时间:2023-02-21 05:20:52


1、单项选择题 子宫输卵管造影的适应证包括下列哪项()
A.不孕症
B.生殖道畸形
C.子宫不正常出血
D.观察各种绝育措施后输卵管的情况
E.以上全是
2、多项选择题 通过眶下裂的血管和神经有()
A.上颌神经
B.眶下动脉
C.眶下静脉
D.交感神经
E.第Ⅴ脑神经眼支
3、名词解释 Albright综合征
4、判断题 骨质疏松是指单位重量的骨组织的钙盐含量降低。
5、名词解释 椎弓根峡部不连
6、单项选择题 KerleyA线主要分布于()
A.上肺外周
B.下肺内侧
C.上肺内侧
D.中肺野
E.下肺外周
7、判断题 正常时纵隔位置居中,是由于两侧胸腔压力保持平衡。
8、多项选择题 组成腕关节的骨有()
A.豌豆骨
B.舟骨
C.月骨
D.三角骨
E.桡骨
9、配伍题 肺囊肿继发感染时可出现()肺包虫囊肿病典型征象是()
A.半月征
B.双弓征
C.水上浮莲征
D.轨征
E.兔耳征
10、单项选择题 风湿性心脏瓣膜病二尖瓣狭窄在X线平片上表现为()
A.肺血增多,右心房、室增大,主动脉结小
B.肺血增多,左、右心室增大,主动脉结正常
C.肺血减少,右心房、室增大,主动脉结小
D.肺淤血,左心房、右心室增大,主动脉结小
E.肺淤血,右心房、左心室增大,主动脉结正常
11、单项选择题 属“生理积聚造影方法”的是以下哪种()
A.钡灌肠检查
B.IVU
C.钡餐检查
D.ERCP
E.PTC
12、判断题 早期棉尘肺患者胸片即表现为慢性支气管炎征象。
13、名词解释 纵隔气肿
14、单项选择题 原发恶性骨肿瘤的X线表现是()
A.边缘清楚,骨质有破坏,骨膜反应明显
B.边缘模糊,骨质有破坏,骨膜反应不明显
C.边缘模糊,骨质破坏,无骨膜反应
D.边缘模糊,骨质有破坏,骨膜反应明显
E.边缘清楚,骨质有破坏,无骨膜反应
15、多项选择题 以下哪种病变不出现“泥沙”状死骨()
A.胫骨结节骨软骨病
B.慢性化脓性骨髓炎
C.长骨结核
D.扁骨结核
E.急性化脓性骨髓炎
16、单项选择题 软组织摄片中X线管阳极的靶面材料是下列哪项()
A.钨
B.铅
C.铜
D.铝
E.建筑材料
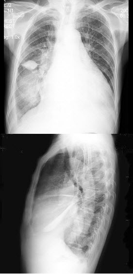
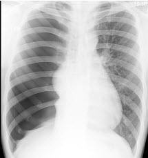
17、单项选择题
女,74岁,胸闷气逼多年,近来加重,X线检查如图,最可能的诊断是()

A.心包积液并右肺肿块
B.心包积液并右肺叶间积液
C.心包积液并右肺炎
D.心包积液并右侧胸膜肥厚
E.以上都不对
18、单项选择题 关于X线防护原则,错误的是()
A.建立剂量限制体系
B.缩短受照时间
C.建立屏蔽防护
D.缩短照射距离
E.合理降低个人受照剂量与全民X线检查频率
19、配伍题 构成左心缘第二弓的是()构成心右心缘第二弓的是()构成右心缘第一弓的是()
A.肺动脉段
B.右心房
C.上腔静脉
D.左心耳
E.左心室
20、单项选择题 下述肺炎中能明确分期的是()
A.支气管肺炎
B.支原体肺炎
C.过敏性肺炎
D.金葡菌肺炎
E.大叶性肺炎
21、单项选择题 大剂量静脉肾盂造影的禁忌证下列哪项应除外()
A.严重的心血管疾患
B.甲状腺功能亢进者
C.腹部有巨大肿块者
D.骨髓瘤合并肾衰竭
E.碘过敏试验阳性者
22、单项选择题
根据图像,最可能的诊断是()

A.肺气肿
B.慢性支气管炎
C.气胸
D.纵隔气肿
E.肺转移瘤
23、判断题 急性出血坏死性胰腺炎并发症发生率高,预后差。
24、填空题 肺真菌病的影像学表现主要有__________、______________、______________、_____________、_________和__________。
25、单项选择题 定影速度的正确表示是()
A.定影时间
B.显影时间
C.乳剂变透明时间
D.水洗时间
E.干燥时间
26、单项选择题 肺动脉狭窄最常见的类型是()
A.瓣膜下型
B.瓣膜上型
C.瓣膜型
D.混合型
E.以上都不是
27、单项选择题 下列人体体表定位中,错误的是()
A.喉头隆起——第4颈椎高度
B.剑突——相当第7胸椎高度
C.两侧髂骨嵴连线——第4腰椎水平
D.胸骨柄上缘——第3胸椎高度
E.第一腰椎——相当剑突与肚脐连线中点
28、问答题 肺挫伤有何X线表现?
29、单项选择题
男,65岁。走路时,不慎摔倒。查体:左下肢缩短,外旋50°畸形。
为明确诊断,首先应进行的检查为()
A.CT检查
B.核素骨扫描
C.X线检查
D.MRI检查
E.关节造影
30、名词解释 染色体病
31、单项选择题 下列“慢性骨脓肿”影像特点描述不正确的是()
A.骨质破坏常位于干骺端中央
B.局部软组织无肿胀
C.圆形、分叶状密度减低区
D.没有或仅有轻度骨膜反应
E.病灶内常有死骨
32、单项选择题 脊椎骨折预后可能比较严重的是()
A.棘突骨折
B.椎体压缩骨折,骨性椎管完整
C.骨折片进入椎管内
D.横突骨折
E.单纯上关节突骨折
33、单项选择题
女,48岁,常感中上腹不适,无返酸、嗳气及黑便史,结合图像,最可能的诊断为()

A.正常肠圈
B.十二指肠炎
C.球部溃疡
D.降段憩室
E.水平段憩室
34、单项选择题 “子宫输卵管造影”后24小时摄片,主要是为了观察()
A.盆腔内造影剂弥散情况
B.输卵管结构
C.子宫腔形态
D.阴道结构
E.以上都对
35、判断题 Alexander型与Scheibe型畸形均为膜迷路发育畸形。
36、单项选择题 “钡餐检查”前,一般不需要()
A.了解病史,带上以往检查资料
B.清洁灌肠
C.不给予影响消化道功能的药物
D.检查前1周内不吃高密度食物、药物
E.禁食、禁水12小时
37、单项选择题 青年患者,右肺下叶背段见一薄壁空洞。应首先考虑()
A.先天性肺囊肿
B.肺结核
C.肺脓肿
D.肺癌
E.肺包虫囊肿
38、单项选择题 右下肺动脉正常直径范围为()
A.9~16mm
B.9~17mm
C.10~15mm
D.11~17mm
E.11~16mm
