时间:2023-03-04 02:11:59


1、单项选择题 中纵隔最常见的肿瘤是()
A.胸内甲状腺肿
B.神经源性肿瘤
C.胸腺瘤
D.淋巴瘤
E.畸胎瘤
2、多项选择题 先天性巨结肠在钡剂灌肠以前应注意的有关事宜有()
A.不用泻药
B.重复灌肠
C.肛管不宜放置过高
D.钡剂注入速度不宜过快
E.调节钡剂用等渗盐水
3、名词解释 肺栓塞
4、名词解释 龛影
5、单项选择题 下列哪项不是肺切除术后的影像表现()
A.患侧胸腔“气液面”逐渐升高
B.术后24h内,纵隔位置应居中位
C.“健肺”胸片正常,也不能除外肺不张
D.胸腔内气体完全吸收需数周时间
E.患侧胸腔“气液面”逐渐下降,幅度超过2cm
6、单项选择题 某患者腹痛、腹胀、呕吐,肛门停止排气、排便3天。应首选检查方法是()
A.钡灌肠
B.B超
C.立位腹部平片
D.钡餐检查
E.CT
7、单项选择题 关于腰椎前后位摄片的叙述,下列哪项是错误()
A.常规位置
B.必须使用滤线器
C.常与侧位片一同摄取
D.X线管阴极端必须对上部腰椎
E.取深呼气后屏气曝光
8、单项选择题
男,6岁,尿量明显增多伴眼球突出1年,结合图像作出最可能的诊断()
A.骨髓瘤
B.转移瘤
C.白血病
D.淋巴瘤
E.Langerhans组织细胞增生症
9、单项选择题 下列不宜做子宫输卵管造影的是()
A.不孕症
B.了解输卵管结扎术后效果
C.生殖器官畸形
D.了解子宫出血的原因
E.子宫恶性肿瘤
10、多项选择题 X线经被照体形成X线信息影像,其质量决定于()
A.被照体的厚度与密度
B.被照体的原子序数
C.X线的散射状况
D.被照体的形状
E.X线的量
11、名词解释 颈动脉体瘤
12、多项选择题 慢性支气管炎在诊断时需与下列哪些疾病鉴别()
A.间质性肺炎
B.结缔组织疾病
C.尘肺
D.细支气管炎
E.支气管扩张
13、名词解释 Bennet骨折
14、单项选择题 “假肾征”指的是哪个脏器病变()
A.肾
B.肝
C.肠
D.肝、肾
E.肾、肠
15、判断题 腔内型食管癌累及范围较局限,管腔狭窄呈环状狭窄,其上方管腔扩张。
16、单项选择题 下列哪种骨转移的临床症状相对较轻()
A.乳腺癌骨转移
B.鼻咽癌骨转移
C.甲状腺癌骨转移
D.胃癌骨转移
E.前列腺癌骨转移
17、单项选择题 下列缩窄性心包炎征象,哪项不对()
A.盔甲心
B.上纵隔影增宽
C.心脏搏动减弱
D.心影明显增大
E.部分患者可有胸腔积液
18、填空题 骨转移瘤的X线表现可分为__________、________和__________,以_________多见。
19、多项选择题 下列需与非骨化性纤维瘤鉴别的肿瘤或肿瘤样病变有()
A.骨样骨瘤
B.骨巨细胞瘤
C.纤维性骨皮质缺损
D.骨纤维结构不良
E.良性间叶瘤
20、填空题 先天性肢体骨骼缺损间位纵向缺损分为_________________、______________、_____________和_________________。
21、单项选择题
女,60岁,髋部疼痛、活动受限、跛行,结合图像,最可能的诊断是()
A.骨岛
B.髋关节结核
C.股骨头缺血坏死
D.退变性囊肿
E.暂时性骨质疏松
22、单项选择题
男,68岁,患“胃炎”20余年,因突然出现全腹剧烈疼痛,病人被动屈曲位,初体温正常,后出现最高体温38.5℃,脉搏110次/分,查体:腹式呼吸减弱,腹肌紧张不明显,全腹压痛、反跳痛,以上腹部为重;X线立位平片示小肠普遍胀气,并见小液气平面,膈下见游离气体。
病人需手术绝对指征是()
A.肠胀气明显
B.膈下见游离气体
C.发热高达38.5℃
D.全腹压痛及反跳痛
E.以上都不是
23、单项选择题 髓内肿瘤中以哪种组织学类型最常见()
A.错构瘤
B.血管母细胞瘤
C.神经母细胞瘤
D.胶质瘤
E.神经上皮性囊肿
24、多项选择题 下列哪些是进展性结肠癌的X线表现()
A.粘膜皱襞迂曲
B.粘膜皱襞破坏
C.充盈缺损
D.龛影
E.环形狭窄
25、单项选择题 以下哪种胸部检查接受的X线量最大()
A.胸部透视
B.正位胸片
C.胸部CT平扫
D.胸部MRI检查
E.支气管碘油造影
26、单项选择题
女,57岁,胸痛,咳嗽1月余,不发热,咳白色痰,无痰中带血,X线检查如图,最可能的诊断是()

A.右侧肺不张
B.右肺炎症
C.纵隔肿瘤
D.右肺肿瘤
E.右肺结核
27、名词解释 骨畸形愈合
28、单项选择题 肺转移瘤中两肺呈多发或单发的较大结节及肿块见于()
A.甲状腺癌转移
B.肝癌转移
C.胰腺癌转移
D.绒毛膜上皮癌转移
E.精原细胞瘤转移
29、单项选择题 下列有关乳腺癌的描述中,不属X线特征的是()
A.漏斗征
B.酒窝征
C.彗星尾征
D.晕圈征
E.帐篷征
30、单项选择题
男孩,13岁,外伤后入院。结合图像,最可能的诊断是()
A.青枝骨折
B.右尺骨骨折
C.Colles骨折
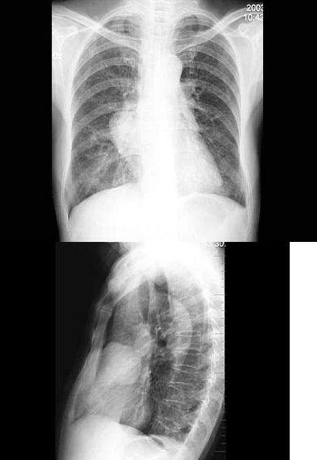
D.Smith骨折
E.孟氏骨折
31、单项选择题 小叶性肺炎发生在小儿,主要表现为()
A.脊柱旁及心脏边缘部病变较多
B.不局限于一个肺叶或肺段的密度增高阴影
C.两肺中下部内中带沿肺纹理分布的病变
D.局限性肺气肿
E.出现三角形肺不张
32、多项选择题 用立位滤线器摄片的体位是()
A.站立位
B.仰卧位
C.俯卧位
D.侧卧位
E.坐立位
33、多项选择题 下述哪些疾病可引起纤维性椎管狭窄()
A.韧带肥厚
B.椎间盘脱出
C.蛛网膜粘连
D.骨性增生
E.韧带钙化
34、单项选择题 下列对弥漫性胸膜间皮瘤的叙述,哪项错误()
A.是胸膜的原发性肿瘤
B.可分为良性或恶性
C.有多个胸膜结节或肿块
D.有大量胸腔积液
E.不规则胸膜肥厚,呈波浪状
35、多项选择题 下列造影检查中能用碘化钠作对比剂的是()
A.胆囊造影
B.膀胱造影
C.逆行肾盂造影
D.静脉肾盂造影
E.子宫输卵管造影
36、单项选择题 转移性纵隔淋巴结肿大,最常见的原发肿瘤是()
A.原发性肝癌
B.成骨肉瘤
C.类癌
D.结肠癌
E.泌尿生殖系统肿瘤
37、多项选择题 正位胸片上,Lutembacher综合征表现为()
A.肺纹理增多
B.多数患者肺纹理正常
C.肺门影缩小
D.右心增大
E.左心房增大
38、判断题 胸部结节病患者出现肺部病变,多发生在淋巴结病变之前。
39、单项选择题
男,63岁,进行性吞咽困难1月。食管钡餐示:食管下段粘膜不规则充盈缺损,管腔狭窄,贲门扩张欠佳。
发现肝内转移,则转移途径为()
A.直接浸润
B.淋巴转移
C.种植转移
D.血行转移
E.消化道粘膜下浸润
40、单项选择题 下列哪项胎儿时期即已出现二次骨化中心()
A.股骨头
B.股骨远端
C.肱骨远端
D.髋关节
E.跟骨
41、名词解释 爆裂骨折
42、单项选择题 胶片按比例记录被照体密度范围的能力称为()
A.密度
B.感光度
C.感色性
D.MTF
E.宽容度
