎


点击查看答案


277、单项选择题  产生连续X线,是由于高速电子作用于()

A.原子核,使之分裂
B.原子内层轨道电子,使之脱出
C.原子外层轨道电子,使之脱出
D.原子的核电场,损失能量而减速
E.靶物质中的自由电子,使之改变方向


点击查看答案


278、单项选择题  不支持纵隔肿瘤诊断的是()

A.透视下转动病人,肿块基底部及边缘与纵隔不能分离
B.深呼吸时肿块随呼吸上、下移动
C.纵隔肿块有宽的基底与纵隔相连
D.肿块的边缘与纵隔边缘之夹角为钝角
E.肿块最大上下径在纵隔内


点击查看答案


279、单项选择题  下述“急腹症”拍立位胸片意义,错误的是()

A.了解有否膈下游离气体
B.了解心脏情况
C.了解肺情况
D.没有临床意义
E.了解有无对急腹症治疗有重要影响的其他病变


点击查看答案


280、名词解释  狭颈征/项圈征


点击查看答案


281、单项选择题  输尿管生理狭窄区中最窄的部位是()

A.肾盂起始部
B.输尿管起始部
C.跨过髂总动脉处
D.跨过骨盆入口处
E.进入膀胱壁处


点击查看答案


282、单项选择题  

男,22岁,左侧膝部肿胀,疼痛2月余,结合影像学检查,最可能的诊断是()

A.骨脓肿
B.骨肉瘤
C.骨髓炎
D.动脉瘤样骨囊肿
E.软骨肉瘤


点击查看答案


283、多项选择题  正位胸片上,Lutembacher综合征表现为()

A.肺纹理增多
B.多数患者肺纹理正常
C.肺门影缩小
D.右心增大
E.左心房增大


点击查看答案


284、单项选择题  下列哪种疾病不宜行钡剂灌肠()

A.溃疡性结肠炎
B.疑有结肠癌者
C.中毒性巨结肠
D.先天性巨结肠
E.疑有结肠梗阻者


点击查看答案


285、多项选择题  继发性肺结核可以见到的各种基本病变为()

A.渗出性病灶
B.增殖性病灶
C.干酪性病灶
D.纤维性病灶
E.肿瘤样病灶


点击查看答案


286、单项选择题  下述哪项是膜内化成骨()

A.颅顶骨和面骨
B.脊柱和骨盆
C.四肢长骨
D.颅底骨和筛骨
E.四肢短管状骨


点击查看答案


287、多项选择题  出租单位出租的建筑起重机械和使用单位购置、租赁、使用的建筑起重机械应当具有()。

A.特种设备制造许可证
B.说明书
C.产品合格证
D.保修书
E.制造监督检验证明


点击查看答案


288、单项选择题  通常照片铅字标记应置于暗盒边缘内()

A.0.5cm处
B.1.0cm处
C.1.5cm处
D.3cm处
E.5cm处


点击查看答案


289、单项选择题  关于X线防护原则,错误的是()

A.建立剂量限制体系
B.缩短受照时间
C.建立屏蔽防护
D.缩短照射距离
E.合理降低个人受照剂量与全民X线检查频率


点击查看答案


290、单项选择题  关于头颅侧位摄片,中心线应对准()

A.听眦线中点
B.听眦线前中1/3处
C.外耳孔前上各2.5cm处
D.外耳孔前2.5cm处
E.外耳孔上2.5cm处


点击查看答案


291、单项选择题  下列肥厚型心肌病的描述,错误的是()

A.主要病理改变为心肌肥厚
B.MRI易于显示肥厚的心肌
C.心脏搏动减弱
D.左心室增大
E.造影显示心腔狭窄,肌部室间隔肥厚


点击查看答案


292、单项选择题  右侧输尿管“S”形,应首先考虑()

A.腔静脉后输尿管
B.腹膜后纤维化
C.游离肾
D.迷走血管压迫
E.输尿管正常弯曲


点击查看答案


293、单项选择题  关于X线机空间电荷抵偿原理的正确推论是()

A.kV↑→管电流↑
B.kV↓→灯丝电压↓
C.kV↑→管电流↓
D.kV↑→灯丝电压↑
E.kV↑→灯丝电流↑


点击查看答案


294、单项选择题  最易引起有肺气囊的肺炎病菌是()

A.肺炎杆菌
B.葡萄球菌
C.链球菌
D.病毒
E.肺炎链球菌


点击查看答案


295、单项选择题  

男,54岁,咳嗽咳痰,胸痛,痰中带血丝,近2月明显,消廋乏力,有吸烟史30余年,胸片如图,最可能的诊断是()

A.左肺结核瘤
B.肺转移瘤
C.炎性假瘤
D.原发性肺癌
E.结节病


点击查看答案


296、单项选择题  钡餐示“食管远端鸟嘴样狭窄”,则可除外()

A.贲门失弛缓症
B.食管裂孔疝
C.消化性溃疡
D.胃底贲门癌
E.食管静脉曲张


点击查看答案


297、单项选择题  下列关于肠结核X线征象,错误的是()

A.盲肠缩窄、收缩及变形
B.回肠末端受侵,粘膜破坏
C.回肠病变近侧端可见钡剂滞留,肠管扩张
D.肠道运行正常
E.回盲部可见跳跃征


点击查看答案


298、名词解释  Verner-Morrrson综合征


点击查看答案


299、单项选择题  

胸部正位摄片的叙述,哪个是正确的()
a.后前位与前后位相比,心脏放大率较小
b.RAO即是第2斜位(左前斜位)
c.主动脉弓投影于左上肺野
d.吸气时,膈肌上升
e.胸锁关节在后前位时,与第4后肋相重

A.a,b
B.a,e
C.b,c
D.a,c,e
E.d,e


点击查看答案


300、单项选择题  对于风湿性心脏病、二尖瓣狭窄的病人,观察左心房最佳的位置是()

A.胸部右前斜(吞钡)位
B.胸部左前斜(吞钡)位
C.胸部后前位
D.胸部侧位
E.胸部右后斜位


点击查看答案


题库试看结束后微信扫下方二维码即可打包下载完整版《★医学影像技术(医学高级)》题库
手机用户可保存上方二维码到手机中,在微信扫一扫中右上角选择“从相册选取二维码”即可。
题库试看结束后微信扫下方二维码即可打包下载完整版《医学影像技术(医学高级):X线》题库,分栏、分答案解析排版、小字体方便打印背记!经广大会员朋友实战检验,此方法考试通过率大大提高!绝对是您考试过关的不二利器
手机用户可保存上方二维码到手机中,在微信扫一扫中右上角选择“从相册选取二维码”即可。

微信搜索关注"91考试网"公众号,领30元,获取公务员事业编教师考试资料40G