39、单项选择题 风湿性心脏病主动脉瓣关闭不全的主要X线表现是()
A.左心房、右心室增大
B.左心房,右心室增大
C.右心房增大
D.左心室增大
E.右心室肥大
40、单项选择题 鼻窦中恶性肿瘤最多发生在()
A.额窦
B.前组筛窦
C.后组筛窦
D.上颌窦
E.蝶窦
41、单项选择题 50岁男性,咳嗽、痰中带血3月余。胸片示右肺门区4cm圆形肿块,右上肺不张,痰查癌细胞阴性,最可能的诊断是()
A.右上肺中央型肺癌
B.右上肺周围型肺癌
C.右上肺慢性纤维空洞型肺结核
D.过敏性肺炎
E.肺隔离症
42、判断题 脾脓肿常常是败血症脓栓的结果。
43、单项选择题
女,4岁,大便潜血(++),结合图像,最可能的诊断为()

A.正常表现
B.胃炎
C.胃溃疡
D.胃窦炎
E.胃癌
44、单项选择题 下列有关X线管的结构参数中,不包括()
A.外形尺寸
B.阳极靶面倾角
C.管电流
D.有效焦点尺寸
E.管壁滤过当量
45、单项选择题
男,28岁,右肱骨上段肿痛1个月,疼痛以夜间明显,摄片如图所示,提示骨肉瘤最为主要的征象是()
A.溶骨性破坏
B.骨膜增生
C.肿瘤骨形成
D.软组织肿块影
E.Codman三角
46、多项选择题 胸片上,空洞可见于下列哪些疾病()
A.转移性肺癌
B.原发性肺癌
C.韦格肉芽肿
D.原发性肺结核
E.嗜酸性肉芽肿
47、单项选择题
男,76岁,长久站立时左膝关节疼痛,可扪及捏发音,结合图像,最可能的诊断是()
A.退行性骨关节病
B.畸形性骨炎
C.神经性关节病
D.创伤性关节炎
E.肥大性骨关节病
48、填空题 肺结核的并发症有_________、_________、____________、____________和______________。
49、单项选择题 男,65岁,钡剂灌肠检查发现乙状结肠下段呈局限性环形狭窄,肠壁僵硬,与正常肠管截然分界,首先应考虑()
A.溃疡性结肠炎
B.结肠结核
C.浸润型结肠癌
D.溃疡型结肠癌
E.结肠息肉病
50、多项选择题 肺动脉段突出可见于()
A.主动脉瓣狭窄
B.瓣膜型肺动脉狭窄
C.漏斗型肺动脉狭窄
D.高血压心脏病
E.肺源性心脏病
51、问答题 如何鉴别肺门、纵隔淋巴结肿大?
52、多项选择题 常用作屏蔽防护的器械为()
A.X线管壳
B.滤过板
C.铅屏
D.铅橡皮围裙
E.墙纸
53、单项选择题 衡量防护材料防护性能的铅当量单位为()
A.伦琴
B.拉德
C.Gy
D.居里
E.毫米
54、单项选择题 后前位胸片摄片时的要求,下列哪项是错误的()
A.常规胸部后前位,应是深吸气后屏息曝光
B.双肩胛骨应投影于肺野之外
C.照射野越大越好
D.去掉可使胶片产生伪影的物品
E.摄片距离在165~180cm
55、单项选择题 男,12岁,发热头痛半月,右小腿肿痛20天,X线片示右小腿软组织肿胀,内有网状阴影,层次不清,胫骨上端骨质稀疏,骨小梁模糊,似有斑点状透明区,最可能的诊断是()
A.类风湿关节炎
B.尤文肉瘤
C.急性化脓性骨髓炎
D.骨肉瘤
E.右膝关节结核
56、单项选择题 十二指肠癌较罕见发生在哪段()
A.第1段
B.第4段
C.第2段
D.第3段
E.第2段加第4段
57、单项选择题 下列关于“骨巨细胞瘤”恶变征象中应除外哪项()
A.生长速度加快
B.形成软组织肿块
C.骨膜反应加重
D.病灶边缘模糊不清
E.溶骨性骨质破坏
58、单项选择题 DSA成像的叙述,错误的是()
A.DSA——数字减影血管造影
B.Mask片是与普通平片完全相同的图像
C.Mask——蒙片
D.造影图像与未造影图像相减得血管图像
E.血管显影所需的碘量与血管直径成反比
59、单项选择题 关于踝关节描述正确的是()
A.关节间隙约为4~5mm
B.两侧踝关节轴线,应与踝关节横轴线在侧方构成75°角
C.距骨属于骨性半月板
D.距骨上关节面前后长度等于胫骨下关节面
E.其各关节面可以不平行
60、判断题 烧伤患者的骨质疏松可最早在伤后1个月出现。
61、单项选择题 下述肺纹理异常表现,哪项不对()
A.肺纹理纤细
B.肺纹理增粗
C.下肺野纹理比上肺野纹理多
D.肺纹理结构模糊
E.肺纹理结构紊乱
62、名词解释 偏身肥大
63、单项选择题 心脏右前斜位,暗盒应与身体成多少夹角()
A.15°~25°
B.45°~55°
C.55°~65°
D.35°~45°
E.25°~35°
64、填空题 韦格肉芽肿在诊断时应注意与_________、___________、_________、____________及________等鉴别。__________、________、_________、_______和____________等有助于鉴别。
65、单项选择题 下列寄生虫中,哪项不常引起肺部感染()
A.肺吸虫
B.包虫
C.血吸虫
D.绦虫
E.溶组织阿米巴
66、名词解释 心脏塌陷征
67、问答题 颞颌关节强直分几种?有何X线表现?
68、判断题 急腹症患者宜首选立位腹部平片检查。
69、单项选择题 肩关节正位摄片,中心线正确射入点是()
A.锁骨的中点
B.关节盂
C.肩峰
D.肩胛骨喙突
E.肱骨头
70、单项选择题 下列“脊柱先天畸形”中,哪项错误()
A.先天性斜颈
B.环椎枕化
C.枢椎齿状突缺如
D.椎弓崩裂
E.Klippel-Feil综合征
71、填空题 多数学者认为,溃疡性结肠炎是直肠、结肠的__________,其机制不甚详尽,但主要理论是______________________。
72、单项选择题 下列“骨纤维异常增殖症”描述,哪项不对()
A.可多同时发病
B.发育成熟后,停止生长
C.可恶变
D.常有病理骨折、畸形
E.好发于骨干,病变较局限
73、填空题 肺结核的不常见X线表现包括______________、__________________、_____________________、_______________________、____________和__________________。
74、问答题 二尖瓣关闭不全的X线表现有哪些?