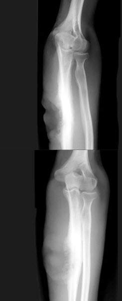
43、单项选择题
女,35岁,右前臂疼痛、肿胀、溃疡2月余,结合图像,最可能的诊断是()
A.化脓性骨髓炎
B.成骨肉瘤
C.尤文肉瘤
D.骨结核
E.骨化性肌炎
44、单项选择题
男,24岁,低热2周,咳少量痰。胸片示右上肺不均密度增高影,其中有空洞形成,血沉45mm/h。
最可能的诊断是()
A.右上肺炎
B.右上肺结核
C.右上肺癌
D.右上肺囊肿
E.右上肺脓肿
45、单项选择题 缩窄性心包炎最常见的原因是()
A.类风湿疾病
B.纵隔病变放疗后
C.结核
D.尿毒症
E.转移性肿瘤
46、名词解释 假肿瘤征
47、填空题 中晚期食管癌可分为五型,即_______、________、________、________、_______。
48、配伍题 摄照胸骨后前位时()腹部平片摄片时()膈上肋骨后前位时()头颅平面摄片()心脏平片摄片()
A.平静呼吸下屏气
B.深吸气后屏气
C.深吸气再呼出后屏气
D.缓慢连续呼吸
E.平静呼吸不屏气
49、多项选择题 对比剂对人体组织刺激性的(反应)比较,正确的是()
A.氧气>空气
B.无机碘>有机碘
C.离子型>非离子型
D.口服>静脉
E.以上都是
50、单项选择题 可产生重症肌无力和上腔静脉阻塞症状的纵隔内肿瘤是()
A.淋巴瘤
B.胸内甲状腺肿
C.胸腺瘤
D.神经源性肿瘤
E.畸胎瘤
51、单项选择题 下列描述中,错误的是()
A.一般把慢性支气管炎、肺气肿、支气管哮喘及弥漫性细支气管炎统称阻塞性肺疾病
B.右肺中叶炎症时,右心缘第二弓不清称为剪影征阳性
C.先天性膈疝,多伴有肠扭转且固定
D.含气支气管征是在肺炎等病出现肺实质浸润时的表现
E.心脏病时左房压异常升高时出现KerleyB线
52、单项选择题 支气管囊肿最常位于()
A.右下肺
B.左上肺
C.隆突下
D.左下肺
E.气管旁
53、单项选择题 下列关于“胃窦炎”描述,错误的是()
A.胃窦粘膜粗大
B.粘膜皱襞斜行、横行或交叉排列紊乱
C.肩胛征
D.胃窦张力增高
E.充盈像时,胃窦轮廓呈细齿状
54、配伍题 周围型肺癌()肺平滑肌瘤()肺错构瘤()肺段隔离症()
A.左下叶后基底段肿块,上下径较长,增强CT显示主动脉分支供血
B.左上叶孤立性结节,类圆形,无分叶和毛刺,CT增强后明显强化
C.右上叶前段孤立结节,有分叶,细短毛刺,内部有空泡
D.左下叶孤立结节,浅分叶,内有爆米花样钙化
E.右上叶后段结节,边缘光整,CT增强后无强化
55、填空题 急性腹膜炎的影像学诊断主要依据_____________、______________、______________、_________________和________________。
56、单项选择题 女,27岁,哺乳期,乳头内陷,双乳胀痛,防止急性乳腺炎的措施中,下列哪项是错误的()
A.纠正乳头内陷
B.正确哺乳,清洗乳头
C.应用抗生素
D.防止乳头损伤
E.避免乳汁郁积
57、单项选择题 右前斜位片上心脏前缘自上而下依次为()
A.左心房、左心室
B.右心房、右心室
C.左心房、右心室
D.右心室、左心室
E.左心室、右心房
58、多项选择题 引起成人股骨头缺血坏死的常见原因为()
A.外伤
B.皮质激素治疗
C.酒精中毒
D.减压病
E.肾移植
59、单项选择题 X线球管中的阴极产生大量的自由电子是通过()
A.高电压、小电流
B.低电压、大电流
C.只需电流
D.低电压、小电流
E.高电压、大电流
60、单项选择题 以下关于“脊柱硬膜外脓肿”特点中,哪项正确()
A.骶管最常见
B.多位于椎管前方
C.葡萄球菌感染,邻近椎骨常破坏
D.结核感染,邻近椎骨常破坏
E.“制动+抗生素”疗效最佳
61、单项选择题 下列哪项不是右上叶肺不张的X线表现()
A.上肺野呈大片均匀性浓密阴影
B.右上肋间隙变窄
C.右肺门影增大
D.水平裂叶间线向上移位呈凹弧线状
E.气管右移
62、单项选择题 正常髋臼角的大小为()
A.10~15°
B.20~30°
C.30~40°
D.40~50°
E.50~60°
63、单项选择题 IVP示肾盏破坏,则可排除下列哪项()
A.肾结核
B.肾盂旁囊肿
C.肾盂肿瘤
D.肾乳头坏死
E.肾腺癌
64、填空题 急性小肠梗阻的典型X线表现为_____________、___________________和________________。
65、单项选择题 关于碘对比剂的叙述,错误的是()
A.阳性对比剂X线不易透过
B.分有机碘化物和无机碘化物
C.硫酸钡可用于消化道造影
D.离子型对比剂带有电荷
E.非离于型对比剂不带有电荷
66、多项选择题 柯莱斯(Colles)骨折的X线表现为()
A.指桡骨远端距离远端瓶关节面2.5cm以内的骨折
B.常伴远侧断段向背侧移位和向掌侧成角
C.骨折线常为横行,有时为粉碎性骨折
D.常合并尺骨茎突骨折和下尺桡关节分离
E.桡骨远端骨骺未联合前常发生桡骨远端骨骺分离
67、单项选择题 下述哪项不是骨肿瘤的基本X线征象()
A.骨质破坏
B.椎旁脓肿
C.瘤骨
D.肿瘤
E.瘤软骨
68、单项选择题 下列关于结核性冷脓肿的描述,正确的是()
A.脓肿的弧度越大,密度越高,常提示具有活动性
B.脊柱周围的梭形软组织影
C.冷脓肿常见于脊椎结核
D.脓肿内为干酪样坏死
E.以上都是
69、填空题 组织学上胸腺瘤分为___________、______________及_________,目前认为良恶性难以明确分界,故提倡分为_________和___________。
70、名词解释 MPSI-H型
71、单项选择题
男,68岁,患“胃炎”20余年,因突然出现全腹剧烈疼痛,病人被动屈曲位,初体温正常,后出现最高体温38.5℃,脉搏110次/分,查体:腹式呼吸减弱,腹肌紧张不明显,全腹压痛、反跳痛,以上腹部为重;X线立位平片示小肠普遍胀气,并见小液气平面,膈下见游离气体。
如暂时以非手术治疗为主,病人体位应是()
A.仰卧位
B.头低足高位
C.平卧位
D.半卧位
E.无特殊要求
72、单项选择题 肺转移瘤并发自发性气胸,以下列哪种原发肿瘤多见()
A.尤文肉瘤
B.骨肉瘤
C.骨软骨肉瘤
D.滑膜肉瘤
E.骨旁骨肉瘤
73、单项选择题 下列哪种疾病可无纵隔移位()
A.渗出性胸膜炎
B.胸膜间皮瘤
C.巨大肺肿瘤
D.白血病改变
E.转移性胸膜肿瘤
74、单项选择题 单侧肾绞痛伴血尿者,腹部平片无异常,静脉肾盂造影不显影,而逆行肾盂造影显示正常,应首先考虑()
A.结石
B.急性尿路感染
C.肾动脉感染
D.肾静脉栓塞
E.输尿管肿瘤
75、名词解释 单纯异位肾
76、单项选择题 化脓性骨髓炎指的是什么组织的化脓性感染()
A.骨皮质和骨膜
B.骨骺和骨髓
C.骨髓、骨和骨膜
D.骨髓
E.以上都是
F.以上都不是
77、判断题 不具备气腹征象并不能排除胃肠穿孔的可能性。
78、问答题 胸腔积液的X线表现为?