75、单项选择题 中央型肺癌的横“S”征的形成,主要与下述哪项有关()
A.右下叶肺不张
B.右中叶肺不张
C.右叶间胸膜肥厚
D.右上叶肺不张
E.右叶间积液
76、单项选择题
女,60岁,髋部疼痛、活动受限、跛行,结合图像,最可能的诊断是()
A.骨岛
B.髋关节结核
C.股骨头缺血坏死
D.退变性囊肿
E.暂时性骨质疏松
77、多项选择题 下列有关色素沉着绒毛结节性滑膜炎的描述中,正确的有()
A.软组织内有蛋壳样钙化
B.主要累及关节滑膜、关节囊和腱鞘
C.本病好发生于青壮年
D.动脉造影可显示富于血管的关节内肿块
E.膝关节最易受累
78、单项选择题 成人下颌角的正常值为()
A.110度
B.115度
C.120度
D.125度
E.130度
79、单项选择题 肋骨斜位摄片,常用于检查()
A.肋软骨
B.锁骨中线区肋骨
C.腋中线区肋骨
D.肩胛中线肋骨
E.肋骨小头
80、单项选择题
女,30岁,喜欢吃柿子,近日出现腹痛,腹胀,X线检查如图,最可能的诊断是()
A.骶骨肿瘤
B.钡餐检查后钡剂残留
C.肠结石
D.盆腔异位肾钙化
E.盆腔畸胎瘤
81、多项选择题 肺纹理缺乏,常见于()
A.肺大泡
B.空洞
C.气胸
D.含气囊肿
E.肺气肿
82、单项选择题 除下列哪种疾病外,其余均可出现"肺血流再分配"现象()
A.肺动脉高压
B.二尖瓣狭窄
C.肺结核
D.左房黏液瘤
E.基底段支气管扩张
83、多项选择题 下列组合,正确的是()
A.左前斜位——中心线经被照体的右后射向左前
B.右前斜位——中心线经被照体的左后射向右前
C.右后斜位——中心线经被照体的左前射向右后
D.左后斜位——中心线经被照体的左前射向右后
E.斜位——中心线经被照体的前面射向后面
84、单项选择题
男,59岁,进行性吞咽困难半年,结合图像,最可能的诊断为()

A.正常食管
B.食管静脉曲张
C.食管平滑肌瘤
D.食管癌
E.贲门癌侵及胃底、食管下段
85、问答题 十二指肠、小肠、结肠正常造影时X线表现如何?
86、单项选择题 心脏摄片,宜采用的呼吸方式为()
A.浅呼吸屏气
B.深呼气屏气
C.深吸气屏气
D.平静呼吸屏气
E.腹式呼吸屏气
87、填空题 脊椎结核的椎体信号改变,大多数TWI呈现______________,少数病灶呈现____________;TWI多现___________;部分病则呈现____________;增强检查以___________较常见。
88、单项选择题 关于小儿胸腺影像错误的是()
A.位于前上纵隔
B.上缘界限不清
C.随呼吸改变形状
D.随体位改变形状
E.船帆征为病理征象
89、单项选择题 通常所说的肺内结节性病灶,直径应为()
A.≤0.5cm
B.≤1cm
C.1~4cm
D.4~6cm
E.≥6cm
90、单项选择题 对肺部肿块良恶性的鉴别要点,下述哪项是错误的()
A.良性肿块的边缘常较光整
B.毛刺征对肿块良恶性鉴别价值不大
C.恶性肿瘤钙化率较低
D.4cm以上肿块以恶性的可能性较大
E.空泡征多提示为肺癌
91、单项选择题 肺挫伤为()
A.X线胸片呈肺野磨玻璃样变或面纱征
B.X线胸片呈多发边缘锐利、密度均匀高密度影
C.X线胸片呈一侧胸腔一片致密均匀阴影,纵隔向健侧移位
D.X线胸片呈纵隔气肿,大量气胸
E.X线胸片呈心影明显增大,心脏各弧消失
92、单项选择题 经纬仪安置时,对中的目的是使仪器的()。
A.仪器中心与测站点的标志中心在同一铅垂线上
B.水准管气泡居中
C.竖盘指标处于正确位置
D.仪器中心与测站点的标志中心在同一铅垂线上
93、单项选择题 下列疾病不属于骨关节肿瘤的是()
A.关节内骨软骨瘤病
B.动脉瘤样骨囊肿
C.骨软骨瘤
D.骨囊肿
E.腱鞘巨细胞瘤
94、单项选择题 后天性骨骼病变与先天性骨骼发育异常的鉴别要点在于后者()
A.弯曲变形
B.数目多少
C.骨质正常
D.骨骼粗细
E.位置异常
95、名词解释 成角
96、单项选择题
男,5岁,发热、咳嗽、气逼,听诊右中肺呼吸音减弱。结合胸片,最可能的诊断是()

A.大叶性肺炎
B.右肺中叶综合征
C.小叶性肺炎
D.原发性肺结核
E.淋巴瘤
97、单项选择题 化脓性骨髓炎指的是什么组织的化脓性感染()
A.骨皮质和骨膜
B.骨骺和骨髓
C.骨髓、骨和骨膜
D.骨髓
E.以上都是
F.以上都不是
98、单项选择题 绞窄性小肠梗阻常见原因是()
A.肠内疝
B.肠扭转
C.肠套叠
D.肠粘连
E.以上都是
99、单项选择题 以下属于膜内化骨的骨骼是()
A.颅盖骨及颜面骨
B.四肢骨
C.脊椎骨
D.不规则骨
E.以上均是
100、单项选择题 下述恶性肿瘤中,可出现成骨性骨转移的是()
A.鼻咽癌
B.乳腺癌
C.胃癌
D.前列腺癌
E.以上均可
101、多项选择题 下列那些疾病可能发生乳头内陷()
A.乳腺癌
B.浆细胞性乳腺炎
C.乳腺脂肪坏死
D.乳腺囊性增生
E.乳腺结核
102、单项选择题 下列不是CR的图像处理功能的是()
A.灰阶处理
B.窗位处理
C.时间减影处理
D.能量减影处理
E.磁信号处理
103、多项选择题 引起血清碱性磷酸酶升高的骨病是()
A.成骨性转移瘤
B.纤维肉瘤
C.畸形性骨炎
D.骨肉瘤
E.尤文肉瘤
104、单项选择题 眼眶骨折多见于()
A.外侧壁和顶壁
B.内侧壁和底壁
C.内侧壁和顶壁
D.底壁和外侧壁
E.顶壁和底壁
105、单项选择题 有关矢状面将人体上下分割,错误的是()
A.水平面又称为横断面
B.水平面垂直于冠状面
C.矢状面垂直于冠状面
D.冠状面将人体前后分割
E.矢状面将人体上下分割
106、多项选择题 对比剂对人体组织刺激性的(反应)比较,正确的是()
A.氧气>空气
B.无机碘>有机碘
C.离子型>非离子型
D.口服>静脉
E.以上都是
107、单项选择题 关于“胃癌”钡餐造影表现,下列哪项不对()
A.胃壁局限性僵硬
B.线状溃疡
C.病变周围粘膜皱襞中断、破坏
D.底部凹凸不平的浅大溃疡
E.表面凹凸不平的充盈缺损
108、判断题 脑回压迹增多是儿童颅内压增高的主要X线征象。
109、判断题 胃肉瘤高度恶性者常为弥漫性浸润,呈多发肿块,穿孔少见,较少累及淋巴结。
110、配伍题 中纵隔最常见的肿瘤是()前纵隔最常见的肿瘤是()后纵隔最常见的肿瘤是()
A.畸胎瘤
B.胸腺瘤
C.淋巴瘤
D.神经源性肿瘤
E.甲状腺瘤
111、配伍题 食管上段为()食管中段为()食管下段为()
A.内层环行肌
B.外层纵行肌
C.平滑肌
D.横纹肌
E.横纹肌与平滑肌混合
112、单项选择题 在弥漫性肺疾病的诊断中,首先应进行的影像学检查是()
A.CT扫描
B.MRI
C.胸部X线片
D.核素扫描
E.肺血管造影
113、多项选择题 慢性支气管炎在诊断时需与下列哪些疾病鉴别()
A.间质性肺炎
B.结缔组织疾病
C.尘肺
D.细支气管炎
E.支气管扩张
114、单项选择题 经皮肾动脉腔内成形术简称()
A.PTC
B.PTRA
C.PTCA
D.PCN
E.PTA
115、单项选择题 下列关于肺部霉菌病的影像特点,正确的是()
A.常侵犯胸膜、胸壁,形成瘘道
B.中下肺斑点状、云雾状影
C.两肺粟粒样病灶
D.空洞内有“霉菌球”
E.双肺磨玻璃样改变
116、名词解释 Barrett食管
117、多项选择题 下列哪些属于直接引入法造影()
A.胃肠钡餐造影
B.口服胆囊造影
C.逆行肾盂造影
D.静脉肾盂造影
E.子宫输卵管造影
118、填空题 中晚期食管癌可分为五型,即_______、________、________、________、_______。
119、判断题 奇副裂呈细线状,自右肺尖部向内、下走行至右肺门上方。
120、名词解释 骨性狮面
121、单项选择题 食管的生理性狭窄及其压迹部位相同的是哪些()
A.左心房部
B.主动脉弓部
C.膈食管裂孔部
D.食管入口部
E.左主支气管部
122、填空题 椎弓裂包括___________、________、___________和__________。
123、单项选择题 X线明确显示骨折愈合,最早始于()
A.成骨性肉芽组织形成期
B.纤维性骨痂形成期
C.骨性骨痂形成期
D.塑形期
E.骨折后24小时
124、单项选择题 以下哪项是静脉肾盂造影时,首次摄片时机()
A.注药后1小时
B.注药后10~12小时
C.注药结束5分钟
D.注药后立即摄片
E.注药后15~30分钟
125、单项选择题
男,14岁。左大腿下段疼痛,伴高热,体温达39℃。查体:左股骨下段深压痛。
该患者最可能的诊断为()
A.左股骨化脓性骨髓炎
B.左股骨结核
C.左股骨骨瘤
D.左股骨骨肉瘤
E.左股骨囊肿
126、单项选择题 下列哪项保存方法不会使X线胶片出现灰雾()
A.胶片放置在铅皮破损的铅箱内
B.胶片与化学药品类存放在同一库房内
C.胶片放置在符合要求的完好的铅箱内,并投放了干燥剂
D.胶片存放在热力、煤气管道的地下室库房内
E.胶片在低温、高湿度的霉雨季节启封存放
127、名词解释 镜面右位心
128、名词解释 Von Hippel-Lindau综合征
129、判断题 阿米巴结肠炎形成阿米巴瘤,可呈偏心性或不均称的肠管狭窄,与正常肠管之间无明显界限。
130、配伍题 属于肠系膜上动脉分支的有()属于肠系膜下动脉分支的有()
A.胃左动脉
B.腰动脉
C.肾动脉
D.左结肠动脉
E.右结肠动脉
131、单项选择题 下列关于支气管炎的X线表现,不易见到的是()
A.肺纹理增强,边缘模糊
B.斑片状阴影中杂有结节状阴影病灶,多位于两肺下叶内
C.肺炎性假瘤
D.空洞和胸腔积液
E.有肺气肿X线表现
132、问答题 克罗恩病常有哪些X线征象?
133、判断题 正常胸膜一般不显影,若见显影则为病理征象。
134、名词解释 空回肠换位征
135、多项选择题 下列需与非骨化性纤维瘤鉴别的肿瘤或肿瘤样病变有()
A.骨样骨瘤
B.骨巨细胞瘤
C.纤维性骨皮质缺损
D.骨纤维结构不良
E.良性间叶瘤
136、判断题 立位腹部平片对诊断急腹症无价值,必须行CT和超声检查。
137、判断题 炎症性狭窄范围较广泛且边缘不整齐,而肿瘤性狭窄范围较局限且边缘较整齐。
138、单项选择题 易与胰头肿块混淆的是()
A.门腔淋巴结
B.右肾上腺
C.右侧膈肌脚
D.十二指肠
E.胃幽门管
139、单项选择题 眼眶异物定位时,金属标记不应放置在角膜的哪个方位上()
A.3点钟
B.6点钟
C.9点钟
D.10点钟
E.12点钟
140、判断题 颅内良性肿瘤的小动脉显形多呈模糊的小斑点状表现。
141、单项选择题
男,65岁。走路时,不慎摔倒。查体:左下肢缩短,外旋50°畸形。
该患者最可能的诊断为()
A.左粗隆间骨折
B.左股骨颈骨折
C.左髋关节脱位
D.左髋软组织挫伤
E.左髋臼骨折
142、单项选择题 中央型肺癌早期的间接X线征象是()
A.阻塞性肺不张
B.支气管扩张
C.局限性肺气肿
D.阻塞性肺炎
E.纵隔及肺门淋巴结增大
143、名词解释 骨折延迟愈合
144、判断题 结肠憩室只发生于乙状结肠,不发生于其他部位。
145、单项选择题 中肺野是指上肺野以下至()
A.第四肋骨下缘的水平线以上
B.第四肋骨前缘下缘水平线
C.第四肋骨下缘的最低点
D.第四肋骨前端下缘的最低点
E.第四肋骨前端下缘的最低点水平线
146、多项选择题 乳腺纤维腺瘤X线表现为()
A.多呈圆形或椭圆形
B.偶可略为分叶状
C.边缘光整,密度较高且均匀
D.可伴有晕征
E.有时肿瘤内可见钙化
147、单项选择题 颅骨骨折的直接征象是()
A.乳突气房消失
B.颅内积气
C.软组织肿胀
D.骨折线
E.蝶窦积气-液平面
148、单项选择题 下列哪项不是月骨骨软骨炎的X线征象()
A.密度增高,有时可见囊性变
B.关节面不规则裂隙
C.外形不规则,体积增大