79、单项选择题 胸片上,肺静脉高压最早出现的影像为()
A.下肺静脉收缩
B.间质性肺水肿
C.上肺静脉扩张
D.下肺静脉收缩
E.上、下肺静脉均收缩
80、单项选择题 在腹部正位片发现右上腹部一圆形致密影,进一步检查方法为()
A.静脉尿路造影检查
B.B超检查
C.腹部侧位片检查
D.CT检查
E.磁共振检查
81、填空题 房间隔缺损,按缺损部位分为__________、__________、__________。
82、单项选择题 儿童骨折常见的特点为()
A.青枝骨折
B.不易发生骨骺分离
C.易见骨折线
D.与成人骨折相同
E.以上都是
83、多项选择题 骨折的愈合过程可分为()
A.肉芽组织修复期
B.原发骨痂连接期
C.骨性愈合期
D.塑形期
E.假关节形成期
84、单项选择题 关于正常纵隔解剖,下列概念错误的是()
A.主要由心脏、大血管和气管构成
B.后前位片,纵隔位于胸部中央
C.心脏位于中下纵隔
D.肺门位于后下纵隔
E.四分法,上纵隔位于胸骨柄下缘与第四胸椎下缘连线以上
85、单项选择题 青年农民,突发畏寒、高热,全身肌肉酸痛,以腓肠肌为著,3天后出现咳嗽、咯血,胸片示肺纹理增粗、结构模糊,双肺多个斑片状模糊影,最可能的诊断是()
A.农民肺
B.肺钩端螺旋体病
C.过敏性肺炎
D.间质性肺炎
E.支气管肺炎
86、单项选择题 腹部平片上,小肠分六组,十二指肠属于第几组()
A.第一组
B.第二组
C.第三组
D.第四组
E.第五组
87、单项选择题 关于肘关节结核的表现中,下列哪项不正确()
A.肘关节结核较为多见,在上肢结核中占首位
B.结核病灶多在鹰嘴突和肱骨内外髁骨组织开始,桡骨小头少见
C.易形成脓肿,穿破皮肤而产生窦道,合并继发感染
D.邻近关节的骨骼可有骨质疏松
E.病灶周围无骨膜反应
88、单项选择题 胸骨后前位摄影条件正确的选择是()
A.低千伏高毫安长曝光时间
B.高千伏高毫安长曝光时间
C.低千伏低毫安短曝光时间
D.高千伏高毫安短曝光时间
E.低千伏低毫安长曝光时间
89、名词解释 椎间盘真空征
90、多项选择题 以下可以见到钙化的疾病是()
A.错构瘤
B.淋巴结结核
C.周围型肺癌
D.中央型肺癌
E.肺泡微石症
91、配伍题 摄照胸骨后前位时()腹部平片摄片时()膈上肋骨后前位时()头颅平面摄片()心脏平片摄片()
A.平静呼吸下屏气
B.深吸气后屏气
C.深吸气再呼出后屏气
D.缓慢连续呼吸
E.平静呼吸不屏气
92、单项选择题 胸部摄片常规体位是()
A.站立位
B.仰卧位
C.俯卧位
D.坐位
E.侧卧位
93、单项选择题 下列中央型肺癌引起肺不张的X线征象,错误的是()
A.新月征
B.双翼征
C.八字胡征
D.高脚杯征
E.心影转位征
94、单项选择题 有关锐利度和模糊度的叙述,错误的是()
A.模糊度也称不锐利度
B.模糊度以长度(mm)量度
C.照片的锐利度与模糊值成反比
D.物体越小,照片对比度越低,模糊值小
E.模糊值一定时,随对比度增加锐利度越好
95、单项选择题 大多数的膀胱上皮性肿瘤均为恶性,细胞类型依其发病率依次为()
A.鳞癌、腺癌、移行细胞癌
B.鳞癌、移行细胞癌、腺癌
C.移行细胞癌、鳞癌、腺癌
D.腺癌、鳞癌、移行细胞癌
E.移行细胞癌、腺癌、鳞癌
96、多项选择题 肺内少见的良性肿瘤有()
A.错构瘤
B.软骨瘤
C.纤维瘤
D.平滑肌瘤
E.脂肪瘤
97、判断题 流行性出血热影像学的病理基础为肺水肿和肺出血。
98、单项选择题 可用于静脉肾盂造影的对比剂是()
A.碘化油
B.碘苯酯
C.泛影葡胺
D.碘化钠
E.胆影葡胺
99、名词解释 对吻溃疡
100、单项选择题 哪一型进展期胃癌X线表现为胃窦狭窄,壁僵硬、粘膜皱襞固定()
A.浅表型
B.浸润型
C.混合型
D.蕈伞型
E.溃疡型
101、问答题 浸润型肺结核的X线表现有哪些?
102、问答题 恶性骨肿瘤的X线表现有哪些?
103、单项选择题 最常见的女性生殖系统结核是下列哪种()
A.子宫内膜结核
B.子宫颈结核
C.输卵管结核
D.卵巢结核
E.盆腔结核
104、多项选择题 对于侧隐窝的描述,正确的有()
A.其前界是椎体和椎间盘的后缘,侧缘是椎弓根的内缘,后界是上关节突前内缘
B.侧隐窝是椎管内神经根通向椎间孔的部位又称神经管
C.侧隐窝前后宽度即椎弓根高度
D.测量侧隐窝宽度的正确方法是测量椎管前缘到关节突关节前内方的距离即可
E.侧隐窝的宽度若在5mm以上即不存在狭窄
105、名词解释 血运性肠梗阻
106、单项选择题
女婴,出现持续性呕吐,腹胀,如图所示,最可能的诊断为()

A.肠梗阻
B.肠扭转
C.肠闭锁
D.肠旋转不良
E.肠穿孔
107、多项选择题 肺肾综合征的X线表现为()
A.多发结节状
B.小叶斑片状
C.大片融合状
D.纤维条索状
E.多发空洞状
108、单项选择题
男,70岁,进行性吞咽困难半年,结合图像,最可能的诊断为()

A.正常食管
B.食管静脉曲张
C.食管平滑肌瘤
D.贲门失弛缓
E.食管癌
109、单项选择题 乙状窦沟前缘与外耳道后壁的距离,一般为()
A.<10mm
B.>14mm
C.5~10mm
D.10~14mm
E.15~18mm
110、单项选择题 骨质软化不见于()
A.甲状腺功能亢进
B.骨质软化症
C.维生素D缺乏病
D.肾功能不全
E.甲状旁腺功能亢进
111、单项选择题 柯氏位(CaldWell’s)摄片,中心线与听眦线夹角是()
A.15°
B.23°
C.37°
D.45°
E.53°
112、判断题 先天性巨结肠患儿清洁灌肠及钡剂调制,可以同其他胃肠检查患者一样。
113、单项选择题 静脉肾盂造影检查的禁忌证是()
A.肾盂积水
B.肾结石
C.尿路狭窄
D.肾部肿瘤
E.肾功能严重损伤
114、单项选择题 骨巨细胞瘤的典型X线征象是()
A.位于骨端的膨胀性偏心性囊性骨破坏,内有皂泡性骨间隔
B.骨端的囊性破坏区,其透光区模糊,皮质变薄
C.远距骨干骺端的偏心性囊性骨破坏,边缘硬化
D.位于骨骺的多发性骨质破坏,内有钙化
E.位于骨端的多发性骨质破坏,内有钙化
115、单项选择题 来自细支气管Clara细胞和Ⅱ型肺泡细胞的癌为()
A.腺癌
B.细支气管肺泡癌
C.大细胞癌
D.类癌
E.小细胞癌
116、单项选择题 显影液量不够时,应补充以下哪种液体()
A.清水
B.特别配制的补充液
C.陈旧的显影液
D.新鲜的显影液原液
E.碱性溶液
117、问答题 良性骨肿瘤的X线表现有哪些?
118、单项选择题
男,6岁,来自干旱地区,腰背疼痛四肢关节酸痛,结合图像,最可能的诊断是()
A.氟骨症
B.畸形性骨炎
C.石骨症
D.髋关节结核
E.甲状旁腺功能亢进
119、单项选择题 女性,41岁,吞咽困难3年,有时进流质困难,伴呕吐,胸骨后疼痛。X线检查:食管吞钡下端呈锥状狭窄,上端扩大;患者做跳跃动作时,钡剂呈间歇性以粗细不等的圆柱向胃内喷流,狭窄部有纵行规则的粘膜皱襞。首先应考虑为()
A.食管癌
B.食管憩室
C.贲门癌
D.贲门失弛缓症
E.食管平滑肌瘤
120、单项选择题
男,阴囊下坠不适,胀痛,平卧症状缓解。查体:阴囊下垂松弛,并可触及结节状静脉曲张。
最可能的诊断是()
A.鞘膜积液
B.血管瘤
C.肿瘤
D.精索静脉曲张
E.感染
121、单项选择题 X线平片上可见部分骨小梁与压力方向一致,部分与张力方向一致者为()
A.股骨干
B.股骨近端
C.肱骨干
D.胫骨近端
E.髂骨
122、单项选择题 大叶性肺炎的典型影像学变化可见于病变的()
A.充血期
B.实变期
C.消散期
D.消散期之初
E.病变全程
123、判断题 颅内非病理性钙化多见于松果体、基底核等。
124、单项选择题 发病率最高的髓内肿瘤是()
A.少突胶质细胞瘤
B.脊膜瘤
C.血管性肿瘤
D.星形胶质细胞瘤
E.室管膜瘤
125、单项选择题 下列关于“食管憩室”的描述错误的是()
A.本病多为后天性
B.病因分内压性、牵引性两种
C.牵引性憩室口部较宽
D.内压性憩室呈圆形或乳头状
E.憩室表面无粘膜皱襞
126、配伍题 肘关节提携角()腕关节腕骨角()腕关节前倾角()股骨颈前倾角()
A.5°~20°
B.9°~20°
C.13°~20°
D.15°~20°
E.平均130°
127、多项选择题 典型的二尖瓣关闭不全患者的X线表现有()
A.左心房和左心室增大为主
B.伴有右心室增大
C.左心房呈中度到重度增大
D.肺淤血
E.病变晚期可见明显的肺循环高压
128、判断题 肺动脉段的隆凸,均是右心室流出道增大所引起。
129、填空题 绞窄性肠梗阻的常见原因有哪些__________、_____________和_________。
130、多项选择题 Esenmenger综合征患者,可有哪些异常()
A.主动脉骑跨
B.完全性肺静脉异位引流
C.室间隔缺损
D.右心室肥大
E.房间隔缺损
131、单项选择题 常于早期即发生淋巴转移的肺癌是()
A.鳞状上皮癌
B.小细胞未分化癌
C.腺癌
D.大细胞未分化癌
E.细支气管肺泡癌
132、单项选择题 活检证实为浸润性导管癌,患者有保乳愿望,目前最适宜的治疗是()
A.放疗
B.化疗
C.手术
D.内分泌治疗
E.中药治疗
133、单项选择题
女,1岁,反复呕吐伴中度营养不良,结合影像,最可能的诊断为()

A.肺脓疡
B.膈疝
C.食道裂孔疝
D.包裹性液气胸
E.胃扭转
134、多项选择题 肾小管性骨病的主要X线表现为()
A.骨质密度普遍性降低
B.骨关节畸形
C.假骨折
D.骨质硬化
E.继发性甲状旁腺功能亢进表现
135、单项选择题 女,35岁,右肺上叶后段薄壁空洞,直径3cm,内有较小的液面,空洞周围肺内有渗出病变,右下叶及左肺中下野有多发斑片状渗出影,最可能的诊断是()
A.肺结核病(干酪性肺炎)
B.肺脓肿
C.血源性肺脓肿
D.空洞型肺癌
E.肺霉菌病
136、单项选择题 双乳剂X线胶片结构中,不包括()
A.片基
B.保护层
C.底层
D.乳剂层
E.防反射层
137、单项选择题 关于胸骨后甲状腺的描述,错误的是()
A.包括甲状腺肿、腺瘤和囊肿
B.伴有颈部甲状腺肿大
C.在前纵隔肿瘤中,其位置最高
D.有气管受压移位
E.胸骨后甲状腺无恶性病变
138、填空题 十二指肠憩室多发生在____________________,其次为__________________。多数学者认为本病可能与________________、__________________有关。
139、单项选择题 肩关节脱位多见于()
A.儿童
B.向下、外脱位
C.后脱位
D.前脱位
E.以上都是
140、单项选择题 肘关节侧位摄影,叙述错误的是()
A.肘关节屈曲呈90°角
B.尺侧靠近台面
C.手掌面与台面垂直
D.五指紧贴台面
E.肩部与肘部平齐
141、单项选择题 下述哪项是地中海贫血骨骼改变特点()
A.方形椎体
B.手足短骨骨改变最明显
C.颅骨板障消失
D.乳突气房发育正常
E.颅骨外板变薄
142、多项选择题 影响X线量的因素是()
A.靶物质的原子序数
B.高压电缆长度
C.X线管灯丝加热电流
D.管电压
E.自耦变压器
143、问答题 上颌窦恶性肿瘤的X线表现有哪些?