D.囊性变,周边硬化
E.附近骨质疏松
149、填空题 根据肺炎性假瘤的组织成分可将肺炎性假瘤分为5型,即_______________、_______________、____________、__________________和___________________。
150、单项选择题 关于原发性支气管肺癌,下列哪项描述不准确()
A.早期中央型肺癌胸片易漏诊
B.管内型的中央型肺癌易形成肺不张
C.隐性肺癌等于早期肺癌
D.鳞癌多为中央型肺癌
E.管壁浸润型的中央型肺癌可无肺不张
151、判断题 骨梗死最易累及四肢长骨的骨皮质及骨小梁部分。
152、多项选择题 关于结肠癌的X线表现,哪些是正确的()
A.腔内不规则龛影
B.腔内充盈缺损
C.肠腔狭窄,局限于一侧或呈环形
D.龛影周围宽窄不一的环堤
E.病变肠壁僵硬
153、单项选择题 Ⅱ型肺结核是指()
A.原发性肺结核
B.血行播散型肺结核
C.慢性纤维空洞型肺结核
D.结核性胸膜炎
E.浸润型肺结核
154、单项选择题 关于手部退行性骨关节病,下列哪项不是其X线表现()
A.指骨基底及掌骨头骨刺
B.关节间隙狭窄
C.关节面硬化
D.关节边缘部骨侵蚀
E.关节半脱位
155、多项选择题 关于囊形包虫病的描述哪些正确()
A.囊壁分三层
B.子囊由内囊生发层长出
C.子囊头节源自母囊生发层
D.外囊为纤维组织,壁厚,可钙化
E.应避免穿刺活检
156、判断题 甲状旁腺功能亢进患者多数有骨骼病变,主要表现为骨质疏松。
157、多项选择题 起源于非上皮的胃良性肿瘤为()
A.胃息肉
B.胃脂肪瘤
C.胃血管瘤
D.胃神经纤维瘤
E.胃平滑肌瘤
158、单项选择题 指出属于软骨类的肿瘤是()
A.骨瘤
B.骨软骨瘤
C.骨巨细胞瘤
D.非骨化性纤维瘤
E.骨肉瘤
159、单项选择题 伴有肿块阴影的肺血管异常的疾病是()
A.肺动脉狭窄
B.一侧肺发育不全
C.肺动脉缺如
D.肺动静脉瘘
E.部分肺静脉回流异常
160、单项选择题 提示骨折不愈合下列哪项是错误的()
A.骨折端膨大,密度增高,骨折面硬化
B.骨折端吸收,萎缩
C.骨皮质增厚,髓腔闭锁,骨折端有梭形软组织肿块
D.骨折面硬化,但无骨桥连接
E.骨折端因有血肿,软组织膨隆
161、单项选择题 对心脑组织毒性最低的对比剂是()
A.胆影葡胺
B.泛影葡胺
C.复方泛影葡胺
D.碘酞葡胺
E.甲泛葡糖
162、单项选择题 下列“胃溃疡”所见,哪项提示溃疡为恶性()
A.龛影位于腔外
B.局部胃壁僵硬
C.狭颈征
D.粘膜纠集
E.月晕征
163、多项选择题 根据作用力的方式和骨折本身的情况,将骨折分为()
A.创伤性骨折
B.疲劳性骨折
C.病理性骨折
D.不稳定性骨折
E.稳定性骨折
164、单项选择题 下列气管支气管病变影像特点描述,错误的是()
A.剑鞘状气管,气管扁平状,壁有钙化
B.支气管扩张,病变支气管囊柱状或葡萄状
C.气管软骨瘤,气管腔内软组织肿块
D.气管支气管软化症,气管、支气管狭窄
E.复发性多软骨炎,气管壁增厚、钙化、管腔狭窄
165、单项选择题 下述骨骼疾病中,除哪种疾病外均可引起胸椎旁软组织肿胀()
A.胸椎结核
B.强直性脊柱炎
C.嗜酸性肉芽种
D.胸椎肿瘤
E.化脓性脊柱炎
166、多项选择题 成人腹部摄片使用滤线器的理由是()
A.腹部厚度大
B.腹部组织密度高
C.腹部脏器多
D.照射野大
E.腹部气体多
167、问答题 纵隔如何分区?
168、名词解释 抱球征
169、单项选择题 左心衰竭主要X线表现()
A.肺淤血
B.胸膜增厚或产生少量积液
C.心脏房室增大
D.肺水肿
E.以上都是
170、单项选择题 下述良性骨肿瘤中,哪项不会发生恶变()
A.骨脂肪瘤
B.骨软骨瘤
C.软骨母细胞瘤
D.骨母细胞瘤
E.骨巨细胞瘤
171、问答题 普遍性骨硬化常见于哪些病?如何鉴别?
172、单项选择题 观察儿童骨龄应摄()
A.肘关节片
B.膝关节片
C.腕关节片
D.踝关节片
E.髋关节片
173、单项选择题
男,35岁,反复颈部不适20余年,结合图像,最可能的诊断是()
A.颈椎椎体融合
B.颈椎结核
C.颈椎退行性变
D.颈椎压缩性骨折
E.颈椎骨转移瘤
174、单项选择题 右下叶肺不张的最佳投照体位是()
A.右侧位
B.前弓位
C.右前斜位
D.左侧位
E.标准后前位
175、单项选择题 双乳剂X线胶片结构中,不包括()
A.片基
B.保护层
C.底层
D.乳剂层
E.防反射层
176、多项选择题 影响辐射损伤的因素是()
A.剂量率
B.照射方式
C.照射部位和范围
D.辐射线性质
E.辐射线剂量
177、多项选择题 成软骨细胞瘤应与下述哪些疾病变相鉴别()
A.骨巨细胞瘤
B.内生软骨瘤
C.软骨粘液样纤维瘤
D.多发性骨软骨瘤
E.骨骺、干骺结核
178、单项选择题 以下关于“脊柱硬膜外脓肿”特点中,哪项正确()
A.骶管最常见
B.多位于椎管前方
C.葡萄球菌感染,邻近椎骨常破坏
D.结核感染,邻近椎骨常破坏
E.“制动+抗生素”疗效最佳
179、单项选择题
男,63岁,进行性吞咽困难1月。食管钡餐示:食管下段粘膜不规则充盈缺损,管腔狭窄,贲门扩张欠佳。
发现肝内转移,则转移途径为()
A.直接浸润
B.淋巴转移
C.种植转移
D.血行转移
E.消化道粘膜下浸润
180、问答题 心力衰竭的X线表现有哪些?
181、多项选择题 属于胰腺外分泌性肿瘤者()
A.胰腺癌
B.胰腺囊腺瘤
C.胰腺囊肿
D.生长抑素瘤
E.舒血管肠肽瘤
182、名词解释 心脏摆动征
183、单项选择题 引起胃扭转的病理学因素为()
A.胃周围韧带松弛
B.胃肿瘤
C.横结肠位置异常
D.胃下垂
E.幽门与贲门接近
184、配伍题 脾栓塞适应证()脾栓塞禁忌证()脾栓塞并发症()
A.败血症
B.原发脾亢
C.肝癌
D.肾衰
E.胰腺梗死
185、问答题 哪些X线征象有利于纵隔肿瘤的定性诊断?