144、单项选择题 在周围型肺癌的癌性空洞的特点是()
A.厚壁空洞
B.不规则偏心空洞
C.薄壁空洞
D.薄壁空腔
E.空洞壁厚伴有液平面
145、单项选择题
男,66岁,近1月来感胸闷,有时低热,胸片如图,最可能的诊断为()

A.化脓性胸膜炎
B.结核性胸膜炎
C.右下肺炎症
D.右下肺不张
E.右侧胸腔积液
146、单项选择题 腕骨中最后骨化的是()
A.头状骨
B.舟骨
C.大、小多角骨
D.豌豆骨
E.月骨
147、单项选择题 膝部病变最佳投照体位,下述哪项错误()
A.膝关节内侧副韧带损伤:双膝强力外展正位
B.膝外翻:双膝关节正立位
C.膝内翻:双膝关节正立位
D.髌骨骨折:膝关节侧位、轴位
E.胫骨粗隆骨软骨炎:常规正位
148、多项选择题 属于关节退行性变的X线表现有()
A.骨性关节面边缘骨不规整
B.软骨下骨质囊变
C.关节间隙狭窄
D.关节间隙增宽
E.以上都不是
149、单项选择题 易形成"肿瘤软骨"的是哪种()
A.软骨肉瘤
B.骨纤维瘤
C.溶骨性骨肉瘤
D.骨软骨瘤
E.恶性骨肿瘤
150、单项选择题
男,两月。表现排便困难、便秘、腹胀,经常哭闹。如图所示,最可能的诊断为()

A.先天性巨结肠
B.假性先天性巨结肠
C.新生儿坏死性小肠结肠炎
D.先天性肠闭锁
E.肠套叠
151、填空题 地中海贫血的临床特点包括__________、_______、________、_________、___________和___________等。
152、多项选择题 适合高电压摄片检查的部位为()
A.喉
B.肺
C.胸骨
D.乳腺
E.鼻咽部侧位
153、单项选择题
男,28岁,无临床症状,体检时摄片如图,结合图像,最可能的诊断是()
A.氟骨症
B.转移性骨肿瘤
C.骨样骨瘤
D.骨岛
E.骨斑点症
154、判断题 缺血坏死性结肠炎表现为偏心性狭窄,而结肠癌表现为向心性狭窄。
155、单项选择题 确诊乳腺肿块性质最可靠的检查方法是()
A.红外线
B.B超
C.钼靶摄片
D.MRI
E.活检病理
156、单项选择题
男,28岁,右上臂肿胀、疼痛,结合图像,最可能的诊断是()
A.骨肉瘤
B.成骨性骨转移瘤
C.化脓性骨髓炎
D.滑膜肉瘤
E.骨巨细胞瘤
157、单项选择题 颈部侧位片,不能显示的部位是什么()
A.观察颈椎前弯角度
B.喉室肿物的显示
C.椎间孔狭窄
D.后纵韧带骨化的诊断
E.压迫骨折
158、单项选择题 不适合做静脉肾盂造影的疾病是()
A.肾盂积水
B.尿道先天性畸形
C.肾功能衰竭
D.膀胱肿瘤或结核
E.肾血管性高血压
159、多项选择题 头颅柯氏位观察眼眶诸骨,包括下列哪些()
A.蝶骨大小翼
B.内听道
C.额骨眶顶部
D.乳突
E.眶上裂
160、多项选择题 下列哪些不是早期食管癌的X线征象()
A.粘膜增粗、消失
B.浅小溃疡
C.小的充盈缺损
D.管壁广泛性僵硬
E.管腔明显狭窄
161、名词解释 竹节状脊柱
162、问答题 周围型肺癌有何X线表现?
163、单项选择题 在脊柱退行性骨关节病中,椎体边缘增生不易发生于()
A.椎体的前外侧
B.后突椎体的前缘
C.侧弯椎体凸面
D.狭窄椎间隙的上、下面
E.相邻骨赘可形成骨桥
164、多项选择题 在胸片上表现为肺血增多的心脏病有()
A.室间隔缺损
B.三尖瓣闭锁不全
C.房间隔缺损
D.肺动脉狭窄
E.动脉导管未闭
165、判断题 主-肺动脉间隔缺损以右心增大为主,主动脉结常缩小。
166、单项选择题 上肢骨提携角的角度是()
A.5°角
B.5°~10°角
C.10°角
D.10°~15°角
E.15°~20°角
167、多项选择题 左心房增大的X线表现为()
A.食管向后受压移位
B.双重阴影、双弧形
C.左心缘可见左心耳突出
D.左主支气管受压抬高
E.心影向两侧增宽
168、单项选择题 下列关于溃疡的描述,错误的是()
A.龛影未能充盈并显示时,球部畸形是常见的重要的X线征象
B.若溃疡穿透浆膜而被周围炎症组织包围,称为胼胝性溃疡
C.胃和十二指肠同时发生溃疡称为复合溃疡
D.胃和十二指肠溃疡好发于青壮年
E.畸形有功能性和器质性两种,可分别存在或同时存在
169、判断题 婴幼儿葡萄球菌肺炎在病变后期才出现肺气囊。
170、单项选择题 眼眶异物定位时,金属标记不应放置在角膜的哪个方位上()
A.3点钟
B.6点钟
C.9点钟
D.10点钟
E.12点钟
171、单项选择题 患者,发热、咳嗽、胸痛、咳痰、痰有臭味,胸片示右下肺野叶片状致密阴影,其中有透光区存在,可能的诊断为()
A.大叶性肺炎
B.支气管肺炎
C.肺脓肿
D.吸入性肺炎
E.机化性肺炎
172、单项选择题 对临床怀疑“肾盂癌”的患者,应首选以下哪项检查()
A.MRI
B.血管造影
C.US
D.IVU或“逆行肾盂造影”
E.CT
173、单项选择题 我国的放射卫生防护标准叙述,错误的是()
A.辐射实践正当化为放射防护的综合原则
B.我国放射卫生防护标准是GB4792
C.放射防护水平最优化为放射防护的综合原则
D.以剂量当量限值或最大充许剂量为唯一指标
E.个人剂量当量限值为放射防护的综合原则
174、单项选择题 散射线量与有关因素的关系,正确的是()
A.与mA成反比
B.kV升高,散射线量增加
C.与肢体厚度成反比
D.与距离成正比
E.以上都不是
175、配伍题 位于乙状结肠直肠连接部的是()位于降结肠乙状结肠交界处的是()位于脾曲的是()
A.Payr~Strauss括约肌
B.Cannm括约肌
C.Bakki括约肌
D.Rossi括约肌
E.Mouttier括约肌
176、配伍题 关于化脓性关节炎的骨质破坏描述正确的是()关于关节结核的骨质破坏描述正确的是()关于风湿性关节炎的骨质破坏描述正确的是()
A.发展迅速,从关节承重面开始,骨质缺损与正常骨质分界不清
B.发展缓慢,从关节承重面开始,骨质缺损与正常骨质分界不清
C.发展缓慢,从关节边缘开始,有虫蚀状骨质破坏
D.发展缓慢,从关节边缘开始,为穿凿样破坏,常累及多个关节
E.发展迅速,从关节边缘开始,为穿凿样破坏,常累及多个关节
177、单项选择题 十二指肠溃疡最常见的部位是()
A.水平部
B.球部
C.降部
D.球后部
E.小弯侧
178、单项选择题 下列表现,哪项与主动脉瘤无关()
A.可有钙化
B.主动脉搏动可减弱
C.邻近骨骼无异常发现
D.主动脉瘤状、梭状扩张
E.可压迫支气管,造成肺不张
179、填空题 机化性肺炎,在体层或过度曝光的照片上,常可见病灶中有小的不规则的透亮区,代表有________和_____________。
180、单项选择题 女,22岁,右上肢内侧肿块1年,体检:右前臂内侧有鹅蛋大小肿块,质硬,压痛不明显,X线表现:右尺骨中段见椭圆形囊状透亮区,内有横行骨嵴,骨皮质变薄,局部骨皮质凹陷,应诊断为下列哪一种病变()
A.孤立性骨囊肿