186、多项选择题 儿童不同于成人的骨折是()
A.粉碎性骨折
B.青枝骨折
C.嵌顿性骨折
D.骨骺分离
E.病理性骨折
187、单项选择题 男性,50岁。有动脉粥样硬化病史。突然感到剧烈刀割样胸痛2小时,向背部放射。体检发现主动脉瓣区可闻及舒张期杂音。考虑为主动脉夹层可能。为显示病变段全貌,下列哪项检查方法较好()
A.透视
B.胸片
C.CT
D.MRI
E.DSA
188、单项选择题
男,6岁,尿量明显增多伴眼球突出1年,结合图像作出最可能的诊断()
A.骨髓瘤
B.转移瘤
C.白血病
D.淋巴瘤
E.Langerhans组织细胞增生症
189、单项选择题 下列哪项是诊断肺癌敏感性最高的检查方法()
A.X线平片
B.CT检查
C.体层摄影
D.MRI检查
E.CT导向经皮穿刺活检
190、单项选择题 系统性红斑狼疮患者在颜面部可出现蝶形红斑,但出现率不超过()
A.20%
B.25%
C.50%
D.80%
E.60%
191、单项选择题
女,6月余,呼吸窘迫,左肺呼吸音弱、偶可闻及哮鸣音,结合图像,最可能的诊断()

A.先天性肺气肿
B.细支气管肺炎
C.胸腔积液
D.先天性囊性腺瘤样畸形
E.支气管囊肿
192、单项选择题
女,根据其正常小腿影像图像,判断其最可能的年龄()
A.4岁左右
B.20岁左右
C.16岁左右
D.12岁左右
E.8岁左右
193、单项选择题 IVP腹部立位像,左肾位于盆腔内,变换体位,可上下方向移位,左输尿管的长度与健侧相仿,应诊断为()
A.左侧游离肾
B.左侧异位肾
C.左侧移植肾
D.左侧肾下垂
E.左侧重复肾
194、名词解释 疲劳骨折
195、配伍题 男尿道管最狭窄的部分是()中央有精阜的是()尿道球腺开口于()
A.前列腺上部
B.膜部
C.海绵体部
D.尿道球部
E.射精管
196、单项选择题 关于腰椎正位标准片的说法,下列哪项不妥()
A.第1~5腰椎,腰骶关节、两侧骶髂关节对称显示
B.第3腰椎位于照片正中,棘突序列位于椎体正中
C.除第3腰椎各缘呈切线显示外,其余椎体均呈双边显示
D.除腰椎结核外,腰椎正位照片可不包括两侧腰大肌
E.各椎体及其附件结构易于分辨,骨纹理清晰显示
197、单项选择题 X线机的分类下列哪项不正确()
A.用于透视、摄影和特殊检查的X线机属诊断用X线机
B.按机械结构和运输方式可分为携带式、移动式和固定式
C.用于疾病治疗的属于治疗用X线机
D.按机器的体积分为大、中、小型
E.按机器应用特点分为综合用X线机和专用X线机
198、单项选择题 前臂骨折需要首先纠正的错位是()
A.侧方错位
B.旋转错位
C.成角错位
D.短缩错位
E.分离错位
199、单项选择题 肺脓肿急性化脓性炎症阶段,X线片示()
A.小片状阴影
B.大片状致密影
C.空洞
D.胸腔积液
E.团块状阴影
200、单项选择题 心脏右前斜位,冠状面与暗盒的角度是()
A.45°~55°
B.56°~65°
C.66°~70°
D.71°~80°
E.81°~85°
201、单项选择题 婴幼儿间质性肺炎急性阶段的重要X线表现是()
A.肺实变
B.肺膨胀
C.肺不张
D.支气管扩张
E.间质纤维化
202、单项选择题
女,26岁,咳嗽发热1周,无胸痛胸闷,X线检查如图,最可能的诊断是()

A.右侧大叶性肺炎
B.右侧胸腔积液
C.右肺中叶综合征
D.右侧胸膜肥厚
E.右下肺不张
203、单项选择题 疑消化道穿孔,观察膈下游离气体应摄()
A.左侧卧水平投照
B.右侧卧水平投照
C.仰卧水平投照
D.仰卧后前位
E.站立前后位
204、单项选择题 脊柱退行性骨关节病X线表现:①椎间隙狭窄、②椎间盘钙化、⑤椎体骨赘形成、④Schmorl结节、⑤椎间隙“真空现象”,其中提示椎间盘退变的直接征象是()
A.①②
B.②③
C.②④
D.①⑤
E.②⑤
205、多项选择题 肺间质包含下述哪些成分()
A.肺泡间隔
B.小叶间隔
C.肺泡管
D.肺泡壁
E.支气管及血管的周围组织
206、单项选择题 放射工作人员应每年进行一次健康检查,其中血液检查不包括哪项()
A.红细胞计数
B.白细胞总数及其分类
C.血红蛋白
D.血压测定
E.全血相对密度(比重)
207、判断题 特发性肥大性骨关节病和继发性肥大性骨关节病的X线表现相同,主要为管状骨对称性骨膜新生骨。
208、单项选择题 关于纵隔肿瘤,下列知识哪项不对()
A.多数纵隔肿瘤都有其好发部位
B.前纵隔:多为胎生性囊肿和胸腺瘤
C.中纵隔:多为恶性淋巴瘤
D.转移瘤:纵隔影常对称性增宽
E.胸片难以区分胸腺瘤和畸胎瘤
209、问答题 肺不张的X线表现有哪些?
210、单项选择题 关于肺癌特征影像病理基础,下列描述哪项不对()
A.空泡征:肿瘤坏死,空洞形成
B.细短毛刺:癌浸润及间质反应,多见于腺癌
C.胸膜凹陷:肿瘤瘢痕收缩
D.钙化:肿瘤钙化或包埋原有钙化灶所致
E.细支气管充气征:瘤内含气、扩张的细支气管
211、单项选择题 IVP示肾盂呈杵状,则可排除下列哪项()
A.肾乳头坏死
B.慢性肾盂肾炎
C.肾结石
D.肾盂积水
E.肾盂肿瘤
212、多项选择题 以下哪些病变属于肿瘤样病变()
A.骨囊肿
B.动脉瘤样骨囊肿
C.骨纤维异样增殖
D.广泛性纤维囊性骨炎
E.外生骨疣
213、单项选择题 下列组合,哪项是错误的()
A.腹腔内游离气体——十二指肠溃疡穿孔
B.胃粘膜下肿瘤——平滑肌瘤
C.结肠息肉——家族性因素
D.闭塞性肠绞痛——大肠癌
E.食管静脉曲张——胰腺癌
214、单项选择题 房间隔缺损第2孔型的血流动力学改变中,下列哪项不正确()
A.右心房血流量减少
B.右心室血流量增加
C.左心房血流量增加
D.肺动脉血流量增加
E.左心室血流量减少
215、多项选择题 以肺出血为特征的病变()
A.钩端螺旋体病
B.Goodpasture综合征
C.特发性含铁血黄素沉着症
D.系统性硬皮病
E.干燥综合征
216、填空题 马德隆(Madelung)畸形是由于桡骨远端内侧骨骺发育异常引起的_________和________的畸形。
217、判断题 房间隔缺损时,右心房、右心室可见增大。
218、单项选择题 关于组织细胞增生症X线检查的描述,下列错误的是()
A.胸腔积液较少见
B.肺门淋巴结肿大
C.早期,弥漫分布网状结节影
D.晚期,蜂窝肺
E.骨骼系统病变
219、单项选择题 肺部转移瘤可来自()
A.血行转移
B.淋巴转移
C.邻近器官直接蔓延
D.以上都是
E.以上都不是
220、判断题 眼眶正位眶内上缘显影淡,考虑为骨质破坏。
221、单项选择题 符合MPSⅡ型(HUnter综合征)重型的特点为()
A.2~4岁发病,智力障碍及身体畸形
B.可出现进行性耳聋、腕管综合征
C.可出现髋关节退行性改变
D.患者可存活到六七十岁
E.尿内有大量DS和HS
222、单项选择题 便携式X线机的管电流一般小于()
A.5mA
B.10mA
C.50mA
D.100mA
E.200mA
223、单项选择题 在胸部平片上,无肺血增多表现的是()
A.室间隔缺损
B.肺动脉狭窄
C.房间隔缺损
D.二尖瓣关闭不全
E.动脉导管未闭
224、单项选择题 下列哪种疾病,无嗜酸细胞增多表现()
A.蛔虫病
B.结节性大动脉炎
C.曲菌病
D.嗜酸细胞肉芽肿
E.呋喃妥英治疗
225、单项选择题 女,25岁,初产妇哺乳期,右乳腺疼痛2天,体温39℃,局部有明显压痛,诊断为急性乳腺炎,在诊断依据分析中,下列哪项是错误的()
A.哺乳期局部疼痛
B.局部有明显压痛
C.体温高
D.好发于初产妇
E.因病人局部皮肤不红,表皮温度较对侧升高不明显,诊断不能肯定
226、单项选择题 骨肉瘤的好发年龄是()
A.15岁以下
B.15~25岁
C.婴幼儿
D.25~40岁
E.40岁以上
227、多项选择题 骨髓瘤好发于下列哪些部位()
A.肱骨
B.脊椎
C.肋骨
D.骨盆
E.胸骨
228、单项选择题 肺吸虫病引起的肺出血及组织破坏所致的X线特点主要为()
A.浸润阴影
B.单房及多房性囊状阴影
C.结节状阴影
D.硬结和钙化阴影
E.肺纹理增多、紊乱
229、判断题 哈弗斯系统顺骨干长轴平行排列。
230、问答题 单纯性小肠梗阻的X线表现有哪些?
231、单项选择题 关于骨岛,哪项是错误的()
A.松质骨内局限性骨小梁增多,增粗
B.边界清楚的致密影
C.长轴与较粗骨小梁走行方向一致
D.直径一般只有数厘米
E.以上都不是
232、单项选择题 灯泡征最常见于()
A.肝脓肿
B.肝血管瘤
C.原发性肝癌
D.转移性肝癌
E.肝囊肿合并出血
233、单项选择题
男,68岁,患“胃炎”20余年,因突然出现全腹剧烈疼痛,病人被动屈曲位,初体温正常,后出现最高体温38.5℃,脉搏110次/分,查体:腹式呼吸减弱,腹肌紧张不明显,全腹压痛、反跳痛,以上腹部为重;X线立位平片示小肠普遍胀气,并见小液气平面,膈下见游离气体。
病人需手术绝对指征是()
A.肠胀气明显
B.膈下见游离气体
C.发热高达38.5℃
D.全腹压痛及反跳痛
E.以上都不是
234、单项选择题
女,根据其正常骨盆影像图像,判断其最可能的年龄()
A.28岁左右
B.18岁左右
C.38岁左右
D.78岁左右
E.58岁左右
235、单项选择题
男,6岁,髋部疼痛、跛行半年,结合图像,最可能的诊断是()
A.髋关节结核
B.股骨头骨骺缺血坏死
C.骨肉瘤
D.骨囊肿
E.软骨肉瘤
236、单项选择题 下列说法不妥的是()
A.潜影的本质是银集团
B.感光中心是在乳剂的制备过程中形成的微量银质点
C.显影中心是接受光点后形成的影像银质点
D.无数显影中心所组成的银离子群即为影像
E.感光中心多,显影中心也多
237、单项选择题
通常需要经时的造影是哪个()
a.淋巴造影
b.瘘管造影
c.静脉肾盂造影
d.子宫输卵管造影
A.a,c,d
B.a,b
C.b,c
D.b,d
E.a~d全部
238、多项选择题 下述溃疡性结肠炎晚期表现,正确的是()
A.结肠缩短
B.肠壁僵硬,蠕动消失
C.激惹征
D.骶前间隙变窄
E.“钮扣样”溃疡
239、单项选择题
男,22岁,突感呼吸困难,胸片检查如图,最可能的诊断是()

A.正常胸片
B.右侧肺气肿
C.纵隔肿瘤
D.右侧气胸
E.纵隔气肿
240、判断题 滑石肺临床症状相对较重且出现早。
241、单项选择题 下列选项中,主要在瓦氏位摄片显示的是()
A.乳突、中耳气房
B.额窦、眼眶周围骨质
C.上颌窦、筛窦、额窦
D.视神经孔、后组筛窦
E.内听道、蝶鞍、枕骨
242、单项选择题 先天性支气管囊肿的主要并发症是()
A.继发感染
B.肺大泡
C.癌变
D.胸膜炎
E.支气管扩张
243、名词解释 纵隔摆动
244、单项选择题 关于“应力性骨折”,正确的描述是()
A.为青少年特有的骨折类型
B.可见明确的低密度骨折线
C.有明显成角畸形
D.第四跖骨
E.同一部位多次轻微外伤所致
245、单项选择题 以下哪项不是滤线栅的特点()
A.图像失真度加大
B.曝光量加大
C.图像清晰度降低
D.要求X线中心线与滤线栅垂直
E.图像对比度下降
246、单项选择题 骨骺、干骺端结核的特征性X线表现为()
A.破坏区边缘有硬化
B.破坏区常横跨骺线
C.破坏区较局限
D.死骨及窦道形成
E.以上都是
247、单项选择题 下述哪种肺炎好发于右心隔角处()
A.支气管肺炎
B.支原体肺炎
C.流感病毒性肺炎
D.腺病毒肺炎
E.麻疹肺炎
248、填空题 .眼眶异物X线定位通常采用______________________、_________________、_____________________、_________________和_________________等。
249、单项选择题
男,35岁,因截瘫后1年,右股骨上端出现肿块2个月,渐渐地长大,X线摄片如图,最可能的诊断是()
A.骨化性机炎
B.骨肉瘤
C.软骨肉瘤
D.截瘫后软组织骨化
E.以上都不是
250、单项选择题 关于X线的叙述,错误的是()
A.X线是一种电磁波
B.X线波长,穿透力弱
C.L层比M层产生的X线波长长
D.L层比M层产生的X线波长短
E.X线波长与电子所在壳层有关
251、名词解释 激惹征
252、单项选择题 划分左、右肝叶的解剖标志是()
A.肝动脉
B.门静脉
C.肝中静脉
D.肝左静脉
E.肝右静脉
253、多项选择题 肺癌可见的转移部位为()
A.肝脏
B.纵隔淋巴结
C.脑
D.骨
E.肺门
254、单项选择题 下面哪种病可以看到KerleyB线()
A.胸膜炎
B.病毒性肺炎
C.慢性支气管炎
D.肺水肿
E.肺脓肿
255、单项选择题 在减少与抑制散射线的方法中,错误的是()
A.使用滤线器
B.空气间隙法
C.增加附加滤过
D.扩大照射野
E.使用准直(遮线)器
256、多项选择题 法洛四联征在胸部后前位片上的X线表现为()
A.心脏无明显增大
B.肺门缩小,肺血管纤细
C.心尖圆钝、上翘、心腰凹陷
D.肺血少者可能见到侧支循环
E.伴有右位主动脉弓则主动脉结在右侧
257、单项选择题 对于先天性巨结肠(Hirschsprung病)患者,以下钡灌肠技术中,哪项不正确()
A.检查前,不清洁灌肠
B.用等渗盐水配制钡剂
C.通常只要求显示狭窄段,不要求显示全结肠
D.检查后,尽量抽出钡剂
E.检查前日,服泻药清洁灌肠
258、填空题 _______和_______是诊断乳腺瘤样病变和乳腺癌的主要检查手段。
259、多项选择题 有关胆道系统疾病的检查方法有()
A.PTC
B.静脉胆道造影
C.口服胆囊造影
D.ERCP
E.B超
260、单项选择题 有关脊索瘤的好发部位和X线主要特点,错误的是()
A.肿瘤好发生于脊柱两端,居中线部位
B.常为膨胀性溶骨性破坏,其中可残存碎骨片或小梁沟隔
C.绝大多数病人可有骨质增生和硬化
D.50%病人可有钙化
E.以上都不是
261、单项选择题 小儿肘关节摄片,桡骨骨干中轴线连线与肱骨小头骨骺中线不相连,应诊断为()
A.Colles骨折
B.Smith骨折
C.肱骨外髁骨骺分离
D.Monteggia骨折
E.以上都不对
262、单项选择题 血源性肺脓肿的发病部位多见于()
A.肺尖
B.肺外围
C.肺门周围
D.膈上区
E.左心缘旁区
263、单项选择题 关于胃溃疡X线表现,错误的是()
A.龛影
B.小弯短缩
C.粘膜集中
D.充盈缺损
E.砂钟胃
264、单项选择题 下列诊断小肠克罗恩病较为特征性的X线表现是()
A.多发生于回肠远端
B.“激惹征”
C.“跳跃征”
D.管腔狭窄
E.纵行溃疡
265、单项选择题
男,23岁,根据影像图像,最可能的诊断是()
A.骨髓炎
B.骨硬化症
C.骨囊肿
D.骨脓肿
E.骨结核
266、问答题 十二指肠球部溃疡愈合的X线表现有哪些?