B.动脉瘤样骨囊肿
C.骨巨细胞瘤
D.软骨黏液样纤维瘤
E.嗜酸性肉芽肿
181、单项选择题 下列发育异常性疾病中,哪种罕有先天性心脏病()
A.Marfan综合征
B.Klinefelter综合征
C.Pfaundler-Hurler病
D.Ehlers-Danlos综合征
E.脆骨症
182、单项选择题 早期周围型肺癌的结节阴影指瘤体直径()
A.≤1cm
B.≤1.5cm
C.≤2cm
D.>2cm
E.≤3cm
183、单项选择题
男,7岁,该患儿患有先天性脊柱畸形,根据所示图像,最可能的诊断是()
A.移行椎
B.阻滞椎
C.脊椎侧弯
D.半椎畸形
E.蝴蝶椎畸形
184、多项选择题 肘部继发性骨化中心包括()
A.肱骨小头骨化中心
B.滑车内侧部骨化中心
C.桡骨小头骨化中心
D.滑车外侧部骨化中心
E.内上髁和外上髁骨化中心
185、单项选择题 下列肺泡性肺水肿的临床表现中,不包括()
A.端坐呼吸
B.水泡样湿啰音
C.咳粉红色泡沫痰
D.咳大量泡沫痰
E.夜间阵发性呼吸困难
186、判断题 克氏综合征患者骨骺骨化中心出现和愈合均正常,唯掌骨征阳性。
187、单项选择题 脾肿大最常见于哪种病变()
A.寄生虫、肿瘤
B.炎症
C.肿瘤、门静脉高压
D.炎症、寄生虫
E.门静脉高压
188、单项选择题 临床怀疑“肾结石”患者,首选以下哪种检查()
A.KUB
B.选择性肾动脉造影
C.IVU
D.逆行尿路造影
E.CT
189、多项选择题 肺静脉高压的常见X线影像有()
A.间质性肺水肿
B.肺泡性肺水肿
C.肺门减小
D.左房增大
E.含铁血黄素沉着
190、多项选择题 下述哪些原因属毛细血管内静水压升高引起的肺水肿()
A.心肌病致左心衰竭
B.心肌炎致左心衰竭
C.左心瓣膜病变致左心衰竭
D.急性肾小球肾炎致左心衰竭
E.急性心肌梗死致左心衰竭
191、判断题 外耳和内耳均由第1、2鳃弓发育而来。
192、单项选择题 骨肉瘤主要转移途径为()
A.消化道转移
B.淋巴结转移
C.跳跃性转移
D.种植播散
E.血行转移
193、单项选择题 气管隆突是指气管()
A.分叉处下方
B.分叉部左壁
C.分叉部上壁
D.分叉部右壁
E.分叉部下壁
194、单项选择题 下述高血压心脏病的X线表现,错误的是()
A.心尖向左下延长
B.左心缘反向搏动点下移
C.晚期肺淤血
D.主动脉弓迂曲
E.晚期肺水肿
195、单项选择题 在婴幼儿胸片上见两肺纹理呈小三角或斑点状致密阴影和小泡状透亮区,最可能的诊断是()
A.节段性肺炎
B.支气管肺炎
C.化脓性肺炎
D.病毒性肺炎
E.支原体肺炎
196、单项选择题 下述结核瘤特点,哪项不对()
A.多为2cm以下球形影
B.均匀较高密度,可有钙化
C.可有边缘性空洞形成
D.常有卫星灶、胸壁侧可有粗大毛刺
E.可有浅分叶
197、单项选择题 下列右心室增大的胸片影像表现,错误的是()
A.心尖圆钝、上抬
B.右心室流出道膨隆
C.右心室流入道膨隆
D.心腰消失、位置上移
E.向后扩大参与组成右心缘
198、多项选择题 支气管气相可见于()
A.周围型燕麦细胞癌
B.肺透明膜病
C.大叶性肺炎
D.结节病
E.肺水肿
199、单项选择题
男,28岁,右肱骨上段肿痛1月,疼痛以夜间明显,如图所示,最可能的诊断是()
A.溶骨性骨肉瘤
B.成骨性骨肉瘤
C.皮质旁骨肉瘤
D.软骨肉瘤
E.以上均不是
200、多项选择题 关于X线质的叙述,正确的是()
A.X线的硬度
B.X线的强度
C.X线的波长越短,X线质越硬
D.常以管电压(kV)值间接表示X线质
E.常以管电流(mA)值间接表示X线质
201、单项选择题 男,45岁,20年前患过肺结核,3月来有咳嗽,痰偶带血丝,X线检查:右上肺有3cm×2.5cm之阴影,边缘模糊、毛糙,内有钙化点,余肺野清晰,3次查痰找癌细胞阴性,最可能的诊断是()
A.肺结核
B.肺脓肿
C.肺囊肿
D.肺癌
E.肺良性肿瘤
202、单项选择题 继发性肺结核以渗出浸润为主型的X线表现,下列哪项不正确()
A.散在或较广泛的支气管播散灶
B.肺门淋巴结常增大
C.可见薄壁、张力和纤维空洞
D.病灶为斑片状或云絮状
E.病多位于两肺锁骨上、下区域
203、单项选择题 头颅凹陷性骨折,应首选哪种投照体位()
A.切线位
B.头颅侧位
C.汤氏位
D.颅底位
E.头颅后前位
204、判断题 耳硬化症一般可分窗硬化及耳蜗硬化两型。
205、单项选择题
患者,12岁,跌倒时手掌撑地。查:肘关节半屈状,肘肿胀压痛,外突畸形,肘后三角存在,桡动脉搏动正常。
最适当的治疗方法是()
A.立即切开筋膜减压
B.切开复位、内固定
C.手法复位,石膏固定
D.手法复位即可
E.手术探查肱动脉,同时行骨折复位、内固定
206、多项选择题 齿突骨折,正确的摄片体位是()
A.颈椎斜位
B.颈椎过屈位
C.颈椎正侧位
D.高颈椎仰卧水平侧位
E.第1、2颈椎开口位
207、问答题 鼻窦囊肿的X线表现有哪些?
208、判断题 生长在前、后纵隔的肿瘤,由于部位的原因,临床症状出现较晚。
209、单项选择题 PACS正确的涵义是()
A.图像存储系统
B.图像传输系统
C.图像网络系统
D.图像通讯系统
E.图像存储与传输系统
210、判断题 关节结核的早期X线表现为骨性关节面模糊、中断和消失。
211、单项选择题 腮腺良性肿瘤中以哪种最多见()
A.腮腺淋巴瘤
B.腮腺混合瘤
C.腮腺血管瘤
D.腮腺脂肪瘤
E.沃辛瘤
212、名词解释 Jones-Thompson方程
213、名词解释 对位不良
214、单项选择题 关于肠内气体叙述正确的是()
A.十二指肠球部的气体位置不固定
B.右下腹出现固定的小气液平面有病理意义
C.各部小肠内均不应充气
D.大肠内总是有些气体
E.以上都不对
215、名词解释 周期性瘫痪(period paralysis)
216、单项选择题 为了提高早期胃癌的诊断率,首选下列哪种检查方法()
A.充盈法
B.粘膜法
C.气钡双重造影
D.加压法
E.低张胃气钡双重造影
217、配伍题 可观察到肠系膜上动脉压迹的是()可观察到胰头病变的是()
A.十二指肠肠圈
B.十二指肠降部
C.十二指肠水平部
D.十二指肠升部
E.十二指肠球部
218、配伍题 输尿管长约()输精管长约()
A.15~20cm
B.30~45cm
C.25~30cm
D.2~8cm
E.10~12cm
219、单项选择题 一般不引起肺血管变化的心脏病是()
A.房间隔缺损
B.风湿性心脏病二尖瓣狭窄
C.法洛四联征
D.冠心病
E.室间隔缺损
220、单项选择题 下列关于肺泡微石症的描述,错误的是()
A.血钙浓度正常
B.家族性
C.胸片呈“蜂窝状”影
D.结石成分与骨类似
E.两肺胸膜下区分布细小钙化影
221、单项选择题
男,65岁,咳嗽,右胸痛,痰中带血丝1周。胸部后前位片示:右肺门影增大,右上肺大片状致密影,水平裂呈反“S”样改变。