267、单项选择题 放射工作人员防止眼晶体发生非随机性效应的年剂量当量限值是()
A.50mSv/年
B.150mSv/年
C.100mSv/年
D.250mSv/年
E.350mSv/年
268、多项选择题 增感屏使用中不妥的事项是()
A.避免放在高温和过干燥处
B.有灰尘时必须用嘴轻吹去
C.不宜放在潮湿处以免发霉
D.清洁后应置于阳光下晒干后方可使用
E.要直立放置,随时扣好暗盒弹簧扣
269、判断题 正常软组织内可有少量气体存在。
270、判断题 在工作中,通常用密度的高与低表示影像的白与黑。
271、名词解释 Jones-Thompson方程
272、填空题 石骨症分两型,即轻型为_____________,重型为_____________。
273、单项选择题
男,13岁,因轻微外伤后感左肱骨上部疼痛,软组织肿胀,摄片见左肱骨上段局限性骨质沿髓腔膨胀性破坏,骨皮质变薄,部分骨皮质不连续,最可能的诊断是()
A.左肱骨骨折
B.左肱骨骨囊肿伴病理性骨折
C.左肱骨骨纤伴病理性骨折
D.左肱骨巨细胞瘤伴病理性骨折
E.以上均不正确
274、单项选择题
女,1岁,身体发育异常,眼巩膜呈蓝色,结合图像,最可能的诊断为()
A.成骨不全
B.粘多糖病
C.软骨发育不全
D.佝偻病
E.侏儒症
275、判断题 疲劳骨折好发于第2跖骨、胫骨和尺桡骨,骨折线多不明显。
276、单项选择题 下列心脏影像中,哪项不太重要()
A.位置
B.大小
C.形态
D.密度
E.搏动状态
277、单项选择题 腮腺良性肿瘤中以哪种最多见()
A.腮腺淋巴瘤
B.腮腺混合瘤
C.腮腺血管瘤
D.腮腺脂肪瘤
E.沃辛瘤
278、单项选择题
关于岩骨摄片位置的叙述,哪个是正确的()
a.斯氏位(Stenver位)时,岩骨锥体长轴与胶片平行
b.许氏位(Schuller位)时,非检测的锥体向头侧(上方)投影
c.梅氏位(Mayer位)时,锥体长轴与胶片垂直
d.汤氏位(ToWne位)时,两侧锥体部可以同时显示
A.a,c,d
B.a,b
C.b,c
D.d
E.a~d全部
279、多项选择题 软骨组织发生的良性骨肿瘤为()
A.成骨细胞瘤
B.骨瘤
C.皮质旁软骨瘤
D.成软骨细胞瘤
E.骨软骨瘤
280、单项选择题 下述先天性肺囊肿知识,错误的是()
A.单发囊肿多为液性囊肿
B.可有气液面
C.孤立性囊肿多位于下叶
D.多发性囊肿多为气囊肿
E.常为不均匀厚度的厚壁空腔
281、单项选择题 肾下垂的诊断,应选择以下哪种检查()
A.静脉肾盂造影
B.逆行肾盂造影
C.腹部立位片
D.立、卧位造影
E.腹部侧位片
282、判断题 颅底位平片,颅底骨性结构,两侧对称。
283、单项选择题 “良、恶性胃溃疡”共有的征象为()
A.腔内龛影
B.裂隙征
C.半月征
D.穿透性溃疡
E.环堤
284、多项选择题 结节病的X线征象包括()
A.有时可见桡骨囊性变
B.肺门淋巴结肿大
C.多为两肺受累
D.有时纵隔淋巴结也肿大
E.最后可导致肺源性心脏病
285、多项选择题 颅底片,能显示的孔有()
A.棘孔
B.破裂孔
C.卵圆孔
D.视神经孔
E.颈静脉孔
286、单项选择题 婴幼儿肺结核最常见的X线表现是()
A.空洞和肺门淋巴肿大
B.结核球
C.肺内浸润影像和肺门淋巴结肿大
D.胸腔积液
E.散在结核钙化影
287、填空题 常见的膝关节创伤包括______________、__________________和________________。
288、单项选择题 下列哪项是正常胃形态()
A.蜗牛胃
B.葫芦胃
C.牛角胃
D.砂钟胃
E.B形胃
289、单项选择题 先天性支气管囊肿的主要并发症为()
A.继发感染
B.癌变
C.肺大泡
D.胸膜炎
E.支气管扩张
290、单项选择题 肋骨先天性畸形常见的类型有()
A.颈肋
B.胸骨畸形
C.肋骨分叉畸形
D.肋骨联合畸形
E.以上都是
291、配伍题 输尿管长约()输精管长约()
A.15~20cm
B.30~45cm
C.25~30cm
D.2~8cm
E.10~12cm
292、单项选择题 胶片感光发生的光化学反应,实质上属于()
A.水解反应
B.合成反应
C.氧化-还原反应
D.光合作用
E.光化学反应
293、多项选择题 影响X线照片密度因素的叙述,正确的是()
A.影像密度的大小取决于照射量因素
B.密度决定于胶片对其照射量的反应特性
C.低电压技术摄片管电压对照片密度的影响小
D.高电压摄片时,摄片条件选择的通融性小
E.低电压摄片时,宽容度大
294、单项选择题 胸片上,正常肺门位于()
A.第1~3前肋内带
B.第2~4前肋内带
C.第4~6前肋内带
D.第5~7前肋内带
E.第7~9前肋内带
295、判断题 急性化脓性骨髓炎,骨膜反应的范围一般同骨的病变范围一致。
296、问答题 四肢长管骨急性化脓性骨髓炎的X线表现有哪些?
297、单项选择题 诊断肺血管异常的主要造影方法是()
A.左心室造影
B.右心室造影
C.主动脉造影
D.腔静脉造影
E.冠状动脉造影
298、单项选择题 最常见的后纵隔肿瘤是()
A.神经节细胞瘤
B.淋巴瘤
C.神经母细胞瘤
D.支气管囊肿
E.转移
299、单项选择题 检查输卵管通畅度的首选方法是()
A.输卵管通液
B.输卵管通气
C.子宫输卵管造影
D.宫腔镜
E.B超检查
300、判断题 动力性和血运性肠梗阻在临床上最为常见。