最可能的诊断是()
A.右上肺炎
B.右上肺脓肿
C.右上阻塞性肺炎
D.右上肺结核
E.右侧中心型肺癌伴右上肺不张
222、单项选择题 有关摄片条件选择中可变因素的叙述,哪项不妥()
A.应把不随意运动器官的移动作为移动因素中的主要矛盾处理
B.同一厚度的两个健康人的胸部照片,摄片条件应一致
C.同部位同厚度的慢性骨髓炎与骨结核相比,需要增加摄片条件
D.被照体构成组织比例是摄片条件选择的重要可变因素
E.病理因素对摄片条件的影响十分复杂,较难掌握,应不断积累临床经验
223、多项选择题 乳腺恶性病变钙化的X线特点为()
A.钙化边缘模糊
B.多呈泥沙样、细粒状
C.形态多不规则
D.钙化一般位于肿块内
E.密度较一致
224、名词解释 米利兹(Mirrizzi)综合征
225、单项选择题
患者,女,46岁,胸闷气短1月,伴全身乏力,咳嗽,发热。胸片示:中上纵隔增宽,右缘呈波浪状改变。白细胞:8.5×10/L。
当病人出现声音嘶哑时,提示肿瘤已侵犯()
A.声带
B.迷走神经
C.喉上神经
D.喉返神经
E.气管隆突
226、判断题 颈动脉造影,颈内动脉分支显影早于颈外动脉。
227、单项选择题 胃肠道穿孔最常见于()
A.外伤性
B.肿瘤性
C.溃疡性
D.感染性
E.医源性
228、单项选择题 男性,22岁,四川人,到拉萨旅游,因头痛、咳红色泡沫痰2天,昏迷3小时就诊,胸片示两肺弥漫分布大小不等模糊影,以内带居多,最可能的诊断是()
A.ARDS
B.大叶性肺炎
C.高原性肺水肿
D.支气管肺炎
E.心源性肺水肿
229、单项选择题 在所有跗骨中,有继发性骨化中心的是()
A.楔骨
B.跟骨
C.骰骨
D.跖骨
E.趾骨
230、单项选择题 关节脱位发生率从高到低排列的次序为()
A.肩关节>足关节>肘关节>髋关节>踝关节>腕关节>膝关节
B.肘关节>膝关节>腕关节>踝关节>髋关节>足关节>肩关节
C.肘关节>肩关节>足关节>髋关节>踝关节>腕关节>膝关节
D.髋关节>膝关节>腕关节>踝关节>足关节>肩关节>肘关节
E.踝关节>腕关节>膝关节>肘关节>肩关节>足关节>髋关节
231、单项选择题 有关照射野的描述,错误的是()
A.X线束入射于被照体的曝光面的大小称照射野
B.摄影时照射野应缩小到能容下被检部位的标度
C.照射野的大小大多用遮线器控制
D.来自中心部分的一条X线为中心线
E.中心线必须垂直于被照体中心
232、单项选择题 下列关于自发性主动脉夹层的描述,错误的是()
A.常有高血压史
B.主动脉真腔变窄
C.病变范围较广泛
D.常伴强直性脊柱炎
E.升主动脉者一般要求手术
233、配伍题 左下腹小肠是()中段回肠是()右中下腹小肠是()盆腔内小肠是()
A.第6组小肠
B.第5组小肠
C.第4组小肠
D.第3组小肠
E.第2组小肠
234、多项选择题
男,56岁,劳累后心慌气促10余年,近来自觉症状加重。临床听诊,心尖区有舒张期和收缩期杂音,行胸部X检查,如图所示,描述正确的是()

A.后前位示双房影,左心缘第三弓突出
B.右前斜位示左心房增大,心后上缘后突压迫服钡食管
C.左前斜位示心影向后下方突出
D.考虑三尖瓣狭窄
E.考虑二尖瓣狭窄并关闭不全
235、多项选择题 X线管中,阳极靶面的作用是()
A.散热
B.发生X线
C.阻止高速电子
D.完成高压电路的回路
E.产生电子流
236、多项选择题 下列属于高压部件的是()
A.X线管
B.高压硅整流器
C.灯丝加热变压器
D.高压电缆
E.高压交换闸
237、单项选择题 肺淤血是指()
A.肺动脉血流量增加
B.肺静脉血流量增加
C.肺动脉血流量减少
D.肺静脉血流量减少
E.以上均不是
238、单项选择题 关于胸部后前位的图片显示,错误的是()
A.照片包括胸廓肋膈角及全部肺野
B.肩胛骨完全位于肺野外方
C.肺纹理清晰可见
D.第1~12胸椎图像清晰
E.心影边缘的肋骨隐约可见
239、名词解释 Gardner综合征
240、单项选择题 下列关于“膀胱结核”的诊断要点,错误的是()
A.多继发于生殖系统结核
B.多继发于肾结核
C.膀胱体积缩小
D.膀胱壁线样钙化
E.输尿管开口附近可见充盈缺损
241、单项选择题
骨盆是由哪几部分构成的()
a.股骨
b.耻骨
c.坐骨
d.髂骨
e.距骨
A.a,b,c
B.a,b,e
C.a,d,e
D.b,c,d
E.c,d,e
242、判断题 支气管完全阻塞10小时后肺组织即萎陷,密度增高。
243、单项选择题 “中晚期胃癌”分型中,不包括哪型()
A.表浅型
B.蕈伞型
C.浸润型
D.溃疡型
E.髓样型
244、单项选择题
男,8岁,右髋疼痛,活动受限,结合图像,最可能的诊断是()
A.股骨头骨骺缺血坏死
B.髋关节结核
C.剥脱性骨软骨炎
D.退行性骨关节病
E.骨纤维异常增殖症
245、单项选择题 在成人女性,平均宫腔容量为()
A.5ml
B.4ml
C.3ml
D.8ml
E.6ml
246、单项选择题 男性,56岁。有动脉粥样硬化病史。突然感到剧烈刀割样胸痛2小时,向背部放射。体检发现主动脉瓣区可闻及舒张期杂音,考虑为主动脉夹层可能。夹层内膜撕裂的好发部位是()
A.升主动脉
B.主动脉弓
C.降主动脉
D.主动脉峡部
E.升主动脉根部和主动脉峡部
247、单项选择题 造影前不需做肠道清洁准备的是()
A.膀胱造影
B.肝动脉造影
C.静脉肾盂造影
D.膝关节充气造影
E.腹膜后充气造影
248、单项选择题 下列骨质疏松影像表现中,哪项不正确()
A.骨小梁稀少、间隙增宽
B.骨密度减低
C.骨小梁改变首先出现在负重骨小梁
D.骨皮质变薄
E.病理性骨折
249、单项选择题 下列胸部疾病不随深呼吸而变形的应是()
A.先天性肺囊肿
B.囊性畸胎瘤
C.肺包虫囊肿病
D.心包囊肿
E.神经纤维瘤
250、单项选择题
女,根据其正常肘关节影像图像,判断其最可能的年龄()
A.17岁左右
B.27岁左右
C.67岁左右
D.37岁左右
E.57岁左右
251、单项选择题 下列“脊柱结核”发病特点中,哪项正确()
A.溶骨性破坏为主
B.中心型,是最常见类型,腰椎多见
C.边缘型,胸椎多见
D.韧带下型,始于后纵韧带
E.附件型少见
252、单项选择题 以下消化道造影的显示方法中,哪种最不常用()
A.双重法
B.压迫法
C.粘膜法
D.充盈法
E.排空法
253、单项选择题
男,根据其正常手的影像图像,判断其最可能的年龄()
A.16岁左右
B.26岁左右
C.36岁左右
D.76岁左右
E.56岁左右
254、多项选择题 腹膜腔肿瘤X线腹部平片检查时可表现为()
A.腹腔积液
B.部分脏器受压移位
C.腹腔软组织密度肿块
D.异常钙化斑
E.肠壁增厚
255、单项选择题 电压的单位是()。
A.伏特;
B.安培;
C.千瓦;
D.马力。
256、单项选择题 多房性液气胸的形成原因()
A.出血
B.外伤
C.感染
D.胸膜粘连
E.肺转移瘤
257、判断题 一般右肺门较左肺门低1~2cm。
258、单项选择题 胸部后前位片上出现双心房影,提示()
A.右心室增大
B.右心房增大
C.左心室增大
D.左心房增大
E.主动脉增宽,迂曲
259、名词解释 骨性狮面
260、单项选择题 先天性主动脉缩窄可合并()
A.室间隔膜部狭窄
B.动脉导管未闭
C.房间隔-原发孔型
D.肺动脉狭窄
E.右位主动脉弓
261、单项选择题 软骨的构成是()
A.软骨细胞
B.软骨细胞和基质
C.细胞、基质和纤维
D.软骨细胞和软骨母细胞
E.钙化软骨和软骨细胞
262、多项选择题 肺内空腔影可见于()
A.肺大泡
B.含气肺囊肿
C.肺气囊
D.周围型肺癌
E.囊状支气管扩张
263、单项选择题 晚期尿毒症病人肾脏内出现囊肿病变的原因是()
A.先天性
B.代谢性
C.感染性
D.中毒性
E.缺血及营养不良
264、单项选择题 同时出现双室增大的疾病是()
A.二尖瓣狭窄
B.心包炎
C.室间隔缺损
D.主动脉瓣狭窄
E.三尖瓣关闭不全
265、单项选择题 寰枢椎脱位的主要依据是()
A.寰椎前弓后缘与齿突前缘之关节间隙增宽
B.脊椎椎管前后缘连线错位
C.齿突与寰椎侧块的关节异常
D.合并齿突骨折
E.张口位上齿突偏位
266、单项选择题 下列哪一项与紫绀性先天性心脏病无关()
A.发育迟缓
B.骨龄延迟
C.颅骨板障变薄
D.杵状指
E.肋骨切迹
267、名词解释 早期胃癌
268、单项选择题 关于散射线及其影响因素的叙述,错误的是()
A.散射线是离开原射线线束的折射光子
B.管电压越高,散射线越多
C.增感屏感度越高,散射线越少
D.在一定厚度内,被照体越厚散射线越多
E.照射野是产生散射线的重要因素之一
269、单项选择题
男,5岁,低热,盗汗,咳嗽2月余,结合图像,最可能的诊断是()

A.肺癌
B.大叶性肺炎
C.支气管肺炎
D.肺结核
E.过敏性肺炎
270、单项选择题 服用下列哪种药物不引起肠道弥漫性扩张()
A.左旋多巴
B.普鲁卡因
C.吗啡
D.阿托品
E.胃复安
271、名词解释 椎弓根峡部不连
272、单项选择题 喉肉芽肿的早期X线表现为()
A.喉腔狭窄
B.喉内结构不规则增厚
C.喉内结构弥漫肿胀、增厚
D.会厌破坏缺损
E.喉内结构粘连变形
273、单项选择题 下列选项中,表示X线量的是()
A.半值层
B.靶物质
C.kV
D.mAs
E.电压波形
274、单项选择题 腹部平片发现右上腹石榴样致密阴影,侧位片见该影靠前方与肋骨相连,不随体位改位置,最可能的诊断是()
A.右肾结石
B.肠系膜淋巴结钙化
C.肋软骨钙化
D.阳性胆囊结石
E.肝包虫病
275、单项选择题 下列属生理排泄法造影检查是()
A.钡灌肠造影
B.逆行肾盂造影
C.口服胆囊造影
D.子宫输卵管造影
E.冠状动脉造影
276、单项选择题
男,12岁,平时无明显不适,结合图像,最可能的诊断是()

A.正常胸片
B.左旋心
C.右旋心
D.镜面右位心
E.以上都不是
277、单项选择题 下列肺部炎症中哪项不易见到胸膜反应()
A.大叶性肺炎
B.化脓性肺炎
C.机化性肺炎
D.支原体肺炎
E.过敏性肺炎
278、多项选择题 口腔颌面部包括哪些器官和组织()
A.口腔
B.面部软组织
C.颌面骨
D.颞颌关节
E.鼻腔
279、名词解释 液体渗液曲线
280、单项选择题 有关成骨和破骨活动的说法中,哪项错误()
A.成骨就是骨基质的形成和骨盐沉积于骨基质的过程
B.破骨是骨质吸收和消失的过程,为破骨活动的结果
C.骨细胞生成后可以进行无数次的分裂增殖活动
D.在成年期成骨和破骨活动保持相对平衡
E.生长发育期成骨占优势,而在老年期破骨活动占优势
281、名词解释 晕轮征
282、单项选择题 急性化脓性骨髓炎的X线片主要表现为()
A.骨膜增生
B.骨质破坏
C.死骨形成
D.新生骨
E.出现钙化
283、配伍题 脾栓塞适应证()脾栓塞禁忌证()脾栓塞并发症()
A.败血症
B.原发脾亢
C.肝癌
D.肾衰
E.胰腺梗死
284、单项选择题 蝶鞍位于下列哪一个骨中()
A.筛骨
B.枕骨
C.颞骨
D.蝶骨
E.额骨
285、判断题 韦格肉芽肿的病理改变为坏死性肉芽肿和坏死性血管炎。
286、单项选择题 冠状动脉瘤最常见于()
A.Marfan综合征
B.川崎病
C.动脉粥样硬化
D.风湿性心脏病
E.梅毒性心脏病
287、单项选择题 关于降低乳腺癌发生危险性的措施中,下列不正确是()
A.实行人工喂养
B.避免不必要的电离辐射
C.青春期适当节制脂肪和动物蛋白质的摄入
D.更年期尽量避免应用雌激素
E.更年期后适当增加体育活动,减少过剩脂肪
288、单项选择题 下列组合中,无关的是()
A.蝶鞍——垂体
B.颅中窝——卵圆孔
C.内听道——第Ⅷ神经
D.视神经孔——第Ⅴ脑神经
E.圆孔——上颌神经
289、多项选择题 单纯性小肠梗阻常见原因是()
A.肠粘连
B.小肠扭转
C.炎性狭窄
D.粘连索带压迫
E.肿瘤
290、单项选择题 间质性肺水肿最明显的X线征象是()
A.两上肺静脉分支增粗
B.胸膜下水肿
C.袖口征
D.间隔线阴影
E.肺门血管阴影模糊
291、单项选择题 室间隔缺损血流动力学的改变首先引起()
A.右心房增大
B.右心室增大
C.左心房增大
D.主动脉扩张
E.肺动脉隆起
292、问答题 小叶性肺炎的X线表现有哪些?
293、判断题 肺包虫囊肿破裂可形成支气管瘘,咳出部分囊液且空气进入囊内后可出现气液面。
294、单项选择题 下列哪项不是先天性肺囊肿的特点()
A.可有气液平
B.单发囊肿多为液性囊肿
C.多发性囊肿多为气囊肿
D.孤立性囊肿多位于下叶
E.常为不均匀厚度的厚壁空腔
295、单项选择题 下列哪种情况会发生"眶上裂变窄"()
A.颈动脉-海绵窦瘘
B.垂体瘤
C.骨纤维结构不良
D.颅咽管瘤
E.海绵窦内颈内动脉瘤
296、单项选择题
男,67岁,脊髓痨患者,右下肢麻木,右膝关节肿胀,结合图像,最可能的诊断是()
A.创伤性关节炎
B.退行性骨关节病
C.神经性关节病
D.风湿性关节炎
E.痛风
297、判断题 X线片是二维图像,在这种图像上人体的各种结构互相重叠难于准确观察。
298、单项选择题 用胸片估计胸腔积液量,下列描述哪项不对()
A.微量积液:后肋膈角略钝
B.少量积液:液面低于第三前肋下缘
C.中量积液:液面低于第二前肋下缘
D.大量积液:液面超过第二前肋下缘
E.中量积液液面大于第四前肋上缘
299、多项选择题 支气管囊肿的囊壁可以含有哪些成份()
A.软骨
B.平滑肌
C.骨骼
D.弹性纤维组织
E.淋巴组织
300、配伍题 食管上段为()食管中段为()食管下段为()
A.内层环行肌
B.外层纵行肌
C.平滑肌
D.横纹肌
E.横纹肌与平滑肌混合